We use cookies to enhance the usability of our website. If you continue, we'll assume that you are happy to receive all cookies. More information. Don't show this again.
INTS3
HPA
RESOURCES
  • TISSUE
  • BRAIN
  • SINGLE CELL
  • SUBCELLULAR
  • CANCER
  • BLOOD
  • CELL LINE
  • STRUCTURE & INTERACTION
ABOUT
  • INTRODUCTION
  • HISTORY
  • ORGANIZATION
  • PUBLICATIONS
  • ANTIBODY SUBMISSION
  • ANTIBODY AVAILABILITY
  • ACKNOWLEDGMENTS
  • CONTACT
NEWS
  • NEWS ARTICLES
  • PRESS ROOM
LEARN
  • DICTIONARY
  • PROTEIN CLASSES
  • PROTEIN EVIDENCE
  • METHODS
  • EDUCATIONAL VIDEOS
DATA
  • DOWNLOADABLE DATA
  • PUBLICATION DATA
  • RELEASE HISTORY
HELP
  • ANTIBODY VALIDATION
  • ASSAYS & ANNOTATION
  • DISCLAIMER
  • HELP & FAQ
  • PRIVACY STATEMENT
  • LICENCE & CITATION
Fields »
Search result

Field
Term
Gene name
Class
Subclass
Class
Keyword
Chromosome
External id
Tissue
Cell type
Expression
Antibody panel
Tissue
Main location
Patient ID
Annotation
Tissue
Category
Tau score
Cluster
Reliability
Brain region
Category
Tau score
Brain region
Category
Tau score
Brain region
Category
Tau score
Cluster
Reliability
Tissue
Cell type
Enrichment
Cell type
Category
Tau score
Cell type
Category
Tau score
Cell type
Category
Tau score
Cell lineage
Category
Tau score
Cluster
Cluster
Location
Searches
Location
Cell line
Class
Type
Phase
Reliability
Cancer
Prognosis
Cancer
Category
Cancer
Category
Tau score
Cluster
Variants
Interacting gene (ensg_id)
Type
Number of interactions
Pathway
Category
Score
Score
Score
Validation
Validation
Validation
Validation
Antibodies
Data type
Column


  • SUMMARY

  • TISSUE

  • BRAIN

  • SINGLE CELL

  • SUBCELL

  • CANCER

  • BLOOD

  • CELL LINE

  • STRUCT & INT

  • INTS3
TISSUE PRIMARY DATA COLON Show tissue menu
ADIPOSE TISSUE ADRENAL GLAND AMYGDALA APPENDIX BASAL GANGLIA BONE MARROW BREAST BRONCHUS CEREBELLUM CEREBRAL CORTEX CERVIX CHOROID PLEXUS COLON DUODENUM
ENDOMETRIUM EPIDIDYMIS ESOPHAGUS FALLOPIAN TUBE GALLBLADDER HEART MUSCLE HIPPOCAMPAL FORMATION HYPOTHALAMUS KIDNEY LIVER LUNG LYMPH NODE MIDBRAIN NASOPHARYNX
ORAL MUCOSA OVARY PANCREAS PARATHYROID GLAND PITUITARY GLAND PLACENTA PROSTATE RECTUM RETINA SALIVARY GLAND SEMINAL VESICLE SKELETAL MUSCLE SKIN SMALL INTESTINE
SMOOTH MUSCLE SOFT TISSUE SPINAL CORD SPLEEN STOMACH TESTIS THYMUS THYROID GLAND TONGUE TONSIL URINARY BLADDER VAGINA
ANTIBODIES
AND
VALIDATION
Dictionary
Colon
Tissue proteome
Intestine
COLON - Expression summary
Protein expression
Coloni

On the top, protein expression in current human tissue, based on all annotated cell types, is reported with the units not detected (n), low (l), medium (m) and high (h). Underneath, protein expression in each annotated cell type are reported using the same units.

Protein expression data is based on knowledge-based annotation. For genes where more than one antibody has been used, a collective score is set.

If knowledge-based annotation could not be performed for a gene, no data is displayed here. View antibody staining data further down this page.

h
m
l
n
Endothelial cells: Not detected
Glandular cells: Medium
Peripheral nerve/ganglion: Medium
RNA expressioni

A summary of mRNA expression data available for current tissue based on several datasets. The mRNA expression levels in human tissues are based on RNA-seq data generated by the Human Protein Atlas (HPA), Genotype-Tissue Expression (GTEx) portal and CAGE data generated by the FANTOM5 consortium. Consensus normalized expression levels for human tissues was created by combining the data from HPA and GTEx datasets.

The mRNA expression levels in pig are based on RNA-seq data generated by the Human Protein Atlas (HPA), and for mouse, HPA data and in situ hybridization generated by the Allen brain atlas are reported.

Scroll down to view mRNA expression data in more detail.
Consensus:15.5 nTPM
HPA:4.1 nTPM
GTEx:15.5 nTPM
FANTOM5:43.6 Scaled Tags Per Million

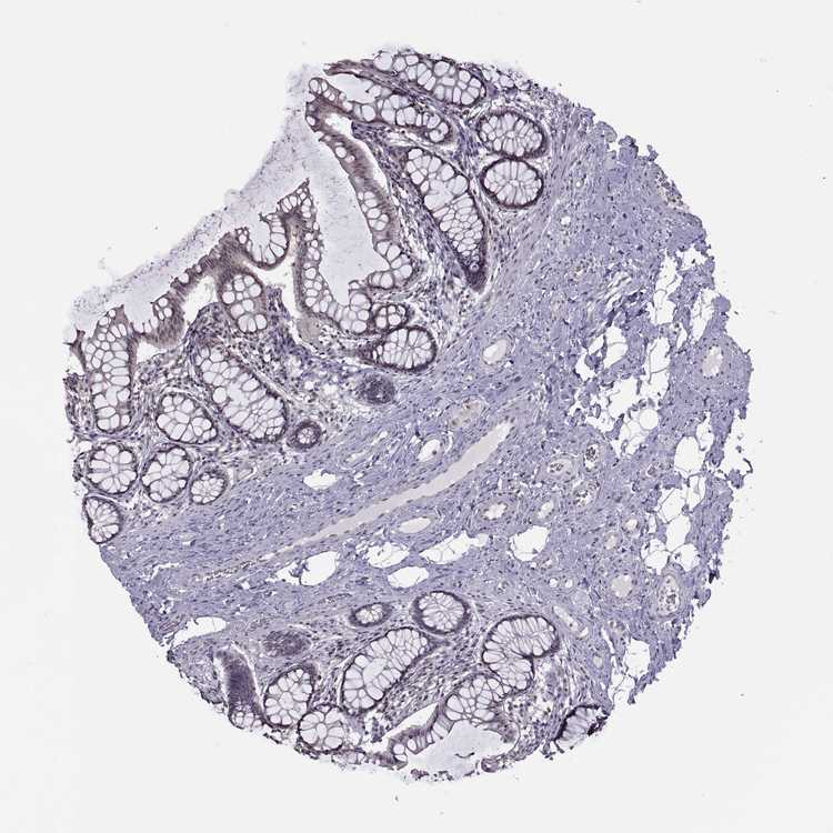
COLON - Antibody stainingi

Antibody staining in the annotated cell types in the current human tissue is reported as not detected, low, medium, or high, based on conventional immunohistochemistry profiling in selected tissues. This score is based on the combination of the staining intensity and fraction of stained cells.

Each image is clickable and will lead to virtual microscopy that enables deeper exploration of all samples and also displays staining intensity scores, fraction scores and subcellular localization as well as patient and tissue information for each sample.

Antibody HPA074391
Endothelial cells Not detected
Glandular cells Medium
Peripheral nerve/ganglion Medium



COLON - HPA RNA-seqi

The RNA-seq details section shows detailed information about the individual samples used for the transcript profiling and results of the RNA-seq analysis.

Information about each individual sample is listed below, including gender, age, a tissue section image and estimated fractions of cell types. nTPM (normalized transcripts per million) values give a quantification of the gene abundance which is comparable between different genes and samples.
Average nTPMi

Max subtype nTPM is the value for the subtype with the largest average nTPM across the subtype samples.

4.1
overview
Male, age 54
Colon sample 67
nTPM: 7.2
Cell types%
Glandular cells:
65

Smooth muscle cells:
10

Other cell types:
25

overview
Female, age 57
Colon sample 68
nTPM: 4.7
Cell types%
Glandular cells:
40

Smooth muscle cells:
5

Other cell types:
55

overview
Male, age 80
Colon sample 69
nTPM: 2
Cell types%
Glandular cells:
55

Smooth muscle cells:
5

Other cell types:
40

overview
Male, age 68
Colon sample 70
nTPM: 1.3
Cell types%
Glandular cells:
35

Smooth muscle cells:
10

Other cell types:
55

overview
Female, age 68
Colon sample 76
nTPM: 5.1
Cell types%
Glandular cells:
25

Smooth muscle cells:
5

Other cell types:
70

overview
Female, age 61
Colon sample 299
nTPM: 6.4
Cell types%
Glandular cells:
5

Smooth muscle cells:
65

Other cell types:
30

overview
Male, age 80
Colon sample 300
nTPM: 4.2
Cell types%
Glandular cells:
15

Smooth muscle cells:
20

Other cell types:
65

overview
Female, age 78
Colon sample 368
nTPM: 1.1
Cell types%
Glandular cells:
45

Smooth muscle cells:
5

Other cell types:
50

overview
Male, age 84
Colon sample 381
nTPM: 3
Cell types%
Glandular cells:
50

Smooth muscle cells:
15

Other cell types:
35

overview
Male, age 80
Colon sample 384
nTPM: 1.8
Cell types%
Glandular cells:
20

Smooth muscle cells:
35

Other cell types:
45

overview
Female, age 78
Colon sample 389
nTPM: 7
Cell types%
Glandular cells:
35

Smooth muscle cells:
10

Other cell types:
55

overview
Female, age 69
Colon sample 391
nTPM: 6.3
Cell types%
Glandular cells:
10

Smooth muscle cells:
45

Other cell types:
45

overview
Female, age 72
Colon sample 403
nTPM: 3.3
Cell types%
Glandular cells:
20

Smooth muscle cells:
15

Other cell types:
65


COLON - GTEx RNA-seqi

RNA-Seq data generated by the Genotype-Tissue Expression (GTEx) project from human tissues is reported as mean nTPM. More information can be found on the GTEx portal.

