We use cookies to enhance the usability of our website. If you continue, we'll assume that you are happy to receive all cookies. More information. Don't show this again.
S100B
HPA
RESOURCES
  • TISSUE
  • BRAIN
  • SINGLE CELL
  • SUBCELLULAR
  • CANCER
  • BLOOD
  • CELL LINE
  • STRUCTURE & INTERACTION
ABOUT
  • INTRODUCTION
  • HISTORY
  • ORGANIZATION
  • PUBLICATIONS
  • ANTIBODY SUBMISSION
  • ANTIBODY AVAILABILITY
  • ACKNOWLEDGMENTS
  • CONTACT
NEWS
  • NEWS ARTICLES
  • PRESS ROOM
LEARN
  • DICTIONARY
  • PROTEIN CLASSES
  • PROTEIN EVIDENCE
  • METHODS
  • EDUCATIONAL VIDEOS
DATA
  • DOWNLOADABLE DATA
  • PUBLICATION DATA
  • RELEASE HISTORY
HELP
  • ANTIBODY VALIDATION
  • ASSAYS & ANNOTATION
  • DISCLAIMER
  • HELP & FAQ
  • PRIVACY STATEMENT
  • LICENCE & CITATION
Fields »
Search result

Field
Term
Gene name
Class
Subclass
Class
Keyword
Chromosome
External id
Tissue
Cell type
Expression
Antibody panel
Tissue
Main location
Patient ID
Annotation
Tissue
Category
Tau score
Cluster
Reliability
Brain region
Category
Tau score
Brain region
Category
Tau score
Brain region
Category
Tau score
Cluster
Reliability
Tissue
Cell type
Enrichment
Cell type
Category
Tau score
Cell type
Category
Tau score
Cell type
Category
Tau score
Cell lineage
Category
Tau score
Cluster
Cluster
Location
Searches
Location
Cell line
Class
Type
Phase
Reliability
Cancer
Prognosis
Cancer
Category
Cancer
Category
Tau score
Cluster
Variants
Interacting gene (ensg_id)
Type
Number of interactions
Pathway
Category
Score
Score
Score
Validation
Validation
Validation
Validation
Antibodies
Data type
Column


  • SUMMARY

  • TISSUE

  • BRAIN

  • SINGLE CELL

  • SUBCELL

  • CANCER

  • BLOOD

  • CELL LINE

  • STRUCT & INT

  • S100B
TISSUE PRIMARY DATA SKIN Show tissue menu
ADIPOSE TISSUE ADRENAL GLAND AMYGDALA APPENDIX BASAL GANGLIA BONE MARROW BREAST BRONCHUS CEREBELLUM CEREBRAL CORTEX CERVIX CHOROID PLEXUS COLON DUODENUM
ENDOMETRIUM EPIDIDYMIS ESOPHAGUS FALLOPIAN TUBE GALLBLADDER HEART MUSCLE HIPPOCAMPAL FORMATION HYPOTHALAMUS KIDNEY LIVER LUNG LYMPH NODE MIDBRAIN NASOPHARYNX
ORAL MUCOSA OVARY PANCREAS PARATHYROID GLAND PITUITARY GLAND PLACENTA PROSTATE RECTUM RETINA SALIVARY GLAND SEMINAL VESICLE SKELETAL MUSCLE SKIN SMALL INTESTINE
SMOOTH MUSCLE SOFT TISSUE SPINAL CORD SPLEEN STOMACH TESTIS THYMUS THYROID GLAND TONGUE TONSIL URINARY BLADDER VAGINA
ANTIBODIES
AND
VALIDATION
Dictionary
Skin
Tissue proteome
Skin
SKIN - Expression summary
Protein expression
Skini

On the top, protein expression in current human tissue, based on all annotated cell types, is reported with the units not detected (n), low (l), medium (m) and high (h). Underneath, protein expression in each annotated cell type are reported using the same units.

Protein expression data is based on knowledge-based annotation. For genes where more than one antibody has been used, a collective score is set.

If knowledge-based annotation could not be performed for a gene, no data is displayed here. View antibody staining data further down this page.

h
m
l
n
Cells in basal layer: Not detected
Cells in corneal layer: Not detected
Cells in granular layer: Not detected
Cells in spinous layer: High
Endothelial cells: Not detected
Extracellular matrix: Not detected
Fibrohistiocytic cells: Medium
Langerhans cells: High
Lymphocytes: Not detected
Melanocytes: Not detected
Vascular mural cells: Not detected
RNA expressioni

A summary of mRNA expression data available for current tissue based on several datasets. The mRNA expression levels in human tissues are based on RNA-seq data generated by the Human Protein Atlas (HPA), Genotype-Tissue Expression (GTEx) portal and CAGE data generated by the FANTOM5 consortium. Consensus normalized expression levels for human tissues was created by combining the data from HPA and GTEx datasets.

The mRNA expression levels in pig are based on RNA-seq data generated by the Human Protein Atlas (HPA), and for mouse, HPA data and in situ hybridization generated by the Allen brain atlas are reported.

Scroll down to view mRNA expression data in more detail.
Consensus:15.3 nTPM
HPA:9.3 nTPM
GTEx:15.3 nTPM

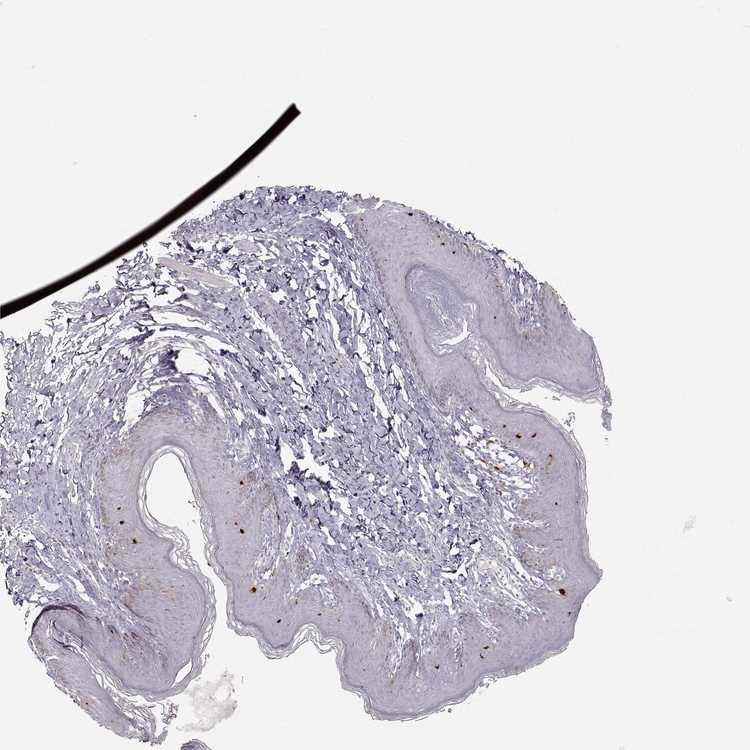
SKIN 1 - Antibody stainingi

Antibody staining in the annotated cell types in the current human tissue is reported as not detected, low, medium, or high, based on conventional immunohistochemistry profiling in selected tissues. This score is based on the combination of the staining intensity and fraction of stained cells.

Each image is clickable and will lead to virtual microscopy that enables deeper exploration of all samples and also displays staining intensity scores, fraction scores and subcellular localization as well as patient and tissue information for each sample.

Antibody HPA015768Antibody CAB000073Antibody CAB078196
Langerhans -HighHigh
Cells in basal layer Not detected--
Cells in corneal layer Not detected--
Cells in granular layer Not detected--
Cells in spinous layer High--
Endothelial cells Not detected--
Extracellular matrix Not detected--
Fibroblasts -Not detectedNot detected
Fibrohistiocytic cells Medium--
Keratinocytes -Not detectedNot detected
Langerhans cells High--
Lymphocytes Not detected--
Melanocytes Not detectedNot detectedNot detected
Vascular mural cells Not detected--






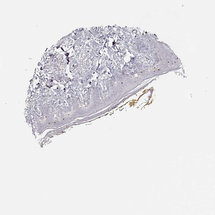
SKIN 2 - Antibody stainingi

Antibody staining in the annotated cell types in the current human tissue is reported as not detected, low, medium, or high, based on conventional immunohistochemistry profiling in selected tissues. This score is based on the combination of the staining intensity and fraction of stained cells.

Each image is clickable and will lead to virtual microscopy that enables deeper exploration of all samples and also displays staining intensity scores, fraction scores and subcellular localization as well as patient and tissue information for each sample.

Antibody HPA015768Antibody CAB000073Antibody CAB078196
Cells in basal layer Not detected--
Cells in corneal layer Not detected--
Cells in granular layer Not detected--
Cells in spinous layer Not detected--
Endothelial cells Not detected--
Epidermal cells -Not detectedNot detected
Extracellular matrix Not detected--
Fibrohistiocytic cells Medium--
Langerhans cells High--
Lymphocytes Not detected--
Melanocytes Not detected--
Vascular mural cells Not detected--
   
   




SKIN - HPA RNA-seqi

The RNA-seq details section shows detailed information about the individual samples used for the transcript profiling and results of the RNA-seq analysis.

Information about each individual sample is listed below, including gender, age, a tissue section image and estimated fractions of cell types. nTPM (normalized transcripts per million) values give a quantification of the gene abundance which is comparable between different genes and samples.
Average nTPMi

Max subtype nTPM is the value for the subtype with the largest average nTPM across the subtype samples.

9.3
overview
Female, age 34
Skin sample 225
nTPM: 7.2
Cell types%
Keratinocytes:
60

Other cell types:
40

overview
Female, age 30
Skin sample 226
nTPM: 6.7
Cell types%
Keratinocytes:
55

Other cell types:
45

N/A
Male, age 57
Skin sample 227
nTPM: 13.9

SKIN - GTEx RNA-seqi

RNA-Seq data generated by the Genotype-Tissue Expression (GTEx) project from human tissues is reported as mean nTPM. More information can be found on the GTEx portal.

Distribution across the dataset is visualized with box plots, shown as median and 25th and 75th percentiles. Points are displayed as outliers if they are above or below 1.5 times the interquartile range. nTPM values of the individual samples are presented next to the box plot.
Max subtype nTPMi

Max subtype nTPM is the value for the subtype with the largest average nTPM across the subtype samples.

