We use cookies to enhance the usability of our website. If you continue, we'll assume that you are happy to receive all cookies. More information. Don't show this again.
AKT1
HPA
RESOURCES
  • TISSUE
  • BRAIN
  • SINGLE CELL
  • SUBCELLULAR
  • CANCER
  • BLOOD
  • CELL LINE
  • STRUCTURE & INTERACTION
ABOUT
  • INTRODUCTION
  • HISTORY
  • ORGANIZATION
  • PUBLICATIONS
  • ANTIBODY SUBMISSION
  • ANTIBODY AVAILABILITY
  • ACKNOWLEDGMENTS
  • CONTACT
NEWS
  • NEWS ARTICLES
  • PRESS ROOM
LEARN
  • DICTIONARY
  • PROTEIN CLASSES
  • PROTEIN EVIDENCE
  • METHODS
  • EDUCATIONAL VIDEOS
DATA
  • DOWNLOADABLE DATA
  • PUBLICATION DATA
  • RELEASE HISTORY
HELP
  • ANTIBODY VALIDATION
  • ASSAYS & ANNOTATION
  • DISCLAIMER
  • HELP & FAQ
  • PRIVACY STATEMENT
  • LICENCE & CITATION
Fields »
Search result

Field
Term
Gene name
Class
Subclass
Class
Keyword
Chromosome
External id
Tissue
Cell type
Expression
Antibody panel
Tissue
Main location
Patient ID
Annotation
Tissue
Category
Tau score
Cluster
Reliability
Brain region
Category
Tau score
Brain region
Category
Tau score
Brain region
Category
Tau score
Cluster
Reliability
Tissue
Cell type
Enrichment
Cell type
Category
Tau score
Cell type
Category
Tau score
Cell type
Category
Tau score
Cell lineage
Category
Tau score
Cluster
Cluster
Location
Searches
Location
Cell line
Class
Type
Phase
Reliability
Cancer
Prognosis
Cancer
Category
Cancer
Category
Tau score
Cluster
Variants
Interacting gene (ensg_id)
Type
Number of interactions
Pathway
Category
Score
Score
Score
Validation
Validation
Validation
Validation
Antibodies
Data type
Column


  • SUMMARY

  • TISSUE

  • BRAIN

  • SINGLE CELL

  • SUBCELL

  • CANCER

  • BLOOD

  • CELL LINE

  • STRUCT & INT

  • AKT1
TISSUE PRIMARY DATA SKIN Show tissue menu
ADIPOSE TISSUE ADRENAL GLAND AMYGDALA APPENDIX BASAL GANGLIA BONE MARROW BREAST BRONCHUS CEREBELLUM CEREBRAL CORTEX CERVIX CHOROID PLEXUS COLON DUODENUM
ENDOMETRIUM EPIDIDYMIS ESOPHAGUS FALLOPIAN TUBE GALLBLADDER HEART MUSCLE HIPPOCAMPAL FORMATION HYPOTHALAMUS KIDNEY LIVER LUNG LYMPH NODE MIDBRAIN NASOPHARYNX
ORAL MUCOSA OVARY PANCREAS PARATHYROID GLAND PITUITARY GLAND PLACENTA PROSTATE RECTUM RETINA SALIVARY GLAND SEMINAL VESICLE SKELETAL MUSCLE SKIN SMALL INTESTINE
SMOOTH MUSCLE SOFT TISSUE SPINAL CORD SPLEEN STOMACH TESTIS THYMUS THYROID GLAND TONGUE TONSIL URINARY BLADDER VAGINA
ANTIBODIES
AND
VALIDATION
Dictionary
Skin
Tissue proteome
Skin
SKIN - Expression summary
Protein expression
Skini

On the top, protein expression in current human tissue, based on all annotated cell types, is reported with the units not detected (n), low (l), medium (m) and high (h). Underneath, protein expression in each annotated cell type are reported using the same units.

Protein expression data is based on knowledge-based annotation. For genes where more than one antibody has been used, a collective score is set.

If knowledge-based annotation could not be performed for a gene, no data is displayed here. View antibody staining data further down this page.

h
m
l
n
Epidermal cells: Medium
Fibroblasts: High
Keratinocytes: High
Langerhans: High
Melanocytes: High
RNA expressioni

A summary of mRNA expression data available for current tissue based on several datasets. The mRNA expression levels in human tissues are based on RNA-seq data generated by the Human Protein Atlas (HPA), Genotype-Tissue Expression (GTEx) portal and CAGE data generated by the FANTOM5 consortium. Consensus normalized expression levels for human tissues was created by combining the data from HPA and GTEx datasets.

The mRNA expression levels in pig are based on RNA-seq data generated by the Human Protein Atlas (HPA), and for mouse, HPA data and in situ hybridization generated by the Allen brain atlas are reported.

Scroll down to view mRNA expression data in more detail.
Consensus:42.2 nTPM
HPA:34.3 nTPM
GTEx:42.2 nTPM

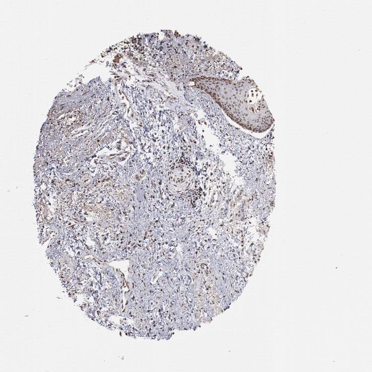
SKIN 1 - Antibody stainingi

Antibody staining in the annotated cell types in the current human tissue is reported as not detected, low, medium, or high, based on conventional immunohistochemistry profiling in selected tissues. This score is based on the combination of the staining intensity and fraction of stained cells.

Each image is clickable and will lead to virtual microscopy that enables deeper exploration of all samples and also displays staining intensity scores, fraction scores and subcellular localization as well as patient and tissue information for each sample.

Antibody HPA002891Antibody CAB003765Antibody CAB080436
Langerhans HighNot detectedHigh
Fibroblasts HighMediumHigh
Keratinocytes HighLowMedium
Melanocytes HighHighHigh





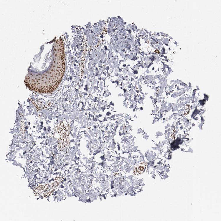
SKIN 2 - Antibody stainingi

Antibody staining in the annotated cell types in the current human tissue is reported as not detected, low, medium, or high, based on conventional immunohistochemistry profiling in selected tissues. This score is based on the combination of the staining intensity and fraction of stained cells.

Each image is clickable and will lead to virtual microscopy that enables deeper exploration of all samples and also displays staining intensity scores, fraction scores and subcellular localization as well as patient and tissue information for each sample.

Antibody HPA002891Antibody CAB003765Antibody CAB080436
Epidermal cells MediumLowMedium
   
   
   


SKIN - HPA RNA-seqi

The RNA-seq details section shows detailed information about the individual samples used for the transcript profiling and results of the RNA-seq analysis.

Information about each individual sample is listed below, including gender, age, a tissue section image and estimated fractions of cell types. nTPM (normalized transcripts per million) values give a quantification of the gene abundance which is comparable between different genes and samples.
Average nTPMi

Max subtype nTPM is the value for the subtype with the largest average nTPM across the subtype samples.

34.3
overview
Female, age 34
Skin sample 225
nTPM: 36.2
Cell types%
Keratinocytes:
60

Other cell types:
40

overview
Female, age 30
Skin sample 226
nTPM: 34.1
Cell types%
Keratinocytes:
55

Other cell types:
45

N/A
Male, age 57
Skin sample 227
nTPM: 32.7

SKIN - GTEx RNA-seqi

RNA-Seq data generated by the Genotype-Tissue Expression (GTEx) project from human tissues is reported as mean nTPM. More information can be found on the GTEx portal.

Distribution across the dataset is visualized with box plots, shown as median and 25th and 75th percentiles. Points are displayed as outliers if they are above or below 1.5 times the interquartile range. nTPM values of the individual samples are presented next to the box plot.
Max subtype nTPMi

Max subtype nTPM is the value for the subtype with the largest average nTPM across the subtype samples.

