We use cookies to enhance the usability of our website. If you continue, we'll assume that you are happy to receive all cookies. More information. Don't show this again.
YWHAQ
HPA
RESOURCES
  • TISSUE
  • BRAIN
  • SINGLE CELL
  • SUBCELLULAR
  • CANCER
  • BLOOD
  • CELL LINE
  • STRUCTURE & INTERACTION
ABOUT
  • INTRODUCTION
  • HISTORY
  • ORGANIZATION
  • PUBLICATIONS
  • ANTIBODY SUBMISSION
  • ANTIBODY AVAILABILITY
  • ACKNOWLEDGMENTS
  • CONTACT
NEWS
  • NEWS ARTICLES
  • PRESS ROOM
LEARN
  • DICTIONARY
  • PROTEIN CLASSES
  • PROTEIN EVIDENCE
  • METHODS
  • EDUCATIONAL VIDEOS
DATA
  • DOWNLOADABLE DATA
  • PUBLICATION DATA
  • RELEASE HISTORY
HELP
  • ANTIBODY VALIDATION
  • ASSAYS & ANNOTATION
  • DISCLAIMER
  • HELP & FAQ
  • PRIVACY STATEMENT
  • LICENCE & CITATION
Fields »
Search result

Field
Term
Gene name
Class
Subclass
Class
Keyword
Chromosome
External id
Tissue
Cell type
Expression
Antibody panel
Tissue
Main location
Patient ID
Annotation
Tissue
Category
Tau score
Cluster
Reliability
Brain region
Category
Tau score
Brain region
Category
Tau score
Brain region
Category
Tau score
Cluster
Reliability
Tissue
Cell type
Enrichment
Cell type
Category
Tau score
Cell type
Category
Tau score
Cell type
Category
Tau score
Cell lineage
Category
Tau score
Cluster
Cluster
Location
Searches
Location
Cell line
Class
Type
Phase
Reliability
Cancer
Prognosis
Cancer
Category
Cancer
Category
Tau score
Cluster
Variants
Interacting gene (ensg_id)
Type
Number of interactions
Pathway
Category
Score
Score
Score
Validation
Validation
Validation
Validation
Antibodies
Data type
Column


  • SUMMARY

  • TISSUE

  • BRAIN

  • SINGLE CELL

  • SUBCELL

  • CANCER

  • BLOOD

  • CELL LINE

  • STRUCT & INT

  • YWHAQ
TISSUE PRIMARY DATA STOMACH Show tissue menu
ADIPOSE TISSUE ADRENAL GLAND AMYGDALA APPENDIX BASAL GANGLIA BONE MARROW BREAST CEREBELLUM CEREBRAL CORTEX CERVIX CHOROID PLEXUS COLON DUODENUM ENDOMETRIUM
EPIDIDYMIS ESOPHAGUS FALLOPIAN TUBE GALLBLADDER HEART MUSCLE HIPPOCAMPAL FORMATION HYPOTHALAMUS KIDNEY LIVER LUNG LYMPH NODE MIDBRAIN NASOPHARYNX ORAL MUCOSA
OVARY PANCREAS PARATHYROID GLAND PITUITARY GLAND PLACENTA PROSTATE RECTUM RETINA SALIVARY GLAND SEMINAL VESICLE SKELETAL MUSCLE SKIN SMALL INTESTINE SMOOTH MUSCLE
SOFT TISSUE SPINAL CORD SPLEEN STOMACH TESTIS THYMUS THYROID GLAND TONGUE TONSIL URINARY BLADDER VAGINA
ANTIBODIES
AND
VALIDATION
Dictionary
Tissue proteome
Stomach
STOMACH - Expression summary
Protein expression
Stomachi

On the top, protein expression in current human tissue, based on all annotated cell types, is reported with the units not detected (n), low (l), medium (m) and high (h). Underneath, protein expression in each annotated cell type are reported using the same units.

Protein expression data is based on knowledge-based annotation. For genes where more than one antibody has been used, a collective score is set.

If knowledge-based annotation could not be performed for a gene, no data is displayed here. View antibody staining data further down this page.

h
m
l
n
Glandular cells: Low
RNA expressioni

A summary of mRNA expression data available for current tissue based on several datasets. The mRNA expression levels in human tissues are based on RNA-seq data generated by the Human Protein Atlas (HPA), Genotype-Tissue Expression (GTEx) portal and CAGE data generated by the FANTOM5 consortium. Consensus normalized expression levels for human tissues was created by combining the data from HPA and GTEx datasets.

The mRNA expression levels in pig are based on RNA-seq data generated by the Human Protein Atlas (HPA), and for mouse, HPA data and in situ hybridization generated by the Allen brain atlas are reported.

