We use cookies to enhance the usability of our website. If you continue, we'll assume that you are happy to receive all cookies. More information. Don't show this again.
SYTL1
HPA
RESOURCES
  • TISSUE
  • BRAIN
  • SINGLE CELL
  • SUBCELLULAR
  • CANCER
  • BLOOD
  • CELL LINE
  • STRUCTURE & INTERACTION
ABOUT
  • INTRODUCTION
  • HISTORY
  • ORGANIZATION
  • PUBLICATIONS
  • ANTIBODY SUBMISSION
  • ANTIBODY AVAILABILITY
  • ACKNOWLEDGMENTS
  • CONTACT
NEWS
  • NEWS ARTICLES
  • PRESS ROOM
LEARN
  • DICTIONARY
  • PROTEIN CLASSES
  • PROTEIN EVIDENCE
  • METHODS
  • EDUCATIONAL VIDEOS
DATA
  • DOWNLOADABLE DATA
  • PUBLICATION DATA
  • RELEASE HISTORY
HELP
  • ANTIBODY VALIDATION
  • ASSAYS & ANNOTATION
  • DISCLAIMER
  • HELP & FAQ
  • PRIVACY STATEMENT
  • LICENCE & CITATION
Fields »
Search result

Field
Term
Gene name
Class
Subclass
Class
Keyword
Chromosome
External id
Tissue
Cell type
Expression
Antibody panel
Tissue
Main location
Patient ID
Annotation
Tissue
Category
Tau score
Cluster
Reliability
Brain region
Category
Tau score
Brain region
Category
Tau score
Brain region
Category
Tau score
Cluster
Reliability
Tissue
Cell type
Enrichment
Cell type
Category
Tau score
Cell type
Category
Tau score
Cell type
Category
Tau score
Cell lineage
Category
Tau score
Cluster
Cluster
Location
Searches
Location
Cell line
Class
Type
Phase
Reliability
Cancer
Prognosis
Cancer
Category
Cancer
Category
Tau score
Cluster
Variants
Interacting gene (ensg_id)
Type
Number of interactions
Pathway
Category
Score
Score
Score
Validation
Validation
Validation
Validation
Antibodies
Data type
Column


  • SUMMARY

  • TISSUE

  • BRAIN

  • SINGLE CELL

  • SUBCELL

  • CANCER

  • BLOOD

  • CELL LINE

  • STRUCT & INT

  • SYTL1
TISSUE PRIMARY DATA STOMACH Show tissue menu
ADIPOSE TISSUE ADRENAL GLAND AMYGDALA APPENDIX BASAL GANGLIA BONE MARROW BREAST BRONCHUS CEREBELLUM CEREBRAL CORTEX CERVIX CHOROID PLEXUS COLON DUODENUM
ENDOMETRIUM EPIDIDYMIS ESOPHAGUS FALLOPIAN TUBE GALLBLADDER HEART MUSCLE HIPPOCAMPAL FORMATION HYPOTHALAMUS KIDNEY LIVER LUNG LYMPH NODE MIDBRAIN NASOPHARYNX
ORAL MUCOSA OVARY PANCREAS PARATHYROID GLAND PITUITARY GLAND PLACENTA PROSTATE RECTUM RETINA SALIVARY GLAND SEMINAL VESICLE SKELETAL MUSCLE SKIN SMALL INTESTINE
SMOOTH MUSCLE SOFT TISSUE SPINAL CORD SPLEEN STOMACH TESTIS THYMUS THYROID GLAND TONGUE TONSIL URINARY BLADDER VAGINA
ANTIBODIES
AND
VALIDATION
Dictionary
Tissue proteome
Stomach
STOMACH - Expression summary
Protein expression
Stomachi

On the top, protein expression in current human tissue, based on all annotated cell types, is reported with the units not detected (n), low (l), medium (m) and high (h). Underneath, protein expression in each annotated cell type are reported using the same units.

Protein expression data is based on knowledge-based annotation. For genes where more than one antibody has been used, a collective score is set.

If knowledge-based annotation could not be performed for a gene, no data is displayed here. View antibody staining data further down this page.

h
m
l
n
Glandular cells: High
RNA expressioni

A summary of mRNA expression data available for current tissue based on several datasets. The mRNA expression levels in human tissues are based on RNA-seq data generated by the Human Protein Atlas (HPA), Genotype-Tissue Expression (GTEx) portal and CAGE data generated by the FANTOM5 consortium. Consensus normalized expression levels for human tissues was created by combining the data from HPA and GTEx datasets.

The mRNA expression levels in pig are based on RNA-seq data generated by the Human Protein Atlas (HPA), and for mouse, HPA data and in situ hybridization generated by the Allen brain atlas are reported.

