We use cookies to enhance the usability of our website. If you continue, we'll assume that you are happy to receive all cookies. More information. Don't show this again.
CNN1
HPA
RESOURCES
  • TISSUE
  • BRAIN
  • SINGLE CELL
  • SUBCELLULAR
  • CANCER
  • BLOOD
  • CELL LINE
  • STRUCTURE & INTERACTION
ABOUT
  • INTRODUCTION
  • HISTORY
  • ORGANIZATION
  • PUBLICATIONS
  • ANTIBODY SUBMISSION
  • ANTIBODY AVAILABILITY
  • ACKNOWLEDGMENTS
  • CONTACT
NEWS
  • NEWS ARTICLES
  • PRESS ROOM
LEARN
  • DICTIONARY
  • PROTEIN CLASSES
  • PROTEIN EVIDENCE
  • METHODS
  • EDUCATIONAL VIDEOS
DATA
  • DOWNLOADABLE DATA
  • PUBLICATION DATA
  • RELEASE HISTORY
HELP
  • ANTIBODY VALIDATION
  • ASSAYS & ANNOTATION
  • DISCLAIMER
  • HELP & FAQ
  • PRIVACY STATEMENT
  • LICENCE & CITATION
Fields »
Search result

Field
Term
Gene name
Class
Subclass
Class
Keyword
Chromosome
External id
Tissue
Cell type
Expression
Antibody panel
Tissue
Main location
Patient ID
Annotation
Tissue
Category
Tau score
Cluster
Reliability
Brain region
Category
Tau score
Brain region
Category
Tau score
Brain region
Category
Tau score
Cluster
Reliability
Tissue
Cell type
Enrichment
Cell type
Category
Tau score
Cell type
Category
Tau score
Cell type
Category
Tau score
Cell lineage
Category
Tau score
Cluster
Cluster
Location
Searches
Location
Cell line
Class
Type
Phase
Reliability
Cancer
Prognosis
Cancer
Category
Cancer
Category
Tau score
Cluster
Variants
Interacting gene (ensg_id)
Type
Number of interactions
Pathway
Category
Score
Score
Score
Validation
Validation
Validation
Validation
Antibodies
Data type
Column


  • SUMMARY

  • TISSUE

  • BRAIN

  • SINGLE CELL

  • SUBCELL

  • CANCER

  • BLOOD

  • CELL LINE

  • STRUCT & INT

  • CNN1
TISSUE PRIMARY DATA SKIN Show tissue menu
ADIPOSE TISSUE ADRENAL GLAND AMYGDALA APPENDIX BASAL GANGLIA BONE MARROW BREAST BRONCHUS CEREBELLUM CEREBRAL CORTEX CERVIX CHOROID PLEXUS COLON DUODENUM
ENDOMETRIUM EPIDIDYMIS ESOPHAGUS FALLOPIAN TUBE GALLBLADDER HEART MUSCLE HIPPOCAMPAL FORMATION HYPOTHALAMUS KIDNEY LIVER LUNG LYMPH NODE MIDBRAIN NASOPHARYNX
ORAL MUCOSA OVARY PANCREAS PARATHYROID GLAND PITUITARY GLAND PLACENTA PROSTATE RECTUM RETINA SALIVARY GLAND SEMINAL VESICLE SKELETAL MUSCLE SKIN SMALL INTESTINE
SMOOTH MUSCLE SOFT TISSUE SPINAL CORD SPLEEN STOMACH TESTIS THYMUS THYROID GLAND TONGUE TONSIL URINARY BLADDER VAGINA
ANTIBODIES
AND
VALIDATION
Dictionary
Skin
Tissue proteome
Skin
SKIN - Expression summary
Protein expression
Skini

On the top, protein expression in current human tissue, based on all annotated cell types, is reported with the units not detected (n), low (l), medium (m) and high (h). Underneath, protein expression in each annotated cell type are reported using the same units.

Protein expression data is based on knowledge-based annotation. For genes where more than one antibody has been used, a collective score is set.

If knowledge-based annotation could not be performed for a gene, no data is displayed here. View antibody staining data further down this page.

h
m
l
n
Epidermal cells: Not detected
Fibroblasts: Not detected
Keratinocytes: Not detected
Langerhans: Not detected
Melanocytes: Not detected
RNA expressioni

A summary of mRNA expression data available for current tissue based on several datasets. The mRNA expression levels in human tissues are based on RNA-seq data generated by the Human Protein Atlas (HPA), Genotype-Tissue Expression (GTEx) portal and CAGE data generated by the FANTOM5 consortium. Consensus normalized expression levels for human tissues was created by combining the data from HPA and GTEx datasets.

The mRNA expression levels in pig are based on RNA-seq data generated by the Human Protein Atlas (HPA), and for mouse, HPA data and in situ hybridization generated by the Allen brain atlas are reported.

Scroll down to view mRNA expression data in more detail.
Consensus:55.9 nTPM
HPA:2.1 nTPM
GTEx:55.9 nTPM

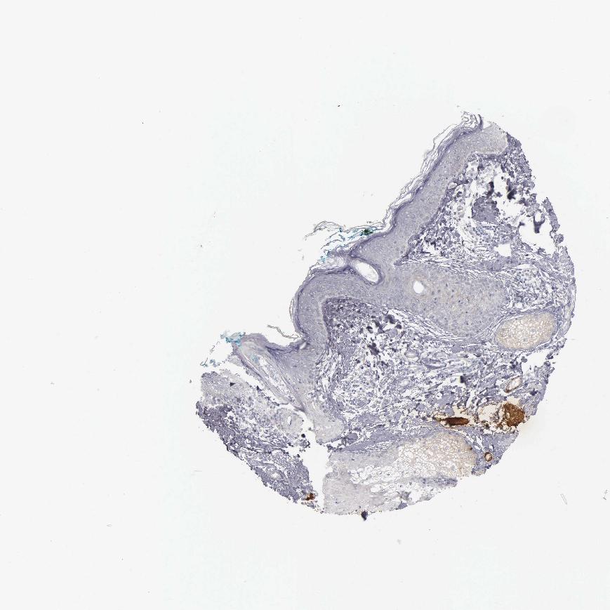
SKIN 1 - Antibody stainingi

Antibody staining in the annotated cell types in the current human tissue is reported as not detected, low, medium, or high, based on conventional immunohistochemistry profiling in selected tissues. This score is based on the combination of the staining intensity and fraction of stained cells.

Each image is clickable and will lead to virtual microscopy that enables deeper exploration of all samples and also displays staining intensity scores, fraction scores and subcellular localization as well as patient and tissue information for each sample.

Antibody HPA014263Antibody CAB000007
Langerhans Not detectedNot detected
Fibroblasts Not detectedNot detected
Keratinocytes Not detectedNot detected
Melanocytes Not detectedNot detected
SKIN 2 - Antibody stainingi

Antibody staining in the annotated cell types in the current human tissue is reported as not detected, low, medium, or high, based on conventional immunohistochemistry profiling in selected tissues. This score is based on the combination of the staining intensity and fraction of stained cells.

Each image is clickable and will lead to virtual microscopy that enables deeper exploration of all samples and also displays staining intensity scores, fraction scores and subcellular localization as well as patient and tissue information for each sample.

Antibody HPA014263Antibody CAB000007
Epidermal cells Not detectedNot detected
  
  
  




SKIN - HPA RNA-seqi

The RNA-seq details section shows detailed information about the individual samples used for the transcript profiling and results of the RNA-seq analysis.

Information about each individual sample is listed below, including gender, age, a tissue section image and estimated fractions of cell types. nTPM (normalized transcripts per million) values give a quantification of the gene abundance which is comparable between different genes and samples.
Average nTPMi

Max subtype nTPM is the value for the subtype with the largest average nTPM across the subtype samples.

2.1
overview
Female, age 34
Skin sample 225
nTPM: 2.7
Cell types%
Keratinocytes:
60

Other cell types:
40

overview
Female, age 30
Skin sample 226
nTPM: 1.5
Cell types%
Keratinocytes:
55

Other cell types:
45

N/A
Male, age 57
Skin sample 227
nTPM: 2.1

SKIN - GTEx RNA-seqi

RNA-Seq data generated by the Genotype-Tissue Expression (GTEx) project from human tissues is reported as mean nTPM. More information can be found on the GTEx portal.

Distribution across the dataset is visualized with box plots, shown as median and 25th and 75th percentiles. Points are displayed as outliers if they are above or below 1.5 times the interquartile range. nTPM values of the individual samples are presented next to the box plot.
Max subtype nTPMi

Max subtype nTPM is the value for the subtype with the largest average nTPM across the subtype samples.

