We use cookies to enhance the usability of our website. If you continue, we'll assume that you are happy to receive all cookies. More information. Don't show this again.
EIF2S3
HPA
RESOURCES
  • TISSUE
  • BRAIN
  • SINGLE CELL
  • SUBCELLULAR
  • CANCER
  • BLOOD
  • CELL LINE
  • STRUCTURE & INTERACTION
ABOUT
  • INTRODUCTION
  • HISTORY
  • ORGANIZATION
  • PUBLICATIONS
  • ANTIBODY SUBMISSION
  • ANTIBODY AVAILABILITY
  • ACKNOWLEDGMENTS
  • CONTACT
NEWS
  • NEWS ARTICLES
  • PRESS ROOM
LEARN
  • DICTIONARY
  • PROTEIN CLASSES
  • PROTEIN EVIDENCE
  • METHODS
  • EDUCATIONAL VIDEOS
DATA
  • DOWNLOADABLE DATA
  • PUBLICATION DATA
  • RELEASE HISTORY
HELP
  • ANTIBODY VALIDATION
  • ASSAYS & ANNOTATION
  • DISCLAIMER
  • HELP & FAQ
  • PRIVACY STATEMENT
  • LICENCE & CITATION
Fields »
Search result

Field
Term
Gene name
Class
Subclass
Class
Keyword
Chromosome
External id
Tissue
Cell type
Expression
Antibody panel
Tissue
Main location
Patient ID
Annotation
Tissue
Category
Tau score
Cluster
Reliability
Brain region
Category
Tau score
Brain region
Category
Tau score
Brain region
Category
Tau score
Cluster
Reliability
Tissue
Cell type
Enrichment
Cell type
Category
Tau score
Cell type
Category
Tau score
Cell type
Category
Tau score
Cell lineage
Category
Tau score
Cluster
Cluster
Location
Searches
Location
Cell line
Class
Type
Phase
Reliability
Cancer
Prognosis
Cancer
Category
Cancer
Category
Tau score
Cluster
Variants
Interacting gene (ensg_id)
Type
Number of interactions
Pathway
Category
Score
Score
Score
Validation
Validation
Validation
Validation
Antibodies
Data type
Column


  • SUMMARY

  • TISSUE

  • BRAIN

  • SINGLE CELL

  • SUBCELL

  • CANCER

  • BLOOD

  • CELL LINE

  • STRUCT & INT

  • EIF2S3
TISSUE PRIMARY DATA STOMACH Show tissue menu
ADIPOSE TISSUE ADRENAL GLAND AMYGDALA APPENDIX BASAL GANGLIA BONE MARROW BREAST CEREBELLUM CEREBRAL CORTEX CERVIX CHOROID PLEXUS COLON DUODENUM ENDOMETRIUM
EPIDIDYMIS ESOPHAGUS FALLOPIAN TUBE GALLBLADDER HEART MUSCLE HIPPOCAMPAL FORMATION HYPOTHALAMUS KIDNEY LIVER LUNG LYMPH NODE MIDBRAIN NASOPHARYNX ORAL MUCOSA
OVARY PANCREAS PARATHYROID GLAND PITUITARY GLAND PLACENTA PROSTATE RECTUM RETINA SALIVARY GLAND SEMINAL VESICLE SKELETAL MUSCLE SKIN SMALL INTESTINE SMOOTH MUSCLE
SOFT TISSUE SPINAL CORD SPLEEN STOMACH TESTIS THYMUS THYROID GLAND TONGUE TONSIL URINARY BLADDER VAGINA
ANTIBODIES
AND
VALIDATION
Dictionary
Tissue proteome
Stomach
STOMACH - Expression summary
Protein expression
Stomachi

On the top, protein expression in current human tissue, based on all annotated cell types, is reported with the units not detected (n), low (l), medium (m) and high (h). Underneath, protein expression in each annotated cell type are reported using the same units.

Protein expression data is based on knowledge-based annotation. For genes where more than one antibody has been used, a collective score is set.

If knowledge-based annotation could not be performed for a gene, no data is displayed here. View antibody staining data further down this page.

h
m
l
n
Glandular cells: Medium
RNA expressioni

A summary of mRNA expression data available for current tissue based on several datasets. The mRNA expression levels in human tissues are based on RNA-seq data generated by the Human Protein Atlas (HPA), Genotype-Tissue Expression (GTEx) portal and CAGE data generated by the FANTOM5 consortium. Consensus normalized expression levels for human tissues was created by combining the data from HPA and GTEx datasets.

The mRNA expression levels in pig are based on RNA-seq data generated by the Human Protein Atlas (HPA), and for mouse, HPA data and in situ hybridization generated by the Allen brain atlas are reported.

