We use cookies to enhance the usability of our website. If you continue, we'll assume that you are happy to receive all cookies. More information. Don't show this again.
AKT1
HPA
RESOURCES
  • TISSUE
  • BRAIN
  • SINGLE CELL
  • SUBCELLULAR
  • CANCER
  • BLOOD
  • CELL LINE
  • STRUCTURE & INTERACTION
ABOUT
  • INTRODUCTION
  • HISTORY
  • ORGANIZATION
  • PUBLICATIONS
  • ANTIBODY SUBMISSION
  • ANTIBODY AVAILABILITY
  • ACKNOWLEDGMENTS
  • CONTACT
NEWS
  • NEWS ARTICLES
  • PRESS ROOM
LEARN
  • DICTIONARY
  • PROTEIN CLASSES
  • PROTEIN EVIDENCE
  • METHODS
  • EDUCATIONAL VIDEOS
DATA
  • DOWNLOADABLE DATA
  • PUBLICATION DATA
  • RELEASE HISTORY
HELP
  • ANTIBODY VALIDATION
  • ASSAYS & ANNOTATION
  • DISCLAIMER
  • HELP & FAQ
  • PRIVACY STATEMENT
  • LICENCE & CITATION
Fields »
Search result

Field
Term
Gene name
Class
Subclass
Class
Keyword
Chromosome
External id
Tissue
Cell type
Expression
Antibody panel
Tissue
Main location
Patient ID
Annotation
Tissue
Category
Tau score
Cluster
Reliability
Brain region
Category
Tau score
Brain region
Category
Tau score
Brain region
Category
Tau score
Cluster
Reliability
Tissue
Cell type
Enrichment
Cell type
Category
Tau score
Cell type
Category
Tau score
Cell type
Category
Tau score
Cell lineage
Category
Tau score
Cluster
Cluster
Location
Searches
Location
Cell line
Class
Type
Phase
Reliability
Cancer
Prognosis
Cancer
Category
Cancer
Category
Tau score
Cluster
Variants
Interacting gene (ensg_id)
Type
Number of interactions
Pathway
Category
Score
Score
Score
Validation
Validation
Validation
Validation
Antibodies
Data type
Column


  • SUMMARY

  • TISSUE

  • BRAIN

  • SINGLE CELL

  • SUBCELL

  • CANCER

  • BLOOD

  • CELL LINE

  • STRUCT & INT

  • AKT1
TISSUE PRIMARY DATA STOMACH Show tissue menu
ADIPOSE TISSUE ADRENAL GLAND AMYGDALA APPENDIX BASAL GANGLIA BONE MARROW BREAST BRONCHUS CEREBELLUM CEREBRAL CORTEX CERVIX CHOROID PLEXUS COLON DUODENUM
ENDOMETRIUM EPIDIDYMIS ESOPHAGUS FALLOPIAN TUBE GALLBLADDER HEART MUSCLE HIPPOCAMPAL FORMATION HYPOTHALAMUS KIDNEY LIVER LUNG LYMPH NODE MIDBRAIN NASOPHARYNX
ORAL MUCOSA OVARY PANCREAS PARATHYROID GLAND PITUITARY GLAND PLACENTA PROSTATE RECTUM RETINA SALIVARY GLAND SEMINAL VESICLE SKELETAL MUSCLE SKIN SMALL INTESTINE
SMOOTH MUSCLE SOFT TISSUE SPINAL CORD SPLEEN STOMACH TESTIS THYMUS THYROID GLAND TONGUE TONSIL URINARY BLADDER VAGINA
ANTIBODIES
AND
VALIDATION
Dictionary
Tissue proteome
Stomach
STOMACH - Expression summary
Protein expression
Stomachi

On the top, protein expression in current human tissue, based on all annotated cell types, is reported with the units not detected (n), low (l), medium (m) and high (h). Underneath, protein expression in each annotated cell type are reported using the same units.

Protein expression data is based on knowledge-based annotation. For genes where more than one antibody has been used, a collective score is set.

If knowledge-based annotation could not be performed for a gene, no data is displayed here. View antibody staining data further down this page.

h
m
l
n
Glandular cells: Medium
RNA expressioni

A summary of mRNA expression data available for current tissue based on several datasets. The mRNA expression levels in human tissues are based on RNA-seq data generated by the Human Protein Atlas (HPA), Genotype-Tissue Expression (GTEx) portal and CAGE data generated by the FANTOM5 consortium. Consensus normalized expression levels for human tissues was created by combining the data from HPA and GTEx datasets.

The mRNA expression levels in pig are based on RNA-seq data generated by the Human Protein Atlas (HPA), and for mouse, HPA data and in situ hybridization generated by the Allen brain atlas are reported.

