We use cookies to enhance the usability of our website. If you continue, we'll assume that you are happy to receive all cookies. More information. Don't show this again.
S100B
HPA
RESOURCES
  • TISSUE
  • BRAIN
  • SINGLE CELL
  • SUBCELLULAR
  • CANCER
  • BLOOD
  • CELL LINE
  • STRUCTURE & INTERACTION
ABOUT
  • INTRODUCTION
  • HISTORY
  • ORGANIZATION
  • PUBLICATIONS
  • ANTIBODY SUBMISSION
  • ANTIBODY AVAILABILITY
  • ACKNOWLEDGMENTS
  • CONTACT
NEWS
  • NEWS ARTICLES
  • PRESS ROOM
LEARN
  • DICTIONARY
  • PROTEIN CLASSES
  • PROTEIN EVIDENCE
  • METHODS
  • EDUCATIONAL VIDEOS
DATA
  • DOWNLOADABLE DATA
  • PUBLICATION DATA
  • RELEASE HISTORY
HELP
  • ANTIBODY VALIDATION
  • ASSAYS & ANNOTATION
  • DISCLAIMER
  • HELP & FAQ
  • PRIVACY STATEMENT
  • LICENCE & CITATION
Fields »
Search result

Field
Term
Gene name
Class
Subclass
Class
Keyword
Chromosome
External id
Tissue
Cell type
Expression
Antibody panel
Tissue
Main location
Patient ID
Annotation
Tissue
Category
Tau score
Cluster
Reliability
Brain region
Category
Tau score
Brain region
Category
Tau score
Brain region
Category
Tau score
Cluster
Reliability
Tissue
Cell type
Enrichment
Cell type
Category
Tau score
Cell type
Category
Tau score
Cell type
Category
Tau score
Cell lineage
Category
Tau score
Cluster
Cluster
Location
Searches
Location
Cell line
Class
Type
Phase
Reliability
Cancer
Prognosis
Cancer
Category
Cancer
Category
Tau score
Cluster
Variants
Interacting gene (ensg_id)
Type
Number of interactions
Pathway
Category
Score
Score
Score
Validation
Validation
Validation
Validation
Antibodies
Data type
Column


  • SUMMARY

  • TISSUE

  • BRAIN

  • SINGLE CELL

  • SUBCELL

  • CANCER

  • BLOOD

  • CELL LINE

  • STRUCT & INT

  • S100B
TISSUE PRIMARY DATA BREAST Show tissue menu
ADIPOSE TISSUE ADRENAL GLAND AMYGDALA APPENDIX BASAL GANGLIA BONE MARROW BREAST BRONCHUS CEREBELLUM CEREBRAL CORTEX CERVIX CHOROID PLEXUS COLON DUODENUM
ENDOMETRIUM EPIDIDYMIS ESOPHAGUS FALLOPIAN TUBE GALLBLADDER HEART MUSCLE HIPPOCAMPAL FORMATION HYPOTHALAMUS KIDNEY LIVER LUNG LYMPH NODE MIDBRAIN NASOPHARYNX
ORAL MUCOSA OVARY PANCREAS PARATHYROID GLAND PITUITARY GLAND PLACENTA PROSTATE RECTUM RETINA SALIVARY GLAND SEMINAL VESICLE SKELETAL MUSCLE SKIN SMALL INTESTINE
SMOOTH MUSCLE SOFT TISSUE SPINAL CORD SPLEEN STOMACH TESTIS THYMUS THYROID GLAND TONGUE TONSIL URINARY BLADDER VAGINA
ANTIBODIES
AND
VALIDATION
Dictionary
Breast
Tissue proteome
Breast
BREAST - Expression summary
Protein expression
Breasti

On the top, protein expression in current human tissue, based on all annotated cell types, is reported with the units not detected (n), low (l), medium (m) and high (h). Underneath, protein expression in each annotated cell type are reported using the same units.

Protein expression data is based on knowledge-based annotation. For genes where more than one antibody has been used, a collective score is set.

If knowledge-based annotation could not be performed for a gene, no data is displayed here. View antibody staining data further down this page.

h
m
l
n
Adipocytes: Medium
Glandular cells: Not detected
Myoepithelial cells: High
RNA expressioni

A summary of mRNA expression data available for current tissue based on several datasets. The mRNA expression levels in human tissues are based on RNA-seq data generated by the Human Protein Atlas (HPA), Genotype-Tissue Expression (GTEx) portal and CAGE data generated by the FANTOM5 consortium. Consensus normalized expression levels for human tissues was created by combining the data from HPA and GTEx datasets.

The mRNA expression levels in pig are based on RNA-seq data generated by the Human Protein Atlas (HPA), and for mouse, HPA data and in situ hybridization generated by the Allen brain atlas are reported.

Scroll down to view mRNA expression data in more detail.
Consensus:84.2 nTPM
HPA:22.8 nTPM
GTEx:84.2 nTPM
FANTOM5:11.3 Scaled Tags Per Million

