We use cookies to enhance the usability of our website. If you continue, we'll assume that you are happy to receive all cookies. More information. Don't show this again.
THRA
HPA
RESOURCES
  • TISSUE
  • BRAIN
  • SINGLE CELL
  • SUBCELLULAR
  • CANCER
  • BLOOD
  • CELL LINE
  • STRUCTURE & INTERACTION
ABOUT
  • INTRODUCTION
  • HISTORY
  • ORGANIZATION
  • PUBLICATIONS
  • ANTIBODY SUBMISSION
  • ANTIBODY AVAILABILITY
  • ACKNOWLEDGMENTS
  • CONTACT
NEWS
  • NEWS ARTICLES
  • PRESS ROOM
LEARN
  • DICTIONARY
  • PROTEIN CLASSES
  • PROTEIN EVIDENCE
  • METHODS
  • EDUCATIONAL VIDEOS
DATA
  • DOWNLOADABLE DATA
  • PUBLICATION DATA
  • RELEASE HISTORY
HELP
  • ANTIBODY VALIDATION
  • ASSAYS & ANNOTATION
  • DISCLAIMER
  • HELP & FAQ
  • PRIVACY STATEMENT
  • LICENCE & CITATION
Fields »
Search result

Field
Term
Gene name
Class
Subclass
Class
Keyword
Chromosome
External id
Tissue
Cell type
Expression
Antibody panel
Tissue
Main location
Patient ID
Annotation
Tissue
Category
Tau score
Cluster
Reliability
Brain region
Category
Tau score
Brain region
Category
Tau score
Brain region
Category
Tau score
Cluster
Reliability
Tissue
Cell type
Enrichment
Cell type
Category
Tau score
Cell type
Category
Tau score
Cell type
Category
Tau score
Cell lineage
Category
Tau score
Cluster
Cluster
Location
Searches
Location
Cell line
Class
Type
Phase
Reliability
Cancer
Prognosis
Cancer
Category
Cancer
Category
Tau score
Cluster
Variants
Interacting gene (ensg_id)
Type
Number of interactions
Pathway
Category
Score
Score
Score
Validation
Validation
Validation
Validation
Antibodies
Data type
Column


  • SUMMARY

  • TISSUE

  • BRAIN

  • SINGLE CELL

  • SUBCELL

  • CANCER

  • BLOOD

  • CELL LINE

  • STRUCT & INT

  • THRA
TISSUE PRIMARY DATA COLON Show tissue menu
ADIPOSE TISSUE ADRENAL GLAND AMYGDALA APPENDIX BASAL GANGLIA BONE MARROW BREAST BRONCHUS CEREBELLUM CEREBRAL CORTEX CERVIX CHOROID PLEXUS COLON DUODENUM
ENDOMETRIUM EPIDIDYMIS ESOPHAGUS FALLOPIAN TUBE GALLBLADDER HEART MUSCLE HIPPOCAMPAL FORMATION HYPOTHALAMUS KIDNEY LIVER LUNG LYMPH NODE MIDBRAIN NASOPHARYNX
ORAL MUCOSA OVARY PANCREAS PARATHYROID GLAND PITUITARY GLAND PLACENTA PROSTATE RECTUM RETINA SALIVARY GLAND SEMINAL VESICLE SKELETAL MUSCLE SKIN SMALL INTESTINE
SMOOTH MUSCLE SOFT TISSUE SPINAL CORD SPLEEN STOMACH TESTIS THYMUS THYROID GLAND TONGUE TONSIL URINARY BLADDER VAGINA
ANTIBODIES
AND
VALIDATION
Dictionary
Colon
Tissue proteome
Intestine
COLON - Expression summary
Protein expression
Coloni

On the top, protein expression in current human tissue, based on all annotated cell types, is reported with the units not detected (n), low (l), medium (m) and high (h). Underneath, protein expression in each annotated cell type are reported using the same units.

Protein expression data is based on knowledge-based annotation. For genes where more than one antibody has been used, a collective score is set.

If knowledge-based annotation could not be performed for a gene, no data is displayed here. View antibody staining data further down this page.

h
m
l
n
Endothelial cells: High
Glandular cells: High
RNA expressioni

A summary of mRNA expression data available for current tissue based on several datasets. The mRNA expression levels in human tissues are based on RNA-seq data generated by the Human Protein Atlas (HPA), Genotype-Tissue Expression (GTEx) portal and CAGE data generated by the FANTOM5 consortium. Consensus normalized expression levels for human tissues was created by combining the data from HPA and GTEx datasets.

The mRNA expression levels in pig are based on RNA-seq data generated by the Human Protein Atlas (HPA), and for mouse, HPA data and in situ hybridization generated by the Allen brain atlas are reported.

Scroll down to view mRNA expression data in more detail.
Consensus:64.9 nTPM
HPA:24.8 nTPM
GTEx:64.9 nTPM
FANTOM5:87.9 Scaled Tags Per Million

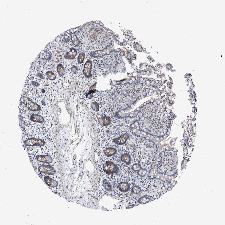
COLON - Antibody stainingi

Antibody staining in the annotated cell types in the current human tissue is reported as not detected, low, medium, or high, based on conventional immunohistochemistry profiling in selected tissues. This score is based on the combination of the staining intensity and fraction of stained cells.

Each image is clickable and will lead to virtual microscopy that enables deeper exploration of all samples and also displays staining intensity scores, fraction scores and subcellular localization as well as patient and tissue information for each sample.

Antibody HPA009654Antibody CAB023349
Endothelial cells LowHigh
Glandular cells MediumHigh
Peripheral nerve/ganglion Medium-




COLON - HPA RNA-seqi

The RNA-seq details section shows detailed information about the individual samples used for the transcript profiling and results of the RNA-seq analysis.

Information about each individual sample is listed below, including gender, age, a tissue section image and estimated fractions of cell types. nTPM (normalized transcripts per million) values give a quantification of the gene abundance which is comparable between different genes and samples.
Average nTPMi

Max subtype nTPM is the value for the subtype with the largest average nTPM across the subtype samples.

24.8
overview
Male, age 54
Colon sample 67
nTPM: 22.6
Cell types%
Glandular cells:
65

Smooth muscle cells:
10

Other cell types:
25

overview
Female, age 57
Colon sample 68
nTPM: 21.1
Cell types%
Glandular cells:
40

Smooth muscle cells:
5

Other cell types:
55

overview
Male, age 80
Colon sample 69
nTPM: 18.6
Cell types%
Glandular cells:
55

Smooth muscle cells:
5

Other cell types:
40

overview
Male, age 68
Colon sample 70
nTPM: 28.2
Cell types%
Glandular cells:
35

Smooth muscle cells:
10

Other cell types:
55

overview
Female, age 68
Colon sample 76
nTPM: 17.3
Cell types%
Glandular cells:
25

Smooth muscle cells:
5

Other cell types:
70

overview
Female, age 61
Colon sample 299
nTPM: 38
Cell types%
Glandular cells:
5

Smooth muscle cells:
65

Other cell types:
30

overview
Male, age 80
Colon sample 300
nTPM: 23.5
Cell types%
Glandular cells:
15

Smooth muscle cells:
20

Other cell types:
65

overview
Female, age 78
Colon sample 368
nTPM: 21.1
Cell types%
Glandular cells:
45

Smooth muscle cells:
5

Other cell types:
50

overview
Male, age 84
Colon sample 381
nTPM: 28.2
Cell types%
Glandular cells:
50

Smooth muscle cells:
15

Other cell types:
35

overview
Male, age 80
Colon sample 384
nTPM: 22.2
Cell types%
Glandular cells:
20

Smooth muscle cells:
35

Other cell types:
45

overview
Female, age 78
Colon sample 389
nTPM: 23.3
Cell types%
Glandular cells:
35

Smooth muscle cells:
10

Other cell types:
55

overview
Female, age 69
Colon sample 391
nTPM: 31.4
Cell types%
Glandular cells:
10

Smooth muscle cells:
45

Other cell types:
45

overview
Female, age 72
Colon sample 403
nTPM: 27.1
Cell types%
Glandular cells:
20

Smooth muscle cells:
15

Other cell types:
65


COLON - GTEx RNA-seqi

RNA-Seq data generated by the Genotype-Tissue Expression (GTEx) project from human tissues is reported as mean nTPM. More information can be found on the GTEx portal.

Distribution across the dataset is visualized with box plots, shown as median and 25th and 75th percentiles. Points are displayed as outliers if they are above or below 1.5 times the interquartile range. nTPM values of the individual samples are presented next to the box plot.
Max subtype nTPMi

Max subtype nTPM is the value for the subtype with the largest average nTPM across the subtype samples.

