We use cookies to enhance the usability of our website. If you continue, we'll assume that you are happy to receive all cookies. More information. Don't show this again.
ATF4
HPA
RESOURCES
  • TISSUE
  • BRAIN
  • SINGLE CELL
  • SUBCELLULAR
  • CANCER
  • BLOOD
  • CELL LINE
  • STRUCTURE & INTERACTION
ABOUT
  • INTRODUCTION
  • HISTORY
  • ORGANIZATION
  • PUBLICATIONS
  • ANTIBODY SUBMISSION
  • ANTIBODY AVAILABILITY
  • ACKNOWLEDGMENTS
  • CONTACT
NEWS
  • NEWS ARTICLES
  • PRESS ROOM
LEARN
  • DICTIONARY
  • PROTEIN CLASSES
  • PROTEIN EVIDENCE
  • METHODS
  • EDUCATIONAL VIDEOS
DATA
  • DOWNLOADABLE DATA
  • PUBLICATION DATA
  • RELEASE HISTORY
HELP
  • ANTIBODY VALIDATION
  • ASSAYS & ANNOTATION
  • DISCLAIMER
  • HELP & FAQ
  • PRIVACY STATEMENT
  • LICENCE & CITATION
Fields »
Search result

Field
Term
Gene name
Class
Subclass
Class
Keyword
Chromosome
External id
Tissue
Cell type
Expression
Antibody panel
Tissue
Main location
Patient ID
Annotation
Tissue
Category
Tau score
Cluster
Reliability
Brain region
Category
Tau score
Brain region
Category
Tau score
Brain region
Category
Tau score
Cluster
Reliability
Tissue
Cell type
Enrichment
Cell type
Category
Tau score
Cell type
Category
Tau score
Cell type
Category
Tau score
Cell lineage
Category
Tau score
Cluster
Cluster
Location
Searches
Location
Cell line
Class
Type
Phase
Reliability
Cancer
Prognosis
Cancer
Category
Cancer
Category
Tau score
Cluster
Variants
Interacting gene (ensg_id)
Type
Number of interactions
Pathway
Category
Score
Score
Score
Validation
Validation
Validation
Validation
Antibodies
Data type
Column


  • SUMMARY

  • TISSUE

  • BRAIN

  • SINGLE CELL

  • SUBCELL

  • CANCER

  • BLOOD

  • CELL LINE

  • STRUCT & INT

  • ATF4
TISSUE PRIMARY DATA BREAST Show tissue menu
ADIPOSE TISSUE ADRENAL GLAND AMYGDALA APPENDIX BASAL GANGLIA BONE MARROW BREAST BRONCHUS CEREBELLUM CEREBRAL CORTEX CERVIX CHOROID PLEXUS COLON DUODENUM
ENDOMETRIUM EPIDIDYMIS ESOPHAGUS FALLOPIAN TUBE GALLBLADDER HEART MUSCLE HIPPOCAMPAL FORMATION HYPOTHALAMUS KIDNEY LIVER LUNG LYMPH NODE MIDBRAIN NASOPHARYNX
ORAL MUCOSA OVARY PANCREAS PARATHYROID GLAND PITUITARY GLAND PLACENTA PROSTATE RECTUM RETINA SALIVARY GLAND SEMINAL VESICLE SKELETAL MUSCLE SKIN SMALL INTESTINE
SMOOTH MUSCLE SOFT TISSUE SPINAL CORD SPLEEN STOMACH TESTIS THYMUS THYROID GLAND TONGUE TONSIL URINARY BLADDER VAGINA
ANTIBODIES
AND
VALIDATION
Dictionary
Breast
Tissue proteome
Breast
BREAST - Expression summary
Protein expression
Breasti

On the top, protein expression in current human tissue, based on all annotated cell types, is reported with the units not detected (n), low (l), medium (m) and high (h). Underneath, protein expression in each annotated cell type are reported using the same units.

Protein expression data is based on knowledge-based annotation. For genes where more than one antibody has been used, a collective score is set.

If knowledge-based annotation could not be performed for a gene, no data is displayed here. View antibody staining data further down this page.

h
m
l
n
Adipocytes: Not detected
Glandular cells: Low
Myoepithelial cells: Not detected
RNA expressioni

A summary of mRNA expression data available for current tissue based on several datasets. The mRNA expression levels in human tissues are based on RNA-seq data generated by the Human Protein Atlas (HPA), Genotype-Tissue Expression (GTEx) portal and CAGE data generated by the FANTOM5 consortium. Consensus normalized expression levels for human tissues was created by combining the data from HPA and GTEx datasets.

The mRNA expression levels in pig are based on RNA-seq data generated by the Human Protein Atlas (HPA), and for mouse, HPA data and in situ hybridization generated by the Allen brain atlas are reported.

Scroll down to view mRNA expression data in more detail.
Consensus:473.0 nTPM
HPA:210.0 nTPM
GTEx:473.0 nTPM
FANTOM5:1005.8 Scaled Tags Per Million

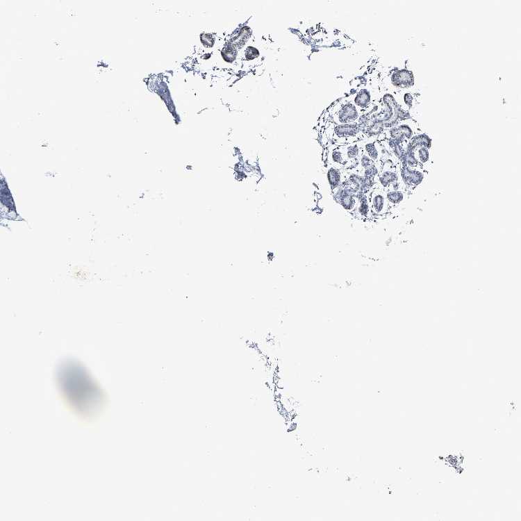
BREAST - Antibody stainingi

Antibody staining in the annotated cell types in the current human tissue is reported as not detected, low, medium, or high, based on conventional immunohistochemistry profiling in selected tissues. This score is based on the combination of the staining intensity and fraction of stained cells.

