We use cookies to enhance the usability of our website. If you continue, we'll assume that you are happy to receive all cookies. More information. Don't show this again.
CNN1
HPA
RESOURCES
  • TISSUE
  • BRAIN
  • SINGLE CELL
  • SUBCELLULAR
  • CANCER
  • BLOOD
  • CELL LINE
  • STRUCTURE & INTERACTION
ABOUT
  • INTRODUCTION
  • HISTORY
  • ORGANIZATION
  • PUBLICATIONS
  • ANTIBODY SUBMISSION
  • ANTIBODY AVAILABILITY
  • ACKNOWLEDGMENTS
  • CONTACT
NEWS
  • NEWS ARTICLES
  • PRESS ROOM
LEARN
  • DICTIONARY
  • PROTEIN CLASSES
  • PROTEIN EVIDENCE
  • METHODS
  • EDUCATIONAL VIDEOS
DATA
  • DOWNLOADABLE DATA
  • PUBLICATION DATA
  • RELEASE HISTORY
HELP
  • ANTIBODY VALIDATION
  • ASSAYS & ANNOTATION
  • DISCLAIMER
  • HELP & FAQ
  • PRIVACY STATEMENT
  • LICENCE & CITATION
Fields »
Search result

Field
Term
Gene name
Class
Subclass
Class
Keyword
Chromosome
External id
Tissue
Cell type
Expression
Antibody panel
Tissue
Main location
Patient ID
Annotation
Tissue
Category
Tau score
Cluster
Reliability
Brain region
Category
Tau score
Brain region
Category
Tau score
Brain region
Category
Tau score
Cluster
Reliability
Tissue
Cell type
Enrichment
Cell type
Category
Tau score
Cell type
Category
Tau score
Cell type
Category
Tau score
Cell lineage
Category
Tau score
Cluster
Cluster
Location
Searches
Location
Cell line
Class
Type
Phase
Reliability
Cancer
Prognosis
Cancer
Category
Cancer
Category
Tau score
Cluster
Variants
Interacting gene (ensg_id)
Type
Number of interactions
Pathway
Category
Score
Score
Score
Validation
Validation
Validation
Validation
Antibodies
Data type
Column


  • SUMMARY

  • TISSUE

  • BRAIN

  • SINGLE CELL

  • SUBCELL

  • CANCER

  • BLOOD

  • CELL LINE

  • STRUCT & INT

  • CNN1
TISSUE PRIMARY DATA PROSTATE Show tissue menu
ADIPOSE TISSUE ADRENAL GLAND AMYGDALA APPENDIX BASAL GANGLIA BONE MARROW BREAST BRONCHUS CEREBELLUM CEREBRAL CORTEX CERVIX CHOROID PLEXUS COLON DUODENUM
ENDOMETRIUM EPIDIDYMIS ESOPHAGUS FALLOPIAN TUBE GALLBLADDER HEART MUSCLE HIPPOCAMPAL FORMATION HYPOTHALAMUS KIDNEY LIVER LUNG LYMPH NODE MIDBRAIN NASOPHARYNX
ORAL MUCOSA OVARY PANCREAS PARATHYROID GLAND PITUITARY GLAND PLACENTA PROSTATE RECTUM RETINA SALIVARY GLAND SEMINAL VESICLE SKELETAL MUSCLE SKIN SMALL INTESTINE
SMOOTH MUSCLE SOFT TISSUE SPINAL CORD SPLEEN STOMACH TESTIS THYMUS THYROID GLAND TONGUE TONSIL URINARY BLADDER VAGINA
ANTIBODIES
AND
VALIDATION
Dictionary
Prostate
Tissue proteome
Prostate
PROSTATE - Expression summary
Protein expression
Prostatei

On the top, protein expression in current human tissue, based on all annotated cell types, is reported with the units not detected (n), low (l), medium (m) and high (h). Underneath, protein expression in each annotated cell type are reported using the same units.

Protein expression data is based on knowledge-based annotation. For genes where more than one antibody has been used, a collective score is set.

If knowledge-based annotation could not be performed for a gene, no data is displayed here. View antibody staining data further down this page.

h
m
l
n
Glandular cells: Not detected
RNA expressioni

A summary of mRNA expression data available for current tissue based on several datasets. The mRNA expression levels in human tissues are based on RNA-seq data generated by the Human Protein Atlas (HPA), Genotype-Tissue Expression (GTEx) portal and CAGE data generated by the FANTOM5 consortium. Consensus normalized expression levels for human tissues was created by combining the data from HPA and GTEx datasets.