15.3
GTEx sample id Sample description nTPM
Skin - Not Sun Exposed (Suprapubic)
Average nTPM: 15.3
Samples: 604

Max nTPM: 87.8
Min nTPM: 2.9
Std nTPM: 8.1
Median nTPM: 13.8
GTEX-YB5K-2026-SM-4VDT3 40-49 years, female 87.8
GTEX-16Z82-2626-SM-7KULU 60-69 years, male 56.2
GTEX-13N11-2326-SM-5IJBF 50-59 years, female 48.5
GTEX-1LVA9-2626-SM-EVYD4 50-59 years, male 47.8
GTEX-1I4MK-0126-SM-CY8G6 50-59 years, female 46.5
GTEX-15RJ7-2126-SM-6PAMD 40-49 years, male 45.5
GTEX-13SLX-2226-SM-62LEP 50-59 years, female 43.0
GTEX-1F6IF-0926-SM-7SB7M 60-69 years, male 40.2
GTEX-1RB15-1326-SM-E76Q9 60-69 years, male 39.7
GTEX-13N2G-0226-SM-5K7VF 60-69 years, male 39.3
GTEX-WEY5-2326-SM-3GIKK 40-49 years, female 36.3
GTEX-11NSD-0626-SM-5A5LU 20-29 years, male 36.1
GTEX-1JJEA-1826-SM-ARU8P 60-69 years, male 35.6
GTEX-145LS-0626-SM-7EPG7 60-69 years, female 35.4
GTEX-17JCI-2926-SM-7DUFF 60-69 years, female 35.0
GTEX-1477Z-0326-SM-7IGLA 60-69 years, male 34.8
GTEX-ZT9X-1526-SM-5DUXD 40-49 years, male 34.0
GTEX-1LG7Y-2526-SM-EWRO7 50-59 years, male 33.7
GTEX-1F75W-2726-SM-7SB8H 60-69 years, male 33.3
GTEX-1HFI6-0126-SM-CNPPI 40-49 years, male 32.6
GTEX-11P82-1426-SM-DTXFY 20-29 years, male 32.1
GTEX-13PL6-1126-SM-5L3IE 40-49 years, female 31.9
GTEX-12WSH-1526-SM-5BC5W 50-59 years, male 31.8
GTEX-1C64N-2626-SM-7PC2N 50-59 years, male 31.6
GTEX-1IDJE-1426-SM-ADEIW 50-59 years, female 31.1
GTEX-145ME-1726-SM-5Q5EU 40-49 years, female 30.8
GTEX-1IDJH-0126-SM-D3L92 70-79 years, male 30.8
GTEX-1HR98-2226-SM-ADEI2 60-69 years, male 30.6
GTEX-ZF3C-0626-SM-DO92O 50-59 years, female 30.2
GTEX-12126-0826-SM-5FQTZ 20-29 years, male 30.1
GTEX-1GN73-0726-SM-7P8TJ 60-69 years, male 30.0
GTEX-WFG7-2026-SM-5SI7P 20-29 years, male 29.9
GTEX-ZYFG-1526-SM-5GZYM 60-69 years, female 29.5
GTEX-1KANC-1226-SM-CYPT7 50-59 years, female 29.2
GTEX-14PJ2-0626-SM-6LLII 50-59 years, male 29.0
GTEX-XPVG-2126-SM-4B667 50-59 years, male 28.8
GTEX-15SHW-0226-SM-7LTAT 60-69 years, male 28.5
GTEX-1BAJH-2426-SM-7IGP8 70-79 years, male 28.4
GTEX-13FH7-1126-SM-5K7UG 50-59 years, female 27.5
GTEX-1GF9U-2026-SM-7SB92 40-49 years, female 27.3
GTEX-14DAQ-0626-SM-793DS 60-69 years, female 27.2
GTEX-1J8JJ-0626-SM-ARZMQ 60-69 years, female 27.2
GTEX-ZVTK-0226-SM-51MRG 20-29 years, male 27.1
GTEX-1KWVE-1026-SM-D3L9O 30-39 years, male 27.1
GTEX-ZU9S-1826-SM-5NQ9E 30-39 years, male 26.9
GTEX-139YR-1026-SM-5LZYN 50-59 years, male 26.6
GTEX-UPK5-0426-SM-3GAEK 40-49 years, male 26.5
GTEX-VJYA-1526-SM-3GIJV 60-69 years, male 26.4
GTEX-11DYG-1526-SM-5A5JS 60-69 years, male 26.3
GTEX-11EI6-2826-SM-5H11D 60-69 years, male 26.0
GTEX-13112-0126-SM-5P9IU 50-59 years, male 26.0
GTEX-13OW5-2326-SM-5L3HO 60-69 years, male 26.0
GTEX-1H1CY-0126-SM-9YFLY 60-69 years, female 25.9
GTEX-12C56-1526-SM-5FQUQ 20-29 years, male 25.7
GTEX-XXEK-1626-SM-4BRUZ 50-59 years, male 25.7
GTEX-ZDTS-0826-SM-4WKHL 60-69 years, male 25.7
GTEX-ZYFC-0426-SM-5GICQ 50-59 years, male 25.5
GTEX-1EU9M-1426-SM-793AI 60-69 years, male 25.3
GTEX-ZDYS-2426-SM-4WKGI 50-59 years, male 25.1
GTEX-11DXY-0126-SM-5H11Q 60-69 years, male 25.0
GTEX-1399R-1326-SM-5PNYS 30-39 years, male 24.9
GTEX-1C6WA-2626-SM-7MKGM 60-69 years, male 24.9
GTEX-1GMR2-0826-SM-7PC3V 50-59 years, male 24.9
GTEX-1PPGY-1626-SM-EVYBL 60-69 years, male 24.9
GTEX-11OF3-0126-SM-5PNYF 60-69 years, male 24.8
GTEX-13FHO-0426-SM-5L3F5 60-69 years, male 24.8
GTEX-ZAK1-0626-SM-5HL8E 50-59 years, female 24.8
GTEX-1JMQJ-0826-SM-CNPP7 50-59 years, male 24.8
GTEX-1PIGE-1826-SM-E8VOU 20-29 years, male 24.5
GTEX-1QMI2-2526-SM-E8VNZ 60-69 years, male 24.4
GTEX-XOT4-0626-SM-4B66L 60-69 years, female 24.3
GTEX-16YQH-2226-SM-7IGM2 30-39 years, male 24.0
GTEX-WRHU-2826-SM-3MJG8 50-59 years, female 24.0
GTEX-1ICG6-1226-SM-A9SLN 70-79 years, female 24.0
GTEX-1H3NZ-2726-SM-9WYTQ 60-69 years, male 23.8
GTEX-1LG7Z-1626-SM-CXKYR 30-39 years, male 23.6
GTEX-14LZ3-0126-SM-69LPM 60-69 years, female 23.5
GTEX-1B932-2326-SM-79OL5 40-49 years, female 23.4
GTEX-WFG8-2126-SM-3GIKQ 20-29 years, male 23.4
GTEX-145MH-2826-SM-5RQJF 50-59 years, male 23.3
GTEX-139TT-2126-SM-5LZWC 60-69 years, male 23.2
GTEX-X3Y1-2026-SM-3P5YM 40-49 years, male 23.0
GTEX-15RIE-1926-SM-7KUKJ 60-69 years, male 22.9
GTEX-14PHX-2226-SM-6EU2P 50-59 years, male 22.8
GTEX-1R9K4-2826-SM-DTX8F 60-69 years, male 22.8
GTEX-1GMRU-2126-SM-7P8RA 50-59 years, male 22.7
GTEX-18A6Q-0626-SM-7KFRP 60-69 years, male 22.6
GTEX-139TU-0726-SM-5L3EK 60-69 years, male 22.5
GTEX-ZDXO-3126-SM-5IJDF 60-69 years, male 22.5
GTEX-1E1VI-0326-SM-793D1 50-59 years, male 22.4
GTEX-1EMGI-2326-SM-7PBYA 60-69 years, male 22.4
GTEX-131XH-0126-SM-5LZUY 50-59 years, male 22.3
GTEX-131YS-2826-SM-5EQ47 60-69 years, female 22.3
GTEX-1H1DG-2426-SM-9QEHJ 70-79 years, male 22.3
GTEX-144GL-0626-SM-5LU4D 50-59 years, male 22.2
GTEX-11O72-0626-SM-5PNYE 40-49 years, male 22.1
GTEX-17F9E-2326-SM-79OKD 50-59 years, male 22.0
GTEX-14JG6-1426-SM-9WG7C 30-39 years, female 22.0
GTEX-12ZZY-0726-SM-5EQ66 60-69 years, male 21.9
GTEX-13OVL-0126-SM-5L3GJ 50-59 years, male 21.9
GTEX-13OW7-0426-SM-5K7VK 50-59 years, male 21.7
GTEX-1AYD5-2626-SM-7PBXY 50-59 years, male 21.7
GTEX-ZTX8-1326-SM-4YCEL 20-29 years, male 21.6
GTEX-ZYW4-0626-SM-59HJR 60-69 years, male 21.5
GTEX-1GF9V-0826-SM-9KNUV 60-69 years, male 21.5
GTEX-1LVAM-0726-SM-E6CIL 50-59 years, female 21.4
GTEX-13JVG-0726-SM-5KM16 60-69 years, male 21.3
GTEX-12WSM-1926-SM-5BC65 60-69 years, male 21.2
GTEX-ZUA1-2626-SM-5NQ92 40-49 years, male 21.2
GTEX-1AX8Z-0726-SM-73KTS 60-69 years, male 21.1
GTEX-1AX9I-2226-SM-73KUO 60-69 years, male 21.1
GTEX-13RTJ-0126-SM-5S2NN 60-69 years, male 21.0
GTEX-11NUK-2726-SM-5A5MC 50-59 years, male 20.9
GTEX-12KS4-2126-SM-5FQUT 30-39 years, male 20.9
GTEX-14ABY-2026-SM-62LDL 50-59 years, male 20.8
GTEX-1GZ4I-2626-SM-9KNU3 50-59 years, male 20.8
GTEX-1QP66-1226-SM-DTX7U 50-59 years, male 20.8
GTEX-YJ8O-2526-SM-5HL85 40-49 years, female 20.7
GTEX-15SKB-2826-SM-6PAMH 60-69 years, male 20.5
GTEX-13X6K-0626-SM-5LU5D 60-69 years, female 20.4
GTEX-1KAFJ-0126-SM-DIPEK 50-59 years, male 20.4
GTEX-11DZ1-2426-SM-5GZZX 50-59 years, male 20.3
GTEX-139TS-2126-SM-5K7XC 60-69 years, male 20.3
GTEX-13O3Q-0126-SM-5KM34 50-59 years, male 20.3
GTEX-1I6K7-1926-SM-B2LXR 40-49 years, male 20.2
GTEX-11WQC-1826-SM-5GU59 60-69 years, male 20.1
GTEX-13OW8-1026-SM-5J1NQ 60-69 years, male 20.1
GTEX-18A66-0626-SM-7LT8Z 60-69 years, male 20.0
GTEX-1IDJF-2026-SM-CL53V 20-29 years, male 20.0
GTEX-13X6J-0626-SM-5LU5F 50-59 years, male 19.9
GTEX-111FC-2526-SM-5GZXU 60-69 years, male 19.8
GTEX-1313W-0626-SM-5EQ4H 50-59 years, female 19.8
GTEX-17KNJ-2126-SM-718AM 50-59 years, male 19.8
GTEX-17MFQ-1526-SM-7KFRR 20-29 years, male 19.7
GTEX-1B8SF-0126-SM-7DUG3 60-69 years, male 19.7
GTEX-13SLW-0626-SM-5Q5ER 70-79 years, male 19.6
GTEX-ZAJG-1526-SM-5CVML 50-59 years, female 19.6
GTEX-132AR-0326-SM-5KM2C 50-59 years, female 19.5
GTEX-13PVQ-0626-SM-5LU47 50-59 years, male 19.5
GTEX-15RIG-0726-SM-7KUM7 40-49 years, male 19.5
GTEX-WFON-1926-SM-3LK7L 40-49 years, male 19.5
GTEX-13NYB-0126-SM-5J1MD 40-49 years, male 19.4
GTEX-1KD5A-0126-SM-E9U54 50-59 years, male 19.4
GTEX-17HHY-0426-SM-7DHLC 50-59 years, male 19.2
GTEX-1F75A-0726-SM-7RHHD 50-59 years, male 19.2
GTEX-1RAZR-2126-SM-E9U6T 40-49 years, male 19.2
GTEX-1GMR8-0626-SM-7RHI7 50-59 years, female 19.1
GTEX-1H4P4-2126-SM-9WYSL 50-59 years, male 19.1
GTEX-14JG1-1526-SM-5YY9X 40-49 years, male 19.0
GTEX-X4EO-2926-SM-4E3JH 60-69 years, female 19.0
GTEX-1LSNM-0826-SM-DIPG8 50-59 years, male 19.0
GTEX-139UW-0326-SM-5J1ML 60-69 years, male 18.9
GTEX-1I1GU-0926-SM-ACKVS 40-49 years, male 18.9
GTEX-1E2YA-2126-SM-7MXUO 50-59 years, male 18.8
GTEX-1QP9N-1226-SM-E76QN 30-39 years, male 18.8
GTEX-12WSF-1626-SM-7KUG5 70-79 years, male 18.7
GTEX-146FQ-2126-SM-5RQHU 30-39 years, male 18.7
GTEX-W5X1-2526-SM-3GILC 40-49 years, female 18.7
GTEX-17HG3-2626-SM-7DUF2 30-39 years, female 18.6
GTEX-1A8G7-1326-SM-73KVM 60-69 years, male 18.6
GTEX-1B933-2426-SM-7DHMD 50-59 years, female 18.6
GTEX-ZVP2-0326-SM-57WBP 50-59 years, male 18.6
GTEX-147JS-0226-SM-5S2U9 60-69 years, male 18.5
GTEX-Y8E4-2026-SM-5IFJB 40-49 years, male 18.5
GTEX-ZC5H-1526-SM-5HL9Y 40-49 years, female 18.5
GTEX-1JMQI-1726-SM-ARL93 50-59 years, male 18.5
GTEX-Y114-2126-SM-4TT8B 50-59 years, female 18.4
GTEX-Y3I4-1726-SM-4TT89 50-59 years, male 18.4
GTEX-1POEN-2326-SM-E9J2L 30-39 years, female 18.4
GTEX-117YX-1926-SM-5GIEC 50-59 years, male 18.3
GTEX-14ICL-1626-SM-5YYAO 30-39 years, male 18.3
GTEX-YEC4-1826-SM-4W1YP 40-49 years, male 18.3
GTEX-1I19N-0126-SM-CYPSF 70-79 years, male 18.2
GTEX-1LSNL-2726-SM-E9TKJ 50-59 years, male 18.0
GTEX-11ZTT-2126-SM-5CVLO 60-69 years, female 17.9
GTEX-15ER7-0626-SM-6PANF 20-29 years, female 17.9
GTEX-16XZZ-0726-SM-7KUF2 60-69 years, male 17.9
GTEX-ZT9W-1126-SM-57WDR 50-59 years, male 17.9
GTEX-1314G-1326-SM-5BC6E 30-39 years, male 17.8
GTEX-14PJ5-1526-SM-6LLIL 60-69 years, female 17.8
GTEX-16GPK-0626-SM-7KFSF 60-69 years, male 17.7
GTEX-ZA64-1026-SM-5HL8R 20-29 years, male 17.6
GTEX-1269C-0126-SM-5EQ5L 60-69 years, female 17.5
GTEX-13NYC-0126-SM-5L3F4 60-69 years, male 17.5
GTEX-145MG-1526-SM-5Q5EM 50-59 years, male 17.5
GTEX-16BQI-1326-SM-6M486 30-39 years, female 17.5
GTEX-14C39-1726-SM-5RQIL 40-49 years, male 17.4
GTEX-Y3IK-1626-SM-4YCF5 50-59 years, female 17.4
GTEX-1CAMR-1326-SM-7PC1F 20-29 years, male 17.3
GTEX-1I1GP-1326-SM-A9G28 50-59 years, male 17.3
GTEX-11ZUS-2626-SM-5FQUR 30-39 years, male 17.2
GTEX-14BIN-1126-SM-5RQJZ 50-59 years, female 17.2
GTEX-U8XE-0226-SM-4E3J3 30-39 years, male 17.1
GTEX-1399Q-2326-SM-5KM2X 40-49 years, male 17.0
GTEX-15CHC-1126-SM-6LLHQ 60-69 years, female 17.0
GTEX-17F97-2626-SM-7IGM5 50-59 years, male 17.0
GTEX-18465-2826-SM-7LT9J 50-59 years, male 17.0
GTEX-1B8L1-2226-SM-7P8PT 60-69 years, male 17.0
GTEX-1JMQK-1226-SM-D4P2S 60-69 years, male 16.9
