We use cookies to enhance the usability of our website. If you continue, we'll assume that you are happy to receive all cookies. More information. Don't show this again.
APOC1
HPA
RESOURCES
  • TISSUE
  • BRAIN
  • SINGLE CELL
  • SUBCELLULAR
  • CANCER
  • BLOOD
  • CELL LINE
  • STRUCTURE & INTERACTION
ABOUT
  • INTRODUCTION
  • HISTORY
  • ORGANIZATION
  • PUBLICATIONS
  • ANTIBODY SUBMISSION
  • ANTIBODY AVAILABILITY
  • ACKNOWLEDGMENTS
  • CONTACT
NEWS
  • NEWS ARTICLES
  • PRESS ROOM
LEARN
  • DICTIONARY
  • PROTEIN CLASSES
  • PROTEIN EVIDENCE
  • METHODS
  • EDUCATIONAL VIDEOS
DATA
  • DOWNLOADABLE DATA
  • PUBLICATION DATA
  • RELEASE HISTORY
HELP
  • ANTIBODY VALIDATION
  • ASSAYS & ANNOTATION
  • DISCLAIMER
  • HELP & FAQ
  • PRIVACY STATEMENT
  • LICENCE & CITATION
Fields »
Search result

Field
Term
Gene name
Class
Subclass
Class
Keyword
Chromosome
External id
Tissue
Cell type
Expression
Antibody panel
Tissue
Main location
Patient ID
Annotation
Tissue
Category
Tau score
Cluster
Reliability
Brain region
Category
Tau score
Brain region
Category
Tau score
Brain region
Category
Tau score
Cluster
Reliability
Tissue
Cell type
Enrichment
Cell type
Category
Tau score
Cell type
Category
Tau score
Cell type
Category
Tau score
Cell lineage
Category
Tau score
Cluster
Cluster
Location
Searches
Location
Cell line
Class
Type
Phase
Reliability
Cancer
Prognosis
Cancer
Category
Cancer
Category
Tau score
Cluster
Variants
Interacting gene (ensg_id)
Type
Number of interactions
Pathway
Category
Score
Score
Score
Validation
Validation
Validation
Validation
Antibodies
Data type
Column


  • SUMMARY

  • TISSUE

  • BRAIN

  • SINGLE CELL

  • SUBCELL

  • CANCER

  • BLOOD

  • CELL LINE

  • STRUCT & INT

  • APOC1
TISSUE PRIMARY DATA SKIN Show tissue menu
ADIPOSE TISSUE ADRENAL GLAND AMYGDALA APPENDIX BASAL GANGLIA BONE MARROW BREAST BRONCHUS CEREBELLUM CEREBRAL CORTEX CERVIX CHOROID PLEXUS COLON DUODENUM
ENDOMETRIUM EPIDIDYMIS ESOPHAGUS FALLOPIAN TUBE GALLBLADDER HEART MUSCLE HIPPOCAMPAL FORMATION HYPOTHALAMUS KIDNEY LIVER LUNG LYMPH NODE MIDBRAIN NASOPHARYNX
ORAL MUCOSA OVARY PANCREAS PARATHYROID GLAND PITUITARY GLAND PLACENTA PROSTATE RECTUM RETINA SALIVARY GLAND SEMINAL VESICLE SKELETAL MUSCLE SKIN SMALL INTESTINE
SMOOTH MUSCLE SOFT TISSUE SPINAL CORD SPLEEN STOMACH TESTIS THYMUS THYROID GLAND TONGUE TONSIL URINARY BLADDER VAGINA
ANTIBODIES
AND
VALIDATION
Dictionary
Skin
Tissue proteome
Skin
SKIN - Expression summary
Protein expression
Skini

On the top, protein expression in current human tissue, based on all annotated cell types, is reported with the units not detected (n), low (l), medium (m) and high (h). Underneath, protein expression in each annotated cell type are reported using the same units.

Protein expression data is based on knowledge-based annotation. For genes where more than one antibody has been used, a collective score is set.

If knowledge-based annotation could not be performed for a gene, no data is displayed here. View antibody staining data further down this page.

h
m
l
n
Cells in basal layer: Medium
Cells in corneal layer: Not detected
Cells in granular layer: Not detected
Cells in spinous layer: High
Endothelial cells: Not detected
Extracellular matrix: Low
Fibrohistiocytic cells: High
Langerhans cells: High
Lymphocytes: High
Melanocytes: Not detected
Vascular mural cells: Not detected
RNA expressioni

A summary of mRNA expression data available for current tissue based on several datasets. The mRNA expression levels in human tissues are based on RNA-seq data generated by the Human Protein Atlas (HPA), Genotype-Tissue Expression (GTEx) portal and CAGE data generated by the FANTOM5 consortium. Consensus normalized expression levels for human tissues was created by combining the data from HPA and GTEx datasets.

The mRNA expression levels in pig are based on RNA-seq data generated by the Human Protein Atlas (HPA), and for mouse, HPA data and in situ hybridization generated by the Allen brain atlas are reported.

Scroll down to view mRNA expression data in more detail.
Consensus:70.9 nTPM
HPA:7.3 nTPM
GTEx:70.9 nTPM

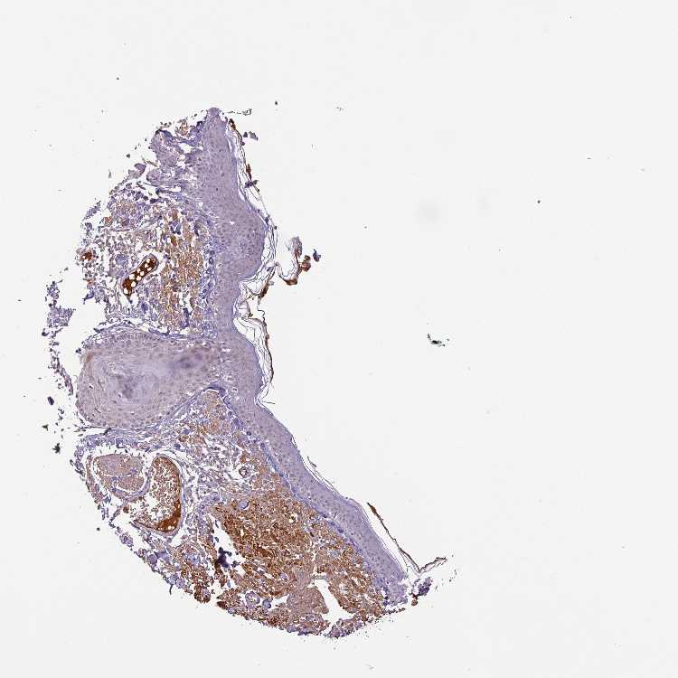
SKIN 1 - Antibody stainingi

Antibody staining in the annotated cell types in the current human tissue is reported as not detected, low, medium, or high, based on conventional immunohistochemistry profiling in selected tissues. This score is based on the combination of the staining intensity and fraction of stained cells.

Each image is clickable and will lead to virtual microscopy that enables deeper exploration of all samples and also displays staining intensity scores, fraction scores and subcellular localization as well as patient and tissue information for each sample.

Antibody HPA051518
Cells in basal layer Not detected
Cells in corneal layer Not detected
Cells in granular layer Not detected
Cells in spinous layer Not detected
Endothelial cells Not detected
Extracellular matrix Low
Fibrohistiocytic cells Not detected
Langerhans cells Not detected
Lymphocytes Not detected
Melanocytes Not detected
Vascular mural cells Not detected


SKIN 2 - Antibody stainingi

Antibody staining in the annotated cell types in the current human tissue is reported as not detected, low, medium, or high, based on conventional immunohistochemistry profiling in selected tissues. This score is based on the combination of the staining intensity and fraction of stained cells.

Each image is clickable and will lead to virtual microscopy that enables deeper exploration of all samples and also displays staining intensity scores, fraction scores and subcellular localization as well as patient and tissue information for each sample.

Antibody HPA051518
Cells in basal layer Medium
Cells in corneal layer Not detected
Cells in granular layer Not detected
Cells in spinous layer High
Endothelial cells Not detected
Extracellular matrix Low
Fibrohistiocytic cells High
Langerhans cells High
Lymphocytes High
Melanocytes Not detected
Vascular mural cells Not detected



SKIN - HPA RNA-seqi

The RNA-seq details section shows detailed information about the individual samples used for the transcript profiling and results of the RNA-seq analysis.

Information about each individual sample is listed below, including gender, age, a tissue section image and estimated fractions of cell types. nTPM (normalized transcripts per million) values give a quantification of the gene abundance which is comparable between different genes and samples.
Average nTPMi

Max subtype nTPM is the value for the subtype with the largest average nTPM across the subtype samples.

7.3
overview
Female, age 34
Skin sample 225
nTPM: 11.5
Cell types%
Keratinocytes:
60

Other cell types:
40

overview
Female, age 30
Skin sample 226
nTPM: 2.6
Cell types%
Keratinocytes:
55

Other cell types:
45

N/A
Male, age 57
Skin sample 227
nTPM: 7.7

SKIN - GTEx RNA-seqi

RNA-Seq data generated by the Genotype-Tissue Expression (GTEx) project from human tissues is reported as mean nTPM. More information can be found on the GTEx portal.

Distribution across the dataset is visualized with box plots, shown as median and 25th and 75th percentiles. Points are displayed as outliers if they are above or below 1.5 times the interquartile range. nTPM values of the individual samples are presented next to the box plot.
Max subtype nTPMi

Max subtype nTPM is the value for the subtype with the largest average nTPM across the subtype samples.