The mRNA expression levels in pig are based on RNA-seq data generated by the Human Protein Atlas (HPA), and for mouse, HPA data and in situ hybridization generated by the Allen brain atlas are reported.

Scroll down to view mRNA expression data in more detail.
Consensus:654.8 nTPM
HPA:627.9 nTPM
GTEx:654.8 nTPM
FANTOM5:1727.9 Scaled Tags Per Million

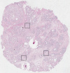
PROSTATE - Antibody stainingi

Antibody staining in the annotated cell types in the current human tissue is reported as not detected, low, medium, or high, based on conventional immunohistochemistry profiling in selected tissues. This score is based on the combination of the staining intensity and fraction of stained cells.

Each image is clickable and will lead to virtual microscopy that enables deeper exploration of all samples and also displays staining intensity scores, fraction scores and subcellular localization as well as patient and tissue information for each sample.

Antibody HPA014263Antibody CAB000007
Glandular cells Not detectedNot detected




PROSTATE - HPA RNA-seqi

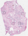
The RNA-seq details section shows detailed information about the individual samples used for the transcript profiling and results of the RNA-seq analysis.

Information about each individual sample is listed below, including gender, age, a tissue section image and estimated fractions of cell types. nTPM (normalized transcripts per million) values give a quantification of the gene abundance which is comparable between different genes and samples.
Average nTPMi

Max subtype nTPM is the value for the subtype with the largest average nTPM across the subtype samples.

627.9
overview
Male, age 62
Prostate sample 59
nTPM: 585.6
Cell types%
Glandular cells:
30

Smooth muscle cells:
55

Skeletal muscle cells:
5

Other cell types:
10

N/A
Male, age 65
Prostate sample 205
nTPM: 731.7
Cell types%
Glandular cells:
20

Smooth muscle cells:
60

Other cell types:
20

overview
Male, age 65
Prostate sample 206
nTPM: 526.5
Cell types%
Glandular cells:
30

Smooth muscle cells:
65

Other cell types:
5

overview
Male, age 68
Prostate sample 207
nTPM: 716.8
Cell types%
Glandular cells:
30

Smooth muscle cells:
65

Other cell types:
5

overview
Male, age 60
Prostate sample 361
nTPM: 686.3
Cell types%
Glandular cells:
40

Smooth muscle cells:
55

Other cell types:
5

overview
Male, age 66
Prostate sample 364
nTPM: 499.9
Cell types%
Glandular cells:
50

Smooth muscle cells:
45

Other cell types:
5

overview
Male, age 63
Prostate sample 365
nTPM: 344.1
Cell types%
Glandular cells:
60

Smooth muscle cells:
35

Other cell types:
5

overview
Male, age 66
Prostate sample 388
nTPM: 416.3
Cell types%
Glandular cells:
65

Smooth muscle cells:
30

Other cell types:
5

overview
Male, age 58
Prostate sample 412
nTPM: 1144.5
Cell types%
Glandular cells:
45

Smooth muscle cells:
50

Other cell types:
5


PROSTATE - GTEx RNA-seqi

RNA-Seq data generated by the Genotype-Tissue Expression (GTEx) project from human tissues is reported as mean nTPM. More information can be found on the GTEx portal.

Distribution across the dataset is visualized with box plots, shown as median and 25th and 75th percentiles. Points are displayed as outliers if they are above or below 1.5 times the interquartile range. nTPM values of the individual samples are presented next to the box plot.
Max subtype nTPMi

Max subtype nTPM is the value for the subtype with the largest average nTPM across the subtype samples.

