We use cookies to enhance the usability of our website. If you continue, we'll assume that you are happy to receive all cookies. More information. Don't show this again.
KCNK15
HPA
RESOURCES
  • TISSUE
  • BRAIN
  • SINGLE CELL
  • SUBCELLULAR
  • CANCER
  • BLOOD
  • CELL LINE
  • STRUCTURE & INTERACTION
ABOUT
  • INTRODUCTION
  • HISTORY
  • ORGANIZATION
  • PUBLICATIONS
  • ANTIBODY SUBMISSION
  • ANTIBODY AVAILABILITY
  • ACKNOWLEDGMENTS
  • CONTACT
NEWS
  • NEWS ARTICLES
  • PRESS ROOM
LEARN
  • DICTIONARY
  • PROTEIN CLASSES
  • PROTEIN EVIDENCE
  • METHODS
  • EDUCATIONAL VIDEOS
DATA
  • DOWNLOADABLE DATA
  • PUBLICATION DATA
  • RELEASE HISTORY
HELP
  • ANTIBODY VALIDATION
  • ASSAYS & ANNOTATION
  • DISCLAIMER
  • HELP & FAQ
  • PRIVACY STATEMENT
  • LICENCE & CITATION
Fields »
Search result

Field
Term
Gene name
Class
Subclass
Class
Keyword
Chromosome
External id
Tissue
Cell type
Expression
Antibody panel
Tissue
Main location
Patient ID
Annotation
Tissue
Category
Tau score
Cluster
Reliability
Brain region
Category
Tau score
Brain region
Category
Tau score
Brain region
Category
Tau score
Cluster
Reliability
Tissue
Cell type
Enrichment
Cell type
Category
Tau score
Cell type
Category
Tau score
Cell type
Category
Tau score
Cell lineage
Category
Tau score
Cluster
Cluster
Location
Searches
Location
Cell line
Class
Type
Phase
Reliability
Cancer
Prognosis
Cancer
Category
Cancer
Category
Tau score
Cluster
Variants
Interacting gene (ensg_id)
Type
Number of interactions
Pathway
Category
Score
Score
Score
Validation
Validation
Validation
Validation
Antibodies
Data type
Column


  • SUMMARY

  • TISSUE

  • BRAIN

  • SINGLE CELL

  • SUBCELL

  • CANCER

  • BLOOD

  • CELL LINE

  • STRUCT & INT

  • KCNK15
TISSUE PRIMARY DATA TESTIS Show tissue menu
ADIPOSE TISSUE ADRENAL GLAND AMYGDALA APPENDIX BASAL GANGLIA BONE MARROW BREAST CEREBELLUM CEREBRAL CORTEX CERVIX CHOROID PLEXUS COLON DUODENUM
ENDOMETRIUM EPIDIDYMIS ESOPHAGUS FALLOPIAN TUBE GALLBLADDER HEART MUSCLE HIPPOCAMPAL FORMATION HYPOTHALAMUS KIDNEY LIVER LUNG LYMPH NODE MIDBRAIN
OVARY PANCREAS PARATHYROID GLAND PITUITARY GLAND PLACENTA PROSTATE RECTUM RETINA SALIVARY GLAND SEMINAL VESICLE SKELETAL MUSCLE SKIN SMALL INTESTINE
SMOOTH MUSCLE SPINAL CORD SPLEEN STOMACH TESTIS THYMUS THYROID GLAND TONGUE TONSIL URINARY BLADDER VAGINA
ANTIBODIES
AND
VALIDATION
Dictionary
Testis
Tissue proteome
Testis
TESTIS - Expression summary
Protein expressioni

On the top, protein expression in current human tissue, based on all annotated cell types, is reported with the units not detected (n), low (l), medium (m) and high (h). Underneath, protein expression in each annotated cell type are reported using the same units.

Protein expression data is based on knowledge-based annotation. For genes where more than one antibody has been used, a collective score is set.

If knowledge-based annotation could not be performed for a gene, no data is displayed here. View antibody staining data further down this page.

No data
RNA expressioni

A summary of mRNA expression data available for current tissue based on several datasets. The mRNA expression levels in human tissues are based on RNA-seq data generated by the Human Protein Atlas (HPA), Genotype-Tissue Expression (GTEx) portal and CAGE data generated by the FANTOM5 consortium. Consensus normalized expression levels for human tissues was created by combining the data from HPA and GTEx datasets.

The mRNA expression levels in pig are based on RNA-seq data generated by the Human Protein Atlas (HPA), and for mouse, HPA data and in situ hybridization generated by the Allen brain atlas are reported.

