We use cookies to enhance the usability of our website. If you continue, we'll assume that you are happy to receive all cookies. More information. Don't show this again.
GSTT2B
HPA
RESOURCES
  • TISSUE
  • BRAIN
  • SINGLE CELL
  • SUBCELLULAR
  • CANCER
  • BLOOD
  • CELL LINE
  • STRUCTURE & INTERACTION
ABOUT
  • INTRODUCTION
  • HISTORY
  • ORGANIZATION
  • PUBLICATIONS
  • ANTIBODY SUBMISSION
  • ANTIBODY AVAILABILITY
  • ACKNOWLEDGMENTS
  • CONTACT
NEWS
  • NEWS ARTICLES
  • PRESS ROOM
LEARN
  • DICTIONARY
  • PROTEIN CLASSES
  • PROTEIN EVIDENCE
  • METHODS
  • EDUCATIONAL VIDEOS
DATA
  • DOWNLOADABLE DATA
  • PUBLICATION DATA
  • RELEASE HISTORY
HELP
  • ANTIBODY VALIDATION
  • ASSAYS & ANNOTATION
  • DISCLAIMER
  • HELP & FAQ
  • PRIVACY STATEMENT
  • LICENCE & CITATION
Fields »
Search result

Field
Term
Gene name
Class
Subclass
Class
Keyword
Chromosome
External id
Tissue
Cell type
Expression
Antibody panel
Tissue
Main location
Patient ID
Annotation
Tissue
Category
Tau score
Cluster
Reliability
Brain region
Category
Tau score
Brain region
Category
Tau score
Brain region
Category
Tau score
Cluster
Reliability
Tissue
Cell type
Enrichment
Cell type
Category
Tau score
Cell type
Category
Tau score
Cell type
Category
Tau score
Cell lineage
Category
Tau score
Cluster
Cluster
Location
Searches
Location
Cell line
Class
Type
Phase
Reliability
Cancer
Prognosis
Cancer
Category
Cancer
Category
Tau score
Cluster
Variants
Interacting gene (ensg_id)
Type
Number of interactions
Pathway
Category
Score
Score
Score
Validation
Validation
Validation
Validation
Antibodies
Data type
Column


  • SUMMARY

  • TISSUE

  • BRAIN

  • SINGLE CELL

  • SUBCELL

  • CANCER

  • BLOOD

  • CELL LINE

  • STRUCT & INT

  • GSTT2B
TISSUE PRIMARY DATA COLON Show tissue menu
ADIPOSE TISSUE ADRENAL GLAND AMYGDALA APPENDIX BASAL GANGLIA BONE MARROW BREAST CEREBELLUM CEREBRAL CORTEX CERVIX CHOROID PLEXUS COLON DUODENUM
ENDOMETRIUM EPIDIDYMIS ESOPHAGUS FALLOPIAN TUBE GALLBLADDER HEART MUSCLE HIPPOCAMPAL FORMATION HYPOTHALAMUS KIDNEY LIVER LUNG LYMPH NODE MIDBRAIN
OVARY PANCREAS PARATHYROID GLAND PITUITARY GLAND PLACENTA PROSTATE RECTUM RETINA SALIVARY GLAND SEMINAL VESICLE SKELETAL MUSCLE SKIN SMALL INTESTINE
SMOOTH MUSCLE SPINAL CORD SPLEEN STOMACH TESTIS THYMUS THYROID GLAND TONGUE TONSIL URINARY BLADDER VAGINA
ANTIBODIES
AND
VALIDATION
Dictionary
Colon
Tissue proteome
Intestine
COLON - Expression summary
Protein expressioni

On the top, protein expression in current human tissue, based on all annotated cell types, is reported with the units not detected (n), low (l), medium (m) and high (h). Underneath, protein expression in each annotated cell type are reported using the same units.

Protein expression data is based on knowledge-based annotation. For genes where more than one antibody has been used, a collective score is set.

If knowledge-based annotation could not be performed for a gene, no data is displayed here. View antibody staining data further down this page.

No data
RNA expressioni

A summary of mRNA expression data available for current tissue based on several datasets. The mRNA expression levels in human tissues are based on RNA-seq data generated by the Human Protein Atlas (HPA), Genotype-Tissue Expression (GTEx) portal and CAGE data generated by the FANTOM5 consortium. Consensus normalized expression levels for human tissues was created by combining the data from HPA and GTEx datasets.

The mRNA expression levels in pig are based on RNA-seq data generated by the Human Protein Atlas (HPA), and for mouse, HPA data and in situ hybridization generated by the Allen brain atlas are reported.

Scroll down to view mRNA expression data in more detail.
Consensus:16.6 nTPM
HPA:2.5 nTPM
GTEx:16.6 nTPM

COLON - Annotated protein expression
Pending normal tissue analysis

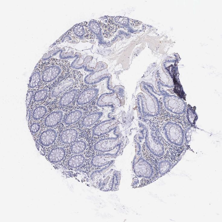
COLON - Antibody stainingi

Antibody staining in the annotated cell types in the current human tissue is reported as not detected, low, medium, or high, based on conventional immunohistochemistry profiling in selected tissues. This score is based on the combination of the staining intensity and fraction of stained cells.

Each image is clickable and will lead to virtual microscopy that enables deeper exploration of all samples and also displays staining intensity scores, fraction scores and subcellular localization as well as patient and tissue information for each sample.

Antibody HPA000750
Endothelial cells Not detected
Glandular cells Low
Peripheral nerve/ganglion Not detected


COLON - HPA RNA-seqi

The RNA-seq details section shows detailed information about the individual samples used for the transcript profiling and results of the RNA-seq analysis.

Information about each individual sample is listed below, including gender, age, a tissue section image and estimated fractions of cell types. nTPM (normalized transcripts per million) values give a quantification of the gene abundance which is comparable between different genes and samples.
Average nTPMi

Max subtype nTPM is the value for the subtype with the largest average nTPM across the subtype samples.

2.5
overview
Male, age 54
Colon sample 67
nTPM: 1.4
Cell types%
Glandular cells:
65

Smooth muscle cells:
10

Other cell types:
25

overview
Female, age 57
Colon sample 68
nTPM: 2
Cell types%
Glandular cells:
40

Smooth muscle cells:
5

Other cell types:
55

overview
Male, age 80
Colon sample 69
nTPM: 0.4
Cell types%
Glandular cells:
55

Smooth muscle cells:
5

Other cell types:
40

overview
Male, age 68
Colon sample 70
nTPM: 2.6
Cell types%
Glandular cells:
35

Smooth muscle cells:
10

Other cell types:
55

overview
Female, age 68
Colon sample 76
nTPM: 1.3
Cell types%
Glandular cells:
25

Smooth muscle cells:
5

Other cell types:
70

overview
Female, age 61
Colon sample 299
nTPM: 7.7
Cell types%
Glandular cells:
5

Smooth muscle cells:
65

Other cell types:
30

overview
Male, age 80
Colon sample 300
nTPM: 1.6
Cell types%
Glandular cells:
15

Smooth muscle cells:
20

Other cell types:
65

overview
Female, age 78
Colon sample 368
nTPM: 1.5
Cell types%
Glandular cells:
45

Smooth muscle cells:
5

Other cell types:
50

overview
Male, age 84
Colon sample 381
nTPM: 3.8
Cell types%
Glandular cells:
50

Smooth muscle cells:
15

Other cell types:
35

overview
Male, age 80
Colon sample 384
nTPM: 1.4
Cell types%
Glandular cells:
20

Smooth muscle cells:
35

Other cell types:
45

overview
Female, age 78
Colon sample 389
nTPM: 4.1
Cell types%
Glandular cells:
35

Smooth muscle cells:
10

Other cell types:
55

overview
Female, age 69
Colon sample 391
nTPM: 2.6
Cell types%
Glandular cells:
10

Smooth muscle cells:
45

Other cell types:
45

overview
Female, age 72
Colon sample 403
nTPM: 1.7
Cell types%
Glandular cells:
20

Smooth muscle cells:
15

Other cell types:
65


COLON - GTEx RNA-seqi

RNA-Seq data generated by the Genotype-Tissue Expression (GTEx) project from human tissues is reported as mean nTPM. More information can be found on the GTEx portal.

Distribution across the dataset is visualized with box plots, shown as median and 25th and 75th percentiles. Points are displayed as outliers if they are above or below 1.5 times the interquartile range. nTPM values of the individual samples are presented next to the box plot.
Max subtype nTPMi

Max subtype nTPM is the value for the subtype with the largest average nTPM across the subtype samples.

