We use cookies to enhance the usability of our website. If you continue, we'll assume that you are happy to receive all cookies. More information. Don't show this again.
ZNF337
HPA
RESOURCES
  • TISSUE
  • BRAIN
  • SINGLE CELL
  • SUBCELLULAR
  • CANCER
  • BLOOD
  • CELL LINE
  • STRUCTURE & INTERACTION
ABOUT
  • INTRODUCTION
  • HISTORY
  • ORGANIZATION
  • PUBLICATIONS
  • ANTIBODY SUBMISSION
  • ANTIBODY AVAILABILITY
  • ACKNOWLEDGMENTS
  • CONTACT
NEWS
  • NEWS ARTICLES
  • PRESS ROOM
LEARN
  • DICTIONARY
  • PROTEIN CLASSES
  • PROTEIN EVIDENCE
  • METHODS
  • EDUCATIONAL VIDEOS
DATA
  • DOWNLOADABLE DATA
  • PUBLICATION DATA
  • RELEASE HISTORY
HELP
  • ANTIBODY VALIDATION
  • ASSAYS & ANNOTATION
  • DISCLAIMER
  • HELP & FAQ
  • PRIVACY STATEMENT
  • LICENCE & CITATION
Fields »
Search result

Field
Term
Gene name
Class
Subclass
Class
Keyword
Chromosome
External id
Tissue
Cell type
Expression
Antibody panel
Tissue
Main location
Patient ID
Annotation
Tissue
Category
Tau score
Cluster
Reliability
Brain region
Category
Tau score
Brain region
Category
Tau score
Brain region
Category
Tau score
Cluster
Reliability
Tissue
Cell type
Enrichment
Cell type
Category
Tau score
Cell type
Category
Tau score
Cell type
Category
Tau score
Cell lineage
Category
Tau score
Cluster
Cluster
Location
Searches
Location
Cell line
Class
Type
Phase
Reliability
Cancer
Prognosis
Cancer
Category
Cancer
Category
Tau score
Cluster
Variants
Interacting gene (ensg_id)
Type
Number of interactions
Pathway
Category
Score
Score
Score
Validation
Validation
Validation
Validation
Antibodies
Data type
Column


  • SUMMARY

  • TISSUE

  • BRAIN

  • SINGLE CELL

  • SUBCELL

  • CANCER

  • BLOOD

  • CELL LINE

  • STRUCT & INT

  • ZNF337
TISSUE PRIMARY DATA THYROID GLAND Show tissue menu
ADIPOSE TISSUE ADRENAL GLAND AMYGDALA APPENDIX BASAL GANGLIA BONE MARROW BREAST BRONCHUS CEREBELLUM CEREBRAL CORTEX CERVIX CHOROID PLEXUS COLON DUODENUM
ENDOMETRIUM EPIDIDYMIS ESOPHAGUS FALLOPIAN TUBE GALLBLADDER HEART MUSCLE HIPPOCAMPAL FORMATION HYPOTHALAMUS KIDNEY LIVER LUNG LYMPH NODE MIDBRAIN NASOPHARYNX
ORAL MUCOSA OVARY PANCREAS PARATHYROID GLAND PITUITARY GLAND PLACENTA PROSTATE RECTUM RETINA SALIVARY GLAND SEMINAL VESICLE SKELETAL MUSCLE SKIN SMALL INTESTINE
SMOOTH MUSCLE SOFT TISSUE SPINAL CORD SPLEEN STOMACH TESTIS THYMUS THYROID GLAND TONGUE TONSIL URINARY BLADDER VAGINA
ANTIBODIES
AND
VALIDATION
Dictionary
Thyroid gland
Tissue proteome
Thyroid gland
THYROID GLAND - Expression summary
Protein expression
Thyroid glandi

On the top, protein expression in current human tissue, based on all annotated cell types, is reported with the units not detected (n), low (l), medium (m) and high (h). Underneath, protein expression in each annotated cell type are reported using the same units.

Protein expression data is based on knowledge-based annotation. For genes where more than one antibody has been used, a collective score is set.

If knowledge-based annotation could not be performed for a gene, no data is displayed here. View antibody staining data further down this page.

h
m
l
n
Glandular cells: Low
RNA expressioni

A summary of mRNA expression data available for current tissue based on several datasets. The mRNA expression levels in human tissues are based on RNA-seq data generated by the Human Protein Atlas (HPA), Genotype-Tissue Expression (GTEx) portal and CAGE data generated by the FANTOM5 consortium. Consensus normalized expression levels for human tissues was created by combining the data from HPA and GTEx datasets.

The mRNA expression levels in pig are based on RNA-seq data generated by the Human Protein Atlas (HPA), and for mouse, HPA data and in situ hybridization generated by the Allen brain atlas are reported.

Scroll down to view mRNA expression data in more detail.
Consensus:18.2 nTPM
HPA:8.2 nTPM
GTEx:18.2 nTPM
FANTOM5:20.5 Scaled Tags Per Million

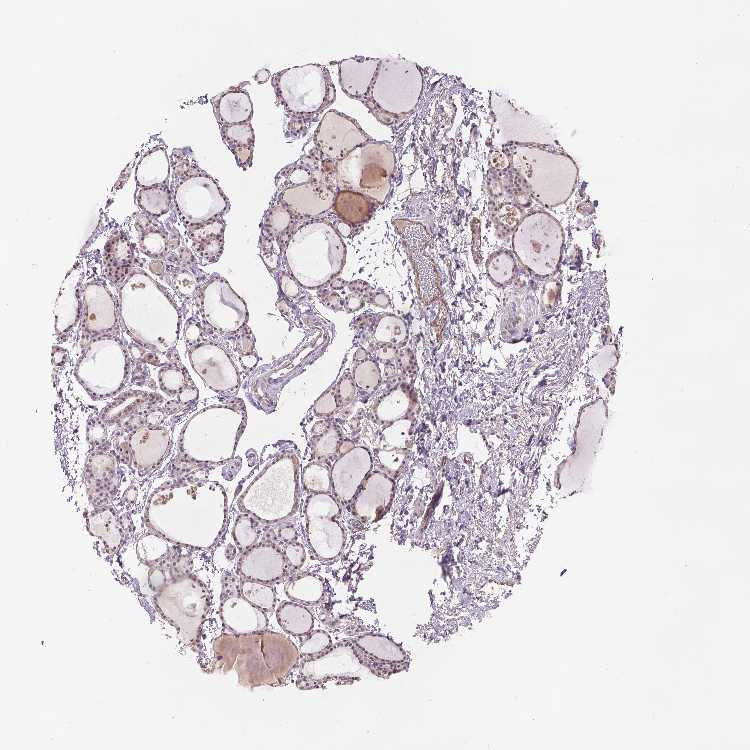
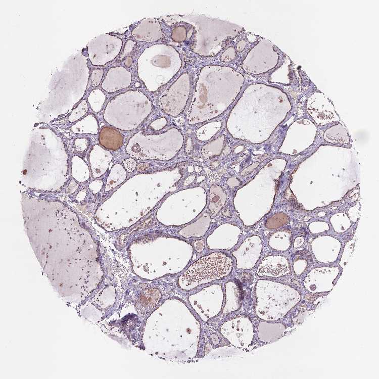
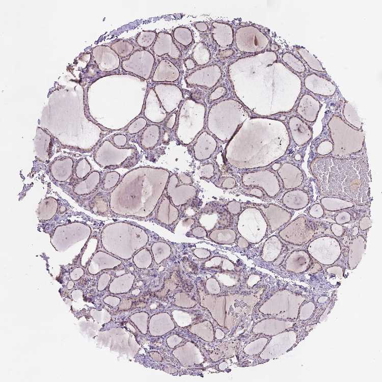
THYROID GLAND - Antibody stainingi

Antibody staining in the annotated cell types in the current human tissue is reported as not detected, low, medium, or high, based on conventional immunohistochemistry profiling in selected tissues. This score is based on the combination of the staining intensity and fraction of stained cells.

Each image is clickable and will lead to virtual microscopy that enables deeper exploration of all samples and also displays staining intensity scores, fraction scores and subcellular localization as well as patient and tissue information for each sample.

Antibody HPA064219
Glandular cells Low



THYROID GLAND - HPA RNA-seqi

The RNA-seq details section shows detailed information about the individual samples used for the transcript profiling and results of the RNA-seq analysis.

