We use cookies to enhance the usability of our website. If you continue, we'll assume that you are happy to receive all cookies. More information. Don't show this again.
ACKR3
HPA
RESOURCES
  • TISSUE
  • BRAIN
  • SINGLE CELL
  • SUBCELLULAR
  • CANCER
  • BLOOD
  • CELL LINE
  • STRUCTURE & INTERACTION
ABOUT
  • INTRODUCTION
  • HISTORY
  • ORGANIZATION
  • PUBLICATIONS
  • ANTIBODY SUBMISSION
  • ANTIBODY AVAILABILITY
  • ACKNOWLEDGMENTS
  • CONTACT
NEWS
  • NEWS ARTICLES
  • PRESS ROOM
LEARN
  • DICTIONARY
  • PROTEIN CLASSES
  • PROTEIN EVIDENCE
  • METHODS
  • EDUCATIONAL VIDEOS
DATA
  • DOWNLOADABLE DATA
  • PUBLICATION DATA
  • RELEASE HISTORY
HELP
  • ANTIBODY VALIDATION
  • ASSAYS & ANNOTATION
  • DISCLAIMER
  • HELP & FAQ
  • PRIVACY STATEMENT
  • LICENCE & CITATION
Fields »
Search result

Field
Term
Gene name
Class
Subclass
Class
Keyword
Chromosome
External id
Tissue
Cell type
Expression
Antibody panel
Tissue
Main location
Patient ID
Annotation
Tissue
Category
Tau score
Cluster
Reliability
Brain region
Category
Tau score
Brain region
Category
Tau score
Brain region
Category
Tau score
Cluster
Reliability
Tissue
Cell type
Enrichment
Cell type
Category
Tau score
Cell type
Category
Tau score
Cell type
Category
Tau score
Cell lineage
Category
Tau score
Cluster
Cluster
Location
Searches
Location
Cell line
Class
Type
Phase
Reliability
Cancer
Prognosis
Cancer
Category
Cancer
Category
Tau score
Cluster
Variants
Interacting gene (ensg_id)
Type
Number of interactions
Pathway
Category
Score
Score
Score
Validation
Validation
Validation
Validation
Antibodies
Data type
Column


  • SUMMARY

  • TISSUE

  • BRAIN

  • SINGLE CELL

  • SUBCELL

  • CANCER

  • BLOOD

  • CELL LINE

  • STRUCT & INT

  • ACKR3
TISSUE PRIMARY DATA STOMACH Show tissue menu
ADIPOSE TISSUE ADRENAL GLAND AMYGDALA APPENDIX BASAL GANGLIA BONE MARROW BREAST BRONCHUS CEREBELLUM CEREBRAL CORTEX CERVIX CHOROID PLEXUS COLON DUODENUM
ENDOMETRIUM EPIDIDYMIS ESOPHAGUS FALLOPIAN TUBE GALLBLADDER HEART MUSCLE HIPPOCAMPAL FORMATION HYPOTHALAMUS KIDNEY LIVER LUNG LYMPH NODE MIDBRAIN ORAL MUCOSA
OVARY PANCREAS PARATHYROID GLAND PITUITARY GLAND PLACENTA PROSTATE RECTUM RETINA SALIVARY GLAND SEMINAL VESICLE SKELETAL MUSCLE SKIN SMALL INTESTINE SMOOTH MUSCLE
SOFT TISSUE SPINAL CORD SPLEEN STOMACH TESTIS THYMUS THYROID GLAND TONGUE TONSIL URINARY BLADDER VAGINA
ANTIBODIES
AND
VALIDATION
Dictionary
Tissue proteome
Stomach
STOMACH - Expression summary
Protein expression
Stomachi

On the top, protein expression in current human tissue, based on all annotated cell types, is reported with the units not detected (n), low (l), medium (m) and high (h). Underneath, protein expression in each annotated cell type are reported using the same units.

Protein expression data is based on knowledge-based annotation. For genes where more than one antibody has been used, a collective score is set.

If knowledge-based annotation could not be performed for a gene, no data is displayed here. View antibody staining data further down this page.

h
m
l
n
Glandular cells: Low
RNA expressioni

A summary of mRNA expression data available for current tissue based on several datasets. The mRNA expression levels in human tissues are based on RNA-seq data generated by the Human Protein Atlas (HPA), Genotype-Tissue Expression (GTEx) portal and CAGE data generated by the FANTOM5 consortium. Consensus normalized expression levels for human tissues was created by combining the data from HPA and GTEx datasets.

The mRNA expression levels in pig are based on RNA-seq data generated by the Human Protein Atlas (HPA), and for mouse, HPA data and in situ hybridization generated by the Allen brain atlas are reported.

Scroll down to view mRNA expression data in more detail.
Consensus:27.0 nTPM
HPA:7.9 nTPM
GTEx:27.0 nTPM

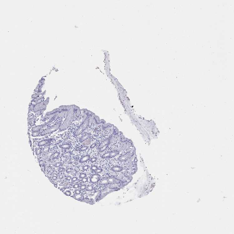
STOMACH 1 - Antibody stainingi

Antibody staining in the annotated cell types in the current human tissue is reported as not detected, low, medium, or high, based on conventional immunohistochemistry profiling in selected tissues. This score is based on the combination of the staining intensity and fraction of stained cells.