Scroll down to view mRNA expression data in more detail.
Consensus:64.8 nTPM
HPA:64.8 nTPM
GTEx:62.8 nTPM

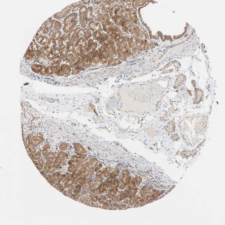
STOMACH 1 - Antibody stainingi

Antibody staining in the annotated cell types in the current human tissue is reported as not detected, low, medium, or high, based on conventional immunohistochemistry profiling in selected tissues. This score is based on the combination of the staining intensity and fraction of stained cells.

Each image is clickable and will lead to virtual microscopy that enables deeper exploration of all samples and also displays staining intensity scores, fraction scores and subcellular localization as well as patient and tissue information for each sample.

Antibody CAB012471
Glandular cells Medium


STOMACH 2 - Antibody stainingi

Antibody staining in the annotated cell types in the current human tissue is reported as not detected, low, medium, or high, based on conventional immunohistochemistry profiling in selected tissues. This score is based on the combination of the staining intensity and fraction of stained cells.

Each image is clickable and will lead to virtual microscopy that enables deeper exploration of all samples and also displays staining intensity scores, fraction scores and subcellular localization as well as patient and tissue information for each sample.

Antibody CAB012471
Glandular cells Medium



STOMACH - HPA RNA-seqi

The RNA-seq details section shows detailed information about the individual samples used for the transcript profiling and results of the RNA-seq analysis.

Information about each individual sample is listed below, including gender, age, a tissue section image and estimated fractions of cell types. nTPM (normalized transcripts per million) values give a quantification of the gene abundance which is comparable between different genes and samples.
Average nTPMi

Max subtype nTPM is the value for the subtype with the largest average nTPM across the subtype samples.

64.8
overview
Female, age 33
Stomach sample 61
nTPM: 88.7
Cell types%
Glandular cells:
60

Smooth muscle cells:
5

Other cell types:
35

N/A
Male, age 82
Stomach sample 240
nTPM: 55
Cell types%
Glandular cells:
65

Smooth muscle cells:
5

Other cell types:
30

overview
Male, age 71
Stomach sample 241
nTPM: 52.7
Cell types%
Glandular cells:
50

Smooth muscle cells:
5

Other cell types:
45

overview
Female, age 66
Stomach sample 369
nTPM: 62.7
Cell types%
Glandular cells:
50

Smooth muscle cells:
10

Other cell types:
40


STOMACH - GTEx RNA-seqi

RNA-Seq data generated by the Genotype-Tissue Expression (GTEx) project from human tissues is reported as mean nTPM. More information can be found on the GTEx portal.

Distribution across the dataset is visualized with box plots, shown as median and 25th and 75th percentiles. Points are displayed as outliers if they are above or below 1.5 times the interquartile range. nTPM values of the individual samples are presented next to the box plot.
Max subtype nTPMi

Max subtype nTPM is the value for the subtype with the largest average nTPM across the subtype samples.