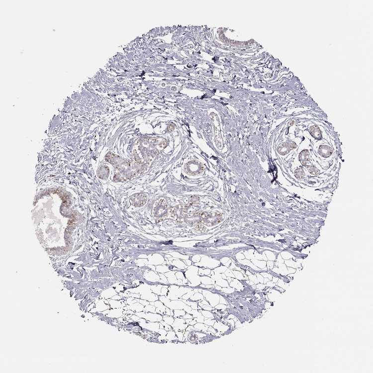
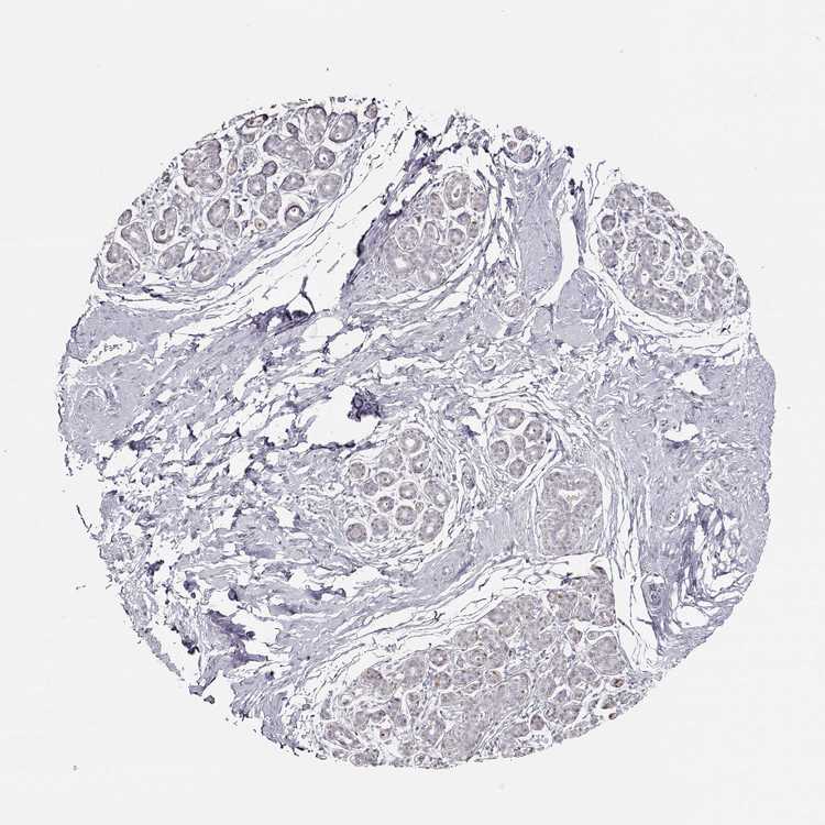
BREAST - Antibody stainingi

Antibody staining in the annotated cell types in the current human tissue is reported as not detected, low, medium, or high, based on conventional immunohistochemistry profiling in selected tissues. This score is based on the combination of the staining intensity and fraction of stained cells.

Each image is clickable and will lead to virtual microscopy that enables deeper exploration of all samples and also displays staining intensity scores, fraction scores and subcellular localization as well as patient and tissue information for each sample.

Antibody HPA015768Antibody CAB000073Antibody CAB078196
Adipocytes MediumNot detectedHigh
Glandular cells LowNot detectedLow
Myoepithelial cells MediumHighHigh







BREAST - HPA RNA-seqi

The RNA-seq details section shows detailed information about the individual samples used for the transcript profiling and results of the RNA-seq analysis.

Information about each individual sample is listed below, including gender, age, a tissue section image and estimated fractions of cell types. nTPM (normalized transcripts per million) values give a quantification of the gene abundance which is comparable between different genes and samples.
Average nTPMi

Max subtype nTPM is the value for the subtype with the largest average nTPM across the subtype samples.

22.8
overview
Female, age 52
Breast sample 373
nTPM: 24.9
Cell types%
Glandular cells:
15

Adipocytes:
5

Other cell types:
80

overview
Female, age 80
Breast sample 390
nTPM: 28.5
Cell types%
Glandular cells:
5

Adipocytes:
15

Other cell types:
80

overview
Female, age 47
Breast sample 405
nTPM: 15.9
Cell types%
Glandular cells:
5

Adipocytes:
5

Other cell types:
90

overview
Female, age 38
Breast sample 410
nTPM: 21.8
Cell types%
Glandular cells:
40

Adipocytes:
5

Other cell types:
55


BREAST - GTEx RNA-seqi

RNA-Seq data generated by the Genotype-Tissue Expression (GTEx) project from human tissues is reported as mean nTPM. More information can be found on the GTEx portal.

Distribution across the dataset is visualized with box plots, shown as median and 25th and 75th percentiles. Points are displayed as outliers if they are above or below 1.5 times the interquartile range. nTPM values of the individual samples are presented next to the box plot.
Max subtype nTPMi

Max subtype nTPM is the value for the subtype with the largest average nTPM across the subtype samples.

