We use cookies to enhance the usability of our website. If you continue, we'll assume that you are happy to receive all cookies. More information. Don't show this again.
PCNT
HPA
RESOURCES
  • TISSUE
  • BRAIN
  • SINGLE CELL
  • SUBCELLULAR
  • CANCER
  • BLOOD
  • CELL LINE
  • STRUCTURE & INTERACTION
ABOUT
  • INTRODUCTION
  • HISTORY
  • ORGANIZATION
  • PUBLICATIONS
  • ANTIBODY SUBMISSION
  • ANTIBODY AVAILABILITY
  • ACKNOWLEDGMENTS
  • CONTACT
NEWS
  • NEWS ARTICLES
  • PRESS ROOM
LEARN
  • DICTIONARY
  • PROTEIN CLASSES
  • PROTEIN EVIDENCE
  • METHODS
  • EDUCATIONAL VIDEOS
DATA
  • DOWNLOADABLE DATA
  • PUBLICATION DATA
  • RELEASE HISTORY
HELP
  • ANTIBODY VALIDATION
  • ASSAYS & ANNOTATION
  • DISCLAIMER
  • HELP & FAQ
  • PRIVACY STATEMENT
  • LICENCE & CITATION
Fields »
Search result

Field
Term
Gene name
Class
Subclass
Class
Keyword
Chromosome
External id
Tissue
Cell type
Expression
Antibody panel
Tissue
Main location
Patient ID
Annotation
Tissue
Category
Tau score
Cluster
Reliability
Brain region
Category
Tau score
Brain region
Category
Tau score
Brain region
Category
Tau score
Cluster
Reliability
Tissue
Cell type
Enrichment
Cell type
Category
Tau score
Cell type
Category
Tau score
Cell type
Category
Tau score
Cell lineage
Category
Tau score
Cluster
Cluster
Location
Searches
Location
Cell line
Class
Type
Phase
Reliability
Cancer
Prognosis
Cancer
Category
Cancer
Category
Tau score
Cluster
Variants
Interacting gene (ensg_id)
Type
Number of interactions
Pathway
Category
Score
Score
Score
Validation
Validation
Validation
Validation
Antibodies
Data type
Column


  • SUMMARY

  • TISSUE

  • BRAIN

  • SINGLE CELL

  • SUBCELL

  • CANCER

  • BLOOD

  • CELL LINE

  • STRUCT & INT

  • PCNT
TISSUE PRIMARY DATA SKELETAL MUSCLE Show tissue menu
ADIPOSE TISSUE ADRENAL GLAND AMYGDALA APPENDIX BASAL GANGLIA BONE MARROW BREAST BRONCHUS CEREBELLUM CEREBRAL CORTEX CERVIX CHOROID PLEXUS COLON DUODENUM
ENDOMETRIUM EPIDIDYMIS ESOPHAGUS FALLOPIAN TUBE GALLBLADDER HEART MUSCLE HIPPOCAMPAL FORMATION HYPOTHALAMUS KIDNEY LIVER LUNG LYMPH NODE MIDBRAIN NASOPHARYNX
ORAL MUCOSA OVARY PANCREAS PARATHYROID GLAND PITUITARY GLAND PLACENTA PROSTATE RECTUM RETINA SALIVARY GLAND SEMINAL VESICLE SKELETAL MUSCLE SKIN SMALL INTESTINE
SMOOTH MUSCLE SOFT TISSUE SPINAL CORD SPLEEN STOMACH TESTIS THYMUS THYROID GLAND TONGUE TONSIL URINARY BLADDER VAGINA
ANTIBODIES
AND
VALIDATION
Dictionary
Skeletal muscle
Tissue proteome
Skeletal muscle
SKELETAL MUSCLE - Expression summary
Protein expression
Skeletal musclei

On the top, protein expression in current human tissue, based on all annotated cell types, is reported with the units not detected (n), low (l), medium (m) and high (h). Underneath, protein expression in each annotated cell type are reported using the same units.

Protein expression data is based on knowledge-based annotation. For genes where more than one antibody has been used, a collective score is set.

If knowledge-based annotation could not be performed for a gene, no data is displayed here. View antibody staining data further down this page.

h
m
l
n
Myocytes: Medium
RNA expressioni

A summary of mRNA expression data available for current tissue based on several datasets. The mRNA expression levels in human tissues are based on RNA-seq data generated by the Human Protein Atlas (HPA), Genotype-Tissue Expression (GTEx) portal and CAGE data generated by the FANTOM5 consortium. Consensus normalized expression levels for human tissues was created by combining the data from HPA and GTEx datasets.

The mRNA expression levels in pig are based on RNA-seq data generated by the Human Protein Atlas (HPA), and for mouse, HPA data and in situ hybridization generated by the Allen brain atlas are reported.

Scroll down to view mRNA expression data in more detail.
Consensus:230.8 nTPM
HPA:33.3 nTPM
GTEx:230.8 nTPM
FANTOM5:49.0 Scaled Tags Per Million

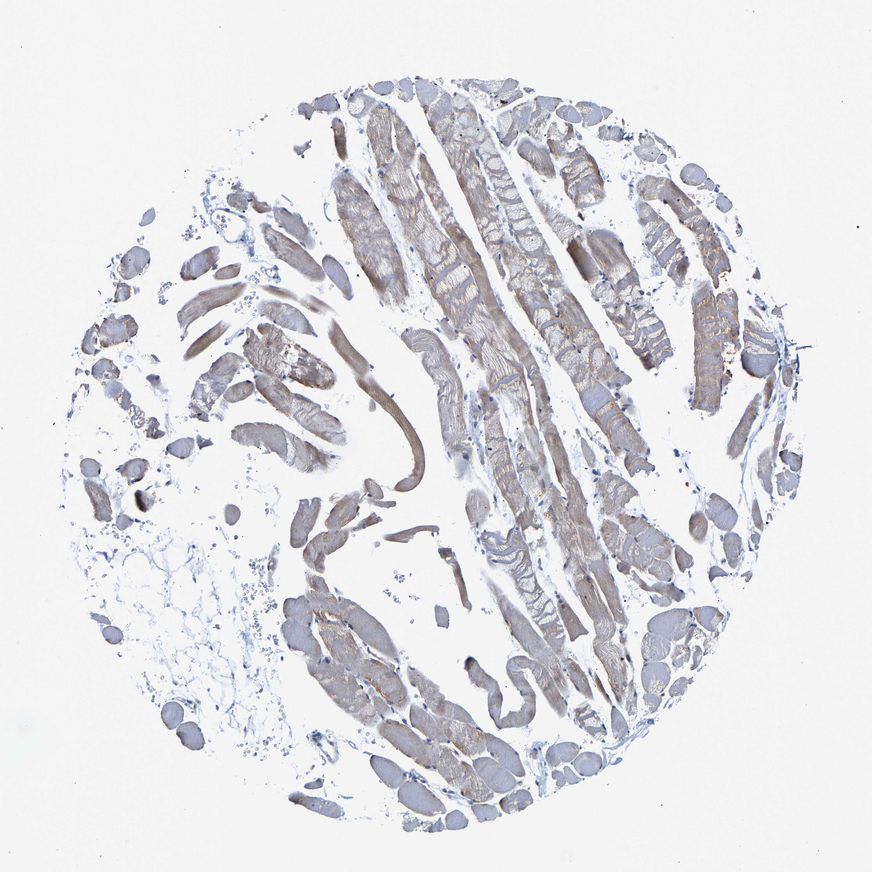
SKELETAL MUSCLE - Antibody stainingi

Antibody staining in the annotated cell types in the current human tissue is reported as not detected, low, medium, or high, based on conventional immunohistochemistry profiling in selected tissues. This score is based on the combination of the staining intensity and fraction of stained cells.

Each image is clickable and will lead to virtual microscopy that enables deeper exploration of all samples and also displays staining intensity scores, fraction scores and subcellular localization as well as patient and tissue information for each sample.

Antibody HPA016820Antibody HPA019887Antibody HPA032101
Myocytes LowMediumLow







SKELETAL MUSCLE - HPA RNA-seqi

The RNA-seq details section shows detailed information about the individual samples used for the transcript profiling and results of the RNA-seq analysis.

Information about each individual sample is listed below, including gender, age, a tissue section image and estimated fractions of cell types. nTPM (normalized transcripts per million) values give a quantification of the gene abundance which is comparable between different genes and samples.
Average nTPMi

Max subtype nTPM is the value for the subtype with the largest average nTPM across the subtype samples.

33.3
N/A
Male, age 23
Skeletal muscle sample 339
nTPM: 19.3
N/A
Female, age 25
Skeletal muscle sample 340
nTPM: 40.9
N/A
Female, age -
Skeletal muscle sample 341
nTPM: 45
N/A
Female, age 22
Skeletal muscle sample 342
nTPM: 29
N/A
Male, age 29
Skeletal muscle sample 343
nTPM: 32.4

SKELETAL MUSCLE - GTEx RNA-seqi

RNA-Seq data generated by the Genotype-Tissue Expression (GTEx) project from human tissues is reported as mean nTPM. More information can be found on the GTEx portal.

Distribution across the dataset is visualized with box plots, shown as median and 25th and 75th percentiles. Points are displayed as outliers if they are above or below 1.5 times the interquartile range. nTPM values of the individual samples are presented next to the box plot.
Max subtype nTPMi

Max subtype nTPM is the value for the subtype with the largest average nTPM across the subtype samples.

