We use cookies to enhance the usability of our website. If you continue, we'll assume that you are happy to receive all cookies. More information. Don't show this again.
ACKR3
HPA
RESOURCES
  • TISSUE
  • BRAIN
  • SINGLE CELL
  • SUBCELLULAR
  • CANCER
  • BLOOD
  • CELL LINE
  • STRUCTURE & INTERACTION
ABOUT
  • INTRODUCTION
  • HISTORY
  • ORGANIZATION
  • PUBLICATIONS
  • ANTIBODY SUBMISSION
  • ANTIBODY AVAILABILITY
  • ACKNOWLEDGMENTS
  • CONTACT
NEWS
  • NEWS ARTICLES
  • PRESS ROOM
LEARN
  • DICTIONARY
  • PROTEIN CLASSES
  • PROTEIN EVIDENCE
  • METHODS
  • EDUCATIONAL VIDEOS
DATA
  • DOWNLOADABLE DATA
  • PUBLICATION DATA
  • RELEASE HISTORY
HELP
  • ANTIBODY VALIDATION
  • ASSAYS & ANNOTATION
  • DISCLAIMER
  • HELP & FAQ
  • PRIVACY STATEMENT
  • LICENCE & CITATION
Fields »
Search result

Field
Term
Gene name
Class
Subclass
Class
Keyword
Chromosome
External id
Tissue
Cell type
Expression
Antibody panel
Tissue
Main location
Patient ID
Annotation
Tissue
Category
Tau score
Cluster
Reliability
Brain region
Category
Tau score
Brain region
Category
Tau score
Brain region
Category
Tau score
Cluster
Reliability
Tissue
Cell type
Enrichment
Cell type
Category
Tau score
Cell type
Category
Tau score
Cell type
Category
Tau score
Cell lineage
Category
Tau score
Cluster
Cluster
Location
Searches
Location
Cell line
Class
Type
Phase
Reliability
Cancer
Prognosis
Cancer
Category
Cancer
Category
Tau score
Cluster
Variants
Interacting gene (ensg_id)
Type
Number of interactions
Pathway
Category
Score
Score
Score
Validation
Validation
Validation
Validation
Antibodies
Data type
Column


  • SUMMARY

  • TISSUE

  • BRAIN

  • SINGLE CELL

  • SUBCELL

  • CANCER

  • BLOOD

  • CELL LINE

  • STRUCT & INT

  • ACKR3
TISSUE PRIMARY DATA BREAST Show tissue menu
ADIPOSE TISSUE ADRENAL GLAND AMYGDALA APPENDIX BASAL GANGLIA BONE MARROW BREAST BRONCHUS CEREBELLUM CEREBRAL CORTEX CERVIX CHOROID PLEXUS COLON DUODENUM
ENDOMETRIUM EPIDIDYMIS ESOPHAGUS FALLOPIAN TUBE GALLBLADDER HEART MUSCLE HIPPOCAMPAL FORMATION HYPOTHALAMUS KIDNEY LIVER LUNG LYMPH NODE MIDBRAIN ORAL MUCOSA
OVARY PANCREAS PARATHYROID GLAND PITUITARY GLAND PLACENTA PROSTATE RECTUM RETINA SALIVARY GLAND SEMINAL VESICLE SKELETAL MUSCLE SKIN SMALL INTESTINE SMOOTH MUSCLE
SOFT TISSUE SPINAL CORD SPLEEN STOMACH TESTIS THYMUS THYROID GLAND TONGUE TONSIL URINARY BLADDER VAGINA
ANTIBODIES
AND
VALIDATION
Dictionary
Breast
Tissue proteome
Breast
BREAST - Expression summary
Protein expression
Breasti

On the top, protein expression in current human tissue, based on all annotated cell types, is reported with the units not detected (n), low (l), medium (m) and high (h). Underneath, protein expression in each annotated cell type are reported using the same units.

Protein expression data is based on knowledge-based annotation. For genes where more than one antibody has been used, a collective score is set.

If knowledge-based annotation could not be performed for a gene, no data is displayed here. View antibody staining data further down this page.

h
m
l
n
Adipocytes: Low
Glandular cells: Low
Myoepithelial cells: Low
RNA expressioni

A summary of mRNA expression data available for current tissue based on several datasets. The mRNA expression levels in human tissues are based on RNA-seq data generated by the Human Protein Atlas (HPA), Genotype-Tissue Expression (GTEx) portal and CAGE data generated by the FANTOM5 consortium. Consensus normalized expression levels for human tissues was created by combining the data from HPA and GTEx datasets.

The mRNA expression levels in pig are based on RNA-seq data generated by the Human Protein Atlas (HPA), and for mouse, HPA data and in situ hybridization generated by the Allen brain atlas are reported.

Scroll down to view mRNA expression data in more detail.
Consensus:68.1 nTPM
HPA:35.6 nTPM
GTEx:68.1 nTPM
FANTOM5:110.3 Scaled Tags Per Million

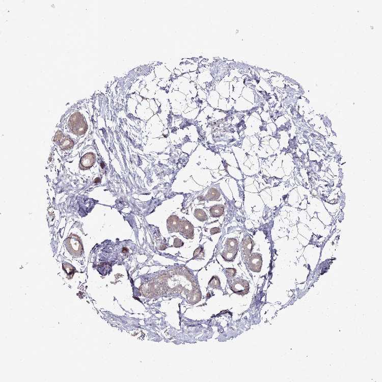
BREAST - Antibody stainingi

Antibody staining in the annotated cell types in the current human tissue is reported as not detected, low, medium, or high, based on conventional immunohistochemistry profiling in selected tissues. This score is based on the combination of the staining intensity and fraction of stained cells.

Each image is clickable and will lead to virtual microscopy that enables deeper exploration of all samples and also displays staining intensity scores, fraction scores and subcellular localization as well as patient and tissue information for each sample.

Antibody HPA049718
Adipocytes Low
Glandular cells Medium
Myoepithelial cells Medium



BREAST - HPA RNA-seqi

The RNA-seq details section shows detailed information about the individual samples used for the transcript profiling and results of the RNA-seq analysis.

