We use cookies to enhance the usability of our website. If you continue, we'll assume that you are happy to receive all cookies. More information. Don't show this again.
LGI4
HPA
RESOURCES
  • TISSUE
  • BRAIN
  • SINGLE CELL
  • SUBCELLULAR
  • CANCER
  • BLOOD
  • CELL LINE
  • STRUCTURE & INTERACTION
ABOUT
  • INTRODUCTION
  • HISTORY
  • ORGANIZATION
  • PUBLICATIONS
  • ANTIBODY SUBMISSION
  • ANTIBODY AVAILABILITY
  • ACKNOWLEDGMENTS
  • CONTACT
NEWS
  • NEWS ARTICLES
  • PRESS ROOM
LEARN
  • DICTIONARY
  • PROTEIN CLASSES
  • PROTEIN EVIDENCE
  • METHODS
  • EDUCATIONAL VIDEOS
DATA
  • DOWNLOADABLE DATA
  • PUBLICATION DATA
  • RELEASE HISTORY
HELP
  • ANTIBODY VALIDATION
  • ASSAYS & ANNOTATION
  • DISCLAIMER
  • HELP & FAQ
  • PRIVACY STATEMENT
  • LICENCE & CITATION
Fields »
Search result

Field
Term
Gene name
Class
Subclass
Class
Keyword
Chromosome
External id
Tissue
Cell type
Expression
Antibody panel
Tissue
Main location
Patient ID
Annotation
Tissue
Category
Tau score
Cluster
Reliability
Brain region
Category
Tau score
Brain region
Category
Tau score
Brain region
Category
Tau score
Cluster
Reliability
Tissue
Cell type
Enrichment
Cell type
Category
Tau score
Cell type
Category
Tau score
Cell type
Category
Tau score
Cell lineage
Category
Tau score
Cluster
Cluster
Location
Searches
Location
Cell line
Class
Type
Phase
Reliability
Cancer
Prognosis
Cancer
Category
Cancer
Category
Tau score
Cluster
Variants
Interacting gene (ensg_id)
Type
Number of interactions
Pathway
Category
Score
Score
Score
Validation
Validation
Validation
Validation
Antibodies
Data type
Column


  • SUMMARY

  • TISSUE

  • BRAIN

  • SINGLE CELL

  • SUBCELL

  • CANCER

  • BLOOD

  • CELL LINE

  • STRUCT & INT

  • LGI4
TISSUE PRIMARY DATA ADIPOSE TISSUE Show tissue menu
ADIPOSE TISSUE ADRENAL GLAND AMYGDALA APPENDIX BASAL GANGLIA BONE MARROW BREAST BRONCHUS CEREBELLUM CEREBRAL CORTEX CERVIX CHOROID PLEXUS COLON DUODENUM
ENDOMETRIUM EPIDIDYMIS ESOPHAGUS FALLOPIAN TUBE GALLBLADDER HEART MUSCLE HIPPOCAMPAL FORMATION HYPOTHALAMUS KIDNEY LIVER LUNG LYMPH NODE MIDBRAIN NASOPHARYNX
ORAL MUCOSA OVARY PANCREAS PARATHYROID GLAND PITUITARY GLAND PLACENTA PROSTATE RECTUM RETINA SALIVARY GLAND SEMINAL VESICLE SKELETAL MUSCLE SKIN SMALL INTESTINE
SMOOTH MUSCLE SOFT TISSUE SPINAL CORD SPLEEN STOMACH TESTIS THYMUS THYROID GLAND TONGUE TONSIL URINARY BLADDER VAGINA
ANTIBODIES
AND
VALIDATION
Dictionary
Tissue proteome
Adipose tissue
ADIPOSE TISSUE - Expression summary
Protein expression
Adipose tissuei

On the top, protein expression in current human tissue, based on all annotated cell types, is reported with the units not detected (n), low (l), medium (m) and high (h). Underneath, protein expression in each annotated cell type are reported using the same units.

Protein expression data is based on knowledge-based annotation. For genes where more than one antibody has been used, a collective score is set.

If knowledge-based annotation could not be performed for a gene, no data is displayed here. View antibody staining data further down this page.

h
m
l
n
Adipocytes: Not detected
RNA expressioni

A summary of mRNA expression data available for current tissue based on several datasets. The mRNA expression levels in human tissues are based on RNA-seq data generated by the Human Protein Atlas (HPA), Genotype-Tissue Expression (GTEx) portal and CAGE data generated by the FANTOM5 consortium. Consensus normalized expression levels for human tissues was created by combining the data from HPA and GTEx datasets.

The mRNA expression levels in pig are based on RNA-seq data generated by the Human Protein Atlas (HPA), and for mouse, HPA data and in situ hybridization generated by the Allen brain atlas are reported.

Scroll down to view mRNA expression data in more detail.
Consensus:75.1 nTPM
HPA:22.0 nTPM
GTEx:75.1 nTPM
FANTOM5:93.5 Scaled Tags Per Million

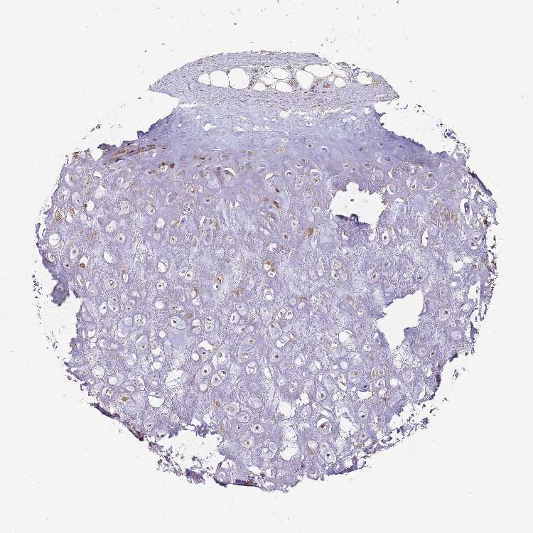
ADIPOSE TISSUE - Antibody stainingi

Antibody staining in the annotated cell types in the current human tissue is reported as not detected, low, medium, or high, based on conventional immunohistochemistry profiling in selected tissues. This score is based on the combination of the staining intensity and fraction of stained cells.

Each image is clickable and will lead to virtual microscopy that enables deeper exploration of all samples and also displays staining intensity scores, fraction scores and subcellular localization as well as patient and tissue information for each sample.

Antibody HPA042116Antibody HPA043556
Adipocytes LowNot detected










ADIPOSE TISSUE - HPA RNA-seqi

The RNA-seq details section shows detailed information about the individual samples used for the transcript profiling and results of the RNA-seq analysis.

Information about each individual sample is listed below, including gender, age, a tissue section image and estimated fractions of cell types. nTPM (normalized transcripts per million) values give a quantification of the gene abundance which is comparable between different genes and samples.
Average nTPMi

Max subtype nTPM is the value for the subtype with the largest average nTPM across the subtype samples.

22.0
N/A
Female, age 80
Adipose tissue sample 86
nTPM: 31.6
Cell types%
Adipocytes:
95

Other cell types:
5

N/A
Female, age 45
Adipose tissue sample 115
nTPM: 26.3
N/A
Female, age 57
Adipose tissue sample 137
nTPM: 30.5
Cell types%
Adipocytes:
60

Fibroblasts:
20

Smooth muscle cells:
15

Other cell types:
5

overview
Female, age 74
Adipose tissue sample 329
nTPM: 13
Cell types%
Adipocytes:
50

Fibroblasts:
30

Smooth muscle cells:
15

Other cell types:
5

overview
Female, age 59
Adipose tissue sample 331
nTPM: 8.4
Cell types%
Adipocytes:
40

Fibroblasts:
40

Smooth muscle cells:
15

Other cell types:
5


ADIPOSE TISSUE - GTEx RNA-seqi

RNA-Seq data generated by the Genotype-Tissue Expression (GTEx) project from human tissues is reported as mean nTPM. More information can be found on the GTEx portal.

Distribution across the dataset is visualized with box plots, shown as median and 25th and 75th percentiles. Points are displayed as outliers if they are above or below 1.5 times the interquartile range. nTPM values of the individual samples are presented next to the box plot.
Max subtype nTPMi

Max subtype nTPM is the value for the subtype with the largest average nTPM across the subtype samples.