62.8
GTEx sample id Sample description nTPM
Stomach
Average nTPM: 62.8
Samples: 359

Max nTPM: 115.0
Min nTPM: 35.2
Std nTPM: 15.0
Median nTPM: 60.3
GTEX-W5WG-1726-SM-4LMI5 50-59 years, female 115.0
GTEX-14PJ4-1626-SM-664OB 60-69 years, male 109.5
GTEX-PWN1-1526-SM-48TDA 40-49 years, female 108.4
GTEX-1QP67-1026-SM-EVR47 40-49 years, female 106.0
GTEX-WYVS-1326-SM-4ONCQ 40-49 years, female 102.0
GTEX-1JMLX-2426-SM-CXZJQ 50-59 years, male 101.4
GTEX-ZT9W-1526-SM-4YCDE 50-59 years, male 101.1
GTEX-1QCLZ-1826-SM-DPRXP 60-69 years, female 100.4
GTEX-P4PQ-1526-SM-3NMCK 60-69 years, male 100.0
GTEX-U4B1-1026-SM-4DXT1 40-49 years, male 100.0
GTEX-11I78-1726-SM-5A5M3 50-59 years, female 99.0
GTEX-1LGOU-1526-SM-D3LAJ 20-29 years, female 98.4
GTEX-PWCY-0926-SM-48TD7 20-29 years, female 97.6
GTEX-Q2AH-1126-SM-48TZM 40-49 years, male 97.5
GTEX-1HFI7-1526-SM-9WG7W 50-59 years, female 96.9
GTEX-1J8QM-1126-SM-C1YQB 60-69 years, female 96.6
GTEX-OXRK-1626-SM-3NB17 50-59 years, female 94.7
GTEX-ZVT2-1626-SM-51MRC 50-59 years, female 94.7
GTEX-11EM3-1026-SM-5A5KL 20-29 years, female 94.5
GTEX-14BMU-1126-SM-5RQJ8 20-29 years, female 94.5
GTEX-1C475-1026-SM-7MKFJ 40-49 years, female 93.8
GTEX-QLQW-0726-SM-447AA 30-39 years, male 93.8
GTEX-13X6H-1626-SM-5Q5CT 50-59 years, female 92.3
GTEX-ZF29-1526-SM-4WKF7 60-69 years, female 92.1
GTEX-14PN3-1326-SM-6AJ9U 60-69 years, female 90.3
GTEX-ZDYS-1926-SM-5HL59 50-59 years, male 90.1
GTEX-11TT1-0726-SM-5GU5A 20-29 years, male 89.8
GTEX-14B4R-0726-SM-5TDDR 30-39 years, male 88.8
GTEX-12WSK-1426-SM-5CVNN 40-49 years, female 88.5
GTEX-1J8Q3-1926-SM-C1YSJ 60-69 years, male 87.4
GTEX-OHPK-1526-SM-3MJGM 50-59 years, female 87.1
GTEX-1JN76-0926-SM-ARZNH 20-29 years, female 86.7
GTEX-14PKU-1126-SM-69LOU 40-49 years, female 86.6
GTEX-14DAR-0926-SM-73KUQ 50-59 years, male 85.9
GTEX-16NGA-1526-SM-72D56 40-49 years, female 85.9
GTEX-ZV6S-0926-SM-57WGB 40-49 years, female 85.2
GTEX-146FR-2026-SM-5NQAI 60-69 years, female 84.8
GTEX-13PVR-2126-SM-73KVR 60-69 years, female 84.6
GTEX-13QBU-1126-SM-5LU44 40-49 years, female 84.5
GTEX-12WSG-2026-SM-5FQUU 50-59 years, female 84.2
GTEX-1399U-1626-SM-5P9J3 50-59 years, female 84.2
GTEX-144GM-1726-SM-5O9AS 20-29 years, male 82.2
GTEX-1RB15-1026-SM-E9U6V 60-69 years, male 82.1
GTEX-14E6E-0926-SM-664N8 30-39 years, male 81.9
GTEX-ZZ64-0426-SM-5E43F 20-29 years, male 81.6
GTEX-13FH7-1026-SM-5IJGF 50-59 years, female 81.2
GTEX-QLQ7-0826-SM-447B3 60-69 years, male 80.8
GTEX-ZAB4-1526-SM-5CVN7 40-49 years, male 80.8
GTEX-T5JW-0926-SM-4DM5K 20-29 years, female 80.5
GTEX-14JG6-1226-SM-664O6 30-39 years, female 79.6
GTEX-11NUK-2426-SM-5BC4U 50-59 years, male 79.5
GTEX-Y5LM-1326-SM-5RQIS 40-49 years, female 79.2
GTEX-17F98-1526-SM-7EWD8 40-49 years, female 78.4
GTEX-145LT-1426-SM-5O9B3 40-49 years, male 78.1
GTEX-13D11-2126-SM-5IFH2 50-59 years, female 76.9
GTEX-1GF9U-1126-SM-AHZ4H 40-49 years, female 76.8
GTEX-ZGAY-1626-SM-DNZZ3 40-49 years, female 76.7
GTEX-ZYVF-2726-SM-5GID4 50-59 years, female 76.6
