We use cookies to enhance the usability of our website. If you continue, we'll assume that you are happy to receive all cookies. More information. Don't show this again.
ANAPC11
HPA
RESOURCES
  • TISSUE
  • BRAIN
  • SINGLE CELL
  • SUBCELLULAR
  • CANCER
  • BLOOD
  • CELL LINE
  • STRUCTURE & INTERACTION
ABOUT
  • INTRODUCTION
  • HISTORY
  • ORGANIZATION
  • PUBLICATIONS
  • ANTIBODY SUBMISSION
  • ANTIBODY AVAILABILITY
  • ACKNOWLEDGMENTS
  • CONTACT
NEWS
  • NEWS ARTICLES
  • PRESS ROOM
LEARN
  • DICTIONARY
  • PROTEIN CLASSES
  • PROTEIN EVIDENCE
  • METHODS
  • EDUCATIONAL VIDEOS
DATA
  • DOWNLOADABLE DATA
  • PUBLICATION DATA
  • RELEASE HISTORY
HELP
  • ANTIBODY VALIDATION
  • ASSAYS & ANNOTATION
  • DISCLAIMER
  • HELP & FAQ
  • PRIVACY STATEMENT
  • LICENCE & CITATION
Fields »
Search result

Field
Term
Gene name
Class
Subclass
Class
Keyword
Chromosome
External id
Tissue
Cell type
Expression
Antibody panel
Tissue
Main location
Patient ID
Annotation
Tissue
Category
Tau score
Cluster
Reliability
Brain region
Category
Tau score
Brain region
Category
Tau score
Brain region
Category
Tau score
Cluster
Reliability
Tissue
Cell type
Enrichment
Cell type
Category
Tau score
Cell type
Category
Tau score
Cell type
Category
Tau score
Cell lineage
Category
Tau score
Cluster
Cluster
Location
Searches
Location
Cell line
Class
Type
Phase
Reliability
Cancer
Prognosis
Cancer
Category
Cancer
Category
Tau score
Cluster
Variants
Interacting gene (ensg_id)
Type
Number of interactions
Pathway
Category
Score
Score
Score
Validation
Validation
Validation
Validation
Antibodies
Data type
Column


  • SUMMARY

  • TISSUE

  • BRAIN

  • SINGLE CELL

  • SUBCELL

  • CANCER

  • BLOOD

  • CELL LINE

  • STRUCT & INT

  • ANAPC11
BRAIN CEREBELLUM Show tissue menu
AMYGDALA BASAL GANGLIA CEREBELLUM CEREBRAL CORTEX CHOROID PLEXUS HIPPOCAMPAL FORMATION HYPOTHALAMUS MEDULLA OBLONGATA
MIDBRAIN OLFACTORY BULB PITUITARY GLAND PONS RETINA SPINAL CORD THALAMUS WHITE MATTER
ANTIBODIES
AND
VALIDATION
Brain proteome
Cerebellum
CEREBELLUM - Expression summary
Protein expression
Cerebellumi

On the top, protein expression in current human tissue, based on all annotated cell types, is reported with the units not detected (n), low (l), medium (m) and high (h). Underneath, protein expression in each annotated cell type are reported using the same units.

Protein expression data is based on knowledge-based annotation. For genes where more than one antibody has been used, a collective score is set.

If knowledge-based annotation could not be performed for a gene, no data is displayed here. View antibody staining data further down this page.

h
m
l
n
Cells in granular layer: Not detected
Cells in molecular layer: Low
Purkinje cells: Low
RNA expressioni

A summary of mRNA expression data available for current tissue based on several datasets. The mRNA expression levels in human tissues are based on RNA-seq data generated by the Human Protein Atlas (HPA), Genotype-Tissue Expression (GTEx) portal and CAGE data generated by the FANTOM5 consortium. Consensus normalized expression levels for human tissues was created by combining the data from HPA and GTEx datasets.

The mRNA expression levels in pig are based on RNA-seq data generated by the Human Protein Atlas (HPA), and for mouse, HPA data and in situ hybridization generated by the Allen brain atlas are reported.

Scroll down to view mRNA expression data in more detail.
Consensus:86.0 nTPM
HPA Brain:74.5 nTPM
GTEx:86.0 nTPM
FANTOM5:50.7 Scaled Tags Per Million
Pig:34.9 nTPM
Mouse:71.1 nTPM
Allen mouse:1.5 Expression energy

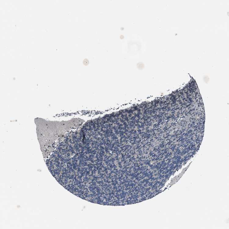
CEREBELLUM - Antibody stainingi

Antibody staining in the annotated cell types in the current human tissue is reported as not detected, low, medium, or high, based on conventional immunohistochemistry profiling in selected tissues. This score is based on the combination of the staining intensity and fraction of stained cells.

Each image is clickable and will lead to virtual microscopy that enables deeper exploration of all samples and also displays staining intensity scores, fraction scores and subcellular localization as well as patient and tissue information for each sample.

Antibody HPA021989Antibody HPA027838
Purkinje cells LowMedium
Cells in granular layer Not detectedMedium
Cells in molecular layer LowMedium





CEREBELLUM - HPA Brain RNA-seq
Max subtype nTPMi

Max subtype nTPM is the value for the subtype with the largest average nTPM across the subtype samples.

74.5
Sample id Sample description nTPM
Cerebellar cortex
nTPM: 47.5
2006 Male, age 61, right hemisphere 65.7
2101 Male, age 74, right hemisphere 55.7
1768 Female, age 72, unknown 54.4
2003 Female, age 85, right hemisphere 50.6
2055 Female, age 91, right hemisphere 45.0
1769 Male, age 76, right hemisphere 38.7
1774 Male, age 80, left hemisphere 36.4
1788 Male, age 55, unknown 33.7
Cerebellar nuclei
nTPM: 74.5
2783 Female, age 72, unknown 116.4
1879 Male, age 55, unknown 77.0
2175 Male, age 61, right hemisphere 75.0
1966 Female, age 91, left hemisphere 73.9
2005 Male, age 80, left hemisphere 73.3
1871 Male, age 74, unknown 70.7
2882 Male, age 76, left hemisphere 68.8
2177 Female, age 85, both hemispheres 63.4
2318 Male, age 74, left hemisphere 52.0
Flocculonodular lobe
nTPM: 40.8
1792 Male, age 74, unknown 52.2
2004 Male, age 61, right hemisphere 48.8
2176 Female, age 91, right hemisphere 42.9
1765 Male, age 55, unknown 41.2
1767 Male, age 76, left hemisphere 34.5
1835 Female, age 85, right hemisphere 33.7
1771 Male, age 80, left hemisphere 32.2
Vermis
nTPM: 39.0
1928 Female, age 72, unknown 50.2
1751 Male, age 74, right hemisphere 45.0
2834 Male, age 80, left hemisphere 41.6
1778 Female, age 91, left hemisphere 38.1
1766 Male, age 55, unknown 37.2
1988 Female, age 85, left hemisphere 37.1
1825 Male, age 74, unknown 35.3
1770 Male, age 76, left hemisphere 33.8
2460 Male, age 61, both hemispheres 32.7

CEREBELLUM - GTEx RNA-seqi

RNA-Seq data generated by the Genotype-Tissue Expression (GTEx) project from human tissues is reported as mean nTPM. More information can be found on the GTEx portal.

