We use cookies to enhance the usability of our website. If you continue, we'll assume that you are happy to receive all cookies. More information. Don't show this again.
EPHX1
HPA
RESOURCES
  • TISSUE
  • BRAIN
  • SINGLE CELL
  • SUBCELLULAR
  • CANCER
  • BLOOD
  • CELL LINE
  • STRUCTURE & INTERACTION
ABOUT
  • INTRODUCTION
  • HISTORY
  • ORGANIZATION
  • PUBLICATIONS
  • ANTIBODY SUBMISSION
  • ANTIBODY AVAILABILITY
  • ACKNOWLEDGMENTS
  • CONTACT
NEWS
  • NEWS ARTICLES
  • PRESS ROOM
LEARN
  • DICTIONARY
  • PROTEIN CLASSES
  • PROTEIN EVIDENCE
  • METHODS
  • EDUCATIONAL VIDEOS
DATA
  • DOWNLOADABLE DATA
  • PUBLICATION DATA
  • RELEASE HISTORY
HELP
  • ANTIBODY VALIDATION
  • ASSAYS & ANNOTATION
  • DISCLAIMER
  • HELP & FAQ
  • PRIVACY STATEMENT
  • LICENCE & CITATION
Fields »
Search result

Field
Term
Gene name
Class
Subclass
Class
Keyword
Chromosome
External id
Tissue
Cell type
Expression
Antibody panel
Tissue
Main location
Patient ID
Annotation
Tissue
Category
Tau score
Cluster
Reliability
Brain region
Category
Tau score
Brain region
Category
Tau score
Brain region
Category
Tau score
Cluster
Reliability
Tissue
Cell type
Enrichment
Cell type
Category
Tau score
Cell type
Category
Tau score
Cell type
Category
Tau score
Cell lineage
Category
Tau score
Cluster
Cluster
Location
Searches
Location
Cell line
Class
Type
Phase
Reliability
Cancer
Prognosis
Cancer
Category
Cancer
Category
Tau score
Cluster
Variants
Interacting gene (ensg_id)
Type
Number of interactions
Pathway
Category
Score
Score
Score
Validation
Validation
Validation
Validation
Antibodies
Data type
Column


  • SUMMARY

  • TISSUE

  • BRAIN

  • SINGLE CELL

  • SUBCELL

  • CANCER

  • BLOOD

  • CELL LINE

  • STRUCT & INT

  • EPHX1
BRAIN CEREBELLUM Show tissue menu
AMYGDALA BASAL GANGLIA CEREBELLUM CEREBRAL CORTEX CHOROID PLEXUS HIPPOCAMPAL FORMATION HYPOTHALAMUS MEDULLA OBLONGATA
MIDBRAIN OLFACTORY BULB PITUITARY GLAND PONS RETINA SPINAL CORD THALAMUS WHITE MATTER
ANTIBODIES
AND
VALIDATION
Brain proteome
Cerebellum
CEREBELLUM - Expression summary
Protein expression
Cerebellumi

On the top, protein expression in current human tissue, based on all annotated cell types, is reported with the units not detected (n), low (l), medium (m) and high (h). Underneath, protein expression in each annotated cell type are reported using the same units.

Protein expression data is based on knowledge-based annotation. For genes where more than one antibody has been used, a collective score is set.

If knowledge-based annotation could not be performed for a gene, no data is displayed here. View antibody staining data further down this page.

h
m
l
n
Cells in granular layer: Not detected
Cells in molecular layer: Not detected
Purkinje cells: Not detected
RNA expressioni

A summary of mRNA expression data available for current tissue based on several datasets. The mRNA expression levels in human tissues are based on RNA-seq data generated by the Human Protein Atlas (HPA), Genotype-Tissue Expression (GTEx) portal and CAGE data generated by the FANTOM5 consortium. Consensus normalized expression levels for human tissues was created by combining the data from HPA and GTEx datasets.

The mRNA expression levels in pig are based on RNA-seq data generated by the Human Protein Atlas (HPA), and for mouse, HPA data and in situ hybridization generated by the Allen brain atlas are reported.

Scroll down to view mRNA expression data in more detail.
Consensus:51.2 nTPM
HPA Brain:206.2 nTPM
GTEx:51.2 nTPM
FANTOM5:94.5 Scaled Tags Per Million
Pig:33.5 nTPM
Mouse:48.0 nTPM
Allen mouse:1.2 Expression energy

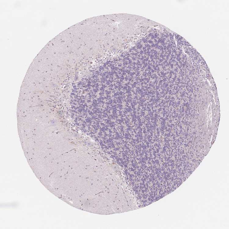
CEREBELLUM - Antibody stainingi

Antibody staining in the annotated cell types in the current human tissue is reported as not detected, low, medium, or high, based on conventional immunohistochemistry profiling in selected tissues. This score is based on the combination of the staining intensity and fraction of stained cells.

Each image is clickable and will lead to virtual microscopy that enables deeper exploration of all samples and also displays staining intensity scores, fraction scores and subcellular localization as well as patient and tissue information for each sample.

Antibody HPA020593Antibody HPA048847
Purkinje cells Not detectedNot detected
Cells in granular layer Not detectedNot detected
Cells in molecular layer Not detectedNot detected





CEREBELLUM - HPA Brain RNA-seq
Max subtype nTPMi

Max subtype nTPM is the value for the subtype with the largest average nTPM across the subtype samples.

206.2
Sample id Sample description nTPM
Cerebellar cortex
nTPM: 89.4
2003 Female, age 85, right hemisphere 127.2
2006 Male, age 61, right hemisphere 97.8
1768 Female, age 72, unknown 93.8
1769 Male, age 76, right hemisphere 91.8
2101 Male, age 74, right hemisphere 87.7
1774 Male, age 80, left hemisphere 80.7
2055 Female, age 91, right hemisphere 72.4
1788 Male, age 55, unknown 63.5
Cerebellar nuclei
nTPM: 206.2
2783 Female, age 72, unknown 275.2
2177 Female, age 85, both hemispheres 246.3
2175 Male, age 61, right hemisphere 238.8
2882 Male, age 76, left hemisphere 225.6
2005 Male, age 80, left hemisphere 213.7
1966 Female, age 91, left hemisphere 189.0
1879 Male, age 55, unknown 181.7
1871 Male, age 74, unknown 169.1
2318 Male, age 74, left hemisphere 115.9
Flocculonodular lobe
nTPM: 77.1
1765 Male, age 55, unknown 91.5
1792 Male, age 74, unknown 86.0
2004 Male, age 61, right hemisphere 83.6
1767 Male, age 76, left hemisphere 82.5
1835 Female, age 85, right hemisphere 67.3
1771 Male, age 80, left hemisphere 66.6
2176 Female, age 91, right hemisphere 62.1
Vermis
nTPM: 89.5
1766 Male, age 55, unknown 145.4
1751 Male, age 74, right hemisphere 114.0
1825 Male, age 74, unknown 97.6
2834 Male, age 80, left hemisphere 89.5
1770 Male, age 76, left hemisphere 80.1
1778 Female, age 91, left hemisphere 78.6
1928 Female, age 72, unknown 72.1
2460 Male, age 61, both hemispheres 70.4
1988 Female, age 85, left hemisphere 58.1

CEREBELLUM - GTEx RNA-seqi

RNA-Seq data generated by the Genotype-Tissue Expression (GTEx) project from human tissues is reported as mean nTPM. More information can be found on the GTEx portal.