Each image is clickable and will lead to virtual microscopy that enables deeper exploration of all samples and also displays staining intensity scores, fraction scores and subcellular localization as well as patient and tissue information for each sample.

Antibody HPA049718
Glandular cells Low


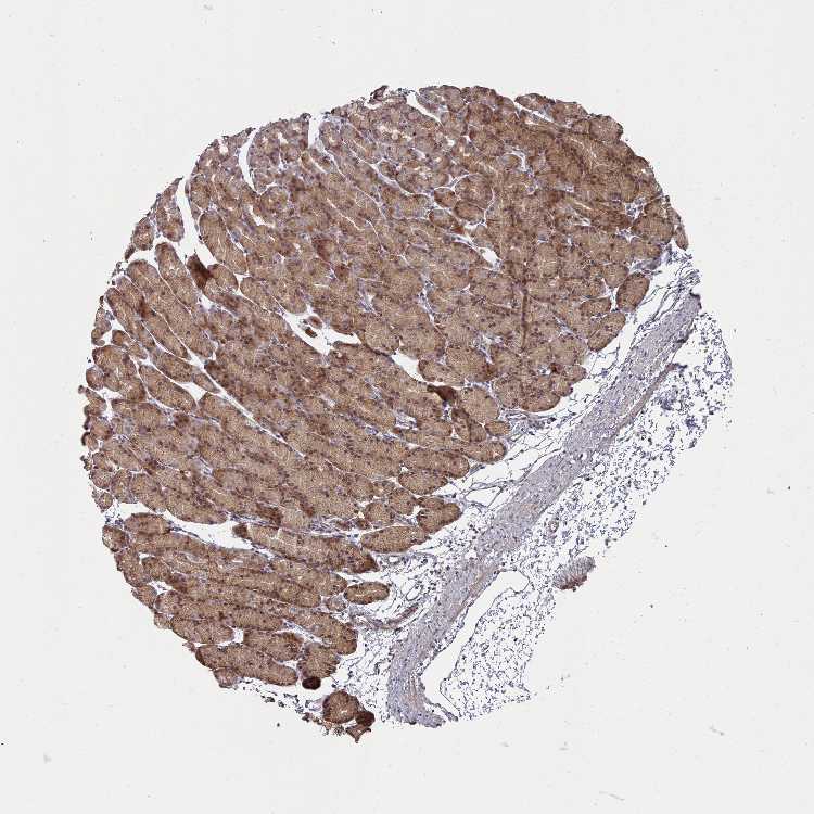
STOMACH 2 - Antibody stainingi

Antibody staining in the annotated cell types in the current human tissue is reported as not detected, low, medium, or high, based on conventional immunohistochemistry profiling in selected tissues. This score is based on the combination of the staining intensity and fraction of stained cells.

Each image is clickable and will lead to virtual microscopy that enables deeper exploration of all samples and also displays staining intensity scores, fraction scores and subcellular localization as well as patient and tissue information for each sample.

Antibody HPA049718
Glandular cells Medium


STOMACH - HPA RNA-seqi

The RNA-seq details section shows detailed information about the individual samples used for the transcript profiling and results of the RNA-seq analysis.

Information about each individual sample is listed below, including gender, age, a tissue section image and estimated fractions of cell types. nTPM (normalized transcripts per million) values give a quantification of the gene abundance which is comparable between different genes and samples.
Average nTPMi

Max subtype nTPM is the value for the subtype with the largest average nTPM across the subtype samples.

7.9
overview
Female, age 33
Stomach sample 61
nTPM: 6.2
Cell types%
Glandular cells:
60

Smooth muscle cells:
5

Other cell types:
35

N/A
Male, age 82
Stomach sample 240
nTPM: 13.6
Cell types%
Glandular cells:
65

Smooth muscle cells:
5

Other cell types:
30

overview
Male, age 71
Stomach sample 241
nTPM: 5
Cell types%
Glandular cells:
50

Smooth muscle cells:
5

Other cell types:
45

overview
Female, age 66
Stomach sample 369
nTPM: 6.6
Cell types%
Glandular cells:
50

Smooth muscle cells:
10

Other cell types:
40


STOMACH - GTEx RNA-seqi

RNA-Seq data generated by the Genotype-Tissue Expression (GTEx) project from human tissues is reported as mean nTPM. More information can be found on the GTEx portal.

Distribution across the dataset is visualized with box plots, shown as median and 25th and 75th percentiles. Points are displayed as outliers if they are above or below 1.5 times the interquartile range. nTPM values of the individual samples are presented next to the box plot.
Max subtype nTPMi

Max subtype nTPM is the value for the subtype with the largest average nTPM across the subtype samples.

