We use cookies to enhance the usability of our website. If you continue, we'll assume that you are happy to receive all cookies. More information. Don't show this again.
SEC61G
HPA
RESOURCES
  • TISSUE
  • BRAIN
  • SINGLE CELL
  • SUBCELLULAR
  • CANCER
  • BLOOD
  • CELL LINE
  • STRUCTURE & INTERACTION
ABOUT
  • INTRODUCTION
  • HISTORY
  • ORGANIZATION
  • PUBLICATIONS
  • ANTIBODY SUBMISSION
  • ANTIBODY AVAILABILITY
  • ACKNOWLEDGMENTS
  • CONTACT
NEWS
  • NEWS ARTICLES
  • PRESS ROOM
LEARN
  • DICTIONARY
  • PROTEIN CLASSES
  • PROTEIN EVIDENCE
  • METHODS
  • EDUCATIONAL VIDEOS
DATA
  • DOWNLOADABLE DATA
  • PUBLICATION DATA
  • RELEASE HISTORY
HELP
  • ANTIBODY VALIDATION
  • ASSAYS & ANNOTATION
  • DISCLAIMER
  • HELP & FAQ
  • PRIVACY STATEMENT
  • LICENCE & CITATION
Fields »
Search result

Field
Term
Gene name
Class
Subclass
Class
Keyword
Chromosome
External id
Tissue
Cell type
Expression
Antibody panel
Tissue
Main location
Patient ID
Annotation
Tissue
Category
Tau score
Cluster
Reliability
Brain region
Category
Tau score
Brain region
Category
Tau score
Brain region
Category
Tau score
Cluster
Reliability
Tissue
Cell type
Enrichment
Cell type
Category
Tau score
Cell type
Category
Tau score
Cell type
Category
Tau score
Cell lineage
Category
Tau score
Cluster
Cluster
Location
Searches
Location
Cell line
Class
Type
Phase
Reliability
Cancer
Prognosis
Cancer
Category
Cancer
Category
Tau score
Cluster
Variants
Interacting gene (ensg_id)
Type
Number of interactions
Pathway
Category
Score
Score
Score
Validation
Validation
Validation
Validation
Antibodies
Data type
Column


  • SUMMARY

  • TISSUE

  • BRAIN

  • SINGLE CELL

  • SUBCELL

  • CANCER

  • BLOOD

  • CELL LINE

  • STRUCT & INT

  • SEC61G
TISSUE PRIMARY DATA SKELETAL MUSCLE Show tissue menu
ADIPOSE TISSUE ADRENAL GLAND AMYGDALA APPENDIX BASAL GANGLIA BONE MARROW BREAST BRONCHUS CEREBELLUM CEREBRAL CORTEX CERVIX CHOROID PLEXUS COLON DUODENUM
ENDOMETRIUM EPIDIDYMIS ESOPHAGUS FALLOPIAN TUBE GALLBLADDER HEART MUSCLE HIPPOCAMPAL FORMATION HYPOTHALAMUS KIDNEY LIVER LUNG LYMPH NODE MIDBRAIN NASOPHARYNX
ORAL MUCOSA OVARY PANCREAS PARATHYROID GLAND PITUITARY GLAND PLACENTA PROSTATE RECTUM RETINA SALIVARY GLAND SEMINAL VESICLE SKELETAL MUSCLE SKIN SMALL INTESTINE
SMOOTH MUSCLE SOFT TISSUE SPINAL CORD SPLEEN STOMACH TESTIS THYMUS THYROID GLAND TONGUE TONSIL URINARY BLADDER VAGINA
ANTIBODIES
AND
VALIDATION
Dictionary
Skeletal muscle
Tissue proteome
Skeletal muscle
SKELETAL MUSCLE - Expression summary
Protein expression
Skeletal musclei

On the top, protein expression in current human tissue, based on all annotated cell types, is reported with the units not detected (n), low (l), medium (m) and high (h). Underneath, protein expression in each annotated cell type are reported using the same units.

Protein expression data is based on knowledge-based annotation. For genes where more than one antibody has been used, a collective score is set.

If knowledge-based annotation could not be performed for a gene, no data is displayed here. View antibody staining data further down this page.

h
m
l
n
Myocytes: Not detected
RNA expressioni

A summary of mRNA expression data available for current tissue based on several datasets. The mRNA expression levels in human tissues are based on RNA-seq data generated by the Human Protein Atlas (HPA), Genotype-Tissue Expression (GTEx) portal and CAGE data generated by the FANTOM5 consortium. Consensus normalized expression levels for human tissues was created by combining the data from HPA and GTEx datasets.

The mRNA expression levels in pig are based on RNA-seq data generated by the Human Protein Atlas (HPA), and for mouse, HPA data and in situ hybridization generated by the Allen brain atlas are reported.

Scroll down to view mRNA expression data in more detail.
Consensus:143.1 nTPM
HPA:124.0 nTPM
GTEx:143.1 nTPM
FANTOM5:123.6 Scaled Tags Per Million

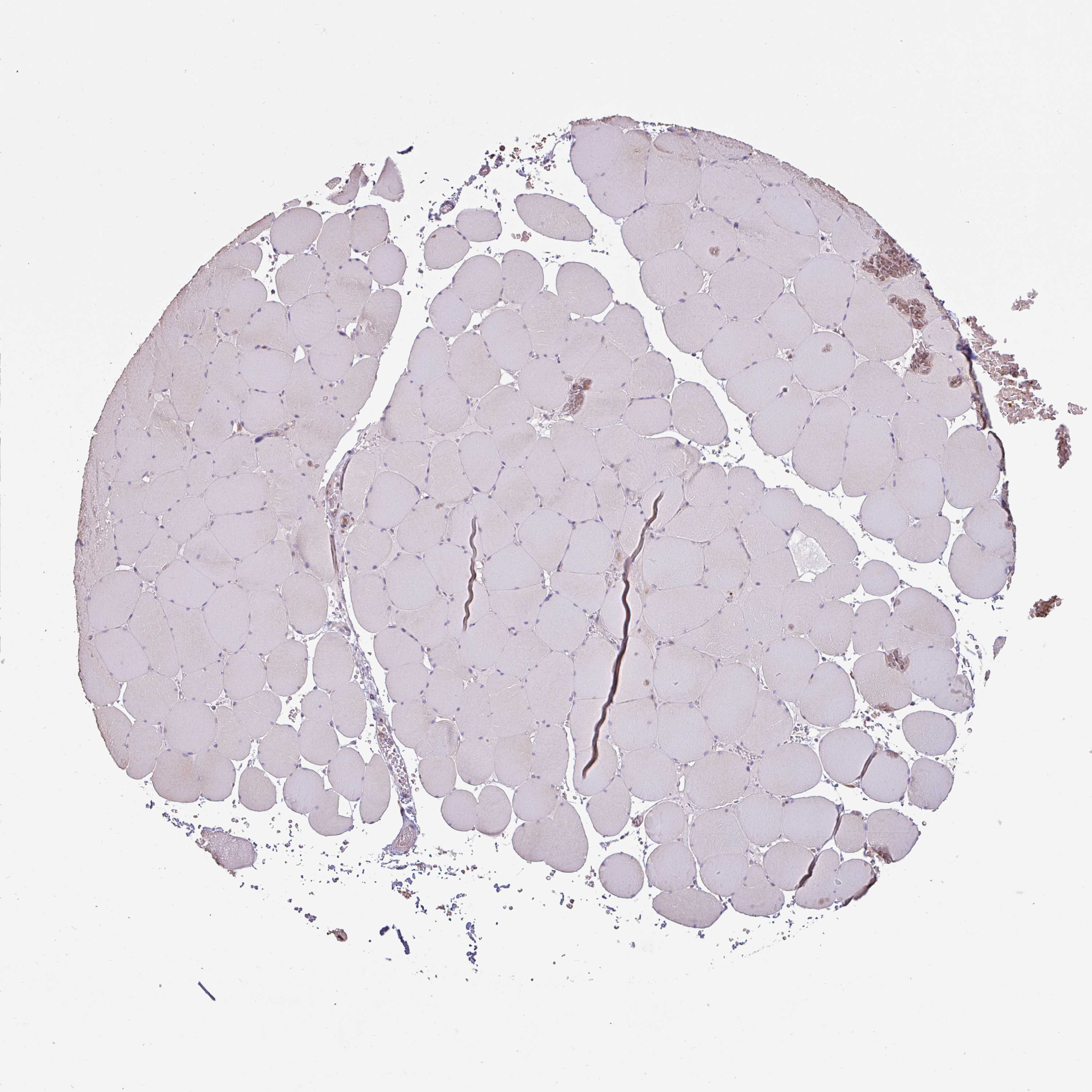
SKELETAL MUSCLE - Antibody stainingi

Antibody staining in the annotated cell types in the current human tissue is reported as not detected, low, medium, or high, based on conventional immunohistochemistry profiling in selected tissues. This score is based on the combination of the staining intensity and fraction of stained cells.

Each image is clickable and will lead to virtual microscopy that enables deeper exploration of all samples and also displays staining intensity scores, fraction scores and subcellular localization as well as patient and tissue information for each sample.

Antibody HPA053196
Myocytes Not detected



SKELETAL MUSCLE - HPA RNA-seqi

The RNA-seq details section shows detailed information about the individual samples used for the transcript profiling and results of the RNA-seq analysis.

Information about each individual sample is listed below, including gender, age, a tissue section image and estimated fractions of cell types. nTPM (normalized transcripts per million) values give a quantification of the gene abundance which is comparable between different genes and samples.
Average nTPMi

Max subtype nTPM is the value for the subtype with the largest average nTPM across the subtype samples.

124.0
N/A
Male, age 23
Skeletal muscle sample 339
nTPM: 109.7
N/A
Female, age 25
Skeletal muscle sample 340
nTPM: 106.2
N/A
Female, age -
Skeletal muscle sample 341
nTPM: 105.2
N/A
Female, age 22
Skeletal muscle sample 342
nTPM: 137.9
N/A
Male, age 29
Skeletal muscle sample 343
nTPM: 161

SKELETAL MUSCLE - GTEx RNA-seqi

RNA-Seq data generated by the Genotype-Tissue Expression (GTEx) project from human tissues is reported as mean nTPM. More information can be found on the GTEx portal.