16.6
GTEx sample id Sample description nTPM
Colon - Sigmoid
Average nTPM: 16.6
Samples: 373

Max nTPM: 50.7
Min nTPM: 0.1
Std nTPM: 9.9
Median nTPM: 14.8
GTEX-WFG7-1626-SM-4LVMF 20-29 years, male 50.7
GTEX-1S82P-2026-SM-E9TIQ 60-69 years, female 47.0
GTEX-12WSM-1426-SM-5GCPA 60-69 years, male 43.9
GTEX-WXYG-1726-SM-4ONCU 50-59 years, female 43.5
GTEX-11ZTS-1526-SM-5N9G7 60-69 years, female 42.6
GTEX-18A67-2226-SM-7LT9Z 50-59 years, male 42.4
GTEX-18465-2726-SM-7LT9I 50-59 years, male 40.7
GTEX-11EM3-1626-SM-5N9CO 20-29 years, female 40.0
GTEX-11P7K-1826-SM-5HL5A 30-39 years, male 39.9
GTEX-13CF2-1826-SM-5N9GK 60-69 years, male 39.9
GTEX-ZYY3-2226-SM-5E45A 60-69 years, female 39.8
GTEX-17HG3-1126-SM-7DUFC 30-39 years, female 39.6
GTEX-1GN73-2726-SM-9WYUB 60-69 years, male 39.5
GTEX-1I1GR-2226-SM-ARL7F 60-69 years, male 39.2
GTEX-1HCU6-2926-SM-B2LWV 60-69 years, female 37.3
GTEX-1J1OQ-2826-SM-D3L88 40-49 years, female 37.2
GTEX-145LT-0826-SM-5S2QL 40-49 years, male 36.9
GTEX-145ME-1126-SM-5SIAT 40-49 years, female 36.9
GTEX-ZAJG-2626-SM-5S2NU 50-59 years, female 36.6
GTEX-1JMQK-2326-SM-ARZN4 60-69 years, male 36.5
GTEX-Y114-1626-SM-4TT7I 50-59 years, female 36.3
GTEX-145LS-2926-SM-5O99G 60-69 years, female 35.6
GTEX-11DXX-1926-SM-5EGJK 60-69 years, female 34.9
GTEX-13OVK-1026-SM-7KFTC 40-49 years, male 34.8
GTEX-1R9JW-2126-SM-E76QT 30-39 years, female 33.5
GTEX-1I1GT-2026-SM-CKZPK 60-69 years, female 33.3
GTEX-1P4AB-2626-SM-DTXEU 50-59 years, male 33.3
GTEX-1LBAC-1726-SM-D3L9W 20-29 years, male 33.2
GTEX-1JMLX-2526-SM-CY8HX 50-59 years, male 33.1
GTEX-17HHE-1626-SM-7DHLN 50-59 years, male 33.0
GTEX-ZE9C-2126-SM-4WKGY 60-69 years, male 33.0
GTEX-13O61-1526-SM-5KM3P 60-69 years, male 32.7
GTEX-WRHK-1126-SM-4MVOJ 20-29 years, female 32.6
GTEX-X15G-1526-SM-4PQZM 50-59 years, female 32.5
GTEX-XUZC-1526-SM-4BRV4 30-39 years, female 32.3
GTEX-1QCLZ-2026-SM-EAZ4A 60-69 years, female 32.0
GTEX-13PL7-2426-SM-5J2N3 60-69 years, female 31.8
GTEX-15RIF-1426-SM-7KUKQ 20-29 years, male 31.8
GTEX-1JMPY-1026-SM-ARZN1 30-39 years, male 31.8
GTEX-14JG6-1626-SM-5YYBC 30-39 years, female 31.4
GTEX-131XE-1026-SM-5EGKE 50-59 years, male 30.5
GTEX-12KS4-2326-SM-5EGJB 30-39 years, male 30.2
GTEX-1PBJJ-2026-SM-DTX8U 30-39 years, male 30.2
GTEX-1H3VE-2326-SM-9KNVU 40-49 years, male 30.0
GTEX-13U4I-2626-SM-5SI9C 40-49 years, female 29.8
GTEX-13D11-0626-SM-5LZYY 50-59 years, female 29.3
GTEX-11DXY-2026-SM-5N9CZ 60-69 years, male 29.2
GTEX-13OVJ-1826-SM-5KM2D 50-59 years, female 28.9
GTEX-1PIIG-2126-SM-EXUSD 30-39 years, male 28.8
GTEX-1R7EU-1826-SM-DTX9L 60-69 years, male 28.7
GTEX-1QW4Y-1426-SM-E76P3 30-39 years, male 28.6
GTEX-1OFPY-1226-SM-E76OM 60-69 years, male 28.5
GTEX-13SLW-2826-SM-5Q5ES 70-79 years, male 28.4
GTEX-11EQ9-1526-SM-5PNY7 30-39 years, male 28.0
GTEX-1S5ZA-1426-SM-E6CJQ 20-29 years, male 28.0
GTEX-1GMR2-1826-SM-9KNUP 50-59 years, male 27.8
GTEX-1HBPI-2226-SM-9WYTY 50-59 years, male 27.6
GTEX-1212Z-1826-SM-5FQSH 60-69 years, male 27.5
GTEX-13FTW-2126-SM-5K7YG 40-49 years, male 27.3
GTEX-1JMPZ-2626-SM-ARU8Z 30-39 years, male 27.3
GTEX-13OW8-2726-SM-5L3FZ 60-69 years, male 27.1
GTEX-117YX-0526-SM-5EGJH 50-59 years, male 27.0
GTEX-14PJ3-1226-SM-5ZZVY 50-59 years, male 26.5
GTEX-1GMRU-2626-SM-9WPPM 50-59 years, male 26.5
GTEX-1J8Q3-2426-SM-CL53S 60-69 years, male 26.5
GTEX-15G19-2726-SM-6LPKG 60-69 years, male 26.4
GTEX-1JMQJ-2626-SM-CY8HQ 50-59 years, male 26.4
GTEX-ZQG8-2426-SM-57WEE 60-69 years, female 26.0
GTEX-11PRG-2026-SM-5GU5F 50-59 years, male 25.6
GTEX-11TUW-2326-SM-5EQMO 60-69 years, male 25.6
GTEX-1GPI7-1926-SM-9KNUH 20-29 years, male 25.6
GTEX-YEC3-2026-SM-DKPOL 50-59 years, male 25.6
GTEX-15G1A-1926-SM-7KUFF 30-39 years, male 25.5
GTEX-1H23P-2626-SM-9KNVN 60-69 years, male 25.1
GTEX-12WSG-2426-SM-5EQLZ 50-59 years, female 24.9
GTEX-ZLWG-1826-SM-DO11I 50-59 years, female 24.8
GTEX-WQUQ-2626-SM-4MVNP 60-69 years, male 24.5
GTEX-1LKK1-2426-SM-DIPES 50-59 years, female 24.5
GTEX-1CB4F-1926-SM-7MKFN 60-69 years, male 24.3
GTEX-18A66-2626-SM-72D67 60-69 years, male 23.9
GTEX-1C6VQ-2626-SM-7IGMQ 50-59 years, male 23.9
GTEX-1EMGI-2626-SM-7IGNR 60-69 years, male 23.9
GTEX-1ICG6-2226-SM-B2LY7 70-79 years, female 23.8
GTEX-ZYFG-1826-SM-5GZWX 60-69 years, female 23.5
GTEX-ZLFU-1426-SM-4WWEU 40-49 years, male 23.0
GTEX-1HSGN-2226-SM-A9SL6 40-49 years, female 23.0
GTEX-1I1CD-2826-SM-A9SL4 60-69 years, female 22.6
GTEX-YFCO-1526-SM-5YYB8 40-49 years, male 22.5
GTEX-ZAB4-2426-SM-5HL8A 40-49 years, male 22.5
GTEX-132NY-2726-SM-5PNY2 60-69 years, male 22.4
GTEX-1399U-2226-SM-5KLZI 50-59 years, female 22.4
GTEX-1BAJH-2726-SM-7IGNJ 70-79 years, male 22.4
GTEX-1IDJI-2226-SM-CKZPM 50-59 years, female 22.3
GTEX-1KANA-1726-SM-CY8IG 20-29 years, male 22.3
GTEX-18A6Q-2226-SM-7LG61 60-69 years, male 22.1
GTEX-Y3I4-1126-SM-4TT7Y 50-59 years, male 22.0
GTEX-ZYFD-2226-SM-5E43P 50-59 years, male 22.0
GTEX-1C64N-2226-SM-7SB7C 50-59 years, male 22.0
GTEX-1HSMQ-2526-SM-A9SMK 50-59 years, male 22.0
GTEX-13PVR-1726-SM-5Q5EC 60-69 years, female 21.9
GTEX-13OW6-2226-SM-5N9FL 50-59 years, male 21.8
GTEX-1R9K5-2226-SM-DTX9G 50-59 years, male 21.8
GTEX-ZF28-2526-SM-57WFH 60-69 years, male 21.7
GTEX-1S831-1726-SM-EWROJ 20-29 years, male 21.6
GTEX-14AS3-1026-SM-5TDD7 40-49 years, female 21.4
GTEX-1JN6P-2126-SM-ARL98 60-69 years, male 21.3
GTEX-YJ8O-1426-SM-5PNV9 40-49 years, female 21.2
GTEX-ZDTS-2726-SM-5L3E2 60-69 years, male 21.2
GTEX-ZPU1-1726-SM-4WWFV 40-49 years, male 21.2
GTEX-1QP28-2226-SM-DTX8C 50-59 years, female 21.2
GTEX-1A3MV-1026-SM-72D5U 30-39 years, male 21.1
GTEX-XUW1-1826-SM-4BOQD 50-59 years, female 21.1
GTEX-1LG7Y-2226-SM-E9U5K 50-59 years, male 21.1
GTEX-12ZZX-2726-SM-5N9FT 40-49 years, female 21.0
GTEX-1GZ4H-1326-SM-7P8TE 50-59 years, female 20.8
GTEX-139TS-2226-SM-5J2N1 60-69 years, male 20.6
GTEX-ZP4G-1526-SM-57WE5 20-29 years, female 20.6
GTEX-1QP29-2526-SM-E6CQ3 50-59 years, male 20.5
GTEX-15RIE-2026-SM-7KFRW 60-69 years, male 20.4
GTEX-1IDJH-2826-SM-CJI49 70-79 years, male 20.3
GTEX-1339X-1726-SM-5P9J9 40-49 years, male 20.2
GTEX-13PVQ-2726-SM-5L3H7 50-59 years, male 19.9
