We use cookies to enhance the usability of our website. If you continue, we'll assume that you are happy to receive all cookies. More information. Don't show this again.
S100A7
HPA
RESOURCES
  • TISSUE
  • BRAIN
  • SINGLE CELL
  • SUBCELLULAR
  • CANCER
  • BLOOD
  • CELL LINE
  • STRUCTURE & INTERACTION
ABOUT
  • INTRODUCTION
  • HISTORY
  • ORGANIZATION
  • PUBLICATIONS
  • ANTIBODY SUBMISSION
  • ANTIBODY AVAILABILITY
  • ACKNOWLEDGMENTS
  • CONTACT
NEWS
  • NEWS ARTICLES
  • PRESS ROOM
LEARN
  • DICTIONARY
  • PROTEIN CLASSES
  • PROTEIN EVIDENCE
  • METHODS
  • EDUCATIONAL VIDEOS
DATA
  • DOWNLOADABLE DATA
  • PUBLICATION DATA
  • RELEASE HISTORY
HELP
  • ANTIBODY VALIDATION
  • ASSAYS & ANNOTATION
  • DISCLAIMER
  • HELP & FAQ
  • PRIVACY STATEMENT
  • LICENCE & CITATION
Fields »
Search result

Field
Term
Gene name
Class
Subclass
Class
Keyword
Chromosome
External id
Tissue
Cell type
Expression
Antibody panel
Tissue
Main location
Patient ID
Annotation
Tissue
Category
Tau score
Cluster
Reliability
Brain region
Category
Tau score
Brain region
Category
Tau score
Brain region
Category
Tau score
Cluster
Reliability
Tissue
Cell type
Enrichment
Cell type
Category
Tau score
Cell type
Category
Tau score
Cell type
Category
Tau score
Cell lineage
Category
Tau score
Cluster
Cluster
Location
Searches
Location
Cell line
Class
Type
Phase
Reliability
Cancer
Prognosis
Cancer
Category
Cancer
Category
Tau score
Cluster
Variants
Interacting gene (ensg_id)
Type
Number of interactions
Pathway
Category
Score
Score
Score
Validation
Validation
Validation
Validation
Antibodies
Data type
Column


  • SUMMARY

  • TISSUE

  • BRAIN

  • SINGLE CELL

  • SUBCELL

  • CANCER

  • BLOOD

  • CELL LINE

  • STRUCT & INT

  • S100A7
TISSUE PRIMARY DATA SKIN Show tissue menu
ADIPOSE TISSUE ADRENAL GLAND AMYGDALA APPENDIX BASAL GANGLIA BONE MARROW BREAST BRONCHUS CEREBELLUM CEREBRAL CORTEX CERVIX CHOROID PLEXUS COLON DUODENUM
ENDOMETRIUM EPIDIDYMIS ESOPHAGUS FALLOPIAN TUBE GALLBLADDER HEART MUSCLE HIPPOCAMPAL FORMATION HYPOTHALAMUS KIDNEY LIVER LUNG LYMPH NODE MIDBRAIN NASOPHARYNX
ORAL MUCOSA OVARY PANCREAS PARATHYROID GLAND PITUITARY GLAND PLACENTA PROSTATE RECTUM RETINA SALIVARY GLAND SEMINAL VESICLE SKELETAL MUSCLE SKIN SMALL INTESTINE
SMOOTH MUSCLE SOFT TISSUE SPINAL CORD SPLEEN STOMACH TESTIS THYMUS THYROID GLAND TONGUE TONSIL URINARY BLADDER VAGINA
ANTIBODIES
AND
VALIDATION
Dictionary
Skin
Tissue proteome
Skin
SKIN - Expression summary
Protein expression
Skini

On the top, protein expression in current human tissue, based on all annotated cell types, is reported with the units not detected (n), low (l), medium (m) and high (h). Underneath, protein expression in each annotated cell type are reported using the same units.

Protein expression data is based on knowledge-based annotation. For genes where more than one antibody has been used, a collective score is set.

If knowledge-based annotation could not be performed for a gene, no data is displayed here. View antibody staining data further down this page.

h
m
l
n
Cells in basal layer: Low
Cells in corneal layer: High
Cells in granular layer: High
Cells in spinous layer: High
Eccrine glands: Not detected
Endothelial cells: Not detected
Extracellular matrix: Not detected
Fibrohistiocytic cells: Not detected
Hair follicles: High
Langerhans cells: High
Lymphocytes: Not detected
Melanocytes: Not detected
Sebaceous glands: High
Vascular mural cells: Not detected
RNA expressioni

A summary of mRNA expression data available for current tissue based on several datasets. The mRNA expression levels in human tissues are based on RNA-seq data generated by the Human Protein Atlas (HPA), Genotype-Tissue Expression (GTEx) portal and CAGE data generated by the FANTOM5 consortium. Consensus normalized expression levels for human tissues was created by combining the data from HPA and GTEx datasets.

The mRNA expression levels in pig are based on RNA-seq data generated by the Human Protein Atlas (HPA), and for mouse, HPA data and in situ hybridization generated by the Allen brain atlas are reported.

Scroll down to view mRNA expression data in more detail.
Consensus:336.5 nTPM
HPA:336.5 nTPM
GTEx:324.9 nTPM

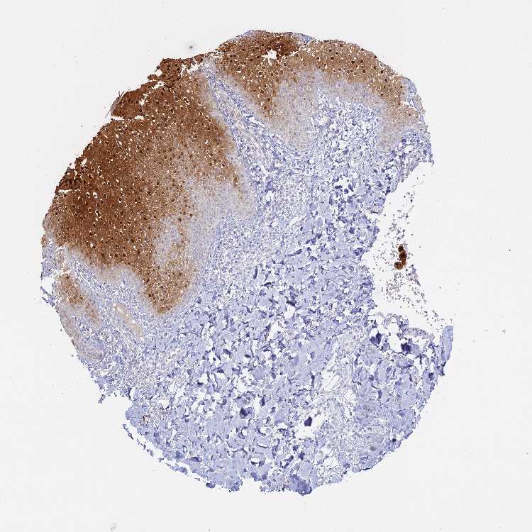
SKIN 1 - Antibody stainingi

Antibody staining in the annotated cell types in the current human tissue is reported as not detected, low, medium, or high, based on conventional immunohistochemistry profiling in selected tissues. This score is based on the combination of the staining intensity and fraction of stained cells.

Each image is clickable and will lead to virtual microscopy that enables deeper exploration of all samples and also displays staining intensity scores, fraction scores and subcellular localization as well as patient and tissue information for each sample.

Antibody HPA006997Antibody CAB001453Antibody CAB033766
Langerhans LowNot detected-
Cells in basal layer --Low
Cells in corneal layer --High
Cells in granular layer --High
Cells in spinous layer --High
Endothelial cells --Not detected
Extracellular matrix --Not detected
Fibroblasts Not detectedNot detected-
Fibrohistiocytic cells --Not detected
Hair follicles --High
Keratinocytes HighMedium-
Langerhans cells --High
Lymphocytes --Not detected
Melanocytes LowNot detectedNot detected
Sebaceous glands --High
Vascular mural cells --Not detected



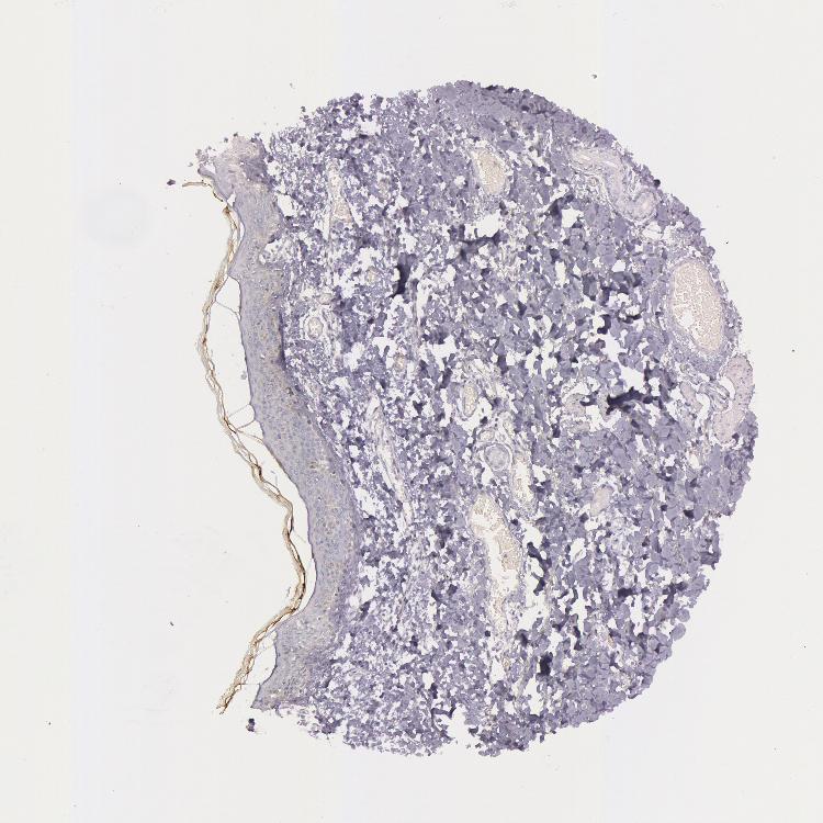
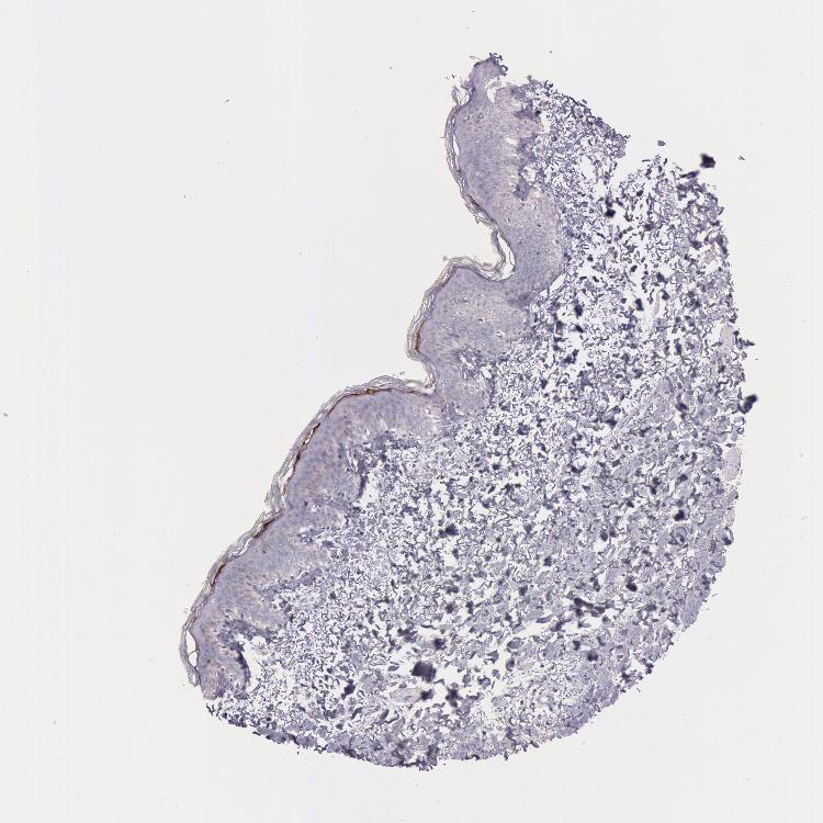
SKIN 2 - Antibody stainingi

Antibody staining in the annotated cell types in the current human tissue is reported as not detected, low, medium, or high, based on conventional immunohistochemistry profiling in selected tissues. This score is based on the combination of the staining intensity and fraction of stained cells.

Each image is clickable and will lead to virtual microscopy that enables deeper exploration of all samples and also displays staining intensity scores, fraction scores and subcellular localization as well as patient and tissue information for each sample.

Antibody HPA006997Antibody CAB001453Antibody CAB033766
Cells in basal layer --Not detected
Cells in corneal layer --High
Cells in granular layer --High
Cells in spinous layer --High
Eccrine glands --Not detected
Endothelial cells --Not detected
Epidermal cells HighHigh-
Extracellular matrix --Not detected
Fibrohistiocytic cells --Not detected
Langerhans cells --High
Lymphocytes --Not detected
Melanocytes --Not detected
Vascular mural cells --Not detected
   
   
   







SKIN - HPA RNA-seqi

The RNA-seq details section shows detailed information about the individual samples used for the transcript profiling and results of the RNA-seq analysis.

Information about each individual sample is listed below, including gender, age, a tissue section image and estimated fractions of cell types. nTPM (normalized transcripts per million) values give a quantification of the gene abundance which is comparable between different genes and samples.
Average nTPMi

Max subtype nTPM is the value for the subtype with the largest average nTPM across the subtype samples.

336.5
overview
Female, age 34
Skin sample 225
nTPM: 730.6
Cell types%
Keratinocytes:
60

Other cell types:
40

overview
Female, age 30
Skin sample 226
nTPM: 77.7
Cell types%
Keratinocytes:
55

Other cell types:
45

N/A
Male, age 57
Skin sample 227
nTPM: 201.4

SKIN - GTEx RNA-seqi

RNA-Seq data generated by the Genotype-Tissue Expression (GTEx) project from human tissues is reported as mean nTPM. More information can be found on the GTEx portal.

Distribution across the dataset is visualized with box plots, shown as median and 25th and 75th percentiles. Points are displayed as outliers if they are above or below 1.5 times the interquartile range. nTPM values of the individual samples are presented next to the box plot.
Max subtype nTPMi

Max subtype nTPM is the value for the subtype with the largest average nTPM across the subtype samples.

