We use cookies to enhance the usability of our website. If you continue, we'll assume that you are happy to receive all cookies. More information. Don't show this again.
SYTL1
HPA
RESOURCES
  • TISSUE
  • BRAIN
  • SINGLE CELL
  • SUBCELLULAR
  • CANCER
  • BLOOD
  • CELL LINE
  • STRUCTURE & INTERACTION
ABOUT
  • INTRODUCTION
  • HISTORY
  • ORGANIZATION
  • PUBLICATIONS
  • ANTIBODY SUBMISSION
  • ANTIBODY AVAILABILITY
  • ACKNOWLEDGMENTS
  • CONTACT
NEWS
  • NEWS ARTICLES
  • PRESS ROOM
LEARN
  • DICTIONARY
  • PROTEIN CLASSES
  • PROTEIN EVIDENCE
  • METHODS
  • EDUCATIONAL VIDEOS
DATA
  • DOWNLOADABLE DATA
  • PUBLICATION DATA
  • RELEASE HISTORY
HELP
  • ANTIBODY VALIDATION
  • ASSAYS & ANNOTATION
  • DISCLAIMER
  • HELP & FAQ
  • PRIVACY STATEMENT
  • LICENCE & CITATION
Fields »
Search result

Field
Term
Gene name
Class
Subclass
Class
Keyword
Chromosome
External id
Tissue
Cell type
Expression
Antibody panel
Tissue
Main location
Patient ID
Annotation
Tissue
Category
Tau score
Cluster
Reliability
Brain region
Category
Tau score
Brain region
Category
Tau score
Brain region
Category
Tau score
Cluster
Reliability
Tissue
Cell type
Enrichment
Cell type
Category
Tau score
Cell type
Category
Tau score
Cell type
Category
Tau score
Cell lineage
Category
Tau score
Cluster
Cluster
Location
Searches
Location
Cell line
Class
Type
Phase
Reliability
Cancer
Prognosis
Cancer
Category
Cancer
Category
Tau score
Cluster
Variants
Interacting gene (ensg_id)
Type
Number of interactions
Pathway
Category
Score
Score
Score
Validation
Validation
Validation
Validation
Antibodies
Data type
Column


  • SUMMARY

  • TISSUE

  • BRAIN

  • SINGLE CELL

  • SUBCELL

  • CANCER

  • BLOOD

  • CELL LINE

  • STRUCT & INT

  • SYTL1
TISSUE PRIMARY DATA SKIN Show tissue menu
ADIPOSE TISSUE ADRENAL GLAND AMYGDALA APPENDIX BASAL GANGLIA BONE MARROW BREAST BRONCHUS CEREBELLUM CEREBRAL CORTEX CERVIX CHOROID PLEXUS COLON DUODENUM
ENDOMETRIUM EPIDIDYMIS ESOPHAGUS FALLOPIAN TUBE GALLBLADDER HEART MUSCLE HIPPOCAMPAL FORMATION HYPOTHALAMUS KIDNEY LIVER LUNG LYMPH NODE MIDBRAIN NASOPHARYNX
ORAL MUCOSA OVARY PANCREAS PARATHYROID GLAND PITUITARY GLAND PLACENTA PROSTATE RECTUM RETINA SALIVARY GLAND SEMINAL VESICLE SKELETAL MUSCLE SKIN SMALL INTESTINE
SMOOTH MUSCLE SOFT TISSUE SPINAL CORD SPLEEN STOMACH TESTIS THYMUS THYROID GLAND TONGUE TONSIL URINARY BLADDER VAGINA
ANTIBODIES
AND
VALIDATION
Dictionary
Skin
Tissue proteome
Skin
SKIN - Expression summary
Protein expression
Skini

On the top, protein expression in current human tissue, based on all annotated cell types, is reported with the units not detected (n), low (l), medium (m) and high (h). Underneath, protein expression in each annotated cell type are reported using the same units.

Protein expression data is based on knowledge-based annotation. For genes where more than one antibody has been used, a collective score is set.

If knowledge-based annotation could not be performed for a gene, no data is displayed here. View antibody staining data further down this page.

h
m
l
n
Epidermal cells: Medium
Fibroblasts: Low
Keratinocytes: Medium
Langerhans: Medium
Melanocytes: Low
RNA expressioni

A summary of mRNA expression data available for current tissue based on several datasets. The mRNA expression levels in human tissues are based on RNA-seq data generated by the Human Protein Atlas (HPA), Genotype-Tissue Expression (GTEx) portal and CAGE data generated by the FANTOM5 consortium. Consensus normalized expression levels for human tissues was created by combining the data from HPA and GTEx datasets.

The mRNA expression levels in pig are based on RNA-seq data generated by the Human Protein Atlas (HPA), and for mouse, HPA data and in situ hybridization generated by the Allen brain atlas are reported.

Scroll down to view mRNA expression data in more detail.
Consensus:84.5 nTPM
HPA:56.8 nTPM
GTEx:84.5 nTPM

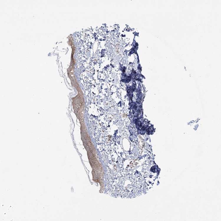
SKIN 1 - Antibody stainingi

Antibody staining in the annotated cell types in the current human tissue is reported as not detected, low, medium, or high, based on conventional immunohistochemistry profiling in selected tissues. This score is based on the combination of the staining intensity and fraction of stained cells.

Each image is clickable and will lead to virtual microscopy that enables deeper exploration of all samples and also displays staining intensity scores, fraction scores and subcellular localization as well as patient and tissue information for each sample.

Antibody HPA037825
Langerhans Medium
Fibroblasts Low
Keratinocytes Medium
Melanocytes Low


SKIN 2 - Antibody stainingi

Antibody staining in the annotated cell types in the current human tissue is reported as not detected, low, medium, or high, based on conventional immunohistochemistry profiling in selected tissues. This score is based on the combination of the staining intensity and fraction of stained cells.

Each image is clickable and will lead to virtual microscopy that enables deeper exploration of all samples and also displays staining intensity scores, fraction scores and subcellular localization as well as patient and tissue information for each sample.

Antibody HPA037825
Epidermal cells Medium
 
 
 


SKIN - HPA RNA-seqi

The RNA-seq details section shows detailed information about the individual samples used for the transcript profiling and results of the RNA-seq analysis.

Information about each individual sample is listed below, including gender, age, a tissue section image and estimated fractions of cell types. nTPM (normalized transcripts per million) values give a quantification of the gene abundance which is comparable between different genes and samples.
Average nTPMi

Max subtype nTPM is the value for the subtype with the largest average nTPM across the subtype samples.

56.8
overview
Female, age 34
Skin sample 225
nTPM: 33.3
Cell types%
Keratinocytes:
60

Other cell types:
40

overview
Female, age 30
Skin sample 226
nTPM: 20.1
Cell types%
Keratinocytes:
55

Other cell types:
45

N/A
Male, age 57
Skin sample 227
nTPM: 116.9

SKIN - GTEx RNA-seqi

RNA-Seq data generated by the Genotype-Tissue Expression (GTEx) project from human tissues is reported as mean nTPM. More information can be found on the GTEx portal.

Distribution across the dataset is visualized with box plots, shown as median and 25th and 75th percentiles. Points are displayed as outliers if they are above or below 1.5 times the interquartile range. nTPM values of the individual samples are presented next to the box plot.
Max subtype nTPMi

Max subtype nTPM is the value for the subtype with the largest average nTPM across the subtype samples.

