We use cookies to enhance the usability of our website. If you continue, we'll assume that you are happy to receive all cookies. More information. Don't show this again.
S100A7
HPA
RESOURCES
  • TISSUE
  • BRAIN
  • SINGLE CELL
  • SUBCELLULAR
  • CANCER
  • BLOOD
  • CELL LINE
  • STRUCTURE & INTERACTION
ABOUT
  • INTRODUCTION
  • HISTORY
  • ORGANIZATION
  • PUBLICATIONS
  • ANTIBODY SUBMISSION
  • ANTIBODY AVAILABILITY
  • ACKNOWLEDGMENTS
  • CONTACT
NEWS
  • NEWS ARTICLES
  • PRESS ROOM
LEARN
  • DICTIONARY
  • PROTEIN CLASSES
  • PROTEIN EVIDENCE
  • METHODS
  • EDUCATIONAL VIDEOS
DATA
  • DOWNLOADABLE DATA
  • PUBLICATION DATA
  • RELEASE HISTORY
HELP
  • ANTIBODY VALIDATION
  • ASSAYS & ANNOTATION
  • DISCLAIMER
  • HELP & FAQ
  • PRIVACY STATEMENT
  • LICENCE & CITATION
Fields »
Search result

Field
Term
Gene name
Class
Subclass
Class
Keyword
Chromosome
External id
Tissue
Cell type
Expression
Antibody panel
Tissue
Main location
Patient ID
Annotation
Tissue
Category
Tau score
Cluster
Reliability
Brain region
Category
Tau score
Brain region
Category
Tau score
Brain region
Category
Tau score
Cluster
Reliability
Tissue
Cell type
Enrichment
Cell type
Category
Tau score
Cell type
Category
Tau score
Cell type
Category
Tau score
Cell lineage
Category
Tau score
Cluster
Cluster
Location
Searches
Location
Cell line
Class
Type
Phase
Reliability
Cancer
Prognosis
Cancer
Category
Cancer
Category
Tau score
Cluster
Variants
Interacting gene (ensg_id)
Type
Number of interactions
Pathway
Category
Score
Score
Score
Validation
Validation
Validation
Validation
Antibodies
Data type
Column


  • SUMMARY

  • TISSUE

  • BRAIN

  • SINGLE CELL

  • SUBCELL

  • CANCER

  • BLOOD

  • CELL LINE

  • STRUCT & INT

  • S100A7
TISSUE PRIMARY DATA ESOPHAGUS Show tissue menu
ADIPOSE TISSUE ADRENAL GLAND AMYGDALA APPENDIX BASAL GANGLIA BONE MARROW BREAST BRONCHUS CEREBELLUM CEREBRAL CORTEX CERVIX CHOROID PLEXUS COLON DUODENUM
ENDOMETRIUM EPIDIDYMIS ESOPHAGUS FALLOPIAN TUBE GALLBLADDER HEART MUSCLE HIPPOCAMPAL FORMATION HYPOTHALAMUS KIDNEY LIVER LUNG LYMPH NODE MIDBRAIN NASOPHARYNX
ORAL MUCOSA OVARY PANCREAS PARATHYROID GLAND PITUITARY GLAND PLACENTA PROSTATE RECTUM RETINA SALIVARY GLAND SEMINAL VESICLE SKELETAL MUSCLE SKIN SMALL INTESTINE
SMOOTH MUSCLE SOFT TISSUE SPINAL CORD SPLEEN STOMACH TESTIS THYMUS THYROID GLAND TONGUE TONSIL URINARY BLADDER VAGINA
ANTIBODIES
AND
VALIDATION
Dictionary
Esophagus
Tissue proteome
Esophagus
ESOPHAGUS - Expression summary
Protein expression
Esophagusi

On the top, protein expression in current human tissue, based on all annotated cell types, is reported with the units not detected (n), low (l), medium (m) and high (h). Underneath, protein expression in each annotated cell type are reported using the same units.

Protein expression data is based on knowledge-based annotation. For genes where more than one antibody has been used, a collective score is set.

If knowledge-based annotation could not be performed for a gene, no data is displayed here. View antibody staining data further down this page.

h
m
l
n
Squamous epithelial cells: Medium
RNA expressioni

A summary of mRNA expression data available for current tissue based on several datasets. The mRNA expression levels in human tissues are based on RNA-seq data generated by the Human Protein Atlas (HPA), Genotype-Tissue Expression (GTEx) portal and CAGE data generated by the FANTOM5 consortium. Consensus normalized expression levels for human tissues was created by combining the data from HPA and GTEx datasets.

The mRNA expression levels in pig are based on RNA-seq data generated by the Human Protein Atlas (HPA), and for mouse, HPA data and in situ hybridization generated by the Allen brain atlas are reported.

Scroll down to view mRNA expression data in more detail.
Consensus:1036.0 nTPM
HPA:106.9 nTPM
GTEx:1036.0 nTPM
FANTOM5:465.9 Scaled Tags Per Million