Each image is clickable and will lead to virtual microscopy that enables deeper exploration of all samples and also displays staining intensity scores, fraction scores and subcellular localization as well as patient and tissue information for each sample.

Antibody CAB011596
Adipocytes Not detected
Glandular cells Low
Myoepithelial cells Not detected


BREAST - HPA RNA-seqi

The RNA-seq details section shows detailed information about the individual samples used for the transcript profiling and results of the RNA-seq analysis.

Information about each individual sample is listed below, including gender, age, a tissue section image and estimated fractions of cell types. nTPM (normalized transcripts per million) values give a quantification of the gene abundance which is comparable between different genes and samples.
Average nTPMi

Max subtype nTPM is the value for the subtype with the largest average nTPM across the subtype samples.

210.0
overview
Female, age 52
Breast sample 373
nTPM: 228.8
Cell types%
Glandular cells:
15

Adipocytes:
5

Other cell types:
80

overview
Female, age 80
Breast sample 390
nTPM: 234.3
Cell types%
Glandular cells:
5

Adipocytes:
15

Other cell types:
80

overview
Female, age 47
Breast sample 405
nTPM: 158.9
Cell types%
Glandular cells:
5

Adipocytes:
5

Other cell types:
90

overview
Female, age 38
Breast sample 410
nTPM: 218.1
Cell types%
Glandular cells:
40

Adipocytes:
5

Other cell types:
55


BREAST - GTEx RNA-seqi

RNA-Seq data generated by the Genotype-Tissue Expression (GTEx) project from human tissues is reported as mean nTPM. More information can be found on the GTEx portal.

Distribution across the dataset is visualized with box plots, shown as median and 25th and 75th percentiles. Points are displayed as outliers if they are above or below 1.5 times the interquartile range. nTPM values of the individual samples are presented next to the box plot.
Max subtype nTPMi

Max subtype nTPM is the value for the subtype with the largest average nTPM across the subtype samples.