Scroll down to view mRNA expression data in more detail.
Consensus:75.5 nTPM
HPA:58.1 nTPM
GTEx:75.5 nTPM

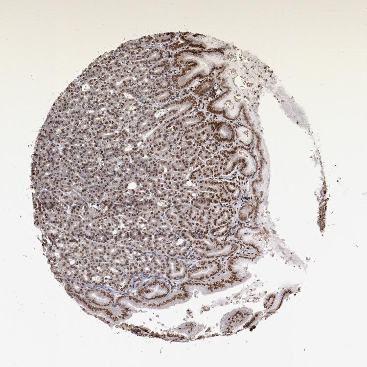
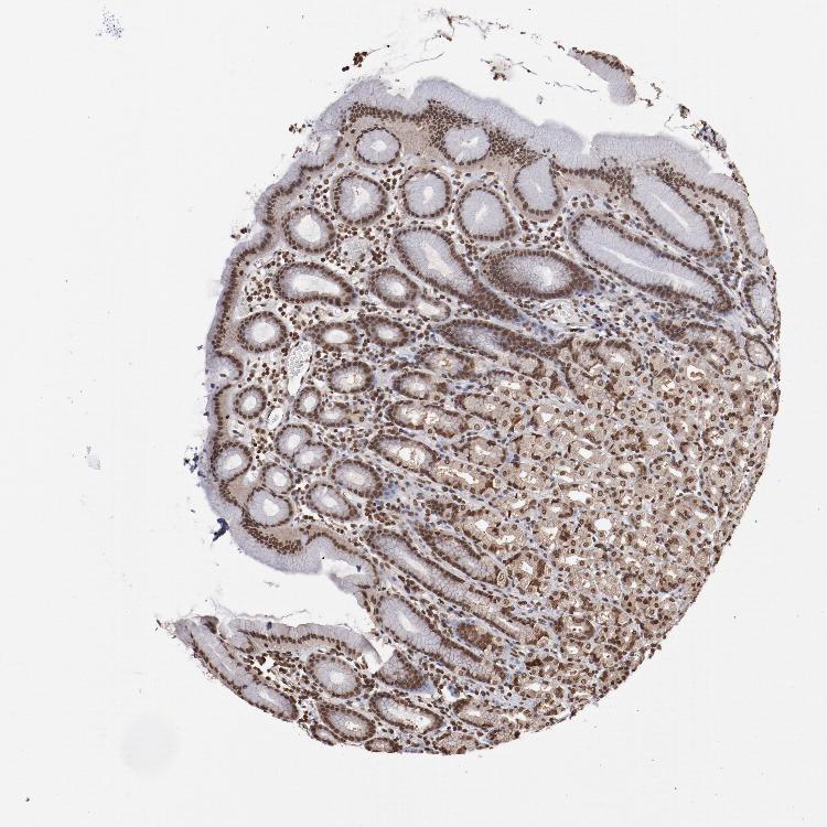
STOMACH 1 - Antibody stainingi

Antibody staining in the annotated cell types in the current human tissue is reported as not detected, low, medium, or high, based on conventional immunohistochemistry profiling in selected tissues. This score is based on the combination of the staining intensity and fraction of stained cells.

Each image is clickable and will lead to virtual microscopy that enables deeper exploration of all samples and also displays staining intensity scores, fraction scores and subcellular localization as well as patient and tissue information for each sample.

Antibody HPA002891Antibody CAB003765Antibody CAB080436
Glandular cells MediumLowMedium






STOMACH 2 - Antibody stainingi

Antibody staining in the annotated cell types in the current human tissue is reported as not detected, low, medium, or high, based on conventional immunohistochemistry profiling in selected tissues. This score is based on the combination of the staining intensity and fraction of stained cells.

Each image is clickable and will lead to virtual microscopy that enables deeper exploration of all samples and also displays staining intensity scores, fraction scores and subcellular localization as well as patient and tissue information for each sample.

Antibody HPA002891Antibody CAB003765Antibody CAB080436
Glandular cells MediumLowMedium






STOMACH - HPA RNA-seqi

The RNA-seq details section shows detailed information about the individual samples used for the transcript profiling and results of the RNA-seq analysis.

Information about each individual sample is listed below, including gender, age, a tissue section image and estimated fractions of cell types. nTPM (normalized transcripts per million) values give a quantification of the gene abundance which is comparable between different genes and samples.
Average nTPMi

Max subtype nTPM is the value for the subtype with the largest average nTPM across the subtype samples.

58.1
overview
Female, age 33
Stomach sample 61
nTPM: 58.8
Cell types%
Glandular cells:
60

Smooth muscle cells:
5

Other cell types:
35

N/A
Male, age 82
Stomach sample 240
nTPM: 49.1
Cell types%
Glandular cells:
65

Smooth muscle cells:
5

Other cell types:
30

overview
Male, age 71
Stomach sample 241
nTPM: 79.9
Cell types%
Glandular cells:
50

Smooth muscle cells:
5

Other cell types:
45

overview
Female, age 66
Stomach sample 369
nTPM: 44.4
Cell types%
Glandular cells:
50

Smooth muscle cells:
10

Other cell types:
40


STOMACH - GTEx RNA-seqi

RNA-Seq data generated by the Genotype-Tissue Expression (GTEx) project from human tissues is reported as mean nTPM. More information can be found on the GTEx portal.

Distribution across the dataset is visualized with box plots, shown as median and 25th and 75th percentiles. Points are displayed as outliers if they are above or below 1.5 times the interquartile range. nTPM values of the individual samples are presented next to the box plot.
Max subtype nTPMi

Max subtype nTPM is the value for the subtype with the largest average nTPM across the subtype samples.

