We use cookies to enhance the usability of our website. If you continue, we'll assume that you are happy to receive all cookies. More information. Don't show this again.
INTS3
HPA
RESOURCES
  • TISSUE
  • BRAIN
  • SINGLE CELL
  • SUBCELLULAR
  • CANCER
  • BLOOD
  • CELL LINE
  • STRUCTURE & INTERACTION
ABOUT
  • INTRODUCTION
  • HISTORY
  • ORGANIZATION
  • PUBLICATIONS
  • ANTIBODY SUBMISSION
  • ANTIBODY AVAILABILITY
  • ACKNOWLEDGMENTS
  • CONTACT
NEWS
  • NEWS ARTICLES
  • PRESS ROOM
LEARN
  • DICTIONARY
  • PROTEIN CLASSES
  • PROTEIN EVIDENCE
  • METHODS
  • EDUCATIONAL VIDEOS
DATA
  • DOWNLOADABLE DATA
  • PUBLICATION DATA
  • RELEASE HISTORY
HELP
  • ANTIBODY VALIDATION
  • ASSAYS & ANNOTATION
  • DISCLAIMER
  • HELP & FAQ
  • PRIVACY STATEMENT
  • LICENCE & CITATION
Fields »
Search result

Field
Term
Gene name
Class
Subclass
Class
Keyword
Chromosome
External id
Tissue
Cell type
Expression
Antibody panel
Tissue
Main location
Patient ID
Annotation
Tissue
Category
Tau score
Cluster
Reliability
Brain region
Category
Tau score
Brain region
Category
Tau score
Brain region
Category
Tau score
Cluster
Reliability
Tissue
Cell type
Enrichment
Cell type
Category
Tau score
Cell type
Category
Tau score
Cell type
Category
Tau score
Cell lineage
Category
Tau score
Cluster
Cluster
Location
Searches
Location
Cell line
Class
Type
Phase
Reliability
Cancer
Prognosis
Cancer
Category
Cancer
Category
Tau score
Cluster
Variants
Interacting gene (ensg_id)
Type
Number of interactions
Pathway
Category
Score
Score
Score
Validation
Validation
Validation
Validation
Antibodies
Data type
Column


  • SUMMARY

  • TISSUE

  • BRAIN

  • SINGLE CELL

  • SUBCELL

  • CANCER

  • BLOOD

  • CELL LINE

  • STRUCT & INT

  • INTS3
TISSUE PRIMARY DATA SKIN Show tissue menu
ADIPOSE TISSUE ADRENAL GLAND AMYGDALA APPENDIX BASAL GANGLIA BONE MARROW BREAST BRONCHUS CEREBELLUM CEREBRAL CORTEX CERVIX CHOROID PLEXUS COLON DUODENUM
ENDOMETRIUM EPIDIDYMIS ESOPHAGUS FALLOPIAN TUBE GALLBLADDER HEART MUSCLE HIPPOCAMPAL FORMATION HYPOTHALAMUS KIDNEY LIVER LUNG LYMPH NODE MIDBRAIN NASOPHARYNX
ORAL MUCOSA OVARY PANCREAS PARATHYROID GLAND PITUITARY GLAND PLACENTA PROSTATE RECTUM RETINA SALIVARY GLAND SEMINAL VESICLE SKELETAL MUSCLE SKIN SMALL INTESTINE
SMOOTH MUSCLE SOFT TISSUE SPINAL CORD SPLEEN STOMACH TESTIS THYMUS THYROID GLAND TONGUE TONSIL URINARY BLADDER VAGINA
ANTIBODIES
AND
VALIDATION
Dictionary
Skin
Tissue proteome
Skin
SKIN - Expression summary
Protein expression
Skini

On the top, protein expression in current human tissue, based on all annotated cell types, is reported with the units not detected (n), low (l), medium (m) and high (h). Underneath, protein expression in each annotated cell type are reported using the same units.

Protein expression data is based on knowledge-based annotation. For genes where more than one antibody has been used, a collective score is set.

If knowledge-based annotation could not be performed for a gene, no data is displayed here. View antibody staining data further down this page.

h
m
l
n
Epidermal cells: Medium
Fibroblasts: Not detected
Keratinocytes: Not detected
Langerhans: Not detected
Melanocytes: Not detected
RNA expressioni

A summary of mRNA expression data available for current tissue based on several datasets. The mRNA expression levels in human tissues are based on RNA-seq data generated by the Human Protein Atlas (HPA), Genotype-Tissue Expression (GTEx) portal and CAGE data generated by the FANTOM5 consortium. Consensus normalized expression levels for human tissues was created by combining the data from HPA and GTEx datasets.

The mRNA expression levels in pig are based on RNA-seq data generated by the Human Protein Atlas (HPA), and for mouse, HPA data and in situ hybridization generated by the Allen brain atlas are reported.

Scroll down to view mRNA expression data in more detail.
Consensus:11.8 nTPM
HPA:9.3 nTPM
GTEx:11.8 nTPM

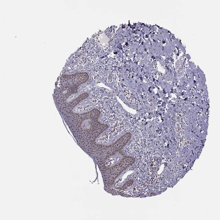
SKIN 1 - Antibody stainingi

Antibody staining in the annotated cell types in the current human tissue is reported as not detected, low, medium, or high, based on conventional immunohistochemistry profiling in selected tissues. This score is based on the combination of the staining intensity and fraction of stained cells.

Each image is clickable and will lead to virtual microscopy that enables deeper exploration of all samples and also displays staining intensity scores, fraction scores and subcellular localization as well as patient and tissue information for each sample.

Antibody HPA074391
Langerhans Not detected
Fibroblasts Not detected
Keratinocytes Not detected
Melanocytes Not detected


SKIN 2 - Antibody stainingi

Antibody staining in the annotated cell types in the current human tissue is reported as not detected, low, medium, or high, based on conventional immunohistochemistry profiling in selected tissues. This score is based on the combination of the staining intensity and fraction of stained cells.

Each image is clickable and will lead to virtual microscopy that enables deeper exploration of all samples and also displays staining intensity scores, fraction scores and subcellular localization as well as patient and tissue information for each sample.

Antibody HPA074391
Epidermal cells Medium
 
 
 



SKIN - HPA RNA-seqi

The RNA-seq details section shows detailed information about the individual samples used for the transcript profiling and results of the RNA-seq analysis.

Information about each individual sample is listed below, including gender, age, a tissue section image and estimated fractions of cell types. nTPM (normalized transcripts per million) values give a quantification of the gene abundance which is comparable between different genes and samples.
Average nTPMi

Max subtype nTPM is the value for the subtype with the largest average nTPM across the subtype samples.

9.3
overview
Female, age 34
Skin sample 225
nTPM: 10
Cell types%
Keratinocytes:
60

Other cell types:
40

overview
Female, age 30
Skin sample 226
nTPM: 11.5
Cell types%
Keratinocytes:
55

Other cell types:
45

N/A
Male, age 57
Skin sample 227
nTPM: 6.4

SKIN - GTEx RNA-seqi

RNA-Seq data generated by the Genotype-Tissue Expression (GTEx) project from human tissues is reported as mean nTPM. More information can be found on the GTEx portal.

Distribution across the dataset is visualized with box plots, shown as median and 25th and 75th percentiles. Points are displayed as outliers if they are above or below 1.5 times the interquartile range. nTPM values of the individual samples are presented next to the box plot.
Max subtype nTPMi

Max subtype nTPM is the value for the subtype with the largest average nTPM across the subtype samples.

