We use cookies to enhance the usability of our website. If you continue, we'll assume that you are happy to receive all cookies. More information. Don't show this again.
PPP1R1A
HPA
RESOURCES
  • TISSUE
  • BRAIN
  • SINGLE CELL
  • SUBCELLULAR
  • CANCER
  • BLOOD
  • CELL LINE
  • STRUCTURE & INTERACTION
ABOUT
  • INTRODUCTION
  • HISTORY
  • ORGANIZATION
  • PUBLICATIONS
  • ANTIBODY SUBMISSION
  • ANTIBODY AVAILABILITY
  • ACKNOWLEDGMENTS
  • CONTACT
NEWS
  • NEWS ARTICLES
  • PRESS ROOM
LEARN
  • DICTIONARY
  • PROTEIN CLASSES
  • PROTEIN EVIDENCE
  • METHODS
  • EDUCATIONAL VIDEOS
DATA
  • DOWNLOADABLE DATA
  • PUBLICATION DATA
  • RELEASE HISTORY
HELP
  • ANTIBODY VALIDATION
  • ASSAYS & ANNOTATION
  • DISCLAIMER
  • HELP & FAQ
  • PRIVACY STATEMENT
  • LICENCE & CITATION
Fields »
Search result

Field
Term
Gene name
Class
Subclass
Class
Keyword
Chromosome
External id
Tissue
Cell type
Expression
Antibody panel
Tissue
Main location
Patient ID
Annotation
Tissue
Category
Tau score
Cluster
Reliability
Brain region
Category
Tau score
Brain region
Category
Tau score
Brain region
Category
Tau score
Cluster
Reliability
Tissue
Cell type
Enrichment
Cell type
Category
Tau score
Cell type
Category
Tau score
Cell type
Category
Tau score
Cell lineage
Category
Tau score
Cluster
Cluster
Location
Searches
Location
Cell line
Class
Type
Phase
Reliability
Cancer
Prognosis
Cancer
Category
Cancer
Category
Tau score
Cluster
Variants
Interacting gene (ensg_id)
Type
Number of interactions
Pathway
Category
Score
Score
Score
Validation
Validation
Validation
Validation
Antibodies
Data type
Column


  • SUMMARY

  • TISSUE

  • BRAIN

  • SINGLE CELL

  • SUBCELL

  • CANCER

  • BLOOD

  • CELL LINE

  • STRUCT & INT

  • PPP1R1A
TISSUE PRIMARY DATA STOMACH Show tissue menu
ADIPOSE TISSUE ADRENAL GLAND AMYGDALA APPENDIX BASAL GANGLIA BONE MARROW BREAST BRONCHUS CEREBELLUM CEREBRAL CORTEX CERVIX CHOROID PLEXUS COLON DUODENUM
ENDOMETRIUM EPIDIDYMIS ESOPHAGUS FALLOPIAN TUBE GALLBLADDER HEART MUSCLE HIPPOCAMPAL FORMATION HYPOTHALAMUS KIDNEY LIVER LUNG LYMPH NODE MIDBRAIN NASOPHARYNX
ORAL MUCOSA OVARY PANCREAS PARATHYROID GLAND PITUITARY GLAND PLACENTA PROSTATE RECTUM RETINA SALIVARY GLAND SEMINAL VESICLE SKELETAL MUSCLE SKIN SMALL INTESTINE
SMOOTH MUSCLE SOFT TISSUE SPINAL CORD SPLEEN STOMACH TESTIS THYMUS THYROID GLAND TONGUE TONSIL URINARY BLADDER VAGINA
ANTIBODIES
AND
VALIDATION
Dictionary
Tissue proteome
Stomach
STOMACH - Expression summary
Protein expression
Stomachi

On the top, protein expression in current human tissue, based on all annotated cell types, is reported with the units not detected (n), low (l), medium (m) and high (h). Underneath, protein expression in each annotated cell type are reported using the same units.

Protein expression data is based on knowledge-based annotation. For genes where more than one antibody has been used, a collective score is set.

If knowledge-based annotation could not be performed for a gene, no data is displayed here. View antibody staining data further down this page.

h
m
l
n
Glandular cells: Not detected
RNA expressioni

A summary of mRNA expression data available for current tissue based on several datasets. The mRNA expression levels in human tissues are based on RNA-seq data generated by the Human Protein Atlas (HPA), Genotype-Tissue Expression (GTEx) portal and CAGE data generated by the FANTOM5 consortium. Consensus normalized expression levels for human tissues was created by combining the data from HPA and GTEx datasets.

The mRNA expression levels in pig are based on RNA-seq data generated by the Human Protein Atlas (HPA), and for mouse, HPA data and in situ hybridization generated by the Allen brain atlas are reported.