GTEX-O5YV-1926-SM-EV797 60-69 years, female 76.5
GTEX-XXEK-0826-SM-4BRWG 50-59 years, male 76.4
GTEX-RTLS-2626-SM-46MUJ 60-69 years, female 76.3
GTEX-X15G-1126-SM-4PQZG 50-59 years, female 76.1
GTEX-ZTX8-0426-SM-59HLG 20-29 years, male 76.0
GTEX-14PKV-1826-SM-69LO9 20-29 years, female 75.9
GTEX-18D9A-0626-SM-7KFTY 30-39 years, female 74.9
GTEX-XBED-1226-SM-4AT5V 60-69 years, male 74.8
GTEX-ZLFU-1326-SM-DO11R 40-49 years, male 74.8
GTEX-T6MO-0726-SM-4DM58 40-49 years, female 74.5
GTEX-ZYY3-1726-SM-5EGH3 60-69 years, female 74.0
GTEX-OIZF-1526-SM-2I5GR 60-69 years, male 73.8
GTEX-16AAH-1226-SM-79OO9 50-59 years, male 73.4
GTEX-UJMC-1226-SM-4IHLI 50-59 years, male 72.9
GTEX-13CF3-1926-SM-5K7WF 60-69 years, female 72.6
GTEX-17HII-2426-SM-7KFTT 50-59 years, male 72.6
GTEX-1I6K7-1726-SM-B2LXQ 40-49 years, male 72.4
GTEX-WXYG-1626-SM-4ONCR 50-59 years, female 72.3
GTEX-ZZPU-1426-SM-5GZZ6 50-59 years, female 72.3
GTEX-RWS6-0926-SM-47JXE 60-69 years, female 72.0
GTEX-1211K-1426-SM-5FQTF 60-69 years, female 71.9
GTEX-QV31-0626-SM-447C5 30-39 years, male 71.9
GTEX-1HKZK-1526-SM-B2LWG 40-49 years, male 71.5
GTEX-13OW6-2526-SM-5IJEC 50-59 years, male 71.2
GTEX-1GZ4H-1026-SM-9OSXL 50-59 years, female 71.2
GTEX-1I4MK-0926-SM-A9SLD 50-59 years, female 71.2
GTEX-1122O-1926-SM-5EGIQ 60-69 years, female 71.1
GTEX-Y5V6-1326-SM-4VDTF 60-69 years, male 71.1
GTEX-1AX9J-2626-SM-731EK 60-69 years, male 71.0
GTEX-111YS-1126-SM-5GZYQ 60-69 years, male 70.9
GTEX-117YW-2226-SM-5N9DB 50-59 years, male 70.5
GTEX-1339X-1426-SM-5K7YO 40-49 years, male 70.5
GTEX-RM2N-0826-SM-48FD3 50-59 years, male 70.4
GTEX-Y8LW-0826-SM-4WWDO 50-59 years, female 70.1
GTEX-1IDJD-2426-SM-C1YS6 30-39 years, male 70.1
GTEX-1IDJU-1526-SM-CNNR3 60-69 years, female 70.1
GTEX-XMK1-1526-SM-EYYVO 40-49 years, male 69.9
GTEX-RUSQ-1126-SM-EAZAU 50-59 years, male 69.7
GTEX-1I1GT-1726-SM-C1YS3 60-69 years, female 69.5
GTEX-1CB4H-2426-SM-7PBYR 60-69 years, female 69.4
GTEX-14BIL-1926-SM-73KYI 50-59 years, male 69.2
GTEX-QDT8-2026-SM-EZ6LS 30-39 years, female 69.1
GTEX-TMMY-1626-SM-4DXTY 40-49 years, female 69.0
GTEX-13113-0726-SM-5LZUF 60-69 years, female 68.9
GTEX-13FTX-0726-SM-5N9BI 20-29 years, female 68.8
GTEX-13N1W-2026-SM-5K7YU 70-79 years, male 68.8
GTEX-1HCU8-1326-SM-C1YQQ 60-69 years, female 68.8
GTEX-12BJ1-1726-SM-5HL9B 60-69 years, male 68.7
GTEX-14PJ3-1426-SM-664O8 50-59 years, male 68.5
GTEX-1ICG6-1826-SM-AHZ2O 70-79 years, female 68.5
GTEX-OHPM-1526-SM-EV796 50-59 years, male 68.5
GTEX-1H1E6-1626-SM-9OSWC 30-39 years, male 68.4
GTEX-R53T-1226-SM-48FCT 50-59 years, female 68.2
GTEX-13S7M-1826-SM-5RQK6 60-69 years, female 68.1
GTEX-131XG-1226-SM-5EGH9 50-59 years, female 67.7
GTEX-18QFQ-1226-SM-718AE 30-39 years, male 67.6
GTEX-1AMFI-1226-SM-731CZ 50-59 years, female 67.6
GTEX-1GPI7-1326-SM-9KNVA 20-29 years, male 67.6
GTEX-S4Q7-0726-SM-4AD5F 20-29 years, male 67.4
GTEX-WEY5-1226-SM-4LMIQ 40-49 years, female 67.4
GTEX-Q2AI-0826-SM-48TZO 40-49 years, male 66.7