55.9
GTEx sample id Sample description nTPM
Skin - Not Sun Exposed (Suprapubic)
Average nTPM: 36.3
Samples: 604

Max nTPM: 245.2
Min nTPM: 0.5
Std nTPM: 29.1
Median nTPM: 31.7
GTEX-1JMQK-1226-SM-D4P2S 60-69 years, male 245.2
GTEX-1HUB1-1426-SM-CGQF5 60-69 years, male 164.4
GTEX-1F6IF-0926-SM-7SB7M 60-69 years, male 156.1
GTEX-11EI6-2826-SM-5H11D 60-69 years, male 155.5
GTEX-1F75W-2726-SM-7SB8H 60-69 years, male 142.7
GTEX-1HCU8-2526-SM-CE6RX 60-69 years, female 139.5
GTEX-XMD2-2126-SM-4YCF8 60-69 years, female 138.4
GTEX-Y5V6-2326-SM-4VDSA 60-69 years, male 135.4
GTEX-1LSNL-2726-SM-E9TKJ 50-59 years, male 128.4
GTEX-18A7B-2726-SM-7LG56 70-79 years, male 128.1
GTEX-ZE7O-2726-SM-51MT5 50-59 years, female 120.0
GTEX-13SLX-2226-SM-62LEP 50-59 years, female 117.9
GTEX-1QP66-1226-SM-DTX7U 50-59 years, male 116.1
GTEX-17EVQ-0126-SM-7IGLR 70-79 years, male 114.0
GTEX-YB5K-2026-SM-4VDT3 40-49 years, female 113.6
GTEX-XOT4-0626-SM-4B66L 60-69 years, female 110.1
GTEX-12WSL-2026-SM-5GCML 50-59 years, male 109.9
GTEX-1HC8U-1326-SM-9YFMJ 40-49 years, female 109.5
GTEX-17JCI-2926-SM-7DUFF 60-69 years, female 108.9
GTEX-1H1CY-0126-SM-9YFLY 60-69 years, female 106.7
GTEX-16MT8-2926-SM-7DUFO 60-69 years, female 106.4
GTEX-15DYW-2726-SM-6EU2I 60-69 years, female 106.3
GTEX-ZDXO-3126-SM-5IJDF 60-69 years, male 97.4
GTEX-1EWIQ-0326-SM-7DHMQ 70-79 years, female 96.0
GTEX-1A32A-0626-SM-731AQ 50-59 years, female 95.6
GTEX-17HG3-2626-SM-7DUF2 30-39 years, female 95.2
GTEX-15RIG-0726-SM-7KUM7 40-49 years, male 92.6
GTEX-ZU9S-1826-SM-5NQ9E 30-39 years, male 92.6
GTEX-13JUV-2026-SM-5K7UA 40-49 years, female 92.2
GTEX-111FC-2526-SM-5GZXU 60-69 years, male 90.8
GTEX-1JMOU-1026-SM-CYPSS 60-69 years, female 90.7
GTEX-WXYG-2026-SM-4E3IY 50-59 years, female 90.4
GTEX-18A66-0626-SM-7LT8Z 60-69 years, male 89.9
GTEX-1KANB-2826-SM-CY8I6 50-59 years, male 89.9
GTEX-131YS-2826-SM-5EQ47 60-69 years, female 89.7
GTEX-UPK5-0426-SM-3GAEK 40-49 years, male 87.7
GTEX-1HR98-2226-SM-ADEI2 60-69 years, male 86.9
GTEX-1MCC2-1826-SM-DIPEX 30-39 years, female 86.7
GTEX-1JN6P-2926-SM-CL54D 60-69 years, male 86.6
GTEX-1CAV2-0126-SM-7IGN7 40-49 years, female 86.5
GTEX-1CAMQ-1326-SM-7P8RV 40-49 years, male 83.9
GTEX-ZUA1-2626-SM-5NQ92 40-49 years, male 81.6
GTEX-15ER7-0626-SM-6PANF 20-29 years, female 81.2
GTEX-13X6K-0626-SM-5LU5D 60-69 years, female 81.0
GTEX-14E6C-2426-SM-5S2NF 40-49 years, male 80.5
GTEX-WYVS-1626-SM-3NM9R 40-49 years, female 80.5
GTEX-139TS-2126-SM-5K7XC 60-69 years, male 80.4
GTEX-ZVTK-0226-SM-51MRG 20-29 years, male 80.3
GTEX-ZAJG-1526-SM-5CVML 50-59 years, female 80.0
GTEX-12WSF-1626-SM-7KUG5 70-79 years, male 79.5
GTEX-16GPK-0626-SM-7KFSF 60-69 years, male 78.5
GTEX-17F98-1326-SM-7DUEP 40-49 years, female 77.7
GTEX-1I19N-0126-SM-CYPSF 70-79 years, male 77.1
GTEX-13OVL-0126-SM-5L3GJ 50-59 years, male 75.4
GTEX-ZC5H-1526-SM-5HL9Y 40-49 years, female 74.9
GTEX-14DAQ-0626-SM-793DS 60-69 years, female 74.1
GTEX-147GR-2426-SM-5ZZWQ 60-69 years, male 73.6
GTEX-18465-2826-SM-7LT9J 50-59 years, male 71.9
GTEX-XK95-0226-SM-4AT58 40-49 years, male 71.5
GTEX-1IDJE-1426-SM-ADEIW 50-59 years, female 71.3
GTEX-1HSMP-0926-SM-A9SKX 70-79 years, male 71.2
GTEX-ZDTS-0826-SM-4WKHL 60-69 years, male 70.5
GTEX-146FQ-2126-SM-5RQHU 30-39 years, male 69.1
GTEX-1QEPI-2626-SM-DTXF4 60-69 years, female 69.1
GTEX-X3Y1-2026-SM-3P5YM 40-49 years, male 69.0
GTEX-1KWVE-1026-SM-D3L9O 30-39 years, male 68.2
GTEX-1PIGE-1826-SM-E8VOU 20-29 years, male 68.1
GTEX-1AX8Z-0726-SM-73KTS 60-69 years, male 67.9
GTEX-15SHW-0226-SM-7LTAT 60-69 years, male 67.4
GTEX-15CHQ-0326-SM-69LQD 60-69 years, male 67.0
GTEX-1B933-2426-SM-7DHMD 50-59 years, female 66.9
GTEX-ZYW4-0626-SM-59HJR 60-69 years, male 66.9
GTEX-147F3-1726-SM-5SIAW 50-59 years, female 65.8
GTEX-ZVE2-2826-SM-5GU51 50-59 years, male 65.7
GTEX-1IY9M-2826-SM-ARU8H 60-69 years, male 65.4
GTEX-11P7K-1126-SM-5HL4L 30-39 years, male 64.9
GTEX-Z93S-1626-SM-5CVMB 50-59 years, male 64.4
GTEX-1O9I2-0226-SM-EYYXD 50-59 years, male 64.4
GTEX-ZVE1-0726-SM-51MRN 50-59 years, female 64.0
GTEX-139TU-0726-SM-5L3EK 60-69 years, male 63.9
GTEX-131XW-0626-SM-5PNVD 50-59 years, female 63.7
GTEX-12WSD-0626-SM-5GCMW 60-69 years, female 63.6
GTEX-145MO-2826-SM-5LU96 60-69 years, male 63.6
GTEX-1GN2E-0226-SM-9WG6K 60-69 years, male 63.2
GTEX-117YX-1926-SM-5GIEC 50-59 years, male 62.9
GTEX-ZXG5-2126-SM-59HKD 60-69 years, male 62.9
GTEX-1RAZR-2126-SM-E9U6T 40-49 years, male 62.7
GTEX-1M4P7-0726-SM-E6CJ3 60-69 years, male 62.5
GTEX-13PVQ-0626-SM-5LU47 50-59 years, male 62.4
GTEX-XBEC-0726-SM-4QARZ 50-59 years, male 62.4
GTEX-11EQ8-0926-SM-5H12V 60-69 years, male 62.1
GTEX-12WSH-1526-SM-5BC5W 50-59 years, male 61.6
GTEX-13OW8-1026-SM-5J1NQ 60-69 years, male 61.0
GTEX-1CB4H-1126-SM-7MKGL 60-69 years, female 60.8
GTEX-145LS-0626-SM-7EPG7 60-69 years, female 60.4
GTEX-16NPX-0726-SM-7KULC 50-59 years, male 60.3
GTEX-17MFQ-1526-SM-7KFRR 20-29 years, male 59.9
GTEX-X585-2426-SM-46MW2 50-59 years, male 59.9
GTEX-1L5NE-1126-SM-D3L9P 50-59 years, male 59.6
GTEX-1399R-1326-SM-5PNYS 30-39 years, male 59.4
GTEX-1H3NZ-2726-SM-9WYTQ 60-69 years, male 58.8
GTEX-1JKYN-0826-SM-ARU8S 30-39 years, male 58.8
GTEX-ZVP2-0326-SM-57WBP 50-59 years, male 58.2
GTEX-1GZ4I-2626-SM-9KNU3 50-59 years, male 58.1
GTEX-13OVG-1626-SM-5J1NF 60-69 years, male 58.0
GTEX-1LG7Z-1626-SM-CXKYR 30-39 years, male 58.0
GTEX-13N1W-2426-SM-5IJD1 70-79 years, male 57.2
GTEX-YEC3-1326-SM-DO92X 50-59 years, male 57.0
GTEX-17F96-0126-SM-7EWDU 70-79 years, male 56.8
GTEX-1I1HK-2326-SM-CKZOH 60-69 years, male 56.6
GTEX-13OVJ-0826-SM-5J1OK 50-59 years, female 56.1
GTEX-13NZ9-2626-SM-5L3FK 50-59 years, male 55.9
GTEX-131XH-0126-SM-5LZUY 50-59 years, male 55.8
GTEX-17F97-2626-SM-7IGM5 50-59 years, male 55.6
GTEX-WFG8-2126-SM-3GIKQ 20-29 years, male 55.3
GTEX-XUW1-0926-SM-4BONX 50-59 years, female 55.2
GTEX-14PJO-2526-SM-6AJBQ 60-69 years, male 55.0
GTEX-YJ8O-2526-SM-5HL85 40-49 years, female 54.9
GTEX-ZLFU-1826-SM-4WWBV 40-49 years, male 54.7
GTEX-18A7A-0126-SM-731AH 50-59 years, female 54.5
GTEX-XPVG-2126-SM-4B667 50-59 years, male 54.4
GTEX-1K9T9-1526-SM-DIPFR 50-59 years, female 54.2
GTEX-ZYFG-1526-SM-5GZYM 60-69 years, female 53.9
GTEX-1R9K4-2826-SM-DTX8F 60-69 years, male 53.9
GTEX-1C64O-1326-SM-7MGWR 60-69 years, male 53.8
GTEX-1HCVE-2726-SM-CL54F 50-59 years, male 53.8
GTEX-14PJ2-0626-SM-6LLII 50-59 years, male 53.6
GTEX-15EU6-2226-SM-6EU2L 50-59 years, male 53.6
GTEX-14LLW-2626-SM-62LDZ 70-79 years, female 53.2
GTEX-Y8E4-2026-SM-5IFJB 40-49 years, male 53.1
GTEX-XYKS-1426-SM-4BRUO 60-69 years, female 52.6
GTEX-12ZZX-2426-SM-5GCOE 40-49 years, female 52.1
GTEX-1E2YA-2126-SM-7MXUO 50-59 years, male 52.1
GTEX-16Z82-2626-SM-7KULU 60-69 years, male 52.0
GTEX-13OVH-0526-SM-5L3E6 70-79 years, male 51.9
GTEX-1GMR2-0826-SM-7PC3V 50-59 years, male 51.9
GTEX-1N5O9-0926-SM-E9J3C 60-69 years, male 51.8
GTEX-1212Z-0126-SM-59HK4 60-69 years, male 51.5
GTEX-1HB9E-0126-SM-CM2S5 50-59 years, male 51.4
GTEX-1MJK3-0726-SM-E6CJC 20-29 years, male 51.3
GTEX-1ICG6-1226-SM-A9SLN 70-79 years, female 50.9
GTEX-WYBS-0626-SM-3NMAS 60-69 years, female 50.7
GTEX-1C64N-2626-SM-7PC2N 50-59 years, male 50.6
GTEX-11OF3-0126-SM-5PNYF 60-69 years, male 50.4
GTEX-1HFI6-0126-SM-CNPPI 40-49 years, male 50.3
GTEX-1GF9W-1426-SM-7PBYM 60-69 years, male 49.9
GTEX-11NUK-2726-SM-5A5MC 50-59 years, male 49.3
GTEX-1GZ2Q-0126-SM-9WG6M 40-49 years, male 49.2
GTEX-13NZ8-1226-SM-5KM4A 60-69 years, female 49.1
GTEX-1H1ZS-2726-SM-9WG75 70-79 years, male 48.9
GTEX-14A5H-0826-SM-5QGPJ 60-69 years, male 48.8
GTEX-ZWKS-0626-SM-5GIDV 30-39 years, male 48.8
GTEX-1LSVX-2526-SM-DIPEU 60-69 years, male 48.8
GTEX-X4EP-0626-SM-3P621 60-69 years, female 48.7
GTEX-1F5PK-2226-SM-7SB6N 50-59 years, male 48.4
GTEX-111YS-1526-SM-5GZYW 60-69 years, male 48.0
GTEX-XXEK-1626-SM-4BRUZ 50-59 years, male 47.6
GTEX-1E1VI-0326-SM-793D1 50-59 years, male 47.5
GTEX-12584-0726-SM-5FQTK 40-49 years, male 47.4
GTEX-1JMLX-0626-SM-ARL8T 50-59 years, male 47.3
GTEX-1192X-2726-SM-5N9DN 50-59 years, male 47.2
GTEX-11NSD-0626-SM-5A5LU 20-29 years, male 47.2
GTEX-13N2G-0226-SM-5K7VF 60-69 years, male 47.2
GTEX-WHWD-1826-SM-3LK6I 50-59 years, male 46.9
GTEX-16NGA-0726-SM-731AO 40-49 years, female 46.5
GTEX-ZYFC-0426-SM-5GICQ 50-59 years, male 46.5
GTEX-1314G-1326-SM-5BC6E 30-39 years, male 46.4
GTEX-13FH7-1126-SM-5K7UG 50-59 years, female 46.4
GTEX-11GSP-2326-SM-5HL63 60-69 years, female 46.2
GTEX-14DAR-1226-SM-73KYV 50-59 years, male 46.2
GTEX-1QCLY-0226-SM-EWRNH 30-39 years, male 46.2
GTEX-144GO-2026-SM-5O99P 60-69 years, male 46.0
GTEX-XQ3S-1426-SM-4BOPR 20-29 years, male 45.9
GTEX-ZAB4-2126-SM-5HL8U 40-49 years, male 45.9
GTEX-1IDJF-2026-SM-CL53V 20-29 years, male 45.7
GTEX-1RAZA-2226-SM-E9U4X 20-29 years, male 45.6
GTEX-1I1GP-1326-SM-A9G28 50-59 years, male 45.2
GTEX-VUSG-2326-SM-4KL1U 50-59 years, male 45.1
GTEX-1EH9U-2826-SM-7DUGT 60-69 years, male 44.8
GTEX-Y3IK-1626-SM-4YCF5 50-59 years, female 44.8
GTEX-1IDJH-0126-SM-D3L92 70-79 years, male 44.8
GTEX-1497J-0226-SM-5QGPU 60-69 years, male 44.7
GTEX-11DXW-0826-SM-5H118 40-49 years, male 44.6
GTEX-11DZ1-2426-SM-5GZZX 50-59 years, male 44.6
GTEX-17HHY-0426-SM-7DHLC 50-59 years, male 44.5
GTEX-1CB4F-1026-SM-7DUH1 60-69 years, male 44.3
GTEX-1POEN-2326-SM-E9J2L 30-39 years, female 44.2
GTEX-11UD2-2526-SM-5CVNU 50-59 years, male 44.0
GTEX-1A8FM-0626-SM-7PC25 50-59 years, female 44.0
GTEX-1CB4I-0126-SM-7RHGG 50-59 years, male 43.7
GTEX-13X6I-1826-SM-5SIAO 60-69 years, male 43.6
GTEX-12WSC-2826-SM-5BC5Y 50-59 years, male 43.5
GTEX-17HGU-2326-SM-7DUFE 50-59 years, male 43.5
GTEX-1QP9N-1226-SM-E76QN 30-39 years, male 43.4
GTEX-15UF6-1926-SM-7KUDV 70-79 years, female 43.2
GTEX-1I1CD-0626-SM-CE6SW 60-69 years, female 43.2
GTEX-1F6I4-2326-SM-7RHGL 60-69 years, male 42.8
GTEX-12696-0126-SM-5EQ4L 60-69 years, male 42.7
GTEX-145ME-1726-SM-5Q5EU 40-49 years, female 42.7