64.9
GTEx sample id Sample description nTPM
Colon - Sigmoid
Average nTPM: 64.9
Samples: 373

Max nTPM: 107.3
Min nTPM: 21.8
Std nTPM: 15.8
Median nTPM: 66.8
GTEX-1C6VQ-2626-SM-7IGMQ 50-59 years, male 107.3
GTEX-139TS-2226-SM-5J2N1 60-69 years, male 99.8
GTEX-1B8KE-1526-SM-7DUG2 50-59 years, male 98.3
GTEX-1BAJH-2726-SM-7IGNJ 70-79 years, male 97.0
GTEX-1J8JJ-2426-SM-D4P4A 60-69 years, female 96.7
GTEX-ZAB5-1426-SM-5HL9D 50-59 years, male 94.6
GTEX-WFG7-1626-SM-4LVMF 20-29 years, male 94.4
GTEX-XQ8I-2326-SM-4BOQC 50-59 years, male 93.8
GTEX-1GMR3-2526-SM-7P8QS 40-49 years, male 93.4
GTEX-XUZC-1526-SM-4BRV4 30-39 years, female 92.8
GTEX-WFG8-1726-SM-4LVM6 20-29 years, male 92.3
GTEX-1C4CL-1626-SM-7DUF3 30-39 years, male 91.1
GTEX-1HSEH-1926-SM-A96SB 60-69 years, male 90.4
GTEX-13OVI-2126-SM-5KM3U 60-69 years, female 90.1
GTEX-ZLV1-1326-SM-DO11Q 60-69 years, female 89.9
GTEX-1399R-2126-SM-5K7WZ 30-39 years, male 89.8
GTEX-ZPU1-1726-SM-4WWFV 40-49 years, male 89.4
GTEX-117XS-2226-SM-5GIE1 60-69 years, male 88.7
GTEX-ZP4G-1526-SM-57WE5 20-29 years, female 88.4
GTEX-13OW8-2726-SM-5L3FZ 60-69 years, male 88.0
GTEX-14PN3-1926-SM-6EU1Y 60-69 years, female 87.9
GTEX-16MTA-1626-SM-6M47N 50-59 years, male 87.9
GTEX-16XZZ-2726-SM-7EWDO 60-69 years, male 87.2
GTEX-1HKZK-2026-SM-9WYUF 40-49 years, male 86.9
GTEX-15RIF-1426-SM-7KUKQ 20-29 years, male 86.6
GTEX-145LT-0826-SM-5S2QL 40-49 years, male 86.4
GTEX-1AX9K-1626-SM-73KUS 50-59 years, male 86.4
GTEX-17F96-2126-SM-7KFSM 70-79 years, male 86.1
GTEX-1JJE9-2526-SM-ARU8K 70-79 years, male 85.6
GTEX-139T6-1426-SM-5P9J7 50-59 years, male 85.4
GTEX-ZXES-1726-SM-5E43G 30-39 years, female 85.4
GTEX-1I1GT-2026-SM-CKZPK 60-69 years, female 85.2
GTEX-XUW1-1826-SM-4BOQD 50-59 years, female 85.1
GTEX-ZYFG-1826-SM-5GZWX 60-69 years, female 85.1
GTEX-145MO-2626-SM-5QGPD 60-69 years, male 84.8
GTEX-13PVR-1726-SM-5Q5EC 60-69 years, female 84.4
GTEX-1PIGE-1526-SM-DTXFC 20-29 years, male 84.3
GTEX-1R9PO-2026-SM-E9J4N 60-69 years, female 83.9
GTEX-1RQEC-2626-SM-EVR3Z 60-69 years, male 83.9
GTEX-18D9A-1326-SM-7LT8P 30-39 years, female 83.7
GTEX-15UF6-2726-SM-7KULY 70-79 years, female 83.3
GTEX-183FY-1426-SM-7DHLM 20-29 years, male 83.2
GTEX-1N2DV-1826-SM-E6CJ5 40-49 years, male 83.1
GTEX-111YS-1826-SM-5GIEP 60-69 years, male 82.7
GTEX-1B996-2726-SM-7DUGG 60-69 years, male 82.4
GTEX-ZLFU-1426-SM-4WWEU 40-49 years, male 82.3
GTEX-1F5PK-1726-SM-7RHHW 50-59 years, male 82.2
GTEX-1EH9U-1926-SM-7P8QM 60-69 years, male 81.7
GTEX-1LGOU-1726-SM-D3L8P 20-29 years, female 81.7
GTEX-WYVS-1126-SM-4SOJX 40-49 years, female 81.6
GTEX-11P81-1426-SM-5P9JN 30-39 years, female 81.2
GTEX-147GR-2826-SM-5RQK8 60-69 years, male 81.1
GTEX-1K2DA-1626-SM-CGQGB 50-59 years, male 81.1
GTEX-12WSG-2426-SM-5EQLZ 50-59 years, female 81.0
GTEX-1LSNL-1626-SM-E9TJY 50-59 years, male 81.0
GTEX-1C2JI-1726-SM-73KUW 50-59 years, male 80.8
GTEX-131XE-1026-SM-5EGKE 50-59 years, male 80.7
GTEX-13FHO-2726-SM-5K7VG 60-69 years, male 80.6
GTEX-1KXAM-1926-SM-D3LAG 60-69 years, male 80.0
GTEX-XV7Q-2226-SM-4BRVY 40-49 years, female 79.9
GTEX-17GQL-1626-SM-7LG69 60-69 years, male 79.8
GTEX-YFCO-1526-SM-5YYB8 40-49 years, male 79.8
GTEX-1JN76-1326-SM-ARU94 20-29 years, female 79.5
GTEX-1GZ4H-1326-SM-7P8TE 50-59 years, female 79.2
GTEX-1399U-2226-SM-5KLZI 50-59 years, female 79.1
GTEX-13D11-0626-SM-5LZYY 50-59 years, female 78.8
GTEX-1H3VE-2326-SM-9KNVU 40-49 years, male 78.7
GTEX-13RTJ-1926-SM-5YYA2 60-69 years, male 78.4
GTEX-14PJ4-1826-SM-5YY97 60-69 years, male 78.4
GTEX-18A6Q-2226-SM-7LG61 60-69 years, male 78.4
GTEX-14PJ3-1226-SM-5ZZVY 50-59 years, male 78.3
GTEX-YJ8O-1426-SM-5PNV9 40-49 years, female 78.1
GTEX-14AS3-1026-SM-5TDD7 40-49 years, female 77.9
GTEX-17F9Y-2626-SM-7IGN9 70-79 years, female 77.7
GTEX-145LS-2926-SM-5O99G 60-69 years, female 77.6
GTEX-183WM-2526-SM-731BP 70-79 years, female 77.5
GTEX-Z93S-2626-SM-57WBX 50-59 years, male 77.5
GTEX-15RJ7-1726-SM-6PAL3 40-49 years, male 77.4
GTEX-12ZZW-2426-SM-5DUWE 50-59 years, male 77.2
GTEX-1LG7Z-1326-SM-DIPF3 30-39 years, male 77.2
GTEX-1S831-1726-SM-EWROJ 20-29 years, male 77.1
GTEX-14E6E-1726-SM-5S2R6 30-39 years, male 77.0
GTEX-WHWD-1526-SM-4OORV 50-59 years, male 77.0
GTEX-1QP67-1426-SM-E8VOO 40-49 years, female 77.0
GTEX-1GMR2-1826-SM-9KNUP 50-59 years, male 76.9
GTEX-1OFPY-1226-SM-E76OM 60-69 years, male 76.9
GTEX-1E2YA-2526-SM-7IGOU 50-59 years, male 76.8
GTEX-15ETS-2326-SM-7KUGC 40-49 years, female 76.6
GTEX-11EI6-2626-SM-5PNVT 60-69 years, male 76.5
GTEX-13O61-1526-SM-5KM3P 60-69 years, male 76.5
GTEX-ZF28-2526-SM-57WFH 60-69 years, male 76.4
GTEX-131XG-1526-SM-5GCNQ 50-59 years, female 76.3
GTEX-132NY-2726-SM-5PNY2 60-69 years, male 76.0
GTEX-Y3I4-1126-SM-4TT7Y 50-59 years, male 75.8
GTEX-ZLWG-1826-SM-DO11I 50-59 years, female 75.7
GTEX-13N2G-2226-SM-5IJCU 60-69 years, male 75.5
GTEX-ZPCL-1626-SM-57WGC 60-69 years, female 75.5
GTEX-11DXX-1926-SM-5EGJK 60-69 years, female 75.4
GTEX-13PL7-2426-SM-5J2N3 60-69 years, female 75.4
GTEX-1QP28-2226-SM-DTX8C 50-59 years, female 75.4
GTEX-1ICG6-2226-SM-B2LY7 70-79 years, female 75.3
GTEX-X15G-1526-SM-4PQZM 50-59 years, female 75.2
GTEX-1LSNM-1426-SM-E6CIH 50-59 years, male 75.2
GTEX-11ZTT-1626-SM-5EQKR 60-69 years, female 75.1
GTEX-17HG3-1126-SM-7DUFC 30-39 years, female 74.9
GTEX-ZPIC-2626-SM-57WE2 40-49 years, female 74.6
GTEX-17HGU-2626-SM-79OKN 50-59 years, male 74.5
GTEX-1GL5R-1726-SM-9KNUX 50-59 years, male 74.5
GTEX-14E1K-1626-SM-664MO 50-59 years, male 74.4
GTEX-1KANA-1726-SM-CY8IG 20-29 years, male 74.4
GTEX-1J8QM-1226-SM-CY8HI 60-69 years, female 74.3
GTEX-1H1DE-1626-SM-9KNU5 20-29 years, male 74.2
GTEX-1QP9N-0826-SM-DTX9O 30-39 years, male 73.8
GTEX-1HSMQ-2526-SM-A9SMK 50-59 years, male 73.7
GTEX-14PHX-1126-SM-5YYA5 50-59 years, male 73.6
GTEX-1R7EU-1826-SM-DTX9L 60-69 years, male 73.5
GTEX-WXYG-1726-SM-4ONCU 50-59 years, female 73.4
GTEX-1R9JW-2126-SM-E76QT 30-39 years, female 73.3
GTEX-13G51-2126-SM-5IJD9 60-69 years, male 73.1
GTEX-1HCVE-2326-SM-9WYUD 50-59 years, male 73.1
GTEX-1PIIG-2126-SM-EXUSD 30-39 years, male 73.1
GTEX-12ZZX-2726-SM-5N9FT 40-49 years, female 72.9
GTEX-13111-1926-SM-5GCOL 50-59 years, male 72.9
