We use cookies to enhance the usability of our website. If you continue, we'll assume that you are happy to receive all cookies. More information. Don't show this again.
ZNF337
HPA
RESOURCES
  • TISSUE
  • BRAIN
  • SINGLE CELL
  • SUBCELLULAR
  • CANCER
  • BLOOD
  • CELL LINE
  • STRUCTURE & INTERACTION
ABOUT
  • INTRODUCTION
  • HISTORY
  • ORGANIZATION
  • PUBLICATIONS
  • ANTIBODY SUBMISSION
  • ANTIBODY AVAILABILITY
  • ACKNOWLEDGMENTS
  • CONTACT
NEWS
  • NEWS ARTICLES
  • PRESS ROOM
LEARN
  • DICTIONARY
  • PROTEIN CLASSES
  • PROTEIN EVIDENCE
  • METHODS
  • EDUCATIONAL VIDEOS
DATA
  • DOWNLOADABLE DATA
  • PUBLICATION DATA
  • RELEASE HISTORY
HELP
  • ANTIBODY VALIDATION
  • ASSAYS & ANNOTATION
  • DISCLAIMER
  • HELP & FAQ
  • PRIVACY STATEMENT
  • LICENCE & CITATION
Fields »
Search result

Field
Term
Gene name
Class
Subclass
Class
Keyword
Chromosome
External id
Tissue
Cell type
Expression
Antibody panel
Tissue
Main location
Patient ID
Annotation
Tissue
Category
Tau score
Cluster
Reliability
Brain region
Category
Tau score
Brain region
Category
Tau score
Brain region
Category
Tau score
Cluster
Reliability
Tissue
Cell type
Enrichment
Cell type
Category
Tau score
Cell type
Category
Tau score
Cell type
Category
Tau score
Cell lineage
Category
Tau score
Cluster
Cluster
Location
Searches
Location
Cell line
Class
Type
Phase
Reliability
Cancer
Prognosis
Cancer
Category
Cancer
Category
Tau score
Cluster
Variants
Interacting gene (ensg_id)
Type
Number of interactions
Pathway
Category
Score
Score
Score
Validation
Validation
Validation
Validation
Antibodies
Data type
Column


  • SUMMARY

  • TISSUE

  • BRAIN

  • SINGLE CELL

  • SUBCELL

  • CANCER

  • BLOOD

  • CELL LINE

  • STRUCT & INT

  • ZNF337
TISSUE PRIMARY DATA LUNG Show tissue menu
ADIPOSE TISSUE ADRENAL GLAND AMYGDALA APPENDIX BASAL GANGLIA BONE MARROW BREAST BRONCHUS CEREBELLUM CEREBRAL CORTEX CERVIX CHOROID PLEXUS COLON DUODENUM
ENDOMETRIUM EPIDIDYMIS ESOPHAGUS FALLOPIAN TUBE GALLBLADDER HEART MUSCLE HIPPOCAMPAL FORMATION HYPOTHALAMUS KIDNEY LIVER LUNG LYMPH NODE MIDBRAIN NASOPHARYNX
ORAL MUCOSA OVARY PANCREAS PARATHYROID GLAND PITUITARY GLAND PLACENTA PROSTATE RECTUM RETINA SALIVARY GLAND SEMINAL VESICLE SKELETAL MUSCLE SKIN SMALL INTESTINE
SMOOTH MUSCLE SOFT TISSUE SPINAL CORD SPLEEN STOMACH TESTIS THYMUS THYROID GLAND TONGUE TONSIL URINARY BLADDER VAGINA
ANTIBODIES
AND
VALIDATION
Dictionary
Lung
Tissue proteome
Lung
LUNG - Expression summary
Protein expression
Lungi

On the top, protein expression in current human tissue, based on all annotated cell types, is reported with the units not detected (n), low (l), medium (m) and high (h). Underneath, protein expression in each annotated cell type are reported using the same units.

Protein expression data is based on knowledge-based annotation. For genes where more than one antibody has been used, a collective score is set.

If knowledge-based annotation could not be performed for a gene, no data is displayed here. View antibody staining data further down this page.

h
m
l
n
Alveolar cells: Low
Macrophages: Low
RNA expressioni

A summary of mRNA expression data available for current tissue based on several datasets. The mRNA expression levels in human tissues are based on RNA-seq data generated by the Human Protein Atlas (HPA), Genotype-Tissue Expression (GTEx) portal and CAGE data generated by the FANTOM5 consortium. Consensus normalized expression levels for human tissues was created by combining the data from HPA and GTEx datasets.

The mRNA expression levels in pig are based on RNA-seq data generated by the Human Protein Atlas (HPA), and for mouse, HPA data and in situ hybridization generated by the Allen brain atlas are reported.

Scroll down to view mRNA expression data in more detail.
Consensus:16.1 nTPM
HPA:10.7 nTPM
GTEx:16.1 nTPM
FANTOM5:18.1 Scaled Tags Per Million

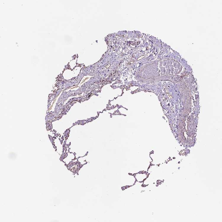
LUNG - Antibody stainingi

Antibody staining in the annotated cell types in the current human tissue is reported as not detected, low, medium, or high, based on conventional immunohistochemistry profiling in selected tissues. This score is based on the combination of the staining intensity and fraction of stained cells.

Each image is clickable and will lead to virtual microscopy that enables deeper exploration of all samples and also displays staining intensity scores, fraction scores and subcellular localization as well as patient and tissue information for each sample.

Antibody HPA064219
Alveolar cells Low
Macrophages Low



LUNG - HPA RNA-seqi

The RNA-seq details section shows detailed information about the individual samples used for the transcript profiling and results of the RNA-seq analysis.

Information about each individual sample is listed below, including gender, age, a tissue section image and estimated fractions of cell types. nTPM (normalized transcripts per million) values give a quantification of the gene abundance which is comparable between different genes and samples.
Average nTPMi

Max subtype nTPM is the value for the subtype with the largest average nTPM across the subtype samples.

10.7
overview
Female, age 71
Lung sample 164
nTPM: 12.8
Cell types%
Alveolar cells:
40

Bronchial epithelium:
5

Endothelial cells:
25

Macrophages:
10

Other cell types:
20

overview
Male, age 57
Lung sample 165
nTPM: 9.6
Cell types%
Alveolar cells:
35

Bronchial epithelium:
5

Endothelial cells:
30

Macrophages:
10

Other cell types:
20

overview
Female, age 71
Lung sample 166
nTPM: 8.9
Cell types%
Alveolar cells:
35

Bronchial epithelium:
10

Endothelial cells:
25

Macrophages:
10

Other cell types:
20

overview
Female, age 74
Lung sample 167
nTPM: 13.2
Cell types%
Alveolar cells:
40

Bronchial epithelium:
0

Endothelial cells:
30

Macrophages:
15

Other cell types:
15

overview
Female, age 73
Lung sample 168
nTPM: 9.2
Cell types%
Alveolar cells:
30

Bronchial epithelium:
5

Endothelial cells:
30

Macrophages:
10

Other cell types:
25

overview
Male, age 74
Lung sample 376
nTPM: 11.6
Cell types%
Alveolar cells:
25

Bronchial epithelium:
0

Endothelial cells:
35

Macrophages:
5

Other cell types:
35

overview
Female, age 70
Lung sample 379
nTPM: 10.7
Cell types%
Alveolar cells:
35

Bronchial epithelium:
5

Endothelial cells:
35

Macrophages:
5

Other cell types:
20

overview
Female, age 75
Lung sample 387
nTPM: 10.3
Cell types%
Alveolar cells:
20

Bronchial epithelium:
10

Endothelial cells:
20

Macrophages:
10

Other cell types:
40

overview
Male, age 63
Lung sample 406
nTPM: 9.7
Cell types%
Alveolar cells:
25

Bronchial epithelium:
5

Endothelial cells:
25

Macrophages:
15

Other cell types:
30


LUNG - GTEx RNA-seqi

RNA-Seq data generated by the Genotype-Tissue Expression (GTEx) project from human tissues is reported as mean nTPM. More information can be found on the GTEx portal.