Information about each individual sample is listed below, including gender, age, a tissue section image and estimated fractions of cell types. nTPM (normalized transcripts per million) values give a quantification of the gene abundance which is comparable between different genes and samples.
Average nTPMi

Max subtype nTPM is the value for the subtype with the largest average nTPM across the subtype samples.

35.6
overview
Female, age 52
Breast sample 373
nTPM: 29.7
Cell types%
Glandular cells:
15

Adipocytes:
5

Other cell types:
80

overview
Female, age 80
Breast sample 390
nTPM: 99.6
Cell types%
Glandular cells:
5

Adipocytes:
15

Other cell types:
80

overview
Female, age 47
Breast sample 405
nTPM: 5.3
Cell types%
Glandular cells:
5

Adipocytes:
5

Other cell types:
90

overview
Female, age 38
Breast sample 410
nTPM: 7.8
Cell types%
Glandular cells:
40

Adipocytes:
5

Other cell types:
55


BREAST - GTEx RNA-seqi

RNA-Seq data generated by the Genotype-Tissue Expression (GTEx) project from human tissues is reported as mean nTPM. More information can be found on the GTEx portal.

Distribution across the dataset is visualized with box plots, shown as median and 25th and 75th percentiles. Points are displayed as outliers if they are above or below 1.5 times the interquartile range. nTPM values of the individual samples are presented next to the box plot.
Max subtype nTPMi

Max subtype nTPM is the value for the subtype with the largest average nTPM across the subtype samples.

