We use cookies to enhance the usability of our website. If you continue, we'll assume that you are happy to receive all cookies. More information. Don't show this again.
SEC61G
HPA
RESOURCES
  • TISSUE
  • BRAIN
  • SINGLE CELL
  • SUBCELLULAR
  • CANCER
  • BLOOD
  • CELL LINE
  • STRUCTURE & INTERACTION
ABOUT
  • INTRODUCTION
  • HISTORY
  • ORGANIZATION
  • PUBLICATIONS
  • ANTIBODY SUBMISSION
  • ANTIBODY AVAILABILITY
  • ACKNOWLEDGMENTS
  • CONTACT
NEWS
  • NEWS ARTICLES
  • PRESS ROOM
LEARN
  • DICTIONARY
  • PROTEIN CLASSES
  • PROTEIN EVIDENCE
  • METHODS
  • EDUCATIONAL VIDEOS
DATA
  • DOWNLOADABLE DATA
  • PUBLICATION DATA
  • RELEASE HISTORY
HELP
  • ANTIBODY VALIDATION
  • ASSAYS & ANNOTATION
  • DISCLAIMER
  • HELP & FAQ
  • PRIVACY STATEMENT
  • LICENCE & CITATION
Fields »
Search result

Field
Term
Gene name
Class
Subclass
Class
Keyword
Chromosome
External id
Tissue
Cell type
Expression
Antibody panel
Tissue
Main location
Patient ID
Annotation
Tissue
Category
Tau score
Cluster
Reliability
Brain region
Category
Tau score
Brain region
Category
Tau score
Brain region
Category
Tau score
Cluster
Reliability
Tissue
Cell type
Enrichment
Cell type
Category
Tau score
Cell type
Category
Tau score
Cell type
Category
Tau score
Cell lineage
Category
Tau score
Cluster
Cluster
Location
Searches
Location
Cell line
Class
Type
Phase
Reliability
Cancer
Prognosis
Cancer
Category
Cancer
Category
Tau score
Cluster
Variants
Interacting gene (ensg_id)
Type
Number of interactions
Pathway
Category
Score
Score
Score
Validation
Validation
Validation
Validation
Antibodies
Data type
Column


  • SUMMARY

  • TISSUE

  • BRAIN

  • SINGLE CELL

  • SUBCELL

  • CANCER

  • BLOOD

  • CELL LINE

  • STRUCT & INT

  • SEC61G
TISSUE PRIMARY DATA STOMACH Show tissue menu
ADIPOSE TISSUE ADRENAL GLAND AMYGDALA APPENDIX BASAL GANGLIA BONE MARROW BREAST BRONCHUS CEREBELLUM CEREBRAL CORTEX CERVIX CHOROID PLEXUS COLON DUODENUM
ENDOMETRIUM EPIDIDYMIS ESOPHAGUS FALLOPIAN TUBE GALLBLADDER HEART MUSCLE HIPPOCAMPAL FORMATION HYPOTHALAMUS KIDNEY LIVER LUNG LYMPH NODE MIDBRAIN NASOPHARYNX
ORAL MUCOSA OVARY PANCREAS PARATHYROID GLAND PITUITARY GLAND PLACENTA PROSTATE RECTUM RETINA SALIVARY GLAND SEMINAL VESICLE SKELETAL MUSCLE SKIN SMALL INTESTINE
SMOOTH MUSCLE SOFT TISSUE SPINAL CORD SPLEEN STOMACH TESTIS THYMUS THYROID GLAND TONGUE TONSIL URINARY BLADDER VAGINA
ANTIBODIES
AND
VALIDATION
Dictionary
Tissue proteome
Stomach
STOMACH - Expression summary
Protein expression
Stomachi

On the top, protein expression in current human tissue, based on all annotated cell types, is reported with the units not detected (n), low (l), medium (m) and high (h). Underneath, protein expression in each annotated cell type are reported using the same units.

Protein expression data is based on knowledge-based annotation. For genes where more than one antibody has been used, a collective score is set.

If knowledge-based annotation could not be performed for a gene, no data is displayed here. View antibody staining data further down this page.

h
m
l
n
Glandular cells: Medium
RNA expressioni

A summary of mRNA expression data available for current tissue based on several datasets. The mRNA expression levels in human tissues are based on RNA-seq data generated by the Human Protein Atlas (HPA), Genotype-Tissue Expression (GTEx) portal and CAGE data generated by the FANTOM5 consortium. Consensus normalized expression levels for human tissues was created by combining the data from HPA and GTEx datasets.

The mRNA expression levels in pig are based on RNA-seq data generated by the Human Protein Atlas (HPA), and for mouse, HPA data and in situ hybridization generated by the Allen brain atlas are reported.

