We use cookies to enhance the usability of our website. If you continue, we'll assume that you are happy to receive all cookies. More information. Don't show this again.
MTCH1
HPA
RESOURCES
  • TISSUE
  • BRAIN
  • SINGLE CELL
  • SUBCELLULAR
  • CANCER
  • BLOOD
  • CELL LINE
  • STRUCTURE & INTERACTION
ABOUT
  • INTRODUCTION
  • HISTORY
  • ORGANIZATION
  • PUBLICATIONS
  • ANTIBODY SUBMISSION
  • ANTIBODY AVAILABILITY
  • ACKNOWLEDGMENTS
  • CONTACT
NEWS
  • NEWS ARTICLES
  • PRESS ROOM
LEARN
  • DICTIONARY
  • PROTEIN CLASSES
  • PROTEIN EVIDENCE
  • METHODS
  • EDUCATIONAL VIDEOS
DATA
  • DOWNLOADABLE DATA
  • PUBLICATION DATA
  • RELEASE HISTORY
HELP
  • ANTIBODY VALIDATION
  • ASSAYS & ANNOTATION
  • DISCLAIMER
  • HELP & FAQ
  • PRIVACY STATEMENT
  • LICENCE & CITATION
Fields »
Search result

Field
Term
Gene name
Class
Subclass
Class
Keyword
Chromosome
External id
Tissue
Cell type
Expression
Antibody panel
Tissue
Main location
Patient ID
Annotation
Tissue
Category
Tau score
Cluster
Reliability
Brain region
Category
Tau score
Brain region
Category
Tau score
Brain region
Category
Tau score
Cluster
Reliability
Tissue
Cell type
Enrichment
Cell type
Category
Tau score
Cell type
Category
Tau score
Cell type
Category
Tau score
Cell lineage
Category
Tau score
Cluster
Cluster
Location
Searches
Location
Cell line
Class
Type
Phase
Reliability
Cancer
Prognosis
Cancer
Category
Cancer
Category
Tau score
Cluster
Variants
Interacting gene (ensg_id)
Type
Number of interactions
Pathway
Category
Score
Score
Score
Validation
Validation
Validation
Validation
Antibodies
Data type
Column


  • SUMMARY

  • TISSUE

  • BRAIN

  • SINGLE CELL

  • SUBCELL

  • CANCER

  • BLOOD

  • CELL LINE

  • STRUCT & INT

  • MTCH1
TISSUE PRIMARY DATA BREAST Show tissue menu
ADIPOSE TISSUE ADRENAL GLAND AMYGDALA APPENDIX BASAL GANGLIA BONE MARROW BREAST BRONCHUS CEREBELLUM CEREBRAL CORTEX CERVIX CHOROID PLEXUS COLON DUODENUM
ENDOMETRIUM EPIDIDYMIS ESOPHAGUS FALLOPIAN TUBE GALLBLADDER HEART MUSCLE HIPPOCAMPAL FORMATION HYPOTHALAMUS KIDNEY LIVER LUNG LYMPH NODE MIDBRAIN NASOPHARYNX
ORAL MUCOSA OVARY PANCREAS PARATHYROID GLAND PITUITARY GLAND PLACENTA PROSTATE RECTUM RETINA SALIVARY GLAND SEMINAL VESICLE SKELETAL MUSCLE SKIN SMALL INTESTINE
SMOOTH MUSCLE SOFT TISSUE SPINAL CORD SPLEEN STOMACH TESTIS THYMUS THYROID GLAND TONGUE TONSIL URINARY BLADDER VAGINA
ANTIBODIES
AND
VALIDATION
Dictionary
Breast
Tissue proteome
Breast
BREAST - Expression summary
Protein expression
Breasti

On the top, protein expression in current human tissue, based on all annotated cell types, is reported with the units not detected (n), low (l), medium (m) and high (h). Underneath, protein expression in each annotated cell type are reported using the same units.

Protein expression data is based on knowledge-based annotation. For genes where more than one antibody has been used, a collective score is set.

If knowledge-based annotation could not be performed for a gene, no data is displayed here. View antibody staining data further down this page.

h
m
l
n
Adipocytes: Low
Glandular cells: High
Myoepithelial cells: Low
RNA expressioni

A summary of mRNA expression data available for current tissue based on several datasets. The mRNA expression levels in human tissues are based on RNA-seq data generated by the Human Protein Atlas (HPA), Genotype-Tissue Expression (GTEx) portal and CAGE data generated by the FANTOM5 consortium. Consensus normalized expression levels for human tissues was created by combining the data from HPA and GTEx datasets.

The mRNA expression levels in pig are based on RNA-seq data generated by the Human Protein Atlas (HPA), and for mouse, HPA data and in situ hybridization generated by the Allen brain atlas are reported.

Scroll down to view mRNA expression data in more detail.
Consensus:135.6 nTPM
HPA:62.1 nTPM
GTEx:135.6 nTPM
FANTOM5:111.4 Scaled Tags Per Million

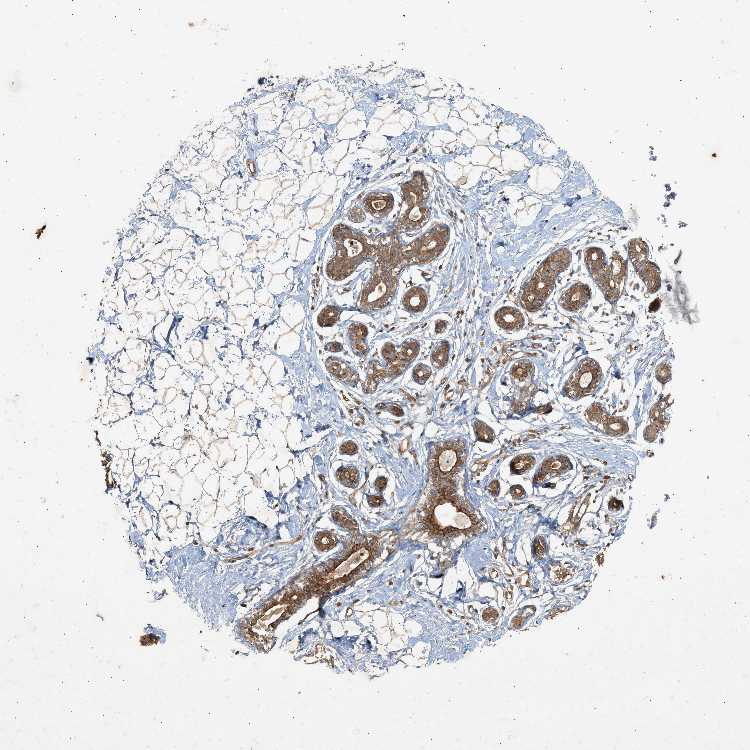
BREAST - Antibody stainingi

Antibody staining in the annotated cell types in the current human tissue is reported as not detected, low, medium, or high, based on conventional immunohistochemistry profiling in selected tissues. This score is based on the combination of the staining intensity and fraction of stained cells.

