We use cookies to enhance the usability of our website. If you continue, we'll assume that you are happy to receive all cookies. More information. Don't show this again.
COX4I1
HPA
RESOURCES
  • TISSUE
  • BRAIN
  • SINGLE CELL
  • SUBCELLULAR
  • CANCER
  • BLOOD
  • CELL LINE
  • STRUCTURE & INTERACTION
ABOUT
  • INTRODUCTION
  • HISTORY
  • ORGANIZATION
  • PUBLICATIONS
  • ANTIBODY SUBMISSION
  • ANTIBODY AVAILABILITY
  • ACKNOWLEDGMENTS
  • CONTACT
NEWS
  • NEWS ARTICLES
  • PRESS ROOM
LEARN
  • DICTIONARY
  • PROTEIN CLASSES
  • PROTEIN EVIDENCE
  • METHODS
  • EDUCATIONAL VIDEOS
DATA
  • DOWNLOADABLE DATA
  • PUBLICATION DATA
  • RELEASE HISTORY
HELP
  • ANTIBODY VALIDATION
  • ASSAYS & ANNOTATION
  • DISCLAIMER
  • HELP & FAQ
  • PRIVACY STATEMENT
  • LICENCE & CITATION
Fields »
Search result

Field
Term
Gene name
Class
Subclass
Class
Keyword
Chromosome
External id
Tissue
Cell type
Expression
Antibody panel
Tissue
Main location
Patient ID
Annotation
Tissue
Category
Tau score
Cluster
Reliability
Brain region
Category
Tau score
Brain region
Category
Tau score
Brain region
Category
Tau score
Cluster
Reliability
Tissue
Cell type
Enrichment
Cell type
Category
Tau score
Cell type
Category
Tau score
Cell type
Category
Tau score
Cell lineage
Category
Tau score
Cluster
Cluster
Location
Searches
Location
Cell line
Class
Type
Phase
Reliability
Cancer
Prognosis
Cancer
Category
Cancer
Category
Tau score
Cluster
Variants
Interacting gene (ensg_id)
Type
Number of interactions
Pathway
Category
Score
Score
Score
Validation
Validation
Validation
Validation
Antibodies
Data type
Column


  • SUMMARY

  • TISSUE

  • BRAIN

  • SINGLE CELL

  • SUBCELL

  • CANCER

  • BLOOD

  • CELL LINE

  • STRUCT & INT

  • COX4I1
TISSUE PRIMARY DATA SALIVARY GLAND Show tissue menu
ADIPOSE TISSUE ADRENAL GLAND AMYGDALA APPENDIX BASAL GANGLIA BONE MARROW BREAST BRONCHUS CEREBELLUM CEREBRAL CORTEX CERVIX CHOROID PLEXUS COLON DUODENUM
ENDOMETRIUM EPIDIDYMIS ESOPHAGUS FALLOPIAN TUBE GALLBLADDER HEART MUSCLE HIPPOCAMPAL FORMATION HYPOTHALAMUS KIDNEY LIVER LUNG LYMPH NODE MIDBRAIN NASOPHARYNX
ORAL MUCOSA OVARY PANCREAS PARATHYROID GLAND PITUITARY GLAND PLACENTA PROSTATE RECTUM RETINA SALIVARY GLAND SEMINAL VESICLE SKELETAL MUSCLE SKIN SMALL INTESTINE
SMOOTH MUSCLE SOFT TISSUE SPINAL CORD SPLEEN STOMACH TESTIS THYMUS THYROID GLAND TONGUE TONSIL URINARY BLADDER VAGINA
ANTIBODIES
AND
VALIDATION
Dictionary
Salivary gland
Tissue proteome
Salivary gland
SALIVARY GLAND - Expression summary
Protein expression
Salivary glandi

On the top, protein expression in current human tissue, based on all annotated cell types, is reported with the units not detected (n), low (l), medium (m) and high (h). Underneath, protein expression in each annotated cell type are reported using the same units.

Protein expression data is based on knowledge-based annotation. For genes where more than one antibody has been used, a collective score is set.

If knowledge-based annotation could not be performed for a gene, no data is displayed here. View antibody staining data further down this page.

h
m
l
n
Glandular cells: Medium
RNA expressioni

A summary of mRNA expression data available for current tissue based on several datasets. The mRNA expression levels in human tissues are based on RNA-seq data generated by the Human Protein Atlas (HPA), Genotype-Tissue Expression (GTEx) portal and CAGE data generated by the FANTOM5 consortium. Consensus normalized expression levels for human tissues was created by combining the data from HPA and GTEx datasets.