Distribution across the dataset is visualized with box plots, shown as median and 25th and 75th percentiles. Points are displayed as outliers if they are above or below 1.5 times the interquartile range. nTPM values of the individual samples are presented next to the box plot.
Max subtype nTPMi

Max subtype nTPM is the value for the subtype with the largest average nTPM across the subtype samples.

51.2
GTEx sample id Sample description nTPM
Brain - Cerebellar Hemisphere
Average nTPM: 39.7
Samples: 215

Max nTPM: 209.0
Min nTPM: 12.8
Std nTPM: 24.3
Median nTPM: 32.8
GTEX-16XZZ-0011-R11a-SM-7EPI3 60-69 years, male 209.0
GTEX-1LKK1-0011-R11a-SM-EXOIG 50-59 years, female 204.1
GTEX-N7MT-0011-R11A-SM-2I3DZ 60-69 years, female 148.8
GTEX-1H1DG-0011-R11a-SM-C1YQK 70-79 years, male 132.3
GTEX-14C39-0011-R11b-SM-5YYAF 40-49 years, male 108.5
GTEX-13JUV-0011-R11a-SM-5LZYH 40-49 years, female 87.1
GTEX-13NYS-0011-R11b-SM-5MR4P 60-69 years, male 83.0
GTEX-1F52S-0011-R11a-SM-CJI23 60-69 years, female 81.8
GTEX-NL4W-0011-R11A-SM-2I3DW 50-59 years, male 80.8
GTEX-1I1GS-0011-R11a-SM-C1YRU 60-69 years, male 77.1
GTEX-139UW-0011-R11a-SM-5IJGN 60-69 years, male 76.7
GTEX-13FLV-0011-R11a-SM-5LZZ7 50-59 years, male 74.7
GTEX-NPJ7-0011-R11A-SM-2I3E8 60-69 years, female 74.5
GTEX-NPJ8-0011-R11A-SM-2YUMS 40-49 years, male 70.9
GTEX-1HGF4-0011-R11a-SM-C1YRR 60-69 years, male 68.5
GTEX-1H3VE-0011-R11b-SM-C1YRP 40-49 years, male 68.2
GTEX-11DZ1-0011-R11b-SM-DO11W 50-59 years, male 67.5
GTEX-ZF28-0011-R11a-SM-4WWEI 60-69 years, male 64.6
GTEX-16NPV-0011-R11a-SM-7IGMK 50-59 years, female 64.1
GTEX-1JJ6O-0011-R11b-SM-EXUS2 60-69 years, male 62.7
GTEX-1GTWX-0011-R11b-SM-C1YQJ 60-69 years, male 62.3
GTEX-1H1ZS-0011-R11a-SM-C1YQM 70-79 years, male 61.7
GTEX-1GF9W-0011-R11b-SM-9OSXG 60-69 years, male 61.6
GTEX-13X6I-0011-R11a-SM-5P9HN 60-69 years, male 59.7
GTEX-18A6Q-0011-R11a-SM-72D6H 60-69 years, male 59.6
GTEX-1CAV2-0011-R11a-SM-ARU8D 40-49 years, female 59.5
GTEX-1GMR8-0011-R11b-SM-9OSX2 50-59 years, female 59.2
GTEX-1IL2U-0011-R11a-SM-CE6SO 60-69 years, male 58.8
GTEX-1IGQW-0011-R11a-SM-C1YRV 60-69 years, male 58.5
GTEX-13SLW-0011-R11a-SM-5SI8Q 70-79 years, male 57.7
GTEX-1IOXB-0011-R11a-SM-A9G1X 50-59 years, male 56.7
GTEX-XMD1-0011-R11A-SM-4AT5J 60-69 years, male 55.9
GTEX-X4XX-0011-R11A-SM-46MWQ 60-69 years, male 54.8
GTEX-16Z82-0011-R11a-SM-79OKJ 60-69 years, male 54.0
GTEX-13CZV-0011-R11b-SM-5N9FN 60-69 years, male 53.0
GTEX-11ZTS-0011-R11a-SM-DO113 60-69 years, female 52.4
GTEX-1HUB1-0011-R11b-SM-CE6SC 60-69 years, male 52.4
GTEX-12WSH-0011-R11a-SM-5LZVM 50-59 years, male 50.9
GTEX-13X6K-0011-R11a-SM-5P9F5 60-69 years, female 50.6
GTEX-131XW-0011-R11a-SM-5DUV9 50-59 years, female 50.5
GTEX-1A3MX-0011-R11b-SM-7DUGP 60-69 years, male 48.8
GTEX-14C5O-0011-R11b-SM-6872H 60-69 years, male 48.3
GTEX-X261-0011-R11A-SM-4E3JY 50-59 years, male 48.1
GTEX-1JJEA-0011-R11a-SM-EXUTE 60-69 years, male 48.1
GTEX-132Q8-0011-R11b-SM-5DUW9 60-69 years, male 47.6
GTEX-12WSD-0011-R11a-SM-9OSVC 60-69 years, female 47.0
GTEX-13OVJ-0011-R11a-SM-5P9H8 50-59 years, female 46.5
GTEX-13N2G-0011-R11a-SM-5MR3F 60-69 years, male 46.1
GTEX-WWYW-0011-R11A-SM-3NB38 50-59 years, female 45.8
GTEX-NL3H-0011-R11A-SM-2I3E6 60-69 years, male 45.7
GTEX-11H98-0011-R11b-SM-5NQ6U 50-59 years, male 45.2
GTEX-1B8SG-0011-R11a-SM-7P8PF 50-59 years, male 45.2
GTEX-1HSKV-0011-R11b-SM-AHZ2E 60-69 years, male 45.1
GTEX-15G19-0011-R11b-SM-6LPIH 60-69 years, male 44.6
GTEX-1EMGI-0011-R11b-SM-9OSWX 60-69 years, male 43.3
GTEX-1R9K4-0011-R11a-SM-EZ6N9 60-69 years, male 43.2
GTEX-15CHQ-0011-R11b-SM-686ZZ 60-69 years, male 43.1
GTEX-1HBPI-0011-R11b-SM-CE6SH 50-59 years, male 43.1
GTEX-1J8Q2-0011-R11a-SM-A9SKI 60-69 years, male 42.9
GTEX-1IL2V-0011-R11a-SM-ARU6T 70-79 years, male 42.8
GTEX-1GZ4I-0011-R11b-SM-9OSWR 50-59 years, male 42.7
GTEX-1IKK5-0011-R11a-SM-C1YRX 60-69 years, male 42.7
GTEX-14E7W-0011-R11a-SM-5ZZVA 70-79 years, male 42.0
GTEX-183WM-0011-R11a-SM-718A5 70-79 years, female 41.5
GTEX-16GPK-0011-R11b-SM-7MKFF 60-69 years, male 41.2