Scroll down to view mRNA expression data in more detail.
Consensus:144.9 nTPM
HPA:140.3 nTPM
GTEx:144.9 nTPM

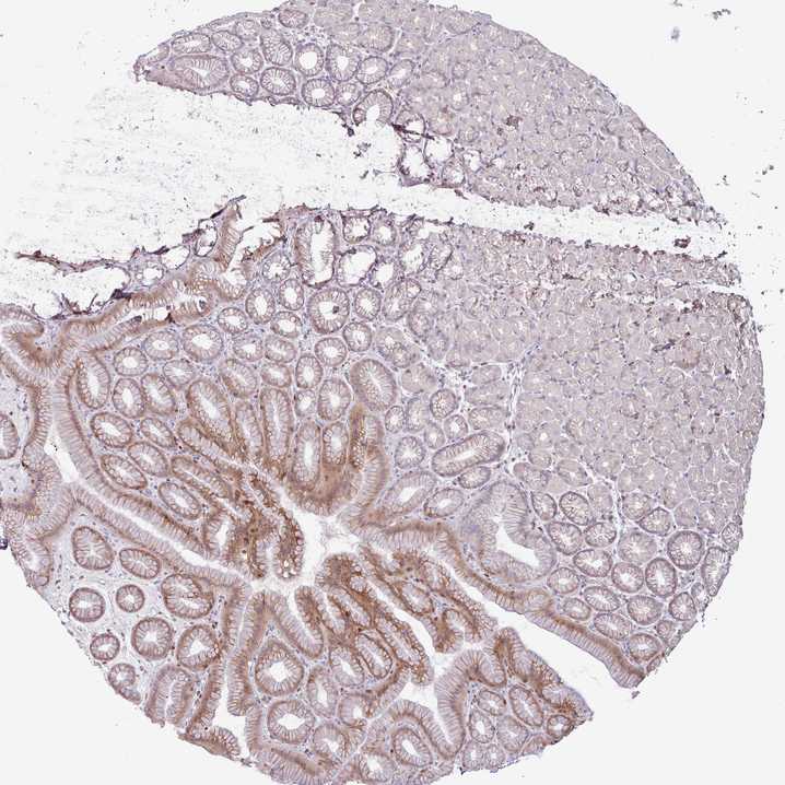
STOMACH 1 - Antibody stainingi

Antibody staining in the annotated cell types in the current human tissue is reported as not detected, low, medium, or high, based on conventional immunohistochemistry profiling in selected tissues. This score is based on the combination of the staining intensity and fraction of stained cells.

Each image is clickable and will lead to virtual microscopy that enables deeper exploration of all samples and also displays staining intensity scores, fraction scores and subcellular localization as well as patient and tissue information for each sample.

Antibody HPA053196
Glandular cells Medium


STOMACH 2 - Antibody stainingi

Antibody staining in the annotated cell types in the current human tissue is reported as not detected, low, medium, or high, based on conventional immunohistochemistry profiling in selected tissues. This score is based on the combination of the staining intensity and fraction of stained cells.

Each image is clickable and will lead to virtual microscopy that enables deeper exploration of all samples and also displays staining intensity scores, fraction scores and subcellular localization as well as patient and tissue information for each sample.

Antibody HPA053196
Glandular cells Medium



STOMACH - HPA RNA-seqi

The RNA-seq details section shows detailed information about the individual samples used for the transcript profiling and results of the RNA-seq analysis.

Information about each individual sample is listed below, including gender, age, a tissue section image and estimated fractions of cell types. nTPM (normalized transcripts per million) values give a quantification of the gene abundance which is comparable between different genes and samples.
Average nTPMi

Max subtype nTPM is the value for the subtype with the largest average nTPM across the subtype samples.

140.3
overview
Female, age 33
Stomach sample 61
nTPM: 145.8
Cell types%
Glandular cells:
60

Smooth muscle cells:
5

Other cell types:
35

N/A
Male, age 82
Stomach sample 240
nTPM: 112
Cell types%
Glandular cells:
65

Smooth muscle cells:
5

Other cell types:
30

overview
Male, age 71
Stomach sample 241
nTPM: 174.3
Cell types%
Glandular cells:
50

Smooth muscle cells:
5

Other cell types:
45

overview
Female, age 66
Stomach sample 369
nTPM: 129.1
Cell types%
Glandular cells:
50

Smooth muscle cells:
10

Other cell types:
40


STOMACH - GTEx RNA-seqi

RNA-Seq data generated by the Genotype-Tissue Expression (GTEx) project from human tissues is reported as mean nTPM. More information can be found on the GTEx portal.

Distribution across the dataset is visualized with box plots, shown as median and 25th and 75th percentiles. Points are displayed as outliers if they are above or below 1.5 times the interquartile range. nTPM values of the individual samples are presented next to the box plot.
Max subtype nTPMi

Max subtype nTPM is the value for the subtype with the largest average nTPM across the subtype samples.