75.5
GTEx sample id Sample description nTPM
Stomach
Average nTPM: 75.5
Samples: 359

Max nTPM: 132.0
Min nTPM: 36.6
Std nTPM: 14.9
Median nTPM: 74.2
GTEX-OIZH-1526-SM-3NB1J 50-59 years, male 132.0
GTEX-WH7G-1526-SM-4LVMX 40-49 years, male 131.3
GTEX-P4QT-1526-SM-3NMCT 50-59 years, female 129.9
GTEX-ZV6S-0926-SM-57WGB 40-49 years, female 119.6
GTEX-14PKU-1126-SM-69LOU 40-49 years, female 118.0
GTEX-144GM-1726-SM-5O9AS 20-29 years, male 113.7
GTEX-TKQ1-0526-SM-4DXTG 30-39 years, male 112.7
GTEX-14E1K-1526-SM-664MN 50-59 years, male 112.6
GTEX-RU1J-0526-SM-46MUT 20-29 years, female 111.8
GTEX-ZF29-1526-SM-4WKF7 60-69 years, female 108.1
GTEX-S4P3-0726-SM-4AD57 50-59 years, female 106.9
GTEX-1H1DG-2126-SM-9WPPB 70-79 years, male 105.4
GTEX-QLQW-0726-SM-447AA 30-39 years, male 104.7
GTEX-RUSQ-1126-SM-EAZAU 50-59 years, male 104.5
GTEX-R55D-1526-SM-48FEJ 50-59 years, male 104.0
GTEX-1I1HK-2026-SM-CNNRB 60-69 years, male 103.5
GTEX-1H1DE-1226-SM-9JGHH 20-29 years, male 102.9
GTEX-14PJ4-1626-SM-664OB 60-69 years, male 102.1
GTEX-PX3G-1526-SM-48U11 20-29 years, female 102.0
GTEX-Y114-1226-SM-4TT88 50-59 years, female 101.6
GTEX-1339X-1426-SM-5K7YO 40-49 years, male 101.4
GTEX-12WSJ-0926-SM-5P9JD 40-49 years, female 100.9
GTEX-ZPU1-1626-SM-4WWB2 40-49 years, male 100.5
GTEX-XAJ8-0326-SM-47JYI 40-49 years, male 100.2
GTEX-1RQEC-2126-SM-DPS15 60-69 years, male 99.2
GTEX-1LVAN-2426-SM-CNNPZ 50-59 years, female 98.7
GTEX-XPVG-1526-SM-4B66C 50-59 years, male 98.2
GTEX-14PJ6-0826-SM-686Z9 60-69 years, female 97.5
GTEX-1399U-1626-SM-5P9J3 50-59 years, female 97.1
GTEX-1GF9U-1126-SM-AHZ4H 40-49 years, female 97.1
GTEX-11TT1-0726-SM-5GU5A 20-29 years, male 96.7
GTEX-1E2YA-2426-SM-7EPIG 50-59 years, male 96.0
GTEX-OXRL-1526-SM-E6CHQ 50-59 years, male 95.0
GTEX-17F98-1526-SM-7EWD8 40-49 years, female 94.9
GTEX-12WSG-2026-SM-5FQUU 50-59 years, female 94.8
GTEX-11EQ9-1226-SM-5987E 30-39 years, male 94.7
GTEX-1HCUA-1626-SM-A9SMG 50-59 years, female 94.5
GTEX-PWN1-1526-SM-48TDA 40-49 years, female 94.3
GTEX-18A67-2626-SM-718AD 50-59 years, male 93.7
GTEX-14PKV-1826-SM-69LO9 20-29 years, female 93.4
GTEX-XUZC-0726-SM-4BOPH 30-39 years, female 93.3
GTEX-13X6H-1626-SM-5Q5CT 50-59 years, female 92.8
GTEX-17HII-2426-SM-7KFTT 50-59 years, male 92.8
GTEX-ZY6K-0726-SM-5A5L8 50-59 years, male 92.3
GTEX-ZT9W-1526-SM-4YCDE 50-59 years, male 92.2
GTEX-14PHY-0926-SM-5ZZWL 60-69 years, female 92.0
GTEX-17MF6-2126-SM-7KFS7 40-49 years, male 91.8
GTEX-1LSNM-1026-SM-DHXL2 50-59 years, male 91.7
GTEX-18A7A-2726-SM-7LG6U 50-59 years, female 91.5
GTEX-1IDJU-1526-SM-CNNR3 60-69 years, female 91.5
GTEX-UJMC-1226-SM-4IHLI 50-59 years, male 91.4
GTEX-W5WG-1726-SM-4LMI5 50-59 years, female 91.4
GTEX-12696-1726-SM-5EQLH 60-69 years, male 91.3
GTEX-17EUY-1526-SM-793CA 20-29 years, male 91.2
GTEX-1C475-1026-SM-7MKFJ 40-49 years, female 90.4
GTEX-13OW6-2526-SM-5IJEC 50-59 years, male 90.2
GTEX-1JKYN-1726-SM-AHZ48 30-39 years, male 90.2
GTEX-S4Z8-1226-SM-4AD6W 60-69 years, male 89.9