GTEX-1CB4G-0011-R11a-SM-9OSWG 60-69 years, male 41.0
GTEX-13JVG-0011-R11a-SM-5KM53 60-69 years, male 40.6
GTEX-1F75W-0011-R11b-SM-AHZ34 60-69 years, male 40.4
GTEX-ZE7O-0011-R11a-SM-57WBC 50-59 years, female 40.0
GTEX-1EKGG-0011-R11a-SM-9QEHZ 60-69 years, male 39.7
GTEX-1R9PO-0011-R11b-SM-EZ6NB 60-69 years, female 39.6
GTEX-13OW5-0011-R11b-SM-5L3GG 60-69 years, male 39.5
GTEX-1GN73-0011-R11b-SM-9OSX4 60-69 years, male 39.5
GTEX-1I1GV-0011-R11a-SM-CJI3Z 60-69 years, male 39.5
GTEX-1F6I4-0011-R11b-SM-9OSWS 60-69 years, male 39.2
GTEX-13PLJ-0011-R11b-SM-5O9BS 60-69 years, female 39.0
GTEX-1I19N-0011-R11b-SM-ARU6Y 70-79 years, male 38.8
GTEX-17EVQ-0011-R11a-SM-7LT9C 70-79 years, male 38.7
GTEX-13X6J-0011-R11a-SM-5P9HE 50-59 years, male 38.2
GTEX-13RTJ-0011-R11a-SM-5O9CK 60-69 years, male 38.1
GTEX-14ASI-0011-R11b-SM-6AJBJ 60-69 years, male 37.9
GTEX-WHSE-0011-R11A-SM-3P5YY 20-29 years, male 37.9
GTEX-UTHO-0011-R11A-SM-3GIJE 60-69 years, male 37.8
GTEX-13FHO-0011-R11b-SM-5LZYQ 60-69 years, male 37.7
GTEX-13OW8-0011-R11a-SM-5L3GT 60-69 years, male 37.2
GTEX-OHPN-0011-R11A-SM-2I5FM 60-69 years, female 36.6
GTEX-QMR6-0011-R11A-SM-32PKK 50-59 years, male 36.6
GTEX-11WQC-0011-R11b-SM-57WD6 60-69 years, male 36.2
GTEX-11EI6-0011-R11a-SM-DO11V 60-69 years, male 35.6
GTEX-13FXS-0011-R11a-SM-5L3DM 50-59 years, male 35.2
GTEX-1IY9M-0011-R11b-SM-A96TI 60-69 years, male 34.9
GTEX-13PVQ-0011-R11a-SM-5O9DU 50-59 years, male 34.4
GTEX-14E6D-0011-R11b-SM-664NP 50-59 years, male 34.4
GTEX-17JCI-0011-R11a-SM-7189Y 60-69 years, female 34.4
GTEX-1I1GQ-0011-R11b-SM-CKZPA 50-59 years, male 34.4
GTEX-13OVH-0011-R11b-SM-5KM4X 70-79 years, male 34.3
GTEX-14BIM-0011-R11b-SM-5S2RN 60-69 years, female 34.0
GTEX-13SLX-0011-R11b-SM-5O9C8 50-59 years, female 33.7
GTEX-1IDJH-0011-R11b-SM-C1YRT 70-79 years, male 33.7
GTEX-18465-0011-R11a-SM-72D78 50-59 years, male 33.6
GTEX-X585-0011-R11B-SM-46MUZ 50-59 years, male 33.4
GTEX-12WSF-0011-R11a-SM-5LZVT 70-79 years, male 33.3
GTEX-17EVP-0011-R11a-SM-7EWDL 40-49 years, male 33.1
GTEX-1KD4Q-0011-R11b-SM-EXOIE 40-49 years, male 33.1
GTEX-1ICLZ-0011-R11a-SM-CJI3N 60-69 years, male 33.0
GTEX-1JMOU-0011-R11b-SM-EXUTA 60-69 years, female 32.9
GTEX-X4EP-0011-R11B-SM-4QASK 60-69 years, female 32.8
GTEX-1B933-0011-R11a-SM-7P8PM 50-59 years, female 32.8
GTEX-1BAJH-0011-R11b-SM-7IGLM 70-79 years, male 32.7
GTEX-1E1VI-0011-R11a-SM-9OSWI 50-59 years, male 32.7
GTEX-YJ89-0011-R11a-SM-4SOKA 60-69 years, male 32.6
GTEX-1C64N-0011-R11b-SM-7P8Q6 50-59 years, male 32.3
GTEX-139TT-0011-R11b-SM-5LZV1 60-69 years, male 31.9
GTEX-P44G-0011-R11A-SM-2I3FD 30-39 years, male 31.9
GTEX-15DCD-0011-R11a-SM-D4P1R 70-79 years, female 31.6
GTEX-11GSP-0011-R11b-SM-5NQ7V 60-69 years, female 31.5
GTEX-131XH-0011-R11a-SM-5EGLN 50-59 years, male 31.5
GTEX-13OW6-0011-R11a-SM-5L3H2 50-59 years, male 31.5
GTEX-13OW7-0011-R11a-SM-5O9DY 50-59 years, male 31.5
GTEX-1H1CY-0011-R11a-SM-C1YQR 60-69 years, female 31.4
GTEX-RU72-0011-R11A-SM-CM2U1 50-59 years, female 31.3
GTEX-ZE9C-0011-R11a-SM-4WKGG 60-69 years, male 31.1
GTEX-12126-0011-R11a-SM-5BC6X 20-29 years, male 31.0
GTEX-14BIN-0011-R11a-SM-5SI79 50-59 years, female 30.8
GTEX-11EMC-0011-R11b-SM-DNZZK 60-69 years, female 30.6
GTEX-15EO6-0011-R11b-SM-6M47M 50-59 years, male 30.3
GTEX-1LSVX-0011-R11b-SM-EXOIA 60-69 years, male 30.3
GTEX-ZAB4-0011-R11a-SM-4SOKI 40-49 years, male 30.2
GTEX-13NZA-0011-R11b-SM-5KM4W 60-69 years, male 30.0
GTEX-1F48J-0011-R11b-SM-9OSWV 50-59 years, female 30.0
GTEX-1H3NZ-0011-R11b-SM-CE6SF 60-69 years, male 29.9
GTEX-N7MS-0011-R11A-SM-2HMJS 60-69 years, male 29.8
GTEX-1GMRU-0011-R11b-SM-C1YQ4 50-59 years, male 29.8
GTEX-1J8EW-0011-R11a-SM-AHZ37 60-69 years, female 29.7
GTEX-13G51-0011-R11b-SM-5J2NE 60-69 years, male 29.5
GTEX-1H3O1-0011-R11a-SM-A96RV 60-69 years, male 29.5
GTEX-1AX9I-0011-R11b-SM-7DHN4 60-69 years, male 29.4
GTEX-13NYB-0011-R11a-SM-5KM3Q 40-49 years, male 29.2
GTEX-Q2AG-0011-R11A-SM-2HMKZ 40-49 years, female 29.1
GTEX-11TTK-0011-R11b-SM-DO112 60-69 years, female 28.9
GTEX-144GL-0011-R11b-SM-5P9F6 50-59 years, male 28.8