84.5
GTEx sample id Sample description nTPM
Skin - Not Sun Exposed (Suprapubic)
Average nTPM: 84.5
Samples: 604

Max nTPM: 196.1
Min nTPM: 19.8
Std nTPM: 29.0
Median nTPM: 82.6
GTEX-1OJC3-1226-SM-DTXER 20-29 years, male 196.1
GTEX-Y114-2126-SM-4TT8B 50-59 years, female 189.5
GTEX-1N2DV-1526-SM-DTXEP 40-49 years, male 171.8
GTEX-15RIG-0726-SM-7KUM7 40-49 years, male 167.0
GTEX-WFG7-2026-SM-5SI7P 20-29 years, male 165.3
GTEX-WHSB-1326-SM-3LK6W 50-59 years, male 164.9
GTEX-ZPCL-1126-SM-4WWFE 60-69 years, female 164.9
GTEX-1MCYP-0526-SM-E9U6Q 20-29 years, female 164.7
GTEX-1IKOE-1426-SM-CE6T7 30-39 years, female 164.1
GTEX-18QFQ-1826-SM-72D52 30-39 years, male 158.1
GTEX-ZP4G-1426-SM-4WWCL 20-29 years, female 156.9
GTEX-1JMPY-0226-SM-CKZOK 30-39 years, male 154.9
GTEX-X585-2426-SM-46MW2 50-59 years, male 154.6
GTEX-1QP2A-1726-SM-E76QC 50-59 years, male 152.8
GTEX-13JVG-0726-SM-5KM16 60-69 years, male 151.1
GTEX-XBEW-1126-SM-4QARW 40-49 years, male 150.7
GTEX-1I1GT-1026-SM-ARZLV 60-69 years, female 150.6
GTEX-1J8EW-2726-SM-CY8HR 60-69 years, female 150.4
GTEX-1RMOY-1326-SM-E9TIH 50-59 years, male 149.8
GTEX-1RAZQ-1326-SM-E9TK6 30-39 years, male 147.6
GTEX-14PJ3-1126-SM-5ZZVX 50-59 years, male 146.5
GTEX-11DXZ-2026-SM-5987S 50-59 years, male 145.9
GTEX-1HGF4-0126-SM-CNPPX 60-69 years, male 144.7
GTEX-ZT9X-1526-SM-5DUXD 40-49 years, male 143.8
GTEX-1JMLX-0626-SM-ARL8T 50-59 years, male 143.2
GTEX-ZTX8-1326-SM-4YCEL 20-29 years, male 142.2
GTEX-1PPH8-0126-SM-EWRN8 20-29 years, male 141.5
GTEX-1QP28-1126-SM-EVYC4 50-59 years, female 138.7
GTEX-15CHR-1126-SM-7EWF4 50-59 years, male 138.1
GTEX-1JMQJ-0826-SM-CNPP7 50-59 years, male 138.1
GTEX-13O61-1426-SM-5KM3D 60-69 years, male 137.2
GTEX-17HHE-1326-SM-7EWDZ 50-59 years, male 136.9
GTEX-1C2JI-1026-SM-73KY1 50-59 years, male 136.0
GTEX-Y9LG-1126-SM-4VBQ7 30-39 years, male 135.9
GTEX-ZVZP-1226-SM-5GID7 50-59 years, male 133.4
GTEX-1313W-0626-SM-5EQ4H 50-59 years, female 131.2
GTEX-13O3Q-0126-SM-5KM34 50-59 years, male 131.2
GTEX-1HBPN-0126-SM-CGQEF 50-59 years, male 131.2
GTEX-1R9PM-1926-SM-EVR3O 20-29 years, male 130.6
GTEX-1399S-0126-SM-5IJCF 30-39 years, female 129.7
GTEX-1S82U-1026-SM-E6CJK 30-39 years, female 129.5
GTEX-11OF3-0126-SM-5PNYF 60-69 years, male 129.2
GTEX-1LVAN-0626-SM-CNPOQ 50-59 years, female 128.9
GTEX-1OJC4-2726-SM-E76PJ 50-59 years, female 128.9
GTEX-1PIGE-1826-SM-E8VOU 20-29 years, male 128.8
GTEX-1H3O1-1326-SM-9MQLD 60-69 years, male 128.7
GTEX-1MJK3-0726-SM-E6CJC 20-29 years, male 128.6
GTEX-16MT9-0126-SM-7EPI8 60-69 years, female 128.4
GTEX-1J1OQ-0126-SM-D4P2N 40-49 years, female 127.6
GTEX-1GPI7-1826-SM-9KNU1 20-29 years, male 127.4
GTEX-1PIIG-2326-SM-DTXFR 30-39 years, male 127.3
GTEX-17F97-2626-SM-7IGM5 50-59 years, male 127.0
GTEX-1LGRB-0926-SM-COH3K 50-59 years, female 126.6
GTEX-1QCLY-0226-SM-EWRNH 30-39 years, male 125.7
GTEX-ZDTT-0426-SM-4WKFL 60-69 years, male 125.2
GTEX-11P7K-1126-SM-5HL4L 30-39 years, male 123.8
GTEX-14PII-0726-SM-6EU2B 60-69 years, male 123.4
GTEX-1E2YA-2126-SM-7MXUO 50-59 years, male 123.0
GTEX-1K9T9-1526-SM-DIPFR 50-59 years, female 122.6
GTEX-ZE9C-2526-SM-5IJDR 60-69 years, male 121.8
GTEX-14ICL-1626-SM-5YYAO 30-39 years, male 121.7
GTEX-1LKK1-2626-SM-DKPQE 50-59 years, female 121.2
GTEX-Y111-0626-SM-4SOIT 50-59 years, male 120.9
GTEX-1JJEA-1826-SM-ARU8P 60-69 years, male 120.3
GTEX-ZC5H-1526-SM-5HL9Y 40-49 years, female 118.3
GTEX-1192X-2726-SM-5N9DN 50-59 years, male 118.2
GTEX-WHPG-2626-SM-3NMBR 50-59 years, male 118.0
GTEX-1IDJU-1726-SM-CMKHU 60-69 years, female 117.4
GTEX-111CU-1126-SM-5EGIM 50-59 years, male 117.2
GTEX-1HB9E-0126-SM-CM2S5 50-59 years, male 117.1
GTEX-18A67-1626-SM-7LT9T 50-59 years, male 116.8
GTEX-ZF3C-0626-SM-DO92O 50-59 years, female 116.8
GTEX-ZYT6-2326-SM-5GZY3 30-39 years, male 116.4
GTEX-YECK-0326-SM-4W1YS 60-69 years, male 116.2
GTEX-1POEN-2326-SM-E9J2L 30-39 years, female 116.0
GTEX-1399Q-2326-SM-5KM2X 40-49 years, male 115.4
GTEX-ZAB4-2126-SM-5HL8U 40-49 years, male 115.4
GTEX-1B8KE-1126-SM-7EPHI 50-59 years, male 115.3
GTEX-1GZ4H-0526-SM-9KNU9 50-59 years, female 115.3
GTEX-11PRG-0726-SM-5EGL1 50-59 years, male 115.1
GTEX-XBEC-0726-SM-4QARZ 50-59 years, male 114.7
GTEX-ZF29-0926-SM-4WKFZ 60-69 years, female 114.5
GTEX-1QP9N-1226-SM-E76QN 30-39 years, male 114.5
GTEX-18D9A-1426-SM-7LT8M 30-39 years, female 114.1
GTEX-147F4-0726-SM-5TDDD 50-59 years, male 112.7
GTEX-ZE7O-2726-SM-51MT5 50-59 years, female 112.6
GTEX-1NV5F-0626-SM-DTXEG 60-69 years, female 112.5
GTEX-14C39-1726-SM-5RQIL 40-49 years, male 112.3
GTEX-14PJN-1826-SM-6AJ98 30-39 years, male 112.2
GTEX-15FZZ-0526-SM-7KUGD 30-39 years, female 112.2
GTEX-147GR-2426-SM-5ZZWQ 60-69 years, male 112.1
GTEX-12WSH-1526-SM-5BC5W 50-59 years, male 111.7
GTEX-1CB4E-0926-SM-7EPHT 60-69 years, male 111.7
GTEX-1LVAM-0726-SM-E6CIL 50-59 years, female 111.7
GTEX-YFCO-1226-SM-5LUAT 40-49 years, male 111.5
GTEX-1QPFJ-1926-SM-EVYBD 30-39 years, female 111.5
GTEX-XAJ8-1426-SM-47JYM 40-49 years, male 111.4
GTEX-15RJE-2826-SM-7KUM9 40-49 years, male 111.2
GTEX-12126-0826-SM-5FQTZ 20-29 years, male 111.1
GTEX-1KAFJ-0126-SM-DIPEK 50-59 years, male 111.0
GTEX-12WSJ-1126-SM-5LZVJ 40-49 years, female 110.9
GTEX-1HT8W-0626-SM-A9G2H 30-39 years, male 110.8
GTEX-145MH-2826-SM-5RQJF 50-59 years, male 110.0
GTEX-1EMGI-2326-SM-7PBYA 60-69 years, male 110.0
GTEX-1NSGN-0726-SM-DTXEF 50-59 years, male 109.6
GTEX-1399U-1126-SM-5L3DB 50-59 years, female 109.5
GTEX-1PPGY-1626-SM-EVYBL 60-69 years, male 109.5
GTEX-15DYW-2726-SM-6EU2I 60-69 years, female 109.4
GTEX-11P81-2226-SM-5PNYI 30-39 years, female 109.2
GTEX-11DXX-2126-SM-5PNYR 60-69 years, female 108.9
GTEX-YEC3-1326-SM-DO92X 50-59 years, male 108.8
GTEX-1K2DA-1026-SM-CGQGF 50-59 years, male 108.7
GTEX-13FTX-1526-SM-5K7VJ 20-29 years, female 108.6
GTEX-13NYB-0126-SM-5J1MD 40-49 years, male 108.6
GTEX-1LB8K-0726-SM-D5OV2 50-59 years, male 108.5
GTEX-13SLX-2226-SM-62LEP 50-59 years, female 108.3
GTEX-1HCVE-2726-SM-CL54F 50-59 years, male 108.2
GTEX-1A8G7-1326-SM-73KVM 60-69 years, male 108.1
GTEX-139TU-0726-SM-5L3EK 60-69 years, male 107.8
GTEX-16MTA-0926-SM-6M47Z 50-59 years, male 107.7
GTEX-111VG-1626-SM-5EGIO 60-69 years, male 107.6
GTEX-ZYY3-2926-SM-5GIEB 60-69 years, female 107.6
GTEX-13FTY-2126-SM-5IFFB 40-49 years, female 106.8
GTEX-17KNJ-2126-SM-718AM 50-59 years, male 106.2
GTEX-1C6VR-0126-SM-7RHGB 60-69 years, male 106.0
GTEX-1F88F-0126-SM-9WYSZ 60-69 years, female 105.9
GTEX-13FTW-0326-SM-5K7UW 40-49 years, male 105.6
GTEX-17EVP-2626-SM-7IGMA 40-49 years, male 105.5
GTEX-1H11D-1826-SM-9QEHM 40-49 years, male 104.8
GTEX-XPVG-2126-SM-4B667 50-59 years, male 104.7
GTEX-1A8G6-2726-SM-731AR 60-69 years, male 104.6
GTEX-WHWD-1826-SM-3LK6I 50-59 years, male 104.3
GTEX-13FHO-0426-SM-5L3F5 60-69 years, male 104.2
GTEX-1F6I4-2326-SM-7RHGL 60-69 years, male 103.9
GTEX-14PHY-1226-SM-5ZZWK 60-69 years, female 103.8
GTEX-11GSP-2326-SM-5HL63 60-69 years, female 103.6
GTEX-17F96-0126-SM-7EWDU 70-79 years, male 103.6
GTEX-1S3DN-2126-SM-E9TIN 50-59 years, male 103.6
GTEX-17F9E-2326-SM-79OKD 50-59 years, male 103.5
GTEX-14PJ6-2626-SM-6EU2T 60-69 years, female 102.8
GTEX-1JK1U-0226-SM-ARZMX 60-69 years, male 102.7
GTEX-1S82P-2126-SM-E6CI5 60-69 years, female 102.7
GTEX-1KANB-2826-SM-CY8I6 50-59 years, male 102.6
GTEX-1JN76-0626-SM-CKZOQ 20-29 years, female 102.5
GTEX-1I1HK-2326-SM-CKZOH 60-69 years, male 102.4
GTEX-ZLV1-1526-SM-DO91J 60-69 years, female 102.3
GTEX-1R46S-2426-SM-E76QA 60-69 years, female 102.2
GTEX-1LBAC-0826-SM-CY8IJ 20-29 years, male 102.1
GTEX-1GN1V-2826-SM-9JGIA 60-69 years, male 101.8
GTEX-1122O-1026-SM-9WYSF 60-69 years, female 101.6
GTEX-1CAMQ-1326-SM-7P8RV 40-49 years, male 101.5
GTEX-1HSMQ-2626-SM-A9SML 50-59 years, male 101.4
GTEX-14PJ4-0226-SM-5YY92 60-69 years, male 101.3
GTEX-1MCC2-1826-SM-DIPEX 30-39 years, female 101.3
GTEX-15RIE-1926-SM-7KUKJ 60-69 years, male 101.2
GTEX-16YQH-2226-SM-7IGM2 30-39 years, male 101.0
GTEX-14PJ5-1526-SM-6LLIL 60-69 years, female 100.9
GTEX-XV7Q-1826-SM-4BRUV 40-49 years, female 100.7
GTEX-ZZPU-0826-SM-5GZX5 50-59 years, female 100.5
GTEX-17F9Y-0126-SM-79OKX 70-79 years, female 100.2
GTEX-1PDJ9-1226-SM-EXUSX 20-29 years, male 100.2
GTEX-X4EO-2926-SM-4E3JH 60-69 years, female 100.1
GTEX-1CAMS-2226-SM-7PBXQ 40-49 years, female 100.1
GTEX-14LZ3-0126-SM-69LPM 60-69 years, female 100.0
GTEX-1PBJJ-1026-SM-E76OS 30-39 years, male 100.0
GTEX-14BIN-1126-SM-5RQJZ 50-59 years, female 99.8
GTEX-15RJ7-2126-SM-6PAMD 40-49 years, male 99.7
GTEX-11P82-1426-SM-DTXFY 20-29 years, male 99.7
GTEX-UPJH-0226-SM-3GADV 50-59 years, male 99.4
GTEX-1J1R8-2026-SM-CL53Y 40-49 years, male 99.4
GTEX-14C5O-0326-SM-5ZZUX 60-69 years, male 99.3
GTEX-1AMEY-0826-SM-72D65 30-39 years, female 99.3
GTEX-1HR98-2226-SM-ADEI2 60-69 years, male 99.3
GTEX-WXYG-2026-SM-4E3IY 50-59 years, female 99.1
GTEX-12ZZZ-0726-SM-5GCNZ 60-69 years, male 99.0
GTEX-ZVP2-0326-SM-57WBP 50-59 years, male 99.0
GTEX-13OVH-0526-SM-5L3E6 70-79 years, male 98.7
GTEX-14PHX-2226-SM-6EU2P 50-59 years, male 98.7
GTEX-1HSGN-0826-SM-ACKW3 40-49 years, female 98.7
GTEX-1GF9V-0826-SM-9KNUV 60-69 years, male 98.6
GTEX-11WQC-1826-SM-5GU59 60-69 years, male 98.4
GTEX-1HCU7-0726-SM-A9SL1 50-59 years, male 98.4
GTEX-1PPH7-1126-SM-DTX9A 40-49 years, male 98.3
GTEX-1JJ6O-2726-SM-CNPOG 60-69 years, male 98.1
GTEX-1R7EU-1626-SM-DTXG3 60-69 years, male 98.1
GTEX-1C64N-2626-SM-7PC2N 50-59 years, male 98.0
GTEX-ZF2S-1626-SM-57WES 50-59 years, female 97.8
GTEX-11ZU8-0126-SM-5EQ58 60-69 years, male 97.7
GTEX-1N2EE-0626-SM-E76PW 60-69 years, male 97.7
GTEX-1I1GP-1326-SM-A9G28 50-59 years, male 97.4
GTEX-1IOXB-2726-SM-CM2RI 50-59 years, male 97.4
GTEX-16AAH-0626-SM-793C9 50-59 years, male 97.3
GTEX-14LLW-2626-SM-62LDZ 70-79 years, female 97.2
GTEX-1KXAM-1626-SM-D3LAD 60-69 years, male 97.2
GTEX-1GF9X-1326-SM-7PC2Y 40-49 years, female 96.9
GTEX-XQ8I-0926-SM-4BOOF 50-59 years, male 96.7
GTEX-1LSNL-2726-SM-E9TKJ 50-59 years, male 96.7
