We use cookies to enhance the usability of our website. If you continue, we'll assume that you are happy to receive all cookies. More information. Don't show this again.
SLPI
HPA
RESOURCES
  • TISSUE
  • BRAIN
  • SINGLE CELL
  • SUBCELLULAR
  • CANCER
  • BLOOD
  • CELL LINE
  • STRUCTURE & INTERACTION
ABOUT
  • INTRODUCTION
  • HISTORY
  • ORGANIZATION
  • PUBLICATIONS
  • ANTIBODY SUBMISSION
  • ANTIBODY AVAILABILITY
  • ACKNOWLEDGMENTS
  • CONTACT
NEWS
  • NEWS ARTICLES
  • PRESS ROOM
LEARN
  • DICTIONARY
  • PROTEIN CLASSES
  • PROTEIN EVIDENCE
  • METHODS
  • EDUCATIONAL VIDEOS
DATA
  • DOWNLOADABLE DATA
  • PUBLICATION DATA
  • RELEASE HISTORY
HELP
  • ANTIBODY VALIDATION
  • ASSAYS & ANNOTATION
  • DISCLAIMER
  • HELP & FAQ
  • PRIVACY STATEMENT
  • LICENCE & CITATION
Fields »
Search result

Field
Term
Gene name
Class
Subclass
Class
Keyword
Chromosome
External id
Tissue
Cell type
Expression
Antibody panel
Tissue
Main location
Patient ID
Annotation
Tissue
Category
Tau score
Cluster
Reliability
Brain region
Category
Tau score
Brain region
Category
Tau score
Brain region
Category
Tau score
Cluster
Reliability
Tissue
Cell type
Enrichment
Cell type
Category
Tau score
Cell type
Category
Tau score
Cell type
Category
Tau score
Cell lineage
Category
Tau score
Cluster
Cluster
Location
Searches
Location
Cell line
Class
Type
Phase
Reliability
Cancer
Prognosis
Cancer
Category
Cancer
Category
Tau score
Cluster
Variants
Interacting gene (ensg_id)
Type
Number of interactions
Pathway
Category
Score
Score
Score
Validation
Validation
Validation
Validation
Antibodies
Data type
Column


  • SUMMARY

  • TISSUE

  • BRAIN

  • SINGLE CELL

  • SUBCELL

  • CANCER

  • BLOOD

  • CELL LINE

  • STRUCT & INT

  • SLPI
TISSUE PRIMARY DATA SALIVARY GLAND Show tissue menu
ADIPOSE TISSUE ADRENAL GLAND AMYGDALA APPENDIX BASAL GANGLIA BONE MARROW BREAST BRONCHUS CEREBELLUM CEREBRAL CORTEX CERVIX CHOROID PLEXUS COLON DUODENUM
ENDOMETRIUM EPIDIDYMIS ESOPHAGUS FALLOPIAN TUBE GALLBLADDER HEART MUSCLE HIPPOCAMPAL FORMATION HYPOTHALAMUS KIDNEY LIVER LUNG LYMPH NODE MIDBRAIN NASOPHARYNX
ORAL MUCOSA OVARY PANCREAS PARATHYROID GLAND PITUITARY GLAND PLACENTA PROSTATE RECTUM RETINA SALIVARY GLAND SEMINAL VESICLE SKELETAL MUSCLE SKIN SMALL INTESTINE
SMOOTH MUSCLE SOFT TISSUE SPINAL CORD SPLEEN STOMACH TESTIS THYMUS THYROID GLAND TONGUE TONSIL URINARY BLADDER VAGINA
ANTIBODIES
AND
VALIDATION
Dictionary
Salivary gland
Tissue proteome
Salivary gland
SALIVARY GLAND - Expression summary
Protein expression
Salivary glandi

On the top, protein expression in current human tissue, based on all annotated cell types, is reported with the units not detected (n), low (l), medium (m) and high (h). Underneath, protein expression in each annotated cell type are reported using the same units.

Protein expression data is based on knowledge-based annotation. For genes where more than one antibody has been used, a collective score is set.

