We use cookies to enhance the usability of our website. If you continue, we'll assume that you are happy to receive all cookies. More information. Don't show this again.
FLOT1
HPA
RESOURCES
  • TISSUE
  • BRAIN
  • SINGLE CELL
  • SUBCELLULAR
  • CANCER
  • BLOOD
  • CELL LINE
  • STRUCTURE & INTERACTION
ABOUT
  • INTRODUCTION
  • HISTORY
  • ORGANIZATION
  • PUBLICATIONS
  • ANTIBODY SUBMISSION
  • ANTIBODY AVAILABILITY
  • ACKNOWLEDGMENTS
  • CONTACT
NEWS
  • NEWS ARTICLES
  • PRESS ROOM
LEARN
  • DICTIONARY
  • PROTEIN CLASSES
  • PROTEIN EVIDENCE
  • METHODS
  • EDUCATIONAL VIDEOS
DATA
  • DOWNLOADABLE DATA
  • PUBLICATION DATA
  • RELEASE HISTORY
HELP
  • ANTIBODY VALIDATION
  • ASSAYS & ANNOTATION
  • DISCLAIMER
  • HELP & FAQ
  • PRIVACY STATEMENT
  • LICENCE & CITATION
Fields »
Search result

Field
Term
Gene name
Class
Subclass
Class
Keyword
Chromosome
External id
Tissue
Cell type
Expression
Antibody panel
Tissue
Main location
Patient ID
Annotation
Tissue
Category
Tau score
Cluster
Reliability
Brain region
Category
Tau score
Brain region
Category
Tau score
Brain region
Category
Tau score
Cluster
Reliability
Tissue
Cell type
Enrichment
Cell type
Category
Tau score
Cell type
Category
Tau score
Cell type
Category
Tau score
Cell lineage
Category
Tau score
Cluster
Cluster
Location
Searches
Location
Cell line
Class
Type
Phase
Reliability
Cancer
Prognosis
Cancer
Category
Cancer
Category
Tau score
Cluster
Variants
Interacting gene (ensg_id)
Type
Number of interactions
Pathway
Category
Score
Score
Score
Validation
Validation
Validation
Validation
Antibodies
Data type
Column


  • SUMMARY

  • TISSUE

  • BRAIN

  • SINGLE CELL

  • SUBCELL

  • CANCER

  • BLOOD

  • CELL LINE

  • STRUCT & INT

  • FLOT1
TISSUE PRIMARY DATA PANCREAS Show tissue menu
ADIPOSE TISSUE ADRENAL GLAND AMYGDALA APPENDIX BASAL GANGLIA BONE MARROW BREAST BRONCHUS CEREBELLUM CEREBRAL CORTEX CERVIX CHOROID PLEXUS COLON DUODENUM
ENDOMETRIUM EPIDIDYMIS ESOPHAGUS FALLOPIAN TUBE GALLBLADDER HEART MUSCLE HIPPOCAMPAL FORMATION HYPOTHALAMUS KIDNEY LIVER LUNG LYMPH NODE MIDBRAIN NASOPHARYNX
ORAL MUCOSA OVARY PANCREAS PARATHYROID GLAND PITUITARY GLAND PLACENTA PROSTATE RECTUM RETINA SALIVARY GLAND SEMINAL VESICLE SKELETAL MUSCLE SKIN SMALL INTESTINE
SMOOTH MUSCLE SOFT TISSUE SPINAL CORD SPLEEN STOMACH TESTIS THYMUS THYROID GLAND TONGUE TONSIL URINARY BLADDER VAGINA
ANTIBODIES
AND
VALIDATION
Dictionary
Pancreas
Tissue proteome
Pancreas
PANCREAS - Expression summary
Protein expression
Pancreasi

On the top, protein expression in current human tissue, based on all annotated cell types, is reported with the units not detected (n), low (l), medium (m) and high (h). Underneath, protein expression in each annotated cell type are reported using the same units.

Protein expression data is based on knowledge-based annotation. For genes where more than one antibody has been used, a collective score is set.

If knowledge-based annotation could not be performed for a gene, no data is displayed here. View antibody staining data further down this page.

h
m
l
n
Exocrine glandular cells: Medium
Pancreatic endocrine cells: Low
RNA expressioni

A summary of mRNA expression data available for current tissue based on several datasets. The mRNA expression levels in human tissues are based on RNA-seq data generated by the Human Protein Atlas (HPA), Genotype-Tissue Expression (GTEx) portal and CAGE data generated by the FANTOM5 consortium. Consensus normalized expression levels for human tissues was created by combining the data from HPA and GTEx datasets.

