We use cookies to enhance the usability of our website. If you continue, we'll assume that you are happy to receive all cookies. More information. Don't show this again.
FLNC
HPA
RESOURCES
  • TISSUE
  • BRAIN
  • SINGLE CELL
  • SUBCELLULAR
  • CANCER
  • BLOOD
  • CELL LINE
  • STRUCTURE & INTERACTION
ABOUT
  • INTRODUCTION
  • HISTORY
  • ORGANIZATION
  • PUBLICATIONS
  • ANTIBODY SUBMISSION
  • ANTIBODY AVAILABILITY
  • ACKNOWLEDGMENTS
  • CONTACT
NEWS
  • NEWS ARTICLES
  • PRESS ROOM
LEARN
  • DICTIONARY
  • PROTEIN CLASSES
  • PROTEIN EVIDENCE
  • METHODS
  • EDUCATIONAL VIDEOS
DATA
  • DOWNLOADABLE DATA
  • PUBLICATION DATA
  • RELEASE HISTORY
HELP
  • ANTIBODY VALIDATION
  • ASSAYS & ANNOTATION
  • DISCLAIMER
  • HELP & FAQ
  • PRIVACY STATEMENT
  • LICENCE & CITATION
Fields »
Search result

Field
Term
Gene name
Class
Subclass
Class
Keyword
Chromosome
External id
Tissue
Cell type
Expression
Antibody panel
Tissue
Main location
Patient ID
Annotation
Tissue
Category
Tau score
Cluster
Reliability
Brain region
Category
Tau score
Brain region
Category
Tau score
Brain region
Category
Tau score
Cluster
Reliability
Tissue
Cell type
Enrichment
Cell type
Category
Tau score
Cell type
Category
Tau score
Cell type
Category
Tau score
Cell lineage
Category
Tau score
Cluster
Cluster
Location
Searches
Location
Cell line
Class
Type
Phase
Reliability
Cancer
Prognosis
Cancer
Category
Cancer
Category
Tau score
Cluster
Variants
Interacting gene (ensg_id)
Type
Number of interactions
Pathway
Category
Score
Score
Score
Validation
Validation
Validation
Validation
Antibodies
Data type
Column


  • SUMMARY

  • TISSUE

  • BRAIN

  • SINGLE CELL

  • SUBCELL

  • CANCER

  • BLOOD

  • CELL LINE

  • STRUCT & INT

  • FLNC
TISSUE PRIMARY DATA SKELETAL MUSCLE Show tissue menu
ADIPOSE TISSUE ADRENAL GLAND AMYGDALA APPENDIX BASAL GANGLIA BONE MARROW BREAST BRONCHUS CEREBELLUM CEREBRAL CORTEX CERVIX CHOROID PLEXUS COLON DUODENUM
ENDOMETRIUM EPIDIDYMIS ESOPHAGUS FALLOPIAN TUBE GALLBLADDER HEART MUSCLE HIPPOCAMPAL FORMATION HYPOTHALAMUS KIDNEY LIVER LUNG LYMPH NODE MIDBRAIN NASOPHARYNX
ORAL MUCOSA OVARY PANCREAS PARATHYROID GLAND PITUITARY GLAND PLACENTA PROSTATE RECTUM RETINA SALIVARY GLAND SEMINAL VESICLE SKELETAL MUSCLE SKIN SMALL INTESTINE
SMOOTH MUSCLE SOFT TISSUE SPINAL CORD SPLEEN STOMACH TESTIS THYMUS THYROID GLAND TONGUE TONSIL URINARY BLADDER VAGINA
ANTIBODIES
AND
VALIDATION
Dictionary
Skeletal muscle
Tissue proteome
Skeletal muscle
SKELETAL MUSCLE - Expression summary
Protein expression
Skeletal musclei

On the top, protein expression in current human tissue, based on all annotated cell types, is reported with the units not detected (n), low (l), medium (m) and high (h). Underneath, protein expression in each annotated cell type are reported using the same units.

Protein expression data is based on knowledge-based annotation. For genes where more than one antibody has been used, a collective score is set.

If knowledge-based annotation could not be performed for a gene, no data is displayed here. View antibody staining data further down this page.

h
m
l
n
Myocytes: High
RNA expressioni

A summary of mRNA expression data available for current tissue based on several datasets. The mRNA expression levels in human tissues are based on RNA-seq data generated by the Human Protein Atlas (HPA), Genotype-Tissue Expression (GTEx) portal and CAGE data generated by the FANTOM5 consortium. Consensus normalized expression levels for human tissues was created by combining the data from HPA and GTEx datasets.

The mRNA expression levels in pig are based on RNA-seq data generated by the Human Protein Atlas (HPA), and for mouse, HPA data and in situ hybridization generated by the Allen brain atlas are reported.

Scroll down to view mRNA expression data in more detail.
Consensus:1335.9 nTPM
HPA:1066.7 nTPM
GTEx:1335.9 nTPM
FANTOM5:17757.3 Scaled Tags Per Million

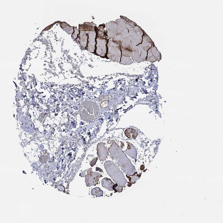
SKELETAL MUSCLE - Antibody stainingi

Antibody staining in the annotated cell types in the current human tissue is reported as not detected, low, medium, or high, based on conventional immunohistochemistry profiling in selected tissues. This score is based on the combination of the staining intensity and fraction of stained cells.

Each image is clickable and will lead to virtual microscopy that enables deeper exploration of all samples and also displays staining intensity scores, fraction scores and subcellular localization as well as patient and tissue information for each sample.

Antibody HPA006135Antibody HPA071007
Myocytes HighHigh





SKELETAL MUSCLE - HPA RNA-seqi

The RNA-seq details section shows detailed information about the individual samples used for the transcript profiling and results of the RNA-seq analysis.

Information about each individual sample is listed below, including gender, age, a tissue section image and estimated fractions of cell types. nTPM (normalized transcripts per million) values give a quantification of the gene abundance which is comparable between different genes and samples.
Average nTPMi

Max subtype nTPM is the value for the subtype with the largest average nTPM across the subtype samples.

1066.7
N/A
Male, age 23
Skeletal muscle sample 339
nTPM: 838.3
N/A
Female, age 25
Skeletal muscle sample 340
nTPM: 970.6
N/A
Female, age -
Skeletal muscle sample 341
nTPM: 1030.4
N/A
Female, age 22
Skeletal muscle sample 342
nTPM: 1167.9
N/A
Male, age 29
Skeletal muscle sample 343
nTPM: 1326.1

SKELETAL MUSCLE - GTEx RNA-seqi

RNA-Seq data generated by the Genotype-Tissue Expression (GTEx) project from human tissues is reported as mean nTPM. More information can be found on the GTEx portal.

Distribution across the dataset is visualized with box plots, shown as median and 25th and 75th percentiles. Points are displayed as outliers if they are above or below 1.5 times the interquartile range. nTPM values of the individual samples are presented next to the box plot.
Max subtype nTPMi

Max subtype nTPM is the value for the subtype with the largest average nTPM across the subtype samples.

