We use cookies to enhance the usability of our website. If you continue, we'll assume that you are happy to receive all cookies. More information. Don't show this again.
GSTT2B
HPA
RESOURCES
  • TISSUE
  • BRAIN
  • SINGLE CELL
  • SUBCELLULAR
  • CANCER
  • BLOOD
  • CELL LINE
  • STRUCTURE & INTERACTION
ABOUT
  • INTRODUCTION
  • HISTORY
  • ORGANIZATION
  • PUBLICATIONS
  • ANTIBODY SUBMISSION
  • ANTIBODY AVAILABILITY
  • ACKNOWLEDGMENTS
  • CONTACT
NEWS
  • NEWS ARTICLES
  • PRESS ROOM
LEARN
  • DICTIONARY
  • PROTEIN CLASSES
  • PROTEIN EVIDENCE
  • METHODS
  • EDUCATIONAL VIDEOS
DATA
  • DOWNLOADABLE DATA
  • PUBLICATION DATA
  • RELEASE HISTORY
HELP
  • ANTIBODY VALIDATION
  • ASSAYS & ANNOTATION
  • DISCLAIMER
  • HELP & FAQ
  • PRIVACY STATEMENT
  • LICENCE & CITATION
Fields »
Search result

Field
Term
Gene name
Class
Subclass
Class
Keyword
Chromosome
External id
Tissue
Cell type
Expression
Antibody panel
Tissue
Main location
Patient ID
Annotation
Tissue
Category
Tau score
Cluster
Reliability
Brain region
Category
Tau score
Brain region
Category
Tau score
Brain region
Category
Tau score
Cluster
Reliability
Tissue
Cell type
Enrichment
Cell type
Category
Tau score
Cell type
Category
Tau score
Cell type
Category
Tau score
Cell lineage
Category
Tau score
Cluster
Cluster
Location
Searches
Location
Cell line
Class
Type
Phase
Reliability
Cancer
Prognosis
Cancer
Category
Cancer
Category
Tau score
Cluster
Variants
Interacting gene (ensg_id)
Type
Number of interactions
Pathway
Category
Score
Score
Score
Validation
Validation
Validation
Validation
Antibodies
Data type
Column


  • SUMMARY

  • TISSUE

  • BRAIN

  • SINGLE CELL

  • SUBCELL

  • CANCER

  • BLOOD

  • CELL LINE

  • STRUCT & INT

  • GSTT2B
TISSUE PRIMARY DATA SALIVARY GLAND Show tissue menu
ADIPOSE TISSUE ADRENAL GLAND AMYGDALA APPENDIX BASAL GANGLIA BONE MARROW BREAST CEREBELLUM CEREBRAL CORTEX CERVIX CHOROID PLEXUS COLON DUODENUM
ENDOMETRIUM EPIDIDYMIS ESOPHAGUS FALLOPIAN TUBE GALLBLADDER HEART MUSCLE HIPPOCAMPAL FORMATION HYPOTHALAMUS KIDNEY LIVER LUNG LYMPH NODE MIDBRAIN
OVARY PANCREAS PARATHYROID GLAND PITUITARY GLAND PLACENTA PROSTATE RECTUM RETINA SALIVARY GLAND SEMINAL VESICLE SKELETAL MUSCLE SKIN SMALL INTESTINE
SMOOTH MUSCLE SPINAL CORD SPLEEN STOMACH TESTIS THYMUS THYROID GLAND TONGUE TONSIL URINARY BLADDER VAGINA
ANTIBODIES
AND
VALIDATION
Dictionary
Salivary gland
Tissue proteome
Salivary gland
SALIVARY GLAND - Expression summary
Protein expressioni

On the top, protein expression in current human tissue, based on all annotated cell types, is reported with the units not detected (n), low (l), medium (m) and high (h). Underneath, protein expression in each annotated cell type are reported using the same units.

Protein expression data is based on knowledge-based annotation. For genes where more than one antibody has been used, a collective score is set.

If knowledge-based annotation could not be performed for a gene, no data is displayed here. View antibody staining data further down this page.

No data
RNA expressioni

A summary of mRNA expression data available for current tissue based on several datasets. The mRNA expression levels in human tissues are based on RNA-seq data generated by the Human Protein Atlas (HPA), Genotype-Tissue Expression (GTEx) portal and CAGE data generated by the FANTOM5 consortium. Consensus normalized expression levels for human tissues was created by combining the data from HPA and GTEx datasets.

