We use cookies to enhance the usability of our website. If you continue, we'll assume that you are happy to receive all cookies. More information. Don't show this again.
GLUL
HPA
RESOURCES
  • TISSUE
  • BRAIN
  • SINGLE CELL
  • SUBCELLULAR
  • CANCER
  • BLOOD
  • CELL LINE
  • STRUCTURE & INTERACTION
ABOUT
  • INTRODUCTION
  • HISTORY
  • ORGANIZATION
  • PUBLICATIONS
  • ANTIBODY SUBMISSION
  • ANTIBODY AVAILABILITY
  • ACKNOWLEDGMENTS
  • CONTACT
NEWS
  • NEWS ARTICLES
  • PRESS ROOM
LEARN
  • DICTIONARY
  • PROTEIN CLASSES
  • PROTEIN EVIDENCE
  • METHODS
  • EDUCATIONAL VIDEOS
DATA
  • DOWNLOADABLE DATA
  • PUBLICATION DATA
  • RELEASE HISTORY
HELP
  • ANTIBODY VALIDATION
  • ASSAYS & ANNOTATION
  • DISCLAIMER
  • HELP & FAQ
  • PRIVACY STATEMENT
  • LICENCE & CITATION
Fields »
Search result

Field
Term
Gene name
Class
Subclass
Class
Keyword
Chromosome
External id
Tissue
Cell type
Expression
Antibody panel
Tissue
Main location
Patient ID
Annotation
Tissue
Category
Tau score
Cluster
Reliability
Brain region
Category
Tau score
Brain region
Category
Tau score
Brain region
Category
Tau score
Cluster
Reliability
Tissue
Cell type
Enrichment
Cell type
Category
Tau score
Cell type
Category
Tau score
Cell type
Category
Tau score
Cell lineage
Category
Tau score
Cluster
Cluster
Location
Searches
Location
Cell line
Class
Type
Phase
Reliability
Cancer
Prognosis
Cancer
Category
Cancer
Category
Tau score
Cluster
Variants
Interacting gene (ensg_id)
Type
Number of interactions
Pathway
Category
Score
Score
Score
Validation
Validation
Validation
Validation
Antibodies
Data type
Column


  • SUMMARY

  • TISSUE

  • BRAIN

  • SINGLE CELL

  • SUBCELL

  • CANCER

  • BLOOD

  • CELL LINE

  • STRUCT & INT

  • GLUL
TISSUE PRIMARY DATA BREAST Show tissue menu
ADIPOSE TISSUE ADRENAL GLAND AMYGDALA APPENDIX BASAL GANGLIA BONE MARROW BREAST BRONCHUS CEREBELLUM CEREBRAL CORTEX CERVIX CHOROID PLEXUS COLON DUODENUM
ENDOMETRIUM EPIDIDYMIS ESOPHAGUS FALLOPIAN TUBE GALLBLADDER HEART MUSCLE HIPPOCAMPAL FORMATION HYPOTHALAMUS KIDNEY LIVER LUNG LYMPH NODE MIDBRAIN NASOPHARYNX
ORAL MUCOSA OVARY PANCREAS PARATHYROID GLAND PITUITARY GLAND PLACENTA PROSTATE RECTUM RETINA SALIVARY GLAND SEMINAL VESICLE SKELETAL MUSCLE SKIN SMALL INTESTINE
SMOOTH MUSCLE SOFT TISSUE SPINAL CORD SPLEEN STOMACH TESTIS THYMUS THYROID GLAND TONGUE TONSIL URINARY BLADDER VAGINA
ANTIBODIES
AND
VALIDATION
Dictionary
Breast
Tissue proteome
Breast
BREAST - Expression summary
Protein expression
Breasti

On the top, protein expression in current human tissue, based on all annotated cell types, is reported with the units not detected (n), low (l), medium (m) and high (h). Underneath, protein expression in each annotated cell type are reported using the same units.

Protein expression data is based on knowledge-based annotation. For genes where more than one antibody has been used, a collective score is set.

If knowledge-based annotation could not be performed for a gene, no data is displayed here. View antibody staining data further down this page.

h
m
l
n
Adipocytes: Not detected
Glandular cells: Low
Myoepithelial cells: Not detected
RNA expressioni

A summary of mRNA expression data available for current tissue based on several datasets. The mRNA expression levels in human tissues are based on RNA-seq data generated by the Human Protein Atlas (HPA), Genotype-Tissue Expression (GTEx) portal and CAGE data generated by the FANTOM5 consortium. Consensus normalized expression levels for human tissues was created by combining the data from HPA and GTEx datasets.

The mRNA expression levels in pig are based on RNA-seq data generated by the Human Protein Atlas (HPA), and for mouse, HPA data and in situ hybridization generated by the Allen brain atlas are reported.

Scroll down to view mRNA expression data in more detail.
Consensus:555.0 nTPM
HPA:204.4 nTPM
GTEx:555.0 nTPM
FANTOM5:710.8 Scaled Tags Per Million

