We use cookies to enhance the usability of our website. If you continue, we'll assume that you are happy to receive all cookies. More information. Don't show this again.
KCNK15
HPA
RESOURCES
  • TISSUE
  • BRAIN
  • SINGLE CELL
  • SUBCELLULAR
  • CANCER
  • BLOOD
  • CELL LINE
  • STRUCTURE & INTERACTION
ABOUT
  • INTRODUCTION
  • HISTORY
  • ORGANIZATION
  • PUBLICATIONS
  • ANTIBODY SUBMISSION
  • ANTIBODY AVAILABILITY
  • ACKNOWLEDGMENTS
  • CONTACT
NEWS
  • NEWS ARTICLES
  • PRESS ROOM
LEARN
  • DICTIONARY
  • PROTEIN CLASSES
  • PROTEIN EVIDENCE
  • METHODS
  • EDUCATIONAL VIDEOS
DATA
  • DOWNLOADABLE DATA
  • PUBLICATION DATA
  • RELEASE HISTORY
HELP
  • ANTIBODY VALIDATION
  • ASSAYS & ANNOTATION
  • DISCLAIMER
  • HELP & FAQ
  • PRIVACY STATEMENT
  • LICENCE & CITATION
Fields »
Search result

Field
Term
Gene name
Class
Subclass
Class
Keyword
Chromosome
External id
Tissue
Cell type
Expression
Antibody panel
Tissue
Main location
Patient ID
Annotation
Tissue
Category
Tau score
Cluster
Reliability
Brain region
Category
Tau score
Brain region
Category
Tau score
Brain region
Category
Tau score
Cluster
Reliability
Tissue
Cell type
Enrichment
Cell type
Category
Tau score
Cell type
Category
Tau score
Cell type
Category
Tau score
Cell lineage
Category
Tau score
Cluster
Cluster
Location
Searches
Location
Cell line
Class
Type
Phase
Reliability
Cancer
Prognosis
Cancer
Category
Cancer
Category
Tau score
Cluster
Variants
Interacting gene (ensg_id)
Type
Number of interactions
Pathway
Category
Score
Score
Score
Validation
Validation
Validation
Validation
Antibodies
Data type
Column


  • SUMMARY

  • TISSUE

  • BRAIN

  • SINGLE CELL

  • SUBCELL

  • CANCER

  • BLOOD

  • CELL LINE

  • STRUCT & INT

  • KCNK15
TISSUE PRIMARY DATA LUNG Show tissue menu
ADIPOSE TISSUE ADRENAL GLAND AMYGDALA APPENDIX BASAL GANGLIA BONE MARROW BREAST CEREBELLUM CEREBRAL CORTEX CERVIX CHOROID PLEXUS COLON DUODENUM
ENDOMETRIUM EPIDIDYMIS ESOPHAGUS FALLOPIAN TUBE GALLBLADDER HEART MUSCLE HIPPOCAMPAL FORMATION HYPOTHALAMUS KIDNEY LIVER LUNG LYMPH NODE MIDBRAIN
OVARY PANCREAS PARATHYROID GLAND PITUITARY GLAND PLACENTA PROSTATE RECTUM RETINA SALIVARY GLAND SEMINAL VESICLE SKELETAL MUSCLE SKIN SMALL INTESTINE
SMOOTH MUSCLE SPINAL CORD SPLEEN STOMACH TESTIS THYMUS THYROID GLAND TONGUE TONSIL URINARY BLADDER VAGINA
ANTIBODIES
AND
VALIDATION
Dictionary
Lung
Tissue proteome
Lung
LUNG - Expression summary
Protein expressioni

On the top, protein expression in current human tissue, based on all annotated cell types, is reported with the units not detected (n), low (l), medium (m) and high (h). Underneath, protein expression in each annotated cell type are reported using the same units.

Protein expression data is based on knowledge-based annotation. For genes where more than one antibody has been used, a collective score is set.

If knowledge-based annotation could not be performed for a gene, no data is displayed here. View antibody staining data further down this page.

No data
RNA expressioni

A summary of mRNA expression data available for current tissue based on several datasets. The mRNA expression levels in human tissues are based on RNA-seq data generated by the Human Protein Atlas (HPA), Genotype-Tissue Expression (GTEx) portal and CAGE data generated by the FANTOM5 consortium. Consensus normalized expression levels for human tissues was created by combining the data from HPA and GTEx datasets.

The mRNA expression levels in pig are based on RNA-seq data generated by the Human Protein Atlas (HPA), and for mouse, HPA data and in situ hybridization generated by the Allen brain atlas are reported.

Scroll down to view mRNA expression data in more detail.
Consensus:2.0 nTPM
HPA:0.3 nTPM
GTEx:2.0 nTPM
FANTOM5:6.1 Scaled Tags Per Million

LUNG - Annotated protein expression
Pending normal tissue analysis

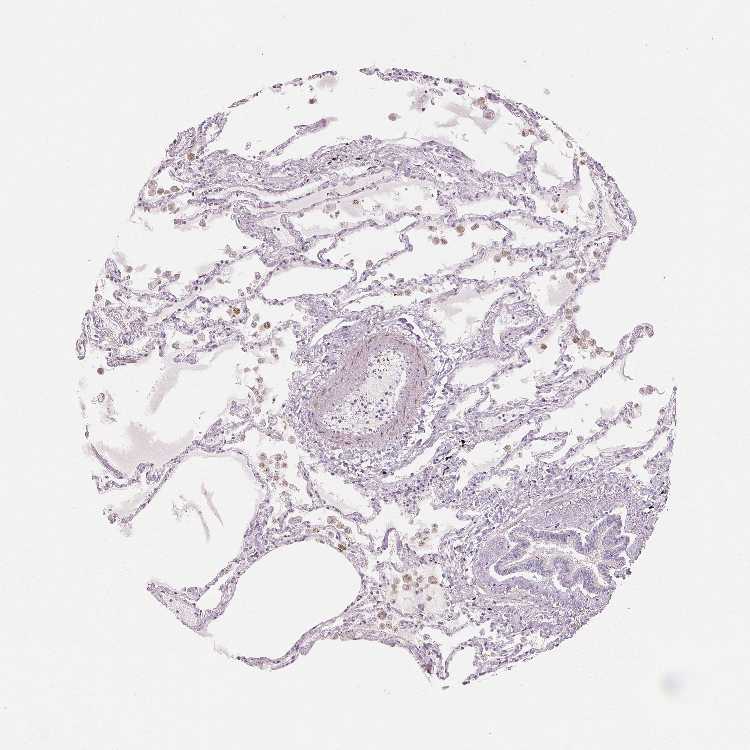
LUNG - Antibody stainingi

Antibody staining in the annotated cell types in the current human tissue is reported as not detected, low, medium, or high, based on conventional immunohistochemistry profiling in selected tissues. This score is based on the combination of the staining intensity and fraction of stained cells.

Each image is clickable and will lead to virtual microscopy that enables deeper exploration of all samples and also displays staining intensity scores, fraction scores and subcellular localization as well as patient and tissue information for each sample.

Antibody HPA064861
Alveolar cells Not detected
Macrophages Not detected



LUNG - HPA RNA-seqi

The RNA-seq details section shows detailed information about the individual samples used for the transcript profiling and results of the RNA-seq analysis.

Information about each individual sample is listed below, including gender, age, a tissue section image and estimated fractions of cell types. nTPM (normalized transcripts per million) values give a quantification of the gene abundance which is comparable between different genes and samples.
Average nTPMi

Max subtype nTPM is the value for the subtype with the largest average nTPM across the subtype samples.