The mRNA expression levels in pig are based on RNA-seq data generated by the Human Protein Atlas (HPA), and for mouse, HPA data and in situ hybridization generated by the Allen brain atlas are reported.

Scroll down to view mRNA expression data in more detail.
Consensus:85.9 nTPM
HPA:35.6 nTPM
GTEx:85.9 nTPM
FANTOM5:85.7 Scaled Tags Per Million

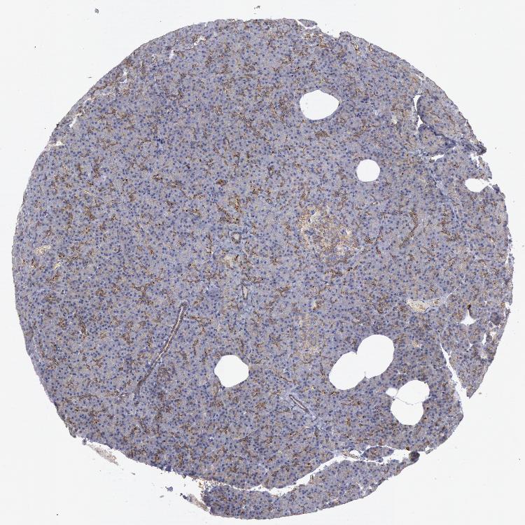
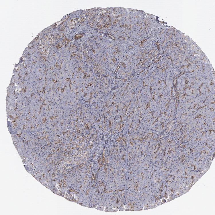
PANCREAS - Antibody stainingi

Antibody staining in the annotated cell types in the current human tissue is reported as not detected, low, medium, or high, based on conventional immunohistochemistry profiling in selected tissues. This score is based on the combination of the staining intensity and fraction of stained cells.

Each image is clickable and will lead to virtual microscopy that enables deeper exploration of all samples and also displays staining intensity scores, fraction scores and subcellular localization as well as patient and tissue information for each sample.

Antibody HPA001393Antibody CAB007766
Exocrine glandular cells HighMedium
Pancreatic endocrine cells Not detectedLow




PANCREAS - HPA RNA-seqi

The RNA-seq details section shows detailed information about the individual samples used for the transcript profiling and results of the RNA-seq analysis.

Information about each individual sample is listed below, including gender, age, a tissue section image and estimated fractions of cell types. nTPM (normalized transcripts per million) values give a quantification of the gene abundance which is comparable between different genes and samples.
Average nTPMi

Max subtype nTPM is the value for the subtype with the largest average nTPM across the subtype samples.

35.6
overview
Female, age 59
Pancreas sample 194
nTPM: 41.5
Cell types%
Exocrine glandular cells:
75

Pancreatic endocrine cells:
10

Ductal cells:
5

Other cell types:
10

overview
Male, age 60
Pancreas sample 195
nTPM: 29.6
Cell types%
Exocrine glandular cells:
90

Pancreatic endocrine cells:
5

Ductal cells:
5


PANCREAS - GTEx RNA-seqi

RNA-Seq data generated by the Genotype-Tissue Expression (GTEx) project from human tissues is reported as mean nTPM. More information can be found on the GTEx portal.

Distribution across the dataset is visualized with box plots, shown as median and 25th and 75th percentiles. Points are displayed as outliers if they are above or below 1.5 times the interquartile range. nTPM values of the individual samples are presented next to the box plot.
Max subtype nTPMi

Max subtype nTPM is the value for the subtype with the largest average nTPM across the subtype samples.