75.1
GTEx sample id Sample description nTPM
Adipose - Subcutaneous
Average nTPM: 75.1
Samples: 663

Max nTPM: 231.6
Min nTPM: 12.6
Std nTPM: 35.9
Median nTPM: 70.3
GTEX-14H4A-1026-SM-62LDY 40-49 years, female 231.6
GTEX-1QCLY-0526-SM-EAZ47 30-39 years, male 221.3
GTEX-15CHQ-0226-SM-6EU2S 60-69 years, male 217.9
GTEX-1GMR8-0226-SM-9YFL3 50-59 years, female 207.1
GTEX-1EMGI-0226-SM-9MQL1 60-69 years, male 201.1
GTEX-13OVJ-0326-SM-5L3GL 50-59 years, female 193.7
GTEX-1LSNL-0526-SM-DIPFI 50-59 years, male 189.3
GTEX-1JJ6O-0226-SM-E6CI9 60-69 years, male 189.1
GTEX-14ICL-2026-SM-62LDN 30-39 years, male 184.5
GTEX-1HFI6-0326-SM-ADEI5 40-49 years, male 180.6
GTEX-131XF-2226-SM-5EQKG 60-69 years, male 179.5
GTEX-XQ8I-0526-SM-4BOPS 50-59 years, male 177.0
GTEX-1PDJ9-0426-SM-E9J3E 20-29 years, male 174.7
GTEX-1GZ4H-1826-SM-9MQLE 50-59 years, female 169.6
GTEX-11P7K-2026-SM-5GU74 30-39 years, male 168.8
GTEX-R45C-0226-SM-EVYAJ 60-69 years, female 168.5
GTEX-1PIGE-0526-SM-DTXFA 20-29 years, male 167.3
GTEX-1JJE9-1226-SM-CNPOI 70-79 years, male 167.2
GTEX-16AAH-2026-SM-7LG5F 50-59 years, male 166.3
GTEX-WYJK-0226-SM-EYYV8 50-59 years, male 166.3
GTEX-ZYFD-0226-SM-5NQ86 50-59 years, male 162.6
GTEX-Y111-0226-SM-4SOIW 50-59 years, male 159.5
GTEX-17MF6-0226-SM-7LG4G 40-49 years, male 159.4
GTEX-1RQEC-0526-SM-E6CHV 60-69 years, male 157.2
GTEX-145MF-0526-SM-5LUA6 50-59 years, male 157.1
GTEX-1KAFJ-2426-SM-D4P32 50-59 years, male 155.2
GTEX-13NYB-2626-SM-9YFMI 40-49 years, male 154.2
GTEX-14PII-0326-SM-6LLIQ 60-69 years, male 153.8
GTEX-1CB4E-1826-SM-7RHG8 60-69 years, male 152.6
GTEX-14753-0326-SM-5QGQB 60-69 years, male 151.9
GTEX-X638-0226-SM-47JZ9 70-79 years, female 151.5
GTEX-1PPH8-0626-SM-EWRN9 20-29 years, male 151.2
GTEX-T5JC-0526-SM-32PM7 20-29 years, male 150.8
GTEX-1A8G7-0226-SM-731AS 60-69 years, male 149.8
GTEX-13NZ8-0926-SM-5MR3U 60-69 years, female 148.4
GTEX-QEG4-0326-SM-DIPE3 30-39 years, male 148.2
GTEX-1MUQO-0526-SM-E9J31 60-69 years, male 148.0
GTEX-147GR-0426-SM-5S2OL 60-69 years, male 140.6
GTEX-16XZZ-0226-SM-7MGVJ 60-69 years, male 138.1
GTEX-11OF3-2426-SM-5Q5AS 60-69 years, male 136.1
GTEX-1HSMQ-1426-SM-ADEHT 50-59 years, male 135.8
GTEX-1AMFI-2126-SM-731BT 50-59 years, female 134.9
GTEX-1J1OQ-0326-SM-CYPTJ 40-49 years, female 134.9
GTEX-146FR-1826-SM-5QGPF 60-69 years, female 134.6
GTEX-YEC4-2426-SM-57WFO 40-49 years, male 132.6
GTEX-1F75I-0426-SM-7PC3S 40-49 years, male 132.2
GTEX-16NGA-1826-SM-7LG5L 40-49 years, female 131.3
GTEX-XUW1-0526-SM-4BOP3 50-59 years, female 130.6
GTEX-139T4-0126-SM-5HL5G 50-59 years, female 128.6
GTEX-1PPGY-0326-SM-DTXFD 60-69 years, male 128.5
GTEX-13N1W-0226-SM-5K7W6 70-79 years, male 128.0
GTEX-1GTWX-0226-SM-9YFLL 60-69 years, male 128.0
GTEX-1JMQI-2026-SM-CMKGP 50-59 years, male 127.7
GTEX-1H4P4-0226-SM-9YFKT 50-59 years, male 127.3
GTEX-1I19N-0426-SM-ACKVY 70-79 years, male 127.0
GTEX-13OVL-0326-SM-5IJCS 50-59 years, male 126.7
GTEX-1HSKV-0326-SM-ADEJC 60-69 years, male 125.9
GTEX-1S5ZU-0226-SM-E6CHW 20-29 years, female 124.8
GTEX-11EM3-2326-SM-5H12B 20-29 years, female 124.7
GTEX-1BAJH-0426-SM-73KWY 70-79 years, male 123.8
GTEX-ZXG5-0226-SM-59HJI 60-69 years, male 123.7
GTEX-139TT-0226-SM-5K7YH 60-69 years, male 123.5
GTEX-Z93S-0226-SM-5HL7R 50-59 years, male 123.4
GTEX-1HFI7-2026-SM-CGQFR 50-59 years, female 123.0
GTEX-1JKYR-0226-SM-CNPOK 20-29 years, male 122.9
GTEX-14E6D-0226-SM-62LDW 50-59 years, male 122.7
GTEX-12WSM-0226-SM-5LZV6 60-69 years, male 122.4
GTEX-OIZF-0226-SM-E9TI3 60-69 years, male 122.1
GTEX-1I1HK-0226-SM-COH4A 60-69 years, male 121.3
GTEX-SJXC-0226-SM-2XCDU 60-69 years, male 120.5
GTEX-1AX9I-0226-SM-7SB75 60-69 years, male 120.4
GTEX-1CB4I-0426-SM-7IGPR 50-59 years, male 120.0
GTEX-XBEW-0726-SM-4QARX 40-49 years, male 119.7
GTEX-11ONC-2526-SM-5986W 60-69 years, male 119.2
GTEX-13N2G-2726-SM-5J1MG 60-69 years, male 119.1
GTEX-14PJ3-1926-SM-62LEY 50-59 years, male 118.5
GTEX-1H2FU-0226-SM-9YFKO 60-69 years, female 118.2
GTEX-11WQC-2426-SM-5EQKQ 60-69 years, male 117.8
GTEX-1IDJU-2526-SM-CMKGF 60-69 years, female 117.0
GTEX-1I1GV-0426-SM-ARZLX 60-69 years, male 116.7
GTEX-RNOR-0226-SM-EZ6MF 50-59 years, female 116.6
GTEX-1LH75-2526-SM-E9U5A 50-59 years, female 115.9
GTEX-12584-0226-SM-5EQL5 40-49 years, male 115.6
GTEX-ZF28-0226-SM-5S2OE 60-69 years, male 114.4
GTEX-17F9Y-0326-SM-7IGLS 70-79 years, female 113.1
GTEX-1KWVE-1326-SM-E6CJ1 30-39 years, male 113.0
GTEX-148VI-1726-SM-5S2W9 60-69 years, female 112.9
GTEX-11H98-0226-SM-5NQ89 50-59 years, male 112.0
GTEX-1QP9N-1526-SM-DTXFK 30-39 years, male 111.3
GTEX-UJHI-1626-SM-3DB9A 50-59 years, female 111.2
GTEX-RM2N-1726-SM-2TF55 50-59 years, male 110.6
GTEX-YEC3-1226-SM-5IFI8 50-59 years, male 110.5
GTEX-139D8-0326-SM-5IJCJ 30-39 years, female 110.0
GTEX-1I1GP-2326-SM-CGQFL 50-59 years, male 109.7
GTEX-13VXT-0226-SM-5LU9Q 20-29 years, female 109.4
GTEX-1IGQW-0226-SM-COH43 60-69 years, male 109.3
GTEX-12WSC-0226-SM-5EQ52 50-59 years, male 108.7
GTEX-1GN1V-0226-SM-9WYTN 60-69 years, male 108.6
GTEX-13O3Q-2326-SM-5KM3G 50-59 years, male 108.3
GTEX-13OW8-1226-SM-5K7XD 60-69 years, male 108.2
GTEX-YF7O-2426-SM-5IFJL 50-59 years, male 108.1
GTEX-1B97I-1726-SM-7939V 40-49 years, male 107.8
GTEX-1GZ2Q-0326-SM-9WG6N 40-49 years, male 107.6
GTEX-1I1GR-0226-SM-CMKHQ 60-69 years, male 107.5
GTEX-139T8-0226-SM-5L3EA 60-69 years, male 107.2
GTEX-13QJ3-0426-SM-5RQHP 50-59 years, male 107.2
GTEX-W5WG-2526-SM-4SOJ2 50-59 years, female 107.2
GTEX-OIZG-0826-SM-E9TI4 50-59 years, male 107.1
GTEX-1B933-0526-SM-7EPHM 50-59 years, female 106.9
GTEX-WVJS-0226-SM-4MVOU 50-59 years, male 106.4
GTEX-1KANA-0826-SM-D3L9J 20-29 years, male 106.0
GTEX-17KNJ-2226-SM-DKPOU 50-59 years, male 104.8
GTEX-1R7EU-0326-SM-EWRNJ 60-69 years, male 104.7
GTEX-111FC-0226-SM-5N9B8 60-69 years, male 104.4
GTEX-11LCK-1126-SM-5A5KC 30-39 years, male 104.3
GTEX-1LG7Y-0426-SM-DKPQB 50-59 years, male 104.1
GTEX-18D9U-0726-SM-7LG5J 40-49 years, male 103.3
GTEX-Q2AG-0226-SM-2S1P4 40-49 years, female 103.2
GTEX-R55C-1626-SM-48FEG 40-49 years, male 102.9
GTEX-145MO-0426-SM-5QGP6 60-69 years, male 102.6
GTEX-1399R-2626-SM-5KLZ7 30-39 years, male 102.5
GTEX-1C6VS-0426-SM-79OJV 60-69 years, male 102.5
GTEX-11ZVC-2626-SM-5FQTA 50-59 years, female 102.4
GTEX-1JKYN-1226-SM-CGQG8 30-39 years, male 102.4
GTEX-1LB8K-0326-SM-E9TJC 50-59 years, male 102.4
GTEX-XPVG-2726-SM-4B66W 50-59 years, male 102.3
GTEX-1B8KZ-1926-SM-7DUG8 50-59 years, male 101.5
GTEX-145MN-2626-SM-5NQAH 30-39 years, male 101.2
GTEX-14JG6-2326-SM-6LLH3 30-39 years, female 101.1
GTEX-1PFEY-1626-SM-E9J3M 30-39 years, male 100.2
GTEX-XLM4-0226-SM-4AT4N 60-69 years, male 100.0
GTEX-11EI6-0226-SM-5EQ64 60-69 years, male 99.8
GTEX-1KD5A-0326-SM-D5OVD 50-59 years, male 99.7
GTEX-1C6WA-0226-SM-7IGPO 60-69 years, male 99.5
GTEX-1J1R8-2226-SM-ARZMP 40-49 years, male 99.3
GTEX-ZE7O-0226-SM-5S2N1 50-59 years, female 99.2
GTEX-1GN1W-0626-SM-9MQK3 50-59 years, female 99.2
GTEX-1A32A-0226-SM-718B2 50-59 years, female 98.8
GTEX-U3ZM-1026-SM-EZ6LD 40-49 years, male 98.7
GTEX-R55D-0326-SM-48FES 50-59 years, male 98.5
GTEX-11ZUS-0726-SM-59886 30-39 years, male 98.3
GTEX-1LG7Z-2026-SM-DLHBP 30-39 years, male 97.8
GTEX-WFON-2226-SM-3TW8W 40-49 years, male 97.6
GTEX-ZTSS-2026-SM-5987K 40-49 years, male 97.4
GTEX-1LVA9-0226-SM-E9U5N 50-59 years, male 97.4
GTEX-1497J-2326-SM-5NQBK 60-69 years, male 97.2
GTEX-1OJC4-1726-SM-EXUSV 50-59 years, female 96.8
GTEX-15ER7-0426-SM-6PAM3 20-29 years, female 96.4
GTEX-ZAK1-0226-SM-5CVMX 50-59 years, female 96.3
GTEX-XGQ4-2226-SM-4AT4Y 50-59 years, male 95.9
GTEX-1MJK2-0526-SM-DTXE6 50-59 years, male 95.8
GTEX-11UD2-0126-SM-5EQL2 50-59 years, male 95.7
GTEX-17HHE-1926-SM-7EPGW 50-59 years, male 95.3
GTEX-1JJEA-0226-SM-COH2X 60-69 years, male 95.3
GTEX-1OFPY-2326-SM-E8VNU 60-69 years, male 95.1
GTEX-13O21-1526-SM-5K7W4 50-59 years, male 94.9
GTEX-13JVG-0226-SM-5J1MW 60-69 years, male 94.7
GTEX-QV44-1825-SM-447CF 50-59 years, male 94.6
GTEX-1269C-2726-SM-5EGJ4 60-69 years, female 94.5
GTEX-1EKGG-0126-SM-9YFLS 60-69 years, male 94.2
GTEX-1HUB1-0326-SM-A9SKQ 60-69 years, male 93.8
GTEX-16NPX-0326-SM-7EWDI 50-59 years, male 93.6
