We use cookies to enhance the usability of our website. If you continue, we'll assume that you are happy to receive all cookies. More information. Don't show this again.
FLNC
HPA
RESOURCES
  • TISSUE
  • BRAIN
  • SINGLE CELL
  • SUBCELLULAR
  • CANCER
  • BLOOD
  • CELL LINE
  • STRUCTURE & INTERACTION
ABOUT
  • INTRODUCTION
  • HISTORY
  • ORGANIZATION
  • PUBLICATIONS
  • ANTIBODY SUBMISSION
  • ANTIBODY AVAILABILITY
  • ACKNOWLEDGMENTS
  • CONTACT
NEWS
  • NEWS ARTICLES
  • PRESS ROOM
LEARN
  • DICTIONARY
  • PROTEIN CLASSES
  • PROTEIN EVIDENCE
  • METHODS
  • EDUCATIONAL VIDEOS
DATA
  • DOWNLOADABLE DATA
  • PUBLICATION DATA
  • RELEASE HISTORY
HELP
  • ANTIBODY VALIDATION
  • ASSAYS & ANNOTATION
  • DISCLAIMER
  • HELP & FAQ
  • PRIVACY STATEMENT
  • LICENCE & CITATION
Fields »
Search result

Field
Term
Gene name
Class
Subclass
Class
Keyword
Chromosome
External id
Tissue
Cell type
Expression
Antibody panel
Tissue
Main location
Patient ID
Annotation
Tissue
Category
Tau score
Cluster
Reliability
Brain region
Category
Tau score
Brain region
Category
Tau score
Brain region
Category
Tau score
Cluster
Reliability
Tissue
Cell type
Enrichment
Cell type
Category
Tau score
Cell type
Category
Tau score
Cell type
Category
Tau score
Cell lineage
Category
Tau score
Cluster
Cluster
Location
Searches
Location
Cell line
Class
Type
Phase
Reliability
Cancer
Prognosis
Cancer
Category
Cancer
Category
Tau score
Cluster
Variants
Interacting gene (ensg_id)
Type
Number of interactions
Pathway
Category
Score
Score
Score
Validation
Validation
Validation
Validation
Antibodies
Data type
Column


  • SUMMARY

  • TISSUE

  • BRAIN

  • SINGLE CELL

  • SUBCELL

  • CANCER

  • BLOOD

  • CELL LINE

  • STRUCT & INT

  • FLNC
TISSUE PRIMARY DATA COLON Show tissue menu
ADIPOSE TISSUE ADRENAL GLAND AMYGDALA APPENDIX BASAL GANGLIA BONE MARROW BREAST BRONCHUS CEREBELLUM CEREBRAL CORTEX CERVIX CHOROID PLEXUS COLON DUODENUM
ENDOMETRIUM EPIDIDYMIS ESOPHAGUS FALLOPIAN TUBE GALLBLADDER HEART MUSCLE HIPPOCAMPAL FORMATION HYPOTHALAMUS KIDNEY LIVER LUNG LYMPH NODE MIDBRAIN NASOPHARYNX
ORAL MUCOSA OVARY PANCREAS PARATHYROID GLAND PITUITARY GLAND PLACENTA PROSTATE RECTUM RETINA SALIVARY GLAND SEMINAL VESICLE SKELETAL MUSCLE SKIN SMALL INTESTINE
SMOOTH MUSCLE SOFT TISSUE SPINAL CORD SPLEEN STOMACH TESTIS THYMUS THYROID GLAND TONGUE TONSIL URINARY BLADDER VAGINA
ANTIBODIES
AND
VALIDATION
Dictionary
Colon
Tissue proteome
Intestine
COLON - Expression summary
Protein expression
Coloni

On the top, protein expression in current human tissue, based on all annotated cell types, is reported with the units not detected (n), low (l), medium (m) and high (h). Underneath, protein expression in each annotated cell type are reported using the same units.

Protein expression data is based on knowledge-based annotation. For genes where more than one antibody has been used, a collective score is set.

If knowledge-based annotation could not be performed for a gene, no data is displayed here. View antibody staining data further down this page.

h
m
l
n
Endothelial cells: Medium
Glandular cells: Medium
Peripheral nerve/ganglion: Not detected
RNA expressioni

A summary of mRNA expression data available for current tissue based on several datasets. The mRNA expression levels in human tissues are based on RNA-seq data generated by the Human Protein Atlas (HPA), Genotype-Tissue Expression (GTEx) portal and CAGE data generated by the FANTOM5 consortium. Consensus normalized expression levels for human tissues was created by combining the data from HPA and GTEx datasets.

The mRNA expression levels in pig are based on RNA-seq data generated by the Human Protein Atlas (HPA), and for mouse, HPA data and in situ hybridization generated by the Allen brain atlas are reported.

Scroll down to view mRNA expression data in more detail.
Consensus:208.1 nTPM
HPA:25.0 nTPM
GTEx:208.1 nTPM
FANTOM5:172.3 Scaled Tags Per Million

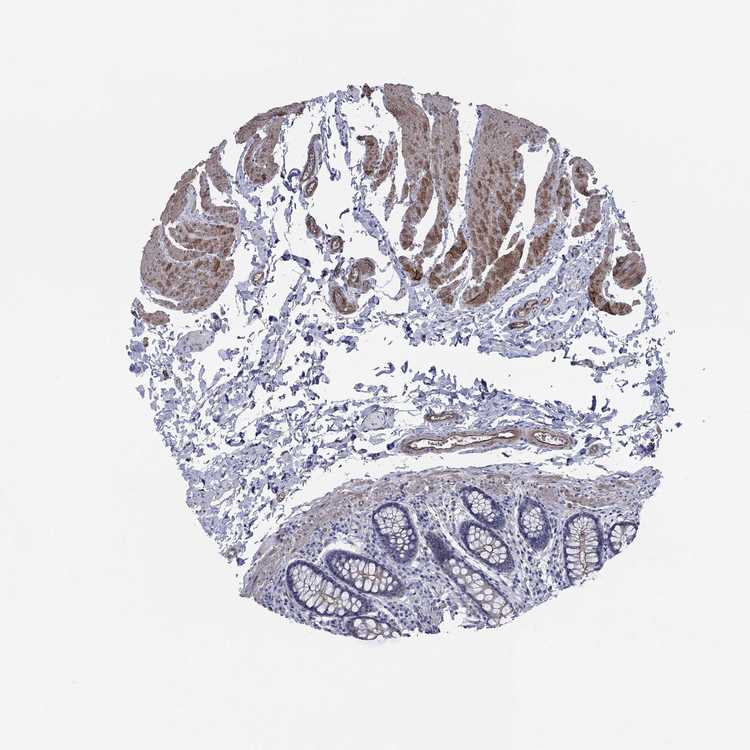
COLON - Antibody stainingi

Antibody staining in the annotated cell types in the current human tissue is reported as not detected, low, medium, or high, based on conventional immunohistochemistry profiling in selected tissues. This score is based on the combination of the staining intensity and fraction of stained cells.

Each image is clickable and will lead to virtual microscopy that enables deeper exploration of all samples and also displays staining intensity scores, fraction scores and subcellular localization as well as patient and tissue information for each sample.

Antibody HPA006135Antibody HPA071007
Endothelial cells MediumHigh
Glandular cells Not detectedMedium
Peripheral nerve/ganglion Not detectedNot detected





COLON - HPA RNA-seqi

The RNA-seq details section shows detailed information about the individual samples used for the transcript profiling and results of the RNA-seq analysis.

Information about each individual sample is listed below, including gender, age, a tissue section image and estimated fractions of cell types. nTPM (normalized transcripts per million) values give a quantification of the gene abundance which is comparable between different genes and samples.
Average nTPMi

Max subtype nTPM is the value for the subtype with the largest average nTPM across the subtype samples.

25.0
overview
Male, age 54
Colon sample 67
nTPM: 13.5
Cell types%
Glandular cells:
65

Smooth muscle cells:
10

Other cell types:
25

overview
Female, age 57
Colon sample 68
nTPM: 8.4
Cell types%
Glandular cells:
40

Smooth muscle cells:
5

Other cell types:
55

overview
Male, age 80
Colon sample 69
nTPM: 2.8
Cell types%
Glandular cells:
55

Smooth muscle cells:
5

Other cell types:
40

overview
Male, age 68
Colon sample 70
nTPM: 11.4
Cell types%
Glandular cells:
35

Smooth muscle cells:
10

Other cell types:
55

overview
Female, age 68
Colon sample 76
nTPM: 9.5
Cell types%
Glandular cells:
25

Smooth muscle cells:
5

Other cell types:
70

overview
Female, age 61
Colon sample 299
nTPM: 153.7
Cell types%
Glandular cells:
5

Smooth muscle cells:
65

Other cell types:
30

overview
Male, age 80
Colon sample 300
nTPM: 1.1
Cell types%
Glandular cells:
15

Smooth muscle cells:
20

Other cell types:
65

overview
Female, age 78
Colon sample 368
nTPM: 2.4
Cell types%
Glandular cells:
45

Smooth muscle cells:
5

Other cell types:
50

overview
Male, age 84
Colon sample 381
nTPM: 48.7
Cell types%
Glandular cells:
50

Smooth muscle cells:
15

Other cell types:
35

overview
Male, age 80
Colon sample 384
nTPM: 3.7
Cell types%
Glandular cells:
20

Smooth muscle cells:
35

Other cell types:
45

overview
Female, age 78
Colon sample 389
nTPM: 11.9
Cell types%
Glandular cells:
35

Smooth muscle cells:
10

Other cell types:
55

overview
Female, age 69
Colon sample 391
nTPM: 25.4
Cell types%
Glandular cells:
10

Smooth muscle cells:
45

Other cell types:
45

overview
Female, age 72
Colon sample 403
nTPM: 32.5
Cell types%
Glandular cells:
20

Smooth muscle cells:
15

Other cell types:
65


COLON - GTEx RNA-seqi

RNA-Seq data generated by the Genotype-Tissue Expression (GTEx) project from human tissues is reported as mean nTPM. More information can be found on the GTEx portal.

