We use cookies to enhance the usability of our website. If you continue, we'll assume that you are happy to receive all cookies. More information. Don't show this again.
PCNT
HPA
RESOURCES
  • TISSUE
  • BRAIN
  • SINGLE CELL
  • SUBCELLULAR
  • CANCER
  • BLOOD
  • CELL LINE
  • STRUCTURE & INTERACTION
ABOUT
  • INTRODUCTION
  • HISTORY
  • ORGANIZATION
  • PUBLICATIONS
  • ANTIBODY SUBMISSION
  • ANTIBODY AVAILABILITY
  • ACKNOWLEDGMENTS
  • CONTACT
NEWS
  • NEWS ARTICLES
  • PRESS ROOM
LEARN
  • DICTIONARY
  • PROTEIN CLASSES
  • PROTEIN EVIDENCE
  • METHODS
  • EDUCATIONAL VIDEOS
DATA
  • DOWNLOADABLE DATA
  • PUBLICATION DATA
  • RELEASE HISTORY
HELP
  • ANTIBODY VALIDATION
  • ASSAYS & ANNOTATION
  • DISCLAIMER
  • HELP & FAQ
  • PRIVACY STATEMENT
  • LICENCE & CITATION
Fields »
Search result

Field
Term
Gene name
Class
Subclass
Class
Keyword
Chromosome
External id
Tissue
Cell type
Expression
Antibody panel
Tissue
Main location
Patient ID
Annotation
Tissue
Category
Tau score
Cluster
Reliability
Brain region
Category
Tau score
Brain region
Category
Tau score
Brain region
Category
Tau score
Cluster
Reliability
Tissue
Cell type
Enrichment
Cell type
Category
Tau score
Cell type
Category
Tau score
Cell type
Category
Tau score
Cell lineage
Category
Tau score
Cluster
Cluster
Location
Searches
Location
Cell line
Class
Type
Phase
Reliability
Cancer
Prognosis
Cancer
Category
Cancer
Category
Tau score
Cluster
Variants
Interacting gene (ensg_id)
Type
Number of interactions
Pathway
Category
Score
Score
Score
Validation
Validation
Validation
Validation
Antibodies
Data type
Column


  • SUMMARY

  • TISSUE

  • BRAIN

  • SINGLE CELL

  • SUBCELL

  • CANCER

  • BLOOD

  • CELL LINE

  • STRUCT & INT

  • PCNT
TISSUE PRIMARY DATA ADIPOSE TISSUE Show tissue menu
ADIPOSE TISSUE ADRENAL GLAND AMYGDALA APPENDIX BASAL GANGLIA BONE MARROW BREAST BRONCHUS CEREBELLUM CEREBRAL CORTEX CERVIX CHOROID PLEXUS COLON DUODENUM
ENDOMETRIUM EPIDIDYMIS ESOPHAGUS FALLOPIAN TUBE GALLBLADDER HEART MUSCLE HIPPOCAMPAL FORMATION HYPOTHALAMUS KIDNEY LIVER LUNG LYMPH NODE MIDBRAIN NASOPHARYNX
ORAL MUCOSA OVARY PANCREAS PARATHYROID GLAND PITUITARY GLAND PLACENTA PROSTATE RECTUM RETINA SALIVARY GLAND SEMINAL VESICLE SKELETAL MUSCLE SKIN SMALL INTESTINE
SMOOTH MUSCLE SOFT TISSUE SPINAL CORD SPLEEN STOMACH TESTIS THYMUS THYROID GLAND TONGUE TONSIL URINARY BLADDER VAGINA
ANTIBODIES
AND
VALIDATION
Dictionary
Tissue proteome
Adipose tissue
ADIPOSE TISSUE - Expression summary
Protein expression
Adipose tissuei

On the top, protein expression in current human tissue, based on all annotated cell types, is reported with the units not detected (n), low (l), medium (m) and high (h). Underneath, protein expression in each annotated cell type are reported using the same units.

Protein expression data is based on knowledge-based annotation. For genes where more than one antibody has been used, a collective score is set.

If knowledge-based annotation could not be performed for a gene, no data is displayed here. View antibody staining data further down this page.

h
m
l
n
Adipocytes: Not detected
RNA expressioni

A summary of mRNA expression data available for current tissue based on several datasets. The mRNA expression levels in human tissues are based on RNA-seq data generated by the Human Protein Atlas (HPA), Genotype-Tissue Expression (GTEx) portal and CAGE data generated by the FANTOM5 consortium. Consensus normalized expression levels for human tissues was created by combining the data from HPA and GTEx datasets.

The mRNA expression levels in pig are based on RNA-seq data generated by the Human Protein Atlas (HPA), and for mouse, HPA data and in situ hybridization generated by the Allen brain atlas are reported.

Scroll down to view mRNA expression data in more detail.
Consensus:9.4 nTPM
HPA:3.1 nTPM
GTEx:9.4 nTPM
FANTOM5:8.0 Scaled Tags Per Million

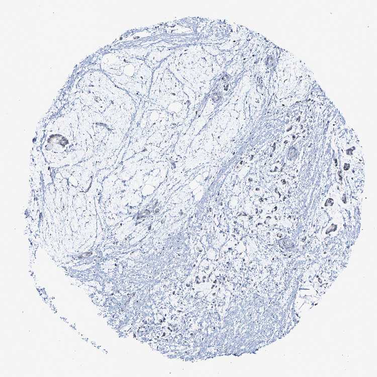
ADIPOSE TISSUE - Antibody stainingi

Antibody staining in the annotated cell types in the current human tissue is reported as not detected, low, medium, or high, based on conventional immunohistochemistry profiling in selected tissues. This score is based on the combination of the staining intensity and fraction of stained cells.

Each image is clickable and will lead to virtual microscopy that enables deeper exploration of all samples and also displays staining intensity scores, fraction scores and subcellular localization as well as patient and tissue information for each sample.

Antibody HPA016820Antibody HPA019887Antibody HPA032101
Adipocytes Not detectedNot detectedNot detected











ADIPOSE TISSUE - HPA RNA-seqi

The RNA-seq details section shows detailed information about the individual samples used for the transcript profiling and results of the RNA-seq analysis.

Information about each individual sample is listed below, including gender, age, a tissue section image and estimated fractions of cell types. nTPM (normalized transcripts per million) values give a quantification of the gene abundance which is comparable between different genes and samples.
Average nTPMi

Max subtype nTPM is the value for the subtype with the largest average nTPM across the subtype samples.

3.1
N/A
Female, age 80
Adipose tissue sample 86
nTPM: 4.5
Cell types%
Adipocytes:
95

Other cell types:
5

N/A
Female, age 45
Adipose tissue sample 115
nTPM: 2.7
N/A
Female, age 57
Adipose tissue sample 137
nTPM: 3.5
Cell types%
Adipocytes:
60

Fibroblasts:
20

Smooth muscle cells:
15

Other cell types:
5

overview
Female, age 74
Adipose tissue sample 329
nTPM: 1.6
Cell types%
Adipocytes:
50

Fibroblasts:
30

Smooth muscle cells:
15

Other cell types:
5

overview
Female, age 59
Adipose tissue sample 331
nTPM: 3
Cell types%
Adipocytes:
40

Fibroblasts:
40

Smooth muscle cells:
15

Other cell types:
5


ADIPOSE TISSUE - GTEx RNA-seqi

RNA-Seq data generated by the Genotype-Tissue Expression (GTEx) project from human tissues is reported as mean nTPM. More information can be found on the GTEx portal.

Distribution across the dataset is visualized with box plots, shown as median and 25th and 75th percentiles. Points are displayed as outliers if they are above or below 1.5 times the interquartile range. nTPM values of the individual samples are presented next to the box plot.
Max subtype nTPMi

Max subtype nTPM is the value for the subtype with the largest average nTPM across the subtype samples.