85.9
GTEx sample id Sample description nTPM
Pancreas
Average nTPM: 85.9
Samples: 328

Max nTPM: 185.0
Min nTPM: 45.1
Std nTPM: 24.2
Median nTPM: 80.5
GTEX-WI4N-1826-SM-4OOSF 40-49 years, female 185.0
GTEX-1128S-0826-SM-5GZZI 60-69 years, female 181.9
GTEX-1A3MW-1926-SM-7IGM8 60-69 years, female 179.1
GTEX-13O1R-1826-SM-5KM3B 60-69 years, male 172.3
GTEX-1K9T9-1726-SM-CXZK1 50-59 years, female 158.0
GTEX-139YR-1526-SM-5IFJ1 50-59 years, male 157.2
GTEX-1R46S-1426-SM-EXOJD 60-69 years, female 153.8
GTEX-WY7C-1026-SM-4OND3 50-59 years, male 152.7
GTEX-1IDJD-0126-SM-C1YQZ 30-39 years, male 149.9
GTEX-18A67-1726-SM-7KFT9 50-59 years, male 146.2
GTEX-131XE-1926-SM-5IFER 50-59 years, male 145.7
GTEX-NPJ8-2126-SM-3MJGK 40-49 years, male 143.8
GTEX-XV7Q-0926-SM-4BRVQ 40-49 years, female 140.7
GTEX-132AR-1826-SM-5EGHR 50-59 years, female 139.3
GTEX-S33H-1226-SM-4AD69 30-39 years, male 139.2
GTEX-1339X-1026-SM-5IFH5 40-49 years, male 138.9
GTEX-1HSMO-2026-SM-CNNQO 60-69 years, male 134.2
GTEX-WFON-0626-SM-4LVLX 40-49 years, male 133.1
GTEX-144FL-1526-SM-5Q5CA 50-59 years, male 130.8
GTEX-144GM-0726-SM-79OJQ 20-29 years, male 128.1
GTEX-13CF3-1026-SM-5LZWY 60-69 years, female 128.0
GTEX-U4B1-0726-SM-4DXUA 40-49 years, male 127.7
GTEX-U8XE-2026-SM-3DB8S 30-39 years, male 125.6
GTEX-O5YT-1026-SM-3MJGF 20-29 years, male 123.7
GTEX-OIZF-1026-SM-2HML5 60-69 years, male 122.8
GTEX-1QAET-1326-SM-E9U64 50-59 years, male 122.0
GTEX-1I1GU-0326-SM-AHZ2K 40-49 years, male 121.9
GTEX-OOBK-1026-SM-48TC2 40-49 years, male 121.3
GTEX-1K2DU-1026-SM-DHXKC 20-29 years, male 121.3
GTEX-Q2AH-0926-SM-48TZK 40-49 years, male 120.5
GTEX-QMRM-0326-SM-CKZNB 50-59 years, male 120.4
GTEX-17HGU-2026-SM-79OKS 50-59 years, male 120.2
GTEX-1B932-1626-SM-731EA 40-49 years, female 119.8
GTEX-12WSG-1026-SM-5EGII 50-59 years, female 119.7
GTEX-1PWST-1526-SM-EXOIT 70-79 years, male 117.5
GTEX-XBED-0226-SM-47JY8 60-69 years, male 117.1
GTEX-1N2EF-2126-SM-DPRYL 60-69 years, male 115.4
GTEX-1AX8Z-1726-SM-731DE 60-69 years, male 115.2
GTEX-15UF7-0826-SM-6M46E 40-49 years, male 113.9
GTEX-X15G-0726-SM-4PQZ5 50-59 years, female 113.7
GTEX-TKQ2-0426-SM-4DXUO 50-59 years, male 113.4
GTEX-1GMR3-1226-SM-7MGY1 40-49 years, male 113.2
GTEX-15UF6-1826-SM-6LLI9 70-79 years, female 112.7
GTEX-QEL4-1326-SM-447AD 50-59 years, male 112.1
GTEX-T8EM-0826-SM-4DM76 40-49 years, male 111.2
GTEX-SE5C-0326-SM-4BRWX 40-49 years, female 111.1
GTEX-1QW4Y-0926-SM-DPRY2 30-39 years, male 110.4
GTEX-1JKYR-1026-SM-CGQGI 20-29 years, male 110.3
GTEX-11TT1-0326-SM-5LUAY 20-29 years, male 110.1
GTEX-12WSL-0426-SM-5GCNX 50-59 years, male 110.1
GTEX-14PN4-1626-SM-6AJB5 50-59 years, male 108.8
GTEX-YB5E-0526-SM-4VDSD 40-49 years, male 108.4
GTEX-WHPG-0326-SM-4M1XV 50-59 years, male 106.9
GTEX-V1D1-0726-SM-4JBH7 50-59 years, male 106.6
