We use cookies to enhance the usability of our website. If you continue, we'll assume that you are happy to receive all cookies. More information. Don't show this again.
ATP6V1E1
HPA
RESOURCES
  • TISSUE
  • BRAIN
  • SINGLE CELL
  • SUBCELLULAR
  • CANCER
  • BLOOD
  • CELL LINE
  • STRUCTURE & INTERACTION
ABOUT
  • INTRODUCTION
  • HISTORY
  • ORGANIZATION
  • PUBLICATIONS
  • ANTIBODY SUBMISSION
  • ANTIBODY AVAILABILITY
  • ACKNOWLEDGMENTS
  • CONTACT
NEWS
  • NEWS ARTICLES
  • PRESS ROOM
LEARN
  • DICTIONARY
  • PROTEIN CLASSES
  • PROTEIN EVIDENCE
  • METHODS
  • EDUCATIONAL VIDEOS
DATA
  • DOWNLOADABLE DATA
  • PUBLICATION DATA
  • RELEASE HISTORY
HELP
  • ANTIBODY VALIDATION
  • ASSAYS & ANNOTATION
  • DISCLAIMER
  • HELP & FAQ
  • PRIVACY STATEMENT
  • LICENCE & CITATION
Fields »
Search result

Field
Term
Gene name
Class
Subclass
Class
Keyword
Chromosome
External id
Tissue
Cell type
Expression
Antibody panel
Tissue
Main location
Patient ID
Annotation
Tissue
Category
Tau score
Cluster
Reliability
Brain region
Category
Tau score
Brain region
Category
Tau score
Brain region
Category
Tau score
Cluster
Reliability
Tissue
Cell type
Enrichment
Cell type
Category
Tau score
Cell type
Category
Tau score
Cell type
Category
Tau score
Cell lineage
Category
Tau score
Cluster
Cluster
Location
Searches
Location
Cell line
Class
Type
Phase
Reliability
Cancer
Prognosis
Cancer
Category
Cancer
Category
Tau score
Cluster
Variants
Interacting gene (ensg_id)
Type
Number of interactions
Pathway
Category
Score
Score
Score
Validation
Validation
Validation
Validation
Antibodies
Data type
Column


  • SUMMARY

  • TISSUE

  • BRAIN

  • SINGLE CELL

  • SUBCELL

  • CANCER

  • BLOOD

  • CELL LINE

  • STRUCT & INT

  • ATP6V1E1
TISSUE PRIMARY DATA BREAST Show tissue menu
ADIPOSE TISSUE ADRENAL GLAND AMYGDALA APPENDIX BASAL GANGLIA BONE MARROW BREAST BRONCHUS CEREBELLUM CEREBRAL CORTEX CERVIX CHOROID PLEXUS COLON DUODENUM
ENDOMETRIUM EPIDIDYMIS ESOPHAGUS FALLOPIAN TUBE GALLBLADDER HEART MUSCLE HIPPOCAMPAL FORMATION HYPOTHALAMUS KIDNEY LIVER LUNG LYMPH NODE MIDBRAIN ORAL MUCOSA
OVARY PANCREAS PARATHYROID GLAND PITUITARY GLAND PLACENTA PROSTATE RECTUM RETINA SALIVARY GLAND SEMINAL VESICLE SKELETAL MUSCLE SKIN SMALL INTESTINE SMOOTH MUSCLE
SOFT TISSUE SPINAL CORD SPLEEN STOMACH TESTIS THYMUS THYROID GLAND TONGUE TONSIL URINARY BLADDER VAGINA
ANTIBODIES
AND
VALIDATION
Dictionary
Breast
Tissue proteome
Breast
BREAST - Expression summary
Protein expression
Breasti

On the top, protein expression in current human tissue, based on all annotated cell types, is reported with the units not detected (n), low (l), medium (m) and high (h). Underneath, protein expression in each annotated cell type are reported using the same units.

Protein expression data is based on knowledge-based annotation. For genes where more than one antibody has been used, a collective score is set.

If knowledge-based annotation could not be performed for a gene, no data is displayed here. View antibody staining data further down this page.

h
m
l
n
Adipocytes: Not detected
Glandular cells: Medium
Myoepithelial cells: Low
RNA expressioni

A summary of mRNA expression data available for current tissue based on several datasets. The mRNA expression levels in human tissues are based on RNA-seq data generated by the Human Protein Atlas (HPA), Genotype-Tissue Expression (GTEx) portal and CAGE data generated by the FANTOM5 consortium. Consensus normalized expression levels for human tissues was created by combining the data from HPA and GTEx datasets.

The mRNA expression levels in pig are based on RNA-seq data generated by the Human Protein Atlas (HPA), and for mouse, HPA data and in situ hybridization generated by the Allen brain atlas are reported.

Scroll down to view mRNA expression data in more detail.
Consensus:105.9 nTPM
HPA:95.1 nTPM
GTEx:105.9 nTPM
FANTOM5:129.9 Scaled Tags Per Million