Distribution across the dataset is visualized with box plots, shown as median and 25th and 75th percentiles. Points are displayed as outliers if they are above or below 1.5 times the interquartile range. nTPM values of the individual samples are presented next to the box plot.
Max subtype nTPMi

Max subtype nTPM is the value for the subtype with the largest average nTPM across the subtype samples.

15.5
GTEx sample id Sample description nTPM
Colon - Sigmoid
Average nTPM: 15.5
Samples: 373

Max nTPM: 30.4
Min nTPM: 4.1
Std nTPM: 4.7
Median nTPM: 15.7
GTEX-132AR-2826-SM-5IJFV 50-59 years, female 30.4
GTEX-1N2DV-1826-SM-E6CJ5 40-49 years, male 28.7
GTEX-131XE-1026-SM-5EGKE 50-59 years, male 28.4
GTEX-183FY-1426-SM-7DHLM 20-29 years, male 27.3
GTEX-XQ8I-2326-SM-4BOQC 50-59 years, male 26.4
GTEX-17HGU-2626-SM-79OKN 50-59 years, male 26.1
GTEX-XUW1-1826-SM-4BOQD 50-59 years, female 26.0
GTEX-14PK6-1826-SM-69LOM 70-79 years, female 25.2
GTEX-WY7C-1926-SM-4ONCI 50-59 years, male 25.2
GTEX-14BMU-1326-SM-5RQIH 20-29 years, female 24.2
GTEX-1LVAM-1726-SM-DHXKQ 50-59 years, female 24.1
GTEX-V955-1726-SM-4JBHF 60-69 years, male 23.9
GTEX-WFON-1326-SM-4LVMN 40-49 years, male 23.6
GTEX-WYVS-1126-SM-4SOJX 40-49 years, female 23.6
GTEX-1IKOE-2126-SM-A96T5 30-39 years, female 23.5
GTEX-1HFI7-1626-SM-9WYTR 50-59 years, female 23.4
GTEX-1QW4Y-1426-SM-E76P3 30-39 years, male 23.3
GTEX-ZLV1-1326-SM-DO11Q 60-69 years, female 23.1
GTEX-1IDJI-2226-SM-CKZPM 50-59 years, female 22.9
GTEX-14PJ3-1226-SM-5ZZVY 50-59 years, male 22.8
GTEX-1HBPN-2026-SM-B2LWA 50-59 years, male 22.7
GTEX-1AX9K-1626-SM-73KUS 50-59 years, male 22.4
GTEX-1S831-1726-SM-EWROJ 20-29 years, male 22.4
GTEX-13U4I-2626-SM-5SI9C 40-49 years, female 22.3
GTEX-1H3VY-2526-SM-9KNW1 50-59 years, male 22.3
GTEX-1GMR2-1826-SM-9KNUP 50-59 years, male 22.1
GTEX-1QP28-2226-SM-DTX8C 50-59 years, female 22.1
GTEX-1LGOU-1726-SM-D3L8P 20-29 years, female 22.0
GTEX-1QP9N-0826-SM-DTX9O 30-39 years, male 22.0
GTEX-1HCUA-1926-SM-B2LWE 50-59 years, female 21.9
GTEX-1339X-1726-SM-5P9J9 40-49 years, male 21.8
GTEX-18D9A-1326-SM-7LT8P 30-39 years, female 21.8
GTEX-1PIGE-1526-SM-DTXFC 20-29 years, male 21.7
GTEX-15RIF-1426-SM-7KUKQ 20-29 years, male 21.6
GTEX-1C4CL-1626-SM-7DUF3 30-39 years, male 21.6
GTEX-1JKYR-2026-SM-CNPON 20-29 years, male 21.5
GTEX-1LGRB-2026-SM-COH47 50-59 years, female 21.5
GTEX-13PL7-2426-SM-5J2N3 60-69 years, female 21.4
GTEX-117YX-0526-SM-5EGJH 50-59 years, male 21.3
GTEX-ZAB5-1426-SM-5HL9D 50-59 years, male 21.3
GTEX-15G1A-1926-SM-7KUFF 30-39 years, male 21.3
GTEX-1LSNM-1426-SM-E6CIH 50-59 years, male 21.3
GTEX-13O61-1526-SM-5KM3P 60-69 years, male 21.2
GTEX-1B932-2126-SM-7IGMU 40-49 years, female 21.2
GTEX-1LG7Z-1326-SM-DIPF3 30-39 years, male 21.0
GTEX-1S82P-2026-SM-E9TIQ 60-69 years, female 21.0
GTEX-1399R-2126-SM-5K7WZ 30-39 years, male 20.9
GTEX-13D11-0626-SM-5LZYY 50-59 years, female 20.9
GTEX-14E1K-1626-SM-664MO 50-59 years, male 20.9
GTEX-1CB4G-2726-SM-79OO4 60-69 years, male 20.8
GTEX-14E6E-1726-SM-5S2R6 30-39 years, male 20.7
GTEX-1LB8K-2526-SM-DIPEQ 50-59 years, male 20.7
GTEX-1H1E6-1826-SM-A9G21 30-39 years, male 20.5
GTEX-1RAZQ-2026-SM-E76P7 30-39 years, male 20.5
GTEX-15ETS-2326-SM-7KUGC 40-49 years, female 20.4
GTEX-1HSMQ-2526-SM-A9SMK 50-59 years, male 20.4
GTEX-1RAZR-2026-SM-E9TKE 40-49 years, male 20.4
GTEX-18A66-2626-SM-72D67 60-69 years, male 20.3
GTEX-131YS-2926-SM-5EGKI 60-69 years, female 20.2
GTEX-WFG8-1726-SM-4LVM6 20-29 years, male 20.2
GTEX-ZYFG-1826-SM-5GZWX 60-69 years, female 20.2
GTEX-1GL5R-1726-SM-9KNUX 50-59 years, male 20.2
GTEX-1HKZK-2026-SM-9WYUF 40-49 years, male 20.2
GTEX-11P81-1426-SM-5P9JN 30-39 years, female 20.1
GTEX-13FTW-2126-SM-5K7YG 40-49 years, male 20.1
GTEX-1RMOY-1726-SM-EVYC9 50-59 years, male 20.1
GTEX-1S5ZA-1426-SM-E6CJQ 20-29 years, male 20.1
GTEX-145ME-1126-SM-5SIAT 40-49 years, female 20.0
GTEX-18QFQ-1726-SM-731C9 30-39 years, male 20.0
GTEX-1KANA-1726-SM-CY8IG 20-29 years, male 20.0
GTEX-12WSJ-1426-SM-5GCON 40-49 years, female 19.9
GTEX-13OVK-1026-SM-7KFTC 40-49 years, male 19.8
GTEX-1H1DE-1626-SM-9KNU5 20-29 years, male 19.8
GTEX-12KS4-2326-SM-5EGJB 30-39 years, male 19.7
GTEX-WHWD-1526-SM-4OORV 50-59 years, male 19.7
GTEX-1I1GT-2026-SM-CKZPK 60-69 years, female 19.7
GTEX-11DXZ-1626-SM-5GIDI 50-59 years, male 19.6
GTEX-17KNJ-1826-SM-7LT9N 50-59 years, male 19.6
GTEX-14JG6-1626-SM-5YYBC 30-39 years, female 19.5
GTEX-X15G-1526-SM-4PQZM 50-59 years, female 19.5
GTEX-WFG7-1626-SM-4LVMF 20-29 years, male 19.4
GTEX-1J8QM-1226-SM-CY8HI 60-69 years, female 19.4
GTEX-145LT-0826-SM-5S2QL 40-49 years, male 19.3
GTEX-1GPI7-1926-SM-9KNUH 20-29 years, male 19.3
GTEX-1HSGN-2226-SM-A9SL6 40-49 years, female 19.3
GTEX-1JMPY-1026-SM-ARZN1 30-39 years, male 19.3
GTEX-16NGA-0926-SM-718AG 40-49 years, female 19.2
GTEX-XV7Q-2226-SM-4BRVY 40-49 years, female 19.2
GTEX-XXEK-1826-SM-4BRVC 50-59 years, male 19.2
GTEX-1R9JW-2126-SM-E76QT 30-39 years, female 19.2
GTEX-14AS3-1026-SM-5TDD7 40-49 years, female 19.1
GTEX-17HHE-1626-SM-7DHLN 50-59 years, male 19.1
GTEX-WHPG-1626-SM-4M1ZL 50-59 years, male 19.1
GTEX-ZPIC-2626-SM-57WE2 40-49 years, female 19.1
GTEX-1F5PK-1726-SM-7RHHW 50-59 years, male 19.1
GTEX-14PN3-1926-SM-6EU1Y 60-69 years, female 19.0
GTEX-1AYCT-1926-SM-793AE 50-59 years, male 19.0
GTEX-15UF7-1326-SM-7KUKV 40-49 years, male 18.8
GTEX-Y3I4-1126-SM-4TT7Y 50-59 years, male 18.8
GTEX-YFCO-1526-SM-5YYB8 40-49 years, male 18.8
GTEX-ZA64-1426-SM-5CVMC 20-29 years, male 18.8
GTEX-1I1GR-2226-SM-ARL7F 60-69 years, male 18.8
GTEX-17GQL-1626-SM-7LG69 60-69 years, male 18.7
GTEX-1C2JI-1726-SM-73KUW 50-59 years, male 18.6
GTEX-ZLFU-1426-SM-4WWEU 40-49 years, male 18.6
GTEX-1JK1U-1426-SM-CNPOW 60-69 years, male 18.6
GTEX-13VXT-2026-SM-5L3EW 20-29 years, female 18.5
GTEX-11ZTS-1526-SM-5N9G7 60-69 years, female 18.4
GTEX-1GMR3-2526-SM-7P8QS 40-49 years, male 18.4
GTEX-13QBU-2026-SM-5KLZB 40-49 years, female 18.3
GTEX-147JS-2626-SM-5S2UX 60-69 years, male 18.3
GTEX-16MTA-1626-SM-6M47N 50-59 years, male 18.3
GTEX-1HSMO-2526-SM-A9SKP 60-69 years, male 18.3
GTEX-13OW8-2726-SM-5L3FZ 60-69 years, male 18.2
GTEX-XBED-1726-SM-47JYO 60-69 years, male 18.2
GTEX-1R9K5-2226-SM-DTX9G 50-59 years, male 18.2
GTEX-1I1CD-2826-SM-A9SL4 60-69 years, female 18.1
