We use cookies to enhance the usability of our website. If you continue, we'll assume that you are happy to receive all cookies. More information. Don't show this again.
UBA1
HPA
RESOURCES
  • TISSUE
  • BRAIN
  • SINGLE CELL
  • SUBCELLULAR
  • CANCER
  • BLOOD
  • CELL LINE
  • STRUCTURE & INTERACTION
ABOUT
  • INTRODUCTION
  • HISTORY
  • ORGANIZATION
  • PUBLICATIONS
  • ANTIBODY SUBMISSION
  • ANTIBODY AVAILABILITY
  • ACKNOWLEDGMENTS
  • CONTACT
NEWS
  • NEWS ARTICLES
  • PRESS ROOM
LEARN
  • DICTIONARY
  • PROTEIN CLASSES
  • PROTEIN EVIDENCE
  • METHODS
  • EDUCATIONAL VIDEOS
DATA
  • DOWNLOADABLE DATA
  • PUBLICATION DATA
  • RELEASE HISTORY
HELP
  • ANTIBODY VALIDATION
  • ASSAYS & ANNOTATION
  • DISCLAIMER
  • HELP & FAQ
  • PRIVACY STATEMENT
  • LICENCE & CITATION
Fields »
Search result

Field
Term
Gene name
Class
Subclass
Class
Keyword
Chromosome
External id
Tissue
Cell type
Expression
Antibody panel
Tissue
Main location
Patient ID
Annotation
Tissue
Category
Tau score
Cluster
Reliability
Brain region
Category
Tau score
Brain region
Category
Tau score
Brain region
Category
Tau score
Cluster
Reliability
Tissue
Cell type
Enrichment
Cell type
Category
Tau score
Cell type
Category
Tau score
Cell type
Category
Tau score
Cell lineage
Category
Tau score
Cluster
Cluster
Location
Searches
Location
Cell line
Class
Type
Phase
Reliability
Cancer
Prognosis
Cancer
Category
Cancer
Category
Tau score
Cluster
Variants
Interacting gene (ensg_id)
Type
Number of interactions
Pathway
Category
Score
Score
Score
Validation
Validation
Validation
Validation
Antibodies
Data type
Column


  • SUMMARY

  • TISSUE

  • BRAIN

  • SINGLE CELL

  • SUBCELL

  • CANCER

  • BLOOD

  • CELL LINE

  • STRUCT & INT

  • UBA1
TISSUE PRIMARY DATA ESOPHAGUS Show tissue menu
ADIPOSE TISSUE ADRENAL GLAND AMYGDALA APPENDIX BASAL GANGLIA BONE MARROW BREAST BRONCHUS CEREBELLUM CEREBRAL CORTEX CERVIX CHOROID PLEXUS COLON DUODENUM
ENDOMETRIUM EPIDIDYMIS ESOPHAGUS FALLOPIAN TUBE GALLBLADDER HEART MUSCLE HIPPOCAMPAL FORMATION HYPOTHALAMUS KIDNEY LIVER LUNG LYMPH NODE MIDBRAIN NASOPHARYNX
ORAL MUCOSA OVARY PANCREAS PARATHYROID GLAND PITUITARY GLAND PLACENTA PROSTATE RECTUM RETINA SALIVARY GLAND SEMINAL VESICLE SKELETAL MUSCLE SKIN SMALL INTESTINE
SMOOTH MUSCLE SOFT TISSUE SPINAL CORD SPLEEN STOMACH TESTIS THYMUS THYROID GLAND TONGUE TONSIL URINARY BLADDER VAGINA
ANTIBODIES
AND
VALIDATION
Dictionary
Esophagus
Tissue proteome
Esophagus
ESOPHAGUS - Expression summary
Protein expression
Esophagusi

On the top, protein expression in current human tissue, based on all annotated cell types, is reported with the units not detected (n), low (l), medium (m) and high (h). Underneath, protein expression in each annotated cell type are reported using the same units.

Protein expression data is based on knowledge-based annotation. For genes where more than one antibody has been used, a collective score is set.

If knowledge-based annotation could not be performed for a gene, no data is displayed here. View antibody staining data further down this page.

h
m
l
n
Squamous epithelial cells: Medium
RNA expressioni

A summary of mRNA expression data available for current tissue based on several datasets. The mRNA expression levels in human tissues are based on RNA-seq data generated by the Human Protein Atlas (HPA), Genotype-Tissue Expression (GTEx) portal and CAGE data generated by the FANTOM5 consortium. Consensus normalized expression levels for human tissues was created by combining the data from HPA and GTEx datasets.

The mRNA expression levels in pig are based on RNA-seq data generated by the Human Protein Atlas (HPA), and for mouse, HPA data and in situ hybridization generated by the Allen brain atlas are reported.

Scroll down to view mRNA expression data in more detail.
Consensus:150.9 nTPM
HPA:90.4 nTPM
GTEx:150.9 nTPM
FANTOM5:195.0 Scaled Tags Per Million

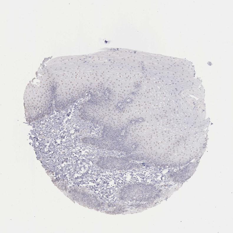
ESOPHAGUS - Antibody stainingi

Antibody staining in the annotated cell types in the current human tissue is reported as not detected, low, medium, or high, based on conventional immunohistochemistry profiling in selected tissues. This score is based on the combination of the staining intensity and fraction of stained cells.

Each image is clickable and will lead to virtual microscopy that enables deeper exploration of all samples and also displays staining intensity scores, fraction scores and subcellular localization as well as patient and tissue information for each sample.

Antibody HPA000289Antibody CAB019435Antibody CAB073410
Squamous epithelial cells Not detectedHighMedium





ESOPHAGUS - HPA RNA-seqi

The RNA-seq details section shows detailed information about the individual samples used for the transcript profiling and results of the RNA-seq analysis.

Information about each individual sample is listed below, including gender, age, a tissue section image and estimated fractions of cell types. nTPM (normalized transcripts per million) values give a quantification of the gene abundance which is comparable between different genes and samples.
Average nTPMi

Max subtype nTPM is the value for the subtype with the largest average nTPM across the subtype samples.

90.4
overview
Female, age 70
Esophagus sample 130
nTPM: 91.4
Cell types%
Squamous epithelial cells:
35

Smooth muscle cells:
15

Skeletal muscle cells:
5

Other cell types:
45

overview
Male, age 38
Esophagus sample 131
nTPM: 81.5
Cell types%
Squamous epithelial cells:
60

Smooth muscle cells:
20

Other cell types:
20

overview
Male, age 76
Esophagus sample 132
nTPM: 98.2
Cell types%
Squamous epithelial cells:
45

Smooth muscle cells:
15

Other cell types:
40


ESOPHAGUS - GTEx RNA-seqi

RNA-Seq data generated by the Genotype-Tissue Expression (GTEx) project from human tissues is reported as mean nTPM. More information can be found on the GTEx portal.

