We use cookies to enhance the usability of our website. If you continue, we'll assume that you are happy to receive all cookies. More information. Don't show this again.
TMBIM1
HPA
RESOURCES
  • TISSUE
  • BRAIN
  • SINGLE CELL
  • SUBCELLULAR
  • CANCER
  • BLOOD
  • CELL LINE
  • STRUCTURE & INTERACTION
ABOUT
  • INTRODUCTION
  • HISTORY
  • ORGANIZATION
  • PUBLICATIONS
  • ANTIBODY SUBMISSION
  • ANTIBODY AVAILABILITY
  • ACKNOWLEDGMENTS
  • CONTACT
NEWS
  • NEWS ARTICLES
  • PRESS ROOM
LEARN
  • DICTIONARY
  • PROTEIN CLASSES
  • PROTEIN EVIDENCE
  • METHODS
  • EDUCATIONAL VIDEOS
DATA
  • DOWNLOADABLE DATA
  • PUBLICATION DATA
  • RELEASE HISTORY
HELP
  • ANTIBODY VALIDATION
  • ASSAYS & ANNOTATION
  • DISCLAIMER
  • HELP & FAQ
  • PRIVACY STATEMENT
  • LICENCE & CITATION
Fields »
Search result

Field
Term
Gene name
Class
Subclass
Class
Keyword
Chromosome
External id
Tissue
Cell type
Expression
Antibody panel
Tissue
Main location
Patient ID
Annotation
Tissue
Category
Tau score
Cluster
Reliability
Brain region
Category
Tau score
Brain region
Category
Tau score
Brain region
Category
Tau score
Cluster
Reliability
Tissue
Cell type
Enrichment
Cell type
Category
Tau score
Cell type
Category
Tau score
Cell type
Category
Tau score
Cell lineage
Category
Tau score
Cluster
Cluster
Location
Searches
Location
Cell line
Class
Type
Phase
Reliability
Cancer
Prognosis
Cancer
Category
Cancer
Category
Tau score
Cluster
Variants
Interacting gene (ensg_id)
Type
Number of interactions
Pathway
Category
Score
Score
Score
Validation
Validation
Validation
Validation
Antibodies
Data type
Column


  • SUMMARY

  • TISSUE

  • BRAIN

  • SINGLE CELL

  • SUBCELL

  • CANCER

  • BLOOD

  • CELL LINE

  • STRUCT & INT

  • TMBIM1
TISSUE PRIMARY DATA SKIN Show tissue menu
ADIPOSE TISSUE ADRENAL GLAND AMYGDALA APPENDIX BASAL GANGLIA BONE MARROW BREAST BRONCHUS CEREBELLUM CEREBRAL CORTEX CERVIX CHOROID PLEXUS COLON DUODENUM
ENDOMETRIUM EPIDIDYMIS ESOPHAGUS FALLOPIAN TUBE GALLBLADDER HEART MUSCLE HIPPOCAMPAL FORMATION HYPOTHALAMUS KIDNEY LIVER LUNG LYMPH NODE MIDBRAIN NASOPHARYNX
ORAL MUCOSA OVARY PANCREAS PARATHYROID GLAND PITUITARY GLAND PLACENTA PROSTATE RECTUM RETINA SALIVARY GLAND SEMINAL VESICLE SKELETAL MUSCLE SKIN SMALL INTESTINE
SMOOTH MUSCLE SOFT TISSUE SPINAL CORD SPLEEN STOMACH TESTIS THYMUS THYROID GLAND TONGUE TONSIL URINARY BLADDER VAGINA
ANTIBODIES
AND
VALIDATION
Dictionary
Skin
Tissue proteome
Skin
SKIN - Expression summary
Protein expression
Skini

On the top, protein expression in current human tissue, based on all annotated cell types, is reported with the units not detected (n), low (l), medium (m) and high (h). Underneath, protein expression in each annotated cell type are reported using the same units.

Protein expression data is based on knowledge-based annotation. For genes where more than one antibody has been used, a collective score is set.

If knowledge-based annotation could not be performed for a gene, no data is displayed here. View antibody staining data further down this page.

h
m
l
n
Epidermal cells: Medium
Fibroblasts: Medium
Keratinocytes: Medium
Langerhans: Medium
Melanocytes: Medium
RNA expressioni

A summary of mRNA expression data available for current tissue based on several datasets. The mRNA expression levels in human tissues are based on RNA-seq data generated by the Human Protein Atlas (HPA), Genotype-Tissue Expression (GTEx) portal and CAGE data generated by the FANTOM5 consortium. Consensus normalized expression levels for human tissues was created by combining the data from HPA and GTEx datasets.

The mRNA expression levels in pig are based on RNA-seq data generated by the Human Protein Atlas (HPA), and for mouse, HPA data and in situ hybridization generated by the Allen brain atlas are reported.

Scroll down to view mRNA expression data in more detail.
Consensus:179.3 nTPM
HPA:142.0 nTPM
GTEx:179.3 nTPM

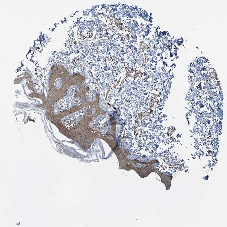
SKIN 1 - Antibody stainingi

Antibody staining in the annotated cell types in the current human tissue is reported as not detected, low, medium, or high, based on conventional immunohistochemistry profiling in selected tissues. This score is based on the combination of the staining intensity and fraction of stained cells.

Each image is clickable and will lead to virtual microscopy that enables deeper exploration of all samples and also displays staining intensity scores, fraction scores and subcellular localization as well as patient and tissue information for each sample.

Antibody HPA012093
Langerhans Medium
Fibroblasts Medium
Keratinocytes Medium
Melanocytes Medium


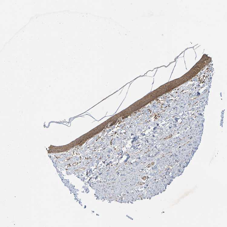
SKIN 2 - Antibody stainingi

Antibody staining in the annotated cell types in the current human tissue is reported as not detected, low, medium, or high, based on conventional immunohistochemistry profiling in selected tissues. This score is based on the combination of the staining intensity and fraction of stained cells.

Each image is clickable and will lead to virtual microscopy that enables deeper exploration of all samples and also displays staining intensity scores, fraction scores and subcellular localization as well as patient and tissue information for each sample.

Antibody HPA012093
Epidermal cells Medium
 
 
 



SKIN - HPA RNA-seqi

The RNA-seq details section shows detailed information about the individual samples used for the transcript profiling and results of the RNA-seq analysis.

Information about each individual sample is listed below, including gender, age, a tissue section image and estimated fractions of cell types. nTPM (normalized transcripts per million) values give a quantification of the gene abundance which is comparable between different genes and samples.
Average nTPMi

Max subtype nTPM is the value for the subtype with the largest average nTPM across the subtype samples.

142.0
overview
Female, age 34
Skin sample 225
nTPM: 163.3
Cell types%
Keratinocytes:
60

Other cell types:
40

overview
Female, age 30
Skin sample 226
nTPM: 153
Cell types%
Keratinocytes:
55

Other cell types:
45

N/A
Male, age 57
Skin sample 227
nTPM: 109.8

SKIN - GTEx RNA-seqi

RNA-Seq data generated by the Genotype-Tissue Expression (GTEx) project from human tissues is reported as mean nTPM. More information can be found on the GTEx portal.

Distribution across the dataset is visualized with box plots, shown as median and 25th and 75th percentiles. Points are displayed as outliers if they are above or below 1.5 times the interquartile range. nTPM values of the individual samples are presented next to the box plot.
Max subtype nTPMi

Max subtype nTPM is the value for the subtype with the largest average nTPM across the subtype samples.