GTEX-1PBJI-2526-SM-E6CP4 20-29 years, female 18.0
GTEX-ZLWG-1826-SM-DO11I 50-59 years, female 18.0
GTEX-11TT1-0926-SM-5GU5M 20-29 years, male 17.9
GTEX-12WSL-1826-SM-5LZW9 50-59 years, male 17.9
GTEX-146FH-2426-SM-5Q5EW 50-59 years, female 17.9
GTEX-1ICG6-2226-SM-B2LY7 70-79 years, female 17.9
GTEX-1QP67-1426-SM-E8VOO 40-49 years, female 17.9
GTEX-11ZTT-1626-SM-5EQKR 60-69 years, female 17.8
GTEX-1HSEH-1926-SM-A96SB 60-69 years, male 17.8
GTEX-12BJ1-2026-SM-5FQUH 60-69 years, male 17.7
GTEX-1J8Q3-2426-SM-CL53S 60-69 years, male 17.7
GTEX-1KXAM-1926-SM-D3LAG 60-69 years, male 17.7
GTEX-11I78-1326-SM-5PNY9 50-59 years, female 17.6
GTEX-17F9Y-2626-SM-7IGN9 70-79 years, female 17.6
GTEX-ZC5H-2426-SM-4WAZ6 40-49 years, female 17.6
GTEX-ZVT4-2626-SM-5N9GJ 50-59 years, female 17.6
GTEX-1QP2A-2226-SM-DTXF6 50-59 years, male 17.6
GTEX-11P7K-1826-SM-5HL5A 30-39 years, male 17.5
GTEX-14PJ4-1826-SM-5YY97 60-69 years, male 17.5
GTEX-1A32A-2626-SM-73KX9 50-59 years, female 17.5
GTEX-1B97I-1526-SM-73KUK 40-49 years, male 17.5
GTEX-1IDJU-1926-SM-CL53W 60-69 years, female 17.5
GTEX-111YS-1826-SM-5GIEP 60-69 years, male 17.4
GTEX-11EQ9-1526-SM-5PNY7 30-39 years, male 17.4
GTEX-13OW5-2826-SM-5KM1G 60-69 years, male 17.4
GTEX-13FHO-2726-SM-5K7VG 60-69 years, male 17.3
GTEX-ZY6K-1326-SM-5GZWP 50-59 years, male 17.3
GTEX-1JKYN-2226-SM-ARZNE 30-39 years, male 17.3
GTEX-1L5NE-1926-SM-D3L9R 50-59 years, male 17.3
GTEX-1OFPY-1226-SM-E76OM 60-69 years, male 17.3
GTEX-1AX9J-2526-SM-73KUY 60-69 years, male 17.2
GTEX-13SLW-2826-SM-5Q5ES 70-79 years, male 17.1
GTEX-ZQG8-2426-SM-57WEE 60-69 years, female 17.1
GTEX-11PRG-2026-SM-5GU5F 50-59 years, male 17.0
GTEX-13OVJ-1826-SM-5KM2D 50-59 years, female 16.9
GTEX-13PVR-1726-SM-5Q5EC 60-69 years, female 16.9
GTEX-14PHX-1126-SM-5YYA5 50-59 years, male 16.8
GTEX-111CU-1226-SM-5EGIN 50-59 years, male 16.7
GTEX-ZV6S-1126-SM-57WE9 40-49 years, female 16.7
GTEX-1F5PL-1926-SM-7MXTP 40-49 years, female 16.7
GTEX-1GZ4H-1326-SM-7P8TE 50-59 years, female 16.7
GTEX-1HBPM-2626-SM-9WYU5 60-69 years, female 16.7
GTEX-1AMFI-1826-SM-73KWB 50-59 years, female 16.6
GTEX-ZP4G-1526-SM-57WE5 20-29 years, female 16.6
GTEX-YF7O-1626-SM-5IFII 50-59 years, male 16.5
GTEX-1GN73-2726-SM-9WYUB 60-69 years, male 16.5
GTEX-12ZZW-2426-SM-5DUWE 50-59 years, male 16.4
GTEX-1H3NZ-2526-SM-9KNVO 60-69 years, male 16.4
GTEX-1LBAC-1726-SM-D3L9W 20-29 years, male 16.4
GTEX-Y9LG-1326-SM-4VBQB 30-39 years, male 16.3
GTEX-1JMQK-2326-SM-ARZN4 60-69 years, male 16.3
GTEX-13OVI-2126-SM-5KM3U 60-69 years, female 16.2
GTEX-1JN76-1326-SM-ARU94 20-29 years, female 16.2
GTEX-139D8-2926-SM-5IJBM 30-39 years, female 16.1
GTEX-1RDX4-1926-SM-E6CJJ 50-59 years, female 16.1
GTEX-12WSD-2626-SM-5EGJE 60-69 years, female 16.0
GTEX-13RTJ-1926-SM-5YYA2 60-69 years, male 16.0
GTEX-1K2DA-1626-SM-CGQGB 50-59 years, male 16.0
GTEX-13X6K-2726-SM-5O9DG 60-69 years, female 15.9
GTEX-16XZZ-2726-SM-7EWDO 60-69 years, male 15.9
GTEX-1QP29-2526-SM-E6CQ3 50-59 years, male 15.9
GTEX-1122O-1426-SM-5H11R 60-69 years, female 15.8
GTEX-11EM3-1626-SM-5N9CO 20-29 years, female 15.8
GTEX-13CF3-1326-SM-5LZXZ 60-69 years, female 15.8
GTEX-1EU9M-2726-SM-7P8QD 60-69 years, male 15.8
GTEX-1HCU7-2726-SM-A9G3D 50-59 years, male 15.8
GTEX-1R7EU-1826-SM-DTX9L 60-69 years, male 15.8
GTEX-18A6Q-2226-SM-7LG61 60-69 years, male 15.7
GTEX-WXYG-1726-SM-4ONCU 50-59 years, female 15.7
GTEX-XAJ8-0726-SM-47JY5 40-49 years, male 15.7
GTEX-131XG-1526-SM-5GCNQ 50-59 years, female 15.6
GTEX-17F96-2126-SM-7KFSM 70-79 years, male 15.6
GTEX-YECK-2826-SM-5IFHF 60-69 years, male 15.6
GTEX-ZF28-2526-SM-57WFH 60-69 years, male 15.6
GTEX-ZYY3-2226-SM-5E45A 60-69 years, female 15.6
GTEX-1CAMS-2626-SM-7PBY3 40-49 years, female 15.6
GTEX-1JMQJ-2626-SM-CY8HQ 50-59 years, male 15.6
GTEX-ZAB4-2426-SM-5HL8A 40-49 years, male 15.5
GTEX-ZF2S-1826-SM-4WKFF 50-59 years, female 15.5
GTEX-ZG7Y-1826-SM-4WWD3 50-59 years, male 15.5
GTEX-11DXX-1926-SM-5EGJK 60-69 years, female 15.4
GTEX-11ONC-1926-SM-5GU75 60-69 years, male 15.4
GTEX-YJ8O-1426-SM-5PNV9 40-49 years, female 15.3
GTEX-ZVT3-2826-SM-5GU6A 60-69 years, female 15.3
GTEX-1J8EW-2426-SM-CE6T5 60-69 years, female 15.3
GTEX-1211K-1826-SM-5EGJ2 60-69 years, female 15.2
GTEX-139T6-1426-SM-5P9J7 50-59 years, male 15.2
GTEX-13FH7-1626-SM-5J2O9 50-59 years, female 15.2
GTEX-1HB9E-2526-SM-D4P35 50-59 years, male 15.2
GTEX-YEC3-2026-SM-DKPOL 50-59 years, male 15.2
GTEX-1QPFJ-2426-SM-EVR3L 30-39 years, female 15.1
GTEX-1C6VQ-2626-SM-7IGMQ 50-59 years, male 15.0
GTEX-13PVQ-2726-SM-5L3H7 50-59 years, male 14.9
GTEX-15DYW-2426-SM-7KUG8 60-69 years, female 14.8
GTEX-XUZC-1526-SM-4BRV4 30-39 years, female 14.8
GTEX-1GF9X-1426-SM-7RHGX 40-49 years, female 14.8
GTEX-1QCLZ-2026-SM-EAZ4A 60-69 years, female 14.8
GTEX-147GR-2826-SM-5RQK8 60-69 years, male 14.7
GTEX-16BQI-2026-SM-7KULQ 30-39 years, female 14.7
GTEX-ZPU1-1726-SM-4WWFV 40-49 years, male 14.6
GTEX-1C64O-2426-SM-7P8R3 60-69 years, male 14.6
GTEX-1212Z-1826-SM-5FQSH 60-69 years, male 14.5
GTEX-13111-1926-SM-5GCOL 50-59 years, male 14.5
GTEX-144GM-1126-SM-79OJK 20-29 years, male 14.5
GTEX-1C475-1526-SM-7DHM3 40-49 years, female 14.5
GTEX-1J1OQ-2826-SM-D3L88 40-49 years, female 14.5
GTEX-1JMPZ-2626-SM-ARU8Z 30-39 years, male 14.5
GTEX-117XS-2226-SM-5GIE1 60-69 years, male 14.4
GTEX-11GS4-1826-SM-5HL4T 60-69 years, male 14.4
GTEX-1EH9U-1926-SM-7P8QM 60-69 years, male 14.4
GTEX-11ZU8-1126-SM-5EQ5K 60-69 years, male 14.3
GTEX-ZDTS-2726-SM-5L3E2 60-69 years, male 14.3
GTEX-1LKK1-2426-SM-DIPES 50-59 years, female 14.3
GTEX-11EMC-1426-SM-5N9E4 60-69 years, female 14.2
GTEX-1JMLX-2526-SM-CY8HX 50-59 years, male 14.2
GTEX-1MGNQ-2126-SM-EV7AC 40-49 years, male 14.2
GTEX-1PDJ9-2026-SM-E76PT 20-29 years, male 14.2
GTEX-15DZA-1026-SM-6PAND 30-39 years, female 14.1
GTEX-1H1ZS-2626-SM-9QEIX 70-79 years, male 14.1
GTEX-13113-1426-SM-5EGHU 60-69 years, female 14.0
GTEX-17EUY-1726-SM-79OK4 20-29 years, male 14.0
GTEX-X4EO-2726-SM-4E3HS 60-69 years, female 14.0
GTEX-11EQ8-2626-SM-5N9BO 60-69 years, male 13.9
GTEX-ZZ64-0826-SM-5E449 20-29 years, male 13.9
GTEX-17JCI-2826-SM-7IGNA 60-69 years, female 13.8
GTEX-1B996-2726-SM-7DUGG 60-69 years, male 13.8
GTEX-1CAMR-1026-SM-7P8QI 20-29 years, male 13.8
GTEX-1I6K6-1926-SM-A96SN 30-39 years, male 13.8
