We use cookies to enhance the usability of our website. If you continue, we'll assume that you are happy to receive all cookies. More information. Don't show this again.
SLPI
HPA
RESOURCES
  • TISSUE
  • BRAIN
  • SINGLE CELL
  • SUBCELLULAR
  • CANCER
  • BLOOD
  • CELL LINE
  • STRUCTURE & INTERACTION
ABOUT
  • INTRODUCTION
  • HISTORY
  • ORGANIZATION
  • PUBLICATIONS
  • ANTIBODY SUBMISSION
  • ANTIBODY AVAILABILITY
  • ACKNOWLEDGMENTS
  • CONTACT
NEWS
  • NEWS ARTICLES
  • PRESS ROOM
LEARN
  • DICTIONARY
  • PROTEIN CLASSES
  • PROTEIN EVIDENCE
  • METHODS
  • EDUCATIONAL VIDEOS
DATA
  • DOWNLOADABLE DATA
  • PUBLICATION DATA
  • RELEASE HISTORY
HELP
  • ANTIBODY VALIDATION
  • ASSAYS & ANNOTATION
  • DISCLAIMER
  • HELP & FAQ
  • PRIVACY STATEMENT
  • LICENCE & CITATION
Fields »
Search result

Field
Term
Gene name
Class
Subclass
Class
Keyword
Chromosome
External id
Tissue
Cell type
Expression
Antibody panel
Tissue
Main location
Patient ID
Annotation
Tissue
Category
Tau score
Cluster
Reliability
Brain region
Category
Tau score
Brain region
Category
Tau score
Brain region
Category
Tau score
Cluster
Reliability
Tissue
Cell type
Enrichment
Cell type
Category
Tau score
Cell type
Category
Tau score
Cell type
Category
Tau score
Cell lineage
Category
Tau score
Cluster
Cluster
Location
Searches
Location
Cell line
Class
Type
Phase
Reliability
Cancer
Prognosis
Cancer
Category
Cancer
Category
Tau score
Cluster
Variants
Interacting gene (ensg_id)
Type
Number of interactions
Pathway
Category
Score
Score
Score
Validation
Validation
Validation
Validation
Antibodies
Data type
Column


  • SUMMARY

  • TISSUE

  • BRAIN

  • SINGLE CELL

  • SUBCELL

  • CANCER

  • BLOOD

  • CELL LINE

  • STRUCT & INT

  • SLPI
TISSUE PRIMARY DATA SKIN Show tissue menu
ADIPOSE TISSUE ADRENAL GLAND AMYGDALA APPENDIX BASAL GANGLIA BONE MARROW BREAST BRONCHUS CEREBELLUM CEREBRAL CORTEX CERVIX CHOROID PLEXUS COLON DUODENUM
ENDOMETRIUM EPIDIDYMIS ESOPHAGUS FALLOPIAN TUBE GALLBLADDER HEART MUSCLE HIPPOCAMPAL FORMATION HYPOTHALAMUS KIDNEY LIVER LUNG LYMPH NODE MIDBRAIN NASOPHARYNX
ORAL MUCOSA OVARY PANCREAS PARATHYROID GLAND PITUITARY GLAND PLACENTA PROSTATE RECTUM RETINA SALIVARY GLAND SEMINAL VESICLE SKELETAL MUSCLE SKIN SMALL INTESTINE
SMOOTH MUSCLE SOFT TISSUE SPINAL CORD SPLEEN STOMACH TESTIS THYMUS THYROID GLAND TONGUE TONSIL URINARY BLADDER VAGINA
ANTIBODIES
AND
VALIDATION
Dictionary
Skin
Tissue proteome
Skin
SKIN - Expression summary
Protein expression
Skini

On the top, protein expression in current human tissue, based on all annotated cell types, is reported with the units not detected (n), low (l), medium (m) and high (h). Underneath, protein expression in each annotated cell type are reported using the same units.

Protein expression data is based on knowledge-based annotation. For genes where more than one antibody has been used, a collective score is set.

If knowledge-based annotation could not be performed for a gene, no data is displayed here. View antibody staining data further down this page.

h
m
l
n
Cells in basal layer: Not detected
Cells in corneal layer: Not detected
Cells in granular layer: Not detected
Cells in spinous layer: Not detected
Endothelial cells: Not detected
Extracellular matrix: Not detected
Fibrohistiocytic cells: Not detected
Hair follicles: Not detected
Langerhans cells: Not detected
Lymphocytes: Not detected
Melanocytes: Not detected
Sebaceous glands: Not detected
Vascular mural cells: Not detected
RNA expressioni

A summary of mRNA expression data available for current tissue based on several datasets. The mRNA expression levels in human tissues are based on RNA-seq data generated by the Human Protein Atlas (HPA), Genotype-Tissue Expression (GTEx) portal and CAGE data generated by the FANTOM5 consortium. Consensus normalized expression levels for human tissues was created by combining the data from HPA and GTEx datasets.

The mRNA expression levels in pig are based on RNA-seq data generated by the Human Protein Atlas (HPA), and for mouse, HPA data and in situ hybridization generated by the Allen brain atlas are reported.

Scroll down to view mRNA expression data in more detail.
Consensus:264.0 nTPM
HPA:182.7 nTPM
GTEx:264.0 nTPM

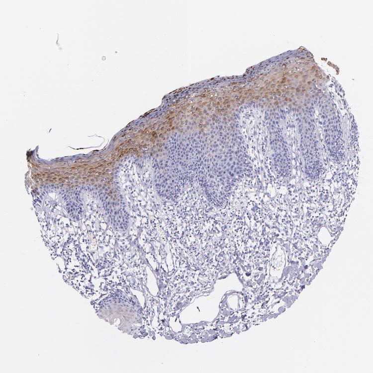
SKIN 1 - Antibody stainingi

Antibody staining in the annotated cell types in the current human tissue is reported as not detected, low, medium, or high, based on conventional immunohistochemistry profiling in selected tissues. This score is based on the combination of the staining intensity and fraction of stained cells.

Each image is clickable and will lead to virtual microscopy that enables deeper exploration of all samples and also displays staining intensity scores, fraction scores and subcellular localization as well as patient and tissue information for each sample.

Antibody HPA027774Antibody CAB002303
Langerhans -Not detected
Cells in basal layer Not detected-
Cells in corneal layer Not detected-
Cells in granular layer Not detected-
Cells in spinous layer Not detected-
Endothelial cells Not detected-
Extracellular matrix Not detected-
Fibroblasts -Not detected
Fibrohistiocytic cells Not detected-
Keratinocytes -Not detected
Langerhans cells Not detected-
Lymphocytes Not detected-
Melanocytes Not detectedNot detected
Vascular mural cells Not detected-



SKIN 2 - Antibody stainingi

Antibody staining in the annotated cell types in the current human tissue is reported as not detected, low, medium, or high, based on conventional immunohistochemistry profiling in selected tissues. This score is based on the combination of the staining intensity and fraction of stained cells.

Each image is clickable and will lead to virtual microscopy that enables deeper exploration of all samples and also displays staining intensity scores, fraction scores and subcellular localization as well as patient and tissue information for each sample.

Antibody HPA027774Antibody CAB002303
Cells in basal layer Not detected-
Cells in corneal layer Not detected-
Cells in granular layer Not detected-
Cells in spinous layer Not detected-
Endothelial cells Not detected-
Epidermal cells -Low
Extracellular matrix Not detected-
Fibrohistiocytic cells Not detected-
Hair follicles Not detected-
Langerhans cells Not detected-
Lymphocytes Not detected-
Melanocytes Not detected-
Sebaceous glands Not detected-
Vascular mural cells Not detected-


SKIN - HPA RNA-seqi

The RNA-seq details section shows detailed information about the individual samples used for the transcript profiling and results of the RNA-seq analysis.

Information about each individual sample is listed below, including gender, age, a tissue section image and estimated fractions of cell types. nTPM (normalized transcripts per million) values give a quantification of the gene abundance which is comparable between different genes and samples.
Average nTPMi

Max subtype nTPM is the value for the subtype with the largest average nTPM across the subtype samples.

182.7
overview
Female, age 34
Skin sample 225
nTPM: 213.6
Cell types%
Keratinocytes:
60

Other cell types:
40

overview
Female, age 30
Skin sample 226
nTPM: 193.9
Cell types%
Keratinocytes:
55

Other cell types:
45

N/A
Male, age 57
Skin sample 227
nTPM: 140.6

SKIN - GTEx RNA-seqi

RNA-Seq data generated by the Genotype-Tissue Expression (GTEx) project from human tissues is reported as mean nTPM. More information can be found on the GTEx portal.

Distribution across the dataset is visualized with box plots, shown as median and 25th and 75th percentiles. Points are displayed as outliers if they are above or below 1.5 times the interquartile range. nTPM values of the individual samples are presented next to the box plot.
Max subtype nTPMi

Max subtype nTPM is the value for the subtype with the largest average nTPM across the subtype samples.