The mRNA expression levels in pig are based on RNA-seq data generated by the Human Protein Atlas (HPA), and for mouse, HPA data and in situ hybridization generated by the Allen brain atlas are reported.

Scroll down to view mRNA expression data in more detail.
Consensus:408.8 nTPM
HPA:401.9 nTPM
GTEx:408.8 nTPM
FANTOM5:588.3 Scaled Tags Per Million

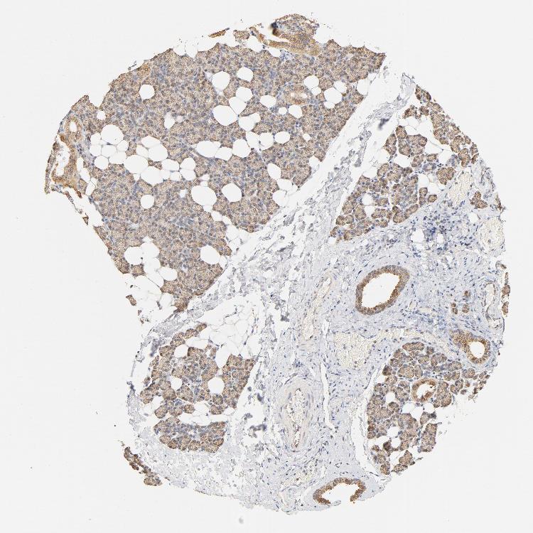
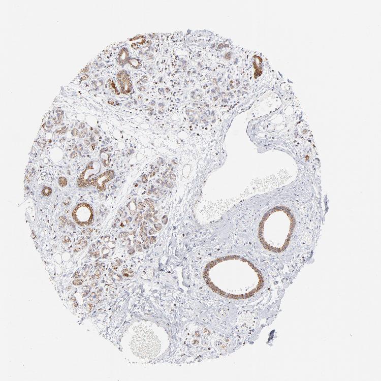
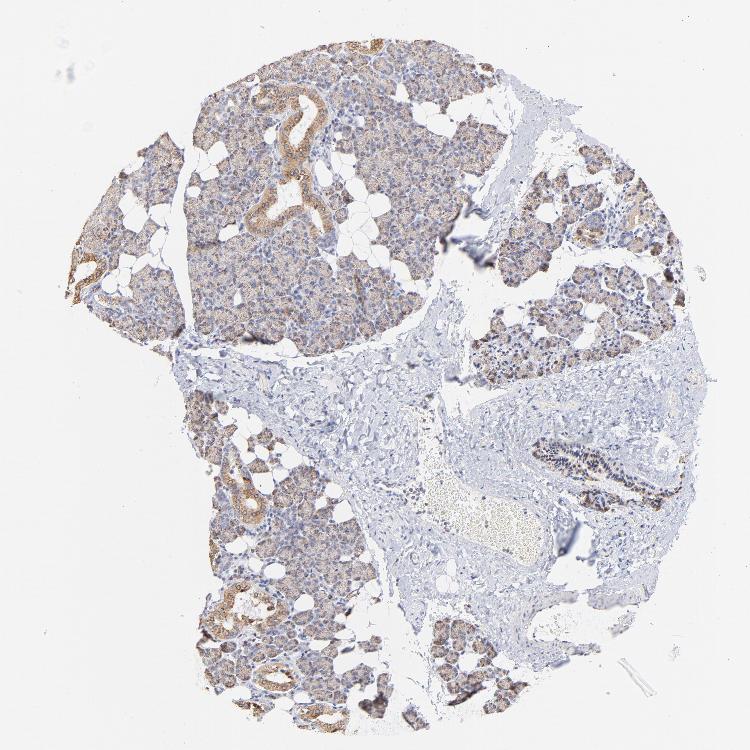
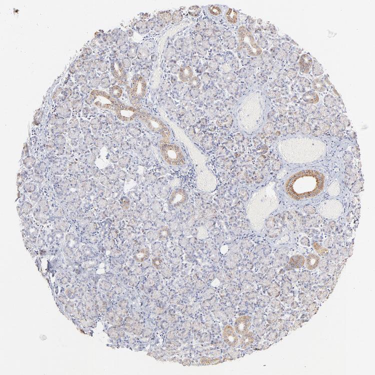
SALIVARY GLAND - Antibody stainingi

Antibody staining in the annotated cell types in the current human tissue is reported as not detected, low, medium, or high, based on conventional immunohistochemistry profiling in selected tissues. This score is based on the combination of the staining intensity and fraction of stained cells.