Scroll down to view mRNA expression data in more detail.
Consensus:123.7 nTPM
HPA:92.8 nTPM
GTEx:123.7 nTPM

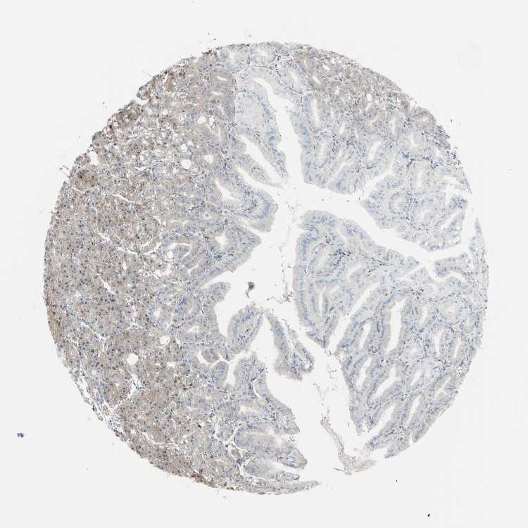
STOMACH 1 - Antibody stainingi

Antibody staining in the annotated cell types in the current human tissue is reported as not detected, low, medium, or high, based on conventional immunohistochemistry profiling in selected tissues. This score is based on the combination of the staining intensity and fraction of stained cells.

Each image is clickable and will lead to virtual microscopy that enables deeper exploration of all samples and also displays staining intensity scores, fraction scores and subcellular localization as well as patient and tissue information for each sample.

Antibody HPA007925Antibody CAB010286
Glandular cells MediumLow




STOMACH 2 - Antibody stainingi

Antibody staining in the annotated cell types in the current human tissue is reported as not detected, low, medium, or high, based on conventional immunohistochemistry profiling in selected tissues. This score is based on the combination of the staining intensity and fraction of stained cells.

Each image is clickable and will lead to virtual microscopy that enables deeper exploration of all samples and also displays staining intensity scores, fraction scores and subcellular localization as well as patient and tissue information for each sample.

Antibody HPA007925Antibody CAB010286
Glandular cells MediumLow





STOMACH - HPA RNA-seqi

The RNA-seq details section shows detailed information about the individual samples used for the transcript profiling and results of the RNA-seq analysis.

Information about each individual sample is listed below, including gender, age, a tissue section image and estimated fractions of cell types. nTPM (normalized transcripts per million) values give a quantification of the gene abundance which is comparable between different genes and samples.
Average nTPMi

Max subtype nTPM is the value for the subtype with the largest average nTPM across the subtype samples.

92.8
overview
Female, age 33
Stomach sample 61
nTPM: 98.7
Cell types%
Glandular cells:
60

Smooth muscle cells:
5

Other cell types:
35

N/A
Male, age 82
Stomach sample 240
nTPM: 83.5
Cell types%
Glandular cells:
65

Smooth muscle cells:
5

Other cell types:
30

overview
Male, age 71
Stomach sample 241
nTPM: 89.9
Cell types%
Glandular cells:
50

Smooth muscle cells:
5

Other cell types:
45

overview
Female, age 66
Stomach sample 369
nTPM: 99.2
Cell types%
Glandular cells:
50

Smooth muscle cells:
10

Other cell types:
40


STOMACH - GTEx RNA-seqi

RNA-Seq data generated by the Genotype-Tissue Expression (GTEx) project from human tissues is reported as mean nTPM. More information can be found on the GTEx portal.

Distribution across the dataset is visualized with box plots, shown as median and 25th and 75th percentiles. Points are displayed as outliers if they are above or below 1.5 times the interquartile range. nTPM values of the individual samples are presented next to the box plot.
Max subtype nTPMi

Max subtype nTPM is the value for the subtype with the largest average nTPM across the subtype samples.