Information about each individual sample is listed below, including gender, age, a tissue section image and estimated fractions of cell types. nTPM (normalized transcripts per million) values give a quantification of the gene abundance which is comparable between different genes and samples.
Average nTPMi

Max subtype nTPM is the value for the subtype with the largest average nTPM across the subtype samples.

8.2
overview
Female, age 20
Thyroid gland sample 249
nTPM: 8.1
Cell types%
Glandular cells:
70

Endothelial cells:
20

Other cell types:
10

overview
Female, age 55
Thyroid gland sample 250
nTPM: 8.3
Cell types%
Glandular cells:
70

Endothelial cells:
20

Other cell types:
10

overview
Female, age 58
Thyroid gland sample 251
nTPM: 7.4
Cell types%
Glandular cells:
70

Endothelial cells:
15

Other cell types:
15

overview
Female, age 48
Thyroid gland sample 252
nTPM: 8.3
Cell types%
Glandular cells:
70

Endothelial cells:
20

Other cell types:
10

overview
Male, age 21
Thyroid gland sample 363
nTPM: 9
Cell types%
Glandular cells:
75

Endothelial cells:
10

Other cell types:
15


THYROID GLAND - GTEx RNA-seqi

RNA-Seq data generated by the Genotype-Tissue Expression (GTEx) project from human tissues is reported as mean nTPM. More information can be found on the GTEx portal.

Distribution across the dataset is visualized with box plots, shown as median and 25th and 75th percentiles. Points are displayed as outliers if they are above or below 1.5 times the interquartile range. nTPM values of the individual samples are presented next to the box plot.
Max subtype nTPMi

Max subtype nTPM is the value for the subtype with the largest average nTPM across the subtype samples.