GTEX-1JK1U-1026-SM-AHZ44 60-69 years, male 106.3
GTEX-14PK6-1026-SM-664NZ 70-79 years, female 105.7
GTEX-QDVJ-1226-SM-48U1V 50-59 years, male 105.6
GTEX-V955-0326-SM-4JBGV 60-69 years, male 105.3
GTEX-ZAB4-1726-SM-5HL8C 40-49 years, male 105.3
GTEX-1PFEY-1126-SM-DPRZ3 30-39 years, male 105.0
GTEX-S95S-0726-SM-4B64H 60-69 years, male 104.7
GTEX-N7MT-1626-SM-3LK71 60-69 years, female 104.5
GTEX-1JKYN-0426-SM-CGQG2 30-39 years, male 104.2
GTEX-OHPL-1026-SM-3MJGI 60-69 years, female 103.9
GTEX-1L5NE-0826-SM-DHXKU 50-59 years, male 103.9
GTEX-1CAMR-1126-SM-7MGXF 20-29 years, male 103.3
GTEX-Q2AI-0426-SM-48U13 40-49 years, male 102.6
GTEX-R55G-0326-SM-48FDM 40-49 years, female 102.4
GTEX-WHWD-0726-SM-4OORX 50-59 years, male 102.3
GTEX-ZTPG-1026-SM-5DUWP 20-29 years, female 102.1
GTEX-15FZZ-0626-SM-7KFTO 30-39 years, female 101.9
GTEX-XXEK-1726-SM-4BRVB 50-59 years, male 101.6
GTEX-P4QS-1026-SM-3NMCW 60-69 years, male 100.8
GTEX-ZC5H-0826-SM-5N9FH 40-49 years, female 100.7
GTEX-14AS3-0326-SM-5Q5DB 40-49 years, female 100.4
GTEX-14C39-1026-SM-73KWG 40-49 years, male 100.4
GTEX-Y3I4-0826-SM-4TT2A 50-59 years, male 99.9
GTEX-ZAB5-0826-SM-5P9FU 50-59 years, male 98.9
GTEX-145ME-0326-SM-5S2QO 40-49 years, female 98.8
GTEX-18A66-2126-SM-7189D 60-69 years, male 98.8
GTEX-S32W-0826-SM-4AD5Z 50-59 years, female 98.8
GTEX-1O97I-1726-SM-EXOIP 60-69 years, male 98.6
GTEX-12WSN-0826-SM-5GCOF 40-49 years, male 98.0
GTEX-1H1DG-1426-SM-9OSXP 70-79 years, male 97.2
GTEX-1GF9X-1126-SM-7MKHC 40-49 years, female 96.4
GTEX-WQUQ-2126-SM-4OOSO 60-69 years, male 96.3
GTEX-13YAN-2126-SM-5Q5C4 60-69 years, male 96.0
GTEX-1R9K5-1226-SM-E6CPQ 50-59 years, male 96.0
GTEX-QLQW-0326-SM-447A8 30-39 years, male 95.4
GTEX-VJYA-0826-SM-4KL1M 60-69 years, male 95.4
GTEX-17MF6-1426-SM-7IGOX 40-49 years, male 94.5
GTEX-11XUK-0626-SM-5N9ES 40-49 years, female 94.4
GTEX-14ICL-1126-SM-5S2RE 30-39 years, male 94.3
GTEX-ZG7Y-0326-SM-4WWEY 50-59 years, male 94.2
GTEX-XBEW-1626-SM-4SOJP 40-49 years, male 93.7
GTEX-Y9LG-0726-SM-4VDS3 30-39 years, male 93.0
GTEX-13X6H-0626-SM-5LU53 50-59 years, female 92.9
GTEX-13VXT-1226-SM-5LU3M 20-29 years, female 92.7
GTEX-15RJ7-0826-SM-6LLI8 40-49 years, male 92.5
GTEX-XMK1-0326-SM-4B652 40-49 years, male 92.5
GTEX-ZF3C-2026-SM-4WWB5 50-59 years, female 92.5
GTEX-R53T-0426-SM-48FEM 50-59 years, female 91.9
GTEX-15CHR-2026-SM-7MXU2 50-59 years, male 91.8
GTEX-QLQ7-0626-SM-CE6QX 60-69 years, male 91.8
GTEX-1399S-0326-SM-5IFFS 30-39 years, female 91.7
GTEX-ZYW4-2126-SM-59HJ9 60-69 years, male 91.4
GTEX-1C4CL-0926-SM-79OL2 30-39 years, male 91.2
GTEX-OOBJ-1026-SM-3NB2L 60-69 years, male 91.2
GTEX-ZPU1-0226-SM-4WWC9 40-49 years, male 90.3
GTEX-17F98-0426-SM-79ONZ 40-49 years, female 89.8
GTEX-1H23P-2026-SM-9OSXY 60-69 years, male 89.8
GTEX-11GSP-0426-SM-5A5KX 60-69 years, female 89.6
GTEX-TMMY-1326-SM-4DXU9 40-49 years, female 89.4
