We use cookies to enhance the usability of our website. If you continue, we'll assume that you are happy to receive all cookies. More information. Don't show this again.
UBA1
HPA
RESOURCES
  • TISSUE
  • BRAIN
  • SINGLE CELL
  • SUBCELLULAR
  • CANCER
  • BLOOD
  • CELL LINE
  • STRUCTURE & INTERACTION
ABOUT
  • INTRODUCTION
  • HISTORY
  • ORGANIZATION
  • PUBLICATIONS
  • ANTIBODY SUBMISSION
  • ANTIBODY AVAILABILITY
  • ACKNOWLEDGMENTS
  • CONTACT
NEWS
  • NEWS ARTICLES
  • PRESS ROOM
LEARN
  • DICTIONARY
  • PROTEIN CLASSES
  • PROTEIN EVIDENCE
  • METHODS
  • EDUCATIONAL VIDEOS
DATA
  • DOWNLOADABLE DATA
  • PUBLICATION DATA
  • RELEASE HISTORY
HELP
  • ANTIBODY VALIDATION
  • ASSAYS & ANNOTATION
  • DISCLAIMER
  • HELP & FAQ
  • PRIVACY STATEMENT
  • LICENCE & CITATION
Fields »
Search result

Field
Term
Gene name
Class
Subclass
Class
Keyword
Chromosome
External id
Tissue
Cell type
Expression
Antibody panel
Tissue
Main location
Patient ID
Annotation
Tissue
Category
Tau score
Cluster
Reliability
Brain region
Category
Tau score
Brain region
Category
Tau score
Brain region
Category
Tau score
Cluster
Reliability
Tissue
Cell type
Enrichment
Cell type
Category
Tau score
Cell type
Category
Tau score
Cell type
Category
Tau score
Cell lineage
Category
Tau score
Cluster
Cluster
Location
Searches
Location
Cell line
Class
Type
Phase
Reliability
Cancer
Prognosis
Cancer
Category
Cancer
Category
Tau score
Cluster
Variants
Interacting gene (ensg_id)
Type
Number of interactions
Pathway
Category
Score
Score
Score
Validation
Validation
Validation
Validation
Antibodies
Data type
Column


  • SUMMARY

  • TISSUE

  • BRAIN

  • SINGLE CELL

  • SUBCELL

  • CANCER

  • BLOOD

  • CELL LINE

  • STRUCT & INT

  • UBA1
TISSUE PRIMARY DATA BREAST Show tissue menu
ADIPOSE TISSUE ADRENAL GLAND AMYGDALA APPENDIX BASAL GANGLIA BONE MARROW BREAST BRONCHUS CEREBELLUM CEREBRAL CORTEX CERVIX CHOROID PLEXUS COLON DUODENUM
ENDOMETRIUM EPIDIDYMIS ESOPHAGUS FALLOPIAN TUBE GALLBLADDER HEART MUSCLE HIPPOCAMPAL FORMATION HYPOTHALAMUS KIDNEY LIVER LUNG LYMPH NODE MIDBRAIN NASOPHARYNX
ORAL MUCOSA OVARY PANCREAS PARATHYROID GLAND PITUITARY GLAND PLACENTA PROSTATE RECTUM RETINA SALIVARY GLAND SEMINAL VESICLE SKELETAL MUSCLE SKIN SMALL INTESTINE
SMOOTH MUSCLE SOFT TISSUE SPINAL CORD SPLEEN STOMACH TESTIS THYMUS THYROID GLAND TONGUE TONSIL URINARY BLADDER VAGINA
ANTIBODIES
AND
VALIDATION
Dictionary
Breast
Tissue proteome
Breast
BREAST - Expression summary
Protein expression
Breasti

On the top, protein expression in current human tissue, based on all annotated cell types, is reported with the units not detected (n), low (l), medium (m) and high (h). Underneath, protein expression in each annotated cell type are reported using the same units.

Protein expression data is based on knowledge-based annotation. For genes where more than one antibody has been used, a collective score is set.

If knowledge-based annotation could not be performed for a gene, no data is displayed here. View antibody staining data further down this page.

h
m
l
n
Adipocytes: Low
Glandular cells: Medium
Myoepithelial cells: Medium
RNA expressioni

A summary of mRNA expression data available for current tissue based on several datasets. The mRNA expression levels in human tissues are based on RNA-seq data generated by the Human Protein Atlas (HPA), Genotype-Tissue Expression (GTEx) portal and CAGE data generated by the FANTOM5 consortium. Consensus normalized expression levels for human tissues was created by combining the data from HPA and GTEx datasets.

The mRNA expression levels in pig are based on RNA-seq data generated by the Human Protein Atlas (HPA), and for mouse, HPA data and in situ hybridization generated by the Allen brain atlas are reported.

Scroll down to view mRNA expression data in more detail.
Consensus:95.4 nTPM
HPA:64.5 nTPM
GTEx:95.4 nTPM
FANTOM5:117.6 Scaled Tags Per Million