GTEX-13CF2-1826-SM-5N9GK 60-69 years, male 13.7
GTEX-1H3VE-2326-SM-9KNVU 40-49 years, male 13.7
GTEX-1QCLY-2026-SM-EVR4C 30-39 years, male 13.7
GTEX-139UW-2326-SM-5KM1Y 60-69 years, male 13.6
GTEX-14PKV-1926-SM-686YU 20-29 years, female 13.5
GTEX-ZYT6-2826-SM-5GICX 30-39 years, male 13.5
GTEX-1LVAN-2626-SM-CNPQF 50-59 years, female 13.5
GTEX-1LVAO-2826-SM-E9TJH 60-69 years, male 13.5
GTEX-15RIE-2026-SM-7KFRW 60-69 years, male 13.4
GTEX-15EO6-2326-SM-6LPKK 50-59 years, male 13.3
GTEX-1J1R8-1426-SM-CL55O 40-49 years, male 13.3
GTEX-1PIEJ-1826-SM-EWRMN 20-29 years, female 13.3
GTEX-132NY-2726-SM-5PNY2 60-69 years, male 13.2
GTEX-14DAQ-2926-SM-664MV 60-69 years, female 13.2
GTEX-1IL2U-2526-SM-C1YQV 60-69 years, male 13.1
GTEX-1OJC3-1826-SM-DTX93 20-29 years, male 13.1
GTEX-1LG7Y-2226-SM-E9U5K 50-59 years, male 12.9
GTEX-Y5LM-1426-SM-5RQJL 40-49 years, female 12.7
GTEX-ZF29-1826-SM-4WKG8 60-69 years, female 12.7
GTEX-ZXES-1726-SM-5E43G 30-39 years, female 12.7
GTEX-1EMGI-2626-SM-7IGNR 60-69 years, male 12.6
GTEX-11VI4-1426-SM-5GU6O 40-49 years, female 12.5
GTEX-1JJEA-2526-SM-CY8HJ 60-69 years, male 12.5
GTEX-139TS-2226-SM-5J2N1 60-69 years, male 12.3
GTEX-145LS-2926-SM-5O99G 60-69 years, female 12.3
GTEX-14C5O-2626-SM-5RQI5 60-69 years, male 12.3
GTEX-1B8KE-1526-SM-7DUG2 50-59 years, male 12.3
GTEX-WH7G-1426-SM-4LVMU 40-49 years, male 12.3
GTEX-1I1GP-2826-SM-A9SKZ 50-59 years, male 12.3
GTEX-1PPH8-2226-SM-EWRN7 20-29 years, male 12.2
GTEX-1R9PO-2026-SM-E9J4N 60-69 years, female 12.2
GTEX-14BIN-2426-SM-5TDCF 50-59 years, female 12.1
GTEX-15F5U-1426-SM-7KUN2 40-49 years, male 12.0
GTEX-17MFQ-1226-SM-7KFSA 20-29 years, male 12.0
GTEX-Z93S-2626-SM-57WBX 50-59 years, male 12.0
GTEX-1JJE9-2526-SM-ARU8K 70-79 years, male 12.0
GTEX-1H23P-2626-SM-9KNVN 60-69 years, male 11.9
GTEX-1P4AB-2626-SM-DTXEU 50-59 years, male 11.9
GTEX-1HCVE-2326-SM-9WYUD 50-59 years, male 11.8
GTEX-ZPCL-1626-SM-57WGC 60-69 years, female 11.7
GTEX-15G19-2726-SM-6LPKG 60-69 years, male 11.5
GTEX-183WM-2526-SM-731BP 70-79 years, female 11.5
GTEX-18A67-2226-SM-7LT9Z 50-59 years, male 11.5
GTEX-1GTWX-2626-SM-9WPOT 60-69 years, male 11.5
GTEX-WRHK-1126-SM-4MVOJ 20-29 years, female 11.4
GTEX-15CHQ-2626-SM-686YZ 60-69 years, male 11.3
GTEX-13OW6-2226-SM-5N9FL 50-59 years, male 11.2
GTEX-145MO-2626-SM-5QGPD 60-69 years, male 11.2
GTEX-15RJ7-1726-SM-6PAL3 40-49 years, male 11.2
GTEX-1A3MV-1026-SM-72D5U 30-39 years, male 11.2
GTEX-Y114-1626-SM-4TT7I 50-59 years, female 11.2
GTEX-1HBPI-2226-SM-9WYTY 50-59 years, male 11.2
GTEX-1RLM8-1726-SM-E9TKF 50-59 years, male 11.2
GTEX-1399U-2226-SM-5KLZI 50-59 years, female 11.1
GTEX-148VJ-2426-SM-5NQ9Y 70-79 years, male 11.1
GTEX-Y5V6-1626-SM-4VDT2 60-69 years, male 11.1
GTEX-13W3W-2226-SM-5LU4M 60-69 years, female 11.0
GTEX-1AMEY-1826-SM-72D5L 30-39 years, female 11.0
GTEX-13N2G-2226-SM-5IJCU 60-69 years, male 10.7
GTEX-15ER7-2826-SM-6PAN2 20-29 years, female 10.7
GTEX-WYJK-2326-SM-4ONDN 50-59 years, male 10.7
GTEX-1HSKV-2326-SM-A9SL9 60-69 years, male 10.7
GTEX-12ZZY-2726-SM-5EQ45 60-69 years, male 10.6
GTEX-1CB4F-1926-SM-7MKFN 60-69 years, male 10.5
GTEX-WQUQ-2626-SM-4MVNP 60-69 years, male 10.5
GTEX-ZAJG-2626-SM-5S2NU 50-59 years, female 10.5
GTEX-1PBJJ-2026-SM-DTX8U 30-39 years, male 10.5
GTEX-1PFEY-1726-SM-DPRZ4 30-39 years, male 10.5
GTEX-15UF6-2726-SM-7KULY 70-79 years, female 10.4
GTEX-ZE9C-2126-SM-4WKGY 60-69 years, male 10.4
GTEX-1E2YA-2526-SM-7IGOU 50-59 years, male 10.3
GTEX-1F75W-2126-SM-7RHIA 60-69 years, male 10.3
GTEX-1GMR8-2926-SM-9KNW5 50-59 years, female 10.3
GTEX-1HCU6-2926-SM-B2LWV 60-69 years, female 10.3
GTEX-1IDJH-2826-SM-CJI49 70-79 years, male 10.3
GTEX-WI4N-2226-SM-4OOS9 40-49 years, female 10.2
GTEX-11EI6-2626-SM-5PNVT 60-69 years, male 10.1
GTEX-14A5I-2426-SM-5Q5CP 50-59 years, female 10.1
GTEX-14C39-1626-SM-5S2P4 40-49 years, male 10.1
GTEX-15RJE-2226-SM-6M46A 40-49 years, male 10.0
GTEX-YJ8A-1726-SM-5P9IQ 20-29 years, male 10.0
GTEX-15FZZ-1826-SM-6LLJP 30-39 years, female 9.9
GTEX-ZYFD-2226-SM-5E43P 50-59 years, male 9.9
GTEX-1C64N-2226-SM-7SB7C 50-59 years, male 9.7
GTEX-1K9T9-2926-SM-E9TKD 50-59 years, female 9.6
GTEX-1BAJH-2726-SM-7IGNJ 70-79 years, male 9.5
GTEX-1LSVX-2026-SM-E9TJD 60-69 years, male 9.3
GTEX-12ZZX-2726-SM-5N9FT 40-49 years, female 9.2
GTEX-13G51-2126-SM-5IJD9 60-69 years, male 9.2
GTEX-14E6C-2226-SM-5QGQG 40-49 years, male 9.2
GTEX-1LSNL-1626-SM-E9TJY 50-59 years, male 9.2
GTEX-13X6I-2726-SM-5Q5ET 60-69 years, male 9.1
GTEX-18465-2726-SM-7LT9I 50-59 years, male 9.0
GTEX-VJYA-2126-SM-4KL1O 60-69 years, male 9.0
GTEX-W5WG-2026-SM-4LMIB 50-59 years, female 8.9
GTEX-X5EB-1126-SM-46MVV 40-49 years, male 8.9
GTEX-11DXY-2026-SM-5N9CZ 60-69 years, male 8.8
GTEX-12WSG-2426-SM-5EQLZ 50-59 years, female 8.8
GTEX-14A5H-1626-SM-5SIAN 60-69 years, male 8.8
GTEX-Y8E4-2326-SM-EAZAZ 40-49 years, male 8.7
GTEX-1J8JJ-2426-SM-D4P4A 60-69 years, female 8.6
GTEX-145MH-2726-SM-5QGQ6 50-59 years, male 8.5
GTEX-1HBPH-2526-SM-ACKXK 40-49 years, female 8.4
GTEX-12696-1926-SM-5EGJT 60-69 years, male 8.2
GTEX-1B8L1-1926-SM-7IGND 60-69 years, male 8.2
GTEX-1N2EF-1726-SM-EXUSI 60-69 years, male 8.2
GTEX-ZQUD-1026-SM-4YCEZ 30-39 years, male 8.1
GTEX-1GMRU-2626-SM-9WPPM 50-59 years, male 8.1
GTEX-WOFM-1926-SM-4OOSP 20-29 years, male 8.0
GTEX-1RQEC-2626-SM-EVR3Z 60-69 years, male 7.5
GTEX-11TUW-2326-SM-5EQMO 60-69 years, male 7.4
GTEX-13X6J-2826-SM-7EPGA 50-59 years, male 7.2
GTEX-16Z82-2426-SM-7KUMS 60-69 years, male 7.2
GTEX-1A3MX-2326-SM-718B4 60-69 years, male 7.2
GTEX-ZT9W-1726-SM-51MS3 50-59 years, male 6.7
GTEX-17HG3-1126-SM-7DUFC 30-39 years, female 6.6
GTEX-Y8LW-1126-SM-4VDS4 50-59 years, female 6.6
GTEX-12WSM-1426-SM-5GCPA 60-69 years, male 6.4
GTEX-ZVT2-1726-SM-51MRO 50-59 years, female 6.3
GTEX-1477Z-2126-SM-5Q5CM 60-69 years, male 5.9
GTEX-ZTSS-1226-SM-51MSZ 40-49 years, male 5.7
GTEX-13O1R-2426-SM-5KLZZ 60-69 years, male 5.4
GTEX-ZTTD-2626-SM-57WEX 50-59 years, male 5.0
GTEX-1JN6P-2126-SM-ARL98 60-69 years, male 5.0
GTEX-ZE7O-2626-SM-51MSS 50-59 years, female 4.5
GTEX-1PIIG-2126-SM-EXUSD 30-39 years, male 4.5
GTEX-WHSE-2726-SM-EZ6ML 20-29 years, male 4.3
GTEX-ZVZQ-2626-SM-59HLB 60-69 years, female 4.1
Show allShow less
Colon - Transverse
Average nTPM: 12.4
Samples: 406

