We use cookies to enhance the usability of our website. If you continue, we'll assume that you are happy to receive all cookies. More information. Don't show this again.
ATP6V1E1
HPA
RESOURCES
  • TISSUE
  • BRAIN
  • SINGLE CELL
  • SUBCELLULAR
  • CANCER
  • BLOOD
  • CELL LINE
  • STRUCTURE & INTERACTION
ABOUT
  • INTRODUCTION
  • HISTORY
  • ORGANIZATION
  • PUBLICATIONS
  • ANTIBODY SUBMISSION
  • ANTIBODY AVAILABILITY
  • ACKNOWLEDGMENTS
  • CONTACT
NEWS
  • NEWS ARTICLES
  • PRESS ROOM
LEARN
  • DICTIONARY
  • PROTEIN CLASSES
  • PROTEIN EVIDENCE
  • METHODS
  • EDUCATIONAL VIDEOS
DATA
  • DOWNLOADABLE DATA
  • PUBLICATION DATA
  • RELEASE HISTORY
HELP
  • ANTIBODY VALIDATION
  • ASSAYS & ANNOTATION
  • DISCLAIMER
  • HELP & FAQ
  • PRIVACY STATEMENT
  • LICENCE & CITATION
Fields »
Search result

Field
Term
Gene name
Class
Subclass
Class
Keyword
Chromosome
External id
Tissue
Cell type
Expression
Antibody panel
Tissue
Main location
Patient ID
Annotation
Tissue
Category
Tau score
Cluster
Reliability
Brain region
Category
Tau score
Brain region
Category
Tau score
Brain region
Category
Tau score
Cluster
Reliability
Tissue
Cell type
Enrichment
Cell type
Category
Tau score
Cell type
Category
Tau score
Cell type
Category
Tau score
Cell lineage
Category
Tau score
Cluster
Cluster
Location
Searches
Location
Cell line
Class
Type
Phase
Reliability
Cancer
Prognosis
Cancer
Category
Cancer
Category
Tau score
Cluster
Variants
Interacting gene (ensg_id)
Type
Number of interactions
Pathway
Category
Score
Score
Score
Validation
Validation
Validation
Validation
Antibodies
Data type
Column


  • SUMMARY

  • TISSUE

  • BRAIN

  • SINGLE CELL

  • SUBCELL

  • CANCER

  • BLOOD

  • CELL LINE

  • STRUCT & INT

  • ATP6V1E1
TISSUE PRIMARY DATA SKIN Show tissue menu
ADIPOSE TISSUE ADRENAL GLAND AMYGDALA APPENDIX BASAL GANGLIA BONE MARROW BREAST BRONCHUS CEREBELLUM CEREBRAL CORTEX CERVIX CHOROID PLEXUS COLON DUODENUM
ENDOMETRIUM EPIDIDYMIS ESOPHAGUS FALLOPIAN TUBE GALLBLADDER HEART MUSCLE HIPPOCAMPAL FORMATION HYPOTHALAMUS KIDNEY LIVER LUNG LYMPH NODE MIDBRAIN ORAL MUCOSA
OVARY PANCREAS PARATHYROID GLAND PITUITARY GLAND PLACENTA PROSTATE RECTUM RETINA SALIVARY GLAND SEMINAL VESICLE SKELETAL MUSCLE SKIN SMALL INTESTINE SMOOTH MUSCLE
SOFT TISSUE SPINAL CORD SPLEEN STOMACH TESTIS THYMUS THYROID GLAND TONGUE TONSIL URINARY BLADDER VAGINA
ANTIBODIES
AND
VALIDATION
Dictionary
Skin
Tissue proteome
Skin
SKIN - Expression summary
Protein expression
Skini

On the top, protein expression in current human tissue, based on all annotated cell types, is reported with the units not detected (n), low (l), medium (m) and high (h). Underneath, protein expression in each annotated cell type are reported using the same units.

Protein expression data is based on knowledge-based annotation. For genes where more than one antibody has been used, a collective score is set.

If knowledge-based annotation could not be performed for a gene, no data is displayed here. View antibody staining data further down this page.

h
m
l
n
Cells in basal layer: Not detected
Cells in corneal layer: Not detected
Cells in granular layer: Low
Cells in spinous layer: Low
Endothelial cells: Not detected
Extracellular matrix: Not detected
Fibrohistiocytic cells: Medium
Hair follicles: Not detected
Langerhans cells: Not detected
Lymphocytes: Not detected
Melanocytes: Medium
Sebaceous glands: Low
Vascular mural cells: Not detected
RNA expressioni

A summary of mRNA expression data available for current tissue based on several datasets. The mRNA expression levels in human tissues are based on RNA-seq data generated by the Human Protein Atlas (HPA), Genotype-Tissue Expression (GTEx) portal and CAGE data generated by the FANTOM5 consortium. Consensus normalized expression levels for human tissues was created by combining the data from HPA and GTEx datasets.

The mRNA expression levels in pig are based on RNA-seq data generated by the Human Protein Atlas (HPA), and for mouse, HPA data and in situ hybridization generated by the Allen brain atlas are reported.

Scroll down to view mRNA expression data in more detail.
Consensus:116.4 nTPM
HPA:85.4 nTPM
GTEx:116.4 nTPM

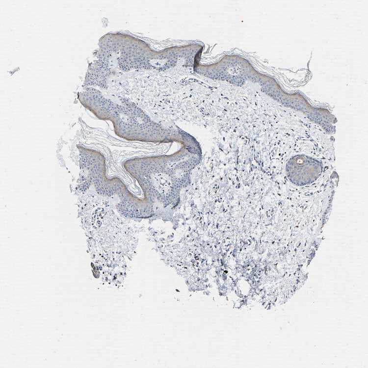
SKIN 1 - Antibody stainingi

Antibody staining in the annotated cell types in the current human tissue is reported as not detected, low, medium, or high, based on conventional immunohistochemistry profiling in selected tissues. This score is based on the combination of the staining intensity and fraction of stained cells.

Each image is clickable and will lead to virtual microscopy that enables deeper exploration of all samples and also displays staining intensity scores, fraction scores and subcellular localization as well as patient and tissue information for each sample.

Antibody HPA029196Antibody CAB009528Antibody CAB018699
Langerhans -Not detectedNot detected
Cells in basal layer Not detected--
Cells in corneal layer Not detected--
Cells in granular layer Low--
Cells in spinous layer Not detected--
Endothelial cells Not detected--
Extracellular matrix Not detected--
Fibroblasts -Not detectedNot detected
Fibrohistiocytic cells Medium--
Keratinocytes -LowLow
Langerhans cells Not detected--
Lymphocytes Not detected--
Melanocytes LowNot detectedNot detected
Vascular mural cells Not detected--



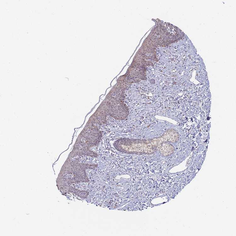
SKIN 2 - Antibody stainingi

Antibody staining in the annotated cell types in the current human tissue is reported as not detected, low, medium, or high, based on conventional immunohistochemistry profiling in selected tissues. This score is based on the combination of the staining intensity and fraction of stained cells.

Each image is clickable and will lead to virtual microscopy that enables deeper exploration of all samples and also displays staining intensity scores, fraction scores and subcellular localization as well as patient and tissue information for each sample.

Antibody HPA029196Antibody CAB009528Antibody CAB018699
Cells in basal layer Not detected--
Cells in corneal layer Not detected--
Cells in granular layer Low--
Cells in spinous layer Low--
Endothelial cells Not detected--
Epidermal cells -LowMedium
Extracellular matrix Not detected--
Fibrohistiocytic cells Medium--
Hair follicles Not detected--
Langerhans cells Not detected--
Lymphocytes Not detected--
Melanocytes Medium--
Sebaceous glands Low--
Vascular mural cells Not detected--





SKIN - HPA RNA-seqi

The RNA-seq details section shows detailed information about the individual samples used for the transcript profiling and results of the RNA-seq analysis.

Information about each individual sample is listed below, including gender, age, a tissue section image and estimated fractions of cell types. nTPM (normalized transcripts per million) values give a quantification of the gene abundance which is comparable between different genes and samples.
Average nTPMi

Max subtype nTPM is the value for the subtype with the largest average nTPM across the subtype samples.

85.4
overview
Female, age 34
Skin sample 225
nTPM: 92.8
Cell types%
Keratinocytes:
60

Other cell types:
40

overview
Female, age 30
Skin sample 226
nTPM: 87.9
Cell types%
Keratinocytes:
55

Other cell types:
45

N/A
Male, age 57
Skin sample 227
nTPM: 75.6

SKIN - GTEx RNA-seqi

RNA-Seq data generated by the Genotype-Tissue Expression (GTEx) project from human tissues is reported as mean nTPM. More information can be found on the GTEx portal.

Distribution across the dataset is visualized with box plots, shown as median and 25th and 75th percentiles. Points are displayed as outliers if they are above or below 1.5 times the interquartile range. nTPM values of the individual samples are presented next to the box plot.
Max subtype nTPMi

Max subtype nTPM is the value for the subtype with the largest average nTPM across the subtype samples.