GTEX-147F4-0726-SM-5TDDD 50-59 years, male 42.7
GTEX-1J8JJ-0626-SM-ARZMQ 60-69 years, female 42.7
GTEX-13PVR-0426-SM-5RQK2 60-69 years, female 42.4
GTEX-15CHR-1126-SM-7EWF4 50-59 years, male 42.4
GTEX-11DYG-1526-SM-5A5JS 60-69 years, male 42.3
GTEX-WEY5-2326-SM-3GIKK 40-49 years, female 42.3
GTEX-1J1R8-2026-SM-CL53Y 40-49 years, male 42.2
GTEX-131XG-0326-SM-5L3DX 50-59 years, female 41.8
GTEX-14753-0726-SM-5QGQO 60-69 years, male 41.8
GTEX-14BMU-1226-SM-5S2OR 20-29 years, female 41.8
GTEX-Y8LW-1526-SM-5IFHL 50-59 years, female 41.5
GTEX-1QCLZ-2426-SM-EVYBW 60-69 years, female 41.3
GTEX-1LVAO-2726-SM-E9TJ8 60-69 years, male 41.1
GTEX-13O3O-2326-SM-5IJD6 60-69 years, female 41.0
GTEX-ZF3C-0626-SM-DO92O 50-59 years, female 41.0
GTEX-14JFF-0626-SM-5ZZVT 60-69 years, male 40.8
GTEX-1JMQI-1726-SM-ARL93 50-59 years, male 40.6
GTEX-WRHU-2826-SM-3MJG8 50-59 years, female 40.0
GTEX-1I1GV-0626-SM-ARL7M 60-69 years, male 40.0
GTEX-13112-0126-SM-5P9IU 50-59 years, male 39.8
GTEX-145MG-1526-SM-5Q5EM 50-59 years, male 39.8
GTEX-1LVAN-0626-SM-CNPOQ 50-59 years, female 39.8
GTEX-1HBPN-0126-SM-CGQEF 50-59 years, male 39.5
GTEX-1HCU9-0426-SM-9WYSD 20-29 years, male 39.4
GTEX-18A6Q-0626-SM-7KFRP 60-69 years, male 39.0
GTEX-11EQ9-1626-SM-5PNY8 30-39 years, male 38.5
GTEX-X4EO-2926-SM-4E3JH 60-69 years, female 38.4
GTEX-1CB4J-1326-SM-7P8RX 60-69 years, male 38.1
GTEX-11DXY-0126-SM-5H11Q 60-69 years, male 37.9
GTEX-WHPG-2626-SM-3NMBR 50-59 years, male 37.9
GTEX-1K2DA-1026-SM-CGQGF 50-59 years, male 37.9
GTEX-139TT-2126-SM-5LZWC 60-69 years, male 37.8
GTEX-WHSE-0126-SM-3NMBT 20-29 years, male 37.7
GTEX-1GMR8-0626-SM-7RHI7 50-59 years, female 37.7
GTEX-1IDJU-1726-SM-CMKHU 60-69 years, female 37.7
GTEX-145MI-0626-SM-5SI8S 60-69 years, female 37.6
GTEX-17F9E-2326-SM-79OKD 50-59 years, male 37.5
GTEX-1IL2V-1926-SM-B2LW8 70-79 years, male 37.5
GTEX-12126-0826-SM-5FQTZ 20-29 years, male 37.0
GTEX-13G51-1826-SM-5KLZH 60-69 years, male 37.0
GTEX-15RIE-1926-SM-7KUKJ 60-69 years, male 37.0
GTEX-1KD5A-0126-SM-E9U54 50-59 years, male 36.9
GTEX-1LBAC-0826-SM-CY8IJ 20-29 years, male 36.9
GTEX-12ZZY-0726-SM-5EQ66 60-69 years, male 36.8
GTEX-1F52S-2926-SM-7MKGA 60-69 years, female 36.7
GTEX-1LKK1-2626-SM-DKPQE 50-59 years, female 36.7
GTEX-13N11-2326-SM-5IJBF 50-59 years, female 36.6
GTEX-1B932-2326-SM-79OL5 40-49 years, female 36.6
GTEX-132AR-0326-SM-5KM2C 50-59 years, female 36.5
GTEX-11WQC-1826-SM-5GU59 60-69 years, male 36.3
GTEX-145MF-0926-SM-5Q5EA 50-59 years, male 36.3
GTEX-18D9A-1426-SM-7LT8M 30-39 years, female 36.3
GTEX-1H1E6-0426-SM-9WYUS 30-39 years, male 36.3
GTEX-1HGF4-0126-SM-CNPPX 60-69 years, male 36.3
GTEX-1B996-0426-SM-7EWF8 60-69 years, male 36.1
GTEX-1LGOU-1326-SM-D3L8M 20-29 years, female 35.9
GTEX-ZAK1-0626-SM-5HL8E 50-59 years, female 35.8
GTEX-145MN-1526-SM-5SI9T 30-39 years, male 35.7
GTEX-15EO6-2426-SM-6PALZ 50-59 years, male 35.7
GTEX-1QMI2-2526-SM-E8VNZ 60-69 years, male 35.7
GTEX-16YQH-2226-SM-7IGM2 30-39 years, male 35.5
GTEX-11VI4-1126-SM-5EQMD 40-49 years, female 35.4
GTEX-12WSM-1926-SM-5BC65 60-69 years, male 35.3
GTEX-1HSMO-0626-SM-ACKXC 60-69 years, male 35.1
GTEX-1S82P-2126-SM-E6CI5 60-69 years, female 35.1
GTEX-11TT1-1826-SM-5EQLV 20-29 years, male 35.0
GTEX-1F88E-1626-SM-7SB8Z 60-69 years, female 35.0
GTEX-VJYA-1526-SM-3GIJV 60-69 years, male 34.9
GTEX-12BJ1-0926-SM-5EQ62 60-69 years, male 34.8
GTEX-Y5V5-0126-SM-5S2NW 60-69 years, female 34.8
GTEX-1JMPZ-0726-SM-CY8HZ 30-39 years, male 34.8
GTEX-1F75B-0726-SM-7PC3R 50-59 years, male 34.6
GTEX-1F48J-0726-SM-7RHGS 50-59 years, female 34.5
GTEX-13NYC-0126-SM-5L3F4 60-69 years, male 34.4
GTEX-1LG7Y-2526-SM-EWRO7 50-59 years, male 34.4
GTEX-1RB15-1326-SM-E76Q9 60-69 years, male 34.4
GTEX-1117F-2926-SM-5GZYI 60-69 years, female 34.3
GTEX-12WSA-0426-SM-5EQ5X 60-69 years, male 34.2
GTEX-1JJ6O-2726-SM-CNPOG 60-69 years, male 33.9
GTEX-1QAET-0326-SM-EVR3U 50-59 years, male 33.9
GTEX-1RLM8-2926-SM-E8VON 50-59 years, male 33.9
GTEX-1GMR3-0126-SM-A9SLW 40-49 years, male 33.8
GTEX-1IDJD-2326-SM-ACKWX 30-39 years, male 33.8
GTEX-16AAH-0626-SM-793C9 50-59 years, male 33.4
GTEX-1I6K6-1726-SM-CGQFD 30-39 years, male 33.3
GTEX-16XZZ-0726-SM-7KUF2 60-69 years, male 33.1
GTEX-1GMRU-2126-SM-7P8RA 50-59 years, male 33.1
GTEX-1HCU6-2526-SM-ADEHL 60-69 years, female 33.1
GTEX-YF7O-1526-SM-5IFI6 50-59 years, male 33.0
GTEX-1A3MV-1826-SM-731CD 30-39 years, male 32.9
GTEX-1GTWX-2026-SM-9YFLM 60-69 years, male 32.9
GTEX-13OW7-0426-SM-5K7VK 50-59 years, male 32.8
GTEX-1477Z-0326-SM-7IGLA 60-69 years, male 32.8
GTEX-139YR-1026-SM-5LZYN 50-59 years, male 32.7
GTEX-ZTTD-2826-SM-4YCFA 50-59 years, male 32.7
GTEX-15D1Q-2826-SM-6LLH7 40-49 years, male 32.2
GTEX-17KNJ-2126-SM-718AM 50-59 years, male 32.2
GTEX-1CAMR-1326-SM-7PC1F 20-29 years, male 32.2
GTEX-1PPH8-0126-SM-EWRN8 20-29 years, male 32.2
GTEX-WK11-2726-SM-3NMAQ 50-59 years, male 32.1
GTEX-1IDJC-1526-SM-B2LW4 50-59 years, male 32.0
GTEX-V1D1-2026-SM-3GAF4 50-59 years, male 31.9
GTEX-139T8-0626-SM-5KLZX 60-69 years, male 31.8
GTEX-1KANA-1326-SM-DIPFA 20-29 years, male 31.6
GTEX-1EN7A-2426-SM-793DB 40-49 years, male 31.2
GTEX-14BMV-2826-SM-5TDED 50-59 years, male 31.1
GTEX-1C6WA-2626-SM-7MKGM 60-69 years, male 31.1
GTEX-1A3MX-2626-SM-7PC24 60-69 years, male 31.0
GTEX-1PPGY-1626-SM-EVYBL 60-69 years, male 31.0
GTEX-14E6E-0526-SM-793DN 30-39 years, male 30.7
GTEX-14PK6-0226-SM-62LF5 70-79 years, female 30.7
GTEX-WI4N-2726-SM-3LK7Y 40-49 years, female 30.7
GTEX-WFG7-2026-SM-5SI7P 20-29 years, male 29.8
GTEX-1F75I-2226-SM-7SB8U 40-49 years, male 29.8
GTEX-14C5O-0326-SM-5ZZUX 60-69 years, male 29.6
GTEX-1IDJV-0126-SM-COH3Y 60-69 years, male 29.5
GTEX-ZDYS-2426-SM-4WKGI 50-59 years, male 29.3
GTEX-13QBU-1226-SM-5LU4G 40-49 years, female 29.1
GTEX-15RJ7-2126-SM-6PAMD 40-49 years, male 28.9
GTEX-17F9Y-0126-SM-79OKX 70-79 years, female 28.8
GTEX-13X6H-0926-SM-5SIB2 50-59 years, female 28.7
GTEX-11O72-0626-SM-5PNYE 40-49 years, male 28.4
GTEX-1PIIG-2326-SM-DTXFR 30-39 years, male 28.4
GTEX-ZYVF-0926-SM-5E44J 50-59 years, female 28.3
GTEX-1PPH7-1126-SM-DTX9A 40-49 years, male 28.3
GTEX-14LZ3-0126-SM-69LPM 60-69 years, female 28.2
GTEX-1IDFM-0326-SM-ARL7V 60-69 years, male 28.2
GTEX-ZYFD-0626-SM-5E44E 50-59 years, male 28.1
GTEX-13X6J-0626-SM-5LU5F 50-59 years, male 27.8
GTEX-ZT9W-1126-SM-57WDR 50-59 years, male 27.7
GTEX-ZLV1-1526-SM-DO91J 60-69 years, female 27.6
GTEX-13FLV-0126-SM-5K7WT 50-59 years, male 27.5
GTEX-12C56-1526-SM-5FQUQ 20-29 years, male 27.4
GTEX-ZZ64-1026-SM-5GZXG 20-29 years, male 27.3
GTEX-183FY-1026-SM-7939A 20-29 years, male 27.1
GTEX-X8HC-0626-SM-4E3HQ 50-59 years, female 27.1
GTEX-1LSNM-0826-SM-DIPG8 50-59 years, male 27.1
GTEX-1H1DG-2426-SM-9QEHJ 70-79 years, male 27.0
GTEX-YEC4-1826-SM-4W1YP 40-49 years, male 26.9
GTEX-1NSGN-0726-SM-DTXEF 50-59 years, male 26.9
GTEX-1I6K7-1926-SM-B2LXR 40-49 years, male 26.8
GTEX-14JG1-1526-SM-5YY9X 40-49 years, male 26.5
GTEX-WY7C-2126-SM-3NB2R 50-59 years, male 26.2
GTEX-15G19-2426-SM-7KUMR 60-69 years, male 26.1
GTEX-WH7G-2026-SM-3NMBL 40-49 years, male 26.0
GTEX-14BIN-1126-SM-5RQJZ 50-59 years, female 25.9
GTEX-1JJE9-2626-SM-ARZMT 70-79 years, male 25.9
GTEX-ZDTT-0426-SM-4WKFL 60-69 years, male 25.8
GTEX-1RAZS-2526-SM-E6CHT 50-59 years, male 25.6
GTEX-15RJE-2826-SM-7KUM9 40-49 years, male 25.5
GTEX-1KANC-1226-SM-CYPT7 50-59 years, female 25.5
GTEX-1RMOY-1326-SM-E9TIH 50-59 years, male 25.4
GTEX-12KS4-2126-SM-5FQUT 30-39 years, male 25.3
GTEX-1HCUA-0826-SM-ADEHM 50-59 years, female 25.3
GTEX-XBEW-1126-SM-4QARW 40-49 years, male 25.2
GTEX-1I4MK-0126-SM-CY8G6 50-59 years, female 25.2
GTEX-ZYT6-2326-SM-5GZY3 30-39 years, male 25.0
GTEX-1F88F-0126-SM-9WYSZ 60-69 years, female 24.8
GTEX-1H4P4-2126-SM-9WYSL 50-59 years, male 24.8
GTEX-1AX9J-1326-SM-731BJ 60-69 years, male 24.6
GTEX-14AS3-1526-SM-5Q5ED 40-49 years, female 24.2
GTEX-1GPI7-1826-SM-9KNU1 20-29 years, male 24.1
GTEX-WYJK-0526-SM-3NM8Z 50-59 years, male 24.0
GTEX-11EM3-1226-SM-5N9DD 20-29 years, female 23.9
GTEX-14A6H-2026-SM-5Q5DD 30-39 years, male 23.9
GTEX-14B4R-1326-SM-5Q5EZ 30-39 years, male 23.7
GTEX-147JS-0226-SM-5S2U9 60-69 years, male 23.3
GTEX-UPJH-0226-SM-3GADV 50-59 years, male 23.3
GTEX-14PJ5-1526-SM-6LLIL 60-69 years, female 23.0
GTEX-1269C-0126-SM-5EQ5L 60-69 years, female 22.8
GTEX-1JKYR-0626-SM-ARL8R 20-29 years, male 22.8
GTEX-1JN1M-2726-SM-CY8I4 60-69 years, female 22.6
GTEX-11TUW-0626-SM-5LU9M 60-69 years, male 22.4
GTEX-13U4I-2226-SM-5LU5H 40-49 years, female 22.4
GTEX-ZA64-1026-SM-5HL8R 20-29 years, male 22.4
GTEX-11ZUS-2626-SM-5FQUR 30-39 years, male 22.1
GTEX-14PJ3-1126-SM-5ZZVX 50-59 years, male 22.1
GTEX-13OW6-2726-SM-5J2OE 50-59 years, male 21.8
GTEX-18D9U-0126-SM-731BM 40-49 years, male 21.8
GTEX-XQ8I-0926-SM-4BOOF 50-59 years, male 21.8
GTEX-ZLWG-0826-SM-59888 50-59 years, female 21.7
GTEX-1F6RS-2026-SM-7RHHC 60-69 years, female 21.7
GTEX-1HSMQ-2626-SM-A9SML 50-59 years, male 21.5
GTEX-1QW4Y-1126-SM-DTXE3 30-39 years, male 21.5
GTEX-13YAN-0226-SM-5TDC6 60-69 years, male 21.4
GTEX-14ABY-2026-SM-62LDL 50-59 years, male 21.4
GTEX-ZVT4-2426-SM-5GIEI 50-59 years, female 21.4
GTEX-1F75A-0726-SM-7RHHD 50-59 years, male 21.3
GTEX-13QJC-0126-SM-5ZZWJ 60-69 years, female 21.2
GTEX-1H23P-0626-SM-9WG6T 60-69 years, male 21.2
GTEX-13RTJ-0126-SM-5S2NN 60-69 years, male 21.1
GTEX-1B8SF-0126-SM-7DUG3 60-69 years, male 21.0
GTEX-1EKGG-0626-SM-7DUGJ 60-69 years, male 20.6
GTEX-1R9PN-0426-SM-DTXDT 40-49 years, female 20.6
GTEX-15DDE-2926-SM-6LLJ3 50-59 years, female 20.2
GTEX-1LB8K-0726-SM-D5OV2 50-59 years, male 20.1
GTEX-1PDJ9-1226-SM-EXUSX 20-29 years, male 19.9
GTEX-14PHX-2226-SM-6EU2P 50-59 years, male 19.7
GTEX-18QFQ-1826-SM-72D52 30-39 years, male 19.6
GTEX-1LVAM-0726-SM-E6CIL 50-59 years, female 19.5
GTEX-1S3DN-2126-SM-E9TIN 50-59 years, male 19.4
GTEX-131XF-2626-SM-5EQ6K 60-69 years, male 19.3
GTEX-13VXU-0626-SM-5L3F9 50-59 years, male 19.2
