We use cookies to enhance the usability of our website. If you continue, we'll assume that you are happy to receive all cookies. More information. Don't show this again.
LGI4
HPA
RESOURCES
  • TISSUE
  • BRAIN
  • SINGLE CELL
  • SUBCELLULAR
  • CANCER
  • BLOOD
  • CELL LINE
  • STRUCTURE & INTERACTION
ABOUT
  • INTRODUCTION
  • HISTORY
  • ORGANIZATION
  • PUBLICATIONS
  • ANTIBODY SUBMISSION
  • ANTIBODY AVAILABILITY
  • ACKNOWLEDGMENTS
  • CONTACT
NEWS
  • NEWS ARTICLES
  • PRESS ROOM
LEARN
  • DICTIONARY
  • PROTEIN CLASSES
  • PROTEIN EVIDENCE
  • METHODS
  • EDUCATIONAL VIDEOS
DATA
  • DOWNLOADABLE DATA
  • PUBLICATION DATA
  • RELEASE HISTORY
HELP
  • ANTIBODY VALIDATION
  • ASSAYS & ANNOTATION
  • DISCLAIMER
  • HELP & FAQ
  • PRIVACY STATEMENT
  • LICENCE & CITATION
Fields »
Search result

Field
Term
Gene name
Class
Subclass
Class
Keyword
Chromosome
External id
Tissue
Cell type
Expression
Antibody panel
Tissue
Main location
Patient ID
Annotation
Tissue
Category
Tau score
Cluster
Reliability
Brain region
Category
Tau score
Brain region
Category
Tau score
Brain region
Category
Tau score
Cluster
Reliability
Tissue
Cell type
Enrichment
Cell type
Category
Tau score
Cell type
Category
Tau score
Cell type
Category
Tau score
Cell lineage
Category
Tau score
Cluster
Cluster
Location
Searches
Location
Cell line
Class
Type
Phase
Reliability
Cancer
Prognosis
Cancer
Category
Cancer
Category
Tau score
Cluster
Variants
Interacting gene (ensg_id)
Type
Number of interactions
Pathway
Category
Score
Score
Score
Validation
Validation
Validation
Validation
Antibodies
Data type
Column


  • SUMMARY

  • TISSUE

  • BRAIN

  • SINGLE CELL

  • SUBCELL

  • CANCER

  • BLOOD

  • CELL LINE

  • STRUCT & INT

  • LGI4
TISSUE PRIMARY DATA SKIN Show tissue menu
ADIPOSE TISSUE ADRENAL GLAND AMYGDALA APPENDIX BASAL GANGLIA BONE MARROW BREAST BRONCHUS CEREBELLUM CEREBRAL CORTEX CERVIX CHOROID PLEXUS COLON DUODENUM
ENDOMETRIUM EPIDIDYMIS ESOPHAGUS FALLOPIAN TUBE GALLBLADDER HEART MUSCLE HIPPOCAMPAL FORMATION HYPOTHALAMUS KIDNEY LIVER LUNG LYMPH NODE MIDBRAIN NASOPHARYNX
ORAL MUCOSA OVARY PANCREAS PARATHYROID GLAND PITUITARY GLAND PLACENTA PROSTATE RECTUM RETINA SALIVARY GLAND SEMINAL VESICLE SKELETAL MUSCLE SKIN SMALL INTESTINE
SMOOTH MUSCLE SOFT TISSUE SPINAL CORD SPLEEN STOMACH TESTIS THYMUS THYROID GLAND TONGUE TONSIL URINARY BLADDER VAGINA
ANTIBODIES
AND
VALIDATION
Dictionary
Skin
Tissue proteome
Skin
SKIN - Expression summary
Protein expression
Skini

On the top, protein expression in current human tissue, based on all annotated cell types, is reported with the units not detected (n), low (l), medium (m) and high (h). Underneath, protein expression in each annotated cell type are reported using the same units.

Protein expression data is based on knowledge-based annotation. For genes where more than one antibody has been used, a collective score is set.

If knowledge-based annotation could not be performed for a gene, no data is displayed here. View antibody staining data further down this page.

h
m
l
n
Epidermal cells: Medium
Fibroblasts: Not detected
Keratinocytes: Medium
Langerhans: Not detected
Melanocytes: Medium
RNA expressioni

A summary of mRNA expression data available for current tissue based on several datasets. The mRNA expression levels in human tissues are based on RNA-seq data generated by the Human Protein Atlas (HPA), Genotype-Tissue Expression (GTEx) portal and CAGE data generated by the FANTOM5 consortium. Consensus normalized expression levels for human tissues was created by combining the data from HPA and GTEx datasets.

The mRNA expression levels in pig are based on RNA-seq data generated by the Human Protein Atlas (HPA), and for mouse, HPA data and in situ hybridization generated by the Allen brain atlas are reported.

Scroll down to view mRNA expression data in more detail.
Consensus:20.6 nTPM
HPA:2.4 nTPM
GTEx:20.6 nTPM

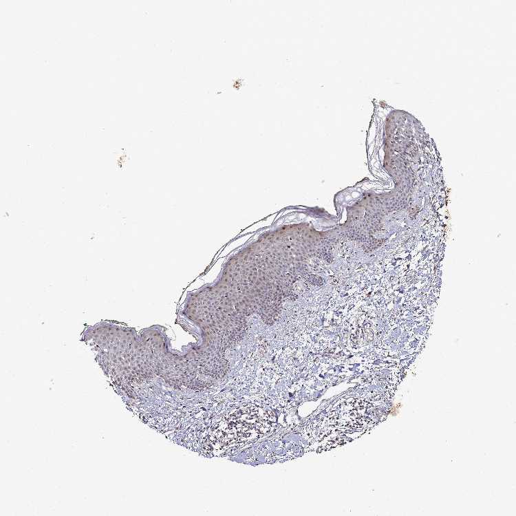
SKIN 1 - Antibody stainingi

Antibody staining in the annotated cell types in the current human tissue is reported as not detected, low, medium, or high, based on conventional immunohistochemistry profiling in selected tissues. This score is based on the combination of the staining intensity and fraction of stained cells.

Each image is clickable and will lead to virtual microscopy that enables deeper exploration of all samples and also displays staining intensity scores, fraction scores and subcellular localization as well as patient and tissue information for each sample.

Antibody HPA042116Antibody HPA043556
Langerhans MediumNot detected
Fibroblasts Not detectedNot detected
Keratinocytes MediumMedium
Melanocytes MediumMedium


SKIN 2 - Antibody stainingi

Antibody staining in the annotated cell types in the current human tissue is reported as not detected, low, medium, or high, based on conventional immunohistochemistry profiling in selected tissues. This score is based on the combination of the staining intensity and fraction of stained cells.

Each image is clickable and will lead to virtual microscopy that enables deeper exploration of all samples and also displays staining intensity scores, fraction scores and subcellular localization as well as patient and tissue information for each sample.

Antibody HPA042116Antibody HPA043556
Epidermal cells LowMedium
  
  
  



SKIN - HPA RNA-seqi

The RNA-seq details section shows detailed information about the individual samples used for the transcript profiling and results of the RNA-seq analysis.

Information about each individual sample is listed below, including gender, age, a tissue section image and estimated fractions of cell types. nTPM (normalized transcripts per million) values give a quantification of the gene abundance which is comparable between different genes and samples.
Average nTPMi

Max subtype nTPM is the value for the subtype with the largest average nTPM across the subtype samples.

2.4
overview
Female, age 34
Skin sample 225
nTPM: 1.3
Cell types%
Keratinocytes:
60

Other cell types:
40

overview
Female, age 30
Skin sample 226
nTPM: 1.2
Cell types%
Keratinocytes:
55

Other cell types:
45

N/A
Male, age 57
Skin sample 227
nTPM: 4.9

SKIN - GTEx RNA-seqi

RNA-Seq data generated by the Genotype-Tissue Expression (GTEx) project from human tissues is reported as mean nTPM. More information can be found on the GTEx portal.

Distribution across the dataset is visualized with box plots, shown as median and 25th and 75th percentiles. Points are displayed as outliers if they are above or below 1.5 times the interquartile range. nTPM values of the individual samples are presented next to the box plot.
Max subtype nTPMi

Max subtype nTPM is the value for the subtype with the largest average nTPM across the subtype samples.