116.4
GTEx sample id Sample description nTPM
Skin - Not Sun Exposed (Suprapubic)
Average nTPM: 108.0
Samples: 604

Max nTPM: 174.7
Min nTPM: 65.9
Std nTPM: 18.1
Median nTPM: 106.0
GTEX-1OJC3-1226-SM-DTXER 20-29 years, male 174.7
GTEX-17F97-2626-SM-7IGM5 50-59 years, male 168.5
GTEX-14C39-1726-SM-5RQIL 40-49 years, male 162.0
GTEX-1IKJJ-2226-SM-CJI4C 60-69 years, male 161.4
GTEX-1PIGE-1826-SM-E8VOU 20-29 years, male 159.7
GTEX-ZTX8-1326-SM-4YCEL 20-29 years, male 158.7
GTEX-148VJ-0626-SM-5LUAW 70-79 years, male 157.5
GTEX-13IVO-0726-SM-5LZYV 70-79 years, male 157.4
GTEX-WFG7-2026-SM-5SI7P 20-29 years, male 155.4
GTEX-1PBJJ-1026-SM-E76OS 30-39 years, male 154.7
GTEX-1E2YA-2126-SM-7MXUO 50-59 years, male 154.0
GTEX-Y114-2126-SM-4TT8B 50-59 years, female 153.8
GTEX-ZYW4-0626-SM-59HJR 60-69 years, male 152.5
GTEX-15SKB-2826-SM-6PAMH 60-69 years, male 151.4
GTEX-X8HC-0626-SM-4E3HQ 50-59 years, female 150.5
GTEX-ZF3C-0626-SM-DO92O 50-59 years, female 150.4
GTEX-1497J-0226-SM-5QGPU 60-69 years, male 150.3
GTEX-ZE7O-2726-SM-51MT5 50-59 years, female 148.2
GTEX-13PL6-1126-SM-5L3IE 40-49 years, female 147.4
GTEX-139UW-0326-SM-5J1ML 60-69 years, male 147.2
GTEX-14DAR-1226-SM-73KYV 50-59 years, male 147.1
GTEX-15UF6-1926-SM-7KUDV 70-79 years, female 145.8
GTEX-131XG-0326-SM-5L3DX 50-59 years, female 145.0
GTEX-14PII-0726-SM-6EU2B 60-69 years, male 144.2
GTEX-1RAZS-2526-SM-E6CHT 50-59 years, male 144.0
GTEX-13PDP-0726-SM-5L3HP 60-69 years, male 143.3
GTEX-YECK-0326-SM-4W1YS 60-69 years, male 143.3
GTEX-15RIG-0726-SM-7KUM7 40-49 years, male 143.0
GTEX-YEC4-1826-SM-4W1YP 40-49 years, male 141.8
GTEX-1IKOE-1426-SM-CE6T7 30-39 years, female 141.7
GTEX-ZPCL-1126-SM-4WWFE 60-69 years, female 141.6
GTEX-14PJ5-1526-SM-6LLIL 60-69 years, female 140.7
GTEX-1HCU6-2526-SM-ADEHL 60-69 years, female 140.3
GTEX-14E1K-2026-SM-7DUEI 50-59 years, male 140.1
GTEX-12WSL-2026-SM-5GCML 50-59 years, male 139.7
GTEX-1LKK1-2626-SM-DKPQE 50-59 years, female 139.4
GTEX-WXYG-2026-SM-4E3IY 50-59 years, female 139.2
GTEX-11DYG-1526-SM-5A5JS 60-69 years, male 139.1
GTEX-14ICL-1626-SM-5YYAO 30-39 years, male 138.8
GTEX-1F6RS-2026-SM-7RHHC 60-69 years, female 138.4
GTEX-1MJK3-0726-SM-E6CJC 20-29 years, male 138.4
GTEX-1QP9N-1226-SM-E76QN 30-39 years, male 138.1
GTEX-XBEW-1126-SM-4QARW 40-49 years, male 137.5
GTEX-13YAN-0226-SM-5TDC6 60-69 years, male 137.4
GTEX-1PPH8-0126-SM-EWRN8 20-29 years, male 136.7
GTEX-14PJ3-1126-SM-5ZZVX 50-59 years, male 136.0
GTEX-131XF-2626-SM-5EQ6K 60-69 years, male 135.5
GTEX-13SLW-0626-SM-5Q5ER 70-79 years, male 135.0
GTEX-ZVZP-1226-SM-5GID7 50-59 years, male 134.8
GTEX-14A5H-0826-SM-5QGPJ 60-69 years, male 134.4
GTEX-1CB4J-1326-SM-7P8RX 60-69 years, male 134.4
GTEX-11DXY-0126-SM-5H11Q 60-69 years, male 134.3
GTEX-17HII-1426-SM-7EPGG 50-59 years, male 134.3
GTEX-16YQH-2226-SM-7IGM2 30-39 years, male 134.1
GTEX-15DYW-2726-SM-6EU2I 60-69 years, female 133.7
GTEX-ZLFU-1826-SM-4WWBV 40-49 years, male 133.5
GTEX-1ICLZ-0326-SM-ARL82 60-69 years, male 133.4
GTEX-Y8LW-1526-SM-5IFHL 50-59 years, female 133.1
GTEX-WHSB-1326-SM-3LK6W 50-59 years, male 132.7
GTEX-145ME-1726-SM-5Q5EU 40-49 years, female 132.3
GTEX-1A3MV-1826-SM-731CD 30-39 years, male 132.0
GTEX-YB5K-2026-SM-4VDT3 40-49 years, female 132.0
GTEX-1S5ZU-2526-SM-E6CIF 20-29 years, female 131.7
GTEX-1GN1V-2826-SM-9JGIA 60-69 years, male 130.8
GTEX-1117F-2926-SM-5GZYI 60-69 years, female 130.6
GTEX-12WSJ-1126-SM-5LZVJ 40-49 years, female 130.6
GTEX-13112-0126-SM-5P9IU 50-59 years, male 130.6
GTEX-1HBPN-0126-SM-CGQEF 50-59 years, male 130.6
GTEX-1HCU7-0726-SM-A9SL1 50-59 years, male 130.4
GTEX-1GN73-0726-SM-7P8TJ 60-69 years, male 130.3
GTEX-ZXG5-2126-SM-59HKD 60-69 years, male 130.1
GTEX-1JMLX-0626-SM-ARL8T 50-59 years, male 129.6
GTEX-1399S-0126-SM-5IJCF 30-39 years, female 129.4
GTEX-1399Q-2326-SM-5KM2X 40-49 years, male 129.3
GTEX-11ZTT-2126-SM-5CVLO 60-69 years, female 129.2
GTEX-1C64N-2626-SM-7PC2N 50-59 years, male 129.2
GTEX-1C6WA-2626-SM-7MKGM 60-69 years, male 129.1
GTEX-1R46S-2426-SM-E76QA 60-69 years, female 128.6
GTEX-1JMPY-0226-SM-CKZOK 30-39 years, male 128.5
GTEX-13QJC-0126-SM-5ZZWJ 60-69 years, female 128.4
GTEX-13OVJ-0826-SM-5J1OK 50-59 years, female 128.3
GTEX-1H2FU-0926-SM-9WPPT 60-69 years, female 128.2
GTEX-WH7G-2026-SM-3NMBL 40-49 years, male 127.8
GTEX-UPK5-0426-SM-3GAEK 40-49 years, male 127.5
GTEX-1H4P4-2126-SM-9WYSL 50-59 years, male 127.5
GTEX-1J8Q2-2626-SM-ACKWQ 60-69 years, male 127.4
GTEX-13O61-1426-SM-5KM3D 60-69 years, male 127.2
GTEX-147F4-0726-SM-5TDDD 50-59 years, male 127.2
GTEX-1HGF4-0126-SM-CNPPX 60-69 years, male 127.2
GTEX-1JMQJ-0826-SM-CNPP7 50-59 years, male 126.9
GTEX-ZTTD-2826-SM-4YCFA 50-59 years, male 126.8
GTEX-1PIIG-2326-SM-DTXFR 30-39 years, male 126.1
GTEX-1NV5F-0626-SM-DTXEG 60-69 years, female 125.9
GTEX-1GMRU-2126-SM-7P8RA 50-59 years, male 125.8
GTEX-1I1GP-1326-SM-A9G28 50-59 years, male 125.6
GTEX-12696-0126-SM-5EQ4L 60-69 years, male 125.1
GTEX-145MI-0626-SM-5SI8S 60-69 years, female 125.1
GTEX-1R9K4-2826-SM-DTX8F 60-69 years, male 125.1
GTEX-11P7K-1126-SM-5HL4L 30-39 years, male 125.0
GTEX-145MG-1526-SM-5Q5EM 50-59 years, male 125.0
GTEX-15G19-2426-SM-7KUMR 60-69 years, male 125.0
GTEX-Y5V6-2326-SM-4VDSA 60-69 years, male 124.8
GTEX-1HSMP-0926-SM-A9SKX 70-79 years, male 124.8
GTEX-1313W-0626-SM-5EQ4H 50-59 years, female 124.7
GTEX-1I1GV-0626-SM-ARL7M 60-69 years, male 124.6
GTEX-14E6C-2426-SM-5S2NF 40-49 years, male 124.4
GTEX-1192X-2726-SM-5N9DN 50-59 years, male 124.2
GTEX-1CAMS-2226-SM-7PBXQ 40-49 years, female 124.0
GTEX-ZC5H-1526-SM-5HL9Y 40-49 years, female 123.9
GTEX-ZE9C-2526-SM-5IJDR 60-69 years, male 123.9
GTEX-ZVT4-2426-SM-5GIEI 50-59 years, female 123.9
GTEX-1GN1U-0626-SM-9MQL9 50-59 years, female 123.7
GTEX-11WQC-1826-SM-5GU59 60-69 years, male 123.5
GTEX-111VG-1626-SM-5EGIO 60-69 years, male 123.4
GTEX-1JJEA-1826-SM-ARU8P 60-69 years, male 123.3
GTEX-13FTX-1526-SM-5K7VJ 20-29 years, female 123.0
GTEX-XYKS-1426-SM-4BRUO 60-69 years, female 123.0
GTEX-1R9PN-0426-SM-DTXDT 40-49 years, female 123.0
GTEX-YFCO-1226-SM-5LUAT 40-49 years, male 122.9
GTEX-1N2DV-1526-SM-DTXEP 40-49 years, male 122.8
GTEX-1399U-1126-SM-5L3DB 50-59 years, female 122.7
GTEX-1EMGI-2326-SM-7PBYA 60-69 years, male 122.5
GTEX-13OVK-1426-SM-6PAN7 40-49 years, male 122.4
GTEX-1R9PM-1926-SM-EVR3O 20-29 years, male 122.4
GTEX-13FTY-2126-SM-5IFFB 40-49 years, female 122.3
GTEX-1F52S-2926-SM-7MKGA 60-69 years, female 122.0
GTEX-13OW5-2326-SM-5L3HO 60-69 years, male 121.9
GTEX-1QP2A-1726-SM-E76QC 50-59 years, male 121.2
GTEX-1QCLY-0226-SM-EWRNH 30-39 years, male 121.1
GTEX-1M4P7-0726-SM-E6CJ3 60-69 years, male 120.9
GTEX-11ZU8-0126-SM-5EQ58 60-69 years, male 120.8
GTEX-1HSMQ-2626-SM-A9SML 50-59 years, male 120.6
GTEX-11WQK-1026-SM-5EQLX 50-59 years, male 120.5
GTEX-1BAJH-2426-SM-7IGP8 70-79 years, male 120.5
GTEX-XQ8I-0926-SM-4BOOF 50-59 years, male 120.2
GTEX-131XH-0126-SM-5LZUY 50-59 years, male 120.0
GTEX-18A67-1626-SM-7LT9T 50-59 years, male 119.9
GTEX-1HBPI-2126-SM-ARL9K 50-59 years, male 119.8
GTEX-1IE54-1126-SM-A9G2Z 40-49 years, female 119.8
GTEX-Y111-0626-SM-4SOIT 50-59 years, male 119.7
GTEX-1QPFJ-1926-SM-EVYBD 30-39 years, female 119.7
GTEX-15RJE-2826-SM-7KUM9 40-49 years, male 119.6
GTEX-WY7C-2126-SM-3NB2R 50-59 years, male 119.5
GTEX-14PJN-1826-SM-6AJ98 30-39 years, male 119.2
GTEX-14PJO-2526-SM-6AJBQ 60-69 years, male 119.2
GTEX-ZYFG-1526-SM-5GZYM 60-69 years, female 119.2
GTEX-11P82-1426-SM-DTXFY 20-29 years, male 119.0
GTEX-11LCK-2226-SM-5HL4Q 30-39 years, male 118.9
GTEX-18A6Q-0626-SM-7KFRP 60-69 years, male 118.9
GTEX-147GR-2426-SM-5ZZWQ 60-69 years, male 118.8
GTEX-14PHX-2226-SM-6EU2P 50-59 years, male 118.7
GTEX-15ER7-0626-SM-6PANF 20-29 years, female 118.3
GTEX-1QP28-1126-SM-EVYC4 50-59 years, female 118.3
GTEX-11DZ1-2426-SM-5GZZX 50-59 years, male 118.2
GTEX-145MH-2826-SM-5RQJF 50-59 years, male 118.2
GTEX-15SHW-0226-SM-7LTAT 60-69 years, male 118.2
GTEX-1S82U-1026-SM-E6CJK 30-39 years, female 118.2
GTEX-13N1W-2426-SM-5IJD1 70-79 years, male 118.1
GTEX-Y3I4-1726-SM-4TT89 50-59 years, male 118.1
GTEX-Y3IK-1626-SM-4YCF5 50-59 years, female 118.1
GTEX-12WSH-1526-SM-5BC5W 50-59 years, male 117.9
GTEX-14LZ3-0126-SM-69LPM 60-69 years, female 117.8
GTEX-1GZ4H-0526-SM-9KNU9 50-59 years, female 117.8
GTEX-1NSGN-0726-SM-DTXEF 50-59 years, male 117.8
GTEX-WEY5-2326-SM-3GIKK 40-49 years, female 117.6
GTEX-1GF9V-0826-SM-9KNUV 60-69 years, male 117.3
GTEX-1LSVX-2526-SM-DIPEU 60-69 years, male 117.3
GTEX-1H3O1-1326-SM-9MQLD 60-69 years, male 116.9
GTEX-1211K-1526-SM-5FQU4 60-69 years, female 116.8
GTEX-13SLX-2226-SM-62LEP 50-59 years, female 116.6
GTEX-ZYT6-2326-SM-5GZY3 30-39 years, male 116.5
GTEX-1H23P-0626-SM-9WG6T 60-69 years, male 116.5
GTEX-1EX96-1026-SM-7MKG2 50-59 years, male 116.4
GTEX-Y5LM-0926-SM-6LLJG 40-49 years, female 116.4
GTEX-WI4N-2726-SM-3LK7Y 40-49 years, female 116.3
GTEX-15RIE-1926-SM-7KUKJ 60-69 years, male 116.2
GTEX-1RAZQ-1326-SM-E9TK6 30-39 years, male 116.2
GTEX-144GL-0626-SM-5LU4D 50-59 years, male 116.0
GTEX-1JK1U-0226-SM-ARZMX 60-69 years, male 116.0
GTEX-1I1GU-0926-SM-ACKVS 40-49 years, male 115.9
GTEX-111CU-1126-SM-5EGIM 50-59 years, male 115.7
GTEX-12WSD-0626-SM-5GCMW 60-69 years, female 115.7
GTEX-1J8EW-2726-SM-CY8HR 60-69 years, female 115.4
GTEX-16MTA-0926-SM-6M47Z 50-59 years, male 115.3
GTEX-11TUW-0626-SM-5LU9M 60-69 years, male 115.2
GTEX-13RTJ-0126-SM-5S2NN 60-69 years, male 115.2
GTEX-15DDE-2926-SM-6LLJ3 50-59 years, female 115.2
GTEX-1AYD5-2626-SM-7PBXY 50-59 years, male 115.1
GTEX-1PPGY-1626-SM-EVYBL 60-69 years, male 115.1
GTEX-11EM3-1226-SM-5N9DD 20-29 years, female 114.9
GTEX-1F75B-0726-SM-7PC3R 50-59 years, male 114.9
GTEX-X3Y1-2026-SM-3P5YM 40-49 years, male 114.8
GTEX-1S83E-1326-SM-E6CJM 40-49 years, male 114.8
GTEX-11PRG-0726-SM-5EGL1 50-59 years, male 114.5
GTEX-1H1ZS-2726-SM-9WG75 70-79 years, male 114.5
GTEX-1RLM8-2926-SM-E8VON 50-59 years, male 114.4
GTEX-1HCUA-0826-SM-ADEHM 50-59 years, female 114.3
GTEX-14753-0726-SM-5QGQO 60-69 years, male 114.1