9.4
GTEx sample id Sample description nTPM
Adipose - Subcutaneous
Average nTPM: 9.4
Samples: 663

Max nTPM: 17.3
Min nTPM: 4.6
Std nTPM: 2.0
Median nTPM: 9.2
GTEX-1N2EF-0626-SM-E9J32 60-69 years, male 17.3
GTEX-1B8KE-2526-SM-73KYQ 50-59 years, male 17.1
GTEX-1RAZQ-0626-SM-E8VOR 30-39 years, male 17.1
GTEX-ZLFU-2626-SM-DO91L 40-49 years, male 15.5
GTEX-1L5NE-2626-SM-E9U6P 50-59 years, male 15.3
GTEX-U4B1-1726-SM-3DB9F 40-49 years, male 15.2
GTEX-17EUY-0526-SM-7EWDE 20-29 years, male 15.1
GTEX-1MA7W-1926-SM-E6CIO 20-29 years, female 15.0
GTEX-1PPH8-0626-SM-EWRN9 20-29 years, male 15.0
GTEX-1LSNM-2026-SM-E6CIJ 50-59 years, male 14.9
GTEX-1MGNQ-0226-SM-EVYCK 40-49 years, male 14.6
GTEX-1LG7Z-2026-SM-DLHBP 30-39 years, male 14.5
GTEX-1GN1W-0626-SM-9MQK3 50-59 years, female 14.2
GTEX-18D9A-2026-SM-718BL 30-39 years, female 14.0
GTEX-1AYCT-2226-SM-7SB98 50-59 years, male 13.9
GTEX-1GN1U-0226-SM-9YFLQ 50-59 years, female 13.8
GTEX-1AMEY-1426-SM-7939I 30-39 years, female 13.7
GTEX-P44G-2326-SM-2XCCZ 30-39 years, male 13.7
GTEX-1S82P-0226-SM-E6CI6 60-69 years, female 13.7
GTEX-O5YT-0226-SM-32PK5 20-29 years, male 13.6
GTEX-QLQW-1226-SM-2S1Q9 30-39 years, male 13.6
GTEX-OIZG-0826-SM-E9TI4 50-59 years, male 13.6
GTEX-OHPK-0226-SM-3MJH6 50-59 years, female 13.5
GTEX-ZXES-2026-SM-5NQ6R 30-39 years, female 13.5
GTEX-1122O-2026-SM-9YFMG 60-69 years, female 13.5
GTEX-11I78-2626-SM-5Q5AI 50-59 years, female 13.4
GTEX-1S831-0326-SM-EVYD3 20-29 years, male 13.4
GTEX-U3ZN-2626-SM-3DB7T 30-39 years, female 13.2
GTEX-ZPCL-2126-SM-57WFZ 60-69 years, female 13.2
GTEX-1HCUA-2226-SM-ADEHF 50-59 years, female 13.2
GTEX-1J1R8-2226-SM-ARZMP 40-49 years, male 13.2
GTEX-11EQ9-2526-SM-5HL66 30-39 years, male 13.1
GTEX-SNOS-1426-SM-32PLY 40-49 years, male 13.1
GTEX-1IDJU-2526-SM-CMKGF 60-69 years, female 13.0
GTEX-15ETS-0426-SM-6PANI 40-49 years, female 12.9
GTEX-16BQI-0526-SM-6PAM8 30-39 years, female 12.9
GTEX-NFK9-0326-SM-3MJGV 40-49 years, male 12.9
GTEX-YB5E-2126-SM-5IFI7 40-49 years, male 12.9
GTEX-131XF-2226-SM-5EQKG 60-69 years, male 12.8
GTEX-1C2JI-2226-SM-7IGPJ 50-59 years, male 12.8
GTEX-1B8SF-0526-SM-7939F 60-69 years, male 12.7
GTEX-13FH7-2226-SM-5IJD4 50-59 years, female 12.6
GTEX-147F3-0626-SM-5NQ9I 50-59 years, female 12.6
GTEX-14PK6-2026-SM-6LLHP 70-79 years, female 12.6
GTEX-1C475-1926-SM-7DUFV 40-49 years, female 12.6
GTEX-T5JW-1726-SM-3GADN 20-29 years, female 12.6
GTEX-XGQ4-2226-SM-4AT4Y 50-59 years, male 12.6
GTEX-1R7EV-1926-SM-EVYBF 40-49 years, male 12.6
GTEX-WFG7-2526-SM-EWRM5 20-29 years, male 12.6
GTEX-18A66-0326-SM-718BE 60-69 years, male 12.5
GTEX-OIZH-0226-SM-2YUMH 50-59 years, male 12.5
GTEX-W5WG-2526-SM-4SOJ2 50-59 years, female 12.5
GTEX-ZZ64-1626-SM-5E43W 20-29 years, male 12.5
GTEX-1I1GT-0526-SM-CGQEQ 60-69 years, female 12.5
GTEX-1KANA-0826-SM-D3L9J 20-29 years, male 12.5
GTEX-1E2YA-0226-SM-9MQLY 50-59 years, male 12.4
GTEX-R55C-1626-SM-48FEG 40-49 years, male 12.3
GTEX-1QP28-0226-SM-E9J2N 50-59 years, female 12.3
GTEX-PX3G-0226-SM-DKPOF 20-29 years, female 12.3
GTEX-11GSO-2326-SM-5A5LX 60-69 years, male 12.2
GTEX-12WSA-0326-SM-5BC6I 60-69 years, male 12.2
GTEX-16MTA-2126-SM-6PALC 50-59 years, male 12.2
GTEX-SIU8-0226-SM-2XCDS 50-59 years, male 12.2
GTEX-18QFQ-0226-SM-731BQ 30-39 years, male 12.2
GTEX-139T6-2126-SM-5KM37 50-59 years, male 12.1
GTEX-14PN3-2526-SM-6EU15 60-69 years, female 12.1
GTEX-ZPIC-1826-SM-57WFE 40-49 years, female 12.1
GTEX-1K2DA-2126-SM-CGQGL 50-59 years, male 12.1
GTEX-14PJ6-2226-SM-6LLIV 60-69 years, female 12.0
GTEX-WH7G-2226-SM-3NMBN 40-49 years, male 12.0
GTEX-1H1DF-0226-SM-ARL9A 40-49 years, female 12.0
GTEX-1RQEC-0526-SM-E6CHV 60-69 years, male 12.0
GTEX-O5YV-0226-SM-48TBY 60-69 years, female 11.9
GTEX-T6MO-1726-SM-33HB8 40-49 years, female 11.9
GTEX-1JKYN-1226-SM-CGQG8 30-39 years, male 11.9
GTEX-1S5ZU-0226-SM-E6CHW 20-29 years, female 11.9
GTEX-UTHO-0426-SM-CE6QU 60-69 years, male 11.9
GTEX-1GMR2-2526-SM-9MQKW 50-59 years, male 11.8
GTEX-R3RS-0226-SM-EYYVE 40-49 years, female 11.8
GTEX-N7MS-0326-SM-4E3K2 60-69 years, male 11.7
GTEX-PLZ6-1326-SM-3NB24 30-39 years, male 11.7
GTEX-X15G-2326-SM-4PQZS 50-59 years, female 11.7
GTEX-169BO-1426-SM-9MQJT 50-59 years, male 11.7
GTEX-1JJ6O-0226-SM-E6CI9 60-69 years, male 11.7
GTEX-U3ZM-1026-SM-EZ6LD 40-49 years, male 11.7
GTEX-WFG8-2326-SM-DIPDX 20-29 years, male 11.7
GTEX-11EMC-2826-SM-5PNY6 60-69 years, female 11.6
GTEX-14PJ3-1926-SM-62LEY 50-59 years, male 11.6
GTEX-T8EM-1126-SM-3DB7D 40-49 years, male 11.6
GTEX-YEC4-2426-SM-57WFO 40-49 years, male 11.6
GTEX-ZVT2-2226-SM-5NQ6P 50-59 years, female 11.6
GTEX-1F52S-0226-SM-7SB7U 60-69 years, female 11.6
GTEX-13OVK-2126-SM-6PAN1 40-49 years, male 11.5
GTEX-15ER7-0426-SM-6PAM3 20-29 years, female 11.5
GTEX-18A67-0226-SM-7LG67 50-59 years, male 11.5
GTEX-1F5PK-2526-SM-9MQKN 50-59 years, male 11.5
GTEX-1OFPY-2326-SM-E8VNU 60-69 years, male 11.5
GTEX-1PFEY-1626-SM-E9J3M 30-39 years, male 11.5
GTEX-ZGAY-0626-SM-DO92E 40-49 years, female 11.5
GTEX-13FTW-2526-SM-5IJC8 40-49 years, male 11.4
GTEX-14DAR-1926-SM-5S2NQ 50-59 years, male 11.4
GTEX-1C4CL-0426-SM-7939N 30-39 years, male 11.4
GTEX-R55G-2426-SM-2TC5I 40-49 years, female 11.4
GTEX-X4LF-1726-SM-3NMBZ 50-59 years, male 11.4
GTEX-1QP29-0726-SM-DTXFM 50-59 years, male 11.4
GTEX-11ZTT-2526-SM-5EQM9 60-69 years, female 11.3
GTEX-15DDE-0226-SM-6LLJ6 50-59 years, female 11.3
GTEX-183FY-0326-SM-793BY 20-29 years, male 11.3
GTEX-OXRP-0226-SM-3NB14 60-69 years, female 11.3
GTEX-TMZS-0226-SM-3DB9N 60-69 years, male 11.3
GTEX-1I6K6-0226-SM-ADEID 30-39 years, male 11.3
GTEX-13VXT-0226-SM-5LU9Q 20-29 years, female 11.2
GTEX-1E1VI-0226-SM-793CZ 50-59 years, male 11.2
GTEX-Q2AI-1426-SM-2S1P5 40-49 years, male 11.2
GTEX-1GF9V-0226-SM-9MQKA 60-69 years, male 11.2
GTEX-1GF9X-1926-SM-ADEIC 40-49 years, female 11.2
GTEX-1LGRB-2426-SM-CNPP3 50-59 years, female 11.2
GTEX-1M5QR-2126-SM-DKPQM 40-49 years, male 11.2
GTEX-1MA7X-2126-SM-E6CIX 60-69 years, male 11.2
GTEX-1MJK2-0526-SM-DTXE6 50-59 years, male 11.2
GTEX-12696-2526-SM-5EQLN 60-69 years, male 11.1
GTEX-13W3W-2526-SM-5SI9P 60-69 years, female 11.1
GTEX-17HII-0326-SM-7LG4X 50-59 years, male 11.1
GTEX-OOBK-0226-SM-2YUMF 40-49 years, male 11.1
GTEX-OXRL-0226-SM-3NB18 50-59 years, male 11.1
GTEX-QCQG-1826-SM-2S1P2 50-59 years, female 11.1
GTEX-RM2N-1726-SM-2TF55 50-59 years, male 11.1
GTEX-11DXX-2326-SM-9YFKS 60-69 years, female 11.1
GTEX-1MCYP-1826-SM-E9J2Q 20-29 years, female 11.1
GTEX-13JUV-2826-SM-5LZWU 40-49 years, female 11.0
GTEX-14PHX-2426-SM-62LEN 50-59 years, male 11.0
GTEX-YB5K-2226-SM-4WWG1 40-49 years, female 11.0
GTEX-ZTSS-2026-SM-5987K 40-49 years, male 11.0
GTEX-ZYY3-0226-SM-5E45M 60-69 years, female 11.0
GTEX-1HCVE-0226-SM-CGQEV 50-59 years, male 11.0
GTEX-1HT8W-0226-SM-CMKGT 30-39 years, male 11.0
GTEX-1I4MK-2026-SM-B2LVR 50-59 years, female 11.0
GTEX-1J8QM-2326-SM-CYPSL 60-69 years, female 11.0
GTEX-1QP2A-0226-SM-EVYBC 50-59 years, male 11.0
GTEX-1RAZA-0226-SM-E9U4W 20-29 years, male 11.0
GTEX-13PDP-0226-SM-5K7W9 60-69 years, male 10.9
GTEX-17HGU-0326-SM-7DUER 50-59 years, male 10.9
GTEX-1A3MV-2126-SM-718BV 30-39 years, male 10.9
GTEX-SJXC-0226-SM-2XCDU 60-69 years, male 10.9
GTEX-1K9T9-0226-SM-E9U6K 50-59 years, female 10.9
GTEX-P44H-0326-SM-2XCES 40-49 years, male 10.8
GTEX-QDVJ-1826-SM-2S1P3 50-59 years, male 10.8
GTEX-Y9LG-2026-SM-62LFS 30-39 years, male 10.8
GTEX-1ICG6-2626-SM-CGQG1 70-79 years, female 10.8
GTEX-1ICLY-0226-SM-ARL7R 50-59 years, male 10.8
GTEX-1IDJF-0226-SM-CMKGE 20-29 years, male 10.8
GTEX-1JK1U-2126-SM-CNPOU 60-69 years, male 10.8
GTEX-1QPFJ-0126-SM-E9J4B 30-39 years, female 10.8
GTEX-PWN1-0226-SM-DKPO9 40-49 years, female 10.8
GTEX-13O3Q-2326-SM-5KM3G 50-59 years, male 10.7
GTEX-1A8G7-0226-SM-731AS 60-69 years, male 10.7
GTEX-OHPN-0226-SM-48TBV 60-69 years, female 10.7
GTEX-ZP4G-2326-SM-57WEM 20-29 years, female 10.7
GTEX-1H1DE-2026-SM-9WG6Q 20-29 years, male 10.7
GTEX-1R9PM-2126-SM-E8VOB 20-29 years, male 10.7
GTEX-111YS-2426-SM-5GZZQ 60-69 years, male 10.6