GTEX-1C64O-1426-SM-7EWER 60-69 years, male 89.2
GTEX-1PPH8-2326-SM-EAZ48 20-29 years, male 89.1
GTEX-1PBJI-2126-SM-DPRYG 20-29 years, female 89.0
GTEX-1AYCT-1226-SM-7EPGH 50-59 years, male 88.7
GTEX-Q734-0426-SM-48TZX 40-49 years, female 88.6
GTEX-1RAZQ-1426-SM-EV7B2 30-39 years, male 88.5
GTEX-13N11-0226-SM-5KM3C 50-59 years, female 88.4
GTEX-SNOS-0926-SM-4DM7A 40-49 years, male 87.9
GTEX-14PHY-1126-SM-664OR 60-69 years, female 87.7
GTEX-Y3IK-0426-SM-4WWE2 50-59 years, female 87.7
GTEX-1497J-0426-SM-5Q5CO 60-69 years, male 87.5
GTEX-14PJ4-0726-SM-6872E 60-69 years, male 87.5
GTEX-1CB4I-1326-SM-79OLY 50-59 years, male 87.5
GTEX-1NSGN-1726-SM-EXOJG 50-59 years, male 87.3
GTEX-1S831-0626-SM-EV79N 20-29 years, male 87.3
GTEX-WFG8-0326-SM-4LVN4 20-29 years, male 86.9
GTEX-18D9U-1626-SM-7KFTW 40-49 years, male 86.6
GTEX-ZYY3-0826-SM-5E44R 60-69 years, female 86.6
GTEX-1399R-0426-SM-5IJE3 30-39 years, male 86.5
GTEX-WFJO-0626-SM-4LVMC 30-39 years, male 86.1
GTEX-1F5PL-0726-SM-7MKH8 40-49 years, female 85.5
GTEX-1JMPZ-1026-SM-CXZJS 30-39 years, male 85.3
GTEX-1LG7Z-0326-SM-DHXK3 30-39 years, male 85.1
GTEX-WHSB-0726-SM-4M1XQ 50-59 years, male 85.0
GTEX-14PKU-0626-SM-6EU1Q 40-49 years, female 84.8
GTEX-1GN1W-1126-SM-9OSW3 50-59 years, female 84.8
GTEX-ZPIC-0926-SM-4WWFK 40-49 years, female 84.7
GTEX-1LGRB-0426-SM-CNNRD 50-59 years, female 84.4
GTEX-1LSNM-0726-SM-DHXL1 50-59 years, male 84.3
GTEX-16Z82-1726-SM-7MGX3 60-69 years, male 84.1
GTEX-1RAZA-1626-SM-EV79I 20-29 years, male 84.1
GTEX-QDVN-0926-SM-2I5GL 50-59 years, male 84.0
GTEX-14PJ2-1526-SM-686Z4 50-59 years, male 83.6
GTEX-1GN1U-1126-SM-9WPPZ 50-59 years, female 83.6
GTEX-1NUQO-0826-SM-DPS16 20-29 years, female 83.2
GTEX-13W3W-1026-SM-5IFG4 60-69 years, female 82.9
GTEX-117YX-0226-SM-5EGH6 50-59 years, male 82.7
GTEX-1CAMS-1926-SM-7DUEU 40-49 years, female 82.6
GTEX-VUSG-0326-SM-3GIJ7 50-59 years, male 82.6
GTEX-WYJK-2426-SM-4ONDQ 50-59 years, male 82.6
GTEX-1OKEX-1726-SM-E9U4F 60-69 years, male 82.5
GTEX-1R7EU-0726-SM-DPRZM 60-69 years, male 82.2
GTEX-PSDG-1526-SM-48TCY 50-59 years, male 82.0
GTEX-OHPM-1026-SM-3LK74 50-59 years, male 81.9
GTEX-1R7EV-1126-SM-DPRXU 40-49 years, male 81.8
GTEX-13U4I-1526-SM-5IFFF 40-49 years, female 81.3
GTEX-SUCS-1426-SM-4DM5W 70-79 years, male 81.3
GTEX-13FLV-0626-SM-5IFEY 50-59 years, male 81.1
GTEX-13FTW-0526-SM-5IFIP 40-49 years, male 81.1
GTEX-Y8E4-1326-SM-5IFIY 40-49 years, male 81.0
GTEX-1M5QR-0926-SM-DHXK8 40-49 years, male 80.6
GTEX-S4P3-0626-SM-4AD59 50-59 years, female 80.3
GTEX-Y8LW-1026-SM-5IFJY 50-59 years, female 80.2
GTEX-1QPFJ-2226-SM-EXOJW 30-39 years, female 80.1
GTEX-OXRK-1526-SM-E6CHJ 50-59 years, female 79.9
GTEX-14PKV-0926-SM-6AJB4 20-29 years, female 79.4
GTEX-QV44-0426-SM-4R1KF 50-59 years, male 79.0
GTEX-1AX9K-2026-SM-731D1 50-59 years, male 78.9