27.0
GTEx sample id Sample description nTPM
Stomach
Average nTPM: 27.0
Samples: 359

Max nTPM: 216.4
Min nTPM: 3.4
Std nTPM: 25.7
Median nTPM: 16.5
GTEX-11NUK-2426-SM-5BC4U 50-59 years, male 216.4
GTEX-1L5NE-1526-SM-DIPFW 50-59 years, male 127.1
GTEX-13N1W-2026-SM-5K7YU 70-79 years, male 121.2
GTEX-ZYY3-1726-SM-5EGH3 60-69 years, female 120.5
GTEX-1JMLX-2426-SM-CXZJQ 50-59 years, male 117.2
GTEX-RTLS-2626-SM-46MUJ 60-69 years, female 113.6
GTEX-1E1VI-2826-SM-7MGWU 50-59 years, male 113.2
GTEX-11VI4-0326-SM-5EQ6L 40-49 years, female 108.3
GTEX-1211K-1426-SM-5FQTF 60-69 years, female 107.4
GTEX-15G19-1526-SM-6LPKP 60-69 years, male 94.9
GTEX-1JN1M-2926-SM-CNNPJ 60-69 years, female 92.4
GTEX-1JMPZ-1826-SM-CXZJT 30-39 years, male 88.0
GTEX-15SHW-2126-SM-6M46Y 60-69 years, male 82.4
GTEX-1NSGN-1926-SM-E9J36 50-59 years, male 78.9
GTEX-PLZ6-0826-SM-3P61K 30-39 years, male 77.5
GTEX-1JMQJ-1326-SM-D4P3B 50-59 years, male 77.4
GTEX-1S831-1126-SM-EWROI 20-29 years, male 77.4
GTEX-UJHI-1026-SM-4IHJP 50-59 years, female 75.7
GTEX-13O3Q-2126-SM-5KM4C 50-59 years, male 74.9
GTEX-13PVQ-2126-SM-5L3FW 50-59 years, male 74.1
GTEX-UPK5-2126-SM-4JBJK 40-49 years, male 71.5
GTEX-12C56-0526-SM-5FQST 20-29 years, male 71.3
GTEX-14PHY-0926-SM-5ZZWL 60-69 years, female 69.7
GTEX-146FR-2026-SM-5NQAI 60-69 years, female 69.6
GTEX-1PIGE-1126-SM-EWRMV 20-29 years, male 68.8
GTEX-YJ8A-1526-SM-5P9FT 20-29 years, male 67.5
GTEX-1B8L1-1526-SM-79OLK 60-69 years, male 67.1
GTEX-1S82Z-1726-SM-E6CHZ 30-39 years, female 66.4
GTEX-13RTK-0226-SM-5RQHR 20-29 years, male 65.8
GTEX-131XE-2226-SM-5PNYX 50-59 years, male 65.3
GTEX-14BMV-2226-SM-5RQHX 50-59 years, male 65.1
GTEX-WH7G-1526-SM-4LVMX 40-49 years, male 65.1
GTEX-ZPIC-2026-SM-57WG3 40-49 years, female 61.8
GTEX-11WQK-2626-SM-5EQ4K 50-59 years, male 61.7
GTEX-P4QT-1526-SM-3NMCT 50-59 years, female 59.6
GTEX-13OVI-2426-SM-5KM4J 60-69 years, female 59.5
GTEX-WZTO-2126-SM-4PQYW 40-49 years, male 59.1
GTEX-15EU6-2526-SM-7KUGB 50-59 years, male 58.2
GTEX-13S7M-1826-SM-5RQK6 60-69 years, female 57.7
GTEX-17JCI-2226-SM-7LTA1 60-69 years, female 57.5
GTEX-QDT8-2026-SM-EZ6LS 30-39 years, female 57.2
GTEX-12WSJ-0926-SM-5P9JD 40-49 years, female 56.6
GTEX-13X6J-2126-SM-5TDCV 50-59 years, male 56.5
GTEX-145MO-2226-SM-5Q5BN 60-69 years, male 53.6
GTEX-1QP67-1026-SM-EVR47 40-49 years, female 53.6
GTEX-146FH-2126-SM-5SI9U 50-59 years, female 52.0
GTEX-1CB4E-1326-SM-7DUGD 60-69 years, male 51.6
GTEX-11P7K-1726-SM-5GU6F 30-39 years, male 51.0
GTEX-11EQ9-1226-SM-5987E 30-39 years, male 50.9
GTEX-1LVAM-1426-SM-E9TJ4 50-59 years, female 50.2
GTEX-13OW6-2526-SM-5IJEC 50-59 years, male 49.4
GTEX-1A3MX-1926-SM-72D7F 60-69 years, male 49.0
GTEX-T5JC-1926-SM-4DM6Q 20-29 years, male 48.5
GTEX-12WSD-2326-SM-59HKQ 60-69 years, female 48.2
GTEX-117YW-2226-SM-5N9DB 50-59 years, male 47.8
GTEX-1E2YA-2426-SM-7EPIG 50-59 years, male 47.7
GTEX-11GSP-2126-SM-5HL5E 60-69 years, female 46.8
GTEX-1KD5A-1426-SM-D4P3V 50-59 years, male 46.6