GTEX-11O72-0626-SM-5PNYE 40-49 years, male 114.0
GTEX-144FL-0626-SM-5LU43 50-59 years, male 114.0
GTEX-11DXX-2126-SM-5PNYR 60-69 years, female 113.9
GTEX-12ZZZ-0726-SM-5GCNZ 60-69 years, male 113.9
GTEX-ZVP2-0326-SM-57WBP 50-59 years, male 113.9
GTEX-1JJ6O-2726-SM-CNPOG 60-69 years, male 113.8
GTEX-16BQI-1326-SM-6M486 30-39 years, female 113.7
GTEX-17F9Y-0126-SM-79OKX 70-79 years, female 113.7
GTEX-ZYVF-0926-SM-5E44J 50-59 years, female 113.7
GTEX-1JMQK-1226-SM-D4P2S 60-69 years, male 113.4
GTEX-17F98-1326-SM-7DUEP 40-49 years, female 113.3
GTEX-1F75A-0726-SM-7RHHD 50-59 years, male 113.3
GTEX-1OJC4-2726-SM-E76PJ 50-59 years, female 113.3
GTEX-1HT8W-0626-SM-A9G2H 30-39 years, male 112.9
GTEX-12126-0826-SM-5FQTZ 20-29 years, male 112.6
GTEX-14PHY-1226-SM-5ZZWK 60-69 years, female 112.6
GTEX-ZT9X-1526-SM-5DUXD 40-49 years, male 112.6
GTEX-1PDJ9-1226-SM-EXUSX 20-29 years, male 112.6
GTEX-1RMOY-1326-SM-E9TIH 50-59 years, male 112.6
GTEX-1S3DN-2126-SM-E9TIN 50-59 years, male 112.6
GTEX-17F9E-2326-SM-79OKD 50-59 years, male 112.5
GTEX-13NYS-0626-SM-5L3F1 60-69 years, male 112.4
GTEX-ZF29-0926-SM-4WKFZ 60-69 years, female 112.3
GTEX-1HB9E-0126-SM-CM2S5 50-59 years, male 112.2
GTEX-XXEK-1626-SM-4BRUZ 50-59 years, male 112.1
GTEX-1122O-1026-SM-9WYSF 60-69 years, female 112.1
GTEX-1LVA9-2626-SM-EVYD4 50-59 years, male 111.8
GTEX-15RJ7-2126-SM-6PAMD 40-49 years, male 111.7
GTEX-18D9A-1426-SM-7LT8M 30-39 years, female 111.7
GTEX-1IDFM-0326-SM-ARL7V 60-69 years, male 111.6
GTEX-14BMU-1226-SM-5S2OR 20-29 years, female 111.4
GTEX-11OF3-0126-SM-5PNYF 60-69 years, male 111.3
GTEX-12ZZX-2426-SM-5GCOE 40-49 years, female 111.3
GTEX-1KAFJ-0126-SM-DIPEK 50-59 years, male 111.2
GTEX-139TU-0726-SM-5L3EK 60-69 years, male 111.1
GTEX-133LE-2326-SM-5K7W3 20-29 years, female 110.9
GTEX-13O3O-2326-SM-5IJD6 60-69 years, female 110.7
GTEX-1KANB-2826-SM-CY8I6 50-59 years, male 110.7
GTEX-1N2EE-0626-SM-E76PW 60-69 years, male 110.7
GTEX-1CAMR-1326-SM-7PC1F 20-29 years, male 110.6
GTEX-1JMQI-1726-SM-ARL93 50-59 years, male 110.6
GTEX-11EQ8-0926-SM-5H12V 60-69 years, male 110.5
GTEX-1JN1M-2726-SM-CY8I4 60-69 years, female 110.5
GTEX-1HCVE-2726-SM-CL54F 50-59 years, male 110.4
GTEX-ZAJG-1526-SM-5CVML 50-59 years, female 110.3
GTEX-12WSM-1926-SM-5BC65 60-69 years, male 110.2
GTEX-W5X1-2526-SM-3GILC 40-49 years, female 110.2
GTEX-X5EB-1926-SM-4E3IW 40-49 years, male 110.2
GTEX-1H3VE-0726-SM-9YFL5 40-49 years, male 110.2
GTEX-1269C-0126-SM-5EQ5L 60-69 years, female 110.1
GTEX-14C38-0726-SM-5SI6M 50-59 years, male 110.0
GTEX-117YX-1926-SM-5GIEC 50-59 years, male 109.8
GTEX-ZPU1-1126-SM-4YCF3 40-49 years, male 109.8
GTEX-13JVG-0726-SM-5KM16 60-69 years, male 109.6
GTEX-1B8KE-1126-SM-7EPHI 50-59 years, male 109.5
GTEX-13113-1626-SM-5EQ4I 60-69 years, female 109.4
GTEX-ZDTT-0426-SM-4WKFL 60-69 years, male 109.4
GTEX-12ZZY-0726-SM-5EQ66 60-69 years, male 109.3
GTEX-131XW-0626-SM-5PNVD 50-59 years, female 109.3
GTEX-ZYY3-2926-SM-5GIEB 60-69 years, female 109.3
GTEX-1S82P-2126-SM-E6CI5 60-69 years, female 109.3
GTEX-139YR-1026-SM-5LZYN 50-59 years, male 109.2
GTEX-X585-2426-SM-46MW2 50-59 years, male 109.2
GTEX-13D11-0926-SM-5J2NC 50-59 years, female 109.1
GTEX-XOT4-0626-SM-4B66L 60-69 years, female 109.0
GTEX-13FHO-0426-SM-5L3F5 60-69 years, male 108.9
GTEX-ZDYS-2426-SM-4WKGI 50-59 years, male 108.9
GTEX-Z93S-1626-SM-5CVMB 50-59 years, male 108.8
GTEX-1CAMQ-1326-SM-7P8RV 40-49 years, male 108.8
GTEX-13NYB-0126-SM-5J1MD 40-49 years, male 108.7
GTEX-1GF9W-1426-SM-7PBYM 60-69 years, male 108.5
GTEX-1JN76-0626-SM-CKZOQ 20-29 years, female 108.3
GTEX-13NZ8-1226-SM-5KM4A 60-69 years, female 108.2
GTEX-15G1A-1626-SM-7KUKN 30-39 years, male 108.2
GTEX-1QW4Y-1126-SM-DTXE3 30-39 years, male 108.2
GTEX-ZPIC-0526-SM-DO91W 40-49 years, female 108.2
GTEX-15EO6-2426-SM-6PALZ 50-59 years, male 108.1
GTEX-1HC8U-1326-SM-9YFMJ 40-49 years, female 108.1
GTEX-1HFI7-2326-SM-CGQFS 50-59 years, female 108.1
GTEX-1GMR2-0826-SM-7PC3V 50-59 years, male 107.9
GTEX-17MFQ-1526-SM-7KFRR 20-29 years, male 107.8
GTEX-ZF2S-1626-SM-57WES 50-59 years, female 107.8
GTEX-ZZ64-1026-SM-5GZXG 20-29 years, male 107.8
GTEX-ZLV1-1526-SM-DO91J 60-69 years, female 107.8
GTEX-1CAV2-0126-SM-7IGN7 40-49 years, female 107.6
GTEX-ZP4G-1426-SM-4WWCL 20-29 years, female 107.6
GTEX-1H1CY-0126-SM-9YFLY 60-69 years, female 107.5
GTEX-1QAET-0326-SM-EVR3U 50-59 years, male 107.5
GTEX-XAJ8-1426-SM-47JYM 40-49 years, male 107.4
GTEX-1LSNL-2726-SM-E9TKJ 50-59 years, male 107.2
GTEX-147F3-1726-SM-5SIAW 50-59 years, female 107.0
GTEX-1CB4H-1126-SM-7MKGL 60-69 years, female 107.0
GTEX-13X6K-0626-SM-5LU5D 60-69 years, female 106.8
GTEX-1I1GS-2626-SM-B2LY3 60-69 years, male 106.8
GTEX-16AAH-0626-SM-793C9 50-59 years, male 106.7
GTEX-Y9LG-1126-SM-4VBQ7 30-39 years, male 106.6
GTEX-ZA64-1026-SM-5HL8R 20-29 years, male 106.6
GTEX-145MN-1526-SM-5SI9T 30-39 years, male 106.5
GTEX-XUW1-0926-SM-4BONX 50-59 years, female 106.3
GTEX-1PPH7-1126-SM-DTX9A 40-49 years, male 106.3
GTEX-1LGRB-0926-SM-COH3K 50-59 years, female 106.2
GTEX-14B4R-1326-SM-5Q5EZ 30-39 years, male 106.1
GTEX-18D9B-0926-SM-7LG4U 60-69 years, male 106.1
GTEX-14C5O-0326-SM-5ZZUX 60-69 years, male 106.0
GTEX-XK95-0226-SM-4AT58 40-49 years, male 105.9
GTEX-1JMQL-2226-SM-CNPP4 50-59 years, female 105.9
GTEX-1POEN-2326-SM-E9J2L 30-39 years, female 105.9
GTEX-15CHQ-0326-SM-69LQD 60-69 years, male 105.7
GTEX-1LGOU-1326-SM-D3L8M 20-29 years, female 105.7
GTEX-139D8-1126-SM-5LU8W 30-39 years, female 105.6
GTEX-13X6H-0926-SM-5SIB2 50-59 years, female 105.6
GTEX-U8XE-0226-SM-4E3J3 30-39 years, male 105.6
GTEX-1F6I4-2326-SM-7RHGL 60-69 years, male 105.6
GTEX-1LVAM-0726-SM-E6CIL 50-59 years, female 105.6
GTEX-1S831-1826-SM-EWROF 20-29 years, male 105.6
GTEX-1H11D-1826-SM-9QEHM 40-49 years, male 105.5
GTEX-18A66-0626-SM-7LT8Z 60-69 years, male 105.4
GTEX-1C6VQ-1226-SM-73KYD 50-59 years, male 105.4
GTEX-1GTWX-2026-SM-9YFLM 60-69 years, male 105.4
GTEX-13W3W-0726-SM-5IJDQ 60-69 years, female 105.3
GTEX-XBED-1926-SM-47JYP 60-69 years, male 105.2
GTEX-111YS-1526-SM-5GZYW 60-69 years, male 104.9
GTEX-17HHE-1326-SM-7EWDZ 50-59 years, male 104.9
GTEX-1HSKV-1226-SM-ADEI4 60-69 years, male 104.8
GTEX-1I1GT-1026-SM-ARZLV 60-69 years, female 104.7
GTEX-139TS-2126-SM-5K7XC 60-69 years, male 104.6
GTEX-18A7B-2726-SM-7LG56 70-79 years, male 104.5
GTEX-18D9U-0126-SM-731BM 40-49 years, male 104.5
GTEX-WHPG-2626-SM-3NMBR 50-59 years, male 104.5
GTEX-1LG7Y-2526-SM-EWRO7 50-59 years, male 104.5
GTEX-11P81-2226-SM-5PNYI 30-39 years, female 104.3
GTEX-13N11-2326-SM-5IJBF 50-59 years, female 104.3
GTEX-1HR9M-2226-SM-CNPPY 60-69 years, male 104.3
GTEX-144GO-2026-SM-5O99P 60-69 years, male 104.2
GTEX-14BIN-1126-SM-5RQJZ 50-59 years, female 104.2
GTEX-1GN2E-0226-SM-9WG6K 60-69 years, male 104.1
GTEX-12584-0726-SM-5FQTK 40-49 years, male 104.0
GTEX-14JFF-0626-SM-5ZZVT 60-69 years, male 103.9
GTEX-1KANC-1226-SM-CYPT7 50-59 years, female 103.9
GTEX-16XZZ-0726-SM-7KUF2 60-69 years, male 103.7
GTEX-1EH9U-2826-SM-7DUGT 60-69 years, male 103.6
GTEX-WFG8-2126-SM-3GIKQ 20-29 years, male 103.6
GTEX-1IDJU-1726-SM-CMKHU 60-69 years, female 103.6
GTEX-YEC3-1326-SM-DO92X 50-59 years, male 103.6
GTEX-ZAB4-2126-SM-5HL8U 40-49 years, male 103.4
GTEX-139TT-2126-SM-5LZWC 60-69 years, male 103.3
GTEX-X4EO-2926-SM-4E3JH 60-69 years, female 103.2
GTEX-13FLV-0126-SM-5K7WT 50-59 years, male 103.1
GTEX-1A32A-0626-SM-731AQ 50-59 years, female 102.8
GTEX-1GZ4I-2626-SM-9KNU3 50-59 years, male 102.8
GTEX-ZY6K-1426-SM-5GZX2 50-59 years, male 102.6
GTEX-ZYFC-0426-SM-5GICQ 50-59 years, male 102.6
GTEX-XMD2-2126-SM-4YCF8 60-69 years, female 102.5
GTEX-1HR98-2226-SM-ADEI2 60-69 years, male 102.5
GTEX-1MCC2-1826-SM-DIPEX 30-39 years, female 102.4
GTEX-XPVG-2126-SM-4B667 50-59 years, male 102.2
GTEX-11EQ9-1626-SM-5PNY8 30-39 years, male 102.1
GTEX-11UD2-2526-SM-5CVNU 50-59 years, male 102.0
GTEX-14LLW-2626-SM-62LDZ 70-79 years, female 102.0
GTEX-1GPI6-1926-SM-9KNV7 60-69 years, male 102.0
GTEX-1HFI6-0126-SM-CNPPI 40-49 years, male 101.9
GTEX-14XAO-1226-SM-6EU1C 60-69 years, female 101.8
GTEX-1GMR8-0626-SM-7RHI7 50-59 years, female 101.8
GTEX-1KWVE-1026-SM-D3L9O 30-39 years, male 101.7
GTEX-Y8E4-2026-SM-5IFJB 40-49 years, male 101.5
GTEX-12KS4-2126-SM-5FQUT 30-39 years, male 101.3
GTEX-1O9I2-0226-SM-EYYXD 50-59 years, male 101.3
GTEX-11NUK-2726-SM-5A5MC 50-59 years, male 101.2
GTEX-13G51-1826-SM-5KLZH 60-69 years, male 101.2
GTEX-13OVH-0526-SM-5L3E6 70-79 years, male 101.2
GTEX-11GS4-0226-SM-5HL77 60-69 years, male 101.1
GTEX-17KNJ-2126-SM-718AM 50-59 years, male 101.1
GTEX-1F48J-0726-SM-7RHGS 50-59 years, female 101.1
GTEX-11VI4-1126-SM-5EQMD 40-49 years, female 101.0
GTEX-1C64O-1326-SM-7MGWR 60-69 years, male 100.8
GTEX-145LS-0626-SM-7EPG7 60-69 years, female 100.7
GTEX-14JG1-1526-SM-5YY9X 40-49 years, male 100.7
GTEX-ZDTS-0826-SM-4WKHL 60-69 years, male 100.5
GTEX-ZGAY-1826-SM-DO91Q 40-49 years, female 100.4
GTEX-14JG6-1426-SM-9WG7C 30-39 years, female 100.3
GTEX-ZLWG-0826-SM-59888 50-59 years, female 100.2
GTEX-X4EP-0626-SM-3P621 60-69 years, female 100.0
GTEX-1I1HK-2326-SM-CKZOH 60-69 years, male 100.0
GTEX-17EVP-2626-SM-7IGMA 40-49 years, male 99.9
GTEX-1EN7A-2426-SM-793DB 40-49 years, male 99.9
GTEX-1KXAM-1626-SM-D3LAD 60-69 years, male 99.9
GTEX-13X6I-1826-SM-5SIAO 60-69 years, male 99.8
GTEX-ZZPU-0826-SM-5GZX5 50-59 years, female 99.8
GTEX-1RB15-1326-SM-E76Q9 60-69 years, male 99.7
GTEX-18465-2826-SM-7LT9J 50-59 years, male 99.6
GTEX-1H1DG-2426-SM-9QEHJ 70-79 years, male 99.6
GTEX-14AS3-1526-SM-5Q5ED 40-49 years, female 99.5
GTEX-18QFQ-1826-SM-72D52 30-39 years, male 99.5
GTEX-11NSD-0626-SM-5A5LU 20-29 years, male 99.4
GTEX-14PKV-1126-SM-6LLJ1 20-29 years, female 99.4
GTEX-WHWD-1826-SM-3LK6I 50-59 years, male 99.4
GTEX-11GSP-2326-SM-5HL63 60-69 years, female 99.0
GTEX-1C6VR-0126-SM-7RHGB 60-69 years, male 99.0
GTEX-1C475-1326-SM-7SB73 40-49 years, female 98.8
GTEX-1HKZK-0726-SM-ACKW2 40-49 years, male 98.8
GTEX-13OW6-2726-SM-5J2OE 50-59 years, male 98.7
GTEX-1B933-2426-SM-7DHMD 50-59 years, female 98.7