123.7
GTEx sample id Sample description nTPM
Stomach
Average nTPM: 123.7
Samples: 359

Max nTPM: 227.4
Min nTPM: 68.8
Std nTPM: 28.2
Median nTPM: 120.8
GTEX-14E1K-1526-SM-664MN 50-59 years, male 227.4
GTEX-14PJ4-1626-SM-664OB 60-69 years, male 225.6
GTEX-15RIF-1126-SM-7KUG2 20-29 years, male 216.6
GTEX-ZV6S-0926-SM-57WGB 40-49 years, female 208.2
GTEX-P4QT-1526-SM-3NMCT 50-59 years, female 203.0
GTEX-1NSGN-1926-SM-E9J36 50-59 years, male 197.8
GTEX-Y114-1226-SM-4TT88 50-59 years, female 192.0
GTEX-13X6H-1626-SM-5Q5CT 50-59 years, female 188.4
GTEX-1S831-1126-SM-EWROI 20-29 years, male 187.6
GTEX-S4P3-0726-SM-4AD57 50-59 years, female 182.9
GTEX-UJHI-1026-SM-4IHJP 50-59 years, female 182.4
GTEX-TKQ1-0526-SM-4DXTG 30-39 years, male 181.9
GTEX-1PIGE-1126-SM-EWRMV 20-29 years, male 181.9
GTEX-11P7K-1726-SM-5GU6F 30-39 years, male 180.7
GTEX-WH7G-1526-SM-4LVMX 40-49 years, male 179.9
GTEX-1RQEC-2126-SM-DPS15 60-69 years, male 178.7
GTEX-OIZH-1526-SM-3NB1J 50-59 years, male 178.2
GTEX-ZTX8-0426-SM-59HLG 20-29 years, male 178.2
GTEX-1CB4E-1326-SM-7DUGD 60-69 years, male 174.8
GTEX-YEC3-1426-SM-D4P1S 50-59 years, male 174.5
GTEX-W5WG-1726-SM-4LMI5 50-59 years, female 172.8
GTEX-13111-1226-SM-5GCNC 50-59 years, male 171.1
GTEX-ZT9W-1526-SM-4YCDE 50-59 years, male 170.9
GTEX-1K2DA-0826-SM-CGQGD 50-59 years, male 170.0
GTEX-XPVG-1526-SM-4B66C 50-59 years, male 168.8
GTEX-1JMPY-0926-SM-ARL92 30-39 years, male 167.5
GTEX-P4PQ-1526-SM-3NMCK 60-69 years, male 167.3
GTEX-1GPI7-1326-SM-9KNVA 20-29 years, male 166.2
GTEX-1HBPI-0726-SM-9WG7Z 50-59 years, male 165.7
GTEX-R55C-1026-SM-48FCM 40-49 years, male 165.6
GTEX-15EU6-2526-SM-7KUGB 50-59 years, male 165.2
GTEX-12WSK-1426-SM-5CVNN 40-49 years, female 165.0
GTEX-WFJO-1126-SM-4LVLZ 30-39 years, male 164.2
GTEX-17EUY-1526-SM-793CA 20-29 years, male 164.1
GTEX-146FH-2126-SM-5SI9U 50-59 years, female 163.5
GTEX-15G1A-1226-SM-7KUF3 30-39 years, male 163.5
GTEX-13O61-1126-SM-5L3FI 60-69 years, male 162.8
GTEX-R55G-1126-SM-48FDG 40-49 years, female 162.5
GTEX-14B4R-0726-SM-5TDDR 30-39 years, male 162.1
GTEX-1339X-1426-SM-5K7YO 40-49 years, male 161.8
GTEX-WEY5-1226-SM-4LMIQ 40-49 years, female 160.0
GTEX-14PKU-1126-SM-69LOU 40-49 years, female 159.4
GTEX-11P82-0726-SM-5PNYL 20-29 years, male 159.2
GTEX-RU1J-0526-SM-46MUT 20-29 years, female 159.2
GTEX-12WSJ-0926-SM-5P9JD 40-49 years, female 159.0
GTEX-1AX9J-2626-SM-731EK 60-69 years, male 158.9
GTEX-1JMLX-2426-SM-CXZJQ 50-59 years, male 158.8
GTEX-XXEK-0826-SM-4BRWG 50-59 years, male 158.6
GTEX-XMK1-1526-SM-EYYVO 40-49 years, male 157.5
GTEX-1RAZR-1526-SM-EAZ4U 40-49 years, male 157.3
GTEX-1HCUA-1626-SM-A9SMG 50-59 years, female 157.1
GTEX-1C64O-2226-SM-73KTV 60-69 years, male 156.8
GTEX-17KNJ-1526-SM-7LTA9 50-59 years, male 153.9
GTEX-11I78-1726-SM-5A5M3 50-59 years, female 153.6
GTEX-PLZ6-0826-SM-3P61K 30-39 years, male 152.7
GTEX-Y5LM-1326-SM-5RQIS 40-49 years, female 152.5
GTEX-1B8L1-1526-SM-79OLK 60-69 years, male 151.7
GTEX-13QBU-1126-SM-5LU44 40-49 years, female 150.7