68.1
GTEx sample id Sample description nTPM
Breast - Mammary Tissue
Average nTPM: 68.1
Samples: 459

Max nTPM: 506.3
Min nTPM: 5.1
Std nTPM: 57.9
Median nTPM: 50.7
GTEX-1N2EF-2226-SM-E9J33 60-69 years, male 506.3
GTEX-1I1GP-0426-SM-COH3N 50-59 years, male 421.8
GTEX-13PVQ-1026-SM-5KM3M 50-59 years, male 330.0
GTEX-11WQK-2426-SM-5GU5C 50-59 years, male 303.9
GTEX-1QMI2-0726-SM-E9J4F 60-69 years, male 298.4
GTEX-13N1W-0626-SM-5MR4U 70-79 years, male 286.3
GTEX-1IDJH-2226-SM-E6CJV 70-79 years, male 268.0
GTEX-132NY-0826-SM-5K7Y7 60-69 years, male 263.0
GTEX-1C6WA-2426-SM-7SB86 60-69 years, male 248.7
GTEX-14E6C-1326-SM-62LEQ 40-49 years, male 239.7
GTEX-17MFQ-0926-SM-7LG4S 20-29 years, male 237.7
GTEX-1ICLY-1726-SM-B2LVT 50-59 years, male 236.0
GTEX-X4XY-0926-SM-4E3JD 60-69 years, male 223.3
GTEX-13W46-0826-SM-5LU3H 50-59 years, male 217.6
GTEX-1IGQW-0926-SM-ADEH6 60-69 years, male 217.0
GTEX-1HCU8-0126-SM-ADEHH 60-69 years, female 215.8
GTEX-11TUW-1826-SM-5BC5D 60-69 years, male 194.1
GTEX-144GL-2026-SM-5LU3O 50-59 years, male 193.9
GTEX-14E7W-0826-SM-62LEJ 70-79 years, male 187.2
GTEX-S33H-0326-SM-4AD6N 30-39 years, male 174.5
GTEX-15EOM-5019-SM-793DK 20-29 years, female 169.6
GTEX-1H23P-0726-SM-9WG7K 60-69 years, male 167.6
GTEX-1HC8U-0826-SM-ADEIL 40-49 years, female 162.1
GTEX-1GF9V-2526-SM-7SB8K 60-69 years, male 161.6
GTEX-13O3O-0826-SM-5K7WE 60-69 years, female 161.3
GTEX-1HSMO-0826-SM-ADEIV 60-69 years, male 159.2
GTEX-18A7A-0726-SM-7LTAI 50-59 years, female 157.1
GTEX-1NV8Z-2826-SM-E8VME 60-69 years, male 155.1
GTEX-12KS4-0126-SM-5Q5A5 30-39 years, male 152.9
GTEX-14BMV-0626-SM-793AU 50-59 years, male 151.8
GTEX-13O3Q-2226-SM-5KM4O 50-59 years, male 151.3
GTEX-ZVT4-1026-SM-57WC4 50-59 years, female 148.2
GTEX-U8XE-0826-SM-4E3J1 30-39 years, male 145.9
GTEX-1KD5A-1926-SM-DKPQA 50-59 years, male 145.1
GTEX-1S82Z-0726-SM-E6CHX 30-39 years, female 144.6
GTEX-S7SE-0826-SM-4AT4D 50-59 years, male 144.4
GTEX-ZV6S-1826-SM-5NQ8D 40-49 years, female 143.7
GTEX-YJ8O-2226-SM-5IFHW 40-49 years, female 143.2
GTEX-1EN7A-1426-SM-7PBY4 40-49 years, male 142.1
GTEX-WI4N-1426-SM-3LK7H 40-49 years, female 140.8
GTEX-1AX9I-0726-SM-73KWV 60-69 years, male 136.6
GTEX-14ICK-2426-SM-6EU27 40-49 years, male 135.4
GTEX-144GM-0926-SM-5O994 20-29 years, male 135.2
GTEX-13FTW-1426-SM-5LZWZ 40-49 years, male 134.6
GTEX-ZDXO-0126-SM-5S2ND 60-69 years, male 133.7
GTEX-1PPGY-1526-SM-EVYBK 60-69 years, male 133.3
GTEX-YFCO-1826-SM-4W1YH 40-49 years, male 132.8
GTEX-1H1DG-0526-SM-9YFLN 70-79 years, male 131.9
GTEX-18465-2026-SM-718AP 50-59 years, male 131.1
GTEX-183FY-1126-SM-7DHLJ 20-29 years, male 130.3
GTEX-12WSK-2226-SM-5GCO5 40-49 years, female 127.4
GTEX-1HFI7-0126-SM-CGQFQ 50-59 years, female 127.4
GTEX-R55D-0826-SM-48FEA 50-59 years, male 126.9
GTEX-1M4P7-2626-SM-E9U5F 60-69 years, male 126.1
GTEX-13VXU-2826-SM-664MA 50-59 years, male 124.3
GTEX-1NHNU-0926-SM-E9J2T 50-59 years, male 122.7
GTEX-1GN2E-2226-SM-9WG6J 60-69 years, male 122.0
GTEX-11DXY-2326-SM-5GICW 60-69 years, male 120.6
GTEX-17HGU-1326-SM-79OKB 50-59 years, male 120.1
GTEX-14753-2426-SM-5LU8U 60-69 years, male 119.4
GTEX-15UF7-0726-SM-6M46D 40-49 years, male 119.1
GTEX-1JN1M-3026-SM-CMKGK 60-69 years, female 118.1
GTEX-1QCLZ-2326-SM-DTXDO 60-69 years, female 116.7
GTEX-TKQ2-1826-SM-33HB2 50-59 years, male 116.4
GTEX-139T6-1626-SM-5PNYZ 50-59 years, male 116.1
GTEX-11OF3-1926-SM-59889 60-69 years, male 116.0
GTEX-17EVQ-0426-SM-7LG57 70-79 years, male 115.5
GTEX-WRHU-0326-SM-3MJFY 50-59 years, female 114.8
GTEX-QVJO-1826-SM-447C9 60-69 years, female 114.4
GTEX-1H4P4-2226-SM-9MQKQ 50-59 years, male 113.8
GTEX-1QPFJ-2026-SM-EVYBE 30-39 years, female 113.7
GTEX-XYKS-1326-SM-4BRUN 60-69 years, female 111.9
GTEX-1A3MX-2726-SM-718B6 60-69 years, male 111.7
GTEX-ZYT6-0126-SM-5E45J 30-39 years, male 111.4
GTEX-145MN-1926-SM-5SIAI 30-39 years, male 110.1
GTEX-11DXZ-1926-SM-5GZZL 50-59 years, male 109.3
