We use cookies to enhance the usability of our website. If you continue, we'll assume that you are happy to receive all cookies. More information. Don't show this again.
ARHGDIA
HPA
RESOURCES
  • TISSUE
  • BRAIN
  • SINGLE CELL
  • SUBCELLULAR
  • CANCER
  • BLOOD
  • CELL LINE
  • STRUCTURE & INTERACTION
ABOUT
  • INTRODUCTION
  • HISTORY
  • ORGANIZATION
  • PUBLICATIONS
  • ANTIBODY SUBMISSION
  • ANTIBODY AVAILABILITY
  • ACKNOWLEDGMENTS
  • CONTACT
NEWS
  • NEWS ARTICLES
  • PRESS ROOM
LEARN
  • DICTIONARY
  • PROTEIN CLASSES
  • PROTEIN EVIDENCE
  • METHODS
  • EDUCATIONAL VIDEOS
DATA
  • DOWNLOADABLE DATA
  • PUBLICATION DATA
  • RELEASE HISTORY
HELP
  • ANTIBODY VALIDATION
  • ASSAYS & ANNOTATION
  • DISCLAIMER
  • HELP & FAQ
  • PRIVACY STATEMENT
  • LICENCE & CITATION
Fields »
Search result

Field
Term
Gene name
Class
Subclass
Class
Keyword
Chromosome
External id
Tissue
Cell type
Expression
Antibody panel
Tissue
Main location
Patient ID
Annotation
Tissue
Category
Tau score
Cluster
Reliability
Brain region
Category
Tau score
Brain region
Category
Tau score
Brain region
Category
Tau score
Cluster
Reliability
Tissue
Cell type
Enrichment
Cell type
Category
Tau score
Cell type
Category
Tau score
Cell type
Category
Tau score
Cell lineage
Category
Tau score
Cluster
Cluster
Location
Searches
Location
Cell line
Class
Type
Phase
Reliability
Cancer
Prognosis
Cancer
Category
Cancer
Category
Tau score
Cluster
Variants
Interacting gene (ensg_id)
Type
Number of interactions
Pathway
Category
Score
Score
Score
Validation
Validation
Validation
Validation
Antibodies
Data type
Column


  • SUMMARY

  • TISSUE

  • BRAIN

  • SINGLE CELL

  • SUBCELL

  • CANCER

  • BLOOD

  • CELL LINE

  • STRUCT & INT

  • ARHGDIA
TISSUE PRIMARY DATA BREAST Show tissue menu
ADIPOSE TISSUE ADRENAL GLAND AMYGDALA APPENDIX BASAL GANGLIA BONE MARROW BREAST BRONCHUS CEREBELLUM CEREBRAL CORTEX CERVIX CHOROID PLEXUS COLON DUODENUM
ENDOMETRIUM EPIDIDYMIS ESOPHAGUS FALLOPIAN TUBE GALLBLADDER HEART MUSCLE HIPPOCAMPAL FORMATION HYPOTHALAMUS KIDNEY LIVER LUNG LYMPH NODE MIDBRAIN NASOPHARYNX
ORAL MUCOSA OVARY PANCREAS PARATHYROID GLAND PITUITARY GLAND PLACENTA PROSTATE RECTUM RETINA SALIVARY GLAND SEMINAL VESICLE SKELETAL MUSCLE SKIN SMALL INTESTINE
SMOOTH MUSCLE SOFT TISSUE SPINAL CORD SPLEEN STOMACH TESTIS THYMUS THYROID GLAND TONGUE TONSIL URINARY BLADDER VAGINA
ANTIBODIES
AND
VALIDATION
Dictionary
Breast
Tissue proteome
Breast
BREAST - Expression summary
Protein expression
Breasti

On the top, protein expression in current human tissue, based on all annotated cell types, is reported with the units not detected (n), low (l), medium (m) and high (h). Underneath, protein expression in each annotated cell type are reported using the same units.

Protein expression data is based on knowledge-based annotation. For genes where more than one antibody has been used, a collective score is set.

If knowledge-based annotation could not be performed for a gene, no data is displayed here. View antibody staining data further down this page.

h
m
l
n
Adipocytes: Medium
Glandular cells: Medium
Myoepithelial cells: Low
RNA expressioni

A summary of mRNA expression data available for current tissue based on several datasets. The mRNA expression levels in human tissues are based on RNA-seq data generated by the Human Protein Atlas (HPA), Genotype-Tissue Expression (GTEx) portal and CAGE data generated by the FANTOM5 consortium. Consensus normalized expression levels for human tissues was created by combining the data from HPA and GTEx datasets.

The mRNA expression levels in pig are based on RNA-seq data generated by the Human Protein Atlas (HPA), and for mouse, HPA data and in situ hybridization generated by the Allen brain atlas are reported.

Scroll down to view mRNA expression data in more detail.
Consensus:220.2 nTPM
HPA:39.2 nTPM
GTEx:220.2 nTPM
FANTOM5:192.9 Scaled Tags Per Million

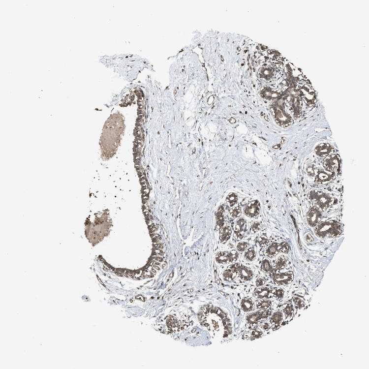
BREAST - Antibody stainingi

Antibody staining in the annotated cell types in the current human tissue is reported as not detected, low, medium, or high, based on conventional immunohistochemistry profiling in selected tissues. This score is based on the combination of the staining intensity and fraction of stained cells.

Each image is clickable and will lead to virtual microscopy that enables deeper exploration of all samples and also displays staining intensity scores, fraction scores and subcellular localization as well as patient and tissue information for each sample.