GTEX-1EKGG-0626-SM-7DUGJ 60-69 years, male 98.7
GTEX-YF7O-1526-SM-5IFI6 50-59 years, male 98.7
GTEX-13PVQ-0626-SM-5LU47 50-59 years, male 98.6
GTEX-UPJH-0226-SM-3GADV 50-59 years, male 98.6
GTEX-1B8SF-0126-SM-7DUG3 60-69 years, male 98.4
GTEX-1F5PK-2226-SM-7SB6N 50-59 years, male 98.3
GTEX-1K2DU-1226-SM-CYPT4 20-29 years, male 98.3
GTEX-1IDJH-0126-SM-D3L92 70-79 years, male 98.2
GTEX-1LSNM-0826-SM-DIPG8 50-59 years, male 98.1
GTEX-1IDJC-1526-SM-B2LW4 50-59 years, male 97.9
GTEX-1F88F-0126-SM-9WYSZ 60-69 years, female 97.8
GTEX-1N5O9-0926-SM-E9J3C 60-69 years, male 97.8
GTEX-XBEC-0726-SM-4QARZ 50-59 years, male 97.7
GTEX-1F5PL-0926-SM-7PC2W 40-49 years, female 97.6
GTEX-1QMI2-2526-SM-E8VNZ 60-69 years, male 97.6
GTEX-1C2JI-1026-SM-73KY1 50-59 years, male 97.4
GTEX-ZVT2-0126-SM-5GIDQ 50-59 years, female 97.2
GTEX-13PVR-0426-SM-5RQK2 60-69 years, female 97.1
GTEX-1B996-0426-SM-7EWF8 60-69 years, male 97.1
GTEX-1I1CD-0626-SM-CE6SW 60-69 years, female 97.1
GTEX-1JMOU-1026-SM-CYPSS 60-69 years, female 97.1
GTEX-13VXT-1926-SM-5K7UO 20-29 years, female 96.9
GTEX-11DXZ-2026-SM-5987S 50-59 years, male 96.8
GTEX-14PJ4-0226-SM-5YY92 60-69 years, male 96.8
GTEX-VUSG-2326-SM-4KL1U 50-59 years, male 96.8
GTEX-ZAK1-0626-SM-5HL8E 50-59 years, female 96.8
GTEX-ZT9W-1126-SM-57WDR 50-59 years, male 96.8
GTEX-14A6H-2026-SM-5Q5DD 30-39 years, male 96.7
GTEX-1HSMO-0626-SM-ACKXC 60-69 years, male 96.7
GTEX-1EU9M-1426-SM-793AI 60-69 years, male 96.6
GTEX-ZWKS-0626-SM-5GIDV 30-39 years, male 96.6
GTEX-12BJ1-0926-SM-5EQ62 60-69 years, male 96.5
GTEX-ZVE1-0726-SM-51MRN 50-59 years, female 96.5
GTEX-1HUB1-1426-SM-CGQF5 60-69 years, male 96.5
GTEX-1R7EU-1626-SM-DTXG3 60-69 years, male 96.5
GTEX-145MF-0926-SM-5Q5EA 50-59 years, male 96.4
GTEX-1IL2V-1926-SM-B2LW8 70-79 years, male 96.4
GTEX-13FTW-0326-SM-5K7UW 40-49 years, male 96.3
GTEX-13OW7-0426-SM-5K7VK 50-59 years, male 96.3
GTEX-1GF9X-1326-SM-7PC2Y 40-49 years, female 96.2
GTEX-1J1OQ-0126-SM-D4P2N 40-49 years, female 96.2
GTEX-13O3Q-0126-SM-5KM34 50-59 years, male 96.1
GTEX-13NYC-0126-SM-5L3F4 60-69 years, male 96.0
GTEX-1A8G7-1326-SM-73KVM 60-69 years, male 96.0
GTEX-1AX9I-2226-SM-73KUO 60-69 years, male 96.0
GTEX-13FH7-1126-SM-5K7UG 50-59 years, female 95.9
GTEX-1A8FM-0626-SM-7PC25 50-59 years, female 95.9
GTEX-14E6E-0526-SM-793DN 30-39 years, male 95.8
GTEX-15CHC-1126-SM-6LLHQ 60-69 years, female 95.8
GTEX-1B8L1-2226-SM-7P8PT 60-69 years, male 95.8
GTEX-1A3MW-0626-SM-731CB 60-69 years, female 95.7
GTEX-13OVG-1626-SM-5J1NF 60-69 years, male 95.6
GTEX-1GMR3-0126-SM-A9SLW 40-49 years, male 95.6
GTEX-1LVAN-0626-SM-CNPOQ 50-59 years, female 95.6
GTEX-1IY9M-2826-SM-ARU8H 60-69 years, male 95.5
GTEX-1QEPI-2626-SM-DTXF4 60-69 years, female 95.5
GTEX-1QP66-1226-SM-DTX7U 50-59 years, male 95.5
GTEX-139T8-0626-SM-5KLZX 60-69 years, male 95.4
GTEX-1E1VI-0326-SM-793D1 50-59 years, male 95.4
GTEX-144GM-0526-SM-79OJO 20-29 years, male 95.3
GTEX-17HHY-0426-SM-7DHLC 50-59 years, male 95.3
GTEX-1IDJF-2026-SM-CL53V 20-29 years, male 95.3
GTEX-13X6J-0626-SM-5LU5F 50-59 years, male 95.2
GTEX-ZVE2-2826-SM-5GU51 50-59 years, male 95.2
GTEX-1LVAO-2726-SM-E9TJ8 60-69 years, male 95.2
GTEX-12C56-1526-SM-5FQUQ 20-29 years, male 95.0
GTEX-1JJE9-2626-SM-ARZMT 70-79 years, male 95.0
GTEX-1JMPZ-0726-SM-CY8HZ 30-39 years, male 95.0
GTEX-1B97I-0626-SM-73KUZ 40-49 years, male 94.8
GTEX-XV7Q-1826-SM-4BRUV 40-49 years, female 94.6
GTEX-1F75I-2226-SM-7SB8U 40-49 years, male 94.6
GTEX-16MT8-2926-SM-7DUFO 60-69 years, female 94.4
GTEX-1IDJI-0126-SM-CMKHS 50-59 years, female 94.3
GTEX-1J8Q3-0526-SM-ARL8U 60-69 years, male 94.3
GTEX-145LU-1926-SM-79OJN 50-59 years, male 94.2
GTEX-12WSK-2126-SM-5CVNC 40-49 years, female 94.1
GTEX-14PK6-0226-SM-62LF5 70-79 years, female 94.1
GTEX-1MCYP-0526-SM-E9U6Q 20-29 years, female 94.1
GTEX-14PKU-0126-SM-6LLHV 40-49 years, female 93.9
GTEX-17F96-0126-SM-7EWDU 70-79 years, male 93.6
GTEX-1A8G6-2726-SM-731AR 60-69 years, male 93.6
GTEX-1CB4F-1026-SM-7DUH1 60-69 years, male 93.6
GTEX-145MO-2826-SM-5LU96 60-69 years, male 93.5
GTEX-1F88E-1626-SM-7SB8Z 60-69 years, female 93.5
GTEX-1QP29-1826-SM-DTX9S 50-59 years, male 93.5
GTEX-17EVQ-0126-SM-7IGLR 70-79 years, male 93.4
GTEX-WHSE-0126-SM-3NMBT 20-29 years, male 93.3
GTEX-1I19N-0126-SM-CYPSF 70-79 years, male 93.2
GTEX-1CB4E-0926-SM-7EPHT 60-69 years, male 93.0
GTEX-XQ3S-1426-SM-4BOPR 20-29 years, male 92.9
GTEX-1LB8K-0726-SM-D5OV2 50-59 years, male 92.9
GTEX-ZDXO-3126-SM-5IJDF 60-69 years, male 92.8
GTEX-1IOXB-2726-SM-CM2RI 50-59 years, male 92.6
GTEX-1GN1W-2426-SM-9KNUU 50-59 years, female 92.5
GTEX-15EU6-2226-SM-6EU2L 50-59 years, male 92.4
GTEX-15FZZ-0526-SM-7KUGD 30-39 years, female 92.4
GTEX-1B8KZ-0326-SM-73KY4 50-59 years, male 92.2
GTEX-16MT9-0126-SM-7EPI8 60-69 years, female 91.9
GTEX-11DXW-0826-SM-5H118 40-49 years, male 91.8
GTEX-WYBS-0626-SM-3NMAS 60-69 years, female 91.8
GTEX-11ZUS-2626-SM-5FQUR 30-39 years, male 91.6
GTEX-1HSGN-0826-SM-ACKW3 40-49 years, female 91.6
GTEX-16NGA-0726-SM-731AO 40-49 years, female 91.0
GTEX-1RAZR-2126-SM-E9U6T 40-49 years, male 91.0
GTEX-146FQ-2126-SM-5RQHU 30-39 years, male 90.9
GTEX-14PJ6-2626-SM-6EU2T 60-69 years, female 90.4
GTEX-YJ8O-2526-SM-5HL85 40-49 years, female 90.3
GTEX-17HGU-2326-SM-7DUFE 50-59 years, male 90.2
GTEX-1212Z-0126-SM-59HK4 60-69 years, male 90.1
GTEX-12WSF-1626-SM-7KUG5 70-79 years, male 90.1
GTEX-1J1R8-2026-SM-CL53Y 40-49 years, male 90.1
GTEX-1ICLY-0826-SM-CMKG1 50-59 years, male 90.0
GTEX-1HBPM-0726-SM-9YFL7 60-69 years, female 89.7
GTEX-13VXU-0626-SM-5L3F9 50-59 years, male 89.5
GTEX-16NPX-0726-SM-7KULC 50-59 years, male 89.4
GTEX-1EWIQ-0326-SM-7DHMQ 70-79 years, female 89.4
GTEX-1H1DE-1326-SM-9KNUG 20-29 years, male 89.4
GTEX-1AX9J-1326-SM-731BJ 60-69 years, male 89.3
GTEX-1HCU9-0426-SM-9WYSD 20-29 years, male 89.3
GTEX-1K2DA-1026-SM-CGQGF 50-59 years, male 89.3
GTEX-V1D1-2026-SM-3GAF4 50-59 years, male 89.0
GTEX-1GPI7-1826-SM-9KNU1 20-29 years, male 89.0
GTEX-1KANA-1326-SM-DIPFA 20-29 years, male 89.0
GTEX-131YS-2826-SM-5EQ47 60-69 years, female 88.9
GTEX-WYJK-0526-SM-3NM8Z 50-59 years, male 88.8
GTEX-1JN6P-2926-SM-CL54D 60-69 years, male 88.8
GTEX-14BMV-2826-SM-5TDED 50-59 years, male 88.7
GTEX-VJYA-1526-SM-3GIJV 60-69 years, male 88.5
GTEX-ZYFD-0626-SM-5E44E 50-59 years, male 88.4
GTEX-1477Z-0326-SM-7IGLA 60-69 years, male 88.3
GTEX-178AV-1726-SM-7KUL8 40-49 years, male 88.2
GTEX-15D1Q-2826-SM-6LLH7 40-49 years, male 88.1
GTEX-ZU9S-1826-SM-5NQ9E 30-39 years, male 87.9
GTEX-1JKYR-0626-SM-ARL8R 20-29 years, male 87.9
GTEX-18A7A-0126-SM-731AH 50-59 years, female 87.5
GTEX-14ABY-2026-SM-62LDL 50-59 years, male 87.3
GTEX-1GL5R-1326-SM-7RHHF 50-59 years, male 87.2
GTEX-1I6K7-1926-SM-B2LXR 40-49 years, male 87.2
GTEX-1LBAC-0826-SM-CY8IJ 20-29 years, male 87.2
GTEX-13N2G-0226-SM-5K7VF 60-69 years, male 87.1
GTEX-1ICG6-1226-SM-A9SLN 70-79 years, female 87.0
GTEX-1QCLZ-2426-SM-EVYBW 60-69 years, female 86.9
GTEX-1F6IF-0926-SM-7SB7M 60-69 years, male 86.8
GTEX-1H1DF-1126-SM-9WG7G 40-49 years, female 86.8
GTEX-13OVL-0126-SM-5L3GJ 50-59 years, male 86.5
GTEX-1H1E6-0426-SM-9WYUS 30-39 years, male 86.5
GTEX-1CB4I-0126-SM-7RHGG 50-59 years, male 86.4
GTEX-1KD5A-0126-SM-E9U54 50-59 years, male 86.3
GTEX-WK11-2726-SM-3NMAQ 50-59 years, male 86.2
GTEX-145LT-0526-SM-5LUB2 40-49 years, male 85.8
GTEX-13NZ9-2626-SM-5L3FK 50-59 years, male 85.7
GTEX-132AR-0326-SM-5KM2C 50-59 years, female 85.6
GTEX-1AX8Z-0726-SM-73KTS 60-69 years, male 85.6
GTEX-11TT1-1826-SM-5EQLV 20-29 years, male 85.4
GTEX-1I4MK-0126-SM-CY8G6 50-59 years, female 85.3
GTEX-13JUV-2026-SM-5K7UA 40-49 years, female 85.0
GTEX-1JKYN-0826-SM-ARU8S 30-39 years, male 84.8
GTEX-13QBU-1226-SM-5LU4G 40-49 years, female 84.6
GTEX-1AMFI-1326-SM-7939R 50-59 years, female 84.5
GTEX-15CHR-1126-SM-7EWF4 50-59 years, male 84.4
GTEX-1IDJE-1426-SM-ADEIW 50-59 years, female 83.9
GTEX-1IDJV-0126-SM-COH3Y 60-69 years, male 83.6
GTEX-WRHU-2826-SM-3MJG8 50-59 years, female 83.3
GTEX-1L5NE-1126-SM-D3L9P 50-59 years, male 83.1
GTEX-183WM-0326-SM-72D5V 70-79 years, female 83.0
GTEX-14PJ2-0626-SM-6LLII 50-59 years, male 82.9
GTEX-1I6K6-1726-SM-CGQFD 30-39 years, male 82.9
GTEX-17HG3-2626-SM-7DUF2 30-39 years, female 82.8
GTEX-ZTSS-1426-SM-5985P 40-49 years, male 82.8
GTEX-WFON-1926-SM-3LK7L 40-49 years, male 82.7
GTEX-16GPK-0626-SM-7KFSF 60-69 years, male 82.6
GTEX-1RAZA-2226-SM-E9U4X 20-29 years, male 82.6
GTEX-11EI6-2826-SM-5H11D 60-69 years, male 82.5
GTEX-1A3MX-2626-SM-7PC24 60-69 years, male 82.5
GTEX-1314G-1326-SM-5BC6E 30-39 years, male 81.7
GTEX-183FY-1026-SM-7939A 20-29 years, male 81.7
GTEX-1J8QM-2426-SM-A9SLS 60-69 years, female 81.7
GTEX-1F75W-2726-SM-7SB8H 60-69 years, male 81.4
GTEX-1LG7Z-1626-SM-CXKYR 30-39 years, male 80.4
GTEX-17MF6-2626-SM-79OKQ 40-49 years, male 80.1
GTEX-16Z82-2626-SM-7KULU 60-69 years, male 80.0
GTEX-14DAQ-0626-SM-793DS 60-69 years, female 79.6
GTEX-1IDJD-2326-SM-ACKWX 30-39 years, male 79.4
GTEX-Y5V5-0126-SM-5S2NW 60-69 years, female 79.0
GTEX-1J8JJ-0626-SM-ARZMQ 60-69 years, female 78.3
GTEX-13OW8-1026-SM-5J1NQ 60-69 years, male 77.0
GTEX-1GZ2Q-0126-SM-9WG6M 40-49 years, male 76.7
GTEX-1399R-1326-SM-5PNYS 30-39 years, male 76.5
GTEX-1AMEY-0826-SM-72D65 30-39 years, female 76.4
GTEX-1GZHY-0626-SM-9KNVC 50-59 years, female 76.4
GTEX-147JS-0226-SM-5S2U9 60-69 years, male 76.2
GTEX-12WSC-2826-SM-5BC5Y 50-59 years, male 75.5
GTEX-WYVS-1626-SM-3NM9R 40-49 years, female 75.1
GTEX-12WSA-0426-SM-5EQ5X 60-69 years, male 75.0
GTEX-111FC-2526-SM-5GZXU 60-69 years, male 74.6
GTEX-1K9T9-1526-SM-DIPFR 50-59 years, female 74.5
GTEX-1H3NZ-2726-SM-9WYTQ 60-69 years, male 74.0
GTEX-ZUA1-2626-SM-5NQ92 40-49 years, male 73.5
GTEX-13U4I-2226-SM-5LU5H 40-49 years, female 73.3
GTEX-ZVTK-0226-SM-51MRG 20-29 years, male 72.6
GTEX-1GF9U-2026-SM-7SB92 40-49 years, female 70.5
GTEX-17JCI-2926-SM-7DUFF 60-69 years, female 70.1
GTEX-1B932-2326-SM-79OL5 40-49 years, female 69.8
GTEX-1HCU8-2526-SM-CE6RX 60-69 years, female 65.9
Show allShow less
Skin - Sun Exposed (Lower leg)
Average nTPM: 116.4
Samples: 701