GTEX-145ME-1026-SM-5O9B4 40-49 years, female 66.5
GTEX-1LVAM-1426-SM-E9TJ4 50-59 years, female 66.4
GTEX-11WQK-2626-SM-5EQ4K 50-59 years, male 66.3
GTEX-18A66-2226-SM-7189E 60-69 years, male 66.3
GTEX-1AMEY-1226-SM-731DU 30-39 years, female 66.1
GTEX-PX3G-1526-SM-48U11 20-29 years, female 66.1
GTEX-11GSP-2126-SM-5HL5E 60-69 years, female 66.0
GTEX-1HBPI-0726-SM-9WG7Z 50-59 years, male 65.9
GTEX-17HGU-2126-SM-7IGOV 50-59 years, male 65.8
GTEX-S7SF-0626-SM-4AD4V 20-29 years, female 65.6
GTEX-12696-1726-SM-5EQLH 60-69 years, male 65.5
GTEX-132AR-2426-SM-5IFFD 50-59 years, female 65.5
GTEX-OXRL-1526-SM-E6CHQ 50-59 years, male 65.4
GTEX-ZQUD-0826-SM-57WDQ 30-39 years, male 65.3
GTEX-S3XE-1026-SM-4AD4O 50-59 years, male 64.7
GTEX-15G19-1526-SM-6LPKP 60-69 years, male 64.2
GTEX-15DZA-1126-SM-6LPK8 30-39 years, female 64.1
GTEX-VJYA-1026-SM-4KL21 60-69 years, male 64.1
GTEX-ZA64-0826-SM-5HL9U 20-29 years, male 64.1
GTEX-1H3VY-2326-SM-9WG81 50-59 years, male 64.1
GTEX-S95S-0826-SM-4B64N 60-69 years, male 64.0
GTEX-ZV7C-1626-SM-5NQ7E 50-59 years, male 63.9
GTEX-R55G-1126-SM-48FDG 40-49 years, female 63.8
GTEX-ZPIC-2026-SM-57WG3 40-49 years, female 63.7
GTEX-WRHK-0626-SM-4MVOE 20-29 years, female 63.6
GTEX-12WSJ-0926-SM-5P9JD 40-49 years, female 63.5
GTEX-1JMQJ-1326-SM-D4P3B 50-59 years, male 63.5
GTEX-111CU-0926-SM-5EGIK 50-59 years, male 63.3
GTEX-14DAQ-2826-SM-664MU 60-69 years, female 63.3
GTEX-13O61-1126-SM-5L3FI 60-69 years, male 63.2
GTEX-1QMI2-2126-SM-DPRXQ 60-69 years, male 63.2
GTEX-Y3IK-1426-SM-4YCES 50-59 years, female 63.1
GTEX-YEC4-1426-SM-5IFHS 40-49 years, male 63.0
GTEX-1I1HK-2026-SM-CNNRB 60-69 years, male 62.8
GTEX-YFCO-0826-SM-5LUAG 40-49 years, male 62.5
GTEX-WY7C-1726-SM-4ONCC 50-59 years, male 62.4
GTEX-1B97I-1226-SM-7MGWQ 40-49 years, male 62.4
GTEX-1IDJF-1426-SM-ACKWK 20-29 years, male 62.4
GTEX-11VI4-0326-SM-5EQ6L 40-49 years, female 62.2
GTEX-WHWD-1426-SM-4OORU 50-59 years, male 62.0
GTEX-V955-1326-SM-4JBHR 60-69 years, male 61.9
GTEX-15UF7-1226-SM-6M46G 40-49 years, male 61.8
GTEX-ZE7O-3026-SM-51MS4 50-59 years, female 61.8
GTEX-1R9K5-1026-SM-EAZ4F 50-59 years, male 61.7
GTEX-13FTW-1726-SM-5KM2B 40-49 years, male 61.6
GTEX-13OVI-2426-SM-5KM4J 60-69 years, female 61.6
GTEX-15RIF-1126-SM-7KUG2 20-29 years, male 61.6
GTEX-13PVQ-2126-SM-5L3FW 50-59 years, male 61.3
GTEX-R55C-1026-SM-48FCM 40-49 years, male 61.3
GTEX-146FH-2126-SM-5SI9U 50-59 years, female 61.2
GTEX-1PIGE-1126-SM-EWRMV 20-29 years, male 61.2
GTEX-12WSD-2326-SM-59HKQ 60-69 years, female 61.1
GTEX-131XF-1226-SM-5HL8V 60-69 years, male 61.1
GTEX-S341-0626-SM-4AD5T 40-49 years, female 61.1
GTEX-1QP28-2126-SM-DTX8B 50-59 years, female 61.0
GTEX-1J8EW-2226-SM-AHZ3T 60-69 years, female 60.8
GTEX-1J8JJ-1726-SM-C1YQG 60-69 years, female 60.7
GTEX-11EQ9-1226-SM-5987E 30-39 years, male 60.4
GTEX-15EU6-2526-SM-7KUGB 50-59 years, male 60.3
GTEX-1JMPZ-1826-SM-CXZJT 30-39 years, male 60.3
GTEX-1JN1M-2926-SM-CNNPJ 60-69 years, female 60.3