Distribution across the dataset is visualized with box plots, shown as median and 25th and 75th percentiles. Points are displayed as outliers if they are above or below 1.5 times the interquartile range. nTPM values of the individual samples are presented next to the box plot.
Max subtype nTPMi

Max subtype nTPM is the value for the subtype with the largest average nTPM across the subtype samples.

143.1
GTEx sample id Sample description nTPM
Muscle - Skeletal
Average nTPM: 143.1
Samples: 803

Max nTPM: 678.9
Min nTPM: 29.9
Std nTPM: 47.1
Median nTPM: 140.5
GTEX-ZQUD-1726-SM-7P8ON 30-39 years, male 678.9
GTEX-145MG-0226-SM-5TDDB 50-59 years, male 421.6
GTEX-13X6H-2326-SM-7EWEB 50-59 years, female 387.0
GTEX-1MA7W-1826-SM-DIPFP 20-29 years, female 349.3
GTEX-14XAO-2226-SM-6LLHU 60-69 years, female 285.7
GTEX-13OVG-2126-SM-5KM1K 60-69 years, male 272.9
GTEX-14C39-2426-SM-5S2U5 40-49 years, male 272.8
GTEX-WWTW-0626-SM-4MVNS 50-59 years, male 265.8
GTEX-1H4P4-0626-SM-9YFKZ 50-59 years, male 257.4
GTEX-1LGRB-2626-SM-CNPPR 50-59 years, female 254.9
GTEX-WFG8-2426-SM-3GILL 20-29 years, male 251.6
GTEX-11P82-1826-SM-5PNYJ 20-29 years, male 249.8
GTEX-1H1ZS-0626-SM-CNPPU 70-79 years, male 249.6
GTEX-1R46S-0326-SM-EWRNE 60-69 years, female 246.0
GTEX-11NV4-0326-SM-5HL58 60-69 years, male 244.3
GTEX-TML8-1826-SM-32QOR 40-49 years, female 243.4
GTEX-13FHP-0526-SM-5K7UY 50-59 years, male 239.5
GTEX-18465-0326-SM-7LTAD 50-59 years, male 239.2
GTEX-1JN1M-0526-SM-CJI3D 60-69 years, female 238.5
GTEX-1I1GV-0126-SM-CL55G 60-69 years, male 238.3
GTEX-1ICG6-2726-SM-CKZPN 70-79 years, female 236.0
GTEX-17F96-2726-SM-7LT9F 70-79 years, male 235.1
GTEX-WOFM-1326-SM-3MJFR 20-29 years, male 234.7
GTEX-14PJO-0526-SM-6EU2O 60-69 years, male 233.7
GTEX-1S5ZA-0526-SM-EWRO1 20-29 years, male 230.0
GTEX-13O1R-0526-SM-5K7XU 60-69 years, male 229.6
GTEX-13FTX-2026-SM-5L3D6 20-29 years, female 228.2
GTEX-1M5QR-1326-SM-EWROC 40-49 years, male 228.1
GTEX-11P81-2526-SM-5GU6H 30-39 years, female 223.5
GTEX-WEY5-2026-SM-CYPRC 40-49 years, female 223.1
GTEX-1LB8K-0126-SM-EVYCN 50-59 years, male 223.0
GTEX-1QP66-1626-SM-E76PC 50-59 years, male 222.9
GTEX-1339X-2426-SM-5KLYU 40-49 years, male 222.8
GTEX-1M4P7-0126-SM-DKPQF 60-69 years, male 221.2
GTEX-13SLX-0326-SM-5Q5E4 50-59 years, female 219.6
GTEX-1F75W-0326-SM-7PC2Q 60-69 years, male 217.8
GTEX-1JMQK-0326-SM-ARZN5 60-69 years, male 216.5
GTEX-13OVJ-0226-SM-5L3GK 50-59 years, female 215.7
GTEX-14BMV-0326-SM-5RQHW 50-59 years, male 215.7
GTEX-1R9K4-0626-SM-E76OZ 60-69 years, male 215.7
GTEX-1HBPM-0426-SM-CKZOO 60-69 years, female 214.9
GTEX-13NZA-0526-SM-5L3D7 60-69 years, male 214.8
GTEX-1JMQI-2126-SM-CM2SC 50-59 years, male 214.4
GTEX-YJ8O-2826-SM-5CVM4 40-49 years, female 213.9
GTEX-U3ZN-2226-SM-3DB88 30-39 years, female 213.4
GTEX-14BIL-0326-SM-5SI9Q 50-59 years, male 211.5
GTEX-1LC47-0626-SM-DIPFE 60-69 years, male 209.2
GTEX-1N2EF-0526-SM-E76OK 60-69 years, male 209.2
GTEX-1RQEC-0126-SM-E9J2H 60-69 years, male 208.3
GTEX-1LVAN-0526-SM-CNNQ1 50-59 years, female 207.1
GTEX-ZVT4-0326-SM-51MS5 50-59 years, female 206.6
GTEX-1CB4F-0326-SM-9MQKD 60-69 years, male 206.5
GTEX-T5JC-0626-SM-3NMA6 20-29 years, male 205.6
GTEX-11GS4-2526-SM-5A5KT 60-69 years, male 205.3
GTEX-1IDJD-1326-SM-CM2TQ 30-39 years, male 205.2
GTEX-1313W-0526-SM-5P9FZ 50-59 years, female 204.6
GTEX-1NUQO-0726-SM-E9J3K 20-29 years, female 203.9
GTEX-16NGA-1926-SM-7LTA6 40-49 years, female 203.1
GTEX-1H23P-0526-SM-9WG6S 60-69 years, male 201.6
GTEX-11H98-0326-SM-5HL4S 50-59 years, male 200.5
GTEX-14753-0526-SM-5QGPR 60-69 years, male 200.0
GTEX-131XF-2326-SM-5BC6B 60-69 years, male 199.8
GTEX-1JMLX-0326-SM-CM2RP 50-59 years, male 199.6
GTEX-1PPH8-0326-SM-E76PR 20-29 years, male 199.6
GTEX-11PRG-0326-SM-5GU53 50-59 years, male 199.2
GTEX-WXYG-2526-SM-3NB3F 50-59 years, female 199.0
GTEX-1HKZK-0226-SM-9WYUG 40-49 years, male 198.3
GTEX-15UKP-0326-SM-7KUFP 20-29 years, male 197.5
GTEX-ZE7O-0326-SM-51MTH 50-59 years, female 197.4
GTEX-YECK-0626-SM-4W1ZE 60-69 years, male 197.0
GTEX-Y9LG-1926-SM-5IFHY 30-39 years, male 196.7
GTEX-1JK1U-2226-SM-CNNPL 60-69 years, male 196.6
GTEX-1EN7A-0326-SM-7P8T1 40-49 years, male 196.3
GTEX-SNMC-1426-SM-2XCFM 20-29 years, male 196.0
GTEX-1CAMQ-0326-SM-7MXUI 40-49 years, male 196.0
GTEX-1GMR2-2126-SM-7P8TX 50-59 years, male 195.9
GTEX-13O3O-0526-SM-5J1NL 60-69 years, female 195.3
GTEX-15D79-0526-SM-6ETZP 50-59 years, male 195.0
GTEX-1JKYR-0326-SM-CNPOL 20-29 years, male 194.9
GTEX-ZE9C-2326-SM-5J1NT 60-69 years, male 194.8
GTEX-WHSE-0526-SM-5GZZD 20-29 years, male 194.4
GTEX-145LU-2026-SM-5Q5E8 50-59 years, male 194.0
GTEX-146FQ-0326-SM-5NQAX 30-39 years, male 193.2
GTEX-13S86-2326-SM-5RQK1 40-49 years, male 192.8
GTEX-1399Q-2426-SM-5J2MO 40-49 years, male 192.5
GTEX-15RIF-2126-SM-7KUM8 20-29 years, male 191.9
GTEX-1399T-2426-SM-5L3FJ 60-69 years, male 191.4
GTEX-139UW-2626-SM-5K7W1 60-69 years, male 190.8
GTEX-1H3VE-0126-SM-9WYTW 40-49 years, male 190.5
GTEX-1LSNL-0126-SM-EWRNR 50-59 years, male 190.3
GTEX-11WQC-2626-SM-5CVLF 60-69 years, male 190.1
GTEX-1AX9J-0126-SM-73KY2 60-69 years, male 189.9
GTEX-15UF7-2226-SM-6PAMQ 40-49 years, male 189.5
GTEX-17MF6-2026-SM-7LG5I 40-49 years, male 189.3
GTEX-1AMEY-1526-SM-73KYW 30-39 years, female 189.1
GTEX-1GF9W-0526-SM-9MQJP 60-69 years, male 188.4
GTEX-UPJH-0526-SM-4IHK8 50-59 years, male 188.1
GTEX-1128S-2426-SM-5H11B 60-69 years, female 187.5
GTEX-14PJM-0426-SM-5ZZVN 50-59 years, female 187.5
GTEX-Y8E4-1026-SM-4VBQ5 40-49 years, male 187.5
GTEX-1PWST-0426-SM-E76QV 70-79 years, male 187.3
GTEX-1QP67-1826-SM-DTX8D 40-49 years, female 186.5
GTEX-WFG7-2226-SM-3GIKP 20-29 years, male 186.3
GTEX-14JG1-0126-SM-5ZZUP 40-49 years, male 185.5
GTEX-13D11-2526-SM-5KM28 50-59 years, female 185.4
GTEX-14A5H-0326-SM-5RQIB 60-69 years, male 185.3
GTEX-1PPH7-2526-SM-E76OJ 40-49 years, male 185.3