42.2
GTEx sample id Sample description nTPM
Skin - Not Sun Exposed (Suprapubic)
Average nTPM: 40.2
Samples: 604

Max nTPM: 68.8
Min nTPM: 24.3
Std nTPM: 6.6
Median nTPM: 39.4
GTEX-WHSE-0126-SM-3NMBT 20-29 years, male 68.8
GTEX-WH7G-2026-SM-3NMBL 40-49 years, male 66.9
GTEX-WI4N-2726-SM-3LK7Y 40-49 years, female 65.2
GTEX-14E6C-2426-SM-5S2NF 40-49 years, male 64.8
GTEX-1OJC3-1226-SM-DTXER 20-29 years, male 63.6
GTEX-X585-2426-SM-46MW2 50-59 years, male 60.8
GTEX-YB5K-2026-SM-4VDT3 40-49 years, female 60.1
GTEX-11DYG-1526-SM-5A5JS 60-69 years, male 59.7
GTEX-1N2DV-1526-SM-DTXEP 40-49 years, male 58.9
GTEX-1R9PN-0426-SM-DTXDT 40-49 years, female 58.7
GTEX-ZF29-0926-SM-4WKFZ 60-69 years, female 57.9
GTEX-U8XE-0226-SM-4E3J3 30-39 years, male 57.8
GTEX-Y114-2126-SM-4TT8B 50-59 years, female 57.0
GTEX-15RJ7-2126-SM-6PAMD 40-49 years, male 56.0
GTEX-17F98-1326-SM-7DUEP 40-49 years, female 55.1
GTEX-15G1A-1626-SM-7KUKN 30-39 years, male 54.7
GTEX-1ICLZ-0326-SM-ARL82 60-69 years, male 54.7
GTEX-11WQK-1026-SM-5EQLX 50-59 years, male 54.6
GTEX-1F75I-2226-SM-7SB8U 40-49 years, male 54.0
GTEX-14XAO-1226-SM-6EU1C 60-69 years, female 53.9
GTEX-17F9E-2326-SM-79OKD 50-59 years, male 53.5
GTEX-XBEW-1126-SM-4QARW 40-49 years, male 53.1
GTEX-11WQC-1826-SM-5GU59 60-69 years, male 52.9
GTEX-13O61-1426-SM-5KM3D 60-69 years, male 52.9
GTEX-ZY6K-1426-SM-5GZX2 50-59 years, male 52.7
GTEX-WFG7-2026-SM-5SI7P 20-29 years, male 52.6
GTEX-1KANA-1326-SM-DIPFA 20-29 years, male 52.6
GTEX-1QP9N-1226-SM-E76QN 30-39 years, male 52.6
GTEX-1S82P-2126-SM-E6CI5 60-69 years, female 52.6
GTEX-XXEK-1626-SM-4BRUZ 50-59 years, male 52.2
GTEX-131XF-2626-SM-5EQ6K 60-69 years, male 51.9
GTEX-ZLFU-1826-SM-4WWBV 40-49 years, male 51.9
GTEX-1S82U-1026-SM-E6CJK 30-39 years, female 51.9
GTEX-12126-0826-SM-5FQTZ 20-29 years, male 51.8
GTEX-14PK6-0226-SM-62LF5 70-79 years, female 51.7
GTEX-WFON-1926-SM-3LK7L 40-49 years, male 51.6
GTEX-11DZ1-2426-SM-5GZZX 50-59 years, male 51.5
GTEX-14A5H-0826-SM-5QGPJ 60-69 years, male 51.3
GTEX-1IDJC-1526-SM-B2LW4 50-59 years, male 51.0
GTEX-ZTX8-1326-SM-4YCEL 20-29 years, male 50.8
GTEX-14PHY-1226-SM-5ZZWK 60-69 years, female 50.7
GTEX-1MJK3-0726-SM-E6CJC 20-29 years, male 50.6
GTEX-YFCO-1226-SM-5LUAT 40-49 years, male 50.5
GTEX-1JMQK-1226-SM-D4P2S 60-69 years, male 50.5
GTEX-1B8KE-1126-SM-7EPHI 50-59 years, male 50.4
GTEX-1F6I4-2326-SM-7RHGL 60-69 years, male 50.0
GTEX-1CB4J-1326-SM-7P8RX 60-69 years, male 49.9
GTEX-ZYVF-0926-SM-5E44J 50-59 years, female 49.7
GTEX-1PIIG-2326-SM-DTXFR 30-39 years, male 49.6
GTEX-18QFQ-1826-SM-72D52 30-39 years, male 49.2
GTEX-ZT9W-1126-SM-57WDR 50-59 years, male 49.1
GTEX-ZVP2-0326-SM-57WBP 50-59 years, male 49.1
GTEX-1HSMP-0926-SM-A9SKX 70-79 years, male 49.1
GTEX-1LBAC-0826-SM-CY8IJ 20-29 years, male 48.9
GTEX-1QP66-1226-SM-DTX7U 50-59 years, male 48.6
GTEX-131XG-0326-SM-5L3DX 50-59 years, female 48.5
GTEX-18D9B-0926-SM-7LG4U 60-69 years, male 48.4
GTEX-X8HC-0626-SM-4E3HQ 50-59 years, female 48.2
GTEX-Y111-0626-SM-4SOIT 50-59 years, male 48.2
GTEX-1A3MX-2626-SM-7PC24 60-69 years, male 48.2
GTEX-1HBPI-2126-SM-ARL9K 50-59 years, male 48.2
GTEX-11P7K-1126-SM-5HL4L 30-39 years, male 48.1
GTEX-13113-1626-SM-5EQ4I 60-69 years, female 48.1
GTEX-11EQ9-1626-SM-5PNY8 30-39 years, male 48.0
GTEX-ZDTS-0826-SM-4WKHL 60-69 years, male 47.8
GTEX-1IKOE-1426-SM-CE6T7 30-39 years, female 47.8
GTEX-1497J-0226-SM-5QGPU 60-69 years, male 47.7
GTEX-1HSMQ-2626-SM-A9SML 50-59 years, male 47.7
GTEX-11TT1-1826-SM-5EQLV 20-29 years, male 47.6
GTEX-131XH-0126-SM-5LZUY 50-59 years, male 47.6
GTEX-1QP2A-1726-SM-E76QC 50-59 years, male 47.6
GTEX-11OF3-0126-SM-5PNYF 60-69 years, male 47.5
GTEX-18A7B-2726-SM-7LG56 70-79 years, male 47.5
GTEX-XYKS-1426-SM-4BRUO 60-69 years, female 47.5
GTEX-13OW5-2326-SM-5L3HO 60-69 years, male 47.4
GTEX-14ICL-1626-SM-5YYAO 30-39 years, male 47.4
GTEX-17F97-2626-SM-7IGM5 50-59 years, male 47.4
GTEX-1PPH8-0126-SM-EWRN8 20-29 years, male 47.4
GTEX-WHWD-1826-SM-3LK6I 50-59 years, male 47.2
GTEX-1RB15-1326-SM-E76Q9 60-69 years, male 47.2
GTEX-13NYC-0126-SM-5L3F4 60-69 years, male 47.1
GTEX-13OVK-1426-SM-6PAN7 40-49 years, male 47.1
GTEX-Z93S-1626-SM-5CVMB 50-59 years, male 47.1
GTEX-1H1CY-0126-SM-9YFLY 60-69 years, female 47.1
GTEX-1GZ2Q-0126-SM-9WG6M 40-49 years, male 46.9
GTEX-WXYG-2026-SM-4E3IY 50-59 years, female 46.8
GTEX-Y3IK-1626-SM-4YCF5 50-59 years, female 46.8
GTEX-1JN1M-2726-SM-CY8I4 60-69 years, female 46.8
GTEX-18A66-0626-SM-7LT8Z 60-69 years, male 46.6
GTEX-ZAJG-1526-SM-5CVML 50-59 years, female 46.6
GTEX-1L5NE-1126-SM-D3L9P 50-59 years, male 46.5
GTEX-131YS-2826-SM-5EQ47 60-69 years, female 46.4
GTEX-11P82-1426-SM-DTXFY 20-29 years, male 46.4
GTEX-1HC8U-1326-SM-9YFMJ 40-49 years, female 46.2
GTEX-X4EP-0626-SM-3P621 60-69 years, female 46.1
GTEX-144GO-2026-SM-5O99P 60-69 years, male 46.0
GTEX-WHPG-2626-SM-3NMBR 50-59 years, male 46.0
GTEX-1GF9U-2026-SM-7SB92 40-49 years, female 46.0
GTEX-17MFQ-1526-SM-7KFRR 20-29 years, male 45.9
GTEX-15CHQ-0326-SM-69LQD 60-69 years, male 45.8
GTEX-ZYFD-0626-SM-5E44E 50-59 years, male 45.8
GTEX-1HR98-2226-SM-ADEI2 60-69 years, male 45.8
GTEX-1NV5F-0626-SM-DTXEG 60-69 years, female 45.8
GTEX-147F4-0726-SM-5TDDD 50-59 years, male 45.6
GTEX-1HCUA-0826-SM-ADEHM 50-59 years, female 45.6
GTEX-13VXT-1926-SM-5K7UO 20-29 years, female 45.5
GTEX-14ABY-2026-SM-62LDL 50-59 years, male 45.5
GTEX-1F48J-0726-SM-7RHGS 50-59 years, female 45.5
GTEX-111FC-2526-SM-5GZXU 60-69 years, male 45.4
GTEX-12ZZX-2426-SM-5GCOE 40-49 years, female 45.4
GTEX-14PJO-2526-SM-6AJBQ 60-69 years, male 45.4
GTEX-1C64N-2626-SM-7PC2N 50-59 years, male 45.4
GTEX-1JKYN-0826-SM-ARU8S 30-39 years, male 45.4
GTEX-11DXX-2126-SM-5PNYR 60-69 years, female 45.3
GTEX-X3Y1-2026-SM-3P5YM 40-49 years, male 45.3
GTEX-YF7O-1526-SM-5IFI6 50-59 years, male 45.3
GTEX-1GMRU-2126-SM-7P8RA 50-59 years, male 45.3
GTEX-1192X-2726-SM-5N9DN 50-59 years, male 45.2
GTEX-WEY5-2326-SM-3GIKK 40-49 years, female 45.2
GTEX-13RTJ-0126-SM-5S2NN 60-69 years, male 45.1
GTEX-13FTX-1526-SM-5K7VJ 20-29 years, female 45.0
GTEX-13NYS-0626-SM-5L3F1 60-69 years, male 45.0
GTEX-11O72-0626-SM-5PNYE 40-49 years, male 44.9
GTEX-14DAR-1226-SM-73KYV 50-59 years, male 44.9
GTEX-Y8E4-2026-SM-5IFJB 40-49 years, male 44.9
GTEX-117YX-1926-SM-5GIEC 50-59 years, male 44.8
GTEX-12BJ1-0926-SM-5EQ62 60-69 years, male 44.8
GTEX-ZPU1-1126-SM-4YCF3 40-49 years, male 44.8
GTEX-1IDJE-1426-SM-ADEIW 50-59 years, female 44.8
GTEX-1PIGE-1826-SM-E8VOU 20-29 years, male 44.7
GTEX-1R9K4-2826-SM-DTX8F 60-69 years, male 44.7
GTEX-12WSF-1626-SM-7KUG5 70-79 years, male 44.6
GTEX-133LE-2326-SM-5K7W3 20-29 years, female 44.6
GTEX-14PKV-1126-SM-6LLJ1 20-29 years, female 44.6
GTEX-16AAH-0626-SM-793C9 50-59 years, male 44.6
GTEX-16YQH-2226-SM-7IGM2 30-39 years, male 44.6
GTEX-1A3MV-1826-SM-731CD 30-39 years, male 44.6
GTEX-ZVTK-0226-SM-51MRG 20-29 years, male 44.6
GTEX-1E2YA-2126-SM-7MXUO 50-59 years, male 44.6
GTEX-ZYW4-0626-SM-59HJR 60-69 years, male 44.5
GTEX-12WSJ-1126-SM-5LZVJ 40-49 years, female 44.4
GTEX-1E1VI-0326-SM-793D1 50-59 years, male 44.4
GTEX-ZWKS-0626-SM-5GIDV 30-39 years, male 44.4
GTEX-1GN73-0726-SM-7P8TJ 60-69 years, male 44.4
GTEX-1GPI7-1826-SM-9KNU1 20-29 years, male 44.4
GTEX-1GTWX-2026-SM-9YFLM 60-69 years, male 44.4
GTEX-1IY9M-2826-SM-ARU8H 60-69 years, male 44.4
GTEX-139TT-2126-SM-5LZWC 60-69 years, male 44.3
GTEX-139YR-1026-SM-5LZYN 50-59 years, male 44.3
GTEX-146FQ-2126-SM-5RQHU 30-39 years, male 44.3
GTEX-1A32A-0626-SM-731AQ 50-59 years, female 44.3
GTEX-1H1E6-0426-SM-9WYUS 30-39 years, male 44.3
GTEX-X5EB-1926-SM-4E3IW 40-49 years, male 44.2
GTEX-Y5LM-0926-SM-6LLJG 40-49 years, female 44.2
GTEX-1HT8W-0626-SM-A9G2H 30-39 years, male 44.2
GTEX-WFG8-2126-SM-3GIKQ 20-29 years, male 44.1
GTEX-1LVAN-0626-SM-CNPOQ 50-59 years, female 44.1
GTEX-11EM3-1226-SM-5N9DD 20-29 years, female 44.0
GTEX-14PHX-2226-SM-6EU2P 50-59 years, male 44.0
GTEX-18A6Q-0626-SM-7KFRP 60-69 years, male 44.0
GTEX-1HCU7-0726-SM-A9SL1 50-59 years, male 44.0
GTEX-1399R-1326-SM-5PNYS 30-39 years, male 43.9
GTEX-13OVH-0526-SM-5L3E6 70-79 years, male 43.9
GTEX-145MG-1526-SM-5Q5EM 50-59 years, male 43.9
GTEX-1GZHY-0626-SM-9KNVC 50-59 years, female 43.9
GTEX-1R7EU-1626-SM-DTXG3 60-69 years, male 43.9
GTEX-13OVJ-0826-SM-5J1OK 50-59 years, female 43.8
GTEX-15EU6-2226-SM-6EU2L 50-59 years, male 43.8
GTEX-1KANC-1226-SM-CYPT7 50-59 years, female 43.8
GTEX-12WSL-2026-SM-5GCML 50-59 years, male 43.7
GTEX-144GM-0526-SM-79OJO 20-29 years, male 43.7
GTEX-1JJEA-1826-SM-ARU8P 60-69 years, male 43.7
GTEX-1LVA9-2626-SM-EVYD4 50-59 years, male 43.7
GTEX-XK95-0226-SM-4AT58 40-49 years, male 43.6
GTEX-XQ3S-1426-SM-4BOPR 20-29 years, male 43.6
GTEX-1F75A-0726-SM-7RHHD 50-59 years, male 43.6
GTEX-1GMR2-0826-SM-7PC3V 50-59 years, male 43.6
GTEX-14E1K-2026-SM-7DUEI 50-59 years, male 43.5
GTEX-1JKYR-0626-SM-ARL8R 20-29 years, male 43.5
GTEX-1LGOU-1326-SM-D3L8M 20-29 years, female 43.5
GTEX-13FH7-1126-SM-5K7UG 50-59 years, female 43.4
GTEX-1B996-0426-SM-7EWF8 60-69 years, male 43.4
GTEX-ZDYS-2426-SM-4WKGI 50-59 years, male 43.4
GTEX-12WSH-1526-SM-5BC5W 50-59 years, male 43.2
GTEX-16MT8-2926-SM-7DUFO 60-69 years, female 43.2
GTEX-1JK1U-0226-SM-ARZMX 60-69 years, male 43.1
GTEX-YEC3-1326-SM-DO92X 50-59 years, male 43.1
GTEX-1H1DF-1126-SM-9WG7G 40-49 years, female 43.0
GTEX-11NUK-2726-SM-5A5MC 50-59 years, male 42.9
GTEX-1AX8Z-0726-SM-73KTS 60-69 years, male 42.9
GTEX-1BAJH-2426-SM-7IGP8 70-79 years, male 42.9
GTEX-ZDXO-3126-SM-5IJDF 60-69 years, male 42.9
GTEX-1H3NZ-2726-SM-9WYTQ 60-69 years, male 42.9
GTEX-1QP29-1826-SM-DTX9S 50-59 years, male 42.9
GTEX-13O3Q-0126-SM-5KM34 50-59 years, male 42.8
GTEX-15RIG-0726-SM-7KUM7 40-49 years, male 42.8
GTEX-1B8SF-0126-SM-7DUG3 60-69 years, male 42.8
GTEX-XBED-1926-SM-47JYP 60-69 years, male 42.8
GTEX-1C64O-1326-SM-7MGWR 60-69 years, male 42.7
GTEX-1HCU6-2526-SM-ADEHL 60-69 years, female 42.7