18.2
GTEx sample id Sample description nTPM
Thyroid
Average nTPM: 18.2
Samples: 653

Max nTPM: 40.2
Min nTPM: 8.1
Std nTPM: 4.5
Median nTPM: 17.9
GTEX-1ICLY-0726-SM-A96TB 50-59 years, male 40.2
GTEX-OXRN-1526-SM-E6CHM 50-59 years, male 36.4
GTEX-145MI-1126-SM-5O9AK 60-69 years, female 34.8
GTEX-15DDE-0626-SM-69LOK 50-59 years, female 34.1
GTEX-13PDP-1026-SM-5L3FA 60-69 years, male 32.5
GTEX-13W46-0926-SM-5LU3T 50-59 years, male 32.2
GTEX-QV44-0826-SM-2S1RG 50-59 years, male 31.7
GTEX-1F48J-0926-SM-7P8PZ 50-59 years, female 31.7
GTEX-ZT9X-0226-SM-51MT2 40-49 years, male 31.4
GTEX-148VJ-0726-SM-5LU8J 70-79 years, male 31.0
GTEX-V1D1-0926-SM-4JBHQ 50-59 years, male 30.7
GTEX-QEL4-0726-SM-3GIJ5 50-59 years, male 29.4
GTEX-POYW-0826-SM-2XCEM 60-69 years, male 29.2
GTEX-Y8E4-0126-SM-4VBQ2 40-49 years, male 29.0
GTEX-14A6H-2426-SM-5Q5BO 30-39 years, male 28.9
GTEX-17EVQ-0526-SM-7KFSK 70-79 years, male 28.6
GTEX-RTLS-0626-SM-5SI7Z 60-69 years, female 28.5
GTEX-1QAET-0226-SM-EVR3T 50-59 years, male 28.5
GTEX-QDT8-1226-SM-EVR35 30-39 years, female 28.5
GTEX-1QP66-0326-SM-DTX7V 50-59 years, male 28.2
GTEX-X4XX-0926-SM-46MV7 60-69 years, male 27.9
GTEX-ZC5H-0626-SM-5LU9K 40-49 years, female 27.9
GTEX-1H2FU-0626-SM-9WPPS 60-69 years, female 27.8
GTEX-RN5K-2826-SM-EZ6L3 50-59 years, female 27.7
GTEX-15D1Q-0626-SM-6AJAZ 40-49 years, male 27.6
GTEX-13NZ8-0226-SM-5J2OK 60-69 years, female 27.4
GTEX-12584-0826-SM-5FQSK 40-49 years, male 27.3
GTEX-13QJC-0826-SM-5RQKC 60-69 years, female 27.3
GTEX-ZYW4-1126-SM-5SI99 60-69 years, male 27.2
GTEX-14E6C-2626-SM-5RQJP 40-49 years, male 26.9
GTEX-1QW4Y-0226-SM-EAZ3U 30-39 years, male 26.9
GTEX-1JMQK-2126-SM-CY8I2 60-69 years, male 26.6
GTEX-13IVO-0926-SM-5KLZP 70-79 years, male 26.5
GTEX-ZVT3-0726-SM-5GICN 60-69 years, female 26.3
GTEX-Z93S-0526-SM-EVYB4 50-59 years, male 26.2
GTEX-1GN2E-0826-SM-9WYT8 60-69 years, male 26.1
GTEX-11EQ8-0826-SM-5N9FG 60-69 years, male 25.9
GTEX-1CB4H-0126-SM-7IGN2 60-69 years, female 25.8
GTEX-OOBJ-2626-SM-2I3F6 60-69 years, male 25.8
GTEX-S32W-0726-SM-2XCBL 50-59 years, female 25.8
GTEX-YFC4-2626-SM-5P9FQ 40-49 years, female 25.8
GTEX-1JMQJ-2026-SM-CNPP9 50-59 years, male 25.6
GTEX-R53T-0526-SM-3GADL 50-59 years, female 25.5
GTEX-1LH75-0626-SM-DIPG3 50-59 years, female 25.5
GTEX-U4B1-0626-SM-3DB8L 40-49 years, male 25.4
GTEX-ZYT6-0426-SM-5GID3 30-39 years, male 25.4
GTEX-ZDXO-1726-SM-5HL6L 60-69 years, male 25.4
GTEX-14C5O-0826-SM-5TDEG 60-69 years, male 25.2
GTEX-1HGF4-0726-SM-9WYU9 60-69 years, male 25.2
GTEX-P4PQ-2626-SM-33HC9 60-69 years, male 25.0
GTEX-1IL2V-0626-SM-ARU7S 70-79 years, male 24.9
GTEX-132AR-1126-SM-5P9GA 50-59 years, female 24.8
GTEX-1PPH8-0926-SM-DTX9U 20-29 years, male 24.8
GTEX-ZAJG-0726-SM-5HL9A 50-59 years, female 24.7
GTEX-1HT8W-1526-SM-CE6S3 30-39 years, male 24.7
GTEX-1KD4Q-1026-SM-CXZKJ 40-49 years, male 24.7
GTEX-REY6-0526-SM-2TF5M 60-69 years, male 24.6
GTEX-NFK9-0726-SM-2HMJW 40-49 years, male 24.5
GTEX-RWSA-0826-SM-2XCBF 40-49 years, male 24.5
GTEX-1GZHY-1426-SM-9WG5H 50-59 years, female 24.5
GTEX-XOT4-1526-SM-EAZ2W 60-69 years, female 24.4
GTEX-OXRO-1226-SM-48TDL 60-69 years, female 24.3
GTEX-11XUK-0226-SM-5EQLW 40-49 years, female 24.2
GTEX-16NPX-1426-SM-6LPK3 50-59 years, male 24.2
GTEX-Q734-0526-SM-2I3EH 40-49 years, female 24.2
GTEX-ZVZQ-0626-SM-59HJU 60-69 years, female 24.2
GTEX-1477Z-0226-SM-5TDCI 60-69 years, male 24.0
GTEX-183WM-2626-SM-7KFRY 70-79 years, female 23.9
GTEX-1R9K4-0726-SM-EWRN2 60-69 years, male 23.8
GTEX-1ICLZ-0526-SM-ARZM8 60-69 years, male 23.7
GTEX-1IE54-0926-SM-A9G2Y 40-49 years, female 23.7
GTEX-1QCLY-0826-SM-DTX8A 30-39 years, male 23.7
GTEX-16NGA-0326-SM-718AJ 40-49 years, female 23.6
GTEX-1RAZS-1026-SM-E9TID 50-59 years, male 23.6
GTEX-1S5ZU-0726-SM-EWROH 20-29 years, female 23.5
GTEX-1A8G6-0626-SM-7IGNB 60-69 years, male 23.4
GTEX-1GN1U-0826-SM-9WPPX 50-59 years, female 23.4
GTEX-1M4P7-0626-SM-EVR51 60-69 years, male 23.4
GTEX-RUSQ-1026-SM-2TF6V 50-59 years, male 23.3
GTEX-12WSK-0926-SM-5CVNQ 40-49 years, female 23.2
GTEX-1PFEY-0226-SM-EVR3M 30-39 years, male 23.2
GTEX-X261-0726-SM-EZ6MH 50-59 years, male 23.2
GTEX-12WSG-0226-SM-5EGIF 50-59 years, female 23.0
GTEX-RNOR-0926-SM-2TF56 50-59 years, female 23.0
GTEX-RWS6-0626-SM-2XCAS 60-69 years, female 23.0
GTEX-X8HC-0726-SM-46MWG 50-59 years, female 23.0
GTEX-1CB4E-0326-SM-7MXT3 60-69 years, male 23.0
GTEX-1F75B-0826-SM-9QEIT 50-59 years, male 23.0
GTEX-13NZ9-1126-SM-5MR37 50-59 years, male 22.9
GTEX-17GQL-0226-SM-7LTAK 60-69 years, male 22.9
GTEX-1GMR3-0726-SM-9WPOF 40-49 years, male 22.9
GTEX-1K2DU-0126-SM-E9TIU 20-29 years, male 22.9
GTEX-1PWST-0726-SM-EWRMO 70-79 years, male 22.9
GTEX-1R46S-0426-SM-EVR48 60-69 years, female 22.9
GTEX-X5EB-0726-SM-46MVR 40-49 years, male 22.8
GTEX-1O9I2-1226-SM-E6CQC 50-59 years, male 22.8
GTEX-SN8G-1526-SM-4DM79 50-59 years, female 22.7
GTEX-11UD2-0626-SM-5GU6L 50-59 years, male 22.6
GTEX-1269C-0226-SM-5EGKS 60-69 years, female 22.6
GTEX-14AS3-0226-SM-5Q5B6 40-49 years, female 22.6
GTEX-16XZZ-0826-SM-7IGM3 60-69 years, male 22.5
GTEX-17JCI-0626-SM-7IGM7 60-69 years, female 22.5
GTEX-1GF9U-0226-SM-7P8TY 40-49 years, female 22.4
GTEX-ZLFU-0626-SM-4WWBO 40-49 years, male 22.3
GTEX-1HBPM-0926-SM-ARL9C 60-69 years, female 22.3
GTEX-11NUK-1026-SM-5HL5J 50-59 years, male 22.2
GTEX-17F96-0526-SM-79OLE 70-79 years, male 22.2
GTEX-1H1ZS-0726-SM-A9G3K 70-79 years, male 22.2
GTEX-1HSMO-0726-SM-A96TM 60-69 years, male 22.2