GTEX-15RIF-1126-SM-7KUG2 20-29 years, male 89.4
GTEX-1122O-1926-SM-5EGIQ 60-69 years, female 89.0
GTEX-1J8JJ-1726-SM-C1YQG 60-69 years, female 88.8
GTEX-1B8KE-1326-SM-73KVI 50-59 years, male 88.1
GTEX-YJ8A-1526-SM-5P9FT 20-29 years, male 88.1
GTEX-ZAB4-1526-SM-5CVN7 40-49 years, male 88.0
GTEX-1H1E6-1626-SM-9OSWC 30-39 years, male 88.0
GTEX-R55C-1026-SM-48FCM 40-49 years, male 87.7
GTEX-1KANA-1126-SM-D3L9M 20-29 years, male 87.7
GTEX-OIZF-1526-SM-2I5GR 60-69 years, male 87.7
GTEX-QMRM-1126-SM-447BN 50-59 years, male 87.6
GTEX-PLZ6-0826-SM-3P61K 30-39 years, male 87.5
GTEX-Q2AI-0826-SM-48TZO 40-49 years, male 87.5
GTEX-1CAMR-0726-SM-7EPIE 20-29 years, male 87.3
GTEX-14DAR-0926-SM-73KUQ 50-59 years, male 86.9
GTEX-NFK9-1526-SM-3LK7B 40-49 years, male 86.8
GTEX-P4PP-1526-SM-3P61M 30-39 years, female 86.7
GTEX-P4PQ-1526-SM-3NMCK 60-69 years, male 86.7
GTEX-ZZ64-0426-SM-5E43F 20-29 years, male 86.7
GTEX-ZYFG-1326-SM-5GICJ 60-69 years, female 86.6
GTEX-117YW-2226-SM-5N9DB 50-59 years, male 86.3
GTEX-1K2DA-0826-SM-CGQGD 50-59 years, male 86.3
GTEX-YEC3-1426-SM-D4P1S 50-59 years, male 85.9
GTEX-13CF3-1926-SM-5K7WF 60-69 years, female 85.2
GTEX-13QBU-1126-SM-5LU44 40-49 years, female 85.2
GTEX-WEY5-1226-SM-4LMIQ 40-49 years, female 85.1
GTEX-1LG7Z-1226-SM-DHXK4 30-39 years, male 85.0
GTEX-UJHI-1026-SM-4IHJP 50-59 years, female 84.8
GTEX-QLQ7-0826-SM-447B3 60-69 years, male 84.2
GTEX-1S82Z-1726-SM-E6CHZ 30-39 years, female 84.2
GTEX-Y5LM-1326-SM-5RQIS 40-49 years, female 84.0
GTEX-RWS6-0926-SM-47JXE 60-69 years, female 83.8
GTEX-14E6E-0926-SM-664N8 30-39 years, male 83.7
GTEX-1B97I-1226-SM-7MGWQ 40-49 years, male 83.6
GTEX-1JK1U-1326-SM-AHZ45 60-69 years, male 83.5
GTEX-ZA64-0826-SM-5HL9U 20-29 years, male 82.8
GTEX-131XG-1226-SM-5EGH9 50-59 years, female 82.6
GTEX-1QP2A-2126-SM-DPRZ7 50-59 years, male 82.4
GTEX-1F75I-1826-SM-7MKGX 40-49 years, male 82.3
GTEX-WFJO-1126-SM-4LVLZ 30-39 years, male 82.3
GTEX-ZVZP-1726-SM-5GZWY 50-59 years, male 82.3
GTEX-17HHE-1026-SM-79ON6 50-59 years, male 82.2
GTEX-1QP28-2126-SM-DTX8B 50-59 years, female 82.1
GTEX-1HSMQ-2426-SM-CE6RY 50-59 years, male 82.0
GTEX-1CB4E-1326-SM-7DUGD 60-69 years, male 81.9
GTEX-1N2DV-0926-SM-E9TJT 40-49 years, male 81.8
GTEX-14PN3-1326-SM-6AJ9U 60-69 years, female 81.7
GTEX-15RIE-1026-SM-6LPJQ 60-69 years, male 81.7
GTEX-WZTO-2126-SM-4PQYW 40-49 years, male 81.7
GTEX-1399S-1626-SM-5P9GI 30-39 years, female 81.6
GTEX-1I6K7-1726-SM-B2LXQ 40-49 years, male 81.5
GTEX-1NSGN-1926-SM-E9J36 50-59 years, male 81.4
GTEX-ZTX8-0426-SM-59HLG 20-29 years, male 81.3
GTEX-11GSP-2126-SM-5HL5E 60-69 years, female 80.8
GTEX-17HGU-2126-SM-7IGOV 50-59 years, male 80.8
GTEX-PWCY-0926-SM-48TD7 20-29 years, female 80.6
GTEX-XXEK-0826-SM-4BRWG 50-59 years, male 80.6
GTEX-13FTX-0726-SM-5N9BI 20-29 years, female 80.3
GTEX-14BIL-1926-SM-73KYI 50-59 years, male 80.3
GTEX-132QS-1826-SM-5IFFN 60-69 years, male 80.2
GTEX-14ICL-0826-SM-5YY9W 30-39 years, male 80.1
GTEX-111CU-0926-SM-5EGIK 50-59 years, male 80.0