70.9
GTEx sample id Sample description nTPM
Skin - Not Sun Exposed (Suprapubic)
Average nTPM: 70.9
Samples: 604

Max nTPM: 916.6
Min nTPM: 3.8
Std nTPM: 103.4
Median nTPM: 34.2
GTEX-1PIGE-1826-SM-E8VOU 20-29 years, male 916.6
GTEX-15RIE-1926-SM-7KUKJ 60-69 years, male 820.0
GTEX-YEC4-1826-SM-4W1YP 40-49 years, male 735.1
GTEX-1GMR3-0126-SM-A9SLW 40-49 years, male 720.5
GTEX-1HSMP-0926-SM-A9SKX 70-79 years, male 604.8
GTEX-178AV-1726-SM-7KUL8 40-49 years, male 585.4
GTEX-1RAZA-2226-SM-E9U4X 20-29 years, male 545.3
GTEX-1QCLY-0226-SM-EWRNH 30-39 years, male 489.0
GTEX-13OVG-1626-SM-5J1NF 60-69 years, male 458.6
GTEX-1E1VI-0326-SM-793D1 50-59 years, male 435.0
GTEX-14PJ3-1126-SM-5ZZVX 50-59 years, male 426.3
GTEX-1F6IF-0926-SM-7SB7M 60-69 years, male 397.7
GTEX-ZPU1-1126-SM-4YCF3 40-49 years, male 387.4
GTEX-YEC3-1326-SM-DO92X 50-59 years, male 387.1
GTEX-1I6K7-1926-SM-B2LXR 40-49 years, male 386.0
GTEX-1CB4I-0126-SM-7RHGG 50-59 years, male 343.7
GTEX-Y5V6-2326-SM-4VDSA 60-69 years, male 340.4
GTEX-WK11-2726-SM-3NMAQ 50-59 years, male 331.5
GTEX-Y5LM-0926-SM-6LLJG 40-49 years, female 323.3
GTEX-1S3DN-2126-SM-E9TIN 50-59 years, male 316.7
GTEX-12BJ1-0926-SM-5EQ62 60-69 years, male 303.5
GTEX-17KNJ-2126-SM-718AM 50-59 years, male 296.0
GTEX-11P7K-1126-SM-5HL4L 30-39 years, male 288.7
GTEX-14JFF-0626-SM-5ZZVT 60-69 years, male 287.1
GTEX-ZZ64-1026-SM-5GZXG 20-29 years, male 271.6
GTEX-1IDJF-2026-SM-CL53V 20-29 years, male 266.2
GTEX-145LT-0526-SM-5LUB2 40-49 years, male 263.8
GTEX-1AX8Z-0726-SM-73KTS 60-69 years, male 262.8
GTEX-111YS-1526-SM-5GZYW 60-69 years, male 260.2
GTEX-1N2DV-1526-SM-DTXEP 40-49 years, male 258.5
GTEX-1B8KZ-0326-SM-73KY4 50-59 years, male 254.2
GTEX-11DXX-2126-SM-5PNYR 60-69 years, female 250.3
GTEX-14A5H-0826-SM-5QGPJ 60-69 years, male 244.1
GTEX-1I6K6-1726-SM-CGQFD 30-39 years, male 242.9
GTEX-1GN1W-2426-SM-9KNUU 50-59 years, female 237.5
GTEX-14B4R-1326-SM-5Q5EZ 30-39 years, male 235.9
GTEX-ZDTS-0826-SM-4WKHL 60-69 years, male 235.7
GTEX-VJYA-1526-SM-3GIJV 60-69 years, male 229.8
GTEX-1B8KE-1126-SM-7EPHI 50-59 years, male 226.3
GTEX-1KD5A-0126-SM-E9U54 50-59 years, male 224.6
GTEX-15RIG-0726-SM-7KUM7 40-49 years, male 223.0
GTEX-1IY9M-2826-SM-ARU8H 60-69 years, male 214.1
GTEX-X3Y1-2026-SM-3P5YM 40-49 years, male 201.9
GTEX-13PVQ-0626-SM-5LU47 50-59 years, male 197.9
GTEX-1JN6P-2926-SM-CL54D 60-69 years, male 197.7
GTEX-16NPX-0726-SM-7KULC 50-59 years, male 195.4
GTEX-1QW4Y-1126-SM-DTXE3 30-39 years, male 194.7
GTEX-12WSF-1626-SM-7KUG5 70-79 years, male 193.3
GTEX-1JN76-0626-SM-CKZOQ 20-29 years, female 189.7
GTEX-15CHR-1126-SM-7EWF4 50-59 years, male 188.7
GTEX-16NGA-0726-SM-731AO 40-49 years, female 188.1
GTEX-V1D1-2026-SM-3GAF4 50-59 years, male 185.9
GTEX-ZVT4-2426-SM-5GIEI 50-59 years, female 185.4
GTEX-ZPIC-0526-SM-DO91W 40-49 years, female 182.8
GTEX-1F5PK-2226-SM-7SB6N 50-59 years, male 180.9
GTEX-1399R-1326-SM-5PNYS 30-39 years, male 177.9
GTEX-1GF9V-0826-SM-9KNUV 60-69 years, male 174.8
GTEX-17F96-0126-SM-7EWDU 70-79 years, male 174.5
GTEX-1H1DG-2426-SM-9QEHJ 70-79 years, male 173.5
GTEX-ZTTD-2826-SM-4YCFA 50-59 years, male 170.6
GTEX-12KS4-2126-SM-5FQUT 30-39 years, male 169.7
GTEX-145MN-1526-SM-5SI9T 30-39 years, male 166.9
GTEX-1477Z-0326-SM-7IGLA 60-69 years, male 166.5
GTEX-13PVR-0426-SM-5RQK2 60-69 years, female 163.1
GTEX-13U4I-2226-SM-5LU5H 40-49 years, female 162.0
GTEX-13NZ9-2626-SM-5L3FK 50-59 years, male 161.9
GTEX-1CB4F-1026-SM-7DUH1 60-69 years, male 160.8
GTEX-1A8G7-1326-SM-73KVM 60-69 years, male 159.3
GTEX-1I1GP-1326-SM-A9G28 50-59 years, male 158.2
GTEX-XQ3S-1426-SM-4BOPR 20-29 years, male 157.3
GTEX-UPJH-0226-SM-3GADV 50-59 years, male 156.6
GTEX-1JKYR-0626-SM-ARL8R 20-29 years, male 153.4
GTEX-1GN1U-0626-SM-9MQL9 50-59 years, female 151.9
GTEX-1399Q-2326-SM-5KM2X 40-49 years, male 151.5
GTEX-14E6E-0526-SM-793DN 30-39 years, male 151.1
GTEX-1J8Q2-2626-SM-ACKWQ 60-69 years, male 150.9
GTEX-14BMV-2826-SM-5TDED 50-59 years, male 150.6
GTEX-1LG7Z-1626-SM-CXKYR 30-39 years, male 145.4
GTEX-18A6Q-0626-SM-7KFRP 60-69 years, male 145.1
GTEX-1K2DA-1026-SM-CGQGF 50-59 years, male 144.4
GTEX-1C6VR-0126-SM-7RHGB 60-69 years, male 144.2
GTEX-1QAET-0326-SM-EVR3U 50-59 years, male 141.3
GTEX-16GPK-0626-SM-7KFSF 60-69 years, male 141.2
GTEX-1AX9I-2226-SM-73KUO 60-69 years, male 141.1
GTEX-11TT1-1826-SM-5EQLV 20-29 years, male 141.0
GTEX-WRHU-2826-SM-3MJG8 50-59 years, female 140.1
GTEX-18A66-0626-SM-7LT8Z 60-69 years, male 139.8
GTEX-1IDJE-1426-SM-ADEIW 50-59 years, female 138.1
GTEX-139UW-0326-SM-5J1ML 60-69 years, male 137.8
GTEX-15G19-2426-SM-7KUMR 60-69 years, male 136.2
GTEX-1JMQK-1226-SM-D4P2S 60-69 years, male 135.5
GTEX-139TT-2126-SM-5LZWC 60-69 years, male 133.9
GTEX-1GF9U-2026-SM-7SB92 40-49 years, female 133.7
GTEX-132AR-0326-SM-5KM2C 50-59 years, female 133.1
GTEX-18D9A-1426-SM-7LT8M 30-39 years, female 132.5
GTEX-13X6K-0626-SM-5LU5D 60-69 years, female 132.4
GTEX-1GPI7-1826-SM-9KNU1 20-29 years, male 130.0
GTEX-12696-0126-SM-5EQ4L 60-69 years, male 129.9
GTEX-1IOXB-2726-SM-CM2RI 50-59 years, male 126.8
GTEX-139TU-0726-SM-5L3EK 60-69 years, male 126.6
GTEX-147F3-1726-SM-5SIAW 50-59 years, female 124.9
GTEX-ZDTT-0426-SM-4WKFL 60-69 years, male 124.3
GTEX-14AS3-1526-SM-5Q5ED 40-49 years, female 121.5
GTEX-12WSD-0626-SM-5GCMW 60-69 years, female 121.1
GTEX-15SHW-0226-SM-7LTAT 60-69 years, male 120.0
GTEX-ZUA1-2626-SM-5NQ92 40-49 years, male 119.3
GTEX-131YS-2826-SM-5EQ47 60-69 years, female 119.2
GTEX-XXEK-1626-SM-4BRUZ 50-59 years, male 115.8
GTEX-11VI4-1126-SM-5EQMD 40-49 years, female 115.5
GTEX-11DXZ-2026-SM-5987S 50-59 years, male 113.2
GTEX-14ABY-2026-SM-62LDL 50-59 years, male 112.6
GTEX-131XG-0326-SM-5L3DX 50-59 years, female 109.6
GTEX-1C64O-1326-SM-7MGWR 60-69 years, male 109.0
GTEX-13O3O-2326-SM-5IJD6 60-69 years, female 108.3
GTEX-1CB4E-0926-SM-7EPHT 60-69 years, male 107.3
GTEX-1A8G6-2726-SM-731AR 60-69 years, male 107.1
GTEX-13VXU-0626-SM-5L3F9 50-59 years, male 104.5
GTEX-ZA64-1026-SM-5HL8R 20-29 years, male 104.4
GTEX-XK95-0226-SM-4AT58 40-49 years, male 104.2
GTEX-18465-2826-SM-7LT9J 50-59 years, male 103.2
GTEX-1HFI6-0126-SM-CNPPI 40-49 years, male 101.3
GTEX-11EI6-2826-SM-5H11D 60-69 years, male 100.3
GTEX-ZDXO-3126-SM-5IJDF 60-69 years, male 99.9
GTEX-1B97I-0626-SM-73KUZ 40-49 years, male 99.8
GTEX-WHWD-1826-SM-3LK6I 50-59 years, male 96.8
GTEX-1E2YA-2126-SM-7MXUO 50-59 years, male 96.1
GTEX-1B996-0426-SM-7EWF8 60-69 years, male 95.9
GTEX-1B8L1-2226-SM-7P8PT 60-69 years, male 95.5
GTEX-139TS-2126-SM-5K7XC 60-69 years, male 95.1
GTEX-1I1GS-2626-SM-B2LY3 60-69 years, male 95.0
GTEX-XPVG-2126-SM-4B667 50-59 years, male 94.1
GTEX-1LG7Y-2526-SM-EWRO7 50-59 years, male 93.4
GTEX-1I19N-0126-SM-CYPSF 70-79 years, male 91.4
GTEX-ZXG5-2126-SM-59HKD 60-69 years, male 91.1
GTEX-X5EB-1926-SM-4E3IW 40-49 years, male 90.7
GTEX-14PJN-1826-SM-6AJ98 30-39 years, male 90.5
GTEX-18A7A-0126-SM-731AH 50-59 years, female 90.0
GTEX-WYJK-0526-SM-3NM8Z 50-59 years, male 89.6
GTEX-1IKOE-1426-SM-CE6T7 30-39 years, female 89.2
GTEX-1A8FM-0626-SM-7PC25 50-59 years, female 88.4
GTEX-1IE54-1126-SM-A9G2Z 40-49 years, female 87.9
GTEX-1N2EE-0626-SM-E76PW 60-69 years, male 83.4
GTEX-111FC-2526-SM-5GZXU 60-69 years, male 82.7
GTEX-11NSD-0626-SM-5A5LU 20-29 years, male 82.5
GTEX-1LSVX-2526-SM-DIPEU 60-69 years, male 82.3
GTEX-13FLV-0126-SM-5K7WT 50-59 years, male 80.8
GTEX-1A3MV-1826-SM-731CD 30-39 years, male 80.1
GTEX-X585-2426-SM-46MW2 50-59 years, male 77.4
GTEX-ZVE2-2826-SM-5GU51 50-59 years, male 77.4
GTEX-14ICL-1626-SM-5YYAO 30-39 years, male 76.7
GTEX-14DAR-1226-SM-73KYV 50-59 years, male 76.2
GTEX-1LVAO-2726-SM-E9TJ8 60-69 years, male 76.1
GTEX-WFON-1926-SM-3LK7L 40-49 years, male 75.5
GTEX-146FQ-2126-SM-5RQHU 30-39 years, male 74.2
GTEX-1I4MK-0126-SM-CY8G6 50-59 years, female 74.2
GTEX-1EN7A-2426-SM-793DB 40-49 years, male 73.3
GTEX-ZYW4-0626-SM-59HJR 60-69 years, male 72.9
GTEX-17MFQ-1526-SM-7KFRR 20-29 years, male 72.8
GTEX-UPK5-0426-SM-3GAEK 40-49 years, male 72.8
GTEX-13OW6-2726-SM-5J2OE 50-59 years, male 71.7
GTEX-ZVTK-0226-SM-51MRG 20-29 years, male 71.5
GTEX-Z93S-1626-SM-5CVMB 50-59 years, male 71.2
GTEX-XMD2-2126-SM-4YCF8 60-69 years, female 71.1
GTEX-1H1DE-1326-SM-9KNUG 20-29 years, male 70.2
GTEX-11DYG-1526-SM-5A5JS 60-69 years, male 70.1
GTEX-WEY5-2326-SM-3GIKK 40-49 years, female 70.1
GTEX-VUSG-2326-SM-4KL1U 50-59 years, male 69.6
GTEX-YJ8O-2526-SM-5HL85 40-49 years, female 69.5
GTEX-X8HC-0626-SM-4E3HQ 50-59 years, female 68.8
GTEX-Y8E4-2026-SM-5IFJB 40-49 years, male 68.7
GTEX-1RLM8-2926-SM-E8VON 50-59 years, male 68.7
GTEX-ZT9X-1526-SM-5DUXD 40-49 years, male 68.2
GTEX-17EVQ-0126-SM-7IGLR 70-79 years, male 67.9
GTEX-17HGU-2326-SM-7DUFE 50-59 years, male 67.5
GTEX-WI4N-2726-SM-3LK7Y 40-49 years, female 67.1
GTEX-14E6C-2426-SM-5S2NF 40-49 years, male 66.7
GTEX-145MO-2826-SM-5LU96 60-69 years, male 66.5
GTEX-131XW-0626-SM-5PNVD 50-59 years, female 66.3
GTEX-14PJ6-2626-SM-6EU2T 60-69 years, female 65.3
GTEX-1AX9J-1326-SM-731BJ 60-69 years, male 64.2
GTEX-145MF-0926-SM-5Q5EA 50-59 years, male 63.8
GTEX-1CAMQ-1326-SM-7P8RV 40-49 years, male 63.8
GTEX-1PDJ9-1226-SM-EXUSX 20-29 years, male 63.8
GTEX-13FTY-2126-SM-5IFFB 40-49 years, female 63.4
GTEX-15D1Q-2826-SM-6LLH7 40-49 years, male 63.1
GTEX-ZF2S-1626-SM-57WES 50-59 years, female 62.7
GTEX-14LZ3-0126-SM-69LPM 60-69 years, female 62.6
GTEX-1IDFM-0326-SM-ARL7V 60-69 years, male 62.5
GTEX-1MCYP-0526-SM-E9U6Q 20-29 years, female 62.5
GTEX-1211K-1526-SM-5FQU4 60-69 years, female 62.2
GTEX-13NYB-0126-SM-5J1MD 40-49 years, male 62.1
GTEX-14PJO-2526-SM-6AJBQ 60-69 years, male 60.9
GTEX-ZAK1-0626-SM-5HL8E 50-59 years, female 60.6
GTEX-1PPH7-1126-SM-DTX9A 40-49 years, male 59.9
GTEX-1QP66-1226-SM-DTX7U 50-59 years, male 59.8
GTEX-11DXW-0826-SM-5H118 40-49 years, male 58.9
GTEX-144GO-2026-SM-5O99P 60-69 years, male 58.9
GTEX-1PIIG-2326-SM-DTXFR 30-39 years, male 58.7