GTEX-1JN76-0926-SM-ARZNH 20-29 years, female 150.7
GTEX-11EQ9-1226-SM-5987E 30-39 years, male 149.0
GTEX-117YW-2226-SM-5N9DB 50-59 years, male 148.8
GTEX-1LVAM-1426-SM-E9TJ4 50-59 years, female 148.5
GTEX-1QP67-1026-SM-EVR47 40-49 years, female 148.0
GTEX-RUSQ-1126-SM-EAZAU 50-59 years, male 147.9
GTEX-ZLFU-1326-SM-DO11R 40-49 years, male 147.6
GTEX-R55D-1526-SM-48FEJ 50-59 years, male 147.2
GTEX-18D9B-2226-SM-718BM 60-69 years, male 147.1
GTEX-1LGOU-1526-SM-D3LAJ 20-29 years, female 146.9
GTEX-12C56-0526-SM-5FQST 20-29 years, male 146.7
GTEX-1399U-1626-SM-5P9J3 50-59 years, female 146.3
GTEX-1PPH8-1326-SM-DTXFO 20-29 years, male 146.2
GTEX-11TT1-0726-SM-5GU5A 20-29 years, male 146.1
GTEX-U4B1-1026-SM-4DXT1 40-49 years, male 145.6
GTEX-1J8QM-1126-SM-C1YQB 60-69 years, female 144.9
GTEX-1S3DN-1526-SM-EVYCB 50-59 years, male 144.6
GTEX-1MCYP-1126-SM-E9J2P 20-29 years, female 144.5
GTEX-1HR9M-2326-SM-CNPPZ 60-69 years, male 143.7
GTEX-PWN1-1526-SM-48TDA 40-49 years, female 143.2
GTEX-1C475-1026-SM-7MKFJ 40-49 years, female 142.9
GTEX-11EM3-1026-SM-5A5KL 20-29 years, female 142.6
GTEX-1AMEY-1226-SM-731DU 30-39 years, female 142.5
GTEX-1J8Q3-1926-SM-C1YSJ 60-69 years, male 141.8
GTEX-ZDYS-1926-SM-5HL59 50-59 years, male 141.0
GTEX-RM2N-0826-SM-48FD3 50-59 years, male 140.9
GTEX-1N2DV-0926-SM-E9TJT 40-49 years, male 140.4
GTEX-OIZF-1526-SM-2I5GR 60-69 years, male 140.2
GTEX-1H1DE-1226-SM-9JGHH 20-29 years, male 139.7
GTEX-PWCY-0926-SM-48TD7 20-29 years, female 139.2
GTEX-1211K-1426-SM-5FQTF 60-69 years, female 139.1
GTEX-14DAR-0926-SM-73KUQ 50-59 years, male 139.1
GTEX-ZVT2-1626-SM-51MRC 50-59 years, female 138.8
GTEX-ZPIC-2026-SM-57WG3 40-49 years, female 138.7
GTEX-145LT-1426-SM-5O9B3 40-49 years, male 138.5
GTEX-1QW4Y-0726-SM-DTX8E 30-39 years, male 138.5
GTEX-1HSMQ-2426-SM-CE6RY 50-59 years, male 138.4
GTEX-1IL2V-2026-SM-ARZMA 70-79 years, male 138.4
GTEX-11VI4-0326-SM-5EQ6L 40-49 years, female 138.3
GTEX-15SHW-2126-SM-6M46Y 60-69 years, male 138.0
GTEX-1MUQO-1926-SM-EAZ59 60-69 years, male 137.9
GTEX-17HII-2426-SM-7KFTT 50-59 years, male 137.5
GTEX-ZEX8-1626-SM-4WKG7 50-59 years, male 137.4
GTEX-OXRK-1626-SM-3NB17 50-59 years, female 136.6
GTEX-ZZ64-0426-SM-5E43F 20-29 years, male 136.3
GTEX-1JMQJ-1326-SM-D4P3B 50-59 years, male 135.8
GTEX-ZE7O-3026-SM-51MS4 50-59 years, female 135.6
GTEX-ZPU1-1626-SM-4WWB2 40-49 years, male 135.5
GTEX-18A67-2626-SM-718AD 50-59 years, male 134.9
GTEX-13O3Q-2126-SM-5KM4C 50-59 years, male 134.7
GTEX-1E2YA-2426-SM-7EPIG 50-59 years, male 134.3
GTEX-1ICG6-1826-SM-AHZ2O 70-79 years, female 134.3
GTEX-1QP29-2326-SM-EXOJO 50-59 years, male 134.2
GTEX-111YS-1126-SM-5GZYQ 60-69 years, male 133.6
GTEX-14PN3-1326-SM-6AJ9U 60-69 years, female 133.5
GTEX-11GSP-2126-SM-5HL5E 60-69 years, female 133.4
GTEX-1I1GT-1726-SM-C1YS3 60-69 years, female 132.8
GTEX-OHPM-1526-SM-EV796 50-59 years, male 132.8
GTEX-1QMI2-2126-SM-DPRXQ 60-69 years, male 132.6
GTEX-YFCO-0826-SM-5LUAG 40-49 years, male 131.9
GTEX-13OVI-2426-SM-5KM4J 60-69 years, female 131.7