264.0
GTEx sample id Sample description nTPM
Skin - Not Sun Exposed (Suprapubic)
Average nTPM: 264.0
Samples: 604

Max nTPM: 988.2
Min nTPM: 55.1
Std nTPM: 123.8
Median nTPM: 248.7
GTEX-15G1A-1626-SM-7KUKN 30-39 years, male 988.2
GTEX-1PPH8-0126-SM-EWRN8 20-29 years, male 931.4
GTEX-X585-2426-SM-46MW2 50-59 years, male 813.2
GTEX-YF7O-1526-SM-5IFI6 50-59 years, male 782.7
GTEX-1A3MW-0626-SM-731CB 60-69 years, female 724.6
GTEX-15RIG-0726-SM-7KUM7 40-49 years, male 707.0
GTEX-ZTX8-1326-SM-4YCEL 20-29 years, male 673.3
GTEX-148VJ-0626-SM-5LUAW 70-79 years, male 633.0
GTEX-1IKOE-1426-SM-CE6T7 30-39 years, female 621.0
GTEX-145MG-1526-SM-5Q5EM 50-59 years, male 612.5
GTEX-13IVO-0726-SM-5LZYV 70-79 years, male 611.2
GTEX-X3Y1-2026-SM-3P5YM 40-49 years, male 603.2
GTEX-1PIGE-1826-SM-E8VOU 20-29 years, male 597.3
GTEX-13PDP-0726-SM-5L3HP 60-69 years, male 580.1
GTEX-WI4N-2726-SM-3LK7Y 40-49 years, female 569.5
GTEX-14C39-1726-SM-5RQIL 40-49 years, male 556.4
GTEX-13YAN-0226-SM-5TDC6 60-69 years, male 552.0
GTEX-1E2YA-2126-SM-7MXUO 50-59 years, male 549.7
GTEX-1K2DU-1226-SM-CYPT4 20-29 years, male 549.3
GTEX-1LKK1-2626-SM-DKPQE 50-59 years, female 546.2
GTEX-14PJ3-1126-SM-5ZZVX 50-59 years, male 543.3
GTEX-15SKB-2826-SM-6PAMH 60-69 years, male 530.0
GTEX-ZVE1-0726-SM-51MRN 50-59 years, female 527.5
GTEX-1HBPN-0126-SM-CGQEF 50-59 years, male 525.0
GTEX-1OJC3-1226-SM-DTXER 20-29 years, male 517.6
GTEX-1399S-0126-SM-5IJCF 30-39 years, female 514.3
GTEX-11EM3-1226-SM-5N9DD 20-29 years, female 509.7
GTEX-14E1K-2026-SM-7DUEI 50-59 years, male 498.3
GTEX-1IDJC-1526-SM-B2LW4 50-59 years, male 497.8
GTEX-1MJK3-0726-SM-E6CJC 20-29 years, male 493.0
GTEX-13W3W-0726-SM-5IJDQ 60-69 years, female 492.3
GTEX-1NSGN-0726-SM-DTXEF 50-59 years, male 480.9
GTEX-131XG-0326-SM-5L3DX 50-59 years, female 479.5
GTEX-17EVQ-0126-SM-7IGLR 70-79 years, male 476.7
GTEX-1F75A-0726-SM-7RHHD 50-59 years, male 468.9
GTEX-ZYY3-2926-SM-5GIEB 60-69 years, female 468.1
GTEX-ZF3C-0626-SM-DO92O 50-59 years, female 464.1
GTEX-16GPK-0626-SM-7KFSF 60-69 years, male 458.1
GTEX-XYKS-1426-SM-4BRUO 60-69 years, female 458.0
GTEX-1F6RS-2026-SM-7RHHC 60-69 years, female 453.0
GTEX-11OF3-0126-SM-5PNYF 60-69 years, male 452.6
GTEX-15UF6-1926-SM-7KUDV 70-79 years, female 452.4
GTEX-1ICLY-0826-SM-CMKG1 50-59 years, male 446.3
GTEX-13JVG-0726-SM-5KM16 60-69 years, male 444.9
GTEX-1399U-1126-SM-5L3DB 50-59 years, female 442.4
GTEX-11O72-0626-SM-5PNYE 40-49 years, male 440.9
GTEX-XBED-1926-SM-47JYP 60-69 years, male 439.4
GTEX-1RMOY-1326-SM-E9TIH 50-59 years, male 437.9
GTEX-1KANA-1326-SM-DIPFA 20-29 years, male 435.1
GTEX-13NYB-0126-SM-5J1MD 40-49 years, male 434.7
GTEX-1JMLX-0626-SM-ARL8T 50-59 years, male 432.8
GTEX-Y114-2126-SM-4TT8B 50-59 years, female 430.3
GTEX-1H1CY-0126-SM-9YFLY 60-69 years, female 427.6
GTEX-1HGF4-0126-SM-CNPPX 60-69 years, male 425.2
GTEX-1H1ZS-2726-SM-9WG75 70-79 years, male 425.0
GTEX-1POEN-2326-SM-E9J2L 30-39 years, female 421.7
GTEX-1AX9J-1326-SM-731BJ 60-69 years, male 420.4
GTEX-11P81-2226-SM-5PNYI 30-39 years, female 420.3
GTEX-139TU-0726-SM-5L3EK 60-69 years, male 419.3
GTEX-1JMQJ-0826-SM-CNPP7 50-59 years, male 417.4
GTEX-13O61-1426-SM-5KM3D 60-69 years, male 416.2
GTEX-15SHW-0226-SM-7LTAT 60-69 years, male 415.7
GTEX-XBEW-1126-SM-4QARW 40-49 years, male 414.8
GTEX-111CU-1126-SM-5EGIM 50-59 years, male 411.2
GTEX-13RTJ-0126-SM-5S2NN 60-69 years, male 411.2
GTEX-1RAZS-2526-SM-E6CHT 50-59 years, male 407.1
GTEX-1KANB-2826-SM-CY8I6 50-59 years, male 405.7
GTEX-139UW-0326-SM-5J1ML 60-69 years, male 403.7
GTEX-WHSB-1326-SM-3LK6W 50-59 years, male 401.8
GTEX-1S82U-1026-SM-E6CJK 30-39 years, female 400.9
GTEX-1S831-1826-SM-EWROF 20-29 years, male 400.4
GTEX-XOT4-0626-SM-4B66L 60-69 years, female 399.4
GTEX-16MT9-0126-SM-7EPI8 60-69 years, female 399.2
GTEX-W5X1-2526-SM-3GILC 40-49 years, female 399.2
GTEX-15G19-2426-SM-7KUMR 60-69 years, male 398.4
GTEX-14PKU-0126-SM-6LLHV 40-49 years, female 397.6
GTEX-ZP4G-1426-SM-4WWCL 20-29 years, female 397.5
GTEX-12WSL-2026-SM-5GCML 50-59 years, male 397.3
GTEX-1PPGY-1626-SM-EVYBL 60-69 years, male 396.7
GTEX-Y5LM-0926-SM-6LLJG 40-49 years, female 394.6
GTEX-1H2FU-0926-SM-9WPPT 60-69 years, female 394.6
GTEX-1B97I-0626-SM-73KUZ 40-49 years, male 391.8
GTEX-17F9E-2326-SM-79OKD 50-59 years, male 391.7
GTEX-1AYD5-2626-SM-7PBXY 50-59 years, male 391.7
GTEX-ZE7O-2726-SM-51MT5 50-59 years, female 389.9
GTEX-144FL-0626-SM-5LU43 50-59 years, male 388.6
GTEX-1F88E-1626-SM-7SB8Z 60-69 years, female 387.6
GTEX-1R9PM-1926-SM-EVR3O 20-29 years, male 385.6
GTEX-131XH-0126-SM-5LZUY 50-59 years, male 385.5
GTEX-13QJC-0126-SM-5ZZWJ 60-69 years, female 385.2
GTEX-14PJ6-2626-SM-6EU2T 60-69 years, female 384.7
GTEX-13NZ8-1226-SM-5KM4A 60-69 years, female 384.5
GTEX-1PBJJ-1026-SM-E76OS 30-39 years, male 382.6
GTEX-11EQ8-0926-SM-5H12V 60-69 years, male 381.4
GTEX-ZVP2-0326-SM-57WBP 50-59 years, male 380.6
GTEX-15RJ7-2126-SM-6PAMD 40-49 years, male 377.4
GTEX-Y3I4-1726-SM-4TT89 50-59 years, male 375.0
GTEX-14PJ4-0226-SM-5YY92 60-69 years, male 374.0
GTEX-15DYW-2726-SM-6EU2I 60-69 years, female 372.6
GTEX-1CAMQ-1326-SM-7P8RV 40-49 years, male 366.4
GTEX-1KANC-1226-SM-CYPT7 50-59 years, female 365.5
GTEX-1LVAN-0626-SM-CNPOQ 50-59 years, female 363.3
GTEX-14PJ5-1526-SM-6LLIL 60-69 years, female 363.0
GTEX-1QCLY-0226-SM-EWRNH 30-39 years, male 358.9
GTEX-145ME-1726-SM-5Q5EU 40-49 years, female 356.8
GTEX-11WQC-1826-SM-5GU59 60-69 years, male 355.1
GTEX-16YQH-2226-SM-7IGM2 30-39 years, male 352.9
GTEX-ZY6K-1426-SM-5GZX2 50-59 years, male 352.4
GTEX-YFCO-1226-SM-5LUAT 40-49 years, male 352.1
GTEX-11DXZ-2026-SM-5987S 50-59 years, male 349.1
GTEX-147GR-2426-SM-5ZZWQ 60-69 years, male 347.5
GTEX-1CAMR-1326-SM-7PC1F 20-29 years, male 347.0
GTEX-ZPU1-1126-SM-4YCF3 40-49 years, male 346.6
GTEX-1QP9N-1226-SM-E76QN 30-39 years, male 346.5
GTEX-11ZU8-0126-SM-5EQ58 60-69 years, male 345.5
GTEX-15RJE-2826-SM-7KUM9 40-49 years, male 345.0
GTEX-1122O-1026-SM-9WYSF 60-69 years, female 344.0
GTEX-1J1OQ-0126-SM-D4P2N 40-49 years, female 343.2
GTEX-1GF9U-2026-SM-7SB92 40-49 years, female 341.8
GTEX-13OVK-1426-SM-6PAN7 40-49 years, male 341.7
GTEX-13FTX-1526-SM-5K7VJ 20-29 years, female 340.8
GTEX-18A66-0626-SM-7LT8Z 60-69 years, male 340.4
GTEX-ZYFG-1526-SM-5GZYM 60-69 years, female 339.5
GTEX-145LS-0626-SM-7EPG7 60-69 years, female 338.4
GTEX-1PDJ9-1226-SM-EXUSX 20-29 years, male 338.1
GTEX-1EMGI-2326-SM-7PBYA 60-69 years, male 337.8
GTEX-15DDE-2926-SM-6LLJ3 50-59 years, female 337.7
GTEX-WH7G-2026-SM-3NMBL 40-49 years, male 337.0
GTEX-17F97-2626-SM-7IGM5 50-59 years, male 335.6
GTEX-14XAO-1226-SM-6EU1C 60-69 years, female 335.2
GTEX-1313W-0626-SM-5EQ4H 50-59 years, female 335.1
GTEX-1HCU6-2526-SM-ADEHL 60-69 years, female 335.1
GTEX-146FQ-2126-SM-5RQHU 30-39 years, male 334.7
GTEX-XQ8I-0926-SM-4BOOF 50-59 years, male 334.3
GTEX-12WSD-0626-SM-5GCMW 60-69 years, female 333.8
GTEX-18QFQ-1826-SM-72D52 30-39 years, male 331.5
GTEX-1497J-0226-SM-5QGPU 60-69 years, male 330.7
GTEX-14PJO-2526-SM-6AJBQ 60-69 years, male 330.7
GTEX-ZF29-0926-SM-4WKFZ 60-69 years, female 329.8
GTEX-1K2DA-1026-SM-CGQGF 50-59 years, male 326.0
GTEX-1N5O9-0926-SM-E9J3C 60-69 years, male 326.0
GTEX-14BMU-1226-SM-5S2OR 20-29 years, female 324.2
GTEX-13O3Q-0126-SM-5KM34 50-59 years, male 323.8
GTEX-14JG6-1426-SM-9WG7C 30-39 years, female 323.2
GTEX-11P7K-1126-SM-5HL4L 30-39 years, male 323.1
GTEX-ZZPU-0826-SM-5GZX5 50-59 years, female 322.7
GTEX-1HSMQ-2626-SM-A9SML 50-59 years, male 321.8
GTEX-XK95-0226-SM-4AT58 40-49 years, male 321.0
GTEX-ZVZP-1226-SM-5GID7 50-59 years, male 320.3
GTEX-1CAMS-2226-SM-7PBXQ 40-49 years, female 317.9
GTEX-1H1DG-2426-SM-9QEHJ 70-79 years, male 317.6
GTEX-1JMQK-1226-SM-D4P2S 60-69 years, male 316.3
GTEX-1192X-2726-SM-5N9DN 50-59 years, male 315.2
GTEX-1399Q-2326-SM-5KM2X 40-49 years, male 315.2
GTEX-UPK5-0426-SM-3GAEK 40-49 years, male 315.2
GTEX-13OVH-0526-SM-5L3E6 70-79 years, male 315.1
GTEX-YB5K-2026-SM-4VDT3 40-49 years, female 315.0
GTEX-14LZ3-0126-SM-69LPM 60-69 years, female 314.8
GTEX-1S82P-2126-SM-E6CI5 60-69 years, female 314.6
GTEX-ZZ64-1026-SM-5GZXG 20-29 years, male 314.5
GTEX-ZPCL-1126-SM-4WWFE 60-69 years, female 313.6
GTEX-13PL6-1126-SM-5L3IE 40-49 years, female 313.1
GTEX-145MN-1526-SM-5SI9T 30-39 years, male 313.1
GTEX-14JG1-1526-SM-5YY9X 40-49 years, male 312.4
GTEX-12ZZZ-0726-SM-5GCNZ 60-69 years, male 312.2
GTEX-ZLFU-1826-SM-4WWBV 40-49 years, male 312.1
GTEX-1F6I4-2326-SM-7RHGL 60-69 years, male 311.8
GTEX-1L5NE-1126-SM-D3L9P 50-59 years, male 311.7
GTEX-17F96-0126-SM-7EWDU 70-79 years, male 311.1
GTEX-1269C-0126-SM-5EQ5L 60-69 years, female 310.7
GTEX-1F75I-2226-SM-7SB8U 40-49 years, male 310.4
GTEX-U8XE-0226-SM-4E3J3 30-39 years, male 310.2
GTEX-17MFQ-1526-SM-7KFRR 20-29 years, male 309.8
GTEX-11TT1-1826-SM-5EQLV 20-29 years, male 308.1
GTEX-ZYFC-0426-SM-5GICQ 50-59 years, male 307.5
GTEX-18A67-1626-SM-7LT9T 50-59 years, male 306.7
GTEX-XXEK-1626-SM-4BRUZ 50-59 years, male 306.5
GTEX-ZYW4-0626-SM-59HJR 60-69 years, male 305.7
GTEX-X8HC-0626-SM-4E3HQ 50-59 years, female 305.5
GTEX-14ICL-1626-SM-5YYAO 30-39 years, male 305.4
GTEX-1ICLZ-0326-SM-ARL82 60-69 years, male 305.4
GTEX-1HFI6-0126-SM-CNPPI 40-49 years, male 305.0
GTEX-17HHE-1326-SM-7EWDZ 50-59 years, male 302.2
GTEX-12BJ1-0926-SM-5EQ62 60-69 years, male 300.8
GTEX-111VG-1626-SM-5EGIO 60-69 years, male 300.7
GTEX-UPJH-0226-SM-3GADV 50-59 years, male 300.0
GTEX-1JJEA-1826-SM-ARU8P 60-69 years, male 300.0
GTEX-1RAZQ-1326-SM-E9TK6 30-39 years, male 299.2
GTEX-1F52S-2926-SM-7MKGA 60-69 years, female 298.8
GTEX-11DZ1-2426-SM-5GZZX 50-59 years, male 298.4
GTEX-1H3O1-1326-SM-9MQLD 60-69 years, male 298.3
GTEX-1117F-2926-SM-5GZYI 60-69 years, female 297.9
GTEX-14DAR-1226-SM-73KYV 50-59 years, male 297.7
GTEX-12KS4-2126-SM-5FQUT 30-39 years, male 297.4
GTEX-1LB8K-0726-SM-D5OV2 50-59 years, male 297.2
GTEX-ZXG5-2126-SM-59HKD 60-69 years, male 296.9
GTEX-147F4-0726-SM-5TDDD 50-59 years, male 296.3
GTEX-13X6I-1826-SM-5SIAO 60-69 years, male 295.8
GTEX-1C6WA-2626-SM-7MKGM 60-69 years, male 295.8
GTEX-13D11-0926-SM-5J2NC 50-59 years, female 295.3