144.9
GTEx sample id Sample description nTPM
Stomach
Average nTPM: 144.9
Samples: 359

Max nTPM: 389.6
Min nTPM: 83.0
Std nTPM: 39.8
Median nTPM: 136.5
GTEX-15RIF-1126-SM-7KUG2 20-29 years, male 389.6
GTEX-ZYVF-2726-SM-5GID4 50-59 years, female 361.8
GTEX-11NUK-2426-SM-5BC4U 50-59 years, male 308.6
GTEX-WHPG-0426-SM-4M1XW 50-59 years, male 303.8
GTEX-11GSP-2126-SM-5HL5E 60-69 years, female 268.9
GTEX-Y5LM-1326-SM-5RQIS 40-49 years, female 255.7
GTEX-1RQEC-2126-SM-DPS15 60-69 years, male 253.8
GTEX-1JN1M-2926-SM-CNNPJ 60-69 years, female 244.6
GTEX-ZYY3-1726-SM-5EGH3 60-69 years, female 241.6
GTEX-15G19-1526-SM-6LPKP 60-69 years, male 240.9
GTEX-1RAZR-1526-SM-EAZ4U 40-49 years, male 236.7
GTEX-WEY5-1226-SM-4LMIQ 40-49 years, female 235.1
GTEX-11NSD-1426-SM-5HL67 20-29 years, male 230.7
GTEX-W5WG-1726-SM-4LMI5 50-59 years, female 224.7
GTEX-17MF6-2126-SM-7KFS7 40-49 years, male 223.9
GTEX-11TT1-0726-SM-5GU5A 20-29 years, male 221.8
GTEX-YJ8A-1526-SM-5P9FT 20-29 years, male 219.6
GTEX-117YW-2226-SM-5N9DB 50-59 years, male 219.2
GTEX-14PJ4-1626-SM-664OB 60-69 years, male 218.6
GTEX-1I1HK-2026-SM-CNNRB 60-69 years, male 218.5
GTEX-1J8JJ-1726-SM-C1YQG 60-69 years, female 218.0
GTEX-11WQK-2626-SM-5EQ4K 50-59 years, male 215.5
GTEX-15G1A-1226-SM-7KUF3 30-39 years, male 214.7
GTEX-WFG8-1326-SM-4LVN3 20-29 years, male 212.4
GTEX-PWN1-1526-SM-48TDA 40-49 years, female 208.0
GTEX-XMK1-1526-SM-EYYVO 40-49 years, male 205.8
GTEX-1JMLX-2426-SM-CXZJQ 50-59 years, male 203.7
GTEX-1LGOU-1526-SM-D3LAJ 20-29 years, female 202.3
GTEX-1HBPI-0726-SM-9WG7Z 50-59 years, male 201.7
GTEX-ZV6S-0926-SM-57WGB 40-49 years, female 201.5
GTEX-ZY6K-0726-SM-5A5L8 50-59 years, male 201.2
GTEX-1MJIX-1126-SM-EV7AO 40-49 years, male 195.2
GTEX-13PVQ-2126-SM-5L3FW 50-59 years, male 194.6
GTEX-14E1K-1526-SM-664MN 50-59 years, male 191.8
GTEX-T5JW-0926-SM-4DM5K 20-29 years, female 191.8
GTEX-15SHW-2126-SM-6M46Y 60-69 years, male 191.1
GTEX-14B4R-0726-SM-5TDDR 30-39 years, male 190.3
GTEX-ZT9W-1526-SM-4YCDE 50-59 years, male 187.6
GTEX-17HII-2426-SM-7KFTT 50-59 years, male 186.6
GTEX-146FH-2126-SM-5SI9U 50-59 years, female 186.2
GTEX-13D11-2126-SM-5IFH2 50-59 years, female 186.0
GTEX-13O61-1126-SM-5L3FI 60-69 years, male 184.3
GTEX-13X6H-1626-SM-5Q5CT 50-59 years, female 184.0
GTEX-U4B1-1026-SM-4DXT1 40-49 years, male 183.4
GTEX-131XG-1226-SM-5EGH9 50-59 years, female 182.8
GTEX-1MUQO-1926-SM-EAZ59 60-69 years, male 182.5
GTEX-WFG7-1326-SM-4LMK1 20-29 years, male 181.6
GTEX-ZQUD-0826-SM-57WDQ 30-39 years, male 181.5
GTEX-132AR-2426-SM-5IFFD 50-59 years, female 177.7
GTEX-13X6J-2126-SM-5TDCV 50-59 years, male 177.6
GTEX-1S831-1126-SM-EWROI 20-29 years, male 177.6
GTEX-12BJ1-1726-SM-5HL9B 60-69 years, male 177.5
GTEX-1H1DG-2126-SM-9WPPB 70-79 years, male 177.4
GTEX-Y3IK-1426-SM-4YCES 50-59 years, female 177.3
GTEX-1339X-1426-SM-5K7YO 40-49 years, male 176.6
GTEX-1A3MX-1926-SM-72D7F 60-69 years, male 176.6
GTEX-13CF3-1926-SM-5K7WF 60-69 years, female 176.5
GTEX-TKQ1-0526-SM-4DXTG 30-39 years, male 176.5