324.9
GTEx sample id Sample description nTPM
Skin - Not Sun Exposed (Suprapubic)
Average nTPM: 324.9
Samples: 604

Max nTPM: 11488.7
Min nTPM: 0.6
Std nTPM: 904.1
Median nTPM: 66.5
GTEX-ZY6K-1426-SM-5GZX2 50-59 years, male 11488.7
GTEX-15SHW-0226-SM-7LTAT 60-69 years, male 7923.1
GTEX-1CAMS-2226-SM-7PBXQ 40-49 years, female 6379.2
GTEX-1AYD5-2626-SM-7PBXY 50-59 years, male 6076.7
GTEX-1A3MW-0626-SM-731CB 60-69 years, female 5560.3
GTEX-16MT9-0126-SM-7EPI8 60-69 years, female 5251.3
GTEX-144FL-0626-SM-5LU43 50-59 years, male 4484.7
GTEX-1F48J-0726-SM-7RHGS 50-59 years, female 4281.3
GTEX-11TT1-1826-SM-5EQLV 20-29 years, male 4138.9
GTEX-1E1VI-0326-SM-793D1 50-59 years, male 3451.3
GTEX-WFG8-2126-SM-3GIKQ 20-29 years, male 3445.8
GTEX-1QAET-0326-SM-EVR3U 50-59 years, male 3143.0
GTEX-1E2YA-2126-SM-7MXUO 50-59 years, male 2961.1
GTEX-YECK-0326-SM-4W1YS 60-69 years, male 2794.6
GTEX-1AX8Z-0726-SM-73KTS 60-69 years, male 2772.6
GTEX-14XAO-1226-SM-6EU1C 60-69 years, female 2705.6
GTEX-17HG3-2626-SM-7DUF2 30-39 years, female 2638.8
GTEX-1PPH8-0126-SM-EWRN8 20-29 years, male 2621.9
GTEX-W5X1-2526-SM-3GILC 40-49 years, female 2488.3
GTEX-1GZHY-0626-SM-9KNVC 50-59 years, female 2484.6
GTEX-17JCI-2926-SM-7DUFF 60-69 years, female 2023.6
GTEX-1JMQL-2226-SM-CNPP4 50-59 years, female 1964.2
GTEX-ZTTD-2826-SM-4YCFA 50-59 years, male 1961.4
GTEX-1C6VQ-1226-SM-73KYD 50-59 years, male 1936.3
GTEX-1R46S-2426-SM-E76QA 60-69 years, female 1881.1
GTEX-17HGU-2326-SM-7DUFE 50-59 years, male 1815.0
GTEX-Y5LM-0926-SM-6LLJG 40-49 years, female 1771.0
GTEX-ZYVF-0926-SM-5E44J 50-59 years, female 1689.4
GTEX-VJYA-1526-SM-3GIJV 60-69 years, male 1624.6
GTEX-1O9I2-0226-SM-EYYXD 50-59 years, male 1504.6
GTEX-WI4N-2726-SM-3LK7Y 40-49 years, female 1421.1
GTEX-14PHX-2226-SM-6EU2P 50-59 years, male 1389.9
GTEX-1JMOU-1026-SM-CYPSS 60-69 years, female 1302.4
GTEX-11WQK-1026-SM-5EQLX 50-59 years, male 1250.5
GTEX-17MF6-2626-SM-79OKQ 40-49 years, male 1215.2
GTEX-145LU-1926-SM-79OJN 50-59 years, male 1143.6
GTEX-15G1A-1626-SM-7KUKN 30-39 years, male 1141.4
GTEX-1IKOE-1426-SM-CE6T7 30-39 years, female 1137.4
GTEX-11LCK-2226-SM-5HL4Q 30-39 years, male 1010.5
GTEX-15G19-2426-SM-7KUMR 60-69 years, male 1001.9
GTEX-1R9K4-2826-SM-DTX8F 60-69 years, male 996.3
GTEX-14BMV-2826-SM-5TDED 50-59 years, male 996.2
GTEX-1I1GU-0926-SM-ACKVS 40-49 years, male 964.8
GTEX-1I1CD-0626-SM-CE6SW 60-69 years, female 962.3
GTEX-1HC8U-1326-SM-9YFMJ 40-49 years, female 929.0
GTEX-1399S-0126-SM-5IJCF 30-39 years, female 896.3
GTEX-1IY9M-2826-SM-ARU8H 60-69 years, male 854.0
GTEX-12WSD-0626-SM-5GCMW 60-69 years, female 835.0
GTEX-12584-0726-SM-5FQTK 40-49 years, male 832.5
GTEX-1J8JJ-0626-SM-ARZMQ 60-69 years, female 815.4
GTEX-1RLM8-2926-SM-E8VON 50-59 years, male 812.1
GTEX-1H1DF-1126-SM-9WG7G 40-49 years, female 773.8
GTEX-12ZZX-2426-SM-5GCOE 40-49 years, female 761.3
GTEX-15UF6-1926-SM-7KUDV 70-79 years, female 731.0
GTEX-1EN7A-2426-SM-793DB 40-49 years, male 723.2
GTEX-ZYFD-0626-SM-5E44E 50-59 years, male 721.7
GTEX-13G51-1826-SM-5KLZH 60-69 years, male 721.4
GTEX-ZDXO-3126-SM-5IJDF 60-69 years, male 720.1
GTEX-X4EO-2926-SM-4E3JH 60-69 years, female 699.1
GTEX-144GO-2026-SM-5O99P 60-69 years, male 680.9
GTEX-1HCU8-2526-SM-CE6RX 60-69 years, female 674.6
GTEX-18D9B-0926-SM-7LG4U 60-69 years, male 654.0
GTEX-14PJO-2526-SM-6AJBQ 60-69 years, male 651.9
GTEX-17F98-1326-SM-7DUEP 40-49 years, female 647.8
GTEX-13QBU-1226-SM-5LU4G 40-49 years, female 615.2
GTEX-17HII-1426-SM-7EPGG 50-59 years, male 611.7
GTEX-1HSMP-0926-SM-A9SKX 70-79 years, male 587.4
GTEX-1HSMO-0626-SM-ACKXC 60-69 years, male 566.3
GTEX-1EKGG-0626-SM-7DUGJ 60-69 years, male 556.2
GTEX-13NYS-0626-SM-5L3F1 60-69 years, male 554.2
GTEX-132AR-0326-SM-5KM2C 50-59 years, female 549.1
GTEX-111YS-1526-SM-5GZYW 60-69 years, male 546.9
GTEX-12126-0826-SM-5FQTZ 20-29 years, male 541.6
GTEX-1212Z-0126-SM-59HK4 60-69 years, male 537.7
GTEX-ZDYS-2426-SM-4WKGI 50-59 years, male 536.8
GTEX-1KXAM-1626-SM-D3LAD 60-69 years, male 531.7
GTEX-1I1HK-2326-SM-CKZOH 60-69 years, male 521.6
GTEX-1H2FU-0926-SM-9WPPT 60-69 years, female 521.3
GTEX-12WSF-1626-SM-7KUG5 70-79 years, male 512.6
GTEX-14PJ3-1126-SM-5ZZVX 50-59 years, male 501.2
GTEX-1POEN-2326-SM-E9J2L 30-39 years, female 496.7
GTEX-13U4I-2226-SM-5LU5H 40-49 years, female 492.5
GTEX-1CB4J-1326-SM-7P8RX 60-69 years, male 489.9
GTEX-1H3NZ-2726-SM-9WYTQ 60-69 years, male 485.6
GTEX-13NYC-0126-SM-5L3F4 60-69 years, male 484.9
GTEX-ZVTK-0226-SM-51MRG 20-29 years, male 477.9
GTEX-1GF9W-1426-SM-7PBYM 60-69 years, male 474.9
GTEX-14PJ2-0626-SM-6LLII 50-59 years, male 471.0
GTEX-1IDJF-2026-SM-CL53V 20-29 years, male 469.2
GTEX-1F6RS-2026-SM-7RHHC 60-69 years, female 468.6
GTEX-1ICLZ-0326-SM-ARL82 60-69 years, male 463.8
GTEX-15RJ7-2126-SM-6PAMD 40-49 years, male 462.4
GTEX-14C38-0726-SM-5SI6M 50-59 years, male 459.1
GTEX-1F6I4-2326-SM-7RHGL 60-69 years, male 449.2
GTEX-1GF9X-1326-SM-7PC2Y 40-49 years, female 444.5
GTEX-Z93S-1626-SM-5CVMB 50-59 years, male 443.0
GTEX-17HHY-0426-SM-7DHLC 50-59 years, male 437.0
GTEX-WH7G-2026-SM-3NMBL 40-49 years, male 430.9
GTEX-13X6J-0626-SM-5LU5F 50-59 years, male 425.4
GTEX-WK11-2726-SM-3NMAQ 50-59 years, male 409.4
GTEX-1AX9I-2226-SM-73KUO 60-69 years, male 407.7
GTEX-1N2EE-0626-SM-E76PW 60-69 years, male 379.5
GTEX-18A66-0626-SM-7LT8Z 60-69 years, male 373.2
GTEX-1LVA9-2626-SM-EVYD4 50-59 years, male 369.1
GTEX-13OVH-0526-SM-5L3E6 70-79 years, male 355.0
GTEX-15RIE-1926-SM-7KUKJ 60-69 years, male 354.6
GTEX-1IDJD-2326-SM-ACKWX 30-39 years, male 353.9
GTEX-144GL-0626-SM-5LU4D 50-59 years, male 349.2
GTEX-11DZ1-2426-SM-5GZZX 50-59 years, male 343.5
GTEX-ZT9X-1526-SM-5DUXD 40-49 years, male 325.5
GTEX-14JG1-1526-SM-5YY9X 40-49 years, male 324.3
GTEX-16NPX-0726-SM-7KULC 50-59 years, male 315.9
GTEX-13O3O-2326-SM-5IJD6 60-69 years, female 313.8
GTEX-1C6WA-2626-SM-7MKGM 60-69 years, male 313.3
GTEX-13NYB-0126-SM-5J1MD 40-49 years, male 310.3
GTEX-1EU9M-1426-SM-793AI 60-69 years, male 309.2
GTEX-13112-0126-SM-5P9IU 50-59 years, male 300.0
GTEX-1GL5R-1326-SM-7RHHF 50-59 years, male 298.0
GTEX-183FY-1026-SM-7939A 20-29 years, male 295.1
GTEX-1LKK1-2626-SM-DKPQE 50-59 years, female 295.1
GTEX-YEC4-1826-SM-4W1YP 40-49 years, male 294.6
GTEX-1M4P7-0726-SM-E6CJ3 60-69 years, male 293.8
GTEX-14PJ4-0226-SM-5YY92 60-69 years, male 288.9
GTEX-14ICL-1626-SM-5YYAO 30-39 years, male 287.3
GTEX-1GPI6-1926-SM-9KNV7 60-69 years, male 286.0
GTEX-WFON-1926-SM-3LK7L 40-49 years, male 282.9
GTEX-XQ3S-1426-SM-4BOPR 20-29 years, male 282.3
GTEX-1JJEA-1826-SM-ARU8P 60-69 years, male 275.0
GTEX-XPVG-2126-SM-4B667 50-59 years, male 272.5
GTEX-1BAJH-2426-SM-7IGP8 70-79 years, male 269.1
GTEX-WHSE-0126-SM-3NMBT 20-29 years, male 268.5
GTEX-12ZZY-0726-SM-5EQ66 60-69 years, male 265.6
GTEX-1399Q-2326-SM-5KM2X 40-49 years, male 264.9
GTEX-WRHU-2826-SM-3MJG8 50-59 years, female 260.8
GTEX-18A7B-2726-SM-7LG56 70-79 years, male 255.2
GTEX-1GMRU-2126-SM-7P8RA 50-59 years, male 255.2
GTEX-1B933-2426-SM-7DHMD 50-59 years, female 246.1
GTEX-1H1CY-0126-SM-9YFLY 60-69 years, female 238.2
GTEX-14ABY-2026-SM-62LDL 50-59 years, male 234.5
GTEX-18D9U-0126-SM-731BM 40-49 years, male 232.7
GTEX-13FHO-0426-SM-5L3F5 60-69 years, male 232.3
GTEX-16BQI-1326-SM-6M486 30-39 years, female 230.7
GTEX-13YAN-0226-SM-5TDC6 60-69 years, male 228.9
GTEX-1RMOY-1326-SM-E9TIH 50-59 years, male 224.1
GTEX-16Z82-2626-SM-7KULU 60-69 years, male 223.1
GTEX-1F88E-1626-SM-7SB8Z 60-69 years, female 223.0
GTEX-1I1GV-0626-SM-ARL7M 60-69 years, male 221.6
GTEX-1314G-1326-SM-5BC6E 30-39 years, male 215.6
GTEX-16MT8-2926-SM-7DUFO 60-69 years, female 212.0
GTEX-139TU-0726-SM-5L3EK 60-69 years, male 209.6
GTEX-13X6K-0626-SM-5LU5D 60-69 years, female 208.8
GTEX-1K2DU-1226-SM-CYPT4 20-29 years, male 207.0
GTEX-1J8Q2-2626-SM-ACKWQ 60-69 years, male 206.2
GTEX-144GM-0526-SM-79OJO 20-29 years, male 204.8
GTEX-1F75W-2726-SM-7SB8H 60-69 years, male 204.4
GTEX-1H23P-0626-SM-9WG6T 60-69 years, male 203.4
GTEX-11DXX-2126-SM-5PNYR 60-69 years, female 200.8
GTEX-1F88F-0126-SM-9WYSZ 60-69 years, female 198.2
GTEX-18465-2826-SM-7LT9J 50-59 years, male 197.8
GTEX-1JN1M-2726-SM-CY8I4 60-69 years, female 197.6
GTEX-ZVZP-1226-SM-5GID7 50-59 years, male 195.9
GTEX-1GF9V-0826-SM-9KNUV 60-69 years, male 195.1
GTEX-ZPCL-1126-SM-4WWFE 60-69 years, female 193.9
GTEX-14A5H-0826-SM-5QGPJ 60-69 years, male 192.6
GTEX-1I6K7-1926-SM-B2LXR 40-49 years, male 190.1
GTEX-1A32A-0626-SM-731AQ 50-59 years, female 188.1
GTEX-145MO-2826-SM-5LU96 60-69 years, male 187.8
GTEX-1H4P4-2126-SM-9WYSL 50-59 years, male 187.7
GTEX-1LSNL-2726-SM-E9TKJ 50-59 years, male 183.4
GTEX-WFG7-2026-SM-5SI7P 20-29 years, male 179.8
GTEX-14PHY-1226-SM-5ZZWK 60-69 years, female 178.5
GTEX-13N1W-2426-SM-5IJD1 70-79 years, male 176.8
GTEX-12WSC-2826-SM-5BC5Y 50-59 years, male 175.2
GTEX-1MCC2-1826-SM-DIPEX 30-39 years, female 174.0
GTEX-1NV5F-0626-SM-DTXEG 60-69 years, female 172.8
GTEX-11PRG-0726-SM-5EGL1 50-59 years, male 172.1
GTEX-ZPIC-0526-SM-DO91W 40-49 years, female 171.4
GTEX-1JN76-0626-SM-CKZOQ 20-29 years, female 170.5
GTEX-1N2DV-1526-SM-DTXEP 40-49 years, male 168.6
GTEX-16XZZ-0726-SM-7KUF2 60-69 years, male 168.5
GTEX-11NSD-0626-SM-5A5LU 20-29 years, male 162.9
GTEX-13OW8-1026-SM-5J1NQ 60-69 years, male 161.7
GTEX-11EQ9-1626-SM-5PNY8 30-39 years, male 161.6
GTEX-11DYG-1526-SM-5A5JS 60-69 years, male 159.1
GTEX-131XG-0326-SM-5L3DX 50-59 years, female 158.5
GTEX-1PBJJ-1026-SM-E76OS 30-39 years, male 157.5
GTEX-1I1GP-1326-SM-A9G28 50-59 years, male 157.4
GTEX-WXYG-2026-SM-4E3IY 50-59 years, female 157.0
GTEX-13PL6-1126-SM-5L3IE 40-49 years, female 156.7
GTEX-1H1DG-2426-SM-9QEHJ 70-79 years, male 156.3
GTEX-139TT-2126-SM-5LZWC 60-69 years, male 154.3
GTEX-1J1OQ-0126-SM-D4P2N 40-49 years, female 154.3
GTEX-11OF3-0126-SM-5PNYF 60-69 years, male 154.2
GTEX-11ZUS-2626-SM-5FQUR 30-39 years, male 154.0
GTEX-1IE54-1126-SM-A9G2Z 40-49 years, female 153.4
GTEX-ZVT4-2426-SM-5GIEI 50-59 years, female 150.6