GTEX-XXEK-1826-SM-4BRVC 50-59 years, male 19.9
GTEX-15EO6-2326-SM-6LPKK 50-59 years, male 19.8
GTEX-1C4CL-1626-SM-7DUF3 30-39 years, male 19.8
GTEX-1LVAO-2826-SM-E9TJH 60-69 years, male 19.8
GTEX-1JN76-1326-SM-ARU94 20-29 years, female 19.7
GTEX-15RJE-2226-SM-6M46A 40-49 years, male 19.6
GTEX-14A5I-2426-SM-5Q5CP 50-59 years, female 19.5
GTEX-1AYCT-1926-SM-793AE 50-59 years, male 19.5
GTEX-1HSMO-2526-SM-A9SKP 60-69 years, male 19.5
GTEX-1LG7Z-1326-SM-DIPF3 30-39 years, male 19.5
GTEX-117XS-2226-SM-5GIE1 60-69 years, male 19.3
GTEX-145MO-2626-SM-5QGPD 60-69 years, male 19.2
GTEX-17HGU-2626-SM-79OKN 50-59 years, male 18.6
GTEX-17F9Y-2626-SM-7IGN9 70-79 years, female 18.5
GTEX-1A32A-2626-SM-73KX9 50-59 years, female 18.5
GTEX-13X6K-2726-SM-5O9DG 60-69 years, female 18.3
GTEX-14E6C-2226-SM-5QGQG 40-49 years, male 18.3
GTEX-16NGA-0926-SM-718AG 40-49 years, female 18.3
GTEX-17MFQ-1226-SM-7KFSA 20-29 years, male 18.2
GTEX-1B97I-1526-SM-73KUK 40-49 years, male 18.2
GTEX-1RMOY-1726-SM-EVYC9 50-59 years, male 18.2
GTEX-XBED-1726-SM-47JYO 60-69 years, male 18.0
GTEX-ZE7O-2626-SM-51MSS 50-59 years, female 18.0
GTEX-1HBPH-2526-SM-ACKXK 40-49 years, female 17.9
GTEX-1PIGE-1526-SM-DTXFC 20-29 years, male 17.9
GTEX-111CU-1226-SM-5EGIN 50-59 years, male 17.8
GTEX-12ZZW-2426-SM-5DUWE 50-59 years, male 17.8
GTEX-16XZZ-2726-SM-7EWDO 60-69 years, male 17.8
GTEX-WFON-1326-SM-4LVMN 40-49 years, male 17.7
GTEX-1HCVE-2326-SM-9WYUD 50-59 years, male 17.7
GTEX-14PN3-1926-SM-6EU1Y 60-69 years, female 17.6
GTEX-1C475-1526-SM-7DHM3 40-49 years, female 17.6
GTEX-1RQEC-2626-SM-EVR3Z 60-69 years, male 17.3
GTEX-ZY6K-1326-SM-5GZWP 50-59 years, male 17.2
GTEX-1LB8K-2526-SM-DIPEQ 50-59 years, male 17.1
GTEX-13N2G-2226-SM-5IJCU 60-69 years, male 16.9
GTEX-1LSNL-1626-SM-E9TJY 50-59 years, male 16.9
GTEX-1H1ZS-2626-SM-9QEIX 70-79 years, male 16.8
GTEX-1H3NZ-2526-SM-9KNVO 60-69 years, male 16.7
GTEX-145MH-2726-SM-5QGQ6 50-59 years, male 16.6
GTEX-1H1DE-1626-SM-9KNU5 20-29 years, male 16.6
GTEX-1KXAM-1926-SM-D3LAG 60-69 years, male 16.6
GTEX-183WM-2526-SM-731BP 70-79 years, female 16.5
GTEX-13111-1926-SM-5GCOL 50-59 years, male 16.3
GTEX-ZXES-1726-SM-5E43G 30-39 years, female 16.2
GTEX-12WSD-2626-SM-5EGJE 60-69 years, female 16.1
GTEX-14BMU-1326-SM-5RQIH 20-29 years, female 16.1
GTEX-14E6E-1726-SM-5S2R6 30-39 years, male 16.1
GTEX-1GL5R-1726-SM-9KNUX 50-59 years, male 16.0
GTEX-1LVAN-2626-SM-CNPQF 50-59 years, female 16.0
GTEX-12WSJ-1426-SM-5GCON 40-49 years, female 15.9
GTEX-15F5U-1426-SM-7KUN2 40-49 years, male 15.9
GTEX-14E1K-1626-SM-664MO 50-59 years, male 15.8
GTEX-1PPH8-2226-SM-EWRN7 20-29 years, male 15.8
GTEX-139D8-2926-SM-5IJBM 30-39 years, female 15.7
GTEX-WHWD-1526-SM-4OORV 50-59 years, male 15.5
GTEX-ZVZQ-2626-SM-59HLB 60-69 years, female 15.2
GTEX-ZVT3-2826-SM-5GU6A 60-69 years, female 15.1
GTEX-1LSNM-1426-SM-E6CIH 50-59 years, male 15.1
GTEX-14DAQ-2926-SM-664MV 60-69 years, female 15.0
GTEX-14PHX-1126-SM-5YYA5 50-59 years, male 15.0
GTEX-WI4N-2226-SM-4OOS9 40-49 years, female 15.0
GTEX-1IKOE-2126-SM-A96T5 30-39 years, female 14.9
GTEX-1LSVX-2026-SM-E9TJD 60-69 years, male 14.9
GTEX-13X6J-2826-SM-7EPGA 50-59 years, male 14.8
GTEX-1J8JJ-2426-SM-D4P4A 60-69 years, female 14.8
GTEX-11EQ8-2626-SM-5N9BO 60-69 years, male 14.7
GTEX-1JJE9-2526-SM-ARU8K 70-79 years, male 14.7
GTEX-XV7Q-2226-SM-4BRVY 40-49 years, female 14.6
GTEX-1N2EF-1726-SM-EXUSI 60-69 years, male 14.6
GTEX-13X6I-2726-SM-5Q5ET 60-69 years, male 14.5
GTEX-1C2JI-1726-SM-73KUW 50-59 years, male 14.4
GTEX-1R9PO-2026-SM-E9J4N 60-69 years, female 14.4
GTEX-16MTA-1626-SM-6M47N 50-59 years, male 14.3
GTEX-147JS-2626-SM-5S2UX 60-69 years, male 14.2
GTEX-17F96-2126-SM-7KFSM 70-79 years, male 14.2
GTEX-1B8L1-1926-SM-7IGND 60-69 years, male 14.2
GTEX-13O1R-2426-SM-5KLZZ 60-69 years, male 14.0
GTEX-11EI6-2626-SM-5PNVT 60-69 years, male 13.9
GTEX-11I78-1326-SM-5PNY9 50-59 years, female 13.9
GTEX-17JCI-2826-SM-7IGNA 60-69 years, female 13.9
GTEX-XQ8I-2326-SM-4BOQC 50-59 years, male 13.9
GTEX-1GTWX-2626-SM-9WPOT 60-69 years, male 13.8
GTEX-1A3MX-2326-SM-718B4 60-69 years, male 13.7
GTEX-1GMR8-2926-SM-9KNW5 50-59 years, female 13.6
GTEX-14C39-1626-SM-5S2P4 40-49 years, male 13.5
GTEX-1H3VY-2526-SM-9KNW1 50-59 years, male 13.4
GTEX-1GF9X-1426-SM-7RHGX 40-49 years, female 13.2
GTEX-1CAMS-2626-SM-7PBY3 40-49 years, female 13.0
GTEX-12ZZY-2726-SM-5EQ45 60-69 years, male 12.9
GTEX-13OW5-2826-SM-5KM1G 60-69 years, male 12.9
GTEX-ZYT6-2826-SM-5GICX 30-39 years, male 12.9
GTEX-147GR-2826-SM-5RQK8 60-69 years, male 12.8
GTEX-1JKYR-2026-SM-CNPON 20-29 years, male 12.8
GTEX-12WSL-1826-SM-5LZW9 50-59 years, male 12.4
GTEX-WHPG-1626-SM-4M1ZL 50-59 years, male 12.4
GTEX-11TT1-0926-SM-5GU5M 20-29 years, male 12.3
GTEX-15CHQ-2626-SM-686YZ 60-69 years, male 12.3
GTEX-ZVT4-2626-SM-5N9GJ 50-59 years, female 12.3
GTEX-1RAZQ-2026-SM-E76P7 30-39 years, male 12.3
GTEX-Y8LW-1126-SM-4VDS4 50-59 years, female 12.2
GTEX-1QPFJ-2426-SM-EVR3L 30-39 years, female 12.2
GTEX-YECK-2826-SM-5IFHF 60-69 years, male 12.0
GTEX-16Z82-2426-SM-7KUMS 60-69 years, male 11.9
GTEX-15UF7-1326-SM-7KUKV 40-49 years, male 11.8
GTEX-YJ8A-1726-SM-5P9IQ 20-29 years, male 11.7
GTEX-1HB9E-2526-SM-D4P35 50-59 years, male 11.7
GTEX-144GM-1126-SM-79OJK 20-29 years, male 11.6
GTEX-V955-1726-SM-4JBHF 60-69 years, male 11.6
GTEX-14PK6-1826-SM-69LOM 70-79 years, female 11.5
GTEX-1EH9U-1926-SM-7P8QM 60-69 years, male 11.5
GTEX-WFG8-1726-SM-4LVM6 20-29 years, male 11.4
GTEX-1HSEH-1926-SM-A96SB 60-69 years, male 11.3
GTEX-1PDJ9-2026-SM-E76PT 20-29 years, male 11.3
GTEX-1122O-1426-SM-5H11R 60-69 years, female 11.1
GTEX-ZF2S-1826-SM-4WKFF 50-59 years, female 11.1
GTEX-X4EO-2726-SM-4E3HS 60-69 years, female 11.0
GTEX-1PFEY-1726-SM-DPRZ4 30-39 years, male 11.0
GTEX-13W3W-2226-SM-5LU4M 60-69 years, female 10.7
GTEX-1QCLY-2026-SM-EVR4C 30-39 years, male 10.7
GTEX-1F5PL-1926-SM-7MXTP 40-49 years, female 10.6
GTEX-1JKYN-2226-SM-ARZNE 30-39 years, male 10.6
GTEX-1QP9N-0826-SM-DTX9O 30-39 years, male 10.5
GTEX-148VJ-2426-SM-5NQ9Y 70-79 years, male 10.4
GTEX-1HCU7-2726-SM-A9G3D 50-59 years, male 10.4