If knowledge-based annotation could not be performed for a gene, no data is displayed here. View antibody staining data further down this page.

h
m
l
n
Glandular cells: Low
Protein profiling
Multiplex tissuei

A summary of the protein localization in the current human tissue based on multiplex immunohistochemistry profiling in selected tissues is shown for genes where this analysis has been performed.

Cytoplasmic staining in serous acini, mucus acini and small ducts.

RNA expressioni

A summary of mRNA expression data available for current tissue based on several datasets. The mRNA expression levels in human tissues are based on RNA-seq data generated by the Human Protein Atlas (HPA), Genotype-Tissue Expression (GTEx) portal and CAGE data generated by the FANTOM5 consortium. Consensus normalized expression levels for human tissues was created by combining the data from HPA and GTEx datasets.

The mRNA expression levels in pig are based on RNA-seq data generated by the Human Protein Atlas (HPA), and for mouse, HPA data and in situ hybridization generated by the Allen brain atlas are reported.

Scroll down to view mRNA expression data in more detail.
Consensus:13729.2 nTPM
HPA:6220.7 nTPM
GTEx:13729.2 nTPM
FANTOM5:9112.3 Scaled Tags Per Million

SALIVARY GLAND - Multiplex stainingi

Antibody localization in the annotated cell types/states/structures of the current human tissue is reported as main/additional locations, percent overlap between the antibody and cell type/state/structure-specific markers, and, when applicable also subcellular localization. The scores are based on multiplex immunohistochemistry profiling in selected tissues.

Main locations are characterized by a high overlap between the antibody and the cell type/state-specific marker combined with strong antibody signal intensity, while additional locations are characterized by lower overlap and weaker antibody signal intensity.

The antibody of interest is reported in green, while cell types/states/structures are reported in various other colors, and DAPI (marks nucleus) is reported in blue. Colors can be toggled on and off by clicking on the name of the cell type/state of interest, “Antibody” or “DAPI”. To toggle between the different tissue samples, click on the miniature images at the right bottom corner of the main image. The miniature images appear upon hovering the mouse over that area.

- Antibody CAB002303
Main location Serous acini
Mucus acini
Small ducts
Antibody overlap50%-25%
LocationCytoplasm
Antibody overlap<25%
LocationCytoplasm
No antibody overlap
No antibody overlap
Antibody overlap>75%
LocationCytoplasm

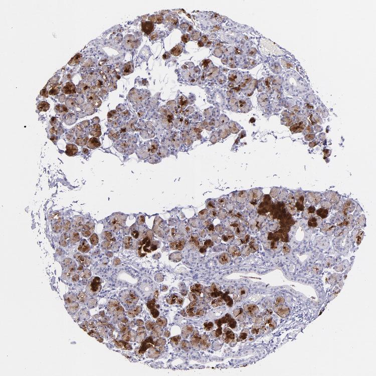
SALIVARY GLAND - Antibody stainingi

Antibody staining in the annotated cell types in the current human tissue is reported as not detected, low, medium, or high, based on conventional immunohistochemistry profiling in selected tissues. This score is based on the combination of the staining intensity and fraction of stained cells.

Each image is clickable and will lead to virtual microscopy that enables deeper exploration of all samples and also displays staining intensity scores, fraction scores and subcellular localization as well as patient and tissue information for each sample.

Antibody HPA027774Antibody CAB002303
Glandular cells LowMedium





SALIVARY GLAND - HPA RNA-seqi

The RNA-seq details section shows detailed information about the individual samples used for the transcript profiling and results of the RNA-seq analysis.

Information about each individual sample is listed below, including gender, age, a tissue section image and estimated fractions of cell types. nTPM (normalized transcripts per million) values give a quantification of the gene abundance which is comparable between different genes and samples.
Average nTPMi

Max subtype nTPM is the value for the subtype with the largest average nTPM across the subtype samples.