GTEX-1A8FM-0626-SM-7PC25 50-59 years, female 149.2
GTEX-1A8G6-2726-SM-731AR 60-69 years, male 148.6
GTEX-1399U-1126-SM-5L3DB 50-59 years, female 147.7
GTEX-131YS-2826-SM-5EQ47 60-69 years, female 143.8
GTEX-ZUA1-2626-SM-5NQ92 40-49 years, male 143.8
GTEX-1B8SF-0126-SM-7DUG3 60-69 years, male 142.9
GTEX-13FTY-2126-SM-5IFFB 40-49 years, female 142.2
GTEX-1LSVX-2526-SM-DIPEU 60-69 years, male 142.2
GTEX-12WSH-1526-SM-5BC5W 50-59 years, male 140.9
GTEX-Y114-2126-SM-4TT8B 50-59 years, female 140.8
GTEX-1IOXB-2726-SM-CM2RI 50-59 years, male 140.1
GTEX-1HFI6-0126-SM-CNPPI 40-49 years, male 139.7
GTEX-11TUW-0626-SM-5LU9M 60-69 years, male 139.2
GTEX-1QP9N-1226-SM-E76QN 30-39 years, male 138.2
GTEX-17F97-2626-SM-7IGM5 50-59 years, male 133.3
GTEX-13VXU-0626-SM-5L3F9 50-59 years, male 133.0
GTEX-1LVAO-2726-SM-E9TJ8 60-69 years, male 131.2
GTEX-1GMR2-0826-SM-7PC3V 50-59 years, male 129.7
GTEX-1HUB1-1426-SM-CGQF5 60-69 years, male 128.9
GTEX-Y3I4-1726-SM-4TT89 50-59 years, male 127.4
GTEX-X3Y1-2026-SM-3P5YM 40-49 years, male 125.2
GTEX-1CAMR-1326-SM-7PC1F 20-29 years, male 124.8
GTEX-ZVT2-0126-SM-5GIDQ 50-59 years, female 124.5
GTEX-VUSG-2326-SM-4KL1U 50-59 years, male 124.2
GTEX-12WSJ-1126-SM-5LZVJ 40-49 years, female 123.7
GTEX-13X6H-0926-SM-5SIB2 50-59 years, female 123.4
GTEX-13OVK-1426-SM-6PAN7 40-49 years, male 123.3
GTEX-15SKB-2826-SM-6PAMH 60-69 years, male 122.0
GTEX-1QCLY-0226-SM-EWRNH 30-39 years, male 122.0
GTEX-14BIN-1126-SM-5RQJZ 50-59 years, female 118.8
GTEX-ZWKS-0626-SM-5GIDV 30-39 years, male 118.1
GTEX-11VI4-1126-SM-5EQMD 40-49 years, female 117.9
GTEX-Y5V6-2326-SM-4VDSA 60-69 years, male 117.9
GTEX-13NZ9-2626-SM-5L3FK 50-59 years, male 117.3
GTEX-XYKS-1426-SM-4BRUO 60-69 years, female 113.9
GTEX-1F75I-2226-SM-7SB8U 40-49 years, male 113.8
GTEX-15RJE-2826-SM-7KUM9 40-49 years, male 113.6
GTEX-131XW-0626-SM-5PNVD 50-59 years, female 113.1
GTEX-1CAMQ-1326-SM-7P8RV 40-49 years, male 112.8
GTEX-1R9PN-0426-SM-DTXDT 40-49 years, female 111.4
GTEX-ZP4G-1426-SM-4WWCL 20-29 years, female 109.7
GTEX-1HBPI-2126-SM-ARL9K 50-59 years, male 109.7
GTEX-1IDJC-1526-SM-B2LW4 50-59 years, male 109.0
GTEX-12ZZZ-0726-SM-5GCNZ 60-69 years, male 108.2
GTEX-13OW6-2726-SM-5J2OE 50-59 years, male 108.2
GTEX-133LE-2326-SM-5K7W3 20-29 years, female 106.8
GTEX-13OVL-0126-SM-5L3GJ 50-59 years, male 106.0
GTEX-11NUK-2726-SM-5A5MC 50-59 years, male 102.9
GTEX-1RB15-1326-SM-E76Q9 60-69 years, male 102.9
GTEX-ZTX8-1326-SM-4YCEL 20-29 years, male 101.3
GTEX-1QPFJ-1926-SM-EVYBD 30-39 years, female 101.2
GTEX-14LZ3-0126-SM-69LPM 60-69 years, female 101.1
GTEX-XBED-1926-SM-47JYP 60-69 years, male 100.2
GTEX-13FTW-0326-SM-5K7UW 40-49 years, male 99.3
GTEX-ZDTS-0826-SM-4WKHL 60-69 years, male 99.2
GTEX-1QW4Y-1126-SM-DTXE3 30-39 years, male 98.3
GTEX-1F5PL-0926-SM-7PC2W 40-49 years, female 98.0
GTEX-1211K-1526-SM-5FQU4 60-69 years, female 97.8
GTEX-1F6IF-0926-SM-7SB7M 60-69 years, male 97.2
GTEX-XV7Q-1826-SM-4BRUV 40-49 years, female 96.6
GTEX-XK95-0226-SM-4AT58 40-49 years, male 94.0
GTEX-1H1DE-1326-SM-9KNUG 20-29 years, male 93.1
GTEX-1B996-0426-SM-7EWF8 60-69 years, male 92.8
GTEX-1GN1V-2826-SM-9JGIA 60-69 years, male 92.1
GTEX-14B4R-1326-SM-5Q5EZ 30-39 years, male 91.6
GTEX-1S831-1826-SM-EWROF 20-29 years, male 89.9
GTEX-1GZ4I-2626-SM-9KNU3 50-59 years, male 89.6
GTEX-13SLW-0626-SM-5Q5ER 70-79 years, male 88.9
GTEX-18A67-1626-SM-7LT9T 50-59 years, male 88.6
GTEX-XMD2-2126-SM-4YCF8 60-69 years, female 88.6
GTEX-XBEC-0726-SM-4QARZ 50-59 years, male 88.3
GTEX-139D8-1126-SM-5LU8W 30-39 years, female 87.1
GTEX-1F5PK-2226-SM-7SB6N 50-59 years, male 86.1
GTEX-X585-2426-SM-46MW2 50-59 years, male 83.3
GTEX-ZDTT-0426-SM-4WKFL 60-69 years, male 83.3
GTEX-13N11-2326-SM-5IJBF 50-59 years, female 82.5
GTEX-11ZTT-2126-SM-5CVLO 60-69 years, female 81.7
GTEX-18D9A-1426-SM-7LT8M 30-39 years, female 81.7
GTEX-1HCU6-2526-SM-ADEHL 60-69 years, female 81.1
GTEX-1MJK3-0726-SM-E6CJC 20-29 years, male 81.1
GTEX-17F9E-2326-SM-79OKD 50-59 years, male 80.8
GTEX-16YQH-2226-SM-7IGM2 30-39 years, male 79.8
GTEX-13OVG-1626-SM-5J1NF 60-69 years, male 78.7
GTEX-1C64O-1326-SM-7MGWR 60-69 years, male 78.4
GTEX-1OJC4-2726-SM-E76PJ 50-59 years, female 78.4
GTEX-1QP66-1226-SM-DTX7U 50-59 years, male 78.1
GTEX-1HCVE-2726-SM-CL54F 50-59 years, male 76.5
GTEX-1I1GS-2626-SM-B2LY3 60-69 years, male 76.5
GTEX-1PIIG-2326-SM-DTXFR 30-39 years, male 76.1
GTEX-Y8LW-1526-SM-5IFHL 50-59 years, female 75.7
GTEX-183WM-0326-SM-72D5V 70-79 years, female 75.1
GTEX-14JFF-0626-SM-5ZZVT 60-69 years, male 74.3
GTEX-1LG7Y-2526-SM-EWRO7 50-59 years, male 74.2
GTEX-UPK5-0426-SM-3GAEK 40-49 years, male 73.9
GTEX-1S5ZU-2526-SM-E6CIF 20-29 years, female 73.8
GTEX-1EH9U-2826-SM-7DUGT 60-69 years, male 73.1
GTEX-12WSK-2126-SM-5CVNC 40-49 years, female 72.8
GTEX-14C5O-0326-SM-5ZZUX 60-69 years, male 71.4
GTEX-14PKV-1126-SM-6LLJ1 20-29 years, female 71.2
GTEX-11DXW-0826-SM-5H118 40-49 years, male 70.9
GTEX-1HBPM-0726-SM-9YFL7 60-69 years, female 70.9
GTEX-14JG6-1426-SM-9WG7C 30-39 years, female 70.5
GTEX-1PPH7-1126-SM-DTX9A 40-49 years, male 69.9
GTEX-145MG-1526-SM-5Q5EM 50-59 years, male 68.9
GTEX-ZAB4-2126-SM-5HL8U 40-49 years, male 66.6
GTEX-ZVE2-2826-SM-5GU51 50-59 years, male 66.6
GTEX-X5EB-1926-SM-4E3IW 40-49 years, male 66.4
GTEX-1GTWX-2026-SM-9YFLM 60-69 years, male 66.1
GTEX-17MFQ-1526-SM-7KFRR 20-29 years, male 65.7
GTEX-1497J-0226-SM-5QGPU 60-69 years, male 65.6
GTEX-WHWD-1826-SM-3LK6I 50-59 years, male 65.3
GTEX-15EU6-2226-SM-6EU2L 50-59 years, male 64.3
GTEX-17F96-0126-SM-7EWDU 70-79 years, male 63.0
GTEX-1CAV2-0126-SM-7IGN7 40-49 years, female 63.0
GTEX-111VG-1626-SM-5EGIO 60-69 years, male 62.4
GTEX-1192X-2726-SM-5N9DN 50-59 years, male 62.4
GTEX-WYBS-0626-SM-3NMAS 60-69 years, female 62.3
GTEX-V1D1-2026-SM-3GAF4 50-59 years, male 61.9
GTEX-1HT8W-0626-SM-A9G2H 30-39 years, male 61.8
GTEX-1HGF4-0126-SM-CNPPX 60-69 years, male 61.5
GTEX-Y5V5-0126-SM-5S2NW 60-69 years, female 61.3
GTEX-1K9T9-1526-SM-DIPFR 50-59 years, female 61.3
GTEX-ZLFU-1826-SM-4WWBV 40-49 years, male 61.0
GTEX-15ER7-0626-SM-6PANF 20-29 years, female 60.9
GTEX-13RTJ-0126-SM-5S2NN 60-69 years, male 60.4
GTEX-1F52S-2926-SM-7MKGA 60-69 years, female 60.4
GTEX-13X6I-1826-SM-5SIAO 60-69 years, male 60.3
GTEX-ZYT6-2326-SM-5GZY3 30-39 years, male 60.3
GTEX-1IDFM-0326-SM-ARL7V 60-69 years, male 59.6
GTEX-1RAZS-2526-SM-E6CHT 50-59 years, male 59.3
GTEX-1JMQJ-0826-SM-CNPP7 50-59 years, male 58.9
GTEX-1JMQK-1226-SM-D4P2S 60-69 years, male 58.9
GTEX-13O3Q-0126-SM-5KM34 50-59 years, male 58.6
GTEX-1F75B-0726-SM-7PC3R 50-59 years, male 58.4
GTEX-1L5NE-1126-SM-D3L9P 50-59 years, male 58.2
GTEX-1GN2E-0226-SM-9WG6K 60-69 years, male 58.1
GTEX-17KNJ-2126-SM-718AM 50-59 years, male 57.9
GTEX-UPJH-0226-SM-3GADV 50-59 years, male 57.8
GTEX-1JKYR-0626-SM-ARL8R 20-29 years, male 57.2
GTEX-1IKJJ-2226-SM-CJI4C 60-69 years, male 57.1
GTEX-13JUV-2026-SM-5K7UA 40-49 years, female 56.9
GTEX-12KS4-2126-SM-5FQUT 30-39 years, male 55.5
GTEX-ZC5H-1526-SM-5HL9Y 40-49 years, female 55.5
GTEX-ZVE1-0726-SM-51MRN 50-59 years, female 55.2
GTEX-1B8L1-2226-SM-7P8PT 60-69 years, male 55.2
GTEX-1LVAM-0726-SM-E6CIL 50-59 years, female 54.8
GTEX-11EI6-2826-SM-5H11D 60-69 years, male 54.7
GTEX-1R9PM-1926-SM-EVR3O 20-29 years, male 54.7
GTEX-13O61-1426-SM-5KM3D 60-69 years, male 54.6
GTEX-145MF-0926-SM-5Q5EA 50-59 years, male 54.5
GTEX-1A3MX-2626-SM-7PC24 60-69 years, male 54.5
GTEX-11P7K-1126-SM-5HL4L 30-39 years, male 52.8
GTEX-1JK1U-0226-SM-ARZMX 60-69 years, male 52.8
GTEX-147GR-2426-SM-5ZZWQ 60-69 years, male 51.9
GTEX-16GPK-0626-SM-7KFSF 60-69 years, male 51.8
GTEX-U8XE-0226-SM-4E3J3 30-39 years, male 51.8
GTEX-1B932-2326-SM-79OL5 40-49 years, female 51.4
GTEX-1KANB-2826-SM-CY8I6 50-59 years, male 51.2
GTEX-111CU-1126-SM-5EGIM 50-59 years, male 50.9
GTEX-178AV-1726-SM-7KUL8 40-49 years, male 50.7
GTEX-1GZ4H-0526-SM-9KNU9 50-59 years, female 50.6
GTEX-147F3-1726-SM-5SIAW 50-59 years, female 50.4
GTEX-18A6Q-0626-SM-7KFRP 60-69 years, male 50.2
GTEX-1IL2V-1926-SM-B2LW8 70-79 years, male 49.7
GTEX-ZAJG-1526-SM-5CVML 50-59 years, female 49.6
GTEX-145LT-0526-SM-5LUB2 40-49 years, male 48.2
GTEX-11GS4-0226-SM-5HL77 60-69 years, male 47.9
GTEX-15D1Q-2826-SM-6LLH7 40-49 years, male 47.9
GTEX-1S83E-1326-SM-E6CJM 40-49 years, male 47.9
GTEX-1GN1U-0626-SM-9MQL9 50-59 years, female 47.6
GTEX-13FH7-1126-SM-5K7UG 50-59 years, female 47.5
GTEX-11WQC-1826-SM-5GU59 60-69 years, male 47.4
GTEX-WY7C-2126-SM-3NB2R 50-59 years, male 47.4
GTEX-1HCU7-0726-SM-A9SL1 50-59 years, male 47.4
GTEX-11P81-2226-SM-5PNYI 30-39 years, female 46.9
GTEX-14A6H-2026-SM-5Q5DD 30-39 years, male 46.5
GTEX-13D11-0926-SM-5J2NC 50-59 years, female 45.6
GTEX-1269C-0126-SM-5EQ5L 60-69 years, female 45.0
GTEX-11O72-0626-SM-5PNYE 40-49 years, male 44.6
GTEX-1QCLZ-2426-SM-EVYBW 60-69 years, female 44.4
GTEX-145LS-0626-SM-7EPG7 60-69 years, female 44.0
GTEX-1EMGI-2326-SM-7PBYA 60-69 years, male 43.7
GTEX-ZZPU-0826-SM-5GZX5 50-59 years, female 43.5
GTEX-ZT9W-1126-SM-57WDR 50-59 years, male 43.3
GTEX-ZF3C-0626-SM-DO92O 50-59 years, female 43.3
GTEX-11EQ8-0926-SM-5H12V 60-69 years, male 43.1
GTEX-1EX96-1026-SM-7MKG2 50-59 years, male 42.8
GTEX-1IDJI-0126-SM-CMKHS 50-59 years, female 42.3
GTEX-1JKYN-0826-SM-ARU8S 30-39 years, male 42.3
GTEX-ZE9C-2526-SM-5IJDR 60-69 years, male 42.0
GTEX-1GF9U-2026-SM-7SB92 40-49 years, female 41.9
GTEX-1CB4F-1026-SM-7DUH1 60-69 years, male 41.7
GTEX-1C64N-2626-SM-7PC2N 50-59 years, male 41.7
GTEX-12WSA-0426-SM-5EQ5X 60-69 years, male 41.6
GTEX-1HKZK-0726-SM-ACKW2 40-49 years, male 41.1
GTEX-1IDJH-0126-SM-D3L92 70-79 years, male 40.8
GTEX-14PKU-0126-SM-6LLHV 40-49 years, female 40.2
GTEX-13113-1626-SM-5EQ4I 60-69 years, female 40.1
GTEX-13OVJ-0826-SM-5J1OK 50-59 years, female 40.1
GTEX-1AMEY-0826-SM-72D65 30-39 years, female 40.0
GTEX-1N5O9-0926-SM-E9J3C 60-69 years, male 39.1
GTEX-WYJK-0526-SM-3NM8Z 50-59 years, male 38.8
GTEX-1CB4H-1126-SM-7MKGL 60-69 years, female 38.2
GTEX-14PII-0726-SM-6EU2B 60-69 years, male 38.1