179.3
GTEx sample id Sample description nTPM
Skin - Not Sun Exposed (Suprapubic)
Average nTPM: 169.5
Samples: 604

Max nTPM: 519.9
Min nTPM: 77.0
Std nTPM: 46.6
Median nTPM: 162.2
GTEX-WI4N-2726-SM-3LK7Y 40-49 years, female 519.9
GTEX-WHSE-0126-SM-3NMBT 20-29 years, male 395.2
GTEX-1I1GU-0926-SM-ACKVS 40-49 years, male 390.0
GTEX-ZTX8-1326-SM-4YCEL 20-29 years, male 351.5
GTEX-X8HC-0626-SM-4E3HQ 50-59 years, female 336.3
GTEX-14C38-0726-SM-5SI6M 50-59 years, male 333.5
GTEX-U8XE-0226-SM-4E3J3 30-39 years, male 327.4
GTEX-1CB4J-1326-SM-7P8RX 60-69 years, male 325.5
GTEX-14E6C-2426-SM-5S2NF 40-49 years, male 324.4
GTEX-13YAN-0226-SM-5TDC6 60-69 years, male 310.2
GTEX-15UF6-1926-SM-7KUDV 70-79 years, female 293.5
GTEX-16AAH-0626-SM-793C9 50-59 years, male 283.0
GTEX-13O61-1426-SM-5KM3D 60-69 years, male 282.5
GTEX-WFG7-2026-SM-5SI7P 20-29 years, male 282.2
GTEX-Y114-2126-SM-4TT8B 50-59 years, female 277.6
GTEX-ZYW4-0626-SM-59HJR 60-69 years, male 277.3
GTEX-1PPH8-0126-SM-EWRN8 20-29 years, male 275.6
GTEX-13OVJ-0826-SM-5J1OK 50-59 years, female 274.8
GTEX-15G1A-1626-SM-7KUKN 30-39 years, male 273.7
GTEX-1H23P-0626-SM-9WG6T 60-69 years, male 272.5
GTEX-14XAO-1226-SM-6EU1C 60-69 years, female 271.5
GTEX-1N2DV-1526-SM-DTXEP 40-49 years, male 271.4
GTEX-ZE7O-2726-SM-51MT5 50-59 years, female 269.7
GTEX-WH7G-2026-SM-3NMBL 40-49 years, male 266.5
GTEX-XK95-0226-SM-4AT58 40-49 years, male 264.2
GTEX-14C39-1726-SM-5RQIL 40-49 years, male 263.9
GTEX-1NV5F-0626-SM-DTXEG 60-69 years, female 262.3
GTEX-1497J-0226-SM-5QGPU 60-69 years, male 261.6
GTEX-XBEW-1126-SM-4QARW 40-49 years, male 260.0
GTEX-1HKZK-0726-SM-ACKW2 40-49 years, male 258.6
GTEX-1F6RS-2026-SM-7RHHC 60-69 years, female 258.3
GTEX-17F98-1326-SM-7DUEP 40-49 years, female 254.6
GTEX-144GM-0526-SM-79OJO 20-29 years, male 254.1
GTEX-W5X1-2526-SM-3GILC 40-49 years, female 253.7
GTEX-18D9B-0926-SM-7LG4U 60-69 years, male 253.2
GTEX-1JMQL-2226-SM-CNPP4 50-59 years, female 250.7
GTEX-ZAJG-1526-SM-5CVML 50-59 years, female 250.4
GTEX-12WSJ-1126-SM-5LZVJ 40-49 years, female 249.5
GTEX-1JN1M-2726-SM-CY8I4 60-69 years, female 247.3
GTEX-11O72-0626-SM-5PNYE 40-49 years, male 245.3
GTEX-1PPH7-1126-SM-DTX9A 40-49 years, male 244.0
GTEX-13NYS-0626-SM-5L3F1 60-69 years, male 243.3
GTEX-X585-2426-SM-46MW2 50-59 years, male 243.2
GTEX-15G19-2426-SM-7KUMR 60-69 years, male 242.8
GTEX-13FTX-1526-SM-5K7VJ 20-29 years, female 242.4
GTEX-1F75I-2226-SM-7SB8U 40-49 years, male 238.3
GTEX-13RTJ-0126-SM-5S2NN 60-69 years, male 237.7
GTEX-WXYG-2026-SM-4E3IY 50-59 years, female 236.2
GTEX-XXEK-1626-SM-4BRUZ 50-59 years, male 236.0
GTEX-11WQK-1026-SM-5EQLX 50-59 years, male 233.8
GTEX-1H2FU-0926-SM-9WPPT 60-69 years, female 233.6
GTEX-1QAET-0326-SM-EVR3U 50-59 years, male 232.7
GTEX-ZLV1-1526-SM-DO91J 60-69 years, female 232.0
GTEX-1OJC3-1226-SM-DTXER 20-29 years, male 231.5
GTEX-Y111-0626-SM-4SOIT 50-59 years, male 231.1
GTEX-1LKK1-2626-SM-DKPQE 50-59 years, female 230.3
GTEX-ZYFD-0626-SM-5E44E 50-59 years, male 229.4
GTEX-17HII-1426-SM-7EPGG 50-59 years, male 227.4
GTEX-YB5K-2026-SM-4VDT3 40-49 years, female 225.7
GTEX-14A5H-0826-SM-5QGPJ 60-69 years, male 224.7
GTEX-11ZU8-0126-SM-5EQ58 60-69 years, male 224.4
GTEX-14PJ3-1126-SM-5ZZVX 50-59 years, male 224.3
GTEX-13NYC-0126-SM-5L3F4 60-69 years, male 223.5
GTEX-13JVG-0726-SM-5KM16 60-69 years, male 223.2
GTEX-1HSMQ-2626-SM-A9SML 50-59 years, male 222.9
GTEX-WEY5-2326-SM-3GIKK 40-49 years, female 221.8
GTEX-1S82P-2126-SM-E6CI5 60-69 years, female 220.5
GTEX-13IVO-0726-SM-5LZYV 70-79 years, male 220.4
GTEX-13OVH-0526-SM-5L3E6 70-79 years, male 218.7
GTEX-1MCYP-0526-SM-E9U6Q 20-29 years, female 218.3
GTEX-1F75B-0726-SM-7PC3R 50-59 years, male 218.0
GTEX-1S82U-1026-SM-E6CJK 30-39 years, female 217.4
GTEX-12WSH-1526-SM-5BC5W 50-59 years, male 216.8
GTEX-1H1DF-1126-SM-9WG7G 40-49 years, female 216.6
GTEX-11DYG-1526-SM-5A5JS 60-69 years, male 215.6
GTEX-11P7K-1126-SM-5HL4L 30-39 years, male 215.5
GTEX-1NSGN-0726-SM-DTXEF 50-59 years, male 215.2
GTEX-15D1Q-2826-SM-6LLH7 40-49 years, male 215.1
GTEX-14PJO-2526-SM-6AJBQ 60-69 years, male 214.8
GTEX-13OVK-1426-SM-6PAN7 40-49 years, male 213.5
GTEX-Y3I4-1726-SM-4TT89 50-59 years, male 212.2
GTEX-1IE54-1126-SM-A9G2Z 40-49 years, female 211.7
GTEX-12WSK-2126-SM-5CVNC 40-49 years, female 211.1
GTEX-14PJ5-1526-SM-6LLIL 60-69 years, female 210.5
GTEX-131XG-0326-SM-5L3DX 50-59 years, female 210.3
GTEX-1F48J-0726-SM-7RHGS 50-59 years, female 209.7
GTEX-1313W-0626-SM-5EQ4H 50-59 years, female 208.8
GTEX-YFCO-1226-SM-5LUAT 40-49 years, male 208.8
GTEX-1399S-0126-SM-5IJCF 30-39 years, female 208.3
GTEX-11TUW-0626-SM-5LU9M 60-69 years, male 208.2
GTEX-1HCU7-0726-SM-A9SL1 50-59 years, male 208.2
GTEX-11P82-1426-SM-DTXFY 20-29 years, male 207.9
GTEX-XQ8I-0926-SM-4BOOF 50-59 years, male 207.8
GTEX-131XF-2626-SM-5EQ6K 60-69 years, male 207.4
GTEX-1RLM8-2926-SM-E8VON 50-59 years, male 206.2
GTEX-1HC8U-1326-SM-9YFMJ 40-49 years, female 206.0
GTEX-17F9E-2326-SM-79OKD 50-59 years, male 205.9
GTEX-Y8LW-1526-SM-5IFHL 50-59 years, female 205.0
GTEX-139YR-1026-SM-5LZYN 50-59 years, male 204.0
GTEX-1QP9N-1226-SM-E76QN 30-39 years, male 202.9
GTEX-1QP28-1126-SM-EVYC4 50-59 years, female 202.3
GTEX-1J8EW-2726-SM-CY8HR 60-69 years, female 201.8
GTEX-1HBPN-0126-SM-CGQEF 50-59 years, male 201.7
GTEX-1PBJJ-1026-SM-E76OS 30-39 years, male 201.7
GTEX-13X6H-0926-SM-5SIB2 50-59 years, female 201.6
GTEX-XBED-1926-SM-47JYP 60-69 years, male 201.6
GTEX-1B97I-0626-SM-73KUZ 40-49 years, male 201.3
GTEX-131XH-0126-SM-5LZUY 50-59 years, male 200.4
GTEX-12WSL-2026-SM-5GCML 50-59 years, male 200.0
GTEX-16BQI-1326-SM-6M486 30-39 years, female 199.8
GTEX-1GZ4H-0526-SM-9KNU9 50-59 years, female 199.1
GTEX-1H3VE-0726-SM-9YFL5 40-49 years, male 199.0
GTEX-1HGF4-0126-SM-CNPPX 60-69 years, male 198.5
GTEX-1JJEA-1826-SM-ARU8P 60-69 years, male 198.4
GTEX-12ZZZ-0726-SM-5GCNZ 60-69 years, male 198.3
GTEX-13FHO-0426-SM-5L3F5 60-69 years, male 198.1
GTEX-14JG6-1426-SM-9WG7C 30-39 years, female 198.0
GTEX-1HSMP-0926-SM-A9SKX 70-79 years, male 197.5
GTEX-1ICLZ-0326-SM-ARL82 60-69 years, male 197.2
GTEX-13VXT-1926-SM-5K7UO 20-29 years, female 197.0
GTEX-1R9PN-0426-SM-DTXDT 40-49 years, female 196.9
GTEX-1HSMO-0626-SM-ACKXC 60-69 years, male 196.6
GTEX-11ZTT-2126-SM-5CVLO 60-69 years, female 196.1
GTEX-1GTWX-2026-SM-9YFLM 60-69 years, male 195.7
GTEX-1IKOE-1426-SM-CE6T7 30-39 years, female 195.5
GTEX-13113-1626-SM-5EQ4I 60-69 years, female 195.4
GTEX-ZE9C-2526-SM-5IJDR 60-69 years, male 195.2
GTEX-1H1DG-2426-SM-9QEHJ 70-79 years, male 194.9
GTEX-14C5O-0326-SM-5ZZUX 60-69 years, male 194.8
GTEX-117YX-1926-SM-5GIEC 50-59 years, male 194.7
GTEX-1PIIG-2326-SM-DTXFR 30-39 years, male 194.6
GTEX-14BMU-1226-SM-5S2OR 20-29 years, female 194.4
GTEX-17F97-2626-SM-7IGM5 50-59 years, male 194.4
GTEX-WYBS-0626-SM-3NMAS 60-69 years, female 194.1
GTEX-ZY6K-1426-SM-5GZX2 50-59 years, male 193.6
GTEX-14ICL-1626-SM-5YYAO 30-39 years, male 193.0
GTEX-1J8Q2-2626-SM-ACKWQ 60-69 years, male 193.0
GTEX-1S5ZU-2526-SM-E6CIF 20-29 years, female 192.9
GTEX-14PJ4-0226-SM-5YY92 60-69 years, male 192.5
GTEX-1C6WA-2626-SM-7MKGM 60-69 years, male 192.2
GTEX-1R9K4-2826-SM-DTX8F 60-69 years, male 191.9
GTEX-133LE-2326-SM-5K7W3 20-29 years, female 191.3
GTEX-1PDJ9-1226-SM-EXUSX 20-29 years, male 191.1
GTEX-1F75A-0726-SM-7RHHD 50-59 years, male 190.8
GTEX-1AYD5-2626-SM-7PBXY 50-59 years, male 190.7
GTEX-ZC5H-1526-SM-5HL9Y 40-49 years, female 190.5
GTEX-11DZ1-2426-SM-5GZZX 50-59 years, male 190.4
GTEX-1GMRU-2126-SM-7P8RA 50-59 years, male 190.4
GTEX-1F5PK-2226-SM-7SB6N 50-59 years, male 190.2
GTEX-1GZHY-0626-SM-9KNVC 50-59 years, female 190.0
GTEX-16YQH-2226-SM-7IGM2 30-39 years, male 189.6
GTEX-1GN73-0726-SM-7P8TJ 60-69 years, male 189.6
GTEX-ZGAY-1826-SM-DO91Q 40-49 years, female 189.0
GTEX-14PHX-2226-SM-6EU2P 50-59 years, male 188.9
GTEX-1GF9V-0826-SM-9KNUV 60-69 years, male 188.5
GTEX-1ICLY-0826-SM-CMKG1 50-59 years, male 188.2
GTEX-1MJK3-0726-SM-E6CJC 20-29 years, male 188.0
GTEX-1GL5R-1326-SM-7RHHF 50-59 years, male 187.8
GTEX-14E1K-2026-SM-7DUEI 50-59 years, male 187.6
GTEX-11VI4-1126-SM-5EQMD 40-49 years, female 187.2
GTEX-1QP29-1826-SM-DTX9S 50-59 years, male 186.9
GTEX-145MH-2826-SM-5RQJF 50-59 years, male 186.7
GTEX-ZA64-1026-SM-5HL8R 20-29 years, male 186.7
GTEX-ZT9X-1526-SM-5DUXD 40-49 years, male 186.3
GTEX-15RJ7-2126-SM-6PAMD 40-49 years, male 185.8
GTEX-146FQ-2126-SM-5RQHU 30-39 years, male 185.1
GTEX-1R46S-2426-SM-E76QA 60-69 years, female 185.1
GTEX-1K2DU-1226-SM-CYPT4 20-29 years, male 184.9
GTEX-ZLFU-1826-SM-4WWBV 40-49 years, male 184.0
GTEX-1JMQK-1226-SM-D4P2S 60-69 years, male 184.0
GTEX-145ME-1726-SM-5Q5EU 40-49 years, female 183.8
GTEX-ZYVF-0926-SM-5E44J 50-59 years, female 183.5
GTEX-1F52S-2926-SM-7MKGA 60-69 years, female 183.3
GTEX-13FH7-1126-SM-5K7UG 50-59 years, female 183.2
GTEX-14PJ6-2626-SM-6EU2T 60-69 years, female 183.2
GTEX-XV7Q-1826-SM-4BRUV 40-49 years, female 183.2
GTEX-11EQ8-0926-SM-5H12V 60-69 years, male 183.1
GTEX-V1D1-2026-SM-3GAF4 50-59 years, male 182.9
GTEX-13OW5-2326-SM-5L3HO 60-69 years, male 182.7
GTEX-1LVAN-0626-SM-CNPOQ 50-59 years, female 182.7
GTEX-ZDYS-2426-SM-4WKGI 50-59 years, male 182.4
GTEX-ZPU1-1126-SM-4YCF3 40-49 years, male 182.4
GTEX-1399Q-2326-SM-5KM2X 40-49 years, male 182.1
GTEX-11EM3-1226-SM-5N9DD 20-29 years, female 181.7
GTEX-ZF2S-1626-SM-57WES 50-59 years, female 181.6
GTEX-139D8-1126-SM-5LU8W 30-39 years, female 181.2
GTEX-ZZ64-1026-SM-5GZXG 20-29 years, male 180.6
GTEX-18D9U-0126-SM-731BM 40-49 years, male 180.5
GTEX-144FL-0626-SM-5LU43 50-59 years, male 180.4
GTEX-11PRG-0726-SM-5EGL1 50-59 years, male 180.0
GTEX-12126-0826-SM-5FQTZ 20-29 years, male 180.0
GTEX-1QP2A-1726-SM-E76QC 50-59 years, male 179.9
GTEX-1GF9W-1426-SM-7PBYM 60-69 years, male 179.7
GTEX-WHWD-1826-SM-3LK6I 50-59 years, male 179.6
GTEX-1HSKV-1226-SM-ADEI4 60-69 years, male 179.5
GTEX-WHSB-1326-SM-3LK6W 50-59 years, male 179.1
GTEX-ZDTS-0826-SM-4WKHL 60-69 years, male 178.9
GTEX-ZT9W-1126-SM-57WDR 50-59 years, male 178.9
GTEX-1EX96-1026-SM-7MKG2 50-59 years, male 178.4
GTEX-132AR-0326-SM-5KM2C 50-59 years, female 178.1