GTEX-18A67-1626-SM-7LT9T 50-59 years, male 16.8
GTEX-VUSG-2326-SM-4KL1U 50-59 years, male 16.7
GTEX-WHSB-1326-SM-3LK6W 50-59 years, male 16.7
GTEX-14BMV-2826-SM-5TDED 50-59 years, male 16.6
GTEX-1F88F-0126-SM-9WYSZ 60-69 years, female 16.6
GTEX-1GF9W-1426-SM-7PBYM 60-69 years, male 16.6
GTEX-1LGOU-1326-SM-D3L8M 20-29 years, female 16.6
GTEX-11DXW-0826-SM-5H118 40-49 years, male 16.5
GTEX-1R46S-2426-SM-E76QA 60-69 years, female 16.5
GTEX-11P7K-1126-SM-5HL4L 30-39 years, male 16.4
GTEX-ZXG5-2126-SM-59HKD 60-69 years, male 16.4
GTEX-ZYT6-2326-SM-5GZY3 30-39 years, male 16.4
GTEX-1A8FM-0626-SM-7PC25 50-59 years, female 16.4
GTEX-1HC8U-1326-SM-9YFMJ 40-49 years, female 16.4
GTEX-1IE54-1126-SM-A9G2Z 40-49 years, female 16.4
GTEX-13OW6-2726-SM-5J2OE 50-59 years, male 16.3
GTEX-13U4I-2226-SM-5LU5H 40-49 years, female 16.3
GTEX-1EWIQ-0326-SM-7DHMQ 70-79 years, female 16.3
GTEX-1IY9M-2826-SM-ARU8H 60-69 years, male 16.3
GTEX-1QEPI-2626-SM-DTXF4 60-69 years, female 16.3
GTEX-15DYW-2726-SM-6EU2I 60-69 years, female 16.1
GTEX-1HCU9-0426-SM-9WYSD 20-29 years, male 16.1
GTEX-147F3-1726-SM-5SIAW 50-59 years, female 16.0
GTEX-ZZPU-0826-SM-5GZX5 50-59 years, female 16.0
GTEX-1F6I4-2326-SM-7RHGL 60-69 years, male 16.0
GTEX-1RAZS-2526-SM-E6CHT 50-59 years, male 16.0
GTEX-13X6I-1826-SM-5SIAO 60-69 years, male 15.9
GTEX-1IL2V-1926-SM-B2LW8 70-79 years, male 15.9
GTEX-13VXU-0626-SM-5L3F9 50-59 years, male 15.8
GTEX-145LU-1926-SM-79OJN 50-59 years, male 15.8
GTEX-18A7A-0126-SM-731AH 50-59 years, female 15.8
GTEX-18D9B-0926-SM-7LG4U 60-69 years, male 15.8
GTEX-1EN7A-2426-SM-793DB 40-49 years, male 15.8
GTEX-1JMPY-0226-SM-CKZOK 30-39 years, male 15.8
GTEX-1QCLZ-2426-SM-EVYBW 60-69 years, female 15.8
GTEX-178AV-1726-SM-7KUL8 40-49 years, male 15.7
GTEX-ZLWG-0826-SM-59888 50-59 years, female 15.7
GTEX-1HCUA-0826-SM-ADEHM 50-59 years, female 15.7
GTEX-Y111-0626-SM-4SOIT 50-59 years, male 15.6
GTEX-1L5NE-1126-SM-D3L9P 50-59 years, male 15.6
GTEX-145MO-2826-SM-5LU96 60-69 years, male 15.4
GTEX-17F96-0126-SM-7EWDU 70-79 years, male 15.4
GTEX-18D9A-1426-SM-7LT8M 30-39 years, female 15.4
GTEX-1QW4Y-1126-SM-DTXE3 30-39 years, male 15.4
GTEX-13JUV-2026-SM-5K7UA 40-49 years, female 15.3
GTEX-V1D1-2026-SM-3GAF4 50-59 years, male 15.3
GTEX-XBEC-0726-SM-4QARZ 50-59 years, male 15.3
GTEX-ZLFU-1826-SM-4WWBV 40-49 years, male 15.3
GTEX-1GPI6-1926-SM-9KNV7 60-69 years, male 15.3
GTEX-11TUW-0626-SM-5LU9M 60-69 years, male 15.2
GTEX-1212Z-0126-SM-59HK4 60-69 years, male 15.2
GTEX-1N2DV-1526-SM-DTXEP 40-49 years, male 15.2
GTEX-13O3O-2326-SM-5IJD6 60-69 years, female 15.1
GTEX-147GR-2426-SM-5ZZWQ 60-69 years, male 15.1
GTEX-14E1K-2026-SM-7DUEI 50-59 years, male 15.0
GTEX-14PII-0726-SM-6EU2B 60-69 years, male 15.0
GTEX-183FY-1026-SM-7939A 20-29 years, male 15.0
GTEX-ZVT4-2426-SM-5GIEI 50-59 years, female 15.0
GTEX-12WSA-0426-SM-5EQ5X 60-69 years, male 14.9
GTEX-14XAO-1226-SM-6EU1C 60-69 years, female 14.9
GTEX-12WSD-0626-SM-5GCMW 60-69 years, female 14.8
GTEX-1CB4F-1026-SM-7DUH1 60-69 years, male 14.8
GTEX-WY7C-2126-SM-3NB2R 50-59 years, male 14.8
GTEX-WYVS-1626-SM-3NM9R 40-49 years, female 14.7
GTEX-1I1GV-0626-SM-ARL7M 60-69 years, male 14.7
GTEX-13FTY-2126-SM-5IFFB 40-49 years, female 14.6
GTEX-145LT-0526-SM-5LUB2 40-49 years, male 14.6
GTEX-18A7B-2726-SM-7LG56 70-79 years, male 14.6
GTEX-1CB4J-1326-SM-7P8RX 60-69 years, male 14.6
GTEX-1PIIG-2326-SM-DTXFR 30-39 years, male 14.6
GTEX-YECK-0326-SM-4W1YS 60-69 years, male 14.5
GTEX-1HSMQ-2626-SM-A9SML 50-59 years, male 14.5
GTEX-1IDFM-0326-SM-ARL7V 60-69 years, male 14.5
GTEX-1192X-2726-SM-5N9DN 50-59 years, male 14.4
GTEX-WYJK-0526-SM-3NM8Z 50-59 years, male 14.4
GTEX-ZPU1-1126-SM-4YCF3 40-49 years, male 14.4
GTEX-1LB8K-0726-SM-D5OV2 50-59 years, male 14.4
GTEX-13113-1626-SM-5EQ4I 60-69 years, female 14.3
GTEX-1B8KZ-0326-SM-73KY4 50-59 years, male 14.3
GTEX-XQ3S-1426-SM-4BOPR 20-29 years, male 14.3
GTEX-1HBPN-0126-SM-CGQEF 50-59 years, male 14.3
GTEX-1M4P7-0726-SM-E6CJ3 60-69 years, male 14.3
GTEX-1RAZA-2226-SM-E9U4X 20-29 years, male 14.3
GTEX-11GSP-2326-SM-5HL63 60-69 years, female 14.2
GTEX-13OVJ-0826-SM-5J1OK 50-59 years, female 14.2
GTEX-14C5O-0326-SM-5ZZUX 60-69 years, male 14.2
GTEX-17HII-1426-SM-7EPGG 50-59 years, male 14.2
GTEX-XBEW-1126-SM-4QARW 40-49 years, male 14.2
GTEX-XK95-0226-SM-4AT58 40-49 years, male 14.2
GTEX-1HCU6-2526-SM-ADEHL 60-69 years, female 14.2
GTEX-16AAH-0626-SM-793C9 50-59 years, male 14.1
GTEX-X5EB-1926-SM-4E3IW 40-49 years, male 14.1
GTEX-ZE9C-2526-SM-5IJDR 60-69 years, male 14.1
GTEX-1HSMO-0626-SM-ACKXC 60-69 years, male 14.1
GTEX-1HT8W-0626-SM-A9G2H 30-39 years, male 14.1
GTEX-15CHR-1126-SM-7EWF4 50-59 years, male 13.9
GTEX-ZDTT-0426-SM-4WKFL 60-69 years, male 13.9
GTEX-1JKYR-0626-SM-ARL8R 20-29 years, male 13.9
GTEX-1OJC3-1226-SM-DTXER 20-29 years, male 13.9
GTEX-ZF2S-1626-SM-57WES 50-59 years, female 13.8
GTEX-1GL5R-1326-SM-7RHHF 50-59 years, male 13.8
GTEX-1GZHY-0626-SM-9KNVC 50-59 years, female 13.8
GTEX-1JN76-0626-SM-CKZOQ 20-29 years, female 13.8
GTEX-1PPH7-1126-SM-DTX9A 40-49 years, male 13.8
GTEX-111CU-1126-SM-5EGIM 50-59 years, male 13.7
GTEX-11EM3-1226-SM-5N9DD 20-29 years, female 13.7
GTEX-15G1A-1626-SM-7KUKN 30-39 years, male 13.7
GTEX-17HHE-1326-SM-7EWDZ 50-59 years, male 13.7
GTEX-1PBJJ-1026-SM-E76OS 30-39 years, male 13.7
GTEX-111YS-1526-SM-5GZYW 60-69 years, male 13.6
GTEX-14JFF-0626-SM-5ZZVT 60-69 years, male 13.6
GTEX-1KXAM-1626-SM-D3LAD 60-69 years, male 13.6
GTEX-1O9I2-0226-SM-EYYXD 50-59 years, male 13.6
GTEX-WH7G-2026-SM-3NMBL 40-49 years, male 13.5
GTEX-Z93S-1626-SM-5CVMB 50-59 years, male 13.5
GTEX-1K9T9-1526-SM-DIPFR 50-59 years, female 13.5
GTEX-12WSC-2826-SM-5BC5Y 50-59 years, male 13.4
GTEX-12WSL-2026-SM-5GCML 50-59 years, male 13.4
GTEX-15DDE-2926-SM-6LLJ3 50-59 years, female 13.4
GTEX-14A6H-2026-SM-5Q5DD 30-39 years, male 13.3
GTEX-16MT8-2926-SM-7DUFO 60-69 years, female 13.3
GTEX-1JMLX-0626-SM-ARL8T 50-59 years, male 13.2
GTEX-144GM-0526-SM-79OJO 20-29 years, male 13.1
GTEX-14LLW-2626-SM-62LDZ 70-79 years, female 13.1
GTEX-15CHQ-0326-SM-69LQD 60-69 years, male 13.1
GTEX-Y9LG-1126-SM-4VBQ7 30-39 years, male 13.1
GTEX-1F75I-2226-SM-7SB8U 40-49 years, male 13.1
GTEX-1HKZK-0726-SM-ACKW2 40-49 years, male 13.1
GTEX-1I1HK-2326-SM-CKZOH 60-69 years, male 13.1
GTEX-1ICLY-0826-SM-CMKG1 50-59 years, male 13.1
GTEX-1LBAC-0826-SM-CY8IJ 20-29 years, male 13.1
GTEX-1F75B-0726-SM-7PC3R 50-59 years, male 13.0
GTEX-1S83E-1326-SM-E6CJM 40-49 years, male 13.0
GTEX-11DXZ-2026-SM-5987S 50-59 years, male 12.9
GTEX-11ZU8-0126-SM-5EQ58 60-69 years, male 12.9
GTEX-13N1W-2426-SM-5IJD1 70-79 years, male 12.9
GTEX-15EU6-2226-SM-6EU2L 50-59 years, male 12.9
GTEX-14BMU-1226-SM-5S2OR 20-29 years, female 12.8
GTEX-15EO6-2426-SM-6PALZ 50-59 years, male 12.8
GTEX-XBED-1926-SM-47JYP 60-69 years, male 12.8
GTEX-ZPIC-0526-SM-DO91W 40-49 years, female 12.8
GTEX-1IDJU-1726-SM-CMKHU 60-69 years, female 12.7
GTEX-ZPCL-1126-SM-4WWFE 60-69 years, female 12.6
GTEX-1QCLY-0226-SM-EWRNH 30-39 years, male 12.6
GTEX-1R9PN-0426-SM-DTXDT 40-49 years, female 12.6
GTEX-13FTW-0326-SM-5K7UW 40-49 years, male 12.5
GTEX-12BJ1-0926-SM-5EQ62 60-69 years, male 12.4
GTEX-13G51-1826-SM-5KLZH 60-69 years, male 12.4
GTEX-15G19-2426-SM-7KUMR 60-69 years, male 12.4
GTEX-1F48J-0726-SM-7RHGS 50-59 years, female 12.4
GTEX-1F5PL-0926-SM-7PC2W 40-49 years, female 12.3
GTEX-1MJK3-0726-SM-E6CJC 20-29 years, male 12.3
GTEX-1RAZQ-1326-SM-E9TK6 30-39 years, male 12.3
GTEX-Y5V5-0126-SM-5S2NW 60-69 years, female 12.2
GTEX-13IVO-0726-SM-5LZYV 70-79 years, male 12.1
GTEX-14753-0726-SM-5QGQO 60-69 years, male 12.1
GTEX-WXYG-2026-SM-4E3IY 50-59 years, female 12.1
GTEX-XYKS-1426-SM-4BRUO 60-69 years, female 12.1
GTEX-1QP28-1126-SM-EVYC4 50-59 years, female 12.1
GTEX-1CB4E-0926-SM-7EPHT 60-69 years, male 12.0
GTEX-WHPG-2626-SM-3NMBR 50-59 years, male 12.0
GTEX-WYBS-0626-SM-3NMAS 60-69 years, female 12.0
GTEX-1LKK1-2626-SM-DKPQE 50-59 years, female 12.0
GTEX-1NV5F-0626-SM-DTXEG 60-69 years, female 12.0
GTEX-YEC3-1326-SM-DO92X 50-59 years, male 12.0
GTEX-12ZZX-2426-SM-5GCOE 40-49 years, female 11.9
GTEX-11DXX-2126-SM-5PNYR 60-69 years, female 11.8
GTEX-12696-0126-SM-5EQ4L 60-69 years, male 11.8
GTEX-13OVK-1426-SM-6PAN7 40-49 years, male 11.8
GTEX-144FL-0626-SM-5LU43 50-59 years, male 11.8
GTEX-14C38-0726-SM-5SI6M 50-59 years, male 11.8
GTEX-1EH9U-2826-SM-7DUGT 60-69 years, male 11.7
GTEX-ZYVF-0926-SM-5E44J 50-59 years, female 11.7
GTEX-1GN1U-0626-SM-9MQL9 50-59 years, female 11.7
GTEX-1NSGN-0726-SM-DTXEF 50-59 years, male 11.7
GTEX-ZGAY-1826-SM-DO91Q 40-49 years, female 11.7
GTEX-12584-0726-SM-5FQTK 40-49 years, male 11.6
GTEX-Y5V6-2326-SM-4VDSA 60-69 years, male 11.6
GTEX-ZYFD-0626-SM-5E44E 50-59 years, male 11.6
GTEX-1LGRB-0926-SM-COH3K 50-59 years, female 11.6
GTEX-11GS4-0226-SM-5HL77 60-69 years, male 11.5
GTEX-13NZ9-2626-SM-5L3FK 50-59 years, male 11.5
GTEX-1H1DF-1126-SM-9WG7G 40-49 years, female 11.5
GTEX-1HSKV-1226-SM-ADEI4 60-69 years, male 11.5
GTEX-1S82P-2126-SM-E6CI5 60-69 years, female 11.5
GTEX-17EVP-2626-SM-7IGMA 40-49 years, male 11.4
GTEX-1A3MV-1826-SM-731CD 30-39 years, male 11.4
GTEX-WK11-2726-SM-3NMAQ 50-59 years, male 11.4
GTEX-1H1ZS-2726-SM-9WG75 70-79 years, male 11.4
GTEX-131XF-2626-SM-5EQ6K 60-69 years, male 11.3
GTEX-16NPX-0726-SM-7KULC 50-59 years, male 11.3
GTEX-1GMR3-0126-SM-A9SLW 40-49 years, male 11.3
GTEX-1LVAO-2726-SM-E9TJ8 60-69 years, male 11.3
GTEX-12WSK-2126-SM-5CVNC 40-49 years, female 11.2
GTEX-1K2DA-1026-SM-CGQGF 50-59 years, male 11.2
GTEX-11UD2-2526-SM-5CVNU 50-59 years, male 11.1
GTEX-1HBPI-2126-SM-ARL9K 50-59 years, male 11.1
GTEX-1LVAN-0626-SM-CNPOQ 50-59 years, female 11.1
GTEX-1R9PM-1926-SM-EVR3O 20-29 years, male 11.1
GTEX-1S831-1826-SM-EWROF 20-29 years, male 11.1
GTEX-17HGU-2326-SM-7DUFE 50-59 years, male 11.0
GTEX-WHSE-0126-SM-3NMBT 20-29 years, male 11.0