Antibody HPA021407Antibody CAB010005
Adipocytes MediumMedium
Glandular cells MediumMedium
Myoepithelial cells MediumLow





BREAST - HPA RNA-seqi

The RNA-seq details section shows detailed information about the individual samples used for the transcript profiling and results of the RNA-seq analysis.

Information about each individual sample is listed below, including gender, age, a tissue section image and estimated fractions of cell types. nTPM (normalized transcripts per million) values give a quantification of the gene abundance which is comparable between different genes and samples.
Average nTPMi

Max subtype nTPM is the value for the subtype with the largest average nTPM across the subtype samples.

39.2
overview
Female, age 52
Breast sample 373
nTPM: 52.6
Cell types%
Glandular cells:
15

Adipocytes:
5

Other cell types:
80

overview
Female, age 80
Breast sample 390
nTPM: 54.5
Cell types%
Glandular cells:
5

Adipocytes:
15

Other cell types:
80

overview
Female, age 47
Breast sample 405
nTPM: 32.5
Cell types%
Glandular cells:
5

Adipocytes:
5

Other cell types:
90

overview
Female, age 38
Breast sample 410
nTPM: 17.3
Cell types%
Glandular cells:
40

Adipocytes:
5

Other cell types:
55


BREAST - GTEx RNA-seqi

RNA-Seq data generated by the Genotype-Tissue Expression (GTEx) project from human tissues is reported as mean nTPM. More information can be found on the GTEx portal.

Distribution across the dataset is visualized with box plots, shown as median and 25th and 75th percentiles. Points are displayed as outliers if they are above or below 1.5 times the interquartile range. nTPM values of the individual samples are presented next to the box plot.
Max subtype nTPMi

Max subtype nTPM is the value for the subtype with the largest average nTPM across the subtype samples.