Each image is clickable and will lead to virtual microscopy that enables deeper exploration of all samples and also displays staining intensity scores, fraction scores and subcellular localization as well as patient and tissue information for each sample.

Antibody HPA002485Antibody CAB004080
Glandular cells MediumMedium





SALIVARY GLAND - HPA RNA-seqi

The RNA-seq details section shows detailed information about the individual samples used for the transcript profiling and results of the RNA-seq analysis.

Information about each individual sample is listed below, including gender, age, a tissue section image and estimated fractions of cell types. nTPM (normalized transcripts per million) values give a quantification of the gene abundance which is comparable between different genes and samples.
Average nTPMi

Max subtype nTPM is the value for the subtype with the largest average nTPM across the subtype samples.

401.9
overview
Female, age 68
Salivary gland sample 216
nTPM: 418.2
Cell types%
Glandular cells:
45

Ductal cells:
25

Adipocytes:
5

Other cell types:
25

overview
Male, age 60
Salivary gland sample 217
nTPM: 388.1
Cell types%
Glandular cells:
55

Ductal cells:
20

Adipocytes:
5

Endothelial cells:
5

Other cell types:
15

overview
Female, age 21
Salivary gland sample 218
nTPM: 399.5
Cell types%
Glandular cells:
55

Ductal cells:
15

Adipocytes:
5

Endothelial cells:
5

Other cell types:
20


SALIVARY GLAND - GTEx RNA-seqi

RNA-Seq data generated by the Genotype-Tissue Expression (GTEx) project from human tissues is reported as mean nTPM. More information can be found on the GTEx portal.

Distribution across the dataset is visualized with box plots, shown as median and 25th and 75th percentiles. Points are displayed as outliers if they are above or below 1.5 times the interquartile range. nTPM values of the individual samples are presented next to the box plot.
Max subtype nTPMi

Max subtype nTPM is the value for the subtype with the largest average nTPM across the subtype samples.