654.8
GTEx sample id Sample description nTPM
Prostate
Average nTPM: 654.8
Samples: 245

Max nTPM: 4787.9
Min nTPM: 20.5
Std nTPM: 718.1
Median nTPM: 446.0
GTEX-1HBPN-2126-SM-9WPNQ 50-59 years, male 4787.9
GTEX-11DXZ-1826-SM-5H12Y 50-59 years, male 4489.8
GTEX-1KXAM-1126-SM-E9TJU 60-69 years, male 3295.5
GTEX-T5JC-1226-SM-4DM7C 20-29 years, male 3213.6
GTEX-14PJ3-1726-SM-5ZZVH 50-59 years, male 3194.4
GTEX-12696-2226-SM-5EQ65 60-69 years, male 2842.2
GTEX-WK11-2626-SM-4OOSK 50-59 years, male 2704.4
GTEX-13111-1326-SM-5GCNO 50-59 years, male 2668.0
GTEX-13RTJ-2126-SM-5S2PZ 60-69 years, male 2553.5
GTEX-17HHE-1126-SM-793BS 50-59 years, male 2432.4
GTEX-11EQ9-1726-SM-5HL6U 30-39 years, male 2396.2
GTEX-145LU-2126-SM-5Q5E9 50-59 years, male 2356.1
GTEX-OOBK-2025-SM-3LK5S 40-49 years, male 2323.2
GTEX-16MTA-1426-SM-6PALY 50-59 years, male 2298.3
GTEX-14C5O-2826-SM-5RQI6 60-69 years, male 2157.5
GTEX-1I6K7-2326-SM-ARZM2 40-49 years, male 2047.2
GTEX-15RIF-1526-SM-6M46K 20-29 years, male 1897.6
GTEX-SUCS-1126-SM-4DM61 70-79 years, male 1870.3
GTEX-1CB4G-2526-SM-7MXTG 60-69 years, male 1846.6
GTEX-1GN73-1626-SM-9WYTS 60-69 years, male 1705.9
GTEX-1AX9J-1426-SM-731BV 60-69 years, male 1662.6
GTEX-1F6I4-1326-SM-7P8QQ 60-69 years, male 1549.5
GTEX-1C6WA-2326-SM-7P8OW 60-69 years, male 1521.3
GTEX-T6MN-2126-SM-EZ6LC 50-59 years, male 1399.0
GTEX-XPVG-2026-SM-4B65E 50-59 years, male 1392.3
GTEX-ZVP2-0826-SM-59HJ6 50-59 years, male 1355.6
GTEX-1S5ZA-1626-SM-E9TKG 20-29 years, male 1321.6
GTEX-ZEX8-2026-SM-4WKF3 50-59 years, male 1262.5
GTEX-ZG7Y-2226-SM-DO92I 50-59 years, male 1235.3
GTEX-1HSMO-2326-SM-CGQF3 60-69 years, male 1228.4
GTEX-14DAR-1026-SM-73KV3 50-59 years, male 1216.7
GTEX-1399T-1226-SM-5P9J5 60-69 years, male 1165.5
GTEX-1PFEY-0626-SM-E76PH 30-39 years, male 1133.6
GTEX-15CHR-1226-SM-79OON 50-59 years, male 1112.2
GTEX-U8XE-2526-SM-4E3IT 30-39 years, male 1110.2
GTEX-Q2AH-1426-SM-EXOHC 40-49 years, male 1081.9
GTEX-OIZF-2026-SM-3MJH1 60-69 years, male 1079.0
GTEX-12BJ1-1226-SM-5LUAE 60-69 years, male 1043.5
GTEX-1R7EU-0126-SM-EVR4F 60-69 years, male 1041.6
GTEX-1S831-1226-SM-EVR5D 20-29 years, male 1032.3
GTEX-YJ8A-1126-SM-5IFJU 20-29 years, male 1017.3
GTEX-S3XE-1326-SM-4AD4H 50-59 years, male 997.2
GTEX-VJYA-1226-SM-3GIJ6 60-69 years, male 974.3
GTEX-RM2N-1126-SM-48FCY 50-59 years, male 953.4
GTEX-14E6E-1126-SM-5S2R4 30-39 years, male 939.9
GTEX-11ZUS-2126-SM-5N9E6 30-39 years, male 930.4
GTEX-14PJ4-1226-SM-5YY9U 60-69 years, male 923.5
GTEX-1GPI7-1626-SM-7P8TN 20-29 years, male 908.3
GTEX-111YS-1726-SM-5GIED 60-69 years, male 904.0