GTEX-Y8LW-1526-SM-5IFHL 50-59 years, female 11.0
GTEX-ZE7O-2726-SM-51MT5 50-59 years, female 11.0
GTEX-1GZ2Q-0126-SM-9WG6M 40-49 years, male 11.0
GTEX-131XW-0626-SM-5PNVD 50-59 years, female 10.9
GTEX-13OVG-1626-SM-5J1NF 60-69 years, male 10.9
GTEX-WI4N-2726-SM-3LK7Y 40-49 years, female 10.9
GTEX-X585-2426-SM-46MW2 50-59 years, male 10.9
GTEX-1GN1W-2426-SM-9KNUU 50-59 years, female 10.9
GTEX-1PDJ9-1226-SM-EXUSX 20-29 years, male 10.9
GTEX-1QAET-0326-SM-EVR3U 50-59 years, male 10.9
GTEX-12WSJ-1126-SM-5LZVJ 40-49 years, female 10.8
GTEX-ZVE2-2826-SM-5GU51 50-59 years, male 10.8
GTEX-1CAMS-2226-SM-7PBXQ 40-49 years, female 10.8
GTEX-17F98-1326-SM-7DUEP 40-49 years, female 10.7
GTEX-YF7O-1526-SM-5IFI6 50-59 years, male 10.7
GTEX-11LCK-2226-SM-5HL4Q 30-39 years, male 10.6
GTEX-1AMEY-0826-SM-72D65 30-39 years, female 10.6
GTEX-1H1E6-0426-SM-9WYUS 30-39 years, male 10.6
GTEX-1J1OQ-0126-SM-D4P2N 40-49 years, female 10.6
GTEX-1JN6P-2926-SM-CL54D 60-69 years, male 10.6
GTEX-14PK6-0226-SM-62LF5 70-79 years, female 10.5
GTEX-16MTA-0926-SM-6M47Z 50-59 years, male 10.5
GTEX-1IDJC-1526-SM-B2LW4 50-59 years, male 10.5
GTEX-1IDJD-2326-SM-ACKWX 30-39 years, male 10.5
GTEX-1LSVX-2526-SM-DIPEU 60-69 years, male 10.5
GTEX-11P81-2226-SM-5PNYI 30-39 years, female 10.4
GTEX-13PVR-0426-SM-5RQK2 60-69 years, female 10.4
GTEX-1H1DE-1326-SM-9KNUG 20-29 years, male 10.4
GTEX-1H3O1-1326-SM-9MQLD 60-69 years, male 10.4
GTEX-1KANB-2826-SM-CY8I6 50-59 years, male 10.4
GTEX-1RLM8-2926-SM-E8VON 50-59 years, male 10.4
GTEX-1RMOY-1326-SM-E9TIH 50-59 years, male 10.4
GTEX-1117F-2926-SM-5GZYI 60-69 years, female 10.3
GTEX-WHWD-1826-SM-3LK6I 50-59 years, male 10.3
GTEX-ZY6K-1426-SM-5GZX2 50-59 years, male 10.3
GTEX-14B4R-1326-SM-5Q5EZ 30-39 years, male 10.2
GTEX-1C2JI-1026-SM-73KY1 50-59 years, male 10.2
GTEX-1EKGG-0626-SM-7DUGJ 60-69 years, male 10.2
GTEX-X4EP-0626-SM-3P621 60-69 years, female 10.2
GTEX-1J1R8-2026-SM-CL53Y 40-49 years, male 10.2
GTEX-1399S-0126-SM-5IJCF 30-39 years, female 10.1
GTEX-13NYS-0626-SM-5L3F1 60-69 years, male 10.1
GTEX-15RJE-2826-SM-7KUM9 40-49 years, male 10.1
GTEX-17EVQ-0126-SM-7IGLR 70-79 years, male 10.1
GTEX-1CAMQ-1326-SM-7P8RV 40-49 years, male 10.1
GTEX-13FLV-0126-SM-5K7WT 50-59 years, male 10.0
GTEX-13X6H-0926-SM-5SIB2 50-59 years, female 10.0
GTEX-14PJ6-2626-SM-6EU2T 60-69 years, female 10.0
GTEX-ZYY3-2926-SM-5GIEB 60-69 years, female 10.0
GTEX-1HGF4-0126-SM-CNPPX 60-69 years, male 10.0
GTEX-11EQ9-1626-SM-5PNY8 30-39 years, male 9.9
GTEX-14PHY-1226-SM-5ZZWK 60-69 years, female 9.9
GTEX-183WM-0326-SM-72D5V 70-79 years, female 9.9
GTEX-1IOXB-2726-SM-CM2RI 50-59 years, male 9.9
GTEX-1CAV2-0126-SM-7IGN7 40-49 years, female 9.8
GTEX-ZVZP-1226-SM-5GID7 50-59 years, male 9.7
GTEX-ZZ64-1026-SM-5GZXG 20-29 years, male 9.7
GTEX-1N2EE-0626-SM-E76PW 60-69 years, male 9.7
GTEX-14A5H-0826-SM-5QGPJ 60-69 years, male 9.6
GTEX-15D1Q-2826-SM-6LLH7 40-49 years, male 9.6
GTEX-1A3MW-0626-SM-731CB 60-69 years, female 9.6
GTEX-1HSGN-0826-SM-ACKW3 40-49 years, female 9.6
GTEX-1J8EW-2726-SM-CY8HR 60-69 years, female 9.6
GTEX-1N5O9-0926-SM-E9J3C 60-69 years, male 9.6
GTEX-145MF-0926-SM-5Q5EA 50-59 years, male 9.5
GTEX-1HR9M-2226-SM-CNPPY 60-69 years, male 9.5
GTEX-1QP2A-1726-SM-E76QC 50-59 years, male 9.5
GTEX-14AS3-1526-SM-5Q5ED 40-49 years, female 9.4
GTEX-1F52S-2926-SM-7MKGA 60-69 years, female 9.4
GTEX-1HCU7-0726-SM-A9SL1 50-59 years, male 9.4
GTEX-1S3DN-2126-SM-E9TIN 50-59 years, male 9.4
GTEX-17F9Y-0126-SM-79OKX 70-79 years, female 9.3
GTEX-18QFQ-1826-SM-72D52 30-39 years, male 9.3
GTEX-1B996-0426-SM-7EWF8 60-69 years, male 9.3
GTEX-1IKJJ-2226-SM-CJI4C 60-69 years, male 9.3
GTEX-145MN-1526-SM-5SI9T 30-39 years, male 9.2
GTEX-147F4-0726-SM-5TDDD 50-59 years, male 9.2
GTEX-14PKU-0126-SM-6LLHV 40-49 years, female 9.2
GTEX-14PJ4-0226-SM-5YY92 60-69 years, male 9.1
GTEX-1A32A-0626-SM-731AQ 50-59 years, female 9.0
GTEX-1C475-1326-SM-7SB73 40-49 years, female 9.0
GTEX-1I1CD-0626-SM-CE6SW 60-69 years, female 9.0
GTEX-14E6E-0526-SM-793DN 30-39 years, male 8.9
GTEX-1C6VQ-1226-SM-73KYD 50-59 years, male 8.9
GTEX-1H11D-1826-SM-9QEHM 40-49 years, male 8.9
GTEX-133LE-2326-SM-5K7W3 20-29 years, female 8.7
GTEX-13OVH-0526-SM-5L3E6 70-79 years, male 8.7
GTEX-YFCO-1226-SM-5LUAT 40-49 years, male 8.7
GTEX-1C6VR-0126-SM-7RHGB 60-69 years, male 8.7
GTEX-1CB4I-0126-SM-7RHGG 50-59 years, male 8.7
GTEX-11VI4-1126-SM-5EQMD 40-49 years, female 8.6
GTEX-14PJN-1826-SM-6AJ98 30-39 years, male 8.6
GTEX-1EX96-1026-SM-7MKG2 50-59 years, male 8.6
GTEX-XMD2-2126-SM-4YCF8 60-69 years, female 8.6
GTEX-1211K-1526-SM-5FQU4 60-69 years, female 8.5
GTEX-131XG-0326-SM-5L3DX 50-59 years, female 8.5
GTEX-145MI-0626-SM-5SI8S 60-69 years, female 8.5
GTEX-1B8KE-1126-SM-7EPHI 50-59 years, male 8.5
GTEX-1HCVE-2726-SM-CL54F 50-59 years, male 8.5
GTEX-1IDJI-0126-SM-CMKHS 50-59 years, female 8.5
GTEX-1AX9J-1326-SM-731BJ 60-69 years, male 8.4
GTEX-UPJH-0226-SM-3GADV 50-59 years, male 8.4
GTEX-1F5PK-2226-SM-7SB6N 50-59 years, male 8.4
GTEX-1JKYN-0826-SM-ARU8S 30-39 years, male 8.4
GTEX-1HUB1-1426-SM-CGQF5 60-69 years, male 8.3
GTEX-13YAN-0226-SM-5TDC6 60-69 years, male 8.2
GTEX-16NGA-0726-SM-731AO 40-49 years, female 8.2
GTEX-1GPI7-1826-SM-9KNU1 20-29 years, male 8.2
GTEX-1GTWX-2026-SM-9YFLM 60-69 years, male 8.2
GTEX-13NZ8-1226-SM-5KM4A 60-69 years, female 8.1
GTEX-ZVE1-0726-SM-51MRN 50-59 years, female 8.1
GTEX-1122O-1026-SM-9WYSF 60-69 years, female 8.1
GTEX-1J8Q2-2626-SM-ACKWQ 60-69 years, male 8.1
GTEX-11EQ8-0926-SM-5H12V 60-69 years, male 8.0
GTEX-12ZZZ-0726-SM-5GCNZ 60-69 years, male 8.0
GTEX-14E6C-2426-SM-5S2NF 40-49 years, male 8.0
GTEX-X8HC-0626-SM-4E3HQ 50-59 years, female 8.0
GTEX-1J8QM-2426-SM-A9SLS 60-69 years, female 8.0
GTEX-1497J-0226-SM-5QGPU 60-69 years, male 7.9
GTEX-14PKV-1126-SM-6LLJ1 20-29 years, female 7.9
GTEX-1A8G6-2726-SM-731AR 60-69 years, male 7.9
GTEX-11TT1-1826-SM-5EQLV 20-29 years, male 7.7
GTEX-13FTX-1526-SM-5K7VJ 20-29 years, female 7.7
GTEX-14PJO-2526-SM-6AJBQ 60-69 years, male 7.7
GTEX-15UF6-1926-SM-7KUDV 70-79 years, female 7.7
GTEX-1JJ6O-2726-SM-CNPOG 60-69 years, male 7.7
GTEX-1HFI7-2326-SM-CGQFS 50-59 years, female 7.6
GTEX-1JJE9-2626-SM-ARZMT 70-79 years, male 7.6
GTEX-1JMPZ-0726-SM-CY8HZ 30-39 years, male 7.6
GTEX-1JMOU-1026-SM-CYPSS 60-69 years, female 7.5
GTEX-1KANA-1326-SM-DIPFA 20-29 years, male 7.5
GTEX-1CB4H-1126-SM-7MKGL 60-69 years, female 7.3
GTEX-XUW1-0926-SM-4BONX 50-59 years, female 7.3
GTEX-1QPFJ-1926-SM-EVYBD 30-39 years, female 7.3
GTEX-111VG-1626-SM-5EGIO 60-69 years, male 7.2
GTEX-148VJ-0626-SM-5LUAW 70-79 years, male 7.2
GTEX-1IKOE-1426-SM-CE6T7 30-39 years, female 7.2
GTEX-1GN2E-0226-SM-9WG6K 60-69 years, male 7.1
GTEX-13O61-1426-SM-5KM3D 60-69 years, male 7.0
GTEX-13PDP-0726-SM-5L3HP 60-69 years, male 7.0
GTEX-1C64O-1326-SM-7MGWR 60-69 years, male 7.0
GTEX-1I6K6-1726-SM-CGQFD 30-39 years, male 7.0
GTEX-ZLV1-1526-SM-DO91J 60-69 years, female 7.0
GTEX-13VXT-1926-SM-5K7UO 20-29 years, female 6.9
GTEX-1GF9X-1326-SM-7PC2Y 40-49 years, female 6.9
GTEX-1ICLZ-0326-SM-ARL82 60-69 years, male 6.9
GTEX-ZVT2-0126-SM-5GIDQ 50-59 years, female 6.8
GTEX-1HCU8-2526-SM-CE6RX 60-69 years, female 6.8
GTEX-1JK1U-0226-SM-ARZMX 60-69 years, male 6.8
GTEX-11PRG-0726-SM-5EGL1 50-59 years, male 6.7
GTEX-1399U-1126-SM-5L3DB 50-59 years, female 6.7
GTEX-1B97I-0626-SM-73KUZ 40-49 years, male 6.7
GTEX-ZAB4-2126-SM-5HL8U 40-49 years, male 6.7
GTEX-ZP4G-1426-SM-4WWCL 20-29 years, female 6.7
GTEX-1A3MX-2626-SM-7PC24 60-69 years, male 6.7
GTEX-1HSMP-0926-SM-A9SKX 70-79 years, male 6.7
GTEX-13D11-0926-SM-5J2NC 50-59 years, female 6.6
GTEX-14DAR-1226-SM-73KYV 50-59 years, male 6.6
GTEX-XAJ8-1426-SM-47JYM 40-49 years, male 6.6
GTEX-1I1GT-1026-SM-ARZLV 60-69 years, female 6.6
GTEX-1JN1M-2726-SM-CY8I4 60-69 years, female 6.6
GTEX-139D8-1126-SM-5LU8W 30-39 years, female 6.5
GTEX-15FZZ-0526-SM-7KUGD 30-39 years, female 6.5
GTEX-14PJ3-1126-SM-5ZZVX 50-59 years, male 6.4
GTEX-1S82U-1026-SM-E6CJK 30-39 years, female 6.4
GTEX-1IDJV-0126-SM-COH3Y 60-69 years, male 6.3
GTEX-13W3W-0726-SM-5IJDQ 60-69 years, female 6.2
GTEX-18D9U-0126-SM-731BM 40-49 years, male 6.2
GTEX-ZTTD-2826-SM-4YCFA 50-59 years, male 6.1
GTEX-1F88E-1626-SM-7SB8Z 60-69 years, female 6.1
GTEX-13QJC-0126-SM-5ZZWJ 60-69 years, female 6.0
GTEX-1HB9E-0126-SM-CM2S5 50-59 years, male 6.0
GTEX-1K2DU-1226-SM-CYPT4 20-29 years, male 6.0
GTEX-144GO-2026-SM-5O99P 60-69 years, male 5.7
GTEX-1OJC4-2726-SM-E76PJ 50-59 years, female 5.7
GTEX-139T8-0626-SM-5KLZX 60-69 years, male 5.5
GTEX-ZTSS-1426-SM-5985P 40-49 years, male 5.5
GTEX-1PPH8-0126-SM-EWRN8 20-29 years, male 5.5
GTEX-1MCC2-1826-SM-DIPEX 30-39 years, female 5.4
GTEX-1F6RS-2026-SM-7RHHC 60-69 years, female 5.3
GTEX-1GZ4H-0526-SM-9KNU9 50-59 years, female 5.3
GTEX-1JMQL-2226-SM-CNPP4 50-59 years, female 5.3
GTEX-1J8Q3-0526-SM-ARL8U 60-69 years, male 5.1
GTEX-1H2FU-0926-SM-9WPPT 60-69 years, female 5.0
GTEX-17MF6-2626-SM-79OKQ 40-49 years, male 4.9
GTEX-1HBPM-0726-SM-9YFL7 60-69 years, female 4.9
GTEX-1H23P-0626-SM-9WG6T 60-69 years, male 4.7
GTEX-1R7EU-1626-SM-DTXG3 60-69 years, male 4.7
GTEX-1S5ZU-2526-SM-E6CIF 20-29 years, female 4.5
GTEX-1QP29-1826-SM-DTX9S 50-59 years, male 4.4
GTEX-16MT9-0126-SM-7EPI8 60-69 years, female 4.2
GTEX-Y5LM-0926-SM-6LLJG 40-49 years, female 4.2
GTEX-1GN1V-2826-SM-9JGIA 60-69 years, male 4.1
GTEX-1MCYP-0526-SM-E9U6Q 20-29 years, female 4.1
GTEX-ZF29-0926-SM-4WKFZ 60-69 years, female 4.0
GTEX-13QBU-1226-SM-5LU4G 40-49 years, female 3.9
GTEX-XQ8I-0926-SM-4BOOF 50-59 years, male 3.9
GTEX-1I1GS-2626-SM-B2LY3 60-69 years, male 3.8
GTEX-11WQK-1026-SM-5EQLX 50-59 years, male 3.7
GTEX-XV7Q-1826-SM-4BRUV 40-49 years, female 3.7
GTEX-1H3VE-0726-SM-9YFL5 40-49 years, male 3.7
GTEX-ZWKS-0626-SM-5GIDV 30-39 years, male 3.6
GTEX-1AMFI-1326-SM-7939R 50-59 years, female 2.9
Show allShow less
Skin - Sun Exposed (Lower leg)
Average nTPM: 12.4
Samples: 701