1335.9
GTEx sample id Sample description nTPM
Muscle - Skeletal
Average nTPM: 1335.9
Samples: 803

Max nTPM: 7530.9
Min nTPM: 106.7
Std nTPM: 735.2
Median nTPM: 1200.2
GTEX-15UKP-0326-SM-7KUFP 20-29 years, male 7530.9
GTEX-1339X-2426-SM-5KLYU 40-49 years, male 7238.3
GTEX-U3ZN-2226-SM-3DB88 30-39 years, female 6421.6
GTEX-11TT1-2326-SM-5GU6N 20-29 years, male 6344.8
GTEX-11OC5-0326-SM-5PNW5 60-69 years, male 6264.1
GTEX-17MF6-2026-SM-7LG5I 40-49 years, male 5094.0
GTEX-ZVP2-2126-SM-5GU6E 50-59 years, male 4938.2
GTEX-13CF3-1826-SM-5J1NK 60-69 years, female 4505.0
GTEX-1IDJD-1326-SM-CM2TQ 30-39 years, male 4386.1
GTEX-X4XY-0626-SM-4E3IN 60-69 years, male 3985.9
GTEX-OOBK-1626-SM-2HMKG 40-49 years, male 3677.3
GTEX-1QP2A-0526-SM-E8VN5 50-59 years, male 3589.4
GTEX-QEG5-0426-SM-2I5GJ 20-29 years, male 3517.0
GTEX-1GZ2Q-0426-SM-9WPOU 40-49 years, male 3508.7
GTEX-15DDE-0526-SM-6ETZQ 50-59 years, female 3330.0
GTEX-15SHU-0626-SM-7KUFH 40-49 years, female 3178.2
GTEX-1R9JW-2426-SM-DTXFI 30-39 years, female 3107.6
GTEX-146FH-0526-SM-5QGQ3 50-59 years, female 3095.2
GTEX-13N2G-2326-SM-5J1ON 60-69 years, male 3058.8
GTEX-13OVG-2126-SM-5KM1K 60-69 years, male 3047.4
GTEX-15F5U-1826-SM-6LLJF 40-49 years, male 3018.1
GTEX-1I1GU-2126-SM-CGQF9 40-49 years, male 3002.9
GTEX-1L5NE-2226-SM-CXZKS 50-59 years, male 2970.2
GTEX-145LV-2326-SM-5LU8Z 50-59 years, male 2900.1
GTEX-1C4CL-0326-SM-7DHMH 30-39 years, male 2822.1
GTEX-PSDG-0426-SM-5SI86 50-59 years, male 2822.1
GTEX-14C38-0426-SM-5TDDZ 50-59 years, male 2798.8
GTEX-OHPK-1626-SM-2YUN3 50-59 years, female 2717.1
GTEX-1EX96-1526-SM-7PBXK 50-59 years, male 2697.5
GTEX-O5YT-1626-SM-32PK6 20-29 years, male 2687.1
GTEX-ZTX8-1626-SM-51MRY 20-29 years, male 2685.4
GTEX-14PK6-2126-SM-6ETZV 70-79 years, female 2673.1
GTEX-13NYS-0326-SM-5MR4L 60-69 years, male 2655.1
GTEX-1N2DW-0426-SM-E9TK4 50-59 years, male 2647.0
GTEX-X261-0326-SM-3NMD4 50-59 years, male 2609.8
GTEX-1KD4Q-0326-SM-E9TJA 40-49 years, male 2572.0
GTEX-U3ZM-1226-SM-3DB9G 40-49 years, male 2571.8
GTEX-1I6K7-0326-SM-B2LXO 40-49 years, male 2536.1
GTEX-RUSQ-1726-SM-2TF68 50-59 years, male 2495.3
GTEX-PWCY-2026-SM-5SI8R 20-29 years, female 2466.0
GTEX-16MTA-2026-SM-7KUL3 50-59 years, male 2438.2
GTEX-11EQ9-2126-SM-5PNVW 30-39 years, male 2436.0
GTEX-ZTPG-0126-SM-5O9AL 20-29 years, female 2408.7
GTEX-18A66-0126-SM-731CQ 60-69 years, male 2407.9
GTEX-17HGU-0626-SM-7939Y 50-59 years, male 2404.5
GTEX-14E1K-2326-SM-664MP 50-59 years, male 2382.3
GTEX-1RB15-2226-SM-DTXFZ 60-69 years, male 2374.2
GTEX-13O3P-0626-SM-5L3D5 50-59 years, male 2360.6
GTEX-1I4MK-2326-SM-ADEHR 50-59 years, female 2339.6
GTEX-ZV7C-2426-SM-5NQ7Q 50-59 years, male 2328.3
GTEX-OXRP-2326-SM-2S1NL 60-69 years, female 2316.6
GTEX-1H23P-0526-SM-9WG6S 60-69 years, male 2304.7
GTEX-145LT-1626-SM-5O992 40-49 years, male 2289.5
GTEX-12WSL-2726-SM-5CVNL 50-59 years, male 2260.3
GTEX-13QIC-1226-SM-5K7YR 60-69 years, female 2260.1
GTEX-13VXT-0326-SM-5LU4U 20-29 years, female 2233.3
GTEX-1M5QR-1326-SM-EWROC 40-49 years, male 2218.1
GTEX-14E6E-2026-SM-664N5 30-39 years, male 2203.8
GTEX-1GPI7-0426-SM-7RHHP 20-29 years, male 2178.8
GTEX-XUYS-0326-SM-47JX2 50-59 years, male 2178.2
GTEX-1B996-0326-SM-7DHMU 60-69 years, male 2175.2
GTEX-XBED-2626-SM-4E3J5 60-69 years, male 2153.6
GTEX-OIZH-1626-SM-2HMKI 50-59 years, male 2152.2
GTEX-15UF7-2226-SM-6PAMQ 40-49 years, male 2138.7
GTEX-1JKYR-0326-SM-CNPOL 20-29 years, male 2130.5
GTEX-13SLX-0326-SM-5Q5E4 50-59 years, female 2091.8
GTEX-1LC47-0626-SM-DIPFE 60-69 years, male 2086.4
GTEX-18A7A-0626-SM-718BJ 50-59 years, female 2084.7
GTEX-P4QS-1626-SM-2S1NH 60-69 years, male 2082.5
GTEX-1314G-1726-SM-5LZUX 30-39 years, male 2075.8
GTEX-TKQ1-1426-SM-4GICK 30-39 years, male 2073.5
GTEX-17F9E-0226-SM-79OKK 50-59 years, male 2057.8
GTEX-XUZC-2126-SM-4BRW8 30-39 years, female 2054.2
GTEX-1HCU9-1926-SM-9WYSE 20-29 years, male 2049.4
GTEX-1AX9J-0126-SM-73KY2 60-69 years, male 2036.6
GTEX-13O1R-0526-SM-5K7XU 60-69 years, male 2031.9
GTEX-ZLFU-2526-SM-DO91K 40-49 years, male 2031.0
GTEX-1H2FU-0526-SM-ACKXO 60-69 years, female 2028.8
GTEX-1F75I-0526-SM-7RHI3 40-49 years, male 2024.8
GTEX-O5YV-2026-SM-2D7VS 60-69 years, female 2001.9
GTEX-139TU-0526-SM-5J2M8 60-69 years, male 1987.2
GTEX-1LBAC-0326-SM-DIPF1 20-29 years, male 1981.3
GTEX-11DXZ-2426-SM-5N9DT 50-59 years, male 1977.7
GTEX-SNOS-1526-SM-32PLW 40-49 years, male 1969.5
GTEX-18QFQ-0326-SM-731C3 30-39 years, male 1965.3
GTEX-ZF3C-0326-SM-4WWBF 50-59 years, female 1964.5
GTEX-17F98-1626-SM-7938R 40-49 years, female 1962.6
GTEX-13QBU-2426-SM-5LU4L 40-49 years, female 1954.9
GTEX-OIZF-1626-SM-2YUNE 60-69 years, male 1954.0
GTEX-13X6H-2326-SM-7EWEB 50-59 years, female 1944.6
GTEX-1RAZQ-0426-SM-DTXFQ 30-39 years, male 1932.2
GTEX-11DXX-2726-SM-5PNXO 60-69 years, female 1924.7
GTEX-1B8KE-2226-SM-7939K 50-59 years, male 1916.3
GTEX-UJHI-1726-SM-3DB9B 50-59 years, female 1910.0
GTEX-18D9U-0626-SM-7LTA4 40-49 years, male 1909.3
GTEX-WFG8-2426-SM-3GILL 20-29 years, male 1891.9
GTEX-1LSNM-2326-SM-EWRO8 50-59 years, male 1884.6
GTEX-1KANC-1626-SM-E6CIA 50-59 years, female 1880.3
GTEX-12WSN-2526-SM-5LZU8 40-49 years, male 1873.9
GTEX-117YW-2426-SM-5Q5AE 50-59 years, male 1865.5
GTEX-OOBJ-1626-SM-2I3F7 60-69 years, male 1860.1
GTEX-ZY6K-2026-SM-5GZXQ 50-59 years, male 1858.7
GTEX-1AMEY-1526-SM-73KYW 30-39 years, female 1857.8
GTEX-15G19-0526-SM-6PAMT 60-69 years, male 1844.4
GTEX-1H3VE-0126-SM-9WYTW 40-49 years, male 1839.1
GTEX-11P81-2526-SM-5GU6H 30-39 years, female 1825.3
GTEX-12584-0526-SM-5FQTS 40-49 years, male 1824.1
GTEX-1E1VI-0426-SM-7DHN1 50-59 years, male 1818.2
GTEX-R55E-0526-SM-2TC6B 20-29 years, male 1817.7
GTEX-RU1J-1726-SM-2TF5S 20-29 years, female 1810.8
GTEX-13FH7-2126-SM-5L3DJ 50-59 years, female 1807.1
GTEX-WY7C-2526-SM-3NB2N 50-59 years, male 1806.6
GTEX-14BMU-2026-SM-5S2W6 20-29 years, female 1801.0
GTEX-15SB6-1826-SM-6PALN 50-59 years, female 1800.2