GTEX-11LCK-2226-SM-5HL4Q 30-39 years, male 96.4
GTEX-14E1K-2026-SM-7DUEI 50-59 years, male 96.3
GTEX-XQ3S-1426-SM-4BOPR 20-29 years, male 96.3
GTEX-ZVT2-0126-SM-5GIDQ 50-59 years, female 96.1
GTEX-139TT-2126-SM-5LZWC 60-69 years, male 95.9
GTEX-111YS-1526-SM-5GZYW 60-69 years, male 95.7
GTEX-139TS-2126-SM-5K7XC 60-69 years, male 95.7
GTEX-145LU-1926-SM-79OJN 50-59 years, male 95.2
GTEX-1C6VQ-1226-SM-73KYD 50-59 years, male 95.2
GTEX-13QJC-0126-SM-5ZZWJ 60-69 years, female 95.1
GTEX-1QW4Y-1126-SM-DTXE3 30-39 years, male 95.0
GTEX-ZPU1-1126-SM-4YCF3 40-49 years, male 94.8
GTEX-ZYVF-0926-SM-5E44J 50-59 years, female 94.8
GTEX-XUW1-0926-SM-4BONX 50-59 years, female 94.4
GTEX-Z93S-1626-SM-5CVMB 50-59 years, male 94.3
GTEX-1HR9M-2226-SM-CNPPY 60-69 years, male 93.8
GTEX-VUSG-2326-SM-4KL1U 50-59 years, male 93.7
GTEX-1B8L1-2226-SM-7P8PT 60-69 years, male 93.7
GTEX-1269C-0126-SM-5EQ5L 60-69 years, female 93.5
GTEX-1C64O-1326-SM-7MGWR 60-69 years, male 93.5
GTEX-144GO-2026-SM-5O99P 60-69 years, male 93.4
GTEX-1RAZS-2526-SM-E6CHT 50-59 years, male 93.0
GTEX-13G51-1826-SM-5KLZH 60-69 years, male 92.8
GTEX-145MN-1526-SM-5SI9T 30-39 years, male 92.8
GTEX-1EN7A-2426-SM-793DB 40-49 years, male 92.6
GTEX-Y8E4-2026-SM-5IFJB 40-49 years, male 92.4
GTEX-1K2DU-1226-SM-CYPT4 20-29 years, male 92.4
GTEX-Y3I4-1726-SM-4TT89 50-59 years, male 92.0
GTEX-1KD5A-0126-SM-E9U54 50-59 years, male 92.0
GTEX-1B97I-0626-SM-73KUZ 40-49 years, male 91.7
GTEX-13FLV-0126-SM-5K7WT 50-59 years, male 91.4
GTEX-13SLW-0626-SM-5Q5ER 70-79 years, male 91.4
GTEX-1HCU8-2526-SM-CE6RX 60-69 years, female 91.2
GTEX-11TUW-0626-SM-5LU9M 60-69 years, male 91.1
GTEX-11GS4-0226-SM-5HL77 60-69 years, male 90.9
GTEX-13NYS-0626-SM-5L3F1 60-69 years, male 90.9
GTEX-1GN1U-0626-SM-9MQL9 50-59 years, female 90.8
GTEX-1IE54-1126-SM-A9G2Z 40-49 years, female 90.7
GTEX-1S5ZU-2526-SM-E6CIF 20-29 years, female 90.7
GTEX-1I1GV-0626-SM-ARL7M 60-69 years, male 90.5
GTEX-1H1DG-2426-SM-9QEHJ 70-79 years, male 90.4
GTEX-1S83E-1326-SM-E6CJM 40-49 years, male 89.9
GTEX-1JMQI-1726-SM-ARL93 50-59 years, male 89.8
GTEX-131XF-2626-SM-5EQ6K 60-69 years, male 89.6
GTEX-131XH-0126-SM-5LZUY 50-59 years, male 89.4
GTEX-183WM-0326-SM-72D5V 70-79 years, female 89.4
GTEX-ZWKS-0626-SM-5GIDV 30-39 years, male 89.2
GTEX-12WSA-0426-SM-5EQ5X 60-69 years, male 89.0
GTEX-WY7C-2126-SM-3NB2R 50-59 years, male 88.9
GTEX-1GN73-0726-SM-7P8TJ 60-69 years, male 88.7
GTEX-1J8QM-2426-SM-A9SLS 60-69 years, female 88.7
GTEX-1H1DE-1326-SM-9KNUG 20-29 years, male 88.2
GTEX-13OW6-2726-SM-5J2OE 50-59 years, male 88.1
GTEX-1IDJV-0126-SM-COH3Y 60-69 years, male 88.0
GTEX-13OW8-1026-SM-5J1NQ 60-69 years, male 87.9
GTEX-14PK6-0226-SM-62LF5 70-79 years, female 87.9
GTEX-12WSC-2826-SM-5BC5Y 50-59 years, male 87.5
GTEX-133LE-2326-SM-5K7W3 20-29 years, female 87.4
GTEX-1JKYR-0626-SM-ARL8R 20-29 years, male 87.3
GTEX-145MF-0926-SM-5Q5EA 50-59 years, male 87.1
GTEX-Y5V6-2326-SM-4VDSA 60-69 years, male 87.0
GTEX-1CAMR-1326-SM-7PC1F 20-29 years, male 87.0
GTEX-1QAET-0326-SM-EVR3U 50-59 years, male 87.0
GTEX-13PL6-1126-SM-5L3IE 40-49 years, female 86.9
GTEX-1LVA9-2626-SM-EVYD4 50-59 years, male 86.9
GTEX-1GZ2Q-0126-SM-9WG6M 40-49 years, male 86.7
GTEX-1IL2V-1926-SM-B2LW8 70-79 years, male 86.7
GTEX-1EKGG-0626-SM-7DUGJ 60-69 years, male 86.6
GTEX-1F5PK-2226-SM-7SB6N 50-59 years, male 86.6
GTEX-17HHY-0426-SM-7DHLC 50-59 years, male 86.4
GTEX-12ZZX-2426-SM-5GCOE 40-49 years, female 86.3
GTEX-13X6I-1826-SM-5SIAO 60-69 years, male 86.3
GTEX-17F98-1326-SM-7DUEP 40-49 years, female 86.2
GTEX-13OW7-0426-SM-5K7VK 50-59 years, male 86.1
GTEX-1JJE9-2626-SM-ARZMT 70-79 years, male 86.1
GTEX-1CB4F-1026-SM-7DUH1 60-69 years, male 86.0
GTEX-1GZ4I-2626-SM-9KNU3 50-59 years, male 85.8
GTEX-1H3VE-0726-SM-9YFL5 40-49 years, male 85.8
GTEX-ZTTD-2826-SM-4YCFA 50-59 years, male 85.6
GTEX-15ER7-0626-SM-6PANF 20-29 years, female 85.5
GTEX-13U4I-2226-SM-5LU5H 40-49 years, female 85.3
GTEX-1LVAO-2726-SM-E9TJ8 60-69 years, male 85.3
GTEX-1EU9M-1426-SM-793AI 60-69 years, male 85.1
GTEX-11VI4-1126-SM-5EQMD 40-49 years, female 84.8
GTEX-15DDE-2926-SM-6LLJ3 50-59 years, female 84.8
GTEX-1AX9I-2226-SM-73KUO 60-69 years, male 84.7
GTEX-11O72-0626-SM-5PNYE 40-49 years, male 84.6
GTEX-139T8-0626-SM-5KLZX 60-69 years, male 84.3
GTEX-1KANA-1326-SM-DIPFA 20-29 years, male 84.3
GTEX-1LSNM-0826-SM-DIPG8 50-59 years, male 84.3
GTEX-15EO6-2426-SM-6PALZ 50-59 years, male 84.1
GTEX-1F52S-2926-SM-7MKGA 60-69 years, female 84.1
GTEX-ZYFC-0426-SM-5GICQ 50-59 years, male 84.0
GTEX-ZTSS-1426-SM-5985P 40-49 years, male 83.7
GTEX-1H2FU-0926-SM-9WPPT 60-69 years, female 83.7
GTEX-14A6H-2026-SM-5Q5DD 30-39 years, male 83.6
GTEX-1B932-2326-SM-79OL5 40-49 years, female 83.6
GTEX-1GN2E-0226-SM-9WG6K 60-69 years, male 83.6
GTEX-1HFI7-2326-SM-CGQFS 50-59 years, female 83.5
GTEX-1R9PN-0426-SM-DTXDT 40-49 years, female 83.3
GTEX-1LG7Y-2526-SM-EWRO7 50-59 years, male 83.2
GTEX-131XG-0326-SM-5L3DX 50-59 years, female 83.0
GTEX-1CB4I-0126-SM-7RHGG 50-59 years, male 82.9
GTEX-ZY6K-1426-SM-5GZX2 50-59 years, male 82.8
GTEX-17HII-1426-SM-7EPGG 50-59 years, male 82.7
GTEX-13IVO-0726-SM-5LZYV 70-79 years, male 82.5
GTEX-1QMI2-2526-SM-E8VNZ 60-69 years, male 82.5
GTEX-1EX96-1026-SM-7MKG2 50-59 years, male 82.4
GTEX-1HCUA-0826-SM-ADEHM 50-59 years, female 82.4
GTEX-1B8SF-0126-SM-7DUG3 60-69 years, male 82.1
GTEX-1HSMP-0926-SM-A9SKX 70-79 years, male 82.1
GTEX-1IKJJ-2226-SM-CJI4C 60-69 years, male 82.1
GTEX-16Z82-2626-SM-7KULU 60-69 years, male 82.0
GTEX-13VXT-1926-SM-5K7UO 20-29 years, female 81.9
GTEX-1HFI6-0126-SM-CNPPI 40-49 years, male 81.9
GTEX-131XW-0626-SM-5PNVD 50-59 years, female 81.6
GTEX-1GN1W-2426-SM-9KNUU 50-59 years, female 81.5
GTEX-1LSVX-2526-SM-DIPEU 60-69 years, male 81.5
GTEX-178AV-1726-SM-7KUL8 40-49 years, male 81.4
GTEX-11DYG-1526-SM-5A5JS 60-69 years, male 81.3
GTEX-1AYD5-2626-SM-7PBXY 50-59 years, male 81.3
GTEX-14ABY-2026-SM-62LDL 50-59 years, male 81.1
GTEX-16MT8-2926-SM-7DUFO 60-69 years, female 81.0
GTEX-ZDTS-0826-SM-4WKHL 60-69 years, male 80.9
GTEX-1ICLY-0826-SM-CMKG1 50-59 years, male 80.4
GTEX-13D11-0926-SM-5J2NC 50-59 years, female 80.2
GTEX-1ICG6-1226-SM-A9SLN 70-79 years, female 80.2
GTEX-13OVK-1426-SM-6PAN7 40-49 years, male 79.9
GTEX-14753-0726-SM-5QGQO 60-69 years, male 79.7
GTEX-XOT4-0626-SM-4B66L 60-69 years, female 79.7
GTEX-15SKB-2826-SM-6PAMH 60-69 years, male 79.5
GTEX-144GL-0626-SM-5LU4D 50-59 years, male 79.3
GTEX-X5EB-1926-SM-4E3IW 40-49 years, male 79.1
GTEX-13PVQ-0626-SM-5LU47 50-59 years, male 79.0
GTEX-17MFQ-1526-SM-7KFRR 20-29 years, male 79.0
GTEX-16BQI-1326-SM-6M486 30-39 years, female 78.8
GTEX-11ZUS-2626-SM-5FQUR 30-39 years, male 78.6
GTEX-1H1E6-0426-SM-9WYUS 30-39 years, male 78.6
GTEX-18465-2826-SM-7LT9J 50-59 years, male 78.2
GTEX-1F75A-0726-SM-7RHHD 50-59 years, male 78.2
GTEX-1HSKV-1226-SM-ADEI4 60-69 years, male 78.0
GTEX-13VXU-0626-SM-5L3F9 50-59 years, male 77.8
GTEX-146FQ-2126-SM-5RQHU 30-39 years, male 77.8
GTEX-1AMFI-1326-SM-7939R 50-59 years, female 77.7
GTEX-1GMRU-2126-SM-7P8RA 50-59 years, male 77.7
GTEX-1HCU6-2526-SM-ADEHL 60-69 years, female 77.7
GTEX-WH7G-2026-SM-3NMBL 40-49 years, male 77.6
GTEX-15CHC-1126-SM-6LLHQ 60-69 years, female 77.5
GTEX-183FY-1026-SM-7939A 20-29 years, male 77.5
GTEX-1N5O9-0926-SM-E9J3C 60-69 years, male 77.5
GTEX-13O3O-2326-SM-5IJD6 60-69 years, female 77.4
GTEX-1GPI6-1926-SM-9KNV7 60-69 years, male 77.4
GTEX-16NPX-0726-SM-7KULC 50-59 years, male 77.3
GTEX-17HGU-2326-SM-7DUFE 50-59 years, male 77.3
GTEX-1C6WA-2626-SM-7MKGM 60-69 years, male 77.3
GTEX-144GM-0526-SM-79OJO 20-29 years, male 77.1
GTEX-1B8KZ-0326-SM-73KY4 50-59 years, male 76.8
GTEX-1QEPI-2626-SM-DTXF4 60-69 years, female 76.8
GTEX-13W3W-0726-SM-5IJDQ 60-69 years, female 76.7
GTEX-1RB15-1326-SM-E76Q9 60-69 years, male 76.5
GTEX-WYVS-1626-SM-3NM9R 40-49 years, female 76.3
GTEX-ZVT4-2426-SM-5GIEI 50-59 years, female 76.3
GTEX-14AS3-1526-SM-5Q5ED 40-49 years, female 75.8
GTEX-1J8Q2-2626-SM-ACKWQ 60-69 years, male 75.8
GTEX-12WSK-2126-SM-5CVNC 40-49 years, female 75.6
GTEX-13OW5-2326-SM-5L3HO 60-69 years, male 75.6
GTEX-1A3MV-1826-SM-731CD 30-39 years, male 75.6
GTEX-12WSF-1626-SM-7KUG5 70-79 years, male 75.5
GTEX-145LT-0526-SM-5LUB2 40-49 years, male 75.5
GTEX-14B4R-1326-SM-5Q5EZ 30-39 years, male 75.5
GTEX-ZXG5-2126-SM-59HKD 60-69 years, male 75.5
GTEX-13PDP-0726-SM-5L3HP 60-69 years, male 75.4
GTEX-1CB4H-1126-SM-7MKGL 60-69 years, female 75.3
GTEX-14JFF-0626-SM-5ZZVT 60-69 years, male 75.3
GTEX-1H4P4-2126-SM-9WYSL 50-59 years, male 75.3
GTEX-1JKYN-0826-SM-ARU8S 30-39 years, male 75.3
GTEX-13OVL-0126-SM-5L3GJ 50-59 years, male 75.1
GTEX-144FL-0626-SM-5LU43 50-59 years, male 74.8
GTEX-14E6E-0526-SM-793DN 30-39 years, male 74.8
GTEX-13RTJ-0126-SM-5S2NN 60-69 years, male 74.7
GTEX-XBED-1926-SM-47JYP 60-69 years, male 74.7
GTEX-1212Z-0126-SM-59HK4 60-69 years, male 74.6
GTEX-1BAJH-2426-SM-7IGP8 70-79 years, male 74.4
GTEX-ZAK1-0626-SM-5HL8E 50-59 years, female 74.4
GTEX-1S831-1826-SM-EWROF 20-29 years, male 74.4
GTEX-WYJK-0526-SM-3NM8Z 50-59 years, male 74.3
GTEX-X4EP-0626-SM-3P621 60-69 years, female 74.2
GTEX-1GMR2-0826-SM-7PC3V 50-59 years, male 73.9
GTEX-1RLM8-2926-SM-E8VON 50-59 years, male 73.9
GTEX-1I4MK-0126-SM-CY8G6 50-59 years, female 73.6
GTEX-16NGA-0726-SM-731AO 40-49 years, female 73.3
GTEX-WRHU-2826-SM-3MJG8 50-59 years, female 73.3
GTEX-1IDJI-0126-SM-CMKHS 50-59 years, female 73.3
GTEX-1JN6P-2926-SM-CL54D 60-69 years, male 73.3
GTEX-12WSM-1926-SM-5BC65 60-69 years, male 73.0
GTEX-14PKV-1126-SM-6LLJ1 20-29 years, female 72.7
GTEX-1JMPZ-0726-SM-CY8HZ 30-39 years, male 72.7
GTEX-1EWIQ-0326-SM-7DHMQ 70-79 years, female 72.4
GTEX-18A66-0626-SM-7LT8Z 60-69 years, male 72.3
GTEX-13N1W-2426-SM-5IJD1 70-79 years, male 72.1
GTEX-1I6K7-1926-SM-B2LXR 40-49 years, male 72.1
GTEX-1B933-2426-SM-7DHMD 50-59 years, female 71.9
GTEX-11NSD-0626-SM-5A5LU 20-29 years, male 71.6
GTEX-ZDYS-2426-SM-4WKGI 50-59 years, male 71.3
GTEX-WFON-1926-SM-3LK7L 40-49 years, male 71.2