Distribution across the dataset is visualized with box plots, shown as median and 25th and 75th percentiles. Points are displayed as outliers if they are above or below 1.5 times the interquartile range. nTPM values of the individual samples are presented next to the box plot.
Max subtype nTPMi

Max subtype nTPM is the value for the subtype with the largest average nTPM across the subtype samples.

16.1
GTEx sample id Sample description nTPM
Lung
Average nTPM: 16.1
Samples: 578

Max nTPM: 35.0
Min nTPM: 6.2
Std nTPM: 4.4
Median nTPM: 15.4
GTEX-1JMQI-1126-SM-ARZN2 50-59 years, male 35.0
GTEX-1KD4Q-0926-SM-CXZKI 40-49 years, male 32.8
GTEX-1PPH7-0226-SM-E76Q1 40-49 years, male 30.2
GTEX-1JJEA-1126-SM-CKZOC 60-69 years, male 30.1
GTEX-1H3O1-0326-SM-9WPO8 60-69 years, male 29.7
GTEX-1LSVX-0626-SM-E9U59 60-69 years, male 29.4
GTEX-13N11-0326-SM-5LUA3 50-59 years, female 29.2
GTEX-1GTWX-0626-SM-9WYU1 60-69 years, male 28.0
GTEX-NPJ8-0326-SM-2D7VV 40-49 years, male 27.9
GTEX-1GF9V-1026-SM-9KNW3 60-69 years, male 27.2
GTEX-1JN6P-0726-SM-ARZN7 60-69 years, male 27.2
GTEX-WK11-0526-SM-3NB3O 50-59 years, male 27.0
GTEX-ZE7O-0826-SM-57WCP 50-59 years, female 27.0
GTEX-17JCI-1526-SM-7IGOQ 60-69 years, female 26.8
GTEX-1GMRU-1426-SM-9WPPL 50-59 years, male 26.7
GTEX-1F75W-0626-SM-7PC13 60-69 years, male 26.6
GTEX-1RDX4-1626-SM-EVR53 50-59 years, female 26.5
GTEX-14LLW-0726-SM-5ZZVV 70-79 years, female 26.4
GTEX-1JMQJ-2126-SM-CNPPA 50-59 years, male 26.1
GTEX-T5JC-0826-SM-32PMC 20-29 years, male 25.8
GTEX-1I1CD-0926-SM-CL55I 60-69 years, female 25.8
GTEX-13OVL-0626-SM-5KM13 50-59 years, male 25.7
GTEX-1M4P7-0826-SM-E9TJR 60-69 years, male 25.5
GTEX-1F7RK-0826-SM-7SB8V 20-29 years, female 25.2
GTEX-1AX9I-0826-SM-73KUT 60-69 years, male 24.8
GTEX-1HBPH-1326-SM-9WYSN 40-49 years, female 24.7
GTEX-SJXC-1026-SM-EYYVA 60-69 years, male 24.6
GTEX-12WSE-0826-SM-5S2VL 20-29 years, male 24.5
GTEX-15RJE-1026-SM-6M46X 40-49 years, male 24.4
GTEX-1ICLZ-0926-SM-CKZPQ 60-69 years, male 24.4
GTEX-X4EO-0926-SM-3P5Z2 60-69 years, female 24.3
GTEX-12ZZY-0926-SM-5EQ6I 60-69 years, male 24.1
GTEX-13FTZ-0526-SM-5IJCW 60-69 years, male 24.1
GTEX-PVOW-1026-SM-2XCF9 40-49 years, male 24.0
GTEX-ZLV1-0426-SM-4WWC2 60-69 years, female 24.0
GTEX-13U4I-1426-SM-5J2M3 40-49 years, female 23.8
GTEX-1RAZS-2226-SM-E8VMU 50-59 years, male 23.8
GTEX-14PJO-0926-SM-686YT 60-69 years, male 23.7
GTEX-UJHI-0726-SM-3DB92 50-59 years, female 23.7
GTEX-RVPV-1726-SM-2NKAQ 60-69 years, male 23.7
GTEX-169BO-0226-SM-79OL1 50-59 years, male 23.6
GTEX-1I1GV-0926-SM-B2LXM 60-69 years, male 23.4
GTEX-12WSD-0826-SM-5GCNE 60-69 years, female 23.2
GTEX-13QJC-0526-SM-5RQKB 60-69 years, female 23.2
GTEX-QEL4-0826-SM-3GAF2 50-59 years, male 23.2
GTEX-T2IS-0526-SM-32QP9 20-29 years, female 23.1
GTEX-1IL2V-0726-SM-ARZMB 70-79 years, male 23.1
GTEX-145MH-0626-SM-5NQAK 50-59 years, male 23.0
GTEX-17KNJ-0926-SM-7IGP2 50-59 years, male 22.9
GTEX-1HFI6-0926-SM-9WPPV 40-49 years, male 22.8
GTEX-QVUS-2026-SM-EYYW9 60-69 years, female 22.8
GTEX-OIZF-0526-SM-7MXVM 60-69 years, male 22.7
GTEX-1339X-0626-SM-5IJER 40-49 years, male 22.6
GTEX-1IOXB-1126-SM-CNNQ5 50-59 years, male 22.6
GTEX-1HCVE-0626-SM-A9SL2 50-59 years, male 22.5
GTEX-1GMR3-0226-SM-7RHIB 40-49 years, male 22.4
GTEX-1I19N-0526-SM-A9G27 70-79 years, male 22.4
GTEX-S7SE-0926-SM-2XCD6 50-59 years, male 22.3
GTEX-WOFM-0126-SM-3MJFE 20-29 years, male 22.3
GTEX-X3Y1-0626-SM-3P5YS 40-49 years, male 22.3
GTEX-1B933-0926-SM-9OSVH 50-59 years, female 22.3
GTEX-1I1GR-0726-SM-B2LWL 60-69 years, male 22.3
GTEX-17MF6-0826-SM-7LT8F 40-49 years, male 22.1
GTEX-1F6RS-0826-SM-7P8T9 60-69 years, female 22.1
GTEX-14C5O-1126-SM-5TDEH 60-69 years, male 21.8
GTEX-15SKB-0826-SM-7KUFB 60-69 years, male 21.8
GTEX-11ZUS-0126-SM-5EQM5 30-39 years, male 21.6
GTEX-QEG4-0526-SM-48TZD 30-39 years, male 21.6
GTEX-U3ZH-0526-SM-3DB75 30-39 years, male 21.6
GTEX-13QJ3-1026-SM-5QGQU 50-59 years, male 21.5
GTEX-Y111-1026-SM-4TT22 50-59 years, male 21.5
GTEX-1MA7X-0626-SM-E9TJI 60-69 years, male 21.5
GTEX-ZYT6-0526-SM-5GIEA 30-39 years, male 21.4
GTEX-1H1CY-0626-SM-9KNVE 60-69 years, female 21.4
GTEX-13OW8-1726-SM-5L3GO 60-69 years, male 21.3
GTEX-18A6Q-0826-SM-7KFRD 60-69 years, male 21.3