GTEX-12WSG-2026-SM-5FQUU 50-59 years, female 131.6
GTEX-QLQW-0726-SM-447AA 30-39 years, male 131.6
GTEX-146FR-2026-SM-5NQAI 60-69 years, female 131.4
GTEX-QV31-0626-SM-447C5 30-39 years, male 131.4
GTEX-T5JW-0926-SM-4DM5K 20-29 years, female 131.1
GTEX-1KANA-1126-SM-D3L9M 20-29 years, male 131.1
GTEX-ZLWG-1526-SM-DO12F 50-59 years, female 131.0
GTEX-S4Z8-1226-SM-4AD6W 60-69 years, male 130.7
GTEX-ZF29-1526-SM-4WKF7 60-69 years, female 130.7
GTEX-1HKZK-1526-SM-B2LWG 40-49 years, male 130.6
GTEX-UPK5-2126-SM-4JBJK 40-49 years, male 130.4
GTEX-O5YW-1526-SM-3MJGL 50-59 years, male 130.3
GTEX-WYVS-1326-SM-4ONCQ 40-49 years, female 130.2
GTEX-13OW6-2526-SM-5IJEC 50-59 years, male 130.1
GTEX-1RB15-1026-SM-E9U6V 60-69 years, male 129.8
GTEX-1HSEH-1526-SM-B2LXG 60-69 years, male 129.7
GTEX-1IDJF-1426-SM-ACKWK 20-29 years, male 129.0
GTEX-Y5V6-1326-SM-4VDTF 60-69 years, male 128.6
GTEX-13FH7-1026-SM-5IJGF 50-59 years, female 128.4
GTEX-111CU-0926-SM-5EGIK 50-59 years, male 128.0
GTEX-14PHY-0926-SM-5ZZWL 60-69 years, female 128.0
GTEX-OHPK-1526-SM-3MJGM 50-59 years, female 127.3
GTEX-1L5NE-1526-SM-DIPFW 50-59 years, male 127.3
GTEX-1HFI7-1526-SM-9WG7W 50-59 years, female 127.2
GTEX-18QFQ-1226-SM-718AE 30-39 years, male 127.1
GTEX-XAJ8-0326-SM-47JYI 40-49 years, male 127.1
GTEX-131XF-1226-SM-5HL8V 60-69 years, male 126.8
GTEX-PLZ5-1226-SM-EXOHA 50-59 years, male 126.8
GTEX-ZGAY-1626-SM-DNZZ3 40-49 years, female 126.4
GTEX-13X6J-2126-SM-5TDCV 50-59 years, male 126.3
GTEX-ZYVF-2726-SM-5GID4 50-59 years, female 126.3
GTEX-QXCU-1926-SM-48FE4 50-59 years, male 126.0
GTEX-ZQUD-0826-SM-57WDQ 30-39 years, male 125.9
GTEX-TKQ2-0926-SM-4DXU5 50-59 years, male 125.8
GTEX-1JKYN-1726-SM-AHZ48 30-39 years, male 125.2
GTEX-17F98-1526-SM-7EWD8 40-49 years, female 125.1
GTEX-11NUK-2426-SM-5BC4U 50-59 years, male 124.8
GTEX-NFK9-1526-SM-3LK7B 40-49 years, male 124.7
GTEX-1122O-1926-SM-5EGIQ 60-69 years, female 124.6
GTEX-SNMC-0626-SM-4DM6H 20-29 years, male 124.5
GTEX-XBEW-1826-SM-4RTWX 40-49 years, male 124.4
GTEX-14PKV-1826-SM-69LO9 20-29 years, female 124.3
GTEX-YJ8A-1526-SM-5P9FT 20-29 years, male 124.2
GTEX-13N1W-2026-SM-5K7YU 70-79 years, male 123.8
GTEX-S4Q7-0726-SM-4AD5F 20-29 years, male 123.5
GTEX-14JG6-1226-SM-664O6 30-39 years, female 123.2
GTEX-R53T-1226-SM-48FCT 50-59 years, female 123.2
GTEX-SUCS-0926-SM-4DM4Z 70-79 years, male 123.1
GTEX-1H1E6-1626-SM-9OSWC 30-39 years, male 123.1
GTEX-144GM-1726-SM-5O9AS 20-29 years, male 123.0
GTEX-T6MO-0726-SM-4DM58 40-49 years, female 123.0
GTEX-1E1VI-2826-SM-7MGWU 50-59 years, male 123.0
GTEX-1I1HK-2026-SM-CNNRB 60-69 years, male 122.8
GTEX-QDT8-2026-SM-EZ6LS 30-39 years, female 122.8
GTEX-16NGA-1526-SM-72D56 40-49 years, female 122.4
GTEX-1AMFI-1226-SM-731CZ 50-59 years, female 122.2
GTEX-14PJ3-1426-SM-664O8 50-59 years, male 122.0
GTEX-18A66-2226-SM-7189E 60-69 years, male 122.0
GTEX-1S82Z-1726-SM-E6CHZ 30-39 years, female 121.1
GTEX-UJMC-1226-SM-4IHLI 50-59 years, male 121.0
GTEX-1QCLY-1126-SM-EAZ4J 30-39 years, male 120.8
GTEX-SNOS-0826-SM-4DM5N 40-49 years, male 120.6