GTEX-17EUY-1526-SM-793CA 20-29 years, male 175.3
GTEX-WH7G-1526-SM-4LVMX 40-49 years, male 175.1
GTEX-1A8G6-1426-SM-731EZ 60-69 years, male 174.0
GTEX-1QPFJ-1526-SM-DPRXT 30-39 years, female 173.5
GTEX-1QMI2-2126-SM-DPRXQ 60-69 years, male 173.3
GTEX-1C475-1026-SM-7MKFJ 40-49 years, female 173.2
GTEX-P4QT-1526-SM-3NMCT 50-59 years, female 173.2
GTEX-RUSQ-1126-SM-EAZAU 50-59 years, male 172.3
GTEX-14PKV-1826-SM-69LO9 20-29 years, female 171.5
GTEX-1JMPZ-1826-SM-CXZJT 30-39 years, male 171.4
GTEX-Q2AI-0826-SM-48TZO 40-49 years, male 171.2
GTEX-1KANA-1126-SM-D3L9M 20-29 years, male 169.7
GTEX-13N1W-2026-SM-5K7YU 70-79 years, male 169.3
GTEX-OHPK-1526-SM-3MJGM 50-59 years, female 168.5
GTEX-R53T-1226-SM-48FCT 50-59 years, female 168.4
GTEX-R55C-1026-SM-48FCM 40-49 years, male 167.5
GTEX-ZLWG-1526-SM-DO12F 50-59 years, female 167.1
GTEX-131XF-1226-SM-5HL8V 60-69 years, male 165.1
GTEX-14BIL-1926-SM-73KYI 50-59 years, male 164.5
GTEX-SUCS-0926-SM-4DM4Z 70-79 years, male 164.4
GTEX-133LE-1326-SM-5IFGO 20-29 years, female 164.3
GTEX-1HCU8-1326-SM-C1YQQ 60-69 years, female 164.3
GTEX-POMQ-0826-SM-3P61H 20-29 years, female 164.2
GTEX-18D9B-2226-SM-718BM 60-69 years, male 163.6
GTEX-1NSGN-1926-SM-E9J36 50-59 years, male 163.6
GTEX-13O21-0926-SM-5IFGT 50-59 years, male 163.1
GTEX-17F9E-2226-SM-7IGNC 50-59 years, male 163.1
GTEX-13OW6-2526-SM-5IJEC 50-59 years, male 162.9
GTEX-1HCUA-1626-SM-A9SMG 50-59 years, female 162.8
GTEX-OIZF-1526-SM-2I5GR 60-69 years, male 162.7
GTEX-WHSB-1226-SM-4M1XR 50-59 years, male 162.6
GTEX-1MCYP-1126-SM-E9J2P 20-29 years, female 161.4
GTEX-12WSJ-0926-SM-5P9JD 40-49 years, female 161.2
GTEX-15EU6-2526-SM-7KUGB 50-59 years, male 161.2
GTEX-1CB4E-1326-SM-7DUGD 60-69 years, male 160.5
GTEX-17HGU-2126-SM-7IGOV 50-59 years, male 159.9
GTEX-15UF7-1226-SM-6M46G 40-49 years, male 159.7
GTEX-PWCY-0926-SM-48TD7 20-29 years, female 159.2
GTEX-P4PQ-1526-SM-3NMCK 60-69 years, male 158.9
GTEX-1AMEY-1226-SM-731DU 30-39 years, female 158.8
GTEX-ZP4G-1226-SM-4WWCJ 20-29 years, female 158.4
GTEX-S4P3-0726-SM-4AD57 50-59 years, female 158.2
GTEX-13S7M-1826-SM-5RQK6 60-69 years, female 158.1
GTEX-1F5PL-1426-SM-7MKFH 40-49 years, female 158.0
GTEX-117YX-1026-SM-5H11V 50-59 years, male 157.6
GTEX-T6MO-0726-SM-4DM58 40-49 years, female 157.1
GTEX-13FTW-1726-SM-5KM2B 40-49 years, male 156.9
GTEX-1F75I-1826-SM-7MKGX 40-49 years, male 156.4
GTEX-O5YW-1526-SM-3MJGL 50-59 years, male 156.4
GTEX-ZZ64-0426-SM-5E43F 20-29 years, male 156.2
GTEX-ZEX8-1626-SM-4WKG7 50-59 years, male 155.8
GTEX-1IDJD-2426-SM-C1YS6 30-39 years, male 155.3
GTEX-SNMC-0626-SM-4DM6H 20-29 years, male 155.2
GTEX-13OVK-0926-SM-7KUFX 40-49 years, male 155.1
GTEX-QV31-0626-SM-447C5 30-39 years, male 155.0
GTEX-P4PP-1526-SM-3P61M 30-39 years, female 154.1
GTEX-ZTX8-0426-SM-59HLG 20-29 years, male 154.0
GTEX-1HR9M-2326-SM-CNPPZ 60-69 years, male 153.9
GTEX-ZV7C-1626-SM-5NQ7E 50-59 years, male 153.5
GTEX-Y5V6-1326-SM-4VDTF 60-69 years, male 153.2
GTEX-QMRM-1126-SM-447BN 50-59 years, male 152.2
GTEX-1JMQJ-1326-SM-D4P3B 50-59 years, male 152.1