Scroll down to view mRNA expression data in more detail.
Consensus:40.6 nTPM
HPA:32.5 nTPM
GTEx:40.6 nTPM

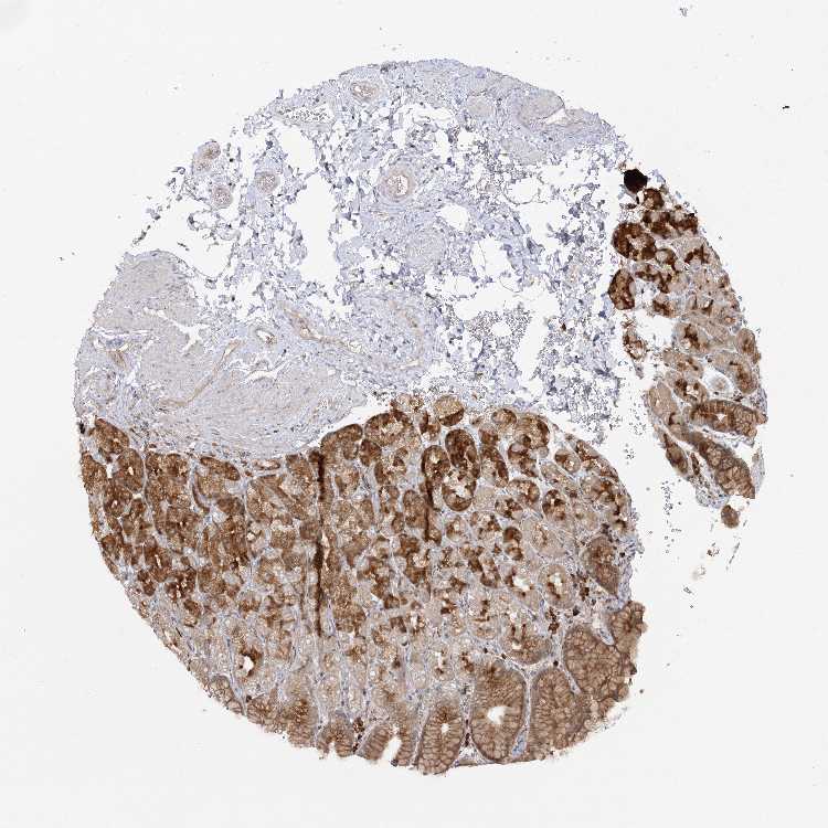
STOMACH 1 - Antibody stainingi

Antibody staining in the annotated cell types in the current human tissue is reported as not detected, low, medium, or high, based on conventional immunohistochemistry profiling in selected tissues. This score is based on the combination of the staining intensity and fraction of stained cells.

Each image is clickable and will lead to virtual microscopy that enables deeper exploration of all samples and also displays staining intensity scores, fraction scores and subcellular localization as well as patient and tissue information for each sample.

Antibody HPA037825
Glandular cells High


STOMACH 2 - Antibody stainingi

Antibody staining in the annotated cell types in the current human tissue is reported as not detected, low, medium, or high, based on conventional immunohistochemistry profiling in selected tissues. This score is based on the combination of the staining intensity and fraction of stained cells.

Each image is clickable and will lead to virtual microscopy that enables deeper exploration of all samples and also displays staining intensity scores, fraction scores and subcellular localization as well as patient and tissue information for each sample.

Antibody HPA037825
Glandular cells Medium


STOMACH - HPA RNA-seqi

The RNA-seq details section shows detailed information about the individual samples used for the transcript profiling and results of the RNA-seq analysis.

Information about each individual sample is listed below, including gender, age, a tissue section image and estimated fractions of cell types. nTPM (normalized transcripts per million) values give a quantification of the gene abundance which is comparable between different genes and samples.
Average nTPMi

Max subtype nTPM is the value for the subtype with the largest average nTPM across the subtype samples.

32.5
overview
Female, age 33
Stomach sample 61
nTPM: 23.8
Cell types%
Glandular cells:
60

Smooth muscle cells:
5

Other cell types:
35

N/A
Male, age 82
Stomach sample 240
nTPM: 37.6
Cell types%
Glandular cells:
65

Smooth muscle cells:
5

Other cell types:
30

overview
Male, age 71
Stomach sample 241
nTPM: 57.3
Cell types%
Glandular cells:
50

Smooth muscle cells:
5

Other cell types:
45

overview
Female, age 66
Stomach sample 369
nTPM: 11.2
Cell types%
Glandular cells:
50

Smooth muscle cells:
10

Other cell types:
40


STOMACH - GTEx RNA-seqi

RNA-Seq data generated by the Genotype-Tissue Expression (GTEx) project from human tissues is reported as mean nTPM. More information can be found on the GTEx portal.

Distribution across the dataset is visualized with box plots, shown as median and 25th and 75th percentiles. Points are displayed as outliers if they are above or below 1.5 times the interquartile range. nTPM values of the individual samples are presented next to the box plot.
Max subtype nTPMi

Max subtype nTPM is the value for the subtype with the largest average nTPM across the subtype samples.