473.0
GTEx sample id Sample description nTPM
Breast - Mammary Tissue
Average nTPM: 473.0
Samples: 459

Max nTPM: 1369.3
Min nTPM: 225.3
Std nTPM: 155.3
Median nTPM: 446.2
GTEX-1N2EF-2226-SM-E9J33 60-69 years, male 1369.3
GTEX-13S86-1226-SM-5S2OA 40-49 years, male 1244.6
GTEX-11WQK-2426-SM-5GU5C 50-59 years, male 1136.0
GTEX-1HSEH-2026-SM-ADEHN 60-69 years, male 1127.6
GTEX-11P82-1326-SM-5HL62 20-29 years, male 1058.6
GTEX-11TUW-1826-SM-5BC5D 60-69 years, male 1040.1
GTEX-13PVQ-1026-SM-5KM3M 50-59 years, male 951.6
GTEX-RUSQ-2026-SM-4GIAK 50-59 years, male 931.5
GTEX-14753-2426-SM-5LU8U 60-69 years, male 922.5
GTEX-XQ8I-2426-SM-4WAXY 50-59 years, male 836.8
GTEX-1JJE9-2326-SM-ARL8Q 70-79 years, male 827.0
GTEX-1IDJH-2226-SM-E6CJV 70-79 years, male 826.7
GTEX-1I1GP-0426-SM-COH3N 50-59 years, male 803.7
GTEX-17GQL-0326-SM-7LG5U 60-69 years, male 803.5
GTEX-1R7EV-1526-SM-E8VOD 40-49 years, male 797.8
GTEX-144GM-0926-SM-5O994 20-29 years, male 787.7
GTEX-1ICG6-1326-SM-ACKWR 70-79 years, female 777.4
GTEX-ZLFU-2126-SM-DO931 40-49 years, male 773.7
GTEX-1ICLZ-0426-SM-B2LW2 60-69 years, male 765.3
GTEX-X4XY-0926-SM-4E3JD 60-69 years, male 760.1
GTEX-ZT9W-2026-SM-51MRA 50-59 years, male 757.7
GTEX-1IDFM-0426-SM-B2LVV 60-69 years, male 754.0
GTEX-ZAB4-2526-SM-5HL8M 40-49 years, male 750.5
GTEX-14PN4-0626-SM-62LFP 50-59 years, male 745.1
GTEX-1I19N-2826-SM-CL55D 70-79 years, male 741.6
GTEX-U8XE-0826-SM-4E3J1 30-39 years, male 741.3
GTEX-1H23P-0726-SM-9WG7K 60-69 years, male 729.1
GTEX-1IOXB-1926-SM-ARL8E 50-59 years, male 721.9
GTEX-14PJ4-2126-SM-6ETZJ 60-69 years, male 715.9
GTEX-1HCU8-0126-SM-ADEHH 60-69 years, female 714.6
GTEX-183WM-0726-SM-7LTAA 70-79 years, female 706.4
GTEX-11I78-2226-SM-5PNYA 50-59 years, female 705.5
GTEX-16YQH-2826-SM-6PAMY 30-39 years, male 703.9
GTEX-1H1ZS-0126-SM-9YFKQ 70-79 years, male 703.3
GTEX-1KANC-1426-SM-CYPT9 50-59 years, female 702.7
GTEX-17F97-2526-SM-7EWDV 50-59 years, male 687.7
GTEX-1B8SG-1226-SM-7IGPF 50-59 years, male 683.7
GTEX-14LLW-0626-SM-62LFC 70-79 years, female 681.4
GTEX-1JMOU-2026-SM-CMKGU 60-69 years, female 680.0
GTEX-ZWKS-2826-SM-5NQ74 30-39 years, male 678.5
GTEX-WOFL-0826-SM-3MJG1 60-69 years, male 676.1
GTEX-X4EP-2926-SM-3P5YQ 60-69 years, female 668.3
GTEX-REY6-2426-SM-48FF5 60-69 years, male 667.6
GTEX-14AS3-1626-SM-5S2OY 40-49 years, female 666.6
GTEX-ZZ64-1226-SM-5E43R 20-29 years, male 662.3
GTEX-1M4P7-2626-SM-E9U5F 60-69 years, male 661.1
GTEX-1PPGY-1526-SM-EVYBK 60-69 years, male 661.0
GTEX-XMD2-0926-SM-4WWEF 60-69 years, female 656.5
GTEX-14B4R-1226-SM-5TDDT 30-39 years, male 655.6
GTEX-11ZUS-0826-SM-5FQUY 30-39 years, male 654.6
GTEX-13CF3-2126-SM-5IFJP 60-69 years, female 654.4
GTEX-15EOM-5019-SM-793DK 20-29 years, female 652.8
GTEX-1PPH7-0826-SM-E8VNX 40-49 years, male 648.5
GTEX-V955-2026-SM-3GAFA 60-69 years, male 645.6
GTEX-1LSVX-2426-SM-E6CJX 60-69 years, male 643.5
GTEX-1RLM8-2226-SM-EVYD1 50-59 years, male 643.0
GTEX-UTHO-1026-SM-3GAF7 60-69 years, male 642.2
GTEX-11DZ1-0326-SM-5N9BN 50-59 years, male 638.5
GTEX-1ICLY-1726-SM-B2LVT 50-59 years, male 636.7
GTEX-1R9JW-0326-SM-EAZ45 30-39 years, female 636.2
GTEX-Y8E4-1626-SM-5S2MW 40-49 years, male 633.0
GTEX-12KS4-0126-SM-5Q5A5 30-39 years, male 628.2
GTEX-XMK1-1126-SM-4IHJ8 40-49 years, male 627.9
GTEX-1H1DG-0526-SM-9YFLN 70-79 years, male 625.1
GTEX-14PJO-0726-SM-69LO8 60-69 years, male 619.7
GTEX-13PL6-2926-SM-5L3I2 40-49 years, female 615.5
GTEX-1QP9N-1826-SM-E8VMP 30-39 years, male 613.0
GTEX-11NSD-0926-SM-5N9DR 20-29 years, male 610.6
GTEX-Y9LG-1426-SM-5IFJZ 30-39 years, male 603.1
GTEX-13O61-1826-SM-5KM4I 60-69 years, male 596.1
GTEX-145ME-1526-SM-5Q5F2 40-49 years, female 594.9
GTEX-1HSMO-0826-SM-ADEIV 60-69 years, male 593.3
GTEX-13O3O-0826-SM-5K7WE 60-69 years, female 593.0
GTEX-1NV8Z-2826-SM-E8VME 60-69 years, male 590.9
GTEX-12BJ1-1826-SM-5HL9N 60-69 years, male 590.8
GTEX-12WSM-1726-SM-5BC6J 60-69 years, male 590.6
GTEX-1HT8W-2226-SM-CGQEC 30-39 years, male 590.6