GTEX-WY7C-1926-SM-4ONCI 50-59 years, male 72.9
GTEX-13OW5-2826-SM-5KM1G 60-69 years, male 72.8
GTEX-1LG7Y-2226-SM-E9U5K 50-59 years, male 72.8
GTEX-1HSMO-2526-SM-A9SKP 60-69 years, male 72.7
GTEX-YF7O-1626-SM-5IFII 50-59 years, male 72.4
GTEX-1IKOE-2126-SM-A96T5 30-39 years, female 72.4
GTEX-16NGA-0926-SM-718AG 40-49 years, female 72.3
GTEX-1IDJI-2226-SM-CKZPM 50-59 years, female 72.3
GTEX-1J8Q3-2426-SM-CL53S 60-69 years, male 72.2
GTEX-1RAZR-2026-SM-E9TKE 40-49 years, male 72.2
GTEX-ZC5H-2426-SM-4WAZ6 40-49 years, female 72.0
GTEX-1LVAM-1726-SM-DHXKQ 50-59 years, female 72.0
GTEX-1I1CD-2826-SM-A9SL4 60-69 years, female 71.9
GTEX-ZA64-1426-SM-5CVMC 20-29 years, male 71.8
GTEX-ZT9W-1726-SM-51MS3 50-59 years, male 71.8
GTEX-1HBPN-2026-SM-B2LWA 50-59 years, male 71.8
GTEX-1C64N-2226-SM-7SB7C 50-59 years, male 71.7
GTEX-ZVT3-2826-SM-5GU6A 60-69 years, female 71.6
GTEX-1MGNQ-2126-SM-EV7AC 40-49 years, male 71.6
GTEX-1PBJJ-2026-SM-DTX8U 30-39 years, male 71.6
GTEX-14DAQ-2926-SM-664MV 60-69 years, female 71.5
GTEX-1JN6P-2126-SM-ARL98 60-69 years, male 71.3
GTEX-1IDJU-1926-SM-CL53W 60-69 years, female 71.2
GTEX-1R9K5-2226-SM-DTX9G 50-59 years, male 71.2
GTEX-1S82P-2026-SM-E9TIQ 60-69 years, female 71.2
GTEX-13X6K-2726-SM-5O9DG 60-69 years, female 71.1
GTEX-12ZZY-2726-SM-5EQ45 60-69 years, male 70.9
GTEX-132AR-2826-SM-5IJFV 50-59 years, female 70.9
GTEX-15CHQ-2626-SM-686YZ 60-69 years, male 70.7
GTEX-WHPG-1626-SM-4M1ZL 50-59 years, male 70.7
GTEX-147JS-2626-SM-5S2UX 60-69 years, male 70.5
GTEX-1LVAO-2826-SM-E9TJH 60-69 years, male 70.5
GTEX-13CF2-1826-SM-5N9GK 60-69 years, male 70.1
GTEX-17JCI-2826-SM-7IGNA 60-69 years, female 69.8
GTEX-11EMC-1426-SM-5N9E4 60-69 years, female 69.7
GTEX-X4EO-2726-SM-4E3HS 60-69 years, female 69.6
GTEX-1JMLX-2526-SM-CY8HX 50-59 years, male 69.4
GTEX-15EO6-2326-SM-6LPKK 50-59 years, male 69.2
GTEX-1HFI7-1626-SM-9WYTR 50-59 years, female 68.7
GTEX-1211K-1826-SM-5EGJ2 60-69 years, female 68.6
GTEX-13FTW-2126-SM-5K7YG 40-49 years, male 68.6
GTEX-14A5I-2426-SM-5Q5CP 50-59 years, female 68.6
GTEX-15RJE-2226-SM-6M46A 40-49 years, male 68.4
GTEX-1HCU7-2726-SM-A9G3D 50-59 years, male 68.3
GTEX-1N2EF-1726-SM-EXUSI 60-69 years, male 68.2
GTEX-1EMGI-2626-SM-7IGNR 60-69 years, male 68.1
GTEX-14JG6-1626-SM-5YYBC 30-39 years, female 67.8
GTEX-1F5PL-1926-SM-7MXTP 40-49 years, female 67.7
GTEX-1QP29-2526-SM-E6CQ3 50-59 years, male 67.7
GTEX-1I6K6-1926-SM-A96SN 30-39 years, male 67.6
GTEX-13X6J-2826-SM-7EPGA 50-59 years, male 67.5
GTEX-16Z82-2426-SM-7KUMS 60-69 years, male 67.2
GTEX-1JKYN-2226-SM-ARZNE 30-39 years, male 67.2
GTEX-1LBAC-1726-SM-D3L9W 20-29 years, male 67.2
GTEX-131YS-2926-SM-5EGKI 60-69 years, female 67.1
GTEX-1H3VY-2526-SM-9KNW1 50-59 years, male 67.1
GTEX-1JMPY-1026-SM-ARZN1 30-39 years, male 67.1
GTEX-1RAZQ-2026-SM-E76P7 30-39 years, male 67.1
GTEX-111CU-1226-SM-5EGIN 50-59 years, male 67.0
GTEX-1JMPZ-2626-SM-ARU8Z 30-39 years, male 67.0
GTEX-14PK6-1826-SM-69LOM 70-79 years, female 66.9
GTEX-1AMFI-1826-SM-73KWB 50-59 years, female 66.9
GTEX-17KNJ-1826-SM-7LT9N 50-59 years, male 66.8
GTEX-1HSGN-2226-SM-A9SL6 40-49 years, female 66.8
GTEX-1LGRB-2026-SM-COH47 50-59 years, female 66.8
GTEX-13VXT-2026-SM-5L3EW 20-29 years, female 66.7
GTEX-1CB4G-2726-SM-79OO4 60-69 years, male 66.4
GTEX-1339X-1726-SM-5P9J9 40-49 years, male 66.3
GTEX-12696-1926-SM-5EGJT 60-69 years, male 66.1
GTEX-1GMR8-2926-SM-9KNW5 50-59 years, female 66.0
GTEX-1GPI7-1926-SM-9KNUH 20-29 years, male 65.8
GTEX-16BQI-2026-SM-7KULQ 30-39 years, female 65.7
GTEX-1H1E6-1826-SM-A9G21 30-39 years, male 65.7
GTEX-1QP2A-2226-SM-DTXF6 50-59 years, male 65.6
GTEX-12BJ1-2026-SM-5FQUH 60-69 years, male 65.5
GTEX-ZAJG-2626-SM-5S2NU 50-59 years, female 65.4
GTEX-1CB4F-1926-SM-7MKFN 60-69 years, male 65.0
GTEX-1HCUA-1926-SM-B2LWE 50-59 years, female 64.9
GTEX-1QW4Y-1426-SM-E76P3 30-39 years, male 64.9
GTEX-1B932-2126-SM-7IGMU 40-49 years, female 64.7
GTEX-13OVJ-1826-SM-5KM2D 50-59 years, female 64.3
GTEX-ZAB4-2426-SM-5HL8A 40-49 years, male 64.3
GTEX-13QBU-2026-SM-5KLZB 40-49 years, female 64.1
GTEX-18QFQ-1726-SM-731C9 30-39 years, male 63.3
GTEX-ZE9C-2126-SM-4WKGY 60-69 years, male 63.3
GTEX-11PRG-2026-SM-5GU5F 50-59 years, male 63.2
GTEX-Y114-1626-SM-4TT7I 50-59 years, female 63.2
GTEX-YECK-2826-SM-5IFHF 60-69 years, male 63.2
GTEX-1QCLY-2026-SM-EVR4C 30-39 years, male 63.2
GTEX-14PKV-1926-SM-686YU 20-29 years, female 63.1
GTEX-1S5ZA-1426-SM-E6CJQ 20-29 years, male 63.1
GTEX-1212Z-1826-SM-5FQSH 60-69 years, male 62.9
GTEX-14BIN-2426-SM-5TDCF 50-59 years, female 62.9
GTEX-1JMQJ-2626-SM-CY8HQ 50-59 years, male 62.9
GTEX-ZQG8-2426-SM-57WEE 60-69 years, female 62.8
GTEX-14BMU-1326-SM-5RQIH 20-29 years, female 62.7
GTEX-1A3MX-2326-SM-718B4 60-69 years, male 62.6
GTEX-ZG7Y-1826-SM-4WWD3 50-59 years, male 62.6
GTEX-17HHE-1626-SM-7DHLN 50-59 years, male 62.5
GTEX-1H3NZ-2526-SM-9KNVO 60-69 years, male 62.5
GTEX-1IDJH-2826-SM-CJI49 70-79 years, male 62.5
GTEX-1H1ZS-2626-SM-9QEIX 70-79 years, male 62.3
GTEX-1RMOY-1726-SM-EVYC9 50-59 years, male 62.2
GTEX-18A66-2626-SM-72D67 60-69 years, male 62.0
GTEX-1P4AB-2626-SM-DTXEU 50-59 years, male 62.0
GTEX-1PIEJ-1826-SM-EWRMN 20-29 years, female 62.0
GTEX-117YX-0526-SM-5EGJH 50-59 years, male 61.8
GTEX-1QCLZ-2026-SM-EAZ4A 60-69 years, female 61.8
GTEX-15DYW-2426-SM-7KUG8 60-69 years, female 61.6
GTEX-ZY6K-1326-SM-5GZWP 50-59 years, male 61.5
GTEX-ZF29-1826-SM-4WKG8 60-69 years, female 61.4
GTEX-1JJEA-2526-SM-CY8HJ 60-69 years, male 61.4
GTEX-ZVT4-2626-SM-5N9GJ 50-59 years, female 61.1
GTEX-1GF9X-1426-SM-7RHGX 40-49 years, female 61.0
GTEX-1EU9M-2726-SM-7P8QD 60-69 years, male 60.8
GTEX-ZZ64-0826-SM-5E449 20-29 years, male 60.5
GTEX-12KS4-2326-SM-5EGJB 30-39 years, male 60.4
GTEX-12WSD-2626-SM-5EGJE 60-69 years, female 60.4
GTEX-1QPFJ-2426-SM-EVR3L 30-39 years, female 60.4
GTEX-1PDJ9-2026-SM-E76PT 20-29 years, male 60.3
GTEX-ZE7O-2626-SM-51MSS 50-59 years, female 60.2
GTEX-1HSKV-2326-SM-A9SL9 60-69 years, male 59.9
GTEX-18A67-2226-SM-7LT9Z 50-59 years, male 59.8
GTEX-ZV6S-1126-SM-57WE9 40-49 years, female 59.7
GTEX-1GTWX-2626-SM-9WPOT 60-69 years, male 59.6