GTEX-1399U-1126-SM-5L3DB 50-59 years, female 19.0
GTEX-1GN1W-2426-SM-9KNUU 50-59 years, female 18.8
GTEX-Y111-0626-SM-4SOIT 50-59 years, male 18.7
GTEX-XV7Q-1826-SM-4BRUV 40-49 years, female 18.6
GTEX-14PJN-1826-SM-6AJ98 30-39 years, male 18.5
GTEX-1N2DV-1526-SM-DTXEP 40-49 years, male 18.3
GTEX-13OW5-2326-SM-5L3HO 60-69 years, male 18.2
GTEX-145MH-2826-SM-5RQJF 50-59 years, male 18.2
GTEX-16MTA-0926-SM-6M47Z 50-59 years, male 18.2
GTEX-1C475-1326-SM-7SB73 40-49 years, female 18.2
GTEX-1N2EE-0626-SM-E76PW 60-69 years, male 18.2
GTEX-11P82-1426-SM-DTXFY 20-29 years, male 18.0
GTEX-133LE-2326-SM-5K7W3 20-29 years, female 17.8
GTEX-ZVT2-0126-SM-5GIDQ 50-59 years, female 17.8
GTEX-183WM-0326-SM-72D5V 70-79 years, female 17.7
GTEX-1PBJJ-1026-SM-E76OS 30-39 years, male 17.7
GTEX-1QPFJ-1926-SM-EVYBD 30-39 years, female 17.7
GTEX-18A67-1626-SM-7LT9T 50-59 years, male 17.5
GTEX-1B97I-0626-SM-73KUZ 40-49 years, male 17.5
GTEX-Y114-2126-SM-4TT8B 50-59 years, female 17.5
GTEX-1GF9U-2026-SM-7SB92 40-49 years, female 17.5
GTEX-1KAFJ-0126-SM-DIPEK 50-59 years, male 17.5
GTEX-1LVA9-2626-SM-EVYD4 50-59 years, male 17.4
GTEX-13NYB-0126-SM-5J1MD 40-49 years, male 17.3
GTEX-1A8G7-1326-SM-73KVM 60-69 years, male 17.2
GTEX-1F5PL-0926-SM-7PC2W 40-49 years, female 17.2
GTEX-1H1DF-1126-SM-9WG7G 40-49 years, female 17.0
GTEX-1QP2A-1726-SM-E76QC 50-59 years, male 17.0
GTEX-15CHC-1126-SM-6LLHQ 60-69 years, female 16.9
GTEX-14PII-0726-SM-6EU2B 60-69 years, male 16.8
GTEX-1HFI7-2326-SM-CGQFS 50-59 years, female 16.6
GTEX-1JMQJ-0826-SM-CNPP7 50-59 years, male 16.5
GTEX-11P81-2226-SM-5PNYI 30-39 years, female 16.2
GTEX-14PKV-1126-SM-6LLJ1 20-29 years, female 16.2
GTEX-1R9PM-1926-SM-EVR3O 20-29 years, male 16.2
GTEX-1I1GS-2626-SM-B2LY3 60-69 years, male 16.1
GTEX-1AYD5-2626-SM-7PBXY 50-59 years, male 15.8
GTEX-ZPU1-1126-SM-4YCF3 40-49 years, male 15.7
GTEX-13W3W-0726-SM-5IJDQ 60-69 years, female 15.6
GTEX-1BAJH-2426-SM-7IGP8 70-79 years, male 15.6
GTEX-14JG6-1426-SM-9WG7C 30-39 years, female 15.6
GTEX-13NYS-0626-SM-5L3F1 60-69 years, male 15.4
GTEX-ZTSS-1426-SM-5985P 40-49 years, male 15.4
GTEX-1A3MW-0626-SM-731CB 60-69 years, female 15.3
GTEX-1IOXB-2726-SM-CM2RI 50-59 years, male 15.3
GTEX-14E1K-2026-SM-7DUEI 50-59 years, male 15.2
GTEX-XAJ8-1426-SM-47JYM 40-49 years, male 15.1
GTEX-1B8KE-1126-SM-7EPHI 50-59 years, male 15.0
GTEX-11LCK-2226-SM-5HL4Q 30-39 years, male 14.8
GTEX-145LT-0526-SM-5LUB2 40-49 years, male 14.8
GTEX-1HBPI-2126-SM-ARL9K 50-59 years, male 14.5
GTEX-1K2DU-1226-SM-CYPT4 20-29 years, male 14.5
GTEX-U8XE-0226-SM-4E3J3 30-39 years, male 14.4
GTEX-1H2FU-0926-SM-9WPPT 60-69 years, female 14.3
GTEX-17MF6-2626-SM-79OKQ 40-49 years, male 14.1
GTEX-1H3O1-1326-SM-9MQLD 60-69 years, male 14.1
GTEX-1JK1U-0226-SM-ARZMX 60-69 years, male 14.0
GTEX-ZE9C-2526-SM-5IJDR 60-69 years, male 13.9
GTEX-1GL5R-1326-SM-7RHHF 50-59 years, male 13.9
GTEX-1HCU7-0726-SM-A9SL1 50-59 years, male 13.9
GTEX-14PHY-1226-SM-5ZZWK 60-69 years, female 13.8
GTEX-16BQI-1326-SM-6M486 30-39 years, female 13.7
GTEX-178AV-1726-SM-7KUL8 40-49 years, male 13.6
GTEX-1C2JI-1026-SM-73KY1 50-59 years, male 13.6
GTEX-1CB4E-0926-SM-7EPHT 60-69 years, male 13.6
GTEX-1IKOE-1426-SM-CE6T7 30-39 years, female 13.6
GTEX-18D9B-0926-SM-7LG4U 60-69 years, male 13.5
GTEX-1GN1U-0626-SM-9MQL9 50-59 years, female 13.5
GTEX-13FTW-0326-SM-5K7UW 40-49 years, male 13.2
GTEX-13OVK-1426-SM-6PAN7 40-49 years, male 13.1
GTEX-X5EB-1926-SM-4E3IW 40-49 years, male 12.8
GTEX-1QP28-1126-SM-EVYC4 50-59 years, female 12.8
GTEX-14ICL-1626-SM-5YYAO 30-39 years, male 12.6
GTEX-1S831-1826-SM-EWROF 20-29 years, male 12.6
GTEX-12WSK-2126-SM-5CVNC 40-49 years, female 12.5
GTEX-1B8KZ-0326-SM-73KY4 50-59 years, male 12.5
GTEX-13IVO-0726-SM-5LZYV 70-79 years, male 12.1
GTEX-148VJ-0626-SM-5LUAW 70-79 years, male 12.1
GTEX-1HSKV-1226-SM-ADEI4 60-69 years, male 12.1
GTEX-1R7EU-1626-SM-DTXG3 60-69 years, male 12.0
GTEX-15G1A-1626-SM-7KUKN 30-39 years, male 11.9
GTEX-Y5LM-0926-SM-6LLJG 40-49 years, female 11.9
GTEX-XBED-1926-SM-47JYP 60-69 years, male 11.7
GTEX-1JMQL-2226-SM-CNPP4 50-59 years, female 11.7
GTEX-11DXX-2126-SM-5PNYR 60-69 years, female 11.5
GTEX-11ZU8-0126-SM-5EQ58 60-69 years, male 11.5
GTEX-13FTY-2126-SM-5IFFB 40-49 years, female 11.4
GTEX-17EVP-2626-SM-7IGMA 40-49 years, male 11.3
GTEX-13PL6-1126-SM-5L3IE 40-49 years, female 11.0
GTEX-144GM-0526-SM-79OJO 20-29 years, male 10.9
GTEX-13VXT-1926-SM-5K7UO 20-29 years, female 10.8
GTEX-ZP4G-1426-SM-4WWCL 20-29 years, female 10.8
GTEX-139D8-1126-SM-5LU8W 30-39 years, female 10.7
GTEX-11WQK-1026-SM-5EQLX 50-59 years, male 10.6
GTEX-1ICLZ-0326-SM-ARL82 60-69 years, male 10.6
GTEX-1AX9I-2226-SM-73KUO 60-69 years, male 10.5
GTEX-13FHO-0426-SM-5L3F5 60-69 years, male 10.4
GTEX-13O3Q-0126-SM-5KM34 50-59 years, male 10.3
GTEX-1H1DE-1326-SM-9KNUG 20-29 years, male 10.3
GTEX-1HR9M-2226-SM-CNPPY 60-69 years, male 10.3
GTEX-1HT8W-0626-SM-A9G2H 30-39 years, male 10.2
GTEX-1LGRB-0926-SM-COH3K 50-59 years, female 10.2
GTEX-YFCO-1226-SM-5LUAT 40-49 years, male 10.1
GTEX-12ZZZ-0726-SM-5GCNZ 60-69 years, male 9.8
GTEX-11ZTT-2126-SM-5CVLO 60-69 years, female 9.7
GTEX-ZF2S-1626-SM-57WES 50-59 years, female 9.7
GTEX-ZY6K-1426-SM-5GZX2 50-59 years, male 9.6
GTEX-11DXZ-2026-SM-5987S 50-59 years, male 9.5
GTEX-1399S-0126-SM-5IJCF 30-39 years, female 9.5
GTEX-1GN73-0726-SM-7P8TJ 60-69 years, male 9.5
GTEX-1HBPM-0726-SM-9YFL7 60-69 years, female 9.5
GTEX-17HHE-1326-SM-7EWDZ 50-59 years, male 9.4
GTEX-139UW-0326-SM-5J1ML 60-69 years, male 9.3
GTEX-WFON-1926-SM-3LK7L 40-49 years, male 9.3
GTEX-13FTX-1526-SM-5K7VJ 20-29 years, female 9.1
GTEX-1AMEY-0826-SM-72D65 30-39 years, female 9.0
GTEX-ZPCL-1126-SM-4WWFE 60-69 years, female 9.0
GTEX-1211K-1526-SM-5FQU4 60-69 years, female 8.8
GTEX-YECK-0326-SM-4W1YS 60-69 years, male 8.8
GTEX-1HSGN-0826-SM-ACKW3 40-49 years, female 8.8
GTEX-1OJC4-2726-SM-E76PJ 50-59 years, female 8.7
GTEX-1A8G6-2726-SM-731AR 60-69 years, male 8.6
GTEX-111CU-1126-SM-5EGIM 50-59 years, male 8.5
GTEX-ZYY3-2926-SM-5GIEB 60-69 years, female 8.3
GTEX-1GZHY-0626-SM-9KNVC 50-59 years, female 8.3
GTEX-1H3VE-0726-SM-9YFL5 40-49 years, male 8.2
GTEX-1GZ4H-0526-SM-9KNU9 50-59 years, female 8.0
GTEX-1JMPY-0226-SM-CKZOK 30-39 years, male 8.0
GTEX-1ICLY-0826-SM-CMKG1 50-59 years, male 7.8
GTEX-1J8Q2-2626-SM-ACKWQ 60-69 years, male 7.8
GTEX-1OJC3-1226-SM-DTXER 20-29 years, male 7.7
GTEX-1JN76-0626-SM-CKZOQ 20-29 years, female 7.6
GTEX-17HII-1426-SM-7EPGG 50-59 years, male 7.5
GTEX-1GF9V-0826-SM-9KNUV 60-69 years, male 7.5
GTEX-1RAZQ-1326-SM-E9TK6 30-39 years, male 7.5
GTEX-13PDP-0726-SM-5L3HP 60-69 years, male 7.4
GTEX-1J1OQ-0126-SM-D4P2N 40-49 years, female 7.4
GTEX-1IKJJ-2226-SM-CJI4C 60-69 years, male 7.3
GTEX-1S83E-1326-SM-E6CJM 40-49 years, male 7.3
GTEX-1J8EW-2726-SM-CY8HR 60-69 years, female 7.2
GTEX-15FZZ-0526-SM-7KUGD 30-39 years, female 7.1
GTEX-1MCYP-0526-SM-E9U6Q 20-29 years, female 7.1
GTEX-13O61-1426-SM-5KM3D 60-69 years, male 7.0
GTEX-1S82U-1026-SM-E6CJK 30-39 years, female 7.0
GTEX-ZPIC-0526-SM-DO91W 40-49 years, female 7.0
GTEX-13113-1626-SM-5EQ4I 60-69 years, female 6.9
GTEX-Y3I4-1726-SM-4TT89 50-59 years, male 6.9
GTEX-ZGAY-1826-SM-DO91Q 40-49 years, female 6.9
GTEX-14PJ6-2626-SM-6EU2T 60-69 years, female 6.8
GTEX-ZZPU-0826-SM-5GZX5 50-59 years, female 6.8
GTEX-ZF29-0926-SM-4WKFZ 60-69 years, female 6.6
GTEX-1399Q-2326-SM-5KM2X 40-49 years, male 6.5
GTEX-1B8L1-2226-SM-7P8PT 60-69 years, male 6.4
GTEX-1CAMS-2226-SM-7PBXQ 40-49 years, female 6.4
GTEX-W5X1-2526-SM-3GILC 40-49 years, female 6.3
GTEX-13D11-0926-SM-5J2NC 50-59 years, female 6.2
GTEX-16MT9-0126-SM-7EPI8 60-69 years, female 6.0
GTEX-1NV5F-0626-SM-DTXEG 60-69 years, female 6.0
GTEX-1GF9X-1326-SM-7PC2Y 40-49 years, female 5.7
GTEX-1S5ZU-2526-SM-E6CIF 20-29 years, female 5.6
GTEX-13SLW-0626-SM-5Q5ER 70-79 years, male 5.5
GTEX-1JJEA-1826-SM-ARU8P 60-69 years, male 5.4
GTEX-144FL-0626-SM-5LU43 50-59 years, male 5.3
GTEX-1C6VR-0126-SM-7RHGB 60-69 years, male 5.3
GTEX-1IE54-1126-SM-A9G2Z 40-49 years, female 5.3
GTEX-1KXAM-1626-SM-D3LAD 60-69 years, male 5.3
GTEX-145LU-1926-SM-79OJN 50-59 years, male 5.2
GTEX-14C39-1726-SM-5RQIL 40-49 years, male 5.0
GTEX-Y9LG-1126-SM-4VBQ7 30-39 years, male 4.9
GTEX-15SKB-2826-SM-6PAMH 60-69 years, male 4.7
GTEX-1HKZK-0726-SM-ACKW2 40-49 years, male 4.7
GTEX-1J8QM-2426-SM-A9SLS 60-69 years, female 4.6
GTEX-111VG-1626-SM-5EGIO 60-69 years, male 4.5
GTEX-11GS4-0226-SM-5HL77 60-69 years, male 4.4
GTEX-1J8Q3-0526-SM-ARL8U 60-69 years, male 4.3
GTEX-ZT9X-1526-SM-5DUXD 40-49 years, male 4.1
GTEX-144GL-0626-SM-5LU4D 50-59 years, male 4.0
GTEX-14C38-0726-SM-5SI6M 50-59 years, male 3.9
GTEX-11PRG-0726-SM-5EGL1 50-59 years, male 3.7
GTEX-1R46S-2426-SM-E76QA 60-69 years, female 3.7
GTEX-13JVG-0726-SM-5KM16 60-69 years, male 3.5
GTEX-ZVZP-1226-SM-5GID7 50-59 years, male 3.5
GTEX-1GN1V-2826-SM-9JGIA 60-69 years, male 3.5
GTEX-1AMFI-1326-SM-7939R 50-59 years, female 3.4
GTEX-1313W-0626-SM-5EQ4H 50-59 years, female 3.2
GTEX-14XAO-1226-SM-6EU1C 60-69 years, female 3.0
GTEX-1C6VQ-1226-SM-73KYD 50-59 years, male 3.0
GTEX-1I1GU-0926-SM-ACKVS 40-49 years, male 3.0
GTEX-1QP29-1826-SM-DTX9S 50-59 years, male 2.9
GTEX-ZTX8-1326-SM-4YCEL 20-29 years, male 2.7
GTEX-1EMGI-2326-SM-7PBYA 60-69 years, male 2.7
GTEX-14PKU-0126-SM-6LLHV 40-49 years, female 2.5
GTEX-1IDJI-0126-SM-CMKHS 50-59 years, female 2.5
GTEX-1GPI6-1926-SM-9KNV7 60-69 years, male 2.2
GTEX-1H11D-1826-SM-9QEHM 40-49 years, male 2.0
GTEX-12WSJ-1126-SM-5LZVJ 40-49 years, female 1.9
GTEX-1EU9M-1426-SM-793AI 60-69 years, male 1.9
GTEX-WHSB-1326-SM-3LK6W 50-59 years, male 1.9
GTEX-1122O-1026-SM-9WYSF 60-69 years, female 1.8
GTEX-1EX96-1026-SM-7MKG2 50-59 years, male 1.2
GTEX-14PJ4-0226-SM-5YY92 60-69 years, male 0.5
GTEX-1I1GT-1026-SM-ARZLV 60-69 years, female 0.5
Show allShow less
Skin - Sun Exposed (Lower leg)
Average nTPM: 55.9
Samples: 701