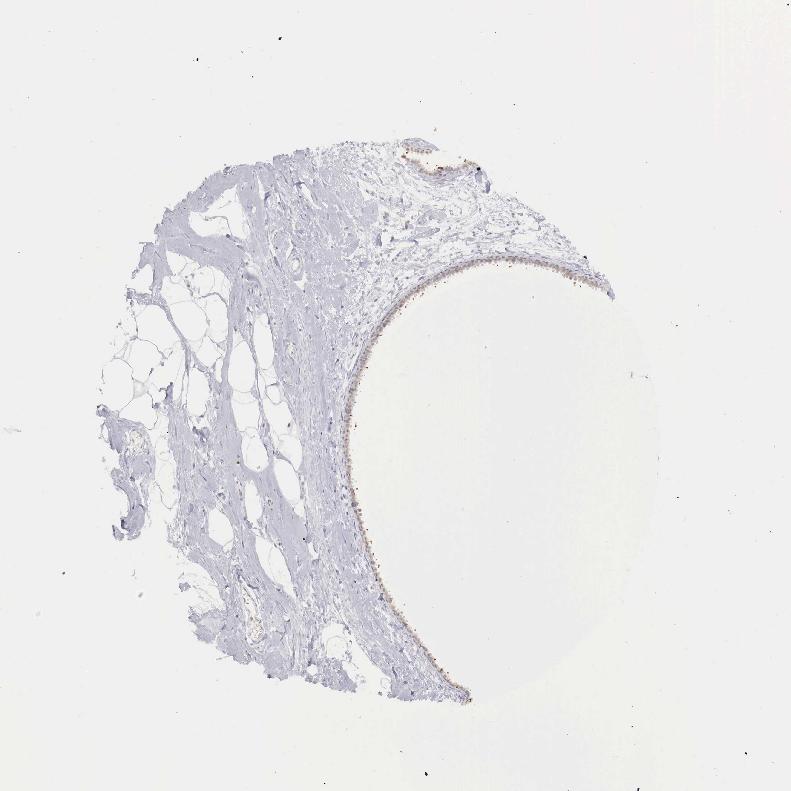
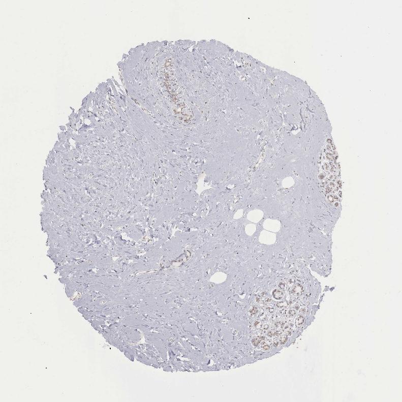
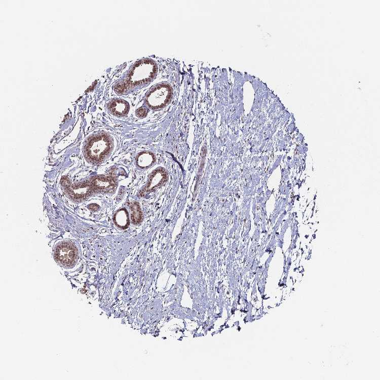
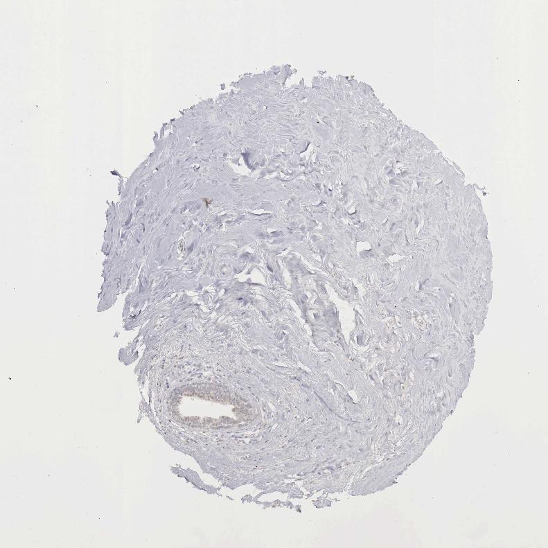
BREAST - Antibody stainingi

Antibody staining in the annotated cell types in the current human tissue is reported as not detected, low, medium, or high, based on conventional immunohistochemistry profiling in selected tissues. This score is based on the combination of the staining intensity and fraction of stained cells.

Each image is clickable and will lead to virtual microscopy that enables deeper exploration of all samples and also displays staining intensity scores, fraction scores and subcellular localization as well as patient and tissue information for each sample.

Antibody HPA000289Antibody CAB019435Antibody CAB073410
Adipocytes Not detectedMediumLow
Glandular cells LowMediumMedium
Myoepithelial cells Not detectedMediumMedium






BREAST - HPA RNA-seqi

The RNA-seq details section shows detailed information about the individual samples used for the transcript profiling and results of the RNA-seq analysis.

Information about each individual sample is listed below, including gender, age, a tissue section image and estimated fractions of cell types. nTPM (normalized transcripts per million) values give a quantification of the gene abundance which is comparable between different genes and samples.
Average nTPMi

Max subtype nTPM is the value for the subtype with the largest average nTPM across the subtype samples.

64.5
overview
Female, age 52
Breast sample 373
nTPM: 52.5
Cell types%
Glandular cells:
15

Adipocytes:
5

Other cell types:
80

overview
Female, age 80
Breast sample 390
nTPM: 71
Cell types%
Glandular cells:
5

Adipocytes:
15

Other cell types:
80

overview
Female, age 47
Breast sample 405
nTPM: 80.3
Cell types%
Glandular cells:
5

Adipocytes:
5

Other cell types:
90

overview
Female, age 38
Breast sample 410
nTPM: 54.2
Cell types%
Glandular cells:
40

Adipocytes:
5

Other cell types:
55


BREAST - GTEx RNA-seqi

RNA-Seq data generated by the Genotype-Tissue Expression (GTEx) project from human tissues is reported as mean nTPM. More information can be found on the GTEx portal.

Distribution across the dataset is visualized with box plots, shown as median and 25th and 75th percentiles. Points are displayed as outliers if they are above or below 1.5 times the interquartile range. nTPM values of the individual samples are presented next to the box plot.
Max subtype nTPMi

Max subtype nTPM is the value for the subtype with the largest average nTPM across the subtype samples.