GTEX-11EQ8-0226-SM-5EQ5G 60-69 years, male 10.6
GTEX-146FR-1826-SM-5QGPF 60-69 years, female 10.6
GTEX-17MFQ-1826-SM-7DHLS 20-29 years, male 10.6
GTEX-WL46-0326-SM-3LK6Y 50-59 years, male 10.6
GTEX-XAJ8-0926-SM-47JXZ 40-49 years, male 10.6
GTEX-XXEK-2426-SM-4BRUS 50-59 years, male 10.6
GTEX-Y114-2326-SM-4TT7X 50-59 years, female 10.6
GTEX-1EKGG-0126-SM-9YFLS 60-69 years, male 10.6
GTEX-1FIGZ-1626-SM-7SB8L 40-49 years, male 10.6
GTEX-1JN76-0226-SM-CMKGO 20-29 years, female 10.6
GTEX-1RAZR-0226-SM-EVYC6 40-49 years, male 10.6
GTEX-17HHE-1926-SM-7EPGW 50-59 years, male 10.5
GTEX-XBED-2326-SM-47JYR 60-69 years, male 10.5
GTEX-ZZPU-2726-SM-5NQ8O 50-59 years, female 10.5
GTEX-1HSMQ-1426-SM-ADEHT 50-59 years, male 10.5
GTEX-1IE54-0226-SM-CMKHX 40-49 years, female 10.5
GTEX-12WSC-0226-SM-5EQ52 50-59 years, male 10.4
GTEX-18D9U-0726-SM-7LG5J 40-49 years, male 10.4
GTEX-1CB4I-0426-SM-7IGPR 50-59 years, male 10.4
GTEX-P4QS-0226-SM-3NB1U 60-69 years, male 10.4
GTEX-P4QT-0226-SM-3LK68 50-59 years, female 10.4
GTEX-QMRM-1726-SM-2S1QG 50-59 years, male 10.4
GTEX-ZF29-2226-SM-4WWB9 60-69 years, female 10.4
GTEX-1CAMS-0326-SM-7PC35 40-49 years, female 10.4
GTEX-1CB4E-1826-SM-7RHG8 60-69 years, male 10.4
GTEX-1I1GP-2326-SM-CGQFL 50-59 years, male 10.4
GTEX-1MCC2-2326-SM-E9U5G 30-39 years, female 10.4
GTEX-1QP67-1726-SM-E8VOP 40-49 years, female 10.4
GTEX-RVPV-1526-SM-EXOHF 60-69 years, male 10.4
GTEX-S4P3-1526-SM-E9J3W 50-59 years, female 10.4
GTEX-14PJ4-2226-SM-6LLIS 60-69 years, male 10.3
GTEX-15RIE-2326-SM-7KFSC 60-69 years, male 10.3
GTEX-YEC3-1226-SM-5IFI8 50-59 years, male 10.3
GTEX-1B932-0226-SM-7PBYH 40-49 years, female 10.3
GTEX-1H1E6-2026-SM-9KNVK 30-39 years, male 10.3
GTEX-1IDJD-1226-SM-CM2TP 30-39 years, male 10.3
GTEX-1IKK5-0526-SM-CMKGG 60-69 years, male 10.3
GTEX-1KWVE-1326-SM-E6CJ1 30-39 years, male 10.3
GTEX-WYJK-0226-SM-EYYV8 50-59 years, male 10.3
GTEX-1128S-2126-SM-5H12U 60-69 years, female 10.2
GTEX-15SDE-2426-SM-7KFRC 50-59 years, female 10.2
GTEX-16AAH-2026-SM-7LG5F 50-59 years, male 10.2
GTEX-1AX9J-0326-SM-73KXY 60-69 years, male 10.2
GTEX-PWCY-1926-SM-3NB25 20-29 years, female 10.2
GTEX-ZQG8-1526-SM-5HL65 60-69 years, female 10.2
GTEX-1CB4J-1126-SM-7PBY1 60-69 years, male 10.2
GTEX-1HSMP-0226-SM-CGQFI 70-79 years, male 10.2
GTEX-1I6K7-0226-SM-CJI46 40-49 years, male 10.2
GTEX-1R7EU-0326-SM-EWRNJ 60-69 years, male 10.2
GTEX-1R9K5-0226-SM-EWRNF 50-59 years, male 10.2
GTEX-117YX-2226-SM-5EGJJ 50-59 years, male 10.1
GTEX-132QS-2526-SM-62LFJ 60-69 years, male 10.1
GTEX-P78B-0226-SM-3NB1Z 40-49 years, female 10.1
GTEX-YECK-0226-SM-4W215 60-69 years, male 10.1
GTEX-1EH9U-0226-SM-7PBY8 60-69 years, male 10.1
GTEX-1F88E-0526-SM-7SB8J 60-69 years, female 10.1
GTEX-1GZ4H-1826-SM-9MQLE 50-59 years, female 10.1
GTEX-1H1ZS-0526-SM-9WG5L 70-79 years, male 10.1
GTEX-1H3VY-0226-SM-9YFMF 50-59 years, male 10.1
GTEX-1HBPI-1426-SM-B2LW7 50-59 years, male 10.1
GTEX-1LBAC-0226-SM-DHXJZ 20-29 years, male 10.1
GTEX-111VG-2326-SM-5N9BK 60-69 years, male 10.0
GTEX-139YR-2426-SM-5J1OB 50-59 years, male 10.0
GTEX-14ICL-2026-SM-62LDN 30-39 years, male 10.0
GTEX-OOBJ-0226-SM-2YUMM 60-69 years, male 10.0
GTEX-R53T-1626-SM-3GAEW 50-59 years, female 10.0
GTEX-ZUA1-0226-SM-5NQ9Q 40-49 years, male 10.0
GTEX-1PDJ9-0426-SM-E9J3E 20-29 years, male 10.0
GTEX-1PIGE-0526-SM-DTXFA 20-29 years, male 10.0
GTEX-11P7K-2026-SM-5GU74 30-39 years, male 9.9
GTEX-1212Z-2426-SM-5EQ5D 60-69 years, male 9.9
GTEX-13113-1826-SM-5LZW4 60-69 years, female 9.9
GTEX-13PLJ-0126-SM-5L3HU 60-69 years, female 9.9
GTEX-1497J-2326-SM-5NQBK 60-69 years, male 9.9
GTEX-14C5O-0226-SM-5SI6O 60-69 years, male 9.9
GTEX-QESD-1526-SM-2S1QT 20-29 years, male 9.9
GTEX-XUZC-1826-SM-4BRVO 30-39 years, female 9.9
GTEX-Z93S-0226-SM-5HL7R 50-59 years, male 9.9
GTEX-ZT9X-1926-SM-57WE7 40-49 years, male 9.9
GTEX-ZVZP-2326-SM-59HL4 50-59 years, male 9.9
GTEX-1HBPM-0326-SM-CMKGR 60-69 years, female 9.9
GTEX-1J8JJ-0326-SM-CMKG6 60-69 years, female 9.9
GTEX-13IVO-0226-SM-5LZXU 70-79 years, male 9.8
GTEX-13NZ8-0926-SM-5MR3U 60-69 years, female 9.8
GTEX-13NZB-2426-SM-5K7UF 30-39 years, male 9.8
GTEX-13O21-1526-SM-5K7W4 50-59 years, male 9.8
GTEX-14PII-0326-SM-6LLIQ 60-69 years, male 9.8
GTEX-PLZ5-1826-SM-3NB22 50-59 years, male 9.8
GTEX-U412-0526-SM-3DB9I 60-69 years, male 9.8
GTEX-VUSG-2426-SM-4KKZG 50-59 years, male 9.8
GTEX-XBEC-0326-SM-4AT4M 50-59 years, male 9.8
GTEX-ZPU1-2426-SM-4WWFM 40-49 years, male 9.8
GTEX-ZVTK-0526-SM-5GZWT 20-29 years, male 9.8
GTEX-1CAMR-1826-SM-7MXUJ 20-29 years, male 9.8
GTEX-1PIIG-0326-SM-EVYBV 30-39 years, male 9.8
GTEX-139T8-0226-SM-5L3EA 60-69 years, male 9.7
GTEX-13D11-2326-SM-5IJCY 50-59 years, female 9.7
GTEX-145MO-0426-SM-5QGP6 60-69 years, male 9.7
GTEX-1C64O-0226-SM-73KXB 60-69 years, male 9.7
GTEX-R55D-0326-SM-48FES 50-59 years, male 9.7
GTEX-T2IS-0226-SM-32QPH 20-29 years, female 9.7
GTEX-WFJO-1926-SM-3GILA 30-39 years, male 9.7
GTEX-Y3I4-2226-SM-4TT7O 50-59 years, male 9.7
GTEX-ZTX8-1526-SM-5N9GI 20-29 years, male 9.7
GTEX-1A8G6-0526-SM-7PC1E 60-69 years, male 9.7
GTEX-1HCU6-0226-SM-CGQES 60-69 years, female 9.7
GTEX-1I1GQ-0226-SM-COH3I 50-59 years, male 9.7
GTEX-OIZF-0226-SM-E9TI3 60-69 years, male 9.7
GTEX-13N1W-0226-SM-5K7W6 70-79 years, male 9.6
GTEX-14BIL-0226-SM-5SI9E 50-59 years, male 9.6
GTEX-14BMU-2126-SM-5S2TS 20-29 years, female 9.6
GTEX-16NGA-1826-SM-7LG5L 40-49 years, female 9.6
GTEX-16NPX-0326-SM-7EWDI 50-59 years, male 9.6
GTEX-17F96-1726-SM-7IGMB 70-79 years, male 9.6
GTEX-PSDG-0326-SM-48TCP 50-59 years, male 9.6
GTEX-QV31-1326-SM-2S1QE 30-39 years, male 9.6
GTEX-X5EB-2426-SM-4E3HX 40-49 years, male 9.6
GTEX-ZAK1-0226-SM-5CVMX 50-59 years, female 9.6
GTEX-1F6RS-0226-SM-9MQKO 60-69 years, female 9.6
GTEX-11TTK-0226-SM-5N9EC 60-69 years, female 9.5
GTEX-11ZTS-0226-SM-5EQKD 60-69 years, female 9.5
GTEX-17HG3-2326-SM-79OKH 30-39 years, female 9.5
GTEX-Z9EW-1826-SM-5CVMA 40-49 years, male 9.5
GTEX-ZVP2-1826-SM-5GU62 50-59 years, male 9.5
GTEX-1F75I-0426-SM-7PC3S 40-49 years, male 9.5
GTEX-1JMPY-1426-SM-ARL8Z 30-39 years, male 9.5
GTEX-12126-0426-SM-5Q5AP 20-29 years, male 9.4
GTEX-13112-2726-SM-5DUW5 50-59 years, male 9.4
GTEX-13CF3-2326-SM-5IFGL 60-69 years, female 9.4
GTEX-13FTY-0626-SM-5L3F8 40-49 years, female 9.4
GTEX-14JG6-2326-SM-6LLH3 30-39 years, female 9.4
GTEX-RWSA-0226-SM-2XCBA 40-49 years, male 9.4
GTEX-TKQ1-1126-SM-4GIAZ 30-39 years, male 9.4
GTEX-X261-0226-SM-3NMD2 50-59 years, male 9.4
GTEX-YF7O-2426-SM-5IFJL 50-59 years, male 9.4
GTEX-1B8L1-2626-SM-7SB77 60-69 years, male 9.4
GTEX-1C6VR-2626-SM-7MGX2 60-69 years, male 9.4
GTEX-1H2FU-0226-SM-9YFKO 60-69 years, female 9.4
GTEX-1HCU7-0326-SM-CMKGI 50-59 years, male 9.4
GTEX-1HSMO-0226-SM-CGQEZ 60-69 years, male 9.4
GTEX-1JMLX-0126-SM-CMKG9 50-59 years, male 9.4
GTEX-1QP9N-1526-SM-DTXFK 30-39 years, male 9.4
GTEX-133LE-1926-SM-5N9FV 20-29 years, female 9.3
GTEX-14H4A-1026-SM-62LDY 40-49 years, female 9.3
GTEX-1C6VS-0426-SM-79OJV 60-69 years, male 9.3
GTEX-1C6WA-0226-SM-7IGPO 60-69 years, male 9.3
GTEX-OXRO-0226-SM-3LK6F 60-69 years, female 9.3
GTEX-S32W-2226-SM-2XCAY 50-59 years, female 9.3
GTEX-WEY5-1926-SM-3GIL8 40-49 years, female 9.3
GTEX-XBEW-0726-SM-4QARX 40-49 years, male 9.3
GTEX-ZYFD-0226-SM-5NQ86 50-59 years, male 9.3
GTEX-145ME-1926-SM-5MR6T 40-49 years, female 9.3
GTEX-1HSEH-0226-SM-ACKVV 60-69 years, male 9.3
GTEX-1MUQO-0526-SM-E9J31 60-69 years, male 9.3
GTEX-1PBJI-0426-SM-E8VNM 20-29 years, female 9.3
GTEX-1POEN-0226-SM-EYYXE 30-39 years, female 9.3
GTEX-R45C-0226-SM-EVYAJ 60-69 years, female 9.3
GTEX-ZLWG-2226-SM-DO92V 50-59 years, female 9.3
GTEX-13X6J-0226-SM-7EPGC 50-59 years, male 9.2
GTEX-145MN-2626-SM-5NQAH 30-39 years, male 9.2
GTEX-16GPK-0226-SM-7DUFI 60-69 years, male 9.2
GTEX-17EVP-0426-SM-79OKG 40-49 years, male 9.2
GTEX-17F98-1126-SM-79OJS 40-49 years, female 9.2
GTEX-1A32A-0226-SM-718B2 50-59 years, female 9.2
GTEX-SNMC-1326-SM-2XCFK 20-29 years, male 9.2
GTEX-WY7C-2426-SM-3NB2V 50-59 years, male 9.2
GTEX-X4XY-0326-SM-46MVZ 60-69 years, male 9.2