408.8
GTEx sample id Sample description nTPM
Minor Salivary Gland
Average nTPM: 408.8
Samples: 162

Max nTPM: 1161.2
Min nTPM: 214.8
Std nTPM: 127.1
Median nTPM: 385.6
GTEX-14JIY-3026-SM-6EU1R 60-69 years, male 1161.2
GTEX-1R9PM-1726-SM-E8VOA 20-29 years, male 987.6
GTEX-13CF2-2426-SM-5LZYL 60-69 years, male 905.7
GTEX-ZLFU-2226-SM-EXUS7 40-49 years, male 857.1
GTEX-Y5LM-1826-SM-4VDT9 40-49 years, female 802.7
GTEX-ZLWG-2026-SM-DO11F 50-59 years, female 739.5
GTEX-13QBU-2126-SM-5KLZN 40-49 years, female 692.7
GTEX-1R9K4-0526-SM-E76P1 60-69 years, male 650.4
GTEX-ZE7O-2926-SM-51MSG 50-59 years, female 634.9
GTEX-1NSGN-0626-SM-E9J35 50-59 years, male 622.5
GTEX-1192X-2926-SM-5N9BA 50-59 years, male 600.4
GTEX-ZF29-2126-SM-DNZYX 60-69 years, female 591.3
GTEX-1HCU7-0126-SM-C1YR3 50-59 years, male 549.1
GTEX-ZT9W-2126-SM-51MSF 50-59 years, male 540.5
GTEX-11EMC-2526-SM-5PNVU 60-69 years, female 533.6
GTEX-12BJ1-2226-SM-5BC6G 60-69 years, male 522.8
GTEX-14E1K-2626-SM-664OJ 50-59 years, male 517.9
GTEX-131XH-2626-SM-5GCNP 50-59 years, male 507.3
GTEX-18D9U-2226-SM-7KFTN 40-49 years, male 507.2
GTEX-1KANC-1326-SM-CYPT8 50-59 years, female 507.0
GTEX-ZQG8-2126-SM-4YCF1 60-69 years, female 501.4
GTEX-Y5V6-2226-SM-4VDTC 60-69 years, male 484.1
GTEX-1LVA9-2526-SM-EVR5H 50-59 years, male 482.8
GTEX-ZP4G-1926-SM-57WDZ 20-29 years, female 473.4
GTEX-1R9PO-2626-SM-E6CPU 60-69 years, female 473.4
GTEX-Y111-2626-SM-4TT24 50-59 years, male 470.1
GTEX-ZPU1-2326-SM-57WEP 40-49 years, male 466.3
GTEX-1RNSC-2926-SM-EV79L 60-69 years, male 458.2
GTEX-1H4P4-2026-SM-9WPNV 50-59 years, male 456.6
GTEX-131XF-2826-SM-5EGKH 60-69 years, male 456.2
GTEX-13JVG-2926-SM-5J2N9 60-69 years, male 453.5
GTEX-11ZTS-3026-SM-5EQM7 60-69 years, female 449.9
GTEX-1LSNL-2626-SM-EV7AT 50-59 years, male 439.5
GTEX-ZQUD-2126-SM-51MSY 30-39 years, male 436.7
GTEX-11EQ9-2026-SM-5P9JI 30-39 years, male 435.9
GTEX-1CB4I-2526-SM-7MKG1 50-59 years, male 435.2
GTEX-1S83E-0626-SM-E9TKC 40-49 years, male 433.9
GTEX-1S82P-0726-SM-EVR4O 60-69 years, female 429.1
GTEX-1KD5A-2226-SM-EV79U 50-59 years, male 426.6
GTEX-1JN1M-2426-SM-ARU93 60-69 years, female 426.4
GTEX-ZC5H-2726-SM-5KLZW 40-49 years, female 425.3
GTEX-146FR-1226-SM-5SIA7 60-69 years, female 425.1
GTEX-14PN4-2526-SM-686ZG 50-59 years, male 419.2
GTEX-1AMEY-1126-SM-72D79 30-39 years, female 419.2
GTEX-1C6VR-0726-SM-7P8OV 60-69 years, male 419.0
GTEX-15EU6-2626-SM-7KUN4 50-59 years, male 417.8
GTEX-1IDJD-2526-SM-C1YSA 30-39 years, male 417.8
GTEX-18QFQ-0626-SM-718AW 30-39 years, male 415.9
GTEX-1LVAO-2626-SM-EVR4S 60-69 years, male 413.7
GTEX-15RJE-2726-SM-6LPJ1 40-49 years, male 411.0
GTEX-1MCQQ-2226-SM-DLHC4 60-69 years, male 410.5
GTEX-12WSN-2226-SM-5DUXT 40-49 years, male 410.4
GTEX-WFJO-2026-SM-4LVM3 30-39 years, male 409.6
GTEX-15SHV-2226-SM-6M464 60-69 years, male 409.4
GTEX-11TUW-2426-SM-5EQKB 60-69 years, male 409.2
GTEX-1MCC2-2226-SM-EV7AJ 30-39 years, female 407.0
GTEX-1I6K6-0626-SM-ARU7J 30-39 years, male 406.5
GTEX-1KD4Q-2526-SM-CXZKL 40-49 years, male 405.4
GTEX-WOFM-2126-SM-4OOSR 20-29 years, male 404.4