GTEX-12WSM-0011-R11a-SM-5DUX8 60-69 years, male 28.7
GTEX-18464-0011-R11a-SM-72D76 50-59 years, male 28.5
GTEX-12ZZZ-0011-R11a-SM-5EGLC 60-69 years, male 28.4
GTEX-1M4P7-0011-R11b-SM-EXOIK 60-69 years, male 28.4
GTEX-13S7M-0011-R11b-SM-5P9HU 60-69 years, female 28.3
GTEX-15DYW-0011-R11a-SM-6LPIT 60-69 years, female 28.3
GTEX-1LG7Y-0011-R11a-SM-EXOIH 50-59 years, male 28.1
GTEX-1LVAO-0011-R11b-SM-EXOI8 60-69 years, male 28.1
GTEX-1IKOH-0011-R11a-SM-AHZ38 60-69 years, female 27.8
GTEX-ZVZQ-0011-R11a-SM-51MS6 60-69 years, female 27.5
GTEX-QDT8-0011-R11A-SM-32PKD 30-39 years, female 27.4
GTEX-16YQH-0011-R11b-SM-7LT98 30-39 years, male 27.3
GTEX-Z93S-0011-R11a-SM-4RGNN 50-59 years, male 27.3
GTEX-17HII-0011-R11b-SM-7KFSX 50-59 years, male 27.2
GTEX-11DYG-0011-R11a-SM-DNZZP 60-69 years, male 27.0
GTEX-1GZHY-0011-R11a-SM-C1YRQ 50-59 years, female 26.9
GTEX-14ABY-0011-R11a-SM-5SI7C 50-59 years, male 26.8
GTEX-13O3O-0011-R11b-SM-5KM4G 60-69 years, female 26.7
GTEX-Y8DK-0011-R11A-SM-4SOK2 60-69 years, male 26.7
GTEX-11PRG-0011-R11b-SM-DNZZY 50-59 years, male 26.7
GTEX-1HB9E-0011-R11b-SM-ARU79 50-59 years, male 26.7
GTEX-15ER7-0011-R11a-SM-6LPIL 20-29 years, female 26.4
GTEX-1I1GR-0011-R11a-SM-CM2T5 60-69 years, male 26.3
GTEX-13CF2-0011-R11b-SM-5LZXO 60-69 years, male 26.0
GTEX-145LU-0011-R11b-SM-5P9JX 50-59 years, male 25.9
GTEX-YFC4-0011-R11a-SM-4SOK6 40-49 years, female 25.9
GTEX-14DAQ-0011-R11a-SM-664NO 60-69 years, female 25.8
GTEX-1H4P4-0011-R11b-SM-CE6S8 50-59 years, male 25.8
GTEX-17F97-0011-R11b-SM-7KFRQ 50-59 years, male 25.7
GTEX-RVPV-0011-R11A-SM-2TF6F 60-69 years, male 25.6
GTEX-11DXY-0011-R11a-SM-DNZZN 60-69 years, male 25.6
GTEX-1399T-0011-R11a-SM-5J2O1 60-69 years, male 25.4
GTEX-WZTO-0011-R11A-SM-4E3K9 40-49 years, male 25.4
GTEX-145MH-0011-R11a-SM-5P9HQ 50-59 years, male 25.3
GTEX-S7SE-0011-R11A-SM-2XCDD 50-59 years, male 25.3
GTEX-1B8SF-0011-R11a-SM-79OOP 60-69 years, male 25.2
GTEX-145MI-0011-R11a-SM-5P9JZ 60-69 years, female 25.1
GTEX-1J1OQ-0011-R11a-SM-A96S3 40-49 years, female 25.0
GTEX-12WSC-0011-R11a-SM-5GU5J 50-59 years, male 24.9
GTEX-1F75A-0011-R11a-SM-AHZ35 50-59 years, male 24.9
GTEX-13QIC-0011-R11b-SM-5O9BU 60-69 years, female 24.8
GTEX-WL46-0011-R11A-SM-3MJFT 50-59 years, male 24.7
GTEX-1B8L1-0011-R11b-SM-793DJ 60-69 years, male 24.6
GTEX-131YS-0011-R11b-SM-5EGLM 60-69 years, female 24.2
GTEX-TSE9-0011-R11A-SM-3DB7N 60-69 years, female 24.2
GTEX-1313W-0011-R11a-SM-5DUXN 50-59 years, female 24.0
GTEX-1N2EE-0011-R11b-SM-EXOIJ 60-69 years, male 23.9
GTEX-13FTY-0011-R11a-SM-5IJEA 40-49 years, female 23.8
GTEX-ZUA1-0011-R11b-SM-51MTI 40-49 years, male 23.8
GTEX-12WSI-0011-R11b-SM-5P9EZ 50-59 years, male 23.5
GTEX-ZVT3-0011-R11b-SM-57WBI 60-69 years, female 23.5
GTEX-13FHP-0011-R11b-SM-5LZXP 50-59 years, male 23.3
GTEX-1F7RK-0011-R11b-SM-9QEI2 20-29 years, female 23.2
GTEX-1HFI6-0011-R11b-SM-A96RU 40-49 years, male 23.2
GTEX-1HCU6-0011-R11b-SM-AHZ2F 60-69 years, female 23.1
GTEX-1I1HK-0011-R11a-SM-B2LVN 60-69 years, male 22.9
GTEX-13O3Q-0011-R11b-SM-5KM2W 50-59 years, male 22.5
GTEX-13OVL-0011-R11b-SM-5L3G7 50-59 years, male 22.3
GTEX-1N2DW-0011-R11b-SM-EXOIL 50-59 years, male 22.2
GTEX-12ZZX-0011-R11a-SM-5DUVJ 40-49 years, female 21.9
GTEX-R55E-0011-R11A-SM-2TC6I 20-29 years, male 21.7
GTEX-ZDXO-0011-R11a-SM-4WWD9 60-69 years, male 21.2
GTEX-13VXU-0011-R11b-SM-5O9DJ 50-59 years, male 21.0
GTEX-11ZUS-0011-R11b-SM-5BC7B 30-39 years, male 20.5
GTEX-14PN4-0011-R11a-SM-686ZW 50-59 years, male 20.4
GTEX-T5JC-0011-R11A-SM-32PMB 20-29 years, male 19.6
GTEX-17HG3-0011-R11b-SM-7KFT4 30-39 years, female 19.5
GTEX-T6MN-0011-R11A-SM-32QOX 50-59 years, male 18.7
GTEX-P44H-0011-R11A-SM-2XCER 40-49 years, male 18.5
GTEX-1JMQJ-0011-R11a-SM-EXOJY 50-59 years, male 18.3
GTEX-12WSE-0011-R11b-SM-5P9JW 20-29 years, male 17.0
GTEX-WVLH-0011-R11A-SM-3MJFO 50-59 years, male 16.9
GTEX-11OF3-0011-R11a-SM-57WCR 60-69 years, male 14.5
GTEX-T2IS-0011-R11A-SM-32QPC 20-29 years, female 12.8
Show allShow less
Brain - Cerebellum
Average nTPM: 51.2
Samples: 241