GTEX-YJ8O-2426-SM-5HL7S 40-49 years, female 9.2
GTEX-1AX9I-0226-SM-7SB75 60-69 years, male 9.2
GTEX-1GN73-0326-SM-9KNTW 60-69 years, male 9.2
GTEX-1HSGN-0126-SM-CGQFU 40-49 years, female 9.2
GTEX-1I1GU-2326-SM-CGQFB 40-49 years, male 9.2
GTEX-1QW4Y-1626-SM-EAZ41 30-39 years, male 9.2
GTEX-PLZ4-0226-SM-CYPR1 50-59 years, female 9.2
GTEX-RNOR-0226-SM-EZ6MF 50-59 years, female 9.2
GTEX-11ZU8-2426-SM-5EQMV 60-69 years, male 9.1
GTEX-11ZUS-0726-SM-59886 30-39 years, male 9.1
GTEX-1399U-2426-SM-5K7XB 50-59 years, female 9.1
GTEX-148VI-1726-SM-5S2W9 60-69 years, female 9.1
GTEX-16XZY-2526-SM-7DHL2 70-79 years, male 9.1
GTEX-18A7A-0326-SM-731AT 50-59 years, female 9.1
GTEX-WVJS-0226-SM-4MVOU 50-59 years, male 9.1
GTEX-WVLH-0226-SM-3MJG6 50-59 years, male 9.1
GTEX-1GMR8-0226-SM-9YFL3 50-59 years, female 9.1
GTEX-1H4P4-0226-SM-9YFKT 50-59 years, male 9.1
GTEX-1HBPH-0526-SM-9YFMN 40-49 years, female 9.1
GTEX-1I1CD-0226-SM-CM2TL 60-69 years, female 9.1
GTEX-1IL2U-0326-SM-CE6T9 60-69 years, male 9.1
GTEX-1LB8K-0326-SM-E9TJC 50-59 years, male 9.1
GTEX-1LH75-2526-SM-E9U5A 50-59 years, female 9.1
GTEX-111CU-1826-SM-5GZYN 50-59 years, male 9.0
GTEX-11P82-1726-SM-5Q5AT 20-29 years, male 9.0
GTEX-13111-1726-SM-5EGJZ 50-59 years, male 9.0
GTEX-131XE-2426-SM-5EQ5V 50-59 years, male 9.0
GTEX-13NZA-0126-SM-5K7UH 60-69 years, male 9.0
GTEX-144FL-0226-SM-5Q5D4 50-59 years, male 9.0
GTEX-14753-0326-SM-5QGQB 60-69 years, male 9.0
GTEX-14LLW-0226-SM-62LEL 70-79 years, female 9.0
GTEX-183WM-0226-SM-7LT8T 70-79 years, female 9.0
GTEX-QV44-1825-SM-447CF 50-59 years, male 9.0
GTEX-XUW1-0526-SM-4BOP3 50-59 years, female 9.0
GTEX-YJ89-0226-SM-4TT3Y 60-69 years, male 9.0
GTEX-1F88F-2626-SM-9WG5K 60-69 years, female 9.0
GTEX-1H3VE-0226-SM-9WYST 40-49 years, male 9.0
GTEX-1JKYR-0226-SM-CNPOK 20-29 years, male 9.0
GTEX-1KXAM-2326-SM-CYPTD 60-69 years, male 9.0
GTEX-1QP66-1326-SM-DTXDQ 50-59 years, male 9.0
GTEX-13S7M-0226-SM-5S2UG 60-69 years, female 8.9
GTEX-13SLW-0226-SM-5S2NA 70-79 years, male 8.9
GTEX-145LT-1826-SM-5QGP4 40-49 years, male 8.9
GTEX-146FH-0226-SM-5QGPQ 50-59 years, female 8.9
GTEX-14C39-2526-SM-5S2UH 40-49 years, male 8.9
GTEX-1EWIQ-0226-SM-793D3 70-79 years, female 8.9
GTEX-RTLS-0226-SM-2TF5E 60-69 years, female 8.9
GTEX-TSE9-0226-SM-3DB84 60-69 years, female 8.9
GTEX-X638-0226-SM-47JZ9 70-79 years, female 8.9
GTEX-ZDTT-2626-SM-5S2OP 60-69 years, male 8.9
GTEX-1HR9M-0226-SM-COH3E 60-69 years, male 8.9
GTEX-1QCLY-0526-SM-EAZ47 30-39 years, male 8.9
GTEX-12ZZY-0326-SM-5LZVQ 60-69 years, male 8.8
GTEX-16MT8-0526-SM-6PAM6 60-69 years, female 8.8
GTEX-1A3MX-0226-SM-731C4 60-69 years, male 8.8
GTEX-NPJ8-0226-SM-48TBN 40-49 years, male 8.8
GTEX-SSA3-0226-SM-32QPN 60-69 years, male 8.8
GTEX-XPVG-2726-SM-4B66W 50-59 years, male 8.8
GTEX-Y8E4-0726-SM-4WWFN 40-49 years, male 8.8
GTEX-ZAJG-0226-SM-5HL81 50-59 years, female 8.8
GTEX-1H1CY-2626-SM-9MQKJ 60-69 years, female 8.8
GTEX-1HFI7-2026-SM-CGQFR 50-59 years, female 8.8
GTEX-1HSKV-0326-SM-ADEJC 60-69 years, male 8.8
GTEX-1LGOU-2226-SM-E9U56 20-29 years, female 8.8
GTEX-1BAJH-0426-SM-73KWY 70-79 years, male 8.7
GTEX-OXRK-0326-SM-3NB3R 50-59 years, female 8.7
GTEX-S7SE-0226-SM-2XCD4 50-59 years, male 8.7
GTEX-WI4N-1126-SM-3LK7Q 40-49 years, female 8.7
GTEX-Y8LW-1926-SM-4WWFZ 50-59 years, female 8.7
GTEX-1EMGI-0226-SM-9MQL1 60-69 years, male 8.7
GTEX-1EU9M-0326-SM-7RHGF 60-69 years, male 8.7
GTEX-1F75W-0226-SM-9JGGP 60-69 years, male 8.7
GTEX-1GMRU-0226-SM-9YFLW 50-59 years, male 8.7
GTEX-1I1GV-0426-SM-ARZLX 60-69 years, male 8.7
GTEX-1LVA9-0226-SM-E9U5N 50-59 years, male 8.7
GTEX-12WSD-0226-SM-59HKO 60-69 years, female 8.6
GTEX-13N2G-2726-SM-5J1MG 60-69 years, male 8.6
GTEX-144GM-1926-SM-5LUAN 20-29 years, male 8.6
GTEX-14AS3-2026-SM-5TDD9 40-49 years, female 8.6
GTEX-14JG1-0526-SM-6LLHW 40-49 years, male 8.6
GTEX-14PJ2-0226-SM-6LLH4 50-59 years, male 8.6
GTEX-1B8SG-0226-SM-7939Q 50-59 years, male 8.6
GTEX-QDT8-0226-SM-32PL4 30-39 years, female 8.6
GTEX-QEL4-0326-SM-3GAE5 50-59 years, male 8.6
GTEX-XQ8I-0526-SM-4BOPS 50-59 years, male 8.6
GTEX-ZVT4-0226-SM-51MSD 50-59 years, female 8.6
GTEX-1F75A-0226-SM-7PC2K 50-59 years, male 8.6
GTEX-1GPI7-0226-SM-9MQKB 20-29 years, male 8.6
GTEX-1H3O1-0526-SM-9MQLS 60-69 years, male 8.6
GTEX-1LG7Y-0426-SM-DKPQB 50-59 years, male 8.6
GTEX-1LVAN-0126-SM-COH4H 50-59 years, female 8.6
GTEX-P4PP-0226-SM-D4P1Z 30-39 years, female 8.6
GTEX-Q2AH-1726-SM-DIPDV 40-49 years, male 8.6
GTEX-VJWN-0226-SM-EZ6LF 50-59 years, female 8.6
GTEX-11LCK-1126-SM-5A5KC 30-39 years, male 8.5
GTEX-11WQC-2426-SM-5EQKQ 60-69 years, male 8.5
GTEX-11XUK-2126-SM-5EQLR 40-49 years, female 8.5
GTEX-12WSM-0226-SM-5LZV6 60-69 years, male 8.5
GTEX-13CF2-2626-SM-5LZZA 60-69 years, male 8.5
GTEX-13SLX-0426-SM-5QGRC 50-59 years, female 8.5
GTEX-17F97-0426-SM-7LT9U 50-59 years, male 8.5
GTEX-1AMFI-2126-SM-731BT 50-59 years, female 8.5
GTEX-1AX9K-2426-SM-73KZ4 50-59 years, male 8.5
GTEX-QEG5-0326-SM-2S1PB 20-29 years, male 8.5
GTEX-RU72-1026-SM-46MUG 50-59 years, female 8.5
GTEX-Y5V5-2426-SM-5IFJA 60-69 years, female 8.5
GTEX-ZC5H-0126-SM-4WAYL 40-49 years, female 8.5
GTEX-ZYT6-0326-SM-7LG5R 30-39 years, male 8.5
GTEX-1CB4H-0326-SM-9WG5G 60-69 years, female 8.5
GTEX-1I19N-0426-SM-ACKVY 70-79 years, male 8.5
GTEX-1JMQI-2026-SM-CMKGP 50-59 years, male 8.5
GTEX-1RDX4-0226-SM-DTXG1 50-59 years, female 8.5
GTEX-QEG4-0326-SM-DIPE3 30-39 years, male 8.5
GTEX-11DZ1-0226-SM-5A5KF 50-59 years, male 8.4
GTEX-1269C-2726-SM-5EGJ4 60-69 years, female 8.4
GTEX-13QJ3-0426-SM-5RQHP 50-59 years, male 8.4
GTEX-15CHQ-0226-SM-6EU2S 60-69 years, male 8.4
GTEX-XK95-0426-SM-4AT4R 40-49 years, male 8.4
GTEX-YFCO-2026-SM-4W21Q 40-49 years, male 8.4
GTEX-ZV68-0226-SM-59HJF 50-59 years, female 8.4
GTEX-1IDFM-0226-SM-CMKFX 60-69 years, male 8.4
GTEX-1NHNU-1126-SM-E9J2C 50-59 years, male 8.4
GTEX-1QAET-1126-SM-E8VML 50-59 years, male 8.4
GTEX-12ZZZ-0526-SM-5DUX6 60-69 years, male 8.3
GTEX-13OW8-1226-SM-5K7XD 60-69 years, male 8.3
GTEX-14E6D-0226-SM-62LDW 50-59 years, male 8.3
GTEX-14JIY-0526-SM-62LFH 60-69 years, male 8.3
GTEX-18A6Q-0226-SM-718AS 60-69 years, male 8.3
GTEX-OHPM-0226-SM-3LK61 50-59 years, male 8.3
GTEX-XUYS-0226-SM-47JX1 50-59 years, male 8.3
GTEX-ZLV1-1826-SM-5FQU5 60-69 years, female 8.3
GTEX-1HR98-0226-SM-CGQEK 60-69 years, male 8.3
GTEX-11OF3-2426-SM-5Q5AS 60-69 years, male 8.2
GTEX-16YQH-0226-SM-6PALD 30-39 years, male 8.2
GTEX-T6MN-0226-SM-32PMD 50-59 years, male 8.2
GTEX-U8XE-0426-SM-3DB91 30-39 years, male 8.2
GTEX-X8HC-0226-SM-4E3K1 50-59 years, female 8.2
GTEX-YFC4-0226-SM-57WD2 40-49 years, female 8.2
GTEX-ZVZO-0226-SM-5A5LA 40-49 years, male 8.2
GTEX-1CB4F-0526-SM-9KNW2 60-69 years, male 8.2
GTEX-1KAFJ-2426-SM-D4P32 50-59 years, male 8.2
GTEX-1399R-2626-SM-5KLZ7 30-39 years, male 8.1
GTEX-13OW6-0526-SM-5L3HY 50-59 years, male 8.1
GTEX-14ABY-0326-SM-5TDDK 50-59 years, male 8.1
GTEX-14ICK-0326-SM-6LLIZ 40-49 years, male 8.1
GTEX-18465-0226-SM-7LG5M 50-59 years, male 8.1
GTEX-1AYD5-2326-SM-73KXF 50-59 years, male 8.1
GTEX-S95S-1326-SM-2XCDK 60-69 years, male 8.1
GTEX-WFON-2226-SM-3TW8W 40-49 years, male 8.1
GTEX-X88G-0226-SM-4GIE4 30-39 years, male 8.1
GTEX-ZYVF-0226-SM-5GIEG 50-59 years, female 8.1
GTEX-1I1GR-0226-SM-CMKHQ 60-69 years, male 8.1
GTEX-XOT4-0226-SM-4B66Z 60-69 years, female 8.1
GTEX-1314G-1626-SM-5EQ67 30-39 years, male 8.0
GTEX-139TU-0226-SM-5J1NM 60-69 years, male 8.0
GTEX-13OVI-1326-SM-5IJBO 60-69 years, female 8.0
GTEX-144GL-0226-SM-5QGOX 50-59 years, male 8.0
GTEX-14PJM-0326-SM-62LF2 50-59 years, female 8.0
GTEX-S33H-1126-SM-2XCB6 30-39 years, male 8.0
GTEX-UJHI-1626-SM-3DB9A 50-59 years, female 8.0
GTEX-ZXG5-0226-SM-59HJI 60-69 years, male 8.0
GTEX-132AR-0226-SM-5IJBE 50-59 years, female 7.9
GTEX-139TT-0226-SM-5K7YH 60-69 years, male 7.9
GTEX-13NZ9-0526-SM-5J1OX 50-59 years, male 7.9
GTEX-13PVQ-0226-SM-5SIBG 50-59 years, male 7.9
GTEX-W5X1-2626-SM-4LMI8 40-49 years, female 7.9
GTEX-XMK1-2226-SM-4B673 40-49 years, male 7.9
GTEX-1GN2E-0326-SM-COH3C 60-69 years, male 7.9