GTEX-13CF3-1926-SM-5K7WF 60-69 years, female 120.4
GTEX-1I4MK-0926-SM-A9SLD 50-59 years, female 119.7
GTEX-PX3G-1526-SM-48U11 20-29 years, female 119.3
GTEX-133LE-1326-SM-5IFGO 20-29 years, female 119.1
GTEX-1QP28-2126-SM-DTX8B 50-59 years, female 118.9
GTEX-14E6E-0926-SM-664N8 30-39 years, male 118.6
GTEX-1HT8W-2326-SM-A9SLA 30-39 years, male 118.2
GTEX-131XE-2226-SM-5PNYX 50-59 years, male 118.0
GTEX-13OVK-0926-SM-7KUFX 40-49 years, male 118.0
GTEX-Q2AI-0826-SM-48TZO 40-49 years, male 117.9
GTEX-1H3NZ-2226-SM-9WYUT 60-69 years, male 117.9
GTEX-1QPFJ-1526-SM-DPRXT 30-39 years, female 117.7
GTEX-1B97I-1226-SM-7MGWQ 40-49 years, male 117.6
GTEX-13FTW-1726-SM-5KM2B 40-49 years, male 117.5
GTEX-1B8KE-1326-SM-73KVI 50-59 years, male 117.5
GTEX-T8EM-1226-SM-4DM5J 40-49 years, male 117.3
GTEX-ZZPU-1426-SM-5GZZ6 50-59 years, female 117.0
GTEX-S7SF-0626-SM-4AD4V 20-29 years, female 116.7
GTEX-18D9A-0626-SM-7KFTY 30-39 years, female 116.5
GTEX-14BMU-1126-SM-5RQJ8 20-29 years, female 116.3
GTEX-1F75I-1826-SM-7MKGX 40-49 years, male 116.1
GTEX-QLQ7-0826-SM-447B3 60-69 years, male 115.7
GTEX-Q2AH-1126-SM-48TZM 40-49 years, male 115.5
GTEX-WFG7-1326-SM-4LMK1 20-29 years, male 115.2
GTEX-1EH9U-2226-SM-7PBXX 60-69 years, male 115.1
GTEX-1399R-1126-SM-5IFIO 30-39 years, male 114.8
GTEX-1H11D-2226-SM-9OSXN 40-49 years, male 114.8
GTEX-RTLS-2626-SM-46MUJ 60-69 years, female 114.7
GTEX-11WQK-2626-SM-5EQ4K 50-59 years, male 114.4
GTEX-16AAH-1226-SM-79OO9 50-59 years, male 114.4
GTEX-O5YV-1926-SM-EV797 60-69 years, female 114.4
GTEX-WRHK-0626-SM-4MVOE 20-29 years, female 114.2
GTEX-1QCLZ-1826-SM-DPRXP 60-69 years, female 114.1
GTEX-17JCI-2226-SM-7LTA1 60-69 years, female 113.5
GTEX-Y3I4-1626-SM-4TT7W 50-59 years, male 113.4
GTEX-13QJ3-2726-SM-5SI6L 50-59 years, male 113.2
GTEX-1J8EW-2226-SM-AHZ3T 60-69 years, female 113.2
GTEX-11EI6-2426-SM-5PNVS 60-69 years, male 113.0
GTEX-139YR-1926-SM-5LZXM 50-59 years, male 112.7
GTEX-13PVQ-2126-SM-5L3FW 50-59 years, male 112.7
GTEX-ZV7C-1626-SM-5NQ7E 50-59 years, male 112.5
GTEX-1H3VY-2326-SM-9WG81 50-59 years, male 112.5
GTEX-144GN-1226-SM-5O991 50-59 years, male 112.4
GTEX-145MO-2226-SM-5Q5BN 60-69 years, male 112.0
GTEX-13PVR-2126-SM-73KVR 60-69 years, female 111.8
GTEX-1KD5A-1426-SM-D4P3V 50-59 years, male 111.8
GTEX-1KXAM-0926-SM-CXZKA 60-69 years, male 111.8
GTEX-11NSD-1426-SM-5HL67 20-29 years, male 111.5
GTEX-1JN1M-2926-SM-CNNPJ 60-69 years, female 111.5
GTEX-1H1DG-2126-SM-9WPPB 70-79 years, male 111.3
GTEX-1J8JJ-1726-SM-C1YQG 60-69 years, female 111.1
GTEX-Y8E4-1526-SM-4WWDI 40-49 years, male 110.8
GTEX-1JMPZ-1826-SM-CXZJT 30-39 years, male 110.8
GTEX-1IDJU-1526-SM-CNNR3 60-69 years, female 110.6
GTEX-14DAQ-2826-SM-664MU 60-69 years, female 110.5
GTEX-WY7C-1726-SM-4ONCC 50-59 years, male 110.3
GTEX-18A7A-2726-SM-7LG6U 50-59 years, female 110.2
GTEX-WHSB-1226-SM-4M1XR 50-59 years, male 110.2
GTEX-T5JC-1926-SM-4DM6Q 20-29 years, male 109.9
GTEX-ZA64-0826-SM-5HL9U 20-29 years, male 109.9
GTEX-YEC4-1426-SM-5IFHS 40-49 years, male 109.8