GTEX-13QJ3-2726-SM-5SI6L 50-59 years, male 60.2
GTEX-ZLWG-1526-SM-DO12F 50-59 years, female 60.2
GTEX-Y114-1226-SM-4TT88 50-59 years, female 60.0
GTEX-1AYCT-1326-SM-7MKHB 50-59 years, male 59.9
GTEX-1S82Z-1726-SM-E6CHZ 30-39 years, female 59.6
GTEX-P78B-1826-SM-3P5YX 40-49 years, female 59.2
GTEX-TKQ1-0526-SM-4DXTG 30-39 years, male 59.2
GTEX-1CB4E-1326-SM-7DUGD 60-69 years, male 59.0
GTEX-1H3NZ-2226-SM-9WYUT 60-69 years, male 59.0
GTEX-1GN1W-2126-SM-9JGI7 50-59 years, female 58.9
GTEX-18A67-2626-SM-718AD 50-59 years, male 58.7
GTEX-132QS-1826-SM-5IFFN 60-69 years, male 58.4
GTEX-P4QT-1526-SM-3NMCT 50-59 years, female 58.3
GTEX-U3ZN-2026-SM-4DXUC 30-39 years, female 58.3
GTEX-Y3I4-1626-SM-4TT7W 50-59 years, male 58.3
GTEX-ZVZP-1726-SM-5GZWY 50-59 years, male 58.3
GTEX-WFG7-1326-SM-4LMK1 20-29 years, male 58.2
GTEX-ZP4G-1226-SM-4WWCJ 20-29 years, female 58.2
GTEX-ZVT3-2126-SM-59HL2 60-69 years, female 58.2
GTEX-18D9B-2226-SM-718BM 60-69 years, male 58.1
GTEX-13O21-0926-SM-5IFGT 50-59 years, male 57.8
GTEX-144GN-1226-SM-5O991 50-59 years, male 57.8
GTEX-WHSB-1226-SM-4M1XR 50-59 years, male 57.6
GTEX-1MCYP-1126-SM-E9J2P 20-29 years, female 57.5
GTEX-15RIE-1026-SM-6LPJQ 60-69 years, male 57.4
GTEX-1GL5R-1926-SM-9WG7U 50-59 years, male 57.4
GTEX-1B8KZ-1226-SM-793CP 50-59 years, male 57.3
GTEX-Y8E4-1526-SM-4WWDI 40-49 years, male 57.2
GTEX-YJ8A-1526-SM-5P9FT 20-29 years, male 57.0
GTEX-XPVG-1526-SM-4B66C 50-59 years, male 56.9
GTEX-1GMRU-2526-SM-9WG7T 50-59 years, male 56.7
GTEX-18A7A-2726-SM-7LG6U 50-59 years, female 56.5
GTEX-ZYFG-1326-SM-5GICJ 60-69 years, female 56.5
GTEX-1QW4Y-0726-SM-DTX8E 30-39 years, male 56.4
GTEX-133LE-1326-SM-5IFGO 20-29 years, female 56.3
GTEX-17F9E-2226-SM-7IGNC 50-59 years, male 56.3
GTEX-SNMC-0626-SM-4DM6H 20-29 years, male 56.3
GTEX-XUZC-0726-SM-4BOPH 30-39 years, female 56.3
GTEX-PLZ5-1226-SM-EXOHA 50-59 years, male 56.2
GTEX-1HCUA-1626-SM-A9SMG 50-59 years, female 56.0
GTEX-13O3Q-2126-SM-5KM4C 50-59 years, male 55.9
GTEX-1F5PL-1426-SM-7MKFH 40-49 years, female 55.9
GTEX-QMRM-1126-SM-447BN 50-59 years, male 55.8
GTEX-1LGRB-1726-SM-CNNRA 50-59 years, female 55.7
GTEX-OIZH-1526-SM-3NB1J 50-59 years, male 55.6
GTEX-TKQ2-0926-SM-4DXU5 50-59 years, male 55.4
GTEX-139D8-2326-SM-5IFGE 30-39 years, female 55.3
GTEX-14E1K-1526-SM-664MN 50-59 years, male 55.3
GTEX-NFK9-1526-SM-3LK7B 40-49 years, male 55.1
GTEX-S4Z8-1226-SM-4AD6W 60-69 years, male 55.1
GTEX-UJHI-1026-SM-4IHJP 50-59 years, female 55.1
GTEX-1K2DA-0826-SM-CGQGD 50-59 years, male 54.9
GTEX-QDVJ-1426-SM-48U1Y 50-59 years, male 54.8
GTEX-13X6J-2126-SM-5TDCV 50-59 years, male 54.7
GTEX-1MUQO-1926-SM-EAZ59 60-69 years, male 54.7
GTEX-13RTK-0226-SM-5RQHR 20-29 years, male 54.6
GTEX-1QP2A-2126-SM-DPRZ7 50-59 years, male 54.6
GTEX-1HBPN-1626-SM-9WPNP 50-59 years, male 54.0
GTEX-1F75I-1826-SM-7MKGX 40-49 years, male 53.9
GTEX-1MJIX-1126-SM-EV7AO 40-49 years, male 53.9
GTEX-17EUY-1526-SM-793CA 20-29 years, male 53.8
GTEX-S4UY-1626-SM-4AD55 40-49 years, female 53.8