GTEX-1ICLZ-0226-SM-CKZPP 60-69 years, male 7.9
GTEX-1J8Q3-1526-SM-CMKGB 60-69 years, male 7.9
GTEX-1JJEA-0226-SM-COH2X 60-69 years, male 7.9
GTEX-11EI6-0226-SM-5EQ64 60-69 years, male 7.8
GTEX-11P81-2426-SM-5GU65 30-39 years, female 7.8
GTEX-11TUW-2626-SM-5EQKZ 60-69 years, male 7.8
GTEX-13N11-2626-SM-5K7UQ 50-59 years, female 7.8
GTEX-14DAQ-0226-SM-664MQ 60-69 years, female 7.8
GTEX-1B8KZ-1926-SM-7DUG8 50-59 years, male 7.8
GTEX-Y8E5-0226-SM-57WCM 60-69 years, male 7.8
GTEX-1GN1V-0226-SM-9WYTN 60-69 years, male 7.8
GTEX-1GZ2Q-0326-SM-9WG6N 40-49 years, male 7.8
GTEX-1J8EW-0226-SM-CYPSW 60-69 years, female 7.8
GTEX-11GS4-2626-SM-5A5LD 60-69 years, male 7.7
GTEX-1211K-2226-SM-5FQU6 60-69 years, female 7.7
GTEX-13FHO-0326-SM-5IJBH 60-69 years, male 7.7
GTEX-13OVJ-0326-SM-5L3GL 50-59 years, female 7.7
GTEX-14BIN-0726-SM-793DQ 50-59 years, female 7.7
GTEX-15UKP-0526-SM-7KFRO 20-29 years, male 7.7
GTEX-Y5V6-2526-SM-5IFJV 60-69 years, male 7.7
GTEX-ZF28-0226-SM-5S2OE 60-69 years, male 7.7
GTEX-ZVE2-0326-SM-57WFC 50-59 years, male 7.7
GTEX-1HGF4-2526-SM-ADEIZ 60-69 years, male 7.7
GTEX-1HUB1-0326-SM-A9SKQ 60-69 years, male 7.7
GTEX-1LSNL-0526-SM-DIPFI 50-59 years, male 7.7
GTEX-1LSVX-0126-SM-EVYCY 60-69 years, male 7.7
GTEX-13OW7-0226-SM-5MR3N 50-59 years, male 7.6
GTEX-1B97I-1726-SM-7939V 40-49 years, male 7.6
GTEX-REY6-0326-SM-2TF5A 60-69 years, male 7.6
GTEX-SN8G-0226-SM-4DM6B 50-59 years, female 7.6
GTEX-XV7Q-2626-SM-4BRVA 40-49 years, female 7.6
GTEX-Z93T-0226-SM-5HL5Z 50-59 years, male 7.6
GTEX-ZDTS-0226-SM-5HL7Q 60-69 years, male 7.6
GTEX-1IKJJ-0226-SM-COH3T 60-69 years, male 7.6
GTEX-12WSL-2426-SM-5GCN7 50-59 years, male 7.5
GTEX-147JS-0426-SM-5TDD2 60-69 years, male 7.5
GTEX-17MF6-0226-SM-7LG4G 40-49 years, male 7.5
GTEX-SUCS-1826-SM-32PM1 70-79 years, male 7.5
GTEX-X4EO-0426-SM-4QASA 60-69 years, female 7.5
GTEX-ZTPG-0226-SM-5O99I 20-29 years, female 7.5
GTEX-ZYFC-0326-SM-5NQ7H 50-59 years, male 7.5
GTEX-1A8FM-0126-SM-7SB7P 50-59 years, female 7.5
GTEX-1HB9E-0426-SM-CNPPV 50-59 years, male 7.5
GTEX-1HFI6-0326-SM-ADEI5 40-49 years, male 7.5
GTEX-1I1HK-0226-SM-COH4A 60-69 years, male 7.5
GTEX-1N2DW-0326-SM-E9TK3 50-59 years, male 7.5
GTEX-1R46S-0526-SM-EVYBZ 60-69 years, female 7.5
GTEX-1S83E-0226-SM-EVYCW 40-49 years, male 7.5
GTEX-RUSQ-1626-SM-EZ6L4 50-59 years, male 7.5
GTEX-111FC-0226-SM-5N9B8 60-69 years, male 7.4
GTEX-11DXW-0326-SM-5H11W 40-49 years, male 7.4
GTEX-139D8-0326-SM-5IJCJ 30-39 years, female 7.4
GTEX-13X6K-0226-SM-5QGPB 60-69 years, female 7.4
GTEX-144GO-1626-SM-7EPG5 60-69 years, male 7.4
GTEX-145MG-0126-SM-5TDDA 50-59 years, male 7.4
GTEX-15G19-0226-SM-6PAL2 60-69 years, male 7.4
GTEX-17F9Y-0326-SM-7IGLS 70-79 years, female 7.4
GTEX-OXRN-0226-SM-2I5EJ 50-59 years, male 7.4
GTEX-Q2AG-0226-SM-2S1P4 40-49 years, female 7.4
GTEX-Y111-0226-SM-4SOIW 50-59 years, male 7.4
GTEX-ZYW4-0226-SM-5E44M 60-69 years, male 7.4
GTEX-1CAMQ-0126-SM-7SB7S 40-49 years, male 7.4
GTEX-1F48J-0226-SM-7SB82 50-59 years, female 7.4
GTEX-1IOXB-0226-SM-CMKHY 50-59 years, male 7.4
GTEX-1IY9M-0226-SM-CMKHP 60-69 years, male 7.4
GTEX-12C56-1626-SM-5FQUO 20-29 years, male 7.3
GTEX-1313W-0226-SM-5LZV7 50-59 years, female 7.3
GTEX-1399T-2726-SM-5K7XK 60-69 years, male 7.3
GTEX-13G51-2626-SM-5LZYW 60-69 years, male 7.3
GTEX-13PVR-2426-SM-5RQHN 60-69 years, female 7.3
GTEX-145LS-0226-SM-5O9A5 60-69 years, female 7.3
GTEX-145MI-0426-SM-5O99V 60-69 years, female 7.3
GTEX-14E6E-1926-SM-664N4 30-39 years, male 7.3
GTEX-QDVN-2126-SM-33HBS 50-59 years, male 7.3
GTEX-XQ3S-1626-SM-4WAYN 20-29 years, male 7.3
GTEX-11NUK-0326-SM-5HL5K 50-59 years, male 7.3
GTEX-1HCU8-0726-SM-ADEIR 60-69 years, female 7.3
GTEX-1IGQW-0226-SM-COH43 60-69 years, male 7.3
GTEX-11PRG-0626-SM-5BC56 50-59 years, male 7.2
GTEX-11UD1-0226-SM-5EQKL 40-49 years, female 7.2
GTEX-131YS-0226-SM-5IJEH 60-69 years, female 7.2
GTEX-145MF-0526-SM-5LUA6 50-59 years, male 7.2
GTEX-17HHY-0226-SM-793BQ 50-59 years, male 7.2
GTEX-QLQ7-1526-SM-2S1QA 60-69 years, male 7.2
GTEX-ZE9C-2826-SM-5S2MO 60-69 years, male 7.2
GTEX-ZEX8-2326-SM-5S2MN 50-59 years, male 7.2
GTEX-1I1GS-0226-SM-B2LVX 60-69 years, male 7.2
GTEX-1J1OQ-0326-SM-CYPTJ 40-49 years, female 7.2
GTEX-1JJE9-1226-SM-CNPOI 70-79 years, male 7.2
GTEX-1LVAO-0226-SM-E9U6O 60-69 years, male 7.2
GTEX-11TT1-2426-SM-5EQMK 20-29 years, male 7.1
GTEX-13YAN-0426-SM-5O9DR 60-69 years, male 7.1
GTEX-16XZZ-0226-SM-7MGVJ 60-69 years, male 7.1
GTEX-ZDYS-2126-SM-5S2P2 50-59 years, male 7.1
GTEX-12KS4-0426-SM-5EQMC 30-39 years, male 7.0
GTEX-13NYS-0226-SM-5MR49 60-69 years, male 7.0
GTEX-13O61-2426-SM-5J1NV 60-69 years, male 7.0
GTEX-13U4I-0226-SM-5SIB1 40-49 years, female 7.0
GTEX-14BMV-0226-SM-5S2N2 50-59 years, male 7.0
GTEX-XLM4-0226-SM-4AT4N 60-69 years, male 7.0
GTEX-1GMR3-2026-SM-9MQLG 40-49 years, male 7.0
GTEX-1JMQK-0126-SM-CM2S3 60-69 years, male 7.0
GTEX-131XW-0526-SM-5PNXZ 50-59 years, female 6.9
GTEX-13RTJ-2526-SM-5S2Q3 60-69 years, male 6.9
GTEX-Q734-1826-SM-2I3EL 40-49 years, female 6.9
GTEX-TML8-2026-SM-32QOP 40-49 years, female 6.9
GTEX-WHPG-2126-SM-4M1ZM 50-59 years, male 6.9
GTEX-ZDXO-2426-SM-5S2NJ 60-69 years, male 6.9
GTEX-1B996-0126-SM-7PBYF 60-69 years, male 6.9
GTEX-1QP6S-0126-SM-E9J4K 40-49 years, male 6.9
GTEX-11EM3-2326-SM-5H12B 20-29 years, female 6.7
GTEX-12584-0226-SM-5EQL5 40-49 years, male 6.7
GTEX-13QBU-2526-SM-5LU4X 40-49 years, female 6.7
GTEX-13VXU-0226-SM-5SI9R 50-59 years, male 6.7
GTEX-15DCD-0226-SM-6LPKC 70-79 years, female 6.7
GTEX-1EX96-1426-SM-7PBZ5 50-59 years, male 6.7
GTEX-POMQ-2326-SM-DHXIS 20-29 years, female 6.7
GTEX-1F6I4-0226-SM-9MQMA 60-69 years, male 6.6
GTEX-1H23P-0226-SM-9YFLO 60-69 years, male 6.6
GTEX-1IL2V-0226-SM-CMKI2 70-79 years, male 6.6
GTEX-11ONC-2526-SM-5986W 60-69 years, male 6.5
GTEX-12ZZX-0226-SM-5DUXU 40-49 years, female 6.5
GTEX-13O1R-0226-SM-5K7U5 60-69 years, male 6.5
GTEX-146FQ-0226-SM-5NQAL 30-39 years, male 6.5
GTEX-1B933-0526-SM-7EPHM 50-59 years, female 6.5
GTEX-P4PQ-0226-SM-2S1NK 60-69 years, male 6.5
GTEX-VJYA-1326-SM-3GIJC 60-69 years, male 6.5
GTEX-Y3IK-2526-SM-4WWDM 50-59 years, female 6.5
GTEX-ZF3C-0226-SM-4WWB3 50-59 years, female 6.5
GTEX-13NYB-2626-SM-9YFMI 40-49 years, male 6.5
GTEX-VUSH-0226-SM-EXUQV 30-39 years, male 6.5
GTEX-11O72-0226-SM-59869 40-49 years, male 6.4
GTEX-13O3P-0226-SM-5KM3Z 50-59 years, male 6.4
GTEX-14A5H-0526-SM-5TDCN 60-69 years, male 6.4
GTEX-1GTWX-0226-SM-9YFLL 60-69 years, male 6.4
GTEX-1JN6P-0226-SM-COH34 60-69 years, male 6.4
GTEX-113IC-0226-SM-5HL5C 60-69 years, male 6.3
GTEX-POYW-0726-SM-2XCEO 60-69 years, male 6.3
GTEX-T5JC-0526-SM-32PM7 20-29 years, male 6.3
GTEX-1117F-0226-SM-5GZZ7 60-69 years, female 6.2
GTEX-YJ8A-0526-SM-5IFHT 20-29 years, male 6.2
GTEX-1PWST-0326-SM-EAZ42 70-79 years, male 6.2
GTEX-11H98-0226-SM-5NQ89 50-59 years, male 6.1
GTEX-11UD2-0126-SM-5EQL2 50-59 years, male 6.1
GTEX-1CB4G-0326-SM-7SB8R 60-69 years, male 6.1
GTEX-13JVG-0226-SM-5J1MW 60-69 years, male 6.0
GTEX-XMD2-0226-SM-4WWEE 60-69 years, female 6.0
GTEX-1PPGY-0326-SM-DTXFD 60-69 years, male 6.0
GTEX-1QEPI-0226-SM-EWRMR 60-69 years, female 6.0
GTEX-1A3MW-0226-SM-7939O 60-69 years, female 5.9
GTEX-ZE7O-0226-SM-5S2N1 50-59 years, female 5.9
GTEX-139T4-0126-SM-5HL5G 50-59 years, female 5.8
GTEX-147GR-0426-SM-5S2OL 60-69 years, male 5.8
GTEX-1GZ4I-0226-SM-7RHHO 50-59 years, male 5.8
GTEX-11ZVC-2626-SM-5FQTA 50-59 years, female 5.7
GTEX-13OVL-0326-SM-5IJCS 50-59 years, male 5.7
GTEX-OIZI-0226-SM-2XCEE 40-49 years, male 5.6
GTEX-1OJC4-1726-SM-EXUSV 50-59 years, female 5.6
GTEX-1KD5A-0326-SM-D5OVD 50-59 years, male 5.5
GTEX-1JN1M-0126-SM-D4P23 60-69 years, female 5.4
GTEX-XYKS-2726-SM-4E3IC 60-69 years, female 5.3
GTEX-17KNJ-2226-SM-DKPOU 50-59 years, male 5.2
GTEX-1C6VQ-0226-SM-7P8S5 50-59 years, male 5.1
GTEX-13FHP-0226-SM-5K7WD 50-59 years, male 5.0
GTEX-1JMQL-0326-SM-CNPP6 50-59 years, female 5.0
GTEX-14E1K-2126-SM-793DU 50-59 years, male 4.7
GTEX-14E6C-0226-SM-5S2N3 40-49 years, male 4.6
Show allShow less
Adipose - Visceral (Omentum)
Average nTPM: 8.1
Samples: 541