GTEX-ZLWG-0826-SM-59888 50-59 years, female 294.9
GTEX-131XF-2626-SM-5EQ6K 60-69 years, male 292.6
GTEX-139D8-1126-SM-5LU8W 30-39 years, female 291.0
GTEX-1GF9X-1326-SM-7PC2Y 40-49 years, female 290.9
GTEX-Y3IK-1626-SM-4YCF5 50-59 years, female 290.8
GTEX-1IDJV-0126-SM-COH3Y 60-69 years, male 289.7
GTEX-WHWD-1826-SM-3LK6I 50-59 years, male 288.7
GTEX-1JJ6O-2726-SM-CNPOG 60-69 years, male 288.7
GTEX-1C6VQ-1226-SM-73KYD 50-59 years, male 288.5
GTEX-1I1GT-1026-SM-ARZLV 60-69 years, female 286.8
GTEX-1HB9E-0126-SM-CM2S5 50-59 years, male 286.5
GTEX-1JMPY-0226-SM-CKZOK 30-39 years, male 286.5
GTEX-13VXT-1926-SM-5K7UO 20-29 years, female 286.4
GTEX-17HGU-2326-SM-7DUFE 50-59 years, male 286.3
GTEX-YECK-0326-SM-4W1YS 60-69 years, male 286.0
GTEX-1LGOU-1326-SM-D3L8M 20-29 years, female 286.0
GTEX-18465-2826-SM-7LT9J 50-59 years, male 285.2
GTEX-1KD5A-0126-SM-E9U54 50-59 years, male 282.0
GTEX-1HCUA-0826-SM-ADEHM 50-59 years, female 281.3
GTEX-1R46S-2426-SM-E76QA 60-69 years, female 281.3
GTEX-1HR9M-2226-SM-CNPPY 60-69 years, male 280.3
GTEX-1S3DN-2126-SM-E9TIN 50-59 years, male 280.3
GTEX-1H1DE-1326-SM-9KNUG 20-29 years, male 278.9
GTEX-14E6E-0526-SM-793DN 30-39 years, male 278.6
GTEX-1IKJJ-2226-SM-CJI4C 60-69 years, male 278.6
GTEX-14PII-0726-SM-6EU2B 60-69 years, male 277.7
GTEX-1211K-1526-SM-5FQU4 60-69 years, female 277.5
GTEX-13O3O-2326-SM-5IJD6 60-69 years, female 277.0
GTEX-1J8EW-2726-SM-CY8HR 60-69 years, female 276.9
GTEX-117YX-1926-SM-5GIEC 50-59 years, male 276.3
GTEX-1F75B-0726-SM-7PC3R 50-59 years, male 275.8
GTEX-1GZ4H-0526-SM-9KNU9 50-59 years, female 275.6
GTEX-Y111-0626-SM-4SOIT 50-59 years, male 275.5
GTEX-14753-0726-SM-5QGQO 60-69 years, male 275.0
GTEX-1IDJI-0126-SM-CMKHS 50-59 years, female 275.0
GTEX-1I6K6-1726-SM-CGQFD 30-39 years, male 274.8
GTEX-1H11D-1826-SM-9QEHM 40-49 years, male 274.6
GTEX-11DYG-1526-SM-5A5JS 60-69 years, male 274.1
GTEX-1QP66-1226-SM-DTX7U 50-59 years, male 273.6
GTEX-1LSNM-0826-SM-DIPG8 50-59 years, male 273.5
GTEX-11DXW-0826-SM-5H118 40-49 years, male 273.0
GTEX-1C2JI-1026-SM-73KY1 50-59 years, male 272.4
GTEX-1LVAM-0726-SM-E6CIL 50-59 years, female 271.9
GTEX-11WQK-1026-SM-5EQLX 50-59 years, male 270.9
GTEX-13X6H-0926-SM-5SIB2 50-59 years, female 270.9
GTEX-11ZTT-2126-SM-5CVLO 60-69 years, female 269.5
GTEX-1GPI7-1826-SM-9KNU1 20-29 years, male 269.4
GTEX-YEC4-1826-SM-4W1YP 40-49 years, male 269.2
GTEX-ZPIC-0526-SM-DO91W 40-49 years, female 268.7
GTEX-18D9U-0126-SM-731BM 40-49 years, male 268.3
GTEX-WYJK-0526-SM-3NM8Z 50-59 years, male 267.9
GTEX-1JN76-0626-SM-CKZOQ 20-29 years, female 267.8
GTEX-1HSMP-0926-SM-A9SKX 70-79 years, male 267.6
GTEX-1JMQL-2226-SM-CNPP4 50-59 years, female 267.0
GTEX-1QP2A-1726-SM-E76QC 50-59 years, male 266.7
GTEX-1J8Q3-0526-SM-ARL8U 60-69 years, male 266.3
GTEX-ZAJG-1526-SM-5CVML 50-59 years, female 265.6
GTEX-1PIIG-2326-SM-DTXFR 30-39 years, male 265.6
GTEX-1JMOU-1026-SM-CYPSS 60-69 years, female 265.5
GTEX-145MI-0626-SM-5SI8S 60-69 years, female 264.6
GTEX-16MTA-0926-SM-6M47Z 50-59 years, male 264.5
GTEX-111FC-2526-SM-5GZXU 60-69 years, male 263.1
GTEX-133LE-2326-SM-5K7W3 20-29 years, female 262.7
GTEX-1HCU7-0726-SM-A9SL1 50-59 years, male 262.4
GTEX-14PHY-1226-SM-5ZZWK 60-69 years, female 262.3
GTEX-ZE9C-2526-SM-5IJDR 60-69 years, male 262.3
GTEX-1N2DV-1526-SM-DTXEP 40-49 years, male 261.6
GTEX-14PK6-0226-SM-62LF5 70-79 years, female 261.4
GTEX-1QP28-1126-SM-EVYC4 50-59 years, female 261.3
GTEX-X4EO-2926-SM-4E3JH 60-69 years, female 261.1
GTEX-ZAK1-0626-SM-5HL8E 50-59 years, female 261.1
GTEX-12126-0826-SM-5FQTZ 20-29 years, male 260.9
GTEX-1H1E6-0426-SM-9WYUS 30-39 years, male 260.8
GTEX-1HFI7-2326-SM-CGQFS 50-59 years, female 260.4
GTEX-13NYC-0126-SM-5L3F4 60-69 years, male 259.6
GTEX-ZT9W-1126-SM-57WDR 50-59 years, male 259.0
GTEX-13QBU-1226-SM-5LU4G 40-49 years, female 258.6
GTEX-1H3VE-0726-SM-9YFL5 40-49 years, male 258.1
GTEX-139TS-2126-SM-5K7XC 60-69 years, male 257.4
GTEX-XUW1-0926-SM-4BONX 50-59 years, female 257.1
GTEX-13OW5-2326-SM-5L3HO 60-69 years, male 256.8
GTEX-11DXY-0126-SM-5H11Q 60-69 years, male 256.5
GTEX-ZGAY-1826-SM-DO91Q 40-49 years, female 256.0
GTEX-13SLX-2226-SM-62LEP 50-59 years, female 255.7
GTEX-1EWIQ-0326-SM-7DHMQ 70-79 years, female 255.6
GTEX-ZU9S-1826-SM-5NQ9E 30-39 years, male 254.9
GTEX-13G51-1826-SM-5KLZH 60-69 years, male 254.5
GTEX-13NZ9-2626-SM-5L3FK 50-59 years, male 253.8
GTEX-1GN73-0726-SM-7P8TJ 60-69 years, male 253.0
GTEX-1MCC2-1826-SM-DIPEX 30-39 years, female 252.2
GTEX-1B933-2426-SM-7DHMD 50-59 years, female 251.3
GTEX-13FLV-0126-SM-5K7WT 50-59 years, male 250.5
GTEX-1NV5F-0626-SM-DTXEG 60-69 years, female 250.5
GTEX-1B8KE-1126-SM-7EPHI 50-59 years, male 250.2
GTEX-1GMRU-2126-SM-7P8RA 50-59 years, male 250.0
GTEX-12WSH-1526-SM-5BC5W 50-59 years, male 249.9
GTEX-XBEC-0726-SM-4QARZ 50-59 years, male 249.6
GTEX-1HCU9-0426-SM-9WYSD 20-29 years, male 249.6
GTEX-1M4P7-0726-SM-E6CJ3 60-69 years, male 249.2
GTEX-Y8LW-1526-SM-5IFHL 50-59 years, female 248.9
GTEX-1PPH7-1126-SM-DTX9A 40-49 years, male 248.8
GTEX-13N11-2326-SM-5IJBF 50-59 years, female 248.7
GTEX-1RB15-1326-SM-E76Q9 60-69 years, male 248.7
GTEX-ZLV1-1526-SM-DO91J 60-69 years, female 248.7
GTEX-14BIN-1126-SM-5RQJZ 50-59 years, female 248.0
GTEX-13FTY-2126-SM-5IFFB 40-49 years, female 247.9
GTEX-13N1W-2426-SM-5IJD1 70-79 years, male 247.9
GTEX-13SLW-0626-SM-5Q5ER 70-79 years, male 247.9
GTEX-1JN1M-2726-SM-CY8I4 60-69 years, female 247.5
GTEX-1HSKV-1226-SM-ADEI4 60-69 years, male 246.0
GTEX-1A32A-0626-SM-731AQ 50-59 years, female 245.3
GTEX-ZF2S-1626-SM-57WES 50-59 years, female 245.3
GTEX-11GS4-0226-SM-5HL77 60-69 years, male 245.1
GTEX-ZYFD-0626-SM-5E44E 50-59 years, male 244.1
GTEX-1JMPZ-0726-SM-CY8HZ 30-39 years, male 243.7
GTEX-WXYG-2026-SM-4E3IY 50-59 years, female 243.1
GTEX-1N2EE-0626-SM-E76PW 60-69 years, male 242.3
GTEX-1HSGN-0826-SM-ACKW3 40-49 years, female 241.4
GTEX-17EVP-2626-SM-7IGMA 40-49 years, male 239.9
GTEX-17HG3-2626-SM-7DUF2 30-39 years, female 238.7
GTEX-1LSVX-2526-SM-DIPEU 60-69 years, male 238.7
GTEX-13OW6-2726-SM-5J2OE 50-59 years, male 238.4
GTEX-1A3MV-1826-SM-731CD 30-39 years, male 238.3
GTEX-1KAFJ-0126-SM-DIPEK 50-59 years, male 237.3
GTEX-15FZZ-0526-SM-7KUGD 30-39 years, female 235.9
GTEX-14LLW-2626-SM-62LDZ 70-79 years, female 235.4
GTEX-11NSD-0626-SM-5A5LU 20-29 years, male 234.8
GTEX-183WM-0326-SM-72D5V 70-79 years, female 234.6
GTEX-1477Z-0326-SM-7IGLA 60-69 years, male 234.4
GTEX-1I1GP-1326-SM-A9G28 50-59 years, male 233.6
GTEX-1C64O-1326-SM-7MGWR 60-69 years, male 233.4
GTEX-12WSK-2126-SM-5CVNC 40-49 years, female 232.7
GTEX-1EH9U-2826-SM-7DUGT 60-69 years, male 232.5
GTEX-1AMFI-1326-SM-7939R 50-59 years, female 231.1
GTEX-ZA64-1026-SM-5HL8R 20-29 years, male 230.6
GTEX-1IDFM-0326-SM-ARL7V 60-69 years, male 230.0
GTEX-18A6Q-0626-SM-7KFRP 60-69 years, male 229.0
GTEX-1LBAC-0826-SM-CY8IJ 20-29 years, male 227.7
GTEX-15CHC-1126-SM-6LLHQ 60-69 years, female 227.4
GTEX-1J8Q2-2626-SM-ACKWQ 60-69 years, male 227.0
GTEX-X5EB-1926-SM-4E3IW 40-49 years, male 226.9
GTEX-Y5V6-2326-SM-4VDSA 60-69 years, male 226.8
GTEX-11DXX-2126-SM-5PNYR 60-69 years, female 226.6
GTEX-1R7EU-1626-SM-DTXG3 60-69 years, male 226.5
GTEX-14AS3-1526-SM-5Q5ED 40-49 years, female 226.2
GTEX-ZUA1-2626-SM-5NQ92 40-49 years, male 225.6
GTEX-1RAZR-2126-SM-E9U6T 40-49 years, male 225.3
GTEX-1MCYP-0526-SM-E9U6Q 20-29 years, female 225.2
GTEX-1I1GU-0926-SM-ACKVS 40-49 years, male 225.1
GTEX-139YR-1026-SM-5LZYN 50-59 years, male 224.8
GTEX-17HII-1426-SM-7EPGG 50-59 years, male 224.6
GTEX-1GMR2-0826-SM-7PC3V 50-59 years, male 223.9
GTEX-1QCLZ-2426-SM-EVYBW 60-69 years, female 223.1
GTEX-1S83E-1326-SM-E6CJM 40-49 years, male 222.8
GTEX-1LGRB-0926-SM-COH3K 50-59 years, female 222.7
GTEX-11LCK-2226-SM-5HL4Q 30-39 years, male 222.6
GTEX-1EKGG-0626-SM-7DUGJ 60-69 years, male 222.1
GTEX-11GSP-2326-SM-5HL63 60-69 years, female 221.9
GTEX-16BQI-1326-SM-6M486 30-39 years, female 221.9
GTEX-1I4MK-0126-SM-CY8G6 50-59 years, female 221.6
GTEX-15CHR-1126-SM-7EWF4 50-59 years, male 221.3
GTEX-145LU-1926-SM-79OJN 50-59 years, male 220.9
GTEX-1I1HK-2326-SM-CKZOH 60-69 years, male 220.4
GTEX-18A7A-0126-SM-731AH 50-59 years, female 219.1
GTEX-1LVA9-2626-SM-EVYD4 50-59 years, male 218.4
GTEX-14DAQ-0626-SM-793DS 60-69 years, female 217.9
GTEX-1I6K7-1926-SM-B2LXR 40-49 years, male 217.7
GTEX-1KXAM-1626-SM-D3LAD 60-69 years, male 217.3
GTEX-ZDYS-2426-SM-4WKGI 50-59 years, male 216.7
GTEX-ZWKS-0626-SM-5GIDV 30-39 years, male 216.5
GTEX-1R9K4-2826-SM-DTX8F 60-69 years, male 216.5
GTEX-144GL-0626-SM-5LU4D 50-59 years, male 216.0
GTEX-1OJC4-2726-SM-E76PJ 50-59 years, female 215.8
GTEX-11PRG-0726-SM-5EGL1 50-59 years, male 215.6
GTEX-131XW-0626-SM-5PNVD 50-59 years, female 215.5
GTEX-15EU6-2226-SM-6EU2L 50-59 years, male 213.8
GTEX-1EU9M-1426-SM-793AI 60-69 years, male 213.1
GTEX-1CB4E-0926-SM-7EPHT 60-69 years, male 212.7
GTEX-16XZZ-0726-SM-7KUF2 60-69 years, male 212.0
GTEX-144GM-0526-SM-79OJO 20-29 years, male 211.3
GTEX-16AAH-0626-SM-793C9 50-59 years, male 210.9
GTEX-WK11-2726-SM-3NMAQ 50-59 years, male 210.1
GTEX-1O9I2-0226-SM-EYYXD 50-59 years, male 209.8
GTEX-1F5PK-2226-SM-7SB6N 50-59 years, male 209.7
GTEX-1J8QM-2426-SM-A9SLS 60-69 years, female 209.7
GTEX-VUSG-2326-SM-4KL1U 50-59 years, male 209.4
GTEX-WFG7-2026-SM-5SI7P 20-29 years, male 209.4
GTEX-ZYT6-2326-SM-5GZY3 30-39 years, male 208.7
GTEX-XV7Q-1826-SM-4BRUV 40-49 years, female 207.4
GTEX-1I1CD-0626-SM-CE6SW 60-69 years, female 205.8
GTEX-1HBPM-0726-SM-9YFL7 60-69 years, female 204.8
GTEX-12WSC-2826-SM-5BC5Y 50-59 years, male 203.7
GTEX-13NYS-0626-SM-5L3F1 60-69 years, male 203.3
GTEX-1B8L1-2226-SM-7P8PT 60-69 years, male 203.2
GTEX-XMD2-2126-SM-4YCF8 60-69 years, female 202.8
GTEX-145LT-0526-SM-5LUB2 40-49 years, male 202.7
GTEX-X4EP-0626-SM-3P621 60-69 years, female 202.3
GTEX-147JS-0226-SM-5S2U9 60-69 years, male 201.0
GTEX-12WSF-1626-SM-7KUG5 70-79 years, male 200.1
GTEX-Y8E4-2026-SM-5IFJB 40-49 years, male 199.5
GTEX-14A5H-0826-SM-5QGPJ 60-69 years, male 198.9
GTEX-ZT9X-1526-SM-5DUXD 40-49 years, male 198.8