230.8
GTEx sample id Sample description nTPM
Muscle - Skeletal
Average nTPM: 230.8
Samples: 803

Max nTPM: 1010.2
Min nTPM: 40.9
Std nTPM: 130.5
Median nTPM: 199.9
GTEX-1H23P-0526-SM-9WG6S 60-69 years, male 1010.2
GTEX-1PWST-0426-SM-E76QV 70-79 years, male 803.0
GTEX-13O3P-0626-SM-5L3D5 50-59 years, male 786.3
GTEX-15UF6-1026-SM-7KUF7 70-79 years, female 715.2
GTEX-1NHNU-1226-SM-DTX8I 50-59 years, male 707.6
GTEX-XYKS-2426-SM-4AT43 60-69 years, female 690.3
GTEX-12WSJ-1726-SM-5LZVV 40-49 years, female 675.5
GTEX-11I78-2426-SM-5A5K9 50-59 years, female 664.8
GTEX-ZVZP-2526-SM-57WBR 50-59 years, male 660.6
GTEX-1JN1M-0526-SM-CJI3D 60-69 years, female 655.6
GTEX-RUSQ-1726-SM-2TF68 50-59 years, male 642.5
GTEX-1I1GS-0326-SM-ARL7X 60-69 years, male 636.3
GTEX-12WSA-0726-SM-5FQU2 60-69 years, male 612.1
GTEX-S32W-2326-SM-2XCAW 50-59 years, female 609.9
GTEX-1HSMO-0526-SM-ACKXB 60-69 years, male 606.2
GTEX-145MI-0326-SM-5Q5EV 60-69 years, female 605.0
GTEX-12696-2826-SM-5FQTY 60-69 years, male 574.8
GTEX-13113-5019-SM-7EPH2 60-69 years, female 571.9
GTEX-XMD1-0626-SM-EZ6MC 60-69 years, male 567.9
GTEX-QDVN-2426-SM-2S1Q4 50-59 years, male 565.7
GTEX-11TT1-2326-SM-5GU6N 20-29 years, male 557.3
GTEX-14PJO-0526-SM-6EU2O 60-69 years, male 556.7
GTEX-1H1E6-2126-SM-9KNVM 30-39 years, male 549.3
GTEX-14PJ3-2026-SM-5ZZVK 50-59 years, male 542.5
GTEX-13QBU-2426-SM-5LU4L 40-49 years, female 540.7
GTEX-1I1GU-2126-SM-CGQF9 40-49 years, male 539.4
GTEX-1J8Q2-0126-SM-E9J2G 60-69 years, male 535.6
GTEX-1S5VW-0526-SM-E6CHL 60-69 years, male 535.3
GTEX-UJHI-1726-SM-3DB9B 50-59 years, female 520.2
GTEX-14XAO-2226-SM-6LLHU 60-69 years, female 518.2
GTEX-1GTWX-0326-SM-9WYTP 60-69 years, male 515.0
GTEX-13W3W-2626-SM-5SIA2 60-69 years, female 513.7
GTEX-WY7C-2526-SM-3NB2N 50-59 years, male 512.3
GTEX-S95S-1426-SM-2XCDM 60-69 years, male 505.5
GTEX-1HBPM-0426-SM-CKZOO 60-69 years, female 499.6
GTEX-1GN1W-0726-SM-9KNTV 50-59 years, female 498.1
GTEX-14C38-0426-SM-5TDDZ 50-59 years, male 497.7
GTEX-ZYFD-0326-SM-5NQ8I 50-59 years, male 497.0
GTEX-14PN4-0326-SM-6EU2N 50-59 years, male 492.9
GTEX-ZYFG-2426-SM-5GIE8 60-69 years, female 492.3
GTEX-ZTPG-0126-SM-5O9AL 20-29 years, female 488.9
GTEX-169BO-1526-SM-9KNVR 50-59 years, male 488.9
GTEX-11TUW-2526-SM-5EQKN 60-69 years, male 488.2
GTEX-13VXT-0326-SM-5LU4U 20-29 years, female 486.8
GTEX-Y5V6-2626-SM-5IFIX 60-69 years, male 478.5
GTEX-1HC8U-2626-SM-CNPPH 40-49 years, female 478.3
GTEX-Y114-2526-SM-4TT8M 50-59 years, female 473.9
GTEX-QCQG-2126-SM-DTXFV 50-59 years, female 473.1
GTEX-146FH-0526-SM-5QGQ3 50-59 years, female 469.2
GTEX-POYW-0526-SM-2XCEY 60-69 years, male 468.2
GTEX-14C39-2426-SM-5S2U5 40-49 years, male 467.3
GTEX-1H1ZS-0626-SM-CNPPU 70-79 years, male 466.3
GTEX-SN8G-0326-SM-32PLG 50-59 years, female 466.2
GTEX-1339X-2426-SM-5KLYU 40-49 years, male 463.9
GTEX-R55G-2326-SM-2TC61 40-49 years, female 457.2
GTEX-1QPFJ-0326-SM-E8VO2 30-39 years, female 453.3
GTEX-15UF7-2226-SM-6PAMQ 40-49 years, male 451.5
GTEX-P44H-0426-SM-2XCEZ 40-49 years, male 451.5
GTEX-11WQK-0726-SM-5GU71 50-59 years, male 449.2
GTEX-1C6VS-0126-SM-7PC2H 60-69 years, male 442.3
GTEX-13FTW-2326-SM-5K7YS 40-49 years, male 440.9
GTEX-1122O-2426-SM-5GIDN 60-69 years, female 440.4
GTEX-1B8SG-0326-SM-73KXW 50-59 years, male 436.1
GTEX-15DDE-0526-SM-6ETZQ 50-59 years, female 434.0
GTEX-1A3MW-0526-SM-731BY 60-69 years, female 432.7
GTEX-QVUS-0226-SM-3GIJY 60-69 years, female 429.7
GTEX-14E6E-2026-SM-664N5 30-39 years, male 428.6
GTEX-ZAJG-0526-SM-5S2MT 50-59 years, female 425.6
GTEX-1CB4J-1226-SM-7P8P3 60-69 years, male 425.5
GTEX-X4XY-0626-SM-4E3IN 60-69 years, male 423.4
GTEX-ZVT2-2426-SM-57WCQ 50-59 years, female 423.2
GTEX-1EH9U-0326-SM-7P8S2 60-69 years, male 423.2
GTEX-15SHV-2526-SM-6PAMG 60-69 years, male 418.7
GTEX-17F98-1626-SM-7938R 40-49 years, female 416.7
GTEX-SNOS-1526-SM-32PLW 40-49 years, male 416.2
GTEX-1K2DU-2526-SM-D3L8V 20-29 years, male 414.7
GTEX-T5JW-1826-SM-3GAE1 20-29 years, female 414.3
GTEX-P4QS-1626-SM-2S1NH 60-69 years, male 412.1
GTEX-1JMQL-0126-SM-CY8HN 50-59 years, female 407.6
GTEX-ZVP2-2126-SM-5GU6E 50-59 years, male 405.6
GTEX-WXYG-2526-SM-3NB3F 50-59 years, female 400.0
GTEX-14JG6-2126-SM-6EU2F 30-39 years, female 399.6
GTEX-11TTK-0326-SM-5BC5N 60-69 years, female 398.2
GTEX-13PVQ-0326-SM-5K7YF 50-59 years, male 398.0
GTEX-145LT-1626-SM-5O992 40-49 years, male 394.1
GTEX-1A3MX-0526-SM-718A9 60-69 years, male 394.0
GTEX-1JJ6O-0926-SM-CYPT1 60-69 years, male 390.1
GTEX-XBED-2626-SM-4E3J5 60-69 years, male 388.9
GTEX-1MCYP-2026-SM-DTXE4 20-29 years, female 386.1
GTEX-14LLW-0526-SM-62LFB 70-79 years, female 385.6
GTEX-1MJK3-1426-SM-E9TK1 20-29 years, male 383.0
GTEX-13FH7-2126-SM-5L3DJ 50-59 years, female 382.0
GTEX-11UD2-0326-SM-5EQLE 50-59 years, male 381.5
GTEX-11DXX-2726-SM-5PNXO 60-69 years, female 380.8
GTEX-UJMC-1826-SM-3GADT 50-59 years, male 379.9
GTEX-1HSMP-0326-SM-A9SMC 70-79 years, male 378.3
GTEX-1PDJ9-0526-SM-DTXDL 20-29 years, male 375.6
GTEX-1IDJV-0426-SM-COH3Z 60-69 years, male 374.8
GTEX-1LH75-2626-SM-E9TKL 50-59 years, female 373.4
GTEX-O5YT-1626-SM-32PK6 20-29 years, male 373.2
GTEX-ZWKS-0326-SM-5NQ7G 30-39 years, male 372.9
GTEX-1128S-2426-SM-5H11B 60-69 years, female 372.0
GTEX-1399U-2526-SM-5L3DL 50-59 years, female 370.2
GTEX-ZV6S-2126-SM-4YCEM 40-49 years, female 368.5
GTEX-11H98-0326-SM-5HL4S 50-59 years, male 363.2
GTEX-1R9PN-1826-SM-E8VO4 40-49 years, female 362.8
GTEX-1I19N-2026-SM-ACKXJ 70-79 years, male 362.5
GTEX-148VJ-0326-SM-5QGQE 70-79 years, male 362.4
GTEX-14A5H-0326-SM-5RQIB 60-69 years, male 362.3
GTEX-1F75B-0526-SM-7P8T5 50-59 years, male 361.9
GTEX-YB5K-2326-SM-5IFHD 40-49 years, female 360.4
GTEX-13NYS-0326-SM-5MR4L 60-69 years, male 360.0
GTEX-1C6VQ-0326-SM-7DHMS 50-59 years, male 359.4
GTEX-XV7Q-2926-SM-4BRUL 40-49 years, female 358.3