GTEX-RN64-0326-SM-2TC5J 50-59 years, male 1795.3
GTEX-1MCC2-2726-SM-EWRN3 30-39 years, female 1791.6
GTEX-139TS-2626-SM-5J1MT 60-69 years, male 1781.1
GTEX-14PJ4-2426-SM-6EU1U 60-69 years, male 1780.6
GTEX-1GF9V-0126-SM-9WYT2 60-69 years, male 1776.6
GTEX-QDVJ-1926-SM-2S1PJ 50-59 years, male 1774.4
GTEX-1EU9M-0126-SM-7P8P8 60-69 years, male 1771.2
GTEX-N7MS-0426-SM-2YUN6 60-69 years, male 1769.6
GTEX-OXRK-1826-SM-2HMJE 50-59 years, female 1769.2
GTEX-14XAO-2226-SM-6LLHU 60-69 years, female 1767.9
GTEX-1H1DE-1726-SM-A9G3G 20-29 years, male 1757.8
GTEX-ZVT3-0526-SM-5GIE9 60-69 years, female 1757.4
GTEX-ZAB5-2126-SM-5K7UN 50-59 years, male 1755.7
GTEX-14LZ3-0626-SM-5ZZWP 60-69 years, female 1751.2
GTEX-U3ZH-1926-SM-4DXTR 30-39 years, male 1751.2
GTEX-144GM-2026-SM-5LU3D 20-29 years, male 1750.9
GTEX-18A67-0326-SM-7LG5X 50-59 years, male 1748.2
GTEX-Y8E4-1026-SM-4VBQ5 40-49 years, male 1744.3
GTEX-POMQ-1926-SM-3NB1Y 20-29 years, female 1742.9
GTEX-XMD1-0626-SM-EZ6MC 60-69 years, male 1739.7
GTEX-1R9K4-0626-SM-E76OZ 60-69 years, male 1739.3
GTEX-133LE-2026-SM-5K7WM 20-29 years, female 1739.1
GTEX-YJ8O-2826-SM-5CVM4 40-49 years, female 1738.5
GTEX-1HSMP-0326-SM-A9SMC 70-79 years, male 1733.8
GTEX-ZA64-2026-SM-5PNXT 20-29 years, male 1731.1
GTEX-1CB4E-2126-SM-793AP 60-69 years, male 1729.7
GTEX-OXRN-1326-SM-3LK5V 50-59 years, male 1727.9
GTEX-139T6-2026-SM-5IFFL 50-59 years, male 1721.2
GTEX-1JMPY-1226-SM-CJI3A 30-39 years, male 1721.2
GTEX-1S82U-1426-SM-E6CJL 30-39 years, female 1718.8
GTEX-YB5K-2326-SM-5IFHD 40-49 years, female 1712.8
GTEX-1H1DG-0326-SM-9QEHK 70-79 years, male 1709.8
GTEX-Y3I4-2326-SM-4TT81 50-59 years, male 1708.6
GTEX-145MO-0726-SM-5NQB9 60-69 years, male 1701.9
GTEX-QLQW-1326-SM-2S1QS 30-39 years, male 1701.0
GTEX-17GQL-1926-SM-718B9 60-69 years, male 1693.4
GTEX-Q2AH-1826-SM-2S1Q2 40-49 years, male 1688.4
GTEX-1I19N-2026-SM-ACKXJ 70-79 years, male 1688.1
GTEX-14BIL-0326-SM-5SI9Q 50-59 years, male 1684.9
GTEX-11ZTT-2626-SM-5EQKK 60-69 years, female 1684.1
GTEX-VJYA-1926-SM-3GIJJ 60-69 years, male 1683.8
GTEX-1PPH7-2526-SM-E76OJ 40-49 years, male 1681.4
GTEX-1H1E6-2126-SM-9KNVM 30-39 years, male 1680.7
GTEX-1GMR3-2126-SM-9WYTZ 40-49 years, male 1676.0
GTEX-WFON-2326-SM-3LK7M 40-49 years, male 1666.2
GTEX-QLQ7-1726-SM-2S1QQ 60-69 years, male 1665.2
GTEX-R3RS-0526-SM-3GADG 40-49 years, female 1661.1
GTEX-1B8SF-0426-SM-79OL4 60-69 years, male 1658.8
GTEX-17EVP-1326-SM-7DHMR 40-49 years, male 1657.4
GTEX-XBEW-1026-SM-4QARV 40-49 years, male 1656.7
GTEX-16BQI-0326-SM-6PAM4 30-39 years, female 1648.1
GTEX-U4B1-1626-SM-3DB8N 40-49 years, male 1647.5
GTEX-13OW5-0326-SM-5L3HK 60-69 years, male 1646.9
GTEX-1313W-0526-SM-5P9FZ 50-59 years, female 1646.7
GTEX-RNOR-0526-SM-2TF4O 50-59 years, female 1645.6
GTEX-11NSD-2026-SM-5HL5U 20-29 years, male 1645.5
GTEX-15SHV-2526-SM-6PAMG 60-69 years, male 1645.5
GTEX-ZLWG-2126-SM-DO91M 50-59 years, female 1643.2
GTEX-11EMC-2626-SM-59864 60-69 years, female 1642.8
GTEX-OHPL-1626-SM-2HMIR 60-69 years, female 1642.2
GTEX-144GN-2426-SM-5LU4R 50-59 years, male 1641.3
GTEX-OXRL-1626-SM-2YUMU 50-59 years, male 1638.4
GTEX-ZC5H-0326-SM-5HL9F 40-49 years, female 1631.2
GTEX-QDVN-2426-SM-2S1Q4 50-59 years, male 1631.1
GTEX-15RIE-2426-SM-7KUDS 60-69 years, male 1630.3
GTEX-1E2YA-0526-SM-7P8RY 50-59 years, male 1628.8
GTEX-PWN1-1626-SM-2S1OL 40-49 years, female 1627.5
GTEX-11I78-2426-SM-5A5K9 50-59 years, female 1625.0
GTEX-11ZVC-2726-SM-5FQSZ 50-59 years, female 1622.0
GTEX-15CHQ-0726-SM-6EU18 60-69 years, male 1620.3
GTEX-WHSB-1826-SM-3TW8M 50-59 years, male 1618.3
GTEX-131XG-2326-SM-5HL8F 50-59 years, female 1616.9
GTEX-1QP66-1626-SM-E76PC 50-59 years, male 1612.6
GTEX-PLZ4-0926-SM-2S1OI 50-59 years, female 1601.3
GTEX-ZV68-0526-SM-59HKI 50-59 years, female 1601.2
GTEX-1QP9N-1926-SM-E6CPY 30-39 years, male 1599.3
GTEX-1S82P-0326-SM-E9TIR 60-69 years, female 1595.1
GTEX-1I6K6-0326-SM-CJI4A 30-39 years, male 1591.8
GTEX-14C39-2426-SM-5S2U5 40-49 years, male 1590.1
GTEX-1PBJJ-0326-SM-E8VNT 30-39 years, male 1586.6
GTEX-SUCS-1626-SM-32PLS 70-79 years, male 1583.4
GTEX-1211K-2126-SM-59HJZ 60-69 years, female 1575.0
GTEX-1I1HK-0326-SM-ACKW5 60-69 years, male 1575.0
GTEX-13111-2226-SM-5LZUE 50-59 years, male 1570.7
GTEX-U8XE-0726-SM-3DB8O 30-39 years, male 1568.8
GTEX-1HSGN-0326-SM-ACKXQ 40-49 years, female 1566.2
GTEX-1IDJF-0326-SM-ADEIG 20-29 years, male 1563.9
GTEX-14DAQ-0326-SM-664MR 60-69 years, female 1558.9
GTEX-14PJ5-2026-SM-6LLIN 60-69 years, female 1558.6
GTEX-1399U-2526-SM-5L3DL 50-59 years, female 1557.9
GTEX-ZAB4-0426-SM-5HL7N 40-49 years, male 1553.4
GTEX-WWYW-0526-SM-3NB2W 50-59 years, female 1549.6
GTEX-1HSMQ-1326-SM-ADEHS 50-59 years, male 1544.3
GTEX-12WSJ-1726-SM-5LZVV 40-49 years, female 1544.0
GTEX-1LVAN-0526-SM-CNNQ1 50-59 years, female 1543.6
GTEX-18465-0326-SM-7LTAD 50-59 years, male 1543.3
GTEX-QV31-1426-SM-2S1QD 30-39 years, male 1541.2
GTEX-WK11-2526-SM-3NM9Y 50-59 years, male 1540.7
GTEX-1B932-0526-SM-73KU7 40-49 years, female 1540.6
GTEX-ZYFD-0326-SM-5NQ8I 50-59 years, male 1539.7
GTEX-1H11D-0326-SM-9WG71 40-49 years, male 1538.0
GTEX-1GZ4H-1626-SM-7PC3F 50-59 years, female 1530.4
GTEX-P4QT-1626-SM-DHXIR 50-59 years, female 1530.2
GTEX-1R7EV-2026-SM-DTX83 40-49 years, male 1525.9
GTEX-1LGRB-2626-SM-CNPPR 50-59 years, female 1524.9
GTEX-QCQG-2126-SM-DTXFV 50-59 years, female 1520.0
GTEX-183FY-0226-SM-7LG54 20-29 years, male 1517.4
GTEX-15DZA-2026-SM-6PANE 30-39 years, female 1515.3
GTEX-1LGOU-2126-SM-DIPFG 20-29 years, female 1513.0
GTEX-1N2EF-0526-SM-E76OK 60-69 years, male 1513.0
GTEX-YFC4-1026-SM-5RQJM 40-49 years, female 1509.1
GTEX-15RJ7-2426-SM-6M48L 40-49 years, male 1508.0
GTEX-11DXY-2726-SM-5GID2 60-69 years, male 1505.3
GTEX-11VI4-1926-SM-5CVLI 40-49 years, female 1500.8
GTEX-13U4I-1826-SM-5IJD2 40-49 years, female 1496.3
GTEX-YB5E-2226-SM-5IFJ5 40-49 years, male 1496.2
GTEX-1R9PN-1826-SM-E8VO4 40-49 years, female 1490.0