Each image is clickable and will lead to virtual microscopy that enables deeper exploration of all samples and also displays staining intensity scores, fraction scores and subcellular localization as well as patient and tissue information for each sample.

Antibody HPA015971
Adipocytes Low
Glandular cells High
Myoepithelial cells Low



BREAST - HPA RNA-seqi

The RNA-seq details section shows detailed information about the individual samples used for the transcript profiling and results of the RNA-seq analysis.

Information about each individual sample is listed below, including gender, age, a tissue section image and estimated fractions of cell types. nTPM (normalized transcripts per million) values give a quantification of the gene abundance which is comparable between different genes and samples.
Average nTPMi

Max subtype nTPM is the value for the subtype with the largest average nTPM across the subtype samples.

62.1
overview
Female, age 52
Breast sample 373
nTPM: 67.6
Cell types%
Glandular cells:
15

Adipocytes:
5

Other cell types:
80

overview
Female, age 80
Breast sample 390
nTPM: 59.9
Cell types%
Glandular cells:
5

Adipocytes:
15

Other cell types:
80

overview
Female, age 47
Breast sample 405
nTPM: 64.8
Cell types%
Glandular cells:
5

Adipocytes:
5

Other cell types:
90

overview
Female, age 38
Breast sample 410
nTPM: 55.9
Cell types%
Glandular cells:
40

Adipocytes:
5

Other cell types:
55


BREAST - GTEx RNA-seqi

RNA-Seq data generated by the Genotype-Tissue Expression (GTEx) project from human tissues is reported as mean nTPM. More information can be found on the GTEx portal.

Distribution across the dataset is visualized with box plots, shown as median and 25th and 75th percentiles. Points are displayed as outliers if they are above or below 1.5 times the interquartile range. nTPM values of the individual samples are presented next to the box plot.
Max subtype nTPMi

Max subtype nTPM is the value for the subtype with the largest average nTPM across the subtype samples.