GTEX-SIU8-0226-SM-2XCDS 50-59 years, male 93.5
GTEX-P44G-2326-SM-2XCCZ 30-39 years, male 93.4
GTEX-XMD2-0226-SM-4WWEE 60-69 years, female 93.1
GTEX-1J8QM-2326-SM-CYPSL 60-69 years, female 93.0
GTEX-1C6VR-2626-SM-7MGX2 60-69 years, male 92.9
GTEX-1H3VE-0226-SM-9WYST 40-49 years, male 92.6
GTEX-1F88F-2626-SM-9WG5K 60-69 years, female 92.4
GTEX-1H3O1-0526-SM-9MQLS 60-69 years, male 92.2
GTEX-1J8JJ-0326-SM-CMKG6 60-69 years, female 92.1
GTEX-1JMLX-0126-SM-CMKG9 50-59 years, male 92.1
GTEX-147F3-0626-SM-5NQ9I 50-59 years, female 91.8
GTEX-1R46S-0526-SM-EVYBZ 60-69 years, female 91.8
GTEX-14JIY-0526-SM-62LFH 60-69 years, male 91.4
GTEX-X261-0226-SM-3NMD2 50-59 years, male 91.4
GTEX-1QP67-1726-SM-E8VOP 40-49 years, female 91.1
GTEX-147JS-0426-SM-5TDD2 60-69 years, male 91.0
GTEX-1H1CY-2626-SM-9MQKJ 60-69 years, female 90.9
GTEX-VJWN-0226-SM-EZ6LF 50-59 years, female 90.9
GTEX-113IC-0226-SM-5HL5C 60-69 years, male 90.8
GTEX-13NZB-2426-SM-5K7UF 30-39 years, male 90.7
GTEX-1EWIQ-0226-SM-793D3 70-79 years, female 90.5
GTEX-1C4CL-0426-SM-7939N 30-39 years, male 90.4
GTEX-XMK1-2226-SM-4B673 40-49 years, male 89.9
GTEX-13U4I-0226-SM-5SIB1 40-49 years, female 89.5
GTEX-12ZZZ-0526-SM-5DUX6 60-69 years, male 89.4
GTEX-14BMU-2126-SM-5S2TS 20-29 years, female 89.3
GTEX-1JK1U-2126-SM-CNPOU 60-69 years, male 89.2
GTEX-11NUK-0326-SM-5HL5K 50-59 years, male 89.1
GTEX-13IVO-0226-SM-5LZXU 70-79 years, male 88.5
GTEX-XXEK-2426-SM-4BRUS 50-59 years, male 88.3
GTEX-ZPU1-2426-SM-4WWFM 40-49 years, male 88.2
GTEX-XBED-2326-SM-47JYR 60-69 years, male 88.1
GTEX-14PN3-2526-SM-6EU15 60-69 years, female 88.0
GTEX-13112-2726-SM-5DUW5 50-59 years, male 87.9
GTEX-13OW7-0226-SM-5MR3N 50-59 years, male 87.9
GTEX-XBEC-0326-SM-4AT4M 50-59 years, male 87.6
GTEX-13X6K-0226-SM-5QGPB 60-69 years, female 87.5
GTEX-15ETS-0426-SM-6PANI 40-49 years, female 87.5
GTEX-1IKK5-0526-SM-CMKGG 60-69 years, male 87.5
GTEX-ZV68-0226-SM-59HJF 50-59 years, female 87.3
GTEX-1H1E6-2026-SM-9KNVK 30-39 years, male 87.3
GTEX-1GMR3-2026-SM-9MQLG 40-49 years, male 87.2
GTEX-1C2JI-2226-SM-7IGPJ 50-59 years, male 87.1
GTEX-YFCO-2026-SM-4W21Q 40-49 years, male 86.9
GTEX-1EU9M-0326-SM-7RHGF 60-69 years, male 86.5
GTEX-1ICG6-2626-SM-CGQG1 70-79 years, female 86.4
GTEX-1QP2A-0226-SM-EVYBC 50-59 years, male 85.8
GTEX-1GN1U-0226-SM-9YFLQ 50-59 years, female 85.7
GTEX-13G51-2626-SM-5LZYW 60-69 years, male 85.5
GTEX-1B8SF-0526-SM-7939F 60-69 years, male 85.4
GTEX-OHPM-0226-SM-3LK61 50-59 years, male 84.9
GTEX-1F6I4-0226-SM-9MQMA 60-69 years, male 84.9
GTEX-11P82-1726-SM-5Q5AT 20-29 years, male 84.5
GTEX-14PJ4-2226-SM-6LLIS 60-69 years, male 84.2
GTEX-YB5K-2226-SM-4WWG1 40-49 years, female 84.1
GTEX-XOT4-0226-SM-4B66Z 60-69 years, female 84.0
GTEX-1RAZA-0226-SM-E9U4W 20-29 years, male 83.4
GTEX-1CB4G-0326-SM-7SB8R 60-69 years, male 83.3
GTEX-Z9EW-1826-SM-5CVMA 40-49 years, male 83.2
GTEX-17F96-1726-SM-7IGMB 70-79 years, male 83.1
GTEX-13JUV-2826-SM-5LZWU 40-49 years, female 83.0
GTEX-NFK9-0326-SM-3MJGV 40-49 years, male 82.8
GTEX-1313W-0226-SM-5LZV7 50-59 years, female 82.3
GTEX-1JN6P-0226-SM-COH34 60-69 years, male 81.9
GTEX-1MA7X-2126-SM-E6CIX 60-69 years, male 81.9
GTEX-1LGOU-2226-SM-E9U56 20-29 years, female 81.8
GTEX-16YQH-0226-SM-6PALD 30-39 years, male 81.7
GTEX-1HSEH-0226-SM-ACKVV 60-69 years, male 81.6
GTEX-1CB4F-0526-SM-9KNW2 60-69 years, male 81.4
GTEX-13FTY-0626-SM-5L3F8 40-49 years, female 81.0
GTEX-1A3MV-2126-SM-718BV 30-39 years, male 80.7
GTEX-1I1GT-0526-SM-CGQEQ 60-69 years, female 80.7
GTEX-11P81-2426-SM-5GU65 30-39 years, female 80.6
GTEX-P78B-0226-SM-3NB1Z 40-49 years, female 80.6
GTEX-ZYFC-0326-SM-5NQ7H 50-59 years, male 80.5
GTEX-1IDFM-0226-SM-CMKFX 60-69 years, male 80.5
GTEX-1QPFJ-0126-SM-E9J4B 30-39 years, female 80.4
GTEX-13O3P-0226-SM-5KM3Z 50-59 years, male 80.2
GTEX-RTLS-0226-SM-2TF5E 60-69 years, female 80.2
GTEX-1S83E-0226-SM-EVYCW 40-49 years, male 80.2
GTEX-ZLV1-1826-SM-5FQU5 60-69 years, female 80.1
GTEX-VUSH-0226-SM-EXUQV 30-39 years, male 80.0
GTEX-11TTK-0226-SM-5N9EC 60-69 years, female 79.9
GTEX-PLZ6-1326-SM-3NB24 30-39 years, male 79.8
GTEX-1I1GS-0226-SM-B2LVX 60-69 years, male 79.8
GTEX-Y8E4-0726-SM-4WWFN 40-49 years, male 79.6
GTEX-T6MN-0226-SM-32PMD 50-59 years, male 79.5
GTEX-1J8Q3-1526-SM-CMKGB 60-69 years, male 79.4
GTEX-OXRL-0226-SM-3NB18 50-59 years, male 79.3
GTEX-WL46-0326-SM-3LK6Y 50-59 years, male 79.3
GTEX-N7MS-0326-SM-4E3K2 60-69 years, male 79.2
GTEX-ZDTS-0226-SM-5HL7Q 60-69 years, male 79.1
GTEX-QV31-1326-SM-2S1QE 30-39 years, male 79.0
GTEX-1ICLY-0226-SM-ARL7R 50-59 years, male 78.8
GTEX-1AMEY-1426-SM-7939I 30-39 years, female 78.6
GTEX-OOBJ-0226-SM-2YUMM 60-69 years, male 78.5
GTEX-1CAMR-1826-SM-7MXUJ 20-29 years, male 78.5
GTEX-ZGAY-0626-SM-DO92E 40-49 years, female 78.5
GTEX-1AX9J-0326-SM-73KXY 60-69 years, male 78.4
GTEX-ZVT4-0226-SM-51MSD 50-59 years, female 78.4
GTEX-1IOXB-0226-SM-CMKHY 50-59 years, male 78.3
GTEX-1C6VQ-0226-SM-7P8S5 50-59 years, male 78.2
GTEX-13FHP-0226-SM-5K7WD 50-59 years, male 78.0
GTEX-14C5O-0226-SM-5SI6O 60-69 years, male 77.7
GTEX-Q2AI-1426-SM-2S1P5 40-49 years, male 77.6
GTEX-ZF29-2226-SM-4WWB9 60-69 years, female 77.6
GTEX-T8EM-1126-SM-3DB7D 40-49 years, male 77.5
GTEX-13D11-2326-SM-5IJCY 50-59 years, female 77.1
GTEX-1A8G6-0526-SM-7PC1E 60-69 years, male 77.1
GTEX-UTHO-0426-SM-CE6QU 60-69 years, male 77.1
GTEX-ZUA1-0226-SM-5NQ9Q 40-49 years, male 76.8
GTEX-1H1ZS-0526-SM-9WG5L 70-79 years, male 76.8
GTEX-RU72-1026-SM-46MUG 50-59 years, female 76.7
GTEX-12ZZX-0226-SM-5DUXU 40-49 years, female 76.5
GTEX-11GS4-2626-SM-5A5LD 60-69 years, male 76.4
GTEX-P4QS-0226-SM-3NB1U 60-69 years, male 76.4
GTEX-12WSA-0326-SM-5BC6I 60-69 years, male 76.3
GTEX-17EUY-0526-SM-7EWDE 20-29 years, male 76.3
GTEX-1JMQK-0126-SM-CM2S3 60-69 years, male 76.2
GTEX-1H1DE-2026-SM-9WG6Q 20-29 years, male 76.0
GTEX-1GMR2-2526-SM-9MQKW 50-59 years, male 75.9
GTEX-1314G-1626-SM-5EQ67 30-39 years, male 75.8
GTEX-14DAR-1926-SM-5S2NQ 50-59 years, male 75.8
GTEX-ZVE2-0326-SM-57WFC 50-59 years, male 75.8
GTEX-139T6-2126-SM-5KM37 50-59 years, male 75.6
GTEX-145LS-0226-SM-5O9A5 60-69 years, female 75.4
GTEX-1GN2E-0326-SM-COH3C 60-69 years, male 75.3
GTEX-TML8-2026-SM-32QOP 40-49 years, female 75.2
GTEX-SNOS-1426-SM-32PLY 40-49 years, male 75.0
GTEX-18465-0226-SM-7LG5M 50-59 years, male 74.9
GTEX-ZE9C-2826-SM-5S2MO 60-69 years, male 74.9
GTEX-13FH7-2226-SM-5IJD4 50-59 years, female 74.8
GTEX-15DDE-0226-SM-6LLJ6 50-59 years, female 74.8
GTEX-Y3I4-2226-SM-4TT7O 50-59 years, male 74.8
GTEX-OIZH-0226-SM-2YUMH 50-59 years, male 74.6
GTEX-15RIE-2326-SM-7KFSC 60-69 years, male 74.4
GTEX-1C64O-0226-SM-73KXB 60-69 years, male 74.3
GTEX-13RTJ-2526-SM-5S2Q3 60-69 years, male 74.2
GTEX-14PHX-2426-SM-62LEN 50-59 years, male 74.1
GTEX-1E2YA-0226-SM-9MQLY 50-59 years, male 74.0
GTEX-13VXU-0226-SM-5SI9R 50-59 years, male 73.9
GTEX-ZEX8-2326-SM-5S2MN 50-59 years, male 73.9
GTEX-1IKJJ-0226-SM-COH3T 60-69 years, male 73.6
GTEX-14ABY-0326-SM-5TDDK 50-59 years, male 72.9
GTEX-18QFQ-0226-SM-731BQ 30-39 years, male 72.9
GTEX-1128S-2126-SM-5H12U 60-69 years, female 72.8
GTEX-14E6C-0226-SM-5S2N3 40-49 years, male 72.8
GTEX-U412-0526-SM-3DB9I 60-69 years, male 72.8
GTEX-SN8G-0226-SM-4DM6B 50-59 years, female 72.6
GTEX-ZVTK-0526-SM-5GZWT 20-29 years, male 72.4
GTEX-11EQ8-0226-SM-5EQ5G 60-69 years, male 72.2
GTEX-PWN1-0226-SM-DKPO9 40-49 years, female 72.2
GTEX-12696-2526-SM-5EQLN 60-69 years, male 71.9
GTEX-ZYT6-0326-SM-7LG5R 30-39 years, male 71.9
GTEX-1I1CD-0226-SM-CM2TL 60-69 years, female 71.9
GTEX-139TU-0226-SM-5J1NM 60-69 years, male 71.8
GTEX-14JG1-0526-SM-6LLHW 40-49 years, male 71.7
GTEX-14BIL-0226-SM-5SI9E 50-59 years, male 71.5
GTEX-OXRK-0326-SM-3NB3R 50-59 years, female 71.4
GTEX-17EVP-0426-SM-79OKG 40-49 years, male 71.3
GTEX-Y8LW-1926-SM-4WWFZ 50-59 years, female 71.3
GTEX-1HCU7-0326-SM-CMKGI 50-59 years, male 71.2
GTEX-1JMPY-1426-SM-ARL8Z 30-39 years, male 71.2
GTEX-RVPV-1526-SM-EXOHF 60-69 years, male 71.2
GTEX-16GPK-0226-SM-7DUFI 60-69 years, male 70.8
GTEX-17HGU-0326-SM-7DUER 50-59 years, male 70.6
GTEX-1IL2U-0326-SM-CE6T9 60-69 years, male 70.5
GTEX-11EQ9-2526-SM-5HL66 30-39 years, male 70.4