The mRNA expression levels in pig are based on RNA-seq data generated by the Human Protein Atlas (HPA), and for mouse, HPA data and in situ hybridization generated by the Allen brain atlas are reported.

Scroll down to view mRNA expression data in more detail.
Consensus:12.1 nTPM
HPA:5.4 nTPM
GTEx:12.1 nTPM

SALIVARY GLAND - Annotated protein expression
Pending normal tissue analysis

SALIVARY GLAND - Antibody stainingi

Antibody staining in the annotated cell types in the current human tissue is reported as not detected, low, medium, or high, based on conventional immunohistochemistry profiling in selected tissues. This score is based on the combination of the staining intensity and fraction of stained cells.

Each image is clickable and will lead to virtual microscopy that enables deeper exploration of all samples and also displays staining intensity scores, fraction scores and subcellular localization as well as patient and tissue information for each sample.

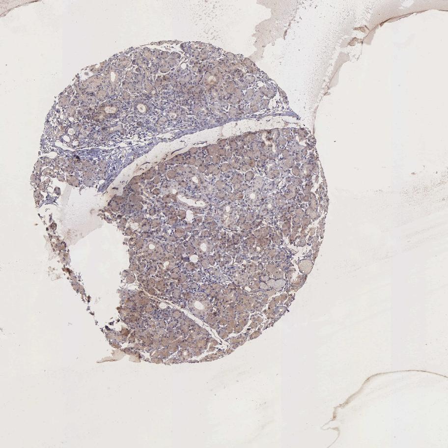
Antibody HPA000750
Glandular cells Medium


SALIVARY GLAND - HPA RNA-seqi

The RNA-seq details section shows detailed information about the individual samples used for the transcript profiling and results of the RNA-seq analysis.

Information about each individual sample is listed below, including gender, age, a tissue section image and estimated fractions of cell types. nTPM (normalized transcripts per million) values give a quantification of the gene abundance which is comparable between different genes and samples.
Average nTPMi

Max subtype nTPM is the value for the subtype with the largest average nTPM across the subtype samples.

5.4
overview
Female, age 68
Salivary gland sample 216
nTPM: 6.7
Cell types%
Glandular cells:
45

Ductal cells:
25

Adipocytes:
5

Other cell types:
25

overview
Male, age 60
Salivary gland sample 217
nTPM: 2.8
Cell types%
Glandular cells:
55

Ductal cells:
20

Adipocytes:
5

Endothelial cells:
5

Other cell types:
15

overview
Female, age 21
Salivary gland sample 218
nTPM: 6.7
Cell types%
Glandular cells:
55

Ductal cells:
15

Adipocytes:
5

Endothelial cells:
5

Other cell types:
20


SALIVARY GLAND - GTEx RNA-seqi

RNA-Seq data generated by the Genotype-Tissue Expression (GTEx) project from human tissues is reported as mean nTPM. More information can be found on the GTEx portal.

Distribution across the dataset is visualized with box plots, shown as median and 25th and 75th percentiles. Points are displayed as outliers if they are above or below 1.5 times the interquartile range. nTPM values of the individual samples are presented next to the box plot.
Max subtype nTPMi

Max subtype nTPM is the value for the subtype with the largest average nTPM across the subtype samples.