0.3
overview
Female, age 71
Lung sample 164
nTPM: 0.2
Cell types%
Alveolar cells:
40

Bronchial epithelium:
5

Endothelial cells:
25

Macrophages:
10

Other cell types:
20

overview
Male, age 57
Lung sample 165
nTPM: 0.3
Cell types%
Alveolar cells:
35

Bronchial epithelium:
5

Endothelial cells:
30

Macrophages:
10

Other cell types:
20

overview
Female, age 71
Lung sample 166
nTPM: 0.9
Cell types%
Alveolar cells:
35

Bronchial epithelium:
10

Endothelial cells:
25

Macrophages:
10

Other cell types:
20

overview
Female, age 74
Lung sample 167
nTPM: 0.1
Cell types%
Alveolar cells:
40

Bronchial epithelium:
0

Endothelial cells:
30

Macrophages:
15

Other cell types:
15

overview
Female, age 73
Lung sample 168
nTPM: 0.3
Cell types%
Alveolar cells:
30

Bronchial epithelium:
5

Endothelial cells:
30

Macrophages:
10

Other cell types:
25

overview
Male, age 74
Lung sample 376
nTPM: 0.3
Cell types%
Alveolar cells:
25

Bronchial epithelium:
0

Endothelial cells:
35

Macrophages:
5

Other cell types:
35

overview
Female, age 70
Lung sample 379
nTPM: 0.1
Cell types%
Alveolar cells:
35

Bronchial epithelium:
5

Endothelial cells:
35

Macrophages:
5

Other cell types:
20

overview
Female, age 75
Lung sample 387
nTPM: 0.2
Cell types%
Alveolar cells:
20

Bronchial epithelium:
10

Endothelial cells:
20

Macrophages:
10

Other cell types:
40

overview
Male, age 63
Lung sample 406
nTPM: 0.2
Cell types%
Alveolar cells:
25

Bronchial epithelium:
5

Endothelial cells:
25

Macrophages:
15

Other cell types:
30


LUNG - GTEx RNA-seqi

RNA-Seq data generated by the Genotype-Tissue Expression (GTEx) project from human tissues is reported as mean nTPM. More information can be found on the GTEx portal.

Distribution across the dataset is visualized with box plots, shown as median and 25th and 75th percentiles. Points are displayed as outliers if they are above or below 1.5 times the interquartile range. nTPM values of the individual samples are presented next to the box plot.
Max subtype nTPMi

Max subtype nTPM is the value for the subtype with the largest average nTPM across the subtype samples.