84.2
GTEx sample id Sample description nTPM
Breast - Mammary Tissue
Average nTPM: 84.2
Samples: 459

Max nTPM: 787.0
Min nTPM: 3.8
Std nTPM: 90.6
Median nTPM: 50.3
GTEX-11P82-1326-SM-5HL62 20-29 years, male 787.0
GTEX-1F5PK-2126-SM-7PC28 50-59 years, male 550.4
GTEX-XMK1-1126-SM-4IHJ8 40-49 years, male 418.1
GTEX-13FTX-1126-SM-5N9EN 20-29 years, female 408.4
GTEX-1NHNU-0926-SM-E9J2T 50-59 years, male 382.4
GTEX-1H1ZS-0126-SM-9YFKQ 70-79 years, male 364.3
GTEX-V955-2026-SM-3GAFA 60-69 years, male 362.7
GTEX-11DXZ-1926-SM-5GZZL 50-59 years, male 351.6
GTEX-11ZUS-0826-SM-5FQUY 30-39 years, male 345.1
GTEX-145ME-1526-SM-5Q5F2 40-49 years, female 337.1
GTEX-YECK-0726-SM-EZ6LV 60-69 years, male 336.5
GTEX-ZQUD-1926-SM-51MSA 30-39 years, male 328.2
GTEX-11TUW-1826-SM-5BC5D 60-69 years, male 325.3
GTEX-1H11D-1526-SM-9MQJY 40-49 years, male 318.6
GTEX-QMRM-1626-SM-D4P1U 50-59 years, male 317.0
GTEX-ZT9W-2026-SM-51MRA 50-59 years, male 312.0
GTEX-ZQG8-0726-SM-5P9H9 60-69 years, female 310.5
GTEX-14BMV-0626-SM-793AU 50-59 years, male 309.3
GTEX-1CAMR-1426-SM-793BO 20-29 years, male 304.2
GTEX-REY6-2426-SM-48FF5 60-69 years, male 289.3
GTEX-18D9A-1526-SM-7LG4J 30-39 years, female 271.2
GTEX-145MO-0826-SM-5NQBL 60-69 years, male 266.9
GTEX-Y8E4-1626-SM-5S2MW 40-49 years, male 266.9
GTEX-1RLM8-2226-SM-EVYD1 50-59 years, male 263.6
GTEX-144GM-0926-SM-5O994 20-29 years, male 257.7
GTEX-1LSNL-2826-SM-E9U5L 50-59 years, male 254.8
GTEX-16YQH-2826-SM-6PAMY 30-39 years, male 251.5
GTEX-ZLWG-1926-SM-DO92J 50-59 years, female 244.3
GTEX-ZYFC-0826-SM-5E44K 50-59 years, male 242.9
GTEX-1HSEH-2026-SM-ADEHN 60-69 years, male 239.4
GTEX-X4XY-0926-SM-4E3JD 60-69 years, male 233.3
GTEX-13CF3-2126-SM-5IFJP 60-69 years, female 233.1
GTEX-1HCU9-0326-SM-9WYSC 20-29 years, male 232.0
GTEX-1I19N-2826-SM-CL55D 70-79 years, male 232.0
GTEX-11ZTT-2326-SM-5EQLG 60-69 years, female 231.0
GTEX-1I1GV-2426-SM-CGQFM 60-69 years, male 229.3
GTEX-18A6Q-0926-SM-7LG4N 60-69 years, male 227.0
GTEX-1HFI7-0126-SM-CGQFQ 50-59 years, female 220.1
GTEX-14B4R-1226-SM-5TDDT 30-39 years, male 219.9
GTEX-ZYT6-0126-SM-5E45J 30-39 years, male 217.8
GTEX-YB5K-1626-SM-5IFIN 40-49 years, female 214.5
GTEX-1QP28-1226-SM-E9J2M 50-59 years, female 214.1
GTEX-11NSD-0926-SM-5N9DR 20-29 years, male 209.7
GTEX-12BJ1-1826-SM-5HL9N 60-69 years, male 209.4
GTEX-WFON-1826-SM-3GILG 40-49 years, male 207.9
GTEX-117YX-1426-SM-5H12H 50-59 years, male 205.6
GTEX-YEC3-1026-SM-5IFI5 50-59 years, male 202.7
GTEX-ZLFU-2126-SM-DO931 40-49 years, male 201.5
GTEX-1A3MX-2726-SM-718B6 60-69 years, male 192.2
GTEX-1QP9N-1826-SM-E8VMP 30-39 years, male 190.2
GTEX-XQ3S-1326-SM-4BOPQ 20-29 years, male 189.2
GTEX-17F96-2426-SM-7IGLN 70-79 years, male 187.7
GTEX-12KS4-0126-SM-5Q5A5 30-39 years, male 184.8
GTEX-1QW4Y-1026-SM-DTXE2 30-39 years, male 182.9
GTEX-ZZ64-1226-SM-5E43R 20-29 years, male 182.2
GTEX-13PVQ-1026-SM-5KM3M 50-59 years, male 181.3
GTEX-17EVQ-0426-SM-7LG57 70-79 years, male 179.9
GTEX-R55D-0826-SM-48FEA 50-59 years, male 179.2
GTEX-1PPH7-0826-SM-E8VNX 40-49 years, male 177.9
GTEX-RUSQ-2026-SM-4GIAK 50-59 years, male 177.8
GTEX-132NY-0826-SM-5K7Y7 60-69 years, male 177.0
GTEX-1S82Z-0726-SM-E6CHX 30-39 years, female 176.6
GTEX-ZUA1-1526-SM-59HLS 40-49 years, male 175.1
GTEX-1N2EF-2226-SM-E9J33 60-69 years, male 173.7
GTEX-1R7EV-1526-SM-E8VOD 40-49 years, male 169.0
GTEX-12WSM-1726-SM-5BC6J 60-69 years, male 168.6
GTEX-1JKYN-0726-SM-ARZMY 30-39 years, male 168.4
GTEX-17GQL-0326-SM-7LG5U 60-69 years, male 168.3
GTEX-1LG7Z-0726-SM-CXKYD 30-39 years, male 166.9
GTEX-ZDTT-2126-SM-DKPOM 60-69 years, male 164.6
GTEX-117XS-1926-SM-5GICO 60-69 years, male 163.9
GTEX-17MFQ-0926-SM-7LG4S 20-29 years, male 161.8
GTEX-183FY-1126-SM-7DHLJ 20-29 years, male 161.8
GTEX-13N1W-0626-SM-5MR4U 70-79 years, male 161.1
GTEX-XGQ4-0926-SM-4AT4U 50-59 years, male 161.0
GTEX-1HR98-0426-SM-COH36 60-69 years, male 160.9