GTEX-1JKYN-0926-SM-AHZ47 30-39 years, male 894.9
GTEX-14PJ2-2126-SM-5YY96 50-59 years, male 875.7
GTEX-SNOS-1026-SM-4DM4Y 40-49 years, male 867.5
GTEX-1OKEX-1826-SM-DTX8J 60-69 years, male 846.6
GTEX-1K2DA-1226-SM-CGQGH 50-59 years, male 825.2
GTEX-11P7K-0626-SM-5985Z 30-39 years, male 821.9
GTEX-1AX9I-2326-SM-7PBXV 60-69 years, male 802.7
GTEX-XGQ4-1826-SM-4AT6F 50-59 years, male 791.7
GTEX-13O21-1126-SM-5N9EV 50-59 years, male 785.5
GTEX-1H3VY-2726-SM-A96TL 50-59 years, male 780.4
GTEX-PLZ6-1126-SM-3P5ZR 30-39 years, male 772.5
GTEX-1HFI6-2326-SM-9WYUN 40-49 years, male 767.7
GTEX-ZLFU-1726-SM-4WWBU 40-49 years, male 764.8
GTEX-ZDYS-1226-SM-5IJF3 50-59 years, male 764.6
GTEX-11P82-1126-SM-5BC5K 20-29 years, male 762.4
GTEX-132QS-1126-SM-5P9GC 60-69 years, male 757.9
GTEX-S95S-1026-SM-4B64M 60-69 years, male 744.0
GTEX-OXRL-2026-SM-E6CHN 50-59 years, male 742.9
GTEX-1JMLX-1226-SM-CY8HW 50-59 years, male 735.4
GTEX-1AX9K-1526-SM-73KVP 50-59 years, male 728.3
GTEX-1J8Q3-0926-SM-A96SU 60-69 years, male 715.4
GTEX-1MJK2-0726-SM-DTXE7 50-59 years, male 715.3
GTEX-111CU-1526-SM-5N9FS 50-59 years, male 677.9
GTEX-XQ3S-2526-SM-4BOOG 20-29 years, male 677.7
GTEX-1LG7Z-0826-SM-CXKYN 30-39 years, male 676.8
GTEX-YB5E-1826-SM-5IFI4 40-49 years, male 675.1
GTEX-P4PQ-2026-SM-E9U4E 60-69 years, male 666.0
GTEX-Y9LG-1826-SM-4VBQC 30-39 years, male 664.5
GTEX-OOBJ-2026-SM-3NB1R 60-69 years, male 662.9
GTEX-QLQ7-1326-SM-CNNOR 60-69 years, male 656.3
GTEX-1399R-0526-SM-5IJEF 30-39 years, male 650.9
GTEX-117YX-1526-SM-5H12T 50-59 years, male 641.1
GTEX-1GL5R-1226-SM-7MXUY 50-59 years, male 632.1
GTEX-1S3DN-1926-SM-E6CIR 50-59 years, male 630.6
GTEX-P4QS-2026-SM-3NMCG 60-69 years, male 625.3
GTEX-WH7G-1726-SM-4LVKY 40-49 years, male 624.0
GTEX-1CB4F-2326-SM-7MKFO 60-69 years, male 615.2
GTEX-18A66-2326-SM-7LT8Q 60-69 years, male 611.3
GTEX-XAJ8-0626-SM-47JY4 40-49 years, male 596.8
GTEX-V955-1826-SM-4JBIL 60-69 years, male 590.2
GTEX-U3ZM-0926-SM-4DXSW 40-49 years, male 568.4
GTEX-QV44-1526-SM-DHXIP 50-59 years, male 566.9
GTEX-1C64O-2026-SM-7IGPA 60-69 years, male 562.9
GTEX-12C56-1326-SM-5FQSV 20-29 years, male 556.9
GTEX-XXEK-1226-SM-4BRUY 50-59 years, male 556.8
GTEX-17MFQ-1326-SM-718BX 20-29 years, male 555.4
GTEX-XMK1-1026-SM-4B65H 40-49 years, male 554.6
GTEX-ZTX8-1026-SM-5EGHD 20-29 years, male 554.2
GTEX-REY6-2126-SM-48FD9 60-69 years, male 552.3
GTEX-SIU8-2226-SM-EAZ2T 50-59 years, male 546.3
GTEX-ZT9W-1626-SM-4YCDQ 50-59 years, male 538.5
GTEX-QEG4-2226-SM-CXZJD 30-39 years, male 538.1
GTEX-1KANA-1026-SM-D3L9L 20-29 years, male 532.2
GTEX-1CAMR-1626-SM-79OLC 20-29 years, male 516.1