11.8
GTEx sample id Sample description nTPM
Skin - Not Sun Exposed (Suprapubic)
Average nTPM: 11.8
Samples: 604

Max nTPM: 21.7
Min nTPM: 3.4
Std nTPM: 3.1
Median nTPM: 11.6
GTEX-1QP2A-1726-SM-E76QC 50-59 years, male 21.7
GTEX-1JKYR-0626-SM-ARL8R 20-29 years, male 21.6
GTEX-1N2DV-1526-SM-DTXEP 40-49 years, male 21.6
GTEX-1HSMQ-2626-SM-A9SML 50-59 years, male 20.8
GTEX-16MT9-0126-SM-7EPI8 60-69 years, female 20.7
GTEX-1S82P-2126-SM-E6CI5 60-69 years, female 20.3
GTEX-1QP29-1826-SM-DTX9S 50-59 years, male 20.1
GTEX-1S82U-1026-SM-E6CJK 30-39 years, female 20.1
GTEX-14PJ6-2626-SM-6EU2T 60-69 years, female 19.8
GTEX-1R7EU-1626-SM-DTXG3 60-69 years, male 19.6
GTEX-139YR-1026-SM-5LZYN 50-59 years, male 19.3
GTEX-1LVAM-0726-SM-E6CIL 50-59 years, female 19.3
GTEX-1S83E-1326-SM-E6CJM 40-49 years, male 19.0
GTEX-15G1A-1626-SM-7KUKN 30-39 years, male 18.8
GTEX-13FTX-1526-SM-5K7VJ 20-29 years, female 18.6
GTEX-1RMOY-1326-SM-E9TIH 50-59 years, male 18.5
GTEX-1I1GT-1026-SM-ARZLV 60-69 years, female 18.3
GTEX-13O61-1426-SM-5KM3D 60-69 years, male 18.2
GTEX-17JCI-2926-SM-7DUFF 60-69 years, female 18.1
GTEX-ZYY3-2926-SM-5GIEB 60-69 years, female 18.1
GTEX-1H11D-1826-SM-9QEHM 40-49 years, male 18.1
GTEX-18A66-0626-SM-7LT8Z 60-69 years, male 17.9
GTEX-1NV5F-0626-SM-DTXEG 60-69 years, female 17.9
GTEX-1QP28-1126-SM-EVYC4 50-59 years, female 17.9
GTEX-12WSA-0426-SM-5EQ5X 60-69 years, male 17.8
GTEX-18D9B-0926-SM-7LG4U 60-69 years, male 17.8
GTEX-ZA64-1026-SM-5HL8R 20-29 years, male 17.8
GTEX-16AAH-0626-SM-793C9 50-59 years, male 17.6
GTEX-1IDJV-0126-SM-COH3Y 60-69 years, male 17.2
GTEX-13QBU-1226-SM-5LU4G 40-49 years, female 17.1
GTEX-15CHR-1126-SM-7EWF4 50-59 years, male 17.1
GTEX-14PJ3-1126-SM-5ZZVX 50-59 years, male 17.0
GTEX-X585-2426-SM-46MW2 50-59 years, male 17.0
GTEX-13OW8-1026-SM-5J1NQ 60-69 years, male 16.9
GTEX-ZPIC-0526-SM-DO91W 40-49 years, female 16.9
GTEX-13VXT-1926-SM-5K7UO 20-29 years, female 16.8
GTEX-1GF9X-1326-SM-7PC2Y 40-49 years, female 16.8
GTEX-1GZ4H-0526-SM-9KNU9 50-59 years, female 16.8
GTEX-1PDJ9-1226-SM-EXUSX 20-29 years, male 16.8
GTEX-13O3Q-0126-SM-5KM34 50-59 years, male 16.7
GTEX-14E6E-0526-SM-793DN 30-39 years, male 16.7
GTEX-WHSB-1326-SM-3LK6W 50-59 years, male 16.7
GTEX-1F5PL-0926-SM-7PC2W 40-49 years, female 16.7
GTEX-1HSGN-0826-SM-ACKW3 40-49 years, female 16.7
GTEX-132AR-0326-SM-5KM2C 50-59 years, female 16.6
GTEX-UPJH-0226-SM-3GADV 50-59 years, male 16.6
GTEX-1J8Q3-0526-SM-ARL8U 60-69 years, male 16.6
GTEX-13FTW-0326-SM-5K7UW 40-49 years, male 16.5
GTEX-14PJ4-0226-SM-5YY92 60-69 years, male 16.5
GTEX-ZLWG-0826-SM-59888 50-59 years, female 16.5
GTEX-1F75I-2226-SM-7SB8U 40-49 years, male 16.5
GTEX-14XAO-1226-SM-6EU1C 60-69 years, female 16.4
GTEX-XUW1-0926-SM-4BONX 50-59 years, female 16.4
GTEX-1GN1W-2426-SM-9KNUU 50-59 years, female 16.4
GTEX-1IDJI-0126-SM-CMKHS 50-59 years, female 16.4
GTEX-11EQ8-0926-SM-5H12V 60-69 years, male 16.3
GTEX-11ZTT-2126-SM-5CVLO 60-69 years, female 16.3
GTEX-1AX9J-1326-SM-731BJ 60-69 years, male 16.3
GTEX-1CB4E-0926-SM-7EPHT 60-69 years, male 16.3
GTEX-XYKS-1426-SM-4BRUO 60-69 years, female 16.3
GTEX-1I6K6-1726-SM-CGQFD 30-39 years, male 16.3
GTEX-11P7K-1126-SM-5HL4L 30-39 years, male 16.2
GTEX-14BMU-1226-SM-5S2OR 20-29 years, female 16.1
GTEX-WFG7-2026-SM-5SI7P 20-29 years, male 16.1
GTEX-13W3W-0726-SM-5IJDQ 60-69 years, female 16.0
GTEX-1JKYN-0826-SM-ARU8S 30-39 years, male 16.0
GTEX-1NSGN-0726-SM-DTXEF 50-59 years, male 16.0
GTEX-1QCLZ-2426-SM-EVYBW 60-69 years, female 15.9
GTEX-16NGA-0726-SM-731AO 40-49 years, female 15.8
GTEX-13JUV-2026-SM-5K7UA 40-49 years, female 15.7
GTEX-1B932-2326-SM-79OL5 40-49 years, female 15.7
GTEX-14JG6-1426-SM-9WG7C 30-39 years, female 15.7
GTEX-1H1DE-1326-SM-9KNUG 20-29 years, male 15.7
GTEX-13X6H-0926-SM-5SIB2 50-59 years, female 15.6
GTEX-14BIN-1126-SM-5RQJZ 50-59 years, female 15.6
GTEX-1JN76-0626-SM-CKZOQ 20-29 years, female 15.6
GTEX-ZP4G-1426-SM-4WWCL 20-29 years, female 15.5
GTEX-ZTX8-1326-SM-4YCEL 20-29 years, male 15.5
GTEX-117YX-1926-SM-5GIEC 50-59 years, male 15.4
GTEX-12BJ1-0926-SM-5EQ62 60-69 years, male 15.4
GTEX-YF7O-1526-SM-5IFI6 50-59 years, male 15.4
GTEX-111CU-1126-SM-5EGIM 50-59 years, male 15.3
GTEX-WRHU-2826-SM-3MJG8 50-59 years, female 15.3
GTEX-1122O-1026-SM-9WYSF 60-69 years, female 15.3
GTEX-1KXAM-1626-SM-D3LAD 60-69 years, male 15.3
GTEX-11DXZ-2026-SM-5987S 50-59 years, male 15.2
GTEX-12C56-1526-SM-5FQUQ 20-29 years, male 15.2
GTEX-1F52S-2926-SM-7MKGA 60-69 years, female 15.2
GTEX-XBED-1926-SM-47JYP 60-69 years, male 15.2
GTEX-ZUA1-2626-SM-5NQ92 40-49 years, male 15.2
GTEX-ZVT2-0126-SM-5GIDQ 50-59 years, female 15.2
GTEX-14PKV-1126-SM-6LLJ1 20-29 years, female 15.1
GTEX-15ER7-0626-SM-6PANF 20-29 years, female 15.0
GTEX-WHPG-2626-SM-3NMBR 50-59 years, male 15.0
GTEX-1C64O-1326-SM-7MGWR 60-69 years, male 15.0
GTEX-1J1OQ-0126-SM-D4P2N 40-49 years, female 15.0
GTEX-13QJC-0126-SM-5ZZWJ 60-69 years, female 14.9
GTEX-1AMFI-1326-SM-7939R 50-59 years, female 14.9
GTEX-X3Y1-2026-SM-3P5YM 40-49 years, male 14.9
GTEX-ZGAY-1826-SM-DO91Q 40-49 years, female 14.9
GTEX-145LU-1926-SM-79OJN 50-59 years, male 14.8
GTEX-ZDTT-0426-SM-4WKFL 60-69 years, male 14.8
GTEX-1R9PM-1926-SM-EVR3O 20-29 years, male 14.8
GTEX-11VI4-1126-SM-5EQMD 40-49 years, female 14.7
GTEX-1AMEY-0826-SM-72D65 30-39 years, female 14.7
GTEX-WHWD-1826-SM-3LK6I 50-59 years, male 14.7
GTEX-11P81-2226-SM-5PNYI 30-39 years, female 14.6
GTEX-14C38-0726-SM-5SI6M 50-59 years, male 14.6
GTEX-ZE9C-2526-SM-5IJDR 60-69 years, male 14.6
GTEX-11EM3-1226-SM-5N9DD 20-29 years, female 14.5
GTEX-11NSD-0626-SM-5A5LU 20-29 years, male 14.5
GTEX-13IVO-0726-SM-5LZYV 70-79 years, male 14.5
GTEX-13NYS-0626-SM-5L3F1 60-69 years, male 14.5
GTEX-146FQ-2126-SM-5RQHU 30-39 years, male 14.5
GTEX-WYVS-1626-SM-3NM9R 40-49 years, female 14.5
GTEX-1F75A-0726-SM-7RHHD 50-59 years, male 14.5
GTEX-1IDJE-1426-SM-ADEIW 50-59 years, female 14.5
GTEX-1IDJU-1726-SM-CMKHU 60-69 years, female 14.5
GTEX-1K2DU-1226-SM-CYPT4 20-29 years, male 14.5
GTEX-1OJC3-1226-SM-DTXER 20-29 years, male 14.5
GTEX-1JMQI-1726-SM-ARL93 50-59 years, male 14.4
GTEX-15EU6-2226-SM-6EU2L 50-59 years, male 14.3
GTEX-17F9Y-0126-SM-79OKX 70-79 years, female 14.3
GTEX-1S831-1826-SM-EWROF 20-29 years, male 14.3
GTEX-1IDJD-2326-SM-ACKWX 30-39 years, male 14.2
GTEX-139T8-0626-SM-5KLZX 60-69 years, male 14.1
GTEX-145LT-0526-SM-5LUB2 40-49 years, male 14.1
GTEX-1477Z-0326-SM-7IGLA 60-69 years, male 14.1
GTEX-1LB8K-0726-SM-D5OV2 50-59 years, male 14.1
GTEX-1RAZR-2126-SM-E9U6T 40-49 years, male 14.1
GTEX-YEC3-1326-SM-DO92X 50-59 years, male 14.1
GTEX-13U4I-2226-SM-5LU5H 40-49 years, female 14.0
GTEX-15CHC-1126-SM-6LLHQ 60-69 years, female 14.0
GTEX-ZLFU-1826-SM-4WWBV 40-49 years, male 14.0
GTEX-1399U-1126-SM-5L3DB 50-59 years, female 13.9
GTEX-144FL-0626-SM-5LU43 50-59 years, male 13.9
GTEX-1A8G7-1326-SM-73KVM 60-69 years, male 13.9
GTEX-ZVP2-0326-SM-57WBP 50-59 years, male 13.9
GTEX-1L5NE-1126-SM-D3L9P 50-59 years, male 13.9
GTEX-1LGOU-1326-SM-D3L8M 20-29 years, female 13.9
GTEX-1LVAN-0626-SM-CNPOQ 50-59 years, female 13.9
GTEX-1R46S-2426-SM-E76QA 60-69 years, female 13.9
GTEX-14AS3-1526-SM-5Q5ED 40-49 years, female 13.8
GTEX-14PK6-0226-SM-62LF5 70-79 years, female 13.8
GTEX-ZTSS-1426-SM-5985P 40-49 years, male 13.8
GTEX-1KANA-1326-SM-DIPFA 20-29 years, male 13.8
GTEX-12ZZX-2426-SM-5GCOE 40-49 years, female 13.7
GTEX-13D11-0926-SM-5J2NC 50-59 years, female 13.7
GTEX-15RJ7-2126-SM-6PAMD 40-49 years, male 13.7
GTEX-17HGU-2326-SM-7DUFE 50-59 years, male 13.7
GTEX-Y5V5-0126-SM-5S2NW 60-69 years, female 13.7
GTEX-1RAZS-2526-SM-E6CHT 50-59 years, male 13.7
GTEX-133LE-2326-SM-5K7W3 20-29 years, female 13.6
GTEX-14LZ3-0126-SM-69LPM 60-69 years, female 13.6
GTEX-UPK5-0426-SM-3GAEK 40-49 years, male 13.6
GTEX-XBEW-1126-SM-4QARW 40-49 years, male 13.6
GTEX-ZZ64-1026-SM-5GZXG 20-29 years, male 13.6
GTEX-1H3VE-0726-SM-9YFL5 40-49 years, male 13.6
GTEX-1IKOE-1426-SM-CE6T7 30-39 years, female 13.6
GTEX-11GS4-0226-SM-5HL77 60-69 years, male 13.5
GTEX-ZT9X-1526-SM-5DUXD 40-49 years, male 13.5
GTEX-ZWKS-0626-SM-5GIDV 30-39 years, male 13.5
GTEX-ZYFG-1526-SM-5GZYM 60-69 years, female 13.5
GTEX-1H1E6-0426-SM-9WYUS 30-39 years, male 13.5
GTEX-1I6K7-1926-SM-B2LXR 40-49 years, male 13.5
GTEX-1IL2V-1926-SM-B2LW8 70-79 years, male 13.5
GTEX-1IOXB-2726-SM-CM2RI 50-59 years, male 13.5
GTEX-1LVAO-2726-SM-E9TJ8 60-69 years, male 13.5
GTEX-1RAZQ-1326-SM-E9TK6 30-39 years, male 13.5
GTEX-11EI6-2826-SM-5H11D 60-69 years, male 13.4
GTEX-13N2G-0226-SM-5K7VF 60-69 years, male 13.4
GTEX-13NZ8-1226-SM-5KM4A 60-69 years, female 13.4
GTEX-1AX8Z-0726-SM-73KTS 60-69 years, male 13.4
GTEX-1EX96-1026-SM-7MKG2 50-59 years, male 13.4
GTEX-1GL5R-1326-SM-7RHHF 50-59 years, male 13.4
GTEX-1MCYP-0526-SM-E9U6Q 20-29 years, female 13.4
GTEX-11EQ9-1626-SM-5PNY8 30-39 years, male 13.3
GTEX-12WSK-2126-SM-5CVNC 40-49 years, female 13.3
GTEX-1399Q-2326-SM-5KM2X 40-49 years, male 13.3
GTEX-14DAQ-0626-SM-793DS 60-69 years, female 13.3
GTEX-18QFQ-1826-SM-72D52 30-39 years, male 13.3
GTEX-ZAB4-2126-SM-5HL8U 40-49 years, male 13.3
GTEX-1GMR2-0826-SM-7PC3V 50-59 years, male 13.3
GTEX-1JK1U-0226-SM-ARZMX 60-69 years, male 13.3
GTEX-14PHX-2226-SM-6EU2P 50-59 years, male 13.2
GTEX-WY7C-2126-SM-3NB2R 50-59 years, male 13.2
GTEX-1HBPM-0726-SM-9YFL7 60-69 years, female 13.2
GTEX-1ICG6-1226-SM-A9SLN 70-79 years, female 13.2
GTEX-1IDJC-1526-SM-B2LW4 50-59 years, male 13.2
GTEX-1J8QM-2426-SM-A9SLS 60-69 years, female 13.2
GTEX-1K9T9-1526-SM-DIPFR 50-59 years, female 13.2
GTEX-13PVR-0426-SM-5RQK2 60-69 years, female 13.1
GTEX-15FZZ-0526-SM-7KUGD 30-39 years, female 13.1
GTEX-1A3MW-0626-SM-731CB 60-69 years, female 13.1
GTEX-1HKZK-0726-SM-ACKW2 40-49 years, male 13.1
GTEX-11DXW-0826-SM-5H118 40-49 years, male 13.0
GTEX-11ZU8-0126-SM-5EQ58 60-69 years, male 13.0
GTEX-147F3-1726-SM-5SIAW 50-59 years, female 13.0