GTEX-1LVAM-0726-SM-E6CIL 50-59 years, female 58.3
GTEX-1QCLZ-2426-SM-EVYBW 60-69 years, female 57.7
GTEX-1H1CY-0126-SM-9YFLY 60-69 years, female 57.5
GTEX-ZWKS-0626-SM-5GIDV 30-39 years, male 57.1
GTEX-1GN73-0726-SM-7P8TJ 60-69 years, male 56.9
GTEX-1B8SF-0126-SM-7DUG3 60-69 years, male 56.1
GTEX-XQ8I-0926-SM-4BOOF 50-59 years, male 55.9
GTEX-WFG8-2126-SM-3GIKQ 20-29 years, male 55.8
GTEX-1RB15-1326-SM-E76Q9 60-69 years, male 55.8
GTEX-1KXAM-1626-SM-D3LAD 60-69 years, male 55.3
GTEX-1R9PM-1926-SM-EVR3O 20-29 years, male 55.3
GTEX-14PK6-0226-SM-62LF5 70-79 years, female 55.0
GTEX-1IDJH-0126-SM-D3L92 70-79 years, male 55.0
GTEX-15DYW-2726-SM-6EU2I 60-69 years, female 54.8
GTEX-1F75W-2726-SM-7SB8H 60-69 years, male 54.6
GTEX-18A67-1626-SM-7LT9T 50-59 years, male 53.3
GTEX-14C5O-0326-SM-5ZZUX 60-69 years, male 53.0
GTEX-1O9I2-0226-SM-EYYXD 50-59 years, male 53.0
GTEX-11TUW-0626-SM-5LU9M 60-69 years, male 52.6
GTEX-14PHX-2226-SM-6EU2P 50-59 years, male 52.3
GTEX-1N5O9-0926-SM-E9J3C 60-69 years, male 52.3
GTEX-ZYT6-2326-SM-5GZY3 30-39 years, male 52.0
GTEX-1EH9U-2826-SM-7DUGT 60-69 years, male 51.5
GTEX-WHSE-0126-SM-3NMBT 20-29 years, male 51.1
GTEX-1F5PL-0926-SM-7PC2W 40-49 years, female 50.2
GTEX-11ZUS-2626-SM-5FQUR 30-39 years, male 50.1
GTEX-1ICG6-1226-SM-A9SLN 70-79 years, female 50.1
GTEX-17F98-1326-SM-7DUEP 40-49 years, female 49.7
GTEX-1HC8U-1326-SM-9YFMJ 40-49 years, female 49.6
GTEX-1H1E6-0426-SM-9WYUS 30-39 years, male 49.3
GTEX-1CAMR-1326-SM-7PC1F 20-29 years, male 49.0
GTEX-1S831-1826-SM-EWROF 20-29 years, male 49.0
GTEX-13N11-2326-SM-5IJBF 50-59 years, female 48.9
GTEX-1314G-1326-SM-5BC6E 30-39 years, male 48.3
GTEX-ZU9S-1826-SM-5NQ9E 30-39 years, male 47.4
GTEX-13PDP-0726-SM-5L3HP 60-69 years, male 47.3
GTEX-1192X-2726-SM-5N9DN 50-59 years, male 47.0
GTEX-183FY-1026-SM-7939A 20-29 years, male 46.2
GTEX-13OVH-0526-SM-5L3E6 70-79 years, male 45.9
GTEX-1A3MX-2626-SM-7PC24 60-69 years, male 45.9
GTEX-1M4P7-0726-SM-E6CJ3 60-69 years, male 45.8
GTEX-1GZHY-0626-SM-9KNVC 50-59 years, female 45.1
GTEX-1RMOY-1326-SM-E9TIH 50-59 years, male 45.1
GTEX-1B933-2426-SM-7DHMD 50-59 years, female 44.9
GTEX-11O72-0626-SM-5PNYE 40-49 years, male 44.8
GTEX-WH7G-2026-SM-3NMBL 40-49 years, male 44.2
GTEX-183WM-0326-SM-72D5V 70-79 years, female 44.0
GTEX-1IL2V-1926-SM-B2LW8 70-79 years, male 43.8
GTEX-1JMOU-1026-SM-CYPSS 60-69 years, female 43.8
GTEX-1JN1M-2726-SM-CY8I4 60-69 years, female 43.5
GTEX-1PBJJ-1026-SM-E76OS 30-39 years, male 42.7
GTEX-12584-0726-SM-5FQTK 40-49 years, male 42.3
GTEX-145MG-1526-SM-5Q5EM 50-59 years, male 42.2
GTEX-17JCI-2926-SM-7DUFF 60-69 years, female 42.0
GTEX-1JMPY-0226-SM-CKZOK 30-39 years, male 41.5
GTEX-17F9E-2326-SM-79OKD 50-59 years, male 41.4
GTEX-1LVA9-2626-SM-EVYD4 50-59 years, male 41.4
GTEX-1IDJD-2326-SM-ACKWX 30-39 years, male 41.1
GTEX-1H3VE-0726-SM-9YFL5 40-49 years, male 41.0
GTEX-11EQ9-1626-SM-5PNY8 30-39 years, male 40.8
GTEX-XV7Q-1826-SM-4BRUV 40-49 years, female 40.8
GTEX-14JG1-1526-SM-5YY9X 40-49 years, male 40.7
GTEX-15CHQ-0326-SM-69LQD 60-69 years, male 40.3
GTEX-1OJC4-2726-SM-E76PJ 50-59 years, female 40.3
GTEX-12WSM-1926-SM-5BC65 60-69 years, male 39.7
GTEX-1GF9W-1426-SM-7PBYM 60-69 years, male 39.6
GTEX-YECK-0326-SM-4W1YS 60-69 years, male 39.3
GTEX-144GM-0526-SM-79OJO 20-29 years, male 39.0
GTEX-X4EO-2926-SM-4E3JH 60-69 years, female 39.0
GTEX-ZYFD-0626-SM-5E44E 50-59 years, male 39.0
GTEX-13112-0126-SM-5P9IU 50-59 years, male 38.9
GTEX-13113-1626-SM-5EQ4I 60-69 years, female 38.4
GTEX-13JVG-0726-SM-5KM16 60-69 years, male 38.3
GTEX-16MT8-2926-SM-7DUFO 60-69 years, female 38.3
GTEX-17EVP-2626-SM-7IGMA 40-49 years, male 38.1
GTEX-13G51-1826-SM-5KLZH 60-69 years, male 38.0
GTEX-16Z82-2626-SM-7KULU 60-69 years, male 37.9
GTEX-ZVE1-0726-SM-51MRN 50-59 years, female 37.7
GTEX-13X6J-0626-SM-5LU5F 50-59 years, male 37.5
GTEX-1KANC-1226-SM-CYPT7 50-59 years, female 37.4
GTEX-16XZZ-0726-SM-7KUF2 60-69 years, male 36.7
GTEX-139YR-1026-SM-5LZYN 50-59 years, male 36.3
GTEX-14JG6-1426-SM-9WG7C 30-39 years, female 36.0
GTEX-Y114-2126-SM-4TT8B 50-59 years, female 35.9
GTEX-13NZ8-1226-SM-5KM4A 60-69 years, female 35.7
GTEX-13W3W-0726-SM-5IJDQ 60-69 years, female 35.6
GTEX-ZAJG-1526-SM-5CVML 50-59 years, female 35.6
GTEX-1S5ZU-2526-SM-E6CIF 20-29 years, female 35.6
GTEX-1HBPI-2126-SM-ARL9K 50-59 years, male 35.5
GTEX-1GMRU-2126-SM-7P8RA 50-59 years, male 35.4
GTEX-1HCVE-2726-SM-CL54F 50-59 years, male 35.4
GTEX-1S83E-1326-SM-E6CJM 40-49 years, male 35.4
GTEX-1HKZK-0726-SM-ACKW2 40-49 years, male 35.3
GTEX-11OF3-0126-SM-5PNYF 60-69 years, male 35.2
GTEX-1CAMS-2226-SM-7PBXQ 40-49 years, female 35.2
GTEX-18A7B-2726-SM-7LG56 70-79 years, male 35.1
GTEX-1HUB1-1426-SM-CGQF5 60-69 years, male 35.1
GTEX-1HCU7-0726-SM-A9SL1 50-59 years, male 35.0
GTEX-1IDJC-1526-SM-B2LW4 50-59 years, male 34.9
GTEX-1H23P-0626-SM-9WG6T 60-69 years, male 34.8
GTEX-13RTJ-0126-SM-5S2NN 60-69 years, male 34.7
GTEX-1AYD5-2626-SM-7PBXY 50-59 years, male 34.5
GTEX-1EWIQ-0326-SM-7DHMQ 70-79 years, female 34.4
GTEX-14PJ2-0626-SM-6LLII 50-59 years, male 34.2
GTEX-11ZTT-2126-SM-5CVLO 60-69 years, female 34.1
GTEX-WYBS-0626-SM-3NMAS 60-69 years, female 34.1
GTEX-11NUK-2726-SM-5A5MC 50-59 years, male 34.0
GTEX-1F6I4-2326-SM-7RHGL 60-69 years, male 34.0
GTEX-1K2DU-1226-SM-CYPT4 20-29 years, male 33.9
GTEX-1LSNL-2726-SM-E9TKJ 50-59 years, male 33.9
GTEX-1HCU8-2526-SM-CE6RX 60-69 years, female 33.8
GTEX-1S82P-2126-SM-E6CI5 60-69 years, female 33.4
GTEX-11WQK-1026-SM-5EQLX 50-59 years, male 33.1
GTEX-YB5K-2026-SM-4VDT3 40-49 years, female 33.1
GTEX-1NSGN-0726-SM-DTXEF 50-59 years, male 32.7
GTEX-1J1R8-2026-SM-CL53Y 40-49 years, male 32.5
GTEX-Y3IK-1626-SM-4YCF5 50-59 years, female 32.4
GTEX-12WSA-0426-SM-5EQ5X 60-69 years, male 32.3
GTEX-1RAZR-2126-SM-E9U6T 40-49 years, male 32.2
GTEX-1GMR2-0826-SM-7PC3V 50-59 years, male 32.1
GTEX-139T8-0626-SM-5KLZX 60-69 years, male 31.9
GTEX-11DXY-0126-SM-5H11Q 60-69 years, male 31.8
GTEX-1HT8W-0626-SM-A9G2H 30-39 years, male 31.8
GTEX-13OW5-2326-SM-5L3HO 60-69 years, male 31.4
GTEX-1LKK1-2626-SM-DKPQE 50-59 years, female 31.4
GTEX-117YX-1926-SM-5GIEC 50-59 years, male 31.3
GTEX-1H4P4-2126-SM-9WYSL 50-59 years, male 31.2
GTEX-17HHY-0426-SM-7DHLC 50-59 years, male 30.8
GTEX-1J1OQ-0126-SM-D4P2N 40-49 years, female 30.8
GTEX-12WSH-1526-SM-5BC5W 50-59 years, male 30.6
GTEX-15EO6-2426-SM-6PALZ 50-59 years, male 30.4
GTEX-Y9LG-1126-SM-4VBQ7 30-39 years, male 30.4
GTEX-YF7O-1526-SM-5IFI6 50-59 years, male 30.4
GTEX-16MTA-0926-SM-6M47Z 50-59 years, male 30.3
GTEX-11UD2-2526-SM-5CVNU 50-59 years, male 30.2
GTEX-1L5NE-1126-SM-D3L9P 50-59 years, male 30.2
GTEX-XYKS-1426-SM-4BRUO 60-69 years, female 30.1
GTEX-ZTSS-1426-SM-5985P 40-49 years, male 30.1
GTEX-1J8JJ-0626-SM-ARZMQ 60-69 years, female 29.9
GTEX-12WSC-2826-SM-5BC5Y 50-59 years, male 29.5
GTEX-17MF6-2626-SM-79OKQ 40-49 years, male 29.4
GTEX-1QP9N-1226-SM-E76QN 30-39 years, male 29.4
GTEX-1QPFJ-1926-SM-EVYBD 30-39 years, female 29.4
GTEX-14BIN-1126-SM-5RQJZ 50-59 years, female 29.2
GTEX-WY7C-2126-SM-3NB2R 50-59 years, male 28.6
GTEX-16BQI-1326-SM-6M486 30-39 years, female 28.4
GTEX-1H3NZ-2726-SM-9WYTQ 60-69 years, male 28.2
GTEX-15FZZ-0526-SM-7KUGD 30-39 years, female 28.1
GTEX-1GZ2Q-0126-SM-9WG6M 40-49 years, male 28.1
GTEX-1GZ4I-2626-SM-9KNU3 50-59 years, male 28.1
GTEX-14PII-0726-SM-6EU2B 60-69 years, male 27.6
GTEX-WFG7-2026-SM-5SI7P 20-29 years, male 27.6
GTEX-1LVAN-0626-SM-CNPOQ 50-59 years, female 27.2
GTEX-17F97-2626-SM-7IGM5 50-59 years, male 27.1
GTEX-1K9T9-1526-SM-DIPFR 50-59 years, female 27.1
GTEX-11DZ1-2426-SM-5GZZX 50-59 years, male 26.8
GTEX-WXYG-2026-SM-4E3IY 50-59 years, female 26.7
GTEX-1I1GT-1026-SM-ARZLV 60-69 years, female 26.7
GTEX-1LSNM-0826-SM-DIPG8 50-59 years, male 26.5
GTEX-1BAJH-2426-SM-7IGP8 70-79 years, male 26.4
GTEX-1H1ZS-2726-SM-9WG75 70-79 years, male 26.4
GTEX-1ICLY-0826-SM-CMKG1 50-59 years, male 26.4
GTEX-1H11D-1826-SM-9QEHM 40-49 years, male 26.2
GTEX-ZF3C-0626-SM-DO92O 50-59 years, female 26.0
GTEX-1GTWX-2026-SM-9YFLM 60-69 years, male 25.9
GTEX-1IKJJ-2226-SM-CJI4C 60-69 years, male 25.9
GTEX-16YQH-2226-SM-7IGM2 30-39 years, male 25.8
GTEX-15RJ7-2126-SM-6PAMD 40-49 years, male 25.6
GTEX-ZYFG-1526-SM-5GZYM 60-69 years, female 25.6
GTEX-1F6RS-2026-SM-7RHHC 60-69 years, female 25.3
GTEX-13OVL-0126-SM-5L3GJ 50-59 years, male 25.2
GTEX-1HGF4-0126-SM-CNPPX 60-69 years, male 25.2
GTEX-13N1W-2426-SM-5IJD1 70-79 years, male 24.9
GTEX-X4EP-0626-SM-3P621 60-69 years, female 24.8
GTEX-ZP4G-1426-SM-4WWCL 20-29 years, female 24.8
GTEX-14753-0726-SM-5QGQO 60-69 years, male 24.7
GTEX-1H3O1-1326-SM-9MQLD 60-69 years, male 24.7
GTEX-ZY6K-1426-SM-5GZX2 50-59 years, male 24.3
GTEX-XBEC-0726-SM-4QARZ 50-59 years, male 24.1
GTEX-1HB9E-0126-SM-CM2S5 50-59 years, male 23.8
GTEX-1EU9M-1426-SM-793AI 60-69 years, male 23.7
GTEX-1GMR8-0626-SM-7RHI7 50-59 years, female 23.6
GTEX-145MH-2826-SM-5RQJF 50-59 years, male 23.5
GTEX-131XF-2626-SM-5EQ6K 60-69 years, male 23.4
GTEX-1JMQJ-0826-SM-CNPP7 50-59 years, male 23.4
GTEX-13X6I-1826-SM-5SIAO 60-69 years, male 23.3
GTEX-ZC5H-1526-SM-5HL9Y 40-49 years, female 23.1
GTEX-ZF29-0926-SM-4WKFZ 60-69 years, female 23.1
GTEX-147F4-0726-SM-5TDDD 50-59 years, male 22.9
GTEX-YFCO-1226-SM-5LUAT 40-49 years, male 22.9
GTEX-13QJC-0126-SM-5ZZWJ 60-69 years, female 22.8
GTEX-1269C-0126-SM-5EQ5L 60-69 years, female 22.7
GTEX-1ICLZ-0326-SM-ARL82 60-69 years, male 22.7
GTEX-15ER7-0626-SM-6PANF 20-29 years, female 22.5
GTEX-XAJ8-1426-SM-47JYM 40-49 years, male 22.5
GTEX-14PKV-1126-SM-6LLJ1 20-29 years, female 22.4
GTEX-ZT9W-1126-SM-57WDR 50-59 years, male 22.3
GTEX-1IDJV-0126-SM-COH3Y 60-69 years, male 22.3
GTEX-139D8-1126-SM-5LU8W 30-39 years, female 22.2
GTEX-13FTW-0326-SM-5K7UW 40-49 years, male 22.1
GTEX-15RJE-2826-SM-7KUM9 40-49 years, male 22.1
GTEX-ZE7O-2726-SM-51MT5 50-59 years, female 22.1
GTEX-1JK1U-0226-SM-ARZMX 60-69 years, male 21.9
GTEX-1LBAC-0826-SM-CY8IJ 20-29 years, male 21.9