Distribution across the dataset is visualized with box plots, shown as median and 25th and 75th percentiles. Points are displayed as outliers if they are above or below 1.5 times the interquartile range. nTPM values of the individual samples are presented next to the box plot.
Max subtype nTPMi

Max subtype nTPM is the value for the subtype with the largest average nTPM across the subtype samples.

150.9
GTEx sample id Sample description nTPM
Esophagus - Mucosa
Average nTPM: 150.9
Samples: 555

Max nTPM: 353.1
Min nTPM: 84.0
Std nTPM: 26.9
Median nTPM: 149.6
GTEX-Q2AG-1326-SM-43V8K 40-49 years, female 353.1
GTEX-1KANB-1826-SM-DHXJU 50-59 years, male 257.4
GTEX-1HCU8-2226-SM-9WPOV 60-69 years, female 250.8
GTEX-132AR-2226-SM-5J2NT 50-59 years, female 217.6
GTEX-1LVAN-2326-SM-CNNPY 50-59 years, female 217.4
GTEX-12ZZX-1326-SM-5DUWI 40-49 years, female 217.0
GTEX-145ME-5004-SM-7MGXP 40-49 years, female 216.3
GTEX-S4P3-0426-SM-4AD56 50-59 years, female 214.6
GTEX-O5YV-1026-SM-3LK72 60-69 years, female 210.1
GTEX-13NYB-0926-SM-5IFFA 40-49 years, male 208.9
GTEX-1NSGN-2026-SM-DPRYM 50-59 years, male 208.4
GTEX-ZTPG-1626-SM-5DUX2 20-29 years, female 208.2
GTEX-1MCC2-1926-SM-DHXJR 30-39 years, female 207.8
GTEX-1GPI7-1026-SM-7MGY2 20-29 years, male 206.2
GTEX-14AS3-0626-SM-5QGQD 40-49 years, female 206.0
GTEX-1RDX4-2126-SM-EV7B3 50-59 years, female 203.7
GTEX-1GF9U-0826-SM-7MXTZ 40-49 years, female 201.8
GTEX-11GSP-1826-SM-5N9DQ 60-69 years, female 201.3
GTEX-1QP2A-1926-SM-EXOJ9 50-59 years, male 200.4
GTEX-14PJ5-0526-SM-664OE 60-69 years, female 199.6
GTEX-1399S-1326-SM-5P9GH 30-39 years, female 197.6
GTEX-14PKV-1726-SM-6871U 20-29 years, female 197.1
GTEX-1CAMQ-2726-SM-7MKGD 40-49 years, male 196.3
GTEX-15RIF-0826-SM-6M47C 20-29 years, male 196.1
GTEX-ZXES-1126-SM-5GZXN 30-39 years, female 195.2
GTEX-ZLV1-0526-SM-4WWD4 60-69 years, female 195.0
GTEX-1IKOE-1526-SM-C1YSD 30-39 years, female 195.0
GTEX-ZYFG-1126-SM-5GICY 60-69 years, female 194.1
GTEX-1N2EE-2426-SM-EXOIO 60-69 years, male 193.8
GTEX-14H4A-1626-SM-5SI69 40-49 years, female 193.1
GTEX-11ZU8-1526-SM-5EGHX 60-69 years, male 192.3
GTEX-14BIN-2726-SM-5RQIE 50-59 years, female 192.3
GTEX-1CB4H-1526-SM-7MXU4 60-69 years, female 192.3
GTEX-13X6H-1326-SM-5LU42 50-59 years, female 191.6
GTEX-1L5NE-1426-SM-DHXKV 50-59 years, male 191.2
GTEX-17JCI-1226-SM-793D9 60-69 years, female 191.0
GTEX-Y5LM-1026-SM-4VDSQ 40-49 years, female 190.6
GTEX-14ICK-2026-SM-6AJB2 40-49 years, male 190.3
GTEX-1AMFI-0226-SM-731D5 50-59 years, female 189.9
GTEX-1KANA-0626-SM-D4P3I 20-29 years, male 189.8
GTEX-1122O-1726-SM-5GICM 60-69 years, female 189.6
GTEX-Y5V5-1626-SM-4VDSG 60-69 years, female 189.3
GTEX-OIZG-1026-SM-3LK5X 50-59 years, male 189.2
GTEX-1269C-1026-SM-5N9EY 60-69 years, female 189.0
GTEX-1HCU6-1326-SM-A96TZ 60-69 years, female 189.0
GTEX-1AYD5-0926-SM-793AF 50-59 years, male 188.8
GTEX-XQ3S-1126-SM-4BOPK 20-29 years, male 188.3
GTEX-1C64O-1826-SM-7DHM4 60-69 years, male 187.4
GTEX-ZVT2-1326-SM-5E45H 50-59 years, female 187.0
GTEX-11I78-1526-SM-5A5K7 50-59 years, female 186.8
GTEX-1H11D-2126-SM-9OSXM 40-49 years, male 186.7
GTEX-13OVI-2626-SM-5KM4T 60-69 years, female 186.6
GTEX-1F88F-1126-SM-7MKHL 60-69 years, female 186.2
GTEX-11P81-0826-SM-5P9GR 30-39 years, female 186.0
GTEX-ZLWG-1326-SM-DNZYZ 50-59 years, female 186.0
GTEX-S32W-0926-SM-4AD5X 50-59 years, female 184.9
GTEX-OXRP-0926-SM-48TC1 60-69 years, female 184.7
GTEX-1LVAM-1126-SM-DHXKP 50-59 years, female 184.5
GTEX-15EOM-5013-SM-7MKF9 20-29 years, female 184.0
GTEX-1QCLZ-1626-SM-E9U5R 60-69 years, female 184.0
GTEX-S341-0526-SM-4AD5U 40-49 years, female 183.8
GTEX-PWCY-0726-SM-48TCS 20-29 years, female 183.6
GTEX-ZC5H-1326-SM-5HL7E 40-49 years, female 182.2
GTEX-PLZ4-1626-SM-3P618 50-59 years, female 180.8
GTEX-1AMEY-0226-SM-7189Q 30-39 years, female 180.7
GTEX-Y3IK-1126-SM-51MSV 50-59 years, female 180.6
GTEX-W5WG-1626-SM-4LMKG 50-59 years, female 179.9
GTEX-1RAZA-1326-SM-DPS12 20-29 years, male 179.9
GTEX-YEC4-1026-SM-9WG7N 40-49 years, male 179.6
GTEX-1J8QM-1926-SM-AHZ3Z 60-69 years, female 179.4
GTEX-14A6H-1326-SM-5NQBC 30-39 years, male 179.3