20.6
GTEx sample id Sample description nTPM
Skin - Not Sun Exposed (Suprapubic)
Average nTPM: 16.7
Samples: 604

Max nTPM: 69.1
Min nTPM: 2.1
Std nTPM: 9.8
Median nTPM: 14.5
GTEX-17EVQ-0126-SM-7IGLR 70-79 years, male 69.1
GTEX-16XZZ-0726-SM-7KUF2 60-69 years, male 64.0
GTEX-13FH7-1126-SM-5K7UG 50-59 years, female 63.9
GTEX-1O9I2-0226-SM-EYYXD 50-59 years, male 61.9
GTEX-1CAV2-0126-SM-7IGN7 40-49 years, female 53.3
GTEX-YB5K-2026-SM-4VDT3 40-49 years, female 50.7
GTEX-13N2G-0226-SM-5K7VF 60-69 years, male 49.2
GTEX-Y8LW-1526-SM-5IFHL 50-59 years, female 45.1
GTEX-17MF6-2626-SM-79OKQ 40-49 years, male 43.5
GTEX-ZU9S-1826-SM-5NQ9E 30-39 years, male 43.3
GTEX-13VXT-1926-SM-5K7UO 20-29 years, female 42.8
GTEX-1399R-1326-SM-5PNYS 30-39 years, male 42.3
GTEX-ZTSS-1426-SM-5985P 40-49 years, male 41.6
GTEX-18A7B-2726-SM-7LG56 70-79 years, male 41.3
GTEX-1H1ZS-2726-SM-9WG75 70-79 years, male 40.5
GTEX-17F96-0126-SM-7EWDU 70-79 years, male 40.3
GTEX-11NSD-0626-SM-5A5LU 20-29 years, male 40.0
GTEX-11EM3-1226-SM-5N9DD 20-29 years, female 39.8
GTEX-1JKYN-0826-SM-ARU8S 30-39 years, male 39.6
GTEX-14E6C-2426-SM-5S2NF 40-49 years, male 39.3
GTEX-1HCU8-2526-SM-CE6RX 60-69 years, female 38.8
GTEX-1KANC-1226-SM-CYPT7 50-59 years, female 38.7
GTEX-ZLWG-0826-SM-59888 50-59 years, female 38.5
GTEX-15D1Q-2826-SM-6LLH7 40-49 years, male 38.4
GTEX-ZF3C-0626-SM-DO92O 50-59 years, female 37.8
GTEX-1QCLZ-2426-SM-EVYBW 60-69 years, female 37.3
GTEX-1I4MK-0126-SM-CY8G6 50-59 years, female 36.9
GTEX-14PJO-2526-SM-6AJBQ 60-69 years, male 36.8
GTEX-1AX9J-1326-SM-731BJ 60-69 years, male 35.8
GTEX-XPVG-2126-SM-4B667 50-59 years, male 35.8
GTEX-1LGOU-1326-SM-D3L8M 20-29 years, female 35.4
GTEX-12584-0726-SM-5FQTK 40-49 years, male 34.7
GTEX-1GMR2-0826-SM-7PC3V 50-59 years, male 34.5
GTEX-1GMR8-0626-SM-7RHI7 50-59 years, female 34.5
GTEX-147F3-1726-SM-5SIAW 50-59 years, female 33.9
GTEX-ZYW4-0626-SM-59HJR 60-69 years, male 33.5
GTEX-1QCLY-0226-SM-EWRNH 30-39 years, male 33.5
GTEX-XUW1-0926-SM-4BONX 50-59 years, female 33.3
GTEX-14DAR-1226-SM-73KYV 50-59 years, male 32.9
GTEX-111FC-2526-SM-5GZXU 60-69 years, male 32.8
GTEX-1MCC2-1826-SM-DIPEX 30-39 years, female 32.5
GTEX-132AR-0326-SM-5KM2C 50-59 years, female 32.3
GTEX-13OVJ-0826-SM-5J1OK 50-59 years, female 32.3
GTEX-1L5NE-1126-SM-D3L9P 50-59 years, male 32.2
GTEX-1F75W-2726-SM-7SB8H 60-69 years, male 31.8
GTEX-12WSA-0426-SM-5EQ5X 60-69 years, male 31.7
GTEX-17JCI-2926-SM-7DUFF 60-69 years, female 31.7
GTEX-1J1R8-2026-SM-CL53Y 40-49 years, male 31.7
GTEX-12WSL-2026-SM-5GCML 50-59 years, male 31.6
GTEX-1A3MW-0626-SM-731CB 60-69 years, female 31.6
GTEX-1H1DG-2426-SM-9QEHJ 70-79 years, male 31.3
GTEX-12BJ1-0926-SM-5EQ62 60-69 years, male 30.8
GTEX-13JUV-2026-SM-5K7UA 40-49 years, female 30.8
GTEX-ZVTK-0226-SM-51MRG 20-29 years, male 30.8
GTEX-ZYFG-1526-SM-5GZYM 60-69 years, female 30.8
GTEX-1LVAO-2726-SM-E9TJ8 60-69 years, male 30.7
GTEX-145MO-2826-SM-5LU96 60-69 years, male 30.5
GTEX-1JMQI-1726-SM-ARL93 50-59 years, male 30.5
GTEX-13FTW-0326-SM-5K7UW 40-49 years, male 30.3
GTEX-145MN-1526-SM-5SI9T 30-39 years, male 30.3
GTEX-16Z82-2626-SM-7KULU 60-69 years, male 30.3
GTEX-1LG7Z-1626-SM-CXKYR 30-39 years, male 30.2
GTEX-1I19N-0126-SM-CYPSF 70-79 years, male 29.8
GTEX-14PJ2-0626-SM-6LLII 50-59 years, male 29.7
GTEX-11DZ1-2426-SM-5GZZX 50-59 years, male 29.5
GTEX-XBEC-0726-SM-4QARZ 50-59 years, male 29.5
GTEX-16MTA-0926-SM-6M47Z 50-59 years, male 28.8
GTEX-ZA64-1026-SM-5HL8R 20-29 years, male 28.8
GTEX-YF7O-1526-SM-5IFI6 50-59 years, male 28.7
GTEX-145LT-0526-SM-5LUB2 40-49 years, male 28.6
GTEX-X3Y1-2026-SM-3P5YM 40-49 years, male 28.6
GTEX-WYJK-0526-SM-3NM8Z 50-59 years, male 28.5
GTEX-XQ8I-0926-SM-4BOOF 50-59 years, male 28.4
GTEX-1F75I-2226-SM-7SB8U 40-49 years, male 28.4
GTEX-1LKK1-2626-SM-DKPQE 50-59 years, female 28.2
GTEX-1192X-2726-SM-5N9DN 50-59 years, male 28.1
GTEX-ZT9W-1126-SM-57WDR 50-59 years, male 28.1
GTEX-ZLFU-1826-SM-4WWBV 40-49 years, male 28.0
GTEX-WXYG-2026-SM-4E3IY 50-59 years, female 27.9
GTEX-1117F-2926-SM-5GZYI 60-69 years, female 27.7
GTEX-1GF9W-1426-SM-7PBYM 60-69 years, male 27.7
GTEX-14PKV-1126-SM-6LLJ1 20-29 years, female 27.6
GTEX-Y5V5-0126-SM-5S2NW 60-69 years, female 27.5
GTEX-14BMU-1226-SM-5S2OR 20-29 years, female 27.2
GTEX-18D9A-1426-SM-7LT8M 30-39 years, female 27.0
GTEX-11P7K-1126-SM-5HL4L 30-39 years, male 26.9
GTEX-13QBU-1226-SM-5LU4G 40-49 years, female 26.9
GTEX-ZAB4-2126-SM-5HL8U 40-49 years, male 26.9
GTEX-139T8-0626-SM-5KLZX 60-69 years, male 26.5
GTEX-12WSJ-1126-SM-5LZVJ 40-49 years, female 26.3
GTEX-13SLX-2226-SM-62LEP 50-59 years, female 26.2
GTEX-1HFI7-2326-SM-CGQFS 50-59 years, female 25.9
GTEX-13RTJ-0126-SM-5S2NN 60-69 years, male 25.7
GTEX-1H3VE-0726-SM-9YFL5 40-49 years, male 25.7
GTEX-1K2DA-1026-SM-CGQGF 50-59 years, male 25.6
GTEX-146FQ-2126-SM-5RQHU 30-39 years, male 25.5
GTEX-1I1CD-0626-SM-CE6SW 60-69 years, female 25.5
GTEX-14DAQ-0626-SM-793DS 60-69 years, female 25.4
GTEX-11EI6-2826-SM-5H11D 60-69 years, male 25.3
GTEX-139D8-1126-SM-5LU8W 30-39 years, female 25.3
GTEX-1A3MX-2626-SM-7PC24 60-69 years, male 25.0
GTEX-1211K-1526-SM-5FQU4 60-69 years, female 24.8
GTEX-1GTWX-2026-SM-9YFLM 60-69 years, male 24.8
GTEX-1H1CY-0126-SM-9YFLY 60-69 years, female 24.8
GTEX-1LVAN-0626-SM-CNPOQ 50-59 years, female 24.8
GTEX-14753-0726-SM-5QGQO 60-69 years, male 24.7
GTEX-ZUA1-2626-SM-5NQ92 40-49 years, male 24.7
GTEX-1KANA-1326-SM-DIPFA 20-29 years, male 24.6
GTEX-16BQI-1326-SM-6M486 30-39 years, female 24.5
GTEX-11VI4-1126-SM-5EQMD 40-49 years, female 24.1
GTEX-15UF6-1926-SM-7KUDV 70-79 years, female 23.9
GTEX-1HKZK-0726-SM-ACKW2 40-49 years, male 23.9
GTEX-1LSNM-0826-SM-DIPG8 50-59 years, male 23.9
GTEX-16MT8-2926-SM-7DUFO 60-69 years, female 23.8
GTEX-WI4N-2726-SM-3LK7Y 40-49 years, female 23.8
GTEX-ZVP2-0326-SM-57WBP 50-59 years, male 23.7
GTEX-1IDJC-1526-SM-B2LW4 50-59 years, male 23.7
GTEX-16AAH-0626-SM-793C9 50-59 years, male 23.6
GTEX-YEC3-1326-SM-DO92X 50-59 years, male 23.6
GTEX-131XH-0126-SM-5LZUY 50-59 years, male 23.4
GTEX-12WSK-2126-SM-5CVNC 40-49 years, female 23.3
GTEX-16GPK-0626-SM-7KFSF 60-69 years, male 23.3
GTEX-18A66-0626-SM-7LT8Z 60-69 years, male 23.3
GTEX-145LS-0626-SM-7EPG7 60-69 years, female 23.2
GTEX-1GZ2Q-0126-SM-9WG6M 40-49 years, male 23.2
GTEX-1JJE9-2626-SM-ARZMT 70-79 years, male 23.2
GTEX-183WM-0326-SM-72D5V 70-79 years, female 23.1
GTEX-WFG8-2126-SM-3GIKQ 20-29 years, male 23.1
GTEX-12WSF-1626-SM-7KUG5 70-79 years, male 22.9
GTEX-15CHQ-0326-SM-69LQD 60-69 years, male 22.9
GTEX-1HSMO-0626-SM-ACKXC 60-69 years, male 22.9
GTEX-11TT1-1826-SM-5EQLV 20-29 years, male 22.8
GTEX-13X6H-0926-SM-5SIB2 50-59 years, female 22.8
GTEX-14E6E-0526-SM-793DN 30-39 years, male 22.7
GTEX-111CU-1126-SM-5EGIM 50-59 years, male 22.6
GTEX-1IDJE-1426-SM-ADEIW 50-59 years, female 22.6
GTEX-XBEW-1126-SM-4QARW 40-49 years, male 22.5
GTEX-13N1W-2426-SM-5IJD1 70-79 years, male 22.3
GTEX-14JG6-1426-SM-9WG7C 30-39 years, female 22.3
GTEX-11DYG-1526-SM-5A5JS 60-69 years, male 22.2
GTEX-1F75B-0726-SM-7PC3R 50-59 years, male 22.2
GTEX-1H23P-0626-SM-9WG6T 60-69 years, male 22.2
GTEX-UPK5-0426-SM-3GAEK 40-49 years, male 22.1
GTEX-1RLM8-2926-SM-E8VON 50-59 years, male 22.0
GTEX-17F9E-2326-SM-79OKD 50-59 years, male 21.9
GTEX-1J8Q3-0526-SM-ARL8U 60-69 years, male 21.9
GTEX-13NZ8-1226-SM-5KM4A 60-69 years, female 21.8
GTEX-1JMPZ-0726-SM-CY8HZ 30-39 years, male 21.8
GTEX-1JMQK-1226-SM-D4P2S 60-69 years, male 21.8
GTEX-11EQ9-1626-SM-5PNY8 30-39 years, male 21.7
GTEX-131XF-2626-SM-5EQ6K 60-69 years, male 21.6
GTEX-13OVG-1626-SM-5J1NF 60-69 years, male 21.5
GTEX-13JVG-0726-SM-5KM16 60-69 years, male 21.4
GTEX-ZAJG-1526-SM-5CVML 50-59 years, female 21.1
GTEX-ZTTD-2826-SM-4YCFA 50-59 years, male 21.1
GTEX-1J8JJ-0626-SM-ARZMQ 60-69 years, female 21.1
GTEX-ZVE2-2826-SM-5GU51 50-59 years, male 20.9
GTEX-1RB15-1326-SM-E76Q9 60-69 years, male 20.9
GTEX-133LE-2326-SM-5K7W3 20-29 years, female 20.8
GTEX-13PVR-0426-SM-5RQK2 60-69 years, female 20.7
GTEX-1I6K6-1726-SM-CGQFD 30-39 years, male 20.7
GTEX-1J8QM-2426-SM-A9SLS 60-69 years, female 20.6
GTEX-1KWVE-1026-SM-D3L9O 30-39 years, male 20.6
GTEX-1S3DN-2126-SM-E9TIN 50-59 years, male 20.6
GTEX-12126-0826-SM-5FQTZ 20-29 years, male 20.5
GTEX-1AX8Z-0726-SM-73KTS 60-69 years, male 20.5
GTEX-ZYFD-0626-SM-5E44E 50-59 years, male 20.5
GTEX-1HCU9-0426-SM-9WYSD 20-29 years, male 20.4
GTEX-XYKS-1426-SM-4BRUO 60-69 years, female 20.3
GTEX-1JJ6O-2726-SM-CNPOG 60-69 years, male 20.3
GTEX-117YX-1926-SM-5GIEC 50-59 years, male 20.1
GTEX-12696-0126-SM-5EQ4L 60-69 years, male 20.1
GTEX-14LZ3-0126-SM-69LPM 60-69 years, female 20.1
GTEX-15EO6-2426-SM-6PALZ 50-59 years, male 20.1
GTEX-16YQH-2226-SM-7IGM2 30-39 years, male 20.1
GTEX-1H3NZ-2726-SM-9WYTQ 60-69 years, male 20.1
GTEX-1PIGE-1826-SM-E8VOU 20-29 years, male 20.1
GTEX-14LLW-2626-SM-62LDZ 70-79 years, female 20.0
GTEX-1JN6P-2926-SM-CL54D 60-69 years, male 19.9
GTEX-1QP29-1826-SM-DTX9S 50-59 years, male 19.9
GTEX-1HCU6-2526-SM-ADEHL 60-69 years, female 19.7
GTEX-ZAK1-0626-SM-5HL8E 50-59 years, female 19.5
GTEX-ZDTS-0826-SM-4WKHL 60-69 years, male 19.5
GTEX-X585-2426-SM-46MW2 50-59 years, male 19.4
GTEX-1EN7A-2426-SM-793DB 40-49 years, male 19.3
GTEX-139TT-2126-SM-5LZWC 60-69 years, male 19.2
GTEX-1A32A-0626-SM-731AQ 50-59 years, female 19.2
GTEX-1A3MV-1826-SM-731CD 30-39 years, male 19.2
GTEX-1CAMR-1326-SM-7PC1F 20-29 years, male 19.2
GTEX-1CB4I-0126-SM-7RHGG 50-59 years, male 19.2
GTEX-1ICG6-1226-SM-A9SLN 70-79 years, female 19.2
GTEX-13113-1626-SM-5EQ4I 60-69 years, female 19.0
GTEX-13O61-1426-SM-5KM3D 60-69 years, male 19.0
GTEX-15EU6-2226-SM-6EU2L 50-59 years, male 19.0
GTEX-139YR-1026-SM-5LZYN 50-59 years, male 18.9
GTEX-144GO-2026-SM-5O99P 60-69 years, male 18.9
GTEX-17HGU-2326-SM-7DUFE 50-59 years, male 18.8
GTEX-YFCO-1226-SM-5LUAT 40-49 years, male 18.8