Max nTPM: 472.5
Min nTPM: 2.7
Std nTPM: 53.3
Median nTPM: 42.5
GTEX-1AYD5-2426-SM-73KXR 50-59 years, male 472.5
GTEX-147F4-0226-SM-5QGPW 50-59 years, male 397.4
GTEX-V1D1-2226-SM-3NMAX 50-59 years, male 362.8
GTEX-ZZPT-0226-SM-5E43X 50-59 years, male 342.7
GTEX-1AYCT-2426-SM-7IGQ3 50-59 years, male 339.6
GTEX-11GSP-2526-SM-5N9BP 60-69 years, female 325.0
GTEX-1F6I4-0126-SM-9MQL2 60-69 years, male 308.8
GTEX-146FR-1326-SM-E9J48 60-69 years, female 304.2
GTEX-1OJC4-0126-SM-E9J2E 50-59 years, female 290.3
GTEX-11P7K-2126-SM-5GU7G 30-39 years, male 283.8
GTEX-1QCLY-0326-SM-E8VOG 30-39 years, male 275.4
GTEX-1HUB1-0426-SM-E9U4U 60-69 years, male 272.5
GTEX-1I1HK-0126-SM-COH49 60-69 years, male 254.6
GTEX-1GN1W-0526-SM-9MQJQ 50-59 years, female 237.3
GTEX-WH7G-2326-SM-3NMBC 40-49 years, male 212.1
GTEX-ZE9C-2726-SM-57WB5 60-69 years, male 207.5
GTEX-RUSQ-1526-SM-2TF62 50-59 years, male 204.7
GTEX-131XG-2626-SM-5KM17 50-59 years, female 202.6
GTEX-14JIY-0126-SM-6LLH6 60-69 years, male 199.4
GTEX-11ZUS-0626-SM-59885 30-39 years, male 196.6
GTEX-ZEX8-2426-SM-4WKG4 50-59 years, male 183.7
GTEX-1MGNQ-0126-SM-EVYCJ 40-49 years, male 183.1
GTEX-14BIM-0226-SM-7IGLD 60-69 years, female 180.1
GTEX-1RAZQ-0726-SM-EAZ43 30-39 years, male 178.3
GTEX-1PIGE-0126-SM-EVYBJ 20-29 years, male 171.9
GTEX-SIU8-0126-SM-2XCDT 50-59 years, male 171.3
GTEX-1LNCM-1126-SM-E9U5E 50-59 years, female 170.2
GTEX-Y5V6-2426-SM-4VDSB 60-69 years, male 169.7
GTEX-1I19N-0326-SM-ACKVX 70-79 years, male 167.6
GTEX-Q734-1926-SM-2I5EV 40-49 years, female 166.9
GTEX-145LT-1726-SM-5QGP3 40-49 years, male 165.4
GTEX-ZUA1-0126-SM-5GU76 40-49 years, male 155.7
GTEX-1IDFM-0126-SM-COH2V 60-69 years, male 152.4
GTEX-139T4-0226-SM-5HL5S 50-59 years, female 147.3
GTEX-131YS-0126-SM-5KM1M 60-69 years, female 145.1
GTEX-1LBAC-0126-SM-DIPEZ 20-29 years, male 144.0
GTEX-139TT-0126-SM-5K7Y5 60-69 years, male 141.4
GTEX-1H1ZS-0426-SM-9WG6G 70-79 years, male 140.8
GTEX-1RQEC-0426-SM-E6CHU 60-69 years, male 140.3
GTEX-X62O-0126-SM-4E3JN 50-59 years, male 139.2
GTEX-SUCS-1926-SM-32PM3 70-79 years, male 139.1
GTEX-15EOM-0126-SM-7KUGG 20-29 years, female 138.3
GTEX-1HFI6-0226-SM-ADEHZ 40-49 years, male 138.3
GTEX-1F6IF-0726-SM-7P8TW 60-69 years, male 136.3
GTEX-1H3O1-0426-SM-9YFKY 60-69 years, male 132.5
GTEX-14E6C-0126-SM-5RQIP 40-49 years, male 129.7
GTEX-RTLS-0126-SM-447CA 60-69 years, female 128.6
GTEX-13X6J-0126-SM-5QGOU 50-59 years, male 125.2
GTEX-ZE7O-0126-SM-57WC1 50-59 years, female 125.1
GTEX-ZDTS-0126-SM-4WAY5 60-69 years, male 125.0
GTEX-1IGQW-0126-SM-COH42 60-69 years, male 122.1
GTEX-14A6H-0126-SM-5QGPK 30-39 years, male 120.6
GTEX-1GTWX-0126-SM-9YFLK 60-69 years, male 120.3
GTEX-13W46-0226-SM-5SIAG 50-59 years, male 119.4
GTEX-1JMQK-0226-SM-CL543 60-69 years, male 119.2
GTEX-1EKGG-0226-SM-9WYTH 60-69 years, male 118.1
GTEX-11OC5-0126-SM-5HL6A 60-69 years, male 117.7
GTEX-1B8L1-2526-SM-9WYTF 60-69 years, male 117.6
GTEX-1B933-0126-SM-7PC29 50-59 years, female 117.3
GTEX-14PN3-2426-SM-6LLHS 60-69 years, female 115.9
GTEX-1AX9K-2326-SM-73KWU 50-59 years, male 114.9
GTEX-YJ8A-0426-SM-5IFID 20-29 years, male 114.8
GTEX-1GN73-0226-SM-9WG67 60-69 years, male 114.6
GTEX-13QJ3-0326-SM-5S2RA 50-59 years, male 114.4
GTEX-1R9PO-2126-SM-E9J4O 60-69 years, female 108.7
GTEX-XYKS-2126-SM-4E3IB 60-69 years, female 108.0
GTEX-X4EO-0326-SM-3P5YO 60-69 years, female 107.8
GTEX-WVJS-0126-SM-4MVOT 50-59 years, male 107.5
GTEX-WZTO-0126-SM-3NM95 40-49 years, male 107.3
GTEX-1HBPH-0426-SM-B2LW5 40-49 years, female 106.8
GTEX-15SDE-2226-SM-7IGLO 50-59 years, female 106.5
GTEX-13OVL-0226-SM-5L3E9 50-59 years, male 106.3
GTEX-1KD5A-0226-SM-D5OV3 50-59 years, male 105.5
GTEX-131XW-0426-SM-5LZWP 50-59 years, female 105.2
GTEX-1I1GP-2226-SM-CGQFK 50-59 years, male 104.1
GTEX-13OW8-1326-SM-5J1OW 60-69 years, male 103.3
GTEX-X585-0226-SM-4QAS2 50-59 years, male 102.8
GTEX-1314G-1526-SM-5EGK2 30-39 years, male 102.6
GTEX-1HCUA-2426-SM-ADEIS 50-59 years, female 102.3
GTEX-14DAQ-0126-SM-5S2MQ 60-69 years, female 102.2
GTEX-1QP29-0626-SM-EWRMX 50-59 years, male 101.8
GTEX-1RLM8-2326-SM-EWRN4 50-59 years, male 101.4
GTEX-11GS4-2726-SM-5A5LE 60-69 years, male 101.2
GTEX-13CF2-2526-SM-5LZYX 60-69 years, male 100.3
GTEX-13OW7-0126-SM-5MR3B 50-59 years, male 100.3
GTEX-1JMOU-1526-SM-CL54I 60-69 years, female 100.2
GTEX-117YW-2626-SM-5GZZH 50-59 years, male 98.7
GTEX-1C6WA-0126-SM-7PC2B 60-69 years, male 98.3
GTEX-1QP66-1726-SM-E8VO1 50-59 years, male 98.0
GTEX-ZF28-0126-SM-4WKGK 60-69 years, male 97.0
GTEX-P4PP-0126-SM-3LK69 30-39 years, female 95.5
GTEX-1NHNU-1026-SM-E9J2A 50-59 years, male 95.4
GTEX-1CAMQ-0226-SM-7IGPK 40-49 years, male 94.9
GTEX-1IKK5-0626-SM-ARL8A 60-69 years, male 94.0
GTEX-144GN-2326-SM-5LU4F 50-59 years, male 93.4
GTEX-139T8-0126-SM-5K7XZ 60-69 years, male 92.9
GTEX-12ZZX-0126-SM-5EGK9 40-49 years, female 92.5
GTEX-1399U-2326-SM-5K7WY 50-59 years, female 92.0
GTEX-13FTX-1826-SM-5J1NX 20-29 years, female 91.4
GTEX-S7PM-0126-SM-4AD6S 60-69 years, male 90.1
GTEX-P4PQ-0126-SM-2S1NM 60-69 years, male 89.4
GTEX-113IC-0126-SM-5HL6T 60-69 years, male 87.8
GTEX-1I1GS-0126-SM-B2LVW 60-69 years, male 87.7
GTEX-ZAK1-0126-SM-5IJD3 50-59 years, female 87.0
GTEX-QLQ7-1626-SM-2S1R8 60-69 years, male 86.9
GTEX-18A7A-0226-SM-718BH 50-59 years, female 86.4
GTEX-14LLW-0126-SM-6LLIO 70-79 years, female 86.2
GTEX-12WSD-0126-SM-59HKN 60-69 years, female 86.1
GTEX-13NZA-0226-SM-5K7Z7 60-69 years, male 86.0
GTEX-1HCU6-0126-SM-CL54K 60-69 years, female 85.5
GTEX-1PBJI-0526-SM-E8VNK 20-29 years, female 85.3
GTEX-1IY9M-0126-SM-D3L8S 60-69 years, male 85.2
GTEX-14BMU-2226-SM-5TDE9 20-29 years, female 84.6
GTEX-TMZS-0126-SM-3DB9Q 60-69 years, male 84.4
GTEX-QEG4-0226-SM-2S1PY 30-39 years, male 84.3
GTEX-OOBK-0126-SM-2YUND 40-49 years, male 83.5
GTEX-1LG7Y-0526-SM-DKPQC 50-59 years, male 82.7
GTEX-1497J-2426-SM-7IGNX 60-69 years, male 82.5
GTEX-RN64-0126-SM-2TC68 50-59 years, male 82.5
GTEX-PWO3-1526-SM-48TCM 60-69 years, female 82.3
GTEX-S33H-1026-SM-EZ6L6 30-39 years, male 81.6
GTEX-11WQC-2526-SM-5CVLE 60-69 years, male 81.2
GTEX-1GZ2Q-0226-SM-7P8TL 40-49 years, male 80.4
GTEX-15DYW-0126-SM-7KULE 60-69 years, female 80.3
GTEX-1S82Y-2026-SM-EVYCM 40-49 years, male 80.2
GTEX-11ZU8-2526-SM-5EQKI 60-69 years, male 80.1
GTEX-13N1W-0126-SM-5K7VT 70-79 years, male 79.5
GTEX-13RTJ-2426-SM-5S2Q2 60-69 years, male 79.2
GTEX-1C2JI-1826-SM-73KXC 50-59 years, male 79.1
GTEX-1JMPY-1326-SM-ARL8Y 30-39 years, male 79.0
GTEX-1I1GV-0526-SM-A9G29 60-69 years, male 78.9
GTEX-1F75A-0126-SM-7RHGM 50-59 years, male 78.5
GTEX-S95S-1226-SM-4GICG 60-69 years, male 78.4
GTEX-1AX9I-0126-SM-7SB74 60-69 years, male 78.4
GTEX-1H1CY-2826-SM-9MQM3 60-69 years, female 78.0
GTEX-ZAB4-0226-SM-5N9F5 40-49 years, male 77.9
GTEX-1A32A-0126-SM-718B1 50-59 years, female 77.6
GTEX-14DAR-2026-SM-5S2O3 50-59 years, male 76.7
GTEX-Y111-0126-SM-4SOIV 50-59 years, male 76.6
GTEX-ZDYS-2026-SM-5HL5L 50-59 years, male 76.4
GTEX-RNOR-0126-SM-E9J4R 50-59 years, female 76.4
GTEX-X638-0126-SM-47JZ8 70-79 years, female 76.3
GTEX-1M4P7-0226-SM-DIPEV 60-69 years, male 75.7
GTEX-1AX8Z-0126-SM-7DHM6 60-69 years, male 75.5
GTEX-SJXC-0126-SM-2XCFF 60-69 years, male 75.3
GTEX-1HGF4-2426-SM-ACKXM 60-69 years, male 74.8
GTEX-14C5O-0126-SM-5SI6N 60-69 years, male 74.7
GTEX-11DZ1-0126-SM-5985Q 50-59 years, male 74.6
GTEX-1CB4G-0226-SM-7PC3O 60-69 years, male 73.2
GTEX-13FXS-0226-SM-5IJCK 50-59 years, male 72.9
GTEX-W5WG-1826-SM-4KL2Y 50-59 years, female 72.4
GTEX-1RAZA-0126-SM-E6CI3 20-29 years, male 71.7
GTEX-YB5K-2126-SM-4WWDJ 40-49 years, female 71.6
GTEX-14BMV-0126-SM-5S2PO 50-59 years, male 71.4
GTEX-Z93S-0126-SM-5HL7M 50-59 years, male 71.1
GTEX-1MCQQ-0826-SM-DLHC2 60-69 years, male 71.1
GTEX-11UD1-0126-SM-5PNYG 40-49 years, female 70.8
GTEX-1HSMO-0126-SM-CL547 60-69 years, male 70.8
GTEX-113JC-2326-SM-5EQ4E 50-59 years, female 70.4
GTEX-OXRO-0126-SM-2YUN4 60-69 years, female 70.3
GTEX-14E7W-0126-SM-6LLJ9 70-79 years, male 70.0
GTEX-XUW1-0426-SM-4BOOT 50-59 years, female 69.6
GTEX-12ZZY-0226-SM-5LZVE 60-69 years, male 69.5
GTEX-146FH-0126-SM-5QGPP 50-59 years, female 69.4
GTEX-NPJ8-0126-SM-2YUNR 40-49 years, male 69.4
GTEX-14ABY-0226-SM-5TDCQ 50-59 years, male 69.2
GTEX-15SHU-0126-SM-7KUEH 40-49 years, female 69.1
GTEX-131XH-2226-SM-5DUXJ 50-59 years, male 68.9
GTEX-15SHW-0326-SM-6PAML 60-69 years, male 68.9
GTEX-139TS-2826-SM-5J1OO 60-69 years, male 68.7
GTEX-1H3NZ-0126-SM-ACKX7 60-69 years, male 68.6
GTEX-1HCU8-0626-SM-A9SM9 60-69 years, female 68.5
GTEX-YFC4-0126-SM-5CVLY 40-49 years, female 68.4
GTEX-13FHO-0226-SM-5IFGY 60-69 years, male 68.2
GTEX-12126-0326-SM-5PNW3 20-29 years, male 68.1