GTEX-13U4I-2526-SM-5SI8Z 40-49 years, female 151.6
GTEX-1HKZK-1526-SM-B2LWG 40-49 years, male 151.5
GTEX-1HFI7-1526-SM-9WG7W 50-59 years, female 151.4
GTEX-ZA64-0826-SM-5HL9U 20-29 years, male 150.8
GTEX-144GM-1726-SM-5O9AS 20-29 years, male 149.8
GTEX-OXRK-1626-SM-3NB17 50-59 years, female 149.7
GTEX-PX3G-1526-SM-48U11 20-29 years, female 149.6
GTEX-1QP2A-2126-SM-DPRZ7 50-59 years, male 149.6
GTEX-12WSK-1426-SM-5CVNN 40-49 years, female 149.5
GTEX-WXYG-1626-SM-4ONCR 50-59 years, female 149.5
GTEX-18A67-2626-SM-718AD 50-59 years, male 149.3
GTEX-PLZ5-1226-SM-EXOHA 50-59 years, male 149.3
GTEX-11EM3-1026-SM-5A5KL 20-29 years, female 149.0
GTEX-XBED-1226-SM-4AT5V 60-69 years, male 149.0
GTEX-1I6K7-1726-SM-B2LXQ 40-49 years, male 148.8
GTEX-ZVZP-1726-SM-5GZWY 50-59 years, male 148.2
GTEX-1JKYN-1726-SM-AHZ48 30-39 years, male 148.1
GTEX-OOBJ-1526-SM-3NB1Q 60-69 years, male 148.0
GTEX-ZVT2-1626-SM-51MRC 50-59 years, female 148.0
GTEX-QCQG-0526-SM-48U2A 50-59 years, female 147.7
GTEX-1PIGE-1126-SM-EWRMV 20-29 years, male 147.3
GTEX-YFCO-0826-SM-5LUAG 40-49 years, male 146.6
GTEX-Q2AH-1126-SM-48TZM 40-49 years, male 146.3
GTEX-1H23P-2726-SM-9JGHN 60-69 years, male 145.7
GTEX-R55G-1126-SM-48FDG 40-49 years, female 144.8
GTEX-WRHK-0626-SM-4MVOE 20-29 years, female 144.6
GTEX-1QP29-2326-SM-EXOJO 50-59 years, male 144.6
GTEX-12C56-0526-SM-5FQST 20-29 years, male 144.4
GTEX-1L5NE-1526-SM-DIPFW 50-59 years, male 144.0
GTEX-1GL5R-1926-SM-9WG7U 50-59 years, male 143.9
GTEX-1IDJU-1526-SM-CNNR3 60-69 years, female 143.8
GTEX-T8EM-1226-SM-4DM5J 40-49 years, male 143.3
GTEX-ZDYS-1926-SM-5HL59 50-59 years, male 143.2
GTEX-18A66-2226-SM-7189E 60-69 years, male 143.0
GTEX-QDT8-2026-SM-EZ6LS 30-39 years, female 143.0
GTEX-1KXAM-0926-SM-CXZKA 60-69 years, male 142.9
GTEX-12WSD-2326-SM-59HKQ 60-69 years, female 142.3
GTEX-ZLFU-1326-SM-DO11R 40-49 years, male 142.3
GTEX-14DAR-0926-SM-73KUQ 50-59 years, male 142.2
GTEX-ZAB4-1526-SM-5CVN7 40-49 years, male 141.9
GTEX-12696-1726-SM-5EQLH 60-69 years, male 141.8
GTEX-RM2N-0826-SM-48FD3 50-59 years, male 141.7
GTEX-111CU-0926-SM-5EGIK 50-59 years, male 141.5
GTEX-1QCLZ-1826-SM-DPRXP 60-69 years, female 141.3
GTEX-14ICL-0826-SM-5YY9W 30-39 years, male 141.0
GTEX-OIZH-1526-SM-3NB1J 50-59 years, male 140.7
GTEX-1A3MV-1226-SM-718BW 30-39 years, male 140.2
GTEX-QLQ7-0826-SM-447B3 60-69 years, male 140.2
GTEX-QXCU-1926-SM-48FE4 50-59 years, male 139.8
GTEX-S341-0626-SM-4AD5T 40-49 years, female 139.7
GTEX-1JK1U-1326-SM-AHZ45 60-69 years, male 139.2
GTEX-QDVJ-1426-SM-48U1Y 50-59 years, male 138.7
GTEX-ZVT3-2126-SM-59HL2 60-69 years, female 138.6
GTEX-OHPM-1526-SM-EV796 50-59 years, male 137.8
GTEX-1GMRU-2526-SM-9WG7T 50-59 years, male 137.5
GTEX-ZLV1-0826-SM-DO11P 60-69 years, female 137.4
GTEX-131XE-2226-SM-5PNYX 50-59 years, male 137.1
GTEX-1B97J-1826-SM-7IGPP 50-59 years, female 136.9
GTEX-14PKU-1126-SM-69LOU 40-49 years, female 136.7
GTEX-139YR-1926-SM-5LZXM 50-59 years, male 136.5
GTEX-1QCLY-1126-SM-EAZ4J 30-39 years, male 136.4