GTEX-1C64O-1326-SM-7MGWR 60-69 years, male 18.8
GTEX-1497J-0226-SM-5QGPU 60-69 years, male 18.7
GTEX-18QFQ-1826-SM-72D52 30-39 years, male 18.6
GTEX-ZDXO-3126-SM-5IJDF 60-69 years, male 18.6
GTEX-12ZZX-2426-SM-5GCOE 40-49 years, female 18.4
GTEX-13IVO-0726-SM-5LZYV 70-79 years, male 18.4
GTEX-1IDJI-0126-SM-CMKHS 50-59 years, female 18.4
GTEX-1KD5A-0126-SM-E9U54 50-59 years, male 18.2
GTEX-14AS3-1526-SM-5Q5ED 40-49 years, female 18.1
GTEX-1HUB1-1426-SM-CGQF5 60-69 years, male 18.1
GTEX-11UD2-2526-SM-5CVNU 50-59 years, male 18.0
GTEX-13N11-2326-SM-5IJBF 50-59 years, female 18.0
GTEX-1RMOY-1326-SM-E9TIH 50-59 years, male 18.0
GTEX-1N2DV-1526-SM-DTXEP 40-49 years, male 17.9
GTEX-1PPH7-1126-SM-DTX9A 40-49 years, male 17.9
GTEX-13OW5-2326-SM-5L3HO 60-69 years, male 17.8
GTEX-1R7EU-1626-SM-DTXG3 60-69 years, male 17.8
GTEX-15FZZ-0526-SM-7KUGD 30-39 years, female 17.7
GTEX-1EH9U-2826-SM-7DUGT 60-69 years, male 17.7
GTEX-13OVL-0126-SM-5L3GJ 50-59 years, male 17.5
GTEX-17F97-2626-SM-7IGM5 50-59 years, male 17.5
GTEX-XK95-0226-SM-4AT58 40-49 years, male 17.5
GTEX-1I1GP-1326-SM-A9G28 50-59 years, male 17.5
GTEX-13U4I-2226-SM-5LU5H 40-49 years, female 17.4
GTEX-XOT4-0626-SM-4B66L 60-69 years, female 17.4
GTEX-1K2DU-1226-SM-CYPT4 20-29 years, male 17.4
GTEX-15DDE-2926-SM-6LLJ3 50-59 years, female 17.3
GTEX-1HCVE-2726-SM-CL54F 50-59 years, male 17.3
GTEX-1QP9N-1226-SM-E76QN 30-39 years, male 17.3
GTEX-139TS-2126-SM-5K7XC 60-69 years, male 17.2
GTEX-WEY5-2326-SM-3GIKK 40-49 years, female 17.2
GTEX-1HFI6-0126-SM-CNPPI 40-49 years, male 17.2
GTEX-1QMI2-2526-SM-E8VNZ 60-69 years, male 17.2
GTEX-1AMEY-0826-SM-72D65 30-39 years, female 17.1
GTEX-1H2FU-0926-SM-9WPPT 60-69 years, female 17.1
GTEX-16MT9-0126-SM-7EPI8 60-69 years, female 17.0
GTEX-1E2YA-2126-SM-7MXUO 50-59 years, male 17.0
GTEX-1HCUA-0826-SM-ADEHM 50-59 years, female 17.0
GTEX-17EVP-2626-SM-7IGMA 40-49 years, male 16.9
GTEX-1F6IF-0926-SM-7SB7M 60-69 years, male 16.9
GTEX-1I6K7-1926-SM-B2LXR 40-49 years, male 16.8
GTEX-1J8Q2-2626-SM-ACKWQ 60-69 years, male 16.8
GTEX-X8HC-0626-SM-4E3HQ 50-59 years, female 16.7
GTEX-1HB9E-0126-SM-CM2S5 50-59 years, male 16.7
GTEX-144FL-0626-SM-5LU43 50-59 years, male 16.6
GTEX-14JG1-1526-SM-5YY9X 40-49 years, male 16.6
GTEX-WYVS-1626-SM-3NM9R 40-49 years, female 16.6
GTEX-ZP4G-1426-SM-4WWCL 20-29 years, female 16.6
GTEX-13O3O-2326-SM-5IJD6 60-69 years, female 16.5
GTEX-Y3IK-1626-SM-4YCF5 50-59 years, female 16.5
GTEX-1IDJU-1726-SM-CMKHU 60-69 years, female 16.5
GTEX-13X6I-1826-SM-5SIAO 60-69 years, male 16.4
GTEX-1HSGN-0826-SM-ACKW3 40-49 years, female 16.4
GTEX-1LG7Y-2526-SM-EWRO7 50-59 years, male 16.4
GTEX-1M4P7-0726-SM-E6CJ3 60-69 years, male 16.4
GTEX-15RIG-0726-SM-7KUM7 40-49 years, male 16.3
GTEX-1RAZA-2226-SM-E9U4X 20-29 years, male 16.3
GTEX-1RAZR-2126-SM-E9U6T 40-49 years, male 16.3
GTEX-18D9U-0126-SM-731BM 40-49 years, male 16.2
GTEX-11P82-1426-SM-DTXFY 20-29 years, male 16.2
GTEX-ZGAY-1826-SM-DO91Q 40-49 years, female 16.2
GTEX-XV7Q-1826-SM-4BRUV 40-49 years, female 16.1
GTEX-ZXG5-2126-SM-59HKD 60-69 years, male 16.1
GTEX-15CHC-1126-SM-6LLHQ 60-69 years, female 16.0
GTEX-1I1GS-2626-SM-B2LY3 60-69 years, male 16.0
GTEX-1PDJ9-1226-SM-EXUSX 20-29 years, male 16.0
GTEX-148VJ-0626-SM-5LUAW 70-79 years, male 15.9
GTEX-1IY9M-2826-SM-ARU8H 60-69 years, male 15.9
GTEX-X4EP-0626-SM-3P621 60-69 years, female 15.8
GTEX-ZVE1-0726-SM-51MRN 50-59 years, female 15.8
GTEX-14PHX-2226-SM-6EU2P 50-59 years, male 15.7
GTEX-1C475-1326-SM-7SB73 40-49 years, female 15.7
GTEX-1PPH8-0126-SM-EWRN8 20-29 years, male 15.7
GTEX-111YS-1526-SM-5GZYW 60-69 years, male 15.6
GTEX-Y5V6-2326-SM-4VDSA 60-69 years, male 15.6
GTEX-1HSMP-0926-SM-A9SKX 70-79 years, male 15.6
GTEX-13X6K-0626-SM-5LU5D 60-69 years, female 15.5
GTEX-1S82U-1026-SM-E6CJK 30-39 years, female 15.5
GTEX-Y8E4-2026-SM-5IFJB 40-49 years, male 15.4
GTEX-ZPU1-1126-SM-4YCF3 40-49 years, male 15.4
GTEX-1IL2V-1926-SM-B2LW8 70-79 years, male 15.4
GTEX-Z93S-1626-SM-5CVMB 50-59 years, male 15.3
GTEX-11LCK-2226-SM-5HL4Q 30-39 years, male 15.2
GTEX-13OVH-0526-SM-5L3E6 70-79 years, male 15.2
GTEX-13W3W-0726-SM-5IJDQ 60-69 years, female 15.2
GTEX-VUSG-2326-SM-4KL1U 50-59 years, male 15.2
GTEX-11DXY-0126-SM-5H11Q 60-69 years, male 15.1
GTEX-145ME-1726-SM-5Q5EU 40-49 years, female 15.1
GTEX-13OW8-1026-SM-5J1NQ 60-69 years, male 15.0
GTEX-ZYFC-0426-SM-5GICQ 50-59 years, male 15.0
GTEX-1F88E-1626-SM-7SB8Z 60-69 years, female 15.0
GTEX-ZLV1-1526-SM-DO91J 60-69 years, female 15.0
GTEX-1B996-0426-SM-7EWF8 60-69 years, male 14.9
GTEX-11OF3-0126-SM-5PNYF 60-69 years, male 14.8
GTEX-1269C-0126-SM-5EQ5L 60-69 years, female 14.8
GTEX-1CAMQ-1326-SM-7P8RV 40-49 years, male 14.8
GTEX-11DXZ-2026-SM-5987S 50-59 years, male 14.7
GTEX-11O72-0626-SM-5PNYE 40-49 years, male 14.7
GTEX-1477Z-0326-SM-7IGLA 60-69 years, male 14.7
GTEX-1GF9U-2026-SM-7SB92 40-49 years, female 14.7
GTEX-1CB4E-0926-SM-7EPHT 60-69 years, male 14.6
GTEX-ZYY3-2926-SM-5GIEB 60-69 years, female 14.6
GTEX-12WSD-0626-SM-5GCMW 60-69 years, female 14.5
GTEX-15CHR-1126-SM-7EWF4 50-59 years, male 14.5
GTEX-183FY-1026-SM-7939A 20-29 years, male 14.5
GTEX-1NSGN-0726-SM-DTXEF 50-59 years, male 14.5
GTEX-1QP66-1226-SM-DTX7U 50-59 years, male 14.4
GTEX-131XG-0326-SM-5L3DX 50-59 years, female 14.3
GTEX-14A5H-0826-SM-5QGPJ 60-69 years, male 14.3
GTEX-1E1VI-0326-SM-793D1 50-59 years, male 14.3
GTEX-17HII-1426-SM-7EPGG 50-59 years, male 14.2
GTEX-16NPX-0726-SM-7KULC 50-59 years, male 14.1
GTEX-1AMFI-1326-SM-7939R 50-59 years, female 14.1
GTEX-WHPG-2626-SM-3NMBR 50-59 years, male 14.1
GTEX-1JMLX-0626-SM-ARL8T 50-59 years, male 14.1
GTEX-15RJE-2826-SM-7KUM9 40-49 years, male 14.0
GTEX-147JS-0226-SM-5S2U9 60-69 years, male 13.9
GTEX-17HHE-1326-SM-7EWDZ 50-59 years, male 13.9
GTEX-1JK1U-0226-SM-ARZMX 60-69 years, male 13.9
GTEX-11WQC-1826-SM-5GU59 60-69 years, male 13.8
GTEX-12ZZZ-0726-SM-5GCNZ 60-69 years, male 13.8
GTEX-1MJK3-0726-SM-E6CJC 20-29 years, male 13.8
GTEX-1EWIQ-0326-SM-7DHMQ 70-79 years, female 13.7
GTEX-12WSM-1926-SM-5BC65 60-69 years, male 13.6
GTEX-13PVQ-0626-SM-5LU47 50-59 years, male 13.6
GTEX-1CAMS-2226-SM-7PBXQ 40-49 years, female 13.6
GTEX-11EQ8-0926-SM-5H12V 60-69 years, male 13.5
GTEX-1212Z-0126-SM-59HK4 60-69 years, male 13.5
GTEX-14PHY-1226-SM-5ZZWK 60-69 years, female 13.5
GTEX-18A7A-0126-SM-731AH 50-59 years, female 13.5
GTEX-12C56-1526-SM-5FQUQ 20-29 years, male 13.4
GTEX-1314G-1326-SM-5BC6E 30-39 years, male 13.4
GTEX-14PJ3-1126-SM-5ZZVX 50-59 years, male 13.4
GTEX-ZWKS-0626-SM-5GIDV 30-39 years, male 13.4
GTEX-1HBPM-0726-SM-9YFL7 60-69 years, female 13.4
GTEX-1IDJH-0126-SM-D3L92 70-79 years, male 13.4
GTEX-1JMOU-1026-SM-CYPSS 60-69 years, female 13.4
GTEX-11ZTT-2126-SM-5CVLO 60-69 years, female 13.3
GTEX-1CB4H-1126-SM-7MKGL 60-69 years, female 13.3
GTEX-13O3Q-0126-SM-5KM34 50-59 years, male 13.2
GTEX-14ABY-2026-SM-62LDL 50-59 years, male 13.2
GTEX-14PK6-0226-SM-62LF5 70-79 years, female 13.2
GTEX-1S82P-2126-SM-E6CI5 60-69 years, female 13.2
GTEX-15DYW-2726-SM-6EU2I 60-69 years, female 13.1
GTEX-16NGA-0726-SM-731AO 40-49 years, female 13.1
GTEX-WRHU-2826-SM-3MJG8 50-59 years, female 13.1
GTEX-1HSMQ-2626-SM-A9SML 50-59 years, male 13.1
GTEX-1JN1M-2726-SM-CY8I4 60-69 years, female 13.1
GTEX-1LBAC-0826-SM-CY8IJ 20-29 years, male 13.1
GTEX-11NUK-2726-SM-5A5MC 50-59 years, male 13.0
GTEX-1C6VQ-1226-SM-73KYD 50-59 years, male 13.0
GTEX-YEC4-1826-SM-4W1YP 40-49 years, male 13.0
GTEX-1C64N-2626-SM-7PC2N 50-59 years, male 13.0
GTEX-139TU-0726-SM-5L3EK 60-69 years, male 12.9
GTEX-ZVT2-0126-SM-5GIDQ 50-59 years, female 12.9
GTEX-1IDJF-2026-SM-CL53V 20-29 years, male 12.9
GTEX-1QP28-1126-SM-EVYC4 50-59 years, female 12.9
GTEX-WY7C-2126-SM-3NB2R 50-59 years, male 12.8
GTEX-1F6I4-2326-SM-7RHGL 60-69 years, male 12.8
GTEX-1GF9X-1326-SM-7PC2Y 40-49 years, female 12.8
GTEX-13FHO-0426-SM-5L3F5 60-69 years, male 12.7
GTEX-13NYS-0626-SM-5L3F1 60-69 years, male 12.7
GTEX-17F98-1326-SM-7DUEP 40-49 years, female 12.7
GTEX-1JMQL-2226-SM-CNPP4 50-59 years, female 12.7
GTEX-1LSVX-2526-SM-DIPEU 60-69 years, male 12.6
GTEX-1LVAM-0726-SM-E6CIL 50-59 years, female 12.6
GTEX-1AX9I-2226-SM-73KUO 60-69 years, male 12.5
GTEX-UPJH-0226-SM-3GADV 50-59 years, male 12.5
GTEX-XMD2-2126-SM-4YCF8 60-69 years, female 12.5
GTEX-XQ3S-1426-SM-4BOPR 20-29 years, male 12.5
GTEX-13YAN-0226-SM-5TDC6 60-69 years, male 12.4
GTEX-1F5PL-0926-SM-7PC2W 40-49 years, female 12.4
GTEX-1KAFJ-0126-SM-DIPEK 50-59 years, male 12.4
GTEX-WHWD-1826-SM-3LK6I 50-59 years, male 12.3
GTEX-YJ8O-2526-SM-5HL85 40-49 years, female 12.3
GTEX-14C39-1726-SM-5RQIL 40-49 years, male 12.2
GTEX-14ICL-1626-SM-5YYAO 30-39 years, male 12.2
GTEX-18465-2826-SM-7LT9J 50-59 years, male 12.2
GTEX-X4EO-2926-SM-4E3JH 60-69 years, female 12.2
GTEX-1HR98-2226-SM-ADEI2 60-69 years, male 12.2
GTEX-X5EB-1926-SM-4E3IW 40-49 years, male 12.1
GTEX-14B4R-1326-SM-5Q5EZ 30-39 years, male 12.0
GTEX-14PJN-1826-SM-6AJ98 30-39 years, male 12.0
GTEX-ZPIC-0526-SM-DO91W 40-49 years, female 12.0
GTEX-14PJ5-1526-SM-6LLIL 60-69 years, female 11.9
GTEX-1F48J-0726-SM-7RHGS 50-59 years, female 11.9
GTEX-1GMR3-0126-SM-A9SLW 40-49 years, male 11.9
GTEX-1GN1W-2426-SM-9KNUU 50-59 years, female 11.9
GTEX-1I1HK-2326-SM-CKZOH 60-69 years, male 11.9
GTEX-1F52S-2926-SM-7MKGA 60-69 years, female 11.8
GTEX-Y3I4-1726-SM-4TT89 50-59 years, male 11.8
GTEX-1GL5R-1326-SM-7RHHF 50-59 years, male 11.8
GTEX-1KXAM-1626-SM-D3LAD 60-69 years, male 11.8
GTEX-1399U-1126-SM-5L3DB 50-59 years, female 11.7
GTEX-Y114-2126-SM-4TT8B 50-59 years, female 11.7
GTEX-131YS-2826-SM-5EQ47 60-69 years, female 11.6
GTEX-13QJC-0126-SM-5ZZWJ 60-69 years, female 11.6
GTEX-ZF29-0926-SM-4WKFZ 60-69 years, female 11.6
GTEX-1H1DE-1326-SM-9KNUG 20-29 years, male 11.6
GTEX-1H1E6-0426-SM-9WYUS 30-39 years, male 11.6
GTEX-1PPGY-1626-SM-EVYBL 60-69 years, male 11.6
GTEX-11DXW-0826-SM-5H118 40-49 years, male 11.5