95.4
GTEx sample id Sample description nTPM
Breast - Mammary Tissue
Average nTPM: 95.4
Samples: 459

Max nTPM: 136.7
Min nTPM: 60.1
Std nTPM: 13.4
Median nTPM: 94.2
GTEX-1MJK3-1126-SM-E9J3F 20-29 years, male 136.7
GTEX-132AR-0826-SM-5EGK6 50-59 years, female 133.3
GTEX-13NZ9-1026-SM-5MR5K 50-59 years, male 131.4
GTEX-14PHY-1926-SM-5YY95 60-69 years, female 129.8
GTEX-QEG5-0726-SM-D4P1T 20-29 years, male 129.6
GTEX-1S82Z-0726-SM-E6CHX 30-39 years, female 128.2
GTEX-1QCLY-1626-SM-DTXDW 30-39 years, male 126.3
GTEX-11ZTT-2326-SM-5EQLG 60-69 years, female 125.8
GTEX-S32W-2026-SM-4AD6E 50-59 years, female 125.7
GTEX-1RQEC-2026-SM-DTXDM 60-69 years, male 125.4
GTEX-RUSQ-2026-SM-4GIAK 50-59 years, male 125.1
GTEX-11EMC-2026-SM-5A5JV 60-69 years, female 124.3
GTEX-13CF3-2126-SM-5IFJP 60-69 years, female 124.2
GTEX-11I78-2226-SM-5PNYA 50-59 years, female 123.7
GTEX-1S82U-1126-SM-E9U6I 30-39 years, female 123.2
GTEX-1JN1M-3026-SM-CMKGK 60-69 years, female 123.1
GTEX-WFG8-2026-SM-EXOHO 20-29 years, male 123.0
GTEX-1R7EV-1526-SM-E8VOD 40-49 years, male 121.8
GTEX-1RAZQ-1226-SM-EWRNL 30-39 years, male 121.4
GTEX-1GMR8-0726-SM-9KNVI 50-59 years, female 121.0
GTEX-U8XE-0826-SM-4E3J1 30-39 years, male 120.7
GTEX-1LNCM-0226-SM-DIPF4 50-59 years, female 120.0
GTEX-1ICG6-1326-SM-ACKWR 70-79 years, female 119.5
GTEX-1HSEH-2026-SM-ADEHN 60-69 years, male 119.0
GTEX-1I1GU-1026-SM-ADEHJ 40-49 years, male 119.0
GTEX-1I6K7-1026-SM-A9SLK 40-49 years, male 118.8
GTEX-1L5NE-2126-SM-CY8IH 50-59 years, male 118.8
GTEX-1R7EU-1226-SM-E8VMR 60-69 years, male 118.6
GTEX-ZLWG-1926-SM-DO92J 50-59 years, female 118.3
GTEX-139T6-1626-SM-5PNYZ 50-59 years, male 118.1
GTEX-1LSNM-1326-SM-E9TJ1 50-59 years, male 118.1
GTEX-11P82-1326-SM-5HL62 20-29 years, male 117.9
GTEX-ZT9W-2026-SM-51MRA 50-59 years, male 117.6
GTEX-1POEN-0926-SM-DTX88 30-39 years, female 117.6
GTEX-1M5QR-2526-SM-E9U5P 40-49 years, male 117.3
GTEX-1GF9U-1726-SM-7MGY5 40-49 years, female 116.2
GTEX-1R9PN-0326-SM-DTX85 40-49 years, female 116.2
GTEX-1A3MX-2726-SM-718B6 60-69 years, male 115.9
GTEX-14PJ4-2126-SM-6ETZJ 60-69 years, male 115.6
GTEX-YFC4-1426-SM-5IFJG 40-49 years, female 115.2
GTEX-13W3W-1226-SM-5LU4H 60-69 years, female 115.0
GTEX-1B97J-0426-SM-79OLQ 50-59 years, female 115.0
GTEX-ZTPG-2826-SM-57WGA 20-29 years, female 114.7
GTEX-145ME-1526-SM-5Q5F2 40-49 years, female 114.6
GTEX-1HFI7-0126-SM-CGQFQ 50-59 years, female 114.5
GTEX-1IDJU-1826-SM-CMKHV 60-69 years, female 114.4
GTEX-1KANA-2026-SM-DIPFB 20-29 years, male 114.2
GTEX-1HKZK-1826-SM-ADEJ2 40-49 years, male 114.0
GTEX-1B97I-0426-SM-79OL7 40-49 years, male 113.4
GTEX-Y5V6-2126-SM-4WWFX 60-69 years, male 113.4
GTEX-PSDG-1626-SM-48TCQ 50-59 years, male 113.2
GTEX-R55D-0826-SM-48FEA 50-59 years, male 113.2
GTEX-1QPFJ-2026-SM-EVYBE 30-39 years, female 113.2
GTEX-YFCO-1826-SM-4W1YH 40-49 years, male 113.1
GTEX-13FTY-2226-SM-5J1ND 40-49 years, female 112.6
GTEX-ZV6S-1826-SM-5NQ8D 40-49 years, female 112.5
GTEX-ZQG8-0726-SM-5P9H9 60-69 years, female 112.3
GTEX-1RAZS-1226-SM-E8VMT 50-59 years, male 112.3
GTEX-SE5C-2126-SM-4BRUJ 40-49 years, female 112.1
GTEX-TKQ1-0226-SM-33HB5 30-39 years, male 112.0
GTEX-13S86-1226-SM-5S2OA 40-49 years, male 111.9
GTEX-133LE-1726-SM-5K7VQ 20-29 years, female 111.6
GTEX-13N1W-0626-SM-5MR4U 70-79 years, male 111.4
GTEX-ZAJG-0626-SM-5HL8X 50-59 years, female 111.4
GTEX-XV7Q-2326-SM-4BRVZ 40-49 years, female 110.9
GTEX-ZDYS-1126-SM-5K7UB 50-59 years, male 110.8
GTEX-13CF2-2026-SM-5K7VI 60-69 years, male 110.6
GTEX-R3RS-0626-SM-48FE1 40-49 years, female 110.5
GTEX-1CAMR-1426-SM-793BO 20-29 years, male 110.4
GTEX-13O3O-0826-SM-5K7WE 60-69 years, female 110.3
GTEX-17JCI-0726-SM-7EPH1 60-69 years, female 110.1
GTEX-17HG3-0126-SM-7IGNH 30-39 years, female 109.7
GTEX-1IKOH-2326-SM-CM2TW 60-69 years, female 109.6
GTEX-12WSN-1326-SM-5GCNT 40-49 years, male 109.3
GTEX-T6MN-0726-SM-32PML 50-59 years, male 109.3