GTEX-ZF2S-1426-SM-57WET 50-59 years, female 53.8
GTEX-1N2DV-0926-SM-E9TJT 40-49 years, male 53.8
GTEX-145MN-1326-SM-5NQ9S 30-39 years, male 53.7
GTEX-1B8KE-1326-SM-73KVI 50-59 years, male 53.6
GTEX-13U4I-2526-SM-5SI8Z 40-49 years, female 53.5
GTEX-14PHX-1026-SM-664OL 50-59 years, male 53.5
GTEX-SUCS-0926-SM-4DM4Z 70-79 years, male 53.2
GTEX-11P82-0726-SM-5PNYL 20-29 years, male 53.1
GTEX-12C56-0526-SM-5FQST 20-29 years, male 53.0
GTEX-V1D1-1726-SM-4JBHB 50-59 years, male 53.0
GTEX-1PPH8-1326-SM-DTXFO 20-29 years, male 53.0
GTEX-1E1VI-2826-SM-7MGWU 50-59 years, male 52.9
GTEX-1H23P-2726-SM-9JGHN 60-69 years, male 52.9
GTEX-15CHR-1326-SM-79OLT 50-59 years, male 52.7
GTEX-15G1A-1226-SM-7KUF3 30-39 years, male 52.7
GTEX-1A3MX-1926-SM-72D7F 60-69 years, male 52.7
GTEX-1HR9M-2326-SM-CNPPZ 60-69 years, male 52.6
GTEX-1NSGN-1926-SM-E9J36 50-59 years, male 52.6
GTEX-ZPU1-1626-SM-4WWB2 40-49 years, male 52.5
GTEX-QCQG-0526-SM-48U2A 50-59 years, female 52.3
GTEX-S4P3-0726-SM-4AD57 50-59 years, female 52.3
GTEX-1S831-1126-SM-EWROI 20-29 years, male 52.3
GTEX-QDVN-1226-SM-48TZ5 50-59 years, male 52.2
GTEX-Q734-1026-SM-48U16 40-49 years, female 52.1
GTEX-1QPFJ-1526-SM-DPRXT 30-39 years, female 52.0
GTEX-1LG7Z-1226-SM-DHXK4 30-39 years, male 51.9
GTEX-1RAZR-1526-SM-EAZ4U 40-49 years, male 51.9
GTEX-17MF6-2126-SM-7KFS7 40-49 years, male 51.7
GTEX-POMQ-0826-SM-3P61H 20-29 years, female 51.7
GTEX-1LVAN-2426-SM-CNNPZ 50-59 years, female 51.7
GTEX-1S3DN-1526-SM-EVYCB 50-59 years, male 51.7
GTEX-WFON-1126-SM-4LVMA 40-49 years, male 51.5
GTEX-11NSD-1426-SM-5HL67 20-29 years, male 51.4
GTEX-1EH9U-2226-SM-7PBXX 60-69 years, male 51.4
GTEX-13OVK-0926-SM-7KUFX 40-49 years, male 51.3
GTEX-P4PP-1526-SM-3P61M 30-39 years, female 51.3
GTEX-131XE-2226-SM-5PNYX 50-59 years, male 51.1
GTEX-RU1J-0526-SM-46MUT 20-29 years, female 51.1
GTEX-1HT8W-2326-SM-A9SLA 30-39 years, male 51.1
GTEX-1KD5A-1426-SM-D4P3V 50-59 years, male 51.1
GTEX-QV44-1226-SM-CJI1S 50-59 years, male 51.1
GTEX-1H1DE-1226-SM-9JGHH 20-29 years, male 50.9
GTEX-1KANA-1126-SM-D3L9M 20-29 years, male 50.9
GTEX-17KNJ-1526-SM-7LTA9 50-59 years, male 50.8
GTEX-ZY6K-0726-SM-5A5L8 50-59 years, male 50.8
GTEX-1C64O-2226-SM-73KTV 60-69 years, male 50.7
GTEX-1B97J-1826-SM-7IGPP 50-59 years, female 50.4
GTEX-UPK5-2126-SM-4JBJK 40-49 years, male 50.4
GTEX-14PJ5-0826-SM-6AJAR 60-69 years, female 50.2
GTEX-15SHW-2126-SM-6M46Y 60-69 years, male 50.2
GTEX-ZXES-1426-SM-5NQ8S 30-39 years, female 50.0
GTEX-145MO-2226-SM-5Q5BN 60-69 years, male 49.9
GTEX-14PJ6-0826-SM-686Z9 60-69 years, female 49.8
GTEX-11EI6-2426-SM-5PNVS 60-69 years, male 49.6
GTEX-T8EM-1226-SM-4DM5J 40-49 years, male 49.6
GTEX-1KXAM-0926-SM-CXZKA 60-69 years, male 49.6
GTEX-1RMOY-1126-SM-EV79E 50-59 years, male 49.4
GTEX-1L5NE-1526-SM-DIPFW 50-59 years, male 49.3
GTEX-1HSMQ-2426-SM-CE6RY 50-59 years, male 49.2
GTEX-SNOS-0826-SM-4DM5N 40-49 years, male 49.1
GTEX-ZEX8-1626-SM-4WKG7 50-59 years, male 49.1
GTEX-14PHY-0926-SM-5ZZWL 60-69 years, female 49.0