Scroll down to view mRNA expression data in more detail.
Consensus:3.2 nTPM
HPA:1.4 nTPM
GTEx:3.2 nTPM
FANTOM5:13.8 Scaled Tags Per Million

TESTIS - Annotated protein expression
Pending normal tissue analysis

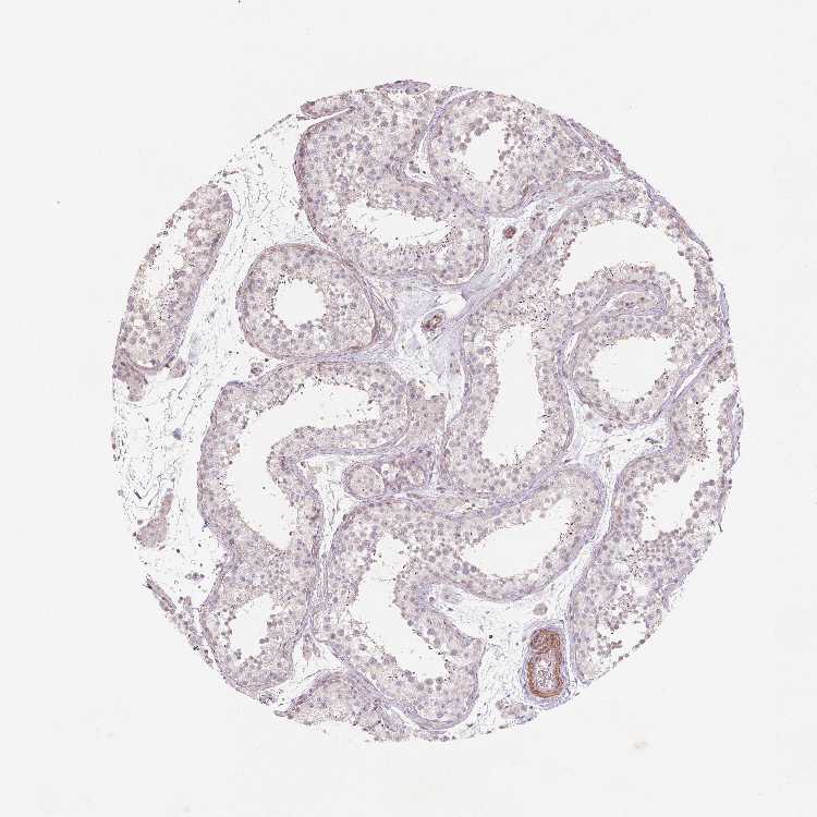
TESTIS - Antibody stainingi

Antibody staining in the annotated cell types in the current human tissue is reported as not detected, low, medium, or high, based on conventional immunohistochemistry profiling in selected tissues. This score is based on the combination of the staining intensity and fraction of stained cells.

Each image is clickable and will lead to virtual microscopy that enables deeper exploration of all samples and also displays staining intensity scores, fraction scores and subcellular localization as well as patient and tissue information for each sample.

Antibody HPA064861
Leydig cells Not detected
Cells in seminiferous ducts Not detected



TESTIS - HPA RNA-seqi

The RNA-seq details section shows detailed information about the individual samples used for the transcript profiling and results of the RNA-seq analysis.

Information about each individual sample is listed below, including gender, age, a tissue section image and estimated fractions of cell types. nTPM (normalized transcripts per million) values give a quantification of the gene abundance which is comparable between different genes and samples.
Average nTPMi

Max subtype nTPM is the value for the subtype with the largest average nTPM across the subtype samples.

1.4
overview
Male, age 56
Testis sample 244
nTPM: 1.1
Cell types%
Cells in seminiferous ducts:
65

Other cell types:
35

overview
Male, age 34
Testis sample 278
nTPM: 1.1
Cell types%
Cells in seminiferous ducts:
75

Other cell types:
25

overview
Male, age 62
Testis sample 279
nTPM: 1.1
Cell types%
Cells in seminiferous ducts:
70

Other cell types:
30

overview
Male, age 34
Testis sample 280
nTPM: 7.4
Cell types%
Cells in seminiferous ducts:
60

Other cell types:
40

overview
Male, age 26
Testis sample 281
nTPM: 0.9
Cell types%
Cells in seminiferous ducts:
55

Other cell types:
45

overview
Male, age 50
Testis sample 282
nTPM: 0.5
Cell types%
Cells in seminiferous ducts:
85

Other cell types:
15

overview
Male, age 37
Testis sample 283
nTPM: 0.5
Cell types%
Cells in seminiferous ducts:
35

Other cell types:
65

overview
Male, age 51
Testis sample 349
nTPM: 0.3
Cell types%
Cells in seminiferous ducts:
65

Other cell types:
35

overview
Male, age 34
Testis sample 354
nTPM: 0.8
Cell types%
Cells in seminiferous ducts:
70

Other cell types:
30

overview
Male, age 26
Testis sample 371
nTPM: 0.6
Cell types%
Cells in seminiferous ducts:
75

Other cell types:
25


TESTIS - GTEx RNA-seqi

RNA-Seq data generated by the Genotype-Tissue Expression (GTEx) project from human tissues is reported as mean nTPM. More information can be found on the GTEx portal.

Distribution across the dataset is visualized with box plots, shown as median and 25th and 75th percentiles. Points are displayed as outliers if they are above or below 1.5 times the interquartile range. nTPM values of the individual samples are presented next to the box plot.
Max subtype nTPMi

Max subtype nTPM is the value for the subtype with the largest average nTPM across the subtype samples.