Distribution across the dataset is visualized with box plots, shown as median and 25th and 75th percentiles. Points are displayed as outliers if they are above or below 1.5 times the interquartile range. nTPM values of the individual samples are presented next to the box plot.
Max subtype nTPMi

Max subtype nTPM is the value for the subtype with the largest average nTPM across the subtype samples.

86.0
GTEx sample id Sample description nTPM
Brain - Cerebellar Hemisphere
Average nTPM: 86.0
Samples: 215

Max nTPM: 173.0
Min nTPM: 42.8
Std nTPM: 21.3
Median nTPM: 82.4
GTEX-16Z82-0011-R11a-SM-79OKJ 60-69 years, male 173.0
GTEX-13FLV-0011-R11a-SM-5LZZ7 50-59 years, male 165.1
GTEX-NL4W-0011-R11A-SM-2I3DW 50-59 years, male 150.4
GTEX-132Q8-0011-R11b-SM-5DUW9 60-69 years, male 149.1
GTEX-1LKK1-0011-R11a-SM-EXOIG 50-59 years, female 143.3
GTEX-13X6J-0011-R11a-SM-5P9HE 50-59 years, male 139.3
GTEX-1B933-0011-R11a-SM-7P8PM 50-59 years, female 136.2
GTEX-1R9K4-0011-R11a-SM-EZ6N9 60-69 years, male 136.1
GTEX-ZF28-0011-R11a-SM-4WWEI 60-69 years, male 132.5
GTEX-1F75W-0011-R11b-SM-AHZ34 60-69 years, male 132.3
GTEX-1JJ6O-0011-R11b-SM-EXUS2 60-69 years, male 127.6
GTEX-11DZ1-0011-R11b-SM-DO11W 50-59 years, male 125.2
GTEX-17EVP-0011-R11a-SM-7EWDL 40-49 years, male 123.8
GTEX-1GMR8-0011-R11b-SM-9OSX2 50-59 years, female 123.1
GTEX-16NPV-0011-R11a-SM-7IGMK 50-59 years, female 121.7
GTEX-1313W-0011-R11a-SM-5DUXN 50-59 years, female 119.8
GTEX-12WSH-0011-R11a-SM-5LZVM 50-59 years, male 117.9
GTEX-12WSC-0011-R11a-SM-5GU5J 50-59 years, male 116.5
GTEX-13JUV-0011-R11a-SM-5LZYH 40-49 years, female 116.3
GTEX-N7MT-0011-R11A-SM-2I3DZ 60-69 years, female 115.0
GTEX-1B8SG-0011-R11a-SM-7P8PF 50-59 years, male 114.8
GTEX-11ZTS-0011-R11a-SM-DO113 60-69 years, female 112.6
GTEX-14ASI-0011-R11b-SM-6AJBJ 60-69 years, male 111.7
GTEX-WWYW-0011-R11A-SM-3NB38 50-59 years, female 111.0
GTEX-1HGF4-0011-R11a-SM-C1YRR 60-69 years, male 109.2
GTEX-1J8Q2-0011-R11a-SM-A9SKI 60-69 years, male 108.4
GTEX-1H3VE-0011-R11b-SM-C1YRP 40-49 years, male 108.0
GTEX-18A6Q-0011-R11a-SM-72D6H 60-69 years, male 107.0
GTEX-XMD1-0011-R11A-SM-4AT5J 60-69 years, male 106.7
GTEX-13X6I-0011-R11a-SM-5P9HN 60-69 years, male 106.6
GTEX-1IGQW-0011-R11a-SM-C1YRV 60-69 years, male 106.0
GTEX-1F52S-0011-R11a-SM-CJI23 60-69 years, female 105.7
GTEX-11EMC-0011-R11b-SM-DNZZK 60-69 years, female 105.6
GTEX-13NYS-0011-R11b-SM-5MR4P 60-69 years, male 104.5
GTEX-12WSD-0011-R11a-SM-9OSVC 60-69 years, female 104.5
GTEX-N7MS-0011-R11A-SM-2HMJS 60-69 years, male 104.1
GTEX-1HBPI-0011-R11b-SM-CE6SH 50-59 years, male 103.0
GTEX-1H4P4-0011-R11b-SM-CE6S8 50-59 years, male 102.2
GTEX-ZE9C-0011-R11a-SM-4WKGG 60-69 years, male 101.5
GTEX-1F75A-0011-R11a-SM-AHZ35 50-59 years, male 101.2
GTEX-1F6I4-0011-R11b-SM-9OSWS 60-69 years, male 101.0
GTEX-16XZZ-0011-R11a-SM-7EPI3 60-69 years, male 100.8
GTEX-13G51-0011-R11b-SM-5J2NE 60-69 years, male 100.0
GTEX-ZVZQ-0011-R11a-SM-51MS6 60-69 years, female 99.7
GTEX-1CB4G-0011-R11a-SM-9OSWG 60-69 years, male 99.6
GTEX-12WSI-0011-R11b-SM-5P9EZ 50-59 years, male 99.4
GTEX-17HII-0011-R11b-SM-7KFSX 50-59 years, male 99.3
GTEX-NPJ8-0011-R11A-SM-2YUMS 40-49 years, male 98.1
GTEX-1GF9W-0011-R11b-SM-9OSXG 60-69 years, male 97.9
GTEX-145MH-0011-R11a-SM-5P9HQ 50-59 years, male 97.6
GTEX-14E7W-0011-R11a-SM-5ZZVA 70-79 years, male 97.5
GTEX-14C39-0011-R11b-SM-5YYAF 40-49 years, male 97.0
GTEX-131XW-0011-R11a-SM-5DUV9 50-59 years, female 96.7
GTEX-11EI6-0011-R11a-SM-DO11V 60-69 years, male 96.6
GTEX-15CHQ-0011-R11b-SM-686ZZ 60-69 years, male 96.2
GTEX-11ZUS-0011-R11b-SM-5BC7B 30-39 years, male 96.0
GTEX-1IOXB-0011-R11a-SM-A9G1X 50-59 years, male 95.9
GTEX-11WQC-0011-R11b-SM-57WD6 60-69 years, male 95.4
GTEX-17JCI-0011-R11a-SM-7189Y 60-69 years, female 95.1
GTEX-YJ89-0011-R11a-SM-4SOKA 60-69 years, male 95.0
GTEX-1I19N-0011-R11b-SM-ARU6Y 70-79 years, male 94.9
GTEX-16GPK-0011-R11b-SM-7MKFF 60-69 years, male 94.5
GTEX-1IY9M-0011-R11b-SM-A96TI 60-69 years, male 94.1
GTEX-1R9PO-0011-R11b-SM-EZ6NB 60-69 years, female 93.7
