We use cookies to enhance the usability of our website. If you continue, we'll assume that you are happy to receive all cookies. More information. Don't show this again.
APOE
HPA
RESOURCES
  • TISSUE
  • BRAIN
  • SINGLE CELL
  • SUBCELLULAR
  • CANCER
  • BLOOD
  • CELL LINE
  • STRUCTURE & INTERACTION
ABOUT
  • INTRODUCTION
  • HISTORY
  • ORGANIZATION
  • PUBLICATIONS
  • ANTIBODY SUBMISSION
  • ANTIBODY AVAILABILITY
  • ACKNOWLEDGMENTS
  • CONTACT
NEWS
  • NEWS ARTICLES
  • PRESS ROOM
LEARN
  • DICTIONARY
  • PROTEIN CLASSES
  • PROTEIN EVIDENCE
  • METHODS
  • EDUCATIONAL VIDEOS
DATA
  • DOWNLOADABLE DATA
  • PUBLICATION DATA
  • RELEASE HISTORY
HELP
  • ANTIBODY VALIDATION
  • ASSAYS & ANNOTATION
  • DISCLAIMER
  • HELP & FAQ
  • PRIVACY STATEMENT
  • LICENCE & CITATION
Fields »
Search result

Field
Term
Gene name
Class
Subclass
Class
Keyword
Chromosome
External id
Tissue
Cell type
Expression
Antibody panel
Tissue
Main location
Patient ID
Annotation
Tissue
Category
Tau score
Cluster
Reliability
Brain region
Category
Tau score
Brain region
Category
Tau score
Brain region
Category
Tau score
Cluster
Reliability
Tissue
Cell type
Enrichment
Cell type
Category
Tau score
Cell type
Category
Tau score
Cell type
Category
Tau score
Cell lineage
Category
Tau score
Cluster
Cluster
Location
Searches
Location
Cell line
Class
Type
Phase
Reliability
Cancer
Prognosis
Cancer
Category
Cancer
Category
Tau score
Cluster
Variants
Interacting gene (ensg_id)
Type
Number of interactions
Pathway
Category
Score
Score
Score
Validation
Validation
Validation
Validation
Antibodies
Data type
Column


  • SUMMARY

  • TISSUE

  • BRAIN

  • SINGLE CELL

  • SUBCELL

  • CANCER

  • BLOOD

  • CELL LINE

  • STRUCT & INT

  • APOE
TISSUE PRIMARY DATA THYROID GLAND Show tissue menu
ADIPOSE TISSUE ADRENAL GLAND AMYGDALA APPENDIX BASAL GANGLIA BONE MARROW BREAST BRONCHUS CEREBELLUM CEREBRAL CORTEX CERVIX CHOROID PLEXUS COLON DUODENUM
ENDOMETRIUM EPIDIDYMIS ESOPHAGUS FALLOPIAN TUBE GALLBLADDER HEART MUSCLE HIPPOCAMPAL FORMATION HYPOTHALAMUS KIDNEY LIVER LUNG LYMPH NODE MIDBRAIN NASOPHARYNX
ORAL MUCOSA OVARY PANCREAS PARATHYROID GLAND PITUITARY GLAND PLACENTA PROSTATE RECTUM RETINA SALIVARY GLAND SEMINAL VESICLE SKELETAL MUSCLE SKIN SMALL INTESTINE
SMOOTH MUSCLE SOFT TISSUE SPINAL CORD SPLEEN STOMACH TESTIS THYMUS THYROID GLAND TONGUE TONSIL URINARY BLADDER VAGINA
ANTIBODIES
AND
VALIDATION
Dictionary
Thyroid gland
Tissue proteome
Thyroid gland
THYROID GLAND - Expression summary
Protein expression
Thyroid glandi

On the top, protein expression in current human tissue, based on all annotated cell types, is reported with the units not detected (n), low (l), medium (m) and high (h). Underneath, protein expression in each annotated cell type are reported using the same units.

Protein expression data is based on knowledge-based annotation. For genes where more than one antibody has been used, a collective score is set.

If knowledge-based annotation could not be performed for a gene, no data is displayed here. View antibody staining data further down this page.

h
m
l
n
Glandular cells: Not detected
RNA expressioni

A summary of mRNA expression data available for current tissue based on several datasets. The mRNA expression levels in human tissues are based on RNA-seq data generated by the Human Protein Atlas (HPA), Genotype-Tissue Expression (GTEx) portal and CAGE data generated by the FANTOM5 consortium. Consensus normalized expression levels for human tissues was created by combining the data from HPA and GTEx datasets.

The mRNA expression levels in pig are based on RNA-seq data generated by the Human Protein Atlas (HPA), and for mouse, HPA data and in situ hybridization generated by the Allen brain atlas are reported.

Scroll down to view mRNA expression data in more detail.
Consensus:142.0 nTPM
HPA:10.3 nTPM
GTEx:142.0 nTPM
FANTOM5:152.5 Scaled Tags Per Million

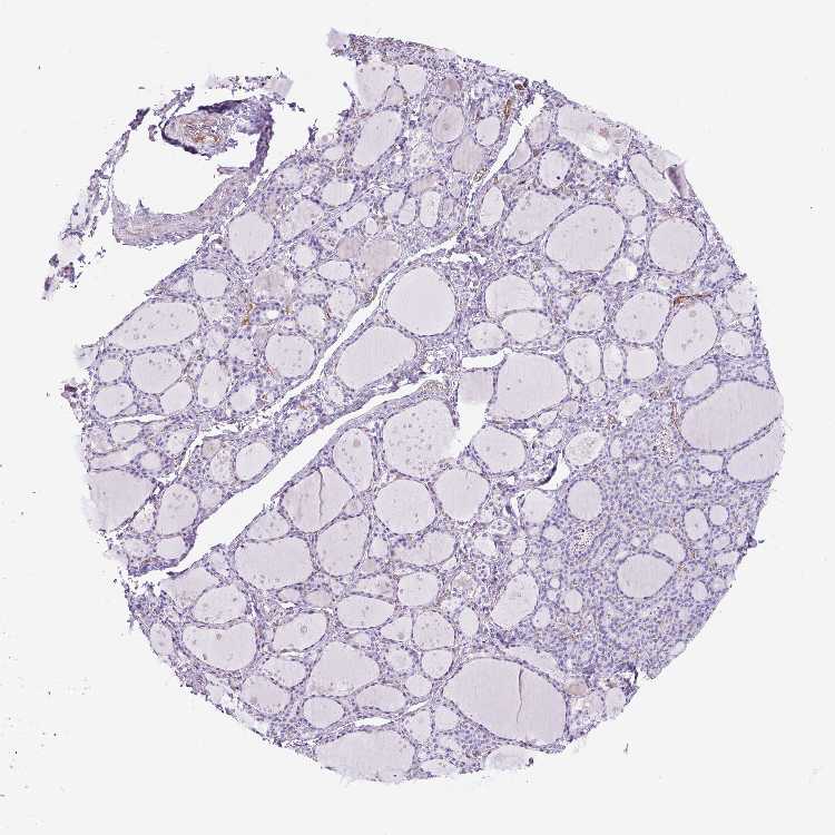
THYROID GLAND - Antibody stainingi

Antibody staining in the annotated cell types in the current human tissue is reported as not detected, low, medium, or high, based on conventional immunohistochemistry profiling in selected tissues. This score is based on the combination of the staining intensity and fraction of stained cells.

Each image is clickable and will lead to virtual microscopy that enables deeper exploration of all samples and also displays staining intensity scores, fraction scores and subcellular localization as well as patient and tissue information for each sample.

Antibody HPA065539Antibody HPA068768Antibody CAB008363Antibody CAB069921
Glandular cells Not detectedNot detectedNot detectedNot detected









THYROID GLAND - HPA RNA-seqi

The RNA-seq details section shows detailed information about the individual samples used for the transcript profiling and results of the RNA-seq analysis.

Information about each individual sample is listed below, including gender, age, a tissue section image and estimated fractions of cell types. nTPM (normalized transcripts per million) values give a quantification of the gene abundance which is comparable between different genes and samples.
Average nTPMi

Max subtype nTPM is the value for the subtype with the largest average nTPM across the subtype samples.