GTEX-WWYW-0526-SM-3NB2W 50-59 years, female 357.9
GTEX-U8T8-1426-SM-3DB9H 60-69 years, male 356.6
GTEX-13RTJ-2726-SM-73KVG 60-69 years, male 356.4
GTEX-ZPIC-2526-SM-57WDP 40-49 years, female 355.5
GTEX-1HSEH-0326-SM-A9G26 60-69 years, male 354.9
GTEX-1QCLZ-0326-SM-DTXG2 60-69 years, female 354.8
GTEX-ZLV1-2126-SM-4WWD2 60-69 years, female 354.6
GTEX-ZQG8-1226-SM-51MRX 60-69 years, female 353.4
GTEX-ZZPT-0626-SM-5GZXT 50-59 years, male 351.8
GTEX-145MO-0726-SM-5NQB9 60-69 years, male 351.7
GTEX-ZGAY-0726-SM-DO91O 40-49 years, female 348.5
GTEX-1399S-2726-SM-5KM22 30-39 years, female 347.8
GTEX-T5JC-0626-SM-3NMA6 20-29 years, male 346.7
GTEX-Y8LW-2026-SM-4V6G8 50-59 years, female 346.5
GTEX-1C6WA-0326-SM-7DUGE 60-69 years, male 346.0
GTEX-1R7EV-2026-SM-DTX83 40-49 years, male 345.2
GTEX-11DZ1-0926-SM-5EQ5R 50-59 years, male 344.9
GTEX-144FL-0326-SM-5O99O 50-59 years, male 343.8
GTEX-15CHC-2426-SM-6EU22 60-69 years, female 343.6
GTEX-14PJ5-2026-SM-6LLIN 60-69 years, female 340.7
GTEX-15UKP-0326-SM-7KUFP 20-29 years, male 340.3
GTEX-1B97I-2026-SM-7DHN2 40-49 years, male 340.3
GTEX-1JK1U-2226-SM-CNNPL 60-69 years, male 339.2
GTEX-REY6-0826-SM-2TF4S 60-69 years, male 338.3
GTEX-1H1DG-0326-SM-9QEHK 70-79 years, male 336.9
GTEX-13OVJ-0226-SM-5L3GK 50-59 years, female 335.8
GTEX-15RIF-2126-SM-7KUM8 20-29 years, male 335.6
GTEX-16BQI-0326-SM-6PAM4 30-39 years, female 335.4
GTEX-1HGF4-2626-SM-CM2SJ 60-69 years, male 334.7
GTEX-1HR9M-0326-SM-CL549 60-69 years, male 333.9
GTEX-145LV-2326-SM-5LU8Z 50-59 years, male 333.4
GTEX-1HFI7-1926-SM-A96TQ 50-59 years, female 333.2
GTEX-1F5PK-2626-SM-7RHH6 50-59 years, male 331.8
GTEX-13OW5-0326-SM-5L3HK 60-69 years, male 330.8
GTEX-1F5PL-0426-SM-7P8PR 40-49 years, female 330.7
GTEX-1117F-0426-SM-5EGHI 60-69 years, female 330.5
GTEX-1H3VY-0326-SM-9WYU6 50-59 years, male 330.4
GTEX-XBEW-1026-SM-4QARV 40-49 years, male 327.2
GTEX-XPVG-2526-SM-4B66D 50-59 years, male 326.5
GTEX-WEY5-2026-SM-CYPRC 40-49 years, female 324.7
GTEX-1HCU6-0526-SM-A9SKU 60-69 years, female 322.9
GTEX-R3RS-0526-SM-3GADG 40-49 years, female 322.4
GTEX-14E6C-1526-SM-664ND 40-49 years, male 322.1
GTEX-1J8Q3-1426-SM-CKZPU 60-69 years, male 321.7
GTEX-1477Z-1626-SM-5SIA8 60-69 years, male 321.5
GTEX-1LGOU-2126-SM-DIPFG 20-29 years, female 320.5
GTEX-OOBK-1626-SM-2HMKG 40-49 years, male 320.3
GTEX-XPT6-2026-SM-4B64V 20-29 years, male 319.3
GTEX-X261-0326-SM-3NMD4 50-59 years, male 318.8
GTEX-14PK6-2126-SM-6ETZV 70-79 years, female 317.7
GTEX-ZYW4-0526-SM-5GZZ5 60-69 years, male 316.9
GTEX-13S7M-0326-SM-5S2PH 60-69 years, female 316.3
GTEX-ZYY3-0526-SM-5E45G 60-69 years, female 314.9
GTEX-XQ8I-0626-SM-4BOPT 50-59 years, male 314.0
GTEX-1J8QM-2226-SM-CYPSK 60-69 years, female 314.0
GTEX-1LC47-0626-SM-DIPFE 60-69 years, male 314.0
GTEX-Y3I4-2326-SM-4TT81 50-59 years, male 313.7
GTEX-16NPV-2426-SM-6M482 50-59 years, female 313.1
GTEX-YB5E-2226-SM-5IFJ5 40-49 years, male 312.7
GTEX-1F75I-0526-SM-7RHI3 40-49 years, male 312.4
GTEX-1CAMR-1726-SM-793CU 20-29 years, male 310.5
GTEX-X4XX-0626-SM-3NMC1 60-69 years, male 309.2
GTEX-1JMLX-0326-SM-CM2RP 50-59 years, male 309.2
GTEX-13RTK-1626-SM-5QGQS 20-29 years, male 308.7
GTEX-1HCU9-1926-SM-9WYSE 20-29 years, male 308.7
GTEX-1QCLY-0426-SM-E8VOH 30-39 years, male 308.5
GTEX-1GF9U-2326-SM-7RHH9 40-49 years, female 308.0
GTEX-16XZZ-0526-SM-7KUF1 60-69 years, male 307.7
GTEX-X5EB-2326-SM-46MW5 40-49 years, male 307.0
GTEX-131XG-2326-SM-5HL8F 50-59 years, female 306.4
GTEX-PLZ4-0926-SM-2S1OI 50-59 years, female 306.3
GTEX-1QP28-0526-SM-E8VNR 50-59 years, female 305.4
GTEX-P44G-0526-SM-2XCD1 30-39 years, male 304.7
GTEX-1CB4E-2126-SM-793AP 60-69 years, male 304.2
GTEX-13X6I-0526-SM-5QGP8 60-69 years, male 303.9
GTEX-U412-0326-SM-3DB9L 60-69 years, male 303.9
GTEX-1CAV2-2426-SM-7P8QF 40-49 years, female 303.2
GTEX-1M5QR-1326-SM-EWROC 40-49 years, male 303.0
GTEX-1PPH7-2526-SM-E76OJ 40-49 years, male 302.2
GTEX-13FHO-0726-SM-5IJDG 60-69 years, male 301.0
GTEX-SUCS-1626-SM-32PLS 70-79 years, male 300.3
GTEX-1IDFM-1526-SM-ARL7U 60-69 years, male 299.6
GTEX-13PLJ-0326-SM-5L3I7 60-69 years, female 297.2
GTEX-13CF3-1826-SM-5J1NK 60-69 years, female 296.8
GTEX-YF7O-2526-SM-5IFJX 50-59 years, male 296.8
GTEX-15G1A-2026-SM-7KUFG 30-39 years, male 295.1
GTEX-1R46S-0326-SM-EWRNE 60-69 years, female 294.9
GTEX-QV31-1426-SM-2S1QD 30-39 years, male 294.5
GTEX-1F88E-1826-SM-9MQLV 60-69 years, female 294.4
GTEX-1LVAN-0526-SM-CNNQ1 50-59 years, female 294.4
GTEX-14DAR-1826-SM-664N1 50-59 years, male 293.9
GTEX-1JMQK-0326-SM-ARZN5 60-69 years, male 293.7
GTEX-1K2DA-2226-SM-CGQGM 50-59 years, male 293.3
GTEX-144GO-1326-SM-5Q5EL 60-69 years, male 292.1
GTEX-1GF9V-0126-SM-9WYT2 60-69 years, male 292.0
GTEX-145LS-0526-SM-5LU8Y 60-69 years, female 289.2
GTEX-R55C-1726-SM-3GADJ 40-49 years, male 287.7
GTEX-UPJH-0526-SM-4IHK8 50-59 years, male 287.4
GTEX-XUZC-2126-SM-4BRW8 30-39 years, female 286.7
GTEX-YEC3-2126-SM-4YCDB 50-59 years, male 286.6
GTEX-TMMY-0426-SM-33HBB 40-49 years, female 286.5
GTEX-1HUB1-0526-SM-CL54N 60-69 years, male 285.9
GTEX-132AR-1026-SM-5PNVL 50-59 years, female 285.5
GTEX-Q2AI-1526-SM-3GIJ3 40-49 years, male 285.4
GTEX-ZVE2-0626-SM-5GU7I 50-59 years, male 285.3
GTEX-1QP9N-1926-SM-E6CPY 30-39 years, male 285.2
GTEX-TKQ1-1426-SM-4GICK 30-39 years, male 285.1
GTEX-14BIM-0326-SM-5SI9B 60-69 years, female 284.3
GTEX-1GF9W-0526-SM-9MQJP 60-69 years, male 284.3
GTEX-X8HC-0526-SM-4E3JA 50-59 years, female 282.6
GTEX-1AX8Z-5004-SM-ARZLD 60-69 years, male 282.2
GTEX-PWN1-1626-SM-2S1OL 40-49 years, female 282.1
GTEX-13111-2226-SM-5LZUE 50-59 years, male 282.0
GTEX-1C64O-0326-SM-73KVW 60-69 years, male 281.7
GTEX-17GQL-1926-SM-718B9 60-69 years, male 280.1
GTEX-ZV7C-2426-SM-5NQ7Q 50-59 years, male 280.0
GTEX-1LG7Y-0126-SM-E6CJ8 50-59 years, male 279.3
GTEX-15DZA-2026-SM-6PANE 30-39 years, female 278.9