GTEX-1IY9M-2826-SM-ARU8H 60-69 years, male 71.2
GTEX-12ZZY-0726-SM-5EQ66 60-69 years, male 71.1
GTEX-13PVR-0426-SM-5RQK2 60-69 years, female 70.8
GTEX-1IDJF-2026-SM-CL53V 20-29 years, male 70.8
GTEX-13JUV-2026-SM-5K7UA 40-49 years, female 70.5
GTEX-13NZ8-1226-SM-5KM4A 60-69 years, female 70.1
GTEX-12WSD-0626-SM-5GCMW 60-69 years, female 70.0
GTEX-Y3IK-1626-SM-4YCF5 50-59 years, female 69.9
GTEX-18A6Q-0626-SM-7KFRP 60-69 years, male 69.8
GTEX-145MI-0626-SM-5SI8S 60-69 years, female 69.7
GTEX-ZA64-1026-SM-5HL8R 20-29 years, male 69.7
GTEX-1GMR8-0626-SM-7RHI7 50-59 years, female 69.3
GTEX-1JMQK-1226-SM-D4P2S 60-69 years, male 69.2
GTEX-1LG7Z-1626-SM-CXKYR 30-39 years, male 69.2
GTEX-11ZTT-2126-SM-5CVLO 60-69 years, female 68.9
GTEX-1GMR3-0126-SM-A9SLW 40-49 years, male 68.8
GTEX-139UW-0326-SM-5J1ML 60-69 years, male 68.7
GTEX-11DXY-0126-SM-5H11Q 60-69 years, male 68.5
GTEX-12KS4-2126-SM-5FQUT 30-39 years, male 68.5
GTEX-Y5V5-0126-SM-5S2NW 60-69 years, female 68.5
GTEX-1HBPM-0726-SM-9YFL7 60-69 years, female 68.2
GTEX-1117F-2926-SM-5GZYI 60-69 years, female 68.1
GTEX-11NUK-2726-SM-5A5MC 50-59 years, male 68.1
GTEX-1R9K4-2826-SM-DTX8F 60-69 years, male 68.0
GTEX-YEC4-1826-SM-4W1YP 40-49 years, male 67.8
GTEX-ZZ64-1026-SM-5GZXG 20-29 years, male 67.8
GTEX-1KWVE-1026-SM-D3L9O 30-39 years, male 67.8
GTEX-12C56-1526-SM-5FQUQ 20-29 years, male 67.6
GTEX-18D9U-0126-SM-731BM 40-49 years, male 66.8
GTEX-YJ8O-2526-SM-5HL85 40-49 years, female 66.8
GTEX-139YR-1026-SM-5LZYN 50-59 years, male 66.7
GTEX-WK11-2726-SM-3NMAQ 50-59 years, male 66.7
GTEX-11UD2-2526-SM-5CVNU 50-59 years, male 66.4
GTEX-W5X1-2526-SM-3GILC 40-49 years, female 66.3
GTEX-1H1ZS-2726-SM-9WG75 70-79 years, male 66.3
GTEX-145ME-1726-SM-5Q5EU 40-49 years, female 66.2
GTEX-1I1GS-2626-SM-B2LY3 60-69 years, male 66.2
GTEX-XYKS-1426-SM-4BRUO 60-69 years, female 66.1
GTEX-14JG1-1526-SM-5YY9X 40-49 years, male 66.0
GTEX-18A7A-0126-SM-731AH 50-59 years, female 66.0
GTEX-13OVG-1626-SM-5J1NF 60-69 years, male 65.8
GTEX-11TT1-1826-SM-5EQLV 20-29 years, male 65.6
GTEX-1HBPI-2126-SM-ARL9K 50-59 years, male 65.6
GTEX-1GZHY-0626-SM-9KNVC 50-59 years, female 65.4
GTEX-14JG6-1426-SM-9WG7C 30-39 years, female 65.2
GTEX-1IDJD-2326-SM-ACKWX 30-39 years, male 65.0
GTEX-15CHQ-0326-SM-69LQD 60-69 years, male 64.4
GTEX-1GL5R-1326-SM-7RHHF 50-59 years, male 64.2
GTEX-1AX8Z-0726-SM-73KTS 60-69 years, male 64.0
GTEX-13OVJ-0826-SM-5J1OK 50-59 years, female 63.8
GTEX-14PJO-2526-SM-6AJBQ 60-69 years, male 63.8
GTEX-1A3MX-2626-SM-7PC24 60-69 years, male 63.7
GTEX-1QCLZ-2426-SM-EVYBW 60-69 years, female 63.4
GTEX-13112-0126-SM-5P9IU 50-59 years, male 63.3
GTEX-145MO-2826-SM-5LU96 60-69 years, male 63.2
GTEX-14PKU-0126-SM-6LLHV 40-49 years, female 63.0
GTEX-1EH9U-2826-SM-7DUGT 60-69 years, male 62.9
GTEX-14DAQ-0626-SM-793DS 60-69 years, female 62.5
GTEX-XMD2-2126-SM-4YCF8 60-69 years, female 62.2
GTEX-15SHW-0226-SM-7LTAT 60-69 years, male 62.1
GTEX-ZPIC-0526-SM-DO91W 40-49 years, female 62.1
GTEX-1HC8U-1326-SM-9YFMJ 40-49 years, female 61.7
GTEX-13NZ9-2626-SM-5L3FK 50-59 years, male 61.6
GTEX-145LS-0626-SM-7EPG7 60-69 years, female 61.6
GTEX-XXEK-1626-SM-4BRUZ 50-59 years, male 61.1
GTEX-1JMQL-2226-SM-CNPP4 50-59 years, female 60.9
GTEX-1GTWX-2026-SM-9YFLM 60-69 years, male 60.8
GTEX-12BJ1-0926-SM-5EQ62 60-69 years, male 60.7
GTEX-ZYW4-0626-SM-59HJR 60-69 years, male 60.5
GTEX-ZGAY-1826-SM-DO91Q 40-49 years, female 60.5
GTEX-ZDXO-3126-SM-5IJDF 60-69 years, male 60.4
GTEX-17HG3-2626-SM-7DUF2 30-39 years, female 60.0
GTEX-11EQ9-1626-SM-5PNY8 30-39 years, male 59.6
GTEX-12696-0126-SM-5EQ4L 60-69 years, male 59.4
GTEX-ZVE1-0726-SM-51MRN 50-59 years, female 59.3
GTEX-1314G-1326-SM-5BC6E 30-39 years, male 59.0
GTEX-139D8-1126-SM-5LU8W 30-39 years, female 59.0
GTEX-1H1CY-0126-SM-9YFLY 60-69 years, female 58.9
GTEX-147F3-1726-SM-5SIAW 50-59 years, female 58.7
GTEX-15G19-2426-SM-7KUMR 60-69 years, male 58.5
GTEX-1I1CD-0626-SM-CE6SW 60-69 years, female 58.5
GTEX-145MG-1526-SM-5Q5EM 50-59 years, male 58.1
GTEX-1A8FM-0626-SM-7PC25 50-59 years, female 58.0
GTEX-16XZZ-0726-SM-7KUF2 60-69 years, male 57.7
GTEX-ZLFU-1826-SM-4WWBV 40-49 years, male 57.7
GTEX-1JMOU-1026-SM-CYPSS 60-69 years, female 57.7
GTEX-XK95-0226-SM-4AT58 40-49 years, male 57.5
GTEX-1M4P7-0726-SM-E6CJ3 60-69 years, male 57.2
GTEX-ZU9S-1826-SM-5NQ9E 30-39 years, male 57.1
GTEX-1IDFM-0326-SM-ARL7V 60-69 years, male 57.1
GTEX-1QP29-1826-SM-DTX9S 50-59 years, male 57.0
GTEX-1F5PL-0926-SM-7PC2W 40-49 years, female 56.9
GTEX-1RAZR-2126-SM-E9U6T 40-49 years, male 56.5
GTEX-15EU6-2226-SM-6EU2L 50-59 years, male 56.2
GTEX-ZVE2-2826-SM-5GU51 50-59 years, male 56.2
GTEX-147JS-0226-SM-5S2U9 60-69 years, male 56.0
GTEX-132AR-0326-SM-5KM2C 50-59 years, female 55.9
GTEX-1HKZK-0726-SM-ACKW2 40-49 years, male 55.9
GTEX-11EM3-1226-SM-5N9DD 20-29 years, female 55.7
GTEX-11EI6-2826-SM-5H11D 60-69 years, male 55.6
GTEX-X3Y1-2026-SM-3P5YM 40-49 years, male 55.6
GTEX-1RAZA-2226-SM-E9U4X 20-29 years, male 55.6
GTEX-1AX9J-1326-SM-731BJ 60-69 years, male 55.4
GTEX-1J8JJ-0626-SM-ARZMQ 60-69 years, female 55.4
GTEX-14DAR-1226-SM-73KYV 50-59 years, male 55.2
GTEX-WI4N-2726-SM-3LK7Y 40-49 years, female 55.0
GTEX-1I6K6-1726-SM-CGQFD 30-39 years, male 55.0
GTEX-13N11-2326-SM-5IJBF 50-59 years, female 54.7
GTEX-1F75I-2226-SM-7SB8U 40-49 years, male 54.7
GTEX-14A5H-0826-SM-5QGPJ 60-69 years, male 54.6
GTEX-1JN1M-2726-SM-CY8I4 60-69 years, female 54.5
GTEX-1HCU9-0426-SM-9WYSD 20-29 years, male 54.1
GTEX-17EVQ-0126-SM-7IGLR 70-79 years, male 54.0
GTEX-1J8Q3-0526-SM-ARL8U 60-69 years, male 53.8
GTEX-1F75B-0726-SM-7PC3R 50-59 years, male 53.6
GTEX-15UF6-1926-SM-7KUDV 70-79 years, female 53.4
GTEX-148VJ-0626-SM-5LUAW 70-79 years, male 53.2
GTEX-14BMV-2826-SM-5TDED 50-59 years, male 53.2
GTEX-11DXW-0826-SM-5H118 40-49 years, male 53.1
GTEX-1KANC-1226-SM-CYPT7 50-59 years, female 53.1
GTEX-ZLWG-0826-SM-59888 50-59 years, female 52.8
GTEX-1IDJH-0126-SM-D3L92 70-79 years, male 52.7
GTEX-15D1Q-2826-SM-6LLH7 40-49 years, male 52.5
GTEX-131YS-2826-SM-5EQ47 60-69 years, female 52.3
GTEX-111FC-2526-SM-5GZXU 60-69 years, male 51.8
GTEX-1H23P-0626-SM-9WG6T 60-69 years, male 51.7
GTEX-17MF6-2626-SM-79OKQ 40-49 years, male 51.6
GTEX-WEY5-2326-SM-3GIKK 40-49 years, female 51.4
GTEX-1I19N-0126-SM-CYPSF 70-79 years, male 51.1
GTEX-12584-0726-SM-5FQTK 40-49 years, male 50.9
GTEX-13N2G-0226-SM-5K7VF 60-69 years, male 50.8
GTEX-Y8LW-1526-SM-5IFHL 50-59 years, female 50.7
GTEX-13X6K-0626-SM-5LU5D 60-69 years, female 50.2
GTEX-V1D1-2026-SM-3GAF4 50-59 years, male 49.7
GTEX-1F6IF-0926-SM-7SB7M 60-69 years, male 49.7
GTEX-15G1A-1626-SM-7KUKN 30-39 years, male 49.6
GTEX-18A7B-2726-SM-7LG56 70-79 years, male 49.4
GTEX-1GF9W-1426-SM-7PBYM 60-69 years, male 49.3
GTEX-ZUA1-2626-SM-5NQ92 40-49 years, male 49.0
GTEX-13NYC-0126-SM-5L3F4 60-69 years, male 48.9
GTEX-1477Z-0326-SM-7IGLA 60-69 years, male 48.6
GTEX-1C475-1326-SM-7SB73 40-49 years, female 48.4
GTEX-1211K-1526-SM-5FQU4 60-69 years, female 48.1
GTEX-1E1VI-0326-SM-793D1 50-59 years, male 47.7
GTEX-17JCI-2926-SM-7DUFF 60-69 years, female 47.6
GTEX-1IDJC-1526-SM-B2LW4 50-59 years, male 46.7
GTEX-1ICLZ-0326-SM-ARL82 60-69 years, male 46.3
GTEX-16GPK-0626-SM-7KFSF 60-69 years, male 46.0
GTEX-1O9I2-0226-SM-EYYXD 50-59 years, male 45.9
GTEX-1H1DF-1126-SM-9WG7G 40-49 years, female 45.5
GTEX-ZYFG-1526-SM-5GZYM 60-69 years, female 44.8
GTEX-1IDJE-1426-SM-ADEIW 50-59 years, female 44.8
GTEX-1F48J-0726-SM-7RHGS 50-59 years, female 44.5
GTEX-13X6J-0626-SM-5LU5F 50-59 years, male 44.0
GTEX-13YAN-0226-SM-5TDC6 60-69 years, male 43.9
GTEX-1F88E-1626-SM-7SB8Z 60-69 years, female 43.5
GTEX-117YX-1926-SM-5GIEC 50-59 years, male 43.1
GTEX-U8XE-0226-SM-4E3J3 30-39 years, male 43.0
GTEX-11EQ8-0926-SM-5H12V 60-69 years, male 42.8
GTEX-1LGOU-1326-SM-D3L8M 20-29 years, female 42.1
GTEX-13X6H-0926-SM-5SIB2 50-59 years, female 42.0
GTEX-1399R-1326-SM-5PNYS 30-39 years, male 41.9
GTEX-14C38-0726-SM-5SI6M 50-59 years, male 41.5
GTEX-VJYA-1526-SM-3GIJV 60-69 years, male 41.4
GTEX-ZAJG-1526-SM-5CVML 50-59 years, female 41.3
GTEX-1QP66-1226-SM-DTX7U 50-59 years, male 41.2
GTEX-13113-1626-SM-5EQ4I 60-69 years, female 41.0
GTEX-WYBS-0626-SM-3NMAS 60-69 years, female 41.0
GTEX-UPK5-0426-SM-3GAEK 40-49 years, male 40.9
GTEX-14PJ2-0626-SM-6LLII 50-59 years, male 40.8
GTEX-ZVTK-0226-SM-51MRG 20-29 years, male 40.6
GTEX-13QBU-1226-SM-5LU4G 40-49 years, female 40.1
GTEX-1B996-0426-SM-7EWF8 60-69 years, male 40.1
GTEX-ZT9W-1126-SM-57WDR 50-59 years, male 40.1
GTEX-1H3NZ-2726-SM-9WYTQ 60-69 years, male 39.8
GTEX-14BMU-1226-SM-5S2OR 20-29 years, female 39.7
GTEX-18D9B-0926-SM-7LG4U 60-69 years, male 39.6
GTEX-1I1GU-0926-SM-ACKVS 40-49 years, male 39.4
GTEX-YF7O-1526-SM-5IFI6 50-59 years, male 39.0
GTEX-X8HC-0626-SM-4E3HQ 50-59 years, female 38.9
GTEX-1CB4J-1326-SM-7P8RX 60-69 years, male 38.6
GTEX-1A3MW-0626-SM-731CB 60-69 years, female 38.4
GTEX-11DZ1-2426-SM-5GZZX 50-59 years, male 37.0
GTEX-1497J-0226-SM-5QGPU 60-69 years, male 37.0
GTEX-1HSMO-0626-SM-ACKXC 60-69 years, male 36.1
GTEX-WHSE-0126-SM-3NMBT 20-29 years, male 36.0
GTEX-11WQK-1026-SM-5EQLX 50-59 years, male 35.3
GTEX-1F6RS-2026-SM-7RHHC 60-69 years, female 34.9
GTEX-1A32A-0626-SM-731AQ 50-59 years, female 34.3
GTEX-1CAV2-0126-SM-7IGN7 40-49 years, female 34.2
GTEX-ZYFD-0626-SM-5E44E 50-59 years, male 34.2
GTEX-13FH7-1126-SM-5K7UG 50-59 years, female 34.1
GTEX-Y5LM-0926-SM-6LLJG 40-49 years, female 33.9
GTEX-YB5K-2026-SM-4VDT3 40-49 years, female 33.4
GTEX-1HUB1-1426-SM-CGQF5 60-69 years, male 33.4
GTEX-1F75W-2726-SM-7SB8H 60-69 years, male 32.7
GTEX-1GF9U-2026-SM-7SB92 40-49 years, female 32.6
GTEX-14XAO-1226-SM-6EU1C 60-69 years, female 31.1
GTEX-WFG8-2126-SM-3GIKQ 20-29 years, male 30.8
GTEX-1L5NE-1126-SM-D3L9P 50-59 years, male 30.6
GTEX-12WSL-2026-SM-5GCML 50-59 years, male 27.9
GTEX-14E6C-2426-SM-5S2NF 40-49 years, male 19.8
Show allShow less
Skin - Sun Exposed (Lower leg)
Average nTPM: 71.8
Samples: 701