GTEX-17HG3-2626-SM-7DUF2 30-39 years, female 21.8
GTEX-1CAV2-0126-SM-7IGN7 40-49 years, female 21.7
GTEX-XBEW-1126-SM-4QARW 40-49 years, male 21.6
GTEX-1JJ6O-2726-SM-CNPOG 60-69 years, male 21.6
GTEX-1497J-0226-SM-5QGPU 60-69 years, male 21.4
GTEX-1LGRB-0926-SM-COH3K 50-59 years, female 21.4
GTEX-ZE9C-2526-SM-5IJDR 60-69 years, male 21.3
GTEX-1POEN-2326-SM-E9J2L 30-39 years, female 21.2
GTEX-1I1HK-2326-SM-CKZOH 60-69 years, male 21.1
GTEX-1HCU9-0426-SM-9WYSD 20-29 years, male 20.7
GTEX-11EQ8-0926-SM-5H12V 60-69 years, male 20.5
GTEX-18D9U-0126-SM-731BM 40-49 years, male 20.5
GTEX-148VJ-0626-SM-5LUAW 70-79 years, male 20.4
GTEX-1HCU6-2526-SM-ADEHL 60-69 years, female 20.4
GTEX-13PL6-1126-SM-5L3IE 40-49 years, female 20.1
GTEX-1GL5R-1326-SM-7RHHF 50-59 years, male 19.9
GTEX-1C6WA-2626-SM-7MKGM 60-69 years, male 19.8
GTEX-1JKYN-0826-SM-ARU8S 30-39 years, male 19.8
GTEX-1RAZQ-1326-SM-E9TK6 30-39 years, male 19.8
GTEX-1KANA-1326-SM-DIPFA 20-29 years, male 19.6
GTEX-13OVK-1426-SM-6PAN7 40-49 years, male 19.4
GTEX-1S82U-1026-SM-E6CJK 30-39 years, female 19.4
GTEX-147GR-2426-SM-5ZZWQ 60-69 years, male 19.3
GTEX-11WQC-1826-SM-5GU59 60-69 years, male 18.9
GTEX-1JJE9-2626-SM-ARZMT 70-79 years, male 18.9
GTEX-ZLFU-1826-SM-4WWBV 40-49 years, male 18.8
GTEX-11P81-2226-SM-5PNYI 30-39 years, female 18.7
GTEX-144GL-0626-SM-5LU4D 50-59 years, male 18.6
GTEX-15UF6-1926-SM-7KUDV 70-79 years, female 18.6
GTEX-1R46S-2426-SM-E76QA 60-69 years, female 18.6
GTEX-13OW8-1026-SM-5J1NQ 60-69 years, male 18.5
GTEX-12126-0826-SM-5FQTZ 20-29 years, male 18.2
GTEX-17HHE-1326-SM-7EWDZ 50-59 years, male 17.5
GTEX-ZAB4-2126-SM-5HL8U 40-49 years, male 17.5
GTEX-1MJK3-0726-SM-E6CJC 20-29 years, male 17.5
GTEX-1313W-0626-SM-5EQ4H 50-59 years, female 17.4
GTEX-13FH7-1126-SM-5K7UG 50-59 years, female 17.3
GTEX-13SLX-2226-SM-62LEP 50-59 years, female 17.3
GTEX-145ME-1726-SM-5Q5EU 40-49 years, female 17.3
GTEX-11PRG-0726-SM-5EGL1 50-59 years, male 17.1
GTEX-13IVO-0726-SM-5LZYV 70-79 years, male 17.1
GTEX-15EU6-2226-SM-6EU2L 50-59 years, male 17.1
GTEX-1F88E-1626-SM-7SB8Z 60-69 years, female 17.1
GTEX-131XH-0126-SM-5LZUY 50-59 years, male 17.0
GTEX-145LS-0626-SM-7EPG7 60-69 years, female 16.9
GTEX-111CU-1126-SM-5EGIM 50-59 years, male 16.8
GTEX-12ZZX-2426-SM-5GCOE 40-49 years, female 16.8
GTEX-18QFQ-1826-SM-72D52 30-39 years, male 16.8
GTEX-XOT4-0626-SM-4B66L 60-69 years, female 16.8
GTEX-1QP28-1126-SM-EVYC4 50-59 years, female 16.8
GTEX-1CB4H-1126-SM-7MKGL 60-69 years, female 16.6
GTEX-14E1K-2026-SM-7DUEI 50-59 years, male 16.5
GTEX-1J8EW-2726-SM-CY8HR 60-69 years, female 16.5
GTEX-ZYVF-0926-SM-5E44J 50-59 years, female 16.3
GTEX-1GN2E-0226-SM-9WG6K 60-69 years, male 16.3
GTEX-13X6H-0926-SM-5SIB2 50-59 years, female 16.2
GTEX-ZDYS-2426-SM-4WKGI 50-59 years, male 16.2
GTEX-11GSP-2326-SM-5HL63 60-69 years, female 16.0
GTEX-13SLW-0626-SM-5Q5ER 70-79 years, male 16.0
GTEX-17F9Y-0126-SM-79OKX 70-79 years, female 16.0
GTEX-13YAN-0226-SM-5TDC6 60-69 years, male 15.8
GTEX-1PPGY-1626-SM-EVYBL 60-69 years, male 15.8
GTEX-12ZZY-0726-SM-5EQ66 60-69 years, male 15.7
GTEX-1HSGN-0826-SM-ACKW3 40-49 years, female 15.7
GTEX-1I1GV-0626-SM-ARL7M 60-69 years, male 15.6
GTEX-1H2FU-0926-SM-9WPPT 60-69 years, female 15.5
GTEX-1F75B-0726-SM-7PC3R 50-59 years, male 15.4
GTEX-1KAFJ-0126-SM-DIPEK 50-59 years, male 15.4
GTEX-13FTX-1526-SM-5K7VJ 20-29 years, female 15.3
GTEX-1HBPN-0126-SM-CGQEF 50-59 years, male 15.1
GTEX-1212Z-0126-SM-59HK4 60-69 years, male 15.0
GTEX-1C64N-2626-SM-7PC2N 50-59 years, male 15.0
GTEX-ZLV1-1526-SM-DO91J 60-69 years, female 15.0
GTEX-14PHY-1226-SM-5ZZWK 60-69 years, female 14.9
GTEX-Y8LW-1526-SM-5IFHL 50-59 years, female 14.9
GTEX-1R9K4-2826-SM-DTX8F 60-69 years, male 14.9
GTEX-14BMU-1226-SM-5S2OR 20-29 years, female 14.8
GTEX-12WSK-2126-SM-5CVNC 40-49 years, female 14.7
GTEX-15DDE-2926-SM-6LLJ3 50-59 years, female 14.7
GTEX-1IDJI-0126-SM-CMKHS 50-59 years, female 14.7
GTEX-1RAZS-2526-SM-E6CHT 50-59 years, male 14.7
GTEX-1KANB-2826-SM-CY8I6 50-59 years, male 14.6
GTEX-1AMEY-0826-SM-72D65 30-39 years, female 14.4
GTEX-1117F-2926-SM-5GZYI 60-69 years, female 14.3
GTEX-13NYS-0626-SM-5L3F1 60-69 years, male 14.3
GTEX-1QP2A-1726-SM-E76QC 50-59 years, male 14.3
GTEX-1B932-2326-SM-79OL5 40-49 years, female 14.2
GTEX-1A32A-0626-SM-731AQ 50-59 years, female 14.1
GTEX-1A3MW-0626-SM-731CB 60-69 years, female 14.1
GTEX-11P82-1426-SM-DTXFY 20-29 years, male 14.1
GTEX-14DAQ-0626-SM-793DS 60-69 years, female 14.0
GTEX-18D9B-0926-SM-7LG4U 60-69 years, male 14.0
GTEX-1PPH8-0126-SM-EWRN8 20-29 years, male 14.0
GTEX-1QEPI-2626-SM-DTXF4 60-69 years, female 14.0
GTEX-1399U-1126-SM-5L3DB 50-59 years, female 13.9
GTEX-15G1A-1626-SM-7KUKN 30-39 years, male 13.9
GTEX-ZGAY-1826-SM-DO91Q 40-49 years, female 13.8
GTEX-13D11-0926-SM-5J2NC 50-59 years, female 13.6
GTEX-1F52S-2926-SM-7MKGA 60-69 years, female 13.6
GTEX-1JMPZ-0726-SM-CY8HZ 30-39 years, male 13.6
GTEX-1399S-0126-SM-5IJCF 30-39 years, female 13.3
GTEX-14A6H-2026-SM-5Q5DD 30-39 years, male 13.3
GTEX-1GPI6-1926-SM-9KNV7 60-69 years, male 13.0
GTEX-12WSJ-1126-SM-5LZVJ 40-49 years, female 12.8
GTEX-1GN1V-2826-SM-9JGIA 60-69 years, male 12.8
GTEX-13OW7-0426-SM-5K7VK 50-59 years, male 12.7
GTEX-Y5V5-0126-SM-5S2NW 60-69 years, female 12.7
GTEX-ZPCL-1126-SM-4WWFE 60-69 years, female 12.7
GTEX-ZVT2-0126-SM-5GIDQ 50-59 years, female 12.7
GTEX-144FL-0626-SM-5LU43 50-59 years, male 12.5
GTEX-13N2G-0226-SM-5K7VF 60-69 years, male 12.4
GTEX-16AAH-0626-SM-793C9 50-59 years, male 12.4
GTEX-ZLWG-0826-SM-59888 50-59 years, female 12.4
GTEX-111VG-1626-SM-5EGIO 60-69 years, male 12.3
GTEX-14LLW-2626-SM-62LDZ 70-79 years, female 12.3
GTEX-1C2JI-1026-SM-73KY1 50-59 years, male 12.3
GTEX-14C39-1726-SM-5RQIL 40-49 years, male 12.2
GTEX-1NV5F-0626-SM-DTXEG 60-69 years, female 12.1
GTEX-1HSMO-0626-SM-ACKXC 60-69 years, male 11.9
GTEX-12WSL-2026-SM-5GCML 50-59 years, male 11.8
GTEX-1F75A-0726-SM-7RHHD 50-59 years, male 11.8
GTEX-11LCK-2226-SM-5HL4Q 30-39 years, male 11.7
GTEX-17HII-1426-SM-7EPGG 50-59 years, male 11.6
GTEX-1HR98-2226-SM-ADEI2 60-69 years, male 11.6
GTEX-1R9PN-0426-SM-DTXDT 40-49 years, female 11.4
GTEX-13JUV-2026-SM-5K7UA 40-49 years, female 11.2
GTEX-13NYC-0126-SM-5L3F4 60-69 years, male 11.2
GTEX-XBED-1926-SM-47JYP 60-69 years, male 11.1
GTEX-Y111-0626-SM-4SOIT 50-59 years, male 10.8
GTEX-147JS-0226-SM-5S2U9 60-69 years, male 10.7
GTEX-1GZ4H-0526-SM-9KNU9 50-59 years, female 10.7
GTEX-1H1DF-1126-SM-9WG7G 40-49 years, female 10.7
GTEX-13O61-1426-SM-5KM3D 60-69 years, male 10.5
GTEX-1LGOU-1326-SM-D3L8M 20-29 years, female 10.5
GTEX-14PJ5-1526-SM-6LLIL 60-69 years, female 10.4
GTEX-WYVS-1626-SM-3NM9R 40-49 years, female 10.3
GTEX-1IDJU-1726-SM-CMKHU 60-69 years, female 10.3
GTEX-11ZU8-0126-SM-5EQ58 60-69 years, male 10.2
GTEX-15CHC-1126-SM-6LLHQ 60-69 years, female 10.2
GTEX-WHSB-1326-SM-3LK6W 50-59 years, male 10.1
GTEX-ZTX8-1326-SM-4YCEL 20-29 years, male 10.1
GTEX-1JMQI-1726-SM-ARL93 50-59 years, male 10.1
GTEX-12ZZZ-0726-SM-5GCNZ 60-69 years, male 9.6
GTEX-U8XE-0226-SM-4E3J3 30-39 years, male 9.6
GTEX-XUW1-0926-SM-4BONX 50-59 years, female 9.5
GTEX-ZYFC-0426-SM-5GICQ 50-59 years, male 9.5
GTEX-1JJEA-1826-SM-ARU8P 60-69 years, male 9.5
GTEX-W5X1-2526-SM-3GILC 40-49 years, female 9.4
GTEX-Y3I4-1726-SM-4TT89 50-59 years, male 9.3
GTEX-1F48J-0726-SM-7RHGS 50-59 years, female 9.3
GTEX-1OJC3-1226-SM-DTXER 20-29 years, male 9.3
GTEX-ZVP2-0326-SM-57WBP 50-59 years, male 9.1
GTEX-1F75I-2226-SM-7SB8U 40-49 years, male 9.0
GTEX-1J8Q3-0526-SM-ARL8U 60-69 years, male 8.8
GTEX-133LE-2326-SM-5K7W3 20-29 years, female 8.7
GTEX-ZVZP-1226-SM-5GID7 50-59 years, male 8.5
GTEX-1JMQL-2226-SM-CNPP4 50-59 years, female 8.3
GTEX-11GS4-0226-SM-5HL77 60-69 years, male 8.2
GTEX-12C56-1526-SM-5FQUQ 20-29 years, male 8.1
GTEX-1LB8K-0726-SM-D5OV2 50-59 years, male 8.1
GTEX-1GF9X-1326-SM-7PC2Y 40-49 years, female 7.9
GTEX-1HCUA-0826-SM-ADEHM 50-59 years, female 7.9
GTEX-1MCC2-1826-SM-DIPEX 30-39 years, female 7.9
GTEX-1C475-1326-SM-7SB73 40-49 years, female 7.8
GTEX-145LU-1926-SM-79OJN 50-59 years, male 7.7
GTEX-1EX96-1026-SM-7MKG2 50-59 years, male 7.7
GTEX-1HSKV-1226-SM-ADEI4 60-69 years, male 7.6
GTEX-13FHO-0426-SM-5L3F5 60-69 years, male 7.5
GTEX-1I1GU-0926-SM-ACKVS 40-49 years, male 7.5
GTEX-WHPG-2626-SM-3NMBR 50-59 years, male 7.3
GTEX-1HBPM-0726-SM-9YFL7 60-69 years, female 7.3
GTEX-1I1CD-0626-SM-CE6SW 60-69 years, female 7.1
GTEX-1AMFI-1326-SM-7939R 50-59 years, female 6.9
GTEX-1KWVE-1026-SM-D3L9O 30-39 years, male 6.9
GTEX-1QMI2-2526-SM-E8VNZ 60-69 years, male 6.8
GTEX-1R7EU-1626-SM-DTXG3 60-69 years, male 6.8
GTEX-1HSMQ-2626-SM-A9SML 50-59 years, male 6.6
GTEX-13O3Q-0126-SM-5KM34 50-59 years, male 6.4
GTEX-145MI-0626-SM-5SI8S 60-69 years, female 6.4
GTEX-ZYY3-2926-SM-5GIEB 60-69 years, female 6.4
GTEX-1CB4J-1326-SM-7P8RX 60-69 years, male 6.4
GTEX-13VXT-1926-SM-5K7UO 20-29 years, female 6.3
GTEX-1F88F-0126-SM-9WYSZ 60-69 years, female 6.1
GTEX-13OVJ-0826-SM-5J1OK 50-59 years, female 6.0
GTEX-14XAO-1226-SM-6EU1C 60-69 years, female 6.0
GTEX-1122O-1026-SM-9WYSF 60-69 years, female 6.0
GTEX-1HR9M-2226-SM-CNPPY 60-69 years, male 6.0
GTEX-1EKGG-0626-SM-7DUGJ 60-69 years, male 5.9
GTEX-14PKU-0126-SM-6LLHV 40-49 years, female 5.8
GTEX-ZZPU-0826-SM-5GZX5 50-59 years, female 5.6
GTEX-1QP29-1826-SM-DTX9S 50-59 years, male 5.6
GTEX-14C38-0726-SM-5SI6M 50-59 years, male 5.4
GTEX-1EMGI-2326-SM-7PBYA 60-69 years, male 5.3
GTEX-13QBU-1226-SM-5LU4G 40-49 years, female 5.2
GTEX-15SKB-2826-SM-6PAMH 60-69 years, male 5.2
GTEX-11EM3-1226-SM-5N9DD 20-29 years, female 5.1
GTEX-14PJ4-0226-SM-5YY92 60-69 years, male 5.0
GTEX-1J8QM-2426-SM-A9SLS 60-69 years, female 5.0
GTEX-1C6VQ-1226-SM-73KYD 50-59 years, male 4.4
GTEX-1HFI7-2326-SM-CGQFS 50-59 years, female 3.9
GTEX-1JMLX-0626-SM-ARL8T 50-59 years, male 3.9
GTEX-16MT9-0126-SM-7EPI8 60-69 years, female 3.8
Show allShow less
Skin - Sun Exposed (Lower leg)
Average nTPM: 26.8
Samples: 701