GTEX-WFON-1926-SM-3LK7L 40-49 years, male 177.9
GTEX-1GN1W-2426-SM-9KNUU 50-59 years, female 177.9
GTEX-16XZZ-0726-SM-7KUF2 60-69 years, male 177.8
GTEX-13W3W-0726-SM-5IJDQ 60-69 years, female 177.5
GTEX-1GF9X-1326-SM-7PC2Y 40-49 years, female 177.5
GTEX-ZVZP-1226-SM-5GID7 50-59 years, male 177.4
GTEX-15DDE-2926-SM-6LLJ3 50-59 years, female 177.1
GTEX-Z93S-1626-SM-5CVMB 50-59 years, male 177.0
GTEX-1211K-1526-SM-5FQU4 60-69 years, female 176.7
GTEX-1PPGY-1626-SM-EVYBL 60-69 years, male 176.7
GTEX-1HBPM-0726-SM-9YFL7 60-69 years, female 176.3
GTEX-1HR98-2226-SM-ADEI2 60-69 years, male 176.2
GTEX-13PL6-1126-SM-5L3IE 40-49 years, female 176.0
GTEX-1IDFM-0326-SM-ARL7V 60-69 years, male 176.0
GTEX-1A3MV-1826-SM-731CD 30-39 years, male 175.8
GTEX-ZVE1-0726-SM-51MRN 50-59 years, female 175.7
GTEX-ZYFC-0426-SM-5GICQ 50-59 years, male 175.6
GTEX-1LSVX-2526-SM-DIPEU 60-69 years, male 175.6
GTEX-1A32A-0626-SM-731AQ 50-59 years, female 175.3
GTEX-1A3MW-0626-SM-731CB 60-69 years, female 175.2
GTEX-1J8QM-2426-SM-A9SLS 60-69 years, female 174.8
GTEX-14PHY-1226-SM-5ZZWK 60-69 years, female 174.7
GTEX-1E2YA-2126-SM-7MXUO 50-59 years, male 174.6
GTEX-1C64N-2626-SM-7PC2N 50-59 years, male 174.5
GTEX-XYKS-1426-SM-4BRUO 60-69 years, female 174.4
GTEX-16NGA-0726-SM-731AO 40-49 years, female 174.1
GTEX-WY7C-2126-SM-3NB2R 50-59 years, male 174.0
GTEX-WHPG-2626-SM-3NMBR 50-59 years, male 173.9
GTEX-X4EP-0626-SM-3P621 60-69 years, female 173.9
GTEX-ZDTT-0426-SM-4WKFL 60-69 years, male 173.8
GTEX-1399U-1126-SM-5L3DB 50-59 years, female 173.7
GTEX-1EMGI-2326-SM-7PBYA 60-69 years, male 173.4
GTEX-1QCLY-0226-SM-EWRNH 30-39 years, male 173.3
GTEX-1H1E6-0426-SM-9WYUS 30-39 years, male 173.1
GTEX-147GR-2426-SM-5ZZWQ 60-69 years, male 172.9
GTEX-12BJ1-0926-SM-5EQ62 60-69 years, male 172.6
GTEX-UPJH-0226-SM-3GADV 50-59 years, male 172.6
GTEX-1H1DE-1326-SM-9KNUG 20-29 years, male 172.4
GTEX-1HB9E-0126-SM-CM2S5 50-59 years, male 172.2
GTEX-13FTY-2126-SM-5IFFB 40-49 years, female 172.1
GTEX-13N1W-2426-SM-5IJD1 70-79 years, male 172.0
GTEX-ZYFG-1526-SM-5GZYM 60-69 years, female 171.9
GTEX-147F3-1726-SM-5SIAW 50-59 years, female 171.8
GTEX-ZAB4-2126-SM-5HL8U 40-49 years, male 171.7
GTEX-1HT8W-0626-SM-A9G2H 30-39 years, male 171.5
GTEX-Y3IK-1626-SM-4YCF5 50-59 years, female 171.1
GTEX-ZPIC-0526-SM-DO91W 40-49 years, female 170.8
GTEX-1HCU6-2526-SM-ADEHL 60-69 years, female 170.6
GTEX-1CB4F-1026-SM-7DUH1 60-69 years, male 170.4
GTEX-1MCC2-1826-SM-DIPEX 30-39 years, female 170.4
GTEX-ZYT6-2326-SM-5GZY3 30-39 years, male 170.3
GTEX-11OF3-0126-SM-5PNYF 60-69 years, male 170.2
GTEX-1CB4H-1126-SM-7MKGL 60-69 years, female 170.2
GTEX-1RMOY-1326-SM-E9TIH 50-59 years, male 169.6
GTEX-X5EB-1926-SM-4E3IW 40-49 years, male 169.5
GTEX-14PKU-0126-SM-6LLHV 40-49 years, female 169.3
GTEX-1H1ZS-2726-SM-9WG75 70-79 years, male 169.0
GTEX-12ZZY-0726-SM-5EQ66 60-69 years, male 168.8
GTEX-1S831-1826-SM-EWROF 20-29 years, male 168.7
GTEX-11WQC-1826-SM-5GU59 60-69 years, male 168.5
GTEX-11DXZ-2026-SM-5987S 50-59 years, male 168.1
GTEX-1O9I2-0226-SM-EYYXD 50-59 years, male 167.9
GTEX-11DXX-2126-SM-5PNYR 60-69 years, female 167.7
GTEX-13PDP-0726-SM-5L3HP 60-69 years, male 167.7
GTEX-1117F-2926-SM-5GZYI 60-69 years, female 167.4
GTEX-1AX9I-2226-SM-73KUO 60-69 years, male 167.4
GTEX-1BAJH-2426-SM-7IGP8 70-79 years, male 167.4
GTEX-XUW1-0926-SM-4BONX 50-59 years, female 167.2
GTEX-1F6I4-2326-SM-7RHGL 60-69 years, male 167.1
GTEX-15RIG-0726-SM-7KUM7 40-49 years, male 167.0
GTEX-1RB15-1326-SM-E76Q9 60-69 years, male 167.0
GTEX-ZYY3-2926-SM-5GIEB 60-69 years, female 166.8
GTEX-14DAR-1226-SM-73KYV 50-59 years, male 166.7
GTEX-1KANA-1326-SM-DIPFA 20-29 years, male 166.7
GTEX-ZLWG-0826-SM-59888 50-59 years, female 166.3
GTEX-1KANC-1226-SM-CYPT7 50-59 years, female 166.1
GTEX-148VJ-0626-SM-5LUAW 70-79 years, male 165.8
GTEX-147JS-0226-SM-5S2U9 60-69 years, male 165.7
GTEX-YF7O-1526-SM-5IFI6 50-59 years, male 165.6
GTEX-11NSD-0626-SM-5A5LU 20-29 years, male 165.3
GTEX-1GMR2-0826-SM-7PC3V 50-59 years, male 165.2
GTEX-1GPI7-1826-SM-9KNU1 20-29 years, male 164.8
GTEX-1IDJI-0126-SM-CMKHS 50-59 years, female 164.8
GTEX-18A66-0626-SM-7LT8Z 60-69 years, male 164.7
GTEX-145LU-1926-SM-79OJN 50-59 years, male 164.6
GTEX-15SKB-2826-SM-6PAMH 60-69 years, male 164.6
GTEX-1B8SF-0126-SM-7DUG3 60-69 years, male 164.2
GTEX-12696-0126-SM-5EQ4L 60-69 years, male 163.9
GTEX-147F4-0726-SM-5TDDD 50-59 years, male 163.9
GTEX-1LVAO-2726-SM-E9TJ8 60-69 years, male 163.9
GTEX-14PK6-0226-SM-62LF5 70-79 years, female 163.8
GTEX-1CAMR-1326-SM-7PC1F 20-29 years, male 163.8
GTEX-12WSF-1626-SM-7KUG5 70-79 years, male 163.6
GTEX-1QPFJ-1926-SM-EVYBD 30-39 years, female 163.2
GTEX-11P81-2226-SM-5PNYI 30-39 years, female 163.0
GTEX-13X6I-1826-SM-5SIAO 60-69 years, male 162.8
GTEX-15SHW-0226-SM-7LTAT 60-69 years, male 162.8
GTEX-15EU6-2226-SM-6EU2L 50-59 years, male 162.7
GTEX-13JUV-2026-SM-5K7UA 40-49 years, female 162.6
GTEX-14E6E-0526-SM-793DN 30-39 years, male 162.6
GTEX-11UD2-2526-SM-5CVNU 50-59 years, male 162.4
GTEX-1JMOU-1026-SM-CYPSS 60-69 years, female 162.2
GTEX-1KAFJ-0126-SM-DIPEK 50-59 years, male 162.1
GTEX-1LSNM-0826-SM-DIPG8 50-59 years, male 162.1
GTEX-1C6VR-0126-SM-7RHGB 60-69 years, male 161.9
GTEX-ZVP2-0326-SM-57WBP 50-59 years, male 161.8
GTEX-15CHC-1126-SM-6LLHQ 60-69 years, female 161.7
GTEX-1HCUA-0826-SM-ADEHM 50-59 years, female 161.4
GTEX-1S83E-1326-SM-E6CJM 40-49 years, male 161.2
GTEX-1A8G6-2726-SM-731AR 60-69 years, male 160.7
GTEX-1F88F-0126-SM-9WYSZ 60-69 years, female 160.7
GTEX-111CU-1126-SM-5EGIM 50-59 years, male 160.3
GTEX-ZF29-0926-SM-4WKFZ 60-69 years, female 160.3
GTEX-1C475-1326-SM-7SB73 40-49 years, female 160.3
GTEX-1JMLX-0626-SM-ARL8T 50-59 years, male 160.3
GTEX-1CAMQ-1326-SM-7P8RV 40-49 years, male 160.2
GTEX-139UW-0326-SM-5J1ML 60-69 years, male 159.9
GTEX-1F88E-1626-SM-7SB8Z 60-69 years, female 159.9
GTEX-ZF3C-0626-SM-DO92O 50-59 years, female 159.8
GTEX-12C56-1526-SM-5FQUQ 20-29 years, male 159.6
GTEX-12ZZX-2426-SM-5GCOE 40-49 years, female 159.5
GTEX-13FTW-0326-SM-5K7UW 40-49 years, male 159.1
GTEX-1HR9M-2226-SM-CNPPY 60-69 years, male 159.0
GTEX-1RAZR-2126-SM-E9U6T 40-49 years, male 159.0
GTEX-17HGU-2326-SM-7DUFE 50-59 years, male 158.1
GTEX-15ER7-0626-SM-6PANF 20-29 years, female 157.8
GTEX-1192X-2726-SM-5N9DN 50-59 years, male 157.6
GTEX-1RAZQ-1326-SM-E9TK6 30-39 years, male 157.5
GTEX-1JK1U-0226-SM-ARZMX 60-69 years, male 157.3
GTEX-145MI-0626-SM-5SI8S 60-69 years, female 157.1
GTEX-131YS-2826-SM-5EQ47 60-69 years, female 157.0
GTEX-UPK5-0426-SM-3GAEK 40-49 years, male 156.8
GTEX-1122O-1026-SM-9WYSF 60-69 years, female 156.8
GTEX-1B933-2426-SM-7DHMD 50-59 years, female 156.7
GTEX-1CB4E-0926-SM-7EPHT 60-69 years, male 156.7
GTEX-13NYB-0126-SM-5J1MD 40-49 years, male 156.4
GTEX-12584-0726-SM-5FQTK 40-49 years, male 156.3
GTEX-13N11-2326-SM-5IJBF 50-59 years, female 156.2
GTEX-13PVQ-0626-SM-5LU47 50-59 years, male 156.2
GTEX-1H11D-1826-SM-9QEHM 40-49 years, male 156.2
GTEX-11DXY-0126-SM-5H11Q 60-69 years, male 156.0
GTEX-1HFI6-0126-SM-CNPPI 40-49 years, male 156.0
GTEX-17F96-0126-SM-7EWDU 70-79 years, male 155.6
GTEX-1C6VQ-1226-SM-73KYD 50-59 years, male 155.6
GTEX-1F5PL-0926-SM-7PC2W 40-49 years, female 155.6
GTEX-14PII-0726-SM-6EU2B 60-69 years, male 155.3
GTEX-18QFQ-1826-SM-72D52 30-39 years, male 155.2
GTEX-ZAK1-0626-SM-5HL8E 50-59 years, female 155.2
GTEX-11EQ9-1626-SM-5PNY8 30-39 years, male 155.1
GTEX-18D9A-1426-SM-7LT8M 30-39 years, female 154.9
GTEX-1I1GP-1326-SM-A9G28 50-59 years, male 154.7
GTEX-12WSM-1926-SM-5BC65 60-69 years, male 154.5
GTEX-ZVT4-2426-SM-5GIEI 50-59 years, female 154.5
GTEX-1CAMS-2226-SM-7PBXQ 40-49 years, female 154.3
GTEX-1KANB-2826-SM-CY8I6 50-59 years, male 154.2
GTEX-1HCU9-0426-SM-9WYSD 20-29 years, male 154.1
GTEX-1314G-1326-SM-5BC6E 30-39 years, male 154.0
GTEX-1GZ4I-2626-SM-9KNU3 50-59 years, male 153.9
GTEX-1LGOU-1326-SM-D3L8M 20-29 years, female 153.9
GTEX-1S3DN-2126-SM-E9TIN 50-59 years, male 153.9
GTEX-1IY9M-2826-SM-ARU8H 60-69 years, male 153.7
GTEX-17MFQ-1526-SM-7KFRR 20-29 years, male 153.6
GTEX-17HHE-1326-SM-7EWDZ 50-59 years, male 153.5
GTEX-ZWKS-0626-SM-5GIDV 30-39 years, male 153.4
GTEX-X3Y1-2026-SM-3P5YM 40-49 years, male 153.3
GTEX-14B4R-1326-SM-5Q5EZ 30-39 years, male 153.1
GTEX-ZTTD-2826-SM-4YCFA 50-59 years, male 153.1
GTEX-1IDJD-2326-SM-ACKWX 30-39 years, male 153.0
GTEX-Y5LM-0926-SM-6LLJG 40-49 years, female 152.6
GTEX-17EVQ-0126-SM-7IGLR 70-79 years, male 152.5
GTEX-ZZPU-0826-SM-5GZX5 50-59 years, female 152.3
GTEX-1I1GT-1026-SM-ARZLV 60-69 years, female 152.2
GTEX-16MT8-2926-SM-7DUFO 60-69 years, female 152.0
GTEX-1I4MK-0126-SM-CY8G6 50-59 years, female 151.7
GTEX-11GS4-0226-SM-5HL77 60-69 years, male 150.9
GTEX-1LB8K-0726-SM-D5OV2 50-59 years, male 150.7
GTEX-145MN-1526-SM-5SI9T 30-39 years, male 150.5
GTEX-YEC4-1826-SM-4W1YP 40-49 years, male 150.3
GTEX-1JMPY-0226-SM-CKZOK 30-39 years, male 150.2
GTEX-18A7B-2726-SM-7LG56 70-79 years, male 150.1
GTEX-YECK-0326-SM-4W1YS 60-69 years, male 149.9
GTEX-11ZUS-2626-SM-5FQUR 30-39 years, male 149.8
GTEX-14PKV-1126-SM-6LLJ1 20-29 years, female 149.8
GTEX-1R9PM-1926-SM-EVR3O 20-29 years, male 149.7
GTEX-13PVR-0426-SM-5RQK2 60-69 years, female 148.5
GTEX-YEC3-1326-SM-DO92X 50-59 years, male 148.5
GTEX-ZP4G-1426-SM-4WWCL 20-29 years, female 148.4
GTEX-ZPCL-1126-SM-4WWFE 60-69 years, female 148.3
GTEX-ZU9S-1826-SM-5NQ9E 30-39 years, male 148.3
GTEX-1A3MX-2626-SM-7PC24 60-69 years, male 148.3
GTEX-16MT9-0126-SM-7EPI8 60-69 years, female 148.1
GTEX-183WM-0326-SM-72D5V 70-79 years, female 148.0
GTEX-1IDJE-1426-SM-ADEIW 50-59 years, female 147.7
GTEX-17KNJ-2126-SM-718AM 50-59 years, male 147.6
GTEX-1JMQI-1726-SM-ARL93 50-59 years, male 147.4
GTEX-1LBAC-0826-SM-CY8IJ 20-29 years, male 147.2
GTEX-14LZ3-0126-SM-69LPM 60-69 years, female 146.9
GTEX-11TT1-1826-SM-5EQLV 20-29 years, male 146.7
GTEX-139TU-0726-SM-5L3EK 60-69 years, male 146.7
GTEX-15CHQ-0326-SM-69LQD 60-69 years, male 146.7
GTEX-1RAZS-2526-SM-E6CHT 50-59 years, male 146.7
GTEX-1PIGE-1826-SM-E8VOU 20-29 years, male 146.5