GTEX-131YS-0526-SM-5EGKJ 60-69 years, female 1478.2
GTEX-17KNJ-2426-SM-7DHLR 50-59 years, male 1476.2
GTEX-RTLS-0526-SM-2TF64 60-69 years, female 1473.5
GTEX-ZDXO-0326-SM-4WKHJ 60-69 years, male 1472.3
GTEX-1B933-0426-SM-7DHMC 50-59 years, female 1469.0
GTEX-111FC-0326-SM-5GZZ1 60-69 years, male 1467.7
GTEX-14JG6-2126-SM-6EU2F 30-39 years, female 1466.5
GTEX-1IDJC-2026-SM-ADEIK 50-59 years, male 1461.9
GTEX-111CU-2026-SM-5GZZC 50-59 years, male 1459.6
GTEX-1HSEH-0326-SM-A9G26 60-69 years, male 1459.4
GTEX-1HBPN-0526-SM-A9SM6 50-59 years, male 1457.9
GTEX-15ETS-0326-SM-6PANH 40-49 years, female 1457.3
GTEX-15ER7-0226-SM-7KUEU 20-29 years, female 1457.1
GTEX-13S86-2326-SM-5RQK1 40-49 years, male 1456.4
GTEX-1N2DV-0526-SM-DTX8W 40-49 years, male 1452.2
GTEX-X5EB-2326-SM-46MW5 40-49 years, male 1450.8
GTEX-1A32A-0526-SM-731B9 50-59 years, female 1450.2
GTEX-1C64O-0326-SM-73KVW 60-69 years, male 1449.9
GTEX-14A5I-0326-SM-5NQ9J 50-59 years, female 1449.8
GTEX-1S5ZA-0526-SM-EWRO1 20-29 years, male 1449.7
GTEX-1399S-2726-SM-5KM22 30-39 years, female 1449.4
GTEX-1EH9U-0326-SM-7P8S2 60-69 years, male 1448.4
GTEX-S33H-2226-SM-DKPOP 30-39 years, male 1448.2
GTEX-1J1R8-2326-SM-CKZPS 40-49 years, male 1447.7
GTEX-12WSH-2526-SM-5CVNH 50-59 years, male 1446.9
GTEX-ZPCL-2026-SM-57WFD 60-69 years, female 1444.3
GTEX-P44G-0526-SM-2XCD1 30-39 years, male 1441.0
GTEX-11H98-0326-SM-5HL4S 50-59 years, male 1437.0
GTEX-13PVQ-0326-SM-5K7YF 50-59 years, male 1431.2
GTEX-1RQEC-0126-SM-E9J2H 60-69 years, male 1430.0
GTEX-1KXAM-2426-SM-DIPFC 60-69 years, male 1427.4
GTEX-18D9A-1826-SM-718BK 30-39 years, female 1426.4
GTEX-117XS-2526-SM-5H11G 60-69 years, male 1424.7
GTEX-145ME-2026-SM-5SIA5 40-49 years, female 1423.8
GTEX-1AX8Z-5004-SM-ARZLD 60-69 years, male 1423.1
GTEX-1KANA-0926-SM-D3L9K 20-29 years, male 1423.0
GTEX-1HCUA-2326-SM-ACKVJ 50-59 years, female 1422.1
GTEX-12696-2826-SM-5FQTY 60-69 years, male 1419.6
GTEX-13NZB-2626-SM-5J2M7 30-39 years, male 1419.6
GTEX-1RAZA-0526-SM-E76R2 20-29 years, male 1418.4
GTEX-1PIIG-0126-SM-E9J46 30-39 years, male 1414.0
GTEX-1F75W-0326-SM-7PC2Q 60-69 years, male 1411.5
GTEX-1GN1W-0726-SM-9KNTV 50-59 years, female 1410.6
GTEX-15SKB-2526-SM-6PALP 60-69 years, male 1407.8
GTEX-1HCVE-0326-SM-CGQEW 50-59 years, male 1405.8
GTEX-1H1ZS-0626-SM-CNPPU 70-79 years, male 1402.7
GTEX-Y114-2526-SM-4TT8M 50-59 years, female 1401.4
GTEX-1LVAM-0326-SM-DIPFL 50-59 years, female 1401.1
GTEX-13FTW-2326-SM-5K7YS 40-49 years, male 1398.0
GTEX-111YS-2326-SM-5987L 60-69 years, male 1397.0
GTEX-W5WG-1926-SM-4KKZK 50-59 years, female 1394.4
GTEX-1LSNL-0126-SM-EWRNR 50-59 years, male 1392.0
GTEX-1IE54-0326-SM-ARZMD 40-49 years, female 1389.2
GTEX-QEG4-0626-SM-2S1OY 30-39 years, male 1388.8
GTEX-Z93S-1326-SM-5CVMR 50-59 years, male 1384.6
GTEX-15RIF-2126-SM-7KUM8 20-29 years, male 1381.7
GTEX-1PDJ9-0526-SM-DTXDL 20-29 years, male 1380.5
GTEX-1B97J-1226-SM-7PBZR 50-59 years, female 1375.9
GTEX-ZYT6-1626-SM-5E45R 30-39 years, male 1369.3
GTEX-1JMLX-0326-SM-CM2RP 50-59 years, male 1368.4
GTEX-X4EO-0526-SM-3P5Z3 60-69 years, female 1368.1
GTEX-PLZ5-1726-SM-2I5F6 50-59 years, male 1367.7
GTEX-139YR-2526-SM-5IJC6 50-59 years, male 1367.5
GTEX-R55C-1726-SM-3GADJ 40-49 years, male 1364.7
GTEX-REY6-0826-SM-2TF4S 60-69 years, male 1359.4
GTEX-Y8DK-0326-SM-4TT3P 60-69 years, male 1358.5
GTEX-1CAMS-0126-SM-79396 40-49 years, female 1358.4
GTEX-ZLV1-2126-SM-4WWD2 60-69 years, female 1357.9
GTEX-1399R-2526-SM-5IFG2 30-39 years, male 1357.1
GTEX-1IKOH-0126-SM-COH4D 60-69 years, female 1355.8
GTEX-132Q8-0626-SM-5L3F3 60-69 years, male 1355.7
GTEX-OIZG-1326-SM-2HMIQ 50-59 years, male 1355.6
GTEX-WHPG-2226-SM-3NMBO 50-59 years, male 1355.2
GTEX-11ZTS-0526-SM-5CVL9 60-69 years, female 1355.0
GTEX-QDT8-0526-SM-3NMD8 30-39 years, female 1354.4
GTEX-1PIGE-0226-SM-E76OT 20-29 years, male 1353.4
GTEX-1J8Q3-1426-SM-CKZPU 60-69 years, male 1349.1
GTEX-1KWVE-0926-SM-CXZKP 30-39 years, male 1347.7
GTEX-POYW-0526-SM-2XCEY 60-69 years, male 1341.7
GTEX-16NPX-0626-SM-7KULB 50-59 years, male 1340.8
GTEX-11ZUS-1426-SM-5FQSP 30-39 years, male 1339.1
GTEX-12126-0526-SM-5PNW4 20-29 years, male 1338.5
GTEX-1QP6S-0426-SM-DTXG4 40-49 years, male 1333.3
GTEX-14JG1-0126-SM-5ZZUP 40-49 years, male 1332.7
GTEX-1GTWX-0326-SM-9WYTP 60-69 years, male 1331.7
GTEX-1CAMQ-0326-SM-7MXUI 40-49 years, male 1331.2
GTEX-1BAJH-0126-SM-7DHMF 70-79 years, male 1329.8
GTEX-11NUK-0226-SM-5A5L4 50-59 years, male 1327.9
GTEX-13FXS-0326-SM-5K7TV 50-59 years, male 1326.7
GTEX-U8T8-1426-SM-3DB9H 60-69 years, male 1326.5
GTEX-13OVJ-0226-SM-5L3GK 50-59 years, female 1325.2
GTEX-11TUW-2526-SM-5EQKN 60-69 years, male 1324.5
GTEX-1QAET-2026-SM-E9J3S 50-59 years, male 1322.8
GTEX-1497J-2626-SM-5SI9K 60-69 years, male 1320.0
GTEX-12WSG-5016-SM-7SB84 50-59 years, female 1316.9
GTEX-R55G-2326-SM-2TC61 40-49 years, female 1313.3
GTEX-1PPGY-0426-SM-DTXFE 60-69 years, male 1308.8
GTEX-1HBPH-0826-SM-ARZNB 40-49 years, female 1308.6
GTEX-1KAFJ-2326-SM-D3L8Z 50-59 years, male 1305.1
GTEX-UJMC-1826-SM-3GADT 50-59 years, male 1304.7
GTEX-11P7K-1926-SM-5GU6R 30-39 years, male 1299.9
GTEX-1J8Q2-0126-SM-E9J2G 60-69 years, male 1299.2
GTEX-14PJ6-2326-SM-6ETZR 60-69 years, female 1298.3
GTEX-Q734-2026-SM-3GADA 40-49 years, female 1296.9
GTEX-147GR-0126-SM-62LER 60-69 years, male 1292.9
GTEX-117YX-2526-SM-5EQ4Q 50-59 years, male 1290.5
GTEX-ZT9X-1826-SM-57WDU 40-49 years, male 1288.0
GTEX-1CAMR-1726-SM-793CU 20-29 years, male 1285.6
GTEX-13O3Q-2726-SM-5KM51 50-59 years, male 1284.4
GTEX-13PL6-0326-SM-5IJCP 40-49 years, female 1283.5
GTEX-12C56-1926-SM-5FQUG 20-29 years, male 1282.7
GTEX-1QMI2-0526-SM-DTXFU 60-69 years, male 1282.7
GTEX-XOT4-0526-SM-4B66O 60-69 years, female 1281.2
GTEX-14E6D-0326-SM-62LDX 50-59 years, male 1279.2
GTEX-WEY5-2026-SM-CYPRC 40-49 years, female 1278.1
GTEX-1MJK3-1426-SM-E9TK1 20-29 years, male 1277.6
GTEX-15RIG-0426-SM-7KUF4 40-49 years, male 1276.9