GTEX-1I4MK-1626-SM-CM2TJ 50-59 years, female 109.0
GTEX-1LVAM-0926-SM-E9TJ2 50-59 years, female 109.0
GTEX-13D11-1026-SM-5IJFB 50-59 years, female 108.8
GTEX-1AX8Z-0926-SM-731AW 60-69 years, male 108.8
GTEX-XGQ4-0926-SM-4AT4U 50-59 years, male 108.8
GTEX-18D9A-1526-SM-7LG4J 30-39 years, female 108.5
GTEX-15EOM-5019-SM-793DK 20-29 years, female 108.4
GTEX-13SLX-2326-SM-5ZZWE 50-59 years, female 108.3
GTEX-R53T-1526-SM-48FEK 50-59 years, female 108.2
GTEX-17F98-0526-SM-79OK5 40-49 years, female 108.1
GTEX-1HBPN-2326-SM-9WPPU 50-59 years, male 108.0
GTEX-1QCLZ-2326-SM-DTXDO 60-69 years, female 107.9
GTEX-T5JW-2026-SM-4DM63 20-29 years, female 107.7
GTEX-XQ8I-2426-SM-4WAXY 50-59 years, male 107.7
GTEX-1GN1U-0526-SM-9KNTT 50-59 years, female 107.7
GTEX-XYKS-1326-SM-4BRUN 60-69 years, female 107.5
GTEX-146FH-0826-SM-5SI8T 50-59 years, female 107.3
GTEX-13NZB-2126-SM-5MR4Y 30-39 years, male 107.1
GTEX-13O61-1826-SM-5KM4I 60-69 years, male 106.9
GTEX-ZLV1-1426-SM-DO92Z 60-69 years, female 106.5
GTEX-1GF9X-1026-SM-ACKX2 40-49 years, female 106.3
GTEX-1H1E6-0926-SM-9YFLT 30-39 years, male 106.3
GTEX-13FTW-1426-SM-5LZWZ 40-49 years, male 106.2
GTEX-1GZ2Q-2626-SM-7MXV9 40-49 years, male 106.2
GTEX-13QJ3-0826-SM-7DHKK 50-59 years, male 106.0
GTEX-T5JC-2126-SM-32PMO 20-29 years, male 105.7
GTEX-1HCU9-0326-SM-9WYSC 20-29 years, male 105.7
GTEX-1H11D-1526-SM-9MQJY 40-49 years, male 105.6
GTEX-11LCK-2426-SM-5HL5F 30-39 years, male 105.2
GTEX-1F5PL-1026-SM-7RHI1 40-49 years, female 105.2
GTEX-14DAR-1326-SM-7DUEG 50-59 years, male 104.9
GTEX-14PKU-0426-SM-6EU1P 40-49 years, female 104.7
GTEX-S341-1526-SM-4AD6K 40-49 years, female 104.6
GTEX-1117F-2826-SM-5GZXL 60-69 years, female 104.5
GTEX-16BQI-1026-SM-7KUEA 30-39 years, female 104.4
GTEX-17GQL-0326-SM-7LG5U 60-69 years, male 104.2
GTEX-18A7B-2626-SM-7LG55 70-79 years, male 104.2
GTEX-13O3P-0826-SM-5L3DH 50-59 years, male 104.0
GTEX-1LC47-1226-SM-D4P44 60-69 years, male 104.0
GTEX-15UF6-0126-SM-6PAMB 70-79 years, female 103.9
GTEX-1GZ4H-0326-SM-7P8QX 50-59 years, female 103.6
GTEX-S4Q7-1126-SM-4AD6R 20-29 years, male 103.5
GTEX-WI4N-1426-SM-3LK7H 40-49 years, female 103.4
GTEX-1PDJ9-1126-SM-EXUSW 20-29 years, male 103.4
GTEX-ZZ64-1226-SM-5E43R 20-29 years, male 103.3
GTEX-S4UY-0726-SM-4AD6X 40-49 years, female 103.1
GTEX-ZA64-1526-SM-5CVMD 20-29 years, male 103.1
GTEX-S33H-0326-SM-4AD6N 30-39 years, male 102.9
GTEX-12BJ1-1826-SM-5HL9N 60-69 years, male 102.8
GTEX-11DZ1-0326-SM-5N9BN 50-59 years, male 102.7
GTEX-144GM-0926-SM-5O994 20-29 years, male 102.7
GTEX-13PVQ-1026-SM-5KM3M 50-59 years, male 102.4
GTEX-1I6K6-0826-SM-ARL7Z 30-39 years, male 102.4
GTEX-13OW5-2226-SM-5L3HC 60-69 years, male 102.3
GTEX-YB5E-1726-SM-5IFJ3 40-49 years, male 102.3
GTEX-183FY-1126-SM-7DHLJ 20-29 years, male 102.2
GTEX-1F6I4-2526-SM-7SB8F 60-69 years, male 101.9
GTEX-1MA7W-1026-SM-DKPQK 20-29 years, female 101.8
GTEX-12KS4-0126-SM-5Q5A5 30-39 years, male 101.7
GTEX-1J8Q3-1326-SM-CMKI1 60-69 years, male 101.6
GTEX-17EUY-1926-SM-7DUF6 20-29 years, male 101.5
GTEX-15UF7-0726-SM-6M46D 40-49 years, male 101.3
GTEX-Q2AG-0326-SM-48U1O 40-49 years, female 101.3
GTEX-ZU9S-1926-SM-5NQBP 30-39 years, male 101.3
GTEX-17HHE-1426-SM-7EPH4 50-59 years, male 101.0
GTEX-XUZC-1626-SM-4BRVP 30-39 years, female 101.0
GTEX-1QEPI-0926-SM-DTXF3 60-69 years, female 100.9
GTEX-T2IS-1526-SM-32QPR 20-29 years, female 100.7
GTEX-RU1J-0626-SM-4WAWY 20-29 years, female 100.5
GTEX-1C64O-0726-SM-7DUFU 60-69 years, male 100.3
GTEX-V955-2026-SM-3GAFA 60-69 years, male 100.3
GTEX-11DXW-0626-SM-5N9ER 40-49 years, male 100.2
GTEX-1JK1U-1826-SM-ARL8W 60-69 years, male 100.2
GTEX-131YS-0626-SM-5EGKL 60-69 years, female 100.0
GTEX-ZLFU-2126-SM-DO931 40-49 years, male 100.0
GTEX-YEC3-1026-SM-5IFI5 50-59 years, male 99.9
GTEX-1RLM8-2226-SM-EVYD1 50-59 years, male 99.9
GTEX-11NSD-0926-SM-5N9DR 20-29 years, male 99.8
GTEX-13PL6-2926-SM-5L3I2 40-49 years, female 99.8