GTEX-15SB6-1726-SM-6PAME 50-59 years, female 68.1
GTEX-1QP2A-0126-SM-E9J43 50-59 years, male 67.9
GTEX-XAJ8-0826-SM-47JY6 40-49 years, male 67.3
GTEX-1A3MV-1926-SM-718BT 30-39 years, male 67.2
GTEX-11H98-0126-SM-5EGHG 50-59 years, male 67.0
GTEX-OHPM-0126-SM-2YUN9 50-59 years, male 66.3
GTEX-17EUY-0426-SM-793BD 20-29 years, male 65.7
GTEX-13NZ8-0826-SM-5MR3I 60-69 years, female 65.4
GTEX-17F97-0326-SM-7LG5B 50-59 years, male 64.7
GTEX-15DCD-0126-SM-7KUEK 70-79 years, female 64.6
GTEX-1GMRU-0126-SM-9YFLV 50-59 years, male 64.5
GTEX-ZVTK-0426-SM-51MRS 20-29 years, male 64.3
GTEX-1IL2V-0126-SM-CM2TX 70-79 years, male 64.0
GTEX-1ICLY-0126-SM-D4P36 50-59 years, male 63.5
GTEX-14PK6-1926-SM-6ETZU 70-79 years, female 63.1
GTEX-18QFQ-0126-SM-731BE 30-39 years, male 63.0
GTEX-1KD4Q-0226-SM-E9TJ9 40-49 years, male 63.0
GTEX-RU72-0926-SM-2TF6B 50-59 years, female 62.8
GTEX-11VI4-1726-SM-5CVLH 40-49 years, female 62.4
GTEX-1CAV2-2226-SM-7P8P2 40-49 years, female 61.9
GTEX-1313W-0126-SM-5LZUN 50-59 years, female 61.7
GTEX-14PJM-0226-SM-62LF1 50-59 years, female 61.6
GTEX-ZF29-2326-SM-DO92K 60-69 years, female 61.6
GTEX-R55E-0126-SM-2TC5Y 20-29 years, male 61.3
GTEX-131XF-5016-SM-7MGWE 60-69 years, male 61.1
GTEX-1AMEY-1326-SM-73KYK 30-39 years, female 61.0
GTEX-18A6Q-0126-SM-731BZ 60-69 years, male 60.9
GTEX-1GPI6-0126-SM-9WG69 60-69 years, male 60.9
GTEX-13VXU-0126-SM-5SI9F 50-59 years, male 60.8
GTEX-18A7B-0126-SM-7LG64 70-79 years, male 60.8
GTEX-SNMC-1226-SM-2XCFP 20-29 years, male 60.8
GTEX-1GMR3-1926-SM-9KNUZ 40-49 years, male 60.8
GTEX-1KWVE-1426-SM-E9TJO 30-39 years, male 60.8
GTEX-11GSO-2426-SM-5A5LY 60-69 years, male 60.7
GTEX-12WSL-2526-SM-5GCNJ 50-59 years, male 60.7
GTEX-11ZTS-0126-SM-5EQ6M 60-69 years, female 60.3
GTEX-ZDXO-3026-SM-5J1N5 60-69 years, male 60.1
GTEX-16GPK-0126-SM-7DHLE 60-69 years, male 59.5
GTEX-15D1Q-0126-SM-7KUG6 40-49 years, male 59.4
GTEX-1HBPI-1526-SM-C1YQ1 50-59 years, male 59.4
GTEX-16NGA-1726-SM-731B4 40-49 years, female 59.1
GTEX-13N11-2526-SM-5K7UE 50-59 years, female 59.0
GTEX-11DXW-0226-SM-5H122 40-49 years, male 58.7
GTEX-16MT8-0426-SM-7KUEY 60-69 years, female 58.7
GTEX-11P82-1626-SM-59879 20-29 years, male 58.6
GTEX-132NY-0326-SM-5IJBL 60-69 years, male 58.6
GTEX-R55G-2526-SM-2TC6D 40-49 years, female 58.4
GTEX-139D8-0226-SM-5KLZO 30-39 years, female 58.2
GTEX-15DDE-0126-SM-6LPKH 50-59 years, female 58.2
GTEX-1BAJH-0526-SM-793CQ 70-79 years, male 58.1
GTEX-QLQW-1126-SM-2S1Q8 30-39 years, male 58.1
GTEX-1GZHY-0326-SM-9QEHI 50-59 years, female 58.1
GTEX-OXRP-0126-SM-3NB32 60-69 years, female 58.0
GTEX-ZYFD-0126-SM-5GIDL 50-59 years, male 58.0
GTEX-1EWIQ-0126-SM-7RHH2 70-79 years, female 58.0
GTEX-13OVK-2026-SM-7KUEO 40-49 years, male 57.9
GTEX-X5EB-2226-SM-46MW4 40-49 years, male 57.8
GTEX-13NZB-2526-SM-5J1OM 30-39 years, male 57.7
GTEX-1399T-2826-SM-5KLYZ 60-69 years, male 57.6
GTEX-13PVR-2326-SM-5QGR1 60-69 years, female 57.4
GTEX-VJWN-0126-SM-3GIK7 50-59 years, female 57.3
GTEX-1QP67-1626-SM-EAZ3X 40-49 years, female 57.3
GTEX-11NUK-0126-SM-5A5L3 50-59 years, male 57.2
GTEX-18465-0126-SM-731BN 50-59 years, male 57.2
GTEX-11OF3-2626-SM-5GU7F 60-69 years, male 57.1
GTEX-1HSEH-0126-SM-ACKXN 60-69 years, male 57.1
GTEX-145MO-0326-SM-5Q5B3 60-69 years, male 56.9
GTEX-17HHE-2026-SM-79OKF 50-59 years, male 56.7
GTEX-ZVT3-0126-SM-5GU6I 60-69 years, female 56.7
GTEX-QDVJ-1726-SM-2I5FX 50-59 years, male 56.5
GTEX-1GN1V-0126-SM-9WPOS 60-69 years, male 56.5
GTEX-1MCYP-1926-SM-E9J2R 20-29 years, female 56.5
GTEX-12ZZZ-0626-SM-5DUXI 60-69 years, male 56.4
GTEX-1IE54-0126-SM-CMKHW 40-49 years, female 56.3
GTEX-1CB4F-0426-SM-9KNV4 60-69 years, male 56.0
GTEX-11NSD-2226-SM-5986V 20-29 years, male 55.9
GTEX-U4B1-1826-SM-4DXSU 40-49 years, male 55.7
GTEX-1HR98-0126-SM-B2LWI 60-69 years, male 55.5
GTEX-ZGAY-0526-SM-4WWBB 40-49 years, female 54.9
GTEX-14ICK-0226-SM-6EU25 40-49 years, male 54.6
GTEX-XMD2-0126-SM-4YCDU 60-69 years, female 54.5
GTEX-18A67-0126-SM-7LG5P 50-59 years, male 54.1
GTEX-13O3P-0126-SM-5KM4S 50-59 years, male 53.9
GTEX-PWCY-1826-SM-DHXIZ 20-29 years, female 53.7
GTEX-O5YW-0126-SM-3LK6D 50-59 years, male 53.2
GTEX-ZY6K-1826-SM-5GZXK 50-59 years, male 53.2
GTEX-1A8FM-0226-SM-7SB7Q 50-59 years, female 53.1
GTEX-145MF-0626-SM-5LUAI 50-59 years, male 53.0
GTEX-139TU-0126-SM-5K7WH 60-69 years, male 52.6
GTEX-13IVO-0126-SM-5J1NG 70-79 years, male 52.6
GTEX-13O3Q-2426-SM-5IJBR 50-59 years, male 52.6
GTEX-17MF6-0126-SM-7LG4F 40-49 years, male 52.6
GTEX-13FTY-0526-SM-5L3EV 40-49 years, female 52.3
GTEX-13U4I-0126-SM-5LU38 40-49 years, female 52.2
GTEX-183FY-0126-SM-7LT9P 20-29 years, male 52.2
GTEX-1POEN-0126-SM-EYYXJ 30-39 years, female 52.0
GTEX-148VI-1626-SM-5SI6E 60-69 years, female 51.9
GTEX-17HHY-0126-SM-7LG5D 50-59 years, male 51.7
GTEX-1HSMP-0126-SM-E6CJS 70-79 years, male 51.7
GTEX-1EU9M-0226-SM-7P8SP 60-69 years, male 51.5
GTEX-13O1R-0126-SM-5L3EH 60-69 years, male 51.4
GTEX-1CB4J-0626-SM-7DHMP 60-69 years, male 51.3
GTEX-1JJE9-0326-SM-CL53Z 70-79 years, male 51.3
GTEX-U3ZN-2326-SM-3DB7W 30-39 years, female 51.2
GTEX-1I1GR-0126-SM-CL55F 60-69 years, male 51.1
GTEX-13OVJ-0126-SM-5KM36 50-59 years, female 51.0
GTEX-1IKOH-0226-SM-COH4E 60-69 years, female 50.9
GTEX-1HKZK-0326-SM-9WYUH 40-49 years, male 50.6
GTEX-Q2AI-1326-SM-2S1PL 40-49 years, male 50.1
GTEX-1LSNM-1926-SM-E6CII 50-59 years, male 50.1
GTEX-U8XE-0326-SM-3DB8P 30-39 years, male 50.0
GTEX-1HBPN-0226-SM-9YFM1 50-59 years, male 49.4
GTEX-13SLW-0126-SM-5SI6C 70-79 years, male 49.3
GTEX-RVPV-0126-SM-EAZAW 60-69 years, male 49.3
GTEX-QV44-1926-SM-2S1RF 50-59 years, male 49.2
GTEX-1IDJF-0126-SM-CM2RS 20-29 years, male 49.1
GTEX-11O72-0126-SM-59887 40-49 years, male 48.9
GTEX-11ZTT-2426-SM-5EQLS 60-69 years, female 48.9
GTEX-W5X1-3026-SM-EAZAX 40-49 years, female 48.4
GTEX-16XZZ-0126-SM-793DV 60-69 years, male 48.3
GTEX-1ICG6-2526-SM-CGQFZ 70-79 years, female 48.2
GTEX-18A66-0226-SM-718BD 60-69 years, male 48.1
GTEX-1B8KZ-2026-SM-7DHMB 50-59 years, male 48.1
GTEX-1F48J-0126-SM-7P8TT 50-59 years, female 48.1
GTEX-PLZ6-1426-SM-DKPOT 30-39 years, male 47.8
GTEX-1N2DV-0226-SM-E6CJ6 40-49 years, male 47.7
GTEX-ZAB5-1826-SM-5HL7C 50-59 years, male 47.6
GTEX-1PPH8-0226-SM-E8VND 20-29 years, male 47.5
GTEX-1QEPI-0126-SM-EWRMQ 60-69 years, female 47.5
GTEX-XQ8I-0426-SM-4BOPO 50-59 years, male 47.4
GTEX-R45C-0126-SM-EAZ2R 60-69 years, female 47.4
GTEX-15RIG-0226-SM-7KFTL 40-49 years, male 47.2
GTEX-QVJO-1626-SM-2S1QW 60-69 years, female 47.2
GTEX-1C64O-0126-SM-7SB8P 60-69 years, male 47.2
GTEX-QESD-1426-SM-2S1R9 20-29 years, male 47.0
GTEX-1F88F-2726-SM-7PBZZ 60-69 years, female 47.0
GTEX-1H1DE-2126-SM-9WG6R 20-29 years, male 47.0
GTEX-148VJ-0126-SM-5TDDN 70-79 years, male 46.9
GTEX-PW2O-1526-SM-7RHHB 20-29 years, male 46.7
GTEX-111FC-0126-SM-5N9DL 60-69 years, male 46.6
GTEX-1H1DG-0126-SM-9WYU2 70-79 years, male 46.5
GTEX-1KAFJ-2026-SM-CY8ID 50-59 years, male 46.2
GTEX-Y8DK-0126-SM-4TT3L 60-69 years, male 45.9
GTEX-12WSK-2326-SM-5GCOH 40-49 years, female 45.7
GTEX-14PN4-0126-SM-6EU2V 50-59 years, male 45.7
GTEX-1B996-0226-SM-7RHGO 60-69 years, male 45.7
GTEX-U412-0426-SM-3DB9O 60-69 years, male 45.6
GTEX-17HGU-0226-SM-7DHKV 50-59 years, male 45.3
GTEX-ZTPG-0326-SM-5O9AX 20-29 years, female 45.3
GTEX-14JG1-0426-SM-6ETZZ 40-49 years, male 45.2
GTEX-1J1R8-1726-SM-ARL8M 40-49 years, male 44.8
GTEX-1J8JJ-0226-SM-CL53I 60-69 years, female 44.7
GTEX-14PII-0226-SM-6EU1T 60-69 years, male 44.6
GTEX-1JMQJ-0526-SM-CYPSU 50-59 years, male 44.6
GTEX-ZVT4-0126-SM-DTXFN 50-59 years, female 44.5
GTEX-1J8EW-0126-SM-CJI4F 60-69 years, female 44.4
GTEX-UPJH-0326-SM-3GADU 50-59 years, male 44.2
GTEX-15CHC-2126-SM-6EU21 60-69 years, female 44.1
GTEX-14JG6-2226-SM-6EU2G 30-39 years, female 44.0
GTEX-OHPL-0126-SM-2HMJ7 60-69 years, female 44.0
GTEX-13SLX-0526-SM-5S2ON 50-59 years, female 43.9
GTEX-SN8G-0126-SM-32PLI 50-59 years, female 43.8
GTEX-1H1E6-1726-SM-ACKVK 30-39 years, male 43.8
GTEX-13OVI-1426-SM-5L3EY 60-69 years, female 43.7
GTEX-14BIN-0626-SM-793DP 50-59 years, female 43.3
GTEX-1PPH7-2326-SM-EVYB8 40-49 years, male 43.3
GTEX-146FQ-0126-SM-5NQA9 30-39 years, male 43.2
GTEX-PLZ4-0126-SM-5SI8O 50-59 years, female 43.2
GTEX-XQ3S-1526-SM-4BOOC 20-29 years, male 43.1
GTEX-1E2YA-0126-SM-9KNUC 50-59 years, male 43.1
GTEX-RWS6-2026-SM-2XCB5 60-69 years, female 42.9
GTEX-1C4CL-0526-SM-73KVK 30-39 years, male 42.8
GTEX-12C56-1726-SM-5EQ61 20-29 years, male 42.7
GTEX-ZC5H-0226-SM-4WAY9 40-49 years, female 42.7
GTEX-1F75B-0126-SM-9KNVL 50-59 years, male 42.7
GTEX-17EVQ-0226-SM-7LG4P 70-79 years, male 42.5
GTEX-X4EP-0126-SM-3P5YV 60-69 years, female 42.5