GTEX-1IOXB-1926-SM-ARL8E 50-59 years, male 158.6
GTEX-18465-2026-SM-718AP 50-59 years, male 158.3
GTEX-1MA7X-1626-SM-E9U5B 60-69 years, male 157.0
GTEX-1B8L1-2426-SM-9WYTE 60-69 years, male 156.9
GTEX-144GL-2026-SM-5LU3O 50-59 years, male 153.6
GTEX-1IDJU-1826-SM-CMKHV 60-69 years, female 151.5
GTEX-17HGU-1326-SM-79OKB 50-59 years, male 151.3
GTEX-1EKGG-2626-SM-7IGPY 60-69 years, male 151.0
GTEX-1PDJ9-1126-SM-EXUSW 20-29 years, male 151.0
GTEX-1I1GP-0426-SM-COH3N 50-59 years, male 150.8
GTEX-PSDG-1626-SM-48TCQ 50-59 years, male 149.7
GTEX-11ONC-2126-SM-5HL6E 60-69 years, male 148.5
GTEX-1KANC-1426-SM-CYPT9 50-59 years, female 144.2
GTEX-Y9LG-1426-SM-5IFJZ 30-39 years, male 142.9
GTEX-1I4MK-1626-SM-CM2TJ 50-59 years, female 142.6
GTEX-1313W-0826-SM-5EQ4T 50-59 years, female 138.7
GTEX-1LSVX-2426-SM-E6CJX 60-69 years, male 138.7
GTEX-1AMEY-1026-SM-718AA 30-39 years, female 138.2
GTEX-145MN-1926-SM-5SIAI 30-39 years, male 138.1
GTEX-TKQ2-1826-SM-33HB2 50-59 years, male 138.0
GTEX-1GMR2-1926-SM-9MQLZ 50-59 years, male 137.6
GTEX-1JKYR-0926-SM-CMKGJ 20-29 years, male 135.9
GTEX-XV7Q-2326-SM-4BRVZ 40-49 years, female 134.2
GTEX-11O72-2126-SM-5N9FO 40-49 years, male 130.3
GTEX-13113-5013-SM-7SB7G 60-69 years, female 130.0
GTEX-11EQ9-1826-SM-5Q5AJ 30-39 years, male 129.0
GTEX-1211K-1926-SM-5EQLB 60-69 years, female 128.2
GTEX-16BQI-1026-SM-7KUEA 30-39 years, female 128.1
GTEX-ZDXO-0126-SM-5S2ND 60-69 years, male 127.9
GTEX-YB5E-1726-SM-5IFJ3 40-49 years, male 126.7
GTEX-R53T-1526-SM-48FEK 50-59 years, female 126.3
GTEX-1L5NE-2126-SM-CY8IH 50-59 years, male 124.9
GTEX-1KD5A-1926-SM-DKPQA 50-59 years, male 122.8
GTEX-1MJK2-2226-SM-EVYCR 50-59 years, male 121.2
GTEX-ZDYS-1126-SM-5K7UB 50-59 years, male 120.9
GTEX-1QPFJ-2026-SM-EVYBE 30-39 years, female 117.6
GTEX-U8XE-0826-SM-4E3J1 30-39 years, male 114.7
GTEX-14E7W-0826-SM-62LEJ 70-79 years, male 112.9
GTEX-1R9JW-0326-SM-EAZ45 30-39 years, female 112.7
GTEX-1LBAC-0926-SM-CXKY9 20-29 years, male 112.5
GTEX-1HC8U-0826-SM-ADEIL 40-49 years, female 111.8
GTEX-13OW8-0226-SM-5K7UP 60-69 years, male 111.3
GTEX-18A66-1726-SM-7LG5N 60-69 years, male 111.0
GTEX-1S82U-1126-SM-E9U6I 30-39 years, female 110.6
GTEX-139TU-0626-SM-5KM3X 60-69 years, male 109.9
GTEX-17F97-2526-SM-7EWDV 50-59 years, male 109.6
GTEX-17F9E-2526-SM-7MGW2 50-59 years, male 108.9
GTEX-S33H-0326-SM-4AD6N 30-39 years, male 108.2
GTEX-15UF7-0726-SM-6M46D 40-49 years, male 106.7
GTEX-13O61-1826-SM-5KM4I 60-69 years, male 106.5
GTEX-ZPIC-1126-SM-5BC7F 40-49 years, female 105.0
GTEX-11GSO-1926-SM-5A5K3 60-69 years, male 104.1
GTEX-S7SE-0826-SM-4AT4D 50-59 years, male 104.1
GTEX-XYKS-1326-SM-4BRUN 60-69 years, female 103.9
GTEX-ZVT4-1026-SM-57WC4 50-59 years, female 103.9
GTEX-1OKEX-0826-SM-E9J2B 60-69 years, male 103.6
GTEX-Z9EW-1526-SM-EZ6LU 40-49 years, male 102.8
GTEX-1EN7A-1426-SM-7PBY4 40-49 years, male 102.7
GTEX-11DXY-2326-SM-5GICW 60-69 years, male 102.5
GTEX-11GSP-0926-SM-9WYSG 60-69 years, female 102.2
GTEX-139T6-1626-SM-5PNYZ 50-59 years, male 102.1
GTEX-13VXU-2826-SM-664MA 50-59 years, male 100.2
GTEX-T6MO-0326-SM-32QOK 40-49 years, female 99.0
GTEX-12WSN-1326-SM-5GCNT 40-49 years, male 98.3
GTEX-WHSB-1926-SM-EXOHH 50-59 years, male 98.1
GTEX-ZA64-1526-SM-5CVMD 20-29 years, male 97.5
GTEX-TKQ1-0226-SM-33HB5 30-39 years, male 94.7
GTEX-1QMI2-0726-SM-E9J4F 60-69 years, male 92.0
GTEX-17F98-0526-SM-79OK5 40-49 years, female 91.6
GTEX-XQ8I-2426-SM-4WAXY 50-59 years, male 90.7
GTEX-1H4P4-2226-SM-9MQKQ 50-59 years, male 90.2
GTEX-11I78-2226-SM-5PNYA 50-59 years, female 88.8
GTEX-11OF3-1926-SM-59889 60-69 years, male 88.2
GTEX-169BO-1126-SM-7MGWN 50-59 years, male 87.8
GTEX-11GS4-2126-SM-5A5KR 60-69 years, male 87.7
GTEX-1KXAM-1026-SM-CY8IA 60-69 years, male 87.5
GTEX-YJ8O-2226-SM-5IFHW 40-49 years, female 87.4
GTEX-1EWIQ-1726-SM-7SB7T 70-79 years, female 87.1
GTEX-U412-1826-SM-4DXTJ 60-69 years, male 86.9