GTEX-1LVA9-2626-SM-EVYD4 50-59 years, male 146.4
GTEX-1QW4Y-1126-SM-DTXE3 30-39 years, male 146.2
GTEX-139TS-2126-SM-5K7XC 60-69 years, male 145.9
GTEX-11LCK-2226-SM-5HL4Q 30-39 years, male 145.8
GTEX-18A6Q-0626-SM-7KFRP 60-69 years, male 145.8
GTEX-1AX9J-1326-SM-731BJ 60-69 years, male 145.8
GTEX-13NZ8-1226-SM-5KM4A 60-69 years, female 145.6
GTEX-14JFF-0626-SM-5ZZVT 60-69 years, male 145.3
GTEX-1JMQJ-0826-SM-CNPP7 50-59 years, male 145.3
GTEX-VJYA-1526-SM-3GIJV 60-69 years, male 144.8
GTEX-14ABY-2026-SM-62LDL 50-59 years, male 144.7
GTEX-1QP66-1226-SM-DTX7U 50-59 years, male 144.7
GTEX-1IDJC-1526-SM-B2LW4 50-59 years, male 144.2
GTEX-1H3NZ-2726-SM-9WYTQ 60-69 years, male 143.9
GTEX-1POEN-2326-SM-E9J2L 30-39 years, female 143.3
GTEX-1HFI7-2326-SM-CGQFS 50-59 years, female 143.2
GTEX-14BIN-1126-SM-5RQJZ 50-59 years, female 143.1
GTEX-1GN1U-0626-SM-9MQL9 50-59 years, female 143.0
GTEX-XPVG-2126-SM-4B667 50-59 years, male 142.8
GTEX-1GZ2Q-0126-SM-9WG6M 40-49 years, male 142.7
GTEX-1ICG6-1226-SM-A9SLN 70-79 years, female 142.5
GTEX-17F9Y-0126-SM-79OKX 70-79 years, female 142.4
GTEX-13D11-0926-SM-5J2NC 50-59 years, female 142.2
GTEX-1EH9U-2826-SM-7DUGT 60-69 years, male 142.1
GTEX-1LGRB-0926-SM-COH3K 50-59 years, female 142.0
GTEX-139T8-0626-SM-5KLZX 60-69 years, male 141.9
GTEX-1AMFI-1326-SM-7939R 50-59 years, female 141.9
GTEX-1C64O-1326-SM-7MGWR 60-69 years, male 141.8
GTEX-13X6K-0626-SM-5LU5D 60-69 years, female 141.5
GTEX-1212Z-0126-SM-59HK4 60-69 years, male 141.3
GTEX-14A6H-2026-SM-5Q5DD 30-39 years, male 141.2
GTEX-1I1GS-2626-SM-B2LY3 60-69 years, male 141.1
GTEX-1HBPI-2126-SM-ARL9K 50-59 years, male 141.0
GTEX-1LVAM-0726-SM-E6CIL 50-59 years, female 141.0
GTEX-13QJC-0126-SM-5ZZWJ 60-69 years, female 140.9
GTEX-1AMEY-0826-SM-72D65 30-39 years, female 140.9
GTEX-Y9LG-1126-SM-4VBQ7 30-39 years, male 140.8
GTEX-1HSGN-0826-SM-ACKW3 40-49 years, female 140.8
GTEX-1JN76-0626-SM-CKZOQ 20-29 years, female 140.7
GTEX-1EWIQ-0326-SM-7DHMQ 70-79 years, female 140.6
GTEX-1IDJF-2026-SM-CL53V 20-29 years, male 140.3
GTEX-1IKJJ-2226-SM-CJI4C 60-69 years, male 140.2
GTEX-145MF-0926-SM-5Q5EA 50-59 years, male 140.1
GTEX-13SLW-0626-SM-5Q5ER 70-79 years, male 140.0
GTEX-WFG8-2126-SM-3GIKQ 20-29 years, male 140.0
GTEX-13QBU-1226-SM-5LU4G 40-49 years, female 139.9
GTEX-14AS3-1526-SM-5Q5ED 40-49 years, female 139.7
GTEX-Y8E4-2026-SM-5IFJB 40-49 years, male 139.7
GTEX-ZTSS-1426-SM-5985P 40-49 years, male 139.6
GTEX-183FY-1026-SM-7939A 20-29 years, male 139.5
GTEX-13X6J-0626-SM-5LU5F 50-59 years, male 139.3
GTEX-17HHY-0426-SM-7DHLC 50-59 years, male 139.3
GTEX-145LS-0626-SM-7EPG7 60-69 years, female 139.2
GTEX-13112-0126-SM-5P9IU 50-59 years, male 138.7
GTEX-1CAV2-0126-SM-7IGN7 40-49 years, female 138.2
GTEX-1I1CD-0626-SM-CE6SW 60-69 years, female 138.2
GTEX-1JKYN-0826-SM-ARU8S 30-39 years, male 138.2
GTEX-YJ8O-2526-SM-5HL85 40-49 years, female 138.1
GTEX-139TT-2126-SM-5LZWC 60-69 years, male 137.8
GTEX-15DYW-2726-SM-6EU2I 60-69 years, female 137.7
GTEX-111YS-1526-SM-5GZYW 60-69 years, male 137.5
GTEX-111VG-1626-SM-5EGIO 60-69 years, male 137.3
GTEX-1I1GV-0626-SM-ARL7M 60-69 years, male 137.1
GTEX-1K2DA-1026-SM-CGQGF 50-59 years, male 137.0
GTEX-ZXG5-2126-SM-59HKD 60-69 years, male 136.9
GTEX-13OVL-0126-SM-5L3GJ 50-59 years, male 136.7
GTEX-Y5V6-2326-SM-4VDSA 60-69 years, male 136.2
GTEX-1IDJV-0126-SM-COH3Y 60-69 years, male 136.2
GTEX-15RIE-1926-SM-7KUKJ 60-69 years, male 135.7
GTEX-1M4P7-0726-SM-E6CJ3 60-69 years, male 135.7
GTEX-1B8KE-1126-SM-7EPHI 50-59 years, male 135.6
GTEX-1IDJH-0126-SM-D3L92 70-79 years, male 135.6
GTEX-145MO-2826-SM-5LU96 60-69 years, male 135.5
GTEX-12WSD-0626-SM-5GCMW 60-69 years, female 135.4
GTEX-XAJ8-1426-SM-47JYM 40-49 years, male 135.3
GTEX-1L5NE-1126-SM-D3L9P 50-59 years, male 135.3
GTEX-1H1CY-0126-SM-9YFLY 60-69 years, female 135.1
GTEX-1N2EE-0626-SM-E76PW 60-69 years, male 135.1
GTEX-13G51-1826-SM-5KLZH 60-69 years, male 135.0
GTEX-145MG-1526-SM-5Q5EM 50-59 years, male 134.4
GTEX-14LLW-2626-SM-62LDZ 70-79 years, female 134.3
GTEX-15EO6-2426-SM-6PALZ 50-59 years, male 133.6
GTEX-1IDJU-1726-SM-CMKHU 60-69 years, female 133.5
GTEX-14PJN-1826-SM-6AJ98 30-39 years, male 133.4
GTEX-1CB4I-0126-SM-7RHGG 50-59 years, male 133.1
GTEX-1C2JI-1026-SM-73KY1 50-59 years, male 133.0
GTEX-1N5O9-0926-SM-E9J3C 60-69 years, male 132.8
GTEX-13OVG-1626-SM-5J1NF 60-69 years, male 132.7
GTEX-14753-0726-SM-5QGQO 60-69 years, male 132.6
GTEX-16NPX-0726-SM-7KULC 50-59 years, male 132.5
GTEX-1I6K7-1926-SM-B2LXR 40-49 years, male 132.3
GTEX-1GMR8-0626-SM-7RHI7 50-59 years, female 132.2
GTEX-17EVP-2626-SM-7IGMA 40-49 years, male 132.1
GTEX-1HUB1-1426-SM-CGQF5 60-69 years, male 132.1
GTEX-1J1OQ-0126-SM-D4P2N 40-49 years, female 132.1
GTEX-1QCLZ-2426-SM-EVYBW 60-69 years, female 132.0
GTEX-1EKGG-0626-SM-7DUGJ 60-69 years, male 131.6
GTEX-12KS4-2126-SM-5FQUT 30-39 years, male 131.5
GTEX-1JN6P-2926-SM-CL54D 60-69 years, male 131.4
GTEX-VUSG-2326-SM-4KL1U 50-59 years, male 131.2
GTEX-14DAQ-0626-SM-793DS 60-69 years, female 131.1
GTEX-1EU9M-1426-SM-793AI 60-69 years, male 130.8
GTEX-1GN2E-0226-SM-9WG6K 60-69 years, male 130.8
GTEX-145LT-0526-SM-5LUB2 40-49 years, male 130.5
GTEX-1KD5A-0126-SM-E9U54 50-59 years, male 130.3
GTEX-13FLV-0126-SM-5K7WT 50-59 years, male 130.1
GTEX-131XW-0626-SM-5PNVD 50-59 years, female 129.8
GTEX-1B996-0426-SM-7EWF8 60-69 years, male 129.2
GTEX-16MTA-0926-SM-6M47Z 50-59 years, male 129.1
GTEX-1GMR3-0126-SM-A9SLW 40-49 years, male 129.1
GTEX-ZVE2-2826-SM-5GU51 50-59 years, male 128.7
GTEX-1EN7A-2426-SM-793DB 40-49 years, male 128.6
GTEX-13O3Q-0126-SM-5KM34 50-59 years, male 128.3
GTEX-WRHU-2826-SM-3MJG8 50-59 years, female 127.8
GTEX-1B8KZ-0326-SM-73KY4 50-59 years, male 127.6
GTEX-1477Z-0326-SM-7IGLA 60-69 years, male 127.0
GTEX-18A67-1626-SM-7LT9T 50-59 years, male 127.0
GTEX-1KXAM-1626-SM-D3LAD 60-69 years, male 126.9
GTEX-13VXU-0626-SM-5L3F9 50-59 years, male 126.6
GTEX-1R7EU-1626-SM-DTXG3 60-69 years, male 126.6
GTEX-1JJ6O-2726-SM-CNPOG 60-69 years, male 126.1
GTEX-13OW6-2726-SM-5J2OE 50-59 years, male 125.9
GTEX-1H4P4-2126-SM-9WYSL 50-59 years, male 125.9
GTEX-13O3O-2326-SM-5IJD6 60-69 years, female 125.8
GTEX-1LG7Y-2526-SM-EWRO7 50-59 years, male 125.1
GTEX-1IOXB-2726-SM-CM2RI 50-59 years, male 124.9
GTEX-1GN1V-2826-SM-9JGIA 60-69 years, male 124.3
GTEX-13OW7-0426-SM-5K7VK 50-59 years, male 124.2
GTEX-X4EO-2926-SM-4E3JH 60-69 years, female 124.2
GTEX-15RJE-2826-SM-7KUM9 40-49 years, male 124.1
GTEX-XBEC-0726-SM-4QARZ 50-59 years, male 123.3
GTEX-XQ3S-1426-SM-4BOPR 20-29 years, male 123.0
GTEX-1269C-0126-SM-5EQ5L 60-69 years, female 122.9
GTEX-1B932-2326-SM-79OL5 40-49 years, female 122.8
GTEX-1GF9U-2026-SM-7SB92 40-49 years, female 122.7
GTEX-1A8G7-1326-SM-73KVM 60-69 years, male 122.5
GTEX-15CHR-1126-SM-7EWF4 50-59 years, male 122.4
GTEX-18A7A-0126-SM-731AH 50-59 years, female 122.3
GTEX-1HCVE-2726-SM-CL54F 50-59 years, male 121.8
GTEX-1KWVE-1026-SM-D3L9O 30-39 years, male 121.6
GTEX-Y5V5-0126-SM-5S2NW 60-69 years, female 121.1
GTEX-15FZZ-0526-SM-7KUGD 30-39 years, female 121.0
GTEX-14JG1-1526-SM-5YY9X 40-49 years, male 120.9
GTEX-13N2G-0226-SM-5K7VF 60-69 years, male 120.8
GTEX-XMD2-2126-SM-4YCF8 60-69 years, female 120.7
GTEX-11DXW-0826-SM-5H118 40-49 years, male 120.6
GTEX-ZVT2-0126-SM-5GIDQ 50-59 years, female 120.4
GTEX-1J8Q3-0526-SM-ARL8U 60-69 years, male 120.2
GTEX-144GL-0626-SM-5LU4D 50-59 years, male 120.1
GTEX-1I19N-0126-SM-CYPSF 70-79 years, male 120.1
GTEX-1E1VI-0326-SM-793D1 50-59 years, male 119.6
GTEX-14PJ2-0626-SM-6LLII 50-59 years, male 119.5
GTEX-178AV-1726-SM-7KUL8 40-49 years, male 119.5
GTEX-ZDXO-3126-SM-5IJDF 60-69 years, male 119.5
GTEX-1AX8Z-0726-SM-73KTS 60-69 years, male 119.4
GTEX-1QMI2-2526-SM-E8VNZ 60-69 years, male 119.0
GTEX-1H3O1-1326-SM-9MQLD 60-69 years, male 118.9
GTEX-1RAZA-2226-SM-E9U4X 20-29 years, male 118.3
GTEX-1JJE9-2626-SM-ARZMT 70-79 years, male 118.1
GTEX-1LG7Z-1626-SM-CXKYR 30-39 years, male 118.1
GTEX-1I1HK-2326-SM-CKZOH 60-69 years, male 118.0
GTEX-XOT4-0626-SM-4B66L 60-69 years, female 117.3
GTEX-13SLX-2226-SM-62LEP 50-59 years, female 116.9
GTEX-144GO-2026-SM-5O99P 60-69 years, male 116.9
GTEX-111FC-2526-SM-5GZXU 60-69 years, male 116.8
GTEX-12WSC-2826-SM-5BC5Y 50-59 years, male 116.4
GTEX-1F75W-2726-SM-7SB8H 60-69 years, male 116.0
GTEX-1I6K6-1726-SM-CGQFD 30-39 years, male 116.0
GTEX-1J1R8-2026-SM-CL53Y 40-49 years, male 115.9
GTEX-11NUK-2726-SM-5A5MC 50-59 years, male 115.6
GTEX-1GPI6-1926-SM-9KNV7 60-69 years, male 115.3
GTEX-WYVS-1626-SM-3NM9R 40-49 years, female 114.4
GTEX-11EI6-2826-SM-5H11D 60-69 years, male 114.0
GTEX-16Z82-2626-SM-7KULU 60-69 years, male 113.6
GTEX-1LSNL-2726-SM-E9TKJ 50-59 years, male 113.5
GTEX-1JMPZ-0726-SM-CY8HZ 30-39 years, male 112.1
GTEX-WK11-2726-SM-3NMAQ 50-59 years, male 111.8
GTEX-1JKYR-0626-SM-ARL8R 20-29 years, male 111.6
GTEX-1399R-1326-SM-5PNYS 30-39 years, male 110.7
GTEX-13NZ9-2626-SM-5L3FK 50-59 years, male 109.3
GTEX-1B8L1-2226-SM-7P8PT 60-69 years, male 108.9
GTEX-1IL2V-1926-SM-B2LW8 70-79 years, male 107.9
GTEX-1OJC4-2726-SM-E76PJ 50-59 years, female 107.6
GTEX-17HG3-2626-SM-7DUF2 30-39 years, female 107.3
GTEX-17MF6-2626-SM-79OKQ 40-49 years, male 106.7
GTEX-ZUA1-2626-SM-5NQ92 40-49 years, male 105.4
GTEX-1K9T9-1526-SM-DIPFR 50-59 years, female 105.4
GTEX-16GPK-0626-SM-7KFSF 60-69 years, male 104.7
GTEX-13U4I-2226-SM-5LU5H 40-49 years, female 103.8
GTEX-1F6IF-0926-SM-7SB7M 60-69 years, male 103.3
GTEX-ZVTK-0226-SM-51MRG 20-29 years, male 102.7
GTEX-1HCU8-2526-SM-CE6RX 60-69 years, female 102.3
GTEX-14BMV-2826-SM-5TDED 50-59 years, male 101.8
GTEX-WYJK-0526-SM-3NM8Z 50-59 years, male 101.0
GTEX-1J8JJ-0626-SM-ARZMQ 60-69 years, female 95.0
GTEX-13OW8-1026-SM-5J1NQ 60-69 years, male 94.9
GTEX-1A8FM-0626-SM-7PC25 50-59 years, female 94.6
GTEX-18465-2826-SM-7LT9J 50-59 years, male 94.3
GTEX-1QEPI-2626-SM-DTXF4 60-69 years, female 93.1
GTEX-11GSP-2326-SM-5HL63 60-69 years, female 84.0
GTEX-12WSA-0426-SM-5EQ5X 60-69 years, male 83.1
GTEX-17JCI-2926-SM-7DUFF 60-69 years, female 77.0
Show allShow less
Skin - Sun Exposed (Lower leg)
Average nTPM: 179.3
Samples: 701