135.6
GTEx sample id Sample description nTPM
Breast - Mammary Tissue
Average nTPM: 135.6
Samples: 459

Max nTPM: 264.7
Min nTPM: 81.8
Std nTPM: 27.1
Median nTPM: 131.0
GTEX-1N2EF-2226-SM-E9J33 60-69 years, male 264.7
GTEX-14PN4-0626-SM-62LFP 50-59 years, male 256.6
GTEX-13N1W-0626-SM-5MR4U 70-79 years, male 246.0
GTEX-13PVQ-1026-SM-5KM3M 50-59 years, male 246.0
GTEX-11P82-1326-SM-5HL62 20-29 years, male 240.9
GTEX-PSDG-1626-SM-48TCQ 50-59 years, male 234.7
GTEX-1F5PK-2126-SM-7PC28 50-59 years, male 228.7
GTEX-11WQK-2426-SM-5GU5C 50-59 years, male 222.4
GTEX-1I1GP-0426-SM-COH3N 50-59 years, male 213.1
GTEX-14E6C-1326-SM-62LEQ 40-49 years, male 203.6
GTEX-ZYW4-0826-SM-5GIDG 60-69 years, male 200.8
GTEX-1R7EV-1526-SM-E8VOD 40-49 years, male 199.6
GTEX-13S86-1226-SM-5S2OA 40-49 years, male 199.2
GTEX-ZLFU-2126-SM-DO931 40-49 years, male 196.7
GTEX-139T6-1626-SM-5PNYZ 50-59 years, male 196.5
GTEX-132Q8-1426-SM-5EGK7 60-69 years, male 195.8
GTEX-ZA64-1526-SM-5CVMD 20-29 years, male 190.8
GTEX-YFCO-1826-SM-4W1YH 40-49 years, male 190.4
GTEX-1R9JW-0326-SM-EAZ45 30-39 years, female 189.9
GTEX-14DAR-1326-SM-7DUEG 50-59 years, male 188.4
GTEX-1L5NE-2126-SM-CY8IH 50-59 years, male 188.3
GTEX-1IDJU-1826-SM-CMKHV 60-69 years, female 186.7
GTEX-ZT9W-2026-SM-51MRA 50-59 years, male 185.4
GTEX-1ICLZ-0426-SM-B2LW2 60-69 years, male 184.5
GTEX-14PJO-0726-SM-69LO8 60-69 years, male 182.6
GTEX-13D11-1026-SM-5IJFB 50-59 years, female 181.8
GTEX-13SLX-2326-SM-5ZZWE 50-59 years, female 181.8
GTEX-1B8SG-1226-SM-7IGPF 50-59 years, male 181.3
GTEX-13O3P-0826-SM-5L3DH 50-59 years, male 180.7
GTEX-XQ8I-2426-SM-4WAXY 50-59 years, male 180.1
GTEX-1399U-1826-SM-5PNZ1 50-59 years, female 178.6
GTEX-14AS3-1626-SM-5S2OY 40-49 years, female 177.9
GTEX-X4EP-2926-SM-3P5YQ 60-69 years, female 176.8
GTEX-1NHNU-0926-SM-E9J2T 50-59 years, male 176.5
GTEX-U8XE-0826-SM-4E3J1 30-39 years, male 176.4
GTEX-ZQUD-1926-SM-51MSA 30-39 years, male 176.4
GTEX-1AMEY-1026-SM-718AA 30-39 years, female 176.1
GTEX-11I78-2226-SM-5PNYA 50-59 years, female 175.9
GTEX-ZVT2-1826-SM-5NQ8W 50-59 years, female 175.9
GTEX-14LLW-0626-SM-62LFC 70-79 years, female 174.9
GTEX-ZZ64-1226-SM-5E43R 20-29 years, male 174.7
GTEX-ZDYS-1126-SM-5K7UB 50-59 years, male 172.8
GTEX-1CB4J-1826-SM-7EWF9 60-69 years, male 171.8
GTEX-S4UY-0726-SM-4AD6X 40-49 years, female 170.6
GTEX-13O61-1826-SM-5KM4I 60-69 years, male 170.2
GTEX-UTHO-1026-SM-3GAF7 60-69 years, male 169.8
GTEX-V955-2026-SM-3GAFA 60-69 years, male 169.5
GTEX-18D9A-1526-SM-7LG4J 30-39 years, female 168.9
GTEX-XUZC-1626-SM-4BRVP 30-39 years, female 168.3
GTEX-1M4P7-2626-SM-E9U5F 60-69 years, male 167.6
GTEX-1QP9N-1826-SM-E8VMP 30-39 years, male 167.5
GTEX-117YX-1426-SM-5H12H 50-59 years, male 166.7
GTEX-1HSEH-2026-SM-ADEHN 60-69 years, male 166.5
GTEX-14PJ4-2126-SM-6ETZJ 60-69 years, male 165.8
GTEX-11TT1-2126-SM-5GU5Y 20-29 years, male 165.3
GTEX-1JJEA-2726-SM-ARL8V 60-69 years, male 164.9
GTEX-XGQ4-0926-SM-4AT4U 50-59 years, male 164.6
GTEX-R55D-0826-SM-48FEA 50-59 years, male 164.4
GTEX-14PHY-1926-SM-5YY95 60-69 years, female 163.9
GTEX-1GMR2-1926-SM-9MQLZ 50-59 years, male 163.2
GTEX-ZV6S-1826-SM-5NQ8D 40-49 years, female 163.1
GTEX-1RLM8-2226-SM-EVYD1 50-59 years, male 162.1
GTEX-TKQ1-0226-SM-33HB5 30-39 years, male 161.2
GTEX-Y114-2026-SM-4TT7L 50-59 years, female 161.0
GTEX-12KS4-0126-SM-5Q5A5 30-39 years, male 160.1
GTEX-1C6WA-2426-SM-7SB86 60-69 years, male 160.0
GTEX-14ABY-2126-SM-5QGQZ 50-59 years, male 159.6
GTEX-XOT4-0726-SM-4GIAW 60-69 years, female 159.6
GTEX-1MJK3-1126-SM-E9J3F 20-29 years, male 159.6
GTEX-13SLW-2526-SM-62LDQ 70-79 years, male 159.5
GTEX-132NY-0826-SM-5K7Y7 60-69 years, male 159.3
GTEX-U412-1826-SM-4DXTJ 60-69 years, male 159.3
GTEX-ZAB4-2526-SM-5HL8M 40-49 years, male 159.3
GTEX-145LT-0726-SM-5S2VM 40-49 years, male 159.1
GTEX-Y9LG-1426-SM-5IFJZ 30-39 years, male 159.1
GTEX-13QJ3-0826-SM-7DHKK 50-59 years, male 159.0
GTEX-14753-2426-SM-5LU8U 60-69 years, male 159.0