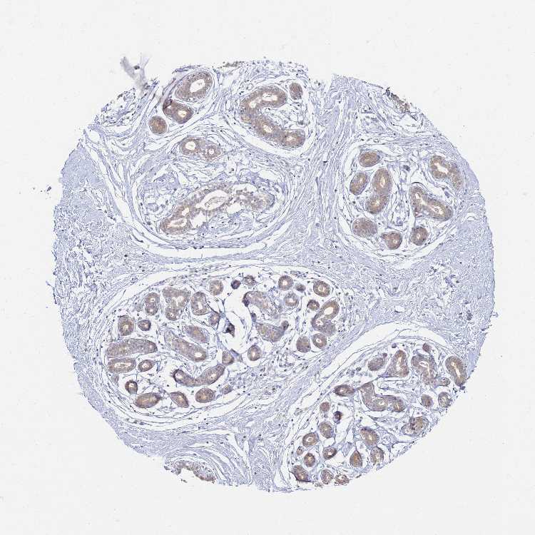
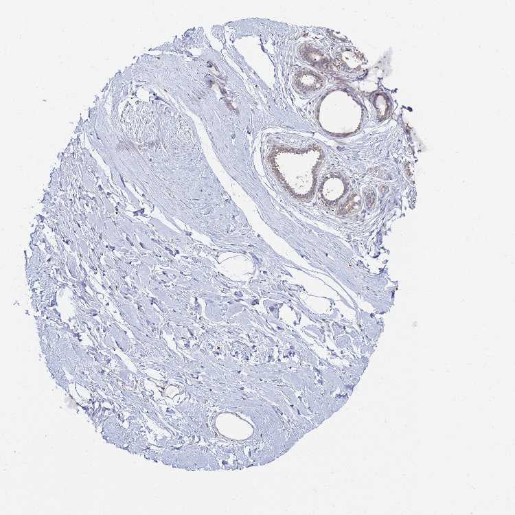
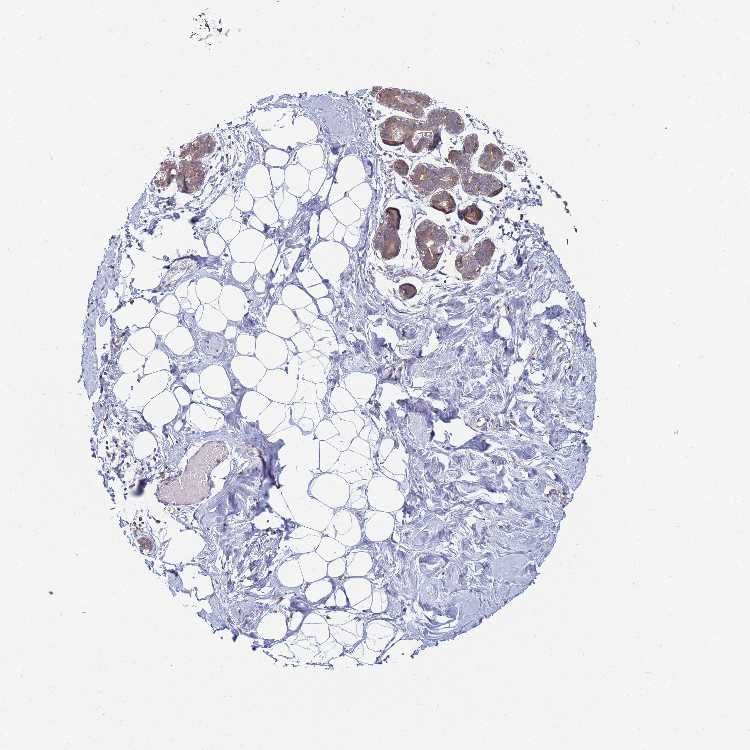
BREAST - Antibody stainingi

Antibody staining in the annotated cell types in the current human tissue is reported as not detected, low, medium, or high, based on conventional immunohistochemistry profiling in selected tissues. This score is based on the combination of the staining intensity and fraction of stained cells.

Each image is clickable and will lead to virtual microscopy that enables deeper exploration of all samples and also displays staining intensity scores, fraction scores and subcellular localization as well as patient and tissue information for each sample.

Antibody HPA029196Antibody CAB009528Antibody CAB018699
Adipocytes Not detectedNot detectedNot detected
Glandular cells MediumMediumMedium
Myoepithelial cells LowMediumNot detected





BREAST - HPA RNA-seqi

The RNA-seq details section shows detailed information about the individual samples used for the transcript profiling and results of the RNA-seq analysis.

Information about each individual sample is listed below, including gender, age, a tissue section image and estimated fractions of cell types. nTPM (normalized transcripts per million) values give a quantification of the gene abundance which is comparable between different genes and samples.
Average nTPMi

Max subtype nTPM is the value for the subtype with the largest average nTPM across the subtype samples.

95.1
overview
Female, age 52
Breast sample 373
nTPM: 82.8
Cell types%
Glandular cells:
15

Adipocytes:
5

Other cell types:
80

overview
Female, age 80
Breast sample 390
nTPM: 109.2
Cell types%
Glandular cells:
5

Adipocytes:
15

Other cell types:
80

overview
Female, age 47
Breast sample 405
nTPM: 103.7
Cell types%
Glandular cells:
5

Adipocytes:
5

Other cell types:
90

overview
Female, age 38
Breast sample 410
nTPM: 84.8
Cell types%
Glandular cells:
40

Adipocytes:
5

Other cell types:
55


BREAST - GTEx RNA-seqi

RNA-Seq data generated by the Genotype-Tissue Expression (GTEx) project from human tissues is reported as mean nTPM. More information can be found on the GTEx portal.

Distribution across the dataset is visualized with box plots, shown as median and 25th and 75th percentiles. Points are displayed as outliers if they are above or below 1.5 times the interquartile range. nTPM values of the individual samples are presented next to the box plot.
Max subtype nTPMi

Max subtype nTPM is the value for the subtype with the largest average nTPM across the subtype samples.