Max nTPM: 28.9
Min nTPM: 4.9
Std nTPM: 4.0
Median nTPM: 11.4
GTEX-13U4I-2426-SM-5LU34 40-49 years, female 28.9
GTEX-TKQ1-0626-SM-4DXTS 30-39 years, male 26.3
GTEX-11GSP-1626-SM-5986N 60-69 years, female 25.9
GTEX-U3ZH-1326-SM-4DXSF 30-39 years, male 24.1
GTEX-18QFQ-1526-SM-72D57 30-39 years, male 23.8
GTEX-1C64O-2326-SM-73KU8 60-69 years, male 23.1
GTEX-V955-1626-SM-4JBHJ 60-69 years, male 22.3
GTEX-14PJ3-0926-SM-69LQG 50-59 years, male 22.1
GTEX-1AX8Z-2726-SM-73KUC 60-69 years, male 22.0
GTEX-1GZ4H-1226-SM-9KNUA 50-59 years, female 21.9
GTEX-13OVG-1426-SM-5K7VP 60-69 years, male 21.7
GTEX-1LBAC-1626-SM-CXZKV 20-29 years, male 21.7
GTEX-XXEK-1926-SM-4BRVD 50-59 years, male 21.4
GTEX-WEY5-1426-SM-4LMJ3 40-49 years, female 21.0
GTEX-1IDJF-1826-SM-CKZOE 20-29 years, male 21.0
GTEX-RWS6-1826-SM-47JXX 60-69 years, female 20.8
GTEX-1GMR2-1726-SM-9JGI2 50-59 years, male 20.8
GTEX-11ONC-2026-SM-5HL61 60-69 years, male 20.4
GTEX-WY7C-1626-SM-4ONC8 50-59 years, male 20.4
GTEX-XAJ8-0426-SM-47JYJ 40-49 years, male 20.4
GTEX-1S82U-0726-SM-E9TKI 30-39 years, female 20.3
GTEX-11P81-1126-SM-5GU5G 30-39 years, female 20.2
GTEX-117YX-0826-SM-5H11J 50-59 years, male 20.1
GTEX-12WSJ-1526-SM-5GCNI 40-49 years, female 20.1
GTEX-T6MO-0826-SM-4DM51 40-49 years, female 19.9
GTEX-11EQ9-1426-SM-5987G 30-39 years, male 19.8
GTEX-Q734-1126-SM-48TZY 40-49 years, female 19.8
GTEX-Y3I4-1426-SM-4TT9C 50-59 years, male 19.5
GTEX-12WSL-1626-SM-5GCMU 50-59 years, male 19.4
GTEX-ZYFG-1926-SM-5GID5 60-69 years, female 19.4
GTEX-14AS3-1126-SM-5Q5CR 40-49 years, female 19.3
GTEX-111YS-1626-SM-5GZZ9 60-69 years, male 19.2
GTEX-OXRO-0726-SM-E9U4C 60-69 years, female 19.2
GTEX-1339X-1626-SM-5IJDN 40-49 years, male 19.0
GTEX-S341-1426-SM-4AD6U 40-49 years, female 19.0
GTEX-X5EB-0926-SM-46MVT 40-49 years, male 18.9
GTEX-13O61-1626-SM-5KM3T 60-69 years, male 18.6
GTEX-145ME-0826-SM-5O9AF 40-49 years, female 18.6
GTEX-RU1J-1326-SM-46MUL 20-29 years, female 18.6
GTEX-132AR-2726-SM-5PNVN 50-59 years, female 18.4
GTEX-15CHC-1626-SM-5ZZWS 60-69 years, female 18.4
GTEX-17F9E-1826-SM-7IGMC 50-59 years, male 18.4
GTEX-1QW4Y-1326-SM-EWRMZ 30-39 years, male 18.4
GTEX-14E1K-1826-SM-793DT 50-59 years, male 18.2
GTEX-14H4A-1926-SM-5ZZWN 40-49 years, female 18.2
GTEX-15G1A-1826-SM-7KUKO 30-39 years, male 18.1
GTEX-18D9B-2526-SM-718BN 60-69 years, male 18.1
GTEX-1C2JI-1626-SM-7EPHC 50-59 years, male 18.1
GTEX-1RMOY-1626-SM-EVYC8 50-59 years, male 18.1
GTEX-XUW1-1926-SM-4BOP1 50-59 years, female 18.0
GTEX-1GL5R-2426-SM-7MXV1 50-59 years, male 17.6
GTEX-P78B-1726-SM-3P5ZV 40-49 years, female 17.4
GTEX-1NV5F-2226-SM-DTX8O 60-69 years, female 17.4
GTEX-1HSMP-2326-SM-D3L8R 70-79 years, male 17.2
GTEX-QLQ7-1126-SM-CYPRB 60-69 years, male 17.1
GTEX-14DAQ-2726-SM-5S2QY 60-69 years, female 17.0
GTEX-15DZA-0926-SM-69LQ3 30-39 years, female 17.0
GTEX-ZV6S-1226-SM-59HLH 40-49 years, female 17.0
GTEX-1JJ6O-2426-SM-ARU8J 60-69 years, male 17.0
GTEX-1RAZQ-2126-SM-DTX9V 30-39 years, male 17.0
GTEX-1AMEY-1926-SM-73KVT 30-39 years, female 16.7
GTEX-1OKEX-1226-SM-DTXEC 60-69 years, male 16.7
GTEX-131XE-0826-SM-5HL9W 50-59 years, male 16.6
GTEX-1IDJC-1326-SM-CL53H 50-59 years, male 16.6
GTEX-ZYFC-2626-SM-5NQ6S 50-59 years, male 16.5
GTEX-139YR-2126-SM-5KM11 50-59 years, male 16.4
GTEX-14ICL-1226-SM-5S2RD 30-39 years, male 16.4
GTEX-S3XE-1126-SM-4AD4N 50-59 years, male 16.4
GTEX-XQ8I-2126-SM-4BOOM 50-59 years, male 16.4
GTEX-QDVN-1326-SM-48TZ3 50-59 years, male 16.3
GTEX-1H1DE-1526-SM-ARL9B 20-29 years, male 16.3
GTEX-1R9K5-2126-SM-E8VN1 50-59 years, male 16.2
GTEX-1MUQO-2626-SM-EWRO3 60-69 years, male 16.1
GTEX-X3Y1-1726-SM-4PQZL 40-49 years, male 16.0
GTEX-11ZVC-2126-SM-5EGJ1 50-59 years, female 15.9
GTEX-13CF3-1426-SM-5K7YY 60-69 years, female 15.7
GTEX-13VXT-2426-SM-5LU46 20-29 years, female 15.7
GTEX-O5YT-1426-SM-3MJHC 20-29 years, male 15.7
GTEX-QDVJ-1326-SM-48U1X 50-59 years, male 15.7
GTEX-1MCC2-1626-SM-DIPEW 30-39 years, female 15.7
GTEX-13FH7-1526-SM-5J2N6 50-59 years, female 15.6
GTEX-TKQ2-1326-SM-4DXT9 50-59 years, male 15.6
GTEX-13OVI-2026-SM-5J1MU 60-69 years, female 15.5
GTEX-ZF29-1726-SM-4WKFV 60-69 years, female 15.5
GTEX-14PJ5-0926-SM-6LLIK 60-69 years, female 15.4
GTEX-178AV-1326-SM-6LPJX 40-49 years, male 15.4
GTEX-17HGU-2426-SM-7EWDP 50-59 years, male 15.4
GTEX-R53T-1326-SM-48FCQ 50-59 years, female 15.4
GTEX-1IDJD-2226-SM-A96TD 30-39 years, male 15.4
GTEX-13S86-1626-SM-5Q5C5 40-49 years, male 15.3
GTEX-YEC4-1926-SM-5IFHJ 40-49 years, male 15.3
GTEX-17F96-2026-SM-79ON4 70-79 years, male 15.2
GTEX-11TT1-1026-SM-5PNW7 20-29 years, male 15.0
GTEX-13X6H-1926-SM-7EWD3 50-59 years, female 14.9
GTEX-13W3W-2126-SM-5K7UX 60-69 years, female 14.8
GTEX-1HKZK-2126-SM-A9SL3 40-49 years, male 14.8
GTEX-1LGOU-1626-SM-D3LAK 20-29 years, female 14.8
GTEX-QEL4-1926-SM-D3L8D 50-59 years, male 14.8
GTEX-15CHR-1426-SM-7DUGV 50-59 years, male 14.7
GTEX-17HII-2726-SM-7MGVM 50-59 years, male 14.7
GTEX-13OW5-2626-SM-5MR3M 60-69 years, male 14.6
GTEX-14BMU-1526-SM-5TDE6 20-29 years, female 14.6
GTEX-15ER7-2926-SM-7KUFK 20-29 years, female 14.6
GTEX-17GQL-1526-SM-7LTAC 60-69 years, male 14.6