Max nTPM: 269.8
Min nTPM: 64.6
Std nTPM: 22.5
Median nTPM: 112.9
GTEX-SE5C-1626-SM-2XCE3 40-49 years, female 269.8
GTEX-131XE-2326-SM-5PNZ2 50-59 years, male 195.7
GTEX-P4QT-0126-SM-2I3FL 50-59 years, female 192.4
GTEX-QCQG-1726-SM-3GIJ9 50-59 years, female 190.0
GTEX-S32W-2126-SM-2XCB1 50-59 years, female 185.7
GTEX-14E6C-0126-SM-5RQIP 40-49 years, male 184.1
GTEX-Y3IK-2426-SM-4WWDU 50-59 years, female 183.2
GTEX-1122O-2126-SM-5EGIR 60-69 years, female 181.4
GTEX-145MO-0326-SM-5Q5B3 60-69 years, male 180.9
GTEX-1399U-2326-SM-5K7WY 50-59 years, female 178.0
GTEX-18D9A-1926-SM-7LG6P 30-39 years, female 174.2
GTEX-OIZG-0726-SM-33HBL 50-59 years, male 174.1
GTEX-14A5I-0126-SM-5TDEA 50-59 years, female 173.2
GTEX-1JN76-0126-SM-CNPPE 20-29 years, female 172.0
GTEX-TML8-1926-SM-32QOS 40-49 years, female 170.2
GTEX-1PIIG-0226-SM-EWRN6 30-39 years, male 170.0
GTEX-1CAV2-2226-SM-7P8P2 40-49 years, female 169.0
GTEX-ZVT2-2526-SM-51MT1 50-59 years, female 168.2
GTEX-U8T8-0126-SM-3DB94 60-69 years, male 168.1
GTEX-1OJC3-0126-SM-E76QX 20-29 years, male 167.3
GTEX-15ER7-0326-SM-7KUEV 20-29 years, female 167.1
GTEX-15UF6-0826-SM-6PALJ 70-79 years, female 167.0
GTEX-PSDG-0226-SM-DKPOZ 50-59 years, male 166.8
GTEX-1L5NE-2526-SM-E6CIE 50-59 years, male 166.7
GTEX-X8HC-0126-SM-4E3JW 50-59 years, female 166.2
GTEX-ZTX8-1426-SM-5DUVO 20-29 years, male 165.3
GTEX-14PN4-0126-SM-6EU2V 50-59 years, male 164.4
GTEX-17GQL-2026-SM-718BA 60-69 years, male 164.3
GTEX-15SB6-1726-SM-6PAME 50-59 years, female 163.8
GTEX-145LT-1726-SM-5QGP3 40-49 years, male 162.9
GTEX-OIZH-0126-SM-2HMIS 50-59 years, male 162.6
GTEX-U412-0426-SM-3DB9O 60-69 years, male 162.5
GTEX-UJHI-1526-SM-3DB99 50-59 years, female 162.1
GTEX-15ETS-0126-SM-7KUMW 40-49 years, female 161.5
GTEX-1JMLX-0226-SM-CM2RO 50-59 years, male 159.9
GTEX-1R9PM-2026-SM-E76OY 20-29 years, male 159.8
GTEX-1KANC-1526-SM-D3LAB 50-59 years, female 159.5
GTEX-13FTW-2626-SM-5K7WL 40-49 years, male 158.7
GTEX-POMQ-2226-SM-2I5FK 20-29 years, female 158.3
GTEX-14PII-0226-SM-6EU1T 60-69 years, male 157.4
GTEX-ZXES-1826-SM-5E43S 30-39 years, female 157.3
GTEX-WI4N-1026-SM-3LK7N 40-49 years, female 157.0
GTEX-131XF-5016-SM-7MGWE 60-69 years, male 156.4
GTEX-16XZZ-0126-SM-793DV 60-69 years, male 156.2
GTEX-RTLS-0126-SM-447CA 60-69 years, female 156.2
GTEX-1GN1U-0126-SM-7PBZK 50-59 years, female 156.2
GTEX-1GF9V-0326-SM-7RHI5 60-69 years, male 156.1
GTEX-SN8G-0126-SM-32PLI 50-59 years, female 154.6
GTEX-1HSMO-0126-SM-CL547 60-69 years, male 152.7
GTEX-W5X1-3026-SM-EAZAX 40-49 years, female 152.6
GTEX-11DYG-0126-SM-59883 60-69 years, male 150.9
GTEX-14BMU-2226-SM-5TDE9 20-29 years, female 150.9
GTEX-ZPIC-1726-SM-DHXIU 40-49 years, female 150.8
GTEX-1B8KE-2126-SM-73KYX 50-59 years, male 150.0
GTEX-1EWIQ-0126-SM-7RHH2 70-79 years, female 150.0
GTEX-17JCI-0126-SM-7LG5G 60-69 years, female 149.7
GTEX-ZGAY-0526-SM-4WWBB 40-49 years, female 149.7
GTEX-1PDJ9-0326-SM-DTX95 20-29 years, male 149.3
GTEX-RVPV-0126-SM-EAZAW 60-69 years, male 149.2
GTEX-14753-0426-SM-5NQAM 60-69 years, male 149.1
GTEX-139TS-2826-SM-5J1OO 60-69 years, male 148.9
GTEX-1OFPY-2426-SM-DTXEJ 60-69 years, male 148.3
GTEX-1N2EF-0226-SM-EYYXB 60-69 years, male 146.6
GTEX-XBEW-0626-SM-4QASP 40-49 years, male 146.5
GTEX-1K2DA-1826-SM-CGQGT 50-59 years, male 146.4
GTEX-13FXS-0226-SM-5IJCK 50-59 years, male 146.1
GTEX-111FC-0126-SM-5N9DL 60-69 years, male 146.0
GTEX-T5JW-1626-SM-3GADZ 20-29 years, female 145.6
GTEX-1HCU6-0126-SM-CL54K 60-69 years, female 145.5
GTEX-139UW-2826-SM-5L3E7 60-69 years, male 144.9
GTEX-S33H-1026-SM-EZ6L6 30-39 years, male 144.8
GTEX-1C6VQ-0126-SM-7P8RI 50-59 years, male 144.6
GTEX-1J8QM-2126-SM-CYPSJ 60-69 years, female 144.6
GTEX-VJWN-0126-SM-3GIK7 50-59 years, female 144.2
GTEX-1H1CY-2826-SM-9MQM3 60-69 years, female 144.1
GTEX-PWCY-1826-SM-DHXIZ 20-29 years, female 144.1
GTEX-1B8SF-1426-SM-7DUGL 60-69 years, male 143.8
GTEX-1R46S-0626-SM-E9J41 60-69 years, female 143.8
GTEX-1GMR3-1926-SM-9KNUZ 40-49 years, male 143.2
GTEX-1211K-2026-SM-5EQ4Z 60-69 years, female 143.1
GTEX-T6MN-0126-SM-32PLP 50-59 years, male 143.0
GTEX-13PVR-2326-SM-5QGR1 60-69 years, female 142.3
GTEX-11H98-0126-SM-5EGHG 50-59 years, male 142.2
GTEX-14ICK-0226-SM-6EU25 40-49 years, male 142.2
GTEX-1MJK2-0426-SM-DTXE5 50-59 years, male 142.1
GTEX-11TUW-2726-SM-E9J4M 60-69 years, male 142.0
GTEX-ZVZP-2426-SM-59HKJ 50-59 years, male 141.8
GTEX-UPJH-0326-SM-3GADU 50-59 years, male 141.5
GTEX-14XAO-2326-SM-6EU1B 60-69 years, female 140.6
GTEX-145LS-0126-SM-5QGP1 60-69 years, female 140.5
GTEX-PLZ6-1426-SM-DKPOT 30-39 years, male 140.4
GTEX-145MN-2226-SM-5SIAU 30-39 years, male 140.2
GTEX-1H1DG-0126-SM-9WYU2 70-79 years, male 139.9
GTEX-OOBJ-0126-SM-E6CJW 60-69 years, male 139.7
GTEX-1E2YA-0126-SM-9KNUC 50-59 years, male 139.6
GTEX-Y114-2426-SM-4TT8A 50-59 years, female 139.4
GTEX-1JJ6O-0126-SM-E6CI8 60-69 years, male 139.3
GTEX-1S83E-0126-SM-EWRO4 40-49 years, male 138.7
GTEX-13CF2-2526-SM-5LZYX 60-69 years, male 138.6
GTEX-T8EM-1026-SM-3DB7M 40-49 years, male 138.2
GTEX-1HGF4-2426-SM-ACKXM 60-69 years, male 138.1
GTEX-Y5V6-2426-SM-4VDSB 60-69 years, male 137.9
GTEX-1QP9N-1426-SM-DTXFL 30-39 years, male 137.9
GTEX-17HII-0226-SM-7LG4E 50-59 years, male 137.6
GTEX-WXYG-2326-SM-4E3I6 50-59 years, female 137.3
GTEX-1KXAM-2226-SM-CYPTC 60-69 years, male 137.2
GTEX-12696-2426-SM-5EQ6H 60-69 years, male 137.0
GTEX-ZYFD-0126-SM-5GIDL 50-59 years, male 136.9
GTEX-1S3DN-2226-SM-EVYCD 50-59 years, male 136.7
GTEX-1LBAC-0126-SM-DIPEZ 20-29 years, male 136.6
GTEX-1I1GV-0526-SM-A9G29 60-69 years, male 136.5
GTEX-QDVN-2026-SM-3GAEP 50-59 years, male 136.4
GTEX-13FTX-1826-SM-5J1NX 20-29 years, female 136.3
GTEX-X4XY-0226-SM-4E3IZ 60-69 years, male 136.2
GTEX-1IKJJ-0126-SM-CNPQB 60-69 years, male 136.2
GTEX-1313W-0126-SM-5LZUN 50-59 years, female 135.8
GTEX-P4PQ-0126-SM-2S1NM 60-69 years, male 135.8
GTEX-1JMPZ-0226-SM-CNPP1 30-39 years, male 135.8
GTEX-1JN6P-0126-SM-D3L98 60-69 years, male 135.8
GTEX-1JN1M-0326-SM-CYPT3 60-69 years, female 135.5
GTEX-1JMPY-1326-SM-ARL8Y 30-39 years, male 135.4
GTEX-X5EB-2226-SM-46MW4 40-49 years, male 134.9
GTEX-ZVTK-0426-SM-51MRS 20-29 years, male 134.9
GTEX-1H4P4-0726-SM-9YFLR 50-59 years, male 134.9
GTEX-O5YW-0126-SM-3LK6D 50-59 years, male 134.8
GTEX-WYJK-0126-SM-3NMAB 50-59 years, male 134.8
GTEX-1F5PL-0326-SM-7P8PQ 40-49 years, female 134.7
GTEX-13YAN-0326-SM-5O9DF 60-69 years, male 134.6
GTEX-XQ3S-1526-SM-4BOOC 20-29 years, male 134.6
GTEX-1F6RS-0126-SM-9MQKZ 60-69 years, female 134.6
GTEX-14PHX-2326-SM-62LEM 50-59 years, male 134.4
GTEX-O5YT-0126-SM-48TBW 20-29 years, male 134.3
GTEX-ZF29-2326-SM-DO92K 60-69 years, female 134.2
GTEX-X4EO-0326-SM-3P5YO 60-69 years, female 134.1
GTEX-1PFEY-1526-SM-E76PP 30-39 years, male 134.1
GTEX-ZYFG-2326-SM-5E44B 60-69 years, female 133.8
GTEX-148VJ-0126-SM-5TDDN 70-79 years, male 133.6
GTEX-1I4MK-2226-SM-ACKWD 50-59 years, female 133.6
GTEX-U8XE-0326-SM-3DB8P 30-39 years, male 133.3
GTEX-ZF3C-0126-SM-DO92D 50-59 years, female 133.2
GTEX-12WSJ-1826-SM-5GCNY 40-49 years, female 132.9
GTEX-PVOW-0126-SM-2XCFA 40-49 years, male 132.7
GTEX-1MA7W-2026-SM-E9TJ6 20-29 years, female 132.5
GTEX-ZYT6-0226-SM-5NQ6T 30-39 years, male 132.3
GTEX-1S82Z-0826-SM-E6CHY 30-39 years, female 132.3
GTEX-13111-1626-SM-5EGJY 50-59 years, male 132.2
GTEX-13NZ8-0826-SM-5MR3I 60-69 years, female 132.1
GTEX-Y5LM-1926-SM-5RQJH 40-49 years, female 132.1
GTEX-Q2AH-1626-SM-3GAF8 40-49 years, male 132.0
GTEX-1GN2E-0426-SM-9MQKX 60-69 years, male 131.9
GTEX-11EM3-2426-SM-59861 20-29 years, female 131.8
GTEX-11WQK-0526-SM-5EQLD 50-59 years, male 131.8
GTEX-1NV5F-0226-SM-E8VNY 60-69 years, female 131.8
GTEX-X88G-0126-SM-47JZ3 30-39 years, male 131.7
GTEX-1KD4Q-0226-SM-E9TJ9 40-49 years, male 131.7
GTEX-XUW1-0426-SM-4BOOT 50-59 years, female 131.2
GTEX-T6MO-1626-SM-32QOM 40-49 years, female 131.0
GTEX-1LGOU-2026-SM-DIPFF 20-29 years, female 131.0
GTEX-1LGRB-2526-SM-CNPPQ 50-59 years, female 130.9
GTEX-X4EP-0126-SM-3P5YV 60-69 years, female 130.7
GTEX-1B8SG-0126-SM-73KZ3 50-59 years, male 130.6
GTEX-ZE9C-2726-SM-57WB5 60-69 years, male 130.6
GTEX-1QPFJ-0226-SM-E76PB 30-39 years, female 130.6
GTEX-131XG-2626-SM-5KM17 50-59 years, female 130.2
GTEX-13X6J-0126-SM-5QGOU 50-59 years, male 130.0
GTEX-1JMQL-0226-SM-CNPP5 50-59 years, female 129.7
GTEX-1LG7Z-1726-SM-D3LA4 30-39 years, male 129.6
GTEX-NPJ8-0126-SM-2YUNR 40-49 years, male 129.2
GTEX-13OVH-0126-SM-5MR4B 70-79 years, male 129.1
GTEX-ZDTS-0126-SM-4WAY5 60-69 years, male 129.0
GTEX-1MUQO-0126-SM-EAZ58 60-69 years, male 129.0
GTEX-XYKS-2126-SM-4E3IB 60-69 years, female 128.9
GTEX-1LVAN-0226-SM-COH3S 50-59 years, female 128.9
GTEX-15DDE-0126-SM-6LPKH 50-59 years, female 128.6
GTEX-NFK9-0226-SM-2HMKQ 40-49 years, male 128.5