105.9
GTEx sample id Sample description nTPM
Breast - Mammary Tissue
Average nTPM: 105.9
Samples: 459

Max nTPM: 211.2
Min nTPM: 51.2
Std nTPM: 28.2
Median nTPM: 103.2
GTEX-1F5PK-2126-SM-7PC28 50-59 years, male 211.2
GTEX-14PN4-0626-SM-62LFP 50-59 years, male 189.2
GTEX-ZQUD-1926-SM-51MSA 30-39 years, male 180.2
GTEX-ZLWG-1926-SM-DO92J 50-59 years, female 179.2
GTEX-1AMEY-1026-SM-718AA 30-39 years, female 178.7
GTEX-ZZ64-1226-SM-5E43R 20-29 years, male 178.3
GTEX-1RLM8-2226-SM-EVYD1 50-59 years, male 177.0
GTEX-11P82-1326-SM-5HL62 20-29 years, male 175.6
GTEX-ZLFU-2126-SM-DO931 40-49 years, male 173.6
GTEX-14753-2426-SM-5LU8U 60-69 years, male 173.3
GTEX-1ICG6-1326-SM-ACKWR 70-79 years, female 173.3
GTEX-11ZTT-2326-SM-5EQLG 60-69 years, female 172.7
GTEX-ZT9W-2026-SM-51MRA 50-59 years, male 171.5
GTEX-1R7EV-1526-SM-E8VOD 40-49 years, male 168.0
GTEX-ZDYS-1126-SM-5K7UB 50-59 years, male 165.4
GTEX-1S82Z-0726-SM-E6CHX 30-39 years, female 164.8
GTEX-14B4R-1226-SM-5TDDT 30-39 years, male 160.9
GTEX-17F97-2526-SM-7EWDV 50-59 years, male 160.9
GTEX-13CF3-2126-SM-5IFJP 60-69 years, female 159.9
GTEX-WY7C-2726-SM-3NB3P 50-59 years, male 159.6
GTEX-Y8E4-1626-SM-5S2MW 40-49 years, male 158.4
GTEX-145ME-1526-SM-5Q5F2 40-49 years, female 157.4
GTEX-139T6-1626-SM-5PNYZ 50-59 years, male 155.8
GTEX-1ICLZ-0426-SM-B2LW2 60-69 years, male 155.3
GTEX-11DZ1-0326-SM-5N9BN 50-59 years, male 154.8
GTEX-12KS4-0126-SM-5Q5A5 30-39 years, male 153.8
GTEX-YEC3-1026-SM-5IFI5 50-59 years, male 153.6
GTEX-13FTW-1426-SM-5LZWZ 40-49 years, male 152.0
GTEX-1IDJH-2226-SM-E6CJV 70-79 years, male 151.9
GTEX-ZA64-1526-SM-5CVMD 20-29 years, male 151.7
GTEX-18D9A-1526-SM-7LG4J 30-39 years, female 151.6
GTEX-1CAMR-1426-SM-793BO 20-29 years, male 150.8
GTEX-1N2EF-2226-SM-E9J33 60-69 years, male 149.0
GTEX-1NHNU-0926-SM-E9J2T 50-59 years, male 148.8
GTEX-145MO-0826-SM-5NQBL 60-69 years, male 148.4
GTEX-1IDJU-1826-SM-CMKHV 60-69 years, female 148.3
GTEX-117YX-1426-SM-5H12H 50-59 years, male 146.6
GTEX-11TT1-2126-SM-5GU5Y 20-29 years, male 146.5
GTEX-ZQG8-0726-SM-5P9H9 60-69 years, female 145.7
GTEX-1HSEH-2026-SM-ADEHN 60-69 years, male 144.9
GTEX-XGQ4-0926-SM-4AT4U 50-59 years, male 144.5
GTEX-14E6C-1326-SM-62LEQ 40-49 years, male 144.2
GTEX-TKQ1-0226-SM-33HB5 30-39 years, male 144.2
GTEX-14ICK-2426-SM-6EU27 40-49 years, male 144.1
GTEX-1H23P-0726-SM-9WG7K 60-69 years, male 143.8
GTEX-12WSK-2226-SM-5GCO5 40-49 years, female 143.7
GTEX-1R9JW-0326-SM-EAZ45 30-39 years, female 143.2
GTEX-14ABY-2126-SM-5QGQZ 50-59 years, male 143.0
GTEX-13O61-1826-SM-5KM4I 60-69 years, male 142.9
GTEX-YB5K-1626-SM-5IFIN 40-49 years, female 142.5
GTEX-1H1ZS-0126-SM-9YFKQ 70-79 years, male 142.4
GTEX-PSDG-1626-SM-48TCQ 50-59 years, male 141.3
GTEX-183WM-0726-SM-7LTAA 70-79 years, female 141.1
GTEX-YB5E-1726-SM-5IFJ3 40-49 years, male 141.1
GTEX-ZAB4-2526-SM-5HL8M 40-49 years, male 140.7
GTEX-11DXY-2326-SM-5GICW 60-69 years, male 140.6
GTEX-1QP9N-1826-SM-E8VMP 30-39 years, male 140.6
GTEX-11WQK-2426-SM-5GU5C 50-59 years, male 140.2
GTEX-1I1GP-0426-SM-COH3N 50-59 years, male 139.8
GTEX-14DAR-1326-SM-7DUEG 50-59 years, male 139.7
GTEX-1H1DG-0526-SM-9YFLN 70-79 years, male 139.3
GTEX-UTHO-1026-SM-3GAF7 60-69 years, male 138.8
GTEX-Y9LG-1426-SM-5IFJZ 30-39 years, male 138.8
GTEX-13VXU-2826-SM-664MA 50-59 years, male 137.9
GTEX-1JN6P-2426-SM-ARL99 60-69 years, male 137.5
GTEX-1L5NE-2126-SM-CY8IH 50-59 years, male 137.1
GTEX-YFCO-1826-SM-4W1YH 40-49 years, male 137.0
GTEX-R55D-0826-SM-48FEA 50-59 years, male 136.8
GTEX-14PJO-0726-SM-69LO8 60-69 years, male 136.7
GTEX-1PPH7-0826-SM-E8VNX 40-49 years, male 136.3
GTEX-1B8SG-1226-SM-7IGPF 50-59 years, male 135.9
GTEX-1KANC-1426-SM-CYPT9 50-59 years, female 135.7
GTEX-18A66-1726-SM-7LG5N 60-69 years, male 135.6
GTEX-1HFI7-0126-SM-CGQFQ 50-59 years, female 135.2
GTEX-1OKEX-0826-SM-E9J2B 60-69 years, male 135.1
GTEX-1HCU8-0126-SM-ADEHH 60-69 years, female 135.0