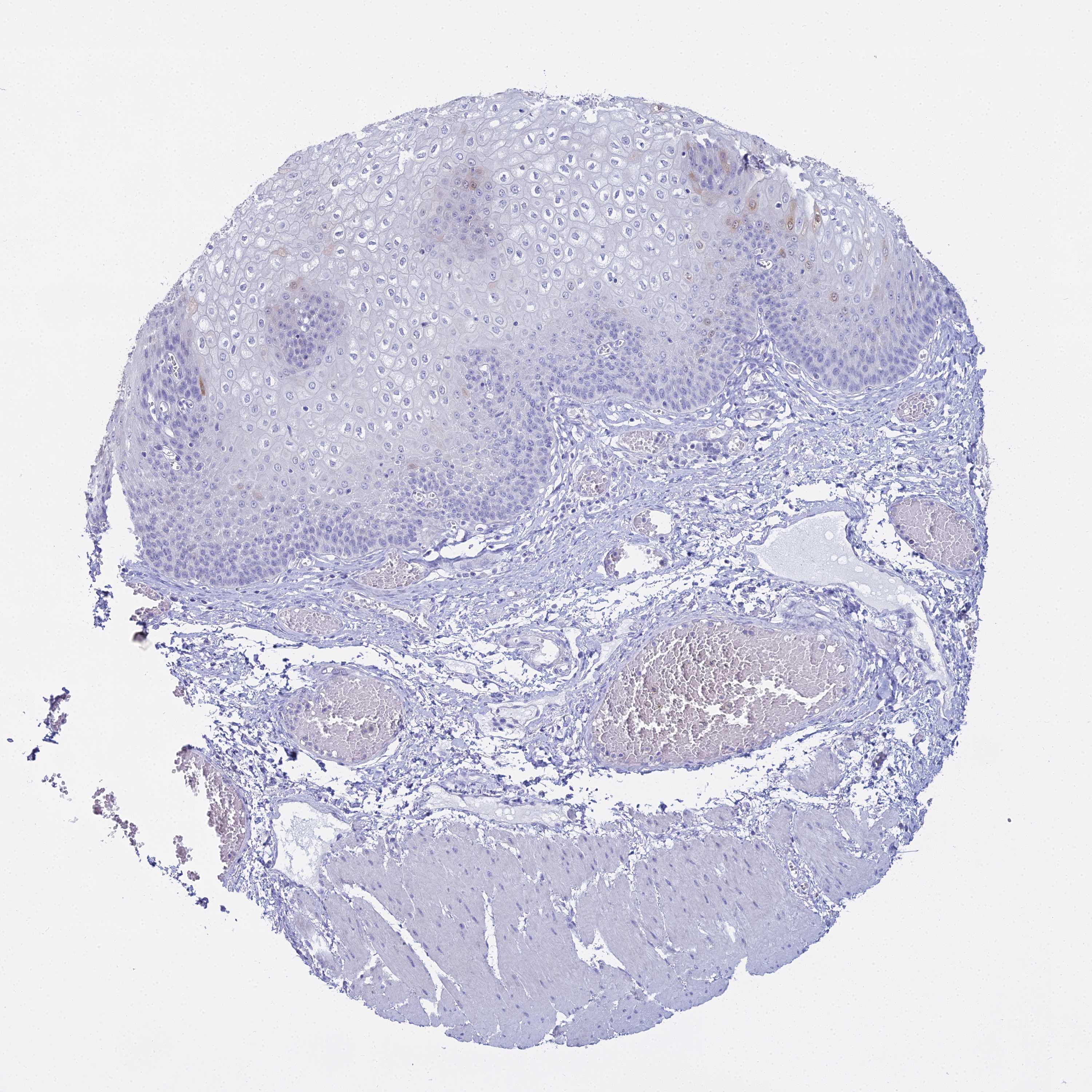
ESOPHAGUS - Antibody stainingi

Antibody staining in the annotated cell types in the current human tissue is reported as not detected, low, medium, or high, based on conventional immunohistochemistry profiling in selected tissues. This score is based on the combination of the staining intensity and fraction of stained cells.

Each image is clickable and will lead to virtual microscopy that enables deeper exploration of all samples and also displays staining intensity scores, fraction scores and subcellular localization as well as patient and tissue information for each sample.

Antibody HPA006997Antibody CAB001453Antibody CAB033766
Squamous epithelial cells MediumHighMedium





ESOPHAGUS - HPA RNA-seqi

The RNA-seq details section shows detailed information about the individual samples used for the transcript profiling and results of the RNA-seq analysis.

Information about each individual sample is listed below, including gender, age, a tissue section image and estimated fractions of cell types. nTPM (normalized transcripts per million) values give a quantification of the gene abundance which is comparable between different genes and samples.
Average nTPMi

Max subtype nTPM is the value for the subtype with the largest average nTPM across the subtype samples.

106.9
overview
Female, age 70
Esophagus sample 130
nTPM: 124
Cell types%
Squamous epithelial cells:
35

Smooth muscle cells:
15

Skeletal muscle cells:
5

Other cell types:
45

overview
Male, age 38
Esophagus sample 131
nTPM: 184.9
Cell types%
Squamous epithelial cells:
60

Smooth muscle cells:
20

Other cell types:
20

overview
Male, age 76
Esophagus sample 132
nTPM: 11.7
Cell types%
Squamous epithelial cells:
45

Smooth muscle cells:
15

Other cell types:
40


ESOPHAGUS - GTEx RNA-seqi

RNA-Seq data generated by the Genotype-Tissue Expression (GTEx) project from human tissues is reported as mean nTPM. More information can be found on the GTEx portal.

Distribution across the dataset is visualized with box plots, shown as median and 25th and 75th percentiles. Points are displayed as outliers if they are above or below 1.5 times the interquartile range. nTPM values of the individual samples are presented next to the box plot.
Max subtype nTPMi

Max subtype nTPM is the value for the subtype with the largest average nTPM across the subtype samples.