GTEX-13O1R-0526-SM-5K7XU 60-69 years, male 278.1
GTEX-1S5ZA-0526-SM-EWRO1 20-29 years, male 277.7
GTEX-13PVR-2526-SM-5RQIT 60-69 years, female 277.3
GTEX-1445S-0626-SM-5LU3C 60-69 years, male 277.2
GTEX-133LE-2026-SM-5K7WM 20-29 years, female 277.0
GTEX-111YS-2326-SM-5987L 60-69 years, male 276.6
GTEX-WHSB-1826-SM-3TW8M 50-59 years, male 276.4
GTEX-TML8-1826-SM-32QOR 40-49 years, female 275.8
GTEX-WHSE-0526-SM-5GZZD 20-29 years, male 274.7
GTEX-11OC5-0326-SM-5PNW5 60-69 years, male 274.6
GTEX-1MCC2-2726-SM-EWRN3 30-39 years, female 273.8
GTEX-W5WG-1926-SM-4KKZK 50-59 years, female 273.1
GTEX-13NYC-0726-SM-5J2NQ 60-69 years, male 272.9
GTEX-OXRO-1726-SM-3LK6C 60-69 years, female 272.6
GTEX-14PQA-0526-SM-7KUFS 50-59 years, female 271.4
GTEX-O5YV-2026-SM-2D7VS 60-69 years, female 271.3
GTEX-ZF29-2426-SM-DO92G 60-69 years, female 271.0
GTEX-ZLWG-2126-SM-DO91M 50-59 years, female 271.0
GTEX-1KANA-0926-SM-D3L9K 20-29 years, male 269.6
GTEX-16AAH-1826-SM-7939D 50-59 years, male 269.2
GTEX-SE5C-1826-SM-2XCE4 40-49 years, female 269.1
GTEX-ZZPU-2626-SM-5E45Y 50-59 years, female 268.9
GTEX-1CB4H-0426-SM-7MXTL 60-69 years, female 268.8
GTEX-1GMR2-2126-SM-7P8TX 50-59 years, male 268.4
GTEX-1KANC-1626-SM-E6CIA 50-59 years, female 268.3
GTEX-132Q8-0626-SM-5L3F3 60-69 years, male 267.4
GTEX-XAJ8-1026-SM-47JY9 40-49 years, male 266.4
GTEX-13OVH-0626-SM-5L3EI 70-79 years, male 264.7
GTEX-1N2EF-0526-SM-E76OK 60-69 years, male 264.2
GTEX-P4PP-1626-SM-2HMJF 30-39 years, female 263.7
GTEX-1PIEJ-0326-SM-EVYB5 20-29 years, female 262.9
GTEX-RU1J-1726-SM-2TF5S 20-29 years, female 262.4
GTEX-17HGU-0626-SM-7939Y 50-59 years, male 261.5
GTEX-14BMU-2026-SM-5S2W6 20-29 years, female 261.1
GTEX-1OFPY-2526-SM-DTXEK 60-69 years, male 260.2
GTEX-12584-0526-SM-5FQTS 40-49 years, male 259.9
GTEX-ZVT4-0326-SM-51MS5 50-59 years, female 259.9
GTEX-11XUK-2226-SM-5CVLL 40-49 years, female 259.2
GTEX-1ICG6-2726-SM-CKZPN 70-79 years, female 259.2
GTEX-14BIL-0326-SM-5SI9Q 50-59 years, male 258.8
GTEX-1R9K4-0626-SM-E76OZ 60-69 years, male 258.4
GTEX-RTLS-0526-SM-2TF64 60-69 years, female 258.3
GTEX-11O72-0326-SM-5986D 40-49 years, male 257.9
GTEX-13OVI-1726-SM-5L3DW 60-69 years, female 257.7
GTEX-QEG5-0426-SM-2I5GJ 20-29 years, male 257.5
GTEX-U4B1-1626-SM-3DB8N 40-49 years, male 257.5
GTEX-1IKK5-0426-SM-CL53X 60-69 years, male 257.2
GTEX-144GN-2426-SM-5LU4R 50-59 years, male 256.1
GTEX-1O9I2-0526-SM-EYYXI 50-59 years, male 256.0
GTEX-11EM3-2126-SM-5H11M 20-29 years, female 255.4
GTEX-1PPH8-0326-SM-E76PR 20-29 years, male 254.7
GTEX-U3ZM-1226-SM-3DB9G 40-49 years, male 254.0
GTEX-OHPK-1626-SM-2YUN3 50-59 years, female 253.0
GTEX-1ICLZ-0626-SM-ARL83 60-69 years, male 251.9
GTEX-1JN76-0326-SM-ARZNJ 20-29 years, female 251.5
GTEX-1MUQO-0226-SM-E9TJL 60-69 years, male 250.2
GTEX-14H4A-0926-SM-5ZZUU 40-49 years, female 250.1
GTEX-1F52S-0826-SM-7P8TQ 60-69 years, female 249.9
GTEX-11ZU8-2326-SM-5EQMJ 60-69 years, male 249.7
GTEX-1RB15-2226-SM-DTXFZ 60-69 years, male 247.9
GTEX-146FR-1726-SM-5Q5DT 60-69 years, female 247.4
GTEX-1211K-2126-SM-59HJZ 60-69 years, female 246.8
GTEX-WFON-2326-SM-3LK7M 40-49 years, male 246.7
GTEX-117YX-2526-SM-5EQ4Q 50-59 years, male 246.6
GTEX-1IE54-0326-SM-ARZMD 40-49 years, female 245.8
GTEX-12BJ1-2526-SM-5FQUE 60-69 years, male 245.7
GTEX-14C5O-0626-SM-664N2 60-69 years, male 245.5
GTEX-WOFL-0626-SM-3MJG3 60-69 years, male 245.1
GTEX-1A32A-0526-SM-731B9 50-59 years, female 245.0
GTEX-1B996-0326-SM-7DHMU 60-69 years, male 244.8
GTEX-1RAZQ-0426-SM-DTXFQ 30-39 years, male 244.7
GTEX-1CAMS-0126-SM-79396 40-49 years, female 243.8
GTEX-1F48J-0526-SM-9WYSX 50-59 years, female 243.5
GTEX-1GMR8-0326-SM-9KNUO 50-59 years, female 243.3
GTEX-1CB4I-0326-SM-7DHMM 50-59 years, male 243.0
GTEX-1HSMQ-1326-SM-ADEHS 50-59 years, male 242.5
GTEX-1HBPH-0826-SM-ARZNB 40-49 years, female 242.3
GTEX-13O3O-0526-SM-5J1NL 60-69 years, female 242.2
GTEX-15F5U-1826-SM-6LLJF 40-49 years, male 241.9
GTEX-1S83E-2126-SM-EWRO6 40-49 years, male 241.7
GTEX-1AMFI-2226-SM-731C6 50-59 years, female 241.6
GTEX-14PJ4-2426-SM-6EU1U 60-69 years, male 240.7
GTEX-14E1K-2326-SM-664MP 50-59 years, male 240.3
GTEX-111CU-2026-SM-5GZZC 50-59 years, male 240.2
GTEX-ZV68-0526-SM-59HKI 50-59 years, female 238.6
GTEX-13PL6-0326-SM-5IJCP 40-49 years, female 237.7
GTEX-RWSA-0726-SM-2XCBE 40-49 years, male 237.7
GTEX-U8XE-0726-SM-3DB8O 30-39 years, male 235.4
GTEX-131XE-2726-SM-5P9G7 50-59 years, male 234.7
GTEX-13JVG-0126-SM-5L3D3 60-69 years, male 234.0
GTEX-13S86-2326-SM-5RQK1 40-49 years, male 233.4
GTEX-TSE9-0526-SM-3DB7Z 60-69 years, female 233.2
GTEX-15SHU-0626-SM-7KUFH 40-49 years, female 231.9
GTEX-ZDYS-1726-SM-5HL4Y 50-59 years, male 231.2
GTEX-1MA7W-1826-SM-DIPFP 20-29 years, female 230.7
GTEX-QESD-1626-SM-2S1RB 20-29 years, male 230.5
GTEX-1HKZK-0226-SM-9WYUG 40-49 years, male 230.2
GTEX-13IVO-0626-SM-5LZYJ 70-79 years, male 229.6
GTEX-WFG8-2426-SM-3GILL 20-29 years, male 228.9
GTEX-11EQ9-2126-SM-5PNVW 30-39 years, male 228.7
GTEX-OXRN-1326-SM-3LK5V 50-59 years, male 228.2
GTEX-11ONC-2426-SM-5GU7H 60-69 years, male 227.9
GTEX-16MTA-2026-SM-7KUL3 50-59 years, male 227.6
GTEX-14753-0526-SM-5QGPR 60-69 years, male 227.3
GTEX-145ME-2026-SM-5SIA5 40-49 years, female 226.6
GTEX-14PJ6-2326-SM-6ETZR 60-69 years, female 226.0
GTEX-16NPX-0626-SM-7KULB 50-59 years, male 225.5
GTEX-ZP4G-2026-SM-57WEH 20-29 years, female 225.2
GTEX-1GF9X-2126-SM-7PBXN 40-49 years, female 225.1
GTEX-SNMC-1426-SM-2XCFM 20-29 years, male 224.7
GTEX-VJWN-0426-SM-3GIJI 50-59 years, female 224.2
GTEX-1JMPZ-0126-SM-CNPOZ 30-39 years, male 224.1
GTEX-1LGRB-2626-SM-CNPPR 50-59 years, female 224.1
GTEX-14A5I-0326-SM-5NQ9J 50-59 years, female 224.0
GTEX-1IDJE-2426-SM-ACKWF 50-59 years, female 223.8
GTEX-144GM-2026-SM-5LU3D 20-29 years, male 223.1
GTEX-ZLFU-2526-SM-DO91K 40-49 years, male 221.8