GTEX-12ZZZ-0011-R11a-SM-5EGLC 60-69 years, male 93.4
GTEX-ZE7O-0011-R11a-SM-57WBC 50-59 years, female 92.7
GTEX-1CAV2-0011-R11a-SM-ARU8D 40-49 years, female 92.6
GTEX-ZDXO-0011-R11a-SM-4WWD9 60-69 years, male 92.3
GTEX-1I1GS-0011-R11a-SM-C1YRU 60-69 years, male 91.7
GTEX-14C5O-0011-R11b-SM-6872H 60-69 years, male 91.1
GTEX-12WSF-0011-R11a-SM-5LZVT 70-79 years, male 90.8
GTEX-X261-0011-R11A-SM-4E3JY 50-59 years, male 90.5
GTEX-11DYG-0011-R11a-SM-DNZZP 60-69 years, male 90.2
GTEX-139TT-0011-R11b-SM-5LZV1 60-69 years, male 89.9
GTEX-X4EP-0011-R11B-SM-4QASK 60-69 years, female 89.9
GTEX-131XH-0011-R11a-SM-5EGLN 50-59 years, male 89.8
GTEX-139UW-0011-R11a-SM-5IJGN 60-69 years, male 89.8
GTEX-1GZ4I-0011-R11b-SM-9OSWR 50-59 years, male 89.8
GTEX-1EKGG-0011-R11a-SM-9QEHZ 60-69 years, male 89.6
GTEX-NL3H-0011-R11A-SM-2I3E6 60-69 years, male 89.2
GTEX-11PRG-0011-R11b-SM-DNZZY 50-59 years, male 89.1
GTEX-1HSKV-0011-R11b-SM-AHZ2E 60-69 years, male 88.6
GTEX-WHSE-0011-R11A-SM-3P5YY 20-29 years, male 88.2
GTEX-1LG7Y-0011-R11a-SM-EXOIH 50-59 years, male 87.9
GTEX-ZUA1-0011-R11b-SM-51MTI 40-49 years, male 87.5
GTEX-1KD4Q-0011-R11b-SM-EXOIE 40-49 years, male 87.5
GTEX-17EVQ-0011-R11a-SM-7LT9C 70-79 years, male 87.3
GTEX-1H1CY-0011-R11a-SM-C1YQR 60-69 years, female 87.2
GTEX-13OVH-0011-R11b-SM-5KM4X 70-79 years, male 86.9
GTEX-WL46-0011-R11A-SM-3MJFT 50-59 years, male 86.8
GTEX-1I1GQ-0011-R11b-SM-CKZPA 50-59 years, male 86.8
GTEX-14E6D-0011-R11b-SM-664NP 50-59 years, male 86.6
GTEX-15G19-0011-R11b-SM-6LPIH 60-69 years, male 86.6
GTEX-1E1VI-0011-R11a-SM-9OSWI 50-59 years, male 86.5
GTEX-1IDJH-0011-R11b-SM-C1YRT 70-79 years, male 86.3
GTEX-1JMOU-0011-R11b-SM-EXUTA 60-69 years, female 86.0
GTEX-144GL-0011-R11b-SM-5P9F6 50-59 years, male 85.9
GTEX-1C64N-0011-R11b-SM-7P8Q6 50-59 years, male 85.6
GTEX-13PLJ-0011-R11b-SM-5O9BS 60-69 years, female 85.5
GTEX-1GMRU-0011-R11b-SM-C1YQ4 50-59 years, male 85.4
GTEX-1I1GV-0011-R11a-SM-CJI3Z 60-69 years, male 85.3
GTEX-1J1OQ-0011-R11a-SM-A96S3 40-49 years, female 85.3
GTEX-1H3O1-0011-R11a-SM-A96RV 60-69 years, male 85.0
GTEX-1M4P7-0011-R11b-SM-EXOIK 60-69 years, male 84.6
GTEX-13SLW-0011-R11a-SM-5SI8Q 70-79 years, male 84.0
GTEX-X4XX-0011-R11A-SM-46MWQ 60-69 years, male 82.9
GTEX-11TTK-0011-R11b-SM-DO112 60-69 years, female 82.5
GTEX-13FTY-0011-R11a-SM-5IJEA 40-49 years, female 82.4
GTEX-14PN4-0011-R11a-SM-686ZW 50-59 years, male 82.4
GTEX-1LSVX-0011-R11b-SM-EXOIA 60-69 years, male 82.4
GTEX-1A3MX-0011-R11b-SM-7DUGP 60-69 years, male 82.3
GTEX-183WM-0011-R11a-SM-718A5 70-79 years, female 82.2
GTEX-Z93S-0011-R11a-SM-4RGNN 50-59 years, male 82.2
GTEX-13JVG-0011-R11a-SM-5KM53 60-69 years, male 81.6
GTEX-13QIC-0011-R11b-SM-5O9BU 60-69 years, female 81.3
GTEX-13NZA-0011-R11b-SM-5KM4W 60-69 years, male 80.6
GTEX-ZVT3-0011-R11b-SM-57WBI 60-69 years, female 79.6
GTEX-11DXY-0011-R11a-SM-DNZZN 60-69 years, male 79.4
GTEX-1F7RK-0011-R11b-SM-9QEI2 20-29 years, female 79.4
GTEX-1JJEA-0011-R11a-SM-EXUTE 60-69 years, male 79.4
GTEX-15EO6-0011-R11b-SM-6M47M 50-59 years, male 79.1
GTEX-13FXS-0011-R11a-SM-5L3DM 50-59 years, male 78.9
GTEX-1IKK5-0011-R11a-SM-C1YRX 60-69 years, male 78.8
GTEX-1ICLZ-0011-R11a-SM-CJI3N 60-69 years, male 78.7
GTEX-1H1DG-0011-R11a-SM-C1YQK 70-79 years, male 78.4
GTEX-13OW7-0011-R11a-SM-5O9DY 50-59 years, male 78.0
GTEX-NPJ7-0011-R11A-SM-2I3E8 60-69 years, female 77.9
GTEX-1GZHY-0011-R11a-SM-C1YRQ 50-59 years, female 77.9
GTEX-14BIM-0011-R11b-SM-5S2RN 60-69 years, female 77.8
GTEX-12126-0011-R11a-SM-5BC6X 20-29 years, male 77.6
GTEX-1B8L1-0011-R11b-SM-793DJ 60-69 years, male 77.4
GTEX-13O3Q-0011-R11b-SM-5KM2W 50-59 years, male 77.3
GTEX-WZTO-0011-R11A-SM-4E3K9 40-49 years, male 76.1
GTEX-12WSM-0011-R11a-SM-5DUX8 60-69 years, male 76.0
GTEX-1F48J-0011-R11b-SM-9OSWV 50-59 years, female 75.9
GTEX-13RTJ-0011-R11a-SM-5O9CK 60-69 years, male 75.8
GTEX-13FHO-0011-R11b-SM-5LZYQ 60-69 years, male 75.5
GTEX-13N2G-0011-R11a-SM-5MR3F 60-69 years, male 75.4
GTEX-16YQH-0011-R11b-SM-7LT98 30-39 years, male 75.4
GTEX-1N2DW-0011-R11b-SM-EXOIL 50-59 years, male 75.2