Max nTPM: 232.0
Min nTPM: 2.1
Std nTPM: 28.3
Median nTPM: 17.7
GTEX-OIZG-0726-SM-33HBL 50-59 years, male 232.0
GTEX-131XF-5016-SM-7MGWE 60-69 years, male 201.2
GTEX-11NUK-0126-SM-5A5L3 50-59 years, male 189.5
GTEX-14PJ3-1826-SM-62LEX 50-59 years, male 186.3
GTEX-12696-2426-SM-5EQ6H 60-69 years, male 177.2
GTEX-WZTO-0126-SM-3NM95 40-49 years, male 173.5
GTEX-T8EM-1026-SM-3DB7M 40-49 years, male 156.8
GTEX-1B8SF-1426-SM-7DUGL 60-69 years, male 146.1
GTEX-S33H-1026-SM-EZ6L6 30-39 years, male 143.0
GTEX-11TT1-2526-SM-5EGIB 20-29 years, male 140.0
GTEX-1RQEC-0426-SM-E6CHU 60-69 years, male 139.5
GTEX-SJXC-0126-SM-2XCFF 60-69 years, male 136.6
GTEX-145LT-1726-SM-5QGP3 40-49 years, male 136.2
GTEX-1KD4Q-0226-SM-E9TJ9 40-49 years, male 130.6
GTEX-Y5V6-2426-SM-4VDSB 60-69 years, male 121.0
GTEX-139TT-0126-SM-5K7Y5 60-69 years, male 119.4
GTEX-1R7EU-0226-SM-EVR4G 60-69 years, male 118.3
GTEX-ZU9S-0226-SM-5E441 30-39 years, male 116.6
GTEX-S7PM-0126-SM-4AD6S 60-69 years, male 109.7
GTEX-1AX9J-0226-SM-73KXM 60-69 years, male 108.4
GTEX-11EM3-2426-SM-59861 20-29 years, female 107.0
GTEX-1A3MX-0126-SM-731BR 60-69 years, male 106.5
GTEX-11O72-0126-SM-59887 40-49 years, male 103.8
GTEX-PWCY-1826-SM-DHXIZ 20-29 years, female 101.9
GTEX-1JKYR-0126-SM-CNPOJ 20-29 years, male 101.5
GTEX-RVPV-0126-SM-EAZAW 60-69 years, male 94.7
GTEX-1B8KZ-2026-SM-7DHMB 50-59 years, male 92.8
GTEX-X5EB-2226-SM-46MW4 40-49 years, male 86.9
GTEX-PLZ6-1426-SM-DKPOT 30-39 years, male 86.1
GTEX-1C2JI-1826-SM-73KXC 50-59 years, male 81.7
GTEX-1C6VR-2426-SM-79OLD 60-69 years, male 81.7
GTEX-PLZ5-2026-SM-2S1O4 50-59 years, male 79.3
GTEX-SNMC-1226-SM-2XCFP 20-29 years, male 79.0
GTEX-14BMU-2226-SM-5TDE9 20-29 years, female 78.0
GTEX-1PWST-0226-SM-E76QJ 70-79 years, male 76.7
GTEX-U3ZH-2026-SM-3DB78 30-39 years, male 76.4
GTEX-Y8E4-0626-SM-4WWDL 40-49 years, male 75.9
GTEX-YJ8A-0426-SM-5IFID 20-29 years, male 75.8
GTEX-ZVT3-0126-SM-5GU6I 60-69 years, female 74.4
GTEX-1QP9N-1426-SM-DTXFL 30-39 years, male 73.8
GTEX-1KANC-1526-SM-D3LAB 50-59 years, female 73.6
GTEX-XQ3S-1526-SM-4BOOC 20-29 years, male 72.9
GTEX-14LLW-0126-SM-6LLIO 70-79 years, female 72.7
GTEX-14ABY-0226-SM-5TDCQ 50-59 years, male 72.5
GTEX-14DAR-2026-SM-5S2O3 50-59 years, male 71.2
GTEX-QLQ7-1626-SM-2S1R8 60-69 years, male 70.8
GTEX-17EUY-0426-SM-793BD 20-29 years, male 70.0
GTEX-17MFQ-1726-SM-793C7 20-29 years, male 70.0
GTEX-QLQW-1126-SM-2S1Q8 30-39 years, male 68.4
GTEX-XAJ8-0826-SM-47JY6 40-49 years, male 68.4
GTEX-17F98-0626-SM-79OMX 40-49 years, female 66.5
GTEX-183FY-0126-SM-7LT9P 20-29 years, male 66.4
GTEX-146FQ-0126-SM-5NQA9 30-39 years, male 65.4
GTEX-O5YW-0126-SM-3LK6D 50-59 years, male 65.4
GTEX-1HSMP-0126-SM-E6CJS 70-79 years, male 65.3
GTEX-1EU9M-0226-SM-7P8SP 60-69 years, male 64.9
GTEX-1GMR3-1926-SM-9KNUZ 40-49 years, male 64.1
GTEX-OIZH-0126-SM-2HMIS 50-59 years, male 63.0
GTEX-145MF-0626-SM-5LUAI 50-59 years, male 60.6
GTEX-13FHO-0226-SM-5IFGY 60-69 years, male 59.8
GTEX-145LU-0126-SM-5TDCB 50-59 years, male 59.5
GTEX-ZVT4-0126-SM-DTXFN 50-59 years, female 59.2
GTEX-Q2AG-0126-SM-33HBV 40-49 years, female 58.3
GTEX-1I19N-0326-SM-ACKVX 70-79 years, male 58.3
GTEX-17EVP-0326-SM-7DHLG 40-49 years, male 58.1
GTEX-1N2EF-0226-SM-EYYXB 60-69 years, male 57.8
GTEX-1KANA-0726-SM-D3L9I 20-29 years, male 57.2
GTEX-1CB4I-0226-SM-79OLH 50-59 years, male 57.1
GTEX-1I6K6-0126-SM-A9SLE 30-39 years, male 56.9
GTEX-1A3MV-1926-SM-718BT 30-39 years, male 56.6
GTEX-1BAJH-0526-SM-793CQ 70-79 years, male 56.2
GTEX-117YW-2626-SM-5GZZH 50-59 years, male 55.7
GTEX-131XG-2626-SM-5KM17 50-59 years, female 55.7
GTEX-1HGF4-2426-SM-ACKXM 60-69 years, male 55.6
GTEX-1J1R8-1726-SM-ARL8M 40-49 years, male 55.4
GTEX-1IY9M-0126-SM-D3L8S 60-69 years, male 55.2
GTEX-RWSA-0126-SM-2XCBB 40-49 years, male 55.1
GTEX-1GL5R-1826-SM-9KNUY 50-59 years, male 54.5
GTEX-139UW-2826-SM-5L3E7 60-69 years, male 54.4
GTEX-ZDTS-0126-SM-4WAY5 60-69 years, male 53.3
GTEX-17GQL-2026-SM-718BA 60-69 years, male 51.6
GTEX-1EX96-1626-SM-7PBXR 50-59 years, male 50.9
GTEX-14BIM-0226-SM-7IGLD 60-69 years, female 50.6
GTEX-1EKGG-0226-SM-9WYTH 60-69 years, male 50.0
GTEX-17F96-1626-SM-7DUFL 70-79 years, male 49.9
GTEX-11WQK-0526-SM-5EQLD 50-59 years, male 49.7
GTEX-15UKP-0426-SM-7KUFQ 20-29 years, male 49.2
GTEX-QDT8-0126-SM-48TZ1 30-39 years, female 49.2
GTEX-14PN4-0126-SM-6EU2V 50-59 years, male 49.1
GTEX-1NHNU-1026-SM-E9J2A 50-59 years, male 48.8
GTEX-11ZUS-0626-SM-59885 30-39 years, male 48.7
GTEX-1K2DA-1826-SM-CGQGT 50-59 years, male 48.3
GTEX-11P82-1626-SM-59879 20-29 years, male 48.2
GTEX-11NSD-2226-SM-5986V 20-29 years, male 48.0
GTEX-1AX8Z-0126-SM-7DHM6 60-69 years, male 47.5
GTEX-U3ZN-2326-SM-3DB7W 30-39 years, female 47.4
GTEX-1JMQK-0226-SM-CL543 60-69 years, male 47.2
GTEX-11OC5-0126-SM-5HL6A 60-69 years, male 46.3
GTEX-13OVL-0226-SM-5L3E9 50-59 years, male 45.3
GTEX-XQ8I-0426-SM-4BOPO 50-59 years, male 45.1
GTEX-TKQ1-1026-SM-4GICL 30-39 years, male 44.9
GTEX-P4PP-0126-SM-3LK69 30-39 years, female 44.8
GTEX-QCQG-1726-SM-3GIJ9 50-59 years, female 44.8
GTEX-11XUK-2026-SM-5EQLF 40-49 years, female 44.7
GTEX-X585-0226-SM-4QAS2 50-59 years, male 44.6
GTEX-1IDJF-0126-SM-CM2RS 20-29 years, male 44.1
GTEX-13RTK-1426-SM-5QGQJ 20-29 years, male 43.6
GTEX-PW2O-1526-SM-7RHHB 20-29 years, male 43.2
GTEX-111FC-0126-SM-5N9DL 60-69 years, male 42.9
GTEX-WFON-2126-SM-3LK7O 40-49 years, male 42.8
GTEX-1E1VI-0126-SM-7DHMZ 50-59 years, male 42.4
GTEX-17HG3-2226-SM-7938L 30-39 years, female 42.0
GTEX-17KNJ-2326-SM-7DHLQ 50-59 years, male 42.0
GTEX-12ZZY-0226-SM-5LZVE 60-69 years, male 41.8
GTEX-SIU8-0126-SM-2XCDT 50-59 years, male 41.8
GTEX-QEG4-0226-SM-2S1PY 30-39 years, male 40.6
GTEX-NPJ8-0126-SM-2YUNR 40-49 years, male 40.2
GTEX-1CB4F-0426-SM-9KNV4 60-69 years, male 40.0
GTEX-12WSE-0526-SM-793B2 20-29 years, male 39.8
GTEX-15EOM-0126-SM-7KUGG 20-29 years, female 39.8
GTEX-11DXX-2426-SM-5GZZW 60-69 years, female 39.5
GTEX-13RTJ-2426-SM-5S2Q2 60-69 years, male 39.5
GTEX-11LCK-1026-SM-5A5KB 30-39 years, male 38.9
GTEX-1F6IF-0726-SM-7P8TW 60-69 years, male 38.9
GTEX-1HBPI-1526-SM-C1YQ1 50-59 years, male 38.9
GTEX-ZQUD-1426-SM-57WER 30-39 years, male 38.8
GTEX-1IGQW-0126-SM-COH42 60-69 years, male 38.6
GTEX-18465-0126-SM-731BN 50-59 years, male 38.3
GTEX-X62O-0126-SM-4E3JN 50-59 years, male 38.3
GTEX-ZVE2-0226-SM-59HJB 50-59 years, male 38.3
GTEX-14C5O-0126-SM-5SI6N 60-69 years, male 38.2
GTEX-X88G-0126-SM-47JZ3 30-39 years, male 37.9
GTEX-1GN1V-0126-SM-9WPOS 60-69 years, male 37.9
GTEX-12ZZX-0126-SM-5EGK9 40-49 years, female 37.2
GTEX-1N2DV-0226-SM-E6CJ6 40-49 years, male 37.2
GTEX-1I1GS-0126-SM-B2LVW 60-69 years, male 37.1
GTEX-1497J-2426-SM-7IGNX 60-69 years, male 37.0
GTEX-WY7C-2326-SM-3NB2U 50-59 years, male 36.9
GTEX-1H1E6-1726-SM-ACKVK 30-39 years, male 36.8
GTEX-V1D1-2226-SM-3NMAX 50-59 years, male 36.4
GTEX-1I1GR-0126-SM-CL55F 60-69 years, male 36.3
GTEX-1QP66-1726-SM-E8VO1 50-59 years, male 35.8
GTEX-1JN1M-0326-SM-CYPT3 60-69 years, female 35.0
GTEX-1LG7Y-0526-SM-DKPQC 50-59 years, male 35.0
GTEX-R55G-2526-SM-2TC6D 40-49 years, female 34.9
GTEX-13SLW-0126-SM-5SI6C 70-79 years, male 34.7
GTEX-1GF9U-2126-SM-7SB7L 40-49 years, female 34.6
GTEX-16AAH-1726-SM-7939C 50-59 years, male 34.4
GTEX-1RLM8-2326-SM-EWRN4 50-59 years, male 34.2
GTEX-RM2N-1426-SM-2TF4H 50-59 years, male 34.0
GTEX-ZEX8-2426-SM-4WKG4 50-59 years, male 33.5
GTEX-1OJC4-0126-SM-E9J2E 50-59 years, female 33.5
GTEX-14753-0426-SM-5NQAM 60-69 years, male 33.4
GTEX-169BO-1326-SM-9MQK2 50-59 years, male 33.3
GTEX-WOFL-0126-SM-3MJG2 60-69 years, male 33.1
GTEX-13CF2-2526-SM-5LZYX 60-69 years, male 32.9
GTEX-13NZB-2526-SM-5J1OM 30-39 years, male 32.9
GTEX-13X6I-0626-SM-5QGP9 60-69 years, male 32.9
GTEX-15CHC-2126-SM-6EU21 60-69 years, female 32.5
GTEX-U8XE-0326-SM-3DB8P 30-39 years, male 32.5
GTEX-X4XX-0126-SM-3NMC2 60-69 years, male 32.5
GTEX-15SB6-1726-SM-6PAME 50-59 years, female 32.4
GTEX-13O3O-0126-SM-E9J49 60-69 years, female 32.1
GTEX-1HR98-0126-SM-B2LWI 60-69 years, male 32.1
GTEX-13OVK-2026-SM-7KUEO 40-49 years, male 32.0
GTEX-ZVTK-0426-SM-51MRS 20-29 years, male 31.9
GTEX-1399T-2826-SM-5KLYZ 60-69 years, male 31.8
GTEX-1JK1U-2026-SM-CM2RZ 60-69 years, male 31.8
GTEX-11H98-0126-SM-5EGHG 50-59 years, male 31.7
GTEX-1J1OQ-0226-SM-CYPSH 40-49 years, female 31.4
GTEX-11DXY-2626-SM-5GIE7 60-69 years, male 31.2
GTEX-ZDYS-2026-SM-5HL5L 50-59 years, male 31.0
GTEX-1GF9V-0326-SM-7RHI5 60-69 years, male 30.9
GTEX-13NYS-0126-SM-5MR3W 60-69 years, male 30.8
GTEX-1POEN-0126-SM-EYYXJ 30-39 years, female 30.7
GTEX-13G51-2526-SM-5LZYK 60-69 years, male 30.5