GTEX-13PVR-2226-SM-7DHKP 60-69 years, female 99.8
GTEX-XUW1-2326-SM-4BOO5 50-59 years, female 99.8
GTEX-UJHI-1426-SM-3DB9C 50-59 years, female 99.7
GTEX-REY6-2426-SM-48FF5 60-69 years, male 99.6
GTEX-Y5LM-1726-SM-4VDSX 40-49 years, female 99.6
GTEX-14PN4-0626-SM-62LFP 50-59 years, male 99.5
GTEX-RU72-0626-SM-46MUI 50-59 years, female 99.5
GTEX-17HGU-1326-SM-79OKB 50-59 years, male 99.3
GTEX-U3ZN-1926-SM-4DXSG 30-39 years, female 99.3
GTEX-139T8-0826-SM-5L3DE 60-69 years, male 99.1
GTEX-1I1GP-0426-SM-COH3N 50-59 years, male 99.1
GTEX-15FZZ-0726-SM-7KUFZ 30-39 years, female 99.0
GTEX-X15G-1626-SM-3NMB3 50-59 years, female 99.0
GTEX-1IE54-0626-SM-ARL8D 40-49 years, female 98.9
GTEX-1H1CY-2226-SM-9WG7E 60-69 years, female 98.7
GTEX-1JKYN-0726-SM-ARZMY 30-39 years, male 98.7
GTEX-111YS-1926-SM-5GICC 60-69 years, male 98.6
GTEX-1KAFJ-0226-SM-DIPEL 50-59 years, male 98.5
GTEX-1MCC2-2126-SM-EWRON 30-39 years, female 98.5
GTEX-1122O-1226-SM-5H113 60-69 years, female 98.2
GTEX-1CB4G-2326-SM-79OOI 60-69 years, male 98.2
GTEX-18QFQ-0826-SM-718AX 30-39 years, male 98.1
GTEX-1HCU7-1026-SM-ADEIP 50-59 years, male 98.1
GTEX-1NHNU-0926-SM-E9J2T 50-59 years, male 98.1
GTEX-QMRM-1626-SM-D4P1U 50-59 years, male 98.1
GTEX-11GS4-2126-SM-5A5KR 60-69 years, male 98.0
GTEX-18A7A-0726-SM-7LTAI 50-59 years, female 98.0
GTEX-1HBPM-0126-SM-ARL9E 60-69 years, female 97.7
GTEX-1HSMO-0826-SM-ADEIV 60-69 years, male 97.6
GTEX-1269C-2426-SM-5FQSN 60-69 years, female 97.5
GTEX-1KANC-1426-SM-CYPT9 50-59 years, female 97.5
GTEX-YB5K-1626-SM-5IFIN 40-49 years, female 97.3
GTEX-132NY-0826-SM-5K7Y7 60-69 years, male 97.2
GTEX-QVJO-1826-SM-447C9 60-69 years, female 97.0
GTEX-VUSG-2226-SM-4KKZO 50-59 years, male 97.0
GTEX-QEL4-2126-SM-447AE 50-59 years, male 96.9
GTEX-WY7C-2726-SM-3NB3P 50-59 years, male 96.9
GTEX-S4P3-1326-SM-4AD6V 50-59 years, female 96.8
GTEX-T6MO-0326-SM-32QOK 40-49 years, female 96.8
GTEX-1MCYP-0126-SM-E6CIS 20-29 years, female 96.8
GTEX-1HC8U-0826-SM-ADEIL 40-49 years, female 96.7
GTEX-1HCU8-0126-SM-ADEHH 60-69 years, female 96.7
GTEX-WRHU-0326-SM-3MJFY 50-59 years, female 96.5
GTEX-1HSKV-2026-SM-CMKGX 60-69 years, male 96.5
GTEX-1H1ZS-0126-SM-9YFKQ 70-79 years, male 96.4
GTEX-1MJK2-2226-SM-EVYCR 50-59 years, male 96.4
GTEX-11EQ9-1826-SM-5Q5AJ 30-39 years, male 96.3
GTEX-Y114-2026-SM-4TT7L 50-59 years, female 96.3
GTEX-17F9E-2526-SM-7MGW2 50-59 years, male 96.3
GTEX-1GZHY-0726-SM-9WG6B 50-59 years, female 96.3
GTEX-ZQUD-1926-SM-51MSA 30-39 years, male 96.2
GTEX-1K9T9-1426-SM-DIPFQ 50-59 years, female 96.2
GTEX-1B932-0826-SM-73KXG 40-49 years, female 96.1
GTEX-183WM-0726-SM-7LTAA 70-79 years, female 96.0
GTEX-11PRG-0826-SM-5EQ6A 50-59 years, male 95.9
GTEX-XOT4-0726-SM-4GIAW 60-69 years, female 95.9
GTEX-ZY6K-1626-SM-5GZWV 50-59 years, male 95.9
GTEX-1GN1W-1926-SM-7P8TH 50-59 years, female 95.9
GTEX-1LVAN-1326-SM-CNPQE 50-59 years, female 95.9
GTEX-11GSP-0926-SM-9WYSG 60-69 years, female 95.8
GTEX-1HCUA-0726-SM-ACKVU 50-59 years, female 95.6
GTEX-1AMEY-1026-SM-718AA 30-39 years, female 95.5
GTEX-11ZUS-0826-SM-5FQUY 30-39 years, male 95.3
GTEX-WYBS-0926-SM-3NM94 60-69 years, female 95.3
GTEX-13NZ8-0126-SM-5IJCT 60-69 years, female 95.1
GTEX-15ETS-0626-SM-7KUMX 40-49 years, female 95.0
GTEX-TMMY-0726-SM-33HBE 40-49 years, female 94.8
GTEX-13FTX-1126-SM-5N9EN 20-29 years, female 94.7
GTEX-1CB4J-1826-SM-7EWF9 60-69 years, male 94.7
GTEX-ZDTT-2126-SM-DKPOM 60-69 years, male 94.7
GTEX-14PJO-0726-SM-69LO8 60-69 years, male 94.6
GTEX-139TU-0626-SM-5KM3X 60-69 years, male 94.4
GTEX-1IDJE-0826-SM-CKZNZ 50-59 years, female 94.4
GTEX-1IDJF-2326-SM-ARL86 20-29 years, male 94.4
GTEX-ZF2S-2026-SM-5E461 50-59 years, female 94.3
GTEX-1GN2E-2226-SM-9WG6J 60-69 years, male 94.2
GTEX-1LGRB-1826-SM-CNPQL 50-59 years, female 94.1
GTEX-1R46S-2526-SM-E8VN2 60-69 years, female 93.9
GTEX-14BMV-0626-SM-793AU 50-59 years, male 93.8
GTEX-1I1HK-2426-SM-ADEHX 60-69 years, male 93.8