Max nTPM: 18.0
Min nTPM: 3.3
Std nTPM: 1.8
Median nTPM: 8.0
GTEX-1RB15-1126-SM-E8VMX 60-69 years, male 18.0
GTEX-1RAZR-1026-SM-E8VOJ 40-49 years, male 15.4
GTEX-1MA7W-0526-SM-E6CIN 20-29 years, female 15.3
GTEX-1AX9J-2226-SM-731CW 60-69 years, male 14.6
GTEX-1RAZQ-1526-SM-E6CJI 30-39 years, male 14.4
GTEX-1LG7Z-0226-SM-E6CIG 30-39 years, male 13.5
GTEX-1122O-0926-SM-9YFLC 60-69 years, female 13.2
GTEX-1GN1W-1226-SM-9MQLW 50-59 years, female 13.1
GTEX-1H11D-1126-SM-9YFM5 40-49 years, male 12.2
GTEX-1ICG6-1726-SM-ARU7K 70-79 years, female 12.2
GTEX-1JKYR-1226-SM-CM2S7 20-29 years, male 12.2
GTEX-1GZ4H-0926-SM-9WG6Y 50-59 years, female 12.0
GTEX-1L5NE-1726-SM-DHXKX 50-59 years, male 12.0
GTEX-14ICL-0926-SM-5S2TU 30-39 years, male 11.9
GTEX-1P4AB-1226-SM-DTXET 50-59 years, male 11.9
GTEX-1MCQQ-1426-SM-E6CJA 60-69 years, male 11.8
GTEX-1MJK3-0626-SM-E6CJB 20-29 years, male 11.8
GTEX-1OFPY-0826-SM-DTX8P 60-69 years, male 11.8
GTEX-1LSNL-1426-SM-E6CJ9 50-59 years, male 11.7
GTEX-1H1DE-0826-SM-ARU8V 20-29 years, male 11.6
GTEX-1C2JI-0826-SM-7EPHB 50-59 years, male 11.5
GTEX-1MUQO-0826-SM-EVYCZ 60-69 years, male 11.5
GTEX-16MTA-1326-SM-6PALX 50-59 years, male 11.4
GTEX-ZZ64-0626-SM-5GZWR 20-29 years, male 11.4
GTEX-1OJC3-1326-SM-E9J3D 20-29 years, male 11.4
GTEX-1PFEY-0726-SM-E76PO 30-39 years, male 11.4
GTEX-1R7EV-1026-SM-DTX81 40-49 years, male 11.4
GTEX-1I6K6-1526-SM-CGQFC 30-39 years, male 11.3
GTEX-14ICK-1726-SM-6AJA5 40-49 years, male 11.2
GTEX-17HHE-1526-SM-793AS 50-59 years, male 11.2
GTEX-1RAZA-0926-SM-E6CQ8 20-29 years, male 11.2
GTEX-WH7G-1126-SM-3NMBK 40-49 years, male 11.1
GTEX-1HFI7-0726-SM-ACKVN 50-59 years, female 11.1
GTEX-1AYCT-1126-SM-79OO8 50-59 years, male 11.0
GTEX-1CB4F-1126-SM-79OLG 60-69 years, male 11.0
GTEX-1OKEX-0926-SM-E8VNJ 60-69 years, male 10.9
GTEX-15DZA-0626-SM-6PANC 30-39 years, female 10.8
GTEX-1B8KE-0826-SM-72D6S 50-59 years, male 10.8
GTEX-1HBPN-1526-SM-9WYSB 50-59 years, male 10.8
GTEX-1QEPI-2226-SM-E8VN6 60-69 years, female 10.8
GTEX-13FH7-1926-SM-5J2OL 50-59 years, female 10.7
GTEX-1B97I-0526-SM-73KXE 40-49 years, male 10.7
GTEX-1GPI7-0826-SM-9JGG7 20-29 years, male 10.7
GTEX-1MCC2-0626-SM-DKPQI 30-39 years, female 10.7
GTEX-1QP67-1126-SM-EAZ4C 40-49 years, female 10.7
GTEX-ZYFC-1826-SM-5GZZA 50-59 years, male 10.6
GTEX-1GF9U-1226-SM-ARL9I 40-49 years, female 10.5
GTEX-1HCUA-0926-SM-ADEIX 50-59 years, female 10.5
GTEX-Y3I4-0726-SM-E9J3Y 50-59 years, male 10.5
GTEX-11P82-0326-SM-5HL51 20-29 years, male 10.4
GTEX-17F9E-1326-SM-7DHL4 50-59 years, male 10.4
GTEX-1S82P-0926-SM-EWRNP 60-69 years, female 10.4
GTEX-13PDP-1226-SM-5K7TW 60-69 years, male 10.3
GTEX-16NPV-0626-SM-7IGOR 50-59 years, female 10.3
GTEX-18D9A-0726-SM-7LTA7 30-39 years, female 10.3
GTEX-Y111-0926-SM-4SOIU 50-59 years, male 10.3
GTEX-ZP4G-1326-SM-5EGIW 20-29 years, female 10.3
GTEX-ZQG8-1026-SM-51MR9 60-69 years, female 10.3
GTEX-1399U-2026-SM-9WPNN 50-59 years, female 10.3
GTEX-12WSA-1626-SM-5EGJV 60-69 years, male 10.2
GTEX-YEC4-0926-SM-5PNXY 40-49 years, male 10.2
GTEX-1HC8U-0926-SM-A9G3L 40-49 years, female 10.2
GTEX-13IVO-2426-SM-5K7V9 70-79 years, male 10.0
GTEX-13OVG-1326-SM-5K7Y3 60-69 years, male 10.0
GTEX-14PK6-0926-SM-62LF4 70-79 years, female 10.0
GTEX-18A66-1926-SM-7LTAG 60-69 years, male 10.0
GTEX-WWTW-1326-SM-4MVNT 50-59 years, male 10.0
GTEX-Y8LW-0926-SM-4VBQ8 50-59 years, female 10.0
GTEX-ZVE2-1826-SM-51MRZ 50-59 years, male 10.0
GTEX-1B97J-1126-SM-7SB79 50-59 years, female 10.0
GTEX-1K2DA-1126-SM-CGQGG 50-59 years, male 10.0
GTEX-15DYW-1526-SM-7KUEP 60-69 years, female 9.9
GTEX-1H2FU-1426-SM-9WPO6 60-69 years, female 9.9
GTEX-1HCU9-0626-SM-ACKW6 20-29 years, male 9.9
GTEX-11I78-0226-SM-5HL6R 50-59 years, female 9.8
GTEX-144GN-0726-SM-5O98O 50-59 years, male 9.8
GTEX-1E1VI-1826-SM-9WG5J 50-59 years, male 9.8
GTEX-1J1R8-0526-SM-ACKWO 40-49 years, male 9.8
GTEX-1JMPY-0326-SM-CM2S2 30-39 years, male 9.8
GTEX-1KANA-1426-SM-CY8IF 20-29 years, male 9.8
GTEX-1LSNM-0626-SM-DIPG7 50-59 years, male 9.8
GTEX-14JIY-1426-SM-6EU29 60-69 years, male 9.7
GTEX-18A67-1326-SM-7LT8V 50-59 years, male 9.7
GTEX-1B932-1726-SM-793A5 40-49 years, female 9.7
GTEX-WXYG-0926-SM-3NB2O 50-59 years, female 9.7
GTEX-X585-2526-SM-4QAS1 50-59 years, male 9.7
GTEX-1IE54-1426-SM-CL53C 40-49 years, female 9.7
GTEX-11EQ9-1126-SM-5987I 30-39 years, male 9.6
GTEX-139YR-0326-SM-5J1MC 50-59 years, male 9.6
GTEX-14PKU-0226-SM-6EU16 40-49 years, female 9.6
GTEX-16BQI-1126-SM-7KULF 30-39 years, female 9.6
GTEX-17MFQ-1126-SM-7LT9O 20-29 years, male 9.6
GTEX-183FY-1226-SM-7DHLK 20-29 years, male 9.6
GTEX-VUSG-1426-SM-3GIJN 50-59 years, male 9.6
GTEX-ZQUD-0526-SM-57WG4 30-39 years, male 9.6
GTEX-1IKOE-1726-SM-CNNQ6 30-39 years, female 9.6
GTEX-11VI4-1226-SM-5EQMP 40-49 years, female 9.5
GTEX-12BJ1-0826-SM-5EQ5P 60-69 years, male 9.5
GTEX-15CHC-0826-SM-686YW 60-69 years, female 9.5
GTEX-178AV-0626-SM-6PAM1 40-49 years, male 9.5
GTEX-1AX9I-1726-SM-731BX 60-69 years, male 9.5
GTEX-UTHO-1826-SM-3GAFE 60-69 years, male 9.5
GTEX-XUZC-1126-SM-4BOPZ 30-39 years, female 9.5
GTEX-ZF28-1426-SM-5S2OG 60-69 years, male 9.5
GTEX-ZYT6-2126-SM-5GZZ4 30-39 years, male 9.5
GTEX-1S3DN-1626-SM-EVYCC 50-59 years, male 9.5
GTEX-13FTX-0626-SM-5J2NS 20-29 years, female 9.4
GTEX-15G19-1126-SM-7KUEL 60-69 years, male 9.4
GTEX-1B996-1226-SM-73KWZ 60-69 years, male 9.4
GTEX-111CU-1026-SM-5EGIL 50-59 years, male 9.3
GTEX-132Q8-1726-SM-5EGK8 60-69 years, male 9.3
GTEX-14E6E-0226-SM-7DUEF 30-39 years, male 9.3
GTEX-1CB4E-0826-SM-793CS 60-69 years, male 9.3
GTEX-X3Y1-0926-SM-3P5YT 40-49 years, male 9.3
GTEX-ZDTS-1826-SM-5S2N6 60-69 years, male 9.3
GTEX-1IDJH-1626-SM-A9SLP 70-79 years, male 9.3
GTEX-1POEN-1626-SM-EVYC2 30-39 years, female 9.3
GTEX-11DXZ-1426-SM-5H12A 50-59 years, male 9.2
GTEX-13CF3-1126-SM-5LZXB 60-69 years, female 9.2
GTEX-13OVK-0326-SM-7KUEJ 40-49 years, male 9.2
GTEX-145ME-0726-SM-5O9A3 40-49 years, female 9.2
GTEX-14PJ5-0426-SM-5ZZW2 60-69 years, female 9.2
GTEX-17F9Y-0726-SM-7LT9G 70-79 years, female 9.2
GTEX-18D9U-0426-SM-731AN 40-49 years, male 9.2
GTEX-1AX9K-0926-SM-7939G 50-59 years, male 9.2
GTEX-ZPCL-1026-SM-5GCOX 60-69 years, female 9.2
GTEX-1HKZK-1726-SM-ADEJ9 40-49 years, male 9.2
GTEX-1K9T9-1626-SM-DIPFS 50-59 years, female 9.2
GTEX-1PPH8-1026-SM-DPRXN 20-29 years, male 9.2
GTEX-11GSO-0226-SM-5A5LV 60-69 years, male 9.1
GTEX-12WSK-1026-SM-5CVNR 40-49 years, female 9.1
GTEX-17KNJ-0426-SM-718AK 50-59 years, male 9.1
GTEX-18QFQ-1326-SM-731CF 30-39 years, male 9.1
GTEX-WYJK-1426-SM-3NM8V 50-59 years, male 9.1
GTEX-XBED-1326-SM-4AT4F 60-69 years, male 9.1
GTEX-Y5V5-0226-SM-5S2N8 60-69 years, female 9.1
GTEX-ZE7O-1526-SM-5J1NH 50-59 years, female 9.1
GTEX-ZVZP-1126-SM-5GICU 50-59 years, male 9.1
GTEX-ZXES-0926-SM-5E43O 30-39 years, female 9.1
GTEX-1N2DV-0626-SM-E9U5H 40-49 years, male 9.1
GTEX-1RNTQ-0826-SM-E9TK8 20-29 years, female 9.1
GTEX-111YS-1326-SM-5EGGK 60-69 years, male 9.0
GTEX-13113-1126-SM-5LZU9 60-69 years, female 9.0
GTEX-132QS-0826-SM-5K7WV 60-69 years, male 9.0
GTEX-13RTK-0726-SM-5Q5EN 20-29 years, male 9.0
GTEX-15EU6-1726-SM-6M48H 50-59 years, male 9.0
GTEX-1B933-1326-SM-7939U 50-59 years, female 9.0
GTEX-Z9EW-0826-SM-5HL9T 40-49 years, male 9.0
GTEX-ZF2S-1526-SM-5S2OO 50-59 years, female 9.0
GTEX-1C64N-1326-SM-7SB7D 50-59 years, male 9.0
GTEX-1I1GU-0626-SM-CMKHR 40-49 years, male 9.0
GTEX-1IDJC-0226-SM-CMKG2 50-59 years, male 9.0
GTEX-1IDJD-0926-SM-ACKWW 30-39 years, male 9.0
GTEX-1LGOU-0826-SM-DHXKL 20-29 years, female 9.0
GTEX-1QP28-0926-SM-EVR4D 50-59 years, female 9.0
GTEX-1QP29-1626-SM-EXUSZ 50-59 years, male 9.0
GTEX-1R9K4-1426-SM-DPRY4 60-69 years, male 9.0
GTEX-13JUV-0626-SM-5J1MQ 40-49 years, female 8.9
GTEX-WHWD-0826-SM-3LK6R 50-59 years, male 8.9
GTEX-ZDTT-0526-SM-5HL4M 60-69 years, male 8.9
GTEX-1GMR2-0226-SM-9JGHO 50-59 years, male 8.9
GTEX-1RQEC-2526-SM-EVYD2 60-69 years, male 8.9
GTEX-WVLH-1626-SM-EXURN 50-59 years, male 8.9
GTEX-WEY5-1326-SM-3GILS 40-49 years, female 8.8
GTEX-WFON-1226-SM-3TW8F 40-49 years, male 8.8
GTEX-XAJ8-0226-SM-4GIB2 40-49 years, male 8.8
GTEX-1CAMS-0926-SM-7SB7F 40-49 years, female 8.8
GTEX-1H1E6-1126-SM-9JGGV 30-39 years, male 8.8
GTEX-1IKK5-0826-SM-ACKWN 60-69 years, male 8.8
GTEX-1QCLY-1226-SM-EVYC3 30-39 years, male 8.8
GTEX-131YS-1726-SM-5HL7G 60-69 years, female 8.7
GTEX-13VXT-0926-SM-5LU5K 20-29 years, female 8.7
GTEX-15ER7-1026-SM-7KUMD 20-29 years, female 8.7
GTEX-18D9B-1726-SM-7LTAP 60-69 years, male 8.7
GTEX-1AX8Z-1626-SM-73KWD 60-69 years, male 8.7
GTEX-XMK1-0926-SM-4B66X 40-49 years, male 8.7
GTEX-ZT9W-1026-SM-57WG5 50-59 years, male 8.7
GTEX-1H1DF-1426-SM-9YFMC 40-49 years, female 8.7
GTEX-1PIGE-1226-SM-EVR3Q 20-29 years, male 8.7
GTEX-1S831-1926-SM-EV79P 20-29 years, male 8.7
GTEX-ZLWG-0726-SM-5S2N4 50-59 years, female 8.7
GTEX-12WSG-0426-SM-5FQSE 50-59 years, female 8.6
GTEX-145MF-1026-SM-5Q5EQ 50-59 years, male 8.6
GTEX-14JG6-0526-SM-6LLIH 30-39 years, female 8.6