12.1
GTEx sample id Sample description nTPM
Minor Salivary Gland
Average nTPM: 12.1
Samples: 162

Max nTPM: 135.2
Min nTPM: 1.5
Std nTPM: 14.3
Median nTPM: 8.4
GTEX-ZLFU-2226-SM-EXUS7 40-49 years, male 135.2
GTEX-14E1K-2626-SM-664OJ 50-59 years, male 98.4
GTEX-1H1CY-2326-SM-9OSXW 60-69 years, female 40.4
GTEX-1S82P-0726-SM-EVR4O 60-69 years, female 40.4
GTEX-ZQG8-2126-SM-4YCF1 60-69 years, female 39.3
GTEX-131XH-2626-SM-5GCNP 50-59 years, male 33.5
GTEX-ZLWG-2026-SM-DO11F 50-59 years, female 31.5
GTEX-1B97J-2126-SM-79OL6 50-59 years, female 30.4
GTEX-1IY9M-2926-SM-A96TH 60-69 years, male 28.4
GTEX-11NV4-1926-SM-5N9D4 60-69 years, male 28.0
GTEX-12WSN-2226-SM-5DUXT 40-49 years, male 26.2
GTEX-XGQ4-2626-SM-4AT6B 50-59 years, male 26.0
GTEX-13CF2-2426-SM-5LZYL 60-69 years, male 24.7
GTEX-1LBAC-0626-SM-D3L9T 20-29 years, male 23.1
GTEX-X3Y1-1926-SM-4PQZO 40-49 years, male 22.9
GTEX-13NYB-2426-SM-5IFF4 40-49 years, male 21.5
GTEX-1RAZA-0626-SM-EAZ4H 20-29 years, male 21.5
GTEX-13OVK-1826-SM-6PALE 40-49 years, male 21.1
GTEX-1P4AB-2926-SM-EXOJR 50-59 years, male 20.4
GTEX-1I6K7-0926-SM-A96SV 40-49 years, male 20.3
GTEX-1CB4I-2526-SM-7MKG1 50-59 years, male 19.8
GTEX-1HSMQ-0926-SM-A96SI 50-59 years, male 19.5
GTEX-145ME-1626-SM-5RQI3 40-49 years, female 19.3
GTEX-1I1HK-2526-SM-A96SM 60-69 years, male 19.2
GTEX-18A67-0626-SM-7KFSL 50-59 years, male 18.6
GTEX-1C6VR-0726-SM-7P8OV 60-69 years, male 18.3
GTEX-1QCLZ-2526-SM-EXUST 60-69 years, female 18.2
GTEX-11EQ9-2026-SM-5P9JI 30-39 years, male 18.1
GTEX-WOFM-2126-SM-4OOSR 20-29 years, male 17.9
GTEX-ZPU1-2326-SM-57WEP 40-49 years, male 17.7
GTEX-ZP4G-1926-SM-57WDZ 20-29 years, female 17.5
GTEX-WFJO-2026-SM-4LVM3 30-39 years, male 17.4
GTEX-1GPI7-0326-SM-7MKH6 20-29 years, male 17.3
GTEX-11ZTS-3026-SM-5EQM7 60-69 years, female 17.1
GTEX-1HSGN-0626-SM-A9G2E 40-49 years, female 17.0
GTEX-1H4P4-2026-SM-9WPNV 50-59 years, male 16.3
GTEX-1GN1V-2926-SM-9JGI3 60-69 years, male 16.1
GTEX-1AYD5-2726-SM-7MXVG 50-59 years, male 15.9
GTEX-13QJC-2326-SM-5Q5CD 60-69 years, female 15.8
GTEX-14JIY-3026-SM-6EU1R 60-69 years, male 15.8
GTEX-1S83E-0626-SM-E9TKC 40-49 years, male 15.6
GTEX-1B8SF-1826-SM-731DJ 60-69 years, male 15.5
GTEX-1GMR2-2026-SM-7MKHK 50-59 years, male 15.4
GTEX-1POEN-2226-SM-DPRXV 30-39 years, female 15.2
GTEX-X5EB-1726-SM-4E3J7 40-49 years, male 15.0
GTEX-Y111-2626-SM-4TT24 50-59 years, male 14.8
GTEX-12WSM-1826-SM-5BC64 60-69 years, male 14.4
GTEX-1LVA9-2526-SM-EVR5H 50-59 years, male 14.1
GTEX-15RJE-2726-SM-6LPJ1 40-49 years, male 13.9
GTEX-X261-2426-SM-4PQZU 50-59 years, male 13.7
GTEX-1KD5A-2226-SM-EV79U 50-59 years, male 13.7
GTEX-ZE7O-2926-SM-51MSG 50-59 years, female 13.1
GTEX-1A3MV-1726-SM-72D68 30-39 years, male 12.9
GTEX-X15G-2126-SM-4PQZR 50-59 years, female 12.7