2.0
GTEx sample id Sample description nTPM
Lung
Average nTPM: 2.0
Samples: 578

Max nTPM: 10.4
Min nTPM: 0.1
Std nTPM: 1.4
Median nTPM: 1.5
GTEX-1JMOU-0526-SM-CNNPE 60-69 years, female 10.4
GTEX-14E6C-1426-SM-5ZZWH 40-49 years, male 10.2
GTEX-1I1GP-0526-SM-ARL7G 50-59 years, male 9.5
GTEX-1PIIG-1826-SM-DTX7N 30-39 years, male 8.2
GTEX-11UD2-0726-SM-5EQ69 50-59 years, male 7.6
GTEX-1S5VW-0926-SM-EWRNU 60-69 years, male 7.6
GTEX-145LT-0326-SM-5LUAD 40-49 years, male 7.0
GTEX-1PWST-0826-SM-DTXF1 70-79 years, male 7.0
GTEX-11TUW-0526-SM-5LU9A 60-69 years, male 6.9
GTEX-OOBK-0526-SM-2HMJJ 40-49 years, male 6.8
GTEX-15UKP-1926-SM-6LPI9 20-29 years, male 6.7
GTEX-15EOM-5010-SM-7P8PA 20-29 years, female 6.3
GTEX-13N1W-0726-SM-5MR57 70-79 years, male 6.1
GTEX-13FH7-1726-SM-5IJE7 50-59 years, female 6.0
GTEX-1RAZQ-1026-SM-EAZ4R 30-39 years, male 6.0
GTEX-RWSA-1126-SM-2XCAZ 40-49 years, male 5.9
GTEX-X4EP-0526-SM-3P5YW 60-69 years, female 5.9
GTEX-132NY-1226-SM-5PNVF 60-69 years, male 5.8
GTEX-1H23P-1026-SM-9QEHQ 60-69 years, male 5.8
GTEX-XXEK-0626-SM-4BRWE 50-59 years, male 5.7
GTEX-13O3O-0726-SM-5J1N7 60-69 years, female 5.5
GTEX-QDVN-0726-SM-4B64L 50-59 years, male 5.5
GTEX-1B996-0726-SM-7IGPI 60-69 years, male 5.3
GTEX-QXCU-0626-SM-2TC69 50-59 years, male 5.3
GTEX-UPJH-0826-SM-4WKFD 50-59 years, male 5.3
GTEX-1QP29-1226-SM-E6CQ1 50-59 years, male 5.3
GTEX-XYKS-0526-SM-4BRW2 60-69 years, female 5.2
GTEX-Y9LG-0526-SM-4VBRY 30-39 years, male 5.2
GTEX-1EMGI-1426-SM-7IGNQ 60-69 years, male 5.1
GTEX-SNOS-0426-SM-32PMH 40-49 years, male 5.1
GTEX-1GN73-1026-SM-9KNV9 60-69 years, male 5.1
GTEX-13PVQ-0926-SM-5IJFD 50-59 years, male 4.9
GTEX-13QBU-0726-SM-5J2OA 40-49 years, female 4.9
GTEX-145ME-0226-SM-5S2QN 40-49 years, female 4.9
GTEX-ZTPG-0926-SM-5O99H 20-29 years, female 4.9
GTEX-145MO-1326-SM-5Q5EF 60-69 years, male 4.8
GTEX-13OW6-0826-SM-5L3GA 50-59 years, male 4.7
GTEX-12WSL-1026-SM-5CVNJ 50-59 years, male 4.6
GTEX-PLZ4-0726-SM-2TC6Q 50-59 years, female 4.6
GTEX-QESD-0626-SM-2I5G4 20-29 years, male 4.6
GTEX-144GO-0226-SM-5LUB1 60-69 years, male 4.5
GTEX-1JMQL-1126-SM-CKZOP 50-59 years, female 4.5
GTEX-X4XY-1026-SM-46MVX 60-69 years, male 4.4
GTEX-1I1GU-0526-SM-B2LX2 40-49 years, male 4.4
GTEX-1CB4J-1726-SM-79OOL 60-69 years, male 4.3
GTEX-1A32A-0726-SM-731D4 50-59 years, female 4.2
GTEX-1211K-0826-SM-5FQUP 60-69 years, female 4.1
GTEX-1H3VY-1426-SM-9WPOB 50-59 years, male 4.1
GTEX-1HSKV-1126-SM-ADEIA 60-69 years, male 4.1
GTEX-1HCU7-0926-SM-A96TK 50-59 years, male 4.0
GTEX-1K9T9-0926-SM-D3L9C 50-59 years, female 4.0
GTEX-1339X-0626-SM-5IJER 40-49 years, male 3.9
GTEX-147F4-0926-SM-5Q5EO 50-59 years, male 3.9
GTEX-14C39-0326-SM-5TDDX 40-49 years, male 3.9
GTEX-14C5O-1126-SM-5TDEH 60-69 years, male 3.9
GTEX-T6MO-0426-SM-32QOI 40-49 years, female 3.9
GTEX-U8T8-2226-SM-3DB95 60-69 years, male 3.8
GTEX-1J8JJ-1126-SM-CL55P 60-69 years, female 3.8
GTEX-111CU-0326-SM-5GZXO 50-59 years, male 3.7
GTEX-13NYB-0626-SM-5MR47 40-49 years, male 3.7
GTEX-13S7M-2126-SM-5S2QR 60-69 years, female 3.7
GTEX-1A8G6-0726-SM-73KV5 60-69 years, male 3.7
GTEX-X585-1026-SM-46MW6 50-59 years, male 3.7
GTEX-1GN1W-1026-SM-9OSW2 50-59 years, female 3.7
GTEX-13FLV-0426-SM-5KLZA 50-59 years, male 3.6
GTEX-1128S-0726-SM-5N9D6 60-69 years, female 3.5
GTEX-11O72-1326-SM-5BC5A 40-49 years, male 3.5
GTEX-17F9Y-1026-SM-7IGO4 70-79 years, female 3.5
GTEX-Y3IK-0626-SM-4WWE4 50-59 years, female 3.5
GTEX-14PJM-0926-SM-6AJ9Y 50-59 years, female 3.4
GTEX-WYBS-1126-SM-3NMAM 60-69 years, female 3.4
GTEX-1CAV2-0626-SM-7P8QE 40-49 years, female 3.4
GTEX-1J1OQ-0926-SM-CJI34 40-49 years, female 3.4
GTEX-13OVH-1026-SM-5J2NP 70-79 years, male 3.3
GTEX-144GM-0126-SM-5Q5AX 20-29 years, male 3.3
GTEX-18A66-0926-SM-718BG 60-69 years, male 3.3
GTEX-1B97I-0226-SM-73KVO 40-49 years, male 3.3
GTEX-1C6VR-0626-SM-79OOY 60-69 years, male 3.3
GTEX-1EKGG-1326-SM-7MXUM 60-69 years, male 3.3
GTEX-1269C-0926-SM-5FQSR 60-69 years, female 3.2
GTEX-13OW5-0726-SM-5KLZK 60-69 years, male 3.2
GTEX-14LLW-0726-SM-5ZZVV 70-79 years, female 3.2
GTEX-1CAMQ-1026-SM-7EPIC 40-49 years, male 3.2
GTEX-R3RS-1026-SM-3GADF 40-49 years, female 3.2
GTEX-ZDXO-1326-SM-57WBS 60-69 years, male 3.2
GTEX-1ICLZ-0926-SM-CKZPQ 60-69 years, male 3.2
GTEX-11EI6-0826-SM-5985V 60-69 years, male 3.1
GTEX-132QS-0726-SM-5IJE9 60-69 years, male 3.1
GTEX-139UW-0226-SM-5K7WU 60-69 years, male 3.1
GTEX-13O3Q-0526-SM-5KM18 50-59 years, male 3.1
GTEX-13OVJ-0726-SM-5KM1W 50-59 years, female 3.1
GTEX-Q2AH-0426-SM-2I3EP 40-49 years, male 3.1
GTEX-ZZPU-0526-SM-5E44U 50-59 years, female 3.1
GTEX-11DZ1-0426-SM-5H11A 50-59 years, male 3.0
GTEX-13QJ3-1026-SM-5QGQU 50-59 years, male 3.0
GTEX-145LS-1226-SM-5Q5D9 60-69 years, female 3.0
GTEX-U8XE-1426-SM-3DB8Q 30-39 years, male 3.0