GTEX-12WSM-1726-SM-5BC6J 60-69 years, male 134.9
GTEX-1HSMO-0826-SM-ADEIV 60-69 years, male 134.9
GTEX-15G19-2126-SM-6M48J 60-69 years, male 134.6
GTEX-13N1W-0626-SM-5MR4U 70-79 years, male 134.3
GTEX-12BJ1-1826-SM-5HL9N 60-69 years, male 134.0
GTEX-1PDJ9-1126-SM-EXUSW 20-29 years, male 133.9
GTEX-13FTX-1126-SM-5N9EN 20-29 years, female 133.7
GTEX-V955-2026-SM-3GAFA 60-69 years, male 133.4
GTEX-ZWKS-2826-SM-5NQ74 30-39 years, male 133.3
GTEX-17GQL-0326-SM-7LG5U 60-69 years, male 133.1
GTEX-11O72-2126-SM-5N9FO 40-49 years, male 132.9
GTEX-1ICLY-1726-SM-B2LVT 50-59 years, male 132.7
GTEX-15RJE-2626-SM-7KFT1 40-49 years, male 132.6
GTEX-13S86-1226-SM-5S2OA 40-49 years, male 132.4
GTEX-1A3MX-2726-SM-718B6 60-69 years, male 131.5
GTEX-REY6-2426-SM-48FF5 60-69 years, male 131.4
GTEX-1H11D-1526-SM-9MQJY 40-49 years, male 130.7
GTEX-Y5LM-1726-SM-4VDSX 40-49 years, female 130.4
GTEX-1JMOU-2026-SM-CMKGU 60-69 years, female 130.4
GTEX-1JJE9-2326-SM-ARL8Q 70-79 years, male 130.1
GTEX-16BQI-1026-SM-7KUEA 30-39 years, female 129.4
GTEX-ZYW4-0826-SM-5GIDG 60-69 years, male 129.4
GTEX-1QW4Y-1026-SM-DTXE2 30-39 years, male 129.4
GTEX-1QP28-1226-SM-E9J2M 50-59 years, female 129.3
GTEX-1MJK3-1126-SM-E9J3F 20-29 years, male 129.0
GTEX-15EOM-5019-SM-793DK 20-29 years, female 128.8
GTEX-13113-5013-SM-7SB7G 60-69 years, female 128.8
GTEX-145MN-1926-SM-5SIAI 30-39 years, male 128.4
GTEX-1AX9J-1126-SM-731B7 60-69 years, male 127.7
GTEX-Y114-2026-SM-4TT7L 50-59 years, female 127.6
GTEX-13QJ3-0826-SM-7DHKK 50-59 years, male 127.5
GTEX-1I1GU-1026-SM-ADEHJ 40-49 years, male 127.4
GTEX-1LSVX-2426-SM-E6CJX 60-69 years, male 126.8
GTEX-14PJ4-2126-SM-6ETZJ 60-69 years, male 126.3
GTEX-XMK1-1126-SM-4IHJ8 40-49 years, male 126.0
GTEX-1IDJF-2326-SM-ARL86 20-29 years, male 126.0
GTEX-11TUW-1826-SM-5BC5D 60-69 years, male 125.8
GTEX-1F75B-0626-SM-7SB8A 50-59 years, male 125.7
GTEX-12WSN-1326-SM-5GCNT 40-49 years, male 125.6
GTEX-17F96-2426-SM-7IGLN 70-79 years, male 125.0
GTEX-1I19N-2826-SM-CL55D 70-79 years, male 124.4
GTEX-X4XY-0926-SM-4E3JD 60-69 years, male 124.3
GTEX-1JJEA-2726-SM-ARL8V 60-69 years, male 124.2
GTEX-XQ8I-2426-SM-4WAXY 50-59 years, male 123.4
GTEX-S4Q7-1126-SM-4AD6R 20-29 years, male 123.3
GTEX-14BMV-0626-SM-793AU 50-59 years, male 122.4
GTEX-ZPIC-1126-SM-5BC7F 40-49 years, female 122.4
GTEX-X62O-0526-SM-EWRMA 50-59 years, male 122.1
GTEX-1C6VQ-0426-SM-79OOX 50-59 years, male 122.0
GTEX-YECK-0726-SM-EZ6LV 60-69 years, male 122.0
GTEX-1QCLZ-2326-SM-DTXDO 60-69 years, female 121.2
GTEX-13SLW-2526-SM-62LDQ 70-79 years, male 121.1
GTEX-13W46-0826-SM-5LU3H 50-59 years, male 121.1
GTEX-1211K-1926-SM-5EQLB 60-69 years, female 121.0
GTEX-17MF6-0326-SM-7EPH5 40-49 years, male 120.6
GTEX-1IDFM-0426-SM-B2LVV 60-69 years, male 120.0
GTEX-17EVQ-0426-SM-7LG57 70-79 years, male 119.9
GTEX-14PKU-0426-SM-6EU1P 40-49 years, female 119.8
GTEX-1C6VS-0726-SM-7EPHF 60-69 years, male 119.8
GTEX-145MF-2226-SM-7EPIR 50-59 years, male 119.3
GTEX-WFON-1826-SM-3GILG 40-49 years, male 119.0
GTEX-169BO-1126-SM-7MGWN 50-59 years, male 118.9
GTEX-11ZUS-0826-SM-5FQUY 30-39 years, male 118.6
GTEX-WHSB-1926-SM-EXOHH 50-59 years, male 118.6
GTEX-1B8KE-1226-SM-73KWK 50-59 years, male 118.4
GTEX-117XS-1926-SM-5GICO 60-69 years, male 118.3
GTEX-ZV6S-1826-SM-5NQ8D 40-49 years, female 117.8
GTEX-1QP29-1726-SM-E8VMQ 50-59 years, male 117.5
GTEX-14E6E-1326-SM-5S2NR 30-39 years, male 117.4
GTEX-ZVT4-1026-SM-57WC4 50-59 years, female 117.4
GTEX-13OW8-0226-SM-5K7UP 60-69 years, male 117.1
GTEX-ZDTT-2126-SM-DKPOM 60-69 years, male 115.9
GTEX-145LT-0726-SM-5S2VM 40-49 years, male 115.8
GTEX-11I78-2226-SM-5PNYA 50-59 years, female 115.7
GTEX-1IOXB-1926-SM-ARL8E 50-59 years, male 115.6
GTEX-1I1GT-1126-SM-ARL7J 60-69 years, female 115.5
GTEX-1QPFJ-2026-SM-EVYBE 30-39 years, female 115.5
GTEX-1JKYN-0726-SM-ARZMY 30-39 years, male 115.4
GTEX-XQ3S-1326-SM-4BOPQ 20-29 years, male 115.3
GTEX-13PVQ-1026-SM-5KM3M 50-59 years, male 115.2