10.3
overview
Female, age 20
Thyroid gland sample 249
nTPM: 8.8
Cell types%
Glandular cells:
70

Endothelial cells:
20

Other cell types:
10

overview
Female, age 55
Thyroid gland sample 250
nTPM: 9
Cell types%
Glandular cells:
70

Endothelial cells:
20

Other cell types:
10

overview
Female, age 58
Thyroid gland sample 251
nTPM: 13.1
Cell types%
Glandular cells:
70

Endothelial cells:
15

Other cell types:
15

overview
Female, age 48
Thyroid gland sample 252
nTPM: 12.4
Cell types%
Glandular cells:
70

Endothelial cells:
20

Other cell types:
10

overview
Male, age 21
Thyroid gland sample 363
nTPM: 8.3
Cell types%
Glandular cells:
75

Endothelial cells:
10

Other cell types:
15


THYROID GLAND - GTEx RNA-seqi

RNA-Seq data generated by the Genotype-Tissue Expression (GTEx) project from human tissues is reported as mean nTPM. More information can be found on the GTEx portal.

Distribution across the dataset is visualized with box plots, shown as median and 25th and 75th percentiles. Points are displayed as outliers if they are above or below 1.5 times the interquartile range. nTPM values of the individual samples are presented next to the box plot.
Max subtype nTPMi

Max subtype nTPM is the value for the subtype with the largest average nTPM across the subtype samples.