GTEX-1HCU7-0726-SM-A9SL1 50-59 years, male 13.0
GTEX-1IDJF-2026-SM-CL53V 20-29 years, male 13.0
GTEX-1269C-0126-SM-5EQ5L 60-69 years, female 12.9
GTEX-1HCU8-2526-SM-CE6RX 60-69 years, female 12.9
GTEX-1HFI7-2326-SM-CGQFS 50-59 years, female 12.9
GTEX-1HSMO-0626-SM-ACKXC 60-69 years, male 12.9
GTEX-1I4MK-0126-SM-CY8G6 50-59 years, female 12.9
GTEX-1JJEA-1826-SM-ARU8P 60-69 years, male 12.9
GTEX-12WSJ-1126-SM-5LZVJ 40-49 years, female 12.8
GTEX-139D8-1126-SM-5LU8W 30-39 years, female 12.8
GTEX-17KNJ-2126-SM-718AM 50-59 years, male 12.8
GTEX-183FY-1026-SM-7939A 20-29 years, male 12.8
GTEX-1I19N-0126-SM-CYPSF 70-79 years, male 12.8
GTEX-1I1GV-0626-SM-ARL7M 60-69 years, male 12.8
GTEX-1JMPY-0226-SM-CKZOK 30-39 years, male 12.8
GTEX-1KD5A-0126-SM-E9U54 50-59 years, male 12.8
GTEX-1MJK3-0726-SM-E6CJC 20-29 years, male 12.8
GTEX-1PPGY-1626-SM-EVYBL 60-69 years, male 12.8
GTEX-111FC-2526-SM-5GZXU 60-69 years, male 12.7
GTEX-145LS-0626-SM-7EPG7 60-69 years, female 12.7
GTEX-14A6H-2026-SM-5Q5DD 30-39 years, male 12.7
GTEX-17EVP-2626-SM-7IGMA 40-49 years, male 12.7
GTEX-VJYA-1526-SM-3GIJV 60-69 years, male 12.7
GTEX-ZC5H-1526-SM-5HL9Y 40-49 years, female 12.7
GTEX-11P82-1426-SM-DTXFY 20-29 years, male 12.7
GTEX-111VG-1626-SM-5EGIO 60-69 years, male 12.6
GTEX-11DXX-2126-SM-5PNYR 60-69 years, female 12.6
GTEX-14B4R-1326-SM-5Q5EZ 30-39 years, male 12.6
GTEX-14PKU-0126-SM-6LLHV 40-49 years, female 12.6
GTEX-15DDE-2926-SM-6LLJ3 50-59 years, female 12.6
GTEX-15EO6-2426-SM-6PALZ 50-59 years, male 12.6
GTEX-ZAK1-0626-SM-5HL8E 50-59 years, female 12.6
GTEX-1F5PK-2226-SM-7SB6N 50-59 years, male 12.6
GTEX-1M4P7-0726-SM-E6CJ3 60-69 years, male 12.6
GTEX-145MN-1526-SM-5SI9T 30-39 years, male 12.5
GTEX-178AV-1726-SM-7KUL8 40-49 years, male 12.5
GTEX-1A8G6-2726-SM-731AR 60-69 years, male 12.5
GTEX-1C6VQ-1226-SM-73KYD 50-59 years, male 12.5
GTEX-WFON-1926-SM-3LK7L 40-49 years, male 12.5
GTEX-XMD2-2126-SM-4YCF8 60-69 years, female 12.5
GTEX-1HR9M-2226-SM-CNPPY 60-69 years, male 12.5
GTEX-1J8JJ-0626-SM-ARZMQ 60-69 years, female 12.5
GTEX-1KAFJ-0126-SM-DIPEK 50-59 years, male 12.5
GTEX-1LKK1-2626-SM-DKPQE 50-59 years, female 12.5
GTEX-17HG3-2626-SM-7DUF2 30-39 years, female 12.4
GTEX-ZVE2-2826-SM-5GU51 50-59 years, male 12.4
GTEX-1399R-1326-SM-5PNYS 30-39 years, male 12.3
GTEX-14PHY-1226-SM-5ZZWK 60-69 years, female 12.3
GTEX-16Z82-2626-SM-7KULU 60-69 years, male 12.3
GTEX-XQ8I-0926-SM-4BOOF 50-59 years, male 12.3
GTEX-XXEK-1626-SM-4BRUZ 50-59 years, male 12.3
GTEX-ZDYS-2426-SM-4WKGI 50-59 years, male 12.3
GTEX-11NUK-2726-SM-5A5MC 50-59 years, male 12.2
GTEX-14ICL-1626-SM-5YYAO 30-39 years, male 12.2
GTEX-WXYG-2026-SM-4E3IY 50-59 years, female 12.2
GTEX-X5EB-1926-SM-4E3IW 40-49 years, male 12.2
GTEX-1I1CD-0626-SM-CE6SW 60-69 years, female 12.2
GTEX-12WSF-1626-SM-7KUG5 70-79 years, male 12.1
GTEX-14ABY-2026-SM-62LDL 50-59 years, male 12.1
GTEX-Y111-0626-SM-4SOIT 50-59 years, male 12.1
GTEX-1CAMR-1326-SM-7PC1F 20-29 years, male 12.1
GTEX-1LGRB-0926-SM-COH3K 50-59 years, female 12.1
GTEX-1192X-2726-SM-5N9DN 50-59 years, male 12.0
GTEX-11WQC-1826-SM-5GU59 60-69 years, male 12.0
GTEX-17MFQ-1526-SM-7KFRR 20-29 years, male 12.0
GTEX-1EWIQ-0326-SM-7DHMQ 70-79 years, female 12.0
GTEX-Y8E4-2026-SM-5IFJB 40-49 years, male 12.0
GTEX-1IY9M-2826-SM-ARU8H 60-69 years, male 12.0
GTEX-1J1R8-2026-SM-CL53Y 40-49 years, male 12.0
GTEX-1JJE9-2626-SM-ARZMT 70-79 years, male 12.0
GTEX-1KANC-1226-SM-CYPT7 50-59 years, female 12.0
GTEX-13G51-1826-SM-5KLZH 60-69 years, male 11.9
GTEX-14BMV-2826-SM-5TDED 50-59 years, male 11.9
GTEX-14LLW-2626-SM-62LDZ 70-79 years, female 11.9
GTEX-17F9E-2326-SM-79OKD 50-59 years, male 11.9
GTEX-1C2JI-1026-SM-73KY1 50-59 years, male 11.9
GTEX-1CB4F-1026-SM-7DUH1 60-69 years, male 11.9
GTEX-ZT9W-1126-SM-57WDR 50-59 years, male 11.9
GTEX-ZZPU-0826-SM-5GZX5 50-59 years, female 11.9
GTEX-1CAMS-2226-SM-7PBXQ 40-49 years, female 11.9
GTEX-1HCU9-0426-SM-9WYSD 20-29 years, male 11.9
GTEX-1HSMP-0926-SM-A9SKX 70-79 years, male 11.9
GTEX-1LBAC-0826-SM-CY8IJ 20-29 years, male 11.9
GTEX-1QAET-0326-SM-EVR3U 50-59 years, male 11.9
GTEX-1QMI2-2526-SM-E8VNZ 60-69 years, male 11.9
GTEX-1313W-0626-SM-5EQ4H 50-59 years, female 11.8
GTEX-14PJO-2526-SM-6AJBQ 60-69 years, male 11.8
GTEX-ZDTS-0826-SM-4WKHL 60-69 years, male 11.8
GTEX-ZYFD-0626-SM-5E44E 50-59 years, male 11.8
GTEX-1HT8W-0626-SM-A9G2H 30-39 years, male 11.8
GTEX-ZLV1-1526-SM-DO91J 60-69 years, female 11.8
GTEX-13PVQ-0626-SM-5LU47 50-59 years, male 11.7
GTEX-145MH-2826-SM-5RQJF 50-59 years, male 11.7
GTEX-145MO-2826-SM-5LU96 60-69 years, male 11.7
GTEX-16BQI-1326-SM-6M486 30-39 years, female 11.7
GTEX-17HHY-0426-SM-7DHLC 50-59 years, male 11.7
GTEX-183WM-0326-SM-72D5V 70-79 years, female 11.7
GTEX-18D9U-0126-SM-731BM 40-49 years, male 11.7
GTEX-1C6VR-0126-SM-7RHGB 60-69 years, male 11.7
GTEX-1F6RS-2026-SM-7RHHC 60-69 years, female 11.7
GTEX-1H1DF-1126-SM-9WG7G 40-49 years, female 11.7
GTEX-1HBPN-0126-SM-CGQEF 50-59 years, male 11.7
GTEX-1JMLX-0626-SM-ARL8T 50-59 years, male 11.7
GTEX-11TT1-1826-SM-5EQLV 20-29 years, male 11.6
GTEX-13OVG-1626-SM-5J1NF 60-69 years, male 11.6
GTEX-13PDP-0726-SM-5L3HP 60-69 years, male 11.6
GTEX-13X6I-1826-SM-5SIAO 60-69 years, male 11.6
GTEX-17F96-0126-SM-7EWDU 70-79 years, male 11.6
GTEX-1HB9E-0126-SM-CM2S5 50-59 years, male 11.6
GTEX-1OJC4-2726-SM-E76PJ 50-59 years, female 11.6
GTEX-11OF3-0126-SM-5PNYF 60-69 years, male 11.5
GTEX-1314G-1326-SM-5BC6E 30-39 years, male 11.5
GTEX-139TU-0726-SM-5L3EK 60-69 years, male 11.5
GTEX-14PJ5-1526-SM-6LLIL 60-69 years, female 11.5
GTEX-16MTA-0926-SM-6M47Z 50-59 years, male 11.5
GTEX-V1D1-2026-SM-3GAF4 50-59 years, male 11.5
GTEX-Y9LG-1126-SM-4VBQ7 30-39 years, male 11.5
GTEX-ZF2S-1626-SM-57WES 50-59 years, female 11.5
GTEX-1QP9N-1226-SM-E76QN 30-39 years, male 11.5
GTEX-1R9K4-2826-SM-DTX8F 60-69 years, male 11.5
GTEX-1R9PN-0426-SM-DTXDT 40-49 years, female 11.5
GTEX-111YS-1526-SM-5GZYW 60-69 years, male 11.4
GTEX-1212Z-0126-SM-59HK4 60-69 years, male 11.4
GTEX-1B8KE-1126-SM-7EPHI 50-59 years, male 11.4
GTEX-1IE54-1126-SM-A9G2Z 40-49 years, female 11.4
GTEX-1J8EW-2726-SM-CY8HR 60-69 years, female 11.4
GTEX-1117F-2926-SM-5GZYI 60-69 years, female 11.3
GTEX-11LCK-2226-SM-5HL4Q 30-39 years, male 11.3
GTEX-13OW7-0426-SM-5K7VK 50-59 years, male 11.3
GTEX-14C5O-0326-SM-5ZZUX 60-69 years, male 11.3
GTEX-14PJ2-0626-SM-6LLII 50-59 years, male 11.3
GTEX-17EVQ-0126-SM-7IGLR 70-79 years, male 11.3
GTEX-WFG8-2126-SM-3GIKQ 20-29 years, male 11.3
GTEX-XAJ8-1426-SM-47JYM 40-49 years, male 11.3
GTEX-YJ8O-2526-SM-5HL85 40-49 years, female 11.3
GTEX-1F6IF-0926-SM-7SB7M 60-69 years, male 11.3
GTEX-1GMR8-0626-SM-7RHI7 50-59 years, female 11.3
GTEX-1LSNM-0826-SM-DIPG8 50-59 years, male 11.3
GTEX-11DZ1-2426-SM-5GZZX 50-59 years, male 11.2
GTEX-1211K-1526-SM-5FQU4 60-69 years, female 11.2
GTEX-131XG-0326-SM-5L3DX 50-59 years, female 11.2
GTEX-13FHO-0426-SM-5L3F5 60-69 years, male 11.2
GTEX-1F6I4-2326-SM-7RHGL 60-69 years, male 11.2
GTEX-1GPI6-1926-SM-9KNV7 60-69 years, male 11.2
GTEX-1HCUA-0826-SM-ADEHM 50-59 years, female 11.2
GTEX-1KANB-2826-SM-CY8I6 50-59 years, male 11.2
GTEX-1LSNL-2726-SM-E9TKJ 50-59 years, male 11.2
GTEX-1MCC2-1826-SM-DIPEX 30-39 years, female 11.2
GTEX-1PIIG-2326-SM-DTXFR 30-39 years, male 11.2
GTEX-11GSP-2326-SM-5HL63 60-69 years, female 11.1
GTEX-13JVG-0726-SM-5KM16 60-69 years, male 11.1
GTEX-13NZ9-2626-SM-5L3FK 50-59 years, male 11.1
GTEX-147GR-2426-SM-5ZZWQ 60-69 years, male 11.1
GTEX-16GPK-0626-SM-7KFSF 60-69 years, male 11.1
GTEX-18A7A-0126-SM-731AH 50-59 years, female 11.1
GTEX-ZDXO-3126-SM-5IJDF 60-69 years, male 11.1
GTEX-1A3MX-2626-SM-7PC24 60-69 years, male 11.1
GTEX-1K2DA-1026-SM-CGQGF 50-59 years, male 11.1
GTEX-13FH7-1126-SM-5K7UG 50-59 years, female 11.0
GTEX-13VXU-0626-SM-5L3F9 50-59 years, male 11.0
GTEX-17HHE-1326-SM-7EWDZ 50-59 years, male 11.0
GTEX-1B8SF-0126-SM-7DUG3 60-69 years, male 11.0
GTEX-X4EP-0626-SM-3P621 60-69 years, female 11.0
GTEX-1H3NZ-2726-SM-9WYTQ 60-69 years, male 11.0
GTEX-1I1GU-0926-SM-ACKVS 40-49 years, male 11.0
GTEX-1JMOU-1026-SM-CYPSS 60-69 years, female 11.0
GTEX-1LG7Z-1626-SM-CXKYR 30-39 years, male 11.0
GTEX-12584-0726-SM-5FQTK 40-49 years, male 10.9
GTEX-13OW6-2726-SM-5J2OE 50-59 years, male 10.9
GTEX-13SLW-0626-SM-5Q5ER 70-79 years, male 10.9
GTEX-16XZZ-0726-SM-7KUF2 60-69 years, male 10.9
GTEX-1B97I-0626-SM-73KUZ 40-49 years, male 10.9
GTEX-1CB4H-1126-SM-7MKGL 60-69 years, female 10.9
GTEX-1EH9U-2826-SM-7DUGT 60-69 years, male 10.9
GTEX-18D9A-1426-SM-7LT8M 30-39 years, female 10.9
GTEX-1PPH7-1126-SM-DTX9A 40-49 years, male 10.9
GTEX-12WSD-0626-SM-5GCMW 60-69 years, female 10.8
GTEX-13FLV-0126-SM-5K7WT 50-59 years, male 10.8
GTEX-13OVH-0526-SM-5L3E6 70-79 years, male 10.8
GTEX-14PJN-1826-SM-6AJ98 30-39 years, male 10.8
GTEX-1B8KZ-0326-SM-73KY4 50-59 years, male 10.8
GTEX-WYJK-0526-SM-3NM8Z 50-59 years, male 10.8
GTEX-1CB4I-0126-SM-7RHGG 50-59 years, male 10.8
GTEX-1HC8U-1326-SM-9YFMJ 40-49 years, female 10.8
GTEX-1HGF4-0126-SM-CNPPX 60-69 years, male 10.8
GTEX-1JMPZ-0726-SM-CY8HZ 30-39 years, male 10.8
GTEX-1CAV2-0126-SM-7IGN7 40-49 years, female 10.7
GTEX-W5X1-2526-SM-3GILC 40-49 years, female 10.7
GTEX-ZVZP-1226-SM-5GID7 50-59 years, male 10.7
GTEX-1ICLY-0826-SM-CMKG1 50-59 years, male 10.7
GTEX-1IDJH-0126-SM-D3L92 70-79 years, male 10.7
GTEX-1N5O9-0926-SM-E9J3C 60-69 years, male 10.7
GTEX-1QP66-1226-SM-DTX7U 50-59 years, male 10.7
GTEX-1QPFJ-1926-SM-EVYBD 30-39 years, female 10.7
GTEX-1RAZA-2226-SM-E9U4X 20-29 years, male 10.7
GTEX-12126-0826-SM-5FQTZ 20-29 years, male 10.6
GTEX-147JS-0226-SM-5S2U9 60-69 years, male 10.6
GTEX-18A7B-2726-SM-7LG56 70-79 years, male 10.6
GTEX-1AX9I-2226-SM-73KUO 60-69 years, male 10.6
GTEX-XQ3S-1426-SM-4BOPR 20-29 years, male 10.6
GTEX-1GZ4I-2626-SM-9KNU3 50-59 years, male 10.6
GTEX-1HR98-2226-SM-ADEI2 60-69 years, male 10.6