Max nTPM: 207.0
Min nTPM: 4.4
Std nTPM: 30.3
Median nTPM: 69.7
GTEX-XUZC-1726-SM-4BRWS 30-39 years, female 207.0
GTEX-1R9PM-2026-SM-E76OY 20-29 years, male 199.7
GTEX-ZXES-1826-SM-5E43S 30-39 years, female 172.3
GTEX-117XS-2726-SM-5N9BL 60-69 years, male 160.6
GTEX-YB5E-2026-SM-5IFIS 40-49 years, male 155.7
GTEX-1122O-2126-SM-5EGIR 60-69 years, female 154.7
GTEX-1OJC3-0126-SM-E76QX 20-29 years, male 150.6
GTEX-1399U-2326-SM-5K7WY 50-59 years, female 149.8
GTEX-1PIIG-0226-SM-EWRN6 30-39 years, male 147.2
GTEX-1MJK2-0426-SM-DTXE5 50-59 years, male 146.9
GTEX-ZVTK-0426-SM-51MRS 20-29 years, male 145.5
GTEX-P4QT-0126-SM-2I3FL 50-59 years, female 143.9
GTEX-1QP9N-1426-SM-DTXFL 30-39 years, male 142.5
GTEX-Y3IK-2426-SM-4WWDU 50-59 years, female 141.6
GTEX-1MA7W-2026-SM-E9TJ6 20-29 years, female 140.3
GTEX-18D9A-1926-SM-7LG6P 30-39 years, female 140.2
GTEX-1CAV2-2226-SM-7P8P2 40-49 years, female 139.5
GTEX-13111-1626-SM-5EGJY 50-59 years, male 139.1
GTEX-ZF2S-2326-SM-4WWCE 50-59 years, female 139.1
GTEX-17JCI-0126-SM-7LG5G 60-69 years, female 138.4
GTEX-1LVAN-0226-SM-COH3S 50-59 years, female 138.1
GTEX-1PFEY-1526-SM-E76PP 30-39 years, male 137.4
GTEX-1QCLY-0326-SM-E8VOG 30-39 years, male 136.5
GTEX-1JJ6O-0126-SM-E6CI8 60-69 years, male 136.4
GTEX-1K2DA-1826-SM-CGQGT 50-59 years, male 135.2
GTEX-13FXS-0226-SM-5IJCK 50-59 years, male 134.2
GTEX-13JUV-2726-SM-5LZZ8 40-49 years, female 133.9
GTEX-ZGAY-0526-SM-4WWBB 40-49 years, female 133.2
GTEX-UJHI-1526-SM-3DB99 50-59 years, female 128.3
GTEX-ZWKS-0126-SM-5SIAA 30-39 years, male 128.1
GTEX-P4PP-0126-SM-3LK69 30-39 years, female 127.6
GTEX-1PPH8-0226-SM-E8VND 20-29 years, male 126.6
GTEX-13NYB-2526-SM-5K7Z6 40-49 years, male 126.3
GTEX-1KANA-0726-SM-D3L9I 20-29 years, male 125.5
GTEX-XBEW-0626-SM-4QASP 40-49 years, male 125.4
GTEX-18QFQ-0126-SM-731BE 30-39 years, male 125.2
GTEX-1399R-2726-SM-5IJBA 30-39 years, male 124.9
GTEX-1I1GT-0626-SM-CGQER 60-69 years, female 124.7
GTEX-OIZH-0126-SM-2HMIS 50-59 years, male 124.4
GTEX-13FTW-2626-SM-5K7WL 40-49 years, male 124.1
GTEX-T5JW-1626-SM-3GADZ 20-29 years, female 123.5
GTEX-13NZB-2526-SM-5J1OM 30-39 years, male 123.4
GTEX-PX3G-0126-SM-2I3EN 20-29 years, female 123.4
GTEX-1LG7Z-1726-SM-D3LA4 30-39 years, male 123.4
GTEX-15RIG-0226-SM-7KFTL 40-49 years, male 122.9
GTEX-1KWVE-1426-SM-E9TJO 30-39 years, male 122.3
GTEX-X88G-0126-SM-47JZ3 30-39 years, male 121.9
GTEX-111FC-0126-SM-5N9DL 60-69 years, male 121.5
GTEX-1JMQI-2226-SM-CM2SD 50-59 years, male 121.2
GTEX-Y8E4-0626-SM-4WWDL 40-49 years, male 120.6
GTEX-17F96-1626-SM-7DUFL 70-79 years, male 119.7
GTEX-1QP66-1726-SM-E8VO1 50-59 years, male 119.6
GTEX-PSDG-0226-SM-DKPOZ 50-59 years, male 119.3
GTEX-1I1GV-0526-SM-A9G29 60-69 years, male 119.0
GTEX-11DXZ-2326-SM-5EGGV 50-59 years, male 118.8
GTEX-13OVK-2026-SM-7KUEO 40-49 years, male 118.3
GTEX-13FHP-0126-SM-5IJBG 50-59 years, male 117.9
GTEX-17F98-0626-SM-79OMX 40-49 years, female 117.9
GTEX-ZTX8-1426-SM-5DUVO 20-29 years, male 117.9
GTEX-1KANC-1526-SM-D3LAB 50-59 years, female 116.2
GTEX-1QPFJ-0226-SM-E76PB 30-39 years, female 115.8
GTEX-1KD4Q-0226-SM-E9TJ9 40-49 years, male 115.7
GTEX-S33H-1026-SM-EZ6L6 30-39 years, male 115.6
GTEX-1JMLX-0226-SM-CM2RO 50-59 years, male 115.4
GTEX-13CF2-2526-SM-5LZYX 60-69 years, male 114.9
GTEX-Y114-2426-SM-4TT8A 50-59 years, female 114.5
GTEX-1PDJ9-0326-SM-DTX95 20-29 years, male 114.4
GTEX-13OVH-0126-SM-5MR4B 70-79 years, male 114.2
GTEX-1CB4I-0226-SM-79OLH 50-59 years, male 113.9
GTEX-1L5NE-2526-SM-E6CIE 50-59 years, male 113.7
GTEX-14LZ3-0226-SM-62LET 60-69 years, female 113.5
GTEX-1S83E-0126-SM-EWRO4 40-49 years, male 113.5
GTEX-1HCU9-1526-SM-A9SL7 20-29 years, male 113.2
GTEX-15ETS-0126-SM-7KUMW 40-49 years, female 113.1
GTEX-ZV68-0126-SM-59HKS 50-59 years, female 112.5
GTEX-OOBJ-0126-SM-E6CJW 60-69 years, male 111.9
GTEX-14PII-0226-SM-6EU1T 60-69 years, male 111.1
GTEX-Z93T-0126-SM-5HL5N 50-59 years, male 111.0
GTEX-1EMGI-0126-SM-9KNUE 60-69 years, male 110.7
GTEX-15F5U-1526-SM-6PANO 40-49 years, male 110.6
GTEX-14JG1-0426-SM-6ETZZ 40-49 years, male 110.1
GTEX-ZF3C-0126-SM-DO92D 50-59 years, female 110.1
GTEX-139D8-0226-SM-5KLZO 30-39 years, female 110.0
GTEX-1H4P4-0726-SM-9YFLR 50-59 years, male 109.9
GTEX-WFON-2126-SM-3LK7O 40-49 years, male 109.6
GTEX-1H11D-0226-SM-9WG6Z 40-49 years, male 108.8
GTEX-1HSGN-0226-SM-CGQFV 40-49 years, female 108.8
GTEX-145MN-2226-SM-5SIAU 30-39 years, male 108.6
GTEX-14PHX-2326-SM-62LEM 50-59 years, male 108.4
GTEX-1J1OQ-0226-SM-CYPSH 40-49 years, female 107.1
GTEX-139TS-2826-SM-5J1OO 60-69 years, male 107.0
GTEX-1KXAM-2226-SM-CYPTC 60-69 years, male 106.6
GTEX-1C64N-0126-SM-793D7 50-59 years, male 105.5
GTEX-1JJEA-0326-SM-CNPOT 60-69 years, male 105.1
GTEX-139UW-2826-SM-5L3E7 60-69 years, male 104.7
GTEX-1KAFJ-2026-SM-CY8ID 50-59 years, male 104.7
GTEX-1LGRB-2526-SM-CNPPQ 50-59 years, female 104.2
GTEX-1CB4E-2226-SM-793DC 60-69 years, male 104.1
GTEX-1K2DU-2326-SM-E9TIV 20-29 years, male 104.1
GTEX-ZVZP-2426-SM-59HKJ 50-59 years, male 103.7
GTEX-12WSE-0526-SM-793B2 20-29 years, male 103.3
GTEX-17EUY-0426-SM-793BD 20-29 years, male 103.1
GTEX-WYJK-0126-SM-3NMAB 50-59 years, male 103.1
GTEX-13SLW-0126-SM-5SI6C 70-79 years, male 102.6
GTEX-13FTY-0526-SM-5L3EV 40-49 years, female 102.4
GTEX-1JN6P-0126-SM-D3L98 60-69 years, male 102.3
GTEX-Y8DK-0126-SM-4TT3L 60-69 years, male 102.1
GTEX-1S3DN-2226-SM-EVYCD 50-59 years, male 102.1
GTEX-18A67-0126-SM-7LG5P 50-59 years, male 101.2
GTEX-146FQ-0126-SM-5NQA9 30-39 years, male 100.2
GTEX-NFK9-0226-SM-2HMKQ 40-49 years, male 100.2
GTEX-1GMR3-1926-SM-9KNUZ 40-49 years, male 100.1
GTEX-15ER7-0326-SM-7KUEV 20-29 years, female 99.8
GTEX-1IL2U-0226-SM-CE6T8 60-69 years, male 99.7
GTEX-12126-0326-SM-5PNW3 20-29 years, male 99.6
GTEX-O5YW-0126-SM-3LK6D 50-59 years, male 99.5
GTEX-1J8QM-2126-SM-CYPSJ 60-69 years, female 99.3
GTEX-YJ89-0126-SM-4TT3X 60-69 years, male 99.2
GTEX-1S5ZA-0126-SM-EVYCV 20-29 years, male 99.1
GTEX-1LH75-2426-SM-E9TJE 50-59 years, female 98.9
GTEX-1PIGE-0126-SM-EVYBJ 20-29 years, male 98.7
GTEX-T6MN-0126-SM-32PLP 50-59 years, male 98.6
GTEX-1IOXB-0126-SM-ARL8G 50-59 years, male 98.6
GTEX-1OFPY-2426-SM-DTXEJ 60-69 years, male 97.9
GTEX-145MF-0626-SM-5LUAI 50-59 years, male 97.5
GTEX-1CAMQ-0226-SM-7IGPK 40-49 years, male 97.3
GTEX-1GPI7-0126-SM-9MQL8 20-29 years, male 97.0
GTEX-17EVP-0326-SM-7DHLG 40-49 years, male 96.9
GTEX-11EQ9-2426-SM-5HL5T 30-39 years, male 96.8
GTEX-1BAJH-0526-SM-793CQ 70-79 years, male 96.7
GTEX-13OW6-0426-SM-5L3HM 50-59 years, male 96.6
GTEX-1RB15-2126-SM-E9TIM 60-69 years, male 96.4
GTEX-TKQ1-1026-SM-4GICL 30-39 years, male 96.0
GTEX-15CHC-2126-SM-6EU21 60-69 years, female 95.7
GTEX-XPVG-2626-SM-4B669 50-59 years, male 95.6
GTEX-15SB6-1726-SM-6PAME 50-59 years, female 95.5
GTEX-U412-0426-SM-3DB9O 60-69 years, male 95.5
GTEX-1GF9V-0326-SM-7RHI5 60-69 years, male 95.2
GTEX-14PJ6-2126-SM-6EU1V 60-69 years, female 95.1
GTEX-1EWIQ-0126-SM-7RHH2 70-79 years, female 94.7
GTEX-144FL-0126-SM-5TDC8 50-59 years, male 94.5
GTEX-1GZHY-0326-SM-9QEHI 50-59 years, female 94.0
GTEX-1LB8K-0226-SM-EWRNW 50-59 years, male 93.4
GTEX-1CB4F-0426-SM-9KNV4 60-69 years, male 93.2
GTEX-ZYFG-2326-SM-5E44B 60-69 years, female 93.0
GTEX-RVPV-0126-SM-EAZAW 60-69 years, male 92.7
GTEX-VUSG-2526-SM-4KL1V 50-59 years, male 92.5
GTEX-1R7EU-0226-SM-EVR4G 60-69 years, male 92.5
GTEX-1J8EW-0126-SM-CJI4F 60-69 years, female 92.3
GTEX-OXRN-0126-SM-48TDM 50-59 years, male 92.2
GTEX-13W46-0226-SM-5SIAG 50-59 years, male 92.1
GTEX-1M5QR-1226-SM-EWROB 40-49 years, male 92.1
GTEX-ZZ64-1726-SM-5GZYB 20-29 years, male 91.5
GTEX-1H1CY-2826-SM-9MQM3 60-69 years, female 91.5
GTEX-131XF-5016-SM-7MGWE 60-69 years, male 91.4
GTEX-17MFQ-1726-SM-793C7 20-29 years, male 91.3
GTEX-ZVZO-0126-SM-5A5L9 40-49 years, male 91.3
GTEX-133LE-1826-SM-5J1MV 20-29 years, female 90.9
GTEX-RTLS-0126-SM-447CA 60-69 years, female 90.9
GTEX-1JMPY-1326-SM-ARL8Y 30-39 years, male 90.6
GTEX-Y5V5-2326-SM-4V6GA 60-69 years, female 90.5
GTEX-11DYG-0126-SM-59883 60-69 years, male 90.3
GTEX-1HSKV-0226-SM-A9SKJ 60-69 years, male 90.3
GTEX-OIZG-0726-SM-33HBL 50-59 years, male 90.1
GTEX-YB5K-2126-SM-4WWDJ 40-49 years, female 90.0
GTEX-13O3Q-2426-SM-5IJBR 50-59 years, male 89.8
GTEX-131YS-0126-SM-5KM1M 60-69 years, female 89.6
GTEX-ZC5H-0226-SM-4WAY9 40-49 years, female 89.6
GTEX-ZY6K-1826-SM-5GZXK 50-59 years, male 89.6
GTEX-ZAK1-0126-SM-5IJD3 50-59 years, female 89.5
GTEX-1HCU8-0626-SM-A9SM9 60-69 years, female 89.5
GTEX-1NV5F-0226-SM-E8VNY 60-69 years, female 89.5
GTEX-12WSK-2326-SM-5GCOH 40-49 years, female 89.4
GTEX-1QMI2-0226-SM-EVYBX 60-69 years, male 89.4