GTEX-18A66-2226-SM-7189E 60-69 years, male 80.0
GTEX-ZYY3-1726-SM-5EGH3 60-69 years, female 79.9
GTEX-15EU6-2526-SM-7KUGB 50-59 years, male 79.5
GTEX-1LVAM-1426-SM-E9TJ4 50-59 years, female 79.4
GTEX-WFG7-1326-SM-4LMK1 20-29 years, male 79.2
GTEX-1E1VI-2826-SM-7MGWU 50-59 years, male 79.2
GTEX-YFCO-0826-SM-5LUAG 40-49 years, male 78.9
GTEX-1PIGE-1126-SM-EWRMV 20-29 years, male 78.8
GTEX-1J8QM-1126-SM-C1YQB 60-69 years, female 78.7
GTEX-131XF-1226-SM-5HL8V 60-69 years, male 78.6
GTEX-15DCE-1626-SM-6LPJM 20-29 years, male 78.6
GTEX-U4B1-1026-SM-4DXT1 40-49 years, male 78.6
GTEX-1QPFJ-1526-SM-DPRXT 30-39 years, female 78.5
GTEX-145LT-1426-SM-5O9B3 40-49 years, male 78.4
GTEX-1AYCT-1326-SM-7MKHB 50-59 years, male 78.3
GTEX-T5JW-0926-SM-4DM5K 20-29 years, female 78.2
GTEX-ZLWG-1526-SM-DO12F 50-59 years, female 78.2
GTEX-133LE-1326-SM-5IFGO 20-29 years, female 78.0
GTEX-13OVK-0926-SM-7KUFX 40-49 years, male 78.0
GTEX-14PJ3-1426-SM-664O8 50-59 years, male 78.0
GTEX-QXCU-1926-SM-48FE4 50-59 years, male 78.0
GTEX-X15G-1126-SM-4PQZG 50-59 years, female 78.0
GTEX-1AMFI-1226-SM-731CZ 50-59 years, female 77.8
GTEX-S7SF-0626-SM-4AD4V 20-29 years, female 77.8
GTEX-1RAZR-1526-SM-EAZ4U 40-49 years, male 77.8
GTEX-18QFQ-1226-SM-718AE 30-39 years, male 77.7
GTEX-1JMLX-2426-SM-CXZJQ 50-59 years, male 77.7
GTEX-1AX9J-2626-SM-731EK 60-69 years, male 77.6
GTEX-1QW4Y-0726-SM-DTX8E 30-39 years, male 77.5
GTEX-Q2AH-1126-SM-48TZM 40-49 years, male 77.4
GTEX-1HSEH-1526-SM-B2LXG 60-69 years, male 77.4
GTEX-R55G-1126-SM-48FDG 40-49 years, female 77.1
GTEX-1MJIX-1126-SM-EV7AO 40-49 years, male 76.5
GTEX-1211K-1426-SM-5FQTF 60-69 years, female 76.4
GTEX-SUCS-0926-SM-4DM4Z 70-79 years, male 76.4
GTEX-ZQUD-0826-SM-57WDQ 30-39 years, male 76.3
GTEX-11EM3-1026-SM-5A5KL 20-29 years, female 76.2
GTEX-13113-0726-SM-5LZUF 60-69 years, female 76.2
GTEX-YEC4-1426-SM-5IFHS 40-49 years, male 76.2
GTEX-ZGAY-1626-SM-DNZZ3 40-49 years, female 76.2
GTEX-17F9E-2226-SM-7IGNC 50-59 years, male 75.9
GTEX-1RB15-1026-SM-E9U6V 60-69 years, male 75.9
GTEX-13FTW-1726-SM-5KM2B 40-49 years, male 75.6
GTEX-ZEX8-1626-SM-4WKG7 50-59 years, male 75.6
GTEX-1H23P-2726-SM-9JGHN 60-69 years, male 75.6
GTEX-POMQ-0826-SM-3P61H 20-29 years, female 75.5
GTEX-WXYG-1626-SM-4ONCR 50-59 years, female 75.5
GTEX-1F5PK-1826-SM-7RHHX 50-59 years, male 75.5
GTEX-ZP4G-1226-SM-4WWCJ 20-29 years, female 75.4
GTEX-1I1GT-1726-SM-C1YS3 60-69 years, female 75.2
GTEX-15CHR-1326-SM-79OLT 50-59 years, male 75.1
GTEX-15DZA-1126-SM-6LPK8 30-39 years, female 74.9
GTEX-ZLV1-0826-SM-DO11P 60-69 years, female 74.9
GTEX-ZLFU-1326-SM-DO11R 40-49 years, male 74.8
GTEX-11NSD-1426-SM-5HL67 20-29 years, male 74.6
GTEX-146FR-2026-SM-5NQAI 60-69 years, female 74.6
GTEX-1JN76-0926-SM-ARZNH 20-29 years, female 74.4
GTEX-14JG6-1226-SM-664O6 30-39 years, female 74.3
GTEX-1GPI7-1326-SM-9KNVA 20-29 years, male 74.3
GTEX-1IDJD-2426-SM-C1YS6 30-39 years, male 74.2
GTEX-14DAQ-2826-SM-664MU 60-69 years, female 74.1