GTEX-1GN2E-1526-SM-7P8TD 60-69 years, male 21.3
GTEX-111FC-1126-SM-5GZWU 60-69 years, male 21.2
GTEX-16GPK-1826-SM-7MGW5 60-69 years, male 21.2
GTEX-13JUV-0526-SM-5K7XE 40-49 years, female 21.1
GTEX-14BIL-1226-SM-79OME 50-59 years, male 21.0
GTEX-14E6C-1426-SM-5ZZWH 40-49 years, male 21.0
GTEX-14E6D-1026-SM-5S2RS 50-59 years, male 21.0
GTEX-XBEC-1026-SM-4QASM 50-59 years, male 21.0
GTEX-X15G-0626-SM-EVR32 50-59 years, female 21.0
GTEX-12WSK-0826-SM-5CVNP 40-49 years, female 20.8
GTEX-1RNSC-1226-SM-E9U52 60-69 years, male 20.8
GTEX-ZYW4-1526-SM-5SIBA 60-69 years, male 20.7
GTEX-OOBJ-0526-SM-48TDK 60-69 years, male 20.6
GTEX-REY6-0426-SM-2TF5G 60-69 years, male 20.6
GTEX-T6MN-0826-SM-32PM4 50-59 years, male 20.6
GTEX-1QEPI-0826-SM-DTX9B 60-69 years, female 20.6
GTEX-R55D-0926-SM-3GAEU 50-59 years, male 20.4
GTEX-YFC4-1126-SM-5RQJN 40-49 years, female 20.4
GTEX-ZVZQ-1526-SM-5N9G6 60-69 years, female 20.3
GTEX-ZZPT-1326-SM-5E43H 50-59 years, male 20.3
GTEX-1GZHY-0826-SM-9OSXT 50-59 years, female 20.3
GTEX-SIU8-0926-SM-COH1X 50-59 years, male 20.3
GTEX-17HG3-0326-SM-7IGP4 30-39 years, female 20.2
GTEX-UPJH-0826-SM-4WKFD 50-59 years, male 20.2
GTEX-X5EB-0426-SM-46MVY 40-49 years, male 20.2
GTEX-1EKGG-1326-SM-7MXUM 60-69 years, male 20.2
GTEX-1LB8K-0826-SM-D4P41 50-59 years, male 20.2
GTEX-13OVH-1026-SM-5J2NP 70-79 years, male 20.1
GTEX-S3LF-1126-SM-EVR33 70-79 years, male 20.0
GTEX-148VJ-0826-SM-5LU8V 70-79 years, male 19.9
GTEX-QMR6-1926-SM-32PL9 50-59 years, male 19.9
GTEX-S32W-0326-SM-2XCBI 50-59 years, female 19.9
GTEX-14AS3-0926-SM-5TDD6 40-49 years, female 19.8
GTEX-TSE9-0726-SM-3DB8C 60-69 years, female 19.7
GTEX-1HSKV-1126-SM-ADEIA 60-69 years, male 19.7
GTEX-1IKJJ-0926-SM-A9G2L 60-69 years, male 19.7
GTEX-11O72-1326-SM-5BC5A 40-49 years, male 19.6
GTEX-13PL7-1726-SM-5J2NX 60-69 years, female 19.6
GTEX-14LZ3-0726-SM-5YYAB 60-69 years, female 19.6
GTEX-ZF3C-0926-SM-DO92P 50-59 years, female 19.6
GTEX-13NZ9-0926-SM-5KM12 50-59 years, male 19.5
GTEX-WVJS-0826-SM-4MVNR 50-59 years, male 19.5
GTEX-XYKS-0526-SM-4BRW2 60-69 years, female 19.5
GTEX-ZF28-0726-SM-4WKFU 60-69 years, male 19.5
GTEX-1I1GS-1426-SM-COH3W 60-69 years, male 19.4
GTEX-W5X1-0526-SM-3GILH 40-49 years, female 19.3
GTEX-1JMOU-0526-SM-CNNPE 60-69 years, female 19.3
GTEX-RTLS-0926-SM-2TF5X 60-69 years, female 19.2
GTEX-14JIY-1326-SM-6AJB3 60-69 years, male 19.1
GTEX-P4PQ-0526-SM-2HMKR 60-69 years, male 19.1
GTEX-S341-0326-SM-2XCAU 40-49 years, female 19.1
GTEX-X4EP-0526-SM-3P5YW 60-69 years, female 19.1
GTEX-1HBPM-0826-SM-9WYSP 60-69 years, female 19.1
GTEX-1LGRB-0226-SM-CNPQK 50-59 years, female 19.1
GTEX-1MJK2-1126-SM-E9TJ7 50-59 years, male 19.1
GTEX-11P7K-0326-SM-59871 30-39 years, male 19.0
GTEX-11WQC-0626-SM-5EQMF 60-69 years, male 19.0
GTEX-13111-0426-SM-5DUXR 50-59 years, male 19.0
GTEX-13VXU-2726-SM-5LU4N 50-59 years, male 19.0
GTEX-1A8G6-0726-SM-73KV5 60-69 years, male 18.9
GTEX-131YS-0926-SM-5IJB9 60-69 years, female 18.8
GTEX-13O3P-1026-SM-5N9E7 50-59 years, male 18.8
GTEX-15CHR-0726-SM-7EPHG 50-59 years, male 18.8
GTEX-1H2FU-1226-SM-9KNVY 60-69 years, female 18.8
GTEX-1A3MV-0526-SM-72D5A 30-39 years, male 18.7
GTEX-U412-0826-SM-3DB9K 60-69 years, male 18.7
GTEX-ZYY3-0926-SM-5E454 60-69 years, female 18.7
GTEX-11NUK-0826-SM-5HL4U 50-59 years, male 18.6
GTEX-15CHC-0226-SM-5YYBB 60-69 years, female 18.6
GTEX-P44H-1126-SM-48TBU 40-49 years, male 18.6
GTEX-1H1E6-0726-SM-9WPQ4 30-39 years, male 18.6
GTEX-1HT8W-1426-SM-CE6S2 30-39 years, male 18.6
GTEX-1QMI2-0926-SM-DTX7S 60-69 years, male 18.6
GTEX-ZAB5-0626-SM-5PNVB 50-59 years, male 18.5
GTEX-13O21-3026-SM-5J2NI 50-59 years, male 18.4
GTEX-17GQL-0726-SM-731BL 60-69 years, male 18.4
GTEX-1B8KZ-0526-SM-73KW2 50-59 years, male 18.4
GTEX-1RQED-1026-SM-EVYCT 60-69 years, male 18.4
GTEX-117YW-0526-SM-5H11C 50-59 years, male 18.3
GTEX-11ZVC-0226-SM-731E8 50-59 years, female 18.3
GTEX-1212Z-1026-SM-5EGJ8 60-69 years, male 18.3
GTEX-145LU-0526-SM-5O9AT 50-59 years, male 18.3
GTEX-N7MS-0926-SM-2HMIZ 60-69 years, male 18.3
GTEX-1IY9M-1126-SM-A9SLV 60-69 years, male 18.2
GTEX-1477Z-0626-SM-5NQB7 60-69 years, male 18.1
GTEX-14DAQ-0926-SM-793AZ 60-69 years, female 18.1