GTEX-1CAMQ-1626-SM-7MGXG 40-49 years, male 78.9
GTEX-17KNJ-1926-SM-7KFRV 50-59 years, male 77.9
GTEX-ZEX8-1026-SM-4WKHE 50-59 years, male 77.9
GTEX-WFG7-0426-SM-4LMK5 20-29 years, male 77.7
GTEX-15EU6-1126-SM-68721 50-59 years, male 77.0
GTEX-YB5K-1826-SM-5IFJC 40-49 years, female 77.0
GTEX-1N2DV-1726-SM-DPRYR 40-49 years, male 76.9
GTEX-144GN-0826-SM-5LU5G 50-59 years, male 76.8
GTEX-QESD-0226-SM-447BH 20-29 years, male 76.7
GTEX-1A8FM-1826-SM-7MGXO 50-59 years, female 76.4
GTEX-13FTX-1226-SM-5IFGN 20-29 years, female 76.3
GTEX-131XG-1426-SM-5GCMO 50-59 years, female 76.2
GTEX-14JG6-0426-SM-68715 30-39 years, female 76.2
GTEX-PW2O-0826-SM-48TC5 20-29 years, male 76.0
GTEX-1I4MK-1026-SM-AHZ2H 50-59 years, female 76.0
GTEX-1OFPY-0626-SM-EXOJ4 60-69 years, male 76.0
GTEX-ZP4G-0426-SM-4YCER 20-29 years, female 75.9
GTEX-1KANA-1526-SM-CXZKG 20-29 years, male 75.9
GTEX-1C6VQ-1726-SM-7IGLQ 50-59 years, male 75.8
GTEX-11I78-0626-SM-5A5LZ 50-59 years, female 75.6
GTEX-15UKP-1326-SM-6LPI8 20-29 years, male 75.2
GTEX-P4PQ-1026-SM-3NMCN 60-69 years, male 75.2
GTEX-146FQ-1526-SM-5Q5CX 30-39 years, male 75.1
GTEX-S3XE-0526-SM-4AD4G 50-59 years, male 75.1
GTEX-WRHK-0226-SM-4MVOH 20-29 years, female 75.0
GTEX-1CB4F-1226-SM-7DHKU 60-69 years, male 74.9
GTEX-1H11D-0926-SM-9OSXO 40-49 years, male 74.8
GTEX-111YS-1226-SM-5EGGJ 60-69 years, male 74.7
GTEX-14E6E-1426-SM-5RQI2 30-39 years, male 74.6
GTEX-1H1E6-0826-SM-9WG83 30-39 years, male 74.3
GTEX-1I1GQ-2226-SM-B2LX1 50-59 years, male 74.3
GTEX-11DXX-0926-SM-5H112 60-69 years, female 73.9
GTEX-13PL7-2226-SM-5L3IC 60-69 years, female 73.9
GTEX-XQ8I-1926-SM-4BOOK 50-59 years, male 73.7
GTEX-1I1GT-0926-SM-AHZ2G 60-69 years, female 73.7
GTEX-15SHV-1526-SM-6LLIB 60-69 years, male 73.5
GTEX-145MO-2126-SM-5Q5CZ 60-69 years, male 73.3
GTEX-ZYT6-1326-SM-5E453 30-39 years, male 73.1
GTEX-NFK9-1626-SM-3LK5J 40-49 years, male 73.0
GTEX-XYKS-1226-SM-4BRVI 60-69 years, female 73.0
GTEX-UJHI-0626-SM-3DB8T 50-59 years, female 72.7
GTEX-15RIF-0626-SM-6LLI3 20-29 years, male 72.5
GTEX-1QEPI-1626-SM-EAZ3I 60-69 years, female 72.5
GTEX-YEC4-1326-SM-5IFHG 40-49 years, male 72.2
GTEX-14PJN-1526-SM-6AJBP 30-39 years, male 72.1
GTEX-XUW1-1726-SM-4BOOZ 50-59 years, female 72.1
GTEX-ZZPU-0726-SM-5N9C8 50-59 years, female 72.1
GTEX-18A7A-1726-SM-7LT93 50-59 years, female 72.0
GTEX-1B97J-1526-SM-79ONI 50-59 years, female 71.4
GTEX-1J8Q3-0626-SM-AHZ3V 60-69 years, male 71.3
GTEX-1122O-0726-SM-5GIEV 60-69 years, female 71.1
GTEX-11EQ9-1026-SM-5H134 30-39 years, male 70.9
GTEX-T5JW-0226-SM-4DM7I 20-29 years, female 70.9
GTEX-RM2N-0326-SM-48FD8 50-59 years, male 70.7
GTEX-13FH7-1426-SM-5IFIC 50-59 years, female 70.6
GTEX-1B996-1326-SM-731EO 60-69 years, male 70.6
GTEX-1LVAN-1226-SM-CNNQY 50-59 years, female 70.6
GTEX-15ER7-1326-SM-6LPK9 20-29 years, female 70.3