GTEX-14E1K-2026-SM-7DUEI 50-59 years, male 11.5
GTEX-1C2JI-1026-SM-73KY1 50-59 years, male 11.5
GTEX-XBED-1926-SM-47JYP 60-69 years, male 11.5
GTEX-Y5LM-0926-SM-6LLJG 40-49 years, female 11.5
GTEX-1QEPI-2626-SM-DTXF4 60-69 years, female 11.4
GTEX-17HG3-2626-SM-7DUF2 30-39 years, female 11.3
GTEX-ZDYS-2426-SM-4WKGI 50-59 years, male 11.3
GTEX-1A8FM-0626-SM-7PC25 50-59 years, female 11.3
GTEX-11ZUS-2626-SM-5FQUR 30-39 years, male 11.2
GTEX-12WSC-2826-SM-5BC5Y 50-59 years, male 11.2
GTEX-13112-0126-SM-5P9IU 50-59 years, male 11.2
GTEX-ZC5H-1526-SM-5HL9Y 40-49 years, female 11.2
GTEX-1K9T9-1526-SM-DIPFR 50-59 years, female 11.2
GTEX-15ER7-0626-SM-6PANF 20-29 years, female 11.1
GTEX-ZZPU-0826-SM-5GZX5 50-59 years, female 11.1
GTEX-1EMGI-2326-SM-7PBYA 60-69 years, male 11.0
GTEX-1F75A-0726-SM-7RHHD 50-59 years, male 11.0
GTEX-1R9PN-0426-SM-DTXDT 40-49 years, female 11.0
GTEX-13NYB-0126-SM-5J1MD 40-49 years, male 10.9
GTEX-1B8KE-1126-SM-7EPHI 50-59 years, male 10.9
GTEX-1GPI7-1826-SM-9KNU1 20-29 years, male 10.9
GTEX-1HCU7-0726-SM-A9SL1 50-59 years, male 10.9
GTEX-1JKYR-0626-SM-ARL8R 20-29 years, male 10.9
GTEX-1R9K4-2826-SM-DTX8F 60-69 years, male 10.9
GTEX-11GSP-2326-SM-5HL63 60-69 years, female 10.8
GTEX-145MG-1526-SM-5Q5EM 50-59 years, male 10.8
GTEX-178AV-1726-SM-7KUL8 40-49 years, male 10.8
GTEX-1F5PK-2226-SM-7SB6N 50-59 years, male 10.8
GTEX-1GZ4H-0526-SM-9KNU9 50-59 years, female 10.8
GTEX-1KANB-2826-SM-CY8I6 50-59 years, male 10.8
GTEX-14PII-0726-SM-6EU2B 60-69 years, male 10.7
GTEX-18D9B-0926-SM-7LG4U 60-69 years, male 10.7
GTEX-1B97I-0626-SM-73KUZ 40-49 years, male 10.7
GTEX-XXEK-1626-SM-4BRUZ 50-59 years, male 10.7
GTEX-1S831-1826-SM-EWROF 20-29 years, male 10.7
GTEX-1BAJH-2426-SM-7IGP8 70-79 years, male 10.6
GTEX-14JFF-0626-SM-5ZZVT 60-69 years, male 10.6
GTEX-1S5ZU-2526-SM-E6CIF 20-29 years, female 10.6
GTEX-1OJC3-1226-SM-DTXER 20-29 years, male 10.4
GTEX-131XW-0626-SM-5PNVD 50-59 years, female 10.3
GTEX-17HHY-0426-SM-7DHLC 50-59 years, male 10.3
GTEX-WFON-1926-SM-3LK7L 40-49 years, male 10.3
GTEX-1LVA9-2626-SM-EVYD4 50-59 years, male 10.3
GTEX-13OW7-0426-SM-5K7VK 50-59 years, male 10.2
GTEX-1I1GT-1026-SM-ARZLV 60-69 years, female 10.2
GTEX-1POEN-2326-SM-E9J2L 30-39 years, female 10.2
GTEX-13OW6-2726-SM-5J2OE 50-59 years, male 10.1
GTEX-11ZU8-0126-SM-5EQ58 60-69 years, male 10.0
GTEX-ZZ64-1026-SM-5GZXG 20-29 years, male 10.0
GTEX-WYBS-0626-SM-3NMAS 60-69 years, female 9.8
GTEX-1H4P4-2126-SM-9WYSL 50-59 years, male 9.8
GTEX-1QPFJ-1926-SM-EVYBD 30-39 years, female 9.8
GTEX-13D11-0926-SM-5J2NC 50-59 years, female 9.7
GTEX-1HC8U-1326-SM-9YFMJ 40-49 years, female 9.7
GTEX-1JMPY-0226-SM-CKZOK 30-39 years, male 9.7
GTEX-13NZ9-2626-SM-5L3FK 50-59 years, male 9.6
GTEX-14C38-0726-SM-5SI6M 50-59 years, male 9.6
GTEX-ZE7O-2726-SM-51MT5 50-59 years, female 9.6
GTEX-145MI-0626-SM-5SI8S 60-69 years, female 9.5
GTEX-14C5O-0326-SM-5ZZUX 60-69 years, male 9.5
GTEX-18A6Q-0626-SM-7KFRP 60-69 years, male 9.5
GTEX-WFG7-2026-SM-5SI7P 20-29 years, male 9.5
GTEX-ZF2S-1626-SM-57WES 50-59 years, female 9.5
GTEX-ZPCL-1126-SM-4WWFE 60-69 years, female 9.5
GTEX-1N5O9-0926-SM-E9J3C 60-69 years, male 9.5
GTEX-14BIN-1126-SM-5RQJZ 50-59 years, female 9.4
GTEX-1A8G6-2726-SM-731AR 60-69 years, male 9.4
GTEX-1A8G7-1326-SM-73KVM 60-69 years, male 9.4
GTEX-WHSE-0126-SM-3NMBT 20-29 years, male 9.4
GTEX-13FLV-0126-SM-5K7WT 50-59 years, male 9.3
GTEX-147GR-2426-SM-5ZZWQ 60-69 years, male 9.3
GTEX-15RIE-1926-SM-7KUKJ 60-69 years, male 9.3
GTEX-17MFQ-1526-SM-7KFRR 20-29 years, male 9.3
GTEX-1HGF4-0126-SM-CNPPX 60-69 years, male 9.3
GTEX-ZDTT-0426-SM-4WKFL 60-69 years, male 9.2
GTEX-ZVZP-1226-SM-5GID7 50-59 years, male 9.2
GTEX-1IKOE-1426-SM-CE6T7 30-39 years, female 9.2
GTEX-1EKGG-0626-SM-7DUGJ 60-69 years, male 9.1
GTEX-1LGRB-0926-SM-COH3K 50-59 years, female 9.1
GTEX-13FTX-1526-SM-5K7VJ 20-29 years, female 9.0
GTEX-Y111-0626-SM-4SOIT 50-59 years, male 9.0
GTEX-ZY6K-1426-SM-5GZX2 50-59 years, male 9.0
GTEX-1IDJD-2326-SM-ACKWX 30-39 years, male 9.0
GTEX-1B932-2326-SM-79OL5 40-49 years, female 8.9
GTEX-139UW-0326-SM-5J1ML 60-69 years, male 8.8
GTEX-15SHW-0226-SM-7LTAT 60-69 years, male 8.8
GTEX-WK11-2726-SM-3NMAQ 50-59 years, male 8.8
GTEX-1C6WA-2626-SM-7MKGM 60-69 years, male 8.7
GTEX-12WSH-1526-SM-5BC5W 50-59 years, male 8.6
GTEX-1ICLZ-0326-SM-ARL82 60-69 years, male 8.6
GTEX-1IDFM-0326-SM-ARL7V 60-69 years, male 8.6
GTEX-12ZZY-0726-SM-5EQ66 60-69 years, male 8.5
GTEX-13OVK-1426-SM-6PAN7 40-49 years, male 8.5
GTEX-13VXU-0626-SM-5L3F9 50-59 years, male 8.5
GTEX-14PJ6-2626-SM-6EU2T 60-69 years, female 8.5
GTEX-ZTX8-1326-SM-4YCEL 20-29 years, male 8.5
GTEX-1H1DF-1126-SM-9WG7G 40-49 years, female 8.5
GTEX-1J1OQ-0126-SM-D4P2N 40-49 years, female 8.5
GTEX-13X6J-0626-SM-5LU5F 50-59 years, male 8.4
GTEX-145LU-1926-SM-79OJN 50-59 years, male 8.4
GTEX-ZYVF-0926-SM-5E44J 50-59 years, female 8.4
GTEX-1RAZS-2526-SM-E6CHT 50-59 years, male 8.4
GTEX-147F4-0726-SM-5TDDD 50-59 years, male 8.3
GTEX-1F6RS-2026-SM-7RHHC 60-69 years, female 8.3
GTEX-13G51-1826-SM-5KLZH 60-69 years, male 8.2
GTEX-1J8EW-2726-SM-CY8HR 60-69 years, female 8.2
GTEX-1MCYP-0526-SM-E9U6Q 20-29 years, female 8.1
GTEX-1B933-2426-SM-7DHMD 50-59 years, female 8.0
GTEX-ZE9C-2526-SM-5IJDR 60-69 years, male 8.0
GTEX-1ICLY-0826-SM-CMKG1 50-59 years, male 8.0
GTEX-1LSNL-2726-SM-E9TKJ 50-59 years, male 8.0
GTEX-1GMRU-2126-SM-7P8RA 50-59 years, male 7.9
GTEX-17F9Y-0126-SM-79OKX 70-79 years, female 7.8
GTEX-12KS4-2126-SM-5FQUT 30-39 years, male 7.7
GTEX-145MF-0926-SM-5Q5EA 50-59 years, male 7.7
GTEX-145MH-2826-SM-5RQJF 50-59 years, male 7.7
GTEX-11GS4-0226-SM-5HL77 60-69 years, male 7.6
GTEX-15G19-2426-SM-7KUMR 60-69 years, male 7.6
GTEX-1R46S-2426-SM-E76QA 60-69 years, female 7.6
GTEX-13FTY-2126-SM-5IFFB 40-49 years, female 7.4
GTEX-1F88F-0126-SM-9WYSZ 60-69 years, female 7.4
GTEX-1HBPN-0126-SM-CGQEF 50-59 years, male 7.4
GTEX-1GZHY-0626-SM-9KNVC 50-59 years, female 7.3
GTEX-1HSKV-1226-SM-ADEI4 60-69 years, male 7.3
GTEX-14PJ4-0226-SM-5YY92 60-69 years, male 7.2
GTEX-XAJ8-1426-SM-47JYM 40-49 years, male 7.2
GTEX-1GZ4I-2626-SM-9KNU3 50-59 years, male 7.2
GTEX-11DXX-2126-SM-5PNYR 60-69 years, female 7.0
GTEX-11P81-2226-SM-5PNYI 30-39 years, female 7.0
GTEX-14PKU-0126-SM-6LLHV 40-49 years, female 7.0
GTEX-15G1A-1626-SM-7KUKN 30-39 years, male 7.0
GTEX-ZVT4-2426-SM-5GIEI 50-59 years, female 7.0
GTEX-1JMQJ-0826-SM-CNPP7 50-59 years, male 6.9
GTEX-13NYC-0126-SM-5L3F4 60-69 years, male 6.8
GTEX-15RJ7-2126-SM-6PAMD 40-49 years, male 6.7
GTEX-1JN76-0626-SM-CKZOQ 20-29 years, female 6.7
GTEX-1PBJJ-1026-SM-E76OS 30-39 years, male 6.7
GTEX-1R9PM-1926-SM-EVR3O 20-29 years, male 6.6
GTEX-14XAO-1226-SM-6EU1C 60-69 years, female 6.5
GTEX-WH7G-2026-SM-3NMBL 40-49 years, male 6.5
GTEX-1EX96-1026-SM-7MKG2 50-59 years, male 6.4
GTEX-1GN2E-0226-SM-9WG6K 60-69 years, male 6.4
GTEX-14BMV-2826-SM-5TDED 50-59 years, male 6.3
GTEX-1B8SF-0126-SM-7DUG3 60-69 years, male 6.3
GTEX-1CB4F-1026-SM-7DUH1 60-69 years, male 6.3
GTEX-1IE54-1126-SM-A9G2Z 40-49 years, female 6.3
GTEX-13PL6-1126-SM-5L3IE 40-49 years, female 6.2
GTEX-17KNJ-2126-SM-718AM 50-59 years, male 6.2
GTEX-13PDP-0726-SM-5L3HP 60-69 years, male 6.1
GTEX-1IOXB-2726-SM-CM2RI 50-59 years, male 6.1
GTEX-1N2EE-0626-SM-E76PW 60-69 years, male 6.1
GTEX-1RAZQ-1326-SM-E9TK6 30-39 years, male 6.1
GTEX-144GM-0526-SM-79OJO 20-29 years, male 6.0
GTEX-1H3O1-1326-SM-9MQLD 60-69 years, male 6.0
GTEX-1HBPI-2126-SM-ARL9K 50-59 years, male 6.0
GTEX-1122O-1026-SM-9WYSF 60-69 years, female 5.9
GTEX-1IDJV-0126-SM-COH3Y 60-69 years, male 5.9
GTEX-1IKJJ-2226-SM-CJI4C 60-69 years, male 5.9
GTEX-14A6H-2026-SM-5Q5DD 30-39 years, male 5.8
GTEX-1GPI6-1926-SM-9KNV7 60-69 years, male 5.8
GTEX-1I1GV-0626-SM-ARL7M 60-69 years, male 5.8
GTEX-13SLW-0626-SM-5Q5ER 70-79 years, male 5.7
GTEX-1EU9M-1426-SM-793AI 60-69 years, male 5.6
GTEX-1399S-0126-SM-5IJCF 30-39 years, female 5.5
GTEX-1GF9V-0826-SM-9KNUV 60-69 years, male 5.5
GTEX-1B8KZ-0326-SM-73KY4 50-59 years, male 5.4
GTEX-VJYA-1526-SM-3GIJV 60-69 years, male 5.4
GTEX-1GN1U-0626-SM-9MQL9 50-59 years, female 5.4
GTEX-U8XE-0226-SM-4E3J3 30-39 years, male 5.2
GTEX-ZYT6-2326-SM-5GZY3 30-39 years, male 5.2
GTEX-1QW4Y-1126-SM-DTXE3 30-39 years, male 5.1
GTEX-111VG-1626-SM-5EGIO 60-69 years, male 5.0
GTEX-1H11D-1826-SM-9QEHM 40-49 years, male 5.0
GTEX-1JJEA-1826-SM-ARU8P 60-69 years, male 5.0
GTEX-Y9LG-1126-SM-4VBQ7 30-39 years, male 4.9
GTEX-ZT9X-1526-SM-5DUXD 40-49 years, male 4.9
GTEX-1HT8W-0626-SM-A9G2H 30-39 years, male 4.8
GTEX-11TUW-0626-SM-5LU9M 60-69 years, male 4.7
GTEX-11WQK-1026-SM-5EQLX 50-59 years, male 4.7
GTEX-1CB4J-1326-SM-7P8RX 60-69 years, male 4.7
GTEX-1QP2A-1726-SM-E76QC 50-59 years, male 4.7
GTEX-1NV5F-0626-SM-DTXEG 60-69 years, female 4.6
GTEX-15SKB-2826-SM-6PAMH 60-69 years, male 4.5
GTEX-1LB8K-0726-SM-D5OV2 50-59 years, male 4.5
GTEX-1399Q-2326-SM-5KM2X 40-49 years, male 4.4
GTEX-1I1GU-0926-SM-ACKVS 40-49 years, male 4.4
GTEX-1OJC4-2726-SM-E76PJ 50-59 years, female 4.3
GTEX-1GN73-0726-SM-7P8TJ 60-69 years, male 4.2
GTEX-11PRG-0726-SM-5EGL1 50-59 years, male 4.0
GTEX-18A67-1626-SM-7LT9T 50-59 years, male 3.9
GTEX-1QAET-0326-SM-EVR3U 50-59 years, male 3.8
GTEX-144GL-0626-SM-5LU4D 50-59 years, male 3.7
GTEX-W5X1-2526-SM-3GILC 40-49 years, female 3.7
GTEX-1B8L1-2226-SM-7P8PT 60-69 years, male 3.7
GTEX-1S83E-1326-SM-E6CJM 40-49 years, male 3.7
GTEX-YECK-0326-SM-4W1YS 60-69 years, male 3.6
GTEX-1PIIG-2326-SM-DTXFR 30-39 years, male 3.3
GTEX-1313W-0626-SM-5EQ4H 50-59 years, female 3.2
GTEX-1AYD5-2626-SM-7PBXY 50-59 years, male 3.1
GTEX-1HR9M-2226-SM-CNPPY 60-69 years, male 3.1
GTEX-WHSB-1326-SM-3LK6W 50-59 years, male 2.9
GTEX-1GN1V-2826-SM-9JGIA 60-69 years, male 2.9
GTEX-V1D1-2026-SM-3GAF4 50-59 years, male 2.6
GTEX-1C6VR-0126-SM-7RHGB 60-69 years, male 2.1
Show allShow less
Skin - Sun Exposed (Lower leg)
Average nTPM: 20.6
Samples: 701

