We use cookies to enhance the usability of our website. If you continue, we'll assume that you are happy to receive all cookies. More information. Don't show this again.
ATF4
HPA
RESOURCES
  • TISSUE
  • BRAIN
  • SINGLE CELL
  • SUBCELLULAR
  • CANCER
  • BLOOD
  • CELL LINE
  • STRUCTURE & INTERACTION
ABOUT
  • INTRODUCTION
  • HISTORY
  • ORGANIZATION
  • PUBLICATIONS
  • ANTIBODY SUBMISSION
  • ANTIBODY AVAILABILITY
  • ACKNOWLEDGMENTS
  • CONTACT
NEWS
  • NEWS ARTICLES
  • PRESS ROOM
LEARN
  • DICTIONARY
  • PROTEIN CLASSES
  • PROTEIN EVIDENCE
  • METHODS
  • EDUCATIONAL VIDEOS
DATA
  • DOWNLOADABLE DATA
  • PUBLICATION DATA
  • RELEASE HISTORY
HELP
  • ANTIBODY VALIDATION
  • ASSAYS & ANNOTATION
  • DISCLAIMER
  • HELP & FAQ
  • PRIVACY STATEMENT
  • LICENCE & CITATION
Fields »
Search result

Field
Term
Gene name
Class
Subclass
Class
Keyword
Chromosome
External id
Tissue
Cell type
Expression
Antibody panel
Tissue
Main location
Patient ID
Annotation
Tissue
Category
Tau score
Cluster
Reliability
Brain region
Category
Tau score
Brain region
Category
Tau score
Brain region
Category
Tau score
Cluster
Reliability
Tissue
Cell type
Enrichment
Cell type
Category
Tau score
Cell type
Category
Tau score
Cell type
Category
Tau score
Cell lineage
Category
Tau score
Cluster
Cluster
Location
Searches
Location
Cell line
Class
Type
Phase
Reliability
Cancer
Prognosis
Cancer
Category
Cancer
Category
Tau score
Cluster
Variants
Interacting gene (ensg_id)
Type
Number of interactions
Pathway
Category
Score
Score
Score
Validation
Validation
Validation
Validation
Antibodies
Data type
Column


  • SUMMARY

  • TISSUE

  • BRAIN

  • SINGLE CELL

  • SUBCELL

  • CANCER

  • BLOOD

  • CELL LINE

  • STRUCT & INT

  • ATF4
TISSUE PRIMARY DATA SKIN Show tissue menu
ADIPOSE TISSUE ADRENAL GLAND AMYGDALA APPENDIX BASAL GANGLIA BONE MARROW BREAST BRONCHUS CEREBELLUM CEREBRAL CORTEX CERVIX CHOROID PLEXUS COLON DUODENUM
ENDOMETRIUM EPIDIDYMIS ESOPHAGUS FALLOPIAN TUBE GALLBLADDER HEART MUSCLE HIPPOCAMPAL FORMATION HYPOTHALAMUS KIDNEY LIVER LUNG LYMPH NODE MIDBRAIN NASOPHARYNX
ORAL MUCOSA OVARY PANCREAS PARATHYROID GLAND PITUITARY GLAND PLACENTA PROSTATE RECTUM RETINA SALIVARY GLAND SEMINAL VESICLE SKELETAL MUSCLE SKIN SMALL INTESTINE
SMOOTH MUSCLE SOFT TISSUE SPINAL CORD SPLEEN STOMACH TESTIS THYMUS THYROID GLAND TONGUE TONSIL URINARY BLADDER VAGINA
ANTIBODIES
AND
VALIDATION
Dictionary
Skin
Tissue proteome
Skin
SKIN - Expression summary
Protein expression
Skini

On the top, protein expression in current human tissue, based on all annotated cell types, is reported with the units not detected (n), low (l), medium (m) and high (h). Underneath, protein expression in each annotated cell type are reported using the same units.

Protein expression data is based on knowledge-based annotation. For genes where more than one antibody has been used, a collective score is set.

If knowledge-based annotation could not be performed for a gene, no data is displayed here. View antibody staining data further down this page.

h
m
l
n
Epidermal cells: Medium
Fibroblasts: Medium
Keratinocytes: Medium
Langerhans: Medium
Melanocytes: Medium
RNA expressioni

A summary of mRNA expression data available for current tissue based on several datasets. The mRNA expression levels in human tissues are based on RNA-seq data generated by the Human Protein Atlas (HPA), Genotype-Tissue Expression (GTEx) portal and CAGE data generated by the FANTOM5 consortium. Consensus normalized expression levels for human tissues was created by combining the data from HPA and GTEx datasets.

The mRNA expression levels in pig are based on RNA-seq data generated by the Human Protein Atlas (HPA), and for mouse, HPA data and in situ hybridization generated by the Allen brain atlas are reported.

Scroll down to view mRNA expression data in more detail.
Consensus:359.2 nTPM
HPA:181.5 nTPM
GTEx:359.2 nTPM

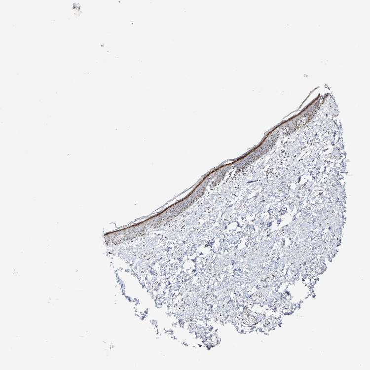
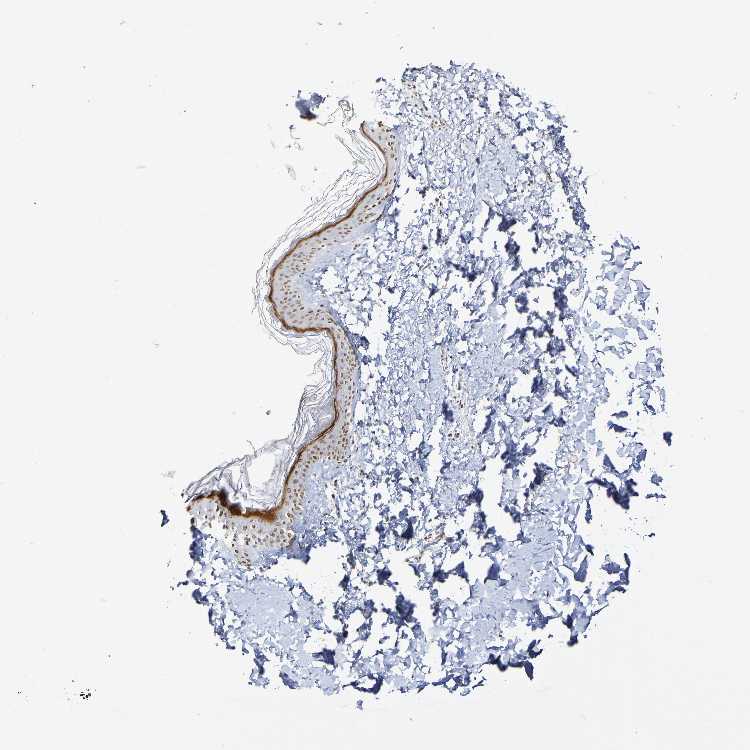
SKIN 1 - Antibody stainingi

Antibody staining in the annotated cell types in the current human tissue is reported as not detected, low, medium, or high, based on conventional immunohistochemistry profiling in selected tissues. This score is based on the combination of the staining intensity and fraction of stained cells.

Each image is clickable and will lead to virtual microscopy that enables deeper exploration of all samples and also displays staining intensity scores, fraction scores and subcellular localization as well as patient and tissue information for each sample.

Antibody CAB011596
Langerhans Medium
Fibroblasts Medium
Keratinocytes Medium
Melanocytes Medium


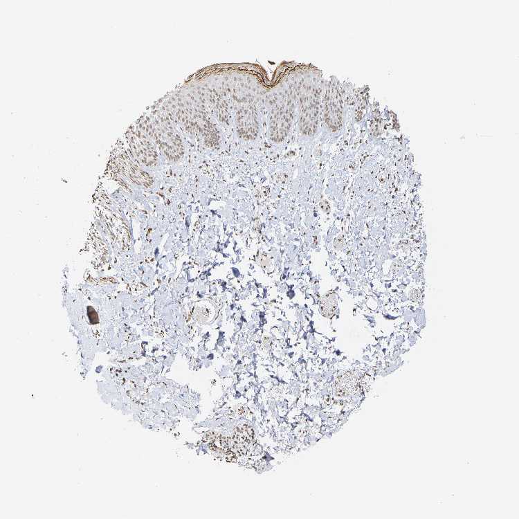
SKIN 2 - Antibody stainingi

Antibody staining in the annotated cell types in the current human tissue is reported as not detected, low, medium, or high, based on conventional immunohistochemistry profiling in selected tissues. This score is based on the combination of the staining intensity and fraction of stained cells.

Each image is clickable and will lead to virtual microscopy that enables deeper exploration of all samples and also displays staining intensity scores, fraction scores and subcellular localization as well as patient and tissue information for each sample.

Antibody CAB011596
Epidermal cells Medium
 
 
 



SKIN - HPA RNA-seqi

The RNA-seq details section shows detailed information about the individual samples used for the transcript profiling and results of the RNA-seq analysis.

Information about each individual sample is listed below, including gender, age, a tissue section image and estimated fractions of cell types. nTPM (normalized transcripts per million) values give a quantification of the gene abundance which is comparable between different genes and samples.
Average nTPMi

Max subtype nTPM is the value for the subtype with the largest average nTPM across the subtype samples.

181.5
overview
Female, age 34
Skin sample 225
nTPM: 183.6
Cell types%
Keratinocytes:
60

Other cell types:
40

overview
Female, age 30
Skin sample 226
nTPM: 156.2
Cell types%
Keratinocytes:
55

Other cell types:
45

N/A
Male, age 57
Skin sample 227
nTPM: 204.8

SKIN - GTEx RNA-seqi

RNA-Seq data generated by the Genotype-Tissue Expression (GTEx) project from human tissues is reported as mean nTPM. More information can be found on the GTEx portal.

Distribution across the dataset is visualized with box plots, shown as median and 25th and 75th percentiles. Points are displayed as outliers if they are above or below 1.5 times the interquartile range. nTPM values of the individual samples are presented next to the box plot.
Max subtype nTPMi

Max subtype nTPM is the value for the subtype with the largest average nTPM across the subtype samples.