GTEX-1MJK3-0326-SM-DTX96 20-29 years, male 22.2
GTEX-12WSD-0926-SM-5GCNL 60-69 years, female 22.1
GTEX-12WSN-0726-SM-5GCMS 40-49 years, male 22.1
GTEX-17F97-0626-SM-7IGOH 50-59 years, male 22.1
GTEX-RN64-0626-SM-2TC5V 50-59 years, male 22.1
GTEX-1CAMS-0826-SM-7P8P1 40-49 years, female 22.1
GTEX-1H3VE-0826-SM-9KNVQ 40-49 years, male 22.1
GTEX-17F9E-0626-SM-79ON5 50-59 years, male 22.0
GTEX-13RTJ-0326-SM-5YYAE 60-69 years, male 21.8
GTEX-Y5V5-0326-SM-5RQJG 60-69 years, female 21.8
GTEX-1GZ2Q-0826-SM-7P8TK 40-49 years, male 21.8
GTEX-145LT-0226-SM-5S2QK 40-49 years, male 21.7
GTEX-P44G-0626-SM-2I5EO 30-39 years, male 21.7
GTEX-1JJE9-0226-SM-CY8HU 70-79 years, male 21.7
GTEX-1R9K5-0726-SM-EAZ4E 50-59 years, male 21.7
GTEX-14ICL-0426-SM-5RQJ3 30-39 years, male 21.6
GTEX-SJXC-0726-SM-2XCFJ 60-69 years, male 21.6
GTEX-1CAMQ-1126-SM-7EWFE 40-49 years, male 21.5
GTEX-S7SF-0226-SM-5SI7H 20-29 years, female 21.5
GTEX-TKQ1-0126-SM-33HB3 30-39 years, male 21.5
GTEX-X4LF-0426-SM-3NMB5 50-59 years, male 21.5
GTEX-YB5K-0526-SM-5LUAS 40-49 years, female 21.5
GTEX-14BMV-0726-SM-73KVE 50-59 years, male 21.4
GTEX-1B933-1026-SM-7P8RO 50-59 years, female 21.4
GTEX-1OJC4-0526-SM-E6CQV 50-59 years, female 21.4
GTEX-1211K-0726-SM-5FQUW 60-69 years, female 21.3
GTEX-13O3P-0726-SM-5J2OM 50-59 years, male 21.3
GTEX-148VI-0526-SM-5TDDG 60-69 years, female 21.3
GTEX-WWYW-0826-SM-3NB2X 50-59 years, female 21.3
GTEX-13N2G-0726-SM-5MR38 60-69 years, male 21.2
GTEX-1AYCT-0226-SM-73KVB 50-59 years, male 21.2
GTEX-OIZI-0726-SM-2XCEI 40-49 years, male 21.2
GTEX-WRHU-0926-SM-4E3IG 50-59 years, female 21.2
GTEX-1F6IF-1126-SM-9KNV2 60-69 years, male 21.2
GTEX-1JMPY-0126-SM-CJI39 30-39 years, male 21.2
GTEX-1QP67-0326-SM-EVR45 40-49 years, female 21.2
GTEX-111VG-0526-SM-5N9BW 60-69 years, male 21.1
GTEX-1EN7A-1026-SM-7IGPZ 40-49 years, male 21.1
GTEX-Y3IK-0526-SM-4WWE3 50-59 years, female 21.1
GTEX-1EX96-0126-SM-9KNVH 50-59 years, male 21.1
GTEX-1I19N-0226-SM-CE6ST 70-79 years, male 21.1
GTEX-1I1GS-0726-SM-C1YS7 60-69 years, male 21.1
GTEX-1IL2U-0826-SM-CL53Q 60-69 years, male 21.1
GTEX-13YAN-0926-SM-5O9C3 60-69 years, male 21.0
GTEX-144GL-1226-SM-5O9A4 50-59 years, male 21.0
GTEX-146FQ-0726-SM-5LUA7 30-39 years, male 21.0
GTEX-17HGU-0826-SM-7EWE5 50-59 years, male 21.0
GTEX-18QFQ-0726-SM-7LG6D 30-39 years, male 21.0
GTEX-1B8L1-1626-SM-7IGMH 60-69 years, male 21.0
GTEX-ZTSS-0226-SM-59877 40-49 years, male 21.0
GTEX-ZUA1-0926-SM-4YCDX 40-49 years, male 21.0
GTEX-1GZ4I-0626-SM-9WPPN 50-59 years, male 21.0
GTEX-14C38-0826-SM-5S2U8 50-59 years, male 20.9
GTEX-14DAQ-0826-SM-73KWT 60-69 years, female 20.9
GTEX-14PJO-0626-SM-6LLHH 60-69 years, male 20.9
GTEX-R3RS-0726-SM-3GIJR 40-49 years, female 20.9
GTEX-ZXG5-0926-SM-5NQ8H 60-69 years, male 20.9
GTEX-1LGOU-0126-SM-EV79W 20-29 years, female 20.9
GTEX-XUW1-1026-SM-4BONY 50-59 years, female 20.8
GTEX-1GMR8-0826-SM-9KNUR 50-59 years, female 20.8
GTEX-1HC8U-1226-SM-9WYUW 40-49 years, female 20.8
GTEX-117YX-1226-SM-5H11S 50-59 years, male 20.7
GTEX-12ZZX-1226-SM-5EGHS 40-49 years, female 20.7
GTEX-13FHO-0926-SM-5N9EW 60-69 years, male 20.7
GTEX-VUSG-0426-SM-3GIKD 50-59 years, male 20.7
GTEX-1I1GQ-0826-SM-CNNQR 50-59 years, male 20.7
GTEX-1RNSC-1126-SM-E9TIP 60-69 years, male 20.7
GTEX-1192W-0126-SM-5EGGS 60-69 years, male 20.5
GTEX-W5X1-0426-SM-3GILB 40-49 years, female 20.5
GTEX-WVLH-0626-SM-3MJG7 50-59 years, male 20.5
GTEX-1QP9N-0126-SM-DPRZS 30-39 years, male 20.5
GTEX-PLZ4-1226-SM-2I5FE 50-59 years, female 20.4
GTEX-XLM4-0726-SM-4AT64 60-69 years, male 20.4
GTEX-13OVK-0226-SM-6M472 40-49 years, male 20.3
GTEX-1C4CL-0726-SM-7IGP9 30-39 years, male 20.3
GTEX-1C6VS-0826-SM-7EWEI 60-69 years, male 20.3
GTEX-1EH9U-0926-SM-7EWF1 60-69 years, male 20.3
GTEX-1J8QM-0726-SM-CE6RF 60-69 years, female 20.3
GTEX-15ETS-0526-SM-6PAN3 40-49 years, female 20.2
GTEX-RU72-0126-SM-2TF6Z 50-59 years, female 20.2
GTEX-1HCU7-0826-SM-B2LX7 50-59 years, male 20.2
GTEX-1HFI6-1326-SM-A9SL8 40-49 years, male 20.2
GTEX-1MA7X-0926-SM-DIPEJ 60-69 years, male 20.2
GTEX-11P82-0226-SM-5HL4O 20-29 years, male 20.1
GTEX-1313W-0726-SM-5EGK1 50-59 years, female 20.1
GTEX-WOFL-0726-SM-3MJG4 60-69 years, male 20.1
GTEX-WYVS-0326-SM-3NM9V 40-49 years, female 20.1
GTEX-1JJEA-0626-SM-D3L96 60-69 years, male 20.1
GTEX-1GMRU-1126-SM-9KNV1 50-59 years, male 20.0
GTEX-1I1GR-1126-SM-A9G2I 60-69 years, male 20.0
GTEX-1R9JW-0226-SM-EVR4K 30-39 years, female 20.0
GTEX-11ZVC-0126-SM-5986G 50-59 years, female 19.9
GTEX-13113-0126-SM-5LZVX 60-69 years, female 19.9
GTEX-15SHU-0726-SM-7KUFI 40-49 years, female 19.9
GTEX-P4QS-2626-SM-2I3EV 60-69 years, male 19.9
GTEX-1GF9X-0126-SM-A9G38 40-49 years, female 19.9
GTEX-1IGQW-0626-SM-C1YR9 60-69 years, male 19.9
GTEX-1JJ6O-0626-SM-AHZ3H 60-69 years, male 19.9
GTEX-1KAFJ-0426-SM-DHXJH 50-59 years, male 19.9
GTEX-1R9PM-0226-SM-DPRY7 20-29 years, male 19.9
GTEX-U412-0726-SM-EVR2Y 60-69 years, male 19.9
GTEX-14BIN-0126-SM-5TDCG 50-59 years, female 19.8
GTEX-1ICG6-0426-SM-ARU7M 70-79 years, female 19.8
GTEX-11DZ1-2726-SM-5A5KH 50-59 years, male 19.7
GTEX-17EVP-0126-SM-7EPHW 40-49 years, male 19.7
GTEX-17KNJ-1026-SM-79ONK 50-59 years, male 19.7
GTEX-18A7A-0826-SM-7KFTJ 50-59 years, female 19.7
GTEX-OXRK-0626-SM-2HMJ5 50-59 years, female 19.7
GTEX-ZYFD-0826-SM-5NQ9A 50-59 years, male 19.7
GTEX-1I6K6-0726-SM-B2LX4 30-39 years, male 19.7
GTEX-1RDX4-0926-SM-E9U6D 50-59 years, female 19.7
GTEX-1AX9J-2126-SM-731DD 60-69 years, male 19.6