GTEX-1E2YA-0126-SM-9KNUC 50-59 years, male 30.5
GTEX-ZAB4-0226-SM-5N9F5 40-49 years, male 30.3
GTEX-1QP67-1626-SM-EAZ3X 40-49 years, female 30.3
GTEX-15D1Q-0126-SM-7KUG6 40-49 years, male 30.2
GTEX-13113-5016-SM-7EPIP 60-69 years, female 30.1
GTEX-1GN2E-0426-SM-9MQKX 60-69 years, male 30.1
GTEX-1HCVE-0126-SM-CGQEU 50-59 years, male 30.0
GTEX-13OW5-0126-SM-DTXFS 60-69 years, male 29.8
GTEX-1H3VE-0326-SM-9YFLH 40-49 years, male 29.7
GTEX-RN64-0126-SM-2TC68 50-59 years, male 29.3
GTEX-YFC4-0126-SM-5CVLY 40-49 years, female 29.3
GTEX-1GZ2Q-0226-SM-7P8TL 40-49 years, male 29.3
GTEX-1HCU6-0126-SM-CL54K 60-69 years, female 29.2
GTEX-117YX-2326-SM-5H12W 50-59 years, male 29.1
GTEX-1399U-2326-SM-5K7WY 50-59 years, female 28.9
GTEX-PWO3-1526-SM-48TCM 60-69 years, female 28.9
GTEX-QDVN-2026-SM-3GAEP 50-59 years, male 28.9
GTEX-13W46-0226-SM-5SIAG 50-59 years, male 28.8
GTEX-1H1ZS-0426-SM-9WG6G 70-79 years, male 28.8
GTEX-12126-0326-SM-5PNW3 20-29 years, male 28.5
GTEX-ZAB5-1826-SM-5HL7C 50-59 years, male 28.5
GTEX-1MCYP-1926-SM-E9J2R 20-29 years, female 28.5
GTEX-OXRK-0226-SM-3NB2G 50-59 years, female 28.3
GTEX-Z93S-0126-SM-5HL7M 50-59 years, male 28.2
GTEX-1ICG6-2526-SM-CGQFZ 70-79 years, female 28.2
GTEX-132NY-0326-SM-5IJBL 60-69 years, male 28.1
GTEX-15SDE-2226-SM-7IGLO 50-59 years, female 28.0
GTEX-12WSA-0226-SM-5BC5V 60-69 years, male 27.9
GTEX-13O3Q-2426-SM-5IJBR 50-59 years, male 27.9
GTEX-147GR-0526-SM-5S2MY 60-69 years, male 27.8
GTEX-R45C-0126-SM-EAZ2R 60-69 years, female 27.8
GTEX-ZYT6-0226-SM-5NQ6T 30-39 years, male 27.7
GTEX-17MF6-0126-SM-7LG4F 40-49 years, male 27.4
GTEX-18A66-0226-SM-718BD 60-69 years, male 27.3
GTEX-1KAFJ-2026-SM-CY8ID 50-59 years, male 27.2
GTEX-TMZS-0126-SM-3DB9Q 60-69 years, male 27.1
GTEX-1JMPY-1326-SM-ARL8Y 30-39 years, male 27.1
GTEX-11EMC-2926-SM-5EQ4F 60-69 years, female 27.0
GTEX-17HHY-0126-SM-7LG5D 50-59 years, male 26.7
GTEX-Y8DK-0126-SM-4TT3L 60-69 years, male 26.7
GTEX-1R9PM-2026-SM-E76OY 20-29 years, male 26.6
GTEX-ZQG8-1626-SM-DHXIT 60-69 years, female 26.6
GTEX-13U4I-0126-SM-5LU38 40-49 years, female 26.5
GTEX-11EI6-0126-SM-5985R 60-69 years, male 26.4
GTEX-1HKZK-0326-SM-9WYUH 40-49 years, male 26.4
GTEX-139T8-0126-SM-5K7XZ 60-69 years, male 26.1
GTEX-1KWVE-1426-SM-E9TJO 30-39 years, male 26.1
GTEX-1B933-0126-SM-7PC29 50-59 years, female 26.0
GTEX-1K2DU-2326-SM-E9TIV 20-29 years, male 26.0
GTEX-18A7A-0226-SM-718BH 50-59 years, female 25.9
GTEX-147F4-0226-SM-5QGPW 50-59 years, male 25.8
GTEX-QV44-1926-SM-2S1RF 50-59 years, male 25.8
GTEX-1S82Y-2026-SM-EVYCM 40-49 years, male 25.8
GTEX-1192W-2626-SM-5Q5AF 60-69 years, male 25.4
GTEX-11UD1-0126-SM-5PNYG 40-49 years, female 25.1
GTEX-14JG1-0426-SM-6ETZZ 40-49 years, male 25.1
GTEX-UPJH-0326-SM-3GADU 50-59 years, male 25.0
GTEX-13O21-1426-SM-5K7XI 50-59 years, male 24.8
GTEX-X4XY-0226-SM-4E3IZ 60-69 years, male 24.7
GTEX-1GN73-0226-SM-9WG67 60-69 years, male 24.7
GTEX-OOBJ-0126-SM-E6CJW 60-69 years, male 24.7
GTEX-1LBAC-0126-SM-DIPEZ 20-29 years, male 24.6
GTEX-111VG-2426-SM-5GZXD 60-69 years, male 24.5
GTEX-145LV-2126-SM-5LU8N 50-59 years, male 24.5
GTEX-16XZZ-0126-SM-793DV 60-69 years, male 24.3
GTEX-ZY6K-1826-SM-5GZXK 50-59 years, male 24.3
GTEX-QDVJ-1726-SM-2I5FX 50-59 years, male 24.1
GTEX-XUZC-1726-SM-4BRWS 30-39 years, female 24.1
GTEX-O5YT-0126-SM-48TBW 20-29 years, male 23.9
GTEX-1F6RS-0126-SM-9MQKZ 60-69 years, female 23.9
GTEX-1F88F-2726-SM-7PBZZ 60-69 years, female 23.9
GTEX-WYJK-0126-SM-3NMAB 50-59 years, male 23.8
GTEX-1PDJ9-0326-SM-DTX95 20-29 years, male 23.7
GTEX-11DXZ-2326-SM-5EGGV 50-59 years, male 23.6
GTEX-1CAMR-1926-SM-7EPI2 20-29 years, male 23.6
GTEX-1CAMQ-0226-SM-7IGPK 40-49 years, male 23.4
GTEX-WH7G-2326-SM-3NMBC 40-49 years, male 23.4
GTEX-ZV68-0126-SM-59HKS 50-59 years, female 23.4
GTEX-14BMV-0126-SM-5S2PO 50-59 years, male 23.3
GTEX-16XZY-2126-SM-79OK1 70-79 years, male 23.3
GTEX-1CAMS-0426-SM-7P8T2 40-49 years, female 23.3
GTEX-1K9T9-0126-SM-EVYCF 50-59 years, female 23.3
GTEX-OXRN-0126-SM-48TDM 50-59 years, male 23.2
GTEX-14A6H-0126-SM-5QGPK 30-39 years, male 23.0
GTEX-OOBK-0126-SM-2YUND 40-49 years, male 23.0
GTEX-1NV5F-0226-SM-E8VNY 60-69 years, female 23.0
GTEX-P44H-0226-SM-2XCEU 40-49 years, male 22.9
GTEX-14A5H-0426-SM-5QGQF 60-69 years, male 22.8
GTEX-YEC4-2126-SM-5IFJH 40-49 years, male 22.7
GTEX-13O3P-0126-SM-5KM4S 50-59 years, male 22.6
GTEX-1HT8W-0126-SM-CNPPP 30-39 years, male 22.6
GTEX-Y3IK-2426-SM-4WWDU 50-59 years, female 22.5
GTEX-1RAZQ-0726-SM-EAZ43 30-39 years, male 22.5
GTEX-1HBPH-0426-SM-B2LW5 40-49 years, female 22.4
GTEX-R55E-0126-SM-2TC5Y 20-29 years, male 22.3
GTEX-1PBJI-0526-SM-E8VNK 20-29 years, female 22.2
GTEX-1I1GP-2226-SM-CGQFK 50-59 years, male 22.1
GTEX-QESD-1426-SM-2S1R9 20-29 years, male 22.0
GTEX-XUW1-0426-SM-4BOOT 50-59 years, female 22.0
GTEX-1QPFJ-0226-SM-E76PB 30-39 years, female 21.7
GTEX-11P81-2326-SM-59875 30-39 years, female 21.6
GTEX-17JCI-0126-SM-7LG5G 60-69 years, female 21.6
GTEX-S95S-1226-SM-4GICG 60-69 years, male 21.5
GTEX-11TUW-2726-SM-E9J4M 60-69 years, male 21.4
GTEX-RTLS-0126-SM-447CA 60-69 years, female 21.3
GTEX-12WSG-2826-SM-E9J4H 50-59 years, female 21.3
GTEX-13OVH-0126-SM-5MR4B 70-79 years, male 21.2
GTEX-14PJ6-2126-SM-6EU1V 60-69 years, female 21.2
GTEX-14PN3-2426-SM-6LLHS 60-69 years, female 21.2
GTEX-SUCS-1926-SM-32PM3 70-79 years, male 21.2
GTEX-1C64N-0126-SM-793D7 50-59 years, male 21.1
GTEX-1F5PK-2426-SM-7RHHY 50-59 years, male 21.1
GTEX-18QFQ-0126-SM-731BE 30-39 years, male 21.0
GTEX-ZAK1-0126-SM-5IJD3 50-59 years, female 21.0
GTEX-S7SE-0126-SM-2XCD5 50-59 years, male 20.9
GTEX-WYVS-2126-SM-3NMA3 40-49 years, female 20.9
GTEX-1I1GV-0526-SM-A9G29 60-69 years, male 20.7
GTEX-1314G-1526-SM-5EGK2 30-39 years, male 20.5
GTEX-XV7Q-2526-SM-4BRV9 40-49 years, female 20.5
GTEX-SE5C-1626-SM-2XCE3 40-49 years, female 20.5
GTEX-T5JC-0426-SM-32PLO 20-29 years, male 20.4
GTEX-14E6E-1826-SM-5S2R7 30-39 years, male 20.3
GTEX-1LG7Z-1726-SM-D3LA4 30-39 years, male 20.3
GTEX-117XS-2726-SM-5N9BL 60-69 years, male 20.2
GTEX-RUSQ-1526-SM-2TF62 50-59 years, male 20.2
GTEX-XBEW-0626-SM-4QASP 40-49 years, male 20.2
GTEX-13FHP-0126-SM-5IJBG 50-59 years, male 20.1
GTEX-15ETS-0126-SM-7KUMW 40-49 years, female 20.1
GTEX-1A32A-0126-SM-718B1 50-59 years, female 20.1
GTEX-13N1W-0126-SM-5K7VT 70-79 years, male 20.0
GTEX-1F75A-0126-SM-7RHGM 50-59 years, male 20.0
GTEX-1ICLY-0126-SM-D4P36 50-59 years, male 20.0
GTEX-12WSK-2326-SM-5GCOH 40-49 years, female 19.9
GTEX-13N2G-2626-SM-5J1OT 60-69 years, male 19.9
GTEX-X638-0126-SM-47JZ8 70-79 years, female 19.9
GTEX-RNOR-0126-SM-E9J4R 50-59 years, female 19.9
GTEX-1C4CL-0526-SM-73KVK 30-39 years, male 19.8
GTEX-1H11D-0226-SM-9WG6Z 40-49 years, male 19.7
GTEX-1QP29-0626-SM-EWRMX 50-59 years, male 19.7
GTEX-1QW4Y-1526-SM-EAZ3Z 30-39 years, male 19.6
GTEX-13OW8-1326-SM-5J1OW 60-69 years, male 19.4
GTEX-1IKJJ-0126-SM-CNPQB 60-69 years, male 19.4
GTEX-1PIIG-0226-SM-EWRN6 30-39 years, male 19.3
GTEX-1QMI2-0226-SM-EVYBX 60-69 years, male 19.3
GTEX-PSDG-0226-SM-DKPOZ 50-59 years, male 19.3
GTEX-11ZVC-2526-SM-5FQTE 50-59 years, female 19.1
GTEX-1GN1U-0126-SM-7PBZK 50-59 years, female 19.1
GTEX-1GF9X-2026-SM-7PC3A 40-49 years, female 19.0
GTEX-13PDP-0126-SM-5L3HD 60-69 years, male 18.9
GTEX-Y8LW-1826-SM-5S2MV 50-59 years, female 18.9
GTEX-17F97-0326-SM-7LG5B 50-59 years, male 18.7
GTEX-18D9A-1926-SM-7LG6P 30-39 years, female 18.7
GTEX-1I1GT-0626-SM-CGQER 60-69 years, female 18.7
GTEX-1B8SG-0126-SM-73KZ3 50-59 years, male 18.5
GTEX-1EWIQ-0126-SM-7RHH2 70-79 years, female 18.5
GTEX-11DZ1-0126-SM-5985Q 50-59 years, male 18.4
GTEX-16YQH-0126-SM-7DUFJ 30-39 years, male 18.3
GTEX-ZXES-1826-SM-5E43S 30-39 years, female 18.3
GTEX-1MUQO-0126-SM-EAZ58 60-69 years, male 18.3
GTEX-1OFPY-2426-SM-DTXEJ 60-69 years, male 18.3
GTEX-1RAZA-0126-SM-E6CI3 20-29 years, male 18.3
GTEX-1LGRB-2526-SM-CNPPQ 50-59 years, female 18.2
GTEX-13S7M-0126-SM-5SI6A 60-69 years, female 18.1
GTEX-POMQ-2226-SM-2I5FK 20-29 years, female 18.1
GTEX-ZZPT-0226-SM-5E43X 50-59 years, male 18.1
GTEX-15SHW-0326-SM-6PAML 60-69 years, male 18.0
GTEX-1I1CD-0126-SM-CM2TK 60-69 years, female 18.0
GTEX-ZYFD-0126-SM-5GIDL 50-59 years, male 17.9
GTEX-14BIL-0126-SM-5SI92 50-59 years, male 17.8
GTEX-14E6C-0126-SM-5RQIP 40-49 years, male 17.8
GTEX-ZYFC-0226-SM-5NQ75 50-59 years, male 17.8
GTEX-1F75B-0126-SM-9KNVL 50-59 years, male 17.8
GTEX-1GN1W-0526-SM-9MQJQ 50-59 years, female 17.8
GTEX-13NZA-0226-SM-5K7Z7 60-69 years, male 17.7
GTEX-1I4MK-2226-SM-ACKWD 50-59 years, female 17.7
GTEX-1IDFM-0126-SM-COH2V 60-69 years, male 17.7
GTEX-1JJ6O-0126-SM-E6CI8 60-69 years, male 17.6