Distribution across the dataset is visualized with box plots, shown as median and 25th and 75th percentiles. Points are displayed as outliers if they are above or below 1.5 times the interquartile range. nTPM values of the individual samples are presented next to the box plot.
Max subtype nTPMi

Max subtype nTPM is the value for the subtype with the largest average nTPM across the subtype samples.

208.1
GTEx sample id Sample description nTPM
Colon - Sigmoid
Average nTPM: 208.1
Samples: 373

Max nTPM: 1421.5
Min nTPM: 1.5
Std nTPM: 145.8
Median nTPM: 185.4
GTEX-15ER7-2826-SM-6PAN2 20-29 years, female 1421.5
GTEX-1I1CD-2826-SM-A9SL4 60-69 years, female 1208.5
GTEX-ZDTS-2726-SM-5L3E2 60-69 years, male 1067.3
GTEX-1PBJJ-2026-SM-DTX8U 30-39 years, male 831.9
GTEX-1LB8K-2526-SM-DIPEQ 50-59 years, male 696.6
GTEX-1J8EW-2426-SM-CE6T5 60-69 years, female 662.7
GTEX-11ZU8-1126-SM-5EQ5K 60-69 years, male 657.8
GTEX-13X6J-2826-SM-7EPGA 50-59 years, male 616.2
GTEX-11P7K-1826-SM-5HL5A 30-39 years, male 593.9
GTEX-ZF2S-1826-SM-4WKFF 50-59 years, female 590.1
GTEX-11ZTS-1526-SM-5N9G7 60-69 years, female 520.8
GTEX-ZE9C-2126-SM-4WKGY 60-69 years, male 517.4
GTEX-XAJ8-0726-SM-47JY5 40-49 years, male 512.9
GTEX-1N2EF-1726-SM-EXUSI 60-69 years, male 468.3
GTEX-1B996-2726-SM-7DUGG 60-69 years, male 438.4
GTEX-15DYW-2426-SM-7KUG8 60-69 years, female 436.9
GTEX-18A6Q-2226-SM-7LG61 60-69 years, male 433.7
GTEX-1JJEA-2526-SM-CY8HJ 60-69 years, male 427.1
GTEX-139UW-2326-SM-5KM1Y 60-69 years, male 420.4
GTEX-YF7O-1626-SM-5IFII 50-59 years, male 415.4
GTEX-1399R-2126-SM-5K7WZ 30-39 years, male 413.3
GTEX-1EU9M-2726-SM-7P8QD 60-69 years, male 405.1
GTEX-1IDJH-2826-SM-CJI49 70-79 years, male 401.7
GTEX-17F96-2126-SM-7KFSM 70-79 years, male 401.3
GTEX-1CB4F-1926-SM-7MKFN 60-69 years, male 398.0
GTEX-1GN73-2726-SM-9WYUB 60-69 years, male 391.5
GTEX-ZXES-1726-SM-5E43G 30-39 years, female 391.4
GTEX-13G51-2126-SM-5IJD9 60-69 years, male 382.1
GTEX-1RDX4-1926-SM-E6CJJ 50-59 years, female 376.9
GTEX-13CF2-1826-SM-5N9GK 60-69 years, male 376.1
GTEX-14C5O-2626-SM-5RQI5 60-69 years, male 363.7
GTEX-12WSM-1426-SM-5GCPA 60-69 years, male 362.2
GTEX-11ZTT-1626-SM-5EQKR 60-69 years, female 352.7
GTEX-1RAZR-2026-SM-E9TKE 40-49 years, male 350.6
GTEX-17HHE-1626-SM-7DHLN 50-59 years, male 348.3
GTEX-1E2YA-2526-SM-7IGOU 50-59 years, male 343.3
GTEX-1PPH8-2226-SM-EWRN7 20-29 years, male 340.9
GTEX-16BQI-2026-SM-7KULQ 30-39 years, female 339.0
GTEX-XXEK-1826-SM-4BRVC 50-59 years, male 337.0
GTEX-11EQ9-1526-SM-5PNY7 30-39 years, male 330.3
GTEX-12ZZW-2426-SM-5DUWE 50-59 years, male 324.6
GTEX-11I78-1326-SM-5PNY9 50-59 years, female 323.4
GTEX-XBED-1726-SM-47JYO 60-69 years, male 322.8
GTEX-1LGOU-1726-SM-D3L8P 20-29 years, female 321.8
GTEX-11DXZ-1626-SM-5GIDI 50-59 years, male 320.4
GTEX-YFCO-1526-SM-5YYB8 40-49 years, male 319.3
GTEX-1C64N-2226-SM-7SB7C 50-59 years, male 316.7
GTEX-11ONC-1926-SM-5GU75 60-69 years, male 311.9
GTEX-ZVT3-2826-SM-5GU6A 60-69 years, female 311.4
GTEX-1R9PO-2026-SM-E9J4N 60-69 years, female 303.8
GTEX-WY7C-1926-SM-4ONCI 50-59 years, male 302.5
GTEX-11EM3-1626-SM-5N9CO 20-29 years, female 300.8
GTEX-13FTW-2126-SM-5K7YG 40-49 years, male 300.4
GTEX-14PK6-1826-SM-69LOM 70-79 years, female 294.6
GTEX-1RMOY-1726-SM-EVYC9 50-59 years, male 293.1
GTEX-13OVK-1026-SM-7KFTC 40-49 years, male 289.6
GTEX-11TT1-0926-SM-5GU5M 20-29 years, male 287.9
GTEX-1K2DA-1626-SM-CGQGB 50-59 years, male 286.1
GTEX-11EMC-1426-SM-5N9E4 60-69 years, female 285.1
GTEX-1LVAO-2826-SM-E9TJH 60-69 years, male 281.9
GTEX-1C475-1526-SM-7DHM3 40-49 years, female 281.2
GTEX-1AYCT-1926-SM-793AE 50-59 years, male 280.2
GTEX-147JS-2626-SM-5S2UX 60-69 years, male 278.5
GTEX-1HCUA-1926-SM-B2LWE 50-59 years, female 277.6
GTEX-117XS-2226-SM-5GIE1 60-69 years, male 275.0
GTEX-12KS4-2326-SM-5EGJB 30-39 years, male 274.5
GTEX-14A5H-1626-SM-5SIAN 60-69 years, male 266.4
GTEX-WXYG-1726-SM-4ONCU 50-59 years, female 266.0
GTEX-ZG7Y-1826-SM-4WWD3 50-59 years, male 265.9
GTEX-15RIF-1426-SM-7KUKQ 20-29 years, male 265.7
GTEX-1I1GR-2226-SM-ARL7F 60-69 years, male 265.2
GTEX-14JG6-1626-SM-5YYBC 30-39 years, female 264.3
GTEX-1GMRU-2626-SM-9WPPM 50-59 years, male 260.0
GTEX-11GS4-1826-SM-5HL4T 60-69 years, male 258.6
GTEX-131YS-2926-SM-5EGKI 60-69 years, female 257.8
GTEX-145LT-0826-SM-5S2QL 40-49 years, male 255.0
GTEX-13CF3-1326-SM-5LZXZ 60-69 years, female 254.7
GTEX-1CB4G-2726-SM-79OO4 60-69 years, male 254.7
GTEX-131XE-1026-SM-5EGKE 50-59 years, male 254.1
GTEX-1IDJI-2226-SM-CKZPM 50-59 years, female 252.4
GTEX-1212Z-1826-SM-5FQSH 60-69 years, male 252.0
GTEX-1LG7Z-1326-SM-DIPF3 30-39 years, male 251.2
GTEX-12WSG-2426-SM-5EQLZ 50-59 years, female 250.5
GTEX-1OFPY-1226-SM-E76OM 60-69 years, male 249.3
GTEX-ZPU1-1726-SM-4WWFV 40-49 years, male 247.0
GTEX-WYVS-1126-SM-4SOJX 40-49 years, female 246.8
GTEX-1F5PK-1726-SM-7RHHW 50-59 years, male 243.5
GTEX-1JN76-1326-SM-ARU94 20-29 years, female 242.8
GTEX-1S5ZA-1426-SM-E6CJQ 20-29 years, male 242.7
GTEX-YECK-2826-SM-5IFHF 60-69 years, male 242.3
GTEX-15RIE-2026-SM-7KFRW 60-69 years, male 241.5
GTEX-1JMQJ-2626-SM-CY8HQ 50-59 years, male 240.2
GTEX-1QCLY-2026-SM-EVR4C 30-39 years, male 239.6
GTEX-132NY-2726-SM-5PNY2 60-69 years, male 238.9
GTEX-1KXAM-1926-SM-D3LAG 60-69 years, male 238.7
GTEX-ZYT6-2826-SM-5GICX 30-39 years, male 235.7
GTEX-1JJE9-2526-SM-ARU8K 70-79 years, male 235.4
GTEX-1J1OQ-2826-SM-D3L88 40-49 years, female 234.8
GTEX-ZF28-2526-SM-57WFH 60-69 years, male 234.6
GTEX-13QBU-2026-SM-5KLZB 40-49 years, female 234.4
GTEX-1BAJH-2726-SM-7IGNJ 70-79 years, male 231.8
GTEX-1F75W-2126-SM-7RHIA 60-69 years, male 230.6
GTEX-12WSD-2626-SM-5EGJE 60-69 years, female 229.7
GTEX-14PJ3-1226-SM-5ZZVY 50-59 years, male 229.5
GTEX-1LG7Y-2226-SM-E9U5K 50-59 years, male 229.4
GTEX-ZTTD-2626-SM-57WEX 50-59 years, male 229.2
GTEX-12BJ1-2026-SM-5FQUH 60-69 years, male 228.7
GTEX-11PRG-2026-SM-5GU5F 50-59 years, male 228.5
GTEX-13PVR-1726-SM-5Q5EC 60-69 years, female 227.9
GTEX-ZAB5-1426-SM-5HL9D 50-59 years, male 227.9
GTEX-13RTJ-1926-SM-5YYA2 60-69 years, male 227.4
GTEX-1AX9K-1626-SM-73KUS 50-59 years, male 226.8
GTEX-ZA64-1426-SM-5CVMC 20-29 years, male 226.8
GTEX-1GMR8-2926-SM-9KNW5 50-59 years, female 226.3
GTEX-12ZZX-2726-SM-5N9FT 40-49 years, female 226.1
GTEX-1LSNL-1626-SM-E9TJY 50-59 years, male 226.1
GTEX-1J8QM-1226-SM-CY8HI 60-69 years, female 225.6