3.2
GTEx sample id Sample description nTPM
Testis
Average nTPM: 3.2
Samples: 361

Max nTPM: 22.3
Min nTPM: 0.6
Std nTPM: 2.3
Median nTPM: 2.6
GTEX-WFG8-1926-SM-4LVM1 20-29 years, male 22.3
GTEX-1339X-1926-SM-5PNVP 40-49 years, male 18.1
GTEX-O5YT-2126-SM-3MJGD 20-29 years, male 18.0
GTEX-1IDJF-2226-SM-AHZ2T 20-29 years, male 13.9
GTEX-ZTX8-1126-SM-51MRM 20-29 years, male 13.6
GTEX-144GN-1626-SM-5Q5BU 50-59 years, male 11.3
GTEX-ZT9X-1426-SM-5DUX1 40-49 years, male 10.1
GTEX-XK95-2726-SM-4V6G6 40-49 years, male 9.6
GTEX-1AX8Z-2826-SM-73KTZ 60-69 years, male 9.4
GTEX-WY7C-2226-SM-4ONCS 50-59 years, male 9.3
GTEX-S4Z8-2126-SM-4AD5H 60-69 years, male 9.0
GTEX-11TT1-2226-SM-5GU6B 20-29 years, male 8.4
GTEX-1QP29-0426-SM-EVR3Y 50-59 years, male 8.4
GTEX-1I1GU-0726-SM-ARU7H 40-49 years, male 7.3
GTEX-1C6VS-1126-SM-7EWEW 60-69 years, male 7.2
GTEX-18A67-1826-SM-7KFT7 50-59 years, male 7.1
GTEX-1QAET-1926-SM-DPRZG 50-59 years, male 7.1
GTEX-1399Q-2826-SM-5IJEZ 40-49 years, male 7.0
GTEX-15RJ7-1826-SM-7KUMJ 40-49 years, male 6.8
GTEX-14PJ4-1726-SM-664OC 60-69 years, male 6.7
GTEX-S4Q7-1226-SM-4AD5I 20-29 years, male 6.7
GTEX-ZLFU-2026-SM-4WWG2 40-49 years, male 6.7
GTEX-1KXAM-1826-SM-D3LAF 60-69 years, male 6.2
GTEX-14A6H-2326-SM-5Q5B5 30-39 years, male 6.1
GTEX-U8XE-0126-SM-4E3I3 30-39 years, male 6.0
GTEX-1JKYN-1026-SM-CGQG4 30-39 years, male 6.0
GTEX-11O72-0726-SM-5P9GO 40-49 years, male 5.9
GTEX-S33H-0126-SM-4AD62 30-39 years, male 5.9
GTEX-1M5QR-2626-SM-EV7AV 40-49 years, male 5.9
GTEX-Q2AH-1526-SM-48TZG 40-49 years, male 5.8
GTEX-P4QS-2126-SM-3NMCF 60-69 years, male 5.7
GTEX-PLZ5-1526-SM-3P5ZX 50-59 years, male 5.7
GTEX-QEG5-0126-SM-CMKFD 20-29 years, male 5.7
GTEX-117YX-2026-SM-5GIEF 50-59 years, male 5.6
GTEX-13QJ3-0226-SM-5S2PU 50-59 years, male 5.6
GTEX-Q2AI-1226-SM-48U14 40-49 years, male 5.6
GTEX-1K2DU-2226-SM-CXZJY 20-29 years, male 5.6
GTEX-SNOS-1126-SM-4DM67 40-49 years, male 5.5
GTEX-XPT6-1626-SM-4B655 20-29 years, male 5.3
GTEX-13OW8-0526-SM-5KM24 60-69 years, male 5.1
GTEX-PW2O-1426-SM-48TCD 20-29 years, male 5.0
GTEX-WFON-2026-SM-4LVMW 40-49 years, male 5.0
GTEX-1GL5R-0826-SM-9KNTS 50-59 years, male 4.9
GTEX-OIZI-0126-SM-3NB13 40-49 years, male 4.8
GTEX-147F4-0626-SM-5LUAK 50-59 years, male 4.7
GTEX-1E2YA-2826-SM-7EPIN 50-59 years, male 4.7
GTEX-132QS-1226-SM-5P9GD 60-69 years, male 4.6
GTEX-14B4R-1026-SM-5TDDS 30-39 years, male 4.6
GTEX-1JMQK-2726-SM-CNNPI 60-69 years, male 4.6
GTEX-11WQK-2826-SM-5EQKH 50-59 years, male 4.5
GTEX-14PHX-1426-SM-69LPP 50-59 years, male 4.5
GTEX-RUSQ-2126-SM-47JXK 50-59 years, male 4.5
GTEX-1ICLY-2926-SM-C1YS5 50-59 years, male 4.5
GTEX-QLQW-1026-SM-447A9 30-39 years, male 4.4
GTEX-X261-2326-SM-4PQYU 50-59 years, male 4.4
GTEX-Y8E4-2226-SM-5LU94 40-49 years, male 4.4
GTEX-QMRM-1526-SM-4R1K6 50-59 years, male 4.3
GTEX-SUCS-1326-SM-4DM5T 70-79 years, male 4.3
GTEX-U3ZM-1626-SM-4DXSK 40-49 years, male 4.3
GTEX-1GMR2-0726-SM-7MXVK 50-59 years, male 4.3
GTEX-1JKYR-1626-SM-AHZ3L 20-29 years, male 4.3