GTEX-1S5ZU-2526-SM-E6CIF 20-29 years, female 10.6
GTEX-12WSH-1526-SM-5BC5W 50-59 years, male 10.5
GTEX-YFCO-1226-SM-5LUAT 40-49 years, male 10.5
GTEX-1GN73-0726-SM-7P8TJ 60-69 years, male 10.5
GTEX-1HSKV-1226-SM-ADEI4 60-69 years, male 10.5
GTEX-1QW4Y-1126-SM-DTXE3 30-39 years, male 10.5
GTEX-11DYG-1526-SM-5A5JS 60-69 years, male 10.4
GTEX-11O72-0626-SM-5PNYE 40-49 years, male 10.4
GTEX-1EKGG-0626-SM-7DUGJ 60-69 years, male 10.4
GTEX-XV7Q-1826-SM-4BRUV 40-49 years, female 10.4
GTEX-1GF9U-2026-SM-7SB92 40-49 years, female 10.4
GTEX-1LG7Y-2526-SM-EWRO7 50-59 years, male 10.4
GTEX-1LSVX-2526-SM-DIPEU 60-69 years, male 10.4
GTEX-12WSC-2826-SM-5BC5Y 50-59 years, male 10.3
GTEX-12ZZZ-0726-SM-5GCNZ 60-69 years, male 10.3
GTEX-13OVL-0126-SM-5L3GJ 50-59 years, male 10.3
GTEX-145MF-0926-SM-5Q5EA 50-59 years, male 10.3
GTEX-17F97-2626-SM-7IGM5 50-59 years, male 10.3
GTEX-1F88E-1626-SM-7SB8Z 60-69 years, female 10.3
GTEX-1GN2E-0226-SM-9WG6K 60-69 years, male 10.3
GTEX-1H1DG-2426-SM-9QEHJ 70-79 years, male 10.3
GTEX-1I1GS-2626-SM-B2LY3 60-69 years, male 10.3
GTEX-1I1HK-2326-SM-CKZOH 60-69 years, male 10.3
GTEX-1PBJJ-1026-SM-E76OS 30-39 years, male 10.3
GTEX-1RB15-1326-SM-E76Q9 60-69 years, male 10.3
GTEX-ZF29-0926-SM-4WKFZ 60-69 years, female 10.2
GTEX-1A8FM-0626-SM-7PC25 50-59 years, female 10.2
GTEX-12ZZY-0726-SM-5EQ66 60-69 years, male 10.1
GTEX-13OW5-2326-SM-5L3HO 60-69 years, male 10.1
GTEX-144GM-0526-SM-79OJO 20-29 years, male 10.1
GTEX-14JFF-0626-SM-5ZZVT 60-69 years, male 10.1
GTEX-1GMR3-0126-SM-A9SLW 40-49 years, male 10.1
GTEX-1GZ2Q-0126-SM-9WG6M 40-49 years, male 10.1
GTEX-1IDFM-0326-SM-ARL7V 60-69 years, male 10.1
GTEX-1POEN-2326-SM-E9J2L 30-39 years, female 10.1
GTEX-14C39-1726-SM-5RQIL 40-49 years, male 10.0
GTEX-Y3I4-1726-SM-4TT89 50-59 years, male 10.0
GTEX-ZVTK-0226-SM-51MRG 20-29 years, male 10.0
GTEX-1AYD5-2626-SM-7PBXY 50-59 years, male 10.0
GTEX-1F88F-0126-SM-9WYSZ 60-69 years, female 10.0
GTEX-1GMRU-2126-SM-7P8RA 50-59 years, male 10.0
GTEX-1H2FU-0926-SM-9WPPT 60-69 years, female 10.0
GTEX-1HBPI-2126-SM-ARL9K 50-59 years, male 10.0
GTEX-11ZUS-2626-SM-5FQUR 30-39 years, male 9.9
GTEX-1399S-0126-SM-5IJCF 30-39 years, female 9.9
GTEX-15CHQ-0326-SM-69LQD 60-69 years, male 9.9
GTEX-15RIG-0726-SM-7KUM7 40-49 years, male 9.9
GTEX-1GF9V-0826-SM-9KNUV 60-69 years, male 9.9
GTEX-1H1CY-0126-SM-9YFLY 60-69 years, female 9.9
GTEX-11DXY-0126-SM-5H11Q 60-69 years, male 9.8
GTEX-13OVK-1426-SM-6PAN7 40-49 years, male 9.8
GTEX-17F98-1326-SM-7DUEP 40-49 years, female 9.8
GTEX-VUSG-2326-SM-4KL1U 50-59 years, male 9.8
GTEX-XBEC-0726-SM-4QARZ 50-59 years, male 9.8
GTEX-Y3IK-1626-SM-4YCF5 50-59 years, female 9.8
GTEX-1O9I2-0226-SM-EYYXD 50-59 years, male 9.8
GTEX-131XW-0626-SM-5PNVD 50-59 years, female 9.7
GTEX-139TT-2126-SM-5LZWC 60-69 years, male 9.7
GTEX-145MI-0626-SM-5SI8S 60-69 years, female 9.7
GTEX-1C475-1326-SM-7SB73 40-49 years, female 9.7
GTEX-1C64N-2626-SM-7PC2N 50-59 years, male 9.7
GTEX-12WSL-2026-SM-5GCML 50-59 years, male 9.6
GTEX-16MT8-2926-SM-7DUFO 60-69 years, female 9.6
GTEX-U8XE-0226-SM-4E3J3 30-39 years, male 9.6
GTEX-WEY5-2326-SM-3GIKK 40-49 years, female 9.6
GTEX-1HCVE-2726-SM-CL54F 50-59 years, male 9.6
GTEX-13N11-2326-SM-5IJBF 50-59 years, female 9.5
GTEX-13NYC-0126-SM-5L3F4 60-69 years, male 9.5
GTEX-ZYT6-2326-SM-5GZY3 30-39 years, male 9.5
GTEX-1QCLY-0226-SM-EWRNH 30-39 years, male 9.5
GTEX-1QEPI-2626-SM-DTXF4 60-69 years, female 9.5
GTEX-131XF-2626-SM-5EQ6K 60-69 years, male 9.4
GTEX-13N1W-2426-SM-5IJD1 70-79 years, male 9.4
GTEX-14E1K-2026-SM-7DUEI 50-59 years, male 9.4
GTEX-15D1Q-2826-SM-6LLH7 40-49 years, male 9.4
GTEX-1BAJH-2426-SM-7IGP8 70-79 years, male 9.4
GTEX-1EU9M-1426-SM-793AI 60-69 years, male 9.4
GTEX-ZPU1-1126-SM-4YCF3 40-49 years, male 9.4
GTEX-1GPI7-1826-SM-9KNU1 20-29 years, male 9.4
GTEX-1H3O1-1326-SM-9MQLD 60-69 years, male 9.4
GTEX-11WQK-1026-SM-5EQLX 50-59 years, male 9.3
GTEX-12KS4-2126-SM-5FQUT 30-39 years, male 9.3
GTEX-13SLX-2226-SM-62LEP 50-59 years, female 9.3
GTEX-144GL-0626-SM-5LU4D 50-59 years, male 9.3
GTEX-1F75W-2726-SM-7SB8H 60-69 years, male 9.3
GTEX-Y114-2126-SM-4TT8B 50-59 years, female 9.2
GTEX-Y8LW-1526-SM-5IFHL 50-59 years, female 9.2
GTEX-1GTWX-2026-SM-9YFLM 60-69 years, male 9.2
GTEX-11PRG-0726-SM-5EGL1 50-59 years, male 9.1
GTEX-13X6J-0626-SM-5LU5F 50-59 years, male 9.1
GTEX-15UF6-1926-SM-7KUDV 70-79 years, female 9.1
GTEX-1A32A-0626-SM-731AQ 50-59 years, female 9.1
GTEX-1GZHY-0626-SM-9KNVC 50-59 years, female 9.1
GTEX-1JN1M-2726-SM-CY8I4 60-69 years, female 9.1
GTEX-12WSM-1926-SM-5BC65 60-69 years, male 9.0
GTEX-17MF6-2626-SM-79OKQ 40-49 years, male 9.0
GTEX-1EMGI-2326-SM-7PBYA 60-69 years, male 9.0
GTEX-ZXG5-2126-SM-59HKD 60-69 years, male 8.9
GTEX-1CAMQ-1326-SM-7P8RV 40-49 years, male 8.9
GTEX-1GN1V-2826-SM-9JGIA 60-69 years, male 8.9
GTEX-1N2EE-0626-SM-E76PW 60-69 years, male 8.9
GTEX-1PPH8-0126-SM-EWRN8 20-29 years, male 8.9
GTEX-145ME-1726-SM-5Q5EU 40-49 years, female 8.8
GTEX-WI4N-2726-SM-3LK7Y 40-49 years, female 8.8
GTEX-X4EO-2926-SM-4E3JH 60-69 years, female 8.8
GTEX-XK95-0226-SM-4AT58 40-49 years, male 8.8
GTEX-1F48J-0726-SM-7RHGS 50-59 years, female 8.8
GTEX-1GF9W-1426-SM-7PBYM 60-69 years, male 8.8
GTEX-1ICLZ-0326-SM-ARL82 60-69 years, male 8.8
GTEX-131XH-0126-SM-5LZUY 50-59 years, male 8.7
GTEX-15SKB-2826-SM-6PAMH 60-69 years, male 8.7
GTEX-1EN7A-2426-SM-793DB 40-49 years, male 8.7
GTEX-1B8L1-2226-SM-7P8PT 60-69 years, male 8.7
GTEX-15G19-2426-SM-7KUMR 60-69 years, male 8.6
GTEX-WYBS-0626-SM-3NMAS 60-69 years, female 8.6
GTEX-1S3DN-2126-SM-E9TIN 50-59 years, male 8.6
GTEX-139TS-2126-SM-5K7XC 60-69 years, male 8.5
GTEX-13PL6-1126-SM-5L3IE 40-49 years, female 8.5
GTEX-14753-0726-SM-5QGQO 60-69 years, male 8.5
GTEX-147F4-0726-SM-5TDDD 50-59 years, male 8.5
GTEX-ZPCL-1126-SM-4WWFE 60-69 years, female 8.5
GTEX-ZVT4-2426-SM-5GIEI 50-59 years, female 8.5
GTEX-ZYVF-0926-SM-5E44J 50-59 years, female 8.5
GTEX-144GO-2026-SM-5O99P 60-69 years, male 8.4
GTEX-14JG1-1526-SM-5YY9X 40-49 years, male 8.4
GTEX-ZY6K-1426-SM-5GZX2 50-59 years, male 8.4
GTEX-1PIGE-1826-SM-E8VOU 20-29 years, male 8.4
GTEX-13RTJ-0126-SM-5S2NN 60-69 years, male 8.3
GTEX-1JMQK-1226-SM-D4P2S 60-69 years, male 8.3
GTEX-1RLM8-2926-SM-E8VON 50-59 years, male 8.2
GTEX-13OVJ-0826-SM-5J1OK 50-59 years, female 8.1
GTEX-16NPX-0726-SM-7KULC 50-59 years, male 8.1
GTEX-ZYFC-0426-SM-5GICQ 50-59 years, male 8.1
GTEX-1I1GP-1326-SM-A9G28 50-59 years, male 8.1
GTEX-WK11-2726-SM-3NMAQ 50-59 years, male 8.0
GTEX-ZAJG-1526-SM-5CVML 50-59 years, female 8.0
GTEX-1F75B-0726-SM-7PC3R 50-59 years, male 8.0
GTEX-1H23P-0626-SM-9WG6T 60-69 years, male 8.0
GTEX-1LVA9-2626-SM-EVYD4 50-59 years, male 8.0
GTEX-18A67-1626-SM-7LT9T 50-59 years, male 7.9
GTEX-1J8Q2-2626-SM-ACKWQ 60-69 years, male 7.9
GTEX-1JN6P-2926-SM-CL54D 60-69 years, male 7.9
GTEX-13O3O-2326-SM-5IJD6 60-69 years, female 7.8
GTEX-ZU9S-1826-SM-5NQ9E 30-39 years, male 7.8
GTEX-1JJ6O-2726-SM-CNPOG 60-69 years, male 7.8
GTEX-13113-1626-SM-5EQ4I 60-69 years, female 7.7
GTEX-13X6K-0626-SM-5LU5D 60-69 years, female 7.7
GTEX-1GN1U-0626-SM-9MQL9 50-59 years, female 7.7
GTEX-13FTY-2126-SM-5IFFB 40-49 years, female 7.6
GTEX-13NYB-0126-SM-5J1MD 40-49 years, male 7.6
GTEX-14PII-0726-SM-6EU2B 60-69 years, male 7.6
GTEX-1IKJJ-2226-SM-CJI4C 60-69 years, male 7.6
GTEX-1JMQL-2226-SM-CNPP4 50-59 years, female 7.6
GTEX-16YQH-2226-SM-7IGM2 30-39 years, male 7.5
GTEX-WH7G-2026-SM-3NMBL 40-49 years, male 7.5
GTEX-1KWVE-1026-SM-D3L9O 30-39 years, male 7.5
GTEX-14A5H-0826-SM-5QGPJ 60-69 years, male 7.4
GTEX-15RIE-1926-SM-7KUKJ 60-69 years, male 7.4
GTEX-1E1VI-0326-SM-793D1 50-59 years, male 7.4
GTEX-ZVE1-0726-SM-51MRN 50-59 years, female 7.4
GTEX-131YS-2826-SM-5EQ47 60-69 years, female 7.3
GTEX-15RJE-2826-SM-7KUM9 40-49 years, male 7.3
GTEX-1B933-2426-SM-7DHMD 50-59 years, female 7.3
GTEX-YECK-0326-SM-4W1YS 60-69 years, male 7.3
GTEX-14DAR-1226-SM-73KYV 50-59 years, male 7.2
GTEX-1JMQJ-0826-SM-CNPP7 50-59 years, male 7.2
GTEX-18465-2826-SM-7LT9J 50-59 years, male 7.1
GTEX-X8HC-0626-SM-4E3HQ 50-59 years, female 7.0
GTEX-1H4P4-2126-SM-9WYSL 50-59 years, male 7.0
GTEX-1HCU6-2526-SM-ADEHL 60-69 years, female 7.0
GTEX-139UW-0326-SM-5J1ML 60-69 years, male 6.9
GTEX-15SHW-0226-SM-7LTAT 60-69 years, male 6.9
GTEX-Z93S-1626-SM-5CVMB 50-59 years, male 6.9
GTEX-1E2YA-2126-SM-7MXUO 50-59 years, male 6.9
GTEX-1A3MV-1826-SM-731CD 30-39 years, male 6.8
GTEX-XPVG-2126-SM-4B667 50-59 years, male 6.8
GTEX-1HFI6-0126-SM-CNPPI 40-49 years, male 6.8
GTEX-12696-0126-SM-5EQ4L 60-69 years, male 6.7
GTEX-1497J-0226-SM-5QGPU 60-69 years, male 6.7
GTEX-YB5K-2026-SM-4VDT3 40-49 years, female 6.7
GTEX-17HII-1426-SM-7EPGG 50-59 years, male 6.6
GTEX-XOT4-0626-SM-4B66L 60-69 years, female 6.6
GTEX-ZTTD-2826-SM-4YCFA 50-59 years, male 6.6
GTEX-1CB4J-1326-SM-7P8RX 60-69 years, male 6.5
GTEX-WHSE-0126-SM-3NMBT 20-29 years, male 6.4
GTEX-11UD2-2526-SM-5CVNU 50-59 years, male 6.3
GTEX-18A6Q-0626-SM-7KFRP 60-69 years, male 6.3
GTEX-Y5V6-2326-SM-4VDSA 60-69 years, male 6.3
GTEX-1B996-0426-SM-7EWF8 60-69 years, male 6.2
GTEX-11TUW-0626-SM-5LU9M 60-69 years, male 5.8
GTEX-15DYW-2726-SM-6EU2I 60-69 years, female 5.8
GTEX-13YAN-0226-SM-5TDC6 60-69 years, male 5.7
GTEX-1HUB1-1426-SM-CGQF5 60-69 years, male 5.6
GTEX-Y5LM-0926-SM-6LLJG 40-49 years, female 5.1
GTEX-145MG-1526-SM-5Q5EM 50-59 years, male 5.0
GTEX-1H1ZS-2726-SM-9WG75 70-79 years, male 5.0
GTEX-13112-0126-SM-5P9IU 50-59 years, male 4.9
GTEX-14E6C-2426-SM-5S2NF 40-49 years, male 4.6
GTEX-148VJ-0626-SM-5LUAW 70-79 years, male 4.5
GTEX-YEC4-1826-SM-4W1YP 40-49 years, male 4.4
GTEX-ZF3C-0626-SM-DO92O 50-59 years, female 4.3
GTEX-ZE7O-2726-SM-51MT5 50-59 years, female 4.1
GTEX-1C6WA-2626-SM-7MKGM 60-69 years, male 3.9
GTEX-ZYW4-0626-SM-59HJR 60-69 years, male 3.4
Show allShow less
Skin - Sun Exposed (Lower leg)
Average nTPM: 10.8
Samples: 701