GTEX-1A8G7-0326-SM-72D5B 60-69 years, male 1275.6
GTEX-12WSC-0326-SM-5EQ5E 50-59 years, male 1274.8
GTEX-13FTY-0226-SM-5IJBW 40-49 years, female 1274.2
GTEX-1HFI6-0426-SM-B2LXB 40-49 years, male 1272.2
GTEX-P44H-0426-SM-2XCEZ 40-49 years, male 1272.1
GTEX-T2IS-2626-SM-32QPP 20-29 years, female 1270.7
GTEX-147F4-0326-SM-5TDCK 50-59 years, male 1268.8
GTEX-14BIM-0326-SM-5SI9B 60-69 years, female 1261.1
GTEX-11LCK-1226-SM-5Q5AM 30-39 years, male 1259.1
GTEX-1LVA9-0326-SM-DLHBU 50-59 years, male 1258.6
GTEX-11DXW-0726-SM-5H12J 40-49 years, male 1258.2
GTEX-11TTK-0326-SM-5BC5N 60-69 years, female 1257.8
GTEX-1KD5A-0726-SM-DIPEO 50-59 years, male 1257.6
GTEX-TMMY-0426-SM-33HBB 40-49 years, female 1255.6
GTEX-ZF29-2426-SM-DO92G 60-69 years, female 1254.3
GTEX-1K9T9-0326-SM-EWRNQ 50-59 years, female 1252.0
GTEX-1HBPM-0426-SM-CKZOO 60-69 years, female 1251.8
GTEX-TML8-1826-SM-32QOR 40-49 years, female 1250.8
GTEX-13NZA-0526-SM-5L3D7 60-69 years, male 1249.7
GTEX-1H4P4-0626-SM-9YFKZ 50-59 years, male 1246.5
GTEX-12BJ1-2526-SM-5FQUE 60-69 years, male 1245.4
GTEX-15SDE-2326-SM-6PAL4 50-59 years, female 1244.8
GTEX-14PJO-0526-SM-6EU2O 60-69 years, male 1243.9
GTEX-WRHK-1626-SM-3MJFH 20-29 years, female 1242.5
GTEX-1QP28-0526-SM-E8VNR 50-59 years, female 1241.0
GTEX-11GSP-2726-SM-5A5LJ 60-69 years, female 1239.9
GTEX-113JC-2726-SM-5EGIS 50-59 years, female 1237.2
GTEX-1S5VW-0526-SM-E6CHL 60-69 years, male 1236.9
GTEX-ZV6S-2126-SM-4YCEM 40-49 years, female 1236.7
GTEX-ZDYS-1726-SM-5HL4Y 50-59 years, male 1235.3
GTEX-145LS-0526-SM-5LU8Y 60-69 years, female 1233.7
GTEX-1JKYN-1826-SM-ARZMZ 30-39 years, male 1232.0
GTEX-1C2JI-2126-SM-793CG 50-59 years, male 1230.8
GTEX-1IDJH-0226-SM-CYPSB 70-79 years, male 1229.6
GTEX-17EUY-0626-SM-793BE 20-29 years, male 1227.1
GTEX-XUW1-0826-SM-4BOP6 50-59 years, female 1225.8
GTEX-ZVTK-0626-SM-5GU6Y 20-29 years, male 1224.7
GTEX-15CHC-2426-SM-6EU22 60-69 years, female 1224.6
GTEX-1GF9X-2126-SM-7PBXN 40-49 years, female 1223.0
GTEX-1AYD5-2226-SM-73KX3 50-59 years, male 1222.2
GTEX-12WSD-0526-SM-5EQ6F 60-69 years, female 1221.5
GTEX-1F5PL-0426-SM-7P8PR 40-49 years, female 1219.7
GTEX-11EQ8-0526-SM-5N9BC 60-69 years, male 1219.6
GTEX-1GN1V-0326-SM-9WYTO 60-69 years, male 1214.9
GTEX-1H3VY-0326-SM-9WYU6 50-59 years, male 1214.0
GTEX-1CAV2-2426-SM-7P8QF 40-49 years, female 1210.9
GTEX-1I1GQ-0326-SM-A9SKS 50-59 years, male 1209.6
GTEX-1NUQO-0726-SM-E9J3K 20-29 years, female 1208.4
GTEX-14PJM-0426-SM-5ZZVN 50-59 years, female 1206.4
GTEX-WYJK-1726-SM-3NM9U 50-59 years, male 1205.7
GTEX-1AX9K-2726-SM-7DHMA 50-59 years, male 1203.2
GTEX-1CB4I-0326-SM-7DHMM 50-59 years, male 1203.0
GTEX-13G51-2726-SM-5LZZ9 60-69 years, male 1200.9
GTEX-1MA7W-1826-SM-DIPFP 20-29 years, female 1200.2
GTEX-1HGF4-2626-SM-CM2SJ 60-69 years, male 1199.7
GTEX-ZEX8-2526-SM-DO92M 50-59 years, male 1196.8
GTEX-S7PM-0526-SM-3NM92 60-69 years, male 1196.5
GTEX-1IKJJ-0326-SM-CL55L 60-69 years, male 1195.4
GTEX-1F6I4-0326-SM-7P8T8 60-69 years, male 1195.3
GTEX-145MH-0326-SM-5LU8H 50-59 years, male 1194.9
GTEX-12KS4-0826-SM-5BC5R 30-39 years, male 1192.7
GTEX-11WQK-0726-SM-5GU71 50-59 years, male 1192.1
GTEX-1212Z-2626-SM-5YY8P 60-69 years, male 1191.5
GTEX-1HCU6-0526-SM-A9SKU 60-69 years, female 1191.3
GTEX-16XZY-2226-SM-7938N 70-79 years, male 1190.0
GTEX-XGQ4-2326-SM-4AT53 50-59 years, male 1189.1
GTEX-ZAJG-0526-SM-5S2MT 50-59 years, female 1187.1
GTEX-TKQ2-0826-SM-33HB6 50-59 years, male 1182.4
GTEX-1FIGZ-1726-SM-9MQKS 40-49 years, male 1181.6
GTEX-1QCLZ-0326-SM-DTXG2 60-69 years, female 1176.8
GTEX-1C475-1726-SM-73KVX 40-49 years, female 1175.5
GTEX-13QJ3-0726-SM-5SI68 50-59 years, male 1175.4
GTEX-YEC3-2126-SM-4YCDB 50-59 years, male 1175.4
GTEX-R55D-0626-SM-3GAD5 50-59 years, male 1173.5
GTEX-14ABY-0126-SM-62LDI 50-59 years, male 1169.1
GTEX-WHSE-0526-SM-5GZZD 20-29 years, male 1166.1
GTEX-13NZ9-0626-SM-5IJCO 50-59 years, male 1162.7
GTEX-1C6VQ-0326-SM-7DHMS 50-59 years, male 1162.7
GTEX-YEC4-2226-SM-5IFJT 40-49 years, male 1162.1
GTEX-1A3MW-0526-SM-731BY 60-69 years, female 1161.6
GTEX-1B8L1-2726-SM-793AL 60-69 years, male 1159.8
GTEX-16MT8-0326-SM-6PAM5 60-69 years, female 1154.4
GTEX-1K2DA-2226-SM-CGQGM 50-59 years, male 1153.6
GTEX-11NV4-0326-SM-5HL58 60-69 years, male 1153.5
GTEX-XQ3S-0426-SM-4BOOA 20-29 years, male 1152.1
GTEX-QXCU-1726-SM-2TC6L 50-59 years, male 1149.2
GTEX-ZDTS-0526-SM-4WKH9 60-69 years, male 1149.1
GTEX-1B8KZ-2126-SM-73KYG 50-59 years, male 1148.7
GTEX-11XUK-2226-SM-5CVLL 40-49 years, female 1145.2
GTEX-1QP67-1826-SM-DTX8D 40-49 years, female 1143.9
GTEX-13N11-2726-SM-5L3ER 50-59 years, female 1143.2
GTEX-Y5V6-2626-SM-5IFIX 60-69 years, male 1141.4
GTEX-13RTK-1626-SM-5QGQS 20-29 years, male 1140.1
GTEX-17HHE-2126-SM-7DHLO 50-59 years, male 1135.9
GTEX-SNMC-1426-SM-2XCFM 20-29 years, male 1135.3
GTEX-Y8LW-2026-SM-4V6G8 50-59 years, female 1134.5
GTEX-ZYFG-2426-SM-5GIE8 60-69 years, female 1131.7
GTEX-14JIY-0426-SM-62LF7 60-69 years, male 1131.0
GTEX-1F48J-0526-SM-9WYSX 50-59 years, female 1130.7
GTEX-Y111-0326-SM-4SOIX 50-59 years, male 1130.5
GTEX-1I1GS-0326-SM-ARL7X 60-69 years, male 1130.4
GTEX-RWS6-2126-SM-2XCAV 60-69 years, female 1128.4
GTEX-12ZZY-0626-SM-5EQ5T 60-69 years, male 1128.3
GTEX-1R9K5-0326-SM-EWRNG 50-59 years, male 1128.0
GTEX-14E6C-1526-SM-664ND 40-49 years, male 1126.7
GTEX-15CHR-2426-SM-7DUFX 50-59 years, male 1124.5
GTEX-1HBPI-0226-SM-ADEJ7 50-59 years, male 1124.2
GTEX-13OW6-0626-SM-5L3IB 50-59 years, male 1124.1
GTEX-1GMR8-0326-SM-9KNUO 50-59 years, female 1117.9
GTEX-11EM3-2126-SM-5H11M 20-29 years, female 1116.0
GTEX-WYVS-2326-SM-3NMAI 40-49 years, female 1115.8
GTEX-1LNCM-1226-SM-E9U5C 50-59 years, female 1115.8
GTEX-14AS3-2126-SM-5S2MK 40-49 years, female 1113.6
GTEX-1F52S-0826-SM-7P8TQ 60-69 years, female 1112.7
GTEX-11UD1-0326-SM-5EQKX 40-49 years, female 1108.5
GTEX-15SHW-0726-SM-7KUEI 60-69 years, male 1107.7
GTEX-12ZZX-0326-SM-5DUVH 40-49 years, female 1107.6