Scroll down to view mRNA expression data in more detail.
Consensus:26.9 nTPM
HPA:1.5 nTPM
GTEx:26.9 nTPM

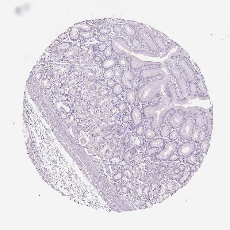
STOMACH 1 - Antibody stainingi

Antibody staining in the annotated cell types in the current human tissue is reported as not detected, low, medium, or high, based on conventional immunohistochemistry profiling in selected tissues. This score is based on the combination of the staining intensity and fraction of stained cells.

Each image is clickable and will lead to virtual microscopy that enables deeper exploration of all samples and also displays staining intensity scores, fraction scores and subcellular localization as well as patient and tissue information for each sample.

Antibody HPA041542Antibody CAB007811
Glandular cells LowLow




STOMACH 2 - Antibody stainingi

Antibody staining in the annotated cell types in the current human tissue is reported as not detected, low, medium, or high, based on conventional immunohistochemistry profiling in selected tissues. This score is based on the combination of the staining intensity and fraction of stained cells.

Each image is clickable and will lead to virtual microscopy that enables deeper exploration of all samples and also displays staining intensity scores, fraction scores and subcellular localization as well as patient and tissue information for each sample.

Antibody HPA041542Antibody CAB007811
Glandular cells Not detectedNot detected





STOMACH - HPA RNA-seqi

The RNA-seq details section shows detailed information about the individual samples used for the transcript profiling and results of the RNA-seq analysis.

Information about each individual sample is listed below, including gender, age, a tissue section image and estimated fractions of cell types. nTPM (normalized transcripts per million) values give a quantification of the gene abundance which is comparable between different genes and samples.
Average nTPMi

Max subtype nTPM is the value for the subtype with the largest average nTPM across the subtype samples.

1.5
overview
Female, age 33
Stomach sample 61
nTPM: 2.9
Cell types%
Glandular cells:
60

Smooth muscle cells:
5

Other cell types:
35

N/A
Male, age 82
Stomach sample 240
nTPM: 0.3
Cell types%
Glandular cells:
65

Smooth muscle cells:
5

Other cell types:
30

overview
Male, age 71
Stomach sample 241
nTPM: 1.3
Cell types%
Glandular cells:
50

Smooth muscle cells:
5

Other cell types:
45

overview
Female, age 66
Stomach sample 369
nTPM: 1.3
Cell types%
Glandular cells:
50

Smooth muscle cells:
10

Other cell types:
40


STOMACH - GTEx RNA-seqi

RNA-Seq data generated by the Genotype-Tissue Expression (GTEx) project from human tissues is reported as mean nTPM. More information can be found on the GTEx portal.

Distribution across the dataset is visualized with box plots, shown as median and 25th and 75th percentiles. Points are displayed as outliers if they are above or below 1.5 times the interquartile range. nTPM values of the individual samples are presented next to the box plot.
Max subtype nTPMi

Max subtype nTPM is the value for the subtype with the largest average nTPM across the subtype samples.