GTEX-1IKOH-2326-SM-CM2TW 60-69 years, female 158.6
GTEX-ZVT4-1026-SM-57WC4 50-59 years, female 158.5
GTEX-1HCU7-1026-SM-ADEIP 50-59 years, male 158.4
GTEX-SE5C-2126-SM-4BRUJ 40-49 years, female 157.6
GTEX-ZLWG-1926-SM-DO92J 50-59 years, female 157.6
GTEX-1PDJ9-1126-SM-EXUSW 20-29 years, male 157.4
GTEX-1JN6P-2426-SM-ARL99 60-69 years, male 156.9
GTEX-XMK1-1126-SM-4IHJ8 40-49 years, male 156.1
GTEX-1H1ZS-0126-SM-9YFKQ 70-79 years, male 155.8
GTEX-144GM-0926-SM-5O994 20-29 years, male 155.6
GTEX-1HC8U-0826-SM-ADEIL 40-49 years, female 155.3
GTEX-132AR-0826-SM-5EGK6 50-59 years, female 155.2
GTEX-15G19-2126-SM-6M48J 60-69 years, male 154.7
GTEX-17EVQ-0426-SM-7LG57 70-79 years, male 154.3
GTEX-1JJE9-2326-SM-ARL8Q 70-79 years, male 154.3
GTEX-1KANC-1426-SM-CYPT9 50-59 years, female 154.1
GTEX-11DXZ-1926-SM-5GZZL 50-59 years, male 153.9
GTEX-17MF6-0326-SM-7EPH5 40-49 years, male 153.2
GTEX-1JN1M-3026-SM-CMKGK 60-69 years, female 153.2
GTEX-1122O-1226-SM-5H113 60-69 years, female 152.4
GTEX-Y8LW-1626-SM-5IFHX 50-59 years, female 152.3
GTEX-13FHO-0826-SM-5L3E8 60-69 years, male 152.0
GTEX-1H1DG-0526-SM-9YFLN 70-79 years, male 151.9
GTEX-1S82U-1126-SM-E9U6I 30-39 years, female 151.9
GTEX-1211K-1926-SM-5EQLB 60-69 years, female 151.2
GTEX-1QP28-1226-SM-E9J2M 50-59 years, female 151.2
GTEX-13O3O-0826-SM-5K7WE 60-69 years, female 150.9
GTEX-Y8E4-1626-SM-5S2MW 40-49 years, male 150.8
GTEX-11ZTT-2326-SM-5EQLG 60-69 years, female 150.3
GTEX-11TUW-1826-SM-5BC5D 60-69 years, male 150.2
GTEX-ZGAY-1726-SM-DO91P 40-49 years, female 149.5
GTEX-145MN-1926-SM-5SIAI 30-39 years, male 149.4
GTEX-145ME-1526-SM-5Q5F2 40-49 years, female 149.1
GTEX-1QPFJ-2026-SM-EVYBE 30-39 years, female 149.1
GTEX-1P4AB-1826-SM-E76PU 50-59 years, male 148.9
GTEX-12BJ1-1826-SM-5HL9N 60-69 years, male 148.5
GTEX-16BQI-1026-SM-7KUEA 30-39 years, female 148.1
GTEX-1H23P-0726-SM-9WG7K 60-69 years, male 147.2
GTEX-14H4A-2526-SM-5YYAY 40-49 years, female 147.1
GTEX-XV7Q-2326-SM-4BRVZ 40-49 years, female 146.9
GTEX-133LE-1726-SM-5K7VQ 20-29 years, female 146.8
GTEX-YB5K-1626-SM-5IFIN 40-49 years, female 146.8
GTEX-1H1CY-2226-SM-9WG7E 60-69 years, female 146.8
GTEX-REY6-2426-SM-48FF5 60-69 years, male 146.6
GTEX-S4Q7-1126-SM-4AD6R 20-29 years, male 146.5
GTEX-WI4N-1426-SM-3LK7H 40-49 years, female 146.3
GTEX-WRHU-0326-SM-3MJFY 50-59 years, female 146.3
GTEX-12WSN-1326-SM-5GCNT 40-49 years, male 146.2
GTEX-ZQG8-0726-SM-5P9H9 60-69 years, female 146.2
GTEX-1HCU9-0326-SM-9WYSC 20-29 years, male 145.3
GTEX-14B4R-1226-SM-5TDDT 30-39 years, male 145.2
GTEX-T2IS-1526-SM-32QPR 20-29 years, female 145.2
GTEX-1NUQO-2226-SM-E9U68 20-29 years, female 144.7
GTEX-14ICK-2426-SM-6EU27 40-49 years, male 144.6
GTEX-1MA7W-1026-SM-DKPQK 20-29 years, female 144.5
GTEX-1HCVE-2626-SM-ADEJ8 50-59 years, male 144.2
GTEX-139TU-0626-SM-5KM3X 60-69 years, male 143.8
GTEX-14PKU-0426-SM-6EU1P 40-49 years, female 143.7
GTEX-1GZHY-0726-SM-9WG6B 50-59 years, female 143.6
GTEX-1AX9J-1126-SM-731B7 60-69 years, male 143.5
GTEX-1R9PN-0326-SM-DTX85 40-49 years, female 143.3
GTEX-XBED-1626-SM-47JYN 60-69 years, male 143.2
GTEX-Y5V6-2126-SM-4WWFX 60-69 years, male 143.2
GTEX-1HUB1-1626-SM-CM2SL 60-69 years, male 143.2
GTEX-R3RS-0626-SM-48FE1 40-49 years, female 143.1
GTEX-1HCUA-0726-SM-ACKVU 50-59 years, female 142.7
GTEX-11ZUS-0826-SM-5FQUY 30-39 years, male 142.6
GTEX-1IDFM-0426-SM-B2LVV 60-69 years, male 142.6
GTEX-Z9EW-1526-SM-EZ6LU 40-49 years, male 142.4
GTEX-1CAMR-1426-SM-793BO 20-29 years, male 142.0
GTEX-1C6VQ-0426-SM-79OOX 50-59 years, male 141.5
GTEX-YB5E-1726-SM-5IFJ3 40-49 years, male 141.2
GTEX-1192X-2326-SM-5987X 50-59 years, male 141.1
GTEX-TMMY-0726-SM-33HBE 40-49 years, female 141.1
GTEX-1B97J-0426-SM-79OLQ 50-59 years, female 140.9
GTEX-1I1GU-1026-SM-ADEHJ 40-49 years, male 140.9
GTEX-XQ3S-1326-SM-4BOPQ 20-29 years, male 140.4
GTEX-13FTW-1426-SM-5LZWZ 40-49 years, male 140.2
GTEX-1I4MK-1626-SM-CM2TJ 50-59 years, female 140.2