GTEX-ZE7O-3026-SM-51MS4 50-59 years, female 46.1
GTEX-1H3NZ-2226-SM-9WYUT 60-69 years, male 46.1
GTEX-TKQ2-0926-SM-4DXU5 50-59 years, male 46.0
GTEX-13O61-1126-SM-5L3FI 60-69 years, male 45.9
GTEX-1J8EW-2226-SM-AHZ3T 60-69 years, female 45.4
GTEX-1PPH8-1326-SM-DTXFO 20-29 years, male 45.4
GTEX-S4P3-0726-SM-4AD57 50-59 years, female 45.2
GTEX-1QP29-2326-SM-EXOJO 50-59 years, male 44.8
GTEX-1QMI2-2126-SM-DPRXQ 60-69 years, male 44.2
GTEX-WFJO-1126-SM-4LVLZ 30-39 years, male 43.9
GTEX-Y114-1226-SM-4TT88 50-59 years, female 43.9
GTEX-11EI6-2426-SM-5PNVS 60-69 years, male 43.5
GTEX-1H1DE-1226-SM-9JGHH 20-29 years, male 43.1
GTEX-18A7A-2726-SM-7LG6U 50-59 years, female 43.0
GTEX-11TT1-0726-SM-5GU5A 20-29 years, male 42.5
GTEX-Y3I4-1626-SM-4TT7W 50-59 years, male 42.5
GTEX-1IL2V-2026-SM-ARZMA 70-79 years, male 41.6
GTEX-11P82-0726-SM-5PNYL 20-29 years, male 41.5
GTEX-1HT8W-2326-SM-A9SLA 30-39 years, male 41.3
GTEX-1GPI7-1326-SM-9KNVA 20-29 years, male 40.8
GTEX-TKQ1-0526-SM-4DXTG 30-39 years, male 40.2
GTEX-R55D-1526-SM-48FEJ 50-59 years, male 40.1
GTEX-1CB4H-2426-SM-7PBYR 60-69 years, female 40.0
GTEX-1GMRU-2526-SM-9WG7T 50-59 years, male 39.5
GTEX-1HCU8-1326-SM-C1YQQ 60-69 years, female 39.5
GTEX-ZV6S-0926-SM-57WGB 40-49 years, female 39.3
GTEX-18D9B-2226-SM-718BM 60-69 years, male 39.1
GTEX-ZYVF-2726-SM-5GID4 50-59 years, female 38.5
GTEX-1MCYP-1126-SM-E9J2P 20-29 years, female 38.5
GTEX-1JMPY-0926-SM-ARL92 30-39 years, male 38.4
GTEX-1399U-1626-SM-5P9J3 50-59 years, female 38.0
GTEX-XPVG-1526-SM-4B66C 50-59 years, male 37.7
GTEX-13111-1226-SM-5GCNC 50-59 years, male 37.3
GTEX-13X6H-1626-SM-5Q5CT 50-59 years, female 37.1
GTEX-S4Q7-0726-SM-4AD5F 20-29 years, male 37.0
GTEX-13FH7-1026-SM-5IJGF 50-59 years, female 36.2
GTEX-ZVT3-2126-SM-59HL2 60-69 years, female 36.1
GTEX-S4Z8-1226-SM-4AD6W 60-69 years, male 36.0
GTEX-13QJ3-2726-SM-5SI6L 50-59 years, male 35.8
GTEX-1H11D-2226-SM-9OSXN 40-49 years, male 35.8
GTEX-14PN3-1326-SM-6AJ9U 60-69 years, female 35.7
GTEX-R55C-1026-SM-48FCM 40-49 years, male 34.8
GTEX-15G1A-1226-SM-7KUF3 30-39 years, male 34.5
GTEX-OIZH-1526-SM-3NB1J 50-59 years, male 33.4
GTEX-1K2DA-0826-SM-CGQGD 50-59 years, male 33.3
GTEX-1EH9U-2226-SM-7PBXX 60-69 years, male 33.1
GTEX-1N2DV-0926-SM-E9TJT 40-49 years, male 33.1
GTEX-Y8E4-1526-SM-4WWDI 40-49 years, male 32.9
GTEX-P4PQ-1526-SM-3NMCK 60-69 years, male 32.3
GTEX-U4B1-1026-SM-4DXT1 40-49 years, male 32.3
GTEX-1C64O-2226-SM-73KTV 60-69 years, male 32.0
GTEX-WYVS-1326-SM-4ONCQ 40-49 years, female 32.0
GTEX-1S3DN-1526-SM-EVYCB 50-59 years, male 31.5
GTEX-XAJ8-0326-SM-47JYI 40-49 years, male 31.1
GTEX-1F5PK-1826-SM-7RHHX 50-59 years, male 30.8
GTEX-15RIF-1126-SM-7KUG2 20-29 years, male 30.7
GTEX-1HR9M-2326-SM-CNPPZ 60-69 years, male 30.7
GTEX-139YR-1926-SM-5LZXM 50-59 years, male 30.5
GTEX-17KNJ-1526-SM-7LTA9 50-59 years, male 30.4
GTEX-1JN76-0926-SM-ARZNH 20-29 years, female 30.4
GTEX-ZQUD-0826-SM-57WDQ 30-39 years, male 29.7