GTEX-T5JW-1326-SM-4DM5G 20-29 years, female 179.3
GTEX-T6MO-0526-SM-4DM6R 40-49 years, female 179.0
GTEX-16BQI-1526-SM-6LLIE 30-39 years, female 178.5
GTEX-1CB4E-1026-SM-793AB 60-69 years, male 178.4
GTEX-146FH-1726-SM-5QGQ2 50-59 years, female 178.3
GTEX-14PK6-1326-SM-686ZE 70-79 years, female 178.1
GTEX-1J8EW-1326-SM-AHZ3S 60-69 years, female 178.1
GTEX-ZPCL-1426-SM-57WEC 60-69 years, female 177.4
GTEX-14BMU-0926-SM-5S2QB 20-29 years, female 177.2
GTEX-1F75I-1726-SM-7MKGW 40-49 years, male 177.1
GTEX-ZG7Y-1126-SM-4WWEZ 50-59 years, male 176.9
GTEX-YEC3-2526-SM-CXZIH 50-59 years, male 176.9
GTEX-R3RS-1326-SM-48FE7 40-49 years, female 176.5
GTEX-15RIE-0826-SM-6M47X 60-69 years, male 176.2
GTEX-18D9A-0526-SM-7KFSW 30-39 years, female 176.1
GTEX-VUSG-1226-SM-4KKZF 50-59 years, male 176.0
GTEX-ZYVF-2226-SM-5GIDD 50-59 years, female 176.0
GTEX-17HHE-0926-SM-7938K 50-59 years, male 175.9
GTEX-1I4MK-0426-SM-B2LWQ 50-59 years, female 175.8
GTEX-1399Q-1126-SM-5P9JA 40-49 years, male 175.5
GTEX-1K2DA-0626-SM-CGQGO 50-59 years, male 175.5
GTEX-1PPH8-1626-SM-E6CQP 20-29 years, male 175.5
GTEX-1B933-2026-SM-7EWFC 50-59 years, female 175.3
GTEX-13QBU-1026-SM-5LU3R 40-49 years, female 175.1
GTEX-UJHI-0826-SM-4IHLM 50-59 years, female 174.9
GTEX-14JG6-0926-SM-6871Y 30-39 years, female 174.8
GTEX-11DXX-1126-SM-5GZZK 60-69 years, female 174.7
GTEX-TMMY-1126-SM-4DXSX 40-49 years, female 174.7
GTEX-18465-1126-SM-7LG6E 50-59 years, male 174.6
GTEX-XUZC-0426-SM-4BOPE 30-39 years, female 173.6
GTEX-RU1J-0326-SM-46MUM 20-29 years, female 173.5
GTEX-RWS6-0826-SM-47JXF 60-69 years, female 173.5
GTEX-11ZTS-2626-SM-5EGIC 60-69 years, female 173.4
GTEX-13FTX-0526-SM-5IFGS 20-29 years, female 173.4
GTEX-X15G-0826-SM-4PQZD 50-59 years, female 173.3
GTEX-PWN1-0626-SM-48TDT 40-49 years, female 173.2
GTEX-YFC4-1226-SM-5LU9R 40-49 years, female 172.9
GTEX-1IDJH-2026-SM-CNNQX 70-79 years, male 172.5
GTEX-X4EP-1626-SM-4QAS6 60-69 years, female 172.4
GTEX-U3ZN-1726-SM-4DXUQ 30-39 years, female 172.3
GTEX-1HBPH-1126-SM-A96TU 40-49 years, female 172.0
GTEX-17F98-1726-SM-7938O 40-49 years, female 171.9
GTEX-ZGAY-1126-SM-4WWBS 40-49 years, female 171.7
GTEX-XBEW-1326-SM-4AT63 40-49 years, male 171.3
GTEX-14PJN-0526-SM-68724 30-39 years, male 171.1
GTEX-1EH9U-2426-SM-7EWFG 60-69 years, male 171.1
GTEX-Q2AH-0826-SM-48TZN 40-49 years, male 171.0
GTEX-ZDTT-1326-SM-4WKFH 60-69 years, male 170.9
GTEX-13FLV-1126-SM-5J2NO 50-59 years, male 170.3
GTEX-T2YK-1326-SM-4DM6S 50-59 years, male 170.3
GTEX-1K2DU-1726-SM-EV79S 20-29 years, male 170.3
GTEX-14E1K-1226-SM-5S2PD 50-59 years, male 170.2
GTEX-18A7A-2326-SM-7KFRH 50-59 years, female 170.1
GTEX-WXYG-1226-SM-4ONCJ 50-59 years, female 170.0
GTEX-1N2DV-2026-SM-EV7BL 40-49 years, male 169.4
GTEX-S4Q7-0626-SM-4AD5M 20-29 years, male 169.2
GTEX-YB5K-0826-SM-5YYB7 40-49 years, female 169.1
GTEX-ZVP2-1326-SM-57WCE 50-59 years, male 168.6
GTEX-1J1R8-0326-SM-AHZ3D 40-49 years, male 168.2
GTEX-14PJ6-1026-SM-686ZB 60-69 years, female 167.7
GTEX-1EWIQ-1526-SM-79OO7 70-79 years, female 167.5
GTEX-QCQG-0626-SM-48U21 50-59 years, female 167.1
GTEX-1GN1W-2226-SM-9JGI5 50-59 years, female 167.1
GTEX-148VI-1026-SM-5TDDJ 60-69 years, female 166.6
GTEX-POYW-1326-SM-48TCG 60-69 years, male 165.9
GTEX-139YR-1726-SM-5IFFK 50-59 years, male 165.4
GTEX-QDVJ-0726-SM-48U1W 50-59 years, male 165.4
GTEX-13FHP-1526-SM-5IJGE 50-59 years, male 165.3
GTEX-SE5C-1226-SM-4BRWV 40-49 years, female 165.3
GTEX-13FH7-0526-SM-5IJF8 50-59 years, female 165.1
GTEX-1QPFJ-1226-SM-EAZ3M 30-39 years, female 165.0
GTEX-14DAR-0826-SM-73KYJ 50-59 years, male 164.8
GTEX-15SB6-0726-SM-6M48F 50-59 years, female 164.8
GTEX-R55G-1026-SM-48FDI 40-49 years, female 164.8
GTEX-1H23P-1426-SM-9JGH5 60-69 years, male 164.8
GTEX-OIZH-0626-SM-3NB1L 50-59 years, male 164.7
GTEX-12WSK-1126-SM-5LZV8 40-49 years, female 164.6
GTEX-R53T-1126-SM-48FD4 50-59 years, female 164.0
GTEX-1MGNQ-1626-SM-EAZ4Z 40-49 years, male 164.0
GTEX-14PJ4-1526-SM-664OA 60-69 years, male 163.8
GTEX-ZTSS-0626-SM-59867 40-49 years, male 163.4
GTEX-1HCUA-1426-SM-9WPP7 50-59 years, female 163.4