GTEX-11GSP-0926-SM-9WYSG 60-69 years, female 109.1
GTEX-1LSVX-2426-SM-E6CJX 60-69 years, male 108.0
GTEX-U412-1826-SM-4DXTJ 60-69 years, male 107.9
GTEX-XQ3S-1326-SM-4BOPQ 20-29 years, male 106.7
GTEX-1HT8W-2226-SM-CGQEC 30-39 years, male 106.6
GTEX-XMK1-1126-SM-4IHJ8 40-49 years, male 106.2
GTEX-11NV4-2026-SM-5N9DG 60-69 years, male 105.3
GTEX-17KNJ-2026-SM-7LG53 50-59 years, male 105.0
GTEX-1GPI7-0926-SM-7PC3J 20-29 years, male 104.7
GTEX-1EKGG-2626-SM-7IGPY 60-69 years, male 103.7
GTEX-REY6-2426-SM-48FF5 60-69 years, male 103.5
GTEX-13FTX-1126-SM-5N9EN 20-29 years, female 103.4
GTEX-Y114-2026-SM-4TT7L 50-59 years, female 103.3
GTEX-Y8E4-1626-SM-5S2MW 40-49 years, male 103.0
GTEX-1B8L1-2426-SM-9WYTE 60-69 years, male 102.7
GTEX-1I6K6-0826-SM-ARL7Z 30-39 years, male 102.1
GTEX-13D11-1026-SM-5IJFB 50-59 years, female 101.7
GTEX-145MF-2226-SM-7EPIR 50-59 years, male 101.3
GTEX-1GF9U-1726-SM-7MGY5 40-49 years, female 101.3
GTEX-1LBAC-0926-SM-CXKY9 20-29 years, male 101.2
GTEX-TKQ1-0226-SM-33HB5 30-39 years, male 101.0
GTEX-1HR98-0426-SM-COH36 60-69 years, male 100.1
GTEX-ZV7C-1826-SM-5NQ83 50-59 years, male 99.5
GTEX-1HBPM-0126-SM-ARL9E 60-69 years, female 98.7
GTEX-1J8QM-2026-SM-ARZMW 60-69 years, female 96.7
GTEX-1313W-0826-SM-5EQ4T 50-59 years, female 95.0
GTEX-11ZUS-0826-SM-5FQUY 30-39 years, male 94.9
GTEX-1B933-2526-SM-7IGO5 50-59 years, female 94.6
GTEX-16BQI-1026-SM-7KUEA 30-39 years, female 94.5
GTEX-1KD4Q-2326-SM-D4P3M 40-49 years, male 94.3
GTEX-1AMEY-1026-SM-718AA 30-39 years, female 93.4
GTEX-RUSQ-2026-SM-4GIAK 50-59 years, male 93.3
GTEX-1E2YA-2726-SM-7IGPW 50-59 years, male 93.2
GTEX-1LG7Z-0726-SM-CXKYD 30-39 years, male 93.2
GTEX-1EWIQ-1726-SM-7SB7T 70-79 years, female 92.7
GTEX-12WSM-1726-SM-5BC6J 60-69 years, male 91.8
GTEX-1I1GV-2426-SM-CGQFM 60-69 years, male 91.5
GTEX-13PVR-2226-SM-7DHKP 60-69 years, female 91.4
GTEX-WOFL-0826-SM-3MJG1 60-69 years, male 91.2
GTEX-1I1GU-1026-SM-ADEHJ 40-49 years, male 89.9
GTEX-1HCU7-1026-SM-ADEIP 50-59 years, male 89.3
GTEX-ZA64-1526-SM-5CVMD 20-29 years, male 88.4
GTEX-UPK5-2326-SM-3P5Z8 40-49 years, male 88.2
GTEX-RU72-0626-SM-46MUI 50-59 years, female 87.6
GTEX-X62O-0526-SM-EWRMA 50-59 years, male 85.9
GTEX-18D9A-1526-SM-7LG4J 30-39 years, female 85.0
GTEX-X261-0626-SM-3NMD9 50-59 years, male 84.0
GTEX-18A6Q-0926-SM-7LG4N 60-69 years, male 83.8
GTEX-11EI6-0626-SM-5985T 60-69 years, male 83.0
GTEX-13O61-1826-SM-5KM4I 60-69 years, male 82.7
GTEX-14PKU-0426-SM-6EU1P 40-49 years, female 81.8
GTEX-146FH-0826-SM-5SI8T 50-59 years, female 79.6
GTEX-1KANC-1426-SM-CYPT9 50-59 years, female 79.5
GTEX-ZPIC-1126-SM-5BC7F 40-49 years, female 79.0
GTEX-ZYFC-0826-SM-5E44K 50-59 years, male 78.9
GTEX-1I19N-2826-SM-CL55D 70-79 years, male 78.7
GTEX-1MJK2-2226-SM-EVYCR 50-59 years, male 78.4
GTEX-1JMLX-2026-SM-CMKGN 50-59 years, male 78.2
GTEX-11LCK-2426-SM-5HL5F 30-39 years, male 77.5
GTEX-ZVZQ-0826-SM-51MRF 60-69 years, female 77.5
GTEX-1IOXB-1926-SM-ARL8E 50-59 years, male 77.2
GTEX-13O3P-0826-SM-5L3DH 50-59 years, male 76.8
GTEX-1MA7X-1626-SM-E9U5B 60-69 years, male 76.6
GTEX-1C64O-0726-SM-7DUFU 60-69 years, male 76.2
GTEX-UJHI-1426-SM-3DB9C 50-59 years, female 75.7
GTEX-1QEPI-0926-SM-DTXF3 60-69 years, female 75.7
GTEX-ZUA1-1526-SM-59HLS 40-49 years, male 75.2
GTEX-1GZHY-0726-SM-9WG6B 50-59 years, female 75.2
GTEX-1122O-1226-SM-5H113 60-69 years, female 75.0
GTEX-15G19-2126-SM-6M48J 60-69 years, male 74.3
GTEX-147F4-2826-SM-5NQBN 50-59 years, male 73.2
GTEX-1JKYR-0926-SM-CMKGJ 20-29 years, male 73.1
GTEX-1AX9J-1126-SM-731B7 60-69 years, male 72.7
GTEX-W5X1-2326-SM-3GIL6 40-49 years, female 72.5
GTEX-17F98-0526-SM-79OK5 40-49 years, female 72.2
GTEX-ZDTT-2126-SM-DKPOM 60-69 years, male 72.1
GTEX-11NSD-0926-SM-5N9DR 20-29 years, male 71.8
GTEX-XV7Q-2326-SM-4BRVZ 40-49 years, female 71.8
GTEX-15UF6-0126-SM-6PAMB 70-79 years, female 71.2