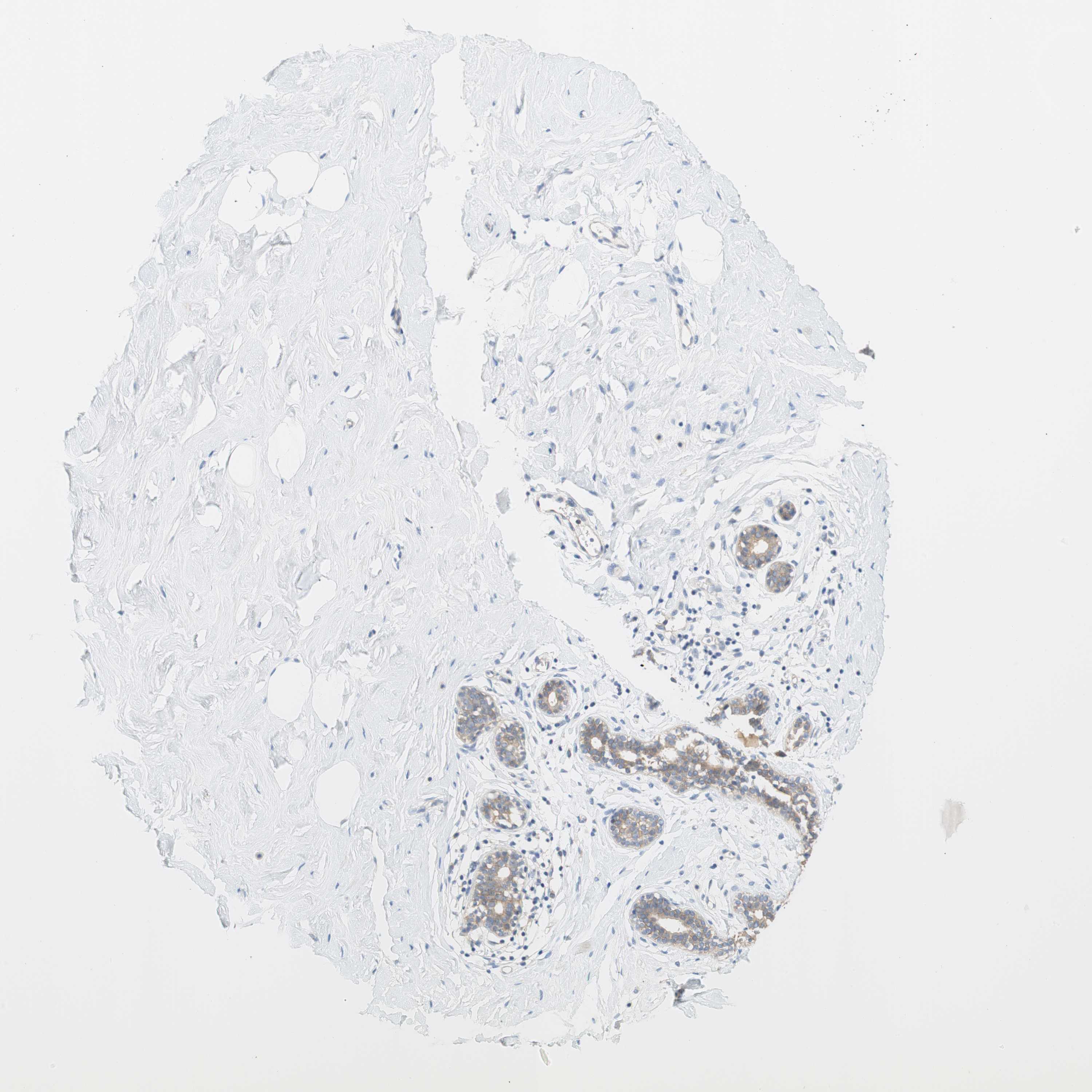
BREAST - Antibody stainingi

Antibody staining in the annotated cell types in the current human tissue is reported as not detected, low, medium, or high, based on conventional immunohistochemistry profiling in selected tissues. This score is based on the combination of the staining intensity and fraction of stained cells.

Each image is clickable and will lead to virtual microscopy that enables deeper exploration of all samples and also displays staining intensity scores, fraction scores and subcellular localization as well as patient and tissue information for each sample.

Antibody HPA007316Antibody HPA007571Antibody CAB008636
Adipocytes Not detectedNot detectedHigh
Glandular cells LowLowHigh
Myoepithelial cells Not detectedLowHigh




BREAST - HPA RNA-seqi

The RNA-seq details section shows detailed information about the individual samples used for the transcript profiling and results of the RNA-seq analysis.

Information about each individual sample is listed below, including gender, age, a tissue section image and estimated fractions of cell types. nTPM (normalized transcripts per million) values give a quantification of the gene abundance which is comparable between different genes and samples.
Average nTPMi

Max subtype nTPM is the value for the subtype with the largest average nTPM across the subtype samples.

204.4
overview
Female, age 52
Breast sample 373
nTPM: 150.1
Cell types%
Glandular cells:
15

Adipocytes:
5

Other cell types:
80

overview
Female, age 80
Breast sample 390
nTPM: 242.5
Cell types%
Glandular cells:
5

Adipocytes:
15

Other cell types:
80

overview
Female, age 47
Breast sample 405
nTPM: 249.4
Cell types%
Glandular cells:
5

Adipocytes:
5

Other cell types:
90

overview
Female, age 38
Breast sample 410
nTPM: 175.6
Cell types%
Glandular cells:
40

Adipocytes:
5

Other cell types:
55


BREAST - GTEx RNA-seqi

RNA-Seq data generated by the Genotype-Tissue Expression (GTEx) project from human tissues is reported as mean nTPM. More information can be found on the GTEx portal.

Distribution across the dataset is visualized with box plots, shown as median and 25th and 75th percentiles. Points are displayed as outliers if they are above or below 1.5 times the interquartile range. nTPM values of the individual samples are presented next to the box plot.
Max subtype nTPMi

Max subtype nTPM is the value for the subtype with the largest average nTPM across the subtype samples.