GTEX-1128S-2326-SM-5GZZY 60-69 years, female 42.2
GTEX-X261-0126-SM-3NMD6 50-59 years, male 42.2
GTEX-147GR-0526-SM-5S2MY 60-69 years, male 42.1
GTEX-1H3VE-0326-SM-9YFLH 40-49 years, male 42.1
GTEX-139UW-2826-SM-5L3E7 60-69 years, male 41.9
GTEX-OIZG-0726-SM-33HBL 50-59 years, male 41.8
GTEX-X8HC-0126-SM-4E3JW 50-59 years, female 41.7
GTEX-WYVS-2126-SM-3NMA3 40-49 years, female 41.6
GTEX-1I1CD-0126-SM-CM2TK 60-69 years, female 41.5
GTEX-ZVE2-0226-SM-59HJB 50-59 years, male 41.2
GTEX-1QW4Y-1526-SM-EAZ3Z 30-39 years, male 41.1
GTEX-1MA7X-2226-SM-E6CIY 60-69 years, male 41.0
GTEX-131XE-2326-SM-5PNZ2 50-59 years, male 40.9
GTEX-T5JC-0426-SM-32PLO 20-29 years, male 40.9
GTEX-169BO-1326-SM-9MQK2 50-59 years, male 40.8
GTEX-1GF9U-2126-SM-7SB7L 40-49 years, female 40.8
GTEX-13FHP-0126-SM-5IJBG 50-59 years, male 40.7
GTEX-1F5PK-2426-SM-7RHHY 50-59 years, male 40.6
GTEX-12WSN-5019-SM-79OM6 40-49 years, male 40.4
GTEX-XUYS-0126-SM-47JWZ 50-59 years, male 40.4
GTEX-ZYW4-0126-SM-5E44A 60-69 years, male 40.4
GTEX-1JMQI-2226-SM-CM2SD 50-59 years, male 40.4
GTEX-PSDG-0226-SM-DKPOZ 50-59 years, male 40.4
GTEX-11ZVC-2526-SM-5FQTE 50-59 years, female 40.3
GTEX-R3RS-0126-SM-3GIJL 40-49 years, female 40.3
GTEX-P4QT-0126-SM-2I3FL 50-59 years, female 40.2
GTEX-14A5H-0426-SM-5QGQF 60-69 years, male 40.1
GTEX-1LC47-0326-SM-E9TJP 60-69 years, male 39.6
GTEX-14753-0426-SM-5NQAM 60-69 years, male 39.4
GTEX-1GPI7-0126-SM-9MQL8 20-29 years, male 39.4
GTEX-OOBJ-0126-SM-E6CJW 60-69 years, male 39.3
GTEX-13X6I-0626-SM-5QGP9 60-69 years, male 39.2
GTEX-T6MO-1626-SM-32QOM 40-49 years, female 39.2
GTEX-145LV-2126-SM-5LU8N 50-59 years, male 39.1
GTEX-17KNJ-2326-SM-7DHLQ 50-59 years, male 39.1
GTEX-T8EM-1026-SM-3DB7M 40-49 years, male 39.1
GTEX-YEC4-2126-SM-5IFJH 40-49 years, male 38.8
GTEX-1AMFI-2026-SM-731BH 50-59 years, female 38.6
GTEX-1E1VI-0126-SM-7DHMZ 50-59 years, male 38.6
GTEX-14A5I-0126-SM-5TDEA 50-59 years, female 38.5
GTEX-S7SE-0126-SM-2XCD5 50-59 years, male 38.5
GTEX-OXRL-0126-SM-2YUMP 50-59 years, male 38.4
GTEX-1IOXB-0126-SM-ARL8G 50-59 years, male 38.4
GTEX-15G19-0126-SM-6PANQ 60-69 years, male 38.3
GTEX-17HG3-2226-SM-7938L 30-39 years, female 38.3
GTEX-T2IS-0126-SM-4DM6O 20-29 years, female 38.3
GTEX-1F75I-0326-SM-9YFLU 40-49 years, male 38.3
GTEX-OXRK-0226-SM-3NB2G 50-59 years, female 38.2
GTEX-U8T8-0126-SM-3DB94 60-69 years, male 38.2
GTEX-13O3O-0126-SM-E9J49 60-69 years, female 38.2
GTEX-14BIL-0126-SM-5SI92 50-59 years, male 38.0
GTEX-1MUQO-0126-SM-EAZ58 60-69 years, male 37.8
GTEX-QDT8-0126-SM-48TZ1 30-39 years, female 37.7
GTEX-11TTK-0126-SM-5987B 60-69 years, female 37.5
GTEX-14E6D-0126-SM-62LDV 50-59 years, male 37.4
GTEX-12WSG-2826-SM-E9J4H 50-59 years, female 37.4
GTEX-XXEK-2226-SM-4BRUM 50-59 years, male 37.3
GTEX-13S7M-0126-SM-5SI6A 60-69 years, female 37.1
GTEX-1O97I-0326-SM-EYYX7 60-69 years, male 37.1
GTEX-1R7EV-2426-SM-EVYBG 40-49 years, male 37.1
GTEX-1N2EF-0226-SM-EYYXB 60-69 years, male 36.8
GTEX-13O21-1426-SM-5K7XI 50-59 years, male 36.4
GTEX-14PJ6-2126-SM-6EU1V 60-69 years, female 36.3
GTEX-ZU9S-0226-SM-5E441 30-39 years, male 36.2
GTEX-1I6K6-0126-SM-A9SLE 30-39 years, male 36.2
GTEX-16XZY-2126-SM-79OK1 70-79 years, male 36.0
GTEX-1I1GQ-0126-SM-COH3H 50-59 years, male 36.0
GTEX-13NYS-0126-SM-5MR3W 60-69 years, male 35.9
GTEX-1269C-2526-SM-5EGJ3 60-69 years, female 35.6
GTEX-17HII-0226-SM-7LG4E 50-59 years, male 35.6
GTEX-11DXY-2626-SM-5GIE7 60-69 years, male 35.5
GTEX-14PJ3-1826-SM-62LEX 50-59 years, male 35.5
GTEX-NFK9-0226-SM-2HMKQ 40-49 years, male 35.3
GTEX-TML8-1926-SM-32QOS 40-49 years, female 35.3
GTEX-1JN6P-0126-SM-D3L98 60-69 years, male 35.1
GTEX-RWSA-0126-SM-2XCBB 40-49 years, male 34.9
GTEX-1J1OQ-0226-SM-CYPSH 40-49 years, female 34.9
GTEX-WY7C-2326-SM-3NB2U 50-59 years, male 34.6
GTEX-WQUQ-0426-SM-3MJFU 60-69 years, male 34.5
GTEX-X4XY-0226-SM-4E3IZ 60-69 years, male 34.3
GTEX-VJYA-1126-SM-3GIJU 60-69 years, male 34.2
GTEX-TMMY-0226-SM-33HBA 40-49 years, female 33.6
GTEX-1H2FU-0126-SM-9WYSI 60-69 years, female 33.6
GTEX-P44H-0226-SM-2XCEU 40-49 years, male 33.5
GTEX-1HCU7-0226-SM-CL545 50-59 years, male 33.5
GTEX-1LB8K-0226-SM-EWRNW 50-59 years, male 33.5
GTEX-QCQG-1726-SM-3GIJ9 50-59 years, female 33.4
GTEX-1HSMQ-1226-SM-CGQFX 50-59 years, male 33.4
GTEX-ZF3C-0126-SM-DO92D 50-59 years, female 33.4
GTEX-U3ZH-2026-SM-3DB78 30-39 years, male 33.3
GTEX-1192W-2626-SM-5Q5AF 60-69 years, male 33.2
GTEX-12KS4-0326-SM-5EQ41 30-39 years, male 33.2
GTEX-WXYG-2326-SM-4E3I6 50-59 years, female 33.1
GTEX-1H3VY-0126-SM-ACKXD 50-59 years, male 33.1
GTEX-16NPX-0226-SM-79OMT 50-59 years, male 33.0
GTEX-13W3W-2426-SM-5LU5B 60-69 years, female 32.8
GTEX-U3ZM-1526-SM-3DB9D 40-49 years, male 32.8
GTEX-111VG-2426-SM-5GZXD 60-69 years, male 32.7
GTEX-1NV5F-0226-SM-E8VNY 60-69 years, female 32.6
GTEX-1A3MX-0126-SM-731BR 60-69 years, male 32.4
GTEX-13PDP-0126-SM-5L3HD 60-69 years, male 32.1
GTEX-1J8QM-2126-SM-CYPSJ 60-69 years, female 32.0
GTEX-1CAMR-1926-SM-7EPI2 20-29 years, male 31.9
GTEX-145LU-0126-SM-5TDCB 50-59 years, male 31.8
GTEX-VUSG-2526-SM-4KL1V 50-59 years, male 31.2
GTEX-117YX-2326-SM-5H12W 50-59 years, male 31.1
GTEX-1IKJJ-0126-SM-CNPQB 60-69 years, male 31.1
GTEX-1S3DN-2226-SM-EVYCD 50-59 years, male 31.1
GTEX-1F7RK-0126-SM-7PC2S 20-29 years, female 30.9
GTEX-13RTL-0126-SM-7LG5S 40-49 years, male 30.8
GTEX-1I4MK-2226-SM-ACKWD 50-59 years, female 30.8
GTEX-1S82Z-0826-SM-E6CHY 30-39 years, female 30.8
GTEX-Y5LM-1926-SM-5RQJH 40-49 years, female 30.6
GTEX-1QMI2-0226-SM-EVYBX 60-69 years, male 30.6
GTEX-17F98-0626-SM-79OMX 40-49 years, female 30.2
GTEX-1F6RS-0126-SM-9MQKZ 60-69 years, female 30.0
GTEX-1GZ4H-1726-SM-7PBZJ 50-59 years, female 30.0
GTEX-1HSKV-0226-SM-A9SKJ 60-69 years, male 30.0
GTEX-14PHW-0126-SM-6LLJI 60-69 years, female 29.7
GTEX-1JKYN-1326-SM-CGQG9 30-39 years, male 29.6
GTEX-145ME-1826-SM-5SI9G 40-49 years, female 29.5
GTEX-Z93T-0126-SM-5HL5N 50-59 years, male 29.5
GTEX-13FH7-2026-SM-E9J4I 50-59 years, female 29.5
GTEX-11LCK-1026-SM-5A5KB 30-39 years, male 29.4
GTEX-11DXX-2426-SM-5GZZW 60-69 years, female 29.2
GTEX-1LGRB-2526-SM-CNPPQ 50-59 years, female 29.2
GTEX-15UF6-0826-SM-6PALJ 70-79 years, female 29.1
GTEX-1399R-2726-SM-5IJBA 30-39 years, male 29.0
GTEX-13G51-2526-SM-5LZYK 60-69 years, male 28.9
GTEX-1GN2E-0426-SM-9MQKX 60-69 years, male 28.9
GTEX-11TT1-2526-SM-5EGIB 20-29 years, male 28.8
GTEX-144FL-0126-SM-5TDC8 50-59 years, male 28.8
GTEX-18D9U-0226-SM-718BP 40-49 years, male 28.7
GTEX-1C6VQ-0126-SM-7P8RI 50-59 years, male 28.7
GTEX-ZYFC-0226-SM-5NQ75 50-59 years, male 28.5
GTEX-1H23P-0126-SM-ADEJ3 60-69 years, male 28.5
GTEX-13OW6-0426-SM-5L3HM 50-59 years, male 28.4
GTEX-1C6VS-0526-SM-7DUEN 60-69 years, male 28.4
GTEX-1HT8W-0126-SM-CNPPP 30-39 years, male 28.2
GTEX-1KANA-0726-SM-D3L9I 20-29 years, male 28.1
GTEX-1K9T9-0126-SM-EVYCF 50-59 years, female 28.0
GTEX-17MFQ-1726-SM-793C7 20-29 years, male 27.9
GTEX-Y8LW-1826-SM-5S2MV 50-59 years, female 27.7
GTEX-12WSE-0526-SM-793B2 20-29 years, male 27.6
GTEX-1R46S-0626-SM-E9J41 60-69 years, female 27.6
GTEX-1MJK2-0426-SM-DTXE5 50-59 years, male 27.4
GTEX-1K2DU-2326-SM-E9TIV 20-29 years, male 27.3
GTEX-1R7EU-0226-SM-EVR4G 60-69 years, male 27.3
GTEX-WYJK-0126-SM-3NMAB 50-59 years, male 27.1
GTEX-ZVT2-2526-SM-51MT1 50-59 years, female 27.0
GTEX-1192X-0226-SM-5H12D 50-59 years, male 26.9
GTEX-ZQUD-1426-SM-57WER 30-39 years, male 26.8
GTEX-11UD2-0226-SM-5EQKY 50-59 years, male 26.7
GTEX-11WQK-0526-SM-5EQLD 50-59 years, male 26.7
GTEX-T6MN-0126-SM-32PLP 50-59 years, male 26.7
GTEX-WFON-2126-SM-3LK7O 40-49 years, male 26.7
GTEX-11P81-2326-SM-59875 30-39 years, female 26.5
GTEX-RM2N-1426-SM-2TF4H 50-59 years, male 26.5
GTEX-1IL2U-0226-SM-CE6T8 60-69 years, male 26.4
GTEX-11TUW-2726-SM-E9J4M 60-69 years, male 26.3
GTEX-1211K-2026-SM-5EQ4Z 60-69 years, female 26.1
GTEX-13112-2826-SM-5DUWH 50-59 years, male 26.1
GTEX-13FTW-2626-SM-5K7WL 40-49 years, male 26.1
GTEX-13RTK-1426-SM-5QGQJ 20-29 years, male 26.1
GTEX-1GF9W-0326-SM-9KNUN 60-69 years, male 26.1
GTEX-11EM3-2426-SM-59861 20-29 years, female 25.7
GTEX-TKQ1-1026-SM-4GICL 30-39 years, male 25.6
GTEX-ZXES-1826-SM-5E43S 30-39 years, female 25.6
GTEX-14PHX-2326-SM-62LEM 50-59 years, male 25.4
GTEX-1J8Q2-0526-SM-CM2RW 60-69 years, male 25.4
GTEX-1RDX4-0126-SM-E9J4P 50-59 years, female 25.4
GTEX-1QP9N-1426-SM-DTXFL 30-39 years, male 25.0
GTEX-1JN1M-0326-SM-CYPT3 60-69 years, female 24.8
GTEX-1N2DW-0226-SM-E9TK2 50-59 years, male 24.7
GTEX-T2YK-0526-SM-32QPJ 50-59 years, male 24.6
GTEX-12584-0126-SM-5EGKQ 40-49 years, male 24.4
GTEX-Y8E4-0626-SM-4WWDL 40-49 years, male 24.3
GTEX-13OW5-0126-SM-DTXFS 60-69 years, male 24.3