359.2
GTEx sample id Sample description nTPM
Skin - Not Sun Exposed (Suprapubic)
Average nTPM: 359.2
Samples: 604

Max nTPM: 771.6
Min nTPM: 206.9
Std nTPM: 84.5
Median nTPM: 346.7
GTEX-13YAN-0226-SM-5TDC6 60-69 years, male 771.6
GTEX-1S82U-1026-SM-E6CJK 30-39 years, female 688.0
GTEX-1IDFM-0326-SM-ARL7V 60-69 years, male 672.9
GTEX-12WSK-2126-SM-5CVNC 40-49 years, female 661.1
GTEX-1MCYP-0526-SM-E9U6Q 20-29 years, female 655.1
GTEX-13NZ8-1226-SM-5KM4A 60-69 years, female 633.0
GTEX-1PPH8-0126-SM-EWRN8 20-29 years, male 632.7
GTEX-ZY6K-1426-SM-5GZX2 50-59 years, male 631.3
GTEX-ZLV1-1526-SM-DO91J 60-69 years, female 624.1
GTEX-11DZ1-2426-SM-5GZZX 50-59 years, male 613.8
GTEX-13NYC-0126-SM-5L3F4 60-69 years, male 609.9
GTEX-1H3VE-0726-SM-9YFL5 40-49 years, male 608.9
GTEX-X585-2426-SM-46MW2 50-59 years, male 605.2
GTEX-1117F-2926-SM-5GZYI 60-69 years, female 601.1
GTEX-ZVE1-0726-SM-51MRN 50-59 years, female 575.4
GTEX-1ICLZ-0326-SM-ARL82 60-69 years, male 567.7
GTEX-1LVAN-0626-SM-CNPOQ 50-59 years, female 566.0
GTEX-1RAZQ-1326-SM-E9TK6 30-39 years, male 558.4
GTEX-1J8Q2-2626-SM-ACKWQ 60-69 years, male 541.3
GTEX-XK95-0226-SM-4AT58 40-49 years, male 537.4
GTEX-13PDP-0726-SM-5L3HP 60-69 years, male 527.5
GTEX-WHSE-0126-SM-3NMBT 20-29 years, male 526.1
GTEX-1LKK1-2626-SM-DKPQE 50-59 years, female 522.0
GTEX-1F6RS-2026-SM-7RHHC 60-69 years, female 520.4
GTEX-ZPCL-1126-SM-4WWFE 60-69 years, female 516.6
GTEX-ZVZP-1226-SM-5GID7 50-59 years, male 516.4
GTEX-ZYY3-2926-SM-5GIEB 60-69 years, female 516.3
GTEX-1M4P7-0726-SM-E6CJ3 60-69 years, male 516.0
GTEX-1HCUA-0826-SM-ADEHM 50-59 years, female 515.4
GTEX-XMD2-2126-SM-4YCF8 60-69 years, female 514.0
GTEX-X8HC-0626-SM-4E3HQ 50-59 years, female 512.6
GTEX-1313W-0626-SM-5EQ4H 50-59 years, female 506.8
GTEX-ZTSS-1426-SM-5985P 40-49 years, male 506.8
GTEX-ZYFD-0626-SM-5E44E 50-59 years, male 504.7
GTEX-ZE7O-2726-SM-51MT5 50-59 years, female 504.1
GTEX-ZAJG-1526-SM-5CVML 50-59 years, female 501.5
GTEX-ZU9S-1826-SM-5NQ9E 30-39 years, male 500.5
GTEX-15UF6-1926-SM-7KUDV 70-79 years, female 500.0
GTEX-13IVO-0726-SM-5LZYV 70-79 years, male 499.3
GTEX-15SHW-0226-SM-7LTAT 60-69 years, male 499.1
GTEX-1NV5F-0626-SM-DTXEG 60-69 years, female 495.4
GTEX-12584-0726-SM-5FQTK 40-49 years, male 491.3
GTEX-1AX9J-1326-SM-731BJ 60-69 years, male 491.3
GTEX-11WQK-1026-SM-5EQLX 50-59 years, male 490.7
GTEX-1S82P-2126-SM-E6CI5 60-69 years, female 490.7
GTEX-1HBPM-0726-SM-9YFL7 60-69 years, female 488.2
GTEX-Y9LG-1126-SM-4VBQ7 30-39 years, male 487.9
GTEX-13W3W-0726-SM-5IJDQ 60-69 years, female 486.5
GTEX-1MJK3-0726-SM-E6CJC 20-29 years, male 485.6
GTEX-WI4N-2726-SM-3LK7Y 40-49 years, female 484.0
GTEX-13PL6-1126-SM-5L3IE 40-49 years, female 481.3
GTEX-ZYW4-0626-SM-59HJR 60-69 years, male 480.5
GTEX-1F75B-0726-SM-7PC3R 50-59 years, male 476.6
GTEX-1I1GT-1026-SM-ARZLV 60-69 years, female 474.6
GTEX-139D8-1126-SM-5LU8W 30-39 years, female 474.2
GTEX-XQ8I-0926-SM-4BOOF 50-59 years, male 472.9
GTEX-12WSJ-1126-SM-5LZVJ 40-49 years, female 472.8
GTEX-WH7G-2026-SM-3NMBL 40-49 years, male 471.7
GTEX-1HR98-2226-SM-ADEI2 60-69 years, male 470.9
GTEX-1C6WA-2626-SM-7MKGM 60-69 years, male 470.7
GTEX-15RIG-0726-SM-7KUM7 40-49 years, male 470.3
GTEX-15DDE-2926-SM-6LLJ3 50-59 years, female 469.2
GTEX-1LSVX-2526-SM-DIPEU 60-69 years, male 468.7
GTEX-1QP2A-1726-SM-E76QC 50-59 years, male 468.3
GTEX-14DAR-1226-SM-73KYV 50-59 years, male 465.4
GTEX-1JKYN-0826-SM-ARU8S 30-39 years, male 465.2
GTEX-1399S-0126-SM-5IJCF 30-39 years, female 460.6
GTEX-ZF3C-0626-SM-DO92O 50-59 years, female 459.5
GTEX-1ICLY-0826-SM-CMKG1 50-59 years, male 458.1
GTEX-1GPI7-1826-SM-9KNU1 20-29 years, male 457.8
GTEX-1R9PN-0426-SM-DTXDT 40-49 years, female 457.7
GTEX-1K2DU-1226-SM-CYPT4 20-29 years, male 457.4
GTEX-ZLFU-1826-SM-4WWBV 40-49 years, male 456.6
GTEX-1PPH7-1126-SM-DTX9A 40-49 years, male 456.1
GTEX-16YQH-2226-SM-7IGM2 30-39 years, male 455.8
GTEX-ZAB4-2126-SM-5HL8U 40-49 years, male 455.8
GTEX-ZYVF-0926-SM-5E44J 50-59 years, female 454.5
GTEX-13QBU-1226-SM-5LU4G 40-49 years, female 453.7
GTEX-145LS-0626-SM-7EPG7 60-69 years, female 451.6
GTEX-11TUW-0626-SM-5LU9M 60-69 years, male 449.1
GTEX-144FL-0626-SM-5LU43 50-59 years, male 448.9
GTEX-1LBAC-0826-SM-CY8IJ 20-29 years, male 448.6
GTEX-14PJ4-0226-SM-5YY92 60-69 years, male 446.6
GTEX-1H1ZS-2726-SM-9WG75 70-79 years, male 446.2
GTEX-13NYS-0626-SM-5L3F1 60-69 years, male 444.7
GTEX-1LVAO-2726-SM-E9TJ8 60-69 years, male 444.2
GTEX-1KAFJ-0126-SM-DIPEK 50-59 years, male 443.7
GTEX-13112-0126-SM-5P9IU 50-59 years, male 440.1
GTEX-14LLW-2626-SM-62LDZ 70-79 years, female 439.5
GTEX-1N2EE-0626-SM-E76PW 60-69 years, male 438.9
GTEX-14A5H-0826-SM-5QGPJ 60-69 years, male 438.2
GTEX-X4EP-0626-SM-3P621 60-69 years, female 438.1
GTEX-1C2JI-1026-SM-73KY1 50-59 years, male 437.4
GTEX-YB5K-2026-SM-4VDT3 40-49 years, female 436.3
GTEX-1I4MK-0126-SM-CY8G6 50-59 years, female 435.5
GTEX-14753-0726-SM-5QGQO 60-69 years, male 432.7
GTEX-1I1GU-0926-SM-ACKVS 40-49 years, male 432.5
GTEX-1S831-1826-SM-EWROF 20-29 years, male 432.5
GTEX-Y5LM-0926-SM-6LLJG 40-49 years, female 432.2
GTEX-1JJE9-2626-SM-ARZMT 70-79 years, male 432.2
GTEX-14C39-1726-SM-5RQIL 40-49 years, male 430.8
GTEX-11TT1-1826-SM-5EQLV 20-29 years, male 429.4
GTEX-11UD2-2526-SM-5CVNU 50-59 years, male 429.4
GTEX-14E1K-2026-SM-7DUEI 50-59 years, male 428.6
GTEX-1JMQK-1226-SM-D4P2S 60-69 years, male 427.5
GTEX-1F88E-1626-SM-7SB8Z 60-69 years, female 426.4
GTEX-1MCC2-1826-SM-DIPEX 30-39 years, female 426.1
GTEX-1HFI7-2326-SM-CGQFS 50-59 years, female 425.8
GTEX-ZVE2-2826-SM-5GU51 50-59 years, male 423.7
GTEX-1NSGN-0726-SM-DTXEF 50-59 years, male 423.5
GTEX-13O3O-2326-SM-5IJD6 60-69 years, female 421.6
GTEX-1I19N-0126-SM-CYPSF 70-79 years, male 421.6
GTEX-15G19-2426-SM-7KUMR 60-69 years, male 421.5
GTEX-13JUV-2026-SM-5K7UA 40-49 years, female 421.3
GTEX-12WSA-0426-SM-5EQ5X 60-69 years, male 421.2
GTEX-13OW5-2326-SM-5L3HO 60-69 years, male 419.0
GTEX-11EQ8-0926-SM-5H12V 60-69 years, male 418.3
GTEX-11OF3-0126-SM-5PNYF 60-69 years, male 417.8
GTEX-1RB15-1326-SM-E76Q9 60-69 years, male 417.6
GTEX-ZDXO-3126-SM-5IJDF 60-69 years, male 417.4
GTEX-VUSG-2326-SM-4KL1U 50-59 years, male 416.7
GTEX-1LSNM-0826-SM-DIPG8 50-59 years, male 416.3
GTEX-1399Q-2326-SM-5KM2X 40-49 years, male 416.0
GTEX-13OVJ-0826-SM-5J1OK 50-59 years, female 415.9
GTEX-12BJ1-0926-SM-5EQ62 60-69 years, male 415.8
GTEX-1E2YA-2126-SM-7MXUO 50-59 years, male 415.1
GTEX-1QP9N-1226-SM-E76QN 30-39 years, male 414.7
GTEX-1R46S-2426-SM-E76QA 60-69 years, female 414.7
GTEX-XPVG-2126-SM-4B667 50-59 years, male 414.4
GTEX-1HKZK-0726-SM-ACKW2 40-49 years, male 414.4
GTEX-15CHQ-0326-SM-69LQD 60-69 years, male 413.3
GTEX-1IKOE-1426-SM-CE6T7 30-39 years, female 413.3
GTEX-13RTJ-0126-SM-5S2NN 60-69 years, male 412.7
GTEX-131YS-2826-SM-5EQ47 60-69 years, female 412.3
GTEX-1S83E-1326-SM-E6CJM 40-49 years, male 410.2
GTEX-1JMOU-1026-SM-CYPSS 60-69 years, female 410.1
GTEX-148VJ-0626-SM-5LUAW 70-79 years, male 409.7
GTEX-XYKS-1426-SM-4BRUO 60-69 years, female 408.7
GTEX-15RIE-1926-SM-7KUKJ 60-69 years, male 407.8
GTEX-1H23P-0626-SM-9WG6T 60-69 years, male 407.8
GTEX-139T8-0626-SM-5KLZX 60-69 years, male 407.6
GTEX-XOT4-0626-SM-4B66L 60-69 years, female 407.0
GTEX-Z93S-1626-SM-5CVMB 50-59 years, male 406.9
GTEX-1HFI6-0126-SM-CNPPI 40-49 years, male 405.4
GTEX-15SKB-2826-SM-6PAMH 60-69 years, male 405.3
GTEX-1L5NE-1126-SM-D3L9P 50-59 years, male 405.3
GTEX-1J1OQ-0126-SM-D4P2N 40-49 years, female 405.1
GTEX-1LG7Z-1626-SM-CXKYR 30-39 years, male 405.0
GTEX-18D9A-1426-SM-7LT8M 30-39 years, female 404.8
GTEX-17F97-2626-SM-7IGM5 50-59 years, male 404.5
GTEX-1HSMO-0626-SM-ACKXC 60-69 years, male 402.8
GTEX-14PKV-1126-SM-6LLJ1 20-29 years, female 401.5
GTEX-183WM-0326-SM-72D5V 70-79 years, female 401.1
GTEX-13N1W-2426-SM-5IJD1 70-79 years, male 400.5
GTEX-ZWKS-0626-SM-5GIDV 30-39 years, male 399.8
GTEX-1CAV2-0126-SM-7IGN7 40-49 years, female 399.7
GTEX-13SLX-2226-SM-62LEP 50-59 years, female 399.6
GTEX-145MI-0626-SM-5SI8S 60-69 years, female 399.2
GTEX-144GO-2026-SM-5O99P 60-69 years, male 399.1
GTEX-1POEN-2326-SM-E9J2L 30-39 years, female 398.9
GTEX-1S5ZU-2526-SM-E6CIF 20-29 years, female 398.6
GTEX-1QP29-1826-SM-DTX9S 50-59 years, male 398.4
GTEX-11EQ9-1626-SM-5PNY8 30-39 years, male 398.0
GTEX-14LZ3-0126-SM-69LPM 60-69 years, female 397.9
GTEX-Y5V6-2326-SM-4VDSA 60-69 years, male 397.9
GTEX-1JMQL-2226-SM-CNPP4 50-59 years, female 397.6
GTEX-1K9T9-1526-SM-DIPFR 50-59 years, female 396.7
GTEX-131XH-0126-SM-5LZUY 50-59 years, male 396.3
GTEX-16MT9-0126-SM-7EPI8 60-69 years, female 396.1
GTEX-1B996-0426-SM-7EWF8 60-69 years, male 394.5
GTEX-17F9E-2326-SM-79OKD 50-59 years, male 394.3
GTEX-WYBS-0626-SM-3NMAS 60-69 years, female 394.3
GTEX-17EVQ-0126-SM-7IGLR 70-79 years, male 394.0
GTEX-1OJC4-2726-SM-E76PJ 50-59 years, female 393.7
GTEX-1S3DN-2126-SM-E9TIN 50-59 years, male 392.8
GTEX-11DXW-0826-SM-5H118 40-49 years, male 391.5
GTEX-1HCU7-0726-SM-A9SL1 50-59 years, male 391.3
GTEX-1HCU6-2526-SM-ADEHL 60-69 years, female 389.5
GTEX-145MG-1526-SM-5Q5EM 50-59 years, male 389.4
GTEX-139UW-0326-SM-5J1ML 60-69 years, male 388.7
GTEX-111CU-1126-SM-5EGIM 50-59 years, male 388.6
GTEX-13OVH-0526-SM-5L3E6 70-79 years, male 388.6
GTEX-13X6I-1826-SM-5SIAO 60-69 years, male 388.4
GTEX-144GL-0626-SM-5LU4D 50-59 years, male 388.4
GTEX-11ZUS-2626-SM-5FQUR 30-39 years, male 388.2
GTEX-16MT8-2926-SM-7DUFO 60-69 years, female 388.2
GTEX-11DXY-0126-SM-5H11Q 60-69 years, male 388.1
GTEX-XQ3S-1426-SM-4BOPR 20-29 years, male 388.0
GTEX-16XZZ-0726-SM-7KUF2 60-69 years, male 387.9
GTEX-117YX-1926-SM-5GIEC 50-59 years, male 387.4
GTEX-13NYB-0126-SM-5J1MD 40-49 years, male 386.7
GTEX-16MTA-0926-SM-6M47Z 50-59 years, male 386.4
GTEX-ZTX8-1326-SM-4YCEL 20-29 years, male 385.9
GTEX-ZA64-1026-SM-5HL8R 20-29 years, male 385.5
GTEX-1JMPZ-0726-SM-CY8HZ 30-39 years, male 385.4
GTEX-1IDJV-0126-SM-COH3Y 60-69 years, male 385.3
GTEX-13FTY-2126-SM-5IFFB 40-49 years, female 384.7
GTEX-13OVG-1626-SM-5J1NF 60-69 years, male 383.9
GTEX-XUW1-0926-SM-4BONX 50-59 years, female 383.8