GTEX-14E6C-1326-SM-62LEQ 40-49 years, male 93.4
GTEX-1H1DG-0526-SM-9YFLN 70-79 years, male 93.4
GTEX-13N11-1726-SM-5J1OJ 50-59 years, female 93.3
GTEX-1OKEX-0826-SM-E9J2B 60-69 years, male 93.1
GTEX-WHSB-1926-SM-EXOHH 50-59 years, male 93.0
GTEX-Z9EW-1526-SM-EZ6LU 40-49 years, male 92.9
GTEX-14H4A-2526-SM-5YYAY 40-49 years, female 92.8
GTEX-1AX9J-1126-SM-731B7 60-69 years, male 92.8
GTEX-131XW-0726-SM-5EGK3 50-59 years, female 92.7
GTEX-1GMR2-1926-SM-9MQLZ 50-59 years, male 92.7
GTEX-17KNJ-2026-SM-7LG53 50-59 years, male 92.5
GTEX-RWS6-1926-SM-47JXY 60-69 years, female 92.4
GTEX-1399U-1826-SM-5PNZ1 50-59 years, female 92.3
GTEX-145MN-1926-SM-5SIAI 30-39 years, male 92.3
GTEX-ZVT4-1026-SM-57WC4 50-59 years, female 92.3
GTEX-ZYW4-0826-SM-5GIDG 60-69 years, male 92.3
GTEX-ZEX8-2226-SM-57WC6 50-59 years, male 92.1
GTEX-1MA7X-1626-SM-E9U5B 60-69 years, male 92.1
GTEX-15ER7-1626-SM-6PAMZ 20-29 years, female 92.0
GTEX-ZV7C-1826-SM-5NQ83 50-59 years, male 92.0
GTEX-1IY9M-2726-SM-CMKG5 60-69 years, male 92.0
GTEX-1N5O9-1126-SM-DTXEQ 60-69 years, male 92.0
GTEX-YJ8O-2226-SM-5IFHW 40-49 years, female 91.9
GTEX-1QP9N-1826-SM-E8VMP 30-39 years, male 91.9
GTEX-11O72-2126-SM-5N9FO 40-49 years, male 91.8
GTEX-12WSK-2226-SM-5GCO5 40-49 years, female 91.7
GTEX-14LLW-0626-SM-62LFC 70-79 years, female 91.7
GTEX-ZTX8-1226-SM-4YCE9 20-29 years, male 91.7
GTEX-15G19-2126-SM-6M48J 60-69 years, male 91.6
GTEX-1F5PK-2126-SM-7PC28 50-59 years, male 91.5
GTEX-QDT8-0626-SM-48TYW 30-39 years, female 91.4
GTEX-14BMU-1626-SM-5TDE7 20-29 years, female 91.3
GTEX-1C475-1226-SM-7SB72 40-49 years, female 91.3
GTEX-1H23P-0726-SM-9WG7K 60-69 years, male 91.3
GTEX-U412-1826-SM-4DXTJ 60-69 years, male 91.2
GTEX-X4EP-2926-SM-3P5YQ 60-69 years, female 91.2
GTEX-ZXES-0826-SM-5E43C 30-39 years, female 91.2
GTEX-1GMR3-2626-SM-7RHHG 40-49 years, male 91.2
GTEX-17EVP-0226-SM-79OND 40-49 years, male 91.1
GTEX-1J8Q2-2726-SM-A9G2X 60-69 years, male 91.1
GTEX-17MFQ-0926-SM-7LG4S 20-29 years, male 91.0
GTEX-X261-0626-SM-3NMD9 50-59 years, male 91.0
GTEX-ZVTK-0326-SM-51MRR 20-29 years, male 91.0
GTEX-1NUQO-2226-SM-E9U68 20-29 years, female 91.0
GTEX-1211K-1926-SM-5EQLB 60-69 years, female 90.8
GTEX-1QP28-1226-SM-E9J2M 50-59 years, female 90.6
GTEX-11TT1-2126-SM-5GU5Y 20-29 years, male 90.5
GTEX-14E6E-1326-SM-5S2NR 30-39 years, male 90.5
GTEX-Y9LG-1426-SM-5IFJZ 30-39 years, male 90.5
GTEX-1ICLY-1726-SM-B2LVT 50-59 years, male 90.3
GTEX-XMD1-0826-SM-4AT52 60-69 years, male 90.1
GTEX-11EI6-0626-SM-5985T 60-69 years, male 90.0
GTEX-11ONC-2126-SM-5HL6E 60-69 years, male 90.0
GTEX-17HHY-0926-SM-793C1 50-59 years, male 90.0
GTEX-1QW4Y-1026-SM-DTXE2 30-39 years, male 90.0
GTEX-1EKGG-2626-SM-7IGPY 60-69 years, male 89.9
GTEX-1JMOU-2026-SM-CMKGU 60-69 years, female 89.9
GTEX-1K2DA-1726-SM-CGQGS 50-59 years, male 89.9
GTEX-1IDFM-0426-SM-B2LVV 60-69 years, male 89.8
GTEX-11TUW-1826-SM-5BC5D 60-69 years, male 89.6
GTEX-14ICK-2426-SM-6EU27 40-49 years, male 89.6
GTEX-132Q8-1426-SM-5EGK7 60-69 years, male 89.5
GTEX-145MO-0826-SM-5NQBL 60-69 years, male 89.5
GTEX-1A8G7-2426-SM-731AK 60-69 years, male 89.4
GTEX-ZAK1-1326-SM-EVYAS 50-59 years, female 89.4
GTEX-ZPIC-1126-SM-5BC7F 40-49 years, female 89.3
GTEX-14A5I-0726-SM-5TDEB 50-59 years, female 89.2
GTEX-1EU9M-2826-SM-7EWFH 60-69 years, male 89.2
GTEX-117XS-1926-SM-5GICO 60-69 years, male 89.1
GTEX-Y8E4-1626-SM-5S2MW 40-49 years, male 89.0
GTEX-1192X-2326-SM-5987X 50-59 years, male 88.8
GTEX-1IKOE-1326-SM-CE6T6 30-39 years, female 88.8
GTEX-1LG7Z-0726-SM-CXKYD 30-39 years, male 88.7
GTEX-117YX-1426-SM-5H12H 50-59 years, male 88.6
GTEX-XQ3S-1326-SM-4BOPQ 20-29 years, male 88.6
GTEX-169BO-1126-SM-7MGWN 50-59 years, male 88.6
GTEX-1C6VS-0726-SM-7EPHF 60-69 years, male 88.5
GTEX-1J8EW-2626-SM-CL53E 60-69 years, female 88.5
GTEX-U3ZH-1426-SM-4DXSR 30-39 years, male 88.4
GTEX-XMK1-1126-SM-4IHJ8 40-49 years, male 88.4