GTEX-S32W-2026-SM-4AD6E 50-59 years, female 115.2
GTEX-U8XE-0826-SM-4E3J1 30-39 years, male 115.2
GTEX-1HCU7-1026-SM-ADEIP 50-59 years, male 114.5
GTEX-1AX9I-0726-SM-73KWV 60-69 years, male 114.4
GTEX-ZYT6-0126-SM-5E45J 30-39 years, male 114.3
GTEX-11ONC-2126-SM-5HL6E 60-69 years, male 114.0
GTEX-RUSQ-2026-SM-4GIAK 50-59 years, male 114.0
GTEX-144GM-0926-SM-5O994 20-29 years, male 113.7
GTEX-1GPI7-0926-SM-7PC3J 20-29 years, male 113.7
GTEX-15UF7-0726-SM-6M46D 40-49 years, male 113.6
GTEX-1CB4J-1826-SM-7EWF9 60-69 years, male 113.6
GTEX-1JMLX-2026-SM-CMKGN 50-59 years, male 113.6
GTEX-1S82U-1126-SM-E9U6I 30-39 years, female 113.5
GTEX-Z9EW-1526-SM-EZ6LU 40-49 years, male 113.4
GTEX-11EQ9-1826-SM-5Q5AJ 30-39 years, male 113.2
GTEX-Y3I4-1526-SM-4TT7K 50-59 years, male 113.2
GTEX-1HC8U-0826-SM-ADEIL 40-49 years, female 113.2
GTEX-1117F-2826-SM-5GZXL 60-69 years, female 113.0
GTEX-S7SE-0826-SM-4AT4D 50-59 years, male 113.0
GTEX-XYKS-1326-SM-4BRUN 60-69 years, female 112.8
GTEX-XV7Q-2326-SM-4BRVZ 40-49 years, female 112.7
GTEX-13O3O-0826-SM-5K7WE 60-69 years, female 112.4
GTEX-1I1GV-2426-SM-CGQFM 60-69 years, male 112.1
GTEX-17F98-0526-SM-79OK5 40-49 years, female 111.7
GTEX-1HCU9-0326-SM-9WYSC 20-29 years, male 111.7
GTEX-Y5V6-2126-SM-4WWFX 60-69 years, male 111.5
GTEX-1GF9U-1726-SM-7MGY5 40-49 years, female 111.4
GTEX-ZYFC-0826-SM-5E44K 50-59 years, male 111.1
GTEX-Y8LW-1626-SM-5IFHX 50-59 years, female 110.7
GTEX-SE5C-2126-SM-4BRUJ 40-49 years, female 110.5
GTEX-1LBAC-0926-SM-CXKY9 20-29 years, male 109.8
GTEX-18A7B-2626-SM-7LG55 70-79 years, male 109.7
GTEX-14AS3-1626-SM-5S2OY 40-49 years, female 109.5
GTEX-1HBPM-0126-SM-ARL9E 60-69 years, female 109.5
GTEX-16YQH-2826-SM-6PAMY 30-39 years, male 109.2
GTEX-1E2YA-2726-SM-7IGPW 50-59 years, male 109.1
GTEX-132AR-0826-SM-5EGK6 50-59 years, female 108.9
GTEX-ZTTD-1026-SM-51MRD 50-59 years, male 108.9
GTEX-18465-2026-SM-718AP 50-59 years, male 108.7
GTEX-1I6K6-0826-SM-ARL7Z 30-39 years, male 108.7
GTEX-1399U-1826-SM-5PNZ1 50-59 years, female 108.6
GTEX-QMRM-1626-SM-D4P1U 50-59 years, male 108.5
GTEX-15UF6-0126-SM-6PAMB 70-79 years, female 108.0
GTEX-1R46S-2526-SM-E8VN2 60-69 years, female 108.0
GTEX-1KD5A-1926-SM-DKPQA 50-59 years, male 107.7
GTEX-11LCK-2426-SM-5HL5F 30-39 years, male 107.4
GTEX-1MCC2-2126-SM-EWRON 30-39 years, female 107.3
GTEX-1MCYP-0126-SM-E6CIS 20-29 years, female 107.2
GTEX-17EUY-1926-SM-7DUF6 20-29 years, male 106.7
GTEX-1LG7Z-0726-SM-CXKYD 30-39 years, male 106.6
GTEX-1LSNL-2826-SM-E9U5L 50-59 years, male 106.6
GTEX-13O3Q-2226-SM-5KM4O 50-59 years, male 106.2
GTEX-1PPGY-1526-SM-EVYBK 60-69 years, male 106.2
GTEX-1KXAM-1026-SM-CY8IA 60-69 years, male 106.0
GTEX-1A3MV-1626-SM-731C1 30-39 years, male 105.6
GTEX-ZVT2-1826-SM-5NQ8W 50-59 years, female 105.5
GTEX-1QMI2-0726-SM-E9J4F 60-69 years, male 105.4
GTEX-139TU-0626-SM-5KM3X 60-69 years, male 105.3
GTEX-14LLW-0626-SM-62LFC 70-79 years, female 105.2
GTEX-1A8G7-2426-SM-731AK 60-69 years, male 105.2
GTEX-1C6WA-2426-SM-7SB86 60-69 years, male 105.2
GTEX-ZTX8-1226-SM-4YCE9 20-29 years, male 105.1
GTEX-1HCVE-2626-SM-ADEJ8 50-59 years, male 104.9
GTEX-1F75I-2026-SM-7SB7N 40-49 years, male 104.8
GTEX-13D11-1026-SM-5IJFB 50-59 years, female 104.6
GTEX-WOFL-0826-SM-3MJG1 60-69 years, male 104.4
GTEX-1NV8Z-2826-SM-E8VME 60-69 years, male 104.2
GTEX-1J8Q3-1326-SM-CMKI1 60-69 years, male 104.1
GTEX-1MJK2-2226-SM-EVYCR 50-59 years, male 103.8
GTEX-ZVZQ-0826-SM-51MRF 60-69 years, female 103.7
GTEX-11OF3-1926-SM-59889 60-69 years, male 103.6
GTEX-1GMR2-1926-SM-9MQLZ 50-59 years, male 103.5
GTEX-ZDXO-0126-SM-5S2ND 60-69 years, male 103.3
GTEX-11DXZ-1926-SM-5GZZL 50-59 years, male 103.2
GTEX-1MA7X-1626-SM-E9U5B 60-69 years, male 102.7
GTEX-17MFQ-0926-SM-7LG4S 20-29 years, male 102.1
GTEX-1I4MK-1626-SM-CM2TJ 50-59 years, female 102.1
GTEX-S33H-0326-SM-4AD6N 30-39 years, male 101.8
GTEX-1EKGG-2626-SM-7IGPY 60-69 years, male 101.7