26.9
GTEx sample id Sample description nTPM
Stomach
Average nTPM: 26.9
Samples: 359

Max nTPM: 196.0
Min nTPM: 0.6
Std nTPM: 36.2
Median nTPM: 7.0
GTEX-15RIF-1126-SM-7KUG2 20-29 years, male 196.0
GTEX-14E1K-1526-SM-664MN 50-59 years, male 169.5
GTEX-1IL2V-2026-SM-ARZMA 70-79 years, male 156.5
GTEX-XPVG-1526-SM-4B66C 50-59 years, male 143.2
GTEX-1PIGE-1126-SM-EWRMV 20-29 years, male 142.8
GTEX-1NSGN-1926-SM-E9J36 50-59 years, male 134.7
GTEX-YEC3-1426-SM-D4P1S 50-59 years, male 130.7
GTEX-11EI6-2426-SM-5PNVS 60-69 years, male 129.6
GTEX-11EQ9-1226-SM-5987E 30-39 years, male 127.4
GTEX-1F5PK-1826-SM-7RHHX 50-59 years, male 125.1
GTEX-1GPI7-1326-SM-9KNVA 20-29 years, male 124.9
GTEX-P4QT-1526-SM-3NMCT 50-59 years, female 121.6
GTEX-1PPH8-1326-SM-DTXFO 20-29 years, male 114.8
GTEX-1H3NZ-2226-SM-9WYUT 60-69 years, male 114.5
GTEX-14PKU-1126-SM-69LOU 40-49 years, female 109.8
GTEX-1S82Z-1726-SM-E6CHZ 30-39 years, female 108.8
GTEX-1E2YA-2426-SM-7EPIG 50-59 years, male 108.2
GTEX-17JCI-2226-SM-7LTA1 60-69 years, female 107.2
GTEX-PLZ6-0826-SM-3P61K 30-39 years, male 107.1
GTEX-1399U-1626-SM-5P9J3 50-59 years, female 105.5
GTEX-1CB4E-1326-SM-7DUGD 60-69 years, male 105.2
GTEX-1B8L1-1526-SM-79OLK 60-69 years, male 103.2
GTEX-T5JC-1926-SM-4DM6Q 20-29 years, male 103.2
GTEX-11WQK-2626-SM-5EQ4K 50-59 years, male 102.3
GTEX-1QP28-2126-SM-DTX8B 50-59 years, female 100.1
GTEX-131XE-2226-SM-5PNYX 50-59 years, male 99.4
GTEX-1C64O-2226-SM-73KTV 60-69 years, male 94.8
GTEX-13N1W-2026-SM-5K7YU 70-79 years, male 93.8
GTEX-13O61-1126-SM-5L3FI 60-69 years, male 92.4
GTEX-13O3Q-2126-SM-5KM4C 50-59 years, male 92.3
GTEX-UJHI-1026-SM-4IHJP 50-59 years, female 90.8
GTEX-11P7K-1726-SM-5GU6F 30-39 years, male 89.3
GTEX-13111-1226-SM-5GCNC 50-59 years, male 88.6
GTEX-1LVAM-1426-SM-E9TJ4 50-59 years, female 88.1
GTEX-1KD5A-1426-SM-D4P3V 50-59 years, male 86.6
GTEX-1MCYP-1126-SM-E9J2P 20-29 years, female 85.9
GTEX-1K2DA-0826-SM-CGQGD 50-59 years, male 85.6
GTEX-1QW4Y-0726-SM-DTX8E 30-39 years, male 84.6
GTEX-TKQ1-0526-SM-4DXTG 30-39 years, male 84.2
GTEX-18D9B-2226-SM-718BM 60-69 years, male 81.6
GTEX-1EH9U-2226-SM-7PBXX 60-69 years, male 79.9
GTEX-12C56-0526-SM-5FQST 20-29 years, male 77.0
GTEX-11VI4-0326-SM-5EQ6L 40-49 years, female 76.1
GTEX-1HT8W-2326-SM-A9SLA 30-39 years, male 76.1
GTEX-146FR-2026-SM-5NQAI 60-69 years, female 74.1
GTEX-ZV6S-0926-SM-57WGB 40-49 years, female 73.6
GTEX-1N2DV-0926-SM-E9TJT 40-49 years, male 73.6
GTEX-1JN76-0926-SM-ARZNH 20-29 years, female 72.9
GTEX-OIZH-1526-SM-3NB1J 50-59 years, male 72.2
GTEX-S4P3-0726-SM-4AD57 50-59 years, female 72.0
GTEX-1CB4H-2426-SM-7PBYR 60-69 years, female 71.5
GTEX-WZTO-2126-SM-4PQYW 40-49 years, male 70.4
GTEX-11P82-0726-SM-5PNYL 20-29 years, male 69.8
GTEX-P4PQ-1526-SM-3NMCK 60-69 years, male 69.0
GTEX-1211K-1426-SM-5FQTF 60-69 years, female 67.8
GTEX-ZTX8-0426-SM-59HLG 20-29 years, male 66.4
GTEX-RU1J-0526-SM-46MUT 20-29 years, female 63.6