GTEX-13PVR-2226-SM-7DHKP 60-69 years, female 139.9
GTEX-1PPH7-0826-SM-E8VNX 40-49 years, male 139.8
GTEX-117XS-1926-SM-5GICO 60-69 years, male 139.7
GTEX-11LCK-2426-SM-5HL5F 30-39 years, male 139.6
GTEX-13CF3-2126-SM-5IFJP 60-69 years, female 139.5
GTEX-ZY6K-1626-SM-5GZWV 50-59 years, male 139.5
GTEX-1HFI7-0126-SM-CGQFQ 50-59 years, female 139.5
GTEX-ZEX8-2226-SM-57WC6 50-59 years, male 139.2
GTEX-QVJO-1826-SM-447C9 60-69 years, female 138.7
GTEX-15FZZ-0726-SM-7KUFZ 30-39 years, female 138.6
GTEX-131YS-0626-SM-5EGKL 60-69 years, female 138.5
GTEX-13NZ9-1026-SM-5MR5K 50-59 years, male 138.5
GTEX-1IDJF-2326-SM-ARL86 20-29 years, male 138.4
GTEX-1ICLY-1726-SM-B2LVT 50-59 years, male 138.1
GTEX-1JKYR-0926-SM-CMKGJ 20-29 years, male 138.1
GTEX-11ONC-2126-SM-5HL6E 60-69 years, male 137.9
GTEX-Y3I4-1526-SM-4TT7K 50-59 years, male 137.9
GTEX-15UF6-0126-SM-6PAMB 70-79 years, female 137.8
GTEX-13W3W-1226-SM-5LU4H 60-69 years, female 137.7
GTEX-ZF29-1926-SM-5S2P1 60-69 years, female 137.7
GTEX-Y5LM-1726-SM-4VDSX 40-49 years, female 137.2
GTEX-1GZ4H-0326-SM-7P8QX 50-59 years, female 137.2
GTEX-1GN1U-0526-SM-9KNTT 50-59 years, female 136.9
GTEX-16YQH-2826-SM-6PAMY 30-39 years, male 136.6
GTEX-17MFQ-0926-SM-7LG4S 20-29 years, male 136.6
GTEX-1GN2E-2226-SM-9WG6J 60-69 years, male 136.6
GTEX-1GZ2Q-2626-SM-7MXV9 40-49 years, male 136.6
GTEX-1JMQK-2626-SM-COH2W 60-69 years, male 136.4
GTEX-11GSP-0926-SM-9WYSG 60-69 years, female 136.3
GTEX-1QEPI-0926-SM-DTXF3 60-69 years, female 136.3
GTEX-QEL4-2126-SM-447AE 50-59 years, male 136.0
GTEX-1IE54-0626-SM-ARL8D 40-49 years, female 136.0
GTEX-XMD1-0826-SM-4AT52 60-69 years, male 135.9
GTEX-1RAZS-1226-SM-E8VMT 50-59 years, male 135.9
GTEX-1HCU8-0126-SM-ADEHH 60-69 years, female 135.7
GTEX-11GSO-1926-SM-5A5K3 60-69 years, male 135.4
GTEX-1I19N-2826-SM-CL55D 70-79 years, male 135.4
GTEX-14BMV-0626-SM-793AU 50-59 years, male 135.2
GTEX-15UF7-0726-SM-6M46D 40-49 years, male 135.0
GTEX-18A7B-2626-SM-7LG55 70-79 years, male 134.9
GTEX-WYJK-1326-SM-3NB2T 50-59 years, male 134.7
GTEX-X261-0626-SM-3NMD9 50-59 years, male 134.7
GTEX-1J8Q3-1326-SM-CMKI1 60-69 years, male 134.7
GTEX-1HT8W-2226-SM-CGQEC 30-39 years, male 134.6
GTEX-1ICG6-1326-SM-ACKWR 70-79 years, female 134.3
GTEX-13O3Q-2226-SM-5KM4O 50-59 years, male 134.1
GTEX-183FY-1126-SM-7DHLJ 20-29 years, male 134.1
GTEX-183WM-0726-SM-7LTAA 70-79 years, female 133.9
GTEX-12WSK-2226-SM-5GCO5 40-49 years, female 133.8
GTEX-17F96-2426-SM-7IGLN 70-79 years, male 133.8
GTEX-11DZ1-0326-SM-5N9BN 50-59 years, male 133.7
GTEX-17F98-0526-SM-79OK5 40-49 years, female 133.7
GTEX-ZLV1-1426-SM-DO92Z 60-69 years, female 133.6
GTEX-QDT8-0626-SM-48TYW 30-39 years, female 133.4
GTEX-1JKYN-0726-SM-ARZMY 30-39 years, male 133.4
GTEX-ZVZQ-0826-SM-51MRF 60-69 years, female 132.9
GTEX-ZAJG-0626-SM-5HL8X 50-59 years, female 132.8
GTEX-17HG3-0126-SM-7IGNH 30-39 years, female 132.7
GTEX-ZYT6-0126-SM-5E45J 30-39 years, male 132.7
GTEX-1CAMS-1426-SM-7IGPM 40-49 years, female 132.6
GTEX-WY7C-2726-SM-3NB3P 50-59 years, male 132.6
GTEX-11NSD-0926-SM-5N9DR 20-29 years, male 132.4
GTEX-17F9E-2526-SM-7MGW2 50-59 years, male 132.1
GTEX-17GQL-0326-SM-7LG5U 60-69 years, male 131.8
GTEX-1EN7A-1426-SM-7PBY4 40-49 years, male 131.8
GTEX-1QMI2-0726-SM-E9J4F 60-69 years, male 131.6
GTEX-11O72-2126-SM-5N9FO 40-49 years, male 131.4
GTEX-1C475-1226-SM-7SB72 40-49 years, female 131.4
GTEX-1LG7Z-0726-SM-CXKYD 30-39 years, male 131.4
GTEX-1JMOU-2026-SM-CMKGU 60-69 years, female 131.2
GTEX-1KAFJ-0226-SM-DIPEL 50-59 years, male 131.2
GTEX-1QCLZ-2326-SM-DTXDO 60-69 years, female 131.1
GTEX-131XW-0726-SM-5EGK3 50-59 years, female 131.0
GTEX-1A3MX-2726-SM-718B6 60-69 years, male 131.0
GTEX-18465-2026-SM-718AP 50-59 years, male 130.8
GTEX-ZXES-0826-SM-5E43C 30-39 years, female 130.8
GTEX-ZDTT-2126-SM-DKPOM 60-69 years, male 130.8
GTEX-145MF-2226-SM-7EPIR 50-59 years, male 130.5
GTEX-XUW1-2326-SM-4BOO5 50-59 years, female 130.5
GTEX-QMRM-1626-SM-D4P1U 50-59 years, male 130.5