1036.0
GTEx sample id Sample description nTPM
Esophagus - Mucosa
Average nTPM: 1036.0
Samples: 555

Max nTPM: 28097.9
Min nTPM: 0.0
Std nTPM: 2572.2
Median nTPM: 47.7
GTEX-13NYB-0926-SM-5IFFA 40-49 years, male 28097.9
GTEX-XGQ4-1526-SM-4AT6H 50-59 years, male 15028.6
GTEX-14JG6-0926-SM-6871Y 30-39 years, female 14143.4
GTEX-1LG7Z-0926-SM-CXKYK 30-39 years, male 13434.5
GTEX-14PJ6-1026-SM-686ZB 60-69 years, female 12954.2
GTEX-16XZY-0926-SM-7938M 70-79 years, male 12337.7
GTEX-1I6K7-1426-SM-B2LXP 40-49 years, male 12123.4
GTEX-11DXX-1126-SM-5GZZK 60-69 years, female 11276.1
GTEX-16MTA-0826-SM-6LLIC 50-59 years, male 10997.7
GTEX-11LCK-1726-SM-5S2OQ 30-39 years, male 10788.8
GTEX-1LB8K-1326-SM-CXZKB 50-59 years, male 10680.4
GTEX-UJMC-0926-SM-4IHLK 50-59 years, male 10015.1
GTEX-13CF3-1626-SM-5IFG9 60-69 years, female 9302.1
GTEX-WOFM-0626-SM-4OOS3 20-29 years, male 9299.8
GTEX-Y114-0926-SM-4TT7J 50-59 years, female 8892.4
GTEX-1RAZA-1326-SM-DPS12 20-29 years, male 8680.7
GTEX-169BO-0526-SM-793AK 50-59 years, male 8279.3
GTEX-1JKYR-2126-SM-CNNPC 20-29 years, male 8228.2
GTEX-ZGAY-1126-SM-4WWBS 40-49 years, female 8206.1
GTEX-1AX9K-1126-SM-731DQ 50-59 years, male 7625.1
GTEX-SUCS-0726-SM-4DM7J 70-79 years, male 7588.0
GTEX-ZT9X-0526-SM-5GCOP 40-49 years, male 6742.7
GTEX-ZYFG-1126-SM-5GICY 60-69 years, female 6614.5
GTEX-Y8E4-1726-SM-5LU9G 40-49 years, male 6537.8
GTEX-ZEX8-1426-SM-4WKHQ 50-59 years, male 6497.6
GTEX-ZTX8-0226-SM-5E44D 20-29 years, male 6289.4
GTEX-S32W-0926-SM-4AD5X 50-59 years, female 6253.7
GTEX-1I4MK-0426-SM-B2LWQ 50-59 years, female 6162.3
GTEX-13OVG-0626-SM-5IFEP 60-69 years, male 6120.3
GTEX-1AX8Z-5016-SM-AHZ2B 60-69 years, male 6000.7
GTEX-Y3I4-1226-SM-4TT8N 50-59 years, male 5986.2
GTEX-1LVAM-1126-SM-DHXKP 50-59 years, female 5949.7
GTEX-13111-0826-SM-5LZV3 50-59 years, male 5741.8
GTEX-1QCLZ-1626-SM-E9U5R 60-69 years, female 5527.3
GTEX-13O21-0626-SM-5IJDI 50-59 years, male 5323.1
GTEX-V955-1126-SM-4JBH3 60-69 years, male 5230.2
GTEX-WFJO-0826-SM-4LVM5 30-39 years, male 4993.5
GTEX-145MF-1426-SM-5O9B6 50-59 years, male 4787.8
GTEX-ZAB4-1126-SM-5HL86 40-49 years, male 4767.1
GTEX-UJHI-0826-SM-4IHLM 50-59 years, female 4739.6
GTEX-131XF-0826-SM-5GICG 60-69 years, male 4493.7
GTEX-1C475-0926-SM-7MKFI 40-49 years, female 4427.3
GTEX-13X6H-1326-SM-5LU42 50-59 years, female 4412.0
GTEX-15DCE-1326-SM-6LPJL 20-29 years, male 4330.5
GTEX-1HGF4-0926-SM-9WPP8 60-69 years, male 4202.7
GTEX-XLM4-2326-SM-4AT5E 60-69 years, male 4192.7
GTEX-117YW-1926-SM-5H121 50-59 years, male 4109.0
GTEX-WHWD-0926-SM-4OORY 50-59 years, male 3972.0
GTEX-1R7EU-0826-SM-DPRZL 60-69 years, male 3964.8
GTEX-12WSL-1526-SM-5GCP8 50-59 years, male 3932.0
GTEX-1HC8U-1526-SM-9WPO4 40-49 years, female 3838.3
GTEX-1H3VY-2026-SM-9JGHK 50-59 years, male 3720.4
GTEX-X15G-0826-SM-4PQZD 50-59 years, female 3671.0
GTEX-R55D-1126-SM-48FEB 50-59 years, male 3670.2
GTEX-12WSN-5013-SM-7P8P9 40-49 years, male 3650.1
GTEX-ZAB5-0926-SM-5CVMV 50-59 years, male 3603.9
GTEX-1HCUA-1426-SM-9WPP7 50-59 years, female 3597.4
GTEX-WXYG-1226-SM-4ONCJ 50-59 years, female 3512.7
GTEX-PSDG-1326-SM-48TD2 50-59 years, male 3401.5
GTEX-144FL-2726-SM-5O98Z 50-59 years, male 3387.7
GTEX-145ME-5004-SM-7MGXP 40-49 years, female 3197.1
GTEX-111YS-0926-SM-5EGGI 60-69 years, male 3171.8
GTEX-1N2EE-2426-SM-EXOIO 60-69 years, male 3112.3
GTEX-1497J-2726-SM-5SI9W 60-69 years, male 2894.5
GTEX-QEL4-1426-SM-447AC 50-59 years, male 2836.2
GTEX-18465-1126-SM-7LG6E 50-59 years, male 2808.4
GTEX-18A7A-2326-SM-7KFRH 50-59 years, female 2629.2
GTEX-NFK9-1126-SM-3LK78 40-49 years, male 2558.7
GTEX-1F5PL-1726-SM-9QEGL 40-49 years, female 2537.8
GTEX-1PFEY-0826-SM-E9U6A 30-39 years, male 2436.8
GTEX-183FY-1526-SM-7IGOW 20-29 years, male 2436.3
GTEX-WFG8-1226-SM-4V6EI 20-29 years, male 2431.5
GTEX-1GPI7-1026-SM-7MGY2 20-29 years, male 2362.2
GTEX-1MA7W-0426-SM-E9TJ5 20-29 years, female 2294.7
GTEX-13FTW-1626-SM-5KM4N 40-49 years, male 2241.7
GTEX-1C6VQ-1826-SM-7EWEH 50-59 years, male 2223.0
GTEX-12WSD-1826-SM-5GCOA 60-69 years, female 2183.9
GTEX-139TU-1226-SM-5J2NL 60-69 years, male 2159.8
GTEX-ZZPT-1426-SM-5N9C5 50-59 years, male 2159.7
GTEX-TMMY-1126-SM-4DXSX 40-49 years, female 1948.7
GTEX-ZA64-0626-SM-5HL9O 20-29 years, male 1926.8
GTEX-145MN-1026-SM-5NQ9G 30-39 years, male 1893.8
GTEX-144GN-0626-SM-5O9B2 50-59 years, male 1893.4
GTEX-SNMC-0526-SM-4DM69 20-29 years, male 1848.1
GTEX-OHPN-1026-SM-E9TI8 60-69 years, female 1845.6
GTEX-133LE-0626-SM-5IFFJ 20-29 years, female 1806.4
GTEX-P4PP-0626-SM-3NM9X 30-39 years, female 1741.9
GTEX-1AMEY-0226-SM-7189Q 30-39 years, female 1735.0
GTEX-1HKZK-1426-SM-A96U1 40-49 years, male 1728.1