6220.7
overview
Female, age 68
Salivary gland sample 216
nTPM: 7216.1
Cell types%
Glandular cells:
45

Ductal cells:
25

Adipocytes:
5

Other cell types:
25

overview
Male, age 60
Salivary gland sample 217
nTPM: 2919.5
Cell types%
Glandular cells:
55

Ductal cells:
20

Adipocytes:
5

Endothelial cells:
5

Other cell types:
15

overview
Female, age 21
Salivary gland sample 218
nTPM: 8526.6
Cell types%
Glandular cells:
55

Ductal cells:
15

Adipocytes:
5

Endothelial cells:
5

Other cell types:
20


SALIVARY GLAND - GTEx RNA-seqi

RNA-Seq data generated by the Genotype-Tissue Expression (GTEx) project from human tissues is reported as mean nTPM. More information can be found on the GTEx portal.

Distribution across the dataset is visualized with box plots, shown as median and 25th and 75th percentiles. Points are displayed as outliers if they are above or below 1.5 times the interquartile range. nTPM values of the individual samples are presented next to the box plot.
Max subtype nTPMi

Max subtype nTPM is the value for the subtype with the largest average nTPM across the subtype samples.

13729.2
GTEx sample id Sample description nTPM
Minor Salivary Gland
Average nTPM: 13729.2
Samples: 162

Max nTPM: 98167.7
Min nTPM: 1231.5
Std nTPM: 12740.5
Median nTPM: 10390.0
GTEX-13VXT-1726-SM-5IFF5 20-29 years, female 98167.7
GTEX-14PJN-1726-SM-69LO7 30-39 years, male 56285.7
GTEX-1R9K4-0526-SM-E76P1 60-69 years, male 51258.6
GTEX-1POEN-2226-SM-DPRXV 30-39 years, female 46796.5
GTEX-13OVL-2926-SM-5IFG3 50-59 years, male 44714.0
GTEX-1LSNL-2626-SM-EV7AT 50-59 years, male 42518.7
GTEX-15SHV-2226-SM-6M464 60-69 years, male 39883.4
GTEX-ZQUD-2126-SM-51MSY 30-39 years, male 35771.3
GTEX-1S82P-0726-SM-EVR4O 60-69 years, female 35556.9
GTEX-12WSM-1826-SM-5BC64 60-69 years, male 34449.6
GTEX-1KD5A-2226-SM-EV79U 50-59 years, male 34349.9
GTEX-18A7B-2826-SM-7KFTK 70-79 years, male 31989.9
GTEX-13OVK-1826-SM-6PALE 40-49 years, male 30867.4
GTEX-11NV4-1926-SM-5N9D4 60-69 years, male 30831.0
GTEX-1C4CL-2026-SM-731EB 30-39 years, male 30684.4
GTEX-1RAZA-0626-SM-EAZ4H 20-29 years, male 29895.1
GTEX-1IOXB-2826-SM-AHZ32 50-59 years, male 29243.8
GTEX-14B4R-1426-SM-5Q5CG 30-39 years, male 29207.8
GTEX-1LBAC-0626-SM-D3L9T 20-29 years, male 28691.2
GTEX-1QP9N-2026-SM-DPRZT 30-39 years, male 28382.9
GTEX-1KD4Q-2526-SM-CXZKL 40-49 years, male 28317.5
GTEX-1AMEY-1126-SM-72D79 30-39 years, female 27497.3
GTEX-13NYB-2426-SM-5IFF4 40-49 years, male 26985.4
GTEX-XGQ4-2626-SM-4AT6B 50-59 years, male 26235.5
GTEX-12WSL-2126-SM-5GCNG 50-59 years, male 24191.2
GTEX-1MCQQ-2226-SM-DLHC4 60-69 years, male 22981.9