GTEX-13OVL-2926-SM-5IFG3 50-59 years, male 404.1
GTEX-X3Y1-1926-SM-4PQZO 40-49 years, male 403.3
GTEX-17KNJ-2726-SM-7KFRE 50-59 years, male 402.7
GTEX-11NV4-1926-SM-5N9D4 60-69 years, male 401.2
GTEX-1LKK1-2926-SM-EVR4Z 50-59 years, female 400.7
GTEX-ZAB5-2326-SM-5IJFR 50-59 years, male 399.8
GTEX-1POEN-2226-SM-DPRXV 30-39 years, female 399.8
GTEX-1IOXB-2826-SM-AHZ32 50-59 years, male 399.7
GTEX-1GMR2-2026-SM-7MKHK 50-59 years, male 399.6
GTEX-13VXT-1726-SM-5IFF5 20-29 years, female 399.3
GTEX-18A7B-2826-SM-7KFTK 70-79 years, male 399.0
GTEX-1LC47-2426-SM-DHXKK 60-69 years, male 398.8
GTEX-1QMI2-0426-SM-EWRND 60-69 years, male 398.1
GTEX-ZG7Y-2426-SM-DO11H 50-59 years, male 397.9
GTEX-11WQK-2926-SM-5EQKT 50-59 years, male 397.8
GTEX-X261-2426-SM-4PQZU 50-59 years, male 392.5
GTEX-11P81-2026-SM-5P9GT 30-39 years, female 390.8
GTEX-1117F-3026-SM-5GZYU 60-69 years, female 389.8
GTEX-XV7Q-2426-SM-4BRV8 40-49 years, female 389.3
GTEX-ZA64-1726-SM-5CVMF 20-29 years, male 389.2
GTEX-1J8EW-2826-SM-A96T9 60-69 years, female 387.7
GTEX-1GPI7-0326-SM-7MKH6 20-29 years, male 386.3
GTEX-11P82-0926-SM-5986X 20-29 years, male 385.0
GTEX-1B932-0626-SM-731EM 40-49 years, female 382.6
GTEX-18A67-0626-SM-7KFSL 50-59 years, male 381.7
GTEX-YF7O-2226-SM-5CVN8 50-59 years, male 379.5
GTEX-1314G-2026-SM-5LZUM 30-39 years, male 378.4
GTEX-13OVI-2326-SM-5KM47 60-69 years, female 375.1
GTEX-1QP9N-2026-SM-DPRZT 30-39 years, male 374.6
GTEX-1OJC3-1026-SM-E6CQK 20-29 years, male 374.4
GTEX-1C4CL-2026-SM-731EB 30-39 years, male 374.1
GTEX-1A3MV-1726-SM-72D68 30-39 years, male 372.9
GTEX-1445S-2926-SM-5O993 60-69 years, male 367.7
GTEX-WH7G-2126-SM-4M1XU 40-49 years, male 367.4
GTEX-XGQ4-2626-SM-4AT6B 50-59 years, male 367.1
GTEX-1IY9M-2926-SM-A96TH 60-69 years, male 366.7
GTEX-1GTWX-2526-SM-9JGHG 60-69 years, male 365.4
GTEX-YB5K-1726-SM-5IFIZ 40-49 years, female 364.0
GTEX-WY7C-1426-SM-4OND1 50-59 years, male 363.6
GTEX-13G51-2426-SM-5LZY8 60-69 years, male 361.8
GTEX-1B97J-2126-SM-79OL6 50-59 years, female 361.3
GTEX-13O21-1926-SM-5MR39 50-59 years, male 361.1
GTEX-1R9K5-0626-SM-DPRZB 50-59 years, male 360.9
GTEX-14B4R-1426-SM-5Q5CG 30-39 years, male 360.1
GTEX-1IDJC-1626-SM-AHZ2R 50-59 years, male 360.1
GTEX-1QEPI-0626-SM-E76QE 60-69 years, female 360.0
GTEX-1I4MK-1326-SM-B2LWT 50-59 years, female 357.9
GTEX-13113-1526-SM-5EGHV 60-69 years, female 357.7
GTEX-1GN1V-2926-SM-9JGI3 60-69 years, male 357.7
GTEX-111FC-2926-SM-5GZY7 60-69 years, male 357.6
GTEX-1MGNQ-1926-SM-DTX8L 40-49 years, male 356.9
GTEX-12WSM-1826-SM-5BC64 60-69 years, male 355.8
GTEX-1J8QM-1826-SM-A96TA 60-69 years, female 355.4
GTEX-13111-2326-SM-5LZUQ 50-59 years, male 353.8
GTEX-14PJN-1726-SM-69LO7 30-39 years, male 353.1
GTEX-1HSEH-1826-SM-A96SA 60-69 years, male 352.2
GTEX-1PIEJ-0626-SM-DTX99 20-29 years, female 349.6
GTEX-1339X-2326-SM-5HL5B 40-49 years, male 345.4
GTEX-X15G-2126-SM-4PQZR 50-59 years, female 345.0
GTEX-1C64O-0626-SM-7DHL1 60-69 years, male 344.7
GTEX-1JN6P-2526-SM-CNNPX 60-69 years, male 340.2
GTEX-WHSB-2326-SM-4M1XK 50-59 years, male 338.5