Max nTPM: 287.5
Min nTPM: 20.9
Std nTPM: 26.6
Median nTPM: 44.4
GTEX-16XZZ-2926-SM-6LPK4 60-69 years, male 287.5
GTEX-ZF28-2926-SM-4WKG1 60-69 years, male 167.5
GTEX-1EH9U-3126-SM-7MXU5 60-69 years, male 166.4
GTEX-XMD1-2826-SM-4AT5F 60-69 years, male 120.4
GTEX-14PJO-2926-SM-686ZI 60-69 years, male 118.5
GTEX-1H3VE-2826-SM-9WPOL 40-49 years, male 114.8
GTEX-14A5I-2826-SM-5SIBF 50-59 years, female 113.5
GTEX-NPJ7-2826-SM-2I3FU 60-69 years, female 111.3
GTEX-1PWST-3026-SM-EAZ3H 70-79 years, male 110.0
GTEX-1H1ZS-2926-SM-9WPP2 70-79 years, male 100.8
GTEX-NPJ8-2626-SM-2D7W2 40-49 years, male 97.2
GTEX-1JMPZ-2826-SM-C1YRA 30-39 years, male 93.3
GTEX-11DZ1-2926-SM-5A5KI 50-59 years, male 91.2
GTEX-1B996-2926-SM-7MXUH 60-69 years, male 89.9
GTEX-1E1VI-2926-SM-7IGLT 50-59 years, male 87.5
GTEX-1A8G7-3026-SM-73KTT 60-69 years, male 83.7
GTEX-11EI6-2926-SM-5985U 60-69 years, male 83.2
GTEX-R55E-2526-SM-2TC6H 20-29 years, male 82.6
GTEX-1HSMO-2926-SM-C1YR5 60-69 years, male 81.5
GTEX-14C39-3026-SM-5S2QE 40-49 years, male 78.5
GTEX-1GF9W-2726-SM-9JGGW 60-69 years, male 76.7
GTEX-ZZPT-2926-SM-5EQ5S 50-59 years, male 75.8
GTEX-1F6IF-3026-SM-7P8QN 60-69 years, male 75.7
GTEX-13X6I-2926-SM-5Q5C3 60-69 years, male 75.4
GTEX-1BAJH-3126-SM-7MGXY 70-79 years, male 74.9
GTEX-ZAJG-3026-SM-5HL92 50-59 years, female 74.5
GTEX-11EMC-3326-SM-5P9JH 60-69 years, female 74.2
GTEX-1JJE9-3026-SM-CNNPA 70-79 years, male 73.9
GTEX-13JUV-3026-SM-5K7WX 40-49 years, female 72.8
GTEX-ZYY3-3026-SM-5GIEJ 60-69 years, female 71.3
GTEX-1R46S-3126-SM-DPRZ9 60-69 years, female 71.2
GTEX-1GTWX-2926-SM-7MXV4 60-69 years, male 71.0
GTEX-11ONC-3026-SM-5985W 60-69 years, male 70.8
GTEX-1JJ6O-3026-SM-C1YQH 60-69 years, male 70.1
GTEX-13OVJ-2726-SM-5IJG6 50-59 years, female 69.6
GTEX-WWYW-3026-SM-3NB36 50-59 years, female 68.9
GTEX-1E2YA-2926-SM-7MGWX 50-59 years, male 68.9
GTEX-1A3MX-2926-SM-718B7 60-69 years, male 68.5
GTEX-RU72-2926-SM-2TF66 50-59 years, female 68.4
GTEX-17HII-2926-SM-79OMK 50-59 years, male 68.3
GTEX-132Q8-2926-SM-5IFFP 60-69 years, male 67.5
GTEX-1F52S-3026-SM-7P8PV 60-69 years, female 67.3
GTEX-1RNSC-3126-SM-EVR4V 60-69 years, male 67.0
GTEX-1C6VR-3026-SM-7IGLW 60-69 years, male 66.9
GTEX-13FHO-2926-SM-5L3ES 60-69 years, male 66.6
GTEX-11TTK-2826-SM-5GU5K 60-69 years, female 66.5
GTEX-PWO3-1026-SM-2I5F2 60-69 years, female 66.0
GTEX-1RDX4-3226-SM-DPS14 50-59 years, female 66.0
GTEX-11ZTS-3226-SM-5EGID 60-69 years, female 65.4
GTEX-1H1DG-2826-SM-9JGHB 70-79 years, male 65.0
GTEX-1HB9E-3126-SM-AHZ4M 50-59 years, male 64.6
GTEX-1EWIQ-3026-SM-7IGOJ 70-79 years, female 63.8
GTEX-ZAB4-2926-SM-57WCV 40-49 years, male 63.6
GTEX-13OW5-3126-SM-5MR3Y 60-69 years, male 63.5
GTEX-1CB4H-3026-SM-79OLX 60-69 years, female 63.3
GTEX-15DYW-3026-SM-7KFRM 60-69 years, female 62.6
GTEX-13JVG-3226-SM-5IJGJ 60-69 years, male 62.5
GTEX-1269C-3126-SM-5EGI6 60-69 years, female 62.1
GTEX-ZYFD-2926-SM-5GID9 50-59 years, male 61.6
GTEX-18A6Q-2826-SM-7LTAO 60-69 years, male 61.0
GTEX-QMR6-1326-SM-32PLB 50-59 years, male 60.9
GTEX-183WM-2726-SM-7KFRF 70-79 years, female 60.6
GTEX-13X6K-2826-SM-5O9DS 60-69 years, female 60.5
GTEX-X4XX-2926-SM-3NMB1 60-69 years, male 60.5
GTEX-1F48J-2726-SM-7P8PW 50-59 years, female 59.9
GTEX-14C5O-2926-SM-5RQI1 60-69 years, male 59.5
GTEX-1JN1M-3126-SM-AHZ4E 60-69 years, female 59.2
GTEX-11GSP-3126-SM-5A5LL 60-69 years, female 58.1
GTEX-13OW7-2926-SM-5MR3Z 50-59 years, male 57.9
GTEX-15G19-2826-SM-6M48K 60-69 years, male 57.0
GTEX-16Z82-2926-SM-6LPJJ 60-69 years, male 56.9
GTEX-1GF9V-3026-SM-7P8R8 60-69 years, male 56.4
GTEX-1128S-2826-SM-5N9DI 60-69 years, female 55.7
GTEX-1192X-3226-SM-5987D 50-59 years, male 55.7
GTEX-13N2G-3126-SM-5IJGL 60-69 years, male 55.2
GTEX-12WSD-3026-SM-5LZU7 60-69 years, female 55.0
GTEX-13RTJ-3126-SM-5S2Q4 60-69 years, male 53.7
GTEX-13OVH-2926-SM-5IJFH 70-79 years, male 53.6
GTEX-1I1GV-3026-SM-CNNR9 60-69 years, male 53.4