GTEX-1I1GP-2826-SM-A9SKZ 50-59 years, male 225.3
GTEX-ZQG8-2426-SM-57WEE 60-69 years, female 224.8
GTEX-ZYFG-1826-SM-5GZWX 60-69 years, female 224.7
GTEX-1C2JI-1726-SM-73KUW 50-59 years, male 223.6
GTEX-1HBPH-2526-SM-ACKXK 40-49 years, female 220.4
GTEX-1HSKV-2326-SM-A9SL9 60-69 years, male 220.3
GTEX-1B8KE-1526-SM-7DUG2 50-59 years, male 220.2
GTEX-14E6E-1726-SM-5S2R6 30-39 years, male 219.8
GTEX-ZPIC-2626-SM-57WE2 40-49 years, female 219.4
GTEX-17KNJ-1826-SM-7LT9N 50-59 years, male 218.9
GTEX-14PHX-1126-SM-5YYA5 50-59 years, male 218.5
GTEX-1HSGN-2226-SM-A9SL6 40-49 years, female 217.1
GTEX-183FY-1426-SM-7DHLM 20-29 years, male 216.2
GTEX-1QP9N-0826-SM-DTX9O 30-39 years, male 215.5
GTEX-ZP4G-1526-SM-57WE5 20-29 years, female 214.5
GTEX-139TS-2226-SM-5J2N1 60-69 years, male 213.9
GTEX-111CU-1226-SM-5EGIN 50-59 years, male 213.7
GTEX-17JCI-2826-SM-7IGNA 60-69 years, female 213.7
GTEX-1R9JW-2126-SM-E76QT 30-39 years, female 211.1
GTEX-1J8Q3-2426-SM-CL53S 60-69 years, male 210.7
GTEX-WQUQ-2626-SM-4MVNP 60-69 years, male 210.0
GTEX-V955-1726-SM-4JBHF 60-69 years, male 209.3
GTEX-ZY6K-1326-SM-5GZWP 50-59 years, male 208.5
GTEX-1HBPN-2026-SM-B2LWA 50-59 years, male 207.8
GTEX-1B8L1-1926-SM-7IGND 60-69 years, male 206.1
GTEX-1K9T9-2926-SM-E9TKD 50-59 years, female 205.8
GTEX-1QP28-2226-SM-DTX8C 50-59 years, female 205.8
GTEX-ZVZQ-2626-SM-59HLB 60-69 years, female 205.3
GTEX-14BIN-2426-SM-5TDCF 50-59 years, female 204.9
GTEX-WFG7-1626-SM-4LVMF 20-29 years, male 204.4
GTEX-1GMR3-2526-SM-7P8QS 40-49 years, male 204.2
GTEX-17GQL-1626-SM-7LG69 60-69 years, male 204.1
GTEX-ZE7O-2626-SM-51MSS 50-59 years, female 203.5
GTEX-13OW8-2726-SM-5L3FZ 60-69 years, male 202.7
GTEX-13N2G-2226-SM-5IJCU 60-69 years, male 202.6
GTEX-14C39-1626-SM-5S2P4 40-49 years, male 202.4
GTEX-14DAQ-2926-SM-664MV 60-69 years, female 201.8
GTEX-1JMLX-2526-SM-CY8HX 50-59 years, male 201.2
GTEX-1RQEC-2626-SM-EVR3Z 60-69 years, male 200.9
GTEX-Y114-1626-SM-4TT7I 50-59 years, female 200.8
GTEX-1HSMO-2526-SM-A9SKP 60-69 years, male 200.0
GTEX-XQ8I-2326-SM-4BOQC 50-59 years, male 199.6
GTEX-12696-1926-SM-5EGJT 60-69 years, male 198.7
GTEX-X4EO-2726-SM-4E3HS 60-69 years, female 198.3
GTEX-17HGU-2626-SM-79OKN 50-59 years, male 196.7
GTEX-ZC5H-2426-SM-4WAZ6 40-49 years, female 196.2
GTEX-WHPG-1626-SM-4M1ZL 50-59 years, male 194.9
GTEX-1B97I-1526-SM-73KUK 40-49 years, male 194.0
GTEX-YJ8A-1726-SM-5P9IQ 20-29 years, male 193.7
GTEX-14E6C-2226-SM-5QGQG 40-49 years, male 193.2
GTEX-11TUW-2326-SM-5EQMO 60-69 years, male 192.6
GTEX-1CAMR-1026-SM-7P8QI 20-29 years, male 192.3
GTEX-ZLWG-1826-SM-DO11I 50-59 years, female 192.1
GTEX-Z93S-2626-SM-57WBX 50-59 years, male 192.0
GTEX-1A32A-2626-SM-73KX9 50-59 years, female 191.6
GTEX-ZLFU-1426-SM-4WWEU 40-49 years, male 191.5
GTEX-13D11-0626-SM-5LZYY 50-59 years, female 191.0
GTEX-14PN3-1926-SM-6EU1Y 60-69 years, female 190.3
GTEX-1KANA-1726-SM-CY8IG 20-29 years, male 190.1
GTEX-1PBJI-2526-SM-E6CP4 20-29 years, female 188.3
GTEX-145MO-2626-SM-5QGPD 60-69 years, male 188.2
GTEX-1QP2A-2226-SM-DTXF6 50-59 years, male 188.2
GTEX-1RAZQ-2026-SM-E76P7 30-39 years, male 188.1
GTEX-XV7Q-2226-SM-4BRVY 40-49 years, female 187.3
GTEX-ZPCL-1626-SM-57WGC 60-69 years, female 186.5
GTEX-1C4CL-1626-SM-7DUF3 30-39 years, male 186.4
GTEX-18A66-2626-SM-72D67 60-69 years, male 186.2
GTEX-Y3I4-1126-SM-4TT7Y 50-59 years, male 186.0
GTEX-15UF6-2726-SM-7KULY 70-79 years, female 185.8
GTEX-1QW4Y-1426-SM-E76P3 30-39 years, male 185.4
GTEX-1MGNQ-2126-SM-EV7AC 40-49 years, male 184.3
GTEX-13FHO-2726-SM-5K7VG 60-69 years, male 183.8
GTEX-1JN6P-2126-SM-ARL98 60-69 years, male 183.5
GTEX-1QPFJ-2426-SM-EVR3L 30-39 years, female 182.8
GTEX-1HCVE-2326-SM-9WYUD 50-59 years, male 182.5
GTEX-1LVAM-1726-SM-DHXKQ 50-59 years, female 181.7
GTEX-ZZ64-0826-SM-5E449 20-29 years, male 180.3
GTEX-1PIGE-1526-SM-DTXFC 20-29 years, male 180.2
GTEX-1JKYR-2026-SM-CNPON 20-29 years, male 179.7
GTEX-13OVJ-1826-SM-5KM2D 50-59 years, female 179.5
GTEX-13U4I-2626-SM-5SI9C 40-49 years, female 177.7
GTEX-14PKV-1926-SM-686YU 20-29 years, female 177.3
GTEX-WFG8-1726-SM-4LVM6 20-29 years, male 176.1
GTEX-1R7EU-1826-SM-DTX9L 60-69 years, male 175.8
GTEX-1HFI7-1626-SM-9WYTR 50-59 years, female 175.7
GTEX-11EI6-2626-SM-5PNVT 60-69 years, male 175.4
GTEX-1HSEH-1926-SM-A96SB 60-69 years, male 174.3
GTEX-1N2DV-1826-SM-E6CJ5 40-49 years, male 174.3
GTEX-1JK1U-1426-SM-CNPOW 60-69 years, male 174.2
GTEX-1F5PL-1926-SM-7MXTP 40-49 years, female 172.7
GTEX-15CHQ-2626-SM-686YZ 60-69 years, male 171.9
GTEX-1AX9J-2526-SM-73KUY 60-69 years, male 171.5
GTEX-1H1DE-1626-SM-9KNU5 20-29 years, male 171.4
GTEX-13O61-1526-SM-5KM3P 60-69 years, male 171.2
GTEX-1GPI7-1926-SM-9KNUH 20-29 years, male 170.9
GTEX-1HKZK-2026-SM-9WYUF 40-49 years, male 170.8
GTEX-1QP67-1426-SM-E8VOO 40-49 years, female 170.8
GTEX-1R9K5-2226-SM-DTX9G 50-59 years, male 170.5
GTEX-1A3MV-1026-SM-72D5U 30-39 years, male 170.1
GTEX-14BMU-1326-SM-5RQIH 20-29 years, female 169.5
GTEX-XUW1-1826-SM-4BOQD 50-59 years, female 169.4
GTEX-14E1K-1626-SM-664MO 50-59 years, male 169.1
GTEX-16XZZ-2726-SM-7EWDO 60-69 years, male 169.0
GTEX-1LVAN-2626-SM-CNPQF 50-59 years, female 168.0
GTEX-1LSVX-2026-SM-E9TJD 60-69 years, male 167.6
GTEX-1EMGI-2626-SM-7IGNR 60-69 years, male 167.3
GTEX-1EH9U-1926-SM-7P8QM 60-69 years, male 166.6
GTEX-1JMQK-2326-SM-ARZN4 60-69 years, male 166.4
GTEX-1H1E6-1826-SM-A9G21 30-39 years, male 166.3
GTEX-14AS3-1026-SM-5TDD7 40-49 years, female 166.0
GTEX-15RJ7-1726-SM-6PAL3 40-49 years, male 165.9
GTEX-11DXX-1926-SM-5EGJK 60-69 years, female 165.3
GTEX-1L5NE-1926-SM-D3L9R 50-59 years, male 164.2
GTEX-11DXY-2026-SM-5N9CZ 60-69 years, male 164.1
GTEX-13PVQ-2726-SM-5L3H7 50-59 years, male 164.1
GTEX-1C6VQ-2626-SM-7IGMQ 50-59 years, male 163.9
GTEX-1ICG6-2226-SM-B2LY7 70-79 years, female 163.5
GTEX-13111-1926-SM-5GCOL 50-59 years, male 163.2
GTEX-X15G-1526-SM-4PQZM 50-59 years, female 162.2
GTEX-WHWD-1526-SM-4OORV 50-59 years, male 162.1
GTEX-1H1ZS-2626-SM-9QEIX 70-79 years, male 160.8
GTEX-117YX-0526-SM-5EGJH 50-59 years, male 160.3
GTEX-13FH7-1626-SM-5J2O9 50-59 years, female 160.3
GTEX-1S82P-2026-SM-E9TIQ 60-69 years, female 159.6
GTEX-1GZ4H-1326-SM-7P8TE 50-59 years, female 158.2
GTEX-13OW5-2826-SM-5KM1G 60-69 years, male 156.9
GTEX-12WSJ-1426-SM-5GCON 40-49 years, female 156.3
GTEX-139T6-1426-SM-5P9J7 50-59 years, male 156.3