GTEX-1LG7Z-1626-SM-CXKYR 30-39 years, male 42.7
GTEX-1A3MW-0626-SM-731CB 60-69 years, female 42.6
GTEX-1HCU9-0426-SM-9WYSD 20-29 years, male 42.6
GTEX-11NSD-0626-SM-5A5LU 20-29 years, male 42.5
GTEX-1C6WA-2626-SM-7MKGM 60-69 years, male 42.5
GTEX-1MCYP-0526-SM-E9U6Q 20-29 years, female 42.5
GTEX-14C5O-0326-SM-5ZZUX 60-69 years, male 42.4
GTEX-Y8LW-1526-SM-5IFHL 50-59 years, female 42.4
GTEX-ZT9X-1526-SM-5DUXD 40-49 years, male 42.3
GTEX-1CAMR-1326-SM-7PC1F 20-29 years, male 42.2
GTEX-12ZZY-0726-SM-5EQ66 60-69 years, male 42.1
GTEX-1CAV2-0126-SM-7IGN7 40-49 years, female 42.1
GTEX-1F75B-0726-SM-7PC3R 50-59 years, male 42.1
GTEX-1H2FU-0926-SM-9WPPT 60-69 years, female 42.1
GTEX-1LSVX-2526-SM-DIPEU 60-69 years, male 42.1
GTEX-1LVAO-2726-SM-E9TJ8 60-69 years, male 42.1
GTEX-13X6H-0926-SM-5SIB2 50-59 years, female 42.0
GTEX-16MTA-0926-SM-6M47Z 50-59 years, male 42.0
GTEX-18D9U-0126-SM-731BM 40-49 years, male 42.0
GTEX-1MCC2-1826-SM-DIPEX 30-39 years, female 42.0
GTEX-1RAZR-2126-SM-E9U6T 40-49 years, male 42.0
GTEX-ZYFC-0426-SM-5GICQ 50-59 years, male 41.9
GTEX-1I19N-0126-SM-CYPSF 70-79 years, male 41.9
GTEX-1PBJJ-1026-SM-E76OS 30-39 years, male 41.9
GTEX-12584-0726-SM-5FQTK 40-49 years, male 41.8
GTEX-13OW7-0426-SM-5K7VK 50-59 years, male 41.8
GTEX-13PVQ-0626-SM-5LU47 50-59 years, male 41.8
GTEX-1EX96-1026-SM-7MKG2 50-59 years, male 41.8
GTEX-1RAZA-2226-SM-E9U4X 20-29 years, male 41.8
GTEX-13G51-1826-SM-5KLZH 60-69 years, male 41.7
GTEX-17HHY-0426-SM-7DHLC 50-59 years, male 41.7
GTEX-14JG6-1426-SM-9WG7C 30-39 years, female 41.7
GTEX-1GZ4I-2626-SM-9KNU3 50-59 years, male 41.7
GTEX-17HGU-2326-SM-7DUFE 50-59 years, male 41.6
GTEX-XQ8I-0926-SM-4BOOF 50-59 years, male 41.6
GTEX-1H11D-1826-SM-9QEHM 40-49 years, male 41.5
GTEX-1I6K6-1726-SM-CGQFD 30-39 years, male 41.4
GTEX-1QW4Y-1126-SM-DTXE3 30-39 years, male 41.4
GTEX-1399Q-2326-SM-5KM2X 40-49 years, male 41.3
GTEX-13NZ9-2626-SM-5L3FK 50-59 years, male 41.3
GTEX-1JMOU-1026-SM-CYPSS 60-69 years, female 41.3
GTEX-1CB4F-1026-SM-7DUH1 60-69 years, male 41.2
GTEX-1HSMO-0626-SM-ACKXC 60-69 years, male 41.2
GTEX-1JMLX-0626-SM-ARL8T 50-59 years, male 41.2
GTEX-17HHE-1326-SM-7EWDZ 50-59 years, male 41.1
GTEX-Y3I4-1726-SM-4TT89 50-59 years, male 41.1
GTEX-1LSNM-0826-SM-DIPG8 50-59 years, male 41.1
GTEX-111CU-1126-SM-5EGIM 50-59 years, male 41.0
GTEX-11DXZ-2026-SM-5987S 50-59 years, male 41.0
GTEX-15RIE-1926-SM-7KUKJ 60-69 years, male 41.0
GTEX-1EU9M-1426-SM-793AI 60-69 years, male 41.0
GTEX-1QCLY-0226-SM-EWRNH 30-39 years, male 41.0
GTEX-1H4P4-2126-SM-9WYSL 50-59 years, male 40.9
GTEX-12WSK-2126-SM-5CVNC 40-49 years, female 40.8
GTEX-13PVR-0426-SM-5RQK2 60-69 years, female 40.8
GTEX-13X6J-0626-SM-5LU5F 50-59 years, male 40.7
GTEX-145MO-2826-SM-5LU96 60-69 years, male 40.7
GTEX-14PJ4-0226-SM-5YY92 60-69 years, male 40.7
GTEX-XAJ8-1426-SM-47JYM 40-49 years, male 40.7
GTEX-YEC4-1826-SM-4W1YP 40-49 years, male 40.7
GTEX-1QCLZ-2426-SM-EVYBW 60-69 years, female 40.7
GTEX-1RAZQ-1326-SM-E9TK6 30-39 years, male 40.7
GTEX-1211K-1526-SM-5FQU4 60-69 years, female 40.6
GTEX-18A67-1626-SM-7LT9T 50-59 years, male 40.5
GTEX-1NSGN-0726-SM-DTXEF 50-59 years, male 40.5
GTEX-145MH-2826-SM-5RQJF 50-59 years, male 40.4
GTEX-147GR-2426-SM-5ZZWQ 60-69 years, male 40.4
GTEX-16NPX-0726-SM-7KULC 50-59 years, male 40.4
GTEX-16XZZ-0726-SM-7KUF2 60-69 years, male 40.4
GTEX-17F96-0126-SM-7EWDU 70-79 years, male 40.4
GTEX-1R9PM-1926-SM-EVR3O 20-29 years, male 40.4
GTEX-11DXY-0126-SM-5H11Q 60-69 years, male 40.3
GTEX-11ZUS-2626-SM-5FQUR 30-39 years, male 40.3
GTEX-ZUA1-2626-SM-5NQ92 40-49 years, male 40.3
GTEX-1H1DG-2426-SM-9QEHJ 70-79 years, male 40.3
GTEX-1LVAM-0726-SM-E6CIL 50-59 years, female 40.3
GTEX-15G19-2426-SM-7KUMR 60-69 years, male 40.2
GTEX-11ZU8-0126-SM-5EQ58 60-69 years, male 40.1
GTEX-139TU-0726-SM-5L3EK 60-69 years, male 40.1
GTEX-1B97I-0626-SM-73KUZ 40-49 years, male 40.1
GTEX-1EWIQ-0326-SM-7DHMQ 70-79 years, female 40.1
GTEX-ZZ64-1026-SM-5GZXG 20-29 years, male 40.1
GTEX-145MN-1526-SM-5SI9T 30-39 years, male 40.0
GTEX-15RJE-2826-SM-7KUM9 40-49 years, male 40.0
GTEX-1I4MK-0126-SM-CY8G6 50-59 years, female 40.0
GTEX-1N5O9-0926-SM-E9J3C 60-69 years, male 40.0
GTEX-11VI4-1126-SM-5EQMD 40-49 years, female 39.9
GTEX-14PJ5-1526-SM-6LLIL 60-69 years, female 39.9
GTEX-145ME-1726-SM-5Q5EU 40-49 years, female 39.8
GTEX-1J8JJ-0626-SM-ARZMQ 60-69 years, female 39.8
GTEX-1RLM8-2926-SM-E8VON 50-59 years, male 39.8
GTEX-ZGAY-1826-SM-DO91Q 40-49 years, female 39.8
GTEX-1A8G6-2726-SM-731AR 60-69 years, male 39.7
GTEX-1B933-2426-SM-7DHMD 50-59 years, female 39.7
GTEX-1ICG6-1226-SM-A9SLN 70-79 years, female 39.7
GTEX-1PPGY-1626-SM-EVYBL 60-69 years, male 39.7
GTEX-ZE7O-2726-SM-51MT5 50-59 years, female 39.6
GTEX-1JMQI-1726-SM-ARL93 50-59 years, male 39.6
GTEX-1I1GP-1326-SM-A9G28 50-59 years, male 39.5
GTEX-1I6K7-1926-SM-B2LXR 40-49 years, male 39.5
GTEX-1O9I2-0226-SM-EYYXD 50-59 years, male 39.5
GTEX-111VG-1626-SM-5EGIO 60-69 years, male 39.4
GTEX-13112-0126-SM-5P9IU 50-59 years, male 39.4
GTEX-13JUV-2026-SM-5K7UA 40-49 years, female 39.4
GTEX-13OVG-1626-SM-5J1NF 60-69 years, male 39.4
GTEX-144GL-0626-SM-5LU4D 50-59 years, male 39.4
GTEX-15SHW-0226-SM-7LTAT 60-69 years, male 39.4
GTEX-1F52S-2926-SM-7MKGA 60-69 years, female 39.4
GTEX-YJ8O-2526-SM-5HL85 40-49 years, female 39.4
GTEX-139T8-0626-SM-5KLZX 60-69 years, male 39.3
GTEX-13VXU-0626-SM-5L3F9 50-59 years, male 39.3
GTEX-14LLW-2626-SM-62LDZ 70-79 years, female 39.3
GTEX-14LZ3-0126-SM-69LPM 60-69 years, female 39.3
GTEX-WHSB-1326-SM-3LK6W 50-59 years, male 39.3
GTEX-1GF9V-0826-SM-9KNUV 60-69 years, male 39.3
GTEX-1JN76-0626-SM-CKZOQ 20-29 years, female 39.3
GTEX-1RAZS-2526-SM-E6CHT 50-59 years, male 39.3
GTEX-13OVL-0126-SM-5L3GJ 50-59 years, male 39.2
GTEX-16GPK-0626-SM-7KFSF 60-69 years, male 39.2
GTEX-17EVQ-0126-SM-7IGLR 70-79 years, male 39.2
GTEX-ZXG5-2126-SM-59HKD 60-69 years, male 39.2
GTEX-16NGA-0726-SM-731AO 40-49 years, female 39.1
GTEX-1GZ4H-0526-SM-9KNU9 50-59 years, female 39.1
GTEX-1I1GS-2626-SM-B2LY3 60-69 years, male 39.1
GTEX-1117F-2926-SM-5GZYI 60-69 years, female 39.0
GTEX-13FTW-0326-SM-5K7UW 40-49 years, male 38.9
GTEX-183FY-1026-SM-7939A 20-29 years, male 38.9
GTEX-11DXW-0826-SM-5H118 40-49 years, male 38.8
GTEX-1AX9J-1326-SM-731BJ 60-69 years, male 38.8
GTEX-XV7Q-1826-SM-4BRUV 40-49 years, female 38.8
GTEX-UPJH-0226-SM-3GADV 50-59 years, male 38.7
GTEX-ZF2S-1626-SM-57WES 50-59 years, female 38.7
GTEX-139TS-2126-SM-5K7XC 60-69 years, male 38.6
GTEX-1H23P-0626-SM-9WG6T 60-69 years, male 38.6
GTEX-13JVG-0726-SM-5KM16 60-69 years, male 38.5
GTEX-148VJ-0626-SM-5LUAW 70-79 years, male 38.5
GTEX-ZA64-1026-SM-5HL8R 20-29 years, male 38.5
GTEX-ZAK1-0626-SM-5HL8E 50-59 years, female 38.5
GTEX-1F6IF-0926-SM-7SB7M 60-69 years, male 38.5
GTEX-1IDJD-2326-SM-ACKWX 30-39 years, male 38.5
GTEX-1K2DA-1026-SM-CGQGF 50-59 years, male 38.5
GTEX-1HUB1-1426-SM-CGQF5 60-69 years, male 38.4
GTEX-145LU-1926-SM-79OJN 50-59 years, male 38.3
GTEX-15DYW-2726-SM-6EU2I 60-69 years, female 38.3
GTEX-17JCI-2926-SM-7DUFF 60-69 years, female 38.3
GTEX-ZTSS-1426-SM-5985P 40-49 years, male 38.3
GTEX-ZVZP-1226-SM-5GID7 50-59 years, male 38.3
GTEX-1GF9W-1426-SM-7PBYM 60-69 years, male 38.3
GTEX-1QAET-0326-SM-EVR3U 50-59 years, male 38.3
GTEX-ZYT6-2326-SM-5GZY3 30-39 years, male 38.2
GTEX-1HSKV-1226-SM-ADEI4 60-69 years, male 38.2
GTEX-14AS3-1526-SM-5Q5ED 40-49 years, female 38.1
GTEX-14C38-0726-SM-5SI6M 50-59 years, male 38.1
GTEX-1H1DE-1326-SM-9KNUG 20-29 years, male 38.1
GTEX-1JMQL-2226-SM-CNPP4 50-59 years, female 38.1
GTEX-12ZZZ-0726-SM-5GCNZ 60-69 years, male 38.0
GTEX-13NYB-0126-SM-5J1MD 40-49 years, male 38.0
GTEX-16MT9-0126-SM-7EPI8 60-69 years, female 38.0
GTEX-17F9Y-0126-SM-79OKX 70-79 years, female 38.0
GTEX-11ZTT-2126-SM-5CVLO 60-69 years, female 37.9
GTEX-14B4R-1326-SM-5Q5EZ 30-39 years, male 37.9
GTEX-UPK5-0426-SM-3GAEK 40-49 years, male 37.9
GTEX-1I1GU-0926-SM-ACKVS 40-49 years, male 37.9
GTEX-13FHO-0426-SM-5L3F5 60-69 years, male 37.8
GTEX-14PJ3-1126-SM-5ZZVX 50-59 years, male 37.8
GTEX-XPVG-2126-SM-4B667 50-59 years, male 37.8
GTEX-1KAFJ-0126-SM-DIPEK 50-59 years, male 37.8
GTEX-15UF6-1926-SM-7KUDV 70-79 years, female 37.7
GTEX-1CAMQ-1326-SM-7P8RV 40-49 years, male 37.7
GTEX-1HFI6-0126-SM-CNPPI 40-49 years, male 37.7
GTEX-1IDJV-0126-SM-COH3Y 60-69 years, male 37.7
GTEX-1PPH7-1126-SM-DTX9A 40-49 years, male 37.7
GTEX-12WSA-0426-SM-5EQ5X 60-69 years, male 37.6
GTEX-13X6I-1826-SM-5SIAO 60-69 years, male 37.6
GTEX-14BMU-1226-SM-5S2OR 20-29 years, female 37.6
GTEX-1399S-0126-SM-5IJCF 30-39 years, female 37.5
GTEX-13YAN-0226-SM-5TDC6 60-69 years, male 37.5
GTEX-ZLWG-0826-SM-59888 50-59 years, female 37.5
GTEX-ZYFG-1526-SM-5GZYM 60-69 years, female 37.5
GTEX-1HFI7-2326-SM-CGQFS 50-59 years, female 37.5
GTEX-1HKZK-0726-SM-ACKW2 40-49 years, male 37.5
GTEX-12696-0126-SM-5EQ4L 60-69 years, male 37.4
GTEX-132AR-0326-SM-5KM2C 50-59 years, female 37.4
GTEX-145LT-0526-SM-5LUB2 40-49 years, male 37.4
GTEX-1CB4I-0126-SM-7RHGG 50-59 years, male 37.4
GTEX-1IKJJ-2226-SM-CJI4C 60-69 years, male 37.4
GTEX-VUSG-2326-SM-4KL1U 50-59 years, male 37.3
GTEX-XOT4-0626-SM-4B66L 60-69 years, female 37.3
GTEX-1GF9X-1326-SM-7PC2Y 40-49 years, female 37.3
GTEX-1PDJ9-1226-SM-EXUSX 20-29 years, male 37.3
GTEX-ZE9C-2526-SM-5IJDR 60-69 years, male 37.2
GTEX-1IDJF-2026-SM-CL53V 20-29 years, male 37.2
GTEX-1QPFJ-1926-SM-EVYBD 30-39 years, female 37.2
GTEX-15ER7-0626-SM-6PANF 20-29 years, female 37.1
GTEX-1AX9I-2226-SM-73KUO 60-69 years, male 37.1
GTEX-1F75W-2726-SM-7SB8H 60-69 years, male 37.1
GTEX-1HBPN-0126-SM-CGQEF 50-59 years, male 37.1
GTEX-1I1GV-0626-SM-ARL7M 60-69 years, male 37.1
GTEX-1IDJU-1726-SM-CMKHU 60-69 years, female 37.1
GTEX-1POEN-2326-SM-E9J2L 30-39 years, female 37.1
GTEX-ZC5H-1526-SM-5HL9Y 40-49 years, female 37.0
GTEX-11PRG-0726-SM-5EGL1 50-59 years, male 36.9
GTEX-16Z82-2626-SM-7KULU 60-69 years, male 36.9
GTEX-1CB4E-0926-SM-7EPHT 60-69 years, male 36.9