GTEX-1I1GP-2026-SM-CE6SZ 50-59 years, male 513.8
GTEX-14BMV-2326-SM-5RQJ4 50-59 years, male 504.3
GTEX-1GF9W-2026-SM-7MXVO 60-69 years, male 496.0
GTEX-1OJC3-1926-SM-DPRYV 20-29 years, male 494.8
GTEX-1IL2U-2826-SM-A96SR 60-69 years, male 493.9
GTEX-111FC-2026-SM-5GZYO 60-69 years, male 492.7
GTEX-1B8KZ-1626-SM-73KUU 50-59 years, male 490.8
GTEX-14ICK-1826-SM-69LOP 40-49 years, male 482.5
GTEX-1I1GU-1126-SM-A96S9 40-49 years, male 481.6
GTEX-S33H-1826-SM-4AD65 30-39 years, male 477.4
GTEX-178AV-0426-SM-6LPJG 40-49 years, male 474.5
GTEX-QV31-1026-SM-CNNOS 30-39 years, male 471.6
GTEX-T8EM-1826-SM-4DM7F 40-49 years, male 468.2
GTEX-13G51-2326-SM-5LZXV 60-69 years, male 459.4
GTEX-131XF-5013-SM-7EWFI 60-69 years, male 459.3
GTEX-17EUY-2026-SM-79OMV 20-29 years, male 454.4
GTEX-1IDJD-2026-SM-A96TC 30-39 years, male 452.3
GTEX-17HHY-2526-SM-7IGME 50-59 years, male 447.9
GTEX-1EH9U-1826-SM-7P8QL 60-69 years, male 447.3
GTEX-144GM-0826-SM-5O98R 20-29 years, male 446.0
GTEX-QMRM-1426-SM-CM2U2 50-59 years, male 443.4
GTEX-14ABY-0726-SM-5Q5DF 50-59 years, male 441.9
GTEX-1L5NE-1026-SM-D3LAP 50-59 years, male 438.9
GTEX-1B8KE-1026-SM-731EQ 50-59 years, male 437.8
GTEX-WFG7-1826-SM-3GIL1 20-29 years, male 434.6
GTEX-RWSA-2026-SM-47JX8 40-49 years, male 433.6
GTEX-X5EB-1826-SM-4E3K8 40-49 years, male 433.3
GTEX-1CB4E-1726-SM-7IGMS 60-69 years, male 425.3
GTEX-ZYFD-2526-SM-5E45L 50-59 years, male 415.2
GTEX-NPJ8-2426-SM-3MJHL 40-49 years, male 394.7
GTEX-1N2EE-1026-SM-EXUS8 60-69 years, male 392.4
GTEX-1MGNQ-2226-SM-EV7A2 40-49 years, male 382.9
GTEX-11TT1-2026-SM-5EQM8 20-29 years, male 379.4
GTEX-QEG5-2426-SM-EYYVC 20-29 years, male 379.1
GTEX-S4Q7-1026-SM-4AD75 20-29 years, male 378.5
GTEX-WOFM-0326-SM-4OOSL 20-29 years, male 377.0
GTEX-OIZH-2026-SM-3NB1M 50-59 years, male 376.3
GTEX-1A3MV-0826-SM-72D6J 30-39 years, male 376.2
GTEX-U4B1-1426-SM-4DXTX 40-49 years, male 373.0
GTEX-WFON-1626-SM-4LVMV 40-49 years, male 370.3
GTEX-Y8E4-2126-SM-5RQHO 40-49 years, male 369.5
GTEX-1H1E6-0526-SM-9WPQ3 30-39 years, male 368.6
GTEX-16XZZ-2426-SM-7KULN 60-69 years, male 368.1
GTEX-1GZ2Q-2426-SM-9KNV8 40-49 years, male 367.4
GTEX-1MUQO-1526-SM-DPRYK 60-69 years, male 360.5
GTEX-1IDJF-2126-SM-AHZ2S 20-29 years, male 360.1
GTEX-ZPU1-2026-SM-57WFI 40-49 years, male 353.1
GTEX-YF7O-1926-SM-4W1YQ 50-59 years, male 348.2
GTEX-1HKZK-1626-SM-B2LWH 40-49 years, male 346.4
GTEX-146FQ-1726-SM-5QGPX 30-39 years, male 344.3
GTEX-16GPK-2826-SM-6LPJ6 60-69 years, male 343.4
GTEX-ZZ64-0926-SM-5E44L 20-29 years, male 339.0
GTEX-SNMC-0926-SM-4DM5U 20-29 years, male 321.1