GTEX-1IL2V-1926-SM-B2LW8 70-79 years, male 198.7
GTEX-12WSA-0426-SM-5EQ5X 60-69 years, male 198.2
GTEX-1C64N-2626-SM-7PC2N 50-59 years, male 197.6
GTEX-13FH7-1126-SM-5K7UG 50-59 years, female 197.4
GTEX-ZVT4-2426-SM-5GIEI 50-59 years, female 197.1
GTEX-1LSNL-2726-SM-E9TKJ 50-59 years, male 197.1
GTEX-1IDJD-2326-SM-ACKWX 30-39 years, male 196.6
GTEX-1KWVE-1026-SM-D3L9O 30-39 years, male 196.6
GTEX-1JMQI-1726-SM-ARL93 50-59 years, male 195.6
GTEX-1AX8Z-0726-SM-73KTS 60-69 years, male 195.5
GTEX-16NGA-0726-SM-731AO 40-49 years, female 195.0
GTEX-132AR-0326-SM-5KM2C 50-59 years, female 194.7
GTEX-14C38-0726-SM-5SI6M 50-59 years, male 194.5
GTEX-1GMR8-0626-SM-7RHI7 50-59 years, female 193.7
GTEX-15RIE-1926-SM-7KUKJ 60-69 years, male 193.3
GTEX-1BAJH-2426-SM-7IGP8 70-79 years, male 191.4
GTEX-1QEPI-2626-SM-DTXF4 60-69 years, female 190.2
GTEX-14BMV-2826-SM-5TDED 50-59 years, male 190.1
GTEX-1A8G6-2726-SM-731AR 60-69 years, male 189.5
GTEX-1I19N-0126-SM-CYPSF 70-79 years, male 189.4
GTEX-Y5V5-0126-SM-5S2NW 60-69 years, female 189.3
GTEX-ZAB4-2126-SM-5HL8U 40-49 years, male 188.6
GTEX-12ZZY-0726-SM-5EQ66 60-69 years, male 188.5
GTEX-1J8JJ-0626-SM-ARZMQ 60-69 years, female 188.0
GTEX-1A8FM-0626-SM-7PC25 50-59 years, female 187.2
GTEX-1B996-0426-SM-7EWF8 60-69 years, male 186.3
GTEX-13N2G-0226-SM-5K7VF 60-69 years, male 184.8
GTEX-1IDJH-0126-SM-D3L92 70-79 years, male 184.6
GTEX-1HC8U-1326-SM-9YFMJ 40-49 years, female 184.2
GTEX-1HKZK-0726-SM-ACKW2 40-49 years, male 184.2
GTEX-145MO-2826-SM-5LU96 60-69 years, male 184.0
GTEX-1S5ZU-2526-SM-E6CIF 20-29 years, female 183.8
GTEX-1QW4Y-1126-SM-DTXE3 30-39 years, male 183.6
GTEX-1QMI2-2526-SM-E8VNZ 60-69 years, male 183.5
GTEX-1K9T9-1526-SM-DIPFR 50-59 years, female 183.1
GTEX-14B4R-1326-SM-5Q5EZ 30-39 years, male 182.9
GTEX-1A8G7-1326-SM-73KVM 60-69 years, male 182.4
GTEX-1AMEY-0826-SM-72D65 30-39 years, female 182.3
GTEX-1R9PN-0426-SM-DTXDT 40-49 years, female 182.3
GTEX-12C56-1526-SM-5FQUQ 20-29 years, male 178.5
GTEX-WY7C-2126-SM-3NB2R 50-59 years, male 178.4
GTEX-XAJ8-1426-SM-47JYM 40-49 years, male 177.9
GTEX-13OVL-0126-SM-5L3GJ 50-59 years, male 177.8
GTEX-1JK1U-0226-SM-ARZMX 60-69 years, male 177.6
GTEX-1F6IF-0926-SM-7SB7M 60-69 years, male 177.0
GTEX-WFG8-2126-SM-3GIKQ 20-29 years, male 176.5
GTEX-1LG7Y-2526-SM-EWRO7 50-59 years, male 174.5
GTEX-1CB4H-1126-SM-7MKGL 60-69 years, female 174.2
GTEX-14E6C-2426-SM-5S2NF 40-49 years, male 173.9
GTEX-17F9Y-0126-SM-79OKX 70-79 years, female 173.8
GTEX-1IE54-1126-SM-A9G2Z 40-49 years, female 173.7
GTEX-1C475-1326-SM-7SB73 40-49 years, female 173.5
GTEX-13OVJ-0826-SM-5J1OK 50-59 years, female 173.3
GTEX-1H1DF-1126-SM-9WG7G 40-49 years, female 172.6
GTEX-1HSMO-0626-SM-ACKXC 60-69 years, male 172.6
GTEX-12ZZX-2426-SM-5GCOE 40-49 years, female 172.0
GTEX-145MF-0926-SM-5Q5EA 50-59 years, male 172.0
GTEX-WFON-1926-SM-3LK7L 40-49 years, male 171.9
GTEX-1CB4I-0126-SM-7RHGG 50-59 years, male 171.6
GTEX-1HCVE-2726-SM-CL54F 50-59 years, male 171.6
GTEX-1GTWX-2026-SM-9YFLM 60-69 years, male 171.1
GTEX-11VI4-1126-SM-5EQMD 40-49 years, female 170.4
GTEX-1IDJU-1726-SM-CMKHU 60-69 years, female 169.9
GTEX-11NUK-2726-SM-5A5MC 50-59 years, male 169.3
GTEX-145MH-2826-SM-5RQJF 50-59 years, male 169.1
GTEX-WEY5-2326-SM-3GIKK 40-49 years, female 168.6
GTEX-16MT8-2926-SM-7DUFO 60-69 years, female 168.0
GTEX-13PVQ-0626-SM-5LU47 50-59 years, male 167.1
GTEX-1IOXB-2726-SM-CM2RI 50-59 years, male 166.8
GTEX-1CB4J-1326-SM-7P8RX 60-69 years, male 166.4
GTEX-14PHX-2226-SM-6EU2P 50-59 years, male 166.0
GTEX-1ICG6-1226-SM-A9SLN 70-79 years, female 166.0
GTEX-1GN1V-2826-SM-9JGIA 60-69 years, male 165.5
GTEX-XQ3S-1426-SM-4BOPR 20-29 years, male 165.3
GTEX-1QPFJ-1926-SM-EVYBD 30-39 years, female 165.3
GTEX-V1D1-2026-SM-3GAF4 50-59 years, male 165.2
GTEX-1IDJE-1426-SM-ADEIW 50-59 years, female 163.7
GTEX-1LG7Z-1626-SM-CXKYR 30-39 years, male 163.3
GTEX-17HHY-0426-SM-7DHLC 50-59 years, male 162.7
GTEX-13JUV-2026-SM-5K7UA 40-49 years, female 162.6
GTEX-YJ8O-2526-SM-5HL85 40-49 years, female 162.1
GTEX-Z93S-1626-SM-5CVMB 50-59 years, male 162.1
GTEX-16NPX-0726-SM-7KULC 50-59 years, male 161.8
GTEX-WRHU-2826-SM-3MJG8 50-59 years, female 161.2
GTEX-11UD2-2526-SM-5CVNU 50-59 years, male 160.7
GTEX-1CAV2-0126-SM-7IGN7 40-49 years, female 160.2
GTEX-1I1GV-0626-SM-ARL7M 60-69 years, male 159.0
GTEX-1F75W-2726-SM-7SB8H 60-69 years, male 158.8
GTEX-1B932-2326-SM-79OL5 40-49 years, female 158.7
GTEX-12WSJ-1126-SM-5LZVJ 40-49 years, female 158.4
GTEX-13PVR-0426-SM-5RQK2 60-69 years, female 157.7
GTEX-13FTW-0326-SM-5K7UW 40-49 years, male 156.6
GTEX-1GZHY-0626-SM-9KNVC 50-59 years, female 156.2
GTEX-16Z82-2626-SM-7KULU 60-69 years, male 156.0
GTEX-1B8SF-0126-SM-7DUG3 60-69 years, male 155.4
GTEX-15ER7-0626-SM-6PANF 20-29 years, female 155.0
GTEX-1F88F-0126-SM-9WYSZ 60-69 years, female 154.0
GTEX-ZC5H-1526-SM-5HL9Y 40-49 years, female 152.4
GTEX-13113-1626-SM-5EQ4I 60-69 years, female 152.1
GTEX-11ZUS-2626-SM-5FQUR 30-39 years, male 151.9
GTEX-ZDXO-3126-SM-5IJDF 60-69 years, male 151.7
GTEX-1I1GS-2626-SM-B2LY3 60-69 years, male 151.0
GTEX-1GN1W-2426-SM-9KNUU 50-59 years, female 150.7
GTEX-1GZ4I-2626-SM-9KNU3 50-59 years, male 150.7
GTEX-14ABY-2026-SM-62LDL 50-59 years, male 150.6
GTEX-1HBPI-2126-SM-ARL9K 50-59 years, male 150.4
GTEX-1A3MX-2626-SM-7PC24 60-69 years, male 149.1
GTEX-1J1R8-2026-SM-CL53Y 40-49 years, male 149.0
GTEX-1GN1U-0626-SM-9MQL9 50-59 years, female 147.0
GTEX-ZDTT-0426-SM-4WKFL 60-69 years, male 146.8
GTEX-13X6K-0626-SM-5LU5D 60-69 years, female 146.3
GTEX-WHSE-0126-SM-3NMBT 20-29 years, male 145.7
GTEX-1EX96-1026-SM-7MKG2 50-59 years, male 145.6
GTEX-1H23P-0626-SM-9WG6T 60-69 years, male 145.0
GTEX-17F98-1326-SM-7DUEP 40-49 years, female 144.9
GTEX-12WSM-1926-SM-5BC65 60-69 years, male 144.7
GTEX-11EQ9-1626-SM-5PNY8 30-39 years, male 143.0
GTEX-1GF9V-0826-SM-9KNUV 60-69 years, male 142.3
GTEX-111YS-1526-SM-5GZYW 60-69 years, male 141.5
GTEX-12696-0126-SM-5EQ4L 60-69 years, male 141.5
GTEX-1CB4F-1026-SM-7DUH1 60-69 years, male 141.0
GTEX-1JKYR-0626-SM-ARL8R 20-29 years, male 140.5
GTEX-WHPG-2626-SM-3NMBR 50-59 years, male 140.3
GTEX-ZTSS-1426-SM-5985P 40-49 years, male 139.0
GTEX-139T8-0626-SM-5KLZX 60-69 years, male 138.8
GTEX-14PKV-1126-SM-6LLJ1 20-29 years, female 138.0
GTEX-13FHO-0426-SM-5L3F5 60-69 years, male 136.9
GTEX-1IDJF-2026-SM-CL53V 20-29 years, male 136.5
GTEX-15D1Q-2826-SM-6LLH7 40-49 years, male 136.3
GTEX-14PJN-1826-SM-6AJ98 30-39 years, male 135.9
GTEX-1HT8W-0626-SM-A9G2H 30-39 years, male 135.7
GTEX-1H4P4-2126-SM-9WYSL 50-59 years, male 135.6
GTEX-1GN2E-0226-SM-9WG6K 60-69 years, male 135.5
GTEX-1HR98-2226-SM-ADEI2 60-69 years, male 135.3
GTEX-YEC3-1326-SM-DO92X 50-59 years, male 135.0
GTEX-ZVE2-2826-SM-5GU51 50-59 years, male 134.4
GTEX-18D9B-0926-SM-7LG4U 60-69 years, male 130.9
GTEX-14PJ2-0626-SM-6LLII 50-59 years, male 129.6
GTEX-139TT-2126-SM-5LZWC 60-69 years, male 129.5
GTEX-147F3-1726-SM-5SIAW 50-59 years, female 129.0
GTEX-1QAET-0326-SM-EVR3U 50-59 years, male 128.9
GTEX-1LVAO-2726-SM-E9TJ8 60-69 years, male 128.2
GTEX-15EO6-2426-SM-6PALZ 50-59 years, male 127.9
GTEX-18D9A-1426-SM-7LT8M 30-39 years, female 127.8
GTEX-13112-0126-SM-5P9IU 50-59 years, male 127.2
GTEX-17MF6-2626-SM-79OKQ 40-49 years, male 126.5
GTEX-14C5O-0326-SM-5ZZUX 60-69 years, male 125.9
GTEX-14JFF-0626-SM-5ZZVT 60-69 years, male 125.7
GTEX-1C6VR-0126-SM-7RHGB 60-69 years, male 125.3
GTEX-13OVG-1626-SM-5J1NF 60-69 years, male 124.7
GTEX-14A6H-2026-SM-5Q5DD 30-39 years, male 123.3
GTEX-15CHQ-0326-SM-69LQD 60-69 years, male 122.9
GTEX-144GO-2026-SM-5O99P 60-69 years, male 122.5
GTEX-1B8KZ-0326-SM-73KY4 50-59 years, male 121.7
GTEX-1RLM8-2926-SM-E8VON 50-59 years, male 121.7
GTEX-1GZ2Q-0126-SM-9WG6M 40-49 years, male 121.4
GTEX-1AX9I-2226-SM-73KUO 60-69 years, male 119.8
GTEX-18A7B-2726-SM-7LG56 70-79 years, male 119.7
GTEX-VJYA-1526-SM-3GIJV 60-69 years, male 119.7
GTEX-13OW8-1026-SM-5J1NQ 60-69 years, male 118.5
GTEX-ZDTS-0826-SM-4WKHL 60-69 years, male 118.2
GTEX-1EN7A-2426-SM-793DB 40-49 years, male 117.9
GTEX-11P82-1426-SM-DTXFY 20-29 years, male 117.7
GTEX-1JKYN-0826-SM-ARU8S 30-39 years, male 117.3
GTEX-ZVT2-0126-SM-5GIDQ 50-59 years, female 115.6
GTEX-1F48J-0726-SM-7RHGS 50-59 years, female 115.6
GTEX-1QP29-1826-SM-DTX9S 50-59 years, male 115.6
GTEX-1212Z-0126-SM-59HK4 60-69 years, male 115.4
GTEX-WYVS-1626-SM-3NM9R 40-49 years, female 113.7
GTEX-1GL5R-1326-SM-7RHHF 50-59 years, male 113.0
GTEX-13OW7-0426-SM-5K7VK 50-59 years, male 112.8
GTEX-183FY-1026-SM-7939A 20-29 years, male 111.5
GTEX-Y9LG-1126-SM-4VBQ7 30-39 years, male 111.5
GTEX-11TUW-0626-SM-5LU9M 60-69 years, male 111.2
GTEX-1GPI6-1926-SM-9KNV7 60-69 years, male 110.7
GTEX-1H3NZ-2726-SM-9WYTQ 60-69 years, male 109.0
GTEX-11EI6-2826-SM-5H11D 60-69 years, male 108.6
GTEX-1399R-1326-SM-5PNYS 30-39 years, male 108.6
GTEX-1JN6P-2926-SM-CL54D 60-69 years, male 107.1
GTEX-12584-0726-SM-5FQTK 40-49 years, male 105.4
GTEX-ZVTK-0226-SM-51MRG 20-29 years, male 104.8
GTEX-XPVG-2126-SM-4B667 50-59 years, male 104.1
GTEX-178AV-1726-SM-7KUL8 40-49 years, male 102.1
GTEX-1JJE9-2626-SM-ARZMT 70-79 years, male 101.6
GTEX-1IY9M-2826-SM-ARU8H 60-69 years, male 100.0
GTEX-ZYVF-0926-SM-5E44J 50-59 years, female 96.7
GTEX-1F5PL-0926-SM-7PC2W 40-49 years, female 96.5
GTEX-17JCI-2926-SM-7DUFF 60-69 years, female 95.5
GTEX-17KNJ-2126-SM-718AM 50-59 years, male 94.6
GTEX-13X6J-0626-SM-5LU5F 50-59 years, male 92.9
GTEX-ZTTD-2826-SM-4YCFA 50-59 years, male 90.9
GTEX-WYBS-0626-SM-3NMAS 60-69 years, female 90.7
GTEX-13VXU-0626-SM-5L3F9 50-59 years, male 88.7
GTEX-1GMR3-0126-SM-A9SLW 40-49 years, male 87.5
GTEX-1HCU8-2526-SM-CE6RX 60-69 years, female 87.2
GTEX-1RAZA-2226-SM-E9U4X 20-29 years, male 87.2
GTEX-1HUB1-1426-SM-CGQF5 60-69 years, male 86.8
GTEX-13U4I-2226-SM-5LU5H 40-49 years, female 82.1
GTEX-131YS-2826-SM-5EQ47 60-69 years, female 80.1
GTEX-1E1VI-0326-SM-793D1 50-59 years, male 80.1
GTEX-1314G-1326-SM-5BC6E 30-39 years, male 67.5
GTEX-1GF9W-1426-SM-7PBYM 60-69 years, male 55.1
Show allShow less
Skin - Sun Exposed (Lower leg)
Average nTPM: 256.6
Samples: 701