GTEX-1IE54-0826-SM-AHZ2Z 40-49 years, female 22788.7
GTEX-1NSGN-0626-SM-E9J35 50-59 years, male 22757.0
GTEX-14E1K-2626-SM-664OJ 50-59 years, male 22618.7
GTEX-1LC47-2426-SM-DHXKK 60-69 years, male 22604.5
GTEX-1LKK1-2926-SM-EVR4Z 50-59 years, female 22178.5
GTEX-1RNSC-2926-SM-EV79L 60-69 years, male 22171.5
GTEX-1EH9U-2926-SM-7DHLX 60-69 years, male 21942.7
GTEX-1A3MV-1726-SM-72D68 30-39 years, male 20843.0
GTEX-1LVA9-2526-SM-EVR5H 50-59 years, male 20678.2
GTEX-1IDJC-1626-SM-AHZ2R 50-59 years, male 20596.6
GTEX-1B8KZ-1726-SM-73KV7 50-59 years, male 18912.5
GTEX-12WSN-2226-SM-5DUXT 40-49 years, male 18558.1
GTEX-1H4P4-2026-SM-9WPNV 50-59 years, male 18030.0
GTEX-X3Y1-1926-SM-4PQZO 40-49 years, male 17694.0
GTEX-1445S-2926-SM-5O993 60-69 years, male 17653.4
GTEX-15RJE-2726-SM-6LPJ1 40-49 years, male 17380.8
GTEX-1IY9M-2926-SM-A96TH 60-69 years, male 17116.4
GTEX-1MCC2-2226-SM-EV7AJ 30-39 years, female 16368.4
GTEX-1GN1V-2926-SM-9JGI3 60-69 years, male 16267.8
GTEX-1B8SF-1826-SM-731DJ 60-69 years, male 15822.5
GTEX-11WQK-2926-SM-5EQKT 50-59 years, male 15759.9
GTEX-13O21-1926-SM-5MR39 50-59 years, male 15748.5
GTEX-1QEPI-0626-SM-E76QE 60-69 years, female 15611.4
GTEX-WYVS-2026-SM-4RGNS 40-49 years, female 15359.7
GTEX-Y111-2626-SM-4TT24 50-59 years, male 15146.2
GTEX-11TUW-2426-SM-5EQKB 60-69 years, male 15069.7
GTEX-13G51-2426-SM-5LZY8 60-69 years, male 15033.8
GTEX-1GMR2-2026-SM-7MKHK 50-59 years, male 14733.0
GTEX-1HSMQ-0926-SM-A96SI 50-59 years, male 14542.6
GTEX-17KNJ-2726-SM-7KFRE 50-59 years, male 14467.7
GTEX-1GZ2Q-2526-SM-9KNVW 40-49 years, male 14139.4
GTEX-1IDJD-2526-SM-C1YSA 30-39 years, male 13755.2
GTEX-11EQ9-2026-SM-5P9JI 30-39 years, male 13303.4
GTEX-1KANC-1326-SM-CYPT8 50-59 years, female 13296.1
GTEX-13QJC-2326-SM-5Q5CD 60-69 years, female 13188.5
GTEX-18D9U-2226-SM-7KFTN 40-49 years, male 13160.4
GTEX-1339X-2326-SM-5HL5B 40-49 years, male 12829.1
GTEX-13113-1526-SM-5EGHV 60-69 years, female 12627.6
GTEX-1I4MK-1326-SM-B2LWT 50-59 years, female 12580.9
GTEX-111FC-2926-SM-5GZY7 60-69 years, male 12575.3
GTEX-1H1CY-2326-SM-9OSXW 60-69 years, female 12515.3
GTEX-1GN1W-2526-SM-9JGHX 50-59 years, female 12318.3
GTEX-11ZTT-2226-SM-5CVLP 60-69 years, female 12176.6
GTEX-13JVG-2926-SM-5J2N9 60-69 years, male 12169.7
GTEX-YB5K-1726-SM-5IFIZ 40-49 years, female 11872.1
GTEX-X15G-2126-SM-4PQZR 50-59 years, female 11833.2
GTEX-1C6VR-0726-SM-7P8OV 60-69 years, male 11585.7
GTEX-11P82-0926-SM-5986X 20-29 years, male 11288.5
GTEX-1GTWX-2526-SM-9JGHG 60-69 years, male 10891.3
GTEX-1J8QM-1826-SM-A96TA 60-69 years, female 10877.3
GTEX-1I6K6-0626-SM-ARU7J 30-39 years, male 10874.2
GTEX-1OJC4-3126-SM-EXOJK 50-59 years, female 10815.4