GTEX-Y5LM-0526-SM-4V6G3 40-49 years, female 70.2
GTEX-13O61-2126-SM-5IJEO 60-69 years, male 70.1
GTEX-14DAR-0526-SM-664MX 50-59 years, male 70.1
GTEX-ZLWG-0326-SM-4WWC7 50-59 years, female 70.1
GTEX-11VI4-0426-SM-5EGHZ 40-49 years, female 69.9
GTEX-ZPCL-0726-SM-DO91S 60-69 years, female 69.9
GTEX-RWS6-1126-SM-47JXC 60-69 years, female 69.8
GTEX-X4LF-0326-SM-4QAS9 50-59 years, male 69.8
GTEX-1S82P-1026-SM-EAZ4W 60-69 years, female 69.8
GTEX-XPVG-0326-SM-4B653 50-59 years, male 69.7
GTEX-14PJ6-0926-SM-686ZA 60-69 years, female 69.5
GTEX-11P7K-0526-SM-5BC5I 30-39 years, male 69.3
GTEX-WYVS-0926-SM-4SOJV 40-49 years, female 69.3
GTEX-WH7G-0826-SM-4LVMR 40-49 years, male 69.1
GTEX-1QP29-1926-SM-DPRZO 50-59 years, male 69.1
GTEX-11ONC-0526-SM-5BC57 60-69 years, male 69.0
GTEX-13SLX-1326-SM-5S2QS 50-59 years, female 68.9
GTEX-R55D-1426-SM-48FEN 50-59 years, male 68.5
GTEX-X5EB-0526-SM-46MVP 40-49 years, male 68.5
GTEX-15DYW-1626-SM-6LLI1 60-69 years, female 68.3
GTEX-ZVZP-0626-SM-59HL5 50-59 years, male 68.3
GTEX-PX3G-1026-SM-48TZW 20-29 years, female 68.1
GTEX-PLZ6-0726-SM-3P619 30-39 years, male 68.0
GTEX-TML8-0526-SM-32QOQ 40-49 years, female 67.9
GTEX-1211K-1126-SM-5EGGB 60-69 years, female 67.8
GTEX-ZDYS-2526-SM-4WKGU 50-59 years, male 67.7
GTEX-1B933-1726-SM-731FC 50-59 years, female 67.6
GTEX-111CU-0526-SM-5EGHK 50-59 years, male 67.5
GTEX-OIZI-1526-SM-E6CHI 40-49 years, male 67.5
GTEX-14PJM-2126-SM-6AJAS 50-59 years, female 67.4
GTEX-1CB4G-1826-SM-7MKGO 60-69 years, male 67.4
GTEX-YFCO-1026-SM-5LU9S 40-49 years, male 67.4
GTEX-ZT9W-0926-SM-57WFS 50-59 years, male 67.2
GTEX-1MUQO-1426-SM-DPRYJ 60-69 years, male 67.2
GTEX-WXYG-0826-SM-4ONC7 50-59 years, female 67.0
GTEX-11LCK-0226-SM-5A5M6 30-39 years, male 66.6
GTEX-ZF29-1126-SM-4WKGO 60-69 years, female 66.5
GTEX-12BJ1-1126-SM-5EGGG 60-69 years, male 66.2
GTEX-1AYD5-0326-SM-7EWEO 50-59 years, male 66.1
GTEX-QCQG-0426-SM-48U29 50-59 years, female 65.8
GTEX-1S83E-1426-SM-EV7B8 40-49 years, male 65.7
GTEX-18A6Q-1726-SM-7LT9A 60-69 years, male 65.4
GTEX-14BMU-0726-SM-73KXS 20-29 years, female 65.2
GTEX-16MT8-1726-SM-7EWE7 60-69 years, female 65.1
GTEX-1K2DA-0326-SM-CGQGX 50-59 years, male 65.1
GTEX-132QS-0926-SM-5P9GB 60-69 years, male 64.9
GTEX-14PN3-0126-SM-6AJAU 60-69 years, female 64.6
GTEX-17HHE-0526-SM-7DUGR 50-59 years, male 64.6
GTEX-P4PP-1026-SM-3NM9O 30-39 years, female 64.4
GTEX-12WSK-0226-SM-5BC62 40-49 years, female 64.3
GTEX-ZAK1-2326-SM-5CVMY 50-59 years, female 64.3
GTEX-ZVP2-0726-SM-59HKY 50-59 years, male 64.3
GTEX-12WSD-1626-SM-5GCNR 60-69 years, female 64.2
GTEX-11NSD-0526-SM-5A5LT 20-29 years, male 64.0
GTEX-1AX9J-1726-SM-731FF 60-69 years, male 63.9
GTEX-ZYFG-0826-SM-5BC5T 60-69 years, female 63.8
GTEX-QV31-0226-SM-447BO 30-39 years, male 63.4
GTEX-146FR-0126-SM-5Q5F3 60-69 years, female 63.3