142.0
GTEx sample id Sample description nTPM
Thyroid
Average nTPM: 142.0
Samples: 653

Max nTPM: 715.4
Min nTPM: 9.0
Std nTPM: 87.5
Median nTPM: 125.0
GTEX-13113-0126-SM-5LZVX 60-69 years, female 715.4
GTEX-1I6K6-0726-SM-B2LX4 30-39 years, male 661.4
GTEX-14ICK-1626-SM-6ETZX 40-49 years, male 575.1
GTEX-15G1A-0326-SM-6M467 30-39 years, male 562.6
GTEX-1C475-0226-SM-7MGXM 40-49 years, female 540.7
GTEX-1497J-0126-SM-5Q5BK 60-69 years, male 531.7
GTEX-ZLV1-0126-SM-4WWBZ 60-69 years, female 520.6
GTEX-146FQ-0726-SM-5LUA7 30-39 years, male 472.3
GTEX-17MF6-0626-SM-7LT8D 40-49 years, male 457.4
GTEX-1JMQK-2126-SM-CY8I2 60-69 years, male 443.5
GTEX-1HUB1-1226-SM-B2LWX 60-69 years, male 427.6
GTEX-1LG7Z-0526-SM-D4P3Q 30-39 years, male 423.1
GTEX-PWCY-2326-SM-2I3EQ 20-29 years, female 407.8
GTEX-12WSE-1226-SM-73KUF 20-29 years, male 402.6
GTEX-1B932-0926-SM-73KUP 40-49 years, female 381.8
GTEX-Y3IK-0526-SM-4WWE3 50-59 years, female 368.9
GTEX-14PJM-1326-SM-664NX 50-59 years, female 368.0
GTEX-1KAFJ-0426-SM-DHXJH 50-59 years, male 356.4
GTEX-14BMU-0226-SM-5S2QA 20-29 years, female 355.5
GTEX-111VG-0526-SM-5N9BW 60-69 years, male 340.9
GTEX-ZT9X-0226-SM-51MT2 40-49 years, male 328.8
GTEX-1H1DE-0226-SM-ARZN8 20-29 years, male 328.8
GTEX-1LGOU-0126-SM-EV79W 20-29 years, female 327.8
GTEX-12WSG-0226-SM-5EGIF 50-59 years, female 325.1
GTEX-1MJK3-0326-SM-DTX96 20-29 years, male 325.0
GTEX-1QCLZ-0626-SM-E6CR2 60-69 years, female 312.8
GTEX-1LVAN-0726-SM-CNNPF 50-59 years, female 311.0
GTEX-14PK6-0426-SM-6EU1J 70-79 years, female 307.3
GTEX-1J8QM-0726-SM-CE6RF 60-69 years, female 305.4
GTEX-17KNJ-1026-SM-79ONK 50-59 years, male 298.4
GTEX-133LE-0326-SM-5P9G4 20-29 years, female 296.7
GTEX-169BO-0326-SM-7EPIM 50-59 years, male 294.8
GTEX-16XZY-0726-SM-79OMU 70-79 years, male 294.2
GTEX-15RIF-0326-SM-7KUFR 20-29 years, male 292.2
GTEX-1CAMR-0226-SM-7DUGO 20-29 years, male 290.6
GTEX-13OVI-0826-SM-5KLZ8 60-69 years, female 290.3
GTEX-11XUK-0226-SM-5EQLW 40-49 years, female 289.0
GTEX-1JJ6O-0626-SM-AHZ3H 60-69 years, male 286.7
GTEX-11ZTS-1126-SM-5LU9X 60-69 years, female 284.1
GTEX-139YR-1226-SM-5IFEU 50-59 years, male 280.8
GTEX-1IDJC-1026-SM-A96T2 50-59 years, male 277.0
GTEX-13NZ9-1126-SM-5MR37 50-59 years, male 273.8
GTEX-1CAMS-0826-SM-7P8P1 40-49 years, female 272.1
GTEX-12WSH-0226-SM-5GCOG 50-59 years, male 269.6
GTEX-15SB6-1526-SM-7KUMQ 50-59 years, female 268.1
GTEX-1R9JW-0226-SM-EVR4K 30-39 years, female 266.1
GTEX-13W46-0926-SM-5LU3T 50-59 years, male 264.9
GTEX-145LT-0226-SM-5S2QK 40-49 years, male 263.8
GTEX-Q734-0526-SM-2I3EH 40-49 years, female 263.6
GTEX-1LGRB-1226-SM-CNNPS 50-59 years, female 262.4
GTEX-14PJ6-0326-SM-6871H 60-69 years, female 262.2
GTEX-ZY6K-0226-SM-5SIAY 50-59 years, male 260.0
GTEX-X15G-0526-SM-3NMB7 50-59 years, female 259.7
GTEX-ZF28-0826-SM-4WKGJ 60-69 years, male 257.7
GTEX-TMMY-0826-SM-33HB9 40-49 years, female 253.4
GTEX-1PBJJ-1926-SM-DTX8T 30-39 years, male 253.4
GTEX-13FHO-0926-SM-5N9EW 60-69 years, male 252.7
GTEX-Y9LG-0426-SM-4VBRT 30-39 years, male 250.0
GTEX-1HCU7-0826-SM-B2LX7 50-59 years, male 250.0
GTEX-1EMGI-0826-SM-7EPHY 60-69 years, male 247.9
GTEX-15DZA-0226-SM-7KFS6 30-39 years, female 246.7
GTEX-18A66-0826-SM-72D5Z 60-69 years, male 246.5
GTEX-14A6H-2426-SM-5Q5BO 30-39 years, male 243.8
GTEX-RUSQ-1026-SM-2TF6V 50-59 years, male 243.1
GTEX-14C38-0826-SM-5S2U8 50-59 years, male 242.3
GTEX-11EQ9-0626-SM-5A5K1 30-39 years, male 241.7
GTEX-1F5PL-0826-SM-7MXU7 40-49 years, female 239.9
GTEX-13NYC-2426-SM-5MR3K 60-69 years, male 238.3
GTEX-1H11D-0626-SM-9WPQ1 40-49 years, male 237.6
GTEX-ZDXO-1726-SM-5HL6L 60-69 years, male 237.3
GTEX-1HCU9-0226-SM-9WPNT 20-29 years, male 236.7
GTEX-144GO-0126-SM-5LUAO 60-69 years, male 234.3
GTEX-1C2JI-0326-SM-7EWFD 50-59 years, male 233.4
GTEX-17JCI-0626-SM-7IGM7 60-69 years, female 233.0
GTEX-V1D1-0926-SM-4JBHQ 50-59 years, male 232.2
GTEX-132AR-1126-SM-5P9GA 50-59 years, female 231.8
GTEX-ZYFG-0626-SM-5GZYA 60-69 years, female 231.6
GTEX-ZV6S-0226-SM-59HJT 40-49 years, female 230.0
GTEX-1R9K4-0726-SM-EWRN2 60-69 years, male 229.7
GTEX-1AX8Z-0826-SM-7DUFZ 60-69 years, male 229.3
GTEX-111YS-0726-SM-5GZY8 60-69 years, male 228.0
GTEX-1RQEC-1026-SM-EVR5B 60-69 years, male 227.4
GTEX-1LVAM-0826-SM-EV79X 50-59 years, female 225.7
GTEX-178AV-0726-SM-6LPJI 40-49 years, male 223.2
GTEX-SNOS-0226-SM-32PLR 40-49 years, male 223.1
GTEX-ZQG8-0926-SM-57WFF 60-69 years, female 222.2
GTEX-1HCUA-0126-SM-B2LWC 50-59 years, female 219.7
GTEX-ZLWG-0526-SM-4WWFB 50-59 years, female 219.4
GTEX-ZTPG-0826-SM-5DUVC 20-29 years, female 219.3
GTEX-1QP6S-2526-SM-DTX9Z 40-49 years, male 218.8
GTEX-1MA7X-0926-SM-DIPEJ 60-69 years, male 217.3
GTEX-16NGA-0326-SM-718AJ 40-49 years, female 216.9
GTEX-13U4I-0526-SM-5LU59 40-49 years, female 215.1
GTEX-ZPU1-0426-SM-4WWCA 40-49 years, male 215.1
GTEX-1MGNQ-0726-SM-DPRYH 40-49 years, male 215.0
GTEX-11NV4-0626-SM-5N9BR 60-69 years, male 214.6
GTEX-1QP28-0626-SM-E76P5 50-59 years, female 211.2
GTEX-14DAQ-0826-SM-73KWT 60-69 years, female 211.0
GTEX-1OJC3-0626-SM-E8VMO 20-29 years, male 210.2
GTEX-16NPX-1426-SM-6LPK3 50-59 years, male 209.9
GTEX-OIZF-2626-SM-7P8QZ 60-69 years, male 209.8
GTEX-11ZVC-0126-SM-5986G 50-59 years, female 209.6
GTEX-ZAB5-0726-SM-5P9JG 50-59 years, male 209.3
GTEX-ZC5H-0626-SM-5LU9K 40-49 years, female 208.8
GTEX-14ICL-0426-SM-5RQJ3 30-39 years, male 207.7
GTEX-OXRK-0626-SM-2HMJ5 50-59 years, female 206.2
GTEX-WY7C-0226-SM-3NB37 50-59 years, male 206.2
GTEX-1H2FU-0626-SM-9WPPS 60-69 years, female 205.7