40.6
GTEx sample id Sample description nTPM
Stomach
Average nTPM: 40.6
Samples: 359

Max nTPM: 149.5
Min nTPM: 0.0
Std nTPM: 29.2
Median nTPM: 45.6
GTEX-ZAB4-1526-SM-5CVN7 40-49 years, male 149.5
GTEX-1J8JJ-1726-SM-C1YQG 60-69 years, female 142.6
GTEX-XXEK-0826-SM-4BRWG 50-59 years, male 136.4
GTEX-1B97I-1226-SM-7MGWQ 40-49 years, male 118.7
GTEX-14PJ4-1626-SM-664OB 60-69 years, male 117.0
GTEX-17HII-2426-SM-7KFTT 50-59 years, male 106.3
GTEX-ZT9W-1526-SM-4YCDE 50-59 years, male 100.8
GTEX-QLQW-0726-SM-447AA 30-39 years, male 99.3
GTEX-ZEX8-1626-SM-4WKG7 50-59 years, male 96.8
GTEX-12696-1726-SM-5EQLH 60-69 years, male 96.3
GTEX-1GF9U-1126-SM-AHZ4H 40-49 years, female 96.0
GTEX-PX3G-1526-SM-48U11 20-29 years, female 91.6
GTEX-13PVR-2126-SM-73KVR 60-69 years, female 91.5
GTEX-T6MO-0726-SM-4DM58 40-49 years, female 90.3
GTEX-1HKZK-1526-SM-B2LWG 40-49 years, male 89.2
GTEX-14BIL-1926-SM-73KYI 50-59 years, male 88.3
GTEX-144GM-1726-SM-5O9AS 20-29 years, male 88.0
GTEX-XBED-1226-SM-4AT5V 60-69 years, male 87.1
GTEX-12WSG-2026-SM-5FQUU 50-59 years, female 86.3
GTEX-1I1HK-2026-SM-CNNRB 60-69 years, male 83.8
GTEX-1LVAN-2426-SM-CNNPZ 50-59 years, female 82.6
GTEX-W5WG-1726-SM-4LMI5 50-59 years, female 82.1
GTEX-ZPU1-1626-SM-4WWB2 40-49 years, male 81.1
GTEX-1QP2A-2126-SM-DPRZ7 50-59 years, male 80.9
GTEX-14PKV-1826-SM-69LO9 20-29 years, female 79.9
GTEX-RWS6-0926-SM-47JXE 60-69 years, female 79.8
GTEX-ZDYS-1926-SM-5HL59 50-59 years, male 79.7
GTEX-Q2AI-0826-SM-48TZO 40-49 years, male 79.1
GTEX-V955-1326-SM-4JBHR 60-69 years, male 77.9
GTEX-QLQ7-0826-SM-447B3 60-69 years, male 77.8
GTEX-PWCY-0926-SM-48TD7 20-29 years, female 77.3
GTEX-1LSNM-1026-SM-DHXL2 50-59 years, male 77.1
GTEX-13O21-0926-SM-5IFGT 50-59 years, male 75.1
GTEX-S3XE-1026-SM-4AD4O 50-59 years, male 75.1
GTEX-WFG8-1326-SM-4LVN3 20-29 years, male 74.9
GTEX-1J8Q3-1926-SM-C1YSJ 60-69 years, male 73.9
GTEX-1RQEC-2126-SM-DPS15 60-69 years, male 73.3
GTEX-ZV7C-1626-SM-5NQ7E 50-59 years, male 73.2
GTEX-ZLFU-1326-SM-DO11R 40-49 years, male 72.9
GTEX-1J8QM-1126-SM-C1YQB 60-69 years, female 72.1
GTEX-1H1E6-1626-SM-9OSWC 30-39 years, male 72.0
GTEX-PWN1-1526-SM-48TDA 40-49 years, female 71.3
GTEX-RM2N-0826-SM-48FD3 50-59 years, male 70.8
GTEX-11NSD-1426-SM-5HL67 20-29 years, male 70.7
GTEX-TMMY-1626-SM-4DXTY 40-49 years, female 70.2
GTEX-17MF6-2126-SM-7KFS7 40-49 years, male 69.8
GTEX-1AYCT-1326-SM-7MKHB 50-59 years, male 69.7
GTEX-ZZ64-0426-SM-5E43F 20-29 years, male 69.7
GTEX-13OW6-2526-SM-5IJEC 50-59 years, male 69.6
GTEX-111CU-0926-SM-5EGIK 50-59 years, male 69.5
GTEX-T5JW-0926-SM-4DM5K 20-29 years, female 69.4
GTEX-Y5V6-1326-SM-4VDTF 60-69 years, male 68.7
GTEX-UJMC-1226-SM-4IHLI 50-59 years, male 68.5
GTEX-XMK1-1526-SM-EYYVO 40-49 years, male 68.3
GTEX-1RB15-1026-SM-E9U6V 60-69 years, male 67.8
GTEX-15CHR-1326-SM-79OLT 50-59 years, male 67.7
GTEX-U3ZN-2026-SM-4DXUC 30-39 years, female 67.7
GTEX-WRHK-0626-SM-4MVOE 20-29 years, female 67.4