GTEX-145MO-0826-SM-5NQBL 60-69 years, male 130.4
GTEX-S341-1526-SM-4AD6K 40-49 years, female 130.3
GTEX-1F5PL-1026-SM-7RHI1 40-49 years, female 130.3
GTEX-1GF9U-1726-SM-7MGY5 40-49 years, female 130.3
GTEX-11EQ9-1826-SM-5Q5AJ 30-39 years, male 130.0
GTEX-11PRG-0826-SM-5EQ6A 50-59 years, male 130.0
GTEX-1I6K6-0826-SM-ARL7Z 30-39 years, male 130.0
GTEX-1S82Z-0726-SM-E6CHX 30-39 years, female 130.0
GTEX-1OKEX-0826-SM-E9J2B 60-69 years, male 129.9
GTEX-YEC3-1026-SM-5IFI5 50-59 years, male 129.5
GTEX-15EOM-5019-SM-793DK 20-29 years, female 129.4
GTEX-S32W-2026-SM-4AD6E 50-59 years, female 129.4
GTEX-1J8Q2-2726-SM-A9G2X 60-69 years, male 129.4
GTEX-1C6VS-0726-SM-7EPHF 60-69 years, male 129.1
GTEX-X4XY-0926-SM-4E3JD 60-69 years, male 128.7
GTEX-XYKS-1326-SM-4BRUN 60-69 years, female 128.7
GTEX-1IKOE-1326-SM-CE6T6 30-39 years, female 128.5
GTEX-1B933-2526-SM-7IGO5 50-59 years, female 128.4
GTEX-Q2AG-0326-SM-48U1O 40-49 years, female 128.4
GTEX-13W46-0826-SM-5LU3H 50-59 years, male 128.2
GTEX-1B97I-0426-SM-79OL7 40-49 years, male 127.8
GTEX-1269C-2426-SM-5FQSN 60-69 years, female 127.5
GTEX-S4P3-1326-SM-4AD6V 50-59 years, female 127.5
GTEX-1HBPN-2326-SM-9WPPU 50-59 years, male 127.5
GTEX-1LSNM-1326-SM-E9TJ1 50-59 years, male 127.5
GTEX-11EMC-2026-SM-5A5JV 60-69 years, female 127.4
GTEX-ZZPU-0626-SM-5E43T 50-59 years, female 127.4
GTEX-1KXAM-1026-SM-CY8IA 60-69 years, male 127.4
GTEX-1PPGY-1526-SM-EVYBK 60-69 years, male 127.4
GTEX-11NV4-2026-SM-5N9DG 60-69 years, male 127.2
GTEX-1HSMO-0826-SM-ADEIV 60-69 years, male 127.2
GTEX-1RQEC-2026-SM-DTXDM 60-69 years, male 127.2
GTEX-X62O-0526-SM-EWRMA 50-59 years, male 127.2
GTEX-1CB4G-2326-SM-79OOI 60-69 years, male 126.8
GTEX-1GPI6-0626-SM-7RHHJ 60-69 years, male 126.7
GTEX-1I1GT-1126-SM-ARL7J 60-69 years, female 126.7
GTEX-1A3MV-1626-SM-731C1 30-39 years, male 126.4
GTEX-ZVE2-1226-SM-5NQ8R 50-59 years, male 126.4
GTEX-1LNCM-0226-SM-DIPF4 50-59 years, female 126.4
GTEX-1IDJE-0826-SM-CKZNZ 50-59 years, female 126.2
GTEX-WOFL-0826-SM-3MJG1 60-69 years, male 125.9
GTEX-14E6E-1326-SM-5S2NR 30-39 years, male 125.8
GTEX-RUSQ-2026-SM-4GIAK 50-59 years, male 125.8
GTEX-X15G-1626-SM-3NMB3 50-59 years, female 125.7
GTEX-18A6Q-0926-SM-7LG4N 60-69 years, male 125.4
GTEX-RWS6-1926-SM-47JXY 60-69 years, female 125.3
GTEX-1MA7X-1626-SM-E9U5B 60-69 years, male 125.3
GTEX-S7SE-0826-SM-4AT4D 50-59 years, male 125.0
GTEX-ZTTD-1026-SM-51MRD 50-59 years, male 125.0
GTEX-1F75I-2026-SM-7SB7N 40-49 years, male 124.9
GTEX-18A7A-0726-SM-7LTAI 50-59 years, female 124.8
GTEX-1GMRU-0826-SM-9WYT7 50-59 years, male 124.5
GTEX-ZAK1-1326-SM-EVYAS 50-59 years, female 124.4
GTEX-1MCYP-0126-SM-E6CIS 20-29 years, female 124.3
GTEX-1C64O-0726-SM-7DUFU 60-69 years, male 124.2
GTEX-1F75B-0626-SM-7SB8A 50-59 years, male 124.1
GTEX-1GF9V-2526-SM-7SB8K 60-69 years, male 124.1
GTEX-1H11D-1526-SM-9MQJY 40-49 years, male 124.0
GTEX-UJHI-1426-SM-3DB9C 50-59 years, female 123.8
GTEX-VUSG-2226-SM-4KKZO 50-59 years, male 123.7
GTEX-1K2DA-1726-SM-CGQGS 50-59 years, male 123.7
GTEX-1JMPY-0526-SM-CL54O 30-39 years, male 123.6
GTEX-169BO-1126-SM-7MGWN 50-59 years, male 123.5
GTEX-18A66-1726-SM-7LG5N 60-69 years, male 123.5
GTEX-17JCI-0726-SM-7EPH1 60-69 years, female 123.4
GTEX-RU1J-0626-SM-4WAWY 20-29 years, female 123.4
GTEX-17HHE-1426-SM-7EPH4 50-59 years, male 123.2
GTEX-1QP29-1726-SM-E8VMQ 50-59 years, male 123.2
GTEX-XMD2-0926-SM-4WWEF 60-69 years, female 123.1
GTEX-11WQC-1726-SM-5GU4W 60-69 years, male 122.9
GTEX-1KD5A-1926-SM-DKPQA 50-59 years, male 122.8
GTEX-11DXY-2326-SM-5GICW 60-69 years, male 122.7
GTEX-1LVAN-1326-SM-CNPQE 50-59 years, female 122.5
GTEX-1LSVX-2426-SM-E6CJX 60-69 years, male 122.3
GTEX-13FTX-1126-SM-5N9EN 20-29 years, female 121.6
GTEX-1R7EU-1226-SM-E8VMR 60-69 years, male 121.5
GTEX-1J8QM-2026-SM-ARZMW 60-69 years, female 121.4
GTEX-ZYFC-0826-SM-5E44K 50-59 years, male 121.2
GTEX-1E2YA-2726-SM-7IGPW 50-59 years, male 121.1
GTEX-1IOXB-1926-SM-ARL8E 50-59 years, male 121.1