GTEX-QEL4-2126-SM-447AE 50-59 years, male 101.5
GTEX-XMD2-0926-SM-4WWEF 60-69 years, female 101.5
GTEX-11GSO-1926-SM-5A5K3 60-69 years, male 101.1
GTEX-1R9PM-1826-SM-EVYBH 20-29 years, male 100.9
GTEX-VJWN-0726-SM-3GIJ8 50-59 years, female 100.8
GTEX-1HR98-0426-SM-COH36 60-69 years, male 100.8
GTEX-1JN1M-3026-SM-CMKGK 60-69 years, female 100.8
GTEX-X261-0626-SM-3NMD9 50-59 years, male 100.7
GTEX-1C475-1226-SM-7SB72 40-49 years, female 100.5
GTEX-1LC47-1226-SM-D4P44 60-69 years, male 100.4
GTEX-13FHO-0826-SM-5L3E8 60-69 years, male 100.3
GTEX-1M4P7-2626-SM-E9U5F 60-69 years, male 100.2
GTEX-14E7W-0826-SM-62LEJ 70-79 years, male 100.1
GTEX-14PHY-1926-SM-5YY95 60-69 years, female 99.7
GTEX-17F9E-2526-SM-7MGW2 50-59 years, male 99.6
GTEX-11WQC-1726-SM-5GU4W 60-69 years, male 99.5
GTEX-WI4N-1426-SM-3LK7H 40-49 years, female 99.5
GTEX-1IE54-0626-SM-ARL8D 40-49 years, female 99.5
GTEX-144GL-2026-SM-5LU3O 50-59 years, male 99.1
GTEX-ZY6K-1626-SM-5GZWV 50-59 years, male 99.1
GTEX-1N2EE-2126-SM-E8VNN 60-69 years, male 99.0
GTEX-1313W-0826-SM-5EQ4T 50-59 years, female 98.8
GTEX-1H3VY-0926-SM-ACKXE 50-59 years, male 98.6
GTEX-11NV4-2026-SM-5N9DG 60-69 years, male 98.1
GTEX-1NUQO-2226-SM-E9U68 20-29 years, female 98.1
GTEX-17HGU-1326-SM-79OKB 50-59 years, male 98.0
GTEX-TKQ2-1826-SM-33HB2 50-59 years, male 97.8
GTEX-ZF3C-2326-SM-5S2NC 50-59 years, female 97.5
GTEX-1122O-1226-SM-5H113 60-69 years, female 97.2
GTEX-1H4P4-2226-SM-9MQKQ 50-59 years, male 97.2
GTEX-13NZB-2126-SM-5MR4Y 30-39 years, male 97.1
GTEX-13NZ8-0126-SM-5IJCT 60-69 years, female 97.0
GTEX-1KAFJ-0226-SM-DIPEL 50-59 years, male 96.7
GTEX-11P7K-0726-SM-5EGKX 30-39 years, male 96.6
GTEX-146FH-0826-SM-5SI8T 50-59 years, female 96.6
GTEX-U412-1826-SM-4DXTJ 60-69 years, male 96.4
GTEX-18A6Q-0926-SM-7LG4N 60-69 years, male 96.3
GTEX-QEG5-0726-SM-D4P1T 20-29 years, male 96.2
GTEX-1J8Q2-2726-SM-A9G2X 60-69 years, male 96.0
GTEX-133LE-1726-SM-5K7VQ 20-29 years, female 95.7
GTEX-14H4A-2526-SM-5YYAY 40-49 years, female 95.7
GTEX-13NZ9-1026-SM-5MR5K 50-59 years, male 95.6
GTEX-YJ8O-2226-SM-5IFHW 40-49 years, female 95.6
GTEX-1EN7A-1426-SM-7PBY4 40-49 years, male 95.6
GTEX-183FY-1126-SM-7DHLJ 20-29 years, male 95.5
GTEX-1HR9M-2426-SM-ACKXI 60-69 years, male 95.4
GTEX-1IGQW-0926-SM-ADEH6 60-69 years, male 95.4
GTEX-1B933-2526-SM-7IGO5 50-59 years, female 95.2
GTEX-1R9PN-0326-SM-DTX85 40-49 years, female 95.2
GTEX-1JKYR-0926-SM-CMKGJ 20-29 years, male 95.1
GTEX-T2YK-2226-SM-32QPT 50-59 years, male 95.0
GTEX-WFG8-2026-SM-EXOHO 20-29 years, male 94.9
GTEX-1IKOE-1326-SM-CE6T6 30-39 years, female 94.7
GTEX-1GN2E-2226-SM-9WG6J 60-69 years, male 94.4
GTEX-S4UY-0726-SM-4AD6X 40-49 years, female 94.1
GTEX-132NY-0826-SM-5K7Y7 60-69 years, male 93.7
GTEX-1HT8W-2226-SM-CGQEC 30-39 years, male 93.6
GTEX-1HBPN-2326-SM-9WPPU 50-59 years, male 93.2
GTEX-XUW1-2326-SM-4BOO5 50-59 years, female 93.1
GTEX-1JMPZ-1626-SM-COH31 30-39 years, male 92.7
GTEX-13PVR-2226-SM-7DHKP 60-69 years, female 92.2
GTEX-1EWIQ-1726-SM-7SB7T 70-79 years, female 92.2
GTEX-1R7EU-1226-SM-E8VMR 60-69 years, male 91.7
GTEX-T6MO-0326-SM-32QOK 40-49 years, female 91.2
GTEX-14BMU-1626-SM-5TDE7 20-29 years, female 91.0
GTEX-ZU9S-1926-SM-5NQBP 30-39 years, male 90.9
GTEX-1F5PL-1026-SM-7RHI1 40-49 years, female 90.9
GTEX-15ETS-0626-SM-7KUMX 40-49 years, female 90.8
GTEX-1C64O-0726-SM-7DUFU 60-69 years, male 90.8
GTEX-1GF9V-2526-SM-7SB8K 60-69 years, male 90.8
GTEX-13SLX-2326-SM-5ZZWE 50-59 years, female 90.7
GTEX-ZGAY-1726-SM-DO91P 40-49 years, female 90.3
GTEX-WYJK-1326-SM-3NB2T 50-59 years, male 90.1
GTEX-1J8QM-2026-SM-ARZMW 60-69 years, female 90.0
GTEX-1314G-1226-SM-5BC6D 30-39 years, male 89.8
GTEX-1JMPY-0526-SM-CL54O 30-39 years, male 89.8
GTEX-1192X-2326-SM-5987X 50-59 years, male 89.5
GTEX-ZVTK-0326-SM-51MRR 20-29 years, male 89.5
GTEX-1HUB1-1626-SM-CM2SL 60-69 years, male 89.4
GTEX-XBED-1626-SM-47JYN 60-69 years, male 89.3
GTEX-1KD4Q-2326-SM-D4P3M 40-49 years, male 89.3