GTEX-17F9Y-1026-SM-7IGO4 70-79 years, female 18.1
GTEX-1F48J-0826-SM-9WPOD 50-59 years, female 18.1
GTEX-1GMR8-1426-SM-7RHHL 50-59 years, female 18.1
GTEX-1JJE9-0926-SM-CNNP9 70-79 years, male 18.1
GTEX-1P4AB-1026-SM-DTXES 50-59 years, male 18.1
GTEX-13NZ8-0326-SM-5L3DF 60-69 years, female 18.0
GTEX-SUCS-0626-SM-32PM5 70-79 years, male 18.0
GTEX-TML8-0326-SM-4GICN 40-49 years, female 18.0
GTEX-YECK-0926-SM-4W214 60-69 years, male 18.0
GTEX-147GR-1226-SM-5TDCL 60-69 years, male 17.9
GTEX-17EVP-0726-SM-7EWDX 40-49 years, male 17.8
GTEX-ZTTD-1126-SM-51MRP 50-59 years, male 17.8
GTEX-1ICLY-0926-SM-CM2RJ 50-59 years, male 17.8
GTEX-14BMV-0826-SM-73KXU 50-59 years, male 17.7
GTEX-14JG1-0926-SM-5YY8W 40-49 years, male 17.7
GTEX-16Z82-1026-SM-6M48A 60-69 years, male 17.7
GTEX-1C6WA-0726-SM-7IGQ5 60-69 years, male 17.7
GTEX-QDT8-0926-SM-32PL2 30-39 years, female 17.7
GTEX-RWS6-0226-SM-2XCA9 60-69 years, female 17.7
GTEX-V1D1-0826-SM-3P5ZA 50-59 years, male 17.7
GTEX-Y8E4-0526-SM-4V6GC 40-49 years, male 17.7
GTEX-1F5PK-0526-SM-7MXUA 50-59 years, male 17.7
GTEX-1H1ZS-0826-SM-A9SMD 70-79 years, male 17.7
GTEX-WFJO-0326-SM-3GIL3 30-39 years, male 17.6
GTEX-1I1GQ-1126-SM-CNNQT 50-59 years, male 17.6
GTEX-1J8JJ-1126-SM-CL55P 60-69 years, female 17.6
GTEX-13JVG-1426-SM-5MR4W 60-69 years, male 17.5
GTEX-15FZZ-0326-SM-6M48O 30-39 years, female 17.5
GTEX-ZDXO-1326-SM-57WBS 60-69 years, male 17.5
GTEX-1S82P-0826-SM-EVR4P 60-69 years, female 17.5
GTEX-11EI6-0826-SM-5985V 60-69 years, male 17.4
GTEX-11I78-0126-SM-5HL6F 50-59 years, female 17.4
GTEX-1EN7A-0826-SM-7MKFV 40-49 years, male 17.4
GTEX-RN64-1226-SM-2TC6E 50-59 years, male 17.4
GTEX-13NZA-1426-SM-5KM4Y 60-69 years, male 17.3
GTEX-13OVG-0326-SM-5KM57 60-69 years, male 17.3
GTEX-145MN-0926-SM-5NQBT 30-39 years, male 17.3
GTEX-Q734-0626-SM-2I3EF 40-49 years, female 17.3
GTEX-POYW-1226-SM-2XCEP 60-69 years, male 17.2
GTEX-1HB9E-0726-SM-AHZ4L 50-59 years, male 17.2
GTEX-N7MT-0126-SM-2D7VT 60-69 years, female 17.1
GTEX-VJWN-1326-SM-EVR2Z 50-59 years, female 17.1
GTEX-131XE-0726-SM-5HL9K 50-59 years, male 17.0
GTEX-13FHP-0726-SM-5K7YI 50-59 years, male 17.0
GTEX-14ABY-1126-SM-5Q5F8 50-59 years, male 17.0
GTEX-14E7W-1326-SM-5RQIV 70-79 years, male 17.0
GTEX-1AYD5-1226-SM-7EWEP 50-59 years, male 17.0
GTEX-WZTO-0426-SM-3NM99 40-49 years, male 17.0
GTEX-XQ8I-1126-SM-4BOO2 50-59 years, male 17.0
GTEX-17HHE-0626-SM-7DHL6 50-59 years, male 16.9
GTEX-XBEW-0226-SM-4AT6A 40-49 years, male 16.9
GTEX-12ZZW-0926-SM-5LZUD 50-59 years, male 16.8
GTEX-17EVQ-1526-SM-79ONG 70-79 years, male 16.8
GTEX-P78B-0926-SM-2I5FA 40-49 years, female 16.8
GTEX-PLZ5-0726-SM-2I5F9 50-59 years, male 16.8
GTEX-1L5NE-0726-SM-CXZKQ 50-59 years, male 16.8
GTEX-145ME-0226-SM-5S2QN 40-49 years, female 16.7
GTEX-14A6H-0526-SM-5NQAZ 30-39 years, male 16.7
GTEX-U8T8-2226-SM-3DB95 60-69 years, male 16.7
GTEX-X4LF-0526-SM-3NMB6 50-59 years, male 16.7
GTEX-ZXG5-0826-SM-5GID6 60-69 years, male 16.7
GTEX-1GZ4H-0426-SM-7MXV5 50-59 years, female 16.7
GTEX-1LC47-1126-SM-D4P43 60-69 years, male 16.7
GTEX-1313W-0926-SM-5EQ56 50-59 years, female 16.6
GTEX-13OW7-0926-SM-5L3EX 50-59 years, male 16.6
GTEX-13SLW-1226-SM-5S2Q7 70-79 years, male 16.6
GTEX-14PHY-0526-SM-664NM 60-69 years, female 16.6
GTEX-PW2O-0526-SM-2I3DX 20-29 years, male 16.6
GTEX-XV7Q-0426-SM-4BRVN 40-49 years, female 16.6
GTEX-Y5V5-0826-SM-4VBQD 60-69 years, female 16.6
GTEX-1EWIQ-0926-SM-7RHG7 70-79 years, female 16.6
GTEX-1399U-0826-SM-5KM1P 50-59 years, female 16.5
GTEX-1K2DU-0526-SM-D4P2Y 20-29 years, male 16.5
GTEX-1KD5A-1126-SM-CXZK6 50-59 years, male 16.5
GTEX-1122O-0126-SM-5GICA 60-69 years, female 16.4
GTEX-16AAH-0426-SM-7DUFM 50-59 years, male 16.4
GTEX-16NGA-0226-SM-718AI 40-49 years, female 16.4
GTEX-RU72-0526-SM-2TF5Z 50-59 years, female 16.4
GTEX-X261-1026-SM-3NMDL 50-59 years, male 16.4
GTEX-Y8LW-0326-SM-4VBQ9 50-59 years, female 16.3
GTEX-1BAJH-1326-SM-7RHFS 70-79 years, male 16.3
GTEX-1F6I4-1026-SM-7P8PS 60-69 years, male 16.3
GTEX-1GL5R-0526-SM-9WPOQ 50-59 years, male 16.3
GTEX-131XW-1126-SM-5EGK4 50-59 years, female 16.2
GTEX-13X6K-1626-SM-7EWCX 60-69 years, female 16.2
GTEX-1OJC4-0626-SM-DTXEY 50-59 years, female 16.2
GTEX-1PIIG-1826-SM-DTX7N 30-39 years, male 16.2