GTEX-1J8Q3-1326-SM-CMKI1 60-69 years, male 85.6
GTEX-1ICG6-1326-SM-ACKWR 70-79 years, female 83.0
GTEX-WY7C-2726-SM-3NB3P 50-59 years, male 82.7
GTEX-14A5I-0726-SM-5TDEB 50-59 years, female 81.2
GTEX-XUZC-1626-SM-4BRVP 30-39 years, female 81.1
GTEX-1M4P7-2626-SM-E9U5F 60-69 years, male 80.3
GTEX-XUW1-2326-SM-4BOO5 50-59 years, female 79.9
GTEX-TML8-1226-SM-32QON 40-49 years, female 79.4
GTEX-ZAB4-2526-SM-5HL8M 40-49 years, male 78.5
GTEX-1HCU7-1026-SM-ADEIP 50-59 years, male 78.2
GTEX-Y114-2026-SM-4TT7L 50-59 years, female 78.1
GTEX-YFCO-1826-SM-4W1YH 40-49 years, male 77.8
GTEX-1R9PM-1826-SM-EVYBH 20-29 years, male 77.4
GTEX-11NV4-2026-SM-5N9DG 60-69 years, male 76.4
GTEX-ZVTK-0326-SM-51MRR 20-29 years, male 76.2
GTEX-Y111-2026-SM-4SOJA 50-59 years, male 75.6
GTEX-Y5V5-2126-SM-4WWFO 60-69 years, female 74.9
GTEX-1GPI7-0926-SM-7PC3J 20-29 years, male 74.0
GTEX-1IDJH-2226-SM-E6CJV 70-79 years, male 72.8
GTEX-S4Q7-1126-SM-4AD6R 20-29 years, male 72.1
GTEX-1NV8Z-2826-SM-E8VME 60-69 years, male 71.6
GTEX-17KNJ-2026-SM-7LG53 50-59 years, male 70.7
GTEX-1HSKV-2026-SM-CMKGX 60-69 years, male 70.7
GTEX-1LC47-1226-SM-D4P44 60-69 years, male 70.6
GTEX-17HHE-1426-SM-7EPH4 50-59 years, male 68.5
GTEX-11LCK-2426-SM-5HL5F 30-39 years, male 68.2
GTEX-1H3VY-0926-SM-ACKXE 50-59 years, male 68.1
GTEX-Y3IK-2326-SM-4WWDT 50-59 years, female 67.9
GTEX-133LE-1726-SM-5K7VQ 20-29 years, female 67.3
GTEX-13S86-1226-SM-5S2OA 40-49 years, male 66.1
GTEX-1269C-2426-SM-5FQSN 60-69 years, female 65.5
GTEX-1GZHY-0726-SM-9WG6B 50-59 years, female 64.1
GTEX-14DAR-1326-SM-7DUEG 50-59 years, male 63.6
GTEX-11DXW-0626-SM-5N9ER 40-49 years, male 63.5
GTEX-ZYW4-0826-SM-5GIDG 60-69 years, male 62.7
GTEX-Y3I4-1526-SM-4TT7K 50-59 years, male 62.3
GTEX-ZV6S-1826-SM-5NQ8D 40-49 years, female 62.3
GTEX-14AS3-1626-SM-5S2OY 40-49 years, female 62.0
GTEX-14E6E-1326-SM-5S2NR 30-39 years, male 61.1
GTEX-1GZ4I-2826-SM-9MQK5 50-59 years, male 61.0
GTEX-T5JW-2026-SM-4DM63 20-29 years, female 60.0
GTEX-1C6WA-2426-SM-7SB86 60-69 years, male 59.2
GTEX-WRHU-0326-SM-3MJFY 50-59 years, female 59.0
GTEX-1R46S-2526-SM-E8VN2 60-69 years, female 58.0
GTEX-X62O-0526-SM-EWRMA 50-59 years, male 57.8
GTEX-1PPGY-1526-SM-EVYBK 60-69 years, male 57.5
GTEX-1314G-1226-SM-5BC6D 30-39 years, male 57.2
GTEX-13N11-1726-SM-5J1OJ 50-59 years, female 56.8
GTEX-14PJO-0726-SM-69LO8 60-69 years, male 56.8
GTEX-13PVR-2226-SM-7DHKP 60-69 years, female 56.4
GTEX-1QEPI-0926-SM-DTXF3 60-69 years, female 56.4
GTEX-15EOM-5019-SM-793DK 20-29 years, female 56.3
GTEX-ZVZQ-0826-SM-51MRF 60-69 years, female 56.2
GTEX-1122O-1226-SM-5H113 60-69 years, female 55.7
GTEX-1J8EW-2626-SM-CL53E 60-69 years, female 55.6
GTEX-1H23P-0726-SM-9WG7K 60-69 years, male 55.3
GTEX-13SLX-2326-SM-5ZZWE 50-59 years, female 55.0
GTEX-11P81-1926-SM-5BC53 30-39 years, female 54.5
GTEX-ZZPU-0626-SM-5E43T 50-59 years, female 54.0
GTEX-1F5PL-1026-SM-7RHI1 40-49 years, female 53.9
GTEX-11WQC-1726-SM-5GU4W 60-69 years, male 53.8
GTEX-1K9T9-1426-SM-DIPFQ 50-59 years, female 53.6
GTEX-1KD4Q-2326-SM-D4P3M 40-49 years, male 52.8
GTEX-11DZ1-0326-SM-5N9BN 50-59 years, male 52.6
GTEX-13CF2-2026-SM-5K7VI 60-69 years, male 52.2
GTEX-1IKOE-1326-SM-CE6T6 30-39 years, female 52.1
GTEX-WYBS-0926-SM-3NM94 60-69 years, female 51.6
GTEX-14ICK-2426-SM-6EU27 40-49 years, male 51.4
GTEX-1HT8W-2226-SM-CGQEC 30-39 years, male 51.3
GTEX-14ABY-2126-SM-5QGQZ 50-59 years, male 51.2
GTEX-Y5V6-2126-SM-4WWFX 60-69 years, male 51.2
GTEX-18A7B-2626-SM-7LG55 70-79 years, male 50.9
GTEX-U3ZN-1926-SM-4DXSG 30-39 years, female 50.6
GTEX-1JJE9-2326-SM-ARL8Q 70-79 years, male 50.4
GTEX-WXYG-2226-SM-4E3IM 50-59 years, female 50.3
GTEX-18QFQ-0826-SM-718AX 30-39 years, male 50.2
GTEX-UTHO-1026-SM-3GAF7 60-69 years, male 50.1
GTEX-18A7A-0726-SM-7LTAI 50-59 years, female 49.8
GTEX-1C475-1226-SM-7SB72 40-49 years, female 49.4
GTEX-Y8LW-1626-SM-5IFHX 50-59 years, female 49.2
GTEX-1ICLY-1726-SM-B2LVT 50-59 years, male 48.3