GTEX-16NGA-1526-SM-72D56 40-49 years, female 136.0
GTEX-1ICG6-1826-SM-AHZ2O 70-79 years, female 135.9
GTEX-ZPIC-2026-SM-57WG3 40-49 years, female 135.8
GTEX-1122O-1926-SM-5EGIQ 60-69 years, female 135.7
GTEX-Q734-1026-SM-48U16 40-49 years, female 135.4
GTEX-ZGAY-1626-SM-DNZZ3 40-49 years, female 135.1
GTEX-SNOS-0826-SM-4DM5N 40-49 years, male 134.9
GTEX-1I4MK-0926-SM-A9SLD 50-59 years, female 134.9
GTEX-1J8QM-1126-SM-C1YQB 60-69 years, female 134.7
GTEX-18D9A-0626-SM-7KFTY 30-39 years, female 134.3
GTEX-1B8KZ-1226-SM-793CP 50-59 years, male 134.3
GTEX-QDVN-1226-SM-48TZ5 50-59 years, male 134.1
GTEX-1RB15-1026-SM-E9U6V 60-69 years, male 133.9
GTEX-RTLS-2626-SM-46MUJ 60-69 years, female 133.7
GTEX-XUZC-0726-SM-4BOPH 30-39 years, female 133.6
GTEX-ZZPU-1426-SM-5GZZ6 50-59 years, female 132.7
GTEX-1AYCT-1326-SM-7MKHB 50-59 years, male 132.2
GTEX-Y8E4-1526-SM-4WWDI 40-49 years, male 132.2
GTEX-WYVS-1326-SM-4ONCQ 40-49 years, female 132.1
GTEX-14BMU-1126-SM-5RQJ8 20-29 years, female 131.8
GTEX-U3ZN-2026-SM-4DXUC 30-39 years, female 131.5
GTEX-XPVG-1526-SM-4B66C 50-59 years, male 131.4
GTEX-132QS-1826-SM-5IFFN 60-69 years, male 130.9
GTEX-14PJ6-0826-SM-686Z9 60-69 years, female 130.7
GTEX-ZE7O-3026-SM-51MS4 50-59 years, female 130.4
GTEX-13FH7-1026-SM-5IJGF 50-59 years, female 130.2
GTEX-ZF29-1526-SM-4WKF7 60-69 years, female 130.2
GTEX-17KNJ-1526-SM-7LTA9 50-59 years, male 130.0
GTEX-YB5E-1126-SM-664NU 40-49 years, male 129.8
GTEX-1CAMR-0726-SM-7EPIE 20-29 years, male 129.5
GTEX-1H1DE-1226-SM-9JGHH 20-29 years, male 129.5
GTEX-11I78-1726-SM-5A5M3 50-59 years, female 129.3
GTEX-145ME-1026-SM-5O9B4 40-49 years, female 129.3
GTEX-17GQL-1226-SM-7KFTS 60-69 years, male 129.2
GTEX-1B97I-1226-SM-7MGWQ 40-49 years, male 129.2
GTEX-1QW4Y-0726-SM-DTX8E 30-39 years, male 129.2
GTEX-11VI4-0326-SM-5EQ6L 40-49 years, female 128.1
GTEX-1E2YA-2426-SM-7EPIG 50-59 years, male 128.0
GTEX-13FTX-0726-SM-5N9BI 20-29 years, female 127.5
GTEX-S3XE-1026-SM-4AD4O 50-59 years, male 127.4
GTEX-WZTO-2126-SM-4PQYW 40-49 years, male 127.2
GTEX-ZYFG-1326-SM-5GICJ 60-69 years, female 127.2
GTEX-1J8Q3-1926-SM-C1YSJ 60-69 years, male 127.2
GTEX-13111-1226-SM-5GCNC 50-59 years, male 127.1
GTEX-1IL2V-2026-SM-ARZMA 70-79 years, male 126.8
GTEX-111YS-1126-SM-5GZYQ 60-69 years, male 126.5
GTEX-1399R-1126-SM-5IFIO 30-39 years, male 126.4
GTEX-13O3Q-2126-SM-5KM4C 50-59 years, male 126.3
GTEX-1JMPY-0926-SM-ARL92 30-39 years, male 126.3
GTEX-14PHY-0926-SM-5ZZWL 60-69 years, female 126.2
GTEX-1AMFI-1226-SM-731CZ 50-59 years, female 126.2
GTEX-ZPU1-1626-SM-4WWB2 40-49 years, male 126.1
GTEX-1S82Z-1726-SM-E6CHZ 30-39 years, female 126.1
GTEX-YEC3-1426-SM-D4P1S 50-59 years, male 126.1
GTEX-18A7A-2726-SM-7LG6U 50-59 years, female 125.8
GTEX-1GF9U-1126-SM-AHZ4H 40-49 years, female 125.4
GTEX-14PJ3-1426-SM-664O8 50-59 years, male 125.2
GTEX-11P7K-1726-SM-5GU6F 30-39 years, male 125.0
GTEX-UPK5-2126-SM-4JBJK 40-49 years, male 125.0
GTEX-XBEW-1826-SM-4RTWX 40-49 years, male 124.9
GTEX-13PVR-2126-SM-73KVR 60-69 years, female 124.7