Max nTPM: 65.2
Min nTPM: 2.1
Std nTPM: 6.9
Median nTPM: 11.4
GTEX-139TT-0126-SM-5K7Y5 60-69 years, male 65.2
GTEX-11P82-1626-SM-59879 20-29 years, male 64.3
GTEX-1QP67-1626-SM-EAZ3X 40-49 years, female 56.3
GTEX-Z93T-0126-SM-5HL5N 50-59 years, male 47.3
GTEX-XUYS-0126-SM-47JWZ 50-59 years, male 43.4
GTEX-113JC-2326-SM-5EQ4E 50-59 years, female 38.3
GTEX-ZDYS-2026-SM-5HL5L 50-59 years, male 37.8
GTEX-1HSMO-0126-SM-CL547 60-69 years, male 36.9
GTEX-1N2DV-0226-SM-E6CJ6 40-49 years, male 36.3
GTEX-1LB8K-0226-SM-EWRNW 50-59 years, male 34.2
GTEX-1HFI6-0226-SM-ADEHZ 40-49 years, male 33.8
GTEX-1C6VS-0526-SM-7DUEN 60-69 years, male 32.9
GTEX-13N11-2526-SM-5K7UE 50-59 years, female 31.9
GTEX-14A5I-0126-SM-5TDEA 50-59 years, female 31.7
GTEX-RVPV-0126-SM-EAZAW 60-69 years, male 31.6
GTEX-Y8LW-1826-SM-5S2MV 50-59 years, female 30.1
GTEX-TML8-1926-SM-32QOS 40-49 years, female 29.6
GTEX-1GN73-0226-SM-9WG67 60-69 years, male 29.5
GTEX-11ZUS-0626-SM-59885 30-39 years, male 29.4
GTEX-1H1CY-2826-SM-9MQM3 60-69 years, female 28.7
GTEX-14DAQ-0126-SM-5S2MQ 60-69 years, female 28.2
GTEX-1RAZQ-0726-SM-EAZ43 30-39 years, male 27.7
GTEX-1JJEA-0326-SM-CNPOT 60-69 years, male 25.4
GTEX-1N2DW-0226-SM-E9TK2 50-59 years, male 25.3
GTEX-PWCY-1826-SM-DHXIZ 20-29 years, female 24.7
GTEX-145LU-0126-SM-5TDCB 50-59 years, male 24.6
GTEX-PLZ4-0126-SM-5SI8O 50-59 years, female 24.5
GTEX-OOBJ-0126-SM-E6CJW 60-69 years, male 24.3
GTEX-1QP9N-1426-SM-DTXFL 30-39 years, male 24.1
GTEX-1122O-2126-SM-5EGIR 60-69 years, female 23.6
GTEX-13OVJ-0126-SM-5KM36 50-59 years, female 23.6
GTEX-Y3I4-2126-SM-4TT7C 50-59 years, male 23.6
GTEX-1POEN-0126-SM-EYYXJ 30-39 years, female 23.4
GTEX-1399U-2326-SM-5K7WY 50-59 years, female 22.7
GTEX-13OW7-0126-SM-5MR3B 50-59 years, male 22.6
GTEX-13VXT-0126-SM-5LU4I 20-29 years, female 22.6
GTEX-S33H-1026-SM-EZ6L6 30-39 years, male 22.6
GTEX-X4EO-0326-SM-3P5YO 60-69 years, female 22.5
GTEX-12WSN-5019-SM-79OM6 40-49 years, male 22.4
GTEX-O5YT-0126-SM-48TBW 20-29 years, male 21.9
GTEX-XBEW-0626-SM-4QASP 40-49 years, male 21.9
GTEX-1F7RK-0126-SM-7PC2S 20-29 years, female 21.9
GTEX-117YW-2626-SM-5GZZH 50-59 years, male 21.8
GTEX-U3ZH-2026-SM-3DB78 30-39 years, male 21.8
GTEX-1J8EW-0126-SM-CJI4F 60-69 years, female 21.7
GTEX-1K9T9-0126-SM-EVYCF 50-59 years, female 21.7
GTEX-1AMEY-1326-SM-73KYK 30-39 years, female 21.6
GTEX-1MA7X-2226-SM-E6CIY 60-69 years, male 21.3
GTEX-11EMC-2926-SM-5EQ4F 60-69 years, female 21.1
GTEX-QEG4-0226-SM-2S1PY 30-39 years, male 21.1
GTEX-146FQ-0126-SM-5NQA9 30-39 years, male 21.0
GTEX-11TUW-2726-SM-E9J4M 60-69 years, male 21.0
GTEX-1I1GQ-0126-SM-COH3H 50-59 years, male 21.0
GTEX-13N1W-0126-SM-5K7VT 70-79 years, male 20.9
GTEX-14ABY-0226-SM-5TDCQ 50-59 years, male 20.8
GTEX-ZVT3-0126-SM-5GU6I 60-69 years, female 20.8
GTEX-1CB4G-0226-SM-7PC3O 60-69 years, male 20.8
GTEX-11DXW-0226-SM-5H122 40-49 years, male 20.6
GTEX-131YS-0126-SM-5KM1M 60-69 years, female 20.6
GTEX-1S3DN-2226-SM-EVYCD 50-59 years, male 20.6
GTEX-16XZY-2126-SM-79OK1 70-79 years, male 20.5
GTEX-ZVTK-0426-SM-51MRS 20-29 years, male 20.5
GTEX-1R46S-0626-SM-E9J41 60-69 years, female 20.5
GTEX-14PHX-2326-SM-62LEM 50-59 years, male 20.4
GTEX-OHPL-0126-SM-2HMJ7 60-69 years, female 20.4
GTEX-17F98-0626-SM-79OMX 40-49 years, female 20.2
GTEX-11GS4-2726-SM-5A5LE 60-69 years, male 20.1
GTEX-15SB6-1726-SM-6PAME 50-59 years, female 20.1
GTEX-WVJS-0126-SM-4MVOT 50-59 years, male 20.0
GTEX-VJYA-1126-SM-3GIJU 60-69 years, male 19.9
GTEX-XXEK-2226-SM-4BRUM 50-59 years, male 19.9
GTEX-14JIY-0126-SM-6LLH6 60-69 years, male 19.8
GTEX-R55E-0126-SM-2TC5Y 20-29 years, male 19.8
GTEX-ZY6K-1826-SM-5GZXK 50-59 years, male 19.8
GTEX-OIZH-0126-SM-2HMIS 50-59 years, male 19.7
GTEX-Q2AI-1326-SM-2S1PL 40-49 years, male 19.7
GTEX-183FY-0126-SM-7LT9P 20-29 years, male 19.5
GTEX-13U4I-0126-SM-5LU38 40-49 years, female 19.3
GTEX-1F88F-2726-SM-7PBZZ 60-69 years, female 19.3
GTEX-1HCU6-0126-SM-CL54K 60-69 years, female 19.3
GTEX-1B933-0126-SM-7PC29 50-59 years, female 19.2
GTEX-1J8JJ-0226-SM-CL53I 60-69 years, female 19.2
GTEX-113IC-0126-SM-5HL6T 60-69 years, male 19.0
GTEX-148VJ-0126-SM-5TDDN 70-79 years, male 19.0
GTEX-SSA3-0126-SM-32QPU 60-69 years, male 19.0
GTEX-1F6IF-0726-SM-7P8TW 60-69 years, male 19.0
GTEX-ZDTS-0126-SM-4WAY5 60-69 years, male 18.8
GTEX-XPVG-2626-SM-4B669 50-59 years, male 18.6
GTEX-T5JC-0426-SM-32PLO 20-29 years, male 18.5
GTEX-13FXS-0226-SM-5IJCK 50-59 years, male 18.4
GTEX-Y3IK-2426-SM-4WWDU 50-59 years, female 18.4
GTEX-QESD-1426-SM-2S1R9 20-29 years, male 18.3
GTEX-ZUA1-0126-SM-5GU76 40-49 years, male 18.3
GTEX-ZVT2-2526-SM-51MT1 50-59 years, female 18.3
GTEX-13OVL-0226-SM-5L3E9 50-59 years, male 18.1
GTEX-X638-0126-SM-47JZ8 70-79 years, female 18.1
GTEX-1HKZK-0326-SM-9WYUH 40-49 years, male 18.1
GTEX-144GL-0126-SM-5TDE2 50-59 years, male 18.0
GTEX-ZDXO-3026-SM-5J1N5 60-69 years, male 18.0
GTEX-1QP66-1726-SM-E8VO1 50-59 years, male 18.0
GTEX-1S82Z-0826-SM-E6CHY 30-39 years, female 18.0
GTEX-139TS-2826-SM-5J1OO 60-69 years, male 17.9
GTEX-144GN-2326-SM-5LU4F 50-59 years, male 17.9
GTEX-P4PQ-0126-SM-2S1NM 60-69 years, male 17.9
GTEX-ZYFD-0126-SM-5GIDL 50-59 years, male 17.9
GTEX-131XF-5016-SM-7MGWE 60-69 years, male 17.9
GTEX-1C6WA-0126-SM-7PC2B 60-69 years, male 17.9
GTEX-1HSEH-0126-SM-ACKXN 60-69 years, male 17.9
GTEX-1NHNU-1026-SM-E9J2A 50-59 years, male 17.9
GTEX-1497J-2426-SM-7IGNX 60-69 years, male 17.8
GTEX-11ZTS-0126-SM-5EQ6M 60-69 years, female 17.6
GTEX-145MF-0626-SM-5LUAI 50-59 years, male 17.6
GTEX-14PK6-1926-SM-6ETZU 70-79 years, female 17.6
GTEX-X88G-0126-SM-47JZ3 30-39 years, male 17.6
GTEX-1AX8Z-0126-SM-7DHM6 60-69 years, male 17.5
GTEX-YJ8A-0426-SM-5IFID 20-29 years, male 17.5
GTEX-1GPI6-0126-SM-9WG69 60-69 years, male 17.5
GTEX-1KD4Q-0226-SM-E9TJ9 40-49 years, male 17.5
GTEX-14A6H-0126-SM-5QGPK 30-39 years, male 17.3
GTEX-1192W-2626-SM-5Q5AF 60-69 years, male 17.2
GTEX-1PPH7-2326-SM-EVYB8 40-49 years, male 17.2
GTEX-11DXX-2426-SM-5GZZW 60-69 years, female 17.1
GTEX-1IDJF-0126-SM-CM2RS 20-29 years, male 17.1
GTEX-16YQH-0126-SM-7DUFJ 30-39 years, male 17.0
GTEX-17HHY-0126-SM-7LG5D 50-59 years, male 17.0
GTEX-18465-0126-SM-731BN 50-59 years, male 17.0
GTEX-ZVZO-0126-SM-5A5L9 40-49 years, male 17.0
GTEX-12WSG-2826-SM-E9J4H 50-59 years, female 17.0
GTEX-1GF9X-2026-SM-7PC3A 40-49 years, female 17.0
GTEX-SUCS-1926-SM-32PM3 70-79 years, male 16.9
GTEX-13O3O-0126-SM-E9J49 60-69 years, female 16.9
GTEX-11DXY-2626-SM-5GIE7 60-69 years, male 16.8
GTEX-11O72-0126-SM-59887 40-49 years, male 16.8
GTEX-12126-0326-SM-5PNW3 20-29 years, male 16.8
GTEX-15DYW-0126-SM-7KULE 60-69 years, female 16.8
GTEX-RTLS-0126-SM-447CA 60-69 years, female 16.8
GTEX-1EU9M-0226-SM-7P8SP 60-69 years, male 16.8
GTEX-1IGQW-0126-SM-COH42 60-69 years, male 16.8
GTEX-1JMQI-2226-SM-CM2SD 50-59 years, male 16.8
GTEX-12C56-1726-SM-5EQ61 20-29 years, male 16.7
GTEX-1HCUA-2426-SM-ADEIS 50-59 years, female 16.6
GTEX-RWS6-2026-SM-2XCB5 60-69 years, female 16.5
GTEX-SJXC-0126-SM-2XCFF 60-69 years, male 16.5
GTEX-13OVG-1926-SM-5L3DK 60-69 years, male 16.4
GTEX-U3ZN-2326-SM-3DB7W 30-39 years, female 16.4
GTEX-Y111-0126-SM-4SOIV 50-59 years, male 16.4
GTEX-18A6Q-0126-SM-731BZ 60-69 years, male 16.3
GTEX-T2YK-0526-SM-32QPJ 50-59 years, male 16.3
GTEX-X4XY-0226-SM-4E3IZ 60-69 years, male 16.2
GTEX-Y8E4-0626-SM-4WWDL 40-49 years, male 16.2
GTEX-1J8Q3-1626-SM-CMKGC 60-69 years, male 16.2
GTEX-PW2O-1526-SM-7RHHB 20-29 years, male 16.2
GTEX-16GPK-0126-SM-7DHLE 60-69 years, male 16.1
GTEX-17HHE-2026-SM-79OKF 50-59 years, male 16.1
GTEX-T5JW-1626-SM-3GADZ 20-29 years, female 16.1
GTEX-13CF2-2526-SM-5LZYX 60-69 years, male 16.0
GTEX-1B8SF-1426-SM-7DUGL 60-69 years, male 16.0
GTEX-NPJ8-0126-SM-2YUNR 40-49 years, male 16.0
GTEX-ZV68-0126-SM-59HKS 50-59 years, female 16.0
GTEX-1KAFJ-2026-SM-CY8ID 50-59 years, male 16.0
GTEX-OXRP-0126-SM-3NB32 60-69 years, female 15.9
GTEX-132NY-0326-SM-5IJBL 60-69 years, male 15.8
GTEX-13VXU-0126-SM-5SI9F 50-59 years, male 15.7
GTEX-T6MO-1626-SM-32QOM 40-49 years, female 15.7
GTEX-1B996-0226-SM-7RHGO 60-69 years, male 15.7
GTEX-1I1GV-0526-SM-A9G29 60-69 years, male 15.7
GTEX-1RAZA-0126-SM-E6CI3 20-29 years, male 15.7
GTEX-ZF29-2326-SM-DO92K 60-69 years, female 15.7
GTEX-11DXZ-2326-SM-5EGGV 50-59 years, male 15.6
GTEX-17MFQ-1726-SM-793C7 20-29 years, male 15.6
GTEX-WFG8-2226-SM-3GIL9 20-29 years, male 15.6
GTEX-13SLW-0126-SM-5SI6C 70-79 years, male 15.5
GTEX-1AX9K-2326-SM-73KWU 50-59 years, male 15.5
GTEX-YEC4-2126-SM-5IFJH 40-49 years, male 15.5
GTEX-ZTPG-0326-SM-5O9AX 20-29 years, female 15.5