GTEX-17JCI-2626-SM-7EWE6 60-69 years, female 14.6
GTEX-1A3MV-1126-SM-718BS 30-39 years, male 14.5
GTEX-OXRL-1426-SM-3NM9E 50-59 years, male 14.5
GTEX-OHPM-1426-SM-3TW8Y 50-59 years, male 14.4
GTEX-1HSGN-2626-SM-CE6S1 40-49 years, female 14.4
GTEX-1JMLX-2726-SM-CM2SB 50-59 years, male 14.4
GTEX-13OVK-0826-SM-7KULZ 40-49 years, male 14.3
GTEX-Q2AI-0926-SM-48U1F 40-49 years, male 14.3
GTEX-WH7G-1326-SM-4LVMS 40-49 years, male 14.3
GTEX-1QMI2-2626-SM-E6CR4 60-69 years, male 14.3
GTEX-12KS4-2426-SM-5LU8P 30-39 years, male 14.2
GTEX-1B932-2826-SM-73KUD 40-49 years, female 14.2
GTEX-1GMR3-2826-SM-9WPOG 40-49 years, male 14.2
GTEX-1PPH8-2026-SM-DTX7P 20-29 years, male 14.1
GTEX-144GN-1126-SM-5LU33 50-59 years, male 14.0
GTEX-147JS-2526-SM-5S2Q8 60-69 years, male 14.0
GTEX-17KNJ-1726-SM-7LG6A 50-59 years, male 14.0
GTEX-Y8LW-1226-SM-4WWDP 50-59 years, female 14.0
GTEX-1JKYR-1926-SM-C1YR7 20-29 years, male 14.0
GTEX-13FHP-2426-SM-5KLZ5 50-59 years, male 13.9
GTEX-XYKS-2226-SM-4E3IU 60-69 years, female 13.9
GTEX-1BAJH-2326-SM-7IGMO 70-79 years, male 13.8
GTEX-1C6VQ-2726-SM-73KUL 50-59 years, male 13.8
GTEX-145MO-2426-SM-5NQ9W 60-69 years, male 13.7
GTEX-PSDG-1826-SM-EAZ2S 50-59 years, male 13.7
GTEX-UJMC-1326-SM-4IHLS 50-59 years, male 13.6
GTEX-1HCU9-1326-SM-B2LXT 20-29 years, male 13.6
GTEX-139TS-1926-SM-5IJFO 60-69 years, male 13.5
GTEX-17F98-1026-SM-7IGO8 40-49 years, female 13.5
GTEX-1HSMQ-2726-SM-C1YRE 50-59 years, male 13.4
GTEX-14XAO-2026-SM-69LOI 60-69 years, female 13.3
GTEX-OXRK-1726-SM-3NB16 50-59 years, female 13.3
GTEX-XGQ4-1226-SM-4AT67 50-59 years, male 13.3
GTEX-1B8KZ-1326-SM-7DUG6 50-59 years, male 13.2
GTEX-1CB4F-2026-SM-79OLU 60-69 years, male 13.2
GTEX-PWCY-1026-SM-48TD4 20-29 years, female 13.2
GTEX-1I6K6-1826-SM-B2LX5 30-39 years, male 13.2
GTEX-14BIN-3026-SM-5ZZUS 50-59 years, female 13.1
GTEX-O5YW-1426-SM-3MJHF 50-59 years, male 13.1
GTEX-SE5C-1526-SM-4BRWU 40-49 years, female 13.1
GTEX-16NGA-1026-SM-7KFS3 40-49 years, female 13.0
GTEX-WHSB-0926-SM-4M1XJ 50-59 years, male 13.0
GTEX-Z93S-2426-SM-5HL8N 50-59 years, male 13.0
GTEX-ZZ64-0726-SM-5GZX4 20-29 years, male 13.0
GTEX-1AYD5-1726-SM-7RHFW 50-59 years, male 13.0
GTEX-1CB4I-2226-SM-7P8SL 50-59 years, male 13.0
GTEX-17MF6-2426-SM-7LTAM 40-49 years, male 12.9
GTEX-18A7A-2226-SM-7LT8K 50-59 years, female 12.9
GTEX-SNMC-1126-SM-4DM5M 20-29 years, male 12.9
GTEX-1F75B-2726-SM-7P8QO 50-59 years, male 12.9
GTEX-1N5O9-2726-SM-E76QH 60-69 years, male 12.8
GTEX-11NSD-1626-SM-5986U 20-29 years, male 12.7
GTEX-Y8E4-2426-SM-4WWDN 40-49 years, male 12.7
GTEX-ZAB4-2226-SM-5HL97 40-49 years, male 12.7
GTEX-1H11D-2626-SM-9JGH4 40-49 years, male 12.7
GTEX-Y114-1526-SM-4TT79 50-59 years, female 12.6
GTEX-1GPI7-1726-SM-7P8R1 20-29 years, male 12.6
GTEX-1IGQW-2326-SM-CE6RV 60-69 years, male 12.6
GTEX-1JN76-1226-SM-C1YRM 20-29 years, female 12.6
GTEX-PX3G-1426-SM-48U1J 20-29 years, female 12.5
GTEX-1IKK5-2726-SM-CNPQ6 60-69 years, male 12.5
GTEX-PLZ6-0926-SM-3P5ZQ 30-39 years, male 12.4
GTEX-X15G-1326-SM-4PQZJ 50-59 years, female 12.4
GTEX-1GZ4I-2426-SM-9WPPP 50-59 years, male 12.4
GTEX-1HFI7-1726-SM-A9G22 50-59 years, female 12.4
GTEX-1JMPZ-2426-SM-C1YQP 30-39 years, male 12.4
GTEX-13O3P-2326-SM-5KM55 50-59 years, male 12.3
GTEX-QLQW-0426-SM-447A7 30-39 years, male 12.3
GTEX-1ICLZ-2426-SM-CKZOD 60-69 years, male 12.2
GTEX-1PIGE-1426-SM-E9U61 20-29 years, male 12.1
GTEX-OIZH-1426-SM-3NB1O 50-59 years, male 12.0
GTEX-1KANA-1926-SM-DHXKF 20-29 years, male 12.0
GTEX-146FQ-1926-SM-5NQBY 30-39 years, male 11.9
GTEX-1CAMS-2526-SM-7EPH7 40-49 years, female 11.9
GTEX-NFK9-2026-SM-3LK5K 40-49 years, male 11.9
GTEX-S4UY-0826-SM-4AD4Z 40-49 years, female 11.9
GTEX-WFG7-1526-SM-4LVMG 20-29 years, male 11.9
GTEX-1PPGY-2826-SM-DTX9H 60-69 years, male 11.9
GTEX-1R9JW-2026-SM-EAZ4O 30-39 years, female 11.9
GTEX-11VI4-1526-SM-5EQKC 40-49 years, female 11.8
GTEX-QCQG-1626-SM-48U26 50-59 years, female 11.8
GTEX-1QCLZ-1926-SM-E6CR3 60-69 years, female 11.8
GTEX-15DCE-2026-SM-7KUFE 20-29 years, male 11.7
GTEX-1GF9U-1526-SM-7MXUW 40-49 years, female 11.7
GTEX-1NSGN-2326-SM-E9U5X 50-59 years, male 11.7
GTEX-OXRN-2026-SM-E6CHK 50-59 years, male 11.7
GTEX-Q2AH-1226-SM-48TZL 40-49 years, male 11.6
GTEX-ZGAY-2126-SM-4YCFB 40-49 years, female 11.6
GTEX-WVJS-2426-SM-EZ6LI 50-59 years, male 11.6
GTEX-11TUW-2026-SM-5EQL8 60-69 years, male 11.5
GTEX-ZLV1-1226-SM-4WWBX 60-69 years, female 11.5
GTEX-ZPCL-1826-SM-57WF1 60-69 years, female 11.5
GTEX-ZY6K-1226-SM-5GZYL 50-59 years, male 11.5
GTEX-12C56-0626-SM-5EGGC 20-29 years, male 11.4
GTEX-R55D-1826-SM-48FEF 50-59 years, male 11.4
GTEX-WYJK-2226-SM-4ONDJ 50-59 years, male 11.4
GTEX-WYVS-1826-SM-4OND6 40-49 years, female 11.4
GTEX-1F5PK-1926-SM-7MXT7 50-59 years, male 11.4
GTEX-1H3VY-2426-SM-9WPPD 50-59 years, male 11.4
GTEX-11O72-2226-SM-5PNW2 40-49 years, male 11.3
GTEX-WHWD-1226-SM-4OOS1 50-59 years, male 11.3
GTEX-XBEW-1926-SM-4SOJO 40-49 years, male 11.3
GTEX-ZTSS-1126-SM-5985O 40-49 years, male 11.3
GTEX-1GN73-2626-SM-9KNUQ 60-69 years, male 11.3
GTEX-1KXAM-2126-SM-CY8I9 60-69 years, male 11.3
GTEX-ZG7Y-2126-SM-DO117 50-59 years, male 11.3