GTEX-1JMQL-0926-SM-CJI3F 50-59 years, female 204.9
GTEX-1CB4J-1426-SM-7MKFR 60-69 years, male 204.8
GTEX-13O3O-0926-SM-5KM1F 60-69 years, female 204.6
GTEX-1PWST-0726-SM-EWRMO 70-79 years, male 204.6
GTEX-ZVZP-1026-SM-5GICI 50-59 years, male 204.4
GTEX-14753-0926-SM-5Q5BI 60-69 years, male 204.0
GTEX-18A67-0826-SM-7KFTI 50-59 years, male 204.0
GTEX-R55G-0726-SM-2TC6J 40-49 years, female 204.0
GTEX-1AX9K-0626-SM-73KVD 50-59 years, male 203.0
GTEX-1R46S-0426-SM-EVR48 60-69 years, female 201.7
GTEX-14PII-0826-SM-6871S 60-69 years, male 201.0
GTEX-1RMOY-0126-SM-EWRNN 50-59 years, male 200.3
GTEX-1OJC4-0526-SM-E6CQV 50-59 years, female 199.7
GTEX-13FTW-0626-SM-5IFEX 40-49 years, male 199.6
GTEX-16MTA-0726-SM-7KUL4 50-59 years, male 199.5
GTEX-Y3I4-0226-SM-4TT27 50-59 years, male 199.3
GTEX-18D9A-0126-SM-7KFSI 30-39 years, female 198.9
GTEX-1H1ZS-0726-SM-A9G3K 70-79 years, male 198.4
GTEX-1JK1U-0326-SM-CXZJH 60-69 years, male 197.1
GTEX-OXRL-2626-SM-2I3F1 50-59 years, male 196.9
GTEX-1PFEY-0226-SM-EVR3M 30-39 years, male 196.8
GTEX-X8HC-0726-SM-46MWG 50-59 years, female 194.9
GTEX-1RAZS-1026-SM-E9TID 50-59 years, male 193.6
GTEX-1LSVX-0726-SM-E9TJG 60-69 years, male 193.1
GTEX-15RIE-0426-SM-7KUMH 60-69 years, male 192.6
GTEX-1IGQW-0626-SM-C1YR9 60-69 years, male 192.5
GTEX-13O1R-0826-SM-5J2MB 60-69 years, male 192.0
GTEX-1K9T9-0826-SM-EAZ4X 50-59 years, female 191.2
GTEX-ZF29-0726-SM-DO92H 60-69 years, female 190.6
GTEX-1RQED-0926-SM-EWRNZ 60-69 years, male 190.4
GTEX-1CAMQ-1126-SM-7EWFE 40-49 years, male 189.7
GTEX-ZVZQ-0626-SM-59HJU 60-69 years, female 189.6
GTEX-13FXS-0726-SM-5LZXJ 50-59 years, male 189.3
GTEX-11DZ1-2726-SM-5A5KH 50-59 years, male 189.1
GTEX-13O21-2226-SM-5MR3L 50-59 years, male 189.0
GTEX-1QW4Y-0226-SM-EAZ3U 30-39 years, male 188.9
GTEX-1AYCT-0226-SM-73KVB 50-59 years, male 188.5
GTEX-1QMI2-0826-SM-EXUT4 60-69 years, male 188.3
GTEX-11P7K-0226-SM-5986Z 30-39 years, male 187.5
GTEX-XUZC-0126-SM-4BOO6 30-39 years, female 187.1
GTEX-1QCLY-0826-SM-DTX8A 30-39 years, male 186.8
GTEX-WYVS-0326-SM-3NM9V 40-49 years, female 185.7
GTEX-15FZZ-0226-SM-6LLI4 30-39 years, female 182.9
GTEX-YB5E-0626-SM-4VDSE 40-49 years, male 182.3
GTEX-13X6H-0526-SM-5LU4Q 50-59 years, female 181.9
GTEX-QDVN-0626-SM-2I3FP 50-59 years, male 181.6
GTEX-ZLFU-0626-SM-4WWBO 40-49 years, male 180.9
GTEX-1GN73-0826-SM-9OSW4 60-69 years, male 179.6
GTEX-11O72-2326-SM-5BC7H 40-49 years, male 179.3
GTEX-Z93S-0526-SM-EVYB4 50-59 years, male 178.7
GTEX-ZA64-0426-SM-5HL96 20-29 years, male 177.5
GTEX-1GL5R-0626-SM-7PBZY 50-59 years, male 176.1
GTEX-111CU-0226-SM-5GZXC 50-59 years, male 175.3
GTEX-1P4AB-1126-SM-DTX94 50-59 years, male 175.2
GTEX-13YAN-0926-SM-5O9C3 60-69 years, male 175.0
GTEX-1LH75-0626-SM-DIPG3 50-59 years, female 174.2
GTEX-13N2G-0726-SM-5MR38 60-69 years, male 173.9
GTEX-YB5K-0526-SM-5LUAS 40-49 years, female 173.7
GTEX-ZAK1-0726-SM-5HL8Q 50-59 years, female 173.6
GTEX-1F6IF-1126-SM-9KNV2 60-69 years, male 173.6
GTEX-WYBS-1926-SM-3NM8N 60-69 years, female 172.6
GTEX-1HCVE-0726-SM-A96SH 50-59 years, male 172.1
GTEX-13CF3-0926-SM-5LZZC 60-69 years, female 171.8
GTEX-1C4CL-0726-SM-7IGP9 30-39 years, male 171.3
GTEX-P4QT-2626-SM-2I3FM 50-59 years, female 171.1
GTEX-PX3G-2626-SM-2I3EG 20-29 years, female 171.1
GTEX-1GF9X-0126-SM-A9G38 40-49 years, female 171.0
GTEX-1PBJI-0726-SM-EXUSQ 20-29 years, female 170.8
GTEX-13RTJ-0326-SM-5YYAE 60-69 years, male 170.4
GTEX-ZQUD-0126-SM-7EPIS 30-39 years, male 170.0
GTEX-17HGU-0826-SM-7EWE5 50-59 years, male 169.0
GTEX-131XE-0126-SM-5LZVC 50-59 years, male 168.5
GTEX-1EKGG-0726-SM-7IGPX 60-69 years, male 168.1
GTEX-1I1GV-0726-SM-ARZLY 60-69 years, male 167.0
GTEX-11GS4-0826-SM-5986J 60-69 years, male 166.8
GTEX-14C39-0226-SM-5TDDW 40-49 years, male 166.6
GTEX-1F88F-0726-SM-7P8R7 60-69 years, female 166.6
GTEX-P4QS-2626-SM-2I3EV 60-69 years, male 166.5
GTEX-11DXY-0426-SM-5H12R 60-69 years, male 165.6
GTEX-17EVP-0126-SM-7EPHW 40-49 years, male 165.6
GTEX-1RAZR-1126-SM-E6CRC 40-49 years, male 165.2
GTEX-1C6VR-0426-SM-7IGN6 60-69 years, male 163.8
GTEX-16Z82-0426-SM-7EPGX 60-69 years, male 163.4
GTEX-18D9B-0726-SM-72D6K 60-69 years, male 163.4
GTEX-1JKYN-1126-SM-CGQG5 30-39 years, male 163.1
GTEX-1CB4F-0826-SM-793CV 60-69 years, male 162.5
GTEX-1A3MV-0326-SM-73KW7 30-39 years, male 162.3
GTEX-WFG7-0326-SM-DKPO8 20-29 years, male 161.7
GTEX-S7SE-0726-SM-2XCD7 50-59 years, male 161.6
GTEX-17F97-0626-SM-7IGOH 50-59 years, male 161.2
GTEX-147GR-0726-SM-5S2PL 60-69 years, male 160.9
GTEX-ZVP2-0426-SM-57WC2 50-59 years, male 160.7
GTEX-1HR98-0326-SM-CGQEL 60-69 years, male 160.7
GTEX-15CHR-1726-SM-7DUGW 50-59 years, male 159.9
GTEX-1HSGN-0726-SM-A9G2F 40-49 years, female 159.9
GTEX-U8T8-2326-SM-3DB96 60-69 years, male 159.8
GTEX-1EWIQ-0826-SM-7MXTH 70-79 years, female 159.5
GTEX-WRHU-0926-SM-4E3IG 50-59 years, female 158.7
GTEX-12WSD-0926-SM-5GCNL 60-69 years, female 158.6
GTEX-ZV7C-0126-SM-57WDE 50-59 years, male 157.5
GTEX-11DXX-0226-SM-5P9HL 60-69 years, female 157.4
GTEX-117XS-0526-SM-5987Q 60-69 years, male 156.6
GTEX-14JG6-1326-SM-9OSXU 30-39 years, female 156.6
GTEX-1IKJJ-1026-SM-A96SQ 60-69 years, male 156.1
GTEX-1CB4I-0726-SM-7DUGS 50-59 years, male 156.0
GTEX-1KXAM-1726-SM-D3LAE 60-69 years, male 154.9
GTEX-WHSE-0626-SM-4RGNF 20-29 years, male 154.7
GTEX-1S83E-0726-SM-EV7B6 40-49 years, male 154.6
GTEX-1HBPI-0826-SM-9WYTX 50-59 years, male 154.2
GTEX-1E1VI-0726-SM-7P8QJ 50-59 years, male 154.1
GTEX-1MCC2-0526-SM-DHXJS 30-39 years, female 153.7
GTEX-13G51-1226-SM-5K7Z3 60-69 years, male 152.4