GTEX-1LSNM-1026-SM-DHXL2 50-59 years, male 48.7
GTEX-1399R-1126-SM-5IFIO 30-39 years, male 48.4
GTEX-1R7EU-1126-SM-EAZ4M 60-69 years, male 48.4
GTEX-YEC3-1426-SM-D4P1S 50-59 years, male 48.4
GTEX-WH7G-1526-SM-4LVMX 40-49 years, male 48.3
GTEX-1H1DG-2126-SM-9WPPB 70-79 years, male 48.3
GTEX-1JKYN-1726-SM-AHZ48 30-39 years, male 48.0
GTEX-1H11D-2226-SM-9OSXN 40-49 years, male 47.9
GTEX-1IL2V-2026-SM-ARZMA 70-79 years, male 47.6
GTEX-WFJO-1126-SM-4LVLZ 30-39 years, male 47.5
GTEX-1F5PK-1826-SM-7RHHX 50-59 years, male 47.5
GTEX-WYJK-2526-SM-4ONDF 50-59 years, male 47.4
GTEX-117YX-1026-SM-5H11V 50-59 years, male 47.3
GTEX-PLZ6-0826-SM-3P61K 30-39 years, male 46.8
GTEX-T5JC-1926-SM-4DM6Q 20-29 years, male 46.7
GTEX-1QP29-2326-SM-EXOJO 50-59 years, male 46.7
GTEX-11P7K-1726-SM-5GU6F 30-39 years, male 46.6
GTEX-XBEW-1826-SM-4RTWX 40-49 years, male 46.6
GTEX-1RQEC-2126-SM-DPS15 60-69 years, male 46.4
GTEX-WHPG-0426-SM-4M1XW 50-59 years, male 46.3
GTEX-1A3MV-1226-SM-718BW 30-39 years, male 46.0
GTEX-1B8L1-1526-SM-79OLK 60-69 years, male 46.0
GTEX-WFG8-1326-SM-4LVN3 20-29 years, male 45.9
GTEX-1JK1U-1326-SM-AHZ45 60-69 years, male 45.9
GTEX-139YR-1926-SM-5LZXM 50-59 years, male 45.6
GTEX-ZLV1-0826-SM-DO11P 60-69 years, female 45.6
GTEX-O5YW-1526-SM-3MJGL 50-59 years, male 45.5
GTEX-XV7Q-1326-SM-4BRWM 40-49 years, female 45.5
GTEX-XAJ8-0326-SM-47JYI 40-49 years, male 45.4
GTEX-1MGNQ-1826-SM-DPRYI 40-49 years, male 45.3
GTEX-PW2O-1226-SM-48TCH 20-29 years, male 45.2
GTEX-17GQL-1226-SM-7KFTS 60-69 years, male 44.9
GTEX-ZVP2-1626-SM-5GU5D 50-59 years, male 44.7
GTEX-17HHE-1026-SM-79ON6 50-59 years, male 44.5
GTEX-15DCE-1626-SM-6LPJM 20-29 years, male 44.1
GTEX-YB5E-1126-SM-664NU 40-49 years, male 43.9
GTEX-QXCU-1926-SM-48FE4 50-59 years, male 43.5
GTEX-13111-1226-SM-5GCNC 50-59 years, male 43.1
GTEX-R55D-1526-SM-48FEJ 50-59 years, male 42.4
GTEX-1A8G6-1426-SM-731EZ 60-69 years, male 42.2
GTEX-11DXX-1326-SM-5GIDZ 60-69 years, female 41.7
GTEX-17JCI-2226-SM-7LTA1 60-69 years, female 41.7
GTEX-XQ8I-2026-SM-4BOOL 50-59 years, male 41.6
GTEX-1HSEH-1526-SM-B2LXG 60-69 years, male 41.6
GTEX-1JMPY-0926-SM-ARL92 30-39 years, male 41.4
GTEX-1QCLY-1126-SM-EAZ4J 30-39 years, male 41.2
GTEX-14BMV-2226-SM-5RQHX 50-59 years, male 40.4
GTEX-1CAMR-0726-SM-7EPIE 20-29 years, male 40.0
GTEX-1LBAC-1426-SM-CXZKT 20-29 years, male 39.1
GTEX-Y9LG-1026-SM-5IFJN 30-39 years, male 38.9
GTEX-1E2YA-2426-SM-7EPIG 50-59 years, male 38.6
GTEX-1399S-1626-SM-5P9GI 30-39 years, female 38.3
GTEX-WZTO-2126-SM-4PQYW 40-49 years, male 37.8
GTEX-14ICL-0826-SM-5YY9W 30-39 years, male 37.3
GTEX-OOBJ-1526-SM-3NB1Q 60-69 years, male 35.2
Show allShow less

Contact

  • NEWS ARTICLES
  • PRESS ROOM

The Project

  • INTRODUCTION
  • ORGANIZATION
  • PUBLICATIONS

The Human Protein Atlas

  • DOWNLOADABLE DATA
  • LICENCE & CITATION
  • HELP & FAQ
The Human Protein Atlas project is funded
by the Knut & Alice Wallenberg Foundation.


contact@proteinatlas.org