GTEX-T2IS-0011-R11A-SM-32QPC 20-29 years, female 75.1
GTEX-1399T-0011-R11a-SM-5J2O1 60-69 years, male 74.9
GTEX-1I1GR-0011-R11a-SM-CM2T5 60-69 years, male 74.9
GTEX-13O3O-0011-R11b-SM-5KM4G 60-69 years, female 74.7
GTEX-1BAJH-0011-R11b-SM-7IGLM 70-79 years, male 74.2
GTEX-1HUB1-0011-R11b-SM-CE6SC 60-69 years, male 74.1
GTEX-13X6K-0011-R11a-SM-5P9F5 60-69 years, female 74.0
GTEX-1EMGI-0011-R11b-SM-9OSWX 60-69 years, male 74.0
GTEX-17F97-0011-R11b-SM-7KFRQ 50-59 years, male 73.8
GTEX-YFC4-0011-R11a-SM-4SOK6 40-49 years, female 73.8
GTEX-ZAB4-0011-R11a-SM-4SOKI 40-49 years, male 73.8
GTEX-1IL2U-0011-R11a-SM-CE6SO 60-69 years, male 73.7
GTEX-13VXU-0011-R11b-SM-5O9DJ 50-59 years, male 73.6
GTEX-1LVAO-0011-R11b-SM-EXOI8 60-69 years, male 73.6
GTEX-13CF2-0011-R11b-SM-5LZXO 60-69 years, male 73.4
GTEX-17HG3-0011-R11b-SM-7KFT4 30-39 years, female 73.4
GTEX-18464-0011-R11a-SM-72D76 50-59 years, male 72.9
GTEX-1GTWX-0011-R11b-SM-C1YQJ 60-69 years, male 72.5
GTEX-1I1HK-0011-R11a-SM-B2LVN 60-69 years, male 72.4
GTEX-13OW8-0011-R11a-SM-5L3GT 60-69 years, male 72.3
GTEX-1GN73-0011-R11b-SM-9OSX4 60-69 years, male 72.3
GTEX-13CZV-0011-R11b-SM-5N9FN 60-69 years, male 72.2
GTEX-11OF3-0011-R11a-SM-57WCR 60-69 years, male 72.1
GTEX-T5JC-0011-R11A-SM-32PMB 20-29 years, male 71.7
GTEX-18465-0011-R11a-SM-72D78 50-59 years, male 71.5
GTEX-12ZZX-0011-R11a-SM-5DUVJ 40-49 years, female 71.3
GTEX-1N2EE-0011-R11b-SM-EXOIJ 60-69 years, male 71.1
GTEX-1HFI6-0011-R11b-SM-A96RU 40-49 years, male 70.8
GTEX-13S7M-0011-R11b-SM-5P9HU 60-69 years, female 70.7
GTEX-15ER7-0011-R11a-SM-6LPIL 20-29 years, female 70.5
GTEX-RU72-0011-R11A-SM-CM2U1 50-59 years, female 70.5
GTEX-14ABY-0011-R11a-SM-5SI7C 50-59 years, male 70.3
GTEX-15DYW-0011-R11a-SM-6LPIT 60-69 years, female 70.3
GTEX-131YS-0011-R11b-SM-5EGLM 60-69 years, female 69.3
GTEX-13FHP-0011-R11b-SM-5LZXP 50-59 years, male 69.1
GTEX-13SLX-0011-R11b-SM-5O9C8 50-59 years, female 69.0
GTEX-1H1ZS-0011-R11a-SM-C1YQM 70-79 years, male 69.0
GTEX-S7SE-0011-R11A-SM-2XCDD 50-59 years, male 68.9
GTEX-X585-0011-R11B-SM-46MUZ 50-59 years, male 68.5
GTEX-15DCD-0011-R11a-SM-D4P1R 70-79 years, female 68.4
GTEX-1J8EW-0011-R11a-SM-AHZ37 60-69 years, female 68.4
GTEX-1JMQJ-0011-R11a-SM-EXOJY 50-59 years, male 68.2
GTEX-1IL2V-0011-R11a-SM-ARU6T 70-79 years, male 68.1
GTEX-1HB9E-0011-R11b-SM-ARU79 50-59 years, male 67.7
GTEX-1B8SF-0011-R11a-SM-79OOP 60-69 years, male 67.1
GTEX-1H3NZ-0011-R11b-SM-CE6SF 60-69 years, male 66.7
GTEX-12WSE-0011-R11b-SM-5P9JW 20-29 years, male 66.6
GTEX-13NYB-0011-R11a-SM-5KM3Q 40-49 years, male 66.5
GTEX-13OW5-0011-R11b-SM-5L3GG 60-69 years, male 66.5
GTEX-Y8DK-0011-R11A-SM-4SOK2 60-69 years, male 66.5
GTEX-11GSP-0011-R11b-SM-5NQ7V 60-69 years, female 66.4
GTEX-14BIN-0011-R11a-SM-5SI79 50-59 years, female 66.1
GTEX-13PVQ-0011-R11a-SM-5O9DU 50-59 years, male 65.9
GTEX-1AX9I-0011-R11b-SM-7DHN4 60-69 years, male 65.9
GTEX-13OVL-0011-R11b-SM-5L3G7 50-59 years, male 65.5
GTEX-13OW6-0011-R11a-SM-5L3H2 50-59 years, male 65.4
GTEX-P44G-0011-R11A-SM-2I3FD 30-39 years, male 63.2
GTEX-11H98-0011-R11b-SM-5NQ6U 50-59 years, male 63.0
GTEX-145LU-0011-R11b-SM-5P9JX 50-59 years, male 63.0
GTEX-1IKOH-0011-R11a-SM-AHZ38 60-69 years, female 62.3
GTEX-1HCU6-0011-R11b-SM-AHZ2F 60-69 years, female 62.2
GTEX-OHPN-0011-R11A-SM-2I5FM 60-69 years, female 61.1
GTEX-RVPV-0011-R11A-SM-2TF6F 60-69 years, male 59.1
GTEX-14DAQ-0011-R11a-SM-664NO 60-69 years, female 56.1
GTEX-WVLH-0011-R11A-SM-3MJFO 50-59 years, male 55.1
GTEX-TSE9-0011-R11A-SM-3DB7N 60-69 years, female 53.9
GTEX-UTHO-0011-R11A-SM-3GIJE 60-69 years, male 52.1
GTEX-P44H-0011-R11A-SM-2XCER 40-49 years, male 50.5
GTEX-R55E-0011-R11A-SM-2TC6I 20-29 years, male 50.2
GTEX-QMR6-0011-R11A-SM-32PKK 50-59 years, male 49.7
GTEX-13OVJ-0011-R11a-SM-5P9H8 50-59 years, female 49.3
GTEX-T6MN-0011-R11A-SM-32QOX 50-59 years, male 48.8
GTEX-QDT8-0011-R11A-SM-32PKD 30-39 years, female 45.5
GTEX-Q2AG-0011-R11A-SM-2HMKZ 40-49 years, female 44.8
GTEX-145MI-0011-R11a-SM-5P9JZ 60-69 years, female 42.8
Show allShow less
Brain - Cerebellum
Average nTPM: 76.9
Samples: 241