GTEX-15G1A-1926-SM-7KUFF 30-39 years, male 155.4
GTEX-1HBPI-2226-SM-9WYTY 50-59 years, male 154.9
GTEX-11P81-1426-SM-5P9JN 30-39 years, female 154.6
GTEX-14A5I-2426-SM-5Q5CP 50-59 years, female 154.0
GTEX-ZV6S-1126-SM-57WE9 40-49 years, female 154.0
GTEX-111YS-1826-SM-5GIEP 60-69 years, male 153.6
GTEX-15DZA-1026-SM-6PAND 30-39 years, female 152.3
GTEX-YJ8O-1426-SM-5PNV9 40-49 years, female 149.1
GTEX-ZVT4-2626-SM-5N9GJ 50-59 years, female 148.2
GTEX-1JMPZ-2626-SM-ARU8Z 30-39 years, male 147.8
GTEX-1IL2U-2526-SM-C1YQV 60-69 years, male 147.5
GTEX-1JKYN-2226-SM-ARZNE 30-39 years, male 146.5
GTEX-12ZZY-2726-SM-5EQ45 60-69 years, male 146.2
GTEX-16MTA-1626-SM-6M47N 50-59 years, male 146.1
GTEX-YEC3-2026-SM-DKPOL 50-59 years, male 145.3
GTEX-ZYFD-2226-SM-5E43P 50-59 years, male 144.6
GTEX-145MH-2726-SM-5QGQ6 50-59 years, male 144.3
GTEX-1PIIG-2126-SM-EXUSD 30-39 years, male 144.1
GTEX-13PL7-2426-SM-5J2N3 60-69 years, female 144.0
GTEX-15EO6-2326-SM-6LPKK 50-59 years, male 143.2
GTEX-1IKOE-2126-SM-A96T5 30-39 years, female 142.8
GTEX-16NGA-0926-SM-718AG 40-49 years, female 142.7
GTEX-1AMFI-1826-SM-73KWB 50-59 years, female 142.0
GTEX-1LBAC-1726-SM-D3L9W 20-29 years, male 141.8
GTEX-1LGRB-2026-SM-COH47 50-59 years, female 141.3
GTEX-1H3VY-2526-SM-9KNW1 50-59 years, male 140.1
GTEX-13X6K-2726-SM-5O9DG 60-69 years, female 139.7
GTEX-1122O-1426-SM-5H11R 60-69 years, female 139.6
GTEX-1211K-1826-SM-5EGJ2 60-69 years, female 139.2
GTEX-1A3MX-2326-SM-718B4 60-69 years, male 138.2
GTEX-1HCU6-2926-SM-B2LWV 60-69 years, female 138.1
GTEX-1RLM8-1726-SM-E9TKF 50-59 years, male 137.3
GTEX-1HSMQ-2526-SM-A9SMK 50-59 years, male 134.8
GTEX-1QCLZ-2026-SM-EAZ4A 60-69 years, female 133.0
GTEX-131XG-1526-SM-5GCNQ 50-59 years, female 132.9
GTEX-18D9A-1326-SM-7LT8P 30-39 years, female 132.9
GTEX-17EUY-1726-SM-79OK4 20-29 years, male 132.8
GTEX-ZYY3-2226-SM-5E45A 60-69 years, female 131.7
GTEX-1H3NZ-2526-SM-9KNVO 60-69 years, male 130.6
GTEX-1GL5R-1726-SM-9KNUX 50-59 years, male 130.5
GTEX-13VXT-2026-SM-5L3EW 20-29 years, female 130.3
GTEX-11EQ8-2626-SM-5N9BO 60-69 years, male 129.4
GTEX-13OVI-2126-SM-5KM3U 60-69 years, female 128.8
GTEX-1S831-1726-SM-EWROJ 20-29 years, male 128.0
GTEX-17MFQ-1226-SM-7KFSA 20-29 years, male 127.1
GTEX-1J8JJ-2426-SM-D4P4A 60-69 years, female 126.8
GTEX-14PJ4-1826-SM-5YY97 60-69 years, male 126.6
GTEX-13OW6-2226-SM-5N9FL 50-59 years, male 125.8
GTEX-15UF7-1326-SM-7KUKV 40-49 years, male 125.6
GTEX-1QP29-2526-SM-E6CQ3 50-59 years, male 123.2
GTEX-139D8-2926-SM-5IJBM 30-39 years, female 123.1
GTEX-1PIEJ-1826-SM-EWRMN 20-29 years, female 122.8
GTEX-1GMR2-1826-SM-9KNUP 50-59 years, male 122.0
GTEX-1I1GT-2026-SM-CKZPK 60-69 years, female 122.0
GTEX-1LSNM-1426-SM-E6CIH 50-59 years, male 121.8
GTEX-18QFQ-1726-SM-731C9 30-39 years, male 120.7
GTEX-1GF9X-1426-SM-7RHGX 40-49 years, female 120.4
GTEX-146FH-2426-SM-5Q5EW 50-59 years, female 119.8
GTEX-12WSL-1826-SM-5LZW9 50-59 years, male 117.9
GTEX-ZAB4-2426-SM-5HL8A 40-49 years, male 116.7
GTEX-1HCU7-2726-SM-A9G3D 50-59 years, male 115.1
GTEX-18465-2726-SM-7LT9I 50-59 years, male 113.1
GTEX-15ETS-2326-SM-7KUGC 40-49 years, female 112.7
GTEX-1J1R8-1426-SM-CL55O 40-49 years, male 111.6
GTEX-1GTWX-2626-SM-9WPOT 60-69 years, male 111.5
GTEX-1I6K6-1926-SM-A96SN 30-39 years, male 110.8
GTEX-XUZC-1526-SM-4BRV4 30-39 years, female 110.2
GTEX-WFON-1326-SM-4LVMN 40-49 years, male 107.4
GTEX-1PDJ9-2026-SM-E76PT 20-29 years, male 104.5
GTEX-ZTSS-1226-SM-51MSZ 40-49 years, male 104.3
GTEX-1JMPY-1026-SM-ARZN1 30-39 years, male 103.6
GTEX-ZF29-1826-SM-4WKG8 60-69 years, female 103.1
GTEX-1339X-1726-SM-5P9J9 40-49 years, male 103.0
GTEX-ZLV1-1326-SM-DO11Q 60-69 years, female 102.8
GTEX-15G19-2726-SM-6LPKG 60-69 years, male 101.1
GTEX-1B932-2126-SM-7IGMU 40-49 years, female 100.5
GTEX-1399U-2226-SM-5KLZI 50-59 years, female 99.9
GTEX-145ME-1126-SM-5SIAT 40-49 years, female 99.8
GTEX-132AR-2826-SM-5IJFV 50-59 years, female 99.2
GTEX-1H23P-2626-SM-9KNVN 60-69 years, male 98.0
GTEX-1IDJU-1926-SM-CL53W 60-69 years, female 97.6
GTEX-ZT9W-1726-SM-51MS3 50-59 years, male 96.6
GTEX-13X6I-2726-SM-5Q5ET 60-69 years, male 96.2
GTEX-1CAMS-2626-SM-7PBY3 40-49 years, female 95.3
GTEX-11VI4-1426-SM-5GU6O 40-49 years, female 94.6
GTEX-ZVT2-1726-SM-51MRO 50-59 years, female 92.4
GTEX-Y9LG-1326-SM-4VBQB 30-39 years, male 89.7
GTEX-147GR-2826-SM-5RQK8 60-69 years, male 89.1
GTEX-13O1R-2426-SM-5KLZZ 60-69 years, male 88.4
GTEX-16Z82-2426-SM-7KUMS 60-69 years, male 87.4
GTEX-13SLW-2826-SM-5Q5ES 70-79 years, male 83.9
GTEX-1477Z-2126-SM-5Q5CM 60-69 years, male 83.8
GTEX-17F9Y-2626-SM-7IGN9 70-79 years, female 82.1
GTEX-ZAJG-2626-SM-5S2NU 50-59 years, female 82.0
GTEX-1HBPM-2626-SM-9WYU5 60-69 years, female 81.9
GTEX-Y5LM-1426-SM-5RQJL 40-49 years, female 80.2
GTEX-1H3VE-2326-SM-9KNVU 40-49 years, male 79.5
GTEX-18A67-2226-SM-7LT9Z 50-59 years, male 76.9
GTEX-1PFEY-1726-SM-DPRZ4 30-39 years, male 75.8
GTEX-1LKK1-2426-SM-DIPES 50-59 years, female 72.7
GTEX-15RJE-2226-SM-6M46A 40-49 years, male 70.9
GTEX-WRHK-1126-SM-4MVOJ 20-29 years, female 70.3
GTEX-WI4N-2226-SM-4OOS9 40-49 years, female 69.9
GTEX-1C64O-2426-SM-7P8R3 60-69 years, male 69.5
GTEX-WHSE-2726-SM-EZ6ML 20-29 years, male 66.8
GTEX-144GM-1126-SM-79OJK 20-29 years, male 66.0
GTEX-183WM-2526-SM-731BP 70-79 years, female 63.9
GTEX-148VJ-2426-SM-5NQ9Y 70-79 years, male 63.5
GTEX-145LS-2926-SM-5O99G 60-69 years, female 61.5
GTEX-15F5U-1426-SM-7KUN2 40-49 years, male 59.2
GTEX-Y8LW-1126-SM-4VDS4 50-59 years, female 53.8
GTEX-1P4AB-2626-SM-DTXEU 50-59 years, male 52.5
GTEX-17HG3-1126-SM-7DUFC 30-39 years, female 41.6
GTEX-13113-1426-SM-5EGHU 60-69 years, female 40.7
GTEX-1HB9E-2526-SM-D4P35 50-59 years, male 37.0
GTEX-1OJC3-1826-SM-DTX93 20-29 years, male 30.7
GTEX-WH7G-1426-SM-4LVMU 40-49 years, male 27.3
GTEX-1AMEY-1826-SM-72D5L 30-39 years, female 15.6
GTEX-WYJK-2326-SM-4ONDN 50-59 years, male 14.9
GTEX-Y8E4-2326-SM-EAZAZ 40-49 years, male 14.2
GTEX-WOFM-1926-SM-4OOSP 20-29 years, male 13.3
GTEX-13W3W-2226-SM-5LU4M 60-69 years, female 12.7
GTEX-Y5V6-1626-SM-4VDT2 60-69 years, male 12.6
GTEX-VJYA-2126-SM-4KL1O 60-69 years, male 9.9
GTEX-15FZZ-1826-SM-6LLJP 30-39 years, female 8.2
GTEX-X5EB-1126-SM-46MVV 40-49 years, male 7.5
GTEX-W5WG-2026-SM-4LMIB 50-59 years, female 4.1
GTEX-ZQUD-1026-SM-4YCEZ 30-39 years, male 1.5
Show allShow less
Colon - Transverse
Average nTPM: 90.3
Samples: 406