GTEX-ZYVF-2726-SM-5GID4 50-59 years, female 74.1
GTEX-1HBPI-0726-SM-9WG7Z 50-59 years, male 74.1
GTEX-111YS-1126-SM-5GZYQ 60-69 years, male 74.0
GTEX-11P7K-1726-SM-5GU6F 30-39 years, male 73.8
GTEX-1B97J-1826-SM-7IGPP 50-59 years, female 73.8
GTEX-S341-0626-SM-4AD5T 40-49 years, female 73.8
GTEX-RM2N-0826-SM-48FD3 50-59 years, male 73.6
GTEX-1J8EW-2226-SM-AHZ3T 60-69 years, female 73.5
GTEX-U3ZN-2026-SM-4DXUC 30-39 years, female 73.4
GTEX-WRHK-0626-SM-4MVOE 20-29 years, female 73.4
GTEX-1HFI7-1526-SM-9WG7W 50-59 years, female 73.3
GTEX-18D9B-2226-SM-718BM 60-69 years, male 73.2
GTEX-13O61-1126-SM-5L3FI 60-69 years, male 73.0
GTEX-T6MO-0726-SM-4DM58 40-49 years, female 72.9
GTEX-14B4R-0726-SM-5TDDR 30-39 years, male 72.6
GTEX-1MUQO-1926-SM-EAZ59 60-69 years, male 72.4
GTEX-SNOS-0826-SM-4DM5N 40-49 years, male 72.3
GTEX-11DXX-1326-SM-5GIDZ 60-69 years, female 72.1
GTEX-VJYA-1026-SM-4KL21 60-69 years, male 72.1
GTEX-XQ8I-2026-SM-4BOOL 50-59 years, male 72.0
GTEX-1QCLY-1126-SM-EAZ4J 30-39 years, male 72.0
GTEX-1R7EU-1126-SM-EAZ4M 60-69 years, male 72.0
GTEX-Q734-1026-SM-48U16 40-49 years, female 71.9
GTEX-QV44-1226-SM-CJI1S 50-59 years, male 71.9
GTEX-14PHX-1026-SM-664OL 50-59 years, male 71.7
GTEX-1IL2V-2026-SM-ARZMA 70-79 years, male 71.7
GTEX-139YR-1926-SM-5LZXM 50-59 years, male 71.6
GTEX-11P82-0726-SM-5PNYL 20-29 years, male 71.4
GTEX-17GQL-1226-SM-7KFTS 60-69 years, male 71.4
GTEX-1IDJF-1426-SM-ACKWK 20-29 years, male 71.4
GTEX-13PVR-2126-SM-73KVR 60-69 years, female 71.2
GTEX-1C64O-2226-SM-73KTV 60-69 years, male 71.2
GTEX-QDVJ-1426-SM-48U1Y 50-59 years, male 70.7
GTEX-1LGOU-1526-SM-D3LAJ 20-29 years, female 70.7
GTEX-1A3MX-1926-SM-72D7F 60-69 years, male 70.5
GTEX-OHPK-1526-SM-3MJGM 50-59 years, female 70.3
GTEX-12BJ1-1726-SM-5HL9B 60-69 years, male 70.2
GTEX-12WSK-1426-SM-5CVNN 40-49 years, female 70.2
GTEX-S4Q7-0726-SM-4AD5F 20-29 years, male 70.0
GTEX-13PVQ-2126-SM-5L3FW 50-59 years, male 69.9
GTEX-R53T-1226-SM-48FCT 50-59 years, female 69.9
GTEX-11WQK-2626-SM-5EQ4K 50-59 years, male 69.4
GTEX-1HKZK-1526-SM-B2LWG 40-49 years, male 69.4
GTEX-146FH-2126-SM-5SI9U 50-59 years, female 69.3
GTEX-YB5E-1126-SM-664NU 40-49 years, male 69.3
GTEX-QDVN-1226-SM-48TZ5 50-59 years, male 69.1
GTEX-ZV7C-1626-SM-5NQ7E 50-59 years, male 69.1
GTEX-1399R-1126-SM-5IFIO 30-39 years, male 69.0
GTEX-SNMC-0626-SM-4DM6H 20-29 years, male 68.9
GTEX-OHPM-1526-SM-EV796 50-59 years, male 68.8
GTEX-1S831-1126-SM-EWROI 20-29 years, male 68.7
GTEX-XMK1-1526-SM-EYYVO 40-49 years, male 68.6
GTEX-WFG8-1326-SM-4LVN3 20-29 years, male 68.5
GTEX-Y5V6-1326-SM-4VDTF 60-69 years, male 68.4
GTEX-1GZ4H-1026-SM-9OSXL 50-59 years, female 68.4
GTEX-T5JC-1926-SM-4DM6Q 20-29 years, male 68.2
GTEX-1MGNQ-1826-SM-DPRYI 40-49 years, male 68.2
GTEX-13FH7-1026-SM-5IJGF 50-59 years, female 68.1
GTEX-16AAH-1226-SM-79OO9 50-59 years, male 68.0
GTEX-ZVT2-1626-SM-51MRC 50-59 years, female 67.9
GTEX-V955-1326-SM-4JBHR 60-69 years, male 67.8
GTEX-1HBPN-1626-SM-9WPNP 50-59 years, male 67.8