GTEX-14PHY-1026-SM-62LEV 60-69 years, female 8.6
GTEX-YEC3-0926-SM-5Q5AC 50-59 years, male 8.6
GTEX-ZV6S-1626-SM-5NQ81 40-49 years, female 8.6
GTEX-1HSMP-1126-SM-B2LXJ 70-79 years, male 8.6
GTEX-1HUB1-1526-SM-CGQF6 60-69 years, male 8.6
GTEX-1PBJI-1326-SM-E9J2V 20-29 years, female 8.6
GTEX-12C56-0826-SM-5EGJ5 20-29 years, male 8.5
GTEX-13O21-3126-SM-5J1OI 50-59 years, male 8.5
GTEX-15UKP-1426-SM-7KUDX 20-29 years, male 8.5
GTEX-17HHY-1026-SM-7LG5E 50-59 years, male 8.5
GTEX-1C6VR-1126-SM-7EPHD 60-69 years, male 8.5
GTEX-XGQ4-1026-SM-4AT4L 50-59 years, male 8.5
GTEX-ZTSS-1026-SM-5985N 40-49 years, male 8.5
GTEX-1B8L1-0126-SM-9KNVS 60-69 years, male 8.5
GTEX-1I1GS-0926-SM-A9SL5 60-69 years, male 8.5
GTEX-1I1GT-1326-SM-ACKWB 60-69 years, female 8.5
GTEX-1J8EW-1526-SM-CMKFZ 60-69 years, female 8.5
GTEX-1K2DU-0726-SM-DIPF7 20-29 years, male 8.5
GTEX-1KXAM-0526-SM-DKPQN 60-69 years, male 8.5
GTEX-1QP6S-1626-SM-EVYC5 40-49 years, male 8.5
GTEX-1QPFJ-2126-SM-EXOJV 30-39 years, female 8.5
GTEX-ZF29-0826-SM-5S2O2 60-69 years, female 8.5
GTEX-1192X-1526-SM-5H11I 50-59 years, male 8.4
GTEX-11GS4-1026-SM-5N9DE 60-69 years, male 8.4
GTEX-11XUK-1726-SM-5GU61 40-49 years, female 8.4
GTEX-13S7M-0826-SM-5QGQX 60-69 years, female 8.4
GTEX-145LV-1026-SM-5O9AE 50-59 years, male 8.4
GTEX-ZYFG-1426-SM-5GICS 60-69 years, female 8.4
GTEX-1JKYN-0526-SM-CGQG3 30-39 years, male 8.4
GTEX-1LG7Y-1126-SM-CYPTE 50-59 years, male 8.4
GTEX-1O9I2-1326-SM-E6CQD 50-59 years, male 8.4
GTEX-1QP66-0626-SM-E76PD 50-59 years, male 8.4
GTEX-12KS4-1526-SM-5EQ6E 30-39 years, male 8.3
GTEX-13NZ9-2026-SM-5KM1U 50-59 years, male 8.3
GTEX-16NGA-0526-SM-731AJ 40-49 years, female 8.3
GTEX-17F96-0726-SM-793CB 70-79 years, male 8.3
GTEX-18A7A-0926-SM-7LT8H 50-59 years, female 8.3
GTEX-XBEC-1826-SM-4QASN 50-59 years, male 8.3
GTEX-ZUA1-2126-SM-57YRB 40-49 years, male 8.3
GTEX-1F5PL-1326-SM-7SB83 40-49 years, female 8.3
GTEX-1HR9M-1426-SM-A9SMB 60-69 years, male 8.3
GTEX-1IDJF-1726-SM-A9SLL 20-29 years, male 8.3
GTEX-1LVAM-1026-SM-DIPFK 50-59 years, female 8.3
GTEX-1S5ZA-1026-SM-EWRO2 20-29 years, male 8.3
GTEX-XPVG-1626-SM-EYYVK 50-59 years, male 8.3
GTEX-1399S-1426-SM-5PNYQ 30-39 years, female 8.2
GTEX-13FTW-0426-SM-5K7X2 40-49 years, male 8.2
GTEX-13W3W-1126-SM-5L3DO 60-69 years, female 8.2
GTEX-13X6K-0726-SM-5LU2Z 60-69 years, female 8.2
GTEX-14AS3-0426-SM-5QGQK 40-49 years, female 8.2
GTEX-17F98-0326-SM-7DHLH 40-49 years, female 8.2
GTEX-18A6Q-1026-SM-7LT9S 60-69 years, male 8.2
GTEX-1A8G6-2026-SM-73KYC 60-69 years, male 8.2
GTEX-ZGAY-1326-SM-5S2NS 40-49 years, female 8.2
GTEX-1F6IF-2026-SM-7P8SE 60-69 years, male 8.2
GTEX-1GF9W-1026-SM-7SB8X 60-69 years, male 8.2
GTEX-1HCU7-2026-SM-A9G2B 50-59 years, male 8.2
GTEX-1I1CD-1026-SM-COH3G 60-69 years, female 8.2
GTEX-1I4MK-0726-SM-ACKWC 50-59 years, female 8.2
GTEX-1ICLZ-1626-SM-CE6SS 60-69 years, male 8.2
GTEX-1IDJU-0926-SM-ARL88 60-69 years, female 8.2
GTEX-1LGRB-0526-SM-COH3A 50-59 years, female 8.2
GTEX-12ZZX-1726-SM-5BC63 40-49 years, female 8.1
GTEX-13111-0626-SM-5LZVR 50-59 years, male 8.1
GTEX-1313W-1626-SM-5J1OE 50-59 years, female 8.1
GTEX-14E1K-0426-SM-5S2PF 50-59 years, male 8.1
GTEX-14PJ4-0126-SM-62LEZ 60-69 years, male 8.1
GTEX-14PJN-0626-SM-6EU13 30-39 years, male 8.1
GTEX-17JCI-1626-SM-7EPGZ 60-69 years, female 8.1
GTEX-1F52S-1326-SM-7SB6Q 60-69 years, female 8.1
GTEX-1GF9X-0926-SM-7PC2X 40-49 years, female 8.1
GTEX-1HBPI-1826-SM-ADEHE 50-59 years, male 8.1
GTEX-1J8Q2-2226-SM-CM2TZ 60-69 years, male 8.1
GTEX-1JMLX-1026-SM-D3L8U 50-59 years, male 8.1
GTEX-1QW4Y-0826-SM-DTXE1 30-39 years, male 8.1
GTEX-1RMOY-0826-SM-E9TIF 50-59 years, male 8.1
GTEX-131XG-0126-SM-5K7UJ 50-59 years, female 8.0
GTEX-17HII-0826-SM-7DUFH 50-59 years, male 8.0
GTEX-1CAMR-0326-SM-793AH 20-29 years, male 8.0
GTEX-1EWIQ-2526-SM-7EPIJ 70-79 years, female 8.0
GTEX-XQ3S-2426-SM-4WAYB 20-29 years, male 8.0
GTEX-ZPU1-1226-SM-5HL71 40-49 years, male 8.0
GTEX-1EKGG-1426-SM-7PBY2 60-69 years, male 8.0
GTEX-1H1CY-0826-SM-9WYTU 60-69 years, female 8.0
GTEX-1I1GR-1726-SM-COH39 60-69 years, male 8.0
GTEX-1KAFJ-0826-SM-CYPTF 50-59 years, male 8.0
GTEX-1LKK1-1526-SM-EVYCO 50-59 years, female 8.0
GTEX-1MA7X-1026-SM-DKPQ8 60-69 years, male 8.0
GTEX-13W46-1226-SM-5SIAS 50-59 years, male 7.9
GTEX-144GM-0626-SM-79OKY 20-29 years, male 7.9
GTEX-15RIE-0126-SM-7KUF8 60-69 years, male 7.9
GTEX-18A7B-1226-SM-718AU 70-79 years, male 7.9
GTEX-Y5LM-0826-SM-4VDSW 40-49 years, female 7.9
GTEX-Y5V6-0626-SM-4WWFY 60-69 years, male 7.9
GTEX-ZG7Y-1626-SM-5S2NO 50-59 years, male 7.9
GTEX-1A8FM-2126-SM-7PC27 50-59 years, female 7.9
GTEX-1C475-0326-SM-7SB8O 40-49 years, female 7.9
GTEX-1HT8W-0726-SM-A9SLB 30-39 years, male 7.9
GTEX-1QP9N-0426-SM-DTXFT 30-39 years, male 7.9
GTEX-VJYA-1626-SM-EXOHL 60-69 years, male 7.9
GTEX-12WSM-0626-SM-5GCOK 60-69 years, male 7.8
GTEX-139T6-0526-SM-5IJC9 50-59 years, male 7.8
GTEX-14BMU-0626-SM-73KZ6 20-29 years, female 7.8
GTEX-WOFM-0726-SM-3MJF8 20-29 years, male 7.8
GTEX-Y9LG-1226-SM-4VBQA 30-39 years, male 7.8
GTEX-YECK-1426-SM-5IFHE 60-69 years, male 7.8
GTEX-ZDYS-2226-SM-5S2MI 50-59 years, male 7.8
GTEX-ZE9C-1326-SM-5S2OW 60-69 years, male 7.8
GTEX-1HSEH-1326-SM-ADEI1 60-69 years, male 7.8
GTEX-1117F-1326-SM-5EGHH 60-69 years, female 7.7
GTEX-12584-2126-SM-5FQUM 40-49 years, male 7.7
GTEX-12WSL-1126-SM-5CVNK 50-59 years, male 7.7
GTEX-139D8-1626-SM-5IJFZ 30-39 years, female 7.7
GTEX-139TU-1426-SM-5LZY9 60-69 years, male 7.7
GTEX-13NYS-0726-SM-5J1OR 60-69 years, male 7.7
GTEX-145LT-1526-SM-5O98P 40-49 years, male 7.7
GTEX-14PJ3-0726-SM-69LQE 50-59 years, male 7.7
GTEX-ZVT2-0226-SM-5GIE3 50-59 years, female 7.7
GTEX-ZXG5-1626-SM-59HJK 60-69 years, male 7.7
GTEX-1GF9V-1126-SM-9MQM7 60-69 years, male 7.7
GTEX-1GZ2Q-1226-SM-9MQM8 40-49 years, male 7.7
GTEX-1KD4Q-1426-SM-D4P3K 40-49 years, male 7.7
GTEX-117YW-0826-SM-5H11O 50-59 years, male 7.6
GTEX-11DYG-2026-SM-5EGGX 60-69 years, male 7.6
GTEX-12WSF-1526-SM-6PAN6 70-79 years, male 7.6
GTEX-13S86-0926-SM-5SI6I 40-49 years, male 7.6
GTEX-13X6H-1726-SM-5Q5EH 50-59 years, female 7.6
GTEX-13X6J-1926-SM-5TDCU 50-59 years, male 7.6
GTEX-169BO-0426-SM-7EPI1 50-59 years, male 7.6
GTEX-1A3MV-0626-SM-731CH 30-39 years, male 7.6
GTEX-WRHK-0826-SM-3MJFG 20-29 years, female 7.6
GTEX-XV7Q-1726-SM-4BRUU 40-49 years, female 7.6
GTEX-ZA64-0926-SM-5HL7H 20-29 years, male 7.6
GTEX-1CAMQ-1226-SM-7SB7E 40-49 years, male 7.6
GTEX-1H3VE-1926-SM-9YFL4 40-49 years, male 7.6
GTEX-1N2EE-1526-SM-DTXE9 60-69 years, male 7.6
GTEX-11ZUS-1826-SM-5FQTR 30-39 years, male 7.5
GTEX-12696-1826-SM-5EGJS 60-69 years, male 7.5
GTEX-14BIM-1626-SM-7EWD2 60-69 years, female 7.5
GTEX-14BMV-1626-SM-73KVQ 50-59 years, male 7.5
GTEX-14E7W-2326-SM-69LQC 70-79 years, male 7.5
GTEX-15SHU-2326-SM-7KUMC 40-49 years, female 7.5
GTEX-WL46-2026-SM-3LK7U 50-59 years, male 7.5
GTEX-XXEK-1426-SM-4BRW1 50-59 years, male 7.5
GTEX-ZVP2-0226-SM-57WBD 50-59 years, male 7.5
GTEX-1GTWX-1526-SM-9MQLF 60-69 years, male 7.5
GTEX-1HB9E-0526-SM-ARZNM 50-59 years, male 7.5
GTEX-1HCU8-1126-SM-CM2SA 60-69 years, female 7.5
GTEX-1I6K7-1826-SM-CGQFO 40-49 years, male 7.5
GTEX-1KWVE-0226-SM-E9TKK 30-39 years, male 7.5
GTEX-1LVAN-0926-SM-CNNQ2 50-59 years, female 7.5
GTEX-11P81-0726-SM-5PNYH 30-39 years, female 7.4
GTEX-131XF-0726-SM-5GIE5 60-69 years, male 7.4
GTEX-132NY-1126-SM-5PNVE 60-69 years, male 7.4
GTEX-13FXS-1326-SM-62LFR 50-59 years, male 7.4
GTEX-13N2G-1926-SM-5J1O3 60-69 years, male 7.4
GTEX-13PL7-1226-SM-5SIAR 60-69 years, female 7.4
GTEX-1445S-2426-SM-79ON2 60-69 years, male 7.4
GTEX-146FR-0226-SM-5Q5F6 60-69 years, female 7.4
GTEX-14DAQ-2526-SM-5RQIO 60-69 years, female 7.4
GTEX-14DAR-0426-SM-664MW 50-59 years, male 7.4
GTEX-1BAJH-2126-SM-7EWFB 70-79 years, male 7.4
GTEX-1EH9U-1326-SM-79OM3 60-69 years, male 7.4
GTEX-WYBS-1026-SM-4ONCY 60-69 years, female 7.4
GTEX-ZAB4-1426-SM-5CVN6 40-49 years, male 7.4
GTEX-YFCO-1126-SM-5S2N9 40-49 years, male 7.3
GTEX-1GN73-0626-SM-7PC3I 60-69 years, male 7.3
GTEX-1H4P4-0326-SM-9WYTD 50-59 years, male 7.3
GTEX-1HGF4-0226-SM-CNNQL 60-69 years, male 7.3
GTEX-1HSMQ-1026-SM-ADEHU 50-59 years, male 7.3
GTEX-13G51-0526-SM-5IJCQ 60-69 years, male 7.2
GTEX-14PJ2-1426-SM-62LFF 50-59 years, male 7.2
GTEX-14PJO-1626-SM-69LPQ 60-69 years, male 7.2
GTEX-ZZPU-0326-SM-5N9BJ 50-59 years, female 7.2
GTEX-1F75B-1226-SM-7MXTW 50-59 years, male 7.2
GTEX-1F75I-1026-SM-7SB8B 40-49 years, male 7.2
GTEX-1HSKV-1926-SM-CNPPN 60-69 years, male 7.2
GTEX-1IDJI-0926-SM-ACKWZ 50-59 years, female 7.2
GTEX-1JJE9-1526-SM-CM2RR 70-79 years, male 7.2
GTEX-1JN76-1026-SM-ARZNI 20-29 years, female 7.2
GTEX-VJWN-2326-SM-EVYAP 50-59 years, female 7.2
GTEX-1128S-0926-SM-5GZZU 60-69 years, female 7.1
GTEX-11LCK-0326-SM-5A5M7 30-39 years, male 7.1
GTEX-11PRG-1526-SM-5HL6Z 50-59 years, male 7.1
GTEX-17HGU-1726-SM-79OKM 50-59 years, male 7.1
GTEX-1A8G7-1226-SM-73KYP 60-69 years, male 7.1
GTEX-1AMFI-1026-SM-73KYM 50-59 years, female 7.1
GTEX-1C6VS-1826-SM-73KXN 60-69 years, male 7.1