GTEX-1HBPI-1526-SM-C1YQ1 50-59 years, male 15.5
GTEX-1I1GR-0126-SM-CL55F 60-69 years, male 15.5
GTEX-Q2AG-0126-SM-33HBV 40-49 years, female 15.4
GTEX-12584-0126-SM-5EGKQ 40-49 years, male 15.3
GTEX-17HGU-0226-SM-7DHKV 50-59 years, male 15.3
GTEX-1B8KZ-2026-SM-7DHMB 50-59 years, male 15.3
GTEX-OXRK-0226-SM-3NB2G 50-59 years, female 15.3
GTEX-ZTX8-1426-SM-5DUVO 20-29 years, male 15.3
GTEX-139T4-0226-SM-5HL5S 50-59 years, female 15.2
GTEX-OIZG-0726-SM-33HBL 50-59 years, male 15.2
GTEX-RN64-0126-SM-2TC68 50-59 years, male 15.2
GTEX-ZAB5-1826-SM-5HL7C 50-59 years, male 15.2
GTEX-1PBJI-0526-SM-E8VNK 20-29 years, female 15.2
GTEX-SIU8-0126-SM-2XCDT 50-59 years, male 15.1
GTEX-Y5V6-2426-SM-4VDSB 60-69 years, male 15.1
GTEX-14E7W-0126-SM-6LLJ9 70-79 years, male 15.0
GTEX-V1D1-2226-SM-3NMAX 50-59 years, male 15.0
GTEX-13S7M-0126-SM-5SI6A 60-69 years, female 14.9
GTEX-147GR-0526-SM-5S2MY 60-69 years, male 14.9
GTEX-1I4MK-2226-SM-ACKWD 50-59 years, female 14.9
GTEX-11NUK-0126-SM-5A5L3 50-59 years, male 14.8
GTEX-13OVH-0126-SM-5MR4B 70-79 years, male 14.8
GTEX-14PJM-0226-SM-62LF1 50-59 years, female 14.8
GTEX-13FH7-2026-SM-E9J4I 50-59 years, female 14.8
GTEX-14PII-0226-SM-6EU1T 60-69 years, male 14.7
GTEX-ZGAY-0526-SM-4WWBB 40-49 years, female 14.7
GTEX-1HSMP-0126-SM-E6CJS 70-79 years, male 14.7
GTEX-13112-2826-SM-5DUWH 50-59 years, male 14.6
GTEX-1EMGI-0126-SM-9KNUE 60-69 years, male 14.6
GTEX-13NYB-2526-SM-5K7Z6 40-49 years, male 14.5
GTEX-17KNJ-2326-SM-7DHLQ 50-59 years, male 14.5
GTEX-1S5ZA-0126-SM-EVYCV 20-29 years, male 14.5
GTEX-WY7C-2326-SM-3NB2U 50-59 years, male 14.4
GTEX-1RQEC-0426-SM-E6CHU 60-69 years, male 14.4
GTEX-17F97-0326-SM-7LG5B 50-59 years, male 14.3
GTEX-WYJK-0126-SM-3NMAB 50-59 years, male 14.3
GTEX-YFC4-0126-SM-5CVLY 40-49 years, female 14.3
GTEX-1M5QR-1226-SM-EWROB 40-49 years, male 14.3
GTEX-15CHC-2126-SM-6EU21 60-69 years, female 14.2
GTEX-ZDTT-2726-SM-4WKF8 60-69 years, male 14.2
GTEX-131XW-0426-SM-5LZWP 50-59 years, female 14.1
GTEX-14753-0426-SM-5NQAM 60-69 years, male 14.1
GTEX-1I19N-0326-SM-ACKVX 70-79 years, male 14.1
GTEX-1I1HK-0126-SM-COH49 60-69 years, male 14.1
GTEX-1IDJH-0326-SM-A9SLQ 70-79 years, male 14.1
GTEX-1OFPY-2426-SM-DTXEJ 60-69 years, male 14.1
GTEX-11XUK-2026-SM-5EQLF 40-49 years, female 14.0
GTEX-U8XE-0326-SM-3DB8P 30-39 years, male 14.0
GTEX-RNOR-0126-SM-E9J4R 50-59 years, female 14.0
GTEX-18A66-0226-SM-718BD 60-69 years, male 13.9
GTEX-Y8DK-0126-SM-4TT3L 60-69 years, male 13.9
GTEX-1GN1U-0126-SM-7PBZK 50-59 years, female 13.9
GTEX-13113-5016-SM-7EPIP 60-69 years, female 13.8
GTEX-139UW-2826-SM-5L3E7 60-69 years, male 13.8
GTEX-X4EP-0126-SM-3P5YV 60-69 years, female 13.8
GTEX-1R9PO-2126-SM-E9J4O 60-69 years, female 13.8
GTEX-139TU-0126-SM-5K7WH 60-69 years, male 13.7
GTEX-13PVR-2326-SM-5QGR1 60-69 years, female 13.7
GTEX-S95S-1226-SM-4GICG 60-69 years, male 13.7
GTEX-U412-0426-SM-3DB9O 60-69 years, male 13.7
GTEX-WZTO-0126-SM-3NM95 40-49 years, male 13.7
GTEX-13FTX-1826-SM-5J1NX 20-29 years, female 13.6
GTEX-Q2AH-1626-SM-3GAF8 40-49 years, male 13.6
GTEX-ZC5H-0226-SM-4WAY9 40-49 years, female 13.6
GTEX-1GMRU-0126-SM-9YFLV 50-59 years, male 13.6
GTEX-1H3VY-0126-SM-ACKXD 50-59 years, male 13.5
GTEX-1JKYR-0126-SM-CNPOJ 20-29 years, male 13.5
GTEX-13RTK-1426-SM-5QGQJ 20-29 years, male 13.4
GTEX-U8T8-0126-SM-3DB94 60-69 years, male 13.4
GTEX-1LNCM-1126-SM-E9U5E 50-59 years, female 13.4
GTEX-1HT8W-0126-SM-CNPPP 30-39 years, male 13.3
GTEX-13O3Q-2426-SM-5IJBR 50-59 years, male 13.2
GTEX-PX3G-0126-SM-2I3EN 20-29 years, female 13.2
GTEX-1HR98-0126-SM-B2LWI 60-69 years, male 13.2
GTEX-1MCQQ-0826-SM-DLHC2 60-69 years, male 13.2
GTEX-1PIIG-0226-SM-EWRN6 30-39 years, male 13.2
GTEX-11NSD-2226-SM-5986V 20-29 years, male 13.1
GTEX-12KS4-0326-SM-5EQ41 30-39 years, male 13.1
GTEX-145ME-1826-SM-5SI9G 40-49 years, female 13.1
GTEX-1AX9J-0226-SM-73KXM 60-69 years, male 13.1
GTEX-1F75A-0126-SM-7RHGM 50-59 years, male 13.1
GTEX-11GSP-2526-SM-5N9BP 60-69 years, female 13.0
GTEX-13X6J-0126-SM-5QGOU 50-59 years, male 13.0
GTEX-XUW1-0426-SM-4BOOT 50-59 years, female 13.0
GTEX-1NV5F-0226-SM-E8VNY 60-69 years, female 13.0
GTEX-OIZF-0126-SM-7SB8I 60-69 years, male 13.0
GTEX-17HG3-2226-SM-7938L 30-39 years, female 12.9
GTEX-ZYFC-0226-SM-5NQ75 50-59 years, male 12.9
GTEX-14E6D-0126-SM-62LDV 50-59 years, male 12.8
GTEX-17EVQ-0226-SM-7LG4P 70-79 years, male 12.8
GTEX-1ICG6-2526-SM-CGQFZ 70-79 years, female 12.8
GTEX-1LG7Y-0526-SM-DKPQC 50-59 years, male 12.8
GTEX-1399R-2726-SM-5IJBA 30-39 years, male 12.7
GTEX-13FHO-0226-SM-5IFGY 60-69 years, male 12.7
GTEX-1BAJH-0526-SM-793CQ 70-79 years, male 12.7
GTEX-ZYT6-0226-SM-5NQ6T 30-39 years, male 12.7
GTEX-11DZ1-0126-SM-5985Q 50-59 years, male 12.6
GTEX-11EM3-2426-SM-59861 20-29 years, female 12.6
GTEX-PWO3-1526-SM-48TCM 60-69 years, female 12.6
GTEX-RU72-0926-SM-2TF6B 50-59 years, female 12.6
GTEX-1H11D-0226-SM-9WG6Z 40-49 years, male 12.6
GTEX-1HBPH-0426-SM-B2LW5 40-49 years, female 12.6
GTEX-1JMPY-1326-SM-ARL8Y 30-39 years, male 12.6
GTEX-16NGA-1726-SM-731B4 40-49 years, female 12.5
GTEX-VUSG-2526-SM-4KL1V 50-59 years, male 12.5
GTEX-1CB4F-0426-SM-9KNV4 60-69 years, male 12.5
GTEX-1H1E6-1726-SM-ACKVK 30-39 years, male 12.5
GTEX-1I1GP-2226-SM-CGQFK 50-59 years, male 12.5
GTEX-1O97I-0326-SM-EYYX7 60-69 years, male 12.5
GTEX-11P7K-2126-SM-5GU7G 30-39 years, male 12.4
GTEX-13N2G-2626-SM-5J1OT 60-69 years, male 12.4
GTEX-14PN4-0126-SM-6EU2V 50-59 years, male 12.4
GTEX-ZAK1-0126-SM-5IJD3 50-59 years, female 12.4
GTEX-1F6RS-0126-SM-9MQKZ 60-69 years, female 12.4
GTEX-1IOXB-0126-SM-ARL8G 50-59 years, male 12.4
GTEX-11OC5-0126-SM-5HL6A 60-69 years, male 12.3
GTEX-11OF3-2626-SM-5GU7F 60-69 years, male 12.3
GTEX-131XH-2226-SM-5DUXJ 50-59 years, male 12.3
GTEX-13FHP-0126-SM-5IJBG 50-59 years, male 12.3
GTEX-13O3P-0126-SM-5KM4S 50-59 years, male 12.3
GTEX-18A7A-0226-SM-718BH 50-59 years, female 12.3
GTEX-QV44-1926-SM-2S1RF 50-59 years, male 12.3
GTEX-Y114-2426-SM-4TT8A 50-59 years, female 12.3
GTEX-1EKGG-0226-SM-9WYTH 60-69 years, male 12.3
GTEX-1MJK2-0426-SM-DTXE5 50-59 years, male 12.3
GTEX-12ZZY-0226-SM-5LZVE 60-69 years, male 12.2
GTEX-14BMU-2226-SM-5TDE9 20-29 years, female 12.2
GTEX-QDVJ-1726-SM-2I5FX 50-59 years, male 12.2
GTEX-1I1CD-0126-SM-CM2TK 60-69 years, female 12.2
GTEX-1IKOH-0226-SM-COH4E 60-69 years, female 12.2
GTEX-145LT-1726-SM-5QGP3 40-49 years, male 12.1
GTEX-S7PM-0126-SM-4AD6S 60-69 years, male 12.1
GTEX-W5WG-1826-SM-4KL2Y 50-59 years, female 12.1
GTEX-14BMV-0126-SM-5S2PO 50-59 years, male 12.0
GTEX-14LZ3-0226-SM-62LET 60-69 years, female 12.0
GTEX-18D9A-1926-SM-7LG6P 30-39 years, female 12.0
GTEX-T8EM-1026-SM-3DB7M 40-49 years, male 12.0
GTEX-X4XX-0126-SM-3NMC2 60-69 years, male 12.0
GTEX-1AX9I-0126-SM-7SB74 60-69 years, male 12.0
GTEX-15DDE-0126-SM-6LPKH 50-59 years, female 11.9
GTEX-15SHW-0326-SM-6PAML 60-69 years, male 11.9
GTEX-1AYCT-2426-SM-7IGQ3 50-59 years, male 11.9
GTEX-U4B1-1826-SM-4DXSU 40-49 years, male 11.9
GTEX-1B8L1-2526-SM-9WYTF 60-69 years, male 11.9
GTEX-1HB9E-0226-SM-E9U4R 50-59 years, male 11.9
GTEX-1IL2V-0126-SM-CM2TX 70-79 years, male 11.9
GTEX-1S83E-0126-SM-EWRO4 40-49 years, male 11.9
GTEX-11ZTT-2426-SM-5EQLS 60-69 years, female 11.8
GTEX-12WSC-0126-SM-5EQ4P 50-59 years, male 11.8
GTEX-13RTJ-2426-SM-5S2Q2 60-69 years, male 11.8
GTEX-17EVP-0326-SM-7DHLG 40-49 years, male 11.8
GTEX-PLZ5-2026-SM-2S1O4 50-59 years, male 11.8
GTEX-T6MN-0126-SM-32PLP 50-59 years, male 11.8
GTEX-XQ3S-1526-SM-4BOOC 20-29 years, male 11.8
GTEX-1GZHY-0326-SM-9QEHI 50-59 years, female 11.8
GTEX-1QW4Y-1526-SM-EAZ3Z 30-39 years, male 11.8
GTEX-13NZA-0226-SM-5K7Z7 60-69 years, male 11.7
GTEX-QDT8-0126-SM-48TZ1 30-39 years, female 11.7
GTEX-TSE9-0126-SM-3DB83 60-69 years, female 11.7
GTEX-1GF9U-2126-SM-7SB7L 40-49 years, female 11.7
GTEX-1B8SG-0126-SM-73KZ3 50-59 years, male 11.6
GTEX-1C64O-0126-SM-7SB8P 60-69 years, male 11.6
GTEX-1EWIQ-0126-SM-7RHH2 70-79 years, female 11.6
GTEX-1HGF4-2426-SM-ACKXM 60-69 years, male 11.6
GTEX-11DYG-0126-SM-59883 60-69 years, male 11.5
GTEX-11UD2-0226-SM-5EQKY 50-59 years, male 11.5
GTEX-147F4-0226-SM-5QGPW 50-59 years, male 11.5
GTEX-QLQ7-1626-SM-2S1R8 60-69 years, male 11.5
GTEX-1ICLY-0126-SM-D4P36 50-59 years, male 11.5
GTEX-1LGRB-2526-SM-CNPPQ 50-59 years, female 11.5
GTEX-1269C-2526-SM-5EGJ3 60-69 years, female 11.4
GTEX-13O1R-0126-SM-5L3EH 60-69 years, male 11.4
GTEX-1E1VI-0126-SM-7DHMZ 50-59 years, male 11.4
GTEX-XBED-2226-SM-47JYQ 60-69 years, male 11.4
GTEX-1GMR8-0126-SM-9WYTM 50-59 years, female 11.4
GTEX-1GN1V-0126-SM-9WPOS 60-69 years, male 11.4