GTEX-1B8SF-1426-SM-7DUGL 60-69 years, male 89.3
GTEX-13RTK-1426-SM-5QGQJ 20-29 years, male 89.1
GTEX-145LV-2126-SM-5LU8N 50-59 years, male 89.0
GTEX-17KNJ-2326-SM-7DHLQ 50-59 years, male 89.0
GTEX-ZAB5-1826-SM-5HL7C 50-59 years, male 89.0
GTEX-WVJS-0126-SM-4MVOT 50-59 years, male 88.7
GTEX-ZTSS-1926-SM-57WEW 40-49 years, male 88.6
GTEX-1I4MK-2226-SM-ACKWD 50-59 years, female 88.6
GTEX-X4EP-0126-SM-3P5YV 60-69 years, female 88.4
GTEX-1HR98-0126-SM-B2LWI 60-69 years, male 88.4
GTEX-PLZ6-1426-SM-DKPOT 30-39 years, male 88.4
GTEX-1IDJH-0326-SM-A9SLQ 70-79 years, male 88.3
GTEX-SUCS-1926-SM-32PM3 70-79 years, male 88.2
GTEX-WYVS-2126-SM-3NMA3 40-49 years, female 87.9
GTEX-ZDTT-2726-SM-4WKF8 60-69 years, male 87.9
GTEX-1LBAC-0126-SM-DIPEZ 20-29 years, male 87.9
GTEX-11EM3-2426-SM-59861 20-29 years, female 87.8
GTEX-X585-0226-SM-4QAS2 50-59 years, male 87.6
GTEX-1IDJU-2626-SM-CM2RT 60-69 years, female 87.6
GTEX-18D9U-0226-SM-718BP 40-49 years, male 87.4
GTEX-13113-5016-SM-7EPIP 60-69 years, female 86.9
GTEX-1IKK5-0626-SM-ARL8A 60-69 years, male 86.9
GTEX-1313W-0126-SM-5LZUN 50-59 years, female 86.7
GTEX-16NPX-0226-SM-79OMT 50-59 years, male 86.6
GTEX-1HCVE-0126-SM-CGQEU 50-59 years, male 86.5
GTEX-1399T-2826-SM-5KLYZ 60-69 years, male 86.4
GTEX-PWO3-1526-SM-48TCM 60-69 years, female 86.2
GTEX-1HT8W-0126-SM-CNPPP 30-39 years, male 86.2
GTEX-T2IS-0126-SM-4DM6O 20-29 years, female 86.1
GTEX-1JKYR-0126-SM-CNPOJ 20-29 years, male 86.1
GTEX-1B97I-1626-SM-73KYO 40-49 years, male 85.5
GTEX-WY7C-2326-SM-3NB2U 50-59 years, male 85.5
GTEX-1JMQL-0226-SM-CNPP5 50-59 years, female 85.5
GTEX-ZQG8-1626-SM-DHXIT 60-69 years, female 85.5
GTEX-13OW8-1326-SM-5J1OW 60-69 years, male 85.3
GTEX-16NGA-1726-SM-731B4 40-49 years, female 85.3
GTEX-ZEX8-2426-SM-4WKG4 50-59 years, male 85.3
GTEX-1I1GQ-0126-SM-COH3H 50-59 years, male 85.3
GTEX-14ICK-0226-SM-6EU25 40-49 years, male 85.0
GTEX-TML8-1926-SM-32QOS 40-49 years, female 85.0
GTEX-145MO-0326-SM-5Q5B3 60-69 years, male 84.8
GTEX-ZYFC-0226-SM-5NQ75 50-59 years, male 84.7
GTEX-13IVO-0126-SM-5J1NG 70-79 years, male 84.5
GTEX-11P7K-2126-SM-5GU7G 30-39 years, male 84.4
GTEX-1JMQJ-0526-SM-CYPSU 50-59 years, male 84.3
GTEX-1CB4H-0226-SM-7PBXM 60-69 years, female 84.2
GTEX-1JMPZ-0226-SM-CNPP1 30-39 years, male 84.0
GTEX-1R46S-0626-SM-E9J41 60-69 years, female 83.8
GTEX-1F5PL-0326-SM-7P8PQ 40-49 years, female 83.3
GTEX-1HCU7-0226-SM-CL545 50-59 years, male 83.3
GTEX-132NY-0326-SM-5IJBL 60-69 years, male 83.0
GTEX-1C6VR-2426-SM-79OLD 60-69 years, male 82.9
GTEX-1MCYP-1926-SM-E9J2R 20-29 years, female 82.9
GTEX-1314G-1526-SM-5EGK2 30-39 years, male 82.8
GTEX-XQ3S-1526-SM-4BOOC 20-29 years, male 82.7
GTEX-1K9T9-0126-SM-EVYCF 50-59 years, female 82.6
GTEX-1HCU6-0126-SM-CL54K 60-69 years, female 82.5
GTEX-1J8JJ-0226-SM-CL53I 60-69 years, female 82.5
GTEX-15SHU-0126-SM-7KUEH 40-49 years, female 82.4
GTEX-13N2G-2626-SM-5J1OT 60-69 years, male 82.3
GTEX-ZVT2-2526-SM-51MT1 50-59 years, female 82.3
GTEX-1KANB-0526-SM-E6CJH 50-59 years, male 82.3
GTEX-ZE9C-2726-SM-57WB5 60-69 years, male 82.2
GTEX-ZDTS-0126-SM-4WAY5 60-69 years, male 81.7
GTEX-14BIN-0626-SM-793DP 50-59 years, female 81.6
GTEX-ZXG5-0126-SM-5GIEU 60-69 years, male 81.4
GTEX-1HSEH-0126-SM-ACKXN 60-69 years, male 81.4
GTEX-12WSJ-1826-SM-5GCNY 40-49 years, female 81.2
GTEX-PW2O-1526-SM-7RHHB 20-29 years, male 81.0
GTEX-1497J-2426-SM-7IGNX 60-69 years, male 80.9
GTEX-14C5O-0126-SM-5SI6N 60-69 years, male 80.9
GTEX-12ZZZ-0626-SM-5DUXI 60-69 years, male 80.6
GTEX-1MUQO-0126-SM-EAZ58 60-69 years, male 80.5
GTEX-1IKJJ-0126-SM-CNPQB 60-69 years, male 80.2
GTEX-16YQH-0126-SM-7DUFJ 30-39 years, male 79.7
GTEX-1E2YA-0126-SM-9KNUC 50-59 years, male 79.5
GTEX-13O3P-0126-SM-5KM4S 50-59 years, male 79.4
GTEX-1H3VE-0326-SM-9YFLH 40-49 years, male 79.3
GTEX-11OC5-0126-SM-5HL6A 60-69 years, male 79.2
GTEX-TMZS-0126-SM-3DB9Q 60-69 years, male 78.8
GTEX-1HSMQ-1226-SM-CGQFX 50-59 years, male 78.8
GTEX-Z93S-0126-SM-5HL7M 50-59 years, male 78.5
GTEX-1HFI6-0226-SM-ADEHZ 40-49 years, male 78.4
GTEX-1S82Z-0826-SM-E6CHY 30-39 years, female 78.4
GTEX-ZYT6-0226-SM-5NQ6T 30-39 years, male 78.3
GTEX-18A6Q-0126-SM-731BZ 60-69 years, male 78.2
GTEX-145LS-0126-SM-5QGP1 60-69 years, female 78.1
GTEX-1QAET-0926-SM-E76QM 50-59 years, male 78.1
GTEX-S7SE-0126-SM-2XCD5 50-59 years, male 78.0
GTEX-SIU8-0126-SM-2XCDT 50-59 years, male 77.8
GTEX-U3ZN-2326-SM-3DB7W 30-39 years, female 77.8
GTEX-Y111-0126-SM-4SOIV 50-59 years, male 77.7
GTEX-131XE-2326-SM-5PNZ2 50-59 years, male 77.6
GTEX-1C4CL-0526-SM-73KVK 30-39 years, male 77.5
GTEX-13NZ8-0826-SM-5MR3I 60-69 years, female 77.4
GTEX-131XH-2226-SM-5DUXJ 50-59 years, male 77.3
GTEX-14BMV-0126-SM-5S2PO 50-59 years, male 77.3
GTEX-145LU-0126-SM-5TDCB 50-59 years, male 77.2
GTEX-1C475-1826-SM-73KWA 40-49 years, female 77.2
GTEX-XQ8I-0426-SM-4BOPO 50-59 years, male 77.2
GTEX-ZV6S-2326-SM-4YCEY 40-49 years, female 77.2
GTEX-1GZ4H-1726-SM-7PBZJ 50-59 years, female 77.2
GTEX-W5WG-1826-SM-4KL2Y 50-59 years, female 77.1
GTEX-1IDJF-0126-SM-CM2RS 20-29 years, male 77.1
GTEX-1B8L1-2526-SM-9WYTF 60-69 years, male 77.0
GTEX-1F6RS-0126-SM-9MQKZ 60-69 years, female 77.0
GTEX-14PJM-0226-SM-62LF1 50-59 years, female 76.9
GTEX-17HG3-2226-SM-7938L 30-39 years, female 76.8
GTEX-1GMRU-0126-SM-9YFLV 50-59 years, male 76.6
GTEX-12WSA-0226-SM-5BC5V 60-69 years, male 76.5
GTEX-QV44-1926-SM-2S1RF 50-59 years, male 76.5
GTEX-1O97I-0326-SM-EYYX7 60-69 years, male 76.5
GTEX-1ICG6-2526-SM-CGQFZ 70-79 years, female 76.4
GTEX-14A5H-0426-SM-5QGQF 60-69 years, male 76.2
GTEX-13D11-2426-SM-5KM1V 50-59 years, female 76.0
GTEX-15DCD-0126-SM-7KUEK 70-79 years, female 75.9
GTEX-1LSNM-1926-SM-E6CII 50-59 years, male 75.8
GTEX-13PDP-0126-SM-5L3HD 60-69 years, male 75.7
GTEX-1GN2E-0426-SM-9MQKX 60-69 years, male 75.7
GTEX-1EX96-1626-SM-7PBXR 50-59 years, male 75.5
GTEX-1RAZA-0126-SM-E6CI3 20-29 years, male 75.5
GTEX-145ME-1826-SM-5SI9G 40-49 years, female 75.4
GTEX-14JG6-2226-SM-6EU2G 30-39 years, female 75.4
GTEX-1H1DG-0126-SM-9WYU2 70-79 years, male 75.4
GTEX-13PVR-2326-SM-5QGR1 60-69 years, female 75.3
GTEX-12696-2426-SM-5EQ6H 60-69 years, male 75.1
GTEX-T8EM-1026-SM-3DB7M 40-49 years, male 75.0
GTEX-169BO-1326-SM-9MQK2 50-59 years, male 74.9
GTEX-16AAH-1726-SM-7939C 50-59 years, male 74.7
GTEX-1ICLY-0126-SM-D4P36 50-59 years, male 74.7
GTEX-14E6D-0126-SM-62LDV 50-59 years, male 74.5
GTEX-144GL-0126-SM-5TDE2 50-59 years, male 74.3
GTEX-WZTO-0126-SM-3NM95 40-49 years, male 74.3
GTEX-1GF9X-2026-SM-7PC3A 40-49 years, female 74.2
GTEX-16GPK-0126-SM-7DHLE 60-69 years, male 74.0
GTEX-1AMFI-2026-SM-731BH 50-59 years, female 74.0
GTEX-1IL2V-0126-SM-CM2TX 70-79 years, male 73.9
GTEX-W5X1-3026-SM-EAZAX 40-49 years, female 73.9
GTEX-1CAMR-1926-SM-7EPI2 20-29 years, male 73.7
GTEX-WQUQ-0426-SM-3MJFU 60-69 years, male 73.7
GTEX-14BMU-2226-SM-5TDE9 20-29 years, female 73.5
GTEX-XAJ8-0826-SM-47JY6 40-49 years, male 73.5
GTEX-11P81-2326-SM-59875 30-39 years, female 73.3
GTEX-WXYG-2326-SM-4E3I6 50-59 years, female 73.3
GTEX-1212Z-2526-SM-5EGKP 60-69 years, male 73.1
GTEX-1N2DW-0226-SM-E9TK2 50-59 years, male 72.9
GTEX-1GMR8-0126-SM-9WYTM 50-59 years, female 72.7
GTEX-1IKOH-0226-SM-COH4E 60-69 years, female 72.7
GTEX-13O21-1426-SM-5K7XI 50-59 years, male 72.6
GTEX-1C2JI-1826-SM-73KXC 50-59 years, male 72.6
GTEX-1J1R8-1726-SM-ARL8M 40-49 years, male 72.6
GTEX-18A66-0226-SM-718BD 60-69 years, male 72.5
GTEX-13OVL-0226-SM-5L3E9 50-59 years, male 72.0
GTEX-11DXW-0226-SM-5H122 40-49 years, male 71.9
GTEX-145MI-0526-SM-5O9A8 60-69 years, female 71.5
GTEX-11UD2-0226-SM-5EQKY 50-59 years, male 71.4
GTEX-X4XX-0126-SM-3NMC2 60-69 years, male 71.3
GTEX-11ZTS-0126-SM-5EQ6M 60-69 years, female 71.2
GTEX-11GSO-2426-SM-5A5LY 60-69 years, male 71.1
GTEX-ZF29-2326-SM-DO92K 60-69 years, female 71.1
GTEX-11XUK-2026-SM-5EQLF 40-49 years, female 71.0
GTEX-1F52S-0126-SM-9MQJU 60-69 years, female 71.0
GTEX-12WSC-0126-SM-5EQ4P 50-59 years, male 70.7
GTEX-12ZZY-0226-SM-5LZVE 60-69 years, male 70.7
GTEX-RNOR-0126-SM-E9J4R 50-59 years, female 70.7
GTEX-POMQ-2226-SM-2I5FK 20-29 years, female 70.6
GTEX-1HGF4-2426-SM-ACKXM 60-69 years, male 70.6
GTEX-13G51-2526-SM-5LZYK 60-69 years, male 70.5
GTEX-1GN1U-0126-SM-7PBZK 50-59 years, female 70.5
GTEX-X8HC-0126-SM-4E3JW 50-59 years, female 70.4
GTEX-13YAN-0326-SM-5O9DF 60-69 years, male 70.3
GTEX-T5JC-0426-SM-32PLO 20-29 years, male 70.1
GTEX-WH7G-2326-SM-3NMBC 40-49 years, male 70.0
GTEX-ZVT4-0126-SM-DTXFN 50-59 years, female 69.9
GTEX-1GZ2Q-0226-SM-7P8TL 40-49 years, male 69.8
GTEX-11DXX-2426-SM-5GZZW 60-69 years, female 69.7
GTEX-1A3MV-1926-SM-718BT 30-39 years, male 69.7
GTEX-13OW5-0126-SM-DTXFS 60-69 years, male 69.7