GTEX-1LKK1-2426-SM-DIPES 50-59 years, female 59.6
GTEX-146FH-2426-SM-5Q5EW 50-59 years, female 59.3
GTEX-11ONC-1926-SM-5GU75 60-69 years, male 59.0
GTEX-145MH-2726-SM-5QGQ6 50-59 years, male 59.0
GTEX-1PPH8-2226-SM-EWRN7 20-29 years, male 59.0
GTEX-11DXZ-1626-SM-5GIDI 50-59 years, male 58.9
GTEX-1RDX4-1926-SM-E6CJJ 50-59 years, female 58.8
GTEX-11EQ9-1526-SM-5PNY7 30-39 years, male 58.7
GTEX-11GS4-1826-SM-5HL4T 60-69 years, male 58.7
GTEX-11P7K-1826-SM-5HL5A 30-39 years, male 58.7
GTEX-13OVK-1026-SM-7KFTC 40-49 years, male 58.6
GTEX-V955-1726-SM-4JBHF 60-69 years, male 58.6
GTEX-139UW-2326-SM-5KM1Y 60-69 years, male 58.5
GTEX-1B97I-1526-SM-73KUK 40-49 years, male 58.3
GTEX-Y5LM-1426-SM-5RQJL 40-49 years, female 58.0
GTEX-1J8EW-2426-SM-CE6T5 60-69 years, female 57.9
GTEX-1LB8K-2526-SM-DIPEQ 50-59 years, male 57.9
GTEX-1HCU6-2926-SM-B2LWV 60-69 years, female 57.7
GTEX-1GMRU-2626-SM-9WPPM 50-59 years, male 57.5
GTEX-15DZA-1026-SM-6PAND 30-39 years, female 57.3
GTEX-139D8-2926-SM-5IJBM 30-39 years, female 56.5
GTEX-13SLW-2826-SM-5Q5ES 70-79 years, male 56.4
GTEX-1477Z-2126-SM-5Q5CM 60-69 years, male 56.4
GTEX-18465-2726-SM-7LT9I 50-59 years, male 56.3
GTEX-1JK1U-1426-SM-CNPOW 60-69 years, male 56.3
GTEX-12WSM-1426-SM-5GCPA 60-69 years, male 56.2
GTEX-Y9LG-1326-SM-4VBQB 30-39 years, male 56.2
GTEX-WI4N-2226-SM-4OOS9 40-49 years, female 56.1
GTEX-ZVT2-1726-SM-51MRO 50-59 years, female 55.8
GTEX-1JKYR-2026-SM-CNPON 20-29 years, male 55.8
GTEX-13FH7-1626-SM-5J2O9 50-59 years, female 55.6
GTEX-15UF7-1326-SM-7KUKV 40-49 years, male 55.6
GTEX-11DXY-2026-SM-5N9CZ 60-69 years, male 55.5
GTEX-1J1OQ-2826-SM-D3L88 40-49 years, female 55.3
GTEX-1GN73-2726-SM-9WYUB 60-69 years, male 55.2
GTEX-1122O-1426-SM-5H11R 60-69 years, female 55.1
GTEX-1C475-1526-SM-7DHM3 40-49 years, female 55.1
GTEX-1F75W-2126-SM-7RHIA 60-69 years, male 54.8
GTEX-1I1GP-2826-SM-A9SKZ 50-59 years, male 54.4
GTEX-11ZTS-1526-SM-5N9G7 60-69 years, female 54.3
GTEX-11EM3-1626-SM-5N9CO 20-29 years, female 54.1
GTEX-1JMQK-2326-SM-ARZN4 60-69 years, male 54.0
GTEX-1LVAN-2626-SM-CNPQF 50-59 years, female 54.0
GTEX-12WSJ-1426-SM-5GCON 40-49 years, female 53.8
GTEX-17MFQ-1226-SM-7KFSA 20-29 years, male 53.7
GTEX-YEC3-2026-SM-DKPOL 50-59 years, male 53.7
GTEX-15RIE-2026-SM-7KFRW 60-69 years, male 53.5
GTEX-13X6I-2726-SM-5Q5ET 60-69 years, male 52.9
GTEX-1HBPM-2626-SM-9WYU5 60-69 years, female 52.8
GTEX-13OW6-2226-SM-5N9FL 50-59 years, male 52.7
GTEX-1B8L1-1926-SM-7IGND 60-69 years, male 52.7
GTEX-XAJ8-0726-SM-47JY5 40-49 years, male 52.7
GTEX-1I1GR-2226-SM-ARL7F 60-69 years, male 52.6
GTEX-XXEK-1826-SM-4BRVC 50-59 years, male 52.5
GTEX-13PVQ-2726-SM-5L3H7 50-59 years, male 52.0
GTEX-1A3MV-1026-SM-72D5U 30-39 years, male 52.0
GTEX-ZTSS-1226-SM-51MSZ 40-49 years, male 51.9
GTEX-ZYY3-2226-SM-5E45A 60-69 years, female 51.8
GTEX-148VJ-2426-SM-5NQ9Y 70-79 years, male 51.5
GTEX-WRHK-1126-SM-4MVOJ 20-29 years, female 51.1
GTEX-1AX9J-2526-SM-73KUY 60-69 years, male 50.9
GTEX-1CAMR-1026-SM-7P8QI 20-29 years, male 50.1
GTEX-ZYT6-2826-SM-5GICX 30-39 years, male 49.7
GTEX-1LSVX-2026-SM-E9TJD 60-69 years, male 49.6
GTEX-145ME-1126-SM-5SIAT 40-49 years, female 49.2
GTEX-1L5NE-1926-SM-D3L9R 50-59 years, male 49.1
GTEX-1CAMS-2626-SM-7PBY3 40-49 years, female 49.0
GTEX-WFON-1326-SM-4LVMN 40-49 years, male 48.6
GTEX-13U4I-2626-SM-5SI9C 40-49 years, female 48.2
GTEX-11TUW-2326-SM-5EQMO 60-69 years, male 48.0
GTEX-1AYCT-1926-SM-793AE 50-59 years, male 48.0
GTEX-WHSE-2726-SM-EZ6ML 20-29 years, male 47.9
GTEX-14C5O-2626-SM-5RQI5 60-69 years, male 47.6
GTEX-11ZU8-1126-SM-5EQ5K 60-69 years, male 47.4
GTEX-1H23P-2626-SM-9KNVN 60-69 years, male 47.3
GTEX-1J1R8-1426-SM-CL55O 40-49 years, male 47.1
GTEX-1IL2U-2526-SM-C1YQV 60-69 years, male 46.7
GTEX-1HB9E-2526-SM-D4P35 50-59 years, male 46.1
GTEX-1HBPI-2226-SM-9WYTY 50-59 years, male 45.9
GTEX-15G1A-1926-SM-7KUFF 30-39 years, male 45.6
GTEX-1C64O-2426-SM-7P8R3 60-69 years, male 45.2
GTEX-15G19-2726-SM-6LPKG 60-69 years, male 44.2
GTEX-13CF3-1326-SM-5LZXZ 60-69 years, female 44.0
GTEX-ZTTD-2626-SM-57WEX 50-59 years, male 43.8
GTEX-14E6C-2226-SM-5QGQG 40-49 years, male 43.7
GTEX-1A32A-2626-SM-73KX9 50-59 years, female 42.3
GTEX-11VI4-1426-SM-5GU6O 40-49 years, female 42.1
GTEX-13O1R-2426-SM-5KLZZ 60-69 years, male 41.9
GTEX-WOFM-1926-SM-4OOSP 20-29 years, male 41.9
GTEX-ZVZQ-2626-SM-59HLB 60-69 years, female 41.9
GTEX-1PBJI-2526-SM-E6CP4 20-29 years, female 41.6
GTEX-1PFEY-1726-SM-DPRZ4 30-39 years, male 41.6
GTEX-ZF2S-1826-SM-4WKFF 50-59 years, female 41.0
GTEX-12WSL-1826-SM-5LZW9 50-59 years, male 40.5
GTEX-ZDTS-2726-SM-5L3E2 60-69 years, male 40.5
GTEX-1RLM8-1726-SM-E9TKF 50-59 years, male 40.3
GTEX-14C39-1626-SM-5S2P4 40-49 years, male 40.2
GTEX-1HBPH-2526-SM-ACKXK 40-49 years, female 40.2
GTEX-11I78-1326-SM-5PNY9 50-59 years, female 39.9
GTEX-13113-1426-SM-5EGHU 60-69 years, female 39.7
GTEX-WYJK-2326-SM-4ONDN 50-59 years, male 39.6
GTEX-XBED-1726-SM-47JYO 60-69 years, male 38.7
GTEX-Y8LW-1126-SM-4VDS4 50-59 years, female 38.6
GTEX-WH7G-1426-SM-4LVMU 40-49 years, male 37.1
GTEX-WQUQ-2626-SM-4MVNP 60-69 years, male 36.8
GTEX-11EQ8-2626-SM-5N9BO 60-69 years, male 36.4
GTEX-1OJC3-1826-SM-DTX93 20-29 years, male 35.8
GTEX-17EUY-1726-SM-79OK4 20-29 years, male 35.0
GTEX-YJ8A-1726-SM-5P9IQ 20-29 years, male 35.0
GTEX-ZQUD-1026-SM-4YCEZ 30-39 years, male 31.6
GTEX-144GM-1126-SM-79OJK 20-29 years, male 30.6
GTEX-15ER7-2826-SM-6PAN2 20-29 years, female 30.4
GTEX-15F5U-1426-SM-7KUN2 40-49 years, male 29.9
GTEX-11TT1-0926-SM-5GU5M 20-29 years, male 28.5
GTEX-W5WG-2026-SM-4LMIB 50-59 years, female 28.2
GTEX-Y8E4-2326-SM-EAZAZ 40-49 years, male 27.8
GTEX-15FZZ-1826-SM-6LLJP 30-39 years, female 27.1
GTEX-14A5H-1626-SM-5SIAN 60-69 years, male 26.6
GTEX-13W3W-2226-SM-5LU4M 60-69 years, female 26.1
GTEX-ZYFD-2226-SM-5E43P 50-59 years, male 25.7
GTEX-Y5V6-1626-SM-4VDT2 60-69 years, male 24.6
GTEX-X5EB-1126-SM-46MVV 40-49 years, male 23.3
GTEX-VJYA-2126-SM-4KL1O 60-69 years, male 22.6
GTEX-1K9T9-2926-SM-E9TKD 50-59 years, female 21.9
GTEX-1AMEY-1826-SM-72D5L 30-39 years, female 21.8
Show allShow less
Colon - Transverse
Average nTPM: 44.7
Samples: 406