GTEX-QV44-1226-SM-CJI1S 50-59 years, male 109.7
GTEX-12BJ1-1726-SM-5HL9B 60-69 years, male 109.4
GTEX-1GMRU-2526-SM-9WG7T 50-59 years, male 109.0
GTEX-131XG-1226-SM-5EGH9 50-59 years, female 108.7
GTEX-13FTX-0726-SM-5N9BI 20-29 years, female 108.5
GTEX-15RIE-1026-SM-6LPJQ 60-69 years, male 108.5
GTEX-1A3MV-1226-SM-718BW 30-39 years, male 108.2
GTEX-1IDJD-2426-SM-C1YS6 30-39 years, male 108.1
GTEX-15G19-1526-SM-6LPKP 60-69 years, male 107.8
GTEX-12WSD-2326-SM-59HKQ 60-69 years, female 107.4
GTEX-ZP4G-1226-SM-4WWCJ 20-29 years, female 107.4
GTEX-1MJIX-1126-SM-EV7AO 40-49 years, male 107.4
GTEX-132QS-1826-SM-5IFFN 60-69 years, male 107.1
GTEX-XBED-1226-SM-4AT5V 60-69 years, male 107.1
GTEX-14BIL-1926-SM-73KYI 50-59 years, male 106.9
GTEX-15CHR-1326-SM-79OLT 50-59 years, male 106.9
GTEX-WZTO-2126-SM-4PQYW 40-49 years, male 106.9
GTEX-1R9K5-1026-SM-EAZ4F 50-59 years, male 106.7
GTEX-ZVZP-1726-SM-5GZWY 50-59 years, male 106.3
GTEX-1QP2A-2126-SM-DPRZ7 50-59 years, male 106.1
GTEX-1R7EU-1126-SM-EAZ4M 60-69 years, male 105.6
GTEX-1CB4H-2426-SM-7PBYR 60-69 years, female 105.5
GTEX-13O21-0926-SM-5IFGT 50-59 years, male 105.4
GTEX-12696-1726-SM-5EQLH 60-69 years, male 105.3
GTEX-117YX-1026-SM-5H11V 50-59 years, male 104.9
GTEX-17MF6-2126-SM-7KFS7 40-49 years, male 104.8
GTEX-V955-1326-SM-4JBHR 60-69 years, male 104.8
GTEX-1CAMR-0726-SM-7EPIE 20-29 years, male 103.9
GTEX-1JK1U-1326-SM-AHZ45 60-69 years, male 103.8
GTEX-1I6K7-1726-SM-B2LXQ 40-49 years, male 103.7
GTEX-132AR-2426-SM-5IFFD 50-59 years, female 103.1
GTEX-17HGU-2126-SM-7IGOV 50-59 years, male 102.9
GTEX-RWS6-0926-SM-47JXE 60-69 years, female 102.7
GTEX-1LSNM-1026-SM-DHXL2 50-59 years, male 102.1
GTEX-1GL5R-1926-SM-9WG7U 50-59 years, male 101.8
GTEX-1AYCT-1326-SM-7MKHB 50-59 years, male 101.5
GTEX-145MN-1326-SM-5NQ9S 30-39 years, male 101.0
GTEX-1B97J-1826-SM-7IGPP 50-59 years, female 100.3
GTEX-XUZC-0726-SM-4BOPH 30-39 years, female 100.2
GTEX-1A8G6-1426-SM-731EZ 60-69 years, male 100.1
GTEX-S341-0626-SM-4AD5T 40-49 years, female 99.5
GTEX-1A3MX-1926-SM-72D7F 60-69 years, male 98.9
GTEX-1GN1W-2126-SM-9JGI7 50-59 years, female 98.8
GTEX-PW2O-1226-SM-48TCH 20-29 years, male 98.7
GTEX-14PJ6-0826-SM-686Z9 60-69 years, female 98.6
GTEX-WHPG-0426-SM-4M1XW 50-59 years, male 98.6
GTEX-1F5PK-1826-SM-7RHHX 50-59 years, male 98.5
GTEX-13113-0726-SM-5LZUF 60-69 years, female 98.4
GTEX-1399S-1626-SM-5P9GI 30-39 years, female 98.0
GTEX-QMRM-1126-SM-447BN 50-59 years, male 98.0
GTEX-S3XE-1026-SM-4AD4O 50-59 years, male 98.0
GTEX-QDVJ-1426-SM-48U1Y 50-59 years, male 97.9
GTEX-1HBPN-1626-SM-9WPNP 50-59 years, male 97.7
GTEX-14ICL-0826-SM-5YY9W 30-39 years, male 97.5
GTEX-WFON-1126-SM-4LVMA 40-49 years, male 97.5
GTEX-S4UY-1626-SM-4AD55 40-49 years, female 96.9
GTEX-U3ZN-2026-SM-4DXUC 30-39 years, female 96.7
GTEX-ZVT3-2126-SM-59HL2 60-69 years, female 96.4
GTEX-ZY6K-0726-SM-5A5L8 50-59 years, male 96.3
GTEX-ZYY3-1726-SM-5EGH3 60-69 years, female 96.2
GTEX-WXYG-1626-SM-4ONCR 50-59 years, female 95.9