GTEX-13QJ3-2626-SM-9OSXQ 50-59 years, male 11.2
GTEX-131XG-1826-SM-5LZV4 50-59 years, female 11.1
GTEX-15RIE-1826-SM-6M48P 60-69 years, male 11.1
GTEX-18A7B-2026-SM-72D71 70-79 years, male 11.1
GTEX-1B996-2626-SM-73KZ1 60-69 years, male 11.1
GTEX-ZXES-1626-SM-5NQ7L 30-39 years, female 11.1
GTEX-1N2DV-1426-SM-DPRYQ 40-49 years, male 11.1
GTEX-OIZF-1426-SM-2HML2 60-69 years, male 11.1
GTEX-145LS-2726-SM-5Q5D8 60-69 years, female 11.0
GTEX-14C39-1926-SM-5ZZW5 40-49 years, male 11.0
GTEX-1H1E6-1926-SM-9OSWD 30-39 years, male 11.0
GTEX-1LG7Y-2126-SM-DIPER 50-59 years, male 11.0
GTEX-1NHNU-2326-SM-E6CQE 50-59 years, male 11.0
GTEX-13O3O-2526-SM-5L3DR 60-69 years, female 10.9
GTEX-15RIF-1326-SM-6LPKO 20-29 years, male 10.9
GTEX-1H1DG-2226-SM-9WPPC 70-79 years, male 10.9
GTEX-1HCU6-2726-SM-A9SKV 60-69 years, female 10.9
GTEX-148VJ-2626-SM-5QGPI 70-79 years, male 10.8
GTEX-R55G-1226-SM-48FDC 40-49 years, female 10.8
GTEX-U4B1-1126-SM-4DXV3 40-49 years, male 10.8
GTEX-XBED-1526-SM-4AT5W 60-69 years, male 10.8
GTEX-ZP4G-1726-SM-4WWCM 20-29 years, female 10.8
GTEX-1LGRB-1426-SM-CNNPT 50-59 years, female 10.8
GTEX-OHPN-2026-SM-E9TIA 60-69 years, female 10.8
GTEX-111VG-2226-SM-5N9DU 60-69 years, male 10.7
GTEX-1122O-1526-SM-5N9CL 60-69 years, female 10.7
GTEX-17EUY-1826-SM-7DUEZ 20-29 years, male 10.7
GTEX-RM2N-0926-SM-48FD1 50-59 years, male 10.7
GTEX-1F75I-2426-SM-9WPOY 40-49 years, male 10.7
GTEX-1IKOE-2026-SM-AHZ31 30-39 years, female 10.7
GTEX-11TTK-2426-SM-5PNYO 60-69 years, female 10.6
GTEX-15SB6-1226-SM-7KUMP 50-59 years, female 10.6
GTEX-S4P3-1226-SM-4AD4Y 50-59 years, female 10.6
GTEX-1I1GR-2526-SM-CNNQF 60-69 years, male 10.6
GTEX-1IOXB-2626-SM-CJI2N 50-59 years, male 10.6
GTEX-1JK1U-1526-SM-AHZ46 60-69 years, male 10.6
GTEX-1POEN-2026-SM-E6CRL 30-39 years, female 10.6
GTEX-1R9PM-1526-SM-DPRY8 20-29 years, male 10.6
GTEX-OOBJ-1426-SM-E6CHH 60-69 years, male 10.6
GTEX-QV31-0826-SM-CKZNC 30-39 years, male 10.6
GTEX-YEC3-2426-SM-DO11A 50-59 years, male 10.6
GTEX-1HCU7-2626-SM-C1YQO 50-59 years, male 10.5
GTEX-1KANB-1526-SM-CXZK4 50-59 years, male 10.5
GTEX-14JG6-1726-SM-69LPL 30-39 years, female 10.4
GTEX-14PJM-2626-SM-686ZD 50-59 years, female 10.4
GTEX-XPVG-1826-SM-4B64X 50-59 years, male 10.4
GTEX-1GF9X-1526-SM-7P8QP 40-49 years, female 10.4
GTEX-12ZZZ-2426-SM-5GCNN 60-69 years, male 10.3
GTEX-13QBU-1826-SM-5IJG3 40-49 years, female 10.3
GTEX-1C4CL-2126-SM-7IGQC 30-39 years, male 10.3
GTEX-R55C-1126-SM-48FCJ 40-49 years, male 10.3
GTEX-1LVAM-1626-SM-EV79Y 50-59 years, female 10.3
GTEX-S7SF-1926-SM-4AT5B 20-29 years, female 10.2
GTEX-VJYA-2026-SM-4KL1K 60-69 years, male 10.2
GTEX-1HCVE-2526-SM-A9G2G 50-59 years, male 10.2
GTEX-1JJE9-2426-SM-D3L8T 70-79 years, male 10.2
GTEX-R45C-2126-SM-EZ6KZ 60-69 years, female 10.2
GTEX-14C5O-2526-SM-73KU2 60-69 years, male 10.1
GTEX-17EVQ-1826-SM-7IGPH 70-79 years, male 10.1
GTEX-1AYCT-1826-SM-731EG 50-59 years, male 10.1
GTEX-WFON-1426-SM-4LVMT 40-49 years, male 10.1
GTEX-XMK1-1726-SM-4B64Z 40-49 years, male 10.1
GTEX-1KANC-0926-SM-D3LA9 50-59 years, female 10.1
GTEX-1LSVX-1726-SM-DHXJP 60-69 years, male 10.1
GTEX-U412-1726-SM-EZ6KX 60-69 years, male 10.1
GTEX-13PL7-2526-SM-5IFGR 60-69 years, female 10.0
GTEX-14ICK-1026-SM-6AJA4 40-49 years, male 10.0
GTEX-WQUQ-2526-SM-4MVNO 60-69 years, male 10.0
GTEX-133LE-1526-SM-5IFEN 20-29 years, female 9.9
GTEX-15SHU-2526-SM-6M47D 40-49 years, female 9.9
GTEX-PLZ5-1126-SM-3P613 50-59 years, male 9.9
GTEX-QMRM-1226-SM-447C6 50-59 years, male 9.9
GTEX-U3ZN-2126-SM-4DXU1 30-39 years, female 9.9
GTEX-1PIEJ-2026-SM-E6CPA 20-29 years, female 9.9
GTEX-11P7K-1526-SM-5EGI7 30-39 years, male 9.8
GTEX-TML8-1326-SM-4DXTO 40-49 years, female 9.8
GTEX-ZYVF-2826-SM-5GIDK 50-59 years, female 9.8
GTEX-1J1OQ-2726-SM-AHZ3R 40-49 years, female 9.8
GTEX-1MGNQ-2026-SM-EAZ51 40-49 years, male 9.8
GTEX-1QCLY-1726-SM-DPRXY 30-39 years, male 9.8
GTEX-18A66-2426-SM-7KFSQ 60-69 years, male 9.7
GTEX-XV7Q-2126-SM-4BRVX 40-49 years, female 9.7
GTEX-1HSEH-1726-SM-B2LXH 60-69 years, male 9.7
GTEX-11LCK-2026-SM-5A5MA 30-39 years, male 9.6
GTEX-13OW6-2126-SM-5N9GL 50-59 years, male 9.6
GTEX-16XZZ-2626-SM-6M47S 60-69 years, male 9.6
GTEX-P4PP-1426-SM-3NM9L 30-39 years, female 9.6
GTEX-P4QT-1426-SM-3NMCX 50-59 years, female 9.5
GTEX-W5WG-2426-SM-4LMI6 50-59 years, female 9.5
GTEX-1E2YA-2626-SM-7MGWW 50-59 years, male 9.5
GTEX-1MA7W-0626-SM-EV79Z 20-29 years, female 9.5
GTEX-13D11-0826-SM-5KLZJ 50-59 years, female 9.4
GTEX-147GR-2726-SM-664OO 60-69 years, male 9.4
GTEX-14PKV-2126-SM-664O3 20-29 years, female 9.4
GTEX-15CHQ-2526-SM-6EU24 60-69 years, male 9.3
GTEX-1QP67-1326-SM-EAZ4D 40-49 years, female 9.3
GTEX-1128S-1626-SM-5H12O 60-69 years, female 9.2
GTEX-1AMFI-1726-SM-7189L 50-59 years, female 9.2
GTEX-YB5E-1626-SM-5IFIQ 40-49 years, male 9.2
GTEX-1R7EU-1926-SM-E9U62 60-69 years, male 9.2
GTEX-1RAZR-1926-SM-E6CRF 40-49 years, male 9.2
GTEX-16NPV-2626-SM-6M484 50-59 years, female 9.1
GTEX-XUZC-1326-SM-4BRV2 30-39 years, female 9.1
GTEX-ZPIC-2226-SM-57WDX 40-49 years, female 9.1
GTEX-1K9T9-2826-SM-D4P3F 50-59 years, female 9.1
GTEX-1RDX4-1826-SM-EVR54 50-59 years, female 9.1