GTEX-XV7Q-0326-SM-4BRVM 40-49 years, female 19.6
GTEX-13VXT-0626-SM-5SIA1 20-29 years, female 19.5
GTEX-15ER7-0726-SM-7KUMF 20-29 years, female 19.5
GTEX-18D9A-0126-SM-7KFSI 30-39 years, female 19.5
GTEX-1JN6P-0626-SM-ARZN6 60-69 years, male 19.5
GTEX-11TTK-0826-SM-5N9EG 60-69 years, female 19.4
GTEX-13U4I-0526-SM-5LU59 40-49 years, female 19.4
GTEX-14PHW-2926-SM-6AJBA 60-69 years, female 19.4
GTEX-18A6Q-0726-SM-7LT8Y 60-69 years, male 19.4
GTEX-1B8SG-1126-SM-7IGMT 50-59 years, male 19.4
GTEX-1B932-0926-SM-73KUP 40-49 years, female 19.4
GTEX-13112-0326-SM-5P9IW 50-59 years, male 19.3
GTEX-13G51-1226-SM-5K7Z3 60-69 years, male 19.3
GTEX-15EO6-0126-SM-6LPKJ 50-59 years, male 19.3
GTEX-17HHE-0426-SM-79OK3 50-59 years, male 19.3
GTEX-17MF6-0626-SM-7LT8D 40-49 years, male 19.3
GTEX-WYJK-1626-SM-3NM9J 50-59 years, male 19.3
GTEX-Y9LG-0426-SM-4VBRT 30-39 years, male 19.3
GTEX-1H1DG-0726-SM-A96TN 70-79 years, male 19.3
GTEX-131YS-0726-SM-5P9G9 60-69 years, female 19.2
GTEX-13S86-1126-SM-5RQJX 40-49 years, male 19.2
GTEX-QXCU-0326-SM-2TC63 50-59 years, male 19.2
GTEX-X15G-0526-SM-3NMB7 50-59 years, female 19.2
GTEX-ZAK1-0726-SM-5HL8Q 50-59 years, female 19.2
GTEX-1EWIQ-0826-SM-7MXTH 70-79 years, female 19.2
GTEX-1HR9M-0626-SM-A96S6 60-69 years, male 19.2
GTEX-11TUW-0226-SM-5LU8X 60-69 years, male 19.1
GTEX-13OW8-0126-SM-5IJE5 60-69 years, male 19.1
GTEX-147F4-0826-SM-5QGRB 50-59 years, male 19.1
GTEX-169BO-0326-SM-7EPIM 50-59 years, male 19.1
GTEX-XBEW-0126-SM-4AT66 40-49 years, male 19.1
GTEX-XGQ4-0426-SM-4AT4I 50-59 years, male 19.1
GTEX-YJ89-0726-SM-5P9F7 60-69 years, male 19.1
GTEX-1PBJJ-1926-SM-DTX8T 30-39 years, male 19.1
GTEX-13FTY-0726-SM-5J2OH 40-49 years, female 19.0
GTEX-13NYC-2426-SM-5MR3K 60-69 years, male 19.0
GTEX-13OVI-0826-SM-5KLZ8 60-69 years, female 19.0
GTEX-15CHR-1726-SM-7DUGW 50-59 years, male 19.0
GTEX-18D9U-1026-SM-72D5R 40-49 years, male 19.0
GTEX-1A8G7-1026-SM-73KVA 60-69 years, male 19.0
GTEX-13OW6-0726-SM-5L3FX 50-59 years, male 18.9
GTEX-16MT8-0626-SM-6M47Q 60-69 years, female 18.9
GTEX-TMMY-0826-SM-33HB9 40-49 years, female 18.9
GTEX-X4XY-0826-SM-4E3JM 60-69 years, male 18.9
GTEX-ZZPU-1326-SM-5GZWS 50-59 years, female 18.9
GTEX-1EU9M-0626-SM-7MXUT 60-69 years, male 18.9
GTEX-O5YV-1526-SM-EV799 60-69 years, female 18.9
GTEX-1C6VR-0426-SM-7IGN6 60-69 years, male 18.8
GTEX-Q2AG-0826-SM-2HMKF 40-49 years, female 18.8
GTEX-WFJO-0226-SM-3GIKW 30-39 years, male 18.8
GTEX-XBED-0126-SM-47JY7 60-69 years, male 18.8
GTEX-ZAB5-0726-SM-5P9JG 50-59 years, male 18.8
GTEX-1J1R8-0126-SM-CJI36 40-49 years, male 18.8
GTEX-1192X-1126-SM-5EGGU 50-59 years, male 18.7
GTEX-11GSO-0626-SM-5A5LW 60-69 years, male 18.7
GTEX-132NY-1026-SM-5P9IY 60-69 years, male 18.7
GTEX-13OVJ-0626-SM-5J2O2 50-59 years, female 18.7
GTEX-16YQH-0326-SM-6LPJV 30-39 years, male 18.6
GTEX-Y111-1926-SM-4SOIS 50-59 years, male 18.6
GTEX-1GF9V-0926-SM-9KNW7 60-69 years, male 18.6
GTEX-1HFI7-0326-SM-9WPOX 50-59 years, female 18.6
GTEX-1P4AB-1126-SM-DTX94 50-59 years, male 18.6
GTEX-117XS-0526-SM-5987Q 60-69 years, male 18.5
GTEX-11P81-0126-SM-5HL5Y 30-39 years, female 18.5
GTEX-131XE-0126-SM-5LZVC 50-59 years, male 18.5
GTEX-1EMGI-0826-SM-7EPHY 60-69 years, male 18.5
GTEX-QEG5-0826-SM-2I5GF 20-29 years, male 18.5
GTEX-WL46-0126-SM-3TW8I 50-59 years, male 18.5
GTEX-XMK1-0626-SM-4B65A 40-49 years, male 18.5
GTEX-ZYY3-1926-SM-5GZXS 60-69 years, female 18.5
GTEX-1GL5R-0626-SM-7PBZY 50-59 years, male 18.5
GTEX-13FLW-0326-SM-5J2M4 50-59 years, male 18.4
GTEX-14PQA-1226-SM-6M47A 50-59 years, female 18.4
GTEX-ZF28-0826-SM-4WKGJ 60-69 years, male 18.4
GTEX-11GS4-0826-SM-5986J 60-69 years, male 18.3
GTEX-13OVG-0226-SM-5LU93 60-69 years, male 18.3
GTEX-1CB4J-1426-SM-7MKFR 60-69 years, male 18.3
GTEX-T5JW-1226-SM-3GACY 20-29 years, female 18.3
GTEX-1H11D-0626-SM-9WPQ1 40-49 years, male 18.3
GTEX-1JMLX-0826-SM-CNNPP 50-59 years, male 18.3
GTEX-1NV5F-0726-SM-DTXEH 60-69 years, female 18.3
GTEX-11NV4-0626-SM-5N9BR 60-69 years, male 18.2
GTEX-12WSE-1226-SM-73KUF 20-29 years, male 18.2
GTEX-13FLV-0226-SM-5J2OF 50-59 years, male 18.2
GTEX-144GM-0226-SM-5Q5CB 20-29 years, male 18.2
GTEX-1497J-0126-SM-5Q5BK 60-69 years, male 18.2
GTEX-17HHY-0826-SM-7EPID 50-59 years, male 18.2
GTEX-SUCS-0226-SM-32PLQ 70-79 years, male 18.2
GTEX-U3ZM-0126-SM-3DB8M 40-49 years, male 18.2
GTEX-1CB4G-1526-SM-7P8QG 60-69 years, male 18.2
GTEX-1JMPZ-0626-SM-CY8HY 30-39 years, male 18.2
GTEX-1LB8K-0626-SM-D4P3Z 50-59 years, male 18.2
GTEX-147GR-0726-SM-5S2PL 60-69 years, male 18.1
GTEX-R55E-0826-SM-2TC5M 20-29 years, male 18.1
GTEX-SIU8-0626-SM-2XCDN 50-59 years, male 18.1
GTEX-1GN1V-0626-SM-7P8QU 60-69 years, male 18.1
GTEX-1GTWX-0726-SM-9WPPA 60-69 years, male 18.1
GTEX-1J8EW-1126-SM-A96T8 60-69 years, female 18.1
GTEX-1128S-0126-SM-5H12S 60-69 years, female 18.0
GTEX-131XG-0226-SM-5IFG1 50-59 years, female 18.0
GTEX-14753-0926-SM-5Q5BI 60-69 years, male 18.0
GTEX-15G19-0626-SM-6M474 60-69 years, male 18.0
GTEX-17F9Y-0526-SM-7EWDC 70-79 years, female 18.0
GTEX-ZE7O-1126-SM-57WC8 50-59 years, female 18.0
GTEX-11EMC-0226-SM-5EGLP 60-69 years, female 17.9
GTEX-13N11-1026-SM-5K7XQ 50-59 years, female 17.9
GTEX-14PII-0826-SM-6871S 60-69 years, male 17.9
GTEX-15RJE-1326-SM-6LPI6 40-49 years, male 17.9
GTEX-1HBPN-1226-SM-B2LW9 50-59 years, male 17.9
GTEX-1B8KZ-0426-SM-731DP 50-59 years, male 17.8
GTEX-ZQUD-0126-SM-7EPIS 30-39 years, male 17.8
GTEX-1LVAN-0726-SM-CNNPF 50-59 years, female 17.8
GTEX-13N1W-0826-SM-5MR5J 70-79 years, male 17.7