Max nTPM: 705.0
Min nTPM: 96.3
Std nTPM: 56.1
Median nTPM: 167.3
GTEX-15UF6-0826-SM-6PALJ 70-79 years, female 705.0
GTEX-14E6C-0126-SM-5RQIP 40-49 years, male 515.9
GTEX-WI4N-1026-SM-3LK7N 40-49 years, female 481.2
GTEX-ZF3C-0126-SM-DO92D 50-59 years, female 477.4
GTEX-14PN4-0126-SM-6EU2V 50-59 years, male 462.1
GTEX-1N2EF-0226-SM-EYYXB 60-69 years, male 356.6
GTEX-X8HC-0126-SM-4E3JW 50-59 years, female 350.2
GTEX-14E6E-1826-SM-5S2R7 30-39 years, male 344.4
GTEX-ZAJG-0126-SM-5HL94 50-59 years, female 341.7
GTEX-1JMQL-0226-SM-CNPP5 50-59 years, female 340.8
GTEX-Y3IK-2426-SM-4WWDU 50-59 years, female 339.6
GTEX-13O1R-0126-SM-5L3EH 60-69 years, male 332.7
GTEX-14XAO-2326-SM-6EU1B 60-69 years, female 329.2
GTEX-1HBPM-0226-SM-ARL9F 60-69 years, female 327.0
GTEX-W5X1-3026-SM-EAZAX 40-49 years, female 319.3
GTEX-1JN1M-0326-SM-CYPT3 60-69 years, female 318.9
GTEX-QESD-1426-SM-2S1R9 20-29 years, male 317.8
GTEX-ZTPG-0326-SM-5O9AX 20-29 years, female 316.7
GTEX-X4XY-0226-SM-4E3IZ 60-69 years, male 316.5
GTEX-17GQL-2026-SM-718BA 60-69 years, male 312.3
GTEX-S32W-2126-SM-2XCB1 50-59 years, female 310.9
GTEX-11TT1-2526-SM-5EGIB 20-29 years, male 310.4
GTEX-146FH-0126-SM-5QGPP 50-59 years, female 308.7
GTEX-U8T8-0126-SM-3DB94 60-69 years, male 300.2
GTEX-ZVZO-0126-SM-5A5L9 40-49 years, male 298.0
GTEX-1211K-2026-SM-5EQ4Z 60-69 years, female 296.2
GTEX-11WQK-0526-SM-5EQLD 50-59 years, male 295.8
GTEX-P4QT-0126-SM-2I3FL 50-59 years, female 294.8
GTEX-15EOM-0126-SM-7KUGG 20-29 years, female 290.1
GTEX-1497J-2426-SM-7IGNX 60-69 years, male 289.8
GTEX-1399U-2326-SM-5K7WY 50-59 years, female 281.2
GTEX-1A3MW-0126-SM-73KXX 60-69 years, female 277.6
GTEX-O5YT-0126-SM-48TBW 20-29 years, male 276.4
GTEX-11TUW-2726-SM-E9J4M 60-69 years, male 276.3
GTEX-YJ8A-0426-SM-5IFID 20-29 years, male 273.3
GTEX-13YAN-0326-SM-5O9DF 60-69 years, male 272.8
GTEX-1QAET-0926-SM-E76QM 50-59 years, male 271.8
GTEX-13NYS-0126-SM-5MR3W 60-69 years, male 271.0
GTEX-13X6H-2126-SM-7EWD5 50-59 years, female 270.2
GTEX-1LC47-0326-SM-E9TJP 60-69 years, male 269.1
GTEX-ZTX8-1426-SM-5DUVO 20-29 years, male 268.4
GTEX-13O3P-0126-SM-5KM4S 50-59 years, male 268.2
GTEX-ZE7O-0126-SM-57WC1 50-59 years, female 267.5
GTEX-14A5I-0126-SM-5TDEA 50-59 years, female 267.4
GTEX-Q2AH-1626-SM-3GAF8 40-49 years, male 264.3
GTEX-1PWST-0226-SM-E76QJ 70-79 years, male 262.9
GTEX-1H3VE-0326-SM-9YFLH 40-49 years, male 262.6
GTEX-S7PM-0126-SM-4AD6S 60-69 years, male 261.7
GTEX-145MI-0526-SM-5O9A8 60-69 years, female 261.5
GTEX-12584-0126-SM-5EGKQ 40-49 years, male 259.3
GTEX-ZYFD-0126-SM-5GIDL 50-59 years, male 258.8
GTEX-OHPL-0126-SM-2HMJ7 60-69 years, female 258.1
GTEX-13CF2-2526-SM-5LZYX 60-69 years, male 257.7
GTEX-Y114-2426-SM-4TT8A 50-59 years, female 257.2
GTEX-17HII-0226-SM-7LG4E 50-59 years, male 256.7
GTEX-OIZH-0126-SM-2HMIS 50-59 years, male 256.3
GTEX-11UD2-0226-SM-5EQKY 50-59 years, male 256.2
GTEX-T2YK-0526-SM-32QPJ 50-59 years, male 256.2
GTEX-U8XE-0326-SM-3DB8P 30-39 years, male 255.5
GTEX-12WSL-2526-SM-5GCNJ 50-59 years, male 255.2
GTEX-1HGF4-2426-SM-ACKXM 60-69 years, male 252.1
GTEX-1F6RS-0126-SM-9MQKZ 60-69 years, female 251.9
GTEX-13CF3-2426-SM-5IFGX 60-69 years, female 251.5
GTEX-1H1DG-0126-SM-9WYU2 70-79 years, male 250.9
GTEX-12WSK-2326-SM-5GCOH 40-49 years, female 250.0
GTEX-PSDG-0226-SM-DKPOZ 50-59 years, male 249.2
GTEX-1KANC-1526-SM-D3LAB 50-59 years, female 247.2
GTEX-1H23P-0126-SM-ADEJ3 60-69 years, male 243.2
GTEX-ZU9S-0226-SM-5E441 30-39 years, male 241.8
GTEX-1A3MX-0126-SM-731BR 60-69 years, male 241.7
GTEX-1PDJ9-0326-SM-DTX95 20-29 years, male 240.6
GTEX-1ICLZ-0126-SM-CKZPO 60-69 years, male 240.2
GTEX-POMQ-2226-SM-2I5FK 20-29 years, female 240.1
GTEX-WFG8-2226-SM-3GIL9 20-29 years, male 239.3
GTEX-1I1GU-2226-SM-CGQFA 40-49 years, male 238.2
GTEX-1JMQK-0226-SM-CL543 60-69 years, male 238.1
GTEX-NPJ8-0126-SM-2YUNR 40-49 years, male 238.0
GTEX-PWCY-1826-SM-DHXIZ 20-29 years, female 236.8
GTEX-13OVJ-0126-SM-5KM36 50-59 years, female 236.7
GTEX-TKQ1-1026-SM-4GICL 30-39 years, male 236.3
GTEX-Q2AI-1326-SM-2S1PL 40-49 years, male 235.3
GTEX-117YX-2326-SM-5H12W 50-59 years, male 235.2
GTEX-1JN76-0126-SM-CNPPE 20-29 years, female 234.9
GTEX-1R46S-0626-SM-E9J41 60-69 years, female 234.2
GTEX-1GMR3-1926-SM-9KNUZ 40-49 years, male 233.8
GTEX-X4EP-0126-SM-3P5YV 60-69 years, female 233.6
GTEX-12WSJ-1826-SM-5GCNY 40-49 years, female 232.8
GTEX-YB5K-2126-SM-4WWDJ 40-49 years, female 232.4
GTEX-13FTX-1826-SM-5J1NX 20-29 years, female 232.3
GTEX-ZGAY-0526-SM-4WWBB 40-49 years, female 232.1
GTEX-PLZ6-1426-SM-DKPOT 30-39 years, male 231.6
GTEX-13111-1626-SM-5EGJY 50-59 years, male 231.0
GTEX-11DYG-0126-SM-59883 60-69 years, male 229.1
GTEX-1CAV2-2226-SM-7P8P2 40-49 years, female 228.3
GTEX-145LT-1726-SM-5QGP3 40-49 years, male 226.7
GTEX-1QP9N-1426-SM-DTXFL 30-39 years, male 226.3
GTEX-17F98-0626-SM-79OMX 40-49 years, female 226.0
GTEX-1EMGI-0126-SM-9KNUE 60-69 years, male 225.9
GTEX-131XE-2326-SM-5PNZ2 50-59 years, male 225.7
GTEX-1JN6P-0126-SM-D3L98 60-69 years, male 224.0
GTEX-15G19-0126-SM-6PANQ 60-69 years, male 223.3
GTEX-1CB4E-2226-SM-793DC 60-69 years, male 223.3
GTEX-QDVN-2026-SM-3GAEP 50-59 years, male 223.2
GTEX-Y3I4-2126-SM-4TT7C 50-59 years, male 223.0
GTEX-T6MO-1626-SM-32QOM 40-49 years, female 222.7
GTEX-1S5ZA-0126-SM-EVYCV 20-29 years, male 222.6
GTEX-145MN-2226-SM-5SIAU 30-39 years, male 222.0
GTEX-RUSQ-1526-SM-2TF62 50-59 years, male 221.9
GTEX-OXRN-0126-SM-48TDM 50-59 years, male 221.7
GTEX-1HFI6-0226-SM-ADEHZ 40-49 years, male 221.6
GTEX-11P82-1626-SM-59879 20-29 years, male 220.7
GTEX-XXEK-2226-SM-4BRUM 50-59 years, male 220.5
GTEX-1PIIG-0226-SM-EWRN6 30-39 years, male 220.2
GTEX-SN8G-0126-SM-32PLI 50-59 years, female 219.3
GTEX-11DXZ-2326-SM-5EGGV 50-59 years, male 218.8
GTEX-W5WG-1826-SM-4KL2Y 50-59 years, female 218.1
GTEX-145LV-2126-SM-5LU8N 50-59 years, male 217.5
GTEX-ZVT2-2526-SM-51MT1 50-59 years, female 217.5
GTEX-145ME-1826-SM-5SI9G 40-49 years, female 217.1
GTEX-13PVR-2326-SM-5QGR1 60-69 years, female 217.0
GTEX-1JMQI-2226-SM-CM2SD 50-59 years, male 216.8
GTEX-15SB6-1726-SM-6PAME 50-59 years, female 216.6
GTEX-1J8EW-0126-SM-CJI4F 60-69 years, female 216.6
GTEX-11DZ1-0126-SM-5985Q 50-59 years, male 216.4
GTEX-T5JC-0426-SM-32PLO 20-29 years, male 216.2
GTEX-XBEW-0626-SM-4QASP 40-49 years, male 215.8
GTEX-T6MN-0126-SM-32PLP 50-59 years, male 215.7
GTEX-145MO-0326-SM-5Q5B3 60-69 years, male 215.6
GTEX-Y5LM-1926-SM-5RQJH 40-49 years, female 215.6
GTEX-ZV68-0126-SM-59HKS 50-59 years, female 215.3
GTEX-1NV5F-0226-SM-E8VNY 60-69 years, female 215.1
GTEX-1HSMO-0126-SM-CL547 60-69 years, male 215.0
GTEX-144FL-0126-SM-5TDC8 50-59 years, male 214.6
GTEX-QCQG-1726-SM-3GIJ9 50-59 years, female 214.4
GTEX-16XZZ-0126-SM-793DV 60-69 years, male 214.1
GTEX-17EVQ-0226-SM-7LG4P 70-79 years, male 213.8
GTEX-1HB9E-0226-SM-E9U4R 50-59 years, male 213.5
GTEX-X88G-0126-SM-47JZ3 30-39 years, male 213.2
GTEX-ZPIC-1726-SM-DHXIU 40-49 years, female 212.6
GTEX-1B8SG-0126-SM-73KZ3 50-59 years, male 212.5
GTEX-PX3G-0126-SM-2I3EN 20-29 years, female 212.1
GTEX-1N2DW-0226-SM-E9TK2 50-59 years, male 211.7
GTEX-1B996-0226-SM-7RHGO 60-69 years, male 211.5
GTEX-11H98-0126-SM-5EGHG 50-59 years, male 211.4
GTEX-1M5QR-1226-SM-EWROB 40-49 years, male 210.9
GTEX-13RTJ-2426-SM-5S2Q2 60-69 years, male 210.3
GTEX-S33H-1026-SM-EZ6L6 30-39 years, male 210.1
GTEX-13FH7-2026-SM-E9J4I 50-59 years, female 209.5
GTEX-1F5PL-0326-SM-7P8PQ 40-49 years, female 208.8
GTEX-1LSNM-1926-SM-E6CII 50-59 years, male 208.6
GTEX-14BIL-0126-SM-5SI92 50-59 years, male 208.3
GTEX-VJYA-1126-SM-3GIJU 60-69 years, male 208.3
GTEX-1LG7Z-1726-SM-D3LA4 30-39 years, male 208.3
GTEX-ZWKS-0126-SM-5SIAA 30-39 years, male 208.1
GTEX-11DXX-2426-SM-5GZZW 60-69 years, female 207.7
GTEX-P4PP-0126-SM-3LK69 30-39 years, female 207.3
GTEX-ZDYS-2026-SM-5HL5L 50-59 years, male 207.3
GTEX-1R9K4-0126-SM-DTX9X 60-69 years, male 207.2
GTEX-P4PQ-0126-SM-2S1NM 60-69 years, male 207.1
GTEX-1GF9W-0326-SM-9KNUN 60-69 years, male 207.0
GTEX-UPJH-0326-SM-3GADU 50-59 years, male 206.8
GTEX-1LVAN-0226-SM-COH3S 50-59 years, female 206.4
GTEX-YEC4-2126-SM-5IFJH 40-49 years, male 206.3
GTEX-Y111-0126-SM-4SOIV 50-59 years, male 206.1
GTEX-1HCU6-0126-SM-CL54K 60-69 years, female 206.1
GTEX-ZY6K-1826-SM-5GZXK 50-59 years, male 205.5
GTEX-SUCS-1926-SM-32PM3 70-79 years, male 205.2
GTEX-TML8-1926-SM-32QOS 40-49 years, female 205.0
GTEX-1R7EU-0226-SM-EVR4G 60-69 years, male 204.7
GTEX-1QMI2-0226-SM-EVYBX 60-69 years, male 204.4
GTEX-WXYG-2326-SM-4E3I6 50-59 years, female 204.3
GTEX-P44H-0226-SM-2XCEU 40-49 years, male 203.9
GTEX-1122O-2126-SM-5EGIR 60-69 years, female 203.8
GTEX-WRHK-1426-SM-3MJF9 20-29 years, female 203.8
GTEX-1GZHY-0326-SM-9QEHI 50-59 years, female 203.4
GTEX-OHPM-0126-SM-2YUN9 50-59 years, male 203.2