GTEX-111CU-1826-SM-5GZYN 50-59 years, male 70.3
GTEX-1HSMP-0226-SM-CGQFI 70-79 years, male 70.3
GTEX-1HSGN-0126-SM-CGQFU 40-49 years, female 70.1
GTEX-XYKS-2726-SM-4E3IC 60-69 years, female 70.0
GTEX-ZF3C-0226-SM-4WWB3 50-59 years, female 69.6
GTEX-1GF9X-1926-SM-ADEIC 40-49 years, female 69.6
GTEX-1GN73-0326-SM-9KNTW 60-69 years, male 69.6
GTEX-146FQ-0226-SM-5NQAL 30-39 years, male 69.3
GTEX-TMZS-0226-SM-3DB9N 60-69 years, male 69.2
GTEX-13PVQ-0226-SM-5SIBG 50-59 years, male 69.1
GTEX-1B996-0126-SM-7PBYF 60-69 years, male 69.1
GTEX-11DXW-0326-SM-5H11W 40-49 years, male 69.0
GTEX-1B8SG-0226-SM-7939Q 50-59 years, male 69.0
GTEX-ZAJG-0226-SM-5HL81 50-59 years, female 69.0
GTEX-14BIN-0726-SM-793DQ 50-59 years, female 68.9
GTEX-WVLH-0226-SM-3MJG6 50-59 years, male 68.9
GTEX-13O61-2426-SM-5J1NV 60-69 years, male 68.6
GTEX-16BQI-0526-SM-6PAM8 30-39 years, female 68.5
GTEX-1E1VI-0226-SM-793CZ 50-59 years, male 68.3
GTEX-131YS-0226-SM-5IJEH 60-69 years, female 68.2
GTEX-1F75A-0226-SM-7PC2K 50-59 years, male 68.2
GTEX-1PIIG-0326-SM-EVYBV 30-39 years, male 68.1
GTEX-12WSD-0226-SM-59HKO 60-69 years, female 67.9
GTEX-X5EB-2426-SM-4E3HX 40-49 years, male 67.7
GTEX-1HT8W-0226-SM-CMKGT 30-39 years, male 67.6
GTEX-1HBPM-0326-SM-CMKGR 60-69 years, female 67.4
GTEX-1F5PK-2526-SM-9MQKN 50-59 years, male 67.3
GTEX-13FHO-0326-SM-5IJBH 60-69 years, male 66.9
GTEX-WFJO-1926-SM-3GILA 30-39 years, male 66.7
GTEX-13W3W-2526-SM-5SI9P 60-69 years, female 66.6
GTEX-14E1K-2126-SM-793DU 50-59 years, male 66.6
GTEX-11ZU8-2426-SM-5EQMV 60-69 years, male 66.5
GTEX-ZLWG-2226-SM-DO92V 50-59 years, female 66.4
GTEX-14C39-2526-SM-5S2UH 40-49 years, male 66.1
GTEX-13SLX-0426-SM-5QGRC 50-59 years, female 65.6
GTEX-XUYS-0226-SM-47JX1 50-59 years, male 65.3
GTEX-1HGF4-2526-SM-ADEIZ 60-69 years, male 65.0
GTEX-1HBPI-1426-SM-B2LW7 50-59 years, male 64.8
GTEX-1MA7W-1926-SM-E6CIO 20-29 years, female 64.8
GTEX-144FL-0226-SM-5Q5D4 50-59 years, male 64.7
GTEX-13OW6-0526-SM-5L3HY 50-59 years, male 64.6
GTEX-OHPK-0226-SM-3MJH6 50-59 years, female 64.6
GTEX-S95S-1326-SM-2XCDK 60-69 years, male 64.5
GTEX-XQ3S-1626-SM-4WAYN 20-29 years, male 64.5
GTEX-ZVZP-2326-SM-59HL4 50-59 years, male 64.5
GTEX-13CF3-2326-SM-5IFGL 60-69 years, female 64.2
GTEX-1GPI7-0226-SM-9MQKB 20-29 years, male 64.2
GTEX-1HCVE-0226-SM-CGQEV 50-59 years, male 64.1
GTEX-WEY5-1926-SM-3GIL8 40-49 years, female 63.7
GTEX-1QP28-0226-SM-E9J2N 50-59 years, female 63.6
GTEX-1CAMQ-0126-SM-7SB7S 40-49 years, male 63.3
GTEX-17F97-0426-SM-7LT9U 50-59 years, male 63.2
GTEX-S7SE-0226-SM-2XCD4 50-59 years, male 63.2
GTEX-1122O-2026-SM-9YFMG 60-69 years, female 63.2
GTEX-T6MO-1726-SM-33HB8 40-49 years, female 63.1
GTEX-1I4MK-2026-SM-B2LVR 50-59 years, female 62.7
GTEX-13QBU-2526-SM-5LU4X 40-49 years, female 62.5
GTEX-13SLW-0226-SM-5S2NA 70-79 years, male 62.4
GTEX-18D9A-2026-SM-718BL 30-39 years, female 62.3
GTEX-1NHNU-1126-SM-E9J2C 50-59 years, male 62.3
GTEX-13FTW-2526-SM-5IJC8 40-49 years, male 62.2
GTEX-1H23P-0226-SM-9YFLO 60-69 years, male 62.2
GTEX-111YS-2426-SM-5GZZQ 60-69 years, male 61.9
GTEX-1MGNQ-0226-SM-EVYCK 40-49 years, male 61.9
GTEX-PLZ5-1826-SM-3NB22 50-59 years, male 61.7
GTEX-11GSO-2326-SM-5A5LX 60-69 years, male 61.6
GTEX-13113-1826-SM-5LZW4 60-69 years, female 61.6
GTEX-14LLW-0226-SM-62LEL 70-79 years, female 61.6
GTEX-1QP29-0726-SM-DTXFM 50-59 years, male 61.5
GTEX-17HII-0326-SM-7LG4X 50-59 years, male 61.4
GTEX-ZTPG-0226-SM-5O99I 20-29 years, female 61.4
GTEX-X15G-2326-SM-4PQZS 50-59 years, female 61.2
GTEX-1IE54-0226-SM-CMKHX 40-49 years, female 60.8
GTEX-11ZTT-2526-SM-5EQM9 60-69 years, female 60.7
GTEX-1HSMO-0226-SM-CGQEZ 60-69 years, male 60.7
GTEX-QEL4-0326-SM-3GAE5 50-59 years, male 60.6
GTEX-1GF9V-0226-SM-9MQKA 60-69 years, male 60.6
GTEX-1212Z-2426-SM-5EQ5D 60-69 years, male 60.3
GTEX-1LSNM-2026-SM-E6CIJ 50-59 years, male 60.3
GTEX-144GL-0226-SM-5QGOX 50-59 years, male 60.2
GTEX-1EH9U-0226-SM-7PBY8 60-69 years, male 60.1
GTEX-1B8L1-2626-SM-7SB77 60-69 years, male 59.9
GTEX-1PWST-0326-SM-EAZ42 70-79 years, male 59.8
GTEX-P4QT-0226-SM-3LK68 50-59 years, female 59.7
GTEX-146FH-0226-SM-5QGPQ 50-59 years, female 59.6
GTEX-1JMQL-0326-SM-CNPP6 50-59 years, female 59.6
GTEX-XAJ8-0926-SM-47JXZ 40-49 years, male 59.5
GTEX-1N2EF-0626-SM-E9J32 60-69 years, male 59.5
GTEX-1B932-0226-SM-7PBYH 40-49 years, female 59.4
GTEX-TKQ1-1126-SM-4GIAZ 30-39 years, male 59.0
GTEX-13PVR-2426-SM-5RQHN 60-69 years, female 58.9
GTEX-1PBJI-0426-SM-E8VNM 20-29 years, female 58.9
GTEX-Y5V5-2426-SM-5IFJA 60-69 years, female 58.8
GTEX-15DCD-0226-SM-6LPKC 70-79 years, female 58.6
GTEX-QDT8-0226-SM-32PL4 30-39 years, female 58.6
GTEX-1RAZR-0226-SM-EVYC6 40-49 years, male 58.4
GTEX-14AS3-2026-SM-5TDD9 40-49 years, female 58.1
GTEX-OXRO-0226-SM-3LK6F 60-69 years, female 58.1
GTEX-WI4N-1126-SM-3LK7Q 40-49 years, female 57.6
GTEX-X4LF-1726-SM-3NMBZ 50-59 years, male 57.6
GTEX-YB5E-2126-SM-5IFI7 40-49 years, male 57.6
GTEX-YJ89-0226-SM-4TT3Y 60-69 years, male 57.5
GTEX-111VG-2326-SM-5N9BK 60-69 years, male 57.3
GTEX-ZTX8-1526-SM-5N9GI 20-29 years, male 57.1
GTEX-X4EO-0426-SM-4QASA 60-69 years, female 56.8
GTEX-YJ8O-2426-SM-5HL7S 40-49 years, female 56.5
GTEX-1GMRU-0226-SM-9YFLW 50-59 years, male 56.5
GTEX-1I6K7-0226-SM-CJI46 40-49 years, male 56.5
GTEX-1211K-2226-SM-5FQU6 60-69 years, female 56.3
GTEX-13OVI-1326-SM-5IJBO 60-69 years, female 56.2
GTEX-YJ8A-0526-SM-5IFHT 20-29 years, male 56.1
GTEX-1K2DA-2126-SM-CGQGL 50-59 years, male 55.5
GTEX-1399T-2726-SM-5K7XK 60-69 years, male 55.4
GTEX-13N11-2626-SM-5K7UQ 50-59 years, female 55.3
GTEX-1S82P-0226-SM-E6CI6 60-69 years, female 55.3
GTEX-TSE9-0226-SM-3DB84 60-69 years, female 55.2
GTEX-YECK-0226-SM-4W215 60-69 years, male 55.2
GTEX-1HB9E-0426-SM-CNPPV 50-59 years, male 55.2
GTEX-WFG8-2326-SM-DIPDX 20-29 years, male 55.2
GTEX-12ZZY-0326-SM-5LZVQ 60-69 years, male 55.0
GTEX-13111-1726-SM-5EGJZ 50-59 years, male 55.0
GTEX-17F98-1126-SM-79OJS 40-49 years, female 55.0
GTEX-NPJ8-0226-SM-48TBN 40-49 years, male 55.0
GTEX-1QP6S-0126-SM-E9J4K 40-49 years, male 54.9
GTEX-145MG-0126-SM-5TDDA 50-59 years, male 54.6
GTEX-1AX9K-2426-SM-73KZ4 50-59 years, male 54.1
GTEX-PLZ4-0226-SM-CYPR1 50-59 years, female 54.1
GTEX-R3RS-0226-SM-EYYVE 40-49 years, female 54.1
GTEX-ZZPU-2726-SM-5NQ8O 50-59 years, female 54.0
GTEX-1QW4Y-1626-SM-EAZ41 30-39 years, male 54.0
GTEX-1F52S-0226-SM-7SB7U 60-69 years, female 53.9
GTEX-1LGRB-2426-SM-CNPP3 50-59 years, female 53.6
GTEX-145LT-1826-SM-5QGP4 40-49 years, male 53.5
GTEX-117YX-2226-SM-5EGJJ 50-59 years, male 53.4
GTEX-169BO-1426-SM-9MQJT 50-59 years, male 53.3
GTEX-14A5H-0526-SM-5TDCN 60-69 years, male 52.9
GTEX-15SDE-2426-SM-7KFRC 50-59 years, female 52.8
GTEX-1C475-1926-SM-7DUFV 40-49 years, female 52.7
GTEX-1F88E-0526-SM-7SB8J 60-69 years, female 52.5
GTEX-133LE-1926-SM-5N9FV 20-29 years, female 52.4
GTEX-1RAZQ-0626-SM-E8VOR 30-39 years, male 52.4
GTEX-131XW-0526-SM-5PNXZ 50-59 years, female 52.3
GTEX-S32W-2226-SM-2XCAY 50-59 years, female 52.3
GTEX-12126-0426-SM-5Q5AP 20-29 years, male 52.1
GTEX-WY7C-2426-SM-3NB2V 50-59 years, male 52.1
GTEX-11XUK-2126-SM-5EQLR 40-49 years, female 52.0
GTEX-145ME-1926-SM-5MR6T 40-49 years, female 52.0
GTEX-WH7G-2226-SM-3NMBN 40-49 years, male 51.9
GTEX-ZVT2-2226-SM-5NQ6P 50-59 years, female 51.7
GTEX-1LSVX-0126-SM-EVYCY 60-69 years, male 51.3
GTEX-U4B1-1726-SM-3DB9F 40-49 years, male 51.0
GTEX-QLQ7-1526-SM-2S1QA 60-69 years, male 50.9
GTEX-1CB4J-1126-SM-7PBY1 60-69 years, male 50.9
GTEX-1IY9M-0226-SM-CMKHP 60-69 years, male 50.8
GTEX-1399U-2426-SM-5K7XB 50-59 years, female 50.7
GTEX-1A3MW-0226-SM-7939O 60-69 years, female 50.5
GTEX-RUSQ-1626-SM-EZ6L4 50-59 years, male 50.4
GTEX-139YR-2426-SM-5J1OB 50-59 years, male 50.2
GTEX-1MCC2-2326-SM-E9U5G 30-39 years, female 50.2
GTEX-1F75W-0226-SM-9JGGP 60-69 years, male 50.1
GTEX-1KXAM-2326-SM-CYPTD 60-69 years, male 50.1
GTEX-14BMV-0226-SM-5S2N2 50-59 years, male 49.7
GTEX-PSDG-0326-SM-48TCP 50-59 years, male 49.6
GTEX-1H3VY-0226-SM-9YFMF 50-59 years, male 49.6
GTEX-17HHY-0226-SM-793BQ 50-59 years, male 49.3
GTEX-13NZ9-0526-SM-5J1OX 50-59 years, male 49.1
GTEX-1R9PM-2126-SM-E8VOB 20-29 years, male 49.1