GTEX-12696-2426-SM-5EQ6H 60-69 years, male 11.3
GTEX-12WSD-0126-SM-59HKN 60-69 years, female 11.3
GTEX-13111-1626-SM-5EGJY 50-59 years, male 11.3
GTEX-1GL5R-1826-SM-9KNUY 50-59 years, male 11.3
GTEX-1N2EF-0226-SM-EYYXB 60-69 years, male 11.3
GTEX-11WQC-2526-SM-5CVLE 60-69 years, male 11.2
GTEX-11ZVC-2526-SM-5FQTE 50-59 years, female 11.2
GTEX-1313W-0126-SM-5LZUN 50-59 years, female 11.2
GTEX-R55G-2526-SM-2TC6D 40-49 years, female 11.2
GTEX-SNMC-1226-SM-2XCFP 20-29 years, male 11.2
GTEX-1F5PL-0326-SM-7P8PQ 40-49 years, female 11.2
GTEX-12WSL-2526-SM-5GCNJ 50-59 years, male 11.1
GTEX-139D8-0226-SM-5KLZO 30-39 years, female 11.1
GTEX-OOBK-0126-SM-2YUND 40-49 years, male 11.1
GTEX-13OW5-0126-SM-DTXFS 60-69 years, male 11.1
GTEX-1H4P4-0726-SM-9YFLR 50-59 years, male 11.1
GTEX-13G51-2526-SM-5LZYK 60-69 years, male 11.0
GTEX-13NZ8-0826-SM-5MR3I 60-69 years, female 11.0
GTEX-18A67-0126-SM-7LG5P 50-59 years, male 11.0
GTEX-S7SE-0126-SM-2XCD5 50-59 years, male 11.0
GTEX-X261-0126-SM-3NMD6 50-59 years, male 11.0
GTEX-XQ8I-0426-SM-4BOPO 50-59 years, male 11.0
GTEX-Y5LM-1926-SM-5RQJH 40-49 years, female 11.0
GTEX-Z93S-0126-SM-5HL7M 50-59 years, male 11.0
GTEX-ZEX8-2426-SM-4WKG4 50-59 years, male 11.0
GTEX-1F5PK-2426-SM-7RHHY 50-59 years, male 11.0
GTEX-1MUQO-0126-SM-EAZ58 60-69 years, male 11.0
GTEX-ZVT4-0126-SM-DTXFN 50-59 years, female 11.0
GTEX-NFK9-0226-SM-2HMKQ 40-49 years, male 10.9
GTEX-OXRO-0126-SM-2YUN4 60-69 years, female 10.9
GTEX-Q734-1926-SM-2I5EV 40-49 years, female 10.9
GTEX-1LG7Z-1726-SM-D3LA4 30-39 years, male 10.9
GTEX-13QJ3-0326-SM-5S2RA 50-59 years, male 10.8
GTEX-1JN76-0126-SM-CNPPE 20-29 years, female 10.8
GTEX-145LS-0126-SM-5QGP1 60-69 years, female 10.7
GTEX-145MI-0526-SM-5O9A8 60-69 years, female 10.7
GTEX-14E6E-1826-SM-5S2R7 30-39 years, male 10.7
GTEX-WXYG-2326-SM-4E3I6 50-59 years, female 10.7
GTEX-XAJ8-0826-SM-47JY6 40-49 years, male 10.7
GTEX-1IKK5-0626-SM-ARL8A 60-69 years, male 10.7
GTEX-1IY9M-0126-SM-D3L8S 60-69 years, male 10.7
GTEX-1JMQJ-0526-SM-CYPSU 50-59 years, male 10.7
GTEX-1RDX4-0126-SM-E9J4P 50-59 years, female 10.7
GTEX-117XS-2726-SM-5N9BL 60-69 years, male 10.6
GTEX-13X6H-2126-SM-7EWD5 50-59 years, female 10.6
GTEX-15EOM-0126-SM-7KUGG 20-29 years, female 10.6
GTEX-16NPX-0226-SM-79OMT 50-59 years, male 10.6
GTEX-18QFQ-0126-SM-731BE 30-39 years, male 10.5
GTEX-14JG6-2226-SM-6EU2G 30-39 years, female 10.4
GTEX-1GN1W-0526-SM-9MQJQ 50-59 years, female 10.4
GTEX-1HSMQ-1226-SM-CGQFX 50-59 years, male 10.4
GTEX-111FC-0126-SM-5N9DL 60-69 years, male 10.3
GTEX-13SLX-0526-SM-5S2ON 50-59 years, female 10.3
GTEX-146FH-0126-SM-5QGPP 50-59 years, female 10.3
GTEX-14BIN-0626-SM-793DP 50-59 years, female 10.3
GTEX-QLQW-1126-SM-2S1Q8 30-39 years, male 10.3
GTEX-QVJO-1626-SM-2S1QW 60-69 years, female 10.3
GTEX-1H1DG-0126-SM-9WYU2 70-79 years, male 10.3
GTEX-1HCU9-1526-SM-A9SL7 20-29 years, male 10.3
GTEX-1QMI2-0226-SM-EVYBX 60-69 years, male 10.3
GTEX-PLZ6-1426-SM-DKPOT 30-39 years, male 10.3
GTEX-15EU6-0426-SM-6PAN5 50-59 years, male 10.2
GTEX-ZU9S-0226-SM-5E441 30-39 years, male 10.2
GTEX-1GF9V-0326-SM-7RHI5 60-69 years, male 10.2
GTEX-1H3NZ-0126-SM-ACKX7 60-69 years, male 10.2
GTEX-1HCU7-0226-SM-CL545 50-59 years, male 10.2
GTEX-13O21-1426-SM-5K7XI 50-59 years, male 10.1
GTEX-16AAH-1726-SM-7939C 50-59 years, male 10.1
GTEX-17JCI-0126-SM-7LG5G 60-69 years, female 10.1
GTEX-WQUQ-0426-SM-3MJFU 60-69 years, male 10.1
GTEX-1KXAM-2226-SM-CYPTC 60-69 years, male 10.1
GTEX-1R9PM-2026-SM-E76OY 20-29 years, male 10.1
GTEX-145MO-0326-SM-5Q5B3 60-69 years, male 10.0
GTEX-TMMY-0226-SM-33HBA 40-49 years, female 10.0
GTEX-1F75B-0126-SM-9KNVL 50-59 years, male 10.0
GTEX-1IE54-0126-SM-CMKHW 40-49 years, female 10.0
GTEX-ZPIC-1726-SM-DHXIU 40-49 years, female 10.0
GTEX-13X6I-0626-SM-5QGP9 60-69 years, male 9.9
GTEX-147F3-0526-SM-5SI98 50-59 years, female 9.9
GTEX-1HSKV-0226-SM-A9SKJ 60-69 years, male 9.9
GTEX-W5X1-3026-SM-EAZAX 40-49 years, female 9.9
GTEX-11VI4-1726-SM-5CVLH 40-49 years, female 9.8
GTEX-14ICK-0226-SM-6EU25 40-49 years, male 9.8
GTEX-11EQ9-2426-SM-5HL5T 30-39 years, male 9.7
GTEX-15G19-0126-SM-6PANQ 60-69 years, male 9.7
GTEX-169BO-1326-SM-9MQK2 50-59 years, male 9.7
GTEX-1GN2E-0426-SM-9MQKX 60-69 years, male 9.7
GTEX-1PIGE-0126-SM-EVYBJ 20-29 years, male 9.7
GTEX-PVOW-0126-SM-2XCFA 40-49 years, male 9.6
GTEX-ZE7O-0126-SM-57WC1 50-59 years, female 9.6
GTEX-ZF2S-2326-SM-4WWCE 50-59 years, female 9.6
GTEX-1RB15-2126-SM-E9TIM 60-69 years, male 9.6
GTEX-1211K-2026-SM-5EQ4Z 60-69 years, female 9.5
GTEX-1A3MV-1926-SM-718BT 30-39 years, male 9.5
GTEX-1C4CL-0526-SM-73KVK 30-39 years, male 9.5
GTEX-1CB4J-0626-SM-7DHMP 60-69 years, male 9.5
GTEX-1C6VQ-0126-SM-7P8RI 50-59 years, male 9.5
GTEX-1H3O1-0426-SM-9YFKY 60-69 years, male 9.5
GTEX-1JMPZ-0226-SM-CNPP1 30-39 years, male 9.5
GTEX-12WSE-0526-SM-793B2 20-29 years, male 9.4
GTEX-18D9B-0526-SM-7LTAS 60-69 years, male 9.4
GTEX-YJ89-0126-SM-4TT3X 60-69 years, male 9.4
GTEX-1GZ4H-1726-SM-7PBZJ 50-59 years, female 9.4
GTEX-1HSGN-0226-SM-CGQFV 40-49 years, female 9.4
GTEX-12WSK-2326-SM-5GCOH 40-49 years, female 9.3
GTEX-15SDE-2226-SM-7IGLO 50-59 years, female 9.2
GTEX-QCQG-1726-SM-3GIJ9 50-59 years, female 9.2
GTEX-UJHI-1526-SM-3DB99 50-59 years, female 9.2
GTEX-R45C-0126-SM-EAZ2R 60-69 years, female 9.2
GTEX-ZF3C-0126-SM-DO92D 50-59 years, female 9.2
GTEX-1128S-2326-SM-5GZZY 60-69 years, female 9.1
GTEX-14C5O-0126-SM-5SI6N 60-69 years, male 9.1
GTEX-RUSQ-1526-SM-2TF62 50-59 years, male 9.1
GTEX-ZQUD-1426-SM-57WER 30-39 years, male 9.1
GTEX-1CAMS-0426-SM-7P8T2 40-49 years, female 9.1
GTEX-1IDFM-0126-SM-COH2V 60-69 years, male 9.1
GTEX-ZQG8-1626-SM-DHXIT 60-69 years, female 9.1
GTEX-11ZU8-2526-SM-5EQKI 60-69 years, male 9.0
GTEX-13FTY-0526-SM-5L3EV 40-49 years, female 9.0
GTEX-13W46-0226-SM-5SIAG 50-59 years, male 9.0
GTEX-15UF6-0826-SM-6PALJ 70-79 years, female 9.0
GTEX-ZZ64-1726-SM-5GZYB 20-29 years, male 9.0
GTEX-1KD5A-0226-SM-D5OV3 50-59 years, male 9.0
GTEX-PSDG-0226-SM-DKPOZ 50-59 years, male 9.0
GTEX-1192X-0226-SM-5H12D 50-59 years, male 8.9
GTEX-11GSO-2426-SM-5A5LY 60-69 years, male 8.9
GTEX-11P81-2326-SM-59875 30-39 years, female 8.9
GTEX-13OVK-2026-SM-7KUEO 40-49 years, male 8.9
GTEX-RM2N-1426-SM-2TF4H 50-59 years, male 8.9
GTEX-T2IS-0126-SM-4DM6O 20-29 years, female 8.9
GTEX-1IKJJ-0126-SM-CNPQB 60-69 years, male 8.9
GTEX-1LGOU-2026-SM-DIPFF 20-29 years, female 8.9
GTEX-15ETS-0126-SM-7KUMW 40-49 years, female 8.8
GTEX-1C64N-0126-SM-793D7 50-59 years, male 8.8
GTEX-1HUB1-0426-SM-E9U4U 60-69 years, male 8.8
GTEX-1J8QM-2126-SM-CYPSJ 60-69 years, female 8.8
GTEX-13NZB-2526-SM-5J1OM 30-39 years, male 8.7
GTEX-13PDP-0126-SM-5L3HD 60-69 years, male 8.7
GTEX-15DCD-0126-SM-7KUEK 70-79 years, female 8.7
GTEX-RWSA-0126-SM-2XCBB 40-49 years, male 8.7
GTEX-1J8Q2-0526-SM-CM2RW 60-69 years, male 8.7
GTEX-14LLW-0126-SM-6LLIO 70-79 years, female 8.6
GTEX-X62O-0126-SM-4E3JN 50-59 years, male 8.6
GTEX-1JMLX-0226-SM-CM2RO 50-59 years, male 8.6
GTEX-1OJC3-0126-SM-E76QX 20-29 years, male 8.6
GTEX-1A3MX-0126-SM-731BR 60-69 years, male 8.5
GTEX-1E2YA-0126-SM-9KNUC 50-59 years, male 8.5
GTEX-1KWVE-1426-SM-E9TJO 30-39 years, male 8.5
GTEX-1MA7W-2026-SM-E9TJ6 20-29 years, female 8.5
GTEX-11LCK-1026-SM-5A5KB 30-39 years, male 8.4
GTEX-1314G-1526-SM-5EGK2 30-39 years, male 8.4
GTEX-15SHU-0126-SM-7KUEH 40-49 years, female 8.4
GTEX-Y5V5-2326-SM-4V6GA 60-69 years, female 8.4
GTEX-146FR-1326-SM-E9J48 60-69 years, female 8.4
GTEX-1PDJ9-0326-SM-DTX95 20-29 years, male 8.4
GTEX-X5EB-2226-SM-46MW4 40-49 years, male 8.3
GTEX-1J1R8-1726-SM-ARL8M 40-49 years, male 8.3
GTEX-12ZZZ-0626-SM-5DUXI 60-69 years, male 8.2
GTEX-14BIM-0226-SM-7IGLD 60-69 years, female 8.2
GTEX-15ER7-0326-SM-7KUEV 20-29 years, female 8.2
GTEX-1A32A-0126-SM-718B1 50-59 years, female 8.2
GTEX-OXRL-0126-SM-2YUMP 50-59 years, male 8.2
GTEX-WYVS-2126-SM-3NMA3 40-49 years, female 8.2
GTEX-ZE9C-2726-SM-57WB5 60-69 years, male 8.2
GTEX-1F6I4-0126-SM-9MQL2 60-69 years, male 8.2
GTEX-1HBPN-0226-SM-9YFM1 50-59 years, male 8.2
GTEX-1C6VR-2426-SM-79OLD 60-69 years, male 8.1
GTEX-ZYFG-2326-SM-5E44B 60-69 years, female 8.1
GTEX-1212Z-2526-SM-5EGKP 60-69 years, male 8.0
GTEX-139T8-0126-SM-5K7XZ 60-69 years, male 8.0
GTEX-14XAO-2326-SM-6EU1B 60-69 years, female 8.0
GTEX-UPJH-0326-SM-3GADU 50-59 years, male 8.0
GTEX-WH7G-2326-SM-3NMBC 40-49 years, male 8.0
GTEX-1PPH8-0226-SM-E8VND 20-29 years, male 8.0
GTEX-1QCLY-0326-SM-E8VOG 30-39 years, male 8.0
GTEX-11TTK-0126-SM-5987B 60-69 years, female 7.9
GTEX-13OW6-0426-SM-5L3HM 50-59 years, male 7.9
GTEX-1JN6P-0126-SM-D3L98 60-69 years, male 7.9