Max nTPM: 2576.4
Min nTPM: 50.4
Std nTPM: 155.3
Median nTPM: 235.7
GTEX-SE5C-1626-SM-2XCE3 40-49 years, female 2576.4
GTEX-POMQ-2226-SM-2I5FK 20-29 years, female 1840.2
GTEX-15SB6-1726-SM-6PAME 50-59 years, female 1040.9
GTEX-1399U-2326-SM-5K7WY 50-59 years, female 816.2
GTEX-1JMLX-0226-SM-CM2RO 50-59 years, male 728.9
GTEX-1K2DA-1826-SM-CGQGT 50-59 years, male 704.5
GTEX-1497J-2426-SM-7IGNX 60-69 years, male 667.6
GTEX-P4QT-0126-SM-2I3FL 50-59 years, female 610.1
GTEX-T2YK-0526-SM-32QPJ 50-59 years, male 590.2
GTEX-OIZG-0726-SM-33HBL 50-59 years, male 589.8
GTEX-1F75A-0126-SM-7RHGM 50-59 years, male 576.3
GTEX-1OFPY-2426-SM-DTXEJ 60-69 years, male 569.1
GTEX-111FC-0126-SM-5N9DL 60-69 years, male 559.0
GTEX-1OJC3-0126-SM-E76QX 20-29 years, male 552.1
GTEX-S33H-1026-SM-EZ6L6 30-39 years, male 531.1
GTEX-1KANC-1526-SM-D3LAB 50-59 years, female 527.7
GTEX-183WM-0126-SM-7LTAB 70-79 years, female 526.7
GTEX-ZQUD-1426-SM-57WER 30-39 years, male 519.4
GTEX-Y3IK-2426-SM-4WWDU 50-59 years, female 517.2
GTEX-1CAV2-2226-SM-7P8P2 40-49 years, female 515.5
GTEX-1PPH8-0226-SM-E8VND 20-29 years, male 514.8
GTEX-1LB8K-0226-SM-EWRNW 50-59 years, male 501.9
GTEX-W5X1-3026-SM-EAZAX 40-49 years, female 481.6
GTEX-UJHI-1526-SM-3DB99 50-59 years, female 477.9
GTEX-15ETS-0126-SM-7KUMW 40-49 years, female 474.4
GTEX-W5WG-1826-SM-4KL2Y 50-59 years, female 473.9
GTEX-1NV5F-0226-SM-E8VNY 60-69 years, female 471.8
GTEX-13FXS-0226-SM-5IJCK 50-59 years, male 471.7
GTEX-OOBJ-0126-SM-E6CJW 60-69 years, male 469.5
GTEX-1H1CY-2826-SM-9MQM3 60-69 years, female 468.4
GTEX-1JMQL-0226-SM-CNPP5 50-59 years, female 466.5
GTEX-1PFEY-1526-SM-E76PP 30-39 years, male 460.7
GTEX-14LZ3-0226-SM-62LET 60-69 years, female 451.4
GTEX-13PDP-0126-SM-5L3HD 60-69 years, male 448.8
GTEX-QCQG-1726-SM-3GIJ9 50-59 years, female 447.2
GTEX-1LVAN-0226-SM-COH3S 50-59 years, female 445.9
GTEX-1CAMQ-0226-SM-7IGPK 40-49 years, male 445.5
GTEX-13NYB-2526-SM-5K7Z6 40-49 years, male 445.1
GTEX-139UW-2826-SM-5L3E7 60-69 years, male 444.4
GTEX-1269C-2526-SM-5EGJ3 60-69 years, female 444.3
GTEX-X88G-0126-SM-47JZ3 30-39 years, male 441.3
GTEX-U8T8-0126-SM-3DB94 60-69 years, male 439.3
GTEX-ZTX8-1426-SM-5DUVO 20-29 years, male 437.9
GTEX-14BMU-2226-SM-5TDE9 20-29 years, female 437.5
GTEX-145MO-0326-SM-5Q5B3 60-69 years, male 436.8
GTEX-131XF-5016-SM-7MGWE 60-69 years, male 435.9
GTEX-139TS-2826-SM-5J1OO 60-69 years, male 434.7
GTEX-1313W-0126-SM-5LZUN 50-59 years, female 433.9
GTEX-1F6RS-0126-SM-9MQKZ 60-69 years, female 429.8
GTEX-13OVK-2026-SM-7KUEO 40-49 years, male 428.5
GTEX-ZYFC-0226-SM-5NQ75 50-59 years, male 428.4
GTEX-T6MN-0126-SM-32PLP 50-59 years, male 427.7
GTEX-Y5LM-1926-SM-5RQJH 40-49 years, female 425.1
GTEX-O5YT-0126-SM-48TBW 20-29 years, male 422.8
GTEX-145MN-2226-SM-5SIAU 30-39 years, male 419.2
GTEX-UPJH-0326-SM-3GADU 50-59 years, male 416.6
GTEX-148VJ-0126-SM-5TDDN 70-79 years, male 416.2
GTEX-14JG1-0426-SM-6ETZZ 40-49 years, male 416.1
GTEX-Z93T-0126-SM-5HL5N 50-59 years, male 415.6
GTEX-1LBAC-0126-SM-DIPEZ 20-29 years, male 412.5
GTEX-15RIG-0226-SM-7KFTL 40-49 years, male 410.8
GTEX-X8HC-0126-SM-4E3JW 50-59 years, female 410.6
GTEX-1K2DU-2326-SM-E9TIV 20-29 years, male 409.3
GTEX-15UF6-0826-SM-6PALJ 70-79 years, female 408.7
GTEX-11XUK-2026-SM-5EQLF 40-49 years, female 408.4
GTEX-U8XE-0326-SM-3DB8P 30-39 years, male 408.4
GTEX-12ZZZ-0626-SM-5DUXI 60-69 years, male 406.6
GTEX-146FQ-0126-SM-5NQA9 30-39 years, male 404.6
GTEX-13YAN-0326-SM-5O9DF 60-69 years, male 404.5
GTEX-11DXZ-2326-SM-5EGGV 50-59 years, male 404.3
GTEX-TML8-1926-SM-32QOS 40-49 years, female 404.2
GTEX-ZVTK-0426-SM-51MRS 20-29 years, male 403.5
GTEX-132NY-0326-SM-5IJBL 60-69 years, male 401.8
GTEX-14PJ6-2126-SM-6EU1V 60-69 years, female 399.8
GTEX-ZV6S-2326-SM-4YCEY 40-49 years, female 397.9
GTEX-Y114-2426-SM-4TT8A 50-59 years, female 395.9
GTEX-1JMPZ-0226-SM-CNPP1 30-39 years, male 395.7
GTEX-1L5NE-2526-SM-E6CIE 50-59 years, male 395.3
GTEX-OIZH-0126-SM-2HMIS 50-59 years, male 395.1
GTEX-WI4N-1026-SM-3LK7N 40-49 years, female 393.6
GTEX-1R9K4-0126-SM-DTX9X 60-69 years, male 392.9
GTEX-1122O-2126-SM-5EGIR 60-69 years, female 390.8
GTEX-PSDG-0226-SM-DKPOZ 50-59 years, male 384.8
GTEX-131XE-2326-SM-5PNZ2 50-59 years, male 384.5
GTEX-18D9A-1926-SM-7LG6P 30-39 years, female 383.3
GTEX-1HFI6-0226-SM-ADEHZ 40-49 years, male 383.0
GTEX-1JN1M-0326-SM-CYPT3 60-69 years, female 382.0
GTEX-1EWIQ-0126-SM-7RHH2 70-79 years, female 381.6
GTEX-145LS-0126-SM-5QGP1 60-69 years, female 380.0
GTEX-1H3VE-0326-SM-9YFLH 40-49 years, male 379.3
GTEX-P4PP-0126-SM-3LK69 30-39 years, female 378.5
GTEX-ZVZO-0126-SM-5A5L9 40-49 years, male 376.5
GTEX-14753-0426-SM-5NQAM 60-69 years, male 375.8
GTEX-1I6K6-0126-SM-A9SLE 30-39 years, male 375.2
GTEX-Y8DK-0126-SM-4TT3L 60-69 years, male 373.9
GTEX-1PIIG-0226-SM-EWRN6 30-39 years, male 373.9
GTEX-1RB15-2126-SM-E9TIM 60-69 years, male 372.7
GTEX-14PII-0226-SM-6EU1T 60-69 years, male 372.5
GTEX-WVJS-0126-SM-4MVOT 50-59 years, male 372.0
GTEX-U412-0426-SM-3DB9O 60-69 years, male 371.9
GTEX-18A66-0226-SM-718BD 60-69 years, male 371.3
GTEX-13CF2-2526-SM-5LZYX 60-69 years, male 368.5
GTEX-TKQ1-1026-SM-4GICL 30-39 years, male 368.5
GTEX-1QCLY-0326-SM-E8VOG 30-39 years, male 367.3
GTEX-ZWKS-0126-SM-5SIAA 30-39 years, male 366.4
GTEX-11DYG-0126-SM-59883 60-69 years, male 366.3
GTEX-XBEW-0626-SM-4QASP 40-49 years, male 366.1
GTEX-X585-0226-SM-4QAS2 50-59 years, male 364.9
GTEX-14E6E-1826-SM-5S2R7 30-39 years, male 364.4
GTEX-13FHP-0126-SM-5IJBG 50-59 years, male 364.3
GTEX-13IVO-0126-SM-5J1NG 70-79 years, male 362.5
GTEX-SN8G-0126-SM-32PLI 50-59 years, female 362.0
GTEX-1KANB-0526-SM-E6CJH 50-59 years, male 361.9
GTEX-139D8-0226-SM-5KLZO 30-39 years, female 360.7
GTEX-1F52S-0126-SM-9MQJU 60-69 years, female 360.7
GTEX-13O3O-0126-SM-E9J49 60-69 years, female 360.6
GTEX-13NZB-2526-SM-5J1OM 30-39 years, male 360.3
GTEX-1EMGI-0126-SM-9KNUE 60-69 years, male 360.0
GTEX-1B8KE-2126-SM-73KYX 50-59 years, male 358.0
GTEX-1HBPN-0226-SM-9YFM1 50-59 years, male 354.9
GTEX-1J8QM-2126-SM-CYPSJ 60-69 years, female 354.4
GTEX-1B97I-1626-SM-73KYO 40-49 years, male 354.1
GTEX-ZAJG-0126-SM-5HL94 50-59 years, female 353.9
GTEX-16GPK-0126-SM-7DHLE 60-69 years, male 353.3
GTEX-1HGF4-2426-SM-ACKXM 60-69 years, male 353.3
GTEX-ZF3C-0126-SM-DO92D 50-59 years, female 353.2
GTEX-1I1GV-0526-SM-A9G29 60-69 years, male 352.1
GTEX-117XS-2726-SM-5N9BL 60-69 years, male 351.7
GTEX-XYKS-2126-SM-4E3IB 60-69 years, female 350.9
GTEX-1I4MK-2226-SM-ACKWD 50-59 years, female 349.7
GTEX-1LSNM-1926-SM-E6CII 50-59 years, male 346.3
GTEX-S32W-2126-SM-2XCB1 50-59 years, female 346.2
GTEX-13PVR-2326-SM-5QGR1 60-69 years, female 344.8
GTEX-1HCU6-0126-SM-CL54K 60-69 years, female 344.5
GTEX-PWCY-1826-SM-DHXIZ 20-29 years, female 343.6
GTEX-1PDJ9-0326-SM-DTX95 20-29 years, male 342.1
GTEX-1MA7W-2026-SM-E9TJ6 20-29 years, female 340.2
GTEX-1LG7Z-1726-SM-D3LA4 30-39 years, male 337.3
GTEX-1HBPM-0226-SM-ARL9F 60-69 years, female 337.2
GTEX-18D9U-0226-SM-718BP 40-49 years, male 336.0
GTEX-1B8SF-1426-SM-7DUGL 60-69 years, male 335.6
GTEX-WYJK-0126-SM-3NMAB 50-59 years, male 334.7
GTEX-1HSGN-0226-SM-CGQFV 40-49 years, female 334.2
GTEX-ZE7O-0126-SM-57WC1 50-59 years, female 332.2
GTEX-1S5ZA-0126-SM-EVYCV 20-29 years, male 329.8
GTEX-VJWN-0126-SM-3GIK7 50-59 years, female 329.3
GTEX-NPJ8-0126-SM-2YUNR 40-49 years, male 328.7
GTEX-14PK6-1926-SM-6ETZU 70-79 years, female 326.3
GTEX-SNMC-1226-SM-2XCFP 20-29 years, male 326.2
GTEX-Y8E4-0626-SM-4WWDL 40-49 years, male 325.1
GTEX-1CAMR-1926-SM-7EPI2 20-29 years, male 324.6
GTEX-ZZ64-1726-SM-5GZYB 20-29 years, male 324.5
GTEX-Y111-0126-SM-4SOIV 50-59 years, male 324.2
GTEX-131XH-2226-SM-5DUXJ 50-59 years, male 323.7
GTEX-1MA7X-2226-SM-E6CIY 60-69 years, male 322.8
GTEX-13O3Q-2426-SM-5IJBR 50-59 years, male 321.7
GTEX-QDVJ-1726-SM-2I5FX 50-59 years, male 321.4
GTEX-PX3G-0126-SM-2I3EN 20-29 years, female 321.0
GTEX-17F98-0626-SM-79OMX 40-49 years, female 320.8
GTEX-ZVT4-0126-SM-DTXFN 50-59 years, female 320.5
GTEX-14PJ3-1826-SM-62LEX 50-59 years, male 320.3
GTEX-1E2YA-0126-SM-9KNUC 50-59 years, male 320.3
GTEX-1KXAM-2226-SM-CYPTC 60-69 years, male 317.6
GTEX-1QP9N-1426-SM-DTXFL 30-39 years, male 317.6
GTEX-13OW5-0126-SM-DTXFS 60-69 years, male 316.3
GTEX-131XG-2626-SM-5KM17 50-59 years, female 316.2
GTEX-XUZC-1726-SM-4BRWS 30-39 years, female 316.2
GTEX-1GZ4H-1726-SM-7PBZJ 50-59 years, female 314.8
GTEX-14BIM-0226-SM-7IGLD 60-69 years, female 313.6
GTEX-1NHNU-1026-SM-E9J2A 50-59 years, male 313.6
GTEX-13FH7-2026-SM-E9J4I 50-59 years, female 313.0
GTEX-1POEN-0126-SM-EYYXJ 30-39 years, female 312.6
GTEX-1399T-2826-SM-5KLYZ 60-69 years, male 311.8
GTEX-1PPH7-2326-SM-EVYB8 40-49 years, male 311.6
GTEX-1AX8Z-0126-SM-7DHM6 60-69 years, male 310.9
GTEX-X4XX-0126-SM-3NMC2 60-69 years, male 309.4