GTEX-12WSM-0326-SM-5LZVI 60-69 years, male 185.2
GTEX-1KWVE-0926-SM-CXZKP 30-39 years, male 185.2
GTEX-113JC-2726-SM-5EGIS 50-59 years, female 185.1
GTEX-1CB4G-0426-SM-7MXUN 60-69 years, male 184.9
GTEX-WYJK-1726-SM-3NM9U 50-59 years, male 184.7
GTEX-11NSD-2026-SM-5HL5U 20-29 years, male 184.6
GTEX-13FXS-0326-SM-5K7TV 50-59 years, male 184.5
GTEX-1F7RK-0326-SM-7RHH7 20-29 years, female 184.5
GTEX-1LNCM-1226-SM-E9U5C 50-59 years, female 184.5
GTEX-1R9PO-2426-SM-EVYBS 60-69 years, female 184.5
GTEX-QVJO-0126-SM-3GIK4 60-69 years, female 184.4
GTEX-13VXU-0326-SM-5LU36 50-59 years, male 184.2
GTEX-1LGOU-2126-SM-DIPFG 20-29 years, female 184.0
GTEX-12KS4-0826-SM-5BC5R 30-39 years, male 183.9
GTEX-R53T-1826-SM-3GIJX 50-59 years, female 183.9
GTEX-12WSG-5016-SM-7SB84 50-59 years, female 183.9
GTEX-QEG5-0426-SM-2I5GJ 20-29 years, male 183.7
GTEX-1GMR3-2126-SM-9WYTZ 40-49 years, male 183.4
GTEX-1GN2E-0726-SM-9MQLU 60-69 years, male 182.9
GTEX-1LVA9-0326-SM-DLHBU 50-59 years, male 182.8
GTEX-14PN4-0326-SM-6EU2N 50-59 years, male 182.7
GTEX-13N2G-2326-SM-5J1ON 60-69 years, male 182.6
GTEX-148VJ-0326-SM-5QGQE 70-79 years, male 182.6
GTEX-13PL7-0626-SM-5IJCD 60-69 years, female 182.5
GTEX-ZYFD-0326-SM-5NQ8I 50-59 years, male 182.4
GTEX-1N2DW-0426-SM-E9TK4 50-59 years, male 182.3
GTEX-13NYB-2726-SM-5J2MT 40-49 years, male 181.8
GTEX-147F4-0326-SM-5TDCK 50-59 years, male 181.6
GTEX-1R9JW-2426-SM-DTXFI 30-39 years, female 181.2
GTEX-1269C-2626-SM-5EQ5C 60-69 years, female 181.0
GTEX-12ZZY-0626-SM-5EQ5T 60-69 years, male 180.9
GTEX-1KANA-0926-SM-D3L9K 20-29 years, male 180.9
GTEX-1QP9N-1926-SM-E6CPY 30-39 years, male 180.9
GTEX-1IOXB-0326-SM-CL55M 50-59 years, male 180.8
GTEX-13112-2626-SM-5BC66 50-59 years, male 180.3
GTEX-117XS-2526-SM-5H11G 60-69 years, male 180.2
GTEX-1497J-2626-SM-5SI9K 60-69 years, male 180.1
GTEX-145LS-0526-SM-5LU8Y 60-69 years, female 179.7
GTEX-1RAZQ-0426-SM-DTXFQ 30-39 years, male 179.7
GTEX-1F75I-0526-SM-7RHI3 40-49 years, male 179.1
GTEX-16YQH-0426-SM-7KUL7 30-39 years, male 178.6
GTEX-XUZC-2126-SM-4BRW8 30-39 years, female 178.3
GTEX-1PIIG-0126-SM-E9J46 30-39 years, male 177.9
GTEX-1A3MV-2026-SM-718BU 30-39 years, male 177.6
GTEX-145MH-0326-SM-5LU8H 50-59 years, male 177.1
GTEX-1I1GS-0326-SM-ARL7X 60-69 years, male 177.1
GTEX-1MJK3-1426-SM-E9TK1 20-29 years, male 176.9
GTEX-ZVE1-0526-SM-5NQ71 50-59 years, female 176.8
GTEX-12WSC-0326-SM-5EQ5E 50-59 years, male 176.7
GTEX-1CAV2-2426-SM-7P8QF 40-49 years, female 176.6
GTEX-1JJEA-0126-SM-D3L8A 60-69 years, male 176.6
GTEX-132NY-0726-SM-5KLZM 60-69 years, male 176.3
GTEX-1PBJJ-0326-SM-E8VNT 30-39 years, male 176.3
GTEX-ZLV1-2126-SM-4WWD2 60-69 years, female 176.1
GTEX-1GN73-0126-SM-CNPPT 60-69 years, male 175.4
GTEX-1KD4Q-0326-SM-E9TJA 40-49 years, male 175.3
GTEX-111VG-2626-SM-5GZY2 60-69 years, male 175.1
GTEX-12ZZZ-0226-SM-59HKU 60-69 years, male 175.1
GTEX-1QAET-2026-SM-E9J3S 50-59 years, male 175.0
GTEX-13O61-2326-SM-5J1NJ 60-69 years, male 174.8
GTEX-1QP6S-0426-SM-DTXG4 40-49 years, male 174.7
GTEX-14H4A-0926-SM-5ZZUU 40-49 years, female 174.6
GTEX-15G1A-2026-SM-7KUFG 30-39 years, male 174.6
GTEX-1HUB1-0526-SM-CL54N 60-69 years, male 174.6
GTEX-16XZZ-0526-SM-7KUF1 60-69 years, male 174.3
GTEX-ZYY3-0526-SM-5E45G 60-69 years, female 174.3
GTEX-14BMU-2026-SM-5S2W6 20-29 years, female 174.0
GTEX-13G51-2726-SM-5LZZ9 60-69 years, male 173.9
GTEX-1H1DG-0326-SM-9QEHK 70-79 years, male 173.9
GTEX-SJXC-0526-SM-2XCFG 60-69 years, male 173.7
GTEX-11EI6-0326-SM-5EQ6G 60-69 years, male 173.4
GTEX-12C56-1926-SM-5FQUG 20-29 years, male 173.4
GTEX-12WSH-2526-SM-5CVNH 50-59 years, male 173.4
GTEX-14A5I-0326-SM-5NQ9J 50-59 years, female 173.3
GTEX-Y8E5-0326-SM-57WBM 60-69 years, male 173.3
GTEX-1F6I4-0326-SM-7P8T8 60-69 years, male 172.9
GTEX-12WSF-0926-SM-6PALU 70-79 years, male 172.7
GTEX-13PL6-0326-SM-5IJCP 40-49 years, female 172.5
GTEX-13PVQ-0326-SM-5K7YF 50-59 years, male 172.4
GTEX-131XH-2726-SM-5GCO2 50-59 years, male 172.1
GTEX-ZVTK-0626-SM-5GU6Y 20-29 years, male 171.5
GTEX-117YW-2426-SM-5Q5AE 50-59 years, male 170.9
GTEX-XQ3S-0426-SM-4BOOA 20-29 years, male 170.8
GTEX-1I1GR-0326-SM-CKZPI 60-69 years, male 170.7
GTEX-1RAZR-0326-SM-EWRNM 40-49 years, male 170.6
GTEX-111FC-0326-SM-5GZZ1 60-69 years, male 170.2
GTEX-1C6VS-0126-SM-7PC2H 60-69 years, male 170.1
GTEX-1CAMR-1726-SM-793CU 20-29 years, male 170.0
GTEX-XBEW-1026-SM-4QARV 40-49 years, male 170.0
GTEX-1F75A-0626-SM-7PBYI 50-59 years, male 169.6
GTEX-1GZHY-0126-SM-9WYUQ 50-59 years, female 169.5
GTEX-VJWN-0426-SM-3GIJI 50-59 years, female 169.2
GTEX-13X6J-0326-SM-7EPGD 50-59 years, male 169.1
GTEX-13OVH-0626-SM-5L3EI 70-79 years, male 169.0
GTEX-1GZ2Q-0426-SM-9WPOU 40-49 years, male 169.0
GTEX-15ER7-0226-SM-7KUEU 20-29 years, female 168.7
GTEX-P78B-1626-SM-5SI85 40-49 years, female 168.5
GTEX-YEC3-2126-SM-4YCDB 50-59 years, male 168.5
GTEX-147GR-0126-SM-62LER 60-69 years, male 168.4
GTEX-16MTA-2026-SM-7KUL3 50-59 years, male 168.3
GTEX-11ZTS-0526-SM-5CVL9 60-69 years, female 168.0
GTEX-1F6IF-0226-SM-7PBZ6 60-69 years, male 167.9
GTEX-11ZUS-1426-SM-5FQSP 30-39 years, male 167.8
GTEX-1AX8Z-5004-SM-ARZLD 60-69 years, male 167.6
GTEX-131XE-2726-SM-5P9G7 50-59 years, male 167.4
GTEX-WK11-2526-SM-3NM9Y 50-59 years, male 167.4
GTEX-1AX9I-0326-SM-73KXQ 60-69 years, male 167.0
GTEX-1F88F-2526-SM-7PC2R 60-69 years, female 167.0
GTEX-QDT8-0526-SM-3NMD8 30-39 years, female 166.9
GTEX-1F52S-0826-SM-7P8TQ 60-69 years, female 166.9
GTEX-14JG6-2126-SM-6EU2F 30-39 years, female 166.7
GTEX-Y5LM-2126-SM-4VDSY 40-49 years, female 166.7
GTEX-13O3Q-2726-SM-5KM51 50-59 years, male 166.6
GTEX-14ABY-0126-SM-62LDI 50-59 years, male 166.6
GTEX-1LBAC-0326-SM-DIPF1 20-29 years, male 166.3
GTEX-ZYT6-1626-SM-5E45R 30-39 years, male 166.1
GTEX-Z93S-1326-SM-5CVMR 50-59 years, male 165.6
GTEX-1JMPZ-0126-SM-CNPOZ 30-39 years, male 165.6
GTEX-ZC5H-0326-SM-5HL9F 40-49 years, female 165.2