GTEX-1QAET-0426-SM-EXUSM 50-59 years, male 16.2
GTEX-1MGNQ-0826-SM-EVR41 40-49 years, male 16.1
GTEX-12WSN-5004-SM-793CE 40-49 years, male 16.0
GTEX-15SB6-0426-SM-6LPJ5 50-59 years, female 16.0
GTEX-XGQ4-0826-SM-4AT4T 50-59 years, male 16.0
GTEX-13FTX-0326-SM-5J2NG 20-29 years, female 15.9
GTEX-144GO-0226-SM-5LUB1 60-69 years, male 15.9
GTEX-14PJ5-0226-SM-5YY99 60-69 years, female 15.9
GTEX-178AV-0326-SM-6LPJF 40-49 years, male 15.9
GTEX-18A7A-1026-SM-7LT8B 50-59 years, female 15.9
GTEX-1B8SF-0826-SM-73KW8 60-69 years, male 15.9
GTEX-WYJK-0826-SM-3NM8Y 50-59 years, male 15.9
GTEX-1KAFJ-0326-SM-DHXJG 50-59 years, male 15.9
GTEX-111VG-0726-SM-5GIDC 60-69 years, male 15.8
GTEX-131XF-1026-SM-5BC6A 60-69 years, male 15.8
GTEX-13NYS-1626-SM-5J2MU 60-69 years, male 15.8
GTEX-146FQ-0926-SM-5LUAV 30-39 years, male 15.8
GTEX-16MT8-1026-SM-6LPK1 60-69 years, female 15.8
GTEX-1GMR2-0126-SM-9JGHC 50-59 years, male 15.8
GTEX-QCQG-0326-SM-2I3ES 50-59 years, female 15.7
GTEX-1CAV2-0626-SM-7P8QE 40-49 years, female 15.7
GTEX-1IDJH-0726-SM-ARU7U 70-79 years, male 15.7
GTEX-YEC3-0226-SM-DO11B 50-59 years, male 15.7
GTEX-13FTY-0126-SM-5J2NZ 40-49 years, female 15.6
GTEX-U3ZM-0426-SM-3DB73 40-49 years, male 15.6
GTEX-X4XY-1026-SM-46MVX 60-69 years, male 15.6
GTEX-13FHO-1026-SM-5KM1Q 60-69 years, male 15.5
GTEX-17F96-0626-SM-793CC 70-79 years, male 15.5
GTEX-1A8FM-0826-SM-793D5 50-59 years, female 15.5
GTEX-O5YT-0526-SM-32PK8 20-29 years, male 15.5
GTEX-OIZI-1026-SM-3NB1K 40-49 years, male 15.5
GTEX-OXRP-0526-SM-2I3EW 60-69 years, female 15.5
GTEX-1H11D-0726-SM-9OSWA 40-49 years, male 15.5
GTEX-1H23P-1026-SM-9QEHQ 60-69 years, male 15.5
GTEX-1RAZR-0726-SM-EV7BA 40-49 years, male 15.5
GTEX-12WSI-0826-SM-5EGKD 50-59 years, male 15.4
GTEX-13RTJ-1126-SM-5S2UJ 60-69 years, male 15.4
GTEX-14E1K-0226-SM-62LDT 50-59 years, male 15.4
GTEX-15SHV-0326-SM-6M475 60-69 years, male 15.4
GTEX-OXRK-0926-SM-2HMKP 50-59 years, female 15.4
GTEX-OXRN-0526-SM-2I5EN 50-59 years, male 15.4
GTEX-11EMC-0126-SM-5EGKV 60-69 years, female 15.3
GTEX-12584-1426-SM-5EGJ9 40-49 years, male 15.3
GTEX-13S7M-2126-SM-5S2QR 60-69 years, female 15.3
GTEX-1JMPZ-1126-SM-ARU8X 30-39 years, male 15.3
GTEX-1S5VW-0926-SM-EWRNU 60-69 years, male 15.3
GTEX-18QFQ-0926-SM-7LG4V 30-39 years, male 15.2
GTEX-1C6VS-1226-SM-79OO2 60-69 years, male 15.2
GTEX-QV44-0926-SM-2S1RH 50-59 years, male 15.2
GTEX-YEC4-0526-SM-4W21U 40-49 years, male 15.2
GTEX-ZYFG-0226-SM-5GIDT 60-69 years, female 15.2
GTEX-1IL2U-0926-SM-CKZOB 60-69 years, male 15.2
GTEX-1QP2A-1226-SM-EVR3I 50-59 years, male 15.2
GTEX-1EMGI-1426-SM-7IGNQ 60-69 years, male 15.1
GTEX-YFCO-0426-SM-4W1Z7 40-49 years, male 15.1
GTEX-1N2DW-1126-SM-EVR59 50-59 years, male 15.1
GTEX-1RLM8-0626-SM-E76OW 50-59 years, male 15.1
GTEX-13G51-0426-SM-5K7Z5 60-69 years, male 15.0
GTEX-ZPU1-0926-SM-57WDO 40-49 years, male 15.0
GTEX-1IKK5-1926-SM-A9G2V 60-69 years, male 15.0
GTEX-12696-1026-SM-5FQUV 60-69 years, male 14.9
GTEX-13NYB-0626-SM-5MR47 40-49 years, male 14.9
GTEX-146FH-1226-SM-5NQB6 50-59 years, female 14.9
GTEX-15D1Q-0526-SM-6AJAY 40-49 years, male 14.9
GTEX-16XZZ-0926-SM-7DHLI 60-69 years, male 14.9
GTEX-UJMC-0726-SM-3GADX 50-59 years, male 14.9
GTEX-1I1GP-0526-SM-ARL7G 50-59 years, male 14.9
GTEX-1QCLY-1026-SM-EWRNI 30-39 years, male 14.9
GTEX-12WSG-5004-SM-7EPG9 50-59 years, female 14.8
GTEX-PSDG-1126-SM-2S1ON 50-59 years, male 14.8
GTEX-YJ8O-1826-SM-5HL82 40-49 years, female 14.8
GTEX-1GF9X-0326-SM-7P8R9 40-49 years, female 14.8
GTEX-1NV5F-0926-SM-DTX8N 60-69 years, female 14.8
GTEX-11EQ9-0226-SM-5A5JX 30-39 years, male 14.7
GTEX-11PRG-0926-SM-5EGI8 50-59 years, male 14.7
GTEX-12BJ1-1026-SM-5EGJA 60-69 years, male 14.7
GTEX-139UW-0226-SM-5K7WU 60-69 years, male 14.7
GTEX-17HGU-0926-SM-79OKO 50-59 years, male 14.7
GTEX-1C6VR-0626-SM-79OOY 60-69 years, male 14.7
GTEX-ZVT3-0926-SM-5GICK 60-69 years, female 14.7
GTEX-1GN1U-1026-SM-9WYUP 50-59 years, female 14.7
GTEX-1KWVE-0426-SM-DHXJX 30-39 years, male 14.7
GTEX-14PQA-1126-SM-7KUM4 50-59 years, female 14.6
GTEX-18465-0626-SM-7LT8X 50-59 years, male 14.6
GTEX-1E1VI-0926-SM-7P8T3 50-59 years, male 14.6
GTEX-1C64O-1226-SM-79OOC 60-69 years, male 14.5
GTEX-18D9B-1026-SM-CNPO5 60-69 years, male 14.5