GTEX-X15G-1126-SM-4PQZG 50-59 years, female 67.3
GTEX-15UF7-1226-SM-6M46G 40-49 years, male 66.8
GTEX-144GN-1226-SM-5O991 50-59 years, male 65.8
GTEX-1H1DG-2126-SM-9WPPB 70-79 years, male 65.8
GTEX-Y8LW-0826-SM-4WWDO 50-59 years, female 65.4
GTEX-1QMI2-2126-SM-DPRXQ 60-69 years, male 64.8
GTEX-WFON-1126-SM-4LVMA 40-49 years, male 64.5
GTEX-11TT1-0726-SM-5GU5A 20-29 years, male 64.1
GTEX-SUCS-0926-SM-4DM4Z 70-79 years, male 64.1
GTEX-1B8KZ-1226-SM-793CP 50-59 years, male 63.7
GTEX-1I6K7-1726-SM-B2LXQ 40-49 years, male 63.5
GTEX-1399R-1126-SM-5IFIO 30-39 years, male 63.4
GTEX-QV31-0626-SM-447C5 30-39 years, male 63.2
GTEX-14BMU-1126-SM-5RQJ8 20-29 years, female 63.1
GTEX-WHWD-1426-SM-4OORU 50-59 years, male 62.9
GTEX-139YR-1926-SM-5LZXM 50-59 years, male 62.8
GTEX-1QCLZ-1826-SM-DPRXP 60-69 years, female 62.5
GTEX-1LGOU-1526-SM-D3LAJ 20-29 years, female 62.1
GTEX-13OVK-0926-SM-7KUFX 40-49 years, male 61.8
GTEX-11GSP-2126-SM-5HL5E 60-69 years, female 61.7
GTEX-1KXAM-0926-SM-CXZKA 60-69 years, male 61.1
GTEX-1ICG6-1826-SM-AHZ2O 70-79 years, female 60.8
GTEX-PW2O-1226-SM-48TCH 20-29 years, male 60.2
GTEX-13U4I-2526-SM-5SI8Z 40-49 years, female 59.4
GTEX-Q734-1026-SM-48U16 40-49 years, female 59.4
GTEX-S95S-0826-SM-4B64N 60-69 years, male 59.3
GTEX-XUZC-0726-SM-4BOPH 30-39 years, female 58.9
GTEX-VJYA-1026-SM-4KL21 60-69 years, male 58.7
GTEX-QV44-1226-SM-CJI1S 50-59 years, male 58.7
GTEX-WYVS-1326-SM-4ONCQ 40-49 years, female 58.6
GTEX-Y3IK-1426-SM-4YCES 50-59 years, female 58.5
GTEX-OXRK-1626-SM-3NB17 50-59 years, female 58.4
GTEX-17F9E-2226-SM-7IGNC 50-59 years, male 58.0
GTEX-13QBU-1126-SM-5LU44 40-49 years, female 57.8
GTEX-YFCO-0826-SM-5LUAG 40-49 years, male 57.5
GTEX-WFG7-1326-SM-4LMK1 20-29 years, male 57.4
GTEX-P78B-1826-SM-3P5YX 40-49 years, female 57.2
GTEX-ZGAY-1626-SM-DNZZ3 40-49 years, female 57.2
GTEX-WYJK-2526-SM-4ONDF 50-59 years, male 56.9
GTEX-YJ8A-1526-SM-5P9FT 20-29 years, male 56.7
GTEX-111YS-1126-SM-5GZYQ 60-69 years, male 56.6
GTEX-14PJ5-0826-SM-6AJAR 60-69 years, female 56.6
GTEX-1122O-1926-SM-5EGIQ 60-69 years, female 56.4
GTEX-QMRM-1126-SM-447BN 50-59 years, male 56.2
GTEX-18D9A-0626-SM-7KFTY 30-39 years, female 56.1
GTEX-ZF29-1526-SM-4WKF7 60-69 years, female 55.9
GTEX-14DAR-0926-SM-73KUQ 50-59 years, male 55.8
GTEX-117YW-2226-SM-5N9DB 50-59 years, male 54.5
GTEX-15RIE-1026-SM-6LPJQ 60-69 years, male 54.5
GTEX-YB5E-1126-SM-664NU 40-49 years, male 54.5
GTEX-U4B1-1026-SM-4DXT1 40-49 years, male 54.4
GTEX-18A66-2226-SM-7189E 60-69 years, male 54.2
GTEX-11EM3-1026-SM-5A5KL 20-29 years, female 54.0
GTEX-ZVT2-1626-SM-51MRC 50-59 years, female 54.0
GTEX-1J8EW-2226-SM-AHZ3T 60-69 years, female 54.0
GTEX-Q2AH-1126-SM-48TZM 40-49 years, male 53.9
GTEX-117YX-1026-SM-5H11V 50-59 years, male 53.6
GTEX-145LT-1426-SM-5O9B3 40-49 years, male 53.6
GTEX-OXRL-1526-SM-E6CHQ 50-59 years, male 53.6
GTEX-14DAQ-2826-SM-664MU 60-69 years, female 53.5
GTEX-1R7EU-1126-SM-EAZ4M 60-69 years, male 53.4