Max nTPM: 96.0
Min nTPM: 2.8
Std nTPM: 11.8
Median nTPM: 18.6
GTEX-QDT8-0126-SM-48TZ1 30-39 years, female 96.0
GTEX-1F75I-0326-SM-9YFLU 40-49 years, male 82.0
GTEX-146FR-1326-SM-E9J48 60-69 years, female 74.8
GTEX-1QP67-1626-SM-EAZ3X 40-49 years, female 74.2
GTEX-11P7K-2126-SM-5GU7G 30-39 years, male 71.5
GTEX-ZZPT-0226-SM-5E43X 50-59 years, male 70.9
GTEX-1OJC4-0126-SM-E9J2E 50-59 years, female 69.0
GTEX-OXRL-0126-SM-2YUMP 50-59 years, male 63.3
GTEX-R45C-0126-SM-EAZ2R 60-69 years, female 62.9
GTEX-1RAZQ-0726-SM-EAZ43 30-39 years, male 62.6
GTEX-11P82-1626-SM-59879 20-29 years, male 58.4
GTEX-1QCLY-0326-SM-E8VOG 30-39 years, male 57.6
GTEX-113IC-0126-SM-5HL6T 60-69 years, male 56.5
GTEX-1N2DV-0226-SM-E6CJ6 40-49 years, male 54.2
GTEX-13VXT-0126-SM-5LU4I 20-29 years, female 52.7
GTEX-139T4-0226-SM-5HL5S 50-59 years, female 52.3
GTEX-1GN1W-0526-SM-9MQJQ 50-59 years, female 51.9
GTEX-O5YW-0126-SM-3LK6D 50-59 years, male 51.3
GTEX-1AMEY-1326-SM-73KYK 30-39 years, female 51.0
GTEX-RTLS-0126-SM-447CA 60-69 years, female 50.3
GTEX-1MCYP-1926-SM-E9J2R 20-29 years, female 49.7
GTEX-1AYCT-2426-SM-7IGQ3 50-59 years, male 48.2
GTEX-XQ8I-0426-SM-4BOPO 50-59 years, male 47.0
GTEX-YEC4-2126-SM-5IFJH 40-49 years, male 46.8
GTEX-1LC47-0326-SM-E9TJP 60-69 years, male 46.6
GTEX-16YQH-0126-SM-7DUFJ 30-39 years, male 45.9
GTEX-17MF6-0126-SM-7LG4F 40-49 years, male 45.6
GTEX-X62O-0126-SM-4E3JN 50-59 years, male 45.6
GTEX-15RIG-0226-SM-7KFTL 40-49 years, male 44.8
GTEX-1RLM8-2326-SM-EWRN4 50-59 years, male 43.8
GTEX-1192X-0226-SM-5H12D 50-59 years, male 42.9
GTEX-13NZ8-0826-SM-5MR3I 60-69 years, female 42.9
GTEX-1H1DG-0126-SM-9WYU2 70-79 years, male 41.8
GTEX-1R9PO-2126-SM-E9J4O 60-69 years, female 41.6
GTEX-RM2N-1426-SM-2TF4H 50-59 years, male 41.5
GTEX-NPJ8-0126-SM-2YUNR 40-49 years, male 41.1
GTEX-1QP2A-0126-SM-E9J43 50-59 years, male 41.0
GTEX-U4B1-1826-SM-4DXSU 40-49 years, male 40.6
GTEX-14PJ3-1826-SM-62LEX 50-59 years, male 40.5
GTEX-11H98-0126-SM-5EGHG 50-59 years, male 40.3
GTEX-OHPM-0126-SM-2YUN9 50-59 years, male 40.3
GTEX-1H1ZS-0426-SM-9WG6G 70-79 years, male 39.6
GTEX-PWCY-1826-SM-DHXIZ 20-29 years, female 38.9
GTEX-13N1W-0126-SM-5K7VT 70-79 years, male 38.8
GTEX-PWO3-1526-SM-48TCM 60-69 years, female 38.7
GTEX-PLZ5-2026-SM-2S1O4 50-59 years, male 38.6
GTEX-XUW1-0426-SM-4BOOT 50-59 years, female 38.2
GTEX-14JIY-0126-SM-6LLH6 60-69 years, male 38.1
GTEX-1LNCM-1126-SM-E9U5E 50-59 years, female 38.1
GTEX-11EM3-2426-SM-59861 20-29 years, female 38.0
GTEX-147F3-0526-SM-5SI98 50-59 years, female 38.0
GTEX-13FH7-2026-SM-E9J4I 50-59 years, female 37.8
GTEX-1AX9K-2326-SM-73KWU 50-59 years, male 37.6
GTEX-1HSEH-0126-SM-ACKXN 60-69 years, male 37.4
GTEX-ZF28-0126-SM-4WKGK 60-69 years, male 37.2
GTEX-1HKZK-0326-SM-9WYUH 40-49 years, male 37.2
GTEX-11ZUS-0626-SM-59885 30-39 years, male 37.0
GTEX-1HSMP-0126-SM-E6CJS 70-79 years, male 36.8
GTEX-1I1HK-0126-SM-COH49 60-69 years, male 36.7
GTEX-1RAZA-0126-SM-E6CI3 20-29 years, male 36.4
GTEX-U3ZM-1526-SM-3DB9D 40-49 years, male 36.0
GTEX-13O21-1426-SM-5K7XI 50-59 years, male 35.9
GTEX-17HHE-2026-SM-79OKF 50-59 years, male 35.6
GTEX-1AMFI-2026-SM-731BH 50-59 years, female 35.6
GTEX-1I1GP-2226-SM-CGQFK 50-59 years, male 35.6
GTEX-PLZ4-0126-SM-5SI8O 50-59 years, female 35.4
GTEX-11NSD-2226-SM-5986V 20-29 years, male 35.2
GTEX-ZF29-2326-SM-DO92K 60-69 years, female 35.1
GTEX-1IDFM-0126-SM-COH2V 60-69 years, male 34.7
GTEX-139T8-0126-SM-5K7XZ 60-69 years, male 34.5
GTEX-16BQI-0226-SM-7KUEX 30-39 years, female 34.5
GTEX-1NV5F-0226-SM-E8VNY 60-69 years, female 34.0
GTEX-1399U-2326-SM-5K7WY 50-59 years, female 33.9
GTEX-1PPH7-2326-SM-EVYB8 40-49 years, male 33.8
GTEX-145MO-0326-SM-5Q5B3 60-69 years, male 33.6
GTEX-14PN3-2426-SM-6LLHS 60-69 years, female 33.6
GTEX-146FQ-0126-SM-5NQA9 30-39 years, male 33.5
GTEX-14753-0426-SM-5NQAM 60-69 years, male 33.4
GTEX-13W46-0226-SM-5SIAG 50-59 years, male 33.3
GTEX-1I19N-0326-SM-ACKVX 70-79 years, male 33.1
GTEX-1JKYN-1326-SM-CGQG9 30-39 years, male 33.1
GTEX-1GTWX-0126-SM-9YFLK 60-69 years, male 32.9
GTEX-13OVJ-0126-SM-5KM36 50-59 years, female 32.8
GTEX-1128S-2326-SM-5GZZY 60-69 years, female 32.4
GTEX-OOBJ-0126-SM-E6CJW 60-69 years, male 32.3
GTEX-1GMR8-0126-SM-9WYTM 50-59 years, female 31.9
GTEX-1HUB1-0426-SM-E9U4U 60-69 years, male 31.9
GTEX-1QW4Y-1526-SM-EAZ3Z 30-39 years, male 31.7
GTEX-16XZZ-0126-SM-793DV 60-69 years, male 31.6
GTEX-13NZB-2526-SM-5J1OM 30-39 years, male 31.5
GTEX-Y8LW-1826-SM-5S2MV 50-59 years, female 31.5
GTEX-ZAB4-0226-SM-5N9F5 40-49 years, male 31.4
GTEX-RN64-0126-SM-2TC68 50-59 years, male 31.1
GTEX-1C2JI-1826-SM-73KXC 50-59 years, male 31.0
GTEX-15D1Q-0126-SM-7KUG6 40-49 years, male 30.9
GTEX-1NHNU-1026-SM-E9J2A 50-59 years, male 30.9
GTEX-QEG4-0226-SM-2S1PY 30-39 years, male 30.8
GTEX-1HSMQ-1226-SM-CGQFX 50-59 years, male 30.6
GTEX-14JG6-2226-SM-6EU2G 30-39 years, female 30.4
GTEX-17HGU-0226-SM-7DHKV 50-59 years, male 30.4
GTEX-P4PQ-0126-SM-2S1NM 60-69 years, male 30.3
GTEX-ZUA1-0126-SM-5GU76 40-49 years, male 30.3
GTEX-11GSO-2426-SM-5A5LY 60-69 years, male 30.1
GTEX-14BIM-0226-SM-7IGLD 60-69 years, female 30.1
GTEX-15CHC-2126-SM-6EU21 60-69 years, female 30.1
GTEX-X585-0226-SM-4QAS2 50-59 years, male 30.1
GTEX-13OW7-0126-SM-5MR3B 50-59 years, male 29.9
GTEX-12WSJ-1826-SM-5GCNY 40-49 years, female 29.8
GTEX-131XF-5016-SM-7MGWE 60-69 years, male 29.8
GTEX-16NGA-1726-SM-731B4 40-49 years, female 29.5
GTEX-1J8Q2-0526-SM-CM2RW 60-69 years, male 29.5
GTEX-OXRK-0226-SM-3NB2G 50-59 years, female 29.4
GTEX-ZAB5-1826-SM-5HL7C 50-59 years, male 29.4
GTEX-14A6H-0126-SM-5QGPK 30-39 years, male 29.2
GTEX-Q2AI-1326-SM-2S1PL 40-49 years, male 29.2
GTEX-RU72-0926-SM-2TF6B 50-59 years, female 29.1
GTEX-TMZS-0126-SM-3DB9Q 60-69 years, male 29.1
GTEX-XPVG-2626-SM-4B669 50-59 years, male 29.0
GTEX-17EVQ-0226-SM-7LG4P 70-79 years, male 28.7
GTEX-1A32A-0126-SM-718B1 50-59 years, female 28.7
GTEX-1C6VQ-0126-SM-7P8RI 50-59 years, male 28.7
GTEX-1J1R8-1726-SM-ARL8M 40-49 years, male 28.7
GTEX-1PBJI-0526-SM-E8VNK 20-29 years, female 28.7
GTEX-UJHI-1526-SM-3DB99 50-59 years, female 28.6
GTEX-S95S-1226-SM-4GICG 60-69 years, male 28.5
GTEX-1I1GS-0126-SM-B2LVW 60-69 years, male 28.5
GTEX-14E6C-0126-SM-5RQIP 40-49 years, male 28.4
GTEX-13X6H-2126-SM-7EWD5 50-59 years, female 28.3
GTEX-WXYG-2326-SM-4E3I6 50-59 years, female 28.3
GTEX-1J8QM-2126-SM-CYPSJ 60-69 years, female 28.3
GTEX-OXRO-0126-SM-2YUN4 60-69 years, female 28.2
GTEX-QV44-1926-SM-2S1RF 50-59 years, male 28.2
GTEX-1QP29-0626-SM-EWRMX 50-59 years, male 28.2
GTEX-145LT-1726-SM-5QGP3 40-49 years, male 28.1
GTEX-WH7G-2326-SM-3NMBC 40-49 years, male 28.1
GTEX-13N11-2526-SM-5K7UE 50-59 years, female 28.0
GTEX-14PHW-0126-SM-6LLJI 60-69 years, female 28.0
GTEX-147F4-0226-SM-5QGPW 50-59 years, male 27.7
GTEX-TMMY-0226-SM-33HBA 40-49 years, female 27.7
GTEX-1F6I4-0126-SM-9MQL2 60-69 years, male 27.7
GTEX-1GPI7-0126-SM-9MQL8 20-29 years, male 27.6
GTEX-1JKYR-0126-SM-CNPOJ 20-29 years, male 27.6
GTEX-1KAFJ-2026-SM-CY8ID 50-59 years, male 27.6
GTEX-11EMC-2926-SM-5EQ4F 60-69 years, female 27.5
GTEX-145MN-2226-SM-5SIAU 30-39 years, male 27.4
GTEX-RWS6-2026-SM-2XCB5 60-69 years, female 27.4
GTEX-ZDXO-3026-SM-5J1N5 60-69 years, male 27.4
GTEX-1HBPM-0226-SM-ARL9F 60-69 years, female 27.4
GTEX-1R46S-0626-SM-E9J41 60-69 years, female 27.4
GTEX-148VI-1626-SM-5SI6E 60-69 years, female 27.3
GTEX-1A3MW-0126-SM-73KXX 60-69 years, female 27.3
GTEX-1C6WA-0126-SM-7PC2B 60-69 years, male 27.3
GTEX-1H2FU-0126-SM-9WYSI 60-69 years, female 27.3
GTEX-SE5C-1626-SM-2XCE3 40-49 years, female 27.3
GTEX-1HBPH-0426-SM-B2LW5 40-49 years, female 27.1
GTEX-1PWST-0226-SM-E76QJ 70-79 years, male 27.1
GTEX-1A3MV-1926-SM-718BT 30-39 years, male 27.0
GTEX-1PPH8-0226-SM-E8VND 20-29 years, male 27.0
GTEX-11ZVC-2526-SM-5FQTE 50-59 years, female 26.8
GTEX-139D8-0226-SM-5KLZO 30-39 years, female 26.8
GTEX-NFK9-0226-SM-2HMKQ 40-49 years, male 26.8
GTEX-1C64O-0126-SM-7SB8P 60-69 years, male 26.7
GTEX-13O3Q-2426-SM-5IJBR 50-59 years, male 26.6
GTEX-Q2AG-0126-SM-33HBV 40-49 years, female 26.6
GTEX-1MA7X-2226-SM-E6CIY 60-69 years, male 26.3
GTEX-WYJK-0126-SM-3NMAB 50-59 years, male 26.2
GTEX-1HFI7-1826-SM-ACKXH 50-59 years, female 26.2
GTEX-1MUQO-0126-SM-EAZ58 60-69 years, male 26.2
GTEX-R55E-0126-SM-2TC5Y 20-29 years, male 26.0
GTEX-14LZ3-0226-SM-62LET 60-69 years, female 25.9
GTEX-18QFQ-0126-SM-731BE 30-39 years, male 25.8
GTEX-13O3O-0126-SM-E9J49 60-69 years, female 25.6
GTEX-11GS4-2726-SM-5A5LE 60-69 years, male 25.5
GTEX-12WSK-2326-SM-5GCOH 40-49 years, female 25.5
GTEX-13RTJ-2426-SM-5S2Q2 60-69 years, male 25.5