GTEX-13PVQ-0726-SM-5L3GI 50-59 years, male 17.7
GTEX-U3ZH-0226-SM-3DB7B 30-39 years, male 17.7
GTEX-V955-0426-SM-3GAEL 60-69 years, male 17.7
GTEX-1HKZK-0826-SM-A9G2C 40-49 years, male 17.7
GTEX-1JKYR-0826-SM-ARU8L 20-29 years, male 17.7
GTEX-11DXZ-0926-SM-5N9CG 50-59 years, male 17.6
GTEX-RU1J-0226-SM-2TF5Y 20-29 years, female 17.6
GTEX-XXEK-1326-SM-4BRV1 50-59 years, male 17.6
GTEX-Y3I4-0226-SM-4TT27 50-59 years, male 17.6
GTEX-ZGAY-1026-SM-4WWBR 40-49 years, female 17.6
GTEX-1NUQO-0926-SM-DTXEX 20-29 years, female 17.6
GTEX-12WSL-0626-SM-5GCOY 50-59 years, male 17.5
GTEX-12ZZY-0826-SM-5EQMT 60-69 years, male 17.5
GTEX-UJMC-0326-SM-3GAE2 50-59 years, male 17.5
GTEX-ZV7C-0126-SM-57WDE 50-59 years, male 17.5
GTEX-1HBPH-0926-SM-A9SME 40-49 years, female 17.5
GTEX-1HSKV-1026-SM-B2LWK 60-69 years, male 17.5
GTEX-113JC-0126-SM-5EGJW 50-59 years, female 17.4
GTEX-1399T-0126-SM-5KM15 60-69 years, male 17.4
GTEX-13FHP-0926-SM-5L3EC 50-59 years, male 17.4
GTEX-1F88F-0726-SM-7P8R7 60-69 years, female 17.4
GTEX-1HR98-0326-SM-CGQEL 60-69 years, male 17.4
GTEX-1RAZQ-0926-SM-EAZ4Q 30-39 years, male 17.4
GTEX-1RMOY-0126-SM-EWRNN 50-59 years, male 17.4
GTEX-1122O-0226-SM-5N9DA 60-69 years, female 17.2
GTEX-11NSD-0126-SM-5987F 20-29 years, male 17.2
GTEX-14PJM-1326-SM-664NX 50-59 years, female 17.2
GTEX-T6MN-0626-SM-32PM9 50-59 years, male 17.2
GTEX-1LSVX-0726-SM-E9TJG 60-69 years, male 17.2
GTEX-1RAZA-0826-SM-EAZ4I 20-29 years, male 17.2
GTEX-13111-0226-SM-5EQ55 50-59 years, male 17.1
GTEX-13OW5-0626-SM-5J2N2 60-69 years, male 17.1
GTEX-13QJ3-0926-SM-73KX5 50-59 years, male 17.1
GTEX-R55G-0726-SM-2TC6J 40-49 years, female 17.1
GTEX-S7SE-0726-SM-2XCD7 50-59 years, male 17.1
GTEX-ZYVF-1126-SM-5E458 50-59 years, female 17.1
GTEX-1GF9W-0626-SM-7MXVJ 60-69 years, male 17.1
GTEX-1I1GT-0826-SM-B2LWO 60-69 years, female 17.1
GTEX-1IY9M-1026-SM-A96TG 60-69 years, male 17.1
GTEX-13X6H-0526-SM-5LU4Q 50-59 years, female 17.0
GTEX-15CHC-0126-SM-5YYBA 60-69 years, female 17.0
GTEX-1AMEY-0126-SM-73KTX 30-39 years, female 17.0
GTEX-P4QT-2626-SM-2I3FM 50-59 years, female 17.0
GTEX-QDVN-0626-SM-2I3FP 50-59 years, male 17.0
GTEX-VJYA-0426-SM-3GIJK 60-69 years, male 17.0
GTEX-ZA64-0426-SM-5HL96 20-29 years, male 17.0
GTEX-1GN73-0826-SM-9OSW4 60-69 years, male 17.0
GTEX-1MGNQ-0726-SM-DPRYH 40-49 years, male 17.0
GTEX-1RQEC-1026-SM-EVR5B 60-69 years, male 17.0
GTEX-111FC-1026-SM-5GZX1 60-69 years, male 16.9
GTEX-11LCK-0526-SM-5A5M9 30-39 years, male 16.9
GTEX-12WSH-0226-SM-5GCOG 50-59 years, male 16.9
GTEX-13OW7-0826-SM-5L3EL 50-59 years, male 16.9
GTEX-14PN4-1526-SM-6871V 50-59 years, male 16.9
GTEX-15CHQ-0826-SM-69LOT 60-69 years, male 16.9
GTEX-1GPI7-0726-SM-9WG84 20-29 years, male 16.9
GTEX-1HCVE-0726-SM-A96SH 50-59 years, male 16.9
GTEX-1QP6S-2526-SM-DTX9Z 40-49 years, male 16.9
GTEX-11EQ9-0626-SM-5A5K1 30-39 years, male 16.8
GTEX-131XF-1826-SM-5EGKG 60-69 years, male 16.8
GTEX-13RTK-0326-SM-5RQHS 20-29 years, male 16.8
GTEX-14C39-0226-SM-5TDDW 40-49 years, male 16.8
GTEX-Y5LM-0626-SM-4V6G4 40-49 years, female 16.8
GTEX-1LBAC-0726-SM-D3L9U 20-29 years, male 16.8
GTEX-146FR-0326-SM-5SI8U 60-69 years, female 16.7
GTEX-14E7W-0926-SM-5YYA4 70-79 years, male 16.7
GTEX-18465-1426-SM-7KFTF 50-59 years, male 16.7
GTEX-1EKGG-0726-SM-7IGPX 60-69 years, male 16.7
GTEX-N7MS-2326-SM-2HMLD 60-69 years, male 16.7
GTEX-RM2N-0526-SM-2TF4N 50-59 years, male 16.7
GTEX-1F75I-0926-SM-7MXUU 40-49 years, male 16.7
GTEX-1PDJ9-0826-SM-E76PS 20-29 years, male 16.7
GTEX-11EI6-0726-SM-59866 60-69 years, male 16.6
GTEX-PWN1-2626-SM-2I3FH 40-49 years, female 16.6
GTEX-1F75A-0326-SM-7MXTR 50-59 years, male 16.6
GTEX-1IKJJ-1026-SM-A96SQ 60-69 years, male 16.6
GTEX-1JMQL-0926-SM-CJI3F 50-59 years, female 16.6
GTEX-1K9T9-0826-SM-EAZ4X 50-59 years, female 16.6
GTEX-1QPFJ-0626-SM-DTX7Y 30-39 years, female 16.6
GTEX-15G1A-0326-SM-6M467 30-39 years, male 16.5
GTEX-16Z82-0426-SM-7EPGX 60-69 years, male 16.5
GTEX-T2IS-0626-SM-32QP6 20-29 years, female 16.5
GTEX-TSE9-0626-SM-3DB8B 60-69 years, female 16.5
GTEX-ZPU1-0426-SM-4WWCA 40-49 years, male 16.5
GTEX-1IKOE-0926-SM-ARU7X 30-39 years, female 16.5
GTEX-1J8JJ-0726-SM-AHZ3E 60-69 years, female 16.5
GTEX-11VI4-0226-SM-5GU6C 40-49 years, female 16.4
GTEX-11ZTS-1126-SM-5LU9X 60-69 years, female 16.4
GTEX-18A66-0826-SM-72D5Z 60-69 years, male 16.4
GTEX-OXRL-2626-SM-2I3F1 50-59 years, male 16.4
GTEX-OIZF-2626-SM-7P8QZ 60-69 years, male 16.4
GTEX-144GO-0126-SM-5LUAO 60-69 years, male 16.3
GTEX-1A3MV-0326-SM-73KW7 30-39 years, male 16.3
GTEX-1F52S-0526-SM-7P8TP 60-69 years, female 16.3
GTEX-ZPIC-0226-SM-DO91T 40-49 years, female 16.3
GTEX-11P7K-0226-SM-5986Z 30-39 years, male 16.2
GTEX-1H1DF-1026-SM-9QEJ1 40-49 years, female 16.2
GTEX-1HCUA-0126-SM-B2LWC 50-59 years, female 16.2
GTEX-15FZZ-0226-SM-6LLI4 30-39 years, female 16.1
GTEX-17HG3-0226-SM-7EWEA 30-39 years, female 16.1
GTEX-1B8KE-0626-SM-7189H 50-59 years, male 16.1
GTEX-YF7O-0726-SM-4W213 50-59 years, male 16.1
GTEX-1HSEH-0826-SM-B2LXE 60-69 years, male 16.1
GTEX-1I6K7-1126-SM-A96SW 40-49 years, male 16.1
GTEX-1J1OQ-0526-SM-A9G2P 40-49 years, female 16.1
GTEX-16GPK-0926-SM-6LPJ9 60-69 years, male 16.0
GTEX-QDVJ-0226-SM-2I5FV 50-59 years, male 16.0
GTEX-ZTPG-0826-SM-5DUVC 20-29 years, female 16.0
GTEX-1QCLZ-0626-SM-E6CR2 60-69 years, female 16.0
GTEX-1399R-0126-SM-5IFEV 30-39 years, male 15.9
GTEX-15SHV-0426-SM-6M476 60-69 years, male 15.9
GTEX-1H1CY-0726-SM-9OSXX 60-69 years, female 15.9