GTEX-Z9EW-1726-SM-5CVMO 40-49 years, male 1107.5
GTEX-18A6Q-0326-SM-718AT 60-69 years, male 1106.7
GTEX-1JN76-0326-SM-ARZNJ 20-29 years, female 1105.6
GTEX-1399T-2426-SM-5L3FJ 60-69 years, male 1105.0
GTEX-14DAR-1826-SM-664N1 50-59 years, male 1104.4
GTEX-1EMGI-0326-SM-9MQM5 60-69 years, male 1104.1
GTEX-131XE-2726-SM-5P9G7 50-59 years, male 1103.0
GTEX-PLZ6-1526-SM-2S1OC 30-39 years, male 1100.0
GTEX-1JN6P-0526-SM-COH33 60-69 years, male 1099.6
GTEX-WFG7-2226-SM-3GIKP 20-29 years, male 1099.3
GTEX-13FHP-0526-SM-5K7UY 50-59 years, male 1095.5
GTEX-1AMFI-2226-SM-731C6 50-59 years, female 1093.3
GTEX-1K2DU-2526-SM-D3L8V 20-29 years, male 1093.1
GTEX-13OVL-1426-SM-5IJC1 50-59 years, male 1091.4
GTEX-VJWN-0426-SM-3GIJI 50-59 years, female 1091.3
GTEX-13PLJ-0326-SM-5L3I7 60-69 years, female 1088.5
GTEX-13PVR-2526-SM-5RQIT 60-69 years, female 1087.7
GTEX-1CB4G-0426-SM-7MXUN 60-69 years, male 1087.0
GTEX-XYKS-2426-SM-4AT43 60-69 years, female 1086.7
GTEX-ZQG8-1226-SM-51MRX 60-69 years, female 1086.6
GTEX-QESD-1626-SM-2S1RB 20-29 years, male 1084.3
GTEX-1OFPY-2526-SM-DTXEK 60-69 years, male 1080.7
GTEX-1LB8K-0126-SM-EVYCN 50-59 years, male 1079.9
GTEX-1GN2E-0726-SM-9MQLU 60-69 years, male 1078.8
GTEX-1JK1U-2226-SM-CNNPL 60-69 years, male 1078.4
GTEX-14H4A-0926-SM-5ZZUU 40-49 years, female 1076.6
GTEX-Q2AI-1526-SM-3GIJ3 40-49 years, male 1074.3
GTEX-11PRG-0326-SM-5GU53 50-59 years, male 1074.1
GTEX-1GF9W-0526-SM-9MQJP 60-69 years, male 1073.1
GTEX-YF7O-2526-SM-5IFJX 50-59 years, male 1071.8
GTEX-XBEC-0626-SM-4QARY 50-59 years, male 1070.9
GTEX-1GMR2-2126-SM-7P8TX 50-59 years, male 1070.9
GTEX-ZF2S-2126-SM-4WWAY 50-59 years, female 1070.1
GTEX-1JMQL-0126-SM-CY8HN 50-59 years, female 1070.0
GTEX-ZVZO-0326-SM-5HL4N 40-49 years, male 1068.7
GTEX-12ZZZ-0226-SM-59HKU 60-69 years, male 1066.7
GTEX-1GF9U-2326-SM-7RHH9 40-49 years, female 1066.6
GTEX-1IKK5-0426-SM-CL53X 60-69 years, male 1065.7
GTEX-13O3O-0526-SM-5J1NL 60-69 years, female 1065.3
GTEX-13112-2626-SM-5BC66 50-59 years, male 1064.8
GTEX-1192X-0426-SM-5GIEE 50-59 years, male 1064.3
GTEX-1H3O1-0626-SM-9MQM4 60-69 years, male 1063.6
GTEX-1B8SG-0326-SM-73KXW 50-59 years, male 1062.4
GTEX-17MFQ-1926-SM-793A6 20-29 years, male 1062.1
GTEX-1GZHY-0126-SM-9WYUQ 50-59 years, female 1060.9
GTEX-1HFI7-1926-SM-A96TQ 50-59 years, female 1059.9
GTEX-WZTO-0826-SM-3NM8Q 40-49 years, male 1053.9
GTEX-1JMQI-2126-SM-CM2SC 50-59 years, male 1053.4
GTEX-QV44-2026-SM-2S1RD 50-59 years, male 1052.6
GTEX-111VG-2626-SM-5GZY2 60-69 years, male 1052.5
GTEX-145MI-0326-SM-5Q5EV 60-69 years, female 1052.3
GTEX-1RQED-0426-SM-E6CJP 60-69 years, male 1051.5
GTEX-PW2O-1726-SM-2S1OO 20-29 years, male 1051.0
GTEX-T5JC-0626-SM-3NMA6 20-29 years, male 1050.0
GTEX-15D79-0526-SM-6ETZP 50-59 years, male 1047.6
GTEX-WL46-0626-SM-3LK7R 50-59 years, male 1046.5
GTEX-1B97I-2026-SM-7DHN2 40-49 years, male 1044.0
GTEX-13W3W-2626-SM-5SIA2 60-69 years, female 1043.6
GTEX-14C5O-0626-SM-664N2 60-69 years, male 1038.7
GTEX-1HSMO-0526-SM-ACKXB 60-69 years, male 1038.0
GTEX-13N1W-0526-SM-5MR4I 70-79 years, male 1037.9
GTEX-17HG3-2726-SM-7DHL5 30-39 years, female 1036.4
GTEX-13JUV-2326-SM-5IJCE 40-49 years, female 1036.1
GTEX-145MG-0226-SM-5TDDB 50-59 years, male 1034.8
GTEX-1C6VR-2526-SM-7DHMT 60-69 years, male 1034.2
GTEX-NFK9-0626-SM-2HMIV 40-49 years, male 1034.2
GTEX-11GS4-2526-SM-5A5KT 60-69 years, male 1032.6
GTEX-ZYW4-0526-SM-5GZZ5 60-69 years, male 1031.3
GTEX-17JCI-0326-SM-7LG5H 60-69 years, female 1030.2
GTEX-1QW4Y-1726-SM-EWRN1 30-39 years, male 1029.9
GTEX-1M4P7-0126-SM-DKPQF 60-69 years, male 1027.4
GTEX-131XW-0326-SM-5KM1J 50-59 years, female 1026.5
GTEX-15G1A-2026-SM-7KUFG 30-39 years, male 1024.9
GTEX-147F3-0226-SM-5NQBV 50-59 years, female 1023.0
GTEX-139T8-0526-SM-5KLZL 60-69 years, male 1022.6
GTEX-11P82-1826-SM-5PNYJ 20-29 years, male 1021.1
GTEX-16Z82-0126-SM-7DHLF 60-69 years, male 1020.1
GTEX-1269C-2626-SM-5EQ5C 60-69 years, female 1017.6
GTEX-1J8QM-2226-SM-CYPSK 60-69 years, female 1015.4
GTEX-1GMRU-0326-SM-9WYT6 50-59 years, male 1014.2
GTEX-SN8G-0326-SM-32PLG 50-59 years, female 1011.7
GTEX-WXYG-2526-SM-3NB3F 50-59 years, female 1011.7
GTEX-P78B-1626-SM-5SI85 40-49 years, female 1010.6
GTEX-ZZ64-1526-SM-5E43K 20-29 years, male 1009.1
GTEX-14PJN-2126-SM-6AJBM 30-39 years, male 1004.4
GTEX-12WSM-0326-SM-5LZVI 60-69 years, male 1004.2
GTEX-14A5H-0326-SM-5RQIB 60-69 years, male 1003.1
GTEX-13NYB-2726-SM-5J2MT 40-49 years, male 1002.3
GTEX-U412-0326-SM-3DB9L 60-69 years, male 1000.4
GTEX-Q2AG-0426-SM-2S1PU 40-49 years, female 999.3
GTEX-1H3NZ-0326-SM-9MQL6 60-69 years, male 999.3
GTEX-ZPIC-2526-SM-57WDP 40-49 years, female 999.0
GTEX-QEL4-0626-SM-3GIJM 50-59 years, male 997.7
GTEX-11O72-0326-SM-5986D 40-49 years, male 996.2
GTEX-1EN7A-0326-SM-7P8T1 40-49 years, male 995.3
GTEX-1NHNU-1226-SM-DTX8I 50-59 years, male 994.7
GTEX-1HB9E-0326-SM-D3LA5 50-59 years, male 993.7
GTEX-1I1GV-0126-SM-CL55G 60-69 years, male 992.1
GTEX-1MCQQ-0626-SM-E9U5Q 60-69 years, male 991.7
GTEX-1LH75-2626-SM-E9TKL 50-59 years, female 990.2
GTEX-11ONC-2426-SM-5GU7H 60-69 years, male 989.2
GTEX-146FQ-0326-SM-5NQAX 30-39 years, male 989.0
GTEX-1MCYP-2026-SM-DTXE4 20-29 years, female 988.0
GTEX-13OW7-0326-SM-5J1MP 50-59 years, male 987.7
GTEX-1MUQO-0226-SM-E9TJL 60-69 years, male 985.6
GTEX-1IDJV-0426-SM-COH3Z 60-69 years, male 985.5
GTEX-YFCO-1926-SM-4W212 40-49 years, male 984.4
GTEX-1PIEJ-0326-SM-EVYB5 20-29 years, female 981.4
GTEX-15EO6-2826-SM-6PANB 50-59 years, male 981.1
GTEX-1R9PO-2426-SM-EVYBS 60-69 years, female 977.1
GTEX-1O9I2-0526-SM-EYYXI 50-59 years, male 976.8
GTEX-1F6IF-0226-SM-7PBZ6 60-69 years, male 975.7
GTEX-14753-0526-SM-5QGPR 60-69 years, male 975.5
GTEX-RU72-1326-SM-2TF6T 50-59 years, female 975.5
GTEX-139D8-0726-SM-5P9GJ 30-39 years, female 975.1
GTEX-PX3G-1626-SM-2S1PT 20-29 years, female 973.1
GTEX-T6MN-0526-SM-32PMS 50-59 years, male 969.0
GTEX-1LG7Z-2126-SM-CXKYU 30-39 years, male 967.9