GTEX-147GR-0526-SM-5S2MY 60-69 years, male 69.6
GTEX-1HBPI-1526-SM-C1YQ1 50-59 years, male 69.6
GTEX-Y5LM-1926-SM-5RQJH 40-49 years, female 69.5
GTEX-12ZZX-0126-SM-5EGK9 40-49 years, female 69.4
GTEX-S95S-1226-SM-4GICG 60-69 years, male 69.2
GTEX-O5YT-0126-SM-48TBW 20-29 years, male 69.1
GTEX-Y5V6-2426-SM-4VDSB 60-69 years, male 69.1
GTEX-13VXU-0126-SM-5SI9F 50-59 years, male 69.0
GTEX-1128S-2326-SM-5GZZY 60-69 years, female 68.8
GTEX-17F97-0326-SM-7LG5B 50-59 years, male 68.8
GTEX-1AX9J-0226-SM-73KXM 60-69 years, male 68.8
GTEX-11TUW-2726-SM-E9J4M 60-69 years, male 68.6
GTEX-PWCY-1826-SM-DHXIZ 20-29 years, female 68.6
GTEX-XUYS-0126-SM-47JWZ 50-59 years, male 68.5
GTEX-11UD1-0126-SM-5PNYG 40-49 years, female 68.4
GTEX-YFC4-0126-SM-5CVLY 40-49 years, female 68.4
GTEX-1E1VI-0126-SM-7DHMZ 50-59 years, male 68.3
GTEX-NPJ8-0126-SM-2YUNR 40-49 years, male 68.2
GTEX-ZAJG-0126-SM-5HL94 50-59 years, female 68.2
GTEX-14753-0426-SM-5NQAM 60-69 years, male 68.1
GTEX-15EU6-0426-SM-6PAN5 50-59 years, male 68.0
GTEX-1I1GP-2226-SM-CGQFK 50-59 years, male 67.9
GTEX-13QJ3-0326-SM-5S2RA 50-59 years, male 67.5
GTEX-16BQI-0226-SM-7KUEX 30-39 years, female 67.5
GTEX-1F6I4-0126-SM-9MQL2 60-69 years, male 67.4
GTEX-17GQL-2026-SM-718BA 60-69 years, male 67.3
GTEX-13SLX-0526-SM-5S2ON 50-59 years, female 67.2
GTEX-17HHY-0126-SM-7LG5D 50-59 years, male 67.2
GTEX-ZYY3-0126-SM-5GZY5 60-69 years, female 67.2
GTEX-1S82Y-2026-SM-EVYCM 40-49 years, male 67.2
GTEX-ZQUD-1426-SM-57WER 30-39 years, male 67.1
GTEX-1IGQW-0126-SM-COH42 60-69 years, male 67.1
GTEX-18465-0126-SM-731BN 50-59 years, male 66.9
GTEX-QEG4-0226-SM-2S1PY 30-39 years, male 66.8
GTEX-1RQEC-0426-SM-E6CHU 60-69 years, male 66.4
GTEX-13X6I-0626-SM-5QGP9 60-69 years, male 66.2
GTEX-11VI4-1726-SM-5CVLH 40-49 years, female 66.1
GTEX-139T8-0126-SM-5K7XZ 60-69 years, male 65.5
GTEX-13FTX-1826-SM-5J1NX 20-29 years, female 65.5
GTEX-14LLW-0126-SM-6LLIO 70-79 years, female 65.3
GTEX-1H2FU-0126-SM-9WYSI 60-69 years, female 65.3
GTEX-1JN1M-0326-SM-CYPT3 60-69 years, female 65.3
GTEX-RWSA-0126-SM-2XCBB 40-49 years, male 65.2
GTEX-16MT8-0426-SM-7KUEY 60-69 years, female 65.1
GTEX-XUW1-0426-SM-4BOOT 50-59 years, female 65.0
GTEX-1B8KZ-2026-SM-7DHMB 50-59 years, male 64.8
GTEX-X261-0126-SM-3NMD6 50-59 years, male 64.8
GTEX-U3ZM-1526-SM-3DB9D 40-49 years, male 64.3
GTEX-183FY-0126-SM-7LT9P 20-29 years, male 64.2
GTEX-QVJO-1626-SM-2S1QW 60-69 years, female 64.0
GTEX-1JJE9-0326-SM-CL53Z 70-79 years, male 63.9
GTEX-11EI6-0126-SM-5985R 60-69 years, male 63.8
GTEX-12C56-1726-SM-5EQ61 20-29 years, male 63.7
GTEX-1I1GR-0126-SM-CL55F 60-69 years, male 63.7
GTEX-1LGOU-2026-SM-DIPFF 20-29 years, female 63.7
GTEX-1192X-0226-SM-5H12D 50-59 years, male 63.6
GTEX-UPJH-0326-SM-3GADU 50-59 years, male 63.6
GTEX-WRHK-1426-SM-3MJF9 20-29 years, female 63.6
GTEX-12KS4-0326-SM-5EQ41 30-39 years, male 63.5
GTEX-13NYC-0326-SM-E9J4S 60-69 years, male 63.5
GTEX-1F7RK-0126-SM-7PC2S 20-29 years, female 63.5
GTEX-1LG7Y-0526-SM-DKPQC 50-59 years, male 63.5
GTEX-XYKS-2126-SM-4E3IB 60-69 years, female 63.4
GTEX-PLZ5-2026-SM-2S1O4 50-59 years, male 63.3
GTEX-VJYA-1126-SM-3GIJU 60-69 years, male 63.3
GTEX-12WSD-0126-SM-59HKN 60-69 years, female 63.2
GTEX-13S7M-0126-SM-5SI6A 60-69 years, female 62.8
GTEX-1GL5R-1826-SM-9KNUY 50-59 years, male 62.8
GTEX-RWS6-2026-SM-2XCB5 60-69 years, female 62.6
GTEX-1H3VY-0126-SM-ACKXD 50-59 years, male 62.3
GTEX-1RDX4-0126-SM-E9J4P 50-59 years, female 62.3
GTEX-12WSG-2826-SM-E9J4H 50-59 years, female 62.1
GTEX-1269C-2526-SM-5EGJ3 60-69 years, female 62.0
GTEX-OHPL-0126-SM-2HMJ7 60-69 years, female 61.3
GTEX-14DAR-2026-SM-5S2O3 50-59 years, male 61.2
GTEX-YEC4-2126-SM-5IFJH 40-49 years, male 61.1
GTEX-1QP29-0626-SM-EWRMX 50-59 years, male 60.9
GTEX-14PN4-0126-SM-6EU2V 50-59 years, male 60.6
GTEX-14A5I-0126-SM-5TDEA 50-59 years, female 60.2
GTEX-13112-2826-SM-5DUWH 50-59 years, male 60.1
GTEX-13NZA-0226-SM-5K7Z7 60-69 years, male 60.1
GTEX-1F75A-0126-SM-7RHGM 50-59 years, male 60.1
GTEX-1IDFM-0126-SM-COH2V 60-69 years, male 60.1
GTEX-131XW-0426-SM-5LZWP 50-59 years, female 60.0
GTEX-15DDE-0126-SM-6LPKH 50-59 years, female 59.9
GTEX-1EU9M-0226-SM-7P8SP 60-69 years, male 59.9
GTEX-1F88F-2726-SM-7PBZZ 60-69 years, female 59.9
GTEX-X4EO-0326-SM-3P5YO 60-69 years, female 59.8
GTEX-1C64O-0126-SM-7SB8P 60-69 years, male 59.7
GTEX-17HHE-2026-SM-79OKF 50-59 years, male 59.6
GTEX-14PJ3-1826-SM-62LEX 50-59 years, male 59.5
GTEX-1R7EV-2426-SM-EVYBG 40-49 years, male 59.5
GTEX-WFG8-2226-SM-3GIL9 20-29 years, male 59.4
GTEX-ZAB4-0226-SM-5N9F5 40-49 years, male 59.4
GTEX-1CAMS-0426-SM-7P8T2 40-49 years, female 59.4
GTEX-13FHO-0226-SM-5IFGY 60-69 years, male 59.2
GTEX-ZVT3-0126-SM-5GU6I 60-69 years, female 59.0
GTEX-XV7Q-2526-SM-4BRV9 40-49 years, female 58.8
GTEX-1JK1U-2026-SM-CM2RZ 60-69 years, male 58.6
GTEX-1QP2A-0126-SM-E9J43 50-59 years, male 58.2
GTEX-13U4I-0126-SM-5LU38 40-49 years, female 58.1
GTEX-13O3O-0126-SM-E9J49 60-69 years, female 58.1
GTEX-S7PM-0126-SM-4AD6S 60-69 years, male 58.0
GTEX-18A7A-0226-SM-718BH 50-59 years, female 57.9
GTEX-1H3O1-0426-SM-9YFKY 60-69 years, male 57.9
GTEX-1HSMP-0126-SM-E6CJS 70-79 years, male 57.9
GTEX-13N11-2526-SM-5K7UE 50-59 years, female 57.8
GTEX-1GN1V-0126-SM-9WPOS 60-69 years, male 57.8
GTEX-T6MO-1626-SM-32QOM 40-49 years, female 57.7
GTEX-1GF9W-0326-SM-9KNUN 60-69 years, male 57.6
GTEX-1GN73-0226-SM-9WG67 60-69 years, male 57.1
GTEX-1J8Q2-0526-SM-CM2RW 60-69 years, male 57.1
GTEX-1MCQQ-0826-SM-DLHC2 60-69 years, male 56.9
GTEX-14DAQ-0126-SM-5S2MQ 60-69 years, female 56.7
GTEX-18A7B-0126-SM-7LG64 70-79 years, male 56.7
GTEX-11LCK-1026-SM-5A5KB 30-39 years, male 56.4
GTEX-1GF9U-2126-SM-7SB7L 40-49 years, female 56.4
GTEX-1HCUA-2426-SM-ADEIS 50-59 years, female 56.3
GTEX-ZE7O-0126-SM-57WC1 50-59 years, female 56.1
GTEX-1N2DV-0226-SM-E6CJ6 40-49 years, male 56.0
GTEX-1B8KE-2126-SM-73KYX 50-59 years, male 55.9
GTEX-Q2AI-1326-SM-2S1PL 40-49 years, male 55.9
GTEX-1JKYN-1326-SM-CGQG9 30-39 years, male 55.9
GTEX-U8XE-0326-SM-3DB8P 30-39 years, male 55.8
GTEX-1I6K6-0126-SM-A9SLE 30-39 years, male 55.6
GTEX-111VG-2426-SM-5GZXD 60-69 years, male 55.5
GTEX-XBED-2226-SM-47JYQ 60-69 years, male 55.5
GTEX-1POEN-0126-SM-EYYXJ 30-39 years, female 55.4
GTEX-1F5PK-2426-SM-7RHHY 50-59 years, male 55.3
GTEX-1F75B-0126-SM-9KNVL 50-59 years, male 55.1
GTEX-11OF3-2626-SM-5GU7F 60-69 years, male 55.0
GTEX-147F4-0226-SM-5QGPW 50-59 years, male 54.9
GTEX-11DXY-2626-SM-5GIE7 60-69 years, male 54.7
GTEX-SN8G-0126-SM-32PLI 50-59 years, female 54.4
GTEX-XXEK-2226-SM-4BRUM 50-59 years, male 54.4
GTEX-139TU-0126-SM-5K7WH 60-69 years, male 54.2
GTEX-SJXC-0126-SM-2XCFF 60-69 years, male 54.2
GTEX-ZDYS-2026-SM-5HL5L 50-59 years, male 54.2
GTEX-15SDE-2226-SM-7IGLO 50-59 years, female 54.0
GTEX-ZVE2-0226-SM-59HJB 50-59 years, male 53.9
GTEX-11P82-1626-SM-59879 20-29 years, male 53.8
GTEX-1H1ZS-0426-SM-9WG6G 70-79 years, male 53.8
GTEX-11H98-0126-SM-5EGHG 50-59 years, male 53.6
GTEX-1HB9E-0226-SM-E9U4R 50-59 years, male 53.5
GTEX-1I19N-0326-SM-ACKVX 70-79 years, male 53.3
GTEX-11NSD-2226-SM-5986V 20-29 years, male 53.1
GTEX-1AMEY-1326-SM-73KYK 30-39 years, female 53.1
GTEX-13FH7-2026-SM-E9J4I 50-59 years, female 53.0
GTEX-14PN3-2426-SM-6LLHS 60-69 years, female 52.8
GTEX-11GS4-2726-SM-5A5LE 60-69 years, male 52.7
GTEX-OHPM-0126-SM-2YUN9 50-59 years, male 52.6
GTEX-R3RS-0126-SM-3GIJL 40-49 years, female 52.6
GTEX-1NHNU-1026-SM-E9J2A 50-59 years, male 52.6
GTEX-XMD2-0126-SM-4YCDU 60-69 years, female 52.4
GTEX-1211K-2026-SM-5EQ4Z 60-69 years, female 52.1
GTEX-TMMY-0226-SM-33HBA 40-49 years, female 51.9
GTEX-1AX9I-0126-SM-7SB74 60-69 years, male 51.9
GTEX-113JC-2326-SM-5EQ4E 50-59 years, female 51.8
GTEX-ZU9S-0226-SM-5E441 30-39 years, male 51.8
GTEX-1ICLZ-0126-SM-CKZPO 60-69 years, male 51.8
GTEX-139TT-0126-SM-5K7Y5 60-69 years, male 51.6
GTEX-1QEPI-0126-SM-EWRMQ 60-69 years, female 51.6
GTEX-1M4P7-0226-SM-DIPEV 60-69 years, male 51.5
GTEX-1MGNQ-0126-SM-EVYCJ 40-49 years, male 51.5
GTEX-RM2N-1426-SM-2TF4H 50-59 years, male 51.4
GTEX-1H3NZ-0126-SM-ACKX7 60-69 years, male 51.2
GTEX-1I1HK-0126-SM-COH49 60-69 years, male 51.1
GTEX-PVOW-0126-SM-2XCFA 40-49 years, male 51.0
GTEX-1EKGG-0226-SM-9WYTH 60-69 years, male 51.0
GTEX-117YX-2326-SM-5H12W 50-59 years, male 50.5
GTEX-ZF28-0126-SM-4WKGK 60-69 years, male 50.5
GTEX-1HBPN-0226-SM-9YFM1 50-59 years, male 50.5
GTEX-QESD-1426-SM-2S1R9 20-29 years, male 50.3
GTEX-1CB4G-0226-SM-7PC3O 60-69 years, male 50.3
GTEX-OOBK-0126-SM-2YUND 40-49 years, male 50.2
GTEX-1HFI7-1826-SM-ACKXH 50-59 years, female 50.1
GTEX-QDVJ-1726-SM-2I5FX 50-59 years, male 49.7
GTEX-13OVJ-0126-SM-5KM36 50-59 years, female 49.5