GTEX-1HSMQ-2426-SM-CE6RY 50-59 years, male 63.6
GTEX-17KNJ-1526-SM-7LTA9 50-59 years, male 63.3
GTEX-14PN3-1326-SM-6AJ9U 60-69 years, female 61.4
GTEX-TKQ2-0926-SM-4DXU5 50-59 years, male 59.6
GTEX-S7SF-0626-SM-4AD4V 20-29 years, female 58.3
GTEX-Y114-1226-SM-4TT88 50-59 years, female 57.1
GTEX-R55D-1526-SM-48FEJ 50-59 years, male 56.8
GTEX-1IDJF-1426-SM-ACKWK 20-29 years, male 56.2
GTEX-13OVI-2426-SM-5KM4J 60-69 years, female 56.1
GTEX-15EU6-2526-SM-7KUGB 50-59 years, male 55.6
GTEX-1S831-1126-SM-EWROI 20-29 years, male 55.3
GTEX-1J8EW-2226-SM-AHZ3T 60-69 years, female 54.0
GTEX-1H1DE-1226-SM-9JGHH 20-29 years, male 53.7
GTEX-16NGA-1526-SM-72D56 40-49 years, female 51.0
GTEX-14DAQ-2826-SM-664MU 60-69 years, female 50.4
GTEX-ZPIC-2026-SM-57WG3 40-49 years, female 49.7
GTEX-1QP67-1026-SM-EVR47 40-49 years, female 49.7
GTEX-14PHY-0926-SM-5ZZWL 60-69 years, female 48.4
GTEX-R55G-1126-SM-48FDG 40-49 years, female 47.2
GTEX-15G1A-1226-SM-7KUF3 30-39 years, male 46.7
GTEX-XAJ8-0326-SM-47JYI 40-49 years, male 46.2
GTEX-1339X-1426-SM-5K7YO 40-49 years, male 46.0
GTEX-O5YV-1926-SM-EV797 60-69 years, female 46.0
GTEX-1JMPY-0926-SM-ARL92 30-39 years, male 45.9
GTEX-WFJO-1126-SM-4LVLZ 30-39 years, male 45.5
GTEX-13X6H-1626-SM-5Q5CT 50-59 years, female 44.7
GTEX-PLZ5-1226-SM-EXOHA 50-59 years, male 43.7
GTEX-1HR9M-2326-SM-CNPPZ 60-69 years, male 42.0
GTEX-1E1VI-2826-SM-7MGWU 50-59 years, male 41.4
GTEX-13X6J-2126-SM-5TDCV 50-59 years, male 40.3
GTEX-WEY5-1226-SM-4LMIQ 40-49 years, female 40.2
GTEX-QXCU-1926-SM-48FE4 50-59 years, male 39.9
GTEX-WH7G-1526-SM-4LVMX 40-49 years, male 39.2
GTEX-WYVS-1326-SM-4ONCQ 40-49 years, female 39.0
GTEX-145MO-2226-SM-5Q5BN 60-69 years, male 36.8
GTEX-145LT-1426-SM-5O9B3 40-49 years, male 36.6
GTEX-1AMEY-1226-SM-731DU 30-39 years, female 36.1
GTEX-17EUY-1526-SM-793CA 20-29 years, male 35.3
GTEX-NFK9-1526-SM-3LK7B 40-49 years, male 35.2
GTEX-1LSNM-1026-SM-DHXL2 50-59 years, male 35.0
GTEX-12WSJ-0926-SM-5P9JD 40-49 years, female 34.2
GTEX-RUSQ-1126-SM-EAZAU 50-59 years, male 31.9
GTEX-1HSEH-1526-SM-B2LXG 60-69 years, male 31.3
GTEX-1S3DN-1526-SM-EVYCB 50-59 years, male 31.3
GTEX-1RQEC-2126-SM-DPS15 60-69 years, male 31.1
GTEX-146FH-2126-SM-5SI9U 50-59 years, female 31.0
GTEX-14BMV-2226-SM-5RQHX 50-59 years, male 30.9
GTEX-18A7A-2726-SM-7LG6U 50-59 years, female 30.5
GTEX-1L5NE-1526-SM-DIPFW 50-59 years, male 29.5
GTEX-YJ8A-1526-SM-5P9FT 20-29 years, male 28.9
GTEX-13QBU-1126-SM-5LU44 40-49 years, female 28.7
GTEX-13QJ3-2726-SM-5SI6L 50-59 years, male 28.7
GTEX-17MF6-2126-SM-7KFS7 40-49 years, male 28.7
GTEX-XBEW-1826-SM-4RTWX 40-49 years, male 28.3
GTEX-1H11D-2226-SM-9OSXN 40-49 years, male 27.6
GTEX-O5YW-1526-SM-3MJGL 50-59 years, male 27.5
GTEX-RTLS-2626-SM-46MUJ 60-69 years, female 26.8
GTEX-ZE7O-3026-SM-51MS4 50-59 years, female 26.5
GTEX-12WSD-2326-SM-59HKQ 60-69 years, female 26.4
GTEX-R55C-1026-SM-48FCM 40-49 years, male 25.5
GTEX-R53T-1226-SM-48FCT 50-59 years, female 25.4