GTEX-139UW-0326-SM-5J1ML 60-69 years, male 38.0
GTEX-12WSL-2026-SM-5GCML 50-59 years, male 37.9
GTEX-145MH-2826-SM-5RQJF 50-59 years, male 37.8
GTEX-17EVP-2626-SM-7IGMA 40-49 years, male 37.6
GTEX-X8HC-0626-SM-4E3HQ 50-59 years, female 37.4
GTEX-13PVQ-0626-SM-5LU47 50-59 years, male 37.3
GTEX-15CHQ-0326-SM-69LQD 60-69 years, male 37.1
GTEX-1S3DN-2126-SM-E9TIN 50-59 years, male 36.7
GTEX-13IVO-0726-SM-5LZYV 70-79 years, male 36.3
GTEX-1IDJE-1426-SM-ADEIW 50-59 years, female 36.3
GTEX-XUW1-0926-SM-4BONX 50-59 years, female 36.0
GTEX-16AAH-0626-SM-793C9 50-59 years, male 35.7
GTEX-146FQ-2126-SM-5RQHU 30-39 years, male 35.4
GTEX-1A8G7-1326-SM-73KVM 60-69 years, male 35.3
GTEX-1HBPN-0126-SM-CGQEF 50-59 years, male 35.0
GTEX-1A3MV-1826-SM-731CD 30-39 years, male 34.4
GTEX-1QP29-1826-SM-DTX9S 50-59 years, male 34.3
GTEX-1GMR3-0126-SM-A9SLW 40-49 years, male 34.2
GTEX-1C6VR-0126-SM-7RHGB 60-69 years, male 33.9
GTEX-ZXG5-2126-SM-59HKD 60-69 years, male 33.4
GTEX-1H3O1-1326-SM-9MQLD 60-69 years, male 33.3
GTEX-1313W-0626-SM-5EQ4H 50-59 years, female 32.3
GTEX-1GZ2Q-0126-SM-9WG6M 40-49 years, male 32.0
GTEX-1CB4I-0126-SM-7RHGG 50-59 years, male 31.8
GTEX-1KD5A-0126-SM-E9U54 50-59 years, male 31.7
GTEX-1F75A-0726-SM-7RHHD 50-59 years, male 31.6
GTEX-ZLV1-1526-SM-DO91J 60-69 years, female 31.6
GTEX-14AS3-1526-SM-5Q5ED 40-49 years, female 30.9
GTEX-15DDE-2926-SM-6LLJ3 50-59 years, female 30.3
GTEX-17F9Y-0126-SM-79OKX 70-79 years, female 30.2
GTEX-147F4-0726-SM-5TDDD 50-59 years, male 30.0
GTEX-13PVR-0426-SM-5RQK2 60-69 years, female 29.3
GTEX-YJ8O-2526-SM-5HL85 40-49 years, female 29.2
GTEX-1PPGY-1626-SM-EVYBL 60-69 years, male 29.0
GTEX-111FC-2526-SM-5GZXU 60-69 years, male 28.9
GTEX-17EVQ-0126-SM-7IGLR 70-79 years, male 28.9
GTEX-WYVS-1626-SM-3NM9R 40-49 years, female 28.8
GTEX-15FZZ-0526-SM-7KUGD 30-39 years, female 28.6
GTEX-ZYW4-0626-SM-59HJR 60-69 years, male 28.6
GTEX-14BMU-1226-SM-5S2OR 20-29 years, female 27.9
GTEX-YEC3-1326-SM-DO92X 50-59 years, male 27.7
GTEX-13JVG-0726-SM-5KM16 60-69 years, male 27.6
GTEX-18QFQ-1826-SM-72D52 30-39 years, male 27.5
GTEX-1I6K6-1726-SM-CGQFD 30-39 years, male 27.5
GTEX-YF7O-1526-SM-5IFI6 50-59 years, male 27.4
GTEX-1B97I-0626-SM-73KUZ 40-49 years, male 27.3
GTEX-1AX9J-1326-SM-731BJ 60-69 years, male 26.8
GTEX-1PIGE-1826-SM-E8VOU 20-29 years, male 25.8
GTEX-1JMPZ-0726-SM-CY8HZ 30-39 years, male 25.6
GTEX-1ICLY-0826-SM-CMKG1 50-59 years, male 24.6
GTEX-1477Z-0326-SM-7IGLA 60-69 years, male 24.1
GTEX-12BJ1-0926-SM-5EQ62 60-69 years, male 24.0
GTEX-12WSM-1926-SM-5BC65 60-69 years, male 23.8
GTEX-1JMPY-0226-SM-CKZOK 30-39 years, male 23.8
GTEX-1JMQI-1726-SM-ARL93 50-59 years, male 23.4
GTEX-13N2G-0226-SM-5K7VF 60-69 years, male 23.2
GTEX-1GN1W-2426-SM-9KNUU 50-59 years, female 22.9
GTEX-1JJE9-2626-SM-ARZMT 70-79 years, male 22.5
GTEX-117YX-1926-SM-5GIEC 50-59 years, male 22.4
GTEX-WHPG-2626-SM-3NMBR 50-59 years, male 22.3
GTEX-11ZU8-0126-SM-5EQ58 60-69 years, male 22.1
GTEX-12C56-1526-SM-5FQUQ 20-29 years, male 22.1
GTEX-1I1GT-1026-SM-ARZLV 60-69 years, female 22.1
GTEX-ZE7O-2726-SM-51MT5 50-59 years, female 21.8
GTEX-1GMR8-0626-SM-7RHI7 50-59 years, female 21.7
GTEX-1OJC3-1226-SM-DTXER 20-29 years, male 21.3
GTEX-1IDJV-0126-SM-COH3Y 60-69 years, male 21.1
GTEX-13OW7-0426-SM-5K7VK 50-59 years, male 20.9
GTEX-1GN73-0726-SM-7P8TJ 60-69 years, male 20.7
GTEX-15CHR-1126-SM-7EWF4 50-59 years, male 20.5
GTEX-13W3W-0726-SM-5IJDQ 60-69 years, female 20.3
GTEX-1LG7Z-1626-SM-CXKYR 30-39 years, male 20.3
GTEX-1GPI7-1826-SM-9KNU1 20-29 years, male 20.1
GTEX-Y9LG-1126-SM-4VBQ7 30-39 years, male 20.0
GTEX-XAJ8-1426-SM-47JYM 40-49 years, male 19.8
GTEX-1HFI7-2326-SM-CGQFS 50-59 years, female 19.8
GTEX-1QP2A-1726-SM-E76QC 50-59 years, male 19.6
GTEX-16NGA-0726-SM-731AO 40-49 years, female 19.5
GTEX-11P82-1426-SM-DTXFY 20-29 years, male 19.3
GTEX-145MI-0626-SM-5SI8S 60-69 years, female 19.1
GTEX-1B8KZ-0326-SM-73KY4 50-59 years, male 18.7
GTEX-1LGRB-0926-SM-COH3K 50-59 years, female 18.5
GTEX-139TS-2126-SM-5K7XC 60-69 years, male 18.2
GTEX-16MTA-0926-SM-6M47Z 50-59 years, male 18.1
GTEX-11DXY-0126-SM-5H11Q 60-69 years, male 17.9
GTEX-1ICG6-1226-SM-A9SLN 70-79 years, female 17.9
GTEX-15EO6-2426-SM-6PALZ 50-59 years, male 17.8
GTEX-1H1ZS-2726-SM-9WG75 70-79 years, male 17.5
GTEX-1HR9M-2226-SM-CNPPY 60-69 years, male 17.5
GTEX-ZYFG-1526-SM-5GZYM 60-69 years, female 17.4
GTEX-1117F-2926-SM-5GZYI 60-69 years, female 17.3
GTEX-1H11D-1826-SM-9QEHM 40-49 years, male 17.0
GTEX-14PJ5-1526-SM-6LLIL 60-69 years, female 16.8
GTEX-ZPU1-1126-SM-4YCF3 40-49 years, male 16.8
GTEX-1J1R8-2026-SM-CL53Y 40-49 years, male 16.5
GTEX-1RAZA-2226-SM-E9U4X 20-29 years, male 16.0
GTEX-1KANA-1326-SM-DIPFA 20-29 years, male 15.9
GTEX-1S82P-2126-SM-E6CI5 60-69 years, female 15.8
GTEX-15RIG-0726-SM-7KUM7 40-49 years, male 15.7
GTEX-1I4MK-0126-SM-CY8G6 50-59 years, female 15.7
GTEX-1LSNM-0826-SM-DIPG8 50-59 years, male 15.4
GTEX-XOT4-0626-SM-4B66L 60-69 years, female 15.3
GTEX-11GSP-2326-SM-5HL63 60-69 years, female 15.0
GTEX-145MN-1526-SM-5SI9T 30-39 years, male 14.9
GTEX-1HB9E-0126-SM-CM2S5 50-59 years, male 14.6
GTEX-14DAR-1226-SM-73KYV 50-59 years, male 14.4
GTEX-18A7A-0126-SM-731AH 50-59 years, female 14.3
GTEX-13FLV-0126-SM-5K7WT 50-59 years, male 14.2
GTEX-14753-0726-SM-5QGQO 60-69 years, male 14.2
GTEX-1H1E6-0426-SM-9WYUS 30-39 years, male 14.0
GTEX-1PDJ9-1226-SM-EXUSX 20-29 years, male 13.8
GTEX-1HR98-2226-SM-ADEI2 60-69 years, male 13.7
GTEX-1CB4E-0926-SM-7EPHT 60-69 years, male 13.3
GTEX-X4EP-0626-SM-3P621 60-69 years, female 13.2
GTEX-1HCUA-0826-SM-ADEHM 50-59 years, female 12.9
GTEX-15CHC-1126-SM-6LLHQ 60-69 years, female 12.8
GTEX-1AMFI-1326-SM-7939R 50-59 years, female 12.8
GTEX-1EWIQ-0326-SM-7DHMQ 70-79 years, female 12.8
GTEX-XXEK-1626-SM-4BRUZ 50-59 years, male 12.8
GTEX-Y111-0626-SM-4SOIT 50-59 years, male 12.8
GTEX-1KAFJ-0126-SM-DIPEK 50-59 years, male 12.7
GTEX-1LB8K-0726-SM-D5OV2 50-59 years, male 12.7
GTEX-ZZ64-1026-SM-5GZXG 20-29 years, male 12.6
GTEX-ZAK1-0626-SM-5HL8E 50-59 years, female 12.4
GTEX-17HHE-1326-SM-7EWDZ 50-59 years, male 12.3
GTEX-1K2DA-1026-SM-CGQGF 50-59 years, male 12.2
GTEX-1R7EU-1626-SM-DTXG3 60-69 years, male 11.9
GTEX-ZYY3-2926-SM-5GIEB 60-69 years, female 11.8
GTEX-XBEW-1126-SM-4QARW 40-49 years, male 11.6
GTEX-14PJN-1826-SM-6AJ98 30-39 years, male 11.5
GTEX-Y3IK-1626-SM-4YCF5 50-59 years, female 11.5
GTEX-1B8KE-1126-SM-7EPHI 50-59 years, male 11.4
GTEX-ZU9S-1826-SM-5NQ9E 30-39 years, male 11.2
GTEX-1QP28-1126-SM-EVYC4 50-59 years, female 11.2
GTEX-1C2JI-1026-SM-73KY1 50-59 years, male 11.1
GTEX-14E1K-2026-SM-7DUEI 50-59 years, male 10.9
GTEX-1HSMQ-2626-SM-A9SML 50-59 years, male 10.9
GTEX-11UD2-2526-SM-5CVNU 50-59 years, male 10.4
GTEX-1NSGN-0726-SM-DTXEF 50-59 years, male 10.4
GTEX-147JS-0226-SM-5S2U9 60-69 years, male 10.3
GTEX-1QMI2-2526-SM-E8VNZ 60-69 years, male 9.8
GTEX-1399R-1326-SM-5PNYS 30-39 years, male 9.7
GTEX-131XF-2626-SM-5EQ6K 60-69 years, male 9.6
GTEX-13NZ8-1226-SM-5KM4A 60-69 years, female 9.6
GTEX-ZVP2-0326-SM-57WBP 50-59 years, male 9.6
GTEX-1HSKV-1226-SM-ADEI4 60-69 years, male 9.5
GTEX-1MCYP-0526-SM-E9U6Q 20-29 years, female 9.4
GTEX-1RAZQ-1326-SM-E9TK6 30-39 years, male 9.4
GTEX-11DXZ-2026-SM-5987S 50-59 years, male 9.2
GTEX-YB5K-2026-SM-4VDT3 40-49 years, female 8.6
GTEX-1J8EW-2726-SM-CY8HR 60-69 years, female 8.6
GTEX-ZYFC-0426-SM-5GICQ 50-59 years, male 8.5
GTEX-1HCU9-0426-SM-9WYSD 20-29 years, male 8.5
GTEX-13VXT-1926-SM-5K7UO 20-29 years, female 8.4
GTEX-WHSB-1326-SM-3LK6W 50-59 years, male 8.3
GTEX-14PJ6-2626-SM-6EU2T 60-69 years, female 8.1
GTEX-ZF2S-1626-SM-57WES 50-59 years, female 8.1
GTEX-148VJ-0626-SM-5LUAW 70-79 years, male 8.0
GTEX-14C39-1726-SM-5RQIL 40-49 years, male 8.0
GTEX-1QEPI-2626-SM-DTXF4 60-69 years, female 8.0
GTEX-15DYW-2726-SM-6EU2I 60-69 years, female 7.6
GTEX-1JN6P-2926-SM-CL54D 60-69 years, male 7.5
GTEX-1J8Q3-0526-SM-ARL8U 60-69 years, male 7.4
GTEX-139YR-1026-SM-5LZYN 50-59 years, male 7.3
GTEX-1IDJU-1726-SM-CMKHU 60-69 years, female 7.3
GTEX-13OW5-2326-SM-5L3HO 60-69 years, male 7.2
GTEX-13SLX-2226-SM-62LEP 50-59 years, female 7.0
GTEX-14E6C-2426-SM-5S2NF 40-49 years, male 7.0
GTEX-131XH-0126-SM-5LZUY 50-59 years, male 6.9
GTEX-1LGOU-1326-SM-D3L8M 20-29 years, female 6.8
GTEX-ZA64-1026-SM-5HL8R 20-29 years, male 6.7
GTEX-1HSGN-0826-SM-ACKW3 40-49 years, female 6.5
GTEX-YFCO-1226-SM-5LUAT 40-49 years, male 5.9
GTEX-14PK6-0226-SM-62LF5 70-79 years, female 5.8
GTEX-WEY5-2326-SM-3GIKK 40-49 years, female 5.4
GTEX-13FTX-1526-SM-5K7VJ 20-29 years, female 5.3
GTEX-ZF29-0926-SM-4WKFZ 60-69 years, female 5.1
GTEX-1JMLX-0626-SM-ARL8T 50-59 years, male 5.0
GTEX-1KANC-1226-SM-CYPT7 50-59 years, female 4.9
GTEX-Y8E4-2026-SM-5IFJB 40-49 years, male 4.7
GTEX-13PDP-0726-SM-5L3HP 60-69 years, male 4.6
GTEX-1I19N-0126-SM-CYPSF 70-79 years, male 4.6
GTEX-1J8QM-2426-SM-A9SLS 60-69 years, female 4.6
GTEX-145ME-1726-SM-5Q5EU 40-49 years, female 4.2
GTEX-14E6E-0526-SM-793DN 30-39 years, male 4.1
GTEX-12696-0126-SM-5EQ4L 60-69 years, male 3.9
GTEX-1JJ6O-2726-SM-CNPOG 60-69 years, male 3.7
GTEX-13QJC-0126-SM-5ZZWJ 60-69 years, female 3.6
GTEX-1C475-1326-SM-7SB73 40-49 years, female 3.5
GTEX-1RAZR-2126-SM-E9U6T 40-49 years, male 3.5
GTEX-XQ8I-0926-SM-4BOOF 50-59 years, male 3.3
GTEX-1LBAC-0826-SM-CY8IJ 20-29 years, male 3.3
GTEX-1LVAN-0626-SM-CNPOQ 50-59 years, female 3.1
GTEX-11EM3-1226-SM-5N9DD 20-29 years, female 2.9
GTEX-1H3VE-0726-SM-9YFL5 40-49 years, male 2.9
GTEX-ZGAY-1826-SM-DO91Q 40-49 years, female 2.8
GTEX-139T8-0626-SM-5KLZX 60-69 years, male 2.2
GTEX-1S82U-1026-SM-E6CJK 30-39 years, female 2.1
GTEX-1KWVE-1026-SM-D3L9O 30-39 years, male 2.0
GTEX-ZTSS-1426-SM-5985P 40-49 years, male 1.9
GTEX-ZLWG-0826-SM-59888 50-59 years, female 1.8
GTEX-14LLW-2626-SM-62LDZ 70-79 years, female 1.2
GTEX-1122O-1026-SM-9WYSF 60-69 years, female 1.1
GTEX-14DAQ-0626-SM-793DS 60-69 years, female 0.6
Show allShow less
Skin - Sun Exposed (Lower leg)
Average nTPM: 281.9
Samples: 701