GTEX-1IGQW-0926-SM-ADEH6 60-69 years, male 88.3
GTEX-1I1GV-2426-SM-CGQFM 60-69 years, male 88.2
GTEX-1A3MV-1626-SM-731C1 30-39 years, male 88.1
GTEX-14B4R-1226-SM-5TDDT 30-39 years, male 88.0
GTEX-ZF29-1926-SM-5S2P1 60-69 years, female 88.0
GTEX-17F96-2426-SM-7IGLN 70-79 years, male 87.9
GTEX-1CAMS-1426-SM-7IGPM 40-49 years, female 87.6
GTEX-1I1GT-1126-SM-ARL7J 60-69 years, female 87.6
GTEX-18465-2026-SM-718AP 50-59 years, male 87.5
GTEX-1HCVE-2626-SM-ADEJ8 50-59 years, male 87.5
GTEX-ZTTD-1026-SM-51MRD 50-59 years, male 87.4
GTEX-1F75I-2026-SM-7SB7N 40-49 years, male 87.4
GTEX-1PPGY-1526-SM-EVYBK 60-69 years, male 87.4
GTEX-12ZZX-1126-SM-5EGKB 40-49 years, female 87.3
GTEX-1GPI7-0926-SM-7PC3J 20-29 years, male 87.2
GTEX-147F4-2826-SM-5NQBN 50-59 years, male 87.1
GTEX-Y3I4-1526-SM-4TT7K 50-59 years, male 87.1
GTEX-ZC5H-2626-SM-5J2MG 40-49 years, female 87.1
GTEX-13QIC-2326-SM-5LU5N 60-69 years, female 86.9
GTEX-1F75B-0626-SM-7SB8A 50-59 years, male 86.9
GTEX-1HR9M-2426-SM-ACKXI 60-69 years, male 86.9
GTEX-1N2EF-2226-SM-E9J33 60-69 years, male 86.8
GTEX-WXYG-2226-SM-4E3IM 50-59 years, female 86.7
GTEX-WYVS-1726-SM-3NMAY 40-49 years, female 86.7
GTEX-Y5V5-2126-SM-4WWFO 60-69 years, female 86.7
GTEX-TKQ2-1826-SM-33HB2 50-59 years, male 86.5
GTEX-1C6WA-2426-SM-7SB86 60-69 years, male 86.5
GTEX-1JKYR-0926-SM-CMKGJ 20-29 years, male 86.5
GTEX-ZZPU-0626-SM-5E43T 50-59 years, female 86.4
GTEX-17MF6-0326-SM-7EPH5 40-49 years, male 86.3
GTEX-XBED-1626-SM-47JYN 60-69 years, male 86.3
GTEX-1CB4E-0226-SM-79OLW 60-69 years, male 86.2
GTEX-Y8LW-1626-SM-5IFHX 50-59 years, female 86.2
GTEX-Y3IK-2326-SM-4WWDT 50-59 years, female 86.1
GTEX-1J8QM-2026-SM-ARZMW 60-69 years, female 86.1
GTEX-13O3Q-2226-SM-5KM4O 50-59 years, male 86.0
GTEX-UPK5-2326-SM-3P5Z8 40-49 years, male 85.9
GTEX-1KXAM-1026-SM-CY8IA 60-69 years, male 85.9
GTEX-1R9PM-1826-SM-EVYBH 20-29 years, male 85.9
GTEX-16NGA-0826-SM-718AF 40-49 years, female 85.8
GTEX-18A6Q-0926-SM-7LG4N 60-69 years, male 85.8
GTEX-1BAJH-0826-SM-7EWEF 70-79 years, male 85.8
GTEX-1QP29-1726-SM-E8VMQ 50-59 years, male 85.8
GTEX-1B933-2526-SM-7IGO5 50-59 years, female 85.7
GTEX-WYJK-1326-SM-3NB2T 50-59 years, male 85.7
GTEX-1ICLZ-0426-SM-B2LW2 60-69 years, male 85.7
GTEX-1LBAC-0926-SM-CXKY9 20-29 years, male 85.5
GTEX-1P4AB-1826-SM-E76PU 50-59 years, male 85.5
GTEX-XMD2-0926-SM-4WWEF 60-69 years, female 85.4
GTEX-144GL-2026-SM-5LU3O 50-59 years, male 85.3
GTEX-1HSGN-1526-SM-A9SMO 40-49 years, female 85.2
GTEX-16YQH-2826-SM-6PAMY 30-39 years, male 84.8
GTEX-UTHO-1026-SM-3GAF7 60-69 years, male 84.7
GTEX-13FHO-0826-SM-5L3E8 60-69 years, male 84.6
GTEX-1JMPZ-1626-SM-COH31 30-39 years, male 84.6
GTEX-T2YK-2226-SM-32QPT 50-59 years, male 84.5
GTEX-11DXZ-1926-SM-5GZZL 50-59 years, male 84.3
GTEX-1C6VQ-0426-SM-79OOX 50-59 years, male 84.3
GTEX-1313W-0826-SM-5EQ4T 50-59 years, female 84.2
GTEX-14ABY-2126-SM-5QGQZ 50-59 years, male 84.1
GTEX-TML8-1226-SM-32QON 40-49 years, female 84.0
GTEX-11P81-1926-SM-5BC53 30-39 years, female 83.9
GTEX-1EWIQ-1726-SM-7SB7T 70-79 years, female 83.9
GTEX-13SLW-2526-SM-62LDQ 70-79 years, male 83.8
GTEX-1JMQK-2626-SM-COH2W 60-69 years, male 83.8
GTEX-11WQK-2426-SM-5GU5C 50-59 years, male 83.5
GTEX-1E2YA-2726-SM-7IGPW 50-59 years, male 83.5
GTEX-WOFL-0826-SM-3MJG1 60-69 years, male 83.3
GTEX-1EN7A-1426-SM-7PBY4 40-49 years, male 83.2
GTEX-ZVZQ-0826-SM-51MRF 60-69 years, female 83.0
GTEX-1HUB1-1626-SM-CM2SL 60-69 years, male 82.7
GTEX-1B8KZ-1526-SM-7DUG7 50-59 years, male 82.6
GTEX-Y111-2026-SM-4SOJA 50-59 years, male 82.5
GTEX-ZVE2-1226-SM-5NQ8R 50-59 years, male 82.2
GTEX-ZYFC-0826-SM-5E44K 50-59 years, male 82.2
GTEX-1KD5A-1926-SM-DKPQA 50-59 years, male 82.0
GTEX-1H3VY-0926-SM-ACKXE 50-59 years, male 81.8
GTEX-1GPI6-0626-SM-7RHHJ 60-69 years, male 81.6
GTEX-X4XY-0926-SM-4E3JD 60-69 years, male 81.4
GTEX-1GMRU-0826-SM-9WYT7 50-59 years, male 81.4
GTEX-12WSM-1726-SM-5BC6J 60-69 years, male 81.3