555.0
GTEx sample id Sample description nTPM
Breast - Mammary Tissue
Average nTPM: 555.0
Samples: 459

Max nTPM: 3865.7
Min nTPM: 35.5
Std nTPM: 657.7
Median nTPM: 292.2
GTEX-11ZTT-2326-SM-5EQLG 60-69 years, female 3865.7
GTEX-1CAMR-1426-SM-793BO 20-29 years, male 3629.4
GTEX-ZLFU-2126-SM-DO931 40-49 years, male 3579.8
GTEX-RUSQ-2026-SM-4GIAK 50-59 years, male 3232.0
GTEX-1NHNU-0926-SM-E9J2T 50-59 years, male 3086.8
GTEX-ZZ64-1226-SM-5E43R 20-29 years, male 3084.0
GTEX-ZA64-1526-SM-5CVMD 20-29 years, male 2998.7
GTEX-1R7EV-1526-SM-E8VOD 40-49 years, male 2934.6
GTEX-ZT9W-2026-SM-51MRA 50-59 years, male 2925.4
GTEX-12BJ1-1826-SM-5HL9N 60-69 years, male 2756.2
GTEX-11P82-1326-SM-5HL62 20-29 years, male 2743.8
GTEX-1L5NE-2126-SM-CY8IH 50-59 years, male 2711.5
GTEX-117YX-1426-SM-5H12H 50-59 years, male 2663.7
GTEX-ZQG8-0726-SM-5P9H9 60-69 years, female 2597.4
GTEX-ZLWG-1926-SM-DO92J 50-59 years, female 2523.3
GTEX-1HSEH-2026-SM-ADEHN 60-69 years, male 2472.1
GTEX-13O61-1826-SM-5KM4I 60-69 years, male 2467.1
GTEX-R55D-0826-SM-48FEA 50-59 years, male 2260.3
GTEX-1S82Z-0726-SM-E6CHX 30-39 years, female 2195.6
GTEX-1ICG6-1326-SM-ACKWR 70-79 years, female 2193.2
GTEX-Y5V6-2126-SM-4WWFX 60-69 years, male 2161.0
GTEX-14E6E-1326-SM-5S2NR 30-39 years, male 2160.8
GTEX-Y9LG-1426-SM-5IFJZ 30-39 years, male 2079.0
GTEX-ZDYS-1126-SM-5K7UB 50-59 years, male 1952.9
GTEX-13FTX-1126-SM-5N9EN 20-29 years, female 1930.0
GTEX-1QP9N-1826-SM-E8VMP 30-39 years, male 1918.4
GTEX-YEC3-1026-SM-5IFI5 50-59 years, male 1915.2
GTEX-1KANC-1426-SM-CYPT9 50-59 years, female 1911.7
GTEX-1HCU9-0326-SM-9WYSC 20-29 years, male 1911.0
GTEX-YB5E-1726-SM-5IFJ3 40-49 years, male 1904.1
GTEX-ZQUD-1926-SM-51MSA 30-39 years, male 1861.5
GTEX-13CF3-2126-SM-5IFJP 60-69 years, female 1701.3
GTEX-YB5K-1626-SM-5IFIN 40-49 years, female 1691.5
GTEX-PSDG-1626-SM-48TCQ 50-59 years, male 1593.4
GTEX-17GQL-0326-SM-7LG5U 60-69 years, male 1561.3
GTEX-ZYW4-0826-SM-5GIDG 60-69 years, male 1520.9
GTEX-X4XY-0926-SM-4E3JD 60-69 years, male 1503.8
GTEX-14PJ4-2126-SM-6ETZJ 60-69 years, male 1497.8
GTEX-13N1W-0626-SM-5MR4U 70-79 years, male 1478.8
GTEX-1AMEY-1026-SM-718AA 30-39 years, female 1476.0
GTEX-REY6-2426-SM-48FF5 60-69 years, male 1454.1
GTEX-1PDJ9-1126-SM-EXUSW 20-29 years, male 1447.5
GTEX-1F5PK-2126-SM-7PC28 50-59 years, male 1441.8
GTEX-U8XE-0826-SM-4E3J1 30-39 years, male 1429.7
GTEX-145ME-1526-SM-5Q5F2 40-49 years, female 1415.7
GTEX-U412-1826-SM-4DXTJ 60-69 years, male 1387.6
GTEX-WHSB-1926-SM-EXOHH 50-59 years, male 1380.7
GTEX-TKQ1-0226-SM-33HB5 30-39 years, male 1354.5
GTEX-1QP28-1226-SM-E9J2M 50-59 years, female 1352.0
GTEX-1HCU7-1026-SM-ADEIP 50-59 years, male 1330.1
GTEX-13PVQ-1026-SM-5KM3M 50-59 years, male 1322.0
GTEX-14DAR-1326-SM-7DUEG 50-59 years, male 1316.0
GTEX-1GMR2-1926-SM-9MQLZ 50-59 years, male 1315.1
GTEX-YFCO-1826-SM-4W1YH 40-49 years, male 1312.9
GTEX-1H23P-0726-SM-9WG7K 60-69 years, male 1225.7
GTEX-V955-2026-SM-3GAFA 60-69 years, male 1214.8
GTEX-1I1GU-1026-SM-ADEHJ 40-49 years, male 1197.2
GTEX-17F98-0526-SM-79OK5 40-49 years, female 1172.1
GTEX-1S82U-1126-SM-E9U6I 30-39 years, female 1169.9
GTEX-14E6C-1326-SM-62LEQ 40-49 years, male 1166.8
GTEX-16BQI-1026-SM-7KUEA 30-39 years, female 1164.4
GTEX-Y114-2026-SM-4TT7L 50-59 years, female 1163.6
GTEX-1OKEX-0826-SM-E9J2B 60-69 years, male 1134.2
GTEX-139T6-1626-SM-5PNYZ 50-59 years, male 1120.3
GTEX-XGQ4-0926-SM-4AT4U 50-59 years, male 1095.0
GTEX-1IDJF-2326-SM-ARL86 20-29 years, male 1091.2
GTEX-1A3MX-2726-SM-718B6 60-69 years, male 1084.6
GTEX-12WSK-2226-SM-5GCO5 40-49 years, female 1083.4
GTEX-17F96-2426-SM-7IGLN 70-79 years, male 1069.4
GTEX-1GPI7-0926-SM-7PC3J 20-29 years, male 1062.5
GTEX-1JKYN-0726-SM-ARZMY 30-39 years, male 1041.7
GTEX-1ICLY-1726-SM-B2LVT 50-59 years, male 1038.4
GTEX-11DXZ-1926-SM-5GZZL 50-59 years, male 1030.1
GTEX-1PPH7-0826-SM-E8VNX 40-49 years, male 1015.1
GTEX-S4UY-0726-SM-4AD6X 40-49 years, female 1013.3
GTEX-1A3MV-1626-SM-731C1 30-39 years, male 1001.5