GTEX-17MF6-0326-SM-7EPH5 40-49 years, male 48.2
GTEX-1399U-1826-SM-5PNZ1 50-59 years, female 48.1
GTEX-1J8Q2-2726-SM-A9G2X 60-69 years, male 47.9
GTEX-1IDJF-2326-SM-ARL86 20-29 years, male 47.4
GTEX-1EU9M-2826-SM-7EWFH 60-69 years, male 47.3
GTEX-11TT1-2126-SM-5GU5Y 20-29 years, male 47.1
GTEX-147F4-2826-SM-5NQBN 50-59 years, male 47.1
GTEX-13O3Q-2226-SM-5KM4O 50-59 years, male 46.8
GTEX-15RJE-2626-SM-7KFT1 40-49 years, male 46.7
GTEX-1JMOU-2026-SM-CMKGU 60-69 years, female 46.5
GTEX-ZGAY-1726-SM-DO91P 40-49 years, female 46.5
GTEX-17JCI-0726-SM-7EPH1 60-69 years, female 46.4
GTEX-1POEN-0926-SM-DTX88 30-39 years, female 46.0
GTEX-1H1CY-2226-SM-9WG7E 60-69 years, female 45.2
GTEX-1A3MV-1626-SM-731C1 30-39 years, male 44.7
GTEX-1GF9U-1726-SM-7MGY5 40-49 years, female 44.2
GTEX-11P7K-0726-SM-5EGKX 30-39 years, male 43.9
GTEX-1JMLX-2026-SM-CMKGN 50-59 years, male 43.1
GTEX-145MF-2226-SM-7EPIR 50-59 years, male 42.6
GTEX-13FTW-1426-SM-5LZWZ 40-49 years, male 42.3
GTEX-ZV7C-1826-SM-5NQ83 50-59 years, male 42.1
GTEX-1E2YA-2726-SM-7IGPW 50-59 years, male 41.9
GTEX-16NGA-0826-SM-718AF 40-49 years, female 41.8
GTEX-1LSNM-1326-SM-E9TJ1 50-59 years, male 41.7
GTEX-QVJO-1826-SM-447C9 60-69 years, female 41.5
GTEX-1AX9J-1126-SM-731B7 60-69 years, male 40.6
GTEX-S4UY-0726-SM-4AD6X 40-49 years, female 40.6
GTEX-1QCLZ-2326-SM-DTXDO 60-69 years, female 40.6
GTEX-1MJK3-1126-SM-E9J3F 20-29 years, male 40.4
GTEX-1I1GU-1026-SM-ADEHJ 40-49 years, male 40.0
GTEX-17EVP-0226-SM-79OND 40-49 years, male 39.8
GTEX-1BAJH-0826-SM-7EWEF 70-79 years, male 39.1
GTEX-132AR-0826-SM-5EGK6 50-59 years, female 38.8
GTEX-1J8QM-2026-SM-ARZMW 60-69 years, female 38.4
GTEX-15ER7-1626-SM-6PAMZ 20-29 years, female 38.0
GTEX-14BMU-1626-SM-5TDE7 20-29 years, female 37.7
GTEX-17HHY-0926-SM-793C1 50-59 years, male 37.2
GTEX-1M5QR-2526-SM-E9U5P 40-49 years, male 37.2
GTEX-RU1J-0626-SM-4WAWY 20-29 years, female 36.9
GTEX-SE5C-2126-SM-4BRUJ 40-49 years, female 36.8
GTEX-1KAFJ-0226-SM-DIPEL 50-59 years, male 36.4
GTEX-QEL4-2126-SM-447AE 50-59 years, male 35.9
GTEX-1F75B-0626-SM-7SB8A 50-59 years, male 35.6
GTEX-1IGQW-0926-SM-ADEH6 60-69 years, male 35.2
GTEX-1HR9M-2426-SM-ACKXI 60-69 years, male 34.3
GTEX-15FZZ-0726-SM-7KUFZ 30-39 years, female 33.5
GTEX-ZAK1-1326-SM-EVYAS 50-59 years, female 33.1
GTEX-13QIC-2326-SM-5LU5N 60-69 years, female 32.9
GTEX-14PJ4-2126-SM-6ETZJ 60-69 years, male 32.9
GTEX-X15G-1626-SM-3NMB3 50-59 years, female 32.8
GTEX-14PN4-0626-SM-62LFP 50-59 years, male 32.6
GTEX-1IE54-0626-SM-ARL8D 40-49 years, female 32.6
GTEX-YFC4-1426-SM-5IFJG 40-49 years, female 32.4
GTEX-1LVAM-0926-SM-E9TJ2 50-59 years, female 32.1
GTEX-1I6K7-1026-SM-A9SLK 40-49 years, male 31.7
GTEX-1AX9I-0726-SM-73KWV 60-69 years, male 31.6
GTEX-X261-0626-SM-3NMD9 50-59 years, male 31.5
GTEX-1R9PN-0326-SM-DTX85 40-49 years, female 31.4
GTEX-14753-2426-SM-5LU8U 60-69 years, male 31.3
GTEX-14PHY-1926-SM-5YY95 60-69 years, female 30.7
GTEX-1HCUA-0726-SM-ACKVU 50-59 years, female 30.6
GTEX-14PKU-0426-SM-6EU1P 40-49 years, female 29.7
GTEX-1B97J-0426-SM-79OLQ 50-59 years, female 29.7
GTEX-1F75A-1826-SM-7SB8G 50-59 years, male 29.7
GTEX-17HG3-0126-SM-7IGNH 30-39 years, female 29.4
GTEX-ZVT2-1826-SM-5NQ8W 50-59 years, female 29.3
GTEX-ZF3C-2326-SM-5S2NC 50-59 years, female 29.3
GTEX-1IDJE-0826-SM-CKZNZ 50-59 years, female 29.2
GTEX-1C64O-0726-SM-7DUFU 60-69 years, male 29.1
GTEX-U3ZH-1426-SM-4DXSR 30-39 years, male 29.0
GTEX-XOT4-0726-SM-4GIAW 60-69 years, female 29.0
GTEX-1H1DG-0526-SM-9YFLN 70-79 years, male 28.9
GTEX-T6MN-0726-SM-32PML 50-59 years, male 28.4
GTEX-131YS-0626-SM-5EGKL 60-69 years, female 28.2
GTEX-ZLV1-1426-SM-DO92Z 60-69 years, female 28.2
GTEX-UJHI-1426-SM-3DB9C 50-59 years, female 27.4
GTEX-1CB4E-0226-SM-79OLW 60-69 years, male 27.3
GTEX-1A8G7-2426-SM-731AK 60-69 years, male 27.2
GTEX-1AX8Z-0926-SM-731AW 60-69 years, male 27.2