GTEX-ZTX8-0626-SM-59HKC 20-29 years, male 152.1
GTEX-1HKZK-0826-SM-A9G2C 40-49 years, male 152.0
GTEX-13PDP-1026-SM-5L3FA 60-69 years, male 151.9
GTEX-1B8SG-1126-SM-7IGMT 50-59 years, male 151.9
GTEX-PLZ4-1226-SM-2I5FE 50-59 years, female 151.4
GTEX-RVPV-1226-SM-2TF73 60-69 years, male 151.1
GTEX-1I1GP-0326-SM-CNPQ4 50-59 years, male 150.5
GTEX-15SHV-0426-SM-6M476 60-69 years, male 150.4
GTEX-1K2DA-1526-SM-CGQGQ 50-59 years, male 150.1
GTEX-131XG-0226-SM-5IFG1 50-59 years, female 149.8
GTEX-1399R-0126-SM-5IFEV 30-39 years, male 149.7
GTEX-1A8G7-1026-SM-73KVA 60-69 years, male 149.3
GTEX-SUCS-0226-SM-32PLQ 70-79 years, male 148.1
GTEX-1C6VQ-0526-SM-7MGWD 50-59 years, male 148.0
GTEX-1QAET-0226-SM-EVR3T 50-59 years, male 147.7
GTEX-139TS-0126-SM-5K7XJ 60-69 years, male 147.4
GTEX-1NV5F-0726-SM-DTXEH 60-69 years, female 147.2
GTEX-YFC4-2626-SM-5P9FQ 40-49 years, female 146.8
GTEX-P4PQ-2626-SM-33HC9 60-69 years, male 146.4
GTEX-1IE54-0926-SM-A9G2Y 40-49 years, female 146.3
GTEX-144GM-0226-SM-5Q5CB 20-29 years, male 146.1
GTEX-U3ZH-0226-SM-3DB7B 30-39 years, male 146.1
GTEX-ZYY3-1926-SM-5GZXS 60-69 years, female 145.4
GTEX-1GN2E-0826-SM-9WYT8 60-69 years, male 144.8
GTEX-14PN4-1526-SM-6871V 50-59 years, male 143.9
GTEX-1IL2U-0826-SM-CL53Q 60-69 years, male 143.7
GTEX-17GQL-0226-SM-7LTAK 60-69 years, male 143.4
GTEX-1PIIG-2026-SM-EVR43 30-39 years, male 143.4
GTEX-WEY5-0526-SM-3GIKZ 40-49 years, female 142.7
GTEX-1HBPN-1226-SM-B2LW9 50-59 years, male 142.5
GTEX-17F96-0526-SM-79OLE 70-79 years, male 142.4
GTEX-148VI-0526-SM-5TDDG 60-69 years, female 142.3
GTEX-14PJ3-0126-SM-69LQP 50-59 years, male 141.5
GTEX-131XF-1826-SM-5EGKG 60-69 years, male 141.4
GTEX-13QJ3-0926-SM-73KX5 50-59 years, male 141.3
GTEX-1CB4G-1526-SM-7P8QG 60-69 years, male 140.9
GTEX-1IDJH-0826-SM-CE6SY 70-79 years, male 140.5
GTEX-1I1GU-0826-SM-ARZM5 40-49 years, male 140.4
GTEX-WHPG-0226-SM-3NMB9 50-59 years, male 139.8
GTEX-183FY-0626-SM-79OKR 20-29 years, male 139.5
GTEX-1RDX4-0926-SM-E9U6D 50-59 years, female 138.9
GTEX-1RAZQ-0926-SM-EAZ4Q 30-39 years, male 138.8
GTEX-13QJC-0826-SM-5RQKC 60-69 years, female 138.6
GTEX-YEC3-0826-SM-4WWFP 50-59 years, male 137.6
GTEX-YFCO-0326-SM-4W1ZP 40-49 years, male 137.6
GTEX-T6MN-0626-SM-32PM9 50-59 years, male 137.5
GTEX-1GF9W-0626-SM-7MXVJ 60-69 years, male 137.2
GTEX-1GZ4I-0626-SM-9WPPN 50-59 years, male 137.0
GTEX-1192W-0126-SM-5EGGS 60-69 years, male 136.7
GTEX-15G19-0626-SM-6M474 60-69 years, male 136.7
GTEX-OOBJ-2626-SM-2I3F6 60-69 years, male 136.7
GTEX-145LU-0426-SM-5O9AH 50-59 years, male 136.6
GTEX-12ZZX-1226-SM-5EGHS 40-49 years, female 136.3
GTEX-Q2AH-0726-SM-2I3EA 40-49 years, male 136.2
GTEX-1QPFJ-0626-SM-DTX7Y 30-39 years, female 136.2
GTEX-1EH9U-0926-SM-7EWF1 60-69 years, male 135.6
GTEX-XV7Q-0326-SM-4BRVM 40-49 years, female 135.6
GTEX-183WM-2626-SM-7KFRY 70-79 years, female 135.3
GTEX-O5YV-1526-SM-EV799 60-69 years, female 135.2
GTEX-14PN3-0826-SM-69LOS 60-69 years, female 134.7
GTEX-1ICG6-0426-SM-ARU7M 70-79 years, female 134.5
GTEX-11LCK-0526-SM-5A5M9 30-39 years, male 134.4
GTEX-WHSB-1626-SM-3LK6J 50-59 years, male 134.2
GTEX-14AS3-0226-SM-5Q5B6 40-49 years, female 133.8
GTEX-QV44-0826-SM-2S1RG 50-59 years, male 133.8
GTEX-1192X-1126-SM-5EGGU 50-59 years, male 133.5
GTEX-1IOXB-1026-SM-CJI4D 50-59 years, male 133.0
GTEX-13OVJ-0626-SM-5J2O2 50-59 years, female 132.7
GTEX-13O3Q-0626-SM-5IJG1 50-59 years, male 132.2
GTEX-13QBU-0626-SM-5J2OG 40-49 years, female 132.2
GTEX-1QP2A-0626-SM-DTX9C 50-59 years, male 131.9
GTEX-1HB9E-0826-SM-CNNQJ 50-59 years, male 131.6
GTEX-1F75A-0326-SM-7MXTR 50-59 years, male 131.4
GTEX-11EM3-0126-SM-5985K 20-29 years, female 131.3
GTEX-RU72-0126-SM-2TF6Z 50-59 years, female 131.3
GTEX-Y5LM-0626-SM-4V6G4 40-49 years, female 131.2
GTEX-1A8G6-0626-SM-7IGNB 60-69 years, male 130.6
GTEX-WYJK-1626-SM-3NM9J 50-59 years, male 130.5
GTEX-VUSG-0426-SM-3GIKD 50-59 years, male 129.9
GTEX-W5X1-0426-SM-3GILB 40-49 years, female 129.9
GTEX-13NYB-0726-SM-5MR4J 40-49 years, male 129.5
GTEX-1B8KZ-0426-SM-731DP 50-59 years, male 129.5
GTEX-139UW-0126-SM-5KM1B 60-69 years, male 129.4
GTEX-1QP9N-0126-SM-DPRZS 30-39 years, male 129.2
GTEX-1R9PM-0226-SM-DPRY7 20-29 years, male 128.2
GTEX-YJ89-0726-SM-5P9F7 60-69 years, male 128.0
GTEX-1H1E6-0326-SM-9OSWE 30-39 years, male 128.0
GTEX-1KANC-0826-SM-D3LA8 50-59 years, female 127.9
GTEX-T2IS-0626-SM-32QP6 20-29 years, female 127.8
GTEX-1GZ4H-0226-SM-9JGGJ 50-59 years, female 127.8
GTEX-QXCU-0326-SM-2TC63 50-59 years, male 127.7
GTEX-1J8EW-1126-SM-A96T8 60-69 years, female 127.7
GTEX-13D11-0226-SM-5LZXL 50-59 years, female 127.1
GTEX-13FHP-0926-SM-5L3EC 50-59 years, male 127.1
GTEX-13FH7-0126-SM-5KLZ1 50-59 years, female 127.0
GTEX-11OF3-0626-SM-5BC4Y 60-69 years, male 126.8
GTEX-1OFPY-1526-SM-DTX8R 60-69 years, male 126.7
GTEX-ZDTS-0926-SM-5YY9D 60-69 years, male 126.3
GTEX-1S5ZU-0726-SM-EWROH 20-29 years, female 126.3
GTEX-1HSMO-0726-SM-A96TM 60-69 years, male 126.1
GTEX-QDVJ-0226-SM-2I5FV 50-59 years, male 125.9
GTEX-1H1CY-0726-SM-9OSXX 60-69 years, female 125.8
GTEX-1H1DG-0726-SM-A96TN 70-79 years, male 125.8
GTEX-17F9E-0626-SM-79ON5 50-59 years, male 125.7
GTEX-ZVT3-0726-SM-5GICN 60-69 years, female 125.5
GTEX-1RAZA-0826-SM-EAZ4I 20-29 years, male 125.1
GTEX-1IDJU-1626-SM-CJI4B 60-69 years, female 125.0
GTEX-17HG3-0226-SM-7EWEA 30-39 years, female 124.6
GTEX-113JC-0126-SM-5EGJW 50-59 years, female 123.5
GTEX-13S86-1126-SM-5RQJX 40-49 years, male 123.3
GTEX-11EI6-0726-SM-59866 60-69 years, male 123.0