GTEX-XV7Q-1126-SM-4BRVS 40-49 years, female 1692.7
GTEX-U3ZN-1726-SM-4DXUQ 30-39 years, female 1622.1
GTEX-1QP67-0726-SM-DPRY1 40-49 years, female 1569.1
GTEX-12ZZW-1726-SM-5DUVD 50-59 years, male 1558.8
GTEX-1PPH8-1626-SM-E6CQP 20-29 years, male 1558.5
GTEX-WHSB-0426-SM-4M1XI 50-59 years, male 1430.1
GTEX-11DZ1-2026-SM-5A5KG 50-59 years, male 1424.0
GTEX-1K9T9-2026-SM-CXZK3 50-59 years, female 1395.0
GTEX-146FQ-1026-SM-5LU8I 30-39 years, male 1376.5
GTEX-183WM-1726-SM-7KFT5 70-79 years, female 1330.9
GTEX-ZVE2-1326-SM-5NQ94 50-59 years, male 1208.1
GTEX-11EM3-0826-SM-5N9CC 20-29 years, female 1202.9
GTEX-ZYY3-1526-SM-5SIA9 60-69 years, female 1138.3
GTEX-1H3NZ-1326-SM-9JGHI 60-69 years, male 1121.1
GTEX-Y5V5-1626-SM-4VDSG 60-69 years, female 1113.5
GTEX-1HSGN-1626-SM-A96U2 40-49 years, female 1080.5
GTEX-11VI4-0526-SM-5EQ48 40-49 years, female 1064.4
GTEX-OXRL-0626-SM-3NM9C 50-59 years, male 1054.4
GTEX-1GF9U-0826-SM-7MXTZ 40-49 years, female 1040.0
GTEX-RUSQ-0826-SM-47JWW 50-59 years, male 1028.1
GTEX-NPJ8-1926-SM-3MJGB 40-49 years, male 1021.6
GTEX-1KANB-1826-SM-DHXJU 50-59 years, male 1005.4
GTEX-16MT8-1326-SM-6M47R 60-69 years, female 1003.3
GTEX-P78B-1026-SM-3NMC4 40-49 years, female 990.4
GTEX-14E1K-1226-SM-5S2PD 50-59 years, male 987.2
GTEX-1GMR8-1826-SM-9WYUE 50-59 years, female 976.4
GTEX-1HCU7-2126-SM-A96SG 50-59 years, male 944.0
GTEX-1A32A-1826-SM-72D5G 50-59 years, female 927.6
GTEX-11EQ9-0726-SM-5A5K2 30-39 years, male 910.8
GTEX-12ZZX-1326-SM-5DUWI 40-49 years, female 875.3
GTEX-13OVJ-1226-SM-5L3HA 50-59 years, female 874.2
GTEX-YF7O-0926-SM-5IFIF 50-59 years, male 854.7
GTEX-YEC4-1026-SM-9WG7N 40-49 years, male 846.0
GTEX-1BAJH-2026-SM-7P8OZ 70-79 years, male 828.8
GTEX-1B8KZ-0726-SM-7938W 50-59 years, male 824.5
GTEX-132Q8-1826-SM-5EGIY 60-69 years, male 823.8
GTEX-1S82Y-1226-SM-EV7BD 40-49 years, male 778.3
GTEX-11EMC-2226-SM-5A5JW 60-69 years, female 754.9
GTEX-1H23P-1426-SM-9JGH5 60-69 years, male 714.8
GTEX-TSE9-1226-SM-4DXTM 60-69 years, female 705.7
GTEX-13X6I-1026-SM-5LU4C 60-69 years, male 694.4
GTEX-S4P3-0426-SM-4AD56 50-59 years, female 678.8
GTEX-16BQI-1526-SM-6LLIE 30-39 years, female 661.4
GTEX-13PVR-1826-SM-5Q5CC 60-69 years, female 639.6
GTEX-1I1GP-1026-SM-C1YRZ 50-59 years, male 628.6
GTEX-15EO6-1026-SM-7KUG9 50-59 years, male 612.5
GTEX-13RTK-0526-SM-5S2QF 20-29 years, male 602.3
GTEX-1GMR2-1526-SM-7MXV6 50-59 years, male 599.9
GTEX-14PJ5-0526-SM-664OE 60-69 years, female 599.1
GTEX-178AV-0526-SM-6LPJH 40-49 years, male 594.0
GTEX-1H11D-2126-SM-9OSXM 40-49 years, male 590.9
GTEX-146FR-0426-SM-5SI97 60-69 years, female 586.9
GTEX-1F52S-1426-SM-7P8PU 60-69 years, female 580.2
GTEX-14BIM-1326-SM-7EWD1 60-69 years, female 560.9
GTEX-132AR-2226-SM-5J2NT 50-59 years, female 539.7
GTEX-13JVG-2026-SM-5KM1N 60-69 years, male 534.2
GTEX-XXEK-0326-SM-4BRVV 50-59 years, male 525.4
GTEX-14PJ4-1526-SM-664OA 60-69 years, male 512.4
GTEX-Q2AI-0626-SM-48TZU 40-49 years, male 506.8
GTEX-1LGRB-1626-SM-CNNR7 50-59 years, female 504.6
GTEX-1RLM8-0726-SM-E6CRH 50-59 years, male 480.0
GTEX-S33H-0826-SM-4AD5Y 30-39 years, male 478.6
GTEX-1M5QR-0726-SM-DHXK7 40-49 years, male 448.0
GTEX-11ZTS-2626-SM-5EGIC 60-69 years, female 446.1
GTEX-1RAZQ-1726-SM-EAZ4T 30-39 years, male 445.4
GTEX-1RAZR-1226-SM-E6CRD 40-49 years, male 439.3
GTEX-1HCU6-1326-SM-A96TZ 60-69 years, female 437.2
GTEX-1JMQK-2026-SM-C1YQN 60-69 years, male 425.0
GTEX-YECK-1626-SM-5IFHQ 60-69 years, male 403.6
GTEX-X4LF-0626-SM-4QASB 50-59 years, male 402.7
GTEX-RU72-0726-SM-46MUW 50-59 years, female 397.4
GTEX-1F75I-1726-SM-7MKGW 40-49 years, male 396.9
GTEX-16NPX-1626-SM-6LLI5 50-59 years, male 391.8
GTEX-WFON-0826-SM-4LVMI 40-49 years, male 379.3
GTEX-ZYT6-1126-SM-5GZYR 30-39 years, male 359.9
GTEX-145LV-1326-SM-5S2QI 50-59 years, male 356.4
GTEX-PLZ5-0926-SM-3TW8L 50-59 years, male 353.9
GTEX-18D9U-2126-SM-7LG4Y 40-49 years, male 340.6
GTEX-148VI-1026-SM-5TDDJ 60-69 years, female 319.1
GTEX-R55E-1326-SM-48FCR 20-29 years, male 318.3
GTEX-X3Y1-1326-SM-4PQZB 40-49 years, male 314.7
GTEX-139UW-1126-SM-5IJEJ 60-69 years, male 307.4
GTEX-14E6E-0726-SM-5S2R3 30-39 years, male 301.4
GTEX-1F5PK-1526-SM-7MKGV 50-59 years, male 289.0
GTEX-P4QS-0626-SM-3NMD1 60-69 years, male 288.2
GTEX-11DYG-1326-SM-5N9DO 60-69 years, male 287.3
GTEX-QDVN-1026-SM-48TZA 50-59 years, male 286.2
GTEX-S3XE-0926-SM-4AD4S 50-59 years, male 279.4
GTEX-S341-0526-SM-4AD5U 40-49 years, female 275.8
GTEX-15RJ7-0926-SM-6LPJO 40-49 years, male 257.2
GTEX-1KD4Q-1126-SM-CXZKK 40-49 years, male 250.7
GTEX-139T6-0626-SM-5IFF9 50-59 years, male 245.1
GTEX-V1D1-1026-SM-4JBHE 50-59 years, male 241.4
GTEX-QDVJ-0726-SM-48U1W 50-59 years, male 239.8