GTEX-1LG7Z-1226-SM-DHXK4 30-39 years, male 95.4
GTEX-ZAB4-1526-SM-5CVN7 40-49 years, male 95.2
GTEX-ZYFG-1326-SM-5GICJ 60-69 years, female 95.2
GTEX-17HHE-1026-SM-79ON6 50-59 years, male 94.1
GTEX-X15G-1126-SM-4PQZG 50-59 years, female 93.9
GTEX-13D11-2126-SM-5IFH2 50-59 years, female 93.6
GTEX-QCQG-0526-SM-48U2A 50-59 years, female 93.5
GTEX-1GZ4H-1026-SM-9OSXL 50-59 years, female 93.2
GTEX-OOBJ-1526-SM-3NB1Q 60-69 years, male 92.9
GTEX-ZLV1-0826-SM-DO11P 60-69 years, female 92.8
GTEX-TMMY-1626-SM-4DXTY 40-49 years, female 91.4
GTEX-13RTK-0226-SM-5RQHR 20-29 years, male 91.3
GTEX-Y8LW-0826-SM-4WWDO 50-59 years, female 91.0
GTEX-1H23P-2726-SM-9JGHN 60-69 years, male 91.0
GTEX-139D8-2326-SM-5IFGE 30-39 years, female 90.5
GTEX-15DZA-1126-SM-6LPK8 30-39 years, female 90.5
GTEX-Q734-1026-SM-48U16 40-49 years, female 90.5
GTEX-1RMOY-1126-SM-EV79E 50-59 years, male 90.5
GTEX-14PHX-1026-SM-664OL 50-59 years, male 90.2
GTEX-ZF2S-1426-SM-57WET 50-59 years, female 90.2
GTEX-17F9E-2226-SM-7IGNC 50-59 years, male 90.0
GTEX-1GF9U-1126-SM-AHZ4H 40-49 years, female 89.3
GTEX-P4PP-1526-SM-3P61M 30-39 years, female 88.8
GTEX-WHWD-1426-SM-4OORU 50-59 years, male 88.4
GTEX-15DCE-1626-SM-6LPJM 20-29 years, male 88.3
GTEX-1LVAN-2426-SM-CNNPZ 50-59 years, female 88.3
GTEX-YB5E-1126-SM-664NU 40-49 years, male 87.7
GTEX-S95S-0826-SM-4B64N 60-69 years, male 87.5
GTEX-15UF7-1226-SM-6M46G 40-49 years, male 87.4
GTEX-V1D1-1726-SM-4JBHB 50-59 years, male 87.2
GTEX-1F5PL-1426-SM-7MKFH 40-49 years, female 86.7
GTEX-14BMV-2226-SM-5RQHX 50-59 years, male 85.4
GTEX-17GQL-1226-SM-7KFTS 60-69 years, male 85.3
GTEX-POMQ-0826-SM-3P61H 20-29 years, female 85.3
GTEX-1B8KZ-1226-SM-793CP 50-59 years, male 85.0
GTEX-1HCU8-1326-SM-C1YQQ 60-69 years, female 84.8
GTEX-OXRL-1526-SM-E6CHQ 50-59 years, male 84.8
GTEX-Y3IK-1426-SM-4YCES 50-59 years, female 83.1
GTEX-Y9LG-1026-SM-5IFJN 30-39 years, male 82.7
GTEX-13S7M-1826-SM-5RQK6 60-69 years, female 82.5
GTEX-1LBAC-1426-SM-CXZKT 20-29 years, male 82.3
GTEX-11DXX-1326-SM-5GIDZ 60-69 years, female 82.0
GTEX-145ME-1026-SM-5O9B4 40-49 years, female 81.6
GTEX-13U4I-2526-SM-5SI8Z 40-49 years, female 80.7
GTEX-1MGNQ-1826-SM-DPRYI 40-49 years, male 80.4
GTEX-QDVN-1226-SM-48TZ5 50-59 years, male 80.3
GTEX-WYJK-2526-SM-4ONDF 50-59 years, male 79.6
GTEX-VJYA-1026-SM-4KL21 60-69 years, male 77.2
GTEX-XQ8I-2026-SM-4BOOL 50-59 years, male 77.0
GTEX-XV7Q-1326-SM-4BRWM 40-49 years, female 76.9
GTEX-1LGRB-1726-SM-CNNRA 50-59 years, female 76.7
GTEX-P78B-1826-SM-3P5YX 40-49 years, female 76.0
GTEX-ZVP2-1626-SM-5GU5D 50-59 years, male 74.6
GTEX-WFG8-1326-SM-4LVN3 20-29 years, male 73.3
GTEX-ZXES-1426-SM-5NQ8S 30-39 years, female 73.1
GTEX-14PJ5-0826-SM-6AJAR 60-69 years, female 68.8
Show allShow less

Contact

  • NEWS ARTICLES
  • PRESS ROOM

The Project

  • INTRODUCTION
  • ORGANIZATION
  • PUBLICATIONS

The Human Protein Atlas

  • DOWNLOADABLE DATA
  • LICENCE & CITATION
  • HELP & FAQ
The Human Protein Atlas project is funded
by the Knut & Alice Wallenberg Foundation.


contact@proteinatlas.org