Max nTPM: 11650.7
Min nTPM: 0.0
Std nTPM: 871.0
Median nTPM: 51.3
GTEX-183WM-0126-SM-7LTAB 70-79 years, female 11650.7
GTEX-POMQ-2226-SM-2I5FK 20-29 years, female 9612.6
GTEX-1C6VQ-0126-SM-7P8RI 50-59 years, male 7080.1
GTEX-144FL-0126-SM-5TDC8 50-59 years, male 6664.9
GTEX-1R9K4-0126-SM-DTX9X 60-69 years, male 5642.0
GTEX-1ICLZ-0126-SM-CKZPO 60-69 years, male 4589.3
GTEX-117YW-2626-SM-5GZZH 50-59 years, male 4554.7
GTEX-Y5V6-2426-SM-4VDSB 60-69 years, male 4504.2
GTEX-11TT1-2526-SM-5EGIB 20-29 years, male 4078.9
GTEX-W5X1-3026-SM-EAZAX 40-49 years, female 3982.2
GTEX-1PWST-0226-SM-E76QJ 70-79 years, male 3142.8
GTEX-1A3MW-0126-SM-73KXX 60-69 years, female 3007.8
GTEX-WFG8-2226-SM-3GIL9 20-29 years, male 2944.1
GTEX-1JMQK-0226-SM-CL543 60-69 years, male 2859.2
GTEX-1AX8Z-0126-SM-7DHM6 60-69 years, male 2697.1
GTEX-1CAMS-0426-SM-7P8T2 40-49 years, female 2521.9
GTEX-1PPH8-0226-SM-E8VND 20-29 years, male 2466.8
GTEX-1192W-2626-SM-5Q5AF 60-69 years, male 2110.7
GTEX-ZF3C-0126-SM-DO92D 50-59 years, female 1939.9
GTEX-1399T-2826-SM-5KLYZ 60-69 years, male 1859.4
GTEX-ZVZO-0126-SM-5A5L9 40-49 years, male 1784.5
GTEX-1R46S-0626-SM-E9J41 60-69 years, female 1729.6
GTEX-1HUB1-0426-SM-E9U4U 60-69 years, male 1554.8
GTEX-1F6IF-0726-SM-7P8TW 60-69 years, male 1522.5
GTEX-13CF3-2426-SM-5IFGX 60-69 years, female 1499.4
GTEX-1HB9E-0226-SM-E9U4R 50-59 years, male 1473.1
GTEX-14E6E-1826-SM-5S2R7 30-39 years, male 1461.3
GTEX-14XAO-2326-SM-6EU1B 60-69 years, female 1450.7
GTEX-17EUY-0426-SM-793BD 20-29 years, male 1444.0
GTEX-17MF6-0126-SM-7LG4F 40-49 years, male 1435.0
GTEX-1128S-2326-SM-5GZZY 60-69 years, female 1390.7
GTEX-1HR98-0126-SM-B2LWI 60-69 years, male 1370.2
GTEX-15UKP-0426-SM-7KUFQ 20-29 years, male 1260.7
GTEX-ZU9S-0226-SM-5E441 30-39 years, male 1249.9
GTEX-1M5QR-1226-SM-EWROB 40-49 years, male 1242.9
GTEX-12WSL-2526-SM-5GCNJ 50-59 years, male 1234.1
GTEX-ZDYS-2026-SM-5HL5L 50-59 years, male 1088.4
GTEX-1RLM8-2326-SM-EWRN4 50-59 years, male 1085.3
GTEX-18QFQ-0126-SM-731BE 30-39 years, male 1046.4
GTEX-14ICK-0226-SM-6EU25 40-49 years, male 1043.2
GTEX-1QAET-0926-SM-E76QM 50-59 years, male 1014.9
GTEX-1H3VE-0326-SM-9YFLH 40-49 years, male 1004.7
GTEX-O5YT-0126-SM-48TBW 20-29 years, male 969.6
GTEX-YJ8A-0426-SM-5IFID 20-29 years, male 934.0
GTEX-1JJEA-0326-SM-CNPOT 60-69 years, male 929.5
GTEX-QDVN-2026-SM-3GAEP 50-59 years, male 917.5
GTEX-ZY6K-1826-SM-5GZXK 50-59 years, male 913.8
GTEX-1CB4H-0226-SM-7PBXM 60-69 years, female 905.9
GTEX-1H1DE-2126-SM-9WG6R 20-29 years, male 884.7
GTEX-S32W-2126-SM-2XCB1 50-59 years, female 865.4
GTEX-1AYD5-2426-SM-73KXR 50-59 years, male 835.4
GTEX-13OVG-1926-SM-5L3DK 60-69 years, male 831.7
GTEX-VJYA-1126-SM-3GIJU 60-69 years, male 819.0
GTEX-Q734-1926-SM-2I5EV 40-49 years, female 797.9
GTEX-146FQ-0126-SM-5NQA9 30-39 years, male 786.8
GTEX-13FTW-2626-SM-5K7WL 40-49 years, male 765.0
GTEX-X88G-0126-SM-47JZ3 30-39 years, male 754.8
GTEX-17KNJ-2326-SM-7DHLQ 50-59 years, male 752.6
GTEX-1CB4J-0626-SM-7DHMP 60-69 years, male 746.4
GTEX-SSA3-0126-SM-32QPU 60-69 years, male 731.6
GTEX-11O72-0126-SM-59887 40-49 years, male 728.0
GTEX-X4XX-0126-SM-3NMC2 60-69 years, male 705.5
GTEX-Q2AI-1326-SM-2S1PL 40-49 years, male 700.7
GTEX-11WQK-0526-SM-5EQLD 50-59 years, male 683.8
GTEX-RUSQ-1526-SM-2TF62 50-59 years, male 679.5
GTEX-12584-0126-SM-5EGKQ 40-49 years, male 641.7
GTEX-11ZU8-2526-SM-5EQKI 60-69 years, male 620.7
GTEX-15DCD-0126-SM-7KUEK 70-79 years, female 618.5
GTEX-1H1DG-0126-SM-9WYU2 70-79 years, male 587.6
GTEX-U412-0426-SM-3DB9O 60-69 years, male 563.4
GTEX-1L5NE-2526-SM-E6CIE 50-59 years, male 559.8
GTEX-15UF6-0826-SM-6PALJ 70-79 years, female 559.2
GTEX-X4XY-0226-SM-4E3IZ 60-69 years, male 541.3
GTEX-13NYC-0326-SM-E9J4S 60-69 years, male 528.3
GTEX-1J8Q2-0526-SM-CM2RW 60-69 years, male 525.4
GTEX-11NUK-0126-SM-5A5L3 50-59 years, male 519.5
GTEX-1H3NZ-0126-SM-ACKX7 60-69 years, male 503.3
GTEX-18D9U-0226-SM-718BP 40-49 years, male 498.2
GTEX-1HSMO-0126-SM-CL547 60-69 years, male 498.0
GTEX-12WSJ-1826-SM-5GCNY 40-49 years, female 480.6
GTEX-ZVE2-0226-SM-59HJB 50-59 years, male 471.0
GTEX-ZYFD-0126-SM-5GIDL 50-59 years, male 466.1
GTEX-1A8FM-0226-SM-7SB7Q 50-59 years, female 465.0
GTEX-16XZY-2126-SM-79OK1 70-79 years, male 452.7
GTEX-ZWKS-0126-SM-5SIAA 30-39 years, male 449.9
GTEX-13OVJ-0126-SM-5KM36 50-59 years, female 435.5
GTEX-1A3MX-0126-SM-731BR 60-69 years, male 430.9
GTEX-1HCVE-0126-SM-CGQEU 50-59 years, male 417.2
GTEX-1KXAM-2226-SM-CYPTC 60-69 years, male 413.9
GTEX-16MT8-0426-SM-7KUEY 60-69 years, female 403.8
GTEX-OXRN-0126-SM-48TDM 50-59 years, male 402.0
GTEX-1F48J-0126-SM-7P8TT 50-59 years, female 400.1
GTEX-13SLX-0526-SM-5S2ON 50-59 years, female 392.8
GTEX-1GZ2Q-0226-SM-7P8TL 40-49 years, male 387.3
GTEX-Z93T-0126-SM-5HL5N 50-59 years, male 382.4
GTEX-18A7B-0126-SM-7LG64 70-79 years, male 376.6
GTEX-14A5H-0426-SM-5QGQF 60-69 years, male 376.4
GTEX-1HCU8-0626-SM-A9SM9 60-69 years, female 375.5
GTEX-14PHX-2326-SM-62LEM 50-59 years, male 372.7
GTEX-13RTJ-2426-SM-5S2Q2 60-69 years, male 371.9
GTEX-13N11-2526-SM-5K7UE 50-59 years, female 359.1
GTEX-17HGU-0226-SM-7DHKV 50-59 years, male 356.4
GTEX-1GN2E-0426-SM-9MQKX 60-69 years, male 353.2
GTEX-1HCUA-2426-SM-ADEIS 50-59 years, female 348.9
GTEX-1LC47-0326-SM-E9TJP 60-69 years, male 343.5
GTEX-14PHW-0126-SM-6LLJI 60-69 years, female 342.6
GTEX-QV44-1926-SM-2S1RF 50-59 years, male 335.0
GTEX-ZF2S-2326-SM-4WWCE 50-59 years, female 333.0
GTEX-1497J-2426-SM-7IGNX 60-69 years, male 332.8
GTEX-13FHO-0226-SM-5IFGY 60-69 years, male 327.4
GTEX-1I1GU-2226-SM-CGQFA 40-49 years, male 326.6
GTEX-1HBPN-0226-SM-9YFM1 50-59 years, male 322.6
GTEX-1N2DW-0226-SM-E9TK2 50-59 years, male 321.4
GTEX-11DZ1-0126-SM-5985Q 50-59 years, male 321.0
GTEX-11TUW-2726-SM-E9J4M 60-69 years, male 311.3
GTEX-18A7A-0226-SM-718BH 50-59 years, female 307.6
GTEX-1F88F-2726-SM-7PBZZ 60-69 years, female 304.8
GTEX-15G19-0126-SM-6PANQ 60-69 years, male 300.4
GTEX-R3RS-0126-SM-3GIJL 40-49 years, female 296.8
GTEX-1JMPZ-0226-SM-CNPP1 30-39 years, male 295.3
GTEX-13N1W-0126-SM-5K7VT 70-79 years, male 291.2
GTEX-ZTPG-0326-SM-5O9AX 20-29 years, female 281.8
GTEX-144GN-2326-SM-5LU4F 50-59 years, male 278.3
GTEX-XMD2-0126-SM-4YCDU 60-69 years, female 278.2
GTEX-WXYG-2326-SM-4E3I6 50-59 years, female 276.0
GTEX-1C4CL-0526-SM-73KVK 30-39 years, male 273.0
GTEX-P44H-0226-SM-2XCEU 40-49 years, male 270.3
GTEX-Y3IK-2426-SM-4WWDU 50-59 years, female 269.4
GTEX-OHPL-0126-SM-2HMJ7 60-69 years, female 264.8
GTEX-YEC4-2126-SM-5IFJH 40-49 years, male 263.9
GTEX-14PN4-0126-SM-6EU2V 50-59 years, male 260.6
GTEX-17HHY-0126-SM-7LG5D 50-59 years, male 260.4
GTEX-OIZH-0126-SM-2HMIS 50-59 years, male 259.6
GTEX-RVPV-0126-SM-EAZAW 60-69 years, male 256.9
GTEX-11WQC-2526-SM-5CVLE 60-69 years, male 256.0
GTEX-146FH-0126-SM-5QGPP 50-59 years, female 255.1
GTEX-145LS-0126-SM-5QGP1 60-69 years, female 254.3
GTEX-1CB4F-0426-SM-9KNV4 60-69 years, male 254.0
GTEX-13N2G-2626-SM-5J1OT 60-69 years, male 251.6
GTEX-1F5PK-2426-SM-7RHHY 50-59 years, male 251.4
GTEX-1QP9N-1426-SM-DTXFL 30-39 years, male 251.3
GTEX-15SHW-0326-SM-6PAML 60-69 years, male 250.5
GTEX-1JMOU-1526-SM-CL54I 60-69 years, female 249.0
GTEX-ZPIC-1726-SM-DHXIU 40-49 years, female 248.8
GTEX-SIU8-0126-SM-2XCDT 50-59 years, male 248.2
GTEX-1GF9W-0326-SM-9KNUN 60-69 years, male 247.9
GTEX-13OVI-1426-SM-5L3EY 60-69 years, female 244.5
GTEX-1H23P-0126-SM-ADEJ3 60-69 years, male 243.6
GTEX-QDVJ-1726-SM-2I5FX 50-59 years, male 241.2
GTEX-1F6RS-0126-SM-9MQKZ 60-69 years, female 240.6
GTEX-1MCQQ-0826-SM-DLHC2 60-69 years, male 236.5
GTEX-1GL5R-1826-SM-9KNUY 50-59 years, male 235.9
GTEX-1J1OQ-0226-SM-CYPSH 40-49 years, female 232.8
GTEX-14JG1-0426-SM-6ETZZ 40-49 years, male 232.7
GTEX-ZE7O-0126-SM-57WC1 50-59 years, female 231.9
GTEX-Y5LM-1926-SM-5RQJH 40-49 years, female 229.2
GTEX-XUYS-0126-SM-47JWZ 50-59 years, male 220.1
GTEX-1HFI6-0226-SM-ADEHZ 40-49 years, male 217.4
GTEX-13U4I-0126-SM-5LU38 40-49 years, female 216.7
GTEX-1AX9I-0126-SM-7SB74 60-69 years, male 216.6
GTEX-ZV68-0126-SM-59HKS 50-59 years, female 214.8
GTEX-13OVH-0126-SM-5MR4B 70-79 years, male 214.3
GTEX-ZC5H-0226-SM-4WAY9 40-49 years, female 214.3
GTEX-13NYS-0126-SM-5MR3W 60-69 years, male 211.5
GTEX-T2YK-0526-SM-32QPJ 50-59 years, male 211.4
GTEX-13X6H-2126-SM-7EWD5 50-59 years, female 210.9
GTEX-WVJS-0126-SM-4MVOT 50-59 years, male 210.3
GTEX-S7PM-0126-SM-4AD6S 60-69 years, male 209.8
GTEX-1GPI6-0126-SM-9WG69 60-69 years, male 209.2
GTEX-1HSKV-0226-SM-A9SKJ 60-69 years, male 206.1
GTEX-1QCLY-0326-SM-E8VOG 30-39 years, male 205.7
GTEX-1EN7A-0126-SM-7SB81 40-49 years, male 201.3
GTEX-Y3I4-2126-SM-4TT7C 50-59 years, male 200.8