Max nTPM: 129.9
Min nTPM: 46.7
Std nTPM: 12.6
Median nTPM: 76.4
GTEX-ZZPT-2926-SM-5EQ5S 50-59 years, male 129.9
GTEX-WWYW-3026-SM-3NB36 50-59 years, female 117.9
GTEX-XMD1-2826-SM-4AT5F 60-69 years, male 117.2
GTEX-1EH9U-3126-SM-7MXU5 60-69 years, male 111.6
GTEX-Y111-2826-SM-4TT3O 50-59 years, male 107.3
GTEX-1RNSC-3126-SM-EVR4V 60-69 years, male 102.9
GTEX-1H3VE-2826-SM-9WPOL 40-49 years, male 102.8
GTEX-1F48J-2726-SM-7P8PW 50-59 years, female 102.5
GTEX-1HB9E-3126-SM-AHZ4M 50-59 years, male 102.1
GTEX-1192X-3226-SM-5987D 50-59 years, male 99.5
GTEX-1F6I4-3026-SM-7P8SI 60-69 years, male 99.3
GTEX-1F75W-3126-SM-7P8SJ 60-69 years, male 98.6
GTEX-ZF28-2926-SM-4WKG1 60-69 years, male 98.4
GTEX-ZAJG-3026-SM-5HL92 50-59 years, female 97.9
GTEX-11DZ1-2926-SM-5A5KI 50-59 years, male 96.9
GTEX-1E1VI-2926-SM-7IGLT 50-59 years, male 94.3
GTEX-1GF9W-2726-SM-9JGGW 60-69 years, male 93.7
GTEX-13OW7-2926-SM-5MR3Z 50-59 years, male 93.3
GTEX-16XZZ-2926-SM-6LPK4 60-69 years, male 93.3
GTEX-11EI6-2926-SM-5985U 60-69 years, male 92.5
GTEX-131YS-3026-SM-5EGHY 60-69 years, female 92.4
GTEX-13RTJ-3126-SM-5S2Q4 60-69 years, male 92.1
GTEX-XLM4-2926-SM-4AT59 60-69 years, male 92.1
GTEX-11ONC-3026-SM-5985W 60-69 years, male 92.0
GTEX-13N2G-3126-SM-5IJGL 60-69 years, male 91.9
GTEX-X261-3126-SM-4PQZC 50-59 years, male 91.6
GTEX-13112-2926-SM-5DUWT 50-59 years, male 91.5
GTEX-1JJE9-3026-SM-CNNPA 70-79 years, male 91.0
GTEX-1RDX4-3226-SM-DPS14 50-59 years, female 90.8
GTEX-13OW5-3126-SM-5MR3Y 60-69 years, male 90.2
GTEX-15G19-2826-SM-6M48K 60-69 years, male 90.2
GTEX-147GR-3126-SM-5S2PM 60-69 years, male 89.7
GTEX-1C6WA-3326-SM-7MKGN 60-69 years, male 89.7
GTEX-1B8L1-3226-SM-7P8OX 60-69 years, male 89.5
GTEX-14A5I-2826-SM-5SIBF 50-59 years, female 89.4
GTEX-12ZZY-2926-SM-5DUXO 60-69 years, male 89.1
GTEX-1F6IF-3026-SM-7P8QN 60-69 years, male 88.8
GTEX-T6MN-2526-SM-32PMN 50-59 years, male 88.4
GTEX-14E6D-2926-SM-664OP 50-59 years, male 88.1
GTEX-UTHO-2926-SM-3P5Z9 60-69 years, male 88.0
GTEX-13FHP-2926-SM-5IJG9 50-59 years, male 87.6
GTEX-1R46S-3126-SM-DPRZ9 60-69 years, female 87.6
GTEX-N7MT-1226-SM-DKPOK 60-69 years, female 87.6
GTEX-11ZTS-3226-SM-5EGID 60-69 years, female 87.4
GTEX-1269C-3126-SM-5EGI6 60-69 years, female 87.0
GTEX-1313W-3026-SM-5LZUZ 50-59 years, female 86.8
GTEX-1HSMO-2926-SM-C1YR5 60-69 years, male 86.6
GTEX-1NV8Z-3026-SM-DTX8Z 60-69 years, male 86.4
GTEX-11EMC-3326-SM-5P9JH 60-69 years, female 86.1
GTEX-1128S-2826-SM-5N9DI 60-69 years, female 86.0
GTEX-1C6VR-3026-SM-7IGLW 60-69 years, male 85.9
GTEX-11GSP-3126-SM-5A5LL 60-69 years, female 85.6
GTEX-1GZHY-3026-SM-7MXVA 50-59 years, female 85.4
GTEX-16Z82-2926-SM-6LPJJ 60-69 years, male 85.3
GTEX-14BIM-3126-SM-5Q5C7 60-69 years, female 85.2
GTEX-13OVH-2926-SM-5IJFH 70-79 years, male 85.1
GTEX-1B996-2926-SM-7MXUH 60-69 years, male 85.1
GTEX-183WM-2726-SM-7KFRF 70-79 years, female 84.9
GTEX-1MJK2-3026-SM-EV7A5 50-59 years, male 84.3
GTEX-1I1CD-2926-SM-A96SJ 60-69 years, female 84.1
GTEX-13OVL-3026-SM-5IJF1 50-59 years, male 83.6
GTEX-1EWIQ-3026-SM-7IGOJ 70-79 years, female 83.6
GTEX-1IKOH-2826-SM-CNNRC 60-69 years, female 83.5
GTEX-NPJ8-2626-SM-2D7W2 40-49 years, male 83.3
GTEX-ZAK1-2926-SM-5HL9S 50-59 years, female 83.3
GTEX-1BAJH-3126-SM-7MGXY 70-79 years, male 82.9
GTEX-12WSH-3126-SM-5LZW8 50-59 years, male 82.8
GTEX-ZAB4-2926-SM-57WCV 40-49 years, male 82.7
GTEX-1JN1M-3126-SM-AHZ4E 60-69 years, female 82.3
GTEX-11GSO-3026-SM-5Q5AL 60-69 years, male 82.1
GTEX-17HG3-2826-SM-7EPGO 30-39 years, female 82.1
GTEX-WL46-2826-SM-3LK81 50-59 years, male 82.1
GTEX-1GF9V-3026-SM-7P8R8 60-69 years, male 82.1
GTEX-11NUK-3026-SM-5986K 50-59 years, male 81.9
GTEX-12ZZZ-3126-SM-5LZU6 60-69 years, male 81.8
GTEX-1LSVX-2826-SM-EVR58 60-69 years, male 81.7
GTEX-ZDXO-2926-SM-4WKFM 60-69 years, male 81.5
GTEX-15ER7-3026-SM-6M47W 20-29 years, female 81.3
GTEX-13JUV-3026-SM-5K7WX 40-49 years, female 81.2