Max nTPM: 651.0
Min nTPM: 0.8
Std nTPM: 100.9
Median nTPM: 52.2
GTEX-XAJ8-0426-SM-47JYJ 40-49 years, male 651.0
GTEX-Y3I4-1426-SM-4TT9C 50-59 years, male 533.6
GTEX-15DZA-0926-SM-69LQ3 30-39 years, female 478.3
GTEX-11GSP-1626-SM-5986N 60-69 years, female 434.0
GTEX-14C5O-2526-SM-73KU2 60-69 years, male 408.7
GTEX-1LVAN-2526-SM-CNPPC 50-59 years, female 398.5
GTEX-1AMEY-1926-SM-73KVT 30-39 years, female 386.0
GTEX-11ZVC-2126-SM-5EGJ1 50-59 years, female 383.1
GTEX-13FH7-1526-SM-5J2N6 50-59 years, female 371.0
GTEX-17F96-2026-SM-79ON4 70-79 years, male 369.7
GTEX-SNMC-1126-SM-4DM5M 20-29 years, male 366.3
GTEX-17F9E-1826-SM-7IGMC 50-59 years, male 353.3
GTEX-15CHC-1626-SM-5ZZWS 60-69 years, female 338.4
GTEX-WEY5-1426-SM-4LMJ3 40-49 years, female 334.7
GTEX-1ICLZ-2426-SM-CKZOD 60-69 years, male 333.5
GTEX-17JCI-2626-SM-7EWE6 60-69 years, female 322.3
GTEX-1N2EF-1926-SM-DTX8M 60-69 years, male 307.6
GTEX-117YX-0826-SM-5H11J 50-59 years, male 303.2
GTEX-14PJ5-0926-SM-6LLIK 60-69 years, female 299.1
GTEX-13CF3-1426-SM-5K7YY 60-69 years, female 290.4
GTEX-QLQ7-1126-SM-CYPRB 60-69 years, male 288.3
GTEX-13U4I-2426-SM-5LU34 40-49 years, female 287.9
GTEX-1AX8Z-2726-SM-73KUC 60-69 years, male 286.8
GTEX-14ICL-1226-SM-5S2RD 30-39 years, male 282.8
GTEX-1C2JI-1626-SM-7EPHC 50-59 years, male 275.6
GTEX-1IGQW-2326-SM-CE6RV 60-69 years, male 275.6
GTEX-1F75B-2726-SM-7P8QO 50-59 years, male 273.9
GTEX-QDVJ-1326-SM-48U1X 50-59 years, male 264.1
GTEX-1LBAC-1626-SM-CXZKV 20-29 years, male 263.2
GTEX-1HCVE-2526-SM-A9G2G 50-59 years, male 261.9
GTEX-XGQ4-1226-SM-4AT67 50-59 years, male 259.2
GTEX-ZY6K-1226-SM-5GZYL 50-59 years, male 255.9
GTEX-1CB4I-2226-SM-7P8SL 50-59 years, male 248.1
GTEX-Z93S-2426-SM-5HL8N 50-59 years, male 244.4
GTEX-1LG7Y-2126-SM-DIPER 50-59 years, male 242.0
GTEX-14AS3-1126-SM-5Q5CR 40-49 years, female 241.3
GTEX-NFK9-2026-SM-3LK5K 40-49 years, male 234.9
GTEX-1HSMP-2326-SM-D3L8R 70-79 years, male 233.1
GTEX-11ONC-2026-SM-5HL61 60-69 years, male 225.6
GTEX-1GMR2-1726-SM-9JGI2 50-59 years, male 225.0
GTEX-TKQ1-0626-SM-4DXTS 30-39 years, male 216.6
GTEX-ZYFC-2626-SM-5NQ6S 50-59 years, male 215.4
GTEX-13VXT-2426-SM-5LU46 20-29 years, female 211.5
GTEX-Y8LW-1226-SM-4WWDP 50-59 years, female 211.2
GTEX-1JJ6O-2426-SM-ARU8J 60-69 years, male 210.1
GTEX-U412-1726-SM-EZ6KX 60-69 years, male 209.5
GTEX-1B996-2626-SM-73KZ1 60-69 years, male 207.7
GTEX-Y8E4-2426-SM-4WWDN 40-49 years, male 203.9
GTEX-1GN73-2626-SM-9KNUQ 60-69 years, male 203.4
GTEX-U3ZH-1326-SM-4DXSF 30-39 years, male 202.8
GTEX-ZYFG-1926-SM-5GID5 60-69 years, female 199.7
GTEX-14PJ3-0926-SM-69LQG 50-59 years, male 196.0
GTEX-1S82U-0726-SM-E9TKI 30-39 years, female 190.9
GTEX-11EQ9-1426-SM-5987G 30-39 years, male 189.9
GTEX-14DAQ-2726-SM-5S2QY 60-69 years, female 188.5
GTEX-1IOXB-2626-SM-CJI2N 50-59 years, male 187.4
GTEX-17KNJ-1726-SM-7LG6A 50-59 years, male 187.1
GTEX-18QFQ-1526-SM-72D57 30-39 years, male 186.4
GTEX-1MCC2-1626-SM-DIPEW 30-39 years, female 186.3
GTEX-WY7C-1626-SM-4ONC8 50-59 years, male 186.2
GTEX-RWS6-1826-SM-47JXX 60-69 years, female 185.5
GTEX-14H4A-1926-SM-5ZZWN 40-49 years, female 184.2
GTEX-1KANB-1526-SM-CXZK4 50-59 years, male 183.1
GTEX-X3Y1-1726-SM-4PQZL 40-49 years, male 182.9
GTEX-1CB4F-2026-SM-79OLU 60-69 years, male 181.3
GTEX-17EVQ-1826-SM-7IGPH 70-79 years, male 179.8
GTEX-16NGA-1026-SM-7KFS3 40-49 years, female 179.5
GTEX-16Z82-2226-SM-6LPJ7 60-69 years, male 179.0
GTEX-13O61-1626-SM-5KM3T 60-69 years, male 178.6
GTEX-1EH9U-2026-SM-7PBYS 60-69 years, male 171.1
GTEX-1AYD5-1726-SM-7RHFW 50-59 years, male 170.8
GTEX-145LS-2726-SM-5Q5D8 60-69 years, female 170.4
GTEX-18A7A-2226-SM-7LT8K 50-59 years, female 168.5
GTEX-1PPGY-2826-SM-DTX9H 60-69 years, male 167.6
GTEX-1JN1M-2626-SM-CY8I3 60-69 years, female 166.4
GTEX-OXRN-2026-SM-E6CHK 50-59 years, male 164.5
GTEX-1RAZQ-2126-SM-DTX9V 30-39 years, male 163.4
GTEX-ZYVF-2826-SM-5GIDK 50-59 years, female 162.2
GTEX-YEC4-1926-SM-5IFHJ 40-49 years, male 160.8
GTEX-XYKS-2226-SM-4E3IU 60-69 years, female 159.0
GTEX-P78B-1726-SM-3P5ZV 40-49 years, female 158.5
GTEX-ZF29-1726-SM-4WKFV 60-69 years, female 158.2
GTEX-1IKK5-2726-SM-CNPQ6 60-69 years, male 157.2
GTEX-1GMR3-2826-SM-9WPOG 40-49 years, male 157.0
GTEX-11TUW-2026-SM-5EQL8 60-69 years, male 155.9
GTEX-1N5O9-2726-SM-E76QH 60-69 years, male 155.0
GTEX-1BAJH-2326-SM-7IGMO 70-79 years, male 152.0
GTEX-1QW4Y-1326-SM-EWRMZ 30-39 years, male 151.2
GTEX-1MUQO-2626-SM-EWRO3 60-69 years, male 150.8
GTEX-13OW5-2626-SM-5MR3M 60-69 years, male 150.3
GTEX-XXEK-1926-SM-4BRVD 50-59 years, male 149.8
GTEX-1HCU6-2726-SM-A9SKV 60-69 years, female 149.5
GTEX-15DCE-2026-SM-7KUFE 20-29 years, male 148.3
GTEX-1AYCT-1826-SM-731EG 50-59 years, male 148.1
GTEX-18A7B-2026-SM-72D71 70-79 years, male 147.1
GTEX-OXRL-1426-SM-3NM9E 50-59 years, male 146.7
GTEX-13FHP-2426-SM-5KLZ5 50-59 years, male 146.4
GTEX-1NHNU-2326-SM-E6CQE 50-59 years, male 142.7
GTEX-12WSL-1626-SM-5GCMU 50-59 years, male 141.5
GTEX-1C64O-2326-SM-73KU8 60-69 years, male 139.1
GTEX-S3XE-1126-SM-4AD4N 50-59 years, male 138.2
GTEX-WQUQ-2526-SM-4MVNO 60-69 years, male 137.9
GTEX-1JJE9-2426-SM-D3L8T 70-79 years, male 137.9