GTEX-ZQG8-1626-SM-DHXIT 60-69 years, female 198.7
GTEX-1IL2U-0226-SM-CE6T8 60-69 years, male 196.2
GTEX-OIZG-0726-SM-33HBL 50-59 years, male 195.7
GTEX-1NV5F-0226-SM-E8VNY 60-69 years, female 193.3
GTEX-1JKYR-0126-SM-CNPOJ 20-29 years, male 190.1
GTEX-ZV6S-2326-SM-4YCEY 40-49 years, female 189.9
GTEX-Y5V5-2326-SM-4V6GA 60-69 years, female 187.2
GTEX-ZE9C-2726-SM-57WB5 60-69 years, male 185.1
GTEX-U8XE-0326-SM-3DB8P 30-39 years, male 185.0
GTEX-15EU6-0426-SM-6PAN5 50-59 years, male 184.2
GTEX-1IDJF-0126-SM-CM2RS 20-29 years, male 184.1
GTEX-13NZA-0226-SM-5K7Z7 60-69 years, male 182.9
GTEX-1PDJ9-0326-SM-DTX95 20-29 years, male 182.4
GTEX-PWO3-1526-SM-48TCM 60-69 years, female 181.8
GTEX-15D1Q-0126-SM-7KUG6 40-49 years, male 178.8
GTEX-1F75B-0126-SM-9KNVL 50-59 years, male 178.8
GTEX-17F98-0626-SM-79OMX 40-49 years, female 178.5
GTEX-14BMV-0126-SM-5S2PO 50-59 years, male 178.0
GTEX-Z93S-0126-SM-5HL7M 50-59 years, male 176.8
GTEX-WY7C-2326-SM-3NB2U 50-59 years, male 175.8
GTEX-ZDXO-3026-SM-5J1N5 60-69 years, male 173.2
GTEX-1H3VY-0126-SM-ACKXD 50-59 years, male 172.3
GTEX-Y8LW-1826-SM-5S2MV 50-59 years, female 171.0
GTEX-WOFL-0126-SM-3MJG2 60-69 years, male 169.9
GTEX-15F5U-1526-SM-6PANO 40-49 years, male 169.3
GTEX-18A67-0126-SM-7LG5P 50-59 years, male 168.7
GTEX-13FH7-2026-SM-E9J4I 50-59 years, female 168.5
GTEX-145LU-0126-SM-5TDCB 50-59 years, male 165.1
GTEX-1399R-2726-SM-5IJBA 30-39 years, male 160.7
GTEX-ZUA1-0126-SM-5GU76 40-49 years, male 158.9
GTEX-1I1GR-0126-SM-CL55F 60-69 years, male 154.8
GTEX-1F5PL-0326-SM-7P8PQ 40-49 years, female 152.9
GTEX-11GS4-2726-SM-5A5LE 60-69 years, male 148.0
GTEX-1IKJJ-0126-SM-CNPQB 60-69 years, male 147.3
GTEX-1LH75-2426-SM-E9TJE 50-59 years, female 146.0
GTEX-12WSK-2326-SM-5GCOH 40-49 years, female 145.6
GTEX-1314G-1526-SM-5EGK2 30-39 years, male 141.6
GTEX-1H3O1-0426-SM-9YFKY 60-69 years, male 139.9
GTEX-1B8SG-0126-SM-73KZ3 50-59 years, male 139.4
GTEX-18465-0126-SM-731BN 50-59 years, male 137.4
GTEX-1C6WA-0126-SM-7PC2B 60-69 years, male 133.4
GTEX-W5WG-1826-SM-4KL2Y 50-59 years, female 132.3
GTEX-VUSG-2526-SM-4KL1V 50-59 years, male 132.0
GTEX-1I1GV-0526-SM-A9G29 60-69 years, male 131.5
GTEX-11DXW-0226-SM-5H122 40-49 years, male 131.2
GTEX-14753-0426-SM-5NQAM 60-69 years, male 128.4
GTEX-17EVQ-0226-SM-7LG4P 70-79 years, male 126.8
GTEX-NPJ8-0126-SM-2YUNR 40-49 years, male 125.8
GTEX-1399U-2326-SM-5K7WY 50-59 years, female 122.1
GTEX-13OVL-0226-SM-5L3E9 50-59 years, male 121.4
GTEX-WI4N-1026-SM-3LK7N 40-49 years, female 121.1
GTEX-XXEK-2226-SM-4BRUM 50-59 years, male 119.9
GTEX-1JN76-0126-SM-CNPPE 20-29 years, female 117.6
GTEX-XBED-2226-SM-47JYQ 60-69 years, male 116.9
GTEX-1EKGG-0226-SM-9WYTH 60-69 years, male 116.7
GTEX-1GN1U-0126-SM-7PBZK 50-59 years, female 116.5
GTEX-131XF-5016-SM-7MGWE 60-69 years, male 116.0
GTEX-QDT8-0126-SM-48TZ1 30-39 years, female 114.6
GTEX-T8EM-1026-SM-3DB7M 40-49 years, male 114.5
GTEX-13O3Q-2426-SM-5IJBR 50-59 years, male 113.1
GTEX-11ZTS-0126-SM-5EQ6M 60-69 years, female 112.9
GTEX-ZAJG-0126-SM-5HL94 50-59 years, female 112.4
GTEX-ZVT4-0126-SM-DTXFN 50-59 years, female 112.1
GTEX-183FY-0126-SM-7LT9P 20-29 years, male 111.6
GTEX-1HSMP-0126-SM-E6CJS 70-79 years, male 111.4
GTEX-XYKS-2126-SM-4E3IB 60-69 years, female 110.4
GTEX-1HGF4-2426-SM-ACKXM 60-69 years, male 110.0
GTEX-12ZZY-0226-SM-5LZVE 60-69 years, male 108.1
GTEX-1HKZK-0326-SM-9WYUH 40-49 years, male 107.1
GTEX-139UW-2826-SM-5L3E7 60-69 years, male 105.0
GTEX-12WSN-5019-SM-79OM6 40-49 years, male 104.0
GTEX-X4EP-0126-SM-3P5YV 60-69 years, female 104.0
GTEX-1H2FU-0126-SM-9WYSI 60-69 years, female 103.8
GTEX-145MF-0626-SM-5LUAI 50-59 years, male 103.0
GTEX-S7SE-0126-SM-2XCD5 50-59 years, male 101.9
GTEX-RN64-0126-SM-2TC68 50-59 years, male 101.0
GTEX-16NPX-0226-SM-79OMT 50-59 years, male 99.5
GTEX-1MA7X-2226-SM-E6CIY 60-69 years, male 99.0
GTEX-139T4-0226-SM-5HL5S 50-59 years, female 98.8
GTEX-14JG6-2226-SM-6EU2G 30-39 years, female 98.3
GTEX-11P82-1626-SM-59879 20-29 years, male 97.9
GTEX-14A6H-0126-SM-5QGPK 30-39 years, male 97.1
GTEX-1K2DA-1826-SM-CGQGT 50-59 years, male 95.1
GTEX-131XE-2326-SM-5PNZ2 50-59 years, male 93.4
GTEX-WH7G-2326-SM-3NMBC 40-49 years, male 93.3
GTEX-11TTK-0126-SM-5987B 60-69 years, female 92.4
GTEX-ZYW4-0126-SM-5E44A 60-69 years, male 92.1
GTEX-1LG7Z-1726-SM-D3LA4 30-39 years, male 91.8
GTEX-11VI4-1726-SM-5CVLH 40-49 years, female 91.2
GTEX-1QPFJ-0226-SM-E76PB 30-39 years, female 90.6
GTEX-YJ89-0126-SM-4TT3X 60-69 years, male 90.0
GTEX-13IVO-0126-SM-5J1NG 70-79 years, male 89.8
GTEX-13113-5016-SM-7EPIP 60-69 years, female 89.6
GTEX-145MN-2226-SM-5SIAU 30-39 years, male 87.8
GTEX-1J8QM-2126-SM-CYPSJ 60-69 years, female 87.4
GTEX-1EX96-1626-SM-7PBXR 50-59 years, male 85.0
GTEX-11GSP-2526-SM-5N9BP 60-69 years, female 83.3
GTEX-X5EB-2226-SM-46MW4 40-49 years, male 83.2
GTEX-1R9PM-2026-SM-E76OY 20-29 years, male 81.9
GTEX-1E2YA-0126-SM-9KNUC 50-59 years, male 81.5
GTEX-TKQ1-1026-SM-4GICL 30-39 years, male 81.2
GTEX-13OW7-0126-SM-5MR3B 50-59 years, male 80.1
GTEX-12WSA-0226-SM-5BC5V 60-69 years, male 80.0
GTEX-1I6K6-0126-SM-A9SLE 30-39 years, male 79.5
GTEX-OOBK-0126-SM-2YUND 40-49 years, male 79.3
GTEX-1M4P7-0226-SM-DIPEV 60-69 years, male 79.0
GTEX-1RB15-2126-SM-E9TIM 60-69 years, male 78.5
GTEX-1OJC3-0126-SM-E76QX 20-29 years, male 78.2
GTEX-1JMQL-0226-SM-CNPP5 50-59 years, female 77.8
GTEX-1PBJI-0526-SM-E8VNK 20-29 years, female 77.8
GTEX-1O97I-0326-SM-EYYX7 60-69 years, male 77.4
GTEX-1B933-0126-SM-7PC29 50-59 years, female 77.1
GTEX-1GZ4H-1726-SM-7PBZJ 50-59 years, female 76.6
GTEX-12ZZZ-0626-SM-5DUXI 60-69 years, male 76.2
GTEX-1GF9X-2026-SM-7PC3A 40-49 years, female 76.2
GTEX-139TS-2826-SM-5J1OO 60-69 years, male 75.8
GTEX-OXRL-0126-SM-2YUMP 50-59 years, male 75.6
GTEX-148VJ-0126-SM-5TDDN 70-79 years, male 75.3
GTEX-16AAH-1726-SM-7939C 50-59 years, male 74.7
GTEX-1E1VI-0126-SM-7DHMZ 50-59 years, male 74.7
GTEX-1EMGI-0126-SM-9KNUE 60-69 years, male 74.4
GTEX-XV7Q-2526-SM-4BRV9 40-49 years, female 74.2
GTEX-OXRO-0126-SM-2YUN4 60-69 years, female 74.1
GTEX-1ICG6-2526-SM-CGQFZ 70-79 years, female 74.0
GTEX-113JC-2326-SM-5EQ4E 50-59 years, female 73.9
GTEX-Y8DK-0126-SM-4TT3L 60-69 years, male 73.7
GTEX-1GMR3-1926-SM-9KNUZ 40-49 years, male 73.6
GTEX-Q2AG-0126-SM-33HBV 40-49 years, female 73.4
GTEX-ZVZP-2426-SM-59HKJ 50-59 years, male 73.4
GTEX-1C6VR-2426-SM-79OLD 60-69 years, male 72.6
GTEX-ZVT2-2526-SM-51MT1 50-59 years, female 72.4
GTEX-1B8SF-1426-SM-7DUGL 60-69 years, male 72.3
GTEX-14BMU-2226-SM-5TDE9 20-29 years, female 71.4
GTEX-11LCK-1026-SM-5A5KB 30-39 years, male 70.7
GTEX-ZTX8-1426-SM-5DUVO 20-29 years, male 70.7
GTEX-1R7EU-0226-SM-EVR4G 60-69 years, male 70.4
GTEX-1CB4E-2226-SM-793DC 60-69 years, male 70.3
GTEX-14BIM-0226-SM-7IGLD 60-69 years, female 70.1
GTEX-P4PQ-0126-SM-2S1NM 60-69 years, male 70.1
GTEX-QLQW-1126-SM-2S1Q8 30-39 years, male 68.7
GTEX-17JCI-0126-SM-7LG5G 60-69 years, female 68.1
GTEX-SUCS-1926-SM-32PM3 70-79 years, male 68.0
GTEX-ZF28-0126-SM-4WKGK 60-69 years, male 66.4
GTEX-14ABY-0226-SM-5TDCQ 50-59 years, male 66.1
GTEX-1EU9M-0226-SM-7P8SP 60-69 years, male 63.9
GTEX-1S83E-0126-SM-EWRO4 40-49 years, male 63.2
GTEX-ZYT6-0226-SM-5NQ6T 30-39 years, male 61.9
GTEX-1122O-2126-SM-5EGIR 60-69 years, female 61.8
GTEX-18D9B-0526-SM-7LTAS 60-69 years, male 61.5
GTEX-YFC4-0126-SM-5CVLY 40-49 years, female 61.5
GTEX-1I1GQ-0126-SM-COH3H 50-59 years, male 61.3
GTEX-11EI6-0126-SM-5985R 60-69 years, male 60.8
GTEX-145ME-1826-SM-5SI9G 40-49 years, female 60.2
GTEX-13O21-1426-SM-5K7XI 50-59 years, male 60.0
GTEX-133LE-1826-SM-5J1MV 20-29 years, female 59.0
GTEX-1HCU6-0126-SM-CL54K 60-69 years, female 59.0
GTEX-11H98-0126-SM-5EGHG 50-59 years, male 58.8
GTEX-1LB8K-0226-SM-EWRNW 50-59 years, male 58.7
GTEX-1JK1U-2026-SM-CM2RZ 60-69 years, male 56.3
GTEX-12126-0326-SM-5PNW3 20-29 years, male 56.1
GTEX-16BQI-0226-SM-7KUEX 30-39 years, female 55.9
GTEX-WYVS-2126-SM-3NMA3 40-49 years, female 55.9
GTEX-11UD1-0126-SM-5PNYG 40-49 years, female 55.8
GTEX-17HII-0226-SM-7LG4E 50-59 years, male 55.8
GTEX-ZYY3-0126-SM-5GZY5 60-69 years, female 55.4
GTEX-1F52S-0126-SM-9MQJU 60-69 years, female 55.3
GTEX-1JMPY-1326-SM-ARL8Y 30-39 years, male 55.3
GTEX-1IGQW-0126-SM-COH42 60-69 years, male 54.8
GTEX-1GF9U-2126-SM-7SB7L 40-49 years, female 54.0
GTEX-1R7EV-2426-SM-EVYBG 40-49 years, male 54.0
GTEX-1CAMR-1926-SM-7EPI2 20-29 years, male 53.0
GTEX-145MI-0526-SM-5O9A8 60-69 years, female 52.6
GTEX-15CHC-2126-SM-6EU21 60-69 years, female 52.6
GTEX-13G51-2526-SM-5LZYK 60-69 years, male 52.0
GTEX-13JUV-2726-SM-5LZZ8 40-49 years, female 52.0
GTEX-13RTL-0126-SM-7LG5S 40-49 years, male 51.6
GTEX-1IL2V-0126-SM-CM2TX 70-79 years, male 51.5