GTEX-SUCS-0926-SM-4DM4Z 70-79 years, male 25.4
GTEX-1AX9J-2626-SM-731EK 60-69 years, male 24.4
GTEX-QDT8-2026-SM-EZ6LS 30-39 years, female 23.1
GTEX-1I1GT-1726-SM-C1YS3 60-69 years, female 22.6
GTEX-13S7M-1826-SM-5RQK6 60-69 years, female 20.1
GTEX-1JMQJ-1326-SM-D4P3B 50-59 years, male 20.0
GTEX-117YW-2226-SM-5N9DB 50-59 years, male 19.9
GTEX-139D8-2326-SM-5IFGE 30-39 years, female 19.9
GTEX-1HCUA-1626-SM-A9SMG 50-59 years, female 19.9
GTEX-1H23P-2726-SM-9JGHN 60-69 years, male 19.5
GTEX-1A3MX-1926-SM-72D7F 60-69 years, male 19.4
GTEX-1JK1U-1326-SM-AHZ45 60-69 years, male 18.8
GTEX-Y8E4-1526-SM-4WWDI 40-49 years, male 18.7
GTEX-ZEX8-1626-SM-4WKG7 50-59 years, male 18.3
GTEX-15SHW-2126-SM-6M46Y 60-69 years, male 18.2
GTEX-17HII-2426-SM-7KFTT 50-59 years, male 17.4
GTEX-SNOS-0826-SM-4DM5N 40-49 years, male 17.2
GTEX-1H1E6-1626-SM-9OSWC 30-39 years, male 16.9
GTEX-ZZPU-1426-SM-5GZZ6 50-59 years, female 16.1
GTEX-15RIE-1026-SM-6LPJQ 60-69 years, male 15.3
GTEX-1GMRU-2526-SM-9WG7T 50-59 years, male 14.9
GTEX-14JG6-1226-SM-664O6 30-39 years, female 14.7
GTEX-1JMPZ-1826-SM-CXZJT 30-39 years, male 14.7
GTEX-ZYVF-2726-SM-5GID4 50-59 years, female 14.6
GTEX-1B8KE-1326-SM-73KVI 50-59 years, male 14.5
GTEX-1I4MK-0926-SM-A9SLD 50-59 years, female 14.3
GTEX-OIZF-1526-SM-2I5GR 60-69 years, male 14.2
GTEX-T8EM-1226-SM-4DM5J 40-49 years, male 13.3
GTEX-13RTK-0226-SM-5RQHR 20-29 years, male 13.2
GTEX-111YS-1126-SM-5GZYQ 60-69 years, male 12.8
GTEX-1H1DG-2126-SM-9WPPB 70-79 years, male 12.6
GTEX-1QCLZ-1826-SM-DPRXP 60-69 years, female 12.5
GTEX-1RAZR-1526-SM-EAZ4U 40-49 years, male 12.2
GTEX-18D9A-0626-SM-7KFTY 30-39 years, female 11.8
GTEX-ZGAY-1626-SM-DNZZ3 40-49 years, female 11.2
GTEX-QMRM-1126-SM-447BN 50-59 years, male 11.1
GTEX-ZVT3-2126-SM-59HL2 60-69 years, female 10.7
GTEX-WHWD-1426-SM-4OORU 50-59 years, male 10.6
GTEX-XMK1-1526-SM-EYYVO 40-49 years, male 10.6
GTEX-13CF3-1926-SM-5K7WF 60-69 years, female 10.1
GTEX-S4Z8-1226-SM-4AD6W 60-69 years, male 9.7
GTEX-1JMLX-2426-SM-CXZJQ 50-59 years, male 9.5
GTEX-UPK5-2126-SM-4JBJK 40-49 years, male 9.3
GTEX-13FH7-1026-SM-5IJGF 50-59 years, female 9.2
GTEX-1LVAN-2426-SM-CNNPZ 50-59 years, female 9.0
GTEX-14B4R-0726-SM-5TDDR 30-39 years, male 8.9
GTEX-1ICG6-1826-SM-AHZ2O 70-79 years, female 8.9
GTEX-17HHE-1026-SM-79ON6 50-59 years, male 8.8
GTEX-131XF-1226-SM-5HL8V 60-69 years, male 8.6
GTEX-1IDJD-2426-SM-C1YS6 30-39 years, male 8.6
GTEX-1IDJU-1526-SM-CNNR3 60-69 years, female 8.3
GTEX-ZT9W-1526-SM-4YCDE 50-59 years, male 8.2
GTEX-XUZC-0726-SM-4BOPH 30-39 years, female 8.1
GTEX-1B97I-1226-SM-7MGWQ 40-49 years, male 8.0
GTEX-12WSG-2026-SM-5FQUU 50-59 years, female 7.9
GTEX-18A66-2226-SM-7189E 60-69 years, male 7.8
GTEX-WRHK-0626-SM-4MVOE 20-29 years, female 7.5
GTEX-12696-1726-SM-5EQLH 60-69 years, male 7.4
GTEX-1GF9U-1126-SM-AHZ4H 40-49 years, female 7.3
GTEX-ZV7C-1626-SM-5NQ7E 50-59 years, male 7.2
GTEX-QV44-1226-SM-CJI1S 50-59 years, male 7.1