GTEX-ZVZP-2526-SM-57WBR 50-59 years, male 967.4
GTEX-145LU-2026-SM-5Q5E8 50-59 years, male 966.7
GTEX-T8EM-1326-SM-3DB7G 40-49 years, male 964.1
GTEX-ZVT4-0326-SM-51MS5 50-59 years, female 959.7
GTEX-1RAZR-0326-SM-EWRNM 40-49 years, male 959.1
GTEX-1HSKV-0126-SM-E6CI1 60-69 years, male 958.4
GTEX-1ICG6-2726-SM-CKZPN 70-79 years, female 958.0
GTEX-16NPV-2426-SM-6M482 50-59 years, female 956.6
GTEX-ZE9C-2326-SM-5J1NT 60-69 years, male 955.9
GTEX-XAJ8-1026-SM-47JY9 40-49 years, male 954.0
GTEX-139UW-2626-SM-5K7W1 60-69 years, male 951.9
GTEX-16AAH-1826-SM-7939D 50-59 years, male 951.3
GTEX-1A8G6-0126-SM-7DUFY 60-69 years, male 950.3
GTEX-ZUA1-0326-SM-5NQA3 40-49 years, male 946.5
GTEX-13O21-1726-SM-5MR5A 50-59 years, male 945.5
GTEX-146FR-1726-SM-5Q5DT 60-69 years, female 943.4
GTEX-11OF3-2526-SM-5P9JL 60-69 years, male 940.7
GTEX-Y9LG-1926-SM-5IFHY 30-39 years, male 940.0
GTEX-1LG7Y-0126-SM-E6CJ8 50-59 years, male 939.7
GTEX-X88G-0326-SM-47JZ4 30-39 years, male 937.5
GTEX-1I1GR-0326-SM-CKZPI 60-69 years, male 937.0
GTEX-ZVT2-2426-SM-57WCQ 50-59 years, female 934.7
GTEX-1AX9I-0326-SM-73KXQ 60-69 years, male 934.2
GTEX-S32W-2326-SM-2XCAW 50-59 years, female 933.8
GTEX-SIU8-0526-SM-2XCDP 50-59 years, male 933.6
GTEX-17HHY-0326-SM-7938H 50-59 years, male 929.9
GTEX-UPJH-0526-SM-4IHK8 50-59 years, male 929.9
GTEX-11DZ1-0926-SM-5EQ5R 50-59 years, male 927.2
GTEX-13RTJ-2726-SM-73KVG 60-69 years, male 927.0
GTEX-P4PQ-1626-SM-2HMKK 60-69 years, male 923.1
GTEX-1F88F-2526-SM-7PC2R 60-69 years, female 922.8
GTEX-QVJO-0126-SM-3GIK4 60-69 years, female 919.6
GTEX-139TT-0426-SM-5IJFA 60-69 years, male 917.3
GTEX-1R9PM-2226-SM-E8VOC 20-29 years, male 916.9
GTEX-11EI6-0326-SM-5EQ6G 60-69 years, male 914.2
GTEX-1C6VS-0126-SM-7PC2H 60-69 years, male 913.6
GTEX-1IL2V-0526-SM-ARL8B 70-79 years, male 911.7
GTEX-14LLW-0526-SM-62LFB 70-79 years, female 910.9
GTEX-147JS-0526-SM-5TDD3 60-69 years, male 908.7
GTEX-1H1CY-2726-SM-9MQLR 60-69 years, female 908.1
GTEX-13OVK-1926-SM-6M48G 40-49 years, male 905.6
GTEX-Y3IK-2626-SM-4WWDK 50-59 years, female 905.3
GTEX-ZAK1-0526-SM-5K7X4 50-59 years, female 904.0
GTEX-1HR9M-0326-SM-CL549 60-69 years, male 901.8
GTEX-1IOXB-0326-SM-CL55M 50-59 years, male 900.1
GTEX-1S82Y-2226-SM-EWRNV 40-49 years, male 898.4
GTEX-144GL-0326-SM-5QGOY 50-59 years, male 897.3
GTEX-1F75B-0526-SM-7P8T5 50-59 years, male 896.1
GTEX-1HT8W-0326-SM-CM2SG 30-39 years, male 894.7
GTEX-1J8EW-0326-SM-CYPSX 60-69 years, female 890.8
GTEX-16GPK-0526-SM-7KUER 60-69 years, male 889.3
GTEX-1445S-0626-SM-5LU3C 60-69 years, male 888.3
GTEX-145MN-2426-SM-5NQA5 30-39 years, male 886.8
GTEX-V955-2426-SM-3GAEF 60-69 years, male 883.7
GTEX-ZVE2-0626-SM-5GU7I 50-59 years, male 882.7
GTEX-1F75A-0626-SM-7PBYI 50-59 years, male 881.9
GTEX-ZGAY-0726-SM-DO91O 40-49 years, female 881.8
GTEX-1HUB1-0526-SM-CL54N 60-69 years, male 876.4
GTEX-1C6WA-0326-SM-7DUGE 60-69 years, male 875.4
GTEX-18A7B-0326-SM-7LG65 70-79 years, male 875.1
GTEX-S95S-1426-SM-2XCDM 60-69 years, male 872.7
GTEX-131XH-2726-SM-5GCO2 50-59 years, male 870.6
GTEX-13D11-2526-SM-5KM28 50-59 years, female 869.8
GTEX-1F7RK-0326-SM-7RHH7 20-29 years, female 869.2
GTEX-T5JW-1826-SM-3GAE1 20-29 years, female 867.9
GTEX-1J8JJ-0126-SM-D3L93 60-69 years, female 866.7
GTEX-17F97-0526-SM-7DUF8 50-59 years, male 866.2
GTEX-XPVG-2526-SM-4B66D 50-59 years, male 865.7
GTEX-1122O-2426-SM-5GIDN 60-69 years, female 862.9
GTEX-144GO-1326-SM-5Q5EL 60-69 years, male 859.8
GTEX-1A8FM-0526-SM-7P8SF 50-59 years, female 859.8
GTEX-13OVH-0626-SM-5L3EI 70-79 years, male 854.9
GTEX-14PJ2-0326-SM-6EU2Q 50-59 years, male 853.1
GTEX-1A3MV-2026-SM-718BU 30-39 years, male 850.3
GTEX-1GN73-0126-SM-CNPPT 60-69 years, male 848.4
GTEX-132NY-0726-SM-5KLZM 60-69 years, male 846.0
GTEX-1I1GP-2126-SM-CKZPJ 50-59 years, male 840.4
GTEX-UTHO-0726-SM-3GAEN 60-69 years, male 839.7
GTEX-ZZPU-2626-SM-5E45Y 50-59 years, female 839.3
GTEX-13FTZ-2226-SM-5LZXI 60-69 years, male 838.9
GTEX-1HCU7-0426-SM-D3L8Q 50-59 years, male 838.3
GTEX-11ZU8-2326-SM-5EQMJ 60-69 years, male 835.2
GTEX-14BMV-0326-SM-5RQHW 50-59 years, male 834.8
GTEX-1IL2U-0726-SM-EAZ2Y 60-69 years, male 834.2
GTEX-148VJ-0326-SM-5QGQE 70-79 years, male 833.1
GTEX-11WQC-2626-SM-5CVLF 60-69 years, male 830.5
GTEX-13VXU-0326-SM-5LU36 50-59 years, male 827.5
GTEX-11GSO-2526-SM-5PNVX 60-69 years, male 826.4
GTEX-11UD2-0326-SM-5EQLE 50-59 years, male 822.9
GTEX-RWSA-0726-SM-2XCBE 40-49 years, male 819.8
GTEX-14PN4-0326-SM-6EU2N 50-59 years, male 818.9
GTEX-13PL7-0626-SM-5IJCD 60-69 years, female 818.8
GTEX-13RTL-0326-SM-7LT89 40-49 years, male 814.5
GTEX-1CB4F-0326-SM-9MQKD 60-69 years, male 813.4
GTEX-13O61-2326-SM-5J1NJ 60-69 years, male 813.2
GTEX-VUSG-2626-SM-4KKZI 50-59 years, male 811.9
GTEX-XV7Q-2926-SM-4BRUL 40-49 years, female 807.5
GTEX-1PWST-0426-SM-E76QV 70-79 years, male 807.0
GTEX-16YQH-0426-SM-7KUL7 30-39 years, male 805.7
GTEX-1GPI6-0326-SM-9MQM6 60-69 years, male 804.4
GTEX-1JJEA-0126-SM-D3L8A 60-69 years, male 803.3
GTEX-13OW8-1426-SM-5IJDT 60-69 years, male 801.7
GTEX-14PQA-0526-SM-7KUFS 50-59 years, female 800.2
GTEX-13IVO-0626-SM-5LZYJ 70-79 years, male 798.7
GTEX-1C64N-0326-SM-7P8QC 50-59 years, male 797.5
GTEX-ZQUD-1726-SM-7P8ON 30-39 years, male 797.2
GTEX-OIZI-0626-SM-2XCEH 40-49 years, male 795.9
GTEX-13CF2-2726-SM-5LZWW 60-69 years, male 795.1
GTEX-R53T-1826-SM-3GIJX 50-59 years, female 793.3
GTEX-XQ8I-0626-SM-4BOPT 50-59 years, male 786.9
GTEX-1S83E-2126-SM-EWRO6 40-49 years, male 782.2
GTEX-TSE9-0526-SM-3DB7Z 60-69 years, female 781.4
GTEX-XPT6-2026-SM-4B64V 20-29 years, male 777.6
GTEX-1128S-2426-SM-5H11B 60-69 years, female 774.1
GTEX-1GN1U-2226-SM-9MQK1 50-59 years, female 770.9
GTEX-13X6K-0326-SM-5Q5D6 60-69 years, female 765.3
GTEX-1JMQJ-0126-SM-E6CI2 50-59 years, male 765.3
GTEX-X4XX-0626-SM-3NMC1 60-69 years, male 764.4
GTEX-ZYY3-0526-SM-5E45G 60-69 years, female 759.1
GTEX-YECK-0626-SM-4W1ZE 60-69 years, male 758.4