GTEX-WFG8-2126-SM-3GIKQ 20-29 years, male 383.7
GTEX-Y3I4-1726-SM-4TT89 50-59 years, male 383.7
GTEX-14C5O-0326-SM-5ZZUX 60-69 years, male 383.5
GTEX-1PIGE-1826-SM-E8VOU 20-29 years, male 383.2
GTEX-U8XE-0226-SM-4E3J3 30-39 years, male 383.0
GTEX-ZVT2-0126-SM-5GIDQ 50-59 years, female 382.8
GTEX-15EO6-2426-SM-6PALZ 50-59 years, male 382.5
GTEX-1HCU8-2526-SM-CE6RX 60-69 years, female 382.3
GTEX-1AMEY-0826-SM-72D65 30-39 years, female 382.0
GTEX-1I1GS-2626-SM-B2LY3 60-69 years, male 381.8
GTEX-16AAH-0626-SM-793C9 50-59 years, male 381.5
GTEX-1LVA9-2626-SM-EVYD4 50-59 years, male 380.5
GTEX-15DYW-2726-SM-6EU2I 60-69 years, female 380.3
GTEX-1JJ6O-2726-SM-CNPOG 60-69 years, male 379.2
GTEX-1HT8W-0626-SM-A9G2H 30-39 years, male 378.7
GTEX-13QJC-0126-SM-5ZZWJ 60-69 years, female 378.5
GTEX-1F5PK-2226-SM-7SB6N 50-59 years, male 378.3
GTEX-11PRG-0726-SM-5EGL1 50-59 years, male 378.0
GTEX-1CB4H-1126-SM-7MKGL 60-69 years, female 377.8
GTEX-1477Z-0326-SM-7IGLA 60-69 years, male 377.1
GTEX-1GF9W-1426-SM-7PBYM 60-69 years, male 376.9
GTEX-11WQC-1826-SM-5GU59 60-69 years, male 376.3
GTEX-1GMR2-0826-SM-7PC3V 50-59 years, male 376.1
GTEX-ZTTD-2826-SM-4YCFA 50-59 years, male 375.9
GTEX-1A3MW-0626-SM-731CB 60-69 years, female 375.8
GTEX-1H1DG-2426-SM-9QEHJ 70-79 years, male 375.3
GTEX-XBEC-0726-SM-4QARZ 50-59 years, male 374.9
GTEX-1JMQI-1726-SM-ARL93 50-59 years, male 374.7
GTEX-1HB9E-0126-SM-CM2S5 50-59 years, male 374.4
GTEX-14E6C-2426-SM-5S2NF 40-49 years, male 374.3
GTEX-YFCO-1226-SM-5LUAT 40-49 years, male 374.1
GTEX-ZXG5-2126-SM-59HKD 60-69 years, male 373.8
GTEX-1IL2V-1926-SM-B2LW8 70-79 years, male 373.4
GTEX-1EN7A-2426-SM-793DB 40-49 years, male 372.9
GTEX-14PK6-0226-SM-62LF5 70-79 years, female 372.7
GTEX-11EM3-1226-SM-5N9DD 20-29 years, female 372.0
GTEX-12126-0826-SM-5FQTZ 20-29 years, male 371.6
GTEX-14PII-0726-SM-6EU2B 60-69 years, male 371.5
GTEX-1R7EU-1626-SM-DTXG3 60-69 years, male 371.4
GTEX-1LVAM-0726-SM-E6CIL 50-59 years, female 370.9
GTEX-1PBJJ-1026-SM-E76OS 30-39 years, male 370.7
GTEX-11LCK-2226-SM-5HL4Q 30-39 years, male 370.5
GTEX-1JN6P-2926-SM-CL54D 60-69 years, male 370.5
GTEX-1QPFJ-1926-SM-EVYBD 30-39 years, female 370.4
GTEX-1269C-0126-SM-5EQ5L 60-69 years, female 370.2
GTEX-13X6H-0926-SM-5SIB2 50-59 years, female 370.0
GTEX-17HII-1426-SM-7EPGG 50-59 years, male 370.0
GTEX-WEY5-2326-SM-3GIKK 40-49 years, female 369.8
GTEX-147F4-0726-SM-5TDDD 50-59 years, male 369.6
GTEX-17F9Y-0126-SM-79OKX 70-79 years, female 368.9
GTEX-1LG7Y-2526-SM-EWRO7 50-59 years, male 368.4
GTEX-1O9I2-0226-SM-EYYXD 50-59 years, male 368.1
GTEX-1GZ4H-0526-SM-9KNU9 50-59 years, female 368.0
GTEX-1JMQJ-0826-SM-CNPP7 50-59 years, male 368.0
GTEX-ZPU1-1126-SM-4YCF3 40-49 years, male 367.7
GTEX-X4EO-2926-SM-4E3JH 60-69 years, female 367.4
GTEX-V1D1-2026-SM-3GAF4 50-59 years, male 367.1
GTEX-1GMR8-0626-SM-7RHI7 50-59 years, female 366.9
GTEX-13N2G-0226-SM-5K7VF 60-69 years, male 366.2
GTEX-1KANA-1326-SM-DIPFA 20-29 years, male 365.6
GTEX-1QP28-1126-SM-EVYC4 50-59 years, female 365.5
GTEX-1CB4J-1326-SM-7P8RX 60-69 years, male 364.8
GTEX-15RJE-2826-SM-7KUM9 40-49 years, male 364.4
GTEX-14PJ6-2626-SM-6EU2T 60-69 years, female 364.1
GTEX-12WSF-1626-SM-7KUG5 70-79 years, male 363.0
GTEX-1R9K4-2826-SM-DTX8F 60-69 years, male 362.6
GTEX-147F3-1726-SM-5SIAW 50-59 years, female 362.1
GTEX-17EVP-2626-SM-7IGMA 40-49 years, male 362.1
GTEX-1GZHY-0626-SM-9KNVC 50-59 years, female 361.6
GTEX-1J8JJ-0626-SM-ARZMQ 60-69 years, female 360.6
GTEX-ZVT4-2426-SM-5GIEI 50-59 years, female 360.4
GTEX-147GR-2426-SM-5ZZWQ 60-69 years, male 360.3
GTEX-1192X-2726-SM-5N9DN 50-59 years, male 360.0
GTEX-XAJ8-1426-SM-47JYM 40-49 years, male 360.0
GTEX-12ZZZ-0726-SM-5GCNZ 60-69 years, male 356.6
GTEX-17HHE-1326-SM-7EWDZ 50-59 years, male 356.2
GTEX-12WSL-2026-SM-5GCML 50-59 years, male 356.0
GTEX-1HUB1-1426-SM-CGQF5 60-69 years, male 355.3
GTEX-14PJ2-0626-SM-6LLII 50-59 years, male 354.6
GTEX-ZDTT-0426-SM-4WKFL 60-69 years, male 354.5
GTEX-1A8G6-2726-SM-731AR 60-69 years, male 354.2
GTEX-13FH7-1126-SM-5K7UG 50-59 years, female 354.1
GTEX-11GSP-2326-SM-5HL63 60-69 years, female 353.8
GTEX-111VG-1626-SM-5EGIO 60-69 years, male 353.1
GTEX-1399R-1326-SM-5PNYS 30-39 years, male 352.4
GTEX-13VXT-1926-SM-5K7UO 20-29 years, female 352.3
GTEX-1BAJH-2426-SM-7IGP8 70-79 years, male 352.3
GTEX-ZZ64-1026-SM-5GZXG 20-29 years, male 351.9
GTEX-14C38-0726-SM-5SI6M 50-59 years, male 351.1
GTEX-1N5O9-0926-SM-E9J3C 60-69 years, male 350.8
GTEX-13NZ9-2626-SM-5L3FK 50-59 years, male 350.5
GTEX-12696-0126-SM-5EQ4L 60-69 years, male 350.1
GTEX-1JJEA-1826-SM-ARU8P 60-69 years, male 350.1
GTEX-13OW6-2726-SM-5J2OE 50-59 years, male 349.4
GTEX-14ICL-1626-SM-5YYAO 30-39 years, male 349.3
GTEX-14XAO-1226-SM-6EU1C 60-69 years, female 349.1
GTEX-1GZ2Q-0126-SM-9WG6M 40-49 years, male 348.6
GTEX-1J1R8-2026-SM-CL53Y 40-49 years, male 348.6
GTEX-X3Y1-2026-SM-3P5YM 40-49 years, male 348.2
GTEX-1A8G7-1326-SM-73KVM 60-69 years, male 347.9
GTEX-145MF-0926-SM-5Q5EA 50-59 years, male 347.0
GTEX-UPK5-0426-SM-3GAEK 40-49 years, male 347.0
GTEX-11NUK-2726-SM-5A5MC 50-59 years, male 346.8
GTEX-1R9PM-1926-SM-EVR3O 20-29 years, male 346.5
GTEX-XBED-1926-SM-47JYP 60-69 years, male 346.4
GTEX-14PHY-1226-SM-5ZZWK 60-69 years, female 345.8
GTEX-1IDJH-0126-SM-D3L92 70-79 years, male 345.7
GTEX-1PDJ9-1226-SM-EXUSX 20-29 years, male 345.7
GTEX-111FC-2526-SM-5GZXU 60-69 years, male 345.3
GTEX-1CAMS-2226-SM-7PBXQ 40-49 years, female 345.0
GTEX-18465-2826-SM-7LT9J 50-59 years, male 344.6
GTEX-WXYG-2026-SM-4E3IY 50-59 years, female 344.5
GTEX-1HBPN-0126-SM-CGQEF 50-59 years, male 343.9
GTEX-1JMLX-0626-SM-ARL8T 50-59 years, male 343.9
GTEX-XBEW-1126-SM-4QARW 40-49 years, male 343.3
GTEX-13FTW-0326-SM-5K7UW 40-49 years, male 343.0
GTEX-14BMU-1226-SM-5S2OR 20-29 years, female 342.8
GTEX-18A7B-2726-SM-7LG56 70-79 years, male 342.2
GTEX-14JG6-1426-SM-9WG7C 30-39 years, female 342.1
GTEX-1QAET-0326-SM-EVR3U 50-59 years, male 342.0
GTEX-1LGRB-0926-SM-COH3K 50-59 years, female 341.4
GTEX-1A32A-0626-SM-731AQ 50-59 years, female 340.2
GTEX-WYJK-0526-SM-3NM8Z 50-59 years, male 340.2
GTEX-14E6E-0526-SM-793DN 30-39 years, male 339.6
GTEX-145ME-1726-SM-5Q5EU 40-49 years, female 339.0
GTEX-14PKU-0126-SM-6LLHV 40-49 years, female 338.8
GTEX-ZZPU-0826-SM-5GZX5 50-59 years, female 338.2
GTEX-11DYG-1526-SM-5A5JS 60-69 years, male 337.1
GTEX-ZYT6-2326-SM-5GZY3 30-39 years, male 336.9
GTEX-14B4R-1326-SM-5Q5EZ 30-39 years, male 336.2
GTEX-1GF9U-2026-SM-7SB92 40-49 years, female 336.0
GTEX-13O61-1426-SM-5KM3D 60-69 years, male 335.9
GTEX-144GM-0526-SM-79OJO 20-29 years, male 335.6
GTEX-14DAQ-0626-SM-793DS 60-69 years, female 335.4
GTEX-YF7O-1526-SM-5IFI6 50-59 years, male 335.3
GTEX-1EH9U-2826-SM-7DUGT 60-69 years, male 335.0
GTEX-1GL5R-1326-SM-7RHHF 50-59 years, male 334.7
GTEX-ZC5H-1526-SM-5HL9Y 40-49 years, female 334.6
GTEX-1C64N-2626-SM-7PC2N 50-59 years, male 334.4
GTEX-1H2FU-0926-SM-9WPPT 60-69 years, female 334.4
GTEX-1A8FM-0626-SM-7PC25 50-59 years, female 334.1
GTEX-14PJO-2526-SM-6AJBQ 60-69 years, male 333.9
GTEX-18D9B-0926-SM-7LG4U 60-69 years, male 333.3
GTEX-133LE-2326-SM-5K7W3 20-29 years, female 332.5
GTEX-1H1CY-0126-SM-9YFLY 60-69 years, female 331.9
GTEX-13SLW-0626-SM-5Q5ER 70-79 years, male 331.8
GTEX-1H3O1-1326-SM-9MQLD 60-69 years, male 331.1
GTEX-17MFQ-1526-SM-7KFRR 20-29 years, male 330.7
GTEX-131XG-0326-SM-5L3DX 50-59 years, female 330.4
GTEX-ZYFC-0426-SM-5GICQ 50-59 years, male 330.4
GTEX-1IKJJ-2226-SM-CJI4C 60-69 years, male 329.8
GTEX-1HSKV-1226-SM-ADEI4 60-69 years, male 329.5
GTEX-Y111-0626-SM-4SOIT 50-59 years, male 329.2
GTEX-11ZU8-0126-SM-5EQ58 60-69 years, male 328.8
GTEX-1I1CD-0626-SM-CE6SW 60-69 years, female 328.8
GTEX-13FHO-0426-SM-5L3F5 60-69 years, male 328.6
GTEX-12WSM-1926-SM-5BC65 60-69 years, male 328.4
GTEX-ZE9C-2526-SM-5IJDR 60-69 years, male 328.2
GTEX-ZVP2-0326-SM-57WBP 50-59 years, male 328.2
GTEX-1H4P4-2126-SM-9WYSL 50-59 years, male 327.4
GTEX-1PIIG-2326-SM-DTXFR 30-39 years, male 326.7
GTEX-1399U-1126-SM-5L3DB 50-59 years, female 326.3
GTEX-X5EB-1926-SM-4E3IW 40-49 years, male 325.7
GTEX-11VI4-1126-SM-5EQMD 40-49 years, female 325.6
GTEX-13VXU-0626-SM-5L3F9 50-59 years, male 325.5
GTEX-14JG1-1526-SM-5YY9X 40-49 years, male 325.2
GTEX-1GMR3-0126-SM-A9SLW 40-49 years, male 324.5
GTEX-12WSH-1526-SM-5BC5W 50-59 years, male 324.2
GTEX-1B933-2426-SM-7DHMD 50-59 years, female 324.1
GTEX-ZT9W-1126-SM-57WDR 50-59 years, male 323.8
GTEX-18QFQ-1826-SM-72D52 30-39 years, male 323.2
GTEX-WFON-1926-SM-3LK7L 40-49 years, male 323.1
GTEX-1F75I-2226-SM-7SB8U 40-49 years, male 322.9
GTEX-1F52S-2926-SM-7MKGA 60-69 years, female 322.7
GTEX-15G1A-1626-SM-7KUKN 30-39 years, male 322.6
GTEX-1C6VQ-1226-SM-73KYD 50-59 years, male 322.4
GTEX-16BQI-1326-SM-6M486 30-39 years, female 322.2
GTEX-ZYFG-1526-SM-5GZYM 60-69 years, female 322.0
GTEX-1QW4Y-1126-SM-DTXE3 30-39 years, male 322.0
GTEX-1GTWX-2026-SM-9YFLM 60-69 years, male 321.9
GTEX-14ABY-2026-SM-62LDL 50-59 years, male 321.0
GTEX-WK11-2726-SM-3NMAQ 50-59 years, male 320.5
GTEX-1LB8K-0726-SM-D5OV2 50-59 years, male 320.5
GTEX-1A3MX-2626-SM-7PC24 60-69 years, male 320.2
GTEX-13OVL-0126-SM-5L3GJ 50-59 years, male 319.7
GTEX-YJ8O-2526-SM-5HL85 40-49 years, female 319.2
GTEX-ZDTS-0826-SM-4WKHL 60-69 years, male 319.2
GTEX-11NSD-0626-SM-5A5LU 20-29 years, male 319.1
GTEX-1314G-1326-SM-5BC6E 30-39 years, male 318.8
GTEX-1211K-1526-SM-5FQU4 60-69 years, female 318.2
GTEX-14A6H-2026-SM-5Q5DD 30-39 years, male 318.1
GTEX-ZF29-0926-SM-4WKFZ 60-69 years, female 318.0
GTEX-1AYD5-2626-SM-7PBXY 50-59 years, male 317.8
GTEX-ZVTK-0226-SM-51MRG 20-29 years, male 317.7
GTEX-1K2DA-1026-SM-CGQGF 50-59 years, male 317.0
GTEX-YEC4-1826-SM-4W1YP 40-49 years, male 316.4
GTEX-YECK-0326-SM-4W1YS 60-69 years, male 316.1
GTEX-1QP66-1226-SM-DTX7U 50-59 years, male 315.7
GTEX-1B97I-0626-SM-73KUZ 40-49 years, male 315.5
GTEX-VJYA-1526-SM-3GIJV 60-69 years, male 315.4
GTEX-1PPGY-1626-SM-EVYBL 60-69 years, male 315.4
GTEX-1GN73-0726-SM-7P8TJ 60-69 years, male 314.4
GTEX-1JKYR-0626-SM-ARL8R 20-29 years, male 314.1
GTEX-1EKGG-0626-SM-7DUGJ 60-69 years, male 313.9