GTEX-VJYA-1526-SM-3GIJV 60-69 years, male 36.9
GTEX-ZU9S-1826-SM-5NQ9E 30-39 years, male 36.9
GTEX-1J8EW-2726-SM-CY8HR 60-69 years, female 36.9
GTEX-1KWVE-1026-SM-D3L9O 30-39 years, male 36.9
GTEX-1QEPI-2626-SM-DTXF4 60-69 years, female 36.9
GTEX-1LSNL-2726-SM-E9TKJ 50-59 years, male 36.8
GTEX-13FLV-0126-SM-5K7WT 50-59 years, male 36.7
GTEX-13W3W-0726-SM-5IJDQ 60-69 years, female 36.7
GTEX-W5X1-2526-SM-3GILC 40-49 years, female 36.7
GTEX-1IE54-1126-SM-A9G2Z 40-49 years, female 36.7
GTEX-1K2DU-1226-SM-CYPT4 20-29 years, male 36.7
GTEX-1S831-1826-SM-EWROF 20-29 years, male 36.7
GTEX-111YS-1526-SM-5GZYW 60-69 years, male 36.6
GTEX-15D1Q-2826-SM-6LLH7 40-49 years, male 36.6
GTEX-17HG3-2626-SM-7DUF2 30-39 years, female 36.6
GTEX-11EI6-2826-SM-5H11D 60-69 years, male 36.5
GTEX-13IVO-0726-SM-5LZYV 70-79 years, male 36.5
GTEX-WY7C-2126-SM-3NB2R 50-59 years, male 36.5
GTEX-11LCK-2226-SM-5HL4Q 30-39 years, male 36.4
GTEX-145MF-0926-SM-5Q5EA 50-59 years, male 36.4
GTEX-1C2JI-1026-SM-73KY1 50-59 years, male 36.4
GTEX-XUW1-0926-SM-4BONX 50-59 years, female 36.4
GTEX-1GPI6-1926-SM-9KNV7 60-69 years, male 36.3
GTEX-13SLX-2226-SM-62LEP 50-59 years, female 36.2
GTEX-14PJ2-0626-SM-6LLII 50-59 years, male 36.2
GTEX-WRHU-2826-SM-3MJG8 50-59 years, female 36.2
GTEX-14JG1-1526-SM-5YY9X 40-49 years, male 36.1
GTEX-17HII-1426-SM-7EPGG 50-59 years, male 36.1
GTEX-1F6RS-2026-SM-7RHHC 60-69 years, female 36.0
GTEX-13QBU-1226-SM-5LU4G 40-49 years, female 35.9
GTEX-14BIN-1126-SM-5RQJZ 50-59 years, female 35.9
GTEX-18D9A-1426-SM-7LT8M 30-39 years, female 35.9
GTEX-1AYD5-2626-SM-7PBXY 50-59 years, male 35.9
GTEX-YECK-0326-SM-4W1YS 60-69 years, male 35.8
GTEX-13U4I-2226-SM-5LU5H 40-49 years, female 35.7
GTEX-14E6E-0526-SM-793DN 30-39 years, male 35.7
GTEX-14PJN-1826-SM-6AJ98 30-39 years, male 35.7
GTEX-16BQI-1326-SM-6M486 30-39 years, female 35.6
GTEX-18A7A-0126-SM-731AH 50-59 years, female 35.6
GTEX-1J8Q3-0526-SM-ARL8U 60-69 years, male 35.6
GTEX-1QP28-1126-SM-EVYC4 50-59 years, female 35.6
GTEX-12C56-1526-SM-5FQUQ 20-29 years, male 35.5
GTEX-14C39-1726-SM-5RQIL 40-49 years, male 35.5
GTEX-14PKU-0126-SM-6LLHV 40-49 years, female 35.5
GTEX-1F5PL-0926-SM-7PC2W 40-49 years, female 35.5
GTEX-1GN1W-2426-SM-9KNUU 50-59 years, female 35.5
GTEX-1QMI2-2526-SM-E8VNZ 60-69 years, male 35.5
GTEX-13OW8-1026-SM-5J1NQ 60-69 years, male 35.4
GTEX-14PJ6-2626-SM-6EU2T 60-69 years, female 35.4
GTEX-ZDTT-0426-SM-4WKFL 60-69 years, male 35.4
GTEX-13D11-0926-SM-5J2NC 50-59 years, female 35.3
GTEX-15CHC-1126-SM-6LLHQ 60-69 years, female 35.3
GTEX-15CHR-1126-SM-7EWF4 50-59 years, male 35.3
GTEX-ZPCL-1126-SM-4WWFE 60-69 years, female 35.3
GTEX-1IL2V-1926-SM-B2LW8 70-79 years, male 35.3
GTEX-1S3DN-2126-SM-E9TIN 50-59 years, male 35.3
GTEX-14753-0726-SM-5QGQO 60-69 years, male 35.2
GTEX-WYBS-0626-SM-3NMAS 60-69 years, female 35.2
GTEX-1HBPM-0726-SM-9YFL7 60-69 years, female 35.2
GTEX-1I1GT-1026-SM-ARZLV 60-69 years, female 35.2
GTEX-11P81-2226-SM-5PNYI 30-39 years, female 35.1
GTEX-1399U-1126-SM-5L3DB 50-59 years, female 35.1
GTEX-13FTY-2126-SM-5IFFB 40-49 years, female 35.1
GTEX-147F3-1726-SM-5SIAW 50-59 years, female 35.1
GTEX-1ICLY-0826-SM-CMKG1 50-59 years, male 35.1
GTEX-11TUW-0626-SM-5LU9M 60-69 years, male 35.0
GTEX-17MF6-2626-SM-79OKQ 40-49 years, male 35.0
GTEX-WYJK-0526-SM-3NM8Z 50-59 years, male 35.0
GTEX-1F88F-0126-SM-9WYSZ 60-69 years, female 35.0
GTEX-1K9T9-1526-SM-DIPFR 50-59 years, female 35.0
GTEX-1LKK1-2626-SM-DKPQE 50-59 years, female 35.0
GTEX-15DDE-2926-SM-6LLJ3 50-59 years, female 34.9
GTEX-1F88E-1626-SM-7SB8Z 60-69 years, female 34.9
GTEX-1LGRB-0926-SM-COH3K 50-59 years, female 34.9
GTEX-1RMOY-1326-SM-E9TIH 50-59 years, male 34.9
GTEX-13N2G-0226-SM-5K7VF 60-69 years, male 34.7
GTEX-13O3O-2326-SM-5IJD6 60-69 years, female 34.7
GTEX-18465-2826-SM-7LT9J 50-59 years, male 34.7
GTEX-1J1R8-2026-SM-CL53Y 40-49 years, male 34.7
GTEX-13N11-2326-SM-5IJBF 50-59 years, female 34.6
GTEX-13OW6-2726-SM-5J2OE 50-59 years, male 34.6
GTEX-1I1HK-2326-SM-CKZOH 60-69 years, male 34.6
GTEX-1J8QM-2426-SM-A9SLS 60-69 years, female 34.6
GTEX-1S83E-1326-SM-E6CJM 40-49 years, male 34.6
GTEX-1IDFM-0326-SM-ARL7V 60-69 years, male 34.5
GTEX-1KXAM-1626-SM-D3LAD 60-69 years, male 34.5
GTEX-1EN7A-2426-SM-793DB 40-49 years, male 34.4
GTEX-WK11-2726-SM-3NMAQ 50-59 years, male 34.4
GTEX-1HB9E-0126-SM-CM2S5 50-59 years, male 34.4
GTEX-139D8-1126-SM-5LU8W 30-39 years, female 34.3
GTEX-144FL-0626-SM-5LU43 50-59 years, male 34.3
GTEX-17KNJ-2126-SM-718AM 50-59 years, male 34.3
GTEX-1B932-2326-SM-79OL5 40-49 years, female 34.3
GTEX-1EKGG-0626-SM-7DUGJ 60-69 years, male 34.3
GTEX-1F5PK-2226-SM-7SB6N 50-59 years, male 34.3
GTEX-14DAQ-0626-SM-793DS 60-69 years, female 34.2
GTEX-15FZZ-0526-SM-7KUGD 30-39 years, female 34.2
GTEX-183WM-0326-SM-72D5V 70-79 years, female 34.2
GTEX-11GS4-0226-SM-5HL77 60-69 years, male 34.1
GTEX-1212Z-0126-SM-59HK4 60-69 years, male 34.1
GTEX-12WSM-1926-SM-5BC65 60-69 years, male 34.1
GTEX-Y9LG-1126-SM-4VBQ7 30-39 years, male 34.1
GTEX-1C475-1326-SM-7SB73 40-49 years, female 34.1
GTEX-12WSC-2826-SM-5BC5Y 50-59 years, male 34.0
GTEX-13X6K-0626-SM-5LU5D 60-69 years, female 34.0
GTEX-1I1CD-0626-SM-CE6SW 60-69 years, female 34.0
GTEX-1A8FM-0626-SM-7PC25 50-59 years, female 33.9
GTEX-11EQ8-0926-SM-5H12V 60-69 years, male 33.8
GTEX-12WSD-0626-SM-5GCMW 60-69 years, female 33.8
GTEX-1J8Q2-2626-SM-ACKWQ 60-69 years, male 33.8
GTEX-14BMV-2826-SM-5TDED 50-59 years, male 33.7
GTEX-1EH9U-2826-SM-7DUGT 60-69 years, male 33.7
GTEX-ZZPU-0826-SM-5GZX5 50-59 years, female 33.7
GTEX-1H3O1-1326-SM-9MQLD 60-69 years, male 33.7
GTEX-1JJE9-2626-SM-ARZMT 70-79 years, male 33.7
GTEX-12KS4-2126-SM-5FQUT 30-39 years, male 33.6
GTEX-15EO6-2426-SM-6PALZ 50-59 years, male 33.6
GTEX-X4EO-2926-SM-4E3JH 60-69 years, female 33.6
GTEX-ZLV1-1526-SM-DO91J 60-69 years, female 33.6
GTEX-13NZ8-1226-SM-5KM4A 60-69 years, female 33.5
GTEX-ZVT4-2426-SM-5GIEI 50-59 years, female 33.5
GTEX-1LB8K-0726-SM-D5OV2 50-59 years, male 33.5
GTEX-1HGF4-0126-SM-CNPPX 60-69 years, male 33.4
GTEX-1HR9M-2226-SM-CNPPY 60-69 years, male 33.4
GTEX-1IDJH-0126-SM-D3L92 70-79 years, male 33.4
GTEX-1JMPY-0226-SM-CKZOK 30-39 years, male 33.3
GTEX-1LG7Y-2526-SM-EWRO7 50-59 years, male 33.2
GTEX-139UW-0326-SM-5J1ML 60-69 years, male 33.1
GTEX-ZVE2-2826-SM-5GU51 50-59 years, male 33.1
GTEX-ZP4G-1426-SM-4WWCL 20-29 years, female 33.0
GTEX-ZTTD-2826-SM-4YCFA 50-59 years, male 33.0
GTEX-1N2EE-0626-SM-E76PW 60-69 years, male 33.0
GTEX-1313W-0626-SM-5EQ4H 50-59 years, female 32.9
GTEX-15SKB-2826-SM-6PAMH 60-69 years, male 32.9
GTEX-1M4P7-0726-SM-E6CJ3 60-69 years, male 32.9
GTEX-13PL6-1126-SM-5L3IE 40-49 years, female 32.8
GTEX-1C6VR-0126-SM-7RHGB 60-69 years, male 32.8
GTEX-1GMR8-0626-SM-7RHI7 50-59 years, female 32.8
GTEX-1AMEY-0826-SM-72D65 30-39 years, female 32.7
GTEX-ZPIC-0526-SM-DO91W 40-49 years, female 32.6
GTEX-131XW-0626-SM-5PNVD 50-59 years, female 32.5
GTEX-145LS-0626-SM-7EPG7 60-69 years, female 32.5
GTEX-178AV-1726-SM-7KUL8 40-49 years, male 32.5
GTEX-17EVP-2626-SM-7IGMA 40-49 years, male 32.5
GTEX-XMD2-2126-SM-4YCF8 60-69 years, female 32.5
GTEX-1CAMS-2226-SM-7PBXQ 40-49 years, female 32.5
GTEX-11GSP-2326-SM-5HL63 60-69 years, female 32.4
GTEX-14A6H-2026-SM-5Q5DD 30-39 years, male 32.4
GTEX-1JMPZ-0726-SM-CY8HZ 30-39 years, male 32.4
GTEX-Y5V6-2326-SM-4VDSA 60-69 years, male 32.3
GTEX-ZYY3-2926-SM-5GIEB 60-69 years, female 32.3
GTEX-XBEC-0726-SM-4QARZ 50-59 years, male 32.2
GTEX-ZVE1-0726-SM-51MRN 50-59 years, female 32.2
GTEX-1JMQJ-0826-SM-CNPP7 50-59 years, male 32.2
GTEX-WYVS-1626-SM-3NM9R 40-49 years, female 32.1
GTEX-1JN6P-2926-SM-CL54D 60-69 years, male 32.1
GTEX-1HCVE-2726-SM-CL54F 50-59 years, male 32.0
GTEX-1GL5R-1326-SM-7RHHF 50-59 years, male 31.9
GTEX-1IDJI-0126-SM-CMKHS 50-59 years, female 31.9
GTEX-1GN2E-0226-SM-9WG6K 60-69 years, male 31.8
GTEX-1122O-1026-SM-9WYSF 60-69 years, female 31.6
GTEX-1GMR3-0126-SM-A9SLW 40-49 years, male 31.6
GTEX-ZF3C-0626-SM-DO92O 50-59 years, female 31.5
GTEX-1314G-1326-SM-5BC6E 30-39 years, male 31.3
GTEX-13PDP-0726-SM-5L3HP 60-69 years, male 31.3
GTEX-1477Z-0326-SM-7IGLA 60-69 years, male 31.3
GTEX-1KD5A-0126-SM-E9U54 50-59 years, male 31.3
GTEX-1R46S-2426-SM-E76QA 60-69 years, female 31.3
GTEX-14PII-0726-SM-6EU2B 60-69 years, male 31.2
GTEX-1C6VQ-1226-SM-73KYD 50-59 years, male 31.1
GTEX-1EMGI-2326-SM-7PBYA 60-69 years, male 31.1
GTEX-1IOXB-2726-SM-CM2RI 50-59 years, male 31.1
GTEX-13SLW-0626-SM-5Q5ER 70-79 years, male 30.9
GTEX-1S5ZU-2526-SM-E6CIF 20-29 years, female 30.9
GTEX-1269C-0126-SM-5EQ5L 60-69 years, female 30.8
GTEX-147JS-0226-SM-5S2U9 60-69 years, male 30.5
GTEX-11UD2-2526-SM-5CVNU 50-59 years, male 30.4
GTEX-1KANB-2826-SM-CY8I6 50-59 years, male 30.4
GTEX-1JJ6O-2726-SM-CNPOG 60-69 years, male 30.2
GTEX-1GN1V-2826-SM-9JGIA 60-69 years, male 30.0
GTEX-1OJC4-2726-SM-E76PJ 50-59 years, female 29.7
GTEX-1AMFI-1326-SM-7939R 50-59 years, female 29.6
GTEX-1CB4H-1126-SM-7MKGL 60-69 years, female 29.5
GTEX-1B8KZ-0326-SM-73KY4 50-59 years, male 29.4
GTEX-ZVT2-0126-SM-5GIDQ 50-59 years, female 29.3
GTEX-1GN1U-0626-SM-9MQL9 50-59 years, female 29.3
GTEX-1H1ZS-2726-SM-9WG75 70-79 years, male 29.2
GTEX-13N1W-2426-SM-5IJD1 70-79 years, male 29.1
GTEX-14JFF-0626-SM-5ZZVT 60-69 years, male 29.1
GTEX-1HCU8-2526-SM-CE6RX 60-69 years, female 28.9
GTEX-Y5V5-0126-SM-5S2NW 60-69 years, female 28.8
GTEX-ZAB4-2126-SM-5HL8U 40-49 years, male 28.8
GTEX-1H3VE-0726-SM-9YFL5 40-49 years, male 28.8
GTEX-1A8G7-1326-SM-73KVM 60-69 years, male 28.2
GTEX-1HSGN-0826-SM-ACKW3 40-49 years, female 28.0
GTEX-13QJC-0126-SM-5ZZWJ 60-69 years, female 27.8
GTEX-1B8L1-2226-SM-7P8PT 60-69 years, male 26.5
GTEX-145MI-0626-SM-5SI8S 60-69 years, female 26.2
GTEX-1J1OQ-0126-SM-D4P2N 40-49 years, female 25.4
GTEX-V1D1-2026-SM-3GAF4 50-59 years, male 24.3
Show allShow less
Skin - Sun Exposed (Lower leg)
Average nTPM: 42.2
Samples: 701