GTEX-131YS-2926-SM-5EGKI 60-69 years, female 10.3
GTEX-WHSE-2726-SM-EZ6ML 20-29 years, male 10.3
GTEX-1JJEA-2526-SM-CY8HJ 60-69 years, male 10.2
GTEX-13FH7-1626-SM-5J2O9 50-59 years, female 10.1
GTEX-14BIN-2426-SM-5TDCF 50-59 years, female 10.1
GTEX-1B996-2726-SM-7DUGG 60-69 years, male 10.1
GTEX-1N2DV-1826-SM-E6CJ5 40-49 years, male 10.1
GTEX-1HBPM-2626-SM-9WYU5 60-69 years, female 9.9
GTEX-13RTJ-1926-SM-5YYA2 60-69 years, male 9.8
GTEX-ZF29-1826-SM-4WKG8 60-69 years, female 9.8
GTEX-1RDX4-1926-SM-E6CJJ 50-59 years, female 9.8
GTEX-15UF6-2726-SM-7KULY 70-79 years, female 9.7
GTEX-1399R-2126-SM-5K7WZ 30-39 years, male 9.5
GTEX-11ZU8-1126-SM-5EQ5K 60-69 years, male 9.4
GTEX-1F75W-2126-SM-7RHIA 60-69 years, male 9.4
GTEX-11DXZ-1626-SM-5GIDI 50-59 years, male 9.2
GTEX-1C64O-2426-SM-7P8R3 60-69 years, male 9.2
GTEX-1K9T9-2926-SM-E9TKD 50-59 years, female 9.2
GTEX-1E2YA-2526-SM-7IGOU 50-59 years, male 9.1
GTEX-ZZ64-0826-SM-5E449 20-29 years, male 9.1
GTEX-17EUY-1726-SM-79OK4 20-29 years, male 9.0
GTEX-1AMFI-1826-SM-73KWB 50-59 years, female 9.0
GTEX-1QP67-1426-SM-E8VOO 40-49 years, female 9.0
GTEX-132AR-2826-SM-5IJFV 50-59 years, female 8.9
GTEX-1CB4G-2726-SM-79OO4 60-69 years, male 8.7
GTEX-15ETS-2326-SM-7KUGC 40-49 years, female 8.6
GTEX-Y9LG-1326-SM-4VBQB 30-39 years, male 8.6
GTEX-1EU9M-2726-SM-7P8QD 60-69 years, male 8.6
GTEX-1HSKV-2326-SM-A9SL9 60-69 years, male 8.5
GTEX-1L5NE-1926-SM-D3L9R 50-59 years, male 8.5
GTEX-1IL2U-2526-SM-C1YQV 60-69 years, male 8.4
GTEX-ZC5H-2426-SM-4WAZ6 40-49 years, female 8.3
GTEX-Z93S-2626-SM-57WBX 50-59 years, male 8.2
GTEX-1GMR3-2526-SM-7P8QS 40-49 years, male 8.2
GTEX-1RLM8-1726-SM-E9TKF 50-59 years, male 8.2
GTEX-131XG-1526-SM-5GCNQ 50-59 years, female 8.1
GTEX-11ONC-1926-SM-5GU75 60-69 years, male 8.0
GTEX-11P81-1426-SM-5P9JN 30-39 years, female 8.0
GTEX-14A5H-1626-SM-5SIAN 60-69 years, male 7.8
GTEX-ZAB5-1426-SM-5HL9D 50-59 years, male 7.8
GTEX-ZG7Y-1826-SM-4WWD3 50-59 years, male 7.7
GTEX-1HKZK-2026-SM-9WYUF 40-49 years, male 7.7
GTEX-Y8E4-2326-SM-EAZAZ 40-49 years, male 7.7
GTEX-13VXT-2026-SM-5L3EW 20-29 years, female 7.6
GTEX-ZPIC-2626-SM-57WE2 40-49 years, female 7.5
GTEX-ZVT2-1726-SM-51MRO 50-59 years, female 7.5
GTEX-11ZTT-1626-SM-5EQKR 60-69 years, female 7.4
GTEX-139UW-2326-SM-5KM1Y 60-69 years, male 7.4
GTEX-WY7C-1926-SM-4ONCI 50-59 years, male 7.4
GTEX-1HFI7-1626-SM-9WYTR 50-59 years, female 7.4
GTEX-1LVAM-1726-SM-DHXKQ 50-59 years, female 7.4
GTEX-1MGNQ-2126-SM-EV7AC 40-49 years, male 7.4
GTEX-13G51-2126-SM-5IJD9 60-69 years, male 7.3
GTEX-1JK1U-1426-SM-CNPOW 60-69 years, male 7.3
GTEX-1211K-1826-SM-5EGJ2 60-69 years, female 7.1
GTEX-1B932-2126-SM-7IGMU 40-49 years, female 7.1
GTEX-1HCUA-1926-SM-B2LWE 50-59 years, female 7.1
GTEX-ZV6S-1126-SM-57WE9 40-49 years, female 7.0
GTEX-1I1GP-2826-SM-A9SKZ 50-59 years, male 7.0
GTEX-14C5O-2626-SM-5RQI5 60-69 years, male 6.9
GTEX-14PKV-1926-SM-686YU 20-29 years, female 6.9
GTEX-1F5PK-1726-SM-7RHHW 50-59 years, male 6.9
GTEX-1LGRB-2026-SM-COH47 50-59 years, female 6.9
GTEX-11GS4-1826-SM-5HL4T 60-69 years, male 6.8
GTEX-1477Z-2126-SM-5Q5CM 60-69 years, male 6.7
GTEX-15DZA-1026-SM-6PAND 30-39 years, female 6.7
GTEX-17GQL-1626-SM-7LG69 60-69 years, male 6.7
GTEX-ZT9W-1726-SM-51MS3 50-59 years, male 6.7
GTEX-1RAZR-2026-SM-E9TKE 40-49 years, male 6.7
GTEX-13CF3-1326-SM-5LZXZ 60-69 years, female 6.5
GTEX-ZTSS-1226-SM-51MSZ 40-49 years, male 6.5
GTEX-1I6K6-1926-SM-A96SN 30-39 years, male 6.5
GTEX-1IDJU-1926-SM-CL53W 60-69 years, female 6.5
GTEX-11EMC-1426-SM-5N9E4 60-69 years, female 6.4
GTEX-1PBJI-2526-SM-E6CP4 20-29 years, female 6.4
GTEX-13FHO-2726-SM-5K7VG 60-69 years, male 6.3
GTEX-14PJ4-1826-SM-5YY97 60-69 years, male 6.3
GTEX-15DYW-2426-SM-7KUG8 60-69 years, female 6.3
GTEX-WOFM-1926-SM-4OOSP 20-29 years, male 6.3
GTEX-18D9A-1326-SM-7LT8P 30-39 years, female 6.2
GTEX-YF7O-1626-SM-5IFII 50-59 years, male 6.2
GTEX-1AX9K-1626-SM-73KUS 50-59 years, male 6.1
GTEX-X5EB-1126-SM-46MVV 40-49 years, male 6.1
GTEX-Y5LM-1426-SM-5RQJL 40-49 years, female 6.1
GTEX-1LGOU-1726-SM-D3L8P 20-29 years, female 6.0
GTEX-ZLV1-1326-SM-DO11Q 60-69 years, female 5.9
GTEX-15ER7-2826-SM-6PAN2 20-29 years, female 5.8
GTEX-1QP2A-2226-SM-DTXF6 50-59 years, male 5.8
GTEX-139T6-1426-SM-5P9J7 50-59 years, male 5.6
GTEX-13QBU-2026-SM-5KLZB 40-49 years, female 5.6
GTEX-VJYA-2126-SM-4KL1O 60-69 years, male 5.6
GTEX-ZA64-1426-SM-5CVMC 20-29 years, male 5.5
GTEX-1PIEJ-1826-SM-EWRMN 20-29 years, female 5.5
GTEX-1J8QM-1226-SM-CY8HI 60-69 years, female 5.3
GTEX-17KNJ-1826-SM-7LT9N 50-59 years, male 5.2
GTEX-WYVS-1126-SM-4SOJX 40-49 years, female 5.2
GTEX-1B8KE-1526-SM-7DUG2 50-59 years, male 4.8
GTEX-12BJ1-2026-SM-5FQUH 60-69 years, male 4.7
GTEX-146FH-2426-SM-5Q5EW 50-59 years, female 4.7
GTEX-15RJ7-1726-SM-6PAL3 40-49 years, male 4.7
GTEX-WH7G-1426-SM-4LVMU 40-49 years, male 4.6
GTEX-1J1R8-1426-SM-CL55O 40-49 years, male 4.6
GTEX-15FZZ-1826-SM-6LLJP 30-39 years, female 4.5
GTEX-13113-1426-SM-5EGHU 60-69 years, female 4.4
GTEX-W5WG-2026-SM-4LMIB 50-59 years, female 4.4
GTEX-WYJK-2326-SM-4ONDN 50-59 years, male 4.3
GTEX-ZTTD-2626-SM-57WEX 50-59 years, male 4.3
GTEX-1K2DA-1626-SM-CGQGB 50-59 years, male 4.2
GTEX-11VI4-1426-SM-5GU6O 40-49 years, female 4.1
GTEX-16BQI-2026-SM-7KULQ 30-39 years, female 4.1
GTEX-1H1E6-1826-SM-A9G21 30-39 years, male 3.9
GTEX-183FY-1426-SM-7DHLM 20-29 years, male 3.8
GTEX-1HBPN-2026-SM-B2LWA 50-59 years, male 3.6
GTEX-ZPCL-1626-SM-57WGC 60-69 years, female 3.5
GTEX-1OJC3-1826-SM-DTX93 20-29 years, male 3.4
GTEX-12696-1926-SM-5EGJT 60-69 years, male 3.3
GTEX-18QFQ-1726-SM-731C9 30-39 years, male 3.3
GTEX-13OVI-2126-SM-5KM3U 60-69 years, female 2.9
GTEX-1AX9J-2526-SM-73KUY 60-69 years, male 2.9
GTEX-Y5V6-1626-SM-4VDT2 60-69 years, male 2.9
GTEX-1J8EW-2426-SM-CE6T5 60-69 years, female 2.8
GTEX-1AMEY-1826-SM-72D5L 30-39 years, female 2.6
GTEX-1CAMR-1026-SM-7P8QI 20-29 years, male 2.6
GTEX-111YS-1826-SM-5GIEP 60-69 years, male 2.5
GTEX-ZQUD-1026-SM-4YCEZ 30-39 years, male 1.2
GTEX-XAJ8-0726-SM-47JY5 40-49 years, male 0.1
Show allShow less
Colon - Transverse
Average nTPM: 10.5
Samples: 406