GTEX-ZG7Y-1026-SM-4WWDG 50-59 years, male 3.0
GTEX-ZXG5-0826-SM-5GID6 60-69 years, male 3.0
GTEX-1FIGZ-0326-SM-7RHGT 40-49 years, male 3.0
GTEX-13O3P-1026-SM-5N9E7 50-59 years, male 2.9
GTEX-1AX9I-0826-SM-73KUT 60-69 years, male 2.9
GTEX-1AYCT-0726-SM-7IGNG 50-59 years, male 2.9
GTEX-16GPK-1826-SM-7MGW5 60-69 years, male 2.9
GTEX-1I1GS-1426-SM-COH3W 60-69 years, male 2.9
GTEX-1ICLY-0926-SM-CM2RJ 50-59 years, male 2.9
GTEX-1IKK5-1926-SM-A9G2V 60-69 years, male 2.9
GTEX-1J8EW-1026-SM-A96T7 60-69 years, female 2.9
GTEX-12696-1026-SM-5FQUV 60-69 years, male 2.8
GTEX-139YR-0926-SM-5LZYB 50-59 years, male 2.8
GTEX-13W3W-0326-SM-731DS 60-69 years, female 2.8
GTEX-1497J-0326-SM-5Q5CN 60-69 years, male 2.8
GTEX-14BMU-0526-SM-73KW4 20-29 years, female 2.8
GTEX-R55G-0826-SM-2TC5U 40-49 years, female 2.8
GTEX-S33H-0626-SM-2XCBJ 30-39 years, male 2.8
GTEX-VJYA-0326-SM-3GAEX 60-69 years, male 2.8
GTEX-Y5V6-0226-SM-4V6G7 60-69 years, male 2.8
GTEX-1RNSC-1226-SM-E9U52 60-69 years, male 2.8
GTEX-11WQK-1226-SM-5GU5Z 50-59 years, male 2.7
GTEX-12BJ1-1026-SM-5EGJA 60-69 years, male 2.7
GTEX-17EVP-0726-SM-7EWDX 40-49 years, male 2.7
GTEX-Y8E4-0526-SM-4V6GC 40-49 years, male 2.7
GTEX-1IDJH-0726-SM-ARU7U 70-79 years, male 2.7
GTEX-1LC47-1126-SM-D4P43 60-69 years, male 2.7
GTEX-13O61-0726-SM-5J2MD 60-69 years, male 2.6
GTEX-13OW7-0926-SM-5L3EX 50-59 years, male 2.6
GTEX-146FH-1226-SM-5NQB6 50-59 years, female 2.6
GTEX-148VJ-0826-SM-5LU8V 70-79 years, male 2.6
GTEX-P4QS-0526-SM-2I3ET 60-69 years, male 2.6
GTEX-POYW-1226-SM-2XCEP 60-69 years, male 2.6
GTEX-XMD2-1026-SM-4WWE8 60-69 years, female 2.6
GTEX-ZVT3-0926-SM-5GICK 60-69 years, female 2.6
GTEX-ZYY3-0926-SM-5E454 60-69 years, female 2.6
GTEX-1E2YA-0926-SM-7MXUK 50-59 years, male 2.6
GTEX-13FHO-1026-SM-5KM1Q 60-69 years, male 2.5
GTEX-13S86-0626-SM-5Q5E7 40-49 years, male 2.5
GTEX-144GN-0426-SM-5O9AP 50-59 years, male 2.5
GTEX-14PHY-0526-SM-664NM 60-69 years, female 2.5
GTEX-15FZZ-0326-SM-6M48O 30-39 years, female 2.5
GTEX-OHPL-0526-SM-3NM8U 60-69 years, female 2.5
GTEX-WYJK-0826-SM-3NM8Y 50-59 years, male 2.5
GTEX-X4XX-1026-SM-4QARO 60-69 years, male 2.5
GTEX-XV7Q-0426-SM-4BRVN 40-49 years, female 2.5
GTEX-1NV5F-0926-SM-DTX8N 60-69 years, female 2.5
GTEX-QVUS-2026-SM-EYYW9 60-69 years, female 2.5
GTEX-VJWN-1326-SM-EVR2Z 50-59 years, female 2.5
GTEX-12WSG-5004-SM-7EPG9 50-59 years, female 2.4
GTEX-13VXU-2726-SM-5LU4N 50-59 years, male 2.4
GTEX-17EVQ-1526-SM-79ONG 70-79 years, male 2.4
GTEX-1EN7A-0826-SM-7MKFV 40-49 years, male 2.4
GTEX-OIZH-0526-SM-2HMKV 50-59 years, male 2.4
GTEX-OXRP-0526-SM-2I3EW 60-69 years, female 2.4
GTEX-T5JC-0826-SM-32PMC 20-29 years, male 2.4
GTEX-WFON-0426-SM-3GIL4 40-49 years, male 2.4
GTEX-YEC4-0526-SM-4W21U 40-49 years, male 2.4
GTEX-YJ8O-1826-SM-5HL82 40-49 years, female 2.4
GTEX-1I1GQ-1126-SM-CNNQT 50-59 years, male 2.4
GTEX-1IDJI-0626-SM-C1YQD 50-59 years, female 2.4
GTEX-1J8QM-0526-SM-AHZ3Y 60-69 years, female 2.4
GTEX-1LVAO-1226-SM-DIPGB 60-69 years, male 2.4
GTEX-1R9PM-0426-SM-EVR3P 20-29 years, male 2.4
GTEX-13PL7-1726-SM-5J2NX 60-69 years, female 2.3
GTEX-13YAN-1026-SM-5O9CF 60-69 years, male 2.3
GTEX-18D9U-0526-SM-72D7C 40-49 years, male 2.3
GTEX-NPJ8-0326-SM-2D7VV 40-49 years, male 2.3
GTEX-OXRN-0526-SM-2I5EN 50-59 years, male 2.3
GTEX-QCQG-0326-SM-2I3ES 50-59 years, female 2.3
GTEX-RTLS-0926-SM-2TF5X 60-69 years, female 2.3
GTEX-RU1J-0126-SM-2TF6Y 20-29 years, female 2.3
GTEX-T8EM-0326-SM-3DB7F 40-49 years, male 2.3
GTEX-1GZ4I-0726-SM-9QEHL 50-59 years, male 2.3
GTEX-1KXAM-0426-SM-DHXKG 60-69 years, male 2.3
GTEX-12WSH-0126-SM-5GCO3 50-59 years, male 2.2
GTEX-1313W-0926-SM-5EQ56 50-59 years, female 2.2
GTEX-131XH-0426-SM-5DUWU 50-59 years, male 2.2
GTEX-14JIY-1326-SM-6AJB3 60-69 years, male 2.2
GTEX-14PQA-1126-SM-7KUM4 50-59 years, female 2.2
GTEX-15G1A-0426-SM-6M468 30-39 years, male 2.2
GTEX-ZF29-1026-SM-4WKGC 60-69 years, female 2.2
GTEX-1IOXB-1126-SM-CNNQ5 50-59 years, male 2.2
GTEX-1JMLX-0926-SM-CNNPQ 50-59 years, male 2.2
GTEX-1JMPZ-1126-SM-ARU8X 30-39 years, male 2.2
GTEX-13SLW-1226-SM-5S2Q7 70-79 years, male 2.1
GTEX-15CHR-0726-SM-7EPHG 50-59 years, male 2.1
GTEX-169BO-0226-SM-79OL1 50-59 years, male 2.1
GTEX-16XZZ-0926-SM-7DHLI 60-69 years, male 2.1
GTEX-18QFQ-0926-SM-7LG4V 30-39 years, male 2.1
GTEX-O5YV-0526-SM-2I5GE 60-69 years, female 2.1
GTEX-QDVJ-0926-SM-2I5FU 50-59 years, male 2.1
GTEX-RM2N-0426-SM-2TF4T 50-59 years, male 2.1
GTEX-RWS6-0226-SM-2XCA9 60-69 years, female 2.1
GTEX-UJHI-0726-SM-3DB92 50-59 years, female 2.1
GTEX-1BAJH-1326-SM-7RHFS 70-79 years, male 2.1
GTEX-1E1VI-0926-SM-7P8T3 50-59 years, male 2.1
GTEX-1EX96-0226-SM-7RHHR 50-59 years, male 2.1
GTEX-1LG7Y-0826-SM-E9TJX 50-59 years, male 2.1
GTEX-1MJIX-0626-SM-DTX8V 40-49 years, male 2.1