GTEX-14JIY-0426-SM-62LF7 60-69 years, male 165.0
GTEX-17JCI-0326-SM-7LG5H 60-69 years, female 164.8
GTEX-O5YT-1626-SM-32PK6 20-29 years, male 164.8
GTEX-Q2AI-1526-SM-3GIJ3 40-49 years, male 164.7
GTEX-T2IS-2626-SM-32QPP 20-29 years, female 164.6
GTEX-1IDJH-0226-SM-CYPSB 70-79 years, male 164.4
GTEX-XV7Q-2926-SM-4BRUL 40-49 years, female 164.0
GTEX-1HBPI-0226-SM-ADEJ7 50-59 years, male 164.0
GTEX-1QMI2-0526-SM-DTXFU 60-69 years, male 164.0
GTEX-11NUK-0226-SM-5A5L4 50-59 years, male 163.7
GTEX-WYVS-2326-SM-3NMAI 40-49 years, female 163.2
GTEX-1399R-2526-SM-5IFG2 30-39 years, male 163.1
GTEX-1C6VQ-0326-SM-7DHMS 50-59 years, male 163.1
GTEX-YFCO-1926-SM-4W212 40-49 years, male 162.8
GTEX-1LSNM-2326-SM-EWRO8 50-59 years, male 162.8
GTEX-1B8KZ-2126-SM-73KYG 50-59 years, male 162.7
GTEX-139TT-0426-SM-5IJFA 60-69 years, male 162.6
GTEX-133LE-2026-SM-5K7WM 20-29 years, female 162.0
GTEX-OXRK-1826-SM-2HMJE 50-59 years, female 161.9
GTEX-1I1HK-0326-SM-ACKW5 60-69 years, male 161.5
GTEX-13N1W-0526-SM-5MR4I 70-79 years, male 161.3
GTEX-1B8SF-0426-SM-79OL4 60-69 years, male 161.2
GTEX-1HCU9-1926-SM-9WYSE 20-29 years, male 161.1
GTEX-1MCQQ-0626-SM-E9U5Q 60-69 years, male 161.1
GTEX-1EWIQ-0626-SM-7PBYW 70-79 years, female 161.0
GTEX-11TT1-2326-SM-5GU6N 20-29 years, male 160.9
GTEX-OOBJ-1626-SM-2I3F7 60-69 years, male 160.9
GTEX-13FTY-0226-SM-5IJBW 40-49 years, female 160.7
GTEX-17EVQ-1226-SM-7LG59 70-79 years, male 160.7
GTEX-WZTO-0826-SM-3NM8Q 40-49 years, male 160.7
GTEX-ZDXO-0326-SM-4WKHJ 60-69 years, male 160.5
GTEX-1HGF4-2626-SM-CM2SJ 60-69 years, male 160.2
GTEX-1N2DV-0526-SM-DTX8W 40-49 years, male 160.1
GTEX-11TUW-2526-SM-5EQKN 60-69 years, male 159.7
GTEX-OIZI-0626-SM-2XCEH 40-49 years, male 159.5
GTEX-OXRN-1326-SM-3LK5V 50-59 years, male 159.5
GTEX-1B97J-1226-SM-7PBZR 50-59 years, female 159.3
GTEX-TKQ1-1426-SM-4GICK 30-39 years, male 158.9
GTEX-ZPIC-2526-SM-57WDP 40-49 years, female 158.9
GTEX-11WQK-0726-SM-5GU71 50-59 years, male 158.7
GTEX-1HCU6-0526-SM-A9SKU 60-69 years, female 158.6
GTEX-1IE54-0326-SM-ARZMD 40-49 years, female 158.3
GTEX-11ZU8-2326-SM-5EQMJ 60-69 years, male 158.2
GTEX-ZT9X-1826-SM-57WDU 40-49 years, male 158.2
GTEX-13U4I-1826-SM-5IJD2 40-49 years, female 158.0
GTEX-11LCK-1226-SM-5Q5AM 30-39 years, male 157.9
GTEX-WRHU-0826-SM-3MJFN 50-59 years, female 157.8
GTEX-Y3IK-2626-SM-4WWDK 50-59 years, female 157.7
GTEX-1J8JJ-0126-SM-D3L93 60-69 years, female 157.4
GTEX-ZF2S-2126-SM-4WWAY 50-59 years, female 157.3
GTEX-ZDTS-0526-SM-4WKH9 60-69 years, male 157.2
GTEX-ZTPG-0126-SM-5O9AL 20-29 years, female 157.1
GTEX-1KXAM-2426-SM-DIPFC 60-69 years, male 157.1
GTEX-16XZY-2226-SM-7938N 70-79 years, male 157.0
GTEX-1JJ6O-0926-SM-CYPT1 60-69 years, male 156.9
GTEX-1IKJJ-0326-SM-CL55L 60-69 years, male 156.8
GTEX-1399S-2726-SM-5KM22 30-39 years, female 156.4
GTEX-X4EO-0526-SM-3P5Z3 60-69 years, female 156.2
GTEX-11GSP-2726-SM-5A5LJ 60-69 years, female 155.8
GTEX-131YS-0526-SM-5EGKJ 60-69 years, female 155.8
GTEX-WL46-0626-SM-3LK7R 50-59 years, male 155.8
GTEX-14LLW-0526-SM-62LFB 70-79 years, female 155.5
GTEX-15CHC-2426-SM-6EU22 60-69 years, female 155.5
GTEX-18A7A-0626-SM-718BJ 50-59 years, female 155.4
GTEX-1GPI6-0326-SM-9MQM6 60-69 years, male 155.2
GTEX-14E1K-2326-SM-664MP 50-59 years, male 154.9
GTEX-18D9U-0626-SM-7LTA4 40-49 years, male 154.6
GTEX-13PLJ-0326-SM-5L3I7 60-69 years, female 154.3
GTEX-ZAK1-0526-SM-5K7X4 50-59 years, female 154.3
GTEX-14LZ3-0626-SM-5ZZWP 60-69 years, female 153.6
GTEX-15G19-0526-SM-6PAMT 60-69 years, male 153.6
GTEX-11ZVC-2726-SM-5FQSZ 50-59 years, female 153.5
GTEX-1H1CY-2726-SM-9MQLR 60-69 years, female 153.5
GTEX-1117F-0426-SM-5EGHI 60-69 years, female 153.4
GTEX-1A3MX-0526-SM-718A9 60-69 years, male 153.4
GTEX-1H11D-0326-SM-9WG71 40-49 years, male 153.4
GTEX-1C4CL-0326-SM-7DHMH 30-39 years, male 153.2
GTEX-ZYFC-0526-SM-5GIDF 50-59 years, male 153.1
GTEX-11UD2-0326-SM-5EQLE 50-59 years, male 153.0
GTEX-14A6H-5019-SM-793DH 30-39 years, male 153.0
GTEX-1PDJ9-0526-SM-DTXDL 20-29 years, male 153.0
GTEX-1FIGZ-1726-SM-9MQKS 40-49 years, male 152.9
GTEX-1212Z-2626-SM-5YY8P 60-69 years, male 152.8
GTEX-1ICLY-0326-SM-ARL7S 50-59 years, male 152.7
GTEX-1QEPI-0526-SM-E76QF 60-69 years, female 152.3
GTEX-T8EM-1326-SM-3DB7G 40-49 years, male 152.2
GTEX-13NZ9-0626-SM-5IJCO 50-59 years, male 152.1
GTEX-14AS3-2126-SM-5S2MK 40-49 years, female 152.0
GTEX-1HT8W-0326-SM-CM2SG 30-39 years, male 151.9
GTEX-ZLWG-2126-SM-DO91M 50-59 years, female 151.9
GTEX-1KD5A-0726-SM-DIPEO 50-59 years, male 151.6
GTEX-145MI-0326-SM-5Q5EV 60-69 years, female 151.5
GTEX-11EQ9-2126-SM-5PNVW 30-39 years, male 151.3
GTEX-Y3I4-2326-SM-4TT81 50-59 years, male 151.3
GTEX-13X6K-0326-SM-5Q5D6 60-69 years, female 151.0
GTEX-WWYW-0526-SM-3NB2W 50-59 years, female 150.6
GTEX-145ME-2026-SM-5SIA5 40-49 years, female 150.5
GTEX-14C38-0426-SM-5TDDZ 50-59 years, male 150.4
GTEX-1HC8U-2626-SM-CNPPH 40-49 years, female 150.3
GTEX-146FH-0526-SM-5QGQ3 50-59 years, female 150.1
GTEX-WFON-2326-SM-3LK7M 40-49 years, male 150.1
GTEX-1GN1U-2226-SM-9MQK1 50-59 years, female 150.0
GTEX-144GL-0326-SM-5QGOY 50-59 years, male 149.9
GTEX-1PPGY-0426-SM-DTXFE 60-69 years, male 149.9
GTEX-1445S-0626-SM-5LU3C 60-69 years, male 149.8
GTEX-13111-2226-SM-5LZUE 50-59 years, male 149.5
GTEX-132AR-1026-SM-5PNVL 50-59 years, female 149.1
GTEX-131XW-0326-SM-5KM1J 50-59 years, female 148.9
GTEX-18A6Q-0326-SM-718AT 60-69 years, male 148.9
GTEX-1GPI7-0426-SM-7RHHP 20-29 years, male 148.8
GTEX-1MCC2-2726-SM-EWRN3 30-39 years, female 148.5
GTEX-ZVT3-0526-SM-5GIE9 60-69 years, female 148.4
GTEX-1GZ4I-0526-SM-9YFLX 50-59 years, male 148.4
GTEX-U8T8-1426-SM-3DB9H 60-69 years, male 148.3
GTEX-12ZZX-0326-SM-5DUVH 40-49 years, female 148.1
GTEX-1HCUA-2326-SM-ACKVJ 50-59 years, female 148.1
GTEX-1HCU7-0426-SM-D3L8Q 50-59 years, male 148.0
GTEX-183FY-0226-SM-7LG54 20-29 years, male 147.8