GTEX-133LE-1826-SM-5J1MV 20-29 years, female 308.9
GTEX-1B8L1-2526-SM-9WYTF 60-69 years, male 307.5
GTEX-145LT-1726-SM-5QGP3 40-49 years, male 307.4
GTEX-1GZHY-0326-SM-9QEHI 50-59 years, female 307.4
GTEX-1399R-2726-SM-5IJBA 30-39 years, male 306.7
GTEX-1JJEA-0326-SM-CNPOT 60-69 years, male 305.1
GTEX-PLZ6-1426-SM-DKPOT 30-39 years, male 304.7
GTEX-14ICK-0226-SM-6EU25 40-49 years, male 304.4
GTEX-XQ8I-0426-SM-4BOPO 50-59 years, male 303.4
GTEX-RTLS-0126-SM-447CA 60-69 years, female 303.0
GTEX-1KWVE-1426-SM-E9TJO 30-39 years, male 303.0
GTEX-18QFQ-0126-SM-731BE 30-39 years, male 302.9
GTEX-1B8SG-0126-SM-73KZ3 50-59 years, male 302.1
GTEX-QV44-1926-SM-2S1RF 50-59 years, male 302.1
GTEX-OXRK-0226-SM-3NB2G 50-59 years, female 301.7
GTEX-RVPV-0126-SM-EAZAW 60-69 years, male 301.1
GTEX-X4EP-0126-SM-3P5YV 60-69 years, female 300.6
GTEX-15ER7-0326-SM-7KUEV 20-29 years, female 300.3
GTEX-13OVI-1426-SM-5L3EY 60-69 years, female 300.1
GTEX-SUCS-1926-SM-32PM3 70-79 years, male 299.5
GTEX-1CAMS-0426-SM-7P8T2 40-49 years, female 298.7
GTEX-11TT1-2526-SM-5EGIB 20-29 years, male 298.6
GTEX-Q2AG-0126-SM-33HBV 40-49 years, female 298.1
GTEX-13NZ8-0826-SM-5MR3I 60-69 years, female 297.1
GTEX-ZDTT-2726-SM-4WKF8 60-69 years, male 297.1
GTEX-16BQI-0226-SM-7KUEX 30-39 years, female 296.4
GTEX-S95S-1226-SM-4GICG 60-69 years, male 296.0
GTEX-11EI6-0126-SM-5985R 60-69 years, male 295.8
GTEX-1GPI7-0126-SM-9MQL8 20-29 years, male 295.2
GTEX-13OVH-0126-SM-5MR4B 70-79 years, male 294.4
GTEX-1R9PM-2026-SM-E76OY 20-29 years, male 294.4
GTEX-XBED-2226-SM-47JYQ 60-69 years, male 293.1
GTEX-1PIGE-0126-SM-EVYBJ 20-29 years, male 292.0
GTEX-12WSD-0126-SM-59HKN 60-69 years, female 291.5
GTEX-13113-5016-SM-7EPIP 60-69 years, female 291.3
GTEX-RWS6-2026-SM-2XCB5 60-69 years, female 289.9
GTEX-XUW1-0426-SM-4BOOT 50-59 years, female 289.2
GTEX-1AX9J-0226-SM-73KXM 60-69 years, male 288.6
GTEX-13O21-1426-SM-5K7XI 50-59 years, male 288.5
GTEX-11GS4-2726-SM-5A5LE 60-69 years, male 286.7
GTEX-15F5U-1526-SM-6PANO 40-49 years, male 286.7
GTEX-13OW6-0426-SM-5L3HM 50-59 years, male 286.0
GTEX-139TU-0126-SM-5K7WH 60-69 years, male 285.8
GTEX-1H4P4-0726-SM-9YFLR 50-59 years, male 285.1
GTEX-1J8EW-0126-SM-CJI4F 60-69 years, female 285.1
GTEX-12126-0326-SM-5PNW3 20-29 years, male 283.8
GTEX-1IL2U-0226-SM-CE6T8 60-69 years, male 283.6
GTEX-1JMPY-1326-SM-ARL8Y 30-39 years, male 283.4
GTEX-14JG6-2226-SM-6EU2G 30-39 years, female 282.7
GTEX-13FTX-1826-SM-5J1NX 20-29 years, female 281.3
GTEX-17JCI-0126-SM-7LG5G 60-69 years, female 281.0
GTEX-11ZTS-0126-SM-5EQ6M 60-69 years, female 279.8
GTEX-1ICG6-2526-SM-CGQFZ 70-79 years, female 279.2
GTEX-ZVZP-2426-SM-59HKJ 50-59 years, male 279.0
GTEX-ZYFD-0126-SM-5GIDL 50-59 years, male 278.7
GTEX-13FTW-2626-SM-5K7WL 40-49 years, male 278.6
GTEX-1JJ6O-0126-SM-E6CI8 60-69 years, male 278.4
GTEX-14BIN-0626-SM-793DP 50-59 years, female 278.0
GTEX-1CB4I-0226-SM-79OLH 50-59 years, male 278.0
GTEX-1JMQK-0226-SM-CL543 60-69 years, male 276.8
GTEX-1F6I4-0126-SM-9MQL2 60-69 years, male 276.7
GTEX-ZYT6-0226-SM-5NQ6T 30-39 years, male 276.3
GTEX-1IL2V-0126-SM-CM2TX 70-79 years, male 276.1
GTEX-13SLW-0126-SM-5SI6C 70-79 years, male 275.8
GTEX-1IOXB-0126-SM-ARL8G 50-59 years, male 275.7
GTEX-1IKOH-0226-SM-COH4E 60-69 years, female 275.5
GTEX-1GF9V-0326-SM-7RHI5 60-69 years, male 274.9
GTEX-1HCUA-2426-SM-ADEIS 50-59 years, female 274.2
GTEX-1LGRB-2526-SM-CNPPQ 50-59 years, female 273.8
GTEX-ZAK1-0126-SM-5IJD3 50-59 years, female 273.3
GTEX-R45C-0126-SM-EAZ2R 60-69 years, female 272.5
GTEX-WFON-2126-SM-3LK7O 40-49 years, male 271.6
GTEX-ZPIC-1726-SM-DHXIU 40-49 years, female 271.5
GTEX-15SHU-0126-SM-7KUEH 40-49 years, female 271.4
GTEX-1GF9U-2126-SM-7SB7L 40-49 years, female 271.2
GTEX-145ME-1826-SM-5SI9G 40-49 years, female 270.9
GTEX-QVJO-1626-SM-2S1QW 60-69 years, female 269.6
GTEX-1CB4E-2226-SM-793DC 60-69 years, male 269.0
GTEX-14A5I-0126-SM-5TDEA 50-59 years, female 268.5
GTEX-1IDJF-0126-SM-CM2RS 20-29 years, male 268.1
GTEX-NFK9-0226-SM-2HMKQ 40-49 years, male 267.2
GTEX-17F96-1626-SM-7DUFL 70-79 years, male 266.5
GTEX-1MJK2-0426-SM-DTXE5 50-59 years, male 266.0
GTEX-SJXC-0126-SM-2XCFF 60-69 years, male 265.9
GTEX-12WSA-0226-SM-5BC5V 60-69 years, male 265.2
GTEX-15DYW-0126-SM-7KULE 60-69 years, female 265.2
GTEX-144FL-0126-SM-5TDC8 50-59 years, male 264.8
GTEX-14E6D-0126-SM-62LDV 50-59 years, male 264.2
GTEX-ZVT2-2526-SM-51MT1 50-59 years, female 264.0
GTEX-Z9EW-1626-SM-5CVMN 40-49 years, male 262.1
GTEX-1GMRU-0126-SM-9YFLV 50-59 years, male 262.0
GTEX-TMZS-0126-SM-3DB9Q 60-69 years, male 261.9
GTEX-O5YW-0126-SM-3LK6D 50-59 years, male 261.8
GTEX-1F5PL-0326-SM-7P8PQ 40-49 years, female 261.6
GTEX-1LNCM-1126-SM-E9U5E 50-59 years, female 261.6
GTEX-12WSE-0526-SM-793B2 20-29 years, male 261.5
GTEX-1R7EV-2426-SM-EVYBG 40-49 years, male 261.1
GTEX-14DAR-2026-SM-5S2O3 50-59 years, male 260.7
GTEX-1A3MW-0126-SM-73KXX 60-69 years, female 260.4
GTEX-Y5V5-2326-SM-4V6GA 60-69 years, female 260.3
GTEX-1N2EF-0226-SM-EYYXB 60-69 years, male 260.2
GTEX-Q2AH-1626-SM-3GAF8 40-49 years, male 259.9
GTEX-13W46-0226-SM-5SIAG 50-59 years, male 259.8
GTEX-169BO-1326-SM-9MQK2 50-59 years, male 259.0
GTEX-OHPM-0126-SM-2YUN9 50-59 years, male 258.0
GTEX-1RAZA-0126-SM-E6CI3 20-29 years, male 258.0
GTEX-1211K-2026-SM-5EQ4Z 60-69 years, female 257.8
GTEX-1ICLY-0126-SM-D4P36 50-59 years, male 257.6
GTEX-16YQH-0126-SM-7DUFJ 30-39 years, male 257.1
GTEX-1M5QR-1226-SM-EWROB 40-49 years, male 256.9
GTEX-1LGOU-2026-SM-DIPFF 20-29 years, female 256.6
GTEX-ZVT3-0126-SM-5GU6I 60-69 years, female 256.4
GTEX-1MGNQ-0126-SM-EVYCJ 40-49 years, male 256.2
GTEX-17GQL-2026-SM-718BA 60-69 years, male 255.2
GTEX-1C64O-0126-SM-7SB8P 60-69 years, male 255.2
GTEX-YFC4-0126-SM-5CVLY 40-49 years, female 254.7
GTEX-1KAFJ-2026-SM-CY8ID 50-59 years, male 254.1
GTEX-RNOR-0126-SM-E9J4R 50-59 years, female 254.1
GTEX-147F3-0526-SM-5SI98 50-59 years, female 253.6
GTEX-1M4P7-0226-SM-DIPEV 60-69 years, male 253.2
GTEX-T2IS-0126-SM-4DM6O 20-29 years, female 252.6
GTEX-117YX-2326-SM-5H12W 50-59 years, male 251.5
GTEX-OXRL-0126-SM-2YUMP 50-59 years, male 251.2
GTEX-1HCU9-1526-SM-A9SL7 20-29 years, male 250.2
GTEX-13NYS-0126-SM-5MR3W 60-69 years, male 249.6
GTEX-1F75I-0326-SM-9YFLU 40-49 years, male 249.3
GTEX-1HCU7-0226-SM-CL545 50-59 years, male 249.2
GTEX-11UD1-0126-SM-5PNYG 40-49 years, female 249.1
GTEX-145LV-2126-SM-5LU8N 50-59 years, male 248.7
GTEX-14E6C-0126-SM-5RQIP 40-49 years, male 248.5
GTEX-ZU9S-0226-SM-5E441 30-39 years, male 248.5
GTEX-15DDE-0126-SM-6LPKH 50-59 years, female 248.0
GTEX-1KANA-0726-SM-D3L9I 20-29 years, male 248.0
GTEX-S7SE-0126-SM-2XCD5 50-59 years, male 247.7
GTEX-1RQEC-0426-SM-E6CHU 60-69 years, male 247.7
GTEX-YJ89-0126-SM-4TT3X 60-69 years, male 247.5
GTEX-12WSK-2326-SM-5GCOH 40-49 years, female 247.4
GTEX-1I1GT-0626-SM-CGQER 60-69 years, female 247.3
GTEX-1R7EU-0226-SM-EVR4G 60-69 years, male 247.3
GTEX-13SLX-0526-SM-5S2ON 50-59 years, female 247.2
GTEX-XXEK-2226-SM-4BRUM 50-59 years, male 247.0
GTEX-ZTSS-1926-SM-57WEW 40-49 years, male 246.8
GTEX-PWO3-1526-SM-48TCM 60-69 years, female 246.7
GTEX-1F6IF-0726-SM-7P8TW 60-69 years, male 246.4
GTEX-Q2AI-1326-SM-2S1PL 40-49 years, male 246.3
GTEX-ZDYS-2026-SM-5HL5L 50-59 years, male 245.5
GTEX-11LCK-1026-SM-5A5KB 30-39 years, male 244.9
GTEX-1JMQJ-0526-SM-CYPSU 50-59 years, male 244.2
GTEX-1GN1U-0126-SM-7PBZK 50-59 years, female 243.9
GTEX-13VXU-0126-SM-5SI9F 50-59 years, male 243.7
GTEX-11GSP-2526-SM-5N9BP 60-69 years, female 243.6
GTEX-12WSG-2826-SM-E9J4H 50-59 years, female 243.6
GTEX-X4EO-0326-SM-3P5YO 60-69 years, female 243.5
GTEX-17HHY-0126-SM-7LG5D 50-59 years, male 243.4
GTEX-ZDXO-3026-SM-5J1N5 60-69 years, male 243.1
GTEX-1IKK5-0626-SM-ARL8A 60-69 years, male 242.8
GTEX-ZGAY-0526-SM-4WWBB 40-49 years, female 242.7
GTEX-1HSMQ-1226-SM-CGQFX 50-59 years, male 242.7
GTEX-1QP66-1726-SM-E8VO1 50-59 years, male 242.6
GTEX-1F7RK-0126-SM-7PC2S 20-29 years, female 242.5
GTEX-1QAET-0926-SM-E76QM 50-59 years, male 242.4
GTEX-1HSMP-0126-SM-E6CJS 70-79 years, male 242.0
GTEX-1R46S-0626-SM-E9J41 60-69 years, female 241.2
GTEX-1LH75-2426-SM-E9TJE 50-59 years, female 240.4
GTEX-11P81-2326-SM-59875 30-39 years, female 240.3
GTEX-14PN4-0126-SM-6EU2V 50-59 years, male 240.3
GTEX-X5EB-2226-SM-46MW4 40-49 years, male 239.9
GTEX-1S3DN-2226-SM-EVYCD 50-59 years, male 239.3
GTEX-ZYFG-2326-SM-5E44B 60-69 years, female 238.8
GTEX-16MT8-0426-SM-7KUEY 60-69 years, female 238.7
GTEX-PVOW-0126-SM-2XCFA 40-49 years, male 237.8
GTEX-1EKGG-0226-SM-9WYTH 60-69 years, male 236.9
GTEX-113JC-2326-SM-5EQ4E 50-59 years, female 236.7
GTEX-ZXG5-0126-SM-5GIEU 60-69 years, male 236.2
GTEX-11OC5-0126-SM-5HL6A 60-69 years, male 235.7
GTEX-1LG7Y-0526-SM-DKPQC 50-59 years, male 235.6