GTEX-1JJ6O-3026-SM-C1YQH 60-69 years, male 81.2
GTEX-13NYB-3226-SM-5J2ND 40-49 years, male 81.0
GTEX-X4EP-3026-SM-3P5YP 60-69 years, female 80.5
GTEX-145LU-2626-SM-5LU9Z 50-59 years, male 80.2
GTEX-1GTWX-2926-SM-7MXV4 60-69 years, male 80.0
GTEX-13G51-3126-SM-5IJG7 60-69 years, male 79.9
GTEX-WHSE-2926-SM-3NMBG 20-29 years, male 79.8
GTEX-1H1ZS-2926-SM-9WPP2 70-79 years, male 79.8
GTEX-1H3O1-1826-SM-A96TO 60-69 years, male 79.8
GTEX-11ZVC-3026-SM-59HJM 50-59 years, female 79.7
GTEX-1A3MX-2926-SM-718B7 60-69 years, male 79.7
GTEX-12WSM-2126-SM-5GCOC 60-69 years, male 79.6
GTEX-111FC-3326-SM-5GZYV 60-69 years, male 79.4
GTEX-13O3O-3026-SM-5KM42 60-69 years, female 79.4
GTEX-14JFF-2826-SM-6871Q 60-69 years, male 79.2
GTEX-1399T-3126-SM-5IJFS 60-69 years, male 79.0
GTEX-145MG-3126-SM-5Q5D3 50-59 years, male 79.0
GTEX-YJ89-2926-SM-5P9IT 60-69 years, male 78.9
GTEX-ZVT3-2926-SM-5GU6M 60-69 years, female 78.8
GTEX-1IL2V-3026-SM-CYPSA 70-79 years, male 78.6
GTEX-1JMPZ-2826-SM-C1YRA 30-39 years, male 78.4
GTEX-1H1CY-3026-SM-9OSW7 60-69 years, female 78.3
GTEX-14PJO-2926-SM-686ZI 60-69 years, male 78.0
GTEX-X4XX-2926-SM-3NMB1 60-69 years, male 77.9
GTEX-1F75A-2926-SM-7MXVN 50-59 years, male 77.9
GTEX-1I1GV-3026-SM-CNNR9 60-69 years, male 77.9
GTEX-1PIIG-2826-SM-DTX7O 30-39 years, male 77.9
GTEX-R55E-2526-SM-2TC6H 20-29 years, male 77.7
GTEX-N7MS-2526-SM-2D7W3 60-69 years, male 77.5
GTEX-12126-0926-SM-5FQTW 20-29 years, male 77.4
GTEX-13JVG-3226-SM-5IJGJ 60-69 years, male 77.4
GTEX-1QEPI-3026-SM-EXOIW 60-69 years, female 77.2
GTEX-ZYFD-2926-SM-5GID9 50-59 years, male 77.1
GTEX-14C39-3026-SM-5S2QE 40-49 years, male 77.0
GTEX-1H1DG-2826-SM-9JGHB 70-79 years, male 77.0
GTEX-13FXS-3026-SM-5LZYO 50-59 years, male 76.7
GTEX-1RQEC-3026-SM-DPRXM 60-69 years, male 76.7
GTEX-13QIC-3026-SM-5LU58 60-69 years, female 76.6
GTEX-13S7M-3026-SM-5S2QQ 60-69 years, female 76.5
GTEX-1HSKV-2926-SM-B2LWJ 60-69 years, male 76.5
GTEX-1PWST-3026-SM-EAZ3H 70-79 years, male 76.5
GTEX-13OW6-2926-SM-5KM29 50-59 years, male 76.4
GTEX-ZYY3-3026-SM-5GIEJ 60-69 years, female 76.4
GTEX-117XS-3126-SM-5GIDP 60-69 years, male 76.2
GTEX-14JIY-2326-SM-6AJAJ 60-69 years, male 76.2
GTEX-1KD4Q-3026-SM-EV7A7 40-49 years, male 76.2
GTEX-S7SE-2526-SM-2XCDL 50-59 years, male 76.0
GTEX-12WSE-2926-SM-5RQJ9 20-29 years, male 75.8
GTEX-1E2YA-2926-SM-7MGWX 50-59 years, male 75.8
GTEX-11OC5-0626-SM-5HL6M 60-69 years, male 75.5
GTEX-144GL-2926-SM-5O99F 50-59 years, male 75.2
GTEX-1CB4G-2926-SM-7MKFQ 60-69 years, male 75.2
GTEX-YFC4-3026-SM-5IFJK 40-49 years, female 75.2
GTEX-1EMGI-3126-SM-7MXUR 60-69 years, male 75.0
GTEX-1F52S-3026-SM-7P8PV 60-69 years, female 74.9
GTEX-1JMQK-2926-SM-D4P2T 60-69 years, male 74.8
GTEX-11O72-2826-SM-5HL6W 40-49 years, male 74.6
GTEX-WVLH-2926-SM-3MJG5 50-59 years, male 74.6
GTEX-1JMOU-2826-SM-EV79R 60-69 years, female 74.5
GTEX-13FHO-2926-SM-5L3ES 60-69 years, male 74.4
GTEX-15DYW-3026-SM-7KFRM 60-69 years, female 74.3
GTEX-1J1OQ-3126-SM-D4P2O 40-49 years, female 74.3
GTEX-11TTK-2826-SM-5GU5K 60-69 years, female 74.2
GTEX-139TT-2626-SM-5LZUB 60-69 years, male 74.2
GTEX-1POEN-2726-SM-E9U6B 30-39 years, female 74.2
GTEX-RU72-2926-SM-2TF66 50-59 years, female 74.1
GTEX-17HII-2926-SM-79OMK 50-59 years, male 73.9
GTEX-12WSD-3026-SM-5LZU7 60-69 years, female 73.5
GTEX-1C64N-3126-SM-79OO3 50-59 years, male 73.4
GTEX-ZUA1-2926-SM-59HL3 40-49 years, male 73.3
GTEX-131XH-2926-SM-5LZU4 50-59 years, male 73.2
GTEX-18465-2926-SM-7KFSE 50-59 years, male 73.1
GTEX-13O3Q-3026-SM-5IJGD 50-59 years, male 73.0
GTEX-11DXY-3126-SM-5N9BT 60-69 years, male 72.9
GTEX-1A8G7-3026-SM-73KTT 60-69 years, male 72.9
GTEX-1JMQJ-3126-SM-EV79G 50-59 years, male 72.9
GTEX-17JCI-3026-SM-7EWDR 60-69 years, female 72.7
GTEX-13X6I-2926-SM-5Q5C3 60-69 years, male 72.6
GTEX-13X6K-2826-SM-5O9DS 60-69 years, female 72.3
GTEX-14ASI-2926-SM-5Q5DG 60-69 years, male 72.3
GTEX-1LG7Y-3126-SM-EV7AS 50-59 years, male 72.3