Max nTPM: 23.8
Min nTPM: 3.2
Std nTPM: 2.8
Median nTPM: 10.7
GTEX-XYKS-2126-SM-4E3IB 60-69 years, female 23.8
GTEX-1L5NE-2526-SM-E6CIE 50-59 years, male 21.4
GTEX-18D9B-0526-SM-7LTAS 60-69 years, male 19.7
GTEX-1N2DV-0226-SM-E6CJ6 40-49 years, male 18.7
GTEX-ZV68-0126-SM-59HKS 50-59 years, female 18.6
GTEX-113IC-0126-SM-5HL6T 60-69 years, male 18.1
GTEX-WFON-2126-SM-3LK7O 40-49 years, male 17.9
GTEX-1LBAC-0126-SM-DIPEZ 20-29 years, male 17.8
GTEX-1I6K6-0126-SM-A9SLE 30-39 years, male 17.7
GTEX-1LSNM-1926-SM-E6CII 50-59 years, male 17.6
GTEX-1HB9E-0226-SM-E9U4R 50-59 years, male 17.5
GTEX-RM2N-1426-SM-2TF4H 50-59 years, male 17.3
GTEX-1F52S-0126-SM-9MQJU 60-69 years, female 17.3
GTEX-16NGA-1726-SM-731B4 40-49 years, female 17.2
GTEX-1B97I-1626-SM-73KYO 40-49 years, male 17.1
GTEX-1KANB-0526-SM-E6CJH 50-59 years, male 17.0
GTEX-13VXT-0126-SM-5LU4I 20-29 years, female 16.9
GTEX-11VI4-1726-SM-5CVLH 40-49 years, female 16.8
GTEX-Z9EW-1626-SM-5CVMN 40-49 years, male 16.8
GTEX-TSE9-0126-SM-3DB83 60-69 years, female 16.5
GTEX-1K2DA-1826-SM-CGQGT 50-59 years, male 16.5
GTEX-ZY6K-1826-SM-5GZXK 50-59 years, male 16.3
GTEX-146FR-1326-SM-E9J48 60-69 years, female 16.3
GTEX-1GMR8-0126-SM-9WYTM 50-59 years, female 16.2
GTEX-1IE54-0126-SM-CMKHW 40-49 years, female 16.2
GTEX-1K9T9-0126-SM-EVYCF 50-59 years, female 16.2
GTEX-15F5U-1526-SM-6PANO 40-49 years, male 16.0
GTEX-14BMV-0126-SM-5S2PO 50-59 years, male 15.8
GTEX-11XUK-2026-SM-5EQLF 40-49 years, female 15.6
GTEX-U3ZM-1526-SM-3DB9D 40-49 years, male 15.6
GTEX-1IL2U-0226-SM-CE6T8 60-69 years, male 15.6
GTEX-1CB4E-2226-SM-793DC 60-69 years, male 15.5
GTEX-OHPM-0126-SM-2YUN9 50-59 years, male 15.5
GTEX-13111-1626-SM-5EGJY 50-59 years, male 15.3
GTEX-13PVR-2326-SM-5QGR1 60-69 years, female 15.3
GTEX-16AAH-1726-SM-7939C 50-59 years, male 15.3
GTEX-1JJE9-0326-SM-CL53Z 70-79 years, male 15.3
GTEX-1QP2A-0126-SM-E9J43 50-59 years, male 15.2
GTEX-11P81-2326-SM-59875 30-39 years, female 15.1
GTEX-13FHP-0126-SM-5IJBG 50-59 years, male 15.1
GTEX-14LZ3-0226-SM-62LET 60-69 years, female 15.1
GTEX-RWS6-2026-SM-2XCB5 60-69 years, female 15.1
GTEX-1HBPH-0426-SM-B2LW5 40-49 years, female 15.1
GTEX-1RAZA-0126-SM-E6CI3 20-29 years, male 15.1
GTEX-14E6E-1826-SM-5S2R7 30-39 years, male 15.0
GTEX-1JJ6O-0126-SM-E6CI8 60-69 years, male 15.0
GTEX-1R9PM-2026-SM-E76OY 20-29 years, male 15.0
GTEX-OXRN-0126-SM-48TDM 50-59 years, male 14.9
GTEX-PWO3-1526-SM-48TCM 60-69 years, female 14.9
GTEX-U3ZN-2326-SM-3DB7W 30-39 years, female 14.9
GTEX-1HFI6-0226-SM-ADEHZ 40-49 years, male 14.9
GTEX-1R7EU-0226-SM-EVR4G 60-69 years, male 14.9
GTEX-PX3G-0126-SM-2I3EN 20-29 years, female 14.8
GTEX-XPVG-2626-SM-4B669 50-59 years, male 14.8
GTEX-1IDJU-2626-SM-CM2RT 60-69 years, female 14.8
GTEX-1JK1U-2026-SM-CM2RZ 60-69 years, male 14.8
GTEX-1RQEC-0426-SM-E6CHU 60-69 years, male 14.8
GTEX-13CF2-2526-SM-5LZYX 60-69 years, male 14.7
GTEX-16BQI-0226-SM-7KUEX 30-39 years, female 14.7
GTEX-Q2AI-1326-SM-2S1PL 40-49 years, male 14.6
GTEX-ZYT6-0226-SM-5NQ6T 30-39 years, male 14.6
GTEX-ZZPT-0226-SM-5E43X 50-59 years, male 14.6
GTEX-R45C-0126-SM-EAZ2R 60-69 years, female 14.6
GTEX-13N2G-2626-SM-5J1OT 60-69 years, male 14.5
GTEX-ZAB5-1826-SM-5HL7C 50-59 years, male 14.5
GTEX-WXYG-2326-SM-4E3I6 50-59 years, female 14.4
GTEX-ZTX8-1426-SM-5DUVO 20-29 years, male 14.4
GTEX-1HKZK-0326-SM-9WYUH 40-49 years, male 14.4
GTEX-1MA7X-2226-SM-E6CIY 60-69 years, male 14.4
GTEX-1QP29-0626-SM-EWRMX 50-59 years, male 14.4
GTEX-12WSA-0226-SM-5BC5V 60-69 years, male 14.3
GTEX-18QFQ-0126-SM-731BE 30-39 years, male 14.3
GTEX-1AMFI-2026-SM-731BH 50-59 years, female 14.3
GTEX-T2YK-0526-SM-32QPJ 50-59 years, male 14.3
GTEX-W5WG-1826-SM-4KL2Y 50-59 years, female 14.3
GTEX-ZWKS-0126-SM-5SIAA 30-39 years, male 14.3
GTEX-1M5QR-1226-SM-EWROB 40-49 years, male 14.3
GTEX-17JCI-0126-SM-7LG5G 60-69 years, female 14.2
GTEX-YEC4-2126-SM-5IFJH 40-49 years, male 14.2
GTEX-1EMGI-0126-SM-9KNUE 60-69 years, male 14.2
GTEX-1H3NZ-0126-SM-ACKX7 60-69 years, male 14.2
GTEX-1JMQI-2226-SM-CM2SD 50-59 years, male 14.2
GTEX-R55G-2526-SM-2TC6D 40-49 years, female 14.1
GTEX-1HBPN-0226-SM-9YFM1 50-59 years, male 14.1
GTEX-14PJ3-1826-SM-62LEX 50-59 years, male 14.0
GTEX-ZAK1-0126-SM-5IJD3 50-59 years, female 14.0
GTEX-1B8L1-2526-SM-9WYTF 60-69 years, male 14.0
GTEX-1KAFJ-2026-SM-CY8ID 50-59 years, male 14.0
GTEX-11NSD-2226-SM-5986V 20-29 years, male 13.9
GTEX-14PJ6-2126-SM-6EU1V 60-69 years, female 13.9
GTEX-1F5PL-0326-SM-7P8PQ 40-49 years, female 13.9
GTEX-1HCU7-0226-SM-CL545 50-59 years, male 13.9
GTEX-1LGOU-2026-SM-DIPFF 20-29 years, female 13.9
GTEX-1NV5F-0226-SM-E8VNY 60-69 years, female 13.9
GTEX-145LV-2126-SM-5LU8N 50-59 years, male 13.8
GTEX-14PJM-0226-SM-62LF1 50-59 years, female 13.8
GTEX-17HHY-0126-SM-7LG5D 50-59 years, male 13.8
GTEX-WYJK-0126-SM-3NMAB 50-59 years, male 13.8
GTEX-Z93T-0126-SM-5HL5N 50-59 years, male 13.8
GTEX-1GL5R-1826-SM-9KNUY 50-59 years, male 13.8
GTEX-1H11D-0226-SM-9WG6Z 40-49 years, male 13.8
GTEX-1H3VE-0326-SM-9YFLH 40-49 years, male 13.8
GTEX-1S5ZA-0126-SM-EVYCV 20-29 years, male 13.8
GTEX-12WSK-2326-SM-5GCOH 40-49 years, female 13.7
GTEX-13NZA-0226-SM-5K7Z7 60-69 years, male 13.7
GTEX-13OW6-0426-SM-5L3HM 50-59 years, male 13.7
GTEX-T6MN-0126-SM-32PLP 50-59 years, male 13.7
GTEX-1LC47-0326-SM-E9TJP 60-69 years, male 13.7
GTEX-11DXZ-2326-SM-5EGGV 50-59 years, male 13.6
GTEX-11NUK-0126-SM-5A5L3 50-59 years, male 13.6
GTEX-11P7K-2126-SM-5GU7G 30-39 years, male 13.6
GTEX-12ZZX-0126-SM-5EGK9 40-49 years, female 13.6
GTEX-147F3-0526-SM-5SI98 50-59 years, female 13.6
GTEX-1CB4I-0226-SM-79OLH 50-59 years, male 13.6
GTEX-VJYA-1126-SM-3GIJU 60-69 years, male 13.6
GTEX-1EKGG-0226-SM-9WYTH 60-69 years, male 13.6
GTEX-11TTK-0126-SM-5987B 60-69 years, female 13.5
GTEX-1CAMQ-0226-SM-7IGPK 40-49 years, male 13.5
GTEX-TKQ1-1026-SM-4GICL 30-39 years, male 13.5
GTEX-X62O-0126-SM-4E3JN 50-59 years, male 13.5
GTEX-ZUA1-0126-SM-5GU76 40-49 years, male 13.5
GTEX-1I4MK-2226-SM-ACKWD 50-59 years, female 13.5
GTEX-1KANC-1526-SM-D3LAB 50-59 years, female 13.5
GTEX-PLZ5-2026-SM-2S1O4 50-59 years, male 13.4
GTEX-WOFL-0126-SM-3MJG2 60-69 years, male 13.4
GTEX-1MA7W-2026-SM-E9TJ6 20-29 years, female 13.4
GTEX-11WQK-0526-SM-5EQLD 50-59 years, male 13.3
GTEX-15DCD-0126-SM-7KUEK 70-79 years, female 13.3
GTEX-18D9U-0226-SM-718BP 40-49 years, male 13.3
GTEX-1F75I-0326-SM-9YFLU 40-49 years, male 13.3
GTEX-11EQ9-2426-SM-5HL5T 30-39 years, male 13.2
GTEX-144GN-2326-SM-5LU4F 50-59 years, male 13.2
GTEX-14PN3-2426-SM-6LLHS 60-69 years, female 13.2
GTEX-15SDE-2226-SM-7IGLO 50-59 years, female 13.2
GTEX-17F98-0626-SM-79OMX 40-49 years, female 13.2
GTEX-OXRK-0226-SM-3NB2G 50-59 years, female 13.2
GTEX-QLQW-1126-SM-2S1Q8 30-39 years, male 13.2
GTEX-YB5E-2026-SM-5IFIS 40-49 years, male 13.2
GTEX-1IL2V-0126-SM-CM2TX 70-79 years, male 13.2
GTEX-1R9K4-0126-SM-DTX9X 60-69 years, male 13.2
GTEX-ZQG8-1626-SM-DHXIT 60-69 years, female 13.2
GTEX-13PDP-0126-SM-5L3HD 60-69 years, male 13.1
GTEX-17F97-0326-SM-7LG5B 50-59 years, male 13.1
GTEX-183FY-0126-SM-7LT9P 20-29 years, male 13.1
GTEX-1GZHY-0326-SM-9QEHI 50-59 years, female 13.1
GTEX-13FTW-2626-SM-5K7WL 40-49 years, male 13.0
GTEX-13W3W-2426-SM-5LU5B 60-69 years, female 13.0
GTEX-147GR-0526-SM-5S2MY 60-69 years, male 13.0
GTEX-1C6VR-2426-SM-79OLD 60-69 years, male 13.0
GTEX-U3ZH-2026-SM-3DB78 30-39 years, male 13.0
GTEX-1F6RS-0126-SM-9MQKZ 60-69 years, female 13.0
GTEX-1QP67-1626-SM-EAZ3X 40-49 years, female 13.0
GTEX-117YX-2326-SM-5H12W 50-59 years, male 12.9
GTEX-SJXC-0126-SM-2XCFF 60-69 years, male 12.9
GTEX-X88G-0126-SM-47JZ3 30-39 years, male 12.9
GTEX-1M4P7-0226-SM-DIPEV 60-69 years, male 12.9
GTEX-1OJC3-0126-SM-E76QX 20-29 years, male 12.9
GTEX-1PPH7-2326-SM-EVYB8 40-49 years, male 12.9
GTEX-1S82Z-0826-SM-E6CHY 30-39 years, female 12.9
GTEX-14ABY-0226-SM-5TDCQ 50-59 years, male 12.8
GTEX-XQ8I-0426-SM-4BOPO 50-59 years, male 12.8
GTEX-ZC5H-0226-SM-4WAY9 40-49 years, female 12.8
GTEX-ZF28-0126-SM-4WKGK 60-69 years, male 12.8
GTEX-1GF9X-2026-SM-7PC3A 40-49 years, female 12.8
GTEX-1HR98-0126-SM-B2LWI 60-69 years, male 12.8
GTEX-RNOR-0126-SM-E9J4R 50-59 years, female 12.8
GTEX-1128S-2326-SM-5GZZY 60-69 years, female 12.7
GTEX-117XS-2726-SM-5N9BL 60-69 years, male 12.7
GTEX-OOBK-0126-SM-2YUND 40-49 years, male 12.7
GTEX-R55E-0126-SM-2TC5Y 20-29 years, male 12.7
GTEX-1GN1W-0526-SM-9MQJQ 50-59 years, female 12.7
GTEX-1GZ4H-1726-SM-7PBZJ 50-59 years, female 12.7
GTEX-1LNCM-1126-SM-E9U5E 50-59 years, female 12.7
GTEX-1PPH8-0226-SM-E8VND 20-29 years, male 12.7
GTEX-139T4-0226-SM-5HL5S 50-59 years, female 12.6