GTEX-131XG-2626-SM-5KM17 50-59 years, female 202.9
GTEX-1C475-1826-SM-73KWA 40-49 years, female 202.7
GTEX-13RTK-1426-SM-5QGQJ 20-29 years, male 202.4
GTEX-1LH75-2426-SM-E9TJE 50-59 years, female 202.3
GTEX-T8EM-1026-SM-3DB7M 40-49 years, male 201.6
GTEX-1K2DA-1826-SM-CGQGT 50-59 years, male 201.4
GTEX-13OVH-0126-SM-5MR4B 70-79 years, male 200.9
GTEX-1GMR8-0126-SM-9WYTM 50-59 years, female 200.9
GTEX-1L5NE-2526-SM-E6CIE 50-59 years, male 200.6
GTEX-1AX8Z-0126-SM-7DHM6 60-69 years, male 199.9
GTEX-15ETS-0126-SM-7KUMW 40-49 years, female 199.7
GTEX-YB5E-2026-SM-5IFIS 40-49 years, male 199.7
GTEX-XBED-2226-SM-47JYQ 60-69 years, male 199.4
GTEX-12696-2426-SM-5EQ6H 60-69 years, male 199.2
GTEX-15ER7-0326-SM-7KUEV 20-29 years, female 198.8
GTEX-XYKS-2126-SM-4E3IB 60-69 years, female 198.5
GTEX-16GPK-0126-SM-7DHLE 60-69 years, male 198.4
GTEX-1RB15-2126-SM-E9TIM 60-69 years, male 198.4
GTEX-1I4MK-2226-SM-ACKWD 50-59 years, female 198.3
GTEX-15D1Q-0126-SM-7KUG6 40-49 years, male 197.9
GTEX-14A5H-0426-SM-5QGQF 60-69 years, male 197.6
GTEX-ZYT6-0226-SM-5NQ6T 30-39 years, male 197.1
GTEX-13VXT-0126-SM-5LU4I 20-29 years, female 196.9
GTEX-144GN-2326-SM-5LU4F 50-59 years, male 196.2
GTEX-ZQG8-1626-SM-DHXIT 60-69 years, female 196.2
GTEX-183WM-0126-SM-7LTAB 70-79 years, female 196.1
GTEX-13FTW-2626-SM-5K7WL 40-49 years, male 196.0
GTEX-SE5C-1626-SM-2XCE3 40-49 years, female 195.9
GTEX-146FQ-0126-SM-5NQA9 30-39 years, male 195.6
GTEX-1B97I-1626-SM-73KYO 40-49 years, male 195.5
GTEX-14BMU-2226-SM-5TDE9 20-29 years, female 195.3
GTEX-ZAB4-0226-SM-5N9F5 40-49 years, male 195.1
GTEX-139D8-0226-SM-5KLZO 30-39 years, female 194.4
GTEX-11ZTS-0126-SM-5EQ6M 60-69 years, female 194.0
GTEX-14C5O-0126-SM-5SI6N 60-69 years, male 193.0
GTEX-132NY-0326-SM-5IJBL 60-69 years, male 192.9
GTEX-13NZ8-0826-SM-5MR3I 60-69 years, female 192.4
GTEX-145LS-0126-SM-5QGP1 60-69 years, female 192.3
GTEX-OOBK-0126-SM-2YUND 40-49 years, male 192.3
GTEX-1PPH8-0226-SM-E8VND 20-29 years, male 192.0
GTEX-1GZ4H-1726-SM-7PBZJ 50-59 years, female 191.7
GTEX-14PHX-2326-SM-62LEM 50-59 years, male 191.6
GTEX-1HCUA-2426-SM-ADEIS 50-59 years, female 191.4
GTEX-XV7Q-2526-SM-4BRV9 40-49 years, female 190.4
GTEX-1QP66-1726-SM-E8VO1 50-59 years, male 190.3
GTEX-1OJC3-0126-SM-E76QX 20-29 years, male 189.6
GTEX-1LGOU-2026-SM-DIPFF 20-29 years, female 189.5
GTEX-S95S-1226-SM-4GICG 60-69 years, male 189.3
GTEX-113JC-2326-SM-5EQ4E 50-59 years, female 189.2
GTEX-131XH-2226-SM-5DUXJ 50-59 years, male 189.2
GTEX-15UKP-0426-SM-7KUFQ 20-29 years, male 188.6
GTEX-1ICG6-2526-SM-CGQFZ 70-79 years, female 188.5
GTEX-13S7M-0126-SM-5SI6A 60-69 years, female 188.3
GTEX-Q734-1926-SM-2I5EV 40-49 years, female 188.2
GTEX-ZVZP-2426-SM-59HKJ 50-59 years, male 188.0
GTEX-145MF-0626-SM-5LUAI 50-59 years, male 187.8
GTEX-ZVTK-0426-SM-51MRS 20-29 years, male 187.8
GTEX-1GTWX-0126-SM-9YFLK 60-69 years, male 187.5
GTEX-PLZ4-0126-SM-5SI8O 50-59 years, female 187.3
GTEX-1CB4J-0626-SM-7DHMP 60-69 years, male 187.2
GTEX-OIZG-0726-SM-33HBL 50-59 years, male 187.0
GTEX-1C6VQ-0126-SM-7P8RI 50-59 years, male 187.0
GTEX-13OW5-0126-SM-DTXFS 60-69 years, male 186.9
GTEX-XUW1-0426-SM-4BOOT 50-59 years, female 186.8
GTEX-14PJM-0226-SM-62LF1 50-59 years, female 186.5
GTEX-13FXS-0226-SM-5IJCK 50-59 years, male 186.2
GTEX-ZF29-2326-SM-DO92K 60-69 years, female 185.8
GTEX-X261-0126-SM-3NMD6 50-59 years, male 185.3
GTEX-13OVI-1426-SM-5L3EY 60-69 years, female 184.4
GTEX-13NYC-0326-SM-E9J4S 60-69 years, male 184.0
GTEX-O5YW-0126-SM-3LK6D 50-59 years, male 183.9
GTEX-1MA7W-2026-SM-E9TJ6 20-29 years, female 183.9
GTEX-14PK6-1926-SM-6ETZU 70-79 years, female 183.7
GTEX-183FY-0126-SM-7LT9P 20-29 years, male 183.7
GTEX-1PFEY-1526-SM-E76PP 30-39 years, male 183.7
GTEX-XQ3S-1526-SM-4BOOC 20-29 years, male 183.6
GTEX-1J1OQ-0226-SM-CYPSH 40-49 years, female 183.5
GTEX-1GF9X-2026-SM-7PC3A 40-49 years, female 183.4
GTEX-1H2FU-0126-SM-9WYSI 60-69 years, female 183.3
GTEX-11TTK-0126-SM-5987B 60-69 years, female 183.1
GTEX-11EM3-2426-SM-59861 20-29 years, female 182.9
GTEX-OXRK-0226-SM-3NB2G 50-59 years, female 182.9
GTEX-WH7G-2326-SM-3NMBC 40-49 years, male 182.6
GTEX-1JMPZ-0226-SM-CNPP1 30-39 years, male 182.6
GTEX-14ICK-0226-SM-6EU25 40-49 years, male 182.3
GTEX-ZF2S-2326-SM-4WWCE 50-59 years, female 182.0
GTEX-15SHU-0126-SM-7KUEH 40-49 years, female 181.6
GTEX-1192X-0226-SM-5H12D 50-59 years, male 181.3
GTEX-111FC-0126-SM-5N9DL 60-69 years, male 181.2
GTEX-OXRP-0126-SM-3NB32 60-69 years, female 181.0
GTEX-1JJEA-0326-SM-CNPOT 60-69 years, male 180.8
GTEX-15F5U-1526-SM-6PANO 40-49 years, male 180.7
GTEX-X4XX-0126-SM-3NMC2 60-69 years, male 180.7
GTEX-ZYW4-0126-SM-5E44A 60-69 years, male 180.7
GTEX-1399R-2726-SM-5IJBA 30-39 years, male 180.6
GTEX-T5JW-1626-SM-3GADZ 20-29 years, female 180.4
GTEX-1GN2E-0426-SM-9MQKX 60-69 years, male 179.8
GTEX-1N2DV-0226-SM-E6CJ6 40-49 years, male 179.8
GTEX-1PPH7-2326-SM-EVYB8 40-49 years, male 179.6
GTEX-ZC5H-0226-SM-4WAY9 40-49 years, female 179.4
GTEX-1212Z-2526-SM-5EGKP 60-69 years, male 179.3
GTEX-XQ8I-0426-SM-4BOPO 50-59 years, male 179.1
GTEX-1JMLX-0226-SM-CM2RO 50-59 years, male 179.0
GTEX-14LLW-0126-SM-6LLIO 70-79 years, female 178.8
GTEX-17HHY-0126-SM-7LG5D 50-59 years, male 178.7
GTEX-1B8L1-2526-SM-9WYTF 60-69 years, male 178.7
GTEX-1QPFJ-0226-SM-E76PB 30-39 years, female 178.7
GTEX-18A7A-0226-SM-718BH 50-59 years, female 178.5
GTEX-1CAMS-0426-SM-7P8T2 40-49 years, female 178.4
GTEX-1128S-2326-SM-5GZZY 60-69 years, female 178.3
GTEX-16YQH-0126-SM-7DUFJ 30-39 years, male 178.2
GTEX-XUYS-0126-SM-47JWZ 50-59 years, male 178.2
GTEX-13X6J-0126-SM-5QGOU 50-59 years, male 177.8
GTEX-16AAH-1726-SM-7939C 50-59 years, male 177.6
GTEX-1GL5R-1826-SM-9KNUY 50-59 years, male 177.3
GTEX-1B8KE-2126-SM-73KYX 50-59 years, male 177.0
GTEX-1KXAM-2226-SM-CYPTC 60-69 years, male 177.0
GTEX-UJHI-1526-SM-3DB99 50-59 years, female 176.7
GTEX-131YS-0126-SM-5KM1M 60-69 years, female 176.6
GTEX-ZTSS-1926-SM-57WEW 40-49 years, male 176.6
GTEX-1HFI7-1826-SM-ACKXH 50-59 years, female 176.5
GTEX-1K2DU-2326-SM-E9TIV 20-29 years, male 176.5
GTEX-1CB4F-0426-SM-9KNV4 60-69 years, male 176.4
GTEX-1H1E6-1726-SM-ACKVK 30-39 years, male 175.8
GTEX-1J8QM-2126-SM-CYPSJ 60-69 years, female 175.7
GTEX-T2IS-0126-SM-4DM6O 20-29 years, female 175.6
GTEX-1CB4G-0226-SM-7PC3O 60-69 years, male 175.6
GTEX-XAJ8-0826-SM-47JY6 40-49 years, male 175.5
GTEX-ZE9C-2726-SM-57WB5 60-69 years, male 175.4
GTEX-1QP67-1626-SM-EAZ3X 40-49 years, female 175.4
GTEX-18A6Q-0126-SM-731BZ 60-69 years, male 175.2
GTEX-16MT8-0426-SM-7KUEY 60-69 years, female 175.1
GTEX-PLZ5-2026-SM-2S1O4 50-59 years, male 175.1
GTEX-13D11-2426-SM-5KM1V 50-59 years, female 174.9
GTEX-RU72-0926-SM-2TF6B 50-59 years, female 174.7
GTEX-15EU6-0426-SM-6PAN5 50-59 years, male 174.5
GTEX-1H1DE-2126-SM-9WG6R 20-29 years, male 174.5
GTEX-1GN1U-0126-SM-7PBZK 50-59 years, female 174.2
GTEX-1HSGN-0226-SM-CGQFV 40-49 years, female 174.0
GTEX-18D9A-1926-SM-7LG6P 30-39 years, female 173.9
GTEX-1ICLY-0126-SM-D4P36 50-59 years, male 173.7
GTEX-14PJ6-2126-SM-6EU1V 60-69 years, female 173.4
GTEX-1HCU8-0626-SM-A9SM9 60-69 years, female 173.3
GTEX-NFK9-0226-SM-2HMKQ 40-49 years, male 172.8
GTEX-RVPV-0126-SM-EAZAW 60-69 years, male 172.8
GTEX-13FHO-0226-SM-5IFGY 60-69 years, male 172.6
GTEX-11EMC-2926-SM-5EQ4F 60-69 years, female 172.5
GTEX-RWSA-0126-SM-2XCBB 40-49 years, male 172.5
GTEX-148VJ-0126-SM-5TDDN 70-79 years, male 172.3
GTEX-RTLS-0126-SM-447CA 60-69 years, female 171.6
GTEX-1I6K6-0126-SM-A9SLE 30-39 years, male 171.6
GTEX-ZV6S-2326-SM-4YCEY 40-49 years, female 171.1
GTEX-11ZU8-2526-SM-5EQKI 60-69 years, male 170.9
GTEX-X5EB-2226-SM-46MW4 40-49 years, male 170.9
GTEX-WYJK-0126-SM-3NMAB 50-59 years, male 170.7
GTEX-12ZZZ-0626-SM-5DUXI 60-69 years, male 170.6
GTEX-13SLW-0126-SM-5SI6C 70-79 years, male 170.3
GTEX-TSE9-0126-SM-3DB83 60-69 years, female 170.2
GTEX-14DAR-2026-SM-5S2O3 50-59 years, male 170.1
GTEX-QDT8-0126-SM-48TZ1 30-39 years, female 170.0
GTEX-14PJ3-1826-SM-62LEX 50-59 years, male 169.7
GTEX-16XZY-2126-SM-79OK1 70-79 years, male 169.6
GTEX-11LCK-1026-SM-5A5KB 30-39 years, male 169.5
GTEX-1IDJF-0126-SM-CM2RS 20-29 years, male 169.5
GTEX-XPVG-2626-SM-4B669 50-59 years, male 169.3
GTEX-12126-0326-SM-5PNW3 20-29 years, male 168.8
GTEX-1LB8K-0226-SM-EWRNW 50-59 years, male 168.8
GTEX-ZDTT-2726-SM-4WKF8 60-69 years, male 168.7
GTEX-1CAMR-1926-SM-7EPI2 20-29 years, male 168.4
GTEX-1GF9V-0326-SM-7RHI5 60-69 years, male 168.4
GTEX-1HCU7-0226-SM-CL545 50-59 years, male 168.3
GTEX-14PII-0226-SM-6EU1T 60-69 years, male 168.2
GTEX-1R7EV-2426-SM-EVYBG 40-49 years, male 167.7
GTEX-13O3O-0126-SM-E9J49 60-69 years, female 167.4
GTEX-17EUY-0426-SM-793BD 20-29 years, male 167.3
GTEX-1IL2U-0226-SM-CE6T8 60-69 years, male 166.7
GTEX-Y8DK-0126-SM-4TT3L 60-69 years, male 166.6