GTEX-1QEPI-0126-SM-EWRMQ 60-69 years, female 7.9
GTEX-117YX-2326-SM-5H12W 50-59 years, male 7.8
GTEX-15UKP-0426-SM-7KUFQ 20-29 years, male 7.8
GTEX-U3ZM-1526-SM-3DB9D 40-49 years, male 7.8
GTEX-YB5K-2126-SM-4WWDJ 40-49 years, female 7.8
GTEX-ZF28-0126-SM-4WKGK 60-69 years, male 7.8
GTEX-1M4P7-0226-SM-DIPEV 60-69 years, male 7.8
GTEX-18A7B-0126-SM-7LG64 70-79 years, male 7.7
GTEX-TMZS-0126-SM-3DB9Q 60-69 years, male 7.7
GTEX-1PFEY-1526-SM-E76PP 30-39 years, male 7.7
GTEX-144FL-0126-SM-5TDC8 50-59 years, male 7.6
GTEX-15D1Q-0126-SM-7KUG6 40-49 years, male 7.6
GTEX-X585-0226-SM-4QAS2 50-59 years, male 7.6
GTEX-ZVE2-0226-SM-59HJB 50-59 years, male 7.6
GTEX-12ZZX-0126-SM-5EGK9 40-49 years, female 7.5
GTEX-X8HC-0126-SM-4E3JW 50-59 years, female 7.5
GTEX-1I1GU-2226-SM-CGQFA 40-49 years, male 7.5
GTEX-1IL2U-0226-SM-CE6T8 60-69 years, male 7.5
GTEX-1MCYP-1926-SM-E9J2R 20-29 years, female 7.5
GTEX-11EI6-0126-SM-5985R 60-69 years, male 7.4
GTEX-15RIG-0226-SM-7KFTL 40-49 years, male 7.4
GTEX-1CB4E-2226-SM-793DC 60-69 years, male 7.4
GTEX-13NYC-0326-SM-E9J4S 60-69 years, male 7.4
GTEX-1JKYN-1326-SM-CGQG9 30-39 years, male 7.4
GTEX-1L5NE-2526-SM-E6CIE 50-59 years, male 7.4
GTEX-14JG1-0426-SM-6ETZZ 40-49 years, male 7.3
GTEX-1C2JI-1826-SM-73KXC 50-59 years, male 7.3
GTEX-1KANB-0526-SM-E6CJH 50-59 years, male 7.3
GTEX-1399T-2826-SM-5KLYZ 60-69 years, male 7.2
GTEX-14PN3-2426-SM-6LLHS 60-69 years, female 7.2
GTEX-1AMFI-2026-SM-731BH 50-59 years, female 7.2
GTEX-ZV6S-2326-SM-4YCEY 40-49 years, female 7.2
GTEX-1IDJU-2626-SM-CM2RT 60-69 years, female 7.2
GTEX-1QP29-0626-SM-EWRMX 50-59 years, male 7.2
GTEX-1QP2A-0126-SM-E9J43 50-59 years, male 7.2
GTEX-13YAN-0326-SM-5O9DF 60-69 years, male 7.1
GTEX-145LV-2126-SM-5LU8N 50-59 years, male 7.1
GTEX-14PJ6-2126-SM-6EU1V 60-69 years, female 7.1
GTEX-1AYD5-2426-SM-73KXR 50-59 years, male 7.0
GTEX-P44H-0226-SM-2XCEU 40-49 years, male 7.0
GTEX-XYKS-2126-SM-4E3IB 60-69 years, female 7.0
GTEX-11TT1-2526-SM-5EGIB 20-29 years, male 6.9
GTEX-POMQ-2226-SM-2I5FK 20-29 years, female 6.9
GTEX-XV7Q-2526-SM-4BRV9 40-49 years, female 6.9
GTEX-YB5E-2026-SM-5IFIS 40-49 years, male 6.9
GTEX-ZXG5-0126-SM-5GIEU 60-69 years, male 6.9
GTEX-1F52S-0126-SM-9MQJU 60-69 years, female 6.9
GTEX-1F75I-0326-SM-9YFLU 40-49 years, male 6.9
GTEX-13FTW-2626-SM-5K7WL 40-49 years, male 6.8
GTEX-14PJ3-1826-SM-62LEX 50-59 years, male 6.8
GTEX-1EX96-1626-SM-7PBXR 50-59 years, male 6.8
GTEX-1H23P-0126-SM-ADEJ3 60-69 years, male 6.8
GTEX-13IVO-0126-SM-5J1NG 70-79 years, male 6.6
GTEX-17HII-0226-SM-7LG4E 50-59 years, male 6.6
GTEX-WRHK-1426-SM-3MJF9 20-29 years, female 6.6
GTEX-ZVZP-2426-SM-59HKJ 50-59 years, male 6.6
GTEX-1CAV2-2226-SM-7P8P2 40-49 years, female 6.6
GTEX-13D11-2426-SM-5KM1V 50-59 years, female 6.5
GTEX-14BIL-0126-SM-5SI92 50-59 years, male 6.5
GTEX-ZYY3-0126-SM-5GZY5 60-69 years, female 6.5
GTEX-1ICLZ-0126-SM-CKZPO 60-69 years, male 6.5
GTEX-ZXES-1826-SM-5E43S 30-39 years, female 6.4
GTEX-1S82Y-2026-SM-EVYCM 40-49 years, male 6.4
GTEX-QDVN-2026-SM-3GAEP 50-59 years, male 6.3
GTEX-SN8G-0126-SM-32PLI 50-59 years, female 6.3
GTEX-17MF6-0126-SM-7LG4F 40-49 years, male 6.2
GTEX-O5YW-0126-SM-3LK6D 50-59 years, male 6.2
GTEX-TKQ1-1026-SM-4GICL 30-39 years, male 6.2
GTEX-1GTWX-0126-SM-9YFLK 60-69 years, male 6.2
GTEX-P4QT-0126-SM-2I3FL 50-59 years, female 6.1
GTEX-1H3VE-0326-SM-9YFLH 40-49 years, male 6.1
GTEX-111VG-2426-SM-5GZXD 60-69 years, male 6.0
GTEX-14DAR-2026-SM-5S2O3 50-59 years, male 6.0
GTEX-VJWN-0126-SM-3GIK7 50-59 years, female 6.0
GTEX-1GZ2Q-0226-SM-7P8TL 40-49 years, male 6.0
GTEX-11UD1-0126-SM-5PNYG 40-49 years, female 5.9
GTEX-13OW8-1326-SM-5J1OW 60-69 years, male 5.9
GTEX-1RLM8-2326-SM-EWRN4 50-59 years, male 5.9
GTEX-16MT8-0426-SM-7KUEY 60-69 years, female 5.8
GTEX-1GPI7-0126-SM-9MQL8 20-29 years, male 5.8
GTEX-1LBAC-0126-SM-DIPEZ 20-29 years, male 5.8
GTEX-133LE-1826-SM-5J1MV 20-29 years, female 5.7
GTEX-13W3W-2426-SM-5LU5B 60-69 years, female 5.7
GTEX-XMD2-0126-SM-4YCDU 60-69 years, female 5.7
GTEX-1GMR3-1926-SM-9KNUZ 40-49 years, male 5.7
GTEX-13NYS-0126-SM-5MR3W 60-69 years, male 5.6
GTEX-148VI-1626-SM-5SI6E 60-69 years, female 5.6
GTEX-ZAJG-0126-SM-5HL94 50-59 years, female 5.6
GTEX-1H1ZS-0426-SM-9WG6G 70-79 years, male 5.6
GTEX-1J1OQ-0226-SM-CYPSH 40-49 years, female 5.6
GTEX-1MGNQ-0126-SM-EVYCJ 40-49 years, male 5.6
GTEX-12WSA-0226-SM-5BC5V 60-69 years, male 5.5
GTEX-17GQL-2026-SM-718BA 60-69 years, male 5.5
GTEX-1GF9W-0326-SM-9KNUN 60-69 years, male 5.5
GTEX-1JK1U-2026-SM-CM2RZ 60-69 years, male 5.5
GTEX-12WSJ-1826-SM-5GCNY 40-49 years, female 5.4
GTEX-18D9U-0226-SM-718BP 40-49 years, male 5.4
GTEX-1HCU8-0626-SM-A9SM9 60-69 years, female 5.4
GTEX-1KANC-1526-SM-D3LAB 50-59 years, female 5.4
GTEX-131XG-2626-SM-5KM17 50-59 years, female 5.3
GTEX-13CF3-2426-SM-5IFGX 60-69 years, female 5.3
GTEX-1CB4I-0226-SM-79OLH 50-59 years, male 5.3
GTEX-R3RS-0126-SM-3GIJL 40-49 years, female 5.3
GTEX-1H2FU-0126-SM-9WYSI 60-69 years, female 5.3
GTEX-17F96-1626-SM-7DUFL 70-79 years, male 5.2
GTEX-1CAMR-1926-SM-7EPI2 20-29 years, male 5.2
GTEX-1K2DU-2326-SM-E9TIV 20-29 years, male 5.2
GTEX-1QPFJ-0226-SM-E76PB 30-39 years, female 5.2
GTEX-1B8KE-2126-SM-73KYX 50-59 years, male 5.1
GTEX-ZYW4-0126-SM-5E44A 60-69 years, male 5.1
GTEX-1H1DE-2126-SM-9WG6R 20-29 years, male 5.1
GTEX-1JMOU-1526-SM-CL54I 60-69 years, female 5.1
GTEX-1LSNM-1926-SM-E6CII 50-59 years, male 5.1
GTEX-183WM-0126-SM-7LTAB 70-79 years, female 4.9
GTEX-OHPM-0126-SM-2YUN9 50-59 years, male 4.9
GTEX-ZTSS-1926-SM-57WEW 40-49 years, male 4.9
GTEX-1F48J-0126-SM-7P8TT 50-59 years, female 4.9
GTEX-1R7EV-2426-SM-EVYBG 40-49 years, male 4.9
GTEX-1C475-1826-SM-73KWA 40-49 years, female 4.8
GTEX-OXRN-0126-SM-48TDM 50-59 years, male 4.8
GTEX-P4PP-0126-SM-3LK69 30-39 years, female 4.8
GTEX-WFON-2126-SM-3LK7O 40-49 years, male 4.8
GTEX-1JJE9-0326-SM-CL53Z 70-79 years, male 4.8
GTEX-1OJC4-0126-SM-E9J2E 50-59 years, female 4.8
GTEX-1KANA-0726-SM-D3L9I 20-29 years, male 4.7
GTEX-1PWST-0226-SM-E76QJ 70-79 years, male 4.7
GTEX-XUZC-1726-SM-4BRWS 30-39 years, female 4.6
GTEX-1I1GT-0626-SM-CGQER 60-69 years, female 4.6
GTEX-1QAET-0926-SM-E76QM 50-59 years, male 4.6
GTEX-1R9K4-0126-SM-DTX9X 60-69 years, male 4.6
GTEX-WOFL-0126-SM-3MJG2 60-69 years, male 4.5
GTEX-ZWKS-0126-SM-5SIAA 30-39 years, male 4.5
GTEX-1I6K6-0126-SM-A9SLE 30-39 years, male 4.5
GTEX-13JUV-2726-SM-5LZZ8 40-49 years, female 4.4
GTEX-WI4N-1026-SM-3LK7N 40-49 years, female 4.4
GTEX-1CB4H-0226-SM-7PBXM 60-69 years, female 4.4
GTEX-17EUY-0426-SM-793BD 20-29 years, male 4.3
GTEX-1I1GS-0126-SM-B2LVW 60-69 years, male 4.3
GTEX-1JJ6O-0126-SM-E6CI8 60-69 years, male 4.3
GTEX-11H98-0126-SM-5EGHG 50-59 years, male 4.2
GTEX-13RTL-0126-SM-7LG5S 40-49 years, male 4.2
GTEX-145MN-2226-SM-5SIAU 30-39 years, male 4.2
GTEX-ZAB4-0226-SM-5N9F5 40-49 years, male 4.2
GTEX-1HCVE-0126-SM-CGQEU 50-59 years, male 4.2
GTEX-1LC47-0326-SM-E9TJP 60-69 years, male 4.2
GTEX-16BQI-0226-SM-7KUEX 30-39 years, female 4.1
GTEX-1A3MW-0126-SM-73KXX 60-69 years, female 4.1
GTEX-1CAMQ-0226-SM-7IGPK 40-49 years, male 4.1
GTEX-Z9EW-1626-SM-5CVMN 40-49 years, male 4.1
GTEX-1JMQL-0226-SM-CNPP5 50-59 years, female 4.1
GTEX-15F5U-1526-SM-6PANO 40-49 years, male 3.9
GTEX-16XZZ-0126-SM-793DV 60-69 years, male 3.9
GTEX-14A5H-0426-SM-5QGQF 60-69 years, male 3.8
GTEX-1A8FM-0226-SM-7SB7Q 50-59 years, female 3.8
GTEX-ZZPT-0226-SM-5E43X 50-59 years, male 3.7
GTEX-1JMQK-0226-SM-CL543 60-69 years, male 3.6
GTEX-S32W-2126-SM-2XCB1 50-59 years, female 3.5
GTEX-1EN7A-0126-SM-7SB81 40-49 years, male 3.5
GTEX-1HBPM-0226-SM-ARL9F 60-69 years, female 3.5
GTEX-14E6C-0126-SM-5RQIP 40-49 years, male 3.3
GTEX-1K2DA-1826-SM-CGQGT 50-59 years, male 3.3
GTEX-1LH75-2426-SM-E9TJE 50-59 years, female 3.3
GTEX-131XE-2326-SM-5PNZ2 50-59 years, male 3.1
GTEX-1B97I-1626-SM-73KYO 40-49 years, male 3.0
GTEX-SE5C-1626-SM-2XCE3 40-49 years, female 2.9
GTEX-1HFI7-1826-SM-ACKXH 50-59 years, female 2.8
GTEX-1LVAN-0226-SM-COH3S 50-59 years, female 2.8
GTEX-13OVI-1426-SM-5L3EY 60-69 years, female 2.5
GTEX-11WQK-0526-SM-5EQLD 50-59 years, male 2.4
GTEX-1JN1M-0326-SM-CYPT3 60-69 years, female 2.2
GTEX-1R7EU-0226-SM-EVR4G 60-69 years, male 2.2
GTEX-14PHW-0126-SM-6LLJI 60-69 years, female 2.1
Show allShow less

Contact

  • NEWS ARTICLES
  • PRESS ROOM

The Project

  • INTRODUCTION
  • ORGANIZATION
  • PUBLICATIONS

The Human Protein Atlas

  • DOWNLOADABLE DATA
  • LICENCE & CITATION
  • HELP & FAQ
The Human Protein Atlas project is funded
by the Knut & Alice Wallenberg Foundation.


contact@proteinatlas.org