GTEX-YFC4-1026-SM-5RQJM 40-49 years, female 147.7
GTEX-1EMGI-0326-SM-9MQM5 60-69 years, male 147.6
GTEX-145LV-2326-SM-5LU8Z 50-59 years, male 147.4
GTEX-147JS-0526-SM-5TDD3 60-69 years, male 147.0
GTEX-14BIM-0326-SM-5SI9B 60-69 years, female 146.9
GTEX-1JN6P-0526-SM-COH33 60-69 years, male 146.9
GTEX-139TU-0526-SM-5J2M8 60-69 years, male 146.3
GTEX-15UF6-1026-SM-7KUF7 70-79 years, female 146.3
GTEX-WY7C-2526-SM-3NB2N 50-59 years, male 146.3
GTEX-1HB9E-0326-SM-D3LA5 50-59 years, male 146.2
GTEX-11P7K-1926-SM-5GU6R 30-39 years, male 146.1
GTEX-1C6VR-2526-SM-7DHMT 60-69 years, male 146.1
GTEX-1GF9V-0126-SM-9WYT2 60-69 years, male 146.0
GTEX-1H2FU-0526-SM-ACKXO 60-69 years, female 145.9
GTEX-R55C-1726-SM-3GADJ 40-49 years, male 145.3
GTEX-XQ8I-0626-SM-4BOPT 50-59 years, male 145.3
GTEX-QVUS-0226-SM-3GIJY 60-69 years, female 145.2
GTEX-RWSA-0726-SM-2XCBE 40-49 years, male 145.2
GTEX-ZTX8-1626-SM-51MRY 20-29 years, male 145.1
GTEX-1I1GT-0726-SM-B2LWN 60-69 years, female 145.1
GTEX-11DXW-0726-SM-5H12J 40-49 years, male 145.0
GTEX-R55E-0526-SM-2TC6B 20-29 years, male 145.0
GTEX-11DZ1-0926-SM-5EQ5R 50-59 years, male 144.8
GTEX-P44H-0426-SM-2XCEZ 40-49 years, male 144.5
GTEX-11VI4-1926-SM-5CVLI 40-49 years, female 144.4
GTEX-1GTWX-0326-SM-9WYTP 60-69 years, male 144.3
GTEX-15SDE-2326-SM-6PAL4 50-59 years, female 144.0
GTEX-PWCY-2026-SM-5SI8R 20-29 years, female 144.0
GTEX-ZF28-0526-SM-4WKGW 60-69 years, male 143.8
GTEX-17GQL-1926-SM-718B9 60-69 years, male 143.5
GTEX-1B8SG-0326-SM-73KXW 50-59 years, male 143.5
GTEX-ZZPT-0626-SM-5GZXT 50-59 years, male 143.4
GTEX-139D8-0726-SM-5P9GJ 30-39 years, female 143.2
GTEX-13N11-2726-SM-5L3ER 50-59 years, female 143.2
GTEX-13OVK-1926-SM-6M48G 40-49 years, male 143.2
GTEX-1R7EV-2026-SM-DTX83 40-49 years, male 143.0
GTEX-1AYD5-2226-SM-73KX3 50-59 years, male 142.8
GTEX-1C6WA-0326-SM-7DUGE 60-69 years, male 142.8
GTEX-17HGU-0626-SM-7939Y 50-59 years, male 142.6
GTEX-1IDJF-0326-SM-ADEIG 20-29 years, male 142.6
GTEX-13OVI-1726-SM-5L3DW 60-69 years, female 142.5
GTEX-1A32A-0526-SM-731B9 50-59 years, female 142.5
GTEX-NFK9-0626-SM-2HMIV 40-49 years, male 142.3
GTEX-QV31-1426-SM-2S1QD 30-39 years, male 142.2
GTEX-1QW4Y-1726-SM-EWRN1 30-39 years, male 142.1
GTEX-TKQ2-0826-SM-33HB6 50-59 years, male 141.9
GTEX-12126-0526-SM-5PNW4 20-29 years, male 141.6
GTEX-144GM-2026-SM-5LU3D 20-29 years, male 141.5
GTEX-S32W-2326-SM-2XCAW 50-59 years, female 141.5
GTEX-1S83E-2126-SM-EWRO6 40-49 years, male 141.5
GTEX-13PVR-2526-SM-5RQIT 60-69 years, female 141.4
GTEX-14PJ4-2426-SM-6EU1U 60-69 years, male 141.4
GTEX-16AAH-1826-SM-7939D 50-59 years, male 141.4
GTEX-1B933-0426-SM-7DHMC 50-59 years, female 141.4
GTEX-XBEC-0626-SM-4QARY 50-59 years, male 141.1
GTEX-13RTK-1626-SM-5QGQS 20-29 years, male 140.9
GTEX-QCQG-2126-SM-DTXFV 50-59 years, female 140.7
GTEX-14DAQ-0326-SM-664MR 60-69 years, female 140.5
GTEX-117YX-2526-SM-5EQ4Q 50-59 years, male 140.1
GTEX-S95S-1426-SM-2XCDM 60-69 years, male 140.0
GTEX-ZY6K-2026-SM-5GZXQ 50-59 years, male 139.8
GTEX-1HR9M-0326-SM-CL549 60-69 years, male 139.8
GTEX-11EMC-2626-SM-59864 60-69 years, female 139.7
GTEX-11OF3-2526-SM-5P9JL 60-69 years, male 139.7
GTEX-1C64O-0326-SM-73KVW 60-69 years, male 139.2
GTEX-Z9EW-1726-SM-5CVMO 40-49 years, male 139.2
GTEX-ZLFU-2526-SM-DO91K 40-49 years, male 139.2
GTEX-14ICL-1926-SM-5RQIZ 30-39 years, male 139.0
GTEX-17KNJ-2426-SM-7DHLR 50-59 years, male 139.0
GTEX-PX3G-1626-SM-2S1PT 20-29 years, female 139.0
GTEX-ZAB4-0426-SM-5HL7N 40-49 years, male 139.0
GTEX-15RIG-0426-SM-7KUF4 40-49 years, male 138.9
GTEX-1JKYN-1826-SM-ARZMZ 30-39 years, male 138.7
GTEX-X8HC-0526-SM-4E3JA 50-59 years, female 138.2
GTEX-17EVP-1326-SM-7DHMR 40-49 years, male 138.1
GTEX-OHPN-2726-SM-2I5H4 60-69 years, female 137.9
GTEX-12WSN-2526-SM-5LZU8 40-49 years, male 137.5
GTEX-14DAR-1826-SM-664N1 50-59 years, male 137.5
GTEX-ZF3C-0326-SM-4WWBF 50-59 years, female 137.2
GTEX-1LH75-2626-SM-E9TKL 50-59 years, female 137.1
GTEX-1QP2A-0526-SM-E8VN5 50-59 years, male 136.8
GTEX-14ASI-0526-SM-5QGQP 60-69 years, male 136.5
GTEX-15ETS-0326-SM-6PANH 40-49 years, female 136.5
GTEX-T6MN-0526-SM-32PMS 50-59 years, male 136.5
GTEX-12584-0526-SM-5FQTS 40-49 years, male 136.3
GTEX-SN8G-0326-SM-32PLG 50-59 years, female 136.3
GTEX-1J8QM-2226-SM-CYPSK 60-69 years, female 136.3
GTEX-1HCVE-0326-SM-CGQEW 50-59 years, male 136.1
GTEX-14PJ2-0326-SM-6EU2Q 50-59 years, male 135.9
GTEX-SNOS-1526-SM-32PLW 40-49 years, male 135.9
GTEX-1JMQL-0126-SM-CY8HN 50-59 years, female 135.6
GTEX-15RJ7-2426-SM-6M48L 40-49 years, male 135.4
GTEX-Y111-0326-SM-4SOIX 50-59 years, male 135.4
GTEX-ZUA1-0326-SM-5NQA3 40-49 years, male 135.2
GTEX-ZYW4-0526-SM-5GZZ5 60-69 years, male 135.1
GTEX-N7MS-0426-SM-2YUN6 60-69 years, male 134.6
GTEX-QDVJ-1926-SM-2S1PJ 50-59 years, male 134.4
GTEX-1J1R8-2326-SM-CKZPS 40-49 years, male 134.2
GTEX-1LVAM-0326-SM-DIPFL 50-59 years, female 134.2
GTEX-1I6K7-0326-SM-B2LXO 40-49 years, male 134.1
GTEX-1IDJV-0426-SM-COH3Z 60-69 years, male 134.0
GTEX-1HSMO-0526-SM-ACKXB 60-69 years, male 133.8
GTEX-1IGQW-0526-SM-CKZO3 60-69 years, male 133.8
GTEX-1QP28-0526-SM-E8VNR 50-59 years, female 133.4
GTEX-11GSO-2526-SM-5PNVX 60-69 years, male 133.3
GTEX-1HSKV-0126-SM-E6CI1 60-69 years, male 133.3
GTEX-13FHO-0726-SM-5IJDG 60-69 years, male 133.2
GTEX-15DZA-2026-SM-6PANE 30-39 years, female 133.1
GTEX-XPVG-2526-SM-4B66D 50-59 years, male 133.0
GTEX-ZPCL-2026-SM-57WFD 60-69 years, female 133.0
GTEX-U412-0326-SM-3DB9L 60-69 years, male 132.8
GTEX-OIZF-1626-SM-2YUNE 60-69 years, male 132.8
GTEX-17HHY-0326-SM-7938H 50-59 years, male 132.6
GTEX-XUYS-0326-SM-47JX2 50-59 years, male 132.5
GTEX-XPT6-2026-SM-4B64V 20-29 years, male 132.4
GTEX-1H3VY-0326-SM-9WYU6 50-59 years, male 132.3
GTEX-1GMRU-0326-SM-9WYT6 50-59 years, male 132.2
GTEX-1S5VW-0526-SM-E6CHL 60-69 years, male 132.2
GTEX-1S82P-0326-SM-E9TIR 60-69 years, female 132.0