GTEX-11EMC-2626-SM-59864 60-69 years, female 221.1
GTEX-Y5LM-2126-SM-4VDSY 40-49 years, female 220.3
GTEX-15RIG-0426-SM-7KUF4 40-49 years, male 219.2
GTEX-OXRP-2326-SM-2S1NL 60-69 years, female 218.6
GTEX-1QAET-2026-SM-E9J3S 50-59 years, male 218.2
GTEX-Z9EW-1726-SM-5CVMO 40-49 years, male 218.0
GTEX-S7PM-0526-SM-3NM92 60-69 years, male 217.9
GTEX-1H1DE-1726-SM-A9G3G 20-29 years, male 217.2
GTEX-1A3MV-2026-SM-718BU 30-39 years, male 216.6
GTEX-OIZH-1626-SM-2HMKI 50-59 years, male 215.1
GTEX-13O21-1726-SM-5MR5A 50-59 years, male 215.0
GTEX-13N1W-0526-SM-5MR4I 70-79 years, male 214.8
GTEX-1N2DW-0426-SM-E9TK4 50-59 years, male 214.8
GTEX-1B97J-1226-SM-7PBZR 50-59 years, female 214.7
GTEX-1J1R8-2326-SM-CKZPS 40-49 years, male 214.7
GTEX-RU72-1326-SM-2TF6T 50-59 years, female 214.1
GTEX-XUW1-0826-SM-4BOP6 50-59 years, female 214.1
GTEX-12WSH-2526-SM-5CVNH 50-59 years, male 214.0
GTEX-ZXG5-0326-SM-5GICH 60-69 years, male 214.0
GTEX-VJYA-1926-SM-3GIJJ 60-69 years, male 213.6
GTEX-ZF3C-0326-SM-4WWBF 50-59 years, female 213.1
GTEX-QDT8-0526-SM-3NMD8 30-39 years, female 212.3
GTEX-13W46-0726-SM-5LU3Z 50-59 years, male 211.7
GTEX-1GN1U-2226-SM-9MQK1 50-59 years, female 211.5
GTEX-1H3NZ-0326-SM-9MQL6 60-69 years, male 211.1
GTEX-WRHK-1626-SM-3MJFH 20-29 years, female 210.8
GTEX-1HB9E-0326-SM-D3LA5 50-59 years, male 209.8
GTEX-17F97-0526-SM-7DUF8 50-59 years, male 208.8
GTEX-1NUQO-0726-SM-E9J3K 20-29 years, female 208.4
GTEX-183WM-0426-SM-731B1 70-79 years, female 208.1
GTEX-1497J-2626-SM-5SI9K 60-69 years, male 208.0
GTEX-13FTX-2026-SM-5L3D6 20-29 years, female 207.6
GTEX-QLQ7-1726-SM-2S1QQ 60-69 years, male 207.5
GTEX-ZY6K-2026-SM-5GZXQ 50-59 years, male 206.5
GTEX-1HCU7-0426-SM-D3L8Q 50-59 years, male 206.2
GTEX-13NZA-0526-SM-5L3D7 60-69 years, male 205.7
GTEX-1P4AB-0326-SM-EXUT3 50-59 years, male 205.2
GTEX-1GMR3-2126-SM-9WYTZ 40-49 years, male 205.1
GTEX-XOT4-0526-SM-4B66O 60-69 years, female 204.0
GTEX-1I1GT-0726-SM-B2LWN 60-69 years, female 203.7
GTEX-1K9T9-0326-SM-EWRNQ 50-59 years, female 203.6
GTEX-11ZTT-2626-SM-5EQKK 60-69 years, female 203.5
GTEX-1IDJU-2426-SM-ARZM9 60-69 years, female 203.1
GTEX-18D9U-0626-SM-7LTA4 40-49 years, male 202.6
GTEX-U3ZN-2226-SM-3DB88 30-39 years, female 202.5
GTEX-11P81-2526-SM-5GU6H 30-39 years, female 201.8
GTEX-1S82P-0326-SM-E9TIR 60-69 years, female 201.8
GTEX-17KNJ-2426-SM-7DHLR 50-59 years, male 201.6
GTEX-WWTW-0626-SM-4MVNS 50-59 years, male 201.5
GTEX-12WSL-2726-SM-5CVNL 50-59 years, male 201.3
GTEX-14AS3-2126-SM-5S2MK 40-49 years, female 201.1
GTEX-15ETS-0326-SM-6PANH 40-49 years, female 200.6
GTEX-1H2FU-0526-SM-ACKXO 60-69 years, female 199.9
GTEX-1LVAM-0326-SM-DIPFL 50-59 years, female 199.8
GTEX-12KS4-0826-SM-5BC5R 30-39 years, male 199.7
GTEX-147GR-0126-SM-62LER 60-69 years, male 198.3
GTEX-1JMQJ-0126-SM-E6CI2 50-59 years, male 198.1
GTEX-1212Z-2626-SM-5YY8P 60-69 years, male 197.7
GTEX-13YAN-0526-SM-5O9BE 60-69 years, male 197.4
GTEX-1I4MK-2326-SM-ADEHR 50-59 years, female 196.7
GTEX-1QP6S-0426-SM-DTXG4 40-49 years, male 196.2
GTEX-1EX96-1526-SM-7PBXK 50-59 years, male 196.1
GTEX-1L5NE-2226-SM-CXZKS 50-59 years, male 195.4
GTEX-17F96-2726-SM-7LT9F 70-79 years, male 195.2
GTEX-1PPGY-0426-SM-DTXFE 60-69 years, male 194.4
GTEX-YFC4-1026-SM-5RQJM 40-49 years, female 194.1
GTEX-1JN6P-0526-SM-COH33 60-69 years, male 193.3
GTEX-QEL4-0626-SM-3GIJM 50-59 years, male 192.4
GTEX-14PII-0626-SM-69LPY 60-69 years, male 191.8
GTEX-1RQED-0426-SM-E6CJP 60-69 years, male 191.8
GTEX-1S82U-1426-SM-E6CJL 30-39 years, female 191.6
GTEX-Q2AH-1826-SM-2S1Q2 40-49 years, male 191.2
GTEX-1GZ2Q-0426-SM-9WPOU 40-49 years, male 190.9
GTEX-1AMEY-1526-SM-73KYW 30-39 years, female 190.7
GTEX-1HCVE-0326-SM-CGQEW 50-59 years, male 190.4
GTEX-PLZ5-1726-SM-2I5F6 50-59 years, male 190.1
GTEX-13O61-2326-SM-5J1NJ 60-69 years, male 190.0
GTEX-ZTX8-1626-SM-51MRY 20-29 years, male 190.0
GTEX-16MT8-0326-SM-6PAM5 60-69 years, female 189.5
GTEX-1LNCM-1226-SM-E9U5C 50-59 years, female 189.0
GTEX-17EVQ-1226-SM-7LG59 70-79 years, male 188.9
GTEX-139T6-2026-SM-5IFFL 50-59 years, male 187.3
GTEX-18D9A-1826-SM-718BK 30-39 years, female 186.9
GTEX-11EI6-0326-SM-5EQ6G 60-69 years, male 185.9
GTEX-1LSNM-2326-SM-EWRO8 50-59 years, male 185.9
GTEX-OIZF-1626-SM-2YUNE 60-69 years, male 185.9
GTEX-17F9E-0226-SM-79OKK 50-59 years, male 185.8
GTEX-Y9LG-1926-SM-5IFHY 30-39 years, male 185.6
GTEX-PSDG-0426-SM-5SI86 50-59 years, male 184.7
GTEX-12WSM-0326-SM-5LZVI 60-69 years, male 184.5
GTEX-R55D-0626-SM-3GAD5 50-59 years, male 184.5
GTEX-XQ3S-0426-SM-4BOOA 20-29 years, male 184.5
GTEX-139TS-2626-SM-5J1MT 60-69 years, male 184.4
GTEX-OHPL-1626-SM-2HMIR 60-69 years, female 184.4
GTEX-1FIGZ-1726-SM-9MQKS 40-49 years, male 184.4
GTEX-1C2JI-2126-SM-793CG 50-59 years, male 184.1
GTEX-17HII-0426-SM-793A3 50-59 years, male 183.9
GTEX-1CAMQ-0326-SM-7MXUI 40-49 years, male 183.6
GTEX-1QP2A-0526-SM-E8VN5 50-59 years, male 183.3
GTEX-13QIC-1226-SM-5K7YR 60-69 years, female 183.1
GTEX-Y8E4-1026-SM-4VBQ5 40-49 years, male 182.9
GTEX-RNOR-0526-SM-2TF4O 50-59 years, female 182.6
GTEX-1E2YA-0526-SM-7P8RY 50-59 years, male 182.2
GTEX-11P82-1826-SM-5PNYJ 20-29 years, male 181.8
GTEX-1PIGE-0226-SM-E76OT 20-29 years, male 181.7
GTEX-113JC-2726-SM-5EGIS 50-59 years, female 181.6
GTEX-11GSO-2526-SM-5PNVX 60-69 years, male 181.6
GTEX-1GPI7-0426-SM-7RHHP 20-29 years, male 181.4
GTEX-1GN2E-0726-SM-9MQLU 60-69 years, male 181.0
GTEX-1ICLY-0326-SM-ARL7S 50-59 years, male 180.1
GTEX-15SKB-2526-SM-6PALP 60-69 years, male 179.6
GTEX-OXRL-1626-SM-2YUMU 50-59 years, male 179.3
GTEX-1JMQI-2126-SM-CM2SC 50-59 years, male 179.3
GTEX-1MCQQ-0626-SM-E9U5Q 60-69 years, male 179.2
GTEX-11P7K-1926-SM-5GU6R 30-39 years, male 179.1
GTEX-15G19-0526-SM-6PAMT 60-69 years, male 179.0
GTEX-1IDJF-0326-SM-ADEIG 20-29 years, male 178.7