GTEX-XMK1-1326-SM-4B65Q 40-49 years, male 237.2
GTEX-Y3IK-1126-SM-51MSV 50-59 years, female 221.7
GTEX-Y5V6-1026-SM-4VBS2 60-69 years, male 217.1
GTEX-15EOM-5013-SM-7MKF9 20-29 years, female 215.0
GTEX-1B933-2026-SM-7EWFC 50-59 years, female 211.7
GTEX-16NGA-1426-SM-718AC 40-49 years, female 209.4
GTEX-139YR-1726-SM-5IFFK 50-59 years, male 207.2
GTEX-ZLWG-1326-SM-DNZYZ 50-59 years, female 204.0
GTEX-145LS-1826-SM-5LUAZ 60-69 years, female 196.3
GTEX-1GN1U-1826-SM-9JGH2 50-59 years, female 195.8
GTEX-1212Z-2126-SM-5FQTM 60-69 years, male 192.1
GTEX-REY6-1326-SM-48FDO 60-69 years, male 188.2
GTEX-13U4I-1126-SM-5LU3S 40-49 years, female 184.5
GTEX-1C2JI-1126-SM-731FH 50-59 years, male 183.8
GTEX-1R9K5-1526-SM-DPRZA 50-59 years, male 179.8
GTEX-1LNCM-0626-SM-EV7AI 50-59 years, female 176.4
GTEX-1JMQJ-1226-SM-D3L97 50-59 years, male 175.4
GTEX-11P81-0826-SM-5P9GR 30-39 years, female 173.3
GTEX-13PVQ-1726-SM-5IFF3 50-59 years, male 172.3
GTEX-145MO-1426-SM-DTX9W 60-69 years, male 168.5
GTEX-1CB4I-1026-SM-7MKFZ 50-59 years, male 161.0
GTEX-QLQW-0526-SM-4R1KS 30-39 years, male 161.0
GTEX-WK11-1026-SM-4OOS8 50-59 years, male 159.5
GTEX-ZF29-1326-SM-DNZYV 60-69 years, female 153.8
GTEX-QESD-0826-SM-47J4G 20-29 years, male 153.4
GTEX-146FH-1726-SM-5QGQ2 50-59 years, female 153.3
GTEX-YFC4-1226-SM-5LU9R 40-49 years, female 149.7
GTEX-13O61-0926-SM-5IFFE 60-69 years, male 147.6
GTEX-1NUQO-1126-SM-DTX98 20-29 years, female 147.3
GTEX-13G51-0926-SM-5IFFU 60-69 years, male 145.9
GTEX-11TT1-0526-SM-5P9JO 20-29 years, male 145.4
GTEX-1EN7A-1226-SM-7MGX9 40-49 years, male 144.9
GTEX-14BIN-2726-SM-5RQIE 50-59 years, female 144.0
GTEX-QCQG-0626-SM-48U21 50-59 years, female 140.1
GTEX-OOBK-0625-SM-3LK5P 40-49 years, male 139.1
GTEX-17F97-1326-SM-7MGVO 50-59 years, male 136.9
GTEX-ZTPG-1626-SM-5DUX2 20-29 years, female 136.0
GTEX-1399S-1326-SM-5P9GH 30-39 years, female 135.7
GTEX-1OKEX-1326-SM-E9J2U 60-69 years, male 132.3
GTEX-14PK6-1326-SM-686ZE 70-79 years, female 129.9
GTEX-1R9PM-0926-SM-DPRYA 20-29 years, male 125.7
GTEX-1LSVX-1226-SM-DHXJN 60-69 years, male 122.4
GTEX-N7MT-0326-SM-48TDP 60-69 years, female 121.9
GTEX-Y111-1626-SM-57WCY 50-59 years, male 121.7
GTEX-131XE-1426-SM-5HL7V 50-59 years, male 120.2
GTEX-15SHU-1426-SM-6LPIN 40-49 years, female 120.2
GTEX-11NSD-1126-SM-5N9BQ 20-29 years, male 120.1
GTEX-Y8LW-0726-SM-5IFI1 50-59 years, female 113.7
GTEX-14PHY-0626-SM-664NN 60-69 years, female 110.0
GTEX-1GL5R-1526-SM-7MKHO 50-59 years, male 108.1
GTEX-11GSP-1826-SM-5N9DQ 60-69 years, female 107.1
GTEX-YJ89-1526-SM-5P9IR 60-69 years, male 106.4
GTEX-QEG5-1426-SM-447AS 20-29 years, male 97.6
GTEX-1QEPI-1826-SM-EAZ3J 60-69 years, female 93.7
GTEX-VJYA-0726-SM-4KL1T 60-69 years, male 93.6
GTEX-15DCD-1626-SM-6AJBH 70-79 years, female 93.3
GTEX-QLQ7-0926-SM-447BC 60-69 years, male 90.0
GTEX-QEG4-0726-SM-CNNRF 30-39 years, male 88.5
GTEX-14PJN-0526-SM-68724 30-39 years, male 85.5
GTEX-1CB4J-2426-SM-7MXVC 60-69 years, male 83.2
GTEX-X4EO-1226-SM-4QARR 60-69 years, female 83.1
GTEX-12KS4-0926-SM-5BC5S 30-39 years, male 82.8
GTEX-1HBPI-0626-SM-9WPP4 50-59 years, male 81.9
GTEX-1QP2A-1926-SM-EXOJ9 50-59 years, male 79.3
GTEX-1B996-1826-SM-7MGY6 60-69 years, male 76.1
GTEX-13FHO-1726-SM-DPRZX 60-69 years, male 74.4
GTEX-1AYD5-0926-SM-793AF 50-59 years, male 73.4
GTEX-XMD2-1326-SM-4YCET 60-69 years, female 72.3
GTEX-17JCI-1226-SM-793D9 60-69 years, female 72.0
GTEX-1HBPH-1126-SM-A96TU 40-49 years, female 70.8
GTEX-T5JW-1326-SM-4DM5G 20-29 years, female 69.1
GTEX-ZYFC-1626-SM-5N9EU 50-59 years, male 68.8
GTEX-ZC5H-1326-SM-5HL7E 40-49 years, female 65.9
GTEX-1LBAC-1226-SM-DHXK1 20-29 years, male 65.9
GTEX-1211K-0926-SM-5FQTL 60-69 years, female 64.9
GTEX-17EUY-1426-SM-7938X 20-29 years, male 64.9
GTEX-14BMU-0926-SM-5S2QB 20-29 years, female 63.8
GTEX-13S86-0826-SM-5SI6J 40-49 years, male 63.6
GTEX-1MGNQ-1626-SM-EAZ4Z 40-49 years, male 63.3
GTEX-15RIF-0826-SM-6M47C 20-29 years, male 62.0
GTEX-1IY9M-1626-SM-AHZ39 60-69 years, male 62.0
GTEX-RU1J-0326-SM-46MUM 20-29 years, female 61.8
GTEX-ZV68-0926-SM-59HK7 50-59 years, female 60.5
GTEX-1J1R8-0326-SM-AHZ3D 40-49 years, male 59.5
GTEX-1IDJD-1626-SM-C1YRC 30-39 years, male 58.9
GTEX-12ZZY-1426-SM-5N9EI 60-69 years, male 58.3
GTEX-RM2N-0726-SM-48FD5 50-59 years, male 56.6
GTEX-1JMPZ-2026-SM-C1YR8 30-39 years, male 54.9
GTEX-144GO-2726-SM-5O9A2 60-69 years, male 52.7
GTEX-1QP29-2126-SM-E6CPZ 50-59 years, male 51.2
GTEX-14ICK-2026-SM-6AJB2 40-49 years, male 50.6
GTEX-ZXES-1126-SM-5GZXN 30-39 years, female 50.4
GTEX-16A39-1026-SM-6LPJU 30-39 years, female 50.0
GTEX-1HSMQ-2026-SM-B2LY1 50-59 years, male 49.1
GTEX-1KXAM-0826-SM-CXZK9 60-69 years, male 47.7
GTEX-XQ3S-1126-SM-4BOPK 20-29 years, male 47.0