GTEX-18D9U-2126-SM-7LG4Y 40-49 years, male 163.2
GTEX-1IDJD-1626-SM-C1YRC 30-39 years, male 163.2
GTEX-QV44-1126-SM-CL55C 50-59 years, male 162.8
GTEX-15ER7-2126-SM-7939E 20-29 years, female 162.7
GTEX-13SLX-1726-SM-5Q5E5 50-59 years, female 162.4
GTEX-13PL7-0226-SM-731DT 60-69 years, female 162.3
GTEX-1GMR3-1526-SM-9JGGL 40-49 years, male 162.3
GTEX-131XG-1026-SM-5GCMX 50-59 years, female 162.2
GTEX-1A8FM-1526-SM-7MXTA 50-59 years, female 162.2
GTEX-15DYW-1826-SM-6LPIY 60-69 years, female 162.1
GTEX-PLZ6-0526-SM-3P61C 30-39 years, male 161.9
GTEX-WQUQ-1626-SM-4OOSH 60-69 years, male 161.9
GTEX-TML8-1526-SM-4DXUX 40-49 years, female 161.8
GTEX-1EX96-2226-SM-7MKGT 50-59 years, male 161.7
GTEX-1QP28-1826-SM-EAZ4L 50-59 years, female 161.7
GTEX-1HB9E-1526-SM-D3LA6 50-59 years, male 161.6
GTEX-T8EM-0526-SM-4DM64 40-49 years, male 161.5
GTEX-15RJE-0926-SM-6LLHZ 40-49 years, male 161.3
GTEX-1CB4G-1326-SM-7MKFP 60-69 years, male 161.3
GTEX-1LNCM-0626-SM-EV7AI 50-59 years, female 161.2
GTEX-XQ8I-1526-SM-4BOOH 50-59 years, male 161.1
GTEX-1HGF4-0926-SM-9WPP8 60-69 years, male 161.1
GTEX-1QP67-0726-SM-DPRY1 40-49 years, female 160.6
GTEX-OXRN-1726-SM-3NM9B 50-59 years, male 160.5
GTEX-13RTK-0526-SM-5S2QF 20-29 years, male 160.4
GTEX-13NZB-1226-SM-5J2MW 30-39 years, male 160.3
GTEX-132QS-1426-SM-5P9GE 60-69 years, male 160.2
GTEX-1EKGG-1726-SM-7MXUP 60-69 years, male 160.2
GTEX-1R9JW-1526-SM-DPRZK 30-39 years, female 160.2
GTEX-YB5E-0926-SM-4WWDQ 40-49 years, male 159.9
GTEX-1H1DG-1226-SM-9JGH3 70-79 years, male 159.8
GTEX-16NGA-1426-SM-718AC 40-49 years, female 159.7
GTEX-UPK5-1226-SM-4IHL8 40-49 years, male 159.4
GTEX-ZE9C-1126-SM-4WWBD 60-69 years, male 159.3
GTEX-ZT9W-1326-SM-51MTB 50-59 years, male 159.2
GTEX-X4XY-1726-SM-46MVO 60-69 years, male 159.1
GTEX-ZLFU-1126-SM-DO11K 40-49 years, male 158.9
GTEX-14JIY-0926-SM-6871D 60-69 years, male 158.8
GTEX-1F5PL-1726-SM-9QEGL 40-49 years, female 158.6
GTEX-11DXY-1426-SM-5N9CN 60-69 years, male 158.5
GTEX-17EUY-1426-SM-7938X 20-29 years, male 158.5
GTEX-ZY6K-0626-SM-59HJL 50-59 years, male 158.4
GTEX-1HSKV-2426-SM-A8N8K 60-69 years, male 158.2
GTEX-1NUQO-1126-SM-DTX98 20-29 years, female 158.0
GTEX-17F96-2526-SM-7DHL3 70-79 years, male 157.9
GTEX-SUCS-0726-SM-4DM7J 70-79 years, male 157.8
GTEX-WRHK-0526-SM-4MVOF 20-29 years, female 157.8
GTEX-REY6-1326-SM-48FDO 60-69 years, male 157.7
GTEX-XYKS-1526-SM-4BRUP 60-69 years, female 157.7
GTEX-1LSVX-1226-SM-DHXJN 60-69 years, male 157.7
GTEX-11NSD-1126-SM-5N9BQ 20-29 years, male 157.6
GTEX-1399R-0826-SM-5IJEL 30-39 years, male 157.6
GTEX-XGQ4-1526-SM-4AT6H 50-59 years, male 157.6
GTEX-1LG7Z-0926-SM-CXKYK 30-39 years, male 157.6
GTEX-11EQ9-0726-SM-5A5K2 30-39 years, male 157.5
GTEX-1JMLX-2326-SM-CXZJP 50-59 years, male 157.5
GTEX-1A32A-1826-SM-72D5G 50-59 years, female 157.4
GTEX-1J1OQ-2526-SM-AHZ3Q 40-49 years, female 157.4
GTEX-1F5PK-1526-SM-7MKGV 50-59 years, male 157.2
GTEX-18A66-1426-SM-7KFRT 60-69 years, male 157.1
GTEX-QVUS-0626-SM-447CC 60-69 years, female 157.1
GTEX-S7SF-0926-SM-4AD4M 20-29 years, female 157.0
GTEX-1HBPI-0626-SM-9WPP4 50-59 years, male 157.0
GTEX-14B4R-0326-SM-5TDDP 30-39 years, male 156.9
GTEX-13PVR-1826-SM-5Q5CC 60-69 years, female 156.8
GTEX-13W3W-1626-SM-5LU35 60-69 years, female 156.8
GTEX-1S83E-0826-SM-EV7B7 40-49 years, male 156.8
GTEX-15SHU-1426-SM-6LPIN 40-49 years, female 156.7
GTEX-1R9PM-0926-SM-DPRYA 20-29 years, male 156.6
GTEX-1MCYP-1026-SM-DPRYB 20-29 years, female 156.2
GTEX-146FR-0426-SM-5SI97 60-69 years, female 156.1
GTEX-1C475-0926-SM-7MKFI 40-49 years, female 155.8
GTEX-17EVQ-1926-SM-7IGOF 70-79 years, male 155.6
GTEX-Q2AI-0626-SM-48TZU 40-49 years, male 155.6
GTEX-WYVS-0726-SM-4ONDO 40-49 years, female 155.6
GTEX-1LG7Y-1726-SM-EV7AR 50-59 years, male 155.4
GTEX-U8XE-1726-SM-4E3IF 30-39 years, male 155.2
GTEX-147F3-0826-SM-5NQA7 50-59 years, female 154.9
GTEX-RUSQ-0826-SM-47JWW 50-59 years, male 154.9
GTEX-18QFQ-1026-SM-7LG6B 30-39 years, male 154.9
GTEX-1C2JI-1126-SM-731FH 50-59 years, male 154.5
GTEX-Y9LG-0626-SM-4WWDH 30-39 years, male 154.5
GTEX-1OJC3-0826-SM-DPRYU 20-29 years, male 154.3
GTEX-1KAFJ-0626-SM-D3L8X 50-59 years, male 154.2