GTEX-15SHV-2226-SM-6M464 60-69 years, male 12.6
GTEX-1C4CL-2026-SM-731EB 30-39 years, male 12.5
GTEX-1NSGN-0626-SM-E9J35 50-59 years, male 12.5
GTEX-11TUW-2426-SM-5EQKB 60-69 years, male 12.3
GTEX-1LKK1-2926-SM-EVR4Z 50-59 years, female 12.1
GTEX-1KD4Q-2526-SM-CXZKL 40-49 years, male 11.9
GTEX-1C64N-2926-SM-79OLM 50-59 years, male 11.6
GTEX-ZXG5-2826-SM-5NQ8T 60-69 years, male 11.5
GTEX-178AV-1426-SM-6LLID 40-49 years, male 11.4
GTEX-17MFQ-1626-SM-7938Z 20-29 years, male 11.2
GTEX-1KANC-1326-SM-CYPT8 50-59 years, female 11.1
GTEX-1R9K5-0626-SM-DPRZB 50-59 years, male 11.1
GTEX-1R9K4-0526-SM-E76P1 60-69 years, male 10.6
GTEX-13JVG-2926-SM-5J2N9 60-69 years, male 10.5
GTEX-1314G-2026-SM-5LZUM 30-39 years, male 10.4
GTEX-146FR-1226-SM-5SIA7 60-69 years, female 10.4
GTEX-ZF29-2126-SM-DNZYX 60-69 years, female 10.4
GTEX-1LVAO-2626-SM-EVR4S 60-69 years, male 10.3
GTEX-1LSNL-2626-SM-EV7AT 50-59 years, male 10.1
GTEX-1MCC2-2226-SM-EV7AJ 30-39 years, female 10.0
GTEX-14PJ3-1526-SM-664O9 50-59 years, male 9.7
GTEX-15CHC-1226-SM-686ZH 60-69 years, female 9.3
GTEX-Y3I4-1926-SM-4TT8L 50-59 years, male 9.1
GTEX-1GZ2Q-2526-SM-9KNVW 40-49 years, male 8.6
GTEX-1339X-2326-SM-5HL5B 40-49 years, male 8.5
GTEX-14PN4-2526-SM-686ZG 50-59 years, male 8.5
GTEX-13VXT-1726-SM-5IFF5 20-29 years, female 8.4
GTEX-1LC47-2426-SM-DHXKK 60-69 years, male 8.4
GTEX-13111-2326-SM-5LZUQ 50-59 years, male 8.3
GTEX-18D9U-2226-SM-7KFTN 40-49 years, male 8.3
GTEX-1PPH8-1526-SM-E6CQO 20-29 years, male 8.1
GTEX-1GF9X-0226-SM-7P8SM 40-49 years, female 7.8
GTEX-1445S-2926-SM-5O993 60-69 years, male 7.6
GTEX-1R9PM-1726-SM-E8VOA 20-29 years, male 7.5
GTEX-1MCQQ-2226-SM-DLHC4 60-69 years, male 7.4
GTEX-1JN1M-2426-SM-ARU93 60-69 years, female 7.3
GTEX-1C64O-0626-SM-7DHL1 60-69 years, male 7.2
GTEX-1HSEH-1826-SM-A96SA 60-69 years, male 7.2
GTEX-1JKYR-0726-SM-AHZ3K 20-29 years, male 6.8
GTEX-14B4R-1426-SM-5Q5CG 30-39 years, male 6.7
GTEX-XV7Q-2426-SM-4BRV8 40-49 years, female 6.5
GTEX-1IOXB-2826-SM-AHZ32 50-59 years, male 6.5
GTEX-18A7B-2826-SM-7KFTK 70-79 years, male 6.4
GTEX-XMK1-2626-SM-4B65R 40-49 years, male 6.3
GTEX-1I6K6-0626-SM-ARU7J 30-39 years, male 6.1
GTEX-1JN6P-2526-SM-CNNPX 60-69 years, male 6.1
GTEX-131XF-2826-SM-5EGKH 60-69 years, male 5.9
GTEX-1AX8Z-0626-SM-731EH 60-69 years, male 5.9
GTEX-1OJC4-3126-SM-EXOJK 50-59 years, female 5.9
GTEX-13OVL-2926-SM-5IFG3 50-59 years, male 5.8
GTEX-WH7G-2126-SM-4M1XU 40-49 years, male 5.8
GTEX-14PJN-1726-SM-69LO7 30-39 years, male 5.7
GTEX-1IE54-0826-SM-AHZ2Z 40-49 years, female 5.7
GTEX-1QEPI-0626-SM-E76QE 60-69 years, female 5.6
GTEX-15EU6-2626-SM-7KUN4 50-59 years, male 5.5
GTEX-13113-1526-SM-5EGHV 60-69 years, female 5.4
GTEX-1B932-0626-SM-731EM 40-49 years, female 5.3