GTEX-1CB4I-0126-SM-7RHGG 50-59 years, male 313.2
GTEX-1RAZS-2526-SM-E6CHT 50-59 years, male 313.1
GTEX-1F88F-0126-SM-9WYSZ 60-69 years, female 312.5
GTEX-1H3NZ-2726-SM-9WYTQ 60-69 years, male 312.5
GTEX-1RMOY-1326-SM-E9TIH 50-59 years, male 312.5
GTEX-13D11-0926-SM-5J2NC 50-59 years, female 312.4
GTEX-12ZZX-2426-SM-5GCOE 40-49 years, female 312.2
GTEX-14BIN-1126-SM-5RQJZ 50-59 years, female 312.1
GTEX-145LT-0526-SM-5LUB2 40-49 years, male 311.9
GTEX-1F75W-2726-SM-7SB8H 60-69 years, male 311.5
GTEX-1H1E6-0426-SM-9WYUS 30-39 years, male 311.5
GTEX-11O72-0626-SM-5PNYE 40-49 years, male 311.3
GTEX-17F98-1326-SM-7DUEP 40-49 years, female 311.2
GTEX-14JFF-0626-SM-5ZZVT 60-69 years, male 311.1
GTEX-1JMPY-0226-SM-CKZOK 30-39 years, male 310.9
GTEX-ZGAY-1826-SM-DO91Q 40-49 years, female 310.3
GTEX-17MF6-2626-SM-79OKQ 40-49 years, male 310.2
GTEX-13PVR-0426-SM-5RQK2 60-69 years, female 309.1
GTEX-13G51-1826-SM-5KLZH 60-69 years, male 308.6
GTEX-13PVQ-0626-SM-5LU47 50-59 years, male 307.9
GTEX-1F6IF-0926-SM-7SB7M 60-69 years, male 307.9
GTEX-13O3Q-0126-SM-5KM34 50-59 years, male 307.8
GTEX-1I6K6-1726-SM-CGQFD 30-39 years, male 307.8
GTEX-1EMGI-2326-SM-7PBYA 60-69 years, male 306.3
GTEX-1GZ4I-2626-SM-9KNU3 50-59 years, male 306.2
GTEX-XV7Q-1826-SM-4BRUV 40-49 years, female 306.0
GTEX-1IDJU-1726-SM-CMKHU 60-69 years, female 305.9
GTEX-16GPK-0626-SM-7KFSF 60-69 years, male 305.2
GTEX-1HSMQ-2626-SM-A9SML 50-59 years, male 305.2
GTEX-1F48J-0726-SM-7RHGS 50-59 years, female 304.9
GTEX-14PJ5-1526-SM-6LLIL 60-69 years, female 304.8
GTEX-W5X1-2526-SM-3GILC 40-49 years, female 304.8
GTEX-1N2DV-1526-SM-DTXEP 40-49 years, male 304.4
GTEX-1H1DF-1126-SM-9WG7G 40-49 years, female 303.6
GTEX-145MO-2826-SM-5LU96 60-69 years, male 303.1
GTEX-1KD5A-0126-SM-E9U54 50-59 years, male 303.0
GTEX-13FTX-1526-SM-5K7VJ 20-29 years, female 302.6
GTEX-1GN1U-0626-SM-9MQL9 50-59 years, female 302.5
GTEX-16NPX-0726-SM-7KULC 50-59 years, male 301.4
GTEX-WFG7-2026-SM-5SI7P 20-29 years, male 301.3
GTEX-1J8EW-2726-SM-CY8HR 60-69 years, female 300.8
GTEX-14PJN-1826-SM-6AJ98 30-39 years, male 300.7
GTEX-15EU6-2226-SM-6EU2L 50-59 years, male 300.5
GTEX-ZUA1-2626-SM-5NQ92 40-49 years, male 300.5
GTEX-1EWIQ-0326-SM-7DHMQ 70-79 years, female 300.2
GTEX-1RLM8-2926-SM-E8VON 50-59 years, male 299.7
GTEX-1KANB-2826-SM-CY8I6 50-59 years, male 299.6
GTEX-145MN-1526-SM-5SI9T 30-39 years, male 299.2
GTEX-1GMRU-2126-SM-7P8RA 50-59 years, male 299.0
GTEX-1JN1M-2726-SM-CY8I4 60-69 years, female 298.5
GTEX-1CB4E-0926-SM-7EPHT 60-69 years, male 298.1
GTEX-1HSGN-0826-SM-ACKW3 40-49 years, female 297.3
GTEX-1OJC3-1226-SM-DTXER 20-29 years, male 297.2
GTEX-12KS4-2126-SM-5FQUT 30-39 years, male 296.7
GTEX-1E1VI-0326-SM-793D1 50-59 years, male 296.6
GTEX-1HR9M-2226-SM-CNPPY 60-69 years, male 296.4
GTEX-11ZTT-2126-SM-5CVLO 60-69 years, female 296.3
GTEX-13X6K-0626-SM-5LU5D 60-69 years, female 296.3
GTEX-1B8KE-1126-SM-7EPHI 50-59 years, male 296.1
GTEX-ZP4G-1426-SM-4WWCL 20-29 years, female 296.1
GTEX-1GN1V-2826-SM-9JGIA 60-69 years, male 295.5
GTEX-145LU-1926-SM-79OJN 50-59 years, male 295.3
GTEX-1H11D-1826-SM-9QEHM 40-49 years, male 295.1
GTEX-1122O-1026-SM-9WYSF 60-69 years, female 294.9
GTEX-17F96-0126-SM-7EWDU 70-79 years, male 294.4
GTEX-1497J-0226-SM-5QGPU 60-69 years, male 293.7
GTEX-1CAMQ-1326-SM-7P8RV 40-49 years, male 293.5
GTEX-1HCVE-2726-SM-CL54F 50-59 years, male 293.5
GTEX-139TT-2126-SM-5LZWC 60-69 years, male 293.3
GTEX-14AS3-1526-SM-5Q5ED 40-49 years, female 293.1
GTEX-1F6I4-2326-SM-7RHGL 60-69 years, male 292.6
GTEX-1IDJI-0126-SM-CMKHS 50-59 years, female 292.6
GTEX-Y114-2126-SM-4TT8B 50-59 years, female 292.5
GTEX-139TU-0726-SM-5L3EK 60-69 years, male 292.4
GTEX-1QEPI-2626-SM-DTXF4 60-69 years, female 291.7
GTEX-13JVG-0726-SM-5KM16 60-69 years, male 291.3
GTEX-15ER7-0626-SM-6PANF 20-29 years, female 290.9
GTEX-ZPIC-0526-SM-DO91W 40-49 years, female 288.9
GTEX-Y8LW-1526-SM-5IFHL 50-59 years, female 288.8
GTEX-14PHX-2226-SM-6EU2P 50-59 years, male 288.7
GTEX-1I1GV-0626-SM-ARL7M 60-69 years, male 288.6
GTEX-1JN76-0626-SM-CKZOQ 20-29 years, female 288.4
GTEX-1HC8U-1326-SM-9YFMJ 40-49 years, female 288.2
GTEX-ZF2S-1626-SM-57WES 50-59 years, female 288.0
GTEX-1HGF4-0126-SM-CNPPX 60-69 years, male 287.9
GTEX-1CAMR-1326-SM-7PC1F 20-29 years, male 287.6
GTEX-1KXAM-1626-SM-D3LAD 60-69 years, male 287.5
GTEX-ZAK1-0626-SM-5HL8E 50-59 years, female 287.0
GTEX-1GF9X-1326-SM-7PC2Y 40-49 years, female 286.7
GTEX-1ICG6-1226-SM-A9SLN 70-79 years, female 286.6
GTEX-131XF-2626-SM-5EQ6K 60-69 years, male 285.8
GTEX-1QCLZ-2426-SM-EVYBW 60-69 years, female 285.5
GTEX-1A3MV-1826-SM-731CD 30-39 years, male 285.3
GTEX-11P81-2226-SM-5PNYI 30-39 years, female 285.0
GTEX-111YS-1526-SM-5GZYW 60-69 years, male 284.8
GTEX-1I1GP-1326-SM-A9G28 50-59 years, male 283.8
GTEX-1QMI2-2526-SM-E8VNZ 60-69 years, male 282.9
GTEX-WYVS-1626-SM-3NM9R 40-49 years, female 282.8
GTEX-13OW7-0426-SM-5K7VK 50-59 years, male 282.7
GTEX-1C6VR-0126-SM-7RHGB 60-69 years, male 282.7
GTEX-139TS-2126-SM-5K7XC 60-69 years, male 282.4
GTEX-1J8Q3-0526-SM-ARL8U 60-69 years, male 282.3
GTEX-13OW8-1026-SM-5J1NQ 60-69 years, male 281.5
GTEX-1CB4F-1026-SM-7DUH1 60-69 years, male 280.9
GTEX-Y5V5-0126-SM-5S2NW 60-69 years, female 280.7
GTEX-14BMV-2826-SM-5TDED 50-59 years, male 280.1
GTEX-17HG3-2626-SM-7DUF2 30-39 years, female 279.2
GTEX-1LSNL-2726-SM-E9TKJ 50-59 years, male 279.2
GTEX-13113-1626-SM-5EQ4I 60-69 years, female 278.9
GTEX-1AX9I-2226-SM-73KUO 60-69 years, male 278.4
GTEX-15FZZ-0526-SM-7KUGD 30-39 years, female 278.3
GTEX-11GS4-0226-SM-5HL77 60-69 years, male 278.1
GTEX-15D1Q-2826-SM-6LLH7 40-49 years, male 278.1
GTEX-17HHY-0426-SM-7DHLC 50-59 years, male 278.1
GTEX-Y3IK-1626-SM-4YCF5 50-59 years, female 277.9
GTEX-ZT9X-1526-SM-5DUXD 40-49 years, male 277.8
GTEX-11DXX-2126-SM-5PNYR 60-69 years, female 277.7
GTEX-13FLV-0126-SM-5K7WT 50-59 years, male 277.6
GTEX-18A67-1626-SM-7LT9T 50-59 years, male 277.4
GTEX-1HCU9-0426-SM-9WYSD 20-29 years, male 277.3
GTEX-11EI6-2826-SM-5H11D 60-69 years, male 277.1
GTEX-1I1HK-2326-SM-CKZOH 60-69 years, male 275.8
GTEX-1IDJE-1426-SM-ADEIW 50-59 years, female 275.3
GTEX-XXEK-1626-SM-4BRUZ 50-59 years, male 274.9
GTEX-1JK1U-0226-SM-ARZMX 60-69 years, male 274.0
GTEX-146FQ-2126-SM-5RQHU 30-39 years, male 273.3
GTEX-12ZZY-0726-SM-5EQ66 60-69 years, male 272.2
GTEX-1F5PL-0926-SM-7PC2W 40-49 years, female 272.1
GTEX-1B8SF-0126-SM-7DUG3 60-69 years, male 271.9
GTEX-1212Z-0126-SM-59HK4 60-69 years, male 271.5
GTEX-1QCLY-0226-SM-EWRNH 30-39 years, male 271.0
GTEX-1IOXB-2726-SM-CM2RI 50-59 years, male 269.5
GTEX-18A6Q-0626-SM-7KFRP 60-69 years, male 269.3
GTEX-1IE54-1126-SM-A9G2Z 40-49 years, female 268.9
GTEX-17KNJ-2126-SM-718AM 50-59 years, male 267.8
GTEX-131XW-0626-SM-5PNVD 50-59 years, female 267.5
GTEX-132AR-0326-SM-5KM2C 50-59 years, female 267.3
GTEX-1IDJD-2326-SM-ACKWX 30-39 years, male 266.9
GTEX-1AMFI-1326-SM-7939R 50-59 years, female 266.8
GTEX-YEC3-1326-SM-DO92X 50-59 years, male 266.5
GTEX-WHSB-1326-SM-3LK6W 50-59 years, male 266.0
GTEX-1AX8Z-0726-SM-73KTS 60-69 years, male 265.9
GTEX-12WSC-2826-SM-5BC5Y 50-59 years, male 265.7
GTEX-16Z82-2626-SM-7KULU 60-69 years, male 265.5
GTEX-1LGOU-1326-SM-D3L8M 20-29 years, female 265.0
GTEX-1C475-1326-SM-7SB73 40-49 years, female 264.5
GTEX-1KWVE-1026-SM-D3L9O 30-39 years, male 262.6
GTEX-17HGU-2326-SM-7DUFE 50-59 years, male 261.6
GTEX-18A7A-0126-SM-731AH 50-59 years, female 259.5
GTEX-1RAZA-2226-SM-E9U4X 20-29 years, male 259.5
GTEX-1KANC-1226-SM-CYPT7 50-59 years, female 259.2
GTEX-1GF9V-0826-SM-9KNUV 60-69 years, male 258.7
GTEX-1IDJC-1526-SM-B2LW4 50-59 years, male 258.2
GTEX-1GN2E-0226-SM-9WG6K 60-69 years, male 257.8
GTEX-1GPI6-1926-SM-9KNV7 60-69 years, male 256.7
GTEX-12WSD-0626-SM-5GCMW 60-69 years, female 256.3
GTEX-1I6K7-1926-SM-B2LXR 40-49 years, male 255.8
GTEX-11DXZ-2026-SM-5987S 50-59 years, male 254.2
GTEX-17JCI-2926-SM-7DUFF 60-69 years, female 254.1
GTEX-145MH-2826-SM-5RQJF 50-59 years, male 252.3
GTEX-1B8KZ-0326-SM-73KY4 50-59 years, male 252.0
GTEX-18D9U-0126-SM-731BM 40-49 years, male 251.9
GTEX-147JS-0226-SM-5S2U9 60-69 years, male 251.6
GTEX-13OVK-1426-SM-6PAN7 40-49 years, male 251.1
GTEX-15CHC-1126-SM-6LLHQ 60-69 years, female 250.5
GTEX-1B932-2326-SM-79OL5 40-49 years, female 250.0
GTEX-ZDYS-2426-SM-4WKGI 50-59 years, male 249.8
GTEX-13N11-2326-SM-5IJBF 50-59 years, female 249.3
GTEX-14PJ3-1126-SM-5ZZVX 50-59 years, male 248.8
GTEX-13U4I-2226-SM-5LU5H 40-49 years, female 248.5
GTEX-1B8L1-2226-SM-7P8PT 60-69 years, male 248.5
GTEX-WRHU-2826-SM-3MJG8 50-59 years, female 243.9
GTEX-WHWD-1826-SM-3LK6I 50-59 years, male 242.7
GTEX-1HSMP-0926-SM-A9SKX 70-79 years, male 242.4
GTEX-1H1DE-1326-SM-9KNUG 20-29 years, male 242.3
GTEX-ZLWG-0826-SM-59888 50-59 years, female 241.9
GTEX-11P82-1426-SM-DTXFY 20-29 years, male 241.2
GTEX-1J8QM-2426-SM-A9SLS 60-69 years, female 241.2
GTEX-1GN1W-2426-SM-9KNUU 50-59 years, female 237.6
GTEX-13X6J-0626-SM-5LU5F 50-59 years, male 237.3
GTEX-16NGA-0726-SM-731AO 40-49 years, female 236.3
GTEX-11P7K-1126-SM-5HL4L 30-39 years, male 235.7
GTEX-1EU9M-1426-SM-793AI 60-69 years, male 233.4
GTEX-UPJH-0226-SM-3GADV 50-59 years, male 233.3
GTEX-139YR-1026-SM-5LZYN 50-59 years, male 232.6
GTEX-183FY-1026-SM-7939A 20-29 years, male 231.4
GTEX-1RAZR-2126-SM-E9U6T 40-49 years, male 229.7
GTEX-12C56-1526-SM-5FQUQ 20-29 years, male 229.4
GTEX-15CHR-1126-SM-7EWF4 50-59 years, male 229.4
GTEX-1F75A-0726-SM-7RHHD 50-59 years, male 228.9
GTEX-1EX96-1026-SM-7MKG2 50-59 years, male 226.5
GTEX-15RJ7-2126-SM-6PAMD 40-49 years, male 225.3
GTEX-1IY9M-2826-SM-ARU8H 60-69 years, male 225.0
GTEX-1HBPI-2126-SM-ARL9K 50-59 years, male 224.1
GTEX-1C64O-1326-SM-7MGWR 60-69 years, male 221.4
GTEX-WY7C-2126-SM-3NB2R 50-59 years, male 218.5
GTEX-1IDJF-2026-SM-CL53V 20-29 years, male 218.0
GTEX-178AV-1726-SM-7KUL8 40-49 years, male 212.2
GTEX-Y8E4-2026-SM-5IFJB 40-49 years, male 212.2
GTEX-WHPG-2626-SM-3NMBR 50-59 years, male 211.2
GTEX-18A66-0626-SM-7LT8Z 60-69 years, male 206.9
Show allShow less
Skin - Sun Exposed (Lower leg)
Average nTPM: 334.5
Samples: 701