GTEX-1122O-0226-SM-5N9DA 60-69 years, female 122.7
GTEX-1J1OQ-0526-SM-A9G2P 40-49 years, female 122.0
GTEX-11TT1-1126-SM-5P9GV 20-29 years, male 121.7
GTEX-1GZ2Q-0826-SM-7P8TK 40-49 years, male 120.9
GTEX-14PKV-0626-SM-6AJA2 20-29 years, female 120.4
GTEX-1HR9M-0626-SM-A96S6 60-69 years, male 120.3
GTEX-XBEW-0126-SM-4AT66 40-49 years, male 120.1
GTEX-ZPCL-0126-SM-4WWC8 60-69 years, female 120.0
GTEX-ZUA1-0926-SM-4YCDX 40-49 years, male 119.9
GTEX-1LB8K-0626-SM-D4P3Z 50-59 years, male 119.9
GTEX-145ME-0126-SM-5S2QM 40-49 years, female 119.8
GTEX-WK11-0926-SM-3NMAU 50-59 years, male 119.8
GTEX-WH7G-0526-SM-3NMBI 40-49 years, male 119.6
GTEX-1EU9M-0626-SM-7MXUT 60-69 years, male 119.4
GTEX-ZGAY-1026-SM-4WWBR 40-49 years, female 119.1
GTEX-12WSL-0626-SM-5GCOY 50-59 years, male 119.0
GTEX-11GSP-0126-SM-5A5KU 60-69 years, female 118.6
GTEX-1AX9I-0626-SM-72D54 60-69 years, male 118.3
GTEX-17F9Y-0526-SM-7EWDC 70-79 years, female 118.0
GTEX-12WSJ-0326-SM-5GCMT 40-49 years, female 117.8
GTEX-1JMPY-0126-SM-CJI39 30-39 years, male 117.8
GTEX-18A7A-0826-SM-7KFTJ 50-59 years, female 117.5
GTEX-1HFI6-1326-SM-A9SL8 40-49 years, male 117.0
GTEX-1C6VS-0826-SM-7EWEI 60-69 years, male 116.9
GTEX-1I1GT-0826-SM-B2LWO 60-69 years, female 116.5
GTEX-12WSN-0726-SM-5GCMS 40-49 years, male 116.3
GTEX-1HT8W-1526-SM-CE6S3 30-39 years, male 115.6
GTEX-S7SF-0226-SM-5SI7H 20-29 years, female 115.5
GTEX-WXYG-0226-SM-3NB2Y 50-59 years, female 115.1
GTEX-1AMEY-0126-SM-73KTX 30-39 years, female 114.8
GTEX-1LBAC-0726-SM-D3L9U 20-29 years, male 114.6
GTEX-13JVG-0926-SM-5IJE1 60-69 years, male 114.0
GTEX-13OVG-0226-SM-5LU93 60-69 years, male 113.3
GTEX-QEG5-0826-SM-2I5GF 20-29 years, male 113.3
GTEX-1QEPI-0726-SM-E76QG 60-69 years, female 113.2
GTEX-131YS-0726-SM-5P9G9 60-69 years, female 113.1
GTEX-13OVK-0226-SM-6M472 40-49 years, male 113.1
GTEX-RNOR-0926-SM-2TF56 50-59 years, female 112.7
GTEX-1269C-0226-SM-5EGKS 60-69 years, female 112.6
GTEX-OHPL-2626-SM-2HMJA 60-69 years, female 112.1
GTEX-1MUQO-0726-SM-E9TJM 60-69 years, male 112.1
GTEX-11EQ8-0826-SM-5N9FG 60-69 years, male 111.9
GTEX-14ASI-0726-SM-5Q5DC 60-69 years, male 111.7
GTEX-1F52S-0526-SM-7P8TP 60-69 years, female 111.6
GTEX-11P82-0226-SM-5HL4O 20-29 years, male 111.0
GTEX-13RTK-0326-SM-5RQHS 20-29 years, male 111.0
GTEX-WWYW-0826-SM-3NB2X 50-59 years, female 110.9
GTEX-1PDJ9-0826-SM-E76PS 20-29 years, male 110.5
GTEX-14PJO-0626-SM-6LLHH 60-69 years, male 110.4
GTEX-ZDYS-0626-SM-5J2N5 50-59 years, male 110.0
GTEX-13OW7-0826-SM-5L3EL 50-59 years, male 109.7
GTEX-S341-0226-SM-D4P1Y 40-49 years, female 109.7
GTEX-1HC8U-1226-SM-9WYUW 40-49 years, female 109.6
GTEX-X4LF-0426-SM-3NMB5 50-59 years, male 109.5
GTEX-11VI4-0226-SM-5GU6C 40-49 years, female 109.0
GTEX-18D9U-1026-SM-72D5R 40-49 years, male 107.9
GTEX-13X6J-0826-SM-5LU32 50-59 years, male 107.7
GTEX-WOFL-0726-SM-3MJG4 60-69 years, male 107.5
GTEX-1GN1W-0126-SM-7MXV7 50-59 years, female 107.0
GTEX-13O3P-0726-SM-5J2OM 50-59 years, male 106.7
GTEX-1CB4E-0326-SM-7MXT3 60-69 years, male 106.7
GTEX-14BIN-0126-SM-5TDCG 50-59 years, female 106.6
GTEX-1LG7Y-0626-SM-DHXJM 50-59 years, male 106.6
GTEX-1NUQO-0926-SM-DTXEX 20-29 years, female 106.6
GTEX-11NSD-0126-SM-5987F 20-29 years, male 106.5
GTEX-13FTY-0726-SM-5J2OH 40-49 years, female 106.4
GTEX-144GL-1226-SM-5O9A4 50-59 years, male 105.9
GTEX-14PHW-2926-SM-6AJBA 60-69 years, female 105.6
GTEX-1GF9V-0926-SM-9KNW7 60-69 years, male 105.6
GTEX-1IKOE-0926-SM-ARU7X 30-39 years, female 105.4
GTEX-R55C-0626-SM-2TF4Q 40-49 years, male 105.2
GTEX-13OW6-0726-SM-5L3FX 50-59 years, male 105.1
GTEX-OXRO-1226-SM-48TDL 60-69 years, female 105.1
GTEX-1I6K7-1126-SM-A96SW 40-49 years, male 104.8
GTEX-11TUW-0226-SM-5LU8X 60-69 years, male 104.6
GTEX-X4XX-0926-SM-46MV7 60-69 years, male 104.5
GTEX-15RJ7-0326-SM-6M47H 40-49 years, male 104.2
GTEX-1J1R8-0126-SM-CJI36 40-49 years, male 104.2
GTEX-117YX-1226-SM-5H11S 50-59 years, male 104.0
GTEX-WL46-0126-SM-3TW8I 50-59 years, male 103.9
GTEX-1399T-0126-SM-5KM15 60-69 years, male 103.6
GTEX-1J8Q3-0226-SM-C1YR4 60-69 years, male 103.4
GTEX-13O61-0226-SM-5KM52 60-69 years, male 103.3
GTEX-1F75I-0926-SM-7MXUU 40-49 years, male 103.1
GTEX-13OW8-0126-SM-5IJE5 60-69 years, male 102.8
GTEX-18QFQ-0726-SM-7LG6D 30-39 years, male 102.2
GTEX-14PJ4-0326-SM-664OT 60-69 years, male 102.0
GTEX-15RJE-1326-SM-6LPI6 40-49 years, male 101.9
GTEX-Z9EW-0226-SM-5CVM7 40-49 years, male 101.0
GTEX-RTLS-0626-SM-5SI7Z 60-69 years, female 100.9
GTEX-1ICLY-0726-SM-A96TB 50-59 years, male 100.9
GTEX-14C5O-0826-SM-5TDEG 60-69 years, male 100.5
GTEX-XGQ4-0426-SM-4AT4I 50-59 years, male 100.5
GTEX-W5WG-1426-SM-4KKZP 50-59 years, female 100.4
GTEX-1IL2V-0626-SM-ARU7S 70-79 years, male 100.2
GTEX-148VJ-0726-SM-5LU8J 70-79 years, male 100.1
GTEX-QLQ7-0726-SM-2I5G2 60-69 years, male 99.9
GTEX-1399U-0326-SM-5P9G5 50-59 years, female 99.8
GTEX-U3ZN-0326-SM-3DB86 30-39 years, female 99.6
GTEX-17HHY-0826-SM-7EPID 50-59 years, male 98.9
GTEX-ZE7O-1126-SM-57WC8 50-59 years, female 98.6
GTEX-XLM4-0726-SM-4AT64 60-69 years, male 98.0
GTEX-XOT4-1526-SM-EAZ2W 60-69 years, female 97.7
GTEX-11DXZ-0926-SM-5N9CG 50-59 years, male 97.6
GTEX-1N5O9-1026-SM-DTX8Y 60-69 years, male 97.3
GTEX-Q2AG-0826-SM-2HMKF 40-49 years, female 96.9
GTEX-11P81-0126-SM-5HL5Y 30-39 years, female 96.8
GTEX-ZZPU-1326-SM-5GZWS 50-59 years, female 96.6
GTEX-Y114-0626-SM-4TT98 50-59 years, female 95.8
GTEX-13NZ8-0226-SM-5J2OK 60-69 years, female 95.7
GTEX-OIZG-0226-SM-2TC5L 50-59 years, male 95.6
GTEX-S32W-0726-SM-2XCBL 50-59 years, female 95.5