GTEX-QEG4-0726-SM-CNNRF 30-39 years, male 154.2
GTEX-14ICL-0526-SM-5RQJ6 30-39 years, male 154.0
GTEX-13D11-1926-SM-5IFGB 50-59 years, female 153.7
GTEX-14PJM-1526-SM-664NY 50-59 years, female 153.5
GTEX-U3ZM-0526-SM-4DXTB 40-49 years, male 153.5
GTEX-1JK1U-1726-SM-CNNPM 60-69 years, male 153.5
GTEX-13S86-0826-SM-5SI6J 40-49 years, male 153.3
GTEX-13O3Q-0826-SM-5IFGF 50-59 years, male 153.1
GTEX-ZF2S-1226-SM-4WWAX 50-59 years, female 153.1
GTEX-1B996-1826-SM-7MGY6 60-69 years, male 153.0
GTEX-145LU-0926-SM-79OJL 50-59 years, male 152.9
GTEX-ZF29-1326-SM-DNZYV 60-69 years, female 152.9
GTEX-131YS-1426-SM-5IJF7 60-69 years, female 152.8
GTEX-R55C-0826-SM-48FCL 40-49 years, male 152.5
GTEX-1R7EU-0826-SM-DPRZL 60-69 years, male 152.4
GTEX-13OVK-1126-SM-6PAMR 40-49 years, male 152.3
GTEX-13YAN-1926-SM-7EPH9 60-69 years, male 152.2
GTEX-145MF-1426-SM-5O9B6 50-59 years, male 152.2
GTEX-12WSD-1826-SM-5GCOA 60-69 years, female 152.0
GTEX-U4B1-0826-SM-4DXTW 40-49 years, male 152.0
GTEX-11EM3-0826-SM-5N9CC 20-29 years, female 151.8
GTEX-183FY-1526-SM-7IGOW 20-29 years, male 151.8
GTEX-131XE-1426-SM-5HL7V 50-59 years, male 151.7
GTEX-11EMC-2226-SM-5A5JW 60-69 years, female 151.5
GTEX-144GM-1426-SM-5LU31 20-29 years, male 151.5
GTEX-1ICG6-1926-SM-ARU7L 70-79 years, female 151.4
GTEX-1LB8K-1326-SM-CXZKB 50-59 years, male 151.3
GTEX-S95S-0426-SM-4B64I 60-69 years, male 151.2
GTEX-1JMQJ-1226-SM-D3L97 50-59 years, male 151.1
GTEX-17MFQ-0526-SM-7KFTX 20-29 years, male 150.8
GTEX-Y114-0926-SM-4TT7J 50-59 years, female 150.6
GTEX-ZYY3-1526-SM-5SIA9 60-69 years, female 150.3
GTEX-1LBAC-1226-SM-DHXK1 20-29 years, male 150.2
GTEX-XMK1-1326-SM-4B65Q 40-49 years, male 150.0
GTEX-1KXAM-0826-SM-CXZK9 60-69 years, male 149.9
GTEX-X3Y1-1326-SM-4PQZB 40-49 years, male 149.8
GTEX-XXEK-0326-SM-4BRVV 50-59 years, male 149.8
GTEX-1B97J-1026-SM-7MXTE 50-59 years, female 149.8
GTEX-1QCLY-1526-SM-DPRXX 30-39 years, male 149.7
GTEX-1AX9J-1826-SM-731FM 60-69 years, male 149.6
GTEX-1I1GR-1326-SM-ARU7B 60-69 years, male 149.6
GTEX-SNMC-0526-SM-4DM69 20-29 years, male 149.5
GTEX-117YW-1926-SM-5H121 50-59 years, male 149.4
GTEX-OXRK-1326-SM-3NB1A 50-59 years, female 149.4
GTEX-RU72-0726-SM-46MUW 50-59 years, female 149.1
GTEX-1MA7W-0426-SM-E9TJ5 20-29 years, female 148.8
GTEX-1C6VQ-1826-SM-7EWEH 50-59 years, male 148.6
GTEX-RN64-1026-SM-48FDX 50-59 years, male 148.6
GTEX-ZF3C-1626-SM-4WWB4 50-59 years, female 148.5
GTEX-12BJ1-1626-SM-5HL8Y 60-69 years, male 148.3
GTEX-1A3MV-1326-SM-7LG6C 30-39 years, male 148.2
GTEX-16XZY-0926-SM-7938M 70-79 years, male 148.0
GTEX-1HC8U-1526-SM-9WPO4 40-49 years, female 147.9
GTEX-1OKEX-1326-SM-E9J2U 60-69 years, male 147.7
GTEX-11P7K-1326-SM-5BC5G 30-39 years, male 147.5
GTEX-1R9K4-1926-SM-DPRZW 60-69 years, male 147.5
GTEX-13CF3-1626-SM-5IFG9 60-69 years, female 147.3
GTEX-1HCVE-1226-SM-9WPPH 50-59 years, male 147.3
GTEX-PVOW-1626-SM-48TC9 40-49 years, male 147.1
GTEX-1S82Y-1226-SM-EV7BD 40-49 years, male 146.8
GTEX-Y3I4-1226-SM-4TT8N 50-59 years, male 146.7
GTEX-QESD-0826-SM-47J4G 20-29 years, male 146.3
GTEX-RM2N-0726-SM-48FD5 50-59 years, male 146.3
GTEX-P4QT-0626-SM-3NMCP 50-59 years, female 146.2
GTEX-X4EO-1226-SM-4QARR 60-69 years, female 146.2
GTEX-ZV68-0926-SM-59HK7 50-59 years, female 145.8
GTEX-1I1GU-1426-SM-B2LX3 40-49 years, male 145.8
GTEX-PLZ5-0926-SM-3TW8L 50-59 years, male 145.7
GTEX-1B97I-0926-SM-731DZ 40-49 years, male 145.6
GTEX-S33H-0826-SM-4AD5Y 30-39 years, male 145.6
GTEX-1HSMQ-2026-SM-B2LY1 50-59 years, male 145.6
GTEX-1I6K7-1426-SM-B2LXP 40-49 years, male 145.5
GTEX-15DCE-1326-SM-6LPJL 20-29 years, male 145.3
GTEX-15EU6-1626-SM-6LPKF 50-59 years, male 145.3
GTEX-145LV-1326-SM-5S2QI 50-59 years, male 145.2
GTEX-13OVG-0626-SM-5IFEP 60-69 years, male 145.1
GTEX-XV7Q-1126-SM-4BRVS 40-49 years, female 145.1
GTEX-P4PQ-0626-SM-3NMCU 60-69 years, male 145.0
GTEX-11DXZ-1226-SM-5H11L 50-59 years, male 144.9
GTEX-P78B-1026-SM-3NMC4 40-49 years, female 144.9
GTEX-11NUK-1326-SM-5P9GN 50-59 years, male 144.8
GTEX-1I1CD-1726-SM-A9G3P 60-69 years, female 144.5
GTEX-1QEPI-1826-SM-EAZ3J 60-69 years, female 144.5