Max nTPM: 45.3
Min nTPM: 0.2
Std nTPM: 8.7
Median nTPM: 8.0
GTEX-18D9B-2526-SM-718BN 60-69 years, male 45.3
GTEX-Y114-1526-SM-4TT79 50-59 years, female 44.8
GTEX-1LBAC-1626-SM-CXZKV 20-29 years, male 41.5
GTEX-13O61-1626-SM-5KM3T 60-69 years, male 39.5
GTEX-14H4A-1926-SM-5ZZWN 40-49 years, female 38.3
GTEX-X5EB-0926-SM-46MVT 40-49 years, male 38.1
GTEX-1JMLX-2726-SM-CM2SB 50-59 years, male 36.3
GTEX-1KANB-1526-SM-CXZK4 50-59 years, male 35.5
GTEX-145ME-0826-SM-5O9AF 40-49 years, female 35.4
GTEX-1AYD5-1726-SM-7RHFW 50-59 years, male 35.1
GTEX-145LS-2726-SM-5Q5D8 60-69 years, female 34.9
GTEX-1GMR2-1726-SM-9JGI2 50-59 years, male 34.3
GTEX-1NV5F-2226-SM-DTX8O 60-69 years, female 33.4
GTEX-1HCU6-2726-SM-A9SKV 60-69 years, female 31.7
GTEX-1I1GT-1926-SM-ARU7D 60-69 years, female 31.6
GTEX-13U4I-2426-SM-5LU34 40-49 years, female 30.4
GTEX-16NPV-2626-SM-6M484 50-59 years, female 30.4
GTEX-OHPN-2026-SM-E9TIA 60-69 years, female 30.4
GTEX-RU1J-1326-SM-46MUL 20-29 years, female 30.3
GTEX-14ICK-1026-SM-6AJA4 40-49 years, male 30.2
GTEX-1GN73-2626-SM-9KNUQ 60-69 years, male 29.7
GTEX-1HSMP-2326-SM-D3L8R 70-79 years, male 29.7
GTEX-OXRN-2026-SM-E6CHK 50-59 years, male 29.7
GTEX-144GL-2526-SM-5TDDL 50-59 years, male 29.6
GTEX-13FHP-2426-SM-5KLZ5 50-59 years, male 29.3
GTEX-1J1OQ-2726-SM-AHZ3R 40-49 years, female 29.0
GTEX-11ZVC-2126-SM-5EGJ1 50-59 years, female 27.1
GTEX-117YX-0826-SM-5H11J 50-59 years, male 26.8
GTEX-14PJ3-0926-SM-69LQG 50-59 years, male 25.8
GTEX-17HII-2726-SM-7MGVM 50-59 years, male 25.5
GTEX-15G1A-1826-SM-7KUKO 30-39 years, male 25.3
GTEX-S341-1426-SM-4AD6U 40-49 years, female 25.3
GTEX-1LG7Y-2126-SM-DIPER 50-59 years, male 25.1
GTEX-1I1GR-2526-SM-CNNQF 60-69 years, male 24.9
GTEX-U412-1726-SM-EZ6KX 60-69 years, male 24.7
GTEX-Y3I4-1426-SM-4TT9C 50-59 years, male 24.5
GTEX-ZYFG-1926-SM-5GID5 60-69 years, female 24.4
GTEX-11EQ9-1426-SM-5987G 30-39 years, male 24.3
GTEX-1H1DG-2226-SM-9WPPC 70-79 years, male 23.4
GTEX-13OVK-0826-SM-7KULZ 40-49 years, male 22.9
GTEX-1EMGI-2726-SM-7P8S4 60-69 years, male 22.8
GTEX-XBEW-1926-SM-4SOJO 40-49 years, male 22.1
GTEX-1ICLZ-2426-SM-CKZOD 60-69 years, male 22.1
GTEX-1OKEX-1226-SM-DTXEC 60-69 years, male 21.5
GTEX-WQUQ-2526-SM-4MVNO 60-69 years, male 21.4
GTEX-U3ZH-1326-SM-4DXSF 30-39 years, male 21.3
GTEX-11TUW-2026-SM-5EQL8 60-69 years, male 21.0
GTEX-14E1K-1826-SM-793DT 50-59 years, male 21.0
GTEX-1JMPZ-2426-SM-C1YQP 30-39 years, male 20.6
GTEX-SJXC-2226-SM-EVYAK 60-69 years, male 20.5
GTEX-XGQ4-1226-SM-4AT67 50-59 years, male 20.4
GTEX-1QW4Y-1326-SM-EWRMZ 30-39 years, male 20.3
GTEX-1NHNU-2326-SM-E6CQE 50-59 years, male 20.2
GTEX-14AS3-1126-SM-5Q5CR 40-49 years, female 19.8
GTEX-1IKK5-2726-SM-CNPQ6 60-69 years, male 19.6
GTEX-1CB4I-2226-SM-7P8SL 50-59 years, male 19.3
GTEX-1POEN-2026-SM-E6CRL 30-39 years, female 19.3
GTEX-14PJ5-0926-SM-6LLIK 60-69 years, female 19.2
GTEX-NFK9-2026-SM-3LK5K 40-49 years, male 19.2
GTEX-QLQ7-1126-SM-CYPRB 60-69 years, male 19.2
GTEX-15CHC-1626-SM-5ZZWS 60-69 years, female 19.1
GTEX-1C2JI-1626-SM-7EPHC 50-59 years, male 19.0
GTEX-X3Y1-1726-SM-4PQZL 40-49 years, male 19.0
GTEX-11O72-2226-SM-5PNW2 40-49 years, male 18.7
GTEX-ZYVF-2826-SM-5GIDK 50-59 years, female 18.7
GTEX-1A3MV-1126-SM-718BS 30-39 years, male 18.6
GTEX-1BAJH-2326-SM-7IGMO 70-79 years, male 18.5
GTEX-ZAB4-2226-SM-5HL97 40-49 years, male 18.2
GTEX-1JJ6O-2426-SM-ARU8J 60-69 years, male 18.1
GTEX-1S5VW-2926-SM-E9U6H 60-69 years, male 18.0
GTEX-1PPH8-2026-SM-DTX7P 20-29 years, male 17.7
GTEX-1CB4F-2026-SM-79OLU 60-69 years, male 17.6
GTEX-145MO-2426-SM-5NQ9W 60-69 years, male 17.5
GTEX-PX3G-1426-SM-48U1J 20-29 years, female 17.5
GTEX-1LH75-2126-SM-EVR5F 50-59 years, female 17.2
GTEX-13W3W-2126-SM-5K7UX 60-69 years, female 17.1
GTEX-1PWST-2426-SM-EWRMP 70-79 years, male 16.7
GTEX-12KS4-2426-SM-5LU8P 30-39 years, male 16.3
GTEX-1GL5R-2426-SM-7MXV1 50-59 years, male 16.3
GTEX-ZXES-1626-SM-5NQ7L 30-39 years, female 16.2
GTEX-1R9JW-2026-SM-EAZ4O 30-39 years, female 16.2
GTEX-1R9K5-2126-SM-E8VN1 50-59 years, male 16.2
GTEX-13OVG-1426-SM-5K7VP 60-69 years, male 16.1
GTEX-XYKS-2226-SM-4E3IU 60-69 years, female 16.0
GTEX-XXEK-1926-SM-4BRVD 50-59 years, male 15.9
GTEX-1GF9U-1526-SM-7MXUW 40-49 years, female 15.9
GTEX-1F75I-2426-SM-9WPOY 40-49 years, male 15.8
GTEX-1C6VQ-2726-SM-73KUL 50-59 years, male 15.7
GTEX-WVJS-2426-SM-EZ6LI 50-59 years, male 15.7
GTEX-1LVAN-2526-SM-CNPPC 50-59 years, female 15.4
GTEX-1339X-1626-SM-5IJDN 40-49 years, male 15.3
GTEX-111VG-2226-SM-5N9DU 60-69 years, male 15.1
GTEX-1GZ4H-1226-SM-9KNUA 50-59 years, female 15.1
GTEX-1S3DN-1826-SM-EV79K 50-59 years, male 15.1
GTEX-1AX8Z-2726-SM-73KUC 60-69 years, male 15.0
GTEX-1H1DE-1526-SM-ARL9B 20-29 years, male 14.7
GTEX-R55C-1126-SM-48FCJ 40-49 years, male 14.6
GTEX-18A7A-2226-SM-7LT8K 50-59 years, female 14.4
GTEX-OOBJ-1426-SM-E6CHH 60-69 years, male 14.3
GTEX-TKQ1-0626-SM-4DXTS 30-39 years, male 14.2
GTEX-ZGAY-2126-SM-4YCFB 40-49 years, female 14.2