220.2
GTEx sample id Sample description nTPM
Breast - Mammary Tissue
Average nTPM: 220.2
Samples: 459

Max nTPM: 635.0
Min nTPM: 74.0
Std nTPM: 80.7
Median nTPM: 206.6
GTEX-1N2EF-2226-SM-E9J33 60-69 years, male 635.0
GTEX-11P82-1326-SM-5HL62 20-29 years, male 609.8
GTEX-13PVQ-1026-SM-5KM3M 50-59 years, male 479.6
GTEX-REY6-2426-SM-48FF5 60-69 years, male 475.7
GTEX-1ICLY-1726-SM-B2LVT 50-59 years, male 472.1
GTEX-1JN1M-3026-SM-CMKGK 60-69 years, female 463.8
GTEX-1R7EV-1526-SM-E8VOD 40-49 years, male 459.7
GTEX-13S86-1226-SM-5S2OA 40-49 years, male 445.8
GTEX-11WQK-2426-SM-5GU5C 50-59 years, male 436.2
GTEX-1H23P-0726-SM-9WG7K 60-69 years, male 433.7
GTEX-14E6C-1326-SM-62LEQ 40-49 years, male 431.6
GTEX-U8XE-0826-SM-4E3J1 30-39 years, male 430.3
GTEX-11DZ1-0326-SM-5N9BN 50-59 years, male 428.4
GTEX-ZT9W-2026-SM-51MRA 50-59 years, male 426.8
GTEX-11TUW-1826-SM-5BC5D 60-69 years, male 415.8
GTEX-ZLFU-2126-SM-DO931 40-49 years, male 413.2
GTEX-11TT1-2126-SM-5GU5Y 20-29 years, male 398.5
GTEX-13CF3-2126-SM-5IFJP 60-69 years, female 397.1
GTEX-1ICLZ-0426-SM-B2LW2 60-69 years, male 397.0
GTEX-S32W-2026-SM-4AD6E 50-59 years, female 372.4
GTEX-14PN4-0626-SM-62LFP 50-59 years, male 367.4
GTEX-1L5NE-2126-SM-CY8IH 50-59 years, male 366.5
GTEX-1I1GP-0426-SM-COH3N 50-59 years, male 363.9
GTEX-ZA64-1526-SM-5CVMD 20-29 years, male 363.7
GTEX-13N1W-0626-SM-5MR4U 70-79 years, male 361.9
GTEX-14PJ4-2126-SM-6ETZJ 60-69 years, male 361.2
GTEX-14753-2426-SM-5LU8U 60-69 years, male 358.1
GTEX-1HSMO-0826-SM-ADEIV 60-69 years, male 352.9
GTEX-13O3O-0826-SM-5K7WE 60-69 years, female 351.0
GTEX-14PJO-0726-SM-69LO8 60-69 years, male 349.7
GTEX-1M4P7-2626-SM-E9U5F 60-69 years, male 347.7
GTEX-1MJK3-1126-SM-E9J3F 20-29 years, male 347.0
GTEX-1IDFM-0426-SM-B2LVV 60-69 years, male 346.7
GTEX-1I1GU-1026-SM-ADEHJ 40-49 years, male 343.8
GTEX-RUSQ-2026-SM-4GIAK 50-59 years, male 341.4
GTEX-17GQL-0326-SM-7LG5U 60-69 years, male 340.4
GTEX-1HSEH-2026-SM-ADEHN 60-69 years, male 338.4
GTEX-1HCU8-0126-SM-ADEHH 60-69 years, female 337.6
GTEX-13QJ3-0826-SM-7DHKK 50-59 years, male 335.3
GTEX-1H1DG-0526-SM-9YFLN 70-79 years, male 334.4
GTEX-ZDYS-1126-SM-5K7UB 50-59 years, male 334.3
GTEX-X261-0626-SM-3NMD9 50-59 years, male 329.2
GTEX-X4XY-0926-SM-4E3JD 60-69 years, male 327.0
GTEX-13O61-1826-SM-5KM4I 60-69 years, male 325.2
GTEX-ZYW4-0826-SM-5GIDG 60-69 years, male 324.9
GTEX-1RLM8-2226-SM-EVYD1 50-59 years, male 323.3
GTEX-1ICG6-1326-SM-ACKWR 70-79 years, female 323.1
GTEX-13O3Q-2226-SM-5KM4O 50-59 years, male 322.4
GTEX-144GM-0926-SM-5O994 20-29 years, male 320.5
GTEX-1GF9U-1726-SM-7MGY5 40-49 years, female 317.8
GTEX-1H1ZS-0126-SM-9YFKQ 70-79 years, male 317.2
GTEX-1IDJF-2326-SM-ARL86 20-29 years, male 315.2
GTEX-ZLWG-1926-SM-DO92J 50-59 years, female 314.3
GTEX-1C6VQ-0426-SM-79OOX 50-59 years, male 312.7
GTEX-TKQ1-0226-SM-33HB5 30-39 years, male 312.3
GTEX-R55D-0826-SM-48FEA 50-59 years, male 311.3
GTEX-1A3MX-2726-SM-718B6 60-69 years, male 309.9
GTEX-139T6-1626-SM-5PNYZ 50-59 years, male 309.4
GTEX-17EVQ-0426-SM-7LG57 70-79 years, male 307.6
GTEX-YFCO-1826-SM-4W1YH 40-49 years, male 307.6
GTEX-1CAMR-1426-SM-793BO 20-29 years, male 305.8
GTEX-Y8E4-1626-SM-5S2MW 40-49 years, male 304.9
GTEX-PSDG-1626-SM-48TCQ 50-59 years, male 304.2
GTEX-Y9LG-1426-SM-5IFJZ 30-39 years, male 304.1
GTEX-11ZTT-2326-SM-5EQLG 60-69 years, female 303.8
GTEX-12WSN-1326-SM-5GCNT 40-49 years, male 303.8
GTEX-11O72-2126-SM-5N9FO 40-49 years, male 303.6
GTEX-1IGQW-0926-SM-ADEH6 60-69 years, male 303.3
GTEX-S4Q7-1126-SM-4AD6R 20-29 years, male 303.1
GTEX-1HCU7-1026-SM-ADEIP 50-59 years, male 303.1
GTEX-ZZ64-1226-SM-5E43R 20-29 years, male 303.0
GTEX-17MF6-0326-SM-7EPH5 40-49 years, male 302.4
GTEX-1IOXB-1926-SM-ARL8E 50-59 years, male 302.0
GTEX-15EOM-5019-SM-793DK 20-29 years, female 301.5
GTEX-145MO-0826-SM-5NQBL 60-69 years, male 301.3
GTEX-XQ8I-2426-SM-4WAXY 50-59 years, male 300.9
GTEX-1PPGY-1526-SM-EVYBK 60-69 years, male 300.1