GTEX-1F75A-0126-SM-7RHGM 50-59 years, male 51.3
GTEX-OXRP-0126-SM-3NB32 60-69 years, female 50.9
GTEX-145LT-1726-SM-5QGP3 40-49 years, male 50.6
GTEX-1F75I-0326-SM-9YFLU 40-49 years, male 50.1
GTEX-1GMR8-0126-SM-9WYTM 50-59 years, female 50.1
GTEX-1AX9K-2326-SM-73KWU 50-59 years, male 49.8
GTEX-1C475-1826-SM-73KWA 40-49 years, female 49.4
GTEX-11EMC-2926-SM-5EQ4F 60-69 years, female 49.3
GTEX-1QEPI-0126-SM-EWRMQ 60-69 years, female 49.1
GTEX-1B8L1-2526-SM-9WYTF 60-69 years, male 49.0
GTEX-11P81-2326-SM-59875 30-39 years, female 48.9
GTEX-1H11D-0226-SM-9WG6Z 40-49 years, male 48.8
GTEX-1PPH7-2326-SM-EVYB8 40-49 years, male 48.6
GTEX-1C64N-0126-SM-793D7 50-59 years, male 47.9
GTEX-15EOM-0126-SM-7KUGG 20-29 years, female 47.8
GTEX-13QJ3-0326-SM-5S2RA 50-59 years, male 47.7
GTEX-117XS-2726-SM-5N9BL 60-69 years, male 46.5
GTEX-1IY9M-0126-SM-D3L8S 60-69 years, male 46.2
GTEX-1GTWX-0126-SM-9YFLK 60-69 years, male 45.6
GTEX-V1D1-2226-SM-3NMAX 50-59 years, male 45.5
GTEX-1N2EF-0226-SM-EYYXB 60-69 years, male 44.8
GTEX-17F97-0326-SM-7LG5B 50-59 years, male 44.6
GTEX-PW2O-1526-SM-7RHHB 20-29 years, male 43.9
GTEX-X585-0226-SM-4QAS2 50-59 years, male 43.6
GTEX-11ZVC-2526-SM-5FQTE 50-59 years, female 43.5
GTEX-139TT-0126-SM-5K7Y5 60-69 years, male 42.3
GTEX-1B8KZ-2026-SM-7DHMB 50-59 years, male 42.2
GTEX-1HFI7-1826-SM-ACKXH 50-59 years, female 42.2
GTEX-1K2DU-2326-SM-E9TIV 20-29 years, male 42.0
GTEX-139TU-0126-SM-5K7WH 60-69 years, male 41.9
GTEX-17GQL-2026-SM-718BA 60-69 years, male 41.9
GTEX-X62O-0126-SM-4E3JN 50-59 years, male 41.7
GTEX-15RIG-0226-SM-7KFTL 40-49 years, male 41.5
GTEX-1I1GS-0126-SM-B2LVW 60-69 years, male 41.3
GTEX-1KAFJ-2026-SM-CY8ID 50-59 years, male 41.3
GTEX-132NY-0326-SM-5IJBL 60-69 years, male 41.2
GTEX-X261-0126-SM-3NMD6 50-59 years, male 41.2
GTEX-1B996-0226-SM-7RHGO 60-69 years, male 40.7
GTEX-147GR-0526-SM-5S2MY 60-69 years, male 40.5
GTEX-15SHU-0126-SM-7KUEH 40-49 years, female 39.9
GTEX-1MUQO-0126-SM-EAZ58 60-69 years, male 39.9
GTEX-R45C-0126-SM-EAZ2R 60-69 years, female 39.4
GTEX-U3ZH-2026-SM-3DB78 30-39 years, male 39.0
GTEX-1CAV2-2226-SM-7P8P2 40-49 years, female 38.8
GTEX-1I1GP-2226-SM-CGQFK 50-59 years, male 38.8
GTEX-1GMRU-0126-SM-9YFLV 50-59 years, male 38.7
GTEX-PWCY-1826-SM-DHXIZ 20-29 years, female 38.6
GTEX-XAJ8-0826-SM-47JY6 40-49 years, male 38.5
GTEX-XQ8I-0426-SM-4BOPO 50-59 years, male 37.9
GTEX-1MCYP-1926-SM-E9J2R 20-29 years, female 37.9
GTEX-14PN3-2426-SM-6LLHS 60-69 years, female 37.8
GTEX-P4PP-0126-SM-3LK69 30-39 years, female 37.3
GTEX-X8HC-0126-SM-4E3JW 50-59 years, female 37.3
GTEX-15SDE-2226-SM-7IGLO 50-59 years, female 37.2
GTEX-13NZB-2526-SM-5J1OM 30-39 years, male 37.0
GTEX-14PJ3-1826-SM-62LEX 50-59 years, male 36.9
GTEX-1MGNQ-0126-SM-EVYCJ 40-49 years, male 36.6
GTEX-11DXX-2426-SM-5GZZW 60-69 years, female 36.4
GTEX-13FHP-0126-SM-5IJBG 50-59 years, male 36.4
GTEX-1S82Y-2026-SM-EVYCM 40-49 years, male 36.2
GTEX-ZDTS-0126-SM-4WAY5 60-69 years, male 36.0
GTEX-1I1CD-0126-SM-CM2TK 60-69 years, female 36.0
GTEX-145MO-0326-SM-5Q5B3 60-69 years, male 35.7
GTEX-139D8-0226-SM-5KLZO 30-39 years, female 35.6
GTEX-14PK6-1926-SM-6ETZU 70-79 years, female 35.6
GTEX-1A3MV-1926-SM-718BT 30-39 years, male 35.6
GTEX-1C2JI-1826-SM-73KXC 50-59 years, male 35.6
GTEX-1S82Z-0826-SM-E6CHY 30-39 years, female 35.3
GTEX-TMZS-0126-SM-3DB9Q 60-69 years, male 34.5
GTEX-11DYG-0126-SM-59883 60-69 years, male 33.9
GTEX-18A66-0226-SM-718BD 60-69 years, male 33.6
GTEX-1S5ZA-0126-SM-EVYCV 20-29 years, male 33.5
GTEX-ZXES-1826-SM-5E43S 30-39 years, female 33.2
GTEX-1GN1V-0126-SM-9WPOS 60-69 years, male 33.2
GTEX-13S7M-0126-SM-5SI6A 60-69 years, female 32.9
GTEX-Y114-2426-SM-4TT8A 50-59 years, female 32.9
GTEX-QLQ7-1626-SM-2S1R8 60-69 years, male 32.7
GTEX-SE5C-1626-SM-2XCE3 40-49 years, female 32.5
GTEX-13CF2-2526-SM-5LZYX 60-69 years, male 32.4
GTEX-1HBPI-1526-SM-C1YQ1 50-59 years, male 32.4
GTEX-PSDG-0226-SM-DKPOZ 50-59 years, male 32.4
GTEX-R55G-2526-SM-2TC6D 40-49 years, female 32.1
GTEX-WYJK-0126-SM-3NMAB 50-59 years, male 32.0
GTEX-1MJK2-0426-SM-DTXE5 50-59 years, male 31.8
GTEX-YB5K-2126-SM-4WWDJ 40-49 years, female 31.6
GTEX-13FTY-0526-SM-5L3EV 40-49 years, female 31.5
GTEX-PVOW-0126-SM-2XCFA 40-49 years, male 31.4
GTEX-ZAB4-0226-SM-5N9F5 40-49 years, male 31.4
GTEX-1IE54-0126-SM-CMKHW 40-49 years, female 31.4
GTEX-VJWN-0126-SM-3GIK7 50-59 years, female 31.3
GTEX-131XW-0426-SM-5LZWP 50-59 years, female 31.2
GTEX-1GN1W-0526-SM-9MQJQ 50-59 years, female 31.2
GTEX-144GL-0126-SM-5TDE2 50-59 years, male 31.1
GTEX-OHPM-0126-SM-2YUN9 50-59 years, male 31.0
GTEX-13X6I-0626-SM-5QGP9 60-69 years, male 30.8
GTEX-1RDX4-0126-SM-E9J4P 50-59 years, female 30.7
GTEX-1JMQI-2226-SM-CM2SD 50-59 years, male 30.6
GTEX-1LGRB-2526-SM-CNPPQ 50-59 years, female 30.6
GTEX-1JMQJ-0526-SM-CYPSU 50-59 years, male 30.3
GTEX-111FC-0126-SM-5N9DL 60-69 years, male 30.2
GTEX-1PIIG-0226-SM-EWRN6 30-39 years, male 30.1
GTEX-1AX9J-0226-SM-73KXM 60-69 years, male 29.8
GTEX-1F7RK-0126-SM-7PC2S 20-29 years, female 29.6
GTEX-13X6J-0126-SM-5QGOU 50-59 years, male 29.4
GTEX-1EWIQ-0126-SM-7RHH2 70-79 years, female 29.3
GTEX-1GPI7-0126-SM-9MQL8 20-29 years, male 29.2
GTEX-12ZZX-0126-SM-5EGK9 40-49 years, female 28.9
GTEX-1OFPY-2426-SM-DTXEJ 60-69 years, male 28.9
GTEX-11OC5-0126-SM-5HL6A 60-69 years, male 28.7
GTEX-1KANA-0726-SM-D3L9I 20-29 years, male 28.6
GTEX-1211K-2026-SM-5EQ4Z 60-69 years, female 28.5
GTEX-1K9T9-0126-SM-EVYCF 50-59 years, female 28.4
GTEX-QCQG-1726-SM-3GIJ9 50-59 years, female 28.3
GTEX-P4QT-0126-SM-2I3FL 50-59 years, female 27.8
GTEX-1C6VS-0526-SM-7DUEN 60-69 years, male 27.5
GTEX-13OW6-0426-SM-5L3HM 50-59 years, male 27.3
GTEX-16GPK-0126-SM-7DHLE 60-69 years, male 27.3
GTEX-1QMI2-0226-SM-EVYBX 60-69 years, male 27.1
GTEX-YB5E-2026-SM-5IFIS 40-49 years, male 27.0
GTEX-13111-1626-SM-5EGJY 50-59 years, male 26.9
GTEX-ZYFG-2326-SM-5E44B 60-69 years, female 26.9
GTEX-147F3-0526-SM-5SI98 50-59 years, female 26.8
GTEX-SN8G-0126-SM-32PLI 50-59 years, female 26.8
GTEX-1B97I-1626-SM-73KYO 40-49 years, male 26.6
GTEX-Q2AH-1626-SM-3GAF8 40-49 years, male 26.6
GTEX-169BO-1326-SM-9MQK2 50-59 years, male 26.6
GTEX-14PII-0226-SM-6EU1T 60-69 years, male 26.4
GTEX-NFK9-0226-SM-2HMKQ 40-49 years, male 26.3
GTEX-TSE9-0126-SM-3DB83 60-69 years, female 26.1
GTEX-1HT8W-0126-SM-CNPPP 30-39 years, male 26.1
GTEX-111VG-2426-SM-5GZXD 60-69 years, male 26.0
GTEX-1PFEY-1526-SM-E76PP 30-39 years, male 26.0
GTEX-1HSMQ-1226-SM-CGQFX 50-59 years, male 25.9
GTEX-1KANB-0526-SM-E6CJH 50-59 years, male 25.9
GTEX-148VI-1626-SM-5SI6E 60-69 years, female 25.8
GTEX-QESD-1426-SM-2S1R9 20-29 years, male 25.8
GTEX-1H4P4-0726-SM-9YFLR 50-59 years, male 25.5
GTEX-16XZZ-0126-SM-793DV 60-69 years, male 25.4
GTEX-1C64O-0126-SM-7SB8P 60-69 years, male 25.2
GTEX-1LBAC-0126-SM-DIPEZ 20-29 years, male 25.2
GTEX-RWSA-0126-SM-2XCBB 40-49 years, male 24.7
GTEX-1HBPM-0226-SM-ARL9F 60-69 years, female 24.7
GTEX-1JN6P-0126-SM-D3L98 60-69 years, male 24.7
GTEX-1GN73-0226-SM-9WG67 60-69 years, male 24.5
GTEX-PLZ4-0126-SM-5SI8O 50-59 years, female 24.3
GTEX-13D11-2426-SM-5KM1V 50-59 years, female 24.2
GTEX-145LV-2126-SM-5LU8N 50-59 years, male 24.2
GTEX-13FXS-0226-SM-5IJCK 50-59 years, male 24.0
GTEX-T5JW-1626-SM-3GADZ 20-29 years, female 23.9
GTEX-13VXU-0126-SM-5SI9F 50-59 years, male 23.6
GTEX-1BAJH-0526-SM-793CQ 70-79 years, male 23.6
GTEX-13112-2826-SM-5DUWH 50-59 years, male 23.5
GTEX-XQ3S-1526-SM-4BOOC 20-29 years, male 23.0
GTEX-1JN1M-0326-SM-CYPT3 60-69 years, female 23.0
GTEX-13O3P-0126-SM-5KM4S 50-59 years, male 22.4
GTEX-1J1R8-1726-SM-ARL8M 40-49 years, male 22.3
GTEX-1HSEH-0126-SM-ACKXN 60-69 years, male 22.2
GTEX-11OF3-2626-SM-5GU7F 60-69 years, male 21.9
GTEX-U3ZM-1526-SM-3DB9D 40-49 years, male 21.9
GTEX-U8T8-0126-SM-3DB94 60-69 years, male 21.9
GTEX-18D9A-1926-SM-7LG6P 30-39 years, female 21.6
GTEX-ZYFC-0226-SM-5NQ75 50-59 years, male 21.4
GTEX-WZTO-0126-SM-3NM95 40-49 years, male 21.3
GTEX-1LGOU-2026-SM-DIPFF 20-29 years, female 21.2
GTEX-RU72-0926-SM-2TF6B 50-59 years, female 20.9
GTEX-X4EO-0326-SM-3P5YO 60-69 years, female 20.8
GTEX-1QP66-1726-SM-E8VO1 50-59 years, male 20.7
GTEX-1IOXB-0126-SM-ARL8G 50-59 years, male 20.6
GTEX-13OW8-1326-SM-5J1OW 60-69 years, male 20.4
GTEX-1HCU7-0226-SM-CL545 50-59 years, male 20.4
GTEX-OIZF-0126-SM-7SB8I 60-69 years, male 20.4
GTEX-113IC-0126-SM-5HL6T 60-69 years, male 20.3
GTEX-11NSD-2226-SM-5986V 20-29 years, male 20.3
GTEX-13YAN-0326-SM-5O9DF 60-69 years, male 20.1
GTEX-1POEN-0126-SM-EYYXJ 30-39 years, female 20.1
GTEX-117YX-2326-SM-5H12W 50-59 years, male 20.0
GTEX-O5YW-0126-SM-3LK6D 50-59 years, male 20.0
GTEX-13OVK-2026-SM-7KUEO 40-49 years, male 19.9