GTEX-1J8JJ-1726-SM-C1YQG 60-69 years, female 29.7
GTEX-14DAQ-2826-SM-664MU 60-69 years, female 29.5
GTEX-1I1HK-2026-SM-CNNRB 60-69 years, male 29.3
GTEX-1I4MK-0926-SM-A9SLD 50-59 years, female 29.2
GTEX-QXCU-1926-SM-48FE4 50-59 years, male 29.1
GTEX-1A8G6-1426-SM-731EZ 60-69 years, male 28.7
GTEX-16NGA-1526-SM-72D56 40-49 years, female 28.3
GTEX-YEC3-1426-SM-D4P1S 50-59 years, male 27.9
GTEX-RU1J-0526-SM-46MUT 20-29 years, female 27.2
GTEX-1HSMQ-2426-SM-CE6RY 50-59 years, male 27.1
GTEX-R55G-1126-SM-48FDG 40-49 years, female 26.8
GTEX-Y5LM-1326-SM-5RQIS 40-49 years, female 26.6
GTEX-14PKU-1126-SM-69LOU 40-49 years, female 26.3
GTEX-ZTX8-0426-SM-59HLG 20-29 years, male 26.3
GTEX-132AR-2426-SM-5IFFD 50-59 years, female 26.1
GTEX-17HII-2426-SM-7KFTT 50-59 years, male 26.0
GTEX-SNOS-0826-SM-4DM5N 40-49 years, male 26.0
GTEX-14E1K-1526-SM-664MN 50-59 years, male 25.6
GTEX-17EUY-1526-SM-793CA 20-29 years, male 25.5
GTEX-1IDJF-1426-SM-ACKWK 20-29 years, male 25.3
GTEX-14DAR-0926-SM-73KUQ 50-59 years, male 25.0
GTEX-1AX9J-2626-SM-731EK 60-69 years, male 24.6
GTEX-1QPFJ-1526-SM-DPRXT 30-39 years, female 24.5
GTEX-1LSNM-1026-SM-DHXL2 50-59 years, male 23.6
GTEX-1RQEC-2126-SM-DPS15 60-69 years, male 23.4
GTEX-NFK9-1526-SM-3LK7B 40-49 years, male 23.3
GTEX-ZEX8-1626-SM-4WKG7 50-59 years, male 23.2
GTEX-13PVR-2126-SM-73KVR 60-69 years, female 22.9
GTEX-ZA64-0826-SM-5HL9U 20-29 years, male 22.5
GTEX-RUSQ-1126-SM-EAZAU 50-59 years, male 22.5
GTEX-1HBPI-0726-SM-9WG7Z 50-59 years, male 21.8
GTEX-133LE-1326-SM-5IFGO 20-29 years, female 21.6
GTEX-14BIL-1926-SM-73KYI 50-59 years, male 21.6
GTEX-XBEW-1826-SM-4RTWX 40-49 years, male 21.5
GTEX-1QW4Y-0726-SM-DTX8E 30-39 years, male 21.5
GTEX-1C475-1026-SM-7MKFJ 40-49 years, female 21.2
GTEX-1IDJD-2426-SM-C1YS6 30-39 years, male 21.2
GTEX-1H23P-2726-SM-9JGHN 60-69 years, male 21.0
GTEX-O5YV-1926-SM-EV797 60-69 years, female 21.0
GTEX-Q734-1026-SM-48U16 40-49 years, female 20.9
GTEX-WEY5-1226-SM-4LMIQ 40-49 years, female 20.7
GTEX-1HCUA-1626-SM-A9SMG 50-59 years, female 20.6
GTEX-1B8KE-1326-SM-73KVI 50-59 years, male 20.3
GTEX-13QBU-1126-SM-5LU44 40-49 years, female 20.1
GTEX-11EM3-1026-SM-5A5KL 20-29 years, female 20.0
GTEX-139D8-2326-SM-5IFGE 30-39 years, female 19.9
GTEX-ZGAY-1626-SM-DNZZ3 40-49 years, female 19.8
GTEX-17MF6-2126-SM-7KFS7 40-49 years, male 19.6
GTEX-ZF29-1526-SM-4WKF7 60-69 years, female 18.6
GTEX-1339X-1426-SM-5K7YO 40-49 years, male 18.5
GTEX-WHWD-1426-SM-4OORU 50-59 years, male 18.5
GTEX-1R7EU-1126-SM-EAZ4M 60-69 years, male 18.3
GTEX-14JG6-1226-SM-664O6 30-39 years, female 18.2
GTEX-1GF9U-1126-SM-AHZ4H 40-49 years, female 18.1
GTEX-18QFQ-1226-SM-718AE 30-39 years, male 18.0
GTEX-18D9A-0626-SM-7KFTY 30-39 years, female 17.8
GTEX-1I1GT-1726-SM-C1YS3 60-69 years, female 17.3
GTEX-17HGU-2126-SM-7IGOV 50-59 years, male 17.0
GTEX-1GN1W-2126-SM-9JGI7 50-59 years, female 17.0
GTEX-1J8QM-1126-SM-C1YQB 60-69 years, female 16.6
GTEX-1AMEY-1226-SM-731DU 30-39 years, female 16.5