GTEX-1EN7A-1226-SM-7MGX9 40-49 years, male 143.9
GTEX-1RAZR-1226-SM-E6CRD 40-49 years, male 143.9
GTEX-15F5U-5010-SM-AHZ2D 40-49 years, male 143.7
GTEX-1HCU7-2126-SM-A96SG 50-59 years, male 143.7
GTEX-1JKYR-2126-SM-CNNPC 20-29 years, male 143.7
GTEX-15DCD-1626-SM-6AJBH 70-79 years, female 143.6
GTEX-QDVN-1026-SM-48TZA 50-59 years, male 143.6
GTEX-14DAQ-1426-SM-5RQJD 60-69 years, female 143.0
GTEX-R55D-1126-SM-48FEB 50-59 years, male 143.0
GTEX-13FHO-1726-SM-DPRZX 60-69 years, male 143.0
GTEX-16MTA-0826-SM-6LLIC 50-59 years, male 142.9
GTEX-OOBK-0625-SM-3LK5P 40-49 years, male 142.8
GTEX-111YS-0926-SM-5EGGI 60-69 years, male 142.7
GTEX-13U4I-1126-SM-5LU3S 40-49 years, female 142.7
GTEX-11LCK-1726-SM-5S2OQ 30-39 years, male 142.6
GTEX-QEG5-1426-SM-447AS 20-29 years, male 142.6
GTEX-12ZZY-1426-SM-5N9EI 60-69 years, male 142.5
GTEX-1HKZK-1426-SM-A96U1 40-49 years, male 142.5
GTEX-T2IS-0826-SM-4DM6L 20-29 years, female 142.4
GTEX-1MA7X-0726-SM-EV7AB 60-69 years, male 142.4
GTEX-11TT1-0526-SM-5P9JO 20-29 years, male 142.3
GTEX-1PPGY-1726-SM-EVR3S 60-69 years, male 142.2
GTEX-17HGU-1426-SM-7938G 50-59 years, male 142.1
GTEX-V1D1-1026-SM-4JBHE 50-59 years, male 142.1
GTEX-ZAJG-1326-SM-5S2NV 50-59 years, female 142.0
GTEX-145MO-1426-SM-DTX9W 60-69 years, male 142.0
GTEX-Y5V6-1026-SM-4VBS2 60-69 years, male 141.9
GTEX-1H1ZS-1526-SM-9OSXR 70-79 years, male 141.7
GTEX-WFJO-0826-SM-4LVM5 30-39 years, male 141.5
GTEX-1GMR2-1526-SM-7MXV6 50-59 years, male 141.5
GTEX-R55E-1326-SM-48FCR 20-29 years, male 141.3
GTEX-U3ZH-1026-SM-4DXUZ 30-39 years, male 141.3
GTEX-QEL4-1426-SM-447AC 50-59 years, male 141.2
GTEX-14C38-2126-SM-5RQJO 50-59 years, male 141.1
GTEX-TKQ1-0326-SM-4DXSM 30-39 years, male 141.1
GTEX-11XUK-0826-SM-5GU6P 40-49 years, female 141.0
GTEX-VJYA-0726-SM-4KL1T 60-69 years, male 140.9
GTEX-ZTX8-0226-SM-5E44D 20-29 years, male 140.8
GTEX-13FTW-1626-SM-5KM4N 40-49 years, male 140.6
GTEX-15ETS-1926-SM-7KUN5 40-49 years, female 140.5
GTEX-18A6Q-1226-SM-7KFS9 60-69 years, male 140.5
GTEX-18D9B-2026-SM-7LT96 60-69 years, male 140.3
GTEX-1399U-1026-SM-5J1OC 50-59 years, female 140.2
GTEX-1LGRB-1626-SM-CNNR7 50-59 years, female 140.0
GTEX-148VJ-1026-SM-5LU98 70-79 years, male 139.8
GTEX-14E6E-0726-SM-5S2R3 30-39 years, male 139.8
GTEX-15UF7-0926-SM-6M46F 40-49 years, male 139.8
GTEX-1GN1U-1826-SM-9JGH2 50-59 years, female 139.7
GTEX-1HFI6-1226-SM-A96SK 40-49 years, male 139.7
GTEX-12WSL-1526-SM-5GCP8 50-59 years, male 139.6
GTEX-131XF-0826-SM-5GICG 60-69 years, male 139.6
GTEX-13O1R-1326-SM-5IJF5 60-69 years, male 139.5
GTEX-1I1GS-2126-SM-ARU7G 60-69 years, male 139.5
GTEX-1211K-0926-SM-5FQTL 60-69 years, female 139.4
GTEX-139T6-0626-SM-5IFF9 50-59 years, male 139.2
GTEX-WOFM-0626-SM-4OOS3 20-29 years, male 139.2
GTEX-12C56-1226-SM-5FQSU 20-29 years, male 138.4
GTEX-139UW-1126-SM-5IJEJ 60-69 years, male 138.4
GTEX-Y8LW-0726-SM-5IFI1 50-59 years, female 138.4
GTEX-Z9EW-0526-SM-5HL8S 40-49 years, male 138.4
GTEX-14PHY-0626-SM-664NN 60-69 years, female 138.3
GTEX-WHPG-1126-SM-4M1XT 50-59 years, male 138.2
GTEX-1JKYN-1526-SM-CGQGA 30-39 years, male 138.0
GTEX-133LE-0626-SM-5IFFJ 20-29 years, female 137.8
GTEX-WHWD-0926-SM-4OORY 50-59 years, male 137.8
GTEX-11P82-0526-SM-5986P 20-29 years, male 137.7
GTEX-1RAZQ-1726-SM-EAZ4T 30-39 years, male 137.5
GTEX-1EMGI-1926-SM-7938Y 60-69 years, male 137.4
GTEX-1I1GQ-1726-SM-B2LWZ 50-59 years, male 137.0
GTEX-N7MT-0326-SM-48TDP 60-69 years, female 136.9
GTEX-RTLS-1126-SM-46MUQ 60-69 years, female 136.8
GTEX-17HII-1526-SM-9OSVD 50-59 years, male 136.8
GTEX-YF7O-0926-SM-5IFIF 50-59 years, male 136.7
GTEX-1HBPM-1426-SM-9WPPE 60-69 years, female 136.4
GTEX-1K9T9-2026-SM-CXZK3 50-59 years, female 136.4
GTEX-1AX9I-1426-SM-7DHM8 60-69 years, male 136.3
GTEX-1QP9N-0926-SM-E9U5S 30-39 years, male 136.0
GTEX-144FL-2726-SM-5O98Z 50-59 years, male 135.7
GTEX-X62O-2226-SM-46MW3 50-59 years, male 135.7
GTEX-WFON-0826-SM-4LVMI 40-49 years, male 135.6
GTEX-WVLH-1426-SM-4MVNX 50-59 years, male 135.3
GTEX-ZA64-0626-SM-5HL9O 20-29 years, male 135.3
GTEX-1R9K5-1526-SM-DPRZA 50-59 years, male 134.9
GTEX-18A67-2426-SM-7LT95 50-59 years, male 134.8