GTEX-18D9B-0426-SM-7LTAR 60-69 years, male 131.8
GTEX-1K2DU-2526-SM-D3L8V 20-29 years, male 131.8
GTEX-13OW7-0326-SM-5J1MP 50-59 years, male 131.7
GTEX-ZXG5-0326-SM-5GICH 60-69 years, male 131.6
GTEX-139TS-2626-SM-5J1MT 60-69 years, male 131.5
GTEX-1JN76-0326-SM-ARZNJ 20-29 years, female 131.4
GTEX-13OVL-1426-SM-5IJC1 50-59 years, male 131.1
GTEX-12BJ1-2526-SM-5FQUE 60-69 years, male 131.0
GTEX-13OW6-0626-SM-5L3IB 50-59 years, male 130.6
GTEX-ZQG8-1226-SM-51MRX 60-69 years, female 130.6
GTEX-1KAFJ-2326-SM-D3L8Z 50-59 years, male 130.6
GTEX-ZGAY-0726-SM-DO91O 40-49 years, female 130.6
GTEX-15RIE-2426-SM-7KUDS 60-69 years, male 130.5
GTEX-XMD2-0526-SM-4YCDI 60-69 years, female 130.0
GTEX-V955-2426-SM-3GAEF 60-69 years, male 129.9
GTEX-1K2DA-2226-SM-CGQGM 50-59 years, male 129.9
GTEX-14E6E-2026-SM-664N5 30-39 years, male 129.8
GTEX-11UD1-0326-SM-5EQKX 40-49 years, female 129.6
GTEX-W5WG-1926-SM-4KKZK 50-59 years, female 129.4
GTEX-16Z82-0126-SM-7DHLF 60-69 years, male 129.2
GTEX-X88G-0326-SM-47JZ4 30-39 years, male 129.1
GTEX-1E2YA-0526-SM-7P8RY 50-59 years, male 129.1
GTEX-1PIGE-0226-SM-E76OT 20-29 years, male 129.1
GTEX-13NZB-2626-SM-5J2M7 30-39 years, male 128.8
GTEX-15CHQ-0726-SM-6EU18 60-69 years, male 128.7
GTEX-1MJIX-2126-SM-E9J3A 40-49 years, male 128.3
GTEX-11ZTT-2626-SM-5EQKK 60-69 years, female 128.2
GTEX-1MUQO-0226-SM-E9TJL 60-69 years, male 128.1
GTEX-13O3P-0626-SM-5L3D5 50-59 years, male 127.9
GTEX-15EO6-2826-SM-6PANB 50-59 years, male 127.5
GTEX-1IKOH-0126-SM-COH4D 60-69 years, female 127.3
GTEX-14PK6-2126-SM-6ETZV 70-79 years, female 127.0
GTEX-X5EB-2326-SM-46MW5 40-49 years, male 126.8
GTEX-15DCD-0626-SM-7KUG7 70-79 years, female 126.7
GTEX-UJMC-1826-SM-3GADT 50-59 years, male 126.7
GTEX-15SKB-2526-SM-6PALP 60-69 years, male 126.5
GTEX-RWS6-2126-SM-2XCAV 60-69 years, female 126.3
GTEX-ZVZO-0326-SM-5HL4N 40-49 years, male 126.2
GTEX-ZVP2-2126-SM-5GU6E 50-59 years, male 126.0
GTEX-16NPX-0626-SM-7KULB 50-59 years, male 125.7
GTEX-13NYC-0726-SM-5J2NQ 60-69 years, male 125.6
GTEX-17HG3-2726-SM-7DHL5 30-39 years, female 125.6
GTEX-12WSD-0526-SM-5EQ6F 60-69 years, female 125.5
GTEX-13QIC-1226-SM-5K7YR 60-69 years, female 124.6
GTEX-PLZ5-1726-SM-2I5F6 50-59 years, male 124.5
GTEX-WRHK-1626-SM-3MJFH 20-29 years, female 124.5
GTEX-ZZ64-1526-SM-5E43K 20-29 years, male 124.4
GTEX-13JUV-2326-SM-5IJCE 40-49 years, female 124.2
GTEX-18D9A-1826-SM-718BK 30-39 years, female 124.1
GTEX-1IY9M-0326-SM-ARZMN 60-69 years, male 124.0
GTEX-1QCLZ-0326-SM-DTXG2 60-69 years, female 124.0
GTEX-13JVG-0126-SM-5L3D3 60-69 years, male 123.7
GTEX-13W3W-2626-SM-5SIA2 60-69 years, female 123.6
GTEX-1NHNU-1226-SM-DTX8I 50-59 years, male 123.6
GTEX-1C2JI-2126-SM-793CG 50-59 years, male 123.3
GTEX-1HBPN-0526-SM-A9SM6 50-59 years, male 123.3
GTEX-XMD1-0626-SM-EZ6MC 60-69 years, male 123.2
GTEX-S7PM-0526-SM-3NM92 60-69 years, male 122.7
GTEX-1CB4J-1226-SM-7P8P3 60-69 years, male 122.7
GTEX-ZV68-0526-SM-59HKI 50-59 years, female 122.4
GTEX-1B932-0526-SM-73KU7 40-49 years, female 122.2
GTEX-1CB4E-2126-SM-793AP 60-69 years, male 122.2
GTEX-1IL2V-0526-SM-ARL8B 70-79 years, male 122.2
GTEX-1K9T9-0326-SM-EWRNQ 50-59 years, female 122.2
GTEX-1HBPH-0826-SM-ARZNB 40-49 years, female 121.9
GTEX-14PJN-2126-SM-6AJBM 30-39 years, male 121.7
GTEX-13RTJ-2726-SM-73KVG 60-69 years, male 121.6
GTEX-Y8DK-0326-SM-4TT3P 60-69 years, male 121.6
GTEX-13FH7-2126-SM-5L3DJ 50-59 years, female 121.3
GTEX-1EH9U-0326-SM-7P8S2 60-69 years, male 121.3
GTEX-TMZS-0326-SM-3DB9P 60-69 years, male 120.9
GTEX-RN64-0326-SM-2TC5J 50-59 years, male 120.8
GTEX-ZYFG-2426-SM-5GIE8 60-69 years, female 120.8
GTEX-11ONC-2426-SM-5GU7H 60-69 years, male 120.7
GTEX-13OW5-0326-SM-5L3HK 60-69 years, male 120.3
GTEX-15SHV-2526-SM-6PAMG 60-69 years, male 120.3
GTEX-1CB4I-0326-SM-7DHMM 50-59 years, male 120.3
GTEX-11EM3-2126-SM-5H11M 20-29 years, female 120.2
GTEX-1I1GP-2126-SM-CKZPJ 50-59 years, male 120.2
GTEX-1LVAO-0526-SM-EWRNS 60-69 years, male 119.8
GTEX-ZA64-2026-SM-5PNXT 20-29 years, male 119.7
GTEX-12WSA-0726-SM-5FQU2 60-69 years, male 119.2
GTEX-XOT4-0526-SM-4B66O 60-69 years, female 118.7
GTEX-V1D1-2426-SM-3GAER 50-59 years, male 118.6
GTEX-14C5O-0626-SM-664N2 60-69 years, male 118.4
GTEX-SSA3-0326-SM-32QPS 60-69 years, male 118.4
GTEX-1IDJE-2426-SM-ACKWF 50-59 years, female 118.3
GTEX-139T6-2026-SM-5IFFL 50-59 years, male 118.2
GTEX-1I1GU-2126-SM-CGQF9 40-49 years, male 117.9
GTEX-12WSJ-1726-SM-5LZVV 40-49 years, female 117.8
GTEX-1C475-1726-SM-73KVX 40-49 years, female 117.8
GTEX-QXCU-1726-SM-2TC6L 50-59 years, male 117.7
GTEX-13RTL-0326-SM-7LT89 40-49 years, male 117.6
GTEX-YB5E-2226-SM-5IFJ5 40-49 years, male 117.3
GTEX-1HFI7-1926-SM-A96TQ 50-59 years, female 117.3
GTEX-1HSGN-0326-SM-ACKXQ 40-49 years, female 117.3
GTEX-1BAJH-0126-SM-7DHMF 70-79 years, male 117.1
GTEX-1C64N-0326-SM-7P8QC 50-59 years, male 117.1
GTEX-1PIEJ-0326-SM-EVYB5 20-29 years, female 117.1
GTEX-147F3-0226-SM-5NQBV 50-59 years, female 116.9
GTEX-OIZG-1326-SM-2HMIQ 50-59 years, male 116.6
GTEX-131XG-2326-SM-5HL8F 50-59 years, female 116.0
GTEX-13W46-0726-SM-5LU3Z 50-59 years, male 115.8
GTEX-TSE9-0526-SM-3DB7Z 60-69 years, female 115.7
GTEX-1GF9X-2126-SM-7PBXN 40-49 years, female 115.7
GTEX-1I6K6-0326-SM-CJI4A 30-39 years, male 115.7
GTEX-14PII-0626-SM-69LPY 60-69 years, male 114.9
GTEX-ZAKK-0326-SM-5EGHA 70-79 years, male 114.9
GTEX-1HFI6-0426-SM-B2LXB 40-49 years, male 114.9
GTEX-1RB15-2226-SM-DTXFZ 60-69 years, male 114.9
GTEX-15DDE-0526-SM-6ETZQ 50-59 years, female 114.8
GTEX-Y114-2526-SM-4TT8M 50-59 years, female 114.8
GTEX-1I4MK-2326-SM-ADEHR 50-59 years, female 114.7
GTEX-144GN-2426-SM-5LU4R 50-59 years, male 114.6
GTEX-13PDP-0326-SM-5K7XP 60-69 years, male 114.5
GTEX-OHPL-1626-SM-2HMIR 60-69 years, female 114.1
GTEX-1IDJU-2426-SM-ARZM9 60-69 years, female 113.8
GTEX-1GZ4H-1626-SM-7PC3F 50-59 years, female 113.5
GTEX-1A8G7-0326-SM-72D5B 60-69 years, male 113.4