GTEX-1F75B-1026-SM-9JGFS 50-59 years, male 14.5
GTEX-13N2G-0826-SM-5IJE6 60-69 years, male 14.4
GTEX-147F4-0926-SM-5Q5EO 50-59 years, male 14.4
GTEX-OIZG-0526-SM-2HMLF 50-59 years, male 14.4
GTEX-1MJIX-0626-SM-DTX8V 40-49 years, male 14.4
GTEX-ZPCL-0926-SM-DNZZ8 60-69 years, female 14.4
GTEX-13O61-0726-SM-5J2MD 60-69 years, male 14.3
GTEX-147JS-1226-SM-5RQK4 60-69 years, male 14.3
GTEX-148VI-0226-SM-5RQKA 60-69 years, female 14.3
GTEX-1AYCT-0726-SM-7IGNG 50-59 years, male 14.3
GTEX-1C4CL-0826-SM-7EWEZ 30-39 years, male 14.3
GTEX-NFK9-1026-SM-2HMK1 40-49 years, male 14.3
GTEX-RWSA-1126-SM-2XCAZ 40-49 years, male 14.3
GTEX-ZF2S-0626-SM-4WKH2 50-59 years, female 14.3
GTEX-1128S-0726-SM-5N9D6 60-69 years, female 14.2
GTEX-13OW5-0726-SM-5KLZK 60-69 years, male 14.2
GTEX-13W3W-0326-SM-731DS 60-69 years, female 14.2
GTEX-1CAMQ-1026-SM-7EPIC 40-49 years, male 14.2
GTEX-T6MO-0426-SM-32QOI 40-49 years, female 14.2
GTEX-Y3IK-0626-SM-4WWE4 50-59 years, female 14.2
GTEX-1IDJU-0226-SM-CKZOF 60-69 years, female 14.2
GTEX-1KANB-1026-SM-D3L9F 50-59 years, male 14.2
GTEX-133LE-0526-SM-5N9EJ 20-29 years, female 14.1
GTEX-1497J-0326-SM-5Q5CN 60-69 years, male 14.1
GTEX-1MCC2-0726-SM-EV7AL 30-39 years, female 14.1
GTEX-1NSGN-1626-SM-EXOJF 50-59 years, male 14.1
GTEX-11NV4-1126-SM-5HL6J 60-69 years, male 14.0
GTEX-12WSA-1026-SM-5EGHN 60-69 years, male 14.0
GTEX-SN8G-0926-SM-4DM5I 50-59 years, female 14.0
GTEX-ZDTS-1026-SM-4WAXS 60-69 years, male 14.0
GTEX-1E2YA-0926-SM-7MXUK 50-59 years, male 14.0
GTEX-1EX96-0226-SM-7RHHR 50-59 years, male 14.0
GTEX-1GZ4I-0726-SM-9QEHL 50-59 years, male 14.0
GTEX-1PWST-0826-SM-DTXF1 70-79 years, male 14.0
GTEX-11WQK-1226-SM-5GU5Z 50-59 years, male 13.9
GTEX-TMMY-0926-SM-4TT1Z 40-49 years, female 13.9
GTEX-1HSMO-0926-SM-A96S7 60-69 years, male 13.8
GTEX-1LG7Y-0826-SM-E9TJX 50-59 years, male 13.8
GTEX-1PPGY-1826-SM-EXOJ8 60-69 years, male 13.8
GTEX-1211K-0826-SM-5FQUP 60-69 years, female 13.7
GTEX-13FLV-0426-SM-5KLZA 50-59 years, male 13.7
GTEX-14JG6-0326-SM-6AJBT 30-39 years, female 13.7
GTEX-PX3G-0526-SM-2I3EM 20-29 years, female 13.7
GTEX-S33H-0626-SM-2XCBJ 30-39 years, male 13.7
GTEX-XOT4-1426-SM-4B65T 60-69 years, female 13.7
GTEX-ZQG8-0326-SM-51MSE 60-69 years, female 13.7
GTEX-14E6E-0426-SM-73KUE 30-39 years, male 13.6
GTEX-18D9U-0526-SM-72D7C 40-49 years, male 13.6
GTEX-XMD2-1026-SM-4WWE8 60-69 years, female 13.6
GTEX-1HSMP-1326-SM-A96TR 70-79 years, male 13.6
GTEX-11ZTS-1226-SM-5EQMQ 60-69 years, female 13.5
GTEX-13OW6-0826-SM-5L3GA 50-59 years, male 13.5
GTEX-145MF-0726-SM-5Q5BT 50-59 years, male 13.5
GTEX-VJYA-0326-SM-3GAEX 60-69 years, male 13.5
GTEX-X585-1026-SM-46MW6 50-59 years, male 13.5
GTEX-Y5LM-0726-SM-4VBRP 40-49 years, female 13.5
GTEX-1CB4I-2126-SM-793AG 50-59 years, male 13.4
GTEX-PLZ6-0426-SM-5IJDW 30-39 years, male 13.4
GTEX-QDVN-0726-SM-4B64L 50-59 years, male 13.4
GTEX-YB5E-0726-SM-4VDSH 40-49 years, male 13.4
GTEX-ZYVF-1726-SM-5E443 50-59 years, female 13.4
GTEX-1OJC3-0726-SM-DTX92 20-29 years, male 13.4
GTEX-117YX-1326-SM-5H125 50-59 years, male 13.3
GTEX-11DXX-0626-SM-5Q5AG 60-69 years, female 13.3
GTEX-11GSP-0726-SM-5986L 60-69 years, female 13.3
GTEX-132NY-1226-SM-5PNVF 60-69 years, male 13.3
GTEX-RNOR-0726-SM-2TF5I 50-59 years, female 13.3
GTEX-X4XX-1026-SM-4QARO 60-69 years, male 13.3
GTEX-1I6K7-1226-SM-B2LVS 40-49 years, male 13.3
GTEX-1J1R8-0226-SM-AHZ3C 40-49 years, male 13.3
GTEX-14DAR-0226-SM-5S2PR 50-59 years, male 13.2
GTEX-1CB4J-1726-SM-79OOL 60-69 years, male 13.2
GTEX-P4QT-0526-SM-2I3EX 50-59 years, female 13.2
GTEX-QMRM-0826-SM-3NB33 50-59 years, male 13.2
GTEX-ZA64-0326-SM-5HL8T 20-29 years, male 13.2
GTEX-ZPIC-0626-SM-57WDY 40-49 years, female 13.2
GTEX-1J8EW-1026-SM-A96T7 60-69 years, female 13.2
GTEX-1LVAN-1126-SM-CNNRE 50-59 years, female 13.2
GTEX-13VXT-1426-SM-5LU4B 20-29 years, female 13.1
GTEX-OXRO-0326-SM-33HBM 60-69 years, female 13.1
GTEX-RM2N-0426-SM-2TF4T 50-59 years, male 13.1
GTEX-ZTPG-0926-SM-5O99H 20-29 years, female 13.1
GTEX-1LVAO-1226-SM-DIPGB 60-69 years, male 13.1
GTEX-13113-5004-SM-79ONL 60-69 years, female 13.0
GTEX-145MO-1326-SM-5Q5EF 60-69 years, male 13.0
GTEX-17F98-0226-SM-793BV 40-49 years, female 13.0
GTEX-Q2AG-1026-SM-33HBW 40-49 years, female 13.0