GTEX-15DCD-0626-SM-7KUG7 70-79 years, female 756.1
GTEX-1QPFJ-0326-SM-E8VO2 30-39 years, female 755.9
GTEX-13W46-0726-SM-5LU3Z 50-59 years, male 750.6
GTEX-14PII-0626-SM-69LPY 60-69 years, male 749.7
GTEX-132AR-1026-SM-5PNVL 50-59 years, female 745.3
GTEX-Y8E5-0326-SM-57WBM 60-69 years, male 743.9
GTEX-12WSA-0726-SM-5FQU2 60-69 years, male 738.6
GTEX-YBZK-0326-SM-59HLN 50-59 years, female 736.5
GTEX-X8HC-0526-SM-4E3JA 50-59 years, female 727.8
GTEX-13FHO-0726-SM-5IJDG 60-69 years, male 725.9
GTEX-183WM-0426-SM-731B1 70-79 years, female 710.7
GTEX-1JN1M-0526-SM-CJI3D 60-69 years, female 707.9
GTEX-1IY9M-0326-SM-ARZMN 60-69 years, male 698.1
GTEX-17EVQ-1226-SM-7LG59 70-79 years, male 697.7
GTEX-13X6J-0326-SM-7EPGD 50-59 years, male 695.0
GTEX-SE5C-1826-SM-2XCE4 40-49 years, female 694.5
GTEX-1GZ4I-0526-SM-9YFLX 50-59 years, male 693.9
GTEX-14PJ3-2026-SM-5ZZVK 50-59 years, male 683.7
GTEX-1KANB-0126-SM-E6CJT 50-59 years, male 683.4
GTEX-V1D1-2426-SM-3GAER 50-59 years, male 681.3
GTEX-1IDJE-2426-SM-ACKWF 50-59 years, female 675.9
GTEX-ZAKK-0326-SM-5EGHA 70-79 years, male 673.4
GTEX-ZE7O-0326-SM-51MTH 50-59 years, female 673.3
GTEX-1J1OQ-0426-SM-A9SLI 40-49 years, female 672.8
GTEX-13PDP-0326-SM-5K7XP 60-69 years, male 668.8
GTEX-1QEPI-0526-SM-E76QF 60-69 years, female 667.4
GTEX-131XF-2326-SM-5BC6B 60-69 years, male 666.2
GTEX-1A3MX-0526-SM-718A9 60-69 years, male 666.2
GTEX-1IDFM-1526-SM-ARL7U 60-69 years, male 666.1
GTEX-13JVG-0126-SM-5L3D3 60-69 years, male 665.6
GTEX-WRHU-0826-SM-3MJFN 50-59 years, female 664.8
GTEX-RM2N-1626-SM-2TF5N 50-59 years, male 662.8
GTEX-ZYFC-0526-SM-5GIDF 50-59 years, male 658.6
GTEX-1EWIQ-0626-SM-7PBYW 70-79 years, female 656.6
GTEX-1R7EU-0626-SM-DTX9N 60-69 years, male 655.1
GTEX-13FTX-2026-SM-5L3D6 20-29 years, female 638.4
GTEX-14ICL-1926-SM-5RQIZ 30-39 years, male 635.3
GTEX-1HC8U-2626-SM-CNPPH 40-49 years, female 634.8
GTEX-1IDJU-2426-SM-ARZM9 60-69 years, female 633.9
GTEX-ZXG5-0326-SM-5GICH 60-69 years, male 628.2
GTEX-1QCLY-0426-SM-E8VOH 30-39 years, male 628.2
GTEX-WOFM-1326-SM-3MJFR 20-29 years, male 622.2
GTEX-13S7M-0326-SM-5S2PH 60-69 years, female 620.7
GTEX-1IGQW-0526-SM-CKZO3 60-69 years, male 617.2
GTEX-14A6H-5019-SM-793DH 30-39 years, male 616.1
GTEX-144FL-0326-SM-5O99O 50-59 years, male 613.7
GTEX-13X6I-0526-SM-5QGP8 60-69 years, male 613.6
GTEX-1117F-0426-SM-5EGHI 60-69 years, female 603.3
GTEX-1PPH8-0326-SM-E76PR 20-29 years, male 600.9
GTEX-TMZS-0326-SM-3DB9P 60-69 years, male 599.2
GTEX-1JJ6O-0926-SM-CYPT1 60-69 years, male 599.1
GTEX-1P4AB-0326-SM-EXUT3 50-59 years, male 595.3
GTEX-17HII-0426-SM-793A3 50-59 years, male 593.3
GTEX-Y5V5-2526-SM-4VBQ4 60-69 years, female 588.9
GTEX-1I1GT-0726-SM-B2LWN 60-69 years, female 581.3
GTEX-1JMQK-0326-SM-ARZN5 60-69 years, male 580.8
GTEX-1JMPZ-0126-SM-CNPOZ 30-39 years, male 580.1
GTEX-1399Q-2426-SM-5J2MO 40-49 years, male 580.0
GTEX-1F5PK-2626-SM-7RHH6 50-59 years, male 575.5
GTEX-ZP4G-2026-SM-57WEH 20-29 years, female 571.8
GTEX-1HKZK-0226-SM-9WYUG 40-49 years, male 571.2
GTEX-13NYC-0726-SM-5J2NQ 60-69 years, male 569.5
GTEX-16XZZ-0526-SM-7KUF1 60-69 years, male 563.8
GTEX-1MJIX-2126-SM-E9J3A 40-49 years, male 563.2
GTEX-15UF6-1026-SM-7KUF7 70-79 years, female 559.0
GTEX-XMD2-0526-SM-4YCDI 60-69 years, female 558.9
GTEX-P4PP-1626-SM-2HMJF 30-39 years, female 557.2
GTEX-14ASI-0526-SM-5QGQP 60-69 years, male 552.7
GTEX-ZF28-0526-SM-4WKGW 60-69 years, male 548.3
GTEX-1R46S-0326-SM-EWRNE 60-69 years, female 539.5
GTEX-1ICLY-0326-SM-ARL7S 50-59 years, male 530.9
GTEX-18D9B-0426-SM-7LTAR 60-69 years, male 529.8
GTEX-1477Z-1626-SM-5SIA8 60-69 years, male 524.5
GTEX-SJXC-0526-SM-2XCFG 60-69 years, male 519.6
GTEX-QVUS-0226-SM-3GIJY 60-69 years, female 518.0
GTEX-1CB4J-1226-SM-7P8P3 60-69 years, male 496.9
GTEX-X638-0326-SM-47JY1 70-79 years, female 496.3
GTEX-ZWKS-0326-SM-5NQ7G 30-39 years, male 494.9
GTEX-12WSF-0926-SM-6PALU 70-79 years, male 461.7
GTEX-16NGA-1926-SM-7LTA6 40-49 years, female 459.4
GTEX-SSA3-0326-SM-32QPS 60-69 years, male 447.4
GTEX-Y5LM-2126-SM-4VDSY 40-49 years, female 432.8
GTEX-1CB4H-0426-SM-7MXTL 60-69 years, female 424.2
GTEX-169BO-1526-SM-9KNVR 50-59 years, male 414.8
GTEX-1ICLZ-0626-SM-ARL83 60-69 years, male 403.0
GTEX-13YAN-0526-SM-5O9BE 60-69 years, male 402.8
GTEX-13SLW-0326-SM-5RQK5 70-79 years, male 402.2
GTEX-ZVE1-0526-SM-5NQ71 50-59 years, female 373.7
GTEX-13OVI-1726-SM-5L3DW 60-69 years, female 350.5
GTEX-WWTW-0626-SM-4MVNS 50-59 years, male 344.4
GTEX-1F88E-1826-SM-9MQLV 60-69 years, female 343.4
GTEX-U3ZG-0326-SM-47JXN 50-59 years, male 341.5
GTEX-OHPN-2726-SM-2I5H4 60-69 years, female 327.7
GTEX-13113-5019-SM-7EPH2 60-69 years, female 322.8
GTEX-17F96-2726-SM-7LT9F 70-79 years, male 276.6
GTEX-WOFL-0626-SM-3MJG3 60-69 years, male 274.8
GTEX-ZZPT-0626-SM-5GZXT 50-59 years, male 253.8
GTEX-OXRO-1726-SM-3LK6C 60-69 years, female 177.7
GTEX-1LVAO-0526-SM-EWRNS 60-69 years, male 161.5
GTEX-139T4-0326-SM-5K7XN 50-59 years, female 106.7
Show allShow less

SKELETAL MUSCLE - FANTOM5 CAGEi

RNA expression in human tissues obtained through Cap Analysis of Gene Expression (CAGE) generated by the FANTOM5 project are reported as Scaled Tags Per Million.

Max subtype Scaled Tags Per Millioni

Max subtype Scaled Tags Per Million is the value for the subtype with the largest average Scaled Tags Per Million across the subtype samples.

17757.3
FANTOM5 sample id Sample description Scaled Tags Per Million
Skeletal muscle
Scaled Tags Per Million: 4617.0
FF:10023-101D5 55,79,79 years, mixed 4617.0
Skeletal muscle - soleus muscle
Scaled Tags Per Million: 17757.3
FF:10282-104F3 male 17757.3

Contact

  • NEWS ARTICLES
  • PRESS ROOM

The Project

  • INTRODUCTION
  • ORGANIZATION
  • PUBLICATIONS

The Human Protein Atlas

  • DOWNLOADABLE DATA
  • LICENCE & CITATION
  • HELP & FAQ
The Human Protein Atlas project is funded
by the Knut & Alice Wallenberg Foundation.


contact@proteinatlas.org