GTEX-1AX9J-2626-SM-731EK 60-69 years, male 124.6
GTEX-1399S-1626-SM-5P9GI 30-39 years, female 124.5
GTEX-14PHX-1026-SM-664OL 50-59 years, male 124.5
GTEX-1H1E6-1626-SM-9OSWC 30-39 years, male 124.3
GTEX-ZF2S-1426-SM-57WET 50-59 years, female 124.0
GTEX-11P82-0726-SM-5PNYL 20-29 years, male 123.8
GTEX-Y114-1226-SM-4TT88 50-59 years, female 123.7
GTEX-1LGRB-1726-SM-CNNRA 50-59 years, female 123.7
GTEX-QLQW-0726-SM-447AA 30-39 years, male 123.1
GTEX-RWS6-0926-SM-47JXE 60-69 years, female 123.1
GTEX-16AAH-1226-SM-79OO9 50-59 years, male 122.9
GTEX-1N2DV-0926-SM-E9TJT 40-49 years, male 122.9
GTEX-1QP28-2126-SM-DTX8B 50-59 years, female 122.7
GTEX-1GPI7-1326-SM-9KNVA 20-29 years, male 122.6
GTEX-144GN-1226-SM-5O991 50-59 years, male 122.4
GTEX-V1D1-1726-SM-4JBHB 50-59 years, male 121.8
GTEX-15DCE-1626-SM-6LPJM 20-29 years, male 121.7
GTEX-12WSG-2026-SM-5FQUU 50-59 years, female 121.6
GTEX-14JG6-1226-SM-664O6 30-39 years, female 121.6
GTEX-11DXX-1326-SM-5GIDZ 60-69 years, female 121.3
GTEX-11EQ9-1226-SM-5987E 30-39 years, male 121.2
GTEX-14E6E-0926-SM-664N8 30-39 years, male 121.2
GTEX-1H3VY-2326-SM-9WG81 50-59 years, male 121.1
GTEX-Y8LW-0826-SM-4WWDO 50-59 years, female 120.8
GTEX-1PPH8-1326-SM-DTXFO 20-29 years, male 120.4
GTEX-1LVAM-1426-SM-E9TJ4 50-59 years, female 120.1
GTEX-WY7C-1726-SM-4ONCC 50-59 years, male 119.7
GTEX-V955-1326-SM-4JBHR 60-69 years, male 119.4
GTEX-VJYA-1026-SM-4KL21 60-69 years, male 118.9
GTEX-T5JC-1926-SM-4DM6Q 20-29 years, male 118.8
GTEX-1J8EW-2226-SM-AHZ3T 60-69 years, female 118.6
GTEX-1RMOY-1126-SM-EV79E 50-59 years, male 118.2
GTEX-WYJK-2526-SM-4ONDF 50-59 years, male 118.1
GTEX-YEC4-1426-SM-5IFHS 40-49 years, male 118.0
GTEX-13OVI-2426-SM-5KM4J 60-69 years, female 117.9
GTEX-1GN1W-2126-SM-9JGI7 50-59 years, female 117.4
GTEX-WFON-1126-SM-4LVMA 40-49 years, male 117.1
GTEX-Y9LG-1026-SM-5IFJN 30-39 years, male 116.9
GTEX-13QBU-1126-SM-5LU44 40-49 years, female 116.8
GTEX-13RTK-0226-SM-5RQHR 20-29 years, male 116.8
GTEX-UJHI-1026-SM-4IHJP 50-59 years, female 116.6
GTEX-WFJO-1126-SM-4LVLZ 30-39 years, male 116.5
GTEX-ZVP2-1626-SM-5GU5D 50-59 years, male 116.5
GTEX-PW2O-1226-SM-48TCH 20-29 years, male 115.7
GTEX-1QP67-1026-SM-EVR47 40-49 years, female 115.6
GTEX-X15G-1126-SM-4PQZG 50-59 years, female 115.4
GTEX-1HSEH-1526-SM-B2LXG 60-69 years, male 115.1
GTEX-P78B-1826-SM-3P5YX 40-49 years, female 114.9
GTEX-1H3NZ-2226-SM-9WYUT 60-69 years, male 114.7
GTEX-14DAQ-2826-SM-664MU 60-69 years, female 114.4
GTEX-XV7Q-1326-SM-4BRWM 40-49 years, female 114.3
GTEX-1B8L1-1526-SM-79OLK 60-69 years, male 114.2
GTEX-14PN3-1326-SM-6AJ9U 60-69 years, female 113.9
GTEX-Y3I4-1626-SM-4TT7W 50-59 years, male 112.8
GTEX-S95S-0826-SM-4B64N 60-69 years, male 112.5
GTEX-1HSMQ-2426-SM-CE6RY 50-59 years, male 112.1
GTEX-PLZ6-0826-SM-3P61K 30-39 years, male 111.7
GTEX-15CHR-1326-SM-79OLT 50-59 years, male 111.4
GTEX-1R7EU-1126-SM-EAZ4M 60-69 years, male 111.3
GTEX-17JCI-2226-SM-7LTA1 60-69 years, female 110.9
GTEX-QV44-1226-SM-CJI1S 50-59 years, male 110.9
GTEX-1JN76-0926-SM-ARZNH 20-29 years, female 110.8