Max nTPM: 76.2
Min nTPM: 24.8
Std nTPM: 7.4
Median nTPM: 41.4
GTEX-WI4N-1026-SM-3LK7N 40-49 years, female 76.2
GTEX-X4XY-0226-SM-4E3IZ 60-69 years, male 74.7
GTEX-ZF29-2326-SM-DO92K 60-69 years, female 69.8
GTEX-14XAO-2326-SM-6EU1B 60-69 years, female 67.3
GTEX-1RAZQ-0726-SM-EAZ43 30-39 years, male 66.2
GTEX-Y3IK-2426-SM-4WWDU 50-59 years, female 65.0
GTEX-S7PM-0126-SM-4AD6S 60-69 years, male 64.2
GTEX-W5X1-3026-SM-EAZAX 40-49 years, female 64.1
GTEX-QESD-1426-SM-2S1R9 20-29 years, male 64.0
GTEX-11TT1-2526-SM-5EGIB 20-29 years, male 63.7
GTEX-13NYS-0126-SM-5MR3W 60-69 years, male 61.4
GTEX-12584-0126-SM-5EGKQ 40-49 years, male 60.4
GTEX-1399U-2326-SM-5K7WY 50-59 years, female 60.4
GTEX-RUSQ-1526-SM-2TF62 50-59 years, male 60.4
GTEX-14JIY-0126-SM-6LLH6 60-69 years, male 59.8
GTEX-13O1R-0126-SM-5L3EH 60-69 years, male 59.7
GTEX-OHPL-0126-SM-2HMJ7 60-69 years, female 59.5
GTEX-1PWST-0226-SM-E76QJ 70-79 years, male 59.3
GTEX-14ICK-0226-SM-6EU25 40-49 years, male 58.4
GTEX-11UD1-0126-SM-5PNYG 40-49 years, female 58.3
GTEX-ZTPG-0326-SM-5O9AX 20-29 years, female 58.3
GTEX-ZZPT-0226-SM-5E43X 50-59 years, male 58.3
GTEX-U8T8-0126-SM-3DB94 60-69 years, male 58.2
GTEX-NPJ8-0126-SM-2YUNR 40-49 years, male 58.0
GTEX-11DXZ-2326-SM-5EGGV 50-59 years, male 57.7
GTEX-1A3MX-0126-SM-731BR 60-69 years, male 57.7
GTEX-14PN4-0126-SM-6EU2V 50-59 years, male 57.6
GTEX-15UKP-0426-SM-7KUFQ 20-29 years, male 57.6
GTEX-15EOM-0126-SM-7KUGG 20-29 years, female 57.5
GTEX-OXRO-0126-SM-2YUN4 60-69 years, female 57.1
GTEX-YJ8A-0426-SM-5IFID 20-29 years, male 57.0
GTEX-WH7G-2326-SM-3NMBC 40-49 years, male 56.9
GTEX-13CF2-2526-SM-5LZYX 60-69 years, male 56.4
GTEX-T6MN-0126-SM-32PLP 50-59 years, male 56.4
GTEX-SE5C-1626-SM-2XCE3 40-49 years, female 56.2
GTEX-146FH-0126-SM-5QGPP 50-59 years, female 56.1
GTEX-131XG-2626-SM-5KM17 50-59 years, female 56.0
GTEX-U8XE-0326-SM-3DB8P 30-39 years, male 55.8
GTEX-1AYCT-2426-SM-7IGQ3 50-59 years, male 55.6
GTEX-X8HC-0126-SM-4E3JW 50-59 years, female 55.5
GTEX-1RLM8-2326-SM-EWRN4 50-59 years, male 55.5
GTEX-13G51-2526-SM-5LZYK 60-69 years, male 54.7
GTEX-X88G-0126-SM-47JZ3 30-39 years, male 54.7
GTEX-1B8KE-2126-SM-73KYX 50-59 years, male 54.5
GTEX-ZE7O-0126-SM-57WC1 50-59 years, female 54.5
GTEX-144GN-2326-SM-5LU4F 50-59 years, male 54.4
GTEX-SN8G-0126-SM-32PLI 50-59 years, female 54.3
GTEX-1HBPM-0226-SM-ARL9F 60-69 years, female 54.3
GTEX-1IKK5-0626-SM-ARL8A 60-69 years, male 54.3
GTEX-1LNCM-1126-SM-E9U5E 50-59 years, female 54.3
GTEX-1C6WA-0126-SM-7PC2B 60-69 years, male 54.1
GTEX-ZF3C-0126-SM-DO92D 50-59 years, female 54.1
GTEX-13X6H-2126-SM-7EWD5 50-59 years, female 54.0
GTEX-OOBK-0126-SM-2YUND 40-49 years, male 54.0
GTEX-ZAB4-0226-SM-5N9F5 40-49 years, male 54.0
GTEX-1HFI6-0226-SM-ADEHZ 40-49 years, male 54.0
GTEX-X5EB-2226-SM-46MW4 40-49 years, male 53.8
GTEX-14E6C-0126-SM-5RQIP 40-49 years, male 53.7
GTEX-11DYG-0126-SM-59883 60-69 years, male 53.5
GTEX-ZYFD-0126-SM-5GIDL 50-59 years, male 53.2
GTEX-PWCY-1826-SM-DHXIZ 20-29 years, female 53.1
GTEX-15SB6-1726-SM-6PAME 50-59 years, female 52.9
GTEX-Y114-2426-SM-4TT8A 50-59 years, female 52.8
GTEX-13113-5016-SM-7EPIP 60-69 years, female 52.7
GTEX-X4EP-0126-SM-3P5YV 60-69 years, female 52.6
GTEX-XXEK-2226-SM-4BRUM 50-59 years, male 52.5
GTEX-Y3I4-2126-SM-4TT7C 50-59 years, male 52.5
GTEX-1N2DW-0226-SM-E9TK2 50-59 years, male 52.5
GTEX-XBEW-0626-SM-4QASP 40-49 years, male 52.3
GTEX-1JN76-0126-SM-CNPPE 20-29 years, female 52.0
GTEX-145LV-2126-SM-5LU8N 50-59 years, male 51.9
GTEX-17EVQ-0226-SM-7LG4P 70-79 years, male 51.9
GTEX-R55E-0126-SM-2TC5Y 20-29 years, male 51.9
GTEX-11DZ1-0126-SM-5985Q 50-59 years, male 51.8
GTEX-1JMQK-0226-SM-CL543 60-69 years, male 51.7
GTEX-15UF6-0826-SM-6PALJ 70-79 years, female 51.6
GTEX-T5JC-0426-SM-32PLO 20-29 years, male 51.5
GTEX-13OVI-1426-SM-5L3EY 60-69 years, female 51.4
GTEX-1497J-2426-SM-7IGNX 60-69 years, male 51.3
GTEX-PX3G-0126-SM-2I3EN 20-29 years, female 51.2
GTEX-SUCS-1926-SM-32PM3 70-79 years, male 51.2
GTEX-13NZ8-0826-SM-5MR3I 60-69 years, female 51.1
GTEX-XYKS-2126-SM-4E3IB 60-69 years, female 51.0
GTEX-1LSNM-1926-SM-E6CII 50-59 years, male 50.8
GTEX-1CAV2-2226-SM-7P8P2 40-49 years, female 50.7
GTEX-12WSL-2526-SM-5GCNJ 50-59 years, male 50.6
GTEX-13FXS-0226-SM-5IJCK 50-59 years, male 50.6
GTEX-17HII-0226-SM-7LG4E 50-59 years, male 50.6
GTEX-WXYG-2326-SM-4E3I6 50-59 years, female 50.6
GTEX-XUZC-1726-SM-4BRWS 30-39 years, female 50.6
GTEX-1EMGI-0126-SM-9KNUE 60-69 years, male 50.4
GTEX-1H1DE-2126-SM-9WG6R 20-29 years, male 50.4
GTEX-XAJ8-0826-SM-47JY6 40-49 years, male 50.3
GTEX-13YAN-0326-SM-5O9DF 60-69 years, male 50.2
GTEX-18A7A-0226-SM-718BH 50-59 years, female 50.2
GTEX-1H3O1-0426-SM-9YFKY 60-69 years, male 50.2
GTEX-1QP9N-1426-SM-DTXFL 30-39 years, male 50.2
GTEX-17F98-0626-SM-79OMX 40-49 years, female 50.1
GTEX-13O3P-0126-SM-5KM4S 50-59 years, male 50.0
GTEX-WYJK-0126-SM-3NMAB 50-59 years, male 50.0
GTEX-1I6K6-0126-SM-A9SLE 30-39 years, male 50.0
GTEX-11TTK-0126-SM-5987B 60-69 years, female 49.9
GTEX-X4XX-0126-SM-3NMC2 60-69 years, male 49.8
GTEX-1I1GS-0126-SM-B2LVW 60-69 years, male 49.7
GTEX-1AX8Z-0126-SM-7DHM6 60-69 years, male 49.6
GTEX-X585-0226-SM-4QAS2 50-59 years, male 49.6
GTEX-NFK9-0226-SM-2HMKQ 40-49 years, male 49.4
GTEX-Y8DK-0126-SM-4TT3L 60-69 years, male 49.4
GTEX-POMQ-2226-SM-2I5FK 20-29 years, female 49.3
GTEX-TMZS-0126-SM-3DB9Q 60-69 years, male 49.3
GTEX-11TUW-2726-SM-E9J4M 60-69 years, male 49.3
GTEX-1B8SF-1426-SM-7DUGL 60-69 years, male 49.2
GTEX-146FR-1326-SM-E9J48 60-69 years, female 49.2
GTEX-1GN73-0226-SM-9WG67 60-69 years, male 49.2
GTEX-O5YW-0126-SM-3LK6D 50-59 years, male 49.1
GTEX-OHPM-0126-SM-2YUN9 50-59 years, male 49.0
GTEX-13X6J-0126-SM-5QGOU 50-59 years, male 48.9
GTEX-1F6IF-0726-SM-7P8TW 60-69 years, male 48.9
GTEX-RTLS-0126-SM-447CA 60-69 years, female 48.8
GTEX-RU72-0926-SM-2TF6B 50-59 years, female 48.7
GTEX-Y111-0126-SM-4SOIV 50-59 years, male 48.7
GTEX-1HSMO-0126-SM-CL547 60-69 years, male 48.7
GTEX-1KD5A-0226-SM-D5OV3 50-59 years, male 48.7
GTEX-12126-0326-SM-5PNW3 20-29 years, male 48.5
GTEX-1F6I4-0126-SM-9MQL2 60-69 years, male 48.5
GTEX-1A3MW-0126-SM-73KXX 60-69 years, female 48.4
GTEX-1CB4J-0626-SM-7DHMP 60-69 years, male 48.4
GTEX-1H2FU-0126-SM-9WYSI 60-69 years, female 48.4
GTEX-1AYD5-2426-SM-73KXR 50-59 years, male 48.3
GTEX-P4PP-0126-SM-3LK69 30-39 years, female 48.3
GTEX-1HCUA-2426-SM-ADEIS 50-59 years, female 48.3
GTEX-XQ3S-1526-SM-4BOOC 20-29 years, male 48.2
GTEX-1H23P-0126-SM-ADEJ3 60-69 years, male 48.1
GTEX-R55G-2526-SM-2TC6D 40-49 years, female 48.0
GTEX-T2YK-0526-SM-32QPJ 50-59 years, male 47.9
GTEX-1C4CL-0526-SM-73KVK 30-39 years, male 47.8
GTEX-XQ8I-0426-SM-4BOPO 50-59 years, male 47.8
GTEX-1GF9W-0326-SM-9KNUN 60-69 years, male 47.8
GTEX-1HSMP-0126-SM-E6CJS 70-79 years, male 47.8
GTEX-1JN6P-0126-SM-D3L98 60-69 years, male 47.8
GTEX-ZPIC-1726-SM-DHXIU 40-49 years, female 47.8
GTEX-11P7K-2126-SM-5GU7G 30-39 years, male 47.7
GTEX-1192X-0226-SM-5H12D 50-59 years, male 47.6
GTEX-18A6Q-0126-SM-731BZ 60-69 years, male 47.6
GTEX-YB5K-2126-SM-4WWDJ 40-49 years, female 47.5
GTEX-1F48J-0126-SM-7P8TT 50-59 years, female 47.5
GTEX-11WQK-0526-SM-5EQLD 50-59 years, male 47.4
GTEX-12WSK-2326-SM-5GCOH 40-49 years, female 47.4
GTEX-145LT-1726-SM-5QGP3 40-49 years, male 47.4
GTEX-13VXT-0126-SM-5LU4I 20-29 years, female 47.3
GTEX-13OW7-0126-SM-5MR3B 50-59 years, male 47.1
GTEX-14A5H-0426-SM-5QGQF 60-69 years, male 47.1
GTEX-1GTWX-0126-SM-9YFLK 60-69 years, male 47.1
GTEX-117YW-2626-SM-5GZZH 50-59 years, male 47.0
GTEX-ZYW4-0126-SM-5E44A 60-69 years, male 47.0
GTEX-1F75I-0326-SM-9YFLU 40-49 years, male 47.0
GTEX-11GSP-2526-SM-5N9BP 60-69 years, female 46.9
GTEX-SIU8-0126-SM-2XCDT 50-59 years, male 46.9
GTEX-WQUQ-0426-SM-3MJFU 60-69 years, male 46.9
GTEX-1211K-2026-SM-5EQ4Z 60-69 years, female 46.8
GTEX-X62O-0126-SM-4E3JN 50-59 years, male 46.8
GTEX-OOBJ-0126-SM-E6CJW 60-69 years, male 46.8
GTEX-QEG4-0226-SM-2S1PY 30-39 years, male 46.7
GTEX-XBED-2226-SM-47JYQ 60-69 years, male 46.7
GTEX-1N2DV-0226-SM-E6CJ6 40-49 years, male 46.7
GTEX-11ZUS-0626-SM-59885 30-39 years, male 46.6
GTEX-17HHY-0126-SM-7LG5D 50-59 years, male 46.5
GTEX-18D9U-0226-SM-718BP 40-49 years, male 46.5
GTEX-WVJS-0126-SM-4MVOT 50-59 years, male 46.5
GTEX-139UW-2826-SM-5L3E7 60-69 years, male 46.4
GTEX-ZDTS-0126-SM-4WAY5 60-69 years, male 46.4
GTEX-1MJK2-0426-SM-DTXE5 50-59 years, male 46.4
GTEX-139T8-0126-SM-5K7XZ 60-69 years, male 46.3
GTEX-1JMQI-2226-SM-CM2SD 50-59 years, male 46.3
GTEX-1R9K4-0126-SM-DTX9X 60-69 years, male 46.3
GTEX-1QP67-1626-SM-EAZ3X 40-49 years, female 46.2
GTEX-1QW4Y-1526-SM-EAZ3Z 30-39 years, male 46.2