GTEX-QDVN-1226-SM-48TZ5 50-59 years, male 16.5
GTEX-1HSEH-1526-SM-B2LXG 60-69 years, male 16.5
GTEX-1QP28-2126-SM-DTX8B 50-59 years, female 16.5
GTEX-13CF3-1926-SM-5K7WF 60-69 years, female 16.3
GTEX-ZZPU-1426-SM-5GZZ6 50-59 years, female 16.1
GTEX-T8EM-1226-SM-4DM5J 40-49 years, male 15.7
GTEX-XV7Q-1326-SM-4BRWM 40-49 years, female 15.7
GTEX-XMK1-1526-SM-EYYVO 40-49 years, male 15.7
GTEX-POMQ-0826-SM-3P61H 20-29 years, female 15.6
GTEX-145LT-1426-SM-5O9B3 40-49 years, male 15.4
GTEX-1H1DG-2126-SM-9WPPB 70-79 years, male 15.4
GTEX-1A3MV-1226-SM-718BW 30-39 years, male 15.3
GTEX-Q2AH-1126-SM-48TZM 40-49 years, male 15.3
GTEX-12WSK-1426-SM-5CVNN 40-49 years, female 15.2
GTEX-1JKYN-1726-SM-AHZ48 30-39 years, male 15.1
GTEX-1F5PL-1426-SM-7MKFH 40-49 years, female 15.0
GTEX-O5YW-1526-SM-3MJGL 50-59 years, male 14.7
GTEX-S4UY-1626-SM-4AD55 40-49 years, female 14.6
GTEX-S95S-0826-SM-4B64N 60-69 years, male 14.6
GTEX-1HBPN-1626-SM-9WPNP 50-59 years, male 14.6
GTEX-14B4R-0726-SM-5TDDR 30-39 years, male 14.4
GTEX-1H3VY-2326-SM-9WG81 50-59 years, male 14.4
GTEX-SUCS-0926-SM-4DM4Z 70-79 years, male 14.1
GTEX-OXRL-1526-SM-E6CHQ 50-59 years, male 14.0
GTEX-1QP2A-2126-SM-DPRZ7 50-59 years, male 13.8
GTEX-1LBAC-1426-SM-CXZKT 20-29 years, male 13.6
GTEX-15UF7-1226-SM-6M46G 40-49 years, male 13.4
GTEX-QV31-0626-SM-447C5 30-39 years, male 13.4
GTEX-1LVAN-2426-SM-CNNPZ 50-59 years, female 13.3
GTEX-1F75I-1826-SM-7MKGX 40-49 years, male 13.2
GTEX-WYJK-2526-SM-4ONDF 50-59 years, male 13.2
GTEX-1B97I-1226-SM-7MGWQ 40-49 years, male 13.2
GTEX-ZV7C-1626-SM-5NQ7E 50-59 years, male 13.1
GTEX-XXEK-0826-SM-4BRWG 50-59 years, male 12.9
GTEX-XQ8I-2026-SM-4BOOL 50-59 years, male 12.8
GTEX-QV44-1226-SM-CJI1S 50-59 years, male 12.8
GTEX-WFG7-1326-SM-4LMK1 20-29 years, male 12.7
GTEX-ZP4G-1226-SM-4WWCJ 20-29 years, female 12.7
GTEX-ZY6K-0726-SM-5A5L8 50-59 years, male 12.7
GTEX-S7SF-0626-SM-4AD4V 20-29 years, female 12.6
GTEX-1H1E6-1626-SM-9OSWC 30-39 years, male 12.6
GTEX-WHPG-0426-SM-4M1XW 50-59 years, male 12.4
GTEX-ZT9W-1526-SM-4YCDE 50-59 years, male 12.4
GTEX-1ICG6-1826-SM-AHZ2O 70-79 years, female 12.4
GTEX-OHPK-1526-SM-3MJGM 50-59 years, female 12.3
GTEX-18A66-2226-SM-7189E 60-69 years, male 12.2
GTEX-WY7C-1726-SM-4ONCC 50-59 years, male 12.2
GTEX-QMRM-1126-SM-447BN 50-59 years, male 12.1
GTEX-VJYA-1026-SM-4KL21 60-69 years, male 12.1
GTEX-15DCE-1626-SM-6LPJM 20-29 years, male 11.9
GTEX-1AYCT-1326-SM-7MKHB 50-59 years, male 11.9
GTEX-1HKZK-1526-SM-B2LWG 40-49 years, male 11.7
GTEX-ZLFU-1326-SM-DO11R 40-49 years, male 11.7
GTEX-1R9K5-1026-SM-EAZ4F 50-59 years, male 11.5
GTEX-13D11-2126-SM-5IFH2 50-59 years, female 11.3
GTEX-14PJ3-1426-SM-664O8 50-59 years, male 11.2
GTEX-13U4I-2526-SM-5SI8Z 40-49 years, female 11.1
GTEX-ZVT2-1626-SM-51MRC 50-59 years, female 11.1
GTEX-117YX-1026-SM-5H11V 50-59 years, male 11.0
GTEX-131XF-1226-SM-5HL8V 60-69 years, male 11.0
GTEX-OHPM-1526-SM-EV796 50-59 years, male 11.0