GTEX-1IDJC-1326-SM-CL53H 50-59 years, male 137.4
GTEX-1QMI2-2626-SM-E6CR4 60-69 years, male 136.8
GTEX-T6MO-0826-SM-4DM51 40-49 years, female 134.3
GTEX-X4EO-2526-SM-EWRM8 60-69 years, female 133.8
GTEX-14E1K-1826-SM-793DT 50-59 years, male 132.8
GTEX-14PJM-2626-SM-686ZD 50-59 years, female 131.9
GTEX-Y114-1526-SM-4TT79 50-59 years, female 131.1
GTEX-X5EB-0926-SM-46MVT 40-49 years, male 130.9
GTEX-1RDX4-1826-SM-EVR54 50-59 years, female 130.7
GTEX-145ME-0826-SM-5O9AF 40-49 years, female 130.5
GTEX-111YS-1626-SM-5GZZ9 60-69 years, male 129.9
GTEX-111VG-2226-SM-5N9DU 60-69 years, male 128.5
GTEX-1R9JW-2026-SM-EAZ4O 30-39 years, female 128.2
GTEX-13OVK-0826-SM-7KULZ 40-49 years, male 125.2
GTEX-WYVS-1826-SM-4OND6 40-49 years, female 125.2
GTEX-11NSD-1626-SM-5986U 20-29 years, male 123.9
GTEX-18D9B-2526-SM-718BN 60-69 years, male 123.6
GTEX-117YW-1826-SM-5PNY5 50-59 years, male 123.5
GTEX-11O72-2226-SM-5PNW2 40-49 years, male 123.0
GTEX-15ER7-2926-SM-7KUFK 20-29 years, female 120.3
GTEX-1GZ4H-1226-SM-9KNUA 50-59 years, female 120.2
GTEX-1A3MV-1126-SM-718BS 30-39 years, male 120.1
GTEX-145MO-2426-SM-5NQ9W 60-69 years, male 119.6
GTEX-1GL5R-2426-SM-7MXV1 50-59 years, male 119.4
GTEX-1J1OQ-2726-SM-AHZ3R 40-49 years, female 118.4
GTEX-13OW6-2126-SM-5N9GL 50-59 years, male 117.9
GTEX-17GQL-1526-SM-7LTAC 60-69 years, male 115.2
GTEX-11P81-1126-SM-5GU5G 30-39 years, female 114.6
GTEX-11TTK-2426-SM-5PNYO 60-69 years, female 114.6
GTEX-O5YW-1426-SM-3MJHF 50-59 years, male 113.3
GTEX-1POEN-2026-SM-E6CRL 30-39 years, female 112.5
GTEX-PSDG-1826-SM-EAZ2S 50-59 years, male 111.8
GTEX-1GZ4I-2426-SM-9WPPP 50-59 years, male 111.1
GTEX-ZV6S-1226-SM-59HLH 40-49 years, female 110.9
GTEX-15UF6-2626-SM-6M466 70-79 years, female 110.7
GTEX-1IDJF-1826-SM-CKZOE 20-29 years, male 110.1
GTEX-148VJ-2626-SM-5QGPI 70-79 years, male 108.9
GTEX-V955-1626-SM-4JBHJ 60-69 years, male 108.0
GTEX-ZAB4-2226-SM-5HL97 40-49 years, male 106.4
GTEX-WYJK-2226-SM-4ONDJ 50-59 years, male 105.0
GTEX-13QJ3-2626-SM-9OSXQ 50-59 years, male 104.8
GTEX-SJXC-2226-SM-EVYAK 60-69 years, male 104.6
GTEX-1H1DG-2226-SM-9WPPC 70-79 years, male 104.5
GTEX-VJYA-2026-SM-4KL1K 60-69 years, male 103.2
GTEX-1HCU7-2626-SM-C1YQO 50-59 years, male 101.4
GTEX-1JMPZ-2426-SM-C1YQP 30-39 years, male 100.5
GTEX-ZGAY-2126-SM-4YCFB 40-49 years, female 99.0
GTEX-14BIN-3026-SM-5ZZUS 50-59 years, female 98.8
GTEX-13O3P-2326-SM-5KM55 50-59 years, male 97.8
GTEX-1NV5F-2226-SM-DTX8O 60-69 years, female 97.4
GTEX-1RMOY-1626-SM-EVYC8 50-59 years, male 97.2
GTEX-12ZZZ-2426-SM-5GCNN 60-69 years, male 96.8
GTEX-1JMLX-2726-SM-CM2SB 50-59 years, male 96.8
GTEX-QMRM-1226-SM-447C6 50-59 years, male 96.7
GTEX-XUW1-1926-SM-4BOP1 50-59 years, female 96.5
GTEX-S341-1426-SM-4AD6U 40-49 years, female 95.3
GTEX-ZZ64-0726-SM-5GZX4 20-29 years, male 95.0
GTEX-15SHU-2526-SM-6M47D 40-49 years, female 94.7
GTEX-16MT8-2726-SM-7IGLJ 60-69 years, female 94.7
GTEX-1R9K5-2126-SM-E8VN1 50-59 years, male 94.2
GTEX-WH7G-1326-SM-4LVMS 40-49 years, male 91.6
GTEX-1GF9U-1526-SM-7MXUW 40-49 years, female 90.6
GTEX-RU1J-1326-SM-46MUL 20-29 years, female 90.3
GTEX-15DYW-2326-SM-6PAMU 60-69 years, female 89.5
GTEX-1PPH8-2026-SM-DTX7P 20-29 years, male 88.2
GTEX-SE5C-1526-SM-4BRWU 40-49 years, female 85.7
GTEX-17MF6-2426-SM-7LTAM 40-49 years, male 84.0
GTEX-14JIY-3326-SM-6871E 60-69 years, male 83.9
GTEX-1HSGN-2626-SM-CE6S1 40-49 years, female 83.1
GTEX-X15G-1326-SM-4PQZJ 50-59 years, female 82.9
GTEX-1EMGI-2726-SM-7P8S4 60-69 years, male 81.1
GTEX-S4UY-0826-SM-4AD4Z 40-49 years, female 80.1
GTEX-PX3G-1426-SM-48U1J 20-29 years, female 79.9
GTEX-15G1A-1826-SM-7KUKO 30-39 years, male 79.8
GTEX-15RIE-1826-SM-6M48P 60-69 years, male 79.8
GTEX-1I1GR-2526-SM-CNNQF 60-69 years, male 78.8
GTEX-ZP4G-1726-SM-4WWCM 20-29 years, female 78.1
GTEX-178AV-1326-SM-6LPJX 40-49 years, male 77.6
GTEX-S4P3-1226-SM-4AD4Y 50-59 years, female 76.7
GTEX-1HKZK-2126-SM-A9SL3 40-49 years, male 75.8
GTEX-12KS4-2426-SM-5LU8P 30-39 years, male 74.9
GTEX-147JS-2526-SM-5S2Q8 60-69 years, male 74.8
GTEX-OXRO-0726-SM-E9U4C 60-69 years, female 74.8
GTEX-1C6VQ-2726-SM-73KUL 50-59 years, male 74.4
GTEX-R45C-2126-SM-EZ6KZ 60-69 years, female 73.6
GTEX-1I1GT-1926-SM-ARU7D 60-69 years, female 65.2
GTEX-1OKEX-1226-SM-DTXEC 60-69 years, male 65.0
GTEX-17HII-2726-SM-7MGVM 50-59 years, male 64.4
GTEX-Q734-1126-SM-48TZY 40-49 years, female 63.9
GTEX-1LH75-2126-SM-EVR5F 50-59 years, female 63.2
GTEX-14JG6-1726-SM-69LPL 30-39 years, female 59.2
GTEX-1E2YA-2626-SM-7MGWW 50-59 years, male 58.8
GTEX-1H1DE-1526-SM-ARL9B 20-29 years, male 57.9
GTEX-XQ8I-2126-SM-4BOOM 50-59 years, male 57.8
GTEX-ZTSS-1126-SM-5985O 40-49 years, male 57.5
GTEX-13S86-1626-SM-5Q5C5 40-49 years, male 57.0
GTEX-1JK1U-1526-SM-AHZ46 60-69 years, male 56.5
GTEX-12WSJ-1526-SM-5GCNI 40-49 years, female 55.6
GTEX-1LGOU-1626-SM-D3LAK 20-29 years, female 54.4
GTEX-1GPI7-1726-SM-7P8R1 20-29 years, male 52.6
GTEX-16NPV-2626-SM-6M484 50-59 years, female 51.8
GTEX-ZG7Y-2126-SM-DO117 50-59 years, male 51.7
GTEX-146FQ-1926-SM-5NQBY 30-39 years, male 51.5
GTEX-PWCY-1026-SM-48TD4 20-29 years, female 51.5
GTEX-ZPU1-1926-SM-57WDT 40-49 years, male 50.7