GTEX-1OJC3-0726-SM-DTX92 20-29 years, male 2.1
GTEX-11EQ9-0226-SM-5A5JX 30-39 years, male 2.0
GTEX-11TT1-1626-SM-5EQL7 20-29 years, male 2.0
GTEX-13D11-0326-SM-5LZXX 50-59 years, female 2.0
GTEX-13JUV-0526-SM-5K7XE 40-49 years, female 2.0
GTEX-13NZ9-0926-SM-5KM12 50-59 years, male 2.0
GTEX-14E7W-1326-SM-5RQIV 70-79 years, male 2.0
GTEX-14XAO-0526-SM-6AJB7 60-69 years, female 2.0
GTEX-15EU6-1226-SM-6AJBE 50-59 years, male 2.0
GTEX-15RJ7-0626-SM-6M47V 40-49 years, male 2.0
GTEX-17HGU-0926-SM-79OKO 50-59 years, male 2.0
GTEX-OHPM-0526-SM-2YUMJ 50-59 years, male 2.0
GTEX-QMRM-0826-SM-3NB33 50-59 years, male 2.0
GTEX-SN8G-0926-SM-4DM5I 50-59 years, female 2.0
GTEX-Y5LM-0726-SM-4VBRP 40-49 years, female 2.0
GTEX-ZLWG-0626-SM-4WWFR 50-59 years, female 2.0
GTEX-ZPU1-0926-SM-57WDO 40-49 years, male 2.0
GTEX-1F6RS-0826-SM-7P8T9 60-69 years, female 2.0
GTEX-1H1E6-0726-SM-9WPQ4 30-39 years, male 2.0
GTEX-1H1ZS-0826-SM-A9SMD 70-79 years, male 2.0
GTEX-1RQED-1026-SM-EVYCT 60-69 years, male 2.0
GTEX-117YX-1326-SM-5H125 50-59 years, male 1.9
GTEX-12WSA-1026-SM-5EGHN 60-69 years, male 1.9
GTEX-1399S-1726-SM-5L3DI 30-39 years, female 1.9
GTEX-13O21-3026-SM-5J2NI 50-59 years, male 1.9
GTEX-13OVL-0626-SM-5KM13 50-59 years, male 1.9
GTEX-13RTJ-1126-SM-5S2UJ 60-69 years, male 1.9
GTEX-1477Z-0626-SM-5NQB7 60-69 years, male 1.9
GTEX-18A67-1126-SM-7KFSB 50-59 years, male 1.9
GTEX-POMQ-0526-SM-3GADD 20-29 years, female 1.9
GTEX-TML8-0326-SM-4GICN 40-49 years, female 1.9
GTEX-V1D1-0826-SM-3P5ZA 50-59 years, male 1.9
GTEX-1JKYN-2126-SM-ARU8W 30-39 years, male 1.9
GTEX-1JN76-0826-SM-C1YRK 20-29 years, female 1.9
GTEX-11EMC-0126-SM-5EGKV 60-69 years, female 1.8
GTEX-13CF3-0426-SM-5IJEU 60-69 years, female 1.8
GTEX-13G51-0426-SM-5K7Z5 60-69 years, male 1.8
GTEX-18A7A-1026-SM-7LT8B 50-59 years, female 1.8
GTEX-N7MS-0926-SM-2HMIZ 60-69 years, male 1.8
GTEX-OIZG-0526-SM-2HMLF 50-59 years, male 1.8
GTEX-QEG5-1126-SM-33HC2 20-29 years, male 1.8
GTEX-X261-1026-SM-3NMDL 50-59 years, male 1.8
GTEX-ZQG8-0326-SM-51MSE 60-69 years, female 1.8
GTEX-18D9B-1026-SM-CNPO5 60-69 years, male 1.8
GTEX-1GTWX-0626-SM-9WYU1 60-69 years, male 1.8
GTEX-1JMQJ-2126-SM-CNPPA 50-59 years, male 1.8
GTEX-1PPH7-0226-SM-E76Q1 40-49 years, male 1.8
GTEX-1QP2A-1226-SM-EVR3I 50-59 years, male 1.8
GTEX-YEC3-0226-SM-DO11B 50-59 years, male 1.8
GTEX-ZEX8-0526-SM-DO115 50-59 years, male 1.8
GTEX-146FQ-0926-SM-5LUAV 30-39 years, male 1.7
GTEX-14BMV-0826-SM-73KXU 50-59 years, male 1.7
GTEX-15RIE-0326-SM-6PAMC 60-69 years, male 1.7
GTEX-16MTA-1226-SM-7KULL 50-59 years, male 1.7
GTEX-17F96-0626-SM-793CC 70-79 years, male 1.7
GTEX-1AX9J-1626-SM-73KUI 60-69 years, male 1.7
GTEX-OXRL-0526-SM-2I3EZ 50-59 years, male 1.7
GTEX-T6MN-0826-SM-32PM4 50-59 years, male 1.7
GTEX-X3Y1-0626-SM-3P5YS 40-49 years, male 1.7
GTEX-X4LF-0526-SM-3NMB6 50-59 years, male 1.7
GTEX-Y3I4-0426-SM-4TT29 50-59 years, male 1.7
GTEX-YFCO-0426-SM-4W1Z7 40-49 years, male 1.7
GTEX-ZF28-0726-SM-4WKFU 60-69 years, male 1.7
GTEX-ZTTD-1126-SM-51MRP 50-59 years, male 1.7
GTEX-1GN1U-1026-SM-9WYUP 50-59 years, female 1.7
GTEX-1HBPM-0826-SM-9WYSP 60-69 years, female 1.7
GTEX-1M4P7-0826-SM-E9TJR 60-69 years, male 1.7
GTEX-111VG-0726-SM-5GIDC 60-69 years, male 1.6
GTEX-12WSJ-0226-SM-5GCP7 40-49 years, female 1.6
GTEX-13QJC-0526-SM-5RQKB 60-69 years, female 1.6
GTEX-14JG1-0926-SM-5YY8W 40-49 years, male 1.6
GTEX-14PJ4-0626-SM-6AJBS 60-69 years, male 1.6
GTEX-17F98-0226-SM-793BV 40-49 years, female 1.6
GTEX-1C6WA-0726-SM-7IGQ5 60-69 years, male 1.6
GTEX-N7MT-0126-SM-2D7VT 60-69 years, female 1.6
GTEX-O5YW-0526-SM-2YUMX 50-59 years, male 1.6
GTEX-SE5C-0526-SM-2XCE1 40-49 years, female 1.6
GTEX-WWYW-0926-SM-3NB2Z 50-59 years, female 1.6
GTEX-1HCVE-0626-SM-A9SL2 50-59 years, male 1.6
GTEX-1I1GR-0726-SM-B2LWL 60-69 years, male 1.6
GTEX-1JK1U-1126-SM-CY8HK 60-69 years, male 1.6
GTEX-1K2DU-0526-SM-D4P2Y 20-29 years, male 1.6
GTEX-1LGRB-0226-SM-CNPQK 50-59 years, female 1.6
GTEX-1RDX4-1626-SM-EVR53 50-59 years, female 1.6
GTEX-11LCK-0426-SM-5A5M8 30-39 years, male 1.5
GTEX-11PRG-0926-SM-5EGI8 50-59 years, male 1.5
GTEX-11ZVC-0226-SM-731E8 50-59 years, female 1.5
GTEX-12584-1426-SM-5EGJ9 40-49 years, male 1.5
GTEX-12ZZW-0926-SM-5LZUD 50-59 years, male 1.5
GTEX-13113-5004-SM-79ONL 60-69 years, female 1.5
GTEX-131XE-0726-SM-5HL9K 50-59 years, male 1.5
GTEX-133LE-0526-SM-5N9EJ 20-29 years, female 1.5
GTEX-13NZA-1426-SM-5KM4Y 60-69 years, male 1.5
GTEX-145MF-0726-SM-5Q5BT 50-59 years, male 1.5
GTEX-147JS-1226-SM-5RQK4 60-69 years, male 1.5
GTEX-18D9A-0226-SM-7KFSJ 30-39 years, female 1.5
GTEX-1AYD5-1226-SM-7EWEP 50-59 years, male 1.5
GTEX-1CB4I-2126-SM-793AG 50-59 years, male 1.5
GTEX-P4PP-0526-SM-2HMKE 30-39 years, female 1.5
GTEX-P4PQ-0526-SM-2HMKR 60-69 years, male 1.5