GTEX-WOFM-2126-SM-4OOSR 20-29 years, male 10747.5
GTEX-1HSGN-0626-SM-A9G2E 40-49 years, female 10534.0
GTEX-WHSB-2326-SM-4M1XK 50-59 years, male 10488.5
GTEX-14PN4-2526-SM-686ZG 50-59 years, male 10291.5
GTEX-1JN6P-2526-SM-CNNPX 60-69 years, male 9975.8
GTEX-1C64N-2926-SM-79OLM 50-59 years, male 9959.4
GTEX-17MFQ-1626-SM-7938Z 20-29 years, male 9916.2
GTEX-ZG7Y-2426-SM-DO11H 50-59 years, male 9790.8
GTEX-1LVAO-2626-SM-EVR4S 60-69 years, male 9752.0
GTEX-ZE7O-2926-SM-51MSG 50-59 years, female 9730.3
GTEX-1B97J-2126-SM-79OL6 50-59 years, female 9696.0
GTEX-YF7O-2226-SM-5CVN8 50-59 years, male 9470.8
GTEX-146FR-1226-SM-5SIA7 60-69 years, female 9271.0
GTEX-1HSEH-1826-SM-A96SA 60-69 years, male 9092.2
GTEX-X261-2426-SM-4PQZU 50-59 years, male 9004.7
GTEX-18QFQ-0626-SM-718AW 30-39 years, male 8761.8
GTEX-1P4AB-2926-SM-EXOJR 50-59 years, male 8623.9
GTEX-1314G-2026-SM-5LZUM 30-39 years, male 8429.9
GTEX-ZP4G-1926-SM-57WDZ 20-29 years, female 8388.9
GTEX-1C64O-0626-SM-7DHL1 60-69 years, male 8207.4
GTEX-131XF-2826-SM-5EGKH 60-69 years, male 8106.7
GTEX-1I1HK-2526-SM-A96SM 60-69 years, male 7984.4
GTEX-1GF9X-0226-SM-7P8SM 40-49 years, female 7824.3
GTEX-ZC5H-2726-SM-5KLZW 40-49 years, female 7824.2
GTEX-1I6K7-0926-SM-A96SV 40-49 years, male 7805.4
GTEX-11P81-2026-SM-5P9GT 30-39 years, female 7791.9
GTEX-WH7G-2126-SM-4M1XU 40-49 years, male 7618.0
GTEX-178AV-1426-SM-6LLID 40-49 years, male 7485.5
GTEX-Y5V6-2226-SM-4VDTC 60-69 years, male 7084.2
GTEX-1JN1M-2426-SM-ARU93 60-69 years, female 6669.9
GTEX-1HFI7-2426-SM-B2LXV 50-59 years, female 6607.0
GTEX-1QMI2-0426-SM-EWRND 60-69 years, male 6390.7
GTEX-14PJ3-1526-SM-664O9 50-59 years, male 6239.3
GTEX-1117F-3026-SM-5GZYU 60-69 years, female 6004.3
GTEX-1MGNQ-1926-SM-DTX8L 40-49 years, male 5683.0
GTEX-1AYD5-2726-SM-7MXVG 50-59 years, male 5385.4
GTEX-13CF2-2426-SM-5LZYL 60-69 years, male 5334.5
GTEX-ZLFU-2226-SM-EXUS7 40-49 years, male 5213.7
GTEX-WFJO-2026-SM-4LVM3 30-39 years, male 5210.6
GTEX-1HR9M-2526-SM-A9G3J 60-69 years, male 5109.7
GTEX-1J8EW-2826-SM-A96T9 60-69 years, female 4870.9
GTEX-1R9K5-0626-SM-DPRZB 50-59 years, male 4859.0
GTEX-15CHC-1226-SM-686ZH 60-69 years, female 4823.7
GTEX-1OJC3-1026-SM-E6CQK 20-29 years, male 4791.1
GTEX-X5EB-1726-SM-4E3J7 40-49 years, male 4625.2
GTEX-18A67-0626-SM-7KFSL 50-59 years, male 4609.8
GTEX-145ME-1626-SM-5RQI3 40-49 years, female 4561.5
GTEX-ZXG5-2826-SM-5NQ8T 60-69 years, male 4554.0
GTEX-13OVI-2326-SM-5KM47 60-69 years, female 4498.6
GTEX-ZLWG-2026-SM-DO11F 50-59 years, female 4333.0
GTEX-ZA64-1726-SM-5CVMF 20-29 years, male 4184.3
GTEX-Y5LM-1826-SM-4VDT9 40-49 years, female 3887.9