GTEX-132NY-0326-SM-5IJBL 60-69 years, male 46.1
GTEX-145MO-0326-SM-5Q5B3 60-69 years, male 46.1
GTEX-1HUB1-0426-SM-E9U4U 60-69 years, male 46.1
GTEX-16YQH-0126-SM-7DUFJ 30-39 years, male 46.0
GTEX-ZAJG-0126-SM-5HL94 50-59 years, female 46.0
GTEX-11P82-1626-SM-59879 20-29 years, male 45.9
GTEX-147F4-0226-SM-5QGPW 50-59 years, male 45.9
GTEX-Q2AI-1326-SM-2S1PL 40-49 years, male 45.9
GTEX-1I4MK-2226-SM-ACKWD 50-59 years, female 45.9
GTEX-148VI-1626-SM-5SI6E 60-69 years, female 45.8
GTEX-14PJM-0226-SM-62LF1 50-59 years, female 45.8
GTEX-1B8SG-0126-SM-73KZ3 50-59 years, male 45.8
GTEX-1B8L1-2526-SM-9WYTF 60-69 years, male 45.8
GTEX-1HCU6-0126-SM-CL54K 60-69 years, female 45.8
GTEX-1PIGE-0126-SM-EVYBJ 20-29 years, male 45.8
GTEX-1399R-2726-SM-5IJBA 30-39 years, male 45.7
GTEX-13VXU-0126-SM-5SI9F 50-59 years, male 45.7
GTEX-1KD4Q-0226-SM-E9TJ9 40-49 years, male 45.7
GTEX-1N2EF-0226-SM-EYYXB 60-69 years, male 45.7
GTEX-PLZ4-0126-SM-5SI8O 50-59 years, female 45.6
GTEX-1JN1M-0326-SM-CYPT3 60-69 years, female 45.6
GTEX-1S82Y-2026-SM-EVYCM 40-49 years, male 45.6
GTEX-S33H-1026-SM-EZ6L6 30-39 years, male 45.6
GTEX-11H98-0126-SM-5EGHG 50-59 years, male 45.5
GTEX-ZU9S-0226-SM-5E441 30-39 years, male 45.5
GTEX-1GN2E-0426-SM-9MQKX 60-69 years, male 45.4
GTEX-11OF3-2626-SM-5GU7F 60-69 years, male 45.3
GTEX-13OVJ-0126-SM-5KM36 50-59 years, female 45.3
GTEX-14PK6-1926-SM-6ETZU 70-79 years, female 45.3
GTEX-15F5U-1526-SM-6PANO 40-49 years, male 45.3
GTEX-1JMQJ-0526-SM-CYPSU 50-59 years, male 45.3
GTEX-1QP2A-0126-SM-E9J43 50-59 years, male 45.3
GTEX-1HGF4-2426-SM-ACKXM 60-69 years, male 45.2
GTEX-1MCQQ-0826-SM-DLHC2 60-69 years, male 45.2
GTEX-11DXW-0226-SM-5H122 40-49 years, male 45.1
GTEX-13O21-1426-SM-5K7XI 50-59 years, male 45.0
GTEX-17MF6-0126-SM-7LG4F 40-49 years, male 45.0
GTEX-OXRN-0126-SM-48TDM 50-59 years, male 45.0
GTEX-17HGU-0226-SM-7DHKV 50-59 years, male 44.9
GTEX-TKQ1-1026-SM-4GICL 30-39 years, male 44.9
GTEX-W5WG-1826-SM-4KL2Y 50-59 years, female 44.9
GTEX-1CB4F-0426-SM-9KNV4 60-69 years, male 44.9
GTEX-1H1ZS-0426-SM-9WG6G 70-79 years, male 44.9
GTEX-1J8EW-0126-SM-CJI4F 60-69 years, female 44.9
GTEX-12ZZX-0126-SM-5EGK9 40-49 years, female 44.8
GTEX-ZVZO-0126-SM-5A5L9 40-49 years, male 44.8
GTEX-1CB4G-0226-SM-7PC3O 60-69 years, male 44.8
GTEX-1HBPH-0426-SM-B2LW5 40-49 years, female 44.8
GTEX-1JMPY-1326-SM-ARL8Y 30-39 years, male 44.8
GTEX-17GQL-2026-SM-718BA 60-69 years, male 44.7
GTEX-1R9PO-2126-SM-E9J4O 60-69 years, female 44.7
GTEX-11EMC-2926-SM-5EQ4F 60-69 years, female 44.6
GTEX-1C64N-0126-SM-793D7 50-59 years, male 44.6
GTEX-U3ZM-1526-SM-3DB9D 40-49 years, male 44.6
GTEX-YEC4-2126-SM-5IFJH 40-49 years, male 44.6
GTEX-1IOXB-0126-SM-ARL8G 50-59 years, male 44.6
GTEX-1MA7W-2026-SM-E9TJ6 20-29 years, female 44.6
GTEX-14PHX-2326-SM-62LEM 50-59 years, male 44.5
GTEX-15SHW-0326-SM-6PAML 60-69 years, male 44.5
GTEX-1K2DA-1826-SM-CGQGT 50-59 years, male 44.5
GTEX-12WSN-5019-SM-79OM6 40-49 years, male 44.4
GTEX-1314G-1526-SM-5EGK2 30-39 years, male 44.4
GTEX-P4PQ-0126-SM-2S1NM 60-69 years, male 44.4
GTEX-1OJC3-0126-SM-E76QX 20-29 years, male 44.4
GTEX-1GF9X-2026-SM-7PC3A 40-49 years, female 44.3
GTEX-1I19N-0326-SM-ACKVX 70-79 years, male 44.3
GTEX-13RTK-1426-SM-5QGQJ 20-29 years, male 44.2
GTEX-ZDYS-2026-SM-5HL5L 50-59 years, male 44.2
GTEX-1PIIG-0226-SM-EWRN6 30-39 years, male 44.2
GTEX-11WQC-2526-SM-5CVLE 60-69 years, male 44.1
GTEX-1A32A-0126-SM-718B1 50-59 years, female 44.1
GTEX-17HG3-2226-SM-7938L 30-39 years, female 44.0
GTEX-1R7EU-0226-SM-EVR4G 60-69 years, male 44.0
GTEX-P4QT-0126-SM-2I3FL 50-59 years, female 43.9
GTEX-ZVT2-2526-SM-51MT1 50-59 years, female 43.9
GTEX-1313W-0126-SM-5LZUN 50-59 years, female 43.8
GTEX-18A67-0126-SM-7LG5P 50-59 years, male 43.8
GTEX-WRHK-1426-SM-3MJF9 20-29 years, female 43.8
GTEX-ZDXO-3026-SM-5J1N5 60-69 years, male 43.8
GTEX-1H1CY-2826-SM-9MQM3 60-69 years, female 43.8
GTEX-1HR98-0126-SM-B2LWI 60-69 years, male 43.8
GTEX-1S5ZA-0126-SM-EVYCV 20-29 years, male 43.8
GTEX-RVPV-0126-SM-EAZAW 60-69 years, male 43.8
GTEX-13OVG-1926-SM-5L3DK 60-69 years, male 43.7
GTEX-13RTJ-2426-SM-5S2Q2 60-69 years, male 43.7
GTEX-183FY-0126-SM-7LT9P 20-29 years, male 43.6
GTEX-11OC5-0126-SM-5HL6A 60-69 years, male 43.5
GTEX-1B996-0226-SM-7RHGO 60-69 years, male 43.5
GTEX-OXRL-0126-SM-2YUMP 50-59 years, male 43.4
GTEX-131XF-5016-SM-7MGWE 60-69 years, male 43.4
GTEX-14ABY-0226-SM-5TDCQ 50-59 years, male 43.3
GTEX-18QFQ-0126-SM-731BE 30-39 years, male 43.3
GTEX-S95S-1226-SM-4GICG 60-69 years, male 43.3
GTEX-1NV5F-0226-SM-E8VNY 60-69 years, female 43.3
GTEX-14PII-0226-SM-6EU1T 60-69 years, male 43.2
GTEX-QLQW-1126-SM-2S1Q8 30-39 years, male 43.2
GTEX-T8EM-1026-SM-3DB7M 40-49 years, male 43.2
GTEX-1GPI6-0126-SM-9WG69 60-69 years, male 43.2
GTEX-11GS4-2726-SM-5A5LE 60-69 years, male 43.1
GTEX-1B933-0126-SM-7PC29 50-59 years, female 43.1
GTEX-13FTW-2626-SM-5K7WL 40-49 years, male 43.0
GTEX-14PJ3-1826-SM-62LEX 50-59 years, male 43.0
GTEX-U412-0426-SM-3DB9O 60-69 years, male 43.0
GTEX-1GZHY-0326-SM-9QEHI 50-59 years, female 43.0
GTEX-11O72-0126-SM-59887 40-49 years, male 42.9
GTEX-145MN-2226-SM-5SIAU 30-39 years, male 42.9
GTEX-13112-2826-SM-5DUWH 50-59 years, male 42.8
GTEX-13OVL-0226-SM-5L3E9 50-59 years, male 42.8
GTEX-1BAJH-0526-SM-793CQ 70-79 years, male 42.8
GTEX-1JMOU-1526-SM-CL54I 60-69 years, female 42.8
GTEX-1QMI2-0226-SM-EVYBX 60-69 years, male 42.8
GTEX-131YS-0126-SM-5KM1M 60-69 years, female 42.7
GTEX-1EKGG-0226-SM-9WYTH 60-69 years, male 42.7
GTEX-1H1DG-0126-SM-9WYU2 70-79 years, male 42.7
GTEX-1MGNQ-0126-SM-EVYCJ 40-49 years, male 42.7
GTEX-U4B1-1826-SM-4DXSU 40-49 years, male 42.6
GTEX-X4EO-0326-SM-3P5YO 60-69 years, female 42.6
GTEX-11DXX-2426-SM-5GZZW 60-69 years, female 42.5
GTEX-11ZVC-2526-SM-5FQTE 50-59 years, female 42.5
GTEX-13FHP-0126-SM-5IJBG 50-59 years, male 42.5
GTEX-14E6D-0126-SM-62LDV 50-59 years, male 42.5
GTEX-1RB15-2126-SM-E9TIM 60-69 years, male 42.5
GTEX-13OVH-0126-SM-5MR4B 70-79 years, male 42.4
GTEX-14LLW-0126-SM-6LLIO 70-79 years, female 42.4
GTEX-16XZY-2126-SM-79OK1 70-79 years, male 42.4
GTEX-UPJH-0326-SM-3GADU 50-59 years, male 42.4
GTEX-WFON-2126-SM-3LK7O 40-49 years, male 42.4
GTEX-1GMRU-0126-SM-9YFLV 50-59 years, male 42.4
GTEX-13N1W-0126-SM-5K7VT 70-79 years, male 42.3
GTEX-14PN3-2426-SM-6LLHS 60-69 years, female 42.3
GTEX-1JKYN-1326-SM-CGQG9 30-39 years, male 42.3
GTEX-1QAET-0926-SM-E76QM 50-59 years, male 42.3
GTEX-ZQG8-1626-SM-DHXIT 60-69 years, female 42.3
GTEX-X638-0126-SM-47JZ8 70-79 years, female 42.2
GTEX-1KANC-1526-SM-D3LAB 50-59 years, female 42.2
GTEX-18465-0126-SM-731BN 50-59 years, male 42.1
GTEX-RWSA-0126-SM-2XCBB 40-49 years, male 42.1
GTEX-ZE9C-2726-SM-57WB5 60-69 years, male 42.1
GTEX-14BIM-0226-SM-7IGLD 60-69 years, female 42.0
GTEX-XUYS-0126-SM-47JWZ 50-59 years, male 42.0
GTEX-ZGAY-0526-SM-4WWBB 40-49 years, female 42.0
GTEX-ZY6K-1826-SM-5GZXK 50-59 years, male 42.0
GTEX-1GN1W-0526-SM-9MQJQ 50-59 years, female 42.0
GTEX-1GZ4H-1726-SM-7PBZJ 50-59 years, female 42.0
GTEX-111VG-2426-SM-5GZXD 60-69 years, male 41.9
GTEX-1J1R8-1726-SM-ARL8M 40-49 years, male 41.9
GTEX-1K2DU-2326-SM-E9TIV 20-29 years, male 41.9
GTEX-PLZ6-1426-SM-DKPOT 30-39 years, male 41.9
GTEX-12WSJ-1826-SM-5GCNY 40-49 years, female 41.8
GTEX-13NZB-2526-SM-5J1OM 30-39 years, male 41.8
GTEX-13PVR-2326-SM-5QGR1 60-69 years, female 41.8
GTEX-14DAR-2026-SM-5S2O3 50-59 years, male 41.8
GTEX-16XZZ-0126-SM-793DV 60-69 years, male 41.8
GTEX-17EUY-0426-SM-793BD 20-29 years, male 41.8
GTEX-1I1GU-2226-SM-CGQFA 40-49 years, male 41.8
GTEX-113JC-2326-SM-5EQ4E 50-59 years, female 41.7
GTEX-11ZTS-0126-SM-5EQ6M 60-69 years, female 41.7
GTEX-ZYT6-0226-SM-5NQ6T 30-39 years, male 41.7
GTEX-ZZ64-1726-SM-5GZYB 20-29 years, male 41.7
GTEX-1HCU7-0226-SM-CL545 50-59 years, male 41.7
GTEX-13OVK-2026-SM-7KUEO 40-49 years, male 41.6
GTEX-1AMEY-1326-SM-73KYK 30-39 years, female 41.6
GTEX-1AX9I-0126-SM-7SB74 60-69 years, male 41.6
GTEX-1NHNU-1026-SM-E9J2A 50-59 years, male 41.6
GTEX-1C2JI-1826-SM-73KXC 50-59 years, male 41.5
GTEX-1EWIQ-0126-SM-7RHH2 70-79 years, female 41.5
GTEX-1H3VY-0126-SM-ACKXD 50-59 years, male 41.5
GTEX-1QP66-1726-SM-E8VO1 50-59 years, male 41.5
GTEX-11NUK-0126-SM-5A5L3 50-59 years, male 41.4
GTEX-139TT-0126-SM-5K7Y5 60-69 years, male 41.4
GTEX-13OW6-0426-SM-5L3HM 50-59 years, male 41.4
GTEX-Q734-1926-SM-2I5EV 40-49 years, female 41.4
GTEX-X261-0126-SM-3NMD6 50-59 years, male 41.4
GTEX-ZAK1-0126-SM-5IJD3 50-59 years, female 41.4
GTEX-15ER7-0326-SM-7KUEV 20-29 years, female 41.3
GTEX-16GPK-0126-SM-7DHLE 60-69 years, male 41.3
GTEX-XUW1-0426-SM-4BOOT 50-59 years, female 41.3