GTEX-12WSK-2226-SM-5GCO5 40-49 years, female 26.9
GTEX-1RQEC-2026-SM-DTXDM 60-69 years, male 26.8
GTEX-1MA7W-1026-SM-DKPQK 20-29 years, female 26.5
GTEX-1B8SG-1226-SM-7IGPF 50-59 years, male 26.4
GTEX-S4P3-1326-SM-4AD6V 50-59 years, female 26.4
GTEX-XMD2-0926-SM-4WWEF 60-69 years, female 26.4
GTEX-11EMC-2026-SM-5A5JV 60-69 years, female 26.2
GTEX-15G19-2126-SM-6M48J 60-69 years, male 26.2
GTEX-1IKOH-2326-SM-CM2TW 60-69 years, female 26.2
GTEX-1GF9V-2526-SM-7SB8K 60-69 years, male 25.9
GTEX-ZY6K-1626-SM-5GZWV 50-59 years, male 25.8
GTEX-1B932-0826-SM-73KXG 40-49 years, female 25.2
GTEX-Y5LM-1726-SM-4VDSX 40-49 years, female 25.2
GTEX-1GZ4H-0326-SM-7P8QX 50-59 years, female 24.8
GTEX-1GN1W-1926-SM-7P8TH 50-59 years, female 24.6
GTEX-15SHW-1326-SM-6PAL8 60-69 years, male 24.4
GTEX-S32W-2026-SM-4AD6E 50-59 years, female 24.3
GTEX-XBED-1626-SM-47JYN 60-69 years, male 24.2
GTEX-1C6VS-0726-SM-7EPHF 60-69 years, male 24.0
GTEX-1I1GT-1126-SM-ARL7J 60-69 years, female 23.9
GTEX-1HSMO-0826-SM-ADEIV 60-69 years, male 23.8
GTEX-183WM-0726-SM-7LTAA 70-79 years, female 23.5
GTEX-1C6VQ-0426-SM-79OOX 50-59 years, male 23.4
GTEX-1F6I4-2526-SM-7SB8F 60-69 years, male 23.3
GTEX-14E6C-1326-SM-62LEQ 40-49 years, male 23.2
GTEX-ZC5H-2626-SM-5J2MG 40-49 years, female 23.2
GTEX-ZTTD-1026-SM-51MRD 50-59 years, male 23.0
GTEX-1RAZS-1226-SM-E8VMT 50-59 years, male 22.9
GTEX-1I1HK-2426-SM-ADEHX 60-69 years, male 22.8
GTEX-13W3W-1226-SM-5LU4H 60-69 years, female 22.7
GTEX-ZXES-0826-SM-5E43C 30-39 years, female 22.7
GTEX-T2IS-1526-SM-32QPR 20-29 years, female 22.6
GTEX-1HCU8-0126-SM-ADEHH 60-69 years, female 22.5
GTEX-1MCC2-2126-SM-EWRON 30-39 years, female 22.5
GTEX-1GMRU-0826-SM-9WYT7 50-59 years, male 22.4
GTEX-Q2AG-0326-SM-48U1O 40-49 years, female 22.0
GTEX-1B933-2526-SM-7IGO5 50-59 years, female 21.8
GTEX-1GPI6-0626-SM-7RHHJ 60-69 years, male 21.7
GTEX-1IKJJ-2326-SM-COH3U 60-69 years, male 21.7
GTEX-1N5O9-1126-SM-DTXEQ 60-69 years, male 21.6
GTEX-1192X-2326-SM-5987X 50-59 years, male 21.3
GTEX-15ETS-0626-SM-7KUMX 40-49 years, female 21.2
GTEX-13PL6-2926-SM-5L3I2 40-49 years, female 21.1
GTEX-1B8KE-1226-SM-73KWK 50-59 years, male 21.0
GTEX-WI4N-1426-SM-3LK7H 40-49 years, female 20.9
GTEX-1IDFM-0426-SM-B2LVV 60-69 years, male 20.8
GTEX-1F75I-2026-SM-7SB7N 40-49 years, male 20.4
GTEX-T2YK-2226-SM-32QPT 50-59 years, male 20.2
GTEX-11EI6-0626-SM-5985T 60-69 years, male 20.1
GTEX-13NZ9-1026-SM-5MR5K 50-59 years, male 20.1
GTEX-14H4A-2526-SM-5YYAY 40-49 years, female 20.1
GTEX-1KANA-2026-SM-DIPFB 20-29 years, male 19.9
GTEX-1MCYP-0126-SM-E6CIS 20-29 years, female 19.7
GTEX-RWS6-1926-SM-47JXY 60-69 years, female 19.6
GTEX-1HCVE-2626-SM-ADEJ8 50-59 years, male 19.6
GTEX-1CB4G-2326-SM-79OOI 60-69 years, male 19.5
GTEX-1JJEA-2726-SM-ARL8V 60-69 years, male 19.5
GTEX-1IY9M-2726-SM-CMKG5 60-69 years, male 19.4
GTEX-131XW-0726-SM-5EGK3 50-59 years, female 19.2
GTEX-1N2EE-2126-SM-E8VNN 60-69 years, male 19.1
GTEX-1GN1U-0526-SM-9KNTT 50-59 years, female 18.7
GTEX-145LT-0726-SM-5S2VM 40-49 years, male 18.5
GTEX-146FH-0826-SM-5SI8T 50-59 years, female 18.4
GTEX-ZEX8-2226-SM-57WC6 50-59 years, male 18.2
GTEX-1K2DA-1726-SM-CGQGS 50-59 years, male 18.2
GTEX-ZAJG-0626-SM-5HL8X 50-59 years, female 18.1
GTEX-1I6K6-0826-SM-ARL7Z 30-39 years, male 18.0
GTEX-1QP29-1726-SM-E8VMQ 50-59 years, male 17.9
GTEX-1GMR3-2626-SM-7RHHG 40-49 years, male 17.6
GTEX-1JMPY-0526-SM-CL54O 30-39 years, male 17.6
GTEX-1GMR8-0726-SM-9KNVI 50-59 years, female 17.5
GTEX-1HBPN-2326-SM-9WPPU 50-59 years, male 17.4
GTEX-1HSGN-1526-SM-A9SMO 40-49 years, female 17.3
GTEX-1ICLZ-0426-SM-B2LW2 60-69 years, male 17.3
GTEX-1B97I-0426-SM-79OL7 40-49 years, male 17.2
GTEX-1R7EU-1226-SM-E8VMR 60-69 years, male 17.2
GTEX-11PRG-0826-SM-5EQ6A 50-59 years, male 17.1
GTEX-1GN2E-2226-SM-9WG6J 60-69 years, male 17.1
GTEX-VJWN-0726-SM-3GIJ8 50-59 years, female 17.0
GTEX-ZF29-1926-SM-5S2P1 60-69 years, female 16.9