GTEX-Y114-1326-SM-4TT9A 50-59 years, female 7.1
GTEX-1HBPH-2226-SM-9WYSO 40-49 years, female 7.1
GTEX-1I1GQ-1026-SM-CNNQS 50-59 years, male 7.1
GTEX-1IY9M-1226-SM-ACKX1 60-69 years, male 7.1
GTEX-1J1OQ-1526-SM-CJI4E 40-49 years, female 7.1
GTEX-1KANC-0526-SM-D4P3T 50-59 years, female 7.1
GTEX-1N2DW-0726-SM-DTX97 50-59 years, male 7.1
GTEX-11P7K-0826-SM-5BC5F 30-39 years, male 7.0
GTEX-13112-1126-SM-5GCMY 50-59 years, male 7.0
GTEX-14PN3-0326-SM-6EU1X 60-69 years, female 7.0
GTEX-16GPK-1326-SM-7KUE4 60-69 years, male 7.0
GTEX-17MF6-1326-SM-79ONE 40-49 years, male 7.0
GTEX-1AMEY-0526-SM-72D62 30-39 years, female 7.0
GTEX-1B8SF-1726-SM-73KZ5 60-69 years, male 7.0
GTEX-WFJO-1026-SM-3GIKL 30-39 years, male 7.0
GTEX-WYVS-0626-SM-4SOJY 40-49 years, female 7.0
GTEX-X8HC-2326-SM-4QAS4 50-59 years, female 7.0
GTEX-XQ8I-1426-SM-4BOPW 50-59 years, male 7.0
GTEX-ZLV1-0926-SM-5S2MR 60-69 years, female 7.0
GTEX-11GSP-1026-SM-9WYSH 60-69 years, female 7.0
GTEX-1HSGN-1926-SM-CMKGS 40-49 years, female 7.0
GTEX-11DXX-2026-SM-5EGJL 60-69 years, female 6.9
GTEX-13N1W-1226-SM-5K7UM 70-79 years, male 6.9
GTEX-13PL6-0926-SM-5KLYY 40-49 years, female 6.9
GTEX-146FH-2026-SM-5SI9I 50-59 years, female 6.9
GTEX-18465-1826-SM-731BB 50-59 years, male 6.9
GTEX-1CB4G-2126-SM-7IGQ8 60-69 years, male 6.9
GTEX-XYKS-1826-SM-4E3JV 60-69 years, female 6.9
GTEX-ZAJG-1626-SM-5HL7I 50-59 years, female 6.9
GTEX-ZTX8-0726-SM-59HL9 20-29 years, male 6.9
GTEX-1H1ZS-1326-SM-9WG74 70-79 years, male 6.9
GTEX-1LSVX-1326-SM-DIPET 60-69 years, male 6.9
GTEX-11TT1-1926-SM-5PNYN 20-29 years, male 6.8
GTEX-1211K-1226-SM-5EQ4N 60-69 years, female 6.8
GTEX-131XH-0826-SM-5GCN8 50-59 years, male 6.8
GTEX-13X6I-1526-SM-5SIAC 60-69 years, male 6.8
GTEX-14PN4-1426-SM-6LLJ4 50-59 years, male 6.8
GTEX-1A32A-0926-SM-718AB 50-59 years, female 6.8
GTEX-WK11-2426-SM-3NMAA 50-59 years, male 6.8
GTEX-WY7C-0926-SM-3NB34 50-59 years, male 6.8
GTEX-XLM4-1026-SM-4AT51 60-69 years, male 6.8
GTEX-ZPIC-0726-SM-57WFM 40-49 years, female 6.8
GTEX-1F6I4-2126-SM-7PC2J 60-69 years, male 6.8
GTEX-1GMR3-0826-SM-9WYT4 40-49 years, male 6.8
GTEX-1H1DG-2026-SM-9QEIV 70-79 years, male 6.8
GTEX-12WSC-1726-SM-5GCN3 50-59 years, male 6.7
GTEX-1339X-0726-SM-5L3FF 40-49 years, male 6.7
GTEX-13NZB-0826-SM-5K7X5 30-39 years, male 6.7
GTEX-13PVR-0526-SM-5S2OB 60-69 years, female 6.7
GTEX-14PHX-1626-SM-69LQB 50-59 years, male 6.7
GTEX-15SKB-1626-SM-6PAL6 60-69 years, male 6.7
GTEX-17F97-1226-SM-79OJT 50-59 years, male 6.7
GTEX-WHPG-0626-SM-3NMBD 50-59 years, male 6.7
GTEX-1EMGI-0726-SM-7PBZ4 60-69 years, male 6.7
GTEX-1LBAC-1026-SM-CXKYA 20-29 years, male 6.7
GTEX-13O3Q-1126-SM-5K7YK 50-59 years, male 6.6
GTEX-13OW7-1126-SM-5K7V6 50-59 years, male 6.6
GTEX-147JS-1026-SM-5S2MP 60-69 years, male 6.6
GTEX-14BIL-2426-SM-5QGQR 50-59 years, male 6.6
GTEX-14C38-1026-SM-73KY7 50-59 years, male 6.6
GTEX-1B8KZ-1026-SM-73KYN 50-59 years, male 6.6
GTEX-ZT9X-0926-SM-5O9C4 40-49 years, male 6.6
GTEX-ZTPG-2326-SM-57WFL 20-29 years, female 6.6
GTEX-1HFI6-1726-SM-CGQFH 40-49 years, male 6.6
GTEX-1I1GP-1426-SM-ACKVZ 50-59 years, male 6.6
GTEX-1LVAO-2126-SM-DIPGA 60-69 years, male 6.6
GTEX-1S5VW-2426-SM-EAZ52 60-69 years, male 6.6
GTEX-13D11-0526-SM-5LZYM 50-59 years, female 6.5
GTEX-1B8SG-1426-SM-7EWEM 50-59 years, male 6.5
GTEX-Y8E4-1226-SM-5IFIM 40-49 years, male 6.5
GTEX-1GZ4I-2326-SM-9YFMO 50-59 years, male 6.5
GTEX-1KD5A-1326-SM-CYPTB 50-59 years, male 6.5
GTEX-1QAET-1226-SM-DTX9I 50-59 years, male 6.5
GTEX-WI4N-1526-SM-EZ6LG 40-49 years, female 6.5
GTEX-117YX-0726-SM-5GIET 50-59 years, male 6.4
GTEX-11NV4-1426-SM-5BC4W 60-69 years, male 6.4
GTEX-13FHO-2026-SM-5J1OA 60-69 years, male 6.4
GTEX-13O61-1926-SM-5KM1R 60-69 years, male 6.4
GTEX-13OW6-2426-SM-5K7WO 50-59 years, male 6.4
GTEX-13U4I-1726-SM-5J1MF 40-49 years, female 6.4
GTEX-15CHQ-1126-SM-686YY 60-69 years, male 6.4
GTEX-16NPX-1026-SM-6PAM7 50-59 years, male 6.4
GTEX-17GQL-0826-SM-731AM 60-69 years, male 6.4
GTEX-1EN7A-1626-SM-79OLV 40-49 years, male 6.4
GTEX-W5X1-1426-SM-3GIKH 40-49 years, female 6.4
GTEX-1HCU6-1626-SM-CMKGW 60-69 years, female 6.4
GTEX-1JJ6O-2826-SM-CNNP7 60-69 years, male 6.4
GTEX-1JMQK-1326-SM-CNPOR 60-69 years, male 6.4
GTEX-1RLM8-1026-SM-EWROE 50-59 years, male 6.4
GTEX-1399T-1326-SM-5PNVH 60-69 years, male 6.3
GTEX-13OVJ-0926-SM-5K7U1 50-59 years, female 6.3
GTEX-1CAV2-0226-SM-7IGPQ 40-49 years, female 6.3
GTEX-1EU9M-1126-SM-793DE 60-69 years, male 6.3
GTEX-ZAB5-1126-SM-5Q5AD 50-59 years, male 6.3
GTEX-ZV7C-0826-SM-59HK8 50-59 years, male 6.3
GTEX-1F48J-1826-SM-7SB8T 50-59 years, female 6.3
GTEX-1GL5R-0726-SM-9MQL5 50-59 years, male 6.3
GTEX-113JC-0726-SM-5GZZR 50-59 years, female 6.2
GTEX-133LE-0926-SM-5P9J1 20-29 years, female 6.2
GTEX-13N11-1826-SM-5IJDS 50-59 years, female 6.2
GTEX-13VXU-1026-SM-5KLZE 50-59 years, male 6.2
GTEX-14B4R-0526-SM-5QGQT 30-39 years, male 6.2
GTEX-1HSMO-1426-SM-CNNQN 60-69 years, male 6.2
GTEX-1QMI2-1626-SM-EYYXK 60-69 years, male 6.2
GTEX-1R9PO-0926-SM-E9U4Q 60-69 years, female 6.2
GTEX-11OF3-0826-SM-5BC51 60-69 years, male 6.1
GTEX-XOT4-0826-SM-4B66Y 60-69 years, female 6.1
GTEX-1JMQJ-1926-SM-D4P3A 50-59 years, male 6.1
GTEX-1KANB-2426-SM-EV7BE 50-59 years, male 6.1
GTEX-145LU-1226-SM-5LU9B 50-59 years, male 6.0
GTEX-1A3MX-0826-SM-72D64 60-69 years, male 6.0
GTEX-UPK5-1826-SM-3GAEB 40-49 years, male 6.0
GTEX-11EM3-1126-SM-5A5KM 20-29 years, female 5.9
GTEX-11ZTS-1326-SM-5EQMA 60-69 years, female 5.9
GTEX-13OW8-0326-SM-5L3FB 60-69 years, male 5.9
GTEX-1GMRU-0726-SM-7PBZH 50-59 years, male 5.9
GTEX-14C5O-0926-SM-793DM 60-69 years, male 5.8
GTEX-15D1Q-1326-SM-69LOA 40-49 years, male 5.8
GTEX-1AYD5-0126-SM-7DUG5 50-59 years, male 5.8
GTEX-U8XE-1926-SM-3DB98 30-39 years, male 5.8
GTEX-XBEW-1726-SM-4RGMA 40-49 years, male 5.8
GTEX-ZC5H-1626-SM-5HL7L 40-49 years, female 5.8
GTEX-ZEX8-1226-SM-5S2OK 50-59 years, male 5.8
GTEX-1LH75-1026-SM-EWROK 50-59 years, female 5.8
GTEX-11DXY-0326-SM-5H12F 60-69 years, male 5.7
GTEX-13OVL-0826-SM-5L3GV 50-59 years, male 5.7
GTEX-17EVQ-0626-SM-7KFTB 70-79 years, male 5.7
GTEX-YJ89-1926-SM-5IFJ6 60-69 years, male 5.7
GTEX-132AR-0526-SM-5J2MJ 50-59 years, female 5.6
GTEX-14PJM-1226-SM-686Z7 50-59 years, female 5.6
GTEX-17EVP-1426-SM-79OMN 40-49 years, male 5.6
GTEX-1H23P-1726-SM-A9SMN 60-69 years, male 5.6
GTEX-1I19N-1026-SM-A96TT 70-79 years, male 5.6
GTEX-11WQK-1526-SM-5EGKN 50-59 years, male 5.5
GTEX-1212Z-0526-SM-5FQSQ 60-69 years, male 5.5
GTEX-12ZZW-2326-SM-5DUW2 50-59 years, male 5.5
GTEX-145MI-0826-SM-5SI95 60-69 years, female 5.5
GTEX-1NV5F-2526-SM-EXUSK 60-69 years, female 5.5
GTEX-14C39-0826-SM-5TDDU 40-49 years, male 5.4
GTEX-16AAH-1526-SM-7LT9W 50-59 years, male 5.4
GTEX-1CB4I-0826-SM-7MGX1 50-59 years, male 5.4
GTEX-1IL2U-2726-SM-C1YSG 60-69 years, male 5.4
GTEX-14ABY-1926-SM-62LDJ 50-59 years, male 5.3
GTEX-1N2EF-0926-SM-E8VNW 60-69 years, male 5.3
GTEX-13QBU-1326-SM-5LU4K 40-49 years, female 5.2
GTEX-14BIN-1226-SM-5S2OM 50-59 years, female 5.2
GTEX-ZYVF-1026-SM-5E44V 50-59 years, female 5.2
GTEX-1JN6P-1626-SM-CYPSV 60-69 years, male 5.2
GTEX-14753-2526-SM-5LU97 60-69 years, male 5.1
GTEX-12WSI-1526-SM-5GCNM 50-59 years, male 5.0
GTEX-131XE-2026-SM-5LZW1 50-59 years, male 5.0
GTEX-14E6D-1326-SM-62LES 50-59 years, male 5.0
GTEX-1C6VQ-1526-SM-73KU9 50-59 years, male 5.0
GTEX-ZF3C-1026-SM-5S2OC 50-59 years, female 5.0
GTEX-ZYW4-2226-SM-5GZYG 60-69 years, male 5.0
GTEX-1GN1U-0726-SM-9MQKL 50-59 years, female 5.0
GTEX-1ICLY-1426-SM-CJI48 50-59 years, male 5.0
GTEX-11NUK-2026-SM-5PNVZ 50-59 years, male 4.9
GTEX-13O3P-0926-SM-5IFFI 50-59 years, male 4.7
GTEX-13PVQ-2226-SM-5L3G9 50-59 years, male 4.7
GTEX-14PHW-1626-SM-6EU2H 60-69 years, female 4.7
GTEX-ZDXO-2326-SM-5LU9W 60-69 years, male 4.7
GTEX-1JMQI-1026-SM-COH2U 50-59 years, male 4.7
GTEX-13OVH-1126-SM-5K7YP 70-79 years, male 4.5
GTEX-13YAN-1126-SM-5TDC7 60-69 years, male 4.3
GTEX-15EOM-2326-SM-7KUMV 20-29 years, female 4.1
GTEX-16XZZ-1626-SM-7KUEC 60-69 years, male 4.0
GTEX-14E6C-1226-SM-5ZZUN 40-49 years, male 3.7
GTEX-YJ8A-1926-SM-EZ6LQ 20-29 years, male 3.3
Show allShow less

ADIPOSE TISSUE - FANTOM5 CAGEi

RNA expression in human tissues obtained through Cap Analysis of Gene Expression (CAGE) generated by the FANTOM5 project are reported as Scaled Tags Per Million.

Max subtype Scaled Tags Per Millioni

Max subtype Scaled Tags Per Million is the value for the subtype with the largest average Scaled Tags Per Million across the subtype samples.

8.0
FANTOM5 sample id Sample description Scaled Tags Per Million
Adipose tissue
Scaled Tags Per Million: 8.0
FF:10010-101C1 65,65,76 years, mixed 8.0

Contact

  • NEWS ARTICLES
  • PRESS ROOM

The Project

  • INTRODUCTION
  • ORGANIZATION
  • PUBLICATIONS

The Human Protein Atlas

  • DOWNLOADABLE DATA
  • LICENCE & CITATION
  • HELP & FAQ
The Human Protein Atlas project is funded
by the Knut & Alice Wallenberg Foundation.


contact@proteinatlas.org