GTEX-T6MN-0126-SM-32PLP 50-59 years, male 17.5
GTEX-ZDXO-3026-SM-5J1N5 60-69 years, male 17.4
GTEX-16NPX-0226-SM-79OMT 50-59 years, male 17.3
GTEX-ZF28-0126-SM-4WKGK 60-69 years, male 17.2
GTEX-1PPH7-2326-SM-EVYB8 40-49 years, male 17.2
GTEX-11P7K-2126-SM-5GU7G 30-39 years, male 17.1
GTEX-139TS-2826-SM-5J1OO 60-69 years, male 17.1
GTEX-13OVG-1926-SM-5L3DK 60-69 years, male 17.1
GTEX-1H3NZ-0126-SM-ACKX7 60-69 years, male 17.1
GTEX-14PK6-1926-SM-6ETZU 70-79 years, female 17.0
GTEX-1B8L1-2526-SM-9WYTF 60-69 years, male 17.0
GTEX-1F7RK-0126-SM-7PC2S 20-29 years, female 17.0
GTEX-1R9PO-2126-SM-E9J4O 60-69 years, female 17.0
GTEX-13OW6-0426-SM-5L3HM 50-59 years, male 16.9
GTEX-13SLX-0526-SM-5S2ON 50-59 years, female 16.9
GTEX-1CB4H-0226-SM-7PBXM 60-69 years, female 16.9
GTEX-13CF3-2426-SM-5IFGX 60-69 years, female 16.8
GTEX-Y5LM-1926-SM-5RQJH 40-49 years, female 16.8
GTEX-ZE7O-0126-SM-57WC1 50-59 years, female 16.8
GTEX-1GF9W-0326-SM-9KNUN 60-69 years, male 16.8
GTEX-139T4-0226-SM-5HL5S 50-59 years, female 16.7
GTEX-OXRO-0126-SM-2YUN4 60-69 years, female 16.7
GTEX-ZYFG-2326-SM-5E44B 60-69 years, female 16.7
GTEX-ZYW4-0126-SM-5E44A 60-69 years, male 16.7
GTEX-15UF6-0826-SM-6PALJ 70-79 years, female 16.5
GTEX-18D9U-0226-SM-718BP 40-49 years, male 16.5
GTEX-1AYCT-2426-SM-7IGQ3 50-59 years, male 16.5
GTEX-1MCQQ-0826-SM-DLHC2 60-69 years, male 16.5
GTEX-14A5I-0126-SM-5TDEA 50-59 years, female 16.3
GTEX-17HGU-0226-SM-7DHKV 50-59 years, male 16.3
GTEX-13NZ8-0826-SM-5MR3I 60-69 years, female 16.2
GTEX-ZF3C-0126-SM-DO92D 50-59 years, female 16.2
GTEX-13QJ3-0326-SM-5S2RA 50-59 years, male 16.1
GTEX-15G19-0126-SM-6PANQ 60-69 years, male 16.0
GTEX-WXYG-2326-SM-4E3I6 50-59 years, female 16.0
GTEX-1MJK2-0426-SM-DTXE5 50-59 years, male 16.0
GTEX-OXRL-0126-SM-2YUMP 50-59 years, male 15.9
GTEX-X4EP-0126-SM-3P5YV 60-69 years, female 15.9
GTEX-1PIGE-0126-SM-EVYBJ 20-29 years, male 15.9
GTEX-12WSJ-1826-SM-5GCNY 40-49 years, female 15.8
GTEX-14LZ3-0226-SM-62LET 60-69 years, female 15.7
GTEX-1HSKV-0226-SM-A9SKJ 60-69 years, male 15.7
GTEX-139D8-0226-SM-5KLZO 30-39 years, female 15.6
GTEX-P4PQ-0126-SM-2S1NM 60-69 years, male 15.6
GTEX-WVJS-0126-SM-4MVOT 50-59 years, male 15.6
GTEX-Y111-0126-SM-4SOIV 50-59 years, male 15.6
GTEX-11GSP-2526-SM-5N9BP 60-69 years, female 15.5
GTEX-1MGNQ-0126-SM-EVYCJ 40-49 years, male 15.4
GTEX-NFK9-0226-SM-2HMKQ 40-49 years, male 15.3
GTEX-1C6VQ-0126-SM-7P8RI 50-59 years, male 15.3
GTEX-1HBPM-0226-SM-ARL9F 60-69 years, female 15.3
GTEX-1QEPI-0126-SM-EWRMQ 60-69 years, female 15.3
GTEX-VJYA-1126-SM-3GIJU 60-69 years, male 15.2
GTEX-1F5PL-0326-SM-7P8PQ 40-49 years, female 15.2
GTEX-1LVAN-0226-SM-COH3S 50-59 years, female 15.2
GTEX-1C6VS-0526-SM-7DUEN 60-69 years, male 15.1
GTEX-1GZHY-0326-SM-9QEHI 50-59 years, female 15.0
GTEX-14PHX-2326-SM-62LEM 50-59 years, male 14.9
GTEX-Y114-2426-SM-4TT8A 50-59 years, female 14.9
GTEX-YJ89-0126-SM-4TT3X 60-69 years, male 14.9
GTEX-1S3DN-2226-SM-EVYCD 50-59 years, male 14.9
GTEX-1122O-2126-SM-5EGIR 60-69 years, female 14.8
GTEX-T5JW-1626-SM-3GADZ 20-29 years, female 14.8
GTEX-16NGA-1726-SM-731B4 40-49 years, female 14.6
GTEX-1AX9K-2326-SM-73KWU 50-59 years, male 14.6
GTEX-PLZ4-0126-SM-5SI8O 50-59 years, female 14.6
GTEX-Y3I4-2126-SM-4TT7C 50-59 years, male 14.6
GTEX-Y5V5-2326-SM-4V6GA 60-69 years, female 14.6
GTEX-1J8Q3-1626-SM-CMKGC 60-69 years, male 14.6
GTEX-144FL-0126-SM-5TDC8 50-59 years, male 14.5
GTEX-1F48J-0126-SM-7P8TT 50-59 years, female 14.5
GTEX-11GSO-2426-SM-5A5LY 60-69 years, male 14.4
GTEX-14E6D-0126-SM-62LDV 50-59 years, male 14.4
GTEX-XXEK-2226-SM-4BRUM 50-59 years, male 14.3
GTEX-1GZ4H-1726-SM-7PBZJ 50-59 years, female 14.3
GTEX-1H2FU-0126-SM-9WYSI 60-69 years, female 14.3
GTEX-13VXT-0126-SM-5LU4I 20-29 years, female 14.2
GTEX-147F3-0526-SM-5SI98 50-59 years, female 14.2
GTEX-14E7W-0126-SM-6LLJ9 70-79 years, male 14.2
GTEX-PVOW-0126-SM-2XCFA 40-49 years, male 14.2
GTEX-1H3O1-0426-SM-9YFKY 60-69 years, male 14.2
GTEX-1IKK5-0626-SM-ARL8A 60-69 years, male 14.2
GTEX-1KXAM-2226-SM-CYPTC 60-69 years, male 14.2
GTEX-11DYG-0126-SM-59883 60-69 years, male 14.1
GTEX-U412-0426-SM-3DB9O 60-69 years, male 14.0
GTEX-Z9EW-1626-SM-5CVMN 40-49 years, male 14.0
GTEX-W5X1-3026-SM-EAZAX 40-49 years, female 14.0
GTEX-1AX9I-0126-SM-7SB74 60-69 years, male 13.9
GTEX-1ICLZ-0126-SM-CKZPO 60-69 years, male 13.9
GTEX-1192X-0226-SM-5H12D 50-59 years, male 13.7
GTEX-14JIY-0126-SM-6LLH6 60-69 years, male 13.7
GTEX-1LGOU-2026-SM-DIPFF 20-29 years, female 13.7
GTEX-1RB15-2126-SM-E9TIM 60-69 years, male 13.7
GTEX-1HB9E-0226-SM-E9U4R 50-59 years, male 13.6
GTEX-14JG6-2226-SM-6EU2G 30-39 years, female 13.5
GTEX-SN8G-0126-SM-32PLI 50-59 years, female 13.5
GTEX-1HCU7-0226-SM-CL545 50-59 years, male 13.5
GTEX-18A7B-0126-SM-7LG64 70-79 years, male 13.4
GTEX-X8HC-0126-SM-4E3JW 50-59 years, female 13.4
GTEX-1C64O-0126-SM-7SB8P 60-69 years, male 13.4
GTEX-1A3MW-0126-SM-73KXX 60-69 years, female 13.3
GTEX-ZE9C-2726-SM-57WB5 60-69 years, male 13.3
GTEX-OIZF-0126-SM-7SB8I 60-69 years, male 13.3
GTEX-13IVO-0126-SM-5J1NG 70-79 years, male 13.2
GTEX-1IL2V-0126-SM-CM2TX 70-79 years, male 13.2
GTEX-ZC5H-0226-SM-4WAY9 40-49 years, female 13.1
GTEX-12ZZZ-0626-SM-5DUXI 60-69 years, male 13.0
GTEX-1AMEY-1326-SM-73KYK 30-39 years, female 13.0
GTEX-X4EO-0326-SM-3P5YO 60-69 years, female 13.0
GTEX-13RTL-0126-SM-7LG5S 40-49 years, male 12.9
GTEX-12KS4-0326-SM-5EQ41 30-39 years, male 12.8
GTEX-1JJEA-0326-SM-CNPOT 60-69 years, male 12.8
GTEX-ZZ64-1726-SM-5GZYB 20-29 years, male 12.7
GTEX-12584-0126-SM-5EGKQ 40-49 years, male 12.6
GTEX-1O97I-0326-SM-EYYX7 60-69 years, male 12.6
GTEX-113IC-0126-SM-5HL6T 60-69 years, male 12.5
GTEX-14ICK-0226-SM-6EU25 40-49 years, male 12.5
GTEX-P4QT-0126-SM-2I3FL 50-59 years, female 12.5
GTEX-YB5E-2026-SM-5IFIS 40-49 years, male 12.5
GTEX-1LNCM-1126-SM-E9U5E 50-59 years, female 12.5
GTEX-15DCD-0126-SM-7KUEK 70-79 years, female 12.4
GTEX-XYKS-2126-SM-4E3IB 60-69 years, female 12.4
GTEX-1H1CY-2826-SM-9MQM3 60-69 years, female 12.4
GTEX-145ME-1826-SM-5SI9G 40-49 years, female 12.3
GTEX-15DYW-0126-SM-7KULE 60-69 years, female 12.3
GTEX-YB5K-2126-SM-4WWDJ 40-49 years, female 12.3
GTEX-13NYB-2526-SM-5K7Z6 40-49 years, male 12.2
GTEX-16GPK-0126-SM-7DHLE 60-69 years, male 12.2
GTEX-1I1GU-2226-SM-CGQFA 40-49 years, male 12.2
GTEX-1IOXB-0126-SM-ARL8G 50-59 years, male 12.2
GTEX-183WM-0126-SM-7LTAB 70-79 years, female 12.1
GTEX-ZVT2-2526-SM-51MT1 50-59 years, female 12.1
GTEX-1C6WA-0126-SM-7PC2B 60-69 years, male 12.1
GTEX-1H1DG-0126-SM-9WYU2 70-79 years, male 12.1
GTEX-145MO-0326-SM-5Q5B3 60-69 years, male 12.0
GTEX-16BQI-0226-SM-7KUEX 30-39 years, female 12.0
GTEX-VUSG-2526-SM-4KL1V 50-59 years, male 12.0
GTEX-1HSMQ-1226-SM-CGQFX 50-59 years, male 12.0
GTEX-1J8EW-0126-SM-CJI4F 60-69 years, female 12.0
GTEX-13FTY-0526-SM-5L3EV 40-49 years, female 11.9
GTEX-Q2AH-1626-SM-3GAF8 40-49 years, male 11.9
GTEX-RU72-0926-SM-2TF6B 50-59 years, female 11.9
GTEX-W5WG-1826-SM-4KL2Y 50-59 years, female 11.9
GTEX-1H3VY-0126-SM-ACKXD 50-59 years, male 11.9
GTEX-1I1GQ-0126-SM-COH3H 50-59 years, male 11.9
GTEX-11TTK-0126-SM-5987B 60-69 years, female 11.8
GTEX-1QCLY-0326-SM-E8VOG 30-39 years, male 11.8
GTEX-11EQ9-2426-SM-5HL5T 30-39 years, male 11.7
GTEX-ZXG5-0126-SM-5GIEU 60-69 years, male 11.7
GTEX-11VI4-1726-SM-5CVLH 40-49 years, female 11.5
GTEX-16MT8-0426-SM-7KUEY 60-69 years, female 11.5
GTEX-1H23P-0126-SM-ADEJ3 60-69 years, male 11.4
GTEX-XPVG-2626-SM-4B669 50-59 years, male 11.3
GTEX-1HBPN-0226-SM-9YFM1 50-59 years, male 11.3
GTEX-1S83E-0126-SM-EWRO4 40-49 years, male 11.3
GTEX-145LS-0126-SM-5QGP1 60-69 years, female 11.2
GTEX-14PHW-0126-SM-6LLJI 60-69 years, female 11.2
GTEX-15SHU-0126-SM-7KUEH 40-49 years, female 11.2
GTEX-ZUA1-0126-SM-5GU76 40-49 years, male 11.2
GTEX-1LH75-2426-SM-E9TJE 50-59 years, female 11.2
GTEX-13111-1626-SM-5EGJY 50-59 years, male 11.1
GTEX-18A67-0126-SM-7LG5P 50-59 years, male 11.1
GTEX-T2IS-0126-SM-4DM6O 20-29 years, female 11.0
GTEX-XUYS-0126-SM-47JWZ 50-59 years, male 11.0
GTEX-1R46S-0626-SM-E9J41 60-69 years, female 11.0
GTEX-14PJM-0226-SM-62LF1 50-59 years, female 10.9
GTEX-1S5ZA-0126-SM-EVYCV 20-29 years, male 10.9
GTEX-15RIG-0226-SM-7KFTL 40-49 years, male 10.8
GTEX-WI4N-1026-SM-3LK7N 40-49 years, female 10.8
GTEX-1KANB-0526-SM-E6CJH 50-59 years, male 10.8
GTEX-1R7EV-2426-SM-EVYBG 40-49 years, male 10.8
GTEX-Q734-1926-SM-2I5EV 40-49 years, female 10.7
GTEX-TSE9-0126-SM-3DB83 60-69 years, female 10.7
GTEX-13D11-2426-SM-5KM1V 50-59 years, female 10.6
GTEX-14DAQ-0126-SM-5S2MQ 60-69 years, female 10.6
GTEX-UJHI-1526-SM-3DB99 50-59 years, female 10.6