GTEX-13NYB-2426-SM-5IFF4 40-49 years, male 338.3
GTEX-1RAZA-0626-SM-EAZ4H 20-29 years, male 337.8
GTEX-1GF9X-0226-SM-7P8SM 40-49 years, female 337.5
GTEX-1OJC4-3126-SM-EXOJK 50-59 years, female 336.5
GTEX-1HSGN-0626-SM-A9G2E 40-49 years, female 335.5
GTEX-X5EB-1726-SM-4E3J7 40-49 years, male 335.4
GTEX-1HFI7-2426-SM-B2LXV 50-59 years, female 334.0
GTEX-1B8SF-1826-SM-731DJ 60-69 years, male 332.9
GTEX-WYVS-2026-SM-4RGNS 40-49 years, female 331.7
GTEX-14PJ3-1526-SM-664O9 50-59 years, male 328.1
GTEX-13QJC-2326-SM-5Q5CD 60-69 years, female 327.2
GTEX-1I1HK-2526-SM-A96SM 60-69 years, male 326.2
GTEX-17MFQ-1626-SM-7938Z 20-29 years, male 325.8
GTEX-1QCLZ-2526-SM-EXUST 60-69 years, female 325.7
GTEX-15CHC-1226-SM-686ZH 60-69 years, female 323.0
GTEX-1AYD5-2726-SM-7MXVG 50-59 years, male 322.4
GTEX-1B8KZ-1726-SM-73KV7 50-59 years, male 321.8
GTEX-XMK1-2626-SM-4B65R 40-49 years, male 319.2
GTEX-13OVK-1826-SM-6PALE 40-49 years, male 316.8
GTEX-1PPH8-1526-SM-E6CQO 20-29 years, male 315.5
GTEX-1LBAC-0626-SM-D3L9T 20-29 years, male 315.4
GTEX-11ZTT-2226-SM-5CVLP 60-69 years, female 310.2
GTEX-1J1R8-1826-SM-AHZ3B 40-49 years, male 305.9
GTEX-1GZ2Q-2526-SM-9KNVW 40-49 years, male 305.3
GTEX-1I6K7-0926-SM-A96SV 40-49 years, male 305.3
GTEX-1GN1W-2526-SM-9JGHX 50-59 years, female 302.6
GTEX-ZXG5-2826-SM-5NQ8T 60-69 years, male 299.9
GTEX-145ME-1626-SM-5RQI3 40-49 years, female 295.5
GTEX-1HSMQ-0926-SM-A96SI 50-59 years, male 294.0
GTEX-12WSL-2126-SM-5GCNG 50-59 years, male 293.9
GTEX-1H1CY-2326-SM-9OSXW 60-69 years, female 293.0
GTEX-1EH9U-2926-SM-7DHLX 60-69 years, male 292.0
GTEX-1P4AB-2926-SM-EXOJR 50-59 years, male 290.1
GTEX-1IE54-0826-SM-AHZ2Z 40-49 years, female 289.9
GTEX-1HR9M-2526-SM-A9G3J 60-69 years, male 286.3
GTEX-178AV-1426-SM-6LLID 40-49 years, male 283.1
GTEX-1JKYR-0726-SM-AHZ3K 20-29 years, male 281.3
GTEX-1C64N-2926-SM-79OLM 50-59 years, male 274.9
GTEX-1AX8Z-0626-SM-731EH 60-69 years, male 269.0
GTEX-Y3I4-1926-SM-4TT8L 50-59 years, male 253.8
GTEX-1AX9K-2126-SM-72D7K 50-59 years, male 214.8
Show allShow less

SALIVARY GLAND - FANTOM5 CAGEi

RNA expression in human tissues obtained through Cap Analysis of Gene Expression (CAGE) generated by the FANTOM5 project are reported as Scaled Tags Per Million.

Max subtype Scaled Tags Per Millioni

Max subtype Scaled Tags Per Million is the value for the subtype with the largest average Scaled Tags Per Million across the subtype samples.

588.3
FANTOM5 sample id Sample description Scaled Tags Per Million
Parotid gland
Scaled Tags Per Million: 588.3
FF:10199-103F1 23 years, male 588.3
Salivary gland
Scaled Tags Per Million: 518.8
FF:10093-102C3 16-60 years, mixed 518.8
Submaxillary gland
Scaled Tags Per Million: 456.0
FF:10202-103F4 24 years, male 456.0

Contact

  • NEWS ARTICLES
  • PRESS ROOM

The Project

  • INTRODUCTION
  • ORGANIZATION
  • PUBLICATIONS

The Human Protein Atlas

  • DOWNLOADABLE DATA
  • LICENCE & CITATION
  • HELP & FAQ
The Human Protein Atlas project is funded
by the Knut & Alice Wallenberg Foundation.


contact@proteinatlas.org