GTEX-1F6RS-0226-SM-9MQKO 60-69 years, female 48.9
GTEX-WFG7-2526-SM-EWRM5 20-29 years, male 48.9
GTEX-1QP66-1326-SM-DTXDQ 50-59 years, male 48.6
GTEX-S4P3-1526-SM-E9J3W 50-59 years, female 48.5
GTEX-14DAQ-0226-SM-664MQ 60-69 years, female 48.4
GTEX-14PJM-0326-SM-62LF2 50-59 years, female 48.4
GTEX-183FY-0326-SM-793BY 20-29 years, male 48.4
GTEX-PWCY-1926-SM-3NB25 20-29 years, female 48.4
GTEX-18A7A-0326-SM-731AT 50-59 years, female 48.1
GTEX-1JN1M-0126-SM-D4P23 60-69 years, female 47.9
GTEX-17HG3-2326-SM-79OKH 30-39 years, female 47.7
GTEX-1HR9M-0226-SM-COH3E 60-69 years, male 47.6
GTEX-OXRP-0226-SM-3NB14 60-69 years, female 47.5
GTEX-Y3IK-2526-SM-4WWDM 50-59 years, female 47.5
GTEX-1J8EW-0226-SM-CYPSW 60-69 years, female 47.5
GTEX-1FIGZ-1626-SM-7SB8L 40-49 years, male 47.2
GTEX-U3ZN-2626-SM-3DB7T 30-39 years, female 47.1
GTEX-1LBAC-0226-SM-DHXJZ 20-29 years, male 47.1
GTEX-18A6Q-0226-SM-718AS 60-69 years, male 47.0
GTEX-11TUW-2626-SM-5EQKZ 60-69 years, male 46.9
GTEX-14PK6-2026-SM-6LLHP 70-79 years, female 46.9
GTEX-ZQG8-1526-SM-5HL65 60-69 years, female 46.8
GTEX-P44H-0326-SM-2XCES 40-49 years, male 46.6
GTEX-1I1GQ-0226-SM-COH3I 50-59 years, male 46.6
GTEX-1F48J-0226-SM-7SB82 50-59 years, female 46.4
GTEX-1LVAO-0226-SM-E9U6O 60-69 years, male 46.0
GTEX-WHPG-2126-SM-4M1ZM 50-59 years, male 45.9
GTEX-132QS-2526-SM-62LFJ 60-69 years, male 45.8
GTEX-1HBPH-0526-SM-9YFMN 40-49 years, female 45.7
GTEX-Z93T-0226-SM-5HL5Z 50-59 years, male 45.6
GTEX-11EMC-2826-SM-5PNY6 60-69 years, female 45.1
GTEX-1QEPI-0226-SM-EWRMR 60-69 years, female 45.1
GTEX-11I78-2626-SM-5Q5AI 50-59 years, female 44.9
GTEX-XV7Q-2626-SM-4BRVA 40-49 years, female 44.8
GTEX-13S7M-0226-SM-5S2UG 60-69 years, female 44.6
GTEX-ZYW4-0226-SM-5E44M 60-69 years, male 44.6
GTEX-XUZC-1826-SM-4BRVO 30-39 years, female 44.5
GTEX-ZXES-2026-SM-5NQ6R 30-39 years, female 44.5
GTEX-XK95-0426-SM-4AT4R 40-49 years, male 44.3
GTEX-13CF2-2626-SM-5LZZA 60-69 years, male 44.2
GTEX-ZDXO-2426-SM-5S2NJ 60-69 years, male 44.2
GTEX-1M5QR-2126-SM-DKPQM 40-49 years, male 44.2
GTEX-1LVAN-0126-SM-COH4H 50-59 years, female 44.0
GTEX-13NZA-0126-SM-5K7UH 60-69 years, male 43.7
GTEX-QESD-1526-SM-2S1QT 20-29 years, male 43.7
GTEX-ZZ64-1626-SM-5E43W 20-29 years, male 43.7
GTEX-1HCUA-2226-SM-ADEHF 50-59 years, female 43.5
GTEX-11DZ1-0226-SM-5A5KF 50-59 years, male 43.2
GTEX-RWSA-0226-SM-2XCBA 40-49 years, male 43.2
GTEX-X4XY-0326-SM-46MVZ 60-69 years, male 43.1
GTEX-1K9T9-0226-SM-E9U6K 50-59 years, female 43.1
GTEX-13PDP-0226-SM-5K7W9 60-69 years, male 43.0
GTEX-1IDJF-0226-SM-CMKGE 20-29 years, male 42.9
GTEX-OXRN-0226-SM-2I5EJ 50-59 years, male 42.6
GTEX-Y8E5-0226-SM-57WCM 60-69 years, male 42.5
GTEX-ZPCL-2126-SM-57WFZ 60-69 years, female 41.7
GTEX-REY6-0326-SM-2TF5A 60-69 years, male 41.6
GTEX-1CB4H-0326-SM-9WG5G 60-69 years, female 41.4
GTEX-11ZTS-0226-SM-5EQKD 60-69 years, female 41.2
GTEX-O5YV-0226-SM-48TBY 60-69 years, female 41.0
GTEX-QMRM-1726-SM-2S1QG 50-59 years, male 41.0
GTEX-Y5V6-2526-SM-5IFJV 60-69 years, male 40.8
GTEX-13X6J-0226-SM-7EPGC 50-59 years, male 40.7
GTEX-12KS4-0426-SM-5EQMC 30-39 years, male 40.3
GTEX-16MTA-2126-SM-6PALC 50-59 years, male 40.0
GTEX-18A67-0226-SM-7LG67 50-59 years, male 40.0
GTEX-145MI-0426-SM-5O99V 60-69 years, female 39.6
GTEX-T2IS-0226-SM-32QPH 20-29 years, female 39.6
GTEX-Y9LG-2026-SM-62LFS 30-39 years, male 39.6
GTEX-1HCU8-0726-SM-ADEIR 60-69 years, female 39.6
GTEX-15G19-0226-SM-6PAL2 60-69 years, male 39.3
GTEX-P4PQ-0226-SM-2S1NK 60-69 years, male 39.2
GTEX-T5JW-1726-SM-3GADN 20-29 years, female 39.2
GTEX-1AYCT-2226-SM-7SB98 50-59 years, male 39.2
GTEX-ZDYS-2126-SM-5S2P2 50-59 years, male 39.2
GTEX-1POEN-0226-SM-EYYXE 30-39 years, female 39.1
GTEX-1RDX4-0226-SM-DTXG1 50-59 years, female 39.0
GTEX-Y114-2326-SM-4TT7X 50-59 years, female 38.9
GTEX-1A3MX-0226-SM-731C4 60-69 years, male 38.5
GTEX-1L5NE-2626-SM-E9U6P 50-59 years, male 38.1
GTEX-1B8KE-2526-SM-73KYQ 50-59 years, male 38.0
GTEX-ZPIC-1826-SM-57WFE 40-49 years, female 38.0
GTEX-1HCU6-0226-SM-CGQES 60-69 years, female 38.0
GTEX-1I6K6-0226-SM-ADEID 30-39 years, male 37.9
GTEX-1S831-0326-SM-EVYD3 20-29 years, male 37.9
GTEX-1EX96-1426-SM-7PBZ5 50-59 years, male 37.7
GTEX-11DXX-2326-SM-9YFKS 60-69 years, female 37.3
GTEX-14PJ2-0226-SM-6LLH4 50-59 years, male 36.9
GTEX-16MT8-0526-SM-6PAM6 60-69 years, female 36.9
GTEX-ZP4G-2326-SM-57WEM 20-29 years, female 36.9
GTEX-1GZ4I-0226-SM-7RHHO 50-59 years, male 36.9
GTEX-R53T-1626-SM-3GAEW 50-59 years, female 36.8
GTEX-1A8FM-0126-SM-7SB7P 50-59 years, female 36.7
GTEX-SUCS-1826-SM-32PM1 70-79 years, male 36.4
GTEX-ZVZO-0226-SM-5A5LA 40-49 years, male 36.4
GTEX-VUSG-2426-SM-4KKZG 50-59 years, male 36.0
GTEX-11PRG-0626-SM-5BC56 50-59 years, male 35.9
GTEX-R55G-2426-SM-2TC5I 40-49 years, female 35.9
GTEX-13PLJ-0126-SM-5L3HU 60-69 years, female 35.7
GTEX-W5X1-2626-SM-4LMI8 40-49 years, female 35.6
GTEX-P4PP-0226-SM-D4P1Z 30-39 years, female 35.6
GTEX-13NYS-0226-SM-5MR49 60-69 years, male 35.5
GTEX-17MFQ-1826-SM-7DHLS 20-29 years, male 35.5
GTEX-1IL2V-0226-SM-CMKI2 70-79 years, male 35.5
GTEX-1MCYP-1826-SM-E9J2Q 20-29 years, female 35.3
GTEX-11UD1-0226-SM-5EQKL 40-49 years, female 35.2
GTEX-1JN76-0226-SM-CMKGO 20-29 years, female 34.9
GTEX-Q2AH-1726-SM-DIPDV 40-49 years, male 34.8
GTEX-14PJ6-2226-SM-6LLIV 60-69 years, female 34.7
GTEX-16XZY-2526-SM-7DHL2 70-79 years, male 34.7
GTEX-ZLFU-2626-SM-DO91L 40-49 years, male 34.6
GTEX-SSA3-0226-SM-32QPN 60-69 years, male 34.1
GTEX-QCQG-1826-SM-2S1P2 50-59 years, female 33.7
GTEX-SNMC-1326-SM-2XCFK 20-29 years, male 33.7
GTEX-OIZI-0226-SM-2XCEE 40-49 years, male 33.2
GTEX-11O72-0226-SM-59869 40-49 years, male 32.9
GTEX-YFC4-0226-SM-57WD2 40-49 years, female 32.9
GTEX-X8HC-0226-SM-4E3K1 50-59 years, female 32.6
GTEX-13OVK-2126-SM-6PAN1 40-49 years, male 32.4
GTEX-14ICK-0326-SM-6LLIZ 40-49 years, male 32.1
GTEX-1R9K5-0226-SM-EWRNF 50-59 years, male 32.1
GTEX-1H1DF-0226-SM-ARL9A 40-49 years, female 32.0
GTEX-13O1R-0226-SM-5K7U5 60-69 years, male 31.6
GTEX-ZVP2-1826-SM-5GU62 50-59 years, male 31.5
GTEX-131XE-2426-SM-5EQ5V 50-59 years, male 31.4
GTEX-ZC5H-0126-SM-4WAYL 40-49 years, female 30.5
GTEX-11TT1-2426-SM-5EQMK 20-29 years, male 30.2
GTEX-14E6E-1926-SM-664N4 30-39 years, male 30.0
GTEX-1CAMS-0326-SM-7PC35 40-49 years, female 29.8
GTEX-132AR-0226-SM-5IJBE 50-59 years, female 29.7
GTEX-QDVJ-1826-SM-2S1P3 50-59 years, male 29.5
GTEX-1AYD5-2326-SM-73KXF 50-59 years, male 29.4
GTEX-1I1GU-2326-SM-CGQFB 40-49 years, male 28.4
GTEX-1117F-0226-SM-5GZZ7 60-69 years, female 28.2
GTEX-S33H-1126-SM-2XCB6 30-39 years, male 28.1
GTEX-12C56-1626-SM-5FQUO 20-29 years, male 27.4
GTEX-X88G-0226-SM-4GIE4 30-39 years, male 27.2
GTEX-ZYY3-0226-SM-5E45M 60-69 years, female 27.2
GTEX-1R7EV-1926-SM-EVYBF 40-49 years, male 26.5
GTEX-QDVN-2126-SM-33HBS 50-59 years, male 26.2
GTEX-POMQ-2326-SM-DHXIS 20-29 years, female 26.1
GTEX-ZT9X-1926-SM-57WE7 40-49 years, male 25.9
GTEX-1ICLZ-0226-SM-CKZPP 60-69 years, male 25.5
GTEX-15UKP-0526-SM-7KFRO 20-29 years, male 25.4
GTEX-PX3G-0226-SM-DKPOF 20-29 years, female 25.4
GTEX-Q734-1826-SM-2I3EL 40-49 years, female 23.5
GTEX-18A66-0326-SM-718BE 60-69 years, male 23.1
GTEX-1QAET-1126-SM-E8VML 50-59 years, male 23.1
GTEX-144GM-1926-SM-5LUAN 20-29 years, male 22.6
GTEX-183WM-0226-SM-7LT8T 70-79 years, female 22.2
GTEX-QEG5-0326-SM-2S1PB 20-29 years, male 22.1
GTEX-1IDJD-1226-SM-CM2TP 30-39 years, male 21.5
GTEX-OHPN-0226-SM-48TBV 60-69 years, female 21.2
GTEX-1N2DW-0326-SM-E9TK3 50-59 years, male 21.2
GTEX-1HR98-0226-SM-CGQEK 60-69 years, male 20.6
GTEX-ZYVF-0226-SM-5GIEG 50-59 years, female 20.5
GTEX-POYW-0726-SM-2XCEO 60-69 years, male 19.3
GTEX-U8XE-0426-SM-3DB91 30-39 years, male 19.2
GTEX-144GO-1626-SM-7EPG5 60-69 years, male 18.6
GTEX-ZDTT-2626-SM-5S2OP 60-69 years, male 18.6
GTEX-O5YT-0226-SM-32PK5 20-29 years, male 18.3
GTEX-QLQW-1226-SM-2S1Q9 30-39 years, male 18.1
GTEX-13YAN-0426-SM-5O9DR 60-69 years, male 17.8
GTEX-VJYA-1326-SM-3GIJC 60-69 years, male 16.2
GTEX-OOBK-0226-SM-2YUMF 40-49 years, male 13.8
GTEX-12WSL-2426-SM-5GCN7 50-59 years, male 12.6
Show allShow less
Adipose - Visceral (Omentum)
Average nTPM: 27.1
Samples: 541