GTEX-ZLV1-0826-SM-DO11P 60-69 years, female 53.1
GTEX-13D11-2126-SM-5IFH2 50-59 years, female 53.0
GTEX-145MN-1326-SM-5NQ9S 30-39 years, male 53.0
GTEX-14B4R-0726-SM-5TDDR 30-39 years, male 53.0
GTEX-18QFQ-1226-SM-718AE 30-39 years, male 52.9
GTEX-13FTW-1726-SM-5KM2B 40-49 years, male 52.8
GTEX-S341-0626-SM-4AD5T 40-49 years, female 52.5
GTEX-18A7A-2726-SM-7LG6U 50-59 years, female 52.3
GTEX-ZA64-0826-SM-5HL9U 20-29 years, male 52.1
GTEX-1MJIX-1126-SM-EV7AO 40-49 years, male 52.1
GTEX-1IDJD-2426-SM-C1YS6 30-39 years, male 51.5
GTEX-1E1VI-2826-SM-7MGWU 50-59 years, male 51.4
GTEX-13CF3-1926-SM-5K7WF 60-69 years, female 51.2
GTEX-14PHX-1026-SM-664OL 50-59 years, male 51.2
GTEX-17HHE-1026-SM-79ON6 50-59 years, male 51.0
GTEX-WXYG-1626-SM-4ONCR 50-59 years, female 51.0
GTEX-1H3VY-2326-SM-9WG81 50-59 years, male 50.9
GTEX-131XG-1226-SM-5EGH9 50-59 years, female 50.8
GTEX-1C475-1026-SM-7MKFJ 40-49 years, female 50.8
GTEX-P4PP-1526-SM-3P61M 30-39 years, female 50.8
GTEX-17GQL-1226-SM-7KFTS 60-69 years, male 50.7
GTEX-1JMQJ-1326-SM-D4P3B 50-59 years, male 50.7
GTEX-V1D1-1726-SM-4JBHB 50-59 years, male 50.6
GTEX-1A8G6-1426-SM-731EZ 60-69 years, male 50.5
GTEX-1MGNQ-1826-SM-DPRYI 40-49 years, male 50.5
GTEX-WEY5-1226-SM-4LMIQ 40-49 years, female 50.4
GTEX-ZYY3-1726-SM-5EGH3 60-69 years, female 50.4
GTEX-O5YV-1926-SM-EV797 60-69 years, female 50.4
GTEX-1AMFI-1226-SM-731CZ 50-59 years, female 50.1
GTEX-1RAZR-1526-SM-EAZ4U 40-49 years, male 49.9
GTEX-QDVN-1226-SM-48TZ5 50-59 years, male 49.8
GTEX-15DCE-1626-SM-6LPJM 20-29 years, male 49.7
GTEX-R53T-1226-SM-48FCT 50-59 years, female 49.7
GTEX-1LG7Z-1226-SM-DHXK4 30-39 years, male 49.7
GTEX-14PJ3-1426-SM-664O8 50-59 years, male 49.6
GTEX-1GZ4H-1026-SM-9OSXL 50-59 years, female 49.3
GTEX-S4Q7-0726-SM-4AD5F 20-29 years, male 49.2
GTEX-14JG6-1226-SM-664O6 30-39 years, female 48.9
GTEX-SNMC-0626-SM-4DM6H 20-29 years, male 48.9
GTEX-17F98-1526-SM-7EWD8 40-49 years, female 48.8
GTEX-1JMLX-2426-SM-CXZJQ 50-59 years, male 48.7
GTEX-S4UY-1626-SM-4AD55 40-49 years, female 48.4
GTEX-Y5LM-1326-SM-5RQIS 40-49 years, female 47.9
GTEX-13FTX-0726-SM-5N9BI 20-29 years, female 47.6
GTEX-1RMOY-1126-SM-EV79E 50-59 years, male 47.5
GTEX-14E6E-0926-SM-664N8 30-39 years, male 47.3
GTEX-OHPM-1526-SM-EV796 50-59 years, male 47.3
GTEX-XQ8I-2026-SM-4BOOL 50-59 years, male 47.0
GTEX-132QS-1826-SM-5IFFN 60-69 years, male 46.9
GTEX-OOBJ-1526-SM-3NB1Q 60-69 years, male 46.8
GTEX-QDVJ-1426-SM-48U1Y 50-59 years, male 46.8
GTEX-Y9LG-1026-SM-5IFJN 30-39 years, male 46.6
GTEX-1HBPI-0726-SM-9WG7Z 50-59 years, male 46.6
GTEX-1CAMR-0726-SM-7EPIE 20-29 years, male 46.5
GTEX-1LBAC-1426-SM-CXZKT 20-29 years, male 46.5
GTEX-1JKYN-1726-SM-AHZ48 30-39 years, male 46.2
GTEX-1HBPN-1626-SM-9WPNP 50-59 years, male 46.0
GTEX-OHPK-1526-SM-3MJGM 50-59 years, female 45.8
GTEX-YEC4-1426-SM-5IFHS 40-49 years, male 45.8
GTEX-O5YW-1526-SM-3MJGL 50-59 years, male 45.7
GTEX-1LGRB-1726-SM-CNNRA 50-59 years, female 45.6
GTEX-1R9K5-1026-SM-EAZ4F 50-59 years, male 45.6