GTEX-ZTSS-1926-SM-57WEW 40-49 years, male 10.6
GTEX-ZWKS-0126-SM-5SIAA 30-39 years, male 10.6
GTEX-1H1DE-2126-SM-9WG6R 20-29 years, male 10.6
GTEX-1LC47-0326-SM-E9TJP 60-69 years, male 10.6
GTEX-13N11-2526-SM-5K7UE 50-59 years, female 10.5
GTEX-1CB4J-0626-SM-7DHMP 60-69 years, male 10.5
GTEX-1EMGI-0126-SM-9KNUE 60-69 years, male 10.5
GTEX-13YAN-0326-SM-5O9DF 60-69 years, male 10.4
GTEX-1GPI6-0126-SM-9WG69 60-69 years, male 10.4
GTEX-13FTX-1826-SM-5J1NX 20-29 years, female 10.3
GTEX-13OW7-0126-SM-5MR3B 50-59 years, male 10.3
GTEX-WFG8-2226-SM-3GIL9 20-29 years, male 10.3
GTEX-ZVZO-0126-SM-5A5L9 40-49 years, male 10.3
GTEX-ZYY3-0126-SM-5GZY5 60-69 years, female 10.3
GTEX-13NYC-0326-SM-E9J4S 60-69 years, male 10.3
GTEX-1I1HK-0126-SM-COH49 60-69 years, male 10.3
GTEX-U8T8-0126-SM-3DB94 60-69 years, male 10.2
GTEX-1HFI7-1826-SM-ACKXH 50-59 years, female 10.2
GTEX-1L5NE-2526-SM-E6CIE 50-59 years, male 10.2
GTEX-1JMQI-2226-SM-CM2SD 50-59 years, male 10.1
GTEX-1QAET-0926-SM-E76QM 50-59 years, male 10.1
GTEX-12WSC-0126-SM-5EQ4P 50-59 years, male 10.0
GTEX-1B97I-1626-SM-73KYO 40-49 years, male 10.0
GTEX-1IE54-0126-SM-CMKHW 40-49 years, female 10.0
GTEX-1RDX4-0126-SM-E9J4P 50-59 years, female 10.0
GTEX-WRHK-1426-SM-3MJF9 20-29 years, female 9.9
GTEX-XMD2-0126-SM-4YCDU 60-69 years, female 9.9
GTEX-ZVZP-2426-SM-59HKJ 50-59 years, male 9.7
GTEX-1CAV2-2226-SM-7P8P2 40-49 years, female 9.7
GTEX-1HSMO-0126-SM-CL547 60-69 years, male 9.7
GTEX-11GS4-2726-SM-5A5LE 60-69 years, male 9.6
GTEX-146FH-0126-SM-5QGPP 50-59 years, female 9.6
GTEX-1GMRU-0126-SM-9YFLV 50-59 years, male 9.6
GTEX-13112-2826-SM-5DUWH 50-59 years, male 9.4
GTEX-13FH7-2026-SM-E9J4I 50-59 years, female 9.4
GTEX-13OVJ-0126-SM-5KM36 50-59 years, female 9.3
GTEX-X261-0126-SM-3NMD6 50-59 years, male 9.3
GTEX-1JN76-0126-SM-CNPPE 20-29 years, female 9.3
GTEX-13JUV-2726-SM-5LZZ8 40-49 years, female 9.2
GTEX-144GL-0126-SM-5TDE2 50-59 years, male 9.2
GTEX-XBED-2226-SM-47JYQ 60-69 years, male 9.2
GTEX-Z93T-0126-SM-5HL5N 50-59 years, male 9.2
GTEX-1PFEY-1526-SM-E76PP 30-39 years, male 9.2
GTEX-Q2AI-1326-SM-2S1PL 40-49 years, male 9.1
GTEX-ZV6S-2326-SM-4YCEY 40-49 years, female 9.1
GTEX-1CB4G-0226-SM-7PC3O 60-69 years, male 9.0
GTEX-1JMOU-1526-SM-CL54I 60-69 years, female 9.0
GTEX-13VXU-0126-SM-5SI9F 50-59 years, male 8.9
GTEX-1GMR8-0126-SM-9WYTM 50-59 years, female 8.9
GTEX-1JMQJ-0526-SM-CYPSU 50-59 years, male 8.9
GTEX-15DDE-0126-SM-6LPKH 50-59 years, female 8.8
GTEX-1AYD5-2426-SM-73KXR 50-59 years, male 8.8
GTEX-OHPL-0126-SM-2HMJ7 60-69 years, female 8.8
GTEX-ZF2S-2326-SM-4WWCE 50-59 years, female 8.8
GTEX-1B996-0226-SM-7RHGO 60-69 years, male 8.8
GTEX-1HSGN-0226-SM-CGQFV 40-49 years, female 8.8
GTEX-11WQC-2526-SM-5CVLE 60-69 years, male 8.7
GTEX-13FTW-2626-SM-5K7WL 40-49 years, male 8.7
GTEX-13X6H-2126-SM-7EWD5 50-59 years, female 8.7
GTEX-ZGAY-0526-SM-4WWBB 40-49 years, female 8.7
GTEX-1M4P7-0226-SM-DIPEV 60-69 years, male 8.7
GTEX-12WSN-5019-SM-79OM6 40-49 years, male 8.6
GTEX-148VI-1626-SM-5SI6E 60-69 years, female 8.6
GTEX-15ER7-0326-SM-7KUEV 20-29 years, female 8.6
GTEX-TML8-1926-SM-32QOS 40-49 years, female 8.6
GTEX-WQUQ-0426-SM-3MJFU 60-69 years, male 8.6
GTEX-1KD5A-0226-SM-D5OV3 50-59 years, male 8.6
GTEX-1211K-2026-SM-5EQ4Z 60-69 years, female 8.5
GTEX-13FXS-0226-SM-5IJCK 50-59 years, male 8.5
GTEX-1HUB1-0426-SM-E9U4U 60-69 years, male 8.5
GTEX-1MA7X-2226-SM-E6CIY 60-69 years, male 8.5
GTEX-11UD2-0226-SM-5EQKY 50-59 years, male 8.4
GTEX-OXRP-0126-SM-3NB32 60-69 years, female 8.3
GTEX-1MA7W-2026-SM-E9TJ6 20-29 years, female 8.3
GTEX-1HSEH-0126-SM-ACKXN 60-69 years, male 8.2
GTEX-TMMY-0226-SM-33HBA 40-49 years, female 8.1
GTEX-PX3G-0126-SM-2I3EN 20-29 years, female 8.0
GTEX-T6MO-1626-SM-32QOM 40-49 years, female 8.0
GTEX-1LB8K-0226-SM-EWRNW 50-59 years, male 8.0
GTEX-ZPIC-1726-SM-DHXIU 40-49 years, female 8.0
GTEX-139TU-0126-SM-5K7WH 60-69 years, male 7.9
GTEX-1GPI7-0126-SM-9MQL8 20-29 years, male 7.9
GTEX-1HCUA-2426-SM-ADEIS 50-59 years, female 7.9
GTEX-1IDJH-0326-SM-A9SLQ 70-79 years, male 7.9
GTEX-1S82Z-0826-SM-E6CHY 30-39 years, female 7.9
GTEX-12C56-1726-SM-5EQ61 20-29 years, male 7.8
GTEX-13O1R-0126-SM-5L3EH 60-69 years, male 7.8
GTEX-145MN-2226-SM-5SIAU 30-39 years, male 7.7
GTEX-1IL2U-0226-SM-CE6T8 60-69 years, male 7.7
GTEX-1JJE9-0326-SM-CL53Z 70-79 years, male 7.7
GTEX-1JMPZ-0226-SM-CNPP1 30-39 years, male 7.7
GTEX-1LSNM-1926-SM-E6CII 50-59 years, male 7.7
GTEX-13W3W-2426-SM-5LU5B 60-69 years, female 7.6
GTEX-17EVQ-0226-SM-7LG4P 70-79 years, male 7.6
GTEX-1B8KE-2126-SM-73KYX 50-59 years, male 7.6
GTEX-18A6Q-0126-SM-731BZ 60-69 years, male 7.5
GTEX-1269C-2526-SM-5EGJ3 60-69 years, female 7.4
GTEX-OHPM-0126-SM-2YUN9 50-59 years, male 7.4
GTEX-ZTX8-1426-SM-5DUVO 20-29 years, male 7.4
GTEX-1JN6P-0126-SM-D3L98 60-69 years, male 7.4
GTEX-1128S-2326-SM-5GZZY 60-69 years, female 7.3
GTEX-131XW-0426-SM-5LZWP 50-59 years, female 7.3
GTEX-13X6J-0126-SM-5QGOU 50-59 years, male 7.3
GTEX-17HII-0226-SM-7LG4E 50-59 years, male 7.3
GTEX-133LE-1826-SM-5J1MV 20-29 years, female 7.2
GTEX-145MI-0526-SM-5O9A8 60-69 years, female 7.2
GTEX-1R9K4-0126-SM-DTX9X 60-69 years, male 7.2
GTEX-11DXW-0226-SM-5H122 40-49 years, male 7.1
GTEX-U3ZM-1526-SM-3DB9D 40-49 years, male 7.1
GTEX-1J8QM-2126-SM-CYPSJ 60-69 years, female 7.1
GTEX-1313W-0126-SM-5LZUN 50-59 years, female 7.0
GTEX-14XAO-2326-SM-6EU1B 60-69 years, female 7.0
GTEX-15EU6-0426-SM-6PAN5 50-59 years, male 6.9
GTEX-ZAJG-0126-SM-5HL94 50-59 years, female 6.9
GTEX-17HHE-2026-SM-79OKF 50-59 years, male 6.8
GTEX-SSA3-0126-SM-32QPU 60-69 years, male 6.8
GTEX-12WSD-0126-SM-59HKN 60-69 years, female 6.7
GTEX-1C475-1826-SM-73KWA 40-49 years, female 6.7
GTEX-T2YK-0526-SM-32QPJ 50-59 years, male 6.6
GTEX-1212Z-2526-SM-5EGKP 60-69 years, male 6.5
GTEX-1EN7A-0126-SM-7SB81 40-49 years, male 6.5
GTEX-131XE-2326-SM-5PNZ2 50-59 years, male 6.4
GTEX-1M5QR-1226-SM-EWROB 40-49 years, male 6.4
GTEX-ZDTT-2726-SM-4WKF8 60-69 years, male 6.3
GTEX-1HCU9-1526-SM-A9SL7 20-29 years, male 6.3
GTEX-1HCU8-0626-SM-A9SM9 60-69 years, female 6.2
GTEX-1CB4E-2226-SM-793DC 60-69 years, male 6.1
GTEX-1J8JJ-0226-SM-CL53I 60-69 years, female 6.1
GTEX-144GN-2326-SM-5LU4F 50-59 years, male 6.0
GTEX-113JC-2326-SM-5EQ4E 50-59 years, female 5.9
GTEX-VJWN-0126-SM-3GIK7 50-59 years, female 5.9
GTEX-ZTPG-0326-SM-5O9AX 20-29 years, female 5.9
GTEX-1JKYN-1326-SM-CGQG9 30-39 years, male 5.9
GTEX-131XH-2226-SM-5DUXJ 50-59 years, male 5.8
GTEX-11OF3-2626-SM-5GU7F 60-69 years, male 5.7
GTEX-131YS-0126-SM-5KM1M 60-69 years, female 5.7
GTEX-12WSL-2526-SM-5GCNJ 50-59 years, male 5.6
GTEX-1AMFI-2026-SM-731BH 50-59 years, female 5.6
GTEX-R3RS-0126-SM-3GIJL 40-49 years, female 5.6
GTEX-1F52S-0126-SM-9MQJU 60-69 years, female 5.6
GTEX-1PPH8-0226-SM-E8VND 20-29 years, male 5.6
GTEX-11ZTS-0126-SM-5EQ6M 60-69 years, female 5.4
GTEX-1GTWX-0126-SM-9YFLK 60-69 years, male 5.4
GTEX-1IKOH-0226-SM-COH4E 60-69 years, female 5.4
GTEX-1J8Q2-0526-SM-CM2RW 60-69 years, male 5.4
GTEX-14BIN-0626-SM-793DP 50-59 years, female 5.3
GTEX-1H4P4-0726-SM-9YFLR 50-59 years, male 5.3
GTEX-1N2DW-0226-SM-E9TK2 50-59 years, male 5.3
GTEX-11ZU8-2526-SM-5EQKI 60-69 years, male 4.9
GTEX-13OVI-1426-SM-5L3EY 60-69 years, female 4.9
GTEX-18D9B-0526-SM-7LTAS 60-69 years, male 4.9
GTEX-13PVR-2326-SM-5QGR1 60-69 years, female 4.7
GTEX-14PII-0226-SM-6EU1T 60-69 years, male 4.6
GTEX-RWS6-2026-SM-2XCB5 60-69 years, female 4.3
GTEX-1HFI6-0226-SM-ADEHZ 40-49 years, male 4.3
GTEX-ZF29-2326-SM-DO92K 60-69 years, female 4.1
GTEX-11ZTT-2426-SM-5EQLS 60-69 years, female 4.0
GTEX-1JMQL-0226-SM-CNPP5 50-59 years, female 3.9
GTEX-148VJ-0126-SM-5TDDN 70-79 years, male 3.8
GTEX-1IDJU-2626-SM-CM2RT 60-69 years, female 3.8
GTEX-1JMLX-0226-SM-CM2RO 50-59 years, male 3.8
GTEX-1QP2A-0126-SM-E9J43 50-59 years, male 3.7
GTEX-1399R-2726-SM-5IJBA 30-39 years, male 3.6
GTEX-S32W-2126-SM-2XCB1 50-59 years, female 3.4
GTEX-1OJC3-0126-SM-E76QX 20-29 years, male 3.4
GTEX-1F6I4-0126-SM-9MQL2 60-69 years, male 3.3
GTEX-146FR-1326-SM-E9J48 60-69 years, female 3.1
GTEX-U4B1-1826-SM-4DXSU 40-49 years, male 2.6
GTEX-QVJO-1626-SM-2S1QW 60-69 years, female 2.5
GTEX-1F75I-0326-SM-9YFLU 40-49 years, male 2.5
GTEX-15F5U-1526-SM-6PANO 40-49 years, male 2.3
GTEX-1A8FM-0226-SM-7SB7Q 50-59 years, female 2.1
Show allShow less

Contact

  • NEWS ARTICLES
  • PRESS ROOM

The Project

  • INTRODUCTION
  • ORGANIZATION
  • PUBLICATIONS

The Human Protein Atlas

  • DOWNLOADABLE DATA
  • LICENCE & CITATION
  • HELP & FAQ
The Human Protein Atlas project is funded
by the Knut & Alice Wallenberg Foundation.


contact@proteinatlas.org