GTEX-R53T-0526-SM-3GADL 50-59 years, female 95.4
GTEX-1EX96-0126-SM-9KNVH 50-59 years, male 95.3
GTEX-13PL6-1026-SM-5L3E5 40-49 years, female 94.9
GTEX-14E6C-2626-SM-5RQJP 40-49 years, male 94.8
GTEX-13NZA-1026-SM-5MR48 60-69 years, male 94.4
GTEX-1C64N-1026-SM-79ONM 50-59 years, male 94.3
GTEX-1H3VE-0826-SM-9KNVQ 40-49 years, male 94.0
GTEX-1GZHY-1426-SM-9WG5H 50-59 years, female 93.8
GTEX-1GMR8-0826-SM-9KNUR 50-59 years, female 93.6
GTEX-13IVO-0926-SM-5KLZP 70-79 years, male 93.3
GTEX-1GN1V-0626-SM-7P8QU 60-69 years, male 93.1
GTEX-145MI-1126-SM-5O9AK 60-69 years, female 92.7
GTEX-1CB4H-0126-SM-7IGN2 60-69 years, female 92.6
GTEX-RN64-0626-SM-2TC5V 50-59 years, male 92.1
GTEX-1B97I-0326-SM-7DUGB 40-49 years, male 91.9
GTEX-1F75B-0826-SM-9QEIT 50-59 years, male 91.5
GTEX-1PPGY-1426-SM-EVR3R 60-69 years, male 90.7
GTEX-1HBPH-0926-SM-A9SME 40-49 years, female 90.6
GTEX-13N11-1026-SM-5K7XQ 50-59 years, female 90.5
GTEX-ZF3C-0826-SM-DO11E 50-59 years, female 90.5
GTEX-1GN1U-0826-SM-9WPPX 50-59 years, female 90.4
GTEX-1I1GS-0726-SM-C1YS7 60-69 years, male 90.3
GTEX-OXRN-1526-SM-E6CHM 50-59 years, male 90.1
GTEX-1M4P7-0626-SM-EVR51 60-69 years, male 89.6
GTEX-13OW5-0626-SM-5J2N2 60-69 years, male 89.4
GTEX-145MH-0426-SM-5LU8T 50-59 years, male 89.1
GTEX-145MG-0826-SM-5Q5C2 50-59 years, male 89.0
GTEX-1477Z-0226-SM-5TDCI 60-69 years, male 88.9
GTEX-14PKU-0326-SM-6AJA7 40-49 years, female 88.8
GTEX-Y8E4-0126-SM-4VBQ2 40-49 years, male 88.8
GTEX-1JN6P-0626-SM-ARZN6 60-69 years, male 88.7
GTEX-Y5V5-0326-SM-5RQJG 60-69 years, female 88.5
GTEX-R55E-0826-SM-2TC5M 20-29 years, male 87.9
GTEX-12696-0326-SM-5EGL4 60-69 years, male 87.7
GTEX-WVLH-0626-SM-3MJG7 50-59 years, male 87.3
GTEX-1I1GQ-0826-SM-CNNQR 50-59 years, male 87.3
GTEX-WFJO-0226-SM-3GIKW 30-39 years, male 86.9
GTEX-1O9I2-1226-SM-E6CQC 50-59 years, male 86.5
GTEX-13111-0226-SM-5EQ55 50-59 years, male 86.2
GTEX-11I78-0526-SM-5986A 50-59 years, female 85.7
GTEX-N7MS-2326-SM-2HMLD 60-69 years, male 85.7
GTEX-P44G-0626-SM-2I5EO 30-39 years, male 85.5
GTEX-Q2AI-0326-SM-2I3EK 40-49 years, male 85.2
GTEX-REY6-0526-SM-2TF5M 60-69 years, male 85.1
GTEX-ZXG5-0926-SM-5NQ8H 60-69 years, male 85.0
GTEX-1I19N-0226-SM-CE6ST 70-79 years, male 85.0
GTEX-P78B-0526-SM-2I5F7 40-49 years, female 84.4
GTEX-15ETS-0526-SM-6PAN3 40-49 years, female 84.1
GTEX-T8EM-0226-SM-3DB7C 40-49 years, male 84.1
GTEX-OHPK-2626-SM-2HMK9 50-59 years, female 83.7
GTEX-1B8L1-1626-SM-7IGMH 60-69 years, male 83.4
GTEX-ZTSS-0226-SM-59877 40-49 years, male 82.8
GTEX-1RNSC-1126-SM-E9TIP 60-69 years, male 82.6
GTEX-13PVR-0626-SM-5S2RC 60-69 years, female 82.3
GTEX-14E6E-0326-SM-73KY6 30-39 years, male 82.2
GTEX-RWS6-0626-SM-2XCAS 60-69 years, female 82.1
GTEX-SN8G-1526-SM-4DM79 50-59 years, female 82.1
GTEX-1J8JJ-0726-SM-AHZ3E 60-69 years, female 82.1
GTEX-132QS-0326-SM-5IJFN 60-69 years, male 82.0
GTEX-1QP66-0326-SM-DTX7V 50-59 years, male 82.0
GTEX-ZYFC-0926-SM-5GZWW 50-59 years, male 81.9
GTEX-117YW-0126-SM-5EGGN 50-59 years, male 81.7
GTEX-16GPK-0926-SM-6LPJ9 60-69 years, male 81.6
GTEX-1GMR3-0726-SM-9WPOF 40-49 years, male 80.9
GTEX-1JMLX-0826-SM-CNNPP 50-59 years, male 80.3
GTEX-15SHU-0726-SM-7KUFI 40-49 years, female 79.4
GTEX-11TTK-0826-SM-5N9EG 60-69 years, female 79.3
GTEX-Y5V6-0526-SM-4VBRV 60-69 years, male 78.6
GTEX-ZYVF-1126-SM-5E458 50-59 years, female 78.1
GTEX-1I1GR-1126-SM-A9G2I 60-69 years, male 78.1
GTEX-ZPIC-0226-SM-DO91T 40-49 years, female 77.9
GTEX-TKQ1-0126-SM-33HB3 30-39 years, male 77.8
GTEX-16AAH-0326-SM-7DHML 50-59 years, male 77.4
GTEX-TSE9-0626-SM-3DB8B 60-69 years, female 77.4
GTEX-1GF9U-0226-SM-7P8TY 40-49 years, female 77.2
GTEX-15CHQ-0826-SM-69LOT 60-69 years, male 77.1
GTEX-ZT9W-0226-SM-7SB6H 50-59 years, male 77.0
GTEX-1B97J-0626-SM-7P8RU 50-59 years, female 76.9
GTEX-14BMV-0726-SM-73KVE 50-59 years, male 76.8
GTEX-17HHE-0426-SM-79OK3 50-59 years, male 76.3
GTEX-XBED-0126-SM-47JY7 60-69 years, male 76.0
GTEX-1K2DU-0126-SM-E9TIU 20-29 years, male 75.7
GTEX-11EMC-0226-SM-5EGLP 60-69 years, female 75.1
GTEX-147F4-0826-SM-5QGRB 50-59 years, male 75.0
GTEX-ZYW4-1126-SM-5SI99 60-69 years, male 74.9
GTEX-14E7W-0926-SM-5YYA4 70-79 years, male 74.6
GTEX-1JKYR-0826-SM-ARU8L 20-29 years, male 74.4
GTEX-11NUK-1026-SM-5HL5J 50-59 years, male 73.7
GTEX-14ABY-0926-SM-5Q5DY 50-59 years, male 73.4
GTEX-1FIGZ-0226-SM-7P8QR 40-49 years, male 73.4
GTEX-11ZTT-1026-SM-5EQKF 60-69 years, female 73.1
GTEX-RU1J-0226-SM-2TF5Y 20-29 years, female 73.1
GTEX-13VXT-0626-SM-5SIA1 20-29 years, female 73.0
GTEX-16BQI-0726-SM-6LPJZ 30-39 years, female 73.0
GTEX-14A5H-0726-SM-5Q5DW 60-69 years, male 72.7
GTEX-12WSC-0826-SM-5EQ5Q 50-59 years, male 72.4
GTEX-1JMQJ-2026-SM-CNPP9 50-59 years, male 72.4
GTEX-X5EB-0726-SM-46MVR 40-49 years, male 72.1
GTEX-14XAO-0426-SM-6AJB6 60-69 years, female 71.6
GTEX-1F48J-0926-SM-7P8PZ 50-59 years, female 71.3
GTEX-1HSEH-0826-SM-B2LXE 60-69 years, male 71.2
GTEX-1PPH8-0926-SM-DTX9U 20-29 years, male 71.1
GTEX-146FR-0326-SM-5SI8U 60-69 years, female 71.0
GTEX-1BAJH-0926-SM-79OO6 70-79 years, male 71.0
GTEX-X4XY-0826-SM-4E3JM 60-69 years, male 70.9
GTEX-17HII-1926-SM-79OLB 50-59 years, male 70.8
GTEX-13PVQ-0726-SM-5L3GI 50-59 years, male 70.6
GTEX-1128S-0126-SM-5H12S 60-69 years, female 70.5
GTEX-RWSA-0826-SM-2XCBF 40-49 years, male 70.4
GTEX-T5JW-1226-SM-3GACY 20-29 years, female 70.3
GTEX-1MJK2-0826-SM-DTXE8 50-59 years, male 70.3
GTEX-1KD5A-0426-SM-D4P3X 50-59 years, male 70.0
GTEX-QDT8-1226-SM-EVR35 30-39 years, female 70.0