GTEX-ZP4G-1226-SM-4WWCJ 20-29 years, female 45.3
GTEX-ZY6K-0726-SM-5A5L8 50-59 years, male 44.8
GTEX-ZVP2-1626-SM-5GU5D 50-59 years, male 44.7
GTEX-ZVZP-1726-SM-5GZWY 50-59 years, male 44.7
GTEX-11DXX-1326-SM-5GIDZ 60-69 years, female 44.2
GTEX-1QPFJ-1526-SM-DPRXT 30-39 years, female 44.2
GTEX-17HGU-2126-SM-7IGOV 50-59 years, male 44.1
GTEX-18A67-2626-SM-718AD 50-59 years, male 44.1
GTEX-Y3I4-1626-SM-4TT7W 50-59 years, male 44.1
GTEX-ZXES-1426-SM-5NQ8S 30-39 years, female 44.1
GTEX-1A3MX-1926-SM-72D7F 60-69 years, male 44.0
GTEX-145ME-1026-SM-5O9B4 40-49 years, female 43.8
GTEX-1B97J-1826-SM-7IGPP 50-59 years, female 43.8
GTEX-ZQUD-0826-SM-57WDQ 30-39 years, male 43.4
GTEX-QCQG-0526-SM-48U2A 50-59 years, female 43.3
GTEX-ZF2S-1426-SM-57WET 50-59 years, female 43.0
GTEX-16AAH-1226-SM-79OO9 50-59 years, male 42.9
GTEX-1B8KE-1326-SM-73KVI 50-59 years, male 42.7
GTEX-OIZF-1526-SM-2I5GR 60-69 years, male 42.4
GTEX-NFK9-1526-SM-3LK7B 40-49 years, male 42.2
GTEX-1HFI7-1526-SM-9WG7W 50-59 years, female 42.0
GTEX-SNOS-0826-SM-4DM5N 40-49 years, male 41.9
GTEX-13113-0726-SM-5LZUF 60-69 years, female 41.2
GTEX-ZLWG-1526-SM-DO12F 50-59 years, female 41.1
GTEX-1HCU8-1326-SM-C1YQQ 60-69 years, female 40.8
GTEX-12BJ1-1726-SM-5HL9B 60-69 years, male 40.6
GTEX-QXCU-1926-SM-48FE4 50-59 years, male 40.5
GTEX-13PVQ-2126-SM-5L3FW 50-59 years, male 39.8
GTEX-11I78-1726-SM-5A5M3 50-59 years, female 39.7
GTEX-12WSK-1426-SM-5CVNN 40-49 years, female 39.7
GTEX-14ICL-0826-SM-5YY9W 30-39 years, male 39.6
GTEX-1F75I-1826-SM-7MKGX 40-49 years, male 39.5
GTEX-ZYFG-1326-SM-5GICJ 60-69 years, female 39.5
GTEX-13FH7-1026-SM-5IJGF 50-59 years, female 39.4
GTEX-131XF-1226-SM-5HL8V 60-69 years, male 39.3
GTEX-1H23P-2726-SM-9JGHN 60-69 years, male 39.1
GTEX-ZVT3-2126-SM-59HL2 60-69 years, female 39.0
GTEX-15DZA-1126-SM-6LPK8 30-39 years, female 38.8
GTEX-13S7M-1826-SM-5RQK6 60-69 years, female 38.7
GTEX-WHSB-1226-SM-4M1XR 50-59 years, male 38.6
GTEX-1399S-1626-SM-5P9GI 30-39 years, female 38.2
GTEX-ZZPU-1426-SM-5GZZ6 50-59 years, female 37.7
GTEX-1GN1W-2126-SM-9JGI7 50-59 years, female 37.5
GTEX-11NUK-2426-SM-5BC4U 50-59 years, male 37.4
GTEX-1JK1U-1326-SM-AHZ45 60-69 years, male 37.1
GTEX-1KANA-1126-SM-D3L9M 20-29 years, male 37.0
GTEX-1F5PL-1426-SM-7MKFH 40-49 years, female 36.6
GTEX-1JMPZ-1826-SM-CXZJT 30-39 years, male 36.5
GTEX-1GL5R-1926-SM-9WG7U 50-59 years, male 35.8
GTEX-1MUQO-1926-SM-EAZ59 60-69 years, male 35.7
GTEX-WY7C-1726-SM-4ONCC 50-59 years, male 35.0
GTEX-13X6J-2126-SM-5TDCV 50-59 years, male 34.6
GTEX-1AMEY-1226-SM-731DU 30-39 years, female 34.4
GTEX-1A3MV-1226-SM-718BW 30-39 years, male 33.9
GTEX-XV7Q-1326-SM-4BRWM 40-49 years, female 33.8
GTEX-1QCLY-1126-SM-EAZ4J 30-39 years, male 32.5
GTEX-PLZ5-1226-SM-EXOHA 50-59 years, male 31.9
GTEX-POMQ-0826-SM-3P61H 20-29 years, female 31.8
GTEX-1I1GT-1726-SM-C1YS3 60-69 years, female 31.5
GTEX-145MO-2226-SM-5Q5BN 60-69 years, male 30.3
GTEX-14PJ6-0826-SM-686Z9 60-69 years, female 30.1