GTEX-1339X-1626-SM-5IJDN 40-49 years, male 49.0
GTEX-ZDYS-2326-SM-4WKG6 50-59 years, male 48.9
GTEX-1IDJD-2226-SM-A96TD 30-39 years, male 48.7
GTEX-144GL-2526-SM-5TDDL 50-59 years, male 48.3
GTEX-1MJK3-0926-SM-EV7AY 20-29 years, male 47.9
GTEX-1GF9X-1526-SM-7P8QP 40-49 years, female 47.0
GTEX-139TS-1926-SM-5IJFO 60-69 years, male 46.4
GTEX-1I6K6-1826-SM-B2LX5 30-39 years, male 46.4
GTEX-13OVI-2026-SM-5J1MU 60-69 years, female 46.1
GTEX-14BMV-2426-SM-5S2PP 50-59 years, male 45.5
GTEX-Y3IK-1826-SM-4WWDS 50-59 years, female 45.4
GTEX-131XE-0826-SM-5HL9W 50-59 years, male 45.3
GTEX-11P7K-1526-SM-5EGI7 30-39 years, male 44.7
GTEX-ZPCL-1826-SM-57WF1 60-69 years, female 44.6
GTEX-15CHQ-2526-SM-6EU24 60-69 years, male 44.5
GTEX-P4QT-1426-SM-3NMCX 50-59 years, female 44.3
GTEX-OIZH-1426-SM-3NB1O 50-59 years, male 44.2
GTEX-PLZ6-0926-SM-3P5ZQ 30-39 years, male 43.7
GTEX-TKQ2-1326-SM-4DXT9 50-59 years, male 43.3
GTEX-QLQW-0426-SM-447A7 30-39 years, male 43.1
GTEX-P4PP-1426-SM-3NM9L 30-39 years, female 42.8
GTEX-WVJS-2426-SM-EZ6LI 50-59 years, male 42.5
GTEX-1AX9I-2626-SM-73KU5 60-69 years, male 41.7
GTEX-16XZZ-2626-SM-6M47S 60-69 years, male 41.4
GTEX-OHPM-1426-SM-3TW8Y 50-59 years, male 40.4
GTEX-1MA7W-0626-SM-EV79Z 20-29 years, female 40.2
GTEX-18A66-2426-SM-7KFSQ 60-69 years, male 39.2
GTEX-18D9U-1926-SM-7KFTM 40-49 years, male 39.1
GTEX-XBEW-1926-SM-4SOJO 40-49 years, male 39.1
GTEX-U3ZM-1126-SM-4DXUB 40-49 years, male 39.0
GTEX-1HCU9-1326-SM-B2LXT 20-29 years, male 38.3
GTEX-13PVR-1626-SM-73KVF 60-69 years, female 37.8
GTEX-17EUY-1826-SM-7DUEZ 20-29 years, male 37.7
GTEX-R55C-1126-SM-48FCJ 40-49 years, male 35.9
GTEX-17HGU-2426-SM-7EWDP 50-59 years, male 35.7
GTEX-1JKYR-1926-SM-C1YR7 20-29 years, male 35.4
GTEX-QDVN-1326-SM-48TZ3 50-59 years, male 35.3
GTEX-1KANA-1926-SM-DHXKF 20-29 years, male 35.0
GTEX-1H3VY-2426-SM-9WPPD 50-59 years, male 34.2
GTEX-1MGNQ-2026-SM-EAZ51 40-49 years, male 33.3
GTEX-QEL4-1926-SM-D3L8D 50-59 years, male 31.9
GTEX-1R9PM-1526-SM-DPRY8 20-29 years, male 31.2
GTEX-YEC3-2426-SM-DO11A 50-59 years, male 30.6
GTEX-S7SF-1926-SM-4AT5B 20-29 years, female 28.8
GTEX-1R7EU-1926-SM-E9U62 60-69 years, male 28.2
GTEX-1LSVX-1726-SM-DHXJP 60-69 years, male 27.8
GTEX-1S5VW-2926-SM-E9U6H 60-69 years, male 26.5
GTEX-15SB6-1226-SM-7KUMP 50-59 years, female 25.8
GTEX-ZF2S-1926-SM-4WWAN 50-59 years, female 25.1
GTEX-W5WG-2426-SM-4LMI6 50-59 years, female 25.0
GTEX-O5YT-1426-SM-3MJHC 20-29 years, male 24.9
GTEX-OIZF-1426-SM-2HML2 60-69 years, male 24.3
GTEX-13O3O-2526-SM-5L3DR 60-69 years, female 23.2
GTEX-13X6H-1926-SM-7EWD3 50-59 years, female 23.2
GTEX-UJMC-1326-SM-4IHLS 50-59 years, male 23.0
GTEX-1QPFJ-2326-SM-E6CR7 30-39 years, female 22.5
GTEX-XBED-1526-SM-4AT5W 60-69 years, male 21.7
GTEX-14PKV-2126-SM-664O3 20-29 years, female 20.4
GTEX-Q2AI-0926-SM-48U1F 40-49 years, male 20.0
GTEX-13111-0726-SM-5DUVE 50-59 years, male 19.8
GTEX-131XG-1826-SM-5LZV4 50-59 years, female 19.1
GTEX-R55G-1226-SM-48FDC 40-49 years, female 18.7
GTEX-1KXAM-2126-SM-CY8I9 60-69 years, male 18.3
GTEX-11TT1-1026-SM-5PNW7 20-29 years, male 17.8
GTEX-SNOS-1226-SM-4DM5H 40-49 years, male 17.7
GTEX-1CAMS-2526-SM-7EPH7 40-49 years, female 17.5
GTEX-14PHX-1526-SM-68717 50-59 years, male 17.1
GTEX-1AMFI-1726-SM-7189L 50-59 years, female 15.9
GTEX-15RIF-1326-SM-6LPKO 20-29 years, male 15.6
GTEX-1HSEH-1726-SM-B2LXH 60-69 years, male 14.7
GTEX-1128S-1626-SM-5H12O 60-69 years, female 14.5
GTEX-PWN1-1426-SM-48TDF 40-49 years, female 13.2
GTEX-1IDJU-2026-SM-A9SLM 60-69 years, female 13.2
GTEX-13OVG-1426-SM-5K7VP 60-69 years, male 13.1
GTEX-17F98-1026-SM-7IGO8 40-49 years, female 12.6
GTEX-11I78-1226-SM-5A5K6 50-59 years, female 12.3
GTEX-13OVJ-1726-SM-5IJDZ 50-59 years, female 12.3
GTEX-1PIGE-1426-SM-E9U61 20-29 years, male 12.3
GTEX-ZXES-1626-SM-5NQ7L 30-39 years, female 11.9
GTEX-S4Q7-0826-SM-4AD5E 20-29 years, male 11.8
GTEX-13W3W-2126-SM-5K7UX 60-69 years, female 11.5
GTEX-1B932-2826-SM-73KUD 40-49 years, female 11.5
GTEX-1KANC-0926-SM-D3LA9 50-59 years, female 11.5
GTEX-OXRK-1726-SM-3NB16 50-59 years, female 11.2
GTEX-OHPN-2026-SM-E9TIA 60-69 years, female 10.9
GTEX-R55D-1826-SM-48FEF 50-59 years, male 10.5
GTEX-ZDTT-1926-SM-5HL5W 60-69 years, male 9.7
GTEX-18D9A-1126-SM-7KFRJ 30-39 years, female 9.4
GTEX-1I4MK-1126-SM-B2LWS 50-59 years, female 9.2
GTEX-YF7O-1726-SM-5IFJ9 50-59 years, male 8.9
GTEX-144GN-1126-SM-5LU33 50-59 years, male 8.4
GTEX-14ICK-1026-SM-6AJA4 40-49 years, male 8.4
GTEX-1HFI7-1726-SM-A9G22 50-59 years, female 8.4
GTEX-1PWST-2426-SM-EWRMP 70-79 years, male 8.3
GTEX-1B8KZ-1326-SM-7DUG6 50-59 years, male 8.2
GTEX-ZLWG-1726-SM-DNZZ2 50-59 years, female 8.1
GTEX-14PK6-1726-SM-6871J 70-79 years, female 7.4
GTEX-1C4CL-2126-SM-7IGQC 30-39 years, male 7.3
GTEX-1JMPY-0426-SM-C1YQ3 30-39 years, male 7.2
GTEX-11DXZ-1726-SM-5H12M 50-59 years, male 7.1
GTEX-147GR-2726-SM-664OO 60-69 years, male 7.1
GTEX-1K9T9-2826-SM-D4P3F 50-59 years, female 7.1
GTEX-1PIEJ-2026-SM-E6CPA 20-29 years, female 6.8
GTEX-1QP9N-1026-SM-E6CPX 30-39 years, male 6.5
GTEX-1F75I-2426-SM-9WPOY 40-49 years, male 6.2
GTEX-1QCLZ-1926-SM-E6CR3 60-69 years, female 6.1
GTEX-11VI4-1526-SM-5EQKC 40-49 years, female 6.0