GTEX-ZPIC-1126-SM-5BC7F 40-49 years, female 987.4
GTEX-S4Q7-1126-SM-4AD6R 20-29 years, male 981.0
GTEX-ZDTT-2126-SM-DKPOM 60-69 years, male 974.5
GTEX-12KS4-0126-SM-5Q5A5 30-39 years, male 946.8
GTEX-1MJK3-1126-SM-E9J3F 20-29 years, male 941.8
GTEX-1KXAM-1026-SM-CY8IA 60-69 years, male 920.2
GTEX-QMRM-1626-SM-D4P1U 50-59 years, male 919.2
GTEX-T6MO-0326-SM-32QOK 40-49 years, female 889.3
GTEX-18D9A-1526-SM-7LG4J 30-39 years, female 870.2
GTEX-15EOM-5019-SM-793DK 20-29 years, female 868.6
GTEX-1399U-1826-SM-5PNZ1 50-59 years, female 865.0
GTEX-WFON-1826-SM-3GILG 40-49 years, male 861.0
GTEX-Z9EW-1526-SM-EZ6LU 40-49 years, male 822.8
GTEX-WY7C-2726-SM-3NB3P 50-59 years, male 817.7
GTEX-145MN-1926-SM-5SIAI 30-39 years, male 814.7
GTEX-1JKYR-0926-SM-CMKGJ 20-29 years, male 786.0
GTEX-145MO-0826-SM-5NQBL 60-69 years, male 779.7
GTEX-1QCLZ-2326-SM-DTXDO 60-69 years, female 775.7
GTEX-14PN4-0626-SM-62LFP 50-59 years, male 775.6
GTEX-14B4R-1226-SM-5TDDT 30-39 years, male 772.2
GTEX-UTHO-1026-SM-3GAF7 60-69 years, male 769.6
GTEX-13FTW-1426-SM-5LZWZ 40-49 years, male 769.5
GTEX-14ICK-2426-SM-6EU27 40-49 years, male 761.6
GTEX-ZV7C-1826-SM-5NQ83 50-59 years, male 759.1
GTEX-1AX9J-1126-SM-731B7 60-69 years, male 752.8
GTEX-XBED-1626-SM-47JYN 60-69 years, male 747.0
GTEX-1IDJU-1826-SM-CMKHV 60-69 years, female 735.5
GTEX-12WSN-1326-SM-5GCNT 40-49 years, male 732.1
GTEX-1211K-1926-SM-5EQLB 60-69 years, female 693.6
GTEX-17F9E-2526-SM-7MGW2 50-59 years, male 688.4
GTEX-WFG8-2026-SM-EXOHO 20-29 years, male 672.0
GTEX-1H11D-1526-SM-9MQJY 40-49 years, male 667.3
GTEX-17EVQ-0426-SM-7LG57 70-79 years, male 665.3
GTEX-ZDXO-0126-SM-5S2ND 60-69 years, male 657.5
GTEX-1I19N-2826-SM-CL55D 70-79 years, male 656.6
GTEX-1IDFM-0426-SM-B2LVV 60-69 years, male 649.8
GTEX-QEG5-0726-SM-D4P1T 20-29 years, male 649.1
GTEX-1F5PL-1026-SM-7RHI1 40-49 years, female 648.8
GTEX-17MFQ-0926-SM-7LG4S 20-29 years, male 645.8
GTEX-Y3I4-1526-SM-4TT7K 50-59 years, male 635.4
GTEX-1QPFJ-2026-SM-EVYBE 30-39 years, female 635.2
GTEX-14PJO-0726-SM-69LO8 60-69 years, male 625.1
GTEX-11I78-2226-SM-5PNYA 50-59 years, female 623.5
GTEX-1HCUA-0726-SM-ACKVU 50-59 years, female 622.5
GTEX-1LSNM-1326-SM-E9TJ1 50-59 years, male 621.8
GTEX-1I4MK-1626-SM-CM2TJ 50-59 years, female 618.5
GTEX-XYKS-1326-SM-4BRUN 60-69 years, female 615.5
GTEX-1LSVX-2426-SM-E6CJX 60-69 years, male 614.0
GTEX-15UF7-0726-SM-6M46D 40-49 years, male 609.1
GTEX-1B97J-0426-SM-79OLQ 50-59 years, female 607.4
GTEX-18QFQ-0826-SM-718AX 30-39 years, male 604.1
GTEX-11WQK-2426-SM-5GU5C 50-59 years, male 593.0
GTEX-WXYG-2226-SM-4E3IM 50-59 years, female 590.3
GTEX-1JMPY-0526-SM-CL54O 30-39 years, male 586.5
GTEX-Y8LW-1626-SM-5IFHX 50-59 years, female 578.6
GTEX-XUW1-2326-SM-4BOO5 50-59 years, female 577.1
GTEX-1LG7Z-0726-SM-CXKYD 30-39 years, male 572.4
GTEX-17MF6-0326-SM-7EPH5 40-49 years, male 568.4
GTEX-1HFI7-0126-SM-CGQFQ 50-59 years, female 566.8
GTEX-ZTX8-1226-SM-4YCE9 20-29 years, male 566.5
GTEX-1R9JW-0326-SM-EAZ45 30-39 years, female 565.1
GTEX-ZAB4-2526-SM-5HL8M 40-49 years, male 564.8
GTEX-1I6K6-0826-SM-ARL7Z 30-39 years, male 561.7
GTEX-1J8Q3-1326-SM-CMKI1 60-69 years, male 557.5
GTEX-11LCK-2426-SM-5HL5F 30-39 years, male 556.9
GTEX-SE5C-2126-SM-4BRUJ 40-49 years, female 551.7
GTEX-169BO-1126-SM-7MGWN 50-59 years, male 550.3
GTEX-1J8Q2-2726-SM-A9G2X 60-69 years, male 532.8
GTEX-X261-0626-SM-3NMD9 50-59 years, male 531.5
GTEX-1H1DG-0526-SM-9YFLN 70-79 years, male 531.0
GTEX-1KAFJ-0226-SM-DIPEL 50-59 years, male 526.9
GTEX-13W3W-1226-SM-5LU4H 60-69 years, female 513.9
GTEX-1B8KE-1226-SM-73KWK 50-59 years, male 512.4
GTEX-Y8E4-1626-SM-5S2MW 40-49 years, male 502.6
GTEX-1QW4Y-1026-SM-DTXE2 30-39 years, male 502.1
GTEX-1MA7W-1026-SM-DKPQK 20-29 years, female 499.4
GTEX-XMD1-0826-SM-4AT52 60-69 years, male 499.2
GTEX-18A66-1726-SM-7LG5N 60-69 years, male 496.1
GTEX-1C475-1226-SM-7SB72 40-49 years, female 495.1
GTEX-145LT-0726-SM-5S2VM 40-49 years, male 489.4