GTEX-17EVQ-0426-SM-7LG57 70-79 years, male 587.0
GTEX-1LBAC-0926-SM-CXKY9 20-29 years, male 586.7
GTEX-13W46-0826-SM-5LU3H 50-59 years, male 585.9
GTEX-14ABY-2126-SM-5QGQZ 50-59 years, male 585.5
GTEX-1117F-2826-SM-5GZXL 60-69 years, female 581.3
GTEX-1EKGG-2626-SM-7IGPY 60-69 years, male 580.6
GTEX-XYKS-1326-SM-4BRUN 60-69 years, female 579.8
GTEX-1JJEA-2726-SM-ARL8V 60-69 years, male 578.6
GTEX-17HGU-1326-SM-79OKB 50-59 years, male 577.4
GTEX-1JN6P-2426-SM-ARL99 60-69 years, male 576.9
GTEX-1NHNU-0926-SM-E9J2T 50-59 years, male 574.5
GTEX-XQ3S-1326-SM-4BOPQ 20-29 years, male 573.9
GTEX-TKQ2-1826-SM-33HB2 50-59 years, male 573.0
GTEX-YB5K-1626-SM-5IFIN 40-49 years, female 572.5
GTEX-YFCO-1826-SM-4W1YH 40-49 years, male 571.8
GTEX-1OKEX-0826-SM-E9J2B 60-69 years, male 567.3
GTEX-132NY-0826-SM-5K7Y7 60-69 years, male 567.1
GTEX-13N1W-0626-SM-5MR4U 70-79 years, male 567.1
GTEX-1IDJF-2326-SM-ARL86 20-29 years, male 567.0
GTEX-R55D-0826-SM-48FEA 50-59 years, male 565.8
GTEX-1MJK3-1126-SM-E9J3F 20-29 years, male 565.3
GTEX-11TT1-2126-SM-5GU5Y 20-29 years, male 564.9
GTEX-ZYT6-0126-SM-5E45J 30-39 years, male 563.9
GTEX-17F96-2426-SM-7IGLN 70-79 years, male 563.5
GTEX-1L5NE-2126-SM-CY8IH 50-59 years, male 563.5
GTEX-1S82Z-0726-SM-E6CHX 30-39 years, female 563.2
GTEX-1R9PM-1826-SM-EVYBH 20-29 years, male 562.4
GTEX-14BMV-0626-SM-793AU 50-59 years, male 561.9
GTEX-13SLX-2326-SM-5ZZWE 50-59 years, female 560.7
GTEX-1JKYN-0726-SM-ARZMY 30-39 years, male 560.6
GTEX-1GF9U-1726-SM-7MGY5 40-49 years, female 558.3
GTEX-11NV4-2026-SM-5N9DG 60-69 years, male 558.0
GTEX-QMRM-1626-SM-D4P1U 50-59 years, male 558.0
GTEX-1HCU7-1026-SM-ADEIP 50-59 years, male 556.5
GTEX-S7SE-0826-SM-4AT4D 50-59 years, male 555.3
GTEX-YECK-0726-SM-EZ6LV 60-69 years, male 554.6
GTEX-S33H-0326-SM-4AD6N 30-39 years, male 550.2
GTEX-1S82U-1126-SM-E9U6I 30-39 years, female 549.9
GTEX-ZLWG-1926-SM-DO92J 50-59 years, female 549.5
GTEX-18465-2026-SM-718AP 50-59 years, male 548.6
GTEX-ZYFC-0826-SM-5E44K 50-59 years, male 547.9
GTEX-1F5PK-2126-SM-7PC28 50-59 years, male 546.8
GTEX-1MA7X-1626-SM-E9U5B 60-69 years, male 546.3
GTEX-117XS-1926-SM-5GICO 60-69 years, male 546.1
GTEX-ZVT4-1026-SM-57WC4 50-59 years, female 545.2
GTEX-11EQ9-1826-SM-5Q5AJ 30-39 years, male 544.9
GTEX-1C6VQ-0426-SM-79OOX 50-59 years, male 544.5
GTEX-1IDJU-1826-SM-CMKHV 60-69 years, female 544.1
GTEX-ZVT2-1826-SM-5NQ8W 50-59 years, female 542.8
GTEX-16BQI-1026-SM-7KUEA 30-39 years, female 542.3
GTEX-15UF6-0126-SM-6PAMB 70-79 years, female 541.1
GTEX-1KD5A-1926-SM-DKPQA 50-59 years, male 540.1
GTEX-ZYW4-0826-SM-5GIDG 60-69 years, male 539.7
GTEX-1HFI7-0126-SM-CGQFQ 50-59 years, female 539.7
GTEX-14E6C-1326-SM-62LEQ 40-49 years, male 535.8
GTEX-XGQ4-0926-SM-4AT4U 50-59 years, male 534.9
GTEX-ZTTD-1026-SM-51MRD 50-59 years, male 534.0
GTEX-13O3Q-2226-SM-5KM4O 50-59 years, male 532.7
GTEX-1QP28-1226-SM-E9J2M 50-59 years, female 531.6
GTEX-ZQUD-1926-SM-51MSA 30-39 years, male 531.2
GTEX-TKQ1-0226-SM-33HB5 30-39 years, male 530.8
GTEX-11ZTT-2326-SM-5EQLG 60-69 years, female 530.5
GTEX-169BO-1126-SM-7MGWN 50-59 years, male 529.8
GTEX-15RJE-2626-SM-7KFT1 40-49 years, male 529.4
GTEX-ZDXO-0126-SM-5S2ND 60-69 years, male 529.3
GTEX-T2IS-1526-SM-32QPR 20-29 years, female 528.9
GTEX-15G19-2126-SM-6M48J 60-69 years, male 528.1
GTEX-1AMEY-1026-SM-718AA 30-39 years, female 527.5
GTEX-ZAJG-0626-SM-5HL8X 50-59 years, female 526.9
GTEX-1NUQO-2226-SM-E9U68 20-29 years, female 526.8
GTEX-13VXU-2826-SM-664MA 50-59 years, male 525.9
GTEX-1HCU9-0326-SM-9WYSC 20-29 years, male 523.0
GTEX-17MF6-0326-SM-7EPH5 40-49 years, male 521.8
GTEX-18A7B-2626-SM-7LG55 70-79 years, male 521.4
GTEX-1IGQW-0926-SM-ADEH6 60-69 years, male 521.1
GTEX-11OF3-1926-SM-59889 60-69 years, male 519.5
GTEX-13SLW-2526-SM-62LDQ 70-79 years, male 518.4
GTEX-YEC3-1026-SM-5IFI5 50-59 years, male 517.8
GTEX-11O72-2126-SM-5N9FO 40-49 years, male 517.0
GTEX-11DXZ-1926-SM-5GZZL 50-59 years, male 516.3