GTEX-13CF3-2126-SM-5IFJP 60-69 years, female 71.0
GTEX-11WQC-1726-SM-5GU4W 60-69 years, male 70.7
GTEX-1CB4G-2326-SM-79OOI 60-69 years, male 70.1
GTEX-13113-5013-SM-7SB7G 60-69 years, female 69.3
GTEX-XMD1-0826-SM-4AT52 60-69 years, male 69.0
GTEX-117YX-1426-SM-5H12H 50-59 years, male 68.6
GTEX-1F75A-1826-SM-7SB8G 50-59 years, male 68.5
GTEX-14PN4-0626-SM-62LFP 50-59 years, male 68.1
GTEX-1BAJH-0826-SM-7EWEF 70-79 years, male 68.0
GTEX-1PDJ9-1126-SM-EXUSW 20-29 years, male 67.3
GTEX-1R9PN-0326-SM-DTX85 40-49 years, female 67.1
GTEX-TML8-1226-SM-32QON 40-49 years, female 66.9
GTEX-1H3VY-0926-SM-ACKXE 50-59 years, male 66.9
GTEX-1QW4Y-1026-SM-DTXE2 30-39 years, male 66.8
GTEX-YEC3-1026-SM-5IFI5 50-59 years, male 66.7
GTEX-1J8Q2-2726-SM-A9G2X 60-69 years, male 66.4
GTEX-WYJK-1326-SM-3NB2T 50-59 years, male 66.3
GTEX-X4EP-2926-SM-3P5YQ 60-69 years, female 64.7
GTEX-ZQUD-1926-SM-51MSA 30-39 years, male 64.7
GTEX-ZY6K-1626-SM-5GZWV 50-59 years, male 64.5
GTEX-17MF6-0326-SM-7EPH5 40-49 years, male 64.4
GTEX-1I6K7-1026-SM-A9SLK 40-49 years, male 63.1
GTEX-WY7C-2726-SM-3NB3P 50-59 years, male 62.7
GTEX-1GZ4H-0326-SM-7P8QX 50-59 years, female 62.3
GTEX-18A66-1726-SM-7LG5N 60-69 years, male 62.1
GTEX-1GMRU-0826-SM-9WYT7 50-59 years, male 61.3
GTEX-11DXW-0626-SM-5N9ER 40-49 years, male 61.0
GTEX-11O72-2126-SM-5N9FO 40-49 years, male 60.8
GTEX-17HHY-0926-SM-793C1 50-59 years, male 60.3
GTEX-Y5V5-2126-SM-4WWFO 60-69 years, female 60.3
GTEX-11TT1-2126-SM-5GU5Y 20-29 years, male 60.1
GTEX-15SHW-1326-SM-6PAL8 60-69 years, male 60.0
GTEX-ZU9S-1926-SM-5NQBP 30-39 years, male 59.8
GTEX-11EQ9-1826-SM-5Q5AJ 30-39 years, male 58.9
GTEX-1JJEA-2726-SM-ARL8V 60-69 years, male 58.8
GTEX-11EM3-1326-SM-5N9C6 20-29 years, female 58.7
GTEX-WXYG-2226-SM-4E3IM 50-59 years, female 58.5
GTEX-Q2AG-0326-SM-48U1O 40-49 years, female 58.4
GTEX-1JMOU-2026-SM-CMKGU 60-69 years, female 57.9
GTEX-Y5V6-2126-SM-4WWFX 60-69 years, male 57.6
GTEX-1OKEX-0826-SM-E9J2B 60-69 years, male 57.6
GTEX-17HG3-0126-SM-7IGNH 30-39 years, female 57.3
GTEX-1R46S-2526-SM-E8VN2 60-69 years, female 57.3
GTEX-11I78-2226-SM-5PNYA 50-59 years, female 56.6
GTEX-14DAR-1326-SM-7DUEG 50-59 years, male 56.6
GTEX-12BJ1-1826-SM-5HL9N 60-69 years, male 56.3
GTEX-13FHO-0826-SM-5L3E8 60-69 years, male 55.9
GTEX-1ICG6-1326-SM-ACKWR 70-79 years, female 55.5
GTEX-1LC47-1226-SM-D4P44 60-69 years, male 55.5
GTEX-132AR-0826-SM-5EGK6 50-59 years, female 55.3
GTEX-ZYW4-0826-SM-5GIDG 60-69 years, male 55.3
GTEX-17F9E-2526-SM-7MGW2 50-59 years, male 55.3
GTEX-17HHE-1426-SM-7EPH4 50-59 years, male 55.2
GTEX-1F5PK-2126-SM-7PC28 50-59 years, male 54.7
GTEX-1IDFM-0426-SM-B2LVV 60-69 years, male 54.3
GTEX-14B4R-1226-SM-5TDDT 30-39 years, male 53.9
GTEX-13CF2-2026-SM-5K7VI 60-69 years, male 53.7
GTEX-1HCUA-0726-SM-ACKVU 50-59 years, female 53.7
GTEX-1LNCM-0226-SM-DIPF4 50-59 years, female 53.5
GTEX-11ONC-2126-SM-5HL6E 60-69 years, male 53.1
GTEX-13QJ3-0826-SM-7DHKK 50-59 years, male 53.0
GTEX-ZLV1-1426-SM-DO92Z 60-69 years, female 53.0
GTEX-VJWN-0726-SM-3GIJ8 50-59 years, female 52.7
GTEX-QEG5-0726-SM-D4P1T 20-29 years, male 52.5
GTEX-1CAMR-1426-SM-793BO 20-29 years, male 52.3
GTEX-R53T-1526-SM-48FEK 50-59 years, female 52.2
GTEX-14PJ4-2126-SM-6ETZJ 60-69 years, male 52.1
GTEX-SE5C-2126-SM-4BRUJ 40-49 years, female 52.0
GTEX-1A8G7-2426-SM-731AK 60-69 years, male 51.6
GTEX-1H11D-1526-SM-9MQJY 40-49 years, male 51.6
GTEX-Y8LW-1626-SM-5IFHX 50-59 years, female 51.4
GTEX-1JMQK-2626-SM-COH2W 60-69 years, male 51.1
GTEX-TMMY-0726-SM-33HBE 40-49 years, female 51.0
GTEX-13W3W-1226-SM-5LU4H 60-69 years, female 50.7
GTEX-1IDJF-2326-SM-ARL86 20-29 years, male 50.7
GTEX-14E6E-1326-SM-5S2NR 30-39 years, male 50.5
GTEX-ZZPU-0626-SM-5E43T 50-59 years, female 49.9
GTEX-RWS6-1926-SM-47JXY 60-69 years, female 49.8
GTEX-Y111-2026-SM-4SOJA 50-59 years, male 49.2
GTEX-1211K-1926-SM-5EQLB 60-69 years, female 49.0
GTEX-Y3I4-1526-SM-4TT7K 50-59 years, male 49.0