GTEX-Y111-1926-SM-4SOIS 50-59 years, male 69.6
GTEX-1GMRU-1126-SM-9KNV1 50-59 years, male 69.4
GTEX-1GTWX-0726-SM-9WPPA 60-69 years, male 68.9
GTEX-SIU8-0626-SM-2XCDN 50-59 years, male 68.8
GTEX-1ICLZ-0526-SM-ARZM8 60-69 years, male 68.7
GTEX-NFK9-0726-SM-2HMJW 40-49 years, male 68.4
GTEX-15ER7-0726-SM-7KUMF 20-29 years, female 68.2
GTEX-1EN7A-1026-SM-7IGPZ 40-49 years, male 68.0
GTEX-YF7O-0726-SM-4W213 50-59 years, male 67.6
GTEX-18465-1426-SM-7KFTF 50-59 years, male 67.5
GTEX-1HFI7-0326-SM-9WPOX 50-59 years, female 67.5
GTEX-15DDE-0626-SM-69LOK 50-59 years, female 66.6
GTEX-1IY9M-1026-SM-A96TG 60-69 years, male 66.4
GTEX-139T6-0326-SM-5J2LY 50-59 years, male 66.2
GTEX-17EVQ-0526-SM-7KFSK 70-79 years, male 66.2
GTEX-1B933-1026-SM-7P8RO 50-59 years, female 66.2
GTEX-1O97I-1026-SM-E76PI 60-69 years, male 65.9
GTEX-13VXU-0826-SM-5KLZ2 50-59 years, male 65.6
GTEX-12ZZY-0826-SM-5EQMT 60-69 years, male 65.3
GTEX-1QP67-0326-SM-EVR45 40-49 years, female 64.7
GTEX-ZZ64-0126-SM-5GZXA 20-29 years, male 64.4
GTEX-XMK1-0626-SM-4B65A 40-49 years, male 64.0
GTEX-16MT8-0626-SM-6M47Q 60-69 years, female 63.2
GTEX-1HSKV-1026-SM-B2LWK 60-69 years, male 62.4
GTEX-13112-0326-SM-5P9IW 50-59 years, male 62.3
GTEX-WFG8-0426-SM-3GILD 20-29 years, male 61.2
GTEX-15D1Q-0626-SM-6AJAZ 40-49 years, male 61.0
GTEX-ZYFD-0826-SM-5NQ9A 50-59 years, male 61.0
GTEX-U3ZM-0126-SM-3DB8M 40-49 years, male 60.5
GTEX-1PIGE-0726-SM-DPRZD 20-29 years, male 60.5
GTEX-PWN1-2626-SM-2I3FH 40-49 years, female 59.8
GTEX-U4B1-0626-SM-3DB8L 40-49 years, male 59.8
GTEX-15EO6-0126-SM-6LPKJ 50-59 years, male 58.9
GTEX-14B4R-0126-SM-5TDE4 30-39 years, male 58.2
GTEX-R3RS-0726-SM-3GIJR 40-49 years, female 58.0
GTEX-1R9K5-0726-SM-EAZ4E 50-59 years, male 57.1
GTEX-1JJEA-0626-SM-D3L96 60-69 years, male 56.7
GTEX-ZAJG-0726-SM-5HL9A 50-59 years, female 56.2
GTEX-RM2N-0526-SM-2TF4N 50-59 years, male 56.1
GTEX-1B8SF-0626-SM-73KVV 60-69 years, male 55.9
GTEX-16YQH-0326-SM-6LPJV 30-39 years, male 55.8
GTEX-1211K-0726-SM-5FQUW 60-69 years, female 55.6
GTEX-18A6Q-0726-SM-7LT8Y 60-69 years, male 55.4
GTEX-16XZZ-0826-SM-7IGM3 60-69 years, male 55.2
GTEX-13FLW-0326-SM-5J2M4 50-59 years, male 55.0
GTEX-1IKOH-0626-SM-CJI35 60-69 years, female 55.0
GTEX-OHPM-2626-SM-33HC5 50-59 years, male 54.9
GTEX-XXEK-1326-SM-4BRV1 50-59 years, male 54.2
GTEX-1HSMQ-0526-SM-A96TY 50-59 years, male 54.1
GTEX-15CHC-0126-SM-5YYBA 60-69 years, female 54.0
GTEX-1JJE9-0226-SM-CY8HU 70-79 years, male 54.0
GTEX-131XH-0526-SM-5DUX7 50-59 years, male 53.6
GTEX-OXRP-0326-SM-33HBJ 60-69 years, female 51.9
GTEX-11DYG-0826-SM-5N9GH 60-69 years, male 51.8
GTEX-1KD4Q-1026-SM-CXZKJ 40-49 years, male 51.2
GTEX-111FC-1026-SM-5GZX1 60-69 years, male 50.6
GTEX-1HGF4-0726-SM-9WYU9 60-69 years, male 50.0
GTEX-X261-0726-SM-EZ6MH 50-59 years, male 49.8
GTEX-1HBPM-0926-SM-ARL9C 60-69 years, female 49.0
GTEX-12BJ1-0426-SM-5FQSO 60-69 years, male 48.8
GTEX-11UD2-0626-SM-5GU6L 50-59 years, male 47.7
GTEX-UJMC-0326-SM-3GAE2 50-59 years, male 45.1
GTEX-14PQA-1226-SM-6M47A 50-59 years, female 45.0
GTEX-1313W-0726-SM-5EGK1 50-59 years, female 44.7
GTEX-QEL4-0726-SM-3GIJ5 50-59 years, male 44.2
GTEX-15EU6-1426-SM-6M48E 50-59 years, male 44.0
GTEX-ZYT6-0426-SM-5GID3 30-39 years, male 43.9
GTEX-SE5C-0726-SM-4BRWY 40-49 years, female 43.3
GTEX-1B8KE-0626-SM-7189H 50-59 years, male 42.9
GTEX-XYKS-0826-SM-4BRVF 60-69 years, female 41.8
GTEX-13N1W-0826-SM-5MR5J 70-79 years, male 41.7
GTEX-V955-0426-SM-3GAEL 60-69 years, male 41.7
GTEX-1AMFI-0526-SM-7189M 50-59 years, female 41.6
GTEX-1A8FM-0726-SM-7DUGK 50-59 years, female 40.9
GTEX-U412-0726-SM-EVR2Y 60-69 years, male 40.2
GTEX-YEC4-0626-SM-5CVLU 40-49 years, male 39.1
GTEX-12ZZZ-1226-SM-59HK1 60-69 years, male 38.5
GTEX-1GPI7-0726-SM-9WG84 20-29 years, male 38.5
GTEX-VJYA-0426-SM-3GIJK 60-69 years, male 37.9
GTEX-XUW1-1026-SM-4BONY 50-59 years, female 37.1
GTEX-12WSK-0926-SM-5CVNQ 40-49 years, female 36.9
GTEX-132NY-1026-SM-5P9IY 60-69 years, male 36.1
GTEX-RN5K-2826-SM-EZ6L3 50-59 years, female 35.5
GTEX-SJXC-0726-SM-2XCFJ 60-69 years, male 32.4
GTEX-OIZI-0726-SM-2XCEI 40-49 years, male 31.4
GTEX-1212Z-0426-SM-5FQT6 60-69 years, male 31.0
GTEX-1H1DF-1026-SM-9QEJ1 40-49 years, female 30.7
GTEX-13FLV-0226-SM-5J2OF 50-59 years, male 28.9
GTEX-1JMPZ-0626-SM-CY8HY 30-39 years, male 28.7
GTEX-15UF6-1126-SM-6LPJ3 70-79 years, female 27.1
GTEX-T6MO-0226-SM-32QOL 40-49 years, female 26.0
GTEX-POYW-0826-SM-2XCEM 60-69 years, male 24.5
GTEX-QV31-0726-SM-3GAEG 30-39 years, male 21.7
GTEX-1AX9J-2126-SM-731DD 60-69 years, male 19.1
GTEX-14JIY-1226-SM-6871R 60-69 years, male 18.0
GTEX-12584-0826-SM-5FQSK 40-49 years, male 17.8
GTEX-11GSO-0626-SM-5A5LW 60-69 years, male 9.0
Show allShow less

THYROID GLAND - FANTOM5 CAGEi

RNA expression in human tissues obtained through Cap Analysis of Gene Expression (CAGE) generated by the FANTOM5 project are reported as Scaled Tags Per Million.

Max subtype Scaled Tags Per Millioni

Max subtype Scaled Tags Per Million is the value for the subtype with the largest average Scaled Tags Per Million across the subtype samples.

152.5
FANTOM5 sample id Sample description Scaled Tags Per Million
Thyroid
Scaled Tags Per Million: 152.5
FF:10028-101E1 67,68,78 years, mixed 152.5

Contact

  • NEWS ARTICLES
  • PRESS ROOM

The Project

  • INTRODUCTION
  • ORGANIZATION
  • PUBLICATIONS

The Human Protein Atlas

  • DOWNLOADABLE DATA
  • LICENCE & CITATION
  • HELP & FAQ
The Human Protein Atlas project is funded
by the Knut & Alice Wallenberg Foundation.


contact@proteinatlas.org