GTEX-PWCY-2026-SM-5SI8R 20-29 years, female 178.5
GTEX-X4EO-0526-SM-3P5Z3 60-69 years, female 177.9
GTEX-14DAQ-0326-SM-664MR 60-69 years, female 177.5
GTEX-ZVE1-0526-SM-5NQ71 50-59 years, female 177.5
GTEX-15EO6-2826-SM-6PANB 50-59 years, male 177.1
GTEX-ZZ64-1526-SM-5E43K 20-29 years, male 177.1
GTEX-P78B-1626-SM-5SI85 40-49 years, female 176.5
GTEX-139UW-2626-SM-5K7W1 60-69 years, male 175.7
GTEX-11EQ8-0526-SM-5N9BC 60-69 years, male 174.2
GTEX-T2IS-2626-SM-32QPP 20-29 years, female 173.8
GTEX-18465-0326-SM-7LTAD 50-59 years, male 173.6
GTEX-1JKYR-0326-SM-CNPOL 20-29 years, male 173.6
GTEX-18D9B-0426-SM-7LTAR 60-69 years, male 173.4
GTEX-139T4-0326-SM-5K7XN 50-59 years, female 173.3
GTEX-18A7B-0326-SM-7LG65 70-79 years, male 173.2
GTEX-OHPN-2726-SM-2I5H4 60-69 years, female 172.5
GTEX-139T8-0526-SM-5KLZL 60-69 years, male 172.1
GTEX-1R9JW-2426-SM-DTXFI 30-39 years, female 172.0
GTEX-139D8-0726-SM-5P9GJ 30-39 years, female 171.9
GTEX-RM2N-1626-SM-2TF5N 50-59 years, male 171.4
GTEX-XGQ4-2326-SM-4AT53 50-59 years, male 171.4
GTEX-1QP67-1826-SM-DTX8D 40-49 years, female 171.1
GTEX-1KXAM-2426-SM-DIPFC 60-69 years, male 170.6
GTEX-1AX9J-0126-SM-73KY2 60-69 years, male 170.5
GTEX-13JUV-2326-SM-5IJCE 40-49 years, female 170.4
GTEX-1I6K6-0326-SM-CJI4A 30-39 years, male 170.3
GTEX-1N2DV-0526-SM-DTX8W 40-49 years, male 169.8
GTEX-WHPG-2226-SM-3NMBO 50-59 years, male 169.5
GTEX-1KAFJ-2326-SM-D3L8Z 50-59 years, male 169.4
GTEX-139TT-0426-SM-5IJFA 60-69 years, male 169.3
GTEX-ZAB4-0426-SM-5HL7N 40-49 years, male 169.2
GTEX-13112-2626-SM-5BC66 50-59 years, male 169.0
GTEX-1B933-0426-SM-7DHMC 50-59 years, female 168.7
GTEX-T8EM-1326-SM-3DB7G 40-49 years, male 168.1
GTEX-1QP66-1626-SM-E76PC 50-59 years, male 167.9
GTEX-12WSG-5016-SM-7SB84 50-59 years, female 167.8
GTEX-15CHR-2426-SM-7DUFX 50-59 years, male 167.3
GTEX-18A67-0326-SM-7LG5X 50-59 years, male 167.1
GTEX-131XF-2326-SM-5BC6B 60-69 years, male 166.7
GTEX-12WSN-2526-SM-5LZU8 40-49 years, male 166.6
GTEX-1IDJC-2026-SM-ADEIK 50-59 years, male 166.4
GTEX-1R7EU-0626-SM-DTX9N 60-69 years, male 166.4
GTEX-WZTO-0826-SM-3NM8Q 40-49 years, male 166.3
GTEX-11ZVC-2726-SM-5FQSZ 50-59 years, female 166.1
GTEX-XMD2-0526-SM-4YCDI 60-69 years, female 166.1
GTEX-1H3O1-0626-SM-9MQM4 60-69 years, male 166.0
GTEX-14PJN-2126-SM-6AJBM 30-39 years, male 165.6
GTEX-13OW8-1426-SM-5IJDT 60-69 years, male 165.1
GTEX-WFG7-2226-SM-3GIKP 20-29 years, male 165.1
GTEX-1313W-0526-SM-5P9FZ 50-59 years, female 164.7
GTEX-ZC5H-0326-SM-5HL9F 40-49 years, female 164.3
GTEX-131XH-2726-SM-5GCO2 50-59 years, male 164.2
GTEX-11UD1-0326-SM-5EQKX 40-49 years, female 161.4
GTEX-12ZZZ-0226-SM-59HKU 60-69 years, male 160.5
GTEX-OIZI-0626-SM-2XCEH 40-49 years, male 160.4
GTEX-V1D1-2426-SM-3GAER 50-59 years, male 159.6
GTEX-YEC4-2226-SM-5IFJT 40-49 years, male 159.6
GTEX-1QW4Y-1726-SM-EWRN1 30-39 years, male 159.3
GTEX-1I6K7-0326-SM-B2LXO 40-49 years, male 159.2
GTEX-Y111-0326-SM-4SOIX 50-59 years, male 158.8
GTEX-1AX9K-2726-SM-7DHMA 50-59 years, male 158.6
GTEX-145MH-0326-SM-5LU8H 50-59 years, male 157.9
GTEX-11LCK-1226-SM-5Q5AM 30-39 years, male 157.4
GTEX-OXRK-1826-SM-2HMJE 50-59 years, female 157.1
GTEX-15RIE-2426-SM-7KUDS 60-69 years, male 157.0
GTEX-13PDP-0326-SM-5K7XP 60-69 years, male 155.4
GTEX-ZPCL-2026-SM-57WFD 60-69 years, female 154.3
GTEX-1H11D-0326-SM-9WG71 40-49 years, male 154.0
GTEX-PLZ6-1526-SM-2S1OC 30-39 years, male 153.8
GTEX-14LZ3-0626-SM-5ZZWP 60-69 years, female 152.8
GTEX-111FC-0326-SM-5GZZ1 60-69 years, male 152.4
GTEX-13NYB-2726-SM-5J2MT 40-49 years, male 151.2
GTEX-1KD5A-0726-SM-DIPEO 50-59 years, male 150.9
GTEX-1R9PO-2426-SM-EVYBS 60-69 years, female 150.9
GTEX-11VI4-1926-SM-5CVLI 40-49 years, female 150.7
GTEX-1JMPY-1226-SM-CJI3A 30-39 years, male 150.5
GTEX-RWS6-2126-SM-2XCAV 60-69 years, female 150.3
GTEX-1GZ4H-1626-SM-7PC3F 50-59 years, female 149.9
GTEX-1HSKV-0126-SM-E6CI1 60-69 years, male 149.3
GTEX-15SDE-2326-SM-6PAL4 50-59 years, female 149.2
GTEX-1LVA9-0326-SM-DLHBU 50-59 years, male 149.2
GTEX-17EVP-1326-SM-7DHMR 40-49 years, male 149.1
GTEX-18A66-0126-SM-731CQ 60-69 years, male 148.9
GTEX-11GSP-2726-SM-5A5LJ 60-69 years, female 148.7
GTEX-13RTL-0326-SM-7LT89 40-49 years, male 148.7
GTEX-QXCU-1726-SM-2TC6L 50-59 years, male 148.0
GTEX-117YW-2426-SM-5Q5AE 50-59 years, male 147.0
GTEX-1269C-2626-SM-5EQ5C 60-69 years, female 147.0
GTEX-13OVK-1926-SM-6M48G 40-49 years, male 147.0
GTEX-13N11-2726-SM-5L3ER 50-59 years, female 146.5
GTEX-1IDJD-1326-SM-CM2TQ 30-39 years, male 145.8
GTEX-1314G-1726-SM-5LZUX 30-39 years, male 145.7
GTEX-1EU9M-0126-SM-7P8P8 60-69 years, male 145.6
GTEX-1I1GQ-0326-SM-A9SKS 50-59 years, male 145.6
GTEX-13NZB-2626-SM-5J2M7 30-39 years, male 145.4
GTEX-13X6K-0326-SM-5Q5D6 60-69 years, female 145.1
GTEX-1H1CY-2726-SM-9MQLR 60-69 years, female 144.8
GTEX-11ZTS-0526-SM-5CVL9 60-69 years, female 144.0
GTEX-15ER7-0226-SM-7KUEU 20-29 years, female 143.8
GTEX-1S82Y-2226-SM-EWRNV 40-49 years, male 143.8
GTEX-17EUY-0626-SM-793BE 20-29 years, male 143.7
GTEX-ZEX8-2526-SM-DO92M 50-59 years, male 143.7
GTEX-15DCD-0626-SM-7KUG7 70-79 years, female 143.3
GTEX-17MF6-2026-SM-7LG5I 40-49 years, male 143.2
GTEX-1GN73-0126-SM-CNPPT 60-69 years, male 141.8
GTEX-1B8KE-2226-SM-7939K 50-59 years, male 140.6
GTEX-1B932-0526-SM-73KU7 40-49 years, female 140.4
GTEX-147F3-0226-SM-5NQBV 50-59 years, female 140.2
GTEX-YFCO-1926-SM-4W212 40-49 years, male 140.1
GTEX-1C4CL-0326-SM-7DHMH 30-39 years, male 139.2
GTEX-11ZUS-1426-SM-5FQSP 30-39 years, male 138.4
GTEX-147F4-0326-SM-5TDCK 50-59 years, male 138.1
GTEX-UTHO-0726-SM-3GAEN 60-69 years, male 138.0
GTEX-1KWVE-0926-SM-CXZKP 30-39 years, male 137.4
GTEX-18QFQ-0326-SM-731C3 30-39 years, male 137.2
GTEX-1JKYN-1826-SM-ARZMZ 30-39 years, male 137.2
GTEX-13D11-2526-SM-5KM28 50-59 years, female 136.5
GTEX-13X6H-2326-SM-7EWEB 50-59 years, female 136.1