GTEX-1JN6P-2426-SM-ARL99 60-69 years, male 298.0
GTEX-1117F-2826-SM-5GZXL 60-69 years, female 297.4
GTEX-12BJ1-1826-SM-5HL9N 60-69 years, male 296.9
GTEX-17F97-2526-SM-7EWDV 50-59 years, male 295.9
GTEX-XGQ4-0926-SM-4AT4U 50-59 years, male 293.7
GTEX-Y5V6-2126-SM-4WWFX 60-69 years, male 293.7
GTEX-14E6E-1326-SM-5S2NR 30-39 years, male 291.5
GTEX-XYKS-1326-SM-4BRUN 60-69 years, female 290.7
GTEX-SE5C-2126-SM-4BRUJ 40-49 years, female 288.5
GTEX-1JMOU-2026-SM-CMKGU 60-69 years, female 287.3
GTEX-11EQ9-1826-SM-5Q5AJ 30-39 years, male 282.6
GTEX-ZVT4-1026-SM-57WC4 50-59 years, female 281.9
GTEX-1I6K6-0826-SM-ARL7Z 30-39 years, male 281.7
GTEX-ZQG8-0726-SM-5P9H9 60-69 years, female 281.6
GTEX-11I78-2226-SM-5PNYA 50-59 years, female 279.3
GTEX-14B4R-1226-SM-5TDDT 30-39 years, male 278.8
GTEX-13W46-0826-SM-5LU3H 50-59 years, male 278.7
GTEX-12KS4-0126-SM-5Q5A5 30-39 years, male 278.0
GTEX-1QP9N-1826-SM-E8VMP 30-39 years, male 276.5
GTEX-14ICK-2426-SM-6EU27 40-49 years, male 272.7
GTEX-1F5PK-2126-SM-7PC28 50-59 years, male 271.6
GTEX-1KANC-1426-SM-CYPT9 50-59 years, female 270.4
GTEX-14PKU-0426-SM-6EU1P 40-49 years, female 270.1
GTEX-S7SE-0826-SM-4AT4D 50-59 years, male 270.0
GTEX-1HBPM-0126-SM-ARL9E 60-69 years, female 269.9
GTEX-YEC3-1026-SM-5IFI5 50-59 years, male 269.7
GTEX-1NHNU-0926-SM-E9J2T 50-59 years, male 269.6
GTEX-13VXU-2826-SM-664MA 50-59 years, male 269.2
GTEX-1211K-1926-SM-5EQLB 60-69 years, female 266.1
GTEX-ZTTD-1026-SM-51MRD 50-59 years, male 264.0
GTEX-ZQUD-1926-SM-51MSA 30-39 years, male 263.7
GTEX-1IDJH-2226-SM-E6CJV 70-79 years, male 263.4
GTEX-15UF7-0726-SM-6M46D 40-49 years, male 263.3
GTEX-WOFL-0826-SM-3MJG1 60-69 years, male 261.2
GTEX-1HFI7-0126-SM-CGQFQ 50-59 years, female 260.8
GTEX-12WSM-1726-SM-5BC6J 60-69 years, male 259.5
GTEX-13FTW-1426-SM-5LZWZ 40-49 years, male 259.3
GTEX-YB5E-1726-SM-5IFJ3 40-49 years, male 258.8
GTEX-1LC47-1226-SM-D4P44 60-69 years, male 258.8
GTEX-14DAR-1326-SM-7DUEG 50-59 years, male 258.5
GTEX-132AR-0826-SM-5EGK6 50-59 years, female 257.4
GTEX-1PPH7-0826-SM-E8VNX 40-49 years, male 257.3
GTEX-11DXY-2326-SM-5GICW 60-69 years, male 257.2
GTEX-18A7B-2626-SM-7LG55 70-79 years, male 256.4
GTEX-ZWKS-2826-SM-5NQ74 30-39 years, male 255.0
GTEX-14PHY-1926-SM-5YY95 60-69 years, female 254.2
GTEX-XV7Q-2326-SM-4BRVZ 40-49 years, female 253.0
GTEX-13D11-1026-SM-5IJFB 50-59 years, female 250.1
GTEX-1CB4J-1826-SM-7EWF9 60-69 years, male 249.8
GTEX-1R46S-2526-SM-E8VN2 60-69 years, female 249.1
GTEX-ZAB4-2526-SM-5HL8M 40-49 years, male 248.9
GTEX-117YX-1426-SM-5H12H 50-59 years, male 248.4
GTEX-16BQI-1026-SM-7KUEA 30-39 years, female 248.4
GTEX-1PDJ9-1126-SM-EXUSW 20-29 years, male 248.4
GTEX-14AS3-1626-SM-5S2OY 40-49 years, female 248.2
GTEX-ZY6K-1626-SM-5GZWV 50-59 years, male 247.7
GTEX-132NY-0826-SM-5K7Y7 60-69 years, male 247.1
GTEX-1E2YA-2726-SM-7IGPW 50-59 years, male 246.7
GTEX-ZDXO-0126-SM-5S2ND 60-69 years, male 246.4
GTEX-1S82Z-0726-SM-E6CHX 30-39 years, female 246.0
GTEX-15G19-2126-SM-6M48J 60-69 years, male 245.4
GTEX-XMD2-0926-SM-4WWEF 60-69 years, female 245.1
GTEX-ZV6S-1826-SM-5NQ8D 40-49 years, female 244.4
GTEX-145MF-2226-SM-7EPIR 50-59 years, male 244.1
GTEX-1AMEY-1026-SM-718AA 30-39 years, female 244.1
GTEX-1R9PN-0326-SM-DTX85 40-49 years, female 243.9
GTEX-13OW8-0226-SM-5K7UP 60-69 years, male 243.7
GTEX-11OF3-1926-SM-59889 60-69 years, male 243.6
GTEX-ZYFC-0826-SM-5E44K 50-59 years, male 243.4
GTEX-183WM-0726-SM-7LTAA 70-79 years, female 243.2
GTEX-1MA7X-1626-SM-E9U5B 60-69 years, male 242.2
GTEX-1S82U-1126-SM-E9U6I 30-39 years, female 242.2
GTEX-11GSO-1926-SM-5A5K3 60-69 years, male 241.9
GTEX-1NV8Z-2826-SM-E8VME 60-69 years, male 241.9
GTEX-11LCK-2426-SM-5HL5F 30-39 years, male 241.4
GTEX-1C6WA-2426-SM-7SB86 60-69 years, male 241.3
GTEX-11ZUS-0826-SM-5FQUY 30-39 years, male 240.6
GTEX-13NZ9-1026-SM-5MR5K 50-59 years, male 240.1
GTEX-WI4N-1426-SM-3LK7H 40-49 years, female 240.0
GTEX-183FY-1126-SM-7DHLJ 20-29 years, male 239.4