GTEX-1L5NE-1626-SM-DHXKW 50-59 years, male 4.3
GTEX-11DXY-0226-SM-5H123 60-69 years, male 4.2
GTEX-12696-0226-SM-5EGL3 60-69 years, male 4.2
GTEX-Y3I4-2026-SM-4TT6Z 50-59 years, male 4.2
GTEX-ZAB4-0126-SM-5CVMG 40-49 years, male 4.2
GTEX-15G19-1326-SM-6LPIR 60-69 years, male 4.1
GTEX-17F9E-1626-SM-7EWDB 50-59 years, male 4.1
GTEX-VJYA-1426-SM-4KL1Y 60-69 years, male 4.1
GTEX-1H1ZS-2826-SM-9OSXS 70-79 years, male 4.1
GTEX-1LG7Y-2326-SM-EVR56 50-59 years, male 4.1
GTEX-1LSNL-2426-SM-DHXKO 50-59 years, male 4.1
GTEX-1S831-2026-SM-EXOJP 20-29 years, male 4.1
GTEX-18QFQ-1926-SM-72D5H 30-39 years, male 4.0
GTEX-Z93S-1726-SM-5HL8G 50-59 years, male 4.0
GTEX-ZQUD-2026-SM-51MSM 30-39 years, male 4.0
GTEX-11P7K-1026-SM-5HL6Y 30-39 years, male 3.9
GTEX-1AX9K-1826-SM-731CY 50-59 years, male 3.9
GTEX-ZDTT-2026-SM-5K7TY 60-69 years, male 3.9
GTEX-1F6I4-1426-SM-7MXU3 60-69 years, male 3.9
GTEX-1K2DA-1326-SM-CGQGP 50-59 years, male 3.9
GTEX-1QP6S-0826-SM-E6CPP 40-49 years, male 3.9
GTEX-111CU-1726-SM-5EGHM 50-59 years, male 3.8
GTEX-12WSL-2326-SM-5DUXQ 50-59 years, male 3.8
GTEX-13FLW-2126-SM-5N9FD 50-59 years, male 3.8
GTEX-15SKB-0326-SM-6M477 60-69 years, male 3.8
GTEX-Y9LG-1726-SM-4VBQE 30-39 years, male 3.8
GTEX-1QP9N-1326-SM-DPRZN 30-39 years, male 3.8
GTEX-XMK1-2026-SM-4B65K 40-49 years, male 3.7
GTEX-Y5V6-1726-SM-4VDSZ 60-69 years, male 3.7
GTEX-17EVP-2426-SM-7IGNK 40-49 years, male 3.7
GTEX-131XE-0426-SM-5IJF4 50-59 years, male 3.6
GTEX-13OVH-0726-SM-5N9BU 70-79 years, male 3.6
GTEX-13OVK-2226-SM-6LPJY 40-49 years, male 3.6
GTEX-14E6E-1026-SM-664N9 30-39 years, male 3.6
GTEX-18D9B-2726-SM-72D73 60-69 years, male 3.6
GTEX-RWSA-2426-SM-47JXR 40-49 years, male 3.6
GTEX-XBED-2026-SM-4AT5D 60-69 years, male 3.6
GTEX-OOBK-2126-SM-3LK5T 40-49 years, male 3.5
GTEX-TKQ1-0926-SM-4DXU2 30-39 years, male 3.5
GTEX-YFCO-1726-SM-4W21S 40-49 years, male 3.5
GTEX-1MA7X-1526-SM-DHXJF 60-69 years, male 3.5
GTEX-1RB15-1926-SM-EV79J 60-69 years, male 3.5
GTEX-11EI6-2226-SM-5EGJM 60-69 years, male 3.4
GTEX-139T6-1226-SM-5IFFC 50-59 years, male 3.4
GTEX-1H1DG-2726-SM-9JGI1 70-79 years, male 3.4
GTEX-1PPH8-1226-SM-DPRXO 20-29 years, male 3.4
GTEX-13FTW-1326-SM-5LZZD 40-49 years, male 3.3
GTEX-144GM-0426-SM-5Q5C8 20-29 years, male 3.3
GTEX-14PJN-1626-SM-68727 30-39 years, male 3.3
GTEX-T5JC-0726-SM-4DM55 20-29 years, male 3.3
GTEX-XPVG-2226-SM-4B65U 50-59 years, male 3.3
GTEX-1H1E6-0626-SM-9OSWF 30-39 years, male 3.3
GTEX-1HSMO-2426-SM-A9G24 60-69 years, male 3.3
GTEX-14E7W-0726-SM-664OK 70-79 years, male 3.2
GTEX-18A66-0726-SM-72D77 60-69 years, male 3.2
GTEX-WHSB-2126-SM-4M1XF 50-59 years, male 3.2
GTEX-XAJ8-1326-SM-47JYT 40-49 years, male 3.2
GTEX-YJ89-0626-SM-4TT3Z 60-69 years, male 3.2
GTEX-1JJ6O-0526-SM-AHZ3G 60-69 years, male 3.2
GTEX-1JK1U-0726-SM-C1YPZ 60-69 years, male 3.2
GTEX-1KD5A-1826-SM-DHXJI 50-59 years, male 3.2
GTEX-11EQ8-1426-SM-5EGJR 60-69 years, male 3.1
GTEX-12BJ1-1326-SM-5BC5P 60-69 years, male 3.1
GTEX-13NYB-2226-SM-5MR58 40-49 years, male 3.1