GTEX-13SLW-2526-SM-62LDQ 70-79 years, male 48.8
GTEX-ZQG8-0726-SM-5P9H9 60-69 years, female 48.7
GTEX-17F96-2426-SM-7IGLN 70-79 years, male 48.6
GTEX-1KXAM-1026-SM-CY8IA 60-69 years, male 48.3
GTEX-1PPH7-0826-SM-E8VNX 40-49 years, male 48.1
GTEX-13S86-1226-SM-5S2OA 40-49 years, male 48.0
GTEX-R3RS-0626-SM-48FE1 40-49 years, female 47.9
GTEX-S32W-2026-SM-4AD6E 50-59 years, female 47.4
GTEX-YECK-0726-SM-EZ6LV 60-69 years, male 47.4
GTEX-145MO-0826-SM-5NQBL 60-69 years, male 46.9
GTEX-11GS4-2126-SM-5A5KR 60-69 years, male 46.5
GTEX-S4P3-1326-SM-4AD6V 50-59 years, female 46.3
GTEX-1A3MV-1626-SM-731C1 30-39 years, male 46.2
GTEX-ZTTD-1026-SM-51MRD 50-59 years, male 46.2
GTEX-XQ8I-2426-SM-4WAXY 50-59 years, male 45.8
GTEX-1269C-2426-SM-5FQSN 60-69 years, female 45.7
GTEX-13NZ8-0126-SM-5IJCT 60-69 years, female 45.5
GTEX-1JJE9-2326-SM-ARL8Q 70-79 years, male 45.5
GTEX-13NZB-2126-SM-5MR4Y 30-39 years, male 45.3
GTEX-1QP28-1226-SM-E9J2M 50-59 years, female 45.0
GTEX-13NZ9-1026-SM-5MR5K 50-59 years, male 44.9
GTEX-1GPI6-0626-SM-7RHHJ 60-69 years, male 44.9
GTEX-Y9LG-1426-SM-5IFJZ 30-39 years, male 44.8
GTEX-ZAK1-1326-SM-EVYAS 50-59 years, female 44.7
GTEX-13OW8-0226-SM-5K7UP 60-69 years, male 44.6
GTEX-11P7K-0726-SM-5EGKX 30-39 years, male 44.4
GTEX-1IKJJ-2326-SM-COH3U 60-69 years, male 44.4
GTEX-13N11-1726-SM-5J1OJ 50-59 years, female 44.2
GTEX-1GMR3-2626-SM-7RHHG 40-49 years, male 44.2
GTEX-T6MN-0726-SM-32PML 50-59 years, male 44.0
GTEX-1KAFJ-0226-SM-DIPEL 50-59 years, male 43.8
GTEX-1R9JW-0326-SM-EAZ45 30-39 years, female 43.7
GTEX-1IDJU-1826-SM-CMKHV 60-69 years, female 43.4
GTEX-1CB4J-1826-SM-7EWF9 60-69 years, male 43.1
GTEX-XGQ4-0926-SM-4AT4U 50-59 years, male 42.8
GTEX-1MCYP-0126-SM-E6CIS 20-29 years, female 42.7
GTEX-WYBS-0926-SM-3NM94 60-69 years, female 42.6
GTEX-1I1GT-1126-SM-ARL7J 60-69 years, female 42.6
GTEX-ZVTK-0326-SM-51MRR 20-29 years, male 42.4
GTEX-XMD2-0926-SM-4WWEF 60-69 years, female 42.3
GTEX-ZEX8-2226-SM-57WC6 50-59 years, male 42.2
GTEX-1N5O9-1126-SM-DTXEQ 60-69 years, male 42.0
GTEX-117XS-1926-SM-5GICO 60-69 years, male 41.8
GTEX-1C6VS-0726-SM-7EPHF 60-69 years, male 41.8
GTEX-1JMPZ-1626-SM-COH31 30-39 years, male 41.6
GTEX-17JCI-0726-SM-7EPH1 60-69 years, female 41.5
GTEX-S4Q7-1126-SM-4AD6R 20-29 years, male 41.4
GTEX-1H1ZS-0126-SM-9YFKQ 70-79 years, male 41.3
GTEX-1AX8Z-0926-SM-731AW 60-69 years, male 41.1
GTEX-ZLFU-2126-SM-DO931 40-49 years, male 41.1
GTEX-1MCC2-2126-SM-EWRON 30-39 years, female 40.9
GTEX-11GSO-1926-SM-5A5K3 60-69 years, male 40.4
GTEX-1F75I-2026-SM-7SB7N 40-49 years, male 40.4
GTEX-1F5PL-1026-SM-7RHI1 40-49 years, female 40.2
GTEX-17EVP-0226-SM-79OND 40-49 years, male 40.0
GTEX-1LSNL-2826-SM-E9U5L 50-59 years, male 39.5
GTEX-1B8KZ-1526-SM-7DUG7 50-59 years, male 39.2
GTEX-S341-1526-SM-4AD6K 40-49 years, female 39.1
GTEX-1HUB1-1626-SM-CM2SL 60-69 years, male 38.8
GTEX-1QP9N-1826-SM-E8VMP 30-39 years, male 38.8
GTEX-17F97-2526-SM-7EWDV 50-59 years, male 38.7
GTEX-QMRM-1626-SM-D4P1U 50-59 years, male 38.6
GTEX-13OW5-2226-SM-5L3HC 60-69 years, male 38.5
GTEX-ZTX8-1226-SM-4YCE9 20-29 years, male 38.5
GTEX-1JN6P-2426-SM-ARL99 60-69 years, male 38.5
GTEX-Z9EW-1526-SM-EZ6LU 40-49 years, male 38.4
GTEX-VUSG-2226-SM-4KKZO 50-59 years, male 37.8
GTEX-1R9PM-1826-SM-EVYBH 20-29 years, male 37.8
GTEX-ZF3C-2326-SM-5S2NC 50-59 years, female 37.8
GTEX-1314G-1226-SM-5BC6D 30-39 years, male 37.6
GTEX-XUW1-2326-SM-4BOO5 50-59 years, female 37.6
GTEX-1JMPY-0526-SM-CL54O 30-39 years, male 37.6
GTEX-1RQEC-2026-SM-DTXDM 60-69 years, male 37.5
GTEX-14A5I-0726-SM-5TDEB 50-59 years, female 37.1
GTEX-1GMR8-0726-SM-9KNVI 50-59 years, female 36.7
GTEX-1MA7W-1026-SM-DKPQK 20-29 years, female 36.3
GTEX-YB5E-1726-SM-5IFJ3 40-49 years, male 36.2
GTEX-1GN1W-1926-SM-7P8TH 50-59 years, female 36.2
GTEX-ZZ64-1226-SM-5E43R 20-29 years, male 35.9
GTEX-XBED-1626-SM-47JYN 60-69 years, male 35.4