GTEX-ZP4G-1226-SM-4WWCJ 20-29 years, female 7.0
GTEX-1122O-1926-SM-5EGIQ 60-69 years, female 6.8
GTEX-ZDYS-1926-SM-5HL59 50-59 years, male 6.7
GTEX-13PVR-2126-SM-73KVR 60-69 years, female 6.6
GTEX-ZAB4-1526-SM-5CVN7 40-49 years, male 6.6
GTEX-1QP29-2326-SM-EXOJO 50-59 years, male 6.6
GTEX-11NSD-1426-SM-5HL67 20-29 years, male 6.4
GTEX-13FTW-1726-SM-5KM2B 40-49 years, male 6.3
GTEX-18QFQ-1226-SM-718AE 30-39 years, male 6.3
GTEX-YFCO-0826-SM-5LUAG 40-49 years, male 6.3
GTEX-ZLWG-1526-SM-DO12F 50-59 years, female 6.3
GTEX-139YR-1926-SM-5LZXM 50-59 years, male 6.2
GTEX-132AR-2426-SM-5IFFD 50-59 years, female 6.1
GTEX-W5WG-1726-SM-4LMI5 50-59 years, female 6.1
GTEX-1HBPI-0726-SM-9WG7Z 50-59 years, male 6.1
GTEX-14DAR-0926-SM-73KUQ 50-59 years, male 5.9
GTEX-QV31-0626-SM-447C5 30-39 years, male 5.6
GTEX-1J8QM-1126-SM-C1YQB 60-69 years, female 5.6
GTEX-1HCU8-1326-SM-C1YQQ 60-69 years, female 5.5
GTEX-1HBPN-1626-SM-9WPNP 50-59 years, male 5.4
GTEX-ZLFU-1326-SM-DO11R 40-49 years, male 5.4
GTEX-ZZ64-0426-SM-5E43F 20-29 years, male 5.3
GTEX-1QP2A-2126-SM-DPRZ7 50-59 years, male 5.3
GTEX-12WSK-1426-SM-5CVNN 40-49 years, female 5.2
GTEX-144GM-1726-SM-5O9AS 20-29 years, male 5.2
GTEX-1MGNQ-1826-SM-DPRYI 40-49 years, male 5.2
GTEX-XQ8I-2026-SM-4BOOL 50-59 years, male 5.1
GTEX-14E6E-0926-SM-664N8 30-39 years, male 5.0
GTEX-14PKV-1826-SM-69LO9 20-29 years, female 5.0
GTEX-PWN1-1526-SM-48TDA 40-49 years, female 4.9
GTEX-TMMY-1626-SM-4DXTY 40-49 years, female 4.9
GTEX-ZF29-1526-SM-4WKF7 60-69 years, female 4.9
GTEX-14PJ6-0826-SM-686Z9 60-69 years, female 4.8
GTEX-ZPU1-1626-SM-4WWB2 40-49 years, male 4.8
GTEX-1C475-1026-SM-7MKFJ 40-49 years, female 4.7
GTEX-Q734-1026-SM-48U16 40-49 years, female 4.7
GTEX-WXYG-1626-SM-4ONCR 50-59 years, female 4.7
GTEX-WYJK-2526-SM-4ONDF 50-59 years, male 4.7
GTEX-X15G-1126-SM-4PQZG 50-59 years, female 4.7
GTEX-13OVK-0926-SM-7KUFX 40-49 years, male 4.6
GTEX-ZYY3-1726-SM-5EGH3 60-69 years, female 4.6
GTEX-1GN1W-2126-SM-9JGI7 50-59 years, female 4.6
GTEX-1LBAC-1426-SM-CXZKT 20-29 years, male 4.6
GTEX-T6MO-0726-SM-4DM58 40-49 years, female 4.5
GTEX-V955-1326-SM-4JBHR 60-69 years, male 4.5
GTEX-11GSP-2126-SM-5HL5E 60-69 years, female 4.4
GTEX-ZQUD-0826-SM-57WDQ 30-39 years, male 4.4
GTEX-1JN1M-2926-SM-CNNPJ 60-69 years, female 4.3
GTEX-13D11-2126-SM-5IFH2 50-59 years, female 4.2
GTEX-QDVN-1226-SM-48TZ5 50-59 years, male 4.2
GTEX-1J8JJ-1726-SM-C1YQG 60-69 years, female 4.2
GTEX-13113-0726-SM-5LZUF 60-69 years, female 4.1
GTEX-RWS6-0926-SM-47JXE 60-69 years, female 4.1
GTEX-ZVT2-1626-SM-51MRC 50-59 years, female 4.1
GTEX-1H3VY-2326-SM-9WG81 50-59 years, male 4.1
GTEX-1R7EU-1126-SM-EAZ4M 60-69 years, male 4.1
GTEX-14BIL-1926-SM-73KYI 50-59 years, male 4.0
GTEX-15UF7-1226-SM-6M46G 40-49 years, male 4.0
GTEX-1A8G6-1426-SM-731EZ 60-69 years, male 4.0
GTEX-OXRK-1626-SM-3NB17 50-59 years, female 4.0
GTEX-PW2O-1226-SM-48TCH 20-29 years, male 4.0
GTEX-S3XE-1026-SM-4AD4O 50-59 years, male 4.0