GTEX-13O1R-0726-SM-5IJEI 60-69 years, male 3.1
GTEX-13O21-1226-SM-5J2MK 50-59 years, male 3.1
GTEX-16MTA-1126-SM-6LPJA 50-59 years, male 3.1
GTEX-T8EM-0126-SM-4DM5R 40-49 years, male 3.1
GTEX-U8T8-1126-SM-4DXUE 60-69 years, male 3.1
GTEX-1EN7A-2226-SM-7MXU6 40-49 years, male 3.1
GTEX-1F75A-2826-SM-7MXTS 50-59 years, male 3.1
GTEX-11LCK-2326-SM-5HL53 30-39 years, male 3.0
GTEX-13NZA-2526-SM-5IJFX 60-69 years, male 3.0
GTEX-SNMC-1026-SM-4DM7K 20-29 years, male 3.0
GTEX-ZYT6-2726-SM-5GICP 30-39 years, male 3.0
GTEX-1QMI2-2826-SM-DPRXR 60-69 years, male 3.0
GTEX-PVOW-2126-SM-EZ6LN 40-49 years, male 3.0
GTEX-1399T-1526-SM-5P9J6 60-69 years, male 2.9
GTEX-13N2G-0126-SM-5N9DV 60-69 years, male 2.9
GTEX-NFK9-0126-SM-3LK5H 40-49 years, male 2.9
GTEX-QEG4-0126-SM-48TZE 30-39 years, male 2.9
GTEX-R55E-0726-SM-48FCZ 20-29 years, male 2.9
GTEX-S7SE-0326-SM-4AT5Q 50-59 years, male 2.9
GTEX-WVLH-2626-SM-4MVNV 50-59 years, male 2.9
GTEX-1IY9M-2526-SM-C1YQF 60-69 years, male 2.9
GTEX-14C38-0126-SM-5YY9V 50-59 years, male 2.8
GTEX-183FY-1926-SM-7KFRI 20-29 years, male 2.8
GTEX-18465-1526-SM-7KFTV 50-59 years, male 2.8
GTEX-1B8KE-1426-SM-7EWEL 50-59 years, male 2.8
GTEX-1BAJH-0726-SM-7IGMF 70-79 years, male 2.8
GTEX-1F6IF-0526-SM-7MKHD 60-69 years, male 2.8
GTEX-RN64-2326-SM-48FDW 50-59 years, male 2.8
GTEX-1HSKV-1826-SM-CNPPM 60-69 years, male 2.8
GTEX-1IKJJ-2126-SM-C1YQU 60-69 years, male 2.8
GTEX-1IOXB-1526-SM-A96T6 50-59 years, male 2.8
GTEX-1KWVE-1126-SM-DHXJY 30-39 years, male 2.8
GTEX-OIZG-0126-SM-E9TI2 50-59 years, male 2.8
GTEX-111FC-1926-SM-5GZYC 60-69 years, male 2.7
GTEX-11TUW-2226-SM-5EQL9 60-69 years, male 2.7
GTEX-12WSH-0326-SM-5GCNH 50-59 years, male 2.7
GTEX-13111-1526-SM-5EGJX 50-59 years, male 2.7
GTEX-14A5H-0626-SM-5TDCO 60-69 years, male 2.7
GTEX-17HGU-0726-SM-7DUFN 50-59 years, male 2.7
GTEX-1CAMR-1526-SM-79OLP 20-29 years, male 2.7
GTEX-QLQ7-1426-SM-4R1JX 60-69 years, male 2.7
GTEX-WHSE-0426-SM-4M1XO 20-29 years, male 2.7
GTEX-X3Y1-2626-SM-4PQZI 40-49 years, male 2.7
GTEX-XGQ4-2026-SM-4AT6G 50-59 years, male 2.7
GTEX-1HCVE-2826-SM-9WPPI 50-59 years, male 2.7
GTEX-1HSMQ-1726-SM-B2LXZ 50-59 years, male 2.7
GTEX-1J8Q3-0726-SM-AHZ3W 60-69 years, male 2.7
GTEX-1MCQQ-2326-SM-DLHBX 60-69 years, male 2.7
GTEX-12C56-1426-SM-5FQSW 20-29 years, male 2.6
GTEX-TKQ2-1526-SM-4DXUN 50-59 years, male 2.6
GTEX-U3ZH-1526-SM-4DXV1 30-39 years, male 2.6
GTEX-WZTO-0326-SM-4PQYZ 40-49 years, male 2.6
GTEX-XQ3S-2726-SM-4BOP2 20-29 years, male 2.6
GTEX-YF7O-2026-SM-4W1YE 50-59 years, male 2.6
GTEX-ZV7C-2026-SM-5NQ8F 50-59 years, male 2.6
GTEX-1GMR3-1726-SM-9JGGQ 40-49 years, male 2.6
GTEX-1HBPN-2226-SM-9WPNR 50-59 years, male 2.6
GTEX-1JMQJ-0726-SM-CXZJJ 50-59 years, male 2.6
GTEX-1LBAC-1826-SM-D3L9X 20-29 years, male 2.6
GTEX-1R9K5-2326-SM-DPRZC 50-59 years, male 2.6
GTEX-1RAZQ-1126-SM-EAZ4S 30-39 years, male 2.6
GTEX-11OF3-1826-SM-5987N 60-69 years, male 2.5
GTEX-16XZZ-0626-SM-6M47T 60-69 years, male 2.5