GTEX-PLZ5-0726-SM-2I5F9 50-59 years, male 1.5
GTEX-PLZ6-0426-SM-5IJDW 30-39 years, male 1.5
GTEX-QEG4-0526-SM-48TZD 30-39 years, male 1.5
GTEX-REY6-0426-SM-2TF5G 60-69 years, male 1.5
GTEX-RUSQ-0626-SM-2TF5V 50-59 years, male 1.5
GTEX-S32W-0326-SM-2XCBI 50-59 years, female 1.5
GTEX-WHPG-1426-SM-3NMBB 50-59 years, male 1.5
GTEX-XQ3S-0926-SM-4BOPI 20-29 years, male 1.5
GTEX-Y5V5-0826-SM-4VBQD 60-69 years, female 1.5
GTEX-ZPIC-0626-SM-57WDY 40-49 years, female 1.5
GTEX-1F88F-0926-SM-7RHH8 60-69 years, female 1.5
GTEX-1QCLY-1026-SM-EWRNI 30-39 years, male 1.5
GTEX-ZT9W-0726-SM-9JGG2 50-59 years, male 1.5
GTEX-117YW-0526-SM-5H11C 50-59 years, male 1.4
GTEX-11ZTS-1226-SM-5EQMQ 60-69 years, female 1.4
GTEX-12KS4-0726-SM-5FQSX 30-39 years, male 1.4
GTEX-13FHP-0726-SM-5K7YI 50-59 years, male 1.4
GTEX-13FTY-0126-SM-5J2NZ 40-49 years, female 1.4
GTEX-13JVG-1426-SM-5MR4W 60-69 years, male 1.4
GTEX-13N11-0326-SM-5LUA3 50-59 years, female 1.4
GTEX-13N2G-0826-SM-5IJE6 60-69 years, male 1.4
GTEX-145MH-0626-SM-5NQAK 50-59 years, male 1.4
GTEX-147GR-1226-SM-5TDCL 60-69 years, male 1.4
GTEX-14E6E-0426-SM-73KUE 30-39 years, male 1.4
GTEX-14PJ5-0226-SM-5YY99 60-69 years, female 1.4
GTEX-15CHC-0226-SM-5YYBB 60-69 years, female 1.4
GTEX-18465-0626-SM-7LT8X 50-59 years, male 1.4
GTEX-OIZI-1026-SM-3NB1K 40-49 years, male 1.4
GTEX-PW2O-0526-SM-2I3DX 20-29 years, male 1.4
GTEX-U3ZM-0426-SM-3DB73 40-49 years, male 1.4
GTEX-UPK5-1126-SM-3GAEJ 40-49 years, male 1.4
GTEX-VUSG-0926-SM-3GIK6 50-59 years, male 1.4
GTEX-WK11-0526-SM-3NB3O 50-59 years, male 1.4
GTEX-WYVS-0526-SM-3NM9W 40-49 years, female 1.4
GTEX-ZDYS-0426-SM-5IJEQ 50-59 years, male 1.4
GTEX-ZYVF-1726-SM-5E443 50-59 years, female 1.4
GTEX-ZYW4-1526-SM-5SIBA 60-69 years, male 1.4
GTEX-1GN2E-1526-SM-7P8TD 60-69 years, male 1.4
GTEX-1GZ2Q-0726-SM-9KNVV 40-49 years, male 1.4
GTEX-1HSMO-0926-SM-A96S7 60-69 years, male 1.4
GTEX-1IDJU-0226-SM-CKZOF 60-69 years, female 1.4
GTEX-1IL2U-0926-SM-CKZOB 60-69 years, male 1.4
GTEX-1JMQI-1126-SM-ARZN2 50-59 years, male 1.4
GTEX-1MA7X-0626-SM-E9TJI 60-69 years, male 1.4
GTEX-1RLM8-0626-SM-E76OW 50-59 years, male 1.4
GTEX-1122O-0126-SM-5GICA 60-69 years, female 1.3
GTEX-11DXX-0626-SM-5Q5AG 60-69 years, female 1.3
GTEX-11NUK-0826-SM-5HL4U 50-59 years, male 1.3
GTEX-11ZUS-0126-SM-5EQM5 30-39 years, male 1.3
GTEX-131XW-1126-SM-5EGK4 50-59 years, female 1.3
GTEX-14LZ3-0726-SM-5YYAB 60-69 years, female 1.3
GTEX-17HII-0926-SM-79ON7 50-59 years, male 1.3
GTEX-1A8FM-0826-SM-793D5 50-59 years, female 1.3
GTEX-1C4CL-0826-SM-7EWEZ 30-39 years, male 1.3
GTEX-NFK9-1026-SM-2HMK1 40-49 years, male 1.3
GTEX-O5YT-0526-SM-32PK8 20-29 years, male 1.3
GTEX-PSDG-1126-SM-2S1ON 50-59 years, male 1.3
GTEX-RU72-0526-SM-2TF5Z 50-59 years, female 1.3
GTEX-TSE9-0726-SM-3DB8C 60-69 years, female 1.3
GTEX-WVJS-0826-SM-4MVNR 50-59 years, male 1.3
GTEX-YECK-0926-SM-4W214 60-69 years, male 1.3
GTEX-ZAB4-0626-SM-5CVN3 40-49 years, male 1.3
GTEX-ZDTT-0926-SM-5J2MS 60-69 years, male 1.3
GTEX-1IKJJ-0926-SM-A9G2L 60-69 years, male 1.3
GTEX-1JN6P-0726-SM-ARZN7 60-69 years, male 1.3
GTEX-1KAFJ-0326-SM-DHXJG 50-59 years, male 1.3
GTEX-1P4AB-1026-SM-DTXES 50-59 years, male 1.3
GTEX-111FC-1126-SM-5GZWU 60-69 years, male 1.2
GTEX-11GSP-0726-SM-5986L 60-69 years, female 1.2
GTEX-11NV4-1126-SM-5HL6J 60-69 years, male 1.2
GTEX-11OF3-1126-SM-5986C 60-69 years, male 1.2
GTEX-13OW8-1726-SM-5L3GO 60-69 years, male 1.2
GTEX-145LU-0526-SM-5O9AT 50-59 years, male 1.2
GTEX-145MN-0926-SM-5NQBT 30-39 years, male 1.2
GTEX-14DAQ-0926-SM-793AZ 60-69 years, female 1.2
GTEX-14PK6-0326-SM-6AJ9S 70-79 years, female 1.2
GTEX-1AX9K-0826-SM-731F9 50-59 years, male 1.2
GTEX-WH7G-0726-SM-3NMBM 40-49 years, male 1.2
GTEX-WZTO-0426-SM-3NM99 40-49 years, male 1.2
GTEX-X5EB-0426-SM-46MVY 40-49 years, male 1.2
GTEX-XBED-0826-SM-47JYC 60-69 years, male 1.2
GTEX-ZA64-0326-SM-5HL8T 20-29 years, male 1.2
GTEX-ZAB5-0626-SM-5PNVB 50-59 years, male 1.2
GTEX-ZF2S-0626-SM-4WKH2 50-59 years, female 1.2
GTEX-ZLV1-0426-SM-4WWC2 60-69 years, female 1.2
GTEX-1AX8Z-5010-SM-AHZ33 60-69 years, male 1.2
GTEX-1B933-0926-SM-9OSVH 50-59 years, female 1.2
GTEX-1F6I4-1026-SM-7P8PS 60-69 years, male 1.2
GTEX-1F75B-1026-SM-9JGFS 50-59 years, male 1.2
GTEX-1LB8K-0826-SM-D4P41 50-59 years, male 1.2
GTEX-1MGNQ-0826-SM-EVR41 40-49 years, male 1.2
GTEX-OIZF-0526-SM-7MXVM 60-69 years, male 1.2
GTEX-148VI-0226-SM-5RQKA 60-69 years, female 1.1
GTEX-15D1Q-0526-SM-6AJAY 40-49 years, male 1.1
GTEX-15RJE-1026-SM-6M46X 40-49 years, male 1.1
GTEX-16AAH-0426-SM-7DUFM 50-59 years, male 1.1
GTEX-16Z82-1026-SM-6M48A 60-69 years, male 1.1
GTEX-17KNJ-0926-SM-7IGP2 50-59 years, male 1.1
GTEX-OOBJ-0526-SM-48TDK 60-69 years, male 1.1
GTEX-P4QT-0526-SM-2I3EX 50-59 years, female 1.1
GTEX-QMR6-1926-SM-32PL9 50-59 years, male 1.1