GTEX-1RMOY-1126-SM-EV79E 50-59 years, male 67.8
GTEX-1AMEY-1226-SM-731DU 30-39 years, female 67.7
GTEX-15UF7-1226-SM-6M46G 40-49 years, male 67.3
GTEX-1J8Q3-1926-SM-C1YSJ 60-69 years, male 67.3
GTEX-S95S-0826-SM-4B64N 60-69 years, male 67.2
GTEX-1ICG6-1826-SM-AHZ2O 70-79 years, female 67.2
GTEX-145MO-2226-SM-5Q5BN 60-69 years, male 67.0
GTEX-1L5NE-1526-SM-DIPFW 50-59 years, male 67.0
GTEX-13111-1226-SM-5GCNC 50-59 years, male 66.9
GTEX-11VI4-0326-SM-5EQ6L 40-49 years, female 66.7
GTEX-15G1A-1226-SM-7KUF3 30-39 years, male 66.7
GTEX-T8EM-1226-SM-4DM5J 40-49 years, male 66.6
GTEX-WHPG-0426-SM-4M1XW 50-59 years, male 66.6
GTEX-145ME-1026-SM-5O9B4 40-49 years, female 66.5
GTEX-1QCLZ-1826-SM-DPRXP 60-69 years, female 66.4
GTEX-WFON-1126-SM-4LVMA 40-49 years, male 66.3
GTEX-1GL5R-1926-SM-9WG7U 50-59 years, male 66.3
GTEX-1A8G6-1426-SM-731EZ 60-69 years, male 66.2
GTEX-1B8L1-1526-SM-79OLK 60-69 years, male 66.2
GTEX-144GN-1226-SM-5O991 50-59 years, male 66.0
GTEX-XBED-1226-SM-4AT5V 60-69 years, male 65.9
GTEX-14BMU-1126-SM-5RQJ8 20-29 years, female 65.7
GTEX-1HR9M-2326-SM-CNPPZ 60-69 years, male 65.4
GTEX-1S3DN-1526-SM-EVYCB 50-59 years, male 65.4
GTEX-14PJ5-0826-SM-6AJAR 60-69 years, female 65.2
GTEX-ZDYS-1926-SM-5HL59 50-59 years, male 65.2
GTEX-1H3NZ-2226-SM-9WYUT 60-69 years, male 65.2
GTEX-18D9A-0626-SM-7KFTY 30-39 years, female 64.9
GTEX-1A3MV-1226-SM-718BW 30-39 years, male 64.9
GTEX-1LGRB-1726-SM-CNNRA 50-59 years, female 64.9
GTEX-OOBJ-1526-SM-3NB1Q 60-69 years, male 64.8
GTEX-13D11-2126-SM-5IFH2 50-59 years, female 64.7
GTEX-ZPIC-2026-SM-57WG3 40-49 years, female 64.7
GTEX-ZZPU-1426-SM-5GZZ6 50-59 years, female 64.7
GTEX-11NUK-2426-SM-5BC4U 50-59 years, male 64.6
GTEX-1LBAC-1426-SM-CXZKT 20-29 years, male 64.6
GTEX-11I78-1726-SM-5A5M3 50-59 years, female 64.5
GTEX-1F5PL-1426-SM-7MKFH 40-49 years, female 64.0
GTEX-12C56-0526-SM-5FQST 20-29 years, male 63.9
GTEX-13N1W-2026-SM-5K7YU 70-79 years, male 63.9
GTEX-WY7C-1726-SM-4ONCC 50-59 years, male 63.8
GTEX-13S7M-1826-SM-5RQK6 60-69 years, female 63.5
GTEX-XV7Q-1326-SM-4BRWM 40-49 years, female 63.5
GTEX-WHSB-1226-SM-4M1XR 50-59 years, male 63.4
GTEX-1QMI2-2126-SM-DPRXQ 60-69 years, male 63.4
GTEX-PW2O-1226-SM-48TCH 20-29 years, male 63.2
GTEX-TKQ2-0926-SM-4DXU5 50-59 years, male 63.2
GTEX-WYJK-2526-SM-4ONDF 50-59 years, male 63.2
GTEX-1PPH8-1326-SM-DTXFO 20-29 years, male 63.0
GTEX-OXRK-1626-SM-3NB17 50-59 years, female 62.9
GTEX-145MN-1326-SM-5NQ9S 30-39 years, male 62.8
GTEX-RTLS-2626-SM-46MUJ 60-69 years, female 62.7
GTEX-O5YW-1526-SM-3MJGL 50-59 years, male 62.6
GTEX-Y8LW-0826-SM-4WWDO 50-59 years, female 62.5
GTEX-1R9K5-1026-SM-EAZ4F 50-59 years, male 62.4
GTEX-QV31-0626-SM-447C5 30-39 years, male 62.2
GTEX-1JMPY-0926-SM-ARL92 30-39 years, male 62.0
GTEX-17JCI-2226-SM-7LTA1 60-69 years, female 61.9
GTEX-O5YV-1926-SM-EV797 60-69 years, female 61.7
GTEX-13O3Q-2126-SM-5KM4C 50-59 years, male 61.4
GTEX-12WSD-2326-SM-59HKQ 60-69 years, female 61.3