GTEX-1N2DV-0226-SM-E6CJ6 40-49 years, male 128.5
GTEX-117XS-2726-SM-5N9BL 60-69 years, male 128.4
GTEX-TMMY-0226-SM-33HBA 40-49 years, female 128.4
GTEX-WQUQ-0426-SM-3MJFU 60-69 years, male 128.4
GTEX-YEC4-2126-SM-5IFJH 40-49 years, male 128.4
GTEX-1S5ZA-0126-SM-EVYCV 20-29 years, male 128.4
GTEX-14DAR-2026-SM-5S2O3 50-59 years, male 128.3
GTEX-T2YK-0526-SM-32QPJ 50-59 years, male 128.3
GTEX-OXRO-0126-SM-2YUN4 60-69 years, female 128.1
GTEX-1LSNM-1926-SM-E6CII 50-59 years, male 128.1
GTEX-1497J-2426-SM-7IGNX 60-69 years, male 128.0
GTEX-1M5QR-1226-SM-EWROB 40-49 years, male 128.0
GTEX-RWSA-0126-SM-2XCBB 40-49 years, male 127.7
GTEX-1LB8K-0226-SM-EWRNW 50-59 years, male 127.6
GTEX-WRHK-1426-SM-3MJF9 20-29 years, female 127.5
GTEX-ZVT4-0126-SM-DTXFN 50-59 years, female 127.5
GTEX-131XH-2226-SM-5DUXJ 50-59 years, male 127.1
GTEX-131YS-0126-SM-5KM1M 60-69 years, female 127.0
GTEX-17EVP-0326-SM-7DHLG 40-49 years, male 126.9
GTEX-145LV-2126-SM-5LU8N 50-59 years, male 126.8
GTEX-17F98-0626-SM-79OMX 40-49 years, female 126.8
GTEX-S7PM-0126-SM-4AD6S 60-69 years, male 126.8
GTEX-ZF2S-2326-SM-4WWCE 50-59 years, female 126.7
GTEX-13113-5016-SM-7EPIP 60-69 years, female 126.6
GTEX-13X6H-2126-SM-7EWD5 50-59 years, female 126.6
GTEX-P44H-0226-SM-2XCEU 40-49 years, male 126.6
GTEX-133LE-1826-SM-5J1MV 20-29 years, female 126.5
GTEX-1269C-2526-SM-5EGJ3 60-69 years, female 126.2
GTEX-ZV6S-2326-SM-4YCEY 40-49 years, female 126.2
GTEX-1QP66-1726-SM-E8VO1 50-59 years, male 126.1
GTEX-Y8DK-0126-SM-4TT3L 60-69 years, male 126.0
GTEX-1JMQJ-0526-SM-CYPSU 50-59 years, male 126.0
GTEX-139D8-0226-SM-5KLZO 30-39 years, female 125.8
GTEX-1JJEA-0326-SM-CNPOT 60-69 years, male 125.8
GTEX-13O21-1426-SM-5K7XI 50-59 years, male 125.6
GTEX-ZAB4-0226-SM-5N9F5 40-49 years, male 125.4
GTEX-1R7EU-0226-SM-EVR4G 60-69 years, male 125.3
GTEX-X4XX-0126-SM-3NMC2 60-69 years, male 125.2
GTEX-ZTSS-1926-SM-57WEW 40-49 years, male 125.2
GTEX-13NYS-0126-SM-5MR3W 60-69 years, male 125.1
GTEX-13O1R-0126-SM-5L3EH 60-69 years, male 125.1
GTEX-13JUV-2726-SM-5LZZ8 40-49 years, female 125.0
GTEX-13PDP-0126-SM-5L3HD 60-69 years, male 125.0
GTEX-1MCQQ-0826-SM-DLHC2 60-69 years, male 125.0
GTEX-1H1DE-2126-SM-9WG6R 20-29 years, male 124.9
GTEX-XAJ8-0826-SM-47JY6 40-49 years, male 124.6
GTEX-1RB15-2126-SM-E9TIM 60-69 years, male 124.6
GTEX-145ME-1826-SM-5SI9G 40-49 years, female 124.5
GTEX-1EMGI-0126-SM-9KNUE 60-69 years, male 124.3
GTEX-12126-0326-SM-5PNW3 20-29 years, male 124.2
GTEX-146FQ-0126-SM-5NQA9 30-39 years, male 124.2
GTEX-18A7B-0126-SM-7LG64 70-79 years, male 124.2
GTEX-YJ89-0126-SM-4TT3X 60-69 years, male 124.2
GTEX-1A3MV-1926-SM-718BT 30-39 years, male 124.1
GTEX-1QCLY-0326-SM-E8VOG 30-39 years, male 124.1
GTEX-12WSE-0526-SM-793B2 20-29 years, male 124.0
GTEX-1HBPM-0226-SM-ARL9F 60-69 years, female 123.9
GTEX-1HSGN-0226-SM-CGQFV 40-49 years, female 123.9
GTEX-YB5E-2026-SM-5IFIS 40-49 years, male 123.8
GTEX-1PIGE-0126-SM-EVYBJ 20-29 years, male 123.8
GTEX-P4PP-0126-SM-3LK69 30-39 years, female 123.6
GTEX-XUZC-1726-SM-4BRWS 30-39 years, female 123.6
GTEX-13OW5-0126-SM-DTXFS 60-69 years, male 123.6
GTEX-1CB4G-0226-SM-7PC3O 60-69 years, male 123.6
GTEX-13OVK-2026-SM-7KUEO 40-49 years, male 123.5
GTEX-S95S-1226-SM-4GICG 60-69 years, male 123.5
GTEX-148VI-1626-SM-5SI6E 60-69 years, female 123.4
GTEX-15RIG-0226-SM-7KFTL 40-49 years, male 123.4
GTEX-S7SE-0126-SM-2XCD5 50-59 years, male 123.3
GTEX-1R7EV-2426-SM-EVYBG 40-49 years, male 123.2
GTEX-QEG4-0226-SM-2S1PY 30-39 years, male 123.1
GTEX-1399R-2726-SM-5IJBA 30-39 years, male 122.7
GTEX-1CAMS-0426-SM-7P8T2 40-49 years, female 122.7
GTEX-13CF3-2426-SM-5IFGX 60-69 years, female 122.6
GTEX-1H3VE-0326-SM-9YFLH 40-49 years, male 122.6
GTEX-1HCUA-2426-SM-ADEIS 50-59 years, female 122.5
GTEX-13RTK-1426-SM-5QGQJ 20-29 years, male 122.3
GTEX-11DXZ-2326-SM-5EGGV 50-59 years, male 122.2
GTEX-13S7M-0126-SM-5SI6A 60-69 years, female 122.0
GTEX-1GZ4H-1726-SM-7PBZJ 50-59 years, female 121.9
GTEX-11UD2-0226-SM-5EQKY 50-59 years, male 121.8
GTEX-16MT8-0426-SM-7KUEY 60-69 years, female 121.8
GTEX-SUCS-1926-SM-32PM3 70-79 years, male 121.6
GTEX-SNMC-1226-SM-2XCFP 20-29 years, male 121.4
GTEX-ZDYS-2026-SM-5HL5L 50-59 years, male 121.4
GTEX-117YW-2626-SM-5GZZH 50-59 years, male 121.3
GTEX-1MGNQ-0126-SM-EVYCJ 40-49 years, male 121.2
GTEX-18A6Q-0126-SM-731BZ 60-69 years, male 121.0
GTEX-1HSMP-0126-SM-E6CJS 70-79 years, male 121.0
GTEX-1GF9X-2026-SM-7PC3A 40-49 years, female 120.9
GTEX-1HT8W-0126-SM-CNPPP 30-39 years, male 120.9
GTEX-1RAZA-0126-SM-E6CI3 20-29 years, male 120.8
GTEX-WFG8-2226-SM-3GIL9 20-29 years, male 120.5
GTEX-1O97I-0326-SM-EYYX7 60-69 years, male 120.5
GTEX-145MI-0526-SM-5O9A8 60-69 years, female 120.2
GTEX-1IKK5-0626-SM-ARL8A 60-69 years, male 120.2
GTEX-YB5K-2126-SM-4WWDJ 40-49 years, female 120.0
GTEX-1RDX4-0126-SM-E9J4P 50-59 years, female 120.0
GTEX-13IVO-0126-SM-5J1NG 70-79 years, male 119.9
GTEX-1PPH8-0226-SM-E8VND 20-29 years, male 119.8
GTEX-1HBPI-1526-SM-C1YQ1 50-59 years, male 119.7
GTEX-1A3MX-0126-SM-731BR 60-69 years, male 119.6
GTEX-W5WG-1826-SM-4KL2Y 50-59 years, female 119.4
GTEX-13FHP-0126-SM-5IJBG 50-59 years, male 119.3
GTEX-SJXC-0126-SM-2XCFF 60-69 years, male 118.9
GTEX-T2IS-0126-SM-4DM6O 20-29 years, female 118.9
GTEX-Z93S-0126-SM-5HL7M 50-59 years, male 118.8
GTEX-13NYB-2526-SM-5K7Z6 40-49 years, male 118.7
GTEX-1PWST-0226-SM-E76QJ 70-79 years, male 118.5
GTEX-1KWVE-1426-SM-E9TJO 30-39 years, male 118.3
GTEX-11UD1-0126-SM-5PNYG 40-49 years, female 117.9
GTEX-ZU9S-0226-SM-5E441 30-39 years, male 117.7
GTEX-Q2AI-1326-SM-2S1PL 40-49 years, male 117.6
GTEX-1HSMQ-1226-SM-CGQFX 50-59 years, male 117.6
GTEX-15G19-0126-SM-6PANQ 60-69 years, male 117.5
GTEX-1JMQK-0226-SM-CL543 60-69 years, male 117.3
GTEX-1QAET-0926-SM-E76QM 50-59 years, male 117.1
GTEX-WH7G-2326-SM-3NMBC 40-49 years, male 116.7
GTEX-11LCK-1026-SM-5A5KB 30-39 years, male 116.6
GTEX-14PK6-1926-SM-6ETZU 70-79 years, female 116.6
GTEX-X261-0126-SM-3NMD6 50-59 years, male 116.6
GTEX-1CB4H-0226-SM-7PBXM 60-69 years, female 116.4
GTEX-17HG3-2226-SM-7938L 30-39 years, female 116.3
GTEX-QESD-1426-SM-2S1R9 20-29 years, male 116.1
GTEX-X585-0226-SM-4QAS2 50-59 years, male 116.1
GTEX-11DXX-2426-SM-5GZZW 60-69 years, female 116.0
GTEX-15D1Q-0126-SM-7KUG6 40-49 years, male 115.9
GTEX-PX3G-0126-SM-2I3EN 20-29 years, female 115.8
GTEX-17F97-0326-SM-7LG5B 50-59 years, male 115.7
GTEX-1C475-1826-SM-73KWA 40-49 years, female 115.6
GTEX-ZTPG-0326-SM-5O9AX 20-29 years, female 115.6
GTEX-15SHU-0126-SM-7KUEH 40-49 years, female 115.4
GTEX-ZDTT-2726-SM-4WKF8 60-69 years, male 115.4
GTEX-1ICG6-2526-SM-CGQFZ 70-79 years, female 115.3
GTEX-1IDJH-0326-SM-A9SLQ 70-79 years, male 115.3
GTEX-13VXU-0126-SM-5SI9F 50-59 years, male 115.2
GTEX-14JG1-0426-SM-6ETZZ 40-49 years, male 115.2
GTEX-1JMQI-2226-SM-CM2SD 50-59 years, male 115.0
GTEX-1212Z-2526-SM-5EGKP 60-69 years, male 114.6
GTEX-14BIL-0126-SM-5SI92 50-59 years, male 114.6
GTEX-TMZS-0126-SM-3DB9Q 60-69 years, male 114.5
GTEX-XQ8I-0426-SM-4BOPO 50-59 years, male 114.5
GTEX-18QFQ-0126-SM-731BE 30-39 years, male 114.3
GTEX-132NY-0326-SM-5IJBL 60-69 years, male 114.2
GTEX-14PN3-2426-SM-6LLHS 60-69 years, female 114.2
GTEX-VJYA-1126-SM-3GIJU 60-69 years, male 114.2
GTEX-13112-2826-SM-5DUWH 50-59 years, male 114.1
GTEX-13OVJ-0126-SM-5KM36 50-59 years, female 114.1
GTEX-YFC4-0126-SM-5CVLY 40-49 years, female 114.1
GTEX-1J8EW-0126-SM-CJI4F 60-69 years, female 114.1
GTEX-14PJM-0226-SM-62LF1 50-59 years, female 114.0
GTEX-1MCYP-1926-SM-E9J2R 20-29 years, female 114.0
GTEX-1I1GT-0626-SM-CGQER 60-69 years, female 113.9
GTEX-1J8Q2-0526-SM-CM2RW 60-69 years, male 113.9
GTEX-1KANB-0526-SM-E6CJH 50-59 years, male 113.9
GTEX-OXRN-0126-SM-48TDM 50-59 years, male 113.8
GTEX-ZAJG-0126-SM-5HL94 50-59 years, female 113.8
GTEX-1HFI7-1826-SM-ACKXH 50-59 years, female 113.8
GTEX-TKQ1-1026-SM-4GICL 30-39 years, male 113.7
GTEX-131XW-0426-SM-5LZWP 50-59 years, female 113.6
GTEX-QDVJ-1726-SM-2I5FX 50-59 years, male 113.6
GTEX-ZAK1-0126-SM-5IJD3 50-59 years, female 113.6
GTEX-1B996-0226-SM-7RHGO 60-69 years, male 113.6
GTEX-1J1OQ-0226-SM-CYPSH 40-49 years, female 113.6
GTEX-12WSG-2826-SM-E9J4H 50-59 years, female 113.5
GTEX-17EVQ-0226-SM-7LG4P 70-79 years, male 113.4
GTEX-ZE7O-0126-SM-57WC1 50-59 years, female 113.4
GTEX-18465-0126-SM-731BN 50-59 years, male 113.3
GTEX-Y8E4-0626-SM-4WWDL 40-49 years, male 113.3
GTEX-1F75B-0126-SM-9KNVL 50-59 years, male 113.3
GTEX-OXRK-0226-SM-3NB2G 50-59 years, female 113.2
GTEX-ZVZO-0126-SM-5A5L9 40-49 years, male 113.2
GTEX-1H2FU-0126-SM-9WYSI 60-69 years, female 113.2
GTEX-1GZ2Q-0226-SM-7P8TL 40-49 years, male 113.1
GTEX-1LC47-0326-SM-E9TJP 60-69 years, male 113.1
GTEX-1RQEC-0426-SM-E6CHU 60-69 years, male 112.9