GTEX-1GZ4H-0326-SM-7P8QX 50-59 years, female 89.2
GTEX-1QCLY-1626-SM-DTXDW 30-39 years, male 89.2
GTEX-11NSD-0926-SM-5N9DR 20-29 years, male 88.9
GTEX-ZAJG-0626-SM-5HL8X 50-59 years, female 88.8
GTEX-1LSNM-1326-SM-E9TJ1 50-59 years, male 88.7
GTEX-1QEPI-0926-SM-DTXF3 60-69 years, female 88.7
GTEX-TMMY-0726-SM-33HBE 40-49 years, female 88.5
GTEX-1RQEC-2026-SM-DTXDM 60-69 years, male 88.5
GTEX-16NGA-0826-SM-718AF 40-49 years, female 88.4
GTEX-QVJO-1826-SM-447C9 60-69 years, female 88.4
GTEX-13W3W-1226-SM-5LU4H 60-69 years, female 88.0
GTEX-W5X1-2326-SM-3GIL6 40-49 years, female 87.4
GTEX-1HCUA-0726-SM-ACKVU 50-59 years, female 87.4
GTEX-XMD1-0826-SM-4AT52 60-69 years, male 87.3
GTEX-VUSG-2226-SM-4KKZO 50-59 years, male 87.0
GTEX-147F4-2826-SM-5NQBN 50-59 years, male 86.6
GTEX-ZUA1-1526-SM-59HLS 40-49 years, male 86.5
GTEX-ZVE2-1226-SM-5NQ8R 50-59 years, male 86.3
GTEX-ZLV1-1426-SM-DO92Z 60-69 years, female 86.2
GTEX-1CB4E-0226-SM-79OLW 60-69 years, male 86.1
GTEX-1MA7W-1026-SM-DKPQK 20-29 years, female 85.9
GTEX-11GSP-0926-SM-9WYSG 60-69 years, female 85.7
GTEX-18A7A-0726-SM-7LTAI 50-59 years, female 85.6
GTEX-17EVP-0226-SM-79OND 40-49 years, male 85.4
GTEX-17JCI-0726-SM-7EPH1 60-69 years, female 85.3
GTEX-1CAMS-1426-SM-7IGPM 40-49 years, female 85.1
GTEX-15SHW-1326-SM-6PAL8 60-69 years, male 84.8
GTEX-1JMQK-2626-SM-COH2W 60-69 years, male 84.7
GTEX-1K2DA-1726-SM-CGQGS 50-59 years, male 84.3
GTEX-WXYG-2226-SM-4E3IM 50-59 years, female 84.1
GTEX-1LGRB-1826-SM-CNPQL 50-59 years, female 84.0
GTEX-1GPI6-0626-SM-7RHHJ 60-69 years, male 83.6
GTEX-111YS-1926-SM-5GICC 60-69 years, male 83.3
GTEX-1KANA-2026-SM-DIPFB 20-29 years, male 83.3
GTEX-UJHI-1426-SM-3DB9C 50-59 years, female 83.2
GTEX-Y5V5-2126-SM-4WWFO 60-69 years, female 83.2
GTEX-1IKJJ-2326-SM-COH3U 60-69 years, male 83.1
GTEX-14A5I-0726-SM-5TDEB 50-59 years, female 83.0
GTEX-13OW5-2226-SM-5L3HC 60-69 years, male 82.7
GTEX-ZF29-1926-SM-5S2P1 60-69 years, female 82.7
GTEX-1B97I-0426-SM-79OL7 40-49 years, male 81.9
GTEX-R53T-1526-SM-48FEK 50-59 years, female 81.5
GTEX-1N5O9-1126-SM-DTXEQ 60-69 years, male 81.4
GTEX-18QFQ-0826-SM-718AX 30-39 years, male 81.3
GTEX-13CF2-2026-SM-5K7VI 60-69 years, male 81.1
GTEX-1EU9M-2826-SM-7EWFH 60-69 years, male 81.1
GTEX-TML8-1226-SM-32QON 40-49 years, female 80.9
GTEX-X4EP-2926-SM-3P5YQ 60-69 years, female 80.5
GTEX-1LVAM-0926-SM-E9TJ2 50-59 years, female 80.0
GTEX-17KNJ-2026-SM-7LG53 50-59 years, male 79.4
GTEX-ZV7C-1826-SM-5NQ83 50-59 years, male 79.1
GTEX-1GZ4I-2826-SM-9MQK5 50-59 years, male 79.1
GTEX-132Q8-1426-SM-5EGK7 60-69 years, male 78.9
GTEX-ZXES-0826-SM-5E43C 30-39 years, female 78.9
GTEX-1K9T9-1426-SM-DIPFQ 50-59 years, female 78.8
GTEX-1JK1U-1826-SM-ARL8W 60-69 years, male 78.7
GTEX-S4P3-1326-SM-4AD6V 50-59 years, female 78.5
GTEX-1P4AB-1826-SM-E76PU 50-59 years, male 78.3
GTEX-RWS6-1926-SM-47JXY 60-69 years, female 78.1
GTEX-1BAJH-0826-SM-7EWEF 70-79 years, male 77.8
GTEX-11PRG-0826-SM-5EQ6A 50-59 years, male 77.7
GTEX-13N11-1726-SM-5J1OJ 50-59 years, female 77.5
GTEX-1GMR3-2626-SM-7RHHG 40-49 years, male 77.5
GTEX-11EM3-1326-SM-5N9C6 20-29 years, female 77.1
GTEX-17HG3-0126-SM-7IGNH 30-39 years, female 76.3
GTEX-1RAZS-1226-SM-E8VMT 50-59 years, male 76.3
GTEX-11EI6-0626-SM-5985T 60-69 years, male 76.2
GTEX-1B97J-0426-SM-79OLQ 50-59 years, female 76.0
GTEX-1M5QR-2526-SM-E9U5P 40-49 years, male 75.9
GTEX-Y111-2026-SM-4SOJA 50-59 years, male 75.8
GTEX-1LNCM-0226-SM-DIPF4 50-59 years, female 75.7
GTEX-X15G-1626-SM-3NMB3 50-59 years, female 75.5
GTEX-1HKZK-1826-SM-ADEJ2 40-49 years, male 75.4
GTEX-1AX8Z-0926-SM-731AW 60-69 years, male 75.3
GTEX-1IDJE-0826-SM-CKZNZ 50-59 years, female 75.3
GTEX-11EMC-2026-SM-5A5JV 60-69 years, female 74.8
GTEX-1GN1W-1926-SM-7P8TH 50-59 years, female 74.7
GTEX-13PL6-2926-SM-5L3I2 40-49 years, female 74.6
GTEX-1B8L1-2426-SM-9WYTE 60-69 years, male 74.6
GTEX-11DXW-0626-SM-5N9ER 40-49 years, male 74.5