GTEX-QV44-0926-SM-2S1RH 50-59 years, male 1.1
GTEX-U3ZN-0626-SM-3DB7U 30-39 years, female 1.1
GTEX-WFG7-0526-SM-3GIKI 20-29 years, male 1.1
GTEX-WY7C-0426-SM-3NB3C 50-59 years, male 1.1
GTEX-X4EO-0926-SM-3P5Z2 60-69 years, female 1.1
GTEX-XBEC-1026-SM-4QASM 50-59 years, male 1.1
GTEX-XPVG-1026-SM-4B64Y 50-59 years, male 1.1
GTEX-XQ8I-1126-SM-4BOO2 50-59 years, male 1.1
GTEX-YF7O-0626-SM-4W21R 50-59 years, male 1.1
GTEX-ZY6K-0326-SM-5SIBB 50-59 years, male 1.1
GTEX-1GMR2-0126-SM-9JGHC 50-59 years, male 1.1
GTEX-1GZ4H-0426-SM-7MXV5 50-59 years, female 1.1
GTEX-1HSMP-1326-SM-A96TR 70-79 years, male 1.1
GTEX-1I1CD-0926-SM-CL55I 60-69 years, female 1.1
GTEX-1I6K6-0926-SM-AHZ2N 30-39 years, male 1.1
GTEX-1JJE9-0926-SM-CNNP9 70-79 years, male 1.1
GTEX-S3LF-1126-SM-EVR33 70-79 years, male 1.1
GTEX-X15G-0626-SM-EVR32 50-59 years, female 1.1
GTEX-11DXZ-0726-SM-5N9C4 50-59 years, male 1.0
GTEX-12WSI-0826-SM-5EGKD 50-59 years, male 1.0
GTEX-13111-0426-SM-5DUXR 50-59 years, male 1.0
GTEX-13NYS-1626-SM-5J2MU 60-69 years, male 1.0
GTEX-13OVG-0326-SM-5KM57 60-69 years, male 1.0
GTEX-14PJO-0926-SM-686YT 60-69 years, male 1.0
GTEX-15SKB-0826-SM-7KUFB 60-69 years, male 1.0
GTEX-1B8L1-0626-SM-7EPHL 60-69 years, male 1.0
GTEX-PX3G-0526-SM-2I3EM 20-29 years, female 1.0
GTEX-R55C-0526-SM-3GIKA 40-49 years, male 1.0
GTEX-SUCS-0626-SM-32PM5 70-79 years, male 1.0
GTEX-TMMY-0926-SM-4TT1Z 40-49 years, female 1.0
GTEX-WHSB-0326-SM-5FQSD 50-59 years, male 1.0
GTEX-WOFM-0126-SM-3MJFE 20-29 years, male 1.0
GTEX-Y111-1026-SM-4TT22 50-59 years, male 1.0
GTEX-ZZPT-1326-SM-5E43H 50-59 years, male 1.0
GTEX-1GZHY-0826-SM-9OSXT 50-59 years, female 1.0
GTEX-1H1DG-1026-SM-9MQJS 70-79 years, male 1.0
GTEX-1I4MK-0326-SM-B2LWP 50-59 years, female 1.0
GTEX-1KD4Q-0926-SM-CXZKI 40-49 years, male 1.0
GTEX-1L5NE-0726-SM-CXZKQ 50-59 years, male 1.0
GTEX-1NSGN-1626-SM-EXOJF 50-59 years, male 1.0
GTEX-1OJC4-0626-SM-DTXEY 50-59 years, female 1.0
GTEX-1PPGY-1826-SM-EXOJ8 60-69 years, male 1.0
GTEX-11ZTT-0626-SM-5EQLM 60-69 years, female 0.9
GTEX-1212Z-1026-SM-5EGJ8 60-69 years, male 0.9
GTEX-12WSD-0826-SM-5GCNE 60-69 years, female 0.9
GTEX-12WSE-0826-SM-5S2VL 20-29 years, male 0.9
GTEX-131XF-1026-SM-5BC6A 60-69 years, male 0.9
GTEX-139TT-0726-SM-5K7XW 60-69 years, male 0.9
GTEX-13FTX-0326-SM-5J2NG 20-29 years, female 0.9
GTEX-14A6H-0526-SM-5NQAZ 30-39 years, male 0.9
GTEX-14AS3-0926-SM-5TDD6 40-49 years, female 0.9
GTEX-15SHV-0326-SM-6M475 60-69 years, male 0.9
GTEX-17GQL-0726-SM-731BL 60-69 years, male 0.9
GTEX-1A3MV-0526-SM-72D5A 30-39 years, male 0.9
GTEX-1B932-0726-SM-731EY 40-49 years, female 0.9
GTEX-P44H-1126-SM-48TBU 40-49 years, male 0.9
GTEX-Q734-0626-SM-2I3EF 40-49 years, female 0.9
GTEX-QEL4-0826-SM-3GAF2 50-59 years, male 0.9
GTEX-S341-0326-SM-2XCAU 40-49 years, female 0.9
GTEX-UJMC-0726-SM-3GADX 50-59 years, male 0.9
GTEX-XBEW-0226-SM-4AT6A 40-49 years, male 0.9
GTEX-XGQ4-0826-SM-4AT4T 50-59 years, male 0.9
GTEX-ZDTS-1026-SM-4WAXS 60-69 years, male 0.9
GTEX-ZE7O-0826-SM-57WCP 50-59 years, female 0.9
GTEX-ZT9X-0326-SM-51MTE 40-49 years, male 0.9
GTEX-1F7RK-0826-SM-7SB8V 20-29 years, female 0.9
GTEX-1GF9V-1026-SM-9KNW3 60-69 years, male 0.9
GTEX-1I19N-0526-SM-A9G27 70-79 years, male 0.9
GTEX-1LVAN-1126-SM-CNNRE 50-59 years, female 0.9
GTEX-1QEPI-0826-SM-DTX9B 60-69 years, female 0.9
GTEX-1QMI2-0926-SM-DTX7S 60-69 years, male 0.9
GTEX-1RAZR-0726-SM-EV7BA 40-49 years, male 0.9
GTEX-ZF3C-0926-SM-DO92P 50-59 years, female 0.9
GTEX-12WSN-5004-SM-793CE 40-49 years, male 0.8
GTEX-13X6K-1626-SM-7EWCX 60-69 years, female 0.8
GTEX-147F3-0726-SM-5NQ9U 50-59 years, female 0.8
GTEX-14E6D-1026-SM-5S2RS 50-59 years, male 0.8
GTEX-15ER7-0926-SM-7KUMG 20-29 years, female 0.8
GTEX-15SB6-0426-SM-6LPJ5 50-59 years, female 0.8
GTEX-16MT8-1026-SM-6LPK1 60-69 years, female 0.8
GTEX-178AV-0326-SM-6LPJF 40-49 years, male 0.8
GTEX-17JCI-1526-SM-7IGOQ 60-69 years, female 0.8
GTEX-1C64O-1226-SM-79OOC 60-69 years, male 0.8
GTEX-1C6VS-1226-SM-79OO2 60-69 years, male 0.8
GTEX-RN64-1226-SM-2TC6E 50-59 years, male 0.8
GTEX-RNOR-0726-SM-2TF5I 50-59 years, female 0.8
GTEX-WFG8-0926-SM-3GIKJ 20-29 years, male 0.8
GTEX-WRHU-0226-SM-3MJFV 50-59 years, female 0.8
GTEX-XOT4-1426-SM-4B65T 60-69 years, female 0.8
GTEX-1EWIQ-0926-SM-7RHG7 70-79 years, female 0.8
GTEX-1F48J-0826-SM-9WPOD 50-59 years, female 0.8
GTEX-1GMR3-0226-SM-7RHIB 40-49 years, male 0.8
GTEX-1HB9E-0726-SM-AHZ4L 50-59 years, male 0.8
GTEX-1HFI6-0926-SM-9WPPV 40-49 years, male 0.8
GTEX-1IL2V-0726-SM-ARZMB 70-79 years, male 0.8
GTEX-1RAZS-2226-SM-E8VMU 50-59 years, male 0.8
GTEX-111YS-0626-SM-5GZXV 60-69 years, male 0.7
GTEX-11I78-0126-SM-5HL6F 50-59 years, female 0.7
GTEX-11P7K-0326-SM-59871 30-39 years, male 0.7
GTEX-13FTZ-0526-SM-5IJCW 60-69 years, male 0.7