GTEX-XBEW-0626-SM-4QASP 40-49 years, male 19.7
GTEX-1F6I4-0126-SM-9MQL2 60-69 years, male 19.5
GTEX-131XG-2626-SM-5KM17 50-59 years, female 19.3
GTEX-1LG7Y-0526-SM-DKPQC 50-59 years, male 19.3
GTEX-ZEX8-2426-SM-4WKG4 50-59 years, male 19.0
GTEX-1ICLY-0126-SM-D4P36 50-59 years, male 19.0
GTEX-1JKYN-1326-SM-CGQG9 30-39 years, male 19.0
GTEX-ZZPT-0226-SM-5E43X 50-59 years, male 18.8
GTEX-13O1R-0126-SM-5L3EH 60-69 years, male 18.7
GTEX-14E6D-0126-SM-62LDV 50-59 years, male 18.7
GTEX-S33H-1026-SM-EZ6L6 30-39 years, male 18.4
GTEX-147F4-0226-SM-5QGPW 50-59 years, male 18.3
GTEX-1GZHY-0326-SM-9QEHI 50-59 years, female 18.3
GTEX-11GSO-2426-SM-5A5LY 60-69 years, male 18.2
GTEX-1J8Q3-1626-SM-CMKGC 60-69 years, male 18.0
GTEX-17HHE-2026-SM-79OKF 50-59 years, male 17.9
GTEX-ZZ64-1726-SM-5GZYB 20-29 years, male 17.9
GTEX-1192X-0226-SM-5H12D 50-59 years, male 17.5
GTEX-17EVP-0326-SM-7DHLG 40-49 years, male 17.1
GTEX-ZVTK-0426-SM-51MRS 20-29 years, male 17.1
GTEX-1IKOH-0226-SM-COH4E 60-69 years, female 17.0
GTEX-1GF9V-0326-SM-7RHI5 60-69 years, male 16.6
GTEX-1JMLX-0226-SM-CM2RO 50-59 years, male 16.5
GTEX-11DXZ-2326-SM-5EGGV 50-59 years, male 16.4
GTEX-1B8KE-2126-SM-73KYX 50-59 years, male 16.4
GTEX-16YQH-0126-SM-7DUFJ 30-39 years, male 16.3
GTEX-1A32A-0126-SM-718B1 50-59 years, female 16.1
GTEX-15ER7-0326-SM-7KUEV 20-29 years, female 16.0
GTEX-1NHNU-1026-SM-E9J2A 50-59 years, male 16.0
GTEX-14E6C-0126-SM-5RQIP 40-49 years, male 15.8
GTEX-13RTK-1426-SM-5QGQJ 20-29 years, male 15.6
GTEX-14A5I-0126-SM-5TDEA 50-59 years, female 15.5
GTEX-XPVG-2626-SM-4B669 50-59 years, male 15.4
GTEX-1KD4Q-0226-SM-E9TJ9 40-49 years, male 15.4
GTEX-T5JC-0426-SM-32PLO 20-29 years, male 15.3
GTEX-TML8-1926-SM-32QOS 40-49 years, female 15.3
GTEX-1H1CY-2826-SM-9MQM3 60-69 years, female 15.3
GTEX-1313W-0126-SM-5LZUN 50-59 years, female 15.1
GTEX-14C5O-0126-SM-5SI6N 60-69 years, male 15.1
GTEX-1HCU9-1526-SM-A9SL7 20-29 years, male 15.1
GTEX-QEG4-0226-SM-2S1PY 30-39 years, male 15.0
GTEX-U3ZN-2326-SM-3DB7W 30-39 years, female 15.0
GTEX-12C56-1726-SM-5EQ61 20-29 years, male 14.8
GTEX-14PJ6-2126-SM-6EU1V 60-69 years, female 14.7
GTEX-1IDJH-0326-SM-A9SLQ 70-79 years, male 14.7
GTEX-ZAB5-1826-SM-5HL7C 50-59 years, male 14.4
GTEX-11XUK-2026-SM-5EQLF 40-49 years, female 14.1
GTEX-1J8JJ-0226-SM-CL53I 60-69 years, female 14.1
GTEX-14BIN-0626-SM-793DP 50-59 years, female 13.9
GTEX-SJXC-0126-SM-2XCFF 60-69 years, male 13.9
GTEX-XUW1-0426-SM-4BOOT 50-59 years, female 13.7
GTEX-13NYB-2526-SM-5K7Z6 40-49 years, male 13.5
GTEX-1HSGN-0226-SM-CGQFV 40-49 years, female 13.5
GTEX-1S3DN-2226-SM-EVYCD 50-59 years, male 13.3
GTEX-ZXG5-0126-SM-5GIEU 60-69 years, male 13.2
GTEX-RNOR-0126-SM-E9J4R 50-59 years, female 13.2
GTEX-S95S-1226-SM-4GICG 60-69 years, male 13.1
GTEX-11EQ9-2426-SM-5HL5T 30-39 years, male 13.0
GTEX-14LLW-0126-SM-6LLIO 70-79 years, female 12.9
GTEX-11ZTT-2426-SM-5EQLS 60-69 years, female 12.6
GTEX-WQUQ-0426-SM-3MJFU 60-69 years, male 12.6
GTEX-1I4MK-2226-SM-ACKWD 50-59 years, female 12.5
GTEX-11P7K-2126-SM-5GU7G 30-39 years, male 12.4
GTEX-T6MN-0126-SM-32PLP 50-59 years, male 12.1
GTEX-ZVT3-0126-SM-5GU6I 60-69 years, female 12.1
GTEX-1IDFM-0126-SM-COH2V 60-69 years, male 12.0
GTEX-11EM3-2426-SM-59861 20-29 years, female 11.8
GTEX-1KWVE-1426-SM-E9TJO 30-39 years, male 11.7
GTEX-12696-2426-SM-5EQ6H 60-69 years, male 11.6
GTEX-13PDP-0126-SM-5L3HD 60-69 years, male 11.5
GTEX-PLZ5-2026-SM-2S1O4 50-59 years, male 11.5
GTEX-ZQUD-1426-SM-57WER 30-39 years, male 11.4
GTEX-1MA7W-2026-SM-E9TJ6 20-29 years, female 11.4
GTEX-PLZ6-1426-SM-DKPOT 30-39 years, male 11.4
GTEX-1JJE9-0326-SM-CL53Z 70-79 years, male 11.3
GTEX-12WSE-0526-SM-793B2 20-29 years, male 11.2
GTEX-139T8-0126-SM-5K7XZ 60-69 years, male 11.2
GTEX-17HG3-2226-SM-7938L 30-39 years, female 11.2
GTEX-1IKK5-0626-SM-ARL8A 60-69 years, male 11.2
GTEX-1I19N-0326-SM-ACKVX 70-79 years, male 11.1
GTEX-17MFQ-1726-SM-793C7 20-29 years, male 10.9
GTEX-18A6Q-0126-SM-731BZ 60-69 years, male 10.9
GTEX-1IDJU-2626-SM-CM2RT 60-69 years, female 10.9
GTEX-14DAR-2026-SM-5S2O3 50-59 years, male 10.2
GTEX-15SB6-1726-SM-6PAME 50-59 years, female 10.2
GTEX-1J8EW-0126-SM-CJI4F 60-69 years, female 10.2
GTEX-13OW5-0126-SM-DTXFS 60-69 years, male 10.1
GTEX-13SLW-0126-SM-5SI6C 70-79 years, male 10.0
GTEX-1212Z-2526-SM-5EGKP 60-69 years, male 9.7
GTEX-Y111-0126-SM-4SOIV 50-59 years, male 9.6
GTEX-15DDE-0126-SM-6LPKH 50-59 years, female 9.1
GTEX-1I1HK-0126-SM-COH49 60-69 years, male 9.1
GTEX-1LSNM-1926-SM-E6CII 50-59 years, male 9.1
GTEX-11DXY-2626-SM-5GIE7 60-69 years, male 9.0
GTEX-TMMY-0226-SM-33HBA 40-49 years, female 8.8
GTEX-R55E-0126-SM-2TC5Y 20-29 years, male 8.6
GTEX-1CB4G-0226-SM-7PC3O 60-69 years, male 8.6
GTEX-1H1E6-1726-SM-ACKVK 30-39 years, male 8.4
GTEX-1I1GT-0626-SM-CGQER 60-69 years, female 8.4
GTEX-12WSC-0126-SM-5EQ4P 50-59 years, male 8.2
GTEX-1CAMQ-0226-SM-7IGPK 40-49 years, male 8.2
GTEX-1PIGE-0126-SM-EVYBJ 20-29 years, male 8.2
GTEX-14BIL-0126-SM-5SI92 50-59 years, male 8.1
GTEX-12WSG-2826-SM-E9J4H 50-59 years, female 8.0
GTEX-1RQEC-0426-SM-E6CHU 60-69 years, male 8.0
GTEX-OXRK-0226-SM-3NB2G 50-59 years, female 7.9
GTEX-WFON-2126-SM-3LK7O 40-49 years, male 7.9
GTEX-17F96-1626-SM-7DUFL 70-79 years, male 7.7
GTEX-T6MO-1626-SM-32QOM 40-49 years, female 7.7
GTEX-1KD5A-0226-SM-D5OV3 50-59 years, male 7.7
GTEX-12KS4-0326-SM-5EQ41 30-39 years, male 7.6
GTEX-131YS-0126-SM-5KM1M 60-69 years, female 7.6
GTEX-1AMEY-1326-SM-73KYK 30-39 years, female 7.5
GTEX-Z9EW-1626-SM-5CVMN 40-49 years, male 7.4
GTEX-13O3O-0126-SM-E9J49 60-69 years, female 7.4
GTEX-1KANC-1526-SM-D3LAB 50-59 years, female 7.4
GTEX-11UD2-0226-SM-5EQKY 50-59 years, male 7.3
GTEX-14PJM-0226-SM-62LF1 50-59 years, female 7.3
GTEX-15DYW-0126-SM-7KULE 60-69 years, female 7.2
GTEX-1LNCM-1126-SM-E9U5E 50-59 years, female 7.2
GTEX-13W46-0226-SM-5SIAG 50-59 years, male 7.1
GTEX-RM2N-1426-SM-2TF4H 50-59 years, male 7.0
GTEX-1AYCT-2426-SM-7IGQ3 50-59 years, male 6.9
GTEX-ZAK1-0126-SM-5IJD3 50-59 years, female 6.7
GTEX-WRHK-1426-SM-3MJF9 20-29 years, female 6.6
GTEX-RWS6-2026-SM-2XCB5 60-69 years, female 6.5
GTEX-ZDTT-2726-SM-4WKF8 60-69 years, male 6.4
GTEX-QVJO-1626-SM-2S1QW 60-69 years, female 6.2
GTEX-UJHI-1526-SM-3DB99 50-59 years, female 6.2
GTEX-1JJ6O-0126-SM-E6CI8 60-69 years, male 6.1
GTEX-14E7W-0126-SM-6LLJ9 70-79 years, male 6.0
GTEX-131XH-2226-SM-5DUXJ 50-59 years, male 5.8
GTEX-ZGAY-0526-SM-4WWBB 40-49 years, female 5.6
GTEX-OOBJ-0126-SM-E6CJW 60-69 years, male 5.6
GTEX-1RAZA-0126-SM-E6CI3 20-29 years, male 5.5
GTEX-16NGA-1726-SM-731B4 40-49 years, female 5.4
GTEX-15ETS-0126-SM-7KUMW 40-49 years, female 5.3
GTEX-ZF29-2326-SM-DO92K 60-69 years, female 5.3
GTEX-13VXT-0126-SM-5LU4I 20-29 years, female 5.1
GTEX-1N2DV-0226-SM-E6CJ6 40-49 years, male 5.1
GTEX-14DAQ-0126-SM-5S2MQ 60-69 years, female 5.0
GTEX-UPJH-0326-SM-3GADU 50-59 years, male 5.0
GTEX-13FTX-1826-SM-5J1NX 20-29 years, female 4.9
GTEX-13NZ8-0826-SM-5MR3I 60-69 years, female 4.7
GTEX-1269C-2526-SM-5EGJ3 60-69 years, female 4.6
GTEX-XUZC-1726-SM-4BRWS 30-39 years, female 4.6
GTEX-SNMC-1226-SM-2XCFP 20-29 years, male 4.3
GTEX-1H1ZS-0426-SM-9WG6G 70-79 years, male 4.3
GTEX-PX3G-0126-SM-2I3EN 20-29 years, female 4.0
GTEX-12WSD-0126-SM-59HKN 60-69 years, female 3.9
GTEX-T2IS-0126-SM-4DM6O 20-29 years, female 3.9
GTEX-13PVR-2326-SM-5QGR1 60-69 years, female 3.7
GTEX-13W3W-2426-SM-5LU5B 60-69 years, female 3.7
GTEX-Y8E4-0626-SM-4WWDL 40-49 years, male 3.6
GTEX-ZTSS-1926-SM-57WEW 40-49 years, male 3.6
GTEX-1QP2A-0126-SM-E9J43 50-59 years, male 3.4
GTEX-1CB4I-0226-SM-79OLH 50-59 years, male 3.3
GTEX-1R9PO-2126-SM-E9J4O 60-69 years, female 3.2
GTEX-1AMFI-2026-SM-731BH 50-59 years, female 3.1
GTEX-RTLS-0126-SM-447CA 60-69 years, female 3.0
GTEX-1LVAN-0226-SM-COH3S 50-59 years, female 2.8
GTEX-1OJC4-0126-SM-E9J2E 50-59 years, female 2.8
GTEX-1QP29-0626-SM-EWRMX 50-59 years, male 2.8
GTEX-14LZ3-0226-SM-62LET 60-69 years, female 2.5
GTEX-1QW4Y-1526-SM-EAZ3Z 30-39 years, male 1.6
GTEX-X638-0126-SM-47JZ8 70-79 years, female 1.0
GTEX-1QP67-1626-SM-EAZ3X 40-49 years, female 1.0
GTEX-1HBPH-0426-SM-B2LW5 40-49 years, female 0.5
GTEX-1RAZQ-0726-SM-EAZ43 30-39 years, male 0.5
GTEX-14JIY-0126-SM-6LLH6 60-69 years, male 0.3
GTEX-11ZUS-0626-SM-59885 30-39 years, male 0.2
GTEX-U4B1-1826-SM-4DXSU 40-49 years, male 0.1
GTEX-146FR-1326-SM-E9J48 60-69 years, female 0.0
Show allShow less

Contact

  • NEWS ARTICLES
  • PRESS ROOM

The Project

  • INTRODUCTION
  • ORGANIZATION
  • PUBLICATIONS

The Human Protein Atlas

  • DOWNLOADABLE DATA
  • LICENCE & CITATION
  • HELP & FAQ
The Human Protein Atlas project is funded
by the Knut & Alice Wallenberg Foundation.


contact@proteinatlas.org