Max nTPM: 711.5
Min nTPM: 193.6
Std nTPM: 69.8
Median nTPM: 320.6
GTEX-14E6C-0126-SM-5RQIP 40-49 years, male 711.5
GTEX-SE5C-1626-SM-2XCE3 40-49 years, female 691.2
GTEX-1L5NE-2526-SM-E6CIE 50-59 years, male 679.6
GTEX-1HSMO-0126-SM-CL547 60-69 years, male 595.1
GTEX-15UF6-0826-SM-6PALJ 70-79 years, female 572.5
GTEX-RVPV-0126-SM-EAZAW 60-69 years, male 548.9
GTEX-ZAJG-0126-SM-5HL94 50-59 years, female 544.1
GTEX-R45C-0126-SM-EAZ2R 60-69 years, female 539.9
GTEX-NPJ8-0126-SM-2YUNR 40-49 years, male 533.2
GTEX-OIZH-0126-SM-2HMIS 50-59 years, male 532.5
GTEX-1JN1M-0326-SM-CYPT3 60-69 years, female 527.4
GTEX-OOBK-0126-SM-2YUND 40-49 years, male 526.7
GTEX-15EOM-0126-SM-7KUGG 20-29 years, female 506.5
GTEX-13PDP-0126-SM-5L3HD 60-69 years, male 505.7
GTEX-15SB6-1726-SM-6PAME 50-59 years, female 504.8
GTEX-11WQK-0526-SM-5EQLD 50-59 years, male 503.2
GTEX-OOBJ-0126-SM-E6CJW 60-69 years, male 501.2
GTEX-1LSNM-1926-SM-E6CII 50-59 years, male 499.9
GTEX-1PDJ9-0326-SM-DTX95 20-29 years, male 499.9
GTEX-QDVN-2026-SM-3GAEP 50-59 years, male 499.6
GTEX-131XF-5016-SM-7MGWE 60-69 years, male 492.0
GTEX-UJHI-1526-SM-3DB99 50-59 years, female 491.0
GTEX-183WM-0126-SM-7LTAB 70-79 years, female 482.2
GTEX-X4EP-0126-SM-3P5YV 60-69 years, female 481.9
GTEX-1ICLZ-0126-SM-CKZPO 60-69 years, male 481.1
GTEX-1122O-2126-SM-5EGIR 60-69 years, female 480.8
GTEX-131XG-2626-SM-5KM17 50-59 years, female 476.4
GTEX-14BIM-0226-SM-7IGLD 60-69 years, female 474.7
GTEX-X585-0226-SM-4QAS2 50-59 years, male 473.6
GTEX-X4XY-0226-SM-4E3IZ 60-69 years, male 472.3
GTEX-P4PP-0126-SM-3LK69 30-39 years, female 469.8
GTEX-1399U-2326-SM-5K7WY 50-59 years, female 469.6
GTEX-W5X1-3026-SM-EAZAX 40-49 years, female 469.5
GTEX-15RIG-0226-SM-7KFTL 40-49 years, male 467.1
GTEX-X62O-0126-SM-4E3JN 50-59 years, male 465.9
GTEX-ZV6S-2326-SM-4YCEY 40-49 years, female 465.2
GTEX-U8T8-0126-SM-3DB94 60-69 years, male 464.2
GTEX-SN8G-0126-SM-32PLI 50-59 years, female 464.1
GTEX-1R7EV-2426-SM-EVYBG 40-49 years, male 459.7
GTEX-ZTX8-1426-SM-5DUVO 20-29 years, male 458.9
GTEX-P4QT-0126-SM-2I3FL 50-59 years, female 458.8
GTEX-1LVAN-0226-SM-COH3S 50-59 years, female 452.2
GTEX-ZZPT-0226-SM-5E43X 50-59 years, male 452.1
GTEX-X8HC-0126-SM-4E3JW 50-59 years, female 452.0
GTEX-1RAZQ-0726-SM-EAZ43 30-39 years, male 451.4
GTEX-14LLW-0126-SM-6LLIO 70-79 years, female 449.6
GTEX-13OVK-2026-SM-7KUEO 40-49 years, male 449.0
GTEX-145LT-1726-SM-5QGP3 40-49 years, male 447.8
GTEX-1HSEH-0126-SM-ACKXN 60-69 years, male 446.5
GTEX-Y5V6-2426-SM-4VDSB 60-69 years, male 444.0
GTEX-OHPL-0126-SM-2HMJ7 60-69 years, female 443.1
GTEX-1IDFM-0126-SM-COH2V 60-69 years, male 442.9
GTEX-14PK6-1926-SM-6ETZU 70-79 years, female 442.8
GTEX-11UD2-0226-SM-5EQKY 50-59 years, male 441.2
GTEX-11EQ9-2426-SM-5HL5T 30-39 years, male 439.9
GTEX-13NZ8-0826-SM-5MR3I 60-69 years, female 439.3
GTEX-1F6RS-0126-SM-9MQKZ 60-69 years, female 437.7
GTEX-13RTJ-2426-SM-5S2Q2 60-69 years, male 435.5
GTEX-11DZ1-0126-SM-5985Q 50-59 years, male 435.2
GTEX-12WSA-0226-SM-5BC5V 60-69 years, male 435.2
GTEX-1JMQL-0226-SM-CNPP5 50-59 years, female 433.8
GTEX-1GMR3-1926-SM-9KNUZ 40-49 years, male 433.3
GTEX-1RB15-2126-SM-E9TIM 60-69 years, male 432.8
GTEX-12584-0126-SM-5EGKQ 40-49 years, male 432.1
GTEX-WI4N-1026-SM-3LK7N 40-49 years, female 431.8
GTEX-Y5LM-1926-SM-5RQJH 40-49 years, female 430.2
GTEX-X261-0126-SM-3NMD6 50-59 years, male 428.9
GTEX-Z93S-0126-SM-5HL7M 50-59 years, male 428.5
GTEX-T2YK-0526-SM-32QPJ 50-59 years, male 427.6
GTEX-14753-0426-SM-5NQAM 60-69 years, male 427.4
GTEX-145LS-0126-SM-5QGP1 60-69 years, female 426.9
GTEX-1LGOU-2026-SM-DIPFF 20-29 years, female 424.9
GTEX-WOFL-0126-SM-3MJG2 60-69 years, male 424.3
GTEX-148VJ-0126-SM-5TDDN 70-79 years, male 422.7
GTEX-1N2EF-0226-SM-EYYXB 60-69 years, male 422.6
GTEX-1JJ6O-0126-SM-E6CI8 60-69 years, male 422.4
GTEX-16YQH-0126-SM-7DUFJ 30-39 years, male 422.2
GTEX-1I1GT-0626-SM-CGQER 60-69 years, female 421.8
GTEX-1LC47-0326-SM-E9TJP 60-69 years, male 421.1
GTEX-1K2DU-2326-SM-E9TIV 20-29 years, male 420.3
GTEX-11TTK-0126-SM-5987B 60-69 years, female 420.0
GTEX-RTLS-0126-SM-447CA 60-69 years, female 419.5
GTEX-15UKP-0426-SM-7KUFQ 20-29 years, male 419.4
GTEX-P4PQ-0126-SM-2S1NM 60-69 years, male 419.4
GTEX-1RAZA-0126-SM-E6CI3 20-29 years, male 417.7
GTEX-13PVR-2326-SM-5QGR1 60-69 years, female 416.5
GTEX-1PPH7-2326-SM-EVYB8 40-49 years, male 415.6
GTEX-PWO3-1526-SM-48TCM 60-69 years, female 415.4
GTEX-X4XX-0126-SM-3NMC2 60-69 years, male 415.3
GTEX-O5YT-0126-SM-48TBW 20-29 years, male 414.4
GTEX-1HSMP-0126-SM-E6CJS 70-79 years, male 414.1
GTEX-ZVT2-2526-SM-51MT1 50-59 years, female 413.2
GTEX-ZE7O-0126-SM-57WC1 50-59 years, female 412.8
GTEX-ZU9S-0226-SM-5E441 30-39 years, male 411.9
GTEX-1QP29-0626-SM-EWRMX 50-59 years, male 411.7
GTEX-XPVG-2626-SM-4B669 50-59 years, male 410.4
GTEX-11UD1-0126-SM-5PNYG 40-49 years, female 410.2
GTEX-1QP67-1626-SM-EAZ3X 40-49 years, female 409.5
GTEX-1NV5F-0226-SM-E8VNY 60-69 years, female 409.3
GTEX-1211K-2026-SM-5EQ4Z 60-69 years, female 405.9
GTEX-117XS-2726-SM-5N9BL 60-69 years, male 405.6
GTEX-13NYS-0126-SM-5MR3W 60-69 years, male 405.1
GTEX-U8XE-0326-SM-3DB8P 30-39 years, male 404.9
GTEX-13IVO-0126-SM-5J1NG 70-79 years, male 403.9
GTEX-16XZZ-0126-SM-793DV 60-69 years, male 403.8
GTEX-S95S-1226-SM-4GICG 60-69 years, male 403.7
GTEX-1GF9U-2126-SM-7SB7L 40-49 years, female 402.2
GTEX-PWCY-1826-SM-DHXIZ 20-29 years, female 401.1
GTEX-1LBAC-0126-SM-DIPEZ 20-29 years, male 400.9
GTEX-O5YW-0126-SM-3LK6D 50-59 years, male 400.1
GTEX-1LNCM-1126-SM-E9U5E 50-59 years, female 400.1
GTEX-1QPFJ-0226-SM-E76PB 30-39 years, female 399.3
GTEX-14PN4-0126-SM-6EU2V 50-59 years, male 398.1
GTEX-1MCYP-1926-SM-E9J2R 20-29 years, female 397.9
GTEX-131XE-2326-SM-5PNZ2 50-59 years, male 397.1
GTEX-XQ8I-0426-SM-4BOPO 50-59 years, male 396.8
GTEX-146FH-0126-SM-5QGPP 50-59 years, female 396.6
GTEX-1M5QR-1226-SM-EWROB 40-49 years, male 396.2
GTEX-14BMU-2226-SM-5TDE9 20-29 years, female 395.9
GTEX-14XAO-2326-SM-6EU1B 60-69 years, female 395.8
GTEX-WVJS-0126-SM-4MVOT 50-59 years, male 395.6
GTEX-SNMC-1226-SM-2XCFP 20-29 years, male 394.8
GTEX-1JMOU-1526-SM-CL54I 60-69 years, female 394.2
GTEX-1QP66-1726-SM-E8VO1 50-59 years, male 393.6
GTEX-RUSQ-1526-SM-2TF62 50-59 years, male 393.5
GTEX-QESD-1426-SM-2S1R9 20-29 years, male 392.2
GTEX-OXRO-0126-SM-2YUN4 60-69 years, female 392.1
GTEX-132NY-0326-SM-5IJBL 60-69 years, male 392.0
GTEX-1LH75-2426-SM-E9TJE 50-59 years, female 391.7
GTEX-14JG6-2226-SM-6EU2G 30-39 years, female 390.3
GTEX-1N2DV-0226-SM-E6CJ6 40-49 years, male 390.0
GTEX-ZXES-1826-SM-5E43S 30-39 years, female 389.5
GTEX-PLZ4-0126-SM-5SI8O 50-59 years, female 389.1
GTEX-X5EB-2226-SM-46MW4 40-49 years, male 389.1
GTEX-ZVZP-2426-SM-59HKJ 50-59 years, male 387.9
GTEX-13W46-0226-SM-5SIAG 50-59 years, male 387.4
GTEX-14A5H-0426-SM-5QGQF 60-69 years, male 387.4
GTEX-1HBPH-0426-SM-B2LW5 40-49 years, female 387.2
GTEX-145MN-2226-SM-5SIAU 30-39 years, male 386.5
GTEX-X4EO-0326-SM-3P5YO 60-69 years, female 386.1
GTEX-1CB4H-0226-SM-7PBXM 60-69 years, female 385.9
GTEX-146FQ-0126-SM-5NQA9 30-39 years, male 385.7
GTEX-11H98-0126-SM-5EGHG 50-59 years, male 385.4
GTEX-12WSL-2526-SM-5GCNJ 50-59 years, male 385.4
GTEX-1RQEC-0426-SM-E6CHU 60-69 years, male 385.3
GTEX-ZE9C-2726-SM-57WB5 60-69 years, male 385.1
GTEX-145ME-1826-SM-5SI9G 40-49 years, female 383.9
GTEX-POMQ-2226-SM-2I5FK 20-29 years, female 382.8
GTEX-139T8-0126-SM-5K7XZ 60-69 years, male 382.6
GTEX-1E2YA-0126-SM-9KNUC 50-59 years, male 382.6
GTEX-13NZB-2526-SM-5J1OM 30-39 years, male 382.2
GTEX-ZPIC-1726-SM-DHXIU 40-49 years, female 382.1
GTEX-WH7G-2326-SM-3NMBC 40-49 years, male 380.9
GTEX-R3RS-0126-SM-3GIJL 40-49 years, female 379.5
GTEX-ZYFG-2326-SM-5E44B 60-69 years, female 379.4
GTEX-OXRK-0226-SM-3NB2G 50-59 years, female 378.9
GTEX-14PII-0226-SM-6EU1T 60-69 years, male 378.5
GTEX-11NSD-2226-SM-5986V 20-29 years, male 378.0
GTEX-1H1ZS-0426-SM-9WG6G 70-79 years, male 377.4
GTEX-ZAB4-0226-SM-5N9F5 40-49 years, male 377.1
GTEX-1GF9X-2026-SM-7PC3A 40-49 years, female 376.9
GTEX-1GTWX-0126-SM-9YFLK 60-69 years, male 376.8
GTEX-13NYB-2526-SM-5K7Z6 40-49 years, male 375.9
GTEX-14ICK-0226-SM-6EU25 40-49 years, male 375.9
GTEX-17GQL-2026-SM-718BA 60-69 years, male 375.8
GTEX-1497J-2426-SM-7IGNX 60-69 years, male 375.3
GTEX-13113-5016-SM-7EPIP 60-69 years, female 374.7
GTEX-1HBPM-0226-SM-ARL9F 60-69 years, female 374.6
GTEX-T6MO-1626-SM-32QOM 40-49 years, female 374.3
GTEX-146FR-1326-SM-E9J48 60-69 years, female 374.2
GTEX-YJ8A-0426-SM-5IFID 20-29 years, male 374.1
GTEX-17MF6-0126-SM-7LG4F 40-49 years, male 373.6
GTEX-1LGRB-2526-SM-CNPPQ 50-59 years, female 373.2
GTEX-1GZ4H-1726-SM-7PBZJ 50-59 years, female 373.0
GTEX-18D9A-1926-SM-7LG6P 30-39 years, female 372.4
GTEX-13D11-2426-SM-5KM1V 50-59 years, female 371.8