GTEX-11WQC-2526-SM-5CVLE 60-69 years, male 235.0
GTEX-13CF3-2426-SM-5IFGX 60-69 years, female 234.8
GTEX-13RTK-1426-SM-5QGQJ 20-29 years, male 234.2
GTEX-13VXT-0126-SM-5LU4I 20-29 years, female 234.0
GTEX-RM2N-1426-SM-2TF4H 50-59 years, male 233.7
GTEX-18A67-0126-SM-7LG5P 50-59 years, male 233.4
GTEX-131YS-0126-SM-5KM1M 60-69 years, female 233.1
GTEX-1H1DG-0126-SM-9WYU2 70-79 years, male 232.5
GTEX-XPVG-2626-SM-4B669 50-59 years, male 231.7
GTEX-15EU6-0426-SM-6PAN5 50-59 years, male 231.4
GTEX-1GF9W-0326-SM-9KNUN 60-69 years, male 230.2
GTEX-11EM3-2426-SM-59861 20-29 years, female 229.0
GTEX-QLQW-1126-SM-2S1Q8 30-39 years, male 228.8
GTEX-18A7A-0226-SM-718BH 50-59 years, female 227.7
GTEX-17EVQ-0226-SM-7LG4P 70-79 years, male 227.5
GTEX-11NSD-2226-SM-5986V 20-29 years, male 227.2
GTEX-PW2O-1526-SM-7RHHB 20-29 years, male 226.9
GTEX-13FTY-0526-SM-5L3EV 40-49 years, female 226.7
GTEX-ZV68-0126-SM-59HKS 50-59 years, female 226.5
GTEX-14LLW-0126-SM-6LLIO 70-79 years, female 226.4
GTEX-1C64N-0126-SM-793D7 50-59 years, male 225.7
GTEX-1K9T9-0126-SM-EVYCF 50-59 years, female 225.1
GTEX-13W3W-2426-SM-5LU5B 60-69 years, female 224.6
GTEX-1CB4G-0226-SM-7PC3O 60-69 years, male 224.4
GTEX-1IGQW-0126-SM-COH42 60-69 years, male 223.9
GTEX-1JN6P-0126-SM-D3L98 60-69 years, male 223.8
GTEX-18465-0126-SM-731BN 50-59 years, male 223.4
GTEX-TSE9-0126-SM-3DB83 60-69 years, female 223.4
GTEX-14PJM-0226-SM-62LF1 50-59 years, female 223.3
GTEX-1KD4Q-0226-SM-E9TJ9 40-49 years, male 222.7
GTEX-131XW-0426-SM-5LZWP 50-59 years, female 222.2
GTEX-WRHK-1426-SM-3MJF9 20-29 years, female 222.2
GTEX-1A3MV-1926-SM-718BT 30-39 years, male 222.1
GTEX-XUYS-0126-SM-47JWZ 50-59 years, male 222.0
GTEX-Y5V6-2426-SM-4VDSB 60-69 years, male 221.5
GTEX-YEC4-2126-SM-5IFJH 40-49 years, male 221.1
GTEX-ZYY3-0126-SM-5GZY5 60-69 years, female 221.1
GTEX-1GF9X-2026-SM-7PC3A 40-49 years, female 220.6
GTEX-1HSKV-0226-SM-A9SKJ 60-69 years, male 219.4
GTEX-1MUQO-0126-SM-EAZ58 60-69 years, male 219.2
GTEX-VUSG-2526-SM-4KL1V 50-59 years, male 218.9
GTEX-1GN73-0226-SM-9WG67 60-69 years, male 217.6
GTEX-OXRP-0126-SM-3NB32 60-69 years, female 217.5
GTEX-145MI-0526-SM-5O9A8 60-69 years, female 217.3
GTEX-13N1W-0126-SM-5K7VT 70-79 years, male 217.1
GTEX-ZE9C-2726-SM-57WB5 60-69 years, male 216.6
GTEX-RWSA-0126-SM-2XCBB 40-49 years, male 215.4
GTEX-1212Z-2526-SM-5EGKP 60-69 years, male 215.0
GTEX-1IDJH-0326-SM-A9SLQ 70-79 years, male 214.6
GTEX-1IKJJ-0126-SM-CNPQB 60-69 years, male 214.5
GTEX-1I1GQ-0126-SM-COH3H 50-59 years, male 214.3
GTEX-13D11-2426-SM-5KM1V 50-59 years, female 213.8
GTEX-Y3I4-2126-SM-4TT7C 50-59 years, male 213.5
GTEX-15UKP-0426-SM-7KUFQ 20-29 years, male 212.7
GTEX-1H1E6-1726-SM-ACKVK 30-39 years, male 211.8
GTEX-1I1GR-0126-SM-CL55F 60-69 years, male 211.3
GTEX-11OF3-2626-SM-5GU7F 60-69 years, male 211.2
GTEX-15G19-0126-SM-6PANQ 60-69 years, male 211.0
GTEX-1O97I-0326-SM-EYYX7 60-69 years, male 210.6
GTEX-11P7K-2126-SM-5GU7G 30-39 years, male 210.4
GTEX-1J8Q3-1626-SM-CMKGC 60-69 years, male 210.2
GTEX-WFG8-2226-SM-3GIL9 20-29 years, male 210.0
GTEX-1J8JJ-0226-SM-CL53I 60-69 years, female 209.9
GTEX-U3ZH-2026-SM-3DB78 30-39 years, male 209.8
GTEX-1H1ZS-0426-SM-9WG6G 70-79 years, male 209.8
GTEX-11DZ1-0126-SM-5985Q 50-59 years, male 207.9
GTEX-17HGU-0226-SM-7DHKV 50-59 years, male 207.8
GTEX-WQUQ-0426-SM-3MJFU 60-69 years, male 207.8
GTEX-WY7C-2326-SM-3NB2U 50-59 years, male 207.6
GTEX-XMD2-0126-SM-4YCDU 60-69 years, female 207.5
GTEX-YB5E-2026-SM-5IFIS 40-49 years, male 206.6
GTEX-R55E-0126-SM-2TC5Y 20-29 years, male 206.1
GTEX-1MCQQ-0826-SM-DLHC2 60-69 years, male 205.9
GTEX-ZQG8-1626-SM-DHXIT 60-69 years, female 205.8
GTEX-16NGA-1726-SM-731B4 40-49 years, female 205.3
GTEX-TMMY-0226-SM-33HBA 40-49 years, female 205.3
GTEX-1C6WA-0126-SM-7PC2B 60-69 years, male 205.3
GTEX-13OVL-0226-SM-5L3E9 50-59 years, male 205.2
GTEX-1S82Y-2026-SM-EVYCM 40-49 years, male 204.7
GTEX-XAJ8-0826-SM-47JY6 40-49 years, male 204.5
GTEX-12KS4-0326-SM-5EQ41 30-39 years, male 204.1
GTEX-1ICLZ-0126-SM-CKZPO 60-69 years, male 203.8
GTEX-147GR-0526-SM-5S2MY 60-69 years, male 203.1
GTEX-1C6VQ-0126-SM-7P8RI 50-59 years, male 202.8
GTEX-11GSO-2426-SM-5A5LY 60-69 years, male 202.5
GTEX-17HII-0226-SM-7LG4E 50-59 years, male 202.4
GTEX-13111-1626-SM-5EGJY 50-59 years, male 201.7
GTEX-13RTJ-2426-SM-5S2Q2 60-69 years, male 200.6
GTEX-144GL-0126-SM-5TDE2 50-59 years, male 200.3
GTEX-1CB4H-0226-SM-7PBXM 60-69 years, female 200.1
GTEX-1JK1U-2026-SM-CM2RZ 60-69 years, male 199.9
GTEX-QDVN-2026-SM-3GAEP 50-59 years, male 199.1
GTEX-13G51-2526-SM-5LZYK 60-69 years, male 198.6
GTEX-WZTO-0126-SM-3NM95 40-49 years, male 198.6
GTEX-15D1Q-0126-SM-7KUG6 40-49 years, male 198.2
GTEX-18D9B-0526-SM-7LTAS 60-69 years, male 198.2
GTEX-13O1R-0126-SM-5L3EH 60-69 years, male 197.9
GTEX-1AMFI-2026-SM-731BH 50-59 years, female 197.6
GTEX-1F88F-2726-SM-7PBZZ 60-69 years, female 197.6
GTEX-ZF29-2326-SM-DO92K 60-69 years, female 197.0
GTEX-1S83E-0126-SM-EWRO4 40-49 years, male 196.8
GTEX-13N11-2526-SM-5K7UE 50-59 years, female 196.5
GTEX-1GMR3-1926-SM-9KNUZ 40-49 years, male 196.3
GTEX-1IDJU-2626-SM-CM2RT 60-69 years, female 196.3
GTEX-RUSQ-1526-SM-2TF62 50-59 years, male 195.4
GTEX-14XAO-2326-SM-6EU1B 60-69 years, female 195.1
GTEX-18A6Q-0126-SM-731BZ 60-69 years, male 194.8
GTEX-1QPFJ-0226-SM-E76PB 30-39 years, female 194.7
GTEX-1HCU8-0626-SM-A9SM9 60-69 years, female 194.6
GTEX-1J1OQ-0226-SM-CYPSH 40-49 years, female 194.0
GTEX-1HB9E-0226-SM-E9U4R 50-59 years, male 193.8
GTEX-11ZVC-2526-SM-5FQTE 50-59 years, female 193.1
GTEX-1GN2E-0426-SM-9MQKX 60-69 years, male 192.9
GTEX-WOFL-0126-SM-3MJG2 60-69 years, male 192.8
GTEX-1GTWX-0126-SM-9YFLK 60-69 years, male 191.8
GTEX-1A3MX-0126-SM-731BR 60-69 years, male 191.6
GTEX-1QEPI-0126-SM-EWRMQ 60-69 years, female 191.6
GTEX-17MFQ-1726-SM-793C7 20-29 years, male 191.4
GTEX-146FH-0126-SM-5QGPP 50-59 years, female 190.3
GTEX-U3ZM-1526-SM-3DB9D 40-49 years, male 190.3
GTEX-ZEX8-2426-SM-4WKG4 50-59 years, male 190.1
GTEX-1H11D-0226-SM-9WG6Z 40-49 years, male 190.0
GTEX-16XZZ-0126-SM-793DV 60-69 years, male 189.6
GTEX-ZY6K-1826-SM-5GZXK 50-59 years, male 189.4
GTEX-144GN-2326-SM-5LU4F 50-59 years, male 189.2
GTEX-RU72-0926-SM-2TF6B 50-59 years, female 188.9
GTEX-17EUY-0426-SM-793BD 20-29 years, male 188.4
GTEX-13X6I-0626-SM-5QGP9 60-69 years, male 188.2
GTEX-13X6J-0126-SM-5QGOU 50-59 years, male 188.2
GTEX-11VI4-1726-SM-5CVLH 40-49 years, female 187.7
GTEX-ZXES-1826-SM-5E43S 30-39 years, female 187.6
GTEX-R3RS-0126-SM-3GIJL 40-49 years, female 187.3
GTEX-1MCYP-1926-SM-E9J2R 20-29 years, female 187.0
GTEX-16AAH-1726-SM-7939C 50-59 years, male 185.2
GTEX-12C56-1726-SM-5EQ61 20-29 years, male 185.1
GTEX-183FY-0126-SM-7LT9P 20-29 years, male 185.1
GTEX-SIU8-0126-SM-2XCDT 50-59 years, male 184.2
GTEX-1H3O1-0426-SM-9YFKY 60-69 years, male 184.1
GTEX-18A7B-0126-SM-7LG64 70-79 years, male 183.5
GTEX-1BAJH-0526-SM-793CQ 70-79 years, male 182.3
GTEX-1C4CL-0526-SM-73KVK 30-39 years, male 182.2
GTEX-13X6H-2126-SM-7EWD5 50-59 years, female 181.9
GTEX-1B933-0126-SM-7PC29 50-59 years, female 181.5
GTEX-X4XY-0226-SM-4E3IZ 60-69 years, male 180.9
GTEX-14BIL-0126-SM-5SI92 50-59 years, male 180.8
GTEX-15CHC-2126-SM-6EU21 60-69 years, female 180.6
GTEX-1EU9M-0226-SM-7P8SP 60-69 years, male 180.3
GTEX-11UD2-0226-SM-5EQKY 50-59 years, male 180.2
GTEX-ZF2S-2326-SM-4WWCE 50-59 years, female 179.2
GTEX-12ZZX-0126-SM-5EGK9 40-49 years, female 178.7
GTEX-1IE54-0126-SM-CMKHW 40-49 years, female 178.3
GTEX-17HG3-2226-SM-7938L 30-39 years, female 177.8
GTEX-111VG-2426-SM-5GZXD 60-69 years, male 177.6
GTEX-X638-0126-SM-47JZ8 70-79 years, female 177.6
GTEX-1HSMO-0126-SM-CL547 60-69 years, male 177.0
GTEX-X261-0126-SM-3NMD6 50-59 years, male 175.8
GTEX-1AX9K-2326-SM-73KWU 50-59 years, male 175.4
GTEX-S7PM-0126-SM-4AD6S 60-69 years, male 175.0
GTEX-1QMI2-0226-SM-EVYBX 60-69 years, male 174.8
GTEX-T6MO-1626-SM-32QOM 40-49 years, female 174.4
GTEX-14BMV-0126-SM-5S2PO 50-59 years, male 173.8
GTEX-1H3VY-0126-SM-ACKXD 50-59 years, male 173.5
GTEX-17F97-0326-SM-7LG5B 50-59 years, male 173.3
GTEX-13FHO-0226-SM-5IFGY 60-69 years, male 173.0
GTEX-ZTPG-0326-SM-5O9AX 20-29 years, female 172.7
GTEX-U4B1-1826-SM-4DXSU 40-49 years, male 172.2
GTEX-1F5PK-2426-SM-7RHHY 50-59 years, male 172.1
GTEX-1RDX4-0126-SM-E9J4P 50-59 years, female 172.0
GTEX-13S7M-0126-SM-5SI6A 60-69 years, female 171.9
GTEX-Z93S-0126-SM-5HL7M 50-59 years, male 171.8
GTEX-OOBK-0126-SM-2YUND 40-49 years, male 171.6
GTEX-117YW-2626-SM-5GZZH 50-59 years, male 171.5
GTEX-14PHX-2326-SM-62LEM 50-59 years, male 171.5
GTEX-1GN1V-0126-SM-9WPOS 60-69 years, male 171.2
GTEX-1AYD5-2426-SM-73KXR 50-59 years, male 170.9
GTEX-13NYC-0326-SM-E9J4S 60-69 years, male 170.2
GTEX-13OW8-1326-SM-5J1OW 60-69 years, male 170.1
GTEX-VJYA-1126-SM-3GIJU 60-69 years, male 169.9