GTEX-11NSD-0926-SM-5N9DR 20-29 years, male 236.7
GTEX-1JJE9-2326-SM-ARL8Q 70-79 years, male 236.7
GTEX-1HR9M-2426-SM-ACKXI 60-69 years, male 236.6
GTEX-ZTPG-2826-SM-57WGA 20-29 years, female 236.4
GTEX-13SLW-2526-SM-62LDQ 70-79 years, male 236.1
GTEX-18D9A-1526-SM-7LG4J 30-39 years, female 236.0
GTEX-1I1GV-2426-SM-CGQFM 60-69 years, male 235.8
GTEX-1LG7Z-0726-SM-CXKYD 30-39 years, male 234.4
GTEX-1313W-0826-SM-5EQ4T 50-59 years, female 233.9
GTEX-1J8Q3-1326-SM-CMKI1 60-69 years, male 233.8
GTEX-YB5K-1626-SM-5IFIN 40-49 years, female 233.7
GTEX-1GPI7-0926-SM-7PC3J 20-29 years, male 233.0
GTEX-ZV7C-1826-SM-5NQ83 50-59 years, male 232.7
GTEX-1LSVX-2426-SM-E6CJX 60-69 years, male 232.7
GTEX-17HGU-1326-SM-79OKB 50-59 years, male 232.1
GTEX-U412-1826-SM-4DXTJ 60-69 years, male 230.4
GTEX-X4EP-2926-SM-3P5YQ 60-69 years, female 230.4
GTEX-1QPFJ-2026-SM-EVYBE 30-39 years, female 230.4
GTEX-14BMV-0626-SM-793AU 50-59 years, male 230.3
GTEX-17F98-0526-SM-79OK5 40-49 years, female 230.1
GTEX-1GF9V-2526-SM-7SB8K 60-69 years, male 229.3
GTEX-1JKYN-0726-SM-ARZMY 30-39 years, male 228.9
GTEX-Y3I4-1526-SM-4TT7K 50-59 years, male 228.4
GTEX-11ONC-2126-SM-5HL6E 60-69 years, male 227.2
GTEX-13FTX-1126-SM-5N9EN 20-29 years, female 226.6
GTEX-16YQH-2826-SM-6PAMY 30-39 years, male 226.6
GTEX-Y114-2026-SM-4TT7L 50-59 years, female 226.5
GTEX-1399U-1826-SM-5PNZ1 50-59 years, female 225.9
GTEX-15RJE-2626-SM-7KFT1 40-49 years, male 225.2
GTEX-17F96-2426-SM-7IGLN 70-79 years, male 225.1
GTEX-11NV4-2026-SM-5N9DG 60-69 years, male 224.7
GTEX-1IDJU-1826-SM-CMKHV 60-69 years, female 223.7
GTEX-WY7C-2726-SM-3NB3P 50-59 years, male 223.5
GTEX-1EKGG-2626-SM-7IGPY 60-69 years, male 223.0
GTEX-1HCU9-0326-SM-9WYSC 20-29 years, male 222.1
GTEX-1C6VS-0726-SM-7EPHF 60-69 years, male 220.9
GTEX-ZPIC-1126-SM-5BC7F 40-49 years, female 220.7
GTEX-18A6Q-0926-SM-7LG4N 60-69 years, male 220.6
GTEX-ZAJG-0626-SM-5HL8X 50-59 years, female 220.4
GTEX-139TU-0626-SM-5KM3X 60-69 years, male 220.1
GTEX-XQ3S-1326-SM-4BOPQ 20-29 years, male 220.1
GTEX-1122O-1226-SM-5H113 60-69 years, female 219.9
GTEX-1JMLX-2026-SM-CMKGN 50-59 years, male 219.1
GTEX-169BO-1126-SM-7MGWN 50-59 years, male 218.3
GTEX-1QEPI-0926-SM-DTXF3 60-69 years, female 218.3
GTEX-13W3W-1226-SM-5LU4H 60-69 years, female 217.5
GTEX-1KD5A-1926-SM-DKPQA 50-59 years, male 217.4
GTEX-17MFQ-0926-SM-7LG4S 20-29 years, male 217.3
GTEX-1H4P4-2226-SM-9MQKQ 50-59 years, male 216.7
GTEX-ZUA1-1526-SM-59HLS 40-49 years, male 216.5
GTEX-1J8Q2-2726-SM-A9G2X 60-69 years, male 216.1
GTEX-1H11D-1526-SM-9MQJY 40-49 years, male 215.9
GTEX-1HC8U-0826-SM-ADEIL 40-49 years, female 215.4
GTEX-17F9E-2526-SM-7MGW2 50-59 years, male 215.3
GTEX-145MN-1926-SM-5SIAI 30-39 years, male 214.9
GTEX-1AX9J-1126-SM-731B7 60-69 years, male 214.5
GTEX-133LE-1726-SM-5K7VQ 20-29 years, female 213.7
GTEX-T2IS-1526-SM-32QPR 20-29 years, female 213.1
GTEX-QVJO-1826-SM-447C9 60-69 years, female 213.0
GTEX-145LT-0726-SM-5S2VM 40-49 years, male 212.5
GTEX-1I4MK-1626-SM-CM2TJ 50-59 years, female 211.7
GTEX-1AX9I-0726-SM-73KWV 60-69 years, male 210.9
GTEX-117XS-1926-SM-5GICO 60-69 years, male 210.5
GTEX-1KAFJ-0226-SM-DIPEL 50-59 years, male 210.2
GTEX-S33H-0326-SM-4AD6N 30-39 years, male 210.1
GTEX-145ME-1526-SM-5Q5F2 40-49 years, female 209.9
GTEX-1B8KE-1226-SM-73KWK 50-59 years, male 209.9
GTEX-17JCI-0726-SM-7EPH1 60-69 years, female 209.8
GTEX-1QMI2-0726-SM-E9J4F 60-69 years, male 209.5
GTEX-1F75B-0626-SM-7SB8A 50-59 years, male 208.2
GTEX-ZVZQ-0826-SM-51MRF 60-69 years, female 207.5
GTEX-12WSK-2226-SM-5GCO5 40-49 years, female 206.9
GTEX-11DXZ-1926-SM-5GZZL 50-59 years, male 206.6
GTEX-144GL-2026-SM-5LU3O 50-59 years, male 206.3
GTEX-1JJEA-2726-SM-ARL8V 60-69 years, male 205.5
GTEX-WHSB-1926-SM-EXOHH 50-59 years, male 205.5
GTEX-1AX8Z-0926-SM-731AW 60-69 years, male 205.4
GTEX-14E7W-0826-SM-62LEJ 70-79 years, male 205.0
GTEX-ZDTT-2126-SM-DKPOM 60-69 years, male 204.2
GTEX-1A8G7-2426-SM-731AK 60-69 years, male 204.1