GTEX-ZWKS-2826-SM-5NQ74 30-39 years, male 81.2
GTEX-1IKJJ-2326-SM-COH3U 60-69 years, male 81.2
GTEX-11P7K-0726-SM-5EGKX 30-39 years, male 81.1
GTEX-1LSVX-2426-SM-E6CJX 60-69 years, male 81.0
GTEX-17EVQ-0426-SM-7LG57 70-79 years, male 80.9
GTEX-1PPH7-0826-SM-E8VNX 40-49 years, male 80.6
GTEX-1B8L1-2426-SM-9WYTE 60-69 years, male 80.4
GTEX-ZGAY-1726-SM-DO91P 40-49 years, female 80.3
GTEX-13OW8-0226-SM-5K7UP 60-69 years, male 80.2
GTEX-1B8KE-1226-SM-73KWK 50-59 years, male 80.2
GTEX-18A66-1726-SM-7LG5N 60-69 years, male 80.2
GTEX-11DXY-2326-SM-5GICW 60-69 years, male 80.1
GTEX-1IOXB-1926-SM-ARL8E 50-59 years, male 79.5
GTEX-145LT-0726-SM-5S2VM 40-49 years, male 79.3
GTEX-1M4P7-2626-SM-E9U5F 60-69 years, male 79.2
GTEX-1N2EE-2126-SM-E8VNN 60-69 years, male 79.0
GTEX-13VXU-2826-SM-664MA 50-59 years, male 78.8
GTEX-ZVT2-1826-SM-5NQ8W 50-59 years, female 78.6
GTEX-1QMI2-0726-SM-E9J4F 60-69 years, male 78.5
GTEX-11GSO-1926-SM-5A5K3 60-69 years, male 78.4
GTEX-13W46-0826-SM-5LU3H 50-59 years, male 78.4
GTEX-11EM3-1326-SM-5N9C6 20-29 years, female 78.1
GTEX-1GZ4I-2826-SM-9MQK5 50-59 years, male 78.1
GTEX-YECK-0726-SM-EZ6LV 60-69 years, male 78.1
GTEX-13113-5013-SM-7SB7G 60-69 years, female 78.0
GTEX-WFON-1826-SM-3GILG 40-49 years, male 77.2
GTEX-ZDXO-0126-SM-5S2ND 60-69 years, male 76.7
GTEX-15RJE-2626-SM-7KFT1 40-49 years, male 76.6
GTEX-1HR98-0426-SM-COH36 60-69 years, male 76.6
GTEX-1IDJH-2226-SM-E6CJV 70-79 years, male 76.5
GTEX-1JJEA-2726-SM-ARL8V 60-69 years, male 76.3
GTEX-15SHW-1326-SM-6PAL8 60-69 years, male 75.8
GTEX-ZYT6-0126-SM-5E45J 30-39 years, male 75.5
GTEX-1JN6P-2426-SM-ARL99 60-69 years, male 75.4
GTEX-1AX9I-0726-SM-73KWV 60-69 years, male 75.2
GTEX-1R9JW-0326-SM-EAZ45 30-39 years, female 75.2
GTEX-ZAB4-2526-SM-5HL8M 40-49 years, male 75.0
GTEX-ZUA1-1526-SM-59HLS 40-49 years, male 75.0
GTEX-ZF3C-2326-SM-5S2NC 50-59 years, female 74.8
GTEX-1GF9V-2526-SM-7SB8K 60-69 years, male 74.4
GTEX-1JJE9-2326-SM-ARL8Q 70-79 years, male 74.4
GTEX-14753-2426-SM-5LU8U 60-69 years, male 74.2
GTEX-14AS3-1626-SM-5S2OY 40-49 years, female 74.2
GTEX-1F75A-1826-SM-7SB8G 50-59 years, male 74.1
GTEX-1JMPY-0526-SM-CL54O 30-39 years, male 74.1
GTEX-11OF3-1926-SM-59889 60-69 years, male 73.3
GTEX-1HT8W-2226-SM-CGQEC 30-39 years, male 73.2
GTEX-11WQC-1726-SM-5GU4W 60-69 years, male 72.9
GTEX-S7SE-0826-SM-4AT4D 50-59 years, male 72.6
GTEX-1H4P4-2226-SM-9MQKQ 50-59 years, male 72.5
GTEX-W5X1-2326-SM-3GIL6 40-49 years, female 72.3
GTEX-1NV8Z-2826-SM-E8VME 60-69 years, male 72.1
GTEX-14E7W-0826-SM-62LEJ 70-79 years, male 72.0
GTEX-1I19N-2826-SM-CL55D 70-79 years, male 71.9
GTEX-X62O-0526-SM-EWRMA 50-59 years, male 71.9
GTEX-145MF-2226-SM-7EPIR 50-59 years, male 71.8
GTEX-17F97-2526-SM-7EWDV 50-59 years, male 71.8
GTEX-1JMLX-2026-SM-CMKGN 50-59 years, male 71.7
GTEX-11NV4-2026-SM-5N9DG 60-69 years, male 69.9
GTEX-VJWN-0726-SM-3GIJ8 50-59 years, female 69.8
GTEX-1314G-1226-SM-5BC6D 30-39 years, male 68.9
GTEX-1KD4Q-2326-SM-D4P3M 40-49 years, male 61.3
GTEX-1B8SG-1226-SM-7IGPF 50-59 years, male 61.0
GTEX-1LSNL-2826-SM-E9U5L 50-59 years, male 60.1
Show allShow less

BREAST - FANTOM5 CAGEi

RNA expression in human tissues obtained through Cap Analysis of Gene Expression (CAGE) generated by the FANTOM5 project are reported as Scaled Tags Per Million.

Max subtype Scaled Tags Per Millioni

Max subtype Scaled Tags Per Million is the value for the subtype with the largest average Scaled Tags Per Million across the subtype samples.

117.6
FANTOM5 sample id Sample description Scaled Tags Per Million
Breast
Scaled Tags Per Million: 117.6
FF:10080-102A8 77 years, female 117.6

Contact

  • NEWS ARTICLES
  • PRESS ROOM

The Project

  • INTRODUCTION
  • ORGANIZATION
  • PUBLICATIONS

The Human Protein Atlas

  • DOWNLOADABLE DATA
  • LICENCE & CITATION
  • HELP & FAQ
The Human Protein Atlas project is funded
by the Knut & Alice Wallenberg Foundation.


contact@proteinatlas.org