GTEX-1ICG6-2526-SM-CGQFZ 70-79 years, female 25.5
GTEX-1M4P7-0226-SM-DIPEV 60-69 years, male 25.5
GTEX-13OVI-1426-SM-5L3EY 60-69 years, female 25.4
GTEX-1GZ4H-1726-SM-7PBZJ 50-59 years, female 25.3
GTEX-1RQEC-0426-SM-E6CHU 60-69 years, male 25.3
GTEX-14PN4-0126-SM-6EU2V 50-59 years, male 25.2
GTEX-15SDE-2226-SM-7IGLO 50-59 years, female 25.2
GTEX-12696-2426-SM-5EQ6H 60-69 years, male 25.0
GTEX-145LV-2126-SM-5LU8N 50-59 years, male 25.0
GTEX-Z9EW-1626-SM-5CVMN 40-49 years, male 25.0
GTEX-11UD1-0126-SM-5PNYG 40-49 years, female 24.9
GTEX-1ICLY-0126-SM-D4P36 50-59 years, male 24.9
GTEX-1JN1M-0326-SM-CYPT3 60-69 years, female 24.9
GTEX-RNOR-0126-SM-E9J4R 50-59 years, female 24.8
GTEX-1H1E6-1726-SM-ACKVK 30-39 years, male 24.7
GTEX-1JJE9-0326-SM-CL53Z 70-79 years, male 24.6
GTEX-PLZ6-1426-SM-DKPOT 30-39 years, male 24.6
GTEX-131XG-2626-SM-5KM17 50-59 years, female 24.5
GTEX-13PVR-2326-SM-5QGR1 60-69 years, female 24.5
GTEX-UPJH-0326-SM-3GADU 50-59 years, male 24.5
GTEX-1IDJU-2626-SM-CM2RT 60-69 years, female 24.5
GTEX-14LLW-0126-SM-6LLIO 70-79 years, female 24.4
GTEX-U8T8-0126-SM-3DB94 60-69 years, male 24.4
GTEX-11ZTT-2426-SM-5EQLS 60-69 years, female 24.3
GTEX-14DAR-2026-SM-5S2O3 50-59 years, male 24.2
GTEX-11OF3-2626-SM-5GU7F 60-69 years, male 24.1
GTEX-YB5E-2026-SM-5IFIS 40-49 years, male 24.1
GTEX-ZEX8-2426-SM-4WKG4 50-59 years, male 24.1
GTEX-1JK1U-2026-SM-CM2RZ 60-69 years, male 24.1
GTEX-1GN1V-0126-SM-9WPOS 60-69 years, male 24.0
GTEX-1J8Q3-1626-SM-CMKGC 60-69 years, male 24.0
GTEX-1JMPY-1326-SM-ARL8Y 30-39 years, male 23.9
GTEX-1S82Y-2026-SM-EVYCM 40-49 years, male 23.9
GTEX-14BIL-0126-SM-5SI92 50-59 years, male 23.8
GTEX-WVJS-0126-SM-4MVOT 50-59 years, male 23.8
GTEX-1GF9X-2026-SM-7PC3A 40-49 years, female 23.8
GTEX-13X6I-0626-SM-5QGP9 60-69 years, male 23.7
GTEX-ZE7O-0126-SM-57WC1 50-59 years, female 23.7
GTEX-13O1R-0126-SM-5L3EH 60-69 years, male 23.5
GTEX-144FL-0126-SM-5TDC8 50-59 years, male 23.5
GTEX-R55G-2526-SM-2TC6D 40-49 years, female 23.5
GTEX-1MGNQ-0126-SM-EVYCJ 40-49 years, male 23.5
GTEX-11VI4-1726-SM-5CVLH 40-49 years, female 23.4
GTEX-131XH-2226-SM-5DUXJ 50-59 years, male 23.4
GTEX-13FTY-0526-SM-5L3EV 40-49 years, female 23.4
GTEX-1HSGN-0226-SM-CGQFV 40-49 years, female 23.3
GTEX-WRHK-1426-SM-3MJF9 20-29 years, female 23.2
GTEX-132NY-0326-SM-5IJBL 60-69 years, male 23.1
GTEX-13W3W-2426-SM-5LU5B 60-69 years, female 23.1
GTEX-17EUY-0426-SM-793BD 20-29 years, male 23.1
GTEX-1PFEY-1526-SM-E76PP 30-39 years, male 23.1
GTEX-13OVL-0226-SM-5L3E9 50-59 years, male 23.0
GTEX-1CAMR-1926-SM-7EPI2 20-29 years, male 23.0
GTEX-W5WG-1826-SM-4KL2Y 50-59 years, female 23.0
GTEX-SIU8-0126-SM-2XCDT 50-59 years, male 22.9
GTEX-T5JC-0426-SM-32PLO 20-29 years, male 22.9
GTEX-1H1DE-2126-SM-9WG6R 20-29 years, male 22.9
GTEX-14BMU-2226-SM-5TDE9 20-29 years, female 22.7
GTEX-16MT8-0426-SM-7KUEY 60-69 years, female 22.7
GTEX-16NPX-0226-SM-79OMT 50-59 years, male 22.7
GTEX-X638-0126-SM-47JZ8 70-79 years, female 22.7
GTEX-ZVT3-0126-SM-5GU6I 60-69 years, female 22.7
GTEX-1PIGE-0126-SM-EVYBJ 20-29 years, male 22.7
GTEX-RUSQ-1526-SM-2TF62 50-59 years, male 22.6
GTEX-1CAMS-0426-SM-7P8T2 40-49 years, female 22.6
GTEX-1GF9U-2126-SM-7SB7L 40-49 years, female 22.6
GTEX-13O3P-0126-SM-5KM4S 50-59 years, male 22.5
GTEX-13RTK-1426-SM-5QGQJ 20-29 years, male 22.5
GTEX-X8HC-0126-SM-4E3JW 50-59 years, female 22.5
GTEX-Y111-0126-SM-4SOIV 50-59 years, male 22.5
GTEX-X4EP-0126-SM-3P5YV 60-69 years, female 22.4
GTEX-Y3I4-2126-SM-4TT7C 50-59 years, male 22.4
GTEX-1H3NZ-0126-SM-ACKX7 60-69 years, male 22.4
GTEX-11GSP-2526-SM-5N9BP 60-69 years, female 22.3
GTEX-QLQ7-1626-SM-2S1R8 60-69 years, male 22.3
GTEX-144GN-2326-SM-5LU4F 50-59 years, male 22.2
GTEX-1GN73-0226-SM-9WG67 60-69 years, male 22.2
GTEX-ZAK1-0126-SM-5IJD3 50-59 years, female 22.1
GTEX-1GPI6-0126-SM-9WG69 60-69 years, male 22.1
GTEX-13OVG-1926-SM-5L3DK 60-69 years, male 22.0
GTEX-14PHX-2326-SM-62LEM 50-59 years, male 22.0
GTEX-15ETS-0126-SM-7KUMW 40-49 years, female 22.0
GTEX-1IE54-0126-SM-CMKHW 40-49 years, female 22.0
GTEX-148VJ-0126-SM-5TDDN 70-79 years, male 21.9
GTEX-14ICK-0226-SM-6EU25 40-49 years, male 21.9
GTEX-QDVN-2026-SM-3GAEP 50-59 years, male 21.9
GTEX-1F5PK-2426-SM-7RHHY 50-59 years, male 21.9
GTEX-139TU-0126-SM-5K7WH 60-69 years, male 21.8
GTEX-U3ZN-2326-SM-3DB7W 30-39 years, female 21.8
GTEX-Y5LM-1926-SM-5RQJH 40-49 years, female 21.8
GTEX-169BO-1326-SM-9MQK2 50-59 years, male 21.8
GTEX-1AX8Z-0126-SM-7DHM6 60-69 years, male 21.6
GTEX-ZYFG-2326-SM-5E44B 60-69 years, female 21.6
GTEX-1RB15-2126-SM-E9TIM 60-69 years, male 21.6
GTEX-TKQ1-1026-SM-4GICL 30-39 years, male 21.5
GTEX-11ZU8-2526-SM-5EQKI 60-69 years, male 21.4
GTEX-13OVH-0126-SM-5MR4B 70-79 years, male 21.4
GTEX-13YAN-0326-SM-5O9DF 60-69 years, male 21.4
GTEX-14E7W-0126-SM-6LLJ9 70-79 years, male 21.4
GTEX-U3ZH-2026-SM-3DB78 30-39 years, male 21.4
GTEX-15UF6-0826-SM-6PALJ 70-79 years, female 21.3
GTEX-V1D1-2226-SM-3NMAX 50-59 years, male 21.3
GTEX-WOFL-0126-SM-3MJG2 60-69 years, male 21.3
GTEX-1R7EU-0226-SM-EVR4G 60-69 years, male 21.3
GTEX-117YW-2626-SM-5GZZH 50-59 years, male 21.2
GTEX-13D11-2426-SM-5KM1V 50-59 years, female 21.2
GTEX-ZVE2-0226-SM-59HJB 50-59 years, male 21.2
GTEX-11WQC-2526-SM-5CVLE 60-69 years, male 21.1
GTEX-12126-0326-SM-5PNW3 20-29 years, male 21.1
GTEX-1B8KZ-2026-SM-7DHMB 50-59 years, male 21.1
GTEX-1C4CL-0526-SM-73KVK 30-39 years, male 21.1
GTEX-Z93S-0126-SM-5HL7M 50-59 years, male 21.1
GTEX-1QP9N-1426-SM-DTXFL 30-39 years, male 21.1
GTEX-15SHU-0126-SM-7KUEH 40-49 years, female 21.0
GTEX-1314G-1526-SM-5EGK2 30-39 years, male 20.9
GTEX-14PII-0226-SM-6EU1T 60-69 years, male 20.9
GTEX-18A66-0226-SM-718BD 60-69 years, male 20.9
GTEX-P4PP-0126-SM-3LK69 30-39 years, female 20.9
GTEX-1HFI6-0226-SM-ADEHZ 40-49 years, male 20.9
GTEX-1IY9M-0126-SM-D3L8S 60-69 years, male 20.9
GTEX-ZQG8-1626-SM-DHXIT 60-69 years, female 20.9
GTEX-12C56-1726-SM-5EQ61 20-29 years, male 20.7
GTEX-1C6VS-0526-SM-7DUEN 60-69 years, male 20.7
GTEX-ZQUD-1426-SM-57WER 30-39 years, male 20.7
GTEX-1LG7Y-0526-SM-DKPQC 50-59 years, male 20.7
GTEX-1497J-2426-SM-7IGNX 60-69 years, male 20.6
GTEX-WY7C-2326-SM-3NB2U 50-59 years, male 20.6
GTEX-117YX-2326-SM-5H12W 50-59 years, male 20.4
GTEX-147GR-0526-SM-5S2MY 60-69 years, male 20.4
GTEX-ZTPG-0326-SM-5O9AX 20-29 years, female 20.4
GTEX-12WSG-2826-SM-E9J4H 50-59 years, female 20.4
GTEX-1B933-0126-SM-7PC29 50-59 years, female 20.4
GTEX-1HCU6-0126-SM-CL54K 60-69 years, female 20.4
GTEX-12ZZX-0126-SM-5EGK9 40-49 years, female 20.3
GTEX-13QJ3-0326-SM-5S2RA 50-59 years, male 20.3
GTEX-11DXY-2626-SM-5GIE7 60-69 years, male 20.2
GTEX-13G51-2526-SM-5LZYK 60-69 years, male 20.1
GTEX-14PK6-1926-SM-6ETZU 70-79 years, female 20.1
GTEX-1A3MX-0126-SM-731BR 60-69 years, male 20.1
GTEX-WYVS-2126-SM-3NMA3 40-49 years, female 20.1
GTEX-WQUQ-0426-SM-3MJFU 60-69 years, male 20.0
GTEX-1H1CY-2826-SM-9MQM3 60-69 years, female 20.0
GTEX-1PDJ9-0326-SM-DTX95 20-29 years, male 20.0
GTEX-ZXG5-0126-SM-5GIEU 60-69 years, male 19.9
GTEX-1HCU9-1526-SM-A9SL7 20-29 years, male 19.9
GTEX-1I1GU-2226-SM-CGQFA 40-49 years, male 19.9
GTEX-13U4I-0126-SM-5LU38 40-49 years, female 19.8
GTEX-T6MO-1626-SM-32QOM 40-49 years, female 19.7
GTEX-X261-0126-SM-3NMD6 50-59 years, male 19.7
GTEX-1S3DN-2226-SM-EVYCD 50-59 years, male 19.7
GTEX-T2YK-0526-SM-32QPJ 50-59 years, male 19.6
GTEX-ZTSS-1926-SM-57WEW 40-49 years, male 19.6
GTEX-1H3O1-0426-SM-9YFKY 60-69 years, male 19.6
GTEX-11TTK-0126-SM-5987B 60-69 years, female 19.5
GTEX-17F97-0326-SM-7LG5B 50-59 years, male 19.5
GTEX-1AX9I-0126-SM-7SB74 60-69 years, male 19.5
GTEX-15DDE-0126-SM-6LPKH 50-59 years, female 19.4
GTEX-QVJO-1626-SM-2S1QW 60-69 years, female 19.4
GTEX-11LCK-1026-SM-5A5KB 30-39 years, male 19.3
GTEX-XBEW-0626-SM-4QASP 40-49 years, male 19.3
GTEX-1F88F-2726-SM-7PBZZ 60-69 years, female 19.3
GTEX-S7PM-0126-SM-4AD6S 60-69 years, male 19.2
GTEX-1GZ2Q-0226-SM-7P8TL 40-49 years, male 19.2
GTEX-11NUK-0126-SM-5A5L3 50-59 years, male 19.1
GTEX-15SB6-1726-SM-6PAME 50-59 years, female 19.1
GTEX-13NZA-0226-SM-5K7Z7 60-69 years, male 19.0
GTEX-1CB4J-0626-SM-7DHMP 60-69 years, male 19.0
GTEX-SN8G-0126-SM-32PLI 50-59 years, female 19.0
GTEX-YB5K-2126-SM-4WWDJ 40-49 years, female 19.0
GTEX-1I4MK-2226-SM-ACKWD 50-59 years, female 19.0
GTEX-1CB4E-2226-SM-793DC 60-69 years, male 18.9
GTEX-ZDTS-0126-SM-4WAY5 60-69 years, male 18.9
GTEX-17F98-0626-SM-79OMX 40-49 years, female 18.8
GTEX-11DZ1-0126-SM-5985Q 50-59 years, male 18.7
GTEX-14C5O-0126-SM-5SI6N 60-69 years, male 18.7
GTEX-XAJ8-0826-SM-47JY6 40-49 years, male 18.6
GTEX-XBED-2226-SM-47JYQ 60-69 years, male 18.6