GTEX-12ZZZ-2426-SM-5GCNN 60-69 years, male 14.1
GTEX-1HSGN-2626-SM-CE6S1 40-49 years, female 14.1
GTEX-1N2EF-1926-SM-DTX8M 60-69 years, male 14.1
GTEX-18A7B-2026-SM-72D71 70-79 years, male 13.8
GTEX-1RMOY-1626-SM-EVYC8 50-59 years, male 13.8
GTEX-12WSJ-1526-SM-5GCNI 40-49 years, female 13.7
GTEX-1MUQO-2626-SM-EWRO3 60-69 years, male 13.7
GTEX-16NGA-1026-SM-7KFS3 40-49 years, female 13.6
GTEX-QDVJ-1326-SM-48U1X 50-59 years, male 13.6
GTEX-1HSMQ-2726-SM-C1YRE 50-59 years, male 13.6
GTEX-15DCE-2026-SM-7KUFE 20-29 years, male 13.4
GTEX-1HCVE-2526-SM-A9G2G 50-59 years, male 13.4
GTEX-1C64O-2326-SM-73KU8 60-69 years, male 13.3
GTEX-ZF29-1726-SM-4WKFV 60-69 years, female 13.2
GTEX-147JS-2526-SM-5S2Q8 60-69 years, male 13.0
GTEX-14DAQ-2726-SM-5S2QY 60-69 years, female 12.9
GTEX-QLQW-0426-SM-447A7 30-39 years, male 12.9
GTEX-13X6H-1926-SM-7EWD3 50-59 years, female 12.8
GTEX-15SHU-2526-SM-6M47D 40-49 years, female 12.8
GTEX-1LSVX-1726-SM-DHXJP 60-69 years, male 12.7
GTEX-1GPI7-1726-SM-7P8R1 20-29 years, male 12.6
GTEX-11P7K-1526-SM-5EGI7 30-39 years, male 12.5
GTEX-11TTK-2426-SM-5PNYO 60-69 years, female 12.5
GTEX-13OW6-2126-SM-5N9GL 50-59 years, male 12.5
GTEX-14C39-1926-SM-5ZZW5 40-49 years, male 12.5
GTEX-VJYA-2026-SM-4KL1K 60-69 years, male 12.4
GTEX-13O3O-2526-SM-5L3DR 60-69 years, female 12.1
GTEX-16XZZ-2626-SM-6M47S 60-69 years, male 12.1
GTEX-1QCLZ-1926-SM-E6CR3 60-69 years, female 12.1
GTEX-1KXAM-2126-SM-CY8I9 60-69 years, male 12.0
GTEX-1MCC2-1626-SM-DIPEW 30-39 years, female 11.8
GTEX-1128S-1626-SM-5H12O 60-69 years, female 11.7
GTEX-11DXX-1826-SM-5H126 60-69 years, female 11.7
GTEX-13FH7-1526-SM-5J2N6 50-59 years, female 11.7
GTEX-13OVJ-1726-SM-5IJDZ 50-59 years, female 11.7
GTEX-UJMC-1326-SM-4IHLS 50-59 years, male 11.7
GTEX-1F75B-2726-SM-7P8QO 50-59 years, male 11.7
GTEX-1AYCT-1826-SM-731EG 50-59 years, male 11.5
GTEX-O5YT-1426-SM-3MJHC 20-29 years, male 11.5
GTEX-17MF6-2426-SM-7LTAM 40-49 years, male 11.4
GTEX-ZY6K-1226-SM-5GZYL 50-59 years, male 11.3
GTEX-11GSP-1626-SM-5986N 60-69 years, female 11.2
GTEX-13QJ3-2626-SM-9OSXQ 50-59 years, male 11.2
GTEX-1JN1M-2626-SM-CY8I3 60-69 years, female 11.2
GTEX-1KANA-1926-SM-DHXKF 20-29 years, male 11.2
GTEX-R45C-2126-SM-EZ6KZ 60-69 years, female 10.9
GTEX-131XE-0826-SM-5HL9W 50-59 years, male 10.8
GTEX-17F96-2026-SM-79ON4 70-79 years, male 10.8
GTEX-XPVG-1826-SM-4B64X 50-59 years, male 10.8
GTEX-R53T-1326-SM-48FCQ 50-59 years, female 10.7
GTEX-ZVP2-1526-SM-5NQ82 50-59 years, male 10.7
GTEX-1RAZQ-2126-SM-DTX9V 30-39 years, male 10.7
GTEX-Q2AI-0926-SM-48U1F 40-49 years, male 10.6
GTEX-1N5O9-2726-SM-E76QH 60-69 years, male 10.6
GTEX-X4EO-2526-SM-EWRM8 60-69 years, female 10.6
GTEX-14BIN-3026-SM-5ZZUS 50-59 years, female 10.5
GTEX-18A66-2426-SM-7KFSQ 60-69 years, male 10.5
GTEX-V955-1626-SM-4JBHJ 60-69 years, male 10.5
GTEX-X15G-1326-SM-4PQZJ 50-59 years, female 10.5
GTEX-XUZC-1326-SM-4BRV2 30-39 years, female 10.5
GTEX-OIZF-1426-SM-2HML2 60-69 years, male 10.5
GTEX-YEC3-2426-SM-DO11A 50-59 years, male 10.4
GTEX-1HCU7-2626-SM-C1YQO 50-59 years, male 10.3
GTEX-1JMPY-0426-SM-C1YQ3 30-39 years, male 10.3
GTEX-16Z82-2226-SM-6LPJ7 60-69 years, male 10.1
GTEX-1IGQW-2326-SM-CE6RV 60-69 years, male 10.1
GTEX-1NSGN-2326-SM-E9U5X 50-59 years, male 10.1
GTEX-15CHQ-2526-SM-6EU24 60-69 years, male 10.0
GTEX-1GZ4I-2426-SM-9WPPP 50-59 years, male 9.9
GTEX-ZV7C-1526-SM-5NQ72 50-59 years, male 9.8
GTEX-ZP4G-1726-SM-4WWCM 20-29 years, female 9.6
GTEX-15DZA-0926-SM-69LQ3 30-39 years, female 9.5
GTEX-XUW1-1926-SM-4BOP1 50-59 years, female 9.4
GTEX-RWS6-1826-SM-47JXX 60-69 years, female 9.3
GTEX-OXRL-1426-SM-3NM9E 50-59 years, male 9.2
GTEX-ZEX8-1926-SM-4WKFR 50-59 years, male 9.2
GTEX-15UF6-2626-SM-6M466 70-79 years, female 9.1
GTEX-1E2YA-2626-SM-7MGWW 50-59 years, male 9.1
GTEX-1PPGY-2826-SM-DTX9H 60-69 years, male 9.1
GTEX-17EVQ-1826-SM-7IGPH 70-79 years, male 9.0
GTEX-14JG6-1726-SM-69LPL 30-39 years, female 8.9
GTEX-14PJM-2626-SM-686ZD 50-59 years, female 8.9
GTEX-13VXT-2426-SM-5LU46 20-29 years, female 8.8
GTEX-WFG7-1526-SM-4LVMG 20-29 years, male 8.8
GTEX-1B996-2626-SM-73KZ1 60-69 years, male 8.7
GTEX-Y8E4-2426-SM-4WWDN 40-49 years, male 8.7
GTEX-13OW5-2626-SM-5MR3M 60-69 years, male 8.6
GTEX-17GQL-1526-SM-7LTAC 60-69 years, male 8.6
GTEX-14BMV-2426-SM-5S2PP 50-59 years, male 8.4
GTEX-1AX9I-2626-SM-73KU5 60-69 years, male 8.4
GTEX-PLZ5-1126-SM-3P613 50-59 years, male 8.4
GTEX-UJHI-1126-SM-4IHLN 50-59 years, female 8.4
GTEX-13O3P-2326-SM-5KM55 50-59 years, male 8.3
GTEX-XBED-1526-SM-4AT5W 60-69 years, male 8.3
GTEX-11ONC-2026-SM-5HL61 60-69 years, male 8.2
GTEX-17HHE-1826-SM-79OKE 50-59 years, male 8.2
GTEX-1R7EU-1926-SM-E9U62 60-69 years, male 8.2
GTEX-13D11-0826-SM-5KLZJ 50-59 years, female 8.1
GTEX-148VJ-2626-SM-5QGPI 70-79 years, male 8.1
GTEX-15RIE-1826-SM-6M48P 60-69 years, male 8.1
GTEX-16MT8-2726-SM-7IGLJ 60-69 years, female 8.0
GTEX-YEC4-1926-SM-5IFHJ 40-49 years, male 8.0
GTEX-1IDJF-1826-SM-CKZOE 20-29 years, male 8.0