GTEX-145LT-0926-SM-5LU9C 40-49 years, male 5.8
GTEX-14C39-1926-SM-5ZZW5 40-49 years, male 5.6
GTEX-1HSMQ-2726-SM-C1YRE 50-59 years, male 5.5
GTEX-OOBJ-1426-SM-E6CHH 60-69 years, male 5.3
GTEX-QV31-0826-SM-CKZNC 30-39 years, male 5.3
GTEX-14BMU-1526-SM-5TDE6 20-29 years, female 5.1
GTEX-Y5LM-1526-SM-4VDTA 40-49 years, female 4.8
GTEX-111CU-1426-SM-5GZYP 50-59 years, male 4.3
GTEX-147F3-1926-SM-5SIB9 50-59 years, female 4.3
GTEX-1S3DN-1826-SM-EV79K 50-59 years, male 4.3
GTEX-133LE-1526-SM-5IFEN 20-29 years, female 4.2
GTEX-R53T-1326-SM-48FCQ 50-59 years, female 4.2
GTEX-11LCK-2026-SM-5A5MA 30-39 years, male 4.0
GTEX-139YR-2126-SM-5KM11 50-59 years, male 4.0
GTEX-17HHE-1826-SM-79OKE 50-59 years, male 4.0
GTEX-1H11D-2626-SM-9JGH4 40-49 years, male 4.0
GTEX-1LGRB-1426-SM-CNNPT 50-59 years, female 3.9
GTEX-1QCLY-1726-SM-DPRXY 30-39 years, male 3.9
GTEX-XV7Q-2126-SM-4BRVX 40-49 years, female 3.8
GTEX-ZEX8-1926-SM-4WKFR 50-59 years, male 3.7
GTEX-1F5PL-2126-SM-7PC2O 40-49 years, female 3.7
GTEX-1211K-1726-SM-5FQUJ 60-69 years, female 3.4
GTEX-1L5NE-2026-SM-CXZKR 50-59 years, male 3.4
GTEX-1JN76-1226-SM-C1YRM 20-29 years, female 3.3
GTEX-13D11-0826-SM-5KLZJ 50-59 years, female 3.1
GTEX-1NSGN-2326-SM-E9U5X 50-59 years, male 3.1
GTEX-144GM-1226-SM-5LU52 20-29 years, male 3.0
GTEX-WHSB-0926-SM-4M1XJ 50-59 years, male 3.0
GTEX-ZLV1-1226-SM-4WWBX 60-69 years, female 3.0
GTEX-1PFEY-1426-SM-E9U6U 30-39 years, male 3.0
GTEX-11EM3-1526-SM-5A5KN 20-29 years, female 2.9
GTEX-13QBU-1826-SM-5IJG3 40-49 years, female 2.9
GTEX-14E6E-1526-SM-5RQIG 30-39 years, male 2.9
GTEX-15CHR-1426-SM-7DUGV 50-59 years, male 2.9
GTEX-1QP67-1326-SM-EAZ4D 40-49 years, female 2.9
GTEX-11DXX-1826-SM-5H126 60-69 years, female 2.8
GTEX-U3ZN-2126-SM-4DXU1 30-39 years, female 2.8
GTEX-XMK1-1726-SM-4B64Z 40-49 years, male 2.8
GTEX-1B8KE-1926-SM-731EE 50-59 years, male 2.7
GTEX-ZVT2-1926-SM-5GU5T 50-59 years, female 2.7
GTEX-UJHI-1126-SM-4IHLN 50-59 years, female 2.6
GTEX-WFON-1426-SM-4LVMT 40-49 years, male 2.6
GTEX-1LVAM-1626-SM-EV79Y 50-59 years, female 2.6
GTEX-14XAO-2026-SM-69LOI 60-69 years, female 2.5
GTEX-QCQG-1626-SM-48U26 50-59 years, female 2.5
GTEX-RM2N-0926-SM-48FD1 50-59 years, male 2.5
GTEX-YB5E-1626-SM-5IFIQ 40-49 years, male 2.5
GTEX-132AR-2726-SM-5PNVN 50-59 years, female 2.4
GTEX-14PJ4-1926-SM-6LLHG 60-69 years, male 2.4
GTEX-139T6-1326-SM-5IFFO 50-59 years, male 2.3
GTEX-1JKYN-2326-SM-CGQG7 30-39 years, male 2.3
GTEX-1399R-2226-SM-5P9JB 30-39 years, male 2.2
GTEX-145MN-1726-SM-5SIA6 30-39 years, male 2.2
GTEX-1C475-1626-SM-731FP 40-49 years, female 2.2
GTEX-XPVG-1826-SM-4B64X 50-59 years, male 2.2
GTEX-Y9LG-1526-SM-4WWDR 30-39 years, male 2.2
GTEX-1LG7Z-1426-SM-CXKYV 30-39 years, male 2.2
GTEX-1RAZA-1726-SM-DPS13 20-29 years, male 2.2
GTEX-1399S-1926-SM-5J2M5 30-39 years, female 2.1
GTEX-U4B1-1126-SM-4DXV3 40-49 years, male 2.1
GTEX-12BJ1-2126-SM-5BC5O 60-69 years, male 2.0
GTEX-T5JW-1126-SM-4DM5V 20-29 years, female 2.0
GTEX-XUZC-1326-SM-4BRV2 30-39 years, female 2.0
GTEX-TML8-1326-SM-4DXTO 40-49 years, female 1.9
GTEX-ZVP2-1526-SM-5NQ82 50-59 years, male 1.9
GTEX-13PL7-2526-SM-5IFGR 60-69 years, female 1.8
GTEX-WFG7-1526-SM-4LVMG 20-29 years, male 1.8
GTEX-1N2DV-1426-SM-DPRYQ 40-49 years, male 1.8
GTEX-1S83E-1626-SM-EV7B9 40-49 years, male 1.8
GTEX-PLZ5-1126-SM-3P613 50-59 years, male 1.7
GTEX-WHWD-1226-SM-4OOS1 50-59 years, male 1.7
GTEX-1H1E6-1926-SM-9OSWD 30-39 years, male 1.7
GTEX-1IKOE-2026-SM-AHZ31 30-39 years, female 1.7
GTEX-1RAZR-1926-SM-E6CRF 40-49 years, male 1.7
GTEX-13FTW-1826-SM-5IJEN 40-49 years, male 1.6
GTEX-14DAR-1526-SM-5RQIX 50-59 years, male 1.6
GTEX-ZT9W-1826-SM-51MQX 50-59 years, male 1.6
GTEX-1F5PK-1926-SM-7MXT7 50-59 years, male 1.6
GTEX-1122O-1526-SM-5N9CL 60-69 years, female 1.5
GTEX-11P82-1026-SM-5BC5J 20-29 years, male 1.5
GTEX-12C56-0626-SM-5EGGC 20-29 years, male 1.5
GTEX-1J1R8-1126-SM-CNPQ3 40-49 years, male 1.5
GTEX-ZV7C-1526-SM-5NQ72 50-59 years, male 1.4
GTEX-1399U-1926-SM-5IFH7 50-59 years, female 1.3
GTEX-WOFM-2026-SM-4OOSQ 20-29 years, male 1.3
GTEX-ZPIC-2226-SM-57WDX 40-49 years, female 1.3
GTEX-16AAH-1326-SM-7KFRG 50-59 years, male 1.2
GTEX-Q2AH-1226-SM-48TZL 40-49 years, male 1.2
GTEX-1CAMR-0926-SM-7MXTD 20-29 years, male 1.2
GTEX-13O21-2426-SM-5MR4A 50-59 years, male 1.1
GTEX-1K2DA-2026-SM-CGQGK 50-59 years, male 0.8
Show allShow less

COLON - FANTOM5 CAGEi

RNA expression in human tissues obtained through Cap Analysis of Gene Expression (CAGE) generated by the FANTOM5 project are reported as Scaled Tags Per Million.

Max subtype Scaled Tags Per Millioni

Max subtype Scaled Tags Per Million is the value for the subtype with the largest average Scaled Tags Per Million across the subtype samples.

172.3
FANTOM5 sample id Sample description Scaled Tags Per Million
Colon
Scaled Tags Per Million: 172.3
FF:10014-101C5 62,83,84 years, mixed 172.3

Contact

  • NEWS ARTICLES
  • PRESS ROOM

The Project

  • INTRODUCTION
  • ORGANIZATION
  • PUBLICATIONS

The Human Protein Atlas

  • DOWNLOADABLE DATA
  • LICENCE & CITATION
  • HELP & FAQ
The Human Protein Atlas project is funded
by the Knut & Alice Wallenberg Foundation.


contact@proteinatlas.org