GTEX-1LG7Z-0526-SM-D4P3Q 30-39 years, male 15.9
GTEX-14BMU-0226-SM-5S2QA 20-29 years, female 15.8
GTEX-W5WG-1426-SM-4KKZP 50-59 years, female 15.8
GTEX-WH7G-0526-SM-3NMBI 40-49 years, male 15.8
GTEX-1QEPI-0726-SM-E76QG 60-69 years, female 15.8
GTEX-ZF3C-0826-SM-DO11E 50-59 years, female 15.8
GTEX-1399U-0326-SM-5P9G5 50-59 years, female 15.7
GTEX-13PL6-1026-SM-5L3E5 40-49 years, female 15.7
GTEX-1C64N-1026-SM-79ONM 50-59 years, male 15.7
GTEX-111YS-0726-SM-5GZY8 60-69 years, male 15.6
GTEX-QV31-0726-SM-3GAEG 30-39 years, male 15.6
GTEX-WK11-0926-SM-3NMAU 50-59 years, male 15.6
GTEX-YEC4-0626-SM-5CVLU 40-49 years, male 15.6
GTEX-1E1VI-0726-SM-7P8QJ 50-59 years, male 15.6
GTEX-1H1E6-0326-SM-9OSWE 30-39 years, male 15.6
GTEX-1IDJU-1626-SM-CJI4B 60-69 years, female 15.6
GTEX-1KXAM-1726-SM-D3LAE 60-69 years, male 15.6
GTEX-1PBJI-0726-SM-EXUSQ 20-29 years, female 15.6
GTEX-117YW-0126-SM-5EGGN 50-59 years, male 15.5
GTEX-13O21-2226-SM-5MR3L 50-59 years, male 15.5
GTEX-14B4R-0126-SM-5TDE4 30-39 years, male 15.5
GTEX-14PKU-0326-SM-6AJA7 40-49 years, female 15.5
GTEX-Q2AI-0326-SM-2I3EK 40-49 years, male 15.5
GTEX-1LVAM-0826-SM-EV79X 50-59 years, female 15.5
GTEX-12WSC-0826-SM-5EQ5Q 50-59 years, male 15.4
GTEX-13JVG-0926-SM-5IJE1 60-69 years, male 15.4
GTEX-WYBS-1926-SM-3NM8N 60-69 years, female 15.4
GTEX-1O97I-1026-SM-E76PI 60-69 years, male 15.4
GTEX-1QP2A-0626-SM-DTX9C 50-59 years, male 15.4
GTEX-139T6-0326-SM-5J2LY 50-59 years, male 15.3
GTEX-14A5H-0726-SM-5Q5DW 60-69 years, male 15.3
GTEX-15UF6-1126-SM-6LPJ3 70-79 years, female 15.3
GTEX-1CB4F-0826-SM-793CV 60-69 years, male 15.3
GTEX-WFG8-0426-SM-3GILD 20-29 years, male 15.3
GTEX-WHSB-1626-SM-3LK6J 50-59 years, male 15.3
GTEX-ZQG8-0926-SM-57WFF 60-69 years, female 15.3
GTEX-1H1DE-0226-SM-ARZN8 20-29 years, male 15.3
GTEX-1HCU9-0226-SM-9WPNT 20-29 years, male 15.3
GTEX-S341-0226-SM-D4P1Y 40-49 years, female 15.3
GTEX-145ME-0126-SM-5S2QM 40-49 years, female 15.2
GTEX-1B8SF-0626-SM-73KVV 60-69 years, male 15.2
GTEX-T8EM-0226-SM-3DB7C 40-49 years, male 15.2
GTEX-1JK1U-0326-SM-CXZJH 60-69 years, male 15.2
GTEX-WFG7-0326-SM-DKPO8 20-29 years, male 15.2
GTEX-1AMFI-0526-SM-7189M 50-59 years, female 15.1
GTEX-Q2AH-0726-SM-2I3EA 40-49 years, male 15.1
GTEX-WHSE-0626-SM-4RGNF 20-29 years, male 15.1
GTEX-1RQED-0926-SM-EWRNZ 60-69 years, male 15.1
GTEX-1212Z-0426-SM-5FQT6 60-69 years, male 15.0
GTEX-145MG-0826-SM-5Q5C2 50-59 years, male 15.0
GTEX-14PN3-0826-SM-69LOS 60-69 years, female 15.0
GTEX-PX3G-2626-SM-2I3EG 20-29 years, female 15.0
GTEX-ZDTS-0926-SM-5YY9D 60-69 years, male 15.0
GTEX-1IKOH-0626-SM-CJI35 60-69 years, female 15.0
GTEX-111CU-0226-SM-5GZXC 50-59 years, male 14.9
GTEX-11DYG-0826-SM-5N9GH 60-69 years, male 14.9
GTEX-13O3Q-0626-SM-5IJG1 50-59 years, male 14.9
GTEX-14PK6-0426-SM-6EU1J 70-79 years, female 14.9
GTEX-OXRP-0326-SM-33HBJ 60-69 years, female 14.9
GTEX-T6MO-0226-SM-32QOL 40-49 years, female 14.9
GTEX-145LU-0426-SM-5O9AH 50-59 years, male 14.8
GTEX-OIZG-0226-SM-2TC5L 50-59 years, male 14.8
GTEX-1B97J-0626-SM-7P8RU 50-59 years, female 14.8
GTEX-1GN1W-0126-SM-7MXV7 50-59 years, female 14.8
GTEX-1J8Q3-0226-SM-C1YR4 60-69 years, male 14.8
GTEX-1I1GU-0826-SM-ARZM5 40-49 years, male 14.7
GTEX-1LG7Y-0626-SM-DHXJM 50-59 years, male 14.7
GTEX-12BJ1-0426-SM-5FQSO 60-69 years, male 14.6
GTEX-13NZA-1026-SM-5MR48 60-69 years, male 14.6
GTEX-13O1R-0826-SM-5J2MB 60-69 years, male 14.6
GTEX-145MH-0426-SM-5LU8T 50-59 years, male 14.6
GTEX-15RIE-0426-SM-7KUMH 60-69 years, male 14.6
GTEX-183FY-0626-SM-79OKR 20-29 years, male 14.6
GTEX-13CF3-0926-SM-5LZZC 60-69 years, female 14.5
GTEX-PWCY-2326-SM-2I3EQ 20-29 years, female 14.5
GTEX-12696-0326-SM-5EGL4 60-69 years, male 14.4
GTEX-WEY5-0526-SM-3GIKZ 40-49 years, female 14.4
GTEX-14ABY-0926-SM-5Q5DY 50-59 years, male 14.3
GTEX-14PKV-0626-SM-6AJA2 20-29 years, female 14.3
GTEX-WY7C-0226-SM-3NB37 50-59 years, male 14.3
GTEX-1IDJH-0826-SM-CE6SY 70-79 years, male 14.3
GTEX-1AX9I-0626-SM-72D54 60-69 years, male 14.2
GTEX-14JG6-1326-SM-9OSXU 30-39 years, female 14.2
GTEX-1MUQO-0726-SM-E9TJM 60-69 years, male 14.2
GTEX-11TT1-1126-SM-5P9GV 20-29 years, male 14.1
GTEX-13PVR-0626-SM-5S2RC 60-69 years, female 14.1
GTEX-18D9B-0726-SM-72D6K 60-69 years, male 14.1
GTEX-1CAMR-0226-SM-7DUGO 20-29 years, male 14.1
GTEX-SE5C-0726-SM-4BRWY 40-49 years, female 14.1
GTEX-1IOXB-1026-SM-CJI4D 50-59 years, male 14.1
GTEX-1K2DA-1526-SM-CGQGQ 50-59 years, male 14.1
GTEX-11GSP-0126-SM-5A5KU 60-69 years, female 14.0
GTEX-XYKS-0826-SM-4BRVF 60-69 years, female 14.0
GTEX-YFCO-0326-SM-4W1ZP 40-49 years, male 14.0
GTEX-1KD5A-0426-SM-D4P3X 50-59 years, male 14.0
GTEX-1QMI2-0826-SM-EXUT4 60-69 years, male 14.0
GTEX-11OF3-0626-SM-5BC4Y 60-69 years, male 13.9
GTEX-14ICK-1626-SM-6ETZX 40-49 years, male 13.9
GTEX-1BAJH-0926-SM-79OO6 70-79 years, male 13.9
GTEX-U3ZN-0326-SM-3DB86 30-39 years, female 13.9
GTEX-ZTX8-0626-SM-59HKC 20-29 years, male 13.9
GTEX-1HB9E-0826-SM-CNNQJ 50-59 years, male 13.9
GTEX-12ZZZ-1226-SM-59HK1 60-69 years, male 13.8
GTEX-14PJ3-0126-SM-69LQP 50-59 years, male 13.8
GTEX-14PJ4-0326-SM-664OT 60-69 years, male 13.8
GTEX-1C2JI-0326-SM-7EWFD 50-59 years, male 13.8
GTEX-U8T8-2326-SM-3DB96 60-69 years, male 13.8
GTEX-Z9EW-0226-SM-5CVM7 40-49 years, male 13.8
GTEX-11I78-0526-SM-5986A 50-59 years, female 13.7
GTEX-178AV-0726-SM-6LPJI 40-49 years, male 13.7
GTEX-17HII-1926-SM-79OLB 50-59 years, male 13.7
GTEX-1S83E-0726-SM-EV7B6 40-49 years, male 13.7