GTEX-ZLV1-0826-SM-DO11P 60-69 years, female 11.0
GTEX-PWN1-1526-SM-48TDA 40-49 years, female 10.9
GTEX-XBED-1226-SM-4AT5V 60-69 years, male 10.9
GTEX-PW2O-1226-SM-48TCH 20-29 years, male 10.7
GTEX-WRHK-0626-SM-4MVOE 20-29 years, female 10.6
GTEX-QLQ7-0826-SM-447B3 60-69 years, male 10.5
GTEX-12WSG-2026-SM-5FQUU 50-59 years, female 10.4
GTEX-W5WG-1726-SM-4LMI5 50-59 years, female 10.4
GTEX-ZAB4-1526-SM-5CVN7 40-49 years, male 10.3
GTEX-1J8Q3-1926-SM-C1YSJ 60-69 years, male 10.2
GTEX-12696-1726-SM-5EQLH 60-69 years, male 10.1
GTEX-1GZ4H-1026-SM-9OSXL 50-59 years, female 10.1
GTEX-XUZC-0726-SM-4BOPH 30-39 years, female 10.0
GTEX-Y9LG-1026-SM-5IFJN 30-39 years, male 10.0
GTEX-1HFI7-1526-SM-9WG7W 50-59 years, female 10.0
GTEX-1MJIX-1126-SM-EV7AO 40-49 years, male 10.0
GTEX-131XG-1226-SM-5EGH9 50-59 years, female 9.9
GTEX-P78B-1826-SM-3P5YX 40-49 years, female 9.8
GTEX-V1D1-1726-SM-4JBHB 50-59 years, male 9.6
GTEX-1B8KZ-1226-SM-793CP 50-59 years, male 9.4
GTEX-ZVZP-1726-SM-5GZWY 50-59 years, male 9.4
GTEX-PLZ5-1226-SM-EXOHA 50-59 years, male 9.4
GTEX-1LG7Z-1226-SM-DHXK4 30-39 years, male 9.3
GTEX-1MGNQ-1826-SM-DPRYI 40-49 years, male 9.3
GTEX-1QCLZ-1826-SM-DPRXP 60-69 years, female 9.3
GTEX-ZF2S-1426-SM-57WET 50-59 years, female 9.1
GTEX-ZYFG-1326-SM-5GICJ 60-69 years, female 9.1
GTEX-1JK1U-1326-SM-AHZ45 60-69 years, male 9.0
GTEX-PX3G-1526-SM-48U11 20-29 years, female 8.9
GTEX-RM2N-0826-SM-48FD3 50-59 years, male 8.9
GTEX-ZZ64-0426-SM-5E43F 20-29 years, male 8.9
GTEX-14ICL-0826-SM-5YY9W 30-39 years, male 8.8
GTEX-16AAH-1226-SM-79OO9 50-59 years, male 8.8
GTEX-1AMFI-1226-SM-731CZ 50-59 years, female 8.8
GTEX-S3XE-1026-SM-4AD4O 50-59 years, male 8.8
GTEX-WHSB-1226-SM-4M1XR 50-59 years, male 8.8
GTEX-12BJ1-1726-SM-5HL9B 60-69 years, male 8.7
GTEX-132QS-1826-SM-5IFFN 60-69 years, male 8.7
GTEX-QDVJ-1426-SM-48U1Y 50-59 years, male 8.7
GTEX-T6MO-0726-SM-4DM58 40-49 years, female 8.7
GTEX-1LGRB-1726-SM-CNNRA 50-59 years, female 8.7
GTEX-18A67-2626-SM-718AD 50-59 years, male 8.6
GTEX-YB5E-1126-SM-664NU 40-49 years, male 8.6
GTEX-ZDYS-1926-SM-5HL59 50-59 years, male 8.6
GTEX-1RAZR-1526-SM-EAZ4U 40-49 years, male 8.6
GTEX-13113-0726-SM-5LZUF 60-69 years, female 8.5
GTEX-ZXES-1426-SM-5NQ8S 30-39 years, female 8.5
GTEX-1IDJU-1526-SM-CNNR3 60-69 years, female 8.5
GTEX-17F9E-2226-SM-7IGNC 50-59 years, male 8.4
GTEX-TMMY-1626-SM-4DXTY 40-49 years, female 8.4
GTEX-14E6E-0926-SM-664N8 30-39 years, male 8.3
GTEX-17F98-1526-SM-7EWD8 40-49 years, female 8.3
GTEX-R53T-1226-SM-48FCT 50-59 years, female 8.3
GTEX-11DXX-1326-SM-5GIDZ 60-69 years, female 8.2
GTEX-13FTW-1726-SM-5KM2B 40-49 years, male 8.2
GTEX-14BMU-1126-SM-5RQJ8 20-29 years, female 8.2
GTEX-17GQL-1226-SM-7KFTS 60-69 years, male 8.2
GTEX-17HHE-1026-SM-79ON6 50-59 years, male 8.1
GTEX-OOBJ-1526-SM-3NB1Q 60-69 years, male 8.1
GTEX-OXRK-1626-SM-3NB17 50-59 years, female 8.1
GTEX-1I6K7-1726-SM-B2LXQ 40-49 years, male 8.1
GTEX-1MUQO-1926-SM-EAZ59 60-69 years, male 8.1