GTEX-1F48J-0126-SM-7P8TT 50-59 years, female 166.5
GTEX-WFON-2126-SM-3LK7O 40-49 years, male 165.8
GTEX-13G51-2526-SM-5LZYK 60-69 years, male 165.4
GTEX-OXRO-0126-SM-2YUN4 60-69 years, female 164.9
GTEX-13O21-1426-SM-5K7XI 50-59 years, male 164.8
GTEX-14753-0426-SM-5NQAM 60-69 years, male 164.8
GTEX-18D9B-0526-SM-7LTAS 60-69 years, male 164.6
GTEX-XMD2-0126-SM-4YCDU 60-69 years, female 164.4
GTEX-12ZZX-0126-SM-5EGK9 40-49 years, female 164.3
GTEX-1OFPY-2426-SM-DTXEJ 60-69 years, male 164.2
GTEX-ZZ64-1726-SM-5GZYB 20-29 years, male 164.1
GTEX-QEG4-0226-SM-2S1PY 30-39 years, male 163.9
GTEX-TMMY-0226-SM-33HBA 40-49 years, female 163.7
GTEX-13112-2826-SM-5DUWH 50-59 years, male 163.3
GTEX-ZAK1-0126-SM-5IJD3 50-59 years, female 163.2
GTEX-1HSKV-0226-SM-A9SKJ 60-69 years, male 163.1
GTEX-13W46-0226-SM-5SIAG 50-59 years, male 163.0
GTEX-13VXU-0126-SM-5SI9F 50-59 years, male 162.8
GTEX-1J8Q2-0526-SM-CM2RW 60-69 years, male 162.8
GTEX-1JJ6O-0126-SM-E6CI8 60-69 years, male 162.8
GTEX-1269C-2526-SM-5EGJ3 60-69 years, female 162.6
GTEX-1IE54-0126-SM-CMKHW 40-49 years, female 162.6
GTEX-11ZVC-2526-SM-5FQTE 50-59 years, female 162.3
GTEX-1LNCM-1126-SM-E9U5E 50-59 years, female 162.1
GTEX-1A3MV-1926-SM-718BT 30-39 years, male 161.9
GTEX-11XUK-2026-SM-5EQLF 40-49 years, female 161.8
GTEX-15DDE-0126-SM-6LPKH 50-59 years, female 161.8
GTEX-1313W-0126-SM-5LZUN 50-59 years, female 161.5
GTEX-1R9PM-2026-SM-E76OY 20-29 years, male 161.5
GTEX-14PN3-2426-SM-6LLHS 60-69 years, female 161.2
GTEX-1S3DN-2226-SM-EVYCD 50-59 years, male 161.2
GTEX-1EWIQ-0126-SM-7RHH2 70-79 years, female 161.1
GTEX-1F5PK-2426-SM-7RHHY 50-59 years, male 161.1
GTEX-XUZC-1726-SM-4BRWS 30-39 years, female 161.0
GTEX-1LBAC-0126-SM-DIPEZ 20-29 years, male 160.4
GTEX-14ABY-0226-SM-5TDCQ 50-59 years, male 160.1
GTEX-U4B1-1826-SM-4DXSU 40-49 years, male 160.0
GTEX-ZXES-1826-SM-5E43S 30-39 years, female 160.0
GTEX-11ZTT-2426-SM-5EQLS 60-69 years, female 159.8
GTEX-Y8LW-1826-SM-5S2MV 50-59 years, female 159.8
GTEX-1HSMP-0126-SM-E6CJS 70-79 years, male 159.5
GTEX-YFC4-0126-SM-5CVLY 40-49 years, female 159.4
GTEX-1MUQO-0126-SM-EAZ58 60-69 years, male 159.3
GTEX-13OVK-2026-SM-7KUEO 40-49 years, male 159.2
GTEX-Z9EW-1626-SM-5CVMN 40-49 years, male 159.1
GTEX-1JKYN-1326-SM-CGQG9 30-39 years, male 159.1
GTEX-SSA3-0126-SM-32QPU 60-69 years, male 159.0
GTEX-ZYFG-2326-SM-5E44B 60-69 years, female 158.9
GTEX-1JMPY-1326-SM-ARL8Y 30-39 years, male 158.9
GTEX-SNMC-1226-SM-2XCFP 20-29 years, male 158.8
GTEX-1GZ2Q-0226-SM-7P8TL 40-49 years, male 158.6
GTEX-1RDX4-0126-SM-E9J4P 50-59 years, female 158.6
GTEX-WY7C-2326-SM-3NB2U 50-59 years, male 158.5
GTEX-11NSD-2226-SM-5986V 20-29 years, male 158.4
GTEX-QDVJ-1726-SM-2I5FX 50-59 years, male 158.4
GTEX-11UD1-0126-SM-5PNYG 40-49 years, female 158.3
GTEX-139TS-2826-SM-5J1OO 60-69 years, male 158.3
GTEX-1AX9I-0126-SM-7SB74 60-69 years, male 158.2
GTEX-1IDJH-0326-SM-A9SLQ 70-79 years, male 157.9
GTEX-11O72-0126-SM-59887 40-49 years, male 157.8
GTEX-13FHP-0126-SM-5IJBG 50-59 years, male 157.8
GTEX-PVOW-0126-SM-2XCFA 40-49 years, male 157.8
GTEX-WQUQ-0426-SM-3MJFU 60-69 years, male 157.8
GTEX-13NZB-2526-SM-5J1OM 30-39 years, male 157.6
GTEX-QVJO-1626-SM-2S1QW 60-69 years, female 157.5
GTEX-1C6WA-0126-SM-7PC2B 60-69 years, male 157.5
GTEX-11GS4-2726-SM-5A5LE 60-69 years, male 157.4
GTEX-1IKK5-0626-SM-ARL8A 60-69 years, male 157.4
GTEX-1CB4I-0226-SM-79OLH 50-59 years, male 157.3
GTEX-QLQ7-1626-SM-2S1R8 60-69 years, male 157.3
GTEX-13U4I-0126-SM-5LU38 40-49 years, female 157.2
GTEX-147F3-0526-SM-5SI98 50-59 years, female 157.2
GTEX-OOBJ-0126-SM-E6CJW 60-69 years, male 157.2
GTEX-16NGA-1726-SM-731B4 40-49 years, female 157.1
GTEX-1RAZQ-0726-SM-EAZ43 30-39 years, male 156.9
GTEX-1S83E-0126-SM-EWRO4 40-49 years, male 156.5
GTEX-12KS4-0326-SM-5EQ41 30-39 years, male 156.2
GTEX-1MGNQ-0126-SM-EVYCJ 40-49 years, male 156.2
GTEX-ZXG5-0126-SM-5GIEU 60-69 years, male 156.0
GTEX-1B933-0126-SM-7PC29 50-59 years, female 155.8
GTEX-1QCLY-0326-SM-E8VOG 30-39 years, male 155.8
GTEX-RWS6-2026-SM-2XCB5 60-69 years, female 155.7
GTEX-SIU8-0126-SM-2XCDT 50-59 years, male 155.6
GTEX-11OF3-2626-SM-5GU7F 60-69 years, male 155.5
GTEX-14JG1-0426-SM-6ETZZ 40-49 years, male 155.4
GTEX-1POEN-0126-SM-EYYXJ 30-39 years, female 155.4
GTEX-R55G-2526-SM-2TC6D 40-49 years, female 155.2
GTEX-ZDTS-0126-SM-4WAY5 60-69 years, male 155.2
GTEX-13X6I-0626-SM-5QGP9 60-69 years, male 155.0
GTEX-1HCU9-1526-SM-A9SL7 20-29 years, male 155.0
GTEX-RM2N-1426-SM-2TF4H 50-59 years, male 154.8
GTEX-X4EO-0326-SM-3P5YO 60-69 years, female 154.6
GTEX-1E1VI-0126-SM-7DHMZ 50-59 years, male 154.2
GTEX-13OW6-0426-SM-5L3HM 50-59 years, male 153.9
GTEX-VJWN-0126-SM-3GIK7 50-59 years, female 153.9
GTEX-Z93T-0126-SM-5HL5N 50-59 years, male 153.9
GTEX-1QP29-0626-SM-EWRMX 50-59 years, male 153.8
GTEX-1K9T9-0126-SM-EVYCF 50-59 years, female 153.6
GTEX-1RAZA-0126-SM-E6CI3 20-29 years, male 153.5
GTEX-1C2JI-1826-SM-73KXC 50-59 years, male 153.4
GTEX-1RLM8-2326-SM-EWRN4 50-59 years, male 153.4
GTEX-11P7K-2126-SM-5GU7G 30-39 years, male 153.3
GTEX-X62O-0126-SM-4E3JN 50-59 years, male 153.2
GTEX-1GN1W-0526-SM-9MQJQ 50-59 years, female 153.0
GTEX-ZQUD-1426-SM-57WER 30-39 years, male 152.9
GTEX-1KD4Q-0226-SM-E9TJ9 40-49 years, male 152.9
GTEX-1GMRU-0126-SM-9YFLV 50-59 years, male 152.7
GTEX-U3ZH-2026-SM-3DB78 30-39 years, male 152.4
GTEX-S7SE-0126-SM-2XCD5 50-59 years, male 152.2
GTEX-1IDJU-2626-SM-CM2RT 60-69 years, female 152.1
GTEX-1AX9J-0226-SM-73KXM 60-69 years, male 152.0
GTEX-1314G-1526-SM-5EGK2 30-39 years, male 151.9
GTEX-1CB4H-0226-SM-7PBXM 60-69 years, female 151.9
GTEX-1KD5A-0226-SM-D5OV3 50-59 years, male 151.9
GTEX-13113-5016-SM-7EPIP 60-69 years, female 151.8
GTEX-15SHW-0326-SM-6PAML 60-69 years, male 151.7
GTEX-1LGRB-2526-SM-CNPPQ 50-59 years, female 151.3
GTEX-1F75B-0126-SM-9KNVL 50-59 years, male 151.1
GTEX-11GSP-2526-SM-5N9BP 60-69 years, female 151.0
GTEX-1B8SF-1426-SM-7DUGL 60-69 years, male 150.8
GTEX-ZYY3-0126-SM-5GZY5 60-69 years, female 150.8
GTEX-13N1W-0126-SM-5K7VT 70-79 years, male 150.7
GTEX-1JMOU-1526-SM-CL54I 60-69 years, female 150.3
GTEX-17KNJ-2326-SM-7DHLQ 50-59 years, male 150.2
GTEX-13N11-2526-SM-5K7UE 50-59 years, female 150.0
GTEX-11EQ9-2426-SM-5HL5T 30-39 years, male 149.9
GTEX-133LE-1826-SM-5J1MV 20-29 years, female 149.8
GTEX-11P81-2326-SM-59875 30-39 years, female 149.7
GTEX-12WSG-2826-SM-E9J4H 50-59 years, female 149.7
GTEX-12WSC-0126-SM-5EQ4P 50-59 years, male 149.6
GTEX-18D9U-0226-SM-718BP 40-49 years, male 149.6
GTEX-1S82Z-0826-SM-E6CHY 30-39 years, female 149.6
GTEX-16BQI-0226-SM-7KUEX 30-39 years, female 149.5
GTEX-12C56-1726-SM-5EQ61 20-29 years, male 149.4
GTEX-Z93S-0126-SM-5HL7M 50-59 years, male 149.4
GTEX-WVJS-0126-SM-4MVOT 50-59 years, male 149.3
GTEX-139TU-0126-SM-5K7WH 60-69 years, male 149.2
GTEX-1F52S-0126-SM-9MQJU 60-69 years, female 149.1
GTEX-13N2G-2626-SM-5J1OT 60-69 years, male 149.0
GTEX-1GN73-0226-SM-9WG67 60-69 years, male 149.0
GTEX-131XF-5016-SM-7MGWE 60-69 years, male 148.8
GTEX-1C4CL-0526-SM-73KVK 30-39 years, male 148.7
GTEX-14BIM-0226-SM-7IGLD 60-69 years, female 148.6
GTEX-17HGU-0226-SM-7DHKV 50-59 years, male 148.5
GTEX-13SLX-0526-SM-5S2ON 50-59 years, female 148.3
GTEX-13W3W-2426-SM-5LU5B 60-69 years, female 148.3
GTEX-1AYD5-2426-SM-73KXR 50-59 years, male 148.3
GTEX-12WSE-0526-SM-793B2 20-29 years, male 148.2
GTEX-17JCI-0126-SM-7LG5G 60-69 years, female 147.9
GTEX-Q2AG-0126-SM-33HBV 40-49 years, female 147.9
GTEX-QLQW-1126-SM-2S1Q8 30-39 years, male 147.9
GTEX-QV44-1926-SM-2S1RF 50-59 years, male 147.6
GTEX-1JMQJ-0526-SM-CYPSU 50-59 years, male 147.5
GTEX-1HSMQ-1226-SM-CGQFX 50-59 years, male 147.4
GTEX-1MCYP-1926-SM-E9J2R 20-29 years, female 147.4
GTEX-1C64N-0126-SM-793D7 50-59 years, male 147.0
GTEX-146FR-1326-SM-E9J48 60-69 years, female 147.0
GTEX-1GN1V-0126-SM-9WPOS 60-69 years, male 147.0
GTEX-1KANB-0526-SM-E6CJH 50-59 years, male 146.9
GTEX-1KAFJ-2026-SM-CY8ID 50-59 years, male 146.8
GTEX-1HSEH-0126-SM-ACKXN 60-69 years, male 146.6
GTEX-1I1GT-0626-SM-CGQER 60-69 years, female 145.9
GTEX-1JK1U-2026-SM-CM2RZ 60-69 years, male 145.7
GTEX-1H4P4-0726-SM-9YFLR 50-59 years, male 145.2
GTEX-X585-0226-SM-4QAS2 50-59 years, male 145.1
GTEX-1I1GS-0126-SM-B2LVW 60-69 years, male 145.1
GTEX-RNOR-0126-SM-E9J4R 50-59 years, female 145.0
GTEX-18A66-0226-SM-718BD 60-69 years, male 144.6
GTEX-OIZF-0126-SM-7SB8I 60-69 years, male 144.5
GTEX-1PIGE-0126-SM-EVYBJ 20-29 years, male 144.4
GTEX-1I1GV-0526-SM-A9G29 60-69 years, male 144.1
GTEX-117XS-2726-SM-5N9BL 60-69 years, male 143.8
GTEX-1IOXB-0126-SM-ARL8G 50-59 years, male 143.8
GTEX-1B8KZ-2026-SM-7DHMB 50-59 years, male 143.6
GTEX-TMZS-0126-SM-3DB9Q 60-69 years, male 143.6
GTEX-11OC5-0126-SM-5HL6A 60-69 years, male 143.4
GTEX-14DAQ-0126-SM-5S2MQ 60-69 years, female 143.2