GTEX-1R7EU-1226-SM-E8VMR 60-69 years, male 482.6
GTEX-ZV6S-1826-SM-5NQ8D 40-49 years, female 478.1
GTEX-1JMLX-2026-SM-CMKGN 50-59 years, male 477.7
GTEX-Y5LM-1726-SM-4VDSX 40-49 years, female 471.7
GTEX-14PKU-0426-SM-6EU1P 40-49 years, female 470.1
GTEX-1QMI2-0726-SM-E9J4F 60-69 years, male 468.1
GTEX-1N2EF-2226-SM-E9J33 60-69 years, male 467.3
GTEX-13PVR-2226-SM-7DHKP 60-69 years, female 464.9
GTEX-12WSM-1726-SM-5BC6J 60-69 years, male 459.7
GTEX-1C6VS-0726-SM-7EPHF 60-69 years, male 455.9
GTEX-144GM-0926-SM-5O994 20-29 years, male 455.8
GTEX-13S86-1226-SM-5S2OA 40-49 years, male 450.6
GTEX-14753-2426-SM-5LU8U 60-69 years, male 450.2
GTEX-1RLM8-2226-SM-EVYD1 50-59 years, male 449.1
GTEX-1CAMS-1426-SM-7IGPM 40-49 years, female 447.7
GTEX-ZAJG-0626-SM-5HL8X 50-59 years, female 444.5
GTEX-1LC47-1226-SM-D4P44 60-69 years, male 436.1
GTEX-133LE-1726-SM-5K7VQ 20-29 years, female 436.0
GTEX-1IKOE-1326-SM-CE6T6 30-39 years, female 424.9
GTEX-T5JC-2126-SM-32PMO 20-29 years, male 421.8
GTEX-1K2DA-1726-SM-CGQGS 50-59 years, male 420.0
GTEX-ZLV1-1426-SM-DO92Z 60-69 years, female 413.7
GTEX-132AR-0826-SM-5EGK6 50-59 years, female 405.6
GTEX-QEL4-2126-SM-447AE 50-59 years, male 404.5
GTEX-1J8QM-2026-SM-ARZMW 60-69 years, female 397.6
GTEX-17EUY-1926-SM-7DUF6 20-29 years, male 395.7
GTEX-1CB4J-1826-SM-7EWF9 60-69 years, male 395.5
GTEX-1GZ4H-0326-SM-7P8QX 50-59 years, female 392.2
GTEX-WYJK-1326-SM-3NB2T 50-59 years, male 390.8
GTEX-1KD5A-1926-SM-DKPQA 50-59 years, male 388.7
GTEX-183FY-1126-SM-7DHLJ 20-29 years, male 385.4
GTEX-11TT1-2126-SM-5GU5Y 20-29 years, male 384.7
GTEX-1HCVE-2626-SM-ADEJ8 50-59 years, male 383.3
GTEX-1KANA-2026-SM-DIPFB 20-29 years, male 381.2
GTEX-1F75B-0626-SM-7SB8A 50-59 years, male 372.7
GTEX-1MCYP-0126-SM-E6CIS 20-29 years, female 368.2
GTEX-1F75I-2026-SM-7SB7N 40-49 years, male 365.2
GTEX-1LBAC-0926-SM-CXKY9 20-29 years, male 364.0
GTEX-1C64O-0726-SM-7DUFU 60-69 years, male 361.9
GTEX-14BMV-0626-SM-793AU 50-59 years, male 357.5
GTEX-XQ8I-2426-SM-4WAXY 50-59 years, male 356.8
GTEX-18A7B-2626-SM-7LG55 70-79 years, male 352.1
GTEX-1C6VQ-0426-SM-79OOX 50-59 years, male 352.1
GTEX-ZF29-1926-SM-5S2P1 60-69 years, female 345.6
GTEX-1JMQK-2626-SM-COH2W 60-69 years, male 344.9
GTEX-1I6K7-1026-SM-A9SLK 40-49 years, male 342.9
GTEX-1HKZK-1826-SM-ADEJ2 40-49 years, male 341.8
GTEX-15G19-2126-SM-6M48J 60-69 years, male 333.8
GTEX-T2YK-2226-SM-32QPT 50-59 years, male 332.4
GTEX-1JN1M-3026-SM-CMKGK 60-69 years, female 326.9
GTEX-1122O-1226-SM-5H113 60-69 years, female 323.6
GTEX-16NGA-0826-SM-718AF 40-49 years, female 322.9
GTEX-WI4N-1426-SM-3LK7H 40-49 years, female 320.9
GTEX-1NUQO-2226-SM-E9U68 20-29 years, female 320.9
GTEX-1HBPN-2326-SM-9WPPU 50-59 years, male 318.1
GTEX-14BMU-1626-SM-5TDE7 20-29 years, female 316.1
GTEX-13D11-1026-SM-5IJFB 50-59 years, female 314.5
GTEX-1H1E6-0926-SM-9YFLT 30-39 years, male 314.0
GTEX-11TUW-1826-SM-5BC5D 60-69 years, male 313.1
GTEX-ZY6K-1626-SM-5GZWV 50-59 years, male 311.2
GTEX-X62O-0526-SM-EWRMA 50-59 years, male 310.5
GTEX-1HC8U-0826-SM-ADEIL 40-49 years, female 303.8
GTEX-1A8G7-2426-SM-731AK 60-69 years, male 303.7
GTEX-13113-5013-SM-7SB7G 60-69 years, female 303.7
GTEX-ZVT4-1026-SM-57WC4 50-59 years, female 302.8
GTEX-1314G-1226-SM-5BC6D 30-39 years, male 302.2
GTEX-WYBS-0926-SM-3NM94 60-69 years, female 302.2
GTEX-1QCLY-1626-SM-DTXDW 30-39 years, male 301.5
GTEX-1GF9U-1726-SM-7MGY5 40-49 years, female 296.5
GTEX-11P7K-0726-SM-5EGKX 30-39 years, male 296.2
GTEX-S32W-2026-SM-4AD6E 50-59 years, female 295.5
GTEX-1HCU8-0126-SM-ADEHH 60-69 years, female 294.5
GTEX-ZTTD-1026-SM-51MRD 50-59 years, male 292.2
GTEX-1M4P7-2626-SM-E9U5F 60-69 years, male 292.2
GTEX-XMK1-1126-SM-4IHJ8 40-49 years, male 291.0
GTEX-T5JW-2026-SM-4DM63 20-29 years, female 287.1
GTEX-11EQ9-1826-SM-5Q5AJ 30-39 years, male 283.9
GTEX-11O72-2126-SM-5N9FO 40-49 years, male 282.3
GTEX-13OW8-0226-SM-5K7UP 60-69 years, male 281.0
GTEX-1AX9I-0726-SM-73KWV 60-69 years, male 279.6