GTEX-VUSG-0926-SM-3GIK6 50-59 years, male 13.0
GTEX-12KS4-0726-SM-5FQSX 30-39 years, male 12.9
GTEX-144GM-0126-SM-5Q5AX 20-29 years, male 12.9
GTEX-147F3-0726-SM-5NQ9U 50-59 years, female 12.9
GTEX-PLZ4-0726-SM-2TC6Q 50-59 years, female 12.9
GTEX-WFG8-0926-SM-3GIKJ 20-29 years, male 12.9
GTEX-WFON-0426-SM-3GIL4 40-49 years, male 12.9
GTEX-ZC5H-0926-SM-5CVMZ 40-49 years, female 12.9
GTEX-111YS-0626-SM-5GZXV 60-69 years, male 12.8
GTEX-13PVQ-0926-SM-5IJFD 50-59 years, male 12.8
GTEX-ZT9X-0326-SM-51MTE 40-49 years, male 12.8
GTEX-1GN73-1026-SM-9KNV9 60-69 years, male 12.8
GTEX-1HCUA-0226-SM-A8N88 50-59 years, female 12.8
GTEX-ZEX8-0526-SM-DO115 50-59 years, male 12.8
GTEX-ZT9W-0726-SM-9JGG2 50-59 years, male 12.8
GTEX-15ER7-0926-SM-7KUMG 20-29 years, female 12.7
GTEX-WRHU-0226-SM-3MJFV 50-59 years, female 12.7
GTEX-ZZPU-0526-SM-5E44U 50-59 years, female 12.7
GTEX-11DXZ-0726-SM-5N9C4 50-59 years, male 12.6
GTEX-13N1W-0726-SM-5MR57 70-79 years, male 12.6
GTEX-15UKP-1926-SM-6LPI9 20-29 years, male 12.6
GTEX-1CB4F-0926-SM-7DHMJ 60-69 years, male 12.6
GTEX-1GZ2Q-0726-SM-9KNVV 40-49 years, male 12.6
GTEX-1H1DG-1026-SM-9MQJS 70-79 years, male 12.6
GTEX-11NSD-0326-SM-5A5LS 20-29 years, male 12.5
GTEX-11UD2-0726-SM-5EQ69 50-59 years, male 12.5
GTEX-OOBK-0526-SM-2HMJJ 40-49 years, male 12.5
GTEX-QEG5-1126-SM-33HC2 20-29 years, male 12.5
GTEX-WWYW-0926-SM-3NB2Z 50-59 years, female 12.5
GTEX-Y3I4-0426-SM-4TT29 50-59 years, male 12.5
GTEX-1K9T9-0926-SM-D3L9C 50-59 years, female 12.5
GTEX-1QP29-1226-SM-E6CQ1 50-59 years, male 12.5
GTEX-13O3Q-0526-SM-5KM18 50-59 years, male 12.4
GTEX-13QBU-0726-SM-5J2OA 40-49 years, female 12.4
GTEX-14PK6-0326-SM-6AJ9S 70-79 years, female 12.4
GTEX-15EU6-1226-SM-6AJBE 50-59 years, male 12.4
GTEX-15RJ7-0626-SM-6M47V 40-49 years, male 12.4
GTEX-15SHW-0926-SM-6LPIO 60-69 years, male 12.4
GTEX-XXEK-0626-SM-4BRWE 50-59 years, male 12.4
GTEX-1F88F-0926-SM-7RHH8 60-69 years, female 12.4
GTEX-1I4MK-0326-SM-B2LWP 50-59 years, female 12.4
GTEX-1JKYN-2126-SM-ARU8W 30-39 years, male 12.4
GTEX-OHPM-0526-SM-2YUMJ 50-59 years, male 12.3
GTEX-Q2AH-0426-SM-2I3EP 40-49 years, male 12.3
GTEX-ZDTT-0926-SM-5J2MS 60-69 years, male 12.3
GTEX-1I6K6-0926-SM-AHZ2N 30-39 years, male 12.3
GTEX-1KXAM-0426-SM-DHXKG 60-69 years, male 12.3
GTEX-131XH-0426-SM-5DUWU 50-59 years, male 12.2
GTEX-13S86-0626-SM-5Q5E7 40-49 years, male 12.2
GTEX-15RIE-0326-SM-6PAMC 60-69 years, male 12.2
GTEX-O5YW-0526-SM-2YUMX 50-59 years, male 12.2
GTEX-SE5C-0526-SM-2XCE1 40-49 years, female 12.2
GTEX-UPK5-1126-SM-3GAEJ 40-49 years, male 12.2
GTEX-13OVJ-0726-SM-5KM1W 50-59 years, female 12.1
GTEX-14PJM-0926-SM-6AJ9Y 50-59 years, female 12.1
GTEX-XPVG-1026-SM-4B64Y 50-59 years, male 12.1
GTEX-1AX9J-1626-SM-73KUI 60-69 years, male 12.0
GTEX-ZUA1-1026-SM-4YCEA 40-49 years, male 12.0
GTEX-11TUW-0526-SM-5LU9A 60-69 years, male 11.9
GTEX-139TT-0726-SM-5K7XW 60-69 years, male 11.9
GTEX-13YAN-1026-SM-5O9CF 60-69 years, male 11.9
GTEX-18D9A-0226-SM-7KFSJ 30-39 years, female 11.9
GTEX-OXRL-0526-SM-2I3EZ 50-59 years, male 11.9
GTEX-ZY6K-0326-SM-5SIBB 50-59 years, male 11.9
GTEX-1JN76-0826-SM-C1YRK 20-29 years, female 11.9
GTEX-11DZ1-0426-SM-5H11A 50-59 years, male 11.8
GTEX-145LS-1226-SM-5Q5D9 60-69 years, female 11.8
GTEX-Y9LG-0526-SM-4VBRY 30-39 years, male 11.8
GTEX-12WSJ-0226-SM-5GCP7 40-49 years, female 11.7
GTEX-145LT-0326-SM-5LUAD 40-49 years, male 11.7
GTEX-R55C-0526-SM-3GIKA 40-49 years, male 11.7
GTEX-WYBS-1126-SM-3NMAM 60-69 years, female 11.7
GTEX-1I1GU-0526-SM-B2LX2 40-49 years, male 11.7
GTEX-1J8QM-0526-SM-AHZ3Y 60-69 years, female 11.7
GTEX-111CU-0326-SM-5GZXO 50-59 years, male 11.6
GTEX-11P81-0226-SM-5HL5M 30-39 years, female 11.6
GTEX-XQ3S-0926-SM-4BOPI 20-29 years, male 11.6
GTEX-1JK1U-1126-SM-CY8HK 60-69 years, male 11.6
GTEX-12WSL-1026-SM-5CVNJ 50-59 years, male 11.4
GTEX-139T6-0426-SM-5IJEM 50-59 years, male 11.4
GTEX-1B8L1-0626-SM-7EPHL 60-69 years, male 11.4
GTEX-RUSQ-0626-SM-2TF5V 50-59 years, male 11.4
GTEX-WHPG-1426-SM-3NMBB 50-59 years, male 11.4
GTEX-ZAB4-0626-SM-5CVN3 40-49 years, male 11.4
GTEX-ZG7Y-1026-SM-4WWDG 50-59 years, male 11.4
GTEX-13CF3-0426-SM-5IJEU 60-69 years, female 11.3
GTEX-POMQ-0526-SM-3GADD 20-29 years, female 11.3