Max nTPM: 105.3
Min nTPM: 1.5
Std nTPM: 15.3
Median nTPM: 24.2
GTEX-XQ8I-1426-SM-4BOPW 50-59 years, male 105.3
GTEX-1C6VS-1826-SM-73KXN 60-69 years, male 99.8
GTEX-15SHU-2326-SM-7KUMC 40-49 years, female 98.3
GTEX-1QP66-0626-SM-E76PD 50-59 years, male 94.6
GTEX-13OVJ-0926-SM-5K7U1 50-59 years, female 86.2
GTEX-X585-2526-SM-4QAS1 50-59 years, male 85.1
GTEX-1192X-1526-SM-5H11I 50-59 years, male 81.0
GTEX-15D1Q-1326-SM-69LOA 40-49 years, male 80.3
GTEX-17MF6-1326-SM-79ONE 40-49 years, male 78.0
GTEX-14E6C-1226-SM-5ZZUN 40-49 years, male 75.6
GTEX-1KWVE-0226-SM-E9TKK 30-39 years, male 74.1
GTEX-WOFM-0726-SM-3MJF8 20-29 years, male 73.4
GTEX-14BIM-1626-SM-7EWD2 60-69 years, female 73.1
GTEX-WL46-2026-SM-3LK7U 50-59 years, male 69.8
GTEX-ZVP2-0226-SM-57WBD 50-59 years, male 67.8
GTEX-1AMEY-0526-SM-72D62 30-39 years, female 66.9
GTEX-1GN1W-1226-SM-9MQLW 50-59 years, female 66.7
GTEX-1R9PO-0926-SM-E9U4Q 60-69 years, female 66.4
GTEX-11VI4-1226-SM-5EQMP 40-49 years, female 65.4
GTEX-1HUB1-1526-SM-CGQF6 60-69 years, male 65.4
GTEX-1HBPI-1826-SM-ADEHE 50-59 years, male 61.3
GTEX-ZDXO-2326-SM-5LU9W 60-69 years, male 58.9
GTEX-1HBPN-1526-SM-9WYSB 50-59 years, male 58.6
GTEX-16NGA-0526-SM-731AJ 40-49 years, female 58.1
GTEX-13OW7-1126-SM-5K7V6 50-59 years, male 56.8
GTEX-XUZC-1126-SM-4BOPZ 30-39 years, female 54.9
GTEX-1QCLY-1226-SM-EVYC3 30-39 years, male 54.5
GTEX-1GZ4I-2326-SM-9YFMO 50-59 years, male 53.7
GTEX-YFCO-1126-SM-5S2N9 40-49 years, male 53.5
GTEX-1445S-2426-SM-79ON2 60-69 years, male 53.3
GTEX-1H2FU-1426-SM-9WPO6 60-69 years, female 53.1
GTEX-1HFI6-1726-SM-CGQFH 40-49 years, male 53.1
GTEX-13NYS-0726-SM-5J1OR 60-69 years, male 52.9
GTEX-1HGF4-0226-SM-CNNQL 60-69 years, male 52.9
GTEX-1KANB-2426-SM-EV7BE 50-59 years, male 52.7
GTEX-1S5ZA-1026-SM-EWRO2 20-29 years, male 52.2
GTEX-1212Z-0526-SM-5FQSQ 60-69 years, male 51.9
GTEX-1P4AB-1226-SM-DTXET 50-59 years, male 50.8
GTEX-1CAMQ-1226-SM-7SB7E 40-49 years, male 50.7
GTEX-1LVAM-1026-SM-DIPFK 50-59 years, female 49.1
GTEX-1HCU7-2026-SM-A9G2B 50-59 years, male 48.8
GTEX-145MF-1026-SM-5Q5EQ 50-59 years, male 48.7
GTEX-1N2DV-0626-SM-E9U5H 40-49 years, male 48.6
GTEX-ZC5H-1626-SM-5HL7L 40-49 years, female 48.1
GTEX-1NV5F-2526-SM-EXUSK 60-69 years, female 48.1
GTEX-13VXT-0926-SM-5LU5K 20-29 years, female 47.8
GTEX-12WSG-0426-SM-5FQSE 50-59 years, female 47.4
GTEX-1QP67-1126-SM-EAZ4C 40-49 years, female 46.9
GTEX-ZLWG-0726-SM-5S2N4 50-59 years, female 46.8
GTEX-14ICL-0926-SM-5S2TU 30-39 years, male 46.3
GTEX-ZE7O-1526-SM-5J1NH 50-59 years, female 45.9
GTEX-15ER7-1026-SM-7KUMD 20-29 years, female 45.2
GTEX-1GZ4H-0926-SM-9WG6Y 50-59 years, female 45.1
GTEX-11DXZ-1426-SM-5H12A 50-59 years, male 45.0
GTEX-1HT8W-0726-SM-A9SLB 30-39 years, male 44.8
GTEX-11NUK-2026-SM-5PNVZ 50-59 years, male 44.6
GTEX-18D9A-0726-SM-7LTA7 30-39 years, female 44.5
GTEX-1F5PL-1326-SM-7SB83 40-49 years, female 44.4
GTEX-14AS3-0426-SM-5QGQK 40-49 years, female 44.3
GTEX-1JMLX-1026-SM-D3L8U 50-59 years, male 43.8
GTEX-1IDJU-0926-SM-ARL88 60-69 years, female 43.7
GTEX-1IKK5-0826-SM-ACKWN 60-69 years, male 43.4
GTEX-11P7K-0826-SM-5BC5F 30-39 years, male 42.8
GTEX-1A8G6-2026-SM-73KYC 60-69 years, male 42.5
GTEX-WRHK-0826-SM-3MJFG 20-29 years, female 42.0
GTEX-Y8LW-0926-SM-4VBQ8 50-59 years, female 41.9
GTEX-1LKK1-1526-SM-EVYCO 50-59 years, female 41.7
GTEX-15CHQ-1126-SM-686YY 60-69 years, male 41.2
GTEX-1QMI2-1626-SM-EYYXK 60-69 years, male 41.2
GTEX-1C2JI-0826-SM-7EPHB 50-59 years, male 41.0
GTEX-13113-1126-SM-5LZU9 60-69 years, female 40.9
GTEX-13N2G-1926-SM-5J1O3 60-69 years, male 40.9
GTEX-1GMR2-0226-SM-9JGHO 50-59 years, male 40.8
GTEX-XMK1-0926-SM-4B66X 40-49 years, male 40.6
GTEX-11EM3-1126-SM-5A5KM 20-29 years, female 40.3
GTEX-14753-2526-SM-5LU97 60-69 years, male 40.0
GTEX-ZQG8-1026-SM-51MR9 60-69 years, female 39.8
GTEX-1LG7Y-1126-SM-CYPTE 50-59 years, male 39.8
GTEX-1QP9N-0426-SM-DTXFT 30-39 years, male 39.7
GTEX-ZVT2-0226-SM-5GIE3 50-59 years, female 39.5
GTEX-1ICLZ-1626-SM-CE6SS 60-69 years, male 39.5
GTEX-1HCU8-1126-SM-CM2SA 60-69 years, female 39.2
GTEX-12WSI-1526-SM-5GCNM 50-59 years, male 38.8
GTEX-14PJN-0626-SM-6EU13 30-39 years, male 38.6
GTEX-WK11-2426-SM-3NMAA 50-59 years, male 38.6
GTEX-1GTWX-1526-SM-9MQLF 60-69 years, male 38.6
GTEX-1LGOU-0826-SM-DHXKL 20-29 years, female 38.6
GTEX-1ICG6-1726-SM-ARU7K 70-79 years, female 38.5
GTEX-1MCC2-0626-SM-DKPQI 30-39 years, female 38.5
GTEX-ZVE2-1826-SM-51MRZ 50-59 years, male 38.4
GTEX-14PJ3-0726-SM-69LQE 50-59 years, male 38.3
GTEX-WYJK-1426-SM-3NM8V 50-59 years, male 38.3
GTEX-Y9LG-1226-SM-4VBQA 30-39 years, male 38.3
GTEX-14BIL-2426-SM-5QGQR 50-59 years, male 38.0
GTEX-Y8E4-1226-SM-5IFIM 40-49 years, male 38.0
GTEX-11P82-0326-SM-5HL51 20-29 years, male 37.7
GTEX-1JKYR-1226-SM-CM2S7 20-29 years, male 37.5
GTEX-1I1CD-1026-SM-COH3G 60-69 years, female 37.3
GTEX-15G19-1126-SM-7KUEL 60-69 years, male 37.2
GTEX-1S831-1926-SM-EV79P 20-29 years, male 37.2
GTEX-13X6K-0726-SM-5LU2Z 60-69 years, female 37.1
GTEX-1C6VQ-1526-SM-73KU9 50-59 years, male 37.0
GTEX-1H11D-1126-SM-9YFM5 40-49 years, male 37.0
GTEX-1R9K4-1426-SM-DPRY4 60-69 years, male 37.0
GTEX-VJWN-2326-SM-EVYAP 50-59 years, female 36.7
GTEX-ZXG5-1626-SM-59HJK 60-69 years, male 36.5
GTEX-ZP4G-1326-SM-5EGIW 20-29 years, female 36.4
GTEX-113JC-0726-SM-5GZZR 50-59 years, female 36.3
GTEX-Y5V5-0226-SM-5S2N8 60-69 years, female 36.3
GTEX-1I1GT-1326-SM-ACKWB 60-69 years, female 36.1
GTEX-1KANC-0526-SM-D4P3T 50-59 years, female 36.1
GTEX-16BQI-1126-SM-7KULF 30-39 years, female 36.0
GTEX-YEC4-0926-SM-5PNXY 40-49 years, male 36.0
GTEX-1LG7Z-0226-SM-E6CIG 30-39 years, male 35.8
GTEX-ZTX8-0726-SM-59HL9 20-29 years, male 35.7
GTEX-ZYT6-2126-SM-5GZZ4 30-39 years, male 35.7
GTEX-1IDJI-0926-SM-ACKWZ 50-59 years, female 35.7
GTEX-1CB4G-2126-SM-7IGQ8 60-69 years, male 35.6
GTEX-ZUA1-2126-SM-57YRB 40-49 years, male 35.5
GTEX-13O3Q-1126-SM-5K7YK 50-59 years, male 35.4
GTEX-XQ3S-2426-SM-4WAYB 20-29 years, male 35.3
GTEX-WXYG-0926-SM-3NB2O 50-59 years, female 34.9
GTEX-WFJO-1026-SM-3GIKL 30-39 years, male 34.8
GTEX-ZF29-0826-SM-5S2O2 60-69 years, female 34.8
GTEX-147JS-1026-SM-5S2MP 60-69 years, male 34.7
GTEX-11GS4-1026-SM-5N9DE 60-69 years, male 34.6
GTEX-1B996-1226-SM-73KWZ 60-69 years, male 34.5
GTEX-WYVS-0626-SM-4SOJY 40-49 years, female 34.5
GTEX-1PPH8-1026-SM-DPRXN 20-29 years, male 34.3
GTEX-WYBS-1026-SM-4ONCY 60-69 years, female 34.1
GTEX-1A8G7-1226-SM-73KYP 60-69 years, male 33.8
GTEX-13OW8-0326-SM-5L3FB 60-69 years, male 33.7
GTEX-14DAQ-2526-SM-5RQIO 60-69 years, female 33.7
GTEX-1AX9I-1726-SM-731BX 60-69 years, male 33.7
GTEX-Y111-0926-SM-4SOIU 50-59 years, male 33.4
GTEX-1JJ6O-2826-SM-CNNP7 60-69 years, male 33.3
GTEX-13NZB-0826-SM-5K7X5 30-39 years, male 33.2
GTEX-1IL2U-2726-SM-C1YSG 60-69 years, male 33.1
GTEX-1L5NE-1726-SM-DHXKX 50-59 years, male 33.1
GTEX-145LT-1526-SM-5O98P 40-49 years, male 32.8
GTEX-13OW6-2426-SM-5K7WO 50-59 years, male 32.7
GTEX-YJ89-1926-SM-5IFJ6 60-69 years, male 32.7
GTEX-1HCU9-0626-SM-ACKW6 20-29 years, male 32.7
GTEX-14PN3-0326-SM-6EU1X 60-69 years, female 32.6
GTEX-1HKZK-1726-SM-ADEJ9 40-49 years, male 32.6
GTEX-17HII-0826-SM-7DUFH 50-59 years, male 32.5
GTEX-WHWD-0826-SM-3LK6R 50-59 years, male 32.4
GTEX-1RLM8-1026-SM-EWROE 50-59 years, male 32.4
GTEX-17EVP-1426-SM-79OMN 40-49 years, male 32.3
GTEX-13JUV-0626-SM-5J1MQ 40-49 years, female 32.2
GTEX-ZF2S-1526-SM-5S2OO 50-59 years, female 32.0
GTEX-X3Y1-0926-SM-3P5YT 40-49 years, male 31.9
GTEX-14BIN-1226-SM-5S2OM 50-59 years, female 31.8
GTEX-1MA7W-0526-SM-E6CIN 20-29 years, female 31.8
GTEX-11ZUS-1826-SM-5FQTR 30-39 years, male 31.5
GTEX-13VXU-1026-SM-5KLZE 50-59 years, male 31.5
GTEX-1A8FM-2126-SM-7PC27 50-59 years, female 31.5
GTEX-1PFEY-0726-SM-E76PO 30-39 years, male 31.5
GTEX-WEY5-1326-SM-3GILS 40-49 years, female 31.4
GTEX-1GZ2Q-1226-SM-9MQM8 40-49 years, male 31.3
GTEX-1H1CY-0826-SM-9WYTU 60-69 years, female 31.3
GTEX-178AV-0626-SM-6PAM1 40-49 years, male 31.2
GTEX-1B933-1326-SM-7939U 50-59 years, female 31.2
GTEX-1QEPI-2226-SM-E8VN6 60-69 years, female 31.2
GTEX-ZEX8-1226-SM-5S2OK 50-59 years, male 30.9
GTEX-1H3VE-1926-SM-9YFL4 40-49 years, male 30.9
GTEX-ZAB5-1126-SM-5Q5AD 50-59 years, male 30.7
GTEX-12WSM-0626-SM-5GCOK 60-69 years, male 30.6
GTEX-12ZZX-1726-SM-5BC63 40-49 years, female 30.6
GTEX-132Q8-1726-SM-5EGK8 60-69 years, male 30.6
GTEX-13PL6-0926-SM-5KLYY 40-49 years, female 30.6
GTEX-1I1GS-0926-SM-A9SL5 60-69 years, male 30.4
GTEX-1JMPY-0326-SM-CM2S2 30-39 years, male 30.4
GTEX-1H4P4-0326-SM-9WYTD 50-59 years, male 30.3
GTEX-1H1E6-1126-SM-9JGGV 30-39 years, male 30.2
GTEX-13FTW-0426-SM-5K7X2 40-49 years, male 30.1
GTEX-1H1DE-0826-SM-ARU8V 20-29 years, male 30.1
GTEX-1117F-1326-SM-5EGHH 60-69 years, female 30.0
GTEX-ZTPG-2326-SM-57WFL 20-29 years, female 30.0
GTEX-1HFI7-0726-SM-ACKVN 50-59 years, female 30.0
GTEX-1JMQI-1026-SM-COH2U 50-59 years, male 30.0
GTEX-13S7M-0826-SM-5QGQX 60-69 years, female 29.9
GTEX-1N2DW-0726-SM-DTX97 50-59 years, male 29.9
GTEX-146FR-0226-SM-5Q5F6 60-69 years, female 29.8
GTEX-17EVQ-0626-SM-7KFTB 70-79 years, male 29.8