GTEX-15F5U-5010-SM-AHZ2D 40-49 years, male 46.6
GTEX-1EU9M-2326-SM-7MKGS 60-69 years, male 46.4
GTEX-ZDYS-0826-SM-4WWCR 50-59 years, male 45.8
GTEX-1IKK5-1326-SM-AHZ2X 60-69 years, male 44.9
GTEX-14ICL-0526-SM-5RQJ6 30-39 years, male 44.4
GTEX-1A8FM-1526-SM-7MXTA 50-59 years, female 43.3
GTEX-1IDJH-2026-SM-CNNQX 70-79 years, male 42.7
GTEX-1GN73-1926-SM-9JGGS 60-69 years, male 42.5
GTEX-1HCU8-2226-SM-9WPOV 60-69 years, female 42.5
GTEX-17F98-1726-SM-7938O 40-49 years, female 42.4
GTEX-1IDFM-1126-SM-A96SY 60-69 years, male 42.0
GTEX-13W46-1926-SM-5J2MF 50-59 years, male 41.7
GTEX-15RJE-0926-SM-6LLHZ 40-49 years, male 41.3
GTEX-12WSG-5007-SM-7DUGZ 50-59 years, female 40.6
GTEX-1E1VI-1526-SM-7IGQ2 50-59 years, male 40.5
GTEX-1HCVE-1226-SM-9WPPH 50-59 years, male 39.0
GTEX-1L5NE-1426-SM-DHXKV 50-59 years, male 38.6
GTEX-1JK1U-1726-SM-CNNPM 60-69 years, male 38.4
GTEX-ZT9W-1326-SM-51MTB 50-59 years, male 37.5
GTEX-13NZB-1226-SM-5J2MW 30-39 years, male 36.4
GTEX-1QCLY-1526-SM-DPRXX 30-39 years, male 36.2
GTEX-SE5C-1226-SM-4BRWV 40-49 years, female 34.8
GTEX-15UF6-2326-SM-6M465 70-79 years, female 34.1
GTEX-11XUK-0826-SM-5GU6P 40-49 years, female 33.9
GTEX-13O3Q-0826-SM-5IFGF 50-59 years, male 33.6
GTEX-1MA7X-0726-SM-EV7AB 60-69 years, male 32.7
GTEX-14B4R-0326-SM-5TDDP 30-39 years, male 32.6
GTEX-1R9K4-1926-SM-DPRZW 60-69 years, male 32.3
GTEX-OXRP-0926-SM-48TC1 60-69 years, female 32.1
GTEX-1KAFJ-0626-SM-D3L8X 50-59 years, male 32.0
GTEX-17F9E-1926-SM-7IGQF 50-59 years, male 31.4
GTEX-13FH7-0526-SM-5IJF8 50-59 years, female 31.0
GTEX-VUSG-1226-SM-4KKZF 50-59 years, male 30.3
GTEX-X585-1226-SM-46MW7 50-59 years, male 30.0
GTEX-1I1GS-2126-SM-ARU7G 60-69 years, male 29.6
GTEX-1399U-1026-SM-5J1OC 50-59 years, female 29.5
GTEX-WHPG-1126-SM-4M1XT 50-59 years, male 29.5
GTEX-1J8EW-1326-SM-AHZ3S 60-69 years, female 29.4
GTEX-1OJC3-0826-SM-DPRYU 20-29 years, male 29.4
GTEX-U8XE-1726-SM-4E3IF 30-39 years, male 28.7
GTEX-WYJK-1926-SM-4ONDP 50-59 years, male 28.2
GTEX-18A6Q-1226-SM-7KFS9 60-69 years, male 27.8
GTEX-ZE9C-1126-SM-4WWBD 60-69 years, male 27.5
GTEX-12C56-1226-SM-5FQSU 20-29 years, male 27.4
GTEX-11ONC-1526-SM-5GU6S 60-69 years, male 25.5
GTEX-15EU6-1626-SM-6LPKF 50-59 years, male 25.4
GTEX-1AX9J-1826-SM-731FM 60-69 years, male 24.7
GTEX-R45C-1226-SM-48FEE 60-69 years, female 24.7
GTEX-RNOR-1226-SM-48FDQ 50-59 years, female 24.5
GTEX-12696-1326-SM-5FQTJ 60-69 years, male 24.3
GTEX-SJXC-1426-SM-EYYVB 60-69 years, male 23.9
GTEX-18A66-1426-SM-7KFRT 60-69 years, male 22.4
GTEX-1PIGE-0926-SM-E9U5Z 20-29 years, male 20.9
GTEX-PVOW-1626-SM-48TC9 40-49 years, male 20.1
GTEX-1LSNL-2226-SM-DHXKM 50-59 years, male 19.2
GTEX-ZY6K-0626-SM-59HJL 50-59 years, male 19.1
GTEX-QVUS-0626-SM-447CC 60-69 years, female 18.7
GTEX-11NUK-1326-SM-5P9GN 50-59 years, male 18.4
GTEX-ZVP2-1326-SM-57WCE 50-59 years, male 17.8
GTEX-1IKOE-1526-SM-C1YSD 30-39 years, female 17.8
GTEX-1LVAN-2326-SM-CNNPY 50-59 years, female 17.6
GTEX-1EX96-2226-SM-7MKGT 50-59 years, male 17.4
GTEX-131YS-1426-SM-5IJF7 60-69 years, female 17.2
GTEX-111CU-0726-SM-5GZYD 50-59 years, male 17.1
GTEX-13FHP-1526-SM-5IJGE 50-59 years, male 17.0
GTEX-1RAZS-2626-SM-EV79C 50-59 years, male 16.8
GTEX-RN64-1026-SM-48FDX 50-59 years, male 16.7
GTEX-W5WG-1626-SM-4LMKG 50-59 years, female 16.6
GTEX-WHSE-1526-SM-4M1XH 20-29 years, male 16.5
GTEX-1B8KE-1826-SM-731FD 50-59 years, male 15.7
GTEX-1HFI6-1226-SM-A96SK 40-49 years, male 15.3
GTEX-14DAR-0826-SM-73KYJ 50-59 years, male 14.7
GTEX-RWS6-0826-SM-47JXF 60-69 years, female 14.6
GTEX-1GTWX-1326-SM-9JGHU 60-69 years, male 14.5
GTEX-18D9A-0526-SM-7KFSW 30-39 years, female 14.2
GTEX-14AS3-0626-SM-5QGQD 40-49 years, female 14.1
GTEX-14PKV-1726-SM-6871U 20-29 years, female 13.9
GTEX-145LT-1126-SM-5LUA1 40-49 years, male 13.3
GTEX-1QP9N-0926-SM-E9U5S 30-39 years, male 12.9
GTEX-1PPGY-1726-SM-EVR3S 60-69 years, male 12.6
GTEX-13D11-1926-SM-5IFGB 50-59 years, female 12.4
GTEX-1F7RK-1526-SM-7P8T6 20-29 years, female 12.3
GTEX-UPJH-1026-SM-EAZB2 50-59 years, male 12.1
GTEX-1H1DG-1226-SM-9JGH3 70-79 years, male 11.7
GTEX-13OW8-2326-SM-5L3I9 60-69 years, male 11.6
GTEX-ZYVF-2226-SM-5GIDD 50-59 years, female 11.5
GTEX-15ETS-1926-SM-7KUN5 40-49 years, female 11.4
GTEX-X4EP-1626-SM-4QAS6 60-69 years, female 11.2
GTEX-1HSKV-2426-SM-A8N8K 60-69 years, male 11.2
GTEX-1B97J-1026-SM-7MXTE 50-59 years, female 11.1
GTEX-1MCQQ-1026-SM-EV7AX 60-69 years, male 11.0
GTEX-15ER7-2126-SM-7939E 20-29 years, female 10.9
GTEX-18D9B-2026-SM-7LT96 60-69 years, male 10.9
GTEX-17KNJ-1326-SM-7KFTG 50-59 years, male 10.4
GTEX-ZF3C-1626-SM-4WWB4 50-59 years, female 10.1
GTEX-ZLV1-0526-SM-4WWD4 60-69 years, female 9.8