GTEX-15F5U-1826-SM-6LLJF 40-49 years, male 113.3
GTEX-OOBK-1626-SM-2HMKG 40-49 years, male 113.3
GTEX-QESD-1626-SM-2S1RB 20-29 years, male 113.3
GTEX-1I1GQ-0326-SM-A9SKS 50-59 years, male 113.2
GTEX-OXRL-1626-SM-2YUMU 50-59 years, male 113.1
GTEX-U8XE-0726-SM-3DB8O 30-39 years, male 113.0
GTEX-13SLW-0326-SM-5RQK5 70-79 years, male 112.8
GTEX-1HSEH-0326-SM-A9G26 60-69 years, male 112.8
GTEX-RNOR-0526-SM-2TF4O 50-59 years, female 112.7
GTEX-RU72-1326-SM-2TF6T 50-59 years, female 112.6
GTEX-1A8FM-0526-SM-7P8SF 50-59 years, female 112.6
GTEX-S33H-2226-SM-DKPOP 30-39 years, male 112.3
GTEX-1AX9K-2726-SM-7DHMA 50-59 years, male 111.9
GTEX-ZV7C-2426-SM-5NQ7Q 50-59 years, male 111.9
GTEX-ZP4G-2026-SM-57WEH 20-29 years, female 111.7
GTEX-SUCS-1626-SM-32PLS 70-79 years, male 111.4
GTEX-13FTZ-2226-SM-5LZXI 60-69 years, male 111.3
GTEX-ZVT2-2426-SM-57WCQ 50-59 years, female 111.3
GTEX-1H1E6-2126-SM-9KNVM 30-39 years, male 111.3
GTEX-1EU9M-0126-SM-7P8P8 60-69 years, male 111.2
GTEX-11O72-0326-SM-5986D 40-49 years, male 110.3
GTEX-11OC5-0326-SM-5PNW5 60-69 years, male 110.3
GTEX-UTHO-0726-SM-3GAEN 60-69 years, male 110.2
GTEX-Y8LW-2026-SM-4V6G8 50-59 years, female 110.2
GTEX-1LG7Y-0126-SM-E6CJ8 50-59 years, male 110.2
GTEX-OHPK-1626-SM-2YUN3 50-59 years, female 110.1
GTEX-1ICLZ-0626-SM-ARL83 60-69 years, male 109.9
GTEX-16BQI-0326-SM-6PAM4 30-39 years, female 109.8
GTEX-1F5PK-2626-SM-7RHH6 50-59 years, male 109.6
GTEX-1R9PM-2226-SM-E8VOC 20-29 years, male 109.6
GTEX-11DXX-2726-SM-5PNXO 60-69 years, female 109.5
GTEX-1IL2U-0726-SM-EAZ2Y 60-69 years, male 109.5
GTEX-1J8Q3-1426-SM-CKZPU 60-69 years, male 109.4
GTEX-139YR-2526-SM-5IJC6 50-59 years, male 109.3
GTEX-14E6D-0326-SM-62LDX 50-59 years, male 109.3
GTEX-14PQA-0526-SM-7KUFS 50-59 years, female 109.2
GTEX-WHPG-2226-SM-3NMBO 50-59 years, male 109.1
GTEX-11TTK-0326-SM-5BC5N 60-69 years, female 108.7
GTEX-1S82Y-2226-SM-EWRNV 40-49 years, male 108.3
GTEX-RUSQ-1726-SM-2TF68 50-59 years, male 107.8
GTEX-1IKK5-0426-SM-CL53X 60-69 years, male 107.7
GTEX-1J8EW-0326-SM-CYPSX 60-69 years, female 107.7
GTEX-1HSMP-0326-SM-A9SMC 70-79 years, male 107.6
GTEX-POYW-0526-SM-2XCEY 60-69 years, male 107.5
GTEX-1B97I-2026-SM-7DHN2 40-49 years, male 107.1
GTEX-14PJ3-2026-SM-5ZZVK 50-59 years, male 107.0
GTEX-WHSB-1826-SM-3TW8M 50-59 years, male 106.9
GTEX-1GF9U-2326-SM-7RHH9 40-49 years, female 106.9
GTEX-17HII-0426-SM-793A3 50-59 years, male 106.7
GTEX-Q734-2026-SM-3GADA 40-49 years, female 106.5
GTEX-XBED-2626-SM-4E3J5 60-69 years, male 106.4
GTEX-15SB6-1826-SM-6PALN 50-59 years, female 106.3
GTEX-1477Z-1626-SM-5SIA8 60-69 years, male 106.2
GTEX-XGQ4-2326-SM-4AT53 50-59 years, male 106.1
GTEX-XUW1-0826-SM-4BOP6 50-59 years, female 106.1
GTEX-1MCYP-2026-SM-DTXE4 20-29 years, female 106.1
GTEX-1KANC-1626-SM-E6CIA 50-59 years, female 106.0
GTEX-11DXZ-2426-SM-5N9DT 50-59 years, male 105.8
GTEX-1211K-2126-SM-59HJZ 60-69 years, female 105.8
GTEX-X4XY-0626-SM-4E3IN 60-69 years, male 105.8
GTEX-183WM-0426-SM-731B1 70-79 years, female 105.5
GTEX-18A66-0126-SM-731CQ 60-69 years, male 105.3
GTEX-13NYS-0326-SM-5MR4L 60-69 years, male 105.1
GTEX-13O21-1726-SM-5MR5A 50-59 years, male 105.1
GTEX-145LT-1626-SM-5O992 40-49 years, male 105.1
GTEX-SIU8-0526-SM-2XCDP 50-59 years, male 105.1
GTEX-1F88E-1826-SM-9MQLV 60-69 years, female 105.0
GTEX-17F97-0526-SM-7DUF8 50-59 years, male 104.6
GTEX-1P4AB-0326-SM-EXUT3 50-59 years, male 104.6
GTEX-1GMR8-0326-SM-9KNUO 50-59 years, female 104.5
GTEX-14PJ6-2326-SM-6ETZR 60-69 years, female 104.4
GTEX-1L5NE-2226-SM-CXZKS 50-59 years, male 104.3
GTEX-SE5C-1826-SM-2XCE4 40-49 years, female 104.1
GTEX-TMMY-0426-SM-33HBB 40-49 years, female 104.1
GTEX-1O9I2-0526-SM-EYYXI 50-59 years, male 104.0
GTEX-18A67-0326-SM-7LG5X 50-59 years, male 103.9
GTEX-139T4-0326-SM-5K7XN 50-59 years, female 103.8
GTEX-11DXY-2726-SM-5GID2 60-69 years, male 103.5
GTEX-1JMPY-1226-SM-CJI3A 30-39 years, male 103.5
GTEX-1QPFJ-0326-SM-E8VO2 30-39 years, female 103.5
GTEX-RTLS-0526-SM-2TF64 60-69 years, female 103.4
GTEX-1CAMS-0126-SM-79396 40-49 years, female 103.3
GTEX-ZEX8-2526-SM-DO92M 50-59 years, male 103.3
GTEX-1E1VI-0426-SM-7DHN1 50-59 years, male 103.2
GTEX-1KANB-0126-SM-E6CJT 50-59 years, male 102.2
GTEX-PW2O-1726-SM-2S1OO 20-29 years, male 102.1
GTEX-1IDFM-1526-SM-ARL7U 60-69 years, male 101.8
GTEX-XAJ8-1026-SM-47JY9 40-49 years, male 101.5
GTEX-1IDJC-2026-SM-ADEIK 50-59 years, male 101.4
GTEX-QDVN-2426-SM-2S1Q4 50-59 years, male 100.8
GTEX-P4QT-1626-SM-DHXIR 50-59 years, female 100.6
GTEX-ZWKS-0326-SM-5NQ7G 30-39 years, male 100.4
GTEX-X261-0326-SM-3NMD4 50-59 years, male 100.1
GTEX-132Q8-0626-SM-5L3F3 60-69 years, male 100.0
GTEX-1GN1W-0726-SM-9KNTV 50-59 years, female 100.0
GTEX-QEG4-0626-SM-2S1OY 30-39 years, male 99.8
GTEX-QLQ7-1726-SM-2S1QQ 60-69 years, male 99.7
GTEX-13FTW-2326-SM-5K7YS 40-49 years, male 99.3
GTEX-139T8-0526-SM-5KLZL 60-69 years, male 98.5
GTEX-WOFL-0626-SM-3MJG3 60-69 years, male 98.5
GTEX-1RQED-0426-SM-E6CJP 60-69 years, male 98.3
GTEX-1CB4H-0426-SM-7MXTL 60-69 years, female 98.2
GTEX-QEL4-0626-SM-3GIJM 50-59 years, male 98.0
GTEX-1J8Q2-0126-SM-E9J2G 60-69 years, male 98.0
GTEX-1192X-0426-SM-5GIEE 50-59 years, male 97.9
GTEX-ZVE2-0626-SM-5GU7I 50-59 years, male 97.9
GTEX-13X6I-0526-SM-5QGP8 60-69 years, male 97.8
GTEX-Q2AH-1826-SM-2S1Q2 40-49 years, male 97.8
GTEX-1LG7Z-2126-SM-CXKYU 30-39 years, male 97.8
GTEX-1H3NZ-0326-SM-9MQL6 60-69 years, male 97.7
GTEX-11XUK-2226-SM-5CVLL 40-49 years, female 97.6
GTEX-1R7EU-0626-SM-DTX9N 60-69 years, male 97.6
GTEX-U3ZM-1226-SM-3DB9G 40-49 years, male 96.9
GTEX-144GO-1326-SM-5Q5EL 60-69 years, male 96.1
GTEX-111CU-2026-SM-5GZZC 50-59 years, male 96.0
GTEX-16MT8-0326-SM-6PAM5 60-69 years, female 95.6
GTEX-1AMFI-2226-SM-731C6 50-59 years, female 94.8
GTEX-13CF2-2726-SM-5LZWW 60-69 years, male 94.6
GTEX-1R9K5-0326-SM-EWRNG 50-59 years, male 94.5