GTEX-WI4N-1426-SM-3LK7H 40-49 years, female 512.7
GTEX-ZDYS-1126-SM-5K7UB 50-59 years, male 511.6
GTEX-1IKOE-1326-SM-CE6T6 30-39 years, female 509.7
GTEX-14E6E-1326-SM-5S2NR 30-39 years, male 508.8
GTEX-PSDG-1626-SM-48TCQ 50-59 years, male 507.2
GTEX-18A6Q-0926-SM-7LG4N 60-69 years, male 506.2
GTEX-14DAR-1326-SM-7DUEG 50-59 years, male 504.5
GTEX-1E2YA-2726-SM-7IGPW 50-59 years, male 504.5
GTEX-1H11D-1526-SM-9MQJY 40-49 years, male 502.2
GTEX-14ICK-2426-SM-6EU27 40-49 years, male 502.0
GTEX-1QW4Y-1026-SM-DTXE2 30-39 years, male 501.6
GTEX-13FTX-1126-SM-5N9EN 20-29 years, female 501.1
GTEX-XMD1-0826-SM-4AT52 60-69 years, male 500.6
GTEX-145MF-2226-SM-7EPIR 50-59 years, male 499.5
GTEX-144GL-2026-SM-5LU3O 50-59 years, male 499.4
GTEX-145MO-0826-SM-5NQBL 60-69 years, male 496.4
GTEX-1I4MK-1626-SM-CM2TJ 50-59 years, female 496.3
GTEX-ZUA1-1526-SM-59HLS 40-49 years, male 495.5
GTEX-14PKU-0426-SM-6EU1P 40-49 years, female 494.9
GTEX-YB5E-1726-SM-5IFJ3 40-49 years, male 494.1
GTEX-14E7W-0826-SM-62LEJ 70-79 years, male 493.1
GTEX-13OW8-0226-SM-5K7UP 60-69 years, male 492.0
GTEX-1CB4J-1826-SM-7EWF9 60-69 years, male 491.5
GTEX-147F4-2826-SM-5NQBN 50-59 years, male 490.2
GTEX-X62O-0526-SM-EWRMA 50-59 years, male 490.1
GTEX-1F75B-0626-SM-7SB8A 50-59 years, male 489.7
GTEX-1I1GT-1126-SM-ARL7J 60-69 years, female 489.6
GTEX-1I1GV-2426-SM-CGQFM 60-69 years, male 489.1
GTEX-1I1GU-1026-SM-ADEHJ 40-49 years, male 485.9
GTEX-1313W-0826-SM-5EQ4T 50-59 years, female 485.6
GTEX-14PHY-1926-SM-5YY95 60-69 years, female 481.8
GTEX-1JMPZ-1626-SM-COH31 30-39 years, male 481.7
GTEX-1LG7Z-0726-SM-CXKYD 30-39 years, male 480.3
GTEX-11ONC-2126-SM-5HL6E 60-69 years, male 480.0
GTEX-12WSK-2226-SM-5GCO5 40-49 years, female 479.6
GTEX-1399U-1826-SM-5PNZ1 50-59 years, female 479.6
GTEX-1HBPM-0126-SM-ARL9E 60-69 years, female 479.1
GTEX-1LSNL-2826-SM-E9U5L 50-59 years, male 475.5
GTEX-1HR98-0426-SM-COH36 60-69 years, male 474.5
GTEX-17JCI-0726-SM-7EPH1 60-69 years, female 471.8
GTEX-13D11-1026-SM-5IJFB 50-59 years, female 471.3
GTEX-13FTW-1426-SM-5LZWZ 40-49 years, male 470.3
GTEX-1LC47-1226-SM-D4P44 60-69 years, male 468.8
GTEX-Y5V6-2126-SM-4WWFX 60-69 years, male 468.6
GTEX-1B8KE-1226-SM-73KWK 50-59 years, male 468.2
GTEX-1C6VS-0726-SM-7EPHF 60-69 years, male 467.1
GTEX-1KAFJ-0226-SM-DIPEL 50-59 years, male 466.7
GTEX-ZA64-1526-SM-5CVMD 20-29 years, male 465.7
GTEX-ZQG8-0726-SM-5P9H9 60-69 years, female 463.7
GTEX-11DXY-2326-SM-5GICW 60-69 years, male 463.5
GTEX-132Q8-1426-SM-5EGK7 60-69 years, male 463.1
GTEX-12WSN-1326-SM-5GCNT 40-49 years, male 463.0
GTEX-1A3MX-2726-SM-718B6 60-69 years, male 462.9
GTEX-1C6WA-2426-SM-7SB86 60-69 years, male 462.6
GTEX-QVJO-1826-SM-447C9 60-69 years, female 461.8
GTEX-VJWN-0726-SM-3GIJ8 50-59 years, female 460.8
GTEX-1JN1M-3026-SM-CMKGK 60-69 years, female 459.8
GTEX-R3RS-0626-SM-48FE1 40-49 years, female 458.4
GTEX-1LNCM-0226-SM-DIPF4 50-59 years, female 458.1
GTEX-1HCVE-2626-SM-ADEJ8 50-59 years, male 457.6
GTEX-17MFQ-0926-SM-7LG4S 20-29 years, male 457.5
GTEX-Y114-2026-SM-4TT7L 50-59 years, female 456.2
GTEX-1IE54-0626-SM-ARL8D 40-49 years, female 456.0
GTEX-1AX9I-0726-SM-73KWV 60-69 years, male 454.9
GTEX-1QMI2-0726-SM-E9J4F 60-69 years, male 454.9
GTEX-ZF3C-2326-SM-5S2NC 50-59 years, female 453.8
GTEX-1KD4Q-2326-SM-D4P3M 40-49 years, male 453.6
GTEX-117YX-1426-SM-5H12H 50-59 years, male 450.4
GTEX-U412-1826-SM-4DXTJ 60-69 years, male 450.3
GTEX-14H4A-2526-SM-5YYAY 40-49 years, female 450.2
GTEX-1QEPI-0926-SM-DTXF3 60-69 years, female 450.0
GTEX-11LCK-2426-SM-5HL5F 30-39 years, male 447.6
GTEX-15SHW-1326-SM-6PAL8 60-69 years, male 446.2
GTEX-1GPI7-0926-SM-7PC3J 20-29 years, male 446.1
GTEX-13NZ8-0126-SM-5IJCT 60-69 years, female 443.0
GTEX-X261-0626-SM-3NMD9 50-59 years, male 442.9
GTEX-15UF7-0726-SM-6M46D 40-49 years, male 441.7
GTEX-1H4P4-2226-SM-9MQKQ 50-59 years, male 441.1
GTEX-17F9E-2526-SM-7MGW2 50-59 years, male 440.2
GTEX-S32W-2026-SM-4AD6E 50-59 years, female 438.8