GTEX-17KNJ-1126-SM-7KFT6 50-59 years, male 2.5
GTEX-QV44-1726-SM-4R1KG 50-59 years, male 2.5
GTEX-U4B1-1526-SM-4DXSL 40-49 years, male 2.5
GTEX-UPJH-0126-SM-4IHLL 50-59 years, male 2.5
GTEX-V955-1926-SM-4KL1L 60-69 years, male 2.5
GTEX-XLM4-1526-SM-4AT6D 60-69 years, male 2.5
GTEX-ZVTK-0126-SM-57WDG 20-29 years, male 2.5
GTEX-1B8L1-2326-SM-9JGGA 60-69 years, male 2.5
GTEX-1EMGI-0626-SM-7MXUS 60-69 years, male 2.5
GTEX-1JMLX-0726-SM-AHZ3M 50-59 years, male 2.5
GTEX-1LB8K-2326-SM-DHXJL 50-59 years, male 2.5
GTEX-1RAZA-2126-SM-EVR4A 20-29 years, male 2.5
GTEX-1RAZR-2226-SM-E6CRG 40-49 years, male 2.5
GTEX-RVPV-1126-SM-EAZAV 60-69 years, male 2.5
GTEX-111YS-2026-SM-5EGGL 60-69 years, male 2.4
GTEX-139TS-1726-SM-5IJG5 60-69 years, male 2.4
GTEX-16AAH-1626-SM-7EWE2 50-59 years, male 2.4
GTEX-1C64N-2826-SM-7IGP5 50-59 years, male 2.4
GTEX-S3XE-1526-SM-4AD5A 50-59 years, male 2.4
GTEX-WH7G-1926-SM-4LVMM 40-49 years, male 2.4
GTEX-ZT9W-2226-SM-57WFU 50-59 years, male 2.4
GTEX-1S5VW-2626-SM-EVR4W 60-69 years, male 2.4
GTEX-11NUK-2626-SM-5A5MB 50-59 years, male 2.3
GTEX-145MH-2326-SM-5O9AW 50-59 years, male 2.3
GTEX-14PJ2-2026-SM-6AJAQ 50-59 years, male 2.3
GTEX-16YQH-1826-SM-6LPJW 30-39 years, male 2.3
GTEX-REY6-0126-SM-48FDT 60-69 years, male 2.3
GTEX-RM2N-1326-SM-48FCW 50-59 years, male 2.3
GTEX-T6MN-2026-SM-4DM7L 50-59 years, male 2.3
GTEX-ZDYS-1326-SM-5IJFF 50-59 years, male 2.3
GTEX-ZZ64-1126-SM-5GZXY 20-29 years, male 2.3
GTEX-1CB4F-2126-SM-7MXUL 60-69 years, male 2.3
GTEX-1H11D-1626-SM-9JGHM 40-49 years, male 2.3
GTEX-1IDJH-2326-SM-D4P2K 70-79 years, male 2.3
GTEX-1LSVX-2126-SM-EV7A9 60-69 years, male 2.3
GTEX-117YW-1526-SM-5EGGP 50-59 years, male 2.2
GTEX-11ONC-2226-SM-5HL6D 60-69 years, male 2.2
GTEX-11ZUS-2726-SM-5FQUA 30-39 years, male 2.2
GTEX-13112-0226-SM-5P9IV 50-59 years, male 2.2
GTEX-147JS-0126-SM-5S2TW 60-69 years, male 2.2
GTEX-1CB4I-0926-SM-7MKFY 50-59 years, male 2.2
GTEX-V1D1-2126-SM-4JBH4 50-59 years, male 2.2
GTEX-ZUA1-2726-SM-59HLJ 40-49 years, male 2.2
GTEX-1GN2E-0126-SM-9OSW8 60-69 years, male 2.2
GTEX-117XS-2026-SM-5GID1 60-69 years, male 2.1
GTEX-11DXZ-2126-SM-59881 50-59 years, male 2.1
GTEX-11P82-1526-SM-5BC5M 20-29 years, male 2.1
GTEX-139TT-2226-SM-5LZWO 60-69 years, male 2.1
GTEX-13O61-2026-SM-5J2M6 60-69 years, male 2.1
GTEX-15SHV-1926-SM-6LPI1 60-69 years, male 2.1
GTEX-1AX9I-1826-SM-72D5I 60-69 years, male 2.1
GTEX-1E1VI-1026-SM-7MKGQ 50-59 years, male 2.1
GTEX-N7MS-0126-SM-3TW8O 60-69 years, male 2.1
GTEX-PLZ6-1226-SM-3P5ZS 30-39 years, male 2.1
GTEX-R55D-0126-SM-48FEL 50-59 years, male 2.1
GTEX-YB5E-1926-SM-5IFIG 40-49 years, male 2.1
GTEX-YEC4-1526-SM-4W1YU 40-49 years, male 2.1
GTEX-1PDJ9-1426-SM-DPRYW 20-29 years, male 2.1
GTEX-1212Z-0326-SM-5FQSJ 60-69 years, male 2.0
GTEX-13N1W-2626-SM-5IJEP 70-79 years, male 2.0
GTEX-13OW6-0126-SM-5IJGM 50-59 years, male 2.0
GTEX-147GR-0626-SM-5S2PK 60-69 years, male 2.0
GTEX-14C39-0526-SM-664OF 40-49 years, male 2.0
GTEX-15RIE-0626-SM-6M47G 60-69 years, male 2.0