GTEX-R3RS-0126-SM-3GIJL 40-49 years, female 112.7
GTEX-11DXW-0226-SM-5H122 40-49 years, male 112.6
GTEX-1IDJF-0126-SM-CM2RS 20-29 years, male 112.6
GTEX-13SLW-0126-SM-5SI6C 70-79 years, male 112.4
GTEX-1BAJH-0526-SM-793CQ 70-79 years, male 112.4
GTEX-ZWKS-0126-SM-5SIAA 30-39 years, male 112.4
GTEX-12WSK-2326-SM-5GCOH 40-49 years, female 112.3
GTEX-1N2DW-0226-SM-E9TK2 50-59 years, male 112.2
GTEX-117YX-2326-SM-5H12W 50-59 years, male 112.0
GTEX-13U4I-0126-SM-5LU38 40-49 years, female 112.0
GTEX-111VG-2426-SM-5GZXD 60-69 years, male 111.8
GTEX-16GPK-0126-SM-7DHLE 60-69 years, male 111.7
GTEX-11GS4-2726-SM-5A5LE 60-69 years, male 111.6
GTEX-18D9U-0226-SM-718BP 40-49 years, male 111.5
GTEX-RWS6-2026-SM-2XCB5 60-69 years, female 111.5
GTEX-1F6IF-0726-SM-7P8TW 60-69 years, male 111.4
GTEX-1AX9J-0226-SM-73KXM 60-69 years, male 111.3
GTEX-Y3I4-2126-SM-4TT7C 50-59 years, male 111.3
GTEX-13O3O-0126-SM-E9J49 60-69 years, female 111.3
GTEX-1J8JJ-0226-SM-CL53I 60-69 years, female 111.3
GTEX-WVJS-0126-SM-4MVOT 50-59 years, male 111.2
GTEX-11GSP-2526-SM-5N9BP 60-69 years, female 111.0
GTEX-14E6E-1826-SM-5S2R7 30-39 years, male 110.9
GTEX-11TT1-2526-SM-5EGIB 20-29 years, male 110.8
GTEX-12ZZZ-0626-SM-5DUXI 60-69 years, male 110.8
GTEX-TSE9-0126-SM-3DB83 60-69 years, female 110.8
GTEX-13W46-0226-SM-5SIAG 50-59 years, male 110.7
GTEX-183WM-0126-SM-7LTAB 70-79 years, female 110.7
GTEX-1IOXB-0126-SM-ARL8G 50-59 years, male 110.5
GTEX-11EQ9-2426-SM-5HL5T 30-39 years, male 110.4
GTEX-12ZZX-0126-SM-5EGK9 40-49 years, female 110.4
GTEX-ZZ64-1726-SM-5GZYB 20-29 years, male 110.4
GTEX-1GZHY-0326-SM-9QEHI 50-59 years, female 110.3
GTEX-1HBPN-0226-SM-9YFM1 50-59 years, male 110.3
GTEX-QV44-1926-SM-2S1RF 50-59 years, male 110.1
GTEX-Y111-0126-SM-4SOIV 50-59 years, male 110.1
GTEX-15EU6-0426-SM-6PAN5 50-59 years, male 110.0
GTEX-WYVS-2126-SM-3NMA3 40-49 years, female 110.0
GTEX-144FL-0126-SM-5TDC8 50-59 years, male 109.9
GTEX-1GMRU-0126-SM-9YFLV 50-59 years, male 109.9
GTEX-12ZZY-0226-SM-5LZVE 60-69 years, male 109.8
GTEX-ZQG8-1626-SM-DHXIT 60-69 years, female 109.6
GTEX-11ZTS-0126-SM-5EQ6M 60-69 years, female 109.5
GTEX-139TU-0126-SM-5K7WH 60-69 years, male 109.5
GTEX-14E6D-0126-SM-62LDV 50-59 years, male 109.5
GTEX-WY7C-2326-SM-3NB2U 50-59 years, male 109.5
GTEX-1HFI6-0226-SM-ADEHZ 40-49 years, male 109.5
GTEX-11OF3-2626-SM-5GU7F 60-69 years, male 109.4
GTEX-XXEK-2226-SM-4BRUM 50-59 years, male 109.4
GTEX-1IDFM-0126-SM-COH2V 60-69 years, male 109.3
GTEX-Z93T-0126-SM-5HL5N 50-59 years, male 109.1
GTEX-RU72-0926-SM-2TF6B 50-59 years, female 109.0
GTEX-1A32A-0126-SM-718B1 50-59 years, female 108.8
GTEX-1C64N-0126-SM-793D7 50-59 years, male 108.8
GTEX-ZV68-0126-SM-59HKS 50-59 years, female 108.8
GTEX-OXRP-0126-SM-3NB32 60-69 years, female 108.7
GTEX-1HSKV-0226-SM-A9SKJ 60-69 years, male 108.7
GTEX-17HHE-2026-SM-79OKF 50-59 years, male 108.6
GTEX-XUYS-0126-SM-47JWZ 50-59 years, male 108.6
GTEX-1F75A-0126-SM-7RHGM 50-59 years, male 108.6
GTEX-1IL2U-0226-SM-CE6T8 60-69 years, male 108.6
GTEX-1JKYR-0126-SM-CNPOJ 20-29 years, male 108.6
GTEX-1B8L1-2526-SM-9WYTF 60-69 years, male 108.5
GTEX-XPVG-2626-SM-4B669 50-59 years, male 108.4
GTEX-1KANA-0726-SM-D3L9I 20-29 years, male 108.4
GTEX-PLZ4-0126-SM-5SI8O 50-59 years, female 108.2
GTEX-1B933-0126-SM-7PC29 50-59 years, female 108.2
GTEX-1I1GR-0126-SM-CL55F 60-69 years, male 108.1
GTEX-1QP67-1626-SM-EAZ3X 40-49 years, female 108.1
GTEX-WFON-2126-SM-3LK7O 40-49 years, male 107.9
GTEX-1GN73-0226-SM-9WG67 60-69 years, male 107.9
GTEX-1HCU7-0226-SM-CL545 50-59 years, male 107.8
GTEX-13FH7-2026-SM-E9J4I 50-59 years, female 107.6
GTEX-145LU-0126-SM-5TDCB 50-59 years, male 107.5
GTEX-144GL-0126-SM-5TDE2 50-59 years, male 107.2
GTEX-15F5U-1526-SM-6PANO 40-49 years, male 107.2
GTEX-1GF9W-0326-SM-9KNUN 60-69 years, male 107.1
GTEX-13O3P-0126-SM-5KM4S 50-59 years, male 107.0
GTEX-15EOM-0126-SM-7KUGG 20-29 years, female 106.8
GTEX-18A66-0226-SM-718BD 60-69 years, male 106.8
GTEX-11P82-1626-SM-59879 20-29 years, male 106.7
GTEX-1B97I-1626-SM-73KYO 40-49 years, male 106.7
GTEX-RNOR-0126-SM-E9J4R 50-59 years, female 106.6
GTEX-146FH-0126-SM-5QGPP 50-59 years, female 106.5
GTEX-12584-0126-SM-5EGKQ 40-49 years, male 106.4
GTEX-1POEN-0126-SM-EYYXJ 30-39 years, female 106.3
GTEX-1CAMQ-0226-SM-7IGPK 40-49 years, male 106.2
GTEX-145MF-0626-SM-5LUAI 50-59 years, male 106.0
GTEX-T5JC-0426-SM-32PLO 20-29 years, male 105.9
GTEX-ZYY3-0126-SM-5GZY5 60-69 years, female 105.9
GTEX-Y8LW-1826-SM-5S2MV 50-59 years, female 105.8
GTEX-13FHO-0226-SM-5IFGY 60-69 years, male 105.5
GTEX-1GN1W-0526-SM-9MQJQ 50-59 years, female 105.5
GTEX-1H23P-0126-SM-ADEJ3 60-69 years, male 105.5
GTEX-13D11-2426-SM-5KM1V 50-59 years, female 105.4
GTEX-1C4CL-0526-SM-73KVK 30-39 years, male 105.4
GTEX-1HCU8-0626-SM-A9SM9 60-69 years, female 105.3
GTEX-11DZ1-0126-SM-5985Q 50-59 years, male 105.2
GTEX-1CB4I-0226-SM-79OLH 50-59 years, male 105.2
GTEX-1CB4J-0626-SM-7DHMP 60-69 years, male 105.2
GTEX-1JMOU-1526-SM-CL54I 60-69 years, female 105.1
GTEX-1K2DU-2326-SM-E9TIV 20-29 years, male 105.1
GTEX-13N11-2526-SM-5K7UE 50-59 years, female 105.0
GTEX-Z9EW-1626-SM-5CVMN 40-49 years, male 105.0
GTEX-ZYFC-0226-SM-5NQ75 50-59 years, male 105.0
GTEX-14C5O-0126-SM-5SI6N 60-69 years, male 104.9
GTEX-18D9B-0526-SM-7LTAS 60-69 years, male 104.9
GTEX-1C2JI-1826-SM-73KXC 50-59 years, male 104.8
GTEX-1I1GQ-0126-SM-COH3H 50-59 years, male 104.8
GTEX-Q2AG-0126-SM-33HBV 40-49 years, female 104.7
GTEX-1LG7Y-0526-SM-DKPQC 50-59 years, male 104.7
GTEX-13OW8-1326-SM-5J1OW 60-69 years, male 104.6
GTEX-13G51-2526-SM-5LZYK 60-69 years, male 104.5
GTEX-1AX8Z-0126-SM-7DHM6 60-69 years, male 104.5
GTEX-R55G-2526-SM-2TC6D 40-49 years, female 104.5
GTEX-1KAFJ-2026-SM-CY8ID 50-59 years, male 104.5
GTEX-1QMI2-0226-SM-EVYBX 60-69 years, male 104.3
GTEX-14LZ3-0226-SM-62LET 60-69 years, female 104.1
GTEX-11XUK-2026-SM-5EQLF 40-49 years, female 103.9
GTEX-13RTJ-2426-SM-5S2Q2 60-69 years, male 103.9
GTEX-ZY6K-1826-SM-5GZXK 50-59 years, male 103.9
GTEX-1NHNU-1026-SM-E9J2A 50-59 years, male 103.9
GTEX-XBED-2226-SM-47JYQ 60-69 years, male 103.8
GTEX-1ICLZ-0126-SM-CKZPO 60-69 years, male 103.8
GTEX-1399T-2826-SM-5KLYZ 60-69 years, male 103.7
GTEX-1AX9I-0126-SM-7SB74 60-69 years, male 103.7
GTEX-1F7RK-0126-SM-7PC2S 20-29 years, female 103.7
GTEX-12WSD-0126-SM-59HKN 60-69 years, female 103.6
GTEX-13OW6-0426-SM-5L3HM 50-59 years, male 103.4
GTEX-13VXT-0126-SM-5LU4I 20-29 years, female 103.4
GTEX-1192W-2626-SM-5Q5AF 60-69 years, male 103.3
GTEX-1CAMR-1926-SM-7EPI2 20-29 years, male 103.3
GTEX-SIU8-0126-SM-2XCDT 50-59 years, male 103.3
GTEX-13NZB-2526-SM-5J1OM 30-39 years, male 103.2
GTEX-Y5V5-2326-SM-4V6GA 60-69 years, female 103.2
GTEX-1EU9M-0226-SM-7P8SP 60-69 years, male 103.2
GTEX-1EX96-1626-SM-7PBXR 50-59 years, male 103.2
GTEX-1LH75-2426-SM-E9TJE 50-59 years, female 103.2
GTEX-U3ZH-2026-SM-3DB78 30-39 years, male 103.0
GTEX-18A67-0126-SM-7LG5P 50-59 years, male 102.9
GTEX-11ZTT-2426-SM-5EQLS 60-69 years, female 102.8
GTEX-17EUY-0426-SM-793BD 20-29 years, male 102.8
GTEX-1GPI7-0126-SM-9MQL8 20-29 years, male 102.7
GTEX-14JG6-2226-SM-6EU2G 30-39 years, female 102.6
GTEX-17KNJ-2326-SM-7DHLQ 50-59 years, male 102.5
GTEX-16NGA-1726-SM-731B4 40-49 years, female 102.4
GTEX-1H3O1-0426-SM-9YFKY 60-69 years, male 102.4
GTEX-U3ZM-1526-SM-3DB9D 40-49 years, male 102.3
GTEX-ZYW4-0126-SM-5E44A 60-69 years, male 102.3
GTEX-1GMR8-0126-SM-9WYTM 50-59 years, female 102.3
GTEX-14A5H-0426-SM-5QGQF 60-69 years, male 102.2
GTEX-1HSEH-0126-SM-ACKXN 60-69 years, male 102.2
GTEX-113JC-2326-SM-5EQ4E 50-59 years, female 102.1
GTEX-15DYW-0126-SM-7KULE 60-69 years, female 102.1
GTEX-11WQC-2526-SM-5CVLE 60-69 years, male 102.0
GTEX-12WSL-2526-SM-5GCNJ 50-59 years, male 101.9
GTEX-11DXY-2626-SM-5GIE7 60-69 years, male 101.8
GTEX-11GSO-2426-SM-5A5LY 60-69 years, male 101.8
GTEX-RM2N-1426-SM-2TF4H 50-59 years, male 101.7
GTEX-17F96-1626-SM-7DUFL 70-79 years, male 101.6
GTEX-OXRL-0126-SM-2YUMP 50-59 years, male 101.6
GTEX-XV7Q-2526-SM-4BRV9 40-49 years, female 101.6
GTEX-1J1R8-1726-SM-ARL8M 40-49 years, male 101.5
GTEX-1J8Q3-1626-SM-CMKGC 60-69 years, male 101.5
GTEX-16BQI-0226-SM-7KUEX 30-39 years, female 101.4
GTEX-1GTWX-0126-SM-9YFLK 60-69 years, male 101.4
GTEX-1IL2V-0126-SM-CM2TX 70-79 years, male 101.4
GTEX-1KD5A-0226-SM-D5OV3 50-59 years, male 101.4
GTEX-18A7A-0226-SM-718BH 50-59 years, female 101.1
GTEX-13QJ3-0326-SM-5S2RA 50-59 years, male 101.0
GTEX-15UKP-0426-SM-7KUFQ 20-29 years, male 101.0
GTEX-RUSQ-1526-SM-2TF62 50-59 years, male 100.9
GTEX-183FY-0126-SM-7LT9P 20-29 years, male 100.8
GTEX-1128S-2326-SM-5GZZY 60-69 years, female 100.7
GTEX-12KS4-0326-SM-5EQ41 30-39 years, male 100.7
GTEX-1I1GU-2226-SM-CGQFA 40-49 years, male 100.7
GTEX-11ZVC-2526-SM-5FQTE 50-59 years, female 100.6