GTEX-1C6VQ-0126-SM-7P8RI 50-59 years, male 41.3
GTEX-1I1GV-0526-SM-A9G29 60-69 years, male 41.3
GTEX-O5YT-0126-SM-48TBW 20-29 years, male 41.2
GTEX-WZTO-0126-SM-3NM95 40-49 years, male 41.2
GTEX-1MUQO-0126-SM-EAZ58 60-69 years, male 41.2
GTEX-1QCLY-0326-SM-E8VOG 30-39 years, male 41.2
GTEX-131XH-2226-SM-5DUXJ 50-59 years, male 41.1
GTEX-14BIL-0126-SM-5SI92 50-59 years, male 41.1
GTEX-1GPI7-0126-SM-9MQL8 20-29 years, male 41.1
GTEX-1JMQL-0226-SM-CNPP5 50-59 years, female 41.1
GTEX-VUSG-2526-SM-4KL1V 50-59 years, male 41.0
GTEX-ZUA1-0126-SM-5GU76 40-49 years, male 41.0
GTEX-1HBPI-1526-SM-C1YQ1 50-59 years, male 41.0
GTEX-1LC47-0326-SM-E9TJP 60-69 years, male 41.0
GTEX-QDT8-0126-SM-48TZ1 30-39 years, female 40.9
GTEX-1PPH8-0226-SM-E8VND 20-29 years, male 40.9
GTEX-PSDG-0226-SM-DKPOZ 50-59 years, male 40.9
GTEX-15DYW-0126-SM-7KULE 60-69 years, female 40.8
GTEX-16MT8-0426-SM-7KUEY 60-69 years, female 40.8
GTEX-1192W-2626-SM-5Q5AF 60-69 years, male 40.7
GTEX-1AX9K-2326-SM-73KWU 50-59 years, male 40.7
GTEX-V1D1-2226-SM-3NMAX 50-59 years, male 40.7
GTEX-1H3VE-0326-SM-9YFLH 40-49 years, male 40.7
GTEX-1HSEH-0126-SM-ACKXN 60-69 years, male 40.7
GTEX-1ICLZ-0126-SM-CKZPO 60-69 years, male 40.7
GTEX-12WSD-0126-SM-59HKN 60-69 years, female 40.5
GTEX-14C5O-0126-SM-5SI6N 60-69 years, male 40.5
GTEX-OXRP-0126-SM-3NB32 60-69 years, female 40.5
GTEX-11UD2-0226-SM-5EQKY 50-59 years, male 40.4
GTEX-QVJO-1626-SM-2S1QW 60-69 years, female 40.4
GTEX-11ZTT-2426-SM-5EQLS 60-69 years, female 40.3
GTEX-1CAMR-1926-SM-7EPI2 20-29 years, male 40.3
GTEX-T5JW-1626-SM-3GADZ 20-29 years, female 40.3
GTEX-YFC4-0126-SM-5CVLY 40-49 years, female 40.3
GTEX-1IDJF-0126-SM-CM2RS 20-29 years, male 40.3
GTEX-1PPH7-2326-SM-EVYB8 40-49 years, male 40.3
GTEX-12WSE-0526-SM-793B2 20-29 years, male 40.2
GTEX-1F75A-0126-SM-7RHGM 50-59 years, male 40.2
GTEX-1IL2U-0226-SM-CE6T8 60-69 years, male 40.2
GTEX-RN64-0126-SM-2TC68 50-59 years, male 40.1
GTEX-1JK1U-2026-SM-CM2RZ 60-69 years, male 40.1
GTEX-1R46S-0626-SM-E9J41 60-69 years, female 40.1
GTEX-15SDE-2226-SM-7IGLO 50-59 years, female 40.0
GTEX-1CB4E-2226-SM-793DC 60-69 years, male 40.0
GTEX-RM2N-1426-SM-2TF4H 50-59 years, male 40.0
GTEX-1JMPZ-0226-SM-CNPP1 30-39 years, male 40.0
GTEX-RNOR-0126-SM-E9J4R 50-59 years, female 40.0
GTEX-13111-1626-SM-5EGJY 50-59 years, male 39.9
GTEX-15EU6-0426-SM-6PAN5 50-59 years, male 39.9
GTEX-1B8KZ-2026-SM-7DHMB 50-59 years, male 39.9
GTEX-T2IS-0126-SM-4DM6O 20-29 years, female 39.9
GTEX-13OW5-0126-SM-DTXFS 60-69 years, male 39.9
GTEX-1F88F-2726-SM-7PBZZ 60-69 years, female 39.9
GTEX-1PFEY-1526-SM-E76PP 30-39 years, male 39.9
GTEX-1RQEC-0426-SM-E6CHU 60-69 years, male 39.9
GTEX-T6MO-1626-SM-32QOM 40-49 years, female 39.8
GTEX-ZWKS-0126-SM-5SIAA 30-39 years, male 39.8
GTEX-1GZ2Q-0226-SM-7P8TL 40-49 years, male 39.8
GTEX-1ICLY-0126-SM-D4P36 50-59 years, male 39.8
GTEX-13RTL-0126-SM-7LG5S 40-49 years, male 39.7
GTEX-1GN1U-0126-SM-7PBZK 50-59 years, female 39.7
GTEX-1JMLX-0226-SM-CM2RO 50-59 years, male 39.7
GTEX-11EM3-2426-SM-59861 20-29 years, female 39.6
GTEX-13X6I-0626-SM-5QGP9 60-69 years, male 39.6
GTEX-139TU-0126-SM-5K7WH 60-69 years, male 39.5
GTEX-113IC-0126-SM-5HL6T 60-69 years, male 39.4
GTEX-13FTX-1826-SM-5J1NX 20-29 years, female 39.4
GTEX-145MF-0626-SM-5LUAI 50-59 years, male 39.4
GTEX-XV7Q-2526-SM-4BRV9 40-49 years, female 39.4
GTEX-1F75B-0126-SM-9KNVL 50-59 years, male 39.4
GTEX-1LBAC-0126-SM-DIPEZ 20-29 years, male 39.4
GTEX-15DDE-0126-SM-6LPKH 50-59 years, female 39.3
GTEX-OIZH-0126-SM-2HMIS 50-59 years, male 39.3
GTEX-WY7C-2326-SM-3NB2U 50-59 years, male 39.3
GTEX-Y5LM-1926-SM-5RQJH 40-49 years, female 39.3
GTEX-1HBPN-0226-SM-9YFM1 50-59 years, male 39.3
GTEX-1IY9M-0126-SM-D3L8S 60-69 years, male 39.3
GTEX-1PBJI-0526-SM-E8VNK 20-29 years, female 39.3
GTEX-131XE-2326-SM-5PNZ2 50-59 years, male 39.2
GTEX-1MA7X-2226-SM-E6CIY 60-69 years, male 39.2
GTEX-131XW-0426-SM-5LZWP 50-59 years, female 39.1
GTEX-18A66-0226-SM-718BD 60-69 years, male 39.1
GTEX-1F7RK-0126-SM-7PC2S 20-29 years, female 39.1
GTEX-1I1CD-0126-SM-CM2TK 60-69 years, female 39.0
GTEX-13U4I-0126-SM-5LU38 40-49 years, female 38.9
GTEX-ZEX8-2426-SM-4WKG4 50-59 years, male 38.9
GTEX-ZVE2-0226-SM-59HJB 50-59 years, male 38.9
GTEX-12WSG-2826-SM-E9J4H 50-59 years, female 38.9
GTEX-1I1GP-2226-SM-CGQFK 50-59 years, male 38.9
GTEX-145MI-0526-SM-5O9A8 60-69 years, female 38.8
GTEX-15D1Q-0126-SM-7KUG6 40-49 years, male 38.8
GTEX-1GF9V-0326-SM-7RHI5 60-69 years, male 38.8
GTEX-1POEN-0126-SM-EYYXJ 30-39 years, female 38.8
GTEX-1RDX4-0126-SM-E9J4P 50-59 years, female 38.8
GTEX-PLZ5-2026-SM-2S1O4 50-59 years, male 38.7
GTEX-11LCK-1026-SM-5A5KB 30-39 years, male 38.6
GTEX-13W3W-2426-SM-5LU5B 60-69 years, female 38.6
GTEX-16NPX-0226-SM-79OMT 50-59 years, male 38.6
GTEX-117YX-2326-SM-5H12W 50-59 years, male 38.5
GTEX-11ZU8-2526-SM-5EQKI 60-69 years, male 38.5
GTEX-146FQ-0126-SM-5NQA9 30-39 years, male 38.5
GTEX-QLQ7-1626-SM-2S1R8 60-69 years, male 38.5
GTEX-YJ89-0126-SM-4TT3X 60-69 years, male 38.5
GTEX-ZVTK-0426-SM-51MRS 20-29 years, male 38.5
GTEX-1A8FM-0226-SM-7SB7Q 50-59 years, female 38.5
GTEX-1LB8K-0226-SM-EWRNW 50-59 years, male 38.5
GTEX-1QEPI-0126-SM-EWRMQ 60-69 years, female 38.5
GTEX-11P81-2326-SM-59875 30-39 years, female 38.4
GTEX-18D9B-0526-SM-7LTAS 60-69 years, male 38.4
GTEX-13D11-2426-SM-5KM1V 50-59 years, female 38.3
GTEX-17HHE-2026-SM-79OKF 50-59 years, male 38.3
GTEX-YB5E-2026-SM-5IFIS 40-49 years, male 38.3
GTEX-ZVZP-2426-SM-59HKJ 50-59 years, male 38.3
GTEX-1J8Q2-0526-SM-CM2RW 60-69 years, male 38.3
GTEX-1OJC4-0126-SM-E9J2E 50-59 years, female 38.3
GTEX-13W46-0226-SM-5SIAG 50-59 years, male 38.2
GTEX-14753-0426-SM-5NQAM 60-69 years, male 38.2
GTEX-1AX9J-0226-SM-73KXM 60-69 years, male 38.2
GTEX-1HSKV-0226-SM-A9SKJ 60-69 years, male 38.2
GTEX-1ICG6-2526-SM-CGQFZ 70-79 years, female 38.2
GTEX-13IVO-0126-SM-5J1NG 70-79 years, male 38.1
GTEX-14JG1-0426-SM-6ETZZ 40-49 years, male 38.1
GTEX-S7SE-0126-SM-2XCD5 50-59 years, male 38.1
GTEX-ZF28-0126-SM-4WKGK 60-69 years, male 38.1
GTEX-1R7EV-2426-SM-EVYBG 40-49 years, male 38.1
GTEX-1128S-2326-SM-5GZZY 60-69 years, female 38.0
GTEX-13N11-2526-SM-5K7UE 50-59 years, female 38.0
GTEX-13NZA-0226-SM-5K7Z7 60-69 years, male 38.0
GTEX-183WM-0126-SM-7LTAB 70-79 years, female 38.0
GTEX-WYVS-2126-SM-3NMA3 40-49 years, female 38.0
GTEX-ZYFC-0226-SM-5NQ75 50-59 years, male 38.0
GTEX-1GMR8-0126-SM-9WYTM 50-59 years, female 38.0
GTEX-1IDJH-0326-SM-A9SLQ 70-79 years, male 38.0
GTEX-1J8JJ-0226-SM-CL53I 60-69 years, female 38.0
GTEX-11GSO-2426-SM-5A5LY 60-69 years, male 37.9
GTEX-14E6E-1826-SM-5S2R7 30-39 years, male 37.9
GTEX-1H1E6-1726-SM-ACKVK 30-39 years, male 37.9
GTEX-12WSA-0226-SM-5BC5V 60-69 years, male 37.8
GTEX-OXRK-0226-SM-3NB2G 50-59 years, female 37.8
GTEX-Z93T-0126-SM-5HL5N 50-59 years, male 37.8
GTEX-169BO-1326-SM-9MQK2 50-59 years, male 37.8
GTEX-1PDJ9-0326-SM-DTX95 20-29 years, male 37.8
GTEX-ZVT4-0126-SM-DTXFN 50-59 years, female 37.8
GTEX-14A6H-0126-SM-5QGPK 30-39 years, male 37.7
GTEX-14BIN-0626-SM-793DP 50-59 years, female 37.7
GTEX-14BMV-0126-SM-5S2PO 50-59 years, male 37.7
GTEX-Z9EW-1626-SM-5CVMN 40-49 years, male 37.7
GTEX-1GN1V-0126-SM-9WPOS 60-69 years, male 37.7
GTEX-12ZZY-0226-SM-5LZVE 60-69 years, male 37.6
GTEX-15SHU-0126-SM-7KUEH 40-49 years, female 37.6
GTEX-UJHI-1526-SM-3DB99 50-59 years, female 37.6
GTEX-12696-2426-SM-5EQ6H 60-69 years, male 37.5
GTEX-1K9T9-0126-SM-EVYCF 50-59 years, female 37.5
GTEX-17EVP-0326-SM-7DHLG 40-49 years, male 37.4
GTEX-1C475-1826-SM-73KWA 40-49 years, female 37.4
GTEX-Y5V5-2326-SM-4V6GA 60-69 years, female 37.4
GTEX-1CAMS-0426-SM-7P8T2 40-49 years, female 37.4
GTEX-1GMR3-1926-SM-9KNUZ 40-49 years, male 37.4
GTEX-1OFPY-2426-SM-DTXEJ 60-69 years, male 37.4
GTEX-1RAZA-0126-SM-E6CI3 20-29 years, male 37.4
GTEX-139TS-2826-SM-5J1OO 60-69 years, male 37.3
GTEX-144FL-0126-SM-5TDC8 50-59 years, male 37.3
GTEX-1C6VR-2426-SM-79OLD 60-69 years, male 37.3
GTEX-RWS6-2026-SM-2XCB5 60-69 years, female 37.3
GTEX-1F6RS-0126-SM-9MQKZ 60-69 years, female 37.3
GTEX-1HCU8-0626-SM-A9SM9 60-69 years, female 37.3
GTEX-1KAFJ-2026-SM-CY8ID 50-59 years, male 37.3
GTEX-13S7M-0126-SM-5SI6A 60-69 years, female 37.2
GTEX-1CB4I-0226-SM-79OLH 50-59 years, male 37.2
GTEX-1EN7A-0126-SM-7SB81 40-49 years, male 37.2
GTEX-1LVAN-0226-SM-COH3S 50-59 years, female 37.2
GTEX-R45C-0126-SM-EAZ2R 60-69 years, female 37.2
GTEX-16AAH-1726-SM-7939C 50-59 years, male 37.1
GTEX-PWO3-1526-SM-48TCM 60-69 years, female 37.1
GTEX-WOFL-0126-SM-3MJG2 60-69 years, male 37.1
GTEX-ZDTT-2726-SM-4WKF8 60-69 years, male 37.0
GTEX-13O3O-0126-SM-E9J49 60-69 years, female 36.9