GTEX-ZU9S-1926-SM-5NQBP 30-39 years, male 16.8
GTEX-13NZ8-0126-SM-5IJCT 60-69 years, female 16.7
GTEX-1CAMS-1426-SM-7IGPM 40-49 years, female 16.7
GTEX-1B8KZ-1526-SM-7DUG7 50-59 years, male 16.4
GTEX-TMMY-0726-SM-33HBE 40-49 years, female 16.2
GTEX-1HKZK-1826-SM-ADEJ2 40-49 years, male 16.0
GTEX-13O3O-0826-SM-5K7WE 60-69 years, female 15.9
GTEX-ZF2S-2026-SM-5E461 50-59 years, female 15.9
GTEX-WOFL-0826-SM-3MJG1 60-69 years, male 15.8
GTEX-1LVAN-1326-SM-CNPQE 50-59 years, female 15.8
GTEX-11EM3-1326-SM-5N9C6 20-29 years, female 15.7
GTEX-1HBPM-0126-SM-ARL9E 60-69 years, female 15.4
GTEX-13OW5-2226-SM-5L3HC 60-69 years, male 15.3
GTEX-13D11-1026-SM-5IJFB 50-59 years, female 15.2
GTEX-R3RS-0626-SM-48FE1 40-49 years, female 14.8
GTEX-WYVS-1726-SM-3NMAY 40-49 years, female 14.7
GTEX-1JN6P-2426-SM-ARL99 60-69 years, male 14.6
GTEX-1P4AB-1826-SM-E76PU 50-59 years, male 14.1
GTEX-12ZZX-1126-SM-5EGKB 40-49 years, female 14.0
GTEX-ZTX8-1226-SM-4YCE9 20-29 years, male 14.0
GTEX-WYJK-1326-SM-3NB2T 50-59 years, male 13.6
GTEX-11WQK-2426-SM-5GU5C 50-59 years, male 13.2
GTEX-1117F-2826-SM-5GZXL 60-69 years, female 13.0
GTEX-S341-1526-SM-4AD6K 40-49 years, female 13.0
GTEX-1QCLY-1626-SM-DTXDW 30-39 years, male 12.5
GTEX-1NUQO-2226-SM-E9U68 20-29 years, female 12.4
GTEX-13NZB-2126-SM-5MR4Y 30-39 years, male 12.2
GTEX-13W46-0826-SM-5LU3H 50-59 years, male 11.9
GTEX-1LGRB-1826-SM-CNPQL 50-59 years, female 11.9
GTEX-111YS-1926-SM-5GICC 60-69 years, male 11.7
GTEX-UPK5-2326-SM-3P5Z8 40-49 years, male 11.7
GTEX-15UF6-0126-SM-6PAMB 70-79 years, female 11.3
GTEX-13QJ3-0826-SM-7DHKK 50-59 years, male 11.2
GTEX-1JK1U-1826-SM-ARL8W 60-69 years, male 11.1
GTEX-139T8-0826-SM-5L3DE 60-69 years, male 11.0
GTEX-17EUY-1926-SM-7DUF6 20-29 years, male 11.0
GTEX-WFG8-2026-SM-EXOHO 20-29 years, male 11.0
GTEX-QDT8-0626-SM-48TYW 30-39 years, female 10.9
GTEX-13FTY-2226-SM-5J1ND 40-49 years, female 10.8
GTEX-X4EP-2926-SM-3P5YQ 60-69 years, female 10.7
GTEX-RU72-0626-SM-46MUI 50-59 years, female 10.5
GTEX-1CB4J-1826-SM-7EWF9 60-69 years, male 10.2
GTEX-VUSG-2226-SM-4KKZO 50-59 years, male 10.0
GTEX-14LLW-0626-SM-62LFC 70-79 years, female 9.9
GTEX-T5JC-2126-SM-32PMO 20-29 years, male 9.9
GTEX-1JMQK-2626-SM-COH2W 60-69 years, male 9.8
GTEX-1GZ2Q-2626-SM-7MXV9 40-49 years, male 9.6
GTEX-XMD1-0826-SM-4AT52 60-69 years, male 9.2
GTEX-1RAZQ-1226-SM-EWRNL 30-39 years, male 9.1
GTEX-1HUB1-1626-SM-CM2SL 60-69 years, male 8.9
GTEX-13SLW-2526-SM-62LDQ 70-79 years, male 8.7
GTEX-ZWKS-2826-SM-5NQ74 30-39 years, male 8.7
GTEX-ZTPG-2826-SM-57WGA 20-29 years, female 8.5
GTEX-1GF9X-1026-SM-ACKX2 40-49 years, female 8.4
GTEX-QEG5-0726-SM-D4P1T 20-29 years, male 8.2
GTEX-1LNCM-0226-SM-DIPF4 50-59 years, female 6.8
GTEX-W5X1-2326-SM-3GIL6 40-49 years, female 6.7
GTEX-1H1E6-0926-SM-9YFLT 30-39 years, male 6.7
GTEX-1JN1M-3026-SM-CMKGK 60-69 years, female 6.6
GTEX-13FHO-0826-SM-5L3E8 60-69 years, male 5.5
GTEX-13O3P-0826-SM-5L3DH 50-59 years, male 5.4
GTEX-132Q8-1426-SM-5EGK7 60-69 years, male 5.2
GTEX-ZVE2-1226-SM-5NQ8R 50-59 years, male 5.0
GTEX-1JMPZ-1626-SM-COH31 30-39 years, male 3.8
Show allShow less

BREAST - FANTOM5 CAGEi

RNA expression in human tissues obtained through Cap Analysis of Gene Expression (CAGE) generated by the FANTOM5 project are reported as Scaled Tags Per Million.

Max subtype Scaled Tags Per Millioni

Max subtype Scaled Tags Per Million is the value for the subtype with the largest average Scaled Tags Per Million across the subtype samples.

11.3
FANTOM5 sample id Sample description Scaled Tags Per Million
Breast
Scaled Tags Per Million: 11.3
FF:10080-102A8 77 years, female 11.3

Contact

  • NEWS ARTICLES
  • PRESS ROOM

The Project

  • INTRODUCTION
  • ORGANIZATION
  • PUBLICATIONS

The Human Protein Atlas

  • DOWNLOADABLE DATA
  • LICENCE & CITATION
  • HELP & FAQ
The Human Protein Atlas project is funded
by the Knut & Alice Wallenberg Foundation.


contact@proteinatlas.org