GTEX-1S5ZA-0126-SM-EVYCV 20-29 years, male 24.3
GTEX-ZYT6-0226-SM-5NQ6T 30-39 years, male 24.0
GTEX-11XUK-2026-SM-5EQLF 40-49 years, female 23.8
GTEX-PVOW-0126-SM-2XCFA 40-49 years, male 23.7
GTEX-Y3I4-2126-SM-4TT7C 50-59 years, male 23.6
GTEX-1B8SG-0126-SM-73KZ3 50-59 years, male 23.5
GTEX-1J8Q3-1626-SM-CMKGC 60-69 years, male 23.5
GTEX-WRHK-1426-SM-3MJF9 20-29 years, female 23.2
GTEX-1EX96-1626-SM-7PBXR 50-59 years, male 22.9
GTEX-1EMGI-0126-SM-9KNUE 60-69 years, male 22.8
GTEX-1JKYR-0126-SM-CNPOJ 20-29 years, male 22.8
GTEX-1GF9X-2026-SM-7PC3A 40-49 years, female 22.6
GTEX-13OVH-0126-SM-5MR4B 70-79 years, male 22.3
GTEX-1H11D-0226-SM-9WG6Z 40-49 years, male 22.3
GTEX-1RB15-2126-SM-E9TIM 60-69 years, male 22.2
GTEX-1C6VR-2426-SM-79OLD 60-69 years, male 22.1
GTEX-XBEW-0626-SM-4QASP 40-49 years, male 22.1
GTEX-1LGOU-2026-SM-DIPFF 20-29 years, female 22.1
GTEX-PLZ5-2026-SM-2S1O4 50-59 years, male 21.8
GTEX-1R9PM-2026-SM-E76OY 20-29 years, male 21.8
GTEX-1A3MW-0126-SM-73KXX 60-69 years, female 21.7
GTEX-13YAN-0326-SM-5O9DF 60-69 years, male 21.6
GTEX-13VXT-0126-SM-5LU4I 20-29 years, female 21.4
GTEX-1HCVE-0126-SM-CGQEU 50-59 years, male 21.4
GTEX-ZVZP-2426-SM-59HKJ 50-59 years, male 21.3
GTEX-Q2AG-0126-SM-33HBV 40-49 years, female 21.2
GTEX-16YQH-0126-SM-7DUFJ 30-39 years, male 21.1
GTEX-UJHI-1526-SM-3DB99 50-59 years, female 21.1
GTEX-1HFI7-1826-SM-ACKXH 50-59 years, female 21.0
GTEX-1CB4I-0226-SM-79OLH 50-59 years, male 20.9
GTEX-11EMC-2926-SM-5EQ4F 60-69 years, female 20.6
GTEX-OIZH-0126-SM-2HMIS 50-59 years, male 20.6
GTEX-1QAET-0926-SM-E76QM 50-59 years, male 20.5
GTEX-Z9EW-1626-SM-5CVMN 40-49 years, male 20.3
GTEX-ZDTT-2726-SM-4WKF8 60-69 years, male 20.3
GTEX-1I1GU-2226-SM-CGQFA 40-49 years, male 20.2
GTEX-12WSA-0226-SM-5BC5V 60-69 years, male 20.0
GTEX-1S83E-0126-SM-EWRO4 40-49 years, male 19.9
GTEX-13CF3-2426-SM-5IFGX 60-69 years, female 19.8
GTEX-Y3IK-2426-SM-4WWDU 50-59 years, female 19.8
GTEX-15EU6-0426-SM-6PAN5 50-59 years, male 19.7
GTEX-1PIIG-0226-SM-EWRN6 30-39 years, male 19.7
GTEX-13NYB-2526-SM-5K7Z6 40-49 years, male 19.5
GTEX-16AAH-1726-SM-7939C 50-59 years, male 19.4
GTEX-1GN1U-0126-SM-7PBZK 50-59 years, female 19.1
GTEX-YB5E-2026-SM-5IFIS 40-49 years, male 19.0
GTEX-14LZ3-0226-SM-62LET 60-69 years, female 18.9
GTEX-OIZF-0126-SM-7SB8I 60-69 years, male 18.9
GTEX-ZQG8-1626-SM-DHXIT 60-69 years, female 18.9
GTEX-11EQ9-2426-SM-5HL5T 30-39 years, male 18.8
GTEX-13OVG-1926-SM-5L3DK 60-69 years, male 18.8
GTEX-1JMPZ-0226-SM-CNPP1 30-39 years, male 18.4
GTEX-1HCU9-1526-SM-A9SL7 20-29 years, male 18.3
GTEX-145MI-0526-SM-5O9A8 60-69 years, female 18.1
GTEX-17F96-1626-SM-7DUFL 70-79 years, male 17.9
GTEX-1HBPM-0226-SM-ARL9F 60-69 years, female 17.9
GTEX-13N2G-2626-SM-5J1OT 60-69 years, male 17.8
GTEX-XBED-2226-SM-47JYQ 60-69 years, male 17.8
GTEX-1GF9V-0326-SM-7RHI5 60-69 years, male 17.8
GTEX-WI4N-1026-SM-3LK7N 40-49 years, female 17.7
GTEX-ZXG5-0126-SM-5GIEU 60-69 years, male 17.7
GTEX-1LVAN-0226-SM-COH3S 50-59 years, female 17.6
GTEX-17GQL-2026-SM-718BA 60-69 years, male 17.5
GTEX-18D9B-0526-SM-7LTAS 60-69 years, male 17.5
GTEX-1OFPY-2426-SM-DTXEJ 60-69 years, male 17.4
GTEX-ZPIC-1726-SM-DHXIU 40-49 years, female 17.4
GTEX-1KANB-0526-SM-E6CJH 50-59 years, male 17.1
GTEX-X88G-0126-SM-47JZ3 30-39 years, male 16.9
GTEX-18D9A-1926-SM-7LG6P 30-39 years, female 16.6
GTEX-13113-5016-SM-7EPIP 60-69 years, female 16.5
GTEX-13JUV-2726-SM-5LZZ8 40-49 years, female 16.4
GTEX-Q2AH-1626-SM-3GAF8 40-49 years, male 16.4
GTEX-Y114-2426-SM-4TT8A 50-59 years, female 16.3
GTEX-ZZ64-1726-SM-5GZYB 20-29 years, male 16.3
GTEX-133LE-1826-SM-5J1MV 20-29 years, female 16.2
GTEX-1B97I-1626-SM-73KYO 40-49 years, male 16.2
GTEX-1B8KE-2126-SM-73KYX 50-59 years, male 16.1
GTEX-1F5PL-0326-SM-7P8PQ 40-49 years, female 15.8
GTEX-1F52S-0126-SM-9MQJU 60-69 years, female 15.7
GTEX-144GL-0126-SM-5TDE2 50-59 years, male 15.6
GTEX-15UKP-0426-SM-7KUFQ 20-29 years, male 15.6
GTEX-1HSGN-0226-SM-CGQFV 40-49 years, female 15.6
GTEX-1LH75-2426-SM-E9TJE 50-59 years, female 15.4
GTEX-1PFEY-1526-SM-E76PP 30-39 years, male 15.4
GTEX-1C475-1826-SM-73KWA 40-49 years, female 15.2
GTEX-X4XX-0126-SM-3NMC2 60-69 years, male 15.2
GTEX-ZTX8-1426-SM-5DUVO 20-29 years, male 15.2
GTEX-1CAMS-0426-SM-7P8T2 40-49 years, female 15.2
GTEX-12WSJ-1826-SM-5GCNY 40-49 years, female 15.1
GTEX-14XAO-2326-SM-6EU1B 60-69 years, female 15.1
GTEX-17JCI-0126-SM-7LG5G 60-69 years, female 15.0
GTEX-TSE9-0126-SM-3DB83 60-69 years, female 14.9
GTEX-145LS-0126-SM-5QGP1 60-69 years, female 14.8
GTEX-147F3-0526-SM-5SI98 50-59 years, female 14.6
GTEX-1212Z-2526-SM-5EGKP 60-69 years, male 14.5
GTEX-1H4P4-0726-SM-9YFLR 50-59 years, male 14.5
GTEX-1IDJH-0326-SM-A9SLQ 70-79 years, male 14.5
GTEX-1CB4E-2226-SM-793DC 60-69 years, male 14.4
GTEX-WOFL-0126-SM-3MJG2 60-69 years, male 14.4
GTEX-1EN7A-0126-SM-7SB81 40-49 years, male 14.4
GTEX-QDVN-2026-SM-3GAEP 50-59 years, male 14.3
GTEX-1JK1U-2026-SM-CM2RZ 60-69 years, male 14.3
GTEX-1JN76-0126-SM-CNPPE 20-29 years, female 14.3
GTEX-1B8SF-1426-SM-7DUGL 60-69 years, male 14.2
GTEX-12696-2426-SM-5EQ6H 60-69 years, male 14.1
GTEX-15ETS-0126-SM-7KUMW 40-49 years, female 13.7
GTEX-1I1GT-0626-SM-CGQER 60-69 years, female 13.5
GTEX-Y5V5-2326-SM-4V6GA 60-69 years, female 13.3
GTEX-1K2DA-1826-SM-CGQGT 50-59 years, male 13.3
GTEX-12WSC-0126-SM-5EQ4P 50-59 years, male 13.2
GTEX-ZWKS-0126-SM-5SIAA 30-39 years, male 12.9
GTEX-ZVZO-0126-SM-5A5L9 40-49 years, male 12.8
GTEX-1122O-2126-SM-5EGIR 60-69 years, female 12.7
GTEX-XPVG-2626-SM-4B669 50-59 years, male 12.7
GTEX-13NYC-0326-SM-E9J4S 60-69 years, male 12.7
GTEX-11EI6-0126-SM-5985R 60-69 years, male 12.6
GTEX-1QPFJ-0226-SM-E76PB 30-39 years, female 12.6
GTEX-15ER7-0326-SM-7KUEV 20-29 years, female 12.3
GTEX-YJ89-0126-SM-4TT3X 60-69 years, male 12.3
GTEX-1ICLZ-0126-SM-CKZPO 60-69 years, male 12.1
GTEX-1IDJU-2626-SM-CM2RT 60-69 years, female 12.1
GTEX-1AX9J-0226-SM-73KXM 60-69 years, male 12.0
GTEX-ZYFG-2326-SM-5E44B 60-69 years, female 11.8
GTEX-WFG8-2226-SM-3GIL9 20-29 years, male 11.7
GTEX-ZV6S-2326-SM-4YCEY 40-49 years, female 11.4
GTEX-1MA7W-2026-SM-E9TJ6 20-29 years, female 11.3
GTEX-SSA3-0126-SM-32QPU 60-69 years, male 11.1
GTEX-1GL5R-1826-SM-9KNUY 50-59 years, male 10.9
GTEX-O5YT-0126-SM-48TBW 20-29 years, male 10.7
GTEX-OXRN-0126-SM-48TDM 50-59 years, male 10.7
GTEX-ZAJG-0126-SM-5HL94 50-59 years, female 10.7
GTEX-1JJ6O-0126-SM-E6CI8 60-69 years, male 10.7
GTEX-1JJEA-0326-SM-CNPOT 60-69 years, male 10.6
GTEX-15F5U-1526-SM-6PANO 40-49 years, male 10.4
GTEX-1PDJ9-0326-SM-DTX95 20-29 years, male 10.3
GTEX-13D11-2426-SM-5KM1V 50-59 years, female 10.2
GTEX-1JMLX-0226-SM-CM2RO 50-59 years, male 10.1
GTEX-17EVP-0326-SM-7DHLG 40-49 years, male 10.0
GTEX-11DYG-0126-SM-59883 60-69 years, male 9.7
GTEX-1HB9E-0226-SM-E9U4R 50-59 years, male 9.7
GTEX-XUZC-1726-SM-4BRWS 30-39 years, female 9.4
GTEX-1CB4H-0226-SM-7PBXM 60-69 years, female 9.3
GTEX-1GMR8-0126-SM-9WYTM 50-59 years, female 9.1
GTEX-ZYY3-0126-SM-5GZY5 60-69 years, female 8.7
GTEX-1OJC3-0126-SM-E76QX 20-29 years, male 8.2
GTEX-1M5QR-1226-SM-EWROB 40-49 years, male 8.0
GTEX-POMQ-2226-SM-2I5FK 20-29 years, female 7.9
GTEX-ZV68-0126-SM-59HKS 50-59 years, female 7.8
GTEX-1C64N-0126-SM-793D7 50-59 years, male 7.7
GTEX-XV7Q-2526-SM-4BRV9 40-49 years, female 7.7
GTEX-1JMQL-0226-SM-CNPP5 50-59 years, female 7.6
GTEX-S32W-2126-SM-2XCB1 50-59 years, female 7.3
GTEX-1KXAM-2226-SM-CYPTC 60-69 years, male 7.3
GTEX-1R9K4-0126-SM-DTX9X 60-69 years, male 7.3
GTEX-145MN-2226-SM-5SIAU 30-39 years, male 7.0
GTEX-183WM-0126-SM-7LTAB 70-79 years, female 7.0
GTEX-PX3G-0126-SM-2I3EN 20-29 years, female 6.9
GTEX-SE5C-1626-SM-2XCE3 40-49 years, female 6.1
GTEX-13X6H-2126-SM-7EWD5 50-59 years, female 6.0
GTEX-T5JW-1626-SM-3GADZ 20-29 years, female 6.0
GTEX-14E6E-1826-SM-5S2R7 30-39 years, male 5.7
GTEX-ZTSS-1926-SM-57WEW 40-49 years, male 5.3
GTEX-1LG7Z-1726-SM-D3LA4 30-39 years, male 5.2
GTEX-ZF2S-2326-SM-4WWCE 50-59 years, female 5.1
GTEX-1KANC-1526-SM-D3LAB 50-59 years, female 5.0
GTEX-16BQI-0226-SM-7KUEX 30-39 years, female 4.9
GTEX-1PWST-0226-SM-E76QJ 70-79 years, male 4.7
GTEX-13111-1626-SM-5EGJY 50-59 years, male 4.3
GTEX-117XS-2726-SM-5N9BL 60-69 years, male 3.8
GTEX-11DXZ-2326-SM-5EGGV 50-59 years, male 3.8
GTEX-1L5NE-2526-SM-E6CIE 50-59 years, male 2.7
Show allShow less

Contact

  • NEWS ARTICLES
  • PRESS ROOM

The Project

  • INTRODUCTION
  • ORGANIZATION
  • PUBLICATIONS

The Human Protein Atlas

  • DOWNLOADABLE DATA
  • LICENCE & CITATION
  • HELP & FAQ
The Human Protein Atlas project is funded
by the Knut & Alice Wallenberg Foundation.


contact@proteinatlas.org