GTEX-ZPU1-1226-SM-5HL71 40-49 years, male 29.8
GTEX-14B4R-0526-SM-5QGQT 30-39 years, male 29.7
GTEX-1B97J-1126-SM-7SB79 50-59 years, female 29.7
GTEX-14E6E-0226-SM-7DUEF 30-39 years, male 29.6
GTEX-11OF3-0826-SM-5BC51 60-69 years, male 29.5
GTEX-1LSNL-1426-SM-E6CJ9 50-59 years, male 29.4
GTEX-1211K-1226-SM-5EQ4N 60-69 years, female 29.3
GTEX-1AX9K-0926-SM-7939G 50-59 years, male 29.3
GTEX-1IDJH-1626-SM-A9SLP 70-79 years, male 29.2
GTEX-15CHC-0826-SM-686YW 60-69 years, female 29.1
GTEX-1GF9X-0926-SM-7PC2X 40-49 years, female 29.1
GTEX-1RQEC-2526-SM-EVYD2 60-69 years, male 29.1
GTEX-XBEC-1826-SM-4QASN 50-59 years, male 29.0
GTEX-1C475-0326-SM-7SB8O 40-49 years, female 29.0
GTEX-1I6K7-1826-SM-CGQFO 40-49 years, male 29.0
GTEX-18A7A-0926-SM-7LT8H 50-59 years, female 28.9
GTEX-1F6IF-2026-SM-7P8SE 60-69 years, male 28.7
GTEX-1HBPH-2226-SM-9WYSO 40-49 years, female 28.7
GTEX-139YR-0326-SM-5J1MC 50-59 years, male 28.6
GTEX-131XH-0826-SM-5GCN8 50-59 years, male 28.4
GTEX-14PKU-0226-SM-6EU16 40-49 years, female 28.4
GTEX-13FHO-2026-SM-5J1OA 60-69 years, male 28.3
GTEX-13IVO-2426-SM-5K7V9 70-79 years, male 28.3
GTEX-WI4N-1526-SM-EZ6LG 40-49 years, female 28.2
GTEX-13OVG-1326-SM-5K7Y3 60-69 years, male 28.1
GTEX-1I1GR-1726-SM-COH39 60-69 years, male 28.0
GTEX-1JJE9-1526-SM-CM2RR 70-79 years, male 28.0
GTEX-139D8-1626-SM-5IJFZ 30-39 years, female 27.9
GTEX-16NPV-0626-SM-7IGOR 50-59 years, female 27.9
GTEX-XPVG-1626-SM-EYYVK 50-59 years, male 27.8
GTEX-1PIGE-1226-SM-EVR3Q 20-29 years, male 27.7
GTEX-18D9U-0426-SM-731AN 40-49 years, male 27.6
GTEX-Z9EW-0826-SM-5HL9T 40-49 years, male 27.6
GTEX-1I19N-1026-SM-A96TT 70-79 years, male 27.6
GTEX-139T6-0526-SM-5IJC9 50-59 years, male 27.5
GTEX-13PDP-1226-SM-5K7TW 60-69 years, male 27.5
GTEX-1AMFI-1026-SM-73KYM 50-59 years, female 27.4
GTEX-131XF-0726-SM-5GIE5 60-69 years, male 27.3
GTEX-13FH7-1926-SM-5J2OL 50-59 years, female 27.2
GTEX-XGQ4-1026-SM-4AT4L 50-59 years, male 27.2
GTEX-1J8EW-1526-SM-CMKFZ 60-69 years, female 27.2
GTEX-13112-1126-SM-5GCMY 50-59 years, male 27.1
GTEX-ZXES-0926-SM-5E43O 30-39 years, female 27.1
GTEX-WH7G-1126-SM-3NMBK 40-49 years, male 26.9
GTEX-16XZZ-1626-SM-7KUEC 60-69 years, male 26.7
GTEX-YECK-1426-SM-5IFHE 60-69 years, male 26.7
GTEX-18465-1826-SM-731BB 50-59 years, male 26.6
GTEX-1RAZR-1026-SM-E8VOJ 40-49 years, male 26.6
GTEX-1GMR3-0826-SM-9WYT4 40-49 years, male 26.5
GTEX-1399T-1326-SM-5PNVH 60-69 years, male 26.4
GTEX-14PJO-1626-SM-69LPQ 60-69 years, male 26.4
GTEX-1BAJH-2126-SM-7EWFB 70-79 years, male 26.4
GTEX-1F6I4-2126-SM-7PC2J 60-69 years, male 26.3
GTEX-13PL7-1226-SM-5SIAR 60-69 years, female 26.2
GTEX-1MCQQ-1426-SM-E6CJA 60-69 years, male 26.2
GTEX-14E6D-1326-SM-62LES 50-59 years, male 26.1
GTEX-1EMGI-0726-SM-7PBZ4 60-69 years, male 26.1
GTEX-ZYFG-1426-SM-5GICS 60-69 years, female 26.0
GTEX-12ZZW-2326-SM-5DUW2 50-59 years, male 25.8
GTEX-ZGAY-1326-SM-5S2NS 40-49 years, female 25.8
GTEX-1F52S-1326-SM-7SB6Q 60-69 years, female 25.7
GTEX-1QP29-1626-SM-EXUSZ 50-59 years, male 25.7
GTEX-1JN6P-1626-SM-CYPSV 60-69 years, male 25.6
GTEX-12C56-0826-SM-5EGJ5 20-29 years, male 25.5
GTEX-ZF28-1426-SM-5S2OG 60-69 years, male 25.4
GTEX-13N11-1826-SM-5IJDS 50-59 years, female 25.3
GTEX-1B97I-0526-SM-73KXE 40-49 years, male 25.3
GTEX-1K2DA-1126-SM-CGQGG 50-59 years, male 25.3
GTEX-ZPIC-0726-SM-57WFM 40-49 years, female 25.2
GTEX-11DXY-0326-SM-5H12F 60-69 years, male 25.1
GTEX-14PJ2-1426-SM-62LFF 50-59 years, male 25.1
GTEX-169BO-0426-SM-7EPI1 50-59 years, male 25.1
GTEX-13OVK-0326-SM-7KUEJ 40-49 years, male 24.9
GTEX-UTHO-1826-SM-3GAFE 60-69 years, male 24.9
GTEX-WFON-1226-SM-3TW8F 40-49 years, male 24.9
GTEX-ZTSS-1026-SM-5985N 40-49 years, male 24.7
GTEX-1B8SF-1726-SM-73KZ5 60-69 years, male 24.6
GTEX-14ABY-1926-SM-62LDJ 50-59 years, male 24.5
GTEX-13G51-0526-SM-5IJCQ 60-69 years, male 24.3
GTEX-17HHY-1026-SM-7LG5E 50-59 years, male 24.3
GTEX-17KNJ-0426-SM-718AK 50-59 years, male 24.3
GTEX-UPK5-1826-SM-3GAEB 40-49 years, male 24.3
GTEX-1CAMS-0926-SM-7SB7F 40-49 years, female 24.3
GTEX-1F75B-1226-SM-7MXTW 50-59 years, male 24.3
GTEX-11EQ9-1126-SM-5987I 30-39 years, male 24.2
GTEX-16NPX-1026-SM-6PAM7 50-59 years, male 24.2
GTEX-ZPCL-1026-SM-5GCOX 60-69 years, female 24.2
GTEX-1IE54-1426-SM-CL53C 40-49 years, female 24.1
GTEX-1JN76-1026-SM-ARZNI 20-29 years, female 23.9
GTEX-12WSC-1726-SM-5GCN3 50-59 years, male 23.8
GTEX-1KD4Q-1426-SM-D4P3K 40-49 years, male 23.7
GTEX-Y3I4-0726-SM-E9J3Y 50-59 years, male 23.7
GTEX-11DXX-2026-SM-5EGJL 60-69 years, female 23.6
GTEX-12WSA-1626-SM-5EGJV 60-69 years, male 23.6
GTEX-13OVL-0826-SM-5L3GV 50-59 years, male 23.6
GTEX-1QP6S-1626-SM-EVYC5 40-49 years, male 23.6
GTEX-14E7W-2326-SM-69LQC 70-79 years, male 23.3
GTEX-1LVAN-0926-SM-CNNQ2 50-59 years, female 23.3
GTEX-11NV4-1426-SM-5BC4W 60-69 years, male 23.2
GTEX-15DZA-0626-SM-6PANC 30-39 years, female 23.2
GTEX-1A3MV-0626-SM-731CH 30-39 years, male 23.2
GTEX-12BJ1-0826-SM-5EQ5P 60-69 years, male 23.1
GTEX-13W3W-1126-SM-5L3DO 60-69 years, female 23.1
GTEX-ZVZP-1126-SM-5GICU 50-59 years, male 23.1
GTEX-16AAH-1526-SM-7LT9W 50-59 years, male 23.0
GTEX-17F96-0726-SM-793CB 70-79 years, male 23.0
GTEX-131YS-1726-SM-5HL7G 60-69 years, female 22.8
GTEX-1A3MX-0826-SM-72D64 60-69 years, male 22.7
GTEX-1RNTQ-0826-SM-E9TK8 20-29 years, female 22.7
GTEX-11LCK-0326-SM-5A5M7 30-39 years, male 22.6
GTEX-1H1ZS-1326-SM-9WG74 70-79 years, male 22.6
GTEX-1J1OQ-1526-SM-CJI4E 40-49 years, female 22.5
GTEX-13111-0626-SM-5LZVR 50-59 years, male 22.3
GTEX-1HSMP-1126-SM-B2LXJ 70-79 years, male 22.3
GTEX-1HSKV-1926-SM-CNPPN 60-69 years, male 22.2
GTEX-1MUQO-0826-SM-EVYCZ 60-69 years, male 22.2
GTEX-11ZTS-1326-SM-5EQMA 60-69 years, female 22.1
GTEX-11GSO-0226-SM-5A5LV 60-69 years, male 22.0
GTEX-13O3P-0926-SM-5IFFI 50-59 years, male 22.0
GTEX-17F9Y-0726-SM-7LT9G 70-79 years, female 22.0
GTEX-1KD5A-1326-SM-CYPTB 50-59 years, male 22.0
GTEX-ZDTS-1826-SM-5S2N6 60-69 years, male 21.9
GTEX-1HSMO-1426-SM-CNNQN 60-69 years, male 21.9
GTEX-1RAZA-0926-SM-E6CQ8 20-29 years, male 21.9
GTEX-14PHX-1626-SM-69LQB 50-59 years, male 21.8
GTEX-15UKP-1426-SM-7KUDX 20-29 years, male 21.8
GTEX-1RMOY-0826-SM-E9TIF 50-59 years, male 21.7
GTEX-13FTX-0626-SM-5J2NS 20-29 years, female 21.6
GTEX-11GSP-1026-SM-9WYSH 60-69 years, female 21.6
GTEX-1IY9M-1226-SM-ACKX1 60-69 years, male 21.6
GTEX-1OJC3-1326-SM-E9J3D 20-29 years, male 21.6
GTEX-WWTW-1326-SM-4MVNT 50-59 years, male 21.4
GTEX-1F48J-1826-SM-7SB8T 50-59 years, female 21.4
GTEX-1KXAM-0526-SM-DKPQN 60-69 years, male 21.4
GTEX-11I78-0226-SM-5HL6R 50-59 years, female 21.3
GTEX-13QBU-1326-SM-5LU4K 40-49 years, female 21.2
GTEX-1GPI7-0826-SM-9JGG7 20-29 years, male 21.2
GTEX-1LVAO-2126-SM-DIPGA 60-69 years, male 21.2
GTEX-132NY-1126-SM-5PNVE 60-69 years, male 21.1
GTEX-ZF3C-1026-SM-5S2OC 50-59 years, female 21.1
GTEX-12696-1826-SM-5EGJS 60-69 years, male 21.0
GTEX-1122O-0926-SM-9YFLC 60-69 years, female 21.0
GTEX-1GMRU-0726-SM-7PBZH 50-59 years, male 21.0
GTEX-13FXS-1326-SM-62LFR 50-59 years, male 20.9
GTEX-1J8Q2-2226-SM-CM2TZ 60-69 years, male 20.9
GTEX-13PVR-0526-SM-5S2OB 60-69 years, female 20.8
GTEX-145LU-1226-SM-5LU9B 50-59 years, male 20.8
GTEX-ZYW4-2226-SM-5GZYG 60-69 years, male 20.7
GTEX-11DYG-2026-SM-5EGGX 60-69 years, male 20.6
GTEX-145MI-0826-SM-5SI95 60-69 years, female 20.6
GTEX-1GF9U-1226-SM-ARL9I 40-49 years, female 20.6
GTEX-1B8SG-1426-SM-7EWEM 50-59 years, male 20.5
GTEX-1CB4F-1126-SM-79OLG 60-69 years, male 20.5
GTEX-1C64N-1326-SM-7SB7D 50-59 years, male 20.5
GTEX-1KAFJ-0826-SM-CYPTF 50-59 years, male 20.5
GTEX-12584-2126-SM-5FQUM 40-49 years, male 20.3
GTEX-1K9T9-1626-SM-DIPFS 50-59 years, female 20.3
GTEX-14BMV-1626-SM-73KVQ 50-59 years, male 20.2
GTEX-18QFQ-1326-SM-731CF 30-39 years, male 20.2
GTEX-111CU-1026-SM-5EGIL 50-59 years, male 20.0
GTEX-1GN73-0626-SM-7PC3I 60-69 years, male 19.9
GTEX-1IDJC-0226-SM-CMKG2 50-59 years, male 19.9
GTEX-ZV7C-0826-SM-59HK8 50-59 years, male 19.8
GTEX-14JIY-1426-SM-6EU29 60-69 years, male 19.7
GTEX-ZQUD-0526-SM-57WG4 30-39 years, male 19.7
GTEX-139TU-1426-SM-5LZY9 60-69 years, male 19.6
GTEX-18A66-1926-SM-7LTAG 60-69 years, male 19.6
GTEX-12WSK-1026-SM-5CVNR 40-49 years, female 19.5
GTEX-14E1K-0426-SM-5S2PF 50-59 years, male 19.5
GTEX-1I1GP-1426-SM-ACKVZ 50-59 years, male 19.5
GTEX-1N2EE-1526-SM-DTXE9 60-69 years, male 19.4
GTEX-YEC3-0926-SM-5Q5AC 50-59 years, male 19.3
GTEX-13RTK-0726-SM-5Q5EN 20-29 years, male 19.2
GTEX-1LSVX-1326-SM-DIPET 60-69 years, male 19.0
GTEX-1HSGN-1926-SM-CMKGS 40-49 years, female 18.8
GTEX-1EKGG-1426-SM-7PBY2 60-69 years, male 18.7
GTEX-1IKOE-1726-SM-CNNQ6 30-39 years, female 18.7
GTEX-1JMQJ-1926-SM-D4P3A 50-59 years, male 18.6
GTEX-1OKEX-0926-SM-E8VNJ 60-69 years, male 18.5
GTEX-1R7EV-1026-SM-DTX81 40-49 years, male 18.4
GTEX-12WSF-1526-SM-6PAN6 70-79 years, male 18.3
GTEX-1EH9U-1326-SM-79OM3 60-69 years, male 18.3
GTEX-1EWIQ-2526-SM-7EPIJ 70-79 years, female 18.3
GTEX-1QP28-0926-SM-EVR4D 50-59 years, female 18.3
GTEX-145ME-0726-SM-5O9A3 40-49 years, female 18.2
GTEX-14DAR-0426-SM-664MW 50-59 years, male 18.2