GTEX-1MJK3-1126-SM-E9J3F 20-29 years, male 35.3
GTEX-14LLW-0626-SM-62LFC 70-79 years, female 35.2
GTEX-1B97J-0426-SM-79OLQ 50-59 years, female 34.5
GTEX-1L5NE-2126-SM-CY8IH 50-59 years, male 34.5
GTEX-11P81-1926-SM-5BC53 30-39 years, female 34.2
GTEX-133LE-1726-SM-5K7VQ 20-29 years, female 34.2
GTEX-1K2DA-1726-SM-CGQGS 50-59 years, male 33.9
GTEX-15RJE-2626-SM-7KFT1 40-49 years, male 33.7
GTEX-1HSGN-1526-SM-A9SMO 40-49 years, female 33.7
GTEX-1117F-2826-SM-5GZXL 60-69 years, female 33.6
GTEX-1B97I-0426-SM-79OL7 40-49 years, male 33.4
GTEX-1K9T9-1426-SM-DIPFQ 50-59 years, female 33.4
GTEX-WFON-1826-SM-3GILG 40-49 years, male 33.3
GTEX-ZT9W-2026-SM-51MRA 50-59 years, male 33.3
GTEX-QDT8-0626-SM-48TYW 30-39 years, female 33.2
GTEX-1GZ4I-2826-SM-9MQK5 50-59 years, male 33.1
GTEX-14PHY-1926-SM-5YY95 60-69 years, female 32.9
GTEX-X15G-1626-SM-3NMB3 50-59 years, female 32.8
GTEX-16YQH-2826-SM-6PAMY 30-39 years, male 32.6
GTEX-ZDYS-1126-SM-5K7UB 50-59 years, male 32.6
GTEX-1RLM8-2226-SM-EVYD1 50-59 years, male 32.2
GTEX-ZGAY-1726-SM-DO91P 40-49 years, female 32.2
GTEX-1N2EE-2126-SM-E8VNN 60-69 years, male 32.0
GTEX-1GN1U-0526-SM-9KNTT 50-59 years, female 31.6
GTEX-1GZ2Q-2626-SM-7MXV9 40-49 years, male 31.4
GTEX-18QFQ-0826-SM-718AX 30-39 years, male 30.8
GTEX-1EU9M-2826-SM-7EWFH 60-69 years, male 30.8
GTEX-Y5LM-1726-SM-4VDSX 40-49 years, female 30.7
GTEX-12ZZX-1126-SM-5EGKB 40-49 years, female 30.6
GTEX-ZF29-1926-SM-5S2P1 60-69 years, female 30.6
GTEX-1B8SG-1226-SM-7IGPF 50-59 years, male 30.5
GTEX-145LT-0726-SM-5S2VM 40-49 years, male 30.4
GTEX-131YS-0626-SM-5EGKL 60-69 years, female 30.2
GTEX-1H1E6-0926-SM-9YFLT 30-39 years, male 30.2
GTEX-1C6VQ-0426-SM-79OOX 50-59 years, male 29.8
GTEX-ZAJG-0626-SM-5HL8X 50-59 years, female 29.8
GTEX-ZWKS-2826-SM-5NQ74 30-39 years, male 29.7
GTEX-1IY9M-2726-SM-CMKG5 60-69 years, male 29.5
GTEX-169BO-1126-SM-7MGWN 50-59 years, male 29.1
GTEX-1R7EU-1226-SM-E8VMR 60-69 years, male 29.0
GTEX-1HR9M-2426-SM-ACKXI 60-69 years, male 28.9
GTEX-1QCLY-1626-SM-DTXDW 30-39 years, male 28.4
GTEX-1H1CY-2226-SM-9WG7E 60-69 years, female 28.3
GTEX-1IKOE-1326-SM-CE6T6 30-39 years, female 28.2
GTEX-13QIC-2326-SM-5LU5N 60-69 years, female 28.1
GTEX-11EMC-2026-SM-5A5JV 60-69 years, female 28.0
GTEX-Y3IK-2326-SM-4WWDT 50-59 years, female 27.6
GTEX-1J8EW-2626-SM-CL53E 60-69 years, female 27.6
GTEX-1HCVE-2626-SM-ADEJ8 50-59 years, male 27.3
GTEX-14AS3-1626-SM-5S2OY 40-49 years, female 27.2
GTEX-1CB4E-0226-SM-79OLW 60-69 years, male 27.2
GTEX-U3ZH-1426-SM-4DXSR 30-39 years, male 27.2
GTEX-1F6I4-2526-SM-7SB8F 60-69 years, male 27.2
GTEX-15ER7-1626-SM-6PAMZ 20-29 years, female 26.9
GTEX-11P82-1326-SM-5HL62 20-29 years, male 26.8
GTEX-1F75B-0626-SM-7SB8A 50-59 years, male 26.8
GTEX-1399U-1826-SM-5PNZ1 50-59 years, female 26.7
GTEX-17EUY-1926-SM-7DUF6 20-29 years, male 26.7
GTEX-ZLWG-1926-SM-DO92J 50-59 years, female 26.6
GTEX-1B932-0826-SM-73KXG 40-49 years, female 26.5
GTEX-YFC4-1426-SM-5IFJG 40-49 years, female 26.4
GTEX-14PJO-0726-SM-69LO8 60-69 years, male 26.2
GTEX-U3ZN-1926-SM-4DXSG 30-39 years, female 26.0
GTEX-1GF9X-1026-SM-ACKX2 40-49 years, female 25.9
GTEX-V955-2026-SM-3GAFA 60-69 years, male 25.8
GTEX-11ZTT-2326-SM-5EQLG 60-69 years, female 25.6
GTEX-1I1HK-2426-SM-ADEHX 60-69 years, male 25.4
GTEX-11PRG-0826-SM-5EQ6A 50-59 years, male 25.2
GTEX-RU1J-0626-SM-4WAWY 20-29 years, female 25.2
GTEX-T5JW-2026-SM-4DM63 20-29 years, female 25.2
GTEX-1QP29-1726-SM-E8VMQ 50-59 years, male 25.1
GTEX-WHSB-1926-SM-EXOHH 50-59 years, male 25.0
GTEX-15FZZ-0726-SM-7KUFZ 30-39 years, female 24.9
GTEX-1GMR2-1926-SM-9MQLZ 50-59 years, male 24.8
GTEX-16NGA-0826-SM-718AF 40-49 years, female 24.5
GTEX-1IE54-0626-SM-ARL8D 40-49 years, female 24.4
GTEX-1HSEH-2026-SM-ADEHN 60-69 years, male 24.3
GTEX-ZTPG-2826-SM-57WGA 20-29 years, female 24.1
GTEX-183WM-0726-SM-7LTAA 70-79 years, female 23.9
GTEX-1HCU9-0326-SM-9WYSC 20-29 years, male 23.2