GTEX-TSE9-0126-SM-3DB83 60-69 years, female 371.4
GTEX-13OVJ-0126-SM-5KM36 50-59 years, female 371.0
GTEX-14LZ3-0226-SM-62LET 60-69 years, female 370.8
GTEX-12WSG-2826-SM-E9J4H 50-59 years, female 370.3
GTEX-13FTY-0526-SM-5L3EV 40-49 years, female 369.8
GTEX-XBEW-0626-SM-4QASP 40-49 years, male 369.7
GTEX-XUW1-0426-SM-4BOOT 50-59 years, female 369.5
GTEX-1PFEY-1526-SM-E76PP 30-39 years, male 368.8
GTEX-13OW5-0126-SM-DTXFS 60-69 years, male 368.6
GTEX-ZVT4-0126-SM-DTXFN 50-59 years, female 368.1
GTEX-13O1R-0126-SM-5L3EH 60-69 years, male 367.9
GTEX-OIZG-0726-SM-33HBL 50-59 years, male 367.9
GTEX-ZWKS-0126-SM-5SIAA 30-39 years, male 367.4
GTEX-11DXX-2426-SM-5GZZW 60-69 years, female 367.2
GTEX-1QP9N-1426-SM-DTXFL 30-39 years, male 366.6
GTEX-Y3IK-2426-SM-4WWDU 50-59 years, female 366.1
GTEX-1M4P7-0226-SM-DIPEV 60-69 years, male 365.5
GTEX-ZAB5-1826-SM-5HL7C 50-59 years, male 365.0
GTEX-139D8-0226-SM-5KLZO 30-39 years, female 362.9
GTEX-1128S-2326-SM-5GZZY 60-69 years, female 362.4
GTEX-U3ZM-1526-SM-3DB9D 40-49 years, male 362.4
GTEX-ZTSS-1926-SM-57WEW 40-49 years, male 362.1
GTEX-ZYFD-0126-SM-5GIDL 50-59 years, male 362.1
GTEX-SUCS-1926-SM-32PM3 70-79 years, male 362.0
GTEX-TMMY-0226-SM-33HBA 40-49 years, female 361.8
GTEX-1AYCT-2426-SM-7IGQ3 50-59 years, male 360.9
GTEX-1HCUA-2426-SM-ADEIS 50-59 years, female 360.8
GTEX-14A5I-0126-SM-5TDEA 50-59 years, female 360.7
GTEX-1H1E6-1726-SM-ACKVK 30-39 years, male 360.6
GTEX-1JJE9-0326-SM-CL53Z 70-79 years, male 360.4
GTEX-16MT8-0426-SM-7KUEY 60-69 years, female 360.2
GTEX-12WSE-0526-SM-793B2 20-29 years, male 359.4
GTEX-1KAFJ-2026-SM-CY8ID 50-59 years, male 359.1
GTEX-1IDJU-2626-SM-CM2RT 60-69 years, female 358.9
GTEX-OXRL-0126-SM-2YUMP 50-59 years, male 358.5
GTEX-1OFPY-2426-SM-DTXEJ 60-69 years, male 358.2
GTEX-13O3P-0126-SM-5KM4S 50-59 years, male 357.4
GTEX-13OVH-0126-SM-5MR4B 70-79 years, male 357.0
GTEX-1H1DG-0126-SM-9WYU2 70-79 years, male 357.0
GTEX-QV44-1926-SM-2S1RF 50-59 years, male 356.7
GTEX-VUSG-2526-SM-4KL1V 50-59 years, male 356.5
GTEX-145MO-0326-SM-5Q5B3 60-69 years, male 356.3
GTEX-14E6D-0126-SM-62LDV 50-59 years, male 356.2
GTEX-WRHK-1426-SM-3MJF9 20-29 years, female 356.2
GTEX-PSDG-0226-SM-DKPOZ 50-59 years, male 356.2
GTEX-12126-0326-SM-5PNW3 20-29 years, male 355.5
GTEX-NFK9-0226-SM-2HMKQ 40-49 years, male 355.0
GTEX-XXEK-2226-SM-4BRUM 50-59 years, male 355.0
GTEX-Y8E4-0626-SM-4WWDL 40-49 years, male 355.0
GTEX-14JG1-0426-SM-6ETZZ 40-49 years, male 353.7
GTEX-ZDTT-2726-SM-4WKF8 60-69 years, male 353.2
GTEX-1HT8W-0126-SM-CNPPP 30-39 years, male 352.9
GTEX-1JN76-0126-SM-CNPPE 20-29 years, female 352.9
GTEX-VJWN-0126-SM-3GIK7 50-59 years, female 352.3
GTEX-13NYC-0326-SM-E9J4S 60-69 years, male 352.3
GTEX-Q2AH-1626-SM-3GAF8 40-49 years, male 352.0
GTEX-1QCLY-0326-SM-E8VOG 30-39 years, male 351.5
GTEX-1OJC4-0126-SM-E9J2E 50-59 years, female 351.1
GTEX-13OVI-1426-SM-5L3EY 60-69 years, female 351.0
GTEX-RWS6-2026-SM-2XCB5 60-69 years, female 350.9
GTEX-1399T-2826-SM-5KLYZ 60-69 years, male 348.8
GTEX-11EM3-2426-SM-59861 20-29 years, female 348.5
GTEX-144FL-0126-SM-5TDC8 50-59 years, male 346.2
GTEX-147F4-0226-SM-5QGPW 50-59 years, male 346.2
GTEX-T5JC-0426-SM-32PLO 20-29 years, male 345.7
GTEX-1J1OQ-0226-SM-CYPSH 40-49 years, female 345.6
GTEX-1J8QM-2126-SM-CYPSJ 60-69 years, female 345.5
GTEX-147F3-0526-SM-5SI98 50-59 years, female 344.8
GTEX-11OC5-0126-SM-5HL6A 60-69 years, male 344.6
GTEX-Y8LW-1826-SM-5S2MV 50-59 years, female 344.6
GTEX-13YAN-0326-SM-5O9DF 60-69 years, male 343.4
GTEX-1I1GU-2226-SM-CGQFA 40-49 years, male 343.3
GTEX-13VXU-0126-SM-5SI9F 50-59 years, male 343.2
GTEX-17HII-0226-SM-7LG4E 50-59 years, male 343.2
GTEX-ZVZO-0126-SM-5A5L9 40-49 years, male 343.2
GTEX-13OW7-0126-SM-5MR3B 50-59 years, male 343.0
GTEX-ZYW4-0126-SM-5E44A 60-69 years, male 342.5
GTEX-13QJ3-0326-SM-5S2RA 50-59 years, male 342.4
GTEX-YFC4-0126-SM-5CVLY 40-49 years, female 342.4
GTEX-1RLM8-2326-SM-EWRN4 50-59 years, male 342.3
GTEX-13W3W-2426-SM-5LU5B 60-69 years, female 341.7
GTEX-XAJ8-0826-SM-47JY6 40-49 years, male 341.7
GTEX-1R46S-0626-SM-E9J41 60-69 years, female 341.7
GTEX-133LE-1826-SM-5J1MV 20-29 years, female 341.6
GTEX-13O3Q-2426-SM-5IJBR 50-59 years, male 341.1
GTEX-12696-2426-SM-5EQ6H 60-69 years, male 340.5
GTEX-QDT8-0126-SM-48TZ1 30-39 years, female 340.5
GTEX-WQUQ-0426-SM-3MJFU 60-69 years, male 340.0
GTEX-1HCVE-0126-SM-CGQEU 50-59 years, male 340.0
GTEX-13OVG-1926-SM-5L3DK 60-69 years, male 339.9
GTEX-14E6E-1826-SM-5S2R7 30-39 years, male 339.8
GTEX-PLZ5-2026-SM-2S1O4 50-59 years, male 339.5
GTEX-1IGQW-0126-SM-COH42 60-69 years, male 339.3
GTEX-1A3MW-0126-SM-73KXX 60-69 years, female 339.2
GTEX-U4B1-1826-SM-4DXSU 40-49 years, male 339.0
GTEX-ZF28-0126-SM-4WKGK 60-69 years, male 338.8
GTEX-WZTO-0126-SM-3NM95 40-49 years, male 338.6
GTEX-18QFQ-0126-SM-731BE 30-39 years, male 338.2
GTEX-1GZ2Q-0226-SM-7P8TL 40-49 years, male 338.2
GTEX-1S82Z-0826-SM-E6CHY 30-39 years, female 338.2
GTEX-1MA7W-2026-SM-E9TJ6 20-29 years, female 338.0
GTEX-1C6WA-0126-SM-7PC2B 60-69 years, male 337.9
GTEX-S33H-1026-SM-EZ6L6 30-39 years, male 337.8
GTEX-14PJ6-2126-SM-6EU1V 60-69 years, female 337.7
GTEX-12WSJ-1826-SM-5GCNY 40-49 years, female 336.5
GTEX-ZYY3-0126-SM-5GZY5 60-69 years, female 336.1
GTEX-1H1DE-2126-SM-9WG6R 20-29 years, male 335.7
GTEX-1B8SG-0126-SM-73KZ3 50-59 years, male 335.5
GTEX-U412-0426-SM-3DB9O 60-69 years, male 335.5
GTEX-11P82-1626-SM-59879 20-29 years, male 335.1
GTEX-14DAR-2026-SM-5S2O3 50-59 years, male 335.0
GTEX-1I1GP-2226-SM-CGQFK 50-59 years, male 335.0
GTEX-1J8Q3-1626-SM-CMKGC 60-69 years, male 334.9
GTEX-OHPM-0126-SM-2YUN9 50-59 years, male 334.8
GTEX-15ETS-0126-SM-7KUMW 40-49 years, female 334.6
GTEX-17HGU-0226-SM-7DHKV 50-59 years, male 334.6
GTEX-139TS-2826-SM-5J1OO 60-69 years, male 334.3
GTEX-1ICLY-0126-SM-D4P36 50-59 years, male 334.1
GTEX-1R7EU-0226-SM-EVR4G 60-69 years, male 333.9
GTEX-1QP2A-0126-SM-E9J43 50-59 years, male 333.7
GTEX-1192W-2626-SM-5Q5AF 60-69 years, male 333.6
GTEX-XUZC-1726-SM-4BRWS 30-39 years, female 333.5
GTEX-13RTK-1426-SM-5QGQJ 20-29 years, male 333.1
GTEX-1KANB-0526-SM-E6CJH 50-59 years, male 333.1
GTEX-1S3DN-2226-SM-EVYCD 50-59 years, male 332.9
GTEX-13JUV-2726-SM-5LZZ8 40-49 years, female 332.5
GTEX-12ZZZ-0626-SM-5DUXI 60-69 years, male 332.2
GTEX-1F7RK-0126-SM-7PC2S 20-29 years, female 332.0
GTEX-1192X-0226-SM-5H12D 50-59 years, male 331.8
GTEX-1B933-0126-SM-7PC29 50-59 years, female 331.7
GTEX-WYJK-0126-SM-3NMAB 50-59 years, male 331.5
GTEX-1PBJI-0526-SM-E8VNK 20-29 years, female 331.2
GTEX-1MJK2-0426-SM-DTXE5 50-59 years, male 331.1
GTEX-1AX9K-2326-SM-73KWU 50-59 years, male 330.7
GTEX-XMD2-0126-SM-4YCDU 60-69 years, female 330.4
GTEX-18A67-0126-SM-7LG5P 50-59 years, male 330.1
GTEX-ZF29-2326-SM-DO92K 60-69 years, female 330.0
GTEX-1GN1V-0126-SM-9WPOS 60-69 years, male 329.9
GTEX-13N2G-2626-SM-5J1OT 60-69 years, male 329.3
GTEX-13CF3-2426-SM-5IFGX 60-69 years, female 329.2
GTEX-YEC4-2126-SM-5IFJH 40-49 years, male 328.3
GTEX-17MFQ-1726-SM-793C7 20-29 years, male 328.1
GTEX-14PN3-2426-SM-6LLHS 60-69 years, female 327.9
GTEX-1GMR8-0126-SM-9WYTM 50-59 years, female 327.2
GTEX-1JMQI-2226-SM-CM2SD 50-59 years, male 326.7
GTEX-T2IS-0126-SM-4DM6O 20-29 years, female 326.6
GTEX-1HBPN-0226-SM-9YFM1 50-59 years, male 326.6
GTEX-11GSP-2526-SM-5N9BP 60-69 years, female 326.5
GTEX-15DDE-0126-SM-6LPKH 50-59 years, female 326.2
GTEX-TMZS-0126-SM-3DB9Q 60-69 years, male 326.1
GTEX-1R9K4-0126-SM-DTX9X 60-69 years, male 325.7
GTEX-1H3O1-0426-SM-9YFKY 60-69 years, male 325.6
GTEX-ZY6K-1826-SM-5GZXK 50-59 years, male 325.3
GTEX-1C6VQ-0126-SM-7P8RI 50-59 years, male 324.9
GTEX-1PWST-0226-SM-E76QJ 70-79 years, male 324.6
GTEX-1HCU7-0226-SM-CL545 50-59 years, male 324.2
GTEX-139T4-0226-SM-5HL5S 50-59 years, female 324.0
GTEX-Q2AI-1326-SM-2S1PL 40-49 years, male 323.9
GTEX-RM2N-1426-SM-2TF4H 50-59 years, male 323.9
GTEX-1QMI2-0226-SM-EVYBX 60-69 years, male 323.8
GTEX-1J8Q2-0526-SM-CM2RW 60-69 years, male 323.7
GTEX-11P7K-2126-SM-5GU7G 30-39 years, male 323.6
GTEX-17F97-0326-SM-7LG5B 50-59 years, male 323.6
GTEX-ZQUD-1426-SM-57WER 30-39 years, male 323.6
GTEX-1J1R8-1726-SM-ARL8M 40-49 years, male 323.6
GTEX-VJYA-1126-SM-3GIJU 60-69 years, male 323.0
GTEX-WXYG-2326-SM-4E3I6 50-59 years, female 323.0
GTEX-11TT1-2526-SM-5EGIB 20-29 years, male 322.3
GTEX-1GN2E-0426-SM-9MQKX 60-69 years, male 322.2
GTEX-11EMC-2926-SM-5EQ4F 60-69 years, female 322.1
GTEX-169BO-1326-SM-9MQK2 50-59 years, male 321.7
GTEX-17JCI-0126-SM-7LG5G 60-69 years, female 321.5
GTEX-131XW-0426-SM-5LZWP 50-59 years, female 321.0
GTEX-14BIL-0126-SM-5SI92 50-59 years, male 320.8
GTEX-117YW-2626-SM-5GZZH 50-59 years, male 320.6
GTEX-1HB9E-0226-SM-E9U4R 50-59 years, male 320.6
GTEX-1PIIG-0226-SM-EWRN6 30-39 years, male 320.6