GTEX-1J8QM-2126-SM-CYPSJ 60-69 years, female 36.9
GTEX-1S3DN-2226-SM-EVYCD 50-59 years, male 36.9
GTEX-15ETS-0126-SM-7KUMW 40-49 years, female 36.8
GTEX-17F97-0326-SM-7LG5B 50-59 years, male 36.8
GTEX-QDVJ-1726-SM-2I5FX 50-59 years, male 36.8
GTEX-XMD2-0126-SM-4YCDU 60-69 years, female 36.8
GTEX-1HFI7-1826-SM-ACKXH 50-59 years, female 36.8
GTEX-14PHW-0126-SM-6LLJI 60-69 years, female 36.7
GTEX-1HKZK-0326-SM-9WYUH 40-49 years, male 36.7
GTEX-12ZZZ-0626-SM-5DUXI 60-69 years, male 36.6
GTEX-ZQUD-1426-SM-57WER 30-39 years, male 36.6
GTEX-ZVT3-0126-SM-5GU6I 60-69 years, female 36.6
GTEX-1H3NZ-0126-SM-ACKX7 60-69 years, male 36.6
GTEX-1LH75-2426-SM-E9TJE 50-59 years, female 36.6
GTEX-12WSC-0126-SM-5EQ4P 50-59 years, male 36.5
GTEX-139T4-0226-SM-5HL5S 50-59 years, female 36.5
GTEX-15RIG-0226-SM-7KFTL 40-49 years, male 36.5
GTEX-18A7B-0126-SM-7LG64 70-79 years, male 36.5
GTEX-13FHO-0226-SM-5IFGY 60-69 years, male 36.4
GTEX-14E7W-0126-SM-6LLJ9 70-79 years, male 36.4
GTEX-Z93S-0126-SM-5HL7M 50-59 years, male 36.4
GTEX-13QJ3-0326-SM-5S2RA 50-59 years, male 36.3
GTEX-ZYFG-2326-SM-5E44B 60-69 years, female 36.3
GTEX-1HB9E-0226-SM-E9U4R 50-59 years, male 36.3
GTEX-1MCYP-1926-SM-E9J2R 20-29 years, female 36.3
GTEX-111FC-0126-SM-5N9DL 60-69 years, male 36.1
GTEX-1B97I-1626-SM-73KYO 40-49 years, male 36.1
GTEX-1E1VI-0126-SM-7DHMZ 50-59 years, male 36.1
GTEX-TML8-1926-SM-32QOS 40-49 years, female 36.1
GTEX-TMMY-0226-SM-33HBA 40-49 years, female 36.1
GTEX-Y8LW-1826-SM-5S2MV 50-59 years, female 36.1
GTEX-1C64O-0126-SM-7SB8P 60-69 years, male 36.1
GTEX-1H4P4-0726-SM-9YFLR 50-59 years, male 36.1
GTEX-1I1GR-0126-SM-CL55F 60-69 years, male 36.1
GTEX-1269C-2526-SM-5EGJ3 60-69 years, female 36.0
GTEX-144GL-0126-SM-5TDE2 50-59 years, male 36.0
GTEX-1A3MV-1926-SM-718BT 30-39 years, male 35.9
GTEX-1EU9M-0226-SM-7P8SP 60-69 years, male 35.9
GTEX-1IE54-0126-SM-CMKHW 40-49 years, female 35.9
GTEX-11EQ9-2426-SM-5HL5T 30-39 years, male 35.8
GTEX-Q2AG-0126-SM-33HBV 40-49 years, female 35.8
GTEX-ZV68-0126-SM-59HKS 50-59 years, female 35.8
GTEX-1JKYR-0126-SM-CNPOJ 20-29 years, male 35.8
GTEX-11NSD-2226-SM-5986V 20-29 years, male 35.7
GTEX-133LE-1826-SM-5J1MV 20-29 years, female 35.7
GTEX-17KNJ-2326-SM-7DHLQ 50-59 years, male 35.6
GTEX-1HSMQ-1226-SM-CGQFX 50-59 years, male 35.6
GTEX-1LG7Y-0526-SM-DKPQC 50-59 years, male 35.6
GTEX-PW2O-1526-SM-7RHHB 20-29 years, male 35.6
GTEX-147GR-0526-SM-5S2MY 60-69 years, male 35.5
GTEX-1KANB-0526-SM-E6CJH 50-59 years, male 35.5
GTEX-13SLW-0126-SM-5SI6C 70-79 years, male 35.4
GTEX-VJYA-1126-SM-3GIJU 60-69 years, male 35.4
GTEX-1HCU9-1526-SM-A9SL7 20-29 years, male 35.4
GTEX-13O3Q-2426-SM-5IJBR 50-59 years, male 35.3
GTEX-14DAQ-0126-SM-5S2MQ 60-69 years, female 35.3
GTEX-148VJ-0126-SM-5TDDN 70-79 years, male 35.2
GTEX-ZC5H-0226-SM-4WAY9 40-49 years, female 35.2
GTEX-13NYB-2526-SM-5K7Z6 40-49 years, male 35.1
GTEX-1IGQW-0126-SM-COH42 60-69 years, male 35.1
GTEX-12KS4-0326-SM-5EQ41 30-39 years, male 35.0
GTEX-15G19-0126-SM-6PANQ 60-69 years, male 35.0
GTEX-17F96-1626-SM-7DUFL 70-79 years, male 35.0
GTEX-11DXY-2626-SM-5GIE7 60-69 years, male 34.9
GTEX-13NYC-0326-SM-E9J4S 60-69 years, male 34.9
GTEX-1I1HK-0126-SM-COH49 60-69 years, male 34.9
GTEX-1KANA-0726-SM-D3L9I 20-29 years, male 34.9
GTEX-1R9PM-2026-SM-E76OY 20-29 years, male 34.9
GTEX-15CHC-2126-SM-6EU21 60-69 years, female 34.8
GTEX-16BQI-0226-SM-7KUEX 30-39 years, female 34.8
GTEX-ZTX8-1426-SM-5DUVO 20-29 years, male 34.8
GTEX-Q2AH-1626-SM-3GAF8 40-49 years, male 34.7
GTEX-1GF9U-2126-SM-7SB7L 40-49 years, female 34.7
GTEX-12C56-1726-SM-5EQ61 20-29 years, male 34.6
GTEX-17MFQ-1726-SM-793C7 20-29 years, male 34.6
GTEX-U3ZH-2026-SM-3DB78 30-39 years, male 34.6
GTEX-139D8-0226-SM-5KLZO 30-39 years, female 34.4
GTEX-13CF3-2426-SM-5IFGX 60-69 years, female 34.3
GTEX-ZYY3-0126-SM-5GZY5 60-69 years, female 34.3
GTEX-1JJEA-0326-SM-CNPOT 60-69 years, male 34.3
GTEX-1M4P7-0226-SM-DIPEV 60-69 years, male 34.3
GTEX-1LGOU-2026-SM-DIPFF 20-29 years, female 34.2
GTEX-11VI4-1726-SM-5CVLH 40-49 years, female 34.1
GTEX-ZTSS-1926-SM-57WEW 40-49 years, male 34.1
GTEX-17JCI-0126-SM-7LG5G 60-69 years, female 34.0
GTEX-1QP29-0626-SM-EWRMX 50-59 years, male 34.0
GTEX-1LG7Z-1726-SM-D3LA4 30-39 years, male 33.9
GTEX-13SLX-0526-SM-5S2ON 50-59 years, female 33.8
GTEX-S32W-2126-SM-2XCB1 50-59 years, female 33.8
GTEX-1HSGN-0226-SM-CGQFV 40-49 years, female 33.8
GTEX-SJXC-0126-SM-2XCFF 60-69 years, male 33.7
GTEX-ZXES-1826-SM-5E43S 30-39 years, female 33.7
GTEX-QV44-1926-SM-2S1RF 50-59 years, male 33.6
GTEX-1HT8W-0126-SM-CNPPP 30-39 years, male 33.5
GTEX-1KWVE-1426-SM-E9TJO 30-39 years, male 33.5
GTEX-11XUK-2026-SM-5EQLF 40-49 years, female 33.4
GTEX-1399T-2826-SM-5KLYZ 60-69 years, male 33.4
GTEX-XPVG-2626-SM-4B669 50-59 years, male 33.4
GTEX-1JJ6O-0126-SM-E6CI8 60-69 years, male 33.4
GTEX-18D9A-1926-SM-7LG6P 30-39 years, female 33.3
GTEX-1F52S-0126-SM-9MQJU 60-69 years, female 33.3
GTEX-13FH7-2026-SM-E9J4I 50-59 years, female 33.2
GTEX-13JUV-2726-SM-5LZZ8 40-49 years, female 33.1
GTEX-13PDP-0126-SM-5L3HD 60-69 years, male 33.1
GTEX-14BMU-2226-SM-5TDE9 20-29 years, female 33.1
GTEX-1CAMQ-0226-SM-7IGPK 40-49 years, male 33.1
GTEX-P44H-0226-SM-2XCEU 40-49 years, male 33.1
GTEX-1H11D-0226-SM-9WG6Z 40-49 years, male 33.1
GTEX-1IKJJ-0126-SM-CNPQB 60-69 years, male 33.1
GTEX-1J1OQ-0226-SM-CYPSH 40-49 years, female 33.1
GTEX-1212Z-2526-SM-5EGKP 60-69 years, male 33.0
GTEX-145ME-1826-SM-5SI9G 40-49 years, female 33.0
GTEX-1AMFI-2026-SM-731BH 50-59 years, female 32.9
GTEX-TSE9-0126-SM-3DB83 60-69 years, female 32.9
GTEX-1122O-2126-SM-5EGIR 60-69 years, female 32.8
GTEX-117XS-2726-SM-5N9BL 60-69 years, male 32.8
GTEX-13N2G-2626-SM-5J1OT 60-69 years, male 32.8
GTEX-WFG8-2226-SM-3GIL9 20-29 years, male 32.8
GTEX-1KXAM-2226-SM-CYPTC 60-69 years, male 32.8
GTEX-Y5V6-2426-SM-4VDSB 60-69 years, male 32.7
GTEX-ZAB5-1826-SM-5HL7C 50-59 years, male 32.6
GTEX-1S83E-0126-SM-EWRO4 40-49 years, male 32.6
GTEX-QCQG-1726-SM-3GIJ9 50-59 years, female 32.5
GTEX-1F5PL-0326-SM-7P8PQ 40-49 years, female 32.5
GTEX-1F5PK-2426-SM-7RHHY 50-59 years, male 32.4
GTEX-1J8Q3-1626-SM-CMKGC 60-69 years, male 32.3
GTEX-1IL2V-0126-SM-CM2TX 70-79 years, male 32.2
GTEX-13OW8-1326-SM-5J1OW 60-69 years, male 32.1
GTEX-Y8E4-0626-SM-4WWDL 40-49 years, male 32.1
GTEX-1IDJU-2626-SM-CM2RT 60-69 years, female 32.1
GTEX-1IDFM-0126-SM-COH2V 60-69 years, male 32.0
GTEX-15DCD-0126-SM-7KUEK 70-79 years, female 31.8
GTEX-16NGA-1726-SM-731B4 40-49 years, female 31.8
GTEX-1HCVE-0126-SM-CGQEU 50-59 years, male 31.8
GTEX-1LGRB-2526-SM-CNPPQ 50-59 years, female 31.8
GTEX-14JG6-2226-SM-6EU2G 30-39 years, female 31.5
GTEX-13FTY-0526-SM-5L3EV 40-49 years, female 31.3
GTEX-145LU-0126-SM-5TDCB 50-59 years, male 31.3
GTEX-1GL5R-1826-SM-9KNUY 50-59 years, male 31.3
GTEX-1M5QR-1226-SM-EWROB 40-49 years, male 31.3
GTEX-1O97I-0326-SM-EYYX7 60-69 years, male 31.3
GTEX-PVOW-0126-SM-2XCFA 40-49 years, male 31.2
GTEX-1I1GQ-0126-SM-COH3H 50-59 years, male 31.2
GTEX-14A5I-0126-SM-5TDEA 50-59 years, female 31.1
GTEX-1CB4H-0226-SM-7PBXM 60-69 years, female 31.1
GTEX-OIZF-0126-SM-7SB8I 60-69 years, male 31.1
GTEX-1C6VS-0526-SM-7DUEN 60-69 years, male 30.9
GTEX-OIZG-0726-SM-33HBL 50-59 years, male 30.8
GTEX-ZF2S-2326-SM-4WWCE 50-59 years, female 30.8
GTEX-1EX96-1626-SM-7PBXR 50-59 years, male 30.8
GTEX-VJWN-0126-SM-3GIK7 50-59 years, female 30.7
GTEX-1IKOH-0226-SM-COH4E 60-69 years, female 30.7
GTEX-SSA3-0126-SM-32QPU 60-69 years, male 30.6
GTEX-145LS-0126-SM-5QGP1 60-69 years, female 30.5
GTEX-ZXG5-0126-SM-5GIEU 60-69 years, male 30.5
GTEX-1S82Z-0826-SM-E6CHY 30-39 years, female 30.4
GTEX-14LZ3-0226-SM-62LET 60-69 years, female 30.2
GTEX-14PJ6-2126-SM-6EU1V 60-69 years, female 30.1
GTEX-ZV6S-2326-SM-4YCEY 40-49 years, female 30.0
GTEX-147F3-0526-SM-5SI98 50-59 years, female 29.8
GTEX-QDVN-2026-SM-3GAEP 50-59 years, male 29.6
GTEX-1JJE9-0326-SM-CL53Z 70-79 years, male 29.5
GTEX-1QPFJ-0226-SM-E76PB 30-39 years, female 29.5
GTEX-11EI6-0126-SM-5985R 60-69 years, male 29.4
GTEX-R3RS-0126-SM-3GIJL 40-49 years, female 28.9
GTEX-1I1GT-0626-SM-CGQER 60-69 years, female 28.8
GTEX-1E2YA-0126-SM-9KNUC 50-59 years, male 28.2
GTEX-1L5NE-2526-SM-E6CIE 50-59 years, male 28.1
GTEX-U3ZN-2326-SM-3DB7W 30-39 years, female 27.6
GTEX-SNMC-1226-SM-2XCFP 20-29 years, male 24.8
Show allShow less

Contact

  • NEWS ARTICLES
  • PRESS ROOM

The Project

  • INTRODUCTION
  • ORGANIZATION
  • PUBLICATIONS

The Human Protein Atlas

  • DOWNLOADABLE DATA
  • LICENCE & CITATION
  • HELP & FAQ
The Human Protein Atlas project is funded
by the Knut & Alice Wallenberg Foundation.


contact@proteinatlas.org