GTEX-TMMY-0726-SM-33HBE 40-49 years, female 278.8
GTEX-1LVAM-0926-SM-E9TJ2 50-59 years, female 278.3
GTEX-1LSNL-2826-SM-E9U5L 50-59 years, male 278.0
GTEX-1R9PN-0326-SM-DTX85 40-49 years, female 278.0
GTEX-11ZUS-0826-SM-5FQUY 30-39 years, male 277.4
GTEX-13FHO-0826-SM-5L3E8 60-69 years, male 276.5
GTEX-111YS-1926-SM-5GICC 60-69 years, male 275.7
GTEX-1192X-2326-SM-5987X 50-59 years, male 274.5
GTEX-1I1GP-0426-SM-COH3N 50-59 years, male 274.0
GTEX-YECK-0726-SM-EZ6LV 60-69 years, male 272.8
GTEX-1JK1U-1826-SM-ARL8W 60-69 years, male 271.7
GTEX-ZVT2-1826-SM-5NQ8W 50-59 years, female 271.2
GTEX-1QP29-1726-SM-E8VMQ 50-59 years, male 271.0
GTEX-145MF-2226-SM-7EPIR 50-59 years, male 265.1
GTEX-1H3VY-0926-SM-ACKXE 50-59 years, male 264.8
GTEX-15UF6-0126-SM-6PAMB 70-79 years, female 263.6
GTEX-1HBPM-0126-SM-ARL9E 60-69 years, female 260.5
GTEX-RWS6-1926-SM-47JXY 60-69 years, female 260.4
GTEX-18465-2026-SM-718AP 50-59 years, male 259.8
GTEX-1B97I-0426-SM-79OL7 40-49 years, male 258.0
GTEX-1HSMO-0826-SM-ADEIV 60-69 years, male 258.0
GTEX-132Q8-1426-SM-5EGK7 60-69 years, male 257.6
GTEX-1I1GT-1126-SM-ARL7J 60-69 years, female 255.5
GTEX-13O3P-0826-SM-5L3DH 50-59 years, male 255.0
GTEX-14A5I-0726-SM-5TDEB 50-59 years, female 253.2
GTEX-17KNJ-2026-SM-7LG53 50-59 years, male 252.9
GTEX-ZU9S-1926-SM-5NQBP 30-39 years, male 249.8
GTEX-17F97-2526-SM-7EWDV 50-59 years, male 245.2
GTEX-1RAZQ-1226-SM-EWRNL 30-39 years, male 243.7
GTEX-S4P3-1326-SM-4AD6V 50-59 years, female 242.9
GTEX-14LLW-0626-SM-62LFC 70-79 years, female 241.8
GTEX-1MCC2-2126-SM-EWRON 30-39 years, female 241.7
GTEX-1B8KZ-1526-SM-7DUG7 50-59 years, male 240.7
GTEX-1117F-2826-SM-5GZXL 60-69 years, female 239.4
GTEX-1LVAN-1326-SM-CNPQE 50-59 years, female 237.5
GTEX-11GSO-1926-SM-5A5K3 60-69 years, male 237.2
GTEX-1JJE9-2326-SM-ARL8Q 70-79 years, male 236.6
GTEX-14PHY-1926-SM-5YY95 60-69 years, female 236.2
GTEX-11GSP-0926-SM-9WYSG 60-69 years, female 232.7
GTEX-XV7Q-2326-SM-4BRVZ 40-49 years, female 232.2
GTEX-ZWKS-2826-SM-5NQ74 30-39 years, male 231.9
GTEX-14H4A-2526-SM-5YYAY 40-49 years, female 227.2
GTEX-1N5O9-1126-SM-DTXEQ 60-69 years, male 225.3
GTEX-1H1ZS-0126-SM-9YFKQ 70-79 years, male 224.5
GTEX-ZGAY-1726-SM-DO91P 40-49 years, female 222.8
GTEX-1IE54-0626-SM-ARL8D 40-49 years, female 222.5
GTEX-1LGRB-1826-SM-CNPQL 50-59 years, female 220.7
GTEX-13SLW-2526-SM-62LDQ 70-79 years, male 219.2
GTEX-13O3O-0826-SM-5K7WE 60-69 years, female 217.5
GTEX-XMD2-0926-SM-4WWEF 60-69 years, female 216.8
GTEX-1CB4E-0226-SM-79OLW 60-69 years, male 216.2
GTEX-1GN1W-1926-SM-7P8TH 50-59 years, female 215.8
GTEX-1GZ4I-2826-SM-9MQK5 50-59 years, male 214.3
GTEX-13NZ8-0126-SM-5IJCT 60-69 years, female 213.1
GTEX-1HR9M-2426-SM-ACKXI 60-69 years, male 211.3
GTEX-11DZ1-0326-SM-5N9BN 50-59 years, male 210.2
GTEX-1C6WA-2426-SM-7SB86 60-69 years, male 209.6
GTEX-13NZB-2126-SM-5MR4Y 30-39 years, male 208.5
GTEX-ZF3C-2326-SM-5S2NC 50-59 years, female 208.4
GTEX-11EM3-1326-SM-5N9C6 20-29 years, female 208.3
GTEX-1B8SG-1226-SM-7IGPF 50-59 years, male 206.8
GTEX-139TU-0626-SM-5KM3X 60-69 years, male 205.4
GTEX-16YQH-2826-SM-6PAMY 30-39 years, male 203.1
GTEX-183WM-0726-SM-7LTAA 70-79 years, female 199.9
GTEX-14ABY-2126-SM-5QGQZ 50-59 years, male 198.1
GTEX-15ETS-0626-SM-7KUMX 40-49 years, female 198.1
GTEX-1IKJJ-2326-SM-COH3U 60-69 years, male 197.2
GTEX-TKQ2-1826-SM-33HB2 50-59 years, male 196.0
GTEX-TML8-1226-SM-32QON 40-49 years, female 195.6
GTEX-17HGU-1326-SM-79OKB 50-59 years, male 195.1
GTEX-1HR98-0426-SM-COH36 60-69 years, male 193.5
GTEX-ZYT6-0126-SM-5E45J 30-39 years, male 193.4
GTEX-11DXY-2326-SM-5GICW 60-69 years, male 192.0
GTEX-1GMR3-2626-SM-7RHHG 40-49 years, male 191.1
GTEX-1JN6P-2426-SM-ARL99 60-69 years, male 188.8
GTEX-UJHI-1426-SM-3DB9C 50-59 years, female 188.7
GTEX-1HUB1-1626-SM-CM2SL 60-69 years, male 188.4
GTEX-13QJ3-0826-SM-7DHKK 50-59 years, male 187.3
GTEX-ZZPU-0626-SM-5E43T 50-59 years, female 183.8