GTEX-1GF9X-1026-SM-ACKX2 40-49 years, female 74.5
GTEX-1I1HK-2426-SM-ADEHX 60-69 years, male 74.5
GTEX-R3RS-0626-SM-48FE1 40-49 years, female 74.4
GTEX-ZZPU-0626-SM-5E43T 50-59 years, female 74.1
GTEX-11GS4-2126-SM-5A5KR 60-69 years, male 74.0
GTEX-WRHU-0326-SM-3MJFY 50-59 years, female 73.9
GTEX-1B8KZ-1526-SM-7DUG7 50-59 years, male 73.6
GTEX-1I6K7-1026-SM-A9SLK 40-49 years, male 73.6
GTEX-WYBS-0926-SM-3NM94 60-69 years, female 73.0
GTEX-UPK5-2326-SM-3P5Z8 40-49 years, male 72.9
GTEX-1RAZQ-1226-SM-EWRNL 30-39 years, male 72.9
GTEX-XOT4-0726-SM-4GIAW 60-69 years, female 72.6
GTEX-1H1CY-2226-SM-9WG7E 60-69 years, female 72.4
GTEX-1GMRU-0826-SM-9WYT7 50-59 years, male 72.1
GTEX-13QIC-2326-SM-5LU5N 60-69 years, female 71.8
GTEX-131XW-0726-SM-5EGK3 50-59 years, female 71.7
GTEX-1H1E6-0926-SM-9YFLT 30-39 years, male 71.7
GTEX-T5JW-2026-SM-4DM63 20-29 years, female 71.6
GTEX-ZEX8-2226-SM-57WC6 50-59 years, male 71.3
GTEX-17HHE-1426-SM-7EPH4 50-59 years, male 71.1
GTEX-Y3IK-2326-SM-4WWDT 50-59 years, female 71.0
GTEX-131YS-0626-SM-5EGKL 60-69 years, female 70.9
GTEX-QDT8-0626-SM-48TYW 30-39 years, female 70.8
GTEX-1GZHY-0726-SM-9WG6B 50-59 years, female 70.6
GTEX-XUZC-1626-SM-4BRVP 30-39 years, female 70.5
GTEX-1IKOH-2326-SM-CM2TW 60-69 years, female 70.3
GTEX-S341-1526-SM-4AD6K 40-49 years, female 70.2
GTEX-ZTPG-2826-SM-57WGA 20-29 years, female 70.0
GTEX-1LVAN-1326-SM-CNPQE 50-59 years, female 69.6
GTEX-1269C-2426-SM-5FQSN 60-69 years, female 68.9
GTEX-T5JC-2126-SM-32PMO 20-29 years, male 68.9
GTEX-1CB4G-2326-SM-79OOI 60-69 years, male 68.8
GTEX-1F75A-1826-SM-7SB8G 50-59 years, male 68.6
GTEX-15FZZ-0726-SM-7KUFZ 30-39 years, female 68.3
GTEX-T2IS-1526-SM-32QPR 20-29 years, female 67.8
GTEX-13O3P-0826-SM-5L3DH 50-59 years, male 67.7
GTEX-1B932-0826-SM-73KXG 40-49 years, female 67.1
GTEX-T6MN-0726-SM-32PML 50-59 years, male 66.5
GTEX-U3ZN-1926-SM-4DXSG 30-39 years, female 66.5
GTEX-1HSKV-2026-SM-CMKGX 60-69 years, male 66.5
GTEX-ZAK1-1326-SM-EVYAS 50-59 years, female 66.4
GTEX-17HHY-0926-SM-793C1 50-59 years, male 66.2
GTEX-1IY9M-2726-SM-CMKG5 60-69 years, male 65.4
GTEX-12ZZX-1126-SM-5EGKB 40-49 years, female 65.0
GTEX-Q2AG-0326-SM-48U1O 40-49 years, female 63.7
GTEX-11P81-1926-SM-5BC53 30-39 years, female 63.6
GTEX-1J8EW-2626-SM-CL53E 60-69 years, female 63.0
GTEX-15ER7-1626-SM-6PAMZ 20-29 years, female 62.7
GTEX-1GZ2Q-2626-SM-7MXV9 40-49 years, male 62.5
GTEX-U3ZH-1426-SM-4DXSR 30-39 years, male 62.4
GTEX-RU1J-0626-SM-4WAWY 20-29 years, female 62.3
GTEX-1HSGN-1526-SM-A9SMO 40-49 years, female 61.6
GTEX-RU72-0626-SM-46MUI 50-59 years, female 60.9
GTEX-1GN1U-0526-SM-9KNTT 50-59 years, female 60.5
GTEX-1F6I4-2526-SM-7SB8F 60-69 years, male 60.1
GTEX-YFC4-1426-SM-5IFJG 40-49 years, female 58.4
GTEX-ZC5H-2626-SM-5J2MG 40-49 years, female 58.4
GTEX-1GMR8-0726-SM-9KNVI 50-59 years, female 58.4
GTEX-13FTY-2226-SM-5J1ND 40-49 years, female 55.2
GTEX-WYVS-1726-SM-3NMAY 40-49 years, female 54.8
GTEX-ZF2S-2026-SM-5E461 50-59 years, female 53.4
GTEX-139T8-0826-SM-5L3DE 60-69 years, male 52.3
GTEX-1POEN-0926-SM-DTX88 30-39 years, female 51.2
Show allShow less

BREAST - FANTOM5 CAGEi

RNA expression in human tissues obtained through Cap Analysis of Gene Expression (CAGE) generated by the FANTOM5 project are reported as Scaled Tags Per Million.

Max subtype Scaled Tags Per Millioni

Max subtype Scaled Tags Per Million is the value for the subtype with the largest average Scaled Tags Per Million across the subtype samples.

129.9
FANTOM5 sample id Sample description Scaled Tags Per Million
Breast
Scaled Tags Per Million: 129.9
FF:10080-102A8 77 years, female 129.9

Contact

  • NEWS ARTICLES
  • PRESS ROOM

The Project

  • INTRODUCTION
  • ORGANIZATION
  • PUBLICATIONS

The Human Protein Atlas

  • DOWNLOADABLE DATA
  • LICENCE & CITATION
  • HELP & FAQ
The Human Protein Atlas project is funded
by the Knut & Alice Wallenberg Foundation.


contact@proteinatlas.org