GTEX-OIZF-0626-SM-7MKHG 60-69 years, male 134.8
GTEX-16Z82-1926-SM-6M47U 60-69 years, male 134.7
GTEX-S3XE-0926-SM-4AD4S 50-59 years, male 134.7
GTEX-WFG8-1226-SM-4V6EI 20-29 years, male 134.7
GTEX-XK95-1026-SM-4GIDV 40-49 years, male 134.7
GTEX-QLQ7-0926-SM-447BC 60-69 years, male 134.6
GTEX-1H1DE-1026-SM-9JGH6 20-29 years, male 134.2
GTEX-13OW8-2326-SM-5L3I9 60-69 years, male 134.1
GTEX-ZZ64-0226-SM-5E44X 20-29 years, male 134.1
GTEX-V955-1126-SM-4JBH3 60-69 years, male 134.0
GTEX-ZEX8-1426-SM-4WKHQ 50-59 years, male 133.9
GTEX-111CU-0726-SM-5GZYD 50-59 years, male 133.7
GTEX-1497J-2726-SM-5SI9W 60-69 years, male 133.7
GTEX-14PJ3-0626-SM-6UGC5 50-59 years, male 133.6
GTEX-1CB4I-1026-SM-7MKFZ 50-59 years, male 133.3
GTEX-16NPX-1626-SM-6LLI5 50-59 years, male 132.8
GTEX-RNOR-1226-SM-48FDQ 50-59 years, female 132.8
GTEX-ZDYS-0826-SM-4WWCR 50-59 years, male 132.7
GTEX-1N2DW-1426-SM-EV7AZ 50-59 years, male 132.7
GTEX-1H3VY-2026-SM-9JGHK 50-59 years, male 132.6
GTEX-16A39-1026-SM-6LPJU 30-39 years, female 132.5
GTEX-14BIM-1326-SM-7EWD1 60-69 years, female 132.4
GTEX-13X6K-2126-SM-5O9D4 60-69 years, female 132.3
GTEX-P4PP-0626-SM-3NM9X 30-39 years, female 132.1
GTEX-1HSGN-1626-SM-A96U2 40-49 years, female 132.1
GTEX-13111-0826-SM-5LZV3 50-59 years, male 131.9
GTEX-1IDJF-1226-SM-C1YPX 20-29 years, male 131.9
GTEX-145MN-1026-SM-5NQ9G 30-39 years, male 131.5
GTEX-11ONC-1526-SM-5GU6S 60-69 years, male 131.4
GTEX-ZUA1-1226-SM-5NQ6O 40-49 years, male 131.2
GTEX-1IKK5-1326-SM-AHZ2X 60-69 years, male 130.9
GTEX-TSE9-1226-SM-4DXTM 60-69 years, female 130.8
GTEX-XBED-1026-SM-48TCB 60-69 years, male 130.8
GTEX-NPJ8-1926-SM-3MJGB 40-49 years, male 130.5
GTEX-1MCQQ-1026-SM-EV7AX 60-69 years, male 130.5
GTEX-RVPV-0526-SM-47JYL 60-69 years, male 130.2
GTEX-1AX8Z-5016-SM-AHZ2B 60-69 years, male 130.2
GTEX-183WM-1726-SM-7KFT5 70-79 years, female 130.1
GTEX-169BO-0526-SM-793AK 50-59 years, male 130.0
GTEX-1RAZS-2626-SM-EV79C 50-59 years, male 130.0
GTEX-T5JC-1726-SM-4DM6U 20-29 years, male 129.7
GTEX-WYJK-1926-SM-4ONDP 50-59 years, male 129.5
GTEX-1M5QR-0726-SM-DHXK7 40-49 years, male 129.5
GTEX-WHSB-0426-SM-4M1XI 50-59 years, male 129.4
GTEX-OHPN-1026-SM-E9TI8 60-69 years, female 129.4
GTEX-UPJH-1026-SM-EAZB2 50-59 years, male 129.4
GTEX-Y8E4-1726-SM-5LU9G 40-49 years, male 129.0
GTEX-WEY5-0926-SM-4LMI4 40-49 years, female 128.8
GTEX-ZPU1-1426-SM-4WWFU 40-49 years, male 128.7
GTEX-1AX9K-1126-SM-731DQ 50-59 years, male 128.4
GTEX-14C5O-1626-SM-73KYH 60-69 years, male 128.3
GTEX-1B8KZ-0726-SM-7938W 50-59 years, male 128.2
GTEX-1I1GV-2226-SM-ARU7E 60-69 years, male 128.1
GTEX-1JMPY-0826-SM-AHZ4A 30-39 years, male 127.7
GTEX-WFG7-1126-SM-4LMK3 20-29 years, male 127.6
GTEX-13QJ3-1726-SM-5RQK9 50-59 years, male 127.3
GTEX-YJ89-1526-SM-5P9IR 60-69 years, male 127.3
GTEX-1LGOU-0526-SM-D3LAO 20-29 years, female 127.1
GTEX-17F9E-1926-SM-7IGQF 50-59 years, male 127.0
GTEX-PSDG-1326-SM-48TD2 50-59 years, male 127.0
GTEX-WH7G-0926-SM-4LVMJ 40-49 years, male 126.9
GTEX-1GL5R-1526-SM-7MKHO 50-59 years, male 126.7
GTEX-NFK9-1126-SM-3LK78 40-49 years, male 126.7
GTEX-139TU-1226-SM-5J2NL 60-69 years, male 126.3
GTEX-144GN-0626-SM-5O9B2 50-59 years, male 126.3
GTEX-1B8KE-1826-SM-731FD 50-59 years, male 126.2
GTEX-13G51-0926-SM-5IFFU 60-69 years, male 125.7
GTEX-178AV-0526-SM-6LPJH 40-49 years, male 125.6
GTEX-13PVQ-1726-SM-5IFF3 50-59 years, male 125.5
GTEX-1JMQK-2026-SM-C1YQN 60-69 years, male 125.5
GTEX-16AAH-0726-SM-793A9 50-59 years, male 125.4
GTEX-12696-1326-SM-5FQTJ 60-69 years, male 124.5
GTEX-15RJ7-0926-SM-6LPJO 40-49 years, male 124.4
GTEX-X4LF-0626-SM-4QASB 50-59 years, male 124.0
GTEX-YECK-1626-SM-5IFHQ 60-69 years, male 123.9
GTEX-ZAK1-1526-SM-5S2OV 50-59 years, female 123.9
GTEX-1JMPZ-2026-SM-C1YR8 30-39 years, male 123.9
GTEX-1CB4F-1526-SM-7MKFM 60-69 years, male 123.7
GTEX-1I1GP-1026-SM-C1YRZ 50-59 years, male 123.7
GTEX-1IY9M-1626-SM-AHZ39 60-69 years, male 123.6
GTEX-16MT8-1326-SM-6M47R 60-69 years, female 123.0
GTEX-OXRL-0626-SM-3NM9C 50-59 years, male 122.9
GTEX-1RLM8-0726-SM-E6CRH 50-59 years, male 122.5
GTEX-ZAB4-1126-SM-5HL86 40-49 years, male 121.3