GTEX-1HSMO-0126-SM-CL547 60-69 years, male 18.6
GTEX-18A67-0126-SM-7LG5P 50-59 years, male 18.5
GTEX-1QP66-1726-SM-E8VO1 50-59 years, male 18.5
GTEX-1F6RS-0126-SM-9MQKZ 60-69 years, female 18.4
GTEX-14DAQ-0126-SM-5S2MQ 60-69 years, female 18.3
GTEX-U412-0426-SM-3DB9O 60-69 years, male 18.3
GTEX-XXEK-2226-SM-4BRUM 50-59 years, male 18.3
GTEX-111VG-2426-SM-5GZXD 60-69 years, male 18.2
GTEX-1MCQQ-0826-SM-DLHC2 60-69 years, male 18.2
GTEX-1R7EV-2426-SM-EVYBG 40-49 years, male 18.2
GTEX-13OW8-1326-SM-5J1OW 60-69 years, male 18.1
GTEX-183FY-0126-SM-7LT9P 20-29 years, male 18.1
GTEX-1IKOH-0226-SM-COH4E 60-69 years, female 18.1
GTEX-139TT-0126-SM-5K7Y5 60-69 years, male 18.0
GTEX-13PDP-0126-SM-5L3HD 60-69 years, male 18.0
GTEX-1H3VE-0326-SM-9YFLH 40-49 years, male 18.0
GTEX-1LSNM-1926-SM-E6CII 50-59 years, male 18.0
GTEX-11TT1-2526-SM-5EGIB 20-29 years, male 17.9
GTEX-13FTW-2626-SM-5K7WL 40-49 years, male 17.8
GTEX-146FH-0126-SM-5QGPP 50-59 years, female 17.8
GTEX-ZVT2-2526-SM-51MT1 50-59 years, female 17.8
GTEX-11XUK-2026-SM-5EQLF 40-49 years, female 17.7
GTEX-1211K-2026-SM-5EQ4Z 60-69 years, female 17.7
GTEX-131XW-0426-SM-5LZWP 50-59 years, female 17.7
GTEX-XMD2-0126-SM-4YCDU 60-69 years, female 17.7
GTEX-1F7RK-0126-SM-7PC2S 20-29 years, female 17.7
GTEX-1I6K6-0126-SM-A9SLE 30-39 years, male 17.7
GTEX-1IGQW-0126-SM-COH42 60-69 years, male 17.7
GTEX-16XZY-2126-SM-79OK1 70-79 years, male 17.6
GTEX-17HII-0226-SM-7LG4E 50-59 years, male 17.6
GTEX-1GF9W-0326-SM-9KNUN 60-69 years, male 17.6
GTEX-1I1CD-0126-SM-CM2TK 60-69 years, female 17.6
GTEX-XYKS-2126-SM-4E3IB 60-69 years, female 17.5
GTEX-1LH75-2426-SM-E9TJE 50-59 years, female 17.5
GTEX-1269C-2526-SM-5EGJ3 60-69 years, female 17.4
GTEX-1S5ZA-0126-SM-EVYCV 20-29 years, male 17.4
GTEX-12WSD-0126-SM-59HKN 60-69 years, female 17.3
GTEX-13IVO-0126-SM-5J1NG 70-79 years, male 17.3
GTEX-ZAJG-0126-SM-5HL94 50-59 years, female 17.3
GTEX-ZYFD-0126-SM-5GIDL 50-59 years, male 17.3
GTEX-1HCVE-0126-SM-CGQEU 50-59 years, male 17.3
GTEX-S33H-1026-SM-EZ6L6 30-39 years, male 17.3
GTEX-15F5U-1526-SM-6PANO 40-49 years, male 17.2
GTEX-1AYD5-2426-SM-73KXR 50-59 years, male 17.2
GTEX-1313W-0126-SM-5LZUN 50-59 years, female 17.1
GTEX-11UD2-0226-SM-5EQKY 50-59 years, male 17.0
GTEX-TSE9-0126-SM-3DB83 60-69 years, female 17.0
GTEX-WZTO-0126-SM-3NM95 40-49 years, male 17.0
GTEX-ZVTK-0426-SM-51MRS 20-29 years, male 17.0
GTEX-1KD4Q-0226-SM-E9TJ9 40-49 years, male 17.0
GTEX-139UW-2826-SM-5L3E7 60-69 years, male 16.9
GTEX-VUSG-2526-SM-4KL1V 50-59 years, male 16.9
GTEX-XV7Q-2526-SM-4BRV9 40-49 years, female 16.9
GTEX-1F6IF-0726-SM-7P8TW 60-69 years, male 16.9
GTEX-1LGRB-2526-SM-CNPPQ 50-59 years, female 16.9
GTEX-14A5I-0126-SM-5TDEA 50-59 years, female 16.8
GTEX-1CAV2-2226-SM-7P8P2 40-49 years, female 16.8
GTEX-1S82Z-0826-SM-E6CHY 30-39 years, female 16.8
GTEX-13OVK-2026-SM-7KUEO 40-49 years, male 16.7
GTEX-14E6D-0126-SM-62LDV 50-59 years, male 16.7
GTEX-1F75A-0126-SM-7RHGM 50-59 years, male 16.7
GTEX-PW2O-1526-SM-7RHHB 20-29 years, male 16.7
GTEX-11EQ9-2426-SM-5HL5T 30-39 years, male 16.6
GTEX-SUCS-1926-SM-32PM3 70-79 years, male 16.6
GTEX-Y114-2426-SM-4TT8A 50-59 years, female 16.6
GTEX-OIZF-0126-SM-7SB8I 60-69 years, male 16.6
GTEX-1HCUA-2426-SM-ADEIS 50-59 years, female 16.5
GTEX-1I1GT-0626-SM-CGQER 60-69 years, female 16.5
GTEX-12ZZZ-0626-SM-5DUXI 60-69 years, male 16.4
GTEX-13FTX-1826-SM-5J1NX 20-29 years, female 16.4
GTEX-18D9U-0226-SM-718BP 40-49 years, male 16.4
GTEX-1K2DU-2326-SM-E9TIV 20-29 years, male 16.4
GTEX-1N2EF-0226-SM-EYYXB 60-69 years, male 16.4
GTEX-11OC5-0126-SM-5HL6A 60-69 years, male 16.3
GTEX-ZYY3-0126-SM-5GZY5 60-69 years, female 16.3
GTEX-1HBPI-1526-SM-C1YQ1 50-59 years, male 16.3
GTEX-1JMOU-1526-SM-CL54I 60-69 years, female 16.3
GTEX-1QPFJ-0226-SM-E76PB 30-39 years, female 16.3
GTEX-13VXU-0126-SM-5SI9F 50-59 years, male 16.1
GTEX-TML8-1926-SM-32QOS 40-49 years, female 16.1
GTEX-ZYW4-0126-SM-5E44A 60-69 years, male 16.1
GTEX-1LVAN-0226-SM-COH3S 50-59 years, female 16.1
GTEX-18A7B-0126-SM-7LG64 70-79 years, male 16.0
GTEX-1B8L1-2526-SM-9WYTF 60-69 years, male 16.0
GTEX-139TS-2826-SM-5J1OO 60-69 years, male 15.8
GTEX-1192W-2626-SM-5Q5AF 60-69 years, male 15.7
GTEX-15EOM-0126-SM-7KUGG 20-29 years, female 15.7
GTEX-18A7A-0226-SM-718BH 50-59 years, female 15.7
GTEX-13FHO-0226-SM-5IFGY 60-69 years, male 15.6
GTEX-1KANA-0726-SM-D3L9I 20-29 years, male 15.6
GTEX-1JN6P-0126-SM-D3L98 60-69 years, male 15.5
GTEX-T2IS-0126-SM-4DM6O 20-29 years, female 15.4
GTEX-1HCU8-0626-SM-A9SM9 60-69 years, female 15.4
GTEX-1LB8K-0226-SM-EWRNW 50-59 years, male 15.4
GTEX-WI4N-1026-SM-3LK7N 40-49 years, female 15.2
GTEX-Y3IK-2426-SM-4WWDU 50-59 years, female 15.2
GTEX-1J8JJ-0226-SM-CL53I 60-69 years, female 15.2
GTEX-X5EB-2226-SM-46MW4 40-49 years, male 15.1
GTEX-12584-0126-SM-5EGKQ 40-49 years, male 14.9
GTEX-T8EM-1026-SM-3DB7M 40-49 years, male 14.9
GTEX-VJWN-0126-SM-3GIK7 50-59 years, female 14.9
GTEX-ZDTT-2726-SM-4WKF8 60-69 years, male 14.9
GTEX-1KWVE-1426-SM-E9TJO 30-39 years, male 14.9
GTEX-14PJM-0226-SM-62LF1 50-59 years, female 14.8
GTEX-15SHW-0326-SM-6PAML 60-69 years, male 14.8
GTEX-1EWIQ-0126-SM-7RHH2 70-79 years, female 14.8
GTEX-1JMPZ-0226-SM-CNPP1 30-39 years, male 14.8
GTEX-1KANB-0526-SM-E6CJH 50-59 years, male 14.6
GTEX-OXRP-0126-SM-3NB32 60-69 years, female 14.5
GTEX-ZGAY-0526-SM-4WWBB 40-49 years, female 14.5
GTEX-X4XY-0226-SM-4E3IZ 60-69 years, male 14.4
GTEX-1EKGG-0226-SM-9WYTH 60-69 years, male 14.4
GTEX-Y8E4-0626-SM-4WWDL 40-49 years, male 14.3
GTEX-11DXX-2426-SM-5GZZW 60-69 years, female 14.1
GTEX-11EI6-0126-SM-5985R 60-69 years, male 14.1
GTEX-12WSC-0126-SM-5EQ4P 50-59 years, male 14.1
GTEX-YJ8A-0426-SM-5IFID 20-29 years, male 14.1
GTEX-ZPIC-1726-SM-DHXIU 40-49 years, female 14.1
GTEX-17F96-1626-SM-7DUFL 70-79 years, male 14.0
GTEX-17HHY-0126-SM-7LG5D 50-59 years, male 14.0
GTEX-Y5V5-2326-SM-4V6GA 60-69 years, female 13.9
GTEX-Y5V6-2426-SM-4VDSB 60-69 years, male 13.9
GTEX-ZY6K-1826-SM-5GZXK 50-59 years, male 13.9
GTEX-1F75B-0126-SM-9KNVL 50-59 years, male 13.9
GTEX-1H4P4-0726-SM-9YFLR 50-59 years, male 13.9
GTEX-113JC-2326-SM-5EQ4E 50-59 years, female 13.8
GTEX-1CB4G-0226-SM-7PC3O 60-69 years, male 13.7
GTEX-1LGOU-2026-SM-DIPFF 20-29 years, female 13.7
GTEX-12WSN-5019-SM-79OM6 40-49 years, male 13.6
GTEX-133LE-1826-SM-5J1MV 20-29 years, female 13.6
GTEX-14ABY-0226-SM-5TDCQ 50-59 years, male 13.5
GTEX-18A6Q-0126-SM-731BZ 60-69 years, male 13.5
GTEX-XUYS-0126-SM-47JWZ 50-59 years, male 13.5
GTEX-1EU9M-0226-SM-7P8SP 60-69 years, male 13.5
GTEX-QLQW-1126-SM-2S1Q8 30-39 years, male 13.4
GTEX-1GZHY-0326-SM-9QEHI 50-59 years, female 13.4
GTEX-1KD5A-0226-SM-D5OV3 50-59 years, male 13.4
GTEX-13N2G-2626-SM-5J1OT 60-69 years, male 13.3
GTEX-145MF-0626-SM-5LUAI 50-59 years, male 13.3
GTEX-1BAJH-0526-SM-793CQ 70-79 years, male 13.3
GTEX-X4EO-0326-SM-3P5YO 60-69 years, female 13.3
GTEX-1H3VY-0126-SM-ACKXD 50-59 years, male 13.3
GTEX-1HGF4-2426-SM-ACKXM 60-69 years, male 13.3
GTEX-17HG3-2226-SM-7938L 30-39 years, female 13.2
GTEX-X88G-0126-SM-47JZ3 30-39 years, male 13.2
GTEX-1JMQK-0226-SM-CL543 60-69 years, male 13.2
GTEX-1F48J-0126-SM-7P8TT 50-59 years, female 13.1
GTEX-1JJ6O-0126-SM-E6CI8 60-69 years, male 13.1
GTEX-1K2DA-1826-SM-CGQGT 50-59 years, male 13.1
GTEX-P44H-0226-SM-2XCEU 40-49 years, male 13.0
GTEX-16AAH-1726-SM-7939C 50-59 years, male 12.9
GTEX-1GN1U-0126-SM-7PBZK 50-59 years, female 12.9
GTEX-1IDJF-0126-SM-CM2RS 20-29 years, male 12.9
GTEX-RVPV-0126-SM-EAZAW 60-69 years, male 12.9
GTEX-13NYS-0126-SM-5MR3W 60-69 years, male 12.8
GTEX-16GPK-0126-SM-7DHLE 60-69 years, male 12.8
GTEX-ZYFC-0226-SM-5NQ75 50-59 years, male 12.8
GTEX-11P81-2326-SM-59875 30-39 years, female 12.7
GTEX-13RTL-0126-SM-7LG5S 40-49 years, male 12.7
GTEX-OOBK-0126-SM-2YUND 40-49 years, male 12.7
GTEX-ZDYS-2026-SM-5HL5L 50-59 years, male 12.7
GTEX-ZE9C-2726-SM-57WB5 60-69 years, male 12.7
GTEX-1OFPY-2426-SM-DTXEJ 60-69 years, male 12.7
GTEX-T5JW-1626-SM-3GADZ 20-29 years, female 12.6
GTEX-1ICLZ-0126-SM-CKZPO 60-69 years, male 12.5
GTEX-11DYG-0126-SM-59883 60-69 years, male 12.4
GTEX-131YS-0126-SM-5KM1M 60-69 years, female 12.4
GTEX-15DCD-0126-SM-7KUEK 70-79 years, female 12.4
GTEX-1CB4I-0226-SM-79OLH 50-59 years, male 12.4
GTEX-1IL2V-0126-SM-CM2TX 70-79 years, male 12.4
GTEX-1399R-2726-SM-5IJBA 30-39 years, male 12.3
GTEX-15DYW-0126-SM-7KULE 60-69 years, female 12.3
GTEX-1CAMQ-0226-SM-7IGPK 40-49 years, male 12.3
GTEX-1JMQI-2226-SM-CM2SD 50-59 years, male 12.3
GTEX-1N2DW-0226-SM-E9TK2 50-59 years, male 12.3
GTEX-OIZG-0726-SM-33HBL 50-59 years, male 12.2