GTEX-14LLW-0626-SM-62LFC 70-79 years, female 203.8
GTEX-1OKEX-0826-SM-E9J2B 60-69 years, male 203.4
GTEX-YJ8O-2226-SM-5IFHW 40-49 years, female 203.2
GTEX-YECK-0726-SM-EZ6LV 60-69 years, male 202.7
GTEX-1I19N-2826-SM-CL55D 70-79 years, male 202.4
GTEX-14ABY-2126-SM-5QGQZ 50-59 years, male 202.3
GTEX-1HR98-0426-SM-COH36 60-69 years, male 202.1
GTEX-QMRM-1626-SM-D4P1U 50-59 years, male 201.3
GTEX-1I1GT-1126-SM-ARL7J 60-69 years, female 201.0
GTEX-XMK1-1126-SM-4IHJ8 40-49 years, male 200.9
GTEX-1QCLZ-2326-SM-DTXDO 60-69 years, female 200.9
GTEX-1QP28-1226-SM-E9J2M 50-59 years, female 200.6
GTEX-146FH-0826-SM-5SI8T 50-59 years, female 200.3
GTEX-1HT8W-2226-SM-CGQEC 30-39 years, male 199.6
GTEX-17EUY-1926-SM-7DUF6 20-29 years, male 198.6
GTEX-Y5LM-1726-SM-4VDSX 40-49 years, female 197.8
GTEX-13FHO-0826-SM-5L3E8 60-69 years, male 197.7
GTEX-S4UY-0726-SM-4AD6X 40-49 years, female 196.9
GTEX-1JMQK-2626-SM-COH2W 60-69 years, male 195.9
GTEX-Y8LW-1626-SM-5IFHX 50-59 years, female 195.2
GTEX-X62O-0526-SM-EWRMA 50-59 years, male 195.0
GTEX-T5JW-2026-SM-4DM63 20-29 years, female 194.8
GTEX-13NZ8-0126-SM-5IJCT 60-69 years, female 193.5
GTEX-ZLV1-1426-SM-DO92Z 60-69 years, female 192.3
GTEX-1H3VY-0926-SM-ACKXE 50-59 years, male 191.7
GTEX-1LBAC-0926-SM-CXKY9 20-29 years, male 191.3
GTEX-1B97J-0426-SM-79OLQ 50-59 years, female 190.9
GTEX-1MCC2-2126-SM-EWRON 30-39 years, female 190.4
GTEX-1R9JW-0326-SM-EAZ45 30-39 years, female 190.2
GTEX-ZYT6-0126-SM-5E45J 30-39 years, male 190.0
GTEX-14H4A-2526-SM-5YYAY 40-49 years, female 189.8
GTEX-1IKOE-1326-SM-CE6T6 30-39 years, female 189.5
GTEX-18465-2026-SM-718AP 50-59 years, male 189.1
GTEX-XUW1-2326-SM-4BOO5 50-59 years, female 188.2
GTEX-11WQC-1726-SM-5GU4W 60-69 years, male 186.7
GTEX-1192X-2326-SM-5987X 50-59 years, male 186.4
GTEX-147F4-2826-SM-5NQBN 50-59 years, male 185.8
GTEX-ZVT2-1826-SM-5NQ8W 50-59 years, female 185.3
GTEX-1LNCM-0226-SM-DIPF4 50-59 years, female 185.2
GTEX-15UF6-0126-SM-6PAMB 70-79 years, female 185.1
GTEX-1B8SG-1226-SM-7IGPF 50-59 years, male 184.4
GTEX-1IE54-0626-SM-ARL8D 40-49 years, female 184.2
GTEX-ZEX8-2226-SM-57WC6 50-59 years, male 182.7
GTEX-1B97I-0426-SM-79OL7 40-49 years, male 181.9
GTEX-Z9EW-1526-SM-EZ6LU 40-49 years, male 180.9
GTEX-1LGRB-1826-SM-CNPQL 50-59 years, female 180.5
GTEX-1C475-1226-SM-7SB72 40-49 years, female 180.1
GTEX-13O3P-0826-SM-5L3DH 50-59 years, male 179.8
GTEX-1RQEC-2026-SM-DTXDM 60-69 years, male 179.5
GTEX-QEG5-0726-SM-D4P1T 20-29 years, male 179.5
GTEX-13CF2-2026-SM-5K7VI 60-69 years, male 179.0
GTEX-1QW4Y-1026-SM-DTXE2 30-39 years, male 178.7
GTEX-1KXAM-1026-SM-CY8IA 60-69 years, male 178.4
GTEX-13113-5013-SM-7SB7G 60-69 years, female 178.3
GTEX-1K9T9-1426-SM-DIPFQ 50-59 years, female 178.3
GTEX-1NUQO-2226-SM-E9U68 20-29 years, female 178.1
GTEX-XMD1-0826-SM-4AT52 60-69 years, male 178.0
GTEX-13SLX-2326-SM-5ZZWE 50-59 years, female 177.9
GTEX-VUSG-2226-SM-4KKZO 50-59 years, male 176.9
GTEX-R3RS-0626-SM-48FE1 40-49 years, female 176.3
GTEX-13NZB-2126-SM-5MR4Y 30-39 years, male 176.0
GTEX-UJHI-1426-SM-3DB9C 50-59 years, female 176.0
GTEX-ZTX8-1226-SM-4YCE9 20-29 years, male 175.7
GTEX-15SHW-1326-SM-6PAL8 60-69 years, male 174.3
GTEX-1BAJH-0826-SM-7EWEF 70-79 years, male 174.2
GTEX-17EVP-0226-SM-79OND 40-49 years, male 173.6
GTEX-XUZC-1626-SM-4BRVP 30-39 years, female 172.9
GTEX-ZU9S-1926-SM-5NQBP 30-39 years, male 172.9
GTEX-13PVR-2226-SM-7DHKP 60-69 years, female 171.9
GTEX-1GMR2-1926-SM-9MQLZ 50-59 years, male 171.8
GTEX-1EU9M-2826-SM-7EWFH 60-69 years, male 171.6
GTEX-11GSP-0926-SM-9WYSG 60-69 years, female 171.6
GTEX-17HG3-0126-SM-7IGNH 30-39 years, female 171.1
GTEX-1F5PL-1026-SM-7RHI1 40-49 years, female 171.0
GTEX-1B933-2526-SM-7IGO5 50-59 years, female 170.3
GTEX-S4P3-1326-SM-4AD6V 50-59 years, female 170.3
GTEX-14BMU-1626-SM-5TDE7 20-29 years, female 170.1
GTEX-1HUB1-1626-SM-CM2SL 60-69 years, male 170.1
GTEX-1KD4Q-2326-SM-D4P3M 40-49 years, male 170.1
GTEX-1A3MV-1626-SM-731C1 30-39 years, male 169.5