GTEX-T5JC-2126-SM-32PMO 20-29 years, male 120.9
GTEX-RU72-0626-SM-46MUI 50-59 years, female 120.8
GTEX-U3ZN-1926-SM-4DXSG 30-39 years, female 120.7
GTEX-WFG8-2026-SM-EXOHO 20-29 years, male 120.7
GTEX-144GL-2026-SM-5LU3O 50-59 years, male 120.6
GTEX-14E7W-0826-SM-62LEJ 70-79 years, male 120.5
GTEX-Y3IK-2326-SM-4WWDT 50-59 years, female 120.5
GTEX-13NZ8-0126-SM-5IJCT 60-69 years, female 120.2
GTEX-1QCLY-1626-SM-DTXDW 30-39 years, male 120.2
GTEX-12WSM-1726-SM-5BC6J 60-69 years, male 120.1
GTEX-1POEN-0926-SM-DTX88 30-39 years, female 119.8
GTEX-WHSB-1926-SM-EXOHH 50-59 years, male 119.8
GTEX-1R46S-2526-SM-E8VN2 60-69 years, female 119.7
GTEX-Y5V5-2126-SM-4WWFO 60-69 years, female 119.6
GTEX-T6MO-0326-SM-32QOK 40-49 years, female 119.5
GTEX-ZTX8-1226-SM-4YCE9 20-29 years, male 119.4
GTEX-1IGQW-0926-SM-ADEH6 60-69 years, male 119.4
GTEX-17F97-2526-SM-7EWDV 50-59 years, male 119.3
GTEX-WYBS-0926-SM-3NM94 60-69 years, female 119.3
GTEX-1A8G7-2426-SM-731AK 60-69 years, male 118.8
GTEX-1AX9I-0726-SM-73KWV 60-69 years, male 118.8
GTEX-1LBAC-0926-SM-CXKY9 20-29 years, male 118.7
GTEX-13FTY-2226-SM-5J1ND 40-49 years, female 118.4
GTEX-13NZB-2126-SM-5MR4Y 30-39 years, male 118.3
GTEX-15RJE-2626-SM-7KFT1 40-49 years, male 118.3
GTEX-17EUY-1926-SM-7DUF6 20-29 years, male 118.3
GTEX-1GN1W-1926-SM-7P8TH 50-59 years, female 118.2
GTEX-1MCC2-2126-SM-EWRON 30-39 years, female 118.2
GTEX-17HGU-1326-SM-79OKB 50-59 years, male 118.1
GTEX-1I1GV-2426-SM-CGQFM 60-69 years, male 117.4
GTEX-14A5I-0726-SM-5TDEB 50-59 years, female 117.2
GTEX-ZU9S-1926-SM-5NQBP 30-39 years, male 117.2
GTEX-1CB4E-0226-SM-79OLW 60-69 years, male 117.1
GTEX-13CF2-2026-SM-5K7VI 60-69 years, male 117.0
GTEX-1313W-0826-SM-5EQ4T 50-59 years, female 116.8
GTEX-12ZZX-1126-SM-5EGKB 40-49 years, female 116.7
GTEX-T5JW-2026-SM-4DM63 20-29 years, female 116.7
GTEX-YECK-0726-SM-EZ6LV 60-69 years, male 116.7
GTEX-1QW4Y-1026-SM-DTXE2 30-39 years, male 116.6
GTEX-1GPI7-0926-SM-7PC3J 20-29 years, male 116.3
GTEX-ZPIC-1126-SM-5BC7F 40-49 years, female 116.2
GTEX-17KNJ-2026-SM-7LG53 50-59 years, male 116.1
GTEX-1I1HK-2426-SM-ADEHX 60-69 years, male 115.8
GTEX-18QFQ-0826-SM-718AX 30-39 years, male 115.6
GTEX-1JMLX-2026-SM-CMKGN 50-59 years, male 115.5
GTEX-1JMPZ-1626-SM-COH31 30-39 years, male 115.4
GTEX-14BMU-1626-SM-5TDE7 20-29 years, female 115.3
GTEX-ZTPG-2826-SM-57WGA 20-29 years, female 115.3
GTEX-11OF3-1926-SM-59889 60-69 years, male 115.0
GTEX-WXYG-2226-SM-4E3IM 50-59 years, female 115.0
GTEX-1MJK2-2226-SM-EVYCR 50-59 years, male 114.9
GTEX-1EKGG-2626-SM-7IGPY 60-69 years, male 114.8
GTEX-16NGA-0826-SM-718AF 40-49 years, female 114.6
GTEX-1HR98-0426-SM-COH36 60-69 years, male 114.3
GTEX-1N2EE-2126-SM-E8VNN 60-69 years, male 114.3
GTEX-1K9T9-1426-SM-DIPFQ 50-59 years, female 113.8
GTEX-146FH-0826-SM-5SI8T 50-59 years, female 113.6
GTEX-15SHW-1326-SM-6PAL8 60-69 years, male 113.4
GTEX-1IKJJ-2326-SM-COH3U 60-69 years, male 113.3
GTEX-1HR9M-2426-SM-ACKXI 60-69 years, male 113.1
GTEX-147F4-2826-SM-5NQBN 50-59 years, male 112.8
GTEX-1AX8Z-0926-SM-731AW 60-69 years, male 112.7
GTEX-1I6K7-1026-SM-A9SLK 40-49 years, male 112.6
GTEX-S33H-0326-SM-4AD6N 30-39 years, male 112.4
GTEX-1IDJH-2226-SM-E6CJV 70-79 years, male 111.8
GTEX-1LVAM-0926-SM-E9TJ2 50-59 years, female 111.6
GTEX-1M5QR-2526-SM-E9U5P 40-49 years, male 111.5
GTEX-13PL6-2926-SM-5L3I2 40-49 years, female 111.3
GTEX-17EVP-0226-SM-79OND 40-49 years, male 110.8
GTEX-TML8-1226-SM-32QON 40-49 years, female 110.8
GTEX-1EWIQ-1726-SM-7SB7T 70-79 years, female 110.7
GTEX-11EI6-0626-SM-5985T 60-69 years, male 110.4
GTEX-1H4P4-2226-SM-9MQKQ 50-59 years, male 110.4
GTEX-ZF3C-2326-SM-5S2NC 50-59 years, female 110.4
GTEX-111YS-1926-SM-5GICC 60-69 years, male 110.2
GTEX-1RAZQ-1226-SM-EWRNL 30-39 years, male 110.2
GTEX-1HBPM-0126-SM-ARL9E 60-69 years, female 110.0
GTEX-1LGRB-1826-SM-CNPQL 50-59 years, female 109.8
GTEX-W5X1-2326-SM-3GIL6 40-49 years, female 109.4