GTEX-OXRN-0126-SM-48TDM 50-59 years, male 12.2
GTEX-1CB4H-0226-SM-7PBXM 60-69 years, female 12.2
GTEX-12KS4-0326-SM-5EQ41 30-39 years, male 12.1
GTEX-1B996-0226-SM-7RHGO 60-69 years, male 12.1
GTEX-18465-0126-SM-731BN 50-59 years, male 12.0
GTEX-13OW5-0126-SM-DTXFS 60-69 years, male 11.9
GTEX-1J8EW-0126-SM-CJI4F 60-69 years, female 11.9
GTEX-1122O-2126-SM-5EGIR 60-69 years, female 11.8
GTEX-11O72-0126-SM-59887 40-49 years, male 11.8
GTEX-YFC4-0126-SM-5CVLY 40-49 years, female 11.8
GTEX-1LBAC-0126-SM-DIPEZ 20-29 years, male 11.8
GTEX-SSA3-0126-SM-32QPU 60-69 years, male 11.7
GTEX-ZXES-1826-SM-5E43S 30-39 years, female 11.7
GTEX-1GN2E-0426-SM-9MQKX 60-69 years, male 11.7
GTEX-1I1GR-0126-SM-CL55F 60-69 years, male 11.7
GTEX-1IOXB-0126-SM-ARL8G 50-59 years, male 11.7
GTEX-1QEPI-0126-SM-EWRMQ 60-69 years, female 11.7
GTEX-111FC-0126-SM-5N9DL 60-69 years, male 11.6
GTEX-SJXC-0126-SM-2XCFF 60-69 years, male 11.6
GTEX-XQ3S-1526-SM-4BOOC 20-29 years, male 11.6
GTEX-ZC5H-0226-SM-4WAY9 40-49 years, female 11.6
GTEX-XUZC-1726-SM-4BRWS 30-39 years, female 11.5
GTEX-ZVZP-2426-SM-59HKJ 50-59 years, male 11.5
GTEX-1EMGI-0126-SM-9KNUE 60-69 years, male 11.5
GTEX-1IKK5-0626-SM-ARL8A 60-69 years, male 11.5
GTEX-13SLX-0526-SM-5S2ON 50-59 years, female 11.4
GTEX-17MFQ-1726-SM-793C7 20-29 years, male 11.3
GTEX-1EN7A-0126-SM-7SB81 40-49 years, male 11.3
GTEX-1GMRU-0126-SM-9YFLV 50-59 years, male 11.3
GTEX-1HB9E-0226-SM-E9U4R 50-59 years, male 11.3
GTEX-1KANC-1526-SM-D3LAB 50-59 years, female 11.3
GTEX-11DXW-0226-SM-5H122 40-49 years, male 11.2
GTEX-13CF2-2526-SM-5LZYX 60-69 years, male 11.2
GTEX-1F52S-0126-SM-9MQJU 60-69 years, female 11.2
GTEX-11ZTS-0126-SM-5EQ6M 60-69 years, female 11.1
GTEX-13112-2826-SM-5DUWH 50-59 years, male 11.1
GTEX-ZZ64-1726-SM-5GZYB 20-29 years, male 11.1
GTEX-1H23P-0126-SM-ADEJ3 60-69 years, male 11.1
GTEX-13CF3-2426-SM-5IFGX 60-69 years, female 11.0
GTEX-14PJ6-2126-SM-6EU1V 60-69 years, female 11.0
GTEX-1E1VI-0126-SM-7DHMZ 50-59 years, male 11.0
GTEX-SNMC-1226-SM-2XCFP 20-29 years, male 10.9
GTEX-WFG8-2226-SM-3GIL9 20-29 years, male 10.9
GTEX-1OJC3-0126-SM-E76QX 20-29 years, male 10.9
GTEX-1EX96-1626-SM-7PBXR 50-59 years, male 10.7
GTEX-O5YT-0126-SM-48TBW 20-29 years, male 10.6
GTEX-Z93T-0126-SM-5HL5N 50-59 years, male 10.5
GTEX-1F5PL-0326-SM-7P8PQ 40-49 years, female 10.5
GTEX-1J1OQ-0226-SM-CYPSH 40-49 years, female 10.4
GTEX-117XS-2726-SM-5N9BL 60-69 years, male 10.3
GTEX-ZV6S-2326-SM-4YCEY 40-49 years, female 10.2
GTEX-P4QT-0126-SM-2I3FL 50-59 years, female 10.1
GTEX-131XE-2326-SM-5PNZ2 50-59 years, male 10.0
GTEX-13FHP-0126-SM-5IJBG 50-59 years, male 10.0
GTEX-R3RS-0126-SM-3GIJL 40-49 years, female 10.0
GTEX-1CB4F-0426-SM-9KNV4 60-69 years, male 10.0
GTEX-12WSA-0226-SM-5BC5V 60-69 years, male 9.9
GTEX-13S7M-0126-SM-5SI6A 60-69 years, female 9.9
GTEX-15ER7-0326-SM-7KUEV 20-29 years, female 9.9
GTEX-Y8DK-0126-SM-4TT3L 60-69 years, male 9.9
GTEX-1E2YA-0126-SM-9KNUC 50-59 years, male 9.9
GTEX-1HSKV-0226-SM-A9SKJ 60-69 years, male 9.9
GTEX-14BMV-0126-SM-5S2PO 50-59 years, male 9.8
GTEX-QESD-1426-SM-2S1R9 20-29 years, male 9.8
GTEX-13X6J-0126-SM-5QGOU 50-59 years, male 9.7
GTEX-14E6E-1826-SM-5S2R7 30-39 years, male 9.7
GTEX-1B8KE-2126-SM-73KYX 50-59 years, male 9.7
GTEX-OHPL-0126-SM-2HMJ7 60-69 years, female 9.7
GTEX-1HBPN-0226-SM-9YFM1 50-59 years, male 9.7
GTEX-15G19-0126-SM-6PANQ 60-69 years, male 9.6
GTEX-17KNJ-2326-SM-7DHLQ 50-59 years, male 9.6
GTEX-1HR98-0126-SM-B2LWI 60-69 years, male 9.6
GTEX-1POEN-0126-SM-EYYXJ 30-39 years, female 9.6
GTEX-X4XX-0126-SM-3NMC2 60-69 years, male 9.5
GTEX-13113-5016-SM-7EPIP 60-69 years, female 9.4
GTEX-14BIN-0626-SM-793DP 50-59 years, female 9.4
GTEX-ZVT4-0126-SM-DTXFN 50-59 years, female 9.4
GTEX-S7SE-0126-SM-2XCD5 50-59 years, male 9.3
GTEX-145ME-1826-SM-5SI9G 40-49 years, female 9.2
GTEX-ZU9S-0226-SM-5E441 30-39 years, male 9.2
GTEX-1H11D-0226-SM-9WG6Z 40-49 years, male 9.2
GTEX-1K9T9-0126-SM-EVYCF 50-59 years, female 9.2
GTEX-ZF3C-0126-SM-DO92D 50-59 years, female 9.2
GTEX-1B8SG-0126-SM-73KZ3 50-59 years, male 9.1
GTEX-Q734-1926-SM-2I5EV 40-49 years, female 9.1
GTEX-11DXZ-2326-SM-5EGGV 50-59 years, male 9.0
GTEX-13OW6-0426-SM-5L3HM 50-59 years, male 9.0
GTEX-17GQL-2026-SM-718BA 60-69 years, male 9.0
GTEX-WFON-2126-SM-3LK7O 40-49 years, male 9.0
GTEX-11TUW-2726-SM-E9J4M 60-69 years, male 9.0
GTEX-1AX9J-0226-SM-73KXM 60-69 years, male 8.9
GTEX-RWSA-0126-SM-2XCBB 40-49 years, male 8.9
GTEX-13SLW-0126-SM-5SI6C 70-79 years, male 8.8
GTEX-15UKP-0426-SM-7KUFQ 20-29 years, male 8.8
GTEX-1JN76-0126-SM-CNPPE 20-29 years, female 8.8
GTEX-1212Z-2526-SM-5EGKP 60-69 years, male 8.7
GTEX-QDVJ-1726-SM-2I5FX 50-59 years, male 8.7
GTEX-1KXAM-2226-SM-CYPTC 60-69 years, male 8.7
GTEX-1O97I-0326-SM-EYYX7 60-69 years, male 8.7
GTEX-1399T-2826-SM-5KLYZ 60-69 years, male 8.6
GTEX-13FXS-0226-SM-5IJCK 50-59 years, male 8.6
GTEX-12WSL-2526-SM-5GCNJ 50-59 years, male 8.5
GTEX-14XAO-2326-SM-6EU1B 60-69 years, female 8.5
GTEX-14JG1-0426-SM-6ETZZ 40-49 years, male 8.4
GTEX-OIZH-0126-SM-2HMIS 50-59 years, male 8.4
GTEX-1GMR3-1926-SM-9KNUZ 40-49 years, male 8.3
GTEX-1JMQJ-0526-SM-CYPSU 50-59 years, male 8.3
GTEX-PSDG-0226-SM-DKPOZ 50-59 years, male 8.3
GTEX-1IDJH-0326-SM-A9SLQ 70-79 years, male 8.1
GTEX-W5X1-3026-SM-EAZAX 40-49 years, female 8.1
GTEX-14A5H-0426-SM-5QGQF 60-69 years, male 8.0
GTEX-18D9A-1926-SM-7LG6P 30-39 years, female 8.0
GTEX-1C64N-0126-SM-793D7 50-59 years, male 8.0
GTEX-1HCU7-0226-SM-CL545 50-59 years, male 7.9
GTEX-1MA7W-2026-SM-E9TJ6 20-29 years, female 7.9
GTEX-18D9B-0526-SM-7LTAS 60-69 years, male 7.8
GTEX-PVOW-0126-SM-2XCFA 40-49 years, male 7.8
GTEX-QCQG-1726-SM-3GIJ9 50-59 years, female 7.7
GTEX-1R9K4-0126-SM-DTX9X 60-69 years, male 7.7
GTEX-1C6VR-2426-SM-79OLD 60-69 years, male 7.6
GTEX-ZWKS-0126-SM-5SIAA 30-39 years, male 7.6
GTEX-1I1GV-0526-SM-A9G29 60-69 years, male 7.6
GTEX-1S83E-0126-SM-EWRO4 40-49 years, male 7.5
GTEX-1A8FM-0226-SM-7SB7Q 50-59 years, female 7.4
GTEX-1LG7Z-1726-SM-D3LA4 30-39 years, male 7.4
GTEX-144GL-0126-SM-5TDE2 50-59 years, male 7.3
GTEX-U8XE-0326-SM-3DB8P 30-39 years, male 7.3
GTEX-13NYB-2526-SM-5K7Z6 40-49 years, male 7.2
GTEX-1HT8W-0126-SM-CNPPP 30-39 years, male 7.2
GTEX-1B97I-1626-SM-73KYO 40-49 years, male 7.1
GTEX-183WM-0126-SM-7LTAB 70-79 years, female 7.0
GTEX-T6MN-0126-SM-32PLP 50-59 years, male 7.0
GTEX-1JMLX-0226-SM-CM2RO 50-59 years, male 7.0
GTEX-13JUV-2726-SM-5LZZ8 40-49 years, female 6.9
GTEX-145MI-0526-SM-5O9A8 60-69 years, female 6.8
GTEX-15EU6-0426-SM-6PAN5 50-59 years, male 6.8
GTEX-Q2AH-1626-SM-3GAF8 40-49 years, male 6.8
GTEX-12ZZY-0226-SM-5LZVE 60-69 years, male 6.7
GTEX-17EVP-0326-SM-7DHLG 40-49 years, male 6.7
GTEX-13111-1626-SM-5EGJY 50-59 years, male 6.6
GTEX-145LU-0126-SM-5TDCB 50-59 years, male 6.5
GTEX-1PIIG-0226-SM-EWRN6 30-39 years, male 6.5
GTEX-1L5NE-2526-SM-E6CIE 50-59 years, male 6.3
GTEX-1I1GQ-0126-SM-COH3H 50-59 years, male 6.1
GTEX-1GF9V-0326-SM-7RHI5 60-69 years, male 6.0
GTEX-1QMI2-0226-SM-EVYBX 60-69 years, male 6.0
GTEX-1M5QR-1226-SM-EWROB 40-49 years, male 5.9
GTEX-1QAET-0926-SM-E76QM 50-59 years, male 5.9
GTEX-11WQK-0526-SM-5EQLD 50-59 years, male 5.8
GTEX-S32W-2126-SM-2XCB1 50-59 years, female 5.7
GTEX-ZV68-0126-SM-59HKS 50-59 years, female 5.6
GTEX-1IL2U-0226-SM-CE6T8 60-69 years, male 5.6
GTEX-PX3G-0126-SM-2I3EN 20-29 years, female 5.5
GTEX-ZYT6-0226-SM-5NQ6T 30-39 years, male 5.5
GTEX-1RDX4-0126-SM-E9J4P 50-59 years, female 5.5
GTEX-145LS-0126-SM-5QGP1 60-69 years, female 5.4
GTEX-17JCI-0126-SM-7LG5G 60-69 years, female 5.4
GTEX-VJYA-1126-SM-3GIJU 60-69 years, male 5.4
GTEX-12WSE-0526-SM-793B2 20-29 years, male 5.2
GTEX-ZF2S-2326-SM-4WWCE 50-59 years, female 5.1
GTEX-ZTX8-1426-SM-5DUVO 20-29 years, male 5.1
GTEX-1GL5R-1826-SM-9KNUY 50-59 years, male 5.1
GTEX-1JJEA-0326-SM-CNPOT 60-69 years, male 5.0
GTEX-1R9PM-2026-SM-E76OY 20-29 years, male 4.9
GTEX-ZVZO-0126-SM-5A5L9 40-49 years, male 4.5
GTEX-1MJK2-0426-SM-DTXE5 50-59 years, male 4.4
GTEX-1IKJJ-0126-SM-CNPQB 60-69 years, male 4.1
GTEX-1B8SF-1426-SM-7DUGL 60-69 years, male 4.0
GTEX-YJ89-0126-SM-4TT3X 60-69 years, male 3.9
GTEX-1JMQL-0226-SM-CNPP5 50-59 years, female 3.9
GTEX-13NYC-0326-SM-E9J4S 60-69 years, male 3.7
GTEX-1C475-1826-SM-73KWA 40-49 years, female 2.8
GTEX-POMQ-2226-SM-2I5FK 20-29 years, female 2.8
Show allShow less

Contact

  • NEWS ARTICLES
  • PRESS ROOM

The Project

  • INTRODUCTION
  • ORGANIZATION
  • PUBLICATIONS

The Human Protein Atlas

  • DOWNLOADABLE DATA
  • LICENCE & CITATION
  • HELP & FAQ
The Human Protein Atlas project is funded
by the Knut & Alice Wallenberg Foundation.


contact@proteinatlas.org