GTEX-Y5V5-2126-SM-4WWFO 60-69 years, female 169.5
GTEX-11DXW-0626-SM-5N9ER 40-49 years, male 169.1
GTEX-1GN2E-2226-SM-9WG6J 60-69 years, male 168.7
GTEX-1GZ4H-0326-SM-7P8QX 50-59 years, female 168.6
GTEX-11EI6-0626-SM-5985T 60-69 years, male 168.4
GTEX-QEL4-2126-SM-447AE 50-59 years, male 168.2
GTEX-1EWIQ-1726-SM-7SB7T 70-79 years, female 168.2
GTEX-1EN7A-1426-SM-7PBY4 40-49 years, male 168.1
GTEX-ZF3C-2326-SM-5S2NC 50-59 years, female 168.1
GTEX-1314G-1226-SM-5BC6D 30-39 years, male 167.4
GTEX-XBED-1626-SM-47JYN 60-69 years, male 167.0
GTEX-1QP29-1726-SM-E8VMQ 50-59 years, male 166.9
GTEX-17KNJ-2026-SM-7LG53 50-59 years, male 166.1
GTEX-1269C-2426-SM-5FQSN 60-69 years, female 165.6
GTEX-1JK1U-1826-SM-ARL8W 60-69 years, male 163.6
GTEX-1MJK2-2226-SM-EVYCR 50-59 years, male 163.5
GTEX-T6MO-0326-SM-32QOK 40-49 years, female 163.4
GTEX-Y111-2026-SM-4SOJA 50-59 years, male 163.1
GTEX-RWS6-1926-SM-47JXY 60-69 years, female 163.0
GTEX-1J8QM-2026-SM-ARZMW 60-69 years, female 162.5
GTEX-WRHU-0326-SM-3MJFY 50-59 years, female 162.3
GTEX-11GS4-2126-SM-5A5KR 60-69 years, male 162.1
GTEX-13QIC-2326-SM-5LU5N 60-69 years, female 160.5
GTEX-1GF9X-1026-SM-ACKX2 40-49 years, female 160.1
GTEX-RU1J-0626-SM-4WAWY 20-29 years, female 159.5
GTEX-11EM3-1326-SM-5N9C6 20-29 years, female 159.4
GTEX-14A5I-0726-SM-5TDEB 50-59 years, female 158.9
GTEX-1GZHY-0726-SM-9WG6B 50-59 years, female 158.9
GTEX-1C64O-0726-SM-7DUFU 60-69 years, male 158.8
GTEX-1N2EE-2126-SM-E8VNN 60-69 years, male 158.4
GTEX-ZF29-1926-SM-5S2P1 60-69 years, female 158.1
GTEX-1GZ2Q-2626-SM-7MXV9 40-49 years, male 157.7
GTEX-18A7A-0726-SM-7LTAI 50-59 years, female 157.2
GTEX-QDT8-0626-SM-48TYW 30-39 years, female 157.1
GTEX-RU72-0626-SM-46MUI 50-59 years, female 157.0
GTEX-WFG8-2026-SM-EXOHO 20-29 years, male 156.8
GTEX-1LSNM-1326-SM-E9TJ1 50-59 years, male 156.0
GTEX-1MCYP-0126-SM-E6CIS 20-29 years, female 155.7
GTEX-Q2AG-0326-SM-48U1O 40-49 years, female 155.4
GTEX-X15G-1626-SM-3NMB3 50-59 years, female 155.0
GTEX-1KANA-2026-SM-DIPFB 20-29 years, male 155.0
GTEX-S341-1526-SM-4AD6K 40-49 years, female 154.9
GTEX-1JKYR-0926-SM-CMKGJ 20-29 years, male 154.9
GTEX-R53T-1526-SM-48FEK 50-59 years, female 154.3
GTEX-11P7K-0726-SM-5EGKX 30-39 years, male 154.1
GTEX-11EMC-2026-SM-5A5JV 60-69 years, female 153.4
GTEX-1CB4E-0226-SM-79OLW 60-69 years, male 153.2
GTEX-1R9PM-1826-SM-EVYBH 20-29 years, male 153.2
GTEX-13N11-1726-SM-5J1OJ 50-59 years, female 152.6
GTEX-1HCVE-2626-SM-ADEJ8 50-59 years, male 152.6
GTEX-1I6K7-1026-SM-A9SLK 40-49 years, male 152.6
GTEX-131YS-0626-SM-5EGKL 60-69 years, female 152.2
GTEX-WXYG-2226-SM-4E3IM 50-59 years, female 151.7
GTEX-18A66-1726-SM-7LG5N 60-69 years, male 151.6
GTEX-15ETS-0626-SM-7KUMX 40-49 years, female 151.4
GTEX-TKQ2-1826-SM-33HB2 50-59 years, male 151.4
GTEX-UPK5-2326-SM-3P5Z8 40-49 years, male 151.1
GTEX-1GMRU-0826-SM-9WYT7 50-59 years, male 150.3
GTEX-1HBPN-2326-SM-9WPPU 50-59 years, male 150.3
GTEX-15FZZ-0726-SM-7KUFZ 30-39 years, female 150.0
GTEX-111YS-1926-SM-5GICC 60-69 years, male 149.9
GTEX-U3ZN-1926-SM-4DXSG 30-39 years, female 149.4
GTEX-1CB4G-2326-SM-79OOI 60-69 years, male 148.6
GTEX-ZGAY-1726-SM-DO91P 40-49 years, female 148.4
GTEX-1B8L1-2426-SM-9WYTE 60-69 years, male 147.3
GTEX-11PRG-0826-SM-5EQ6A 50-59 years, male 146.7
GTEX-1M5QR-2526-SM-E9U5P 40-49 years, male 146.5
GTEX-1GZ4I-2826-SM-9MQK5 50-59 years, male 146.1
GTEX-1R7EU-1226-SM-E8VMR 60-69 years, male 146.1
GTEX-1RAZQ-1226-SM-EWRNL 30-39 years, male 144.4
GTEX-1N5O9-1126-SM-DTXEQ 60-69 years, male 143.4
GTEX-ZVTK-0326-SM-51MRR 20-29 years, male 143.0
GTEX-WFON-1826-SM-3GILG 40-49 years, male 142.5
GTEX-1LSNL-2826-SM-E9U5L 50-59 years, male 142.3
GTEX-13PL6-2926-SM-5L3I2 40-49 years, female 142.1
GTEX-1IKOH-2326-SM-CM2TW 60-69 years, female 142.0
GTEX-17HHE-1426-SM-7EPH4 50-59 years, male 141.2
GTEX-1GPI6-0626-SM-7RHHJ 60-69 years, male 140.9
GTEX-1JMPZ-1626-SM-COH31 30-39 years, male 140.5