GTEX-17HGU-1426-SM-7938G 50-59 years, male 9.7
GTEX-1CAMQ-2726-SM-7MKGD 40-49 years, male 9.6
GTEX-1RDX4-2126-SM-EV7B3 50-59 years, female 9.6
GTEX-X4XY-1726-SM-46MVO 60-69 years, male 9.3
GTEX-11P7K-1326-SM-5BC5G 30-39 years, male 9.1
GTEX-S4Q7-0626-SM-4AD5M 20-29 years, male 9.1
GTEX-12WSK-1126-SM-5LZV8 40-49 years, female 9.0
GTEX-11TUW-1326-SM-5EQKV 60-69 years, male 8.9
GTEX-11I78-1526-SM-5A5K7 50-59 years, female 8.7
GTEX-1IDJF-1226-SM-C1YPX 20-29 years, male 8.6
GTEX-QV44-1126-SM-CL55C 50-59 years, male 8.4
GTEX-ZAJG-1326-SM-5S2NV 50-59 years, female 8.3
GTEX-17HII-1526-SM-9OSVD 50-59 years, male 8.3
GTEX-1399Q-1126-SM-5P9JA 40-49 years, male 7.7
GTEX-17F96-2526-SM-7DHL3 70-79 years, male 7.7
GTEX-T2IS-0826-SM-4DM6L 20-29 years, female 7.7
GTEX-1I1GQ-1726-SM-B2LWZ 50-59 years, male 7.7
GTEX-WEY5-0926-SM-4LMI4 40-49 years, female 7.5
GTEX-1I1CD-1726-SM-A9G3P 60-69 years, female 7.5
GTEX-13W3W-1626-SM-5LU35 60-69 years, female 7.3
GTEX-PWCY-0726-SM-48TCS 20-29 years, female 7.3
GTEX-ZVT2-1326-SM-5E45H 50-59 years, female 7.2
GTEX-XBED-1026-SM-48TCB 60-69 years, male 7.1
GTEX-1269C-1026-SM-5N9EY 60-69 years, female 7.0
GTEX-13FLV-1126-SM-5J2NO 50-59 years, male 7.0
GTEX-T5JC-1726-SM-4DM6U 20-29 years, male 7.0
GTEX-1F88F-1126-SM-7MKHL 60-69 years, female 6.9
GTEX-1J1OQ-2526-SM-AHZ3Q 40-49 years, female 6.9
GTEX-148VJ-1026-SM-5LU98 70-79 years, male 6.8
GTEX-OXRK-1326-SM-3NB1A 50-59 years, female 6.8
GTEX-ZZ64-0226-SM-5E44X 20-29 years, male 6.6
GTEX-1GMR3-1526-SM-9JGGL 40-49 years, male 6.4
GTEX-16AAH-0726-SM-793A9 50-59 years, male 6.3
GTEX-18QFQ-1026-SM-7LG6B 30-39 years, male 6.3
GTEX-1399R-0826-SM-5IJEL 30-39 years, male 6.2
GTEX-S7SF-0926-SM-4AD4M 20-29 years, female 6.2
GTEX-14A6H-1326-SM-5NQBC 30-39 years, male 6.1
GTEX-14H4A-1626-SM-5SI69 40-49 years, female 6.1
GTEX-1I1GU-1426-SM-B2LX3 40-49 years, male 6.1
GTEX-14PJM-1526-SM-664NY 50-59 years, female 5.9
GTEX-16Z82-1926-SM-6M47U 60-69 years, male 5.7
GTEX-1B97I-0926-SM-731DZ 40-49 years, male 5.7
GTEX-SNOS-0626-SM-4DM5F 40-49 years, male 5.6
GTEX-11P82-0526-SM-5986P 20-29 years, male 5.5
GTEX-T6MO-0526-SM-4DM6R 40-49 years, female 5.5
GTEX-U3ZM-0526-SM-4DXTB 40-49 years, male 5.5
GTEX-Z9EW-0526-SM-5HL8S 40-49 years, male 5.5
GTEX-ZUA1-1226-SM-5NQ6O 40-49 years, male 5.4
GTEX-TML8-1526-SM-4DXUX 40-49 years, female 5.3
GTEX-14C38-2126-SM-5RQJO 50-59 years, male 5.2
GTEX-PWN1-0626-SM-48TDT 40-49 years, female 5.1
GTEX-1H1ZS-1526-SM-9OSXR 70-79 years, male 5.1
GTEX-1R9JW-1526-SM-DPRZK 30-39 years, female 5.0
GTEX-OIZH-0626-SM-3NB1L 50-59 years, male 4.9
GTEX-R55C-0826-SM-48FCL 40-49 years, male 4.8
GTEX-1N2DV-2026-SM-EV7BL 40-49 years, male 4.7
GTEX-U3ZH-1026-SM-4DXUZ 30-39 years, male 4.6
GTEX-1MJIX-0826-SM-DTXEO 40-49 years, male 4.6
GTEX-1ICG6-1926-SM-ARU7L 70-79 years, female 4.5
GTEX-18A67-2426-SM-7LT95 50-59 years, male 4.3
GTEX-1CB4F-1526-SM-7MKFM 60-69 years, male 4.3
GTEX-1HBPM-1426-SM-9WPPE 60-69 years, female 4.3
GTEX-OIZF-0626-SM-7MKHG 60-69 years, male 4.2
GTEX-1LG7Y-1726-SM-EV7AR 50-59 years, male 4.1
GTEX-132QS-1426-SM-5P9GE 60-69 years, male 4.0
GTEX-P4QT-0626-SM-3NMCP 50-59 years, female 4.0
GTEX-PLZ6-0526-SM-3P61C 30-39 years, male 4.0
GTEX-ZG7Y-1126-SM-4WWEZ 50-59 years, male 3.9
GTEX-1S83E-0826-SM-EV7B7 40-49 years, male 3.8
GTEX-ZAK1-1526-SM-5S2OV 50-59 years, female 3.7
GTEX-Y9LG-0626-SM-4WWDH 30-39 years, male 3.6
GTEX-15DYW-1826-SM-6LPIY 60-69 years, female 3.5
GTEX-17EVQ-1926-SM-7IGOF 70-79 years, male 3.5
GTEX-Q2AH-0826-SM-48TZN 40-49 years, male 3.5
GTEX-1EMGI-1926-SM-7938Y 60-69 years, male 3.4
GTEX-1I1GR-1326-SM-ARU7B 60-69 years, male 3.4
GTEX-13SLX-1726-SM-5Q5E5 50-59 years, female 3.3
GTEX-1GN1W-2226-SM-9JGI5 50-59 years, female 3.3
GTEX-1QPFJ-1226-SM-EAZ3M 30-39 years, female 3.3
GTEX-13X6K-2126-SM-5O9D4 60-69 years, female 3.2
GTEX-XBEW-1326-SM-4AT63 40-49 years, male 3.2
GTEX-1N2DW-1426-SM-EV7AZ 50-59 years, male 3.2
GTEX-1NSGN-2026-SM-DPRYM 50-59 years, male 3.2
GTEX-14JIY-0926-SM-6871D 60-69 years, male 3.1
GTEX-145LU-0926-SM-79OJL 50-59 years, male 3.0
GTEX-147F3-0826-SM-5NQA7 50-59 years, female 3.0
GTEX-1JMLX-2326-SM-CXZJP 50-59 years, male 3.0
GTEX-1CB4G-1326-SM-7MKFP 60-69 years, male 2.9
GTEX-ZPU1-1426-SM-4WWFU 40-49 years, male 2.8
GTEX-1QW4Y-0526-SM-EAZ3V 30-39 years, male 2.8
GTEX-OIZG-1026-SM-3LK5X 50-59 years, male 2.7
GTEX-XYKS-1526-SM-4BRUP 60-69 years, female 2.7
GTEX-1K2DA-0626-SM-CGQGO 50-59 years, male 2.7
GTEX-ZLFU-1126-SM-DO11K 40-49 years, male 2.7
GTEX-PLZ4-1626-SM-3P618 50-59 years, female 2.6
GTEX-R3RS-1326-SM-48FE7 40-49 years, female 2.6
GTEX-RVPV-0526-SM-47JYL 60-69 years, male 2.6
GTEX-U4B1-0826-SM-4DXTW 40-49 years, male 2.6
GTEX-1H1DE-1026-SM-9JGH6 20-29 years, male 2.6