GTEX-OIZF-1526-SM-2I5GR 60-69 years, male 8.1
GTEX-U3ZN-2026-SM-4DXUC 30-39 years, female 8.0
GTEX-UJMC-1226-SM-4IHLI 50-59 years, male 8.0
GTEX-V955-1326-SM-4JBHR 60-69 years, male 8.0
GTEX-13O21-0926-SM-5IFGT 50-59 years, male 7.9
GTEX-Y5V6-1326-SM-4VDTF 60-69 years, male 7.9
GTEX-144GN-1226-SM-5O991 50-59 years, male 7.8
GTEX-1CAMR-0726-SM-7EPIE 20-29 years, male 7.8
GTEX-P4PP-1526-SM-3P61M 30-39 years, female 7.8
GTEX-15RIE-1026-SM-6LPJQ 60-69 years, male 7.5
GTEX-14PJ4-1626-SM-664OB 60-69 years, male 7.4
GTEX-QLQW-0726-SM-447AA 30-39 years, male 7.4
GTEX-S341-0626-SM-4AD5T 40-49 years, female 7.4
GTEX-YEC4-1426-SM-5IFHS 40-49 years, male 7.4
GTEX-1QCLY-1126-SM-EAZ4J 30-39 years, male 7.4
GTEX-13OVK-0926-SM-7KUFX 40-49 years, male 7.3
GTEX-145MN-1326-SM-5NQ9S 30-39 years, male 7.3
GTEX-YFCO-0826-SM-5LUAG 40-49 years, male 7.1
GTEX-WFG8-1326-SM-4LVN3 20-29 years, male 6.9
GTEX-1LGOU-1526-SM-D3LAJ 20-29 years, female 6.9
GTEX-Y8LW-0826-SM-4WWDO 50-59 years, female 6.8
GTEX-1KXAM-0926-SM-CXZKA 60-69 years, male 6.8
GTEX-111YS-1126-SM-5GZYQ 60-69 years, male 6.7
GTEX-1122O-1926-SM-5EGIQ 60-69 years, female 6.7
GTEX-ZVP2-1626-SM-5GU5D 50-59 years, male 6.7
GTEX-111CU-0926-SM-5EGIK 50-59 years, male 6.5
GTEX-14PJ6-0826-SM-686Z9 60-69 years, female 6.5
GTEX-ZLWG-1526-SM-DO12F 50-59 years, female 6.5
GTEX-PWCY-0926-SM-48TD7 20-29 years, female 6.4
GTEX-Q2AI-0826-SM-48TZO 40-49 years, male 6.4
GTEX-WFON-1126-SM-4LVMA 40-49 years, male 6.4
GTEX-145ME-1026-SM-5O9B4 40-49 years, female 6.3
GTEX-RWS6-0926-SM-47JXE 60-69 years, female 6.3
GTEX-1RMOY-1126-SM-EV79E 50-59 years, male 6.3
GTEX-11NSD-1426-SM-5HL67 20-29 years, male 6.2
GTEX-T5JW-0926-SM-4DM5K 20-29 years, female 6.0
GTEX-1399R-1126-SM-5IFIO 30-39 years, male 5.9
GTEX-14PKV-1826-SM-69LO9 20-29 years, female 5.9
GTEX-15DZA-1126-SM-6LPK8 30-39 years, female 5.9
GTEX-QCQG-0526-SM-48U2A 50-59 years, female 5.9
GTEX-144GM-1726-SM-5O9AS 20-29 years, male 5.8
GTEX-Y3IK-1426-SM-4YCES 50-59 years, female 5.8
GTEX-1GL5R-1926-SM-9WG7U 50-59 years, male 5.6
GTEX-SNMC-0626-SM-4DM6H 20-29 years, male 5.4
GTEX-14PHX-1026-SM-664OL 50-59 years, male 5.3
GTEX-1399S-1626-SM-5P9GI 30-39 years, female 5.2
GTEX-15CHR-1326-SM-79OLT 50-59 years, male 5.1
GTEX-X15G-1126-SM-4PQZG 50-59 years, female 4.9
GTEX-14PJ5-0826-SM-6AJAR 60-69 years, female 4.8
GTEX-1RB15-1026-SM-E9U6V 60-69 years, male 4.8
GTEX-1KANA-1126-SM-D3L9M 20-29 years, male 4.5
GTEX-11I78-1726-SM-5A5M3 50-59 years, female 4.4
GTEX-1B97J-1826-SM-7IGPP 50-59 years, female 4.2
GTEX-13FTX-0726-SM-5N9BI 20-29 years, female 4.0
GTEX-ZPU1-1626-SM-4WWB2 40-49 years, male 3.5
GTEX-WXYG-1626-SM-4ONCR 50-59 years, female 3.4
Show allShow less

Contact

  • NEWS ARTICLES
  • PRESS ROOM

The Project

  • INTRODUCTION
  • ORGANIZATION
  • PUBLICATIONS

The Human Protein Atlas

  • DOWNLOADABLE DATA
  • LICENCE & CITATION
  • HELP & FAQ
The Human Protein Atlas project is funded
by the Knut & Alice Wallenberg Foundation.


contact@proteinatlas.org