GTEX-R55G-2526-SM-2TC6D 40-49 years, female 168.7
GTEX-11DXX-2426-SM-5GZZW 60-69 years, female 168.0
GTEX-1H3NZ-0126-SM-ACKX7 60-69 years, male 168.0
GTEX-WXYG-2326-SM-4E3I6 50-59 years, female 167.5
GTEX-12WSC-0126-SM-5EQ4P 50-59 years, male 166.8
GTEX-SSA3-0126-SM-32QPU 60-69 years, male 166.4
GTEX-139T8-0126-SM-5K7XZ 60-69 years, male 165.8
GTEX-15DCD-0126-SM-7KUEK 70-79 years, female 165.7
GTEX-11EQ9-2426-SM-5HL5T 30-39 years, male 164.8
GTEX-PLZ4-0126-SM-5SI8O 50-59 years, female 164.1
GTEX-1A8FM-0226-SM-7SB7Q 50-59 years, female 164.0
GTEX-P44H-0226-SM-2XCEU 40-49 years, male 163.9
GTEX-1N2DW-0226-SM-E9TK2 50-59 years, male 163.1
GTEX-12ZZY-0226-SM-5LZVE 60-69 years, male 163.0
GTEX-14DAQ-0126-SM-5S2MQ 60-69 years, female 162.9
GTEX-QESD-1426-SM-2S1R9 20-29 years, male 162.4
GTEX-OHPL-0126-SM-2HMJ7 60-69 years, female 161.1
GTEX-12WSN-5019-SM-79OM6 40-49 years, male 161.0
GTEX-1AMEY-1326-SM-73KYK 30-39 years, female 160.9
GTEX-1192X-0226-SM-5H12D 50-59 years, male 160.8
GTEX-1128S-2326-SM-5GZZY 60-69 years, female 160.7
GTEX-XQ3S-1526-SM-4BOOC 20-29 years, male 160.7
GTEX-OIZF-0126-SM-7SB8I 60-69 years, male 160.6
GTEX-17EVP-0326-SM-7DHLG 40-49 years, male 160.4
GTEX-1N2DV-0226-SM-E6CJ6 40-49 years, male 160.3
GTEX-12696-2426-SM-5EQ6H 60-69 years, male 160.2
GTEX-1C2JI-1826-SM-73KXC 50-59 years, male 160.0
GTEX-15SDE-2226-SM-7IGLO 50-59 years, female 159.8
GTEX-145MF-0626-SM-5LUAI 50-59 years, male 159.7
GTEX-QEG4-0226-SM-2S1PY 30-39 years, male 159.5
GTEX-YJ8A-0426-SM-5IFID 20-29 years, male 159.2
GTEX-WYVS-2126-SM-3NMA3 40-49 years, female 159.1
GTEX-ZAB4-0226-SM-5N9F5 40-49 years, male 158.9
GTEX-1I1CD-0126-SM-CM2TK 60-69 years, female 158.6
GTEX-1QP29-0626-SM-EWRMX 50-59 years, male 158.6
GTEX-1J8Q2-0526-SM-CM2RW 60-69 years, male 157.9
GTEX-14ABY-0226-SM-5TDCQ 50-59 years, male 157.7
GTEX-1HCVE-0126-SM-CGQEU 50-59 years, male 156.6
GTEX-1H23P-0126-SM-ADEJ3 60-69 years, male 156.1
GTEX-145LU-0126-SM-5TDCB 50-59 years, male 156.0
GTEX-ZUA1-0126-SM-5GU76 40-49 years, male 155.8
GTEX-1HKZK-0326-SM-9WYUH 40-49 years, male 155.7
GTEX-1C475-1826-SM-73KWA 40-49 years, female 155.0
GTEX-17HHE-2026-SM-79OKF 50-59 years, male 154.2
GTEX-T8EM-1026-SM-3DB7M 40-49 years, male 153.0
GTEX-11ZU8-2526-SM-5EQKI 60-69 years, male 152.8
GTEX-1GMR8-0126-SM-9WYTM 50-59 years, female 152.7
GTEX-XV7Q-2526-SM-4BRV9 40-49 years, female 152.0
GTEX-13U4I-0126-SM-5LU38 40-49 years, female 151.8
GTEX-1JKYR-0126-SM-CNPOJ 20-29 years, male 151.8
GTEX-1JMOU-1526-SM-CL54I 60-69 years, female 151.7
GTEX-1HT8W-0126-SM-CNPPP 30-39 years, male 150.9
GTEX-16XZY-2126-SM-79OK1 70-79 years, male 150.8
GTEX-14C5O-0126-SM-5SI6N 60-69 years, male 150.6
GTEX-14PN3-2426-SM-6LLHS 60-69 years, female 150.0
GTEX-P4PQ-0126-SM-2S1NM 60-69 years, male 149.9
GTEX-13QJ3-0326-SM-5S2RA 50-59 years, male 149.8
GTEX-1J1R8-1726-SM-ARL8M 40-49 years, male 149.8
GTEX-1F75B-0126-SM-9KNVL 50-59 years, male 149.0
GTEX-1GZ2Q-0226-SM-7P8TL 40-49 years, male 147.2
GTEX-Q734-1926-SM-2I5EV 40-49 years, female 146.3
GTEX-13112-2826-SM-5DUWH 50-59 years, male 146.2
GTEX-ZAB5-1826-SM-5HL7C 50-59 years, male 145.6
GTEX-1S82Z-0826-SM-E6CHY 30-39 years, female 145.0
GTEX-OXRN-0126-SM-48TDM 50-59 years, male 144.9
GTEX-1LC47-0326-SM-E9TJP 60-69 years, male 144.7
GTEX-11H98-0126-SM-5EGHG 50-59 years, male 144.0
GTEX-1I19N-0326-SM-ACKVX 70-79 years, male 143.3
GTEX-1E1VI-0126-SM-7DHMZ 50-59 years, male 143.2
GTEX-13N2G-2626-SM-5J1OT 60-69 years, male 142.2
GTEX-ZVE2-0226-SM-59HJB 50-59 years, male 141.4
GTEX-1HSEH-0126-SM-ACKXN 60-69 years, male 140.7
GTEX-1AX9I-0126-SM-7SB74 60-69 years, male 140.4
GTEX-1I1GU-2226-SM-CGQFA 40-49 years, male 139.0
GTEX-1CB4F-0426-SM-9KNV4 60-69 years, male 138.7
GTEX-11DXW-0226-SM-5H122 40-49 years, male 137.9
GTEX-1HBPI-1526-SM-C1YQ1 50-59 years, male 137.3
GTEX-1JMQI-2226-SM-CM2SD 50-59 years, male 137.2
GTEX-11DXY-2626-SM-5GIE7 60-69 years, male 136.8
GTEX-13JUV-2726-SM-5LZZ8 40-49 years, female 136.0
GTEX-YB5K-2126-SM-4WWDJ 40-49 years, female 135.3
GTEX-17KNJ-2326-SM-7DHLQ 50-59 years, male 135.1
GTEX-11O72-0126-SM-59887 40-49 years, male 134.7
GTEX-PLZ5-2026-SM-2S1O4 50-59 years, male 133.9
GTEX-ZDTS-0126-SM-4WAY5 60-69 years, male 133.7
GTEX-1JKYN-1326-SM-CGQG9 30-39 years, male 133.2
GTEX-12WSJ-1826-SM-5GCNY 40-49 years, female 132.8
GTEX-11TUW-2726-SM-E9J4M 60-69 years, male 132.7
GTEX-T5JW-1626-SM-3GADZ 20-29 years, female 132.6
GTEX-1A32A-0126-SM-718B1 50-59 years, female 132.5
GTEX-1C6VR-2426-SM-79OLD 60-69 years, male 132.2
GTEX-1JN76-0126-SM-CNPPE 20-29 years, female 131.6
GTEX-1HFI7-1826-SM-ACKXH 50-59 years, female 130.8
GTEX-14A5H-0426-SM-5QGQF 60-69 years, male 129.5
GTEX-1EN7A-0126-SM-7SB81 40-49 years, male 129.5
GTEX-1JJE9-0326-SM-CL53Z 70-79 years, male 129.0
GTEX-146FR-1326-SM-E9J48 60-69 years, female 128.8
GTEX-16NPX-0226-SM-79OMT 50-59 years, male 128.7
GTEX-147F4-0226-SM-5QGPW 50-59 years, male 127.9
GTEX-1C6VS-0526-SM-7DUEN 60-69 years, male 127.5
GTEX-11ZTT-2426-SM-5EQLS 60-69 years, female 127.3
GTEX-1KD5A-0226-SM-D5OV3 50-59 years, male 127.0
GTEX-1PWST-0226-SM-E76QJ 70-79 years, male 126.6
GTEX-1B996-0226-SM-7RHGO 60-69 years, male 126.2
GTEX-12WSL-2526-SM-5GCNJ 50-59 years, male 126.1
GTEX-1CB4J-0626-SM-7DHMP 60-69 years, male 124.5
GTEX-13OW7-0126-SM-5MR3B 50-59 years, male 123.3
GTEX-QDT8-0126-SM-48TZ1 30-39 years, female 122.6
GTEX-139T4-0226-SM-5HL5S 50-59 years, female 122.1
GTEX-X62O-0126-SM-4E3JN 50-59 years, male 122.1
GTEX-WH7G-2326-SM-3NMBC 40-49 years, male 121.1
GTEX-U3ZN-2326-SM-3DB7W 30-39 years, female 121.0
GTEX-1I1GP-2226-SM-CGQFK 50-59 years, male 120.4
GTEX-1PBJI-0526-SM-E8VNK 20-29 years, female 120.0
GTEX-11EMC-2926-SM-5EQ4F 60-69 years, female 119.8
GTEX-1IY9M-0126-SM-D3L8S 60-69 years, male 119.5
GTEX-1GN1W-0526-SM-9MQJQ 50-59 years, female 118.7
GTEX-139TT-0126-SM-5K7Y5 60-69 years, male 118.0
GTEX-1QP2A-0126-SM-E9J43 50-59 years, male 117.3
GTEX-1H1DE-2126-SM-9WG6R 20-29 years, male 117.0
GTEX-1AYCT-2426-SM-7IGQ3 50-59 years, male 116.6
GTEX-QLQ7-1626-SM-2S1R8 60-69 years, male 116.1
GTEX-Y8LW-1826-SM-5S2MV 50-59 years, female 116.1
GTEX-11TTK-0126-SM-5987B 60-69 years, female 116.0
GTEX-14E7W-0126-SM-6LLJ9 70-79 years, male 114.9
GTEX-1H2FU-0126-SM-9WYSI 60-69 years, female 114.9
GTEX-T5JC-0426-SM-32PLO 20-29 years, male 114.6
GTEX-17MF6-0126-SM-7LG4F 40-49 years, male 113.6
GTEX-1I1HK-0126-SM-COH49 60-69 years, male 112.3
GTEX-13OVJ-0126-SM-5KM36 50-59 years, female 112.2
GTEX-148VI-1626-SM-5SI6E 60-69 years, female 111.1
GTEX-11WQK-0526-SM-5EQLD 50-59 years, male 110.7
GTEX-13RTL-0126-SM-7LG5S 40-49 years, male 109.5
GTEX-1R9PO-2126-SM-E9J4O 60-69 years, female 109.2
GTEX-1IDFM-0126-SM-COH2V 60-69 years, male 109.1
GTEX-1HR98-0126-SM-B2LWI 60-69 years, male 108.6
GTEX-1I1GS-0126-SM-B2LVW 60-69 years, male 106.2
GTEX-15SHW-0326-SM-6PAML 60-69 years, male 104.0
GTEX-13O3P-0126-SM-5KM4S 50-59 years, male 101.1
GTEX-1GL5R-1826-SM-9KNUY 50-59 years, male 100.9
GTEX-1EX96-1626-SM-7PBXR 50-59 years, male 100.2
GTEX-1F48J-0126-SM-7P8TT 50-59 years, female 100.0
GTEX-OXRO-0126-SM-2YUN4 60-69 years, female 99.8
GTEX-11NUK-0126-SM-5A5L3 50-59 years, male 98.9
GTEX-13NZA-0226-SM-5K7Z7 60-69 years, male 98.3
GTEX-RN64-0126-SM-2TC68 50-59 years, male 95.0
GTEX-ZC5H-0226-SM-4WAY9 40-49 years, female 94.5
GTEX-11P82-1626-SM-59879 20-29 years, male 94.0
GTEX-1GPI6-0126-SM-9WG69 60-69 years, male 92.5
GTEX-11ZUS-0626-SM-59885 30-39 years, male 91.9
GTEX-V1D1-2226-SM-3NMAX 50-59 years, male 91.9
GTEX-1192W-2626-SM-5Q5AF 60-69 years, male 90.5
GTEX-ZZPT-0226-SM-5E43X 50-59 years, male 88.8
GTEX-1HBPH-0426-SM-B2LW5 40-49 years, female 86.1
GTEX-1314G-1526-SM-5EGK2 30-39 years, male 84.8
GTEX-1RLM8-2326-SM-EWRN4 50-59 years, male 83.2
GTEX-1QW4Y-1526-SM-EAZ3Z 30-39 years, male 79.4
GTEX-1OJC4-0126-SM-E9J2E 50-59 years, female 77.8
GTEX-13OVG-1926-SM-5L3DK 60-69 years, male 75.5
GTEX-15EOM-0126-SM-7KUGG 20-29 years, female 74.1
GTEX-ZF28-0126-SM-4WKGK 60-69 years, male 73.9
GTEX-14PHW-0126-SM-6LLJI 60-69 years, female 73.6
GTEX-12584-0126-SM-5EGKQ 40-49 years, male 70.2
GTEX-1HUB1-0426-SM-E9U4U 60-69 years, male 70.1
GTEX-1QP67-1626-SM-EAZ3X 40-49 years, female 69.8
GTEX-1B8KZ-2026-SM-7DHMB 50-59 years, male 69.6
GTEX-ZYW4-0126-SM-5E44A 60-69 years, male 65.6
GTEX-14JIY-0126-SM-6LLH6 60-69 years, male 61.7
GTEX-113IC-0126-SM-5HL6T 60-69 years, male 54.7
GTEX-14A6H-0126-SM-5QGPK 30-39 years, male 50.4
GTEX-1RAZQ-0726-SM-EAZ43 30-39 years, male 50.4
Show allShow less

Contact

  • NEWS ARTICLES
  • PRESS ROOM

The Project

  • INTRODUCTION
  • ORGANIZATION
  • PUBLICATIONS

The Human Protein Atlas

  • DOWNLOADABLE DATA
  • LICENCE & CITATION
  • HELP & FAQ
The Human Protein Atlas project is funded
by the Knut & Alice Wallenberg Foundation.


contact@proteinatlas.org