GTEX-1K2DA-1726-SM-CGQGS 50-59 years, male 140.2
GTEX-ZZPU-0626-SM-5E43T 50-59 years, female 140.1
GTEX-V955-2026-SM-3GAFA 60-69 years, male 140.0
GTEX-1HKZK-1826-SM-ADEJ2 40-49 years, male 139.7
GTEX-UTHO-1026-SM-3GAF7 60-69 years, male 139.6
GTEX-1P4AB-1826-SM-E76PU 50-59 years, male 139.5
GTEX-13OW5-2226-SM-5L3HC 60-69 years, male 139.2
GTEX-ZVE2-1226-SM-5NQ8R 50-59 years, male 139.2
GTEX-1RAZS-1226-SM-E8VMT 50-59 years, male 138.5
GTEX-1IKJJ-2326-SM-COH3U 60-69 years, male 138.0
GTEX-12ZZX-1126-SM-5EGKB 40-49 years, female 137.2
GTEX-1H1CY-2226-SM-9WG7E 60-69 years, female 136.7
GTEX-1F75I-2026-SM-7SB7N 40-49 years, male 136.5
GTEX-1MA7W-1026-SM-DKPQK 20-29 years, female 135.2
GTEX-WYJK-1326-SM-3NB2T 50-59 years, male 135.0
GTEX-1HCUA-0726-SM-ACKVU 50-59 years, female 133.9
GTEX-1CAMS-1426-SM-7IGPM 40-49 years, female 133.6
GTEX-131XW-0726-SM-5EGK3 50-59 years, female 133.4
GTEX-XOT4-0726-SM-4GIAW 60-69 years, female 133.3
GTEX-1J8EW-2626-SM-CL53E 60-69 years, female 133.0
GTEX-132Q8-1426-SM-5EGK7 60-69 years, male 132.8
GTEX-17HHY-0926-SM-793C1 50-59 years, male 132.1
GTEX-1IDJE-0826-SM-CKZNZ 50-59 years, female 131.6
GTEX-T2YK-2226-SM-32QPT 50-59 years, male 131.5
GTEX-1H1E6-0926-SM-9YFLT 30-39 years, male 131.2
GTEX-1I1HK-2426-SM-ADEHX 60-69 years, male 131.2
GTEX-Y3IK-2326-SM-4WWDT 50-59 years, female 131.1
GTEX-11P81-1926-SM-5BC53 30-39 years, female 129.4
GTEX-16NGA-0826-SM-718AF 40-49 years, female 128.7
GTEX-1B8KZ-1526-SM-7DUG7 50-59 years, male 128.7
GTEX-WYBS-0926-SM-3NM94 60-69 years, female 128.4
GTEX-1F75A-1826-SM-7SB8G 50-59 years, male 127.8
GTEX-1B932-0826-SM-73KXG 40-49 years, female 127.0
GTEX-18QFQ-0826-SM-718AX 30-39 years, male 126.3
GTEX-U3ZH-1426-SM-4DXSR 30-39 years, male 126.2
GTEX-ZAK1-1326-SM-EVYAS 50-59 years, female 125.8
GTEX-1F6I4-2526-SM-7SB8F 60-69 years, male 125.7
GTEX-ZXES-0826-SM-5E43C 30-39 years, female 125.1
GTEX-T5JC-2126-SM-32PMO 20-29 years, male 124.4
GTEX-1GMR3-2626-SM-7RHHG 40-49 years, male 124.0
GTEX-1JMPY-0526-SM-CL54O 30-39 years, male 123.1
GTEX-1QCLY-1626-SM-DTXDW 30-39 years, male 122.5
GTEX-ZC5H-2626-SM-5J2MG 40-49 years, female 122.3
GTEX-YFC4-1426-SM-5IFJG 40-49 years, female 121.3
GTEX-1POEN-0926-SM-DTX88 30-39 years, female 119.7
GTEX-1GN1W-1926-SM-7P8TH 50-59 years, female 118.6
GTEX-T6MN-0726-SM-32PML 50-59 years, male 117.8
GTEX-1GMR8-0726-SM-9KNVI 50-59 years, female 117.8
GTEX-TML8-1226-SM-32QON 40-49 years, female 117.2
GTEX-VJWN-0726-SM-3GIJ8 50-59 years, female 116.1
GTEX-13FTY-2226-SM-5J1ND 40-49 years, female 115.4
GTEX-1GN1U-0526-SM-9KNTT 50-59 years, female 112.1
GTEX-TMMY-0726-SM-33HBE 40-49 years, female 111.5
GTEX-1LVAM-0926-SM-E9TJ2 50-59 years, female 110.8
GTEX-1IY9M-2726-SM-CMKG5 60-69 years, male 107.7
GTEX-139T8-0826-SM-5L3DE 60-69 years, male 106.8
GTEX-1HSGN-1526-SM-A9SMO 40-49 years, female 106.6
GTEX-1LVAN-1326-SM-CNPQE 50-59 years, female 102.5
GTEX-1HSKV-2026-SM-CMKGX 60-69 years, male 102.2
GTEX-15ER7-1626-SM-6PAMZ 20-29 years, female 101.4
GTEX-WYVS-1726-SM-3NMAY 40-49 years, female 100.2
GTEX-ZF2S-2026-SM-5E461 50-59 years, female 97.0
GTEX-W5X1-2326-SM-3GIL6 40-49 years, female 74.0
Show allShow less

BREAST - FANTOM5 CAGEi

RNA expression in human tissues obtained through Cap Analysis of Gene Expression (CAGE) generated by the FANTOM5 project are reported as Scaled Tags Per Million.

Max subtype Scaled Tags Per Millioni

Max subtype Scaled Tags Per Million is the value for the subtype with the largest average Scaled Tags Per Million across the subtype samples.

192.9
FANTOM5 sample id Sample description Scaled Tags Per Million
Breast
Scaled Tags Per Million: 192.9
FF:10080-102A8 77 years, female 192.9

Contact

  • NEWS ARTICLES
  • PRESS ROOM

The Project

  • INTRODUCTION
  • ORGANIZATION
  • PUBLICATIONS

The Human Protein Atlas

  • DOWNLOADABLE DATA
  • LICENCE & CITATION
  • HELP & FAQ
The Human Protein Atlas project is funded
by the Knut & Alice Wallenberg Foundation.


contact@proteinatlas.org