GTEX-15EO6-2926-SM-6M48D 50-59 years, male 72.1
GTEX-11DXW-1026-SM-5H11K 40-49 years, male 72.0
GTEX-14C5O-2926-SM-5RQI1 60-69 years, male 71.7
GTEX-18A6Q-2826-SM-7LTAO 60-69 years, male 71.7
GTEX-13CF2-3026-SM-5IFFX 60-69 years, male 71.5
GTEX-14JG1-2926-SM-686ZK 40-49 years, male 71.0
GTEX-13OW8-2926-SM-5L3FV 60-69 years, male 70.9
GTEX-13SLX-3226-SM-5YYA6 50-59 years, female 70.9
GTEX-145MF-2826-SM-7EPGU 50-59 years, male 70.9
GTEX-14DAQ-3026-SM-5S2QZ 60-69 years, female 70.7
GTEX-132Q8-2926-SM-5IFFP 60-69 years, male 70.6
GTEX-139TS-3126-SM-5LZWX 60-69 years, male 70.4
GTEX-Y8DK-0726-SM-4TT3S 60-69 years, male 70.4
GTEX-QVJO-1325-SM-2S1QX 60-69 years, female 70.2
GTEX-1JJEA-2926-SM-C1YSK 60-69 years, male 70.2
GTEX-1EX96-3126-SM-9JGGC 50-59 years, male 69.9
GTEX-1JMLX-3026-SM-EV79Q 50-59 years, male 69.9
GTEX-17F97-2926-SM-7DUEQ 50-59 years, male 69.8
GTEX-1H4P4-2726-SM-9JGGB 50-59 years, male 69.7
GTEX-1HBPH-3026-SM-9WPNY 40-49 years, female 69.6
GTEX-11ZUS-2826-SM-5EQKW 30-39 years, male 69.4
GTEX-145MH-2926-SM-5Q5D2 50-59 years, male 69.4
GTEX-1B933-3026-SM-731DB 50-59 years, female 69.4
GTEX-13PVQ-2926-SM-5L3HJ 50-59 years, male 69.3
GTEX-14ABY-3026-SM-664NE 50-59 years, male 69.2
GTEX-15SHU-3026-SM-6LPIB 40-49 years, female 69.2
GTEX-Z93S-2826-SM-57WBL 50-59 years, male 69.0
GTEX-13VXU-3026-SM-5LU3K 50-59 years, male 68.9
GTEX-1GN73-3026-SM-7MXV8 60-69 years, male 68.8
GTEX-14PJM-3026-SM-6LLHM 50-59 years, female 68.6
GTEX-1GZ4I-2926-SM-9JGGO 50-59 years, male 68.5
GTEX-14BMV-2926-SM-5TDEE 50-59 years, male 68.4
GTEX-12WSC-2926-SM-5BC5Z 50-59 years, male 68.1
GTEX-1IDJH-3126-SM-C1YQS 70-79 years, male 67.9
GTEX-T5JC-2326-SM-32PMR 20-29 years, male 67.6
GTEX-1P4AB-3026-SM-EXOJS 50-59 years, male 67.3
GTEX-1EKGG-3126-SM-9WPO5 60-69 years, male 66.6
GTEX-1GZ2Q-3026-SM-9JGG3 40-49 years, male 66.6
GTEX-1HBPI-2726-SM-9WPPF 50-59 years, male 66.6
GTEX-17HHY-2926-SM-79OJW 50-59 years, male 66.5
GTEX-1QP6S-3026-SM-EAZ4N 40-49 years, male 66.1
GTEX-147F4-3026-SM-5Q5BJ 50-59 years, male 66.0
GTEX-14PN4-3026-SM-664O4 50-59 years, male 65.6
GTEX-14E7W-2926-SM-5S2R8 70-79 years, male 65.2
GTEX-1KANB-3226-SM-D4P3G 50-59 years, male 65.0
GTEX-11PRG-2826-SM-5BC54 50-59 years, male 64.9
GTEX-WZTO-2826-SM-3NM8P 40-49 years, male 64.9
GTEX-16YQH-2926-SM-6LPJE 30-39 years, male 64.8
GTEX-1B8SG-1926-SM-73KUB 50-59 years, male 64.8
GTEX-11DYG-2926-SM-5H132 60-69 years, male 64.2
GTEX-14BIN-3326-SM-5Q5E6 50-59 years, female 64.2
GTEX-1EU9M-2926-SM-793DF 60-69 years, male 64.1
GTEX-13OVJ-2726-SM-5IJG6 50-59 years, female 63.8
GTEX-145LS-3026-SM-5O99S 60-69 years, female 63.4
GTEX-1R9PO-2826-SM-E6CPV 60-69 years, female 63.2
GTEX-1B8SF-3026-SM-731DX 60-69 years, male 63.0
GTEX-1IY9M-3126-SM-AHZ3A 60-69 years, male 62.3
GTEX-17EVP-2926-SM-793BU 40-49 years, male 60.7
GTEX-1KWVE-2226-SM-CXZKN 30-39 years, male 60.7
GTEX-11NV4-2226-SM-5BC4T 60-69 years, male 60.1
GTEX-T2IS-2926-SM-32QPO 20-29 years, female 60.0
GTEX-1I1HK-2726-SM-AHZ2M 60-69 years, male 59.9
GTEX-12ZZX-2826-SM-5BC6K 40-49 years, female 59.6
GTEX-17EVQ-2726-SM-7EWDT 70-79 years, male 59.2
GTEX-1HCVE-2926-SM-9WPPJ 50-59 years, male 59.1
GTEX-1CB4H-3026-SM-79OLX 60-69 years, female 59.0
GTEX-1A8G6-3126-SM-731D8 60-69 years, male 58.7
GTEX-TSE9-2926-SM-3DB77 60-69 years, female 58.6
GTEX-NPJ7-2826-SM-2I3FU 60-69 years, female 58.1
GTEX-RNOR-2226-SM-2TF5O 50-59 years, female 55.6
GTEX-QMR6-1326-SM-32PLB 50-59 years, male 53.2
GTEX-PWO3-1026-SM-2I5F2 60-69 years, female 53.1
GTEX-P44H-2426-SM-2XCEJ 40-49 years, male 52.8
GTEX-1H3NZ-2926-SM-9WPQ8 60-69 years, male 52.4
GTEX-QVUS-2926-SM-3GIJB 60-69 years, female 51.4
GTEX-QDT8-3026-SM-32PKB 30-39 years, female 50.6
GTEX-OHPN-2626-SM-2I5H1 60-69 years, female 50.5
GTEX-Q2AG-2826-SM-2HMJQ 40-49 years, female 49.1
GTEX-PVOW-2626-SM-32PL8 40-49 years, male 47.9
GTEX-13X6J-2926-SM-7EPGP 50-59 years, male 46.7
GTEX-P44G-2526-SM-2I5EK 30-39 years, male 46.7
Show allShow less