GTEX-S4Q7-0726-SM-4AD5F 20-29 years, male 4.0
GTEX-Y5LM-1326-SM-5RQIS 40-49 years, female 4.0
GTEX-OHPM-1526-SM-EV796 50-59 years, male 4.0
GTEX-11EM3-1026-SM-5A5KL 20-29 years, female 3.9
GTEX-1399R-1126-SM-5IFIO 30-39 years, male 3.9
GTEX-13U4I-2526-SM-5SI8Z 40-49 years, female 3.9
GTEX-P78B-1826-SM-3P5YX 40-49 years, female 3.9
GTEX-YB5E-1126-SM-664NU 40-49 years, male 3.9
GTEX-P4PP-1526-SM-3P61M 30-39 years, female 3.8
GTEX-Q2AI-0826-SM-48TZO 40-49 years, male 3.8
GTEX-VJYA-1026-SM-4KL21 60-69 years, male 3.8
GTEX-145MN-1326-SM-5NQ9S 30-39 years, male 3.7
GTEX-15CHR-1326-SM-79OLT 50-59 years, male 3.7
GTEX-17GQL-1226-SM-7KFTS 60-69 years, male 3.7
GTEX-PWCY-0926-SM-48TD7 20-29 years, female 3.7
GTEX-U4B1-1026-SM-4DXT1 40-49 years, male 3.7
GTEX-XXEK-0826-SM-4BRWG 50-59 years, male 3.7
GTEX-ZVZP-1726-SM-5GZWY 50-59 years, male 3.7
GTEX-1MUQO-1926-SM-EAZ59 60-69 years, male 3.7
GTEX-11I78-1726-SM-5A5M3 50-59 years, female 3.6
GTEX-15G19-1526-SM-6LPKP 60-69 years, male 3.6
GTEX-18A67-2626-SM-718AD 50-59 years, male 3.6
GTEX-T5JW-0926-SM-4DM5K 20-29 years, female 3.6
GTEX-V1D1-1726-SM-4JBHB 50-59 years, male 3.6
GTEX-1HKZK-1526-SM-B2LWG 40-49 years, male 3.6
GTEX-111CU-0926-SM-5EGIK 50-59 years, male 3.5
GTEX-12BJ1-1726-SM-5HL9B 60-69 years, male 3.5
GTEX-17F98-1526-SM-7EWD8 40-49 years, female 3.5
GTEX-1AYCT-1326-SM-7MKHB 50-59 years, male 3.5
GTEX-OHPK-1526-SM-3MJGM 50-59 years, female 3.5
GTEX-WFG7-1326-SM-4LMK1 20-29 years, male 3.5
GTEX-YEC4-1426-SM-5IFHS 40-49 years, male 3.5
GTEX-11TT1-0726-SM-5GU5A 20-29 years, male 3.4
GTEX-131XG-1226-SM-5EGH9 50-59 years, female 3.4
GTEX-14PJ4-1626-SM-664OB 60-69 years, male 3.4
GTEX-POMQ-0826-SM-3P61H 20-29 years, female 3.4
GTEX-S4UY-1626-SM-4AD55 40-49 years, female 3.4
GTEX-Y5V6-1326-SM-4VDTF 60-69 years, male 3.4
GTEX-1R9K5-1026-SM-EAZ4F 50-59 years, male 3.4
GTEX-13OW6-2526-SM-5IJEC 50-59 years, male 3.3
GTEX-PX3G-1526-SM-48U11 20-29 years, female 3.3
GTEX-RM2N-0826-SM-48FD3 50-59 years, male 3.3
GTEX-UJMC-1226-SM-4IHLI 50-59 years, male 3.3
GTEX-XV7Q-1326-SM-4BRWM 40-49 years, female 3.2
GTEX-Y3I4-1626-SM-4TT7W 50-59 years, male 3.2
GTEX-1KXAM-0926-SM-CXZKA 60-69 years, male 3.2
GTEX-OXRL-1526-SM-E6CHQ 50-59 years, male 3.2
GTEX-117YX-1026-SM-5H11V 50-59 years, male 3.1
GTEX-14BMU-1126-SM-5RQJ8 20-29 years, female 3.1
GTEX-QLQ7-0826-SM-447B3 60-69 years, male 3.1
GTEX-ZF2S-1426-SM-57WET 50-59 years, female 3.1
GTEX-1GZ4H-1026-SM-9OSXL 50-59 years, female 3.1
GTEX-14PJ3-1426-SM-664O8 50-59 years, male 3.0
GTEX-14PJ5-0826-SM-6AJAR 60-69 years, female 3.0
GTEX-1A3MV-1226-SM-718BW 30-39 years, male 3.0
GTEX-13O21-0926-SM-5IFGT 50-59 years, male 2.9
GTEX-1AMFI-1226-SM-731CZ 50-59 years, female 2.9
GTEX-QLQW-0726-SM-447AA 30-39 years, male 2.9
GTEX-S95S-0826-SM-4B64N 60-69 years, male 2.9
GTEX-SNMC-0626-SM-4DM6H 20-29 years, male 2.9
GTEX-1LGOU-1526-SM-D3LAJ 20-29 years, female 2.9
GTEX-1MJIX-1126-SM-EV7AO 40-49 years, male 2.9
GTEX-1QPFJ-1526-SM-DPRXT 30-39 years, female 2.9