GTEX-1KANB-3226-SM-D4P3G 50-59 years, male 52.9
GTEX-XLM4-2926-SM-4AT59 60-69 years, male 52.6
GTEX-14BMV-2926-SM-5TDEE 50-59 years, male 52.5
GTEX-1EMGI-3126-SM-7MXUR 60-69 years, male 51.9
GTEX-15SHU-3026-SM-6LPIB 40-49 years, female 51.7
GTEX-YFC4-3026-SM-5IFJK 40-49 years, female 51.6
GTEX-144GL-2926-SM-5O99F 50-59 years, male 51.1
GTEX-1RQEC-3026-SM-DPRXM 60-69 years, male 51.1
GTEX-1JMOU-2826-SM-EV79R 60-69 years, female 50.8
GTEX-1GZ4I-2926-SM-9JGGO 50-59 years, male 50.6
GTEX-RNOR-2226-SM-2TF5O 50-59 years, female 50.5
GTEX-X261-3126-SM-4PQZC 50-59 years, male 50.4
GTEX-1H3O1-1826-SM-A96TO 60-69 years, male 50.4
GTEX-1F6I4-3026-SM-7P8SI 60-69 years, male 50.2
GTEX-1A8G6-3126-SM-731D8 60-69 years, male 50.1
GTEX-N7MT-1226-SM-DKPOK 60-69 years, female 49.4
GTEX-11DXY-3126-SM-5N9BT 60-69 years, male 49.3
GTEX-1CB4G-2926-SM-7MKFQ 60-69 years, male 49.3
GTEX-13FXS-3026-SM-5LZYO 50-59 years, male 49.1
GTEX-12WSH-3126-SM-5LZW8 50-59 years, male 48.9
GTEX-11OC5-0626-SM-5HL6M 60-69 years, male 48.2
GTEX-1KD4Q-3026-SM-EV7A7 40-49 years, male 48.1
GTEX-13OVL-3026-SM-5IJF1 50-59 years, male 47.8
GTEX-UTHO-2926-SM-3P5Z9 60-69 years, male 47.3
GTEX-1HSKV-2926-SM-B2LWJ 60-69 years, male 47.3
GTEX-13OW6-2926-SM-5KM29 50-59 years, male 46.9
GTEX-1QEPI-3026-SM-EXOIW 60-69 years, female 46.7
GTEX-139TT-2626-SM-5LZUB 60-69 years, male 46.5
GTEX-QVJO-1325-SM-2S1QX 60-69 years, female 46.5
GTEX-1C64N-3126-SM-79OO3 50-59 years, male 45.8
GTEX-OHPN-2626-SM-2I5H1 60-69 years, female 45.8
GTEX-139TS-3126-SM-5LZWX 60-69 years, male 45.6
GTEX-147GR-3126-SM-5S2PM 60-69 years, male 45.5
GTEX-111FC-3326-SM-5GZYV 60-69 years, male 45.4
GTEX-17EVQ-2726-SM-7EWDT 70-79 years, male 45.3
GTEX-X4EP-3026-SM-3P5YP 60-69 years, female 45.2
GTEX-145LS-3026-SM-5O99S 60-69 years, female 45.1
GTEX-17JCI-3026-SM-7EWDR 60-69 years, female 45.0
GTEX-1GN73-3026-SM-7MXV8 60-69 years, male 44.5
GTEX-1HCVE-2926-SM-9WPPJ 50-59 years, male 44.5
GTEX-ZVT3-2926-SM-5GU6M 60-69 years, female 44.4
GTEX-1HBPH-3026-SM-9WPNY 40-49 years, female 44.4
GTEX-YJ89-2926-SM-5P9IT 60-69 years, male 44.3
GTEX-1GZHY-3026-SM-7MXVA 50-59 years, female 44.2
GTEX-13OW8-2926-SM-5L3FV 60-69 years, male 44.1
GTEX-1JMLX-3026-SM-EV79Q 50-59 years, male 44.1
GTEX-WVLH-2926-SM-3MJG5 50-59 years, male 43.8
GTEX-Y8DK-0726-SM-4TT3S 60-69 years, male 43.8
GTEX-1LSVX-2826-SM-EVR58 60-69 years, male 43.8
GTEX-1P4AB-3026-SM-EXOJS 50-59 years, male 43.6
GTEX-12WSM-2126-SM-5GCOC 60-69 years, male 43.5
GTEX-1IL2V-3026-SM-CYPSA 70-79 years, male 43.1
GTEX-1B8SG-1926-SM-73KUB 50-59 years, male 43.0
GTEX-1JJEA-2926-SM-C1YSK 60-69 years, male 42.6
GTEX-13PVQ-2926-SM-5L3HJ 50-59 years, male 42.5
GTEX-13112-2926-SM-5DUWT 50-59 years, male 42.4
GTEX-1NV8Z-3026-SM-DTX8Z 60-69 years, male 42.4
GTEX-145MG-3126-SM-5Q5D3 50-59 years, male 42.2
GTEX-145MF-2826-SM-7EPGU 50-59 years, male 42.1
GTEX-15ER7-3026-SM-6M47W 20-29 years, female 42.1
GTEX-17HG3-2826-SM-7EPGO 30-39 years, female 41.6
GTEX-T6MN-2526-SM-32PMN 50-59 years, male 41.6
GTEX-13CF2-3026-SM-5IFFX 60-69 years, male 41.5
GTEX-1J1OQ-3126-SM-D4P2O 40-49 years, female 41.2
GTEX-11ZVC-3026-SM-59HJM 50-59 years, female 41.0
GTEX-14E6D-2926-SM-664OP 50-59 years, male 41.0
GTEX-QVUS-2926-SM-3GIJB 60-69 years, female 41.0
GTEX-13FHP-2926-SM-5IJG9 50-59 years, male 40.9
GTEX-14PJM-3026-SM-6LLHM 50-59 years, female 40.9
GTEX-ZAK1-2926-SM-5HL9S 50-59 years, female 40.9
GTEX-1EU9M-2926-SM-793DF 60-69 years, male 40.6
GTEX-WHSE-2926-SM-3NMBG 20-29 years, male 40.4
GTEX-14JFF-2826-SM-6871Q 60-69 years, male 39.9
GTEX-11DXW-1026-SM-5H11K 40-49 years, male 39.8
GTEX-11GSO-3026-SM-5Q5AL 60-69 years, male 39.8
GTEX-11O72-2826-SM-5HL6W 40-49 years, male 39.5
GTEX-12ZZZ-3126-SM-5LZU6 60-69 years, male 39.5
GTEX-1I1CD-2926-SM-A96SJ 60-69 years, female 39.3
GTEX-14DAQ-3026-SM-5S2QZ 60-69 years, female 39.2
GTEX-1IDJH-3126-SM-C1YQS 70-79 years, male 39.2
GTEX-13O3Q-3026-SM-5IJGD 50-59 years, male 39.1