Max nTPM: 102.8
Min nTPM: 16.6
Std nTPM: 15.5
Median nTPM: 40.8
GTEX-11GSP-1626-SM-5986N 60-69 years, female 102.8
GTEX-17F96-2026-SM-79ON4 70-79 years, male 89.3
GTEX-ZYFG-1926-SM-5GID5 60-69 years, female 84.2
GTEX-11TTK-2426-SM-5PNYO 60-69 years, female 83.4
GTEX-15CHC-1626-SM-5ZZWS 60-69 years, female 83.3
GTEX-14AS3-1126-SM-5Q5CR 40-49 years, female 82.4
GTEX-145MO-2426-SM-5NQ9W 60-69 years, male 82.3
GTEX-1GMR2-1726-SM-9JGI2 50-59 years, male 81.9
GTEX-1C2JI-1626-SM-7EPHC 50-59 years, male 81.1
GTEX-1GZ4H-1226-SM-9KNUA 50-59 years, female 80.4
GTEX-U3ZH-1326-SM-4DXSF 30-39 years, male 80.0
GTEX-T6MO-0826-SM-4DM51 40-49 years, female 78.7
GTEX-1GL5R-2426-SM-7MXV1 50-59 years, male 78.6
GTEX-1S82U-0726-SM-E9TKI 30-39 years, female 78.6
GTEX-WY7C-1626-SM-4ONC8 50-59 years, male 76.6
GTEX-1LBAC-1626-SM-CXZKV 20-29 years, male 76.3
GTEX-TKQ1-0626-SM-4DXTS 30-39 years, male 75.5
GTEX-14H4A-1926-SM-5ZZWN 40-49 years, female 74.8
GTEX-111YS-1626-SM-5GZZ9 60-69 years, male 74.5
GTEX-V955-1626-SM-4JBHJ 60-69 years, male 74.2
GTEX-ZF29-1726-SM-4WKFV 60-69 years, female 73.8
GTEX-1BAJH-2326-SM-7IGMO 70-79 years, male 73.2
GTEX-ZV6S-1226-SM-59HLH 40-49 years, female 73.2
GTEX-1EMGI-2726-SM-7P8S4 60-69 years, male 72.9
GTEX-1PPGY-2826-SM-DTX9H 60-69 years, male 72.9
GTEX-1HCVE-2526-SM-A9G2G 50-59 years, male 72.4
GTEX-1C64O-2326-SM-73KU8 60-69 years, male 72.1
GTEX-14DAQ-2726-SM-5S2QY 60-69 years, female 71.5
GTEX-145LS-2726-SM-5Q5D8 60-69 years, female 71.0
GTEX-14PJ3-0926-SM-69LQG 50-59 years, male 71.0
GTEX-WVJS-2426-SM-EZ6LI 50-59 years, male 70.9
GTEX-1EH9U-2026-SM-7PBYS 60-69 years, male 70.8
GTEX-18QFQ-1526-SM-72D57 30-39 years, male 70.5
GTEX-OXRN-2026-SM-E6CHK 50-59 years, male 70.5
GTEX-S341-1426-SM-4AD6U 40-49 years, female 70.0
GTEX-Y3I4-1426-SM-4TT9C 50-59 years, male 70.0
GTEX-OXRL-1426-SM-3NM9E 50-59 years, male 69.4
GTEX-13OW5-2626-SM-5MR3M 60-69 years, male 68.7
GTEX-Y8LW-1226-SM-4WWDP 50-59 years, female 68.6
GTEX-17F9E-1826-SM-7IGMC 50-59 years, male 68.0
GTEX-1JJE9-2426-SM-D3L8T 70-79 years, male 67.0
GTEX-1POEN-2026-SM-E6CRL 30-39 years, female 67.0
GTEX-1RMOY-1626-SM-EVYC8 50-59 years, male 66.3
GTEX-12WSL-1626-SM-5GCMU 50-59 years, male 66.2
GTEX-13FH7-1526-SM-5J2N6 50-59 years, female 66.1
GTEX-RU1J-1326-SM-46MUL 20-29 years, female 66.1
GTEX-11EQ9-1426-SM-5987G 30-39 years, male 65.8
GTEX-Z93S-2426-SM-5HL8N 50-59 years, male 65.7
GTEX-13U4I-2426-SM-5LU34 40-49 years, female 65.1
GTEX-1MCC2-1626-SM-DIPEW 30-39 years, female 64.9
GTEX-RWS6-1826-SM-47JXX 60-69 years, female 64.7
GTEX-1AYD5-1726-SM-7RHFW 50-59 years, male 64.6
GTEX-WEY5-1426-SM-4LMJ3 40-49 years, female 64.5
GTEX-15SHU-2526-SM-6M47D 40-49 years, female 63.9
GTEX-1A3MV-1126-SM-718BS 30-39 years, male 63.9
GTEX-14E1K-1826-SM-793DT 50-59 years, male 63.7
GTEX-1QW4Y-1326-SM-EWRMZ 30-39 years, male 63.6
GTEX-ZYFC-2626-SM-5NQ6S 50-59 years, male 63.3
GTEX-NFK9-2026-SM-3LK5K 40-49 years, male 63.1
GTEX-X5EB-0926-SM-46MVT 40-49 years, male 62.9
GTEX-1HKZK-2126-SM-A9SL3 40-49 years, male 62.8
GTEX-111VG-2226-SM-5N9DU 60-69 years, male 62.6
GTEX-Y114-1526-SM-4TT79 50-59 years, female 62.6
GTEX-11ZVC-2126-SM-5EGJ1 50-59 years, female 62.5
GTEX-11P81-1126-SM-5GU5G 30-39 years, female 62.2
GTEX-1IDJF-1826-SM-CKZOE 20-29 years, male 62.2
GTEX-YEC4-1926-SM-5IFHJ 40-49 years, male 62.0
GTEX-O5YW-1426-SM-3MJHF 50-59 years, male 61.8
GTEX-1JMLX-2726-SM-CM2SB 50-59 years, male 61.7
GTEX-18D9B-2526-SM-718BN 60-69 years, male 61.3
GTEX-12ZZZ-2426-SM-5GCNN 60-69 years, male 61.2
GTEX-1QMI2-2626-SM-E6CR4 60-69 years, male 61.2
GTEX-117YX-0826-SM-5H11J 50-59 years, male 60.8
GTEX-1NV5F-2226-SM-DTX8O 60-69 years, female 59.9
GTEX-1LG7Y-2126-SM-DIPER 50-59 years, male 59.4
GTEX-1RAZQ-2126-SM-DTX9V 30-39 years, male 59.2
GTEX-1GMR3-2826-SM-9WPOG 40-49 years, male 59.1
GTEX-15DZA-0926-SM-69LQ3 30-39 years, female 59.0
GTEX-X4EO-2526-SM-EWRM8 60-69 years, female 58.7
GTEX-18A7A-2226-SM-7LT8K 50-59 years, female 58.4
GTEX-U412-1726-SM-EZ6KX 60-69 years, male 58.3
GTEX-1IKK5-2726-SM-CNPQ6 60-69 years, male 57.8
GTEX-13OVI-2026-SM-5J1MU 60-69 years, female 57.7
GTEX-1B996-2626-SM-73KZ1 60-69 years, male 57.6
GTEX-ZGAY-2126-SM-4YCFB 40-49 years, female 57.4
GTEX-13VXT-2426-SM-5LU46 20-29 years, female 57.3
GTEX-PLZ6-0926-SM-3P5ZQ 30-39 years, male 57.2
GTEX-XUW1-1926-SM-4BOP1 50-59 years, female 57.2
GTEX-17JCI-2626-SM-7EWE6 60-69 years, female 57.1
GTEX-SNMC-1126-SM-4DM5M 20-29 years, male 57.1
GTEX-16Z82-2226-SM-6LPJ7 60-69 years, male 57.0
GTEX-1HCU7-2626-SM-C1YQO 50-59 years, male 56.9
GTEX-1LGOU-1626-SM-D3LAK 20-29 years, female 56.7
GTEX-OXRO-0726-SM-E9U4C 60-69 years, female 56.7
GTEX-15UF6-2626-SM-6M466 70-79 years, female 56.4
GTEX-11ONC-2026-SM-5HL61 60-69 years, male 55.8
GTEX-1HCU6-2726-SM-A9SKV 60-69 years, female 55.8
GTEX-XGQ4-1226-SM-4AT67 50-59 years, male 55.7
GTEX-148VJ-2626-SM-5QGPI 70-79 years, male 55.6
GTEX-13O61-1626-SM-5KM3T 60-69 years, male 55.5
GTEX-13W3W-2126-SM-5K7UX 60-69 years, female 55.4
GTEX-18A7B-2026-SM-72D71 70-79 years, male 55.3
GTEX-1N5O9-2726-SM-E76QH 60-69 years, male 55.2
GTEX-117YW-1826-SM-5PNY5 50-59 years, male 55.0
GTEX-XQ8I-2126-SM-4BOOM 50-59 years, male 54.9