GTEX-QVJO-1826-SM-447C9 60-69 years, female 183.6
GTEX-ZVE2-1226-SM-5NQ8R 50-59 years, male 183.6
GTEX-1EN7A-1426-SM-7PBY4 40-49 years, male 182.7
GTEX-1E2YA-2726-SM-7IGPW 50-59 years, male 181.1
GTEX-13W46-0826-SM-5LU3H 50-59 years, male 178.1
GTEX-S341-1526-SM-4AD6K 40-49 years, female 174.0
GTEX-13N11-1726-SM-5J1OJ 50-59 years, female 173.5
GTEX-1R46S-2526-SM-E8VN2 60-69 years, female 172.5
GTEX-18A7A-0726-SM-7LTAI 50-59 years, female 169.4
GTEX-XQ3S-1326-SM-4BOPQ 20-29 years, male 167.7
GTEX-1JMOU-2026-SM-CMKGU 60-69 years, female 166.9
GTEX-WOFL-0826-SM-3MJG1 60-69 years, male 166.4
GTEX-1P4AB-1826-SM-E76PU 50-59 years, male 165.4
GTEX-11ONC-2126-SM-5HL6E 60-69 years, male 164.0
GTEX-13OW5-2226-SM-5L3HC 60-69 years, male 163.5
GTEX-RU1J-0626-SM-4WAWY 20-29 years, female 162.4
GTEX-17EVP-0226-SM-79OND 40-49 years, male 160.6
GTEX-1GF9V-2526-SM-7SB8K 60-69 years, male 160.1
GTEX-VJWN-0726-SM-3GIJ8 50-59 years, female 159.2
GTEX-146FH-0826-SM-5SI8T 50-59 years, female 158.0
GTEX-11OF3-1926-SM-59889 60-69 years, male 155.5
GTEX-17HHE-1426-SM-7EPH4 50-59 years, male 155.5
GTEX-147F4-2826-SM-5NQBN 50-59 years, male 155.2
GTEX-15RJE-2626-SM-7KFT1 40-49 years, male 154.5
GTEX-11NSD-0926-SM-5N9DR 20-29 years, male 152.5
GTEX-1GMR8-0726-SM-9KNVI 50-59 years, female 151.7
GTEX-ZVTK-0326-SM-51MRR 20-29 years, male 151.2
GTEX-1HSKV-2026-SM-CMKGX 60-69 years, male 148.4
GTEX-1AX8Z-0926-SM-731AW 60-69 years, male 147.8
GTEX-1BAJH-0826-SM-7EWEF 70-79 years, male 147.8
GTEX-1JJEA-2726-SM-ARL8V 60-69 years, male 147.2
GTEX-1IDJH-2226-SM-E6CJV 70-79 years, male 147.0
GTEX-1N2EE-2126-SM-E8VNN 60-69 years, male 146.9
GTEX-R53T-1526-SM-48FEK 50-59 years, female 146.6
GTEX-1313W-0826-SM-5EQ4T 50-59 years, female 145.9
GTEX-1GF9X-1026-SM-ACKX2 40-49 years, female 145.5
GTEX-1RQEC-2026-SM-DTXDM 60-69 years, male 145.5
GTEX-1IY9M-2726-SM-CMKG5 60-69 years, male 144.5
GTEX-U3ZN-1926-SM-4DXSG 30-39 years, female 142.5
GTEX-X4EP-2926-SM-3P5YQ 60-69 years, female 141.5
GTEX-T6MN-0726-SM-32PML 50-59 years, male 140.9
GTEX-ZXES-0826-SM-5E43C 30-39 years, female 140.3
GTEX-UPK5-2326-SM-3P5Z8 40-49 years, male 139.2
GTEX-132NY-0826-SM-5K7Y7 60-69 years, male 138.3
GTEX-1GN2E-2226-SM-9WG6J 60-69 years, male 138.3
GTEX-1HSGN-1526-SM-A9SMO 40-49 years, female 138.3
GTEX-1IKOH-2326-SM-CM2TW 60-69 years, female 138.3
GTEX-13NZ9-1026-SM-5MR5K 50-59 years, male 138.2
GTEX-WRHU-0326-SM-3MJFY 50-59 years, female 137.9
GTEX-117XS-1926-SM-5GICO 60-69 years, male 136.5
GTEX-15SHW-1326-SM-6PAL8 60-69 years, male 134.6
GTEX-1JMPZ-1626-SM-COH31 30-39 years, male 132.6
GTEX-1EU9M-2826-SM-7EWFH 60-69 years, male 132.0
GTEX-17HHY-0926-SM-793C1 50-59 years, male 131.3
GTEX-VUSG-2226-SM-4KKZO 50-59 years, male 129.1
GTEX-1GPI6-0626-SM-7RHHJ 60-69 years, male 127.7
GTEX-11WQC-1726-SM-5GU4W 60-69 years, male 127.0
GTEX-1F75A-1826-SM-7SB8G 50-59 years, male 126.7
GTEX-17JCI-0726-SM-7EPH1 60-69 years, female 126.5
GTEX-11EMC-2026-SM-5A5JV 60-69 years, female 123.2
GTEX-14AS3-1626-SM-5S2OY 40-49 years, female 123.2
GTEX-1MJK2-2226-SM-EVYCR 50-59 years, male 123.1
GTEX-1PPGY-1526-SM-EVYBK 60-69 years, male 122.2
GTEX-X15G-1626-SM-3NMB3 50-59 years, female 121.9
GTEX-14E7W-0826-SM-62LEJ 70-79 years, male 120.9
GTEX-1M5QR-2526-SM-E9U5P 40-49 years, male 120.0
GTEX-1R9PM-1826-SM-EVYBH 20-29 years, male 120.0
GTEX-18A6Q-0926-SM-7LG4N 60-69 years, male 119.5
GTEX-1EKGG-2626-SM-7IGPY 60-69 years, male 119.0
GTEX-1GMRU-0826-SM-9WYT7 50-59 years, male 118.5
GTEX-1KD4Q-2326-SM-D4P3M 40-49 years, male 118.2
GTEX-ZUA1-1526-SM-59HLS 40-49 years, male 117.9
GTEX-13VXU-2826-SM-664MA 50-59 years, male 116.8
GTEX-1ICLZ-0426-SM-B2LW2 60-69 years, male 116.3
GTEX-1GN1U-0526-SM-9KNTT 50-59 years, female 115.8
GTEX-S7SE-0826-SM-4AT4D 50-59 years, male 115.2
GTEX-Y5V5-2126-SM-4WWFO 60-69 years, female 115.0
GTEX-YJ8O-2226-SM-5IFHW 40-49 years, female 114.2
GTEX-13O3Q-2226-SM-5KM4O 50-59 years, male 114.1
GTEX-1RAZS-1226-SM-E8VMT 50-59 years, male 114.0