GTEX-1B8KE-0826-SM-72D6S 50-59 years, male 18.2
GTEX-1399U-2026-SM-9WPNN 50-59 years, female 18.2
GTEX-XBEW-1726-SM-4RGMA 40-49 years, male 18.1
GTEX-1399S-1426-SM-5PNYQ 30-39 years, female 18.0
GTEX-1I1GQ-1026-SM-CNNQS 50-59 years, male 18.0
GTEX-1I4MK-0726-SM-ACKWC 50-59 years, female 18.0
GTEX-WY7C-0926-SM-3NB34 50-59 years, male 17.9
GTEX-1OFPY-0826-SM-DTX8P 60-69 years, male 17.9
GTEX-1S3DN-1626-SM-EVYCC 50-59 years, male 17.9
GTEX-13O21-3126-SM-5J1OI 50-59 years, male 17.8
GTEX-11PRG-1526-SM-5HL6Z 50-59 years, male 17.7
GTEX-1MA7X-1026-SM-DKPQ8 60-69 years, male 17.7
GTEX-1QAET-1226-SM-DTX9I 50-59 years, male 17.7
GTEX-13U4I-1726-SM-5J1MF 40-49 years, female 17.6
GTEX-YJ8A-1926-SM-EZ6LQ 20-29 years, male 17.6
GTEX-1313W-1626-SM-5J1OE 50-59 years, female 17.5
GTEX-14PJ5-0426-SM-5ZZW2 60-69 years, female 17.5
GTEX-1GN1U-0726-SM-9MQKL 50-59 years, female 17.5
GTEX-1HCUA-0926-SM-ADEIX 50-59 years, female 17.5
GTEX-XXEK-1426-SM-4BRW1 50-59 years, male 17.4
GTEX-11P81-0726-SM-5PNYH 30-39 years, female 17.3
GTEX-1RAZQ-1526-SM-E6CJI 30-39 years, male 17.3
GTEX-XLM4-1026-SM-4AT51 60-69 years, male 17.2
GTEX-ZDYS-2226-SM-5S2MI 50-59 years, male 17.2
GTEX-1E1VI-1826-SM-9WG5J 50-59 years, male 17.2
GTEX-1AX9J-2226-SM-731CW 60-69 years, male 17.1
GTEX-16GPK-1326-SM-7KUE4 60-69 years, male 17.0
GTEX-18A7B-1226-SM-718AU 70-79 years, male 17.0
GTEX-ZA64-0926-SM-5HL7H 20-29 years, male 16.9
GTEX-15EU6-1726-SM-6M48H 50-59 years, male 16.8
GTEX-17HHE-1526-SM-793AS 50-59 years, male 16.8
GTEX-ZLV1-0926-SM-5S2MR 60-69 years, female 16.8
GTEX-1IDJF-1726-SM-A9SLL 20-29 years, male 16.8
GTEX-1O9I2-1326-SM-E6CQD 50-59 years, male 16.7
GTEX-ZZ64-0626-SM-5GZWR 20-29 years, male 16.6
GTEX-12KS4-1526-SM-5EQ6E 30-39 years, male 16.4
GTEX-1B8KZ-1026-SM-73KYN 50-59 years, male 16.4
GTEX-1GL5R-0726-SM-9MQL5 50-59 years, male 16.4
GTEX-1128S-0926-SM-5GZZU 60-69 years, female 16.3
GTEX-146FH-2026-SM-5SI9I 50-59 years, female 16.3
GTEX-VUSG-1426-SM-3GIJN 50-59 years, male 16.3
GTEX-1CB4I-0826-SM-7MGX1 50-59 years, male 16.2
GTEX-1RB15-1126-SM-E8VMX 60-69 years, male 16.2
GTEX-14BMU-0626-SM-73KZ6 20-29 years, female 15.9
GTEX-XAJ8-0226-SM-4GIB2 40-49 years, male 15.9
GTEX-XOT4-0826-SM-4B66Y 60-69 years, female 15.9
GTEX-ZAJG-1626-SM-5HL7I 50-59 years, female 15.9
GTEX-WVLH-1626-SM-EXURN 50-59 years, male 15.9
GTEX-144GN-0726-SM-5O98O 50-59 years, male 15.8
GTEX-1J1R8-0526-SM-ACKWO 40-49 years, male 15.7
GTEX-131XG-0126-SM-5K7UJ 50-59 years, female 15.6
GTEX-13W46-1226-SM-5SIAS 50-59 years, male 15.6
GTEX-15EOM-2326-SM-7KUMV 20-29 years, female 15.6
GTEX-XV7Q-1726-SM-4BRUU 40-49 years, female 15.6
GTEX-ZV6S-1626-SM-5NQ81 40-49 years, female 15.6
GTEX-1EN7A-1626-SM-79OLV 40-49 years, male 15.5
GTEX-1EU9M-1126-SM-793DE 60-69 years, male 15.5
GTEX-ZT9X-0926-SM-5O9C4 40-49 years, male 15.5
GTEX-1B8L1-0126-SM-9KNVS 60-69 years, male 15.5
GTEX-Y5V6-0626-SM-4WWFY 60-69 years, male 15.4
GTEX-13D11-0526-SM-5LZYM 50-59 years, female 15.3
GTEX-1GF9V-1126-SM-9MQM7 60-69 years, male 15.3
GTEX-13X6I-1526-SM-5SIAC 60-69 years, male 15.2
GTEX-145LV-1026-SM-5O9AE 50-59 years, male 15.2
GTEX-13O61-1926-SM-5KM1R 60-69 years, male 15.1
GTEX-1QW4Y-0826-SM-DTXE1 30-39 years, male 15.1
GTEX-1H1DG-2026-SM-9QEIV 70-79 years, male 15.0
GTEX-1PBJI-1326-SM-E9J2V 20-29 years, female 15.0
GTEX-VJYA-1626-SM-EXOHL 60-69 years, male 15.0
GTEX-133LE-0926-SM-5P9J1 20-29 years, female 14.8
GTEX-ZT9W-1026-SM-57WG5 50-59 years, male 14.8
GTEX-1HCU6-1626-SM-CMKGW 60-69 years, female 14.8
GTEX-131XE-2026-SM-5LZW1 50-59 years, male 14.7
GTEX-1CAV2-0226-SM-7IGPQ 40-49 years, female 14.7
GTEX-1HR9M-1426-SM-A9SMB 60-69 years, male 14.7
GTEX-117YW-0826-SM-5H11O 50-59 years, male 14.5
GTEX-12WSL-1126-SM-5CVNK 50-59 years, male 14.5
GTEX-14JG6-0526-SM-6LLIH 30-39 years, female 14.4
GTEX-15SKB-1626-SM-6PAL6 60-69 years, male 14.4
GTEX-ZDTT-0526-SM-5HL4M 60-69 years, male 14.4
GTEX-ZG7Y-1626-SM-5S2NO 50-59 years, male 14.4
GTEX-1HSMQ-1026-SM-ADEHU 50-59 years, male 14.4
GTEX-XBED-1326-SM-4AT4F 60-69 years, male 14.3
GTEX-WHPG-0626-SM-3NMBD 50-59 years, male 14.0
GTEX-1I6K6-1526-SM-CGQFC 30-39 years, male 13.9
GTEX-1F75I-1026-SM-7SB8B 40-49 years, male 13.8
GTEX-13PVQ-2226-SM-5L3G9 50-59 years, male 13.7
GTEX-14PJM-1226-SM-686Z7 50-59 years, female 13.7
GTEX-1GF9W-1026-SM-7SB8X 60-69 years, male 13.7
GTEX-XYKS-1826-SM-4E3JV 60-69 years, female 13.6
GTEX-1QPFJ-2126-SM-EXOJV 30-39 years, female 13.6
GTEX-1JKYN-0526-SM-CGQG3 30-39 years, male 13.5
GTEX-1K2DU-0726-SM-DIPF7 20-29 years, male 13.3
GTEX-17F97-1226-SM-79OJT 50-59 years, male 13.2
GTEX-ZYFC-1826-SM-5GZZA 50-59 years, male 13.2
GTEX-17JCI-1626-SM-7EPGZ 60-69 years, female 13.1
GTEX-1JMQK-1326-SM-CNPOR 60-69 years, male 13.0
GTEX-1POEN-1626-SM-EVYC2 30-39 years, female 13.0
GTEX-18A6Q-1026-SM-7LT9S 60-69 years, male 12.9
GTEX-14PK6-0926-SM-62LF4 70-79 years, female 12.8
GTEX-15DYW-1526-SM-7KUEP 60-69 years, female 12.7
GTEX-1C6VR-1126-SM-7EPHD 60-69 years, male 12.7
GTEX-17F9E-1326-SM-7DHL4 50-59 years, male 12.6
GTEX-13X6J-1926-SM-5TDCU 50-59 years, male 12.5
GTEX-13N1W-1226-SM-5K7UM 70-79 years, male 12.4
GTEX-18A67-1326-SM-7LT8V 50-59 years, male 12.3
GTEX-1HB9E-0526-SM-ARZNM 50-59 years, male 12.3
GTEX-1MJK3-0626-SM-E6CJB 20-29 years, male 12.3
GTEX-1S5VW-2426-SM-EAZ52 60-69 years, male 12.3
GTEX-1H1DF-1426-SM-9YFMC 40-49 years, female 12.2
GTEX-11XUK-1726-SM-5GU61 40-49 years, female 11.9
GTEX-Y5LM-0826-SM-4VDSW 40-49 years, female 11.9
GTEX-13NZ9-2026-SM-5KM1U 50-59 years, male 11.8
GTEX-17HGU-1726-SM-79OKM 50-59 years, male 11.8
GTEX-18D9B-1726-SM-7LTAP 60-69 years, male 11.8
GTEX-1AX8Z-1626-SM-73KWD 60-69 years, male 11.8
GTEX-117YX-0726-SM-5GIET 50-59 years, male 11.7
GTEX-1S82P-0926-SM-EWRNP 60-69 years, female 11.6
GTEX-13YAN-1126-SM-5TDC7 60-69 years, male 11.3
GTEX-183FY-1226-SM-7DHLK 20-29 years, male 11.3
GTEX-1AYD5-0126-SM-7DUG5 50-59 years, male 11.2
GTEX-1ICLY-1426-SM-CJI48 50-59 years, male 11.1
GTEX-16MTA-1326-SM-6PALX 50-59 years, male 11.0
GTEX-17MFQ-1126-SM-7LT9O 20-29 years, male 11.0
GTEX-111YS-1326-SM-5EGGK 60-69 years, male 10.9
GTEX-1B932-1726-SM-793A5 40-49 years, female 10.9
GTEX-1I1GU-0626-SM-CMKHR 40-49 years, male 10.8
GTEX-1LBAC-1026-SM-CXKYA 20-29 years, male 10.8
GTEX-132AR-0526-SM-5J2MJ 50-59 years, female 10.7
GTEX-14C5O-0926-SM-793DM 60-69 years, male 10.7
GTEX-1H23P-1726-SM-A9SMN 60-69 years, male 10.4
GTEX-1HC8U-0926-SM-A9G3L 40-49 years, female 10.4
GTEX-1LSNM-0626-SM-DIPG7 50-59 years, male 10.3
GTEX-13X6H-1726-SM-5Q5EH 50-59 years, female 10.1
GTEX-144GM-0626-SM-79OKY 20-29 years, male 10.1
GTEX-13S86-0926-SM-5SI6I 40-49 years, male 10.0
GTEX-1CB4E-0826-SM-793CS 60-69 years, male 10.0
GTEX-14PJ4-0126-SM-62LEZ 60-69 years, male 9.9
GTEX-Y114-1326-SM-4TT9A 50-59 years, female 9.9
GTEX-1KANA-1426-SM-CY8IF 20-29 years, male 9.8
GTEX-15RIE-0126-SM-7KUF8 60-69 years, male 9.7
GTEX-17GQL-0826-SM-731AM 60-69 years, male 9.6
GTEX-W5X1-1426-SM-3GIKH 40-49 years, female 9.6
GTEX-1HSEH-1326-SM-ADEI1 60-69 years, male 9.6
GTEX-14PHY-1026-SM-62LEV 60-69 years, female 9.5
GTEX-17F98-0326-SM-7DHLH 40-49 years, female 9.2
GTEX-132QS-0826-SM-5K7WV 60-69 years, male 9.0
GTEX-1A32A-0926-SM-718AB 50-59 years, female 8.8
GTEX-ZAB4-1426-SM-5CVN6 40-49 years, male 8.6
GTEX-1IDJD-0926-SM-ACKWW 30-39 years, male 8.4
GTEX-1CAMR-0326-SM-793AH 20-29 years, male 8.3
GTEX-1N2EF-0926-SM-E8VNW 60-69 years, male 8.3
GTEX-1LGRB-0526-SM-COH3A 50-59 years, female 8.2
GTEX-14PHW-1626-SM-6EU2H 60-69 years, female 8.0
GTEX-13CF3-1126-SM-5LZXB 60-69 years, female 7.6
GTEX-ZE9C-1326-SM-5S2OW 60-69 years, male 7.5
GTEX-ZZPU-0326-SM-5N9BJ 50-59 years, female 7.5
GTEX-13OVH-1126-SM-5K7YP 70-79 years, male 7.3
GTEX-ZYVF-1026-SM-5E44V 50-59 years, female 7.3
GTEX-11TT1-1926-SM-5PNYN 20-29 years, male 6.6
GTEX-1LH75-1026-SM-EWROK 50-59 years, female 6.6
GTEX-1339X-0726-SM-5L3FF 40-49 years, male 6.5
GTEX-X8HC-2326-SM-4QAS4 50-59 years, female 6.2
GTEX-14ICK-1726-SM-6AJA5 40-49 years, male 6.1
GTEX-1AYCT-1126-SM-79OO8 50-59 years, male 5.2
GTEX-11WQK-1526-SM-5EGKN 50-59 years, male 5.1
GTEX-14C39-0826-SM-5TDDU 40-49 years, male 4.4
GTEX-14PN4-1426-SM-6LLJ4 50-59 years, male 3.8
GTEX-U8XE-1926-SM-3DB98 30-39 years, male 3.4
GTEX-14C38-1026-SM-73KY7 50-59 years, male 1.5
Show allShow less

ADIPOSE TISSUE - FANTOM5 CAGEi

RNA expression in human tissues obtained through Cap Analysis of Gene Expression (CAGE) generated by the FANTOM5 project are reported as Scaled Tags Per Million.

Max subtype Scaled Tags Per Millioni

Max subtype Scaled Tags Per Million is the value for the subtype with the largest average Scaled Tags Per Million across the subtype samples.

93.5
FANTOM5 sample id Sample description Scaled Tags Per Million
Adipose tissue
Scaled Tags Per Million: 93.5
FF:10010-101C1 65,65,76 years, mixed 93.5

Contact

  • NEWS ARTICLES
  • PRESS ROOM

The Project

  • INTRODUCTION
  • ORGANIZATION
  • PUBLICATIONS

The Human Protein Atlas

  • DOWNLOADABLE DATA
  • LICENCE & CITATION
  • HELP & FAQ
The Human Protein Atlas project is funded
by the Knut & Alice Wallenberg Foundation.


contact@proteinatlas.org