GTEX-XAJ8-0426-SM-47JYJ 40-49 years, male 54.7
GTEX-1MUQO-2626-SM-EWRO3 60-69 years, male 54.7
GTEX-1R9K5-2126-SM-E8VN1 50-59 years, male 54.7
GTEX-WH7G-1326-SM-4LVMS 40-49 years, male 54.4
GTEX-15CHQ-2526-SM-6EU24 60-69 years, male 54.1
GTEX-14C5O-2526-SM-73KU2 60-69 years, male 54.0
GTEX-16MT8-2726-SM-7IGLJ 60-69 years, female 54.0
GTEX-12WSJ-1526-SM-5GCNI 40-49 years, female 53.8
GTEX-PX3G-1426-SM-48U1J 20-29 years, female 53.6
GTEX-17HII-2726-SM-7MGVM 50-59 years, male 53.6
GTEX-OHPM-1426-SM-3TW8Y 50-59 years, male 52.8
GTEX-17GQL-1526-SM-7LTAC 60-69 years, male 52.6
GTEX-1PPH8-2026-SM-DTX7P 20-29 years, male 52.5
GTEX-PSDG-1826-SM-EAZ2S 50-59 years, male 52.5
GTEX-15G1A-1826-SM-7KUKO 30-39 years, male 52.4
GTEX-R55C-1126-SM-48FCJ 40-49 years, male 52.0
GTEX-S3XE-1126-SM-4AD4N 50-59 years, male 51.9
GTEX-QLQ7-1126-SM-CYPRB 60-69 years, male 51.8
GTEX-1339X-1626-SM-5IJDN 40-49 years, male 51.7
GTEX-XYKS-2226-SM-4E3IU 60-69 years, female 51.7
GTEX-14PJ5-0926-SM-6LLIK 60-69 years, female 51.5
GTEX-WYJK-2226-SM-4ONDJ 50-59 years, male 51.5
GTEX-147JS-2526-SM-5S2Q8 60-69 years, male 51.0
GTEX-16NPV-2626-SM-6M484 50-59 years, female 51.0
GTEX-1KANB-1526-SM-CXZK4 50-59 years, male 50.7
GTEX-1S5VW-2926-SM-E9U6H 60-69 years, male 50.5
GTEX-145ME-0826-SM-5O9AF 40-49 years, female 50.1
GTEX-ZXES-1626-SM-5NQ7L 30-39 years, female 50.1
GTEX-1C6VQ-2726-SM-73KUL 50-59 years, male 50.0
GTEX-11O72-2226-SM-5PNW2 40-49 years, male 49.8
GTEX-1JJ6O-2426-SM-ARU8J 60-69 years, male 49.6
GTEX-WOFM-2026-SM-4OOSQ 20-29 years, male 49.5
GTEX-ZP4G-1726-SM-4WWCM 20-29 years, female 49.3
GTEX-17MF6-2426-SM-7LTAM 40-49 years, male 49.2
GTEX-15DCE-2026-SM-7KUFE 20-29 years, male 48.9
GTEX-11NSD-1626-SM-5986U 20-29 years, male 48.8
GTEX-13OVG-1426-SM-5K7VP 60-69 years, male 48.7
GTEX-1F75B-2726-SM-7P8QO 50-59 years, male 48.6
GTEX-1211K-1726-SM-5FQUJ 60-69 years, female 48.4
GTEX-13FHP-2426-SM-5KLZ5 50-59 years, male 48.2
GTEX-U3ZM-1126-SM-4DXUB 40-49 years, male 48.1
GTEX-1IDJC-1326-SM-CL53H 50-59 years, male 48.1
GTEX-14BIN-3026-SM-5ZZUS 50-59 years, female 47.9
GTEX-14ICL-1226-SM-5S2RD 30-39 years, male 47.7
GTEX-1IGQW-2326-SM-CE6RV 60-69 years, male 47.7
GTEX-ZYVF-2826-SM-5GIDK 50-59 years, female 47.6
GTEX-P4PP-1426-SM-3NM9L 30-39 years, female 47.5
GTEX-XXEK-1926-SM-4BRVD 50-59 years, male 47.2
GTEX-1H1DE-1526-SM-ARL9B 20-29 years, male 47.2
GTEX-1HSGN-2626-SM-CE6S1 40-49 years, female 47.2
GTEX-15RIF-1326-SM-6LPKO 20-29 years, male 47.1
GTEX-17KNJ-1726-SM-7LG6A 50-59 years, male 46.8
GTEX-X3Y1-1726-SM-4PQZL 40-49 years, male 46.5
GTEX-1GN73-2626-SM-9KNUQ 60-69 years, male 46.5
GTEX-1I1GT-1926-SM-ARU7D 60-69 years, female 46.5
GTEX-1CB4F-2026-SM-79OLU 60-69 years, male 46.3
GTEX-OIZH-1426-SM-3NB1O 50-59 years, male 45.9
GTEX-WYVS-1826-SM-4OND6 40-49 years, female 45.9
GTEX-16NGA-1026-SM-7KFS3 40-49 years, female 45.8
GTEX-1CB4I-2226-SM-7P8SL 50-59 years, male 45.8
GTEX-1IOXB-2626-SM-CJI2N 50-59 years, male 45.8
GTEX-13OVK-0826-SM-7KULZ 40-49 years, male 45.7
GTEX-R45C-2126-SM-EZ6KZ 60-69 years, female 45.6
GTEX-1HSMP-2326-SM-D3L8R 70-79 years, male 45.5
GTEX-13PVR-1626-SM-73KVF 60-69 years, female 45.2
GTEX-14BMV-2426-SM-5S2PP 50-59 years, male 45.2
GTEX-1JMPZ-2426-SM-C1YQP 30-39 years, male 45.2
GTEX-16XZZ-2626-SM-6M47S 60-69 years, male 44.8
GTEX-1KANA-1926-SM-DHXKF 20-29 years, male 44.7
GTEX-131XG-1826-SM-5LZV4 50-59 years, female 44.6
GTEX-1NHNU-2326-SM-E6CQE 50-59 years, male 44.6
GTEX-1GF9U-1526-SM-7MXUW 40-49 years, female 44.5
GTEX-P78B-1726-SM-3P5ZV 40-49 years, female 44.3
GTEX-PWN1-1426-SM-48TDF 40-49 years, female 44.3
GTEX-15ER7-2926-SM-7KUFK 20-29 years, female 44.0
GTEX-1R9JW-2026-SM-EAZ4O 30-39 years, female 43.8
GTEX-ZAB4-2226-SM-5HL97 40-49 years, male 43.3
GTEX-1GZ4I-2426-SM-9WPPP 50-59 years, male 43.2
GTEX-1IDJU-2026-SM-A9SLM 60-69 years, female 43.2
GTEX-ZZ64-0726-SM-5GZX4 20-29 years, male 42.9
GTEX-1AMEY-1926-SM-73KVT 30-39 years, female 42.7
GTEX-1AMFI-1726-SM-7189L 50-59 years, female 42.6
GTEX-ZLV1-1226-SM-4WWBX 60-69 years, female 42.5
GTEX-14PKV-2126-SM-664O3 20-29 years, female 42.4
GTEX-ZPCL-1826-SM-57WF1 60-69 years, female 42.3
GTEX-1LVAN-2526-SM-CNPPC 50-59 years, female 42.3
GTEX-13O3P-2326-SM-5KM55 50-59 years, male 42.1
GTEX-SE5C-1526-SM-4BRWU 40-49 years, female 42.1
GTEX-ZLWG-1726-SM-DNZZ2 50-59 years, female 42.1
GTEX-14PHX-1526-SM-68717 50-59 years, male 41.9
GTEX-14DAR-1526-SM-5RQIX 50-59 years, male 41.5
GTEX-S4UY-0826-SM-4AD4Z 40-49 years, female 41.5
GTEX-1E2YA-2626-SM-7MGWW 50-59 years, male 41.5
GTEX-ZTSS-1126-SM-5985O 40-49 years, male 41.1
GTEX-11TUW-2026-SM-5EQL8 60-69 years, male 41.0
GTEX-WQUQ-2526-SM-4MVNO 60-69 years, male 41.0
GTEX-1GF9X-1526-SM-7P8QP 40-49 years, female 41.0
GTEX-XBEW-1926-SM-4SOJO 40-49 years, male 40.9
GTEX-13S86-1626-SM-5Q5C5 40-49 years, male 40.7
GTEX-Y5LM-1526-SM-4VDTA 40-49 years, female 40.7
GTEX-1JKYN-2326-SM-CGQG7 30-39 years, male 40.6
GTEX-178AV-1326-SM-6LPJX 40-49 years, male 40.4
GTEX-Y9LG-1526-SM-4WWDR 30-39 years, male 40.4
GTEX-1399S-1926-SM-5J2M5 30-39 years, female 40.2
GTEX-139TS-1926-SM-5IJFO 60-69 years, male 40.2
GTEX-1N2DV-1426-SM-DPRYQ 40-49 years, male 40.2