GTEX-1HFI7-2426-SM-B2LXV 50-59 years, female 5.3
GTEX-1B8KZ-1726-SM-73KV7 50-59 years, male 5.2
GTEX-Y5LM-1826-SM-4VDT9 40-49 years, female 5.2
GTEX-Y5V6-2226-SM-4VDTC 60-69 years, male 5.2
GTEX-ZC5H-2726-SM-5KLZW 40-49 years, female 5.2
GTEX-1R9PO-2626-SM-E6CPU 60-69 years, female 5.1
GTEX-1117F-3026-SM-5GZYU 60-69 years, female 5.0
GTEX-WHSB-2326-SM-4M1XK 50-59 years, male 5.0
GTEX-13G51-2426-SM-5LZY8 60-69 years, male 4.9
GTEX-1EH9U-2926-SM-7DHLX 60-69 years, male 4.9
GTEX-1IDJC-1626-SM-AHZ2R 50-59 years, male 4.8
GTEX-1QMI2-0426-SM-EWRND 60-69 years, male 4.8
GTEX-11WQK-2926-SM-5EQKT 50-59 years, male 4.7
GTEX-12WSL-2126-SM-5GCNG 50-59 years, male 4.6
GTEX-ZG7Y-2426-SM-DO11H 50-59 years, male 4.6
GTEX-13QBU-2126-SM-5KLZN 40-49 years, female 4.4
GTEX-ZAB5-2326-SM-5IJFR 50-59 years, male 4.4
GTEX-1J1R8-1826-SM-AHZ3B 40-49 years, male 4.3
GTEX-1J8QM-1826-SM-A96TA 60-69 years, female 4.3
GTEX-1HCU7-0126-SM-C1YR3 50-59 years, male 4.2
GTEX-11P81-2026-SM-5P9GT 30-39 years, female 4.1
GTEX-1MGNQ-1926-SM-DTX8L 40-49 years, male 4.1
GTEX-111FC-2926-SM-5GZY7 60-69 years, male 4.0
GTEX-11P82-0926-SM-5986X 20-29 years, male 4.0
GTEX-1QP9N-2026-SM-DPRZT 30-39 years, male 4.0
GTEX-WYVS-2026-SM-4RGNS 40-49 years, female 3.9
GTEX-1AMEY-1126-SM-72D79 30-39 years, female 3.8
GTEX-YB5K-1726-SM-5IFIZ 40-49 years, female 3.7
GTEX-1GTWX-2526-SM-9JGHG 60-69 years, male 3.7
GTEX-17KNJ-2726-SM-7KFRE 50-59 years, male 3.6
GTEX-1GN1W-2526-SM-9JGHX 50-59 years, female 3.6
GTEX-1IDJD-2526-SM-C1YSA 30-39 years, male 3.6
GTEX-11ZTT-2226-SM-5CVLP 60-69 years, female 3.5
GTEX-ZQUD-2126-SM-51MSY 30-39 years, male 3.3
GTEX-1HR9M-2526-SM-A9G3J 60-69 years, male 3.3
GTEX-1AX9K-2126-SM-72D7K 50-59 years, male 3.1
GTEX-1192X-2926-SM-5N9BA 50-59 years, male 3.0
GTEX-1PIEJ-0626-SM-DTX99 20-29 years, female 3.0
GTEX-1RNSC-2926-SM-EV79L 60-69 years, male 3.0
GTEX-12BJ1-2226-SM-5BC6G 60-69 years, male 2.9
GTEX-ZT9W-2126-SM-51MSF 50-59 years, male 2.9
GTEX-YF7O-2226-SM-5CVN8 50-59 years, male 2.8
GTEX-ZA64-1726-SM-5CVMF 20-29 years, male 2.8
GTEX-WY7C-1426-SM-4OND1 50-59 years, male 2.5
GTEX-13OVI-2326-SM-5KM47 60-69 years, female 2.4
GTEX-1J8EW-2826-SM-A96T9 60-69 years, female 2.3
GTEX-13O21-1926-SM-5MR39 50-59 years, male 2.1
GTEX-1OJC3-1026-SM-E6CQK 20-29 years, male 2.0
GTEX-11EMC-2526-SM-5PNVU 60-69 years, female 1.5
GTEX-18QFQ-0626-SM-718AW 30-39 years, male 1.5
GTEX-1I4MK-1326-SM-B2LWT 50-59 years, female 1.5
Show allShow less

Contact

  • NEWS ARTICLES
  • PRESS ROOM

The Project

  • INTRODUCTION
  • ORGANIZATION
  • PUBLICATIONS

The Human Protein Atlas

  • DOWNLOADABLE DATA
  • LICENCE & CITATION
  • HELP & FAQ
The Human Protein Atlas project is funded
by the Knut & Alice Wallenberg Foundation.


contact@proteinatlas.org