GTEX-1IKJJ-0126-SM-CNPQB 60-69 years, male 143.2
GTEX-R45C-0126-SM-EAZ2R 60-69 years, female 143.2
GTEX-R3RS-0126-SM-3GIJL 40-49 years, female 143.0
GTEX-13IVO-0126-SM-5J1NG 70-79 years, male 142.9
GTEX-12WSD-0126-SM-59HKN 60-69 years, female 142.8
GTEX-11VI4-1726-SM-5CVLH 40-49 years, female 142.7
GTEX-17F96-1626-SM-7DUFL 70-79 years, male 142.7
GTEX-14BIN-0626-SM-793DP 50-59 years, female 142.6
GTEX-1GPI7-0126-SM-9MQL8 20-29 years, male 142.5
GTEX-ZEX8-2426-SM-4WKG4 50-59 years, male 142.4
GTEX-1HBPN-0226-SM-9YFM1 50-59 years, male 142.3
GTEX-1H3VY-0126-SM-ACKXD 50-59 years, male 142.1
GTEX-18A7B-0126-SM-7LG64 70-79 years, male 141.9
GTEX-15RIG-0226-SM-7KFTL 40-49 years, male 141.8
GTEX-147GR-0526-SM-5S2MY 60-69 years, male 141.6
GTEX-1AX9K-2326-SM-73KWU 50-59 years, male 141.6
GTEX-12WSA-0226-SM-5BC5V 60-69 years, male 141.5
GTEX-14E6D-0126-SM-62LDV 50-59 years, male 141.5
GTEX-18A67-0126-SM-7LG5P 50-59 years, male 141.3
GTEX-17F97-0326-SM-7LG5B 50-59 years, male 141.2
GTEX-1HUB1-0426-SM-E9U4U 60-69 years, male 140.9
GTEX-147F4-0226-SM-5QGPW 50-59 years, male 140.6
GTEX-1CAMQ-0226-SM-7IGPK 40-49 years, male 140.6
GTEX-1HCVE-0126-SM-CGQEU 50-59 years, male 140.5
GTEX-1S82Y-2026-SM-EVYCM 40-49 years, male 140.3
GTEX-12ZZY-0226-SM-5LZVE 60-69 years, male 139.8
GTEX-131XW-0426-SM-5LZWP 50-59 years, female 139.8
GTEX-1J8JJ-0226-SM-CL53I 60-69 years, female 139.6
GTEX-1MJK2-0426-SM-DTXE5 50-59 years, male 139.4
GTEX-Y5V5-2326-SM-4V6GA 60-69 years, female 139.2
GTEX-1H3NZ-0126-SM-ACKX7 60-69 years, male 139.2
GTEX-1KANA-0726-SM-D3L9I 20-29 years, male 139.1
GTEX-14JG6-2226-SM-6EU2G 30-39 years, female 139.0
GTEX-ZYFC-0226-SM-5NQ75 50-59 years, male 138.7
GTEX-13OW7-0126-SM-5MR3B 50-59 years, male 138.3
GTEX-14PHW-0126-SM-6LLJI 60-69 years, female 138.2
GTEX-11DXW-0226-SM-5H122 40-49 years, male 138.1
GTEX-1H11D-0226-SM-9WG6Z 40-49 years, male 137.9
GTEX-148VI-1626-SM-5SI6E 60-69 years, female 137.8
GTEX-U412-0426-SM-3DB9O 60-69 years, male 137.5
GTEX-ZZPT-0226-SM-5E43X 50-59 years, male 137.2
GTEX-139T8-0126-SM-5K7XZ 60-69 years, male 137.1
GTEX-1NHNU-1026-SM-E9J2A 50-59 years, male 137.1
GTEX-VUSG-2526-SM-4KL1V 50-59 years, male 137.0
GTEX-1HKZK-0326-SM-9WYUH 40-49 years, male 137.0
GTEX-1I19N-0326-SM-ACKVX 70-79 years, male 136.8
GTEX-1E2YA-0126-SM-9KNUC 50-59 years, male 136.4
GTEX-144GL-0126-SM-5TDE2 50-59 years, male 136.1
GTEX-13OVL-0226-SM-5L3E9 50-59 years, male 136.0
GTEX-13NYB-2526-SM-5K7Z6 40-49 years, male 135.9
GTEX-17EVP-0326-SM-7DHLG 40-49 years, male 135.6
GTEX-1R9PO-2126-SM-E9J4O 60-69 years, female 135.6
GTEX-139UW-2826-SM-5L3E7 60-69 years, male 135.5
GTEX-1H1CY-2826-SM-9MQM3 60-69 years, female 135.3
GTEX-12WSN-5019-SM-79OM6 40-49 years, male 135.2
GTEX-1HR98-0126-SM-B2LWI 60-69 years, male 135.1
GTEX-ZVT4-0126-SM-DTXFN 50-59 years, female 134.4
GTEX-Y5V6-2426-SM-4VDSB 60-69 years, male 133.6
GTEX-117YW-2626-SM-5GZZH 50-59 years, male 133.3
GTEX-1IY9M-0126-SM-D3L8S 60-69 years, male 133.1
GTEX-1MA7X-2226-SM-E6CIY 60-69 years, male 133.0
GTEX-1EU9M-0226-SM-7P8SP 60-69 years, male 132.9
GTEX-ZF28-0126-SM-4WKGK 60-69 years, male 132.8
GTEX-1F6I4-0126-SM-9MQL2 60-69 years, male 132.8
GTEX-YJ89-0126-SM-4TT3X 60-69 years, male 132.6
GTEX-13OVG-1926-SM-5L3DK 60-69 years, male 132.5
GTEX-1C6VR-2426-SM-79OLD 60-69 years, male 132.4
GTEX-1A8FM-0226-SM-7SB7Q 50-59 years, female 132.4
GTEX-1F75I-0326-SM-9YFLU 40-49 years, male 132.3
GTEX-1F88F-2726-SM-7PBZZ 60-69 years, female 132.1
GTEX-1HBPI-1526-SM-C1YQ1 50-59 years, male 131.8
GTEX-1IGQW-0126-SM-COH42 60-69 years, male 131.8
GTEX-1AYCT-2426-SM-7IGQ3 50-59 years, male 131.7
GTEX-X638-0126-SM-47JZ8 70-79 years, female 131.7
GTEX-13QJ3-0326-SM-5S2RA 50-59 years, male 131.5
GTEX-1J8Q3-1626-SM-CMKGC 60-69 years, male 131.3
GTEX-1EX96-1626-SM-7PBXR 50-59 years, male 131.1
GTEX-18QFQ-0126-SM-731BE 30-39 years, male 131.0
GTEX-17HHE-2026-SM-79OKF 50-59 years, male 130.7
GTEX-OXRL-0126-SM-2YUMP 50-59 years, male 130.7
GTEX-1RQEC-0426-SM-E6CHU 60-69 years, male 130.6
GTEX-WOFL-0126-SM-3MJG2 60-69 years, male 130.4
GTEX-1BAJH-0526-SM-793CQ 70-79 years, male 130.2
GTEX-1QP2A-0126-SM-E9J43 50-59 years, male 130.0
GTEX-1AMFI-2026-SM-731BH 50-59 years, female 129.4
GTEX-17MF6-0126-SM-7LG4F 40-49 years, male 129.2
GTEX-1H3O1-0426-SM-9YFKY 60-69 years, male 128.7
GTEX-11DXY-2626-SM-5GIE7 60-69 years, male 128.5
GTEX-U3ZM-1526-SM-3DB9D 40-49 years, male 128.4
GTEX-1HT8W-0126-SM-CNPPP 30-39 years, male 128.2
GTEX-13RTL-0126-SM-7LG5S 40-49 years, male 128.0
GTEX-13PDP-0126-SM-5L3HD 60-69 years, male 127.9
GTEX-15DYW-0126-SM-7KULE 60-69 years, female 127.9
GTEX-14A6H-0126-SM-5QGPK 30-39 years, male 127.8
GTEX-1C64O-0126-SM-7SB8P 60-69 years, male 127.7
GTEX-1MCQQ-0826-SM-DLHC2 60-69 years, male 127.7
GTEX-1399T-2826-SM-5KLYZ 60-69 years, male 127.6
GTEX-ZVT3-0126-SM-5GU6I 60-69 years, female 127.6
GTEX-1F7RK-0126-SM-7PC2S 20-29 years, female 127.6
GTEX-1H1ZS-0426-SM-9WG6G 70-79 years, male 127.6
GTEX-1HBPH-0426-SM-B2LW5 40-49 years, female 126.9
GTEX-16NPX-0226-SM-79OMT 50-59 years, male 126.7
GTEX-1GPI6-0126-SM-9WG69 60-69 years, male 126.7
GTEX-1I1GQ-0126-SM-COH3H 50-59 years, male 126.5
GTEX-1AMEY-1326-SM-73KYK 30-39 years, female 126.4
GTEX-15SDE-2226-SM-7IGLO 50-59 years, female 126.2
GTEX-Y8E4-0626-SM-4WWDL 40-49 years, male 126.0
GTEX-11EI6-0126-SM-5985R 60-69 years, male 125.4
GTEX-1O97I-0326-SM-EYYX7 60-69 years, male 125.3
GTEX-111VG-2426-SM-5GZXD 60-69 years, male 124.9
GTEX-1KWVE-1426-SM-E9TJO 30-39 years, male 124.5
GTEX-1I1GR-0126-SM-CL55F 60-69 years, male 124.3
GTEX-SJXC-0126-SM-2XCFF 60-69 years, male 124.1
GTEX-13NZA-0226-SM-5K7Z7 60-69 years, male 123.1
GTEX-ZAB5-1826-SM-5HL7C 50-59 years, male 123.1
GTEX-PWO3-1526-SM-48TCM 60-69 years, female 123.0
GTEX-139TT-0126-SM-5K7Y5 60-69 years, male 122.9
GTEX-14BMV-0126-SM-5S2PO 50-59 years, male 122.8
GTEX-1IKOH-0226-SM-COH4E 60-69 years, female 122.7
GTEX-V1D1-2226-SM-3NMAX 50-59 years, male 122.1
GTEX-11ZUS-0626-SM-59885 30-39 years, male 121.8
GTEX-1J1R8-1726-SM-ARL8M 40-49 years, male 121.8
GTEX-11GSO-2426-SM-5A5LY 60-69 years, male 121.7
GTEX-15CHC-2126-SM-6EU21 60-69 years, female 121.6
GTEX-1JJE9-0326-SM-CL53Z 70-79 years, male 121.1
GTEX-WZTO-0126-SM-3NM95 40-49 years, male 120.5
GTEX-1F75A-0126-SM-7RHGM 50-59 years, male 119.7
GTEX-RN64-0126-SM-2TC68 50-59 years, male 119.6
GTEX-1M4P7-0226-SM-DIPEV 60-69 years, male 119.5
GTEX-15DCD-0126-SM-7KUEK 70-79 years, female 119.4
GTEX-1A32A-0126-SM-718B1 50-59 years, female 118.7
GTEX-14JIY-0126-SM-6LLH6 60-69 years, male 117.9
GTEX-1EKGG-0226-SM-9WYTH 60-69 years, male 117.9
GTEX-14LZ3-0226-SM-62LET 60-69 years, female 117.4
GTEX-1JKYR-0126-SM-CNPOJ 20-29 years, male 117.4
GTEX-11WQC-2526-SM-5CVLE 60-69 years, male 117.0
GTEX-1QW4Y-1526-SM-EAZ3Z 30-39 years, male 116.9
GTEX-1F6IF-0726-SM-7P8TW 60-69 years, male 116.6
GTEX-1PBJI-0526-SM-E8VNK 20-29 years, female 115.9
GTEX-1IL2V-0126-SM-CM2TX 70-79 years, male 115.5
GTEX-139T4-0226-SM-5HL5S 50-59 years, female 115.0
GTEX-1GF9U-2126-SM-7SB7L 40-49 years, female 115.0
GTEX-1192W-2626-SM-5Q5AF 60-69 years, male 114.9
GTEX-145LU-0126-SM-5TDCB 50-59 years, male 114.8
GTEX-R55E-0126-SM-2TC5Y 20-29 years, male 113.5
GTEX-1OJC4-0126-SM-E9J2E 50-59 years, female 112.5
GTEX-13O3Q-2426-SM-5IJBR 50-59 years, male 112.1
GTEX-1QEPI-0126-SM-EWRMQ 60-69 years, female 111.9
GTEX-11NUK-0126-SM-5A5L3 50-59 years, male 111.4
GTEX-1I1GP-2226-SM-CGQFK 50-59 years, male 111.2
GTEX-17HG3-2226-SM-7938L 30-39 years, female 111.0
GTEX-169BO-1326-SM-9MQK2 50-59 years, male 110.9
GTEX-PW2O-1526-SM-7RHHB 20-29 years, male 110.4
GTEX-17MFQ-1726-SM-793C7 20-29 years, male 110.2
GTEX-ZVE2-0226-SM-59HJB 50-59 years, male 109.3
GTEX-ZDXO-3026-SM-5J1N5 60-69 years, male 108.9
GTEX-113IC-0126-SM-5HL6T 60-69 years, male 108.6
GTEX-1I1CD-0126-SM-CM2TK 60-69 years, female 108.3
GTEX-13FTY-0526-SM-5L3EV 40-49 years, female 107.0
GTEX-1LG7Y-0526-SM-DKPQC 50-59 years, male 106.7
GTEX-18465-0126-SM-731BN 50-59 years, male 106.2
GTEX-13OW8-1326-SM-5J1OW 60-69 years, male 105.9
GTEX-14E7W-0126-SM-6LLJ9 70-79 years, male 105.0
GTEX-ZUA1-0126-SM-5GU76 40-49 years, male 104.3
GTEX-13JUV-2726-SM-5LZZ8 40-49 years, female 102.3
GTEX-WYVS-2126-SM-3NMA3 40-49 years, female 102.3
GTEX-1I1HK-0126-SM-COH49 60-69 years, male 100.0
GTEX-1IDFM-0126-SM-COH2V 60-69 years, male 99.9
GTEX-1C6VS-0526-SM-7DUEN 60-69 years, male 97.3
GTEX-1EN7A-0126-SM-7SB81 40-49 years, male 97.0
GTEX-U3ZN-2326-SM-3DB7W 30-39 years, female 96.3
Show allShow less

Contact

  • NEWS ARTICLES
  • PRESS ROOM

The Project

  • INTRODUCTION
  • ORGANIZATION
  • PUBLICATIONS

The Human Protein Atlas

  • DOWNLOADABLE DATA
  • LICENCE & CITATION
  • HELP & FAQ
The Human Protein Atlas project is funded
by the Knut & Alice Wallenberg Foundation.


contact@proteinatlas.org