GTEX-145LU-0126-SM-5TDCB 50-59 years, male 12.6
GTEX-16XZY-2126-SM-79OK1 70-79 years, male 12.6
GTEX-18D9A-1926-SM-7LG6P 30-39 years, female 12.6
GTEX-OXRL-0126-SM-2YUMP 50-59 years, male 12.6
GTEX-QLQ7-1626-SM-2S1R8 60-69 years, male 12.6
GTEX-T5JC-0426-SM-32PLO 20-29 years, male 12.6
GTEX-XMD2-0126-SM-4YCDU 60-69 years, female 12.6
GTEX-ZVZO-0126-SM-5A5L9 40-49 years, male 12.6
GTEX-ZXG5-0126-SM-5GIEU 60-69 years, male 12.6
GTEX-1HCU9-1526-SM-A9SL7 20-29 years, male 12.6
GTEX-1LVAN-0226-SM-COH3S 50-59 years, female 12.6
GTEX-1PFEY-1526-SM-E76PP 30-39 years, male 12.6
GTEX-1QP9N-1426-SM-DTXFL 30-39 years, male 12.6
GTEX-1192X-0226-SM-5H12D 50-59 years, male 12.5
GTEX-139T8-0126-SM-5K7XZ 60-69 years, male 12.5
GTEX-U4B1-1826-SM-4DXSU 40-49 years, male 12.5
GTEX-ZDXO-3026-SM-5J1N5 60-69 years, male 12.5
GTEX-1QAET-0926-SM-E76QM 50-59 years, male 12.5
GTEX-12WSJ-1826-SM-5GCNY 40-49 years, female 12.4
GTEX-1314G-1526-SM-5EGK2 30-39 years, male 12.4
GTEX-13SLW-0126-SM-5SI6C 70-79 years, male 12.4
GTEX-14E6D-0126-SM-62LDV 50-59 years, male 12.4
GTEX-14PHW-0126-SM-6LLJI 60-69 years, female 12.4
GTEX-14PHX-2326-SM-62LEM 50-59 years, male 12.4
GTEX-16NPX-0226-SM-79OMT 50-59 years, male 12.4
GTEX-18A7A-0226-SM-718BH 50-59 years, female 12.4
GTEX-ZVT3-0126-SM-5GU6I 60-69 years, female 12.4
GTEX-1HSGN-0226-SM-CGQFV 40-49 years, female 12.4
GTEX-1IOXB-0126-SM-ARL8G 50-59 years, male 12.4
GTEX-1PIGE-0126-SM-EVYBJ 20-29 years, male 12.4
GTEX-13D11-2426-SM-5KM1V 50-59 years, female 12.3
GTEX-17F96-1626-SM-7DUFL 70-79 years, male 12.3
GTEX-QEG4-0226-SM-2S1PY 30-39 years, male 12.3
GTEX-XUZC-1726-SM-4BRWS 30-39 years, female 12.3
GTEX-Y111-0126-SM-4SOIV 50-59 years, male 12.3
GTEX-1JMQL-0226-SM-CNPP5 50-59 years, female 12.3
GTEX-1MUQO-0126-SM-EAZ58 60-69 years, male 12.3
GTEX-13G51-2526-SM-5LZYK 60-69 years, male 12.2
GTEX-13RTK-1426-SM-5QGQJ 20-29 years, male 12.2
GTEX-18A67-0126-SM-7LG5P 50-59 years, male 12.2
GTEX-ZDYS-2026-SM-5HL5L 50-59 years, male 12.2
GTEX-1CB4F-0426-SM-9KNV4 60-69 years, male 12.2
GTEX-1JKYR-0126-SM-CNPOJ 20-29 years, male 12.2
GTEX-13N11-2526-SM-5K7UE 50-59 years, female 12.1
GTEX-15EU6-0426-SM-6PAN5 50-59 years, male 12.1
GTEX-16GPK-0126-SM-7DHLE 60-69 years, male 12.1
GTEX-16YQH-0126-SM-7DUFJ 30-39 years, male 12.1
GTEX-T5JW-1626-SM-3GADZ 20-29 years, female 12.1
GTEX-ZVZP-2426-SM-59HKJ 50-59 years, male 12.1
GTEX-ZZ64-1726-SM-5GZYB 20-29 years, male 12.1
GTEX-1H2FU-0126-SM-9WYSI 60-69 years, female 12.1
GTEX-1I19N-0326-SM-ACKVX 70-79 years, male 12.1
GTEX-1K2DU-2326-SM-E9TIV 20-29 years, male 12.1
GTEX-1211K-2026-SM-5EQ4Z 60-69 years, female 12.0
GTEX-15CHC-2126-SM-6EU21 60-69 years, female 12.0
GTEX-15ETS-0126-SM-7KUMW 40-49 years, female 12.0
GTEX-1B8KZ-2026-SM-7DHMB 50-59 years, male 12.0
GTEX-PLZ4-0126-SM-5SI8O 50-59 years, female 12.0
GTEX-1I1GS-0126-SM-B2LVW 60-69 years, male 12.0
GTEX-1JKYN-1326-SM-CGQG9 30-39 years, male 12.0
GTEX-1S3DN-2226-SM-EVYCD 50-59 years, male 12.0
GTEX-11EI6-0126-SM-5985R 60-69 years, male 11.9
GTEX-139D8-0226-SM-5KLZO 30-39 years, female 11.9
GTEX-13O3P-0126-SM-5KM4S 50-59 years, male 11.9
GTEX-144FL-0126-SM-5TDC8 50-59 years, male 11.9
GTEX-RUSQ-1526-SM-2TF62 50-59 years, male 11.9
GTEX-V1D1-2226-SM-3NMAX 50-59 years, male 11.9
GTEX-13OW5-0126-SM-DTXFS 60-69 years, male 11.9
GTEX-14BIN-0626-SM-793DP 50-59 years, female 11.8
GTEX-SSA3-0126-SM-32QPU 60-69 years, male 11.8
GTEX-XBEW-0626-SM-4QASP 40-49 years, male 11.8
GTEX-YB5K-2126-SM-4WWDJ 40-49 years, female 11.8
GTEX-1J8QM-2126-SM-CYPSJ 60-69 years, female 11.8
GTEX-1KANA-0726-SM-D3L9I 20-29 years, male 11.8
GTEX-1LG7Z-1726-SM-D3LA4 30-39 years, male 11.8
GTEX-1QMI2-0226-SM-EVYBX 60-69 years, male 11.8
GTEX-OIZF-0126-SM-7SB8I 60-69 years, male 11.8
GTEX-12C56-1726-SM-5EQ61 20-29 years, male 11.7
GTEX-SUCS-1926-SM-32PM3 70-79 years, male 11.7
GTEX-Y8E4-0626-SM-4WWDL 40-49 years, male 11.7
GTEX-1HSEH-0126-SM-ACKXN 60-69 years, male 11.7
GTEX-1I1GU-2226-SM-CGQFA 40-49 years, male 11.7
GTEX-1I1HK-0126-SM-COH49 60-69 years, male 11.7
GTEX-1QCLY-0326-SM-E8VOG 30-39 years, male 11.7
GTEX-1RAZQ-0726-SM-EAZ43 30-39 years, male 11.7
GTEX-133LE-1826-SM-5J1MV 20-29 years, female 11.6
GTEX-13OVL-0226-SM-5L3E9 50-59 years, male 11.6
GTEX-Q2AG-0126-SM-33HBV 40-49 years, female 11.6
GTEX-X261-0126-SM-3NMD6 50-59 years, male 11.6
GTEX-1H1E6-1726-SM-ACKVK 30-39 years, male 11.6
GTEX-1HSKV-0226-SM-A9SKJ 60-69 years, male 11.6
GTEX-11DZ1-0126-SM-5985Q 50-59 years, male 11.5
GTEX-QDVJ-1726-SM-2I5FX 50-59 years, male 11.5
GTEX-QVJO-1626-SM-2S1QW 60-69 years, female 11.5
GTEX-ZVE2-0226-SM-59HJB 50-59 years, male 11.5
GTEX-1GN73-0226-SM-9WG67 60-69 years, male 11.5
GTEX-1HSMQ-1226-SM-CGQFX 50-59 years, male 11.5
GTEX-1LGRB-2526-SM-CNPPQ 50-59 years, female 11.5
GTEX-1OFPY-2426-SM-DTXEJ 60-69 years, male 11.5
GTEX-12ZZY-0226-SM-5LZVE 60-69 years, male 11.4
GTEX-139TU-0126-SM-5K7WH 60-69 years, male 11.4
GTEX-13RTL-0126-SM-7LG5S 40-49 years, male 11.4
GTEX-1AX9K-2326-SM-73KWU 50-59 years, male 11.4
GTEX-WRHK-1426-SM-3MJF9 20-29 years, female 11.4
GTEX-ZV6S-2326-SM-4YCEY 40-49 years, female 11.4
GTEX-1C64O-0126-SM-7SB8P 60-69 years, male 11.4
GTEX-1GN2E-0426-SM-9MQKX 60-69 years, male 11.4
GTEX-1IDJH-0326-SM-A9SLQ 70-79 years, male 11.4
GTEX-1J8EW-0126-SM-CJI4F 60-69 years, female 11.4
GTEX-ZF3C-0126-SM-DO92D 50-59 years, female 11.4
GTEX-11DXX-2426-SM-5GZZW 60-69 years, female 11.3
GTEX-11DXY-2626-SM-5GIE7 60-69 years, male 11.3
GTEX-11O72-0126-SM-59887 40-49 years, male 11.3
GTEX-11OC5-0126-SM-5HL6A 60-69 years, male 11.3
GTEX-13OVG-1926-SM-5L3DK 60-69 years, male 11.3
GTEX-14BIM-0226-SM-7IGLD 60-69 years, female 11.3
GTEX-183WM-0126-SM-7LTAB 70-79 years, female 11.3
GTEX-1AYD5-2426-SM-73KXR 50-59 years, male 11.3
GTEX-1CAMR-1926-SM-7EPI2 20-29 years, male 11.3
GTEX-NPJ8-0126-SM-2YUNR 40-49 years, male 11.3
GTEX-VUSG-2526-SM-4KL1V 50-59 years, male 11.3
GTEX-ZDTT-2726-SM-4WKF8 60-69 years, male 11.3
GTEX-1HBPM-0226-SM-ARL9F 60-69 years, female 11.3
GTEX-1ICLZ-0126-SM-CKZPO 60-69 years, male 11.3
GTEX-1IGQW-0126-SM-COH42 60-69 years, male 11.3
GTEX-1S83E-0126-SM-EWRO4 40-49 years, male 11.3
GTEX-111FC-0126-SM-5N9DL 60-69 years, male 11.2
GTEX-11ZTT-2426-SM-5EQLS 60-69 years, female 11.2
GTEX-11ZU8-2526-SM-5EQKI 60-69 years, male 11.2
GTEX-SNMC-1226-SM-2XCFP 20-29 years, male 11.2
GTEX-XAJ8-0826-SM-47JY6 40-49 years, male 11.2
GTEX-Y5V5-2326-SM-4V6GA 60-69 years, female 11.2
GTEX-1HCUA-2426-SM-ADEIS 50-59 years, female 11.2
GTEX-1J1R8-1726-SM-ARL8M 40-49 years, male 11.2
GTEX-1S82Y-2026-SM-EVYCM 40-49 years, male 11.2
GTEX-12ZZZ-0626-SM-5DUXI 60-69 years, male 11.1
GTEX-13VXU-0126-SM-5SI9F 50-59 years, male 11.1
GTEX-15RIG-0226-SM-7KFTL 40-49 years, male 11.1
GTEX-1H3VY-0126-SM-ACKXD 50-59 years, male 11.1
GTEX-1IDJF-0126-SM-CM2RS 20-29 years, male 11.1
GTEX-1MCQQ-0826-SM-DLHC2 60-69 years, male 11.1
GTEX-11ZTS-0126-SM-5EQ6M 60-69 years, female 11.0
GTEX-13NYS-0126-SM-5MR3W 60-69 years, male 11.0
GTEX-145MN-2226-SM-5SIAU 30-39 years, male 11.0
GTEX-1A3MW-0126-SM-73KXX 60-69 years, female 11.0
GTEX-1A3MX-0126-SM-731BR 60-69 years, male 11.0
GTEX-1AMEY-1326-SM-73KYK 30-39 years, female 11.0
GTEX-1CB4J-0626-SM-7DHMP 60-69 years, male 11.0
GTEX-XUW1-0426-SM-4BOOT 50-59 years, female 11.0
GTEX-ZEX8-2426-SM-4WKG4 50-59 years, male 11.0
GTEX-1GMRU-0126-SM-9YFLV 50-59 years, male 11.0
GTEX-1GN1V-0126-SM-9WPOS 60-69 years, male 11.0
GTEX-1MJK2-0426-SM-DTXE5 50-59 years, male 11.0
GTEX-13NZB-2526-SM-5J1OM 30-39 years, male 10.9
GTEX-13OVI-1426-SM-5L3EY 60-69 years, female 10.9
GTEX-14DAQ-0126-SM-5S2MQ 60-69 years, female 10.9
GTEX-Q734-1926-SM-2I5EV 40-49 years, female 10.9
GTEX-RN64-0126-SM-2TC68 50-59 years, male 10.9
GTEX-13NYC-0326-SM-E9J4S 60-69 years, male 10.9
GTEX-1H1ZS-0426-SM-9WG6G 70-79 years, male 10.9
GTEX-1IDFM-0126-SM-COH2V 60-69 years, male 10.9
GTEX-1IKK5-0626-SM-ARL8A 60-69 years, male 10.9
GTEX-13W46-0226-SM-5SIAG 50-59 years, male 10.8
GTEX-14C5O-0126-SM-5SI6N 60-69 years, male 10.8
GTEX-17MF6-0126-SM-7LG4F 40-49 years, male 10.8
GTEX-NFK9-0226-SM-2HMKQ 40-49 years, male 10.8
GTEX-QDT8-0126-SM-48TZ1 30-39 years, female 10.8
GTEX-WFG8-2226-SM-3GIL9 20-29 years, male 10.8
GTEX-XV7Q-2526-SM-4BRV9 40-49 years, female 10.8
GTEX-1F5PK-2426-SM-7RHHY 50-59 years, male 10.8
GTEX-1I1GT-0626-SM-CGQER 60-69 years, female 10.8
GTEX-1J1OQ-0226-SM-CYPSH 40-49 years, female 10.8
GTEX-1LB8K-0226-SM-EWRNW 50-59 years, male 10.8
GTEX-1212Z-2526-SM-5EGKP 60-69 years, male 10.7
GTEX-1399T-2826-SM-5KLYZ 60-69 years, male 10.7
GTEX-13FTY-0526-SM-5L3EV 40-49 years, female 10.7