GTEX-11EM3-0126-SM-5985K 20-29 years, female 13.6
GTEX-11ZTT-1026-SM-5EQKF 60-69 years, female 13.6
GTEX-16BQI-0726-SM-6LPJZ 30-39 years, female 13.6
GTEX-1A8FM-0726-SM-7DUGK 50-59 years, female 13.6
GTEX-WHPG-0226-SM-3NMB9 50-59 years, male 13.6
GTEX-1GZ4H-0226-SM-9JGGJ 50-59 years, female 13.6
GTEX-16XZY-0726-SM-79OMU 70-79 years, male 13.5
GTEX-11DXY-0426-SM-5H12R 60-69 years, male 13.4
GTEX-13QBU-0626-SM-5J2OG 40-49 years, female 13.4
GTEX-QLQ7-0726-SM-2I5G2 60-69 years, male 13.4
GTEX-ZDYS-0626-SM-5J2N5 50-59 years, male 13.4
GTEX-OHPM-2626-SM-33HC5 50-59 years, male 13.3
GTEX-ZLV1-0126-SM-4WWBZ 60-69 years, female 13.3
GTEX-1PIIG-2026-SM-EVR43 30-39 years, male 13.3
GTEX-ZT9W-0226-SM-7SB6H 50-59 years, male 13.3
GTEX-15SB6-1526-SM-7KUMQ 50-59 years, female 13.2
GTEX-YEC3-0826-SM-4WWFP 50-59 years, male 13.2
GTEX-1JKYN-1126-SM-CGQG5 30-39 years, male 13.2
GTEX-1MJK2-0826-SM-DTXE8 50-59 years, male 13.2
GTEX-P78B-0526-SM-2I5F7 40-49 years, female 13.1
GTEX-RVPV-1226-SM-2TF73 60-69 years, male 13.1
GTEX-ZZ64-0126-SM-5GZXA 20-29 years, male 13.1
GTEX-1FIGZ-0226-SM-7P8QR 40-49 years, male 13.1
GTEX-1PPGY-1426-SM-EVR3R 60-69 years, male 13.1
GTEX-1I1GV-0726-SM-ARZLY 60-69 years, male 13.0
GTEX-1RAZR-1126-SM-E6CRC 40-49 years, male 13.0
GTEX-Y5V6-0526-SM-4VBRV 60-69 years, male 12.9
GTEX-1PIGE-0726-SM-DPRZD 20-29 years, male 12.9
GTEX-1C6VQ-0526-SM-7MGWD 50-59 years, male 12.8
GTEX-14E6E-0326-SM-73KY6 30-39 years, male 12.7
GTEX-15EU6-1426-SM-6M48E 50-59 years, male 12.7
GTEX-XUZC-0126-SM-4BOO6 30-39 years, female 12.6
GTEX-ZVZP-1026-SM-5GICI 50-59 years, male 12.6
GTEX-1C475-0226-SM-7MGXM 40-49 years, female 12.6
GTEX-1HUB1-1226-SM-B2LWX 60-69 years, male 12.6
GTEX-1N5O9-1026-SM-DTX8Y 60-69 years, male 12.6
GTEX-18A67-0826-SM-7KFTI 50-59 years, male 12.5
GTEX-1HBPI-0826-SM-9WYTX 50-59 years, male 12.5
GTEX-ZF29-0726-SM-DO92H 60-69 years, female 12.5
GTEX-13VXU-0826-SM-5KLZ2 50-59 years, male 12.4
GTEX-R55C-0626-SM-2TF4Q 40-49 years, male 12.4
GTEX-1I1GP-0326-SM-CNPQ4 50-59 years, male 12.4
GTEX-139TS-0126-SM-5K7XJ 60-69 years, male 12.3
GTEX-139UW-0126-SM-5KM1B 60-69 years, male 12.3
GTEX-13O3O-0926-SM-5KM1F 60-69 years, female 12.3
GTEX-1CB4I-0726-SM-7DUGS 50-59 years, male 12.3
GTEX-1LGRB-1226-SM-CNNPS 50-59 years, female 12.3
GTEX-13NYB-0726-SM-5MR4J 40-49 years, male 12.2
GTEX-ZYFG-0626-SM-5GZYA 60-69 years, female 12.2
GTEX-11DXX-0226-SM-5P9HL 60-69 years, female 12.1
GTEX-13FH7-0126-SM-5KLZ1 50-59 years, female 12.1
GTEX-15DZA-0226-SM-7KFS6 30-39 years, female 12.1
GTEX-13FTW-0626-SM-5IFEX 40-49 years, male 12.0
GTEX-14ASI-0726-SM-5Q5DC 60-69 years, male 12.0
GTEX-13X6J-0826-SM-5LU32 50-59 years, male 11.9
GTEX-OHPK-2626-SM-2HMK9 50-59 years, female 11.9
GTEX-1IDJC-1026-SM-A96T2 50-59 years, male 11.9
GTEX-11O72-2326-SM-5BC7H 40-49 years, male 11.8
GTEX-139YR-1226-SM-5IFEU 50-59 years, male 11.8
GTEX-1MCC2-0526-SM-DHXJS 30-39 years, female 11.8
GTEX-13FXS-0726-SM-5LZXJ 50-59 years, male 11.7
GTEX-ZLWG-0526-SM-4WWFB 50-59 years, female 11.7
GTEX-1OFPY-1526-SM-DTX8R 60-69 years, male 11.7
GTEX-1AX9K-0626-SM-73KVD 50-59 years, male 11.6
GTEX-SNOS-0226-SM-32PLR 40-49 years, male 11.6
GTEX-1OJC3-0626-SM-E8VMO 20-29 years, male 11.4
GTEX-YB5E-0626-SM-4VDSE 40-49 years, male 11.3
GTEX-1AX8Z-0826-SM-7DUFZ 60-69 years, male 11.2
GTEX-OHPL-2626-SM-2HMJA 60-69 years, female 11.2
GTEX-Y114-0626-SM-4TT98 50-59 years, female 11.1
GTEX-1HSGN-0726-SM-A9G2F 40-49 years, female 11.1
GTEX-12WSJ-0326-SM-5GCMT 40-49 years, female 10.8
GTEX-15RJ7-0326-SM-6M47H 40-49 years, male 10.8
GTEX-1KANC-0826-SM-D3LA8 50-59 years, female 10.8
GTEX-1QP28-0626-SM-E76P5 50-59 years, female 10.8
GTEX-133LE-0326-SM-5P9G4 20-29 years, female 10.7
GTEX-13D11-0226-SM-5LZXL 50-59 years, female 10.7
GTEX-13O61-0226-SM-5KM52 60-69 years, male 10.7
GTEX-16AAH-0326-SM-7DHML 50-59 years, male 10.7
GTEX-ZPCL-0126-SM-4WWC8 60-69 years, female 10.7
GTEX-ZY6K-0226-SM-5SIAY 50-59 years, male 10.7
GTEX-1F5PL-0826-SM-7MXU7 40-49 years, female 10.6
GTEX-16MTA-0726-SM-7KUL4 50-59 years, male 10.5
GTEX-131XH-0526-SM-5DUX7 50-59 years, male 10.4
GTEX-ZVP2-0426-SM-57WC2 50-59 years, male 10.4
GTEX-14JIY-1226-SM-6871R 60-69 years, male 10.1
GTEX-WXYG-0226-SM-3NB2Y 50-59 years, female 10.1
GTEX-ZV6S-0226-SM-59HJT 40-49 years, female 9.9
GTEX-1B97I-0326-SM-7DUGB 40-49 years, male 9.6
GTEX-15RIF-0326-SM-7KUFR 20-29 years, male 9.5
GTEX-1HSMQ-0526-SM-A96TY 50-59 years, male 9.2
GTEX-14XAO-0426-SM-6AJB6 60-69 years, female 8.6
GTEX-132QS-0326-SM-5IJFN 60-69 years, male 8.3
GTEX-ZYFC-0926-SM-5GZWW 50-59 years, male 8.3
GTEX-14PJ6-0326-SM-6871H 60-69 years, female 8.1
Show allShow less

THYROID GLAND - FANTOM5 CAGEi

RNA expression in human tissues obtained through Cap Analysis of Gene Expression (CAGE) generated by the FANTOM5 project are reported as Scaled Tags Per Million.

Max subtype Scaled Tags Per Millioni

Max subtype Scaled Tags Per Million is the value for the subtype with the largest average Scaled Tags Per Million across the subtype samples.

20.5
FANTOM5 sample id Sample description Scaled Tags Per Million
Thyroid
Scaled Tags Per Million: 20.5
FF:10028-101E1 67,68,78 years, mixed 20.5

Contact

  • NEWS ARTICLES
  • PRESS ROOM

The Project

  • INTRODUCTION
  • ORGANIZATION
  • PUBLICATIONS

The Human Protein Atlas

  • DOWNLOADABLE DATA
  • LICENCE & CITATION
  • HELP & FAQ
The Human Protein Atlas project is funded
by the Knut & Alice Wallenberg Foundation.


contact@proteinatlas.org