GTEX-1CAMR-0926-SM-7MXTD 20-29 years, male 39.7
GTEX-1F5PK-1926-SM-7MXT7 50-59 years, male 39.7
GTEX-R55G-1226-SM-48FDC 40-49 years, female 39.6
GTEX-Y8E4-2426-SM-4WWDN 40-49 years, male 39.5
GTEX-S7SF-1926-SM-4AT5B 20-29 years, female 39.4
GTEX-ZT9W-1826-SM-51MQX 50-59 years, male 39.3
GTEX-ZVT2-1926-SM-5GU5T 50-59 years, female 39.3
GTEX-11LCK-2026-SM-5A5MA 30-39 years, male 39.2
GTEX-1R9PM-1526-SM-DPRY8 20-29 years, male 39.2
GTEX-14PJM-2626-SM-686ZD 50-59 years, female 39.1
GTEX-14JIY-3326-SM-6871E 60-69 years, male 39.0
GTEX-1R7EU-1926-SM-E9U62 60-69 years, male 39.0
GTEX-1AX8Z-2726-SM-73KUC 60-69 years, male 38.9
GTEX-Q734-1126-SM-48TZY 40-49 years, female 38.9
GTEX-13QJ3-2626-SM-9OSXQ 50-59 years, male 38.9
GTEX-S4P3-1226-SM-4AD4Y 50-59 years, female 38.8
GTEX-13QBU-1826-SM-5IJG3 40-49 years, female 38.3
GTEX-1LH75-2126-SM-EVR5F 50-59 years, female 38.3
GTEX-SNOS-1226-SM-4DM5H 40-49 years, male 38.0
GTEX-YF7O-1726-SM-5IFJ9 50-59 years, male 38.0
GTEX-ZPIC-2226-SM-57WDX 40-49 years, female 38.0
GTEX-1HCU9-1326-SM-B2LXT 20-29 years, male 38.0
GTEX-QEL4-1926-SM-D3L8D 50-59 years, male 38.0
GTEX-11VI4-1526-SM-5EQKC 40-49 years, female 37.9
GTEX-SJXC-2226-SM-EVYAK 60-69 years, male 37.9
GTEX-Y3IK-1826-SM-4WWDS 50-59 years, female 37.8
GTEX-YB5E-1626-SM-5IFIQ 40-49 years, male 37.8
GTEX-1122O-1526-SM-5N9CL 60-69 years, female 37.6
GTEX-11I78-1226-SM-5A5K6 50-59 years, female 37.6
GTEX-14JG6-1726-SM-69LPL 30-39 years, female 37.5
GTEX-1399U-1926-SM-5IFH7 50-59 years, female 37.3
GTEX-Q2AI-0926-SM-48U1F 40-49 years, male 37.3
GTEX-11EM3-1526-SM-5A5KN 20-29 years, female 37.1
GTEX-TKQ2-1326-SM-4DXT9 50-59 years, male 37.1
GTEX-1399R-2226-SM-5P9JB 30-39 years, male 37.0
GTEX-139T6-1326-SM-5IFFO 50-59 years, male 37.0
GTEX-14XAO-2026-SM-69LOI 60-69 years, female 37.0
GTEX-145LT-0926-SM-5LU9C 40-49 years, male 36.9
GTEX-15DYW-2326-SM-6PAMU 60-69 years, female 36.9
GTEX-17HGU-2426-SM-7EWDP 50-59 years, male 36.9
GTEX-1MGNQ-2026-SM-EAZ51 40-49 years, male 36.9
GTEX-17EVQ-1826-SM-7IGPH 70-79 years, male 36.8
GTEX-UJMC-1326-SM-4IHLS 50-59 years, male 36.7
GTEX-1KXAM-2126-SM-CY8I9 60-69 years, male 36.7
GTEX-11P82-1026-SM-5BC5J 20-29 years, male 36.6
GTEX-1AX9I-2626-SM-73KU5 60-69 years, male 36.6
GTEX-OIZF-1426-SM-2HML2 60-69 years, male 36.4
GTEX-1PWST-2426-SM-EWRMP 70-79 years, male 36.3
GTEX-1OKEX-1226-SM-DTXEC 60-69 years, male 36.2
GTEX-11P7K-1526-SM-5EGI7 30-39 years, male 36.1
GTEX-ZDYS-2326-SM-4WKG6 50-59 years, male 35.8
GTEX-1H3VY-2426-SM-9WPPD 50-59 years, male 35.8
GTEX-1I6K6-1826-SM-B2LX5 30-39 years, male 35.8
GTEX-13111-0726-SM-5DUVE 50-59 years, male 35.7
GTEX-147GR-2726-SM-664OO 60-69 years, male 35.7
GTEX-17F98-1026-SM-7IGO8 40-49 years, female 35.7
GTEX-1RDX4-1826-SM-EVR54 50-59 years, female 35.7
GTEX-1128S-1626-SM-5H12O 60-69 years, female 35.6
GTEX-12KS4-2426-SM-5LU8P 30-39 years, male 35.4
GTEX-1F5PL-2126-SM-7PC2O 40-49 years, female 35.4
GTEX-131XE-0826-SM-5HL9W 50-59 years, male 35.3
GTEX-1K2DA-2026-SM-CGQGK 50-59 years, male 35.3
GTEX-O5YT-1426-SM-3MJHC 20-29 years, male 34.9
GTEX-ZV7C-1526-SM-5NQ72 50-59 years, male 34.8
GTEX-P4QT-1426-SM-3NMCX 50-59 years, female 34.7
GTEX-1H1E6-1926-SM-9OSWD 30-39 years, male 34.6
GTEX-12C56-0626-SM-5EGGC 20-29 years, male 34.4
GTEX-13CF3-1426-SM-5K7YY 60-69 years, female 34.4
GTEX-13D11-0826-SM-5KLZJ 50-59 years, female 34.4
GTEX-12BJ1-2126-SM-5BC5O 60-69 years, male 34.3
GTEX-144GL-2526-SM-5TDDL 50-59 years, male 34.2
GTEX-1MJK3-0926-SM-EV7AY 20-29 years, male 34.2
GTEX-ZG7Y-2126-SM-DO117 50-59 years, male 34.0
GTEX-1LGRB-1426-SM-CNNPT 50-59 years, female 33.9
GTEX-W5WG-2426-SM-4LMI6 50-59 years, female 33.7
GTEX-1MA7W-0626-SM-EV79Z 20-29 years, female 33.7
GTEX-11DXX-1826-SM-5H126 60-69 years, female 33.5
GTEX-RM2N-0926-SM-48FD1 50-59 years, male 33.5
GTEX-ZDTT-1926-SM-5HL5W 60-69 years, male 33.5
GTEX-1ICLZ-2426-SM-CKZOD 60-69 years, male 33.4
GTEX-YEC3-2426-SM-DO11A 50-59 years, male 33.4
GTEX-13O3O-2526-SM-5L3DR 60-69 years, female 33.3
GTEX-XPVG-1826-SM-4B64X 50-59 years, male 33.1
GTEX-OOBJ-1426-SM-E6CHH 60-69 years, male 33.1
GTEX-132AR-2726-SM-5PNVN 50-59 years, female 33.0
GTEX-WFG7-1526-SM-4LVMG 20-29 years, male 32.9
GTEX-1J1OQ-2726-SM-AHZ3R 40-49 years, female 32.9
GTEX-13PL7-2526-SM-5IFGR 60-69 years, female 32.7
GTEX-146FQ-1926-SM-5NQBY 30-39 years, male 32.7
GTEX-1I4MK-1126-SM-B2LWS 50-59 years, female 32.6
GTEX-1J1R8-1126-SM-CNPQ3 40-49 years, male 32.6
GTEX-14C39-1926-SM-5ZZW5 40-49 years, male 32.5
GTEX-17HHE-1826-SM-79OKE 50-59 years, male 32.5
GTEX-1HSEH-1726-SM-B2LXH 60-69 years, male 32.4
GTEX-14PJ4-1926-SM-6LLHG 60-69 years, male 32.3
GTEX-13FTW-1826-SM-5IJEN 40-49 years, male 32.2
GTEX-R55D-1826-SM-48FEF 50-59 years, male 32.1
GTEX-QDVJ-1326-SM-48U1X 50-59 years, male 32.0
GTEX-QLQW-0426-SM-447A7 30-39 years, male 31.9
GTEX-1H1DG-2226-SM-9WPPC 70-79 years, male 31.7
GTEX-ZY6K-1226-SM-5GZYL 50-59 years, male 31.6
GTEX-1QP9N-1026-SM-E6CPX 30-39 years, male 31.6
GTEX-14PK6-1726-SM-6871J 70-79 years, female 31.5
GTEX-1JN1M-2626-SM-CY8I3 60-69 years, female 31.5
GTEX-14BMU-1526-SM-5TDE6 20-29 years, female 31.4
GTEX-15RIE-1826-SM-6M48P 60-69 years, male 31.3