GTEX-12126-0926-SM-5FQTW 20-29 years, male 39.0
GTEX-1F75W-3126-SM-7P8SJ 60-69 years, male 38.6
GTEX-14E7W-2926-SM-5S2R8 70-79 years, male 38.1
GTEX-1GZ2Q-3026-SM-9JGG3 40-49 years, male 38.1
GTEX-1EKGG-3126-SM-9WPO5 60-69 years, male 38.0
GTEX-1PIIG-2826-SM-DTX7O 30-39 years, male 37.9
GTEX-11DYG-2926-SM-5H132 60-69 years, male 37.8
GTEX-11PRG-2826-SM-5BC54 50-59 years, male 37.8
GTEX-1B8SF-3026-SM-731DX 60-69 years, male 37.8
GTEX-1JMQK-2926-SM-D4P2T 60-69 years, male 37.7
GTEX-13O3O-3026-SM-5KM42 60-69 years, female 37.1
GTEX-1H1CY-3026-SM-9OSW7 60-69 years, female 37.1
GTEX-1R9PO-2826-SM-E6CPV 60-69 years, female 37.0
GTEX-117XS-3126-SM-5GIDP 60-69 years, male 36.9
GTEX-12ZZY-2926-SM-5DUXO 60-69 years, male 36.9
GTEX-P44G-2526-SM-2I5EK 30-39 years, male 36.7
GTEX-18465-2926-SM-7KFSE 50-59 years, male 36.6
GTEX-15EO6-2926-SM-6M48D 50-59 years, male 36.5
GTEX-16YQH-2926-SM-6LPJE 30-39 years, male 36.5
GTEX-S7SE-2526-SM-2XCDL 50-59 years, male 36.4
GTEX-13G51-3126-SM-5IJG7 60-69 years, male 36.1
GTEX-11NUK-3026-SM-5986K 50-59 years, male 36.0
GTEX-14JG1-2926-SM-686ZK 40-49 years, male 35.9
GTEX-147F4-3026-SM-5Q5BJ 50-59 years, male 35.8
GTEX-17F97-2926-SM-7DUEQ 50-59 years, male 35.7
GTEX-1I1HK-2726-SM-AHZ2M 60-69 years, male 35.5
GTEX-1KWVE-2226-SM-CXZKN 30-39 years, male 35.1
GTEX-14BIM-3126-SM-5Q5C7 60-69 years, female 34.7
GTEX-ZDXO-2926-SM-4WKFM 60-69 years, male 34.7
GTEX-1H3NZ-2926-SM-9WPQ8 60-69 years, male 34.5
GTEX-Y111-2826-SM-4TT3O 50-59 years, male 34.1
GTEX-1B8L1-3226-SM-7P8OX 60-69 years, male 33.6
GTEX-1POEN-2726-SM-E9U6B 30-39 years, female 33.6
GTEX-14BIN-3326-SM-5Q5E6 50-59 years, female 33.3
GTEX-Q2AG-2826-SM-2HMJQ 40-49 years, female 33.2
GTEX-13S7M-3026-SM-5S2QQ 60-69 years, female 33.0
GTEX-145LU-2626-SM-5LU9Z 50-59 years, male 32.9
GTEX-14ABY-3026-SM-664NE 50-59 years, male 32.9
GTEX-QDT8-3026-SM-32PKB 30-39 years, female 32.8
GTEX-1HBPI-2726-SM-9WPPF 50-59 years, male 32.7
GTEX-TSE9-2926-SM-3DB77 60-69 years, female 32.5
GTEX-131YS-3026-SM-5EGHY 60-69 years, female 32.3
GTEX-1QP6S-3026-SM-EAZ4N 40-49 years, male 32.3
GTEX-13QIC-3026-SM-5LU58 60-69 years, female 31.5
GTEX-1B933-3026-SM-731DB 50-59 years, female 31.4
GTEX-14ASI-2926-SM-5Q5DG 60-69 years, male 31.3
GTEX-13SLX-3226-SM-5YYA6 50-59 years, female 30.7
GTEX-Z93S-2826-SM-57WBL 50-59 years, male 30.6
GTEX-1EX96-3126-SM-9JGGC 50-59 years, male 30.5
GTEX-P44H-2426-SM-2XCEJ 40-49 years, male 30.0
GTEX-11NV4-2226-SM-5BC4T 60-69 years, male 29.9
GTEX-14PN4-3026-SM-664O4 50-59 years, male 29.9
GTEX-1MJK2-3026-SM-EV7A5 50-59 years, male 29.6
GTEX-1IKOH-2826-SM-CNNRC 60-69 years, female 29.5
GTEX-1313W-3026-SM-5LZUZ 50-59 years, female 29.2
GTEX-14JIY-2326-SM-6AJAJ 60-69 years, male 29.2
GTEX-1H4P4-2726-SM-9JGGB 50-59 years, male 29.2
GTEX-13NYB-3226-SM-5J2ND 40-49 years, male 29.1
GTEX-1C6WA-3326-SM-7MKGN 60-69 years, male 29.1
GTEX-17HHY-2926-SM-79OJW 50-59 years, male 28.6
GTEX-13VXU-3026-SM-5LU3K 50-59 years, male 28.2
GTEX-11ZUS-2826-SM-5EQKW 30-39 years, male 28.1
GTEX-1JMQJ-3126-SM-EV79G 50-59 years, male 28.1
GTEX-1LG7Y-3126-SM-EV7AS 50-59 years, male 28.0
GTEX-13X6J-2926-SM-7EPGP 50-59 years, male 27.9
GTEX-17EVP-2926-SM-793BU 40-49 years, male 27.9
GTEX-PVOW-2626-SM-32PL8 40-49 years, male 27.8
GTEX-12ZZX-2826-SM-5BC6K 40-49 years, female 27.2
GTEX-WL46-2826-SM-3LK81 50-59 years, male 27.2
GTEX-ZUA1-2926-SM-59HL3 40-49 years, male 27.0
GTEX-1399T-3126-SM-5IJFS 60-69 years, male 26.9
GTEX-131XH-2926-SM-5LZU4 50-59 years, male 26.4
GTEX-N7MS-2526-SM-2D7W3 60-69 years, male 26.3
GTEX-WZTO-2826-SM-3NM8P 40-49 years, male 25.8
GTEX-1F75A-2926-SM-7MXVN 50-59 years, male 25.6
GTEX-145MH-2926-SM-5Q5D2 50-59 years, male 25.1
GTEX-12WSC-2926-SM-5BC5Z 50-59 years, male 24.2
GTEX-1IY9M-3126-SM-AHZ3A 60-69 years, male 23.4
GTEX-T2IS-2926-SM-32QPO 20-29 years, female 23.2
GTEX-T5JC-2326-SM-32PMR 20-29 years, male 23.2
GTEX-12WSE-2926-SM-5RQJ9 20-29 years, male 20.9
Show allShow less