GTEX-WHPG-0426-SM-4M1XW 50-59 years, male 29.7
GTEX-1GMRU-2526-SM-9WG7T 50-59 years, male 29.1
GTEX-T8EM-1226-SM-4DM5J 40-49 years, male 28.1
GTEX-1QP29-2326-SM-EXOJO 50-59 years, male 27.8
GTEX-12WSD-2326-SM-59HKQ 60-69 years, female 27.4
GTEX-1IDJU-1526-SM-CNNR3 60-69 years, female 27.2
GTEX-1JN1M-2926-SM-CNNPJ 60-69 years, female 26.9
GTEX-RTLS-2626-SM-46MUJ 60-69 years, female 26.6
GTEX-1I4MK-0926-SM-A9SLD 50-59 years, female 26.0
GTEX-133LE-1326-SM-5IFGO 20-29 years, female 25.2
GTEX-1AX9J-2626-SM-731EK 60-69 years, male 25.2
GTEX-139D8-2326-SM-5IFGE 30-39 years, female 24.6
GTEX-13RTK-0226-SM-5RQHR 20-29 years, male 24.4
GTEX-1HSEH-1526-SM-B2LXG 60-69 years, male 23.1
GTEX-Y8E4-1526-SM-4WWDI 40-49 years, male 22.9
GTEX-XBEW-1826-SM-4RTWX 40-49 years, male 22.7
GTEX-15G19-1526-SM-6LPKP 60-69 years, male 18.9
GTEX-132AR-2426-SM-5IFFD 50-59 years, female 18.5
GTEX-1H11D-2226-SM-9OSXN 40-49 years, male 16.4
GTEX-WZTO-2126-SM-4PQYW 40-49 years, male 16.3
GTEX-16NGA-1526-SM-72D56 40-49 years, female 15.5
GTEX-1F5PK-1826-SM-7RHHX 50-59 years, male 15.1
GTEX-14BMV-2226-SM-5RQHX 50-59 years, male 14.5
GTEX-17JCI-2226-SM-7LTA1 60-69 years, female 14.0
GTEX-18D9B-2226-SM-718BM 60-69 years, male 8.9
GTEX-1JMPY-0926-SM-ARL92 30-39 years, male 8.9
GTEX-S7SF-0626-SM-4AD4V 20-29 years, female 8.8
GTEX-11EI6-2426-SM-5PNVS 60-69 years, male 5.9
GTEX-T5JC-1926-SM-4DM6Q 20-29 years, male 5.1
GTEX-146FH-2126-SM-5SI9U 50-59 years, female 5.0
GTEX-1MCYP-1126-SM-E9J2P 20-29 years, female 4.7
GTEX-QDT8-2026-SM-EZ6LS 30-39 years, female 4.5
GTEX-1HSMQ-2426-SM-CE6RY 50-59 years, male 3.4
GTEX-1PPH8-1326-SM-DTXFO 20-29 years, male 2.7
GTEX-1L5NE-1526-SM-DIPFW 50-59 years, male 2.4
GTEX-13OVI-2426-SM-5KM4J 60-69 years, female 2.3
GTEX-11P82-0726-SM-5PNYL 20-29 years, male 2.1
GTEX-15G1A-1226-SM-7KUF3 30-39 years, male 1.9
GTEX-15SHW-2126-SM-6M46Y 60-69 years, male 1.8
GTEX-TKQ2-0926-SM-4DXU5 50-59 years, male 1.6
GTEX-1KD5A-1426-SM-D4P3V 50-59 years, male 1.6
GTEX-1N2DV-0926-SM-E9TJT 40-49 years, male 1.6
GTEX-1211K-1426-SM-5FQTF 60-69 years, female 1.3
GTEX-ZYVF-2726-SM-5GID4 50-59 years, female 1.3
GTEX-1HCUA-1626-SM-A9SMG 50-59 years, female 1.3
GTEX-14PHY-0926-SM-5ZZWL 60-69 years, female 1.2
GTEX-1HR9M-2326-SM-CNPPZ 60-69 years, male 1.2
GTEX-13111-1226-SM-5GCNC 50-59 years, male 1.1
GTEX-UJHI-1026-SM-4IHJP 50-59 years, female 1.1
GTEX-UPK5-2126-SM-4JBJK 40-49 years, male 1.1
GTEX-ZPIC-2026-SM-57WG3 40-49 years, female 1.1
GTEX-14PKU-1126-SM-69LOU 40-49 years, female 1.0
GTEX-1E2YA-2426-SM-7EPIG 50-59 years, male 1.0
GTEX-R55D-1526-SM-48FEJ 50-59 years, male 1.0
GTEX-1QW4Y-0726-SM-DTX8E 30-39 years, male 1.0
GTEX-1LVAM-1426-SM-E9TJ4 50-59 years, female 0.9
GTEX-1PIGE-1126-SM-EWRMV 20-29 years, male 0.9
GTEX-11EQ9-1226-SM-5987E 30-39 years, male 0.8
GTEX-11VI4-0326-SM-5EQ6L 40-49 years, female 0.8
GTEX-11WQK-2626-SM-5EQ4K 50-59 years, male 0.8
GTEX-146FR-2026-SM-5NQAI 60-69 years, female 0.8