GTEX-147F4-0226-SM-5QGPW 50-59 years, male 10.7
GTEX-15G19-0126-SM-6PANQ 60-69 years, male 10.7
GTEX-16MT8-0426-SM-7KUEY 60-69 years, female 10.7
GTEX-17EUY-0426-SM-793BD 20-29 years, male 10.7
GTEX-17MFQ-1726-SM-793C7 20-29 years, male 10.7
GTEX-1C475-1826-SM-73KWA 40-49 years, female 10.7
GTEX-Q2AH-1626-SM-3GAF8 40-49 years, male 10.7
GTEX-WY7C-2326-SM-3NB2U 50-59 years, male 10.7
GTEX-XUYS-0126-SM-47JWZ 50-59 years, male 10.7
GTEX-YJ8A-0426-SM-5IFID 20-29 years, male 10.7
GTEX-1EU9M-0226-SM-7P8SP 60-69 years, male 10.7
GTEX-1GF9U-2126-SM-7SB7L 40-49 years, female 10.7
GTEX-13OW7-0126-SM-5MR3B 50-59 years, male 10.6
GTEX-14JG1-0426-SM-6ETZZ 40-49 years, male 10.6
GTEX-14PII-0226-SM-6EU1T 60-69 years, male 10.6
GTEX-T2IS-0126-SM-4DM6O 20-29 years, female 10.6
GTEX-X4XX-0126-SM-3NMC2 60-69 years, male 10.6
GTEX-XQ3S-1526-SM-4BOOC 20-29 years, male 10.6
GTEX-Y8DK-0126-SM-4TT3L 60-69 years, male 10.6
GTEX-1IY9M-0126-SM-D3L8S 60-69 years, male 10.6
GTEX-1JJEA-0326-SM-CNPOT 60-69 years, male 10.6
GTEX-1JMPZ-0226-SM-CNPP1 30-39 years, male 10.6
GTEX-1QW4Y-1526-SM-EAZ3Z 30-39 years, male 10.6
GTEX-SE5C-1626-SM-2XCE3 40-49 years, female 10.6
GTEX-11EM3-2426-SM-59861 20-29 years, female 10.5
GTEX-13FTX-1826-SM-5J1NX 20-29 years, female 10.5
GTEX-13U4I-0126-SM-5LU38 40-49 years, female 10.5
GTEX-14JG6-2226-SM-6EU2G 30-39 years, female 10.5
GTEX-17KNJ-2326-SM-7DHLQ 50-59 years, male 10.5
GTEX-X585-0226-SM-4QAS2 50-59 years, male 10.5
GTEX-Y5LM-1926-SM-5RQJH 40-49 years, female 10.5
GTEX-ZE9C-2726-SM-57WB5 60-69 years, male 10.5
GTEX-1J8Q3-1626-SM-CMKGC 60-69 years, male 10.5
GTEX-1OJC4-0126-SM-E9J2E 50-59 years, female 10.5
GTEX-131XH-2226-SM-5DUXJ 50-59 years, male 10.4
GTEX-13JUV-2726-SM-5LZZ8 40-49 years, female 10.4
GTEX-13X6H-2126-SM-7EWD5 50-59 years, female 10.4
GTEX-1BAJH-0526-SM-793CQ 70-79 years, male 10.4
GTEX-O5YT-0126-SM-48TBW 20-29 years, male 10.4
GTEX-PVOW-0126-SM-2XCFA 40-49 years, male 10.4
GTEX-13FH7-2026-SM-E9J4I 50-59 years, female 10.4
GTEX-1GF9W-0326-SM-9KNUN 60-69 years, male 10.4
GTEX-1HFI7-1826-SM-ACKXH 50-59 years, female 10.4
GTEX-1HGF4-2426-SM-ACKXM 60-69 years, male 10.4
GTEX-1JMPY-1326-SM-ARL8Y 30-39 years, male 10.4
GTEX-1192W-2626-SM-5Q5AF 60-69 years, male 10.3
GTEX-11DYG-0126-SM-59883 60-69 years, male 10.3
GTEX-11OF3-2626-SM-5GU7F 60-69 years, male 10.3
GTEX-1399R-2726-SM-5IJBA 30-39 years, male 10.3
GTEX-139UW-2826-SM-5L3E7 60-69 years, male 10.3
GTEX-14ICK-0226-SM-6EU25 40-49 years, male 10.3
GTEX-OHPL-0126-SM-2HMJ7 60-69 years, female 10.3
GTEX-WH7G-2326-SM-3NMBC 40-49 years, male 10.3
GTEX-Y114-2426-SM-4TT8A 50-59 years, female 10.3
GTEX-YJ89-0126-SM-4TT3X 60-69 years, male 10.3
GTEX-ZXES-1826-SM-5E43S 30-39 years, female 10.3
GTEX-169BO-1326-SM-9MQK2 50-59 years, male 10.3
GTEX-1PBJI-0526-SM-E8VNK 20-29 years, female 10.3
GTEX-13FXS-0226-SM-5IJCK 50-59 years, male 10.2
GTEX-13N1W-0126-SM-5K7VT 70-79 years, male 10.2
GTEX-13OW8-1326-SM-5J1OW 60-69 years, male 10.2
GTEX-1AX9J-0226-SM-73KXM 60-69 years, male 10.2
GTEX-1AYCT-2426-SM-7IGQ3 50-59 years, male 10.2
GTEX-TML8-1926-SM-32QOS 40-49 years, female 10.2
GTEX-XXEK-2226-SM-4BRUM 50-59 years, male 10.2
GTEX-ZQUD-1426-SM-57WER 30-39 years, male 10.2
GTEX-1JMLX-0226-SM-CM2RO 50-59 years, male 10.2
GTEX-1KD5A-0226-SM-D5OV3 50-59 years, male 10.2
GTEX-1QEPI-0126-SM-EWRMQ 60-69 years, female 10.2
GTEX-PW2O-1526-SM-7RHHB 20-29 years, male 10.2
GTEX-13X6I-0626-SM-5QGP9 60-69 years, male 10.1
GTEX-15SHU-0126-SM-7KUEH 40-49 years, female 10.1
GTEX-15SHW-0326-SM-6PAML 60-69 years, male 10.1
GTEX-1F88F-2726-SM-7PBZZ 60-69 years, female 10.1
GTEX-1GPI6-0126-SM-9WG69 60-69 years, male 10.1
GTEX-1GPI7-0126-SM-9MQL8 20-29 years, male 10.1
GTEX-1H4P4-0726-SM-9YFLR 50-59 years, male 10.1
GTEX-1ICG6-2526-SM-CGQFZ 70-79 years, female 10.1
GTEX-1KD4Q-0226-SM-E9TJ9 40-49 years, male 10.1
GTEX-1PDJ9-0326-SM-DTX95 20-29 years, male 10.1
GTEX-11LCK-1026-SM-5A5KB 30-39 years, male 10.0
GTEX-12WSN-5019-SM-79OM6 40-49 years, male 10.0
GTEX-13OVK-2026-SM-7KUEO 40-49 years, male 10.0
GTEX-1497J-2426-SM-7IGNX 60-69 years, male 10.0
GTEX-1EX96-1626-SM-7PBXR 50-59 years, male 10.0
GTEX-1HCU8-0626-SM-A9SM9 60-69 years, female 10.0
GTEX-132NY-0326-SM-5IJBL 60-69 years, male 9.9
GTEX-145MI-0526-SM-5O9A8 60-69 years, female 9.9
GTEX-14JIY-0126-SM-6LLH6 60-69 years, male 9.9
GTEX-WQUQ-0426-SM-3MJFU 60-69 years, male 9.9
GTEX-WZTO-0126-SM-3NM95 40-49 years, male 9.9
GTEX-1CAV2-2226-SM-7P8P2 40-49 years, female 9.9
GTEX-13YAN-0326-SM-5O9DF 60-69 years, male 9.8
GTEX-1AX8Z-0126-SM-7DHM6 60-69 years, male 9.8
GTEX-1C2JI-1826-SM-73KXC 50-59 years, male 9.8
GTEX-SIU8-0126-SM-2XCDT 50-59 years, male 9.8
GTEX-T8EM-1026-SM-3DB7M 40-49 years, male 9.8
GTEX-XBED-2226-SM-47JYQ 60-69 years, male 9.8
GTEX-1F6I4-0126-SM-9MQL2 60-69 years, male 9.8
GTEX-1F75A-0126-SM-7RHGM 50-59 years, male 9.8
GTEX-1HBPI-1526-SM-C1YQ1 50-59 years, male 9.8
GTEX-PSDG-0226-SM-DKPOZ 50-59 years, male 9.8
GTEX-11GS4-2726-SM-5A5LE 60-69 years, male 9.7
GTEX-12KS4-0326-SM-5EQ41 30-39 years, male 9.7
GTEX-1399U-2326-SM-5K7WY 50-59 years, female 9.7
GTEX-14BMU-2226-SM-5TDE9 20-29 years, female 9.7
GTEX-14LLW-0126-SM-6LLIO 70-79 years, female 9.7
GTEX-1E1VI-0126-SM-7DHMZ 50-59 years, male 9.7
GTEX-1IKOH-0226-SM-COH4E 60-69 years, female 9.7
GTEX-1LH75-2426-SM-E9TJE 50-59 years, female 9.7
GTEX-1QPFJ-0226-SM-E76PB 30-39 years, female 9.7
GTEX-1RLM8-2326-SM-EWRN4 50-59 years, male 9.7
GTEX-11P82-1626-SM-59879 20-29 years, male 9.6
GTEX-11ZUS-0626-SM-59885 30-39 years, male 9.6
GTEX-139TS-2826-SM-5J1OO 60-69 years, male 9.6
GTEX-1C64N-0126-SM-793D7 50-59 years, male 9.6
GTEX-1F75B-0126-SM-9KNVL 50-59 years, male 9.6
GTEX-1I1GV-0526-SM-A9G29 60-69 years, male 9.6
GTEX-1MCYP-1926-SM-E9J2R 20-29 years, female 9.6
GTEX-OOBJ-0126-SM-E6CJW 60-69 years, male 9.6
GTEX-11GSO-2426-SM-5A5LY 60-69 years, male 9.5
GTEX-12WSC-0126-SM-5EQ4P 50-59 years, male 9.5
GTEX-13112-2826-SM-5DUWH 50-59 years, male 9.5
GTEX-131YS-0126-SM-5KM1M 60-69 years, female 9.5
GTEX-13X6J-0126-SM-5QGOU 50-59 years, male 9.5
GTEX-R3RS-0126-SM-3GIJL 40-49 years, female 9.5
GTEX-ZF2S-2326-SM-4WWCE 50-59 years, female 9.5
GTEX-1I1GQ-0126-SM-COH3H 50-59 years, male 9.5
GTEX-1QP66-1726-SM-E8VO1 50-59 years, male 9.5
GTEX-PLZ6-1426-SM-DKPOT 30-39 years, male 9.5
GTEX-13OVH-0126-SM-5MR4B 70-79 years, male 9.4
GTEX-13OVJ-0126-SM-5KM36 50-59 years, female 9.4
GTEX-13SLX-0526-SM-5S2ON 50-59 years, female 9.4
GTEX-146FQ-0126-SM-5NQA9 30-39 years, male 9.4
GTEX-X638-0126-SM-47JZ8 70-79 years, female 9.4
GTEX-1CB4H-0226-SM-7PBXM 60-69 years, female 9.4
GTEX-1GZ2Q-0226-SM-7P8TL 40-49 years, male 9.4
GTEX-1O97I-0326-SM-EYYX7 60-69 years, male 9.4
GTEX-11WQC-2526-SM-5CVLE 60-69 years, male 9.3
GTEX-11ZVC-2526-SM-5FQTE 50-59 years, female 9.3
GTEX-15UF6-0826-SM-6PALJ 70-79 years, female 9.3
GTEX-ZTSS-1926-SM-57WEW 40-49 years, male 9.3
GTEX-15EOM-0126-SM-7KUGG 20-29 years, female 9.2
GTEX-1HSMP-0126-SM-E6CJS 70-79 years, male 9.2
GTEX-11GSP-2526-SM-5N9BP 60-69 years, female 9.1
GTEX-11UD1-0126-SM-5PNYG 40-49 years, female 9.1
GTEX-17HGU-0226-SM-7DHKV 50-59 years, male 9.1
GTEX-OIZH-0126-SM-2HMIS 50-59 years, male 9.1
GTEX-1GMR3-1926-SM-9KNUZ 40-49 years, male 9.1
GTEX-1HCVE-0126-SM-CGQEU 50-59 years, male 9.1
GTEX-1J8JJ-0226-SM-CL53I 60-69 years, female 9.1
GTEX-1LG7Y-0526-SM-DKPQC 50-59 years, male 9.1
GTEX-1PIIG-0226-SM-EWRN6 30-39 years, male 9.1
GTEX-12126-0326-SM-5PNW3 20-29 years, male 9.0
GTEX-13NZ8-0826-SM-5MR3I 60-69 years, female 9.0
GTEX-14A6H-0126-SM-5QGPK 30-39 years, male 9.0
GTEX-17EVQ-0226-SM-7LG4P 70-79 years, male 9.0
GTEX-18A6Q-0126-SM-731BZ 60-69 years, male 9.0
GTEX-18A7B-0126-SM-7LG64 70-79 years, male 9.0
GTEX-1C4CL-0526-SM-73KVK 30-39 years, male 9.0
GTEX-1GN1U-0126-SM-7PBZK 50-59 years, female 9.0
GTEX-14A5H-0426-SM-5QGQF 60-69 years, male 8.9
GTEX-S7SE-0126-SM-2XCD5 50-59 years, male 8.9
GTEX-YFC4-0126-SM-5CVLY 40-49 years, female 8.9
GTEX-ZTPG-0326-SM-5O9AX 20-29 years, female 8.9
GTEX-1N2DW-0226-SM-E9TK2 50-59 years, male 8.9
GTEX-131XW-0426-SM-5LZWP 50-59 years, female 8.8
GTEX-145ME-1826-SM-5SI9G 40-49 years, female 8.8
GTEX-TMMY-0226-SM-33HBA 40-49 years, female 8.8
GTEX-ZYFG-2326-SM-5E44B 60-69 years, female 8.8
GTEX-1B996-0226-SM-7RHGO 60-69 years, male 8.8
GTEX-1CAMS-0426-SM-7P8T2 40-49 years, female 8.8
GTEX-1I1CD-0126-SM-CM2TK 60-69 years, female 8.8
GTEX-111VG-2426-SM-5GZXD 60-69 years, male 8.7
GTEX-13O21-1426-SM-5K7XI 50-59 years, male 8.7
GTEX-13QJ3-0326-SM-5S2RA 50-59 years, male 8.7
GTEX-13S7M-0126-SM-5SI6A 60-69 years, female 8.7