GTEX-11DXW-0626-SM-5N9ER 40-49 years, male 437.7
GTEX-145LT-0726-SM-5S2VM 40-49 years, male 437.7
GTEX-1GMR2-1926-SM-9MQLZ 50-59 years, male 437.2
GTEX-13O3P-0826-SM-5L3DH 50-59 years, male 435.5
GTEX-ZV6S-1826-SM-5NQ8D 40-49 years, female 433.2
GTEX-ZDTT-2126-SM-DKPOM 60-69 years, male 432.5
GTEX-145MN-1926-SM-5SIAI 30-39 years, male 432.4
GTEX-SE5C-2126-SM-4BRUJ 40-49 years, female 431.3
GTEX-13NZB-2126-SM-5MR4Y 30-39 years, male 430.4
GTEX-17F98-0526-SM-79OK5 40-49 years, female 429.8
GTEX-1P4AB-1826-SM-E76PU 50-59 years, male 429.2
GTEX-1N2EE-2126-SM-E8VNN 60-69 years, male 428.7
GTEX-XV7Q-2326-SM-4BRVZ 40-49 years, female 427.7
GTEX-ZVE2-1226-SM-5NQ8R 50-59 years, male 427.7
GTEX-14A5I-0726-SM-5TDEB 50-59 years, female 426.4
GTEX-131XW-0726-SM-5EGK3 50-59 years, female 425.7
GTEX-139T6-1626-SM-5PNYZ 50-59 years, male 425.2
GTEX-1J8Q2-2726-SM-A9G2X 60-69 years, male 425.0
GTEX-1AX9J-1126-SM-731B7 60-69 years, male 424.9
GTEX-11GSO-1926-SM-5A5K3 60-69 years, male 424.7
GTEX-WHSB-1926-SM-EXOHH 50-59 years, male 424.5
GTEX-Y5LM-1726-SM-4VDSX 40-49 years, female 423.2
GTEX-139T8-0826-SM-5L3DE 60-69 years, male 423.1
GTEX-1HCUA-0726-SM-ACKVU 50-59 years, female 420.6
GTEX-1B933-2526-SM-7IGO5 50-59 years, female 420.4
GTEX-S4Q7-1126-SM-4AD6R 20-29 years, male 420.0
GTEX-11WQC-1726-SM-5GU4W 60-69 years, male 419.6
GTEX-1I6K6-0826-SM-ARL7Z 30-39 years, male 419.4
GTEX-13CF2-2026-SM-5K7VI 60-69 years, male 418.5
GTEX-1MJK2-2226-SM-EVYCR 50-59 years, male 418.4
GTEX-133LE-1726-SM-5K7VQ 20-29 years, female 417.2
GTEX-18D9A-1526-SM-7LG4J 30-39 years, female 416.6
GTEX-139TU-0626-SM-5KM3X 60-69 years, male 416.3
GTEX-1K9T9-1426-SM-DIPFQ 50-59 years, female 415.4
GTEX-1A8G7-2426-SM-731AK 60-69 years, male 414.0
GTEX-1GF9V-2526-SM-7SB8K 60-69 years, male 413.5
GTEX-Q2AG-0326-SM-48U1O 40-49 years, female 412.3
GTEX-11GSP-0926-SM-9WYSG 60-69 years, female 410.9
GTEX-1HC8U-0826-SM-ADEIL 40-49 years, female 409.3
GTEX-1JMQK-2626-SM-COH2W 60-69 years, male 407.8
GTEX-R53T-1526-SM-48FEK 50-59 years, female 407.7
GTEX-1IKOH-2326-SM-CM2TW 60-69 years, female 407.3
GTEX-ZV7C-1826-SM-5NQ83 50-59 years, male 407.2
GTEX-QEL4-2126-SM-447AE 50-59 years, male 406.0
GTEX-T6MO-0326-SM-32QOK 40-49 years, female 405.1
GTEX-Z9EW-1526-SM-EZ6LU 40-49 years, male 405.1
GTEX-131YS-0626-SM-5EGKL 60-69 years, female 402.9
GTEX-1GZ2Q-2626-SM-7MXV9 40-49 years, male 401.8
GTEX-1H1CY-2226-SM-9WG7E 60-69 years, female 401.4
GTEX-17HG3-0126-SM-7IGNH 30-39 years, female 400.8
GTEX-Y111-2026-SM-4SOJA 50-59 years, male 400.4
GTEX-1JMLX-2026-SM-CMKGN 50-59 years, male 400.4
GTEX-1BAJH-0826-SM-7EWEF 70-79 years, male 400.0
GTEX-VUSG-2226-SM-4KKZO 50-59 years, male 399.0
GTEX-1QPFJ-2026-SM-EVYBE 30-39 years, female 398.5
GTEX-17EVP-0226-SM-79OND 40-49 years, male 398.3
GTEX-ZVZQ-0826-SM-51MRF 60-69 years, female 398.0
GTEX-ZVTK-0326-SM-51MRR 20-29 years, male 397.7
GTEX-1QCLZ-2326-SM-DTXDO 60-69 years, female 396.3
GTEX-QDT8-0626-SM-48TYW 30-39 years, female 395.9
GTEX-13NZ9-1026-SM-5MR5K 50-59 years, male 394.4
GTEX-YJ8O-2226-SM-5IFHW 40-49 years, female 392.1
GTEX-1EU9M-2826-SM-7EWFH 60-69 years, male 391.3
GTEX-T2YK-2226-SM-32QPT 50-59 years, male 390.6
GTEX-183FY-1126-SM-7DHLJ 20-29 years, male 389.7
GTEX-11PRG-0826-SM-5EQ6A 50-59 years, male 389.1
GTEX-1GPI6-0626-SM-7RHHJ 60-69 years, male 389.1
GTEX-1HR9M-2426-SM-ACKXI 60-69 years, male 389.1
GTEX-1R46S-2526-SM-E8VN2 60-69 years, female 386.0
GTEX-Y5V5-2126-SM-4WWFO 60-69 years, female 385.7
GTEX-1EN7A-1426-SM-7PBY4 40-49 years, male 385.6
GTEX-1122O-1226-SM-5H113 60-69 years, female 384.6
GTEX-15ETS-0626-SM-7KUMX 40-49 years, female 383.6
GTEX-1GZHY-0726-SM-9WG6B 50-59 years, female 382.5
GTEX-ZGAY-1726-SM-DO91P 40-49 years, female 381.1
GTEX-146FH-0826-SM-5SI8T 50-59 years, female 380.8
GTEX-1GN1U-0526-SM-9KNTT 50-59 years, female 380.2
GTEX-18A7A-0726-SM-7LTAI 50-59 years, female 379.6
GTEX-132AR-0826-SM-5EGK6 50-59 years, female 378.9
GTEX-1GMR3-2626-SM-7RHHG 40-49 years, male 378.6