GTEX-1A8FM-0526-SM-7P8SF 50-59 years, female 135.9
GTEX-ZE9C-2326-SM-5J1NT 60-69 years, male 135.8
GTEX-1RQEC-0126-SM-E9J2H 60-69 years, male 135.5
GTEX-1J1OQ-0426-SM-A9SLI 40-49 years, female 135.1
GTEX-13O3Q-2726-SM-5KM51 50-59 years, male 134.8
GTEX-1F7RK-0326-SM-7RHH7 20-29 years, female 134.1
GTEX-ZAB5-2126-SM-5K7UN 50-59 years, male 133.8
GTEX-1LSNL-0126-SM-EWRNR 50-59 years, male 133.7
GTEX-11PRG-0326-SM-5GU53 50-59 years, male 133.6
GTEX-132NY-0726-SM-5KLZM 60-69 years, male 133.5
GTEX-11NSD-2026-SM-5HL5U 20-29 years, male 133.4
GTEX-SIU8-0526-SM-2XCDP 50-59 years, male 133.3
GTEX-WL46-0626-SM-3LK7R 50-59 years, male 133.2
GTEX-139TU-0526-SM-5J2M8 60-69 years, male 132.9
GTEX-1RAZR-0326-SM-EWRNM 40-49 years, male 132.6
GTEX-1A8G7-0326-SM-72D5B 60-69 years, male 132.3
GTEX-OIZG-1326-SM-2HMIQ 50-59 years, male 131.8
GTEX-13SLX-0326-SM-5Q5E4 50-59 years, female 131.5
GTEX-ZVTK-0626-SM-5GU6Y 20-29 years, male 131.2
GTEX-RN64-0326-SM-2TC5J 50-59 years, male 130.9
GTEX-XBEC-0626-SM-4QARY 50-59 years, male 130.8
GTEX-V955-2426-SM-3GAEF 60-69 years, male 130.7
GTEX-13QJ3-0726-SM-5SI68 50-59 years, male 130.5
GTEX-17HHE-2126-SM-7DHLO 50-59 years, male 130.3
GTEX-1AX9I-0326-SM-73KXQ 60-69 years, male 129.8
GTEX-1LG7Z-2126-SM-CXKYU 30-39 years, male 129.3
GTEX-1R9PM-2226-SM-E8VOC 20-29 years, male 129.1
GTEX-13FHP-0526-SM-5K7UY 50-59 years, male 128.8
GTEX-145MG-0226-SM-5TDDB 50-59 years, male 128.3
GTEX-NFK9-0626-SM-2HMIV 40-49 years, male 128.1
GTEX-1F6I4-0326-SM-7P8T8 60-69 years, male 128.0
GTEX-16YQH-0426-SM-7KUL7 30-39 years, male 127.5
GTEX-QEG4-0626-SM-2S1OY 30-39 years, male 127.3
GTEX-15RJ7-2426-SM-6M48L 40-49 years, male 127.0
GTEX-12WSD-0526-SM-5EQ6F 60-69 years, female 126.9
GTEX-131YS-0526-SM-5EGKJ 60-69 years, female 126.7
GTEX-15D79-0526-SM-6ETZP 50-59 years, male 126.4
GTEX-147JS-0526-SM-5TDD3 60-69 years, male 126.3
GTEX-1HT8W-0326-SM-CM2SG 30-39 years, male 125.8
GTEX-TMZS-0326-SM-3DB9P 60-69 years, male 125.2
GTEX-1PBJJ-0326-SM-E8VNT 30-39 years, male 125.0
GTEX-1I1GP-2126-SM-CKZPJ 50-59 years, male 124.8
GTEX-1GPI6-0326-SM-9MQM6 60-69 years, male 124.6
GTEX-1C475-1726-SM-73KVX 40-49 years, female 124.4
GTEX-13CF2-2726-SM-5LZWW 60-69 years, male 124.2
GTEX-QLQW-1326-SM-2S1QS 30-39 years, male 124.1
GTEX-12WSF-0926-SM-6PALU 70-79 years, male 124.0
GTEX-1HSGN-0326-SM-ACKXQ 40-49 years, female 124.0
GTEX-1IKJJ-0326-SM-CL55L 60-69 years, male 124.0
GTEX-12ZZY-0626-SM-5EQ5T 60-69 years, male 123.6
GTEX-ZAK1-0526-SM-5K7X4 50-59 years, female 123.1
GTEX-117XS-2526-SM-5H11G 60-69 years, male 123.0
GTEX-1E1VI-0426-SM-7DHN1 50-59 years, male 122.8
GTEX-139YR-2526-SM-5IJC6 50-59 years, male 122.5
GTEX-1J8JJ-0126-SM-D3L93 60-69 years, female 122.4
GTEX-POMQ-1926-SM-3NB1Y 20-29 years, female 122.3
GTEX-N7MS-0426-SM-2YUN6 60-69 years, male 122.2
GTEX-WYVS-2326-SM-3NMAI 40-49 years, female 121.9
GTEX-1GMRU-0326-SM-9WYT6 50-59 years, male 121.9
GTEX-1H3VE-0126-SM-9WYTW 40-49 years, male 121.8
GTEX-S33H-2226-SM-DKPOP 30-39 years, male 121.6
GTEX-11GS4-2526-SM-5A5KT 60-69 years, male 121.4
GTEX-ZF28-0526-SM-4WKGW 60-69 years, male 121.4
GTEX-18A7A-0626-SM-718BJ 50-59 years, female 121.2
GTEX-13SLW-0326-SM-5RQK5 70-79 years, male 120.7
GTEX-14ICL-1926-SM-5RQIZ 30-39 years, male 120.7
GTEX-15SB6-1826-SM-6PALN 50-59 years, female 120.6
GTEX-1GZ4I-0526-SM-9YFLX 50-59 years, male 120.5
GTEX-1IKOH-0126-SM-COH4D 60-69 years, female 120.5
GTEX-1EMGI-0326-SM-9MQM5 60-69 years, male 118.9
GTEX-ZVT3-0526-SM-5GIE9 60-69 years, female 118.5
GTEX-1HCUA-2326-SM-ACKVJ 50-59 years, female 118.1
GTEX-14JG1-0126-SM-5ZZUP 40-49 years, male 118.0
GTEX-Y8E5-0326-SM-57WBM 60-69 years, male 117.9
GTEX-1M4P7-0126-SM-DKPQF 60-69 years, male 117.3
GTEX-Y3IK-2626-SM-4WWDK 50-59 years, female 117.1
GTEX-131XW-0326-SM-5KM1J 50-59 years, female 116.2
GTEX-1192X-0426-SM-5GIEE 50-59 years, male 116.1
GTEX-145MN-2426-SM-5NQA5 30-39 years, male 116.1
GTEX-U3ZH-1926-SM-4DXTR 30-39 years, male 115.7
GTEX-QV44-2026-SM-2S1RD 50-59 years, male 115.6
GTEX-13OVG-2126-SM-5KM1K 60-69 years, male 114.9
GTEX-1LVAO-0526-SM-EWRNS 60-69 years, male 114.9
GTEX-13OW6-0626-SM-5L3IB 50-59 years, male 114.3
GTEX-1AYD5-2226-SM-73KX3 50-59 years, male 114.2
GTEX-P4PQ-1626-SM-2HMKK 60-69 years, male 113.5
GTEX-Z93S-1326-SM-5CVMR 50-59 years, male 113.5
GTEX-111VG-2626-SM-5GZY2 60-69 years, male 113.4
GTEX-1RAZA-0526-SM-E76R2 20-29 years, male 112.9
GTEX-WYJK-1726-SM-3NM9U 50-59 years, male 112.5
GTEX-13FTZ-2226-SM-5LZXI 60-69 years, male 111.4
GTEX-18A6Q-0326-SM-718AT 60-69 years, male 111.1
GTEX-13NZ9-0626-SM-5IJCO 50-59 years, male 111.0
GTEX-1IL2V-0526-SM-ARL8B 70-79 years, male 110.9
GTEX-1MJIX-2126-SM-E9J3A 40-49 years, male 110.7
GTEX-P4QT-1626-SM-DHXIR 50-59 years, female 110.7
GTEX-17HG3-2726-SM-7DHL5 30-39 years, female 110.1
GTEX-1B8L1-2726-SM-793AL 60-69 years, male 109.7
GTEX-11WQC-2626-SM-5CVLF 60-69 years, male 108.9
GTEX-1EN7A-0326-SM-7P8T1 40-49 years, male 108.7
GTEX-16GPK-0526-SM-7KUER 60-69 years, male 108.3
GTEX-1I1HK-0326-SM-ACKW5 60-69 years, male 108.3
GTEX-1JJEA-0126-SM-D3L8A 60-69 years, male 108.0
GTEX-14PJM-0426-SM-5ZZVN 50-59 years, female 107.9
GTEX-R55E-0526-SM-2TC6B 20-29 years, male 107.7
GTEX-SJXC-0526-SM-2XCFG 60-69 years, male 107.4
GTEX-1I1GV-0126-SM-CL55G 60-69 years, male 107.3
GTEX-PW2O-1726-SM-2S1OO 20-29 years, male 107.2
GTEX-14PJ2-0326-SM-6EU2Q 50-59 years, male 106.3
GTEX-13N2G-2326-SM-5J1ON 60-69 years, male 106.0
GTEX-12ZZX-0326-SM-5DUVH 40-49 years, female 105.9
GTEX-1QMI2-0526-SM-DTXFU 60-69 years, male 105.8
GTEX-12WSC-0326-SM-5EQ5E 50-59 years, male 105.7
GTEX-1KD4Q-0326-SM-E9TJA 40-49 years, male 105.7
GTEX-OOBJ-1626-SM-2I3F7 60-69 years, male 105.6
GTEX-16NGA-1926-SM-7LTA6 40-49 years, female 105.4
GTEX-13VXU-0326-SM-5LU36 50-59 years, male 105.2
GTEX-Q2AG-0426-SM-2S1PU 40-49 years, female 105.1