GTEX-WVJS-0126-SM-4MVOT 50-59 years, male 8.7
GTEX-Y3IK-2426-SM-4WWDU 50-59 years, female 8.7
GTEX-1A8FM-0226-SM-7SB7Q 50-59 years, female 8.7
GTEX-1F48J-0126-SM-7P8TT 50-59 years, female 8.7
GTEX-1H3O1-0426-SM-9YFKY 60-69 years, male 8.7
GTEX-1I1GP-2226-SM-CGQFK 50-59 years, male 8.7
GTEX-1KXAM-2226-SM-CYPTC 60-69 years, male 8.7
GTEX-1269C-2526-SM-5EGJ3 60-69 years, female 8.6
GTEX-12WSE-0526-SM-793B2 20-29 years, male 8.6
GTEX-17HG3-2226-SM-7938L 30-39 years, female 8.6
GTEX-POMQ-2226-SM-2I5FK 20-29 years, female 8.6
GTEX-VJWN-0126-SM-3GIK7 50-59 years, female 8.6
GTEX-ZYY3-0126-SM-5GZY5 60-69 years, female 8.6
GTEX-1H23P-0126-SM-ADEJ3 60-69 years, male 8.6
GTEX-1IKJJ-0126-SM-CNPQB 60-69 years, male 8.6
GTEX-1J8Q2-0526-SM-CM2RW 60-69 years, male 8.6
GTEX-15UKP-0426-SM-7KUFQ 20-29 years, male 8.5
GTEX-17EVP-0326-SM-7DHLG 40-49 years, male 8.5
GTEX-18465-0126-SM-731BN 50-59 years, male 8.5
GTEX-T6MO-1626-SM-32QOM 40-49 years, female 8.5
GTEX-ZAJG-0126-SM-5HL94 50-59 years, female 8.5
GTEX-ZDTS-0126-SM-4WAY5 60-69 years, male 8.5
GTEX-1JN6P-0126-SM-D3L98 60-69 years, male 8.5
GTEX-1NHNU-1026-SM-E9J2A 50-59 years, male 8.5
GTEX-PWCY-1826-SM-DHXIZ 20-29 years, female 8.5
GTEX-ZF29-2326-SM-DO92K 60-69 years, female 8.5
GTEX-12WSD-0126-SM-59HKN 60-69 years, female 8.4
GTEX-P44H-0226-SM-2XCEU 40-49 years, male 8.4
GTEX-QDVN-2026-SM-3GAEP 50-59 years, male 8.4
GTEX-Z93S-0126-SM-5HL7M 50-59 years, male 8.4
GTEX-11TT1-2526-SM-5EGIB 20-29 years, male 8.3
GTEX-145MF-0626-SM-5LUAI 50-59 years, male 8.3
GTEX-14DAR-2026-SM-5S2O3 50-59 years, male 8.3
GTEX-OXRP-0126-SM-3NB32 60-69 years, female 8.3
GTEX-P4PP-0126-SM-3LK69 30-39 years, female 8.3
GTEX-QESD-1426-SM-2S1R9 20-29 years, male 8.3
GTEX-TMZS-0126-SM-3DB9Q 60-69 years, male 8.3
GTEX-Y3I4-2126-SM-4TT7C 50-59 years, male 8.3
GTEX-1HUB1-0426-SM-E9U4U 60-69 years, male 8.3
GTEX-1MGNQ-0126-SM-EVYCJ 40-49 years, male 8.3
GTEX-W5X1-3026-SM-EAZAX 40-49 years, female 8.3
GTEX-12584-0126-SM-5EGKQ 40-49 years, male 8.2
GTEX-13113-5016-SM-7EPIP 60-69 years, female 8.2
GTEX-1313W-0126-SM-5LZUN 50-59 years, female 8.2
GTEX-18A66-0226-SM-718BD 60-69 years, male 8.2
GTEX-1AX9I-0126-SM-7SB74 60-69 years, male 8.2
GTEX-1H1DG-0126-SM-9WYU2 70-79 years, male 8.2
GTEX-1HSMO-0126-SM-CL547 60-69 years, male 8.2
GTEX-1JMQJ-0526-SM-CYPSU 50-59 years, male 8.2
GTEX-1R46S-0626-SM-E9J41 60-69 years, female 8.2
GTEX-1RB15-2126-SM-E9TIM 60-69 years, male 8.2
GTEX-13O3Q-2426-SM-5IJBR 50-59 years, male 8.1
GTEX-145LS-0126-SM-5QGP1 60-69 years, female 8.1
GTEX-ZE7O-0126-SM-57WC1 50-59 years, female 8.1
GTEX-1F7RK-0126-SM-7PC2S 20-29 years, female 8.1
GTEX-1A32A-0126-SM-718B1 50-59 years, female 8.0
GTEX-1C6VS-0526-SM-7DUEN 60-69 years, male 8.0
GTEX-ZGAY-0526-SM-4WWBB 40-49 years, female 8.0
GTEX-1C6WA-0126-SM-7PC2B 60-69 years, male 8.0
GTEX-1E2YA-0126-SM-9KNUC 50-59 years, male 8.0
GTEX-1KWVE-1426-SM-E9TJO 30-39 years, male 8.0
GTEX-14XAO-2326-SM-6EU1B 60-69 years, female 7.9
GTEX-QCQG-1726-SM-3GIJ9 50-59 years, female 7.9
GTEX-1GTWX-0126-SM-9YFLK 60-69 years, male 7.9
GTEX-SN8G-0126-SM-32PLI 50-59 years, female 7.8
GTEX-13O3O-0126-SM-E9J49 60-69 years, female 7.8
GTEX-1F6IF-0726-SM-7P8TW 60-69 years, male 7.8
GTEX-1A3MV-1926-SM-718BT 30-39 years, male 7.7
GTEX-S7PM-0126-SM-4AD6S 60-69 years, male 7.7
GTEX-U8XE-0326-SM-3DB8P 30-39 years, male 7.7
GTEX-1B933-0126-SM-7PC29 50-59 years, female 7.7
GTEX-1ICLY-0126-SM-D4P36 50-59 years, male 7.7
GTEX-1R9PO-2126-SM-E9J4O 60-69 years, female 7.7
GTEX-117YW-2626-SM-5GZZH 50-59 years, male 7.6
GTEX-11UD2-0226-SM-5EQKY 50-59 years, male 7.6
GTEX-139TT-0126-SM-5K7Y5 60-69 years, male 7.6
GTEX-13FHO-0226-SM-5IFGY 60-69 years, male 7.6
GTEX-13RTJ-2426-SM-5S2Q2 60-69 years, male 7.6
GTEX-14E7W-0126-SM-6LLJ9 70-79 years, male 7.6
GTEX-15D1Q-0126-SM-7KUG6 40-49 years, male 7.6
GTEX-O5YW-0126-SM-3LK6D 50-59 years, male 7.6
GTEX-U412-0426-SM-3DB9O 60-69 years, male 7.6
GTEX-1POEN-0126-SM-EYYXJ 30-39 years, female 7.6
GTEX-1R7EV-2426-SM-EVYBG 40-49 years, male 7.6
GTEX-1RDX4-0126-SM-E9J4P 50-59 years, female 7.6
GTEX-ZVT4-0126-SM-DTXFN 50-59 years, female 7.6
GTEX-13IVO-0126-SM-5J1NG 70-79 years, male 7.5
GTEX-UPJH-0326-SM-3GADU 50-59 years, male 7.5
GTEX-Y8LW-1826-SM-5S2MV 50-59 years, female 7.5
GTEX-1JMQK-0226-SM-CL543 60-69 years, male 7.5
GTEX-1PWST-0226-SM-E76QJ 70-79 years, male 7.5
GTEX-131XG-2626-SM-5KM17 50-59 years, female 7.4
GTEX-13NYB-2526-SM-5K7Z6 40-49 years, male 7.4
GTEX-15DYW-0126-SM-7KULE 60-69 years, female 7.4
GTEX-P4PQ-0126-SM-2S1NM 60-69 years, male 7.4
GTEX-ZYFC-0226-SM-5NQ75 50-59 years, male 7.4
GTEX-113JC-2326-SM-5EQ4E 50-59 years, female 7.3
GTEX-11H98-0126-SM-5EGHG 50-59 years, male 7.3
GTEX-14753-0426-SM-5NQAM 60-69 years, male 7.3
GTEX-RVPV-0126-SM-EAZAW 60-69 years, male 7.3
GTEX-14BIL-0126-SM-5SI92 50-59 years, male 7.2
GTEX-15DDE-0126-SM-6LPKH 50-59 years, female 7.2
GTEX-S95S-1226-SM-4GICG 60-69 years, male 7.2
GTEX-1GF9V-0326-SM-7RHI5 60-69 years, male 7.2
GTEX-S33H-1026-SM-EZ6L6 30-39 years, male 7.2
GTEX-11EMC-2926-SM-5EQ4F 60-69 years, female 7.1
GTEX-144GL-0126-SM-5TDE2 50-59 years, male 7.1
GTEX-1HCU6-0126-SM-CL54K 60-69 years, female 7.1
GTEX-1I1GR-0126-SM-CL55F 60-69 years, male 7.1
GTEX-1EWIQ-0126-SM-7RHH2 70-79 years, female 7.0
GTEX-1JN1M-0326-SM-CYPT3 60-69 years, female 7.0
GTEX-131XE-2326-SM-5PNZ2 50-59 years, male 6.9
GTEX-148VJ-0126-SM-5TDDN 70-79 years, male 6.8
GTEX-ZVTK-0426-SM-51MRS 20-29 years, male 6.8
GTEX-ZYW4-0126-SM-5E44A 60-69 years, male 6.8
GTEX-148VI-1626-SM-5SI6E 60-69 years, female 6.7
GTEX-16XZZ-0126-SM-793DV 60-69 years, male 6.7
GTEX-WYVS-2126-SM-3NMA3 40-49 years, female 6.7
GTEX-X8HC-0126-SM-4E3JW 50-59 years, female 6.7
GTEX-11TUW-2726-SM-E9J4M 60-69 years, male 6.7
GTEX-1HT8W-0126-SM-CNPPP 30-39 years, male 6.6
GTEX-145LT-1726-SM-5QGP3 40-49 years, male 6.5
GTEX-UJHI-1526-SM-3DB99 50-59 years, female 6.5
GTEX-12WSG-2826-SM-E9J4H 50-59 years, female 6.5
GTEX-1CB4G-0226-SM-7PC3O 60-69 years, male 6.5
GTEX-14A5I-0126-SM-5TDEA 50-59 years, female 6.4
GTEX-15SB6-1726-SM-6PAME 50-59 years, female 6.4
GTEX-X4EP-0126-SM-3P5YV 60-69 years, female 6.4
GTEX-ZPIC-1726-SM-DHXIU 40-49 years, female 6.4
GTEX-15ER7-0326-SM-7KUEV 20-29 years, female 6.3
GTEX-17HHE-2026-SM-79OKF 50-59 years, male 6.3
GTEX-QV44-1926-SM-2S1RF 50-59 years, male 6.3
GTEX-RTLS-0126-SM-447CA 60-69 years, female 6.3
GTEX-X5EB-2226-SM-46MW4 40-49 years, male 6.3
GTEX-Y5V6-2426-SM-4VDSB 60-69 years, male 6.3
GTEX-ZYFD-0126-SM-5GIDL 50-59 years, male 6.3
GTEX-1EN7A-0126-SM-7SB81 40-49 years, male 6.3
GTEX-1H1CY-2826-SM-9MQM3 60-69 years, female 6.3
GTEX-11DXW-0226-SM-5H122 40-49 years, male 6.2
GTEX-17HII-0226-SM-7LG4E 50-59 years, male 6.2
GTEX-12WSL-2526-SM-5GCNJ 50-59 years, male 6.1
GTEX-RU72-0926-SM-2TF6B 50-59 years, female 6.1
GTEX-ZVT2-2526-SM-51MT1 50-59 years, female 6.1
GTEX-14PN4-0126-SM-6EU2V 50-59 years, male 6.0
GTEX-OXRO-0126-SM-2YUN4 60-69 years, female 5.9
GTEX-1122O-2126-SM-5EGIR 60-69 years, female 5.8
GTEX-S32W-2126-SM-2XCB1 50-59 years, female 5.8
GTEX-X4EO-0326-SM-3P5YO 60-69 years, female 5.8
GTEX-1N2EF-0226-SM-EYYXB 60-69 years, male 5.8
GTEX-1JN76-0126-SM-CNPPE 20-29 years, female 5.7
GTEX-ZAB4-0226-SM-5N9F5 40-49 years, male 5.6
GTEX-1JMOU-1526-SM-CL54I 60-69 years, female 5.5
GTEX-146FH-0126-SM-5QGPP 50-59 years, female 5.4
GTEX-1B8KE-2126-SM-73KYX 50-59 years, male 5.2
GTEX-WI4N-1026-SM-3LK7N 40-49 years, female 5.2
GTEX-1H1DE-2126-SM-9WG6R 20-29 years, male 5.2
GTEX-12696-2426-SM-5EQ6H 60-69 years, male 5.1
GTEX-13CF3-2426-SM-5IFGX 60-69 years, female 5.1
GTEX-1B8SF-1426-SM-7DUGL 60-69 years, male 5.1
GTEX-P4QT-0126-SM-2I3FL 50-59 years, female 5.0
GTEX-145MO-0326-SM-5Q5B3 60-69 years, male 4.9
GTEX-17GQL-2026-SM-718BA 60-69 years, male 4.9
GTEX-13O1R-0126-SM-5L3EH 60-69 years, male 4.8
GTEX-14PK6-1926-SM-6ETZU 70-79 years, female 4.8
GTEX-X4XY-0226-SM-4E3IZ 60-69 years, male 4.7
GTEX-U8T8-0126-SM-3DB94 60-69 years, male 4.6
GTEX-OIZG-0726-SM-33HBL 50-59 years, male 4.3
GTEX-ZU9S-0226-SM-5E441 30-39 years, male 4.3
GTEX-131XF-5016-SM-7MGWE 60-69 years, male 4.1
GTEX-RWSA-0126-SM-2XCBB 40-49 years, male 3.9
GTEX-1C6VQ-0126-SM-7P8RI 50-59 years, male 3.7
GTEX-14E6C-0126-SM-5RQIP 40-49 years, male 3.4
GTEX-1B8SG-0126-SM-73KZ3 50-59 years, male 3.2
Show allShow less

Contact

  • NEWS ARTICLES
  • PRESS ROOM

The Project

  • INTRODUCTION
  • ORGANIZATION
  • PUBLICATIONS

The Human Protein Atlas

  • DOWNLOADABLE DATA
  • LICENCE & CITATION
  • HELP & FAQ
The Human Protein Atlas project is funded
by the Knut & Alice Wallenberg Foundation.


contact@proteinatlas.org