GTEX-111CU-1426-SM-5GZYP 50-59 years, male 9.0
GTEX-11EM3-1526-SM-5A5KN 20-29 years, female 9.0
GTEX-1399S-1926-SM-5J2M5 30-39 years, female 9.0
GTEX-145LT-0926-SM-5LU9C 40-49 years, male 9.0
GTEX-ZF2S-1926-SM-4WWAN 50-59 years, female 9.0
GTEX-ZPU1-1926-SM-57WDT 40-49 years, male 9.0
GTEX-1S83E-1626-SM-EV7B9 40-49 years, male 9.0
GTEX-15DYW-2326-SM-6PAMU 60-69 years, female 8.9
GTEX-1AX9I-2626-SM-73KU5 60-69 years, male 8.9
GTEX-U3ZM-1126-SM-4DXUB 40-49 years, male 8.9
GTEX-ZDYS-2326-SM-4WKG6 50-59 years, male 8.9
GTEX-ZVP2-1526-SM-5NQ82 50-59 years, male 8.9
GTEX-1L5NE-2026-SM-CXZKR 50-59 years, male 8.9
GTEX-1211K-1726-SM-5FQUJ 60-69 years, female 8.8
GTEX-13FTW-1826-SM-5IJEN 40-49 years, male 8.8
GTEX-14PK6-1726-SM-6871J 70-79 years, female 8.8
GTEX-15UF6-2626-SM-6M466 70-79 years, female 8.8
GTEX-16MT8-2726-SM-7IGLJ 60-69 years, female 8.8
GTEX-1EH9U-2026-SM-7PBYS 60-69 years, male 8.8
GTEX-ZDTT-1926-SM-5HL5W 60-69 years, male 8.8
GTEX-117YW-1826-SM-5PNY5 50-59 years, male 8.7
GTEX-13111-0726-SM-5DUVE 50-59 years, male 8.7
GTEX-16AAH-1326-SM-7KFRG 50-59 years, male 8.7
GTEX-1IDJU-2026-SM-A9SLM 60-69 years, female 8.7
GTEX-147F3-1926-SM-5SIB9 50-59 years, female 8.6
GTEX-1I4MK-1126-SM-B2LWS 50-59 years, female 8.6
GTEX-1JN1M-2626-SM-CY8I3 60-69 years, female 8.6
GTEX-145MN-1726-SM-5SIA6 30-39 years, male 8.5
GTEX-17HHE-1826-SM-79OKE 50-59 years, male 8.5
GTEX-18D9A-1126-SM-7KFRJ 30-39 years, female 8.5
GTEX-PWN1-1426-SM-48TDF 40-49 years, female 8.5
GTEX-UJHI-1126-SM-4IHLN 50-59 years, female 8.5
GTEX-YF7O-1726-SM-5IFJ9 50-59 years, male 8.5
GTEX-1F5PL-2126-SM-7PC2O 40-49 years, female 8.5
GTEX-1LG7Z-1426-SM-CXKYV 30-39 years, male 8.5
GTEX-1QPFJ-2326-SM-E6CR7 30-39 years, female 8.5
GTEX-1EMGI-2726-SM-7P8S4 60-69 years, male 8.4
GTEX-1QP9N-1026-SM-E6CPX 30-39 years, male 8.4
GTEX-13O21-2426-SM-5MR4A 50-59 years, male 8.3
GTEX-1LVAN-2526-SM-CNPPC 50-59 years, female 8.2
GTEX-139T6-1326-SM-5IFFO 50-59 years, male 8.1
GTEX-144GL-2526-SM-5TDDL 50-59 years, male 8.1
GTEX-ZEX8-1926-SM-4WKFR 50-59 years, male 8.1
GTEX-14BMV-2426-SM-5S2PP 50-59 years, male 8.0
GTEX-WOFM-2026-SM-4OOSQ 20-29 years, male 8.0
GTEX-1JKYN-2326-SM-CGQG7 30-39 years, male 7.9
GTEX-11DXZ-1726-SM-5H12M 50-59 years, male 7.8
GTEX-11I78-1226-SM-5A5K6 50-59 years, female 7.8
GTEX-14DAR-1526-SM-5RQIX 50-59 years, male 7.8
GTEX-16Z82-2226-SM-6LPJ7 60-69 years, male 7.8
GTEX-S4Q7-0826-SM-4AD5E 20-29 years, male 7.8
GTEX-ZV7C-1526-SM-5NQ72 50-59 years, male 7.8
GTEX-1RAZA-1726-SM-DPS13 20-29 years, male 7.8
GTEX-13PVR-1626-SM-73KVF 60-69 years, female 7.7
GTEX-18D9U-1926-SM-7KFTM 40-49 years, male 7.7
GTEX-1S5VW-2926-SM-E9U6H 60-69 years, male 7.7
GTEX-14PJ4-1926-SM-6LLHG 60-69 years, male 7.6
GTEX-Y3IK-1826-SM-4WWDS 50-59 years, female 7.6
GTEX-1J1R8-1126-SM-CNPQ3 40-49 years, male 7.6
GTEX-X4EO-2526-SM-EWRM8 60-69 years, female 7.6
GTEX-ZLWG-1726-SM-DNZZ2 50-59 years, female 7.6
GTEX-1399U-1926-SM-5IFH7 50-59 years, female 7.5
GTEX-ZVT2-1926-SM-5GU5T 50-59 years, female 7.4
GTEX-SNOS-1226-SM-4DM5H 40-49 years, male 7.3
GTEX-Y5LM-1526-SM-4VDTA 40-49 years, female 7.3
GTEX-1I1GT-1926-SM-ARU7D 60-69 years, female 7.3
GTEX-1MJK3-0926-SM-EV7AY 20-29 years, male 7.3
GTEX-11P82-1026-SM-5BC5J 20-29 years, male 7.2
GTEX-1LH75-2126-SM-EVR5F 50-59 years, female 7.2
GTEX-1S3DN-1826-SM-EV79K 50-59 years, male 7.2
GTEX-SJXC-2226-SM-EVYAK 60-69 years, male 7.2
GTEX-1C475-1626-SM-731FP 40-49 years, female 7.0
GTEX-11DXX-1826-SM-5H126 60-69 years, female 6.8
GTEX-1JMPY-0426-SM-C1YQ3 30-39 years, male 6.8
GTEX-1K2DA-2026-SM-CGQGK 50-59 years, male 6.8
GTEX-1PFEY-1426-SM-E9U6U 30-39 years, male 6.8
GTEX-14E6E-1526-SM-5RQIG 30-39 years, male 6.7
GTEX-Y9LG-1526-SM-4WWDR 30-39 years, male 6.7
GTEX-14PHX-1526-SM-68717 50-59 years, male 6.6
GTEX-1B8KE-1926-SM-731EE 50-59 years, male 6.6
GTEX-14JIY-3326-SM-6871E 60-69 years, male 6.5
GTEX-1399R-2226-SM-5P9JB 30-39 years, male 6.0
GTEX-144GM-1226-SM-5LU52 20-29 years, male 6.0
GTEX-T5JW-1126-SM-4DM5V 20-29 years, female 6.0
GTEX-12BJ1-2126-SM-5BC5O 60-69 years, male 5.8
GTEX-13OVJ-1726-SM-5IJDZ 50-59 years, female 5.8
GTEX-ZT9W-1826-SM-51MQX 50-59 years, male 5.8
GTEX-1N2EF-1926-SM-DTX8M 60-69 years, male 5.7
GTEX-1CAMR-0926-SM-7MXTD 20-29 years, male 5.4
GTEX-1PWST-2426-SM-EWRMP 70-79 years, male 4.9
Show allShow less

COLON - FANTOM5 CAGEi

RNA expression in human tissues obtained through Cap Analysis of Gene Expression (CAGE) generated by the FANTOM5 project are reported as Scaled Tags Per Million.

Max subtype Scaled Tags Per Millioni

Max subtype Scaled Tags Per Million is the value for the subtype with the largest average Scaled Tags Per Million across the subtype samples.

43.6
FANTOM5 sample id Sample description Scaled Tags Per Million
Colon
Scaled Tags Per Million: 43.6
FF:10014-101C5 62,83,84 years, mixed 43.6

Contact

  • NEWS ARTICLES
  • PRESS ROOM

The Project

  • INTRODUCTION
  • ORGANIZATION
  • PUBLICATIONS

The Human Protein Atlas

  • DOWNLOADABLE DATA
  • LICENCE & CITATION
  • HELP & FAQ
The Human Protein Atlas project is funded
by the Knut & Alice Wallenberg Foundation.


contact@proteinatlas.org