GTEX-17HHE-1226-SM-793C6 50-59 years, male 2.0
GTEX-17MF6-2726-SM-7IGMZ 40-49 years, male 2.0
GTEX-17MFQ-0826-SM-793C8 20-29 years, male 2.0
GTEX-OIZH-2126-SM-3NB1P 50-59 years, male 2.0
GTEX-R55C-1426-SM-48FED 40-49 years, male 2.0
GTEX-S95S-1126-SM-4B64E 60-69 years, male 2.0
GTEX-1GF9V-0626-SM-7MXU1 60-69 years, male 2.0
GTEX-1GN1V-1826-SM-9JGGD 60-69 years, male 2.0
GTEX-1GZ4I-2726-SM-9JGG9 50-59 years, male 2.0
GTEX-1I6K7-2426-SM-AHZ2I 40-49 years, male 2.0
GTEX-1IL2U-0126-SM-CNPQ5 60-69 years, male 2.0
GTEX-1MJK2-1326-SM-EV7A4 50-59 years, male 2.0
GTEX-1OKEX-1926-SM-E6CP7 60-69 years, male 2.0
GTEX-11GS4-2026-SM-5N9CP 60-69 years, male 1.9
GTEX-11NV4-1726-SM-5N9FC 60-69 years, male 1.9
GTEX-12WSM-1326-SM-5GCP9 60-69 years, male 1.9
GTEX-13OW5-2526-SM-5L3I1 60-69 years, male 1.9
GTEX-144GL-0726-SM-5LU4P 50-59 years, male 1.9
GTEX-1AYCT-1026-SM-79ONR 50-59 years, male 1.9
GTEX-1GMRU-0626-SM-7MKH2 50-59 years, male 1.9
GTEX-OHPM-2126-SM-3LK75 50-59 years, male 1.9
GTEX-ZPU1-2126-SM-57WED 40-49 years, male 1.9
GTEX-1HB9E-1926-SM-D4P34 50-59 years, male 1.9
GTEX-1JN6P-2826-SM-CXZJK 60-69 years, male 1.9
GTEX-1N2EE-0826-SM-E6CRI 60-69 years, male 1.9
GTEX-1PIGE-1626-SM-DPRZE 20-29 years, male 1.9
GTEX-OIZF-2126-SM-7P8R2 60-69 years, male 1.9
GTEX-11EQ9-1926-SM-5PNVV 30-39 years, male 1.8
GTEX-11NSD-1026-SM-5N9BE 20-29 years, male 1.8
GTEX-11WQC-2326-SM-5EQKE 60-69 years, male 1.8
GTEX-12ZZY-0126-SM-5LZV2 60-69 years, male 1.8
GTEX-13VXU-0726-SM-5J2O7 50-59 years, male 1.8
GTEX-14PJ3-1626-SM-664O5 50-59 years, male 1.8
GTEX-17HHY-0726-SM-7IGM6 50-59 years, male 1.8
GTEX-17HII-0126-SM-7KFSS 50-59 years, male 1.8
GTEX-1C6VR-1526-SM-7MKG9 60-69 years, male 1.8
GTEX-WOFM-1126-SM-4OOSB 20-29 years, male 1.8
GTEX-YEC3-1726-SM-5IFIK 50-59 years, male 1.8
GTEX-1GPI7-1426-SM-9JGGR 20-29 years, male 1.8
GTEX-1H4P4-1926-SM-9WPOO 50-59 years, male 1.8
GTEX-1J1R8-1326-SM-CE6TC 40-49 years, male 1.8
GTEX-1JJEA-1926-SM-AHZ41 60-69 years, male 1.8
GTEX-1O97I-2426-SM-DPRZ2 60-69 years, male 1.8
GTEX-1PIIG-0526-SM-E6CQM 30-39 years, male 1.8
GTEX-QV31-1126-SM-CKZNA 30-39 years, male 1.8
GTEX-WQUQ-0326-SM-EWRM7 60-69 years, male 1.8
GTEX-12WSI-2126-SM-5GCMV 50-59 years, male 1.7
GTEX-13OVL-0426-SM-5IFG6 50-59 years, male 1.7
GTEX-15RIF-1826-SM-6M469 20-29 years, male 1.7
GTEX-1A3MV-0726-SM-72D5M 30-39 years, male 1.7
GTEX-1B996-2326-SM-731EC 60-69 years, male 1.7
GTEX-1C4CL-1926-SM-731DY 30-39 years, male 1.7
GTEX-WYJK-1826-SM-4ONDM 50-59 years, male 1.7
GTEX-ZA64-1626-SM-5CVME 20-29 years, male 1.7
GTEX-ZAB5-2426-SM-5CVMW 50-59 years, male 1.7
GTEX-ZYFC-0126-SM-5GIEH 50-59 years, male 1.7
GTEX-1GF9W-2126-SM-7MXUX 60-69 years, male 1.7
GTEX-1GN73-1726-SM-9JGFR 60-69 years, male 1.7
GTEX-1KANA-1626-SM-CXZL2 20-29 years, male 1.7
GTEX-1QP2A-1626-SM-E6CPO 50-59 years, male 1.7
GTEX-1R7EU-1726-SM-DTX9M 60-69 years, male 1.7
GTEX-1399R-1626-SM-5P9GG 30-39 years, male 1.6
GTEX-13FHP-2826-SM-5IJFW 50-59 years, male 1.6
GTEX-145MF-1726-SM-5LU9H 50-59 years, male 1.6