GTEX-1QCLZ-1926-SM-E6CR3 60-69 years, female 31.2
GTEX-13X6H-1926-SM-7EWD3 50-59 years, female 31.1
GTEX-1JK1U-1526-SM-AHZ46 60-69 years, male 31.1
GTEX-1GPI7-1726-SM-7P8R1 20-29 years, male 31.0
GTEX-145MN-1726-SM-5SIA6 30-39 years, male 30.9
GTEX-QCQG-1626-SM-48U26 50-59 years, female 30.9
GTEX-1JKYR-1926-SM-C1YR7 20-29 years, male 30.9
GTEX-1RAZA-1726-SM-DPS13 20-29 years, male 30.7
GTEX-147F3-1926-SM-5SIB9 50-59 years, female 30.5
GTEX-XUZC-1326-SM-4BRV2 30-39 years, female 30.5
GTEX-XMK1-1726-SM-4B64Z 40-49 years, male 30.4
GTEX-XBED-1526-SM-4AT5W 60-69 years, male 30.3
GTEX-1IDJD-2226-SM-A96TD 30-39 years, male 30.3
GTEX-ZEX8-1926-SM-4WKFR 50-59 years, male 30.2
GTEX-14E6E-1526-SM-5RQIG 30-39 years, male 30.1
GTEX-1B8KE-1926-SM-731EE 50-59 years, male 30.1
GTEX-T5JW-1126-SM-4DM5V 20-29 years, female 30.1
GTEX-1QCLY-1726-SM-DPRXY 30-39 years, male 30.1
GTEX-QV31-0826-SM-CKZNC 30-39 years, male 30.1
GTEX-139YR-2126-SM-5KM11 50-59 years, male 30.0
GTEX-1PIGE-1426-SM-E9U61 20-29 years, male 30.0
GTEX-11DXZ-1726-SM-5H12M 50-59 years, male 29.9
GTEX-PWCY-1026-SM-48TD4 20-29 years, female 29.9
GTEX-XV7Q-2126-SM-4BRVX 40-49 years, female 29.9
GTEX-ZF2S-1926-SM-4WWAN 50-59 years, female 29.9
GTEX-1AYCT-1826-SM-731EG 50-59 years, male 29.8
GTEX-1H11D-2626-SM-9JGH4 40-49 years, male 29.8
GTEX-1B8KZ-1326-SM-7DUG6 50-59 years, male 29.7
GTEX-QDVN-1326-SM-48TZ3 50-59 years, male 29.7
GTEX-13O21-2426-SM-5MR4A 50-59 years, male 29.6
GTEX-1JN76-1226-SM-C1YRM 20-29 years, female 29.6
GTEX-WFON-1426-SM-4LVMT 40-49 years, male 29.5
GTEX-18D9U-1926-SM-7KFTM 40-49 years, male 29.3
GTEX-1CAMS-2526-SM-7EPH7 40-49 years, female 29.3
GTEX-X15G-1326-SM-4PQZJ 50-59 years, female 29.3
GTEX-UJHI-1126-SM-4IHLN 50-59 years, female 29.2
GTEX-18D9A-1126-SM-7KFRJ 30-39 years, female 29.0
GTEX-1KANC-0926-SM-D3LA9 50-59 years, female 29.0
GTEX-13OW6-2126-SM-5N9GL 50-59 years, male 28.8
GTEX-1L5NE-2026-SM-CXZKR 50-59 years, male 28.8
GTEX-1C475-1626-SM-731FP 40-49 years, female 28.6
GTEX-1N2EF-1926-SM-DTX8M 60-69 years, male 28.6
GTEX-1C4CL-2126-SM-7IGQC 30-39 years, male 28.5
GTEX-15SB6-1226-SM-7KUMP 50-59 years, female 28.4
GTEX-QMRM-1226-SM-447C6 50-59 years, male 28.4
GTEX-1QP67-1326-SM-EAZ4D 40-49 years, female 28.4
GTEX-18A66-2426-SM-7KFSQ 60-69 years, male 28.3
GTEX-1QPFJ-2326-SM-E6CR7 30-39 years, female 28.3
GTEX-ZPU1-1926-SM-57WDT 40-49 years, male 27.9
GTEX-16AAH-1326-SM-7KFRG 50-59 years, male 27.5
GTEX-17EUY-1826-SM-7DUEZ 20-29 years, male 27.5
GTEX-Q2AH-1226-SM-48TZL 40-49 years, male 27.3
GTEX-1HSMQ-2726-SM-C1YRE 50-59 years, male 27.3
GTEX-133LE-1526-SM-5IFEN 20-29 years, female 27.0
GTEX-1F75I-2426-SM-9WPOY 40-49 years, male 26.8
GTEX-PLZ5-1126-SM-3P613 50-59 years, male 26.7
GTEX-1S3DN-1826-SM-EV79K 50-59 years, male 26.7
GTEX-144GN-1126-SM-5LU33 50-59 years, male 26.6
GTEX-1LVAM-1626-SM-EV79Y 50-59 years, female 26.6
GTEX-VJYA-2026-SM-4KL1K 60-69 years, male 26.5
GTEX-14ICK-1026-SM-6AJA4 40-49 years, male 26.4
GTEX-1I1GR-2526-SM-CNNQF 60-69 years, male 26.0
GTEX-111CU-1426-SM-5GZYP 50-59 years, male 25.8
GTEX-OXRK-1726-SM-3NB16 50-59 years, female 25.8
GTEX-1S83E-1626-SM-EV7B9 40-49 years, male 25.6
GTEX-1HFI7-1726-SM-A9G22 50-59 years, female 25.5
GTEX-15CHR-1426-SM-7DUGV 50-59 years, male 25.3
GTEX-S4Q7-0826-SM-4AD5E 20-29 years, male 25.1
GTEX-U3ZN-2126-SM-4DXU1 30-39 years, female 25.1
GTEX-1LSVX-1726-SM-DHXJP 60-69 years, male 25.1
GTEX-R53T-1326-SM-48FCQ 50-59 years, female 25.0
GTEX-1JMPY-0426-SM-C1YQ3 30-39 years, male 25.0
GTEX-1NSGN-2326-SM-E9U5X 50-59 years, male 25.0
GTEX-OHPN-2026-SM-E9TIA 60-69 years, female 24.8
GTEX-WHSB-0926-SM-4M1XJ 50-59 years, male 24.5
GTEX-ZVP2-1526-SM-5NQ82 50-59 years, male 24.3
GTEX-1RAZR-1926-SM-E6CRF 40-49 years, male 24.3
GTEX-1B932-2826-SM-73KUD 40-49 years, female 24.2
GTEX-U4B1-1126-SM-4DXV3 40-49 years, male 24.2
GTEX-1LG7Z-1426-SM-CXKYV 30-39 years, male 24.1
GTEX-1PFEY-1426-SM-E9U6U 30-39 years, male 23.2
GTEX-WHWD-1226-SM-4OOS1 50-59 years, male 23.1
GTEX-TML8-1326-SM-4DXTO 40-49 years, female 22.6
GTEX-1K9T9-2826-SM-D4P3F 50-59 years, female 21.2
GTEX-1PIEJ-2026-SM-E6CPA 20-29 years, female 20.0
GTEX-1IKOE-2026-SM-AHZ31 30-39 years, female 19.7
GTEX-13OVJ-1726-SM-5IJDZ 50-59 years, female 16.9
GTEX-144GM-1226-SM-5LU52 20-29 years, male 16.9
GTEX-11TT1-1026-SM-5PNW7 20-29 years, male 16.6
Show allShow less

COLON - FANTOM5 CAGEi

RNA expression in human tissues obtained through Cap Analysis of Gene Expression (CAGE) generated by the FANTOM5 project are reported as Scaled Tags Per Million.

Max subtype Scaled Tags Per Millioni

Max subtype Scaled Tags Per Million is the value for the subtype with the largest average Scaled Tags Per Million across the subtype samples.

87.9
FANTOM5 sample id Sample description Scaled Tags Per Million
Colon
Scaled Tags Per Million: 87.9
FF:10014-101C5 62,83,84 years, mixed 87.9

Contact

  • NEWS ARTICLES
  • PRESS ROOM

The Project

  • INTRODUCTION
  • ORGANIZATION
  • PUBLICATIONS

The Human Protein Atlas

  • DOWNLOADABLE DATA
  • LICENCE & CITATION
  • HELP & FAQ
The Human Protein Atlas project is funded
by the Knut & Alice Wallenberg Foundation.


contact@proteinatlas.org