GTEX-WY7C-2026-SM-4ONCM 50-59 years, male 312.2
GTEX-11TUW-2126-SM-5GU7B 60-69 years, male 309.3
GTEX-1PWST-2626-SM-E8VN8 70-79 years, male 309.0
GTEX-Q2AI-1126-SM-48U19 40-49 years, male 307.3
GTEX-1CB4J-1526-SM-7MXVB 60-69 years, male 301.3
GTEX-13OW8-0426-SM-5J2NR 60-69 years, male 297.1
GTEX-1JJ6O-0726-SM-CY8HS 60-69 years, male 295.9
GTEX-1PIGE-1726-SM-E6CQH 20-29 years, male 281.0
GTEX-11OF3-1726-SM-5GU5Q 60-69 years, male 279.9
GTEX-139T6-1526-SM-5P9G6 50-59 years, male 276.0
GTEX-13FTW-1226-SM-5LZZ1 40-49 years, male 275.7
GTEX-1QCLY-1826-SM-DTX89 30-39 years, male 275.7
GTEX-1QP6S-0726-SM-E76QS 40-49 years, male 274.5
GTEX-13NYS-1026-SM-5KLZT 60-69 years, male 273.4
GTEX-XQ8I-2526-SM-EAZB3 50-59 years, male 265.7
GTEX-13O61-1726-SM-5KM46 60-69 years, male 258.0
GTEX-1QP29-0526-SM-EAZ3T 50-59 years, male 258.0
GTEX-1JMQK-2226-SM-ARU8U 60-69 years, male 249.8
GTEX-1RAZQ-0826-SM-EVR4L 30-39 years, male 249.3
GTEX-1EKGG-2826-SM-7MGXA 60-69 years, male 241.5
GTEX-14E6C-2826-SM-664NC 40-49 years, male 240.4
GTEX-1JKYR-1726-SM-C1YR6 20-29 years, male 238.4
GTEX-ZY6K-1526-SM-5GZXE 50-59 years, male 237.9
GTEX-1IDJH-2426-SM-CNNQW 70-79 years, male 231.0
GTEX-11WQK-2726-SM-5EQMU 50-59 years, male 228.4
GTEX-145LV-1226-SM-5S2QH 50-59 years, male 228.2
GTEX-1I6K6-2126-SM-B2LX6 30-39 years, male 225.9
GTEX-1AX8Z-5019-SM-AHZ2C 60-69 years, male 219.1
GTEX-1C6VQ-2426-SM-7EWEU 50-59 years, male 217.2
GTEX-147JS-2826-SM-5YYA7 60-69 years, male 207.0
GTEX-1BAJH-0626-SM-7P8OY 70-79 years, male 206.5
GTEX-11O72-2726-SM-5HL6K 40-49 years, male 205.6
GTEX-16YQH-2326-SM-7EWDS 30-39 years, male 205.5
GTEX-145LT-0626-SM-5O99E 40-49 years, male 202.6
GTEX-SJXC-2026-SM-4DM6N 60-69 years, male 202.6
GTEX-1JJE9-0426-SM-D4P2P 70-79 years, male 192.2
GTEX-1LBAC-1926-SM-DHXK2 20-29 years, male 187.5
GTEX-1JK1U-0926-SM-AHZ43 60-69 years, male 185.7
GTEX-1GZ4I-2226-SM-9WPPO 50-59 years, male 185.6
GTEX-11NSD-0826-SM-5986S 20-29 years, male 182.1
GTEX-1JN6P-2626-SM-D4P3C 60-69 years, male 181.3
GTEX-12WSN-5007-SM-7MGWH 40-49 years, male 180.4
GTEX-WZTO-0926-SM-4PQZ3 40-49 years, male 165.6
GTEX-13FXS-2826-SM-5LZYC 50-59 years, male 160.1
GTEX-WFG8-1826-SM-4LVM4 20-29 years, male 159.1
GTEX-1JMPZ-2326-SM-CE6RW 30-39 years, male 156.1
GTEX-148VJ-1826-SM-5Q5DV 70-79 years, male 153.9
GTEX-1LSNL-2326-SM-DHXKN 50-59 years, male 148.7
GTEX-1LG7Y-2426-SM-EVR57 50-59 years, male 148.1
GTEX-13N2G-1826-SM-5KM1I 60-69 years, male 147.5
GTEX-13FHO-2826-SM-5K7ZA 60-69 years, male 147.0
GTEX-1I1GV-1926-SM-CNPQH 60-69 years, male 144.0
GTEX-12ZZZ-2026-SM-5LZWJ 60-69 years, male 142.7