CEREBELLUM - FANTOM5 CAGEi

RNA expression in human tissues obtained through Cap Analysis of Gene Expression (CAGE) generated by the FANTOM5 project are reported as Scaled Tags Per Million.

Max subtype Scaled Tags Per Millioni

Max subtype Scaled Tags Per Million is the value for the subtype with the largest average Scaled Tags Per Million across the subtype samples.

50.7
FANTOM5 sample id Sample description Scaled Tags Per Million
Cerebellum
Scaled Tags Per Million: 50.7
FF:10083-102B2 22-68 years, mixed 63.6
FF:10166-103B4 76 years, female 37.9

CEREBELLUM - Pig RNA-seqi

RNA-seq data obtained from pig brain is reported as nTPM .

Normal distribution across the dataset is visualized with box plots, shown as median and 25th and 75th percentiles. Points are displayed as outliers if they are above or below 1.5 times the interquartile range. nTPM values of the individual samples are presented next to the box plot.
Max subtype nTPMi

Max subtype nTPM is the value for the subtype with the largest average nTPM across the subtype samples.

34.9
Pig sample Sample description nTPM
Cerebellum
nTPM: 34.9
Samples: 4

Max nTPM: 50.7
Min nTPM: 29.4
Sample A Female 50.7
Sample B Female 29.4
Sample C Male 30.1
Sample D Male 29.5

CEREBELLUM - Mouse RNA-seqi

RNA-seq data obtained from mouse brain is reported as nTPM .

Normal distribution across the dataset is visualized with box plots, shown as median and 25th and 75th percentiles. Points are displayed as outliers if they are above or below 1.5 times the interquartile range. nTPM values of the individual samples are presented next to the box plot.
Max subtype nTPMi

Max subtype nTPM is the value for the subtype with the largest average nTPM across the subtype samples.

71.1
Mouse sample Sample description nTPM
Cerebellum
nTPM: 71.1
Samples: 4

Max nTPM: 80.1
Min nTPM: 64.1
Sample A Male 67.0
Sample B Male 80.1
Sample C Female 73.3
Sample D Female 64.1

CEREBELLUM - Allen Mouse ISHi

In situ hybridization (ISH) data generated by the Allen brain atlas from mouse brain is reported as expression energy. For more details about a particular experiment, click on the corresponding Allen experiment ID.

Max subtype Expression energyi

Max subtype Expression energy is the value for the subtype with the largest average Expression energy across the subtype samples.

1.5
Allen experiment id Experiment description Expression energy
Cerebellum
Expression energy: 1.5
70445580 Antisense, RP_050614_04_B05, Mouse strain C57BL/6J (56 days, male) 1.5

Contact

  • NEWS ARTICLES
  • PRESS ROOM

The Project

  • INTRODUCTION
  • ORGANIZATION
  • PUBLICATIONS

The Human Protein Atlas

  • DOWNLOADABLE DATA
  • LICENCE & CITATION
  • HELP & FAQ
The Human Protein Atlas project is funded
by the Knut & Alice Wallenberg Foundation.


contact@proteinatlas.org