GTEX-1JJE9-2426-SM-D3L8T 70-79 years, male 7.9
GTEX-147F3-1926-SM-5SIB9 50-59 years, female 7.8
GTEX-14C5O-2526-SM-73KU2 60-69 years, male 7.8
GTEX-15SB6-1226-SM-7KUMP 50-59 years, female 7.8
GTEX-R55D-1826-SM-48FEF 50-59 years, male 7.7
GTEX-1QMI2-2626-SM-E6CR4 60-69 years, male 7.7
GTEX-T6MO-0826-SM-4DM51 40-49 years, female 7.6
GTEX-Z93S-2426-SM-5HL8N 50-59 years, male 7.6
GTEX-1GF9X-1526-SM-7P8QP 40-49 years, female 7.6
GTEX-145LT-0926-SM-5LU9C 40-49 years, male 7.5
GTEX-Q2AH-1226-SM-48TZL 40-49 years, male 7.5
GTEX-S3XE-1126-SM-4AD4N 50-59 years, male 7.5
GTEX-17JCI-2626-SM-7EWE6 60-69 years, female 7.4
GTEX-1EH9U-2026-SM-7PBYS 60-69 years, male 7.4
GTEX-1IDJD-2226-SM-A96TD 30-39 years, male 7.4
GTEX-OXRO-0726-SM-E9U4C 60-69 years, female 7.4
GTEX-YB5E-1626-SM-5IFIQ 40-49 years, male 7.3
GTEX-14ICL-1226-SM-5S2RD 30-39 years, male 7.2
GTEX-ZYFC-2626-SM-5NQ6S 50-59 years, male 7.2
GTEX-18D9U-1926-SM-7KFTM 40-49 years, male 7.1
GTEX-OHPM-1426-SM-3TW8Y 50-59 years, male 7.1
GTEX-WH7G-1326-SM-4LVMS 40-49 years, male 7.1
GTEX-11P81-1126-SM-5GU5G 30-39 years, female 7.0
GTEX-146FQ-1926-SM-5NQBY 30-39 years, male 7.0
GTEX-15RIF-1326-SM-6LPKO 20-29 years, male 7.0
GTEX-P78B-1726-SM-3P5ZV 40-49 years, female 7.0
GTEX-Y8LW-1226-SM-4WWDP 50-59 years, female 7.0
GTEX-1MJK3-0926-SM-EV7AY 20-29 years, male 7.0
GTEX-1R9PM-1526-SM-DPRY8 20-29 years, male 7.0
GTEX-13PVR-1626-SM-73KVF 60-69 years, female 6.9
GTEX-1F5PL-2126-SM-7PC2O 40-49 years, female 6.9
GTEX-12WSL-1626-SM-5GCMU 50-59 years, male 6.8
GTEX-1CAMS-2526-SM-7EPH7 40-49 years, female 6.7
GTEX-11EM3-1526-SM-5A5KN 20-29 years, female 6.6
GTEX-12C56-0626-SM-5EGGC 20-29 years, male 6.6
GTEX-178AV-1326-SM-6LPJX 40-49 years, male 6.6
GTEX-ZZ64-0726-SM-5GZX4 20-29 years, male 6.6
GTEX-PSDG-1826-SM-EAZ2S 50-59 years, male 6.6
GTEX-1IDJC-1326-SM-CL53H 50-59 years, male 6.5
GTEX-145MN-1726-SM-5SIA6 30-39 years, male 6.4
GTEX-WEY5-1426-SM-4LMJ3 40-49 years, female 6.4
GTEX-WFON-1426-SM-4LVMT 40-49 years, male 6.4
GTEX-WY7C-1626-SM-4ONC8 50-59 years, male 6.4
GTEX-1PIGE-1426-SM-E9U61 20-29 years, male 6.4
GTEX-13OVI-2026-SM-5J1MU 60-69 years, female 6.3
GTEX-SNMC-1126-SM-4DM5M 20-29 years, male 6.3
GTEX-WYJK-2226-SM-4ONDJ 50-59 years, male 6.3
GTEX-Y3IK-1826-SM-4WWDS 50-59 years, female 6.2
GTEX-1HCU9-1326-SM-B2LXT 20-29 years, male 6.2
GTEX-17HGU-2426-SM-7EWDP 50-59 years, male 6.1
GTEX-17EUY-1826-SM-7DUEZ 20-29 years, male 6.0
GTEX-QEL4-1926-SM-D3L8D 50-59 years, male 6.0
GTEX-TML8-1326-SM-4DXTO 40-49 years, female 5.9
GTEX-15DYW-2326-SM-6PAMU 60-69 years, female 5.8
GTEX-1JKYR-1926-SM-C1YR7 20-29 years, male 5.7
GTEX-1K9T9-2826-SM-D4P3F 50-59 years, female 5.7
GTEX-13CF3-1426-SM-5K7YY 60-69 years, female 5.6
GTEX-13PL7-2526-SM-5IFGR 60-69 years, female 5.6
GTEX-ZPU1-1926-SM-57WDT 40-49 years, male 5.6
GTEX-1RAZA-1726-SM-DPS13 20-29 years, male 5.6
GTEX-15ER7-2926-SM-7KUFK 20-29 years, female 5.5
GTEX-QMRM-1226-SM-447C6 50-59 years, male 5.5
GTEX-WOFM-2026-SM-4OOSQ 20-29 years, male 5.5
GTEX-PLZ6-0926-SM-3P5ZQ 30-39 years, male 5.3
GTEX-1H3VY-2426-SM-9WPPD 50-59 years, male 5.3
GTEX-1GMR3-2826-SM-9WPOG 40-49 years, male 5.2
GTEX-S4P3-1226-SM-4AD4Y 50-59 years, female 5.1
GTEX-1KANC-0926-SM-D3LA9 50-59 years, female 5.1
GTEX-1QPFJ-2326-SM-E6CR7 30-39 years, female 5.1
GTEX-1S82U-0726-SM-E9TKI 30-39 years, female 5.1
GTEX-17F98-1026-SM-7IGO8 40-49 years, female 5.0
GTEX-1C475-1626-SM-731FP 40-49 years, female 5.0
GTEX-PWCY-1026-SM-48TD4 20-29 years, female 5.0
GTEX-13111-0726-SM-5DUVE 50-59 years, male 4.9
GTEX-139TS-1926-SM-5IJFO 60-69 years, male 4.8
GTEX-1HKZK-2126-SM-A9SL3 40-49 years, male 4.8
GTEX-1LGOU-1626-SM-D3LAK 20-29 years, female 4.8
GTEX-1RDX4-1826-SM-EVR54 50-59 years, female 4.8
GTEX-1AMEY-1926-SM-73KVT 30-39 years, female 4.7
GTEX-17KNJ-1726-SM-7LG6A 50-59 years, male 4.6
GTEX-ZV6S-1226-SM-59HLH 40-49 years, female 4.6
GTEX-13FTW-1826-SM-5IJEN 40-49 years, male 4.5
GTEX-RM2N-0926-SM-48FD1 50-59 years, male 4.5
GTEX-SE5C-1526-SM-4BRWU 40-49 years, female 4.5
GTEX-1I6K6-1826-SM-B2LX5 30-39 years, male 4.5
GTEX-Q734-1126-SM-48TZY 40-49 years, female 4.4
GTEX-XQ8I-2126-SM-4BOOM 50-59 years, male 4.4
GTEX-QDVN-1326-SM-48TZ3 50-59 years, male 4.3
GTEX-11NSD-1626-SM-5986U 20-29 years, male 4.2
GTEX-11VI4-1526-SM-5EQKC 40-49 years, female 4.2
GTEX-O5YW-1426-SM-3MJHF 50-59 years, male 4.2
GTEX-1QP67-1326-SM-EAZ4D 40-49 years, female 4.2
GTEX-14BMU-1526-SM-5TDE6 20-29 years, female 4.1
GTEX-1L5NE-2026-SM-CXZKR 50-59 years, male 4.1
GTEX-11TT1-1026-SM-5PNW7 20-29 years, male 4.0
GTEX-1399U-1926-SM-5IFH7 50-59 years, female 4.0
GTEX-TKQ2-1326-SM-4DXT9 50-59 years, male 4.0
GTEX-1QCLY-1726-SM-DPRXY 30-39 years, male 4.0
GTEX-SNOS-1226-SM-4DM5H 40-49 years, male 3.9
GTEX-WYVS-1826-SM-4OND6 40-49 years, female 3.9
GTEX-1JN76-1226-SM-C1YRM 20-29 years, female 3.9
GTEX-117YW-1826-SM-5PNY5 50-59 years, male 3.8
GTEX-S7SF-1926-SM-4AT5B 20-29 years, female 3.8
GTEX-XV7Q-2126-SM-4BRVX 40-49 years, female 3.8
GTEX-QCQG-1626-SM-48U26 50-59 years, female 3.7