GTEX-OHPL-0526-SM-3NM8U 60-69 years, female 11.2
GTEX-1FIGZ-0326-SM-7RHGT 40-49 years, male 11.2
GTEX-11LCK-0426-SM-5A5M8 30-39 years, male 11.1
GTEX-1399S-1726-SM-5L3DI 30-39 years, female 11.1
GTEX-183FY-0726-SM-793C3 20-29 years, male 11.1
GTEX-P4QS-0526-SM-2I3ET 60-69 years, male 11.1
GTEX-RU1J-0126-SM-2TF6Y 20-29 years, female 11.1
GTEX-WH7G-0726-SM-3NMBM 40-49 years, male 11.1
GTEX-132QS-0726-SM-5IJE9 60-69 years, male 11.0
GTEX-14PJ4-0626-SM-6AJBS 60-69 years, male 11.0
GTEX-1B932-0726-SM-731EY 40-49 years, female 11.0
GTEX-WFG7-0526-SM-3GIKI 20-29 years, male 11.0
GTEX-XBED-0826-SM-47JYC 60-69 years, male 11.0
GTEX-1RAZQ-1026-SM-EAZ4R 30-39 years, male 11.0
GTEX-R3RS-1026-SM-3GADF 40-49 years, female 10.9
GTEX-WYVS-0526-SM-3NM9W 40-49 years, female 10.9
GTEX-1GPI7-1526-SM-9JGG8 20-29 years, male 10.9
GTEX-1R9PM-0426-SM-EVR3P 20-29 years, male 10.9
GTEX-11TT1-1626-SM-5EQL7 20-29 years, male 10.8
GTEX-11ZTT-0626-SM-5EQLM 60-69 years, female 10.8
GTEX-QXCU-0626-SM-2TC69 50-59 years, male 10.8
GTEX-YF7O-0626-SM-4W21R 50-59 years, male 10.8
GTEX-ZLWG-0626-SM-4WWFR 50-59 years, female 10.8
GTEX-1AX8Z-5010-SM-AHZ33 60-69 years, male 10.8
GTEX-1HCU7-0926-SM-A96TK 50-59 years, male 10.8
GTEX-17HII-0926-SM-79ON7 50-59 years, male 10.7
GTEX-OIZH-0526-SM-2HMKV 50-59 years, male 10.7
GTEX-P4PP-0526-SM-2HMKE 30-39 years, female 10.7
GTEX-1GN1W-1026-SM-9OSW2 50-59 years, female 10.7
GTEX-1JMLX-0926-SM-CNNPQ 50-59 years, male 10.7
GTEX-1B996-0726-SM-7IGPI 60-69 years, male 10.6
GTEX-ZDYS-0426-SM-5IJEQ 50-59 years, male 10.5
GTEX-15G1A-0426-SM-6M468 30-39 years, male 10.4
GTEX-WY7C-0426-SM-3NB3C 50-59 years, male 10.4
GTEX-QESD-0626-SM-2I5G4 20-29 years, male 10.2
GTEX-WHSB-0326-SM-5FQSD 50-59 years, male 10.2
GTEX-1HSMQ-0726-SM-B2LXY 50-59 years, male 10.2
GTEX-Y5V6-0226-SM-4V6G7 60-69 years, male 10.1
GTEX-14BMU-0526-SM-73KW4 20-29 years, female 10.0
GTEX-1B97I-0226-SM-73KVO 40-49 years, male 10.0
GTEX-1J1OQ-0926-SM-CJI34 40-49 years, female 10.0
GTEX-1JMQL-1126-SM-CKZOP 50-59 years, female 10.0
GTEX-11OF3-1126-SM-5986C 60-69 years, male 9.9
GTEX-13O3O-0726-SM-5J1N7 60-69 years, female 9.9
GTEX-T8EM-0326-SM-3DB7F 40-49 years, male 9.9
GTEX-1269C-0926-SM-5FQSR 60-69 years, female 9.8
GTEX-18A67-1126-SM-7KFSB 50-59 years, male 9.8
GTEX-1AX9K-0826-SM-731F9 50-59 years, male 9.8
GTEX-ZF29-1026-SM-4WKGC 60-69 years, female 9.7
GTEX-1H3VY-1426-SM-9WPOB 50-59 years, male 9.7
GTEX-13D11-0326-SM-5LZXX 50-59 years, female 9.6
GTEX-14XAO-0526-SM-6AJB7 60-69 years, female 9.5
GTEX-1IDJI-0626-SM-C1YQD 50-59 years, female 9.3
GTEX-O5YV-0526-SM-2I5GE 60-69 years, female 9.1
GTEX-U3ZN-0626-SM-3DB7U 30-39 years, female 9.1
GTEX-13FH7-1726-SM-5IJE7 50-59 years, female 8.8
GTEX-144GN-0426-SM-5O9AP 50-59 years, male 8.8
GTEX-SNOS-0426-SM-32PMH 40-49 years, male 8.8
GTEX-QDVJ-0926-SM-2I5FU 50-59 years, male 8.6
GTEX-12WSH-0126-SM-5GCO3 50-59 years, male 8.5
GTEX-1A32A-0726-SM-731D4 50-59 years, female 8.5
GTEX-R55G-0826-SM-2TC5U 40-49 years, female 8.5
GTEX-139YR-0926-SM-5LZYB 50-59 years, male 7.8
GTEX-U8XE-1426-SM-3DB8Q 30-39 years, male 7.8
GTEX-15EOM-5010-SM-7P8PA 20-29 years, female 7.6
GTEX-16MTA-1226-SM-7KULL 50-59 years, male 6.5
GTEX-14C39-0326-SM-5TDDX 40-49 years, male 6.4
GTEX-18A66-0926-SM-718BG 60-69 years, male 6.2
Show allShow less

LUNG - FANTOM5 CAGEi

RNA expression in human tissues obtained through Cap Analysis of Gene Expression (CAGE) generated by the FANTOM5 project are reported as Scaled Tags Per Million.

Max subtype Scaled Tags Per Millioni

Max subtype Scaled Tags Per Million is the value for the subtype with the largest average Scaled Tags Per Million across the subtype samples.

18.1
FANTOM5 sample id Sample description Scaled Tags Per Million
Lung
Scaled Tags Per Million: 13.8
FF:10019-101D1 46,65,94 years, mixed 13.8
Lung - right lower lobe
Scaled Tags Per Million: 18.1
FF:10075-102A3 29 years, male 18.1

Contact

  • NEWS ARTICLES
  • PRESS ROOM

The Project

  • INTRODUCTION
  • ORGANIZATION
  • PUBLICATIONS

The Human Protein Atlas

  • DOWNLOADABLE DATA
  • LICENCE & CITATION
  • HELP & FAQ
The Human Protein Atlas project is funded
by the Knut & Alice Wallenberg Foundation.


contact@proteinatlas.org