GTEX-1B8L1-2426-SM-9WYTE 60-69 years, male 113.2
GTEX-1I1GV-2426-SM-CGQFM 60-69 years, male 112.0
GTEX-1I1HK-2426-SM-ADEHX 60-69 years, male 111.2
GTEX-11DXW-0626-SM-5N9ER 40-49 years, male 109.1
GTEX-11GS4-2126-SM-5A5KR 60-69 years, male 107.7
GTEX-Y3IK-2326-SM-4WWDT 50-59 years, female 107.4
GTEX-1LNCM-0226-SM-DIPF4 50-59 years, female 107.1
GTEX-U3ZH-1426-SM-4DXSR 30-39 years, male 106.3
GTEX-1NV8Z-2826-SM-E8VME 60-69 years, male 106.3
GTEX-ZEX8-2226-SM-57WC6 50-59 years, male 104.2
GTEX-1MA7X-1626-SM-E9U5B 60-69 years, male 104.0
GTEX-1HT8W-2226-SM-CGQEC 30-39 years, male 103.2
GTEX-11EI6-0626-SM-5985T 60-69 years, male 103.1
GTEX-1CB4G-2326-SM-79OOI 60-69 years, male 101.3
GTEX-1K9T9-1426-SM-DIPFQ 50-59 years, female 100.1
GTEX-13QIC-2326-SM-5LU5N 60-69 years, female 99.7
GTEX-11PRG-0826-SM-5EQ6A 50-59 years, male 99.4
GTEX-1IOXB-1926-SM-ARL8E 50-59 years, male 98.5
GTEX-13SLX-2326-SM-5ZZWE 50-59 years, female 98.2
GTEX-ZYFC-0826-SM-5E44K 50-59 years, male 97.8
GTEX-Y111-2026-SM-4SOJA 50-59 years, male 96.6
GTEX-131XW-0726-SM-5EGK3 50-59 years, female 96.0
GTEX-ZTPG-2826-SM-57WGA 20-29 years, female 94.9
GTEX-1269C-2426-SM-5FQSN 60-69 years, female 94.6
GTEX-1J8EW-2626-SM-CL53E 60-69 years, female 94.0
GTEX-11P81-1926-SM-5BC53 30-39 years, female 93.8
GTEX-1IDJE-0826-SM-CKZNZ 50-59 years, female 93.8
GTEX-13CF2-2026-SM-5K7VI 60-69 years, male 93.3
GTEX-11NV4-2026-SM-5N9DG 60-69 years, male 93.1
GTEX-XOT4-0726-SM-4GIAW 60-69 years, female 92.6
GTEX-ZC5H-2626-SM-5J2MG 40-49 years, female 92.0
GTEX-1F6I4-2526-SM-7SB8F 60-69 years, male 90.7
GTEX-1B932-0826-SM-73KXG 40-49 years, female 90.4
GTEX-1IGQW-0926-SM-ADEH6 60-69 years, male 90.4
GTEX-1H4P4-2226-SM-9MQKQ 50-59 years, male 89.5
GTEX-XUZC-1626-SM-4BRVP 30-39 years, female 89.3
GTEX-QDT8-0626-SM-48TYW 30-39 years, female 88.5
GTEX-1B933-2526-SM-7IGO5 50-59 years, female 85.7
GTEX-ZAK1-1326-SM-EVYAS 50-59 years, female 84.1
GTEX-RU72-0626-SM-46MUI 50-59 years, female 83.3
GTEX-W5X1-2326-SM-3GIL6 40-49 years, female 83.2
GTEX-131YS-0626-SM-5EGKL 60-69 years, female 81.6
GTEX-T2IS-1526-SM-32QPR 20-29 years, female 81.5
GTEX-13PL6-2926-SM-5L3I2 40-49 years, female 80.4
GTEX-144GL-2026-SM-5LU3O 50-59 years, male 78.6
GTEX-WYVS-1726-SM-3NMAY 40-49 years, female 76.7
GTEX-1QEPI-0926-SM-DTXF3 60-69 years, female 75.3
GTEX-139T8-0826-SM-5L3DE 60-69 years, male 75.1
GTEX-13FTY-2226-SM-5J1ND 40-49 years, female 73.4
GTEX-R3RS-0626-SM-48FE1 40-49 years, female 72.1
GTEX-ZF2S-2026-SM-5E461 50-59 years, female 71.8
GTEX-S33H-0326-SM-4AD6N 30-39 years, male 71.2
GTEX-1EWIQ-1726-SM-7SB7T 70-79 years, female 70.8
GTEX-1GZHY-0726-SM-9WG6B 50-59 years, female 69.0
GTEX-15FZZ-0726-SM-7KUFZ 30-39 years, female 66.6
GTEX-ZVZQ-0826-SM-51MRF 60-69 years, female 66.2
GTEX-1H1CY-2226-SM-9WG7E 60-69 years, female 66.0
GTEX-12ZZX-1126-SM-5EGKB 40-49 years, female 64.7
GTEX-15ER7-1626-SM-6PAMZ 20-29 years, female 63.5
GTEX-Q2AG-0326-SM-48U1O 40-49 years, female 62.9
GTEX-YFC4-1426-SM-5IFJG 40-49 years, female 46.6
GTEX-17HG3-0126-SM-7IGNH 30-39 years, female 44.4
GTEX-1GZ2Q-2626-SM-7MXV9 40-49 years, male 38.8
GTEX-1POEN-0926-SM-DTX88 30-39 years, female 35.5
Show allShow less

BREAST - FANTOM5 CAGEi

RNA expression in human tissues obtained through Cap Analysis of Gene Expression (CAGE) generated by the FANTOM5 project are reported as Scaled Tags Per Million.

Max subtype Scaled Tags Per Millioni

Max subtype Scaled Tags Per Million is the value for the subtype with the largest average Scaled Tags Per Million across the subtype samples.

710.8
FANTOM5 sample id Sample description Scaled Tags Per Million
Breast
Scaled Tags Per Million: 710.8
FF:10080-102A8 77 years, female 710.8

Contact

  • NEWS ARTICLES
  • PRESS ROOM

The Project

  • INTRODUCTION
  • ORGANIZATION
  • PUBLICATIONS

The Human Protein Atlas

  • DOWNLOADABLE DATA
  • LICENCE & CITATION
  • HELP & FAQ
The Human Protein Atlas project is funded
by the Knut & Alice Wallenberg Foundation.


contact@proteinatlas.org