GTEX-14BIL-2126-SM-73KW3 50-59 years, male 138.5
GTEX-1HSMQ-1826-SM-A9SMJ 50-59 years, male 138.0
GTEX-1I19N-2226-SM-A96TS 70-79 years, male 138.0
GTEX-1EU9M-1526-SM-79OLI 60-69 years, male 136.1
GTEX-1KANB-2026-SM-DIPEY 50-59 years, male 135.6
GTEX-RVPV-2526-SM-EYYVL 60-69 years, male 128.8
GTEX-NFK9-2226-SM-3MJGP 40-49 years, male 127.5
GTEX-1QP2A-1526-SM-E6CPN 50-59 years, male 126.8
GTEX-132NY-2826-SM-5P9G2 60-69 years, male 121.3
GTEX-18QFQ-2026-SM-72D7J 30-39 years, male 120.9
GTEX-17HII-2526-SM-7LT8C 50-59 years, male 112.2
GTEX-1GF9V-0726-SM-9KNU4 60-69 years, male 111.4
GTEX-UTHO-2726-SM-4JBH9 60-69 years, male 109.4
GTEX-ZTTD-2726-SM-57WFA 50-59 years, male 106.3
GTEX-1KAFJ-1226-SM-D4P46 50-59 years, male 96.2
GTEX-117YW-1426-SM-5EGGO 50-59 years, male 94.5
GTEX-U412-2026-SM-4DXSI 60-69 years, male 93.2
GTEX-1HSKV-1726-SM-C1YRO 60-69 years, male 88.6
GTEX-11DYG-2526-SM-5N9BB 60-69 years, male 88.0
GTEX-1HBPI-0326-SM-A9G3N 50-59 years, male 85.3
GTEX-WYJK-0626-SM-4ONCZ 50-59 years, male 84.5
GTEX-1477Z-2226-SM-5QGPG 60-69 years, male 84.2
GTEX-17HGU-2226-SM-7IGLI 50-59 years, male 75.8
GTEX-1H3NZ-2826-SM-9WPQ7 60-69 years, male 75.4
GTEX-1KWVE-1226-SM-EV7AG 30-39 years, male 74.5
GTEX-ZUA1-2826-SM-59HLE 40-49 years, male 70.1
GTEX-1B97I-0826-SM-731DN 40-49 years, male 68.0
GTEX-V1D1-1926-SM-4JBGX 50-59 years, male 67.5
GTEX-1GN2E-2026-SM-9JGGG 60-69 years, male 67.5
GTEX-1ICLZ-2626-SM-A9G2K 60-69 years, male 66.9
GTEX-1E1VI-2726-SM-7MXVH 50-59 years, male 65.1
GTEX-1P4AB-1926-SM-E6CQL 50-59 years, male 60.3
GTEX-14PJO-2826-SM-6AJA6 60-69 years, male 41.4
GTEX-1CAMQ-2226-SM-7MGWS 40-49 years, male 34.6
GTEX-U3ZH-0926-SM-4DXU4 30-39 years, male 22.7
GTEX-1PPH8-1426-SM-DTXA3 20-29 years, male 20.5
Show allShow less

PROSTATE - FANTOM5 CAGEi

RNA expression in human tissues obtained through Cap Analysis of Gene Expression (CAGE) generated by the FANTOM5 project are reported as Scaled Tags Per Million.

Max subtype Scaled Tags Per Millioni

Max subtype Scaled Tags Per Million is the value for the subtype with the largest average Scaled Tags Per Million across the subtype samples.

1727.9
FANTOM5 sample id Sample description Scaled Tags Per Million
Prostate
Scaled Tags Per Million: 1727.9
FF:10022-101D4 73,79,93 years, male 1727.9

Contact

  • NEWS ARTICLES
  • PRESS ROOM

The Project

  • INTRODUCTION
  • ORGANIZATION
  • PUBLICATIONS

The Human Protein Atlas

  • DOWNLOADABLE DATA
  • LICENCE & CITATION
  • HELP & FAQ
The Human Protein Atlas project is funded
by the Knut & Alice Wallenberg Foundation.


contact@proteinatlas.org