GTEX-133LE-1326-SM-5IFGO 20-29 years, female 2.8
GTEX-15DCE-1626-SM-6LPJM 20-29 years, male 2.8
GTEX-WHSB-1226-SM-4M1XR 50-59 years, male 2.8
GTEX-Y8LW-0826-SM-4WWDO 50-59 years, female 2.8
GTEX-ZA64-0826-SM-5HL9U 20-29 years, male 2.8
GTEX-1RB15-1026-SM-E9U6V 60-69 years, male 2.8
GTEX-16AAH-1226-SM-79OO9 50-59 years, male 2.7
GTEX-ZYFG-1326-SM-5GICJ 60-69 years, female 2.7
GTEX-1I1HK-2026-SM-CNNRB 60-69 years, male 2.7
GTEX-132QS-1826-SM-5IFFN 60-69 years, male 2.6
GTEX-144GN-1226-SM-5O991 50-59 years, male 2.6
GTEX-17F9E-2226-SM-7IGNC 50-59 years, male 2.6
GTEX-1JKYN-1726-SM-AHZ48 30-39 years, male 2.6
GTEX-1KANA-1126-SM-D3L9M 20-29 years, male 2.6
GTEX-1RMOY-1126-SM-EV79E 50-59 years, male 2.6
GTEX-QDVJ-1426-SM-48U1Y 50-59 years, male 2.5
GTEX-1LGRB-1726-SM-CNNRA 50-59 years, female 2.5
GTEX-14ICL-0826-SM-5YY9W 30-39 years, male 2.4
GTEX-1F5PL-1426-SM-7MKFH 40-49 years, female 2.4
GTEX-OOBJ-1526-SM-3NB1Q 60-69 years, male 2.4
GTEX-Y9LG-1026-SM-5IFJN 30-39 years, male 2.4
GTEX-1J8Q3-1926-SM-C1YSJ 60-69 years, male 2.4
GTEX-1QMI2-2126-SM-DPRXQ 60-69 years, male 2.4
GTEX-17HGU-2126-SM-7IGOV 50-59 years, male 2.3
GTEX-ZXES-1426-SM-5NQ8S 30-39 years, female 2.3
GTEX-1LG7Z-1226-SM-DHXK4 30-39 years, male 2.2
GTEX-15DZA-1126-SM-6LPK8 30-39 years, female 2.1
GTEX-1B8KZ-1226-SM-793CP 50-59 years, male 2.1
GTEX-ZLV1-0826-SM-DO11P 60-69 years, female 2.1
GTEX-11NUK-2426-SM-5BC4U 50-59 years, male 2.0
GTEX-ZY6K-0726-SM-5A5L8 50-59 years, male 2.0
GTEX-1QCLY-1126-SM-EAZ4J 30-39 years, male 2.0
GTEX-11DXX-1326-SM-5GIDZ 60-69 years, female 1.9
GTEX-1399S-1626-SM-5P9GI 30-39 years, female 1.9
GTEX-13FTX-0726-SM-5N9BI 20-29 years, female 1.9
GTEX-S341-0626-SM-4AD5T 40-49 years, female 1.9
GTEX-WFON-1126-SM-4LVMA 40-49 years, male 1.9
GTEX-1HFI7-1526-SM-9WG7W 50-59 years, female 1.9
GTEX-U3ZN-2026-SM-4DXUC 30-39 years, female 1.8
GTEX-ZVP2-1626-SM-5GU5D 50-59 years, male 1.8
GTEX-1F75I-1826-SM-7MKGX 40-49 years, male 1.6
GTEX-1I6K7-1726-SM-B2LXQ 40-49 years, male 1.6
GTEX-1CAMR-0726-SM-7EPIE 20-29 years, male 1.5
GTEX-XBED-1226-SM-4AT5V 60-69 years, male 1.5
GTEX-13PVQ-2126-SM-5L3FW 50-59 years, male 1.4
GTEX-1B97J-1826-SM-7IGPP 50-59 years, female 1.3
GTEX-Q2AH-1126-SM-48TZM 40-49 years, male 1.3
GTEX-WY7C-1726-SM-4ONCC 50-59 years, male 1.3
GTEX-1GL5R-1926-SM-9WG7U 50-59 years, male 1.3
GTEX-Y3IK-1426-SM-4YCES 50-59 years, female 1.2
GTEX-145ME-1026-SM-5O9B4 40-49 years, female 0.9
GTEX-QCQG-0526-SM-48U2A 50-59 years, female 0.8
GTEX-WFG8-1326-SM-4LVN3 20-29 years, male 0.8
GTEX-WHPG-0426-SM-4M1XW 50-59 years, male 0.7
GTEX-14PHX-1026-SM-664OL 50-59 years, male 0.6
Show allShow less

Contact

  • NEWS ARTICLES
  • PRESS ROOM

The Project

  • INTRODUCTION
  • ORGANIZATION
  • PUBLICATIONS

The Human Protein Atlas

  • DOWNLOADABLE DATA
  • LICENCE & CITATION
  • HELP & FAQ
The Human Protein Atlas project is funded
by the Knut & Alice Wallenberg Foundation.


contact@proteinatlas.org