GTEX-183FY-0226-SM-7LG54 20-29 years, male 104.9
GTEX-1EWIQ-0626-SM-7PBYW 70-79 years, female 104.9
GTEX-QDVJ-1926-SM-2S1PJ 50-59 years, male 103.4
GTEX-1F88F-2526-SM-7PC2R 60-69 years, female 103.2
GTEX-11DXZ-2426-SM-5N9DT 50-59 years, male 103.0
GTEX-13OW7-0326-SM-5J1MP 50-59 years, male 102.5
GTEX-XUYS-0326-SM-47JX2 50-59 years, male 102.3
GTEX-1BAJH-0126-SM-7DHMF 70-79 years, male 101.6
GTEX-15CHQ-0726-SM-6EU18 60-69 years, male 101.5
GTEX-16XZY-2226-SM-7938N 70-79 years, male 101.1
GTEX-15SHW-0726-SM-7KUEI 60-69 years, male 101.0
GTEX-1399R-2526-SM-5IFG2 30-39 years, male 100.4
GTEX-1HFI6-0426-SM-B2LXB 40-49 years, male 100.2
GTEX-YBZK-0326-SM-59HLN 50-59 years, female 100.0
GTEX-SSA3-0326-SM-32QPS 60-69 years, male 99.5
GTEX-Q734-2026-SM-3GADA 40-49 years, female 99.0
GTEX-WOFM-1326-SM-3MJFR 20-29 years, male 98.9
GTEX-1GZHY-0126-SM-9WYUQ 50-59 years, female 97.5
GTEX-1A8G6-0126-SM-7DUFY 60-69 years, male 97.4
GTEX-T6MN-0526-SM-32PMS 50-59 years, male 97.0
GTEX-11DXW-0726-SM-5H12J 40-49 years, male 96.1
GTEX-14E6D-0326-SM-62LDX 50-59 years, male 95.9
GTEX-ZDTS-0526-SM-4WKH9 60-69 years, male 95.6
GTEX-Y8DK-0326-SM-4TT3P 60-69 years, male 95.3
GTEX-1LB8K-0126-SM-EVYCN 50-59 years, male 95.2
GTEX-1B8KZ-2126-SM-73KYG 50-59 years, male 94.9
GTEX-12C56-1926-SM-5FQUG 20-29 years, male 94.7
GTEX-1C64N-0326-SM-7P8QC 50-59 years, male 94.5
GTEX-11NV4-0326-SM-5HL58 60-69 years, male 94.1
GTEX-1HBPN-0526-SM-A9SM6 50-59 years, male 94.1
GTEX-1HBPI-0226-SM-ADEJ7 50-59 years, male 94.0
GTEX-14JIY-0426-SM-62LF7 60-69 years, male 93.5
GTEX-YJ8O-2826-SM-5CVM4 40-49 years, female 93.5
GTEX-17JCI-0326-SM-7LG5H 60-69 years, female 93.4
GTEX-1GN1V-0326-SM-9WYTO 60-69 years, male 93.3
GTEX-145LU-2026-SM-5Q5E8 50-59 years, male 93.1
GTEX-13PL7-0626-SM-5IJCD 60-69 years, female 92.9
GTEX-1IDJH-0226-SM-CYPSB 70-79 years, male 92.9
GTEX-13FTY-0226-SM-5IJBW 40-49 years, female 92.6
GTEX-R53T-1826-SM-3GIJX 50-59 years, female 92.6
GTEX-1F75W-0326-SM-7PC2Q 60-69 years, male 92.4
GTEX-1I1GR-0326-SM-CKZPI 60-69 years, male 92.0
GTEX-14BMV-0326-SM-5RQHW 50-59 years, male 91.9
GTEX-17MFQ-1926-SM-793A6 20-29 years, male 91.1
GTEX-144GL-0326-SM-5QGOY 50-59 years, male 90.8
GTEX-14A6H-5019-SM-793DH 30-39 years, male 90.8
GTEX-YECK-0626-SM-4W1ZE 60-69 years, male 90.7
GTEX-ZE7O-0326-SM-51MTH 50-59 years, female 89.8
GTEX-1PIIG-0126-SM-E9J46 30-39 years, male 89.1
GTEX-X638-0326-SM-47JY1 70-79 years, female 88.8
GTEX-ZAKK-0326-SM-5EGHA 70-79 years, male 88.6
GTEX-ZYFC-0526-SM-5GIDF 50-59 years, male 87.2
GTEX-1IGQW-0526-SM-CKZO3 60-69 years, male 87.0
GTEX-11DXY-2726-SM-5GID2 60-69 years, male 86.8
GTEX-U3ZG-0326-SM-47JXN 50-59 years, male 86.8
GTEX-ZA64-2026-SM-5PNXT 20-29 years, male 86.6
GTEX-TKQ2-0826-SM-33HB6 50-59 years, male 86.1
GTEX-1IL2U-0726-SM-EAZ2Y 60-69 years, male 85.9
GTEX-1399T-2426-SM-5L3FJ 60-69 years, male 85.8
GTEX-VUSG-2626-SM-4KKZI 50-59 years, male 85.4
GTEX-11NUK-0226-SM-5A5L4 50-59 years, male 84.6
GTEX-ZF2S-2126-SM-4WWAY 50-59 years, female 83.5
GTEX-12126-0526-SM-5PNW4 20-29 years, male 82.9
GTEX-ZQUD-1726-SM-7P8ON 30-39 years, male 82.9
GTEX-1H4P4-0626-SM-9YFKZ 50-59 years, male 82.5
GTEX-13OVL-1426-SM-5IJC1 50-59 years, male 82.3
GTEX-ZYT6-1626-SM-5E45R 30-39 years, male 81.6
GTEX-WK11-2526-SM-3NM9Y 50-59 years, male 80.8
GTEX-1F6IF-0226-SM-7PBZ6 60-69 years, male 79.9
GTEX-1399Q-2426-SM-5J2MO 40-49 years, male 79.8
GTEX-13G51-2726-SM-5LZZ9 60-69 years, male 79.8
GTEX-1CB4G-0426-SM-7MXUN 60-69 years, male 79.4
GTEX-1J8EW-0326-SM-CYPSX 60-69 years, female 79.0
GTEX-17HHY-0326-SM-7938H 50-59 years, male 78.8
GTEX-1IOXB-0326-SM-CL55M 50-59 years, male 78.4
GTEX-13X6J-0326-SM-7EPGD 50-59 years, male 78.1
GTEX-1IY9M-0326-SM-ARZMN 60-69 years, male 77.9
GTEX-ZUA1-0326-SM-5NQA3 40-49 years, male 77.1
GTEX-13U4I-1826-SM-5IJD2 40-49 years, female 76.9
GTEX-Y5V5-2526-SM-4VBQ4 60-69 years, female 76.5
GTEX-1C6VR-2526-SM-7DHMT 60-69 years, male 74.3
GTEX-16Z82-0126-SM-7DHLF 60-69 years, male 72.2
GTEX-1B8SF-0426-SM-79OL4 60-69 years, male 71.0
GTEX-1LBAC-0326-SM-DIPF1 20-29 years, male 71.0
GTEX-WRHU-0826-SM-3MJFN 50-59 years, female 70.7
GTEX-1F75A-0626-SM-7PBYI 50-59 years, male 67.5
GTEX-ZT9X-1826-SM-57WDU 40-49 years, male 67.3
GTEX-ZDXO-0326-SM-4WKHJ 60-69 years, male 66.7
GTEX-1QEPI-0526-SM-E76QF 60-69 years, female 66.0
GTEX-1KANB-0126-SM-E6CJT 50-59 years, male 64.1
GTEX-ZVZO-0326-SM-5HL4N 40-49 years, male 62.7
GTEX-11OF3-2526-SM-5P9JL 60-69 years, male 60.9
GTEX-1R9K5-0326-SM-EWRNG 50-59 years, male 60.2
GTEX-QVJO-0126-SM-3GIK4 60-69 years, female 59.8
GTEX-14ABY-0126-SM-62LDI 50-59 years, male 59.4
GTEX-PX3G-1626-SM-2S1PT 20-29 years, female 58.9
GTEX-13FXS-0326-SM-5K7TV 50-59 years, male 58.5
GTEX-X88G-0326-SM-47JZ4 30-39 years, male 56.0
GTEX-14ASI-0526-SM-5QGQP 60-69 years, male 48.6
GTEX-146FQ-0326-SM-5NQAX 30-39 years, male 47.1
GTEX-1CB4F-0326-SM-9MQKD 60-69 years, male 40.9
Show allShow less

SKELETAL MUSCLE - FANTOM5 CAGEi

RNA expression in human tissues obtained through Cap Analysis of Gene Expression (CAGE) generated by the FANTOM5 project are reported as Scaled Tags Per Million.

Max subtype Scaled Tags Per Millioni

Max subtype Scaled Tags Per Million is the value for the subtype with the largest average Scaled Tags Per Million across the subtype samples.

49.0
FANTOM5 sample id Sample description Scaled Tags Per Million
Skeletal muscle
Scaled Tags Per Million: 22.4
FF:10023-101D5 55,79,79 years, mixed 22.4
Skeletal muscle - soleus muscle
Scaled Tags Per Million: 49.0
FF:10282-104F3 male 49.0

Contact

  • NEWS ARTICLES
  • PRESS ROOM

The Project

  • INTRODUCTION
  • ORGANIZATION
  • PUBLICATIONS

The Human Protein Atlas

  • DOWNLOADABLE DATA
  • LICENCE & CITATION
  • HELP & FAQ
The Human Protein Atlas project is funded
by the Knut & Alice Wallenberg Foundation.


contact@proteinatlas.org