GTEX-1JMPZ-0226-SM-CNPP1 30-39 years, male 320.5
GTEX-1O97I-0326-SM-EYYX7 60-69 years, male 320.3
GTEX-15G19-0126-SM-6PANQ 60-69 years, male 320.2
GTEX-1A32A-0126-SM-718B1 50-59 years, female 319.9
GTEX-1CB4J-0626-SM-7DHMP 60-69 years, male 319.6
GTEX-12C56-1726-SM-5EQ61 20-29 years, male 318.8
GTEX-14A6H-0126-SM-5QGPK 30-39 years, male 318.7
GTEX-1MGNQ-0126-SM-EVYCJ 40-49 years, male 318.6
GTEX-1LB8K-0226-SM-EWRNW 50-59 years, male 318.4
GTEX-14PHW-0126-SM-6LLJI 60-69 years, female 318.2
GTEX-11TUW-2726-SM-E9J4M 60-69 years, male 318.2
GTEX-13FXS-0226-SM-5IJCK 50-59 years, male 317.9
GTEX-1KANA-0726-SM-D3L9I 20-29 years, male 317.9
GTEX-1F75I-0326-SM-9YFLU 40-49 years, male 317.6
GTEX-1HFI7-1826-SM-ACKXH 50-59 years, female 317.1
GTEX-W5WG-1826-SM-4KL2Y 50-59 years, female 316.9
GTEX-14PHX-2326-SM-62LEM 50-59 years, male 316.8
GTEX-1I19N-0326-SM-ACKVX 70-79 years, male 316.7
GTEX-18465-0126-SM-731BN 50-59 years, male 316.6
GTEX-1HKZK-0326-SM-9WYUH 40-49 years, male 316.4
GTEX-1269C-2526-SM-5EGJ3 60-69 years, female 316.2
GTEX-11DYG-0126-SM-59883 60-69 years, male 316.0
GTEX-R55G-2526-SM-2TC6D 40-49 years, female 315.7
GTEX-1KXAM-2226-SM-CYPTC 60-69 years, male 315.7
GTEX-ZC5H-0226-SM-4WAY9 40-49 years, female 315.5
GTEX-139UW-2826-SM-5L3E7 60-69 years, male 315.4
GTEX-13FHO-0226-SM-5IFGY 60-69 years, male 315.3
GTEX-17HHE-2026-SM-79OKF 50-59 years, male 315.1
GTEX-1HCU9-1526-SM-A9SL7 20-29 years, male 315.0
GTEX-1AMEY-1326-SM-73KYK 30-39 years, female 314.9
GTEX-1J8EW-0126-SM-CJI4F 60-69 years, female 314.9
GTEX-13O21-1426-SM-5K7XI 50-59 years, male 314.8
GTEX-1B8SF-1426-SM-7DUGL 60-69 years, male 314.7
GTEX-1CAMS-0426-SM-7P8T2 40-49 years, female 314.7
GTEX-ZF3C-0126-SM-DO92D 50-59 years, female 314.7
GTEX-117YX-2326-SM-5H12W 50-59 years, male 314.5
GTEX-TKQ1-1026-SM-4GICL 30-39 years, male 314.5
GTEX-17EUY-0426-SM-793BD 20-29 years, male 314.2
GTEX-QVJO-1626-SM-2S1QW 60-69 years, female 314.2
GTEX-1OJC3-0126-SM-E76QX 20-29 years, male 313.9
GTEX-15SHW-0326-SM-6PAML 60-69 years, male 313.6
GTEX-1HCU8-0626-SM-A9SM9 60-69 years, female 313.2
GTEX-15SHU-0126-SM-7KUEH 40-49 years, female 313.1
GTEX-1F75B-0126-SM-9KNVL 50-59 years, male 313.1
GTEX-12ZZX-0126-SM-5EGK9 40-49 years, female 313.0
GTEX-1C64O-0126-SM-7SB8P 60-69 years, male 312.9
GTEX-11DXZ-2326-SM-5EGGV 50-59 years, male 312.6
GTEX-1A3MX-0126-SM-731BR 60-69 years, male 312.4
GTEX-1C4CL-0526-SM-73KVK 30-39 years, male 311.9
GTEX-12WSC-0126-SM-5EQ4P 50-59 years, male 311.3
GTEX-15CHC-2126-SM-6EU21 60-69 years, female 311.3
GTEX-1GN1W-0526-SM-9MQJQ 50-59 years, female 311.3
GTEX-ZDXO-3026-SM-5J1N5 60-69 years, male 311.2
GTEX-1F5PK-2426-SM-7RHHY 50-59 years, male 311.1
GTEX-11DXW-0226-SM-5H122 40-49 years, male 310.8
GTEX-1IL2U-0226-SM-CE6T8 60-69 years, male 310.8
GTEX-1MCQQ-0826-SM-DLHC2 60-69 years, male 310.7
GTEX-1HSGN-0226-SM-CGQFV 40-49 years, female 310.5
GTEX-ZEX8-2426-SM-4WKG4 50-59 years, male 310.3
GTEX-1JMPY-1326-SM-ARL8Y 30-39 years, male 310.3
GTEX-13S7M-0126-SM-5SI6A 60-69 years, female 310.1
GTEX-1AX9J-0226-SM-73KXM 60-69 years, male 310.1
GTEX-17KNJ-2326-SM-7DHLQ 50-59 years, male 310.0
GTEX-1EX96-1626-SM-7PBXR 50-59 years, male 310.0
GTEX-WFON-2126-SM-3LK7O 40-49 years, male 309.6
GTEX-13N11-2526-SM-5K7UE 50-59 years, female 309.3
GTEX-113JC-2326-SM-5EQ4E 50-59 years, female 309.1
GTEX-QLQW-1126-SM-2S1Q8 30-39 years, male 309.0
GTEX-1NHNU-1026-SM-E9J2A 50-59 years, male 309.0
GTEX-144GN-2326-SM-5LU4F 50-59 years, male 308.6
GTEX-1HR98-0126-SM-B2LWI 60-69 years, male 308.6
GTEX-18A66-0226-SM-718BD 60-69 years, male 308.5
GTEX-11WQC-2526-SM-5CVLE 60-69 years, male 308.3
GTEX-14C5O-0126-SM-5SI6N 60-69 years, male 308.2
GTEX-1IOXB-0126-SM-ARL8G 50-59 years, male 308.1
GTEX-1CAMQ-0226-SM-7IGPK 40-49 years, male 307.5
GTEX-13O3O-0126-SM-E9J49 60-69 years, female 307.0
GTEX-148VI-1626-SM-5SI6E 60-69 years, female 306.7
GTEX-ZTPG-0326-SM-5O9AX 20-29 years, female 306.3
GTEX-1S82Y-2026-SM-EVYCM 40-49 years, male 306.3
GTEX-1AMFI-2026-SM-731BH 50-59 years, female 306.2
GTEX-QCQG-1726-SM-3GIJ9 50-59 years, female 306.0
GTEX-XYKS-2126-SM-4E3IB 60-69 years, female 306.0
GTEX-111FC-0126-SM-5N9DL 60-69 years, male 305.9
GTEX-1KD5A-0226-SM-D5OV3 50-59 years, male 305.8
GTEX-PX3G-0126-SM-2I3EN 20-29 years, female 305.6
GTEX-1N2DW-0226-SM-E9TK2 50-59 years, male 305.5
GTEX-YB5E-2026-SM-5IFIS 40-49 years, male 305.4
GTEX-1C2JI-1826-SM-73KXC 50-59 years, male 305.2
GTEX-1H1CY-2826-SM-9MQM3 60-69 years, female 305.2
GTEX-1S5ZA-0126-SM-EVYCV 20-29 years, male 305.2
GTEX-11VI4-1726-SM-5CVLH 40-49 years, female 304.6
GTEX-1GF9W-0326-SM-9KNUN 60-69 years, male 304.6
GTEX-ZF2S-2326-SM-4WWCE 50-59 years, female 304.5
GTEX-13X6H-2126-SM-7EWD5 50-59 years, female 303.6
GTEX-1JKYN-1326-SM-CGQG9 30-39 years, male 303.0
GTEX-1KWVE-1426-SM-E9TJO 30-39 years, male 302.9
GTEX-1MA7X-2226-SM-E6CIY 60-69 years, male 302.8
GTEX-ZAK1-0126-SM-5IJD3 50-59 years, female 302.3
GTEX-1LG7Z-1726-SM-D3LA4 30-39 years, male 302.2
GTEX-1MUQO-0126-SM-EAZ58 60-69 years, male 301.9
GTEX-16NPX-0226-SM-79OMT 50-59 years, male 301.7
GTEX-1I1GS-0126-SM-B2LVW 60-69 years, male 301.6
GTEX-1QAET-0926-SM-E76QM 50-59 years, male 301.5
GTEX-1R9PM-2026-SM-E76OY 20-29 years, male 301.5
GTEX-T8EM-1026-SM-3DB7M 40-49 years, male 301.3
GTEX-13CF2-2526-SM-5LZYX 60-69 years, male 301.2
GTEX-V1D1-2226-SM-3NMAX 50-59 years, male 301.0
GTEX-1JMQK-0226-SM-CL543 60-69 years, male 300.5
GTEX-PLZ6-1426-SM-DKPOT 30-39 years, male 300.3
GTEX-13X6I-0626-SM-5QGP9 60-69 years, male 300.1
GTEX-1IDJF-0126-SM-CM2RS 20-29 years, male 300.1
GTEX-1I6K6-0126-SM-A9SLE 30-39 years, male 299.5
GTEX-131YS-0126-SM-5KM1M 60-69 years, female 299.3
GTEX-1H4P4-0726-SM-9YFLR 50-59 years, male 299.3
GTEX-18A7B-0126-SM-7LG64 70-79 years, male 298.9
GTEX-1QW4Y-1526-SM-EAZ3Z 30-39 years, male 298.8
GTEX-1AYD5-2426-SM-73KXR 50-59 years, male 298.6
GTEX-U3ZN-2326-SM-3DB7W 30-39 years, female 298.6
GTEX-13SLX-0526-SM-5S2ON 50-59 years, female 298.5
GTEX-XV7Q-2526-SM-4BRV9 40-49 years, female 298.4
GTEX-P44H-0226-SM-2XCEU 40-49 years, male 298.0
GTEX-1399R-2726-SM-5IJBA 30-39 years, male 297.9
GTEX-1B8KE-2126-SM-73KYX 50-59 years, male 297.7
GTEX-1LG7Y-0526-SM-DKPQC 50-59 years, male 297.7
GTEX-14JIY-0126-SM-6LLH6 60-69 years, male 297.2
GTEX-13RTL-0126-SM-7LG5S 40-49 years, male 296.9
GTEX-17F98-0626-SM-79OMX 40-49 years, female 296.6
GTEX-S32W-2126-SM-2XCB1 50-59 years, female 296.2
GTEX-13NZA-0226-SM-5K7Z7 60-69 years, male 296.1
GTEX-11DXY-2626-SM-5GIE7 60-69 years, male 296.0
GTEX-1H3VE-0326-SM-9YFLH 40-49 years, male 295.7
GTEX-OXRP-0126-SM-3NB32 60-69 years, female 295.6
GTEX-T5JW-1626-SM-3GADZ 20-29 years, female 294.8
GTEX-1K9T9-0126-SM-EVYCF 50-59 years, female 294.6
GTEX-1HUB1-0426-SM-E9U4U 60-69 years, male 294.5
GTEX-1I1HK-0126-SM-COH49 60-69 years, male 294.3
GTEX-1313W-0126-SM-5LZUN 50-59 years, female 293.5
GTEX-ZQG8-1626-SM-DHXIT 60-69 years, female 293.5
GTEX-1F75A-0126-SM-7RHGM 50-59 years, male 293.4
GTEX-111VG-2426-SM-5GZXD 60-69 years, male 293.1
GTEX-1IL2V-0126-SM-CM2TX 70-79 years, male 293.1
GTEX-16NGA-1726-SM-731B4 40-49 years, female 292.7
GTEX-11ZU8-2526-SM-5EQKI 60-69 years, male 292.4
GTEX-1IKOH-0226-SM-COH4E 60-69 years, female 292.3
GTEX-1F5PL-0326-SM-7P8PQ 40-49 years, female 292.2
GTEX-1B97I-1626-SM-73KYO 40-49 years, male 292.1
GTEX-ZVE2-0226-SM-59HJB 50-59 years, male 291.7
GTEX-Q2AG-0126-SM-33HBV 40-49 years, female 291.5
GTEX-1GL5R-1826-SM-9KNUY 50-59 years, male 291.4
GTEX-R55E-0126-SM-2TC5Y 20-29 years, male 290.7
GTEX-ZVTK-0426-SM-51MRS 20-29 years, male 290.6
GTEX-1CB4I-0226-SM-79OLH 50-59 years, male 290.1
GTEX-15D1Q-0126-SM-7KUG6 40-49 years, male 290.0
GTEX-1S83E-0126-SM-EWRO4 40-49 years, male 289.5
GTEX-13VXT-0126-SM-5LU4I 20-29 years, female 289.3
GTEX-ZV68-0126-SM-59HKS 50-59 years, female 289.2
GTEX-1JN6P-0126-SM-D3L98 60-69 years, male 288.7
GTEX-ZDTS-0126-SM-4WAY5 60-69 years, male 288.5
GTEX-11ZUS-0626-SM-59885 30-39 years, male 288.3
GTEX-WYVS-2126-SM-3NMA3 40-49 years, female 288.3
GTEX-11GSO-2426-SM-5A5LY 60-69 years, male 287.9
GTEX-OXRN-0126-SM-48TDM 50-59 years, male 287.9
GTEX-11LCK-1026-SM-5A5KB 30-39 years, male 287.8
GTEX-145MF-0626-SM-5LUAI 50-59 years, male 287.5
GTEX-11ZTT-2426-SM-5EQLS 60-69 years, female 287.2
GTEX-1CB4E-2226-SM-793DC 60-69 years, male 286.8
GTEX-S7PM-0126-SM-4AD6S 60-69 years, male 286.8
GTEX-1BAJH-0526-SM-793CQ 70-79 years, male 286.5
GTEX-QEG4-0226-SM-2S1PY 30-39 years, male 285.9
GTEX-1HGF4-2426-SM-ACKXM 60-69 years, male 285.9
GTEX-13U4I-0126-SM-5LU38 40-49 years, female 285.8
GTEX-13X6J-0126-SM-5QGOU 50-59 years, male 285.8
GTEX-1IE54-0126-SM-CMKHW 40-49 years, female 285.6
GTEX-1GN73-0226-SM-9WG67 60-69 years, male 285.3
GTEX-X88G-0126-SM-47JZ3 30-39 years, male 285.1
GTEX-12KS4-0326-SM-5EQ41 30-39 years, male 284.7