GTEX-13U4I-1426-SM-5J2M3 40-49 years, female 0.7
GTEX-14JG6-0326-SM-6AJBT 30-39 years, female 0.7
GTEX-16NGA-0226-SM-718AI 40-49 years, female 0.7
GTEX-17HHE-0626-SM-7DHL6 50-59 years, male 0.7
GTEX-18A6Q-0826-SM-7KFRD 60-69 years, male 0.7
GTEX-1B8SF-0826-SM-73KW8 60-69 years, male 0.7
GTEX-T2IS-0526-SM-32QP9 20-29 years, female 0.7
GTEX-W5X1-0526-SM-3GILH 40-49 years, female 0.7
GTEX-Y8LW-0326-SM-4VBQ9 50-59 years, female 0.7
GTEX-1F75W-0626-SM-7PC13 60-69 years, male 0.7
GTEX-1GF9X-0326-SM-7P8R9 40-49 years, female 0.7
GTEX-1GL5R-0526-SM-9WPOQ 50-59 years, male 0.7
GTEX-1GPI7-1526-SM-9JGG8 20-29 years, male 0.7
GTEX-1H11D-0726-SM-9OSWA 40-49 years, male 0.7
GTEX-1H1CY-0626-SM-9KNVE 60-69 years, female 0.7
GTEX-1HBPH-1326-SM-9WYSN 40-49 years, female 0.7
GTEX-1I1GV-0926-SM-B2LXM 60-69 years, male 0.7
GTEX-1LSVX-0626-SM-E9U59 60-69 years, male 0.7
GTEX-1N2DW-1126-SM-EVR59 50-59 years, male 0.7
GTEX-1QAET-0426-SM-EXUSM 50-59 years, male 0.7
GTEX-SIU8-0926-SM-COH1X 50-59 years, male 0.7
GTEX-11NSD-0326-SM-5A5LS 20-29 years, male 0.6
GTEX-11WQC-0626-SM-5EQMF 60-69 years, male 0.6
GTEX-12ZZY-0926-SM-5EQ6I 60-69 years, male 0.6
GTEX-139T6-0426-SM-5IJEM 50-59 years, male 0.6
GTEX-13VXT-1426-SM-5LU4B 20-29 years, female 0.6
GTEX-183FY-0726-SM-793C3 20-29 years, male 0.6
GTEX-1CB4F-0926-SM-7DHMJ 60-69 years, male 0.6
GTEX-P78B-0926-SM-2I5FA 40-49 years, female 0.6
GTEX-ZC5H-0926-SM-5CVMZ 40-49 years, female 0.6
GTEX-ZVZQ-1526-SM-5N9G6 60-69 years, female 0.6
GTEX-ZYFG-0226-SM-5GIDT 60-69 years, female 0.6
GTEX-1GMR8-1426-SM-7RHHL 50-59 years, female 0.6
GTEX-1H3O1-0326-SM-9WPO8 60-69 years, male 0.6
GTEX-1IY9M-1126-SM-A9SLV 60-69 years, male 0.6
GTEX-1J1R8-0226-SM-AHZ3C 40-49 years, male 0.6
GTEX-1KD5A-1126-SM-CXZK6 50-59 years, male 0.6
GTEX-12WSK-0826-SM-5CVNP 40-49 years, female 0.5
GTEX-131YS-0926-SM-5IJB9 60-69 years, female 0.5
GTEX-1399U-0826-SM-5KM1P 50-59 years, female 0.5
GTEX-1B8KZ-0526-SM-73KW2 50-59 years, male 0.5
GTEX-OXRK-0926-SM-2HMKP 50-59 years, female 0.5
GTEX-OXRO-0326-SM-33HBM 60-69 years, female 0.5
GTEX-PVOW-1026-SM-2XCF9 40-49 years, male 0.5
GTEX-QDT8-0926-SM-32PL2 30-39 years, female 0.5
GTEX-U3ZH-0526-SM-3DB75 30-39 years, male 0.5
GTEX-U412-0826-SM-3DB9K 60-69 years, male 0.5
GTEX-WFJO-0326-SM-3GIL3 30-39 years, male 0.5
GTEX-YB5E-0726-SM-4VDSH 40-49 years, male 0.5
GTEX-1F5PK-0526-SM-7MXUA 50-59 years, male 0.5
GTEX-1HCUA-0226-SM-A8N88 50-59 years, female 0.5
GTEX-1HSMQ-0726-SM-B2LXY 50-59 years, male 0.5
GTEX-1I6K7-1226-SM-B2LVS 40-49 years, male 0.5
GTEX-1JJEA-1126-SM-CKZOC 60-69 years, male 0.5
GTEX-1KWVE-0426-SM-DHXJX 30-39 years, male 0.5
GTEX-1MCC2-0726-SM-EV7AL 30-39 years, female 0.5
GTEX-1MJK2-1126-SM-E9TJ7 50-59 years, male 0.5
GTEX-1S82P-0826-SM-EVR4P 60-69 years, female 0.5
GTEX-SJXC-1026-SM-EYYVA 60-69 years, male 0.5
GTEX-ZPCL-0926-SM-DNZZ8 60-69 years, female 0.5
GTEX-11P81-0226-SM-5HL5M 30-39 years, female 0.4
GTEX-14ABY-1126-SM-5Q5F8 50-59 years, male 0.4
GTEX-14DAR-0226-SM-5S2PR 50-59 years, male 0.4
GTEX-17MF6-0826-SM-7LT8F 40-49 years, male 0.4
GTEX-Q2AG-1026-SM-33HBW 40-49 years, female 0.4
GTEX-S7SE-0926-SM-2XCD6 50-59 years, male 0.4
GTEX-YFC4-1126-SM-5RQJN 40-49 years, female 0.4
GTEX-ZUA1-1026-SM-4YCEA 40-49 years, male 0.4
GTEX-1GMRU-1426-SM-9WPPL 50-59 years, male 0.4
GTEX-1H2FU-1226-SM-9KNVY 60-69 years, female 0.4
GTEX-1KANB-1026-SM-D3L9F 50-59 years, male 0.4
GTEX-RVPV-1726-SM-2NKAQ 60-69 years, male 0.4
GTEX-13NZ8-0326-SM-5L3DF 60-69 years, female 0.3
GTEX-14BIL-1226-SM-79OME 50-59 years, male 0.3
GTEX-14E1K-0226-SM-62LDT 50-59 years, male 0.3
GTEX-15SHW-0926-SM-6LPIO 60-69 years, male 0.3
GTEX-ZYT6-0526-SM-5GIEA 30-39 years, male 0.3
GTEX-1HT8W-1426-SM-CE6S2 30-39 years, male 0.3
GTEX-17HG3-0326-SM-7IGP4 30-39 years, female 0.1
GTEX-R55D-0926-SM-3GAEU 50-59 years, male 0.1
Show allShow less

LUNG - FANTOM5 CAGEi

RNA expression in human tissues obtained through Cap Analysis of Gene Expression (CAGE) generated by the FANTOM5 project are reported as Scaled Tags Per Million.

Max subtype Scaled Tags Per Millioni

Max subtype Scaled Tags Per Million is the value for the subtype with the largest average Scaled Tags Per Million across the subtype samples.

6.1
FANTOM5 sample id Sample description Scaled Tags Per Million
Lung
Scaled Tags Per Million: 6.1
FF:10019-101D1 46,65,94 years, mixed 6.1
Lung - right lower lobe
Scaled Tags Per Million: 1.6
FF:10075-102A3 29 years, male 1.6

Contact

  • NEWS ARTICLES
  • PRESS ROOM

The Project

  • INTRODUCTION
  • ORGANIZATION
  • PUBLICATIONS

The Human Protein Atlas

  • DOWNLOADABLE DATA
  • LICENCE & CITATION
  • HELP & FAQ
The Human Protein Atlas project is funded
by the Knut & Alice Wallenberg Foundation.


contact@proteinatlas.org