CEREBELLUM - FANTOM5 CAGEi

RNA expression in human tissues obtained through Cap Analysis of Gene Expression (CAGE) generated by the FANTOM5 project are reported as Scaled Tags Per Million.

Max subtype Scaled Tags Per Millioni

Max subtype Scaled Tags Per Million is the value for the subtype with the largest average Scaled Tags Per Million across the subtype samples.

94.5
FANTOM5 sample id Sample description Scaled Tags Per Million
Cerebellum
Scaled Tags Per Million: 94.5
FF:10083-102B2 22-68 years, mixed 96.8
FF:10166-103B4 76 years, female 92.2

CEREBELLUM - Pig RNA-seqi

RNA-seq data obtained from pig brain is reported as nTPM .

Normal distribution across the dataset is visualized with box plots, shown as median and 25th and 75th percentiles. Points are displayed as outliers if they are above or below 1.5 times the interquartile range. nTPM values of the individual samples are presented next to the box plot.
Max subtype nTPMi

Max subtype nTPM is the value for the subtype with the largest average nTPM across the subtype samples.

33.5
Pig sample Sample description nTPM
Cerebellum
nTPM: 33.5
Samples: 4

Max nTPM: 47.3
Min nTPM: 22.0
Sample A Female 47.3
Sample B Female 33.3
Sample C Male 22.0
Sample D Male 31.4

CEREBELLUM - Mouse RNA-seqi

RNA-seq data obtained from mouse brain is reported as nTPM .

Normal distribution across the dataset is visualized with box plots, shown as median and 25th and 75th percentiles. Points are displayed as outliers if they are above or below 1.5 times the interquartile range. nTPM values of the individual samples are presented next to the box plot.
Max subtype nTPMi

Max subtype nTPM is the value for the subtype with the largest average nTPM across the subtype samples.

48.0
Mouse sample Sample description nTPM
Cerebellum
nTPM: 48.1
Samples: 4

Max nTPM: 51.4
Min nTPM: 42.7
Sample A Male 51.1
Sample B Male 42.7
Sample C Female 47.0
Sample D Female 51.4

CEREBELLUM - Allen Mouse ISHi

In situ hybridization (ISH) data generated by the Allen brain atlas from mouse brain is reported as expression energy. For more details about a particular experiment, click on the corresponding Allen experiment ID.

Max subtype Expression energyi

Max subtype Expression energy is the value for the subtype with the largest average Expression energy across the subtype samples.

1.2
Allen experiment id Experiment description Expression energy
Cerebellum
Expression energy: 1.2
68498247 Antisense, RP_050113_01_E12, Mouse strain C57BL/6J (56 days, male) 1.2

Contact

  • NEWS ARTICLES
  • PRESS ROOM

The Project

  • INTRODUCTION
  • ORGANIZATION
  • PUBLICATIONS

The Human Protein Atlas

  • DOWNLOADABLE DATA
  • LICENCE & CITATION
  • HELP & FAQ
The Human Protein Atlas project is funded
by the Knut & Alice Wallenberg Foundation.


contact@proteinatlas.org