GTEX-1GMRU-0826-SM-9WYT7 50-59 years, male 378.0
GTEX-YFC4-1426-SM-5IFJG 40-49 years, female 377.8
GTEX-WY7C-2726-SM-3NB3P 50-59 years, male 376.4
GTEX-Y8LW-1626-SM-5IFHX 50-59 years, female 376.2
GTEX-XOT4-0726-SM-4GIAW 60-69 years, female 375.9
GTEX-1CAMS-1426-SM-7IGPM 40-49 years, female 375.6
GTEX-1PDJ9-1126-SM-EXUSW 20-29 years, male 374.9
GTEX-13FTY-2226-SM-5J1ND 40-49 years, female 374.7
GTEX-WFON-1826-SM-3GILG 40-49 years, male 374.2
GTEX-WYBS-0926-SM-3NM94 60-69 years, female 373.8
GTEX-1RQEC-2026-SM-DTXDM 60-69 years, male 373.4
GTEX-XUW1-2326-SM-4BOO5 50-59 years, female 371.8
GTEX-1H3VY-0926-SM-ACKXE 50-59 years, male 371.6
GTEX-18A66-1726-SM-7LG5N 60-69 years, male 371.0
GTEX-1GZ4I-2826-SM-9MQK5 50-59 years, male 370.9
GTEX-1CAMR-1426-SM-793BO 20-29 years, male 370.2
GTEX-13OW5-2226-SM-5L3HC 60-69 years, male 369.9
GTEX-RU72-0626-SM-46MUI 50-59 years, female 369.9
GTEX-1269C-2426-SM-5FQSN 60-69 years, female 369.2
GTEX-1J8Q3-1326-SM-CMKI1 60-69 years, male 369.2
GTEX-ZPIC-1126-SM-5BC7F 40-49 years, female 368.6
GTEX-1R9PN-0326-SM-DTX85 40-49 years, female 367.7
GTEX-WRHU-0326-SM-3MJFY 50-59 years, female 367.4
GTEX-1EWIQ-1726-SM-7SB7T 70-79 years, female 367.3
GTEX-1HUB1-1626-SM-CM2SL 60-69 years, male 366.4
GTEX-1C475-1226-SM-7SB72 40-49 years, female 365.7
GTEX-13113-5013-SM-7SB7G 60-69 years, female 365.6
GTEX-13FHO-0826-SM-5L3E8 60-69 years, male 364.1
GTEX-1MCC2-2126-SM-EWRON 30-39 years, female 364.1
GTEX-RU1J-0626-SM-4WAWY 20-29 years, female 363.2
GTEX-ZLV1-1426-SM-DO92Z 60-69 years, female 363.0
GTEX-1JKYR-0926-SM-CMKGJ 20-29 years, male 361.7
GTEX-1211K-1926-SM-5EQLB 60-69 years, female 359.8
GTEX-1N5O9-1126-SM-DTXEQ 60-69 years, male 359.7
GTEX-RWS6-1926-SM-47JXY 60-69 years, female 358.9
GTEX-ZXES-0826-SM-5E43C 30-39 years, female 357.7
GTEX-1IKJJ-2326-SM-COH3U 60-69 years, male 357.3
GTEX-X15G-1626-SM-3NMB3 50-59 years, female 355.4
GTEX-1F75I-2026-SM-7SB7N 40-49 years, male 355.0
GTEX-1LGRB-1826-SM-CNPQL 50-59 years, female 353.3
GTEX-1GN2E-2226-SM-9WG6J 60-69 years, male 352.8
GTEX-1CB4G-2326-SM-79OOI 60-69 years, male 352.1
GTEX-11GS4-2126-SM-5A5KR 60-69 years, male 352.0
GTEX-1192X-2326-SM-5987X 50-59 years, male 350.4
GTEX-1LSNM-1326-SM-E9TJ1 50-59 years, male 349.2
GTEX-1B97J-0426-SM-79OLQ 50-59 years, female 348.2
GTEX-1POEN-0926-SM-DTX88 30-39 years, female 348.1
GTEX-1IDJE-0826-SM-CKZNZ 50-59 years, female 348.0
GTEX-ZY6K-1626-SM-5GZWV 50-59 years, male 347.5
GTEX-Y3I4-1526-SM-4TT7K 50-59 years, male 347.2
GTEX-11EMC-2026-SM-5A5JV 60-69 years, female 344.4
GTEX-W5X1-2326-SM-3GIL6 40-49 years, female 343.5
GTEX-1KXAM-1026-SM-CY8IA 60-69 years, male 343.5
GTEX-S4P3-1326-SM-4AD6V 50-59 years, female 342.8
GTEX-1GMR8-0726-SM-9KNVI 50-59 years, female 342.4
GTEX-11EI6-0626-SM-5985T 60-69 years, male 341.6
GTEX-1F5PL-1026-SM-7RHI1 40-49 years, female 340.9
GTEX-14BMU-1626-SM-5TDE7 20-29 years, female 340.6
GTEX-WXYG-2226-SM-4E3IM 50-59 years, female 339.6
GTEX-13N11-1726-SM-5J1OJ 50-59 years, female 339.2
GTEX-T5JW-2026-SM-4DM63 20-29 years, female 338.6
GTEX-TMMY-0726-SM-33HBE 40-49 years, female 337.8
GTEX-12ZZX-1126-SM-5EGKB 40-49 years, female 337.6
GTEX-ZU9S-1926-SM-5NQBP 30-39 years, male 336.0
GTEX-ZC5H-2626-SM-5J2MG 40-49 years, female 333.1
GTEX-WFG8-2026-SM-EXOHO 20-29 years, male 332.0
GTEX-1314G-1226-SM-5BC6D 30-39 years, male 329.8
GTEX-ZEX8-2226-SM-57WC6 50-59 years, male 329.0
GTEX-XUZC-1626-SM-4BRVP 30-39 years, female 328.5
GTEX-ZTPG-2826-SM-57WGA 20-29 years, female 327.2
GTEX-XBED-1626-SM-47JYN 60-69 years, male 327.0
GTEX-1F75A-1826-SM-7SB8G 50-59 years, male 326.9
GTEX-1MA7W-1026-SM-DKPQK 20-29 years, female 326.6
GTEX-1LVAN-1326-SM-CNPQE 50-59 years, female 326.3
GTEX-16NGA-0826-SM-718AF 40-49 years, female 325.9
GTEX-1A3MV-1626-SM-731C1 30-39 years, male 325.2
GTEX-1MCYP-0126-SM-E6CIS 20-29 years, female 325.2
GTEX-1RAZS-1226-SM-E8VMT 50-59 years, male 325.0
GTEX-1GF9X-1026-SM-ACKX2 40-49 years, female 324.9