GTEX-S4Z8-1226-SM-4AD6W 60-69 years, male 0.8
GTEX-ZE7O-3026-SM-51MS4 50-59 years, female 0.8
GTEX-1CB4H-2426-SM-7PBYR 60-69 years, female 0.8
GTEX-1H1DE-1226-SM-9JGHH 20-29 years, male 0.8
GTEX-1NSGN-1926-SM-E9J36 50-59 years, male 0.8
GTEX-12C56-0526-SM-5FQST 20-29 years, male 0.7
GTEX-15RIF-1126-SM-7KUG2 20-29 years, male 0.7
GTEX-17EUY-1526-SM-793CA 20-29 years, male 0.7
GTEX-R55C-1026-SM-48FCM 40-49 years, male 0.7
GTEX-S4P3-0726-SM-4AD57 50-59 years, female 0.7
GTEX-XAJ8-0326-SM-47JYI 40-49 years, male 0.7
GTEX-1S3DN-1526-SM-EVYCB 50-59 years, male 0.7
GTEX-13O3Q-2126-SM-5KM4C 50-59 years, male 0.6
GTEX-P4PQ-1526-SM-3NMCK 60-69 years, male 0.6
GTEX-1HT8W-2326-SM-A9SLA 30-39 years, male 0.6
GTEX-1IL2V-2026-SM-ARZMA 70-79 years, male 0.6
GTEX-1QP28-2126-SM-DTX8B 50-59 years, female 0.6
GTEX-1S831-1126-SM-EWROI 20-29 years, male 0.6
GTEX-13O61-1126-SM-5L3FI 60-69 years, male 0.5
GTEX-13QJ3-2726-SM-5SI6L 50-59 years, male 0.5
GTEX-PLZ6-0826-SM-3P61K 30-39 years, male 0.5
GTEX-Y114-1226-SM-4TT88 50-59 years, female 0.5
GTEX-1EH9U-2226-SM-7PBXX 60-69 years, male 0.5
GTEX-1JN76-0926-SM-ARZNH 20-29 years, female 0.5
GTEX-1QP67-1026-SM-EVR47 40-49 years, female 0.5
GTEX-131XE-2226-SM-5PNYX 50-59 years, male 0.4
GTEX-14PN3-1326-SM-6AJ9U 60-69 years, female 0.4
GTEX-17KNJ-1526-SM-7LTA9 50-59 years, male 0.4
GTEX-1CB4E-1326-SM-7DUGD 60-69 years, male 0.4
GTEX-P4QT-1526-SM-3NMCT 50-59 years, female 0.4
GTEX-RU1J-0526-SM-46MUT 20-29 years, female 0.4
GTEX-WFJO-1126-SM-4LVLZ 30-39 years, male 0.4
GTEX-1GPI7-1326-SM-9KNVA 20-29 years, male 0.4
GTEX-1H3NZ-2226-SM-9WYUT 60-69 years, male 0.4
GTEX-1K2DA-0826-SM-CGQGD 50-59 years, male 0.4
GTEX-RUSQ-1126-SM-EAZAU 50-59 years, male 0.4
GTEX-YEC3-1426-SM-D4P1S 50-59 years, male 0.4
GTEX-11P7K-1726-SM-5GU6F 30-39 years, male 0.3
GTEX-12WSJ-0926-SM-5P9JD 40-49 years, female 0.3
GTEX-1399U-1626-SM-5P9J3 50-59 years, female 0.3
GTEX-13N1W-2026-SM-5K7YU 70-79 years, male 0.3
GTEX-1B8L1-1526-SM-79OLK 60-69 years, male 0.3
GTEX-XPVG-1526-SM-4B66C 50-59 years, male 0.3
GTEX-ZTX8-0426-SM-59HLG 20-29 years, male 0.3
GTEX-ZV6S-0926-SM-57WGB 40-49 years, female 0.3
GTEX-1IDJF-1426-SM-ACKWK 20-29 years, male 0.3
GTEX-1339X-1426-SM-5K7YO 40-49 years, male 0.2
GTEX-13X6H-1626-SM-5Q5CT 50-59 years, female 0.2
GTEX-15EU6-2526-SM-7KUGB 50-59 years, male 0.2
GTEX-1C64O-2226-SM-73KTV 60-69 years, male 0.2
GTEX-OIZH-1526-SM-3NB1J 50-59 years, male 0.2
GTEX-R55G-1126-SM-48FDG 40-49 years, female 0.2
GTEX-14E1K-1526-SM-664MN 50-59 years, male 0.1
GTEX-TKQ1-0526-SM-4DXTG 30-39 years, male 0.1
GTEX-1S82Z-1726-SM-E6CHZ 30-39 years, female 0.1
GTEX-WH7G-1526-SM-4LVMX 40-49 years, male 0.0
Show allShow less

Contact

  • NEWS ARTICLES
  • PRESS ROOM

The Project

  • INTRODUCTION
  • ORGANIZATION
  • PUBLICATIONS

The Human Protein Atlas

  • DOWNLOADABLE DATA
  • LICENCE & CITATION
  • HELP & FAQ
The Human Protein Atlas project is funded
by the Knut & Alice Wallenberg Foundation.


contact@proteinatlas.org