GTEX-1HT8W-2326-SM-A9SLA 30-39 years, male 61.3
GTEX-Y3I4-1626-SM-4TT7W 50-59 years, male 61.1
GTEX-XBEW-1826-SM-4RTWX 40-49 years, male 60.8
GTEX-13OVI-2426-SM-5KM4J 60-69 years, female 60.6
GTEX-P78B-1826-SM-3P5YX 40-49 years, female 60.4
GTEX-ZF2S-1426-SM-57WET 50-59 years, female 60.2
GTEX-V1D1-1726-SM-4JBHB 50-59 years, male 59.9
GTEX-ZXES-1426-SM-5NQ8S 30-39 years, female 59.6
GTEX-13X6J-2126-SM-5TDCV 50-59 years, male 59.3
GTEX-1JMPZ-1826-SM-CXZJT 30-39 years, male 59.3
GTEX-17KNJ-1526-SM-7LTA9 50-59 years, male 59.2
GTEX-15G19-1526-SM-6LPKP 60-69 years, male 59.1
GTEX-TMMY-1626-SM-4DXTY 40-49 years, female 59.0
GTEX-13O21-0926-SM-5IFGT 50-59 years, male 58.9
GTEX-1KXAM-0926-SM-CXZKA 60-69 years, male 58.7
GTEX-1HCU8-1326-SM-C1YQQ 60-69 years, female 58.5
GTEX-1H11D-2226-SM-9OSXN 40-49 years, male 58.3
GTEX-S3XE-1026-SM-4AD4O 50-59 years, male 58.2
GTEX-1JMQJ-1326-SM-D4P3B 50-59 years, male 57.9
GTEX-S4UY-1626-SM-4AD55 40-49 years, female 57.8
GTEX-ZVP2-1626-SM-5GU5D 50-59 years, male 57.8
GTEX-13U4I-2526-SM-5SI8Z 40-49 years, female 57.6
GTEX-13RTK-0226-SM-5RQHR 20-29 years, male 57.4
GTEX-WHWD-1426-SM-4OORU 50-59 years, male 57.4
GTEX-ZVT3-2126-SM-59HL2 60-69 years, female 57.0
GTEX-Y9LG-1026-SM-5IFJN 30-39 years, male 56.9
GTEX-1GN1W-2126-SM-9JGI7 50-59 years, female 56.9
GTEX-PLZ5-1226-SM-EXOHA 50-59 years, male 56.8
GTEX-1H3VY-2326-SM-9WG81 50-59 years, male 56.5
GTEX-WYVS-1326-SM-4ONCQ 40-49 years, female 56.3
GTEX-Y3IK-1426-SM-4YCES 50-59 years, female 55.8
GTEX-15SHW-2126-SM-6M46Y 60-69 years, male 55.7
GTEX-QCQG-0526-SM-48U2A 50-59 years, female 55.3
GTEX-QDT8-2026-SM-EZ6LS 30-39 years, female 55.2
GTEX-1EH9U-2226-SM-7PBXX 60-69 years, male 55.1
GTEX-1I4MK-0926-SM-A9SLD 50-59 years, female 55.0
GTEX-1B8KZ-1226-SM-793CP 50-59 years, male 54.8
GTEX-1GMRU-2526-SM-9WG7T 50-59 years, male 54.7
GTEX-1QP29-2326-SM-EXOJO 50-59 years, male 54.5
GTEX-139D8-2326-SM-5IFGE 30-39 years, female 53.5
GTEX-117YX-1026-SM-5H11V 50-59 years, male 53.1
GTEX-1MCYP-1126-SM-E9J2P 20-29 years, female 52.6
GTEX-16NGA-1526-SM-72D56 40-49 years, female 52.5
GTEX-131XE-2226-SM-5PNYX 50-59 years, male 52.3
GTEX-Y8E4-1526-SM-4WWDI 40-49 years, male 51.9
GTEX-132AR-2426-SM-5IFFD 50-59 years, female 51.3
GTEX-11EI6-2426-SM-5PNVS 60-69 years, male 51.2
GTEX-UPK5-2126-SM-4JBJK 40-49 years, male 50.4
GTEX-1QP67-1026-SM-EVR47 40-49 years, female 48.7
GTEX-1CB4H-2426-SM-7PBYR 60-69 years, female 47.2
GTEX-1KD5A-1426-SM-D4P3V 50-59 years, male 44.5
GTEX-1JN1M-2926-SM-CNNPJ 60-69 years, female 43.3
GTEX-13QJ3-2726-SM-5SI6L 50-59 years, male 43.0
GTEX-14BMV-2226-SM-5RQHX 50-59 years, male 42.9
GTEX-ZE7O-3026-SM-51MS4 50-59 years, female 36.6
Show allShow less

Contact

  • NEWS ARTICLES
  • PRESS ROOM

The Project

  • INTRODUCTION
  • ORGANIZATION
  • PUBLICATIONS

The Human Protein Atlas

  • DOWNLOADABLE DATA
  • LICENCE & CITATION
  • HELP & FAQ
The Human Protein Atlas project is funded
by the Knut & Alice Wallenberg Foundation.


contact@proteinatlas.org