GTEX-U3ZM-1126-SM-4DXUB 40-49 years, male 3.7
GTEX-ZTSS-1126-SM-5985O 40-49 years, male 3.7
GTEX-1IKOE-2026-SM-AHZ31 30-39 years, female 3.7
GTEX-ZLWG-1726-SM-DNZZ2 50-59 years, female 3.7
GTEX-1AMFI-1726-SM-7189L 50-59 years, female 3.6
GTEX-W5WG-2426-SM-4LMI6 50-59 years, female 3.6
GTEX-1LG7Z-1426-SM-CXKYV 30-39 years, male 3.6
GTEX-1PFEY-1426-SM-E9U6U 30-39 years, male 3.5
GTEX-1S83E-1626-SM-EV7B9 40-49 years, male 3.5
GTEX-17F9E-1826-SM-7IGMC 50-59 years, male 3.4
GTEX-P4QT-1426-SM-3NMCX 50-59 years, female 3.4
GTEX-1211K-1726-SM-5FQUJ 60-69 years, female 3.3
GTEX-14PK6-1726-SM-6871J 70-79 years, female 3.3
GTEX-OXRK-1726-SM-3NB16 50-59 years, female 3.3
GTEX-S4Q7-0826-SM-4AD5E 20-29 years, male 3.3
GTEX-1MGNQ-2026-SM-EAZ51 40-49 years, male 3.3
GTEX-OIZH-1426-SM-3NB1O 50-59 years, male 3.2
GTEX-1B932-2826-SM-73KUD 40-49 years, female 3.1
GTEX-1IDJU-2026-SM-A9SLM 60-69 years, female 3.1
GTEX-ZG7Y-2126-SM-DO117 50-59 years, male 3.1
GTEX-133LE-1526-SM-5IFEN 20-29 years, female 3.0
GTEX-XMK1-1726-SM-4B64Z 40-49 years, male 3.0
GTEX-1JK1U-1526-SM-AHZ46 60-69 years, male 3.0
GTEX-ZF2S-1926-SM-4WWAN 50-59 years, female 2.9
GTEX-ZLV1-1226-SM-4WWBX 60-69 years, female 2.9
GTEX-1IOXB-2626-SM-CJI2N 50-59 years, male 2.8
GTEX-11LCK-2026-SM-5A5MA 30-39 years, male 2.7
GTEX-139T6-1326-SM-5IFFO 50-59 years, male 2.7
GTEX-139YR-2126-SM-5KM11 50-59 years, male 2.7
GTEX-14PHX-1526-SM-68717 50-59 years, male 2.7
GTEX-18QFQ-1526-SM-72D57 30-39 years, male 2.7
GTEX-WHWD-1226-SM-4OOS1 50-59 years, male 2.7
GTEX-ZT9W-1826-SM-51MQX 50-59 years, male 2.7
GTEX-ZVT2-1926-SM-5GU5T 50-59 years, female 2.7
GTEX-1HFI7-1726-SM-A9G22 50-59 years, female 2.7
GTEX-14E6E-1526-SM-5RQIG 30-39 years, male 2.6
GTEX-18D9A-1126-SM-7KFRJ 30-39 years, female 2.6
GTEX-P4PP-1426-SM-3NM9L 30-39 years, female 2.6
GTEX-111YS-1626-SM-5GZZ9 60-69 years, male 2.5
GTEX-14DAR-1526-SM-5RQIX 50-59 years, male 2.5
GTEX-1HSEH-1726-SM-B2LXH 60-69 years, male 2.5
GTEX-111CU-1426-SM-5GZYP 50-59 years, male 2.4
GTEX-1JKYN-2326-SM-CGQG7 30-39 years, male 2.4
GTEX-1LVAM-1626-SM-EV79Y 50-59 years, female 2.4
GTEX-144GM-1226-SM-5LU52 20-29 years, male 2.3
GTEX-1LGRB-1426-SM-CNNPT 50-59 years, female 2.3
GTEX-1N2DV-1426-SM-DPRYQ 40-49 years, male 2.3
GTEX-1PIEJ-2026-SM-E6CPA 20-29 years, female 2.3
GTEX-147GR-2726-SM-664OO 60-69 years, male 2.2
GTEX-15CHR-1426-SM-7DUGV 50-59 years, male 2.2
GTEX-1C4CL-2126-SM-7IGQC 30-39 years, male 2.2
GTEX-U3ZN-2126-SM-4DXU1 30-39 years, female 2.2
GTEX-1QP9N-1026-SM-E6CPX 30-39 years, male 2.2
GTEX-1122O-1526-SM-5N9CL 60-69 years, female 2.1
GTEX-14JIY-3326-SM-6871E 60-69 years, male 2.1
GTEX-14XAO-2026-SM-69LOI 60-69 years, female 2.1
GTEX-U4B1-1126-SM-4DXV3 40-49 years, male 2.1
GTEX-Y9LG-1526-SM-4WWDR 30-39 years, male 2.1
GTEX-1MA7W-0626-SM-EV79Z 20-29 years, female 2.1
GTEX-131XG-1826-SM-5LZV4 50-59 years, female 2.0
GTEX-1399R-2226-SM-5P9JB 30-39 years, male 2.0
GTEX-1399S-1926-SM-5J2M5 30-39 years, female 2.0
GTEX-ZDYS-2326-SM-4WKG6 50-59 years, male 2.0
GTEX-1F5PK-1926-SM-7MXT7 50-59 years, male 2.0
GTEX-11DXZ-1726-SM-5H12M 50-59 years, male 1.9
GTEX-13S86-1626-SM-5Q5C5 40-49 years, male 1.9
GTEX-14PKV-2126-SM-664O3 20-29 years, female 1.9
GTEX-PWN1-1426-SM-48TDF 40-49 years, female 1.9
GTEX-ZDTT-1926-SM-5HL5W 60-69 years, male 1.9
GTEX-11I78-1226-SM-5A5K6 50-59 years, female 1.8
GTEX-132AR-2726-SM-5PNVN 50-59 years, female 1.8
GTEX-13QBU-1826-SM-5IJG3 40-49 years, female 1.8
GTEX-144GN-1126-SM-5LU33 50-59 years, male 1.8
GTEX-16AAH-1326-SM-7KFRG 50-59 years, male 1.8
GTEX-WHSB-0926-SM-4M1XJ 50-59 years, male 1.7
GTEX-QV31-0826-SM-CKZNC 30-39 years, male 1.7
GTEX-11P82-1026-SM-5BC5J 20-29 years, male 1.6
GTEX-YF7O-1726-SM-5IFJ9 50-59 years, male 1.6
GTEX-1H11D-2626-SM-9JGH4 40-49 years, male 1.6
GTEX-1J1R8-1126-SM-CNPQ3 40-49 years, male 1.6
GTEX-12BJ1-2126-SM-5BC5O 60-69 years, male 1.5
GTEX-T5JW-1126-SM-4DM5V 20-29 years, female 1.5
GTEX-Y5LM-1526-SM-4VDTA 40-49 years, female 1.5
GTEX-1B8KE-1926-SM-731EE 50-59 years, male 1.3
GTEX-1B8KZ-1326-SM-7DUG6 50-59 years, male 1.3
GTEX-ZPIC-2226-SM-57WDX 40-49 years, female 1.3
GTEX-R55G-1226-SM-48FDC 40-49 years, female 1.2
GTEX-1RAZR-1926-SM-E6CRF 40-49 years, male 1.2
GTEX-14PJ4-1926-SM-6LLHG 60-69 years, male 1.1
GTEX-S4UY-0826-SM-4AD4Z 40-49 years, female 1.1
GTEX-ZPCL-1826-SM-57WF1 60-69 years, female 1.1
GTEX-1H1E6-1926-SM-9OSWD 30-39 years, male 1.1
GTEX-1K2DA-2026-SM-CGQGK 50-59 years, male 1.0
GTEX-1I4MK-1126-SM-B2LWS 50-59 years, female 0.9
GTEX-13O21-2426-SM-5MR4A 50-59 years, male 0.7
GTEX-1CAMR-0926-SM-7MXTD 20-29 years, male 0.5
GTEX-XAJ8-0426-SM-47JYJ 40-49 years, male 0.2
Show allShow less

Contact

  • NEWS ARTICLES
  • PRESS ROOM

The Project

  • INTRODUCTION
  • ORGANIZATION
  • PUBLICATIONS

The Human Protein Atlas

  • DOWNLOADABLE DATA
  • LICENCE & CITATION
  • HELP & FAQ
The Human Protein Atlas project is funded
by the Knut & Alice Wallenberg Foundation.


contact@proteinatlas.org