GTEX-13113-5013-SM-7SB7G 60-69 years, female 109.3
GTEX-13OW8-0226-SM-5K7UP 60-69 years, male 109.2
GTEX-ZDXO-0126-SM-5S2ND 60-69 years, male 108.9
GTEX-1NV8Z-2826-SM-E8VME 60-69 years, male 108.9
GTEX-QEG5-0726-SM-D4P1T 20-29 years, male 108.9
GTEX-ZV7C-1826-SM-5NQ83 50-59 years, male 108.8
GTEX-1LC47-1226-SM-D4P44 60-69 years, male 108.8
GTEX-11P7K-0726-SM-5EGKX 30-39 years, male 108.7
GTEX-1GF9X-1026-SM-ACKX2 40-49 years, female 108.3
GTEX-T2YK-2226-SM-32QPT 50-59 years, male 108.1
GTEX-ZUA1-1526-SM-59HLS 40-49 years, male 108.0
GTEX-1KANA-2026-SM-DIPFB 20-29 years, male 108.0
GTEX-139T8-0826-SM-5L3DE 60-69 years, male 107.9
GTEX-1N5O9-1126-SM-DTXEQ 60-69 years, male 107.2
GTEX-1BAJH-0826-SM-7EWEF 70-79 years, male 107.1
GTEX-11EM3-1326-SM-5N9C6 20-29 years, female 107.0
GTEX-Y111-2026-SM-4SOJA 50-59 years, male 106.9
GTEX-1B8KE-1226-SM-73KWK 50-59 years, male 106.4
GTEX-11GS4-2126-SM-5A5KR 60-69 years, male 106.3
GTEX-R53T-1526-SM-48FEK 50-59 years, female 106.2
GTEX-1H3VY-0926-SM-ACKXE 50-59 years, male 106.2
GTEX-YJ8O-2226-SM-5IFHW 40-49 years, female 106.0
GTEX-YFC4-1426-SM-5IFJG 40-49 years, female 105.7
GTEX-ZWKS-2826-SM-5NQ74 30-39 years, male 105.6
GTEX-WYVS-1726-SM-3NMAY 40-49 years, female 105.2
GTEX-1B932-0826-SM-73KXG 40-49 years, female 104.9
GTEX-TKQ2-1826-SM-33HB2 50-59 years, male 104.5
GTEX-UPK5-2326-SM-3P5Z8 40-49 years, male 104.2
GTEX-1R9PM-1826-SM-EVYBH 20-29 years, male 103.8
GTEX-VJWN-0726-SM-3GIJ8 50-59 years, female 103.7
GTEX-1B8L1-2426-SM-9WYTE 60-69 years, male 103.7
GTEX-17HHY-0926-SM-793C1 50-59 years, male 103.6
GTEX-13N11-1726-SM-5J1OJ 50-59 years, female 103.3
GTEX-11DXW-0626-SM-5N9ER 40-49 years, male 102.9
GTEX-1F6I4-2526-SM-7SB8F 60-69 years, male 102.9
GTEX-1HSGN-1526-SM-A9SMO 40-49 years, female 102.7
GTEX-1J8EW-2626-SM-CL53E 60-69 years, female 102.4
GTEX-15ETS-0626-SM-7KUMX 40-49 years, female 102.1
GTEX-ZC5H-2626-SM-5J2MG 40-49 years, female 101.9
GTEX-1HKZK-1826-SM-ADEJ2 40-49 years, male 101.3
GTEX-1GMR3-2626-SM-7RHHG 40-49 years, male 100.9
GTEX-1H1E6-0926-SM-9YFLT 30-39 years, male 100.9
GTEX-13VXU-2826-SM-664MA 50-59 years, male 100.3
GTEX-1117F-2826-SM-5GZXL 60-69 years, female 100.0
GTEX-ZVTK-0326-SM-51MRR 20-29 years, male 99.8
GTEX-T6MN-0726-SM-32PML 50-59 years, male 99.5
GTEX-WFON-1826-SM-3GILG 40-49 years, male 99.2
GTEX-U3ZH-1426-SM-4DXSR 30-39 years, male 99.1
GTEX-13QIC-2326-SM-5LU5N 60-69 years, female 98.9
GTEX-15ER7-1626-SM-6PAMZ 20-29 years, female 98.6
GTEX-1JK1U-1826-SM-ARL8W 60-69 years, male 98.5
GTEX-1B8KZ-1526-SM-7DUG7 50-59 years, male 98.1
GTEX-1GMR8-0726-SM-9KNVI 50-59 years, female 97.3
GTEX-1GZ4I-2826-SM-9MQK5 50-59 years, male 97.3
GTEX-11P81-1926-SM-5BC53 30-39 years, female 96.5
GTEX-1EU9M-2826-SM-7EWFH 60-69 years, male 96.1
GTEX-1LSNL-2826-SM-E9U5L 50-59 years, male 95.2
GTEX-1314G-1226-SM-5BC6D 30-39 years, male 90.0
GTEX-ZF2S-2026-SM-5E461 50-59 years, female 89.9
GTEX-1IY9M-2726-SM-CMKG5 60-69 years, male 89.9
GTEX-1KD4Q-2326-SM-D4P3M 40-49 years, male 89.9
GTEX-1F75A-1826-SM-7SB8G 50-59 years, male 89.6
GTEX-13OW5-2226-SM-5L3HC 60-69 years, male 88.9
GTEX-1HSKV-2026-SM-CMKGX 60-69 years, male 81.8
Show allShow less

BREAST - FANTOM5 CAGEi

RNA expression in human tissues obtained through Cap Analysis of Gene Expression (CAGE) generated by the FANTOM5 project are reported as Scaled Tags Per Million.

Max subtype Scaled Tags Per Millioni

Max subtype Scaled Tags Per Million is the value for the subtype with the largest average Scaled Tags Per Million across the subtype samples.

111.4
FANTOM5 sample id Sample description Scaled Tags Per Million
Breast
Scaled Tags Per Million: 111.4
FF:10080-102A8 77 years, female 111.4

Contact

  • NEWS ARTICLES
  • PRESS ROOM

The Project

  • INTRODUCTION
  • ORGANIZATION
  • PUBLICATIONS

The Human Protein Atlas

  • DOWNLOADABLE DATA
  • LICENCE & CITATION
  • HELP & FAQ
The Human Protein Atlas project is funded
by the Knut & Alice Wallenberg Foundation.


contact@proteinatlas.org