GTEX-13PVR-2226-SM-7DHKP 60-69 years, female 324.8
GTEX-11EM3-1326-SM-5N9C6 20-29 years, female 324.7
GTEX-T5JC-2126-SM-32PMO 20-29 years, male 322.0
GTEX-1RAZQ-1226-SM-EWRNL 30-39 years, male 321.9
GTEX-15FZZ-0726-SM-7KUFZ 30-39 years, female 321.8
GTEX-Y3IK-2326-SM-4WWDT 50-59 years, female 321.7
GTEX-17HHE-1426-SM-7EPH4 50-59 years, male 321.1
GTEX-QEG5-0726-SM-D4P1T 20-29 years, male 319.6
GTEX-17EUY-1926-SM-7DUF6 20-29 years, male 318.5
GTEX-13QIC-2326-SM-5LU5N 60-69 years, female 317.5
GTEX-ZF29-1926-SM-5S2P1 60-69 years, female 315.6
GTEX-1JMPY-0526-SM-CL54O 30-39 years, male 314.3
GTEX-WYJK-1326-SM-3NB2T 50-59 years, male 314.2
GTEX-1J8QM-2026-SM-ARZMW 60-69 years, female 312.9
GTEX-1QP29-1726-SM-E8VMQ 50-59 years, male 312.0
GTEX-1R7EU-1226-SM-E8VMR 60-69 years, male 311.9
GTEX-ZZPU-0626-SM-5E43T 50-59 years, female 311.3
GTEX-1HBPN-2326-SM-9WPPU 50-59 years, male 310.9
GTEX-1GZ4H-0326-SM-7P8QX 50-59 years, female 309.5
GTEX-13W3W-1226-SM-5LU4H 60-69 years, female 309.3
GTEX-WYVS-1726-SM-3NMAY 40-49 years, female 308.2
GTEX-ZAK1-1326-SM-EVYAS 50-59 years, female 307.3
GTEX-1KANA-2026-SM-DIPFB 20-29 years, male 305.8
GTEX-S4UY-0726-SM-4AD6X 40-49 years, female 305.3
GTEX-1J8EW-2626-SM-CL53E 60-69 years, female 305.2
GTEX-U3ZN-1926-SM-4DXSG 30-39 years, female 302.4
GTEX-111YS-1926-SM-5GICC 60-69 years, male 301.3
GTEX-11P81-1926-SM-5BC53 30-39 years, female 300.8
GTEX-1CB4E-0226-SM-79OLW 60-69 years, male 300.7
GTEX-11P7K-0726-SM-5EGKX 30-39 years, male 300.0
GTEX-UPK5-2326-SM-3P5Z8 40-49 years, male 298.2
GTEX-1B932-0826-SM-73KXG 40-49 years, female 297.0
GTEX-ZTX8-1226-SM-4YCE9 20-29 years, male 297.0
GTEX-1I1HK-2426-SM-ADEHX 60-69 years, male 296.2
GTEX-17KNJ-2026-SM-7LG53 50-59 years, male 295.8
GTEX-13QJ3-0826-SM-7DHKK 50-59 years, male 293.9
GTEX-U3ZH-1426-SM-4DXSR 30-39 years, male 291.4
GTEX-18QFQ-0826-SM-718AX 30-39 years, male 291.1
GTEX-1B8L1-2426-SM-9WYTE 60-69 years, male 288.8
GTEX-1AX8Z-0926-SM-731AW 60-69 years, male 288.2
GTEX-15ER7-1626-SM-6PAMZ 20-29 years, female 287.2
GTEX-1B8KZ-1526-SM-7DUG7 50-59 years, male 285.9
GTEX-TML8-1226-SM-32QON 40-49 years, female 285.7
GTEX-1M5QR-2526-SM-E9U5P 40-49 years, male 284.4
GTEX-UJHI-1426-SM-3DB9C 50-59 years, female 282.3
GTEX-1GN1W-1926-SM-7P8TH 50-59 years, female 280.5
GTEX-17HHY-0926-SM-793C1 50-59 years, male 278.9
GTEX-1QCLY-1626-SM-DTXDW 30-39 years, male 276.0
GTEX-1HSGN-1526-SM-A9SMO 40-49 years, female 270.0
GTEX-1C64O-0726-SM-7DUFU 60-69 years, male 267.0
GTEX-1JK1U-1826-SM-ARL8W 60-69 years, male 263.1
GTEX-S341-1526-SM-4AD6K 40-49 years, female 260.5
GTEX-1HSKV-2026-SM-CMKGX 60-69 years, male 259.8
GTEX-1LVAM-0926-SM-E9TJ2 50-59 years, female 253.2
GTEX-ZF2S-2026-SM-5E461 50-59 years, female 250.3
GTEX-1F6I4-2526-SM-7SB8F 60-69 years, male 249.0
GTEX-T6MN-0726-SM-32PML 50-59 years, male 248.3
GTEX-1B97I-0426-SM-79OL7 40-49 years, male 246.1
GTEX-1IY9M-2726-SM-CMKG5 60-69 years, male 243.3
GTEX-1I6K7-1026-SM-A9SLK 40-49 years, male 239.9
GTEX-1HKZK-1826-SM-ADEJ2 40-49 years, male 233.0
GTEX-1K2DA-1726-SM-CGQGS 50-59 years, male 228.2
GTEX-1H1E6-0926-SM-9YFLT 30-39 years, male 225.3
Show allShow less

BREAST - FANTOM5 CAGEi

RNA expression in human tissues obtained through Cap Analysis of Gene Expression (CAGE) generated by the FANTOM5 project are reported as Scaled Tags Per Million.

Max subtype Scaled Tags Per Millioni

Max subtype Scaled Tags Per Million is the value for the subtype with the largest average Scaled Tags Per Million across the subtype samples.

1005.8
FANTOM5 sample id Sample description Scaled Tags Per Million
Breast
Scaled Tags Per Million: 1005.8
FF:10080-102A8 77 years, female 1005.8

Contact

  • NEWS ARTICLES
  • PRESS ROOM

The Project

  • INTRODUCTION
  • ORGANIZATION
  • PUBLICATIONS

The Human Protein Atlas

  • DOWNLOADABLE DATA
  • LICENCE & CITATION
  • HELP & FAQ
The Human Protein Atlas project is funded
by the Knut & Alice Wallenberg Foundation.


contact@proteinatlas.org