GTEX-11I78-2426-SM-5A5K9 50-59 years, female 94.4
GTEX-13CF3-1826-SM-5J1NK 60-69 years, female 94.4
GTEX-1F48J-0526-SM-9WYSX 50-59 years, female 94.3
GTEX-17EUY-0626-SM-793BE 20-29 years, male 93.8
GTEX-R3RS-0526-SM-3GADG 40-49 years, female 93.5
GTEX-YBZK-0326-SM-59HLN 50-59 years, female 93.3
GTEX-OIZH-1626-SM-2HMKI 50-59 years, male 93.0
GTEX-VJYA-1926-SM-3GIJJ 60-69 years, male 93.0
GTEX-1R9PN-1826-SM-E8VO4 40-49 years, female 93.0
GTEX-PLZ6-1526-SM-2S1OC 30-39 years, male 92.8
GTEX-ZV6S-2126-SM-4YCEM 40-49 years, female 92.8
GTEX-1H1DE-1726-SM-A9G3G 20-29 years, male 92.8
GTEX-144FL-0326-SM-5O99O 50-59 years, male 92.3
GTEX-P4PQ-1626-SM-2HMKK 60-69 years, male 91.9
GTEX-REY6-0826-SM-2TF4S 60-69 years, male 91.9
GTEX-UJHI-1726-SM-3DB9B 50-59 years, female 91.9
GTEX-17F98-1626-SM-7938R 40-49 years, female 91.8
GTEX-1A3MW-0526-SM-731BY 60-69 years, female 91.1
GTEX-13VXT-0326-SM-5LU4U 20-29 years, female 91.0
GTEX-RM2N-1626-SM-2TF5N 50-59 years, male 90.0
GTEX-POMQ-1926-SM-3NB1Y 20-29 years, female 89.9
GTEX-O5YV-2026-SM-2D7VS 60-69 years, female 89.8
GTEX-Y5V6-2626-SM-5IFIX 60-69 years, male 89.5
GTEX-18A7B-0326-SM-7LG65 70-79 years, male 89.4
GTEX-15SHU-0626-SM-7KUFH 40-49 years, female 88.9
GTEX-ZAJG-0526-SM-5S2MT 50-59 years, female 88.9
GTEX-12WSL-2726-SM-5CVNL 50-59 years, male 88.8
GTEX-OXRO-1726-SM-3LK6C 60-69 years, female 88.6
GTEX-17F9E-0226-SM-79OKK 50-59 years, male 88.5
GTEX-1RAZA-0526-SM-E76R2 20-29 years, male 88.3
GTEX-16GPK-0526-SM-7KUER 60-69 years, male 88.2
GTEX-111YS-2326-SM-5987L 60-69 years, male 88.0
GTEX-U3ZG-0326-SM-47JXN 50-59 years, male 88.0
GTEX-Q2AG-0426-SM-2S1PU 40-49 years, female 87.9
GTEX-1B996-0326-SM-7DHMU 60-69 years, male 87.7
GTEX-1HSMQ-1326-SM-ADEHS 50-59 years, male 87.7
GTEX-1A8G6-0126-SM-7DUFY 60-69 years, male 87.6
GTEX-1122O-2426-SM-5GIDN 60-69 years, female 87.4
GTEX-14E6C-1526-SM-664ND 40-49 years, male 87.3
GTEX-13YAN-0526-SM-5O9BE 60-69 years, male 87.2
GTEX-1314G-1726-SM-5LZUX 30-39 years, male 86.9
GTEX-13OW8-1426-SM-5IJDT 60-69 years, male 86.5
GTEX-1F5PL-0426-SM-7P8PR 40-49 years, female 86.4
GTEX-XYKS-2426-SM-4AT43 60-69 years, female 86.2
GTEX-1S82U-1426-SM-E6CJL 30-39 years, female 86.0
GTEX-T5JW-1826-SM-3GAE1 20-29 years, female 85.8
GTEX-145MO-0726-SM-5NQB9 60-69 years, male 85.3
GTEX-1EX96-1526-SM-7PBXK 50-59 years, male 84.9
GTEX-ZF29-2426-SM-DO92G 60-69 years, female 84.1
GTEX-X4XX-0626-SM-3NMC1 60-69 years, male 83.9
GTEX-13QJ3-0726-SM-5SI68 50-59 years, male 83.8
GTEX-13113-5019-SM-7EPH2 60-69 years, female 83.6
GTEX-1B8KE-2226-SM-7939K 50-59 years, male 83.3
GTEX-15SHW-0726-SM-7KUEI 60-69 years, male 83.1
GTEX-16NPV-2426-SM-6M482 50-59 years, female 82.9
GTEX-145MN-2426-SM-5NQA5 30-39 years, male 82.6
GTEX-OXRP-2326-SM-2S1NL 60-69 years, female 82.5
GTEX-ZAB5-2126-SM-5K7UN 50-59 years, male 82.5
GTEX-13IVO-0626-SM-5LZYJ 70-79 years, male 81.7
GTEX-1B8L1-2726-SM-793AL 60-69 years, male 81.7
GTEX-1GN1V-0326-SM-9WYTO 60-69 years, male 81.3
GTEX-U4B1-1626-SM-3DB8N 40-49 years, male 80.8
GTEX-RU1J-1726-SM-2TF5S 20-29 years, female 80.6
GTEX-1JMQJ-0126-SM-E6CI2 50-59 years, male 80.5
GTEX-P44G-0526-SM-2XCD1 30-39 years, male 80.4
GTEX-P4QS-1626-SM-2S1NH 60-69 years, male 80.3
GTEX-17MFQ-1926-SM-793A6 20-29 years, male 79.9
GTEX-12696-2826-SM-5FQTY 60-69 years, male 79.6
GTEX-1399U-2526-SM-5L3DL 50-59 years, female 79.0
GTEX-YEC4-2226-SM-5IFJT 40-49 years, male 79.0
GTEX-ZVZP-2526-SM-57WBR 50-59 years, male 78.9
GTEX-U3ZH-1926-SM-4DXTR 30-39 years, male 78.2
GTEX-PSDG-0426-SM-5SI86 50-59 years, male 78.0
GTEX-Y5V5-2526-SM-4VBQ4 60-69 years, female 76.7
GTEX-1J1OQ-0426-SM-A9SLI 40-49 years, female 76.6
GTEX-17HHE-2126-SM-7DHLO 50-59 years, male 76.3
GTEX-ZZPU-2626-SM-5E45Y 50-59 years, female 76.3
GTEX-169BO-1526-SM-9KNVR 50-59 years, male 76.3
GTEX-ZDYS-1726-SM-5HL4Y 50-59 years, male 76.1
GTEX-R55G-2326-SM-2TC61 40-49 years, female 76.0
GTEX-1F75B-0526-SM-7P8T5 50-59 years, male 75.3
GTEX-R55D-0626-SM-3GAD5 50-59 years, male 74.6
GTEX-11EQ8-0526-SM-5N9BC 60-69 years, male 73.9
GTEX-15CHR-2426-SM-7DUFX 50-59 years, male 73.0
GTEX-146FR-1726-SM-5Q5DT 60-69 years, female 72.0
GTEX-13QBU-2426-SM-5LU4L 40-49 years, female 71.8
GTEX-QLQW-1326-SM-2S1QS 30-39 years, male 71.3
GTEX-P4PP-1626-SM-2HMJF 30-39 years, female 70.7
GTEX-1QCLY-0426-SM-E8VOH 30-39 years, male 70.2
GTEX-1I19N-2026-SM-ACKXJ 70-79 years, male 69.3
GTEX-YB5K-2326-SM-5IFHD 40-49 years, female 68.0
GTEX-QV44-2026-SM-2S1RD 50-59 years, male 66.6
GTEX-X638-0326-SM-47JY1 70-79 years, female 65.0
GTEX-1OFPY-2526-SM-DTXEK 60-69 years, male 64.3
GTEX-PWN1-1626-SM-2S1OL 40-49 years, female 64.2
GTEX-VUSG-2626-SM-4KKZI 50-59 years, male 61.6
GTEX-YF7O-2526-SM-5IFJX 50-59 years, male 55.7
GTEX-14PJ5-2026-SM-6LLIN 60-69 years, female 47.9
GTEX-18QFQ-0326-SM-731C3 30-39 years, male 47.2
GTEX-1H3O1-0626-SM-9MQM4 60-69 years, male 46.6
GTEX-PLZ4-0926-SM-2S1OI 50-59 years, female 46.5
GTEX-13S7M-0326-SM-5S2PH 60-69 years, female 29.9
Show allShow less

SKELETAL MUSCLE - FANTOM5 CAGEi

RNA expression in human tissues obtained through Cap Analysis of Gene Expression (CAGE) generated by the FANTOM5 project are reported as Scaled Tags Per Million.

Max subtype Scaled Tags Per Millioni

Max subtype Scaled Tags Per Million is the value for the subtype with the largest average Scaled Tags Per Million across the subtype samples.

123.6
FANTOM5 sample id Sample description Scaled Tags Per Million
Skeletal muscle
Scaled Tags Per Million: 123.6
FF:10023-101D5 55,79,79 years, mixed 123.6
Skeletal muscle - soleus muscle
Scaled Tags Per Million: 120.9
FF:10282-104F3 male 120.9

Contact

  • NEWS ARTICLES
  • PRESS ROOM

The Project

  • INTRODUCTION
  • ORGANIZATION
  • PUBLICATIONS

The Human Protein Atlas

  • DOWNLOADABLE DATA
  • LICENCE & CITATION
  • HELP & FAQ
The Human Protein Atlas project is funded
by the Knut & Alice Wallenberg Foundation.


contact@proteinatlas.org