GTEX-1122O-1726-SM-5GICM 60-69 years, female 2.5
GTEX-131XG-1026-SM-5GCMX 50-59 years, female 2.5
GTEX-13OVI-2626-SM-5KM4T 60-69 years, female 2.5
GTEX-ZTSS-0626-SM-59867 40-49 years, male 2.5
GTEX-ZYW4-1326-SM-5E45N 60-69 years, male 2.5
GTEX-1J8QM-1926-SM-AHZ3Z 60-69 years, female 2.5
GTEX-1A3MV-1326-SM-7LG6C 30-39 years, male 2.4
GTEX-OXRN-1726-SM-3NM9B 50-59 years, male 2.4
GTEX-POYW-1326-SM-48TCG 60-69 years, male 2.4
GTEX-TKQ1-0326-SM-4DXSM 30-39 years, male 2.4
GTEX-1HB9E-1526-SM-D3LA6 50-59 years, male 2.4
GTEX-1LVA9-2126-SM-DLHBY 50-59 years, male 2.4
GTEX-13QJ3-1726-SM-5RQK9 50-59 years, male 2.2
GTEX-ZF2S-1226-SM-4WWAX 50-59 years, female 2.2
GTEX-WVLH-1426-SM-4MVNX 50-59 years, male 2.1
GTEX-1I1GV-2226-SM-ARU7E 60-69 years, male 2.1
GTEX-17HHE-0926-SM-7938K 50-59 years, male 2.0
GTEX-O5YV-1026-SM-3LK72 60-69 years, female 1.9
GTEX-1LGOU-0526-SM-D3LAO 20-29 years, female 1.9
GTEX-13FTX-0526-SM-5IFGS 20-29 years, female 1.8
GTEX-1CB4E-1026-SM-793AB 60-69 years, male 1.8
GTEX-WYVS-0726-SM-4ONDO 40-49 years, female 1.8
GTEX-XUZC-0426-SM-4BOPE 30-39 years, female 1.8
GTEX-11EI6-1526-SM-5P9GL 60-69 years, male 1.7
GTEX-1EH9U-2426-SM-7EWFG 60-69 years, male 1.7
GTEX-UPK5-1226-SM-4IHL8 40-49 years, male 1.7
GTEX-YB5E-0926-SM-4WWDQ 40-49 years, male 1.7
GTEX-11ZU8-1526-SM-5EGHX 60-69 years, male 1.6
GTEX-144GM-1426-SM-5LU31 20-29 years, male 1.6
GTEX-Q2AG-1326-SM-43V8K 40-49 years, female 1.6
GTEX-ZDTT-1326-SM-4WKFH 60-69 years, male 1.6
GTEX-ZQUD-0426-SM-57WFR 30-39 years, male 1.6
GTEX-15RIE-0826-SM-6M47X 60-69 years, male 1.5
GTEX-13OVK-1126-SM-6PAMR 40-49 years, male 1.4
GTEX-1AMFI-0226-SM-731D5 50-59 years, female 1.4
GTEX-11DXY-1426-SM-5N9CN 60-69 years, male 1.3
GTEX-11DXZ-1226-SM-5H11L 50-59 years, male 1.3
GTEX-13O1R-1326-SM-5IJF5 60-69 years, male 1.3
GTEX-WQUQ-1626-SM-4OOSH 60-69 years, male 1.3
GTEX-1K2DU-1726-SM-EV79S 20-29 years, male 1.3
GTEX-17MFQ-0526-SM-7KFTX 20-29 years, male 1.2
GTEX-1AX9I-1426-SM-7DHM8 60-69 years, male 1.2
GTEX-1QP28-1826-SM-EAZ4L 50-59 years, female 1.2
GTEX-12BJ1-1626-SM-5HL8Y 60-69 years, male 1.1
GTEX-13QBU-1026-SM-5LU3R 40-49 years, female 1.1
GTEX-RTLS-1126-SM-46MUQ 60-69 years, female 1.1
GTEX-1MCC2-1926-SM-DHXJR 30-39 years, female 1.1
GTEX-YEC3-2526-SM-CXZIH 50-59 years, male 1.1
GTEX-1JMPY-0826-SM-AHZ4A 30-39 years, male 1.0
GTEX-T2YK-1326-SM-4DM6S 50-59 years, male 0.9
GTEX-WH7G-0926-SM-4LVMJ 40-49 years, male 0.9
GTEX-Y5LM-1026-SM-4VDSQ 40-49 years, female 0.9
GTEX-1CB4H-1526-SM-7MXU4 60-69 years, female 0.9
GTEX-YB5K-0826-SM-5YYB7 40-49 years, female 0.8
GTEX-14C5O-1626-SM-73KYH 60-69 years, male 0.7
GTEX-P4PQ-0626-SM-3NMCU 60-69 years, male 0.7
GTEX-R53T-1126-SM-48FD4 50-59 years, female 0.7
GTEX-X62O-2226-SM-46MW3 50-59 years, male 0.7
GTEX-ZPCL-1426-SM-57WEC 60-69 years, female 0.7
GTEX-14PJ3-0626-SM-6UGC5 50-59 years, male 0.7
GTEX-1EKGG-1726-SM-7MXUP 60-69 years, male 0.7
GTEX-1EWIQ-1526-SM-79OO7 70-79 years, female 0.6
GTEX-S95S-0426-SM-4B64I 60-69 years, male 0.6
GTEX-XQ8I-1526-SM-4BOOH 50-59 years, male 0.6
GTEX-1KANA-0626-SM-D4P3I 20-29 years, male 0.6
GTEX-13YAN-1926-SM-7EPH9 60-69 years, male 0.5
GTEX-N7MS-1225-SM-3LK5G 60-69 years, male 0.5
GTEX-T8EM-0526-SM-4DM64 40-49 years, male 0.5
GTEX-WRHK-0526-SM-4MVOF 20-29 years, female 0.5
GTEX-OIZI-1426-SM-3NB1T 40-49 years, male 0.4
GTEX-R55G-1026-SM-48FDI 40-49 years, female 0.4
GTEX-12WSA-1426-SM-5EGJU 60-69 years, male 0.3
GTEX-13PL7-0226-SM-731DT 60-69 years, female 0.3
GTEX-1JKYN-1526-SM-CGQGA 30-39 years, male 0.2
GTEX-14DAQ-1426-SM-5RQJD 60-69 years, female 0.1
GTEX-15SB6-0726-SM-6M48F 50-59 years, female 0.1
GTEX-15UF7-0926-SM-6M46F 40-49 years, male 0.1
GTEX-WFG7-1126-SM-4LMK3 20-29 years, male 0.1
GTEX-1C64O-1826-SM-7DHM4 60-69 years, male 0.0
GTEX-XK95-1026-SM-4GIDV 40-49 years, male 0.0
GTEX-1MCYP-1026-SM-DPRYB 20-29 years, female 0.0
Show allShow less

ESOPHAGUS - FANTOM5 CAGEi

RNA expression in human tissues obtained through Cap Analysis of Gene Expression (CAGE) generated by the FANTOM5 project are reported as Scaled Tags Per Million.

Max subtype Scaled Tags Per Millioni

Max subtype Scaled Tags Per Million is the value for the subtype with the largest average Scaled Tags Per Million across the subtype samples.

465.9
FANTOM5 sample id Sample description Scaled Tags Per Million
Esophagus
Scaled Tags Per Million: 465.9
FF:10015-101C6 68,74,75 years, mixed 465.9

Contact

  • NEWS ARTICLES
  • PRESS ROOM

The Project

  • INTRODUCTION
  • ORGANIZATION
  • PUBLICATIONS

The Human Protein Atlas

  • DOWNLOADABLE DATA
  • LICENCE & CITATION
  • HELP & FAQ
The Human Protein Atlas project is funded
by the Knut & Alice Wallenberg Foundation.


contact@proteinatlas.org