GTEX-1QP29-0626-SM-EWRMX 50-59 years, male 100.4
GTEX-1RAZQ-0726-SM-EAZ43 30-39 years, male 100.4
GTEX-139T8-0126-SM-5K7XZ 60-69 years, male 100.2
GTEX-1HR98-0126-SM-B2LWI 60-69 years, male 100.2
GTEX-14BIN-0626-SM-793DP 50-59 years, female 100.1
GTEX-1C6VS-0526-SM-7DUEN 60-69 years, male 100.1
GTEX-ZAB5-1826-SM-5HL7C 50-59 years, male 100.1
GTEX-13NZA-0226-SM-5K7Z7 60-69 years, male 100.0
GTEX-13OVI-1426-SM-5L3EY 60-69 years, female 100.0
GTEX-14PJ6-2126-SM-6EU1V 60-69 years, female 100.0
GTEX-1CB4E-2226-SM-793DC 60-69 years, male 100.0
GTEX-QVJO-1626-SM-2S1QW 60-69 years, female 100.0
GTEX-1ICLY-0126-SM-D4P36 50-59 years, male 100.0
GTEX-139TT-0126-SM-5K7Y5 60-69 years, male 99.9
GTEX-1F52S-0126-SM-9MQJU 60-69 years, female 99.9
GTEX-11P7K-2126-SM-5GU7G 30-39 years, male 99.8
GTEX-1AYD5-2426-SM-73KXR 50-59 years, male 99.8
GTEX-1E1VI-0126-SM-7DHMZ 50-59 years, male 99.7
GTEX-1I1CD-0126-SM-CM2TK 60-69 years, female 99.7
GTEX-146FR-1326-SM-E9J48 60-69 years, female 99.6
GTEX-17HGU-0226-SM-7DHKV 50-59 years, male 99.5
GTEX-13SLX-0526-SM-5S2ON 50-59 years, female 99.1
GTEX-OHPL-0126-SM-2HMJ7 60-69 years, female 99.1
GTEX-OHPM-0126-SM-2YUN9 50-59 years, male 99.1
GTEX-169BO-1326-SM-9MQK2 50-59 years, male 98.9
GTEX-11EMC-2926-SM-5EQ4F 60-69 years, female 98.8
GTEX-11NSD-2226-SM-5986V 20-29 years, male 98.7
GTEX-13N1W-0126-SM-5K7VT 70-79 years, male 98.7
GTEX-1H3VY-0126-SM-ACKXD 50-59 years, male 98.6
GTEX-1I6K6-0126-SM-A9SLE 30-39 years, male 98.6
GTEX-VUSG-2526-SM-4KL1V 50-59 years, male 98.5
GTEX-1IDJU-2626-SM-CM2RT 60-69 years, female 98.5
GTEX-1RLM8-2326-SM-EWRN4 50-59 years, male 98.5
GTEX-13FTY-0526-SM-5L3EV 40-49 years, female 98.2
GTEX-1C6WA-0126-SM-7PC2B 60-69 years, male 98.1
GTEX-1IGQW-0126-SM-COH42 60-69 years, male 98.0
GTEX-1PPH7-2326-SM-EVYB8 40-49 years, male 98.0
GTEX-1AMEY-1326-SM-73KYK 30-39 years, female 97.9
GTEX-ZQUD-1426-SM-57WER 30-39 years, male 97.8
GTEX-1AX9K-2326-SM-73KWU 50-59 years, male 97.7
GTEX-1HKZK-0326-SM-9WYUH 40-49 years, male 97.7
GTEX-1A3MW-0126-SM-73KXX 60-69 years, female 97.5
GTEX-ZEX8-2426-SM-4WKG4 50-59 years, male 97.4
GTEX-1MA7X-2226-SM-E6CIY 60-69 years, male 97.3
GTEX-14BIM-0226-SM-7IGLD 60-69 years, female 97.1
GTEX-1IKOH-0226-SM-COH4E 60-69 years, female 97.0
GTEX-13O3Q-2426-SM-5IJBR 50-59 years, male 96.7
GTEX-YJ8A-0426-SM-5IFID 20-29 years, male 96.7
GTEX-ZXG5-0126-SM-5GIEU 60-69 years, male 96.7
GTEX-1F6I4-0126-SM-9MQL2 60-69 years, male 96.7
GTEX-11VI4-1726-SM-5CVLH 40-49 years, female 96.4
GTEX-1AMFI-2026-SM-731BH 50-59 years, female 96.4
GTEX-1AYCT-2426-SM-7IGQ3 50-59 years, male 96.4
GTEX-WZTO-0126-SM-3NM95 40-49 years, male 96.3
GTEX-13N2G-2626-SM-5J1OT 60-69 years, male 96.1
GTEX-147F4-0226-SM-5QGPW 50-59 years, male 96.1
GTEX-15SDE-2226-SM-7IGLO 50-59 years, female 96.1
GTEX-1C64O-0126-SM-7SB8P 60-69 years, male 96.1
GTEX-1JKYN-1326-SM-CGQG9 30-39 years, male 96.1
GTEX-QDT8-0126-SM-48TZ1 30-39 years, female 96.0
GTEX-1F5PK-2426-SM-7RHHY 50-59 years, male 96.0
GTEX-XMD2-0126-SM-4YCDU 60-69 years, female 95.8
GTEX-1S82Y-2026-SM-EVYCM 40-49 years, male 95.8
GTEX-1HUB1-0426-SM-E9U4U 60-69 years, male 95.6
GTEX-1192X-0226-SM-5H12D 50-59 years, male 95.5
GTEX-12C56-1726-SM-5EQ61 20-29 years, male 95.5
GTEX-13OVG-1926-SM-5L3DK 60-69 years, male 95.5
GTEX-144GN-2326-SM-5LU4F 50-59 years, male 95.4
GTEX-OOBK-0126-SM-2YUND 40-49 years, male 95.3
GTEX-11EI6-0126-SM-5985R 60-69 years, male 95.2
GTEX-1F88F-2726-SM-7PBZZ 60-69 years, female 95.1
GTEX-11O72-0126-SM-59887 40-49 years, male 95.0
GTEX-12WSN-5019-SM-79OM6 40-49 years, male 94.9
GTEX-1F48J-0126-SM-7P8TT 50-59 years, female 94.9
GTEX-ZZPT-0226-SM-5E43X 50-59 years, male 94.8
GTEX-14BMV-0126-SM-5S2PO 50-59 years, male 94.4
GTEX-1HCVE-0126-SM-CGQEU 50-59 years, male 94.4
GTEX-1EN7A-0126-SM-7SB81 40-49 years, male 94.3
GTEX-1I1GP-2226-SM-CGQFK 50-59 years, male 94.1
GTEX-13OW7-0126-SM-5MR3B 50-59 years, male 93.9
GTEX-14PJ3-1826-SM-62LEX 50-59 years, male 93.9
GTEX-1H1E6-1726-SM-ACKVK 30-39 years, male 93.6
GTEX-Q734-1926-SM-2I5EV 40-49 years, female 93.5
GTEX-1OJC4-0126-SM-E9J2E 50-59 years, female 93.5
GTEX-13X6I-0626-SM-5QGP9 60-69 years, male 93.4
GTEX-16AAH-1726-SM-7939C 50-59 years, male 93.2
GTEX-1314G-1526-SM-5EGK2 30-39 years, male 93.1
GTEX-1A8FM-0226-SM-7SB7Q 50-59 years, female 93.1
GTEX-11ZU8-2526-SM-5EQKI 60-69 years, male 92.8
GTEX-12WSC-0126-SM-5EQ4P 50-59 years, male 92.8
GTEX-17HHY-0126-SM-7LG5D 50-59 years, male 92.8
GTEX-1GPI6-0126-SM-9WG69 60-69 years, male 92.7
GTEX-1HCU9-1526-SM-A9SL7 20-29 years, male 92.7
GTEX-ZVE2-0226-SM-59HJB 50-59 years, male 92.6
GTEX-14DAQ-0126-SM-5S2MQ 60-69 years, female 92.4
GTEX-QLQ7-1626-SM-2S1R8 60-69 years, male 92.3
GTEX-SSA3-0126-SM-32QPU 60-69 years, male 92.1
GTEX-1I1GS-0126-SM-B2LVW 60-69 years, male 91.9
GTEX-R45C-0126-SM-EAZ2R 60-69 years, female 91.9
GTEX-15CHC-2126-SM-6EU21 60-69 years, female 91.6
GTEX-1R9PO-2126-SM-E9J4O 60-69 years, female 91.6
GTEX-PLZ5-2026-SM-2S1O4 50-59 years, male 91.3
GTEX-1CB4F-0426-SM-9KNV4 60-69 years, male 91.2
GTEX-1GF9U-2126-SM-7SB7L 40-49 years, female 91.1
GTEX-1QP2A-0126-SM-E9J43 50-59 years, male 91.1
GTEX-11OC5-0126-SM-5HL6A 60-69 years, male 91.0
GTEX-14E7W-0126-SM-6LLJ9 70-79 years, male 91.0
GTEX-1GN1V-0126-SM-9WPOS 60-69 years, male 91.0
GTEX-15SHW-0326-SM-6PAML 60-69 years, male 90.8
GTEX-13NYC-0326-SM-E9J4S 60-69 years, male 90.6
GTEX-ZF28-0126-SM-4WKGK 60-69 years, male 90.3
GTEX-15DCD-0126-SM-7KUEK 70-79 years, female 90.2
GTEX-PWO3-1526-SM-48TCM 60-69 years, female 90.1
GTEX-12WSA-0226-SM-5BC5V 60-69 years, male 90.0
GTEX-16YQH-0126-SM-7DUFJ 30-39 years, male 90.0
GTEX-13OVL-0226-SM-5L3E9 50-59 years, male 89.9
GTEX-147F3-0526-SM-5SI98 50-59 years, female 89.4
GTEX-ZDXO-3026-SM-5J1N5 60-69 years, male 89.2
GTEX-14LLW-0126-SM-6LLIO 70-79 years, female 89.1
GTEX-147GR-0526-SM-5S2MY 60-69 years, male 88.8
GTEX-1I19N-0326-SM-ACKVX 70-79 years, male 88.8
GTEX-17MF6-0126-SM-7LG4F 40-49 years, male 88.7
GTEX-1H11D-0226-SM-9WG6Z 40-49 years, male 88.7
GTEX-1H1ZS-0426-SM-9WG6G 70-79 years, male 88.6
GTEX-13RTL-0126-SM-7LG5S 40-49 years, male 88.5
GTEX-X62O-0126-SM-4E3JN 50-59 years, male 88.3
GTEX-1C6VR-2426-SM-79OLD 60-69 years, male 88.2
GTEX-11ZUS-0626-SM-59885 30-39 years, male 88.0
GTEX-1GL5R-1826-SM-9KNUY 50-59 years, male 88.0
GTEX-1QW4Y-1526-SM-EAZ3Z 30-39 years, male 87.8
GTEX-17MFQ-1726-SM-793C7 20-29 years, male 87.4
GTEX-ZVT3-0126-SM-5GU6I 60-69 years, female 87.3
GTEX-X638-0126-SM-47JZ8 70-79 years, female 87.1
GTEX-WOFL-0126-SM-3MJG2 60-69 years, male 86.7
GTEX-1F75I-0326-SM-9YFLU 40-49 years, male 86.7
GTEX-PW2O-1526-SM-7RHHB 20-29 years, male 86.7
GTEX-1H3NZ-0126-SM-ACKX7 60-69 years, male 86.2
GTEX-1IY9M-0126-SM-D3L8S 60-69 years, male 86.0
GTEX-1M4P7-0226-SM-DIPEV 60-69 years, male 85.9
GTEX-U4B1-1826-SM-4DXSU 40-49 years, male 85.7
GTEX-1EKGG-0226-SM-9WYTH 60-69 years, male 85.7
GTEX-14JIY-0126-SM-6LLH6 60-69 years, male 85.5
GTEX-13W3W-2426-SM-5LU5B 60-69 years, female 85.4
GTEX-1QEPI-0126-SM-EWRMQ 60-69 years, female 85.2
GTEX-1JK1U-2026-SM-CM2RZ 60-69 years, male 85.0
GTEX-11P81-2326-SM-59875 30-39 years, female 84.9
GTEX-QLQW-1126-SM-2S1Q8 30-39 years, male 84.6
GTEX-1B8KZ-2026-SM-7DHMB 50-59 years, male 84.2
GTEX-1PBJI-0526-SM-E8VNK 20-29 years, female 84.1
GTEX-ZC5H-0226-SM-4WAY9 40-49 years, female 84.0
GTEX-V1D1-2226-SM-3NMAX 50-59 years, male 83.6
GTEX-16NPX-0226-SM-79OMT 50-59 years, male 83.5
GTEX-1K9T9-0126-SM-EVYCF 50-59 years, female 83.3
GTEX-R55E-0126-SM-2TC5Y 20-29 years, male 83.0
GTEX-RN64-0126-SM-2TC68 50-59 years, male 82.9
GTEX-1LNCM-1126-SM-E9U5E 50-59 years, female 82.7
GTEX-1IE54-0126-SM-CMKHW 40-49 years, female 82.4
GTEX-1HB9E-0226-SM-E9U4R 50-59 years, male 81.9
GTEX-11NUK-0126-SM-5A5L3 50-59 years, male 81.8
GTEX-14A6H-0126-SM-5QGPK 30-39 years, male 81.6
GTEX-16XZY-2126-SM-79OK1 70-79 years, male 81.6
GTEX-14PHW-0126-SM-6LLJI 60-69 years, female 81.5
GTEX-11TTK-0126-SM-5987B 60-69 years, female 81.3
GTEX-139T4-0226-SM-5HL5S 50-59 years, female 80.6
GTEX-14ABY-0226-SM-5TDCQ 50-59 years, male 79.8
GTEX-OIZF-0126-SM-7SB8I 60-69 years, male 79.5
GTEX-U3ZN-2326-SM-3DB7W 30-39 years, female 79.4
GTEX-1I1HK-0126-SM-COH49 60-69 years, male 78.1
GTEX-1R9K4-0126-SM-DTX9X 60-69 years, male 77.3
GTEX-1JJE9-0326-SM-CL53Z 70-79 years, male 76.6
GTEX-113IC-0126-SM-5HL6T 60-69 years, male 76.0
GTEX-1HBPH-0426-SM-B2LW5 40-49 years, female 68.4
GTEX-ZUA1-0126-SM-5GU76 40-49 years, male 64.6
Show allShow less

Contact

  • NEWS ARTICLES
  • PRESS ROOM

The Project

  • INTRODUCTION
  • ORGANIZATION
  • PUBLICATIONS

The Human Protein Atlas

  • DOWNLOADABLE DATA
  • LICENCE & CITATION
  • HELP & FAQ
The Human Protein Atlas project is funded
by the Knut & Alice Wallenberg Foundation.


contact@proteinatlas.org