GTEX-XBED-2226-SM-47JYQ 60-69 years, male 284.4
GTEX-1JKYR-0126-SM-CNPOJ 20-29 years, male 284.4
GTEX-1GPI7-0126-SM-9MQL8 20-29 years, male 284.2
GTEX-11O72-0126-SM-59887 40-49 years, male 284.0
GTEX-1H2FU-0126-SM-9WYSI 60-69 years, female 283.9
GTEX-1HSMQ-1226-SM-CGQFX 50-59 years, male 283.9
GTEX-1HFI6-0226-SM-ADEHZ 40-49 years, male 283.8
GTEX-113IC-0126-SM-5HL6T 60-69 years, male 283.7
GTEX-11GS4-2726-SM-5A5LE 60-69 years, male 283.0
GTEX-1GF9V-0326-SM-7RHI5 60-69 years, male 282.9
GTEX-Y8DK-0126-SM-4TT3L 60-69 years, male 282.5
GTEX-1314G-1526-SM-5EGK2 30-39 years, male 282.4
GTEX-SIU8-0126-SM-2XCDT 50-59 years, male 282.4
GTEX-WFG8-2226-SM-3GIL9 20-29 years, male 282.1
GTEX-YB5K-2126-SM-4WWDJ 40-49 years, female 281.7
GTEX-1I1GV-0526-SM-A9G29 60-69 years, male 281.7
GTEX-12WSN-5019-SM-79OM6 40-49 years, male 281.6
GTEX-18D9U-0226-SM-718BP 40-49 years, male 281.2
GTEX-18D9B-0526-SM-7LTAS 60-69 years, male 281.1
GTEX-147GR-0526-SM-5S2MY 60-69 years, male 281.0
GTEX-13FHP-0126-SM-5IJBG 50-59 years, male 280.8
GTEX-13N1W-0126-SM-5K7VT 70-79 years, male 280.7
GTEX-1H23P-0126-SM-ADEJ3 60-69 years, male 280.7
GTEX-ZZ64-1726-SM-5GZYB 20-29 years, male 280.4
GTEX-1B8L1-2526-SM-9WYTF 60-69 years, male 280.4
GTEX-13FTW-2626-SM-5K7WL 40-49 years, male 280.2
GTEX-Y114-2426-SM-4TT8A 50-59 years, female 279.9
GTEX-S7SE-0126-SM-2XCD5 50-59 years, male 279.8
GTEX-13FH7-2026-SM-E9J4I 50-59 years, female 279.7
GTEX-1JMQJ-0526-SM-CYPSU 50-59 years, male 279.4
GTEX-ZXG5-0126-SM-5GIEU 60-69 years, male 278.9
GTEX-1AX8Z-0126-SM-7DHM6 60-69 years, male 278.8
GTEX-XQ3S-1526-SM-4BOOC 20-29 years, male 278.8
GTEX-1HCU6-0126-SM-CL54K 60-69 years, female 278.4
GTEX-ZUA1-0126-SM-5GU76 40-49 years, male 278.3
GTEX-Q734-1926-SM-2I5EV 40-49 years, female 277.8
GTEX-1ICG6-2526-SM-CGQFZ 70-79 years, female 277.0
GTEX-TML8-1926-SM-32QOS 40-49 years, female 276.7
GTEX-1KANC-1526-SM-D3LAB 50-59 years, female 276.4
GTEX-15SDE-2226-SM-7IGLO 50-59 years, female 276.0
GTEX-1H3NZ-0126-SM-ACKX7 60-69 years, male 275.7
GTEX-11ZVC-2526-SM-5FQTE 50-59 years, female 275.6
GTEX-1JMLX-0226-SM-CM2RO 50-59 years, male 275.6
GTEX-OIZF-0126-SM-7SB8I 60-69 years, male 275.6
GTEX-12ZZY-0226-SM-5LZVE 60-69 years, male 275.4
GTEX-PVOW-0126-SM-2XCFA 40-49 years, male 275.3
GTEX-17EVQ-0226-SM-7LG4P 70-79 years, male 274.5
GTEX-1CAMR-1926-SM-7EPI2 20-29 years, male 274.3
GTEX-RU72-0926-SM-2TF6B 50-59 years, female 274.3
GTEX-11OF3-2626-SM-5GU7F 60-69 years, male 273.6
GTEX-1H11D-0226-SM-9WG6Z 40-49 years, male 273.2
GTEX-1212Z-2526-SM-5EGKP 60-69 years, male 273.1
GTEX-14BIN-0626-SM-793DP 50-59 years, female 273.0
GTEX-ZGAY-0526-SM-4WWBB 40-49 years, female 272.5
GTEX-1POEN-0126-SM-EYYXJ 30-39 years, female 272.5
GTEX-131XH-2226-SM-5DUXJ 50-59 years, male 272.1
GTEX-1KD4Q-0226-SM-E9TJ9 40-49 years, male 272.1
GTEX-14DAQ-0126-SM-5S2MQ 60-69 years, female 271.4
GTEX-13FTX-1826-SM-5J1NX 20-29 years, female 270.5
GTEX-QDVJ-1726-SM-2I5FX 50-59 years, male 270.4
GTEX-1JK1U-2026-SM-CM2RZ 60-69 years, male 269.8
GTEX-ZDYS-2026-SM-5HL5L 50-59 years, male 269.7
GTEX-16BQI-0226-SM-7KUEX 30-39 years, female 269.6
GTEX-1F88F-2726-SM-7PBZZ 60-69 years, female 269.4
GTEX-17HHY-0126-SM-7LG5D 50-59 years, male 269.0
GTEX-183FY-0126-SM-7LT9P 20-29 years, male 268.2
GTEX-15DCD-0126-SM-7KUEK 70-79 years, female 267.7
GTEX-T6MN-0126-SM-32PLP 50-59 years, male 267.5
GTEX-Y3I4-2126-SM-4TT7C 50-59 years, male 267.5
GTEX-13OVL-0226-SM-5L3E9 50-59 years, male 267.2
GTEX-1EKGG-0226-SM-9WYTH 60-69 years, male 266.2
GTEX-12WSK-2326-SM-5GCOH 40-49 years, female 266.0
GTEX-QLQ7-1626-SM-2S1R8 60-69 years, male 266.0
GTEX-16XZY-2126-SM-79OK1 70-79 years, male 265.9
GTEX-1R9PO-2126-SM-E9J4O 60-69 years, female 265.7
GTEX-SJXC-0126-SM-2XCFF 60-69 years, male 265.6
GTEX-1C64N-0126-SM-793D7 50-59 years, male 264.6
GTEX-1IDJH-0326-SM-A9SLQ 70-79 years, male 264.1
GTEX-139TT-0126-SM-5K7Y5 60-69 years, male 263.6
GTEX-1B996-0226-SM-7RHGO 60-69 years, male 263.5
GTEX-1F6I4-0126-SM-9MQL2 60-69 years, male 263.5
GTEX-SSA3-0126-SM-32QPU 60-69 years, male 263.0
GTEX-Z93T-0126-SM-5HL5N 50-59 years, male 262.4
GTEX-11ZTS-0126-SM-5EQ6M 60-69 years, female 262.2
GTEX-14BMV-0126-SM-5S2PO 50-59 years, male 262.0
GTEX-139TU-0126-SM-5K7WH 60-69 years, male 261.5
GTEX-11NUK-0126-SM-5A5L3 50-59 years, male 261.3
GTEX-1RDX4-0126-SM-E9J4P 50-59 years, female 260.9
GTEX-Y111-0126-SM-4SOIV 50-59 years, male 260.7
GTEX-1PIGE-0126-SM-EVYBJ 20-29 years, male 260.7
GTEX-ZYFC-0226-SM-5NQ75 50-59 years, male 259.8
GTEX-1EWIQ-0126-SM-7RHH2 70-79 years, female 259.7
GTEX-Z9EW-1626-SM-5CVMN 40-49 years, male 259.4
GTEX-1C6VS-0526-SM-7DUEN 60-69 years, male 258.8
GTEX-16GPK-0126-SM-7DHLE 60-69 years, male 258.6
GTEX-1A3MV-1926-SM-718BT 30-39 years, male 258.4
GTEX-1I4MK-2226-SM-ACKWD 50-59 years, female 258.4
GTEX-1HBPI-1526-SM-C1YQ1 50-59 years, male 257.9
GTEX-1K2DA-1826-SM-CGQGT 50-59 years, male 256.7
GTEX-18A7A-0226-SM-718BH 50-59 years, female 256.4
GTEX-1GZHY-0326-SM-9QEHI 50-59 years, female 256.4
GTEX-1A8FM-0226-SM-7SB7Q 50-59 years, female 256.1
GTEX-145MI-0526-SM-5O9A8 60-69 years, female 255.7
GTEX-U3ZH-2026-SM-3DB78 30-39 years, male 255.1
GTEX-Y5V5-2326-SM-4V6GA 60-69 years, female 254.9
GTEX-18A6Q-0126-SM-731BZ 60-69 years, male 254.8
GTEX-YJ89-0126-SM-4TT3X 60-69 years, male 254.8
GTEX-X638-0126-SM-47JZ8 70-79 years, female 254.2
GTEX-13SLW-0126-SM-5SI6C 70-79 years, male 254.1
GTEX-144GL-0126-SM-5TDE2 50-59 years, male 253.5
GTEX-ZVT3-0126-SM-5GU6I 60-69 years, female 253.2
GTEX-1IKJJ-0126-SM-CNPQB 60-69 years, male 253.1
GTEX-1I1GR-0126-SM-CL55F 60-69 years, male 252.9
GTEX-1JJEA-0326-SM-CNPOT 60-69 years, male 252.7
GTEX-14ABY-0226-SM-5TDCQ 50-59 years, male 252.4
GTEX-1J8JJ-0226-SM-CL53I 60-69 years, female 251.9
GTEX-16AAH-1726-SM-7939C 50-59 years, male 251.8
GTEX-1QEPI-0126-SM-EWRMQ 60-69 years, female 251.6
GTEX-14PJ3-1826-SM-62LEX 50-59 years, male 251.5
GTEX-1EU9M-0226-SM-7P8SP 60-69 years, male 251.1
GTEX-1F52S-0126-SM-9MQJU 60-69 years, female 251.1
GTEX-11P81-2326-SM-59875 30-39 years, female 250.5
GTEX-1PPH8-0226-SM-E8VND 20-29 years, male 250.5
GTEX-13OW6-0426-SM-5L3HM 50-59 years, male 250.3
GTEX-ZYT6-0226-SM-5NQ6T 30-39 years, male 249.9
GTEX-13OW8-1326-SM-5J1OW 60-69 years, male 249.6
GTEX-RN64-0126-SM-2TC68 50-59 years, male 249.4
GTEX-1IKK5-0626-SM-ARL8A 60-69 years, male 248.7
GTEX-11XUK-2026-SM-5EQLF 40-49 years, female 248.5
GTEX-1GPI6-0126-SM-9WG69 60-69 years, male 248.4
GTEX-1B8KZ-2026-SM-7DHMB 50-59 years, male 246.9
GTEX-WY7C-2326-SM-3NB2U 50-59 years, male 245.9
GTEX-11EI6-0126-SM-5985R 60-69 years, male 245.6
GTEX-17EVP-0326-SM-7DHLG 40-49 years, male 245.6
GTEX-1E1VI-0126-SM-7DHMZ 50-59 years, male 245.0
GTEX-1I1GQ-0126-SM-COH3H 50-59 years, male 244.9
GTEX-13112-2826-SM-5DUWH 50-59 years, male 244.3
GTEX-1GN1U-0126-SM-7PBZK 50-59 years, female 244.2
GTEX-1I1CD-0126-SM-CM2TK 60-69 years, female 243.6
GTEX-1EMGI-0126-SM-9KNUE 60-69 years, male 243.4
GTEX-PW2O-1526-SM-7RHHB 20-29 years, male 243.4
GTEX-13G51-2526-SM-5LZYK 60-69 years, male 243.1
GTEX-12WSD-0126-SM-59HKN 60-69 years, female 242.1
GTEX-RNOR-0126-SM-E9J4R 50-59 years, female 241.4
GTEX-1C6VR-2426-SM-79OLD 60-69 years, male 240.8
GTEX-17F96-1626-SM-7DUFL 70-79 years, male 240.4
GTEX-15EU6-0426-SM-6PAN5 50-59 years, male 238.3
GTEX-1HSKV-0226-SM-A9SKJ 60-69 years, male 238.1
GTEX-15DYW-0126-SM-7KULE 60-69 years, female 237.9
GTEX-145LV-2126-SM-5LU8N 50-59 years, male 236.0
GTEX-1AX9I-0126-SM-7SB74 60-69 years, male 235.7
GTEX-1CB4G-0226-SM-7PC3O 60-69 years, male 234.8
GTEX-1EN7A-0126-SM-7SB81 40-49 years, male 234.5
GTEX-1CAV2-2226-SM-7P8P2 40-49 years, female 232.8
GTEX-1IY9M-0126-SM-D3L8S 60-69 years, male 231.6
GTEX-XUYS-0126-SM-47JWZ 50-59 years, male 230.5
GTEX-RWSA-0126-SM-2XCBB 40-49 years, male 229.3
GTEX-1CB4F-0426-SM-9KNV4 60-69 years, male 229.0
GTEX-1H3VY-0126-SM-ACKXD 50-59 years, male 229.0
GTEX-1GMRU-0126-SM-9YFLV 50-59 years, male 228.5
GTEX-1C475-1826-SM-73KWA 40-49 years, female 228.2
GTEX-14E7W-0126-SM-6LLJ9 70-79 years, male 227.2
GTEX-14PJM-0226-SM-62LF1 50-59 years, female 227.0
GTEX-145LU-0126-SM-5TDCB 50-59 years, male 224.6
GTEX-1F6IF-0726-SM-7P8TW 60-69 years, male 224.3
GTEX-13111-1626-SM-5EGJY 50-59 years, male 223.6
GTEX-15ER7-0326-SM-7KUEV 20-29 years, female 220.4
GTEX-UPJH-0326-SM-3GADU 50-59 years, male 219.1
GTEX-1F48J-0126-SM-7P8TT 50-59 years, female 213.2
GTEX-15F5U-1526-SM-6PANO 40-49 years, male 211.2
GTEX-17HG3-2226-SM-7938L 30-39 years, female 193.6
Show allShow less

Contact

  • NEWS ARTICLES
  • PRESS ROOM

The Project

  • INTRODUCTION
  • ORGANIZATION
  • PUBLICATIONS

The Human Protein Atlas

  • DOWNLOADABLE DATA
  • LICENCE & CITATION
  • HELP & FAQ
The Human Protein Atlas project is funded
by the Knut & Alice Wallenberg Foundation.


contact@proteinatlas.org