GTEX-YF7O-1326-SM-4W1ZR 50-59 years, male 63.0
GTEX-14PHX-2026-SM-6872C 50-59 years, male 62.9
GTEX-15SDE-0826-SM-6M463 50-59 years, female 62.9
GTEX-ZLFU-0726-SM-57WF6 40-49 years, male 62.9
GTEX-17F9E-1426-SM-793BG 50-59 years, male 62.5
GTEX-1399U-0926-SM-5IFHA 50-59 years, female 62.4
GTEX-178AV-0226-SM-793B7 40-49 years, male 62.2
GTEX-145MN-1426-SM-5SI9H 30-39 years, male 62.1
GTEX-1B8KE-0726-SM-72D7G 50-59 years, male 62.1
GTEX-Y114-0826-SM-4TT77 50-59 years, female 62.0
GTEX-13PVR-0726-SM-5S2PX 60-69 years, female 61.9
GTEX-148VI-0826-SM-5TDDI 60-69 years, female 61.9
GTEX-1IDJC-0526-SM-AHZ2Q 50-59 years, male 61.7
GTEX-ZDTT-1126-SM-4WKFW 60-69 years, male 61.6
GTEX-1IL2U-2326-SM-CNNQV 60-69 years, male 61.3
GTEX-XGQ4-0226-SM-4GIDS 50-59 years, male 61.2
GTEX-ZV7C-0726-SM-59HKH 50-59 years, male 60.9
GTEX-15SB6-0226-SM-6LLIA 50-59 years, female 60.6
GTEX-1HSGN-1426-SM-A8NAA 40-49 years, female 60.0
GTEX-W5WG-0826-SM-4RGNE 50-59 years, female 59.7
GTEX-1J8EW-1926-SM-CGQGR 60-69 years, female 59.5
GTEX-13D11-2226-SM-5IFEO 50-59 years, female 59.1
GTEX-1GZ4H-0626-SM-9OSXJ 50-59 years, female 59.0
GTEX-X3Y1-0726-SM-3P5YU 40-49 years, male 58.9
GTEX-1B8KZ-0926-SM-731D7 50-59 years, male 58.7
GTEX-1QP2A-1326-SM-EAZ3K 50-59 years, male 58.1
GTEX-1QP28-1026-SM-EAZ4K 50-59 years, female 57.9
GTEX-1KXAM-0226-SM-EV7AP 60-69 years, male 57.2
GTEX-1AMFI-0726-SM-731D9 50-59 years, female 57.0
GTEX-UJMC-1126-SM-3GADP 50-59 years, male 56.6
GTEX-YEC3-0626-SM-CMKFG 50-59 years, male 56.6
GTEX-14PJ3-0426-SM-6LLHF 50-59 years, male 56.0
GTEX-1MGNQ-1226-SM-EV7BM 40-49 years, male 54.6
GTEX-1GL5R-0926-SM-9JGFO 50-59 years, male 54.5
GTEX-13OVI-0526-SM-5IFFQ 60-69 years, female 54.4
GTEX-1IDJU-0326-SM-CGQEE 60-69 years, female 50.9
GTEX-1C2JI-0926-SM-731F1 50-59 years, male 50.5
GTEX-131XF-1426-SM-5BC68 60-69 years, male 48.9
GTEX-1HKZK-1126-SM-9WG82 40-49 years, male 48.0
GTEX-ZVT2-2026-SM-5NQ8Q 50-59 years, female 47.8
GTEX-14PJO-1826-SM-69LPR 60-69 years, male 45.1
Show allShow less

PANCREAS - FANTOM5 CAGEi

RNA expression in human tissues obtained through Cap Analysis of Gene Expression (CAGE) generated by the FANTOM5 project are reported as Scaled Tags Per Million.

Max subtype Scaled Tags Per Millioni

Max subtype Scaled Tags Per Million is the value for the subtype with the largest average Scaled Tags Per Million across the subtype samples.

85.7
FANTOM5 sample id Sample description Scaled Tags Per Million
Pancreas
Scaled Tags Per Million: 85.7
FF:10049-101G4 52 years, male 85.7

Contact

  • NEWS ARTICLES
  • PRESS ROOM

The Project

  • INTRODUCTION
  • ORGANIZATION
  • PUBLICATIONS

The Human Protein Atlas

  • DOWNLOADABLE DATA
  • LICENCE & CITATION
  • HELP & FAQ
The Human Protein Atlas project is funded
by the Knut & Alice Wallenberg Foundation.


contact@proteinatlas.org