GTEX-1S3DN-1526-SM-EVYCB 50-59 years, male 110.5
GTEX-R55D-1526-SM-48FEJ 50-59 years, male 109.8
GTEX-O5YV-1926-SM-EV797 60-69 years, female 109.5
GTEX-1I1GT-1726-SM-C1YS3 60-69 years, female 109.3
GTEX-145MO-2226-SM-5Q5BN 60-69 years, male 108.9
GTEX-1K2DA-0826-SM-CGQGD 50-59 years, male 108.8
GTEX-1CB4H-2426-SM-7PBYR 60-69 years, female 108.7
GTEX-S4UY-1626-SM-4AD55 40-49 years, female 108.5
GTEX-XXEK-0826-SM-4BRWG 50-59 years, male 108.5
GTEX-1B8KE-1326-SM-73KVI 50-59 years, male 108.4
GTEX-1KD5A-1426-SM-D4P3V 50-59 years, male 108.1
GTEX-1LVAN-2426-SM-CNNPZ 50-59 years, female 108.1
GTEX-145MN-1326-SM-5NQ9S 30-39 years, male 107.8
GTEX-1LBAC-1426-SM-CXZKT 20-29 years, male 107.5
GTEX-1211K-1426-SM-5FQTF 60-69 years, female 106.7
GTEX-1LG7Z-1226-SM-DHXK4 30-39 years, male 106.7
GTEX-1C64O-2226-SM-73KTV 60-69 years, male 106.5
GTEX-1F5PK-1826-SM-7RHHX 50-59 years, male 106.1
GTEX-11EI6-2426-SM-5PNVS 60-69 years, male 105.9
GTEX-1EH9U-2226-SM-7PBXX 60-69 years, male 105.9
GTEX-UJMC-1226-SM-4IHLI 50-59 years, male 104.9
GTEX-139D8-2326-SM-5IFGE 30-39 years, female 104.5
GTEX-S7SF-0626-SM-4AD4V 20-29 years, female 104.4
GTEX-1399U-1626-SM-5P9J3 50-59 years, female 104.2
GTEX-S4Q7-0726-SM-4AD5F 20-29 years, male 103.4
GTEX-1H11D-2226-SM-9OSXN 40-49 years, male 103.2
GTEX-13113-0726-SM-5LZUF 60-69 years, female 102.6
GTEX-XQ8I-2026-SM-4BOOL 50-59 years, male 102.6
GTEX-1R9K5-1026-SM-EAZ4F 50-59 years, male 102.1
GTEX-1HBPN-1626-SM-9WPNP 50-59 years, male 101.0
GTEX-18QFQ-1226-SM-718AE 30-39 years, male 100.6
GTEX-NFK9-1526-SM-3LK7B 40-49 years, male 100.5
GTEX-14BMV-2226-SM-5RQHX 50-59 years, male 100.1
GTEX-1MGNQ-1826-SM-DPRYI 40-49 years, male 99.8
GTEX-13QJ3-2726-SM-5SI6L 50-59 years, male 98.9
GTEX-TMMY-1626-SM-4DXTY 40-49 years, female 98.9
GTEX-XAJ8-0326-SM-47JYI 40-49 years, male 98.0
GTEX-1IDJF-1426-SM-ACKWK 20-29 years, male 97.1
GTEX-1LSNM-1026-SM-DHXL2 50-59 years, male 96.7
GTEX-RU1J-0526-SM-46MUT 20-29 years, female 96.5
GTEX-S4Z8-1226-SM-4AD6W 60-69 years, male 95.3
GTEX-1E1VI-2826-SM-7MGWU 50-59 years, male 94.4
GTEX-17F98-1526-SM-7EWD8 40-49 years, female 92.5
GTEX-1HT8W-2326-SM-A9SLA 30-39 years, male 92.5
GTEX-15DZA-1126-SM-6LPK8 30-39 years, female 92.4
GTEX-WHWD-1426-SM-4OORU 50-59 years, male 91.6
GTEX-14PJ5-0826-SM-6AJAR 60-69 years, female 91.4
GTEX-145LT-1426-SM-5O9B3 40-49 years, male 90.7
GTEX-146FR-2026-SM-5NQAI 60-69 years, female 89.2
GTEX-TKQ2-0926-SM-4DXU5 50-59 years, male 89.0
GTEX-1GZ4H-1026-SM-9OSXL 50-59 years, female 88.4
GTEX-OXRL-1526-SM-E6CHQ 50-59 years, male 88.3
GTEX-15RIE-1026-SM-6LPJQ 60-69 years, male 85.8
GTEX-ZXES-1426-SM-5NQ8S 30-39 years, female 85.3
GTEX-17HHE-1026-SM-79ON6 50-59 years, male 83.0
Show allShow less

Contact

  • NEWS ARTICLES
  • PRESS ROOM

The Project

  • INTRODUCTION
  • ORGANIZATION
  • PUBLICATIONS

The Human Protein Atlas

  • DOWNLOADABLE DATA
  • LICENCE & CITATION
  • HELP & FAQ
The Human Protein Atlas project is funded
by the Knut & Alice Wallenberg Foundation.


contact@proteinatlas.org