GTEX-17GQL-0326-SM-7LG5U 60-69 years, male 23.0
GTEX-T6MO-0326-SM-32QOK 40-49 years, female 22.9
GTEX-11DZ1-0326-SM-5N9BN 50-59 years, male 22.8
GTEX-1R7EV-1526-SM-E8VOD 40-49 years, male 22.8
GTEX-WFG8-2026-SM-EXOHO 20-29 years, male 22.4
GTEX-14BMU-1626-SM-5TDE7 20-29 years, female 22.2
GTEX-YB5K-1626-SM-5IFIN 40-49 years, female 22.1
GTEX-UTHO-1026-SM-3GAF7 60-69 years, male 21.8
GTEX-1LGRB-1826-SM-CNPQL 50-59 years, female 21.8
GTEX-T5JC-2126-SM-32PMO 20-29 years, male 21.6
GTEX-1JKYN-0726-SM-ARZMY 30-39 years, male 21.2
GTEX-18A7B-2626-SM-7LG55 70-79 years, male 21.0
GTEX-1HSKV-2026-SM-CMKGX 60-69 years, male 21.0
GTEX-1HKZK-1826-SM-ADEJ2 40-49 years, male 20.8
GTEX-139TU-0626-SM-5KM3X 60-69 years, male 20.5
GTEX-PSDG-1626-SM-48TCQ 50-59 years, male 20.0
GTEX-ZAB4-2526-SM-5HL8M 40-49 years, male 20.0
GTEX-1IDJE-0826-SM-CKZNZ 50-59 years, female 19.8
GTEX-ZC5H-2626-SM-5J2MG 40-49 years, female 19.6
GTEX-1LVAN-1326-SM-CNPQE 50-59 years, female 19.5
GTEX-1LVAM-0926-SM-E9TJ2 50-59 years, female 19.1
GTEX-111YS-1926-SM-5GICC 60-69 years, male 19.0
GTEX-13PL6-2926-SM-5L3I2 40-49 years, female 19.0
GTEX-1I4MK-1626-SM-CM2TJ 50-59 years, female 19.0
GTEX-1S82U-1126-SM-E9U6I 30-39 years, female 18.7
GTEX-1JK1U-1826-SM-ARL8W 60-69 years, male 18.4
GTEX-T2YK-2226-SM-32QPT 50-59 years, male 18.2
GTEX-13SLX-2326-SM-5ZZWE 50-59 years, female 18.1
GTEX-S4UY-0726-SM-4AD6X 40-49 years, female 17.9
GTEX-1KANA-2026-SM-DIPFB 20-29 years, male 17.5
GTEX-1IKOH-2326-SM-CM2TW 60-69 years, female 17.4
GTEX-145ME-1526-SM-5Q5F2 40-49 years, female 17.3
GTEX-12WSN-1326-SM-5GCNT 40-49 years, male 17.1
GTEX-1CAMS-1426-SM-7IGPM 40-49 years, female 17.0
GTEX-1HBPN-2326-SM-9WPPU 50-59 years, male 16.9
GTEX-T2IS-1526-SM-32QPR 20-29 years, female 16.8
GTEX-1LSNM-1326-SM-E9TJ1 50-59 years, male 16.5
GTEX-1J8Q3-1326-SM-CMKI1 60-69 years, male 16.4
GTEX-1ICLZ-0426-SM-B2LW2 60-69 years, male 16.2
GTEX-ZVE2-1226-SM-5NQ8R 50-59 years, male 16.0
GTEX-13FTY-2226-SM-5J1ND 40-49 years, female 14.6
GTEX-ZVT2-1826-SM-5NQ8W 50-59 years, female 14.4
GTEX-QEL4-2126-SM-447AE 50-59 years, male 14.2
GTEX-14ABY-2126-SM-5QGQZ 50-59 years, male 13.9
GTEX-XOT4-0726-SM-4GIAW 60-69 years, female 13.9
GTEX-15ETS-0626-SM-7KUMX 40-49 years, female 13.7
GTEX-WYVS-1726-SM-3NMAY 40-49 years, female 13.7
GTEX-1P4AB-1826-SM-E76PU 50-59 years, male 13.6
GTEX-ZXES-0826-SM-5E43C 30-39 years, female 13.5
GTEX-1192X-2326-SM-5987X 50-59 years, male 13.4
GTEX-ZF2S-2026-SM-5E461 50-59 years, female 13.2
GTEX-1B8KE-1226-SM-73KWK 50-59 years, male 13.0
GTEX-14H4A-2526-SM-5YYAY 40-49 years, female 12.2
GTEX-1RAZQ-1226-SM-EWRNL 30-39 years, male 11.3
GTEX-1RAZS-1226-SM-E8VMT 50-59 years, male 11.3
GTEX-1M5QR-2526-SM-E9U5P 40-49 years, male 11.2
GTEX-132Q8-1426-SM-5EGK7 60-69 years, male 10.8
GTEX-1C475-1226-SM-7SB72 40-49 years, female 10.3
GTEX-131XW-0726-SM-5EGK3 50-59 years, female 9.4
GTEX-1POEN-0926-SM-DTX88 30-39 years, female 9.4
GTEX-XUZC-1626-SM-4BRVP 30-39 years, female 8.5
GTEX-139T8-0826-SM-5L3DE 60-69 years, male 6.7
GTEX-1NUQO-2226-SM-E9U68 20-29 years, female 5.1
Show allShow less

BREAST - FANTOM5 CAGEi

RNA expression in human tissues obtained through Cap Analysis of Gene Expression (CAGE) generated by the FANTOM5 project are reported as Scaled Tags Per Million.

Max subtype Scaled Tags Per Millioni

Max subtype Scaled Tags Per Million is the value for the subtype with the largest average Scaled Tags Per Million across the subtype samples.

110.3
FANTOM5 sample id Sample description Scaled Tags Per Million
Breast
Scaled Tags Per Million: 110.3
FF:10080-102A8 77 years, female 110.3

Contact

  • NEWS ARTICLES
  • PRESS ROOM

The Project

  • INTRODUCTION
  • ORGANIZATION
  • PUBLICATIONS

The Human Protein Atlas

  • DOWNLOADABLE DATA
  • LICENCE & CITATION
  • HELP & FAQ
The Human Protein Atlas project is funded
by the Knut & Alice Wallenberg Foundation.


contact@proteinatlas.org