GTEX-U3ZH-2026-SM-3DB78 30-39 years, male 49.5
GTEX-15DYW-0126-SM-7KULE 60-69 years, female 49.4
GTEX-WI4N-1026-SM-3LK7N 40-49 years, female 49.4
GTEX-1HBPM-0226-SM-ARL9F 60-69 years, female 49.4
GTEX-13CF3-2426-SM-5IFGX 60-69 years, female 49.2
GTEX-13RTJ-2426-SM-5S2Q2 60-69 years, male 49.1
GTEX-1EN7A-0126-SM-7SB81 40-49 years, male 49.1
GTEX-14E7W-0126-SM-6LLJ9 70-79 years, male 49.0
GTEX-1I1CD-0126-SM-CM2TK 60-69 years, female 48.5
GTEX-SNMC-1226-SM-2XCFP 20-29 years, male 48.3
GTEX-1A32A-0126-SM-718B1 50-59 years, female 48.1
GTEX-1HKZK-0326-SM-9WYUH 40-49 years, male 48.1
GTEX-1B933-0126-SM-7PC29 50-59 years, female 47.9
GTEX-1MA7X-2226-SM-E6CIY 60-69 years, male 47.7
GTEX-QLQW-1126-SM-2S1Q8 30-39 years, male 47.5
GTEX-T2YK-0526-SM-32QPJ 50-59 years, male 47.5
GTEX-13X6J-0126-SM-5QGOU 50-59 years, male 47.4
GTEX-Z9EW-1626-SM-5CVMN 40-49 years, male 47.3
GTEX-Q2AG-0126-SM-33HBV 40-49 years, female 47.1
GTEX-X638-0126-SM-47JZ8 70-79 years, female 47.1
GTEX-1PWST-0226-SM-E76QJ 70-79 years, male 47.0
GTEX-11ZVC-2526-SM-5FQTE 50-59 years, female 46.9
GTEX-1JMQK-0226-SM-CL543 60-69 years, male 46.9
GTEX-11NUK-0126-SM-5A5L3 50-59 years, male 46.8
GTEX-ZPIC-1726-SM-DHXIU 40-49 years, female 46.8
GTEX-1J8Q3-1626-SM-CMKGC 60-69 years, male 46.6
GTEX-145LT-1726-SM-5QGP3 40-49 years, male 46.4
GTEX-13W3W-2426-SM-5LU5B 60-69 years, female 46.3
GTEX-13RTL-0126-SM-7LG5S 40-49 years, male 46.1
GTEX-14ABY-0226-SM-5TDCQ 50-59 years, male 46.0
GTEX-1AX8Z-0126-SM-7DHM6 60-69 years, male 46.0
GTEX-1KD5A-0226-SM-D5OV3 50-59 years, male 45.8
GTEX-11GSP-2526-SM-5N9BP 60-69 years, female 45.2
GTEX-1GPI6-0126-SM-9WG69 60-69 years, male 45.2
GTEX-X5EB-2226-SM-46MW4 40-49 years, male 45.1
GTEX-17HGU-0226-SM-7DHKV 50-59 years, male 45.0
GTEX-V1D1-2226-SM-3NMAX 50-59 years, male 44.8
GTEX-13VXT-0126-SM-5LU4I 20-29 years, female 44.5
GTEX-1B8SG-0126-SM-73KZ3 50-59 years, male 44.5
GTEX-OIZF-0126-SM-7SB8I 60-69 years, male 44.5
GTEX-11O72-0126-SM-59887 40-49 years, male 44.4
GTEX-1IY9M-0126-SM-D3L8S 60-69 years, male 44.1
GTEX-P4PQ-0126-SM-2S1NM 60-69 years, male 43.9
GTEX-1F6IF-0726-SM-7P8TW 60-69 years, male 43.7
GTEX-147F3-0526-SM-5SI98 50-59 years, female 43.5
GTEX-QLQ7-1626-SM-2S1R8 60-69 years, male 43.5
GTEX-13N1W-0126-SM-5K7VT 70-79 years, male 43.4
GTEX-11DZ1-0126-SM-5985Q 50-59 years, male 43.3
GTEX-13NYS-0126-SM-5MR3W 60-69 years, male 42.8
GTEX-14A6H-0126-SM-5QGPK 30-39 years, male 42.7
GTEX-11TT1-2526-SM-5EGIB 20-29 years, male 42.6
GTEX-11ZU8-2526-SM-5EQKI 60-69 years, male 42.5
GTEX-R45C-0126-SM-EAZ2R 60-69 years, female 42.5
GTEX-14PK6-1926-SM-6ETZU 70-79 years, female 42.4
GTEX-SSA3-0126-SM-32QPU 60-69 years, male 42.4
GTEX-11WQC-2526-SM-5CVLE 60-69 years, male 42.3
GTEX-ZDXO-3026-SM-5J1N5 60-69 years, male 42.3
GTEX-11ZTT-2426-SM-5EQLS 60-69 years, female 41.9
GTEX-1GTWX-0126-SM-9YFLK 60-69 years, male 41.8
GTEX-148VI-1626-SM-5SI6E 60-69 years, female 41.7
GTEX-16XZZ-0126-SM-793DV 60-69 years, male 41.7
GTEX-1H1E6-1726-SM-ACKVK 30-39 years, male 41.7
GTEX-1I1GS-0126-SM-B2LVW 60-69 years, male 41.7
GTEX-OXRK-0226-SM-3NB2G 50-59 years, female 41.6
GTEX-1C6VS-0526-SM-7DUEN 60-69 years, male 41.5
GTEX-1AYD5-2426-SM-73KXR 50-59 years, male 41.1
GTEX-1PPH7-2326-SM-EVYB8 40-49 years, male 41.0
GTEX-1AX9K-2326-SM-73KWU 50-59 years, male 40.8
GTEX-1PBJI-0526-SM-E8VNK 20-29 years, female 40.8
GTEX-144GN-2326-SM-5LU4F 50-59 years, male 40.6
GTEX-Y8LW-1826-SM-5S2MV 50-59 years, female 40.6
GTEX-U8T8-0126-SM-3DB94 60-69 years, male 40.3
GTEX-12584-0126-SM-5EGKQ 40-49 years, male 40.2
GTEX-17MF6-0126-SM-7LG4F 40-49 years, male 40.1
GTEX-15G19-0126-SM-6PANQ 60-69 years, male 40.0
GTEX-ZTPG-0326-SM-5O9AX 20-29 years, female 40.0
GTEX-117YW-2626-SM-5GZZH 50-59 years, male 39.9
GTEX-ZYFD-0126-SM-5GIDL 50-59 years, male 39.8
GTEX-1JN76-0126-SM-CNPPE 20-29 years, female 39.6
GTEX-1LNCM-1126-SM-E9U5E 50-59 years, female 39.5
GTEX-14BIM-0226-SM-7IGLD 60-69 years, female 39.2
GTEX-1192W-2626-SM-5Q5AF 60-69 years, male 39.1
GTEX-1A3MX-0126-SM-731BR 60-69 years, male 39.1
GTEX-OXRL-0126-SM-2YUMP 50-59 years, male 39.1
GTEX-R55G-2526-SM-2TC6D 40-49 years, female 39.0
GTEX-TSE9-0126-SM-3DB83 60-69 years, female 39.0
GTEX-13OVI-1426-SM-5L3EY 60-69 years, female 38.2
GTEX-R55E-0126-SM-2TC5Y 20-29 years, male 37.9
GTEX-17EVQ-0226-SM-7LG4P 70-79 years, male 37.8
GTEX-1C6WA-0126-SM-7PC2B 60-69 years, male 37.8
GTEX-OXRP-0126-SM-3NB32 60-69 years, female 37.7
GTEX-13O1R-0126-SM-5L3EH 60-69 years, male 37.6
GTEX-1N2EF-0226-SM-EYYXB 60-69 years, male 37.4
GTEX-1IE54-0126-SM-CMKHW 40-49 years, female 37.3
GTEX-YJ8A-0426-SM-5IFID 20-29 years, male 36.7
GTEX-Q734-1926-SM-2I5EV 40-49 years, female 36.5
GTEX-RN64-0126-SM-2TC68 50-59 years, male 36.5
GTEX-Y3I4-2126-SM-4TT7C 50-59 years, male 36.4
GTEX-17HII-0226-SM-7LG4E 50-59 years, male 36.1
GTEX-1B996-0226-SM-7RHGO 60-69 years, male 35.8
GTEX-S32W-2126-SM-2XCB1 50-59 years, female 35.7
GTEX-1GN1W-0526-SM-9MQJQ 50-59 years, female 35.5
GTEX-RU72-0926-SM-2TF6B 50-59 years, female 35.4
GTEX-1A8FM-0226-SM-7SB7Q 50-59 years, female 35.2
GTEX-13OW7-0126-SM-5MR3B 50-59 years, male 34.6
GTEX-131XG-2626-SM-5KM17 50-59 years, female 34.3
GTEX-12WSL-2526-SM-5GCNJ 50-59 years, male 34.1
GTEX-WOFL-0126-SM-3MJG2 60-69 years, male 34.0
GTEX-Q2AH-1626-SM-3GAF8 40-49 years, male 33.9
GTEX-14PHW-0126-SM-6LLJI 60-69 years, female 33.5
GTEX-1H23P-0126-SM-ADEJ3 60-69 years, male 33.5
GTEX-1AYCT-2426-SM-7IGQ3 50-59 years, male 33.4
GTEX-1R9K4-0126-SM-DTX9X 60-69 years, male 32.9
GTEX-QCQG-1726-SM-3GIJ9 50-59 years, female 32.4
GTEX-14E6C-0126-SM-5RQIP 40-49 years, male 32.2
GTEX-15SHW-0326-SM-6PAML 60-69 years, male 32.2
GTEX-15UF6-0826-SM-6PALJ 70-79 years, female 31.9
GTEX-15D1Q-0126-SM-7KUG6 40-49 years, male 31.8
GTEX-ZUA1-0126-SM-5GU76 40-49 years, male 31.4
GTEX-1H1DE-2126-SM-9WG6R 20-29 years, male 31.0
GTEX-1C6VQ-0126-SM-7P8RI 50-59 years, male 30.8
GTEX-QDVN-2026-SM-3GAEP 50-59 years, male 30.6
GTEX-16XZY-2126-SM-79OK1 70-79 years, male 30.5
GTEX-VJWN-0126-SM-3GIK7 50-59 years, female 30.4
GTEX-PLZ4-0126-SM-5SI8O 50-59 years, female 29.8
GTEX-148VJ-0126-SM-5TDDN 70-79 years, male 29.7
GTEX-18D9B-0526-SM-7LTAS 60-69 years, male 29.4
GTEX-X62O-0126-SM-4E3JN 50-59 years, male 29.4
GTEX-15UKP-0426-SM-7KUFQ 20-29 years, male 29.1
GTEX-1JMOU-1526-SM-CL54I 60-69 years, female 28.9
GTEX-1LC47-0326-SM-E9TJP 60-69 years, male 28.8
GTEX-13X6H-2126-SM-7EWD5 50-59 years, female 28.7
GTEX-14E6E-1826-SM-5S2R7 30-39 years, male 28.7
GTEX-1HSMO-0126-SM-CL547 60-69 years, male 28.1
GTEX-1F48J-0126-SM-7P8TT 50-59 years, female 28.0
GTEX-11TTK-0126-SM-5987B 60-69 years, female 27.4
GTEX-ZYW4-0126-SM-5E44A 60-69 years, male 27.4
GTEX-183WM-0126-SM-7LTAB 70-79 years, female 26.9
GTEX-14XAO-2326-SM-6EU1B 60-69 years, female 26.7
GTEX-12WSN-5019-SM-79OM6 40-49 years, male 26.6
GTEX-P44H-0226-SM-2XCEU 40-49 years, male 26.4
GTEX-13OVG-1926-SM-5L3DK 60-69 years, male 26.2
GTEX-QDT8-0126-SM-48TZ1 30-39 years, female 26.1
GTEX-11EMC-2926-SM-5EQ4F 60-69 years, female 25.7
GTEX-1OJC4-0126-SM-E9J2E 50-59 years, female 25.6
GTEX-OXRO-0126-SM-2YUN4 60-69 years, female 25.5
GTEX-1CB4J-0626-SM-7DHMP 60-69 years, male 25.4
GTEX-113IC-0126-SM-5HL6T 60-69 years, male 24.4
GTEX-ZZPT-0226-SM-5E43X 50-59 years, male 24.0
GTEX-146FH-0126-SM-5QGPP 50-59 years, female 22.9
GTEX-139T4-0226-SM-5HL5S 50-59 years, female 22.8
GTEX-1HUB1-0426-SM-E9U4U 60-69 years, male 20.7
GTEX-11WQK-0526-SM-5EQLD 50-59 years, male 19.7
GTEX-1I1GU-2226-SM-CGQFA 40-49 years, male 19.6
GTEX-1RLM8-2326-SM-EWRN4 50-59 years, male 19.4
GTEX-1A3MW-0126-SM-73KXX 60-69 years, female 17.8
GTEX-X4XY-0226-SM-4E3IZ 60-69 years, male 17.8
GTEX-1F75I-0326-SM-9YFLU 40-49 years, male 17.3
GTEX-14BIL-0126-SM-5SI92 50-59 years, male 16.8
GTEX-RUSQ-1526-SM-2TF62 50-59 years, male 15.5
GTEX-1QW4Y-1526-SM-EAZ3Z 30-39 years, male 15.3
GTEX-15EOM-0126-SM-7KUGG 20-29 years, female 14.6
GTEX-1R9PO-2126-SM-E9J4O 60-69 years, female 13.8
GTEX-U4B1-1826-SM-4DXSU 40-49 years, male 11.5
GTEX-SE5C-1626-SM-2XCE3 40-49 years, female 11.2
GTEX-11ZUS-0626-SM-59885 30-39 years, male 10.6
GTEX-1HBPH-0426-SM-B2LW5 40-49 years, female 7.7
GTEX-1QP67-1626-SM-EAZ3X 40-49 years, female 6.5
GTEX-14JIY-0126-SM-6LLH6 60-69 years, male 6.4
GTEX-1RAZQ-0726-SM-EAZ43 30-39 years, male 5.7
GTEX-146FR-1326-SM-E9J48 60-69 years, female 4.4
Show allShow less

Contact

  • NEWS ARTICLES
  • PRESS ROOM

The Project

  • INTRODUCTION
  • ORGANIZATION
  • PUBLICATIONS

The Human Protein Atlas

  • DOWNLOADABLE DATA
  • LICENCE & CITATION
  • HELP & FAQ
The Human Protein Atlas project is funded
by the Knut & Alice Wallenberg Foundation.


contact@proteinatlas.org