GTEX-11VI4-0526-SM-5EQ48 40-49 years, female 121.1
GTEX-XLM4-2326-SM-4AT5E 60-69 years, male 121.1
GTEX-11TUW-1326-SM-5EQKV 60-69 years, male 120.1
GTEX-QLQW-0526-SM-4R1KS 30-39 years, male 119.5
GTEX-1QW4Y-0526-SM-EAZ3V 30-39 years, male 119.5
GTEX-1LSNL-2226-SM-DHXKM 50-59 years, male 119.4
GTEX-1PIGE-0926-SM-E9U5Z 20-29 years, male 119.3
GTEX-R45C-1226-SM-48FEE 60-69 years, female 119.1
GTEX-ZYW4-1326-SM-5E45N 60-69 years, male 119.1
GTEX-OIZI-1426-SM-3NB1T 40-49 years, male 119.0
GTEX-13O21-0626-SM-5IJDI 50-59 years, male 118.9
GTEX-13OVJ-1226-SM-5L3HA 50-59 years, female 118.8
GTEX-15UF6-2326-SM-6M465 70-79 years, female 118.8
GTEX-UJMC-0926-SM-4IHLK 50-59 years, male 118.7
GTEX-145LT-1126-SM-5LUA1 40-49 years, male 118.3
GTEX-1212Z-2126-SM-5FQTM 60-69 years, male 118.2
GTEX-1F52S-1426-SM-7P8PU 60-69 years, female 118.0
GTEX-13JVG-2026-SM-5KM1N 60-69 years, male 117.9
GTEX-ZT9X-0526-SM-5GCOP 40-49 years, male 117.7
GTEX-SNOS-0626-SM-4DM5F 40-49 years, male 117.1
GTEX-13W46-1926-SM-5J2MF 50-59 years, male 117.0
GTEX-1GMR8-1826-SM-9WYUE 50-59 years, female 116.2
GTEX-ZVE2-1326-SM-5NQ94 50-59 years, male 115.6
GTEX-WHSE-1526-SM-4M1XH 20-29 years, male 115.2
GTEX-1EU9M-2326-SM-7MKGS 60-69 years, male 114.5
GTEX-12ZZW-1726-SM-5DUVD 50-59 years, male 114.4
GTEX-WK11-1026-SM-4OOS8 50-59 years, male 114.2
GTEX-12KS4-0926-SM-5BC5S 30-39 years, male 113.7
GTEX-XMD2-1326-SM-4YCET 60-69 years, female 113.7
GTEX-132Q8-1826-SM-5EGIY 60-69 years, male 113.4
GTEX-13X6I-1026-SM-5LU4C 60-69 years, male 113.4
GTEX-1PFEY-0826-SM-E9U6A 30-39 years, male 113.3
GTEX-SJXC-1426-SM-EYYVB 60-69 years, male 112.7
GTEX-11EI6-1526-SM-5P9GL 60-69 years, male 112.6
GTEX-ZAB5-0926-SM-5CVMV 50-59 years, male 112.6
GTEX-1CB4J-2426-SM-7MXVC 60-69 years, male 112.2
GTEX-146FQ-1026-SM-5LU8I 30-39 years, male 111.9
GTEX-1KD4Q-1126-SM-CXZKK 40-49 years, male 111.6
GTEX-12WSG-5007-SM-7DUGZ 50-59 years, female 110.9
GTEX-12WSA-1426-SM-5EGJU 60-69 years, male 110.8
GTEX-1GN73-1926-SM-9JGGS 60-69 years, male 110.8
GTEX-145LS-1826-SM-5LUAZ 60-69 years, female 109.6
GTEX-P4QS-0626-SM-3NMD1 60-69 years, male 108.7
GTEX-ZYFC-1626-SM-5N9EU 50-59 years, male 107.8
GTEX-ZYT6-1126-SM-5GZYR 30-39 years, male 107.6
GTEX-1GTWX-1326-SM-9JGHU 60-69 years, male 107.4
GTEX-1QP29-2126-SM-E6CPZ 50-59 years, male 107.3
GTEX-11DZ1-2026-SM-5A5KG 50-59 years, male 106.6
GTEX-17F97-1326-SM-7MGVO 50-59 years, male 105.8
GTEX-1MJIX-0826-SM-DTXEO 40-49 years, male 105.0
GTEX-ZQUD-0426-SM-57WFR 30-39 years, male 103.6
GTEX-13O61-0926-SM-5IFFE 60-69 years, male 101.9
GTEX-1E1VI-1526-SM-7IGQ2 50-59 years, male 101.6
GTEX-Y111-1626-SM-57WCY 50-59 years, male 101.5
GTEX-1F7RK-1526-SM-7P8T6 20-29 years, female 101.2
GTEX-17KNJ-1326-SM-7KFTG 50-59 years, male 99.9
GTEX-1BAJH-2026-SM-7P8OZ 70-79 years, male 99.7
GTEX-N7MS-1225-SM-3LK5G 60-69 years, male 98.8
GTEX-11DYG-1326-SM-5N9DO 60-69 years, male 98.2
GTEX-1LVA9-2126-SM-DLHBY 50-59 years, male 96.8
GTEX-X585-1226-SM-46MW7 50-59 years, male 96.3
GTEX-144GO-2726-SM-5O9A2 60-69 years, male 94.2
GTEX-1H3NZ-1326-SM-9JGHI 60-69 years, male 92.2
GTEX-ZZPT-1426-SM-5N9C5 50-59 years, male 91.4
GTEX-12WSN-5013-SM-7P8P9 40-49 years, male 85.4
GTEX-15EO6-1026-SM-7KUG9 50-59 years, male 85.1
GTEX-1IDFM-1126-SM-A96SY 60-69 years, male 84.0
Show allShow less

ESOPHAGUS - FANTOM5 CAGEi

RNA expression in human tissues obtained through Cap Analysis of Gene Expression (CAGE) generated by the FANTOM5 project are reported as Scaled Tags Per Million.

Max subtype Scaled Tags Per Millioni

Max subtype Scaled Tags Per Million is the value for the subtype with the largest average Scaled Tags Per Million across the subtype samples.

195.0
FANTOM5 sample id Sample description Scaled Tags Per Million
Esophagus
Scaled Tags Per Million: 195.0
FF:10015-101C6 68,74,75 years, mixed 195.0

Contact

  • NEWS ARTICLES
  • PRESS ROOM

The Project

  • INTRODUCTION
  • ORGANIZATION
  • PUBLICATIONS

The Human Protein Atlas

  • DOWNLOADABLE DATA
  • LICENCE & CITATION
  • HELP & FAQ
The Human Protein Atlas project is funded
by the Knut & Alice Wallenberg Foundation.


contact@proteinatlas.org