GTEX-16Z82-2726-SM-7KULV 60-69 years, male 1.6
GTEX-17GQL-1726-SM-718B8 60-69 years, male 1.6
GTEX-1B8KZ-1826-SM-73KVJ 50-59 years, male 1.6
GTEX-1C64O-2126-SM-7IGPB 60-69 years, male 1.6
GTEX-OOBJ-2126-SM-3NB1N 60-69 years, male 1.6
GTEX-S7PM-0626-SM-4AD4Q 60-69 years, male 1.6
GTEX-ZTSS-1526-SM-51MTC 40-49 years, male 1.6
GTEX-1HKZK-1926-SM-9WPPK 40-49 years, male 1.6
GTEX-13NZB-2026-SM-5MR4M 30-39 years, male 1.5
GTEX-145LT-0426-SM-5LUAP 40-49 years, male 1.5
GTEX-14BIL-2226-SM-73KWF 50-59 years, male 1.5
GTEX-18A7B-1526-SM-7KFTH 70-79 years, male 1.5
GTEX-1CB4G-2426-SM-7DUGM 60-69 years, male 1.5
GTEX-1EKGG-2726-SM-79OOD 60-69 years, male 1.5
GTEX-1I1GP-2426-SM-B2LXK 50-59 years, male 1.5
GTEX-1KD4Q-2126-SM-EV7A6 40-49 years, male 1.5
GTEX-1NHNU-1526-SM-E6CP2 50-59 years, male 1.5
GTEX-OXRL-2126-SM-3NM98 50-59 years, male 1.4
GTEX-WK11-0326-SM-4OOS6 50-59 years, male 1.4
GTEX-XBEC-0126-SM-4GIDT 50-59 years, male 1.4
GTEX-Y111-2426-SM-4TT23 50-59 years, male 1.4
GTEX-1GTWX-2226-SM-9JGHD 60-69 years, male 1.4
GTEX-1HSEH-0726-SM-B2LXD 60-69 years, male 1.4
GTEX-1HUB1-2026-SM-A96S8 60-69 years, male 1.4
GTEX-1KANB-2126-SM-DHXJV 50-59 years, male 1.4
GTEX-1PPGY-0726-SM-EXOJ7 60-69 years, male 1.4
GTEX-1RQED-1626-SM-EAZ55 60-69 years, male 1.4
GTEX-14ABY-0626-SM-5Q5C9 50-59 years, male 1.3
GTEX-14DAR-1126-SM-793AT 50-59 years, male 1.3
GTEX-14E1K-1926-SM-73KWS 50-59 years, male 1.3
GTEX-18A6Q-2626-SM-7KFT3 60-69 years, male 1.3
GTEX-1AX9J-1226-SM-72D6P 60-69 years, male 1.3
GTEX-1EU9M-1626-SM-7EWF2 60-69 years, male 1.3
GTEX-X5EB-2026-SM-4E3KA 40-49 years, male 1.3
GTEX-1LVA9-2826-SM-EAZ5D 50-59 years, male 1.3
GTEX-14C5O-2326-SM-73KYU 60-69 years, male 1.2
GTEX-ZVZP-2226-SM-57WBF 50-59 years, male 1.2
GTEX-111VG-1926-SM-5GIDO 60-69 years, male 1.1
GTEX-14753-0626-SM-5Q5CY 60-69 years, male 1.1
GTEX-1A3MX-1026-SM-731F8 60-69 years, male 1.1
GTEX-1EH9U-2626-SM-7IGQN 60-69 years, male 1.1
GTEX-1I1GS-1826-SM-C1YS8 60-69 years, male 1.1
GTEX-1I1GV-2526-SM-B2LXL 60-69 years, male 1.1
GTEX-1B8SF-2926-SM-731DL 60-69 years, male 0.8
GTEX-145MO-0126-SM-5S2QU 60-69 years, male 0.6
Show allShow less

TESTIS - FANTOM5 CAGEi

RNA expression in human tissues obtained through Cap Analysis of Gene Expression (CAGE) generated by the FANTOM5 project are reported as Scaled Tags Per Million.

Max subtype Scaled Tags Per Millioni

Max subtype Scaled Tags Per Million is the value for the subtype with the largest average Scaled Tags Per Million across the subtype samples.

13.8
FANTOM5 sample id Sample description Scaled Tags Per Million
Testis
Scaled Tags Per Million: 13.8
FF:10026-101D8 34,53,86 years, male 20.2
FF:10096-102C6 14-64 years, male 7.5

Contact

  • NEWS ARTICLES
  • PRESS ROOM

The Project

  • INTRODUCTION
  • ORGANIZATION
  • PUBLICATIONS

The Human Protein Atlas

  • DOWNLOADABLE DATA
  • LICENCE & CITATION
  • HELP & FAQ
The Human Protein Atlas project is funded
by the Knut & Alice Wallenberg Foundation.


contact@proteinatlas.org