GTEX-XMK1-2626-SM-4B65R 40-49 years, male 3823.2
GTEX-1GPI7-0326-SM-7MKH6 20-29 years, male 3799.8
GTEX-1R9PM-1726-SM-E8VOA 20-29 years, male 3779.5
GTEX-XV7Q-2426-SM-4BRV8 40-49 years, female 3644.4
GTEX-1PPH8-1526-SM-E6CQO 20-29 years, male 3589.6
GTEX-13111-2326-SM-5LZUQ 50-59 years, male 3485.7
GTEX-1AX8Z-0626-SM-731EH 60-69 years, male 3473.6
GTEX-ZPU1-2326-SM-57WEP 40-49 years, male 3363.2
GTEX-1JKYR-0726-SM-AHZ3K 20-29 years, male 3355.9
GTEX-1R9PO-2626-SM-E6CPU 60-69 years, female 3144.7
GTEX-1CB4I-2526-SM-7MKG1 50-59 years, male 3130.8
GTEX-WY7C-1426-SM-4OND1 50-59 years, male 3112.7
GTEX-1J1R8-1826-SM-AHZ3B 40-49 years, male 2921.8
GTEX-15EU6-2626-SM-7KUN4 50-59 years, male 2913.5
GTEX-Y3I4-1926-SM-4TT8L 50-59 years, male 2883.0
GTEX-1HCU7-0126-SM-C1YR3 50-59 years, male 2835.2
GTEX-1QCLZ-2526-SM-EXUST 60-69 years, female 2824.3
GTEX-ZAB5-2326-SM-5IJFR 50-59 years, male 2709.5
GTEX-131XH-2626-SM-5GCNP 50-59 years, male 2661.4
GTEX-12BJ1-2226-SM-5BC6G 60-69 years, male 2473.5
GTEX-ZT9W-2126-SM-51MSF 50-59 years, male 2428.7
GTEX-1AX9K-2126-SM-72D7K 50-59 years, male 2290.1
GTEX-14JIY-3026-SM-6EU1R 60-69 years, male 2166.7
GTEX-ZF29-2126-SM-DNZYX 60-69 years, female 2136.7
GTEX-1B932-0626-SM-731EM 40-49 years, female 1989.3
GTEX-1192X-2926-SM-5N9BA 50-59 years, male 1657.9
GTEX-1PIEJ-0626-SM-DTX99 20-29 years, female 1617.9
GTEX-1S83E-0626-SM-E9TKC 40-49 years, male 1489.6
GTEX-ZQG8-2126-SM-4YCF1 60-69 years, female 1478.7
GTEX-11ZTS-3026-SM-5EQM7 60-69 years, female 1463.9
GTEX-11EMC-2526-SM-5PNVU 60-69 years, female 1266.1
GTEX-13QBU-2126-SM-5KLZN 40-49 years, female 1231.5
Show allShow less

SALIVARY GLAND - FANTOM5 CAGEi

RNA expression in human tissues obtained through Cap Analysis of Gene Expression (CAGE) generated by the FANTOM5 project are reported as Scaled Tags Per Million.

Max subtype Scaled Tags Per Millioni

Max subtype Scaled Tags Per Million is the value for the subtype with the largest average Scaled Tags Per Million across the subtype samples.

9112.3
FANTOM5 sample id Sample description Scaled Tags Per Million
Parotid gland
Scaled Tags Per Million: 4895.3
FF:10199-103F1 23 years, male 4895.3
Salivary gland
Scaled Tags Per Million: 9112.3
FF:10093-102C3 16-60 years, mixed 9112.3
Submaxillary gland
Scaled Tags Per Million: 3340.1
FF:10202-103F4 24 years, male 3340.1

Contact

  • NEWS ARTICLES
  • PRESS ROOM

The Project

  • INTRODUCTION
  • ORGANIZATION
  • PUBLICATIONS

The Human Protein Atlas

  • DOWNLOADABLE DATA
  • LICENCE & CITATION
  • HELP & FAQ
The Human Protein Atlas project is funded
by the Knut & Alice Wallenberg Foundation.


contact@proteinatlas.org